{"@context": "https://ziyuan.baidu.com/contexts/cambrian.jsonld","appid": "1650708455561748","icon": "https://www.med-credit.org.cn/style/images/ttlogo.png","content_tag": ["atlas"],"is_mcn": {"thumb_id": "ay28xrnt0"},"accid": "4886d626a2804dee5f11168793ce361672f39c25","@id": "https://www.med-credit.org.cn/mobile/jingxuan/2/e25c929f2e9d8f7139d8f6abd6165c79.html","bagWordId": "654_1585949914934808576","title": "牙齿下面长白泡图片","pubDate": "2025-05-13T18:37:43","upDate": "2025-05-13T18:37:43","lrDate": "2025-05-13T18:37:43","description": "牙齿下面长白泡是在牙龈的部位出现了一些白色的小水泡,伴有牙龈红肿、疼痛、水肿等的情况。","data": {"WebPage": {"headline": "牙齿下面长白泡图片","pcUrl": "https://www.med-credit.org.cn/jingxuan/2/e25c929f2e9d8f7139d8f6abd6165c79.html","wapUrl": "https://www.med-credit.org.cn/jingxuan/2/e25c929f2e9d8f7139d8f6abd6165c79.html","mipUrl": "https://www.med-credit.org.cn/mobile/jingxuan/2/e25c929f2e9d8f7139d8f6abd6165c79.html","fromSrc": "欢乐橙","datePublished": "2025-05-13T18:37:43","domain": "医疗","category": ["医疗权威文章合作"],"description": "
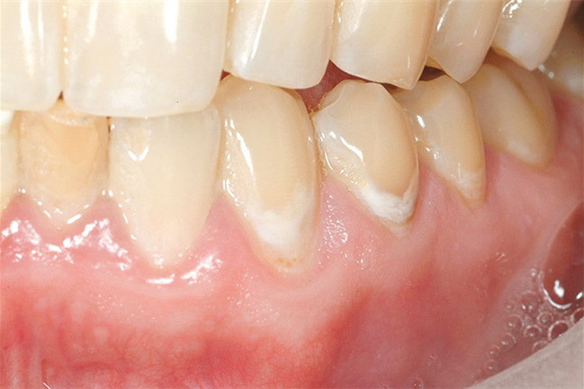
牙齿下面长白泡是在牙龈的部位出现了一些白色的小水泡,伴有牙龈红肿、疼痛、水肿等的情况。
","extra_headline": [""]},"Author": {"name": "李斯文","wapUrl": "https://www.med-credit.org.cn/doctor/546","pcUrl": "https://www.med-credit.org.cn/doctor/546","jobTitle": "主治医师","headPortrait": "https://www.med-credit.org.cn/uploadfile/member/546/180x180.jpeg","id": "546","description": "李斯文,中国医科大学附属口腔医院口腔科主治医师","memberOf": {"legalName": "中国医科大学附属口腔医院","department": "口腔科","organizationLevel": "三级甲等"}},"Article": {"summaryContent": "牙齿下面长白泡是在牙龈的部位出现了一些白色的小水泡,伴有牙龈红肿、疼痛、水肿等的情况。
牙齿下面长白泡可能是牙龈炎、口腔溃疡或者鹅口疮等原因引起的,可以在医生的指导下使用药物治疗。

1、牙龈炎:牙龈炎的患者通常是由于内分泌失调或者受到细菌病毒感染而引起的局部炎症反应,炎性介质刺激牙龈会在局部出现小水泡,可能伴有牙龈红肿、牙龈流血、疼痛等症状。建议做好口腔的护理,遵医嘱使用过氧化氢、氯己定等溶液来进行清洗,也可使用甲硝唑芬布芬胶囊(14岁以下禁用)、牛黄解毒片(3岁以下禁用)、丁硼乳膏(3岁以下禁用)等药物进行缓解治疗
2、口腔溃疡:口腔溃疡的患者也会在牙龈上出现单个或多个的小白泡,伴随周围充血水肿等症状。可以遵医嘱应用复方甘菊利多卡因凝胶、复方苯佐卡因凝胶等进行止痛。还可以外敷口腔溃疡散、西瓜霜等药物促进愈合。生活中要注意清淡饮食。
3、鹅口疮:鹅口疮的典型症状是颊黏膜、上颚,以及牙龈下面等部位有如乳凝块样的白斑或者是白泡,病变部位多有疼痛感。此病多见于儿童常伴有烦躁不安、哭闹、口干等表现。可以遵医嘱局部或者口服抗菌药物来进行治疗,常用的药物有制霉菌素片、氟康唑片(14岁以下禁用)等。
除了上述相对常见的原因外,还有其他的可能性疾病,比如牙龈癌。
","articleBody": "牙齿下面长白泡是在牙龈的部位出现了一些白色的小水泡,伴有牙龈红肿、疼痛、水肿等的情况。
牙齿下面长白泡可能是牙龈炎、口腔溃疡或者鹅口疮等原因引起的,可以在医生的指导下使用药物治疗。

1、牙龈炎:牙龈炎的患者通常是由于内分泌失调或者受到细菌病毒感染而引起的局部炎症反应,炎性介质刺激牙龈会在局部出现小水泡,可能伴有牙龈红肿、牙龈流血、疼痛等症状。建议做好口腔的护理,遵医嘱使用过氧化氢、氯己定等溶液来进行清洗,也可使用甲硝唑芬布芬胶囊(14岁以下禁用)、牛黄解毒片(3岁以下禁用)、丁硼乳膏(3岁以下禁用)等药物进行缓解治疗
2、口腔溃疡:口腔溃疡的患者也会在牙龈上出现单个或多个的小白泡,伴随周围充血水肿等症状。可以遵医嘱应用复方甘菊利多卡因凝胶、复方苯佐卡因凝胶等进行止痛。还可以外敷口腔溃疡散、西瓜霜等药物促进愈合。生活中要注意清淡饮食。
3、鹅口疮:鹅口疮的典型症状是颊黏膜、上颚,以及牙龈下面等部位有如乳凝块样的白斑或者是白泡,病变部位多有疼痛感。此病多见于儿童常伴有烦躁不安、哭闹、口干等表现。可以遵医嘱局部或者口服抗菌药物来进行治疗,常用的药物有制霉菌素片、氟康唑片(14岁以下禁用)等。
除了上述相对常见的原因外,还有其他的可能性疾病,比如牙龈癌。
","scanCount": 52737}}} {"@context": "https://ziyuan.baidu.com/contexts/cambrian.jsonld","appid": "1650708455561748","icon": "https://www.med-credit.org.cn/style/images/ttlogo.png","content_tag": ["atlas"],"is_mcn": {"thumb_id": "e4oal99d"},"accid": "4886d626a2804dee5f11168793ce361672f39c25","@id": "https://www.med-credit.org.cn/mobile/jingxuan/2/1784ec7a88dfc289eb2c76d8430eb6a7.html","bagWordId": "78b7c6677d205ba3","title": "3个月宝宝中耳炎初期图片","pubDate": "2025-05-13T18:37:43","upDate": "2025-05-13T18:37:43","lrDate": "2025-05-13T18:37:43","description": "3个月宝宝中耳炎初期耳朵常伴随流水流脓液、耳痛、听力下降等症状,通过耳内镜还可观察到局部黏膜红肿的现象。","data": {"WebPage": {"headline": "3个月宝宝中耳炎初期图片","pcUrl": "https://www.med-credit.org.cn/jingxuan/2/1784ec7a88dfc289eb2c76d8430eb6a7.html","wapUrl": "https://www.med-credit.org.cn/jingxuan/2/1784ec7a88dfc289eb2c76d8430eb6a7.html","mipUrl": "https://www.med-credit.org.cn/mobile/jingxuan/2/1784ec7a88dfc289eb2c76d8430eb6a7.html","fromSrc": "欢乐橙","datePublished": "2025-05-13T18:37:43","domain": "医疗","category": ["医疗权威文章合作"],"description": "3个月宝宝中耳炎初期耳朵常伴随流水流脓液、耳痛、听力下降等症状,通过耳内镜还可观察到局部黏膜红肿的现象。
","extra_headline": ["3个月宝宝中耳炎初期"]},"Author": {"name": "谢洪","wapUrl": "https://www.med-credit.org.cn/doctor/538","pcUrl": "https://www.med-credit.org.cn/doctor/538","jobTitle": "副主任医师","headPortrait": "https://www.med-credit.org.cn/uploadfile/member/538/180x180.jpeg","id": "538","description": "谢洪,首都医科大学附属北京世纪坛医院耳鼻喉头颈外科副主任医师","memberOf": {"legalName": "首都医科大学附属北京世纪坛医院","department": "耳鼻喉头颈外科","organizationLevel": "三级甲等"}},"Article": {"summaryContent": "3个月宝宝中耳炎初期耳朵常伴随流水流脓液、耳痛、听力下降等症状,通过耳内镜还可观察到局部黏膜红肿的现象。

由于3个月宝宝的耳咽管较成人更短、更粗、更直,易被细菌、病毒等致病物质侵入而引起局部感染,造成炎症反应,还可能使鼻腔内容物包括致病物质经过耳咽管倒流进入中耳,引起急性中耳炎,常伴随流水流脓液、耳痛、听力下降等症状。还会使宝宝耳腔内黏膜的血管通透性下降,局部组织充血水肿,通过耳内镜可观察到局部黏膜红肿的现象。
建议宝宝及时前往医院就诊,行相关检查,明确诊断,在医生的指导下行规范化的治疗,常选择局部给予苯酚甘油滴耳,辅之抗生素如氧氟沙星滴耳液(3岁以下儿童禁用)消炎治疗。必要时行鼓膜切开术或穿刺术,将中耳脓液引流至体外。
家长应该注意宝宝耳腔清洁,不要频繁掏耳朵。
","articleBody": "3个月宝宝中耳炎初期耳朵常伴随流水流脓液、耳痛、听力下降等症状,通过耳内镜还可观察到局部黏膜红肿的现象。

由于3个月宝宝的耳咽管较成人更短、更粗、更直,易被细菌、病毒等致病物质侵入而引起局部感染,造成炎症反应,还可能使鼻腔内容物包括致病物质经过耳咽管倒流进入中耳,引起急性中耳炎,常伴随流水流脓液、耳痛、听力下降等症状。还会使宝宝耳腔内黏膜的血管通透性下降,局部组织充血水肿,通过耳内镜可观察到局部黏膜红肿的现象。
建议宝宝及时前往医院就诊,行相关检查,明确诊断,在医生的指导下行规范化的治疗,常选择局部给予苯酚甘油滴耳,辅之抗生素如氧氟沙星滴耳液(3岁以下儿童禁用)消炎治疗。必要时行鼓膜切开术或穿刺术,将中耳脓液引流至体外。
家长应该注意宝宝耳腔清洁,不要频繁掏耳朵。
","scanCount": 6821}}} {"@context": "https://ziyuan.baidu.com/contexts/cambrian.jsonld","appid": "1650708455561748","icon": "https://www.med-credit.org.cn/style/images/ttlogo.png","content_tag": ["atlas"],"is_mcn": {"thumb_id": "x5e7zgbw"},"accid": "4886d626a2804dee5f11168793ce361672f39c25","@id": "https://www.med-credit.org.cn/mobile/jingxuan/2/be9032a10a07e6e3eb0afb5dccc381ea.html","bagWordId": "783_1598581060919103488","title": "上眼睑腺炎的图片","pubDate": "2025-03-06T15:32:01","upDate": "2025-03-06T15:32:01","lrDate": "2025-03-06T15:32:01","description": "睑腺炎即麦粒肿,上眼睑腺炎的上眼睑处可有红、肿、热、痛等急性炎症表现,多为柔软的疖、脓疱,可见淡黄色渗出物。","data": {"WebPage": {"headline": "上眼睑腺炎的图片","pcUrl": "https://www.med-credit.org.cn/jingxuan/2/be9032a10a07e6e3eb0afb5dccc381ea.html","wapUrl": "https://www.med-credit.org.cn/jingxuan/2/be9032a10a07e6e3eb0afb5dccc381ea.html","mipUrl": "https://www.med-credit.org.cn/mobile/jingxuan/2/be9032a10a07e6e3eb0afb5dccc381ea.html","fromSrc": "欢乐橙","datePublished": "2025-03-06T15:32:01","domain": "医疗","category": ["医疗权威文章合作"],"description": "睑腺炎即麦粒肿,上眼睑腺炎的上眼睑处可有红、肿、热、痛等急性炎症表现,多为柔软的疖、脓疱,可见淡黄色渗出物。
","extra_headline": [""]},"Author": {"name": "钟一凡","wapUrl": "https://www.med-credit.org.cn/doctor/521","pcUrl": "https://www.med-credit.org.cn/doctor/521","jobTitle": "主治医师","headPortrait": "https://www.med-credit.org.cn/uploadfile/member/521/180x180.jpeg","id": "521","description": "钟一凡,中国医科大学附属第一医院眼科主治医师","memberOf": {"legalName": "中国医科大学附属第一医院","department": "眼科","organizationLevel": "三级甲等"}},"Article": {"summaryContent": "睑腺炎即麦粒肿,上眼睑腺炎的上眼睑处可有红、肿、热、痛等急性炎症表现,多为柔软的疖、脓疱,可见淡黄色渗出物。
上眼睑腺炎一般分为外睑腺炎、内睑腺炎,发病早期可热敷,也可在医生的指导下选择合适的抗生素眼液滴眼治疗。

1、外睑腺炎:这类睑腺炎发生在眼睫毛根部附近的睑缘处,硬结通常可自行破溃;起病初期红肿范围弥散,轻轻触及可感到有硬结,压之疼痛;如果感染部位靠近外眦,可引起反应性球结膜水肿,眼睛看起来像含着泪一样。
2、内睑腺炎:这类睑腺炎发生眼睑内,大多数向睑结膜面发展;患处会出现硬结,有压痛,随病程进展;内睑腺炎常于睑结膜面形成黄色脓点,并向结膜囊内破溃,少数向皮肤面破溃;
由于内睑腺炎向内发展摩擦睑结膜,因此疼痛明显,相应睑结膜面会出现局限性充血肿胀,脓点破溃后炎症明显减轻,1~2天内逐渐消退。
发病早期可采取热敷,每日3~4次,每次15min。清洁睑缘,促进眼睑卫生,清除眼睑边缘的杂物。可拔除受影响的睫毛,促进排脓。也可在医生的指导下选择抗生素眼液滴眼,如左氧氟沙星滴眼液、红霉素眼膏等。
","articleBody": "睑腺炎即麦粒肿,上眼睑腺炎的上眼睑处可有红、肿、热、痛等急性炎症表现,多为柔软的疖、脓疱,可见淡黄色渗出物。
上眼睑腺炎一般分为外睑腺炎、内睑腺炎,发病早期可热敷,也可在医生的指导下选择合适的抗生素眼液滴眼治疗。

1、外睑腺炎:这类睑腺炎发生在眼睫毛根部附近的睑缘处,硬结通常可自行破溃;起病初期红肿范围弥散,轻轻触及可感到有硬结,压之疼痛;如果感染部位靠近外眦,可引起反应性球结膜水肿,眼睛看起来像含着泪一样。
2、内睑腺炎:这类睑腺炎发生眼睑内,大多数向睑结膜面发展;患处会出现硬结,有压痛,随病程进展;内睑腺炎常于睑结膜面形成黄色脓点,并向结膜囊内破溃,少数向皮肤面破溃;
由于内睑腺炎向内发展摩擦睑结膜,因此疼痛明显,相应睑结膜面会出现局限性充血肿胀,脓点破溃后炎症明显减轻,1~2天内逐渐消退。
发病早期可采取热敷,每日3~4次,每次15min。清洁睑缘,促进眼睑卫生,清除眼睑边缘的杂物。可拔除受影响的睫毛,促进排脓。也可在医生的指导下选择抗生素眼液滴眼,如左氧氟沙星滴眼液、红霉素眼膏等。
","scanCount": 32832}}} {"@context": "https://ziyuan.baidu.com/contexts/cambrian.jsonld","appid": "1650708455561748","icon": "https://www.med-credit.org.cn/style/images/ttlogo.png","content_tag": ["atlas"],"is_mcn": {"thumb_id": "lnsk06v2"},"accid": "4886d626a2804dee5f11168793ce361672f39c25","@id": "https://www.med-credit.org.cn/mobile/jingxuan/2/e61b6983cbaf57aeee7a5d6aed43c83c.html","bagWordId": "407_1570734604959092736","title": "局部皮肤纤维化图片","pubDate": "2025-03-06T15:32:01","upDate": "2025-03-06T15:32:01","lrDate": "2025-03-06T15:32:01","description": "局部皮肤纤维化主要是皮肤组织受到持续性损伤,导致纤维组织增多,局部出现硬化、功能减退、瘙痒、疼痛等。","data": {"WebPage": {"headline": "局部皮肤纤维化图片","pcUrl": "https://www.med-credit.org.cn/jingxuan/2/e61b6983cbaf57aeee7a5d6aed43c83c.html","wapUrl": "https://www.med-credit.org.cn/jingxuan/2/e61b6983cbaf57aeee7a5d6aed43c83c.html","mipUrl": "https://www.med-credit.org.cn/mobile/jingxuan/2/e61b6983cbaf57aeee7a5d6aed43c83c.html","fromSrc": "欢乐橙","datePublished": "2025-03-06T15:32:01","domain": "医疗","category": ["医疗权威文章合作"],"description": "局部皮肤纤维化主要是皮肤组织受到持续性损伤,导致纤维组织增多,局部出现硬化、功能减退、瘙痒、疼痛等。
","extra_headline": [""]},"Author": {"name": "王霞","wapUrl": "https://www.med-credit.org.cn/doctor/578","pcUrl": "https://www.med-credit.org.cn/doctor/578","jobTitle": "副主任医师","headPortrait": "https://www.med-credit.org.cn/uploadfile/member/578/180x180.jpeg","id": "578","description": "王霞,广州医科大学附属第一医院皮肤科副主任医师","memberOf": {"legalName": "广州医科大学附属第一医院","department": "皮肤科","organizationLevel": "三级甲等"}},"Article": {"summaryContent": "局部皮肤纤维化主要是皮肤组织受到持续性损伤,导致纤维组织增多,局部出现硬化、功能减退、瘙痒、疼痛等。
局部皮肤纤维化与多种因素有关,可能是外伤、遗传、药物、结缔组织代谢异常等因素所致。

1、症状:局部皮肤纤维化主要是局部皮肤组织受到持续性损伤,会导致纤维组织增多,致使病变后实质活性细胞逐渐减少,局部出现硬化、功能减退等,严重者可导致器官功能丧失。随病情进展可对皮肤结构产生破坏,影响皮肤屏障功能,致使机体容易遭受外界刺激而出现各类损伤,导致局部瘙痒、肿胀、疼痛等不适。
2、病因:局部皮肤纤维化与多种因素有关,可能是外伤、遗传、药物、结缔组织代谢异常等因素所致。皮肤纤维化为一慢性骨髓增生病,其特点为骨髓内有缺陷的多潜能细胞克隆性增生,骨髓内非典型巨核细胞过多生产和早死,产生大量血小板衍生的生长因子,后者为一种对成纤维细胞增生和胶原纤维产生的强有力的刺激因子。
皮肤纤维化患者需积极消除损伤因素,在医生指导下使用吡非尼酮胶囊、积雪苷霜软膏、维A酸乳膏等药物。治疗期间需要忌烟、忌酒,饮食也应以清淡为主,适当多吃富含蛋白质、维生素等营养物质的食物,忌食辛辣刺激性食物,改变熬夜、过度劳累等习惯。
","articleBody": "局部皮肤纤维化主要是皮肤组织受到持续性损伤,导致纤维组织增多,局部出现硬化、功能减退、瘙痒、疼痛等。
局部皮肤纤维化与多种因素有关,可能是外伤、遗传、药物、结缔组织代谢异常等因素所致。

1、症状:局部皮肤纤维化主要是局部皮肤组织受到持续性损伤,会导致纤维组织增多,致使病变后实质活性细胞逐渐减少,局部出现硬化、功能减退等,严重者可导致器官功能丧失。随病情进展可对皮肤结构产生破坏,影响皮肤屏障功能,致使机体容易遭受外界刺激而出现各类损伤,导致局部瘙痒、肿胀、疼痛等不适。
2、病因:局部皮肤纤维化与多种因素有关,可能是外伤、遗传、药物、结缔组织代谢异常等因素所致。皮肤纤维化为一慢性骨髓增生病,其特点为骨髓内有缺陷的多潜能细胞克隆性增生,骨髓内非典型巨核细胞过多生产和早死,产生大量血小板衍生的生长因子,后者为一种对成纤维细胞增生和胶原纤维产生的强有力的刺激因子。
皮肤纤维化患者需积极消除损伤因素,在医生指导下使用吡非尼酮胶囊、积雪苷霜软膏、维A酸乳膏等药物。治疗期间需要忌烟、忌酒,饮食也应以清淡为主,适当多吃富含蛋白质、维生素等营养物质的食物,忌食辛辣刺激性食物,改变熬夜、过度劳累等习惯。
","scanCount": 51615}}} {"@context": "https://ziyuan.baidu.com/contexts/cambrian.jsonld","appid": "1650708455561748","icon": "https://www.med-credit.org.cn/style/images/ttlogo.png","content_tag": ["atlas"],"is_mcn": {"thumb_id": "6s1p03j8e"},"accid": "4886d626a2804dee5f11168793ce361672f39c25","@id": "https://www.med-credit.org.cn/mobile/jingxuan/2/10907d06065c9ab383c046e94fcec1eb.html","bagWordId": "269_1558063593465843712","title": "腰和背的正确位置图","pubDate": "2025-03-06T15:32:01","upDate": "2025-03-06T15:32:01","lrDate": "2025-03-06T15:32:01","description": "腰部位于肋骨以下,骨盆以上的部分;背部位于肩膀以下,第十二肋以上的部分。","data": {"WebPage": {"headline": "腰和背的正确位置图","pcUrl": "https://www.med-credit.org.cn/jingxuan/2/10907d06065c9ab383c046e94fcec1eb.html","wapUrl": "https://www.med-credit.org.cn/jingxuan/2/10907d06065c9ab383c046e94fcec1eb.html","mipUrl": "https://www.med-credit.org.cn/mobile/jingxuan/2/10907d06065c9ab383c046e94fcec1eb.html","fromSrc": "欢乐橙","datePublished": "2025-03-06T15:32:01","domain": "医疗","category": ["医疗权威文章合作"],"description": "腰部位于肋骨以下,骨盆以上的部分;背部位于肩膀以下,第十二肋以上的部分。
","extra_headline": [""]},"Author": {"name": "富灵杰","wapUrl": "https://www.med-credit.org.cn/doctor/569","pcUrl": "https://www.med-credit.org.cn/doctor/569","jobTitle": "副主任医师","headPortrait": "https://www.med-credit.org.cn/uploadfile/member/569/180x180.jpeg","id": "569","description": "富灵杰,上海交通大学医学院附属第九人民医院骨科副主任医师","memberOf": {"legalName": "上海交通大学医学院附属第九人民医院","department": "骨科","organizationLevel": "三级甲等"}},"Article": {"summaryContent": "腰部位于肋骨以下,骨盆以上的部分;背部位于肩膀以下,第十二肋以上的部分。
腰背部易出现脊柱背部和肌肉损害,导致腰背部疼痛。

腰部位于腹部的背侧,其正后方为后腰,两侧为侧腰。上方与胸背部相连,以第十二胸椎和十二肋为界,下方与骨盆相连,以骶骨为界。内部有腰大肌等肌群,腰椎及腹腔。背部位于腰部的上方,与正前方的胸部相对,上界为肩部。内部有背肌、肋骨、胸椎及胸腔。
腰背部有大量的肌肉,辅助人完成许多复杂的动作,但当肌肉过度使用时,腰背部肌肉常出现肌肉劳损,导致腰背部疼痛、运动障碍等等。另外,腰背部有重要的脊柱,常年慢性劳损或暴力外伤可导致脊柱退行性改变,出现椎管、椎间孔狭窄,或椎间盘突出等,导致神经压迫引起腰背部疼痛,四肢麻木无力等症状。
日常生活中,要注意保持正确的坐姿,站姿,少弯腰驼背,避免不正确姿势导致腰背部肌肉过度紧张及脊柱承受过多压力。同时,在运动或开车的时候,注意做好必要的防护措施,防止腰背部损伤。
","articleBody": "腰部位于肋骨以下,骨盆以上的部分;背部位于肩膀以下,第十二肋以上的部分。
腰背部易出现脊柱背部和肌肉损害,导致腰背部疼痛。

腰部位于腹部的背侧,其正后方为后腰,两侧为侧腰。上方与胸背部相连,以第十二胸椎和十二肋为界,下方与骨盆相连,以骶骨为界。内部有腰大肌等肌群,腰椎及腹腔。背部位于腰部的上方,与正前方的胸部相对,上界为肩部。内部有背肌、肋骨、胸椎及胸腔。
腰背部有大量的肌肉,辅助人完成许多复杂的动作,但当肌肉过度使用时,腰背部肌肉常出现肌肉劳损,导致腰背部疼痛、运动障碍等等。另外,腰背部有重要的脊柱,常年慢性劳损或暴力外伤可导致脊柱退行性改变,出现椎管、椎间孔狭窄,或椎间盘突出等,导致神经压迫引起腰背部疼痛,四肢麻木无力等症状。
日常生活中,要注意保持正确的坐姿,站姿,少弯腰驼背,避免不正确姿势导致腰背部肌肉过度紧张及脊柱承受过多压力。同时,在运动或开车的时候,注意做好必要的防护措施,防止腰背部损伤。
","scanCount": 95623}}} {"@context": "https://ziyuan.baidu.com/contexts/cambrian.jsonld","appid": "1650708455561748","icon": "https://www.med-credit.org.cn/style/images/ttlogo.png","content_tag": ["atlas"],"is_mcn": {"thumb_id": "v2rm41u3"},"accid": "4886d626a2804dee5f11168793ce361672f39c25","@id": "https://www.med-credit.org.cn/mobile/jingxuan/2/9839d285b94c772da305936747477ef0.html","bagWordId": "269_1558063578387320832","title": "孕4周褐色分泌物图片","pubDate": "2025-03-06T15:32:01","upDate": "2025-03-06T15:32:01","lrDate": "2025-03-06T15:32:01","description": "孕4周阴道出现褐色分泌物考虑阴道存在病原微生物感染,是阴道炎的表现。","data": {"WebPage": {"headline": "孕4周褐色分泌物图片","pcUrl": "https://www.med-credit.org.cn/jingxuan/2/9839d285b94c772da305936747477ef0.html","wapUrl": "https://www.med-credit.org.cn/jingxuan/2/9839d285b94c772da305936747477ef0.html","mipUrl": "https://www.med-credit.org.cn/mobile/jingxuan/2/9839d285b94c772da305936747477ef0.html","fromSrc": "欢乐橙","datePublished": "2025-03-06T15:32:01","domain": "医疗","category": ["医疗权威文章合作"],"description": "孕4周阴道出现褐色分泌物考虑阴道存在病原微生物感染,是阴道炎的表现。
","extra_headline": [""]},"Author": {"name": "种轶文","wapUrl": "https://www.med-credit.org.cn/doctor/575","pcUrl": "https://www.med-credit.org.cn/doctor/575","jobTitle": "副主任医师","headPortrait": "https://www.med-credit.org.cn/uploadfile/member/575/180x180.jpeg","id": "575","description": "种轶文,北京大学第三医院妇产科副主任医师","memberOf": {"legalName": "北京大学第三医院","department": "妇产科","organizationLevel": "三级甲等"}},"Article": {"summaryContent": "孕4周阴道出现褐色分泌物考虑阴道存在病原微生物感染,是阴道炎的表现。
常见导致阴道炎的病原体有细菌、真菌及某些寄生虫。

1.滴虫阴道炎:是由毛滴虫感染引起的阴道炎,表现为阴道分泌物呈现稀薄脓样、泡沫状,有时是黄色、灰黄色脓性的,伴有外阴瘙痒、疼痛或者性交痛。
2.细菌性阴道病:是由细菌感染引起的阴道炎,表现为外阴瘙痒、并且分泌灰白色均质的稀薄状物,有腥臭味。
3.外阴阴道假丝酵母菌病:是一种常见真菌引起的阴道或者外阴感染性疾病,在妊娠妇女中较容易出现。主要表现为外阴瘙痒,外阴的分泌物很稠厚,呈现一个豆腐渣样或者凝乳状。阴道粘膜红肿、小阴唇内侧或者阴道黏膜上有白色块状物。
有时阴道分泌物的颜色并不是典型表现,但仍需考虑存在阴道炎的可能。
阴道炎的治疗需要在经过白带常规检查明确病原体后进行。
1.滴虫性阴道炎:一般全身用药,口服的药物如甲硝唑、替硝唑等。
2.细菌性阴道病:口服一些抗生素如甲硝唑、替硝唑等,必要时可以局部用药如用甲硝唑栓剂塞入阴道治疗。
3.外阴阴道假丝酵母菌病:要养成良好的卫生习惯,勤换内裤,保持外阴清洁。局部可以用克霉唑、咪康唑等栓剂治疗。
","articleBody": "孕4周阴道出现褐色分泌物考虑阴道存在病原微生物感染,是阴道炎的表现。
常见导致阴道炎的病原体有细菌、真菌及某些寄生虫。

1.滴虫阴道炎:是由毛滴虫感染引起的阴道炎,表现为阴道分泌物呈现稀薄脓样、泡沫状,有时是黄色、灰黄色脓性的,伴有外阴瘙痒、疼痛或者性交痛。
2.细菌性阴道病:是由细菌感染引起的阴道炎,表现为外阴瘙痒、并且分泌灰白色均质的稀薄状物,有腥臭味。
3.外阴阴道假丝酵母菌病:是一种常见真菌引起的阴道或者外阴感染性疾病,在妊娠妇女中较容易出现。主要表现为外阴瘙痒,外阴的分泌物很稠厚,呈现一个豆腐渣样或者凝乳状。阴道粘膜红肿、小阴唇内侧或者阴道黏膜上有白色块状物。
有时阴道分泌物的颜色并不是典型表现,但仍需考虑存在阴道炎的可能。
阴道炎的治疗需要在经过白带常规检查明确病原体后进行。
1.滴虫性阴道炎:一般全身用药,口服的药物如甲硝唑、替硝唑等。
2.细菌性阴道病:口服一些抗生素如甲硝唑、替硝唑等,必要时可以局部用药如用甲硝唑栓剂塞入阴道治疗。
3.外阴阴道假丝酵母菌病:要养成良好的卫生习惯,勤换内裤,保持外阴清洁。局部可以用克霉唑、咪康唑等栓剂治疗。
","scanCount": 56718}}} {"@context": "https://ziyuan.baidu.com/contexts/cambrian.jsonld","appid": "1650708455561748","icon": "https://www.med-credit.org.cn/style/images/ttlogo.png","content_tag": ["atlas"],"is_mcn": {"thumb_id": "6s1p03j8e"},"accid": "4886d626a2804dee5f11168793ce361672f39c25","@id": "https://www.med-credit.org.cn/mobile/jingxuan/2/105b8e5724738c1a9f43794b3efe355f.html","bagWordId": "269_1558063587547680768","title": "椎孔和椎间孔的解剖图","pubDate": "2025-03-06T15:32:01","upDate": "2025-03-06T15:32:01","lrDate": "2025-03-06T15:32:01","description": "椎孔是由椎体和椎弓围成的,椎间孔是相邻椎体的上下切迹围成的。","data": {"WebPage": {"headline": "椎孔和椎间孔的解剖图","pcUrl": "https://www.med-credit.org.cn/jingxuan/2/105b8e5724738c1a9f43794b3efe355f.html","wapUrl": "https://www.med-credit.org.cn/jingxuan/2/105b8e5724738c1a9f43794b3efe355f.html","mipUrl": "https://www.med-credit.org.cn/mobile/jingxuan/2/105b8e5724738c1a9f43794b3efe355f.html","fromSrc": "欢乐橙","datePublished": "2025-03-06T15:32:01","domain": "医疗","category": ["医疗权威文章合作"],"description": "椎孔是由椎体和椎弓围成的,椎间孔是相邻椎体的上下切迹围成的。
","extra_headline": [""]},"Author": {"name": "富灵杰","wapUrl": "https://www.med-credit.org.cn/doctor/569","pcUrl": "https://www.med-credit.org.cn/doctor/569","jobTitle": "副主任医师","headPortrait": "https://www.med-credit.org.cn/uploadfile/member/569/180x180.jpeg","id": "569","description": "富灵杰,上海交通大学医学院附属第九人民医院骨科副主任医师","memberOf": {"legalName": "上海交通大学医学院附属第九人民医院","department": "骨科","organizationLevel": "三级甲等"}},"Article": {"summaryContent": "椎孔是由椎体和椎弓围成的,椎间孔是相邻椎体的上下切迹围成的。
脊椎骨的病变容易影响椎孔和椎间孔,压迫或损伤其中神经组织。

1.解剖:椎孔和椎间孔都是脊柱上的结构。脊柱上大部分椎骨都由前方的椎体和后方的椎弓组成,椎体和椎弓围成椎孔。各个椎孔上下贯通,构成椎管,其中容纳了脊髓。椎弓与椎体相连的部位称为椎弓根,椎弓根的上下缘分别为上切迹和下切迹,相邻椎骨的上下切迹围成了椎间孔,由脊髓发出的脊神经及脊椎的血管从其中穿出。

2.临床:当脊柱受到外力损伤,或长年劳损导致退行性改变时,可引起椎管或椎间孔狭窄,或骨刺凸入其中,压迫及损伤神经和脊髓。患者可出现下肢感觉或运动障碍,表现为下肢无力、麻木,严重者可出现下肢瘫痪或大小便功能障碍。
脊柱保护我们的神经组织,我们也要保护好脊柱,防止神经损伤。日常生活中避免久坐久站,避免弯腰驼背,运动时做好保护措施。
","articleBody": "椎孔是由椎体和椎弓围成的,椎间孔是相邻椎体的上下切迹围成的。
脊椎骨的病变容易影响椎孔和椎间孔,压迫或损伤其中神经组织。

1.解剖:椎孔和椎间孔都是脊柱上的结构。脊柱上大部分椎骨都由前方的椎体和后方的椎弓组成,椎体和椎弓围成椎孔。各个椎孔上下贯通,构成椎管,其中容纳了脊髓。椎弓与椎体相连的部位称为椎弓根,椎弓根的上下缘分别为上切迹和下切迹,相邻椎骨的上下切迹围成了椎间孔,由脊髓发出的脊神经及脊椎的血管从其中穿出。

2.临床:当脊柱受到外力损伤,或长年劳损导致退行性改变时,可引起椎管或椎间孔狭窄,或骨刺凸入其中,压迫及损伤神经和脊髓。患者可出现下肢感觉或运动障碍,表现为下肢无力、麻木,严重者可出现下肢瘫痪或大小便功能障碍。
脊柱保护我们的神经组织,我们也要保护好脊柱,防止神经损伤。日常生活中避免久坐久站,避免弯腰驼背,运动时做好保护措施。
","scanCount": 32759}}} {"@context": "https://ziyuan.baidu.com/contexts/cambrian.jsonld","appid": "1650708455561748","icon": "https://www.med-credit.org.cn/style/images/ttlogo.png","content_tag": ["atlas"],"is_mcn": {"thumb_id": "v2rm41u3"},"accid": "4886d626a2804dee5f11168793ce361672f39c25","@id": "https://www.med-credit.org.cn/mobile/jingxuan/2/0f7fe53d01d051d2454c34e21e81cf94.html","bagWordId": "269_1558063579997933568","title": "纸样胎儿图片","pubDate": "2025-03-06T15:32:01","upDate": "2025-03-06T15:32:01","lrDate": "2025-03-06T15:32:01","description": "纸样胎儿也称为压缩胎儿,其主要表现为胚胎组织死亡后在宫内被挤压成薄片状。","data": {"WebPage": {"headline": "纸样胎儿图片","pcUrl": "https://www.med-credit.org.cn/jingxuan/2/0f7fe53d01d051d2454c34e21e81cf94.html","wapUrl": "https://www.med-credit.org.cn/jingxuan/2/0f7fe53d01d051d2454c34e21e81cf94.html","mipUrl": "https://www.med-credit.org.cn/mobile/jingxuan/2/0f7fe53d01d051d2454c34e21e81cf94.html","fromSrc": "欢乐橙","datePublished": "2025-03-06T15:32:01","domain": "医疗","category": ["医疗权威文章合作"],"description": "纸样胎儿也称为压缩胎儿,其主要表现为胚胎组织死亡后在宫内被挤压成薄片状。
","extra_headline": [""]},"Author": {"name": "种轶文","wapUrl": "https://www.med-credit.org.cn/doctor/575","pcUrl": "https://www.med-credit.org.cn/doctor/575","jobTitle": "副主任医师","headPortrait": "https://www.med-credit.org.cn/uploadfile/member/575/180x180.jpeg","id": "575","description": "种轶文,北京大学第三医院妇产科副主任医师","memberOf": {"legalName": "北京大学第三医院","department": "妇产科","organizationLevel": "三级甲等"}},"Article": {"summaryContent": "纸样胎儿也称为压缩胎儿,其主要表现为胚胎组织死亡后在宫内被挤压成薄片状。
纸样胎儿多见于多胎妊娠中其中一个胎儿死亡,或不完全流产中胎儿组织钙化被挤压。
1、纸样胎儿可在在孕中晚期流产或多胎妊娠分娩时的宫腔排出组织中被发现,死胎体积较小,被压缩成薄片状。胎儿死亡后底蜕膜反复出血,死亡的胎儿被凝固的血块包绕,形成血样胎块,血红蛋白被吸收即形成肉样胎块,随后被挤压形成纸样胎儿。

2、目前认为纸样胎儿死亡的原因可能是脐带中血管狭窄有血栓形成及单脐动脉病变。多胎妊娠时发育不良的胎儿死亡后未能被完全吸收,会被挤扁成为纸样胎儿,直至分娩时方被发现。不完全流产时胎盘密切连接于蜕膜,妊娠物难以从子宫壁剥离,部分滞留在宫腔内被压迫成纸样胎儿。
","articleBody": "纸样胎儿也称为压缩胎儿,其主要表现为胚胎组织死亡后在宫内被挤压成薄片状。
纸样胎儿多见于多胎妊娠中其中一个胎儿死亡,或不完全流产中胎儿组织钙化被挤压。
1、纸样胎儿可在在孕中晚期流产或多胎妊娠分娩时的宫腔排出组织中被发现,死胎体积较小,被压缩成薄片状。胎儿死亡后底蜕膜反复出血,死亡的胎儿被凝固的血块包绕,形成血样胎块,血红蛋白被吸收即形成肉样胎块,随后被挤压形成纸样胎儿。

2、目前认为纸样胎儿死亡的原因可能是脐带中血管狭窄有血栓形成及单脐动脉病变。多胎妊娠时发育不良的胎儿死亡后未能被完全吸收,会被挤扁成为纸样胎儿,直至分娩时方被发现。不完全流产时胎盘密切连接于蜕膜,妊娠物难以从子宫壁剥离,部分滞留在宫腔内被压迫成纸样胎儿。
","scanCount": 56706}}} {"@context": "https://ziyuan.baidu.com/contexts/cambrian.jsonld","appid": "1650708455561748","icon": "https://www.med-credit.org.cn/style/images/ttlogo.png","content_tag": ["atlas"],"is_mcn": {"thumb_id": "v2rm41u3"},"accid": "4886d626a2804dee5f11168793ce361672f39c25","@id": "https://www.med-credit.org.cn/mobile/jingxuan/2/fbde1aa7052c932b83643d78d9f394f4.html","bagWordId": "181_1547866407461457920","title": "胎儿郁金香征图片","pubDate": "2025-03-06T15:32:01","upDate": "2025-03-06T15:32:01","lrDate": "2025-03-06T15:32:01","description": "胎儿郁金香征指的是胎儿泌尿系统畸形。","data": {"WebPage": {"headline": "胎儿郁金香征图片","pcUrl": "https://www.med-credit.org.cn/jingxuan/2/fbde1aa7052c932b83643d78d9f394f4.html","wapUrl": "https://www.med-credit.org.cn/jingxuan/2/fbde1aa7052c932b83643d78d9f394f4.html","mipUrl": "https://www.med-credit.org.cn/mobile/jingxuan/2/fbde1aa7052c932b83643d78d9f394f4.html","fromSrc": "欢乐橙","datePublished": "2025-03-06T15:32:01","domain": "医疗","category": ["医疗权威文章合作"],"description": "胎儿郁金香征指的是胎儿泌尿系统畸形。
","extra_headline": [""]},"Author": {"name": "种轶文","wapUrl": "https://www.med-credit.org.cn/doctor/575","pcUrl": "https://www.med-credit.org.cn/doctor/575","jobTitle": "副主任医师","headPortrait": "https://www.med-credit.org.cn/uploadfile/member/575/180x180.jpeg","id": "575","description": "种轶文,北京大学第三医院妇产科副主任医师","memberOf": {"legalName": "北京大学第三医院","department": "妇产科","organizationLevel": "三级甲等"}},"Article": {"summaryContent": "胎儿郁金香征指的是胎儿泌尿系统畸形。
导致郁金香征的原因主要有雄激素受体异常、遗传基因突变、环境因素等。

1.郁金香征指的是男性的外生殖器畸形,即尿道下裂,是在胚胎时期的尿生殖褶未能正中愈合导致在患者阴茎侧面留有尿道开口,根据尿道开口不同分为头型、体型、会阴型、阴囊型四种。
2.郁金香征又称尿道下裂,目前已经证实和遗传因素或环境有关,可能在胚胎时期患者自身的遗传基因突变或是表皮生长因子表达降低导致,又或者是胎儿暴露于其它环境污染物中使得内分泌因素改变引起畸形。
3.孕妇在怀孕期间如果有服用药物,吸烟或饮酒的情况也可能导致胎儿尿道畸形。
尿道下裂是可以采用手术治疗的,比如尿道形成术和阴茎弯曲矫正手术。一般建议在婴儿6-18个月进行手术,时间久了,容易对患者产生心理负担。大部分患者是可以得到尿道重建的,在成年后会有正常的生育能力。
","articleBody": "胎儿郁金香征指的是胎儿泌尿系统畸形。
导致郁金香征的原因主要有雄激素受体异常、遗传基因突变、环境因素等。

1.郁金香征指的是男性的外生殖器畸形,即尿道下裂,是在胚胎时期的尿生殖褶未能正中愈合导致在患者阴茎侧面留有尿道开口,根据尿道开口不同分为头型、体型、会阴型、阴囊型四种。
2.郁金香征又称尿道下裂,目前已经证实和遗传因素或环境有关,可能在胚胎时期患者自身的遗传基因突变或是表皮生长因子表达降低导致,又或者是胎儿暴露于其它环境污染物中使得内分泌因素改变引起畸形。
3.孕妇在怀孕期间如果有服用药物,吸烟或饮酒的情况也可能导致胎儿尿道畸形。
尿道下裂是可以采用手术治疗的,比如尿道形成术和阴茎弯曲矫正手术。一般建议在婴儿6-18个月进行手术,时间久了,容易对患者产生心理负担。大部分患者是可以得到尿道重建的,在成年后会有正常的生育能力。
","scanCount": 56644}}} {"@context": "https://ziyuan.baidu.com/contexts/cambrian.jsonld","appid": "1650708455561748","icon": "https://www.med-credit.org.cn/style/images/ttlogo.png","content_tag": ["atlas"],"is_mcn": {"thumb_id": "v2rm41u3"},"accid": "4886d626a2804dee5f11168793ce361672f39c25","@id": "https://www.med-credit.org.cn/mobile/jingxuan/2/1128a8cfe6a3c58c3b328c634001b3e1.html","bagWordId": "181_1547866407641812992","title": "怀孕8个月青绿色分泌物图片","pubDate": "2025-03-06T15:32:01","upDate": "2025-03-06T15:32:01","lrDate": "2025-03-06T15:32:01","description": "怀孕8个月阴道青绿色分泌物考虑是各种病原体引起的阴道炎。","data": {"WebPage": {"headline": "怀孕8个月青绿色分泌物图片","pcUrl": "https://www.med-credit.org.cn/jingxuan/2/1128a8cfe6a3c58c3b328c634001b3e1.html","wapUrl": "https://www.med-credit.org.cn/jingxuan/2/1128a8cfe6a3c58c3b328c634001b3e1.html","mipUrl": "https://www.med-credit.org.cn/mobile/jingxuan/2/1128a8cfe6a3c58c3b328c634001b3e1.html","fromSrc": "欢乐橙","datePublished": "2025-03-06T15:32:01","domain": "医疗","category": ["医疗权威文章合作"],"description": "怀孕8个月阴道青绿色分泌物考虑是各种病原体引起的阴道炎。
","extra_headline": [""]},"Author": {"name": "种轶文","wapUrl": "https://www.med-credit.org.cn/doctor/575","pcUrl": "https://www.med-credit.org.cn/doctor/575","jobTitle": "副主任医师","headPortrait": "https://www.med-credit.org.cn/uploadfile/member/575/180x180.jpeg","id": "575","description": "种轶文,北京大学第三医院妇产科副主任医师","memberOf": {"legalName": "北京大学第三医院","department": "妇产科","organizationLevel": "三级甲等"}},"Article": {"summaryContent": "怀孕8个月阴道青绿色分泌物考虑是各种病原体引起的阴道炎。
常见的引起阴道炎的病原体有细菌、真菌等。

1.滴虫阴道炎:是由毛滴虫感染引起的阴道炎,表现为阴道分泌物呈现稀薄脓样、泡沫状,有时是黄色、灰黄色脓性的,伴有外阴瘙痒、疼痛或者性交痛。
2.细菌性阴道病:是由细菌感染引起的阴道炎,表现为外阴瘙痒、并且分泌灰白色均质的稀薄状物,有腥臭味。
3.外阴阴道假丝酵母菌病:是一种常见真菌引起的阴道或者外阴感染性疾病,在妊娠或者抵抗力下降的人群中较容易出现。患者主要表现为外阴瘙痒,而且瘙痒的症状明显,持续时间长,严重的患者坐立不安。外阴的分泌物很稠厚,呈现一个豆腐渣样或者凝乳状。阴道粘膜红肿、小阴唇内侧或者阴道黏膜上有白色块状物。
1.滴虫性阴道炎:一般全身用药,口服的药物如甲硝唑、替硝唑等。
2.细菌性阴道病:口服一些抗生素如甲硝唑、替硝唑等,必要时可以局部用药如用甲硝唑栓剂塞入阴道治疗。
3.外阴阴道假丝酵母菌病:要养成良好的卫生习惯,勤换内裤,保持外阴清洁。局部可以用克霉唑、咪康唑等栓剂治疗。
","articleBody": "怀孕8个月阴道青绿色分泌物考虑是各种病原体引起的阴道炎。
常见的引起阴道炎的病原体有细菌、真菌等。

1.滴虫阴道炎:是由毛滴虫感染引起的阴道炎,表现为阴道分泌物呈现稀薄脓样、泡沫状,有时是黄色、灰黄色脓性的,伴有外阴瘙痒、疼痛或者性交痛。
2.细菌性阴道病:是由细菌感染引起的阴道炎,表现为外阴瘙痒、并且分泌灰白色均质的稀薄状物,有腥臭味。
3.外阴阴道假丝酵母菌病:是一种常见真菌引起的阴道或者外阴感染性疾病,在妊娠或者抵抗力下降的人群中较容易出现。患者主要表现为外阴瘙痒,而且瘙痒的症状明显,持续时间长,严重的患者坐立不安。外阴的分泌物很稠厚,呈现一个豆腐渣样或者凝乳状。阴道粘膜红肿、小阴唇内侧或者阴道黏膜上有白色块状物。
1.滴虫性阴道炎:一般全身用药,口服的药物如甲硝唑、替硝唑等。
2.细菌性阴道病:口服一些抗生素如甲硝唑、替硝唑等,必要时可以局部用药如用甲硝唑栓剂塞入阴道治疗。
3.外阴阴道假丝酵母菌病:要养成良好的卫生习惯,勤换内裤,保持外阴清洁。局部可以用克霉唑、咪康唑等栓剂治疗。
","scanCount": 56641}}} {"@context": "https://ziyuan.baidu.com/contexts/cambrian.jsonld","appid": "1650708455561748","icon": "https://www.med-credit.org.cn/style/images/ttlogo.png","content_tag": ["atlas"],"is_mcn": {"thumb_id": "v2rm41u3"},"accid": "4886d626a2804dee5f11168793ce361672f39c25","@id": "https://www.med-credit.org.cn/mobile/jingxuan/2/e02b023c4603c9cac2d7205d4c5ebcb6.html","bagWordId": "181_1547866408463896576","title": "怀孕初期有黄黄的分泌物图片","pubDate": "2025-03-06T15:32:01","upDate": "2025-03-06T15:32:01","lrDate": "2025-03-06T15:32:01","description": "怀孕初期阴道出现黄色分泌物考虑是阴道炎。","data": {"WebPage": {"headline": "怀孕初期有黄黄的分泌物图片","pcUrl": "https://www.med-credit.org.cn/jingxuan/2/e02b023c4603c9cac2d7205d4c5ebcb6.html","wapUrl": "https://www.med-credit.org.cn/jingxuan/2/e02b023c4603c9cac2d7205d4c5ebcb6.html","mipUrl": "https://www.med-credit.org.cn/mobile/jingxuan/2/e02b023c4603c9cac2d7205d4c5ebcb6.html","fromSrc": "欢乐橙","datePublished": "2025-03-06T15:32:01","domain": "医疗","category": ["医疗权威文章合作"],"description": "怀孕初期阴道出现黄色分泌物考虑是阴道炎。
","extra_headline": [""]},"Author": {"name": "种轶文","wapUrl": "https://www.med-credit.org.cn/doctor/575","pcUrl": "https://www.med-credit.org.cn/doctor/575","jobTitle": "副主任医师","headPortrait": "https://www.med-credit.org.cn/uploadfile/member/575/180x180.jpeg","id": "575","description": "种轶文,北京大学第三医院妇产科副主任医师","memberOf": {"legalName": "北京大学第三医院","department": "妇产科","organizationLevel": "三级甲等"}},"Article": {"summaryContent": "怀孕初期阴道出现黄色分泌物考虑是阴道炎。
怀孕初期由于机体激素水平改变和阴道环境改变较易感染病原体,如细菌、真菌等。

1.滴虫阴道炎:是由毛滴虫感染引起的阴道炎,表现为阴道分泌物呈现稀薄脓样、泡沫状,有时是黄色、灰黄色脓性的,伴有外阴瘙痒、疼痛或者性交痛。
2.细菌性阴道病:是由细菌感染引起的阴道炎,表现为外阴瘙痒、并且分泌灰白色均质的稀薄状物,有腥臭味。
3.外阴阴道假丝酵母菌病:是一种常见真菌引起的阴道或者外阴感染性疾病,在妊娠或者抵抗力下降的人群中较容易出现。患者主要表现为外阴瘙痒,而且瘙痒的症状明显,持续时间长,严重的患者坐立不安。外阴的分泌物很稠厚,呈现一个豆腐渣样或者凝乳状。阴道粘膜红肿、小阴唇内侧或者阴道黏膜上有白色块状物。
1.滴虫性阴道炎:一般全身用药,口服的药物如甲硝唑、替硝唑等。
2.细菌性阴道病:口服一些抗生素如甲硝唑、替硝唑等,必要时可以局部用药如用甲硝唑栓剂塞入阴道治疗。
3.外阴阴道假丝酵母菌病:要养成良好的卫生习惯,勤换内裤,保持外阴清洁。局部可以用克霉唑、咪康唑等栓剂治疗。
怀孕初期具体的治疗方式及用药需要针对机体情况,在专业医师指导下使用。
","articleBody": "怀孕初期阴道出现黄色分泌物考虑是阴道炎。
怀孕初期由于机体激素水平改变和阴道环境改变较易感染病原体,如细菌、真菌等。

1.滴虫阴道炎:是由毛滴虫感染引起的阴道炎,表现为阴道分泌物呈现稀薄脓样、泡沫状,有时是黄色、灰黄色脓性的,伴有外阴瘙痒、疼痛或者性交痛。
2.细菌性阴道病:是由细菌感染引起的阴道炎,表现为外阴瘙痒、并且分泌灰白色均质的稀薄状物,有腥臭味。
3.外阴阴道假丝酵母菌病:是一种常见真菌引起的阴道或者外阴感染性疾病,在妊娠或者抵抗力下降的人群中较容易出现。患者主要表现为外阴瘙痒,而且瘙痒的症状明显,持续时间长,严重的患者坐立不安。外阴的分泌物很稠厚,呈现一个豆腐渣样或者凝乳状。阴道粘膜红肿、小阴唇内侧或者阴道黏膜上有白色块状物。
1.滴虫性阴道炎:一般全身用药,口服的药物如甲硝唑、替硝唑等。
2.细菌性阴道病:口服一些抗生素如甲硝唑、替硝唑等,必要时可以局部用药如用甲硝唑栓剂塞入阴道治疗。
3.外阴阴道假丝酵母菌病:要养成良好的卫生习惯,勤换内裤,保持外阴清洁。局部可以用克霉唑、咪康唑等栓剂治疗。
怀孕初期具体的治疗方式及用药需要针对机体情况,在专业医师指导下使用。
","scanCount": 56629}}} {"@context": "https://ziyuan.baidu.com/contexts/cambrian.jsonld","appid": "1650708455561748","icon": "https://www.med-credit.org.cn/style/images/ttlogo.png","content_tag": ["atlas"],"is_mcn": {"thumb_id": "v2rm41u3"},"accid": "4886d626a2804dee5f11168793ce361672f39c25","@id": "https://www.med-credit.org.cn/mobile/jingxuan/2/a6cdaedcb6a471ef97fab2dc35a4a861.html","bagWordId": "181_1547866408963018752","title": "孕晚期分泌物白色糊状图片","pubDate": "2025-03-06T15:32:01","upDate": "2025-03-06T15:32:01","lrDate": "2025-03-06T15:32:01","description": "孕晚期阴道出现白色糊状分泌物考虑是真菌性阴道炎或细菌性阴道炎。","data": {"WebPage": {"headline": "孕晚期分泌物白色糊状图片","pcUrl": "https://www.med-credit.org.cn/jingxuan/2/a6cdaedcb6a471ef97fab2dc35a4a861.html","wapUrl": "https://www.med-credit.org.cn/jingxuan/2/a6cdaedcb6a471ef97fab2dc35a4a861.html","mipUrl": "https://www.med-credit.org.cn/mobile/jingxuan/2/a6cdaedcb6a471ef97fab2dc35a4a861.html","fromSrc": "欢乐橙","datePublished": "2025-03-06T15:32:01","domain": "医疗","category": ["医疗权威文章合作"],"description": "孕晚期阴道出现白色糊状分泌物考虑是真菌性阴道炎或细菌性阴道炎。
","extra_headline": [""]},"Author": {"name": "种轶文","wapUrl": "https://www.med-credit.org.cn/doctor/575","pcUrl": "https://www.med-credit.org.cn/doctor/575","jobTitle": "副主任医师","headPortrait": "https://www.med-credit.org.cn/uploadfile/member/575/180x180.jpeg","id": "575","description": "种轶文,北京大学第三医院妇产科副主任医师","memberOf": {"legalName": "北京大学第三医院","department": "妇产科","organizationLevel": "三级甲等"}},"Article": {"summaryContent": "孕晚期阴道出现白色糊状分泌物考虑是真菌性阴道炎或细菌性阴道炎。
常见的病原体是某些细菌及白假丝酵母菌,在妊娠妇女和抵抗力低下的人群中易感。

1.外阴阴道假丝酵母菌病:是一种常见真菌引起的阴道或者外阴感染性疾病,在妊娠或者抵抗力下降的人群中较容易出现。患者主要表现为外阴瘙痒,而且瘙痒的症状明显,持续时间长,严重的患者坐立不安。外阴的分泌物很稠厚,呈现一个豆腐渣样或者凝乳状。阴道粘膜红肿、小阴唇内侧或者阴道黏膜上有白色块状物。
2.细菌性阴道病:是由细菌感染引起的阴道炎,表现为外阴瘙痒、并且分泌灰白色均质的稀薄状物,有腥臭味。
1.外阴阴道假丝酵母菌病:要养成良好的卫生习惯,勤换内裤,保持外阴清洁。局部可以用克霉唑、咪康唑等栓剂治疗。
2.细菌性阴道病:口服一些抗生素如甲硝唑、替硝唑等,必要时可以局部用药如用甲硝唑栓剂塞入阴道治疗。
","articleBody": "孕晚期阴道出现白色糊状分泌物考虑是真菌性阴道炎或细菌性阴道炎。
常见的病原体是某些细菌及白假丝酵母菌,在妊娠妇女和抵抗力低下的人群中易感。

1.外阴阴道假丝酵母菌病:是一种常见真菌引起的阴道或者外阴感染性疾病,在妊娠或者抵抗力下降的人群中较容易出现。患者主要表现为外阴瘙痒,而且瘙痒的症状明显,持续时间长,严重的患者坐立不安。外阴的分泌物很稠厚,呈现一个豆腐渣样或者凝乳状。阴道粘膜红肿、小阴唇内侧或者阴道黏膜上有白色块状物。
2.细菌性阴道病:是由细菌感染引起的阴道炎,表现为外阴瘙痒、并且分泌灰白色均质的稀薄状物,有腥臭味。
1.外阴阴道假丝酵母菌病:要养成良好的卫生习惯,勤换内裤,保持外阴清洁。局部可以用克霉唑、咪康唑等栓剂治疗。
2.细菌性阴道病:口服一些抗生素如甲硝唑、替硝唑等,必要时可以局部用药如用甲硝唑栓剂塞入阴道治疗。
","scanCount": 56622}}} {"@context": "https://ziyuan.baidu.com/contexts/cambrian.jsonld","appid": "1650708455561748","icon": "https://www.med-credit.org.cn/style/images/ttlogo.png","content_tag": ["atlas"],"is_mcn": {"thumb_id": "v2rm41u3"},"accid": "4886d626a2804dee5f11168793ce361672f39c25","@id": "https://www.med-credit.org.cn/mobile/jingxuan/2/099e43ef3b7145a437beda05a98eb247.html","bagWordId": "181_1547866409671856128","title": "羊膜囊图片","pubDate": "2025-03-06T15:32:01","upDate": "2025-03-06T15:32:01","lrDate": "2025-03-06T15:32:01","description": "羊膜囊是由羊膜形成的囊,包裹胎儿,内有羊水,胎儿悬浮其中。","data": {"WebPage": {"headline": "羊膜囊图片","pcUrl": "https://www.med-credit.org.cn/jingxuan/2/099e43ef3b7145a437beda05a98eb247.html","wapUrl": "https://www.med-credit.org.cn/jingxuan/2/099e43ef3b7145a437beda05a98eb247.html","mipUrl": "https://www.med-credit.org.cn/mobile/jingxuan/2/099e43ef3b7145a437beda05a98eb247.html","fromSrc": "欢乐橙","datePublished": "2025-03-06T15:32:01","domain": "医疗","category": ["医疗权威文章合作"],"description": "羊膜囊是由羊膜形成的囊,包裹胎儿,内有羊水,胎儿悬浮其中。
","extra_headline": [""]},"Author": {"name": "种轶文","wapUrl": "https://www.med-credit.org.cn/doctor/575","pcUrl": "https://www.med-credit.org.cn/doctor/575","jobTitle": "副主任医师","headPortrait": "https://www.med-credit.org.cn/uploadfile/member/575/180x180.jpeg","id": "575","description": "种轶文,北京大学第三医院妇产科副主任医师","memberOf": {"legalName": "北京大学第三医院","department": "妇产科","organizationLevel": "三级甲等"}},"Article": {"summaryContent": "羊膜囊是由羊膜形成的囊,包裹胎儿,内有羊水,胎儿悬浮其中。
羊膜囊是胎儿在孕妇体内生长发育的地方。
1、羊膜囊是怀孕以后子宫腔内生长发育的孕囊,位于胎盘的内面。由两层坚韧的羊膜围成,其中有胎儿和羊水。如果月经周期规律且周期为28天,在停经35天B超能见到卵黄囊,42天时可见到胎心胎芽。

2、羊膜囊保障胎儿生长发育所需的空间和温度。羊膜囊内充满的羊水对胎儿有缓冲作用,可防止胎儿受到挤压,避免子宫肌壁压迫或脐带受压导致胎儿缺氧和胎儿窘迫。此外,在临产宫缩时羊水能使宫缩压力均匀分布,避免局部受压致胎儿窘迫。当孕晚期临产,羊膜囊会破裂,羊水便从阴道中流出,所以破水是临产的征兆之一,一般在分娩过程中或妊娠后期。
如果孕期发现羊水早破时应立即平卧,及时前往医院检查。
","articleBody": "羊膜囊是由羊膜形成的囊,包裹胎儿,内有羊水,胎儿悬浮其中。
羊膜囊是胎儿在孕妇体内生长发育的地方。
1、羊膜囊是怀孕以后子宫腔内生长发育的孕囊,位于胎盘的内面。由两层坚韧的羊膜围成,其中有胎儿和羊水。如果月经周期规律且周期为28天,在停经35天B超能见到卵黄囊,42天时可见到胎心胎芽。

2、羊膜囊保障胎儿生长发育所需的空间和温度。羊膜囊内充满的羊水对胎儿有缓冲作用,可防止胎儿受到挤压,避免子宫肌壁压迫或脐带受压导致胎儿缺氧和胎儿窘迫。此外,在临产宫缩时羊水能使宫缩压力均匀分布,避免局部受压致胎儿窘迫。当孕晚期临产,羊膜囊会破裂,羊水便从阴道中流出,所以破水是临产的征兆之一,一般在分娩过程中或妊娠后期。
如果孕期发现羊水早破时应立即平卧,及时前往医院检查。
","scanCount": 56612}}} {"@context": "https://ziyuan.baidu.com/contexts/cambrian.jsonld","appid": "1650708455561748","icon": "https://www.med-credit.org.cn/style/images/ttlogo.png","content_tag": ["atlas"],"is_mcn": {"thumb_id": "v2rm41u3"},"accid": "4886d626a2804dee5f11168793ce361672f39c25","@id": "https://www.med-credit.org.cn/mobile/jingxuan/2/51349557c9ce8cf0840a6f135dac428b.html","bagWordId": "23_1526478086088953856","title": "怀孕一个月的彩超图","pubDate": "2025-03-06T15:32:01","upDate": "2025-03-06T15:32:01","lrDate": "2025-03-06T15:32:01","description": "1.女性怀孕一个月通过彩超查看会看到一个小小的孕囊。","data": {"WebPage": {"headline": "怀孕一个月的彩超图","pcUrl": "https://www.med-credit.org.cn/jingxuan/2/51349557c9ce8cf0840a6f135dac428b.html","wapUrl": "https://www.med-credit.org.cn/jingxuan/2/51349557c9ce8cf0840a6f135dac428b.html","mipUrl": "https://www.med-credit.org.cn/mobile/jingxuan/2/51349557c9ce8cf0840a6f135dac428b.html","fromSrc": "欢乐橙","datePublished": "2025-03-06T15:32:01","domain": "医疗","category": ["医疗权威文章合作"],"description": "1.女性怀孕一个月通过彩超查看会看到一个小小的孕囊。
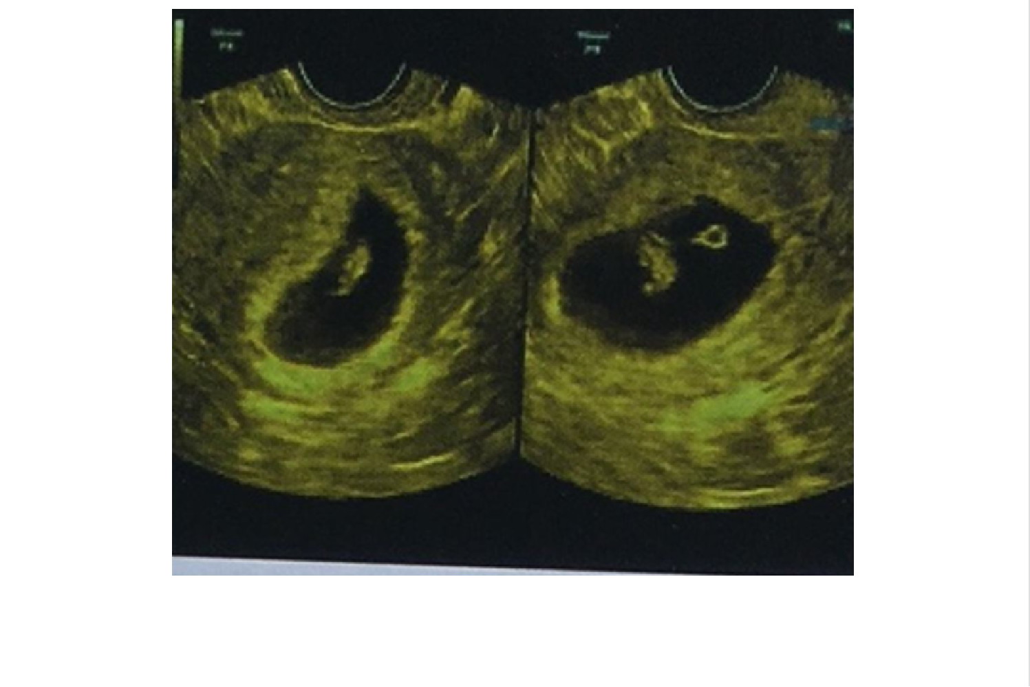
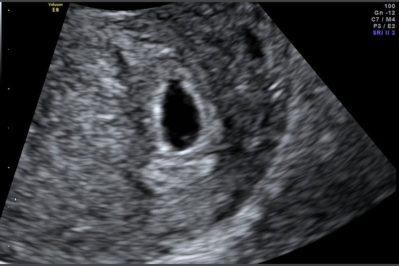
","extra_headline": [""]},"Author": {"name": "种轶文","wapUrl": "https://www.med-credit.org.cn/doctor/575","pcUrl": "https://www.med-credit.org.cn/doctor/575","jobTitle": "副主任医师","headPortrait": "https://www.med-credit.org.cn/uploadfile/member/575/180x180.jpeg","id": "575","description": "种轶文,北京大学第三医院妇产科副主任医师","memberOf": {"legalName": "北京大学第三医院","department": "妇产科","organizationLevel": "三级甲等"}},"Article": {"summaryContent": "1.女性怀孕一个月通过彩超查看会看到一个小小的孕囊。
2.女性怀孕一个月的时候,会出现一系列的早孕反应。

女性怀孕一个月的时候也就是0~4周左右,这个时候还只是受精卵着床的阶段,通过彩超看胎儿一般只能看到一个小小的孕囊,看不到胎心和胎芽。
怀孕初期会出现疲劳懒散、嗜睡、浑身无力的现象,是由于怀孕之后孕妇体内的卵巢会分泌出大量孕激素——黄体酮。这种孕激素具有麻醉剂的作用,可以避免子宫扩张引起疼痛。怀孕后体内新陈代谢速度加快,消耗了大量的能量,因此容易疲劳。平时要多补充蛋白质、糖类、维生素等营养物质,确保每天的能量补充,可以缓解疲劳感。
这种怀孕初期的疲倦一般孕三个月之后就会缓解,每个人体质不同,有些孕妇也可能整个孕期都会有疲劳感。可以通过一些方法缓解,调节生活规律和适当的休息。建议孕妇养成良好的生活规律,晚上不要熬夜,早点睡觉,睡觉前不要进行激烈的活动和情绪紧张,以免延长入睡时间。还可以按摩、泡脚缓解疲劳,听音乐改善心情。
","articleBody": "1.女性怀孕一个月通过彩超查看会看到一个小小的孕囊。
2.女性怀孕一个月的时候,会出现一系列的早孕反应。

女性怀孕一个月的时候也就是0~4周左右,这个时候还只是受精卵着床的阶段,通过彩超看胎儿一般只能看到一个小小的孕囊,看不到胎心和胎芽。
怀孕初期会出现疲劳懒散、嗜睡、浑身无力的现象,是由于怀孕之后孕妇体内的卵巢会分泌出大量孕激素——黄体酮。这种孕激素具有麻醉剂的作用,可以避免子宫扩张引起疼痛。怀孕后体内新陈代谢速度加快,消耗了大量的能量,因此容易疲劳。平时要多补充蛋白质、糖类、维生素等营养物质,确保每天的能量补充,可以缓解疲劳感。
这种怀孕初期的疲倦一般孕三个月之后就会缓解,每个人体质不同,有些孕妇也可能整个孕期都会有疲劳感。可以通过一些方法缓解,调节生活规律和适当的休息。建议孕妇养成良好的生活规律,晚上不要熬夜,早点睡觉,睡觉前不要进行激烈的活动和情绪紧张,以免延长入睡时间。还可以按摩、泡脚缓解疲劳,听音乐改善心情。
","scanCount": 56526}}} {"@context": "https://ziyuan.baidu.com/contexts/cambrian.jsonld","appid": "1650708455561748","icon": "https://www.med-credit.org.cn/style/images/ttlogo.png","content_tag": ["atlas"],"is_mcn": {"thumb_id": "ay28xrnt0"},"accid": "4886d626a2804dee5f11168793ce361672f39c25","@id": "https://www.med-credit.org.cn/mobile/jingxuan/2/dc92c83cbde0c11bc13026a209c3fd93.html","bagWordId": "23_1526477956292022272","title": "上门牙后面鼓起的软肉图片","pubDate": "2025-03-06T15:32:01","upDate": "2025-03-06T15:32:01","lrDate": "2025-03-06T15:32:01","description": "上门牙后面鼓起的软肉,临床上还可能会出现局部疼痛、牙齿松动、牙周带加深等症状。","data": {"WebPage": {"headline": "上门牙后面鼓起的软肉图片","pcUrl": "https://www.med-credit.org.cn/jingxuan/2/dc92c83cbde0c11bc13026a209c3fd93.html","wapUrl": "https://www.med-credit.org.cn/jingxuan/2/dc92c83cbde0c11bc13026a209c3fd93.html","mipUrl": "https://www.med-credit.org.cn/mobile/jingxuan/2/dc92c83cbde0c11bc13026a209c3fd93.html","fromSrc": "欢乐橙","datePublished": "2025-03-06T15:32:01","domain": "医疗","category": ["医疗权威文章合作"],"description": "上门牙后面鼓起的软肉,临床上还可能会出现局部疼痛、牙齿松动、牙周带加深等症状。
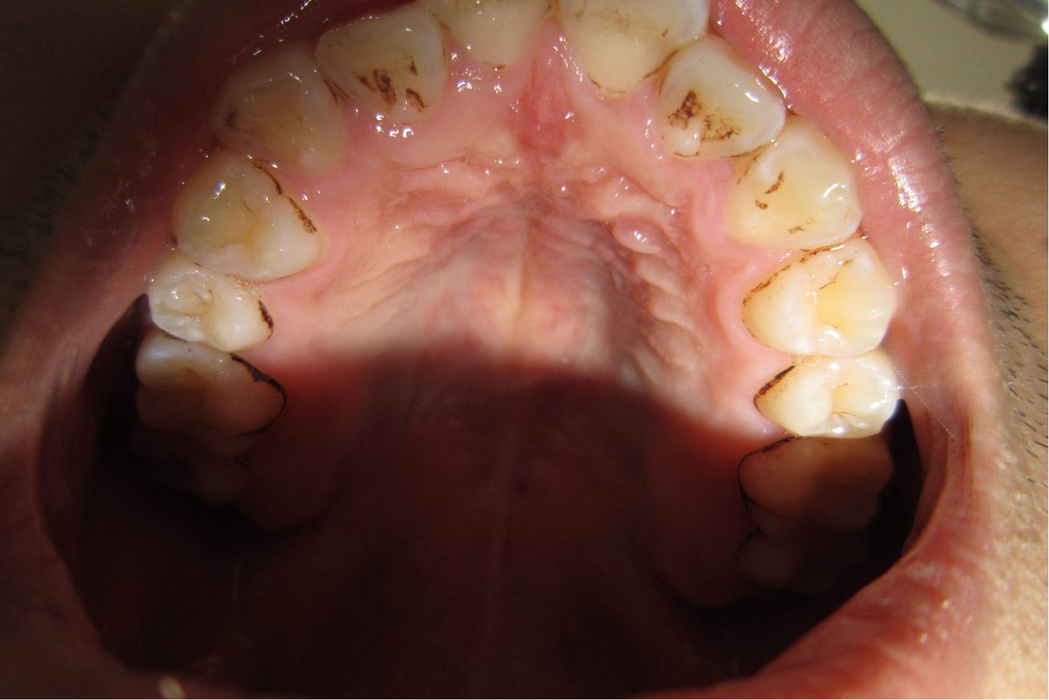
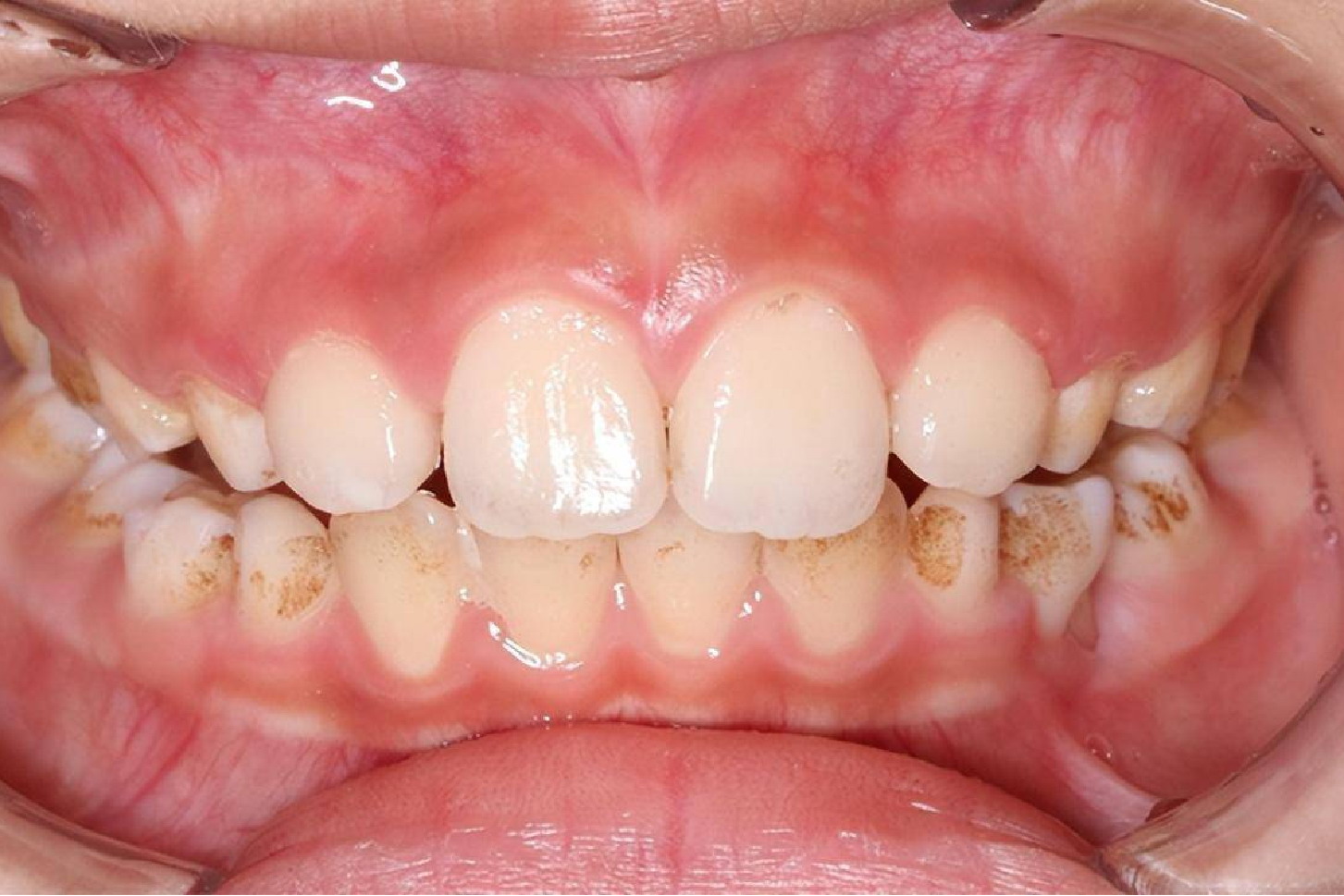
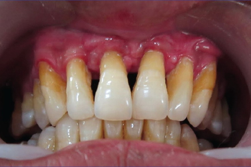
","extra_headline": [""]},"Author": {"name": "李斯文","wapUrl": "https://www.med-credit.org.cn/doctor/546","pcUrl": "https://www.med-credit.org.cn/doctor/546","jobTitle": "主治医师","headPortrait": "https://www.med-credit.org.cn/uploadfile/member/546/180x180.jpeg","id": "546","description": "李斯文,中国医科大学附属口腔医院口腔科主治医师","memberOf": {"legalName": "中国医科大学附属口腔医院","department": "口腔科","organizationLevel": "三级甲等"}},"Article": {"summaryContent": "上门牙后面鼓起的软肉,临床上还可能会出现局部疼痛、牙齿松动、牙周带加深等症状。
上门牙后面鼓起的软肉可能和牙龈瘤或牙龈脓肿等因素有关。

1、牙龈瘤:牙龈瘤是生长于牙龈上的增生物,一般来源于牙周膜和牙龈结缔组织所形成的肿瘤样物质,不仅会导致上门牙后面鼓起的软肉,临床上还可能会出现局部疼痛、牙齿松动、牙周带加深等症状。
2、牙龈脓肿:细菌进入牙齿的根部后,可能会形成脓液淤积,因此可造成上门牙后面鼓起的软肉,牙龈发生感染后一般不会自行消退。
1、牙龈瘤:患者首先需要清除局部的刺激物,临床上常见的治疗方法是洁治术,通过洁治术不仅能够去除局部的结石,还能够去除不良的修复体。如果牙龈瘤比较严重,可采取手术将瘤体组织切除。
2、牙龈脓肿:建议患者及时前往医院进行治疗,对于疼痛症状比较严重的患者,建议先给予布洛芬缓释片或阿司匹林肠溶片等药物缓解。如果脓肿的范围比较大,则需要在牙龈处做小的切口,将脓液引流出。
","articleBody": "上门牙后面鼓起的软肉,临床上还可能会出现局部疼痛、牙齿松动、牙周带加深等症状。
上门牙后面鼓起的软肉可能和牙龈瘤或牙龈脓肿等因素有关。

1、牙龈瘤:牙龈瘤是生长于牙龈上的增生物,一般来源于牙周膜和牙龈结缔组织所形成的肿瘤样物质,不仅会导致上门牙后面鼓起的软肉,临床上还可能会出现局部疼痛、牙齿松动、牙周带加深等症状。
2、牙龈脓肿:细菌进入牙齿的根部后,可能会形成脓液淤积,因此可造成上门牙后面鼓起的软肉,牙龈发生感染后一般不会自行消退。
1、牙龈瘤:患者首先需要清除局部的刺激物,临床上常见的治疗方法是洁治术,通过洁治术不仅能够去除局部的结石,还能够去除不良的修复体。如果牙龈瘤比较严重,可采取手术将瘤体组织切除。
2、牙龈脓肿:建议患者及时前往医院进行治疗,对于疼痛症状比较严重的患者,建议先给予布洛芬缓释片或阿司匹林肠溶片等药物缓解。如果脓肿的范围比较大,则需要在牙龈处做小的切口,将脓液引流出。
","scanCount": 51571}}} {"@context": "https://ziyuan.baidu.com/contexts/cambrian.jsonld","appid": "1650708455561748","icon": "https://www.med-credit.org.cn/style/images/ttlogo.png","content_tag": ["atlas"],"is_mcn": {"thumb_id": "fe2jhbe4e"},"accid": "4886d626a2804dee5f11168793ce361672f39c25","@id": "https://www.med-credit.org.cn/mobile/jingxuan/2/28e058ba048e197b50525a8b9eb19146.html","bagWordId": "23_1526477960616349696","title": "肝吸虫图片","pubDate": "2025-03-06T15:32:01","upDate": "2025-03-06T15:32:01","lrDate": "2025-03-06T15:32:01","description": "1.肝吸虫又称为华支睾吸虫,其体形狭长,背腹为扁平状,前端稍窄而后端钝圆,形状与葵花籽相似,体表没有棘。","data": {"WebPage": {"headline": "肝吸虫图片","pcUrl": "https://www.med-credit.org.cn/jingxuan/2/28e058ba048e197b50525a8b9eb19146.html","wapUrl": "https://www.med-credit.org.cn/jingxuan/2/28e058ba048e197b50525a8b9eb19146.html","mipUrl": "https://www.med-credit.org.cn/mobile/jingxuan/2/28e058ba048e197b50525a8b9eb19146.html","fromSrc": "欢乐橙","datePublished": "2025-03-06T15:32:01","domain": "医疗","category": ["医疗权威文章合作"],"description": "1.肝吸虫又称为华支睾吸虫,其体形狭长,背腹为扁平状,前端稍窄而后端钝圆,形状与葵花籽相似,体表没有棘。
","extra_headline": [""]},"Author": {"name": "孙婷丽","wapUrl": "https://www.med-credit.org.cn/doctor/510","pcUrl": "https://www.med-credit.org.cn/doctor/510","jobTitle": "主治医师","headPortrait": "https://www.med-credit.org.cn/uploadfile/member/510/180x180.jpeg","id": "510","description": "孙婷丽,中国医科大学附属盛京医院全科医学主治医师","memberOf": {"legalName": "中国医科大学附属盛京医院","department": "内科","organizationLevel": "三级甲等"}},"Article": {"summaryContent": "1.肝吸虫又称为华支睾吸虫,其体形狭长,背腹为扁平状,前端稍窄而后端钝圆,形状与葵花籽相似,体表没有棘。
2.肝吸虫成虫一般寄生在人的肝胆管内部,可以引起华支睾吸虫病,又可以称为肝吸虫病。

1.肝吸虫最终宿主是人和肉食哺乳动物,比如猫、狗等等。而第一中间宿主是淡水螺类,比如豆螺、涵螺等等。第二中间宿主是淡水鱼或者淡水虾。
2.人并非肝吸虫唯一的宿主。
1.肝吸虫的危害主要在于使患者肝脏受损。病变部位主要发生在肝次级胆管。
3.成虫主要破坏肝胆管内上皮和粘膜下血管,肝吸虫体在胆道寄生时所产生的分泌物、代谢产物以及机械刺激等可以引起胆管内膜和胆管周围发生超敏反应和炎性反应,导致胆管的局限性扩张和胆管上皮增生。
肝吸虫可以感染胆管至腺瘤样病变。如果感染严重,门脉区周围会出现纤维组织增生以及肝细胞萎缩变性,甚至导致胆汁性肝硬化。
","articleBody": "1.肝吸虫又称为华支睾吸虫,其体形狭长,背腹为扁平状,前端稍窄而后端钝圆,形状与葵花籽相似,体表没有棘。
2.肝吸虫成虫一般寄生在人的肝胆管内部,可以引起华支睾吸虫病,又可以称为肝吸虫病。

1.肝吸虫最终宿主是人和肉食哺乳动物,比如猫、狗等等。而第一中间宿主是淡水螺类,比如豆螺、涵螺等等。第二中间宿主是淡水鱼或者淡水虾。
2.人并非肝吸虫唯一的宿主。
1.肝吸虫的危害主要在于使患者肝脏受损。病变部位主要发生在肝次级胆管。
3.成虫主要破坏肝胆管内上皮和粘膜下血管,肝吸虫体在胆道寄生时所产生的分泌物、代谢产物以及机械刺激等可以引起胆管内膜和胆管周围发生超敏反应和炎性反应,导致胆管的局限性扩张和胆管上皮增生。
肝吸虫可以感染胆管至腺瘤样病变。如果感染严重,门脉区周围会出现纤维组织增生以及肝细胞萎缩变性,甚至导致胆汁性肝硬化。
","scanCount": 19905}}} {"@context": "https://ziyuan.baidu.com/contexts/cambrian.jsonld","appid": "1650708455561748","icon": "https://www.med-credit.org.cn/style/images/ttlogo.png","content_tag": ["atlas"],"is_mcn": {"thumb_id": "lnsk06v2"},"accid": "4886d626a2804dee5f11168793ce361672f39c25","@id": "https://www.med-credit.org.cn/mobile/jingxuan/2/1cf344ab0182e586b792bd2914852b7e.html","bagWordId": "23_1526477918773972992","title": "指甲上有灰色竖纹图片","pubDate": "2025-03-06T15:32:01","upDate": "2025-03-06T15:32:01","lrDate": "2025-03-06T15:32:01","description": "指甲上有灰色竖纹考虑是缺乏维生素A或缺铁性贫血引起。","data": {"WebPage": {"headline": "指甲上有灰色竖纹图片","pcUrl": "https://www.med-credit.org.cn/jingxuan/2/1cf344ab0182e586b792bd2914852b7e.html","wapUrl": "https://www.med-credit.org.cn/jingxuan/2/1cf344ab0182e586b792bd2914852b7e.html","mipUrl": "https://www.med-credit.org.cn/mobile/jingxuan/2/1cf344ab0182e586b792bd2914852b7e.html","fromSrc": "欢乐橙","datePublished": "2025-03-06T15:32:01","domain": "医疗","category": ["医疗权威文章合作"],"description": "指甲上有灰色竖纹考虑是缺乏维生素A或缺铁性贫血引起。
","extra_headline": [""]},"Author": {"name": "王霞","wapUrl": "https://www.med-credit.org.cn/doctor/578","pcUrl": "https://www.med-credit.org.cn/doctor/578","jobTitle": "副主任医师","headPortrait": "https://www.med-credit.org.cn/uploadfile/member/578/180x180.jpeg","id": "578","description": "王霞,广州医科大学附属第一医院皮肤科副主任医师","memberOf": {"legalName": "广州医科大学附属第一医院","department": "皮肤科","organizationLevel": "三级甲等"}},"Article": {"summaryContent": "指甲上有灰色竖纹考虑是缺乏维生素A或缺铁性贫血引起。
常表现为指甲盖出现灰色竖纹,可能伴有乏力、疲倦等症状。

1、维生素A缺乏:维生素A对于保持上皮组织健康起到重要的作用。如果缺乏维生素A,可能使指甲产生灰色竖纹,平时可以多吃一些富含维生素A的食物,如苹果,梨子,枇杷,桂圆,香蕉,荔枝,杏,西瓜,大白菜,马齿菜,荠菜,茄子,番茄,南瓜,菠菜,黄瓜,大米,绿豆,胡桃仁等食物,有助于改善手指出现竖纹的现象。
2、缺铁性贫血:可伴随易倦、乏力、眩晕、头痛等症状,组织缺铁的某些现象有精神行为异常、皮肤干燥、口腔炎、指甲有竖纹等。补血以补铁为主,可以多吃一些富含铁的食物,如动物肝、舌、肾、乌贼、海蜇、黑木耳、蛋黄,虾米、海带、紫菜、芝麻、黄豆、香菇、黑豆、大枣、酸奶、西芹、葵花子、荠菜、核桃仁等食物,维生素C也有促进铁吸收的作用,建议多吃各种新鲜蔬果,如桔子,猕猴桃,番茄等,因为其中含有较丰富的维生素。
建议每天坚持午睡,补充维生素,坚持进行体育锻炼等,有助于预防指甲异常。
","articleBody": "指甲上有灰色竖纹考虑是缺乏维生素A或缺铁性贫血引起。
常表现为指甲盖出现灰色竖纹,可能伴有乏力、疲倦等症状。

1、维生素A缺乏:维生素A对于保持上皮组织健康起到重要的作用。如果缺乏维生素A,可能使指甲产生灰色竖纹,平时可以多吃一些富含维生素A的食物,如苹果,梨子,枇杷,桂圆,香蕉,荔枝,杏,西瓜,大白菜,马齿菜,荠菜,茄子,番茄,南瓜,菠菜,黄瓜,大米,绿豆,胡桃仁等食物,有助于改善手指出现竖纹的现象。
2、缺铁性贫血:可伴随易倦、乏力、眩晕、头痛等症状,组织缺铁的某些现象有精神行为异常、皮肤干燥、口腔炎、指甲有竖纹等。补血以补铁为主,可以多吃一些富含铁的食物,如动物肝、舌、肾、乌贼、海蜇、黑木耳、蛋黄,虾米、海带、紫菜、芝麻、黄豆、香菇、黑豆、大枣、酸奶、西芹、葵花子、荠菜、核桃仁等食物,维生素C也有促进铁吸收的作用,建议多吃各种新鲜蔬果,如桔子,猕猴桃,番茄等,因为其中含有较丰富的维生素。
建议每天坚持午睡,补充维生素,坚持进行体育锻炼等,有助于预防指甲异常。
","scanCount": 19905}}} {"@context": "https://ziyuan.baidu.com/contexts/cambrian.jsonld","appid": "1650708455561748","icon": "https://www.med-credit.org.cn/style/images/ttlogo.png","content_tag": ["atlas"],"is_mcn": {"thumb_id": "3w128mji2"},"accid": "4886d626a2804dee5f11168793ce361672f39c25","@id": "https://www.med-credit.org.cn/mobile/jingxuan/2/7717b5bfadb8f48e2cd43b33e1c41fc3.html","bagWordId": "23_1526477918828498944","title": "指甲抓伤疤痕图片","pubDate": "2025-03-06T15:32:01","upDate": "2025-03-06T15:32:01","lrDate": "2025-03-06T15:32:01","description": "指甲抓伤后留下的疤痕外观稍粗糙,有时有色素沉积或色素脱失。","data": {"WebPage": {"headline": "指甲抓伤疤痕图片","pcUrl": "https://www.med-credit.org.cn/jingxuan/2/7717b5bfadb8f48e2cd43b33e1c41fc3.html","wapUrl": "https://www.med-credit.org.cn/jingxuan/2/7717b5bfadb8f48e2cd43b33e1c41fc3.html","mipUrl": "https://www.med-credit.org.cn/mobile/jingxuan/2/7717b5bfadb8f48e2cd43b33e1c41fc3.html","fromSrc": "欢乐橙","datePublished": "2025-03-06T15:32:01","domain": "医疗","category": ["医疗权威文章合作"],"description": "指甲抓伤后留下的疤痕外观稍粗糙,有时有色素沉积或色素脱失。
","extra_headline": [""]},"Author": {"name": "曲乐","wapUrl": "https://www.med-credit.org.cn/doctor/554","pcUrl": "https://www.med-credit.org.cn/doctor/554","jobTitle": "副主任医师","headPortrait": "https://www.med-credit.org.cn/uploadfile/member/554/180x180.jpeg","id": "554","description": "曲乐,副主任医师、医学博士、硕士研究生导师、美容主诊医师、公派留美访问学者。主持国家自然科学基金及省市课题多项,在国内外高水平专业杂志发表中英文论文20余篇,参编英文专著1部。现任辽宁省免疫学会委员。","memberOf": {"legalName": "中国医科大学附属第一医院","department": "皮肤科","organizationLevel": "三级甲等"}},"Article": {"summaryContent": "指甲抓伤后留下的疤痕外观稍粗糙,有时有色素沉积或色素脱失。
抓伤留下的疤痕在早期可以配合用药,避免感染。注意防晒,以免色素沉积。
1.指甲抓伤的疤痕一般是较细的长条形痕迹,较浅的抓痕会自行消失。

2.若是流血的伤口,说明抓伤比较深,尤其应该注意伤到真皮层的情况,需要使用一些表皮生长因子类的药物来促进细胞再生加速创面愈合,帮助表皮恢复,最大程度减轻疤痕。
1.对抓伤伤口进行消毒处理,如外用碘伏。外敷抗生素软膏避免局部感染。
2.外用抗疤痕乳膏,如康瑞宝、疤克等,来抑制疤痕增生。若三个月后仍明显的增生可局部注射激素类药物,如得宝松。抗疤痕软膏用药时间需要连续使用3-6个月。
3.抗疤痕贴效果优于抗疤痕软膏,但出汗、活动会导致贴片松动影响效果。
4.可以另外还可借助激光、手术切除等方式。
5.做好防晒,少吃深色素食物。
","articleBody": "指甲抓伤后留下的疤痕外观稍粗糙,有时有色素沉积或色素脱失。
抓伤留下的疤痕在早期可以配合用药,避免感染。注意防晒,以免色素沉积。
1.指甲抓伤的疤痕一般是较细的长条形痕迹,较浅的抓痕会自行消失。

2.若是流血的伤口,说明抓伤比较深,尤其应该注意伤到真皮层的情况,需要使用一些表皮生长因子类的药物来促进细胞再生加速创面愈合,帮助表皮恢复,最大程度减轻疤痕。
1.对抓伤伤口进行消毒处理,如外用碘伏。外敷抗生素软膏避免局部感染。
2.外用抗疤痕乳膏,如康瑞宝、疤克等,来抑制疤痕增生。若三个月后仍明显的增生可局部注射激素类药物,如得宝松。抗疤痕软膏用药时间需要连续使用3-6个月。
3.抗疤痕贴效果优于抗疤痕软膏,但出汗、活动会导致贴片松动影响效果。
4.可以另外还可借助激光、手术切除等方式。
5.做好防晒,少吃深色素食物。
","scanCount": 19905}}} {"@context": "https://ziyuan.baidu.com/contexts/cambrian.jsonld","appid": "1650708455561748","icon": "https://www.med-credit.org.cn/style/images/ttlogo.png","content_tag": ["atlas"],"is_mcn": {"thumb_id": "3w128mji2"},"accid": "4886d626a2804dee5f11168793ce361672f39c25","@id": "https://www.med-credit.org.cn/mobile/jingxuan/2/bf31840fe4be0765c61bcc80fd16d415.html","bagWordId": "22_1526480551114969088","title": "指甲盖脱层图片","pubDate": "2025-03-06T15:32:01","upDate": "2025-03-06T15:32:01","lrDate": "2025-03-06T15:32:01","description": "指甲盖脱层考虑是灰指甲、缺乏钙等微量元素、指甲外伤导致。","data": {"WebPage": {"headline": "指甲盖脱层图片","pcUrl": "https://www.med-credit.org.cn/jingxuan/2/bf31840fe4be0765c61bcc80fd16d415.html","wapUrl": "https://www.med-credit.org.cn/jingxuan/2/bf31840fe4be0765c61bcc80fd16d415.html","mipUrl": "https://www.med-credit.org.cn/mobile/jingxuan/2/bf31840fe4be0765c61bcc80fd16d415.html","fromSrc": "欢乐橙","datePublished": "2025-03-06T15:32:01","domain": "医疗","category": ["医疗权威文章合作"],"description": "指甲盖脱层考虑是灰指甲、缺乏钙等微量元素、指甲外伤导致。
","extra_headline": [""]},"Author": {"name": "曲乐","wapUrl": "https://www.med-credit.org.cn/doctor/554","pcUrl": "https://www.med-credit.org.cn/doctor/554","jobTitle": "副主任医师","headPortrait": "https://www.med-credit.org.cn/uploadfile/member/554/180x180.jpeg","id": "554","description": "曲乐,副主任医师、医学博士、硕士研究生导师、美容主诊医师、公派留美访问学者。主持国家自然科学基金及省市课题多项,在国内外高水平专业杂志发表中英文论文20余篇,参编英文专著1部。现任辽宁省免疫学会委员。","memberOf": {"legalName": "中国医科大学附属第一医院","department": "皮肤科","organizationLevel": "三级甲等"}},"Article": {"summaryContent": "指甲盖脱层考虑是灰指甲、缺乏钙等微量元素、指甲外伤导致。
常表现为指甲盖脱层、凹坑、呈灰褐色。

1、灰指甲:即甲癣,是一种发生于指甲及甲下的真菌病。本病的致病真菌有酵母、皮肤癣菌、酵母样菌以及念珠菌等,虽然它们所引起的甲部损害不尽相同,但在临床上都统称甲癣。中医称之为“鹅爪风”、“灰指甲”、“油灰指甲”等。感染的甲板会失去其原有的光泽和透明性,指甲会增厚,呈灰褐色、灰白色或浊黄色。甲板会出现易脆断,表面凹凸不平,指甲盖脱层的情况等。

2、缺乏钙等微量元素:指甲盖脱层但没有其他明显不良症状的话,是没什么大问题的,只是钙等微量元素比较缺乏。平时可以通过服用一些钙片进行补充,多吃点含钙量高的食物,如牛奶、海带等,平时可以晒晒太阳,补充维生素D,有助于钙的吸收。
3、指甲外伤:指甲受到外伤的时候,也会出现指甲盖脱层的情况。可以多吃点水果、多喝水,避免指甲干燥。
平时也要注意日常护理,同时要保证维生素的摄入、避免诱发因素,可以预防手指甲疾病。
","articleBody": "指甲盖脱层考虑是灰指甲、缺乏钙等微量元素、指甲外伤导致。
常表现为指甲盖脱层、凹坑、呈灰褐色。

1、灰指甲:即甲癣,是一种发生于指甲及甲下的真菌病。本病的致病真菌有酵母、皮肤癣菌、酵母样菌以及念珠菌等,虽然它们所引起的甲部损害不尽相同,但在临床上都统称甲癣。中医称之为“鹅爪风”、“灰指甲”、“油灰指甲”等。感染的甲板会失去其原有的光泽和透明性,指甲会增厚,呈灰褐色、灰白色或浊黄色。甲板会出现易脆断,表面凹凸不平,指甲盖脱层的情况等。

2、缺乏钙等微量元素:指甲盖脱层但没有其他明显不良症状的话,是没什么大问题的,只是钙等微量元素比较缺乏。平时可以通过服用一些钙片进行补充,多吃点含钙量高的食物,如牛奶、海带等,平时可以晒晒太阳,补充维生素D,有助于钙的吸收。
3、指甲外伤:指甲受到外伤的时候,也会出现指甲盖脱层的情况。可以多吃点水果、多喝水,避免指甲干燥。
平时也要注意日常护理,同时要保证维生素的摄入、避免诱发因素,可以预防手指甲疾病。
","scanCount": 32722}}} {"@context": "https://ziyuan.baidu.com/contexts/cambrian.jsonld","appid": "1650708455561748","icon": "https://www.med-credit.org.cn/style/images/ttlogo.png","content_tag": ["atlas"],"is_mcn": {"thumb_id": "yfygkay6"},"accid": "4886d626a2804dee5f11168793ce361672f39c25","@id": "https://www.med-credit.org.cn/mobile/jingxuan/2/3171d2588e2cd19ec24288cfbfb90a30.html","bagWordId": "23_1526478095240925184","title": "咽喉炎的图片实拍","pubDate": "2025-03-06T15:32:01","upDate": "2025-03-06T15:32:01","lrDate": "2025-03-06T15:32:01","description": "咽喉炎一般指的是慢性单纯性咽炎,慢性单纯性咽炎患者表现为咽部黏膜慢性充血,其血管周围有较多淋巴细胞浸润,也可见白细胞及浆细胞浸润。","data": {"WebPage": {"headline": "咽喉炎的图片实拍","pcUrl": "https://www.med-credit.org.cn/jingxuan/2/3171d2588e2cd19ec24288cfbfb90a30.html","wapUrl": "https://www.med-credit.org.cn/jingxuan/2/3171d2588e2cd19ec24288cfbfb90a30.html","mipUrl": "https://www.med-credit.org.cn/mobile/jingxuan/2/3171d2588e2cd19ec24288cfbfb90a30.html","fromSrc": "欢乐橙","datePublished": "2025-03-06T15:32:01","domain": "医疗","category": ["医疗权威文章合作"],"description": "咽喉炎一般指的是慢性单纯性咽炎,慢性单纯性咽炎患者表现为咽部黏膜慢性充血,其血管周围有较多淋巴细胞浸润,也可见白细胞及浆细胞浸润。
","extra_headline": [""]},"Author": {"name": "王立银","wapUrl": "https://www.med-credit.org.cn/doctor/520","pcUrl": "https://www.med-credit.org.cn/doctor/520","jobTitle": "主治医师","headPortrait": "https://www.med-credit.org.cn/uploadfile/member/520/180x180.jpeg","id": "520","description": "王立银,中国医科大学附属盛京医院耳鼻咽喉头颈外科主治医师","memberOf": {"legalName": "中国医科大学附属盛京医院","department": "耳鼻咽喉头颈外科","organizationLevel": "三级甲等"}},"Article": {"summaryContent": "咽喉炎一般指的是慢性单纯性咽炎,慢性单纯性咽炎患者表现为咽部黏膜慢性充血,其血管周围有较多淋巴细胞浸润,也可见白细胞及浆细胞浸润。
可以遵医嘱使用药物进行治疗。平时应尽量保持规律作息,注意口腔和鼻腔卫生。

慢性单纯性咽炎患者通常有咽痛、发热、头痛、疲乏等症状,体查时可见咽喉部水肿、充血,部分患者可见疱疹或扁桃体表面渗出物,咽后壁可有淋巴滤泡突起。感染加重可伴随下颌及颈部淋巴结肿大、疼痛等表现。
慢性单纯性咽炎患者一般可以遵医嘱使用复方硼砂溶液、呋喃西林溶液、2%硼酸液含漱,以保持口腔、口咽的清洁。还可以遵医嘱使用复方碘甘油、13%硝酸银溶液或10%弱蛋白银溶液涂抹咽部,有收敛及消炎作用。
患者平时应尽量保持规律作息,多进行室外活动,呼吸新鲜空气。注意口腔和鼻腔卫生。平时应注意天气的冷暖变化,在流感易发季节,尽量少去公共场所。注意饮食卫生,保证身体营养平衡。
","articleBody": "咽喉炎一般指的是慢性单纯性咽炎,慢性单纯性咽炎患者表现为咽部黏膜慢性充血,其血管周围有较多淋巴细胞浸润,也可见白细胞及浆细胞浸润。
可以遵医嘱使用药物进行治疗。平时应尽量保持规律作息,注意口腔和鼻腔卫生。

慢性单纯性咽炎患者通常有咽痛、发热、头痛、疲乏等症状,体查时可见咽喉部水肿、充血,部分患者可见疱疹或扁桃体表面渗出物,咽后壁可有淋巴滤泡突起。感染加重可伴随下颌及颈部淋巴结肿大、疼痛等表现。
慢性单纯性咽炎患者一般可以遵医嘱使用复方硼砂溶液、呋喃西林溶液、2%硼酸液含漱,以保持口腔、口咽的清洁。还可以遵医嘱使用复方碘甘油、13%硝酸银溶液或10%弱蛋白银溶液涂抹咽部,有收敛及消炎作用。
患者平时应尽量保持规律作息,多进行室外活动,呼吸新鲜空气。注意口腔和鼻腔卫生。平时应注意天气的冷暖变化,在流感易发季节,尽量少去公共场所。注意饮食卫生,保证身体营养平衡。
","scanCount": 32712}}} {"@context": "https://ziyuan.baidu.com/contexts/cambrian.jsonld","appid": "1650708455561748","icon": "https://www.med-credit.org.cn/style/images/ttlogo.png","content_tag": ["atlas"],"is_mcn": {"thumb_id": "g76756sx"},"accid": "4886d626a2804dee5f11168793ce361672f39c25","@id": "https://www.med-credit.org.cn/mobile/jingxuan/2/106b334d876489bcd20b5ec2cfccbe13.html","bagWordId": "4ab7c7c9fb669137","title": "冬甘止西图片","pubDate": "2025-03-06T15:32:01","upDate": "2025-03-06T15:32:01","lrDate": "2025-03-06T15:32:01","description": "冬甘止西并不是一种药物,而是一种含有多种中草药的压片糖果,尤其是硒,服用后可以达到很好的滋阴润肺的功效。","data": {"WebPage": {"headline": "冬甘止西图片","pcUrl": "https://www.med-credit.org.cn/jingxuan/2/106b334d876489bcd20b5ec2cfccbe13.html","wapUrl": "https://www.med-credit.org.cn/jingxuan/2/106b334d876489bcd20b5ec2cfccbe13.html","mipUrl": "https://www.med-credit.org.cn/mobile/jingxuan/2/106b334d876489bcd20b5ec2cfccbe13.html","fromSrc": "欢乐橙","datePublished": "2025-03-06T15:32:01","domain": "医疗","category": ["医疗权威文章合作"],"description": "冬甘止西并不是一种药物,而是一种含有多种中草药的压片糖果,尤其是硒,服用后可以达到很好的滋阴润肺的功效。
","extra_headline": [""]},"Author": {"name": "张婷","wapUrl": "https://www.med-credit.org.cn/doctor/555","pcUrl": "https://www.med-credit.org.cn/doctor/555","jobTitle": "副主任医师","headPortrait": "https://www.med-credit.org.cn/uploadfile/member/555/180x180.jpeg","id": "555","description": "张婷,中南大学湘雅三医院中西医结合科副主任医师","memberOf": {"legalName": "中南大学湘雅三医院","department": "中西医结合科","organizationLevel": "三级甲等"}},"Article": {"summaryContent": "概述:
冬甘止西,即人们常说的飞甘白西。
冬甘止西并不是一种药物,而是一种含有多种中草药的压片糖果,服用后可以达到很好的滋阴润肺的功效。

1、冬甘止西是一种糖果,里面含有橘皮、白芷、甘草等成分。对于含有肺结节的患者,可以适当服用,可以达到清肺润肺的作用;对于有着长期吸烟史等其他肺部不适的人群,也可以适当尝试冬甘止西,也有一定的缓解作用。另外,冬甘止西也有提高机体免疫力的作用,它能够有效提高机体器官的运作能力,进而提高免疫力。
2、冬甘止西不是药品,它对于肺部感染的人达不到治愈的效果。如果是由于细菌或者病毒感染引起的长期咳嗽,最好还是及时就医,在医生指导下服用一些止咳糖浆来达到治疗效果。
服用冬甘止西期间要注意清淡饮食,它具有相对高的安全性,但是也不可过度进食,食用不当可能会引起恶心、呕吐和神经系统兴奋等反应。
","articleBody": "概述:
冬甘止西,即人们常说的飞甘白西。
冬甘止西并不是一种药物,而是一种含有多种中草药的压片糖果,服用后可以达到很好的滋阴润肺的功效。

1、冬甘止西是一种糖果,里面含有橘皮、白芷、甘草等成分。对于含有肺结节的患者,可以适当服用,可以达到清肺润肺的作用;对于有着长期吸烟史等其他肺部不适的人群,也可以适当尝试冬甘止西,也有一定的缓解作用。另外,冬甘止西也有提高机体免疫力的作用,它能够有效提高机体器官的运作能力,进而提高免疫力。
2、冬甘止西不是药品,它对于肺部感染的人达不到治愈的效果。如果是由于细菌或者病毒感染引起的长期咳嗽,最好还是及时就医,在医生指导下服用一些止咳糖浆来达到治疗效果。
服用冬甘止西期间要注意清淡饮食,它具有相对高的安全性,但是也不可过度进食,食用不当可能会引起恶心、呕吐和神经系统兴奋等反应。
","scanCount": 5455}}} {"@context": "https://ziyuan.baidu.com/contexts/cambrian.jsonld","appid": "1650708455561748","icon": "https://www.med-credit.org.cn/style/images/ttlogo.png","content_tag": ["atlas"],"is_mcn": {"thumb_id": "3w128mji2"},"accid": "4886d626a2804dee5f11168793ce361672f39c25","@id": "https://www.med-credit.org.cn/mobile/jingxuan/2/672756651e344f898a697c1e06d6f047.html","bagWordId": "b8cbb6b31b18abc6","title": "螨虫照片","pubDate": "2025-03-06T15:32:01","upDate": "2025-03-06T15:32:01","lrDate": "2025-03-06T15:32:01","description": "螨虫常见的有蠕形螨、尘螨、疥螨,不同螨虫形态不一样。","data": {"WebPage": {"headline": "螨虫照片","pcUrl": "https://www.med-credit.org.cn/jingxuan/2/672756651e344f898a697c1e06d6f047.html","wapUrl": "https://www.med-credit.org.cn/jingxuan/2/672756651e344f898a697c1e06d6f047.html","mipUrl": "https://www.med-credit.org.cn/mobile/jingxuan/2/672756651e344f898a697c1e06d6f047.html","fromSrc": "欢乐橙","datePublished": "2025-03-06T15:32:01","domain": "医疗","category": ["医疗权威文章合作"],"description": "螨虫常见的有蠕形螨、尘螨、疥螨,不同螨虫形态不一样。
","extra_headline": [""]},"Author": {"name": "曲乐","wapUrl": "https://www.med-credit.org.cn/doctor/554","pcUrl": "https://www.med-credit.org.cn/doctor/554","jobTitle": "副主任医师","headPortrait": "https://www.med-credit.org.cn/uploadfile/member/554/180x180.jpeg","id": "554","description": "曲乐,副主任医师、医学博士、硕士研究生导师、美容主诊医师、公派留美访问学者。主持国家自然科学基金及省市课题多项,在国内外高水平专业杂志发表中英文论文20余篇,参编英文专著1部。现任辽宁省免疫学会委员。","memberOf": {"legalName": "中国医科大学附属第一医院","department": "皮肤科","organizationLevel": "三级甲等"}},"Article": {"summaryContent": "概述:
螨虫常见的有蠕形螨、尘螨、疥螨,不同螨虫形态不一样。


1、蠕形螨:俗称毛囊虫,寄生于毛囊和皮脂腺内。螨体呈蠕虫状,乳白色,半透明,成虫长0.1~0.4mm。颚体位于前端,宽短呈梯形;螯肢1对,呈针状;须肢1对,分3节。
躯体分足体和末体两部分,足体腹面有4对足,粗短呈芽突状。雌螨的生殖孔在腹面第4对足之间。雄螨的阴茎位于足体背面的第2对足之间。
2、尘螨:普遍存在于居住和工作环境中,与过敏性疾病相关。成虫椭圆形,淡黄色,体长0.2~0.5mm。颚体位于虫体前端,螯肢钳状。体表有细密或粗皱的皮纹和少量刚毛。
躯体背面前端有狭长盾板。雄虫体背后部还有后盾板。肩部有1对长鬃,后端有2对长鬃。外生殖器在腹面中央;肛门靠近后端,雄螨肛侧有肛吸盘。足4对,跗节末端具钟形吸盘。
3、疥螨:寄生于皮肤,引起疥疮。成虫近圆形或椭圆形,背面隆起,黄白色,雌螨长0.3~0.5mm,雄螨长0.2~0.3mm。颚体短小,位于虫体前端;螯肢钳状,尖端有小齿。腹面光滑,仅有少数刚毛。4对足短粗,圆锥形,分5节。肛门位于躯体后缘正中。
螨虫躯体小,形态复杂,一般由专门人员在显微镜下观察判断,螨虫感染常引起皮肤瘙痒、皮肤病,并可以接触传染,怀疑感染者应尽早至皮肤科就诊。
","articleBody": "概述:
螨虫常见的有蠕形螨、尘螨、疥螨,不同螨虫形态不一样。


1、蠕形螨:俗称毛囊虫,寄生于毛囊和皮脂腺内。螨体呈蠕虫状,乳白色,半透明,成虫长0.1~0.4mm。颚体位于前端,宽短呈梯形;螯肢1对,呈针状;须肢1对,分3节。
躯体分足体和末体两部分,足体腹面有4对足,粗短呈芽突状。雌螨的生殖孔在腹面第4对足之间。雄螨的阴茎位于足体背面的第2对足之间。
2、尘螨:普遍存在于居住和工作环境中,与过敏性疾病相关。成虫椭圆形,淡黄色,体长0.2~0.5mm。颚体位于虫体前端,螯肢钳状。体表有细密或粗皱的皮纹和少量刚毛。
躯体背面前端有狭长盾板。雄虫体背后部还有后盾板。肩部有1对长鬃,后端有2对长鬃。外生殖器在腹面中央;肛门靠近后端,雄螨肛侧有肛吸盘。足4对,跗节末端具钟形吸盘。
3、疥螨:寄生于皮肤,引起疥疮。成虫近圆形或椭圆形,背面隆起,黄白色,雌螨长0.3~0.5mm,雄螨长0.2~0.3mm。颚体短小,位于虫体前端;螯肢钳状,尖端有小齿。腹面光滑,仅有少数刚毛。4对足短粗,圆锥形,分5节。肛门位于躯体后缘正中。
螨虫躯体小,形态复杂,一般由专门人员在显微镜下观察判断,螨虫感染常引起皮肤瘙痒、皮肤病,并可以接触传染,怀疑感染者应尽早至皮肤科就诊。
","scanCount": 5405}}} {"@context": "https://ziyuan.baidu.com/contexts/cambrian.jsonld","appid": "1650708455561748","icon": "https://www.med-credit.org.cn/style/images/ttlogo.png","content_tag": ["atlas"],"is_mcn": {"thumb_id": "c1nhtnyb"},"accid": "4886d626a2804dee5f11168793ce361672f39c25","@id": "https://www.med-credit.org.cn/mobile/jingxuan/2/75a448cb878d10a0e26b32730ada07f9.html","bagWordId": "ffd8fd10d3882281","title": "藏毛窦术后疤痕图片","pubDate": "2025-03-06T15:32:01","upDate": "2025-03-06T15:32:01","lrDate": "2025-03-06T15:32:01","description": "藏毛窦术后形成的疤痕一般呈正常的红色瘢痕,瘢痕表面炎性无分泌物、白色物质附着,保持干燥的状态。疤痕的形状一般由藏毛囊肿的大小以及手术的切口所决定。","data": {"WebPage": {"headline": "藏毛窦术后疤痕图片","pcUrl": "https://www.med-credit.org.cn/jingxuan/2/75a448cb878d10a0e26b32730ada07f9.html","wapUrl": "https://www.med-credit.org.cn/jingxuan/2/75a448cb878d10a0e26b32730ada07f9.html","mipUrl": "https://www.med-credit.org.cn/mobile/jingxuan/2/75a448cb878d10a0e26b32730ada07f9.html","fromSrc": "欢乐橙","datePublished": "2025-03-06T15:32:01","domain": "医疗","category": ["医疗权威文章合作"],"description": "藏毛窦术后形成的疤痕一般呈正常的红色瘢痕,瘢痕表面炎性无分泌物、白色物质附着,保持干燥的状态。疤痕的形状一般由藏毛囊肿的大小以及手术的切口所决定。
","extra_headline": [""]},"Author": {"name": "王晓彦","wapUrl": "https://www.med-credit.org.cn/doctor/541","pcUrl": "https://www.med-credit.org.cn/doctor/541","jobTitle": "主任医师","headPortrait": "https://www.med-credit.org.cn/uploadfile/member/541/180x180.jpeg","id": "541","description": "王晓彦,首都医科大学附属北京天坛医院皮肤科主任医师","memberOf": {"legalName": "首都医科大学附属北京天坛医院","department": "皮肤科","organizationLevel": "三级甲等"}},"Article": {"summaryContent": "藏毛窦术后形成的疤痕一般呈正常的红色瘢痕,瘢痕表面炎性无分泌物、白色物质附着,保持干燥的状态。疤痕的形状一般由藏毛囊肿的大小以及手术的切口所决定。
患者可以通过使用美容针减小疤痕的形成,还可以在瘢痕早期,在其表面涂抹硅凝胶之类的药物的方式淡化瘢痕,早期还可以预防增生。在饮食上注意避免食用酱油、生姜等富含色素和刺激性食物。

1、藏毛窦术后,在营养物质充足的条件下,伤口恢复的第三天一般开始生长出嫩粉色的肉芽组织,而胶原纤维在5~7天时出现,将伤口连接,随着时间的延长,伤口逐渐恢复和愈合,导致伤口结痂,疤痕形成。形成的疤痕一般呈正常的红色瘢痕,瘢痕表面炎性无分泌物、白色物质附着,保持干燥的状态。疤痕相较于周围的皮肤颜色更白,基本无色素沉积,一段时间后受紫外线等影响会与周围皮肤融合成相同的肤色。
2、藏毛窦手术后疤痕的形状一般由藏毛囊肿的大小以及手术的切口所决定。若藏毛囊肿发展时间越短,体积越小,手术的切口越小,术后疤痕的形成越美观,形状越小。
","articleBody": "藏毛窦术后形成的疤痕一般呈正常的红色瘢痕,瘢痕表面炎性无分泌物、白色物质附着,保持干燥的状态。疤痕的形状一般由藏毛囊肿的大小以及手术的切口所决定。
患者可以通过使用美容针减小疤痕的形成,还可以在瘢痕早期,在其表面涂抹硅凝胶之类的药物的方式淡化瘢痕,早期还可以预防增生。在饮食上注意避免食用酱油、生姜等富含色素和刺激性食物。

1、藏毛窦术后,在营养物质充足的条件下,伤口恢复的第三天一般开始生长出嫩粉色的肉芽组织,而胶原纤维在5~7天时出现,将伤口连接,随着时间的延长,伤口逐渐恢复和愈合,导致伤口结痂,疤痕形成。形成的疤痕一般呈正常的红色瘢痕,瘢痕表面炎性无分泌物、白色物质附着,保持干燥的状态。疤痕相较于周围的皮肤颜色更白,基本无色素沉积,一段时间后受紫外线等影响会与周围皮肤融合成相同的肤色。
2、藏毛窦手术后疤痕的形状一般由藏毛囊肿的大小以及手术的切口所决定。若藏毛囊肿发展时间越短,体积越小,手术的切口越小,术后疤痕的形成越美观,形状越小。
","scanCount": 5397}}} {"@context": "https://ziyuan.baidu.com/contexts/cambrian.jsonld","appid": "1650708455561748","icon": "https://www.med-credit.org.cn/style/images/ttlogo.png","content_tag": ["atlas"],"is_mcn": {"thumb_id": "6s1phww1w"},"accid": "4886d626a2804dee5f11168793ce361672f39c25","@id": "https://www.med-credit.org.cn/mobile/jingxuan/2/4843e8072007c632b11bd1fd08ecbf6a.html","bagWordId": "19acd3ffae596fb7","title": "各种腰痛位置图片图解","pubDate": "2025-03-06T15:32:01","upDate": "2025-03-06T15:32:01","lrDate": "2025-03-06T15:32:01","description": "1.腰肌劳损:腰椎两侧的肌肉疼痛。","data": {"WebPage": {"headline": "各种腰痛位置图片图解","pcUrl": "https://www.med-credit.org.cn/jingxuan/2/4843e8072007c632b11bd1fd08ecbf6a.html","wapUrl": "https://www.med-credit.org.cn/jingxuan/2/4843e8072007c632b11bd1fd08ecbf6a.html","mipUrl": "https://www.med-credit.org.cn/mobile/jingxuan/2/4843e8072007c632b11bd1fd08ecbf6a.html","fromSrc": "欢乐橙","datePublished": "2025-03-06T15:32:01","domain": "医疗","category": ["医疗权威文章合作"],"description": "1.腰肌劳损:腰椎两侧的肌肉疼痛。
","extra_headline": [""]},"Author": {"name": "王维","wapUrl": "https://www.med-credit.org.cn/doctor/513","pcUrl": "https://www.med-credit.org.cn/doctor/513","jobTitle": "主治医师","headPortrait": "https://www.med-credit.org.cn/uploadfile/member/513/180x180.jpeg","id": "513","description": "王维,中国医科大学附属盛京医院骨科主治医师","memberOf": {"legalName": "中国医科大学附属盛京医院","department": "骨科","organizationLevel": "三级甲等"}},"Article": {"summaryContent": "概述:
腰痛可发生在腰椎两侧、腰椎一侧、肋脊角、肋腰角、第3腰椎横突、腰眼等部位。

第一、腰椎两侧的肌肉疼痛,这种情况往往见于腰肌劳损。
第二、腰椎一侧的肌肉疼痛,见于急性腰扭伤,在发作的时候还可以摸到局部肌肉的条索性痉挛。
第三、在肋脊角、肋腰角这些部位,也就是第12肋骨跟脊柱相交的部位。这个部位如果出现疼痛,提示可能存在肾脏相关的疾病,比如肾盂肾炎或者肾脏内部的结石等等。

第四、第3腰椎横突的部位出现疼痛,这个部位一般见于第3腰椎横突综合征。

第五、髂后上棘的疼痛,

有些老百姓也称这个部位为腰眼,见于局部肌肉、肌腱的拉伤。
","articleBody": "概述:
腰痛可发生在腰椎两侧、腰椎一侧、肋脊角、肋腰角、第3腰椎横突、腰眼等部位。

第一、腰椎两侧的肌肉疼痛,这种情况往往见于腰肌劳损。
第二、腰椎一侧的肌肉疼痛,见于急性腰扭伤,在发作的时候还可以摸到局部肌肉的条索性痉挛。
第三、在肋脊角、肋腰角这些部位,也就是第12肋骨跟脊柱相交的部位。这个部位如果出现疼痛,提示可能存在肾脏相关的疾病,比如肾盂肾炎或者肾脏内部的结石等等。

第四、第3腰椎横突的部位出现疼痛,这个部位一般见于第3腰椎横突综合征。

第五、髂后上棘的疼痛,

有些老百姓也称这个部位为腰眼,见于局部肌肉、肌腱的拉伤。
","scanCount": 5310}}} {"@context": "https://ziyuan.baidu.com/contexts/cambrian.jsonld","appid": "1650708455561748","icon": "https://www.med-credit.org.cn/style/images/ttlogo.png","content_tag": ["atlas"],"is_mcn": {"thumb_id": "6s1phww1w"},"accid": "4886d626a2804dee5f11168793ce361672f39c25","@id": "https://www.med-credit.org.cn/mobile/jingxuan/2/e04e034b0031ccc0d948ffad770e28b5.html","bagWordId": "68f6088eb2a66096","title": "脖子前倾的正确睡姿图","pubDate": "2025-03-06T15:32:01","upDate": "2025-03-06T15:32:01","lrDate": "2025-03-06T15:32:01","description": "脖子前倾在睡觉的时候要注意枕头的高度适中,其正确睡姿为侧躺以及平躺。","data": {"WebPage": {"headline": "脖子前倾的正确睡姿图","pcUrl": "https://www.med-credit.org.cn/jingxuan/2/e04e034b0031ccc0d948ffad770e28b5.html","wapUrl": "https://www.med-credit.org.cn/jingxuan/2/e04e034b0031ccc0d948ffad770e28b5.html","mipUrl": "https://www.med-credit.org.cn/mobile/jingxuan/2/e04e034b0031ccc0d948ffad770e28b5.html","fromSrc": "欢乐橙","datePublished": "2025-03-06T15:32:01","domain": "医疗","category": ["医疗权威文章合作"],"description": "脖子前倾在睡觉的时候要注意枕头的高度适中,其正确睡姿为侧躺以及平躺。
","extra_headline": [""]},"Author": {"name": "王维","wapUrl": "https://www.med-credit.org.cn/doctor/513","pcUrl": "https://www.med-credit.org.cn/doctor/513","jobTitle": "主治医师","headPortrait": "https://www.med-credit.org.cn/uploadfile/member/513/180x180.jpeg","id": "513","description": "王维,中国医科大学附属盛京医院骨科主治医师","memberOf": {"legalName": "中国医科大学附属盛京医院","department": "骨科","organizationLevel": "三级甲等"}},"Article": {"summaryContent": "脖子前倾在睡觉的时候要注意枕头的高度适中,其正确睡姿为侧躺以及平躺。
脖子前倾患者最好不要长期伏案工作,下班后可适当做运动。
侧躺的时候可以弯曲膝关节,放松腰背部,用高度合适的枕头托住颈部,使肩部放松。仰面平躺会使背部张力增加,如果需要平躺的话,可以在膝下垫抱枕,有助于更好地休息。

不要脸朝下睡觉,会使背部凹陷增加,同时牵拉颈部和肩部的肌肉。俯卧的时候即使弯曲髋部和膝部,也无法有效缓解背部的紧张。
根据人体的生理结构得出,最好的睡姿是右侧卧。因为人的心脏位于胸腔左侧,胃肠道开口在右侧,肝脏也在右侧,所以右侧卧可以减轻心脏的压力,同时放松全身的肌肉,使休息更加的充分。
脖子前倾的患者要注意不要长期伏案工作,可定时做伸张动作活动身体。午间休息时,最好不要趴在办公桌上睡觉。下班后可以适当地做些户外运动,可以选择上肢以及全身的放松运动。
","articleBody": "脖子前倾在睡觉的时候要注意枕头的高度适中,其正确睡姿为侧躺以及平躺。
脖子前倾患者最好不要长期伏案工作,下班后可适当做运动。
侧躺的时候可以弯曲膝关节,放松腰背部,用高度合适的枕头托住颈部,使肩部放松。仰面平躺会使背部张力增加,如果需要平躺的话,可以在膝下垫抱枕,有助于更好地休息。

不要脸朝下睡觉,会使背部凹陷增加,同时牵拉颈部和肩部的肌肉。俯卧的时候即使弯曲髋部和膝部,也无法有效缓解背部的紧张。
根据人体的生理结构得出,最好的睡姿是右侧卧。因为人的心脏位于胸腔左侧,胃肠道开口在右侧,肝脏也在右侧,所以右侧卧可以减轻心脏的压力,同时放松全身的肌肉,使休息更加的充分。
脖子前倾的患者要注意不要长期伏案工作,可定时做伸张动作活动身体。午间休息时,最好不要趴在办公桌上睡觉。下班后可以适当地做些户外运动,可以选择上肢以及全身的放松运动。
","scanCount": 5308}}} {"@context": "https://ziyuan.baidu.com/contexts/cambrian.jsonld","appid": "1650708455561748","icon": "https://www.med-credit.org.cn/style/images/ttlogo.png","content_tag": ["atlas"],"is_mcn": {"thumb_id": "6s1phww1w"},"accid": "4886d626a2804dee5f11168793ce361672f39c25","@id": "https://www.med-credit.org.cn/mobile/jingxuan/2/5480614c5c4b99ebbf8cda501a8b5dab.html","bagWordId": "64e217f00eb170a1","title": "打肌肉针最简单找位置图片","pubDate": "2025-03-06T15:32:01","upDate": "2025-03-06T15:32:01","lrDate": "2025-03-06T15:32:01","description": "打肌肉针又称为肌肉注射,最简单的找位置的方法,根据注射部位的不同,分为臀大肌注射如十字法,上臂三角肌注射定位法。","data": {"WebPage": {"headline": "打肌肉针最简单找位置图片","pcUrl": "https://www.med-credit.org.cn/jingxuan/2/5480614c5c4b99ebbf8cda501a8b5dab.html","wapUrl": "https://www.med-credit.org.cn/jingxuan/2/5480614c5c4b99ebbf8cda501a8b5dab.html","mipUrl": "https://www.med-credit.org.cn/mobile/jingxuan/2/5480614c5c4b99ebbf8cda501a8b5dab.html","fromSrc": "欢乐橙","datePublished": "2025-03-06T15:32:01","domain": "医疗","category": ["医疗权威文章合作"],"description": "打肌肉针又称为肌肉注射,最简单的找位置的方法,根据注射部位的不同,分为臀大肌注射如十字法,上臂三角肌注射定位法。
","extra_headline": [""]},"Author": {"name": "王维","wapUrl": "https://www.med-credit.org.cn/doctor/513","pcUrl": "https://www.med-credit.org.cn/doctor/513","jobTitle": "主治医师","headPortrait": "https://www.med-credit.org.cn/uploadfile/member/513/180x180.jpeg","id": "513","description": "王维,中国医科大学附属盛京医院骨科主治医师","memberOf": {"legalName": "中国医科大学附属盛京医院","department": "骨科","organizationLevel": "三级甲等"}},"Article": {"summaryContent": "打肌肉针又称为肌肉注射,最简单的找位置的方法,根据注射部位的不同,分为臀大肌注射如十字法,上臂三角肌注射定位法。
1.臀大肌注射如十字法:是从臀裂的顶点向左或向右画一条水平线,从髂嵴的最高点向下画一条垂直的二分线,并将臀部分成四个象限,其中外侧上象限避开内角作为注射区域。

2.上臂三角肌:注射部位在上臂外侧,注射部位在肩峰下方2-3个横指的位置,此处肌肉较臀部肌肉薄,只能做小剂量注射。

进行肌肉注射是小儿患者患病时常用的一种给药方法。通常在药物不适合口服、患病儿童不能口服或根据病情需要迅速药效时使用。肌注进行过程中,对婴幼儿要固定好,不让其挣扎乱动,避免弄断针头。注射后不要立即离开,留院观察约15分钟。肌注后应让孩子进行暂时的休息,不要进行跑动。肌肉注射后,如患儿抱怨注射部位疼痛,行走不便,要密切观察。必要时到医院请医生进行检查。
","articleBody": "打肌肉针又称为肌肉注射,最简单的找位置的方法,根据注射部位的不同,分为臀大肌注射如十字法,上臂三角肌注射定位法。
1.臀大肌注射如十字法:是从臀裂的顶点向左或向右画一条水平线,从髂嵴的最高点向下画一条垂直的二分线,并将臀部分成四个象限,其中外侧上象限避开内角作为注射区域。

2.上臂三角肌:注射部位在上臂外侧,注射部位在肩峰下方2-3个横指的位置,此处肌肉较臀部肌肉薄,只能做小剂量注射。

进行肌肉注射是小儿患者患病时常用的一种给药方法。通常在药物不适合口服、患病儿童不能口服或根据病情需要迅速药效时使用。肌注进行过程中,对婴幼儿要固定好,不让其挣扎乱动,避免弄断针头。注射后不要立即离开,留院观察约15分钟。肌注后应让孩子进行暂时的休息,不要进行跑动。肌肉注射后,如患儿抱怨注射部位疼痛,行走不便,要密切观察。必要时到医院请医生进行检查。
","scanCount": 32704}}} {"@context": "https://ziyuan.baidu.com/contexts/cambrian.jsonld","appid": "1650708455561748","icon": "https://www.med-credit.org.cn/style/images/ttlogo.png","content_tag": ["atlas"],"is_mcn": {"thumb_id": "6s37k24n"},"accid": "4886d626a2804dee5f11168793ce361672f39c25","@id": "https://www.med-credit.org.cn/mobile/jingxuan/2/e63c5df84c602bac04b0c3e58d912bc2.html","bagWordId": "fa4f5c3ce85583e6","title": "人体图五脏的位置图分布图模型","pubDate": "2025-03-06T15:32:01","upDate": "2025-03-06T15:32:01","lrDate": "2025-03-06T15:32:01","description": "五脏指心、肺、脾、肺、肾。心位于胸腔中部偏左下方;肝位于人体右上腹,隐藏在右侧膈下和肋骨深面;脾在人体左上腹部;肺位于胸腔内,左右各一;肾脏在人体的腰部,在脊柱的两侧,左右各一。","data": {"WebPage": {"headline": "人体图五脏的位置图分布图模型","pcUrl": "https://www.med-credit.org.cn/jingxuan/2/e63c5df84c602bac04b0c3e58d912bc2.html","wapUrl": "https://www.med-credit.org.cn/jingxuan/2/e63c5df84c602bac04b0c3e58d912bc2.html","mipUrl": "https://www.med-credit.org.cn/mobile/jingxuan/2/e63c5df84c602bac04b0c3e58d912bc2.html","fromSrc": "欢乐橙","datePublished": "2025-03-06T15:32:01","domain": "医疗","category": ["医疗权威文章合作"],"description": "五脏指心、肺、脾、肺、肾。心位于胸腔中部偏左下方;肝位于人体右上腹,隐藏在右侧膈下和肋骨深面;脾在人体左上腹部;肺位于胸腔内,左右各一;肾脏在人体的腰部,在脊柱的两侧,左右各一。
","extra_headline": [""]},"Author": {"name": "王成阳","wapUrl": "https://www.med-credit.org.cn/doctor/574","pcUrl": "https://www.med-credit.org.cn/doctor/574","jobTitle": "副主任医师","headPortrait": "https://www.med-credit.org.cn/uploadfile/member/574/180x180.jpeg","id": "574","description": "王成阳,安徽医科大学附属巢湖医院中医科副主任医师","memberOf": {"legalName": "安徽医科大学附属巢湖医院","department": "中医科","organizationLevel": "三级甲等"}},"Article": {"summaryContent": "概述:
五脏指心、肝、脾、肺、肾。心位于胸腔中部偏左下方;肝位于人体右上腹,隐藏在右侧膈下和肋骨深面;脾在人体左上腹部;肺位于胸腔内,左右各一;肾脏在人体的腰部,在脊柱的两侧,左右各一。


1、五脏为人体生命活动中心,亦是脏腑的核心,它们之间密切联系、相互联系、相互影响,共同完成人体整个生命活动。
2、心圆而下尖,形如倒垂莲蕊,外有心包卫护,主血脉,主藏神;肺质地疏松,分叶状,主气、司呼吸,主通调水道,朝百脉、主治节;脾主运化、主升清和主统血;肝呈分叶状,主疏泄,主藏血;肾主藏精、主水和主纳气。
3、五脏共同生理功能特点为化生、贮藏精气。精气指构成和维持人体生命活动的基本物质,充养五脏六腑,为生命活动提供所必需的营养及动力。
4、五脏多为实质性器官,各司其职又协同合作,其生理活动及病理变化又可反映在外,中医通过望闻问切对五脏的生理病理情况加以了解,进而把握生命规律和病理本质。
","articleBody": "概述:
五脏指心、肝、脾、肺、肾。心位于胸腔中部偏左下方;肝位于人体右上腹,隐藏在右侧膈下和肋骨深面;脾在人体左上腹部;肺位于胸腔内,左右各一;肾脏在人体的腰部,在脊柱的两侧,左右各一。


1、五脏为人体生命活动中心,亦是脏腑的核心,它们之间密切联系、相互联系、相互影响,共同完成人体整个生命活动。
2、心圆而下尖,形如倒垂莲蕊,外有心包卫护,主血脉,主藏神;肺质地疏松,分叶状,主气、司呼吸,主通调水道,朝百脉、主治节;脾主运化、主升清和主统血;肝呈分叶状,主疏泄,主藏血;肾主藏精、主水和主纳气。
3、五脏共同生理功能特点为化生、贮藏精气。精气指构成和维持人体生命活动的基本物质,充养五脏六腑,为生命活动提供所必需的营养及动力。
4、五脏多为实质性器官,各司其职又协同合作,其生理活动及病理变化又可反映在外,中医通过望闻问切对五脏的生理病理情况加以了解,进而把握生命规律和病理本质。
","scanCount": 5272}}} {"@context": "https://ziyuan.baidu.com/contexts/cambrian.jsonld","appid": "1650708455561748","icon": "https://www.med-credit.org.cn/style/images/ttlogo.png","content_tag": ["atlas"],"is_mcn": {"thumb_id": "g76756sx"},"accid": "4886d626a2804dee5f11168793ce361672f39c25","@id": "https://www.med-credit.org.cn/mobile/jingxuan/2/a49d45cc863777e9c8d51d8ed5798ed3.html","bagWordId": "99acd3422fdd4109","title": "玉门的准确位置图","pubDate": "2025-03-06T15:32:01","upDate": "2025-03-06T15:32:01","lrDate": "2025-03-06T15:32:01","description": "玉门穴位于会阴区,又称为会阴穴,在女性大阴唇后联合与肛门连线中点。","data": {"WebPage": {"headline": "玉门的准确位置图","pcUrl": "https://www.med-credit.org.cn/jingxuan/2/a49d45cc863777e9c8d51d8ed5798ed3.html","wapUrl": "https://www.med-credit.org.cn/jingxuan/2/a49d45cc863777e9c8d51d8ed5798ed3.html","mipUrl": "https://www.med-credit.org.cn/mobile/jingxuan/2/a49d45cc863777e9c8d51d8ed5798ed3.html","fromSrc": "欢乐橙","datePublished": "2025-03-06T15:32:01","domain": "医疗","category": ["医疗权威文章合作"],"description": "玉门穴位于会阴区,又称为会阴穴,在女性大阴唇后联合与肛门连线中点。
","extra_headline": [""]},"Author": {"name": "张婷","wapUrl": "https://www.med-credit.org.cn/doctor/555","pcUrl": "https://www.med-credit.org.cn/doctor/555","jobTitle": "副主任医师","headPortrait": "https://www.med-credit.org.cn/uploadfile/member/555/180x180.jpeg","id": "555","description": "张婷,中南大学湘雅三医院中西医结合科副主任医师","memberOf": {"legalName": "中南大学湘雅三医院","department": "中西医结合科","organizationLevel": "三级甲等"}},"Article": {"summaryContent": "概述:
玉门穴位于会阴区,又称为会阴穴,在女性大阴唇后联合与肛门连线中点。

会阴穴图片
1、玉门穴属于任脉,阴道口古称“玉门”,玉门穴就位于阴道口与肛门连线正中,在会阴中心腱上。
2、玉门穴是阴经脉气交会之所,为任脉、督脉、冲脉聚集之处,可调整任督二脉经气失衡,对前后二阴疾病有一定疗效。
3、玉门穴主治妇人阴痛阴痒阴疮、癫狂,可调节肾阳不足引起的尿频、遗尿、肾经湿热下注、月经不调、不孕以及直肠脱垂、肛门瘙痒等疾病。
4、玉门穴注意事项如下:
1)艾灸玉门穴可改善外阴局部血循环,改善神经末梢和微血管的营养状况,使冲、任、督脉的阻滞及阴部气血的瘀阻得到疏通,较好地修复再生病变局部组织的,使病变皮肤得以康复。
2)玉门穴虽对会阴部疾病有一定治疗作用,但注意当会阴部有局部化脓性感染或邻近部位有病原体感染时,按摩或针刺玉门穴可能会造成脓肿破溃、感染扩散,反而使病情加重。玉门穴禁忌症还包括女性外阴湿疹、肛瘘、淋病、梅毒。
","articleBody": "概述:
玉门穴位于会阴区,又称为会阴穴,在女性大阴唇后联合与肛门连线中点。

会阴穴图片
1、玉门穴属于任脉,阴道口古称“玉门”,玉门穴就位于阴道口与肛门连线正中,在会阴中心腱上。
2、玉门穴是阴经脉气交会之所,为任脉、督脉、冲脉聚集之处,可调整任督二脉经气失衡,对前后二阴疾病有一定疗效。
3、玉门穴主治妇人阴痛阴痒阴疮、癫狂,可调节肾阳不足引起的尿频、遗尿、肾经湿热下注、月经不调、不孕以及直肠脱垂、肛门瘙痒等疾病。
4、玉门穴注意事项如下:
1)艾灸玉门穴可改善外阴局部血循环,改善神经末梢和微血管的营养状况,使冲、任、督脉的阻滞及阴部气血的瘀阻得到疏通,较好地修复再生病变局部组织的,使病变皮肤得以康复。
2)玉门穴虽对会阴部疾病有一定治疗作用,但注意当会阴部有局部化脓性感染或邻近部位有病原体感染时,按摩或针刺玉门穴可能会造成脓肿破溃、感染扩散,反而使病情加重。玉门穴禁忌症还包括女性外阴湿疹、肛瘘、淋病、梅毒。
","scanCount": 5267}}} {"@context": "https://ziyuan.baidu.com/contexts/cambrian.jsonld","appid": "1650708455561748","icon": "https://www.med-credit.org.cn/style/images/ttlogo.png","content_tag": ["atlas"],"is_mcn": {"thumb_id": "g76756sx"},"accid": "4886d626a2804dee5f11168793ce361672f39c25","@id": "https://www.med-credit.org.cn/mobile/jingxuan/2/9da45e42b675c64be6cfd3d5a9c07500.html","bagWordId": "982fa1fbf62c7abd","title": "膈俞的准确位置图片和作用","pubDate": "2025-03-06T15:32:01","upDate": "2025-03-06T15:32:01","lrDate": "2025-03-06T15:32:01","description": "膈俞在背部第七胸椎的棘突下,距离正中线旁的1.5寸处,具有活血化瘀、理气止痛等作用。","data": {"WebPage": {"headline": "膈俞的准确位置图片和作用","pcUrl": "https://www.med-credit.org.cn/jingxuan/2/9da45e42b675c64be6cfd3d5a9c07500.html","wapUrl": "https://www.med-credit.org.cn/jingxuan/2/9da45e42b675c64be6cfd3d5a9c07500.html","mipUrl": "https://www.med-credit.org.cn/mobile/jingxuan/2/9da45e42b675c64be6cfd3d5a9c07500.html","fromSrc": "欢乐橙","datePublished": "2025-03-06T15:32:01","domain": "医疗","category": ["医疗权威文章合作"],"description": "膈俞在背部第七胸椎的棘突下,距离正中线旁的1.5寸处,具有活血化瘀、理气止痛等作用。
","extra_headline": ["膈俞的准确位置和作用"]},"Author": {"name": "张婷","wapUrl": "https://www.med-credit.org.cn/doctor/555","pcUrl": "https://www.med-credit.org.cn/doctor/555","jobTitle": "副主任医师","headPortrait": "https://www.med-credit.org.cn/uploadfile/member/555/180x180.jpeg","id": "555","description": "张婷,中南大学湘雅三医院中西医结合科副主任医师","memberOf": {"legalName": "中南大学湘雅三医院","department": "中西医结合科","organizationLevel": "三级甲等"}},"Article": {"summaryContent": "膈俞在背部第七胸椎的棘突下,距离正中线旁的1.5寸处,具有活血化瘀、理气止痛等作用。

膈俞是背部的一个穴位,位于第七胸椎的棘突下,距离正中线旁的1.5寸处。该穴位处分布着肋间动静脉的后支及胸神经的分支,疗效明显,针灸此穴可以发挥活血化瘀、理气止痛的作用。
中医常利用此穴位来治疗贫血、呕吐呃逆、气喘咳嗽、潮热盗汗、荨麻疹等多种疾病。由于该穴位离胸膈较近,针刺此穴可以发挥开胸利气的功效,有利于调节肺的功能。此外,针刺该穴位还可以帮助缓解糖尿病及高血压人群的病情,对于暑湿高热也有一定的治疗作用。
针刺该穴位时患者应为俯卧位,施针时要注意方向,应向脊柱方向斜刺0.5-0.8寸,不可直刺,以免经肋间隙刺穿胸壁,导致气胸的发生。针刺该穴位只能缓解病情,若症状较严重还需就医诊断处理。
","articleBody": "膈俞在背部第七胸椎的棘突下,距离正中线旁的1.5寸处,具有活血化瘀、理气止痛等作用。

膈俞是背部的一个穴位,位于第七胸椎的棘突下,距离正中线旁的1.5寸处。该穴位处分布着肋间动静脉的后支及胸神经的分支,疗效明显,针灸此穴可以发挥活血化瘀、理气止痛的作用。
中医常利用此穴位来治疗贫血、呕吐呃逆、气喘咳嗽、潮热盗汗、荨麻疹等多种疾病。由于该穴位离胸膈较近,针刺此穴可以发挥开胸利气的功效,有利于调节肺的功能。此外,针刺该穴位还可以帮助缓解糖尿病及高血压人群的病情,对于暑湿高热也有一定的治疗作用。
针刺该穴位时患者应为俯卧位,施针时要注意方向,应向脊柱方向斜刺0.5-0.8寸,不可直刺,以免经肋间隙刺穿胸壁,导致气胸的发生。针刺该穴位只能缓解病情,若症状较严重还需就医诊断处理。
","scanCount": 7512}}} {"@context": "https://ziyuan.baidu.com/contexts/cambrian.jsonld","appid": "1650708455561748","icon": "https://www.med-credit.org.cn/style/images/ttlogo.png","content_tag": ["atlas"],"is_mcn": {"thumb_id": "g76756sx"},"accid": "4886d626a2804dee5f11168793ce361672f39c25","@id": "https://www.med-credit.org.cn/mobile/jingxuan/2/8503d3e5042cef7f6b6c93fe665fba68.html","bagWordId": "5dc85e78f963b7e4","title": "舌头对应五脏图","pubDate": "2025-03-06T15:32:01","upDate": "2025-03-06T15:32:01","lrDate": "2025-03-06T15:32:01","description": "关于中医舌诊,以五脏来划分,舌尖属于上焦,对应心肺,舌中属于中焦,对应脾胃,舌根属于下焦,对应肾,还有舌两边,对应肝胆。","data": {"WebPage": {"headline": "舌头对应五脏图","pcUrl": "https://www.med-credit.org.cn/jingxuan/2/8503d3e5042cef7f6b6c93fe665fba68.html","wapUrl": "https://www.med-credit.org.cn/jingxuan/2/8503d3e5042cef7f6b6c93fe665fba68.html","mipUrl": "https://www.med-credit.org.cn/mobile/jingxuan/2/8503d3e5042cef7f6b6c93fe665fba68.html","fromSrc": "欢乐橙","datePublished": "2025-03-06T15:32:01","domain": "医疗","category": ["医疗权威文章合作"],"description": "关于中医舌诊,以五脏来划分,舌尖属于上焦,对应心肺,舌中属于中焦,对应脾胃,舌根属于下焦,对应肾,还有舌两边,对应肝胆。
","extra_headline": ["舌头对应五脏"]},"Author": {"name": "张婷","wapUrl": "https://www.med-credit.org.cn/doctor/555","pcUrl": "https://www.med-credit.org.cn/doctor/555","jobTitle": "副主任医师","headPortrait": "https://www.med-credit.org.cn/uploadfile/member/555/180x180.jpeg","id": "555","description": "张婷,中南大学湘雅三医院中西医结合科副主任医师","memberOf": {"legalName": "中南大学湘雅三医院","department": "中西医结合科","organizationLevel": "三级甲等"}},"Article": {"summaryContent": "关于中医舌诊,以五脏来划分,舌尖属于上焦,对应心肺,舌中属于中焦,对应脾胃,舌根属于下焦,对应肾,还有舌两边,对应肝胆。

如果舌尖红,一般代表心肺有热,心火上炎,可能是因为情绪波动太大、愤怒、睡眠不好等导致的,建议可在医生指导下用竹叶、莲心等煮水服用。如果舌诊发现舌中间部分有舌苔剥落,呈现花剥苔,可能提示脾胃出现问题,建议平时避免食用过冷、辛辣刺激的食物,如果发现有恶心、嗳气、反酸、食欲不振等不适,建议及时就诊。
如果舌根舌苔白腻,苔厚,可能提示下焦湿热,可能会出现尿频、尿急等症状,建议泌尿科就诊。
如果舌头两边颜色较暗,可能提示肝胆有问题,可能是因为情绪郁闷、气滞血瘀等导致,建议保持愉悦心情,可遵医嘱服用逍遥丸、四逆散等疏肝解郁。
在检查舌头的时候,一定要注意检查前避免食用颜色较深的食物,如中药、可乐等,或食用过冷过热及辛辣刺激等会使舌头的颜色改变的食物,要在自然光线充足的地方检查,伸舌的姿势要正确,不要过分用力或伸舌时间过长,以免因这些因素影响检查结果。
","articleBody": "关于中医舌诊,以五脏来划分,舌尖属于上焦,对应心肺,舌中属于中焦,对应脾胃,舌根属于下焦,对应肾,还有舌两边,对应肝胆。

如果舌尖红,一般代表心肺有热,心火上炎,可能是因为情绪波动太大、愤怒、睡眠不好等导致的,建议可在医生指导下用竹叶、莲心等煮水服用。如果舌诊发现舌中间部分有舌苔剥落,呈现花剥苔,可能提示脾胃出现问题,建议平时避免食用过冷、辛辣刺激的食物,如果发现有恶心、嗳气、反酸、食欲不振等不适,建议及时就诊。
如果舌根舌苔白腻,苔厚,可能提示下焦湿热,可能会出现尿频、尿急等症状,建议泌尿科就诊。
如果舌头两边颜色较暗,可能提示肝胆有问题,可能是因为情绪郁闷、气滞血瘀等导致,建议保持愉悦心情,可遵医嘱服用逍遥丸、四逆散等疏肝解郁。
在检查舌头的时候,一定要注意检查前避免食用颜色较深的食物,如中药、可乐等,或食用过冷过热及辛辣刺激等会使舌头的颜色改变的食物,要在自然光线充足的地方检查,伸舌的姿势要正确,不要过分用力或伸舌时间过长,以免因这些因素影响检查结果。
","scanCount": 9565}}} {"@context": "https://ziyuan.baidu.com/contexts/cambrian.jsonld","appid": "1650708455561748","icon": "https://www.med-credit.org.cn/style/images/ttlogo.png","content_tag": ["atlas"],"is_mcn": {"thumb_id": "g76756sx"},"accid": "4886d626a2804dee5f11168793ce361672f39c25","@id": "https://www.med-credit.org.cn/mobile/jingxuan/2/80d9a88cad98f238e96ec275a5188efd.html","bagWordId": "49db73838f258897","title": "透骨草的功效与作用图片","pubDate": "2025-03-06T15:32:01","upDate": "2025-03-06T15:32:01","lrDate": "2025-03-06T15:32:01","description": "透骨草具有祛除风湿、止痛消肿、活血散瘀等功效,常被用来治疗关节风湿、筋骨扭伤等病变。","data": {"WebPage": {"headline": "透骨草的功效与作用图片","pcUrl": "https://www.med-credit.org.cn/jingxuan/2/80d9a88cad98f238e96ec275a5188efd.html","wapUrl": "https://www.med-credit.org.cn/jingxuan/2/80d9a88cad98f238e96ec275a5188efd.html","mipUrl": "https://www.med-credit.org.cn/mobile/jingxuan/2/80d9a88cad98f238e96ec275a5188efd.html","fromSrc": "欢乐橙","datePublished": "2025-03-06T15:32:01","domain": "医疗","category": ["医疗权威文章合作"],"description": "透骨草具有祛除风湿、止痛消肿、活血散瘀等功效,常被用来治疗关节风湿、筋骨扭伤等病变。
","extra_headline": ["透骨草的功效与作用"]},"Author": {"name": "张婷","wapUrl": "https://www.med-credit.org.cn/doctor/555","pcUrl": "https://www.med-credit.org.cn/doctor/555","jobTitle": "副主任医师","headPortrait": "https://www.med-credit.org.cn/uploadfile/member/555/180x180.jpeg","id": "555","description": "张婷,中南大学湘雅三医院中西医结合科副主任医师","memberOf": {"legalName": "中南大学湘雅三医院","department": "中西医结合科","organizationLevel": "三级甲等"}},"Article": {"summaryContent": "透骨草具有祛除风湿、止痛消肿、活血散瘀等功效,常被用来治疗关节风湿、筋骨扭伤等病变。

透骨草又称地沟菜,是中草药的一种。其叶呈披针状,边缘有圆尺或深裂,上面有短柔毛,多表现为卷曲状态,容易破碎或皱缩;其茎有多个分枝,呈现为灰绿色或浅绿色,表面有柔毛,质脆易断。该药的花较小,果实为三角状,其茎、叶、花、果都可作为药材,味淡气微,稍微有点苦味。
该药不仅具有祛除风湿、止痛消肿、活血散瘀等功效,还可以帮助疏松筋骨、清热解毒。临床常用其来治疗关节风湿、筋骨扭伤等病变,还可用来改善脚气、闭经、湿疹、筋骨挛缩、疮疖肿毒等症状。
该药既可以煎汤内服,也可以煎水来熏洗或外敷。挑选时要选择质嫩、颜色比较绿并没有杂质的药材,并注意要干燥储存。服用该药时需要戒酒,且肠胃功能虚弱、过敏及孕妇人群需要禁用。
","articleBody": "透骨草具有祛除风湿、止痛消肿、活血散瘀等功效,常被用来治疗关节风湿、筋骨扭伤等病变。

透骨草又称地沟菜,是中草药的一种。其叶呈披针状,边缘有圆尺或深裂,上面有短柔毛,多表现为卷曲状态,容易破碎或皱缩;其茎有多个分枝,呈现为灰绿色或浅绿色,表面有柔毛,质脆易断。该药的花较小,果实为三角状,其茎、叶、花、果都可作为药材,味淡气微,稍微有点苦味。
该药不仅具有祛除风湿、止痛消肿、活血散瘀等功效,还可以帮助疏松筋骨、清热解毒。临床常用其来治疗关节风湿、筋骨扭伤等病变,还可用来改善脚气、闭经、湿疹、筋骨挛缩、疮疖肿毒等症状。
该药既可以煎汤内服,也可以煎水来熏洗或外敷。挑选时要选择质嫩、颜色比较绿并没有杂质的药材,并注意要干燥储存。服用该药时需要戒酒,且肠胃功能虚弱、过敏及孕妇人群需要禁用。
","scanCount": 7980}}} {"@context": "https://ziyuan.baidu.com/contexts/cambrian.jsonld","appid": "1650708455561748","icon": "https://www.med-credit.org.cn/style/images/ttlogo.png","content_tag": ["atlas"],"is_mcn": {"thumb_id": "0jui1zp8"},"accid": "4886d626a2804dee5f11168793ce361672f39c25","@id": "https://www.med-credit.org.cn/mobile/jingxuan/2/8adeb0b1954175b857b050d3d5d8f530.html","bagWordId": "b4d8339c9749474e","title": "淋巴结分布图","pubDate": "2025-03-06T15:32:01","upDate": "2025-03-06T15:32:01","lrDate": "2025-03-06T15:32:01","description": "淋巴结主要分布于耳、枕后、下颌、颏下、颈部、腋窝、滑车上、腹部、腹股沟区以及腘窝。","data": {"WebPage": {"headline": "淋巴结分布图","pcUrl": "https://www.med-credit.org.cn/jingxuan/2/8adeb0b1954175b857b050d3d5d8f530.html","wapUrl": "https://www.med-credit.org.cn/jingxuan/2/8adeb0b1954175b857b050d3d5d8f530.html","mipUrl": "https://www.med-credit.org.cn/mobile/jingxuan/2/8adeb0b1954175b857b050d3d5d8f530.html","fromSrc": "欢乐橙","datePublished": "2025-03-06T15:32:01","domain": "医疗","category": ["医疗权威文章合作"],"description": "淋巴结主要分布于耳、枕后、下颌、颏下、颈部、腋窝、滑车上、腹部、腹股沟区以及腘窝。
","extra_headline": ["淋巴结分布"]},"Author": {"name": "陈璐","wapUrl": "https://www.med-credit.org.cn/doctor/494","pcUrl": "https://www.med-credit.org.cn/doctor/494","jobTitle": "主治医师","headPortrait": "https://www.med-credit.org.cn/uploadfile/member/494/180x180.jpeg","id": "494","description": "陈璐,中南大学湘雅医院普外科主治医师。","memberOf": {"legalName": "中南大学湘雅医院","department": "普外科(胃肠外科)","organizationLevel": "三级甲等"}},"Article": {"summaryContent": "淋巴结主要分布于耳、枕后、下颌、颏下、颈部、腋窝、滑车上、腹部、腹股沟区以及腘窝。

淋巴结是机体重要的免疫功能的组成部分,具有清除机体内的有毒物质等作用,炎症性刺激、肿瘤占位性病变或结核均可能会刺激淋巴结,引起淋巴结肿大。淋巴结广泛分布于全身,重要的脏器、腔隙等均有淋巴分布,淋巴结一般分布于体表,主要是耳前淋巴结、耳后淋巴结、枕淋巴结、下颌下淋巴结、颏下淋巴结、颈前淋巴结、颈后淋巴结、锁骨上淋巴结、腋窝、滑车上淋巴结、腹部、腹股沟区以及腘窝。
淋巴结疼可以使用红外线、超短波的理疗仪,一次15分钟。能够促进循环血液,提高免疫力,利于组织修复。配合热敷按摩、药物治疗可以有效改善淋巴结肿大。若有脓肿,则穿刺抽脓、切开引流。
","articleBody": "淋巴结主要分布于耳、枕后、下颌、颏下、颈部、腋窝、滑车上、腹部、腹股沟区以及腘窝。

淋巴结是机体重要的免疫功能的组成部分,具有清除机体内的有毒物质等作用,炎症性刺激、肿瘤占位性病变或结核均可能会刺激淋巴结,引起淋巴结肿大。淋巴结广泛分布于全身,重要的脏器、腔隙等均有淋巴分布,淋巴结一般分布于体表,主要是耳前淋巴结、耳后淋巴结、枕淋巴结、下颌下淋巴结、颏下淋巴结、颈前淋巴结、颈后淋巴结、锁骨上淋巴结、腋窝、滑车上淋巴结、腹部、腹股沟区以及腘窝。
淋巴结疼可以使用红外线、超短波的理疗仪,一次15分钟。能够促进循环血液,提高免疫力,利于组织修复。配合热敷按摩、药物治疗可以有效改善淋巴结肿大。若有脓肿,则穿刺抽脓、切开引流。
","scanCount": 5835}}} {"@context": "https://ziyuan.baidu.com/contexts/cambrian.jsonld","appid": "1650708455561748","icon": "https://www.med-credit.org.cn/style/images/ttlogo.png","content_tag": ["atlas"],"is_mcn": {"thumb_id": "g76756sx"},"accid": "4886d626a2804dee5f11168793ce361672f39c25","@id": "https://www.med-credit.org.cn/mobile/jingxuan/2/1c6cabd4dc1874c8b8a5afea2c4fef82.html","bagWordId": "5b11dac33aff11d5","title": "金刚藤图片与功效作用","pubDate": "2025-03-06T15:32:01","upDate": "2025-03-06T15:32:01","lrDate": "2025-03-06T15:32:01","description": "金刚藤是一种块茎类的中草药,具有活血化瘀、祛风除湿、解毒散结的功效。","data": {"WebPage": {"headline": "金刚藤图片与功效作用","pcUrl": "https://www.med-credit.org.cn/jingxuan/2/1c6cabd4dc1874c8b8a5afea2c4fef82.html","wapUrl": "https://www.med-credit.org.cn/jingxuan/2/1c6cabd4dc1874c8b8a5afea2c4fef82.html","mipUrl": "https://www.med-credit.org.cn/mobile/jingxuan/2/1c6cabd4dc1874c8b8a5afea2c4fef82.html","fromSrc": "欢乐橙","datePublished": "2025-03-06T15:32:01","domain": "医疗","category": ["医疗权威文章合作"],"description": "金刚藤是一种块茎类的中草药,具有活血化瘀、祛风除湿、解毒散结的功效。
","extra_headline": ["金刚藤与功效作用"]},"Author": {"name": "张婷","wapUrl": "https://www.med-credit.org.cn/doctor/555","pcUrl": "https://www.med-credit.org.cn/doctor/555","jobTitle": "副主任医师","headPortrait": "https://www.med-credit.org.cn/uploadfile/member/555/180x180.jpeg","id": "555","description": "张婷,中南大学湘雅三医院中西医结合科副主任医师","memberOf": {"legalName": "中南大学湘雅三医院","department": "中西医结合科","organizationLevel": "三级甲等"}},"Article": {"summaryContent": "金刚藤是一种块茎类的中草药,具有活血化瘀、祛风除湿、解毒散结的功效。

金刚藤是一种块茎类的中草药,其根茎呈扁柱形或不规则形,稍弯曲,表面为黄棕或紫棕色,结节膨大的地方有茎痕,节上可有鳞叶,质较硬,断面为红棕色或棕黄色,内部可见粗纤维,气微,味稍苦。
该药材具有活血化瘀、祛风除湿、解毒散结的功效,可以帮助治疗风湿骨痛、跌打损伤、疔疮瘰疬等疾病。临床常使用该药来去除体内的湿毒,改善人体的血液循环,从而缓解关节炎症等不适。此外,将该药外敷在伤处可以有效地减轻肿痛,还能治疗毒蛇咬伤,促进蛇毒排出体内,防止蛇毒的扩散。
该药既可内服,也可外用,内服多采用煮水或泡酒的方式,挑选药材时建议选择块茎粗壮、断面为红色的药材比较好。胃肠虚弱人群不建议使用该药,以免引起肠胃不适。注意不要与辛辣食物一起食用。
","articleBody": "金刚藤是一种块茎类的中草药,具有活血化瘀、祛风除湿、解毒散结的功效。

金刚藤是一种块茎类的中草药,其根茎呈扁柱形或不规则形,稍弯曲,表面为黄棕或紫棕色,结节膨大的地方有茎痕,节上可有鳞叶,质较硬,断面为红棕色或棕黄色,内部可见粗纤维,气微,味稍苦。
该药材具有活血化瘀、祛风除湿、解毒散结的功效,可以帮助治疗风湿骨痛、跌打损伤、疔疮瘰疬等疾病。临床常使用该药来去除体内的湿毒,改善人体的血液循环,从而缓解关节炎症等不适。此外,将该药外敷在伤处可以有效地减轻肿痛,还能治疗毒蛇咬伤,促进蛇毒排出体内,防止蛇毒的扩散。
该药既可内服,也可外用,内服多采用煮水或泡酒的方式,挑选药材时建议选择块茎粗壮、断面为红色的药材比较好。胃肠虚弱人群不建议使用该药,以免引起肠胃不适。注意不要与辛辣食物一起食用。
","scanCount": 5057}}} {"@context": "https://ziyuan.baidu.com/contexts/cambrian.jsonld","appid": "1650708455561748","icon": "https://www.med-credit.org.cn/style/images/ttlogo.png","content_tag": ["atlas"],"is_mcn": {"thumb_id": "g76756sx"},"accid": "4886d626a2804dee5f11168793ce361672f39c25","@id": "https://www.med-credit.org.cn/mobile/jingxuan/2/e53f2a39062304d1f3fb254218564d85.html","bagWordId": "4ab2cad6ce49bc6b","title": "脾在哪个位置图","pubDate": "2025-03-06T15:32:01","upDate": "2025-03-06T15:32:01","lrDate": "2025-03-06T15:32:01","description": "脾位于腹腔的左上方,呈扁椭圆形,正常情况下,左肋弓下缘不能触及。、","data": {"WebPage": {"headline": "脾在哪个位置图","pcUrl": "https://www.med-credit.org.cn/jingxuan/2/e53f2a39062304d1f3fb254218564d85.html","wapUrl": "https://www.med-credit.org.cn/jingxuan/2/e53f2a39062304d1f3fb254218564d85.html","mipUrl": "https://www.med-credit.org.cn/mobile/jingxuan/2/e53f2a39062304d1f3fb254218564d85.html","fromSrc": "欢乐橙","datePublished": "2025-03-06T15:32:01","domain": "医疗","category": ["医疗权威文章合作"],"description": "脾位于腹腔的左上方,呈扁椭圆形,正常情况下,左肋弓下缘不能触及。、
","extra_headline": ["脾在哪个位置"]},"Author": {"name": "张婷","wapUrl": "https://www.med-credit.org.cn/doctor/555","pcUrl": "https://www.med-credit.org.cn/doctor/555","jobTitle": "副主任医师","headPortrait": "https://www.med-credit.org.cn/uploadfile/member/555/180x180.jpeg","id": "555","description": "张婷,中南大学湘雅三医院中西医结合科副主任医师","memberOf": {"legalName": "中南大学湘雅三医院","department": "中西医结合科","organizationLevel": "三级甲等"}},"Article": {"summaryContent": "脾位于腹腔的左上方,呈扁椭圆形,正常情况下,左肋弓下缘不能触及。

脾脏是人体重要的淋巴器官,其主要组成部分是被膜、脾小梁以及淋巴组织,其内有大量血窦,血窦中含有大量的血细胞以及各类具有免疫作用的淋巴细胞,是个血运丰富的器官。由于脾脏是一个造血器官,因此在造血系统出现问题时,首先出现的症状便是由于代偿作用产生血细胞而导致的脾肿大,这时在左肋弓下缘便可触及,脾肿大分三度,也对应着疾病的程度。脾脏也由于其位置特殊,容易发生受外力撞击的破裂伤,导致器官内出血、腹腔内大出血,继而引起休克而使得生命受到威胁。
脾脏是一个十分重要的器官,它不仅仅起着造血、免疫功能,在某些疾病的发生发展过程中也起着预示作用。如果出现左上腹的疼痛,在排除其他疾病的情况下,应该考虑有无肝脾肿大的疾病发生,若可触摸到肿大的脾脏,应该及时前往医院血液科就诊,避免不良后果的发生。
","articleBody": "脾位于腹腔的左上方,呈扁椭圆形,正常情况下,左肋弓下缘不能触及。

脾脏是人体重要的淋巴器官,其主要组成部分是被膜、脾小梁以及淋巴组织,其内有大量血窦,血窦中含有大量的血细胞以及各类具有免疫作用的淋巴细胞,是个血运丰富的器官。由于脾脏是一个造血器官,因此在造血系统出现问题时,首先出现的症状便是由于代偿作用产生血细胞而导致的脾肿大,这时在左肋弓下缘便可触及,脾肿大分三度,也对应着疾病的程度。脾脏也由于其位置特殊,容易发生受外力撞击的破裂伤,导致器官内出血、腹腔内大出血,继而引起休克而使得生命受到威胁。
脾脏是一个十分重要的器官,它不仅仅起着造血、免疫功能,在某些疾病的发生发展过程中也起着预示作用。如果出现左上腹的疼痛,在排除其他疾病的情况下,应该考虑有无肝脾肿大的疾病发生,若可触摸到肿大的脾脏,应该及时前往医院血液科就诊,避免不良后果的发生。
","scanCount": 5474}}} {"@context": "https://ziyuan.baidu.com/contexts/cambrian.jsonld","appid": "1650708455561748","icon": "https://www.med-credit.org.cn/style/images/ttlogo.png","content_tag": ["atlas"],"is_mcn": {"thumb_id": "g76756sx"},"accid": "4886d626a2804dee5f11168793ce361672f39c25","@id": "https://www.med-credit.org.cn/mobile/jingxuan/2/4ed069c9009148ee22aab04ae22e13a6.html","bagWordId": "4c5797f51557c71a","title": "姜黄的功效与作用图片","pubDate": "2025-03-06T15:32:01","upDate": "2025-03-06T15:32:01","lrDate": "2025-03-06T15:32:01","description": "姜黄,是姜科姜黄属植物姜黄的干燥根茎。具有通经止痛、活血行气的功效,主治气滞血瘀型痛证与风湿痹痛等证。","data": {"WebPage": {"headline": "姜黄的功效与作用图片","pcUrl": "https://www.med-credit.org.cn/jingxuan/2/4ed069c9009148ee22aab04ae22e13a6.html","wapUrl": "https://www.med-credit.org.cn/jingxuan/2/4ed069c9009148ee22aab04ae22e13a6.html","mipUrl": "https://www.med-credit.org.cn/mobile/jingxuan/2/4ed069c9009148ee22aab04ae22e13a6.html","fromSrc": "欢乐橙","datePublished": "2025-03-06T15:32:01","domain": "医疗","category": ["医疗权威文章合作"],"description": "姜黄,是姜科姜黄属植物姜黄的干燥根茎。具有通经止痛、活血行气的功效,主治气滞血瘀型痛证与风湿痹痛等证。
","extra_headline": ["姜黄的功效与作用"]},"Author": {"name": "张婷","wapUrl": "https://www.med-credit.org.cn/doctor/555","pcUrl": "https://www.med-credit.org.cn/doctor/555","jobTitle": "副主任医师","headPortrait": "https://www.med-credit.org.cn/uploadfile/member/555/180x180.jpeg","id": "555","description": "张婷,中南大学湘雅三医院中西医结合科副主任医师","memberOf": {"legalName": "中南大学湘雅三医院","department": "中西医结合科","organizationLevel": "三级甲等"}},"Article": {"summaryContent": "姜黄,是姜科姜黄属植物姜黄的干燥根茎。具有通经止痛、活血行气的功效,主治气滞血瘀型痛证与风湿痹痛等证。
姜黄性寒,味辛、苦,归心、肝、胆经;姜黄根茎一般呈不规则圆柱形、卵圆形或纺锥形。表面粗糙,呈深黄色,且有圆形分枝痕和须根痕。质地坚实,不容易被折断,切断面多为棕黄色至金黄色,内层有明显的环纹;姜黄喜温润,怕干旱和寒冷。因此主要产于四川、广东、福建、江西、浙江等地,其中四川和广东品质最好;姜黄一般在冬季茎叶枯萎时进行采挖,除去须根,煮熟晒干,切成厚片后贮存在干燥容器内。
配肉桂,多适用于宫寒血瘀所致的小腹冷痛、痛经等;
配羌活,多适用于风寒湿邪等证,如手脚冰冷、麻木等;
配枳壳,多适用于气滞血瘀导致的纳少腹胀、胸胁闷痛。
需要注意,血虚、无气滞血瘀相关症状者和孕妇慎用本品。
","articleBody": "姜黄,是姜科姜黄属植物姜黄的干燥根茎。具有通经止痛、活血行气的功效,主治气滞血瘀型痛证与风湿痹痛等证。
姜黄性寒,味辛、苦,归心、肝、胆经;姜黄根茎一般呈不规则圆柱形、卵圆形或纺锥形。表面粗糙,呈深黄色,且有圆形分枝痕和须根痕。质地坚实,不容易被折断,切断面多为棕黄色至金黄色,内层有明显的环纹;姜黄喜温润,怕干旱和寒冷。因此主要产于四川、广东、福建、江西、浙江等地,其中四川和广东品质最好;姜黄一般在冬季茎叶枯萎时进行采挖,除去须根,煮熟晒干,切成厚片后贮存在干燥容器内。
配肉桂,多适用于宫寒血瘀所致的小腹冷痛、痛经等;
配羌活,多适用于风寒湿邪等证,如手脚冰冷、麻木等;
配枳壳,多适用于气滞血瘀导致的纳少腹胀、胸胁闷痛。
需要注意,血虚、无气滞血瘀相关症状者和孕妇慎用本品。
","scanCount": 7435}}} {"@context": "https://ziyuan.baidu.com/contexts/cambrian.jsonld","appid": "1650708455561748","icon": "https://www.med-credit.org.cn/style/images/ttlogo.png","content_tag": ["atlas"],"is_mcn": {"thumb_id": "g76756sx"},"accid": "4886d626a2804dee5f11168793ce361672f39c25","@id": "https://www.med-credit.org.cn/mobile/jingxuan/2/7fae8eff03da73c23c28b1cb84731b2b.html","bagWordId": "2217216824e1d211","title": "五官对应五脏分布图","pubDate": "2025-03-06T15:32:01","upDate": "2025-03-06T15:32:01","lrDate": "2025-03-06T15:32:01","description": "五官对应五脏,是中医里的说法,可以通过五官可以诊察五脏的病变。","data": {"WebPage": {"headline": "五官对应五脏分布图","pcUrl": "https://www.med-credit.org.cn/jingxuan/2/7fae8eff03da73c23c28b1cb84731b2b.html","wapUrl": "https://www.med-credit.org.cn/jingxuan/2/7fae8eff03da73c23c28b1cb84731b2b.html","mipUrl": "https://www.med-credit.org.cn/mobile/jingxuan/2/7fae8eff03da73c23c28b1cb84731b2b.html","fromSrc": "欢乐橙","datePublished": "2025-03-06T15:32:01","domain": "医疗","category": ["医疗权威文章合作"],"description": "五官对应五脏,是中医里的说法,可以通过五官可以诊察五脏的病变。
","extra_headline": ["五官对应五脏分布"]},"Author": {"name": "张婷","wapUrl": "https://www.med-credit.org.cn/doctor/555","pcUrl": "https://www.med-credit.org.cn/doctor/555","jobTitle": "副主任医师","headPortrait": "https://www.med-credit.org.cn/uploadfile/member/555/180x180.jpeg","id": "555","description": "张婷,中南大学湘雅三医院中西医结合科副主任医师","memberOf": {"legalName": "中南大学湘雅三医院","department": "中西医结合科","organizationLevel": "三级甲等"}},"Article": {"summaryContent": "五官对应五脏,是中医里的说法,可以通过五官可以诊察五脏的病变。
五官对应五脏,肺--鼻;肝--眼角;脾--口唇;心--舌头、两颧;肾--两颧、额。


若肺脏有病,可见呼吸急促,鼻翼扇动;
若肝脏有病,可见眼角发青;
若脾脏有病,可见口唇部发黄;
若心脏有病,可见舌卷而短缩,两颧发红;
若肾脏有病,可见两颧和额部发黑。
五官分属于五脏,为五脏之外候,在生理上两者之间有密切的关系,因此五脏的内在变化可以通过外在的五官气色的变化而测知。因此患病后,从五官的外部表象的变化可测知内脏的情况,五官色诊为中医望诊的重要组成部分。
","articleBody": "五官对应五脏,是中医里的说法,可以通过五官可以诊察五脏的病变。
五官对应五脏,肺--鼻;肝--眼角;脾--口唇;心--舌头、两颧;肾--两颧、额。


若肺脏有病,可见呼吸急促,鼻翼扇动;
若肝脏有病,可见眼角发青;
若脾脏有病,可见口唇部发黄;
若心脏有病,可见舌卷而短缩,两颧发红;
若肾脏有病,可见两颧和额部发黑。
五官分属于五脏,为五脏之外候,在生理上两者之间有密切的关系,因此五脏的内在变化可以通过外在的五官气色的变化而测知。因此患病后,从五官的外部表象的变化可测知内脏的情况,五官色诊为中医望诊的重要组成部分。
","scanCount": 8750}}} {"@context": "https://ziyuan.baidu.com/contexts/cambrian.jsonld","appid": "1650708455561748","icon": "https://www.med-credit.org.cn/style/images/ttlogo.png","content_tag": ["atlas"],"is_mcn": {"thumb_id": "g76756sx"},"accid": "4886d626a2804dee5f11168793ce361672f39c25","@id": "https://www.med-credit.org.cn/mobile/jingxuan/2/f3841cd630af215277986a0be205b72c.html","bagWordId": "f9cd2dbb44d60d71","title": "中魁的准确位置及功效","pubDate": "2025-03-06T15:32:01","upDate": "2025-03-06T15:32:01","lrDate": "2025-03-06T15:32:01","description": "中魁穴在中指背面,近侧指间关节的中点处。可以治疗晕车、剧吐等。","data": {"WebPage": {"headline": "中魁的准确位置及功效","pcUrl": "https://www.med-credit.org.cn/jingxuan/2/f3841cd630af215277986a0be205b72c.html","wapUrl": "https://www.med-credit.org.cn/jingxuan/2/f3841cd630af215277986a0be205b72c.html","mipUrl": "https://www.med-credit.org.cn/mobile/jingxuan/2/f3841cd630af215277986a0be205b72c.html","fromSrc": "欢乐橙","datePublished": "2025-03-06T15:32:01","domain": "医疗","category": ["医疗权威文章合作"],"description": "中魁穴在中指背面,近侧指间关节的中点处。可以治疗晕车、剧吐等。
","extra_headline": ["中魁的准确位置及功效"]},"Author": {"name": "张婷","wapUrl": "https://www.med-credit.org.cn/doctor/555","pcUrl": "https://www.med-credit.org.cn/doctor/555","jobTitle": "副主任医师","headPortrait": "https://www.med-credit.org.cn/uploadfile/member/555/180x180.jpeg","id": "555","description": "张婷,中南大学湘雅三医院中西医结合科副主任医师","memberOf": {"legalName": "中南大学湘雅三医院","department": "中西医结合科","organizationLevel": "三级甲等"}},"Article": {"summaryContent": "中魁穴在中指背面,近侧指间关节的中点处。可以治疗晕车、剧吐等。

中魁穴在在中指背面,近侧指间关节的中点处。解剖是皮肤、皮下组织、指背腱膜,布有指背神经,其桡侧支来自桡神经,其尺侧支来自尺神经,血管有来自掌背动脉网的属支指背静脉。
中魁穴主要是治疗晕车、晕船、呃逆﹑鼻出血、牙痛、剧吐等,还可治疗消化不良、反胃、食欲不振、噎膈等。“中”,正也,与旁相对,指大肠之正经是本穴气血运行的路线;“魁”,首也,与尾相对,指阳热之气是本穴的气血物质,首为阳,尾为阴也。中魁名意指的是本穴向大肠本经输送阳热之气。按摩时中指屈曲﹐用穴位双手互顶或者顶其他物品;或用发夹、指甲等刺激穴位。双手共持续按摩5~10分钟即可起到一定的效果。
","articleBody": "中魁穴在中指背面,近侧指间关节的中点处。可以治疗晕车、剧吐等。

中魁穴在在中指背面,近侧指间关节的中点处。解剖是皮肤、皮下组织、指背腱膜,布有指背神经,其桡侧支来自桡神经,其尺侧支来自尺神经,血管有来自掌背动脉网的属支指背静脉。
中魁穴主要是治疗晕车、晕船、呃逆﹑鼻出血、牙痛、剧吐等,还可治疗消化不良、反胃、食欲不振、噎膈等。“中”,正也,与旁相对,指大肠之正经是本穴气血运行的路线;“魁”,首也,与尾相对,指阳热之气是本穴的气血物质,首为阳,尾为阴也。中魁名意指的是本穴向大肠本经输送阳热之气。按摩时中指屈曲﹐用穴位双手互顶或者顶其他物品;或用发夹、指甲等刺激穴位。双手共持续按摩5~10分钟即可起到一定的效果。
","scanCount": 7800}}} {"@context": "https://ziyuan.baidu.com/contexts/cambrian.jsonld","appid": "1650708455561748","icon": "https://www.med-credit.org.cn/style/images/ttlogo.png","content_tag": ["atlas"],"is_mcn": {"thumb_id": "g76756sx"},"accid": "4886d626a2804dee5f11168793ce361672f39c25","@id": "https://www.med-credit.org.cn/mobile/jingxuan/2/1dfff1f768bd7452917d9264ab0852ae.html","bagWordId": "dc7db4037061723a","title": "大蓟和小蓟图片大全","pubDate": "2025-03-06T15:32:01","upDate": "2025-03-06T15:32:01","lrDate": "2025-03-06T15:32:01","description": "大蓟和小蓟均为止血的中药材,大蓟是菊科植物蓟干燥地上部分。小蓟为菊科植物刺儿菜干燥地上部分。","data": {"WebPage": {"headline": "大蓟和小蓟图片大全","pcUrl": "https://www.med-credit.org.cn/jingxuan/2/1dfff1f768bd7452917d9264ab0852ae.html","wapUrl": "https://www.med-credit.org.cn/jingxuan/2/1dfff1f768bd7452917d9264ab0852ae.html","mipUrl": "https://www.med-credit.org.cn/mobile/jingxuan/2/1dfff1f768bd7452917d9264ab0852ae.html","fromSrc": "欢乐橙","datePublished": "2025-03-06T15:32:01","domain": "医疗","category": ["医疗权威文章合作"],"description": "大蓟和小蓟均为止血的中药材,大蓟是菊科植物蓟干燥地上部分。小蓟为菊科植物刺儿菜干燥地上部分。
","extra_headline": ["大蓟和小蓟大全"]},"Author": {"name": "张婷","wapUrl": "https://www.med-credit.org.cn/doctor/555","pcUrl": "https://www.med-credit.org.cn/doctor/555","jobTitle": "副主任医师","headPortrait": "https://www.med-credit.org.cn/uploadfile/member/555/180x180.jpeg","id": "555","description": "张婷,中南大学湘雅三医院中西医结合科副主任医师","memberOf": {"legalName": "中南大学湘雅三医院","department": "中西医结合科","organizationLevel": "三级甲等"}},"Article": {"summaryContent": "大蓟和小蓟均为止血的中药材,大蓟是菊科植物蓟干燥地上部分。小蓟为菊科植物刺儿菜干燥地上部分。


大蓟与小蓟性状、功效有相似之处,性味均苦、甘、凉,功效皆能凉血止血,散瘀解毒消痈。但清热作用不强,如果用于血热出血病证时,需要与清热凉血药材同用。均可用于治疗血热妄行所致的咯血、吐血、衄血、尿血、血淋、便血、崩漏,以及外伤出血。
两者的区别在于大蓟凉血止血、散瘀、解毒消肿的效力强于小蓟。因此大蓟对吐血、咯血及崩漏下血等症状更为适宜。而小蓟兼能利尿通淋,对于尿血、血淋等病症疗效更佳。
使用时,大蓟一般用饮片煎服,或者用鲜品煎服或捣敷外用。小蓟可直接加水煎煮,过滤去渣后,取汁饮用,药汁也可外用,擦洗患处。这两种药材性苦凉,脾胃出血,脾胃虚寒的患者应禁服。在服用药物期间应注意忌食寒凉、生冷食物、忌食辛辣油腻食物,避免吸烟喝酒。
","articleBody": "大蓟和小蓟均为止血的中药材,大蓟是菊科植物蓟干燥地上部分。小蓟为菊科植物刺儿菜干燥地上部分。


大蓟与小蓟性状、功效有相似之处,性味均苦、甘、凉,功效皆能凉血止血,散瘀解毒消痈。但清热作用不强,如果用于血热出血病证时,需要与清热凉血药材同用。均可用于治疗血热妄行所致的咯血、吐血、衄血、尿血、血淋、便血、崩漏,以及外伤出血。
两者的区别在于大蓟凉血止血、散瘀、解毒消肿的效力强于小蓟。因此大蓟对吐血、咯血及崩漏下血等症状更为适宜。而小蓟兼能利尿通淋,对于尿血、血淋等病症疗效更佳。
使用时,大蓟一般用饮片煎服,或者用鲜品煎服或捣敷外用。小蓟可直接加水煎煮,过滤去渣后,取汁饮用,药汁也可外用,擦洗患处。这两种药材性苦凉,脾胃出血,脾胃虚寒的患者应禁服。在服用药物期间应注意忌食寒凉、生冷食物、忌食辛辣油腻食物,避免吸烟喝酒。
","scanCount": 7070}}} {"@context": "https://ziyuan.baidu.com/contexts/cambrian.jsonld","appid": "1650708455561748","icon": "https://www.med-credit.org.cn/style/images/ttlogo.png","content_tag": ["atlas"],"is_mcn": {"thumb_id": "g76756sx"},"accid": "4886d626a2804dee5f11168793ce361672f39c25","@id": "https://www.med-credit.org.cn/mobile/jingxuan/2/16b71d5daba12c933a5cb1e02ce406c9.html","bagWordId": "c81427ab2f4df20c","title": "寸口脉位置图","pubDate": "2025-03-06T15:32:01","upDate": "2025-03-06T15:32:01","lrDate": "2025-03-06T15:32:01","description": "寸口脉位于手腕后一寸的部位,即手桡骨茎突内侧桡动脉搏动处,又名气口或脉口。","data": {"WebPage": {"headline": "寸口脉位置图","pcUrl": "https://www.med-credit.org.cn/jingxuan/2/16b71d5daba12c933a5cb1e02ce406c9.html","wapUrl": "https://www.med-credit.org.cn/jingxuan/2/16b71d5daba12c933a5cb1e02ce406c9.html","mipUrl": "https://www.med-credit.org.cn/mobile/jingxuan/2/16b71d5daba12c933a5cb1e02ce406c9.html","fromSrc": "欢乐橙","datePublished": "2025-03-06T15:32:01","domain": "医疗","category": ["医疗权威文章合作"],"description": "寸口脉位于手腕后一寸的部位,即手桡骨茎突内侧桡动脉搏动处,又名气口或脉口。
","extra_headline": ["寸口脉位置"]},"Author": {"name": "张婷","wapUrl": "https://www.med-credit.org.cn/doctor/555","pcUrl": "https://www.med-credit.org.cn/doctor/555","jobTitle": "副主任医师","headPortrait": "https://www.med-credit.org.cn/uploadfile/member/555/180x180.jpeg","id": "555","description": "张婷,中南大学湘雅三医院中西医结合科副主任医师","memberOf": {"legalName": "中南大学湘雅三医院","department": "中西医结合科","organizationLevel": "三级甲等"}},"Article": {"summaryContent": "寸口脉位于手腕后一寸的部位,即手桡骨茎突内侧桡动脉搏动处,又名气口或脉口。寸口指单独切按桡骨茎突内侧一侧桡动脉的搏动形象,以推测人体生理、病理状况的一种诊察方法。

前臂有两条长骨,拇指一侧为桡骨,靠近小指的长骨为尺骨。桡骨茎突就是桡骨靠近腕部高高突出的部位,其内侧指手心这一侧,在内侧摸到动脉搏动处,就是寸口所在位置。
寸口脉分为寸、关、尺三部分,以桡骨茎突为关,腕侧(高骨内侧)为寸,关后肘端为尺。两手各有寸、关、尺三部,而寸、关、尺三部又各自施行浮、中、沉三候,故有“三部九候法”之说。
寸口位于手太阴肺经原穴部位,乃气血汇集之处,而肺主气,朝百脉,所以诊寸口脉可了解全身肺腑气血变化;
寸口脉又位于足太阴脾经和手太阴肺经之气交通之处,而脾胃为气血之化源、后天之根本,故寸口脉又可反映气血化源之情况及宗气之盛衰;
寸口位置固定,脉位显要,诊脉方便易行。
","articleBody": "寸口脉位于手腕后一寸的部位,即手桡骨茎突内侧桡动脉搏动处,又名气口或脉口。寸口指单独切按桡骨茎突内侧一侧桡动脉的搏动形象,以推测人体生理、病理状况的一种诊察方法。

前臂有两条长骨,拇指一侧为桡骨,靠近小指的长骨为尺骨。桡骨茎突就是桡骨靠近腕部高高突出的部位,其内侧指手心这一侧,在内侧摸到动脉搏动处,就是寸口所在位置。
寸口脉分为寸、关、尺三部分,以桡骨茎突为关,腕侧(高骨内侧)为寸,关后肘端为尺。两手各有寸、关、尺三部,而寸、关、尺三部又各自施行浮、中、沉三候,故有“三部九候法”之说。
寸口位于手太阴肺经原穴部位,乃气血汇集之处,而肺主气,朝百脉,所以诊寸口脉可了解全身肺腑气血变化;
寸口脉又位于足太阴脾经和手太阴肺经之气交通之处,而脾胃为气血之化源、后天之根本,故寸口脉又可反映气血化源之情况及宗气之盛衰;
寸口位置固定,脉位显要,诊脉方便易行。
","scanCount": 5773}}} {"@context": "https://ziyuan.baidu.com/contexts/cambrian.jsonld","appid": "1650708455561748","icon": "https://www.med-credit.org.cn/style/images/ttlogo.png","content_tag": ["atlas"],"is_mcn": {"thumb_id": "g76756sx"},"accid": "4886d626a2804dee5f11168793ce361672f39c25","@id": "https://www.med-credit.org.cn/mobile/jingxuan/2/139532a05c09003d5832bd7ff659cb24.html","bagWordId": "56b94d2c3e651002","title": "虫草花图片功效和作用","pubDate": "2025-03-06T15:32:01","upDate": "2025-03-06T15:32:01","lrDate": "2025-03-06T15:32:01","description": "虫草花是一种营养丰富滋补品,其性质平和,不寒不燥,适合大多数人服用,虫草花含蛋白质、氨基酸、糖类、醇类、核苷类、维生素、有机酸、微量元素等成分,能增强和调节人体免疫功能。是药用真菌。有平喘止咳、调节内分泌、增强体质的功效。","data": {"WebPage": {"headline": "虫草花图片功效和作用","pcUrl": "https://www.med-credit.org.cn/jingxuan/2/139532a05c09003d5832bd7ff659cb24.html","wapUrl": "https://www.med-credit.org.cn/jingxuan/2/139532a05c09003d5832bd7ff659cb24.html","mipUrl": "https://www.med-credit.org.cn/mobile/jingxuan/2/139532a05c09003d5832bd7ff659cb24.html","fromSrc": "欢乐橙","datePublished": "2025-03-06T15:32:01","domain": "医疗","category": ["医疗权威文章合作"],"description": "虫草花是一种营养丰富滋补品,其性质平和,不寒不燥,适合大多数人服用,虫草花含蛋白质、氨基酸、糖类、醇类、核苷类、维生素、有机酸、微量元素等成分,能增强和调节人体免疫功能。是药用真菌。有平喘止咳、调节内分泌、增强体质的功效。
","extra_headline": ["虫草花功效和作用"]},"Author": {"name": "张婷","wapUrl": "https://www.med-credit.org.cn/doctor/555","pcUrl": "https://www.med-credit.org.cn/doctor/555","jobTitle": "副主任医师","headPortrait": "https://www.med-credit.org.cn/uploadfile/member/555/180x180.jpeg","id": "555","description": "张婷,中南大学湘雅三医院中西医结合科副主任医师","memberOf": {"legalName": "中南大学湘雅三医院","department": "中西医结合科","organizationLevel": "三级甲等"}},"Article": {"summaryContent": "虫草花是一种营养丰富滋补品,其性质平和,不寒不燥,适合大多数人服用,虫草花含蛋白质、氨基酸、糖类、醇类、核苷类、维生素、有机酸、微量元素等成分,能增强和调节人体免疫功能。是药用真菌。有平喘止咳、调节内分泌、增强体质的功效。

平喘止咳:虫草花能够润肺化痰,滋阴润燥。对咳嗽、气喘、多痰等症状有很好缓解作用。虫草花还能滋润咽喉,促进气管炎症消退。虫草花含有虫草素,对多种病原微生物有抑制作用。
调节内分泌:虫草花含有类似雌激素的天然成分,能够延缓女性衰老。推迟更年期的来临,减少更年期症状。
增强体质:虫草花富含蛋白质,虫草素,虫草酸、维生素等对人体有益营养成分,具有促进血脂、血糖下降,增加机体免疫力,增强体质作用。
虫草花不是任何人都适宜服用的,儿童,对虫草花过敏,出血患者不宜服用。虫草花不能代替药物治疗疾病。
","articleBody": "虫草花是一种营养丰富滋补品,其性质平和,不寒不燥,适合大多数人服用,虫草花含蛋白质、氨基酸、糖类、醇类、核苷类、维生素、有机酸、微量元素等成分,能增强和调节人体免疫功能。是药用真菌。有平喘止咳、调节内分泌、增强体质的功效。

平喘止咳:虫草花能够润肺化痰,滋阴润燥。对咳嗽、气喘、多痰等症状有很好缓解作用。虫草花还能滋润咽喉,促进气管炎症消退。虫草花含有虫草素,对多种病原微生物有抑制作用。
调节内分泌:虫草花含有类似雌激素的天然成分,能够延缓女性衰老。推迟更年期的来临,减少更年期症状。
增强体质:虫草花富含蛋白质,虫草素,虫草酸、维生素等对人体有益营养成分,具有促进血脂、血糖下降,增加机体免疫力,增强体质作用。
虫草花不是任何人都适宜服用的,儿童,对虫草花过敏,出血患者不宜服用。虫草花不能代替药物治疗疾病。
","scanCount": 7090}}} {"@context": "https://ziyuan.baidu.com/contexts/cambrian.jsonld","appid": "1650708455561748","icon": "https://www.med-credit.org.cn/style/images/ttlogo.png","content_tag": ["atlas"],"is_mcn": {"thumb_id": "g76756sx"},"accid": "4886d626a2804dee5f11168793ce361672f39c25","@id": "https://www.med-credit.org.cn/mobile/jingxuan/2/e3de75850b31e32611d5ce17c9c81e48.html","bagWordId": "7cd251c31a990657","title": "板蓝根长什么样子图片","pubDate": "2025-03-06T15:32:01","upDate": "2025-03-06T15:32:01","lrDate": "2025-03-06T15:32:01","description": "板蓝根又叫大蓝根,是一种植物菘蓝根系,具有清热解毒的功效。","data": {"WebPage": {"headline": "板蓝根长什么样子图片","pcUrl": "https://www.med-credit.org.cn/jingxuan/2/e3de75850b31e32611d5ce17c9c81e48.html","wapUrl": "https://www.med-credit.org.cn/jingxuan/2/e3de75850b31e32611d5ce17c9c81e48.html","mipUrl": "https://www.med-credit.org.cn/mobile/jingxuan/2/e3de75850b31e32611d5ce17c9c81e48.html","fromSrc": "欢乐橙","datePublished": "2025-03-06T15:32:01","domain": "医疗","category": ["医疗权威文章合作"],"description": "板蓝根又叫大蓝根,是一种植物菘蓝根系,具有清热解毒的功效。
","extra_headline": ["板蓝根长什么样子"]},"Author": {"name": "张婷","wapUrl": "https://www.med-credit.org.cn/doctor/555","pcUrl": "https://www.med-credit.org.cn/doctor/555","jobTitle": "副主任医师","headPortrait": "https://www.med-credit.org.cn/uploadfile/member/555/180x180.jpeg","id": "555","description": "张婷,中南大学湘雅三医院中西医结合科副主任医师","memberOf": {"legalName": "中南大学湘雅三医院","department": "中西医结合科","organizationLevel": "三级甲等"}},"Article": {"summaryContent": "板蓝根又叫大蓝根,是一种植物菘蓝根系,具有清热解毒的功效。

板蓝根的适应能力极强,基本上一年四季都可生长,且对气候和土壤没有严格要求,现在也以人工栽培为主,但是最好是种植在阳光较为充足的地方。板蓝根呈细长的圆柱形,表面是棕黄色,并且表皮较为粗糙,有皱纹级瘢痕,其质地坚实而脆,横断面呈现为黄白色或浅棕色。其明显特征为根头稍膨大且有轮状排列的叶柄痕迹以及密集的突起。味道微甘,挑选时建议以根平直粗壮、坚实、粉性大者为佳。
板蓝根里内含有一种名为大青叶素的成分,是一种非常好的抗菌药物,对由于细菌或病毒引起的感冒有较好的疗效。临床上版板蓝根常被用于防治流行性乙型脑炎,也可以防治流行性腮腺炎和流行性感冒等。板蓝根多采用煎汤内服方式食用,但由于属寒性,所以一些体质虚寒的患者或是因风寒而导致感冒的患者不可以使用。
","articleBody": "板蓝根又叫大蓝根,是一种植物菘蓝根系,具有清热解毒的功效。

板蓝根的适应能力极强,基本上一年四季都可生长,且对气候和土壤没有严格要求,现在也以人工栽培为主,但是最好是种植在阳光较为充足的地方。板蓝根呈细长的圆柱形,表面是棕黄色,并且表皮较为粗糙,有皱纹级瘢痕,其质地坚实而脆,横断面呈现为黄白色或浅棕色。其明显特征为根头稍膨大且有轮状排列的叶柄痕迹以及密集的突起。味道微甘,挑选时建议以根平直粗壮、坚实、粉性大者为佳。
板蓝根里内含有一种名为大青叶素的成分,是一种非常好的抗菌药物,对由于细菌或病毒引起的感冒有较好的疗效。临床上版板蓝根常被用于防治流行性乙型脑炎,也可以防治流行性腮腺炎和流行性感冒等。板蓝根多采用煎汤内服方式食用,但由于属寒性,所以一些体质虚寒的患者或是因风寒而导致感冒的患者不可以使用。
","scanCount": 5756}}} {"@context": "https://ziyuan.baidu.com/contexts/cambrian.jsonld","appid": "1650708455561748","icon": "https://www.med-credit.org.cn/style/images/ttlogo.png","content_tag": ["atlas"],"is_mcn": {"thumb_id": "0jui1zp8"},"accid": "4886d626a2804dee5f11168793ce361672f39c25","@id": "https://www.med-credit.org.cn/mobile/jingxuan/2/4a21055bac39c5de20083e816f544e0e.html","bagWordId": "0d4511b50613e507","title": "人体淋巴结分布图","pubDate": "2025-03-06T15:32:01","upDate": "2025-03-06T15:32:01","lrDate": "2025-03-06T15:32:01","description": "人体淋巴结的分布是沿着血管走行分布的。淋巴结按照位置分布可以分为浅淋巴结和深淋巴结。其中浅淋巴结位于浅筋膜内,深淋巴结位于深筋膜内。淋巴结一般沿着血管走行而分布,主要位于身体比较隐藏的部位,比如肘窝、腋窝、腹股沟等位置。","data": {"WebPage": {"headline": "人体淋巴结分布图","pcUrl": "https://www.med-credit.org.cn/jingxuan/2/4a21055bac39c5de20083e816f544e0e.html","wapUrl": "https://www.med-credit.org.cn/jingxuan/2/4a21055bac39c5de20083e816f544e0e.html","mipUrl": "https://www.med-credit.org.cn/mobile/jingxuan/2/4a21055bac39c5de20083e816f544e0e.html","fromSrc": "欢乐橙","datePublished": "2025-03-06T15:32:01","domain": "医疗","category": ["医疗权威文章合作"],"description": "人体淋巴结的分布是沿着血管走行分布的。淋巴结按照位置分布可以分为浅淋巴结和深淋巴结。其中浅淋巴结位于浅筋膜内,深淋巴结位于深筋膜内。淋巴结一般沿着血管走行而分布,主要位于身体比较隐藏的部位,比如肘窝、腋窝、腹股沟等位置。
","extra_headline": ["人体淋巴结分布"]},"Author": {"name": "陈璐","wapUrl": "https://www.med-credit.org.cn/doctor/494","pcUrl": "https://www.med-credit.org.cn/doctor/494","jobTitle": "主治医师","headPortrait": "https://www.med-credit.org.cn/uploadfile/member/494/180x180.jpeg","id": "494","description": "陈璐,中南大学湘雅医院普外科主治医师。","memberOf": {"legalName": "中南大学湘雅医院","department": "普外科(胃肠外科)","organizationLevel": "三级甲等"}},"Article": {"summaryContent": "人体淋巴结的分布是沿着血管走行分布的。淋巴结按照位置分布可以分为浅淋巴结和深淋巴结。其中浅淋巴结位于浅筋膜内,深淋巴结位于深筋膜内。淋巴结一般沿着血管走行而分布,主要位于身体比较隐藏的部位,比如肘窝、腋窝、腹股沟等位置。

在头颈部的淋巴结主要分布于头部和颈部的交界处。主要有枕淋巴结、乳突淋巴结、下颌下淋巴结等。颈部主要有颈前和颈后淋巴结。分布于颈部血管周围,喉部、甲状腺、气管周围也有丰富的淋巴结。
在胸部的淋巴结主要位于胸壁以内以及各个器官的周围,如肋间、胸骨旁、膈肌周围、纵膈周围、以及气管和肺门都有丰富的淋巴结。
在下肢的淋巴结主要有腘窝淋巴结、腹股沟淋巴结。分别位于腘窝血管周围和腹股沟韧带下方。盆部淋巴结主要有骶淋巴结、髂内淋巴结、髂外淋巴结和髂总淋巴结。
此外,在腹部的各个器官,如胃、肝脏、肠系膜周围也分布着淋巴结。
","articleBody": "人体淋巴结的分布是沿着血管走行分布的。淋巴结按照位置分布可以分为浅淋巴结和深淋巴结。其中浅淋巴结位于浅筋膜内,深淋巴结位于深筋膜内。淋巴结一般沿着血管走行而分布,主要位于身体比较隐藏的部位,比如肘窝、腋窝、腹股沟等位置。

在头颈部的淋巴结主要分布于头部和颈部的交界处。主要有枕淋巴结、乳突淋巴结、下颌下淋巴结等。颈部主要有颈前和颈后淋巴结。分布于颈部血管周围,喉部、甲状腺、气管周围也有丰富的淋巴结。
在胸部的淋巴结主要位于胸壁以内以及各个器官的周围,如肋间、胸骨旁、膈肌周围、纵膈周围、以及气管和肺门都有丰富的淋巴结。
在下肢的淋巴结主要有腘窝淋巴结、腹股沟淋巴结。分别位于腘窝血管周围和腹股沟韧带下方。盆部淋巴结主要有骶淋巴结、髂内淋巴结、髂外淋巴结和髂总淋巴结。
此外,在腹部的各个器官,如胃、肝脏、肠系膜周围也分布着淋巴结。
","scanCount": 6077}}} {"@context": "https://ziyuan.baidu.com/contexts/cambrian.jsonld","appid": "1650708455561748","icon": "https://www.med-credit.org.cn/style/images/ttlogo.png","content_tag": ["atlas"],"is_mcn": {"thumb_id": "v2rm41u3"},"accid": "4886d626a2804dee5f11168793ce361672f39c25","@id": "https://www.med-credit.org.cn/mobile/jingxuan/2/006236118d8c82306d73a05d352fbf19.html","bagWordId": "da0571fc4a1a2381","title": "怀孕分泌物黄脓状图","pubDate": "2025-03-06T15:32:01","upDate": "2025-03-06T15:32:01","lrDate": "2025-03-06T15:32:01","description": "孕妇怀孕分泌物呈黄脓状可能是生理性因素,也可能是阴道炎、子宫颈炎等原因导致的。","data": {"WebPage": {"headline": "怀孕分泌物黄脓状图","pcUrl": "https://www.med-credit.org.cn/jingxuan/2/006236118d8c82306d73a05d352fbf19.html","wapUrl": "https://www.med-credit.org.cn/jingxuan/2/006236118d8c82306d73a05d352fbf19.html","mipUrl": "https://www.med-credit.org.cn/mobile/jingxuan/2/006236118d8c82306d73a05d352fbf19.html","fromSrc": "欢乐橙","datePublished": "2025-03-06T15:32:01","domain": "医疗","category": ["医疗权威文章合作"],"description": "孕妇怀孕分泌物呈黄脓状可能是生理性因素,也可能是阴道炎、子宫颈炎等原因导致的。
","extra_headline": ["怀孕分泌物黄脓状"]},"Author": {"name": "种轶文","wapUrl": "https://www.med-credit.org.cn/doctor/575","pcUrl": "https://www.med-credit.org.cn/doctor/575","jobTitle": "副主任医师","headPortrait": "https://www.med-credit.org.cn/uploadfile/member/575/180x180.jpeg","id": "575","description": "种轶文,北京大学第三医院妇产科副主任医师","memberOf": {"legalName": "北京大学第三医院","department": "妇产科","organizationLevel": "三级甲等"}},"Article": {"summaryContent": "孕妇怀孕分泌物呈黄脓状可能是生理性因素,也可能是阴道炎、子宫颈炎等原因导致的。
患者可以在医生的指导下根据自身病情选择合适的药物进行治疗,常用药物有复方苦参洗剂、复方黄柏液涂剂、宫颈炎康栓。

1、生理性因素:孕妇在怀孕时会分泌大量性激素,阴道脱落细胞及分泌物因此增多,呈白色糊状。若分泌物在内裤上发生氧化反应,分泌物可呈黄脓状。这是妊娠期的正常生理变化,一般不需要特殊处理,注意及时清理分泌物,保持外阴部清洁干燥。
2、阴道炎:多因细菌感染引起,在炎症刺激下阴道分泌物增多,出现色黄粘稠的脓性白带。如果怀孕时发生阴道炎,可见黄色粘稠分泌物,可伴有外阴瘙痒、烧灼感。可遵医嘱使用清洗外阴的药物,如复方苦参洗剂、复方黄柏液涂剂、红核妇洁洗液等。
3、子宫颈炎:因病原体感染发生炎症,引起子宫颈局部充血、水肿,上皮变性坏死,腺体分泌增多,腺腔中出现脓性分泌物。若怀孕时发生子宫颈炎,可见黄色脓状分泌物,并且因阴道分泌物刺激可引起外阴瘙痒及灼热感。遵医嘱使用宫颈炎康栓、消糜栓等外用药物。
除了上述相对常见的原因外,还有其他的可能性疾病,比如盆腔炎。建议患者出现这种症状后,及时去医院就诊,查明病因后,予以针对性治疗。
","articleBody": "孕妇怀孕分泌物呈黄脓状可能是生理性因素,也可能是阴道炎、子宫颈炎等原因导致的。
患者可以在医生的指导下根据自身病情选择合适的药物进行治疗,常用药物有复方苦参洗剂、复方黄柏液涂剂、宫颈炎康栓。

1、生理性因素:孕妇在怀孕时会分泌大量性激素,阴道脱落细胞及分泌物因此增多,呈白色糊状。若分泌物在内裤上发生氧化反应,分泌物可呈黄脓状。这是妊娠期的正常生理变化,一般不需要特殊处理,注意及时清理分泌物,保持外阴部清洁干燥。
2、阴道炎:多因细菌感染引起,在炎症刺激下阴道分泌物增多,出现色黄粘稠的脓性白带。如果怀孕时发生阴道炎,可见黄色粘稠分泌物,可伴有外阴瘙痒、烧灼感。可遵医嘱使用清洗外阴的药物,如复方苦参洗剂、复方黄柏液涂剂、红核妇洁洗液等。
3、子宫颈炎:因病原体感染发生炎症,引起子宫颈局部充血、水肿,上皮变性坏死,腺体分泌增多,腺腔中出现脓性分泌物。若怀孕时发生子宫颈炎,可见黄色脓状分泌物,并且因阴道分泌物刺激可引起外阴瘙痒及灼热感。遵医嘱使用宫颈炎康栓、消糜栓等外用药物。
除了上述相对常见的原因外,还有其他的可能性疾病,比如盆腔炎。建议患者出现这种症状后,及时去医院就诊,查明病因后,予以针对性治疗。
","scanCount": 55818}}} {"@context": "https://ziyuan.baidu.com/contexts/cambrian.jsonld","appid": "1650708455561748","icon": "https://www.med-credit.org.cn/style/images/ttlogo.png","content_tag": ["atlas"],"is_mcn": {"thumb_id": "v2rm41u3"},"accid": "4886d626a2804dee5f11168793ce361672f39c25","@id": "https://www.med-credit.org.cn/mobile/jingxuan/2/dd553a24bec99446070094c71b1ea528.html","bagWordId": "fc483398642fa3e7","title": "怀孕出血颜色的图片","pubDate": "2025-03-06T15:32:01","upDate": "2025-03-06T15:32:01","lrDate": "2025-03-06T15:32:01","description": "怀孕出血颜色为鲜红色或咖啡色。","data": {"WebPage": {"headline": "怀孕出血颜色的图片","pcUrl": "https://www.med-credit.org.cn/jingxuan/2/dd553a24bec99446070094c71b1ea528.html","wapUrl": "https://www.med-credit.org.cn/jingxuan/2/dd553a24bec99446070094c71b1ea528.html","mipUrl": "https://www.med-credit.org.cn/mobile/jingxuan/2/dd553a24bec99446070094c71b1ea528.html","fromSrc": "欢乐橙","datePublished": "2025-03-06T15:32:01","domain": "医疗","category": ["医疗权威文章合作"],"description": "怀孕出血颜色为鲜红色或咖啡色。
","extra_headline": [""]},"Author": {"name": "种轶文","wapUrl": "https://www.med-credit.org.cn/doctor/575","pcUrl": "https://www.med-credit.org.cn/doctor/575","jobTitle": "副主任医师","headPortrait": "https://www.med-credit.org.cn/uploadfile/member/575/180x180.jpeg","id": "575","description": "种轶文,北京大学第三医院妇产科副主任医师","memberOf": {"legalName": "北京大学第三医院","department": "妇产科","organizationLevel": "三级甲等"}},"Article": {"summaryContent": "怀孕出血颜色为鲜红色或咖啡色。
患者需要注意日常休息、饮食以及其他事项。
1、出血颜色为鲜红色:患者有腹痛难忍、出血量大,由于胚胎本身问题如葡萄胎,孕妇有宫颈息肉、异位妊娠、先兆流产以及孕妇在怀孕过程中腹部遭到外力撞击等。需及时就医。

2、出血颜色为咖啡色:若出血颜色为咖啡色、量少,患者无其它不适症状,则证明出血已经停止,孕妇不需要过于担心。在怀孕初期胚胎着床,由于体内激素水平变化毛细血管破裂,孕妇可有少量出血。

怀孕期间,孕妇应注意休息、戒烟酒、不要剧烈运动、远离辐射,尽量不要去人多的地方,避免发生碰撞。烟酒中含有一些对于胎儿有害的物质,易导致孕妇流产或胎儿畸形。若发生阴道出血的症状不论是咖啡色还是鲜红色,都应告知医生,在医生的指导下,进行检查。
","articleBody": "怀孕出血颜色为鲜红色或咖啡色。
患者需要注意日常休息、饮食以及其他事项。
1、出血颜色为鲜红色:患者有腹痛难忍、出血量大,由于胚胎本身问题如葡萄胎,孕妇有宫颈息肉、异位妊娠、先兆流产以及孕妇在怀孕过程中腹部遭到外力撞击等。需及时就医。

2、出血颜色为咖啡色:若出血颜色为咖啡色、量少,患者无其它不适症状,则证明出血已经停止,孕妇不需要过于担心。在怀孕初期胚胎着床,由于体内激素水平变化毛细血管破裂,孕妇可有少量出血。

怀孕期间,孕妇应注意休息、戒烟酒、不要剧烈运动、远离辐射,尽量不要去人多的地方,避免发生碰撞。烟酒中含有一些对于胎儿有害的物质,易导致孕妇流产或胎儿畸形。若发生阴道出血的症状不论是咖啡色还是鲜红色,都应告知医生,在医生的指导下,进行检查。
","scanCount": 55814}}} {"@context": "https://ziyuan.baidu.com/contexts/cambrian.jsonld","appid": "1650708455561748","icon": "https://www.med-credit.org.cn/style/images/ttlogo.png","content_tag": ["atlas"],"is_mcn": {"thumb_id": "0jui1zp8"},"accid": "4886d626a2804dee5f11168793ce361672f39c25","@id": "https://www.med-credit.org.cn/mobile/jingxuan/2/f4ff71e0fadbcb6ac14cd67326056cad.html","bagWordId": "68f8fde60c64cc3a","title": "引流条长什么样子图片","pubDate": "2025-03-06T15:32:01","upDate": "2025-03-06T15:32:01","lrDate": "2025-03-06T15:32:01","description": "引流条是引流物的一种,有不同的种类,一般呈条状或带状,质地根据不同的引流需要分为不同的种类。","data": {"WebPage": {"headline": "引流条长什么样子图片","pcUrl": "https://www.med-credit.org.cn/jingxuan/2/f4ff71e0fadbcb6ac14cd67326056cad.html","wapUrl": "https://www.med-credit.org.cn/jingxuan/2/f4ff71e0fadbcb6ac14cd67326056cad.html","mipUrl": "https://www.med-credit.org.cn/mobile/jingxuan/2/f4ff71e0fadbcb6ac14cd67326056cad.html","fromSrc": "欢乐橙","datePublished": "2025-03-06T15:32:01","domain": "医疗","category": ["医疗权威文章合作"],"description": "引流条是引流物的一种,有不同的种类,一般呈条状或带状,质地根据不同的引流需要分为不同的种类。
","extra_headline": ["引流条长什么样子"]},"Author": {"name": "陈璐","wapUrl": "https://www.med-credit.org.cn/doctor/494","pcUrl": "https://www.med-credit.org.cn/doctor/494","jobTitle": "主治医师","headPortrait": "https://www.med-credit.org.cn/uploadfile/member/494/180x180.jpeg","id": "494","description": "陈璐,中南大学湘雅医院普外科主治医师。","memberOf": {"legalName": "中南大学湘雅医院","department": "普外科(胃肠外科)","organizationLevel": "三级甲等"}},"Article": {"summaryContent": "引流条是引流物的一种,有不同的种类,一般呈条状或带状,质地根据不同的引流需要分为不同的种类。
一般分为纱布引流条、胶片引流条和烟卷式引流条。纱布引流条具有虹吸作用,可用于分泌物较多的创面。胶片引流条是用具有一定张力的医用手套剪裁成胶片引流,可减少刺激,防止粘连。烟卷式引流条是用细软胶管做支撑,将纱布卷成较松的烟卷样,外层用手套胶皮包裹而成。

不同的引流条具有不同的功能特点,适用于不同的伤口,纱布引流条成本低,效果较好,是一般的引流物。胶片引流条多用于腔隙较窄、较浅的伤口(如甲状腺、乳腺肿块及四肢远端术后引流等)。烟卷式引流条多用于腹腔切口引流,适用于脓腔较大、引流液较多、部位较深的创面。
","articleBody": "引流条是引流物的一种,有不同的种类,一般呈条状或带状,质地根据不同的引流需要分为不同的种类。
一般分为纱布引流条、胶片引流条和烟卷式引流条。纱布引流条具有虹吸作用,可用于分泌物较多的创面。胶片引流条是用具有一定张力的医用手套剪裁成胶片引流,可减少刺激,防止粘连。烟卷式引流条是用细软胶管做支撑,将纱布卷成较松的烟卷样,外层用手套胶皮包裹而成。

不同的引流条具有不同的功能特点,适用于不同的伤口,纱布引流条成本低,效果较好,是一般的引流物。胶片引流条多用于腔隙较窄、较浅的伤口(如甲状腺、乳腺肿块及四肢远端术后引流等)。烟卷式引流条多用于腹腔切口引流,适用于脓腔较大、引流液较多、部位较深的创面。
","scanCount": 9059}}} {"@context": "https://ziyuan.baidu.com/contexts/cambrian.jsonld","appid": "1650708455561748","icon": "https://www.med-credit.org.cn/style/images/ttlogo.png","content_tag": ["atlas"],"is_mcn": {"thumb_id": "0jui1zp8"},"accid": "4886d626a2804dee5f11168793ce361672f39c25","@id": "https://www.med-credit.org.cn/mobile/jingxuan/2/395e8aa95381211ee1877f2348bd2835.html","bagWordId": "a9b19a09b09fd876","title": "手术一个月正常伤口图","pubDate": "2025-03-06T15:32:01","upDate": "2025-03-06T15:32:01","lrDate": "2025-03-06T15:32:01","description": "手术一个月正常伤口一般呈正常的红色或肤色瘢痕,瘢痕表面无炎性分泌物、白色物质附着,保持干燥的状态,表面较光滑。","data": {"WebPage": {"headline": "手术一个月正常伤口图","pcUrl": "https://www.med-credit.org.cn/jingxuan/2/395e8aa95381211ee1877f2348bd2835.html","wapUrl": "https://www.med-credit.org.cn/jingxuan/2/395e8aa95381211ee1877f2348bd2835.html","mipUrl": "https://www.med-credit.org.cn/mobile/jingxuan/2/395e8aa95381211ee1877f2348bd2835.html","fromSrc": "欢乐橙","datePublished": "2025-03-06T15:32:01","domain": "医疗","category": ["医疗权威文章合作"],"description": "手术一个月正常伤口一般呈正常的红色或肤色瘢痕,瘢痕表面无炎性分泌物、白色物质附着,保持干燥的状态,表面较光滑。
","extra_headline": [""]},"Author": {"name": "陈璐","wapUrl": "https://www.med-credit.org.cn/doctor/494","pcUrl": "https://www.med-credit.org.cn/doctor/494","jobTitle": "主治医师","headPortrait": "https://www.med-credit.org.cn/uploadfile/member/494/180x180.jpeg","id": "494","description": "陈璐,中南大学湘雅医院普外科主治医师。","memberOf": {"legalName": "中南大学湘雅医院","department": "普外科(胃肠外科)","organizationLevel": "三级甲等"}},"Article": {"summaryContent": "手术一个月正常伤口一般呈正常的红色或肤色瘢痕,瘢痕表面无炎性分泌物、白色物质附着,保持干燥的状态,表面较光滑。
若患者属于疤痕体质,可能会形成明显凸出的疤痕。

1、红润肤色的疤痕:若患者手术切口使用美容针缝合伤口,或者在瘢痕早期,在其表面涂抹硅凝胶之类的药物,淡化瘢痕。在饮食上避免食用酱油、生姜等富含色素和刺激性食物,可以减少疤痕的形成,因此患者手术一个月正常伤口呈正常的红色或肤色瘢痕,瘢痕表面无炎性分泌物、白色物质附着,保持干燥的状态,表面较光滑。
2、明显凸出的疤痕:若患者属于疤痕体质,或者在伤口愈合期间食用酱油、生姜等富含色素和刺激性食物,可能会形成明显凸出于皮肤的疤痕,颜色较深,一般不伴随红肿热痛,也无分泌物附着。建议患者到正规医疗机构进行激光手术,通过作用于胶原而使其发生重排,从而改善质地及平整度,达到祛疤的效果。还可以选择手术方式,有直接切除缝合、转皮瓣以及直接祛除疤痕的内核等。
","articleBody": "手术一个月正常伤口一般呈正常的红色或肤色瘢痕,瘢痕表面无炎性分泌物、白色物质附着,保持干燥的状态,表面较光滑。
若患者属于疤痕体质,可能会形成明显凸出的疤痕。

1、红润肤色的疤痕:若患者手术切口使用美容针缝合伤口,或者在瘢痕早期,在其表面涂抹硅凝胶之类的药物,淡化瘢痕。在饮食上避免食用酱油、生姜等富含色素和刺激性食物,可以减少疤痕的形成,因此患者手术一个月正常伤口呈正常的红色或肤色瘢痕,瘢痕表面无炎性分泌物、白色物质附着,保持干燥的状态,表面较光滑。
2、明显凸出的疤痕:若患者属于疤痕体质,或者在伤口愈合期间食用酱油、生姜等富含色素和刺激性食物,可能会形成明显凸出于皮肤的疤痕,颜色较深,一般不伴随红肿热痛,也无分泌物附着。建议患者到正规医疗机构进行激光手术,通过作用于胶原而使其发生重排,从而改善质地及平整度,达到祛疤的效果。还可以选择手术方式,有直接切除缝合、转皮瓣以及直接祛除疤痕的内核等。
","scanCount": 32648}}} {"@context": "https://ziyuan.baidu.com/contexts/cambrian.jsonld","appid": "1650708455561748","icon": "https://www.med-credit.org.cn/style/images/ttlogo.png","content_tag": ["atlas"],"is_mcn": {"thumb_id": "3w128mji2"},"accid": "4886d626a2804dee5f11168793ce361672f39c25","@id": "https://www.med-credit.org.cn/mobile/jingxuan/2/9aaaa82a5c9cab50b9f343511a25b399.html","bagWordId": "dde0795c02d1a664","title": "阴虱肉眼下的照片","pubDate": "2025-03-06T15:32:01","upDate": "2025-03-06T15:32:01","lrDate": "2025-03-06T15:32:01","description": "阴虱肉眼下通常为淡白色或淡红色针头状大小,呈蜘蛛样形态有足的虫体,常粘附在阴毛上,可爬行活动。","data": {"WebPage": {"headline": "阴虱肉眼下的照片","pcUrl": "https://www.med-credit.org.cn/jingxuan/2/9aaaa82a5c9cab50b9f343511a25b399.html","wapUrl": "https://www.med-credit.org.cn/jingxuan/2/9aaaa82a5c9cab50b9f343511a25b399.html","mipUrl": "https://www.med-credit.org.cn/mobile/jingxuan/2/9aaaa82a5c9cab50b9f343511a25b399.html","fromSrc": "欢乐橙","datePublished": "2025-03-06T15:32:01","domain": "医疗","category": ["医疗权威文章合作"],"description": "阴虱肉眼下通常为淡白色或淡红色针头状大小,呈蜘蛛样形态有足的虫体,常粘附在阴毛上,可爬行活动。
","extra_headline": ["阴虱肉眼下的照片"]},"Author": {"name": "曲乐","wapUrl": "https://www.med-credit.org.cn/doctor/554","pcUrl": "https://www.med-credit.org.cn/doctor/554","jobTitle": "副主任医师","headPortrait": "https://www.med-credit.org.cn/uploadfile/member/554/180x180.jpeg","id": "554","description": "曲乐,副主任医师、医学博士、硕士研究生导师、美容主诊医师、公派留美访问学者。主持国家自然科学基金及省市课题多项,在国内外高水平专业杂志发表中英文论文20余篇,参编英文专著1部。现任辽宁省免疫学会委员。","memberOf": {"legalName": "中国医科大学附属第一医院","department": "皮肤科","organizationLevel": "三级甲等"}},"Article": {"summaryContent": "阴虱肉眼下通常为淡白色或淡红色针头状大小,呈蜘蛛样形态有足的虫体,常粘附在阴毛上,可爬行活动。

阴虱属于一种寄生节肢动物,大小约0.8-1.2mm,在皮肤镜或显微镜下观察,为半透明的寄生虫体,身体呈椭圆形,有3对共6只腿,其中后方的两对在末端有蟹钳样的爪。该结构能帮助阴虱抓住人体的阴毛而固定在皮肤表面。
雌性阴虱可产卵,虱卵能牢固粘附在毛发根部,通常在6-8日后孵化。阴虱感染会引起人体阴虱病,是一种性传播疾病,通过性接触或直接接触污染的衣物或毛巾传染。感染后可引起局部皮肤明显的瘙痒感,伴有皮肤浅蓝色斑疹,主要是阴虱吸血是向人体注入含抗凝物质的唾液所致。
治疗阴虱感染主要是外用灭虱药物,如氯菊脂、拟除虫菊酯等,这些药物对阴虱有神经毒性作用,能有效杀灭阴虱。用药后应使用虱卵梳、镊子去除虱卵、修剪指甲、更换干净的衣物。
","articleBody": "阴虱肉眼下通常为淡白色或淡红色针头状大小,呈蜘蛛样形态有足的虫体,常粘附在阴毛上,可爬行活动。

阴虱属于一种寄生节肢动物,大小约0.8-1.2mm,在皮肤镜或显微镜下观察,为半透明的寄生虫体,身体呈椭圆形,有3对共6只腿,其中后方的两对在末端有蟹钳样的爪。该结构能帮助阴虱抓住人体的阴毛而固定在皮肤表面。
雌性阴虱可产卵,虱卵能牢固粘附在毛发根部,通常在6-8日后孵化。阴虱感染会引起人体阴虱病,是一种性传播疾病,通过性接触或直接接触污染的衣物或毛巾传染。感染后可引起局部皮肤明显的瘙痒感,伴有皮肤浅蓝色斑疹,主要是阴虱吸血是向人体注入含抗凝物质的唾液所致。
治疗阴虱感染主要是外用灭虱药物,如氯菊脂、拟除虫菊酯等,这些药物对阴虱有神经毒性作用,能有效杀灭阴虱。用药后应使用虱卵梳、镊子去除虱卵、修剪指甲、更换干净的衣物。
","scanCount": 8813}}} {"@context": "https://ziyuan.baidu.com/contexts/cambrian.jsonld","appid": "1650708455561748","icon": "https://www.med-credit.org.cn/style/images/ttlogo.png","content_tag": ["atlas"],"is_mcn": {"thumb_id": "v2rm41u3"},"accid": "4886d626a2804dee5f11168793ce361672f39c25","@id": "https://www.med-credit.org.cn/mobile/jingxuan/2/7e51746a046fa98d8547f594e1ee64ff.html","bagWordId": "c62a60d4e49fa710","title": "不正常胎心监护参照图","pubDate": "2025-03-06T15:32:01","upDate": "2025-03-06T15:32:01","lrDate": "2025-03-06T15:32:01","description": "不正常胎心监护通常提示该时间点胎儿存在缺氧和代谢性酸中毒的可能性增加,异常的胎心率图形表现为变异消失伴复发性(或晚期)减速、变异消失伴心动过速、正弦波形。","data": {"WebPage": {"headline": "不正常胎心监护参照图","pcUrl": "https://www.med-credit.org.cn/jingxuan/2/7e51746a046fa98d8547f594e1ee64ff.html","wapUrl": "https://www.med-credit.org.cn/jingxuan/2/7e51746a046fa98d8547f594e1ee64ff.html","mipUrl": "https://www.med-credit.org.cn/mobile/jingxuan/2/7e51746a046fa98d8547f594e1ee64ff.html","fromSrc": "欢乐橙","datePublished": "2025-03-06T15:32:01","domain": "医疗","category": ["医疗权威文章合作"],"description": "不正常胎心监护通常提示该时间点胎儿存在缺氧和代谢性酸中毒的可能性增加,异常的胎心率图形表现为变异消失伴复发性(或晚期)减速、变异消失伴心动过速、正弦波形。
","extra_headline": ["不正常胎心监护参照"]},"Author": {"name": "种轶文","wapUrl": "https://www.med-credit.org.cn/doctor/575","pcUrl": "https://www.med-credit.org.cn/doctor/575","jobTitle": "副主任医师","headPortrait": "https://www.med-credit.org.cn/uploadfile/member/575/180x180.jpeg","id": "575","description": "种轶文,北京大学第三医院妇产科副主任医师","memberOf": {"legalName": "北京大学第三医院","department": "妇产科","organizationLevel": "三级甲等"}},"Article": {"summaryContent": "不正常胎心监护通常提示该时间点胎儿存在缺氧和代谢性酸中毒的可能性增加,异常的胎心率图形表现为变异消失伴复发性(或晚期)减速、变异消失伴心动过速、正弦波形。

胎心监护主要用于监测胎儿在子宫收缩时的心率变化,判断其氧合情况及对宫缩过程的耐受程度。临床上常用多普勒超声设备置于产妇腹部检测胎儿心率。
在孕晚期及临产时定期进行胎心监护,能够通过评估胎儿氧合的充分性,判断胎儿的状态,及时发现胎儿宫内窘迫的情况,有利于及时给予恰当、有效的干预措施,能避免及降低胎儿神经系统损伤或死亡的发生率。
长时间减速、晚期变异减速,胎心率通常低于基线水平,减速在15bpm以上,持续时间在2~10分钟之间,这种情况需要排除胎儿正在发生缺氧性损伤。如胎心率下降时间持续10分钟及以上,应加强关注。
正玄波形特点是胎心率基线出现有规律的振幅和频率波动,频率通常为每分钟3-5次,持续至少20分钟,这种波形可能与胎儿重度贫血,或孕妇使用阿片类药物有关。
","articleBody": "不正常胎心监护通常提示该时间点胎儿存在缺氧和代谢性酸中毒的可能性增加,异常的胎心率图形表现为变异消失伴复发性(或晚期)减速、变异消失伴心动过速、正弦波形。

胎心监护主要用于监测胎儿在子宫收缩时的心率变化,判断其氧合情况及对宫缩过程的耐受程度。临床上常用多普勒超声设备置于产妇腹部检测胎儿心率。
在孕晚期及临产时定期进行胎心监护,能够通过评估胎儿氧合的充分性,判断胎儿的状态,及时发现胎儿宫内窘迫的情况,有利于及时给予恰当、有效的干预措施,能避免及降低胎儿神经系统损伤或死亡的发生率。
长时间减速、晚期变异减速,胎心率通常低于基线水平,减速在15bpm以上,持续时间在2~10分钟之间,这种情况需要排除胎儿正在发生缺氧性损伤。如胎心率下降时间持续10分钟及以上,应加强关注。
正玄波形特点是胎心率基线出现有规律的振幅和频率波动,频率通常为每分钟3-5次,持续至少20分钟,这种波形可能与胎儿重度贫血,或孕妇使用阿片类药物有关。
","scanCount": 55800}}} {"@context": "https://ziyuan.baidu.com/contexts/cambrian.jsonld","appid": "1650708455561748","icon": "https://www.med-credit.org.cn/style/images/ttlogo.png","content_tag": ["atlas"],"is_mcn": {"thumb_id": "c1nhtnyb"},"accid": "4886d626a2804dee5f11168793ce361672f39c25","@id": "https://www.med-credit.org.cn/mobile/jingxuan/2/65320ac9cd7ddb6f0d4825760a08c107.html","bagWordId": "21cc9b4e03c448d9","title": "闭口是什么样子图片","pubDate": "2025-03-06T15:32:01","upDate": "2025-03-06T15:32:01","lrDate": "2025-03-06T15:32:01","description": "临床上将闭口称为封闭性粉刺,在外观表现上多为皮肤色或略红色小丘疹,无黑头,不易挤出脂栓。","data": {"WebPage": {"headline": "闭口是什么样子图片","pcUrl": "https://www.med-credit.org.cn/jingxuan/2/65320ac9cd7ddb6f0d4825760a08c107.html","wapUrl": "https://www.med-credit.org.cn/jingxuan/2/65320ac9cd7ddb6f0d4825760a08c107.html","mipUrl": "https://www.med-credit.org.cn/mobile/jingxuan/2/65320ac9cd7ddb6f0d4825760a08c107.html","fromSrc": "欢乐橙","datePublished": "2025-03-06T15:32:01","domain": "医疗","category": ["医疗权威文章合作"],"description": "临床上将闭口称为封闭性粉刺,在外观表现上多为皮肤色或略红色小丘疹,无黑头,不易挤出脂栓。
","extra_headline": ["闭口是什么样子"]},"Author": {"name": "王晓彦","wapUrl": "https://www.med-credit.org.cn/doctor/541","pcUrl": "https://www.med-credit.org.cn/doctor/541","jobTitle": "主任医师","headPortrait": "https://www.med-credit.org.cn/uploadfile/member/541/180x180.jpeg","id": "541","description": "王晓彦,首都医科大学附属北京天坛医院皮肤科主任医师","memberOf": {"legalName": "首都医科大学附属北京天坛医院","department": "皮肤科","organizationLevel": "三级甲等"}},"Article": {"summaryContent": "临床上将闭口称为封闭性粉刺,在外观表现上多为皮肤色或略红色小丘疹,无黑头,不易挤出脂栓。
其病因主要与雄激素分泌过多、饮食刺激、炎症刺激等因素相关。

1.雄激素分泌过多:封闭性粉刺好发于青少年,而青少年由于青春发育阶段机体雄激素分泌旺盛,容易引起皮脂腺肿大。同时使毛囊、皮脂腺导管角化栓塞,皮脂瘀积于毛囊中形成脂栓,导致闭口的发生。
2.饮食刺激:主要指高脂多糖、辛辣生冷等刺激性饮食的过度摄入。在日常饮食刺激下,导致皮脂腺大量分泌皮肤油脂,从而也可继发封闭性粉刺的发生。
3.炎症刺激:毛囊中含有较多的微生物,主要以痤疮丙酸杆菌为主。当机体毛囊阻塞时,会导致痤疮丙酸杆菌的异常增生,导致皮肤炎症性损伤,导致闭口发生。
对于有封闭性粉刺的患者可用温水及硫磺香皂洗涤颜面,以减少油脂堵塞毛孔。同时禁止用手挤压皮疹,不食或少食油腻、辛辣食品,多吃新鲜蔬菜及水果。
","articleBody": "临床上将闭口称为封闭性粉刺,在外观表现上多为皮肤色或略红色小丘疹,无黑头,不易挤出脂栓。
其病因主要与雄激素分泌过多、饮食刺激、炎症刺激等因素相关。

1.雄激素分泌过多:封闭性粉刺好发于青少年,而青少年由于青春发育阶段机体雄激素分泌旺盛,容易引起皮脂腺肿大。同时使毛囊、皮脂腺导管角化栓塞,皮脂瘀积于毛囊中形成脂栓,导致闭口的发生。
2.饮食刺激:主要指高脂多糖、辛辣生冷等刺激性饮食的过度摄入。在日常饮食刺激下,导致皮脂腺大量分泌皮肤油脂,从而也可继发封闭性粉刺的发生。
3.炎症刺激:毛囊中含有较多的微生物,主要以痤疮丙酸杆菌为主。当机体毛囊阻塞时,会导致痤疮丙酸杆菌的异常增生,导致皮肤炎症性损伤,导致闭口发生。
对于有封闭性粉刺的患者可用温水及硫磺香皂洗涤颜面,以减少油脂堵塞毛孔。同时禁止用手挤压皮疹,不食或少食油腻、辛辣食品,多吃新鲜蔬菜及水果。
","scanCount": 9651}}} {"@context": "https://ziyuan.baidu.com/contexts/cambrian.jsonld","appid": "1650708455561748","icon": "https://www.med-credit.org.cn/style/images/ttlogo.png","content_tag": ["atlas"],"is_mcn": {"thumb_id": "c1nhtnyb"},"accid": "4886d626a2804dee5f11168793ce361672f39c25","@id": "https://www.med-credit.org.cn/mobile/jingxuan/2/265c275b53992fdd91cfe0f11f9656a9.html","bagWordId": "3af4f84c729699f8","title": "肩膀上有凸起的肉疙瘩图片","pubDate": "2025-03-06T15:32:01","upDate": "2025-03-06T15:32:01","lrDate": "2025-03-06T15:32:01","description": "肩膀上有凸起的肉疙瘩可能是脂肪瘤、皮脂腺囊肿、瘢痕疙瘩等所致。","data": {"WebPage": {"headline": "肩膀上有凸起的肉疙瘩图片","pcUrl": "https://www.med-credit.org.cn/jingxuan/2/265c275b53992fdd91cfe0f11f9656a9.html","wapUrl": "https://www.med-credit.org.cn/jingxuan/2/265c275b53992fdd91cfe0f11f9656a9.html","mipUrl": "https://www.med-credit.org.cn/mobile/jingxuan/2/265c275b53992fdd91cfe0f11f9656a9.html","fromSrc": "欢乐橙","datePublished": "2025-03-06T15:32:01","domain": "医疗","category": ["医疗权威文章合作"],"description": "肩膀上有凸起的肉疙瘩可能是脂肪瘤、皮脂腺囊肿、瘢痕疙瘩等所致。
","extra_headline": ["肩膀上有凸起的肉疙瘩"]},"Author": {"name": "王晓彦","wapUrl": "https://www.med-credit.org.cn/doctor/541","pcUrl": "https://www.med-credit.org.cn/doctor/541","jobTitle": "主任医师","headPortrait": "https://www.med-credit.org.cn/uploadfile/member/541/180x180.jpeg","id": "541","description": "王晓彦,首都医科大学附属北京天坛医院皮肤科主任医师","memberOf": {"legalName": "首都医科大学附属北京天坛医院","department": "皮肤科","organizationLevel": "三级甲等"}},"Article": {"summaryContent": "肩膀上有凸起的肉疙瘩可能是脂肪瘤、皮脂腺囊肿、瘢痕疙瘩等所致。
患者可在医生的指导下选择适合自身病情的方法进行治疗,常用方法包括药物治疗、手术治疗。
1、脂肪瘤:脂肪瘤为良性肿瘤,多发生在肩部、颈部、背部、乳房及臀部的皮下组织,由成熟的脂肪细胞堆积形成。常表现为边界清楚的局限性肿块,形状为圆形或分叶状,质地柔软,可移动。在治疗上,小的如无症状,一般不需治疗;大的可以选择手术切除,术后基本上不会复发,极少恶变。

2、皮脂腺囊肿:皮脂腺囊肿是由于皮肤中皮脂腺导管堵塞,导致皮脂逐渐淤积而形成的潴留性囊肿。常好发于头面、肩部、背臀等部位。皮脂腺囊肿形状为圆形,硬度中等或有弹性,无波动感,表面光滑,边界清晰。一般体积不大,小的犹如米粒,大者可如花生米或鸡蛋状,生长缓慢。皮脂腺囊肿皮肤中心部位常有一黑色针尖大小的凹陷,为堵塞的皮脂腺导管开口,按压周边可溢出白色内容物。皮脂腺囊肿可在医生指导下进行手术切除。

3、瘢痕疙瘩:瘢痕疙瘩是由成纤维细胞过度分泌增殖、胶原纤维过度杂乱沉积造成的,与外伤、烧伤等因素有关。临床表现是分布在体表的单个或多个质硬、充血、具有侵袭性的块状肿物。在治疗上,建议在医院进行局部激素注射治疗。

除了上述相对常见的原因外,还有其他的可能性疾病,比如传染性软疣。建议患者出现这种症状后,及时去医院就诊,查明病因后,予以针对性治疗。
","articleBody": "肩膀上有凸起的肉疙瘩可能是脂肪瘤、皮脂腺囊肿、瘢痕疙瘩等所致。
患者可在医生的指导下选择适合自身病情的方法进行治疗,常用方法包括药物治疗、手术治疗。
1、脂肪瘤:脂肪瘤为良性肿瘤,多发生在肩部、颈部、背部、乳房及臀部的皮下组织,由成熟的脂肪细胞堆积形成。常表现为边界清楚的局限性肿块,形状为圆形或分叶状,质地柔软,可移动。在治疗上,小的如无症状,一般不需治疗;大的可以选择手术切除,术后基本上不会复发,极少恶变。

2、皮脂腺囊肿:皮脂腺囊肿是由于皮肤中皮脂腺导管堵塞,导致皮脂逐渐淤积而形成的潴留性囊肿。常好发于头面、肩部、背臀等部位。皮脂腺囊肿形状为圆形,硬度中等或有弹性,无波动感,表面光滑,边界清晰。一般体积不大,小的犹如米粒,大者可如花生米或鸡蛋状,生长缓慢。皮脂腺囊肿皮肤中心部位常有一黑色针尖大小的凹陷,为堵塞的皮脂腺导管开口,按压周边可溢出白色内容物。皮脂腺囊肿可在医生指导下进行手术切除。

3、瘢痕疙瘩:瘢痕疙瘩是由成纤维细胞过度分泌增殖、胶原纤维过度杂乱沉积造成的,与外伤、烧伤等因素有关。临床表现是分布在体表的单个或多个质硬、充血、具有侵袭性的块状肿物。在治疗上,建议在医院进行局部激素注射治疗。

除了上述相对常见的原因外,还有其他的可能性疾病,比如传染性软疣。建议患者出现这种症状后,及时去医院就诊,查明病因后,予以针对性治疗。
","scanCount": 5929}}} {"@context": "https://ziyuan.baidu.com/contexts/cambrian.jsonld","appid": "1650708455561748","icon": "https://www.med-credit.org.cn/style/images/ttlogo.png","content_tag": ["atlas"],"is_mcn": {"thumb_id": "0jui1zp8"},"accid": "4886d626a2804dee5f11168793ce361672f39c25","@id": "https://www.med-credit.org.cn/mobile/jingxuan/2/b14ab408c21077fde3d36022b241a248.html","bagWordId": "ce11105187c8d2db","title": "全身淋巴结分布图","pubDate": "2025-03-06T15:32:01","upDate": "2025-03-06T15:32:01","lrDate": "2025-03-06T15:32:01","description": "人体全身淋巴结以深筋膜为界限,分为外周淋巴结及深层淋巴结两大类,成簇分布于各器官及人体部位中,全身约有50多群。","data": {"WebPage": {"headline": "全身淋巴结分布图","pcUrl": "https://www.med-credit.org.cn/jingxuan/2/b14ab408c21077fde3d36022b241a248.html","wapUrl": "https://www.med-credit.org.cn/jingxuan/2/b14ab408c21077fde3d36022b241a248.html","mipUrl": "https://www.med-credit.org.cn/mobile/jingxuan/2/b14ab408c21077fde3d36022b241a248.html","fromSrc": "欢乐橙","datePublished": "2025-03-06T15:32:01","domain": "医疗","category": ["医疗权威文章合作"],"description": "人体全身淋巴结以深筋膜为界限,分为外周淋巴结及深层淋巴结两大类,成簇分布于各器官及人体部位中,全身约有50多群。
","extra_headline": ["全身淋巴结分布"]},"Author": {"name": "陈璐","wapUrl": "https://www.med-credit.org.cn/doctor/494","pcUrl": "https://www.med-credit.org.cn/doctor/494","jobTitle": "主治医师","headPortrait": "https://www.med-credit.org.cn/uploadfile/member/494/180x180.jpeg","id": "494","description": "陈璐,中南大学湘雅医院普外科主治医师。","memberOf": {"legalName": "中南大学湘雅医院","department": "普外科(胃肠外科)","organizationLevel": "三级甲等"}},"Article": {"summaryContent": "人体全身淋巴结以深筋膜为界限,分为外周淋巴结及深层淋巴结两大类,成簇分布于各器官及人体部位中,全身约有50多群。

外周淋巴结主要分布在头颈部、四肢的皮下或肌肉凹窝处。包括颈部、耳前耳后、枕下、锁骨上、腋窝、滑车上、腹股沟淋巴结。这些部位的淋巴结肿大时,可在体表触诊时触及。
深部淋巴结主要位于胸腹腔、盆腔内,沿大血管干排列,如髂内、外淋巴结,肠系膜淋巴结等。部分位于实质及空腔器官附近,如肺门淋巴结、肝门淋巴结、胃网膜左、右淋巴结等。
淋巴结常聚集成群,负责引流该区域的淋巴液。各部位的淋巴结之间通过浅层及深层淋巴管交通连接。
当人体某器官或区域发生病变(感染、恶性肿瘤等),病原体或癌细胞可沿淋巴管进入相应的局部淋巴结,淋巴结负责清除及阻截相关有害因子,避免病变扩蔓延,发挥对人体的保护作用。
","articleBody": "人体全身淋巴结以深筋膜为界限,分为外周淋巴结及深层淋巴结两大类,成簇分布于各器官及人体部位中,全身约有50多群。

外周淋巴结主要分布在头颈部、四肢的皮下或肌肉凹窝处。包括颈部、耳前耳后、枕下、锁骨上、腋窝、滑车上、腹股沟淋巴结。这些部位的淋巴结肿大时,可在体表触诊时触及。
深部淋巴结主要位于胸腹腔、盆腔内,沿大血管干排列,如髂内、外淋巴结,肠系膜淋巴结等。部分位于实质及空腔器官附近,如肺门淋巴结、肝门淋巴结、胃网膜左、右淋巴结等。
淋巴结常聚集成群,负责引流该区域的淋巴液。各部位的淋巴结之间通过浅层及深层淋巴管交通连接。
当人体某器官或区域发生病变(感染、恶性肿瘤等),病原体或癌细胞可沿淋巴管进入相应的局部淋巴结,淋巴结负责清除及阻截相关有害因子,避免病变扩蔓延,发挥对人体的保护作用。
","scanCount": 9666}}} {"@context": "https://ziyuan.baidu.com/contexts/cambrian.jsonld","appid": "1650708455561748","icon": "https://www.med-credit.org.cn/style/images/ttlogo.png","content_tag": ["atlas"],"is_mcn": {"thumb_id": "v2rm41u3"},"accid": "4886d626a2804dee5f11168793ce361672f39c25","@id": "https://www.med-credit.org.cn/mobile/jingxuan/2/437a0f5d7eeb6eca2baa81f35b64e5e4.html","bagWordId": "52379100e69c8b97","title": "双胞胎b超图","pubDate": "2025-03-06T15:32:01","upDate": "2025-03-06T15:32:01","lrDate": "2025-03-06T15:32:01","description": "如果怀孕后B超检查结果为双胞胎,一般会在B超检查时发现两个妊娠囊,但在妊娠早期同卵双胞胎与异卵双胞胎的B超显示有所不同。","data": {"WebPage": {"headline": "双胞胎b超图","pcUrl": "https://www.med-credit.org.cn/jingxuan/2/437a0f5d7eeb6eca2baa81f35b64e5e4.html","wapUrl": "https://www.med-credit.org.cn/jingxuan/2/437a0f5d7eeb6eca2baa81f35b64e5e4.html","mipUrl": "https://www.med-credit.org.cn/mobile/jingxuan/2/437a0f5d7eeb6eca2baa81f35b64e5e4.html","fromSrc": "欢乐橙","datePublished": "2025-03-06T15:32:01","domain": "医疗","category": ["医疗权威文章合作"],"description": "如果怀孕后B超检查结果为双胞胎,一般会在B超检查时发现两个妊娠囊,但在妊娠早期同卵双胞胎与异卵双胞胎的B超显示有所不同。
","extra_headline": [""]},"Author": {"name": "种轶文","wapUrl": "https://www.med-credit.org.cn/doctor/575","pcUrl": "https://www.med-credit.org.cn/doctor/575","jobTitle": "副主任医师","headPortrait": "https://www.med-credit.org.cn/uploadfile/member/575/180x180.jpeg","id": "575","description": "种轶文,北京大学第三医院妇产科副主任医师","memberOf": {"legalName": "北京大学第三医院","department": "妇产科","organizationLevel": "三级甲等"}},"Article": {"summaryContent": "如果怀孕后B超检查结果为双胞胎,一般会在B超检查时发现两个妊娠囊,但在妊娠早期同卵双胞胎与异卵双胞胎的B超显示有所不同。

1、妊娠早期的同卵双胞胎:在妊娠早期,同卵双胞胎会由一个妊娠囊发育成两个妊娠囊,所以同卵双胞胎在早期B超检查中一般显示为一个妊娠囊中有两个胎心。

2、妊娠早期的异卵双胞胎:因为异卵双胞胎的出现是由于母体同时排出了两个卵子,并分别与父体的精子结合,且同时进入子宫着床,所以异卵双胞胎在生理过程中是一致的,一般在早期的B超检查显示为两个妊娠囊、两个胎心、两个胎芽。
建议双胞胎孕妇平时一定要注重饮食营养,保持乐观情绪,并且定期前往医院进行产前的各项检查,及时了解自身的身体情况,保证胎儿的正常发育。
","articleBody": "如果怀孕后B超检查结果为双胞胎,一般会在B超检查时发现两个妊娠囊,但在妊娠早期同卵双胞胎与异卵双胞胎的B超显示有所不同。

1、妊娠早期的同卵双胞胎:在妊娠早期,同卵双胞胎会由一个妊娠囊发育成两个妊娠囊,所以同卵双胞胎在早期B超检查中一般显示为一个妊娠囊中有两个胎心。

2、妊娠早期的异卵双胞胎:因为异卵双胞胎的出现是由于母体同时排出了两个卵子,并分别与父体的精子结合,且同时进入子宫着床,所以异卵双胞胎在生理过程中是一致的,一般在早期的B超检查显示为两个妊娠囊、两个胎心、两个胎芽。
建议双胞胎孕妇平时一定要注重饮食营养,保持乐观情绪,并且定期前往医院进行产前的各项检查,及时了解自身的身体情况,保证胎儿的正常发育。
","scanCount": 55792}}} {"@context": "https://ziyuan.baidu.com/contexts/cambrian.jsonld","appid": "1650708455561748","icon": "https://www.med-credit.org.cn/style/images/ttlogo.png","content_tag": ["atlas"],"is_mcn": {"thumb_id": "v2rm41u3"},"accid": "4886d626a2804dee5f11168793ce361672f39c25","@id": "https://www.med-credit.org.cn/mobile/jingxuan/2/3e9d194d77faff76635a1871503c19fb.html","bagWordId": "52c3e8600196fc08","title": "四维高鼻梁和塌鼻梁图","pubDate": "2025-03-06T15:32:01","upDate": "2025-03-06T15:32:01","lrDate": "2025-03-06T15:32:01","description": "四维是不能看出高鼻梁和塌鼻梁的。","data": {"WebPage": {"headline": "四维高鼻梁和塌鼻梁图","pcUrl": "https://www.med-credit.org.cn/jingxuan/2/3e9d194d77faff76635a1871503c19fb.html","wapUrl": "https://www.med-credit.org.cn/jingxuan/2/3e9d194d77faff76635a1871503c19fb.html","mipUrl": "https://www.med-credit.org.cn/mobile/jingxuan/2/3e9d194d77faff76635a1871503c19fb.html","fromSrc": "欢乐橙","datePublished": "2025-03-06T15:32:01","domain": "医疗","category": ["医疗权威文章合作"],"description": "四维是不能看出高鼻梁和塌鼻梁的。
","extra_headline": ["四维高鼻梁和塌鼻梁"]},"Author": {"name": "种轶文","wapUrl": "https://www.med-credit.org.cn/doctor/575","pcUrl": "https://www.med-credit.org.cn/doctor/575","jobTitle": "副主任医师","headPortrait": "https://www.med-credit.org.cn/uploadfile/member/575/180x180.jpeg","id": "575","description": "种轶文,北京大学第三医院妇产科副主任医师","memberOf": {"legalName": "北京大学第三医院","department": "妇产科","organizationLevel": "三级甲等"}},"Article": {"summaryContent": "四维高鼻梁和塌鼻梁的区别是从影像上面能够了解到低鼻梁的鼻根比较扁平,鼻翼两侧比较宽大,高鼻梁的鼻根比较小,鼻尖会细长。


四维彩超检查是目前使用率最高,而且可以四维立体地了解胎儿在怀孕的过程当中的生长发育情况,在进行相应的四维彩超产前检查的过程当中,高鼻梁的胎儿可以呈现相应的鼻根部抬高,鼻翼部位比较小,鼻尖部尖细。
塌鼻梁主要是表现为鼻根部地平,鼻翼宽大,鼻尖部圆润,这是四维彩超检查的过程当中主要区别高鼻梁和塌鼻梁的方法。
","articleBody": "四维高鼻梁和塌鼻梁的区别是从影像上面能够了解到低鼻梁的鼻根比较扁平,鼻翼两侧比较宽大,高鼻梁的鼻根比较小,鼻尖会细长。


四维彩超检查是目前使用率最高,而且可以四维立体地了解胎儿在怀孕的过程当中的生长发育情况,在进行相应的四维彩超产前检查的过程当中,高鼻梁的胎儿可以呈现相应的鼻根部抬高,鼻翼部位比较小,鼻尖部尖细。
塌鼻梁主要是表现为鼻根部地平,鼻翼宽大,鼻尖部圆润,这是四维彩超检查的过程当中主要区别高鼻梁和塌鼻梁的方法。
","scanCount": 55781}}} {"@context": "https://ziyuan.baidu.com/contexts/cambrian.jsonld","appid": "1650708455561748","icon": "https://www.med-credit.org.cn/style/images/ttlogo.png","content_tag": ["atlas"],"is_mcn": {"thumb_id": "v2rm41u3"},"accid": "4886d626a2804dee5f11168793ce361672f39c25","@id": "https://www.med-credit.org.cn/mobile/jingxuan/2/a3db34601a9590fdb20dc186f41c7d9b.html","bagWordId": "67b31fcb9a90ac76","title": "女人剖腹产疤痕图片","pubDate": "2025-03-06T15:32:01","upDate": "2025-03-06T15:32:01","lrDate": "2025-03-06T15:32:01","description": "女人剖腹产后的瘢痕是位于下腹部横行的6-7cm的长条瘢痕。","data": {"WebPage": {"headline": "女人剖腹产疤痕图片","pcUrl": "https://www.med-credit.org.cn/jingxuan/2/a3db34601a9590fdb20dc186f41c7d9b.html","wapUrl": "https://www.med-credit.org.cn/jingxuan/2/a3db34601a9590fdb20dc186f41c7d9b.html","mipUrl": "https://www.med-credit.org.cn/mobile/jingxuan/2/a3db34601a9590fdb20dc186f41c7d9b.html","fromSrc": "欢乐橙","datePublished": "2025-03-06T15:32:01","domain": "医疗","category": ["医疗权威文章合作"],"description": "女人剖腹产后的瘢痕是位于下腹部横行的6-7cm的长条瘢痕。
","extra_headline": ["女人剖腹产疤痕"]},"Author": {"name": "种轶文","wapUrl": "https://www.med-credit.org.cn/doctor/575","pcUrl": "https://www.med-credit.org.cn/doctor/575","jobTitle": "副主任医师","headPortrait": "https://www.med-credit.org.cn/uploadfile/member/575/180x180.jpeg","id": "575","description": "种轶文,北京大学第三医院妇产科副主任医师","memberOf": {"legalName": "北京大学第三医院","department": "妇产科","organizationLevel": "三级甲等"}},"Article": {"summaryContent": "女人剖腹产后的瘢痕是位于下腹部横行的6-7cm的长条瘢痕。

孕晚期发现胎儿头盆不称,如巨大胎、窄小骨盆者,无法进行手法对位的;胎位异常,如横位、臀位等不能矫治的;脐带绕颈或胎先露挤压脐带可能在分娩时胎儿发生宫内窘迫的;发现前置胎盘、胎盘早剥发生DIC的等并发症的孕产妇不能进行顺产者,需要考虑剖腹产。
剖腹产切口位置通常选择子宫颈在体表对应的位置,目前手术后切口闭合的方式包括间断缝合、皮下缝合、胶水贴合。单纯间断缝合是以往常见的剖腹产后切口缝合的方式,容易在下腹部留下横行的,有多个针脚的瘢痕,俗称“蜈蚣样”的瘢痕,欠美观;皮下缝合又称美容缝合,用可吸收线在皮内缝合,外观上看不出针脚也不需要拆线,对操作者的缝合技术要求更高,外观也更加美观;胶水贴合是使用医用胶水将切口对合,操作更简单也不需要缝针,但也因为没有缝线给切口对合施以一定的力的作用,早期容易受张力影响,有切口崩裂愈合不佳的风险。
","articleBody": "女人剖腹产后的瘢痕是位于下腹部横行的6-7cm的长条瘢痕。

孕晚期发现胎儿头盆不称,如巨大胎、窄小骨盆者,无法进行手法对位的;胎位异常,如横位、臀位等不能矫治的;脐带绕颈或胎先露挤压脐带可能在分娩时胎儿发生宫内窘迫的;发现前置胎盘、胎盘早剥发生DIC的等并发症的孕产妇不能进行顺产者,需要考虑剖腹产。
剖腹产切口位置通常选择子宫颈在体表对应的位置,目前手术后切口闭合的方式包括间断缝合、皮下缝合、胶水贴合。单纯间断缝合是以往常见的剖腹产后切口缝合的方式,容易在下腹部留下横行的,有多个针脚的瘢痕,俗称“蜈蚣样”的瘢痕,欠美观;皮下缝合又称美容缝合,用可吸收线在皮内缝合,外观上看不出针脚也不需要拆线,对操作者的缝合技术要求更高,外观也更加美观;胶水贴合是使用医用胶水将切口对合,操作更简单也不需要缝针,但也因为没有缝线给切口对合施以一定的力的作用,早期容易受张力影响,有切口崩裂愈合不佳的风险。
","scanCount": 55777}}} {"@context": "https://ziyuan.baidu.com/contexts/cambrian.jsonld","appid": "1650708455561748","icon": "https://www.med-credit.org.cn/style/images/ttlogo.png","content_tag": ["atlas"],"is_mcn": {"thumb_id": "0jui1zp8"},"accid": "4886d626a2804dee5f11168793ce361672f39c25","@id": "https://www.med-credit.org.cn/mobile/jingxuan/2/ce210b4f845f76a0d59792e363576aac.html","bagWordId": "6a93a43256371bad","title": "切除脂肪瘤恢复后的疤痕图片","pubDate": "2025-03-06T15:32:01","upDate": "2025-03-06T15:32:01","lrDate": "2025-03-06T15:32:01","description": "切除脂肪瘤恢复后的疤痕一般呈嫩粉色、白色或肤色,质硬,表面凹凸不平,与周围皮肤不同。","data": {"WebPage": {"headline": "切除脂肪瘤恢复后的疤痕图片","pcUrl": "https://www.med-credit.org.cn/jingxuan/2/ce210b4f845f76a0d59792e363576aac.html","wapUrl": "https://www.med-credit.org.cn/jingxuan/2/ce210b4f845f76a0d59792e363576aac.html","mipUrl": "https://www.med-credit.org.cn/mobile/jingxuan/2/ce210b4f845f76a0d59792e363576aac.html","fromSrc": "欢乐橙","datePublished": "2025-03-06T15:32:01","domain": "医疗","category": ["医疗权威文章合作"],"description": "切除脂肪瘤恢复后的疤痕一般呈嫩粉色、白色或肤色,质硬,表面凹凸不平,与周围皮肤不同。
","extra_headline": ["切除脂肪瘤恢复后的疤痕"]},"Author": {"name": "陈璐","wapUrl": "https://www.med-credit.org.cn/doctor/494","pcUrl": "https://www.med-credit.org.cn/doctor/494","jobTitle": "主治医师","headPortrait": "https://www.med-credit.org.cn/uploadfile/member/494/180x180.jpeg","id": "494","description": "陈璐,中南大学湘雅医院普外科主治医师。","memberOf": {"legalName": "中南大学湘雅医院","department": "普外科(胃肠外科)","organizationLevel": "三级甲等"}},"Article": {"summaryContent": "切除脂肪瘤恢复后的疤痕一般呈嫩粉色、白色或肤色,质硬,表面凹凸不平,与周围皮肤不同。
切除脂肪瘤恢复后的疤痕的形状一般由脂肪瘤的大小、手术的切口以及脂肪瘤的生长部位所决定。若脂肪瘤发展时间越短,体积越小,生长部位越靠近表皮层,手术的切口越小,术后疤痕的形成越美观,形状越小。

在营养物质充足的条件下,手术伤口恢复的第三天一般开始生长出嫩粉色的肉芽组织,而胶原纤维在5~7天时出现,将伤口连接,随着时间的延长,伤口逐渐恢复和愈合,导致伤口结痂,疤痕形成。
疤痕相较于周围的皮肤颜色更白,基本无色素沉积,一段时间后受紫外线等影响会与周围皮肤融合成相同的肤色,因此切除脂肪瘤恢复后的疤痕一般呈嫩粉色、白色或肤色,质硬,表面凹凸不平,与周围皮肤不同。
患者通过使用美容针减小疤痕的形成,或者在瘢痕早期,在其表面涂抹硅凝胶之类的药物的方式淡化瘢痕,早期还可以预防增生。必要时考虑激光或其他手术方式,有直接切除缝合、转皮瓣以及直接祛除疤痕的内核等。
","articleBody": "切除脂肪瘤恢复后的疤痕一般呈嫩粉色、白色或肤色,质硬,表面凹凸不平,与周围皮肤不同。
切除脂肪瘤恢复后的疤痕的形状一般由脂肪瘤的大小、手术的切口以及脂肪瘤的生长部位所决定。若脂肪瘤发展时间越短,体积越小,生长部位越靠近表皮层,手术的切口越小,术后疤痕的形成越美观,形状越小。

在营养物质充足的条件下,手术伤口恢复的第三天一般开始生长出嫩粉色的肉芽组织,而胶原纤维在5~7天时出现,将伤口连接,随着时间的延长,伤口逐渐恢复和愈合,导致伤口结痂,疤痕形成。
疤痕相较于周围的皮肤颜色更白,基本无色素沉积,一段时间后受紫外线等影响会与周围皮肤融合成相同的肤色,因此切除脂肪瘤恢复后的疤痕一般呈嫩粉色、白色或肤色,质硬,表面凹凸不平,与周围皮肤不同。
患者通过使用美容针减小疤痕的形成,或者在瘢痕早期,在其表面涂抹硅凝胶之类的药物的方式淡化瘢痕,早期还可以预防增生。必要时考虑激光或其他手术方式,有直接切除缝合、转皮瓣以及直接祛除疤痕的内核等。
","scanCount": 5256}}} {"@context": "https://ziyuan.baidu.com/contexts/cambrian.jsonld","appid": "1650708455561748","icon": "https://www.med-credit.org.cn/style/images/ttlogo.png","content_tag": ["atlas"],"is_mcn": {"thumb_id": "v2rm41u3"},"accid": "4886d626a2804dee5f11168793ce361672f39c25","@id": "https://www.med-credit.org.cn/mobile/jingxuan/2/c9a7d1f3a02d95de15fb6c9e286689ea.html","bagWordId": "e9cebd3cbb8eeb7a","title": "左枕前位胎儿图","pubDate": "2025-03-06T15:32:01","upDate": "2025-03-06T15:32:01","lrDate": "2025-03-06T15:32:01","description": "左枕前位的胎儿顶先露、枕骨在母亲骨盆的左侧、朝向骨盆前。","data": {"WebPage": {"headline": "左枕前位胎儿图","pcUrl": "https://www.med-credit.org.cn/jingxuan/2/c9a7d1f3a02d95de15fb6c9e286689ea.html","wapUrl": "https://www.med-credit.org.cn/jingxuan/2/c9a7d1f3a02d95de15fb6c9e286689ea.html","mipUrl": "https://www.med-credit.org.cn/mobile/jingxuan/2/c9a7d1f3a02d95de15fb6c9e286689ea.html","fromSrc": "欢乐橙","datePublished": "2025-03-06T15:32:01","domain": "医疗","category": ["医疗权威文章合作"],"description": "左枕前位的胎儿顶先露、枕骨在母亲骨盆的左侧、朝向骨盆前。
","extra_headline": ["左枕前位胎儿"]},"Author": {"name": "种轶文","wapUrl": "https://www.med-credit.org.cn/doctor/575","pcUrl": "https://www.med-credit.org.cn/doctor/575","jobTitle": "副主任医师","headPortrait": "https://www.med-credit.org.cn/uploadfile/member/575/180x180.jpeg","id": "575","description": "种轶文,北京大学第三医院妇产科副主任医师","memberOf": {"legalName": "北京大学第三医院","department": "妇产科","organizationLevel": "三级甲等"}},"Article": {"summaryContent": "左枕前位的胎儿顶先露、枕骨在母亲骨盆的左侧、朝向骨盆前。

左的含义是胎儿先露部位与母亲骨盆的位置情况,位于骨盆的左侧;相对的右是指位于骨盆的右侧。枕的含义是先露部位的代表骨是枕骨,枕骨先露也称为顶先露;如果臀先露代表骨是骶骨,则称为骶;此外还有面先露、肩先露,代表骨分别是骶骨和肩胛骨,简称颏和肩。前的含义是枕骨位于母亲骨盆的前方,同样也有后位胎位。因此,左枕前位胎儿顶先露、枕骨在母亲骨盆的左侧,朝向骨盆前方,胎儿整体位于子宫左侧。
胎儿能否顺产需要综合多方面的因素考虑,影像检查下显示胎儿的胎位是其中一重要因素。胎儿胎位在检查报告单上常显示英文简称,左枕前位的英文简称是LOA,属于最常见的胎儿胎位,也是最利于阴道分娩顺产的胎位。
左枕前位属于正常胎位,如果是其他胎位可能为胎位不正。如果胎儿胎位不正,孕妇可以通过一些特殊动作自主调整胎位,例如膝胸卧位操,或在医生指导下进行适量舒缓运动帮助胎儿调整姿势,有利于胎儿顺利入盆,顺利生产娩出。
","articleBody": "左枕前位的胎儿顶先露、枕骨在母亲骨盆的左侧、朝向骨盆前。

左的含义是胎儿先露部位与母亲骨盆的位置情况,位于骨盆的左侧;相对的右是指位于骨盆的右侧。枕的含义是先露部位的代表骨是枕骨,枕骨先露也称为顶先露;如果臀先露代表骨是骶骨,则称为骶;此外还有面先露、肩先露,代表骨分别是骶骨和肩胛骨,简称颏和肩。前的含义是枕骨位于母亲骨盆的前方,同样也有后位胎位。因此,左枕前位胎儿顶先露、枕骨在母亲骨盆的左侧,朝向骨盆前方,胎儿整体位于子宫左侧。
胎儿能否顺产需要综合多方面的因素考虑,影像检查下显示胎儿的胎位是其中一重要因素。胎儿胎位在检查报告单上常显示英文简称,左枕前位的英文简称是LOA,属于最常见的胎儿胎位,也是最利于阴道分娩顺产的胎位。
左枕前位属于正常胎位,如果是其他胎位可能为胎位不正。如果胎儿胎位不正,孕妇可以通过一些特殊动作自主调整胎位,例如膝胸卧位操,或在医生指导下进行适量舒缓运动帮助胎儿调整姿势,有利于胎儿顺利入盆,顺利生产娩出。
","scanCount": 55774}}} {"@context": "https://ziyuan.baidu.com/contexts/cambrian.jsonld","appid": "1650708455561748","icon": "https://www.med-credit.org.cn/style/images/ttlogo.png","content_tag": ["atlas"],"is_mcn": {"thumb_id": "e4oal99d"},"accid": "4886d626a2804dee5f11168793ce361672f39c25","@id": "https://www.med-credit.org.cn/mobile/jingxuan/2/93172b312fb1c4545eab6e64042b0d1b.html","bagWordId": "89c2a0c31418112b","title": "耳朵部位名称图","pubDate": "2025-03-06T15:32:01","upDate": "2025-03-06T15:32:01","lrDate": "2025-03-06T15:32:01","description": "耳,又称为前庭蜗器,可分为内耳、中耳和外耳。","data": {"WebPage": {"headline": "耳朵部位名称图","pcUrl": "https://www.med-credit.org.cn/jingxuan/2/93172b312fb1c4545eab6e64042b0d1b.html","wapUrl": "https://www.med-credit.org.cn/jingxuan/2/93172b312fb1c4545eab6e64042b0d1b.html","mipUrl": "https://www.med-credit.org.cn/mobile/jingxuan/2/93172b312fb1c4545eab6e64042b0d1b.html","fromSrc": "欢乐橙","datePublished": "2025-03-06T15:32:01","domain": "医疗","category": ["医疗权威文章合作"],"description": "耳,又称为前庭蜗器,可分为内耳、中耳和外耳。
","extra_headline": ["耳朵部位名称"]},"Author": {"name": "谢洪","wapUrl": "https://www.med-credit.org.cn/doctor/538","pcUrl": "https://www.med-credit.org.cn/doctor/538","jobTitle": "副主任医师","headPortrait": "https://www.med-credit.org.cn/uploadfile/member/538/180x180.jpeg","id": "538","description": "谢洪,首都医科大学附属北京世纪坛医院耳鼻喉头颈外科副主任医师","memberOf": {"legalName": "首都医科大学附属北京世纪坛医院","department": "耳鼻喉头颈外科","organizationLevel": "三级甲等"}},"Article": {"summaryContent": "耳,又称为前庭蜗器,可分为内耳、中耳和外耳。

外耳包括
(1)耳廓:临床常用采血部位
(2)外耳道:外耳门——鼓膜这一段
(3)鼓膜
中耳包括
(1)鼓室:颞骨岩部内,内有听小骨、韧带肌、血管和神经。
(2)咽鼓管:鼻咽部——鼓室这一段,长大约3.5~4cm。分为咽鼓管骨部和咽鼓管软骨部。
(3)乳突窦和乳突小房:在鼓室上隐窝的上面。
内耳
(1)骨迷路:前庭、骨半规管、耳蜗
(2)膜迷路:椭圆囊和球囊、膜半规管、蜗管
(3)内耳道:颞骨岩部后面的中部,内耳门——内耳道这一段,长约10mm
外耳和中耳的主要作用是收集和传导声波。内耳中则含有听觉感受器。
不要经常掏耳朵,以防损伤耳朵或造成耵聍栓塞。若有不适,请及时就医,寻求专业治疗。
","articleBody": "耳,又称为前庭蜗器,可分为内耳、中耳和外耳。

外耳包括
(1)耳廓:临床常用采血部位
(2)外耳道:外耳门——鼓膜这一段
(3)鼓膜
中耳包括
(1)鼓室:颞骨岩部内,内有听小骨、韧带肌、血管和神经。
(2)咽鼓管:鼻咽部——鼓室这一段,长大约3.5~4cm。分为咽鼓管骨部和咽鼓管软骨部。
(3)乳突窦和乳突小房:在鼓室上隐窝的上面。
内耳
(1)骨迷路:前庭、骨半规管、耳蜗
(2)膜迷路:椭圆囊和球囊、膜半规管、蜗管
(3)内耳道:颞骨岩部后面的中部,内耳门——内耳道这一段,长约10mm
外耳和中耳的主要作用是收集和传导声波。内耳中则含有听觉感受器。
不要经常掏耳朵,以防损伤耳朵或造成耵聍栓塞。若有不适,请及时就医,寻求专业治疗。
","scanCount": 8149}}} {"@context": "https://ziyuan.baidu.com/contexts/cambrian.jsonld","appid": "1650708455561748","icon": "https://www.med-credit.org.cn/style/images/ttlogo.png","content_tag": ["atlas"],"is_mcn": {"thumb_id": "e4oal99d"},"accid": "4886d626a2804dee5f11168793ce361672f39c25","@id": "https://www.med-credit.org.cn/mobile/jingxuan/2/900dd2118b83697e3b41b692162009a1.html","bagWordId": "dddaa7e5d8f6a8e7","title": "喉结图片","pubDate": "2025-03-06T15:32:01","upDate": "2025-03-06T15:32:01","lrDate": "2025-03-06T15:32:01","description": "喉的结构是由11块软骨作为支架构成的,其中最重要、体积最大的一块软骨叫甲状软骨,也就是喉结。","data": {"WebPage": {"headline": "喉结图片","pcUrl": "https://www.med-credit.org.cn/jingxuan/2/900dd2118b83697e3b41b692162009a1.html","wapUrl": "https://www.med-credit.org.cn/jingxuan/2/900dd2118b83697e3b41b692162009a1.html","mipUrl": "https://www.med-credit.org.cn/mobile/jingxuan/2/900dd2118b83697e3b41b692162009a1.html","fromSrc": "欢乐橙","datePublished": "2025-03-06T15:32:01","domain": "医疗","category": ["医疗权威文章合作"],"description": "喉的结构是由11块软骨作为支架构成的,其中最重要、体积最大的一块软骨叫甲状软骨,也就是喉结。
","extra_headline": ["喉结"]},"Author": {"name": "谢洪","wapUrl": "https://www.med-credit.org.cn/doctor/538","pcUrl": "https://www.med-credit.org.cn/doctor/538","jobTitle": "副主任医师","headPortrait": "https://www.med-credit.org.cn/uploadfile/member/538/180x180.jpeg","id": "538","description": "谢洪,首都医科大学附属北京世纪坛医院耳鼻喉头颈外科副主任医师","memberOf": {"legalName": "首都医科大学附属北京世纪坛医院","department": "耳鼻喉头颈外科","organizationLevel": "三级甲等"}},"Article": {"summaryContent": "喉的结构是由11块软骨作为支架构成的,其中最重要、体积最大的一块软骨叫甲状软骨,也就是喉结。

喉结是指人咽喉部位的,突起的软骨,男性比较突出,女性不太明显。喉结突出是男性的性征之一,经过青春发育期后,男性在雄激素的作用下,喉结会出现不同程度的向前突出。
喉软骨是在胎儿2个月左右时开始发育,一直到5-6岁;而在5-6岁到青春期这个期间,喉软骨基本停止发育,因此,在这期间,男性、女性的喉结基本都不明显。但是进入青春期后,由于男性的雄激素分泌增多,这使得男性的喉结突出明显。
喉结是喉软骨最大的一个,组成喉的前、外侧壁,由左右两个四边形软骨板构成。前角上缘两板间的凹陷,是甲状软骨上切迹,板的后缘游离,向上、下方各形成一个突起,叫上角和下角。上角借韧带与舌骨大角相连;下角尖端内侧面有小关节面,与环状软骨构成关节。
","articleBody": "喉的结构是由11块软骨作为支架构成的,其中最重要、体积最大的一块软骨叫甲状软骨,也就是喉结。

喉结是指人咽喉部位的,突起的软骨,男性比较突出,女性不太明显。喉结突出是男性的性征之一,经过青春发育期后,男性在雄激素的作用下,喉结会出现不同程度的向前突出。
喉软骨是在胎儿2个月左右时开始发育,一直到5-6岁;而在5-6岁到青春期这个期间,喉软骨基本停止发育,因此,在这期间,男性、女性的喉结基本都不明显。但是进入青春期后,由于男性的雄激素分泌增多,这使得男性的喉结突出明显。
喉结是喉软骨最大的一个,组成喉的前、外侧壁,由左右两个四边形软骨板构成。前角上缘两板间的凹陷,是甲状软骨上切迹,板的后缘游离,向上、下方各形成一个突起,叫上角和下角。上角借韧带与舌骨大角相连;下角尖端内侧面有小关节面,与环状软骨构成关节。
","scanCount": 9910}}} {"@context": "https://ziyuan.baidu.com/contexts/cambrian.jsonld","appid": "1650708455561748","icon": "https://www.med-credit.org.cn/style/images/ttlogo.png","content_tag": ["atlas"],"is_mcn": {"thumb_id": "e4oal99d"},"accid": "4886d626a2804dee5f11168793ce361672f39c25","@id": "https://www.med-credit.org.cn/mobile/jingxuan/2/f3aa8388a584d09e2e90bfea84c1d488.html","bagWordId": "54124f30f88db2df","title": "扁桃体癌菜花状图片","pubDate": "2025-03-06T15:32:01","upDate": "2025-03-06T15:32:01","lrDate": "2025-03-06T15:32:01","description": "扁桃体菜花状癌的肿瘤形态长得像菜花,肉眼可见密集的乳白色肉质头状体,菜花状肿瘤是对肿瘤形态的一种称呼。","data": {"WebPage": {"headline": "扁桃体癌菜花状图片","pcUrl": "https://www.med-credit.org.cn/jingxuan/2/f3aa8388a584d09e2e90bfea84c1d488.html","wapUrl": "https://www.med-credit.org.cn/jingxuan/2/f3aa8388a584d09e2e90bfea84c1d488.html","mipUrl": "https://www.med-credit.org.cn/mobile/jingxuan/2/f3aa8388a584d09e2e90bfea84c1d488.html","fromSrc": "欢乐橙","datePublished": "2025-03-06T15:32:01","domain": "医疗","category": ["医疗权威文章合作"],"description": "扁桃体菜花状癌的肿瘤形态长得像菜花,肉眼可见密集的乳白色肉质头状体,菜花状肿瘤是对肿瘤形态的一种称呼。
","extra_headline": ["扁桃体癌菜花状"]},"Author": {"name": "谢洪","wapUrl": "https://www.med-credit.org.cn/doctor/538","pcUrl": "https://www.med-credit.org.cn/doctor/538","jobTitle": "副主任医师","headPortrait": "https://www.med-credit.org.cn/uploadfile/member/538/180x180.jpeg","id": "538","description": "谢洪,首都医科大学附属北京世纪坛医院耳鼻喉头颈外科副主任医师","memberOf": {"legalName": "首都医科大学附属北京世纪坛医院","department": "耳鼻喉头颈外科","organizationLevel": "三级甲等"}},"Article": {"summaryContent": "扁桃体菜花状癌的肿瘤形态长得像菜花,肉眼可见密集的乳白色肉质头状体,菜花状肿瘤是对肿瘤形态的一种称呼。
癌症的菜花状肿块活检时可呈现为质地较为脆,容易出血。

扁桃体癌早期通常无明显症状,只有咽部不适或溃疡,自述异物感或轻微疼痛。首诊约三分之二的患者有咽部不适或异物感,扁桃体的位置隐痛或有烧灼样的疼痛感。
扁桃体肿瘤的生长会导致一侧扁桃体明显肿大,伴有表面溃疡坏死,常侵犯周围组织。出现吞咽困难呼吸障碍时则表明通常进展到晚期。
随着扁桃体癌的进展会进一步影响进食,病情加重时也可引起耳部放射痛。扁桃体癌多为鳞状细胞癌,目前的治疗方式是采取根治性的放射治疗或者是手术治疗,一般扁桃体癌预后较差,5年成活率50%左右。
扁桃体癌主要是由长期慢性局部的炎症刺激引起,长期大量吸烟与饮酒等不良嗜好、人乳头瘤病毒(HPV)感染都是高危因素。
","articleBody": "扁桃体菜花状癌的肿瘤形态长得像菜花,肉眼可见密集的乳白色肉质头状体,菜花状肿瘤是对肿瘤形态的一种称呼。
癌症的菜花状肿块活检时可呈现为质地较为脆,容易出血。

扁桃体癌早期通常无明显症状,只有咽部不适或溃疡,自述异物感或轻微疼痛。首诊约三分之二的患者有咽部不适或异物感,扁桃体的位置隐痛或有烧灼样的疼痛感。
扁桃体肿瘤的生长会导致一侧扁桃体明显肿大,伴有表面溃疡坏死,常侵犯周围组织。出现吞咽困难呼吸障碍时则表明通常进展到晚期。
随着扁桃体癌的进展会进一步影响进食,病情加重时也可引起耳部放射痛。扁桃体癌多为鳞状细胞癌,目前的治疗方式是采取根治性的放射治疗或者是手术治疗,一般扁桃体癌预后较差,5年成活率50%左右。
扁桃体癌主要是由长期慢性局部的炎症刺激引起,长期大量吸烟与饮酒等不良嗜好、人乳头瘤病毒(HPV)感染都是高危因素。
","scanCount": 8834}}} {"@context": "https://ziyuan.baidu.com/contexts/cambrian.jsonld","appid": "1650708455561748","icon": "https://www.med-credit.org.cn/style/images/ttlogo.png","content_tag": ["atlas"],"is_mcn": {"thumb_id": "6s1phww1w"},"accid": "4886d626a2804dee5f11168793ce361672f39c25","@id": "https://www.med-credit.org.cn/mobile/jingxuan/2/a92491bdb676d967c86615599181bd2d.html","bagWordId": "f5808544fb21eacc","title": "胸椎在哪个位置图片","pubDate": "2025-03-06T15:32:01","upDate": "2025-03-06T15:32:01","lrDate": "2025-03-06T15:32:01","description": "胸椎的位置在背部中央,脊柱的中上段,上接颈椎,下连腰椎,左右两侧与肋骨关联。","data": {"WebPage": {"headline": "胸椎在哪个位置图片","pcUrl": "https://www.med-credit.org.cn/jingxuan/2/a92491bdb676d967c86615599181bd2d.html","wapUrl": "https://www.med-credit.org.cn/jingxuan/2/a92491bdb676d967c86615599181bd2d.html","mipUrl": "https://www.med-credit.org.cn/mobile/jingxuan/2/a92491bdb676d967c86615599181bd2d.html","fromSrc": "欢乐橙","datePublished": "2025-03-06T15:32:01","domain": "医疗","category": ["医疗权威文章合作"],"description": "胸椎的位置在背部中央,脊柱的中上段,上接颈椎,下连腰椎,左右两侧与肋骨关联。
","extra_headline": ["胸椎在哪个位置"]},"Author": {"name": "王维","wapUrl": "https://www.med-credit.org.cn/doctor/513","pcUrl": "https://www.med-credit.org.cn/doctor/513","jobTitle": "主治医师","headPortrait": "https://www.med-credit.org.cn/uploadfile/member/513/180x180.jpeg","id": "513","description": "王维,中国医科大学附属盛京医院骨科主治医师","memberOf": {"legalName": "中国医科大学附属盛京医院","department": "骨科","organizationLevel": "三级甲等"}},"Article": {"summaryContent": "胸椎的位置在背部中央,脊柱的中上段,上接颈椎,下连腰椎,左右两侧与肋骨关联。

胸椎的形态特点是棘突比较长,重叠排列,斜向后下方。椎体后外侧有半圆形的上、下肋凹,与肋骨头相关节。两侧有横突肋凹,与肋结节相连接
胸椎所有椎骨纵向通过椎间盘,前、后纵韧带相互连结构成脊柱胸段。椎间盘在两个胸椎椎体之间起到缓冲震荡的作用,但胸椎段的椎间盘最薄,相对颈椎及腰椎,胸椎的活动度比较小。
胸椎12块椎体横向与12对肋骨、胸骨通过骨连结相连接,组成一椭圆形骨性支架,构成胸廓,内含胸腔用于容纳及保护心、肺和大血管等重要器官。
胸椎黄韧带骨化症、胸椎管狭窄症是发生于胸椎的退行性病变。胸椎存在生理性后凸,结构比较特殊,使胸髓缓冲空间极小。在出现相关疾病时,保守治疗通常不能获得理想治疗效果,一般需要进行手术治疗。
","articleBody": "胸椎的位置在背部中央,脊柱的中上段,上接颈椎,下连腰椎,左右两侧与肋骨关联。

胸椎的形态特点是棘突比较长,重叠排列,斜向后下方。椎体后外侧有半圆形的上、下肋凹,与肋骨头相关节。两侧有横突肋凹,与肋结节相连接
胸椎所有椎骨纵向通过椎间盘,前、后纵韧带相互连结构成脊柱胸段。椎间盘在两个胸椎椎体之间起到缓冲震荡的作用,但胸椎段的椎间盘最薄,相对颈椎及腰椎,胸椎的活动度比较小。
胸椎12块椎体横向与12对肋骨、胸骨通过骨连结相连接,组成一椭圆形骨性支架,构成胸廓,内含胸腔用于容纳及保护心、肺和大血管等重要器官。
胸椎黄韧带骨化症、胸椎管狭窄症是发生于胸椎的退行性病变。胸椎存在生理性后凸,结构比较特殊,使胸髓缓冲空间极小。在出现相关疾病时,保守治疗通常不能获得理想治疗效果,一般需要进行手术治疗。
","scanCount": 8059}}} {"@context": "https://ziyuan.baidu.com/contexts/cambrian.jsonld","appid": "1650708455561748","icon": "https://www.med-credit.org.cn/style/images/ttlogo.png","content_tag": ["atlas"],"is_mcn": {"thumb_id": "6s1phww1w"},"accid": "4886d626a2804dee5f11168793ce361672f39c25","@id": "https://www.med-credit.org.cn/mobile/jingxuan/2/f0502671c6426ec010f5882050711c57.html","bagWordId": "1367091b24f326f5","title": "肩胛骨的准确位置图","pubDate": "2025-03-06T15:32:01","upDate": "2025-03-06T15:32:01","lrDate": "2025-03-06T15:32:01","description": "肩胛骨在人体胸廓在后外侧面,位于第二肋和第七肋之间,呈三角形,与肱骨相连。","data": {"WebPage": {"headline": "肩胛骨的准确位置图","pcUrl": "https://www.med-credit.org.cn/jingxuan/2/f0502671c6426ec010f5882050711c57.html","wapUrl": "https://www.med-credit.org.cn/jingxuan/2/f0502671c6426ec010f5882050711c57.html","mipUrl": "https://www.med-credit.org.cn/mobile/jingxuan/2/f0502671c6426ec010f5882050711c57.html","fromSrc": "欢乐橙","datePublished": "2025-03-06T15:32:01","domain": "医疗","category": ["医疗权威文章合作"],"description": "肩胛骨在人体胸廓在后外侧面,位于第二肋和第七肋之间,呈三角形,与肱骨相连。
","extra_headline": ["肩胛骨的准确位置"]},"Author": {"name": "王维","wapUrl": "https://www.med-credit.org.cn/doctor/513","pcUrl": "https://www.med-credit.org.cn/doctor/513","jobTitle": "主治医师","headPortrait": "https://www.med-credit.org.cn/uploadfile/member/513/180x180.jpeg","id": "513","description": "王维,中国医科大学附属盛京医院骨科主治医师","memberOf": {"legalName": "中国医科大学附属盛京医院","department": "骨科","organizationLevel": "三级甲等"}},"Article": {"summaryContent": "肩胛骨在人体胸廓在后外侧面,位于第二肋和第七肋之间,呈三角形,与肱骨相连。

肩胛骨呈三角形,底在上呈斜向内,尖在下,是一个扁骨,贴于胸廓后外面,在第二肋和第七肋之间,有两个面、三个缘和三个角。
1.两面:前面,又叫做腹侧面,与胸廓相对,微微凹陷,称为肩胛下窝,后面有横脊称为肩胛冈,上下分别为冈上窝和冈下窝,肩胛冈向外延申,与锁骨外端相连。
2.三缘:上缘比较短而且薄,外侧有一个肩胛切迹,再往外有向前的突起,叫做喙突。内侧缘也很薄而且锐利,又叫脊柱缘。外侧缘比较厚,邻近腋窝,叫做腋缘。
3.三角:上角对着第2肋。下角则对着第7肋或第7肋的间隙。外侧角比较厚,有一个向着外侧的浅窝,叫关节盂,肱骨就连在这上面。
","articleBody": "肩胛骨在人体胸廓在后外侧面,位于第二肋和第七肋之间,呈三角形,与肱骨相连。

肩胛骨呈三角形,底在上呈斜向内,尖在下,是一个扁骨,贴于胸廓后外面,在第二肋和第七肋之间,有两个面、三个缘和三个角。
1.两面:前面,又叫做腹侧面,与胸廓相对,微微凹陷,称为肩胛下窝,后面有横脊称为肩胛冈,上下分别为冈上窝和冈下窝,肩胛冈向外延申,与锁骨外端相连。
2.三缘:上缘比较短而且薄,外侧有一个肩胛切迹,再往外有向前的突起,叫做喙突。内侧缘也很薄而且锐利,又叫脊柱缘。外侧缘比较厚,邻近腋窝,叫做腋缘。
3.三角:上角对着第2肋。下角则对着第7肋或第7肋的间隙。外侧角比较厚,有一个向着外侧的浅窝,叫关节盂,肱骨就连在这上面。
","scanCount": 6682}}} {"@context": "https://ziyuan.baidu.com/contexts/cambrian.jsonld","appid": "1650708455561748","icon": "https://www.med-credit.org.cn/style/images/ttlogo.png","content_tag": ["atlas"],"is_mcn": {"thumb_id": "6s1phww1w"},"accid": "4886d626a2804dee5f11168793ce361672f39c25","@id": "https://www.med-credit.org.cn/mobile/jingxuan/2/dbfbbedbe253838bf85b1b1d2ffc0fe4.html","bagWordId": "c38438d05ed0f5fd","title": "脚踝是哪个部位图解","pubDate": "2025-03-06T15:32:01","upDate": "2025-03-06T15:32:01","lrDate": "2025-03-06T15:32:01","description": "脚踝是踝关节及其外周包裹的肌肉、韧带、软组织及皮肤机构,是小腿与足部连接的关节部位。","data": {"WebPage": {"headline": "脚踝是哪个部位图解","pcUrl": "https://www.med-credit.org.cn/jingxuan/2/dbfbbedbe253838bf85b1b1d2ffc0fe4.html","wapUrl": "https://www.med-credit.org.cn/jingxuan/2/dbfbbedbe253838bf85b1b1d2ffc0fe4.html","mipUrl": "https://www.med-credit.org.cn/mobile/jingxuan/2/dbfbbedbe253838bf85b1b1d2ffc0fe4.html","fromSrc": "欢乐橙","datePublished": "2025-03-06T15:32:01","domain": "医疗","category": ["医疗权威文章合作"],"description": "脚踝是踝关节及其外周包裹的肌肉、韧带、软组织及皮肤机构,是小腿与足部连接的关节部位。
","extra_headline": ["脚踝是哪个部位解"]},"Author": {"name": "王维","wapUrl": "https://www.med-credit.org.cn/doctor/513","pcUrl": "https://www.med-credit.org.cn/doctor/513","jobTitle": "主治医师","headPortrait": "https://www.med-credit.org.cn/uploadfile/member/513/180x180.jpeg","id": "513","description": "王维,中国医科大学附属盛京医院骨科主治医师","memberOf": {"legalName": "中国医科大学附属盛京医院","department": "骨科","organizationLevel": "三级甲等"}},"Article": {"summaryContent": "脚踝是踝关节及其外周包裹的肌肉、韧带、软组织及皮肤机构,是小腿与足部连接的关节部位。

1、结构:踝关节是由足部的距骨滑车与胫、腓骨的下端构成,由关节囊包裹,两侧有韧带加强。内侧为三角韧带,外侧三韧带均比较薄弱,从前往后分别是距腓前韧带、跟腓韧带及距腓后韧带。
2、功能:脚踝能进行背伸和跖屈运动。距骨滑车前端较宽后面窄,当背伸时,滑车前部嵌入关节窝内,关节较稳定。但在跖屈时,由于较窄的滑车后部进入关节窝内,足部能作轻微的侧方运动,造成关节不稳定,因此踝关节扭伤时,多发生在跖屈的情况下。观察行走时后足和脚踝的运动状态,评估踝关节背屈和跖屈、步幅及足部离地对称性,可以有助于判断踝关节扭伤或关节炎导致的踝关节活动受限程度。
脚踝是日常运动锻炼时容易损伤的部位,比较常见的主要是软组织、韧带扭伤、挫伤。如运动后出现脚踝肿胀及疼痛,应及时进行冰敷、适当制动,并到医院就诊确定损伤情况。
","articleBody": "脚踝是踝关节及其外周包裹的肌肉、韧带、软组织及皮肤机构,是小腿与足部连接的关节部位。

1、结构:踝关节是由足部的距骨滑车与胫、腓骨的下端构成,由关节囊包裹,两侧有韧带加强。内侧为三角韧带,外侧三韧带均比较薄弱,从前往后分别是距腓前韧带、跟腓韧带及距腓后韧带。
2、功能:脚踝能进行背伸和跖屈运动。距骨滑车前端较宽后面窄,当背伸时,滑车前部嵌入关节窝内,关节较稳定。但在跖屈时,由于较窄的滑车后部进入关节窝内,足部能作轻微的侧方运动,造成关节不稳定,因此踝关节扭伤时,多发生在跖屈的情况下。观察行走时后足和脚踝的运动状态,评估踝关节背屈和跖屈、步幅及足部离地对称性,可以有助于判断踝关节扭伤或关节炎导致的踝关节活动受限程度。
脚踝是日常运动锻炼时容易损伤的部位,比较常见的主要是软组织、韧带扭伤、挫伤。如运动后出现脚踝肿胀及疼痛,应及时进行冰敷、适当制动,并到医院就诊确定损伤情况。
","scanCount": 7174}}} {"@context": "https://ziyuan.baidu.com/contexts/cambrian.jsonld","appid": "1650708455561748","icon": "https://www.med-credit.org.cn/style/images/ttlogo.png","content_tag": ["atlas"],"is_mcn": {"thumb_id": "6s1phww1w"},"accid": "4886d626a2804dee5f11168793ce361672f39c25","@id": "https://www.med-credit.org.cn/mobile/jingxuan/2/94ec8f0fe4be93380a86ba080033ccf4.html","bagWordId": "711dba7a427f34d5","title": "正确揉筋包的方法图片","pubDate": "2025-03-06T15:32:01","upDate": "2025-03-06T15:32:01","lrDate": "2025-03-06T15:32:01","description": "筋包通常指的是腱鞘囊肿,是人体筋腱组织增生的俗称,最容易出现在膝盖、小腿前、关节处,筋包可以通过物理疗法进行治疗,即用手挤压囊肿,将其内容物压回腱鞘,也叫做揉筋包。","data": {"WebPage": {"headline": "正确揉筋包的方法图片","pcUrl": "https://www.med-credit.org.cn/jingxuan/2/94ec8f0fe4be93380a86ba080033ccf4.html","wapUrl": "https://www.med-credit.org.cn/jingxuan/2/94ec8f0fe4be93380a86ba080033ccf4.html","mipUrl": "https://www.med-credit.org.cn/mobile/jingxuan/2/94ec8f0fe4be93380a86ba080033ccf4.html","fromSrc": "欢乐橙","datePublished": "2025-03-06T15:32:01","domain": "医疗","category": ["医疗权威文章合作"],"description": "筋包通常指的是腱鞘囊肿,是人体筋腱组织增生的俗称,最容易出现在膝盖、小腿前、关节处,筋包可以通过物理疗法进行治疗,即用手挤压囊肿,将其内容物压回腱鞘,也叫做揉筋包。
","extra_headline": [""]},"Author": {"name": "王维","wapUrl": "https://www.med-credit.org.cn/doctor/513","pcUrl": "https://www.med-credit.org.cn/doctor/513","jobTitle": "主治医师","headPortrait": "https://www.med-credit.org.cn/uploadfile/member/513/180x180.jpeg","id": "513","description": "王维,中国医科大学附属盛京医院骨科主治医师","memberOf": {"legalName": "中国医科大学附属盛京医院","department": "骨科","organizationLevel": "三级甲等"}},"Article": {"summaryContent": "筋包通常指的是腱鞘囊肿,是人体筋腱组织增生的俗称,最容易出现在膝盖、小腿前、关节处,筋包可以通过物理疗法进行治疗,即用手挤压囊肿,将其内容物压回腱鞘,也叫做揉筋包。


利用手指在腱鞘囊肿处反复进行按摩,从腱鞘囊肿底部向关节间隙进行推挤,并坚持每天重复按摩两次,每日最少进行十五分钟,并且配合跌打损伤的药物,以及用热毛巾进行局部热敷,直到腱鞘囊肿消失为止。此方法虽然看起来简单,但是进行起来不仅很疼,而且治疗后的复发率也高,还会增加后期手术的难度。
产生腱鞘囊肿的患者如果没有进行及时处理,随着时间的延长,腱鞘囊肿的体积会逐渐增大,从而压迫周围组织、血管、器官,引起严重的后果。所以产生腱鞘囊肿后要及时进行处理,建议去医院就诊,通过彩超等项目检查并分析病情,在医生的指导下进行相应处理。
","articleBody": "筋包通常指的是腱鞘囊肿,是人体筋腱组织增生的俗称,最容易出现在膝盖、小腿前、关节处,筋包可以通过物理疗法进行治疗,即用手挤压囊肿,将其内容物压回腱鞘,也叫做揉筋包。


利用手指在腱鞘囊肿处反复进行按摩,从腱鞘囊肿底部向关节间隙进行推挤,并坚持每天重复按摩两次,每日最少进行十五分钟,并且配合跌打损伤的药物,以及用热毛巾进行局部热敷,直到腱鞘囊肿消失为止。此方法虽然看起来简单,但是进行起来不仅很疼,而且治疗后的复发率也高,还会增加后期手术的难度。
产生腱鞘囊肿的患者如果没有进行及时处理,随着时间的延长,腱鞘囊肿的体积会逐渐增大,从而压迫周围组织、血管、器官,引起严重的后果。所以产生腱鞘囊肿后要及时进行处理,建议去医院就诊,通过彩超等项目检查并分析病情,在医生的指导下进行相应处理。
","scanCount": 32537}}} {"@context": "https://ziyuan.baidu.com/contexts/cambrian.jsonld","appid": "1650708455561748","icon": "https://www.med-credit.org.cn/style/images/ttlogo.png","content_tag": ["atlas"],"is_mcn": {"thumb_id": "ay28xrnt0"},"accid": "4886d626a2804dee5f11168793ce361672f39c25","@id": "https://www.med-credit.org.cn/mobile/jingxuan/2/e0d941d707132c55949f7009bd0cbdfb.html","bagWordId": "f66592bec1f33d91","title": "儿童牙齿腐蚀初期图片","pubDate": "2025-03-06T15:32:01","upDate": "2025-03-06T15:32:01","lrDate": "2025-03-06T15:32:01","description": "儿童牙齿腐蚀初期根据病因不同,症状也有所不同,临床上考虑儿童患有先天釉质发育不全,也可能与不良喂养习惯、牙齿清洁不到位、唾液分泌过少等有关。","data": {"WebPage": {"headline": "儿童牙齿腐蚀初期图片","pcUrl": "https://www.med-credit.org.cn/jingxuan/2/e0d941d707132c55949f7009bd0cbdfb.html","wapUrl": "https://www.med-credit.org.cn/jingxuan/2/e0d941d707132c55949f7009bd0cbdfb.html","mipUrl": "https://www.med-credit.org.cn/mobile/jingxuan/2/e0d941d707132c55949f7009bd0cbdfb.html","fromSrc": "欢乐橙","datePublished": "2025-03-06T15:32:01","domain": "医疗","category": ["医疗权威文章合作"],"description": "儿童牙齿腐蚀初期根据病因不同,症状也有所不同,临床上考虑儿童患有先天釉质发育不全,也可能与不良喂养习惯、牙齿清洁不到位、唾液分泌过少等有关。
","extra_headline": [""]},"Author": {"name": "李斯文","wapUrl": "https://www.med-credit.org.cn/doctor/546","pcUrl": "https://www.med-credit.org.cn/doctor/546","jobTitle": "主治医师","headPortrait": "https://www.med-credit.org.cn/uploadfile/member/546/180x180.jpeg","id": "546","description": "李斯文,中国医科大学附属口腔医院口腔科主治医师","memberOf": {"legalName": "中国医科大学附属口腔医院","department": "口腔科","organizationLevel": "三级甲等"}},"Article": {"summaryContent": "儿童牙齿腐蚀初期根据病因不同,症状也有所不同,临床上考虑儿童患有先天釉质发育不全,也可能与不良喂养习惯、牙齿清洁不到位、唾液分泌过少等有关。

1、先天性釉质发育不全:孕妇感染风疹等,可使胎儿形成釉质发育不全,初期表现为患儿乳牙釉质发育不全,表面有带状、窝状的棕色凹面,乳牙易磨耗,易龋坏。此时,应对父母行口腔卫生宣教,建议给宝宝刷牙,应用氟化物涂擦或用树脂充填,防止磨耗及继发龋形成。

2、不良喂养习惯、牙齿清洁不到位:主要是不良的喂养习惯和未及时进行有效牙齿清洁造成,如含奶瓶入睡,夜奶时间长、延长母乳喂养时间等,俗称“奶瓶龋”。初期表现为乳前牙唇面、邻面快速进展的环形龋坏。患儿父母需定期清洁患儿牙齿,保持口腔卫生,断夜奶,必要时行去腐、充填龋坏等治疗。
3、唾液分泌过少:唾液能够减少细菌在口腔内的聚集,起到冲刷口腔的作用。如果儿童长期喝水较少或存在某种疾病,导致口腔内唾液分泌减少,即可造成大量细菌滋生,从而使牙齿受到腐蚀。应注意摄取足够的水份,有利于唾液的生成。
除了上述相对常见的原因外,还有可能是儿童牙齿受外伤后导致牙齿缺损,之后又未及时治疗,导致细菌感染牙髓或牙周,进而导致出现牙齿腐蚀的情况。
儿童牙齿腐蚀应及早就诊明确病因及诊断,在专业医师指导下对症处理。
","articleBody": "儿童牙齿腐蚀初期根据病因不同,症状也有所不同,临床上考虑儿童患有先天釉质发育不全,也可能与不良喂养习惯、牙齿清洁不到位、唾液分泌过少等有关。

1、先天性釉质发育不全:孕妇感染风疹等,可使胎儿形成釉质发育不全,初期表现为患儿乳牙釉质发育不全,表面有带状、窝状的棕色凹面,乳牙易磨耗,易龋坏。此时,应对父母行口腔卫生宣教,建议给宝宝刷牙,应用氟化物涂擦或用树脂充填,防止磨耗及继发龋形成。

2、不良喂养习惯、牙齿清洁不到位:主要是不良的喂养习惯和未及时进行有效牙齿清洁造成,如含奶瓶入睡,夜奶时间长、延长母乳喂养时间等,俗称“奶瓶龋”。初期表现为乳前牙唇面、邻面快速进展的环形龋坏。患儿父母需定期清洁患儿牙齿,保持口腔卫生,断夜奶,必要时行去腐、充填龋坏等治疗。
3、唾液分泌过少:唾液能够减少细菌在口腔内的聚集,起到冲刷口腔的作用。如果儿童长期喝水较少或存在某种疾病,导致口腔内唾液分泌减少,即可造成大量细菌滋生,从而使牙齿受到腐蚀。应注意摄取足够的水份,有利于唾液的生成。
除了上述相对常见的原因外,还有可能是儿童牙齿受外伤后导致牙齿缺损,之后又未及时治疗,导致细菌感染牙髓或牙周,进而导致出现牙齿腐蚀的情况。
儿童牙齿腐蚀应及早就诊明确病因及诊断,在专业医师指导下对症处理。
","scanCount": 32531}}} {"@context": "https://ziyuan.baidu.com/contexts/cambrian.jsonld","appid": "1650708455561748","icon": "https://www.med-credit.org.cn/style/images/ttlogo.png","content_tag": ["atlas"],"is_mcn": {"thumb_id": "6s1phww1w"},"accid": "4886d626a2804dee5f11168793ce361672f39c25","@id": "https://www.med-credit.org.cn/mobile/jingxuan/2/011695f7ae2268a7de6afb686d02d1b4.html","bagWordId": "b63d018e9f395c5f","title": "跖骨是哪个部位图片","pubDate": "2025-03-06T15:32:01","upDate": "2025-03-06T15:32:01","lrDate": "2025-03-06T15:32:01","description": "跖骨是足骨的中间部分,前方有趾骨,后方有跗骨,属于长骨,由内侧向外侧分别为第1~5跖骨。","data": {"WebPage": {"headline": "跖骨是哪个部位图片","pcUrl": "https://www.med-credit.org.cn/jingxuan/2/011695f7ae2268a7de6afb686d02d1b4.html","wapUrl": "https://www.med-credit.org.cn/jingxuan/2/011695f7ae2268a7de6afb686d02d1b4.html","mipUrl": "https://www.med-credit.org.cn/mobile/jingxuan/2/011695f7ae2268a7de6afb686d02d1b4.html","fromSrc": "欢乐橙","datePublished": "2025-03-06T15:32:01","domain": "医疗","category": ["医疗权威文章合作"],"description": "跖骨是足骨的中间部分,前方有趾骨,后方有跗骨,属于长骨,由内侧向外侧分别为第1~5跖骨。
","extra_headline": ["跖骨是哪个部位"]},"Author": {"name": "王维","wapUrl": "https://www.med-credit.org.cn/doctor/513","pcUrl": "https://www.med-credit.org.cn/doctor/513","jobTitle": "主治医师","headPortrait": "https://www.med-credit.org.cn/uploadfile/member/513/180x180.jpeg","id": "513","description": "王维,中国医科大学附属盛京医院骨科主治医师","memberOf": {"legalName": "中国医科大学附属盛京医院","department": "骨科","organizationLevel": "三级甲等"}},"Article": {"summaryContent": "跖骨是足骨的中间部分,前方有趾骨,后方有跗骨,属于长骨,由内侧向外侧分别为第1~5跖骨。

跖骨属于长骨,分一体两端,是组成足的中间部分,第1~5跖骨的形状和排列大致与掌骨相当,但是比掌骨粗大。
每一跖骨近端为底,与跗骨相接,中部为体,远端为头,与趾骨相接。
跖骨底分别与跗骨的前面构成跗跖关节。
第5跖骨底向后突出,称为第5跖骨粗隆,在体表可触摸到。
1、负重功能
2、形成足弓必不可少的部分
3、参与构成跗跖关节和跖趾关节,完成关节运动
1、足部疼痛
2、足部皮温升高
3、足部皮肤破溃、流脓
1、跖骨骨折
2、跖骨肿瘤
3、骨髓炎
1、补钙:对于中老年人,尤其是绝经后的妇女,因雌激素水平下降而容易发生骨质疏松,建议定期体检,根据医生的建议补充钙,同时治疗骨质疏松。
2、合理运动:在自身耐受范围内进行适当、合理的运动,可以帮助维持骨骼的正常功能。
","articleBody": "跖骨是足骨的中间部分,前方有趾骨,后方有跗骨,属于长骨,由内侧向外侧分别为第1~5跖骨。

跖骨属于长骨,分一体两端,是组成足的中间部分,第1~5跖骨的形状和排列大致与掌骨相当,但是比掌骨粗大。
每一跖骨近端为底,与跗骨相接,中部为体,远端为头,与趾骨相接。
跖骨底分别与跗骨的前面构成跗跖关节。
第5跖骨底向后突出,称为第5跖骨粗隆,在体表可触摸到。
1、负重功能
2、形成足弓必不可少的部分
3、参与构成跗跖关节和跖趾关节,完成关节运动
1、足部疼痛
2、足部皮温升高
3、足部皮肤破溃、流脓
1、跖骨骨折
2、跖骨肿瘤
3、骨髓炎
1、补钙:对于中老年人,尤其是绝经后的妇女,因雌激素水平下降而容易发生骨质疏松,建议定期体检,根据医生的建议补充钙,同时治疗骨质疏松。
2、合理运动:在自身耐受范围内进行适当、合理的运动,可以帮助维持骨骼的正常功能。
","scanCount": 6770}}} {"@context": "https://ziyuan.baidu.com/contexts/cambrian.jsonld","appid": "1650708455561748","icon": "https://www.med-credit.org.cn/style/images/ttlogo.png","content_tag": ["atlas"],"is_mcn": {"thumb_id": "ay28xrnt0"},"accid": "4886d626a2804dee5f11168793ce361672f39c25","@id": "https://www.med-credit.org.cn/mobile/jingxuan/2/988d66796793b9de79d2250ef599e37a.html","bagWordId": "daf8880dfdb7f3e0","title": "闭嘴时牙齿正确咬合图","pubDate": "2025-03-06T15:32:01","upDate": "2025-03-06T15:32:01","lrDate": "2025-03-06T15:32:01","description": "闭嘴时牙齿正确咬合的标准有排列整齐,上下颌咬合正常,牙齿邻接关系正常,上下颌骨正常,肌肉正常,关节正常,下颌功能运动正常,面部正常。","data": {"WebPage": {"headline": "闭嘴时牙齿正确咬合图","pcUrl": "https://www.med-credit.org.cn/jingxuan/2/988d66796793b9de79d2250ef599e37a.html","wapUrl": "https://www.med-credit.org.cn/jingxuan/2/988d66796793b9de79d2250ef599e37a.html","mipUrl": "https://www.med-credit.org.cn/mobile/jingxuan/2/988d66796793b9de79d2250ef599e37a.html","fromSrc": "欢乐橙","datePublished": "2025-03-06T15:32:01","domain": "医疗","category": ["医疗权威文章合作"],"description": "闭嘴时牙齿正确咬合的标准有排列整齐,上下颌咬合正常,牙齿邻接关系正常,上下颌骨正常,肌肉正常,关节正常,下颌功能运动正常,面部正常。
","extra_headline": ["闭嘴时牙齿正确咬合"]},"Author": {"name": "李斯文","wapUrl": "https://www.med-credit.org.cn/doctor/546","pcUrl": "https://www.med-credit.org.cn/doctor/546","jobTitle": "主治医师","headPortrait": "https://www.med-credit.org.cn/uploadfile/member/546/180x180.jpeg","id": "546","description": "李斯文,中国医科大学附属口腔医院口腔科主治医师","memberOf": {"legalName": "中国医科大学附属口腔医院","department": "口腔科","organizationLevel": "三级甲等"}},"Article": {"summaryContent": "闭嘴时牙齿正确咬合的标准有排列整齐,上下颌咬合正常,牙齿邻接关系正常,上下颌骨正常,肌肉正常,关节正常,下颌功能运动正常,面部正常。

1、排列整齐:牙的尺寸、形状都很正常,排列也很整齐。
2、上下颌咬合正常:上下颌牙齿咬合关系很正常,上下牙齿尖窝相对整齐且接触广泛,覆合、覆盖都很正常。
3、牙齿邻接关系正常:每一颗牙齿的邻接关系都很正常,上下牙弓的形状、长度和宽度都适合,且沿中心线两端对齐。
4、上下颌骨正常:上下颌骨的尺寸、形状及相对位置关系都很正常。
5、肌肉正常:面部及口周肌肉的生长发育和功能都很正常。
6、关节正常:颞下颌关节的结构及功能都很正常。
7、下颌功能运动正常:下颌功能运动时能做到平衡和闭口都为正中关系。
8、面部正常:面部形状对称、协调、美观。
若出现闭嘴时牙齿不正确咬合的症状,应及时到医院就诊,明确病因并采取相应的治疗措施。
","articleBody": "闭嘴时牙齿正确咬合的标准有排列整齐,上下颌咬合正常,牙齿邻接关系正常,上下颌骨正常,肌肉正常,关节正常,下颌功能运动正常,面部正常。

1、排列整齐:牙的尺寸、形状都很正常,排列也很整齐。
2、上下颌咬合正常:上下颌牙齿咬合关系很正常,上下牙齿尖窝相对整齐且接触广泛,覆合、覆盖都很正常。
3、牙齿邻接关系正常:每一颗牙齿的邻接关系都很正常,上下牙弓的形状、长度和宽度都适合,且沿中心线两端对齐。
4、上下颌骨正常:上下颌骨的尺寸、形状及相对位置关系都很正常。
5、肌肉正常:面部及口周肌肉的生长发育和功能都很正常。
6、关节正常:颞下颌关节的结构及功能都很正常。
7、下颌功能运动正常:下颌功能运动时能做到平衡和闭口都为正中关系。
8、面部正常:面部形状对称、协调、美观。
若出现闭嘴时牙齿不正确咬合的症状,应及时到医院就诊,明确病因并采取相应的治疗措施。
","scanCount": 8506}}} {"@context": "https://ziyuan.baidu.com/contexts/cambrian.jsonld","appid": "1650708455561748","icon": "https://www.med-credit.org.cn/style/images/ttlogo.png","content_tag": ["atlas"],"is_mcn": {"thumb_id": "ay28xrnt0"},"accid": "4886d626a2804dee5f11168793ce361672f39c25","@id": "https://www.med-credit.org.cn/mobile/jingxuan/2/e1be98bdf93e416f6b9a87b6b6e02518.html","bagWordId": "e38b23f6901b4b2b","title": "正常头型和方颅的区别图片","pubDate": "2025-03-06T15:32:01","upDate": "2025-03-06T15:32:01","lrDate": "2025-03-06T15:32:01","description": "正常头型和方颅的区别主要表现在外形和形成方式上。正常头型常呈圆弧形,没有棱角,前囟和骨缝通常在宝宝出生六个月后开始闭合,此时会出现弧度清晰的圆弧状头颅。","data": {"WebPage": {"headline": "正常头型和方颅的区别图片","pcUrl": "https://www.med-credit.org.cn/jingxuan/2/e1be98bdf93e416f6b9a87b6b6e02518.html","wapUrl": "https://www.med-credit.org.cn/jingxuan/2/e1be98bdf93e416f6b9a87b6b6e02518.html","mipUrl": "https://www.med-credit.org.cn/mobile/jingxuan/2/e1be98bdf93e416f6b9a87b6b6e02518.html","fromSrc": "欢乐橙","datePublished": "2025-03-06T15:32:01","domain": "医疗","category": ["医疗权威文章合作"],"description": "正常头型和方颅的区别主要表现在外形和形成方式上。正常头型常呈圆弧形,没有棱角,前囟和骨缝通常在宝宝出生六个月后开始闭合,此时会出现弧度清晰的圆弧状头颅。
","extra_headline": ["正常头型和方颅的区别"]},"Author": {"name": "李斯文","wapUrl": "https://www.med-credit.org.cn/doctor/546","pcUrl": "https://www.med-credit.org.cn/doctor/546","jobTitle": "主治医师","headPortrait": "https://www.med-credit.org.cn/uploadfile/member/546/180x180.jpeg","id": "546","description": "李斯文,中国医科大学附属口腔医院口腔科主治医师","memberOf": {"legalName": "中国医科大学附属口腔医院","department": "口腔科","organizationLevel": "三级甲等"}},"Article": {"summaryContent": "正常头型和方颅的区别主要表现在外形和形成方式上。正常头型常呈圆弧形,没有棱角,前囟和骨缝通常在宝宝出生六个月后开始闭合,此时会出现弧度清晰的圆弧状头颅。
方颅又称乒乓头,主要表现为小儿头颅额部(额头)前凸,颞部(耳朵上方)向两侧凸出,头顶部扁平呈方形。小儿佝偻病、先天性梅毒等患儿通常会出现方颅。


方颅是因为缺钙引起的。方颅的形成并不是骨质真正的沉积,而是大量类骨质的堆积。由于骨骼缺少钙,软骨出现发育不良,不能钙化,不能沉积,额骨、顶骨、枕骨的类骨质增生而形成了以上的畸形。
3-6个月婴儿出现方颅多伴有颅骨软化,头颅时颅骨内陷,放松后颅骨弹回,恢复原样。6个月以上的孩子方颅多伴有前臂及小腿长骨的远端肥厚的骨骼形成的环状隆起,类似手镯或脚镯状。8、9个月以上的婴儿,其两侧额骨、顶骨骨膜下骨样组织堆积过多,可形成方颅。
方颅的治疗方法主要为维生素D的补充,多外出晒太阳,保持每天2小时以上,通常不建议直接吃钙片,因为母乳和奶粉里面都含有钙,方颅主要是钙的合成和吸收有问题。
","articleBody": "正常头型和方颅的区别主要表现在外形和形成方式上。正常头型常呈圆弧形,没有棱角,前囟和骨缝通常在宝宝出生六个月后开始闭合,此时会出现弧度清晰的圆弧状头颅。
方颅又称乒乓头,主要表现为小儿头颅额部(额头)前凸,颞部(耳朵上方)向两侧凸出,头顶部扁平呈方形。小儿佝偻病、先天性梅毒等患儿通常会出现方颅。


方颅是因为缺钙引起的。方颅的形成并不是骨质真正的沉积,而是大量类骨质的堆积。由于骨骼缺少钙,软骨出现发育不良,不能钙化,不能沉积,额骨、顶骨、枕骨的类骨质增生而形成了以上的畸形。
3-6个月婴儿出现方颅多伴有颅骨软化,头颅时颅骨内陷,放松后颅骨弹回,恢复原样。6个月以上的孩子方颅多伴有前臂及小腿长骨的远端肥厚的骨骼形成的环状隆起,类似手镯或脚镯状。8、9个月以上的婴儿,其两侧额骨、顶骨骨膜下骨样组织堆积过多,可形成方颅。
方颅的治疗方法主要为维生素D的补充,多外出晒太阳,保持每天2小时以上,通常不建议直接吃钙片,因为母乳和奶粉里面都含有钙,方颅主要是钙的合成和吸收有问题。
","scanCount": 8849}}} {"@context": "https://ziyuan.baidu.com/contexts/cambrian.jsonld","appid": "1650708455561748","icon": "https://www.med-credit.org.cn/style/images/ttlogo.png","content_tag": ["atlas"],"is_mcn": {"thumb_id": "6s1phww1w"},"accid": "4886d626a2804dee5f11168793ce361672f39c25","@id": "https://www.med-credit.org.cn/mobile/jingxuan/2/82de826331370770df6234b69ac39424.html","bagWordId": "d7152810ce908730","title": "怎样判断自己骨盆前倾图片","pubDate": "2025-03-06T15:32:01","upDate": "2025-03-06T15:32:01","lrDate": "2025-03-06T15:32:01","description": "判断自己骨盆前倾的方法有观察腹部和臀部,观察髂前上棘,贴墙站立,三角平面测试。","data": {"WebPage": {"headline": "怎样判断自己骨盆前倾图片","pcUrl": "https://www.med-credit.org.cn/jingxuan/2/82de826331370770df6234b69ac39424.html","wapUrl": "https://www.med-credit.org.cn/jingxuan/2/82de826331370770df6234b69ac39424.html","mipUrl": "https://www.med-credit.org.cn/mobile/jingxuan/2/82de826331370770df6234b69ac39424.html","fromSrc": "欢乐橙","datePublished": "2025-03-06T15:32:01","domain": "医疗","category": ["医疗权威文章合作"],"description": "判断自己骨盆前倾的方法有观察腹部和臀部,观察髂前上棘,贴墙站立,三角平面测试。
","extra_headline": ["怎样判断自己骨盆前倾"]},"Author": {"name": "王维","wapUrl": "https://www.med-credit.org.cn/doctor/513","pcUrl": "https://www.med-credit.org.cn/doctor/513","jobTitle": "主治医师","headPortrait": "https://www.med-credit.org.cn/uploadfile/member/513/180x180.jpeg","id": "513","description": "王维,中国医科大学附属盛京医院骨科主治医师","memberOf": {"legalName": "中国医科大学附属盛京医院","department": "骨科","organizationLevel": "三级甲等"}},"Article": {"summaryContent": "判断自己骨盆前倾的方法有观察腹部和臀部,观察髂前上棘,贴墙站立,三角平面测试。

1、观察腹部和臀部:如果存在骨盆前倾,患者的表现有腹部会明显向前突出,而臀部向后突出和明显下垂,站立位时最为明显。
2、观察髂前上棘:处于站立位或平卧位时,正常情况下的双侧髂前上棘和耻骨联合三点会组成一个等腰三角形,而且也会处于同一个平面上,如果用手触摸髂前上棘,发现其高出耻骨联合,说明可能存在骨盆前倾。
3、贴墙站立:处于站立位时,将枕后、背部、臀部和脚踝后方均紧贴在墙面上,正常情况下,腰部与墙壁间的缝隙只能刚好通过一个手掌的厚度,如果腰椎和墙壁之间很容易通过一个拳头的厚度,这说明很有可能存在骨盆前倾。
4、三角平面测试:两手自然放在小腹上,掌根位于双侧的髂前上棘,同时将大拇指和四指指尖相对而放,中指放在耻骨的正上方,两手合拢成一个倒三角形,若三角形垂直于地面,则骨盆正常,若三角形掌根位置高于手指的,则说明可能存在骨盆前倾。
","articleBody": "判断自己骨盆前倾的方法有观察腹部和臀部,观察髂前上棘,贴墙站立,三角平面测试。

1、观察腹部和臀部:如果存在骨盆前倾,患者的表现有腹部会明显向前突出,而臀部向后突出和明显下垂,站立位时最为明显。
2、观察髂前上棘:处于站立位或平卧位时,正常情况下的双侧髂前上棘和耻骨联合三点会组成一个等腰三角形,而且也会处于同一个平面上,如果用手触摸髂前上棘,发现其高出耻骨联合,说明可能存在骨盆前倾。
3、贴墙站立:处于站立位时,将枕后、背部、臀部和脚踝后方均紧贴在墙面上,正常情况下,腰部与墙壁间的缝隙只能刚好通过一个手掌的厚度,如果腰椎和墙壁之间很容易通过一个拳头的厚度,这说明很有可能存在骨盆前倾。
4、三角平面测试:两手自然放在小腹上,掌根位于双侧的髂前上棘,同时将大拇指和四指指尖相对而放,中指放在耻骨的正上方,两手合拢成一个倒三角形,若三角形垂直于地面,则骨盆正常,若三角形掌根位置高于手指的,则说明可能存在骨盆前倾。
","scanCount": 6677}}} {"@context": "https://ziyuan.baidu.com/contexts/cambrian.jsonld","appid": "1650708455561748","icon": "https://www.med-credit.org.cn/style/images/ttlogo.png","content_tag": ["atlas"],"is_mcn": {"thumb_id": "6s1phww1w"},"accid": "4886d626a2804dee5f11168793ce361672f39c25","@id": "https://www.med-credit.org.cn/mobile/jingxuan/2/3dc2fb373b57ad68770f5cfafac561a2.html","bagWordId": "40f8bd1c3d8504bf","title": "梨状肌最佳睡姿图","pubDate": "2025-03-06T15:32:01","upDate": "2025-03-06T15:32:01","lrDate": "2025-03-06T15:32:01","description": "梨状肌综合征的睡觉姿势可以采取仰卧位,双腿可稍微外旋,使梨状肌处于放松状态,缓解疼痛症状。","data": {"WebPage": {"headline": "梨状肌最佳睡姿图","pcUrl": "https://www.med-credit.org.cn/jingxuan/2/3dc2fb373b57ad68770f5cfafac561a2.html","wapUrl": "https://www.med-credit.org.cn/jingxuan/2/3dc2fb373b57ad68770f5cfafac561a2.html","mipUrl": "https://www.med-credit.org.cn/mobile/jingxuan/2/3dc2fb373b57ad68770f5cfafac561a2.html","fromSrc": "欢乐橙","datePublished": "2025-03-06T15:32:01","domain": "医疗","category": ["医疗权威文章合作"],"description": "梨状肌综合征的睡觉姿势可以采取仰卧位,双腿可稍微外旋,使梨状肌处于放松状态,缓解疼痛症状。
","extra_headline": ["梨状肌最佳睡姿"]},"Author": {"name": "王维","wapUrl": "https://www.med-credit.org.cn/doctor/513","pcUrl": "https://www.med-credit.org.cn/doctor/513","jobTitle": "主治医师","headPortrait": "https://www.med-credit.org.cn/uploadfile/member/513/180x180.jpeg","id": "513","description": "王维,中国医科大学附属盛京医院骨科主治医师","memberOf": {"legalName": "中国医科大学附属盛京医院","department": "骨科","organizationLevel": "三级甲等"}},"Article": {"summaryContent": "梨状肌综合征的睡觉姿势可以采取仰卧位,双腿可稍微外旋,使梨状肌处于放松状态,缓解疼痛症状。

1、病因、症状:梨状肌综合征是由于外力因素损伤梨状肌,导致梨状肌局部充血、水肿、肌痉挛等,进而刺激或压迫坐骨神经而导致产生臀部疼痛,活动受限,并伴有下肢放射痛、麻等一系列症状的综合征。症状严重时会导致患者不能行走或行走一段距离后因疼痛剧烈,需休息片刻后才能继续行走。
2、睡姿选择:梨状肌综合征严重时会影响睡眠,可通过调整睡姿来缓解疼痛。一般建议患者采取仰卧位,尽量不要选择侧卧位,以免牵拉到疼痛的梨状肌。睡觉时建议下肢轻微外旋,大概30度左右,这样可以使梨状肌放松,缓解症状,注意不要分开太多,以免加重疼痛。
梨状肌综合征的治疗,需要避免局部压迫,不要长时间站立,可通过局部热敷,中医按摩、针灸等治疗改善症状;也可以进行局部封闭治疗;还可遵医嘱口服非甾体类抗炎药、营养神经药物等,如布洛芬、甲钴胺等。保守治疗无效的,可考虑手术治疗。
","articleBody": "梨状肌综合征的睡觉姿势可以采取仰卧位,双腿可稍微外旋,使梨状肌处于放松状态,缓解疼痛症状。

1、病因、症状:梨状肌综合征是由于外力因素损伤梨状肌,导致梨状肌局部充血、水肿、肌痉挛等,进而刺激或压迫坐骨神经而导致产生臀部疼痛,活动受限,并伴有下肢放射痛、麻等一系列症状的综合征。症状严重时会导致患者不能行走或行走一段距离后因疼痛剧烈,需休息片刻后才能继续行走。
2、睡姿选择:梨状肌综合征严重时会影响睡眠,可通过调整睡姿来缓解疼痛。一般建议患者采取仰卧位,尽量不要选择侧卧位,以免牵拉到疼痛的梨状肌。睡觉时建议下肢轻微外旋,大概30度左右,这样可以使梨状肌放松,缓解症状,注意不要分开太多,以免加重疼痛。
梨状肌综合征的治疗,需要避免局部压迫,不要长时间站立,可通过局部热敷,中医按摩、针灸等治疗改善症状;也可以进行局部封闭治疗;还可遵医嘱口服非甾体类抗炎药、营养神经药物等,如布洛芬、甲钴胺等。保守治疗无效的,可考虑手术治疗。
","scanCount": 9823}}} {"@context": "https://ziyuan.baidu.com/contexts/cambrian.jsonld","appid": "1650708455561748","icon": "https://www.med-credit.org.cn/style/images/ttlogo.png","content_tag": ["atlas"],"is_mcn": {"thumb_id": "6s37k24n"},"accid": "4886d626a2804dee5f11168793ce361672f39c25","@id": "https://www.med-credit.org.cn/mobile/jingxuan/2/3d6841c319bdfa8bd3a0945e35374ede.html","bagWordId": "23e3e3806461035d","title": "半夏图片","pubDate": "2025-03-06T15:32:01","upDate": "2025-03-06T15:32:01","lrDate": "2025-03-06T15:32:01","description": "半夏是一种温化寒痰药,可化痰止咳平喘。","data": {"WebPage": {"headline": "半夏图片","pcUrl": "https://www.med-credit.org.cn/jingxuan/2/3d6841c319bdfa8bd3a0945e35374ede.html","wapUrl": "https://www.med-credit.org.cn/jingxuan/2/3d6841c319bdfa8bd3a0945e35374ede.html","mipUrl": "https://www.med-credit.org.cn/mobile/jingxuan/2/3d6841c319bdfa8bd3a0945e35374ede.html","fromSrc": "欢乐橙","datePublished": "2025-03-06T15:32:01","domain": "医疗","category": ["医疗权威文章合作"],"description": "半夏是一种温化寒痰药,可化痰止咳平喘。
","extra_headline": [""]},"Author": {"name": "王成阳","wapUrl": "https://www.med-credit.org.cn/doctor/574","pcUrl": "https://www.med-credit.org.cn/doctor/574","jobTitle": "副主任医师","headPortrait": "https://www.med-credit.org.cn/uploadfile/member/574/180x180.jpeg","id": "574","description": "王成阳,安徽医科大学附属巢湖医院中医科副主任医师","memberOf": {"legalName": "安徽医科大学附属巢湖医院","department": "中医科","organizationLevel": "三级甲等"}},"Article": {"summaryContent": "半夏是一种温化寒痰药,可化痰止咳平喘。

1、形状:药用半夏为天南星科多年生草本植物半夏的块茎,呈类球形或稍偏斜,表面白色或浅黄色,顶端有凹陷的茎痕,周围密布麻点状根痕;下端钝圆较光滑。质坚实,断面洁白,富粉性。其原生植物生叶1-4枚,叶柄下部有一白色或棕色珠芽。

2、生长地:半夏主要产于四川、湖南、安徽、贵州等地。在夏秋两季茎叶茂盛时采挖,将外皮和根须去除,洗净晒干,为“生半夏”;经白矾制者为“清半夏”;经生姜、白矾制者为“姜半夏”;经石灰制者为“法半夏”。

3、类似物:市场上有相当一部分商家将水半夏冒充半夏兜售,水半夏为鞭檐梨头尖的干燥块茎,呈类圆锥形、半圆形或椭圆形,直径0.5-1.5cm,表面类白色至棕黄色,并有多数隐约可见的细小根痕;顶端上端钝圆较光滑,有凸起的叶痕或茎痕,下端略尖似梨头。注意与半夏相鉴别。
半夏具有燥湿化痰、降逆止呕、消痞散结之功效。与陈皮、茯苓等同用可用于湿痰阻肺、咳嗽痰多;配生姜、黄连等用于胃气上逆、恶心呕吐;半夏还可用于痰热阻滞、心下痞满以及瘿瘤、痰核、疮疡肿痛、毒蛇咬伤等。多用清半夏消痞和胃,而降逆止呕多用姜半夏,法半夏用于燥湿化痰。消肿散结多外用生半夏。半夏和乌头不可同用。阴虚燥咳、热痰、燥痰及咳血者需慎用半夏。
","articleBody": "半夏是一种温化寒痰药,可化痰止咳平喘。

1、形状:药用半夏为天南星科多年生草本植物半夏的块茎,呈类球形或稍偏斜,表面白色或浅黄色,顶端有凹陷的茎痕,周围密布麻点状根痕;下端钝圆较光滑。质坚实,断面洁白,富粉性。其原生植物生叶1-4枚,叶柄下部有一白色或棕色珠芽。

2、生长地:半夏主要产于四川、湖南、安徽、贵州等地。在夏秋两季茎叶茂盛时采挖,将外皮和根须去除,洗净晒干,为“生半夏”;经白矾制者为“清半夏”;经生姜、白矾制者为“姜半夏”;经石灰制者为“法半夏”。

3、类似物:市场上有相当一部分商家将水半夏冒充半夏兜售,水半夏为鞭檐梨头尖的干燥块茎,呈类圆锥形、半圆形或椭圆形,直径0.5-1.5cm,表面类白色至棕黄色,并有多数隐约可见的细小根痕;顶端上端钝圆较光滑,有凸起的叶痕或茎痕,下端略尖似梨头。注意与半夏相鉴别。
半夏具有燥湿化痰、降逆止呕、消痞散结之功效。与陈皮、茯苓等同用可用于湿痰阻肺、咳嗽痰多;配生姜、黄连等用于胃气上逆、恶心呕吐;半夏还可用于痰热阻滞、心下痞满以及瘿瘤、痰核、疮疡肿痛、毒蛇咬伤等。多用清半夏消痞和胃,而降逆止呕多用姜半夏,法半夏用于燥湿化痰。消肿散结多外用生半夏。半夏和乌头不可同用。阴虚燥咳、热痰、燥痰及咳血者需慎用半夏。
","scanCount": 32498}}} {"@context": "https://ziyuan.baidu.com/contexts/cambrian.jsonld","appid": "1650708455561748","icon": "https://www.med-credit.org.cn/style/images/ttlogo.png","content_tag": ["atlas"],"is_mcn": {"thumb_id": "ay28xrnt0"},"accid": "4886d626a2804dee5f11168793ce361672f39c25","@id": "https://www.med-credit.org.cn/mobile/jingxuan/2/7871682d47c8c88a0933b9527019638d.html","bagWordId": "c30a4c4a3d48b13d","title": "儿童换牙顺序图28颗","pubDate": "2025-03-06T15:32:01","upDate": "2025-03-06T15:32:01","lrDate": "2025-03-06T15:32:01","description": "儿童换牙顺序是:5~7岁,上下颌第一磨牙萌出;6~7岁,下颌中切牙萌出;7~8岁,上颌中切牙和下颌侧切牙萌出;8~10岁,上颌侧切牙萌出;10~12岁,下颌尖牙、上下颌第一前磨牙萌出;11~13岁,上颌尖牙、上下颌第二前磨牙萌出。","data": {"WebPage": {"headline": "儿童换牙顺序图28颗","pcUrl": "https://www.med-credit.org.cn/jingxuan/2/7871682d47c8c88a0933b9527019638d.html","wapUrl": "https://www.med-credit.org.cn/jingxuan/2/7871682d47c8c88a0933b9527019638d.html","mipUrl": "https://www.med-credit.org.cn/mobile/jingxuan/2/7871682d47c8c88a0933b9527019638d.html","fromSrc": "欢乐橙","datePublished": "2025-03-06T15:32:01","domain": "医疗","category": ["医疗权威文章合作"],"description": "儿童换牙顺序是:5~7岁,上下颌第一磨牙萌出;6~7岁,下颌中切牙萌出;7~8岁,上颌中切牙和下颌侧切牙萌出;8~10岁,上颌侧切牙萌出;10~12岁,下颌尖牙、上下颌第一前磨牙萌出;11~13岁,上颌尖牙、上下颌第二前磨牙萌出。
","extra_headline": ["儿童换牙顺序28颗"]},"Author": {"name": "李斯文","wapUrl": "https://www.med-credit.org.cn/doctor/546","pcUrl": "https://www.med-credit.org.cn/doctor/546","jobTitle": "主治医师","headPortrait": "https://www.med-credit.org.cn/uploadfile/member/546/180x180.jpeg","id": "546","description": "李斯文,中国医科大学附属口腔医院口腔科主治医师","memberOf": {"legalName": "中国医科大学附属口腔医院","department": "口腔科","organizationLevel": "三级甲等"}},"Article": {"summaryContent": "儿童换牙顺序是:5~7岁,上下颌第一磨牙萌出;6~7岁,下颌中切牙萌出;7~8岁,上颌中切牙和下颌侧切牙萌出;8~10岁,上颌侧切牙萌出;10~12岁,下颌尖牙、上下颌第一前磨牙萌出;11~13岁,上颌尖牙、上下颌第二前磨牙萌出;11~14岁,下颌第二磨牙萌出;12~14岁,上颌第二磨牙萌出;第三磨牙多于17—26岁萌出。

1、天然牙:人一生可有两副天然牙,幼年萌出为乳牙,乳牙经过换牙再萌出的为恒牙。乳牙与恒牙的替换多发生于6—12岁,一般左右两侧同名牙齿同时期萌出,上下同名牙齿,下颌牙齿较上颌早。
2、乳牙:乳牙有20颗,上、下颌的左右侧各有5颗。由中线向两侧分别为:乳中切牙、乳侧切牙、乳尖牙、第一乳磨牙、第二乳磨牙。约在2岁半左右全部萌出。
3、恒牙:恒牙共有28—32颗。其由中线向两侧分别:中切牙4颗,侧切牙4颗,尖牙4颗,第一磨牙4颗,第二磨牙4颗,第三磨牙4颗,第四磨牙4颗。恒牙数目因人而异,并不固定。
换牙过程中也会发生乳牙滞留的情况,对于滞留牙床的乳牙,如有碍恒牙萌出,或是牙尖外露造成口腔黏膜出现溃疡了,此时需要前往口腔科进行滞留乳牙的拔除,而对于如先天恒牙缺失、或埋伏也就是不萌发,而乳牙功能尚且良好的情况,可予保留乳牙,以替代恒牙的功能。
","articleBody": "儿童换牙顺序是:5~7岁,上下颌第一磨牙萌出;6~7岁,下颌中切牙萌出;7~8岁,上颌中切牙和下颌侧切牙萌出;8~10岁,上颌侧切牙萌出;10~12岁,下颌尖牙、上下颌第一前磨牙萌出;11~13岁,上颌尖牙、上下颌第二前磨牙萌出;11~14岁,下颌第二磨牙萌出;12~14岁,上颌第二磨牙萌出;第三磨牙多于17—26岁萌出。

1、天然牙:人一生可有两副天然牙,幼年萌出为乳牙,乳牙经过换牙再萌出的为恒牙。乳牙与恒牙的替换多发生于6—12岁,一般左右两侧同名牙齿同时期萌出,上下同名牙齿,下颌牙齿较上颌早。
2、乳牙:乳牙有20颗,上、下颌的左右侧各有5颗。由中线向两侧分别为:乳中切牙、乳侧切牙、乳尖牙、第一乳磨牙、第二乳磨牙。约在2岁半左右全部萌出。
3、恒牙:恒牙共有28—32颗。其由中线向两侧分别:中切牙4颗,侧切牙4颗,尖牙4颗,第一磨牙4颗,第二磨牙4颗,第三磨牙4颗,第四磨牙4颗。恒牙数目因人而异,并不固定。
换牙过程中也会发生乳牙滞留的情况,对于滞留牙床的乳牙,如有碍恒牙萌出,或是牙尖外露造成口腔黏膜出现溃疡了,此时需要前往口腔科进行滞留乳牙的拔除,而对于如先天恒牙缺失、或埋伏也就是不萌发,而乳牙功能尚且良好的情况,可予保留乳牙,以替代恒牙的功能。
","scanCount": 6315}}} {"@context": "https://ziyuan.baidu.com/contexts/cambrian.jsonld","appid": "1650708455561748","icon": "https://www.med-credit.org.cn/style/images/ttlogo.png","content_tag": ["atlas"],"is_mcn": {"thumb_id": "g76756sx"},"accid": "4886d626a2804dee5f11168793ce361672f39c25","@id": "https://www.med-credit.org.cn/mobile/jingxuan/2/02e7361a5e58aefed4073cc2e7f8ce26.html","bagWordId": "16c5446c02e4fced","title": "脚底对应的五脏六腑图","pubDate": "2025-03-06T15:32:01","upDate": "2025-03-06T15:32:01","lrDate": "2025-03-06T15:32:01","description": "脚底对应的五脏六腑是指脚底反射区对应的脏腑的位置,通过这些位置可以反映脏腑的生理病理信息。","data": {"WebPage": {"headline": "脚底对应的五脏六腑图","pcUrl": "https://www.med-credit.org.cn/jingxuan/2/02e7361a5e58aefed4073cc2e7f8ce26.html","wapUrl": "https://www.med-credit.org.cn/jingxuan/2/02e7361a5e58aefed4073cc2e7f8ce26.html","mipUrl": "https://www.med-credit.org.cn/mobile/jingxuan/2/02e7361a5e58aefed4073cc2e7f8ce26.html","fromSrc": "欢乐橙","datePublished": "2025-03-06T15:32:01","domain": "医疗","category": ["医疗权威文章合作"],"description": "脚底对应的五脏六腑是指脚底反射区对应的脏腑的位置,通过这些位置可以反映脏腑的生理病理信息。
","extra_headline": ["脚底对应的五脏六腑"]},"Author": {"name": "张婷","wapUrl": "https://www.med-credit.org.cn/doctor/555","pcUrl": "https://www.med-credit.org.cn/doctor/555","jobTitle": "副主任医师","headPortrait": "https://www.med-credit.org.cn/uploadfile/member/555/180x180.jpeg","id": "555","description": "张婷,中南大学湘雅三医院中西医结合科副主任医师","memberOf": {"legalName": "中南大学湘雅三医院","department": "中西医结合科","organizationLevel": "三级甲等"}},"Article": {"summaryContent": "脚底对应的五脏六腑是指脚底反射区对应的脏腑的位置,通过这些位置可以反映脏腑的生理病理信息。

1.五脏六腑:五脏是指心、肝、脾、肾、肺,六腑是指胃、胆、三焦、膀胱、大肠、小肠。五脏六腑常常统称人体内脏器官。人体的脏腑在脚底都有对应的反射区,通过按摩或刺激这些反射区,既可以诊断疾病,也可以治疗疾病。
2.脚底对应位置:心在脚底的位置为腕横纹尺侧端,尺侧腕屈肌腱的桡侧凹陷中;肝在足背,第一、二跖骨底之间凹陷中;脾在第一跖骨小头后缘,赤白肉际;肾在内踝与跟腱之间凹陷中;肺在掌后横纹桡侧端,桡动脉桡侧凹陷中;胃在足背高处,第二、三趾间的缝纹端上5寸;胆在外踝前下方,趾长伸肌腱外侧凹陷中等等。
脚底基础按摩手法有拇指指腹按压法或点按法、单食指叩拳法、刮压法、双指夹压法等。虽然脚底按摩好处多多,但对按摩手法及脏腑定位的要求还是比较高的,建议找专业人士按摩。
","articleBody": "脚底对应的五脏六腑是指脚底反射区对应的脏腑的位置,通过这些位置可以反映脏腑的生理病理信息。

1.五脏六腑:五脏是指心、肝、脾、肾、肺,六腑是指胃、胆、三焦、膀胱、大肠、小肠。五脏六腑常常统称人体内脏器官。人体的脏腑在脚底都有对应的反射区,通过按摩或刺激这些反射区,既可以诊断疾病,也可以治疗疾病。
2.脚底对应位置:心在脚底的位置为腕横纹尺侧端,尺侧腕屈肌腱的桡侧凹陷中;肝在足背,第一、二跖骨底之间凹陷中;脾在第一跖骨小头后缘,赤白肉际;肾在内踝与跟腱之间凹陷中;肺在掌后横纹桡侧端,桡动脉桡侧凹陷中;胃在足背高处,第二、三趾间的缝纹端上5寸;胆在外踝前下方,趾长伸肌腱外侧凹陷中等等。
脚底基础按摩手法有拇指指腹按压法或点按法、单食指叩拳法、刮压法、双指夹压法等。虽然脚底按摩好处多多,但对按摩手法及脏腑定位的要求还是比较高的,建议找专业人士按摩。
","scanCount": 7494}}} {"@context": "https://ziyuan.baidu.com/contexts/cambrian.jsonld","appid": "1650708455561748","icon": "https://www.med-credit.org.cn/style/images/ttlogo.png","content_tag": ["atlas"],"is_mcn": {"thumb_id": "6s37k24n"},"accid": "4886d626a2804dee5f11168793ce361672f39c25","@id": "https://www.med-credit.org.cn/mobile/jingxuan/2/ddd241e37f506299036934dab76768f7.html","bagWordId": "826e10d2af7dfe40","title": "金钱草图片","pubDate": "2025-03-06T15:32:01","upDate": "2025-03-06T15:32:01","lrDate": "2025-03-06T15:32:01","description": "金钱草是一种利尿祛湿的中药材,入药部分是报春花科植物过路黄的全草。","data": {"WebPage": {"headline": "金钱草图片","pcUrl": "https://www.med-credit.org.cn/jingxuan/2/ddd241e37f506299036934dab76768f7.html","wapUrl": "https://www.med-credit.org.cn/jingxuan/2/ddd241e37f506299036934dab76768f7.html","mipUrl": "https://www.med-credit.org.cn/mobile/jingxuan/2/ddd241e37f506299036934dab76768f7.html","fromSrc": "欢乐橙","datePublished": "2025-03-06T15:32:01","domain": "医疗","category": ["医疗权威文章合作"],"description": "金钱草是一种利尿祛湿的中药材,入药部分是报春花科植物过路黄的全草。
","extra_headline": [""]},"Author": {"name": "王成阳","wapUrl": "https://www.med-credit.org.cn/doctor/574","pcUrl": "https://www.med-credit.org.cn/doctor/574","jobTitle": "副主任医师","headPortrait": "https://www.med-credit.org.cn/uploadfile/member/574/180x180.jpeg","id": "574","description": "王成阳,安徽医科大学附属巢湖医院中医科副主任医师","memberOf": {"legalName": "安徽医科大学附属巢湖医院","department": "中医科","organizationLevel": "三级甲等"}},"Article": {"summaryContent": "金钱草是一种利尿祛湿的中药材,入药部分是报春花科植物过路黄的全草。

1、形状:金钱草主要产于四川,通常在夏、秋两季采收。本品茎扭曲,常缠结成团,呈棕色或暗棕红色,有纵纹,下部茎节上有时具须根,断面实心。

2、功效:此药性微寒、清热,味甘、咸。主要功效是利尿通淋,利湿退黄,消肿解毒。主要用于治疗肝胆湿热引起的黄疸,单用或搭配茵陈、大黄、郁金等,可以缓解肝胆结石导致的胆胀胁痛。与鸡内金、海金沙、琥珀配伍,能通淋排石,为中医治疗石淋的重要药物。能解热毒,对蛇毒也有一定作用,适用于热毒疮疡、毒蛇咬伤等。
3、成分:现代医学研究该药品的主要成分发现,本品含槲皮素和山柰素,可能是其活性成分。
金钱草的使用方法可内服或外用,可单用,也能根据病症配伍其他中药材,如野菊花、紫花地丁、蒲公英等同时使用。一般内服用鲜品捣出汁液或干燥草药煎服,也可捣碎用渣外敷。使用鲜品时剂量通常需要加倍。
","articleBody": "金钱草是一种利尿祛湿的中药材,入药部分是报春花科植物过路黄的全草。

1、形状:金钱草主要产于四川,通常在夏、秋两季采收。本品茎扭曲,常缠结成团,呈棕色或暗棕红色,有纵纹,下部茎节上有时具须根,断面实心。

2、功效:此药性微寒、清热,味甘、咸。主要功效是利尿通淋,利湿退黄,消肿解毒。主要用于治疗肝胆湿热引起的黄疸,单用或搭配茵陈、大黄、郁金等,可以缓解肝胆结石导致的胆胀胁痛。与鸡内金、海金沙、琥珀配伍,能通淋排石,为中医治疗石淋的重要药物。能解热毒,对蛇毒也有一定作用,适用于热毒疮疡、毒蛇咬伤等。
3、成分:现代医学研究该药品的主要成分发现,本品含槲皮素和山柰素,可能是其活性成分。
金钱草的使用方法可内服或外用,可单用,也能根据病症配伍其他中药材,如野菊花、紫花地丁、蒲公英等同时使用。一般内服用鲜品捣出汁液或干燥草药煎服,也可捣碎用渣外敷。使用鲜品时剂量通常需要加倍。
","scanCount": 32462}}} {"@context": "https://ziyuan.baidu.com/contexts/cambrian.jsonld","appid": "1650708455561748","icon": "https://www.med-credit.org.cn/style/images/ttlogo.png","content_tag": ["atlas"],"is_mcn": {"thumb_id": "g76756sx"},"accid": "4886d626a2804dee5f11168793ce361672f39c25","@id": "https://www.med-credit.org.cn/mobile/jingxuan/2/53977477b3325ce7cac4b1395324b3f3.html","bagWordId": "bec5c364cc8a999a","title": "茵陈图片","pubDate": "2025-03-06T15:32:01","upDate": "2025-03-06T15:32:01","lrDate": "2025-03-06T15:32:01","description": "茵陈亦称茵陈蒿、滨蒿、白蒿、绒蒿等,为菊科植物滨蒿或茵陈蒿的干燥地上部分,具有清利湿热、利胆退黄之功效。","data": {"WebPage": {"headline": "茵陈图片","pcUrl": "https://www.med-credit.org.cn/jingxuan/2/53977477b3325ce7cac4b1395324b3f3.html","wapUrl": "https://www.med-credit.org.cn/jingxuan/2/53977477b3325ce7cac4b1395324b3f3.html","mipUrl": "https://www.med-credit.org.cn/mobile/jingxuan/2/53977477b3325ce7cac4b1395324b3f3.html","fromSrc": "欢乐橙","datePublished": "2025-03-06T15:32:01","domain": "医疗","category": ["医疗权威文章合作"],"description": "茵陈亦称茵陈蒿、滨蒿、白蒿、绒蒿等,为菊科植物滨蒿或茵陈蒿的干燥地上部分,具有清利湿热、利胆退黄之功效。
","extra_headline": ["茵陈"]},"Author": {"name": "张婷","wapUrl": "https://www.med-credit.org.cn/doctor/555","pcUrl": "https://www.med-credit.org.cn/doctor/555","jobTitle": "副主任医师","headPortrait": "https://www.med-credit.org.cn/uploadfile/member/555/180x180.jpeg","id": "555","description": "张婷,中南大学湘雅三医院中西医结合科副主任医师","memberOf": {"legalName": "中南大学湘雅三医院","department": "中西医结合科","organizationLevel": "三级甲等"}},"Article": {"summaryContent": "茵陈亦称茵陈蒿、滨蒿、白蒿、绒蒿等,为菊科植物滨蒿或茵陈蒿的干燥地上部分,具有清利湿热、利胆退黄之功效。
1.形状:茵陈是多年生宿根草本植物,初春幼苗从老根发出,基生叶呈莲座状,密集着生,两面密生灰白色的绵毛;叶片羽状全裂,小裂片狭线形,与其他多种蒿类近似,所以多地称其为白蒿。

2.功效:茵陈味苦、辛,性微寒,可以清利湿热、利胆退黄,主治黄疸尿少、湿温暑湿、湿疮瘙痒。从中医学角度来看,茵陈用于治疗黄疸时,可根据黄疸的多种证型配伍不同的中药:用于湿热阳黄,黄色鲜明者时,常与栀子、黄柏、大黄等配伍应用。从现代药理学研究来看,茵陈具有解热、镇痛、抗炎、抗病毒、抗肿瘤、降血压、调血脂等药理作用。
茵陈在临床使用上可进行煎服。可煎煮内服或煎汤熏洗外用。同时对于蓄血发黄及血虚萎黄患者慎用茵陈。
","articleBody": "茵陈亦称茵陈蒿、滨蒿、白蒿、绒蒿等,为菊科植物滨蒿或茵陈蒿的干燥地上部分,具有清利湿热、利胆退黄之功效。
1.形状:茵陈是多年生宿根草本植物,初春幼苗从老根发出,基生叶呈莲座状,密集着生,两面密生灰白色的绵毛;叶片羽状全裂,小裂片狭线形,与其他多种蒿类近似,所以多地称其为白蒿。

2.功效:茵陈味苦、辛,性微寒,可以清利湿热、利胆退黄,主治黄疸尿少、湿温暑湿、湿疮瘙痒。从中医学角度来看,茵陈用于治疗黄疸时,可根据黄疸的多种证型配伍不同的中药:用于湿热阳黄,黄色鲜明者时,常与栀子、黄柏、大黄等配伍应用。从现代药理学研究来看,茵陈具有解热、镇痛、抗炎、抗病毒、抗肿瘤、降血压、调血脂等药理作用。
茵陈在临床使用上可进行煎服。可煎煮内服或煎汤熏洗外用。同时对于蓄血发黄及血虚萎黄患者慎用茵陈。
","scanCount": 9616}}} {"@context": "https://ziyuan.baidu.com/contexts/cambrian.jsonld","appid": "1650708455561748","icon": "https://www.med-credit.org.cn/style/images/ttlogo.png","content_tag": ["atlas"],"is_mcn": {"thumb_id": "e4oal99d"},"accid": "4886d626a2804dee5f11168793ce361672f39c25","@id": "https://www.med-credit.org.cn/mobile/jingxuan/2/be842d63ac7b78d03b21c809d98b2db6.html","bagWordId": "83398014406a1525","title": "扁桃体肿大一度二度三度图片","pubDate": "2025-03-06T15:32:01","upDate": "2025-03-06T15:32:01","lrDate": "2025-03-06T15:32:01","description": "扁桃体肿大一度症状一般不明显。","data": {"WebPage": {"headline": "扁桃体肿大一度二度三度图片","pcUrl": "https://www.med-credit.org.cn/jingxuan/2/be842d63ac7b78d03b21c809d98b2db6.html","wapUrl": "https://www.med-credit.org.cn/jingxuan/2/be842d63ac7b78d03b21c809d98b2db6.html","mipUrl": "https://www.med-credit.org.cn/mobile/jingxuan/2/be842d63ac7b78d03b21c809d98b2db6.html","fromSrc": "欢乐橙","datePublished": "2025-03-06T15:32:01","domain": "医疗","category": ["医疗权威文章合作"],"description": "扁桃体肿大一度症状一般不明显。
","extra_headline": ["扁桃体肿大一度二度三度"]},"Author": {"name": "谢洪","wapUrl": "https://www.med-credit.org.cn/doctor/538","pcUrl": "https://www.med-credit.org.cn/doctor/538","jobTitle": "副主任医师","headPortrait": "https://www.med-credit.org.cn/uploadfile/member/538/180x180.jpeg","id": "538","description": "谢洪,首都医科大学附属北京世纪坛医院耳鼻喉头颈外科副主任医师","memberOf": {"legalName": "首都医科大学附属北京世纪坛医院","department": "耳鼻喉头颈外科","organizationLevel": "三级甲等"}},"Article": {"summaryContent": "扁桃体肿大一度症状一般不明显。
二度肿大会影响呼吸道而出现睡觉打鼾的症状,严重时会出现憋气的情况
三度肿大常表现为张口呼吸、睡觉打鼾、吞咽障碍等,情况较严重。
总结:扁桃体肿大多数是因为细菌或病毒感染造成扁桃体产生免疫炎症反应,常表现为扁桃体腺体红肿,增大,在扁桃体窝内可见黄白色分泌物,多伴有咽部黏膜充血、水肿,扁桃体肿大可分为以下三度。

1、一度:不超过咽腭弓者为Ⅰ度。临床上并没有明显症状,但若经常反复出现慢性炎症,严重时会出现吞咽剧痛的情况。
2、二度:超过咽腭弓但未到咽后壁中线者为Ⅱ度。临床症状主要表现为腺体肿大影响呼吸道造成睡觉打鼾,严重时还可出现憋气的情况,吞咽时异物感明显并伴有疼痛。
3、三度:达到或超过咽后壁中线者为Ⅲ度。由于腺体肿大过度,常导致吞咽困难以及睡觉时鼾声明显还伴有憋气,严重影响日常生活。
建议立即寻医就诊,判断具体的病情,然后针对性治疗,扁桃体肿大达三度还伴随并发病出现可考虑手术切除扁桃体。
","articleBody": "扁桃体肿大一度症状一般不明显。
二度肿大会影响呼吸道而出现睡觉打鼾的症状,严重时会出现憋气的情况
三度肿大常表现为张口呼吸、睡觉打鼾、吞咽障碍等,情况较严重。
总结:扁桃体肿大多数是因为细菌或病毒感染造成扁桃体产生免疫炎症反应,常表现为扁桃体腺体红肿,增大,在扁桃体窝内可见黄白色分泌物,多伴有咽部黏膜充血、水肿,扁桃体肿大可分为以下三度。

1、一度:不超过咽腭弓者为Ⅰ度。临床上并没有明显症状,但若经常反复出现慢性炎症,严重时会出现吞咽剧痛的情况。
2、二度:超过咽腭弓但未到咽后壁中线者为Ⅱ度。临床症状主要表现为腺体肿大影响呼吸道造成睡觉打鼾,严重时还可出现憋气的情况,吞咽时异物感明显并伴有疼痛。
3、三度:达到或超过咽后壁中线者为Ⅲ度。由于腺体肿大过度,常导致吞咽困难以及睡觉时鼾声明显还伴有憋气,严重影响日常生活。
建议立即寻医就诊,判断具体的病情,然后针对性治疗,扁桃体肿大达三度还伴随并发病出现可考虑手术切除扁桃体。
","scanCount": 5596}}} {"@context": "https://ziyuan.baidu.com/contexts/cambrian.jsonld","appid": "1650708455561748","icon": "https://www.med-credit.org.cn/style/images/ttlogo.png","content_tag": ["atlas"],"is_mcn": {"thumb_id": "6s37k24n"},"accid": "4886d626a2804dee5f11168793ce361672f39c25","@id": "https://www.med-credit.org.cn/mobile/jingxuan/2/6862672bed2642c7774467a87598f4a9.html","bagWordId": "a2aa4ce037877324","title": "车前草图片","pubDate": "2025-03-06T15:32:01","upDate": "2025-03-06T15:32:01","lrDate": "2025-03-06T15:32:01","description": "车前草是车前科植物车前或平车前的干燥全草。叶片呈椭圆形,表面颜色呈灰绿色。","data": {"WebPage": {"headline": "车前草图片","pcUrl": "https://www.med-credit.org.cn/jingxuan/2/6862672bed2642c7774467a87598f4a9.html","wapUrl": "https://www.med-credit.org.cn/jingxuan/2/6862672bed2642c7774467a87598f4a9.html","mipUrl": "https://www.med-credit.org.cn/mobile/jingxuan/2/6862672bed2642c7774467a87598f4a9.html","fromSrc": "欢乐橙","datePublished": "2025-03-06T15:32:01","domain": "医疗","category": ["医疗权威文章合作"],"description": "车前草是车前科植物车前或平车前的干燥全草。叶片呈椭圆形,表面颜色呈灰绿色。
","extra_headline": [""]},"Author": {"name": "王成阳","wapUrl": "https://www.med-credit.org.cn/doctor/574","pcUrl": "https://www.med-credit.org.cn/doctor/574","jobTitle": "副主任医师","headPortrait": "https://www.med-credit.org.cn/uploadfile/member/574/180x180.jpeg","id": "574","description": "王成阳,安徽医科大学附属巢湖医院中医科副主任医师","memberOf": {"legalName": "安徽医科大学附属巢湖医院","department": "中医科","organizationLevel": "三级甲等"}},"Article": {"summaryContent": "车前草是车前科植物车前或平车前的干燥全草。叶片呈椭圆形,表面颜色呈灰绿色。
车前草生长分布多地,如山野、花园、河边等,具有清热解毒、祛痰等功效。


根丛生,须状。叶基生,具长柄;叶片皱缩,展平后呈卵状椭圆形或宽卵形,长6~13cm、宽2.5~8cm;表面颜色呈灰绿色或暗绿色,具有明显弧形脉5~7条;先端钝或短尖,基部宽楔形,全缘或有不规则波状齿形。穗状花序数条,花茎长,气微香,味微苦。车前草多生长在山野、路旁、花圃或菜园、河边湿地以及海拔1800m以下的山坡、田埂。
1.分布地区:几乎分布全国各地,但以北方为多。
2.相似植物:车前草与见血清两者外形相似,但是不是同一科的植物。车前草是车前科的,见血清是兰科。见血清的茎肥大,呈圆柱状,叶片青翠碧绿。见血清是止血药,具有清热解毒、凉血止血的功效。
3.功效作用:清热解毒,祛痰,凉血,利尿。主治水肿尿少,热淋涩痛,暑湿泻痢,痰热咳嗽,吐血衄血,痈肿疮痛。
4.服用方法:内服:可煎汤服用。外用:适量,煎水洗、捣烂敷或绞汁涂。
","articleBody": "车前草是车前科植物车前或平车前的干燥全草。叶片呈椭圆形,表面颜色呈灰绿色。
车前草生长分布多地,如山野、花园、河边等,具有清热解毒、祛痰等功效。


根丛生,须状。叶基生,具长柄;叶片皱缩,展平后呈卵状椭圆形或宽卵形,长6~13cm、宽2.5~8cm;表面颜色呈灰绿色或暗绿色,具有明显弧形脉5~7条;先端钝或短尖,基部宽楔形,全缘或有不规则波状齿形。穗状花序数条,花茎长,气微香,味微苦。车前草多生长在山野、路旁、花圃或菜园、河边湿地以及海拔1800m以下的山坡、田埂。
1.分布地区:几乎分布全国各地,但以北方为多。
2.相似植物:车前草与见血清两者外形相似,但是不是同一科的植物。车前草是车前科的,见血清是兰科。见血清的茎肥大,呈圆柱状,叶片青翠碧绿。见血清是止血药,具有清热解毒、凉血止血的功效。
3.功效作用:清热解毒,祛痰,凉血,利尿。主治水肿尿少,热淋涩痛,暑湿泻痢,痰热咳嗽,吐血衄血,痈肿疮痛。
4.服用方法:内服:可煎汤服用。外用:适量,煎水洗、捣烂敷或绞汁涂。
","scanCount": 32457}}} {"@context": "https://ziyuan.baidu.com/contexts/cambrian.jsonld","appid": "1650708455561748","icon": "https://www.med-credit.org.cn/style/images/ttlogo.png","content_tag": ["atlas"],"is_mcn": {"thumb_id": "6s1phww1w"},"accid": "4886d626a2804dee5f11168793ce361672f39c25","@id": "https://www.med-credit.org.cn/mobile/jingxuan/2/2025f6747acd4a681aaa061fa073ec01.html","bagWordId": "269_1558063598008274944","title": "宝宝缺钙胸骨突出图","pubDate": "2024-11-26T10:49:36","upDate": "2024-11-26T10:49:36","lrDate": "2024-11-26T10:49:36","description": "宝宝缺钙胸骨突出称为鸡胸,是佝偻病的表现之一。","data": {"WebPage": {"headline": "宝宝缺钙胸骨突出图","pcUrl": "https://www.med-credit.org.cn/jingxuan/2/2025f6747acd4a681aaa061fa073ec01.html","wapUrl": "https://www.med-credit.org.cn/jingxuan/2/2025f6747acd4a681aaa061fa073ec01.html","mipUrl": "https://www.med-credit.org.cn/mobile/jingxuan/2/2025f6747acd4a681aaa061fa073ec01.html","fromSrc": "欢乐橙","datePublished": "2024-11-26T10:49:36","domain": "医疗","category": ["医疗权威文章合作"],"description": "宝宝缺钙胸骨突出称为鸡胸,是佝偻病的表现之一。
","extra_headline": [""]},"Author": {"name": "王维","wapUrl": "https://www.med-credit.org.cn/doctor/513","pcUrl": "https://www.med-credit.org.cn/doctor/513","jobTitle": "主治医师","headPortrait": "https://www.med-credit.org.cn/uploadfile/member/513/180x180.jpeg","id": "513","description": "王维,中国医科大学附属盛京医院骨科主治医师","memberOf": {"legalName": "中国医科大学附属盛京医院","department": "骨科","organizationLevel": "三级甲等"}},"Article": {"summaryContent": "宝宝缺钙胸骨突出称为鸡胸,是佝偻病的表现之一。
缺钙可造成骨骼矿化不全及生长板结构破坏,将累及肌肉骨骼系统,引起胸廓骨骼变形。
佝偻病缺钙引起的胸骨突出畸形表现为胸腔前后径增加,胸壁运动小于正常。胸廓第7、8、9肋软骨软化内陷,使双侧肋骨与胸骨相连处呈对称性下陷,胸骨向外突出。胸廓前后径略长于左右径,侧壁向内凹陷,使胸廓呈鸡胸样畸形。部分患者在胸廓触诊时前胸壁畸形部位会有压痛。严重的鸡胸会使胸廓扩张受限,影响呼吸功能,引起呼吸困难等症状。

宝宝缺钙造成胸廓畸形时应根据血液指标及时补充维生素D及钙剂,以纠低血钙。严重的鸡胸会影响美观,是否治疗取决于缺陷的严重程度。轻度畸形的患者通常不需要进行干预治疗,中、重度者结合患者及家属的意愿,可选择佩戴矫正支具或手术等积极治疗方法。
","articleBody": "宝宝缺钙胸骨突出称为鸡胸,是佝偻病的表现之一。
缺钙可造成骨骼矿化不全及生长板结构破坏,将累及肌肉骨骼系统,引起胸廓骨骼变形。
佝偻病缺钙引起的胸骨突出畸形表现为胸腔前后径增加,胸壁运动小于正常。胸廓第7、8、9肋软骨软化内陷,使双侧肋骨与胸骨相连处呈对称性下陷,胸骨向外突出。胸廓前后径略长于左右径,侧壁向内凹陷,使胸廓呈鸡胸样畸形。部分患者在胸廓触诊时前胸壁畸形部位会有压痛。严重的鸡胸会使胸廓扩张受限,影响呼吸功能,引起呼吸困难等症状。

宝宝缺钙造成胸廓畸形时应根据血液指标及时补充维生素D及钙剂,以纠低血钙。严重的鸡胸会影响美观,是否治疗取决于缺陷的严重程度。轻度畸形的患者通常不需要进行干预治疗,中、重度者结合患者及家属的意愿,可选择佩戴矫正支具或手术等积极治疗方法。
","scanCount": }}} {"@context": "https://ziyuan.baidu.com/contexts/cambrian.jsonld","appid": "1650708455561748","icon": "https://www.med-credit.org.cn/style/images/ttlogo.png","content_tag": ["atlas"],"is_mcn": {"thumb_id": "3w128mji2"},"accid": "4886d626a2804dee5f11168793ce361672f39c25","@id": "https://www.med-credit.org.cn/mobile/jingxuan/2/dab960bb64eeda6212291c5b08f8baf7.html","bagWordId": "22_1526480563446222848","title": "手指发青图片","pubDate": "2023-10-13T10:35:41","upDate": "2023-10-13T10:35:41","lrDate": "2023-10-13T10:35:41","description": "手指发青可能是因为手指受到挤压或碰撞引起的。","data": {"WebPage": {"headline": "手指发青图片","pcUrl": "https://www.med-credit.org.cn/jingxuan/2/dab960bb64eeda6212291c5b08f8baf7.html","wapUrl": "https://www.med-credit.org.cn/jingxuan/2/dab960bb64eeda6212291c5b08f8baf7.html","mipUrl": "https://www.med-credit.org.cn/mobile/jingxuan/2/dab960bb64eeda6212291c5b08f8baf7.html","fromSrc": "欢乐橙","datePublished": "2023-10-13T10:35:41","domain": "医疗","category": ["医疗权威文章合作"],"description": "手指发青可能是因为手指受到挤压或碰撞引起的。
","extra_headline": [""]},"Author": {"name": "曲乐","wapUrl": "https://www.med-credit.org.cn/doctor/554","pcUrl": "https://www.med-credit.org.cn/doctor/554","jobTitle": "副主任医师","headPortrait": "https://www.med-credit.org.cn/uploadfile/member/554/180x180.jpeg","id": "554","description": "曲乐,副主任医师、医学博士、硕士研究生导师、美容主诊医师、公派留美访问学者。主持国家自然科学基金及省市课题多项,在国内外高水平专业杂志发表中英文论文20余篇,参编英文专著1部。现任辽宁省免疫学会委员。","memberOf": {"legalName": "中国医科大学附属第一医院","department": "皮肤科","organizationLevel": "三级甲等"}},"Article": {"summaryContent": "手指发青可能是因为手指受到挤压或碰撞引起的。
手指发青也可能是雷诺氏病导致的。
1.手指挤压或碰撞:

手指受到挤压或碰撞会导致手指毛细血管淤血闭塞,随后出现局部青紫症状,严重者因毛细血管闭塞,手指端供血受到影响,因供血不足手指出现缺氧情况,进而导致无氧代谢产物如乳酸蓄积,刺激手机神经,手指即感到肿胀伴疼痛。
2.雷诺氏病:

一般是手指毛细血管和动脉因气候寒冷或受压过久引起的变窄收缩引起的手指发青症状。此病较为常见,发病不受限于年龄段与性别,但女性相对男性更容易发病。且随着手指毛细血管重新舒张,血液重新开始循环,会引起手指一定程度的肿胀感,同时伴有随疼痛或刺痛。
1.如是因为手指挤压或碰撞引起的手指发青,可不予治疗,注意保护手指即可,大约一到两周可自行缓解。
2.如果是雷诺氏病引起的手指发青,无需治疗,缓解压力或温暖手指即可。
","articleBody": "手指发青可能是因为手指受到挤压或碰撞引起的。
手指发青也可能是雷诺氏病导致的。
1.手指挤压或碰撞:

手指受到挤压或碰撞会导致手指毛细血管淤血闭塞,随后出现局部青紫症状,严重者因毛细血管闭塞,手指端供血受到影响,因供血不足手指出现缺氧情况,进而导致无氧代谢产物如乳酸蓄积,刺激手机神经,手指即感到肿胀伴疼痛。
2.雷诺氏病:

一般是手指毛细血管和动脉因气候寒冷或受压过久引起的变窄收缩引起的手指发青症状。此病较为常见,发病不受限于年龄段与性别,但女性相对男性更容易发病。且随着手指毛细血管重新舒张,血液重新开始循环,会引起手指一定程度的肿胀感,同时伴有随疼痛或刺痛。
1.如是因为手指挤压或碰撞引起的手指发青,可不予治疗,注意保护手指即可,大约一到两周可自行缓解。
2.如果是雷诺氏病引起的手指发青,无需治疗,缓解压力或温暖手指即可。
","scanCount": 19905}}} {"@context": "https://ziyuan.baidu.com/contexts/cambrian.jsonld","appid": "1650708455561748","icon": "https://www.med-credit.org.cn/style/images/ttlogo.png","content_tag": ["atlas"],"is_mcn": {"thumb_id": "3w128mji2"},"accid": "4886d626a2804dee5f11168793ce361672f39c25","@id": "https://www.med-credit.org.cn/mobile/jingxuan/2/f27071bd2898a8a8ce3d7b577c7920f8.html","bagWordId": "fb7407ed7aac9dfa","title": "皮下出血图片","pubDate": "2023-10-13T10:35:41","upDate": "2023-10-13T10:35:41","lrDate": "2023-10-13T10:35:41","description": "皮下出血主要表现为在皮肤表面出现的紫色淤青,出血量的多少和出血范围的大小不同可导致淤青范围不同。","data": {"WebPage": {"headline": "皮下出血图片","pcUrl": "https://www.med-credit.org.cn/jingxuan/2/f27071bd2898a8a8ce3d7b577c7920f8.html","wapUrl": "https://www.med-credit.org.cn/jingxuan/2/f27071bd2898a8a8ce3d7b577c7920f8.html","mipUrl": "https://www.med-credit.org.cn/mobile/jingxuan/2/f27071bd2898a8a8ce3d7b577c7920f8.html","fromSrc": "欢乐橙","datePublished": "2023-10-13T10:35:41","domain": "医疗","category": ["医疗权威文章合作"],"description": "皮下出血主要表现为在皮肤表面出现的紫色淤青,出血量的多少和出血范围的大小不同可导致淤青范围不同。
","extra_headline": ["皮下出血"]},"Author": {"name": "曲乐","wapUrl": "https://www.med-credit.org.cn/doctor/554","pcUrl": "https://www.med-credit.org.cn/doctor/554","jobTitle": "副主任医师","headPortrait": "https://www.med-credit.org.cn/uploadfile/member/554/180x180.jpeg","id": "554","description": "曲乐,副主任医师、医学博士、硕士研究生导师、美容主诊医师、公派留美访问学者。主持国家自然科学基金及省市课题多项,在国内外高水平专业杂志发表中英文论文20余篇,参编英文专著1部。现任辽宁省免疫学会委员。","memberOf": {"legalName": "中国医科大学附属第一医院","department": "皮肤科","organizationLevel": "三级甲等"}},"Article": {"summaryContent": "皮下出血主要表现为在皮肤表面出现的紫色淤青,出血量的多少和出血范围的大小不同可导致淤青范围不同。
可能与外伤因素或者过敏因素有关,可根据病因采取相应的治疗方法。

皮下出血又称为紫癜,是由于皮下血管壁受损或其他原因导致血管内血液溢出。最早是呈现为鲜红色,后随时间推移变淡。如果出血较小,只能看到类似于瘀点状的小范围淤青,称为出血点;如果出血点的直径大于2---5mm则称为紫癜;如果皮下出血过多,直径大于5mm时称为瘀斑;还可能伴有皮肤隆起,称为血肿。
皮下出血的主要原因是外伤导致血管壁受损,还有可能是由过敏引起的过敏性紫癜,一些老年人由于其血管弹性减弱,脆性增加,也容易导致皮下出血。除了以上血管损伤的因素,血小板减少或血小板质量差也可能导致皮下出血。
如果是由于外伤导致,应采取冷敷,既可以迅速止血,还能缓解疼痛,48小时后,再采取热敷或使用活血化淤药物来加速淤血吸收。
如果是由于过敏导致应先远离过敏原,再使用一些消炎药或是抗过敏药,如异丙嗪等。
","articleBody": "皮下出血主要表现为在皮肤表面出现的紫色淤青,出血量的多少和出血范围的大小不同可导致淤青范围不同。
可能与外伤因素或者过敏因素有关,可根据病因采取相应的治疗方法。

皮下出血又称为紫癜,是由于皮下血管壁受损或其他原因导致血管内血液溢出。最早是呈现为鲜红色,后随时间推移变淡。如果出血较小,只能看到类似于瘀点状的小范围淤青,称为出血点;如果出血点的直径大于2---5mm则称为紫癜;如果皮下出血过多,直径大于5mm时称为瘀斑;还可能伴有皮肤隆起,称为血肿。
皮下出血的主要原因是外伤导致血管壁受损,还有可能是由过敏引起的过敏性紫癜,一些老年人由于其血管弹性减弱,脆性增加,也容易导致皮下出血。除了以上血管损伤的因素,血小板减少或血小板质量差也可能导致皮下出血。
如果是由于外伤导致,应采取冷敷,既可以迅速止血,还能缓解疼痛,48小时后,再采取热敷或使用活血化淤药物来加速淤血吸收。
如果是由于过敏导致应先远离过敏原,再使用一些消炎药或是抗过敏药,如异丙嗪等。
","scanCount": 5511}}} {"@context": "https://ziyuan.baidu.com/contexts/cambrian.jsonld","appid": "1650708455561748","icon": "https://www.med-credit.org.cn/style/images/ttlogo.png","content_tag": ["atlas"],"is_mcn": {"thumb_id": "lnsk06v2"},"accid": "4886d626a2804dee5f11168793ce361672f39c25","@id": "https://www.med-credit.org.cn/mobile/jingxuan/2/9d536e0bc9c2a98b3e0462c65974747b.html","bagWordId": "654_1585949908098093056","title": "耳朵轮廓上有红血丝图片","pubDate": "2023-08-31T15:05:55","upDate": "2023-08-31T15:05:55","lrDate": "2023-08-31T15:05:55","description": "耳朵轮廓上有红血丝通常是由于耳朵皮肤比较薄,皮肤表面有明显的小血管。","data": {"WebPage": {"headline": "耳朵轮廓上有红血丝图片","pcUrl": "https://www.med-credit.org.cn/jingxuan/2/9d536e0bc9c2a98b3e0462c65974747b.html","wapUrl": "https://www.med-credit.org.cn/jingxuan/2/9d536e0bc9c2a98b3e0462c65974747b.html","mipUrl": "https://www.med-credit.org.cn/mobile/jingxuan/2/9d536e0bc9c2a98b3e0462c65974747b.html","fromSrc": "欢乐橙","datePublished": "2023-08-31T15:05:55","domain": "医疗","category": ["医疗权威文章合作"],"description": "耳朵轮廓上有红血丝通常是由于耳朵皮肤比较薄,皮肤表面有明显的小血管。
","extra_headline": [""]},"Author": {"name": "王霞","wapUrl": "https://www.med-credit.org.cn/doctor/578","pcUrl": "https://www.med-credit.org.cn/doctor/578","jobTitle": "副主任医师","headPortrait": "https://www.med-credit.org.cn/uploadfile/member/578/180x180.jpeg","id": "578","description": "王霞,广州医科大学附属第一医院皮肤科副主任医师","memberOf": {"legalName": "广州医科大学附属第一医院","department": "皮肤科","organizationLevel": "三级甲等"}},"Article": {"summaryContent": "耳朵轮廓上有红血丝通常是由于耳朵皮肤比较薄,皮肤表面有明显的小血管。
耳朵轮廓上有红血丝有可能是毛细血管扩张或者外耳道管感染等原因引起的,可以采用药物或者是物理方法来改善,平时要注意生活以及饮食习惯。

1、毛细血管扩张:耳朵轮廓上有红血丝有可能是毛细血管扩张引起的,如果只是出现单纯的红血丝,一般是无需治疗,属于正常的现象,如果局部出现疼痛、红肿等不适症状时,可以遵医嘱采用物理方法来改善,比如脉冲染料激光、光子嫩肤等方法来改善。
2、外耳道管感染:如果耳朵轮廓上有红血丝,并且伴随着疼痛以及发热的症状,有可能是外耳道管感染引起的。建议患者要注意外耳道的清洁与干燥,避免用手抠挠耳朵,可以遵医嘱使用糠酸莫米松乳膏或者是新霉素软膏进行治疗。
在治疗期间要注意耳朵避免沾水,饮食上尽量以清淡为主,避免食用刺激、辛辣的食物。
","articleBody": "耳朵轮廓上有红血丝通常是由于耳朵皮肤比较薄,皮肤表面有明显的小血管。
耳朵轮廓上有红血丝有可能是毛细血管扩张或者外耳道管感染等原因引起的,可以采用药物或者是物理方法来改善,平时要注意生活以及饮食习惯。

1、毛细血管扩张:耳朵轮廓上有红血丝有可能是毛细血管扩张引起的,如果只是出现单纯的红血丝,一般是无需治疗,属于正常的现象,如果局部出现疼痛、红肿等不适症状时,可以遵医嘱采用物理方法来改善,比如脉冲染料激光、光子嫩肤等方法来改善。
2、外耳道管感染:如果耳朵轮廓上有红血丝,并且伴随着疼痛以及发热的症状,有可能是外耳道管感染引起的。建议患者要注意外耳道的清洁与干燥,避免用手抠挠耳朵,可以遵医嘱使用糠酸莫米松乳膏或者是新霉素软膏进行治疗。
在治疗期间要注意耳朵避免沾水,饮食上尽量以清淡为主,避免食用刺激、辛辣的食物。
","scanCount": 52685}}} {"@context": "https://ziyuan.baidu.com/contexts/cambrian.jsonld","appid": "1650708455561748","icon": "https://www.med-credit.org.cn/style/images/ttlogo.png","content_tag": ["atlas"],"is_mcn": {"thumb_id": "3w128mji2"},"accid": "4886d626a2804dee5f11168793ce361672f39c25","@id": "https://www.med-credit.org.cn/mobile/jingxuan/2/c086d6b1e140bb68a85e528ba462c8b9.html","bagWordId": "22_1526480545507184640","title": "黑指甲图片","pubDate": "2023-08-31T15:05:55","upDate": "2023-08-31T15:05:55","lrDate": "2023-08-31T15:05:55","description": "黑指甲又叫黑甲病,是指甲由于某些原因导致的外观颜色发黑,可能会伴有疼痛,破溃,甲缺失等,有极低的几率形成黑色素瘤。","data": {"WebPage": {"headline": "黑指甲图片","pcUrl": "https://www.med-credit.org.cn/jingxuan/2/c086d6b1e140bb68a85e528ba462c8b9.html","wapUrl": "https://www.med-credit.org.cn/jingxuan/2/c086d6b1e140bb68a85e528ba462c8b9.html","mipUrl": "https://www.med-credit.org.cn/mobile/jingxuan/2/c086d6b1e140bb68a85e528ba462c8b9.html","fromSrc": "欢乐橙","datePublished": "2023-08-31T15:05:55","domain": "医疗","category": ["医疗权威文章合作"],"description": "黑指甲又叫黑甲病,是指甲由于某些原因导致的外观颜色发黑,可能会伴有疼痛,破溃,甲缺失等,有极低的几率形成黑色素瘤。
","extra_headline": [""]},"Author": {"name": "曲乐","wapUrl": "https://www.med-credit.org.cn/doctor/554","pcUrl": "https://www.med-credit.org.cn/doctor/554","jobTitle": "副主任医师","headPortrait": "https://www.med-credit.org.cn/uploadfile/member/554/180x180.jpeg","id": "554","description": "曲乐,副主任医师、医学博士、硕士研究生导师、美容主诊医师、公派留美访问学者。主持国家自然科学基金及省市课题多项,在国内外高水平专业杂志发表中英文论文20余篇,参编英文专著1部。现任辽宁省免疫学会委员。","memberOf": {"legalName": "中国医科大学附属第一医院","department": "皮肤科","organizationLevel": "三级甲等"}},"Article": {"summaryContent": "黑指甲又叫黑甲病,是指甲由于某些原因导致的外观颜色发黑,可能会伴有疼痛,破溃,甲缺失等,有极低的几率形成黑色素瘤。
导致黑指甲的原因有很多,包括甲下血肿,黑素细胞增生、内分泌系统疾病、真菌感染等。

1.最常见的原因就是当指甲受到外伤导致指甲下发生出血时,由于血块淤积后变黑,最后发展为黑指甲,但是这种情况导致的黑甲一般不会出现整个指甲变黑的情况,而是指甲出现处的周围发黑。
2.受到真菌感染,比如皮肤癣菌感染所致,其中以红色毛癣菌感染最为常见。这种细菌可能通过很多途径传播,比如接触公共浴池或卫生条件差的泳池,以及饲养猫、狗等宠物。
3.黑素细胞增生,不管是良性还是恶性增生都能导致出现黑甲,单纯的色素沉着也可能导致。
1.如果是由于外伤导致的淤血,大多在一段时间内会被自行吸收。
2.如果是由于真菌感染导致的,需服用抗真菌药物,如灰黄霉素,或是外用软膏如曲安奈德益康唑乳膏。
3.由黑素细胞增生导致的建议前往医院检查。
","articleBody": "黑指甲又叫黑甲病,是指甲由于某些原因导致的外观颜色发黑,可能会伴有疼痛,破溃,甲缺失等,有极低的几率形成黑色素瘤。
导致黑指甲的原因有很多,包括甲下血肿,黑素细胞增生、内分泌系统疾病、真菌感染等。

1.最常见的原因就是当指甲受到外伤导致指甲下发生出血时,由于血块淤积后变黑,最后发展为黑指甲,但是这种情况导致的黑甲一般不会出现整个指甲变黑的情况,而是指甲出现处的周围发黑。
2.受到真菌感染,比如皮肤癣菌感染所致,其中以红色毛癣菌感染最为常见。这种细菌可能通过很多途径传播,比如接触公共浴池或卫生条件差的泳池,以及饲养猫、狗等宠物。
3.黑素细胞增生,不管是良性还是恶性增生都能导致出现黑甲,单纯的色素沉着也可能导致。
1.如果是由于外伤导致的淤血,大多在一段时间内会被自行吸收。
2.如果是由于真菌感染导致的,需服用抗真菌药物,如灰黄霉素,或是外用软膏如曲安奈德益康唑乳膏。
3.由黑素细胞增生导致的建议前往医院检查。
","scanCount": 19905}}} {"@context": "https://ziyuan.baidu.com/contexts/cambrian.jsonld","appid": "1650708455561748","icon": "https://www.med-credit.org.cn/style/images/ttlogo.png","content_tag": ["atlas"],"is_mcn": {"thumb_id": "lnsk06v2"},"accid": "4886d626a2804dee5f11168793ce361672f39c25","@id": "https://www.med-credit.org.cn/mobile/jingxuan/2/d8d6ac529faac4db7cf2ea6ce04f9d9d.html","bagWordId": "407_1570734604707434496","title": "良性头皮肿物图片","pubDate": "2023-03-29T17:23:13","upDate": "2023-03-29T17:23:13","lrDate": "2023-03-29T17:23:13","description": "良性头皮肿物是生长在头皮上的一种良性增生物,头皮的局部会有一定程度的隆起。","data": {"WebPage": {"headline": "良性头皮肿物图片","pcUrl": "https://www.med-credit.org.cn/jingxuan/2/d8d6ac529faac4db7cf2ea6ce04f9d9d.html","wapUrl": "https://www.med-credit.org.cn/jingxuan/2/d8d6ac529faac4db7cf2ea6ce04f9d9d.html","mipUrl": "https://www.med-credit.org.cn/mobile/jingxuan/2/d8d6ac529faac4db7cf2ea6ce04f9d9d.html","fromSrc": "欢乐橙","datePublished": "2023-03-29T17:23:13","domain": "医疗","category": ["医疗权威文章合作"],"description": "良性头皮肿物是生长在头皮上的一种良性增生物,头皮的局部会有一定程度的隆起。
","extra_headline": [""]},"Author": {"name": "王霞","wapUrl": "https://www.med-credit.org.cn/doctor/578","pcUrl": "https://www.med-credit.org.cn/doctor/578","jobTitle": "副主任医师","headPortrait": "https://www.med-credit.org.cn/uploadfile/member/578/180x180.jpeg","id": "578","description": "王霞,广州医科大学附属第一医院皮肤科副主任医师","memberOf": {"legalName": "广州医科大学附属第一医院","department": "皮肤科","organizationLevel": "三级甲等"}},"Article": {"summaryContent": "良性头皮肿物是生长在头皮上的一种良性增生物,头皮的局部会有一定程度的隆起。
良性头皮肿物可能是毛囊炎、皮脂腺囊肿、脂肪瘤等引起。
1、毛囊炎:毛囊炎是一种常见的皮肤疾病,一般是由金黄色葡萄球菌感染引起的,可以发生在任何长有毛囊的部位,会以毛囊为中心出现红色的丘疹,凸起于皮肤表面,而且还会有局部瘙痒以及疼痛的症状,患者可以遵医嘱涂抹莫匹罗星软膏、夫西地酸乳膏进行治疗。

2、皮脂腺囊肿:头皮皮脂腺囊肿通常会在局部出现一定的隆起,一般无其他的不适症状,如果发生感染会出现局部的红、肿、热、痛等急性炎症症状。皮脂腺囊肿如果无不适症状,一般不用进行治疗,如果出现炎症反应,应及时遵医嘱采取抗炎的治疗,也可通过手术切除的方式来改善。

3、脂肪瘤:脂肪瘤的发生可能与遗传、脂代谢异常以及慢性炎症等因素有关。脂肪瘤为正常脂肪样组织的瘤状物,境界清楚,呈分叶状,质软,有假囊性感,无疼痛,生长缓慢,但可达巨大体积。多发者瘤体常较小,常呈对称性。脂肪瘤通常不需治疗,瘤体较大者可手术切除。

除上述常见原因外,还可能是由于神经纤维瘤引起。若患者症状长期存在时,建议前往医院咨询,根据病因采取相应的治疗方式。
","articleBody": "良性头皮肿物是生长在头皮上的一种良性增生物,头皮的局部会有一定程度的隆起。
良性头皮肿物可能是毛囊炎、皮脂腺囊肿、脂肪瘤等引起。
1、毛囊炎:毛囊炎是一种常见的皮肤疾病,一般是由金黄色葡萄球菌感染引起的,可以发生在任何长有毛囊的部位,会以毛囊为中心出现红色的丘疹,凸起于皮肤表面,而且还会有局部瘙痒以及疼痛的症状,患者可以遵医嘱涂抹莫匹罗星软膏、夫西地酸乳膏进行治疗。

2、皮脂腺囊肿:头皮皮脂腺囊肿通常会在局部出现一定的隆起,一般无其他的不适症状,如果发生感染会出现局部的红、肿、热、痛等急性炎症症状。皮脂腺囊肿如果无不适症状,一般不用进行治疗,如果出现炎症反应,应及时遵医嘱采取抗炎的治疗,也可通过手术切除的方式来改善。

3、脂肪瘤:脂肪瘤的发生可能与遗传、脂代谢异常以及慢性炎症等因素有关。脂肪瘤为正常脂肪样组织的瘤状物,境界清楚,呈分叶状,质软,有假囊性感,无疼痛,生长缓慢,但可达巨大体积。多发者瘤体常较小,常呈对称性。脂肪瘤通常不需治疗,瘤体较大者可手术切除。

除上述常见原因外,还可能是由于神经纤维瘤引起。若患者症状长期存在时,建议前往医院咨询,根据病因采取相应的治疗方式。
","scanCount": 51562}}} {"@context": "https://ziyuan.baidu.com/contexts/cambrian.jsonld","appid": "1650708455561748","icon": "https://www.med-credit.org.cn/style/images/ttlogo.png","content_tag": ["atlas"],"is_mcn": {"thumb_id": "fe2jhbe4e"},"accid": "4886d626a2804dee5f11168793ce361672f39c25","@id": "https://www.med-credit.org.cn/mobile/jingxuan/2/f4d330da0746f6979ba827f686f6df29.html","bagWordId": "269_1558063569554116608","title": "单侧腮腺淋巴结肿大图片","pubDate": "2023-03-29T17:23:13","upDate": "2023-03-29T17:23:13","lrDate": "2023-03-29T17:23:13","description": "单侧腮腺淋巴结肿大表现为一侧面颊的淋巴结体积增大,可伴淋巴结疼痛。","data": {"WebPage": {"headline": "单侧腮腺淋巴结肿大图片","pcUrl": "https://www.med-credit.org.cn/jingxuan/2/f4d330da0746f6979ba827f686f6df29.html","wapUrl": "https://www.med-credit.org.cn/jingxuan/2/f4d330da0746f6979ba827f686f6df29.html","mipUrl": "https://www.med-credit.org.cn/mobile/jingxuan/2/f4d330da0746f6979ba827f686f6df29.html","fromSrc": "欢乐橙","datePublished": "2023-03-29T17:23:13","domain": "医疗","category": ["医疗权威文章合作"],"description": "单侧腮腺淋巴结肿大表现为一侧面颊的淋巴结体积增大,可伴淋巴结疼痛。
","extra_headline": [""]},"Author": {"name": "孙婷丽","wapUrl": "https://www.med-credit.org.cn/doctor/510","pcUrl": "https://www.med-credit.org.cn/doctor/510","jobTitle": "主治医师","headPortrait": "https://www.med-credit.org.cn/uploadfile/member/510/180x180.jpeg","id": "510","description": "孙婷丽,中国医科大学附属盛京医院全科医学主治医师","memberOf": {"legalName": "中国医科大学附属盛京医院","department": "内科","organizationLevel": "三级甲等"}},"Article": {"summaryContent": "单侧腮腺淋巴结肿大表现为一侧面颊的淋巴结体积增大,可伴淋巴结疼痛。
单侧腮腺淋巴结肿大可能是由于腮腺炎、腮腺临近组织炎症、干燥综合征等引起的。
腮腺淋巴结位于面颊两侧靠近耳垂的地方,是较大的淋巴结群,淋巴结肿大时,可在该处皮肤下触及圆形、椭圆形或条纹状的结节。有时肿大的淋巴结还伴有胀痛,全身可出现发热、食欲减退等等。

1、腮腺炎:包括化脓性腮腺炎和流行性腮腺炎,前者多由细菌引起,后者腮腺炎病毒引起,腮腺区的炎症引起腮腺淋巴结内免疫细胞增多,引起肿大。
2、腮腺临近组织炎症:如牙龈炎、鼻炎、咽炎、喉炎等,这些炎症会沿着淋巴管道传送到腮腺区淋巴结,引起肿大。
3、干燥综合征:该病的病因尚不明确,可引起口眼干燥,腮腺是其常侵害的部位,主要表现为腮腺肿痛,并可伴淋巴结肿大。
除了上述相对常见的病因外,还有其他可能原因,比如腮腺肿瘤。
","articleBody": "单侧腮腺淋巴结肿大表现为一侧面颊的淋巴结体积增大,可伴淋巴结疼痛。
单侧腮腺淋巴结肿大可能是由于腮腺炎、腮腺临近组织炎症、干燥综合征等引起的。
腮腺淋巴结位于面颊两侧靠近耳垂的地方,是较大的淋巴结群,淋巴结肿大时,可在该处皮肤下触及圆形、椭圆形或条纹状的结节。有时肿大的淋巴结还伴有胀痛,全身可出现发热、食欲减退等等。

1、腮腺炎:包括化脓性腮腺炎和流行性腮腺炎,前者多由细菌引起,后者腮腺炎病毒引起,腮腺区的炎症引起腮腺淋巴结内免疫细胞增多,引起肿大。
2、腮腺临近组织炎症:如牙龈炎、鼻炎、咽炎、喉炎等,这些炎症会沿着淋巴管道传送到腮腺区淋巴结,引起肿大。
3、干燥综合征:该病的病因尚不明确,可引起口眼干燥,腮腺是其常侵害的部位,主要表现为腮腺肿痛,并可伴淋巴结肿大。
除了上述相对常见的病因外,还有其他可能原因,比如腮腺肿瘤。
","scanCount": 95628}}} {"@context": "https://ziyuan.baidu.com/contexts/cambrian.jsonld","appid": "1650708455561748","icon": "https://www.med-credit.org.cn/style/images/ttlogo.png","content_tag": ["atlas"],"is_mcn": {"thumb_id": "v2rm41u3"},"accid": "4886d626a2804dee5f11168793ce361672f39c25","@id": "https://www.med-credit.org.cn/mobile/jingxuan/2/d69c43ccbaeb52e0f4f9fd26f41f3878.html","bagWordId": "269_1558063579465256960","title": "宫外孕症状早期图片","pubDate": "2023-03-29T17:23:13","upDate": "2023-03-29T17:23:13","lrDate": "2023-03-29T17:23:13","description": "宫外孕早期症状不典型,一般无特殊症状,或仅有轻微腹痛,还可能伴有少量阴道流血。","data": {"WebPage": {"headline": "宫外孕症状早期图片","pcUrl": "https://www.med-credit.org.cn/jingxuan/2/d69c43ccbaeb52e0f4f9fd26f41f3878.html","wapUrl": "https://www.med-credit.org.cn/jingxuan/2/d69c43ccbaeb52e0f4f9fd26f41f3878.html","mipUrl": "https://www.med-credit.org.cn/mobile/jingxuan/2/d69c43ccbaeb52e0f4f9fd26f41f3878.html","fromSrc": "欢乐橙","datePublished": "2023-03-29T17:23:13","domain": "医疗","category": ["医疗权威文章合作"],"description": "宫外孕早期症状不典型,一般无特殊症状,或仅有轻微腹痛,还可能伴有少量阴道流血。
","extra_headline": [""]},"Author": {"name": "种轶文","wapUrl": "https://www.med-credit.org.cn/doctor/575","pcUrl": "https://www.med-credit.org.cn/doctor/575","jobTitle": "副主任医师","headPortrait": "https://www.med-credit.org.cn/uploadfile/member/575/180x180.jpeg","id": "575","description": "种轶文,北京大学第三医院妇产科副主任医师","memberOf": {"legalName": "北京大学第三医院","department": "妇产科","organizationLevel": "三级甲等"}},"Article": {"summaryContent": "宫外孕早期症状不典型,一般无特殊症状,或仅有轻微腹痛,还可能伴有少量阴道流血。
宫外孕常与输卵管疾病或避孕失败等原因有关,一般可以给予患者药物、手术治疗。


宫外孕早期一般无典型症状,输卵管妊娠者可有轻微腹痛及少量阴道流血。随着孕期进展,可出现停经、腹痛、不规则阴道流血三联征。严重可出现全腹痛,肛门坠胀感。此时检测HCG值高于正常妊娠,阴道超声可发现宫外部位妊娠囊或胎心搏动。宫外孕若出现突然流产或妊娠囊破裂,可出现大出血,导致孕妇死亡。
宫外孕中输卵管妊娠占了绝大多数,所以输卵管的疾病如输卵管炎、输卵管发育不良、输卵管肿瘤等均可导致胚胎未通过输卵管到达子宫,而在输卵管着床妊娠。除此之外,宫内节育器或口服紧急避孕药避孕失败也可导致宫外孕的发生。年龄、吸烟、多个性伴侣等是宫外孕发生的危险因素。
急性大出血宫外孕患者,应积极抗休克治疗,马上手术止血终止妊娠。平稳患者可遵医嘱采用药物治疗,常用甲氨蝶呤,治疗期间及治疗后应按时复查HCG水平及超声。药物禁忌、有腹腔出血倾向或妊娠有进展患者,可行输卵管切除术或输卵管切开术治疗。
","articleBody": "宫外孕早期症状不典型,一般无特殊症状,或仅有轻微腹痛,还可能伴有少量阴道流血。
宫外孕常与输卵管疾病或避孕失败等原因有关,一般可以给予患者药物、手术治疗。


宫外孕早期一般无典型症状,输卵管妊娠者可有轻微腹痛及少量阴道流血。随着孕期进展,可出现停经、腹痛、不规则阴道流血三联征。严重可出现全腹痛,肛门坠胀感。此时检测HCG值高于正常妊娠,阴道超声可发现宫外部位妊娠囊或胎心搏动。宫外孕若出现突然流产或妊娠囊破裂,可出现大出血,导致孕妇死亡。
宫外孕中输卵管妊娠占了绝大多数,所以输卵管的疾病如输卵管炎、输卵管发育不良、输卵管肿瘤等均可导致胚胎未通过输卵管到达子宫,而在输卵管着床妊娠。除此之外,宫内节育器或口服紧急避孕药避孕失败也可导致宫外孕的发生。年龄、吸烟、多个性伴侣等是宫外孕发生的危险因素。
急性大出血宫外孕患者,应积极抗休克治疗,马上手术止血终止妊娠。平稳患者可遵医嘱采用药物治疗,常用甲氨蝶呤,治疗期间及治疗后应按时复查HCG水平及超声。药物禁忌、有腹腔出血倾向或妊娠有进展患者,可行输卵管切除术或输卵管切开术治疗。
","scanCount": 56675}}} {"@context": "https://ziyuan.baidu.com/contexts/cambrian.jsonld","appid": "1650708455561748","icon": "https://www.med-credit.org.cn/style/images/ttlogo.png","content_tag": ["atlas"],"is_mcn": {"thumb_id": "ay28xrnt0"},"accid": "4886d626a2804dee5f11168793ce361672f39c25","@id": "https://www.med-credit.org.cn/mobile/jingxuan/2/18d25e7af205e02803c53fae0f3cc140.html","bagWordId": "181_1547866417859137536","title": "蚜虫引起牙疼的图片","pubDate": "2023-03-29T17:23:13","upDate": "2023-03-29T17:23:13","lrDate": "2023-03-29T17:23:13","description": "蚜虫一般指的是蛀虫,引起的牙疼是因为牙齿的牙本质遭到破坏,刺激到牙神经导致的。","data": {"WebPage": {"headline": "蚜虫引起牙疼的图片","pcUrl": "https://www.med-credit.org.cn/jingxuan/2/18d25e7af205e02803c53fae0f3cc140.html","wapUrl": "https://www.med-credit.org.cn/jingxuan/2/18d25e7af205e02803c53fae0f3cc140.html","mipUrl": "https://www.med-credit.org.cn/mobile/jingxuan/2/18d25e7af205e02803c53fae0f3cc140.html","fromSrc": "欢乐橙","datePublished": "2023-03-29T17:23:13","domain": "医疗","category": ["医疗权威文章合作"],"description": "蚜虫一般指的是蛀虫,引起的牙疼是因为牙齿的牙本质遭到破坏,刺激到牙神经导致的。
","extra_headline": [""]},"Author": {"name": "李斯文","wapUrl": "https://www.med-credit.org.cn/doctor/546","pcUrl": "https://www.med-credit.org.cn/doctor/546","jobTitle": "主治医师","headPortrait": "https://www.med-credit.org.cn/uploadfile/member/546/180x180.jpeg","id": "546","description": "李斯文,中国医科大学附属口腔医院口腔科主治医师","memberOf": {"legalName": "中国医科大学附属口腔医院","department": "口腔科","organizationLevel": "三级甲等"}},"Article": {"summaryContent": "蚜虫一般指的是蛀虫,引起的牙疼是因为牙齿的牙本质遭到破坏,刺激到牙神经导致的。
一般说牙长蛀虫是指在细菌作用下出现的牙齿破坏,临床上也叫龋病。


1.症状:长蚜虫即龋病,在初期一般不会有疼痛症状,只表现为牙齿表面白色或黄色的斑块。随着龋病的进展,可出现龋洞,牙齿会对冷热刺激变得敏感,有些人会有牙齿的触痛。当龋洞变大,逐渐破坏牙本质,侵袭到牙神经后,牙齿可出现剧烈疼痛,且敏感性更强。
2.病因:龋病的发生与细菌密切相关,人口腔中本身存在一定的细菌,口腔内有食物残留或高糖的食物为细菌提供充足的养分,细菌因此大量繁殖,导致牙齿龋坏,表现上就像被虫咬过一样,所以人们会将龋病称为蚜虫蛀牙。
早期龋病可采用氟化物进行窝沟封闭或填补,阻断龋病进展。如果已经出现龋洞,可用复合树脂进行修复。若龋损较大,可以用嵌体修补。最主要的是,患者需要保持口腔清洁卫生,早晚各刷一次牙,进食后及时漱口,可辅助牙线清洁牙间隙。
","articleBody": "蚜虫一般指的是蛀虫,引起的牙疼是因为牙齿的牙本质遭到破坏,刺激到牙神经导致的。
一般说牙长蛀虫是指在细菌作用下出现的牙齿破坏,临床上也叫龋病。


1.症状:长蚜虫即龋病,在初期一般不会有疼痛症状,只表现为牙齿表面白色或黄色的斑块。随着龋病的进展,可出现龋洞,牙齿会对冷热刺激变得敏感,有些人会有牙齿的触痛。当龋洞变大,逐渐破坏牙本质,侵袭到牙神经后,牙齿可出现剧烈疼痛,且敏感性更强。
2.病因:龋病的发生与细菌密切相关,人口腔中本身存在一定的细菌,口腔内有食物残留或高糖的食物为细菌提供充足的养分,细菌因此大量繁殖,导致牙齿龋坏,表现上就像被虫咬过一样,所以人们会将龋病称为蚜虫蛀牙。
早期龋病可采用氟化物进行窝沟封闭或填补,阻断龋病进展。如果已经出现龋洞,可用复合树脂进行修复。若龋损较大,可以用嵌体修补。最主要的是,患者需要保持口腔清洁卫生,早晚各刷一次牙,进食后及时漱口,可辅助牙线清洁牙间隙。
","scanCount": 19905}}} {"@context": "https://ziyuan.baidu.com/contexts/cambrian.jsonld","appid": "1650708455561748","icon": "https://www.med-credit.org.cn/style/images/ttlogo.png","content_tag": ["atlas"],"is_mcn": {"thumb_id": "ay28xrnt0"},"accid": "4886d626a2804dee5f11168793ce361672f39c25","@id": "https://www.med-credit.org.cn/mobile/jingxuan/2/78c90b3c8b8a88c6da754cb5dfa676c7.html","bagWordId": "23_1526477953297289216","title": "瘪嘴是什么样子图片","pubDate": "2023-03-29T17:23:13","upDate": "2023-03-29T17:23:13","lrDate": "2023-03-29T17:23:13","description": "瘪嘴指的是上嘴唇向内凹陷,而下嘴唇向外突出。","data": {"WebPage": {"headline": "瘪嘴是什么样子图片","pcUrl": "https://www.med-credit.org.cn/jingxuan/2/78c90b3c8b8a88c6da754cb5dfa676c7.html","wapUrl": "https://www.med-credit.org.cn/jingxuan/2/78c90b3c8b8a88c6da754cb5dfa676c7.html","mipUrl": "https://www.med-credit.org.cn/mobile/jingxuan/2/78c90b3c8b8a88c6da754cb5dfa676c7.html","fromSrc": "欢乐橙","datePublished": "2023-03-29T17:23:13","domain": "医疗","category": ["医疗权威文章合作"],"description": "瘪嘴指的是上嘴唇向内凹陷,而下嘴唇向外突出。
","extra_headline": [""]},"Author": {"name": "李斯文","wapUrl": "https://www.med-credit.org.cn/doctor/546","pcUrl": "https://www.med-credit.org.cn/doctor/546","jobTitle": "主治医师","headPortrait": "https://www.med-credit.org.cn/uploadfile/member/546/180x180.jpeg","id": "546","description": "李斯文,中国医科大学附属口腔医院口腔科主治医师","memberOf": {"legalName": "中国医科大学附属口腔医院","department": "口腔科","organizationLevel": "三级甲等"}},"Article": {"summaryContent": "瘪嘴指的是上嘴唇向内凹陷,而下嘴唇向外突出。
造成瘪嘴的原因有模仿或情绪异常、口腔内部问题、嘴唇软组织的问题等。需要根据病因及时矫正。

瘪嘴就是上嘴唇以及相关的皮肤向内陷,而下嘴唇及皮肤向外突出。如果皮肉没有弹力,则可能会无限向口腔内部凹陷。以老人居多,因为老人们的皮肤弹力较差,牙齿也基本上掉光。
1、模仿或情绪异常:若有意模仿老年人、卡通、影视内的人物;或者患者伤心、生气时,也会出现上述症状。
2、口腔内部问题:口腔内部没有支撑或者牙齿向内倾斜,嘴巴缺乏支撑造成。
3、嘴唇软组织的问题:嘴唇等软组织相对较少,嘴唇不够饱满造成。
除上述常见原因外,还可能是由于骨骼畸形引起的。若患者是由于病理情况引起的,需要及时前往医院就诊治疗。
1、口腔内部情况:口腔内部牙齿造成的瘪嘴可以通过牙齿矫正等方法改善;
2、嘴唇软组织问题:嘴唇软组织造成的瘪嘴可以通过训练或者微创手术来得以矫正;
3、骨骼畸形:如果是骨骼畸形造成的瘪嘴可以在医生的指导下采取正颌手术等方法进行改善,同时患者需要谨遵医嘱进行定期复查。
","articleBody": "瘪嘴指的是上嘴唇向内凹陷,而下嘴唇向外突出。
造成瘪嘴的原因有模仿或情绪异常、口腔内部问题、嘴唇软组织的问题等。需要根据病因及时矫正。

瘪嘴就是上嘴唇以及相关的皮肤向内陷,而下嘴唇及皮肤向外突出。如果皮肉没有弹力,则可能会无限向口腔内部凹陷。以老人居多,因为老人们的皮肤弹力较差,牙齿也基本上掉光。
1、模仿或情绪异常:若有意模仿老年人、卡通、影视内的人物;或者患者伤心、生气时,也会出现上述症状。
2、口腔内部问题:口腔内部没有支撑或者牙齿向内倾斜,嘴巴缺乏支撑造成。
3、嘴唇软组织的问题:嘴唇等软组织相对较少,嘴唇不够饱满造成。
除上述常见原因外,还可能是由于骨骼畸形引起的。若患者是由于病理情况引起的,需要及时前往医院就诊治疗。
1、口腔内部情况:口腔内部牙齿造成的瘪嘴可以通过牙齿矫正等方法改善;
2、嘴唇软组织问题:嘴唇软组织造成的瘪嘴可以通过训练或者微创手术来得以矫正;
3、骨骼畸形:如果是骨骼畸形造成的瘪嘴可以在医生的指导下采取正颌手术等方法进行改善,同时患者需要谨遵医嘱进行定期复查。
","scanCount": 51331}}} {"@context": "https://ziyuan.baidu.com/contexts/cambrian.jsonld","appid": "1650708455561748","icon": "https://www.med-credit.org.cn/style/images/ttlogo.png","content_tag": ["atlas"],"is_mcn": {"thumb_id": "x5e7zgbw"},"accid": "4886d626a2804dee5f11168793ce361672f39c25","@id": "https://www.med-credit.org.cn/mobile/jingxuan/2/c6e5c4190bdb4326af88b027926b9f25.html","bagWordId": "23_1526477972804997120","title": "眼角图片","pubDate": "2023-03-29T17:23:13","upDate": "2023-03-29T17:23:13","lrDate": "2023-03-29T17:23:13","description": "眼角是眦的通称,眦是指人体眼部的上眼皮与下眼皮结合处的夹角,眦分为内眦和外眦。","data": {"WebPage": {"headline": "眼角图片","pcUrl": "https://www.med-credit.org.cn/jingxuan/2/c6e5c4190bdb4326af88b027926b9f25.html","wapUrl": "https://www.med-credit.org.cn/jingxuan/2/c6e5c4190bdb4326af88b027926b9f25.html","mipUrl": "https://www.med-credit.org.cn/mobile/jingxuan/2/c6e5c4190bdb4326af88b027926b9f25.html","fromSrc": "欢乐橙","datePublished": "2023-03-29T17:23:13","domain": "医疗","category": ["医疗权威文章合作"],"description": "眼角是眦的通称,眦是指人体眼部的上眼皮与下眼皮结合处的夹角,眦分为内眦和外眦。
","extra_headline": [""]},"Author": {"name": "钟一凡","wapUrl": "https://www.med-credit.org.cn/doctor/521","pcUrl": "https://www.med-credit.org.cn/doctor/521","jobTitle": "主治医师","headPortrait": "https://www.med-credit.org.cn/uploadfile/member/521/180x180.jpeg","id": "521","description": "钟一凡,中国医科大学附属第一医院眼科主治医师","memberOf": {"legalName": "中国医科大学附属第一医院","department": "眼科","organizationLevel": "三级甲等"}},"Article": {"summaryContent": "眼角是眦的通称,眦是指人体眼部的上眼皮与下眼皮结合处的夹角,眦分为内眦和外眦。
眦具有保护眼睛、调节眼压、改变面部表情、帮助形成眼影的功能。

内眦部位是上下眼睑联合的地方,靠近鼻子一侧的位置,上下眼睑的结合点,这个位置叫做内眦。它是眦中最薄的部分,常常成为眼睛发红、疲劳和泪水过多的原因。
外眦是上下眼睑靠近耳朵一侧的结合部位,就是上下眼睑的结合部,但是在接近耳朵一侧的位置,叫做外眦。它是眦中最宽的部分,也是眼睑外翻的产生地点。
(1)保护眼睛。眦作为眼睛的边缘,可以防止灰尘和其他杂物进入眼睛。同时,当眼睑闭合时,眦能够密封眼睛,避免水分蒸发。
(2)调节眼压。眦处有许多小孔,称为泪点,它们与泪腺相通。当眼压过高时,泪液会从泪点流出,以达到缓解眼压的目的。
(3)改变面部表情。眦的位置和形状与面部表情紧密相关,例如,内眦上扬可以表达欣喜的情绪,而外眦下垂则会给人一种悲伤的感觉。
(4)帮助形成眼影。在化妆过程中,眦的位置和形状可以用于描绘眼影的轮廓,使眼睛看起来更加深邃和立体。
","articleBody": "眼角是眦的通称,眦是指人体眼部的上眼皮与下眼皮结合处的夹角,眦分为内眦和外眦。
眦具有保护眼睛、调节眼压、改变面部表情、帮助形成眼影的功能。

内眦部位是上下眼睑联合的地方,靠近鼻子一侧的位置,上下眼睑的结合点,这个位置叫做内眦。它是眦中最薄的部分,常常成为眼睛发红、疲劳和泪水过多的原因。
外眦是上下眼睑靠近耳朵一侧的结合部位,就是上下眼睑的结合部,但是在接近耳朵一侧的位置,叫做外眦。它是眦中最宽的部分,也是眼睑外翻的产生地点。
(1)保护眼睛。眦作为眼睛的边缘,可以防止灰尘和其他杂物进入眼睛。同时,当眼睑闭合时,眦能够密封眼睛,避免水分蒸发。
(2)调节眼压。眦处有许多小孔,称为泪点,它们与泪腺相通。当眼压过高时,泪液会从泪点流出,以达到缓解眼压的目的。
(3)改变面部表情。眦的位置和形状与面部表情紧密相关,例如,内眦上扬可以表达欣喜的情绪,而外眦下垂则会给人一种悲伤的感觉。
(4)帮助形成眼影。在化妆过程中,眦的位置和形状可以用于描绘眼影的轮廓,使眼睛看起来更加深邃和立体。
","scanCount": 51378}}} {"@context": "https://ziyuan.baidu.com/contexts/cambrian.jsonld","appid": "1650708455561748","icon": "https://www.med-credit.org.cn/style/images/ttlogo.png","content_tag": ["atlas"],"is_mcn": {"thumb_id": "6s1phww1w"},"accid": "4886d626a2804dee5f11168793ce361672f39c25","@id": "https://www.med-credit.org.cn/mobile/jingxuan/2/eb58b98e9916622a37b36ce9a83bd96c.html","bagWordId": "22_1526480491564240896","title": "腰椎1一5截图高清","pubDate": "2023-03-29T17:23:13","upDate": "2023-03-29T17:23:13","lrDate": "2023-03-29T17:23:13","description": "腰椎一共有5块,简写为L,分别为L1、L2、L3、L4、L5腰椎。腰椎主要由前方的椎体、后方的椎弓和相邻椎体之间的腰椎间盘构成。","data": {"WebPage": {"headline": "腰椎1一5截图高清","pcUrl": "https://www.med-credit.org.cn/jingxuan/2/eb58b98e9916622a37b36ce9a83bd96c.html","wapUrl": "https://www.med-credit.org.cn/jingxuan/2/eb58b98e9916622a37b36ce9a83bd96c.html","mipUrl": "https://www.med-credit.org.cn/mobile/jingxuan/2/eb58b98e9916622a37b36ce9a83bd96c.html","fromSrc": "欢乐橙","datePublished": "2023-03-29T17:23:13","domain": "医疗","category": ["医疗权威文章合作"],"description": "腰椎一共有5块,简写为L,分别为L1、L2、L3、L4、L5腰椎。腰椎主要由前方的椎体、后方的椎弓和相邻椎体之间的腰椎间盘构成。
","extra_headline": [""]},"Author": {"name": "王维","wapUrl": "https://www.med-credit.org.cn/doctor/513","pcUrl": "https://www.med-credit.org.cn/doctor/513","jobTitle": "主治医师","headPortrait": "https://www.med-credit.org.cn/uploadfile/member/513/180x180.jpeg","id": "513","description": "王维,中国医科大学附属盛京医院骨科主治医师","memberOf": {"legalName": "中国医科大学附属盛京医院","department": "骨科","organizationLevel": "三级甲等"}},"Article": {"summaryContent": "腰椎一共有5块,简写为L,分别为L1、L2、L3、L4、L5腰椎。腰椎主要由前方的椎体、后方的椎弓和相邻椎体之间的腰椎间盘构成。
腰椎受损,容易出现多种病变类型,如腰椎间盘突出症、腰椎管狭窄症、腰椎滑脱等。

腰椎一共有5块,简写为L,分别为L1、L2、L3、L4、L5腰椎。
腰椎主要由前方的椎体、后方的椎弓和相邻椎体之间的腰椎间盘构成。腰椎的椎体较为粗壮,拥有肾形横截面,其中椎体结构再细致分为椎孔、椎管(椎孔连接形成的管道)——有脊髓通过。
腰椎椎弓结构再细分为椎弓根、椎弓板,相邻椎骨的上下切迹可以形成椎间孔——脊神经和血管通过。此外,还有多个突起,分别为:棘突1个,双侧上、下关节突4个,双侧横突2个,乳突和副突是腰椎所特有的结构。
1、腰椎间盘突出症
腰椎间盘突出症指腰椎间盘退变后纤维环破裂,突出(或脱垂)的髓核组织压迫周围神经组织引起的一系列症状。腰椎间盘突出症常发病于20~50岁患者中,男性发病率高于女性,腰4/腰5及腰5/骶1间隙发病率最高,占90%~97%。
2、腰椎管狭窄症
腰椎管狭窄症指腰椎管、神经根管、侧隐窝或椎间孔因先天性椎管发育不全。此外,骨纤维组织增生、腰椎移位等,可导致管腔内径相对狭窄,引起神经及血管受压出现临床症状。该疾病常发病于50~60岁的中老年人,女性发病率高于男性。
3、腰椎滑脱
腰椎滑脱是指先天性发育不良、创伤、劳损等原因造成相邻椎体骨性连接异常而发生的上、下位椎体部分或全部滑移。
除上述常见疾病外,还会出现腰椎侧凸等疾病,建议患者若出现相关腰椎病变,需要及时前往医院就诊治疗。
","articleBody": "腰椎一共有5块,简写为L,分别为L1、L2、L3、L4、L5腰椎。腰椎主要由前方的椎体、后方的椎弓和相邻椎体之间的腰椎间盘构成。
腰椎受损,容易出现多种病变类型,如腰椎间盘突出症、腰椎管狭窄症、腰椎滑脱等。

腰椎一共有5块,简写为L,分别为L1、L2、L3、L4、L5腰椎。
腰椎主要由前方的椎体、后方的椎弓和相邻椎体之间的腰椎间盘构成。腰椎的椎体较为粗壮,拥有肾形横截面,其中椎体结构再细致分为椎孔、椎管(椎孔连接形成的管道)——有脊髓通过。
腰椎椎弓结构再细分为椎弓根、椎弓板,相邻椎骨的上下切迹可以形成椎间孔——脊神经和血管通过。此外,还有多个突起,分别为:棘突1个,双侧上、下关节突4个,双侧横突2个,乳突和副突是腰椎所特有的结构。
1、腰椎间盘突出症
腰椎间盘突出症指腰椎间盘退变后纤维环破裂,突出(或脱垂)的髓核组织压迫周围神经组织引起的一系列症状。腰椎间盘突出症常发病于20~50岁患者中,男性发病率高于女性,腰4/腰5及腰5/骶1间隙发病率最高,占90%~97%。
2、腰椎管狭窄症
腰椎管狭窄症指腰椎管、神经根管、侧隐窝或椎间孔因先天性椎管发育不全。此外,骨纤维组织增生、腰椎移位等,可导致管腔内径相对狭窄,引起神经及血管受压出现临床症状。该疾病常发病于50~60岁的中老年人,女性发病率高于男性。
3、腰椎滑脱
腰椎滑脱是指先天性发育不良、创伤、劳损等原因造成相邻椎体骨性连接异常而发生的上、下位椎体部分或全部滑移。
除上述常见疾病外,还会出现腰椎侧凸等疾病,建议患者若出现相关腰椎病变,需要及时前往医院就诊治疗。
","scanCount": 51530}}} {"@context": "https://ziyuan.baidu.com/contexts/cambrian.jsonld","appid": "1650708455561748","icon": "https://www.med-credit.org.cn/style/images/ttlogo.png","content_tag": ["atlas"],"is_mcn": {"thumb_id": "q3br2w1g"},"accid": "4886d626a2804dee5f11168793ce361672f39c25","@id": "https://www.med-credit.org.cn/mobile/jingxuan/2/018da69495b8562f6a967c2927c9a227.html","bagWordId": "23_1526478132935135232","title": "ST段弓背向下抬高图形","pubDate": "2023-03-29T17:23:13","upDate": "2023-03-29T17:23:13","lrDate": "2023-03-29T17:23:13","description": "ST段是心电图波形中的一个部分,ST段弓背向下抬高心电图可出现ST段抬高、T波倒置的表现。患者还可出现相关的异常症状。","data": {"WebPage": {"headline": "ST段弓背向下抬高图形","pcUrl": "https://www.med-credit.org.cn/jingxuan/2/018da69495b8562f6a967c2927c9a227.html","wapUrl": "https://www.med-credit.org.cn/jingxuan/2/018da69495b8562f6a967c2927c9a227.html","mipUrl": "https://www.med-credit.org.cn/mobile/jingxuan/2/018da69495b8562f6a967c2927c9a227.html","fromSrc": "欢乐橙","datePublished": "2023-03-29T17:23:13","domain": "医疗","category": ["医疗权威文章合作"],"description": "ST段是心电图波形中的一个部分,ST段弓背向下抬高心电图可出现ST段抬高、T波倒置的表现。患者还可出现相关的异常症状。
","extra_headline": [""]},"Author": {"name": "王传合","wapUrl": "https://www.med-credit.org.cn/doctor/551","pcUrl": "https://www.med-credit.org.cn/doctor/551","jobTitle": "副主任医师","headPortrait": "https://www.med-credit.org.cn/uploadfile/member/551/180x180.jpeg","id": "551","description": "王传合,中国医科大学附属盛京医院心血管内科副主任医师","memberOf": {"legalName": "中国医科大学附属盛京医院","department": "心血管内科","organizationLevel": "三级甲等"}},"Article": {"summaryContent": "ST段是心电图波形中的一个部分,ST段弓背向下抬高心电图可出现ST段抬高、T波倒置的表现。患者还可出现相关的异常症状。
ST段图形为弓背向下抬高可能由于冠心病、心肌缺血、心肌梗死等引起的。

ST段是心电图波形中的一个部分,它在QRS波复合物之后、T波之前出现,通常是一个水平的线段。心电图可出现ST段抬高,即ST段比正常值高出来,呈现弓背形状。T波倒置,即T波的形状和方向与正常情况不同,向下翻转。患者可表现出胸痛、气促、心悸等症状。
1.冠心病:冠心病是较为常见的病因。冠心病是指冠状动脉供血不足,导致心肌缺血和梗死的一组疾病。
2.心肌缺血:心肌缺血是指心肌的氧气和营养供应不能满足需求引起的疾病。心肌缺血是很多心血管疾病的共同症状,如动脉粥样硬化、高血压等。
3.心肌梗死:心肌梗死是致命性心血管疾病之一,通常是冠状动脉阻塞导致心肌血管通畅受阻,引起心肌组织坏死。
除上述常见原因外,还可能由于广泛心肌梗死引起。患者此时需要及时前往医院就诊治疗。
","articleBody": "ST段是心电图波形中的一个部分,ST段弓背向下抬高心电图可出现ST段抬高、T波倒置的表现。患者还可出现相关的异常症状。
ST段图形为弓背向下抬高可能由于冠心病、心肌缺血、心肌梗死等引起的。

ST段是心电图波形中的一个部分,它在QRS波复合物之后、T波之前出现,通常是一个水平的线段。心电图可出现ST段抬高,即ST段比正常值高出来,呈现弓背形状。T波倒置,即T波的形状和方向与正常情况不同,向下翻转。患者可表现出胸痛、气促、心悸等症状。
1.冠心病:冠心病是较为常见的病因。冠心病是指冠状动脉供血不足,导致心肌缺血和梗死的一组疾病。
2.心肌缺血:心肌缺血是指心肌的氧气和营养供应不能满足需求引起的疾病。心肌缺血是很多心血管疾病的共同症状,如动脉粥样硬化、高血压等。
3.心肌梗死:心肌梗死是致命性心血管疾病之一,通常是冠状动脉阻塞导致心肌血管通畅受阻,引起心肌组织坏死。
除上述常见原因外,还可能由于广泛心肌梗死引起。患者此时需要及时前往医院就诊治疗。
","scanCount": 19905}}} {"@context": "https://ziyuan.baidu.com/contexts/cambrian.jsonld","appid": "1650708455561748","icon": "https://www.med-credit.org.cn/style/images/ttlogo.png","content_tag": ["atlas"],"is_mcn": {"thumb_id": "6s1phww1w"},"accid": "4886d626a2804dee5f11168793ce361672f39c25","@id": "https://www.med-credit.org.cn/mobile/jingxuan/2/22e24022eb8e0e957896dcdfacc937b0.html","bagWordId": "22_1526480506240110592","title": "脊柱侧弯真人图片","pubDate": "2023-03-29T17:23:13","upDate": "2023-03-29T17:23:13","lrDate": "2023-03-29T17:23:13","description": "脊柱侧弯,即脊柱侧凸,脊柱侧凸主要表现为一个或数个节段向侧方弯曲或伴有椎体旋转的脊柱畸形。","data": {"WebPage": {"headline": "脊柱侧弯真人图片","pcUrl": "https://www.med-credit.org.cn/jingxuan/2/22e24022eb8e0e957896dcdfacc937b0.html","wapUrl": "https://www.med-credit.org.cn/jingxuan/2/22e24022eb8e0e957896dcdfacc937b0.html","mipUrl": "https://www.med-credit.org.cn/mobile/jingxuan/2/22e24022eb8e0e957896dcdfacc937b0.html","fromSrc": "欢乐橙","datePublished": "2023-03-29T17:23:13","domain": "医疗","category": ["医疗权威文章合作"],"description": "脊柱侧弯,即脊柱侧凸,脊柱侧凸主要表现为一个或数个节段向侧方弯曲或伴有椎体旋转的脊柱畸形。
","extra_headline": [""]},"Author": {"name": "王维","wapUrl": "https://www.med-credit.org.cn/doctor/513","pcUrl": "https://www.med-credit.org.cn/doctor/513","jobTitle": "主治医师","headPortrait": "https://www.med-credit.org.cn/uploadfile/member/513/180x180.jpeg","id": "513","description": "王维,中国医科大学附属盛京医院骨科主治医师","memberOf": {"legalName": "中国医科大学附属盛京医院","department": "骨科","organizationLevel": "三级甲等"}},"Article": {"summaryContent": "脊柱侧弯,即脊柱侧凸,脊柱侧凸主要表现为一个或数个节段向侧方弯曲或伴有椎体旋转的脊柱畸形。
脊柱侧凸患者需及早前往医院就诊治疗,脊柱侧凸的治疗以矫正畸形和减缓进展为主要目的。

脊柱侧凸为进行性疾病,人体早期的脊柱侧凸畸形不明显,生长发育期畸形可迅速发展,出现双肩不等高、胸廓不对称、单侧背部隆起以及脊柱偏离中线等症状,严重者会影响心肺发育、牵拉或压迫脊髓神经等。
脊柱侧凸患者多无自觉症状,一旦发现存在脊柱侧凸,应及早到正规医院的骨科或脊柱外科进行诊治,防止畸形发展加重。脊柱侧凸的治疗以矫正畸形和减缓进展为主要目的,可通过运动加强肌肉锻炼、佩戴支具以及手术矫形等方式治疗。
","articleBody": "脊柱侧弯,即脊柱侧凸,脊柱侧凸主要表现为一个或数个节段向侧方弯曲或伴有椎体旋转的脊柱畸形。
脊柱侧凸患者需及早前往医院就诊治疗,脊柱侧凸的治疗以矫正畸形和减缓进展为主要目的。

脊柱侧凸为进行性疾病,人体早期的脊柱侧凸畸形不明显,生长发育期畸形可迅速发展,出现双肩不等高、胸廓不对称、单侧背部隆起以及脊柱偏离中线等症状,严重者会影响心肺发育、牵拉或压迫脊髓神经等。
脊柱侧凸患者多无自觉症状,一旦发现存在脊柱侧凸,应及早到正规医院的骨科或脊柱外科进行诊治,防止畸形发展加重。脊柱侧凸的治疗以矫正畸形和减缓进展为主要目的,可通过运动加强肌肉锻炼、佩戴支具以及手术矫形等方式治疗。
","scanCount": 19905}}} {"@context": "https://ziyuan.baidu.com/contexts/cambrian.jsonld","appid": "1650708455561748","icon": "https://www.med-credit.org.cn/style/images/ttlogo.png","content_tag": ["atlas"],"is_mcn": {"thumb_id": "3w128mji2"},"accid": "4886d626a2804dee5f11168793ce361672f39c25","@id": "https://www.med-credit.org.cn/mobile/jingxuan/2/98aaa9e93b2dbf259d58fab185199431.html","bagWordId": "22_1526480549873455104","title": "跖疣图片","pubDate": "2023-03-29T17:23:13","upDate": "2023-03-29T17:23:13","lrDate": "2023-03-29T17:23:13","description": "跖疣表现为丘疹形态,表面粗糙,可有压痛。","data": {"WebPage": {"headline": "跖疣图片","pcUrl": "https://www.med-credit.org.cn/jingxuan/2/98aaa9e93b2dbf259d58fab185199431.html","wapUrl": "https://www.med-credit.org.cn/jingxuan/2/98aaa9e93b2dbf259d58fab185199431.html","mipUrl": "https://www.med-credit.org.cn/mobile/jingxuan/2/98aaa9e93b2dbf259d58fab185199431.html","fromSrc": "欢乐橙","datePublished": "2023-03-29T17:23:13","domain": "医疗","category": ["医疗权威文章合作"],"description": "跖疣表现为丘疹形态,表面粗糙,可有压痛。
","extra_headline": [""]},"Author": {"name": "曲乐","wapUrl": "https://www.med-credit.org.cn/doctor/554","pcUrl": "https://www.med-credit.org.cn/doctor/554","jobTitle": "副主任医师","headPortrait": "https://www.med-credit.org.cn/uploadfile/member/554/180x180.jpeg","id": "554","description": "曲乐,副主任医师、医学博士、硕士研究生导师、美容主诊医师、公派留美访问学者。主持国家自然科学基金及省市课题多项,在国内外高水平专业杂志发表中英文论文20余篇,参编英文专著1部。现任辽宁省免疫学会委员。","memberOf": {"legalName": "中国医科大学附属第一医院","department": "皮肤科","organizationLevel": "三级甲等"}},"Article": {"summaryContent": "跖疣表现为丘疹形态,表面粗糙,可有压痛。
跖疣与人乳头瘤病毒感染有关,病毒可通过破损皮肤进入人体内造成感染。跖疣患者可以通过药物或手术进行治疗。

1、症状:跖疣患者一般自觉无明显症状,触之可有压痛,患处可见针尖到豆粒大小的丘疹,呈半圆形或多角形,表面角化粗糙,可见乳头状增生,边缘呈花蕊状或尖刺状。该病多发于儿童和青少年,以及其他免疫力低下者。
2、原因:跖疣是由人乳头瘤病毒的2型、4型或7型感染所致。免疫力低下是诱导其发病的重要因素。此外,外伤、摩擦等皮肤损伤也有可能诱发其感染病毒。
治疗跖疣可通过手术切除,如液氮冷冻技术、二氧化碳镭射治疗等,或可外敷、涂抹、口服药物进行治疗,具体用药谨遵医嘱。
","articleBody": "跖疣表现为丘疹形态,表面粗糙,可有压痛。
跖疣与人乳头瘤病毒感染有关,病毒可通过破损皮肤进入人体内造成感染。跖疣患者可以通过药物或手术进行治疗。

1、症状:跖疣患者一般自觉无明显症状,触之可有压痛,患处可见针尖到豆粒大小的丘疹,呈半圆形或多角形,表面角化粗糙,可见乳头状增生,边缘呈花蕊状或尖刺状。该病多发于儿童和青少年,以及其他免疫力低下者。
2、原因:跖疣是由人乳头瘤病毒的2型、4型或7型感染所致。免疫力低下是诱导其发病的重要因素。此外,外伤、摩擦等皮肤损伤也有可能诱发其感染病毒。
治疗跖疣可通过手术切除,如液氮冷冻技术、二氧化碳镭射治疗等,或可外敷、涂抹、口服药物进行治疗,具体用药谨遵医嘱。
","scanCount": 19905}}} {"@context": "https://ziyuan.baidu.com/contexts/cambrian.jsonld","appid": "1650708455561748","icon": "https://www.med-credit.org.cn/style/images/ttlogo.png","content_tag": ["atlas"],"is_mcn": {"thumb_id": "0jui1zp8"},"accid": "4886d626a2804dee5f11168793ce361672f39c25","@id": "https://www.med-credit.org.cn/mobile/jingxuan/2/43550269330a2f7de3c1de29580597ce.html","bagWordId": "b86f6b34b5213781","title": "良性腋下淋巴瘤图片","pubDate": "2023-03-29T17:23:13","upDate": "2023-03-29T17:23:13","lrDate": "2023-03-29T17:23:13","description": "良性腋下淋巴瘤一般会出现腋下淋巴结肿大、发热和出汗、疲劳感和贫血等症状。","data": {"WebPage": {"headline": "良性腋下淋巴瘤图片","pcUrl": "https://www.med-credit.org.cn/jingxuan/2/43550269330a2f7de3c1de29580597ce.html","wapUrl": "https://www.med-credit.org.cn/jingxuan/2/43550269330a2f7de3c1de29580597ce.html","mipUrl": "https://www.med-credit.org.cn/mobile/jingxuan/2/43550269330a2f7de3c1de29580597ce.html","fromSrc": "欢乐橙","datePublished": "2023-03-29T17:23:13","domain": "医疗","category": ["医疗权威文章合作"],"description": "良性腋下淋巴瘤一般会出现腋下淋巴结肿大、发热和出汗、疲劳感和贫血等症状。
","extra_headline": ["良性腋下淋巴瘤"]},"Author": {"name": "陈璐","wapUrl": "https://www.med-credit.org.cn/doctor/494","pcUrl": "https://www.med-credit.org.cn/doctor/494","jobTitle": "主治医师","headPortrait": "https://www.med-credit.org.cn/uploadfile/member/494/180x180.jpeg","id": "494","description": "陈璐,中南大学湘雅医院普外科主治医师。","memberOf": {"legalName": "中南大学湘雅医院","department": "普外科(胃肠外科)","organizationLevel": "三级甲等"}},"Article": {"summaryContent": "良性腋下淋巴瘤一般会出现腋下淋巴结肿大、发热和出汗、疲劳感和贫血等症状。
良性腋下淋巴瘤可以通过化疗、放疗、手术治疗、免疫疗法、辅助治疗控制病情。

1.腋下淋巴结肿大:良性腋下淋巴瘤患者通常会出现双侧腋下淋巴结的肿大,触摸硬度逐渐增加,但一般不会疼痛。
2.发热和出汗:患者常常会出现周期性的发热和夜间出汗等症状。
3.疲劳感和贫血:患者会出现严重的疲劳感和贫血等症状。
除上述症状外,患者还可能会出现食欲不振、体重下降、皮肤瘙痒、喉咙肿胀等症状。
1.化疗:目前,多种化疗药物都可以用于治疗良性腋下淋巴瘤,如环磷酰胺、多柔比星等。化疗通常会延长患者的寿命,减轻疼痛和肿胀,提高身体免疫能力。
2.放疗:放射治疗是治疗良性腋下淋巴瘤的常用方法。放射治疗可以有效消除肿瘤细胞,减轻患者的症状。
3.手术治疗:手术通常不是良性腋下淋巴瘤的首选治疗,但在某些情况下,可以通过正规的手术治疗来消除淋巴结的淋巴瘤组织。
4.免疫疗法:免疫疗法是一种新型的治疗良性腋下淋巴瘤的方法,该疗法利用人体免疫系统的机制来治疗肿瘤。本病目前仍需要更多的研究和探索来发现更好的治疗方法。
5.辅助治疗:辅助治疗可以帮助患者缓解症状和提高生活质量,例如疼痛管理、营养治疗、体育锻炼等。
","articleBody": "良性腋下淋巴瘤一般会出现腋下淋巴结肿大、发热和出汗、疲劳感和贫血等症状。
良性腋下淋巴瘤可以通过化疗、放疗、手术治疗、免疫疗法、辅助治疗控制病情。

1.腋下淋巴结肿大:良性腋下淋巴瘤患者通常会出现双侧腋下淋巴结的肿大,触摸硬度逐渐增加,但一般不会疼痛。
2.发热和出汗:患者常常会出现周期性的发热和夜间出汗等症状。
3.疲劳感和贫血:患者会出现严重的疲劳感和贫血等症状。
除上述症状外,患者还可能会出现食欲不振、体重下降、皮肤瘙痒、喉咙肿胀等症状。
1.化疗:目前,多种化疗药物都可以用于治疗良性腋下淋巴瘤,如环磷酰胺、多柔比星等。化疗通常会延长患者的寿命,减轻疼痛和肿胀,提高身体免疫能力。
2.放疗:放射治疗是治疗良性腋下淋巴瘤的常用方法。放射治疗可以有效消除肿瘤细胞,减轻患者的症状。
3.手术治疗:手术通常不是良性腋下淋巴瘤的首选治疗,但在某些情况下,可以通过正规的手术治疗来消除淋巴结的淋巴瘤组织。
4.免疫疗法:免疫疗法是一种新型的治疗良性腋下淋巴瘤的方法,该疗法利用人体免疫系统的机制来治疗肿瘤。本病目前仍需要更多的研究和探索来发现更好的治疗方法。
5.辅助治疗:辅助治疗可以帮助患者缓解症状和提高生活质量,例如疼痛管理、营养治疗、体育锻炼等。
","scanCount": 9433}}} {"@context": "https://ziyuan.baidu.com/contexts/cambrian.jsonld","appid": "1650708455561748","icon": "https://www.med-credit.org.cn/style/images/ttlogo.png","content_tag": ["atlas"],"is_mcn": {"thumb_id": "g76756sx"},"accid": "4886d626a2804dee5f11168793ce361672f39c25","@id": "https://www.med-credit.org.cn/mobile/jingxuan/2/1ac3e1d94aee2f85a6110e66ed12305d.html","bagWordId": "990d33c02f2a696c","title": "桂丁图片","pubDate": "2023-03-29T17:23:13","upDate": "2023-03-29T17:23:13","lrDate": "2023-03-29T17:23:13","description": "桂丁是樟科樟属植物肉桂的幼嫩果实,略呈倒卵形,有香味。","data": {"WebPage": {"headline": "桂丁图片","pcUrl": "https://www.med-credit.org.cn/jingxuan/2/1ac3e1d94aee2f85a6110e66ed12305d.html","wapUrl": "https://www.med-credit.org.cn/jingxuan/2/1ac3e1d94aee2f85a6110e66ed12305d.html","mipUrl": "https://www.med-credit.org.cn/mobile/jingxuan/2/1ac3e1d94aee2f85a6110e66ed12305d.html","fromSrc": "欢乐橙","datePublished": "2023-03-29T17:23:13","domain": "医疗","category": ["医疗权威文章合作"],"description": "桂丁是樟科樟属植物肉桂的幼嫩果实,略呈倒卵形,有香味。
","extra_headline": ["桂丁"]},"Author": {"name": "张婷","wapUrl": "https://www.med-credit.org.cn/doctor/555","pcUrl": "https://www.med-credit.org.cn/doctor/555","jobTitle": "副主任医师","headPortrait": "https://www.med-credit.org.cn/uploadfile/member/555/180x180.jpeg","id": "555","description": "张婷,中南大学湘雅三医院中西医结合科副主任医师","memberOf": {"legalName": "中南大学湘雅三医院","department": "中西医结合科","organizationLevel": "三级甲等"}},"Article": {"summaryContent": "桂丁是樟科樟属植物肉桂的幼嫩果实,略呈倒卵形,有香味。
桂丁具有温里散寒、止痛、止呃的功效。注意桂丁需要在医生指导下使用,其具有一定的禁忌症。

桂丁又可以称作肉桂花、肉桂子,是樟科樟属植物肉桂的幼嫩果实,大多产于福建、海南、广东、广西等地,其中以广西栽培为多,大多为人工纯林种植。桂丁略呈倒卵形,长5~12毫米。表面黄棕色,先端稍平截,上有一微凸的花柱残基,边缘有浅浅的裂纹。有香味,香味越浓厚表明质量越好。
桂丁具有温里散寒、止痛、止呃的功效。脾胃虚寒患者出现胃腹冷痛、恶心、呕吐、呃逆、嗳气等症状时,可以应用桂丁起到治疗作用。现代药理研究表明,桂丁还具有中枢性镇痛功效,对于痛经、腹痛、心胸疼痛等症状,也可以起到较好缓解作用。
月经过多、咽喉疼痛的人群禁止食用,有失血和遗精病史的人不可过多食用。
","articleBody": "桂丁是樟科樟属植物肉桂的幼嫩果实,略呈倒卵形,有香味。
桂丁具有温里散寒、止痛、止呃的功效。注意桂丁需要在医生指导下使用,其具有一定的禁忌症。

桂丁又可以称作肉桂花、肉桂子,是樟科樟属植物肉桂的幼嫩果实,大多产于福建、海南、广东、广西等地,其中以广西栽培为多,大多为人工纯林种植。桂丁略呈倒卵形,长5~12毫米。表面黄棕色,先端稍平截,上有一微凸的花柱残基,边缘有浅浅的裂纹。有香味,香味越浓厚表明质量越好。
桂丁具有温里散寒、止痛、止呃的功效。脾胃虚寒患者出现胃腹冷痛、恶心、呕吐、呃逆、嗳气等症状时,可以应用桂丁起到治疗作用。现代药理研究表明,桂丁还具有中枢性镇痛功效,对于痛经、腹痛、心胸疼痛等症状,也可以起到较好缓解作用。
月经过多、咽喉疼痛的人群禁止食用,有失血和遗精病史的人不可过多食用。
","scanCount": 5151}}} {"@context": "https://ziyuan.baidu.com/contexts/cambrian.jsonld","appid": "1650708455561748","icon": "https://www.med-credit.org.cn/style/images/ttlogo.png","content_tag": ["atlas"],"is_mcn": {"thumb_id": "c1nhtnyb"},"accid": "4886d626a2804dee5f11168793ce361672f39c25","@id": "https://www.med-credit.org.cn/mobile/jingxuan/2/460ca21410bc2aa1f3133c52c4668163.html","bagWordId": "24a344e25895fc94","title": "扁平疣图片长什么样子","pubDate": "2023-03-29T17:23:13","upDate": "2023-03-29T17:23:13","lrDate": "2023-03-29T17:23:13","description": "扁平疣是生长在皮肤表面的良性赘生物,其形态主要是隆起于皮肤表面、顶部扁平的小丘疹。","data": {"WebPage": {"headline": "扁平疣图片长什么样子","pcUrl": "https://www.med-credit.org.cn/jingxuan/2/460ca21410bc2aa1f3133c52c4668163.html","wapUrl": "https://www.med-credit.org.cn/jingxuan/2/460ca21410bc2aa1f3133c52c4668163.html","mipUrl": "https://www.med-credit.org.cn/mobile/jingxuan/2/460ca21410bc2aa1f3133c52c4668163.html","fromSrc": "欢乐橙","datePublished": "2023-03-29T17:23:13","domain": "医疗","category": ["医疗权威文章合作"],"description": "扁平疣是生长在皮肤表面的良性赘生物,其形态主要是隆起于皮肤表面、顶部扁平的小丘疹。
","extra_headline": [""]},"Author": {"name": "王晓彦","wapUrl": "https://www.med-credit.org.cn/doctor/541","pcUrl": "https://www.med-credit.org.cn/doctor/541","jobTitle": "主任医师","headPortrait": "https://www.med-credit.org.cn/uploadfile/member/541/180x180.jpeg","id": "541","description": "王晓彦,首都医科大学附属北京天坛医院皮肤科主任医师","memberOf": {"legalName": "首都医科大学附属北京天坛医院","department": "皮肤科","organizationLevel": "三级甲等"}},"Article": {"summaryContent": "扁平疣是生长在皮肤表面的良性赘生物,其形态主要是隆起于皮肤表面、顶部扁平的小丘疹。
扁平疣患者可以遵医嘱进行药物治疗、物理治疗。

扁平疣是由人乳头瘤病毒(HPV)侵入皮肤黏膜引起的皮肤疾病,多发于青少年。该疾病好发于面部、手背和手臂皮肤,主要临床表现是皮肤出现散在分布的扁平丘疹,呈粟粒状或绿豆粒大小,淡红色、暗褐色或肉皮色,形状略呈圆形或不规则形,境界清晰,表面光滑。皮损可有轻微瘙痒,通常无疼痛感。
扁平疣的治疗方法比较多,主要有局部外用药物治疗和物理治疗,当皮损数目较多或久治不愈时可考虑使用内服药物治疗。常用外用药物包括维A酸乳膏、氟尿嘧啶霜等。常用的物理治疗包括液氮冷冻、光动力、电灼、刮除和激光治疗。内服药物主要是异维A酸。注意药物的使用需要在医生的指导下进行。
","articleBody": "扁平疣是生长在皮肤表面的良性赘生物,其形态主要是隆起于皮肤表面、顶部扁平的小丘疹。
扁平疣患者可以遵医嘱进行药物治疗、物理治疗。

扁平疣是由人乳头瘤病毒(HPV)侵入皮肤黏膜引起的皮肤疾病,多发于青少年。该疾病好发于面部、手背和手臂皮肤,主要临床表现是皮肤出现散在分布的扁平丘疹,呈粟粒状或绿豆粒大小,淡红色、暗褐色或肉皮色,形状略呈圆形或不规则形,境界清晰,表面光滑。皮损可有轻微瘙痒,通常无疼痛感。
扁平疣的治疗方法比较多,主要有局部外用药物治疗和物理治疗,当皮损数目较多或久治不愈时可考虑使用内服药物治疗。常用外用药物包括维A酸乳膏、氟尿嘧啶霜等。常用的物理治疗包括液氮冷冻、光动力、电灼、刮除和激光治疗。内服药物主要是异维A酸。注意药物的使用需要在医生的指导下进行。
","scanCount": 32632}}} {"@context": "https://ziyuan.baidu.com/contexts/cambrian.jsonld","appid": "1650708455561748","icon": "https://www.med-credit.org.cn/style/images/ttlogo.png","content_tag": ["atlas"],"is_mcn": {"thumb_id": "c1nhtnyb"},"accid": "4886d626a2804dee5f11168793ce361672f39c25","@id": "https://www.med-credit.org.cn/mobile/jingxuan/2/48a09c5ee59ca50c9d46966f8a857322.html","bagWordId": "1193f96c4ec0339c","title": "刺瘊子早期图片","pubDate": "2023-03-29T17:23:13","upDate": "2023-03-29T17:23:13","lrDate": "2023-03-29T17:23:13","description": "刺瘊子又叫寻常疣,寻常疣早期表现为高出皮肤的丘疹,是由人乳头瘤病毒感染皮肤引起,具有传染性。","data": {"WebPage": {"headline": "刺瘊子早期图片","pcUrl": "https://www.med-credit.org.cn/jingxuan/2/48a09c5ee59ca50c9d46966f8a857322.html","wapUrl": "https://www.med-credit.org.cn/jingxuan/2/48a09c5ee59ca50c9d46966f8a857322.html","mipUrl": "https://www.med-credit.org.cn/mobile/jingxuan/2/48a09c5ee59ca50c9d46966f8a857322.html","fromSrc": "欢乐橙","datePublished": "2023-03-29T17:23:13","domain": "医疗","category": ["医疗权威文章合作"],"description": "刺瘊子又叫寻常疣,寻常疣早期表现为高出皮肤的丘疹,是由人乳头瘤病毒感染皮肤引起,具有传染性。
","extra_headline": [""]},"Author": {"name": "王晓彦","wapUrl": "https://www.med-credit.org.cn/doctor/541","pcUrl": "https://www.med-credit.org.cn/doctor/541","jobTitle": "主任医师","headPortrait": "https://www.med-credit.org.cn/uploadfile/member/541/180x180.jpeg","id": "541","description": "王晓彦,首都医科大学附属北京天坛医院皮肤科主任医师","memberOf": {"legalName": "首都医科大学附属北京天坛医院","department": "皮肤科","organizationLevel": "三级甲等"}},"Article": {"summaryContent": "刺瘊子又叫寻常疣,寻常疣早期表现为高出皮肤的丘疹,是由人乳头瘤病毒感染皮肤引起,具有传染性。
当出现寻常疣时,应及时前往医院检查,在医生的指导下选择合适的治疗方案,如可使用物理治疗、药物治疗,还需在日常生活中积极预防该疾病。

寻常疣是机体免疫力低下时,感染人乳头瘤病毒造成的。寻常疣在发病早期出现丘疹,高出皮面,逐渐扩大至黄豆大小,呈圆形或不规则形状隆起,表面粗糙质硬,顶端可分裂呈刺状,呈灰褐色、棕色或正常皮肤颜色。皮损进一步呈乳头样增生,在摩擦或碰撞后容易出血,一般无明显瘙痒感,偶有压痛。
该疾病呈慢性病程,半数以上病例可在2年内自然消退。当皮肤病变存在疼痛不适或皮肤功能受损,明显影响外观,对患者社交造成困扰,或身体存在免疫抑制状态,疣体持续没有消退时,可考虑进行干预治疗。常用的治疗方法包括物理性破坏病变组织,如冷冻疗法、电灼疗法等,患者还可遵医嘱使用5%咪喹莫特乳膏、5-氟尿嘧啶软膏等。
预防寻常疣的主要手段是避免与患者发生密切的触碰,避免在公共浴室、健身房、泳池等场所赤脚行走。
","articleBody": "刺瘊子又叫寻常疣,寻常疣早期表现为高出皮肤的丘疹,是由人乳头瘤病毒感染皮肤引起,具有传染性。
当出现寻常疣时,应及时前往医院检查,在医生的指导下选择合适的治疗方案,如可使用物理治疗、药物治疗,还需在日常生活中积极预防该疾病。

寻常疣是机体免疫力低下时,感染人乳头瘤病毒造成的。寻常疣在发病早期出现丘疹,高出皮面,逐渐扩大至黄豆大小,呈圆形或不规则形状隆起,表面粗糙质硬,顶端可分裂呈刺状,呈灰褐色、棕色或正常皮肤颜色。皮损进一步呈乳头样增生,在摩擦或碰撞后容易出血,一般无明显瘙痒感,偶有压痛。
该疾病呈慢性病程,半数以上病例可在2年内自然消退。当皮肤病变存在疼痛不适或皮肤功能受损,明显影响外观,对患者社交造成困扰,或身体存在免疫抑制状态,疣体持续没有消退时,可考虑进行干预治疗。常用的治疗方法包括物理性破坏病变组织,如冷冻疗法、电灼疗法等,患者还可遵医嘱使用5%咪喹莫特乳膏、5-氟尿嘧啶软膏等。
预防寻常疣的主要手段是避免与患者发生密切的触碰,避免在公共浴室、健身房、泳池等场所赤脚行走。
","scanCount": 32607}}} {"@context": "https://ziyuan.baidu.com/contexts/cambrian.jsonld","appid": "1650708455561748","icon": "https://www.med-credit.org.cn/style/images/ttlogo.png","content_tag": ["atlas"],"is_mcn": {"thumb_id": "3w128mji2"},"accid": "4886d626a2804dee5f11168793ce361672f39c25","@id": "https://www.med-credit.org.cn/mobile/jingxuan/2/e3f091c592a1d31e8bf198589115b45d.html","bagWordId": "2deb45eb89b1ca5c","title": "人得了猫癣初期症状图","pubDate": "2023-03-29T17:23:13","upDate": "2023-03-29T17:23:13","lrDate": "2023-03-29T17:23:13","description": "人得了猫癣在初期表现为小丘疹、小斑块的出现,后期会不断变大。","data": {"WebPage": {"headline": "人得了猫癣初期症状图","pcUrl": "https://www.med-credit.org.cn/jingxuan/2/e3f091c592a1d31e8bf198589115b45d.html","wapUrl": "https://www.med-credit.org.cn/jingxuan/2/e3f091c592a1d31e8bf198589115b45d.html","mipUrl": "https://www.med-credit.org.cn/mobile/jingxuan/2/e3f091c592a1d31e8bf198589115b45d.html","fromSrc": "欢乐橙","datePublished": "2023-03-29T17:23:13","domain": "医疗","category": ["医疗权威文章合作"],"description": "人得了猫癣在初期表现为小丘疹、小斑块的出现,后期会不断变大。
","extra_headline": ["人得了猫癣初期症状"]},"Author": {"name": "曲乐","wapUrl": "https://www.med-credit.org.cn/doctor/554","pcUrl": "https://www.med-credit.org.cn/doctor/554","jobTitle": "副主任医师","headPortrait": "https://www.med-credit.org.cn/uploadfile/member/554/180x180.jpeg","id": "554","description": "曲乐,副主任医师、医学博士、硕士研究生导师、美容主诊医师、公派留美访问学者。主持国家自然科学基金及省市课题多项,在国内外高水平专业杂志发表中英文论文20余篇,参编英文专著1部。现任辽宁省免疫学会委员。","memberOf": {"legalName": "中国医科大学附属第一医院","department": "皮肤科","organizationLevel": "三级甲等"}},"Article": {"summaryContent": "人得了猫癣在初期表现为小丘疹、小斑块的出现,后期会不断变大。
猫癣是感染真菌造成的,患者需及时前往医院治疗,可以给予抗真菌药物治疗,并注意预防感染猫癣。

1、症状:人得了猫癣主要是指通过与猫等动物的亲密接触。动物身上的真菌传到皮肤表面,导致出现浅表皮肤真菌感染的情况。初期表现为小丘疹、小斑块,小丘疹可逐渐长大呈圆形或者类圆形的红色斑点向周围扩展,边缘略微隆起,还伴有瘙痒。初期还可出现小的红色斑块,斑块后期可以不断蔓延和扩展,引起斑块的融合形成大斑块,进而可能有细小的白鳞屑出现,有明显瘙痒感觉,剧烈搔抓之后可能会出现结痂现象。
2、治疗:人得了猫癣之后一般可以通过真菌化验来确定疾病,在治疗上主要是采用抗真菌药膏进行外部涂抹,也可以适当补充维生素来提高自身免疫力。
如果人得了猫癣,不要用力去挠,可以涂药膏缓解瘙痒。也要注意帮助猫咪除猫癣,注意定期给猫咪洗澡来保持卫生。另外,如果身上有伤口也不要触碰猫咪,避免感染上猫癣。
","articleBody": "人得了猫癣在初期表现为小丘疹、小斑块的出现,后期会不断变大。
猫癣是感染真菌造成的,患者需及时前往医院治疗,可以给予抗真菌药物治疗,并注意预防感染猫癣。

1、症状:人得了猫癣主要是指通过与猫等动物的亲密接触。动物身上的真菌传到皮肤表面,导致出现浅表皮肤真菌感染的情况。初期表现为小丘疹、小斑块,小丘疹可逐渐长大呈圆形或者类圆形的红色斑点向周围扩展,边缘略微隆起,还伴有瘙痒。初期还可出现小的红色斑块,斑块后期可以不断蔓延和扩展,引起斑块的融合形成大斑块,进而可能有细小的白鳞屑出现,有明显瘙痒感觉,剧烈搔抓之后可能会出现结痂现象。
2、治疗:人得了猫癣之后一般可以通过真菌化验来确定疾病,在治疗上主要是采用抗真菌药膏进行外部涂抹,也可以适当补充维生素来提高自身免疫力。
如果人得了猫癣,不要用力去挠,可以涂药膏缓解瘙痒。也要注意帮助猫咪除猫癣,注意定期给猫咪洗澡来保持卫生。另外,如果身上有伤口也不要触碰猫咪,避免感染上猫癣。
","scanCount": 8187}}} {"@context": "https://ziyuan.baidu.com/contexts/cambrian.jsonld","appid": "1650708455561748","icon": "https://www.med-credit.org.cn/style/images/ttlogo.png","content_tag": ["atlas"],"is_mcn": {"thumb_id": "e4oal99d"},"accid": "4886d626a2804dee5f11168793ce361672f39c25","@id": "https://www.med-credit.org.cn/mobile/jingxuan/2/03f64d9cb15bc7e76f1cbfcdf474d123.html","bagWordId": "d22d0a56f5d3f075","title": "喉咙结构图","pubDate": "2023-03-29T17:23:13","upDate": "2023-03-29T17:23:13","lrDate": "2023-03-29T17:23:13","description": "喉咙,医学名称为喉。喉由喉口和喉腔构成。","data": {"WebPage": {"headline": "喉咙结构图","pcUrl": "https://www.med-credit.org.cn/jingxuan/2/03f64d9cb15bc7e76f1cbfcdf474d123.html","wapUrl": "https://www.med-credit.org.cn/jingxuan/2/03f64d9cb15bc7e76f1cbfcdf474d123.html","mipUrl": "https://www.med-credit.org.cn/mobile/jingxuan/2/03f64d9cb15bc7e76f1cbfcdf474d123.html","fromSrc": "欢乐橙","datePublished": "2023-03-29T17:23:13","domain": "医疗","category": ["医疗权威文章合作"],"description": "喉咙,医学名称为喉。喉由喉口和喉腔构成。
","extra_headline": ["喉咙结构"]},"Author": {"name": "谢洪","wapUrl": "https://www.med-credit.org.cn/doctor/538","pcUrl": "https://www.med-credit.org.cn/doctor/538","jobTitle": "副主任医师","headPortrait": "https://www.med-credit.org.cn/uploadfile/member/538/180x180.jpeg","id": "538","description": "谢洪,首都医科大学附属北京世纪坛医院耳鼻喉头颈外科副主任医师","memberOf": {"legalName": "首都医科大学附属北京世纪坛医院","department": "耳鼻喉头颈外科","organizationLevel": "三级甲等"}},"Article": {"summaryContent": "喉咙,医学名称为喉。喉由喉口和喉腔构成。
喉具有一定的临床功能。



1、喉口:喉为气管前端的膨大部分,既是呼吸的通道,也是发音器官。喉的入口称喉口,由会厌上缘、杓状会厌襞、杓间切迹围成,朝向后上方。
2、喉腔:是由喉壁围成的管腔。喉壁由喉软骨、韧带和纤维膜、喉肌及喉黏膜等构成。前壁由会厌软骨,甲状会厌韧带,甲状软骨板前部,环甲(正中)韧带及环状软骨弓前部等而成;两侧壁主由喉方形膜、弹性圆锥、小角软骨、杓状软骨及环状软骨弓外侧部等而成;后壁由环状软骨板与杓肌而成。上述各壁内面都盖以喉黏膜。喉黏膜极为敏感,受异物刺激,可引起咳嗽,将异物咳出。喉黏膜向上方,由会厌黏膜向前移行于舌黏膜,向后外移行于咽黏膜,向下方移行于气管黏膜。喉腔上方借喉口开口于咽腔喉部,向下直通气管,可分为上、中、下三部,上部最宽大为喉前庭,中部最狭窄为喉中间腔,下部为声门(喉)下腔。
喉可以促使声音的生成。吞咽时防止食物和液体倒流入鼻腔在食道和气管顶部有个“小门”,呼吸的时候就关闭食道,下咽的时候就关闭气管悬雍垂的实际功能并不是完全清楚,在某些耳鼻咽喉科专业杂志上被称为"神秘的悬雍垂"。
","articleBody": "喉咙,医学名称为喉。喉由喉口和喉腔构成。
喉具有一定的临床功能。



1、喉口:喉为气管前端的膨大部分,既是呼吸的通道,也是发音器官。喉的入口称喉口,由会厌上缘、杓状会厌襞、杓间切迹围成,朝向后上方。
2、喉腔:是由喉壁围成的管腔。喉壁由喉软骨、韧带和纤维膜、喉肌及喉黏膜等构成。前壁由会厌软骨,甲状会厌韧带,甲状软骨板前部,环甲(正中)韧带及环状软骨弓前部等而成;两侧壁主由喉方形膜、弹性圆锥、小角软骨、杓状软骨及环状软骨弓外侧部等而成;后壁由环状软骨板与杓肌而成。上述各壁内面都盖以喉黏膜。喉黏膜极为敏感,受异物刺激,可引起咳嗽,将异物咳出。喉黏膜向上方,由会厌黏膜向前移行于舌黏膜,向后外移行于咽黏膜,向下方移行于气管黏膜。喉腔上方借喉口开口于咽腔喉部,向下直通气管,可分为上、中、下三部,上部最宽大为喉前庭,中部最狭窄为喉中间腔,下部为声门(喉)下腔。
喉可以促使声音的生成。吞咽时防止食物和液体倒流入鼻腔在食道和气管顶部有个“小门”,呼吸的时候就关闭食道,下咽的时候就关闭气管悬雍垂的实际功能并不是完全清楚,在某些耳鼻咽喉科专业杂志上被称为"神秘的悬雍垂"。
","scanCount": 5745}}} {"@context": "https://ziyuan.baidu.com/contexts/cambrian.jsonld","appid": "1650708455561748","icon": "https://www.med-credit.org.cn/style/images/ttlogo.png","content_tag": ["atlas"],"is_mcn": {"thumb_id": "6s1phww1w"},"accid": "4886d626a2804dee5f11168793ce361672f39c25","@id": "https://www.med-credit.org.cn/mobile/jingxuan/2/41fad8c4c2f42330f66dc352caa61457.html","bagWordId": "463504c85312bcf9","title": "轻微足内翻图片","pubDate": "2023-03-29T17:23:13","upDate": "2023-03-29T17:23:13","lrDate": "2023-03-29T17:23:13","description": "轻微足内翻。指的是轻度的足内翻,轻度足内翻大拇趾的位置稍微向内倾斜。足内翻可以分为轻度、中度和重度足内翻。","data": {"WebPage": {"headline": "轻微足内翻图片","pcUrl": "https://www.med-credit.org.cn/jingxuan/2/41fad8c4c2f42330f66dc352caa61457.html","wapUrl": "https://www.med-credit.org.cn/jingxuan/2/41fad8c4c2f42330f66dc352caa61457.html","mipUrl": "https://www.med-credit.org.cn/mobile/jingxuan/2/41fad8c4c2f42330f66dc352caa61457.html","fromSrc": "欢乐橙","datePublished": "2023-03-29T17:23:13","domain": "医疗","category": ["医疗权威文章合作"],"description": "轻微足内翻。指的是轻度的足内翻,轻度足内翻大拇趾的位置稍微向内倾斜。足内翻可以分为轻度、中度和重度足内翻。
","extra_headline": ["轻微足内翻"]},"Author": {"name": "王维","wapUrl": "https://www.med-credit.org.cn/doctor/513","pcUrl": "https://www.med-credit.org.cn/doctor/513","jobTitle": "主治医师","headPortrait": "https://www.med-credit.org.cn/uploadfile/member/513/180x180.jpeg","id": "513","description": "王维,中国医科大学附属盛京医院骨科主治医师","memberOf": {"legalName": "中国医科大学附属盛京医院","department": "骨科","organizationLevel": "三级甲等"}},"Article": {"summaryContent": "轻微足内翻。指的是轻度的足内翻,轻度足内翻大拇趾的位置稍微向内倾斜。足内翻可以分为轻度、中度和重度足内翻。
轻度足内翻的病因有先天性和后天性病因两种。建议患者及时到医院就诊,进行相关检查以明确病因,进行对因治疗。

根据脚趾位置进行区分
1.正常脚:脚趾的位置比较平均,脚正中线的位置位于第二与第三脚趾之间。
2.轻度足内翻:大拇趾的位置稍微向内倾斜,脚正中线位于第三脚趾上。
3.中度足内翻:大拇趾的位置进一步内移,脚正中线位于第三到第四脚趾之间。
4.重度足内翻:脚正中线位于第四脚趾与小拇趾之间。
一、先天性病因
1、特发性,病因不明,各项检查无明显阳性结果,可能与胚胎发育异常有关。
2、神经源性:最常见于先天性脊柱裂。
3、综合征性:可见于脊髓栓系综合征、马凡综合征。
二、后天性病因
1、上运动神经元性
常见于脑性瘫痪、脑血管意外、颅脑外伤、脊髓损伤,由于上运动神经元损伤引起下运动神经元的亢奋,其所支配肌肉处于痉挛状态,通常伴有踝阵挛阳性体征。
2、下运动神经元性
常见于脊髓灰质炎、周围神经病(如腓骨肌萎缩症、肌营养不良症等),下运动神经元受损后,肌肉处于弛缓性瘫痪,肌力明显减弱,踝阵挛阴性。
3、创伤性
可在手术、外伤、感染后出现,原因有以下一种或多种:
创伤造成周围神经损伤;
创伤后关节及肌腱挛缩;
骨折后畸形愈合(如距骨内侧骨折)。
","articleBody": "轻微足内翻。指的是轻度的足内翻,轻度足内翻大拇趾的位置稍微向内倾斜。足内翻可以分为轻度、中度和重度足内翻。
轻度足内翻的病因有先天性和后天性病因两种。建议患者及时到医院就诊,进行相关检查以明确病因,进行对因治疗。

根据脚趾位置进行区分
1.正常脚:脚趾的位置比较平均,脚正中线的位置位于第二与第三脚趾之间。
2.轻度足内翻:大拇趾的位置稍微向内倾斜,脚正中线位于第三脚趾上。
3.中度足内翻:大拇趾的位置进一步内移,脚正中线位于第三到第四脚趾之间。
4.重度足内翻:脚正中线位于第四脚趾与小拇趾之间。
一、先天性病因
1、特发性,病因不明,各项检查无明显阳性结果,可能与胚胎发育异常有关。
2、神经源性:最常见于先天性脊柱裂。
3、综合征性:可见于脊髓栓系综合征、马凡综合征。
二、后天性病因
1、上运动神经元性
常见于脑性瘫痪、脑血管意外、颅脑外伤、脊髓损伤,由于上运动神经元损伤引起下运动神经元的亢奋,其所支配肌肉处于痉挛状态,通常伴有踝阵挛阳性体征。
2、下运动神经元性
常见于脊髓灰质炎、周围神经病(如腓骨肌萎缩症、肌营养不良症等),下运动神经元受损后,肌肉处于弛缓性瘫痪,肌力明显减弱,踝阵挛阴性。
3、创伤性
可在手术、外伤、感染后出现,原因有以下一种或多种:
创伤造成周围神经损伤;
创伤后关节及肌腱挛缩;
骨折后畸形愈合(如距骨内侧骨折)。
","scanCount": 9752}}} {"@context": "https://ziyuan.baidu.com/contexts/cambrian.jsonld","appid": "1650708455561748","icon": "https://www.med-credit.org.cn/style/images/ttlogo.png","content_tag": ["atlas"],"is_mcn": {"thumb_id": "6s1phww1w"},"accid": "4886d626a2804dee5f11168793ce361672f39c25","@id": "https://www.med-credit.org.cn/mobile/jingxuan/2/300a243bbda1b8669e496512567ee076.html","bagWordId": "5003b203da66a7db","title": "腘绳肌在哪个位置图片","pubDate": "2023-03-29T17:23:13","upDate": "2023-03-29T17:23:13","lrDate": "2023-03-29T17:23:13","description": "腘绳肌位于大腿后侧,属于大腿肌重要的后侧肌肉群。腘绳肌主要由股二头肌、半腱肌和半膜肌组成。","data": {"WebPage": {"headline": "腘绳肌在哪个位置图片","pcUrl": "https://www.med-credit.org.cn/jingxuan/2/300a243bbda1b8669e496512567ee076.html","wapUrl": "https://www.med-credit.org.cn/jingxuan/2/300a243bbda1b8669e496512567ee076.html","mipUrl": "https://www.med-credit.org.cn/mobile/jingxuan/2/300a243bbda1b8669e496512567ee076.html","fromSrc": "欢乐橙","datePublished": "2023-03-29T17:23:13","domain": "医疗","category": ["医疗权威文章合作"],"description": "腘绳肌位于大腿后侧,属于大腿肌重要的后侧肌肉群。腘绳肌主要由股二头肌、半腱肌和半膜肌组成。
","extra_headline": ["腘绳肌在哪个位置"]},"Author": {"name": "王维","wapUrl": "https://www.med-credit.org.cn/doctor/513","pcUrl": "https://www.med-credit.org.cn/doctor/513","jobTitle": "主治医师","headPortrait": "https://www.med-credit.org.cn/uploadfile/member/513/180x180.jpeg","id": "513","description": "王维,中国医科大学附属盛京医院骨科主治医师","memberOf": {"legalName": "中国医科大学附属盛京医院","department": "骨科","organizationLevel": "三级甲等"}},"Article": {"summaryContent": "腘绳肌位于大腿后侧,属于大腿肌重要的后侧肌肉群。腘绳肌主要由股二头肌、半腱肌和半膜肌组成。
对人体正常站立、关节活动起着重要作用。日常生活中久坐或过度腿部肌肉拉伤以及其他病变会导致腘绳肌出现相关异常症状,此时需及时治疗。

1.位置:腘绳肌附着于大腿后侧,其中内侧腘绳肌由半腱肌与半膜肌构成,起于骨盆部位的坐骨结节,止于小腿胫骨内侧的部位。而股二头肌主要构成外侧腘绳肌,其起点起于坐骨结节,止于下肢腓骨头。因此总体而言腘绳肌解剖位置起于骨盆,止于下肢小腿,同时横跨膝关节与髂关节在内的两个重要关节。
2.作用:鉴于腘绳肌重要的解剖位置,也决定了腘绳肌对人体具有重要支撑作用,可以维持人体正常站立及坐姿的固定。同时由于其横跨关节的特性决定了腘绳肌具有保持髋关节、膝关节正常伸曲的功能。
由于日常生活中久坐或过度腿部肌肉拉伤容易导致腘绳肌肌肉力量的减弱,出现有肌肉痉挛、紧张等症状。当出现有类型症状时,需要通过康复训练肌肉耐力,在日常生活中注意对肌肉的拉伸。
","articleBody": "腘绳肌位于大腿后侧,属于大腿肌重要的后侧肌肉群。腘绳肌主要由股二头肌、半腱肌和半膜肌组成。
对人体正常站立、关节活动起着重要作用。日常生活中久坐或过度腿部肌肉拉伤以及其他病变会导致腘绳肌出现相关异常症状,此时需及时治疗。

1.位置:腘绳肌附着于大腿后侧,其中内侧腘绳肌由半腱肌与半膜肌构成,起于骨盆部位的坐骨结节,止于小腿胫骨内侧的部位。而股二头肌主要构成外侧腘绳肌,其起点起于坐骨结节,止于下肢腓骨头。因此总体而言腘绳肌解剖位置起于骨盆,止于下肢小腿,同时横跨膝关节与髂关节在内的两个重要关节。
2.作用:鉴于腘绳肌重要的解剖位置,也决定了腘绳肌对人体具有重要支撑作用,可以维持人体正常站立及坐姿的固定。同时由于其横跨关节的特性决定了腘绳肌具有保持髋关节、膝关节正常伸曲的功能。
由于日常生活中久坐或过度腿部肌肉拉伤容易导致腘绳肌肌肉力量的减弱,出现有肌肉痉挛、紧张等症状。当出现有类型症状时,需要通过康复训练肌肉耐力,在日常生活中注意对肌肉的拉伸。
","scanCount": 9293}}} {"@context": "https://ziyuan.baidu.com/contexts/cambrian.jsonld","appid": "1650708455561748","icon": "https://www.med-credit.org.cn/style/images/ttlogo.png","content_tag": ["atlas"],"is_mcn": {"thumb_id": "3w128mji2"},"accid": "4886d626a2804dee5f11168793ce361672f39c25","@id": "https://www.med-credit.org.cn/mobile/jingxuan/2/b2a6661c2bdeb40b354a110204653b6d.html","bagWordId": "f853c8abf153ae1a","title": "牛皮癣症状图片","pubDate": "2023-03-29T17:23:13","upDate": "2023-03-29T17:23:13","lrDate": "2023-03-29T17:23:13","description": "牛皮癣是指寻常型银屑病,寻常型银屑病皮疹的典型表现是有鳞屑的红斑或斑块,皮疹边界清楚,分布可局限、可广泛。","data": {"WebPage": {"headline": "牛皮癣症状图片","pcUrl": "https://www.med-credit.org.cn/jingxuan/2/b2a6661c2bdeb40b354a110204653b6d.html","wapUrl": "https://www.med-credit.org.cn/jingxuan/2/b2a6661c2bdeb40b354a110204653b6d.html","mipUrl": "https://www.med-credit.org.cn/mobile/jingxuan/2/b2a6661c2bdeb40b354a110204653b6d.html","fromSrc": "欢乐橙","datePublished": "2023-03-29T17:23:13","domain": "医疗","category": ["医疗权威文章合作"],"description": "牛皮癣是指寻常型银屑病,寻常型银屑病皮疹的典型表现是有鳞屑的红斑或斑块,皮疹边界清楚,分布可局限、可广泛。
","extra_headline": ["牛皮鲜症状"]},"Author": {"name": "曲乐","wapUrl": "https://www.med-credit.org.cn/doctor/554","pcUrl": "https://www.med-credit.org.cn/doctor/554","jobTitle": "副主任医师","headPortrait": "https://www.med-credit.org.cn/uploadfile/member/554/180x180.jpeg","id": "554","description": "曲乐,副主任医师、医学博士、硕士研究生导师、美容主诊医师、公派留美访问学者。主持国家自然科学基金及省市课题多项,在国内外高水平专业杂志发表中英文论文20余篇,参编英文专著1部。现任辽宁省免疫学会委员。","memberOf": {"legalName": "中国医科大学附属第一医院","department": "皮肤科","organizationLevel": "三级甲等"}},"Article": {"summaryContent": "牛皮癣是指寻常型银屑病,寻常型银屑病皮疹的典型表现是有鳞屑的红斑或斑块,皮疹边界清楚,分布可局限、可广泛。
寻常型银屑病目前无法治愈,可以通过一些对症治疗方案来缓解症状。


1、皮疹形态
早期的皮疹是红色丘疹,逐渐扩展成为边界清楚的红色斑块,形态有多种,如点滴状、斑块状、钱币状、地图状或蛎壳状。
2、典型征象
(1)蜡滴现象:红斑、斑块上方覆盖多层银白色的鳞屑,如果刮除最上层的鳞屑,可以见到鳞屑多个分层,就像在刮蜡滴一样。
(2)薄膜现象:刮去银白色鳞屑后可以见到淡红色、反光、半透明的“薄膜”。
蜡滴现象、薄膜现象与点状出血现象对银屑病都有诊断价值。
目前寻常型银屑病无法治愈,可使用浓稠保湿乳膏来防止皮肤过于干燥,并可以通过一些对症治疗方案来缓解症状控制病情进展。外用糖皮质激素(如糠酸莫米松软膏)是常用的药物,有助于控制免疫应答。也可配合紫外线照射治疗,如窄谱紫外线光照疗法、家庭光疗、准分子激光治疗等。注意用药需遵医嘱。
","articleBody": "牛皮癣是指寻常型银屑病,寻常型银屑病皮疹的典型表现是有鳞屑的红斑或斑块,皮疹边界清楚,分布可局限、可广泛。
寻常型银屑病目前无法治愈,可以通过一些对症治疗方案来缓解症状。


1、皮疹形态
早期的皮疹是红色丘疹,逐渐扩展成为边界清楚的红色斑块,形态有多种,如点滴状、斑块状、钱币状、地图状或蛎壳状。
2、典型征象
(1)蜡滴现象:红斑、斑块上方覆盖多层银白色的鳞屑,如果刮除最上层的鳞屑,可以见到鳞屑多个分层,就像在刮蜡滴一样。
(2)薄膜现象:刮去银白色鳞屑后可以见到淡红色、反光、半透明的“薄膜”。
蜡滴现象、薄膜现象与点状出血现象对银屑病都有诊断价值。
目前寻常型银屑病无法治愈,可使用浓稠保湿乳膏来防止皮肤过于干燥,并可以通过一些对症治疗方案来缓解症状控制病情进展。外用糖皮质激素(如糠酸莫米松软膏)是常用的药物,有助于控制免疫应答。也可配合紫外线照射治疗,如窄谱紫外线光照疗法、家庭光疗、准分子激光治疗等。注意用药需遵医嘱。
","scanCount": 9844}}} {"@context": "https://ziyuan.baidu.com/contexts/cambrian.jsonld","appid": "1650708455561748","icon": "https://www.med-credit.org.cn/style/images/ttlogo.png","content_tag": ["atlas"],"is_mcn": {"thumb_id": "6s37k24n"},"accid": "4886d626a2804dee5f11168793ce361672f39c25","@id": "https://www.med-credit.org.cn/mobile/jingxuan/2/91d9c0baac33df4c8f360fa341b3206d.html","bagWordId": "27efc3f959126e3b","title": "鸡骨草图片","pubDate": "2023-03-29T17:23:13","upDate": "2023-03-29T17:23:13","lrDate": "2023-03-29T17:23:13","description": "鸡骨草的根上粗下细,具有分枝,鸡骨草还具有茎,叶等结构。","data": {"WebPage": {"headline": "鸡骨草图片","pcUrl": "https://www.med-credit.org.cn/jingxuan/2/91d9c0baac33df4c8f360fa341b3206d.html","wapUrl": "https://www.med-credit.org.cn/jingxuan/2/91d9c0baac33df4c8f360fa341b3206d.html","mipUrl": "https://www.med-credit.org.cn/mobile/jingxuan/2/91d9c0baac33df4c8f360fa341b3206d.html","fromSrc": "欢乐橙","datePublished": "2023-03-29T17:23:13","domain": "医疗","category": ["医疗权威文章合作"],"description": "鸡骨草的根上粗下细,具有分枝,鸡骨草还具有茎,叶等结构。
","extra_headline": [""]},"Author": {"name": "王成阳","wapUrl": "https://www.med-credit.org.cn/doctor/574","pcUrl": "https://www.med-credit.org.cn/doctor/574","jobTitle": "副主任医师","headPortrait": "https://www.med-credit.org.cn/uploadfile/member/574/180x180.jpeg","id": "574","description": "王成阳,安徽医科大学附属巢湖医院中医科副主任医师","memberOf": {"legalName": "安徽医科大学附属巢湖医院","department": "中医科","organizationLevel": "三级甲等"}},"Article": {"summaryContent": "鸡骨草的根上粗下细,具有分枝,鸡骨草还具有茎,叶等结构。
鸡骨草具有清热解毒、疏肝去黄,利湿止痛的功效。注意需在医生的指导下使用,其具有相应的煎煮、配伍以及其他注意事项。


1、形状:鸡骨草的根上粗下细,呈圆锥形,长短不一,有分枝,长短不一,表面为灰棕色,粗糙,有细纵纹,支根极细。入药以主根粗壮、质坚硬,茎叶全者为佳。茎丛生,长50~2500px,直径约5px;灰棕色至紫褐色,小枝纤细,疏被短柔毛。羽状复叶互生,小叶8~11对,多脱落,小叶矩圆形,长0.8~30px;先端平截,有小突尖,下表面被伏毛。气微香,味微苦。喜温暖、潮湿、怕寒冷,耐旱,忌涝。常生于山地或旷野灌木林边。
2、功效:鸡骨草药性甘、凉,味微苦,气微香。具有清热解毒、疏肝去黄,利湿止痛的功效。可以用于治疗湿热黄疸型肝炎、胁肋不舒、胃脘胀痛、乳痈肿痛等症。现代医学研究表明本品还可能具有抗肝损伤、抗炎、免疫增强、抗氧化等作用,具体疗效有待验证。
用法可根据病情进行煎煮内服,配伍其他药品可根据功效炮制成丸、散使用。治疗乳痈局部外用也可使用鲜品捣碎敷于患处。使用本品时需要注意,用药期间应忌食寒凉、生冷食物、忌食辛辣油腻食物,忌烟酒。虚寒体弱的患者应谨慎使用,用药前建议由中医师根据个人体质辩证后开方。
","articleBody": "鸡骨草的根上粗下细,具有分枝,鸡骨草还具有茎,叶等结构。
鸡骨草具有清热解毒、疏肝去黄,利湿止痛的功效。注意需在医生的指导下使用,其具有相应的煎煮、配伍以及其他注意事项。


1、形状:鸡骨草的根上粗下细,呈圆锥形,长短不一,有分枝,长短不一,表面为灰棕色,粗糙,有细纵纹,支根极细。入药以主根粗壮、质坚硬,茎叶全者为佳。茎丛生,长50~2500px,直径约5px;灰棕色至紫褐色,小枝纤细,疏被短柔毛。羽状复叶互生,小叶8~11对,多脱落,小叶矩圆形,长0.8~30px;先端平截,有小突尖,下表面被伏毛。气微香,味微苦。喜温暖、潮湿、怕寒冷,耐旱,忌涝。常生于山地或旷野灌木林边。
2、功效:鸡骨草药性甘、凉,味微苦,气微香。具有清热解毒、疏肝去黄,利湿止痛的功效。可以用于治疗湿热黄疸型肝炎、胁肋不舒、胃脘胀痛、乳痈肿痛等症。现代医学研究表明本品还可能具有抗肝损伤、抗炎、免疫增强、抗氧化等作用,具体疗效有待验证。
用法可根据病情进行煎煮内服,配伍其他药品可根据功效炮制成丸、散使用。治疗乳痈局部外用也可使用鲜品捣碎敷于患处。使用本品时需要注意,用药期间应忌食寒凉、生冷食物、忌食辛辣油腻食物,忌烟酒。虚寒体弱的患者应谨慎使用,用药前建议由中医师根据个人体质辩证后开方。
","scanCount": 32485}}} {"@context": "https://ziyuan.baidu.com/contexts/cambrian.jsonld","appid": "1650708455561748","icon": "https://www.med-credit.org.cn/style/images/ttlogo.png","content_tag": ["atlas"],"is_mcn": {"thumb_id": "v2rm41u3"},"accid": "4886d626a2804dee5f11168793ce361672f39c25","@id": "https://www.med-credit.org.cn/mobile/jingxuan/2/f8f5af86c14bd4273da339eb60e30c14.html","bagWordId": "269_1558063572720816128","title": "双胞胎8周b超图片","pubDate": "2023-03-29T10:32:19","upDate": "2023-03-29T10:32:19","lrDate": "2023-03-29T10:32:19","description": "在怀孕8周时做B超如果显示的是双胞胎,一般是准确的,8周可以非常清晰的看到两个胎心。","data": {"WebPage": {"headline": "双胞胎8周b超图片","pcUrl": "https://www.med-credit.org.cn/jingxuan/2/f8f5af86c14bd4273da339eb60e30c14.html","wapUrl": "https://www.med-credit.org.cn/jingxuan/2/f8f5af86c14bd4273da339eb60e30c14.html","mipUrl": "https://www.med-credit.org.cn/mobile/jingxuan/2/f8f5af86c14bd4273da339eb60e30c14.html","fromSrc": "欢乐橙","datePublished": "2023-03-29T10:32:19","domain": "医疗","category": ["医疗权威文章合作"],"description": "在怀孕8周时做B超如果显示的是双胞胎,一般是准确的,8周可以非常清晰的看到两个胎心。
","extra_headline": [""]},"Author": {"name": "种轶文","wapUrl": "https://www.med-credit.org.cn/doctor/575","pcUrl": "https://www.med-credit.org.cn/doctor/575","jobTitle": "副主任医师","headPortrait": "https://www.med-credit.org.cn/uploadfile/member/575/180x180.jpeg","id": "575","description": "种轶文,北京大学第三医院妇产科副主任医师","memberOf": {"legalName": "北京大学第三医院","department": "妇产科","organizationLevel": "三级甲等"}},"Article": {"summaryContent": "在怀孕8周时做B超如果显示的是双胞胎,一般是准确的,8周可以非常清晰的看到两个胎心。
彩超检查是在胎儿的不同阶段检查相应的发育情况,所以要定期进行产检,密切观察胎儿的发育情况。

如果是双胞胎,在怀孕早期的时候通过B超检查就可以在宫腔内发现两个妊娠囊,并且子宫比单胎妊娠要大,另外双胞胎的孕妇出现早孕反应也比单胎妊娠的要早。
双胞胎属于高危妊娠,所以在怀孕期间一定去高危妊娠门诊做产检。双胞胎的孕妇做超生时相对于单胞胎是不容易做的,胎位不正或其中任何一个姿势不好,都会影响检查,建议选择到专业正规医院进行检查。除此之外在孕妈妈腹中的双胞胎相对挤一些,因此建议孕妈妈应该放松心情。最后建议做四维彩超,因为四维彩超分辨率高,能够很清晰的看见胎儿的每个部位和内脏器官等的发育情况,四维彩超单保胎的检查时间是在孕24至26周,双胞胎在21至23周,这时检查的图像比较清。
","articleBody": "在怀孕8周时做B超如果显示的是双胞胎,一般是准确的,8周可以非常清晰的看到两个胎心。
彩超检查是在胎儿的不同阶段检查相应的发育情况,所以要定期进行产检,密切观察胎儿的发育情况。

如果是双胞胎,在怀孕早期的时候通过B超检查就可以在宫腔内发现两个妊娠囊,并且子宫比单胎妊娠要大,另外双胞胎的孕妇出现早孕反应也比单胎妊娠的要早。
双胞胎属于高危妊娠,所以在怀孕期间一定去高危妊娠门诊做产检。双胞胎的孕妇做超生时相对于单胞胎是不容易做的,胎位不正或其中任何一个姿势不好,都会影响检查,建议选择到专业正规医院进行检查。除此之外在孕妈妈腹中的双胞胎相对挤一些,因此建议孕妈妈应该放松心情。最后建议做四维彩超,因为四维彩超分辨率高,能够很清晰的看见胎儿的每个部位和内脏器官等的发育情况,四维彩超单保胎的检查时间是在孕24至26周,双胞胎在21至23周,这时检查的图像比较清。
","scanCount": 56739}}} {"@context": "https://ziyuan.baidu.com/contexts/cambrian.jsonld","appid": "1650708455561748","icon": "https://www.med-credit.org.cn/style/images/ttlogo.png","content_tag": ["atlas"],"is_mcn": {"thumb_id": "v2rm41u3"},"accid": "4886d626a2804dee5f11168793ce361672f39c25","@id": "https://www.med-credit.org.cn/mobile/jingxuan/2/bb68c052ae6749a28ac9beee60ddf3c0.html","bagWordId": "269_1558063575828795392","title": "产后恶露粘稠拉丝像鼻涕图片","pubDate": "2023-03-29T10:32:19","upDate": "2023-03-29T10:32:19","lrDate": "2023-03-29T10:32:19","description": "产后恶露粘稠拉丝像鼻涕一般是女性在产褥期的生理性表现,也可能为病理变化。","data": {"WebPage": {"headline": "产后恶露粘稠拉丝像鼻涕图片","pcUrl": "https://www.med-credit.org.cn/jingxuan/2/bb68c052ae6749a28ac9beee60ddf3c0.html","wapUrl": "https://www.med-credit.org.cn/jingxuan/2/bb68c052ae6749a28ac9beee60ddf3c0.html","mipUrl": "https://www.med-credit.org.cn/mobile/jingxuan/2/bb68c052ae6749a28ac9beee60ddf3c0.html","fromSrc": "欢乐橙","datePublished": "2023-03-29T10:32:19","domain": "医疗","category": ["医疗权威文章合作"],"description": "产后恶露粘稠拉丝像鼻涕一般是女性在产褥期的生理性表现,也可能为病理变化。
","extra_headline": [""]},"Author": {"name": "种轶文","wapUrl": "https://www.med-credit.org.cn/doctor/575","pcUrl": "https://www.med-credit.org.cn/doctor/575","jobTitle": "副主任医师","headPortrait": "https://www.med-credit.org.cn/uploadfile/member/575/180x180.jpeg","id": "575","description": "种轶文,北京大学第三医院妇产科副主任医师","memberOf": {"legalName": "北京大学第三医院","department": "妇产科","organizationLevel": "三级甲等"}},"Article": {"summaryContent": "产后恶露粘稠拉丝像鼻涕一般是女性在产褥期的生理性表现,也可能为病理变化。
正常生理表现为女性生产后伴随子宫蜕膜脱落,含有血液及坏死蜕膜等组织经阴道排出的物质;病理变化为恶露常有血腥味,无臭味,其颜色和内容物会随着时间变化。
病理性临床检查为:镜下可见大量白细胞、坏死的蜕膜、表皮细胞等,此时恶露表现较粘稠。

恶露粘稠的病因可能为子宫内组织物的残留,可能因子宫肌瘤、子宫畸形等原因,或者手术术中操作不规范,导致宫腔内有组织物残留。此时除了恶露粘稠,还伴有出血结块等症状;另一个病因可能为宫腔感染,常因术后卫生条件不佳或者术中消毒不规范导致的宫腔感染。此时恶露还伴有臭味、腹部压痛、发热等症。
对生产期长的产妇,应该及早应用抗生素预防宫腔感染。医生在产妇生产完之后应该仔细检查胎盘、胎膜的完整性,及时处理发现的残留。
","articleBody": "产后恶露粘稠拉丝像鼻涕一般是女性在产褥期的生理性表现,也可能为病理变化。
正常生理表现为女性生产后伴随子宫蜕膜脱落,含有血液及坏死蜕膜等组织经阴道排出的物质;病理变化为恶露常有血腥味,无臭味,其颜色和内容物会随着时间变化。
病理性临床检查为:镜下可见大量白细胞、坏死的蜕膜、表皮细胞等,此时恶露表现较粘稠。

恶露粘稠的病因可能为子宫内组织物的残留,可能因子宫肌瘤、子宫畸形等原因,或者手术术中操作不规范,导致宫腔内有组织物残留。此时除了恶露粘稠,还伴有出血结块等症状;另一个病因可能为宫腔感染,常因术后卫生条件不佳或者术中消毒不规范导致的宫腔感染。此时恶露还伴有臭味、腹部压痛、发热等症。
对生产期长的产妇,应该及早应用抗生素预防宫腔感染。医生在产妇生产完之后应该仔细检查胎盘、胎膜的完整性,及时处理发现的残留。
","scanCount": 56738}}} {"@context": "https://ziyuan.baidu.com/contexts/cambrian.jsonld","appid": "1650708455561748","icon": "https://www.med-credit.org.cn/style/images/ttlogo.png","content_tag": ["atlas"],"is_mcn": {"thumb_id": "v2rm41u3"},"accid": "4886d626a2804dee5f11168793ce361672f39c25","@id": "https://www.med-credit.org.cn/mobile/jingxuan/2/12860ff50c069868ac6c2df62d1346a3.html","bagWordId": "269_1558063576046899200","title": "剖腹产4个月刀口图片","pubDate": "2023-03-29T10:32:19","upDate": "2023-03-29T10:32:19","lrDate": "2023-03-29T10:32:19","description": "剖腹产,正确的医学名称为剖宫产,正常情况下在剖腹产四个月时,疤痕部位的皮肤已经修复,局部可表现为有一道轻微发红的疤痕。","data": {"WebPage": {"headline": "剖腹产4个月刀口图片","pcUrl": "https://www.med-credit.org.cn/jingxuan/2/12860ff50c069868ac6c2df62d1346a3.html","wapUrl": "https://www.med-credit.org.cn/jingxuan/2/12860ff50c069868ac6c2df62d1346a3.html","mipUrl": "https://www.med-credit.org.cn/mobile/jingxuan/2/12860ff50c069868ac6c2df62d1346a3.html","fromSrc": "欢乐橙","datePublished": "2023-03-29T10:32:19","domain": "医疗","category": ["医疗权威文章合作"],"description": "剖腹产,正确的医学名称为剖宫产,正常情况下在剖腹产四个月时,疤痕部位的皮肤已经修复,局部可表现为有一道轻微发红的疤痕。
","extra_headline": [""]},"Author": {"name": "种轶文","wapUrl": "https://www.med-credit.org.cn/doctor/575","pcUrl": "https://www.med-credit.org.cn/doctor/575","jobTitle": "副主任医师","headPortrait": "https://www.med-credit.org.cn/uploadfile/member/575/180x180.jpeg","id": "575","description": "种轶文,北京大学第三医院妇产科副主任医师","memberOf": {"legalName": "北京大学第三医院","department": "妇产科","organizationLevel": "三级甲等"}},"Article": {"summaryContent": "剖腹产,正确的医学名称为剖宫产,正常情况下在剖腹产四个月时,疤痕部位的皮肤已经修复,局部可表现为有一道轻微发红的疤痕。
如果是疤痕体质或者没有做好护理措施,可能会出现局部瘙痒刺痛或者疤痕增生现象。

女性在产后的7天,伤口基本上会愈合,但是如果用手触摸时,会感觉里面有一条长长的硬线,虽然最外面的一层刀口已经愈合,但是内部其实并没有完全恢复。在剖腹产之后的三个星期,产妇疤痕开始增生,疤痕处开始变硬,会出现瘙痒现象。在产后的3~6个月时间,疤痕增生逐渐停止,疤痕会进入到软化的阶段,疤痕周围皮肤颜色变暗,伴随着时间的延长,疤痕的痕迹就越淡,所以四个月的时候这道疤痕就呈现红色或紫色,并随着时间而慢慢变淡。
如果刀口颜色一直很深甚至一直痒那可能就是疤痕体质的问题或者感染引起的,除了去医院听医生指导用药外,平时需要穿棉质内衣减少刺激,注意不要吃辛辣刺激食物和虾蟹等发物,以免加重疤痕增生和刀口痒的现象。
","articleBody": "剖腹产,正确的医学名称为剖宫产,正常情况下在剖腹产四个月时,疤痕部位的皮肤已经修复,局部可表现为有一道轻微发红的疤痕。
如果是疤痕体质或者没有做好护理措施,可能会出现局部瘙痒刺痛或者疤痕增生现象。

女性在产后的7天,伤口基本上会愈合,但是如果用手触摸时,会感觉里面有一条长长的硬线,虽然最外面的一层刀口已经愈合,但是内部其实并没有完全恢复。在剖腹产之后的三个星期,产妇疤痕开始增生,疤痕处开始变硬,会出现瘙痒现象。在产后的3~6个月时间,疤痕增生逐渐停止,疤痕会进入到软化的阶段,疤痕周围皮肤颜色变暗,伴随着时间的延长,疤痕的痕迹就越淡,所以四个月的时候这道疤痕就呈现红色或紫色,并随着时间而慢慢变淡。
如果刀口颜色一直很深甚至一直痒那可能就是疤痕体质的问题或者感染引起的,除了去医院听医生指导用药外,平时需要穿棉质内衣减少刺激,注意不要吃辛辣刺激食物和虾蟹等发物,以免加重疤痕增生和刀口痒的现象。
","scanCount": 56737}}} {"@context": "https://ziyuan.baidu.com/contexts/cambrian.jsonld","appid": "1650708455561748","icon": "https://www.med-credit.org.cn/style/images/ttlogo.png","content_tag": ["atlas"],"is_mcn": {"thumb_id": "v2rm41u3"},"accid": "4886d626a2804dee5f11168793ce361672f39c25","@id": "https://www.med-credit.org.cn/mobile/jingxuan/2/b506eccd9ed99d3c9fcd52059fc08053.html","bagWordId": "269_1558063576420192256","title": "49天孕囊掉下来的图片","pubDate": "2023-03-29T10:32:19","upDate": "2023-03-29T10:32:19","lrDate": "2023-03-29T10:32:19","description": "49天孕囊脱落就是流产,指胎儿还未具有生存能力而终止妊娠。","data": {"WebPage": {"headline": "49天孕囊掉下来的图片","pcUrl": "https://www.med-credit.org.cn/jingxuan/2/b506eccd9ed99d3c9fcd52059fc08053.html","wapUrl": "https://www.med-credit.org.cn/jingxuan/2/b506eccd9ed99d3c9fcd52059fc08053.html","mipUrl": "https://www.med-credit.org.cn/mobile/jingxuan/2/b506eccd9ed99d3c9fcd52059fc08053.html","fromSrc": "欢乐橙","datePublished": "2023-03-29T10:32:19","domain": "医疗","category": ["医疗权威文章合作"],"description": "49天孕囊脱落就是流产,指胎儿还未具有生存能力而终止妊娠。
","extra_headline": [""]},"Author": {"name": "种轶文","wapUrl": "https://www.med-credit.org.cn/doctor/575","pcUrl": "https://www.med-credit.org.cn/doctor/575","jobTitle": "副主任医师","headPortrait": "https://www.med-credit.org.cn/uploadfile/member/575/180x180.jpeg","id": "575","description": "种轶文,北京大学第三医院妇产科副主任医师","memberOf": {"legalName": "北京大学第三医院","department": "妇产科","organizationLevel": "三级甲等"}},"Article": {"summaryContent": "49天孕囊脱落就是流产,指胎儿还未具有生存能力而终止妊娠。
孕囊脱落的原因可能与胚胎发育不良或孕妇状态不良、患某些疾病有关。

孕囊掉下来可能有出血、腹痛,孕囊包裹在血液中。在孕囊掉出过程中,孕妇可有下腹部坠胀感。若为完全流产,妊娠物可完全排出,排出后流血停止,腹痛消失。若为不完全流产,部分妊娠物残留宫内或嵌顿于宫颈,影响子宫收缩,导致出血不止,严重可引起孕妇休克。
胎儿异常是最常见的孕囊脱落原因,胎儿染色体异常导致胚胎发育异常,引起流产。除遗传因素外,感染、药物等不良反应也可引起流产。母体不良因素也是重要原因,强烈应激如撞击腹部、性交过频、心理刺激过大等,不良生活习惯如吸烟、酗酒等,全身感染、子宫或宫颈异常等疾病,均可导致流产的发生。
发生孕囊脱落的孕妇,应注意休息,观察阴道流血症状,注意保持营养均衡,两周内禁止性生活。若需下次怀孕,应先咨询医生,产前完善检查,孕期戒烟戒酒,多休息,保护腹部等。
","articleBody": "49天孕囊脱落就是流产,指胎儿还未具有生存能力而终止妊娠。
孕囊脱落的原因可能与胚胎发育不良或孕妇状态不良、患某些疾病有关。

孕囊掉下来可能有出血、腹痛,孕囊包裹在血液中。在孕囊掉出过程中,孕妇可有下腹部坠胀感。若为完全流产,妊娠物可完全排出,排出后流血停止,腹痛消失。若为不完全流产,部分妊娠物残留宫内或嵌顿于宫颈,影响子宫收缩,导致出血不止,严重可引起孕妇休克。
胎儿异常是最常见的孕囊脱落原因,胎儿染色体异常导致胚胎发育异常,引起流产。除遗传因素外,感染、药物等不良反应也可引起流产。母体不良因素也是重要原因,强烈应激如撞击腹部、性交过频、心理刺激过大等,不良生活习惯如吸烟、酗酒等,全身感染、子宫或宫颈异常等疾病,均可导致流产的发生。
发生孕囊脱落的孕妇,应注意休息,观察阴道流血症状,注意保持营养均衡,两周内禁止性生活。若需下次怀孕,应先咨询医生,产前完善检查,孕期戒烟戒酒,多休息,保护腹部等。
","scanCount": 56736}}} {"@context": "https://ziyuan.baidu.com/contexts/cambrian.jsonld","appid": "1650708455561748","icon": "https://www.med-credit.org.cn/style/images/ttlogo.png","content_tag": ["atlas"],"is_mcn": {"thumb_id": "v2rm41u3"},"accid": "4886d626a2804dee5f11168793ce361672f39c25","@id": "https://www.med-credit.org.cn/mobile/jingxuan/2/618b1077ec6038541865ada41c2e433d.html","bagWordId": "269_1558063578869665792","title": "胎动监测正常参照图","pubDate": "2023-03-29T10:32:19","upDate": "2023-03-29T10:32:19","lrDate": "2023-03-29T10:32:19","description": "胎动一般夜间或下午活跃,胎动监测正常参照为胎动计数30次/24小时,胎心率为120-160次/分。","data": {"WebPage": {"headline": "胎动监测正常参照图","pcUrl": "https://www.med-credit.org.cn/jingxuan/2/618b1077ec6038541865ada41c2e433d.html","wapUrl": "https://www.med-credit.org.cn/jingxuan/2/618b1077ec6038541865ada41c2e433d.html","mipUrl": "https://www.med-credit.org.cn/mobile/jingxuan/2/618b1077ec6038541865ada41c2e433d.html","fromSrc": "欢乐橙","datePublished": "2023-03-29T10:32:19","domain": "医疗","category": ["医疗权威文章合作"],"description": "胎动一般夜间或下午活跃,胎动监测正常参照为胎动计数30次/24小时,胎心率为120-160次/分。
","extra_headline": [""]},"Author": {"name": "种轶文","wapUrl": "https://www.med-credit.org.cn/doctor/575","pcUrl": "https://www.med-credit.org.cn/doctor/575","jobTitle": "副主任医师","headPortrait": "https://www.med-credit.org.cn/uploadfile/member/575/180x180.jpeg","id": "575","description": "种轶文,北京大学第三医院妇产科副主任医师","memberOf": {"legalName": "北京大学第三医院","department": "妇产科","organizationLevel": "三级甲等"}},"Article": {"summaryContent": "胎动一般夜间或下午活跃,胎动监测正常参照为胎动计数30次/24小时,胎心率为120-160次/分。
胎动监测是最简单的、母体可感知的,监测胎儿状况的方法。

胎动是指胎儿在宫内的肢体运动,可刺激子宫壁,被母体所感知。孕妇常在孕20周时感受胎动,随着妊娠进展,胎动强度逐渐上升,到32-34周时达高峰,38周后胎动逐渐减少。胎动在下午或夜间较为活跃,胎儿睡觉时可消失,约20-40分钟。胎动监测正常参照为胎动计数30次/24小时,胎心率为120-160次/分。
胎动可反应胎儿的呼吸状态,缺氧早期可表现为胎动频繁,继而减少、减弱,甚至消失。单纯的胎动频繁并不是异常。胎动计数10次/12小时或者胎心率为160次/分以上或持续100次/分则提示宫内缺氧。
如出现胎动减弱,应及时前往医院,进行胎心监测及进一步处理。可通过母体吸氧,提高母体氧含量,间接改善胎儿血供。必要时,足月胎儿可终止妊娠,避免胎儿在宫内窘迫。
","articleBody": "胎动一般夜间或下午活跃,胎动监测正常参照为胎动计数30次/24小时,胎心率为120-160次/分。
胎动监测是最简单的、母体可感知的,监测胎儿状况的方法。

胎动是指胎儿在宫内的肢体运动,可刺激子宫壁,被母体所感知。孕妇常在孕20周时感受胎动,随着妊娠进展,胎动强度逐渐上升,到32-34周时达高峰,38周后胎动逐渐减少。胎动在下午或夜间较为活跃,胎儿睡觉时可消失,约20-40分钟。胎动监测正常参照为胎动计数30次/24小时,胎心率为120-160次/分。
胎动可反应胎儿的呼吸状态,缺氧早期可表现为胎动频繁,继而减少、减弱,甚至消失。单纯的胎动频繁并不是异常。胎动计数10次/12小时或者胎心率为160次/分以上或持续100次/分则提示宫内缺氧。
如出现胎动减弱,应及时前往医院,进行胎心监测及进一步处理。可通过母体吸氧,提高母体氧含量,间接改善胎儿血供。必要时,足月胎儿可终止妊娠,避免胎儿在宫内窘迫。
","scanCount": 56735}}} {"@context": "https://ziyuan.baidu.com/contexts/cambrian.jsonld","appid": "1650708455561748","icon": "https://www.med-credit.org.cn/style/images/ttlogo.png","content_tag": ["atlas"],"is_mcn": {"thumb_id": "v2rm41u3"},"accid": "4886d626a2804dee5f11168793ce361672f39c25","@id": "https://www.med-credit.org.cn/mobile/jingxuan/2/cefaded8e6ad2d9c15a91509e8a3ddb1.html","bagWordId": "269_1558063579519782912","title": "怀孕72天胎儿有多大如图","pubDate": "2023-03-29T10:32:19","upDate": "2023-03-29T10:32:19","lrDate": "2023-03-29T10:32:19","description": "怀孕72天属于孕早期,胎儿大概4cm大小。","data": {"WebPage": {"headline": "怀孕72天胎儿有多大如图","pcUrl": "https://www.med-credit.org.cn/jingxuan/2/cefaded8e6ad2d9c15a91509e8a3ddb1.html","wapUrl": "https://www.med-credit.org.cn/jingxuan/2/cefaded8e6ad2d9c15a91509e8a3ddb1.html","mipUrl": "https://www.med-credit.org.cn/mobile/jingxuan/2/cefaded8e6ad2d9c15a91509e8a3ddb1.html","fromSrc": "欢乐橙","datePublished": "2023-03-29T10:32:19","domain": "医疗","category": ["医疗权威文章合作"],"description": "怀孕72天属于孕早期,胎儿大概4cm大小。
","extra_headline": [""]},"Author": {"name": "种轶文","wapUrl": "https://www.med-credit.org.cn/doctor/575","pcUrl": "https://www.med-credit.org.cn/doctor/575","jobTitle": "副主任医师","headPortrait": "https://www.med-credit.org.cn/uploadfile/member/575/180x180.jpeg","id": "575","description": "种轶文,北京大学第三医院妇产科副主任医师","memberOf": {"legalName": "北京大学第三医院","department": "妇产科","organizationLevel": "三级甲等"}},"Article": {"summaryContent": "怀孕72天属于孕早期,胎儿大概4cm大小。
孕期进行B超检查可以观察胎儿状态,检测胎儿是否异常,孕期需要定期进行B超检查。


怀孕72天胎儿还较小,子宫扩大程度较小,怀孕72天子宫体大概约9x8x8cm,孕肚肉眼不明显,妊娠囊大约为4cm,并且会有胎心的跳动。做B超可以看到发育中的胎儿,可见宫腔内的胎儿在活动。怀孕三个月后胎儿基本发育成形,可以通过做B超看胎儿是否存在畸形,如存在全前脑畸形等,还可以观察胎儿颈部透明层的厚度是否处于正常范围内,如果胎儿颈部的透明层的厚度出现增厚的情况,就需要孕妇进一步进行绒毛穿刺或者是羊水穿刺来检测胎儿染色体是否异常。做B超还能够看胎盘位置,以及胎盘距离宫颈内口的距离是否正常,是否有胎盘低置状态,除此之外还可以看子宫腔内的羊水的量是否正常等情况。
","articleBody": "怀孕72天属于孕早期,胎儿大概4cm大小。
孕期进行B超检查可以观察胎儿状态,检测胎儿是否异常,孕期需要定期进行B超检查。


怀孕72天胎儿还较小,子宫扩大程度较小,怀孕72天子宫体大概约9x8x8cm,孕肚肉眼不明显,妊娠囊大约为4cm,并且会有胎心的跳动。做B超可以看到发育中的胎儿,可见宫腔内的胎儿在活动。怀孕三个月后胎儿基本发育成形,可以通过做B超看胎儿是否存在畸形,如存在全前脑畸形等,还可以观察胎儿颈部透明层的厚度是否处于正常范围内,如果胎儿颈部的透明层的厚度出现增厚的情况,就需要孕妇进一步进行绒毛穿刺或者是羊水穿刺来检测胎儿染色体是否异常。做B超还能够看胎盘位置,以及胎盘距离宫颈内口的距离是否正常,是否有胎盘低置状态,除此之外还可以看子宫腔内的羊水的量是否正常等情况。
","scanCount": 56734}}} {"@context": "https://ziyuan.baidu.com/contexts/cambrian.jsonld","appid": "1650708455561748","icon": "https://www.med-credit.org.cn/style/images/ttlogo.png","content_tag": ["atlas"],"is_mcn": {"thumb_id": "v2rm41u3"},"accid": "4886d626a2804dee5f11168793ce361672f39c25","@id": "https://www.med-credit.org.cn/mobile/jingxuan/2/d3bb4493e991b555de8eef54957f88c5.html","bagWordId": "269_1558063579947601920","title": "见红图片 颜色 预产期","pubDate": "2023-03-29T10:32:19","upDate": "2023-03-29T10:32:19","lrDate": "2023-03-29T10:32:19","description": "预产期内见红可能是先兆临产,表示即将临产分娩。","data": {"WebPage": {"headline": "见红图片 颜色 预产期","pcUrl": "https://www.med-credit.org.cn/jingxuan/2/d3bb4493e991b555de8eef54957f88c5.html","wapUrl": "https://www.med-credit.org.cn/jingxuan/2/d3bb4493e991b555de8eef54957f88c5.html","mipUrl": "https://www.med-credit.org.cn/mobile/jingxuan/2/d3bb4493e991b555de8eef54957f88c5.html","fromSrc": "欢乐橙","datePublished": "2023-03-29T10:32:19","domain": "医疗","category": ["医疗权威文章合作"],"description": "预产期内见红可能是先兆临产,表示即将临产分娩。
","extra_headline": [""]},"Author": {"name": "种轶文","wapUrl": "https://www.med-credit.org.cn/doctor/575","pcUrl": "https://www.med-credit.org.cn/doctor/575","jobTitle": "副主任医师","headPortrait": "https://www.med-credit.org.cn/uploadfile/member/575/180x180.jpeg","id": "575","description": "种轶文,北京大学第三医院妇产科副主任医师","memberOf": {"legalName": "北京大学第三医院","department": "妇产科","organizationLevel": "三级甲等"}},"Article": {"summaryContent": "预产期内见红可能是先兆临产,表示即将临产分娩。
见红还需排除是否为病理性阴道流血。
预产期就是预计孕妇生产的日期,一般在预产期内,大部分孕妇均可出现临产。分娩前24-48小时,子宫颈内口的胎膜和子宫壁分离,毛细血管破裂出血,与宫颈粘液混合排除淡红色粘液,称为见红,是分娩即将开始的可靠征象。见红与腹痛及不规律宫缩,均是先兆临产的表现,意味着即将临产。

但是见红也需要与其他病理性阴道流血相鉴别,见红是少量的淡红色的粘液样阴道流血。若流出血为鲜红或红褐色,流血量较多,达到或超过月经量,则需考虑病理性阴道流血的可能,常见原因有前置胎盘和胎盘早剥。
孕妇无论是否处于预产期,无论孕几周,一旦出现阴道流血,都应该前往医院,详细检查排除病理因素。
","articleBody": "预产期内见红可能是先兆临产,表示即将临产分娩。
见红还需排除是否为病理性阴道流血。
预产期就是预计孕妇生产的日期,一般在预产期内,大部分孕妇均可出现临产。分娩前24-48小时,子宫颈内口的胎膜和子宫壁分离,毛细血管破裂出血,与宫颈粘液混合排除淡红色粘液,称为见红,是分娩即将开始的可靠征象。见红与腹痛及不规律宫缩,均是先兆临产的表现,意味着即将临产。

但是见红也需要与其他病理性阴道流血相鉴别,见红是少量的淡红色的粘液样阴道流血。若流出血为鲜红或红褐色,流血量较多,达到或超过月经量,则需考虑病理性阴道流血的可能,常见原因有前置胎盘和胎盘早剥。
孕妇无论是否处于预产期,无论孕几周,一旦出现阴道流血,都应该前往医院,详细检查排除病理因素。
","scanCount": 56733}}} {"@context": "https://ziyuan.baidu.com/contexts/cambrian.jsonld","appid": "1650708455561748","icon": "https://www.med-credit.org.cn/style/images/ttlogo.png","content_tag": ["atlas"],"is_mcn": {"thumb_id": "v2rm41u3"},"accid": "4886d626a2804dee5f11168793ce361672f39c25","@id": "https://www.med-credit.org.cn/mobile/jingxuan/2/b6dc21d317aa6fce52e774c2a42a5a55.html","bagWordId": "269_1558063580161511424","title": "怀孕73天胎儿彩超图片","pubDate": "2023-03-29T10:32:19","upDate": "2023-03-29T10:32:19","lrDate": "2023-03-29T10:32:19","description": "怀孕73天彩超可见发育成形的胎儿以及其运动。","data": {"WebPage": {"headline": "怀孕73天胎儿彩超图片","pcUrl": "https://www.med-credit.org.cn/jingxuan/2/b6dc21d317aa6fce52e774c2a42a5a55.html","wapUrl": "https://www.med-credit.org.cn/jingxuan/2/b6dc21d317aa6fce52e774c2a42a5a55.html","mipUrl": "https://www.med-credit.org.cn/mobile/jingxuan/2/b6dc21d317aa6fce52e774c2a42a5a55.html","fromSrc": "欢乐橙","datePublished": "2023-03-29T10:32:19","domain": "医疗","category": ["医疗权威文章合作"],"description": "怀孕73天彩超可见发育成形的胎儿以及其运动。
","extra_headline": [""]},"Author": {"name": "种轶文","wapUrl": "https://www.med-credit.org.cn/doctor/575","pcUrl": "https://www.med-credit.org.cn/doctor/575","jobTitle": "副主任医师","headPortrait": "https://www.med-credit.org.cn/uploadfile/member/575/180x180.jpeg","id": "575","description": "种轶文,北京大学第三医院妇产科副主任医师","memberOf": {"legalName": "北京大学第三医院","department": "妇产科","organizationLevel": "三级甲等"}},"Article": {"summaryContent": "怀孕73天彩超可见发育成形的胎儿以及其运动。
进行彩超检查可以检测胎儿是否异常,孕期需要定期进行彩超检查。

怀孕73天做B超可以看到发育成形的胎儿,可见宫腔内的胎儿在活动,四肢清晰,胎儿的头臀长大概有5.5cm,可见其在呼吸运动。做B超可以看胎儿是否存在畸形,如存在全前脑畸形等,还可以观察胎儿颈部透明层的厚度是否处于正常范围内,如果胎儿颈部的透明层的厚度出现增厚的情况,就需要孕妇进一步进行绒毛穿刺或者是羊水穿刺来检测胎儿染色体是否异常。做彩超还能够看胎盘位置,以及胎盘距离宫颈内口的距离是否正常,是否有胎盘低置状态,除此之外还可以看子宫腔内的羊水的量是否正常等情况。
孕早期去医院做彩超前最好是提前憋尿,需要在膀胱里积聚一定量的尿液使彩超检查更清楚。需要做检查前可在家提前喝至少500毫升的白开水,到医院后进行检查时就比较省时间了。而怀孕中晚期则不需要,胎儿已经比较大了,彩超检查是较为明显的。同时做彩超前不要吃容易产生气体的食物,比如牛奶、红薯等,这些食物产生的气体会阻碍超声波的穿透,会导致显像不清。
","articleBody": "怀孕73天彩超可见发育成形的胎儿以及其运动。
进行彩超检查可以检测胎儿是否异常,孕期需要定期进行彩超检查。

怀孕73天做B超可以看到发育成形的胎儿,可见宫腔内的胎儿在活动,四肢清晰,胎儿的头臀长大概有5.5cm,可见其在呼吸运动。做B超可以看胎儿是否存在畸形,如存在全前脑畸形等,还可以观察胎儿颈部透明层的厚度是否处于正常范围内,如果胎儿颈部的透明层的厚度出现增厚的情况,就需要孕妇进一步进行绒毛穿刺或者是羊水穿刺来检测胎儿染色体是否异常。做彩超还能够看胎盘位置,以及胎盘距离宫颈内口的距离是否正常,是否有胎盘低置状态,除此之外还可以看子宫腔内的羊水的量是否正常等情况。
孕早期去医院做彩超前最好是提前憋尿,需要在膀胱里积聚一定量的尿液使彩超检查更清楚。需要做检查前可在家提前喝至少500毫升的白开水,到医院后进行检查时就比较省时间了。而怀孕中晚期则不需要,胎儿已经比较大了,彩超检查是较为明显的。同时做彩超前不要吃容易产生气体的食物,比如牛奶、红薯等,这些食物产生的气体会阻碍超声波的穿透,会导致显像不清。
","scanCount": 56732}}} {"@context": "https://ziyuan.baidu.com/contexts/cambrian.jsonld","appid": "1650708455561748","icon": "https://www.med-credit.org.cn/style/images/ttlogo.png","content_tag": ["atlas"],"is_mcn": {"thumb_id": "v2rm41u3"},"accid": "4886d626a2804dee5f11168793ce361672f39c25","@id": "https://www.med-credit.org.cn/mobile/jingxuan/2/62ce27b5263cbf50dc98b546a9d11a7b.html","bagWordId": "269_1558063580799045632","title": "胎心监护显示有脐带受压图形","pubDate": "2023-03-29T10:32:19","upDate": "2023-03-29T10:32:19","lrDate": "2023-03-29T10:32:19","description": "胎心监护显示脐带受压表现为胎心率急速下降。","data": {"WebPage": {"headline": "胎心监护显示有脐带受压图形","pcUrl": "https://www.med-credit.org.cn/jingxuan/2/62ce27b5263cbf50dc98b546a9d11a7b.html","wapUrl": "https://www.med-credit.org.cn/jingxuan/2/62ce27b5263cbf50dc98b546a9d11a7b.html","mipUrl": "https://www.med-credit.org.cn/mobile/jingxuan/2/62ce27b5263cbf50dc98b546a9d11a7b.html","fromSrc": "欢乐橙","datePublished": "2023-03-29T10:32:19","domain": "医疗","category": ["医疗权威文章合作"],"description": "胎心监护显示脐带受压表现为胎心率急速下降。
","extra_headline": [""]},"Author": {"name": "种轶文","wapUrl": "https://www.med-credit.org.cn/doctor/575","pcUrl": "https://www.med-credit.org.cn/doctor/575","jobTitle": "副主任医师","headPortrait": "https://www.med-credit.org.cn/uploadfile/member/575/180x180.jpeg","id": "575","description": "种轶文,北京大学第三医院妇产科副主任医师","memberOf": {"legalName": "北京大学第三医院","department": "妇产科","organizationLevel": "三级甲等"}},"Article": {"summaryContent": "胎心监护显示脐带受压表现为胎心率急速下降。
脐带受压可能是由于胎儿因素或者脐带因素所致。

脐带受压特点是基线维持在正常范围之内,反复的胎动造成胎心率连续加速,随后表现出轻度的减速,同时连续胎动压迫脐带,因而出现减速,因此是加速和减速同时存在的,无缺氧表现。且当减速伴随宫缩,减速与宫缩在起始、深度和持续时间方面都没有相关性。
出现脐带受压可能是由于胎儿头盆不称或者胎位异常如枕后位、肩先露、臀先露。此外,羊水过多、脐带过长、低置胎盘等也可以造成脐带受压。
出现脐带受压的混合图形时,要动态观察。如果出现加速间隔增加、长变异减少、加速振幅减少且减速振幅增加、无加速等提示胎儿氧储备消耗,应及时采取氧疗等宫内复苏措施来改善宫内缺氧,防止不良结局发生。
","articleBody": "胎心监护显示脐带受压表现为胎心率急速下降。
脐带受压可能是由于胎儿因素或者脐带因素所致。

脐带受压特点是基线维持在正常范围之内,反复的胎动造成胎心率连续加速,随后表现出轻度的减速,同时连续胎动压迫脐带,因而出现减速,因此是加速和减速同时存在的,无缺氧表现。且当减速伴随宫缩,减速与宫缩在起始、深度和持续时间方面都没有相关性。
出现脐带受压可能是由于胎儿头盆不称或者胎位异常如枕后位、肩先露、臀先露。此外,羊水过多、脐带过长、低置胎盘等也可以造成脐带受压。
出现脐带受压的混合图形时,要动态观察。如果出现加速间隔增加、长变异减少、加速振幅减少且减速振幅增加、无加速等提示胎儿氧储备消耗,应及时采取氧疗等宫内复苏措施来改善宫内缺氧,防止不良结局发生。
","scanCount": 56731}}} {"@context": "https://ziyuan.baidu.com/contexts/cambrian.jsonld","appid": "1650708455561748","icon": "https://www.med-credit.org.cn/style/images/ttlogo.png","content_tag": ["atlas"],"is_mcn": {"thumb_id": "v2rm41u3"},"accid": "4886d626a2804dee5f11168793ce361672f39c25","@id": "https://www.med-credit.org.cn/mobile/jingxuan/2/57f08814f14ad3680eed01ba5a169dde.html","bagWordId": "269_1558063581746958336","title": "怀孕九个月胎儿图","pubDate": "2023-03-29T10:32:19","upDate": "2023-03-29T10:32:19","lrDate": "2023-03-29T10:32:19","description": "怀孕九个月时胎儿已发育较为完全,头部进入骨盆,为分娩做好准备。","data": {"WebPage": {"headline": "怀孕九个月胎儿图","pcUrl": "https://www.med-credit.org.cn/jingxuan/2/57f08814f14ad3680eed01ba5a169dde.html","wapUrl": "https://www.med-credit.org.cn/jingxuan/2/57f08814f14ad3680eed01ba5a169dde.html","mipUrl": "https://www.med-credit.org.cn/mobile/jingxuan/2/57f08814f14ad3680eed01ba5a169dde.html","fromSrc": "欢乐橙","datePublished": "2023-03-29T10:32:19","domain": "医疗","category": ["医疗权威文章合作"],"description": "怀孕九个月时胎儿已发育较为完全,头部进入骨盆,为分娩做好准备。
","extra_headline": [""]},"Author": {"name": "种轶文","wapUrl": "https://www.med-credit.org.cn/doctor/575","pcUrl": "https://www.med-credit.org.cn/doctor/575","jobTitle": "副主任医师","headPortrait": "https://www.med-credit.org.cn/uploadfile/member/575/180x180.jpeg","id": "575","description": "种轶文,北京大学第三医院妇产科副主任医师","memberOf": {"legalName": "北京大学第三医院","department": "妇产科","organizationLevel": "三级甲等"}},"Article": {"summaryContent": "怀孕九个月时胎儿已发育较为完全,头部进入骨盆,为分娩做好准备。
孕晚期的孕妇会出现胎动明显、尿频等正常妊娠反应。

怀孕九个月时胎儿的各个器官已经发育完全,胎长大约在46~50cm,胎重大约为2000~2800g,胎儿的头会朝下,进入骨盆,这样的位置有助于分娩,胎儿的身体呈圆形,皮下的脂肪较为丰富,皮肤的细毛在逐渐消退,皮肤呈淡红色,指甲会长的很快。胎动的时候可能会明显看到手肘、脚以及头部。
孕晚期的女性身体会有明显的变化,孕肚变大,会出现胎动。孕妇的体重明显增加,子宫在腹腔内慢慢变大,由于子宫增大,压迫到膀胱,会出现尿频的现象。乳房在激素的影响下,会明显膨胀,臀部的脂肪增多,孕妇的体型会变得较为丰满。
孕妇养成良好的生活规律,晚上不要熬夜,早点睡觉,睡觉前不要进行激烈的活动和情绪紧张,以免延长入睡时间。还可以按摩、泡脚缓解疲劳,听音乐改善心情。
","articleBody": "怀孕九个月时胎儿已发育较为完全,头部进入骨盆,为分娩做好准备。
孕晚期的孕妇会出现胎动明显、尿频等正常妊娠反应。

怀孕九个月时胎儿的各个器官已经发育完全,胎长大约在46~50cm,胎重大约为2000~2800g,胎儿的头会朝下,进入骨盆,这样的位置有助于分娩,胎儿的身体呈圆形,皮下的脂肪较为丰富,皮肤的细毛在逐渐消退,皮肤呈淡红色,指甲会长的很快。胎动的时候可能会明显看到手肘、脚以及头部。
孕晚期的女性身体会有明显的变化,孕肚变大,会出现胎动。孕妇的体重明显增加,子宫在腹腔内慢慢变大,由于子宫增大,压迫到膀胱,会出现尿频的现象。乳房在激素的影响下,会明显膨胀,臀部的脂肪增多,孕妇的体型会变得较为丰满。
孕妇养成良好的生活规律,晚上不要熬夜,早点睡觉,睡觉前不要进行激烈的活动和情绪紧张,以免延长入睡时间。还可以按摩、泡脚缓解疲劳,听音乐改善心情。
","scanCount": 56730}}} {"@context": "https://ziyuan.baidu.com/contexts/cambrian.jsonld","appid": "1650708455561748","icon": "https://www.med-credit.org.cn/style/images/ttlogo.png","content_tag": ["atlas"],"is_mcn": {"thumb_id": "v2rm41u3"},"accid": "4886d626a2804dee5f11168793ce361672f39c25","@id": "https://www.med-credit.org.cn/mobile/jingxuan/2/3133aa622d73c7800bc28fca8bee13a2.html","bagWordId": "269_1558063571491885056","title": "剖腹产用的盐袋图","pubDate": "2023-03-29T10:32:19","upDate": "2023-03-29T10:32:19","lrDate": "2023-03-29T10:32:19","description": "剖腹产用盐袋主要是为了减少伤口的扩张。","data": {"WebPage": {"headline": "剖腹产用的盐袋图","pcUrl": "https://www.med-credit.org.cn/jingxuan/2/3133aa622d73c7800bc28fca8bee13a2.html","wapUrl": "https://www.med-credit.org.cn/jingxuan/2/3133aa622d73c7800bc28fca8bee13a2.html","mipUrl": "https://www.med-credit.org.cn/mobile/jingxuan/2/3133aa622d73c7800bc28fca8bee13a2.html","fromSrc": "欢乐橙","datePublished": "2023-03-29T10:32:19","domain": "医疗","category": ["医疗权威文章合作"],"description": "剖腹产用盐袋主要是为了减少伤口的扩张。
","extra_headline": [""]},"Author": {"name": "种轶文","wapUrl": "https://www.med-credit.org.cn/doctor/575","pcUrl": "https://www.med-credit.org.cn/doctor/575","jobTitle": "副主任医师","headPortrait": "https://www.med-credit.org.cn/uploadfile/member/575/180x180.jpeg","id": "575","description": "种轶文,北京大学第三医院妇产科副主任医师","memberOf": {"legalName": "北京大学第三医院","department": "妇产科","organizationLevel": "三级甲等"}},"Article": {"summaryContent": "剖腹产用盐袋主要是为了减少伤口的扩张。
剖腹产一般是指剖宫产,剖宫产盐袋的放置时间要根据产妇的具体情况综合决定,一般来说,如果没有特殊的并发症,剖宫产盐袋需要压六个小时左右。

1、主要是依靠盐袋的重量抵抗腹部压力,避免伤口因不慎受到牵拉而影响愈合,也能够较好地避免伤口渗血;
2、通过压迫来刺激子宫收缩,预防产后出血;
3、减少血循环下降引起的休克;
4、分娩结束以后由于胎盘循环停止,回心血量增加,再加上腹腔内的压力急剧下降,大量血液向内脏灌注,会导致血流动力学的急剧变化,尤其对于本身心功能不全的产妇,有诱发心衰的可能,所以在腹部放置盐袋,能够一定程度上缓冲血流动力学变化所带来的不良后果。
产后应注意多休息,避免提重物,但可以适当的活动,平时多吃鱼、蛋、肉有营养的食物,以补充身体所需要的能量,在家里每天要保持皮肤的清洁以免伤口感染。
","articleBody": "剖腹产用盐袋主要是为了减少伤口的扩张。
剖腹产一般是指剖宫产,剖宫产盐袋的放置时间要根据产妇的具体情况综合决定,一般来说,如果没有特殊的并发症,剖宫产盐袋需要压六个小时左右。

1、主要是依靠盐袋的重量抵抗腹部压力,避免伤口因不慎受到牵拉而影响愈合,也能够较好地避免伤口渗血;
2、通过压迫来刺激子宫收缩,预防产后出血;
3、减少血循环下降引起的休克;
4、分娩结束以后由于胎盘循环停止,回心血量增加,再加上腹腔内的压力急剧下降,大量血液向内脏灌注,会导致血流动力学的急剧变化,尤其对于本身心功能不全的产妇,有诱发心衰的可能,所以在腹部放置盐袋,能够一定程度上缓冲血流动力学变化所带来的不良后果。
产后应注意多休息,避免提重物,但可以适当的活动,平时多吃鱼、蛋、肉有营养的食物,以补充身体所需要的能量,在家里每天要保持皮肤的清洁以免伤口感染。
","scanCount": 56729}}} {"@context": "https://ziyuan.baidu.com/contexts/cambrian.jsonld","appid": "1650708455561748","icon": "https://www.med-credit.org.cn/style/images/ttlogo.png","content_tag": ["atlas"],"is_mcn": {"thumb_id": "v2rm41u3"},"accid": "4886d626a2804dee5f11168793ce361672f39c25","@id": "https://www.med-credit.org.cn/mobile/jingxuan/2/9f4dda77ef8ce82df353c43b8fb49e73.html","bagWordId": "269_1558063571600936960","title": "剖腹产两个月刀口图片","pubDate": "2023-03-29T10:32:19","upDate": "2023-03-29T10:32:19","lrDate": "2023-03-29T10:32:19","description": "剖腹产,正确说法为剖宫产,剖宫产两个月刀口的情况因女性的身体素质不同而有所差异,在此时期伤口可能会出现发红发痒,并伴有肉芽组织的生成。","data": {"WebPage": {"headline": "剖腹产两个月刀口图片","pcUrl": "https://www.med-credit.org.cn/jingxuan/2/9f4dda77ef8ce82df353c43b8fb49e73.html","wapUrl": "https://www.med-credit.org.cn/jingxuan/2/9f4dda77ef8ce82df353c43b8fb49e73.html","mipUrl": "https://www.med-credit.org.cn/mobile/jingxuan/2/9f4dda77ef8ce82df353c43b8fb49e73.html","fromSrc": "欢乐橙","datePublished": "2023-03-29T10:32:19","domain": "医疗","category": ["医疗权威文章合作"],"description": "剖腹产,正确说法为剖宫产,剖宫产两个月刀口的情况因女性的身体素质不同而有所差异,在此时期伤口可能会出现发红发痒,并伴有肉芽组织的生成。
","extra_headline": [""]},"Author": {"name": "种轶文","wapUrl": "https://www.med-credit.org.cn/doctor/575","pcUrl": "https://www.med-credit.org.cn/doctor/575","jobTitle": "副主任医师","headPortrait": "https://www.med-credit.org.cn/uploadfile/member/575/180x180.jpeg","id": "575","description": "种轶文,北京大学第三医院妇产科副主任医师","memberOf": {"legalName": "北京大学第三医院","department": "妇产科","organizationLevel": "三级甲等"}},"Article": {"summaryContent": "剖腹产,正确说法为剖宫产,剖宫产两个月刀口的情况因女性的身体素质不同而有所差异,在此时期伤口可能会出现发红发痒,并伴有肉芽组织的生成。
剖宫产刀口的恢复情况与切口方向、产妇身体素质、营养状况等因素有关。
1、剖宫产两个月的刀口一般还没有完全愈合,此时若出现发红和瘙痒的情况提示伤口正在愈合,但若出现发烧等症状可能提示有并发感染,建议及时前往医院进行相关治疗。

2、剖宫产纵向切口的愈合时间一般比横向切口时间长,子宫切口的愈合大概需要3个月,完全恢复大概需要1-2年。
3、剖腹产刀口的恢复情况与产妇的身体素质、摄取的营养成分、刀口有无感染等有关。发生感染或产妇身体素质差均会延长恢复时间。
1、产妇在剖腹产恢复期间需注意伤口的恢复情况,保持伤口的清洁干燥,摄取足够的营养从而促进伤口愈合,并且注意避免激烈的运动。
2、因子宫的愈合时间较长,在剖宫产后建议至少间隔两年后再次妊娠,以免导致伤口裂开。
","articleBody": "剖腹产,正确说法为剖宫产,剖宫产两个月刀口的情况因女性的身体素质不同而有所差异,在此时期伤口可能会出现发红发痒,并伴有肉芽组织的生成。
剖宫产刀口的恢复情况与切口方向、产妇身体素质、营养状况等因素有关。
1、剖宫产两个月的刀口一般还没有完全愈合,此时若出现发红和瘙痒的情况提示伤口正在愈合,但若出现发烧等症状可能提示有并发感染,建议及时前往医院进行相关治疗。

2、剖宫产纵向切口的愈合时间一般比横向切口时间长,子宫切口的愈合大概需要3个月,完全恢复大概需要1-2年。
3、剖腹产刀口的恢复情况与产妇的身体素质、摄取的营养成分、刀口有无感染等有关。发生感染或产妇身体素质差均会延长恢复时间。
1、产妇在剖腹产恢复期间需注意伤口的恢复情况,保持伤口的清洁干燥,摄取足够的营养从而促进伤口愈合,并且注意避免激烈的运动。
2、因子宫的愈合时间较长,在剖宫产后建议至少间隔两年后再次妊娠,以免导致伤口裂开。
","scanCount": 56728}}} {"@context": "https://ziyuan.baidu.com/contexts/cambrian.jsonld","appid": "1650708455561748","icon": "https://www.med-credit.org.cn/style/images/ttlogo.png","content_tag": ["atlas"],"is_mcn": {"thumb_id": "v2rm41u3"},"accid": "4886d626a2804dee5f11168793ce361672f39c25","@id": "https://www.med-credit.org.cn/mobile/jingxuan/2/068c647028046e4fedad3824a8c5c869.html","bagWordId": "269_1558063572435603456","title": "怀孕7个月b超单图片","pubDate": "2023-03-29T10:32:19","upDate": "2023-03-29T10:32:19","lrDate": "2023-03-29T10:32:19","description": "怀孕7个月B超下可清晰看见胎儿整体、各个部位及各个器官,可以对胎儿的大小及胎位进行较为准确的判断,B超报告单会逐一呈现所见内容。","data": {"WebPage": {"headline": "怀孕7个月b超单图片","pcUrl": "https://www.med-credit.org.cn/jingxuan/2/068c647028046e4fedad3824a8c5c869.html","wapUrl": "https://www.med-credit.org.cn/jingxuan/2/068c647028046e4fedad3824a8c5c869.html","mipUrl": "https://www.med-credit.org.cn/mobile/jingxuan/2/068c647028046e4fedad3824a8c5c869.html","fromSrc": "欢乐橙","datePublished": "2023-03-29T10:32:19","domain": "医疗","category": ["医疗权威文章合作"],"description": "怀孕7个月B超下可清晰看见胎儿整体、各个部位及各个器官,可以对胎儿的大小及胎位进行较为准确的判断,B超报告单会逐一呈现所见内容。
","extra_headline": [""]},"Author": {"name": "种轶文","wapUrl": "https://www.med-credit.org.cn/doctor/575","pcUrl": "https://www.med-credit.org.cn/doctor/575","jobTitle": "副主任医师","headPortrait": "https://www.med-credit.org.cn/uploadfile/member/575/180x180.jpeg","id": "575","description": "种轶文,北京大学第三医院妇产科副主任医师","memberOf": {"legalName": "北京大学第三医院","department": "妇产科","organizationLevel": "三级甲等"}},"Article": {"summaryContent": "怀孕7个月B超下可清晰看见胎儿整体、各个部位及各个器官,可以对胎儿的大小及胎位进行较为准确的判断,B超报告单会逐一呈现所见内容。
怀孕7个月已属于孕晚期,B超报告单对于胎儿健康状况和后期生产方式有着重要的意义。

1.胎头:轮廓完整,双顶径约7.00±0.34cm左右。
2.胎心:可见搏动,搏动较强,胎心频率在120-160次/分为正常水平。
3.胎动:可见胎动且胎动较强。
4.胎盘:可见具体位置,厚度为2.5-5cm。
5.羊水深度:羊水深度在3-7cm为正常水平,超过7cm为羊水增多,少于3cm为羊水减少。
7.脊柱:胎儿脊柱连续,无畸形。
孕7个月的B超报告对识别某些妊娠期疾病有重要的意义。如胎儿大小可以提示胎儿的生长及营养状况,胎盘位置及胎位将影响分娩方式和分娩时间。
","articleBody": "怀孕7个月B超下可清晰看见胎儿整体、各个部位及各个器官,可以对胎儿的大小及胎位进行较为准确的判断,B超报告单会逐一呈现所见内容。
怀孕7个月已属于孕晚期,B超报告单对于胎儿健康状况和后期生产方式有着重要的意义。

1.胎头:轮廓完整,双顶径约7.00±0.34cm左右。
2.胎心:可见搏动,搏动较强,胎心频率在120-160次/分为正常水平。
3.胎动:可见胎动且胎动较强。
4.胎盘:可见具体位置,厚度为2.5-5cm。
5.羊水深度:羊水深度在3-7cm为正常水平,超过7cm为羊水增多,少于3cm为羊水减少。
7.脊柱:胎儿脊柱连续,无畸形。
孕7个月的B超报告对识别某些妊娠期疾病有重要的意义。如胎儿大小可以提示胎儿的生长及营养状况,胎盘位置及胎位将影响分娩方式和分娩时间。
","scanCount": 56727}}} {"@context": "https://ziyuan.baidu.com/contexts/cambrian.jsonld","appid": "1650708455561748","icon": "https://www.med-credit.org.cn/style/images/ttlogo.png","content_tag": ["atlas"],"is_mcn": {"thumb_id": "v2rm41u3"},"accid": "4886d626a2804dee5f11168793ce361672f39c25","@id": "https://www.med-credit.org.cn/mobile/jingxuan/2/88ae05fb09f05ce4189fa9e44ceb5597.html","bagWordId": "269_1558063573647757312","title": "孕晚期头位胎儿图","pubDate": "2023-03-29T10:32:19","upDate": "2023-03-29T10:32:19","lrDate": "2023-03-29T10:32:19","description": "孕晚期头位胎儿是指胎儿呈头朝下的胎位,其先露部位为枕部。","data": {"WebPage": {"headline": "孕晚期头位胎儿图","pcUrl": "https://www.med-credit.org.cn/jingxuan/2/88ae05fb09f05ce4189fa9e44ceb5597.html","wapUrl": "https://www.med-credit.org.cn/jingxuan/2/88ae05fb09f05ce4189fa9e44ceb5597.html","mipUrl": "https://www.med-credit.org.cn/mobile/jingxuan/2/88ae05fb09f05ce4189fa9e44ceb5597.html","fromSrc": "欢乐橙","datePublished": "2023-03-29T10:32:19","domain": "医疗","category": ["医疗权威文章合作"],"description": "孕晚期头位胎儿是指胎儿呈头朝下的胎位,其先露部位为枕部。
","extra_headline": [""]},"Author": {"name": "种轶文","wapUrl": "https://www.med-credit.org.cn/doctor/575","pcUrl": "https://www.med-credit.org.cn/doctor/575","jobTitle": "副主任医师","headPortrait": "https://www.med-credit.org.cn/uploadfile/member/575/180x180.jpeg","id": "575","description": "种轶文,北京大学第三医院妇产科副主任医师","memberOf": {"legalName": "北京大学第三医院","department": "妇产科","organizationLevel": "三级甲等"}},"Article": {"summaryContent": "孕晚期头位胎儿是指胎儿呈头朝下的胎位,其先露部位为枕部。
孕晚期头位可分为正常的枕前位,或异常头位如枕后位,枕横位,抬头高直位等等。
1.人们人为的将孕妇的骨盆分为了左右前位,左右后位,左右横位六个方位,胎儿先露部位位于哪个方位就称胎位为该方位。头位胎儿一般的先露部位都是枕骨,也就是枕骨朝下,胎儿处于低头的姿势,枕前位是较为正常的胎位,一般可进行顺产。

2.孕晚期胎位较为固定,与早期可自行恢复不同,孕晚期出现胎位异常难以自行恢复须谨慎小心。常见头位的胎位异常有枕后位、枕横位,以及抬头高直位,会导致顺产时产程延长,产妇宫颈水肿,宫缩乏力,胎儿有呼吸窘迫的风险。这可能是因为骨盆发育不良、宫缩乏力或胎头太大引起的。
孕晚期应按时产检,确定胎位,正常头位不用处理,若出现异常头位,应听从医生建议,可行剖宫产。若有顺产条件或产妇希望顺产,在顺产过程中应做好会阴部后侧切开或转为剖宫产的准备。
","articleBody": "孕晚期头位胎儿是指胎儿呈头朝下的胎位,其先露部位为枕部。
孕晚期头位可分为正常的枕前位,或异常头位如枕后位,枕横位,抬头高直位等等。
1.人们人为的将孕妇的骨盆分为了左右前位,左右后位,左右横位六个方位,胎儿先露部位位于哪个方位就称胎位为该方位。头位胎儿一般的先露部位都是枕骨,也就是枕骨朝下,胎儿处于低头的姿势,枕前位是较为正常的胎位,一般可进行顺产。

2.孕晚期胎位较为固定,与早期可自行恢复不同,孕晚期出现胎位异常难以自行恢复须谨慎小心。常见头位的胎位异常有枕后位、枕横位,以及抬头高直位,会导致顺产时产程延长,产妇宫颈水肿,宫缩乏力,胎儿有呼吸窘迫的风险。这可能是因为骨盆发育不良、宫缩乏力或胎头太大引起的。
孕晚期应按时产检,确定胎位,正常头位不用处理,若出现异常头位,应听从医生建议,可行剖宫产。若有顺产条件或产妇希望顺产,在顺产过程中应做好会阴部后侧切开或转为剖宫产的准备。
","scanCount": 56726}}} {"@context": "https://ziyuan.baidu.com/contexts/cambrian.jsonld","appid": "1650708455561748","icon": "https://www.med-credit.org.cn/style/images/ttlogo.png","content_tag": ["atlas"],"is_mcn": {"thumb_id": "v2rm41u3"},"accid": "4886d626a2804dee5f11168793ce361672f39c25","@id": "https://www.med-credit.org.cn/mobile/jingxuan/2/5a38d797d94bc08589e969f608414308.html","bagWordId": "269_1558063573698088960","title": "单臀先露胎儿图","pubDate": "2023-03-29T10:32:19","upDate": "2023-03-29T10:32:19","lrDate": "2023-03-29T10:32:19","description": "单臀先露胎儿在宫内双髋关节屈曲、双膝关节伸直,先露部位为臀部。","data": {"WebPage": {"headline": "单臀先露胎儿图","pcUrl": "https://www.med-credit.org.cn/jingxuan/2/5a38d797d94bc08589e969f608414308.html","wapUrl": "https://www.med-credit.org.cn/jingxuan/2/5a38d797d94bc08589e969f608414308.html","mipUrl": "https://www.med-credit.org.cn/mobile/jingxuan/2/5a38d797d94bc08589e969f608414308.html","fromSrc": "欢乐橙","datePublished": "2023-03-29T10:32:19","domain": "医疗","category": ["医疗权威文章合作"],"description": "单臀先露胎儿在宫内双髋关节屈曲、双膝关节伸直,先露部位为臀部。
","extra_headline": [""]},"Author": {"name": "种轶文","wapUrl": "https://www.med-credit.org.cn/doctor/575","pcUrl": "https://www.med-credit.org.cn/doctor/575","jobTitle": "副主任医师","headPortrait": "https://www.med-credit.org.cn/uploadfile/member/575/180x180.jpeg","id": "575","description": "种轶文,北京大学第三医院妇产科副主任医师","memberOf": {"legalName": "北京大学第三医院","department": "妇产科","organizationLevel": "三级甲等"}},"Article": {"summaryContent": "单臀先露胎儿在宫内双髋关节屈曲、双膝关节伸直,先露部位为臀部。
臀先露的发生可能与早产、羊水过多、胎儿活动受限有关。
1.单臀先露胎儿在妊娠晚期胎动的时候,会导致孕妇出现肋部胀痛。临产后,胎足和胎臀不能紧贴子宫下段,宫颈及宫颈旁神经丛,宫口扩张缓慢,导致产程延长。故臀先露易出现胎膜早破、宫缩乏力,增加母体感染概率,增加产后出血量,也容易导致胎儿早产,娩出时易损伤胎儿。

2.臀先露可能是因为早产,妊娠未足月,羊水量偏多,胎儿活动度大,出现臀先露;或单纯性羊水过多及经产妇,子宫空间较大或子宫壁松弛,胎儿在宫内易自由活动;以及胎儿宫内运动受限,无法随着孕龄转为头位。
妊娠30周以前,胎儿可自动旋转体位,无需特殊处理;30周以后可采用膝胸卧位、针灸、激光、外倒转术促进胎儿胎位恢复正常。产前仍决定顺产者,应密切检测,产前不使用缩宫素,准备会阴后侧切开术,产后预防出血。
","articleBody": "单臀先露胎儿在宫内双髋关节屈曲、双膝关节伸直,先露部位为臀部。
臀先露的发生可能与早产、羊水过多、胎儿活动受限有关。
1.单臀先露胎儿在妊娠晚期胎动的时候,会导致孕妇出现肋部胀痛。临产后,胎足和胎臀不能紧贴子宫下段,宫颈及宫颈旁神经丛,宫口扩张缓慢,导致产程延长。故臀先露易出现胎膜早破、宫缩乏力,增加母体感染概率,增加产后出血量,也容易导致胎儿早产,娩出时易损伤胎儿。

2.臀先露可能是因为早产,妊娠未足月,羊水量偏多,胎儿活动度大,出现臀先露;或单纯性羊水过多及经产妇,子宫空间较大或子宫壁松弛,胎儿在宫内易自由活动;以及胎儿宫内运动受限,无法随着孕龄转为头位。
妊娠30周以前,胎儿可自动旋转体位,无需特殊处理;30周以后可采用膝胸卧位、针灸、激光、外倒转术促进胎儿胎位恢复正常。产前仍决定顺产者,应密切检测,产前不使用缩宫素,准备会阴后侧切开术,产后预防出血。
","scanCount": 56725}}} {"@context": "https://ziyuan.baidu.com/contexts/cambrian.jsonld","appid": "1650708455561748","icon": "https://www.med-credit.org.cn/style/images/ttlogo.png","content_tag": ["atlas"],"is_mcn": {"thumb_id": "v2rm41u3"},"accid": "4886d626a2804dee5f11168793ce361672f39c25","@id": "https://www.med-credit.org.cn/mobile/jingxuan/2/666e937d13fee90debb0887cbb2d17ae.html","bagWordId": "269_1558063573962330112","title": "胎儿枕位置示意图","pubDate": "2023-03-29T10:32:19","upDate": "2023-03-29T10:32:19","lrDate": "2023-03-29T10:32:19","description": "胎儿枕位意思是胎儿处于头朝下,枕骨为先露部位的胎位。","data": {"WebPage": {"headline": "胎儿枕位置示意图","pcUrl": "https://www.med-credit.org.cn/jingxuan/2/666e937d13fee90debb0887cbb2d17ae.html","wapUrl": "https://www.med-credit.org.cn/jingxuan/2/666e937d13fee90debb0887cbb2d17ae.html","mipUrl": "https://www.med-credit.org.cn/mobile/jingxuan/2/666e937d13fee90debb0887cbb2d17ae.html","fromSrc": "欢乐橙","datePublished": "2023-03-29T10:32:19","domain": "医疗","category": ["医疗权威文章合作"],"description": "胎儿枕位意思是胎儿处于头朝下,枕骨为先露部位的胎位。
","extra_headline": [""]},"Author": {"name": "种轶文","wapUrl": "https://www.med-credit.org.cn/doctor/575","pcUrl": "https://www.med-credit.org.cn/doctor/575","jobTitle": "副主任医师","headPortrait": "https://www.med-credit.org.cn/uploadfile/member/575/180x180.jpeg","id": "575","description": "种轶文,北京大学第三医院妇产科副主任医师","memberOf": {"legalName": "北京大学第三医院","department": "妇产科","organizationLevel": "三级甲等"}},"Article": {"summaryContent": "胎儿枕位意思是胎儿处于头朝下,枕骨为先露部位的胎位。
枕位可有枕前位、枕后位、枕横位等,枕前位为正常胎位。
1.枕位是头朝下的一种胎位,以枕骨为先露部位,也就是胎儿处于低头的姿势。我们将产妇骨盆人为分成左右前位、左右中位、左右横位六个方位,枕骨位于哪个方位,就趁胎位为该方位。枕前位是正常的胎位,能较为顺利的经阴道生产。

2.持续性枕横位和枕后位是一种常见的胎位异常,顺产时可出现产程延长,产妇宫颈不能扩张,宫缩乏力,宫颈水肿,增加产妇产后出血及胎儿呼吸窘迫的危险。出现胎位异常的原因可能与孕妇骨盆形态异常,胎头较大头盆不称或孕妇宫缩乏力有关,具体发生的机制尚不清楚。
孕妇应按时产检,关注胎儿胎位,孕30周以前胎位异常可自行恢复,若30周后仍存在胎位异常,可遵从医生指导,采用孕妇特殊体位、针灸或医生外倒转术就纠正异常。产前仍胎位异常者,可听从医生建议采用剖宫产或仍顺产,但做好会阴后部切开或转为剖宫产的准备。
","articleBody": "胎儿枕位意思是胎儿处于头朝下,枕骨为先露部位的胎位。
枕位可有枕前位、枕后位、枕横位等,枕前位为正常胎位。
1.枕位是头朝下的一种胎位,以枕骨为先露部位,也就是胎儿处于低头的姿势。我们将产妇骨盆人为分成左右前位、左右中位、左右横位六个方位,枕骨位于哪个方位,就趁胎位为该方位。枕前位是正常的胎位,能较为顺利的经阴道生产。

2.持续性枕横位和枕后位是一种常见的胎位异常,顺产时可出现产程延长,产妇宫颈不能扩张,宫缩乏力,宫颈水肿,增加产妇产后出血及胎儿呼吸窘迫的危险。出现胎位异常的原因可能与孕妇骨盆形态异常,胎头较大头盆不称或孕妇宫缩乏力有关,具体发生的机制尚不清楚。
孕妇应按时产检,关注胎儿胎位,孕30周以前胎位异常可自行恢复,若30周后仍存在胎位异常,可遵从医生指导,采用孕妇特殊体位、针灸或医生外倒转术就纠正异常。产前仍胎位异常者,可听从医生建议采用剖宫产或仍顺产,但做好会阴后部切开或转为剖宫产的准备。
","scanCount": 56724}}} {"@context": "https://ziyuan.baidu.com/contexts/cambrian.jsonld","appid": "1650708455561748","icon": "https://www.med-credit.org.cn/style/images/ttlogo.png","content_tag": ["atlas"],"is_mcn": {"thumb_id": "v2rm41u3"},"accid": "4886d626a2804dee5f11168793ce361672f39c25","@id": "https://www.med-credit.org.cn/mobile/jingxuan/2/a904b0fb12346c2bd62250e853f8ed70.html","bagWordId": "269_1558063574331428864","title": "剖腹产刀口50天恢复图","pubDate": "2023-03-29T10:32:19","upDate": "2023-03-29T10:32:19","lrDate": "2023-03-29T10:32:19","description": "剖腹产,正确说法为剖宫产,剖宫产刀口50天的恢复情况因女性的身体素质不同而有所差异,在此时期伤口可能会出现发红发痒,并伴有肉芽组织的生成。","data": {"WebPage": {"headline": "剖腹产刀口50天恢复图","pcUrl": "https://www.med-credit.org.cn/jingxuan/2/a904b0fb12346c2bd62250e853f8ed70.html","wapUrl": "https://www.med-credit.org.cn/jingxuan/2/a904b0fb12346c2bd62250e853f8ed70.html","mipUrl": "https://www.med-credit.org.cn/mobile/jingxuan/2/a904b0fb12346c2bd62250e853f8ed70.html","fromSrc": "欢乐橙","datePublished": "2023-03-29T10:32:19","domain": "医疗","category": ["医疗权威文章合作"],"description": "剖腹产,正确说法为剖宫产,剖宫产刀口50天的恢复情况因女性的身体素质不同而有所差异,在此时期伤口可能会出现发红发痒,并伴有肉芽组织的生成。
","extra_headline": [""]},"Author": {"name": "种轶文","wapUrl": "https://www.med-credit.org.cn/doctor/575","pcUrl": "https://www.med-credit.org.cn/doctor/575","jobTitle": "副主任医师","headPortrait": "https://www.med-credit.org.cn/uploadfile/member/575/180x180.jpeg","id": "575","description": "种轶文,北京大学第三医院妇产科副主任医师","memberOf": {"legalName": "北京大学第三医院","department": "妇产科","organizationLevel": "三级甲等"}},"Article": {"summaryContent": "剖腹产,正确说法为剖宫产,剖宫产刀口50天的恢复情况因女性的身体素质不同而有所差异,在此时期伤口可能会出现发红发痒,并伴有肉芽组织的生成。
剖宫产刀口的恢复情况与切口方向、产妇身体素质、营养状况等因素有关。
1、剖宫产50天的刀口一般还没有完全愈合,此时若出现发红和瘙痒的情况提示伤口正在愈合,但若出现发烧等症状可能提示有并发感染,建议及时前往医院进行相关治疗。

2、剖宫产纵向切口的愈合时间一般比横向切口时间长,子宫切口的愈合大概需要3个月,完全恢复大概需要1-2年。
3、剖宫产刀口的恢复情况与产妇的身体素质、摄取的营养成分、刀口有无感染等有关。发生感染或产妇身体素质差均会延长恢复时间。
1、产妇在剖腹产恢复期间需注意伤口的恢复情况,保持伤口的清洁干燥,摄取足够的营养从而促进伤口愈合,并且注意避免激烈的运动。
2、因子宫的愈合时间较长,在剖宫产后建议至少间隔两年后再次妊娠,以免导致伤口裂开。
","articleBody": "剖腹产,正确说法为剖宫产,剖宫产刀口50天的恢复情况因女性的身体素质不同而有所差异,在此时期伤口可能会出现发红发痒,并伴有肉芽组织的生成。
剖宫产刀口的恢复情况与切口方向、产妇身体素质、营养状况等因素有关。
1、剖宫产50天的刀口一般还没有完全愈合,此时若出现发红和瘙痒的情况提示伤口正在愈合,但若出现发烧等症状可能提示有并发感染,建议及时前往医院进行相关治疗。

2、剖宫产纵向切口的愈合时间一般比横向切口时间长,子宫切口的愈合大概需要3个月,完全恢复大概需要1-2年。
3、剖宫产刀口的恢复情况与产妇的身体素质、摄取的营养成分、刀口有无感染等有关。发生感染或产妇身体素质差均会延长恢复时间。
1、产妇在剖腹产恢复期间需注意伤口的恢复情况,保持伤口的清洁干燥,摄取足够的营养从而促进伤口愈合,并且注意避免激烈的运动。
2、因子宫的愈合时间较长,在剖宫产后建议至少间隔两年后再次妊娠,以免导致伤口裂开。
","scanCount": 56723}}} {"@context": "https://ziyuan.baidu.com/contexts/cambrian.jsonld","appid": "1650708455561748","icon": "https://www.med-credit.org.cn/style/images/ttlogo.png","content_tag": ["atlas"],"is_mcn": {"thumb_id": "v2rm41u3"},"accid": "4886d626a2804dee5f11168793ce361672f39c25","@id": "https://www.med-credit.org.cn/mobile/jingxuan/2/e5c2145576f69e52a7f88ed2eb75c83e.html","bagWordId": "269_1558063575237398528","title": "rst胎位图","pubDate": "2023-03-29T10:32:19","upDate": "2023-03-29T10:32:19","lrDate": "2023-03-29T10:32:19","description": "RST胎位意思是胎儿处于右骶横位。","data": {"WebPage": {"headline": "rst胎位图","pcUrl": "https://www.med-credit.org.cn/jingxuan/2/e5c2145576f69e52a7f88ed2eb75c83e.html","wapUrl": "https://www.med-credit.org.cn/jingxuan/2/e5c2145576f69e52a7f88ed2eb75c83e.html","mipUrl": "https://www.med-credit.org.cn/mobile/jingxuan/2/e5c2145576f69e52a7f88ed2eb75c83e.html","fromSrc": "欢乐橙","datePublished": "2023-03-29T10:32:19","domain": "医疗","category": ["医疗权威文章合作"],"description": "RST胎位意思是胎儿处于右骶横位。
","extra_headline": [""]},"Author": {"name": "种轶文","wapUrl": "https://www.med-credit.org.cn/doctor/575","pcUrl": "https://www.med-credit.org.cn/doctor/575","jobTitle": "副主任医师","headPortrait": "https://www.med-credit.org.cn/uploadfile/member/575/180x180.jpeg","id": "575","description": "种轶文,北京大学第三医院妇产科副主任医师","memberOf": {"legalName": "北京大学第三医院","department": "妇产科","organizationLevel": "三级甲等"}},"Article": {"summaryContent": "RST胎位意思是胎儿处于右骶横位。
RST胎位的原因可能与早产、羊水过多、经产妇妊娠等有关。
1.RST胎位中R是指右侧,S是指骶骨,T则是横的意思。RST的意思就是胎儿的骶骨位于母体骨盆的有横位上,是一种臀先露的胎位,属于胎位异常的一种。正常胎位应为枕前位。右骶横位的胎儿胎动时,孕妇可感到季肋部疼痛,生产时可出现产程延长,宫缩乏力,易导致胎儿受伤及母体出血感染。

2.右骶横位出现的原因可能与某些因素有关,如早产的孕妇羊水量偏多,胎儿在宫内活动度较大;或经产妇子宫空间较大或子宫壁松弛,胎儿在宫内易自由活动;当胎儿运动受限时胎头不易随着孕龄的增加而转动,也可出现臀先露。
妊娠期30周以前的右骶横位不用特殊处理,大部分可自行旋转至正常;若30周后仍为右骶横位,可予以矫正,孕妇保持膝胸卧位或医生采用外倒转术,可促进其变为头位。若分娩前仍为右骶横位,一般推荐剖宫产,若选择经阴道分娩,应做好会阴后侧切开术及转为剖宫产、抢救胎儿的准备。
","articleBody": "RST胎位意思是胎儿处于右骶横位。
RST胎位的原因可能与早产、羊水过多、经产妇妊娠等有关。
1.RST胎位中R是指右侧,S是指骶骨,T则是横的意思。RST的意思就是胎儿的骶骨位于母体骨盆的有横位上,是一种臀先露的胎位,属于胎位异常的一种。正常胎位应为枕前位。右骶横位的胎儿胎动时,孕妇可感到季肋部疼痛,生产时可出现产程延长,宫缩乏力,易导致胎儿受伤及母体出血感染。

2.右骶横位出现的原因可能与某些因素有关,如早产的孕妇羊水量偏多,胎儿在宫内活动度较大;或经产妇子宫空间较大或子宫壁松弛,胎儿在宫内易自由活动;当胎儿运动受限时胎头不易随着孕龄的增加而转动,也可出现臀先露。
妊娠期30周以前的右骶横位不用特殊处理,大部分可自行旋转至正常;若30周后仍为右骶横位,可予以矫正,孕妇保持膝胸卧位或医生采用外倒转术,可促进其变为头位。若分娩前仍为右骶横位,一般推荐剖宫产,若选择经阴道分娩,应做好会阴后侧切开术及转为剖宫产、抢救胎儿的准备。
","scanCount": 56722}}} {"@context": "https://ziyuan.baidu.com/contexts/cambrian.jsonld","appid": "1650708455561748","icon": "https://www.med-credit.org.cn/style/images/ttlogo.png","content_tag": ["atlas"],"is_mcn": {"thumb_id": "v2rm41u3"},"accid": "4886d626a2804dee5f11168793ce361672f39c25","@id": "https://www.med-credit.org.cn/mobile/jingxuan/2/116b7659213ca084a21c066059b5c797.html","bagWordId": "269_1558063575774269440","title": "孕妇肚子有青筋图片","pubDate": "2023-03-29T10:32:19","upDate": "2023-03-29T10:32:19","lrDate": "2023-03-29T10:32:19","description": "孕妇肚子出现青筋其实不是青筋,而是妊娠纹,呈紫色或粉红色条纹。","data": {"WebPage": {"headline": "孕妇肚子有青筋图片","pcUrl": "https://www.med-credit.org.cn/jingxuan/2/116b7659213ca084a21c066059b5c797.html","wapUrl": "https://www.med-credit.org.cn/jingxuan/2/116b7659213ca084a21c066059b5c797.html","mipUrl": "https://www.med-credit.org.cn/mobile/jingxuan/2/116b7659213ca084a21c066059b5c797.html","fromSrc": "欢乐橙","datePublished": "2023-03-29T10:32:19","domain": "医疗","category": ["医疗权威文章合作"],"description": "孕妇肚子出现青筋其实不是青筋,而是妊娠纹,呈紫色或粉红色条纹。
","extra_headline": [""]},"Author": {"name": "种轶文","wapUrl": "https://www.med-credit.org.cn/doctor/575","pcUrl": "https://www.med-credit.org.cn/doctor/575","jobTitle": "副主任医师","headPortrait": "https://www.med-credit.org.cn/uploadfile/member/575/180x180.jpeg","id": "575","description": "种轶文,北京大学第三医院妇产科副主任医师","memberOf": {"legalName": "北京大学第三医院","department": "妇产科","organizationLevel": "三级甲等"}},"Article": {"summaryContent": "孕妇肚子出现青筋其实不是青筋,而是妊娠纹,呈紫色或粉红色条纹。
妊娠纹的出现与妊娠期间真皮结缔组织损伤有关。
1.孕妇大约在孕6-7月左右可出现妊娠纹,最常见就在腹部,早期表现为紫色或粉红色条纹。大多数患者没有不适症状,偶尔可出现瘙痒或者烧灼感。分娩后半年到一年,妊娠纹开始褪色、萎缩,逐渐变成白色的线性条纹。

2.妊娠期间,皮下组织包括脂肪和肌肉逐渐发展变变大,导致皮肤张力增大,加上孕妇肾上腺分泌的太皮质激素增多,分解弹力纤维蛋白增多,纤维蛋白合成减少,共同导致真皮层结缔组织损伤、胶原纤维和弹性纤维破坏,出现条纹性损伤。
怀孕前及怀孕时可通过多吃蛋白质、维生素食物,坚持运动,控制体重增长等方式预防妊娠纹。妊娠纹出现后,可采用药物治疗如维A酸、苦杏仁油涂抹患处;激光治疗;电磁波射频治疗等等。
","articleBody": "孕妇肚子出现青筋其实不是青筋,而是妊娠纹,呈紫色或粉红色条纹。
妊娠纹的出现与妊娠期间真皮结缔组织损伤有关。
1.孕妇大约在孕6-7月左右可出现妊娠纹,最常见就在腹部,早期表现为紫色或粉红色条纹。大多数患者没有不适症状,偶尔可出现瘙痒或者烧灼感。分娩后半年到一年,妊娠纹开始褪色、萎缩,逐渐变成白色的线性条纹。

2.妊娠期间,皮下组织包括脂肪和肌肉逐渐发展变变大,导致皮肤张力增大,加上孕妇肾上腺分泌的太皮质激素增多,分解弹力纤维蛋白增多,纤维蛋白合成减少,共同导致真皮层结缔组织损伤、胶原纤维和弹性纤维破坏,出现条纹性损伤。
怀孕前及怀孕时可通过多吃蛋白质、维生素食物,坚持运动,控制体重增长等方式预防妊娠纹。妊娠纹出现后,可采用药物治疗如维A酸、苦杏仁油涂抹患处;激光治疗;电磁波射频治疗等等。
","scanCount": 56721}}} {"@context": "https://ziyuan.baidu.com/contexts/cambrian.jsonld","appid": "1650708455561748","icon": "https://www.med-credit.org.cn/style/images/ttlogo.png","content_tag": ["atlas"],"is_mcn": {"thumb_id": "v2rm41u3"},"accid": "4886d626a2804dee5f11168793ce361672f39c25","@id": "https://www.med-credit.org.cn/mobile/jingxuan/2/fed5103e6bd16d6021bf0c35fbc54941.html","bagWordId": "269_1558063577204527104","title": "怀孕20天b超图片","pubDate": "2023-03-29T10:32:19","upDate": "2023-03-29T10:32:19","lrDate": "2023-03-29T10:32:19","description": "怀孕20天B超是不能看到孕囊及其他与胎儿相关的组织结构的。","data": {"WebPage": {"headline": "怀孕20天b超图片","pcUrl": "https://www.med-credit.org.cn/jingxuan/2/fed5103e6bd16d6021bf0c35fbc54941.html","wapUrl": "https://www.med-credit.org.cn/jingxuan/2/fed5103e6bd16d6021bf0c35fbc54941.html","mipUrl": "https://www.med-credit.org.cn/mobile/jingxuan/2/fed5103e6bd16d6021bf0c35fbc54941.html","fromSrc": "欢乐橙","datePublished": "2023-03-29T10:32:19","domain": "医疗","category": ["医疗权威文章合作"],"description": "怀孕20天B超是不能看到孕囊及其他与胎儿相关的组织结构的。
","extra_headline": [""]},"Author": {"name": "种轶文","wapUrl": "https://www.med-credit.org.cn/doctor/575","pcUrl": "https://www.med-credit.org.cn/doctor/575","jobTitle": "副主任医师","headPortrait": "https://www.med-credit.org.cn/uploadfile/member/575/180x180.jpeg","id": "575","description": "种轶文,北京大学第三医院妇产科副主任医师","memberOf": {"legalName": "北京大学第三医院","department": "妇产科","organizationLevel": "三级甲等"}},"Article": {"summaryContent": "怀孕20天B超是不能看到孕囊及其他与胎儿相关的组织结构的。
怀孕20天属于孕早期,妊娠可以通过测血液人绒毛膜促性腺激素来诊断,依靠B超并不准确。
1.怀孕早期子宫增大,饱满,子宫动脉保持高阻力低舒张期成分的频谱特征,左右两侧血流量不一致。宫腔内近宫底部出现强回声环呈圆形或椭圆形、光亮、完整,一侧可见较丰富的血流信号。

2.孕5周宫内才会出现胎囊,胎囊呈强回声环状,中央无回声区为羊膜腔,此期胎囊占据宫腔约1/4,孕6周胎囊占据宫腔约1/3,胎芽出现,孕7~8周胎囊占据宫腔的一半,可见原始心血管搏动及胎动,孕9周胎盘雏形出现,彩色多普勒及能量多普勒可见丰富的血流信。
怀孕以后胚胎的发育成熟及生长都是需要一个过程的,怀孕20天在B超下是看不到孕囊及胎盘等组织的,依靠B超诊断也是不准确的,所以可以根据血液人绒毛促性腺激素来诊断妊娠。
","articleBody": "怀孕20天B超是不能看到孕囊及其他与胎儿相关的组织结构的。
怀孕20天属于孕早期,妊娠可以通过测血液人绒毛膜促性腺激素来诊断,依靠B超并不准确。
1.怀孕早期子宫增大,饱满,子宫动脉保持高阻力低舒张期成分的频谱特征,左右两侧血流量不一致。宫腔内近宫底部出现强回声环呈圆形或椭圆形、光亮、完整,一侧可见较丰富的血流信号。

2.孕5周宫内才会出现胎囊,胎囊呈强回声环状,中央无回声区为羊膜腔,此期胎囊占据宫腔约1/4,孕6周胎囊占据宫腔约1/3,胎芽出现,孕7~8周胎囊占据宫腔的一半,可见原始心血管搏动及胎动,孕9周胎盘雏形出现,彩色多普勒及能量多普勒可见丰富的血流信。
怀孕以后胚胎的发育成熟及生长都是需要一个过程的,怀孕20天在B超下是看不到孕囊及胎盘等组织的,依靠B超诊断也是不准确的,所以可以根据血液人绒毛促性腺激素来诊断妊娠。
","scanCount": 56720}}} {"@context": "https://ziyuan.baidu.com/contexts/cambrian.jsonld","appid": "1650708455561748","icon": "https://www.med-credit.org.cn/style/images/ttlogo.png","content_tag": ["atlas"],"is_mcn": {"thumb_id": "v2rm41u3"},"accid": "4886d626a2804dee5f11168793ce361672f39c25","@id": "https://www.med-credit.org.cn/mobile/jingxuan/2/a590dd404507a6d44dd9b4a5943a6ccf.html","bagWordId": "269_1558063577636540416","title": "怀孕超声波检查报告单图片","pubDate": "2023-03-29T10:32:19","upDate": "2023-03-29T10:32:19","lrDate": "2023-03-29T10:32:19","description": "怀孕超声波检查报告单,指的是B超检查报告单,一般会根据超声波下可见的子宫及胎儿整体情况做出具体的描述,常常包括孕囊、胎头、胎心、脊柱等。","data": {"WebPage": {"headline": "怀孕超声波检查报告单图片","pcUrl": "https://www.med-credit.org.cn/jingxuan/2/a590dd404507a6d44dd9b4a5943a6ccf.html","wapUrl": "https://www.med-credit.org.cn/jingxuan/2/a590dd404507a6d44dd9b4a5943a6ccf.html","mipUrl": "https://www.med-credit.org.cn/mobile/jingxuan/2/a590dd404507a6d44dd9b4a5943a6ccf.html","fromSrc": "欢乐橙","datePublished": "2023-03-29T10:32:19","domain": "医疗","category": ["医疗权威文章合作"],"description": "怀孕超声波检查报告单,指的是B超检查报告单,一般会根据超声波下可见的子宫及胎儿整体情况做出具体的描述,常常包括孕囊、胎头、胎心、脊柱等。
","extra_headline": [""]},"Author": {"name": "种轶文","wapUrl": "https://www.med-credit.org.cn/doctor/575","pcUrl": "https://www.med-credit.org.cn/doctor/575","jobTitle": "副主任医师","headPortrait": "https://www.med-credit.org.cn/uploadfile/member/575/180x180.jpeg","id": "575","description": "种轶文,北京大学第三医院妇产科副主任医师","memberOf": {"legalName": "北京大学第三医院","department": "妇产科","organizationLevel": "三级甲等"}},"Article": {"summaryContent": "怀孕超声波检查报告单,指的是B超检查报告单,一般会根据超声波下可见的子宫及胎儿整体情况做出具体的描述,常常包括孕囊、胎头、胎心、脊柱等。
孕产检的超声波报告对判断胎儿生长发育情况、妊娠期疾病及分娩方式有着重要意义。

1.胎头:轮廓完整,双顶径大小与孕周符合。
2.胎心:可见搏动,搏动较强,胎心频率在120-160次/分为正常水平。
3.胎动:可见胎动且胎动较强。
4.胎盘:可见具体位置,厚度为2.5-5cm。
5.羊水深度:羊水深度在3-7cm为正常水平,超过7cm为羊水增多,少于3cm为羊水减少。
7.脊柱:胎儿脊柱连续,无畸形。
孕期的超声波检查报告结果对识别某些妊娠期疾病有重要的意义。如胎儿大小可以提示胎儿的生长及营养状况,胎盘位置及胎位将影响分娩方式和分娩时间。
","articleBody": "怀孕超声波检查报告单,指的是B超检查报告单,一般会根据超声波下可见的子宫及胎儿整体情况做出具体的描述,常常包括孕囊、胎头、胎心、脊柱等。
孕产检的超声波报告对判断胎儿生长发育情况、妊娠期疾病及分娩方式有着重要意义。

1.胎头:轮廓完整,双顶径大小与孕周符合。
2.胎心:可见搏动,搏动较强,胎心频率在120-160次/分为正常水平。
3.胎动:可见胎动且胎动较强。
4.胎盘:可见具体位置,厚度为2.5-5cm。
5.羊水深度:羊水深度在3-7cm为正常水平,超过7cm为羊水增多,少于3cm为羊水减少。
7.脊柱:胎儿脊柱连续,无畸形。
孕期的超声波检查报告结果对识别某些妊娠期疾病有重要的意义。如胎儿大小可以提示胎儿的生长及营养状况,胎盘位置及胎位将影响分娩方式和分娩时间。
","scanCount": 56719}}} {"@context": "https://ziyuan.baidu.com/contexts/cambrian.jsonld","appid": "1650708455561748","icon": "https://www.med-credit.org.cn/style/images/ttlogo.png","content_tag": ["atlas"],"is_mcn": {"thumb_id": "v2rm41u3"},"accid": "4886d626a2804dee5f11168793ce361672f39c25","@id": "https://www.med-credit.org.cn/mobile/jingxuan/2/eaa5a7c4649c5c6cefa94166a8468a1f.html","bagWordId": "269_1558063578441846784","title": "孕29周宝宝生下来图片","pubDate": "2023-03-29T10:32:19","upDate": "2023-03-29T10:32:19","lrDate": "2023-03-29T10:32:19","description": "孕29周宝宝生下来称为早产儿,各器官发育尚不完全。","data": {"WebPage": {"headline": "孕29周宝宝生下来图片","pcUrl": "https://www.med-credit.org.cn/jingxuan/2/eaa5a7c4649c5c6cefa94166a8468a1f.html","wapUrl": "https://www.med-credit.org.cn/jingxuan/2/eaa5a7c4649c5c6cefa94166a8468a1f.html","mipUrl": "https://www.med-credit.org.cn/mobile/jingxuan/2/eaa5a7c4649c5c6cefa94166a8468a1f.html","fromSrc": "欢乐橙","datePublished": "2023-03-29T10:32:19","domain": "医疗","category": ["医疗权威文章合作"],"description": "孕29周宝宝生下来称为早产儿,各器官发育尚不完全。
","extra_headline": [""]},"Author": {"name": "种轶文","wapUrl": "https://www.med-credit.org.cn/doctor/575","pcUrl": "https://www.med-credit.org.cn/doctor/575","jobTitle": "副主任医师","headPortrait": "https://www.med-credit.org.cn/uploadfile/member/575/180x180.jpeg","id": "575","description": "种轶文,北京大学第三医院妇产科副主任医师","memberOf": {"legalName": "北京大学第三医院","department": "妇产科","organizationLevel": "三级甲等"}},"Article": {"summaryContent": "孕29周宝宝生下来称为早产儿,各器官发育尚不完全。
孕妇早产的原因可能与感染、应激有关。
1.29周早产胎儿,体重轻,器官发育不成熟,容易并发许多疾病,如呼吸窘迫综合征,肺炎、高胆红素血症等等。胎儿常表现为呼吸困难,发绀,巩膜黄染,水肿等症状。若不经过治疗,易出现多器官功能障碍或多器官功能衰竭。

2.早产儿的出现可能与感染有关,如宫内感染、盆腔感染等,侵袭宫内引发早产。还可能与多胎妊娠、羊水过多及其他因素引起的子宫腔过度扩张有关。另外,孕妇精神、心理压力过大,引起内分泌系统反应性分泌激素增多,也可导致早产。
早产儿出生后应及时新生儿复苏,后转至新生儿科密切监测,做好保暖、喂养。可使用肺表面活性物质、氨茶碱、糖皮质激素等改善呼吸,抗生素预防或治疗感染,重组促红细胞生成素纠正胎儿贫血。待胎儿各器官发育成熟后,可带回家家庭护理。
","articleBody": "孕29周宝宝生下来称为早产儿,各器官发育尚不完全。
孕妇早产的原因可能与感染、应激有关。
1.29周早产胎儿,体重轻,器官发育不成熟,容易并发许多疾病,如呼吸窘迫综合征,肺炎、高胆红素血症等等。胎儿常表现为呼吸困难,发绀,巩膜黄染,水肿等症状。若不经过治疗,易出现多器官功能障碍或多器官功能衰竭。

2.早产儿的出现可能与感染有关,如宫内感染、盆腔感染等,侵袭宫内引发早产。还可能与多胎妊娠、羊水过多及其他因素引起的子宫腔过度扩张有关。另外,孕妇精神、心理压力过大,引起内分泌系统反应性分泌激素增多,也可导致早产。
早产儿出生后应及时新生儿复苏,后转至新生儿科密切监测,做好保暖、喂养。可使用肺表面活性物质、氨茶碱、糖皮质激素等改善呼吸,抗生素预防或治疗感染,重组促红细胞生成素纠正胎儿贫血。待胎儿各器官发育成熟后,可带回家家庭护理。
","scanCount": 56717}}} {"@context": "https://ziyuan.baidu.com/contexts/cambrian.jsonld","appid": "1650708455561748","icon": "https://www.med-credit.org.cn/style/images/ttlogo.png","content_tag": ["atlas"],"is_mcn": {"thumb_id": "v2rm41u3"},"accid": "4886d626a2804dee5f11168793ce361672f39c25","@id": "https://www.med-credit.org.cn/mobile/jingxuan/2/01a9e124069233b2306cf873a92cd94e.html","bagWordId": "269_1558063578924191744","title": "剖腹产伤口长水泡图片","pubDate": "2023-03-29T10:32:19","upDate": "2023-03-29T10:32:19","lrDate": "2023-03-29T10:32:19","description": "剖腹产,正确说法是剖宫产,剖宫产伤口出现水泡是不正常的,可能由于伤口出现感染所致,或者是一些产妇在术后进行理疗、热敷,烫伤引起的。","data": {"WebPage": {"headline": "剖腹产伤口长水泡图片","pcUrl": "https://www.med-credit.org.cn/jingxuan/2/01a9e124069233b2306cf873a92cd94e.html","wapUrl": "https://www.med-credit.org.cn/jingxuan/2/01a9e124069233b2306cf873a92cd94e.html","mipUrl": "https://www.med-credit.org.cn/mobile/jingxuan/2/01a9e124069233b2306cf873a92cd94e.html","fromSrc": "欢乐橙","datePublished": "2023-03-29T10:32:19","domain": "医疗","category": ["医疗权威文章合作"],"description": "剖腹产,正确说法是剖宫产,剖宫产伤口出现水泡是不正常的,可能由于伤口出现感染所致,或者是一些产妇在术后进行理疗、热敷,烫伤引起的。
","extra_headline": [""]},"Author": {"name": "种轶文","wapUrl": "https://www.med-credit.org.cn/doctor/575","pcUrl": "https://www.med-credit.org.cn/doctor/575","jobTitle": "副主任医师","headPortrait": "https://www.med-credit.org.cn/uploadfile/member/575/180x180.jpeg","id": "575","description": "种轶文,北京大学第三医院妇产科副主任医师","memberOf": {"legalName": "北京大学第三医院","department": "妇产科","organizationLevel": "三级甲等"}},"Article": {"summaryContent": "剖腹产,正确说法是剖宫产,剖宫产伤口出现水泡是不正常的,可能由于伤口出现感染所致,或者是一些产妇在术后进行理疗、热敷,烫伤引起的。
剖宫产伤口比较大,所以在剖宫产后一定要注意对伤口的护理。

如果产妇在产后短时间内就下床活动或者经常做剧烈运动,就会导致伤口被拉扯,从而引起炎性反应,皮肤就会起水泡,甚至更严重的话皮肤会化脓。除此之外,有的人在剖宫产手术后会采取理疗,局部热敷,这样就容易出现烫伤从而引起水泡。
在家处理的时候,建议用碘伏消毒以后用注射器把水泡挑开,把里面的水排出来然后再进行消毒处理,然后再用纱布包扎,每隔一段时间要换纱布,也要定期换药,以免交叉感染。衣着方面要尽量宽松透气,预防皮肤出汗。
穿着方面要注意宽松透气,尽量不要触碰到伤口;饮食方面要注意,尽量不要吃辛辣和过于油腻的食物。
","articleBody": "剖腹产,正确说法是剖宫产,剖宫产伤口出现水泡是不正常的,可能由于伤口出现感染所致,或者是一些产妇在术后进行理疗、热敷,烫伤引起的。
剖宫产伤口比较大,所以在剖宫产后一定要注意对伤口的护理。

如果产妇在产后短时间内就下床活动或者经常做剧烈运动,就会导致伤口被拉扯,从而引起炎性反应,皮肤就会起水泡,甚至更严重的话皮肤会化脓。除此之外,有的人在剖宫产手术后会采取理疗,局部热敷,这样就容易出现烫伤从而引起水泡。
在家处理的时候,建议用碘伏消毒以后用注射器把水泡挑开,把里面的水排出来然后再进行消毒处理,然后再用纱布包扎,每隔一段时间要换纱布,也要定期换药,以免交叉感染。衣着方面要尽量宽松透气,预防皮肤出汗。
穿着方面要注意宽松透气,尽量不要触碰到伤口;饮食方面要注意,尽量不要吃辛辣和过于油腻的食物。
","scanCount": 56716}}} {"@context": "https://ziyuan.baidu.com/contexts/cambrian.jsonld","appid": "1650708455561748","icon": "https://www.med-credit.org.cn/style/images/ttlogo.png","content_tag": ["atlas"],"is_mcn": {"thumb_id": "v2rm41u3"},"accid": "4886d626a2804dee5f11168793ce361672f39c25","@id": "https://www.med-credit.org.cn/mobile/jingxuan/2/05b2a90b8add1415b739297a1eb5572d.html","bagWordId": "269_1558063579784024064","title": "怀孕4周b超图片真实","pubDate": "2023-03-29T10:32:19","upDate": "2023-03-29T10:32:19","lrDate": "2023-03-29T10:32:19","description": "怀孕4周尚不能在B超下看到孕囊和其他的与胎儿相关的组织,但子宫会出现一些变化。","data": {"WebPage": {"headline": "怀孕4周b超图片真实","pcUrl": "https://www.med-credit.org.cn/jingxuan/2/05b2a90b8add1415b739297a1eb5572d.html","wapUrl": "https://www.med-credit.org.cn/jingxuan/2/05b2a90b8add1415b739297a1eb5572d.html","mipUrl": "https://www.med-credit.org.cn/mobile/jingxuan/2/05b2a90b8add1415b739297a1eb5572d.html","fromSrc": "欢乐橙","datePublished": "2023-03-29T10:32:19","domain": "医疗","category": ["医疗权威文章合作"],"description": "怀孕4周尚不能在B超下看到孕囊和其他的与胎儿相关的组织,但子宫会出现一些变化。
","extra_headline": [""]},"Author": {"name": "种轶文","wapUrl": "https://www.med-credit.org.cn/doctor/575","pcUrl": "https://www.med-credit.org.cn/doctor/575","jobTitle": "副主任医师","headPortrait": "https://www.med-credit.org.cn/uploadfile/member/575/180x180.jpeg","id": "575","description": "种轶文,北京大学第三医院妇产科副主任医师","memberOf": {"legalName": "北京大学第三医院","department": "妇产科","organizationLevel": "三级甲等"}},"Article": {"summaryContent": "怀孕4周尚不能在B超下看到孕囊和其他的与胎儿相关的组织,但子宫会出现一些变化。
怀孕4周属于孕早期,可以通过血液HCG(人绒毛膜促性腺激素)的变化来判断妊娠情况。
1.怀孕早期子宫增大,饱满,子宫动脉保持高阻力低舒张期成分的频谱特征,左右两侧血流量不一致。宫腔内近宫底部出现强回声环呈圆形或椭圆形、光亮、完整,一侧可见较丰富的血流信号。

2.孕5周宫内才会出现胎囊,胎囊呈强回声环状,中央无回声区为羊膜腔,此期胎囊占据宫腔约1/4,孕6周胎囊占据宫腔约1/3,胎芽出现,孕7~8周胎囊占据宫腔的一半,可见原始心血管搏动及胎动,孕9周胎盘雏形出现,彩色多普勒及能量多普勒可见丰富的血流信。
怀孕以后胚胎的发育成熟及生长都是需要一个过程的,怀孕4周在B超下是看不到孕囊及胎盘等组织的,依靠B超诊断也是不准确的,所以可以根据血液人绒毛促性腺激素来诊断妊娠。
","articleBody": "怀孕4周尚不能在B超下看到孕囊和其他的与胎儿相关的组织,但子宫会出现一些变化。
怀孕4周属于孕早期,可以通过血液HCG(人绒毛膜促性腺激素)的变化来判断妊娠情况。
1.怀孕早期子宫增大,饱满,子宫动脉保持高阻力低舒张期成分的频谱特征,左右两侧血流量不一致。宫腔内近宫底部出现强回声环呈圆形或椭圆形、光亮、完整,一侧可见较丰富的血流信号。

2.孕5周宫内才会出现胎囊,胎囊呈强回声环状,中央无回声区为羊膜腔,此期胎囊占据宫腔约1/4,孕6周胎囊占据宫腔约1/3,胎芽出现,孕7~8周胎囊占据宫腔的一半,可见原始心血管搏动及胎动,孕9周胎盘雏形出现,彩色多普勒及能量多普勒可见丰富的血流信。
怀孕以后胚胎的发育成熟及生长都是需要一个过程的,怀孕4周在B超下是看不到孕囊及胎盘等组织的,依靠B超诊断也是不准确的,所以可以根据血液人绒毛促性腺激素来诊断妊娠。
","scanCount": 56715}}} {"@context": "https://ziyuan.baidu.com/contexts/cambrian.jsonld","appid": "1650708455561748","icon": "https://www.med-credit.org.cn/style/images/ttlogo.png","content_tag": ["atlas"],"is_mcn": {"thumb_id": "v2rm41u3"},"accid": "4886d626a2804dee5f11168793ce361672f39c25","@id": "https://www.med-credit.org.cn/mobile/jingxuan/2/dd28326d24eaa0b46206aa5ed0617642.html","bagWordId": "269_1558063579838550016","title": "胎儿颅脑超声解剖图","pubDate": "2023-03-29T10:32:19","upDate": "2023-03-29T10:32:19","lrDate": "2023-03-29T10:32:19","description": "1、胎儿颅脑超声检查可在第30-34孕周进行,可用于确认胎儿颅脑是否发育正常。","data": {"WebPage": {"headline": "胎儿颅脑超声解剖图","pcUrl": "https://www.med-credit.org.cn/jingxuan/2/dd28326d24eaa0b46206aa5ed0617642.html","wapUrl": "https://www.med-credit.org.cn/jingxuan/2/dd28326d24eaa0b46206aa5ed0617642.html","mipUrl": "https://www.med-credit.org.cn/mobile/jingxuan/2/dd28326d24eaa0b46206aa5ed0617642.html","fromSrc": "欢乐橙","datePublished": "2023-03-29T10:32:19","domain": "医疗","category": ["医疗权威文章合作"],"description": "1、胎儿颅脑超声检查可在第30-34孕周进行,可用于确认胎儿颅脑是否发育正常。
","extra_headline": [""]},"Author": {"name": "种轶文","wapUrl": "https://www.med-credit.org.cn/doctor/575","pcUrl": "https://www.med-credit.org.cn/doctor/575","jobTitle": "副主任医师","headPortrait": "https://www.med-credit.org.cn/uploadfile/member/575/180x180.jpeg","id": "575","description": "种轶文,北京大学第三医院妇产科副主任医师","memberOf": {"legalName": "北京大学第三医院","department": "妇产科","organizationLevel": "三级甲等"}},"Article": {"summaryContent": "1、胎儿颅脑超声检查可在第30-34孕周进行,可用于确认胎儿颅脑是否发育正常。
2、胎儿颅脑超声可观察到大脑半球、侧脑室、第三脑室等幕上结构,以及小脑半球、小脑蚓部、颅后窝等幕下结构。

1、胎儿颅脑超声检查主要通过3个重要横切面来观察:丘脑水平横切面、侧脑室水平横切面和经小脑横切面。
2、丘脑水平横切面:在此切面首先找到居中、不连贯的中线,其两侧对称的卵圆形低回声结构是丘脑,两侧丘脑中间缝隙为第三脑室,正常宽度小于2mm。中线前1/3部长方形无回声区为透明隔腔。
3、侧脑室水平横切面:同样先找到居中、连续的中线,中线1/2部两侧见较短平行光带,即侧脑室外侧。可观察到侧脑室内被丰富的脉络丛填充。测量枕角和额角内径可判断是否有脑积水及脑室扩张,正常胎儿侧脑室枕角内径小于10mm。
4、经小脑横切面:后颅窝可见对称球形结构或蝶形结构,即小脑,其中规则排列、回声比大脑实质稍强的蚓突回声,为小脑裂。小脑横径随孕周增长而增长。小脑后部有颅后窝池,颅后窝池前后宽度不超过10mm。
","articleBody": "1、胎儿颅脑超声检查可在第30-34孕周进行,可用于确认胎儿颅脑是否发育正常。
2、胎儿颅脑超声可观察到大脑半球、侧脑室、第三脑室等幕上结构,以及小脑半球、小脑蚓部、颅后窝等幕下结构。

1、胎儿颅脑超声检查主要通过3个重要横切面来观察:丘脑水平横切面、侧脑室水平横切面和经小脑横切面。
2、丘脑水平横切面:在此切面首先找到居中、不连贯的中线,其两侧对称的卵圆形低回声结构是丘脑,两侧丘脑中间缝隙为第三脑室,正常宽度小于2mm。中线前1/3部长方形无回声区为透明隔腔。
3、侧脑室水平横切面:同样先找到居中、连续的中线,中线1/2部两侧见较短平行光带,即侧脑室外侧。可观察到侧脑室内被丰富的脉络丛填充。测量枕角和额角内径可判断是否有脑积水及脑室扩张,正常胎儿侧脑室枕角内径小于10mm。
4、经小脑横切面:后颅窝可见对称球形结构或蝶形结构,即小脑,其中规则排列、回声比大脑实质稍强的蚓突回声,为小脑裂。小脑横径随孕周增长而增长。小脑后部有颅后窝池,颅后窝池前后宽度不超过10mm。
","scanCount": 56714}}} {"@context": "https://ziyuan.baidu.com/contexts/cambrian.jsonld","appid": "1650708455561748","icon": "https://www.med-credit.org.cn/style/images/ttlogo.png","content_tag": ["atlas"],"is_mcn": {"thumb_id": "v2rm41u3"},"accid": "4886d626a2804dee5f11168793ce361672f39c25","@id": "https://www.med-credit.org.cn/mobile/jingxuan/2/9168c3543f5a6e0d061bf21dcaf862ab.html","bagWordId": "269_1558063580106985472","title": "怀孕初期小腹微凸图片","pubDate": "2023-03-29T10:32:19","upDate": "2023-03-29T10:32:19","lrDate": "2023-03-29T10:32:19","description": "怀孕初期小腹微凸表现为腹部轻微隆起,平躺时会更加明显。","data": {"WebPage": {"headline": "怀孕初期小腹微凸图片","pcUrl": "https://www.med-credit.org.cn/jingxuan/2/9168c3543f5a6e0d061bf21dcaf862ab.html","wapUrl": "https://www.med-credit.org.cn/jingxuan/2/9168c3543f5a6e0d061bf21dcaf862ab.html","mipUrl": "https://www.med-credit.org.cn/mobile/jingxuan/2/9168c3543f5a6e0d061bf21dcaf862ab.html","fromSrc": "欢乐橙","datePublished": "2023-03-29T10:32:19","domain": "医疗","category": ["医疗权威文章合作"],"description": "怀孕初期小腹微凸表现为腹部轻微隆起,平躺时会更加明显。
","extra_headline": [""]},"Author": {"name": "种轶文","wapUrl": "https://www.med-credit.org.cn/doctor/575","pcUrl": "https://www.med-credit.org.cn/doctor/575","jobTitle": "副主任医师","headPortrait": "https://www.med-credit.org.cn/uploadfile/member/575/180x180.jpeg","id": "575","description": "种轶文,北京大学第三医院妇产科副主任医师","memberOf": {"legalName": "北京大学第三医院","department": "妇产科","organizationLevel": "三级甲等"}},"Article": {"summaryContent": "怀孕初期小腹微凸表现为腹部轻微隆起,平躺时会更加明显。
怀孕初期小腹微凸可能由于胎儿发育过大、脂肪堆积过多等原因导致。

1.怀孕初期会出现早孕反应,比如呕吐、嗜睡、胸部胀痛等等,部分孕妇会感觉到小腹微凸,可能由于脂肪堆积过多,造成了腹部凸起。而当平躺时微凸情况会更加明显。这个时候只要定期做好产检,无异常情况可以不用过于担心。
2.由于胎儿发育过大或者双胞胎等情况,小腹增大的时间也会提交出现。胎儿的逐渐变大,造成子宫的增大,引起皮肤张力的增加,从而表现为小腹微凸。随着胎儿的继续生长,小腹将会继续增大,直至胎儿发育完全,进入待产期。
怀孕初期小腹微凸,在排除正常的情况后,一定要引起重视,定期进行产检,以便及时发现异常及时处理。怀孕期间要注意休息,多吃有营养的食物。避免过度劳累,避免意外事件发生,如有异常情况,及时就诊。
","articleBody": "怀孕初期小腹微凸表现为腹部轻微隆起,平躺时会更加明显。
怀孕初期小腹微凸可能由于胎儿发育过大、脂肪堆积过多等原因导致。

1.怀孕初期会出现早孕反应,比如呕吐、嗜睡、胸部胀痛等等,部分孕妇会感觉到小腹微凸,可能由于脂肪堆积过多,造成了腹部凸起。而当平躺时微凸情况会更加明显。这个时候只要定期做好产检,无异常情况可以不用过于担心。
2.由于胎儿发育过大或者双胞胎等情况,小腹增大的时间也会提交出现。胎儿的逐渐变大,造成子宫的增大,引起皮肤张力的增加,从而表现为小腹微凸。随着胎儿的继续生长,小腹将会继续增大,直至胎儿发育完全,进入待产期。
怀孕初期小腹微凸,在排除正常的情况后,一定要引起重视,定期进行产检,以便及时发现异常及时处理。怀孕期间要注意休息,多吃有营养的食物。避免过度劳累,避免意外事件发生,如有异常情况,及时就诊。
","scanCount": 56713}}} {"@context": "https://ziyuan.baidu.com/contexts/cambrian.jsonld","appid": "1650708455561748","icon": "https://www.med-credit.org.cn/style/images/ttlogo.png","content_tag": ["atlas"],"is_mcn": {"thumb_id": "v2rm41u3"},"accid": "4886d626a2804dee5f11168793ce361672f39c25","@id": "https://www.med-credit.org.cn/mobile/jingxuan/2/eac24ba02c9e4655ad2a9e891b4a65a0.html","bagWordId": "269_1558063580958429184","title": "胎儿头位图片","pubDate": "2023-03-29T10:32:19","upDate": "2023-03-29T10:32:19","lrDate": "2023-03-29T10:32:19","description": "胎儿头位是指胎儿先露部位为头部,也就是宫内胎儿头朝下。","data": {"WebPage": {"headline": "胎儿头位图片","pcUrl": "https://www.med-credit.org.cn/jingxuan/2/eac24ba02c9e4655ad2a9e891b4a65a0.html","wapUrl": "https://www.med-credit.org.cn/jingxuan/2/eac24ba02c9e4655ad2a9e891b4a65a0.html","mipUrl": "https://www.med-credit.org.cn/mobile/jingxuan/2/eac24ba02c9e4655ad2a9e891b4a65a0.html","fromSrc": "欢乐橙","datePublished": "2023-03-29T10:32:19","domain": "医疗","category": ["医疗权威文章合作"],"description": "胎儿头位是指胎儿先露部位为头部,也就是宫内胎儿头朝下。
","extra_headline": [""]},"Author": {"name": "种轶文","wapUrl": "https://www.med-credit.org.cn/doctor/575","pcUrl": "https://www.med-credit.org.cn/doctor/575","jobTitle": "副主任医师","headPortrait": "https://www.med-credit.org.cn/uploadfile/member/575/180x180.jpeg","id": "575","description": "种轶文,北京大学第三医院妇产科副主任医师","memberOf": {"legalName": "北京大学第三医院","department": "妇产科","organizationLevel": "三级甲等"}},"Article": {"summaryContent": "胎儿头位是指胎儿先露部位为头部,也就是宫内胎儿头朝下。
头先露常分为枕先露、前囟先露、额先露、面先露等。
1.胎儿头位是指胎儿头部朝下,以枕骨为指示点。我们人为的将孕妇骨盆分为左右前位,左右后位,左右横位六个方位,枕骨对着哪边就成为哪个方位。枕前位是最正常的胎位,其他部位朝下或枕骨朝向其他方位可称为胎位异常。

2.在头位中,常见的胎位异常有持续性枕横位、枕后位,抬头高直位等,分别表示为胎儿枕骨位于横位、后位以及高直不屈不仰。可导致产程延长,宫缩乏力,孕妇宫颈水肿等,造成难产。可能与骨盆形态异常或胎头太大等原因有关。
头位胎儿的孕妇应按时进行产检,观察胎儿具体胎位,妊娠30周前若处于异常胎位可自行恢复正常,若30周以后仍有胎位异常,可由医生指导孕妇特殊体位或使用外倒转术纠正胎位。
","articleBody": "胎儿头位是指胎儿先露部位为头部,也就是宫内胎儿头朝下。
头先露常分为枕先露、前囟先露、额先露、面先露等。
1.胎儿头位是指胎儿头部朝下,以枕骨为指示点。我们人为的将孕妇骨盆分为左右前位,左右后位,左右横位六个方位,枕骨对着哪边就成为哪个方位。枕前位是最正常的胎位,其他部位朝下或枕骨朝向其他方位可称为胎位异常。

2.在头位中,常见的胎位异常有持续性枕横位、枕后位,抬头高直位等,分别表示为胎儿枕骨位于横位、后位以及高直不屈不仰。可导致产程延长,宫缩乏力,孕妇宫颈水肿等,造成难产。可能与骨盆形态异常或胎头太大等原因有关。
头位胎儿的孕妇应按时进行产检,观察胎儿具体胎位,妊娠30周前若处于异常胎位可自行恢复正常,若30周以后仍有胎位异常,可由医生指导孕妇特殊体位或使用外倒转术纠正胎位。
","scanCount": 56712}}} {"@context": "https://ziyuan.baidu.com/contexts/cambrian.jsonld","appid": "1650708455561748","icon": "https://www.med-credit.org.cn/style/images/ttlogo.png","content_tag": ["atlas"],"is_mcn": {"thumb_id": "v2rm41u3"},"accid": "4886d626a2804dee5f11168793ce361672f39c25","@id": "https://www.med-credit.org.cn/mobile/jingxuan/2/0352f0c12e498a2c774396084367c12a.html","bagWordId": "269_1558063581113618432","title": "臀先露胎位图","pubDate": "2023-03-29T10:32:19","upDate": "2023-03-29T10:32:19","lrDate": "2023-03-29T10:32:19","description": "臀先露胎位是最常见的一种胎位异常,胎儿先露部位为臀部。","data": {"WebPage": {"headline": "臀先露胎位图","pcUrl": "https://www.med-credit.org.cn/jingxuan/2/0352f0c12e498a2c774396084367c12a.html","wapUrl": "https://www.med-credit.org.cn/jingxuan/2/0352f0c12e498a2c774396084367c12a.html","mipUrl": "https://www.med-credit.org.cn/mobile/jingxuan/2/0352f0c12e498a2c774396084367c12a.html","fromSrc": "欢乐橙","datePublished": "2023-03-29T10:32:19","domain": "医疗","category": ["医疗权威文章合作"],"description": "臀先露胎位是最常见的一种胎位异常,胎儿先露部位为臀部。
","extra_headline": [""]},"Author": {"name": "种轶文","wapUrl": "https://www.med-credit.org.cn/doctor/575","pcUrl": "https://www.med-credit.org.cn/doctor/575","jobTitle": "副主任医师","headPortrait": "https://www.med-credit.org.cn/uploadfile/member/575/180x180.jpeg","id": "575","description": "种轶文,北京大学第三医院妇产科副主任医师","memberOf": {"legalName": "北京大学第三医院","department": "妇产科","organizationLevel": "三级甲等"}},"Article": {"summaryContent": "臀先露胎位是最常见的一种胎位异常,胎儿先露部位为臀部。
臀先露的发生可能与羊水过多或经产妇妊娠等原因有关。
1.臀先露胎位胎儿在妊娠时胎动可引起孕妇季肋部胀痛。生产时使产程延长,甚至停滞,导致宫缩乏力、增加母亲产后出血及感染的机率,易导致胎儿早产及呼吸窘迫。胎儿存在娩出困难,强行娩出可导致胎儿受伤。

2.臀先露的发生可能与某些因素有关,例如早产或其他原因导致的羊水过多,胎儿在宫中活动度空间较大;经产妇子宫空间较大或子宫壁较松弛,也可导致胎儿易在宫内自由活动;另外胎儿在宫内活动受限也可导致胎儿不随孕龄增加而旋转体位,出现臀先露。
妊娠30周前臀先露不用特殊治疗,大部分胎儿可自行转为枕前位。30周后应采用矫正方法,如孕妇保持胸膝卧位或医生使用外倒转术等方法。一般胎位异常孕妇可考虑剖宫产,但若仍选择经阴道生产者,应做好会阴后侧切开术及紧急剖宫产的准备,产后应及时给予新生儿复苏及产妇注射缩宫素预防产后出血。
","articleBody": "臀先露胎位是最常见的一种胎位异常,胎儿先露部位为臀部。
臀先露的发生可能与羊水过多或经产妇妊娠等原因有关。
1.臀先露胎位胎儿在妊娠时胎动可引起孕妇季肋部胀痛。生产时使产程延长,甚至停滞,导致宫缩乏力、增加母亲产后出血及感染的机率,易导致胎儿早产及呼吸窘迫。胎儿存在娩出困难,强行娩出可导致胎儿受伤。

2.臀先露的发生可能与某些因素有关,例如早产或其他原因导致的羊水过多,胎儿在宫中活动度空间较大;经产妇子宫空间较大或子宫壁较松弛,也可导致胎儿易在宫内自由活动;另外胎儿在宫内活动受限也可导致胎儿不随孕龄增加而旋转体位,出现臀先露。
妊娠30周前臀先露不用特殊治疗,大部分胎儿可自行转为枕前位。30周后应采用矫正方法,如孕妇保持胸膝卧位或医生使用外倒转术等方法。一般胎位异常孕妇可考虑剖宫产,但若仍选择经阴道生产者,应做好会阴后侧切开术及紧急剖宫产的准备,产后应及时给予新生儿复苏及产妇注射缩宫素预防产后出血。
","scanCount": 56711}}} {"@context": "https://ziyuan.baidu.com/contexts/cambrian.jsonld","appid": "1650708455561748","icon": "https://www.med-credit.org.cn/style/images/ttlogo.png","content_tag": ["atlas"],"is_mcn": {"thumb_id": "v2rm41u3"},"accid": "4886d626a2804dee5f11168793ce361672f39c25","@id": "https://www.med-credit.org.cn/mobile/jingxuan/2/aed39e17bf7a41754d2e64c87f24128d.html","bagWordId": "269_1558063581218476032","title": "有胎动,但是胎心监护图曲线波动小","pubDate": "2023-03-29T10:32:19","upDate": "2023-03-29T10:32:19","lrDate": "2023-03-29T10:32:19","description": "有胎动,但是胎心监护曲线波动小可能是由于胎心监测时胎儿处于睡眠状态等,属于正常的生理现象。","data": {"WebPage": {"headline": "有胎动,但是胎心监护图曲线波动小","pcUrl": "https://www.med-credit.org.cn/jingxuan/2/aed39e17bf7a41754d2e64c87f24128d.html","wapUrl": "https://www.med-credit.org.cn/jingxuan/2/aed39e17bf7a41754d2e64c87f24128d.html","mipUrl": "https://www.med-credit.org.cn/mobile/jingxuan/2/aed39e17bf7a41754d2e64c87f24128d.html","fromSrc": "欢乐橙","datePublished": "2023-03-29T10:32:19","domain": "医疗","category": ["医疗权威文章合作"],"description": "有胎动,但是胎心监护曲线波动小可能是由于胎心监测时胎儿处于睡眠状态等,属于正常的生理现象。
","extra_headline": [""]},"Author": {"name": "种轶文","wapUrl": "https://www.med-credit.org.cn/doctor/575","pcUrl": "https://www.med-credit.org.cn/doctor/575","jobTitle": "副主任医师","headPortrait": "https://www.med-credit.org.cn/uploadfile/member/575/180x180.jpeg","id": "575","description": "种轶文,北京大学第三医院妇产科副主任医师","memberOf": {"legalName": "北京大学第三医院","department": "妇产科","organizationLevel": "三级甲等"}},"Article": {"summaryContent": "有胎动,但是胎心监护曲线波动小可能是由于胎心监测时胎儿处于睡眠状态等,属于正常的生理现象。
有胎动,但是胎心监护曲线波动小也可能是胎儿宫内缺氧导致。

1、一般情况下,胎心监护正常范围为每分钟110到160次,如胎儿处于睡眠状态心率可能会降低。
2、母体患有糖尿病、高血压、甲亢或发烧等疾病、母体血液中含氧量偏低,或出现脐带绕颈、脐带过长、胎盘前置等现象,均可能导致胎儿宫内缺氧,从而出现胎心监护曲线波动小的现象。
发现胎心监护曲线波动小的现象,应注意观察,孕妇可通过适当运动、吸氧、进食等方式调节胎心。若通过上述方式调节无效,则应及时就医,查明原因并对症治疗,必要时可进行剖腹产。
日常生活中孕妇应注意均衡饮食,保证充足的睡眠,避免熬夜,保持个人卫生,适量运动。
","articleBody": "有胎动,但是胎心监护曲线波动小可能是由于胎心监测时胎儿处于睡眠状态等,属于正常的生理现象。
有胎动,但是胎心监护曲线波动小也可能是胎儿宫内缺氧导致。

1、一般情况下,胎心监护正常范围为每分钟110到160次,如胎儿处于睡眠状态心率可能会降低。
2、母体患有糖尿病、高血压、甲亢或发烧等疾病、母体血液中含氧量偏低,或出现脐带绕颈、脐带过长、胎盘前置等现象,均可能导致胎儿宫内缺氧,从而出现胎心监护曲线波动小的现象。
发现胎心监护曲线波动小的现象,应注意观察,孕妇可通过适当运动、吸氧、进食等方式调节胎心。若通过上述方式调节无效,则应及时就医,查明原因并对症治疗,必要时可进行剖腹产。
日常生活中孕妇应注意均衡饮食,保证充足的睡眠,避免熬夜,保持个人卫生,适量运动。
","scanCount": 56710}}} {"@context": "https://ziyuan.baidu.com/contexts/cambrian.jsonld","appid": "1650708455561748","icon": "https://www.med-credit.org.cn/style/images/ttlogo.png","content_tag": ["atlas"],"is_mcn": {"thumb_id": "v2rm41u3"},"accid": "4886d626a2804dee5f11168793ce361672f39c25","@id": "https://www.med-credit.org.cn/mobile/jingxuan/2/485aa0f5f71279a134be344823dacb00.html","bagWordId": "269_1558063581537243136","title": "怀孕19周胎儿彩超图","pubDate": "2023-03-29T10:32:19","upDate": "2023-03-29T10:32:19","lrDate": "2023-03-29T10:32:19","description": "怀孕19周胎儿在彩超下可以看见胎儿整体、各个部位及各个器官,可以对胎儿的大小及胎位进行较为准确的判断。","data": {"WebPage": {"headline": "怀孕19周胎儿彩超图","pcUrl": "https://www.med-credit.org.cn/jingxuan/2/485aa0f5f71279a134be344823dacb00.html","wapUrl": "https://www.med-credit.org.cn/jingxuan/2/485aa0f5f71279a134be344823dacb00.html","mipUrl": "https://www.med-credit.org.cn/mobile/jingxuan/2/485aa0f5f71279a134be344823dacb00.html","fromSrc": "欢乐橙","datePublished": "2023-03-29T10:32:19","domain": "医疗","category": ["医疗权威文章合作"],"description": "怀孕19周胎儿在彩超下可以看见胎儿整体、各个部位及各个器官,可以对胎儿的大小及胎位进行较为准确的判断。
","extra_headline": [""]},"Author": {"name": "种轶文","wapUrl": "https://www.med-credit.org.cn/doctor/575","pcUrl": "https://www.med-credit.org.cn/doctor/575","jobTitle": "副主任医师","headPortrait": "https://www.med-credit.org.cn/uploadfile/member/575/180x180.jpeg","id": "575","description": "种轶文,北京大学第三医院妇产科副主任医师","memberOf": {"legalName": "北京大学第三医院","department": "妇产科","organizationLevel": "三级甲等"}},"Article": {"summaryContent": "怀孕19周胎儿在彩超下可以看见胎儿整体、各个部位及各个器官,可以对胎儿的大小及胎位进行较为准确的判断。
怀孕19周属于孕中期,此期的超声检查对于胎儿生长发育状况的判断有重要的意义。

1.胎头:轮廓完整,双顶径约4.49±0.44cm左右。
2.胎心:可见搏动,搏动较强,胎心频率在120-160次/分为正常水平。
3.胎盘:可见具体位置,厚度为2.5-5cm。
4.羊水深度:羊水深度在3-7cm为正常水平,超过7cm为羊水增多,少于3cm为羊水减少。
5.脊柱:胎儿脊柱连续,无畸形。
6.胎动:有时可见,20周起胎儿的胎动才会比较明显,也易于被母体感知。
妊娠中期的超声检查对识别某些妊娠期疾病有重要的意义。如胎儿大小可以提示胎儿的生长及营养状况,胎盘位置及胎位将影响分娩方式和分娩时间。
","articleBody": "怀孕19周胎儿在彩超下可以看见胎儿整体、各个部位及各个器官,可以对胎儿的大小及胎位进行较为准确的判断。
怀孕19周属于孕中期,此期的超声检查对于胎儿生长发育状况的判断有重要的意义。

1.胎头:轮廓完整,双顶径约4.49±0.44cm左右。
2.胎心:可见搏动,搏动较强,胎心频率在120-160次/分为正常水平。
3.胎盘:可见具体位置,厚度为2.5-5cm。
4.羊水深度:羊水深度在3-7cm为正常水平,超过7cm为羊水增多,少于3cm为羊水减少。
5.脊柱:胎儿脊柱连续,无畸形。
6.胎动:有时可见,20周起胎儿的胎动才会比较明显,也易于被母体感知。
妊娠中期的超声检查对识别某些妊娠期疾病有重要的意义。如胎儿大小可以提示胎儿的生长及营养状况,胎盘位置及胎位将影响分娩方式和分娩时间。
","scanCount": 56709}}} {"@context": "https://ziyuan.baidu.com/contexts/cambrian.jsonld","appid": "1650708455561748","icon": "https://www.med-credit.org.cn/style/images/ttlogo.png","content_tag": ["atlas"],"is_mcn": {"thumb_id": "v2rm41u3"},"accid": "4886d626a2804dee5f11168793ce361672f39c25","@id": "https://www.med-credit.org.cn/mobile/jingxuan/2/08195069eb8b63d1a90206e714f15772.html","bagWordId": "269_1558063581642100736","title": "胎心监护图比较平稳怎么回事","pubDate": "2023-03-29T10:32:19","upDate": "2023-03-29T10:32:19","lrDate": "2023-03-29T10:32:19","description": "胎心监护比较平稳即胎心率慢,专业术语为基线变异减弱、消失。","data": {"WebPage": {"headline": "胎心监护图比较平稳怎么回事","pcUrl": "https://www.med-credit.org.cn/jingxuan/2/08195069eb8b63d1a90206e714f15772.html","wapUrl": "https://www.med-credit.org.cn/jingxuan/2/08195069eb8b63d1a90206e714f15772.html","mipUrl": "https://www.med-credit.org.cn/mobile/jingxuan/2/08195069eb8b63d1a90206e714f15772.html","fromSrc": "欢乐橙","datePublished": "2023-03-29T10:32:19","domain": "医疗","category": ["医疗权威文章合作"],"description": "胎心监护比较平稳即胎心率慢,专业术语为基线变异减弱、消失。
","extra_headline": [""]},"Author": {"name": "种轶文","wapUrl": "https://www.med-credit.org.cn/doctor/575","pcUrl": "https://www.med-credit.org.cn/doctor/575","jobTitle": "副主任医师","headPortrait": "https://www.med-credit.org.cn/uploadfile/member/575/180x180.jpeg","id": "575","description": "种轶文,北京大学第三医院妇产科副主任医师","memberOf": {"legalName": "北京大学第三医院","department": "妇产科","organizationLevel": "三级甲等"}},"Article": {"summaryContent": "胎心监护比较平稳即胎心率慢,专业术语为基线变异减弱、消失。
胎心监护比较平稳,常见于胎儿处于睡眠状态、胎儿缺氧状态、有时还可受某些药物影响。
1.胎心监护太过平稳临床表现为胎心率波动不明显、反应不好。

2.胎心率太低可能是由于胎儿处于睡眠状态,在做胎心检测时幼儿处于睡眠状态,胎动自然消失。胎动检测也表现为过于平稳。此时孕妇可以进食或者散步的方式唤醒睡眠的胎儿,重新检测;胎心监护太过平稳还可能由于胎儿缺氧引起,妊娠女性本身的基础性疾病如贫血、心脏病等、胎儿在宫内受脐带打结或绕颈等因素时都会导致胎儿的缺氧。胎儿受缺氧的影响心率变慢,导致胎心监测过于平稳。
妊娠期间需要定期进行产检、注意胎儿的胎动、一般行左侧卧位,保持胎儿的血液供应稳定,减轻胎儿缺氧的情况。
","articleBody": "胎心监护比较平稳即胎心率慢,专业术语为基线变异减弱、消失。
胎心监护比较平稳,常见于胎儿处于睡眠状态、胎儿缺氧状态、有时还可受某些药物影响。
1.胎心监护太过平稳临床表现为胎心率波动不明显、反应不好。

2.胎心率太低可能是由于胎儿处于睡眠状态,在做胎心检测时幼儿处于睡眠状态,胎动自然消失。胎动检测也表现为过于平稳。此时孕妇可以进食或者散步的方式唤醒睡眠的胎儿,重新检测;胎心监护太过平稳还可能由于胎儿缺氧引起,妊娠女性本身的基础性疾病如贫血、心脏病等、胎儿在宫内受脐带打结或绕颈等因素时都会导致胎儿的缺氧。胎儿受缺氧的影响心率变慢,导致胎心监测过于平稳。
妊娠期间需要定期进行产检、注意胎儿的胎动、一般行左侧卧位,保持胎儿的血液供应稳定,减轻胎儿缺氧的情况。
","scanCount": 56708}}} {"@context": "https://ziyuan.baidu.com/contexts/cambrian.jsonld","appid": "1650708455561748","icon": "https://www.med-credit.org.cn/style/images/ttlogo.png","content_tag": ["atlas"],"is_mcn": {"thumb_id": "v2rm41u3"},"accid": "4886d626a2804dee5f11168793ce361672f39c25","@id": "https://www.med-credit.org.cn/mobile/jingxuan/2/166b0dc8edd30e219aceb1e61f865c5a.html","bagWordId": "269_1558063582074114048","title": "剖腹产后的黑色血图","pubDate": "2023-03-29T10:32:19","upDate": "2023-03-29T10:32:19","lrDate": "2023-03-29T10:32:19","description": "剖腹产,正确说法应为剖宫产,剖宫产后的黑色血,一般指的为阴道出现黑色血,主要是由于女性在剖宫产术后出现了淤血引起的,这种症状是一种正常的生理现象。","data": {"WebPage": {"headline": "剖腹产后的黑色血图","pcUrl": "https://www.med-credit.org.cn/jingxuan/2/166b0dc8edd30e219aceb1e61f865c5a.html","wapUrl": "https://www.med-credit.org.cn/jingxuan/2/166b0dc8edd30e219aceb1e61f865c5a.html","mipUrl": "https://www.med-credit.org.cn/mobile/jingxuan/2/166b0dc8edd30e219aceb1e61f865c5a.html","fromSrc": "欢乐橙","datePublished": "2023-03-29T10:32:19","domain": "医疗","category": ["医疗权威文章合作"],"description": "剖腹产,正确说法应为剖宫产,剖宫产后的黑色血,一般指的为阴道出现黑色血,主要是由于女性在剖宫产术后出现了淤血引起的,这种症状是一种正常的生理现象。
","extra_headline": [""]},"Author": {"name": "种轶文","wapUrl": "https://www.med-credit.org.cn/doctor/575","pcUrl": "https://www.med-credit.org.cn/doctor/575","jobTitle": "副主任医师","headPortrait": "https://www.med-credit.org.cn/uploadfile/member/575/180x180.jpeg","id": "575","description": "种轶文,北京大学第三医院妇产科副主任医师","memberOf": {"legalName": "北京大学第三医院","department": "妇产科","organizationLevel": "三级甲等"}},"Article": {"summaryContent": "剖腹产,正确说法应为剖宫产,剖宫产后的黑色血,一般指的为阴道出现黑色血,主要是由于女性在剖宫产术后出现了淤血引起的,这种症状是一种正常的生理现象。
剖宫产后的黑褐色血,大多是正常的月经来潮导致,也可能是宫颈病变、子宫刀口愈合不良等病理因素所致。

1、月经来潮:剖宫产之后,部分产妇的随着子宫功能恢复,出现月经来潮,导致黑色的血。随着月经的正常恢复,月经的颜色也会逐渐变红,产妇日常注意卫生即可。
2、宫颈糜烂:如产妇有宫颈炎症、糜烂、息肉等,在过早同房后可能会破坏息肉的小血管,与阴道内的的分泌物混合后,产生黑色血。宫颈炎症需使用头孢克肟、左氧氟沙星等抗生素进行消炎治疗。
3、手术刀口愈合不良:由于剖宫产过程中的操作规范不当或者消毒不到位,会导致道口的预后不良。导致血液容易残留在刀口腔隙中,导致流出黑血的情况。临床上可应用肾上腺色腙片、缩宫注射液进行止血处理。
","articleBody": "剖腹产,正确说法应为剖宫产,剖宫产后的黑色血,一般指的为阴道出现黑色血,主要是由于女性在剖宫产术后出现了淤血引起的,这种症状是一种正常的生理现象。
剖宫产后的黑褐色血,大多是正常的月经来潮导致,也可能是宫颈病变、子宫刀口愈合不良等病理因素所致。

1、月经来潮:剖宫产之后,部分产妇的随着子宫功能恢复,出现月经来潮,导致黑色的血。随着月经的正常恢复,月经的颜色也会逐渐变红,产妇日常注意卫生即可。
2、宫颈糜烂:如产妇有宫颈炎症、糜烂、息肉等,在过早同房后可能会破坏息肉的小血管,与阴道内的的分泌物混合后,产生黑色血。宫颈炎症需使用头孢克肟、左氧氟沙星等抗生素进行消炎治疗。
3、手术刀口愈合不良:由于剖宫产过程中的操作规范不当或者消毒不到位,会导致道口的预后不良。导致血液容易残留在刀口腔隙中,导致流出黑血的情况。临床上可应用肾上腺色腙片、缩宫注射液进行止血处理。
","scanCount": 56707}}} {"@context": "https://ziyuan.baidu.com/contexts/cambrian.jsonld","appid": "1650708455561748","icon": "https://www.med-credit.org.cn/style/images/ttlogo.png","content_tag": ["atlas"],"is_mcn": {"thumb_id": "v2rm41u3"},"accid": "4886d626a2804dee5f11168793ce361672f39c25","@id": "https://www.med-credit.org.cn/mobile/jingxuan/2/e183e0ebc5cc1bd4ab0c7592b8797fe6.html","bagWordId": "269_1558063571332501504","title": "孕早期褐色鼻涕状分泌物图片","pubDate": "2023-03-29T10:32:19","upDate": "2023-03-29T10:32:19","lrDate": "2023-03-29T10:32:19","description": "孕早期出现褐色鼻涕状分泌物,一般指的是阴道,可能是生理原因、先兆流产等引起。","data": {"WebPage": {"headline": "孕早期褐色鼻涕状分泌物图片","pcUrl": "https://www.med-credit.org.cn/jingxuan/2/e183e0ebc5cc1bd4ab0c7592b8797fe6.html","wapUrl": "https://www.med-credit.org.cn/jingxuan/2/e183e0ebc5cc1bd4ab0c7592b8797fe6.html","mipUrl": "https://www.med-credit.org.cn/mobile/jingxuan/2/e183e0ebc5cc1bd4ab0c7592b8797fe6.html","fromSrc": "欢乐橙","datePublished": "2023-03-29T10:32:19","domain": "医疗","category": ["医疗权威文章合作"],"description": "孕早期出现褐色鼻涕状分泌物,一般指的是阴道,可能是生理原因、先兆流产等引起。
","extra_headline": [""]},"Author": {"name": "种轶文","wapUrl": "https://www.med-credit.org.cn/doctor/575","pcUrl": "https://www.med-credit.org.cn/doctor/575","jobTitle": "副主任医师","headPortrait": "https://www.med-credit.org.cn/uploadfile/member/575/180x180.jpeg","id": "575","description": "种轶文,北京大学第三医院妇产科副主任医师","memberOf": {"legalName": "北京大学第三医院","department": "妇产科","organizationLevel": "三级甲等"}},"Article": {"summaryContent": "孕早期出现褐色鼻涕状分泌物,一般指的是阴道,可能是生理原因、先兆流产等引起。
部分孕妇会在怀孕初期由于着床期出血,而出现少量褐色阴道分泌物,一般不需要特殊处理。
1、生理原因:部分孕妇在受精卵着床时可表现为少量阴道流血,出现褐色分泌物,多不伴有下腹痛,这是正常的生理现象,一般可持续3-4天,检查血清人绒毛膜促性腺激素(HCG)及孕酮结果正常,不需要特殊处理。

2、先兆流产:也可表现为阴道流少量褐色分泌物,可伴有或不伴有下腹疼痛,超声检查可见有妊娠囊,实验室检查孕酮值偏低,需要注意休息,禁止同房,并在医生指导下给予黄体酮等药物保胎治疗,经治疗后症状多会消失。
在早孕期需要注意适当休息,不能过度劳累及运动,尽量避免同房,适当改善饮食,还要遵医嘱按时服用叶酸。但如果阴道褐色分泌物转变为红色或增多,并伴有下腹疼痛时,可能是先兆流产,需要及时去医院就诊,遵医嘱给予保胎治疗。
","articleBody": "孕早期出现褐色鼻涕状分泌物,一般指的是阴道,可能是生理原因、先兆流产等引起。
部分孕妇会在怀孕初期由于着床期出血,而出现少量褐色阴道分泌物,一般不需要特殊处理。
1、生理原因:部分孕妇在受精卵着床时可表现为少量阴道流血,出现褐色分泌物,多不伴有下腹痛,这是正常的生理现象,一般可持续3-4天,检查血清人绒毛膜促性腺激素(HCG)及孕酮结果正常,不需要特殊处理。

2、先兆流产:也可表现为阴道流少量褐色分泌物,可伴有或不伴有下腹疼痛,超声检查可见有妊娠囊,实验室检查孕酮值偏低,需要注意休息,禁止同房,并在医生指导下给予黄体酮等药物保胎治疗,经治疗后症状多会消失。
在早孕期需要注意适当休息,不能过度劳累及运动,尽量避免同房,适当改善饮食,还要遵医嘱按时服用叶酸。但如果阴道褐色分泌物转变为红色或增多,并伴有下腹疼痛时,可能是先兆流产,需要及时去医院就诊,遵医嘱给予保胎治疗。
","scanCount": 56705}}} {"@context": "https://ziyuan.baidu.com/contexts/cambrian.jsonld","appid": "1650708455561748","icon": "https://www.med-credit.org.cn/style/images/ttlogo.png","content_tag": ["atlas"],"is_mcn": {"thumb_id": "v2rm41u3"},"accid": "4886d626a2804dee5f11168793ce361672f39c25","@id": "https://www.med-credit.org.cn/mobile/jingxuan/2/fbef526eaaef36ddaf02bb114fab50c3.html","bagWordId": "269_1558063572158779392","title": "怀孕37周胎儿入盆图片","pubDate": "2023-03-29T10:32:19","upDate": "2023-03-29T10:32:19","lrDate": "2023-03-29T10:32:19","description": "37周时胎儿足月,孕妇可能会入盆,也就是指妊娠晚期胎儿在子宫内,以臀朝上、头朝下、蜷缩的姿势,头部到达母亲骨盆腔内,胎儿整个身体位置得到固定。","data": {"WebPage": {"headline": "怀孕37周胎儿入盆图片","pcUrl": "https://www.med-credit.org.cn/jingxuan/2/fbef526eaaef36ddaf02bb114fab50c3.html","wapUrl": "https://www.med-credit.org.cn/jingxuan/2/fbef526eaaef36ddaf02bb114fab50c3.html","mipUrl": "https://www.med-credit.org.cn/mobile/jingxuan/2/fbef526eaaef36ddaf02bb114fab50c3.html","fromSrc": "欢乐橙","datePublished": "2023-03-29T10:32:19","domain": "医疗","category": ["医疗权威文章合作"],"description": "37周时胎儿足月,孕妇可能会入盆,也就是指妊娠晚期胎儿在子宫内,以臀朝上、头朝下、蜷缩的姿势,头部到达母亲骨盆腔内,胎儿整个身体位置得到固定。
","extra_headline": [""]},"Author": {"name": "种轶文","wapUrl": "https://www.med-credit.org.cn/doctor/575","pcUrl": "https://www.med-credit.org.cn/doctor/575","jobTitle": "副主任医师","headPortrait": "https://www.med-credit.org.cn/uploadfile/member/575/180x180.jpeg","id": "575","description": "种轶文,北京大学第三医院妇产科副主任医师","memberOf": {"legalName": "北京大学第三医院","department": "妇产科","organizationLevel": "三级甲等"}},"Article": {"summaryContent": "37周时胎儿足月,孕妇可能会入盆,也就是指妊娠晚期胎儿在子宫内,以臀朝上、头朝下、蜷缩的姿势,头部到达母亲骨盆腔内,胎儿整个身体位置得到固定。
当胎儿入盆时孕妇还会出现一系列临产的反应症状。

37周时孕妇发生入盆是一种正常的表现,胎儿入盆时。孕妇可以感觉到腹内胎儿位置的下降,还会感到轻微的坠痛感,整个入盆的过程很短暂,甚至不到半分钟就可以完成,但确定胎儿是否准确完成入盆要去医院产科检查。
胎儿入盆后,因为子宫的压力,会压迫孕妇的膀胱,导致膀胱不能再正常的储存尿液,尿频会更加明显,同时便秘、水肿、腰痛症状加重。入盆后子宫上部体积变大,胃消化能力增强,灼烧感减弱,所以孕妇的胃口会变好。从外形上看入盆后孕妇的宫高也会下降,肚子越来越靠下,开始有妊娠纹的产生。
入盆是胎儿分娩前的一种正常过程,如果发现胎儿迟迟不入盆或者入盆过程有严重不适感一定要及时就医检查。
","articleBody": "37周时胎儿足月,孕妇可能会入盆,也就是指妊娠晚期胎儿在子宫内,以臀朝上、头朝下、蜷缩的姿势,头部到达母亲骨盆腔内,胎儿整个身体位置得到固定。
当胎儿入盆时孕妇还会出现一系列临产的反应症状。

37周时孕妇发生入盆是一种正常的表现,胎儿入盆时。孕妇可以感觉到腹内胎儿位置的下降,还会感到轻微的坠痛感,整个入盆的过程很短暂,甚至不到半分钟就可以完成,但确定胎儿是否准确完成入盆要去医院产科检查。
胎儿入盆后,因为子宫的压力,会压迫孕妇的膀胱,导致膀胱不能再正常的储存尿液,尿频会更加明显,同时便秘、水肿、腰痛症状加重。入盆后子宫上部体积变大,胃消化能力增强,灼烧感减弱,所以孕妇的胃口会变好。从外形上看入盆后孕妇的宫高也会下降,肚子越来越靠下,开始有妊娠纹的产生。
入盆是胎儿分娩前的一种正常过程,如果发现胎儿迟迟不入盆或者入盆过程有严重不适感一定要及时就医检查。
","scanCount": 56704}}} {"@context": "https://ziyuan.baidu.com/contexts/cambrian.jsonld","appid": "1650708455561748","icon": "https://www.med-credit.org.cn/style/images/ttlogo.png","content_tag": ["atlas"],"is_mcn": {"thumb_id": "v2rm41u3"},"accid": "4886d626a2804dee5f11168793ce361672f39c25","@id": "https://www.med-credit.org.cn/mobile/jingxuan/2/20cb924a81d06fcd4d1e5bd9faa04e09.html","bagWordId": "269_1558063572213305344","title": "怀孕18周宝宝发育图片","pubDate": "2023-03-29T10:32:19","upDate": "2023-03-29T10:32:19","lrDate": "2023-03-29T10:32:19","description": "怀孕18周的宝宝身高大约在20厘米左右,双顶径大概在4厘米左右,体重在200~250克左右。","data": {"WebPage": {"headline": "怀孕18周宝宝发育图片","pcUrl": "https://www.med-credit.org.cn/jingxuan/2/20cb924a81d06fcd4d1e5bd9faa04e09.html","wapUrl": "https://www.med-credit.org.cn/jingxuan/2/20cb924a81d06fcd4d1e5bd9faa04e09.html","mipUrl": "https://www.med-credit.org.cn/mobile/jingxuan/2/20cb924a81d06fcd4d1e5bd9faa04e09.html","fromSrc": "欢乐橙","datePublished": "2023-03-29T10:32:19","domain": "医疗","category": ["医疗权威文章合作"],"description": "怀孕18周的宝宝身高大约在20厘米左右,双顶径大概在4厘米左右,体重在200~250克左右。
","extra_headline": [""]},"Author": {"name": "种轶文","wapUrl": "https://www.med-credit.org.cn/doctor/575","pcUrl": "https://www.med-credit.org.cn/doctor/575","jobTitle": "副主任医师","headPortrait": "https://www.med-credit.org.cn/uploadfile/member/575/180x180.jpeg","id": "575","description": "种轶文,北京大学第三医院妇产科副主任医师","memberOf": {"legalName": "北京大学第三医院","department": "妇产科","organizationLevel": "三级甲等"}},"Article": {"summaryContent": "怀孕18周的宝宝身高大约在20厘米左右,双顶径大概在4厘米左右,体重在200~250克左右。
怀孕18周的时候,一般胎动相对较微弱。孕妇可能没有感觉到明显的胎动,有的孕妇可能会有肚子中有气泡或者肠蠕动的感觉。
1、怀孕18周,此时的胎儿身长约20厘米左右,体重在200~250克克左右,双顶径在4厘米左右,胎儿有吞咽、排尿功能、已经长出了头发等,孕妇会感到有隐隐约约的胎动。

2、若孕妇没有感觉到明显胎动,在怀孕18周时,胎儿活动并不是很频繁,所以一天之内胎动次数有限,再加上有的孕妇感觉比较迟钝,因此可能会感觉不到明显的胎动。
3、怀孕18周的时候,因为胎儿会在妈妈腹部做翻转动作,一般常做的是左右翻转,持续的时间大概为3~30s。所以孕妇会在怀孕18周时,可能会有肚子中像有气泡或者有肠蠕动的感觉。
女性在怀孕18周的时候,应该要定期的去医院做产检,应该要积极的进行唐氏筛查,如果显示高风险,还需要进行DNA的检查以及羊膜穿刺的检查,能够避免唐氏综合症的患儿出生。另外要进行心电图的检查和B超的检查,观察胎儿的发育是否正常。
","articleBody": "怀孕18周的宝宝身高大约在20厘米左右,双顶径大概在4厘米左右,体重在200~250克左右。
怀孕18周的时候,一般胎动相对较微弱。孕妇可能没有感觉到明显的胎动,有的孕妇可能会有肚子中有气泡或者肠蠕动的感觉。
1、怀孕18周,此时的胎儿身长约20厘米左右,体重在200~250克克左右,双顶径在4厘米左右,胎儿有吞咽、排尿功能、已经长出了头发等,孕妇会感到有隐隐约约的胎动。

2、若孕妇没有感觉到明显胎动,在怀孕18周时,胎儿活动并不是很频繁,所以一天之内胎动次数有限,再加上有的孕妇感觉比较迟钝,因此可能会感觉不到明显的胎动。
3、怀孕18周的时候,因为胎儿会在妈妈腹部做翻转动作,一般常做的是左右翻转,持续的时间大概为3~30s。所以孕妇会在怀孕18周时,可能会有肚子中像有气泡或者有肠蠕动的感觉。
女性在怀孕18周的时候,应该要定期的去医院做产检,应该要积极的进行唐氏筛查,如果显示高风险,还需要进行DNA的检查以及羊膜穿刺的检查,能够避免唐氏综合症的患儿出生。另外要进行心电图的检查和B超的检查,观察胎儿的发育是否正常。
","scanCount": 56703}}} {"@context": "https://ziyuan.baidu.com/contexts/cambrian.jsonld","appid": "1650708455561748","icon": "https://www.med-credit.org.cn/style/images/ttlogo.png","content_tag": ["atlas"],"is_mcn": {"thumb_id": "v2rm41u3"},"accid": "4886d626a2804dee5f11168793ce361672f39c25","@id": "https://www.med-credit.org.cn/mobile/jingxuan/2/274de239bd3480a52b7de1bce6f97109.html","bagWordId": "269_1558063572779536384","title": "边缘性前置胎盘图片","pubDate": "2023-03-29T10:32:19","upDate": "2023-03-29T10:32:19","lrDate": "2023-03-29T10:32:19","description": "边缘性胎盘前置可在妊娠末期或临产后,出现无诱因阴道少量流血。","data": {"WebPage": {"headline": "边缘性前置胎盘图片","pcUrl": "https://www.med-credit.org.cn/jingxuan/2/274de239bd3480a52b7de1bce6f97109.html","wapUrl": "https://www.med-credit.org.cn/jingxuan/2/274de239bd3480a52b7de1bce6f97109.html","mipUrl": "https://www.med-credit.org.cn/mobile/jingxuan/2/274de239bd3480a52b7de1bce6f97109.html","fromSrc": "欢乐橙","datePublished": "2023-03-29T10:32:19","domain": "医疗","category": ["医疗权威文章合作"],"description": "边缘性胎盘前置可在妊娠末期或临产后,出现无诱因阴道少量流血。
","extra_headline": [""]},"Author": {"name": "种轶文","wapUrl": "https://www.med-credit.org.cn/doctor/575","pcUrl": "https://www.med-credit.org.cn/doctor/575","jobTitle": "副主任医师","headPortrait": "https://www.med-credit.org.cn/uploadfile/member/575/180x180.jpeg","id": "575","description": "种轶文,北京大学第三医院妇产科副主任医师","memberOf": {"legalName": "北京大学第三医院","department": "妇产科","organizationLevel": "三级甲等"}},"Article": {"summaryContent": "边缘性胎盘前置可在妊娠末期或临产后,出现无诱因阴道少量流血。
边缘性胎盘前置的发生可能与子宫内膜损伤或胎盘异常有关。
1.边缘性胎盘前置是指胎盘的边缘达宫颈内口,而无覆盖宫颈内口。典型症状表现为妊娠晚期或临产后,阴道无诱因无规则的流血。边缘性前置胎盘流血量较完全性及部分性胎盘前置少,较少出现如孕妇休克,胎儿呼吸窘迫等急性并发症。

2.胎盘前置发生的具体机制暂不明确,但可与某些因素有关。如子宫内膜损伤或病变,受精卵植入受损伤的子宫内膜时,受损的子宫内膜供血不足,胎盘为摄取更多营养,面积增大,延伸到宫颈内口;胎盘自身形态和大小异常,也可导致胎盘位置覆盖子宫颈内口。
边缘性胎盘前置妊娠早中期常无出血,34周内无需住院。若出现出血,应绝对卧床休息,视情况纠正贫血,使用宫缩抑制剂防止进一步出血等。边缘性胎盘前置满38周可考虑剖宫产终止妊娠,如有大出血甚至休克,应紧急剖宫产。
","articleBody": "边缘性胎盘前置可在妊娠末期或临产后,出现无诱因阴道少量流血。
边缘性胎盘前置的发生可能与子宫内膜损伤或胎盘异常有关。
1.边缘性胎盘前置是指胎盘的边缘达宫颈内口,而无覆盖宫颈内口。典型症状表现为妊娠晚期或临产后,阴道无诱因无规则的流血。边缘性前置胎盘流血量较完全性及部分性胎盘前置少,较少出现如孕妇休克,胎儿呼吸窘迫等急性并发症。

2.胎盘前置发生的具体机制暂不明确,但可与某些因素有关。如子宫内膜损伤或病变,受精卵植入受损伤的子宫内膜时,受损的子宫内膜供血不足,胎盘为摄取更多营养,面积增大,延伸到宫颈内口;胎盘自身形态和大小异常,也可导致胎盘位置覆盖子宫颈内口。
边缘性胎盘前置妊娠早中期常无出血,34周内无需住院。若出现出血,应绝对卧床休息,视情况纠正贫血,使用宫缩抑制剂防止进一步出血等。边缘性胎盘前置满38周可考虑剖宫产终止妊娠,如有大出血甚至休克,应紧急剖宫产。
","scanCount": 56702}}} {"@context": "https://ziyuan.baidu.com/contexts/cambrian.jsonld","appid": "1650708455561748","icon": "https://www.med-credit.org.cn/style/images/ttlogo.png","content_tag": ["atlas"],"is_mcn": {"thumb_id": "v2rm41u3"},"accid": "4886d626a2804dee5f11168793ce361672f39c25","@id": "https://www.med-credit.org.cn/mobile/jingxuan/2/bebd0a3ceefa680d51c88e80549aec35.html","bagWordId": "269_1558063572888588288","title": "怀孕2周b超图片","pubDate": "2023-03-29T10:32:19","upDate": "2023-03-29T10:32:19","lrDate": "2023-03-29T10:32:19","description": "怀孕2周B超结果不明显,一般看不到孕囊的存在。","data": {"WebPage": {"headline": "怀孕2周b超图片","pcUrl": "https://www.med-credit.org.cn/jingxuan/2/bebd0a3ceefa680d51c88e80549aec35.html","wapUrl": "https://www.med-credit.org.cn/jingxuan/2/bebd0a3ceefa680d51c88e80549aec35.html","mipUrl": "https://www.med-credit.org.cn/mobile/jingxuan/2/bebd0a3ceefa680d51c88e80549aec35.html","fromSrc": "欢乐橙","datePublished": "2023-03-29T10:32:19","domain": "医疗","category": ["医疗权威文章合作"],"description": "怀孕2周B超结果不明显,一般看不到孕囊的存在。
","extra_headline": [""]},"Author": {"name": "种轶文","wapUrl": "https://www.med-credit.org.cn/doctor/575","pcUrl": "https://www.med-credit.org.cn/doctor/575","jobTitle": "副主任医师","headPortrait": "https://www.med-credit.org.cn/uploadfile/member/575/180x180.jpeg","id": "575","description": "种轶文,北京大学第三医院妇产科副主任医师","memberOf": {"legalName": "北京大学第三医院","department": "妇产科","organizationLevel": "三级甲等"}},"Article": {"summaryContent": "怀孕2周B超结果不明显,一般看不到孕囊的存在。
做B超前要提前憋尿、不要吃易产生气体的食物,这样能使B超结果更为准确。
临床推算患者怀孕的时间,通常是按照患者的末次月经第一天为标准来进行推算的。怀孕两周时患者可能才刚刚受孕,受精卵可能还没能够着床,不一定能够检查出怀孕,B超也是看不出胚胎的。但是如果怀孕两周指的是从排卵或者是同房的时间开始算起的话,孕妇实际应该是怀孕4-5周。通过阴超也是有可能看到孕囊,但孕囊较小,不太明显;如果孕妇排卵时间还较晚,就看不到孕囊。

孕早期去医院做B超前最好是提前憋尿,需要在膀胱里积聚一定量的尿液使B超检查更清楚。需要做B超检查前可在家提前喝至少500毫升的白开水,到医院后进行检查时就比较省时间了。而怀孕中晚期则不需要,胎儿已经比较大了,B超检查是较为明显的。同时做B超前不要吃容易产生气体的食物,比如牛奶、红薯等,这些食物产生的气体会阻碍超声波的穿透,会导致显像不清。
","articleBody": "怀孕2周B超结果不明显,一般看不到孕囊的存在。
做B超前要提前憋尿、不要吃易产生气体的食物,这样能使B超结果更为准确。
临床推算患者怀孕的时间,通常是按照患者的末次月经第一天为标准来进行推算的。怀孕两周时患者可能才刚刚受孕,受精卵可能还没能够着床,不一定能够检查出怀孕,B超也是看不出胚胎的。但是如果怀孕两周指的是从排卵或者是同房的时间开始算起的话,孕妇实际应该是怀孕4-5周。通过阴超也是有可能看到孕囊,但孕囊较小,不太明显;如果孕妇排卵时间还较晚,就看不到孕囊。

孕早期去医院做B超前最好是提前憋尿,需要在膀胱里积聚一定量的尿液使B超检查更清楚。需要做B超检查前可在家提前喝至少500毫升的白开水,到医院后进行检查时就比较省时间了。而怀孕中晚期则不需要,胎儿已经比较大了,B超检查是较为明显的。同时做B超前不要吃容易产生气体的食物,比如牛奶、红薯等,这些食物产生的气体会阻碍超声波的穿透,会导致显像不清。
","scanCount": 56701}}} {"@context": "https://ziyuan.baidu.com/contexts/cambrian.jsonld","appid": "1650708455561748","icon": "https://www.med-credit.org.cn/style/images/ttlogo.png","content_tag": ["atlas"],"is_mcn": {"thumb_id": "v2rm41u3"},"accid": "4886d626a2804dee5f11168793ce361672f39c25","@id": "https://www.med-credit.org.cn/mobile/jingxuan/2/a4b6113c0de6bb8d619069ea8532f0ed.html","bagWordId": "269_1558063573001834496","title": "产后脓性分泌物图片","pubDate": "2023-03-29T10:32:19","upDate": "2023-03-29T10:32:19","lrDate": "2023-03-29T10:32:19","description": "产后脓性分泌物可能是产后恶露。","data": {"WebPage": {"headline": "产后脓性分泌物图片","pcUrl": "https://www.med-credit.org.cn/jingxuan/2/a4b6113c0de6bb8d619069ea8532f0ed.html","wapUrl": "https://www.med-credit.org.cn/jingxuan/2/a4b6113c0de6bb8d619069ea8532f0ed.html","mipUrl": "https://www.med-credit.org.cn/mobile/jingxuan/2/a4b6113c0de6bb8d619069ea8532f0ed.html","fromSrc": "欢乐橙","datePublished": "2023-03-29T10:32:19","domain": "医疗","category": ["医疗权威文章合作"],"description": "产后脓性分泌物可能是产后恶露。
","extra_headline": [""]},"Author": {"name": "种轶文","wapUrl": "https://www.med-credit.org.cn/doctor/575","pcUrl": "https://www.med-credit.org.cn/doctor/575","jobTitle": "副主任医师","headPortrait": "https://www.med-credit.org.cn/uploadfile/member/575/180x180.jpeg","id": "575","description": "种轶文,北京大学第三医院妇产科副主任医师","memberOf": {"legalName": "北京大学第三医院","department": "妇产科","organizationLevel": "三级甲等"}},"Article": {"summaryContent": "产后脓性分泌物可能是产后恶露。
产后脓性分泌物可能是宫颈炎。
1、产后恶露常伴有明显血腥味,在产后1至4天左右可呈鲜红色,为血性恶露,产后4至7天时粘液增多,颜色由鲜红变为淡红色,为浆液性恶露,产后一周恶露颜色转变为白色或淡黄色,呈白带样,为白色恶露。产后恶露是由于分娩后子宫收缩,逐渐恢复形态,子宫蜕膜脱落混合血液而形成,属于正常的生理现象。

2、宫颈炎常见阴道黏液脓性分泌物增多,患者常自觉外阴瘙痒、灼热、刺痛感等,可能出现下腹部疼痛、腰骶部坠痛等症。宫颈炎通常由滴虫、霉菌、淋球菌等感染引起,产后久坐、久卧、清洁不到位、长时间使用卫生护垫等因素均有可能引发宫颈炎。
1、产后恶露通常一个月左右可以排干净,如超过一个半月以上未尽则应及时就医查明原因,对症治疗。患者产后应注意保持清洁及干燥,尽早下床活动促进恶露排出。
2、宫颈炎主要通过药物、手术治疗,或通过冷冻、激光等物理治疗。患者应注意保持卫生,避免阴道不当冲洗,避免性生活等,定期复查。
","articleBody": "产后脓性分泌物可能是产后恶露。
产后脓性分泌物可能是宫颈炎。
1、产后恶露常伴有明显血腥味,在产后1至4天左右可呈鲜红色,为血性恶露,产后4至7天时粘液增多,颜色由鲜红变为淡红色,为浆液性恶露,产后一周恶露颜色转变为白色或淡黄色,呈白带样,为白色恶露。产后恶露是由于分娩后子宫收缩,逐渐恢复形态,子宫蜕膜脱落混合血液而形成,属于正常的生理现象。

2、宫颈炎常见阴道黏液脓性分泌物增多,患者常自觉外阴瘙痒、灼热、刺痛感等,可能出现下腹部疼痛、腰骶部坠痛等症。宫颈炎通常由滴虫、霉菌、淋球菌等感染引起,产后久坐、久卧、清洁不到位、长时间使用卫生护垫等因素均有可能引发宫颈炎。
1、产后恶露通常一个月左右可以排干净,如超过一个半月以上未尽则应及时就医查明原因,对症治疗。患者产后应注意保持清洁及干燥,尽早下床活动促进恶露排出。
2、宫颈炎主要通过药物、手术治疗,或通过冷冻、激光等物理治疗。患者应注意保持卫生,避免阴道不当冲洗,避免性生活等,定期复查。
","scanCount": 56700}}} {"@context": "https://ziyuan.baidu.com/contexts/cambrian.jsonld","appid": "1650708455561748","icon": "https://www.med-credit.org.cn/style/images/ttlogo.png","content_tag": ["atlas"],"is_mcn": {"thumb_id": "v2rm41u3"},"accid": "4886d626a2804dee5f11168793ce361672f39c25","@id": "https://www.med-credit.org.cn/mobile/jingxuan/2/bbae1a76397d2085abde35bf45c64052.html","bagWordId": "269_1558063573056360448","title": "剖腹产后恶露图片","pubDate": "2023-03-29T10:32:19","upDate": "2023-03-29T10:32:19","lrDate": "2023-03-29T10:32:19","description": "剖腹产后阴道可排出淤血、粘液、子宫蜕膜等等,称为恶露。","data": {"WebPage": {"headline": "剖腹产后恶露图片","pcUrl": "https://www.med-credit.org.cn/jingxuan/2/bbae1a76397d2085abde35bf45c64052.html","wapUrl": "https://www.med-credit.org.cn/jingxuan/2/bbae1a76397d2085abde35bf45c64052.html","mipUrl": "https://www.med-credit.org.cn/mobile/jingxuan/2/bbae1a76397d2085abde35bf45c64052.html","fromSrc": "欢乐橙","datePublished": "2023-03-29T10:32:19","domain": "医疗","category": ["医疗权威文章合作"],"description": "剖腹产后阴道可排出淤血、粘液、子宫蜕膜等等,称为恶露。
","extra_headline": [""]},"Author": {"name": "种轶文","wapUrl": "https://www.med-credit.org.cn/doctor/575","pcUrl": "https://www.med-credit.org.cn/doctor/575","jobTitle": "副主任医师","headPortrait": "https://www.med-credit.org.cn/uploadfile/member/575/180x180.jpeg","id": "575","description": "种轶文,北京大学第三医院妇产科副主任医师","memberOf": {"legalName": "北京大学第三医院","department": "妇产科","organizationLevel": "三级甲等"}},"Article": {"summaryContent": "剖腹产后阴道可排出淤血、粘液、子宫蜕膜等等,称为恶露。
如果剖腹产产妇恶露较多,持续4-6周以上,称为恶露不尽,可因蜕膜残留等原因引起。
1.剖腹产后阴道会排除淤血、粘液等物质,称为恶露,分为血性、浆液性、白色三种。血性恶露含血液较多,可持续3-4天,随后是浆液性恶露,可持续1周左右。最后转变为白色恶露,其中含大量白细胞,大概要持续三周。

2.如果血色恶露持续超过4-6周,或4-6周恶露仍较多,考虑可能是恶露不尽。其原因较多,如胎盘、胎膜残留附着在子宫,发生变性坏死机化,脱落后引起出血;蜕膜残留或多次生育导致子宫复旧延缓,也可延迟恶露时间;还有感染,常见子宫内膜炎,引起子宫复旧不良及收缩功能下降,出现子宫出血较多。
产妇生产后,应密切观测恶露情况,包括数量和质量的变化,及时与医生沟通。恶露较多者,可适当补充铁剂,预防贫血。条件允许者,可尽早做产后康复训练。恶露不尽患者,可口服止血药如氨甲环酸,缩宫素促子宫收缩,有感染患者应及时口服抗生素抗感染。
","articleBody": "剖腹产后阴道可排出淤血、粘液、子宫蜕膜等等,称为恶露。
如果剖腹产产妇恶露较多,持续4-6周以上,称为恶露不尽,可因蜕膜残留等原因引起。
1.剖腹产后阴道会排除淤血、粘液等物质,称为恶露,分为血性、浆液性、白色三种。血性恶露含血液较多,可持续3-4天,随后是浆液性恶露,可持续1周左右。最后转变为白色恶露,其中含大量白细胞,大概要持续三周。

2.如果血色恶露持续超过4-6周,或4-6周恶露仍较多,考虑可能是恶露不尽。其原因较多,如胎盘、胎膜残留附着在子宫,发生变性坏死机化,脱落后引起出血;蜕膜残留或多次生育导致子宫复旧延缓,也可延迟恶露时间;还有感染,常见子宫内膜炎,引起子宫复旧不良及收缩功能下降,出现子宫出血较多。
产妇生产后,应密切观测恶露情况,包括数量和质量的变化,及时与医生沟通。恶露较多者,可适当补充铁剂,预防贫血。条件允许者,可尽早做产后康复训练。恶露不尽患者,可口服止血药如氨甲环酸,缩宫素促子宫收缩,有感染患者应及时口服抗生素抗感染。
","scanCount": 56699}}} {"@context": "https://ziyuan.baidu.com/contexts/cambrian.jsonld","appid": "1650708455561748","icon": "https://www.med-credit.org.cn/style/images/ttlogo.png","content_tag": ["atlas"],"is_mcn": {"thumb_id": "v2rm41u3"},"accid": "4886d626a2804dee5f11168793ce361672f39c25","@id": "https://www.med-credit.org.cn/mobile/jingxuan/2/41106fcf8abb5e74b4e2bda95388ac82.html","bagWordId": "269_1558063573274464256","title": "胎位lot示意图","pubDate": "2023-03-29T10:32:19","upDate": "2023-03-29T10:32:19","lrDate": "2023-03-29T10:32:19","description": "LOT胎位意思是胎儿在子宫中处于左枕横位。","data": {"WebPage": {"headline": "胎位lot示意图","pcUrl": "https://www.med-credit.org.cn/jingxuan/2/41106fcf8abb5e74b4e2bda95388ac82.html","wapUrl": "https://www.med-credit.org.cn/jingxuan/2/41106fcf8abb5e74b4e2bda95388ac82.html","mipUrl": "https://www.med-credit.org.cn/mobile/jingxuan/2/41106fcf8abb5e74b4e2bda95388ac82.html","fromSrc": "欢乐橙","datePublished": "2023-03-29T10:32:19","domain": "医疗","category": ["医疗权威文章合作"],"description": "LOT胎位意思是胎儿在子宫中处于左枕横位。
","extra_headline": [""]},"Author": {"name": "种轶文","wapUrl": "https://www.med-credit.org.cn/doctor/575","pcUrl": "https://www.med-credit.org.cn/doctor/575","jobTitle": "副主任医师","headPortrait": "https://www.med-credit.org.cn/uploadfile/member/575/180x180.jpeg","id": "575","description": "种轶文,北京大学第三医院妇产科副主任医师","memberOf": {"legalName": "北京大学第三医院","department": "妇产科","organizationLevel": "三级甲等"}},"Article": {"summaryContent": "LOT胎位意思是胎儿在子宫中处于左枕横位。
LOT胎位可能与骨盆形态异常、头盆不称、宫缩乏力等,左枕横位患者不用担心,可在医生指导下调整即可。

1.胎位:胎位是指胎姿势,胎产式,胎方位的总成,其中L是指胎方位为左侧,O是指胎儿枕骨位于下方属于头先露,T则是胎儿属于横位。正常顺产胎儿为枕前位,左枕横位属于异常胎位的一种,在妊娠中期可自动调整为枕前位,若临产时仍然为左枕横位称为胎位异常。左枕横位在顺产过程中可能出现产程延长,产妇过早排便感及肛门坠胀感,常出现宫颈水肿。
2.发生机制:左枕横位发生机制暂不明确,但其可能与某些因素有关。如孕妇骨盆形态异常,骨盆入口前半部狭窄,后半部较宽,胎头无法完成内旋转;头盆不称,胎头与骨盆大小不相称,妨碍抬头内旋转;宫缩乏力,不易推动胎头旋转。
如孕中期体检发现左枕横位,可听从医生建议,采用特定睡姿,纠正体位。若产前仍为左枕横位,应保证产妇休息,让产妇向胎儿肢体方向侧卧。若宫缩乏力,使用缩宫素。第二产程胎儿下降时,可徒手或使用吸引器助产,若伴有胎儿窘迫或产程延长而抬头仍在坐骨以上,应考虑行剖腹产手术。
","articleBody": "LOT胎位意思是胎儿在子宫中处于左枕横位。
LOT胎位可能与骨盆形态异常、头盆不称、宫缩乏力等,左枕横位患者不用担心,可在医生指导下调整即可。

1.胎位:胎位是指胎姿势,胎产式,胎方位的总成,其中L是指胎方位为左侧,O是指胎儿枕骨位于下方属于头先露,T则是胎儿属于横位。正常顺产胎儿为枕前位,左枕横位属于异常胎位的一种,在妊娠中期可自动调整为枕前位,若临产时仍然为左枕横位称为胎位异常。左枕横位在顺产过程中可能出现产程延长,产妇过早排便感及肛门坠胀感,常出现宫颈水肿。
2.发生机制:左枕横位发生机制暂不明确,但其可能与某些因素有关。如孕妇骨盆形态异常,骨盆入口前半部狭窄,后半部较宽,胎头无法完成内旋转;头盆不称,胎头与骨盆大小不相称,妨碍抬头内旋转;宫缩乏力,不易推动胎头旋转。
如孕中期体检发现左枕横位,可听从医生建议,采用特定睡姿,纠正体位。若产前仍为左枕横位,应保证产妇休息,让产妇向胎儿肢体方向侧卧。若宫缩乏力,使用缩宫素。第二产程胎儿下降时,可徒手或使用吸引器助产,若伴有胎儿窘迫或产程延长而抬头仍在坐骨以上,应考虑行剖腹产手术。
","scanCount": 56698}}} {"@context": "https://ziyuan.baidu.com/contexts/cambrian.jsonld","appid": "1650708455561748","icon": "https://www.med-credit.org.cn/style/images/ttlogo.png","content_tag": ["atlas"],"is_mcn": {"thumb_id": "v2rm41u3"},"accid": "4886d626a2804dee5f11168793ce361672f39c25","@id": "https://www.med-credit.org.cn/mobile/jingxuan/2/4e4b053edf533e6745f33f3356b1bce6.html","bagWordId": "269_1558063573328990208","title": "超声胎盘前后壁区分图片","pubDate": "2023-03-29T10:32:19","upDate": "2023-03-29T10:32:19","lrDate": "2023-03-29T10:32:19","description": "在B超下,胎盘前后壁没有什么区别,都是正常的位置。","data": {"WebPage": {"headline": "超声胎盘前后壁区分图片","pcUrl": "https://www.med-credit.org.cn/jingxuan/2/4e4b053edf533e6745f33f3356b1bce6.html","wapUrl": "https://www.med-credit.org.cn/jingxuan/2/4e4b053edf533e6745f33f3356b1bce6.html","mipUrl": "https://www.med-credit.org.cn/mobile/jingxuan/2/4e4b053edf533e6745f33f3356b1bce6.html","fromSrc": "欢乐橙","datePublished": "2023-03-29T10:32:19","domain": "医疗","category": ["医疗权威文章合作"],"description": "在B超下,胎盘前后壁没有什么区别,都是正常的位置。
","extra_headline": [""]},"Author": {"name": "种轶文","wapUrl": "https://www.med-credit.org.cn/doctor/575","pcUrl": "https://www.med-credit.org.cn/doctor/575","jobTitle": "副主任医师","headPortrait": "https://www.med-credit.org.cn/uploadfile/member/575/180x180.jpeg","id": "575","description": "种轶文,北京大学第三医院妇产科副主任医师","memberOf": {"legalName": "北京大学第三医院","department": "妇产科","organizationLevel": "三级甲等"}},"Article": {"summaryContent": "在B超下,胎盘前后壁没有什么区别,都是正常的位置。
胎盘前壁肚型较突出且伴随腹部前坠感、胎盘后壁早期不显怀且伴随腰酸背痛等不适。
1、怀孕前壁和后壁对于受精卵的发育不会造成影响,胎儿在子宫前壁向前生长,从外观上看起来肚子就比较明显,胎儿在子宫后壁,肚子看起来就相对没有那么明显。

2、怀孕后受精卵着床的初始位置不同,胎盘前壁是受精卵着床于前壁,前壁靠近肚皮,胎盘后壁是受精卵着床于后壁,后壁靠近背部。
3、怀孕后胎盘附着在前壁或者后壁,胎盘位置是正常的,会远离宫颈内口,没有前置胎盘的情况,胎儿在宫内发育会比较稳定,发生胎儿流产或者早产的几率就比较低。
不管胎儿胎盘位于哪个位置,在女性怀孕期间都要注意饮食习惯与生活作息,饮食尽量以清淡且易消化为主,注意营养搭配均衡,多吃新鲜的水果和蔬菜,进行适当的运动,注意不要过于剧烈使自己劳累,有充足的睡眠时间,保持心情舒畅。
","articleBody": "在B超下,胎盘前后壁没有什么区别,都是正常的位置。
胎盘前壁肚型较突出且伴随腹部前坠感、胎盘后壁早期不显怀且伴随腰酸背痛等不适。
1、怀孕前壁和后壁对于受精卵的发育不会造成影响,胎儿在子宫前壁向前生长,从外观上看起来肚子就比较明显,胎儿在子宫后壁,肚子看起来就相对没有那么明显。

2、怀孕后受精卵着床的初始位置不同,胎盘前壁是受精卵着床于前壁,前壁靠近肚皮,胎盘后壁是受精卵着床于后壁,后壁靠近背部。
3、怀孕后胎盘附着在前壁或者后壁,胎盘位置是正常的,会远离宫颈内口,没有前置胎盘的情况,胎儿在宫内发育会比较稳定,发生胎儿流产或者早产的几率就比较低。
不管胎儿胎盘位于哪个位置,在女性怀孕期间都要注意饮食习惯与生活作息,饮食尽量以清淡且易消化为主,注意营养搭配均衡,多吃新鲜的水果和蔬菜,进行适当的运动,注意不要过于剧烈使自己劳累,有充足的睡眠时间,保持心情舒畅。
","scanCount": 56697}}} {"@context": "https://ziyuan.baidu.com/contexts/cambrian.jsonld","appid": "1650708455561748","icon": "https://www.med-credit.org.cn/style/images/ttlogo.png","content_tag": ["atlas"],"is_mcn": {"thumb_id": "v2rm41u3"},"accid": "4886d626a2804dee5f11168793ce361672f39c25","@id": "https://www.med-credit.org.cn/mobile/jingxuan/2/1004028038c86550d6644a63b04931b2.html","bagWordId": "269_1558063573484179456","title": "11周b超图","pubDate": "2023-03-29T10:32:19","upDate": "2023-03-29T10:32:19","lrDate": "2023-03-29T10:32:19","description": "1.一般指孕后11周B超,可见子宫增大和孕囊,可见胎儿雏形。","data": {"WebPage": {"headline": "11周b超图","pcUrl": "https://www.med-credit.org.cn/jingxuan/2/1004028038c86550d6644a63b04931b2.html","wapUrl": "https://www.med-credit.org.cn/jingxuan/2/1004028038c86550d6644a63b04931b2.html","mipUrl": "https://www.med-credit.org.cn/mobile/jingxuan/2/1004028038c86550d6644a63b04931b2.html","fromSrc": "欢乐橙","datePublished": "2023-03-29T10:32:19","domain": "医疗","category": ["医疗权威文章合作"],"description": "1.一般指孕后11周B超,可见子宫增大和孕囊,可见胎儿雏形。
","extra_headline": [""]},"Author": {"name": "种轶文","wapUrl": "https://www.med-credit.org.cn/doctor/575","pcUrl": "https://www.med-credit.org.cn/doctor/575","jobTitle": "副主任医师","headPortrait": "https://www.med-credit.org.cn/uploadfile/member/575/180x180.jpeg","id": "575","description": "种轶文,北京大学第三医院妇产科副主任医师","memberOf": {"legalName": "北京大学第三医院","department": "妇产科","organizationLevel": "三级甲等"}},"Article": {"summaryContent": "1.一般指孕后11周B超,可见子宫增大和孕囊,可见胎儿雏形。
2.孕后11周B超可判断胎儿的发育情况,以及初步筛查遗传性疾病。
1.表现:孕后11周B超可见子宫增大,宫内可见成型的胎儿,还可检测到孕囊内胎儿的心跳,但正常来说双侧卵巢不会显示。此时的胎儿还只是很小,体重约8.5克左右,身长大约3~4厘米。

2.作用:孕后11周B超的测量数据并不是决定性的,只要不偏差太大就行。此时B超的主要目的是通过观察羊水情况、胎心、心率、双顶径、宫高、子宫大小以及子宫形态、子宫位置等是否正常,保证胎儿处于正常发育阶段。此外,还要通过B超下NT值检测,即检查胎儿颈部透明层,以筛查胎儿是否有先天性心脏病、神经管畸形等遗传性疾病,正常的NT值应小于2.5mm。通过测量CRL(颈臀长)来初步预测产期。
","articleBody": "1.一般指孕后11周B超,可见子宫增大和孕囊,可见胎儿雏形。
2.孕后11周B超可判断胎儿的发育情况,以及初步筛查遗传性疾病。
1.表现:孕后11周B超可见子宫增大,宫内可见成型的胎儿,还可检测到孕囊内胎儿的心跳,但正常来说双侧卵巢不会显示。此时的胎儿还只是很小,体重约8.5克左右,身长大约3~4厘米。

2.作用:孕后11周B超的测量数据并不是决定性的,只要不偏差太大就行。此时B超的主要目的是通过观察羊水情况、胎心、心率、双顶径、宫高、子宫大小以及子宫形态、子宫位置等是否正常,保证胎儿处于正常发育阶段。此外,还要通过B超下NT值检测,即检查胎儿颈部透明层,以筛查胎儿是否有先天性心脏病、神经管畸形等遗传性疾病,正常的NT值应小于2.5mm。通过测量CRL(颈臀长)来初步预测产期。
","scanCount": 56696}}} {"@context": "https://ziyuan.baidu.com/contexts/cambrian.jsonld","appid": "1650708455561748","icon": "https://www.med-credit.org.cn/style/images/ttlogo.png","content_tag": ["atlas"],"is_mcn": {"thumb_id": "v2rm41u3"},"accid": "4886d626a2804dee5f11168793ce361672f39c25","@id": "https://www.med-credit.org.cn/mobile/jingxuan/2/971d3e6f2b7fa0b0d23da1e582e88f38.html","bagWordId": "269_1558063573538705408","title": "生孩子打麻药的针图片","pubDate": "2023-03-29T10:32:19","upDate": "2023-03-29T10:32:19","lrDate": "2023-03-29T10:32:19","description": "生孩子打麻药的针,一般是孕妇选择无痛分娩或者是剖宫产,需要进行硬膜外麻醉或腰硬联合麻醉,此时就用到了麻醉针。","data": {"WebPage": {"headline": "生孩子打麻药的针图片","pcUrl": "https://www.med-credit.org.cn/jingxuan/2/971d3e6f2b7fa0b0d23da1e582e88f38.html","wapUrl": "https://www.med-credit.org.cn/jingxuan/2/971d3e6f2b7fa0b0d23da1e582e88f38.html","mipUrl": "https://www.med-credit.org.cn/mobile/jingxuan/2/971d3e6f2b7fa0b0d23da1e582e88f38.html","fromSrc": "欢乐橙","datePublished": "2023-03-29T10:32:19","domain": "医疗","category": ["医疗权威文章合作"],"description": "生孩子打麻药的针,一般是孕妇选择无痛分娩或者是剖宫产,需要进行硬膜外麻醉或腰硬联合麻醉,此时就用到了麻醉针。
","extra_headline": [""]},"Author": {"name": "种轶文","wapUrl": "https://www.med-credit.org.cn/doctor/575","pcUrl": "https://www.med-credit.org.cn/doctor/575","jobTitle": "副主任医师","headPortrait": "https://www.med-credit.org.cn/uploadfile/member/575/180x180.jpeg","id": "575","description": "种轶文,北京大学第三医院妇产科副主任医师","memberOf": {"legalName": "北京大学第三医院","department": "妇产科","organizationLevel": "三级甲等"}},"Article": {"summaryContent": "生孩子打麻药的针,一般是孕妇选择无痛分娩或者是剖宫产,需要进行硬膜外麻醉或腰硬联合麻醉,此时就用到了麻醉针。
麻醉针头包括麻醉针和加长柄,一般麻醉针长6厘米,加长柄约10厘米长。
硬膜外麻醉或腰硬联合麻醉前,一般先使用常规的细头注射针进行局部皮肤的麻醉,这样就会减轻麻醉针进入时的疼痛感。

打麻药时多数是从腰椎间隙进针,通常选择的注射麻药部位为腰2~3或者腰3~4间隙,通过注射麻药降低产妇的疼痛强度,在维护产妇和胎儿安全的原则下,阻断了分娩时的痛觉神经的传递,又不影响宫缩,达到避免或者减轻产妇分娩痛苦的目的。
注射麻醉时要听从医生的建议,选择合适的体位,如左侧卧位同时蜷缩身子,让麻醉过程顺利进行。麻醉针孔部位要注意保持清洁干燥,避免细菌感染。
","articleBody": "生孩子打麻药的针,一般是孕妇选择无痛分娩或者是剖宫产,需要进行硬膜外麻醉或腰硬联合麻醉,此时就用到了麻醉针。
麻醉针头包括麻醉针和加长柄,一般麻醉针长6厘米,加长柄约10厘米长。
硬膜外麻醉或腰硬联合麻醉前,一般先使用常规的细头注射针进行局部皮肤的麻醉,这样就会减轻麻醉针进入时的疼痛感。

打麻药时多数是从腰椎间隙进针,通常选择的注射麻药部位为腰2~3或者腰3~4间隙,通过注射麻药降低产妇的疼痛强度,在维护产妇和胎儿安全的原则下,阻断了分娩时的痛觉神经的传递,又不影响宫缩,达到避免或者减轻产妇分娩痛苦的目的。
注射麻醉时要听从医生的建议,选择合适的体位,如左侧卧位同时蜷缩身子,让麻醉过程顺利进行。麻醉针孔部位要注意保持清洁干燥,避免细菌感染。
","scanCount": 56695}}} {"@context": "https://ziyuan.baidu.com/contexts/cambrian.jsonld","appid": "1650708455561748","icon": "https://www.med-credit.org.cn/style/images/ttlogo.png","content_tag": ["atlas"],"is_mcn": {"thumb_id": "v2rm41u3"},"accid": "4886d626a2804dee5f11168793ce361672f39c25","@id": "https://www.med-credit.org.cn/mobile/jingxuan/2/7229b607ba3b8be636d63d8a01a8270a.html","bagWordId": "269_1558063574222376960","title": "糖尿病致胎儿畸形图片","pubDate": "2023-03-29T10:32:19","upDate": "2023-03-29T10:32:19","lrDate": "2023-03-29T10:32:19","description": "糖尿病致胎儿畸形主要可累及胎儿的心血管及神经系统等,严重也可能造成死胎。","data": {"WebPage": {"headline": "糖尿病致胎儿畸形图片","pcUrl": "https://www.med-credit.org.cn/jingxuan/2/7229b607ba3b8be636d63d8a01a8270a.html","wapUrl": "https://www.med-credit.org.cn/jingxuan/2/7229b607ba3b8be636d63d8a01a8270a.html","mipUrl": "https://www.med-credit.org.cn/mobile/jingxuan/2/7229b607ba3b8be636d63d8a01a8270a.html","fromSrc": "欢乐橙","datePublished": "2023-03-29T10:32:19","domain": "医疗","category": ["医疗权威文章合作"],"description": "糖尿病致胎儿畸形主要可累及胎儿的心血管及神经系统等,严重也可能造成死胎。
","extra_headline": [""]},"Author": {"name": "种轶文","wapUrl": "https://www.med-credit.org.cn/doctor/575","pcUrl": "https://www.med-credit.org.cn/doctor/575","jobTitle": "副主任医师","headPortrait": "https://www.med-credit.org.cn/uploadfile/member/575/180x180.jpeg","id": "575","description": "种轶文,北京大学第三医院妇产科副主任医师","memberOf": {"legalName": "北京大学第三医院","department": "妇产科","organizationLevel": "三级甲等"}},"Article": {"summaryContent": "糖尿病致胎儿畸形主要可累及胎儿的心血管及神经系统等,严重也可能造成死胎。
糖尿病母体存在复杂的代谢紊乱,对胚胎发育的影响机制还不清楚,糖尿病致胎儿畸形的具体原因尚未明确。
1、糖尿病可能导致胎儿出现尾骨畸形、脊柱裂、无脑畸形、脑膨出、脑脊髓膜膨出、脑积水、大动脉异位、室间隔缺损、房间隔缺损、肾脏发育不全、肾囊肿、双输尿管等畸形形态,严重者可直接导致胎儿早产或死亡。此外,母体血糖过高也是导致胎儿巨大的重要因素。

2、糖尿病致胎儿畸形可能是由于内质网应激、氧化应激、改变表观遗传等因素,具体原因仍待进一步研究。
妊娠期女性应严格控制血糖,定期做好产检,主要可以通过合理饮食、适当运动等方式控制血糖,饮食应避免高油、高糖等,均衡营养元素,少食多餐。当通过运动及生活方式调节血糖无效时也可配合药物,具体用药谨遵医嘱。
","articleBody": "糖尿病致胎儿畸形主要可累及胎儿的心血管及神经系统等,严重也可能造成死胎。
糖尿病母体存在复杂的代谢紊乱,对胚胎发育的影响机制还不清楚,糖尿病致胎儿畸形的具体原因尚未明确。
1、糖尿病可能导致胎儿出现尾骨畸形、脊柱裂、无脑畸形、脑膨出、脑脊髓膜膨出、脑积水、大动脉异位、室间隔缺损、房间隔缺损、肾脏发育不全、肾囊肿、双输尿管等畸形形态,严重者可直接导致胎儿早产或死亡。此外,母体血糖过高也是导致胎儿巨大的重要因素。

2、糖尿病致胎儿畸形可能是由于内质网应激、氧化应激、改变表观遗传等因素,具体原因仍待进一步研究。
妊娠期女性应严格控制血糖,定期做好产检,主要可以通过合理饮食、适当运动等方式控制血糖,饮食应避免高油、高糖等,均衡营养元素,少食多餐。当通过运动及生活方式调节血糖无效时也可配合药物,具体用药谨遵医嘱。
","scanCount": 56694}}} {"@context": "https://ziyuan.baidu.com/contexts/cambrian.jsonld","appid": "1650708455561748","icon": "https://www.med-credit.org.cn/style/images/ttlogo.png","content_tag": ["atlas"],"is_mcn": {"thumb_id": "v2rm41u3"},"accid": "4886d626a2804dee5f11168793ce361672f39c25","@id": "https://www.med-credit.org.cn/mobile/jingxuan/2/8834aea77b3f26533494e728c4ae5e74.html","bagWordId": "269_1558063574918631424","title": "25周的胎儿四维图片","pubDate": "2023-03-29T10:32:19","upDate": "2023-03-29T10:32:19","lrDate": "2023-03-29T10:32:19","description": "1.孕后25周的胎儿四维彩超包括各种系统的检查,可评估胎儿在宫内的发育情况。","data": {"WebPage": {"headline": "25周的胎儿四维图片","pcUrl": "https://www.med-credit.org.cn/jingxuan/2/8834aea77b3f26533494e728c4ae5e74.html","wapUrl": "https://www.med-credit.org.cn/jingxuan/2/8834aea77b3f26533494e728c4ae5e74.html","mipUrl": "https://www.med-credit.org.cn/mobile/jingxuan/2/8834aea77b3f26533494e728c4ae5e74.html","fromSrc": "欢乐橙","datePublished": "2023-03-29T10:32:19","domain": "医疗","category": ["医疗权威文章合作"],"description": "1.孕后25周的胎儿四维彩超包括各种系统的检查,可评估胎儿在宫内的发育情况。
","extra_headline": [""]},"Author": {"name": "种轶文","wapUrl": "https://www.med-credit.org.cn/doctor/575","pcUrl": "https://www.med-credit.org.cn/doctor/575","jobTitle": "副主任医师","headPortrait": "https://www.med-credit.org.cn/uploadfile/member/575/180x180.jpeg","id": "575","description": "种轶文,北京大学第三医院妇产科副主任医师","memberOf": {"legalName": "北京大学第三医院","department": "妇产科","organizationLevel": "三级甲等"}},"Article": {"summaryContent": "1.孕后25周的胎儿四维彩超包括各种系统的检查,可评估胎儿在宫内的发育情况。
2.孕后25周的胎儿四维彩超可见胎儿发育基本成型,也可看到胎儿活动。

1.作用:孕后25周的胎儿四维彩超包含了一系列检查,如心脏检查、围度测量、四肢测量等。通过心脏检查,胎儿的心脏和心室发育情况可以被观察到,排除常见的心脏发育先天不足如房间隔或室间隔缺损;围度测量包括头围测量、腹围测量;四肢测量是观察四肢的长度等,通过以上的测量可以判断胎儿的发育情况,是否有营养不足,是否有发育不良,是否有先天缺陷如唇腭裂、脑积水、脊柱断裂等。
2.表现:孕后25周的胎儿四维彩超可见胎儿发育充分,身材比例匀称,已经占据宫内很大一部分空间,各个器官、组织都发育完善,有时可观察到胎儿在宫内的活动,例如活动四肢、玩弄脐带等。
","articleBody": "1.孕后25周的胎儿四维彩超包括各种系统的检查,可评估胎儿在宫内的发育情况。
2.孕后25周的胎儿四维彩超可见胎儿发育基本成型,也可看到胎儿活动。

1.作用:孕后25周的胎儿四维彩超包含了一系列检查,如心脏检查、围度测量、四肢测量等。通过心脏检查,胎儿的心脏和心室发育情况可以被观察到,排除常见的心脏发育先天不足如房间隔或室间隔缺损;围度测量包括头围测量、腹围测量;四肢测量是观察四肢的长度等,通过以上的测量可以判断胎儿的发育情况,是否有营养不足,是否有发育不良,是否有先天缺陷如唇腭裂、脑积水、脊柱断裂等。
2.表现:孕后25周的胎儿四维彩超可见胎儿发育充分,身材比例匀称,已经占据宫内很大一部分空间,各个器官、组织都发育完善,有时可观察到胎儿在宫内的活动,例如活动四肢、玩弄脐带等。
","scanCount": 56693}}} {"@context": "https://ziyuan.baidu.com/contexts/cambrian.jsonld","appid": "1650708455561748","icon": "https://www.med-credit.org.cn/style/images/ttlogo.png","content_tag": ["atlas"],"is_mcn": {"thumb_id": "v2rm41u3"},"accid": "4886d626a2804dee5f11168793ce361672f39c25","@id": "https://www.med-credit.org.cn/mobile/jingxuan/2/b869c1bf1e6a66f3aa2f30795f81b9eb.html","bagWordId": "269_1558063575187066880","title": "胎儿横位图片","pubDate": "2023-03-29T10:32:19","upDate": "2023-03-29T10:32:19","lrDate": "2023-03-29T10:32:19","description": "胎儿横位是胎位的一种,胎儿的身体纵轴与母亲的身体纵轴呈直角状态,不是病理性的,但是一种危险的胎位状态。","data": {"WebPage": {"headline": "胎儿横位图片","pcUrl": "https://www.med-credit.org.cn/jingxuan/2/b869c1bf1e6a66f3aa2f30795f81b9eb.html","wapUrl": "https://www.med-credit.org.cn/jingxuan/2/b869c1bf1e6a66f3aa2f30795f81b9eb.html","mipUrl": "https://www.med-credit.org.cn/mobile/jingxuan/2/b869c1bf1e6a66f3aa2f30795f81b9eb.html","fromSrc": "欢乐橙","datePublished": "2023-03-29T10:32:19","domain": "医疗","category": ["医疗权威文章合作"],"description": "胎儿横位是胎位的一种,胎儿的身体纵轴与母亲的身体纵轴呈直角状态,不是病理性的,但是一种危险的胎位状态。
","extra_headline": [""]},"Author": {"name": "种轶文","wapUrl": "https://www.med-credit.org.cn/doctor/575","pcUrl": "https://www.med-credit.org.cn/doctor/575","jobTitle": "副主任医师","headPortrait": "https://www.med-credit.org.cn/uploadfile/member/575/180x180.jpeg","id": "575","description": "种轶文,北京大学第三医院妇产科副主任医师","memberOf": {"legalName": "北京大学第三医院","department": "妇产科","organizationLevel": "三级甲等"}},"Article": {"summaryContent": "胎儿横位是胎位的一种,胎儿的身体纵轴与母亲的身体纵轴呈直角状态,不是病理性的,但是一种危险的胎位状态。
引起胎儿横位的原因一般有子宫发育不良、羊水过多、早产、子宫畸形等。
正常的胎位多数为枕前位,横位胎儿位于骨盆的入口处,胎儿头部和臀部分别位于母体两侧髂凹处。胎儿足月生产时如果为横位则不能进行阴道分娩,会对母亲和胎儿都造成生命危险。但绝大部分的横位只是暂时的,妊娠晚期会自己转变为纵式。

一般横位胎儿常见于腹壁松弛的产妇。此外羊水过多时,由于本身胎儿的头比身体要重,胎儿呈头下臀上的姿态,慢慢的胎儿横卧在子宫内时则为横位。还有早产儿,其头部尚未转为向下也可导致横位。
避免横位或者其他不正的胎位孕妇可以采取一些预防措施,例如保持心情的愉悦,适当的运动,定期的产前检查,穿宽松的衣服,侧睡等。
","articleBody": "胎儿横位是胎位的一种,胎儿的身体纵轴与母亲的身体纵轴呈直角状态,不是病理性的,但是一种危险的胎位状态。
引起胎儿横位的原因一般有子宫发育不良、羊水过多、早产、子宫畸形等。
正常的胎位多数为枕前位,横位胎儿位于骨盆的入口处,胎儿头部和臀部分别位于母体两侧髂凹处。胎儿足月生产时如果为横位则不能进行阴道分娩,会对母亲和胎儿都造成生命危险。但绝大部分的横位只是暂时的,妊娠晚期会自己转变为纵式。

一般横位胎儿常见于腹壁松弛的产妇。此外羊水过多时,由于本身胎儿的头比身体要重,胎儿呈头下臀上的姿态,慢慢的胎儿横卧在子宫内时则为横位。还有早产儿,其头部尚未转为向下也可导致横位。
避免横位或者其他不正的胎位孕妇可以采取一些预防措施,例如保持心情的愉悦,适当的运动,定期的产前检查,穿宽松的衣服,侧睡等。
","scanCount": 56692}}} {"@context": "https://ziyuan.baidu.com/contexts/cambrian.jsonld","appid": "1650708455561748","icon": "https://www.med-credit.org.cn/style/images/ttlogo.png","content_tag": ["atlas"],"is_mcn": {"thumb_id": "v2rm41u3"},"accid": "4886d626a2804dee5f11168793ce361672f39c25","@id": "https://www.med-credit.org.cn/mobile/jingxuan/2/d78b09254d1d74557127e61f00e2ea93.html","bagWordId": "269_1558063575346450432","title": "怀孕一个多月宝宝是什么样的图片","pubDate": "2023-03-29T10:32:19","upDate": "2023-03-29T10:32:19","lrDate": "2023-03-29T10:32:19","description": "怀孕一个多月胎儿还处于细胞状态,这时候胎儿形状还没有长出来,无法知道胎儿大小,受精卵刚到达子宫腔,开始着床在B超下宫腔里甚至看不到胚胎。","data": {"WebPage": {"headline": "怀孕一个多月宝宝是什么样的图片","pcUrl": "https://www.med-credit.org.cn/jingxuan/2/d78b09254d1d74557127e61f00e2ea93.html","wapUrl": "https://www.med-credit.org.cn/jingxuan/2/d78b09254d1d74557127e61f00e2ea93.html","mipUrl": "https://www.med-credit.org.cn/mobile/jingxuan/2/d78b09254d1d74557127e61f00e2ea93.html","fromSrc": "欢乐橙","datePublished": "2023-03-29T10:32:19","domain": "医疗","category": ["医疗权威文章合作"],"description": "怀孕一个多月胎儿还处于细胞状态,这时候胎儿形状还没有长出来,无法知道胎儿大小,受精卵刚到达子宫腔,开始着床在B超下宫腔里甚至看不到胚胎。
","extra_headline": [""]},"Author": {"name": "种轶文","wapUrl": "https://www.med-credit.org.cn/doctor/575","pcUrl": "https://www.med-credit.org.cn/doctor/575","jobTitle": "副主任医师","headPortrait": "https://www.med-credit.org.cn/uploadfile/member/575/180x180.jpeg","id": "575","description": "种轶文,北京大学第三医院妇产科副主任医师","memberOf": {"legalName": "北京大学第三医院","department": "妇产科","organizationLevel": "三级甲等"}},"Article": {"summaryContent": "怀孕一个多月胎儿还处于细胞状态,这时候胎儿形状还没有长出来,无法知道胎儿大小,受精卵刚到达子宫腔,开始着床在B超下宫腔里甚至看不到胚胎。
怀孕一个月还没有形成胚芽和胎儿,只有很小的孕囊,一般平均直径为2mm左右。
怀孕早期了解胎儿大小是通过超声测量胚芽长度或顶臀径长度来判断的,怀孕中晚期一般是通过胎儿双顶径、股骨长、头围、腹围等测量值推算胎儿体重来判断大小的。

怀孕一个月只有相当于受孕两周,孕囊里面主要有少量的羊水、卵黄囊等,怀孕时间过短通过超声检查很难发现孕囊,一般超声检查也不显示孕囊大小。胚芽一般需要在怀孕5周以后才开始出现,就是早期的胚胎雏形。
怀孕40天左右,B超下可以看到孕囊大小,可以确定是宫内孕还是宫外孕。怀孕八周后才能发育成胚胎,这时通过B超可以算出胎儿大小。
孕早期胚胎非常娇嫩,容易受到内外环境影响,要特别注意防止流产。
","articleBody": "怀孕一个多月胎儿还处于细胞状态,这时候胎儿形状还没有长出来,无法知道胎儿大小,受精卵刚到达子宫腔,开始着床在B超下宫腔里甚至看不到胚胎。
怀孕一个月还没有形成胚芽和胎儿,只有很小的孕囊,一般平均直径为2mm左右。
怀孕早期了解胎儿大小是通过超声测量胚芽长度或顶臀径长度来判断的,怀孕中晚期一般是通过胎儿双顶径、股骨长、头围、腹围等测量值推算胎儿体重来判断大小的。

怀孕一个月只有相当于受孕两周,孕囊里面主要有少量的羊水、卵黄囊等,怀孕时间过短通过超声检查很难发现孕囊,一般超声检查也不显示孕囊大小。胚芽一般需要在怀孕5周以后才开始出现,就是早期的胚胎雏形。
怀孕40天左右,B超下可以看到孕囊大小,可以确定是宫内孕还是宫外孕。怀孕八周后才能发育成胚胎,这时通过B超可以算出胎儿大小。
孕早期胚胎非常娇嫩,容易受到内外环境影响,要特别注意防止流产。
","scanCount": 56691}}} {"@context": "https://ziyuan.baidu.com/contexts/cambrian.jsonld","appid": "1650708455561748","icon": "https://www.med-credit.org.cn/style/images/ttlogo.png","content_tag": ["atlas"],"is_mcn": {"thumb_id": "v2rm41u3"},"accid": "4886d626a2804dee5f11168793ce361672f39c25","@id": "https://www.med-credit.org.cn/mobile/jingxuan/2/dd9521bff47b70b1ecee074dfab2c6bb.html","bagWordId": "269_1558063575505833984","title": "孕期初乳是什么颜色的图片","pubDate": "2023-03-29T10:32:19","upDate": "2023-03-29T10:32:19","lrDate": "2023-03-29T10:32:19","description": "孕期初乳通常呈黄色或橘黄色,含有较多蛋白质及抗体。","data": {"WebPage": {"headline": "孕期初乳是什么颜色的图片","pcUrl": "https://www.med-credit.org.cn/jingxuan/2/dd9521bff47b70b1ecee074dfab2c6bb.html","wapUrl": "https://www.med-credit.org.cn/jingxuan/2/dd9521bff47b70b1ecee074dfab2c6bb.html","mipUrl": "https://www.med-credit.org.cn/mobile/jingxuan/2/dd9521bff47b70b1ecee074dfab2c6bb.html","fromSrc": "欢乐橙","datePublished": "2023-03-29T10:32:19","domain": "医疗","category": ["医疗权威文章合作"],"description": "孕期初乳通常呈黄色或橘黄色,含有较多蛋白质及抗体。
","extra_headline": [""]},"Author": {"name": "种轶文","wapUrl": "https://www.med-credit.org.cn/doctor/575","pcUrl": "https://www.med-credit.org.cn/doctor/575","jobTitle": "副主任医师","headPortrait": "https://www.med-credit.org.cn/uploadfile/member/575/180x180.jpeg","id": "575","description": "种轶文,北京大学第三医院妇产科副主任医师","memberOf": {"legalName": "北京大学第三医院","department": "妇产科","organizationLevel": "三级甲等"}},"Article": {"summaryContent": "孕期初乳通常呈黄色或橘黄色,含有较多蛋白质及抗体。
初乳是在孕晚期及分娩后数天内乳房分泌的母乳,是新生儿浓缩的早期营养来源。

初乳可通过新生儿吸吮或其他挤奶方法刺激乳房分泌并排出。初乳比较浓稠,量少,刚开始分泌时仅数滴。先吸出的初乳较清亮、稀薄,内含丰富的蛋白质、乳糖、维生素、无机盐及水分。随后吸出初乳浓稠,颜色偏黄,其脂肪含量高,提供的能量增多。初乳中含有大量的抗体,也包含白细胞、多种维生素、生长因子等物质,为新生儿提供一天所需要的营养素,同时能有助于建立肠道免疫,预防乳糖不耐受。
出生后尽早进行早期母乳喂养,能刺激乳房分泌初乳。如新生儿早期吸引力弱,也可在产后最初几日每次哺乳时都用手挤出初乳哺喂新生儿,促进母乳从初乳向成熟乳过渡。
","articleBody": "孕期初乳通常呈黄色或橘黄色,含有较多蛋白质及抗体。
初乳是在孕晚期及分娩后数天内乳房分泌的母乳,是新生儿浓缩的早期营养来源。

初乳可通过新生儿吸吮或其他挤奶方法刺激乳房分泌并排出。初乳比较浓稠,量少,刚开始分泌时仅数滴。先吸出的初乳较清亮、稀薄,内含丰富的蛋白质、乳糖、维生素、无机盐及水分。随后吸出初乳浓稠,颜色偏黄,其脂肪含量高,提供的能量增多。初乳中含有大量的抗体,也包含白细胞、多种维生素、生长因子等物质,为新生儿提供一天所需要的营养素,同时能有助于建立肠道免疫,预防乳糖不耐受。
出生后尽早进行早期母乳喂养,能刺激乳房分泌初乳。如新生儿早期吸引力弱,也可在产后最初几日每次哺乳时都用手挤出初乳哺喂新生儿,促进母乳从初乳向成熟乳过渡。
","scanCount": 56690}}} {"@context": "https://ziyuan.baidu.com/contexts/cambrian.jsonld","appid": "1650708455561748","icon": "https://www.med-credit.org.cn/style/images/ttlogo.png","content_tag": ["atlas"],"is_mcn": {"thumb_id": "v2rm41u3"},"accid": "4886d626a2804dee5f11168793ce361672f39c25","@id": "https://www.med-credit.org.cn/mobile/jingxuan/2/ddffbe6b3527e330482a7c86d911ff96.html","bagWordId": "269_1558063575883321344","title": "孕中期出血伴有血凝块图片","pubDate": "2023-03-29T10:32:19","upDate": "2023-03-29T10:32:19","lrDate": "2023-03-29T10:32:19","description": "怀孕中期阴道出血伴有血凝块,常见原因有胎盘异常、先兆流产、炎症性疾病等。","data": {"WebPage": {"headline": "孕中期出血伴有血凝块图片","pcUrl": "https://www.med-credit.org.cn/jingxuan/2/ddffbe6b3527e330482a7c86d911ff96.html","wapUrl": "https://www.med-credit.org.cn/jingxuan/2/ddffbe6b3527e330482a7c86d911ff96.html","mipUrl": "https://www.med-credit.org.cn/mobile/jingxuan/2/ddffbe6b3527e330482a7c86d911ff96.html","fromSrc": "欢乐橙","datePublished": "2023-03-29T10:32:19","domain": "医疗","category": ["医疗权威文章合作"],"description": "怀孕中期阴道出血伴有血凝块,常见原因有胎盘异常、先兆流产、炎症性疾病等。
","extra_headline": [""]},"Author": {"name": "种轶文","wapUrl": "https://www.med-credit.org.cn/doctor/575","pcUrl": "https://www.med-credit.org.cn/doctor/575","jobTitle": "副主任医师","headPortrait": "https://www.med-credit.org.cn/uploadfile/member/575/180x180.jpeg","id": "575","description": "种轶文,北京大学第三医院妇产科副主任医师","memberOf": {"legalName": "北京大学第三医院","department": "妇产科","organizationLevel": "三级甲等"}},"Article": {"summaryContent": "怀孕中期阴道出血伴有血凝块,常见原因有胎盘异常、先兆流产、炎症性疾病等。
怀孕中期要注意补充营养、适当运动、定期产前检查等。

1、胎盘异常:常见胎盘因素,如前置胎盘、胎盘早剥等妊娠期并发症,无痛性阴道出血是胎盘异常导致的。
2、先兆流产:如果孕妇受到各种不良因素刺激,导致孕囊与子宫壁轻度分离引起先兆流产,局部组织毛细血管破裂出血,就可能引起怀孕以后阴道流血有血凝块。
3、炎症性疾病:在妊娠期,孕妇患有宫颈炎或者阴道炎时,出现少量的阴道出血伴有血凝块,常伴有阴道瘙痒、阴道分泌物异常。
1、补充营养:孕中期胎儿生长较快,要注意营养均衡;可以少吃多餐,吃鸡蛋、鱼、粗粮、肉类、新鲜蔬菜、水果、坚果。
2、适当运动:怀孕期间,没有异常情况,可以适当锻炼,散步、慢跑和太极,每次运动应尽可能控制在30分钟左右,这样可以增强孕妇的免疫能力,有助于后续的自然分娩。
3、定期产前检查:孕中期可以做NT检查、唐氏筛查、系统超声检查、糖耐量筛查等项目,从而了解胎儿是否存在染色体异常、胎儿发育畸形、妊娠期糖尿病等问题。
","articleBody": "怀孕中期阴道出血伴有血凝块,常见原因有胎盘异常、先兆流产、炎症性疾病等。
怀孕中期要注意补充营养、适当运动、定期产前检查等。

1、胎盘异常:常见胎盘因素,如前置胎盘、胎盘早剥等妊娠期并发症,无痛性阴道出血是胎盘异常导致的。
2、先兆流产:如果孕妇受到各种不良因素刺激,导致孕囊与子宫壁轻度分离引起先兆流产,局部组织毛细血管破裂出血,就可能引起怀孕以后阴道流血有血凝块。
3、炎症性疾病:在妊娠期,孕妇患有宫颈炎或者阴道炎时,出现少量的阴道出血伴有血凝块,常伴有阴道瘙痒、阴道分泌物异常。
1、补充营养:孕中期胎儿生长较快,要注意营养均衡;可以少吃多餐,吃鸡蛋、鱼、粗粮、肉类、新鲜蔬菜、水果、坚果。
2、适当运动:怀孕期间,没有异常情况,可以适当锻炼,散步、慢跑和太极,每次运动应尽可能控制在30分钟左右,这样可以增强孕妇的免疫能力,有助于后续的自然分娩。
3、定期产前检查:孕中期可以做NT检查、唐氏筛查、系统超声检查、糖耐量筛查等项目,从而了解胎儿是否存在染色体异常、胎儿发育畸形、妊娠期糖尿病等问题。
","scanCount": 56689}}} {"@context": "https://ziyuan.baidu.com/contexts/cambrian.jsonld","appid": "1650708455561748","icon": "https://www.med-credit.org.cn/style/images/ttlogo.png","content_tag": ["atlas"],"is_mcn": {"thumb_id": "v2rm41u3"},"accid": "4886d626a2804dee5f11168793ce361672f39c25","@id": "https://www.med-credit.org.cn/mobile/jingxuan/2/4027596b7b02709d1a075a1a57c4ba0c.html","bagWordId": "269_1558063576155951104","title": "孕妇霉菌症状图片","pubDate": "2023-03-29T10:32:19","upDate": "2023-03-29T10:32:19","lrDate": "2023-03-29T10:32:19","description": "孕期霉菌一般是由外阴阴道假丝酵母菌病引起的,主要表现为阴道分泌物异常并伴有外阴瘙痒等症。","data": {"WebPage": {"headline": "孕妇霉菌症状图片","pcUrl": "https://www.med-credit.org.cn/jingxuan/2/4027596b7b02709d1a075a1a57c4ba0c.html","wapUrl": "https://www.med-credit.org.cn/jingxuan/2/4027596b7b02709d1a075a1a57c4ba0c.html","mipUrl": "https://www.med-credit.org.cn/mobile/jingxuan/2/4027596b7b02709d1a075a1a57c4ba0c.html","fromSrc": "欢乐橙","datePublished": "2023-03-29T10:32:19","domain": "医疗","category": ["医疗权威文章合作"],"description": "孕期霉菌一般是由外阴阴道假丝酵母菌病引起的,主要表现为阴道分泌物异常并伴有外阴瘙痒等症。
","extra_headline": [""]},"Author": {"name": "种轶文","wapUrl": "https://www.med-credit.org.cn/doctor/575","pcUrl": "https://www.med-credit.org.cn/doctor/575","jobTitle": "副主任医师","headPortrait": "https://www.med-credit.org.cn/uploadfile/member/575/180x180.jpeg","id": "575","description": "种轶文,北京大学第三医院妇产科副主任医师","memberOf": {"legalName": "北京大学第三医院","department": "妇产科","organizationLevel": "三级甲等"}},"Article": {"summaryContent": "孕期霉菌一般是由外阴阴道假丝酵母菌病引起的,主要表现为阴道分泌物异常并伴有外阴瘙痒等症。
孕期外阴阴道假丝酵母菌病主要由假丝酵母菌引起。

1、症状:孕期外阴阴道假丝酵母菌病常表现为外阴或阴道内红肿,伴有明显烧灼感、瘙痒感,阴道分泌物增多,呈凝乳状、豆腐渣状或稀水状,并伴有腥臭味,部分患者还可能出现尿痛、尿频、尿急等症状。治疗不及时可能导致羊水感染、胎儿早产等严重后果,影响胎儿健康。
2、原因:孕期外阴阴道假丝酵母菌病主要是由于孕期女性自身免疫力降低,雌激素、孕激素水平升高,存在于体内的假丝酵母菌迅速繁殖、侵袭组织并引起炎症反应,孕晚期最为常见。
孕期外阴阴道假丝酵母菌病患者首先应去除其致病因素,控制血糖水平,保持局部的清洁与干燥,均衡营养结构,饮食以清淡为主,少食辛辣、油腻、生冷等刺激性食物,适当运动增强免疫力,避免性生活。必要时可配合药物治疗,具体用药需遵医嘱,切勿擅自用药。
","articleBody": "孕期霉菌一般是由外阴阴道假丝酵母菌病引起的,主要表现为阴道分泌物异常并伴有外阴瘙痒等症。
孕期外阴阴道假丝酵母菌病主要由假丝酵母菌引起。

1、症状:孕期外阴阴道假丝酵母菌病常表现为外阴或阴道内红肿,伴有明显烧灼感、瘙痒感,阴道分泌物增多,呈凝乳状、豆腐渣状或稀水状,并伴有腥臭味,部分患者还可能出现尿痛、尿频、尿急等症状。治疗不及时可能导致羊水感染、胎儿早产等严重后果,影响胎儿健康。
2、原因:孕期外阴阴道假丝酵母菌病主要是由于孕期女性自身免疫力降低,雌激素、孕激素水平升高,存在于体内的假丝酵母菌迅速繁殖、侵袭组织并引起炎症反应,孕晚期最为常见。
孕期外阴阴道假丝酵母菌病患者首先应去除其致病因素,控制血糖水平,保持局部的清洁与干燥,均衡营养结构,饮食以清淡为主,少食辛辣、油腻、生冷等刺激性食物,适当运动增强免疫力,避免性生活。必要时可配合药物治疗,具体用药需遵医嘱,切勿擅自用药。
","scanCount": 56688}}} {"@context": "https://ziyuan.baidu.com/contexts/cambrian.jsonld","appid": "1650708455561748","icon": "https://www.med-credit.org.cn/style/images/ttlogo.png","content_tag": ["atlas"],"is_mcn": {"thumb_id": "v2rm41u3"},"accid": "4886d626a2804dee5f11168793ce361672f39c25","@id": "https://www.med-credit.org.cn/mobile/jingxuan/2/05471cbd1fe0ce9213140fdfa9c15ab2.html","bagWordId": "269_1558063576210477056","title": "25周b超图片","pubDate": "2023-03-29T10:32:19","upDate": "2023-03-29T10:32:19","lrDate": "2023-03-29T10:32:19","description": "1.正确为孕后25周B超,孕后25周B超可见胎儿发育充分,身材比例匀称,各器官组织发育完善。","data": {"WebPage": {"headline": "25周b超图片","pcUrl": "https://www.med-credit.org.cn/jingxuan/2/05471cbd1fe0ce9213140fdfa9c15ab2.html","wapUrl": "https://www.med-credit.org.cn/jingxuan/2/05471cbd1fe0ce9213140fdfa9c15ab2.html","mipUrl": "https://www.med-credit.org.cn/mobile/jingxuan/2/05471cbd1fe0ce9213140fdfa9c15ab2.html","fromSrc": "欢乐橙","datePublished": "2023-03-29T10:32:19","domain": "医疗","category": ["医疗权威文章合作"],"description": "1.正确为孕后25周B超,孕后25周B超可见胎儿发育充分,身材比例匀称,各器官组织发育完善。
","extra_headline": [""]},"Author": {"name": "种轶文","wapUrl": "https://www.med-credit.org.cn/doctor/575","pcUrl": "https://www.med-credit.org.cn/doctor/575","jobTitle": "副主任医师","headPortrait": "https://www.med-credit.org.cn/uploadfile/member/575/180x180.jpeg","id": "575","description": "种轶文,北京大学第三医院妇产科副主任医师","memberOf": {"legalName": "北京大学第三医院","department": "妇产科","organizationLevel": "三级甲等"}},"Article": {"summaryContent": "1.正确为孕后25周B超,孕后25周B超可见胎儿发育充分,身材比例匀称,各器官组织发育完善。
2.孕后25周的胎儿细胞分裂增值旺盛,喜欢与外界联系,此时可在B超下看到胎儿活动肢体、玩弄脐带等画面。
1.静态表现:孕后25周后B超可见胎儿长到30cm左右,重量约750g。此时胎儿已占据子宫不少的空间,但体形仍比较瘦,皮肤呈薄、半透明状态,身上表面覆盖一层细绒毛,皮肤可观察到皱褶。

2.动态表现:孕后25周B超可以捕捉到胎儿活动的画面,例如玩弄脐带、舞动四肢等。
1.孕后25周后胎儿开始喜欢和外界联系,此时适合环境胎教。
2.孕妇应注意不要偏食,多吃新鲜的蔬菜和水果,保持营养均衡,定期复查产检,密切观察胎儿的生育情况,合理饮食,保持良好心情,适当进行运动。
","articleBody": "1.正确为孕后25周B超,孕后25周B超可见胎儿发育充分,身材比例匀称,各器官组织发育完善。
2.孕后25周的胎儿细胞分裂增值旺盛,喜欢与外界联系,此时可在B超下看到胎儿活动肢体、玩弄脐带等画面。
1.静态表现:孕后25周后B超可见胎儿长到30cm左右,重量约750g。此时胎儿已占据子宫不少的空间,但体形仍比较瘦,皮肤呈薄、半透明状态,身上表面覆盖一层细绒毛,皮肤可观察到皱褶。

2.动态表现:孕后25周B超可以捕捉到胎儿活动的画面,例如玩弄脐带、舞动四肢等。
1.孕后25周后胎儿开始喜欢和外界联系,此时适合环境胎教。
2.孕妇应注意不要偏食,多吃新鲜的蔬菜和水果,保持营养均衡,定期复查产检,密切观察胎儿的生育情况,合理饮食,保持良好心情,适当进行运动。
","scanCount": 56687}}} {"@context": "https://ziyuan.baidu.com/contexts/cambrian.jsonld","appid": "1650708455561748","icon": "https://www.med-credit.org.cn/style/images/ttlogo.png","content_tag": ["atlas"],"is_mcn": {"thumb_id": "v2rm41u3"},"accid": "4886d626a2804dee5f11168793ce361672f39c25","@id": "https://www.med-credit.org.cn/mobile/jingxuan/2/5527f824e364df56aff85c0ce2bf252d.html","bagWordId": "269_1558063576315334656","title": "胎盘和胎膜的结构图","pubDate": "2023-03-29T10:32:19","upDate": "2023-03-29T10:32:19","lrDate": "2023-03-29T10:32:19","description": "胎盘包含胎儿部分及母体部分,由叶状绒毛膜、羊膜和底蜕膜组成。","data": {"WebPage": {"headline": "胎盘和胎膜的结构图","pcUrl": "https://www.med-credit.org.cn/jingxuan/2/5527f824e364df56aff85c0ce2bf252d.html","wapUrl": "https://www.med-credit.org.cn/jingxuan/2/5527f824e364df56aff85c0ce2bf252d.html","mipUrl": "https://www.med-credit.org.cn/mobile/jingxuan/2/5527f824e364df56aff85c0ce2bf252d.html","fromSrc": "欢乐橙","datePublished": "2023-03-29T10:32:19","domain": "医疗","category": ["医疗权威文章合作"],"description": "胎盘包含胎儿部分及母体部分,由叶状绒毛膜、羊膜和底蜕膜组成。
","extra_headline": [""]},"Author": {"name": "种轶文","wapUrl": "https://www.med-credit.org.cn/doctor/575","pcUrl": "https://www.med-credit.org.cn/doctor/575","jobTitle": "副主任医师","headPortrait": "https://www.med-credit.org.cn/uploadfile/member/575/180x180.jpeg","id": "575","description": "种轶文,北京大学第三医院妇产科副主任医师","memberOf": {"legalName": "北京大学第三医院","department": "妇产科","organizationLevel": "三级甲等"}},"Article": {"summaryContent": "胎盘包含胎儿部分及母体部分,由叶状绒毛膜、羊膜和底蜕膜组成。
胎膜是由羊膜和绒毛膜组成,胎盘和胎膜均属于胎儿附属器。
1、胎盘一般呈圆形或椭圆形,中间厚边缘薄,脐带血管从附着点向四周分散,达胎盘边缘。胎盘的胎儿面位于胎盘最内层,由羊膜构成,为半透明薄膜,有一定弹性。叶状绒毛膜构成胎盘的胎儿部分,底蜕膜则构成胎盘的母体部分。胎盘血管伸入各小叶,相邻的绒毛间隙之间形成胎盘隔将胎盘母体面分隔成表面凹凸不平、暗红色的胎盘小叶。

2、胎膜是一般分为内外两层,外层为因营养缺乏退化萎缩形成的平滑绒毛膜,内层为无血管的羊膜。
1、胎盘的主要功能包括气体交换,为胎儿提供营养物质并排出废物,防御及合成功能,
2、胎膜可维持羊水平衡,参与甾体激素代谢,在分娩发动上有一定作用。
","articleBody": "胎盘包含胎儿部分及母体部分,由叶状绒毛膜、羊膜和底蜕膜组成。
胎膜是由羊膜和绒毛膜组成,胎盘和胎膜均属于胎儿附属器。
1、胎盘一般呈圆形或椭圆形,中间厚边缘薄,脐带血管从附着点向四周分散,达胎盘边缘。胎盘的胎儿面位于胎盘最内层,由羊膜构成,为半透明薄膜,有一定弹性。叶状绒毛膜构成胎盘的胎儿部分,底蜕膜则构成胎盘的母体部分。胎盘血管伸入各小叶,相邻的绒毛间隙之间形成胎盘隔将胎盘母体面分隔成表面凹凸不平、暗红色的胎盘小叶。

2、胎膜是一般分为内外两层,外层为因营养缺乏退化萎缩形成的平滑绒毛膜,内层为无血管的羊膜。
1、胎盘的主要功能包括气体交换,为胎儿提供营养物质并排出废物,防御及合成功能,
2、胎膜可维持羊水平衡,参与甾体激素代谢,在分娩发动上有一定作用。
","scanCount": 56686}}} {"@context": "https://ziyuan.baidu.com/contexts/cambrian.jsonld","appid": "1650708455561748","icon": "https://www.med-credit.org.cn/style/images/ttlogo.png","content_tag": ["atlas"],"is_mcn": {"thumb_id": "v2rm41u3"},"accid": "4886d626a2804dee5f11168793ce361672f39c25","@id": "https://www.med-credit.org.cn/mobile/jingxuan/2/abfd7f95574bf816a36713dee1baa5a9.html","bagWordId": "269_1558063576470523904","title": "剖腹产粘连图片","pubDate": "2023-03-29T10:32:19","upDate": "2023-03-29T10:32:19","lrDate": "2023-03-29T10:32:19","description": "剖腹产粘连一般是指进行剖腹产手术后发生在手术刀口处的粘连,可以发生在子宫伤痕间,也会发生在膀胱壁之间。","data": {"WebPage": {"headline": "剖腹产粘连图片","pcUrl": "https://www.med-credit.org.cn/jingxuan/2/abfd7f95574bf816a36713dee1baa5a9.html","wapUrl": "https://www.med-credit.org.cn/jingxuan/2/abfd7f95574bf816a36713dee1baa5a9.html","mipUrl": "https://www.med-credit.org.cn/mobile/jingxuan/2/abfd7f95574bf816a36713dee1baa5a9.html","fromSrc": "欢乐橙","datePublished": "2023-03-29T10:32:19","domain": "医疗","category": ["医疗权威文章合作"],"description": "剖腹产粘连一般是指进行剖腹产手术后发生在手术刀口处的粘连,可以发生在子宫伤痕间,也会发生在膀胱壁之间。
","extra_headline": [""]},"Author": {"name": "种轶文","wapUrl": "https://www.med-credit.org.cn/doctor/575","pcUrl": "https://www.med-credit.org.cn/doctor/575","jobTitle": "副主任医师","headPortrait": "https://www.med-credit.org.cn/uploadfile/member/575/180x180.jpeg","id": "575","description": "种轶文,北京大学第三医院妇产科副主任医师","memberOf": {"legalName": "北京大学第三医院","department": "妇产科","organizationLevel": "三级甲等"}},"Article": {"summaryContent": "剖腹产粘连一般是指进行剖腹产手术后发生在手术刀口处的粘连,可以发生在子宫伤痕间,也会发生在膀胱壁之间。
发生剖腹产粘连的原因一般是由手术伤口的愈合不好造成的。

剖腹产造成的腹腔粘连最常见的就是手术伤口的粘连,因为手术伤口低,受重力的原因肠管会下垂,从而易导致粘连,粘连可能导致产后妇女发生痉挛,肠管牵拉成团。而且随着剖腹产的次数增加,粘连的可能性也会加大,所导致的后果也会更严重,甚至损伤女性的膀胱和子宫,以及再怀孕还会危及母子的安全。
剖腹产粘连是由于腹腔在手术后,周围局部会有纤维蛋白原的渗出,随之其凝结为纤维蛋白覆盖在伤口处,发挥修护和保护的作用,纤维蛋白的黏附作用就会使得腹腔发生粘连。但如果在术后,机体很好的吸收了这些纤维蛋白,就不会有粘连的发生,否则粘连持续存在可能转化为机化性粘连,更难吸收。
剖腹产后的护理是十分重要的,在休息之余也要适当下床走动,提高身体免疫力,对粘连的发生能够起到一定的预防作用。
","articleBody": "剖腹产粘连一般是指进行剖腹产手术后发生在手术刀口处的粘连,可以发生在子宫伤痕间,也会发生在膀胱壁之间。
发生剖腹产粘连的原因一般是由手术伤口的愈合不好造成的。

剖腹产造成的腹腔粘连最常见的就是手术伤口的粘连,因为手术伤口低,受重力的原因肠管会下垂,从而易导致粘连,粘连可能导致产后妇女发生痉挛,肠管牵拉成团。而且随着剖腹产的次数增加,粘连的可能性也会加大,所导致的后果也会更严重,甚至损伤女性的膀胱和子宫,以及再怀孕还会危及母子的安全。
剖腹产粘连是由于腹腔在手术后,周围局部会有纤维蛋白原的渗出,随之其凝结为纤维蛋白覆盖在伤口处,发挥修护和保护的作用,纤维蛋白的黏附作用就会使得腹腔发生粘连。但如果在术后,机体很好的吸收了这些纤维蛋白,就不会有粘连的发生,否则粘连持续存在可能转化为机化性粘连,更难吸收。
剖腹产后的护理是十分重要的,在休息之余也要适当下床走动,提高身体免疫力,对粘连的发生能够起到一定的预防作用。
","scanCount": 56685}}} {"@context": "https://ziyuan.baidu.com/contexts/cambrian.jsonld","appid": "1650708455561748","icon": "https://www.med-credit.org.cn/style/images/ttlogo.png","content_tag": ["atlas"],"is_mcn": {"thumb_id": "v2rm41u3"},"accid": "4886d626a2804dee5f11168793ce361672f39c25","@id": "https://www.med-credit.org.cn/mobile/jingxuan/2/03f7b7c384c415c5b0a13d77ada3ace1.html","bagWordId": "269_1558063576680239104","title": "怀孕弱阳性和阳性的区别图片","pubDate": "2023-03-29T10:32:19","upDate": "2023-03-29T10:32:19","lrDate": "2023-03-29T10:32:19","description": "怀孕弱阳性表明有可能怀孕,需要进一步检查,建议在三天以后再检测一次。怀孕阳性表明已经怀孕。","data": {"WebPage": {"headline": "怀孕弱阳性和阳性的区别图片","pcUrl": "https://www.med-credit.org.cn/jingxuan/2/03f7b7c384c415c5b0a13d77ada3ace1.html","wapUrl": "https://www.med-credit.org.cn/jingxuan/2/03f7b7c384c415c5b0a13d77ada3ace1.html","mipUrl": "https://www.med-credit.org.cn/mobile/jingxuan/2/03f7b7c384c415c5b0a13d77ada3ace1.html","fromSrc": "欢乐橙","datePublished": "2023-03-29T10:32:19","domain": "医疗","category": ["医疗权威文章合作"],"description": "怀孕弱阳性表明有可能怀孕,需要进一步检查,建议在三天以后再检测一次。怀孕阳性表明已经怀孕。
","extra_headline": [""]},"Author": {"name": "种轶文","wapUrl": "https://www.med-credit.org.cn/doctor/575","pcUrl": "https://www.med-credit.org.cn/doctor/575","jobTitle": "副主任医师","headPortrait": "https://www.med-credit.org.cn/uploadfile/member/575/180x180.jpeg","id": "575","description": "种轶文,北京大学第三医院妇产科副主任医师","memberOf": {"legalName": "北京大学第三医院","department": "妇产科","organizationLevel": "三级甲等"}},"Article": {"summaryContent": "怀孕弱阳性表明有可能怀孕,需要进一步检查,建议在三天以后再检测一次。怀孕阳性表明已经怀孕。
怀孕弱阳性与阳性都是早孕试纸的表现,早孕试纸上有两条杠,一深一浅表示弱阳性,两条杠一样深表示阳性。


1、可能正常怀孕:弱阳性是因为怀孕时间过短,尿HCG含量低,不能明确诊断,可以过3~4 天再测试或查血HCG明确诊断。
2、可能异常妊娠:如生化妊娠,怀孕后孕卵没有正常着床。宫外孕,孕卵种植宫腔以外,这两种情况都会导致尿HCG含量低,导致弱阳性。
3、测试误差:测试方法不正确,试纸质量不合格都会出现假阳性。
弱阳性指的是检查的结果未能完全确定,需要再次进行检查,如果是宫外孕,也可能会表现为弱阳性,弱阳性患者要及时就诊进行二次检查。测试弱阳性,需要去医院查血HCG以明确诊断,以免出现不良后果。
","articleBody": "怀孕弱阳性表明有可能怀孕,需要进一步检查,建议在三天以后再检测一次。怀孕阳性表明已经怀孕。
怀孕弱阳性与阳性都是早孕试纸的表现,早孕试纸上有两条杠,一深一浅表示弱阳性,两条杠一样深表示阳性。


1、可能正常怀孕:弱阳性是因为怀孕时间过短,尿HCG含量低,不能明确诊断,可以过3~4 天再测试或查血HCG明确诊断。
2、可能异常妊娠:如生化妊娠,怀孕后孕卵没有正常着床。宫外孕,孕卵种植宫腔以外,这两种情况都会导致尿HCG含量低,导致弱阳性。
3、测试误差:测试方法不正确,试纸质量不合格都会出现假阳性。
弱阳性指的是检查的结果未能完全确定,需要再次进行检查,如果是宫外孕,也可能会表现为弱阳性,弱阳性患者要及时就诊进行二次检查。测试弱阳性,需要去医院查血HCG以明确诊断,以免出现不良后果。
","scanCount": 56684}}} {"@context": "https://ziyuan.baidu.com/contexts/cambrian.jsonld","appid": "1650708455561748","icon": "https://www.med-credit.org.cn/style/images/ttlogo.png","content_tag": ["atlas"],"is_mcn": {"thumb_id": "v2rm41u3"},"accid": "4886d626a2804dee5f11168793ce361672f39c25","@id": "https://www.med-credit.org.cn/mobile/jingxuan/2/d8a78487af1c4a86733a6696b8cf152d.html","bagWordId": "269_1558063576994811904","title": "胎盘解剖结构示意图","pubDate": "2023-03-29T10:32:19","upDate": "2023-03-29T10:32:19","lrDate": "2023-03-29T10:32:19","description": "1、胎盘由内向外分为羊膜层、叶状绒毛膜、底蜕膜。","data": {"WebPage": {"headline": "胎盘解剖结构示意图","pcUrl": "https://www.med-credit.org.cn/jingxuan/2/d8a78487af1c4a86733a6696b8cf152d.html","wapUrl": "https://www.med-credit.org.cn/jingxuan/2/d8a78487af1c4a86733a6696b8cf152d.html","mipUrl": "https://www.med-credit.org.cn/mobile/jingxuan/2/d8a78487af1c4a86733a6696b8cf152d.html","fromSrc": "欢乐橙","datePublished": "2023-03-29T10:32:19","domain": "医疗","category": ["医疗权威文章合作"],"description": "1、胎盘由内向外分为羊膜层、叶状绒毛膜、底蜕膜。
","extra_headline": [""]},"Author": {"name": "种轶文","wapUrl": "https://www.med-credit.org.cn/doctor/575","pcUrl": "https://www.med-credit.org.cn/doctor/575","jobTitle": "副主任医师","headPortrait": "https://www.med-credit.org.cn/uploadfile/member/575/180x180.jpeg","id": "575","description": "种轶文,北京大学第三医院妇产科副主任医师","memberOf": {"legalName": "北京大学第三医院","department": "妇产科","organizationLevel": "三级甲等"}},"Article": {"summaryContent": "1、胎盘由内向外分为羊膜层、叶状绒毛膜、底蜕膜。
2、胎盘是胎儿与母亲进行物质交换的重要器官,在子宫中发育的胎儿依靠胎盘从母亲获得营养。
1、羊膜构成胎盘最内层部分,是一层光滑半透明,且有弹性的薄膜,其中无血管、神经及淋巴。

2、叶状绒毛膜是胎盘的最主要部分,在此处胎儿血液经脐动脉到绒毛毛细血管,并与绒毛间隙的母血进行物质交换,给胎儿提供氧气和营养。叶状绒毛膜和羊膜共同构成胎盘的胎儿部分。
3、底蜕膜贴近子宫肌层,构成胎盘母体部分。与表面覆盖的一层来自固定绒毛的滋养层细胞,一起形成绒毛间隙的底,称为蜕膜板,从此处向绒毛膜方向伸出蜕膜间隔,将胎盘母体面分成约20个母体叶。
羊膜可分泌羊水,而羊水具有润滑胎儿、防止黏连的作用,随着胎儿生长发育,羊膜可参与形成胎膜。叶状绒毛膜是母胎物质交换的主要部分,其中的绒毛构成胎盘屏障,避免细菌病毒等有害物质进入胎儿体内。底蜕膜可分泌多种激素、酶和细胞因子,促进和调节胎儿生长发育,如发生缺失可能会引起分娩大出血。
","articleBody": "1、胎盘由内向外分为羊膜层、叶状绒毛膜、底蜕膜。
2、胎盘是胎儿与母亲进行物质交换的重要器官,在子宫中发育的胎儿依靠胎盘从母亲获得营养。
1、羊膜构成胎盘最内层部分,是一层光滑半透明,且有弹性的薄膜,其中无血管、神经及淋巴。

2、叶状绒毛膜是胎盘的最主要部分,在此处胎儿血液经脐动脉到绒毛毛细血管,并与绒毛间隙的母血进行物质交换,给胎儿提供氧气和营养。叶状绒毛膜和羊膜共同构成胎盘的胎儿部分。
3、底蜕膜贴近子宫肌层,构成胎盘母体部分。与表面覆盖的一层来自固定绒毛的滋养层细胞,一起形成绒毛间隙的底,称为蜕膜板,从此处向绒毛膜方向伸出蜕膜间隔,将胎盘母体面分成约20个母体叶。
羊膜可分泌羊水,而羊水具有润滑胎儿、防止黏连的作用,随着胎儿生长发育,羊膜可参与形成胎膜。叶状绒毛膜是母胎物质交换的主要部分,其中的绒毛构成胎盘屏障,避免细菌病毒等有害物质进入胎儿体内。底蜕膜可分泌多种激素、酶和细胞因子,促进和调节胎儿生长发育,如发生缺失可能会引起分娩大出血。
","scanCount": 56683}}} {"@context": "https://ziyuan.baidu.com/contexts/cambrian.jsonld","appid": "1650708455561748","icon": "https://www.med-credit.org.cn/style/images/ttlogo.png","content_tag": ["atlas"],"is_mcn": {"thumb_id": "v2rm41u3"},"accid": "4886d626a2804dee5f11168793ce361672f39c25","@id": "https://www.med-credit.org.cn/mobile/jingxuan/2/9cf90cc8209d94f074b4092c87fe0983.html","bagWordId": "269_1558063577049337856","title": "15周流产下来胎儿图片","pubDate": "2023-03-29T10:32:19","upDate": "2023-03-29T10:32:19","lrDate": "2023-03-29T10:32:19","description": "妊娠12周以前发生的流产都为早期流产,发生在妊娠12周至不足28周者称晚期流产,15周流产称为晚期流产。此时胎儿已经初具人形,开始有一些细节器官的形成。","data": {"WebPage": {"headline": "15周流产下来胎儿图片","pcUrl": "https://www.med-credit.org.cn/jingxuan/2/9cf90cc8209d94f074b4092c87fe0983.html","wapUrl": "https://www.med-credit.org.cn/jingxuan/2/9cf90cc8209d94f074b4092c87fe0983.html","mipUrl": "https://www.med-credit.org.cn/mobile/jingxuan/2/9cf90cc8209d94f074b4092c87fe0983.html","fromSrc": "欢乐橙","datePublished": "2023-03-29T10:32:19","domain": "医疗","category": ["医疗权威文章合作"],"description": "妊娠12周以前发生的流产都为早期流产,发生在妊娠12周至不足28周者称晚期流产,15周流产称为晚期流产。此时胎儿已经初具人形,开始有一些细节器官的形成。
","extra_headline": [""]},"Author": {"name": "种轶文","wapUrl": "https://www.med-credit.org.cn/doctor/575","pcUrl": "https://www.med-credit.org.cn/doctor/575","jobTitle": "副主任医师","headPortrait": "https://www.med-credit.org.cn/uploadfile/member/575/180x180.jpeg","id": "575","description": "种轶文,北京大学第三医院妇产科副主任医师","memberOf": {"legalName": "北京大学第三医院","department": "妇产科","organizationLevel": "三级甲等"}},"Article": {"summaryContent": "妊娠12周以前发生的流产都为早期流产,发生在妊娠12周至不足28周者称晚期流产,15周流产称为晚期流产。此时胎儿已经初具人形,开始有一些细节器官的形成。
流产的发生有遗产因素也有外界环境因素以及母亲自己身体因素导致的。

孕15周流产的胎儿此时的胎儿已有人形,而且胎儿开始长眉毛了。这时胎儿的皮肤还很薄,表面开始被胎毛覆盖,并且这些胎毛能起到保暖的作用。到15周时胎儿也开始有了听力,但是还并不能听清外面的人说的是什么。而且这时候的胎儿可以在羊水中游泳了,还能通过羊水听见妈妈的心跳声。
有一些孕妇流产是先天性的遗传因素,此外孕妇过多的接触有害化学物质例如甲醛、氯丁二烯等也会对胎儿造成直接或者间接的影响。还有孕妇本身患有某些全身性疾病或者生殖器官疾病、内分失调、创伤等也会导致流产。
孕妇一定要保持心情舒畅、均衡营养膳食、不可做剧烈运动、定期到医院检查,来避免流产等的发生。
","articleBody": "妊娠12周以前发生的流产都为早期流产,发生在妊娠12周至不足28周者称晚期流产,15周流产称为晚期流产。此时胎儿已经初具人形,开始有一些细节器官的形成。
流产的发生有遗产因素也有外界环境因素以及母亲自己身体因素导致的。

孕15周流产的胎儿此时的胎儿已有人形,而且胎儿开始长眉毛了。这时胎儿的皮肤还很薄,表面开始被胎毛覆盖,并且这些胎毛能起到保暖的作用。到15周时胎儿也开始有了听力,但是还并不能听清外面的人说的是什么。而且这时候的胎儿可以在羊水中游泳了,还能通过羊水听见妈妈的心跳声。
有一些孕妇流产是先天性的遗传因素,此外孕妇过多的接触有害化学物质例如甲醛、氯丁二烯等也会对胎儿造成直接或者间接的影响。还有孕妇本身患有某些全身性疾病或者生殖器官疾病、内分失调、创伤等也会导致流产。
孕妇一定要保持心情舒畅、均衡营养膳食、不可做剧烈运动、定期到医院检查,来避免流产等的发生。
","scanCount": 56682}}} {"@context": "https://ziyuan.baidu.com/contexts/cambrian.jsonld","appid": "1650708455561748","icon": "https://www.med-credit.org.cn/style/images/ttlogo.png","content_tag": ["atlas"],"is_mcn": {"thumb_id": "v2rm41u3"},"accid": "4886d626a2804dee5f11168793ce361672f39c25","@id": "https://www.med-credit.org.cn/mobile/jingxuan/2/069e997930f04050a04404ecee10ccae.html","bagWordId": "269_1558063577531682816","title": "孕70天胎儿发育图像","pubDate": "2023-03-29T10:32:19","upDate": "2023-03-29T10:32:19","lrDate": "2023-03-29T10:32:19","description": "孕70天,按怀孕周数来计算的话,是孕10周,这时候胎儿头臀径大概在2.2-2.5cm。","data": {"WebPage": {"headline": "孕70天胎儿发育图像","pcUrl": "https://www.med-credit.org.cn/jingxuan/2/069e997930f04050a04404ecee10ccae.html","wapUrl": "https://www.med-credit.org.cn/jingxuan/2/069e997930f04050a04404ecee10ccae.html","mipUrl": "https://www.med-credit.org.cn/mobile/jingxuan/2/069e997930f04050a04404ecee10ccae.html","fromSrc": "欢乐橙","datePublished": "2023-03-29T10:32:19","domain": "医疗","category": ["医疗权威文章合作"],"description": "孕70天,按怀孕周数来计算的话,是孕10周,这时候胎儿头臀径大概在2.2-2.5cm。
","extra_headline": [""]},"Author": {"name": "种轶文","wapUrl": "https://www.med-credit.org.cn/doctor/575","pcUrl": "https://www.med-credit.org.cn/doctor/575","jobTitle": "副主任医师","headPortrait": "https://www.med-credit.org.cn/uploadfile/member/575/180x180.jpeg","id": "575","description": "种轶文,北京大学第三医院妇产科副主任医师","memberOf": {"legalName": "北京大学第三医院","department": "妇产科","organizationLevel": "三级甲等"}},"Article": {"summaryContent": "孕70天,按怀孕周数来计算的话,是孕10周,这时候胎儿头臀径大概在2.2-2.5cm。
孕期每个胎儿发育标准也不是相同,有些差异也是正常,一般怀孕10周,胎儿大概2.2-2.5cm,这时候是B超检测的胎芽的长度。
1、怀孕10周时,胚胎已经开始发育成胎儿,这时候已经具有身体的各个器官都开始发育,皮肤是透明色的。这时候子宫会有压迫膀胱,会造成孕妇有尿频症状。

2、怀孕10周是胎儿神经系统发育的关键时期,这段时间要避免接触有毒的化学物品或长时间处于放射性的环境中。
3、在彩超检查下,胎儿占满整个宫腔,轮廓清晰,胎盘也开始出现。注意不要劳累,做好孕期各方面产检即可。合理膳食,增加营养。
1、孕妇这段时间要保证足够的休息,要及时补充叶酸,饮食方面需要吃有营养的食物,如瘦肉、鱼肉、鸡蛋、苹果、香蕉等,不能吃辣椒、芥末、花椒等辛辣刺激的食物。
2、要禁止同房,禁止剧烈运动,并要尽量卧床休息,避免熬夜劳累,而且要随时观察有无腹痛,以及阴道异常出血情况。
","articleBody": "孕70天,按怀孕周数来计算的话,是孕10周,这时候胎儿头臀径大概在2.2-2.5cm。
孕期每个胎儿发育标准也不是相同,有些差异也是正常,一般怀孕10周,胎儿大概2.2-2.5cm,这时候是B超检测的胎芽的长度。
1、怀孕10周时,胚胎已经开始发育成胎儿,这时候已经具有身体的各个器官都开始发育,皮肤是透明色的。这时候子宫会有压迫膀胱,会造成孕妇有尿频症状。

2、怀孕10周是胎儿神经系统发育的关键时期,这段时间要避免接触有毒的化学物品或长时间处于放射性的环境中。
3、在彩超检查下,胎儿占满整个宫腔,轮廓清晰,胎盘也开始出现。注意不要劳累,做好孕期各方面产检即可。合理膳食,增加营养。
1、孕妇这段时间要保证足够的休息,要及时补充叶酸,饮食方面需要吃有营养的食物,如瘦肉、鱼肉、鸡蛋、苹果、香蕉等,不能吃辣椒、芥末、花椒等辛辣刺激的食物。
2、要禁止同房,禁止剧烈运动,并要尽量卧床休息,避免熬夜劳累,而且要随时观察有无腹痛,以及阴道异常出血情况。
","scanCount": 56681}}} {"@context": "https://ziyuan.baidu.com/contexts/cambrian.jsonld","appid": "1650708455561748","icon": "https://www.med-credit.org.cn/style/images/ttlogo.png","content_tag": ["atlas"],"is_mcn": {"thumb_id": "v2rm41u3"},"accid": "4886d626a2804dee5f11168793ce361672f39c25","@id": "https://www.med-credit.org.cn/mobile/jingxuan/2/c3335eef54b876acaf3813a32a442e37.html","bagWordId": "269_1558063577795923968","title": "胎盘低图片","pubDate": "2023-03-29T10:32:19","upDate": "2023-03-29T10:32:19","lrDate": "2023-03-29T10:32:19","description": "胎盘低在医学上称为胎盘低置状态,低置胎盘是前置胎盘的一种。低置的胎盘是指处于子宫内下面,接近宫颈口的位置。","data": {"WebPage": {"headline": "胎盘低图片","pcUrl": "https://www.med-credit.org.cn/jingxuan/2/c3335eef54b876acaf3813a32a442e37.html","wapUrl": "https://www.med-credit.org.cn/jingxuan/2/c3335eef54b876acaf3813a32a442e37.html","mipUrl": "https://www.med-credit.org.cn/mobile/jingxuan/2/c3335eef54b876acaf3813a32a442e37.html","fromSrc": "欢乐橙","datePublished": "2023-03-29T10:32:19","domain": "医疗","category": ["医疗权威文章合作"],"description": "胎盘低在医学上称为胎盘低置状态,低置胎盘是前置胎盘的一种。低置的胎盘是指处于子宫内下面,接近宫颈口的位置。
","extra_headline": [""]},"Author": {"name": "种轶文","wapUrl": "https://www.med-credit.org.cn/doctor/575","pcUrl": "https://www.med-credit.org.cn/doctor/575","jobTitle": "副主任医师","headPortrait": "https://www.med-credit.org.cn/uploadfile/member/575/180x180.jpeg","id": "575","description": "种轶文,北京大学第三医院妇产科副主任医师","memberOf": {"legalName": "北京大学第三医院","department": "妇产科","organizationLevel": "三级甲等"}},"Article": {"summaryContent": "胎盘低在医学上称为胎盘低置状态,低置胎盘是前置胎盘的一种。低置的胎盘是指处于子宫内下面,接近宫颈口的位置。
胎盘低置一般是由于子宫内胚胎着床位置低而造成的。
一般正常的受精胚胎位于子宫内部,如果受精胚胎在子宫内着床很低,胚胎发育生长变得越来越大后就会处于子宫内较下的位置,接近宫颈口,但是并不会覆盖,这就是胎盘低置状态,也叫边缘性前置胎盘。

低置的胎盘在孕晚期或者是临产时,由于子宫下面部分伸展,宫颈管的消失,宫颈口扩大,会从原来的附着处剥离,同时会发生血管的破裂,阴道出现流血的现象。流血过多时会导致孕妇贫血甚至休克,从而胎儿发生缺血缺氧、呼吸窘迫甚至死亡等。此外还容易导致引发产妇的产褥感染。
有胎盘低置状态的孕妇一定不要产生焦虑情绪,要进行自我保健。切记不可做剧烈运动,尤其是下蹲。要定期到医院检查、严密观察病情的发展,如果出现了大出血或者反复出血要根据具体情况考虑终止妊娠。
","articleBody": "胎盘低在医学上称为胎盘低置状态,低置胎盘是前置胎盘的一种。低置的胎盘是指处于子宫内下面,接近宫颈口的位置。
胎盘低置一般是由于子宫内胚胎着床位置低而造成的。
一般正常的受精胚胎位于子宫内部,如果受精胚胎在子宫内着床很低,胚胎发育生长变得越来越大后就会处于子宫内较下的位置,接近宫颈口,但是并不会覆盖,这就是胎盘低置状态,也叫边缘性前置胎盘。

低置的胎盘在孕晚期或者是临产时,由于子宫下面部分伸展,宫颈管的消失,宫颈口扩大,会从原来的附着处剥离,同时会发生血管的破裂,阴道出现流血的现象。流血过多时会导致孕妇贫血甚至休克,从而胎儿发生缺血缺氧、呼吸窘迫甚至死亡等。此外还容易导致引发产妇的产褥感染。
有胎盘低置状态的孕妇一定不要产生焦虑情绪,要进行自我保健。切记不可做剧烈运动,尤其是下蹲。要定期到医院检查、严密观察病情的发展,如果出现了大出血或者反复出血要根据具体情况考虑终止妊娠。
","scanCount": 56680}}} {"@context": "https://ziyuan.baidu.com/contexts/cambrian.jsonld","appid": "1650708455561748","icon": "https://www.med-credit.org.cn/style/images/ttlogo.png","content_tag": ["atlas"],"is_mcn": {"thumb_id": "v2rm41u3"},"accid": "4886d626a2804dee5f11168793ce361672f39c25","@id": "https://www.med-credit.org.cn/mobile/jingxuan/2/27ec8baaf7a27e6ed8d38e1af32a2d48.html","bagWordId": "269_1558063578064359424","title": "无痛分娩针打在哪个部位图片","pubDate": "2023-03-29T10:32:19","upDate": "2023-03-29T10:32:19","lrDate": "2023-03-29T10:32:19","description": "1.无痛分娩针常选用的是椎管内给药,将镇痛药注射到脊椎内,继而脊髓得到抑制而缓解其支配区域疼痛。","data": {"WebPage": {"headline": "无痛分娩针打在哪个部位图片","pcUrl": "https://www.med-credit.org.cn/jingxuan/2/27ec8baaf7a27e6ed8d38e1af32a2d48.html","wapUrl": "https://www.med-credit.org.cn/jingxuan/2/27ec8baaf7a27e6ed8d38e1af32a2d48.html","mipUrl": "https://www.med-credit.org.cn/mobile/jingxuan/2/27ec8baaf7a27e6ed8d38e1af32a2d48.html","fromSrc": "欢乐橙","datePublished": "2023-03-29T10:32:19","domain": "医疗","category": ["医疗权威文章合作"],"description": "1.无痛分娩针常选用的是椎管内给药,将镇痛药注射到脊椎内,继而脊髓得到抑制而缓解其支配区域疼痛。
","extra_headline": [""]},"Author": {"name": "种轶文","wapUrl": "https://www.med-credit.org.cn/doctor/575","pcUrl": "https://www.med-credit.org.cn/doctor/575","jobTitle": "副主任医师","headPortrait": "https://www.med-credit.org.cn/uploadfile/member/575/180x180.jpeg","id": "575","description": "种轶文,北京大学第三医院妇产科副主任医师","memberOf": {"legalName": "北京大学第三医院","department": "妇产科","organizationLevel": "三级甲等"}},"Article": {"summaryContent": "1.无痛分娩针常选用的是椎管内给药,将镇痛药注射到脊椎内,继而脊髓得到抑制而缓解其支配区域疼痛。
2.无痛分娩针是一项简便、安全、成熟的技术。
1.方法:注射无痛分娩针的操作是由有经验的麻醉医师进行,是通过腰椎间隙进行穿刺成功后,在硬膜外注入少量局麻药物或阿片类药物,并通过一根细导管连接电子镇痛泵,根据产妇的疼痛的程度自我控制药物剂量。

2.优点:无痛分娩针具有安全、方便、药效持久、适合人群广等优点。无痛分娩针给药的剂量低、浓度低,对胎儿和产妇的影响极低,甚至可以减少胎儿缺血的风险;在无痛分娩针注射过程中,产妇可以下床活动、自我控制给药的剂量,非常方便;无痛分娩针注射几分钟后,产妇的宫缩痛就能降低,单次给药的药效能持续一个半小时左右,且大部分产妇都适合无痛分娩。
","articleBody": "1.无痛分娩针常选用的是椎管内给药,将镇痛药注射到脊椎内,继而脊髓得到抑制而缓解其支配区域疼痛。
2.无痛分娩针是一项简便、安全、成熟的技术。
1.方法:注射无痛分娩针的操作是由有经验的麻醉医师进行,是通过腰椎间隙进行穿刺成功后,在硬膜外注入少量局麻药物或阿片类药物,并通过一根细导管连接电子镇痛泵,根据产妇的疼痛的程度自我控制药物剂量。

2.优点:无痛分娩针具有安全、方便、药效持久、适合人群广等优点。无痛分娩针给药的剂量低、浓度低,对胎儿和产妇的影响极低,甚至可以减少胎儿缺血的风险;在无痛分娩针注射过程中,产妇可以下床活动、自我控制给药的剂量,非常方便;无痛分娩针注射几分钟后,产妇的宫缩痛就能降低,单次给药的药效能持续一个半小时左右,且大部分产妇都适合无痛分娩。
","scanCount": 56679}}} {"@context": "https://ziyuan.baidu.com/contexts/cambrian.jsonld","appid": "1650708455561748","icon": "https://www.med-credit.org.cn/style/images/ttlogo.png","content_tag": ["atlas"],"is_mcn": {"thumb_id": "v2rm41u3"},"accid": "4886d626a2804dee5f11168793ce361672f39c25","@id": "https://www.med-credit.org.cn/mobile/jingxuan/2/65d294fdf84bf52355f12bc4f13ef7da.html","bagWordId": "269_1558063578278268928","title": "怀孕三个月宝宝发育标准图","pubDate": "2023-03-29T10:32:19","upDate": "2023-03-29T10:32:19","lrDate": "2023-03-29T10:32:19","description": "1.怀孕三个月的宝宝可见基本雏形,各个器官已基本形成。","data": {"WebPage": {"headline": "怀孕三个月宝宝发育标准图","pcUrl": "https://www.med-credit.org.cn/jingxuan/2/65d294fdf84bf52355f12bc4f13ef7da.html","wapUrl": "https://www.med-credit.org.cn/jingxuan/2/65d294fdf84bf52355f12bc4f13ef7da.html","mipUrl": "https://www.med-credit.org.cn/mobile/jingxuan/2/65d294fdf84bf52355f12bc4f13ef7da.html","fromSrc": "欢乐橙","datePublished": "2023-03-29T10:32:19","domain": "医疗","category": ["医疗权威文章合作"],"description": "1.怀孕三个月的宝宝可见基本雏形,各个器官已基本形成。
","extra_headline": [""]},"Author": {"name": "种轶文","wapUrl": "https://www.med-credit.org.cn/doctor/575","pcUrl": "https://www.med-credit.org.cn/doctor/575","jobTitle": "副主任医师","headPortrait": "https://www.med-credit.org.cn/uploadfile/member/575/180x180.jpeg","id": "575","description": "种轶文,北京大学第三医院妇产科副主任医师","memberOf": {"legalName": "北京大学第三医院","department": "妇产科","organizationLevel": "三级甲等"}},"Article": {"summaryContent": "1.怀孕三个月的宝宝可见基本雏形,各个器官已基本形成。
2.怀孕三个月的宝宝可出现四肢活动,但活动较为轻微。
1.静态表现:怀孕三个月的宝宝的胎盘已成型,身长大约在9-10cm,顶臀长大约6-7cm;胎儿的大脑、四肢、消化系统等开始发育,面颊、下颌、耳廓等发育成形,外生殖器发育成型,可从外观分辨其性别,头颅开始钙化,头部占身体大部分,手指和脚趾可以分开,内脏器官如肝、肾、胃等发育健全,毛发、指甲等开始生长。

2.动态表现:怀孕三个月的宝宝会慢慢出现吮吸手指、手臂、脐带的情况,由于部分胎儿可以微弱活动四肢,少数孕妇可以隐隐感觉轻微胎动,但一般察觉不到胎动。
1.可以通过NT检查来测量孕后三个月的宝宝的颈部透明带的厚度,初步判断宝宝发育是否正常,有没有一些先天的疾病。
2.孕后三个月的宝宝开始加速发育,孕妇应注意均衡饮食,补充营养。
","articleBody": "1.怀孕三个月的宝宝可见基本雏形,各个器官已基本形成。
2.怀孕三个月的宝宝可出现四肢活动,但活动较为轻微。
1.静态表现:怀孕三个月的宝宝的胎盘已成型,身长大约在9-10cm,顶臀长大约6-7cm;胎儿的大脑、四肢、消化系统等开始发育,面颊、下颌、耳廓等发育成形,外生殖器发育成型,可从外观分辨其性别,头颅开始钙化,头部占身体大部分,手指和脚趾可以分开,内脏器官如肝、肾、胃等发育健全,毛发、指甲等开始生长。

2.动态表现:怀孕三个月的宝宝会慢慢出现吮吸手指、手臂、脐带的情况,由于部分胎儿可以微弱活动四肢,少数孕妇可以隐隐感觉轻微胎动,但一般察觉不到胎动。
1.可以通过NT检查来测量孕后三个月的宝宝的颈部透明带的厚度,初步判断宝宝发育是否正常,有没有一些先天的疾病。
2.孕后三个月的宝宝开始加速发育,孕妇应注意均衡饮食,补充营养。
","scanCount": 56678}}} {"@context": "https://ziyuan.baidu.com/contexts/cambrian.jsonld","appid": "1650708455561748","icon": "https://www.med-credit.org.cn/style/images/ttlogo.png","content_tag": ["atlas"],"is_mcn": {"thumb_id": "v2rm41u3"},"accid": "4886d626a2804dee5f11168793ce361672f39c25","@id": "https://www.med-credit.org.cn/mobile/jingxuan/2/793afcdafc87563aa4a303df0351b6a0.html","bagWordId": "269_1558063578546704384","title": "怀孕70天胎儿高清图片","pubDate": "2023-03-29T10:32:19","upDate": "2023-03-29T10:32:19","lrDate": "2023-03-29T10:32:19","description": "1.怀孕70天的胎儿初具人形,头部外观较大。","data": {"WebPage": {"headline": "怀孕70天胎儿高清图片","pcUrl": "https://www.med-credit.org.cn/jingxuan/2/793afcdafc87563aa4a303df0351b6a0.html","wapUrl": "https://www.med-credit.org.cn/jingxuan/2/793afcdafc87563aa4a303df0351b6a0.html","mipUrl": "https://www.med-credit.org.cn/mobile/jingxuan/2/793afcdafc87563aa4a303df0351b6a0.html","fromSrc": "欢乐橙","datePublished": "2023-03-29T10:32:19","domain": "医疗","category": ["医疗权威文章合作"],"description": "1.怀孕70天的胎儿初具人形,头部外观较大。
","extra_headline": [""]},"Author": {"name": "种轶文","wapUrl": "https://www.med-credit.org.cn/doctor/575","pcUrl": "https://www.med-credit.org.cn/doctor/575","jobTitle": "副主任医师","headPortrait": "https://www.med-credit.org.cn/uploadfile/member/575/180x180.jpeg","id": "575","description": "种轶文,北京大学第三医院妇产科副主任医师","memberOf": {"legalName": "北京大学第三医院","department": "妇产科","organizationLevel": "三级甲等"}},"Article": {"summaryContent": "1.怀孕70天的胎儿初具人形,头部外观较大。
2.怀孕70天的胎儿部分能活动肢体,孕妇可感受到胎动。

1.怀孕70天的胎儿初具人形,发育初步完成。可观察到此时的胎儿头部比较大,占据整个胎体的一半多,胎体大约有3.5厘米长,头顶到臀部的距离约为3厘米,孕囊大约为3.9厘米。此外,胎儿的眼、耳、鼻、口、手、足等一般是可被辨认出的,胎儿的眼球可活动但并不能睁眼。胎儿的器官在这时在分化发育过程中,但心脏已经成形。
2.怀孕70天的胎儿部分可活动四肢,孕妇可感受到轻微胎动,甚至可通过腹部听到胎儿心脏跳动的声音。
1.孕后70天的胎儿尚未完全稳定,孕妇应注意避免辐射,禁忌随意用药,平时要注重适量运动,但切忌太多剧烈。
2.孕妇应注意均衡饮食,加强营养摄入,保证充足的休息时间。
","articleBody": "1.怀孕70天的胎儿初具人形,头部外观较大。
2.怀孕70天的胎儿部分能活动肢体,孕妇可感受到胎动。

1.怀孕70天的胎儿初具人形,发育初步完成。可观察到此时的胎儿头部比较大,占据整个胎体的一半多,胎体大约有3.5厘米长,头顶到臀部的距离约为3厘米,孕囊大约为3.9厘米。此外,胎儿的眼、耳、鼻、口、手、足等一般是可被辨认出的,胎儿的眼球可活动但并不能睁眼。胎儿的器官在这时在分化发育过程中,但心脏已经成形。
2.怀孕70天的胎儿部分可活动四肢,孕妇可感受到轻微胎动,甚至可通过腹部听到胎儿心脏跳动的声音。
1.孕后70天的胎儿尚未完全稳定,孕妇应注意避免辐射,禁忌随意用药,平时要注重适量运动,但切忌太多剧烈。
2.孕妇应注意均衡饮食,加强营养摄入,保证充足的休息时间。
","scanCount": 56677}}} {"@context": "https://ziyuan.baidu.com/contexts/cambrian.jsonld","appid": "1650708455561748","icon": "https://www.med-credit.org.cn/style/images/ttlogo.png","content_tag": ["atlas"],"is_mcn": {"thumb_id": "v2rm41u3"},"accid": "4886d626a2804dee5f11168793ce361672f39c25","@id": "https://www.med-credit.org.cn/mobile/jingxuan/2/fa4ac7b370984ef2f9de6bbf6ea7bb21.html","bagWordId": "269_1558063578655756288","title": "孕妇白带有血丝图片","pubDate": "2023-03-29T10:32:19","upDate": "2023-03-29T10:32:19","lrDate": "2023-03-29T10:32:19","description": "孕妇白带有血丝可能是先兆流产或宫颈炎的表现。","data": {"WebPage": {"headline": "孕妇白带有血丝图片","pcUrl": "https://www.med-credit.org.cn/jingxuan/2/fa4ac7b370984ef2f9de6bbf6ea7bb21.html","wapUrl": "https://www.med-credit.org.cn/jingxuan/2/fa4ac7b370984ef2f9de6bbf6ea7bb21.html","mipUrl": "https://www.med-credit.org.cn/mobile/jingxuan/2/fa4ac7b370984ef2f9de6bbf6ea7bb21.html","fromSrc": "欢乐橙","datePublished": "2023-03-29T10:32:19","domain": "医疗","category": ["医疗权威文章合作"],"description": "孕妇白带有血丝可能是先兆流产或宫颈炎的表现。
","extra_headline": [""]},"Author": {"name": "种轶文","wapUrl": "https://www.med-credit.org.cn/doctor/575","pcUrl": "https://www.med-credit.org.cn/doctor/575","jobTitle": "副主任医师","headPortrait": "https://www.med-credit.org.cn/uploadfile/member/575/180x180.jpeg","id": "575","description": "种轶文,北京大学第三医院妇产科副主任医师","memberOf": {"legalName": "北京大学第三医院","department": "妇产科","organizationLevel": "三级甲等"}},"Article": {"summaryContent": "孕妇白带有血丝可能是先兆流产或宫颈炎的表现。
先兆流产孕妇会出现阴道出血,可伴有腹痛。宫颈炎会出现脓性阴道分泌物伴有出血。
1、妊娠女性出现阴道出血时首先要考虑先兆流产。主要临床表现为阴道流血及腹痛,出血量通常较少,多为暗红色,也可为血性白带,可持续数天或数周。患者可出现阵发性下腹部疼痛或腰骶部不适。妇科检查可见子宫大小与妊娠周数相符,宫颈口未开,胎膜完整,妊娠物未排出。

2、孕妇患宫颈炎出现症状时可表现为阴道分泌物增多,呈黏液脓性,分泌物中可能含有血液。阴道分泌物刺激会引起外阴瘙痒及灼热感。进行妇检时肉眼可见阴道有异常分泌物,宫颈口红肿,棉拭子擦拭易出血。
妊娠期妇女出现白带血丝时应尽量卧床休息,观察阴道出血量是否增加,注意是否出现腹痛、发热等伴随症状。及时到医院检查,确认出血原因以进行适当的治疗。
","articleBody": "孕妇白带有血丝可能是先兆流产或宫颈炎的表现。
先兆流产孕妇会出现阴道出血,可伴有腹痛。宫颈炎会出现脓性阴道分泌物伴有出血。
1、妊娠女性出现阴道出血时首先要考虑先兆流产。主要临床表现为阴道流血及腹痛,出血量通常较少,多为暗红色,也可为血性白带,可持续数天或数周。患者可出现阵发性下腹部疼痛或腰骶部不适。妇科检查可见子宫大小与妊娠周数相符,宫颈口未开,胎膜完整,妊娠物未排出。

2、孕妇患宫颈炎出现症状时可表现为阴道分泌物增多,呈黏液脓性,分泌物中可能含有血液。阴道分泌物刺激会引起外阴瘙痒及灼热感。进行妇检时肉眼可见阴道有异常分泌物,宫颈口红肿,棉拭子擦拭易出血。
妊娠期妇女出现白带血丝时应尽量卧床休息,观察阴道出血量是否增加,注意是否出现腹痛、发热等伴随症状。及时到医院检查,确认出血原因以进行适当的治疗。
","scanCount": 56676}}} {"@context": "https://ziyuan.baidu.com/contexts/cambrian.jsonld","appid": "1650708455561748","icon": "https://www.med-credit.org.cn/style/images/ttlogo.png","content_tag": ["atlas"],"is_mcn": {"thumb_id": "v2rm41u3"},"accid": "4886d626a2804dee5f11168793ce361672f39c25","@id": "https://www.med-credit.org.cn/mobile/jingxuan/2/c71fd89d1f692d79350e8da17e49d5fb.html","bagWordId": "269_1558063580325089280","title": "怀孕三个月的胎儿图像","pubDate": "2023-03-29T10:32:19","upDate": "2023-03-29T10:32:19","lrDate": "2023-03-29T10:32:19","description": "1.怀孕三个月的胎儿像一般可见胎儿发育雏形,部分器官已发育完成。","data": {"WebPage": {"headline": "怀孕三个月的胎儿图像","pcUrl": "https://www.med-credit.org.cn/jingxuan/2/c71fd89d1f692d79350e8da17e49d5fb.html","wapUrl": "https://www.med-credit.org.cn/jingxuan/2/c71fd89d1f692d79350e8da17e49d5fb.html","mipUrl": "https://www.med-credit.org.cn/mobile/jingxuan/2/c71fd89d1f692d79350e8da17e49d5fb.html","fromSrc": "欢乐橙","datePublished": "2023-03-29T10:32:19","domain": "医疗","category": ["医疗权威文章合作"],"description": "1.怀孕三个月的胎儿像一般可见胎儿发育雏形,部分器官已发育完成。
","extra_headline": [""]},"Author": {"name": "种轶文","wapUrl": "https://www.med-credit.org.cn/doctor/575","pcUrl": "https://www.med-credit.org.cn/doctor/575","jobTitle": "副主任医师","headPortrait": "https://www.med-credit.org.cn/uploadfile/member/575/180x180.jpeg","id": "575","description": "种轶文,北京大学第三医院妇产科副主任医师","memberOf": {"legalName": "北京大学第三医院","department": "妇产科","organizationLevel": "三级甲等"}},"Article": {"summaryContent": "1.怀孕三个月的胎儿像一般可见胎儿发育雏形,部分器官已发育完成。
2.怀孕三个月的胎儿像一般是通过B型超声进行检查。

1.表现:怀孕三个月的胎儿可见基本雏形,各个器官已基本形成。此时的胎儿的胎盘已成型,胎儿的身长大约10cm,顶臀长大约6cm;胎儿的大脑、四肢、消化系统等在法语中,颅骨开始钙化,且大脑占体长的大部分,四肢的手指和脚趾可以分开;面颊、下颌、耳廓、外生殖器已成形。内脏系统如肝脏、肾脏、胃等已经发育健全,胎儿也有自己的血液循环系统;毛发、指甲等开始生长。少部分胎儿会有轻微四肢活动,可以通过此时的胎儿像发现,少数孕妇在此时会感受到轻微、不易察觉的胎动。
2.检查方法:怀孕三个月的胎儿像可以通过核磁共振、B超进行检查,但最常规、最主流的是B超这种检查方式,并且B超对孕妇和胎儿没有创伤,可以重复的影响学检查。
","articleBody": "1.怀孕三个月的胎儿像一般可见胎儿发育雏形,部分器官已发育完成。
2.怀孕三个月的胎儿像一般是通过B型超声进行检查。

1.表现:怀孕三个月的胎儿可见基本雏形,各个器官已基本形成。此时的胎儿的胎盘已成型,胎儿的身长大约10cm,顶臀长大约6cm;胎儿的大脑、四肢、消化系统等在法语中,颅骨开始钙化,且大脑占体长的大部分,四肢的手指和脚趾可以分开;面颊、下颌、耳廓、外生殖器已成形。内脏系统如肝脏、肾脏、胃等已经发育健全,胎儿也有自己的血液循环系统;毛发、指甲等开始生长。少部分胎儿会有轻微四肢活动,可以通过此时的胎儿像发现,少数孕妇在此时会感受到轻微、不易察觉的胎动。
2.检查方法:怀孕三个月的胎儿像可以通过核磁共振、B超进行检查,但最常规、最主流的是B超这种检查方式,并且B超对孕妇和胎儿没有创伤,可以重复的影响学检查。
","scanCount": 56674}}} {"@context": "https://ziyuan.baidu.com/contexts/cambrian.jsonld","appid": "1650708455561748","icon": "https://www.med-credit.org.cn/style/images/ttlogo.png","content_tag": ["atlas"],"is_mcn": {"thumb_id": "v2rm41u3"},"accid": "4886d626a2804dee5f11168793ce361672f39c25","@id": "https://www.med-credit.org.cn/mobile/jingxuan/2/18eb2a74b66ec19ccf8f2f2494a1deae.html","bagWordId": "269_1558063580429946880","title": "15周孕妇标准的肚子图","pubDate": "2023-03-29T10:32:19","upDate": "2023-03-29T10:32:19","lrDate": "2023-03-29T10:32:19","description": "15周标准的肚子,大约在耻上三横指的位置,这个时间段孕妇的子宫底在耻骨联合上与肚脐之间。","data": {"WebPage": {"headline": "15周孕妇标准的肚子图","pcUrl": "https://www.med-credit.org.cn/jingxuan/2/18eb2a74b66ec19ccf8f2f2494a1deae.html","wapUrl": "https://www.med-credit.org.cn/jingxuan/2/18eb2a74b66ec19ccf8f2f2494a1deae.html","mipUrl": "https://www.med-credit.org.cn/mobile/jingxuan/2/18eb2a74b66ec19ccf8f2f2494a1deae.html","fromSrc": "欢乐橙","datePublished": "2023-03-29T10:32:19","domain": "医疗","category": ["医疗权威文章合作"],"description": "15周标准的肚子,大约在耻上三横指的位置,这个时间段孕妇的子宫底在耻骨联合上与肚脐之间。
","extra_headline": [""]},"Author": {"name": "种轶文","wapUrl": "https://www.med-credit.org.cn/doctor/575","pcUrl": "https://www.med-credit.org.cn/doctor/575","jobTitle": "副主任医师","headPortrait": "https://www.med-credit.org.cn/uploadfile/member/575/180x180.jpeg","id": "575","description": "种轶文,北京大学第三医院妇产科副主任医师","memberOf": {"legalName": "北京大学第三医院","department": "妇产科","organizationLevel": "三级甲等"}},"Article": {"summaryContent": "15周标准的肚子,大约在耻上三横指的位置,这个时间段孕妇的子宫底在耻骨联合上与肚脐之间。
在孕15周的时候,平躺是可以摸到子宫底部的,但是具体肚子有多大,也需要结合孕妇本身的体型。
如果相对比较瘦的孕妇一般肚子增大不是很明显,有可能还看不太出来。但是如果本身体重比较高的孕妇腹部脂肪会比较多,这个时候孕妇的肚子增大会相对比较明显。

在这个时候如果是经产妇,相对比较敏感的情况下,有可能会感觉到胎动的情况,但是初产妇因为感觉还不敏感,所以往往没有觉得有胎动情况发生。
如果想要明确胎儿是否发育正常,不能通过肚子具体有多大来判断,可以通过彩色超声检查来明确胚胎的发育是否正常。
建议定期做产科检查了解胎儿发育的情况,并且在怀孕15周的时候做二维彩超的检查,排除胎儿是否畸形。
","articleBody": "15周标准的肚子,大约在耻上三横指的位置,这个时间段孕妇的子宫底在耻骨联合上与肚脐之间。
在孕15周的时候,平躺是可以摸到子宫底部的,但是具体肚子有多大,也需要结合孕妇本身的体型。
如果相对比较瘦的孕妇一般肚子增大不是很明显,有可能还看不太出来。但是如果本身体重比较高的孕妇腹部脂肪会比较多,这个时候孕妇的肚子增大会相对比较明显。

在这个时候如果是经产妇,相对比较敏感的情况下,有可能会感觉到胎动的情况,但是初产妇因为感觉还不敏感,所以往往没有觉得有胎动情况发生。
如果想要明确胎儿是否发育正常,不能通过肚子具体有多大来判断,可以通过彩色超声检查来明确胚胎的发育是否正常。
建议定期做产科检查了解胎儿发育的情况,并且在怀孕15周的时候做二维彩超的检查,排除胎儿是否畸形。
","scanCount": 56673}}} {"@context": "https://ziyuan.baidu.com/contexts/cambrian.jsonld","appid": "1650708455561748","icon": "https://www.med-credit.org.cn/style/images/ttlogo.png","content_tag": ["atlas"],"is_mcn": {"thumb_id": "v2rm41u3"},"accid": "4886d626a2804dee5f11168793ce361672f39c25","@id": "https://www.med-credit.org.cn/mobile/jingxuan/2/9029cb5a9688879e1bfdb4612dcd080d.html","bagWordId": "269_1558063580538998784","title": "剖腹产三个月刀口增生图片","pubDate": "2023-03-29T10:32:19","upDate": "2023-03-29T10:32:19","lrDate": "2023-03-29T10:32:19","description": "剖腹产后三个月的刀口增生是伤口愈合导致的表面皮肤与周围皮肤差异的一种表现,增生的疤痕一般发红、发紫、偏硬、向上突起。","data": {"WebPage": {"headline": "剖腹产三个月刀口增生图片","pcUrl": "https://www.med-credit.org.cn/jingxuan/2/9029cb5a9688879e1bfdb4612dcd080d.html","wapUrl": "https://www.med-credit.org.cn/jingxuan/2/9029cb5a9688879e1bfdb4612dcd080d.html","mipUrl": "https://www.med-credit.org.cn/mobile/jingxuan/2/9029cb5a9688879e1bfdb4612dcd080d.html","fromSrc": "欢乐橙","datePublished": "2023-03-29T10:32:19","domain": "医疗","category": ["医疗权威文章合作"],"description": "剖腹产后三个月的刀口增生是伤口愈合导致的表面皮肤与周围皮肤差异的一种表现,增生的疤痕一般发红、发紫、偏硬、向上突起。
","extra_headline": [""]},"Author": {"name": "种轶文","wapUrl": "https://www.med-credit.org.cn/doctor/575","pcUrl": "https://www.med-credit.org.cn/doctor/575","jobTitle": "副主任医师","headPortrait": "https://www.med-credit.org.cn/uploadfile/member/575/180x180.jpeg","id": "575","description": "种轶文,北京大学第三医院妇产科副主任医师","memberOf": {"legalName": "北京大学第三医院","department": "妇产科","organizationLevel": "三级甲等"}},"Article": {"summaryContent": "剖腹产后三个月的刀口增生是伤口愈合导致的表面皮肤与周围皮肤差异的一种表现,增生的疤痕一般发红、发紫、偏硬、向上突起。
对增生的伤口采取恰当的护理措施可以预防感染的发生。

一般这种增生会发红、发痒、变硬、凸出于皮肤表面。在增生发生的早期主要是纤维母细胞和毛细血管扩张,增生旺盛时,肉眼可见的外表发红,并且增厚,在疤痕表皮下有毛细血管网,疤痕表面是一层上皮细胞,底层有少量的胶原纤维和大量结缔组织,还伴有炎细胞浸润在血管中。
当发现有增生发生时产妇一定要注意不能刺激伤口,例如热源、化学物质类、粗糙的衣服等,也不能手抓伤口处,降低伤口破损感染的几率。也要注意饮食的清淡,多吃一些水果、肉皮、瘦肉等利于皮肤伤口恢复的事物。对于造成的严重增生疤痕还可以通过激光来治疗。
增生伤口的形成虽然和人的体质有很大关系,但也要注意术后的护理修复,一旦发现异常现象要及时就医检查治疗。
","articleBody": "剖腹产后三个月的刀口增生是伤口愈合导致的表面皮肤与周围皮肤差异的一种表现,增生的疤痕一般发红、发紫、偏硬、向上突起。
对增生的伤口采取恰当的护理措施可以预防感染的发生。

一般这种增生会发红、发痒、变硬、凸出于皮肤表面。在增生发生的早期主要是纤维母细胞和毛细血管扩张,增生旺盛时,肉眼可见的外表发红,并且增厚,在疤痕表皮下有毛细血管网,疤痕表面是一层上皮细胞,底层有少量的胶原纤维和大量结缔组织,还伴有炎细胞浸润在血管中。
当发现有增生发生时产妇一定要注意不能刺激伤口,例如热源、化学物质类、粗糙的衣服等,也不能手抓伤口处,降低伤口破损感染的几率。也要注意饮食的清淡,多吃一些水果、肉皮、瘦肉等利于皮肤伤口恢复的事物。对于造成的严重增生疤痕还可以通过激光来治疗。
增生伤口的形成虽然和人的体质有很大关系,但也要注意术后的护理修复,一旦发现异常现象要及时就医检查治疗。
","scanCount": 56672}}} {"@context": "https://ziyuan.baidu.com/contexts/cambrian.jsonld","appid": "1650708455561748","icon": "https://www.med-credit.org.cn/style/images/ttlogo.png","content_tag": ["atlas"],"is_mcn": {"thumb_id": "v2rm41u3"},"accid": "4886d626a2804dee5f11168793ce361672f39c25","@id": "https://www.med-credit.org.cn/mobile/jingxuan/2/14f395b67aa0d5289aef7a7b0d0a5a66.html","bagWordId": "269_1558063581063286784","title": "孕期左侧卧正确的姿势图片","pubDate": "2023-03-29T10:32:19","upDate": "2023-03-29T10:32:19","lrDate": "2023-03-29T10:32:19","description": "孕妇左侧卧没有固定的正确姿势,保持合适的体位、姿势,避免对胎儿造成压迫即可。","data": {"WebPage": {"headline": "孕期左侧卧正确的姿势图片","pcUrl": "https://www.med-credit.org.cn/jingxuan/2/14f395b67aa0d5289aef7a7b0d0a5a66.html","wapUrl": "https://www.med-credit.org.cn/jingxuan/2/14f395b67aa0d5289aef7a7b0d0a5a66.html","mipUrl": "https://www.med-credit.org.cn/mobile/jingxuan/2/14f395b67aa0d5289aef7a7b0d0a5a66.html","fromSrc": "欢乐橙","datePublished": "2023-03-29T10:32:19","domain": "医疗","category": ["医疗权威文章合作"],"description": "孕妇左侧卧没有固定的正确姿势,保持合适的体位、姿势,避免对胎儿造成压迫即可。
","extra_headline": [""]},"Author": {"name": "种轶文","wapUrl": "https://www.med-credit.org.cn/doctor/575","pcUrl": "https://www.med-credit.org.cn/doctor/575","jobTitle": "副主任医师","headPortrait": "https://www.med-credit.org.cn/uploadfile/member/575/180x180.jpeg","id": "575","description": "种轶文,北京大学第三医院妇产科副主任医师","memberOf": {"legalName": "北京大学第三医院","department": "妇产科","organizationLevel": "三级甲等"}},"Article": {"summaryContent": "孕妇左侧卧没有固定的正确姿势,保持合适的体位、姿势,避免对胎儿造成压迫即可。
但是在孕妇保持左侧卧位的姿势睡觉时,角度尽量保持在30~45度左右,避免以90度的体位入睡。
怀孕左侧睡觉是指怀孕晚期的时候左侧睡觉,能够纠正子宫的右旋状态,增加胎盘的血液供应,减少胎儿缺氧的发生。

女性在怀孕晚期的时候,由于子宫增大比较明显,子宫会发生右旋,右旋的子宫可能会压迫右侧的血管,从而影响到胎盘的血液供应,影响到胎儿的血液供应,这样就可能会导致胎儿出现缺氧的情况。
1、孕晚期不能采取仰卧位的睡姿势,因为仰卧位的时候,子宫会压迫到下腔静脉,就会使回心血量减少,从而导致孕妇出现仰卧位低血压综合征,对母婴的危害比较大。
2、在左侧睡时,尽量不要将手臂压于身下或者放于胸壁,以免手臂受压或者胸壁受压,对睡眠造成影响。
","articleBody": "孕妇左侧卧没有固定的正确姿势,保持合适的体位、姿势,避免对胎儿造成压迫即可。
但是在孕妇保持左侧卧位的姿势睡觉时,角度尽量保持在30~45度左右,避免以90度的体位入睡。
怀孕左侧睡觉是指怀孕晚期的时候左侧睡觉,能够纠正子宫的右旋状态,增加胎盘的血液供应,减少胎儿缺氧的发生。

女性在怀孕晚期的时候,由于子宫增大比较明显,子宫会发生右旋,右旋的子宫可能会压迫右侧的血管,从而影响到胎盘的血液供应,影响到胎儿的血液供应,这样就可能会导致胎儿出现缺氧的情况。
1、孕晚期不能采取仰卧位的睡姿势,因为仰卧位的时候,子宫会压迫到下腔静脉,就会使回心血量减少,从而导致孕妇出现仰卧位低血压综合征,对母婴的危害比较大。
2、在左侧睡时,尽量不要将手臂压于身下或者放于胸壁,以免手臂受压或者胸壁受压,对睡眠造成影响。
","scanCount": 56671}}} {"@context": "https://ziyuan.baidu.com/contexts/cambrian.jsonld","appid": "1650708455561748","icon": "https://www.med-credit.org.cn/style/images/ttlogo.png","content_tag": ["atlas"],"is_mcn": {"thumb_id": "v2rm41u3"},"accid": "4886d626a2804dee5f11168793ce361672f39c25","@id": "https://www.med-credit.org.cn/mobile/jingxuan/2/b215f1e461693805195ad2ac0a2f6bc8.html","bagWordId": "269_1558063581168144384","title": "孕20周胎儿长什么样子图片","pubDate": "2023-03-29T10:32:19","upDate": "2023-03-29T10:32:19","lrDate": "2023-03-29T10:32:19","description": "1.孕20周胎儿体围逐步增大,各器官已经逐步形成。","data": {"WebPage": {"headline": "孕20周胎儿长什么样子图片","pcUrl": "https://www.med-credit.org.cn/jingxuan/2/b215f1e461693805195ad2ac0a2f6bc8.html","wapUrl": "https://www.med-credit.org.cn/jingxuan/2/b215f1e461693805195ad2ac0a2f6bc8.html","mipUrl": "https://www.med-credit.org.cn/mobile/jingxuan/2/b215f1e461693805195ad2ac0a2f6bc8.html","fromSrc": "欢乐橙","datePublished": "2023-03-29T10:32:19","domain": "医疗","category": ["医疗权威文章合作"],"description": "1.孕20周胎儿体围逐步增大,各器官已经逐步形成。
","extra_headline": [""]},"Author": {"name": "种轶文","wapUrl": "https://www.med-credit.org.cn/doctor/575","pcUrl": "https://www.med-credit.org.cn/doctor/575","jobTitle": "副主任医师","headPortrait": "https://www.med-credit.org.cn/uploadfile/member/575/180x180.jpeg","id": "575","description": "种轶文,北京大学第三医院妇产科副主任医师","memberOf": {"legalName": "北京大学第三医院","department": "妇产科","organizationLevel": "三级甲等"}},"Article": {"summaryContent": "1.孕20周胎儿体围逐步增大,各器官已经逐步形成。
2.孕20周胎儿在宫内活动正常,孕妇可感到轻微胎动。

1.静态:孕20周时,胎儿的各个器官已经逐步形成,初步发育完成,特殊感官感觉也进入了关键发育期。此时胎儿的身长一般约为25cm,从胎儿的头顶到臀部长度为16cm左右,胎儿的双顶径在50mm左右,体重增长到300g左右。除此之外,孕20周胎儿的五官、四肢、手指及足趾等部位已成形,一般可被分辨出来。此时的胎儿皮肤呈暗红色,头发正在迅速生长中,且皮肤表面有细小绒毛,且绒毛表面有能保护皮肤的胎脂。
2.动态:孕20周时,胎儿在宫内能够正常活动,且开始具备吞咽和排尿等功能。虽然此时还不能睁开眼睛,但眼球能开始活动。孕20周产妇可在腹壁感受到轻微胎动,甚至能通过腹部听到胎儿的心跳声。
","articleBody": "1.孕20周胎儿体围逐步增大,各器官已经逐步形成。
2.孕20周胎儿在宫内活动正常,孕妇可感到轻微胎动。

1.静态:孕20周时,胎儿的各个器官已经逐步形成,初步发育完成,特殊感官感觉也进入了关键发育期。此时胎儿的身长一般约为25cm,从胎儿的头顶到臀部长度为16cm左右,胎儿的双顶径在50mm左右,体重增长到300g左右。除此之外,孕20周胎儿的五官、四肢、手指及足趾等部位已成形,一般可被分辨出来。此时的胎儿皮肤呈暗红色,头发正在迅速生长中,且皮肤表面有细小绒毛,且绒毛表面有能保护皮肤的胎脂。
2.动态:孕20周时,胎儿在宫内能够正常活动,且开始具备吞咽和排尿等功能。虽然此时还不能睁开眼睛,但眼球能开始活动。孕20周产妇可在腹壁感受到轻微胎动,甚至能通过腹部听到胎儿的心跳声。
","scanCount": 56670}}} {"@context": "https://ziyuan.baidu.com/contexts/cambrian.jsonld","appid": "1650708455561748","icon": "https://www.med-credit.org.cn/style/images/ttlogo.png","content_tag": ["atlas"],"is_mcn": {"thumb_id": "v2rm41u3"},"accid": "4886d626a2804dee5f11168793ce361672f39c25","@id": "https://www.med-credit.org.cn/mobile/jingxuan/2/3b22111ae7233e72a73489a138087687.html","bagWordId": "269_1558063581323333632","title": "怀孕五个月有淡粉色分泌物图","pubDate": "2023-03-29T10:32:19","upDate": "2023-03-29T10:32:19","lrDate": "2023-03-29T10:32:19","description": "怀孕五个月有淡粉色分泌物,表现为阴道少许出血并不伴有腹痛,如果伴有腹痛,要及时去医院检查。","data": {"WebPage": {"headline": "怀孕五个月有淡粉色分泌物图","pcUrl": "https://www.med-credit.org.cn/jingxuan/2/3b22111ae7233e72a73489a138087687.html","wapUrl": "https://www.med-credit.org.cn/jingxuan/2/3b22111ae7233e72a73489a138087687.html","mipUrl": "https://www.med-credit.org.cn/mobile/jingxuan/2/3b22111ae7233e72a73489a138087687.html","fromSrc": "欢乐橙","datePublished": "2023-03-29T10:32:19","domain": "医疗","category": ["医疗权威文章合作"],"description": "怀孕五个月有淡粉色分泌物,表现为阴道少许出血并不伴有腹痛,如果伴有腹痛,要及时去医院检查。
","extra_headline": [""]},"Author": {"name": "种轶文","wapUrl": "https://www.med-credit.org.cn/doctor/575","pcUrl": "https://www.med-credit.org.cn/doctor/575","jobTitle": "副主任医师","headPortrait": "https://www.med-credit.org.cn/uploadfile/member/575/180x180.jpeg","id": "575","description": "种轶文,北京大学第三医院妇产科副主任医师","memberOf": {"legalName": "北京大学第三医院","department": "妇产科","organizationLevel": "三级甲等"}},"Article": {"summaryContent": "怀孕五个月有淡粉色分泌物,表现为阴道少许出血并不伴有腹痛,如果伴有腹痛,要及时去医院检查。
怀孕五个月有淡粉色分泌物,可能是正常的生理表现,也可能是先兆流产的征兆。
在怀孕的时候,如果白带出现了粉色颜色变化,有可能是子宫或者阴道内少量的出血,也有可能是毛细血管出现裂纹,粉色的一般都是新鲜血液。

怀孕后可能会由于黄体功能不全导致体内孕酮水平偏低,而出现阴道流少量粉色分泌物的表现,还可伴有阵发性下腹疼痛,这可能是先兆流产的表现,需要遵医嘱积极保胎治疗。但当出现有粉色分泌物,但孕酮结果正常时,可能是着床期出血,此时是生理现象。
孕妇一定要注意适当休息,不吃辛辣刺激食物,切忌劳累及剧烈运动,严禁同房,继续遵医嘱按时服用叶酸以预防神经管畸形的发生。
","articleBody": "怀孕五个月有淡粉色分泌物,表现为阴道少许出血并不伴有腹痛,如果伴有腹痛,要及时去医院检查。
怀孕五个月有淡粉色分泌物,可能是正常的生理表现,也可能是先兆流产的征兆。
在怀孕的时候,如果白带出现了粉色颜色变化,有可能是子宫或者阴道内少量的出血,也有可能是毛细血管出现裂纹,粉色的一般都是新鲜血液。

怀孕后可能会由于黄体功能不全导致体内孕酮水平偏低,而出现阴道流少量粉色分泌物的表现,还可伴有阵发性下腹疼痛,这可能是先兆流产的表现,需要遵医嘱积极保胎治疗。但当出现有粉色分泌物,但孕酮结果正常时,可能是着床期出血,此时是生理现象。
孕妇一定要注意适当休息,不吃辛辣刺激食物,切忌劳累及剧烈运动,严禁同房,继续遵医嘱按时服用叶酸以预防神经管畸形的发生。
","scanCount": 56669}}} {"@context": "https://ziyuan.baidu.com/contexts/cambrian.jsonld","appid": "1650708455561748","icon": "https://www.med-credit.org.cn/style/images/ttlogo.png","content_tag": ["atlas"],"is_mcn": {"thumb_id": "v2rm41u3"},"accid": "4886d626a2804dee5f11168793ce361672f39c25","@id": "https://www.med-credit.org.cn/mobile/jingxuan/2/e4e0dbd1b4c6d94639b9fba52c990380.html","bagWordId": "269_1558063581482717184","title": "怀孕8个月肚子多大正常图片","pubDate": "2023-03-29T10:32:19","upDate": "2023-03-29T10:32:19","lrDate": "2023-03-29T10:32:19","description": "正常情况下,怀孕8个月的时候腹围大概在84—95cm之间,标准值是89cm左右。","data": {"WebPage": {"headline": "怀孕8个月肚子多大正常图片","pcUrl": "https://www.med-credit.org.cn/jingxuan/2/e4e0dbd1b4c6d94639b9fba52c990380.html","wapUrl": "https://www.med-credit.org.cn/jingxuan/2/e4e0dbd1b4c6d94639b9fba52c990380.html","mipUrl": "https://www.med-credit.org.cn/mobile/jingxuan/2/e4e0dbd1b4c6d94639b9fba52c990380.html","fromSrc": "欢乐橙","datePublished": "2023-03-29T10:32:19","domain": "医疗","category": ["医疗权威文章合作"],"description": "正常情况下,怀孕8个月的时候腹围大概在84—95cm之间,标准值是89cm左右。
","extra_headline": [""]},"Author": {"name": "种轶文","wapUrl": "https://www.med-credit.org.cn/doctor/575","pcUrl": "https://www.med-credit.org.cn/doctor/575","jobTitle": "副主任医师","headPortrait": "https://www.med-credit.org.cn/uploadfile/member/575/180x180.jpeg","id": "575","description": "种轶文,北京大学第三医院妇产科副主任医师","memberOf": {"legalName": "北京大学第三医院","department": "妇产科","organizationLevel": "三级甲等"}},"Article": {"summaryContent": "正常情况下,怀孕8个月的时候腹围大概在84—95cm之间,标准值是89cm左右。
根据每个人体质的不同,肚子大小也不一样,所以怀孕八个月肚子多大不能一概而论。
怀孕8个月时,正常情况下,宫底应该在脐和剑突之间,腹围一般在在84-95cm,标准值是89cm左右,宫高应该在26-32cm,正负相差5cm都属于正常的现象。

如果孕妇本身就比较胖、肚皮脂肪比较厚或者羊水比较多,通常肚子会偏大;如果孕妇比较瘦、胎儿比较小或者羊水比较少,那么一般情况下孕妇的腹围就会偏小,要根据自身的身体状况来对比看腹围是否正常,不能只看数据。
孕妇要适当的进行营养搭配,既要保证优质蛋白的摄入,也要注意多补充新鲜蔬菜、水果,同时也要补充叶酸,不抽烟喝酒。
","articleBody": "正常情况下,怀孕8个月的时候腹围大概在84—95cm之间,标准值是89cm左右。
根据每个人体质的不同,肚子大小也不一样,所以怀孕八个月肚子多大不能一概而论。
怀孕8个月时,正常情况下,宫底应该在脐和剑突之间,腹围一般在在84-95cm,标准值是89cm左右,宫高应该在26-32cm,正负相差5cm都属于正常的现象。

如果孕妇本身就比较胖、肚皮脂肪比较厚或者羊水比较多,通常肚子会偏大;如果孕妇比较瘦、胎儿比较小或者羊水比较少,那么一般情况下孕妇的腹围就会偏小,要根据自身的身体状况来对比看腹围是否正常,不能只看数据。
孕妇要适当的进行营养搭配,既要保证优质蛋白的摄入,也要注意多补充新鲜蔬菜、水果,同时也要补充叶酸,不抽烟喝酒。
","scanCount": 56668}}} {"@context": "https://ziyuan.baidu.com/contexts/cambrian.jsonld","appid": "1650708455561748","icon": "https://www.med-credit.org.cn/style/images/ttlogo.png","content_tag": ["atlas"],"is_mcn": {"thumb_id": "v2rm41u3"},"accid": "4886d626a2804dee5f11168793ce361672f39c25","@id": "https://www.med-credit.org.cn/mobile/jingxuan/2/5ee4becd004e331f60d6b79deadfedb9.html","bagWordId": "269_1558063582128640000","title": "验血hcg怀孕报告单图片","pubDate": "2023-03-29T10:32:19","upDate": "2023-03-29T10:32:19","lrDate": "2023-03-29T10:32:19","description": "血hCG是判断早期怀孕的有效标准之一。","data": {"WebPage": {"headline": "验血hcg怀孕报告单图片","pcUrl": "https://www.med-credit.org.cn/jingxuan/2/5ee4becd004e331f60d6b79deadfedb9.html","wapUrl": "https://www.med-credit.org.cn/jingxuan/2/5ee4becd004e331f60d6b79deadfedb9.html","mipUrl": "https://www.med-credit.org.cn/mobile/jingxuan/2/5ee4becd004e331f60d6b79deadfedb9.html","fromSrc": "欢乐橙","datePublished": "2023-03-29T10:32:19","domain": "医疗","category": ["医疗权威文章合作"],"description": "血hCG是判断早期怀孕的有效标准之一。
","extra_headline": [""]},"Author": {"name": "种轶文","wapUrl": "https://www.med-credit.org.cn/doctor/575","pcUrl": "https://www.med-credit.org.cn/doctor/575","jobTitle": "副主任医师","headPortrait": "https://www.med-credit.org.cn/uploadfile/member/575/180x180.jpeg","id": "575","description": "种轶文,北京大学第三医院妇产科副主任医师","memberOf": {"legalName": "北京大学第三医院","department": "妇产科","organizationLevel": "三级甲等"}},"Article": {"summaryContent": "血hCG是判断早期怀孕的有效标准之一。
血hCG>25mIU/mL为妊娠阳性。
1.hCG又称人绒毛膜促性腺激素,当妊娠或有滋养层细胞疾病时会升高。实验研究表明非妊娠妇女hCG<3.1mIU/mL,妊娠7-10天hCG>5mIU/mL,妊娠30天hCG>100mIU/mL,一般临床上检测hCG>mIU/mL时可诊断为妊娠。但警惕hCG过高,大于100000mIU/mL提示滋养层细胞疾病。

2.早期妊娠诊断除hCG外还需要进行子宫超声检查,超声发现宫内孕囊或胚芽可确诊宫内妊娠,见原始心管也就是胎儿还未成型的心脏搏动提示胎儿存活。
确诊妊娠的孕妇若决定生育,应该定期进行产检,我国目前推荐孕妇在妊娠期间进行十一次产检。孕妇对各类营养元素需求增加,孕早期一般不需要额外补充,孕中晚期可适当补充蛋白质,碳水,维生素等,脂肪摄入不可过多。
","articleBody": "血hCG是判断早期怀孕的有效标准之一。
血hCG>25mIU/mL为妊娠阳性。
1.hCG又称人绒毛膜促性腺激素,当妊娠或有滋养层细胞疾病时会升高。实验研究表明非妊娠妇女hCG<3.1mIU/mL,妊娠7-10天hCG>5mIU/mL,妊娠30天hCG>100mIU/mL,一般临床上检测hCG>mIU/mL时可诊断为妊娠。但警惕hCG过高,大于100000mIU/mL提示滋养层细胞疾病。

2.早期妊娠诊断除hCG外还需要进行子宫超声检查,超声发现宫内孕囊或胚芽可确诊宫内妊娠,见原始心管也就是胎儿还未成型的心脏搏动提示胎儿存活。
确诊妊娠的孕妇若决定生育,应该定期进行产检,我国目前推荐孕妇在妊娠期间进行十一次产检。孕妇对各类营养元素需求增加,孕早期一般不需要额外补充,孕中晚期可适当补充蛋白质,碳水,维生素等,脂肪摄入不可过多。
","scanCount": 56667}}} {"@context": "https://ziyuan.baidu.com/contexts/cambrian.jsonld","appid": "1650708455561748","icon": "https://www.med-credit.org.cn/style/images/ttlogo.png","content_tag": ["atlas"],"is_mcn": {"thumb_id": "v2rm41u3"},"accid": "4886d626a2804dee5f11168793ce361672f39c25","@id": "https://www.med-credit.org.cn/mobile/jingxuan/2/3bcd282c691c62d83096fcac9418ad17.html","bagWordId": "269_1558063582879420416","title": "血hcg和孕酮正常参考图","pubDate": "2023-03-29T10:32:19","upDate": "2023-03-29T10:32:19","lrDate": "2023-03-29T10:32:19","description": "1、非孕期正常妇女血HCG正常范围为0~10IU/L,而孕酮随月经周期呈周期性变化,且不同人差异较大。","data": {"WebPage": {"headline": "血hcg和孕酮正常参考图","pcUrl": "https://www.med-credit.org.cn/jingxuan/2/3bcd282c691c62d83096fcac9418ad17.html","wapUrl": "https://www.med-credit.org.cn/jingxuan/2/3bcd282c691c62d83096fcac9418ad17.html","mipUrl": "https://www.med-credit.org.cn/mobile/jingxuan/2/3bcd282c691c62d83096fcac9418ad17.html","fromSrc": "欢乐橙","datePublished": "2023-03-29T10:32:19","domain": "医疗","category": ["医疗权威文章合作"],"description": "1、非孕期正常妇女血HCG正常范围为0~10IU/L,而孕酮随月经周期呈周期性变化,且不同人差异较大。
","extra_headline": [""]},"Author": {"name": "种轶文","wapUrl": "https://www.med-credit.org.cn/doctor/575","pcUrl": "https://www.med-credit.org.cn/doctor/575","jobTitle": "副主任医师","headPortrait": "https://www.med-credit.org.cn/uploadfile/member/575/180x180.jpeg","id": "575","description": "种轶文,北京大学第三医院妇产科副主任医师","memberOf": {"legalName": "北京大学第三医院","department": "妇产科","organizationLevel": "三级甲等"}},"Article": {"summaryContent": "1、非孕期正常妇女血HCG正常范围为0~10IU/L,而孕酮随月经周期呈周期性变化,且不同人差异较大。
2、孕期妇女血HCG水平高于10IU/L,并在怀孕第8-10周达到最高水平,之后快速降低,在产后2周内降低至最低水平。孕酮水平会随着怀孕周数的增加而逐渐升高。
1、HCG,即人绒毛膜促性腺激素,血HCG孕期浓度明显升高,超过10IU/L即可初步诊断为怀孕。受孕后约9~11天即可查出血清HCG,早期HCG浓度迅速升高,到第8~10周达到峰值,之后迅速下降。

2、非怀孕女性在月经周期中的卵泡期,孕酮水平在0.48~4.45nmol/L,黄体期在10.62~81.28nmol/L之间。怀孕时孕酮随孕期进展逐渐升高,早期升高较慢,足月妊娠时水平最高。一般正常怀孕头三月孕酮值:3568-286.2nmol/L,怀孕中三月:81.25-284.29nmol/L,怀孕后三月:153.91-1343.5nmol/L。
若怀孕时血HVG与孕酮值异常,需要及时前往医院就诊,在医生指导下进行对因对症治疗,以免错过最佳治疗时机。
","articleBody": "1、非孕期正常妇女血HCG正常范围为0~10IU/L,而孕酮随月经周期呈周期性变化,且不同人差异较大。
2、孕期妇女血HCG水平高于10IU/L,并在怀孕第8-10周达到最高水平,之后快速降低,在产后2周内降低至最低水平。孕酮水平会随着怀孕周数的增加而逐渐升高。
1、HCG,即人绒毛膜促性腺激素,血HCG孕期浓度明显升高,超过10IU/L即可初步诊断为怀孕。受孕后约9~11天即可查出血清HCG,早期HCG浓度迅速升高,到第8~10周达到峰值,之后迅速下降。

2、非怀孕女性在月经周期中的卵泡期,孕酮水平在0.48~4.45nmol/L,黄体期在10.62~81.28nmol/L之间。怀孕时孕酮随孕期进展逐渐升高,早期升高较慢,足月妊娠时水平最高。一般正常怀孕头三月孕酮值:3568-286.2nmol/L,怀孕中三月:81.25-284.29nmol/L,怀孕后三月:153.91-1343.5nmol/L。
若怀孕时血HVG与孕酮值异常,需要及时前往医院就诊,在医生指导下进行对因对症治疗,以免错过最佳治疗时机。
","scanCount": 56666}}} {"@context": "https://ziyuan.baidu.com/contexts/cambrian.jsonld","appid": "1650708455561748","icon": "https://www.med-credit.org.cn/style/images/ttlogo.png","content_tag": ["atlas"],"is_mcn": {"thumb_id": "v2rm41u3"},"accid": "4886d626a2804dee5f11168793ce361672f39c25","@id": "https://www.med-credit.org.cn/mobile/jingxuan/2/7f9c1f7d1ddf6def537c8cc859f614f8.html","bagWordId": "181_1547866407746670592","title": "月子里得了风疙瘩图片","pubDate": "2023-03-29T10:32:19","upDate": "2023-03-29T10:32:19","lrDate": "2023-03-29T10:32:19","description": "风疙瘩是指急性荨麻疹,月子里得了风疙瘩的表现是皮肤突然出现的风团样红色斑丘疹。","data": {"WebPage": {"headline": "月子里得了风疙瘩图片","pcUrl": "https://www.med-credit.org.cn/jingxuan/2/7f9c1f7d1ddf6def537c8cc859f614f8.html","wapUrl": "https://www.med-credit.org.cn/jingxuan/2/7f9c1f7d1ddf6def537c8cc859f614f8.html","mipUrl": "https://www.med-credit.org.cn/mobile/jingxuan/2/7f9c1f7d1ddf6def537c8cc859f614f8.html","fromSrc": "欢乐橙","datePublished": "2023-03-29T10:32:19","domain": "医疗","category": ["医疗权威文章合作"],"description": "风疙瘩是指急性荨麻疹,月子里得了风疙瘩的表现是皮肤突然出现的风团样红色斑丘疹。
","extra_headline": [""]},"Author": {"name": "种轶文","wapUrl": "https://www.med-credit.org.cn/doctor/575","pcUrl": "https://www.med-credit.org.cn/doctor/575","jobTitle": "副主任医师","headPortrait": "https://www.med-credit.org.cn/uploadfile/member/575/180x180.jpeg","id": "575","description": "种轶文,北京大学第三医院妇产科副主任医师","memberOf": {"legalName": "北京大学第三医院","department": "妇产科","organizationLevel": "三级甲等"}},"Article": {"summaryContent": "风疙瘩是指急性荨麻疹,月子里得了风疙瘩的表现是皮肤突然出现的风团样红色斑丘疹。
月子里患急性荨麻疹的常见原因是感染、食物、药物或昆虫叮咬和蜇伤引起的皮肤变态反应。
1、月子里患荨麻疹的皮损特征为局限性隆起的红色斑丘疹,可呈风团状,形态多不规则,也可呈现圆形、椭圆形或匐行形,皮损中央区通常呈苍白色,边界比较清晰,病灶可互相融合成片状。通常伴有剧烈的瘙痒,皮疹常骤然出现,一般可在24小时内自行消退不留痕迹。

2、荨麻疹的发病机制是各种诱发因素导致真皮浅层皮肤肥大细胞和嗜碱性粒细胞释放组胺和扩血管介质,从而引发皮肤局部水肿、瘙痒等皮肤病变。
月子期间患急性荨麻疹一般可以不使用药物治疗,轻症者大部分能在数日或数周内自行消退。如皮疹持续时间较长或瘙痒明显影响日常生活时,则需要在医生的指导下使用药物治疗,用药时需要考虑药物对哺乳的影响。
","articleBody": "风疙瘩是指急性荨麻疹,月子里得了风疙瘩的表现是皮肤突然出现的风团样红色斑丘疹。
月子里患急性荨麻疹的常见原因是感染、食物、药物或昆虫叮咬和蜇伤引起的皮肤变态反应。
1、月子里患荨麻疹的皮损特征为局限性隆起的红色斑丘疹,可呈风团状,形态多不规则,也可呈现圆形、椭圆形或匐行形,皮损中央区通常呈苍白色,边界比较清晰,病灶可互相融合成片状。通常伴有剧烈的瘙痒,皮疹常骤然出现,一般可在24小时内自行消退不留痕迹。

2、荨麻疹的发病机制是各种诱发因素导致真皮浅层皮肤肥大细胞和嗜碱性粒细胞释放组胺和扩血管介质,从而引发皮肤局部水肿、瘙痒等皮肤病变。
月子期间患急性荨麻疹一般可以不使用药物治疗,轻症者大部分能在数日或数周内自行消退。如皮疹持续时间较长或瘙痒明显影响日常生活时,则需要在医生的指导下使用药物治疗,用药时需要考虑药物对哺乳的影响。
","scanCount": 56664}}} {"@context": "https://ziyuan.baidu.com/contexts/cambrian.jsonld","appid": "1650708455561748","icon": "https://www.med-credit.org.cn/style/images/ttlogo.png","content_tag": ["atlas"],"is_mcn": {"thumb_id": "v2rm41u3"},"accid": "4886d626a2804dee5f11168793ce361672f39c25","@id": "https://www.med-credit.org.cn/mobile/jingxuan/2/aa357b1591bbe9014d78f44ea477a60e.html","bagWordId": "181_1547866407784419328","title": "孕妇肚皮紫色淤青图片","pubDate": "2023-03-29T10:32:19","upDate": "2023-03-29T10:32:19","lrDate": "2023-03-29T10:32:19","description": "孕妇肚皮紫色淤青一般为妊娠纹,主要表现为腹部皮肤紫红色、青紫色弯曲放射状条纹。","data": {"WebPage": {"headline": "孕妇肚皮紫色淤青图片","pcUrl": "https://www.med-credit.org.cn/jingxuan/2/aa357b1591bbe9014d78f44ea477a60e.html","wapUrl": "https://www.med-credit.org.cn/jingxuan/2/aa357b1591bbe9014d78f44ea477a60e.html","mipUrl": "https://www.med-credit.org.cn/mobile/jingxuan/2/aa357b1591bbe9014d78f44ea477a60e.html","fromSrc": "欢乐橙","datePublished": "2023-03-29T10:32:19","domain": "医疗","category": ["医疗权威文章合作"],"description": "孕妇肚皮紫色淤青一般为妊娠纹,主要表现为腹部皮肤紫红色、青紫色弯曲放射状条纹。
","extra_headline": [""]},"Author": {"name": "种轶文","wapUrl": "https://www.med-credit.org.cn/doctor/575","pcUrl": "https://www.med-credit.org.cn/doctor/575","jobTitle": "副主任医师","headPortrait": "https://www.med-credit.org.cn/uploadfile/member/575/180x180.jpeg","id": "575","description": "种轶文,北京大学第三医院妇产科副主任医师","memberOf": {"legalName": "北京大学第三医院","department": "妇产科","organizationLevel": "三级甲等"}},"Article": {"summaryContent": "孕妇肚皮紫色淤青一般为妊娠纹,主要表现为腹部皮肤紫红色、青紫色弯曲放射状条纹。
妊娠纹主要是由于妊娠期间体重迅速增加,腹部皮肤受到扩张牵拉,皮下弹力纤维断裂造成的皮肤病变。
1、孕妇腹部的妊娠纹多出现在孕晚期,腹部皮肤会出现红色或紫红色的细长皱褶条纹痕迹。初发时稍微突出于皮面,后期条纹逐渐转为紫色、银白色,最终形成稳定的凹陷疤痕样条纹。斑纹处表皮较为薄弱,有细微的皱纹,边界相对清晰,多呈放射状分布于脐周,皮损形成的初期孕妇常伴有皮肤瘙痒。

2、妊娠纹发生的机制主要是皮肤张力增加(机械性牵拉),皮肤结构及功能的内源性改变(成纤维细胞迁移及增值减少),以及孕期雌激素、雄激素水平改变。
妊娠纹的出现对孕妇通常不存在较大的影响,一般不需要进行特殊处理。当孕妇肚皮紫色淤青伴随局部皮肤压痛时,则需要注意是否存在局部皮下出血等情况,需要及时就诊,明确病因。
","articleBody": "孕妇肚皮紫色淤青一般为妊娠纹,主要表现为腹部皮肤紫红色、青紫色弯曲放射状条纹。
妊娠纹主要是由于妊娠期间体重迅速增加,腹部皮肤受到扩张牵拉,皮下弹力纤维断裂造成的皮肤病变。
1、孕妇腹部的妊娠纹多出现在孕晚期,腹部皮肤会出现红色或紫红色的细长皱褶条纹痕迹。初发时稍微突出于皮面,后期条纹逐渐转为紫色、银白色,最终形成稳定的凹陷疤痕样条纹。斑纹处表皮较为薄弱,有细微的皱纹,边界相对清晰,多呈放射状分布于脐周,皮损形成的初期孕妇常伴有皮肤瘙痒。

2、妊娠纹发生的机制主要是皮肤张力增加(机械性牵拉),皮肤结构及功能的内源性改变(成纤维细胞迁移及增值减少),以及孕期雌激素、雄激素水平改变。
妊娠纹的出现对孕妇通常不存在较大的影响,一般不需要进行特殊处理。当孕妇肚皮紫色淤青伴随局部皮肤压痛时,则需要注意是否存在局部皮下出血等情况,需要及时就诊,明确病因。
","scanCount": 56663}}} {"@context": "https://ziyuan.baidu.com/contexts/cambrian.jsonld","appid": "1650708455561748","icon": "https://www.med-credit.org.cn/style/images/ttlogo.png","content_tag": ["atlas"],"is_mcn": {"thumb_id": "v2rm41u3"},"accid": "4886d626a2804dee5f11168793ce361672f39c25","@id": "https://www.med-credit.org.cn/mobile/jingxuan/2/191a49c7b5fe544497ba57e56e826ace.html","bagWordId": "181_1547866407927025664","title": "空孕囊图片","pubDate": "2023-03-29T10:32:19","upDate": "2023-03-29T10:32:19","lrDate": "2023-03-29T10:32:19","description": "空孕囊是指胚胎原始胎盘组织内部空虚,没有胚芽及胎心结构。","data": {"WebPage": {"headline": "空孕囊图片","pcUrl": "https://www.med-credit.org.cn/jingxuan/2/191a49c7b5fe544497ba57e56e826ace.html","wapUrl": "https://www.med-credit.org.cn/jingxuan/2/191a49c7b5fe544497ba57e56e826ace.html","mipUrl": "https://www.med-credit.org.cn/mobile/jingxuan/2/191a49c7b5fe544497ba57e56e826ace.html","fromSrc": "欢乐橙","datePublished": "2023-03-29T10:32:19","domain": "医疗","category": ["医疗权威文章合作"],"description": "空孕囊是指胚胎原始胎盘组织内部空虚,没有胚芽及胎心结构。
","extra_headline": [""]},"Author": {"name": "种轶文","wapUrl": "https://www.med-credit.org.cn/doctor/575","pcUrl": "https://www.med-credit.org.cn/doctor/575","jobTitle": "副主任医师","headPortrait": "https://www.med-credit.org.cn/uploadfile/member/575/180x180.jpeg","id": "575","description": "种轶文,北京大学第三医院妇产科副主任医师","memberOf": {"legalName": "北京大学第三医院","department": "妇产科","organizationLevel": "三级甲等"}},"Article": {"summaryContent": "空孕囊是指胚胎原始胎盘组织内部空虚,没有胚芽及胎心结构。
空孕囊可见于胚胎正常发育的早期或胚胎停止发育(死胎)。
1、空孕囊主要通过产检时超声检查中显示,在早孕时期(孕4-6周),受精卵着床形成孕囊,此阶段胎芽未发育,孕囊表现为空泡状,为正常现象。

2、一般情况下,孕6周后,胚胎位于孕囊内逐渐先后形成胎芽及胎心,在超声检查时应在孕囊内观察到原始胎心搏动。当胚胎停止发育时,动态进行超声检查(一般1-2周一次)会发现孕囊持续为空虚囊状,并可能出现萎缩,此为胎停育的表现。
早孕期间超声检查发现空孕囊需要由专科医生结合实际孕周推算是否属于异常现象。平素月经不规律、排卵期延迟的女性早孕期间实际孕囊发育可能偏小,孕妇应注意休息,科学保胎,按医生要求定期复查,观察孕囊的变化。
","articleBody": "空孕囊是指胚胎原始胎盘组织内部空虚,没有胚芽及胎心结构。
空孕囊可见于胚胎正常发育的早期或胚胎停止发育(死胎)。
1、空孕囊主要通过产检时超声检查中显示,在早孕时期(孕4-6周),受精卵着床形成孕囊,此阶段胎芽未发育,孕囊表现为空泡状,为正常现象。

2、一般情况下,孕6周后,胚胎位于孕囊内逐渐先后形成胎芽及胎心,在超声检查时应在孕囊内观察到原始胎心搏动。当胚胎停止发育时,动态进行超声检查(一般1-2周一次)会发现孕囊持续为空虚囊状,并可能出现萎缩,此为胎停育的表现。
早孕期间超声检查发现空孕囊需要由专科医生结合实际孕周推算是否属于异常现象。平素月经不规律、排卵期延迟的女性早孕期间实际孕囊发育可能偏小,孕妇应注意休息,科学保胎,按医生要求定期复查,观察孕囊的变化。
","scanCount": 56662}}} {"@context": "https://ziyuan.baidu.com/contexts/cambrian.jsonld","appid": "1650708455561748","icon": "https://www.med-credit.org.cn/style/images/ttlogo.png","content_tag": ["atlas"],"is_mcn": {"thumb_id": "v2rm41u3"},"accid": "4886d626a2804dee5f11168793ce361672f39c25","@id": "https://www.med-credit.org.cn/mobile/jingxuan/2/e415a83e41f4d01acc239585ea8e0fda.html","bagWordId": "181_1547866408107380736","title": "脐带发炎的图片","pubDate": "2023-03-29T10:32:19","upDate": "2023-03-29T10:32:19","lrDate": "2023-03-29T10:32:19","description": "脐带发炎主要是指脐带残端发炎,主要表现为脐带残端及脐窝皮肤红肿、渗液。","data": {"WebPage": {"headline": "脐带发炎的图片","pcUrl": "https://www.med-credit.org.cn/jingxuan/2/e415a83e41f4d01acc239585ea8e0fda.html","wapUrl": "https://www.med-credit.org.cn/jingxuan/2/e415a83e41f4d01acc239585ea8e0fda.html","mipUrl": "https://www.med-credit.org.cn/mobile/jingxuan/2/e415a83e41f4d01acc239585ea8e0fda.html","fromSrc": "欢乐橙","datePublished": "2023-03-29T10:32:19","domain": "医疗","category": ["医疗权威文章合作"],"description": "脐带发炎主要是指脐带残端发炎,主要表现为脐带残端及脐窝皮肤红肿、渗液。
","extra_headline": [""]},"Author": {"name": "种轶文","wapUrl": "https://www.med-credit.org.cn/doctor/575","pcUrl": "https://www.med-credit.org.cn/doctor/575","jobTitle": "副主任医师","headPortrait": "https://www.med-credit.org.cn/uploadfile/member/575/180x180.jpeg","id": "575","description": "种轶文,北京大学第三医院妇产科副主任医师","memberOf": {"legalName": "北京大学第三医院","department": "妇产科","organizationLevel": "三级甲等"}},"Article": {"summaryContent": "脐带发炎主要是指脐带残端发炎,主要表现为脐带残端及脐窝皮肤红肿、渗液。
脐带残端发炎通常是由于病原体(常见为细菌或真菌)引起脐部感染所致。
1、脐带残端发炎的临床表现为脐带残端以及脐部皮肤出现局限性水肿,皮肤潮红。进一步发现可出现皮肤破损,出现渗液或脓液,可伴有疼痛及异味。当存在金黄色葡萄球菌感染时可有黄色脓性分泌物或淡黄色痂皮,真菌感染会造成白色鳞屑状脱屑。
2、脐带残端发炎主要是细菌或其他病原体从脐带残端入侵并繁殖,从而引发的脐部组织急性炎症反应。
脐带残端发炎时需要注意加强护理,可使用碘伏、酒精等消毒液对脐部进行消毒清洁。避免擅自使用药粉、药膏涂抹患处。如确认存在细菌或真菌感染,应按医嘱使用外用或口服抗生素、抗真菌药物。
","articleBody": "脐带发炎主要是指脐带残端发炎,主要表现为脐带残端及脐窝皮肤红肿、渗液。
脐带残端发炎通常是由于病原体(常见为细菌或真菌)引起脐部感染所致。
1、脐带残端发炎的临床表现为脐带残端以及脐部皮肤出现局限性水肿,皮肤潮红。进一步发现可出现皮肤破损,出现渗液或脓液,可伴有疼痛及异味。当存在金黄色葡萄球菌感染时可有黄色脓性分泌物或淡黄色痂皮,真菌感染会造成白色鳞屑状脱屑。
2、脐带残端发炎主要是细菌或其他病原体从脐带残端入侵并繁殖,从而引发的脐部组织急性炎症反应。
脐带残端发炎时需要注意加强护理,可使用碘伏、酒精等消毒液对脐部进行消毒清洁。避免擅自使用药粉、药膏涂抹患处。如确认存在细菌或真菌感染,应按医嘱使用外用或口服抗生素、抗真菌药物。
","scanCount": 56661}}} {"@context": "https://ziyuan.baidu.com/contexts/cambrian.jsonld","appid": "1650708455561748","icon": "https://www.med-credit.org.cn/style/images/ttlogo.png","content_tag": ["atlas"],"is_mcn": {"thumb_id": "v2rm41u3"},"accid": "4886d626a2804dee5f11168793ce361672f39c25","@id": "https://www.med-credit.org.cn/mobile/jingxuan/2/33d0ada07782bde3281c2f346f2de77f.html","bagWordId": "181_1547866408249987072","title": "孕期黑色素沉淀图片","pubDate": "2023-03-29T10:32:19","upDate": "2023-03-29T10:32:19","lrDate": "2023-03-29T10:32:19","description": "孕期黑色素沉淀主要表现为黄褐斑,特征是面部肤色加深,伴有日晒部位的浅棕色至深褐色斑块或斑片。","data": {"WebPage": {"headline": "孕期黑色素沉淀图片","pcUrl": "https://www.med-credit.org.cn/jingxuan/2/33d0ada07782bde3281c2f346f2de77f.html","wapUrl": "https://www.med-credit.org.cn/jingxuan/2/33d0ada07782bde3281c2f346f2de77f.html","mipUrl": "https://www.med-credit.org.cn/mobile/jingxuan/2/33d0ada07782bde3281c2f346f2de77f.html","fromSrc": "欢乐橙","datePublished": "2023-03-29T10:32:19","domain": "医疗","category": ["医疗权威文章合作"],"description": "孕期黑色素沉淀主要表现为黄褐斑,特征是面部肤色加深,伴有日晒部位的浅棕色至深褐色斑块或斑片。
","extra_headline": [""]},"Author": {"name": "种轶文","wapUrl": "https://www.med-credit.org.cn/doctor/575","pcUrl": "https://www.med-credit.org.cn/doctor/575","jobTitle": "副主任医师","headPortrait": "https://www.med-credit.org.cn/uploadfile/member/575/180x180.jpeg","id": "575","description": "种轶文,北京大学第三医院妇产科副主任医师","memberOf": {"legalName": "北京大学第三医院","department": "妇产科","organizationLevel": "三级甲等"}},"Article": {"summaryContent": "孕期黑色素沉淀主要表现为黄褐斑,特征是面部肤色加深,伴有日晒部位的浅棕色至深褐色斑块或斑片。
孕期引起黑色素沉着性疾病可能与孕妇体内激素水平变化有关。
1、孕期黄褐斑的临床表现为面部肤色整体加深,脸颊、前额、上唇、鼻部及颏部皮肤有棕褐色的色素沉着斑块,形状不规则,大小不一,边界相对清晰,无隆起于皮肤表面。部分孕妇在身体其他部位,尤其是皮肤皱褶处,如颈部、腋窝、乳晕或大腿内侧等位置会出现肤色加深。

2、妊娠引起黑色素沉着的发病机制目前未完全明确,主要考虑与妊娠期雌激素和黄体酮刺激了黑素细胞,加快黑素的合成有关。
孕期色素沉着过度的区域一般在产后数月逐渐消退。持续性色素沉着过度的产妇,明显影响外观,希望得到治疗时,可咨询皮肤科医生,选择外用皮肤美白剂、化学剥脱术,以及激光和光疗等治疗方案。
","articleBody": "孕期黑色素沉淀主要表现为黄褐斑,特征是面部肤色加深,伴有日晒部位的浅棕色至深褐色斑块或斑片。
孕期引起黑色素沉着性疾病可能与孕妇体内激素水平变化有关。
1、孕期黄褐斑的临床表现为面部肤色整体加深,脸颊、前额、上唇、鼻部及颏部皮肤有棕褐色的色素沉着斑块,形状不规则,大小不一,边界相对清晰,无隆起于皮肤表面。部分孕妇在身体其他部位,尤其是皮肤皱褶处,如颈部、腋窝、乳晕或大腿内侧等位置会出现肤色加深。

2、妊娠引起黑色素沉着的发病机制目前未完全明确,主要考虑与妊娠期雌激素和黄体酮刺激了黑素细胞,加快黑素的合成有关。
孕期色素沉着过度的区域一般在产后数月逐渐消退。持续性色素沉着过度的产妇,明显影响外观,希望得到治疗时,可咨询皮肤科医生,选择外用皮肤美白剂、化学剥脱术,以及激光和光疗等治疗方案。
","scanCount": 56660}}} {"@context": "https://ziyuan.baidu.com/contexts/cambrian.jsonld","appid": "1650708455561748","icon": "https://www.med-credit.org.cn/style/images/ttlogo.png","content_tag": ["atlas"],"is_mcn": {"thumb_id": "v2rm41u3"},"accid": "4886d626a2804dee5f11168793ce361672f39c25","@id": "https://www.med-credit.org.cn/mobile/jingxuan/2/88d7e866960c5952dc45b0b2c5117e47.html","bagWordId": "181_1547866408505839616","title": "产后恶露排出绳状线条图片","pubDate": "2023-03-29T10:32:19","upDate": "2023-03-29T10:32:19","lrDate": "2023-03-29T10:32:19","description": "产后恶露排出绳状线条可能是子宫腔内的蜕膜组织剥脱拉丝形成,或是阴道侧切的缝线线头脱落。","data": {"WebPage": {"headline": "产后恶露排出绳状线条图片","pcUrl": "https://www.med-credit.org.cn/jingxuan/2/88d7e866960c5952dc45b0b2c5117e47.html","wapUrl": "https://www.med-credit.org.cn/jingxuan/2/88d7e866960c5952dc45b0b2c5117e47.html","mipUrl": "https://www.med-credit.org.cn/mobile/jingxuan/2/88d7e866960c5952dc45b0b2c5117e47.html","fromSrc": "欢乐橙","datePublished": "2023-03-29T10:32:19","domain": "医疗","category": ["医疗权威文章合作"],"description": "产后恶露排出绳状线条可能是子宫腔内的蜕膜组织剥脱拉丝形成,或是阴道侧切的缝线线头脱落。
","extra_headline": [""]},"Author": {"name": "种轶文","wapUrl": "https://www.med-credit.org.cn/doctor/575","pcUrl": "https://www.med-credit.org.cn/doctor/575","jobTitle": "副主任医师","headPortrait": "https://www.med-credit.org.cn/uploadfile/member/575/180x180.jpeg","id": "575","description": "种轶文,北京大学第三医院妇产科副主任医师","memberOf": {"legalName": "北京大学第三医院","department": "妇产科","organizationLevel": "三级甲等"}},"Article": {"summaryContent": "产后恶露排出绳状线条可能是子宫腔内的蜕膜组织剥脱拉丝形成,或是阴道侧切的缝线线头脱落。
上述情况一般为生理性表现,通常不需要进行特殊处理。
1、产后在胎盘分离后,留在子宫内的蜕膜基底部分为两层,深层再生出新的子宫内膜,浅层将脱落排出,形成恶露。通常在产后2-3周后,阴道分泌物会逐渐变稀薄,称为浆液性恶露,其中含有脱落的蜕膜组织、上皮细胞、白细胞、浆液性渗出物等。此时期的恶露拉丝程度较高,可形成丝线状条纹。

2、顺产分娩、同时进行会阴侧切的产妇,产后切口愈合时缝线可能会自行脱落,混合在恶露中。
产褥期的妇女应注意观察产后恶露的颜色、性状及气味变化。当出现脓性、带有臭味的恶露时,常提示产褥期感染,需要及时就诊进行抗感染治疗。当恶露中含有脱落的缝线,需注意检查侧切伤口愈合的程度。
","articleBody": "产后恶露排出绳状线条可能是子宫腔内的蜕膜组织剥脱拉丝形成,或是阴道侧切的缝线线头脱落。
上述情况一般为生理性表现,通常不需要进行特殊处理。
1、产后在胎盘分离后,留在子宫内的蜕膜基底部分为两层,深层再生出新的子宫内膜,浅层将脱落排出,形成恶露。通常在产后2-3周后,阴道分泌物会逐渐变稀薄,称为浆液性恶露,其中含有脱落的蜕膜组织、上皮细胞、白细胞、浆液性渗出物等。此时期的恶露拉丝程度较高,可形成丝线状条纹。

2、顺产分娩、同时进行会阴侧切的产妇,产后切口愈合时缝线可能会自行脱落,混合在恶露中。
产褥期的妇女应注意观察产后恶露的颜色、性状及气味变化。当出现脓性、带有臭味的恶露时,常提示产褥期感染,需要及时就诊进行抗感染治疗。当恶露中含有脱落的缝线,需注意检查侧切伤口愈合的程度。
","scanCount": 56659}}} {"@context": "https://ziyuan.baidu.com/contexts/cambrian.jsonld","appid": "1650708455561748","icon": "https://www.med-credit.org.cn/style/images/ttlogo.png","content_tag": ["atlas"],"is_mcn": {"thumb_id": "v2rm41u3"},"accid": "4886d626a2804dee5f11168793ce361672f39c25","@id": "https://www.med-credit.org.cn/mobile/jingxuan/2/cc4d5d34545b8e2518af8a5ca69d29fa.html","bagWordId": "181_1547866408543588352","title": "孕妇腿上淤青图片","pubDate": "2023-03-29T10:32:19","upDate": "2023-03-29T10:32:19","lrDate": "2023-03-29T10:32:19","description": "孕妇腿上淤青主要表现为大腿皮肤紫红色、青紫色斑块或斑片,表面可见出血点,同时可伴有压痛。","data": {"WebPage": {"headline": "孕妇腿上淤青图片","pcUrl": "https://www.med-credit.org.cn/jingxuan/2/cc4d5d34545b8e2518af8a5ca69d29fa.html","wapUrl": "https://www.med-credit.org.cn/jingxuan/2/cc4d5d34545b8e2518af8a5ca69d29fa.html","mipUrl": "https://www.med-credit.org.cn/mobile/jingxuan/2/cc4d5d34545b8e2518af8a5ca69d29fa.html","fromSrc": "欢乐橙","datePublished": "2023-03-29T10:32:19","domain": "医疗","category": ["医疗权威文章合作"],"description": "孕妇腿上淤青主要表现为大腿皮肤紫红色、青紫色斑块或斑片,表面可见出血点,同时可伴有压痛。
","extra_headline": [""]},"Author": {"name": "种轶文","wapUrl": "https://www.med-credit.org.cn/doctor/575","pcUrl": "https://www.med-credit.org.cn/doctor/575","jobTitle": "副主任医师","headPortrait": "https://www.med-credit.org.cn/uploadfile/member/575/180x180.jpeg","id": "575","description": "种轶文,北京大学第三医院妇产科副主任医师","memberOf": {"legalName": "北京大学第三医院","department": "妇产科","organizationLevel": "三级甲等"}},"Article": {"summaryContent": "孕妇腿上淤青主要表现为大腿皮肤紫红色、青紫色斑块或斑片,表面可见出血点,同时可伴有压痛。
孕妇腿上淤青主要是由于外伤或某些出血性疾病造成皮肤软组织损伤、皮下毛细血管破裂出血,形成皮下淤血、瘀斑。
1、孕妇腿上淤青早期通常表现为暗红色至紫红色的斑块,逐渐可转变为紫黑色、青紫色或棕色,表面可见针尖样陈旧性出血点,压之不褪色。皮损一般无隆起于皮面,边缘不规则,与正常皮肤组织分界不清晰,按压时有轻微疼痛感。

2、孕妇腿部外伤所致的皮肤瘀斑,一般是由于外力撞击或挤压导致血液渗出至皮下积聚,使皮肤表面出现青紫色至褐色瘀斑。出血性疾病患者出血性疾病患者(如凝血功能障碍、血液疾病等),由于止血机制存在异常,可能出现皮肤局部自发性出血斑,皮损通常可位于身体任何部位。
孕妇腿部外伤所致的皮肤淤青,早期可局部冰敷帮助止血,急性期后可使用热敷帮助皮下淤血吸收消散。如反复出现无诱因的皮下瘀斑,则需要及时就诊,确定是否存在出血性疾病。
","articleBody": "孕妇腿上淤青主要表现为大腿皮肤紫红色、青紫色斑块或斑片,表面可见出血点,同时可伴有压痛。
孕妇腿上淤青主要是由于外伤或某些出血性疾病造成皮肤软组织损伤、皮下毛细血管破裂出血,形成皮下淤血、瘀斑。
1、孕妇腿上淤青早期通常表现为暗红色至紫红色的斑块,逐渐可转变为紫黑色、青紫色或棕色,表面可见针尖样陈旧性出血点,压之不褪色。皮损一般无隆起于皮面,边缘不规则,与正常皮肤组织分界不清晰,按压时有轻微疼痛感。

2、孕妇腿部外伤所致的皮肤瘀斑,一般是由于外力撞击或挤压导致血液渗出至皮下积聚,使皮肤表面出现青紫色至褐色瘀斑。出血性疾病患者出血性疾病患者(如凝血功能障碍、血液疾病等),由于止血机制存在异常,可能出现皮肤局部自发性出血斑,皮损通常可位于身体任何部位。
孕妇腿部外伤所致的皮肤淤青,早期可局部冰敷帮助止血,急性期后可使用热敷帮助皮下淤血吸收消散。如反复出现无诱因的皮下瘀斑,则需要及时就诊,确定是否存在出血性疾病。
","scanCount": 56658}}} {"@context": "https://ziyuan.baidu.com/contexts/cambrian.jsonld","appid": "1650708455561748","icon": "https://www.med-credit.org.cn/style/images/ttlogo.png","content_tag": ["atlas"],"is_mcn": {"thumb_id": "v2rm41u3"},"accid": "4886d626a2804dee5f11168793ce361672f39c25","@id": "https://www.med-credit.org.cn/mobile/jingxuan/2/2fca4c44807352eefe6291dca3cff086.html","bagWordId": "181_1547866408623280128","title": "孕晚期阴壁膨出的照片","pubDate": "2023-03-29T10:32:19","upDate": "2023-03-29T10:32:19","lrDate": "2023-03-29T10:32:19","description": "孕晚期阴道壁膨出是指阴道前壁或后壁向阴道内隆起形成球状物,向下突出,甚至脱出阴道口外。","data": {"WebPage": {"headline": "孕晚期阴壁膨出的照片","pcUrl": "https://www.med-credit.org.cn/jingxuan/2/2fca4c44807352eefe6291dca3cff086.html","wapUrl": "https://www.med-credit.org.cn/jingxuan/2/2fca4c44807352eefe6291dca3cff086.html","mipUrl": "https://www.med-credit.org.cn/mobile/jingxuan/2/2fca4c44807352eefe6291dca3cff086.html","fromSrc": "欢乐橙","datePublished": "2023-03-29T10:32:19","domain": "医疗","category": ["医疗权威文章合作"],"description": "孕晚期阴道壁膨出是指阴道前壁或后壁向阴道内隆起形成球状物,向下突出,甚至脱出阴道口外。
","extra_headline": [""]},"Author": {"name": "种轶文","wapUrl": "https://www.med-credit.org.cn/doctor/575","pcUrl": "https://www.med-credit.org.cn/doctor/575","jobTitle": "副主任医师","headPortrait": "https://www.med-credit.org.cn/uploadfile/member/575/180x180.jpeg","id": "575","description": "种轶文,北京大学第三医院妇产科副主任医师","memberOf": {"legalName": "北京大学第三医院","department": "妇产科","organizationLevel": "三级甲等"}},"Article": {"summaryContent": "孕晚期阴道壁膨出是指阴道前壁或后壁向阴道内隆起形成球状物,向下突出,甚至脱出阴道口外。
阴道壁膨出属于一种女性盆底功能障碍性疾病。
1、孕晚期阴道壁膨出可分为阴道前壁膨出及阴道后壁膨出。前壁膨出常伴有尿道膨出,后壁膨出可伴随直肠膨出。轻症者阴道壁向内向下突出,在阴道内形成球状隆起,但未超出处女膜缘,中重度者阴道壁展平或消失,阴道壁部分或全部脱出于阴道口外。患者可自觉下坠感、腰背酸痛及阴道内脱出块状物。

2、孕晚期体内激素水平变化以及子宫向下压迫,造成盆底支持结构缺陷或退化、损伤及功能障碍,是引起孕晚期阴道壁膨出的主要原因。
孕晚期出现的阴道膨出在分娩后部分患者可逐渐恢复,进行适当的盆底肌训练有助于改善症状。当阴道膨出较严重,影响患者的生活质量时需治疗,治疗方式包括保守治疗(如放置子宫托)和手术治疗(如阴道壁修补术、膀胱颈悬吊术等)。
","articleBody": "孕晚期阴道壁膨出是指阴道前壁或后壁向阴道内隆起形成球状物,向下突出,甚至脱出阴道口外。
阴道壁膨出属于一种女性盆底功能障碍性疾病。
1、孕晚期阴道壁膨出可分为阴道前壁膨出及阴道后壁膨出。前壁膨出常伴有尿道膨出,后壁膨出可伴随直肠膨出。轻症者阴道壁向内向下突出,在阴道内形成球状隆起,但未超出处女膜缘,中重度者阴道壁展平或消失,阴道壁部分或全部脱出于阴道口外。患者可自觉下坠感、腰背酸痛及阴道内脱出块状物。

2、孕晚期体内激素水平变化以及子宫向下压迫,造成盆底支持结构缺陷或退化、损伤及功能障碍,是引起孕晚期阴道壁膨出的主要原因。
孕晚期出现的阴道膨出在分娩后部分患者可逐渐恢复,进行适当的盆底肌训练有助于改善症状。当阴道膨出较严重,影响患者的生活质量时需治疗,治疗方式包括保守治疗(如放置子宫托)和手术治疗(如阴道壁修补术、膀胱颈悬吊术等)。
","scanCount": 56657}}} {"@context": "https://ziyuan.baidu.com/contexts/cambrian.jsonld","appid": "1650708455561748","icon": "https://www.med-credit.org.cn/style/images/ttlogo.png","content_tag": ["atlas"],"is_mcn": {"thumb_id": "v2rm41u3"},"accid": "4886d626a2804dee5f11168793ce361672f39c25","@id": "https://www.med-credit.org.cn/mobile/jingxuan/2/a8ed95dfe2ecdca8eed294051dc8a0b8.html","bagWordId": "181_1547866408778469376","title": "轻度兔唇四维彩超图片","pubDate": "2023-03-29T10:32:19","upDate": "2023-03-29T10:32:19","lrDate": "2023-03-29T10:32:19","description": "轻度兔唇四维彩超可见胎儿鼻部下方、上唇软组织部分中断。","data": {"WebPage": {"headline": "轻度兔唇四维彩超图片","pcUrl": "https://www.med-credit.org.cn/jingxuan/2/a8ed95dfe2ecdca8eed294051dc8a0b8.html","wapUrl": "https://www.med-credit.org.cn/jingxuan/2/a8ed95dfe2ecdca8eed294051dc8a0b8.html","mipUrl": "https://www.med-credit.org.cn/mobile/jingxuan/2/a8ed95dfe2ecdca8eed294051dc8a0b8.html","fromSrc": "欢乐橙","datePublished": "2023-03-29T10:32:19","domain": "医疗","category": ["医疗权威文章合作"],"description": "轻度兔唇四维彩超可见胎儿鼻部下方、上唇软组织部分中断。
","extra_headline": [""]},"Author": {"name": "种轶文","wapUrl": "https://www.med-credit.org.cn/doctor/575","pcUrl": "https://www.med-credit.org.cn/doctor/575","jobTitle": "副主任医师","headPortrait": "https://www.med-credit.org.cn/uploadfile/member/575/180x180.jpeg","id": "575","description": "种轶文,北京大学第三医院妇产科副主任医师","memberOf": {"legalName": "北京大学第三医院","department": "妇产科","organizationLevel": "三级甲等"}},"Article": {"summaryContent": "轻度兔唇四维彩超可见胎儿鼻部下方、上唇软组织部分中断。
兔唇在医学上称为唇裂,是一种口裂畸形,是新生儿比较常见的颅面畸形。
1、轻症唇裂通常为单纯唇裂,一般不伴随腭裂。在四维彩超检查冠状切面可见上唇软组织连续性中断,或上唇中线部位缺失但未裂至鼻底,唇部可呈“八”字形,不伴其下骨缺损。 在孕中期,冠状面和轴面的胎儿超声显像分别是观察胎儿唇部和腭部的最佳方位。

2、唇裂通常是由于胚胎时期,唇部停止发育时,上颌突与球突部分或全部未连接,未形成上皮板,或形成的上皮板处中胚叶组织坏死造成。
由于口裂畸形的胎儿有着较高的染色体异常发生率,因此在超声检查发现唇裂时,建议进行羊膜腔穿刺术微阵列检查。检查结果有助于确定是否需要终止妊娠以及新生儿分娩后的治疗安排。
","articleBody": "轻度兔唇四维彩超可见胎儿鼻部下方、上唇软组织部分中断。
兔唇在医学上称为唇裂,是一种口裂畸形,是新生儿比较常见的颅面畸形。
1、轻症唇裂通常为单纯唇裂,一般不伴随腭裂。在四维彩超检查冠状切面可见上唇软组织连续性中断,或上唇中线部位缺失但未裂至鼻底,唇部可呈“八”字形,不伴其下骨缺损。 在孕中期,冠状面和轴面的胎儿超声显像分别是观察胎儿唇部和腭部的最佳方位。

2、唇裂通常是由于胚胎时期,唇部停止发育时,上颌突与球突部分或全部未连接,未形成上皮板,或形成的上皮板处中胚叶组织坏死造成。
由于口裂畸形的胎儿有着较高的染色体异常发生率,因此在超声检查发现唇裂时,建议进行羊膜腔穿刺术微阵列检查。检查结果有助于确定是否需要终止妊娠以及新生儿分娩后的治疗安排。
","scanCount": 56656}}} {"@context": "https://ziyuan.baidu.com/contexts/cambrian.jsonld","appid": "1650708455561748","icon": "https://www.med-credit.org.cn/style/images/ttlogo.png","content_tag": ["atlas"],"is_mcn": {"thumb_id": "v2rm41u3"},"accid": "4886d626a2804dee5f11168793ce361672f39c25","@id": "https://www.med-credit.org.cn/mobile/jingxuan/2/2e8dfcff686e99cc7bec4bd7cc907b29.html","bagWordId": "181_1547866408849772544","title": "宫角妊娠图片","pubDate": "2023-03-29T10:32:19","upDate": "2023-03-29T10:32:19","lrDate": "2023-03-29T10:32:19","description": "宫角妊娠是指胚胎位于宫角部(输卵管开口与子宫交界处)的子宫腔内着床并发育,属于一种特殊部位妊娠。","data": {"WebPage": {"headline": "宫角妊娠图片","pcUrl": "https://www.med-credit.org.cn/jingxuan/2/2e8dfcff686e99cc7bec4bd7cc907b29.html","wapUrl": "https://www.med-credit.org.cn/jingxuan/2/2e8dfcff686e99cc7bec4bd7cc907b29.html","mipUrl": "https://www.med-credit.org.cn/mobile/jingxuan/2/2e8dfcff686e99cc7bec4bd7cc907b29.html","fromSrc": "欢乐橙","datePublished": "2023-03-29T10:32:19","domain": "医疗","category": ["医疗权威文章合作"],"description": "宫角妊娠是指胚胎位于宫角部(输卵管开口与子宫交界处)的子宫腔内着床并发育,属于一种特殊部位妊娠。
","extra_headline": [""]},"Author": {"name": "种轶文","wapUrl": "https://www.med-credit.org.cn/doctor/575","pcUrl": "https://www.med-credit.org.cn/doctor/575","jobTitle": "副主任医师","headPortrait": "https://www.med-credit.org.cn/uploadfile/member/575/180x180.jpeg","id": "575","description": "种轶文,北京大学第三医院妇产科副主任医师","memberOf": {"legalName": "北京大学第三医院","department": "妇产科","organizationLevel": "三级甲等"}},"Article": {"summaryContent": "宫角妊娠是指胚胎位于宫角部(输卵管开口与子宫交界处)的子宫腔内着床并发育,属于一种特殊部位妊娠。
宫角妊娠由于宫角处肌层相对厚,使妊娠可以维持一段时间(个别患者可持续妊娠至自然分娩),通常会在妊娠12-16周时发生妊娠破裂出血。
宫角妊娠在孕早期检查时可发现胚囊定植于一侧宫角处,若生长过程中胚胎突向宫角,局部肌层不完整,则可能发展为异常妊娠。体查时可发现子宫大小与停经月份基本相符,一侧宫角明显突出,使子宫显得不对称。

2、宫角妊娠早孕时常有下腹疼痛,如发生流产或破裂时,患者将出现严重腹痛,或伴随阴道流血,危急者可出现休克、子宫破裂等危重症。
宫角妊娠的诊断通常首选盆腔超声检查,也可进行三维超声检查或磁共振成像检查。影像学检查有助于判断胚胎着床部位与宫腔的关系,确认孕囊位于宫角处即可诊断。
","articleBody": "宫角妊娠是指胚胎位于宫角部(输卵管开口与子宫交界处)的子宫腔内着床并发育,属于一种特殊部位妊娠。
宫角妊娠由于宫角处肌层相对厚,使妊娠可以维持一段时间(个别患者可持续妊娠至自然分娩),通常会在妊娠12-16周时发生妊娠破裂出血。
宫角妊娠在孕早期检查时可发现胚囊定植于一侧宫角处,若生长过程中胚胎突向宫角,局部肌层不完整,则可能发展为异常妊娠。体查时可发现子宫大小与停经月份基本相符,一侧宫角明显突出,使子宫显得不对称。

2、宫角妊娠早孕时常有下腹疼痛,如发生流产或破裂时,患者将出现严重腹痛,或伴随阴道流血,危急者可出现休克、子宫破裂等危重症。
宫角妊娠的诊断通常首选盆腔超声检查,也可进行三维超声检查或磁共振成像检查。影像学检查有助于判断胚胎着床部位与宫腔的关系,确认孕囊位于宫角处即可诊断。
","scanCount": 56655}}} {"@context": "https://ziyuan.baidu.com/contexts/cambrian.jsonld","appid": "1650708455561748","icon": "https://www.med-credit.org.cn/style/images/ttlogo.png","content_tag": ["atlas"],"is_mcn": {"thumb_id": "v2rm41u3"},"accid": "4886d626a2804dee5f11168793ce361672f39c25","@id": "https://www.med-credit.org.cn/mobile/jingxuan/2/f087547b1183a021efe444f031e31065.html","bagWordId": "181_1547866409126596608","title": "什么是胎盘植入图片","pubDate": "2023-03-29T10:32:19","upDate": "2023-03-29T10:32:19","lrDate": "2023-03-29T10:32:19","description": "胎盘植入通常是指胎盘与子宫之间蜕膜海绵层的生理性裂隙线消失,导致胎盘母体叶紧密粘连于蜕膜基底层甚至子宫肌层。","data": {"WebPage": {"headline": "什么是胎盘植入图片","pcUrl": "https://www.med-credit.org.cn/jingxuan/2/f087547b1183a021efe444f031e31065.html","wapUrl": "https://www.med-credit.org.cn/jingxuan/2/f087547b1183a021efe444f031e31065.html","mipUrl": "https://www.med-credit.org.cn/mobile/jingxuan/2/f087547b1183a021efe444f031e31065.html","fromSrc": "欢乐橙","datePublished": "2023-03-29T10:32:19","domain": "医疗","category": ["医疗权威文章合作"],"description": "胎盘植入通常是指胎盘与子宫之间蜕膜海绵层的生理性裂隙线消失,导致胎盘母体叶紧密粘连于蜕膜基底层甚至子宫肌层。
","extra_headline": [""]},"Author": {"name": "种轶文","wapUrl": "https://www.med-credit.org.cn/doctor/575","pcUrl": "https://www.med-credit.org.cn/doctor/575","jobTitle": "副主任医师","headPortrait": "https://www.med-credit.org.cn/uploadfile/member/575/180x180.jpeg","id": "575","description": "种轶文,北京大学第三医院妇产科副主任医师","memberOf": {"legalName": "北京大学第三医院","department": "妇产科","organizationLevel": "三级甲等"}},"Article": {"summaryContent": "胎盘植入通常是指胎盘与子宫之间蜕膜海绵层的生理性裂隙线消失,导致胎盘母体叶紧密粘连于蜕膜基底层甚至子宫肌层。
胎盘植入根据绒毛组织的植入程度可分为胎盘粘连、胎盘注入、穿透性胎盘植入三种类型。

1、胎盘粘连是指绒毛组织仅仅黏附于子宫肌层肌壁表面,但并未侵入肌层。
2、胎盘植入指绒毛组织侵入子宫肌层内深处。
3、穿透性胎盘植入指绒毛穿透子宫壁达到子宫浆膜层,甚至累及宫外周边盆腔器官。
4、胎盘植入多发生在子宫前下壁或后壁,主要病因为子宫内膜创伤、子宫内膜发育不良。发病的高危因素是高龄妊娠、既往子宫穿孔史及多次流产史等。
目前胎盘植入诊断的首选影像学检查是超声。核磁共振成像能更清楚的显示胎盘侵入肌层的深度、局部吻合血管的分布及宫旁侵犯情况,可作为是辅助诊断的有效补充。
","articleBody": "胎盘植入通常是指胎盘与子宫之间蜕膜海绵层的生理性裂隙线消失,导致胎盘母体叶紧密粘连于蜕膜基底层甚至子宫肌层。
胎盘植入根据绒毛组织的植入程度可分为胎盘粘连、胎盘注入、穿透性胎盘植入三种类型。

1、胎盘粘连是指绒毛组织仅仅黏附于子宫肌层肌壁表面,但并未侵入肌层。
2、胎盘植入指绒毛组织侵入子宫肌层内深处。
3、穿透性胎盘植入指绒毛穿透子宫壁达到子宫浆膜层,甚至累及宫外周边盆腔器官。
4、胎盘植入多发生在子宫前下壁或后壁,主要病因为子宫内膜创伤、子宫内膜发育不良。发病的高危因素是高龄妊娠、既往子宫穿孔史及多次流产史等。
目前胎盘植入诊断的首选影像学检查是超声。核磁共振成像能更清楚的显示胎盘侵入肌层的深度、局部吻合血管的分布及宫旁侵犯情况,可作为是辅助诊断的有效补充。
","scanCount": 56654}}} {"@context": "https://ziyuan.baidu.com/contexts/cambrian.jsonld","appid": "1650708455561748","icon": "https://www.med-credit.org.cn/style/images/ttlogo.png","content_tag": ["atlas"],"is_mcn": {"thumb_id": "v2rm41u3"},"accid": "4886d626a2804dee5f11168793ce361672f39c25","@id": "https://www.med-credit.org.cn/mobile/jingxuan/2/19e055b7ee39ae0f681b91fbc8c591cc.html","bagWordId": "181_1547866409558609920","title": "妊娠物是什么样子的图片","pubDate": "2023-03-29T10:32:19","upDate": "2023-03-29T10:32:19","lrDate": "2023-03-29T10:32:19","description": "妊娠物一般是指受精卵着床后发育而成的胚胎及其附属组织,外有纤维结缔组织膜包裹。","data": {"WebPage": {"headline": "妊娠物是什么样子的图片","pcUrl": "https://www.med-credit.org.cn/jingxuan/2/19e055b7ee39ae0f681b91fbc8c591cc.html","wapUrl": "https://www.med-credit.org.cn/jingxuan/2/19e055b7ee39ae0f681b91fbc8c591cc.html","mipUrl": "https://www.med-credit.org.cn/mobile/jingxuan/2/19e055b7ee39ae0f681b91fbc8c591cc.html","fromSrc": "欢乐橙","datePublished": "2023-03-29T10:32:19","domain": "医疗","category": ["医疗权威文章合作"],"description": "妊娠物一般是指受精卵着床后发育而成的胚胎及其附属组织,外有纤维结缔组织膜包裹。
","extra_headline": [""]},"Author": {"name": "种轶文","wapUrl": "https://www.med-credit.org.cn/doctor/575","pcUrl": "https://www.med-credit.org.cn/doctor/575","jobTitle": "副主任医师","headPortrait": "https://www.med-credit.org.cn/uploadfile/member/575/180x180.jpeg","id": "575","description": "种轶文,北京大学第三医院妇产科副主任医师","memberOf": {"legalName": "北京大学第三医院","department": "妇产科","organizationLevel": "三级甲等"}},"Article": {"summaryContent": "妊娠物一般是指受精卵着床后发育而成的胚胎及其附属组织,外有纤维结缔组织膜包裹。
当发生流产时,妊娠物将逐渐与子宫剥离并排出体外。
1、妊娠8周以前,流产排出的妊娠物通常是一个完整的蜕膜管型,囊胚包埋于蜕膜内,切开管型后囊胚部仅见少量羊水,部分可见胚胎。

2、妊娠8周以后的流产排出的妊娠物可以分为血肿样胎块、结节性胎块以及微囊型胎盘三种类型。血肿样胎块妊娠物周围包以血块,羊膜囊被压缩,充满血块。结节性胎块妊娠物切面可见绒毛膜下有大小不等的血栓。微囊型妊娠物绒毛水肿,呈水泡状改变。
自然流产属于异常胚胎自然淘汰的一种临床现象,对流产排出的妊娠物进行检查可有助于了解流产的原因。对自然流产妊娠物进行绒毛染色体分析时发现半数以上都存在染色体核型异常。
","articleBody": "妊娠物一般是指受精卵着床后发育而成的胚胎及其附属组织,外有纤维结缔组织膜包裹。
当发生流产时,妊娠物将逐渐与子宫剥离并排出体外。
1、妊娠8周以前,流产排出的妊娠物通常是一个完整的蜕膜管型,囊胚包埋于蜕膜内,切开管型后囊胚部仅见少量羊水,部分可见胚胎。

2、妊娠8周以后的流产排出的妊娠物可以分为血肿样胎块、结节性胎块以及微囊型胎盘三种类型。血肿样胎块妊娠物周围包以血块,羊膜囊被压缩,充满血块。结节性胎块妊娠物切面可见绒毛膜下有大小不等的血栓。微囊型妊娠物绒毛水肿,呈水泡状改变。
自然流产属于异常胚胎自然淘汰的一种临床现象,对流产排出的妊娠物进行检查可有助于了解流产的原因。对自然流产妊娠物进行绒毛染色体分析时发现半数以上都存在染色体核型异常。
","scanCount": 56653}}} {"@context": "https://ziyuan.baidu.com/contexts/cambrian.jsonld","appid": "1650708455561748","icon": "https://www.med-credit.org.cn/style/images/ttlogo.png","content_tag": ["atlas"],"is_mcn": {"thumb_id": "v2rm41u3"},"accid": "4886d626a2804dee5f11168793ce361672f39c25","@id": "https://www.med-credit.org.cn/mobile/jingxuan/2/bd11243c736bb6183e4a5d6dc12564a6.html","bagWordId": "181_1547866407130107904","title": "四维22周2mm唇裂图片","pubDate": "2023-03-29T10:32:19","upDate": "2023-03-29T10:32:19","lrDate": "2023-03-29T10:32:19","description": "四维彩超22周2毫米的唇裂要看裂开的程度。","data": {"WebPage": {"headline": "四维22周2mm唇裂图片","pcUrl": "https://www.med-credit.org.cn/jingxuan/2/bd11243c736bb6183e4a5d6dc12564a6.html","wapUrl": "https://www.med-credit.org.cn/jingxuan/2/bd11243c736bb6183e4a5d6dc12564a6.html","mipUrl": "https://www.med-credit.org.cn/mobile/jingxuan/2/bd11243c736bb6183e4a5d6dc12564a6.html","fromSrc": "欢乐橙","datePublished": "2023-03-29T10:32:19","domain": "医疗","category": ["医疗权威文章合作"],"description": "四维彩超22周2毫米的唇裂要看裂开的程度。
","extra_headline": [""]},"Author": {"name": "种轶文","wapUrl": "https://www.med-credit.org.cn/doctor/575","pcUrl": "https://www.med-credit.org.cn/doctor/575","jobTitle": "副主任医师","headPortrait": "https://www.med-credit.org.cn/uploadfile/member/575/180x180.jpeg","id": "575","description": "种轶文,北京大学第三医院妇产科副主任医师","memberOf": {"legalName": "北京大学第三医院","department": "妇产科","organizationLevel": "三级甲等"}},"Article": {"summaryContent": "四维彩超22周2毫米的唇裂要看裂开的程度。
唇裂如果没有贯穿到鼻部,不严重;如果唇裂贯穿到鼻部甚至发生到腭部就属于严重的。

唇裂是口腔颌面部最常见的先天性畸形,常与腭裂伴发,患病率约为1:1000,发病因素与遗传因素、营养因素、感染和损伤、内分泌因素、药物因素、物理因素、烟酒因素等有关。
孕妇在怀孕前期,要加强营养、预防病毒感染、避免精神刺激和过度紧张、避免接触放射线等有害物质、注意安全用药等。
唇裂按照严重程度分度分为Ⅰ度、Ⅱ度、Ⅲ度。如果唇裂仅仅是唇红部粘膜的裂开,上唇皮肤连续性完整的,宽度只有两毫米,这种情况不严重,属于唇裂的Ⅰ度。如果唇裂是上唇皮肤部分裂开2mm,但是没有达到鼻底,这种情况属于Ⅱ度,属于相对较严重。如果是上唇及鼻底完全裂开,属于Ⅲ度唇裂,就更为严重。
","articleBody": "四维彩超22周2毫米的唇裂要看裂开的程度。
唇裂如果没有贯穿到鼻部,不严重;如果唇裂贯穿到鼻部甚至发生到腭部就属于严重的。

唇裂是口腔颌面部最常见的先天性畸形,常与腭裂伴发,患病率约为1:1000,发病因素与遗传因素、营养因素、感染和损伤、内分泌因素、药物因素、物理因素、烟酒因素等有关。
孕妇在怀孕前期,要加强营养、预防病毒感染、避免精神刺激和过度紧张、避免接触放射线等有害物质、注意安全用药等。
唇裂按照严重程度分度分为Ⅰ度、Ⅱ度、Ⅲ度。如果唇裂仅仅是唇红部粘膜的裂开,上唇皮肤连续性完整的,宽度只有两毫米,这种情况不严重,属于唇裂的Ⅰ度。如果唇裂是上唇皮肤部分裂开2mm,但是没有达到鼻底,这种情况属于Ⅱ度,属于相对较严重。如果是上唇及鼻底完全裂开,属于Ⅲ度唇裂,就更为严重。
","scanCount": 56652}}} {"@context": "https://ziyuan.baidu.com/contexts/cambrian.jsonld","appid": "1650708455561748","icon": "https://www.med-credit.org.cn/style/images/ttlogo.png","content_tag": ["atlas"],"is_mcn": {"thumb_id": "v2rm41u3"},"accid": "4886d626a2804dee5f11168793ce361672f39c25","@id": "https://www.med-credit.org.cn/mobile/jingxuan/2/9845e39bb29b00104cd9f1adb4ac1483.html","bagWordId": "181_1547866407172050944","title": "怀孕初期验孕棒一深一浅图片","pubDate": "2023-03-29T10:32:19","upDate": "2023-03-29T10:32:19","lrDate": "2023-03-29T10:32:19","description": "怀孕初期验孕棒二条杠一深一浅可能是刚怀孕,类绒毛膜促性腺激素HCG水平较低,检测不明显。","data": {"WebPage": {"headline": "怀孕初期验孕棒一深一浅图片","pcUrl": "https://www.med-credit.org.cn/jingxuan/2/9845e39bb29b00104cd9f1adb4ac1483.html","wapUrl": "https://www.med-credit.org.cn/jingxuan/2/9845e39bb29b00104cd9f1adb4ac1483.html","mipUrl": "https://www.med-credit.org.cn/mobile/jingxuan/2/9845e39bb29b00104cd9f1adb4ac1483.html","fromSrc": "欢乐橙","datePublished": "2023-03-29T10:32:19","domain": "医疗","category": ["医疗权威文章合作"],"description": "怀孕初期验孕棒二条杠一深一浅可能是刚怀孕,类绒毛膜促性腺激素HCG水平较低,检测不明显。
","extra_headline": [""]},"Author": {"name": "种轶文","wapUrl": "https://www.med-credit.org.cn/doctor/575","pcUrl": "https://www.med-credit.org.cn/doctor/575","jobTitle": "副主任医师","headPortrait": "https://www.med-credit.org.cn/uploadfile/member/575/180x180.jpeg","id": "575","description": "种轶文,北京大学第三医院妇产科副主任医师","memberOf": {"legalName": "北京大学第三医院","department": "妇产科","organizationLevel": "三级甲等"}},"Article": {"summaryContent": "怀孕初期验孕棒二条杠一深一浅可能是刚怀孕,类绒毛膜促性腺激素HCG水平较低,检测不明显。
测早孕时使用晨尿检测准确性更高。

验孕棒出现两条红杠说明是阳性,表示女性已经怀孕,出现红杠一深一浅则说明是弱阳性,怀孕初期测验孕棒出现弱阳性,可能是刚刚怀上,体内的类绒毛膜促性腺激素水平还处于比较低的范围,这个时候如果检测的尿液浓度比较低,可能就检测结果不太明显。
测早孕的时候最好是用晨尿检测,晨尿的浓度比较高,同时前一天晚上不要喝太多水,避免尿液被稀释。怀孕初期验孕棒出现二条杠一深一浅的情况可以过两天后再检测一次晨尿,这样会比较准确。
如果再次检测,验孕棒的指示还是一深一浅,建议去医院进行检查。建议孕妇养成良好的生活规律,晚上不要熬夜,早点睡觉,睡觉前不要进行激烈的活动和情绪紧张,以免延长入睡时间。
","articleBody": "怀孕初期验孕棒二条杠一深一浅可能是刚怀孕,类绒毛膜促性腺激素HCG水平较低,检测不明显。
测早孕时使用晨尿检测准确性更高。

验孕棒出现两条红杠说明是阳性,表示女性已经怀孕,出现红杠一深一浅则说明是弱阳性,怀孕初期测验孕棒出现弱阳性,可能是刚刚怀上,体内的类绒毛膜促性腺激素水平还处于比较低的范围,这个时候如果检测的尿液浓度比较低,可能就检测结果不太明显。
测早孕的时候最好是用晨尿检测,晨尿的浓度比较高,同时前一天晚上不要喝太多水,避免尿液被稀释。怀孕初期验孕棒出现二条杠一深一浅的情况可以过两天后再检测一次晨尿,这样会比较准确。
如果再次检测,验孕棒的指示还是一深一浅,建议去医院进行检查。建议孕妇养成良好的生活规律,晚上不要熬夜,早点睡觉,睡觉前不要进行激烈的活动和情绪紧张,以免延长入睡时间。
","scanCount": 56651}}} {"@context": "https://ziyuan.baidu.com/contexts/cambrian.jsonld","appid": "1650708455561748","icon": "https://www.med-credit.org.cn/style/images/ttlogo.png","content_tag": ["atlas"],"is_mcn": {"thumb_id": "v2rm41u3"},"accid": "4886d626a2804dee5f11168793ce361672f39c25","@id": "https://www.med-credit.org.cn/mobile/jingxuan/2/fa967fe17da6a2125af83fba03b7cd36.html","bagWordId": "181_1547866407209799680","title": "怀孕流黑色血图片","pubDate": "2023-03-29T10:32:19","upDate": "2023-03-29T10:32:19","lrDate": "2023-03-29T10:32:19","description": "怀孕流黑色的血可能是先兆流产、胎停或宫外孕。","data": {"WebPage": {"headline": "怀孕流黑色血图片","pcUrl": "https://www.med-credit.org.cn/jingxuan/2/fa967fe17da6a2125af83fba03b7cd36.html","wapUrl": "https://www.med-credit.org.cn/jingxuan/2/fa967fe17da6a2125af83fba03b7cd36.html","mipUrl": "https://www.med-credit.org.cn/mobile/jingxuan/2/fa967fe17da6a2125af83fba03b7cd36.html","fromSrc": "欢乐橙","datePublished": "2023-03-29T10:32:19","domain": "医疗","category": ["医疗权威文章合作"],"description": "怀孕流黑色的血可能是先兆流产、胎停或宫外孕。
","extra_headline": [""]},"Author": {"name": "种轶文","wapUrl": "https://www.med-credit.org.cn/doctor/575","pcUrl": "https://www.med-credit.org.cn/doctor/575","jobTitle": "副主任医师","headPortrait": "https://www.med-credit.org.cn/uploadfile/member/575/180x180.jpeg","id": "575","description": "种轶文,北京大学第三医院妇产科副主任医师","memberOf": {"legalName": "北京大学第三医院","department": "妇产科","organizationLevel": "三级甲等"}},"Article": {"summaryContent": "怀孕流黑色的血可能是先兆流产、胎停或宫外孕。
怀孕流黑色的血时可能伴随出现一侧下腹痛,肛门坠胀感等症状。

1.病因:孕后女性处于停经状态,此时女性阴道不会流出黑血,该症状一般会被认为是先兆流产、胎停或宫外孕造成的。由于胚胎体异常、母体的身体因素、父亲精子染色体异常、母体长期处于有害环境等均可造成先兆流产、胎停,从而导致怀孕时流出黑血。输卵管通畅度不佳、炎症会造成孕卵无法到达子宫内,从而导致宫外孕,当受精卵破裂或流产时会出现阴道流黑血症状。
2.症状:患者除了阴道内流黑色的血液外,可出现下腹痛、腰痛、肛门坠胀感等伴随症状,当病情发展严重时可出现肩胛放射痛、胸痛、面色苍白、晕厥、休克等急性症状。
当确认怀孕后,出现流黑血症状应及时到医院就诊。通常需要通过抽血化验HCG和孕酮、阴道彩超等方式确诊,并针对可能出现的病因进行保胎或清宫处理。
","articleBody": "怀孕流黑色的血可能是先兆流产、胎停或宫外孕。
怀孕流黑色的血时可能伴随出现一侧下腹痛,肛门坠胀感等症状。

1.病因:孕后女性处于停经状态,此时女性阴道不会流出黑血,该症状一般会被认为是先兆流产、胎停或宫外孕造成的。由于胚胎体异常、母体的身体因素、父亲精子染色体异常、母体长期处于有害环境等均可造成先兆流产、胎停,从而导致怀孕时流出黑血。输卵管通畅度不佳、炎症会造成孕卵无法到达子宫内,从而导致宫外孕,当受精卵破裂或流产时会出现阴道流黑血症状。
2.症状:患者除了阴道内流黑色的血液外,可出现下腹痛、腰痛、肛门坠胀感等伴随症状,当病情发展严重时可出现肩胛放射痛、胸痛、面色苍白、晕厥、休克等急性症状。
当确认怀孕后,出现流黑血症状应及时到医院就诊。通常需要通过抽血化验HCG和孕酮、阴道彩超等方式确诊,并针对可能出现的病因进行保胎或清宫处理。
","scanCount": 56650}}} {"@context": "https://ziyuan.baidu.com/contexts/cambrian.jsonld","appid": "1650708455561748","icon": "https://www.med-credit.org.cn/style/images/ttlogo.png","content_tag": ["atlas"],"is_mcn": {"thumb_id": "v2rm41u3"},"accid": "4886d626a2804dee5f11168793ce361672f39c25","@id": "https://www.med-credit.org.cn/mobile/jingxuan/2/0811654ef3c37b0adebda56087994334.html","bagWordId": "181_1547866407247548416","title": "宫外孕褐色分泌物图片","pubDate": "2023-03-29T10:32:19","upDate": "2023-03-29T10:32:19","lrDate": "2023-03-29T10:32:19","description": "宫外孕褐色分泌物是阴道不规则的少量出血,主要由陈旧血液和子宫蜕膜组成。","data": {"WebPage": {"headline": "宫外孕褐色分泌物图片","pcUrl": "https://www.med-credit.org.cn/jingxuan/2/0811654ef3c37b0adebda56087994334.html","wapUrl": "https://www.med-credit.org.cn/jingxuan/2/0811654ef3c37b0adebda56087994334.html","mipUrl": "https://www.med-credit.org.cn/mobile/jingxuan/2/0811654ef3c37b0adebda56087994334.html","fromSrc": "欢乐橙","datePublished": "2023-03-29T10:32:19","domain": "医疗","category": ["医疗权威文章合作"],"description": "宫外孕褐色分泌物是阴道不规则的少量出血,主要由陈旧血液和子宫蜕膜组成。
","extra_headline": [""]},"Author": {"name": "种轶文","wapUrl": "https://www.med-credit.org.cn/doctor/575","pcUrl": "https://www.med-credit.org.cn/doctor/575","jobTitle": "副主任医师","headPortrait": "https://www.med-credit.org.cn/uploadfile/member/575/180x180.jpeg","id": "575","description": "种轶文,北京大学第三医院妇产科副主任医师","memberOf": {"legalName": "北京大学第三医院","department": "妇产科","organizationLevel": "三级甲等"}},"Article": {"summaryContent": "宫外孕褐色分泌物是阴道不规则的少量出血,主要由陈旧血液和子宫蜕膜组成。
宫外孕大部分是由输卵管病变引起,也可因其它危险因素导致。

1.宫外孕是指受精卵在子宫以外的部位着床,所以也叫做异位妊娠。宫外孕的胚胎无法正常存活,当胚胎死亡后,患者常有不规则的阴道出血,量少于正常月经,可伴有蜕膜碎片排出,呈暗红色或褐色。大部分患者还有停经6-7周或腹痛等症状。如出血量增多,患者可出现肛门坠胀感、全腹痛、甚至晕厥休克威胁生命。
2.大多数宫外孕是输卵管妊娠,所以输卵管疾病是导致宫外孕最主要的原因,包括输卵管炎、输卵管发育不良、输卵管周围肿瘤、输卵管妊娠史、输卵管手术史等,可导致受精卵在输卵管中运行受阻,并在输卵管内着床发育。避孕失败如宫内节育环和口服避孕药失败后;吸烟;年龄偏大;多个性伴侣等因素都使宫外孕几率升高。
无出血时,可采用口服甲氨蝶呤治疗,治疗期间及治疗后要定期复查。大出血或药物治疗无效者,可采用手术治疗,常用手术方式有输卵管切除术,保留输卵管手术如输卵管造口术、输卵管切开术和输卵管伞部压出术。
","articleBody": "宫外孕褐色分泌物是阴道不规则的少量出血,主要由陈旧血液和子宫蜕膜组成。
宫外孕大部分是由输卵管病变引起,也可因其它危险因素导致。

1.宫外孕是指受精卵在子宫以外的部位着床,所以也叫做异位妊娠。宫外孕的胚胎无法正常存活,当胚胎死亡后,患者常有不规则的阴道出血,量少于正常月经,可伴有蜕膜碎片排出,呈暗红色或褐色。大部分患者还有停经6-7周或腹痛等症状。如出血量增多,患者可出现肛门坠胀感、全腹痛、甚至晕厥休克威胁生命。
2.大多数宫外孕是输卵管妊娠,所以输卵管疾病是导致宫外孕最主要的原因,包括输卵管炎、输卵管发育不良、输卵管周围肿瘤、输卵管妊娠史、输卵管手术史等,可导致受精卵在输卵管中运行受阻,并在输卵管内着床发育。避孕失败如宫内节育环和口服避孕药失败后;吸烟;年龄偏大;多个性伴侣等因素都使宫外孕几率升高。
无出血时,可采用口服甲氨蝶呤治疗,治疗期间及治疗后要定期复查。大出血或药物治疗无效者,可采用手术治疗,常用手术方式有输卵管切除术,保留输卵管手术如输卵管造口术、输卵管切开术和输卵管伞部压出术。
","scanCount": 56649}}} {"@context": "https://ziyuan.baidu.com/contexts/cambrian.jsonld","appid": "1650708455561748","icon": "https://www.med-credit.org.cn/style/images/ttlogo.png","content_tag": ["atlas"],"is_mcn": {"thumb_id": "v2rm41u3"},"accid": "4886d626a2804dee5f11168793ce361672f39c25","@id": "https://www.med-credit.org.cn/mobile/jingxuan/2/6988790101d99df4f09022bcff8a9d9a.html","bagWordId": "181_1547866407285297152","title": "前置胎盘流褐色血图片","pubDate": "2023-03-29T10:32:19","upDate": "2023-03-29T10:32:19","lrDate": "2023-03-29T10:32:19","description": "前置胎盘孕妇阴道可出现无诱因的无痛性流血,血液可为褐色或深红色陈旧血液。","data": {"WebPage": {"headline": "前置胎盘流褐色血图片","pcUrl": "https://www.med-credit.org.cn/jingxuan/2/6988790101d99df4f09022bcff8a9d9a.html","wapUrl": "https://www.med-credit.org.cn/jingxuan/2/6988790101d99df4f09022bcff8a9d9a.html","mipUrl": "https://www.med-credit.org.cn/mobile/jingxuan/2/6988790101d99df4f09022bcff8a9d9a.html","fromSrc": "欢乐橙","datePublished": "2023-03-29T10:32:19","domain": "医疗","category": ["医疗权威文章合作"],"description": "前置胎盘孕妇阴道可出现无诱因的无痛性流血,血液可为褐色或深红色陈旧血液。
","extra_headline": [""]},"Author": {"name": "种轶文","wapUrl": "https://www.med-credit.org.cn/doctor/575","pcUrl": "https://www.med-credit.org.cn/doctor/575","jobTitle": "副主任医师","headPortrait": "https://www.med-credit.org.cn/uploadfile/member/575/180x180.jpeg","id": "575","description": "种轶文,北京大学第三医院妇产科副主任医师","memberOf": {"legalName": "北京大学第三医院","department": "妇产科","organizationLevel": "三级甲等"}},"Article": {"summaryContent": "前置胎盘孕妇阴道可出现无诱因的无痛性流血,血液可为褐色或深红色陈旧血液。
前置胎盘的发生可能与子宫内膜受损、胎盘异常、受精卵发育迟缓有关。

1.前置胎盘患者在妊娠晚期或临产时,会出现无诱因、无痛性阴道出血,出血的频率、时间和出血量与胎盘下缘覆盖子宫颈口程度有关,覆盖越多,流血越频繁,流血了越多,越危险。由于反复流血,孕妇可出现贫血,如一次流血过多,可致孕妇休克、胎儿窘迫甚至死亡。
2.前置胎盘的发病机制暂不明确,可能与子宫内膜受损如子宫手术史、流产刮宫史;胎盘位置或大小异常;受精卵滋养层发育迟缓导致着床较晚有关。
无阴道流血者,定期超声检测胎盘情况即可。一旦出现阴道流出则需要住院治疗,可口服铁剂纠正贫血,有早产风险者使用宫缩抑制剂,还可使用促胎肺成熟药物地塞米松,减少新生儿呼吸窘迫。在胎儿和母体情况适宜时,可剖宫产终止妊娠。但如出现孕妇大出血或胎儿突发严重呼吸窘迫,需紧急剖宫产终止妊娠,以挽救孕妇生命为主。
","articleBody": "前置胎盘孕妇阴道可出现无诱因的无痛性流血,血液可为褐色或深红色陈旧血液。
前置胎盘的发生可能与子宫内膜受损、胎盘异常、受精卵发育迟缓有关。

1.前置胎盘患者在妊娠晚期或临产时,会出现无诱因、无痛性阴道出血,出血的频率、时间和出血量与胎盘下缘覆盖子宫颈口程度有关,覆盖越多,流血越频繁,流血了越多,越危险。由于反复流血,孕妇可出现贫血,如一次流血过多,可致孕妇休克、胎儿窘迫甚至死亡。
2.前置胎盘的发病机制暂不明确,可能与子宫内膜受损如子宫手术史、流产刮宫史;胎盘位置或大小异常;受精卵滋养层发育迟缓导致着床较晚有关。
无阴道流血者,定期超声检测胎盘情况即可。一旦出现阴道流出则需要住院治疗,可口服铁剂纠正贫血,有早产风险者使用宫缩抑制剂,还可使用促胎肺成熟药物地塞米松,减少新生儿呼吸窘迫。在胎儿和母体情况适宜时,可剖宫产终止妊娠。但如出现孕妇大出血或胎儿突发严重呼吸窘迫,需紧急剖宫产终止妊娠,以挽救孕妇生命为主。
","scanCount": 56648}}} {"@context": "https://ziyuan.baidu.com/contexts/cambrian.jsonld","appid": "1650708455561748","icon": "https://www.med-credit.org.cn/style/images/ttlogo.png","content_tag": ["atlas"],"is_mcn": {"thumb_id": "v2rm41u3"},"accid": "4886d626a2804dee5f11168793ce361672f39c25","@id": "https://www.med-credit.org.cn/mobile/jingxuan/2/c13836a10defa51e0116f86f56f83495.html","bagWordId": "181_1547866407356600320","title": "宫外孕孕囊掉下来的图片","pubDate": "2023-03-29T10:32:19","upDate": "2023-03-29T10:32:19","lrDate": "2023-03-29T10:32:19","description": "宫外孕孕囊不会自己掉下来,可以在医生的建议下进行治疗。","data": {"WebPage": {"headline": "宫外孕孕囊掉下来的图片","pcUrl": "https://www.med-credit.org.cn/jingxuan/2/c13836a10defa51e0116f86f56f83495.html","wapUrl": "https://www.med-credit.org.cn/jingxuan/2/c13836a10defa51e0116f86f56f83495.html","mipUrl": "https://www.med-credit.org.cn/mobile/jingxuan/2/c13836a10defa51e0116f86f56f83495.html","fromSrc": "欢乐橙","datePublished": "2023-03-29T10:32:19","domain": "医疗","category": ["医疗权威文章合作"],"description": "宫外孕孕囊不会自己掉下来,可以在医生的建议下进行治疗。
","extra_headline": [""]},"Author": {"name": "种轶文","wapUrl": "https://www.med-credit.org.cn/doctor/575","pcUrl": "https://www.med-credit.org.cn/doctor/575","jobTitle": "副主任医师","headPortrait": "https://www.med-credit.org.cn/uploadfile/member/575/180x180.jpeg","id": "575","description": "种轶文,北京大学第三医院妇产科副主任医师","memberOf": {"legalName": "北京大学第三医院","department": "妇产科","organizationLevel": "三级甲等"}},"Article": {"summaryContent": "宫外孕孕囊不会自己掉下来,可以在医生的建议下进行治疗。
只有真正宫腔内怀孕,自然流产或者药物流产的患者孕囊它会自己流出来,正常情况下宫外孕的患者不会出现孕囊自己排出来的情况。


宫外孕患者流产时一般会表现为异位妊娠三联征,即出现停经、腹痛、阴道流血。
孕囊形状是一个自然发展的过程,孕囊形状并不是一个固定的形状。孕囊的形状有圆形、椭圆形、长形等,无论孕囊的形状是哪一类,只要没有小腹疼痛、阴道流血等先兆流产的征兆,B超检查孕囊发育良好,都属于正常的孕囊形状,并不影响孕囊的发育。
正常情况下,如果出现宫外孕的情况,孕囊它不会自己流出来,一般在腹腔内没有破裂的患者可以通过保守治疗,保守用药物将胚胎杀死,杀胚后一般促进盆腔包块液体吸收就可以,这种情况自己流出来的可能性不大,宫外孕患者孕囊绝大多数是需要自行吸收的,不会自己排出来的。
","articleBody": "宫外孕孕囊不会自己掉下来,可以在医生的建议下进行治疗。
只有真正宫腔内怀孕,自然流产或者药物流产的患者孕囊它会自己流出来,正常情况下宫外孕的患者不会出现孕囊自己排出来的情况。


宫外孕患者流产时一般会表现为异位妊娠三联征,即出现停经、腹痛、阴道流血。
孕囊形状是一个自然发展的过程,孕囊形状并不是一个固定的形状。孕囊的形状有圆形、椭圆形、长形等,无论孕囊的形状是哪一类,只要没有小腹疼痛、阴道流血等先兆流产的征兆,B超检查孕囊发育良好,都属于正常的孕囊形状,并不影响孕囊的发育。
正常情况下,如果出现宫外孕的情况,孕囊它不会自己流出来,一般在腹腔内没有破裂的患者可以通过保守治疗,保守用药物将胚胎杀死,杀胚后一般促进盆腔包块液体吸收就可以,这种情况自己流出来的可能性不大,宫外孕患者孕囊绝大多数是需要自行吸收的,不会自己排出来的。
","scanCount": 56647}}} {"@context": "https://ziyuan.baidu.com/contexts/cambrian.jsonld","appid": "1650708455561748","icon": "https://www.med-credit.org.cn/style/images/ttlogo.png","content_tag": ["atlas"],"is_mcn": {"thumb_id": "v2rm41u3"},"accid": "4886d626a2804dee5f11168793ce361672f39c25","@id": "https://www.med-credit.org.cn/mobile/jingxuan/2/20226c96e5acc000767faca181d5bb5d.html","bagWordId": "181_1547866407390154752","title": "胎盘前壁图片","pubDate": "2023-03-29T10:32:19","upDate": "2023-03-29T10:32:19","lrDate": "2023-03-29T10:32:19","description": "胎盘前壁指胎盘附着在靠近肚皮的一侧子宫壁上,胎盘前壁的孕妇会比胎盘后壁的孕妇更显怀一点。","data": {"WebPage": {"headline": "胎盘前壁图片","pcUrl": "https://www.med-credit.org.cn/jingxuan/2/20226c96e5acc000767faca181d5bb5d.html","wapUrl": "https://www.med-credit.org.cn/jingxuan/2/20226c96e5acc000767faca181d5bb5d.html","mipUrl": "https://www.med-credit.org.cn/mobile/jingxuan/2/20226c96e5acc000767faca181d5bb5d.html","fromSrc": "欢乐橙","datePublished": "2023-03-29T10:32:19","domain": "医疗","category": ["医疗权威文章合作"],"description": "胎盘前壁指胎盘附着在靠近肚皮的一侧子宫壁上,胎盘前壁的孕妇会比胎盘后壁的孕妇更显怀一点。
","extra_headline": [""]},"Author": {"name": "种轶文","wapUrl": "https://www.med-credit.org.cn/doctor/575","pcUrl": "https://www.med-credit.org.cn/doctor/575","jobTitle": "副主任医师","headPortrait": "https://www.med-credit.org.cn/uploadfile/member/575/180x180.jpeg","id": "575","description": "种轶文,北京大学第三医院妇产科副主任医师","memberOf": {"legalName": "北京大学第三医院","department": "妇产科","organizationLevel": "三级甲等"}},"Article": {"summaryContent": "胎盘前壁指胎盘附着在靠近肚皮的一侧子宫壁上,胎盘前壁的孕妇会比胎盘后壁的孕妇更显怀一点。
如果胎盘前壁时出现前置胎盘则可能引发流血、休克等危害。

受精卵着床的位置不同可以分成胎盘前壁和胎盘后壁,如果受精卵是着床在子宫前面一侧的时候,即胎盘前壁;如果受精卵是着床在子宫后面一侧的话,就会形成胎盘后壁。通常胎盘前壁的孕妇由于受精卵是在靠近肚皮的一侧发育生长,会比胎盘后壁的孕妇更显怀一点。
如果前臂胎盘还附着于子宫下段或者是子宫颈内口,比胎儿的先露部低的话则是病理情况妊娠,即前置胎盘。在妊娠晚期时会出现流血,且反复发生,出血量也会越来越多,孕妇可出现贫血,严重的话甚至会休克,胎儿会有缺氧的情况,甚至出现死胎。
胎盘前壁的孕妇要小心,运动幅度不要过大,避免意外摔伤。日常饮食要均衡,适量摄入一些水果、粗粮、蔬菜等食物,其富含的膳食纤维可以帮助消化排泄,避免腹部压力增大。
","articleBody": "胎盘前壁指胎盘附着在靠近肚皮的一侧子宫壁上,胎盘前壁的孕妇会比胎盘后壁的孕妇更显怀一点。
如果胎盘前壁时出现前置胎盘则可能引发流血、休克等危害。

受精卵着床的位置不同可以分成胎盘前壁和胎盘后壁,如果受精卵是着床在子宫前面一侧的时候,即胎盘前壁;如果受精卵是着床在子宫后面一侧的话,就会形成胎盘后壁。通常胎盘前壁的孕妇由于受精卵是在靠近肚皮的一侧发育生长,会比胎盘后壁的孕妇更显怀一点。
如果前臂胎盘还附着于子宫下段或者是子宫颈内口,比胎儿的先露部低的话则是病理情况妊娠,即前置胎盘。在妊娠晚期时会出现流血,且反复发生,出血量也会越来越多,孕妇可出现贫血,严重的话甚至会休克,胎儿会有缺氧的情况,甚至出现死胎。
胎盘前壁的孕妇要小心,运动幅度不要过大,避免意外摔伤。日常饮食要均衡,适量摄入一些水果、粗粮、蔬菜等食物,其富含的膳食纤维可以帮助消化排泄,避免腹部压力增大。
","scanCount": 56646}}} {"@context": "https://ziyuan.baidu.com/contexts/cambrian.jsonld","appid": "1650708455561748","icon": "https://www.med-credit.org.cn/style/images/ttlogo.png","content_tag": ["atlas"],"is_mcn": {"thumb_id": "v2rm41u3"},"accid": "4886d626a2804dee5f11168793ce361672f39c25","@id": "https://www.med-credit.org.cn/mobile/jingxuan/2/95ae9e9a8a003e27850d007d49a9e94f.html","bagWordId": "181_1547866407427903488","title": "宫外孕图片彩超图片","pubDate": "2023-03-29T10:32:19","upDate": "2023-03-29T10:32:19","lrDate": "2023-03-29T10:32:19","description": "宫外孕彩超表现主要为子宫增大,子宫内膜增厚。","data": {"WebPage": {"headline": "宫外孕图片彩超图片","pcUrl": "https://www.med-credit.org.cn/jingxuan/2/95ae9e9a8a003e27850d007d49a9e94f.html","wapUrl": "https://www.med-credit.org.cn/jingxuan/2/95ae9e9a8a003e27850d007d49a9e94f.html","mipUrl": "https://www.med-credit.org.cn/mobile/jingxuan/2/95ae9e9a8a003e27850d007d49a9e94f.html","fromSrc": "欢乐橙","datePublished": "2023-03-29T10:32:19","domain": "医疗","category": ["医疗权威文章合作"],"description": "宫外孕彩超表现主要为子宫增大,子宫内膜增厚。
","extra_headline": [""]},"Author": {"name": "种轶文","wapUrl": "https://www.med-credit.org.cn/doctor/575","pcUrl": "https://www.med-credit.org.cn/doctor/575","jobTitle": "副主任医师","headPortrait": "https://www.med-credit.org.cn/uploadfile/member/575/180x180.jpeg","id": "575","description": "种轶文,北京大学第三医院妇产科副主任医师","memberOf": {"legalName": "北京大学第三医院","department": "妇产科","organizationLevel": "三级甲等"}},"Article": {"summaryContent": "宫外孕彩超表现主要为子宫增大,子宫内膜增厚。
宫外孕的症状通常包含腹痛、停经、阴道流血。

1.彩超表现:宫外孕的彩超表现主要为子宫增大稍许,内膜增厚明显,宫旁边界不清晰,但宫腔内不可查探到妊娠囊结构,有时可见盆腹腔内液性信号,或假妊娠囊的声像图。
2.临床症状:在妊娠早期,若未发生流产或破裂,则一般无明显症状,可偶有腹痛。随着妊娠时间延长,症状也逐渐明显,典型的症状为腹痛、停经、阴道流血,也被称为异位妊娠三联征。此外,患者可出现肛门坠胀感、全腹痛、晕厥、休克、肩部放射痛、胸痛等伴随症状。
1.近期有性生活,出现月经延迟症状,并且早孕试纸测得阳性者,应尽快到院检查是否怀孕并排除宫外孕。
2.停经后阴道出现不规则流血,应及时进行检查排除宫外孕。
3.有停经史,出现上述宫外孕典型症状,突发腹痛、头晕等急性症状者,应及时送医。
","articleBody": "宫外孕彩超表现主要为子宫增大,子宫内膜增厚。
宫外孕的症状通常包含腹痛、停经、阴道流血。

1.彩超表现:宫外孕的彩超表现主要为子宫增大稍许,内膜增厚明显,宫旁边界不清晰,但宫腔内不可查探到妊娠囊结构,有时可见盆腹腔内液性信号,或假妊娠囊的声像图。
2.临床症状:在妊娠早期,若未发生流产或破裂,则一般无明显症状,可偶有腹痛。随着妊娠时间延长,症状也逐渐明显,典型的症状为腹痛、停经、阴道流血,也被称为异位妊娠三联征。此外,患者可出现肛门坠胀感、全腹痛、晕厥、休克、肩部放射痛、胸痛等伴随症状。
1.近期有性生活,出现月经延迟症状,并且早孕试纸测得阳性者,应尽快到院检查是否怀孕并排除宫外孕。
2.停经后阴道出现不规则流血,应及时进行检查排除宫外孕。
3.有停经史,出现上述宫外孕典型症状,突发腹痛、头晕等急性症状者,应及时送医。
","scanCount": 56645}}} {"@context": "https://ziyuan.baidu.com/contexts/cambrian.jsonld","appid": "1650708455561748","icon": "https://www.med-credit.org.cn/style/images/ttlogo.png","content_tag": ["atlas"],"is_mcn": {"thumb_id": "v2rm41u3"},"accid": "4886d626a2804dee5f11168793ce361672f39c25","@id": "https://www.med-credit.org.cn/mobile/jingxuan/2/0efa7249c40b16797f5352708f59af86.html","bagWordId": "181_1547866407495012352","title": "龛影和憩室的区别图片","pubDate": "2023-03-29T10:32:19","upDate": "2023-03-29T10:32:19","lrDate": "2023-03-29T10:32:19","description": "龛影是钡餐检查下胃肠轮廓局部向外突出的含钡影像。","data": {"WebPage": {"headline": "龛影和憩室的区别图片","pcUrl": "https://www.med-credit.org.cn/jingxuan/2/0efa7249c40b16797f5352708f59af86.html","wapUrl": "https://www.med-credit.org.cn/jingxuan/2/0efa7249c40b16797f5352708f59af86.html","mipUrl": "https://www.med-credit.org.cn/mobile/jingxuan/2/0efa7249c40b16797f5352708f59af86.html","fromSrc": "欢乐橙","datePublished": "2023-03-29T10:32:19","domain": "医疗","category": ["医疗权威文章合作"],"description": "龛影是钡餐检查下胃肠轮廓局部向外突出的含钡影像。
","extra_headline": [""]},"Author": {"name": "种轶文","wapUrl": "https://www.med-credit.org.cn/doctor/575","pcUrl": "https://www.med-credit.org.cn/doctor/575","jobTitle": "副主任医师","headPortrait": "https://www.med-credit.org.cn/uploadfile/member/575/180x180.jpeg","id": "575","description": "种轶文,北京大学第三医院妇产科副主任医师","memberOf": {"legalName": "北京大学第三医院","department": "妇产科","organizationLevel": "三级甲等"}},"Article": {"summaryContent": "龛影是钡餐检查下胃肠轮廓局部向外突出的含钡影像。
憩室表现向壁外的囊袋状膨出,有正常黏膜通入。
1、龛影和憩室均是X线钡餐造影下的影像学表现:龛影表现为钡剂涂布的轮廓有局限性外突的影像,即龛影局限于胃肠轮廓内,轴位外观呈火山口状,形态固定,有局部的黏膜破坏、消失;憩室表现为有弹性的囊袋状突出,可以收缩或扩张,其内可见正常黏膜。


2、龛影是消化性溃疡和肿瘤坏死性溃疡所形成的腔壁凹陷,钡剂滞留充填所形成。憩室多见于肠壁,与先天发育、肠内高压、肠壁结构异常和缺陷等多种因素有关。
如发现龛影,应针对原发病进行治疗,对于消化性溃疡,可采取奥美拉唑、两种抗生素及铋剂的四联疗法,对于癌症所引起的坏死性溃疡,应根据病理分期选择手术根治性治疗或者放化疗。憩室一般无明显症状无需特殊处理,有的患可能会伴发炎症,需使用抗生素治疗,如发现可能继发感染或穿孔的巨大憩室,应及早进行手术。
","articleBody": "龛影是钡餐检查下胃肠轮廓局部向外突出的含钡影像。
憩室表现向壁外的囊袋状膨出,有正常黏膜通入。
1、龛影和憩室均是X线钡餐造影下的影像学表现:龛影表现为钡剂涂布的轮廓有局限性外突的影像,即龛影局限于胃肠轮廓内,轴位外观呈火山口状,形态固定,有局部的黏膜破坏、消失;憩室表现为有弹性的囊袋状突出,可以收缩或扩张,其内可见正常黏膜。


2、龛影是消化性溃疡和肿瘤坏死性溃疡所形成的腔壁凹陷,钡剂滞留充填所形成。憩室多见于肠壁,与先天发育、肠内高压、肠壁结构异常和缺陷等多种因素有关。
如发现龛影,应针对原发病进行治疗,对于消化性溃疡,可采取奥美拉唑、两种抗生素及铋剂的四联疗法,对于癌症所引起的坏死性溃疡,应根据病理分期选择手术根治性治疗或者放化疗。憩室一般无明显症状无需特殊处理,有的患可能会伴发炎症,需使用抗生素治疗,如发现可能继发感染或穿孔的巨大憩室,应及早进行手术。
","scanCount": 56643}}} {"@context": "https://ziyuan.baidu.com/contexts/cambrian.jsonld","appid": "1650708455561748","icon": "https://www.med-credit.org.cn/style/images/ttlogo.png","content_tag": ["atlas"],"is_mcn": {"thumb_id": "v2rm41u3"},"accid": "4886d626a2804dee5f11168793ce361672f39c25","@id": "https://www.med-credit.org.cn/mobile/jingxuan/2/01339d56175f382b4fc83dfb58c33cf8.html","bagWordId": "181_1547866407570509824","title": "妊娠组织物排出图片","pubDate": "2023-03-29T10:32:19","upDate": "2023-03-29T10:32:19","lrDate": "2023-03-29T10:32:19","description": "妊娠时阴道排出的组织物性状颜色可存在差异,如膜状物、块状物,颜色的深浅,某些患者可能还会伴有阴道的瘙痒或其他症状。","data": {"WebPage": {"headline": "妊娠组织物排出图片","pcUrl": "https://www.med-credit.org.cn/jingxuan/2/01339d56175f382b4fc83dfb58c33cf8.html","wapUrl": "https://www.med-credit.org.cn/jingxuan/2/01339d56175f382b4fc83dfb58c33cf8.html","mipUrl": "https://www.med-credit.org.cn/mobile/jingxuan/2/01339d56175f382b4fc83dfb58c33cf8.html","fromSrc": "欢乐橙","datePublished": "2023-03-29T10:32:19","domain": "医疗","category": ["医疗权威文章合作"],"description": "妊娠时阴道排出的组织物性状颜色可存在差异,如膜状物、块状物,颜色的深浅,某些患者可能还会伴有阴道的瘙痒或其他症状。
","extra_headline": [""]},"Author": {"name": "种轶文","wapUrl": "https://www.med-credit.org.cn/doctor/575","pcUrl": "https://www.med-credit.org.cn/doctor/575","jobTitle": "副主任医师","headPortrait": "https://www.med-credit.org.cn/uploadfile/member/575/180x180.jpeg","id": "575","description": "种轶文,北京大学第三医院妇产科副主任医师","memberOf": {"legalName": "北京大学第三医院","department": "妇产科","organizationLevel": "三级甲等"}},"Article": {"summaryContent": "妊娠时阴道排出的组织物性状颜色可存在差异,如膜状物、块状物,颜色的深浅,某些患者可能还会伴有阴道的瘙痒或其他症状。
妊娠时排出组织物可能是由于流产或者子宫内膜脱落等。
1.妊娠初期的患者可能由于某些因素而导致胚胎发育异常,体内的内分泌激素就会发生紊乱失调,最终出现胎儿流产的情况,这种情况阴道会有胎膜绒毛等组织物排出,且伴有血液。

2.当妊娠时阴道排出的组织物含量较少且不伴有出血或其他不适症状,且数天后便好转,这是一种正常的生理现象,组织物为脱落的子宫内膜,因为怀孕时体内雌激素含量升高会使子宫内膜的厚度增加。

当妊娠时期的母亲发现阴道有异常组织物流出的情况,最好先观察几天,观察这种症状是长期性还是短期性,流出的组织物的性状、颜色等情况,若时间较长、外观异常或者感觉到有明显的不适,这时候需要尽早去医院相关科室进行一系列的检查看看是否存在病理性情况。
","articleBody": "妊娠时阴道排出的组织物性状颜色可存在差异,如膜状物、块状物,颜色的深浅,某些患者可能还会伴有阴道的瘙痒或其他症状。
妊娠时排出组织物可能是由于流产或者子宫内膜脱落等。
1.妊娠初期的患者可能由于某些因素而导致胚胎发育异常,体内的内分泌激素就会发生紊乱失调,最终出现胎儿流产的情况,这种情况阴道会有胎膜绒毛等组织物排出,且伴有血液。

2.当妊娠时阴道排出的组织物含量较少且不伴有出血或其他不适症状,且数天后便好转,这是一种正常的生理现象,组织物为脱落的子宫内膜,因为怀孕时体内雌激素含量升高会使子宫内膜的厚度增加。

当妊娠时期的母亲发现阴道有异常组织物流出的情况,最好先观察几天,观察这种症状是长期性还是短期性,流出的组织物的性状、颜色等情况,若时间较长、外观异常或者感觉到有明显的不适,这时候需要尽早去医院相关科室进行一系列的检查看看是否存在病理性情况。
","scanCount": 56642}}} {"@context": "https://ziyuan.baidu.com/contexts/cambrian.jsonld","appid": "1650708455561748","icon": "https://www.med-credit.org.cn/style/images/ttlogo.png","content_tag": ["atlas"],"is_mcn": {"thumb_id": "v2rm41u3"},"accid": "4886d626a2804dee5f11168793ce361672f39c25","@id": "https://www.med-credit.org.cn/mobile/jingxuan/2/8c2322f3bedabc3954668e7fc22ca7c2.html","bagWordId": "181_1547866407675367424","title": "怀孕一个月有轻微血丝图片","pubDate": "2023-03-29T10:32:19","upDate": "2023-03-29T10:32:19","lrDate": "2023-03-29T10:32:19","description": "怀孕一个月有轻微血丝可能是某种生理现象,也可以是某些疾病的症状表现,如先兆流产、宫颈病变、宫外孕等。","data": {"WebPage": {"headline": "怀孕一个月有轻微血丝图片","pcUrl": "https://www.med-credit.org.cn/jingxuan/2/8c2322f3bedabc3954668e7fc22ca7c2.html","wapUrl": "https://www.med-credit.org.cn/jingxuan/2/8c2322f3bedabc3954668e7fc22ca7c2.html","mipUrl": "https://www.med-credit.org.cn/mobile/jingxuan/2/8c2322f3bedabc3954668e7fc22ca7c2.html","fromSrc": "欢乐橙","datePublished": "2023-03-29T10:32:19","domain": "医疗","category": ["医疗权威文章合作"],"description": "怀孕一个月有轻微血丝可能是某种生理现象,也可以是某些疾病的症状表现,如先兆流产、宫颈病变、宫外孕等。
","extra_headline": [""]},"Author": {"name": "种轶文","wapUrl": "https://www.med-credit.org.cn/doctor/575","pcUrl": "https://www.med-credit.org.cn/doctor/575","jobTitle": "副主任医师","headPortrait": "https://www.med-credit.org.cn/uploadfile/member/575/180x180.jpeg","id": "575","description": "种轶文,北京大学第三医院妇产科副主任医师","memberOf": {"legalName": "北京大学第三医院","department": "妇产科","organizationLevel": "三级甲等"}},"Article": {"summaryContent": "怀孕一个月有轻微血丝可能是某种生理现象,也可以是某些疾病的症状表现,如先兆流产、宫颈病变、宫外孕等。
怀孕初期时胚胎着床和发育还不稳定,此时有轻微血丝必须引起重视,要及时去医院进行检查,要注意日常生活保养。

1、生理现象:怀孕后在受精卵着床期间或者进行性生活后,可能出现少量血丝,若无腹痛等不适,属于正常现象,不需特殊处理,建议卧床休息。
2、先兆流产:由于孕早期胚胎尚未稳定,当孕酮下降时会导致出现血丝,建议到医院完善B超检查、血孕酮测定,并积极保胎。
3、宫颈病变:当孕妇存在宫颈病变时,如宫颈炎或者宫颈息肉,也会出现血丝,建议到妇科进行检查治疗。
4、宫外孕:也会导致出现血丝,通常伴有腹痛,建议及时到医院就诊治疗。
平时保持阴部卫生清洁,避免紧张情绪,多休息,避免剧烈运动,避免外出活动过多,保持良好情绪,保证安静休息,非常有利于保胎。怀孕早期出现少量血丝并不影响孕囊正常发育,怀孕后要定期到医院检查确定孕囊发育情况,确定宝宝发育是否正常排除宫外孕和胎停。
","articleBody": "怀孕一个月有轻微血丝可能是某种生理现象,也可以是某些疾病的症状表现,如先兆流产、宫颈病变、宫外孕等。
怀孕初期时胚胎着床和发育还不稳定,此时有轻微血丝必须引起重视,要及时去医院进行检查,要注意日常生活保养。

1、生理现象:怀孕后在受精卵着床期间或者进行性生活后,可能出现少量血丝,若无腹痛等不适,属于正常现象,不需特殊处理,建议卧床休息。
2、先兆流产:由于孕早期胚胎尚未稳定,当孕酮下降时会导致出现血丝,建议到医院完善B超检查、血孕酮测定,并积极保胎。
3、宫颈病变:当孕妇存在宫颈病变时,如宫颈炎或者宫颈息肉,也会出现血丝,建议到妇科进行检查治疗。
4、宫外孕:也会导致出现血丝,通常伴有腹痛,建议及时到医院就诊治疗。
平时保持阴部卫生清洁,避免紧张情绪,多休息,避免剧烈运动,避免外出活动过多,保持良好情绪,保证安静休息,非常有利于保胎。怀孕早期出现少量血丝并不影响孕囊正常发育,怀孕后要定期到医院检查确定孕囊发育情况,确定宝宝发育是否正常排除宫外孕和胎停。
","scanCount": 56640}}} {"@context": "https://ziyuan.baidu.com/contexts/cambrian.jsonld","appid": "1650708455561748","icon": "https://www.med-credit.org.cn/style/images/ttlogo.png","content_tag": ["atlas"],"is_mcn": {"thumb_id": "v2rm41u3"},"accid": "4886d626a2804dee5f11168793ce361672f39c25","@id": "https://www.med-credit.org.cn/mobile/jingxuan/2/2e4b64fce9d365811704b537457ca68a.html","bagWordId": "181_1547866407708921856","title": "怀孕初期有褐色出血图片","pubDate": "2023-03-29T10:32:19","upDate": "2023-03-29T10:32:19","lrDate": "2023-03-29T10:32:19","description": "怀孕初期阴道流出褐色分泌物的同时部分患者甚至可能伴有分泌物或下腹部疼痛。","data": {"WebPage": {"headline": "怀孕初期有褐色出血图片","pcUrl": "https://www.med-credit.org.cn/jingxuan/2/2e4b64fce9d365811704b537457ca68a.html","wapUrl": "https://www.med-credit.org.cn/jingxuan/2/2e4b64fce9d365811704b537457ca68a.html","mipUrl": "https://www.med-credit.org.cn/mobile/jingxuan/2/2e4b64fce9d365811704b537457ca68a.html","fromSrc": "欢乐橙","datePublished": "2023-03-29T10:32:19","domain": "医疗","category": ["医疗权威文章合作"],"description": "怀孕初期阴道流出褐色分泌物的同时部分患者甚至可能伴有分泌物或下腹部疼痛。
","extra_headline": [""]},"Author": {"name": "种轶文","wapUrl": "https://www.med-credit.org.cn/doctor/575","pcUrl": "https://www.med-credit.org.cn/doctor/575","jobTitle": "副主任医师","headPortrait": "https://www.med-credit.org.cn/uploadfile/member/575/180x180.jpeg","id": "575","description": "种轶文,北京大学第三医院妇产科副主任医师","memberOf": {"legalName": "北京大学第三医院","department": "妇产科","organizationLevel": "三级甲等"}},"Article": {"summaryContent": "怀孕初期阴道流出褐色分泌物的同时部分患者甚至可能伴有分泌物或下腹部疼痛。
导致流褐色分泌物的原因有很多,比如胚胎发育异常、宫颈疾病或宫外孕等。

1.怀孕初期的胚胎正处于发育的时期,如果这时候发育异常,体内的某些内分泌激素紊乱,最终导致怀孕的女生会流出褐色分泌物,这提示着患者可能会有流产的问题。
2.如果女生被检查出有宫颈方面疾病,如宫颈糜烂、宫颈癌症等,则怀孕的时候也会流出褐色分泌物的情况,且疾病病情越严重,所流出的分泌物颜色就越深,这种情况需要及时去医院相关科室进行诊疗。
当怀孕早期的母亲发现阴道有褐色血流出的情况,最好先观察几天,观察这种症状是长期性还是短期性,流出的物体的性状、颜色等情况,若时间较长、外观异常或者感觉到有明显的不适,这时候需要尽早去医院进行相关检查。
","articleBody": "怀孕初期阴道流出褐色分泌物的同时部分患者甚至可能伴有分泌物或下腹部疼痛。
导致流褐色分泌物的原因有很多,比如胚胎发育异常、宫颈疾病或宫外孕等。

1.怀孕初期的胚胎正处于发育的时期,如果这时候发育异常,体内的某些内分泌激素紊乱,最终导致怀孕的女生会流出褐色分泌物,这提示着患者可能会有流产的问题。
2.如果女生被检查出有宫颈方面疾病,如宫颈糜烂、宫颈癌症等,则怀孕的时候也会流出褐色分泌物的情况,且疾病病情越严重,所流出的分泌物颜色就越深,这种情况需要及时去医院相关科室进行诊疗。
当怀孕早期的母亲发现阴道有褐色血流出的情况,最好先观察几天,观察这种症状是长期性还是短期性,流出的物体的性状、颜色等情况,若时间较长、外观异常或者感觉到有明显的不适,这时候需要尽早去医院进行相关检查。
","scanCount": 56639}}} {"@context": "https://ziyuan.baidu.com/contexts/cambrian.jsonld","appid": "1650708455561748","icon": "https://www.med-credit.org.cn/style/images/ttlogo.png","content_tag": ["atlas"],"is_mcn": {"thumb_id": "v2rm41u3"},"accid": "4886d626a2804dee5f11168793ce361672f39c25","@id": "https://www.med-credit.org.cn/mobile/jingxuan/2/44f7c96ffd045f0caf60862813ec0867.html","bagWordId": "181_1547866407817973760","title": "羊膜带综合征孩子图片","pubDate": "2023-03-29T10:32:19","upDate": "2023-03-29T10:32:19","lrDate": "2023-03-29T10:32:19","description": "羊膜带综合征胎儿可发现存在头部、四肢、脊柱、胸腔、外阴等部位多发、非对称性畸形。","data": {"WebPage": {"headline": "羊膜带综合征孩子图片","pcUrl": "https://www.med-credit.org.cn/jingxuan/2/44f7c96ffd045f0caf60862813ec0867.html","wapUrl": "https://www.med-credit.org.cn/jingxuan/2/44f7c96ffd045f0caf60862813ec0867.html","mipUrl": "https://www.med-credit.org.cn/mobile/jingxuan/2/44f7c96ffd045f0caf60862813ec0867.html","fromSrc": "欢乐橙","datePublished": "2023-03-29T10:32:19","domain": "医疗","category": ["医疗权威文章合作"],"description": "羊膜带综合征胎儿可发现存在头部、四肢、脊柱、胸腔、外阴等部位多发、非对称性畸形。
","extra_headline": [""]},"Author": {"name": "种轶文","wapUrl": "https://www.med-credit.org.cn/doctor/575","pcUrl": "https://www.med-credit.org.cn/doctor/575","jobTitle": "副主任医师","headPortrait": "https://www.med-credit.org.cn/uploadfile/member/575/180x180.jpeg","id": "575","description": "种轶文,北京大学第三医院妇产科副主任医师","memberOf": {"legalName": "北京大学第三医院","department": "妇产科","organizationLevel": "三级甲等"}},"Article": {"summaryContent": "羊膜带综合征胎儿可发现存在头部、四肢、脊柱、胸腔、外阴等部位多发、非对称性畸形。
羊膜带综合征是指部分羊膜破裂产生纤维束或纤维鞘,导致胎儿与羊膜带之间发生粘连、缠绕、压迫等而使胎儿相应部位发育畸形。

1、羊膜带综合征病因尚不明确,主要对胎儿产生不利影响,主要通过B超和MRI可作出诊断。胎儿常见受累畸形部位为头部、躯干和四肢。
2、头面部畸形包括唇腭裂、非对称小头畸形、口鼻畸形、脑膨出等;躯干畸形包括脊柱侧凸、脊柱裂等;四肢畸形包括并指、足畸形、截肢等;此外还包括膀胱外翻、肛门闭锁、肚脐膨出等其他部位畸形。
对于较轻的、对胎儿后续正常发育无太大影响的畸形,可先行观察,待足月自然分娩后即可自行恢复正常或分娩后再针对性治疗。对于羊膜带粘连压迫胎儿情况不乐观时,可行羊膜带粘连松解术进行宫内治疗。对于胎儿已出现严重畸形及生命体征消失的情况,需考虑终止妊娠。
","articleBody": "羊膜带综合征胎儿可发现存在头部、四肢、脊柱、胸腔、外阴等部位多发、非对称性畸形。
羊膜带综合征是指部分羊膜破裂产生纤维束或纤维鞘,导致胎儿与羊膜带之间发生粘连、缠绕、压迫等而使胎儿相应部位发育畸形。

1、羊膜带综合征病因尚不明确,主要对胎儿产生不利影响,主要通过B超和MRI可作出诊断。胎儿常见受累畸形部位为头部、躯干和四肢。
2、头面部畸形包括唇腭裂、非对称小头畸形、口鼻畸形、脑膨出等;躯干畸形包括脊柱侧凸、脊柱裂等;四肢畸形包括并指、足畸形、截肢等;此外还包括膀胱外翻、肛门闭锁、肚脐膨出等其他部位畸形。
对于较轻的、对胎儿后续正常发育无太大影响的畸形,可先行观察,待足月自然分娩后即可自行恢复正常或分娩后再针对性治疗。对于羊膜带粘连压迫胎儿情况不乐观时,可行羊膜带粘连松解术进行宫内治疗。对于胎儿已出现严重畸形及生命体征消失的情况,需考虑终止妊娠。
","scanCount": 56638}}} {"@context": "https://ziyuan.baidu.com/contexts/cambrian.jsonld","appid": "1650708455561748","icon": "https://www.med-credit.org.cn/style/images/ttlogo.png","content_tag": ["atlas"],"is_mcn": {"thumb_id": "v2rm41u3"},"accid": "4886d626a2804dee5f11168793ce361672f39c25","@id": "https://www.med-credit.org.cn/mobile/jingxuan/2/cc735362730e939a8fa3bd71f0e4c3b6.html","bagWordId": "181_1547866407855722496","title": "孕50天孕囊不规则图片","pubDate": "2023-03-29T10:32:19","upDate": "2023-03-29T10:32:19","lrDate": "2023-03-29T10:32:19","description": "孕50天孕囊不规则形且位置在下部,同时有腹痛和阴道流血时可能会出现流产。","data": {"WebPage": {"headline": "孕50天孕囊不规则图片","pcUrl": "https://www.med-credit.org.cn/jingxuan/2/cc735362730e939a8fa3bd71f0e4c3b6.html","wapUrl": "https://www.med-credit.org.cn/jingxuan/2/cc735362730e939a8fa3bd71f0e4c3b6.html","mipUrl": "https://www.med-credit.org.cn/mobile/jingxuan/2/cc735362730e939a8fa3bd71f0e4c3b6.html","fromSrc": "欢乐橙","datePublished": "2023-03-29T10:32:19","domain": "医疗","category": ["医疗权威文章合作"],"description": "孕50天孕囊不规则形且位置在下部,同时有腹痛和阴道流血时可能会出现流产。
","extra_headline": [""]},"Author": {"name": "种轶文","wapUrl": "https://www.med-credit.org.cn/doctor/575","pcUrl": "https://www.med-credit.org.cn/doctor/575","jobTitle": "副主任医师","headPortrait": "https://www.med-credit.org.cn/uploadfile/member/575/180x180.jpeg","id": "575","description": "种轶文,北京大学第三医院妇产科副主任医师","memberOf": {"legalName": "北京大学第三医院","department": "妇产科","organizationLevel": "三级甲等"}},"Article": {"summaryContent": "孕50天孕囊不规则形且位置在下部,同时有腹痛和阴道流血时可能会出现流产。
孕囊不规则的原因有受孕时间计算有误,胚胎存在问题,母体感染等。

孕囊位置在子宫的宫底、前壁、后壁、中部都属于正常,形态圆形、椭圆形,清晰为正常。孕五十天孕囊约为20毫米左右,正常情况下,最迟孕七周就可以看到胎心搏动。如果孕妇月经周期推迟,排卵期错后,受孕时间晚,也可能出现孕囊较实际停经天数小,这时候需要在医生的指导下判断孕周与孕囊大小是否符合。
1、受孕时间计算有误:如果女性月经推迟,会导致排卵期向后推迟,受孕时间变晚,如果根据末次月经的第一天计算,就有可能出现受孕时间的计算错误,因此会有孕囊偏小的感觉。
2、胚胎存在问题:孕囊不规则,还有可能是胚胎本身的发育存在问题,或胚胎质量差导致的。
3、母体感染:如果母体在怀孕期间感染了衣原体、支原体或病毒等病原体,影响了胚胎的发育,也有可能出现孕囊不规则。
","articleBody": "孕50天孕囊不规则形且位置在下部,同时有腹痛和阴道流血时可能会出现流产。
孕囊不规则的原因有受孕时间计算有误,胚胎存在问题,母体感染等。

孕囊位置在子宫的宫底、前壁、后壁、中部都属于正常,形态圆形、椭圆形,清晰为正常。孕五十天孕囊约为20毫米左右,正常情况下,最迟孕七周就可以看到胎心搏动。如果孕妇月经周期推迟,排卵期错后,受孕时间晚,也可能出现孕囊较实际停经天数小,这时候需要在医生的指导下判断孕周与孕囊大小是否符合。
1、受孕时间计算有误:如果女性月经推迟,会导致排卵期向后推迟,受孕时间变晚,如果根据末次月经的第一天计算,就有可能出现受孕时间的计算错误,因此会有孕囊偏小的感觉。
2、胚胎存在问题:孕囊不规则,还有可能是胚胎本身的发育存在问题,或胚胎质量差导致的。
3、母体感染:如果母体在怀孕期间感染了衣原体、支原体或病毒等病原体,影响了胚胎的发育,也有可能出现孕囊不规则。
","scanCount": 56637}}} {"@context": "https://ziyuan.baidu.com/contexts/cambrian.jsonld","appid": "1650708455561748","icon": "https://www.med-credit.org.cn/style/images/ttlogo.png","content_tag": ["atlas"],"is_mcn": {"thumb_id": "v2rm41u3"},"accid": "4886d626a2804dee5f11168793ce361672f39c25","@id": "https://www.med-credit.org.cn/mobile/jingxuan/2/f2aecbb2d4bdc92d5dcdcd9419d80023.html","bagWordId": "181_1547866407893471232","title": "胎盘下缘覆盖宫颈图片","pubDate": "2023-03-29T10:32:19","upDate": "2023-03-29T10:32:19","lrDate": "2023-03-29T10:32:19","description": "胎盘下缘覆盖宫颈指胎盘所附着的位置比较低,已经有部分胎盘覆盖了宫颈。","data": {"WebPage": {"headline": "胎盘下缘覆盖宫颈图片","pcUrl": "https://www.med-credit.org.cn/jingxuan/2/f2aecbb2d4bdc92d5dcdcd9419d80023.html","wapUrl": "https://www.med-credit.org.cn/jingxuan/2/f2aecbb2d4bdc92d5dcdcd9419d80023.html","mipUrl": "https://www.med-credit.org.cn/mobile/jingxuan/2/f2aecbb2d4bdc92d5dcdcd9419d80023.html","fromSrc": "欢乐橙","datePublished": "2023-03-29T10:32:19","domain": "医疗","category": ["医疗权威文章合作"],"description": "胎盘下缘覆盖宫颈指胎盘所附着的位置比较低,已经有部分胎盘覆盖了宫颈。
","extra_headline": [""]},"Author": {"name": "种轶文","wapUrl": "https://www.med-credit.org.cn/doctor/575","pcUrl": "https://www.med-credit.org.cn/doctor/575","jobTitle": "副主任医师","headPortrait": "https://www.med-credit.org.cn/uploadfile/member/575/180x180.jpeg","id": "575","description": "种轶文,北京大学第三医院妇产科副主任医师","memberOf": {"legalName": "北京大学第三医院","department": "妇产科","organizationLevel": "三级甲等"}},"Article": {"summaryContent": "胎盘下缘覆盖宫颈指胎盘所附着的位置比较低,已经有部分胎盘覆盖了宫颈。
如果是28孕周后出现的情况即前置胎盘,可能引发流血、流产、早产等情况。

胎盘下缘覆盖宫颈如果是在28孕周之前的话,即胎盘低置,胎盘附着的部位在子宫壁较低的位置,随着孕周的增加和胎儿的生长发育,胎盘是会逐渐上升的,不会进一步覆盖整个宫颈口。
但如果是28周后出现的情况,即边缘性胎盘前置,是妊娠晚期较严重的并发症。胎盘附着于子宫下段或者是子宫颈内口,比胎儿的先露部低的话则是病理情况妊娠,即前置胎盘。在妊娠晚期时会出现流血,且反复发生,出血量也会越来越多,孕妇可出现贫血,严重的话甚至会休克,胎儿会有缺氧、早产的情况,甚至出现死胎。
孕妇平时要小心,运动幅度不要过大,避免意外摔伤。日常饮食要均衡,适量摄入一些水果、粗粮、蔬菜等食物,其富含的膳食纤维可以帮助消化排泄,避免腹部压力增大。
","articleBody": "胎盘下缘覆盖宫颈指胎盘所附着的位置比较低,已经有部分胎盘覆盖了宫颈。
如果是28孕周后出现的情况即前置胎盘,可能引发流血、流产、早产等情况。

胎盘下缘覆盖宫颈如果是在28孕周之前的话,即胎盘低置,胎盘附着的部位在子宫壁较低的位置,随着孕周的增加和胎儿的生长发育,胎盘是会逐渐上升的,不会进一步覆盖整个宫颈口。
但如果是28周后出现的情况,即边缘性胎盘前置,是妊娠晚期较严重的并发症。胎盘附着于子宫下段或者是子宫颈内口,比胎儿的先露部低的话则是病理情况妊娠,即前置胎盘。在妊娠晚期时会出现流血,且反复发生,出血量也会越来越多,孕妇可出现贫血,严重的话甚至会休克,胎儿会有缺氧、早产的情况,甚至出现死胎。
孕妇平时要小心,运动幅度不要过大,避免意外摔伤。日常饮食要均衡,适量摄入一些水果、粗粮、蔬菜等食物,其富含的膳食纤维可以帮助消化排泄,避免腹部压力增大。
","scanCount": 56636}}} {"@context": "https://ziyuan.baidu.com/contexts/cambrian.jsonld","appid": "1650708455561748","icon": "https://www.med-credit.org.cn/style/images/ttlogo.png","content_tag": ["atlas"],"is_mcn": {"thumb_id": "v2rm41u3"},"accid": "4886d626a2804dee5f11168793ce361672f39c25","@id": "https://www.med-credit.org.cn/mobile/jingxuan/2/6c30f4126c41fc9549379e8fdd35c73e.html","bagWordId": "181_1547866407960580096","title": "怀孕下身流豆腐渣图片","pubDate": "2023-03-29T10:32:19","upDate": "2023-03-29T10:32:19","lrDate": "2023-03-29T10:32:19","description": "怀孕阴道流豆腐渣可能是孕期阴道炎,通常表现为白带异常,并伴随腥臭及瘙痒等。","data": {"WebPage": {"headline": "怀孕下身流豆腐渣图片","pcUrl": "https://www.med-credit.org.cn/jingxuan/2/6c30f4126c41fc9549379e8fdd35c73e.html","wapUrl": "https://www.med-credit.org.cn/jingxuan/2/6c30f4126c41fc9549379e8fdd35c73e.html","mipUrl": "https://www.med-credit.org.cn/mobile/jingxuan/2/6c30f4126c41fc9549379e8fdd35c73e.html","fromSrc": "欢乐橙","datePublished": "2023-03-29T10:32:19","domain": "医疗","category": ["医疗权威文章合作"],"description": "怀孕阴道流豆腐渣可能是孕期阴道炎,通常表现为白带异常,并伴随腥臭及瘙痒等。
","extra_headline": [""]},"Author": {"name": "种轶文","wapUrl": "https://www.med-credit.org.cn/doctor/575","pcUrl": "https://www.med-credit.org.cn/doctor/575","jobTitle": "副主任医师","headPortrait": "https://www.med-credit.org.cn/uploadfile/member/575/180x180.jpeg","id": "575","description": "种轶文,北京大学第三医院妇产科副主任医师","memberOf": {"legalName": "北京大学第三医院","department": "妇产科","organizationLevel": "三级甲等"}},"Article": {"summaryContent": "怀孕阴道流豆腐渣可能是孕期阴道炎,通常表现为白带异常,并伴随腥臭及瘙痒等。
孕期阴道炎多因细菌、支原体或衣原体等感染引起。

1、孕期阴道炎常见有白带量增多,呈稀糊或豆腐渣样,颜色呈黄色或灰白色。患者多可自觉阴道部位瘙痒、灼烧或刺痛感,并伴随特殊的腥臭味,部分患者病原体沿宫颈逆行,可能引起胎膜早破等。
2、孕期阴道炎通常与患者孕期的激素水平变化有关,阴道内的PH值随之改变,导致病原体在阴道内大量繁殖,可能引发孕期阴道炎的病原体有霉菌、念珠菌、支原体、衣原体、滴虫等。此外,接触携带病原体的物品、免疫力降低、糖尿病等皆有可能增加感染的风险。
治疗孕期阴道炎需先确定引发其感染的病原体,进行针对性治疗。孕期使用药物须遵医嘱。日常生活中患者应注意个人卫生,避免自身或私人物品接触病原体,避免同房,注意控制血糖等。
","articleBody": "怀孕阴道流豆腐渣可能是孕期阴道炎,通常表现为白带异常,并伴随腥臭及瘙痒等。
孕期阴道炎多因细菌、支原体或衣原体等感染引起。

1、孕期阴道炎常见有白带量增多,呈稀糊或豆腐渣样,颜色呈黄色或灰白色。患者多可自觉阴道部位瘙痒、灼烧或刺痛感,并伴随特殊的腥臭味,部分患者病原体沿宫颈逆行,可能引起胎膜早破等。
2、孕期阴道炎通常与患者孕期的激素水平变化有关,阴道内的PH值随之改变,导致病原体在阴道内大量繁殖,可能引发孕期阴道炎的病原体有霉菌、念珠菌、支原体、衣原体、滴虫等。此外,接触携带病原体的物品、免疫力降低、糖尿病等皆有可能增加感染的风险。
治疗孕期阴道炎需先确定引发其感染的病原体,进行针对性治疗。孕期使用药物须遵医嘱。日常生活中患者应注意个人卫生,避免自身或私人物品接触病原体,避免同房,注意控制血糖等。
","scanCount": 56635}}} {"@context": "https://ziyuan.baidu.com/contexts/cambrian.jsonld","appid": "1650708455561748","icon": "https://www.med-credit.org.cn/style/images/ttlogo.png","content_tag": ["atlas"],"is_mcn": {"thumb_id": "v2rm41u3"},"accid": "4886d626a2804dee5f11168793ce361672f39c25","@id": "https://www.med-credit.org.cn/mobile/jingxuan/2/4b0aa2791abf7381c041095b5d4ba4a7.html","bagWordId": "181_1547866408069632000","title": "怀孕5周褐色分泌物图片","pubDate": "2023-03-29T10:32:19","upDate": "2023-03-29T10:32:19","lrDate": "2023-03-29T10:32:19","description": "怀孕5周阴道流出褐色分泌物的同时部分患者甚至可能伴有出血或下腹部部疼痛。","data": {"WebPage": {"headline": "怀孕5周褐色分泌物图片","pcUrl": "https://www.med-credit.org.cn/jingxuan/2/4b0aa2791abf7381c041095b5d4ba4a7.html","wapUrl": "https://www.med-credit.org.cn/jingxuan/2/4b0aa2791abf7381c041095b5d4ba4a7.html","mipUrl": "https://www.med-credit.org.cn/mobile/jingxuan/2/4b0aa2791abf7381c041095b5d4ba4a7.html","fromSrc": "欢乐橙","datePublished": "2023-03-29T10:32:19","domain": "医疗","category": ["医疗权威文章合作"],"description": "怀孕5周阴道流出褐色分泌物的同时部分患者甚至可能伴有出血或下腹部部疼痛。
","extra_headline": [""]},"Author": {"name": "种轶文","wapUrl": "https://www.med-credit.org.cn/doctor/575","pcUrl": "https://www.med-credit.org.cn/doctor/575","jobTitle": "副主任医师","headPortrait": "https://www.med-credit.org.cn/uploadfile/member/575/180x180.jpeg","id": "575","description": "种轶文,北京大学第三医院妇产科副主任医师","memberOf": {"legalName": "北京大学第三医院","department": "妇产科","organizationLevel": "三级甲等"}},"Article": {"summaryContent": "怀孕5周阴道流出褐色分泌物的同时部分患者甚至可能伴有出血或下腹部部疼痛。
导致流褐色分泌物的原因有很多,比如胚胎发育异常、宫颈疾病或宫外孕等。

1.怀孕初期的胚胎正处于发育的时期,如果这时候发育异常,体内的某些内分泌激素紊乱,最终导致怀孕的女生会流出褐色分泌物,这提示着患者可能会有流产的问题。
2.如果女生被检查出有宫颈方面疾病,如宫颈糜烂、宫颈癌症等,则怀孕的时候也会流出褐色分泌物的情况,且疾病病情越严重,所流出的分泌物颜色就越深,这种情况需要及时去医院相关科室进行诊疗。
当怀孕早期的母亲发现阴道有褐色分泌物流出的情况,最好先观察几天,观察这种症状是长期性还是短期性,流出的分泌物的性状、颜色等情况,若时间较长、外观异常或者感觉到有明显的不适,这时候需要尽早去医院进行相关检查。
","articleBody": "怀孕5周阴道流出褐色分泌物的同时部分患者甚至可能伴有出血或下腹部部疼痛。
导致流褐色分泌物的原因有很多,比如胚胎发育异常、宫颈疾病或宫外孕等。

1.怀孕初期的胚胎正处于发育的时期,如果这时候发育异常,体内的某些内分泌激素紊乱,最终导致怀孕的女生会流出褐色分泌物,这提示着患者可能会有流产的问题。
2.如果女生被检查出有宫颈方面疾病,如宫颈糜烂、宫颈癌症等,则怀孕的时候也会流出褐色分泌物的情况,且疾病病情越严重,所流出的分泌物颜色就越深,这种情况需要及时去医院相关科室进行诊疗。
当怀孕早期的母亲发现阴道有褐色分泌物流出的情况,最好先观察几天,观察这种症状是长期性还是短期性,流出的分泌物的性状、颜色等情况,若时间较长、外观异常或者感觉到有明显的不适,这时候需要尽早去医院进行相关检查。
","scanCount": 56634}}} {"@context": "https://ziyuan.baidu.com/contexts/cambrian.jsonld","appid": "1650708455561748","icon": "https://www.med-credit.org.cn/style/images/ttlogo.png","content_tag": ["atlas"],"is_mcn": {"thumb_id": "v2rm41u3"},"accid": "4886d626a2804dee5f11168793ce361672f39c25","@id": "https://www.med-credit.org.cn/mobile/jingxuan/2/dfc00bb9e62478837f266019810a3b7f.html","bagWordId": "181_1547866408178683904","title": "剖腹产伤口渗血水图片","pubDate": "2023-03-29T10:32:19","upDate": "2023-03-29T10:32:19","lrDate": "2023-03-29T10:32:19","description": "剖腹产伤口渗血水可伴有局部疼痛、红肿等症状。","data": {"WebPage": {"headline": "剖腹产伤口渗血水图片","pcUrl": "https://www.med-credit.org.cn/jingxuan/2/dfc00bb9e62478837f266019810a3b7f.html","wapUrl": "https://www.med-credit.org.cn/jingxuan/2/dfc00bb9e62478837f266019810a3b7f.html","mipUrl": "https://www.med-credit.org.cn/mobile/jingxuan/2/dfc00bb9e62478837f266019810a3b7f.html","fromSrc": "欢乐橙","datePublished": "2023-03-29T10:32:19","domain": "医疗","category": ["医疗权威文章合作"],"description": "剖腹产伤口渗血水可伴有局部疼痛、红肿等症状。
","extra_headline": [""]},"Author": {"name": "种轶文","wapUrl": "https://www.med-credit.org.cn/doctor/575","pcUrl": "https://www.med-credit.org.cn/doctor/575","jobTitle": "副主任医师","headPortrait": "https://www.med-credit.org.cn/uploadfile/member/575/180x180.jpeg","id": "575","description": "种轶文,北京大学第三医院妇产科副主任医师","memberOf": {"legalName": "北京大学第三医院","department": "妇产科","organizationLevel": "三级甲等"}},"Article": {"summaryContent": "剖腹产伤口渗血水可伴有局部疼痛、红肿等症状。
剖腹产伤口渗血水可由伤口愈合不良、感染等因素造成。

1.症状:剖腹产伤口渗血水者,可出现刀口处的红肿、疼痛、发痒、脓性分泌物、刀口处硬结、触痛等症状,有一些患者可出现体温升高、全身乏力、伤口疼痛持续加重症状。
2.病因:剖腹产伤口渗血可由于手术后还未达到皮肤自然愈合的时间(时间过短)而导致的渗血,这属于正常现象;也可能是由于伤口延迟愈合、愈合不良,多数与患者自身体质有关,也可以由于姿势不良,牵拉伤口所致愈合延迟;此外,剖腹产伤口出血还可以由伤口感染造成,多由伤口消毒、换药不及时,卫生状况不佳导致。
1.剖腹产后需注意护理伤口,及时消毒换药,避免伤口沾水。
2.剖腹产后伤口可能出现发痒症状,切忌用手抓挠伤口。
3.产后恢复短期避免剧烈运动,忌食辛辣刺激事物。
","articleBody": "剖腹产伤口渗血水可伴有局部疼痛、红肿等症状。
剖腹产伤口渗血水可由伤口愈合不良、感染等因素造成。

1.症状:剖腹产伤口渗血水者,可出现刀口处的红肿、疼痛、发痒、脓性分泌物、刀口处硬结、触痛等症状,有一些患者可出现体温升高、全身乏力、伤口疼痛持续加重症状。
2.病因:剖腹产伤口渗血可由于手术后还未达到皮肤自然愈合的时间(时间过短)而导致的渗血,这属于正常现象;也可能是由于伤口延迟愈合、愈合不良,多数与患者自身体质有关,也可以由于姿势不良,牵拉伤口所致愈合延迟;此外,剖腹产伤口出血还可以由伤口感染造成,多由伤口消毒、换药不及时,卫生状况不佳导致。
1.剖腹产后需注意护理伤口,及时消毒换药,避免伤口沾水。
2.剖腹产后伤口可能出现发痒症状,切忌用手抓挠伤口。
3.产后恢复短期避免剧烈运动,忌食辛辣刺激事物。
","scanCount": 56633}}} {"@context": "https://ziyuan.baidu.com/contexts/cambrian.jsonld","appid": "1650708455561748","icon": "https://www.med-credit.org.cn/style/images/ttlogo.png","content_tag": ["atlas"],"is_mcn": {"thumb_id": "v2rm41u3"},"accid": "4886d626a2804dee5f11168793ce361672f39c25","@id": "https://www.med-credit.org.cn/mobile/jingxuan/2/a0ae5fd1d756c624895bb8cc4b538eef.html","bagWordId": "181_1547866408359038976","title": "怀孕四个月流褐色血图片","pubDate": "2023-03-29T10:32:19","upDate": "2023-03-29T10:32:19","lrDate": "2023-03-29T10:32:19","description": "怀孕四个月阴道流出褐色血的同时部分患者甚至可能伴有分泌物或下腹部部疼痛。","data": {"WebPage": {"headline": "怀孕四个月流褐色血图片","pcUrl": "https://www.med-credit.org.cn/jingxuan/2/a0ae5fd1d756c624895bb8cc4b538eef.html","wapUrl": "https://www.med-credit.org.cn/jingxuan/2/a0ae5fd1d756c624895bb8cc4b538eef.html","mipUrl": "https://www.med-credit.org.cn/mobile/jingxuan/2/a0ae5fd1d756c624895bb8cc4b538eef.html","fromSrc": "欢乐橙","datePublished": "2023-03-29T10:32:19","domain": "医疗","category": ["医疗权威文章合作"],"description": "怀孕四个月阴道流出褐色血的同时部分患者甚至可能伴有分泌物或下腹部部疼痛。
","extra_headline": [""]},"Author": {"name": "种轶文","wapUrl": "https://www.med-credit.org.cn/doctor/575","pcUrl": "https://www.med-credit.org.cn/doctor/575","jobTitle": "副主任医师","headPortrait": "https://www.med-credit.org.cn/uploadfile/member/575/180x180.jpeg","id": "575","description": "种轶文,北京大学第三医院妇产科副主任医师","memberOf": {"legalName": "北京大学第三医院","department": "妇产科","organizationLevel": "三级甲等"}},"Article": {"summaryContent": "怀孕四个月阴道流出褐色血的同时部分患者甚至可能伴有分泌物或下腹部部疼痛。
导致流褐色血的原因有很多,比如胎盘低置、宫颈疾病等。

1.怀孕四个月时胚胎已经处于比较稳定的状态,但此时如果胎盘的位置过低,当运动时较大的胎盘会被过度拉伸而剥离就会出现阴道流血的现象,这个时候需要注意休息,如果出血量较大需要就医治疗。
2.如果女生被检查出有宫颈方面疾病,如宫颈糜烂、宫颈癌症等,则怀孕的时候也会流出褐色血的情况,且疾病病情越严重,所流出的血颜色就越深,这种情况需要及时去医院相关科室进行诊疗。
当怀孕早期的母亲发现阴道有褐色血流出的情况,最好先观察几天,观察这种症状是长期性还是短期性,流出的血的性状、颜色等情况,若时间较长、外观异常或者感觉到有明显的不适,这时候需要尽早去医院进行相关检查。
","articleBody": "怀孕四个月阴道流出褐色血的同时部分患者甚至可能伴有分泌物或下腹部部疼痛。
导致流褐色血的原因有很多,比如胎盘低置、宫颈疾病等。

1.怀孕四个月时胚胎已经处于比较稳定的状态,但此时如果胎盘的位置过低,当运动时较大的胎盘会被过度拉伸而剥离就会出现阴道流血的现象,这个时候需要注意休息,如果出血量较大需要就医治疗。
2.如果女生被检查出有宫颈方面疾病,如宫颈糜烂、宫颈癌症等,则怀孕的时候也会流出褐色血的情况,且疾病病情越严重,所流出的血颜色就越深,这种情况需要及时去医院相关科室进行诊疗。
当怀孕早期的母亲发现阴道有褐色血流出的情况,最好先观察几天,观察这种症状是长期性还是短期性,流出的血的性状、颜色等情况,若时间较长、外观异常或者感觉到有明显的不适,这时候需要尽早去医院进行相关检查。
","scanCount": 56632}}} {"@context": "https://ziyuan.baidu.com/contexts/cambrian.jsonld","appid": "1650708455561748","icon": "https://www.med-credit.org.cn/style/images/ttlogo.png","content_tag": ["atlas"],"is_mcn": {"thumb_id": "v2rm41u3"},"accid": "4886d626a2804dee5f11168793ce361672f39c25","@id": "https://www.med-credit.org.cn/mobile/jingxuan/2/06efb7690916bc83bc7793efa40c81d5.html","bagWordId": "181_1547866408392593408","title": "孕9周有褐色分泌物图片","pubDate": "2023-03-29T10:32:19","upDate": "2023-03-29T10:32:19","lrDate": "2023-03-29T10:32:19","description": "怀孕9周流褐色分泌物的时间如果仅仅为数天,一般算正常,但若长时间的话就不正常了。","data": {"WebPage": {"headline": "孕9周有褐色分泌物图片","pcUrl": "https://www.med-credit.org.cn/jingxuan/2/06efb7690916bc83bc7793efa40c81d5.html","wapUrl": "https://www.med-credit.org.cn/jingxuan/2/06efb7690916bc83bc7793efa40c81d5.html","mipUrl": "https://www.med-credit.org.cn/mobile/jingxuan/2/06efb7690916bc83bc7793efa40c81d5.html","fromSrc": "欢乐橙","datePublished": "2023-03-29T10:32:19","domain": "医疗","category": ["医疗权威文章合作"],"description": "怀孕9周流褐色分泌物的时间如果仅仅为数天,一般算正常,但若长时间的话就不正常了。
","extra_headline": [""]},"Author": {"name": "种轶文","wapUrl": "https://www.med-credit.org.cn/doctor/575","pcUrl": "https://www.med-credit.org.cn/doctor/575","jobTitle": "副主任医师","headPortrait": "https://www.med-credit.org.cn/uploadfile/member/575/180x180.jpeg","id": "575","description": "种轶文,北京大学第三医院妇产科副主任医师","memberOf": {"legalName": "北京大学第三医院","department": "妇产科","organizationLevel": "三级甲等"}},"Article": {"summaryContent": "怀孕9周流褐色分泌物的时间如果仅仅为数天,一般算正常,但若长时间的话就不正常了。
导致流褐色分泌物的原因有很多,比如胚胎发育异常、宫颈疾病等。
1.在怀孕前三个月期间由于胚胎发育还不是很完全,使得体内的某些内分泌激素紊乱,最终导致怀孕的女生会流出褐色分泌物,但一般时间不超过一星期左右,这是一种正常的生理现象,随着胚胎的逐渐发育便会恢复到正常情况。

2.如果女生被检查出有宫颈方面疾病,如宫颈糜烂、宫颈癌症等,则怀孕的时候也会流出褐色分泌物的情况,且疾病病情越严重,所流出的分泌物颜色就越深,这种情况需要及时去医院相关科室进行诊疗。
当怀孕初期的母亲发现阴道有褐色分泌物流出的情况,最好先观察几天,观察这种症状是长期性还是短期性,流出的分泌物的性状、颜色等情况,若时间较长、外观异常或者感觉到有明显的不适,这时候需要尽早去医院进行相关检查。
","articleBody": "怀孕9周流褐色分泌物的时间如果仅仅为数天,一般算正常,但若长时间的话就不正常了。
导致流褐色分泌物的原因有很多,比如胚胎发育异常、宫颈疾病等。
1.在怀孕前三个月期间由于胚胎发育还不是很完全,使得体内的某些内分泌激素紊乱,最终导致怀孕的女生会流出褐色分泌物,但一般时间不超过一星期左右,这是一种正常的生理现象,随着胚胎的逐渐发育便会恢复到正常情况。

2.如果女生被检查出有宫颈方面疾病,如宫颈糜烂、宫颈癌症等,则怀孕的时候也会流出褐色分泌物的情况,且疾病病情越严重,所流出的分泌物颜色就越深,这种情况需要及时去医院相关科室进行诊疗。
当怀孕初期的母亲发现阴道有褐色分泌物流出的情况,最好先观察几天,观察这种症状是长期性还是短期性,流出的分泌物的性状、颜色等情况,若时间较长、外观异常或者感觉到有明显的不适,这时候需要尽早去医院进行相关检查。
","scanCount": 56631}}} {"@context": "https://ziyuan.baidu.com/contexts/cambrian.jsonld","appid": "1650708455561748","icon": "https://www.med-credit.org.cn/style/images/ttlogo.png","content_tag": ["atlas"],"is_mcn": {"thumb_id": "v2rm41u3"},"accid": "4886d626a2804dee5f11168793ce361672f39c25","@id": "https://www.med-credit.org.cn/mobile/jingxuan/2/3f662d02ce4acba0e141cd5a53fcc245.html","bagWordId": "181_1547866408430342144","title": "怀孕24周褐色分泌物图片","pubDate": "2023-03-29T10:32:19","upDate": "2023-03-29T10:32:19","lrDate": "2023-03-29T10:32:19","description": "怀孕24周阴道流出褐色分泌物的同时部分患者甚至可能伴有血液或下腹部疼痛。","data": {"WebPage": {"headline": "怀孕24周褐色分泌物图片","pcUrl": "https://www.med-credit.org.cn/jingxuan/2/3f662d02ce4acba0e141cd5a53fcc245.html","wapUrl": "https://www.med-credit.org.cn/jingxuan/2/3f662d02ce4acba0e141cd5a53fcc245.html","mipUrl": "https://www.med-credit.org.cn/mobile/jingxuan/2/3f662d02ce4acba0e141cd5a53fcc245.html","fromSrc": "欢乐橙","datePublished": "2023-03-29T10:32:19","domain": "医疗","category": ["医疗权威文章合作"],"description": "怀孕24周阴道流出褐色分泌物的同时部分患者甚至可能伴有血液或下腹部疼痛。
","extra_headline": [""]},"Author": {"name": "种轶文","wapUrl": "https://www.med-credit.org.cn/doctor/575","pcUrl": "https://www.med-credit.org.cn/doctor/575","jobTitle": "副主任医师","headPortrait": "https://www.med-credit.org.cn/uploadfile/member/575/180x180.jpeg","id": "575","description": "种轶文,北京大学第三医院妇产科副主任医师","memberOf": {"legalName": "北京大学第三医院","department": "妇产科","organizationLevel": "三级甲等"}},"Article": {"summaryContent": "怀孕24周阴道流出褐色分泌物的同时部分患者甚至可能伴有血液或下腹部疼痛。
导致流褐色分泌物的原因有很多,比如胎盘低置、宫颈疾病等。

1.怀孕24周时胚胎已经处于比较稳定的状态,但此时如果胎盘的位置过低,当运动较大时胎盘会被过度拉伸而剥离就会出现阴道流血的现象,这个时候需要注意休息,如果出血量较大需要就医治疗。
2.如果女生被检查出有宫颈方面疾病,如宫颈糜烂、宫颈癌症等,则怀孕的时候也会流出褐色分泌物的情况,且疾病病情越严重,所流出的分泌物颜色就越深,这种情况需要及时去医院相关科室进行诊疗。
当怀孕早期的母亲发现阴道有褐色分泌物流出的情况,最好先观察几天,观察这种症状是长期性还是短期性,流出的分泌物的性状、颜色等情况,若时间较长、外观异常或者感觉到有明显的不适,这时候需要尽早去医院进行相关检查。
","articleBody": "怀孕24周阴道流出褐色分泌物的同时部分患者甚至可能伴有血液或下腹部疼痛。
导致流褐色分泌物的原因有很多,比如胎盘低置、宫颈疾病等。

1.怀孕24周时胚胎已经处于比较稳定的状态,但此时如果胎盘的位置过低,当运动较大时胎盘会被过度拉伸而剥离就会出现阴道流血的现象,这个时候需要注意休息,如果出血量较大需要就医治疗。
2.如果女生被检查出有宫颈方面疾病,如宫颈糜烂、宫颈癌症等,则怀孕的时候也会流出褐色分泌物的情况,且疾病病情越严重,所流出的分泌物颜色就越深,这种情况需要及时去医院相关科室进行诊疗。
当怀孕早期的母亲发现阴道有褐色分泌物流出的情况,最好先观察几天,观察这种症状是长期性还是短期性,流出的分泌物的性状、颜色等情况,若时间较长、外观异常或者感觉到有明显的不适,这时候需要尽早去医院进行相关检查。
","scanCount": 56630}}} {"@context": "https://ziyuan.baidu.com/contexts/cambrian.jsonld","appid": "1650708455561748","icon": "https://www.med-credit.org.cn/style/images/ttlogo.png","content_tag": ["atlas"],"is_mcn": {"thumb_id": "v2rm41u3"},"accid": "4886d626a2804dee5f11168793ce361672f39c25","@id": "https://www.med-credit.org.cn/mobile/jingxuan/2/07b26a854ec5b1fd30b9554fcd6f5933.html","bagWordId": "181_1547866408581337088","title": "孕妇小便有泡沫图片","pubDate": "2023-03-29T10:32:19","upDate": "2023-03-29T10:32:19","lrDate": "2023-03-29T10:32:19","description": "孕妇小便有泡沫,正常状态下泡沫短时间内会自行消失,且尿液无异味。","data": {"WebPage": {"headline": "孕妇小便有泡沫图片","pcUrl": "https://www.med-credit.org.cn/jingxuan/2/07b26a854ec5b1fd30b9554fcd6f5933.html","wapUrl": "https://www.med-credit.org.cn/jingxuan/2/07b26a854ec5b1fd30b9554fcd6f5933.html","mipUrl": "https://www.med-credit.org.cn/mobile/jingxuan/2/07b26a854ec5b1fd30b9554fcd6f5933.html","fromSrc": "欢乐橙","datePublished": "2023-03-29T10:32:19","domain": "医疗","category": ["医疗权威文章合作"],"description": "孕妇小便有泡沫,正常状态下泡沫短时间内会自行消失,且尿液无异味。
","extra_headline": [""]},"Author": {"name": "种轶文","wapUrl": "https://www.med-credit.org.cn/doctor/575","pcUrl": "https://www.med-credit.org.cn/doctor/575","jobTitle": "副主任医师","headPortrait": "https://www.med-credit.org.cn/uploadfile/member/575/180x180.jpeg","id": "575","description": "种轶文,北京大学第三医院妇产科副主任医师","memberOf": {"legalName": "北京大学第三医院","department": "妇产科","organizationLevel": "三级甲等"}},"Article": {"summaryContent": "孕妇小便有泡沫,正常状态下泡沫短时间内会自行消失,且尿液无异味。
孕妇小便有泡沫可由生理因素或病理因素造成。
1.症状:孕妇正常的小便泡沫在1-2分钟就会自行消失,且尿液无明显异味。但部分孕妇尿液出现泡沫时,可伴有异味,且会出现尿频、尿急、尿痛、头痛、饮食量增大而体型消瘦等症状。

2.孕妇小便有泡沫可由以下原因导致:
1)孕妇饮水量较少,且蓄积尿液,导致尿比重增加,使得尿液浓缩从而出现小便有泡沫的症状;
2)孕妇泌尿系受到感染,尿液中厌氧菌产气使得尿液中有气泡,从而导致尿液在排出体外出现泡沫;
3) 孕妇患妊娠糖尿病,尿液中的葡萄糖含量增加,尿液酸碱度发生变化,尿液表面张力升高,也会有泡沫;
4.)孕妇肝功能受损或蛋白质摄入过剩,使得尿液中蛋白质含量增高,导致尿液中出现泡沫。
","articleBody": "孕妇小便有泡沫,正常状态下泡沫短时间内会自行消失,且尿液无异味。
孕妇小便有泡沫可由生理因素或病理因素造成。
1.症状:孕妇正常的小便泡沫在1-2分钟就会自行消失,且尿液无明显异味。但部分孕妇尿液出现泡沫时,可伴有异味,且会出现尿频、尿急、尿痛、头痛、饮食量增大而体型消瘦等症状。

2.孕妇小便有泡沫可由以下原因导致:
1)孕妇饮水量较少,且蓄积尿液,导致尿比重增加,使得尿液浓缩从而出现小便有泡沫的症状;
2)孕妇泌尿系受到感染,尿液中厌氧菌产气使得尿液中有气泡,从而导致尿液在排出体外出现泡沫;
3) 孕妇患妊娠糖尿病,尿液中的葡萄糖含量增加,尿液酸碱度发生变化,尿液表面张力升高,也会有泡沫;
4.)孕妇肝功能受损或蛋白质摄入过剩,使得尿液中蛋白质含量增高,导致尿液中出现泡沫。
","scanCount": 56628}}} {"@context": "https://ziyuan.baidu.com/contexts/cambrian.jsonld","appid": "1650708455561748","icon": "https://www.med-credit.org.cn/style/images/ttlogo.png","content_tag": ["atlas"],"is_mcn": {"thumb_id": "v2rm41u3"},"accid": "4886d626a2804dee5f11168793ce361672f39c25","@id": "https://www.med-credit.org.cn/mobile/jingxuan/2/ff56d137063dc0a68175f06ab19c714e.html","bagWordId": "181_1547866408661028864","title": "圆形孕囊图片","pubDate": "2023-03-29T10:32:19","upDate": "2023-03-29T10:32:19","lrDate": "2023-03-29T10:32:19","description": "圆形孕囊在进行B超检查时,测的孕囊的上下径,左右径,前后径的数值比较接近或差距比较小,考虑为孕囊为圆形。","data": {"WebPage": {"headline": "圆形孕囊图片","pcUrl": "https://www.med-credit.org.cn/jingxuan/2/ff56d137063dc0a68175f06ab19c714e.html","wapUrl": "https://www.med-credit.org.cn/jingxuan/2/ff56d137063dc0a68175f06ab19c714e.html","mipUrl": "https://www.med-credit.org.cn/mobile/jingxuan/2/ff56d137063dc0a68175f06ab19c714e.html","fromSrc": "欢乐橙","datePublished": "2023-03-29T10:32:19","domain": "医疗","category": ["医疗权威文章合作"],"description": "圆形孕囊在进行B超检查时,测的孕囊的上下径,左右径,前后径的数值比较接近或差距比较小,考虑为孕囊为圆形。
","extra_headline": [""]},"Author": {"name": "种轶文","wapUrl": "https://www.med-credit.org.cn/doctor/575","pcUrl": "https://www.med-credit.org.cn/doctor/575","jobTitle": "副主任医师","headPortrait": "https://www.med-credit.org.cn/uploadfile/member/575/180x180.jpeg","id": "575","description": "种轶文,北京大学第三医院妇产科副主任医师","memberOf": {"legalName": "北京大学第三医院","department": "妇产科","organizationLevel": "三级甲等"}},"Article": {"summaryContent": "圆形孕囊在进行B超检查时,测的孕囊的上下径,左右径,前后径的数值比较接近或差距比较小,考虑为孕囊为圆形。
判断孕囊是长是圆要根据超声检查测量的三条径线差异大小进行判断。
1、圆形:在进行超声检查的时候,如果测得孕囊的上下径、左右径、前后径数值比较接近,考虑孕囊为圆形,如三条径线分别为2.1厘米、2.0厘米、1.9厘米。

2、长椭圆形:如果测得孕囊上下径、左右径、前后径数值差异大,左右径、前后径明显小于上下径,考虑孕囊为长椭圆形,如上下径2.5厘米、前后径1.2厘米,左右径1.3厘米。
长椭圆形孕囊与圆孕囊是B超监测时孕囊的形状不一样;一般只要孕囊形态饱满、可以见到胎芽胎心,孕囊的形状并无影响。对于月经规律、周期在28~30天左右的女性,一般在怀孕40天左右可以通过B超看到宫腔内有圆形或椭圆形的妊娠囊;在怀孕45天左右,可以出现胎芽和原始胎心管搏动。此时可以通过B超检查排除宫外孕,明确胎数、是否为活胎。
","articleBody": "圆形孕囊在进行B超检查时,测的孕囊的上下径,左右径,前后径的数值比较接近或差距比较小,考虑为孕囊为圆形。
判断孕囊是长是圆要根据超声检查测量的三条径线差异大小进行判断。
1、圆形:在进行超声检查的时候,如果测得孕囊的上下径、左右径、前后径数值比较接近,考虑孕囊为圆形,如三条径线分别为2.1厘米、2.0厘米、1.9厘米。

2、长椭圆形:如果测得孕囊上下径、左右径、前后径数值差异大,左右径、前后径明显小于上下径,考虑孕囊为长椭圆形,如上下径2.5厘米、前后径1.2厘米,左右径1.3厘米。
长椭圆形孕囊与圆孕囊是B超监测时孕囊的形状不一样;一般只要孕囊形态饱满、可以见到胎芽胎心,孕囊的形状并无影响。对于月经规律、周期在28~30天左右的女性,一般在怀孕40天左右可以通过B超看到宫腔内有圆形或椭圆形的妊娠囊;在怀孕45天左右,可以出现胎芽和原始胎心管搏动。此时可以通过B超检查排除宫外孕,明确胎数、是否为活胎。
","scanCount": 56627}}} {"@context": "https://ziyuan.baidu.com/contexts/cambrian.jsonld","appid": "1650708455561748","icon": "https://www.med-credit.org.cn/style/images/ttlogo.png","content_tag": ["atlas"],"is_mcn": {"thumb_id": "v2rm41u3"},"accid": "4886d626a2804dee5f11168793ce361672f39c25","@id": "https://www.med-credit.org.cn/mobile/jingxuan/2/b6003bd2dbf3e769bcfa82fde57b5a29.html","bagWordId": "181_1547866408736526336","title": "顺产一度撕裂示意图","pubDate": "2023-03-29T10:32:19","upDate": "2023-03-29T10:32:19","lrDate": "2023-03-29T10:32:19","description": "顺产一度撕裂是指会阴轻度撕裂,伴少量出血。","data": {"WebPage": {"headline": "顺产一度撕裂示意图","pcUrl": "https://www.med-credit.org.cn/jingxuan/2/b6003bd2dbf3e769bcfa82fde57b5a29.html","wapUrl": "https://www.med-credit.org.cn/jingxuan/2/b6003bd2dbf3e769bcfa82fde57b5a29.html","mipUrl": "https://www.med-credit.org.cn/mobile/jingxuan/2/b6003bd2dbf3e769bcfa82fde57b5a29.html","fromSrc": "欢乐橙","datePublished": "2023-03-29T10:32:19","domain": "医疗","category": ["医疗权威文章合作"],"description": "顺产一度撕裂是指会阴轻度撕裂,伴少量出血。
","extra_headline": [""]},"Author": {"name": "种轶文","wapUrl": "https://www.med-credit.org.cn/doctor/575","pcUrl": "https://www.med-credit.org.cn/doctor/575","jobTitle": "副主任医师","headPortrait": "https://www.med-credit.org.cn/uploadfile/member/575/180x180.jpeg","id": "575","description": "种轶文,北京大学第三医院妇产科副主任医师","memberOf": {"legalName": "北京大学第三医院","department": "妇产科","organizationLevel": "三级甲等"}},"Article": {"summaryContent": "顺产一度撕裂是指会阴轻度撕裂,伴少量出血。
顺产一度撕裂是由于分娩时阴道扩张不及造成的。
1.症状:顺产一度是指会阴部的皮肤与粘膜、阴唇系带、前庭黏膜或者是阴道粘膜等处由撕裂,深度在0.2-1cm之间,一般不涉及肌肉或筋膜,伴有少量出血,不需特殊处理即可可以自行愈合。

2.病因:分娩过程中处理不当可造成顺产一度撕裂,可能存在的病因如下:
1)分娩时阴道及会阴会进行扩张,但若胎儿娩出速度过快,而阴道和会阴未及时扩张、适应娩出需求时,会造成撕裂。
2)若胎儿在娩出过程中,胎位不正,可导致胎儿在娩出时对阴道、会阴扩张需求增加,导致裂伤。
3)会阴过长、过厚、过往有瘢痕均可使阴道撕裂。
4)助产人员在孕妇分娩过程中在宫底部过分加压、未让胎头俯屈等低助产技术操作也可造成撕裂。
5)产钳、胎头吸引器等手术助产手段若操作不当或操作速度过快时也可以引起阴道撕裂。
","articleBody": "顺产一度撕裂是指会阴轻度撕裂,伴少量出血。
顺产一度撕裂是由于分娩时阴道扩张不及造成的。
1.症状:顺产一度是指会阴部的皮肤与粘膜、阴唇系带、前庭黏膜或者是阴道粘膜等处由撕裂,深度在0.2-1cm之间,一般不涉及肌肉或筋膜,伴有少量出血,不需特殊处理即可可以自行愈合。

2.病因:分娩过程中处理不当可造成顺产一度撕裂,可能存在的病因如下:
1)分娩时阴道及会阴会进行扩张,但若胎儿娩出速度过快,而阴道和会阴未及时扩张、适应娩出需求时,会造成撕裂。
2)若胎儿在娩出过程中,胎位不正,可导致胎儿在娩出时对阴道、会阴扩张需求增加,导致裂伤。
3)会阴过长、过厚、过往有瘢痕均可使阴道撕裂。
4)助产人员在孕妇分娩过程中在宫底部过分加压、未让胎头俯屈等低助产技术操作也可造成撕裂。
5)产钳、胎头吸引器等手术助产手段若操作不当或操作速度过快时也可以引起阴道撕裂。
","scanCount": 56626}}} {"@context": "https://ziyuan.baidu.com/contexts/cambrian.jsonld","appid": "1650708455561748","icon": "https://www.med-credit.org.cn/style/images/ttlogo.png","content_tag": ["atlas"],"is_mcn": {"thumb_id": "v2rm41u3"},"accid": "4886d626a2804dee5f11168793ce361672f39c25","@id": "https://www.med-credit.org.cn/mobile/jingxuan/2/83a41ee8461199f857d3d7ac81bf13e2.html","bagWordId": "181_1547866408816218112","title": "孕晚期尿颜色像冰红茶图片","pubDate": "2023-03-29T10:32:19","upDate": "2023-03-29T10:32:19","lrDate": "2023-03-29T10:32:19","description": "孕晚期尿颜色像冰红茶可能的原因是由尿液浓缩或者患有肾脏炎症等疾病导致的。","data": {"WebPage": {"headline": "孕晚期尿颜色像冰红茶图片","pcUrl": "https://www.med-credit.org.cn/jingxuan/2/83a41ee8461199f857d3d7ac81bf13e2.html","wapUrl": "https://www.med-credit.org.cn/jingxuan/2/83a41ee8461199f857d3d7ac81bf13e2.html","mipUrl": "https://www.med-credit.org.cn/mobile/jingxuan/2/83a41ee8461199f857d3d7ac81bf13e2.html","fromSrc": "欢乐橙","datePublished": "2023-03-29T10:32:19","domain": "医疗","category": ["医疗权威文章合作"],"description": "孕晚期尿颜色像冰红茶可能的原因是由尿液浓缩或者患有肾脏炎症等疾病导致的。
","extra_headline": [""]},"Author": {"name": "种轶文","wapUrl": "https://www.med-credit.org.cn/doctor/575","pcUrl": "https://www.med-credit.org.cn/doctor/575","jobTitle": "副主任医师","headPortrait": "https://www.med-credit.org.cn/uploadfile/member/575/180x180.jpeg","id": "575","description": "种轶文,北京大学第三医院妇产科副主任医师","memberOf": {"legalName": "北京大学第三医院","department": "妇产科","organizationLevel": "三级甲等"}},"Article": {"summaryContent": "孕晚期尿颜色像冰红茶可能的原因是由尿液浓缩或者患有肾脏炎症等疾病导致的。
孕晚期女性应定期去医院检查,明确引起该情况的具体原因,避免病情延误。

1、尿液浓缩:女性在孕晚期喝水比较少时,可能会引起尿液浓缩导致尿液颜色不正常,这属于正常现象,对身体不会造成损伤,一般不需要特殊治疗,适当的增加饮水量即可缓解症状。
2、患有肾脏炎症疾病:当患者身体抵抗力比较差感染细菌时,可能会引起炎症反应,导致尿液出现异常,应该及时检查尿常规。
1、如果出现血尿,应该及时用消炎的药物治疗,控制病情的发展。在怀孕期间,服用对胎儿没有影响的药物治疗,还应该注意多喝温开水,促进药物的代谢。
2、如果出现尿液偏红,检查没有泌尿系感染,有可能是喝水过少而引起的尿液浓缩,多喝水也可以得到缓解。平时注意不要吃对身体有刺激性的食物,应该尽量注意卫生,注意清洗,避免泌尿系感染。
","articleBody": "孕晚期尿颜色像冰红茶可能的原因是由尿液浓缩或者患有肾脏炎症等疾病导致的。
孕晚期女性应定期去医院检查,明确引起该情况的具体原因,避免病情延误。

1、尿液浓缩:女性在孕晚期喝水比较少时,可能会引起尿液浓缩导致尿液颜色不正常,这属于正常现象,对身体不会造成损伤,一般不需要特殊治疗,适当的增加饮水量即可缓解症状。
2、患有肾脏炎症疾病:当患者身体抵抗力比较差感染细菌时,可能会引起炎症反应,导致尿液出现异常,应该及时检查尿常规。
1、如果出现血尿,应该及时用消炎的药物治疗,控制病情的发展。在怀孕期间,服用对胎儿没有影响的药物治疗,还应该注意多喝温开水,促进药物的代谢。
2、如果出现尿液偏红,检查没有泌尿系感染,有可能是喝水过少而引起的尿液浓缩,多喝水也可以得到缓解。平时注意不要吃对身体有刺激性的食物,应该尽量注意卫生,注意清洗,避免泌尿系感染。
","scanCount": 56625}}} {"@context": "https://ziyuan.baidu.com/contexts/cambrian.jsonld","appid": "1650708455561748","icon": "https://www.med-credit.org.cn/style/images/ttlogo.png","content_tag": ["atlas"],"is_mcn": {"thumb_id": "v2rm41u3"},"accid": "4886d626a2804dee5f11168793ce361672f39c25","@id": "https://www.med-credit.org.cn/mobile/jingxuan/2/58182fed64b7052d31a42766f0863bd4.html","bagWordId": "181_1547866408887521280","title": "双顶径小的婴儿图片","pubDate": "2023-03-29T10:32:19","upDate": "2023-03-29T10:32:19","lrDate": "2023-03-29T10:32:19","description": "双顶径指的是胎儿,胎儿双顶径偏小,需要核对孕周,才判断是否偏小或偏大。","data": {"WebPage": {"headline": "双顶径小的婴儿图片","pcUrl": "https://www.med-credit.org.cn/jingxuan/2/58182fed64b7052d31a42766f0863bd4.html","wapUrl": "https://www.med-credit.org.cn/jingxuan/2/58182fed64b7052d31a42766f0863bd4.html","mipUrl": "https://www.med-credit.org.cn/mobile/jingxuan/2/58182fed64b7052d31a42766f0863bd4.html","fromSrc": "欢乐橙","datePublished": "2023-03-29T10:32:19","domain": "医疗","category": ["医疗权威文章合作"],"description": "双顶径指的是胎儿,胎儿双顶径偏小,需要核对孕周,才判断是否偏小或偏大。
","extra_headline": [""]},"Author": {"name": "种轶文","wapUrl": "https://www.med-credit.org.cn/doctor/575","pcUrl": "https://www.med-credit.org.cn/doctor/575","jobTitle": "副主任医师","headPortrait": "https://www.med-credit.org.cn/uploadfile/member/575/180x180.jpeg","id": "575","description": "种轶文,北京大学第三医院妇产科副主任医师","memberOf": {"legalName": "北京大学第三医院","department": "妇产科","organizationLevel": "三级甲等"}},"Article": {"summaryContent": "双顶径指的是胎儿,胎儿双顶径偏小,需要核对孕周,才判断是否偏小或偏大。
胎儿双顶径头围偏小可能是孕周核算错误、遗传因素、营养不良、发育畸形等原因引起的。

1、孕周核算错误:女性平时的月经周期紊乱,月经周期时间长则排卵时间相对靠后,同房后受精卵着床时间会延迟,会出现胎儿实际孕周比末次月经推算孕周偏小,胎儿双顶径头围偏小的现象。
2、遗传因素:家族中有遗传因素头部偏小,胎儿也容易出现双顶径偏小的现象。
3、营养不良:怀孕期间女性过度的挑食或者节食、胃肠功能不好等情况下可能会导致母体营养不良,间接导致胎儿营养吸收过少,胎儿生长慢,会有双顶径头围偏小的情况。
胎儿双顶径(BPD)是指胎儿头部左右两侧之间最宽部位的长度,是产前检查中评价胎儿生长发育水平的重要指标。孕妇在产检时进行超声检查,每次测量的数值会与正常孕周进行对比,也会与前一次的检查结果进行对比。如果双顶径与正常孕周相比偏小,但与前一次进行比较还在增长,且胎儿没有其他问题,可能是胎儿先天头就较小,出生后可以正常发育。
","articleBody": "双顶径指的是胎儿,胎儿双顶径偏小,需要核对孕周,才判断是否偏小或偏大。
胎儿双顶径头围偏小可能是孕周核算错误、遗传因素、营养不良、发育畸形等原因引起的。

1、孕周核算错误:女性平时的月经周期紊乱,月经周期时间长则排卵时间相对靠后,同房后受精卵着床时间会延迟,会出现胎儿实际孕周比末次月经推算孕周偏小,胎儿双顶径头围偏小的现象。
2、遗传因素:家族中有遗传因素头部偏小,胎儿也容易出现双顶径偏小的现象。
3、营养不良:怀孕期间女性过度的挑食或者节食、胃肠功能不好等情况下可能会导致母体营养不良,间接导致胎儿营养吸收过少,胎儿生长慢,会有双顶径头围偏小的情况。
胎儿双顶径(BPD)是指胎儿头部左右两侧之间最宽部位的长度,是产前检查中评价胎儿生长发育水平的重要指标。孕妇在产检时进行超声检查,每次测量的数值会与正常孕周进行对比,也会与前一次的检查结果进行对比。如果双顶径与正常孕周相比偏小,但与前一次进行比较还在增长,且胎儿没有其他问题,可能是胎儿先天头就较小,出生后可以正常发育。
","scanCount": 56624}}} {"@context": "https://ziyuan.baidu.com/contexts/cambrian.jsonld","appid": "1650708455561748","icon": "https://www.med-credit.org.cn/style/images/ttlogo.png","content_tag": ["atlas"],"is_mcn": {"thumb_id": "v2rm41u3"},"accid": "4886d626a2804dee5f11168793ce361672f39c25","@id": "https://www.med-credit.org.cn/mobile/jingxuan/2/37b17a714e73730430bd8af942cbc246.html","bagWordId": "181_1547866408925270016","title": "怀孕排出像肉一样的东西图片","pubDate": "2023-03-29T10:32:19","upDate": "2023-03-29T10:32:19","lrDate": "2023-03-29T10:32:19","description": "怀孕时排出像肉一样的物质一般性状可有差异,如息肉状物质的大小或颜色等,部分患者可能会伴有阴道出血或其他的症状。","data": {"WebPage": {"headline": "怀孕排出像肉一样的东西图片","pcUrl": "https://www.med-credit.org.cn/jingxuan/2/37b17a714e73730430bd8af942cbc246.html","wapUrl": "https://www.med-credit.org.cn/jingxuan/2/37b17a714e73730430bd8af942cbc246.html","mipUrl": "https://www.med-credit.org.cn/mobile/jingxuan/2/37b17a714e73730430bd8af942cbc246.html","fromSrc": "欢乐橙","datePublished": "2023-03-29T10:32:19","domain": "医疗","category": ["医疗权威文章合作"],"description": "怀孕时排出像肉一样的物质一般性状可有差异,如息肉状物质的大小或颜色等,部分患者可能会伴有阴道出血或其他的症状。
","extra_headline": [""]},"Author": {"name": "种轶文","wapUrl": "https://www.med-credit.org.cn/doctor/575","pcUrl": "https://www.med-credit.org.cn/doctor/575","jobTitle": "副主任医师","headPortrait": "https://www.med-credit.org.cn/uploadfile/member/575/180x180.jpeg","id": "575","description": "种轶文,北京大学第三医院妇产科副主任医师","memberOf": {"legalName": "北京大学第三医院","department": "妇产科","organizationLevel": "三级甲等"}},"Article": {"summaryContent": "怀孕时排出像肉一样的物质一般性状可有差异,如息肉状物质的大小或颜色等,部分患者可能会伴有阴道出血或其他的症状。
这种情况可能是由于子宫内膜脱落或者流产等而导致的。

1.怀孕阴道排出的息肉状物质含量较少且不伴有出血或其他不适症状,并数天后便好转,这是一种正常的生理现象,排出物为脱落的子宫内膜,因为怀孕时体内雌激素含量升高会使子宫内膜的厚度增加。
2.怀孕初期的患者可能由于某些因素而导致胚胎发育异常,体内的内分泌激素就会发生紊乱失调,最终出现胎儿流产的情况,这种情况阴道会有胎膜绒毛等息肉状物质排出,且伴有血液。
当怀孕时期的母亲发现阴道有异常物质流出的情况,最好先观察几天,观察这种症状是长期性还是短期性,流出物质的性状、颜色等情况,若时间较长、外观异常或者感觉到有明显的不适,这时候需要尽早去医院相关科室进行一系列的检查看看是否存在病理性情况。
","articleBody": "怀孕时排出像肉一样的物质一般性状可有差异,如息肉状物质的大小或颜色等,部分患者可能会伴有阴道出血或其他的症状。
这种情况可能是由于子宫内膜脱落或者流产等而导致的。

1.怀孕阴道排出的息肉状物质含量较少且不伴有出血或其他不适症状,并数天后便好转,这是一种正常的生理现象,排出物为脱落的子宫内膜,因为怀孕时体内雌激素含量升高会使子宫内膜的厚度增加。
2.怀孕初期的患者可能由于某些因素而导致胚胎发育异常,体内的内分泌激素就会发生紊乱失调,最终出现胎儿流产的情况,这种情况阴道会有胎膜绒毛等息肉状物质排出,且伴有血液。
当怀孕时期的母亲发现阴道有异常物质流出的情况,最好先观察几天,观察这种症状是长期性还是短期性,流出物质的性状、颜色等情况,若时间较长、外观异常或者感觉到有明显的不适,这时候需要尽早去医院相关科室进行一系列的检查看看是否存在病理性情况。
","scanCount": 56623}}} {"@context": "https://ziyuan.baidu.com/contexts/cambrian.jsonld","appid": "1650708455561748","icon": "https://www.med-credit.org.cn/style/images/ttlogo.png","content_tag": ["atlas"],"is_mcn": {"thumb_id": "v2rm41u3"},"accid": "4886d626a2804dee5f11168793ce361672f39c25","@id": "https://www.med-credit.org.cn/mobile/jingxuan/2/6feb49dd0b0959d0fc600ffd6339c29a.html","bagWordId": "181_1547866409034321920","title": "8周流产的胎儿图片","pubDate": "2023-03-29T10:32:19","upDate": "2023-03-29T10:32:19","lrDate": "2023-03-29T10:32:19","description": "8周流产的胎儿可见一些组织或可见胎儿的雏形。","data": {"WebPage": {"headline": "8周流产的胎儿图片","pcUrl": "https://www.med-credit.org.cn/jingxuan/2/6feb49dd0b0959d0fc600ffd6339c29a.html","wapUrl": "https://www.med-credit.org.cn/jingxuan/2/6feb49dd0b0959d0fc600ffd6339c29a.html","mipUrl": "https://www.med-credit.org.cn/mobile/jingxuan/2/6feb49dd0b0959d0fc600ffd6339c29a.html","fromSrc": "欢乐橙","datePublished": "2023-03-29T10:32:19","domain": "医疗","category": ["医疗权威文章合作"],"description": "8周流产的胎儿可见一些组织或可见胎儿的雏形。
","extra_headline": [""]},"Author": {"name": "种轶文","wapUrl": "https://www.med-credit.org.cn/doctor/575","pcUrl": "https://www.med-credit.org.cn/doctor/575","jobTitle": "副主任医师","headPortrait": "https://www.med-credit.org.cn/uploadfile/member/575/180x180.jpeg","id": "575","description": "种轶文,北京大学第三医院妇产科副主任医师","memberOf": {"legalName": "北京大学第三医院","department": "妇产科","organizationLevel": "三级甲等"}},"Article": {"summaryContent": "8周流产的胎儿可见一些组织或可见胎儿的雏形。
8周流产的胎儿一般是由于环境因素或胎停等导致的。
1.形状:8周流产的胎儿基本已可见雏形,若有发育稍缓慢的,可见白色棉花样的绒毛组织以及胚胎组织;正常发育8周的胎儿,流产时可见肢体的发育,且头颅已经产生,且胎头大于躯干,所以流出来的东西可以看到是胎儿的形状的。

2.原因:可能导致胎儿在8周流产的因素包括胚胎或胎儿染色体异常(结构异常和数目异常),这是最常见的。此外,药物、感染等因素也可以使得8周的胎儿发生胎停,从而引起流产;母体弱出现全身性疾病如贫血、心衰、严重感染以及应激等,也会导致8周的胎儿出现流产;除了母体因素,父亲的精子染色体若有异常,也可导致流产;除人为因素,环境因素例如射线、重金属、化学物质等,均可引起8周胎儿流产的发生。
","articleBody": "8周流产的胎儿可见一些组织或可见胎儿的雏形。
8周流产的胎儿一般是由于环境因素或胎停等导致的。
1.形状:8周流产的胎儿基本已可见雏形,若有发育稍缓慢的,可见白色棉花样的绒毛组织以及胚胎组织;正常发育8周的胎儿,流产时可见肢体的发育,且头颅已经产生,且胎头大于躯干,所以流出来的东西可以看到是胎儿的形状的。

2.原因:可能导致胎儿在8周流产的因素包括胚胎或胎儿染色体异常(结构异常和数目异常),这是最常见的。此外,药物、感染等因素也可以使得8周的胎儿发生胎停,从而引起流产;母体弱出现全身性疾病如贫血、心衰、严重感染以及应激等,也会导致8周的胎儿出现流产;除了母体因素,父亲的精子染色体若有异常,也可导致流产;除人为因素,环境因素例如射线、重金属、化学物质等,均可引起8周胎儿流产的发生。
","scanCount": 56621}}} {"@context": "https://ziyuan.baidu.com/contexts/cambrian.jsonld","appid": "1650708455561748","icon": "https://www.med-credit.org.cn/style/images/ttlogo.png","content_tag": ["atlas"],"is_mcn": {"thumb_id": "v2rm41u3"},"accid": "4886d626a2804dee5f11168793ce361672f39c25","@id": "https://www.med-credit.org.cn/mobile/jingxuan/2/1a5a955ce49aa8acf53fbf7a2d161fe0.html","bagWordId": "181_1547866409072070656","title": "保胎中排黑色渣渣图片","pubDate": "2023-03-29T10:32:19","upDate": "2023-03-29T10:32:19","lrDate": "2023-03-29T10:32:19","description": "保胎中阴道排出黑色渣渣可能是宫腔内残留积血所导致的。","data": {"WebPage": {"headline": "保胎中排黑色渣渣图片","pcUrl": "https://www.med-credit.org.cn/jingxuan/2/1a5a955ce49aa8acf53fbf7a2d161fe0.html","wapUrl": "https://www.med-credit.org.cn/jingxuan/2/1a5a955ce49aa8acf53fbf7a2d161fe0.html","mipUrl": "https://www.med-credit.org.cn/mobile/jingxuan/2/1a5a955ce49aa8acf53fbf7a2d161fe0.html","fromSrc": "欢乐橙","datePublished": "2023-03-29T10:32:19","domain": "医疗","category": ["医疗权威文章合作"],"description": "保胎中阴道排出黑色渣渣可能是宫腔内残留积血所导致的。
","extra_headline": [""]},"Author": {"name": "种轶文","wapUrl": "https://www.med-credit.org.cn/doctor/575","pcUrl": "https://www.med-credit.org.cn/doctor/575","jobTitle": "副主任医师","headPortrait": "https://www.med-credit.org.cn/uploadfile/member/575/180x180.jpeg","id": "575","description": "种轶文,北京大学第三医院妇产科副主任医师","memberOf": {"legalName": "北京大学第三医院","department": "妇产科","organizationLevel": "三级甲等"}},"Article": {"summaryContent": "保胎中阴道排出黑色渣渣可能是宫腔内残留积血所导致的。
注意保胎期间的休息,禁止性生活。

患者在保胎的过程中,流黑渣渣实际上是阴道少量的出血,只是由于血液较少,因此当流出宫颈口的时,会淤积在阴道里面被氧化,再流出来就是黑色渣渣样。在保胎过程中,如果出现黑色分泌物变少,说明保胎起作用,当然还需要结合HCG的结果及B超结果综合判断。
1、先兆流产表现为阴道有少量的流血,可能还会伴有轻度的下腹部坠痛、腰酸,如果保胎后,阴道流血减少,逐渐停止,可以继续妊娠。
2、先兆流产建议卧床休息,如果卧床休息后症状消失,流血停止,说明保胎有效,可以继续妊娠。
3、保胎期间一定要注意适当休息,避免剧烈活动和工作强度过大,禁止同房。如发生小腹剧烈疼痛,阴道有鲜红色血液流出,要考虑保胎失败,及时清宫。
","articleBody": "保胎中阴道排出黑色渣渣可能是宫腔内残留积血所导致的。
注意保胎期间的休息,禁止性生活。

患者在保胎的过程中,流黑渣渣实际上是阴道少量的出血,只是由于血液较少,因此当流出宫颈口的时,会淤积在阴道里面被氧化,再流出来就是黑色渣渣样。在保胎过程中,如果出现黑色分泌物变少,说明保胎起作用,当然还需要结合HCG的结果及B超结果综合判断。
1、先兆流产表现为阴道有少量的流血,可能还会伴有轻度的下腹部坠痛、腰酸,如果保胎后,阴道流血减少,逐渐停止,可以继续妊娠。
2、先兆流产建议卧床休息,如果卧床休息后症状消失,流血停止,说明保胎有效,可以继续妊娠。
3、保胎期间一定要注意适当休息,避免剧烈活动和工作强度过大,禁止同房。如发生小腹剧烈疼痛,阴道有鲜红色血液流出,要考虑保胎失败,及时清宫。
","scanCount": 56620}}} {"@context": "https://ziyuan.baidu.com/contexts/cambrian.jsonld","appid": "1650708455561748","icon": "https://www.med-credit.org.cn/style/images/ttlogo.png","content_tag": ["atlas"],"is_mcn": {"thumb_id": "v2rm41u3"},"accid": "4886d626a2804dee5f11168793ce361672f39c25","@id": "https://www.med-credit.org.cn/mobile/jingxuan/2/93f5af48905c20cb4143144c4bdffe55.html","bagWordId": "181_1547866409189511168","title": "怀孕30周有青绿色分泌物图片","pubDate": "2023-03-29T10:32:19","upDate": "2023-03-29T10:32:19","lrDate": "2023-03-29T10:32:19","description": "怀孕30周阴道排出青绿色分泌物考虑是阴道炎。","data": {"WebPage": {"headline": "怀孕30周有青绿色分泌物图片","pcUrl": "https://www.med-credit.org.cn/jingxuan/2/93f5af48905c20cb4143144c4bdffe55.html","wapUrl": "https://www.med-credit.org.cn/jingxuan/2/93f5af48905c20cb4143144c4bdffe55.html","mipUrl": "https://www.med-credit.org.cn/mobile/jingxuan/2/93f5af48905c20cb4143144c4bdffe55.html","fromSrc": "欢乐橙","datePublished": "2023-03-29T10:32:19","domain": "医疗","category": ["医疗权威文章合作"],"description": "怀孕30周阴道排出青绿色分泌物考虑是阴道炎。
","extra_headline": [""]},"Author": {"name": "种轶文","wapUrl": "https://www.med-credit.org.cn/doctor/575","pcUrl": "https://www.med-credit.org.cn/doctor/575","jobTitle": "副主任医师","headPortrait": "https://www.med-credit.org.cn/uploadfile/member/575/180x180.jpeg","id": "575","description": "种轶文,北京大学第三医院妇产科副主任医师","memberOf": {"legalName": "北京大学第三医院","department": "妇产科","organizationLevel": "三级甲等"}},"Article": {"summaryContent": "怀孕30周阴道排出青绿色分泌物考虑是阴道炎。
妊娠期阴道炎常见的病原体有细菌、真菌、某些寄生虫等。

1.滴虫阴道炎:是由毛滴虫感染引起的阴道炎,表现为阴道分泌物呈现稀薄脓样、泡沫状,有时是黄色、灰黄色脓性的,伴有外阴瘙痒、疼痛或者性交痛。
2.细菌性阴道病:是由细菌感染引起的阴道炎,表现为外阴瘙痒、并且分泌灰白色均质的稀薄状物,有腥臭味。
3.外阴阴道假丝酵母菌病:是一种常见真菌引起的阴道或者外阴感染性疾病,在妊娠或者抵抗力下降的人群中较容易出现。患者主要表现为外阴瘙痒,而且瘙痒的症状明显,持续时间长,严重的患者坐立不安。外阴的分泌物很稠厚,呈现一个豆腐渣样或者凝乳状。阴道粘膜红肿、小阴唇内侧或者阴道黏膜上有白色块状物。
1.滴虫性阴道炎:一般全身用药,口服的药物如甲硝唑、替硝唑等。
2.细菌性阴道病:口服一些抗生素如甲硝唑、替硝唑等,必要时可以局部用药如用甲硝唑栓剂塞入阴道治疗。
3.外阴阴道假丝酵母菌病:要养成良好的卫生习惯,勤换内裤,保持外阴清洁。局部可以用克霉唑、咪康唑等栓剂治疗。
妊娠期具体的治疗方式及用药需要针对机体情况,在专业医师指导下使用。
","articleBody": "怀孕30周阴道排出青绿色分泌物考虑是阴道炎。
妊娠期阴道炎常见的病原体有细菌、真菌、某些寄生虫等。

1.滴虫阴道炎:是由毛滴虫感染引起的阴道炎,表现为阴道分泌物呈现稀薄脓样、泡沫状,有时是黄色、灰黄色脓性的,伴有外阴瘙痒、疼痛或者性交痛。
2.细菌性阴道病:是由细菌感染引起的阴道炎,表现为外阴瘙痒、并且分泌灰白色均质的稀薄状物,有腥臭味。
3.外阴阴道假丝酵母菌病:是一种常见真菌引起的阴道或者外阴感染性疾病,在妊娠或者抵抗力下降的人群中较容易出现。患者主要表现为外阴瘙痒,而且瘙痒的症状明显,持续时间长,严重的患者坐立不安。外阴的分泌物很稠厚,呈现一个豆腐渣样或者凝乳状。阴道粘膜红肿、小阴唇内侧或者阴道黏膜上有白色块状物。
1.滴虫性阴道炎:一般全身用药,口服的药物如甲硝唑、替硝唑等。
2.细菌性阴道病:口服一些抗生素如甲硝唑、替硝唑等,必要时可以局部用药如用甲硝唑栓剂塞入阴道治疗。
3.外阴阴道假丝酵母菌病:要养成良好的卫生习惯,勤换内裤,保持外阴清洁。局部可以用克霉唑、咪康唑等栓剂治疗。
妊娠期具体的治疗方式及用药需要针对机体情况,在专业医师指导下使用。
","scanCount": 56619}}} {"@context": "https://ziyuan.baidu.com/contexts/cambrian.jsonld","appid": "1650708455561748","icon": "https://www.med-credit.org.cn/style/images/ttlogo.png","content_tag": ["atlas"],"is_mcn": {"thumb_id": "v2rm41u3"},"accid": "4886d626a2804dee5f11168793ce361672f39c25","@id": "https://www.med-credit.org.cn/mobile/jingxuan/2/bb20f2de1f722b0ead781058ff8ad20d.html","bagWordId": "181_1547866409302757376","title": "怀孕早期内裤上黄黄的图片","pubDate": "2023-03-29T10:32:19","upDate": "2023-03-29T10:32:19","lrDate": "2023-03-29T10:32:19","description": "怀孕早期内裤上黄黄的考虑是白带,怀孕后正常白带量会略增多,颜色微黄、状似鼻涕。","data": {"WebPage": {"headline": "怀孕早期内裤上黄黄的图片","pcUrl": "https://www.med-credit.org.cn/jingxuan/2/bb20f2de1f722b0ead781058ff8ad20d.html","wapUrl": "https://www.med-credit.org.cn/jingxuan/2/bb20f2de1f722b0ead781058ff8ad20d.html","mipUrl": "https://www.med-credit.org.cn/mobile/jingxuan/2/bb20f2de1f722b0ead781058ff8ad20d.html","fromSrc": "欢乐橙","datePublished": "2023-03-29T10:32:19","domain": "医疗","category": ["医疗权威文章合作"],"description": "怀孕早期内裤上黄黄的考虑是白带,怀孕后正常白带量会略增多,颜色微黄、状似鼻涕。
","extra_headline": [""]},"Author": {"name": "种轶文","wapUrl": "https://www.med-credit.org.cn/doctor/575","pcUrl": "https://www.med-credit.org.cn/doctor/575","jobTitle": "副主任医师","headPortrait": "https://www.med-credit.org.cn/uploadfile/member/575/180x180.jpeg","id": "575","description": "种轶文,北京大学第三医院妇产科副主任医师","memberOf": {"legalName": "北京大学第三医院","department": "妇产科","organizationLevel": "三级甲等"}},"Article": {"summaryContent": "怀孕早期内裤上黄黄的考虑是白带,怀孕后正常白带量会略增多,颜色微黄、状似鼻涕。
如果怀孕后分泌的白带出现黄色加重,伴有腥臭味,形状似奶酪等情况则是白带异常。

1.正常:怀孕后,女性体内的雌激素与孕激素的水平都会升高,同时生殖器官的腺体会增生,导致局部组织充血水肿,分泌物会比未怀孕时增多,且白带的颜色也会变得微黄,状似鼻涕,气味略微酸。
2.异常:如果分泌物增多且黄色加重,同时伴有腥臭味,以及外阴有瘙痒感,考虑为外阴炎或者是阴道炎,多见于局部清洁不净;如果分泌物白黄色,状似奶酪,有腥臭味,阴道有灼热感,考虑为阴道念珠菌感染,是由于怀孕后阴道的酸碱平衡改变使念珠菌过度繁殖。
怀孕期间出现阴部异常感,以及分泌物颜色、气味、形状异常的情况,建议尽快去医院就诊,确诊疾病后根据医嘱用药治疗即可。平时分泌物增多可勤换内裤,保持外阴部洁净干燥。
","articleBody": "怀孕早期内裤上黄黄的考虑是白带,怀孕后正常白带量会略增多,颜色微黄、状似鼻涕。
如果怀孕后分泌的白带出现黄色加重,伴有腥臭味,形状似奶酪等情况则是白带异常。

1.正常:怀孕后,女性体内的雌激素与孕激素的水平都会升高,同时生殖器官的腺体会增生,导致局部组织充血水肿,分泌物会比未怀孕时增多,且白带的颜色也会变得微黄,状似鼻涕,气味略微酸。
2.异常:如果分泌物增多且黄色加重,同时伴有腥臭味,以及外阴有瘙痒感,考虑为外阴炎或者是阴道炎,多见于局部清洁不净;如果分泌物白黄色,状似奶酪,有腥臭味,阴道有灼热感,考虑为阴道念珠菌感染,是由于怀孕后阴道的酸碱平衡改变使念珠菌过度繁殖。
怀孕期间出现阴部异常感,以及分泌物颜色、气味、形状异常的情况,建议尽快去医院就诊,确诊疾病后根据医嘱用药治疗即可。平时分泌物增多可勤换内裤,保持外阴部洁净干燥。
","scanCount": 56618}}} {"@context": "https://ziyuan.baidu.com/contexts/cambrian.jsonld","appid": "1650708455561748","icon": "https://www.med-credit.org.cn/style/images/ttlogo.png","content_tag": ["atlas"],"is_mcn": {"thumb_id": "v2rm41u3"},"accid": "4886d626a2804dee5f11168793ce361672f39c25","@id": "https://www.med-credit.org.cn/mobile/jingxuan/2/56ae1bb413f08f72f0e17d4587efb8e2.html","bagWordId": "181_1547866409336311808","title": "一个孕囊2个分开的白点图片","pubDate": "2023-03-29T10:32:19","upDate": "2023-03-29T10:32:19","lrDate": "2023-03-29T10:32:19","description": "一个孕囊两个分开的白点属于正常的胎芽组织。","data": {"WebPage": {"headline": "一个孕囊2个分开的白点图片","pcUrl": "https://www.med-credit.org.cn/jingxuan/2/56ae1bb413f08f72f0e17d4587efb8e2.html","wapUrl": "https://www.med-credit.org.cn/jingxuan/2/56ae1bb413f08f72f0e17d4587efb8e2.html","mipUrl": "https://www.med-credit.org.cn/mobile/jingxuan/2/56ae1bb413f08f72f0e17d4587efb8e2.html","fromSrc": "欢乐橙","datePublished": "2023-03-29T10:32:19","domain": "医疗","category": ["医疗权威文章合作"],"description": "一个孕囊两个分开的白点属于正常的胎芽组织。
","extra_headline": [""]},"Author": {"name": "种轶文","wapUrl": "https://www.med-credit.org.cn/doctor/575","pcUrl": "https://www.med-credit.org.cn/doctor/575","jobTitle": "副主任医师","headPortrait": "https://www.med-credit.org.cn/uploadfile/member/575/180x180.jpeg","id": "575","description": "种轶文,北京大学第三医院妇产科副主任医师","memberOf": {"legalName": "北京大学第三医院","department": "妇产科","organizationLevel": "三级甲等"}},"Article": {"summaryContent": "一个孕囊两个分开的白点属于正常的胎芽组织。
一个孕囊2个分开的白点也可能是双胎妊娠的症状,建议一周以后再行B超检查。

1.正常的胎芽
胎芽是形成胎儿的前身,精子与卵子结合形成受精卵后,在宫腔内发育到6~7周左右,通过B超检查可以在孕囊检测到明显的卵黄囊、胎芽、部分有心管搏动。
平时月经周期规律的女性,怀孕后在停经40天以后做B超一般可以看到明显的孕囊,孕囊内有卵黄囊以及胚芽,在50天左右可以看到有明显的心管捕动。随着怀孕月份的增加,怀孕8周以后就初具人形。
2.双胎妊娠
如果一个孕囊内出现了两个胎芽,考虑是双胎妊娠,在同一个孕囊内出现两个胎芽,说明绒毛膜性是单绒双羊,也就是考虑是一个受精卵分裂而成的。双胎妊娠时宝宝的性别是一样的,血型也是一样的,双胎妊娠在怀孕的过程中风险是增加的,在怀孕的过程中会增加双胎输血综合征,还有早产的风险,所以孕期一定要按时做产前检查,如果发现有异常情况,要随时就诊。
","articleBody": "一个孕囊两个分开的白点属于正常的胎芽组织。
一个孕囊2个分开的白点也可能是双胎妊娠的症状,建议一周以后再行B超检查。

1.正常的胎芽
胎芽是形成胎儿的前身,精子与卵子结合形成受精卵后,在宫腔内发育到6~7周左右,通过B超检查可以在孕囊检测到明显的卵黄囊、胎芽、部分有心管搏动。
平时月经周期规律的女性,怀孕后在停经40天以后做B超一般可以看到明显的孕囊,孕囊内有卵黄囊以及胚芽,在50天左右可以看到有明显的心管捕动。随着怀孕月份的增加,怀孕8周以后就初具人形。
2.双胎妊娠
如果一个孕囊内出现了两个胎芽,考虑是双胎妊娠,在同一个孕囊内出现两个胎芽,说明绒毛膜性是单绒双羊,也就是考虑是一个受精卵分裂而成的。双胎妊娠时宝宝的性别是一样的,血型也是一样的,双胎妊娠在怀孕的过程中风险是增加的,在怀孕的过程中会增加双胎输血综合征,还有早产的风险,所以孕期一定要按时做产前检查,如果发现有异常情况,要随时就诊。
","scanCount": 56617}}} {"@context": "https://ziyuan.baidu.com/contexts/cambrian.jsonld","appid": "1650708455561748","icon": "https://www.med-credit.org.cn/style/images/ttlogo.png","content_tag": ["atlas"],"is_mcn": {"thumb_id": "v2rm41u3"},"accid": "4886d626a2804dee5f11168793ce361672f39c25","@id": "https://www.med-credit.org.cn/mobile/jingxuan/2/1886658e0cfeb6af4433054da12fd5a3.html","bagWordId": "181_1547866409374060544","title": "前置胎盘图片","pubDate": "2023-03-29T10:32:19","upDate": "2023-03-29T10:32:19","lrDate": "2023-03-29T10:32:19","description": "前置胎盘的超声图像上可见到胎盘下缘毗邻或覆盖宫颈口下缘。","data": {"WebPage": {"headline": "前置胎盘图片","pcUrl": "https://www.med-credit.org.cn/jingxuan/2/1886658e0cfeb6af4433054da12fd5a3.html","wapUrl": "https://www.med-credit.org.cn/jingxuan/2/1886658e0cfeb6af4433054da12fd5a3.html","mipUrl": "https://www.med-credit.org.cn/mobile/jingxuan/2/1886658e0cfeb6af4433054da12fd5a3.html","fromSrc": "欢乐橙","datePublished": "2023-03-29T10:32:19","domain": "医疗","category": ["医疗权威文章合作"],"description": "前置胎盘的超声图像上可见到胎盘下缘毗邻或覆盖宫颈口下缘。
","extra_headline": [""]},"Author": {"name": "种轶文","wapUrl": "https://www.med-credit.org.cn/doctor/575","pcUrl": "https://www.med-credit.org.cn/doctor/575","jobTitle": "副主任医师","headPortrait": "https://www.med-credit.org.cn/uploadfile/member/575/180x180.jpeg","id": "575","description": "种轶文,北京大学第三医院妇产科副主任医师","memberOf": {"legalName": "北京大学第三医院","department": "妇产科","organizationLevel": "三级甲等"}},"Article": {"summaryContent": "前置胎盘的超声图像上可见到胎盘下缘毗邻或覆盖宫颈口下缘。
前置胎盘的发生可能与子宫内膜损伤、胎盘异常、受精卵滋养层发育迟缓有关。

1.前置胎盘孕妇可出现无诱因的无痛性阴道流血,出血时间、频率、出血量与胎盘覆盖宫颈口程度有关。完全性胎盘前置流血最频繁,量最多。孕妇反复流血可造成贫血,一次大量出血可造成孕妇休克、胎儿窘迫或死亡。
2.目前前置胎盘的病因暂不明确,可能与子宫内膜损失如子宫手术、子宫刮宫史引起的子宫内膜炎、胎盘形态和大小异常、受精卵滋养层发育迟缓使受精卵着床时间推迟等原因有关。
无症状患者定期复查超声,无需治疗。出现阴道流血者可采用宫缩抑制剂止血、促胎肺成熟药物如地塞米松减少患儿呼吸窘迫等。在适宜条件下,可采用剖宫产终止妊娠。若出现大出血或胎儿急性窘迫,应紧急剖宫产终止妊娠,以挽救孕妇生命为主。
","articleBody": "前置胎盘的超声图像上可见到胎盘下缘毗邻或覆盖宫颈口下缘。
前置胎盘的发生可能与子宫内膜损伤、胎盘异常、受精卵滋养层发育迟缓有关。

1.前置胎盘孕妇可出现无诱因的无痛性阴道流血,出血时间、频率、出血量与胎盘覆盖宫颈口程度有关。完全性胎盘前置流血最频繁,量最多。孕妇反复流血可造成贫血,一次大量出血可造成孕妇休克、胎儿窘迫或死亡。
2.目前前置胎盘的病因暂不明确,可能与子宫内膜损失如子宫手术、子宫刮宫史引起的子宫内膜炎、胎盘形态和大小异常、受精卵滋养层发育迟缓使受精卵着床时间推迟等原因有关。
无症状患者定期复查超声,无需治疗。出现阴道流血者可采用宫缩抑制剂止血、促胎肺成熟药物如地塞米松减少患儿呼吸窘迫等。在适宜条件下,可采用剖宫产终止妊娠。若出现大出血或胎儿急性窘迫,应紧急剖宫产终止妊娠,以挽救孕妇生命为主。
","scanCount": 56616}}} {"@context": "https://ziyuan.baidu.com/contexts/cambrian.jsonld","appid": "1650708455561748","icon": "https://www.med-credit.org.cn/style/images/ttlogo.png","content_tag": ["atlas"],"is_mcn": {"thumb_id": "v2rm41u3"},"accid": "4886d626a2804dee5f11168793ce361672f39c25","@id": "https://www.med-credit.org.cn/mobile/jingxuan/2/8dcd8d7b72e817830f99d97065913ab8.html","bagWordId": "181_1547866409520861184","title": "孕50天褐色分泌物图片正常吗","pubDate": "2023-03-29T10:32:19","upDate": "2023-03-29T10:32:19","lrDate": "2023-03-29T10:32:19","description": "怀孕50天阴道流褐色分泌物的时间如果仅仅为1~2天,一般算正常,但若长时间的话就不正常了。","data": {"WebPage": {"headline": "孕50天褐色分泌物图片正常吗","pcUrl": "https://www.med-credit.org.cn/jingxuan/2/8dcd8d7b72e817830f99d97065913ab8.html","wapUrl": "https://www.med-credit.org.cn/jingxuan/2/8dcd8d7b72e817830f99d97065913ab8.html","mipUrl": "https://www.med-credit.org.cn/mobile/jingxuan/2/8dcd8d7b72e817830f99d97065913ab8.html","fromSrc": "欢乐橙","datePublished": "2023-03-29T10:32:19","domain": "医疗","category": ["医疗权威文章合作"],"description": "怀孕50天阴道流褐色分泌物的时间如果仅仅为1~2天,一般算正常,但若长时间的话就不正常了。
","extra_headline": [""]},"Author": {"name": "种轶文","wapUrl": "https://www.med-credit.org.cn/doctor/575","pcUrl": "https://www.med-credit.org.cn/doctor/575","jobTitle": "副主任医师","headPortrait": "https://www.med-credit.org.cn/uploadfile/member/575/180x180.jpeg","id": "575","description": "种轶文,北京大学第三医院妇产科副主任医师","memberOf": {"legalName": "北京大学第三医院","department": "妇产科","organizationLevel": "三级甲等"}},"Article": {"summaryContent": "怀孕50天阴道流褐色分泌物的时间如果仅仅为1~2天,一般算正常,但若长时间的话就不正常了。
导致流褐色分泌物的原因有很多,比如胚胎发育异常、宫颈疾病等。

1.在怀孕前三个月期间由于胚胎发育还不是很完全,使得体内的某些内分泌激素紊乱,最终导致怀孕的女生会流出褐色分泌物,但一般时间不超过一星期左右,这是一种正常的生理现象,随着胚胎的逐渐发育便会恢复到正常情况。
2.如果女生被检查出有宫颈方面疾病,如宫颈糜烂、宫颈癌症等,则怀孕的时候也会流出褐色分泌物的情况,且疾病病情越严重,所流出的分泌物颜色就越深,这种情况需要及时去医院相关科室进行诊疗。
当怀孕初期的母亲发现阴道有褐色分泌物流出的情况,最好先观察几天,观察这种症状是长期性还是短期性,流出的分泌物的性状、颜色等情况,若时间较长、外观异常或者感觉到有明显的不适,这时候需要尽早去医院进行相关检查。
","articleBody": "怀孕50天阴道流褐色分泌物的时间如果仅仅为1~2天,一般算正常,但若长时间的话就不正常了。
导致流褐色分泌物的原因有很多,比如胚胎发育异常、宫颈疾病等。

1.在怀孕前三个月期间由于胚胎发育还不是很完全,使得体内的某些内分泌激素紊乱,最终导致怀孕的女生会流出褐色分泌物,但一般时间不超过一星期左右,这是一种正常的生理现象,随着胚胎的逐渐发育便会恢复到正常情况。
2.如果女生被检查出有宫颈方面疾病,如宫颈糜烂、宫颈癌症等,则怀孕的时候也会流出褐色分泌物的情况,且疾病病情越严重,所流出的分泌物颜色就越深,这种情况需要及时去医院相关科室进行诊疗。
当怀孕初期的母亲发现阴道有褐色分泌物流出的情况,最好先观察几天,观察这种症状是长期性还是短期性,流出的分泌物的性状、颜色等情况,若时间较长、外观异常或者感觉到有明显的不适,这时候需要尽早去医院进行相关检查。
","scanCount": 56615}}} {"@context": "https://ziyuan.baidu.com/contexts/cambrian.jsonld","appid": "1650708455561748","icon": "https://www.med-credit.org.cn/style/images/ttlogo.png","content_tag": ["atlas"],"is_mcn": {"thumb_id": "v2rm41u3"},"accid": "4886d626a2804dee5f11168793ce361672f39c25","@id": "https://www.med-credit.org.cn/mobile/jingxuan/2/48b124ae54998031db446bef88c4a9ec.html","bagWordId": "181_1547866409596358656","title": "怀孕的白色分泌物图片","pubDate": "2023-03-29T10:32:19","upDate": "2023-03-29T10:32:19","lrDate": "2023-03-29T10:32:19","description": "怀孕的白色分泌物可能是正常白带。","data": {"WebPage": {"headline": "怀孕的白色分泌物图片","pcUrl": "https://www.med-credit.org.cn/jingxuan/2/48b124ae54998031db446bef88c4a9ec.html","wapUrl": "https://www.med-credit.org.cn/jingxuan/2/48b124ae54998031db446bef88c4a9ec.html","mipUrl": "https://www.med-credit.org.cn/mobile/jingxuan/2/48b124ae54998031db446bef88c4a9ec.html","fromSrc": "欢乐橙","datePublished": "2023-03-29T10:32:19","domain": "医疗","category": ["医疗权威文章合作"],"description": "怀孕的白色分泌物可能是正常白带。
","extra_headline": [""]},"Author": {"name": "种轶文","wapUrl": "https://www.med-credit.org.cn/doctor/575","pcUrl": "https://www.med-credit.org.cn/doctor/575","jobTitle": "副主任医师","headPortrait": "https://www.med-credit.org.cn/uploadfile/member/575/180x180.jpeg","id": "575","description": "种轶文,北京大学第三医院妇产科副主任医师","memberOf": {"legalName": "北京大学第三医院","department": "妇产科","organizationLevel": "三级甲等"}},"Article": {"summaryContent": "怀孕的白色分泌物可能是正常白带。
怀孕后阴道异常的白色分泌物可能由于感染或胎膜破裂。

1、孕期特殊生理导致的白色分泌物。孕期正常白色分泌物是白色粘稠状且无异味的。白带是阴道和宫颈分泌物,受卵巢激素影响。孕妇机体分泌大量孕激素使阴道上皮变厚,腺体分泌旺盛,导致白带增多且粘稠,呈酸奶样的凝乳白带,这是正常现象,无需特殊处理。
2、感染所致的白色分泌物。孕妇下体出现白色分泌物伴明显鱼腥味和外阴瘙痒,可能是感染了细菌,需使用青霉素等药物进行抗菌治疗。若白色分泌物呈豆腐渣样伴严重瘙痒,因考虑霉菌性阴道炎,需使用伊曲康唑等抗真菌药物。
3、若白色分泌物持续流出,无法控制且量逐渐增多,可能是胎膜破裂。正常羊水可以是乳白色的。破羊水之后一定要及时平卧,避免站立,注意胎动,尽快到医院就诊。
在白带量多的时候,应注意外阴清洁,防止滋生细菌。可以每天用温水清洗外阴,勤换勤洗内裤,让外阴处于一个干燥,卫生的环境。当阴道分泌物有异常时应立即就医治疗。
","articleBody": "怀孕的白色分泌物可能是正常白带。
怀孕后阴道异常的白色分泌物可能由于感染或胎膜破裂。

1、孕期特殊生理导致的白色分泌物。孕期正常白色分泌物是白色粘稠状且无异味的。白带是阴道和宫颈分泌物,受卵巢激素影响。孕妇机体分泌大量孕激素使阴道上皮变厚,腺体分泌旺盛,导致白带增多且粘稠,呈酸奶样的凝乳白带,这是正常现象,无需特殊处理。
2、感染所致的白色分泌物。孕妇下体出现白色分泌物伴明显鱼腥味和外阴瘙痒,可能是感染了细菌,需使用青霉素等药物进行抗菌治疗。若白色分泌物呈豆腐渣样伴严重瘙痒,因考虑霉菌性阴道炎,需使用伊曲康唑等抗真菌药物。
3、若白色分泌物持续流出,无法控制且量逐渐增多,可能是胎膜破裂。正常羊水可以是乳白色的。破羊水之后一定要及时平卧,避免站立,注意胎动,尽快到医院就诊。
在白带量多的时候,应注意外阴清洁,防止滋生细菌。可以每天用温水清洗外阴,勤换勤洗内裤,让外阴处于一个干燥,卫生的环境。当阴道分泌物有异常时应立即就医治疗。
","scanCount": 56614}}} {"@context": "https://ziyuan.baidu.com/contexts/cambrian.jsonld","appid": "1650708455561748","icon": "https://www.med-credit.org.cn/style/images/ttlogo.png","content_tag": ["atlas"],"is_mcn": {"thumb_id": "v2rm41u3"},"accid": "4886d626a2804dee5f11168793ce361672f39c25","@id": "https://www.med-credit.org.cn/mobile/jingxuan/2/25b81c0c2d30c4a449ea93f1b968417f.html","bagWordId": "181_1547866409634107392","title": "帆状胎盘超声图片","pubDate": "2023-03-29T10:32:19","upDate": "2023-03-29T10:32:19","lrDate": "2023-03-29T10:32:19","description": "帆状胎盘超声表现为脐带入口周围没有胎盘组织覆盖,脐血管进入胎膜后一段距离后分出数个分支,如同帆状或扇状。","data": {"WebPage": {"headline": "帆状胎盘超声图片","pcUrl": "https://www.med-credit.org.cn/jingxuan/2/25b81c0c2d30c4a449ea93f1b968417f.html","wapUrl": "https://www.med-credit.org.cn/jingxuan/2/25b81c0c2d30c4a449ea93f1b968417f.html","mipUrl": "https://www.med-credit.org.cn/mobile/jingxuan/2/25b81c0c2d30c4a449ea93f1b968417f.html","fromSrc": "欢乐橙","datePublished": "2023-03-29T10:32:19","domain": "医疗","category": ["医疗权威文章合作"],"description": "帆状胎盘超声表现为脐带入口周围没有胎盘组织覆盖,脐血管进入胎膜后一段距离后分出数个分支,如同帆状或扇状。
","extra_headline": [""]},"Author": {"name": "种轶文","wapUrl": "https://www.med-credit.org.cn/doctor/575","pcUrl": "https://www.med-credit.org.cn/doctor/575","jobTitle": "副主任医师","headPortrait": "https://www.med-credit.org.cn/uploadfile/member/575/180x180.jpeg","id": "575","description": "种轶文,北京大学第三医院妇产科副主任医师","memberOf": {"legalName": "北京大学第三医院","department": "妇产科","organizationLevel": "三级甲等"}},"Article": {"summaryContent": "帆状胎盘超声表现为脐带入口周围没有胎盘组织覆盖,脐血管进入胎膜后一段距离后分出数个分支,如同帆状或扇状。
帆状胎盘为脐带附着异常,属于异常胎盘状态,对胎儿的影响远大于对母亲的影响。

1、正常胎盘脐带附着在胎盘上,但如果脐带附着点绒毛膜营养不良、受精卵着位不正等原因均可能导致帆状胎盘的发生,而出现脐带异常附着在胎盘周围的胎膜上。
2、常规B超可发现胎心异常表现,彩色超声多普勒比B超诊断价值更大,可更清晰显示脐带入口,直观地观察到脐血管放射状附着于胎盘边缘的胎膜,是确诊的主要依据。帆状胎盘合并血管前置时,可发现子宫内口上方带状无回声,彩色多普勒血流显像可见血流信号。
3、帆状胎盘对胎儿影响很大,可因脐血管缺陷供养不足使胎儿生长受限、持续性心率降低。对母亲影响主要表现为产前阴道无痛性流血。
帆状胎盘对胎儿发育成长影响很大,应密切监测胎儿体征,如胎心胎动,并定期孕检评估胎儿发育情况。如胎儿情况不容乐观而又未到临产期,考虑剖宫产终止妊娠。临产前首选剖宫产,可减少大出血、胎儿窒息的风险。如正常分娩,可适量使用缩宫素及麻醉镇痛剂,减少子宫出血及止痛。
","articleBody": "帆状胎盘超声表现为脐带入口周围没有胎盘组织覆盖,脐血管进入胎膜后一段距离后分出数个分支,如同帆状或扇状。
帆状胎盘为脐带附着异常,属于异常胎盘状态,对胎儿的影响远大于对母亲的影响。

1、正常胎盘脐带附着在胎盘上,但如果脐带附着点绒毛膜营养不良、受精卵着位不正等原因均可能导致帆状胎盘的发生,而出现脐带异常附着在胎盘周围的胎膜上。
2、常规B超可发现胎心异常表现,彩色超声多普勒比B超诊断价值更大,可更清晰显示脐带入口,直观地观察到脐血管放射状附着于胎盘边缘的胎膜,是确诊的主要依据。帆状胎盘合并血管前置时,可发现子宫内口上方带状无回声,彩色多普勒血流显像可见血流信号。
3、帆状胎盘对胎儿影响很大,可因脐血管缺陷供养不足使胎儿生长受限、持续性心率降低。对母亲影响主要表现为产前阴道无痛性流血。
帆状胎盘对胎儿发育成长影响很大,应密切监测胎儿体征,如胎心胎动,并定期孕检评估胎儿发育情况。如胎儿情况不容乐观而又未到临产期,考虑剖宫产终止妊娠。临产前首选剖宫产,可减少大出血、胎儿窒息的风险。如正常分娩,可适量使用缩宫素及麻醉镇痛剂,减少子宫出血及止痛。
","scanCount": 56613}}} {"@context": "https://ziyuan.baidu.com/contexts/cambrian.jsonld","appid": "1650708455561748","icon": "https://www.med-credit.org.cn/style/images/ttlogo.png","content_tag": ["atlas"],"is_mcn": {"thumb_id": "v2rm41u3"},"accid": "4886d626a2804dee5f11168793ce361672f39c25","@id": "https://www.med-credit.org.cn/mobile/jingxuan/2/d441ea6e1f0cf8f9939405ce0897a472.html","bagWordId": "181_1547866409705410560","title": "早期宫外孕b超图片","pubDate": "2023-03-29T10:32:19","upDate": "2023-03-29T10:32:19","lrDate": "2023-03-29T10:32:19","description": "早期宫外孕B超可行阴道B超和腹部B超。","data": {"WebPage": {"headline": "早期宫外孕b超图片","pcUrl": "https://www.med-credit.org.cn/jingxuan/2/d441ea6e1f0cf8f9939405ce0897a472.html","wapUrl": "https://www.med-credit.org.cn/jingxuan/2/d441ea6e1f0cf8f9939405ce0897a472.html","mipUrl": "https://www.med-credit.org.cn/mobile/jingxuan/2/d441ea6e1f0cf8f9939405ce0897a472.html","fromSrc": "欢乐橙","datePublished": "2023-03-29T10:32:19","domain": "医疗","category": ["医疗权威文章合作"],"description": "早期宫外孕B超可行阴道B超和腹部B超。
","extra_headline": [""]},"Author": {"name": "种轶文","wapUrl": "https://www.med-credit.org.cn/doctor/575","pcUrl": "https://www.med-credit.org.cn/doctor/575","jobTitle": "副主任医师","headPortrait": "https://www.med-credit.org.cn/uploadfile/member/575/180x180.jpeg","id": "575","description": "种轶文,北京大学第三医院妇产科副主任医师","memberOf": {"legalName": "北京大学第三医院","department": "妇产科","organizationLevel": "三级甲等"}},"Article": {"summaryContent": "早期宫外孕B超可行阴道B超和腹部B超。
早期宫外孕B超可在宫腔外部位看到妊娠囊或胎心搏动。
1.B型超声检查有助于诊断异位妊娠,早期宫外孕的B型超声检查方式可分为阴道B超和腹部B超,其中阴道B超准确性会更高。

2.早期宫外孕的B超典型表现包括子宫内不可见妊娠囊、可见子宫内膜增厚、宫旁一侧边界不清晰、回声不均匀的混合型包块、直肠子宫凹陷处由积液。有时宫旁的包块内、输卵管内或宫颈部位可见妊娠囊、胚芽和原始心管搏动,则可作为确诊宫外孕的直接证据。
1.在输卵管妊娠早期,若尚未发生流产或破裂,常无特殊的临床表现,其过程与早孕或先兆流产相似,可能出现腹痛。
2.宫颈妊娠早期几乎没有任何不适,不伴有腹痛症状。
3.可出现早期孕吐,停经等表现。
","articleBody": "早期宫外孕B超可行阴道B超和腹部B超。
早期宫外孕B超可在宫腔外部位看到妊娠囊或胎心搏动。
1.B型超声检查有助于诊断异位妊娠,早期宫外孕的B型超声检查方式可分为阴道B超和腹部B超,其中阴道B超准确性会更高。

2.早期宫外孕的B超典型表现包括子宫内不可见妊娠囊、可见子宫内膜增厚、宫旁一侧边界不清晰、回声不均匀的混合型包块、直肠子宫凹陷处由积液。有时宫旁的包块内、输卵管内或宫颈部位可见妊娠囊、胚芽和原始心管搏动,则可作为确诊宫外孕的直接证据。
1.在输卵管妊娠早期,若尚未发生流产或破裂,常无特殊的临床表现,其过程与早孕或先兆流产相似,可能出现腹痛。
2.宫颈妊娠早期几乎没有任何不适,不伴有腹痛症状。
3.可出现早期孕吐,停经等表现。
","scanCount": 56611}}} {"@context": "https://ziyuan.baidu.com/contexts/cambrian.jsonld","appid": "1650708455561748","icon": "https://www.med-credit.org.cn/style/images/ttlogo.png","content_tag": ["atlas"],"is_mcn": {"thumb_id": "v2rm41u3"},"accid": "4886d626a2804dee5f11168793ce361672f39c25","@id": "https://www.med-credit.org.cn/mobile/jingxuan/2/1a91493ddae21b235982b00746d5a2c4.html","bagWordId": "181_1547866409743159296","title": "剖腹产刀口红肿图片","pubDate": "2023-03-29T10:32:19","upDate": "2023-03-29T10:32:19","lrDate": "2023-03-29T10:32:19","description": "剖腹产伤口红肿表现为在伤口周围皮肤局部发红,局部肿胀,并会感到轻微疼痛。","data": {"WebPage": {"headline": "剖腹产刀口红肿图片","pcUrl": "https://www.med-credit.org.cn/jingxuan/2/1a91493ddae21b235982b00746d5a2c4.html","wapUrl": "https://www.med-credit.org.cn/jingxuan/2/1a91493ddae21b235982b00746d5a2c4.html","mipUrl": "https://www.med-credit.org.cn/mobile/jingxuan/2/1a91493ddae21b235982b00746d5a2c4.html","fromSrc": "欢乐橙","datePublished": "2023-03-29T10:32:19","domain": "医疗","category": ["医疗权威文章合作"],"description": "剖腹产伤口红肿表现为在伤口周围皮肤局部发红,局部肿胀,并会感到轻微疼痛。
","extra_headline": [""]},"Author": {"name": "种轶文","wapUrl": "https://www.med-credit.org.cn/doctor/575","pcUrl": "https://www.med-credit.org.cn/doctor/575","jobTitle": "副主任医师","headPortrait": "https://www.med-credit.org.cn/uploadfile/member/575/180x180.jpeg","id": "575","description": "种轶文,北京大学第三医院妇产科副主任医师","memberOf": {"legalName": "北京大学第三医院","department": "妇产科","organizationLevel": "三级甲等"}},"Article": {"summaryContent": "剖腹产伤口红肿表现为在伤口周围皮肤局部发红,局部肿胀,并会感到轻微疼痛。
剖腹产伤口红肿是由于手术之后护理不当,细菌感染导致,最常见的是金黄色葡萄球菌。
1.剖腹产后伤口红肿会有伤口周围的皮肤轻微地发红,有肿胀感,伤口皮肤的温度会比正常皮肤稍高,触摸会感到疼痛。如果较为严重还会引发一些全身症状,体温升高,会感到四肢乏力,没有食欲。随着疾病发展甚至会导致化脓,在伤口的表面会分泌黄色的脓液。

2.剖腹产后如果伤口没有得到及时恰当的护理,暴露在空气中,容易被细菌感染,主要是金黄色葡萄球菌。细菌在伤口部位开始繁殖,机体的免疫系统开始工作,分泌白细胞和吞噬细胞以杀死细菌,从而导致伤口红肿。
伤口要及时做好护理,不可以沾水,防治感染更加严重,加强饮食,多吃蛋白质含量高的食物,如鱼、鸡蛋等。
","articleBody": "剖腹产伤口红肿表现为在伤口周围皮肤局部发红,局部肿胀,并会感到轻微疼痛。
剖腹产伤口红肿是由于手术之后护理不当,细菌感染导致,最常见的是金黄色葡萄球菌。
1.剖腹产后伤口红肿会有伤口周围的皮肤轻微地发红,有肿胀感,伤口皮肤的温度会比正常皮肤稍高,触摸会感到疼痛。如果较为严重还会引发一些全身症状,体温升高,会感到四肢乏力,没有食欲。随着疾病发展甚至会导致化脓,在伤口的表面会分泌黄色的脓液。

2.剖腹产后如果伤口没有得到及时恰当的护理,暴露在空气中,容易被细菌感染,主要是金黄色葡萄球菌。细菌在伤口部位开始繁殖,机体的免疫系统开始工作,分泌白细胞和吞噬细胞以杀死细菌,从而导致伤口红肿。
伤口要及时做好护理,不可以沾水,防治感染更加严重,加强饮食,多吃蛋白质含量高的食物,如鱼、鸡蛋等。
","scanCount": 56610}}} {"@context": "https://ziyuan.baidu.com/contexts/cambrian.jsonld","appid": "1650708455561748","icon": "https://www.med-credit.org.cn/style/images/ttlogo.png","content_tag": ["atlas"],"is_mcn": {"thumb_id": "v2rm41u3"},"accid": "4886d626a2804dee5f11168793ce361672f39c25","@id": "https://www.med-credit.org.cn/mobile/jingxuan/2/db26a2f580d741a6ca65cf8fb8fe14e6.html","bagWordId": "181_1547866409814462464","title": "剖腹产伤口化脓图片","pubDate": "2023-03-29T10:32:19","upDate": "2023-03-29T10:32:19","lrDate": "2023-03-29T10:32:19","description": "1.剖腹产伤口化脓表现为在伤口周围皮肤局部发红,同时会有黄色脓液,局部肿胀,并会感到轻微疼痛。","data": {"WebPage": {"headline": "剖腹产伤口化脓图片","pcUrl": "https://www.med-credit.org.cn/jingxuan/2/db26a2f580d741a6ca65cf8fb8fe14e6.html","wapUrl": "https://www.med-credit.org.cn/jingxuan/2/db26a2f580d741a6ca65cf8fb8fe14e6.html","mipUrl": "https://www.med-credit.org.cn/mobile/jingxuan/2/db26a2f580d741a6ca65cf8fb8fe14e6.html","fromSrc": "欢乐橙","datePublished": "2023-03-29T10:32:19","domain": "医疗","category": ["医疗权威文章合作"],"description": "1.剖腹产伤口化脓表现为在伤口周围皮肤局部发红,同时会有黄色脓液,局部肿胀,并会感到轻微疼痛。
","extra_headline": [""]},"Author": {"name": "种轶文","wapUrl": "https://www.med-credit.org.cn/doctor/575","pcUrl": "https://www.med-credit.org.cn/doctor/575","jobTitle": "副主任医师","headPortrait": "https://www.med-credit.org.cn/uploadfile/member/575/180x180.jpeg","id": "575","description": "种轶文,北京大学第三医院妇产科副主任医师","memberOf": {"legalName": "北京大学第三医院","department": "妇产科","organizationLevel": "三级甲等"}},"Article": {"summaryContent": "1.剖腹产伤口化脓表现为在伤口周围皮肤局部发红,同时会有黄色脓液,局部肿胀,并会感到轻微疼痛。
2.剖腹产伤口化脓是由于手术之后护理不当,细菌感染导致,主要是金黄色葡萄球菌。
1.剖腹产后伤口化脓会分泌脓液,如果脓液没有及时排除体外,会累积在伤口的表面,周围的皮肤会轻微地发红,有肿胀感,伤口皮肤的温度会比正常皮肤稍高,触摸会感到疼痛。如果伤口化脓较为严重还会引发一些全身症状,体温升高,会感到四肢乏力,没有食欲。

2.剖腹产后如果伤口没有得到及时恰当的护理,暴露在空气中,容易被细菌感染,主要是金黄色葡萄球菌。细菌在伤口部位开始繁殖,机体的免疫系统开始工作,分泌白细胞和吞噬细胞以杀死细菌,从而发生化脓。
伤口要做好护理,不可以沾水,防治感染更加严重,加强饮食,多吃蛋白质含量高的食物,如鱼、鸡蛋等。
","articleBody": "1.剖腹产伤口化脓表现为在伤口周围皮肤局部发红,同时会有黄色脓液,局部肿胀,并会感到轻微疼痛。
2.剖腹产伤口化脓是由于手术之后护理不当,细菌感染导致,主要是金黄色葡萄球菌。
1.剖腹产后伤口化脓会分泌脓液,如果脓液没有及时排除体外,会累积在伤口的表面,周围的皮肤会轻微地发红,有肿胀感,伤口皮肤的温度会比正常皮肤稍高,触摸会感到疼痛。如果伤口化脓较为严重还会引发一些全身症状,体温升高,会感到四肢乏力,没有食欲。

2.剖腹产后如果伤口没有得到及时恰当的护理,暴露在空气中,容易被细菌感染,主要是金黄色葡萄球菌。细菌在伤口部位开始繁殖,机体的免疫系统开始工作,分泌白细胞和吞噬细胞以杀死细菌,从而发生化脓。
伤口要做好护理,不可以沾水,防治感染更加严重,加强饮食,多吃蛋白质含量高的食物,如鱼、鸡蛋等。
","scanCount": 56609}}} {"@context": "https://ziyuan.baidu.com/contexts/cambrian.jsonld","appid": "1650708455561748","icon": "https://www.med-credit.org.cn/style/images/ttlogo.png","content_tag": ["atlas"],"is_mcn": {"thumb_id": "v2rm41u3"},"accid": "4886d626a2804dee5f11168793ce361672f39c25","@id": "https://www.med-credit.org.cn/mobile/jingxuan/2/d7187b51ddefabdb56d0f21d4e6d6414.html","bagWordId": "181_1547866409885765632","title": "怀孕5个月流褐色血图片","pubDate": "2023-03-29T10:32:19","upDate": "2023-03-29T10:32:19","lrDate": "2023-03-29T10:32:19","description": "怀孕五个月有褐色分泌物的情况不正常。","data": {"WebPage": {"headline": "怀孕5个月流褐色血图片","pcUrl": "https://www.med-credit.org.cn/jingxuan/2/d7187b51ddefabdb56d0f21d4e6d6414.html","wapUrl": "https://www.med-credit.org.cn/jingxuan/2/d7187b51ddefabdb56d0f21d4e6d6414.html","mipUrl": "https://www.med-credit.org.cn/mobile/jingxuan/2/d7187b51ddefabdb56d0f21d4e6d6414.html","fromSrc": "欢乐橙","datePublished": "2023-03-29T10:32:19","domain": "医疗","category": ["医疗权威文章合作"],"description": "怀孕五个月有褐色分泌物的情况不正常。
","extra_headline": [""]},"Author": {"name": "种轶文","wapUrl": "https://www.med-credit.org.cn/doctor/575","pcUrl": "https://www.med-credit.org.cn/doctor/575","jobTitle": "副主任医师","headPortrait": "https://www.med-credit.org.cn/uploadfile/member/575/180x180.jpeg","id": "575","description": "种轶文,北京大学第三医院妇产科副主任医师","memberOf": {"legalName": "北京大学第三医院","department": "妇产科","organizationLevel": "三级甲等"}},"Article": {"summaryContent": "怀孕五个月有褐色分泌物的情况不正常。
怀孕五个月流褐色血可能因为先兆流产、妇科炎症、胎盘异常等。

1、先兆流产:表现为褐色分泌物持续排出且出血量增加,伴有肚子胀痛、坠胀或腹部发紧发硬等不适。需要到医院做彩超明确是否有宫腔内出血。若有宫腔内出血,是先兆流产的现象,应及时进行保胎治疗。
2、妇科炎症:怀孕时感染引发的宫颈炎、宫颈糜烂等妇科疾病出现少量的褐色分泌物,且白带有异味,应常规检查白带看有没有阴道炎症。确诊后进行药物治疗。平时应注意个人卫生,避免阴道部位的病原体感染。
3、胎盘异常:怀孕五个月有褐色出血可能是胎盘异常。应马上到医院做检查看胎盘位置。如果胎盘靠近或覆盖宫颈内口会造成出血现象,少量血液和阴道内分泌物混合排出会表现为有褐色分泌物现象。有胎盘异常时一定要卧床休息,避免剧烈活动和同房。
孕5个月流褐色分泌物多属于不正常现象,建议及时去医院就诊,进一步行腹部B超、化验血常规等相关检查,明确病因并及时治疗,以免怀孕后期病情延误加重危及母儿生命。平时要注意休息,避免做重体力劳动,禁止同房。
","articleBody": "怀孕五个月有褐色分泌物的情况不正常。
怀孕五个月流褐色血可能因为先兆流产、妇科炎症、胎盘异常等。

1、先兆流产:表现为褐色分泌物持续排出且出血量增加,伴有肚子胀痛、坠胀或腹部发紧发硬等不适。需要到医院做彩超明确是否有宫腔内出血。若有宫腔内出血,是先兆流产的现象,应及时进行保胎治疗。
2、妇科炎症:怀孕时感染引发的宫颈炎、宫颈糜烂等妇科疾病出现少量的褐色分泌物,且白带有异味,应常规检查白带看有没有阴道炎症。确诊后进行药物治疗。平时应注意个人卫生,避免阴道部位的病原体感染。
3、胎盘异常:怀孕五个月有褐色出血可能是胎盘异常。应马上到医院做检查看胎盘位置。如果胎盘靠近或覆盖宫颈内口会造成出血现象,少量血液和阴道内分泌物混合排出会表现为有褐色分泌物现象。有胎盘异常时一定要卧床休息,避免剧烈活动和同房。
孕5个月流褐色分泌物多属于不正常现象,建议及时去医院就诊,进一步行腹部B超、化验血常规等相关检查,明确病因并及时治疗,以免怀孕后期病情延误加重危及母儿生命。平时要注意休息,避免做重体力劳动,禁止同房。
","scanCount": 56608}}} {"@context": "https://ziyuan.baidu.com/contexts/cambrian.jsonld","appid": "1650708455561748","icon": "https://www.med-credit.org.cn/style/images/ttlogo.png","content_tag": ["atlas"],"is_mcn": {"thumb_id": "v2rm41u3"},"accid": "4886d626a2804dee5f11168793ce361672f39c25","@id": "https://www.med-credit.org.cn/mobile/jingxuan/2/1a61d975abfde9547d0dec142bfaf4f9.html","bagWordId": "181_1547866409923514368","title": "怀孕八个月豆腐渣图片","pubDate": "2023-03-29T10:32:19","upDate": "2023-03-29T10:32:19","lrDate": "2023-03-29T10:32:19","description": "怀孕八个月时阴道出现豆腐渣样的白带考虑是考虑是外阴阴道假丝酵母菌病和细菌性阴道炎。","data": {"WebPage": {"headline": "怀孕八个月豆腐渣图片","pcUrl": "https://www.med-credit.org.cn/jingxuan/2/1a61d975abfde9547d0dec142bfaf4f9.html","wapUrl": "https://www.med-credit.org.cn/jingxuan/2/1a61d975abfde9547d0dec142bfaf4f9.html","mipUrl": "https://www.med-credit.org.cn/mobile/jingxuan/2/1a61d975abfde9547d0dec142bfaf4f9.html","fromSrc": "欢乐橙","datePublished": "2023-03-29T10:32:19","domain": "医疗","category": ["医疗权威文章合作"],"description": "怀孕八个月时阴道出现豆腐渣样的白带考虑是考虑是外阴阴道假丝酵母菌病和细菌性阴道炎。
","extra_headline": [""]},"Author": {"name": "种轶文","wapUrl": "https://www.med-credit.org.cn/doctor/575","pcUrl": "https://www.med-credit.org.cn/doctor/575","jobTitle": "副主任医师","headPortrait": "https://www.med-credit.org.cn/uploadfile/member/575/180x180.jpeg","id": "575","description": "种轶文,北京大学第三医院妇产科副主任医师","memberOf": {"legalName": "北京大学第三医院","department": "妇产科","organizationLevel": "三级甲等"}},"Article": {"summaryContent": "怀孕八个月时阴道出现豆腐渣样的白带考虑是考虑是外阴阴道假丝酵母菌病和细菌性阴道炎。
怀孕八个月阴道出现豆腐渣样的白带可能是由于感染了假丝酵母菌或者是某些细菌引起的。

1.外阴阴道假丝酵母菌病:是由假丝酵母菌引起的阴道或者外阴感染性疾病,在妊娠或者抵抗力下降的人群中较容易出现。患者主要表现为外阴瘙痒、阴道分泌物增多,外阴瘙痒的症状明显,持续时间长,严重的患者坐立不安。外阴的分泌物很稠厚,呈现一个豆腐渣样或者凝乳状。阴道粘膜红肿、小阴唇内侧或者阴道黏膜上有白色块状物,擦除之后露出红肿的黏膜。
2.细菌性阴道炎:是由细菌感染引起的阴道炎,表现为外阴瘙痒、并且分泌灰白色均质的稀薄状物,有腥臭味。
1.外阴阴道假丝酵母菌病:首先要及时停用广谱抗生素、雌激素等药物,勤换内裤,保持外阴清洁。局部可以用克霉唑、咪康唑等栓剂治疗。
2.细菌性阴道病:口服一些抗生素如甲硝唑、替硝唑等,必要时可以局部用药如用甲硝唑栓剂塞入阴道治疗。
","articleBody": "怀孕八个月时阴道出现豆腐渣样的白带考虑是考虑是外阴阴道假丝酵母菌病和细菌性阴道炎。
怀孕八个月阴道出现豆腐渣样的白带可能是由于感染了假丝酵母菌或者是某些细菌引起的。

1.外阴阴道假丝酵母菌病:是由假丝酵母菌引起的阴道或者外阴感染性疾病,在妊娠或者抵抗力下降的人群中较容易出现。患者主要表现为外阴瘙痒、阴道分泌物增多,外阴瘙痒的症状明显,持续时间长,严重的患者坐立不安。外阴的分泌物很稠厚,呈现一个豆腐渣样或者凝乳状。阴道粘膜红肿、小阴唇内侧或者阴道黏膜上有白色块状物,擦除之后露出红肿的黏膜。
2.细菌性阴道炎:是由细菌感染引起的阴道炎,表现为外阴瘙痒、并且分泌灰白色均质的稀薄状物,有腥臭味。
1.外阴阴道假丝酵母菌病:首先要及时停用广谱抗生素、雌激素等药物,勤换内裤,保持外阴清洁。局部可以用克霉唑、咪康唑等栓剂治疗。
2.细菌性阴道病:口服一些抗生素如甲硝唑、替硝唑等,必要时可以局部用药如用甲硝唑栓剂塞入阴道治疗。
","scanCount": 56607}}} {"@context": "https://ziyuan.baidu.com/contexts/cambrian.jsonld","appid": "1650708455561748","icon": "https://www.med-credit.org.cn/style/images/ttlogo.png","content_tag": ["atlas"],"is_mcn": {"thumb_id": "v2rm41u3"},"accid": "4886d626a2804dee5f11168793ce361672f39c25","@id": "https://www.med-credit.org.cn/mobile/jingxuan/2/bad1e3f597dec1d51e42451df7a0bb3e.html","bagWordId": "181_1547866409961263104","title": "剖腹产刀口发红图片","pubDate": "2023-03-29T10:32:19","upDate": "2023-03-29T10:32:19","lrDate": "2023-03-29T10:32:19","description": "1.剖腹产伤口发红表现为在伤口周围皮肤局部发红,并且会局部肿胀,感到轻微疼痛。","data": {"WebPage": {"headline": "剖腹产刀口发红图片","pcUrl": "https://www.med-credit.org.cn/jingxuan/2/bad1e3f597dec1d51e42451df7a0bb3e.html","wapUrl": "https://www.med-credit.org.cn/jingxuan/2/bad1e3f597dec1d51e42451df7a0bb3e.html","mipUrl": "https://www.med-credit.org.cn/mobile/jingxuan/2/bad1e3f597dec1d51e42451df7a0bb3e.html","fromSrc": "欢乐橙","datePublished": "2023-03-29T10:32:19","domain": "医疗","category": ["医疗权威文章合作"],"description": "1.剖腹产伤口发红表现为在伤口周围皮肤局部发红,并且会局部肿胀,感到轻微疼痛。
","extra_headline": [""]},"Author": {"name": "种轶文","wapUrl": "https://www.med-credit.org.cn/doctor/575","pcUrl": "https://www.med-credit.org.cn/doctor/575","jobTitle": "副主任医师","headPortrait": "https://www.med-credit.org.cn/uploadfile/member/575/180x180.jpeg","id": "575","description": "种轶文,北京大学第三医院妇产科副主任医师","memberOf": {"legalName": "北京大学第三医院","department": "妇产科","organizationLevel": "三级甲等"}},"Article": {"summaryContent": "1.剖腹产伤口发红表现为在伤口周围皮肤局部发红,并且会局部肿胀,感到轻微疼痛。
2.剖腹产伤口发红是由于手术之后护理不当,细菌感染导致,最常见的是金黄色葡萄球菌。
1.剖腹产后伤口会有伤口周围的皮肤轻微地发红,有肿胀感,伤口皮肤的温度会比正常皮肤稍高,触摸会感到疼痛。如果较为严重还会引发一些全身症状,体温升高,会感到四肢乏力,没有食欲。随着疾病发展甚至会导致化脓,在伤口的表面会分泌黄色的脓液。

2.剖腹产后如果伤口没有得到及时恰当的护理,暴露在空气中,容易被细菌感染,主要是金黄色葡萄球菌。细菌在伤口部位开始繁殖,机体的免疫系统开始工作,分泌白细胞和吞噬细胞以杀死细菌,从而导致伤口发红肿胀。
伤口要及时做好护理,不可以沾水,防治感染更加严重,加强饮食,多吃蛋白质含量高的食物,如鱼、鸡蛋等。
","articleBody": "1.剖腹产伤口发红表现为在伤口周围皮肤局部发红,并且会局部肿胀,感到轻微疼痛。
2.剖腹产伤口发红是由于手术之后护理不当,细菌感染导致,最常见的是金黄色葡萄球菌。
1.剖腹产后伤口会有伤口周围的皮肤轻微地发红,有肿胀感,伤口皮肤的温度会比正常皮肤稍高,触摸会感到疼痛。如果较为严重还会引发一些全身症状,体温升高,会感到四肢乏力,没有食欲。随着疾病发展甚至会导致化脓,在伤口的表面会分泌黄色的脓液。

2.剖腹产后如果伤口没有得到及时恰当的护理,暴露在空气中,容易被细菌感染,主要是金黄色葡萄球菌。细菌在伤口部位开始繁殖,机体的免疫系统开始工作,分泌白细胞和吞噬细胞以杀死细菌,从而导致伤口发红肿胀。
伤口要及时做好护理,不可以沾水,防治感染更加严重,加强饮食,多吃蛋白质含量高的食物,如鱼、鸡蛋等。
","scanCount": 56606}}} {"@context": "https://ziyuan.baidu.com/contexts/cambrian.jsonld","appid": "1650708455561748","icon": "https://www.med-credit.org.cn/style/images/ttlogo.png","content_tag": ["atlas"],"is_mcn": {"thumb_id": "v2rm41u3"},"accid": "4886d626a2804dee5f11168793ce361672f39c25","@id": "https://www.med-credit.org.cn/mobile/jingxuan/2/cf773328c21e7f740e89426a907f4723.html","bagWordId": "181_1547866410032566272","title": "怀孕流血跟月经区别图","pubDate": "2023-03-29T10:32:19","upDate": "2023-03-29T10:32:19","lrDate": "2023-03-29T10:32:19","description": "怀孕流血和月经可以根据是否有停经史,是否是规律性、周期性出血以及出血性状来区分。","data": {"WebPage": {"headline": "怀孕流血跟月经区别图","pcUrl": "https://www.med-credit.org.cn/jingxuan/2/cf773328c21e7f740e89426a907f4723.html","wapUrl": "https://www.med-credit.org.cn/jingxuan/2/cf773328c21e7f740e89426a907f4723.html","mipUrl": "https://www.med-credit.org.cn/mobile/jingxuan/2/cf773328c21e7f740e89426a907f4723.html","fromSrc": "欢乐橙","datePublished": "2023-03-29T10:32:19","domain": "医疗","category": ["医疗权威文章合作"],"description": "怀孕流血和月经可以根据是否有停经史,是否是规律性、周期性出血以及出血性状来区分。
","extra_headline": [""]},"Author": {"name": "种轶文","wapUrl": "https://www.med-credit.org.cn/doctor/575","pcUrl": "https://www.med-credit.org.cn/doctor/575","jobTitle": "副主任医师","headPortrait": "https://www.med-credit.org.cn/uploadfile/member/575/180x180.jpeg","id": "575","description": "种轶文,北京大学第三医院妇产科副主任医师","memberOf": {"legalName": "北京大学第三医院","department": "妇产科","organizationLevel": "三级甲等"}},"Article": {"summaryContent": "怀孕流血和月经可以根据是否有停经史,是否是规律性、周期性出血以及出血性状来区分。
怀孕流血和月经也可以通过食欲以及乳房的状态,来区分怀孕和月经。


1、颜色内容物不同:怀孕出血可能是流产,出血可能是鲜红色,且其中可能有妊娠组织;月经血一般比较暗,偏黑,内容物一般有脱落的子宫内膜、阴道脱落上皮细胞。
2、持续时间不同:怀孕出血持续时间并不确定,而月经出血即月经期也会因人而异,但一般可持续3-7天。
3、伴随症状不同:怀孕出血之前必然有过停经,同时孕早期可能有恶心、呕吐等早孕症状;而月经出血是周期性出血,可能会伴有因子宫充血引起的腰痛、腹痛等症状。
1、食欲:妊娠的早期,随着受精卵的着床以及胚胎的生长发育,消化系统会发生一些变化,孕妇会有恶心、乏力、厌油、缺乏食欲等不适。但是女性来月经时,一般食欲会比之前好。
2、乳房状态:不管是怀孕还是例假前乳房都会出现胀痛的感觉,但不同的是怀孕前期胸部有刺痛和膨胀的感觉,乳头的颜色也会变深,而且乳头经常是勃起的状态。
","articleBody": "怀孕流血和月经可以根据是否有停经史,是否是规律性、周期性出血以及出血性状来区分。
怀孕流血和月经也可以通过食欲以及乳房的状态,来区分怀孕和月经。


1、颜色内容物不同:怀孕出血可能是流产,出血可能是鲜红色,且其中可能有妊娠组织;月经血一般比较暗,偏黑,内容物一般有脱落的子宫内膜、阴道脱落上皮细胞。
2、持续时间不同:怀孕出血持续时间并不确定,而月经出血即月经期也会因人而异,但一般可持续3-7天。
3、伴随症状不同:怀孕出血之前必然有过停经,同时孕早期可能有恶心、呕吐等早孕症状;而月经出血是周期性出血,可能会伴有因子宫充血引起的腰痛、腹痛等症状。
1、食欲:妊娠的早期,随着受精卵的着床以及胚胎的生长发育,消化系统会发生一些变化,孕妇会有恶心、乏力、厌油、缺乏食欲等不适。但是女性来月经时,一般食欲会比之前好。
2、乳房状态:不管是怀孕还是例假前乳房都会出现胀痛的感觉,但不同的是怀孕前期胸部有刺痛和膨胀的感觉,乳头的颜色也会变深,而且乳头经常是勃起的状态。
","scanCount": 56605}}} {"@context": "https://ziyuan.baidu.com/contexts/cambrian.jsonld","appid": "1650708455561748","icon": "https://www.med-credit.org.cn/style/images/ttlogo.png","content_tag": ["atlas"],"is_mcn": {"thumb_id": "v2rm41u3"},"accid": "4886d626a2804dee5f11168793ce361672f39c25","@id": "https://www.med-credit.org.cn/mobile/jingxuan/2/302f4b545a7b81ad1bb3ecb365f91174.html","bagWordId": "181_1547866410070315008","title": "胎盘后壁图片","pubDate": "2023-03-29T10:32:19","upDate": "2023-03-29T10:32:19","lrDate": "2023-03-29T10:32:19","description": "胎盘后壁指胎盘附着在靠近脊椎的一侧子宫壁上,胎盘后壁的孕妇会比胎盘前壁的孕妇更不显怀一点,但更容易腰酸背痛。","data": {"WebPage": {"headline": "胎盘后壁图片","pcUrl": "https://www.med-credit.org.cn/jingxuan/2/302f4b545a7b81ad1bb3ecb365f91174.html","wapUrl": "https://www.med-credit.org.cn/jingxuan/2/302f4b545a7b81ad1bb3ecb365f91174.html","mipUrl": "https://www.med-credit.org.cn/mobile/jingxuan/2/302f4b545a7b81ad1bb3ecb365f91174.html","fromSrc": "欢乐橙","datePublished": "2023-03-29T10:32:19","domain": "医疗","category": ["医疗权威文章合作"],"description": "胎盘后壁指胎盘附着在靠近脊椎的一侧子宫壁上,胎盘后壁的孕妇会比胎盘前壁的孕妇更不显怀一点,但更容易腰酸背痛。
","extra_headline": [""]},"Author": {"name": "种轶文","wapUrl": "https://www.med-credit.org.cn/doctor/575","pcUrl": "https://www.med-credit.org.cn/doctor/575","jobTitle": "副主任医师","headPortrait": "https://www.med-credit.org.cn/uploadfile/member/575/180x180.jpeg","id": "575","description": "种轶文,北京大学第三医院妇产科副主任医师","memberOf": {"legalName": "北京大学第三医院","department": "妇产科","organizationLevel": "三级甲等"}},"Article": {"summaryContent": "胎盘后壁指胎盘附着在靠近脊椎的一侧子宫壁上,胎盘后壁的孕妇会比胎盘前壁的孕妇更不显怀一点,但更容易腰酸背痛。
如果胎盘后壁时出现前置胎盘则可能引发流血、休克等危害。
受精卵着床的位置不同可以分成胎盘前壁和胎盘后壁,如果受精卵是着床在子宫前面一侧的时候,即胎盘前壁;如果受精卵是着床在子宫后面一侧的话,就会形成胎盘后壁。通常胎盘前壁的孕妇由于受精卵是在靠近肚皮的一侧发育生长,会比胎盘后壁的孕妇更显怀一点。而胎盘后壁的话,胎儿会容易压迫脊椎,孕妇会更容易有腰酸背痛的感觉。

如果后壁胎盘还附着于子宫下段或者是子宫颈内口,比胎儿的先露部低的话则是病理情况妊娠,即前置胎盘。在妊娠晚期时会出现流血,且反复发生,出血量也会越来越多,孕妇可出现贫血,严重的话甚至会休克,胎儿会有缺氧的情况,甚至出现死胎。
胎盘后壁的孕妇要注意休息,不要劳累过度。日常饮食要均衡,适量摄入一些水果、粗粮、蔬菜等食物,其富含的膳食纤维可以帮助消化排泄,避免腹部压力增大。
","articleBody": "胎盘后壁指胎盘附着在靠近脊椎的一侧子宫壁上,胎盘后壁的孕妇会比胎盘前壁的孕妇更不显怀一点,但更容易腰酸背痛。
如果胎盘后壁时出现前置胎盘则可能引发流血、休克等危害。
受精卵着床的位置不同可以分成胎盘前壁和胎盘后壁,如果受精卵是着床在子宫前面一侧的时候,即胎盘前壁;如果受精卵是着床在子宫后面一侧的话,就会形成胎盘后壁。通常胎盘前壁的孕妇由于受精卵是在靠近肚皮的一侧发育生长,会比胎盘后壁的孕妇更显怀一点。而胎盘后壁的话,胎儿会容易压迫脊椎,孕妇会更容易有腰酸背痛的感觉。

如果后壁胎盘还附着于子宫下段或者是子宫颈内口,比胎儿的先露部低的话则是病理情况妊娠,即前置胎盘。在妊娠晚期时会出现流血,且反复发生,出血量也会越来越多,孕妇可出现贫血,严重的话甚至会休克,胎儿会有缺氧的情况,甚至出现死胎。
胎盘后壁的孕妇要注意休息,不要劳累过度。日常饮食要均衡,适量摄入一些水果、粗粮、蔬菜等食物,其富含的膳食纤维可以帮助消化排泄,避免腹部压力增大。
","scanCount": 56604}}} {"@context": "https://ziyuan.baidu.com/contexts/cambrian.jsonld","appid": "1650708455561748","icon": "https://www.med-credit.org.cn/style/images/ttlogo.png","content_tag": ["atlas"],"is_mcn": {"thumb_id": "v2rm41u3"},"accid": "4886d626a2804dee5f11168793ce361672f39c25","@id": "https://www.med-credit.org.cn/mobile/jingxuan/2/5a482ad11e3e0f79904d9daa51e18e21.html","bagWordId": "181_1547866410108063744","title": "怀孕中期下面流黄水图片","pubDate": "2023-03-29T10:32:19","upDate": "2023-03-29T10:32:19","lrDate": "2023-03-29T10:32:19","description": "怀孕中期出现阴道流黄水的可能是由于生理性的原因导致的,也可能是由于病理性的原因导致的。","data": {"WebPage": {"headline": "怀孕中期下面流黄水图片","pcUrl": "https://www.med-credit.org.cn/jingxuan/2/5a482ad11e3e0f79904d9daa51e18e21.html","wapUrl": "https://www.med-credit.org.cn/jingxuan/2/5a482ad11e3e0f79904d9daa51e18e21.html","mipUrl": "https://www.med-credit.org.cn/mobile/jingxuan/2/5a482ad11e3e0f79904d9daa51e18e21.html","fromSrc": "欢乐橙","datePublished": "2023-03-29T10:32:19","domain": "医疗","category": ["医疗权威文章合作"],"description": "怀孕中期出现阴道流黄水的可能是由于生理性的原因导致的,也可能是由于病理性的原因导致的。
","extra_headline": [""]},"Author": {"name": "种轶文","wapUrl": "https://www.med-credit.org.cn/doctor/575","pcUrl": "https://www.med-credit.org.cn/doctor/575","jobTitle": "副主任医师","headPortrait": "https://www.med-credit.org.cn/uploadfile/member/575/180x180.jpeg","id": "575","description": "种轶文,北京大学第三医院妇产科副主任医师","memberOf": {"legalName": "北京大学第三医院","department": "妇产科","organizationLevel": "三级甲等"}},"Article": {"summaryContent": "怀孕中期出现阴道流黄水的可能是由于生理性的原因导致的,也可能是由于病理性的原因导致的。
一般表现为阴道有黄色液体流出,颜色常较淡。

1.生理性原因:怀孕中期开始,孕妇子宫增大变得较为明显,有压迫膀胱征象。但处于该情况下的孕妇有较为剧烈的喷嚏、咳嗽等举动时会导致腹压增加,挤压膀胱使得尿液漏出,从而引起阴道流出黄色液体的症状。
2.病理性原因:可见于胎膜早破导致,此时孕妇在常规的日常活动中也会出现阴道流出黄色液体症状。
1.生理性原因导致的怀孕中期阴道流出黄色液体常表现为无过多不适感,气味与尿液相似。
2.病理性原因导致的怀孕中期阴道流出黄色液体常表现为有腹部不适感,液体流出可伴有瘙痒等不适感。
如出现怀孕中期阴道流出黄色液体且伴有明显不适感请及时前往医院进行相应的检查以及治疗。
","articleBody": "怀孕中期出现阴道流黄水的可能是由于生理性的原因导致的,也可能是由于病理性的原因导致的。
一般表现为阴道有黄色液体流出,颜色常较淡。

1.生理性原因:怀孕中期开始,孕妇子宫增大变得较为明显,有压迫膀胱征象。但处于该情况下的孕妇有较为剧烈的喷嚏、咳嗽等举动时会导致腹压增加,挤压膀胱使得尿液漏出,从而引起阴道流出黄色液体的症状。
2.病理性原因:可见于胎膜早破导致,此时孕妇在常规的日常活动中也会出现阴道流出黄色液体症状。
1.生理性原因导致的怀孕中期阴道流出黄色液体常表现为无过多不适感,气味与尿液相似。
2.病理性原因导致的怀孕中期阴道流出黄色液体常表现为有腹部不适感,液体流出可伴有瘙痒等不适感。
如出现怀孕中期阴道流出黄色液体且伴有明显不适感请及时前往医院进行相应的检查以及治疗。
","scanCount": 56603}}} {"@context": "https://ziyuan.baidu.com/contexts/cambrian.jsonld","appid": "1650708455561748","icon": "https://www.med-credit.org.cn/style/images/ttlogo.png","content_tag": ["atlas"],"is_mcn": {"thumb_id": "v2rm41u3"},"accid": "4886d626a2804dee5f11168793ce361672f39c25","@id": "https://www.med-credit.org.cn/mobile/jingxuan/2/8b2225c8c301923f42df7134ae143dae.html","bagWordId": "181_1547866410145812480","title": "宫外孕图片示意图","pubDate": "2023-03-29T10:32:19","upDate": "2023-03-29T10:32:19","lrDate": "2023-03-29T10:32:19","description": "宫外孕又被称为异位妊娠,是由于受精卵在子宫体腔外的部位着床发育导致的。","data": {"WebPage": {"headline": "宫外孕图片示意图","pcUrl": "https://www.med-credit.org.cn/jingxuan/2/8b2225c8c301923f42df7134ae143dae.html","wapUrl": "https://www.med-credit.org.cn/jingxuan/2/8b2225c8c301923f42df7134ae143dae.html","mipUrl": "https://www.med-credit.org.cn/mobile/jingxuan/2/8b2225c8c301923f42df7134ae143dae.html","fromSrc": "欢乐橙","datePublished": "2023-03-29T10:32:19","domain": "医疗","category": ["医疗权威文章合作"],"description": "宫外孕又被称为异位妊娠,是由于受精卵在子宫体腔外的部位着床发育导致的。
","extra_headline": [""]},"Author": {"name": "种轶文","wapUrl": "https://www.med-credit.org.cn/doctor/575","pcUrl": "https://www.med-credit.org.cn/doctor/575","jobTitle": "副主任医师","headPortrait": "https://www.med-credit.org.cn/uploadfile/member/575/180x180.jpeg","id": "575","description": "种轶文,北京大学第三医院妇产科副主任医师","memberOf": {"legalName": "北京大学第三医院","department": "妇产科","organizationLevel": "三级甲等"}},"Article": {"summaryContent": "宫外孕又被称为异位妊娠,是由于受精卵在子宫体腔外的部位着床发育导致的。
宫外孕的典型症状为停经、腹痛及阴道出血。
1.宫外孕是由于输卵管或周围组织炎症、输卵管周围组织肿瘤、输卵管发育不良、输卵管手术史等因素导致输卵管通畅度不佳,阻碍受精卵正常通过,无法到达子宫内着床,使之在输卵管内或宫颈停留、着床、发育,从而引发异位妊娠。

2.宫外孕早期若未发生破裂或流产,一般不会有明显症状,但是输卵管异位妊娠者可能会有腹痛的症状;宫外孕的典型症状被称异位妊娠三联征,即停经、腹痛、阴道出血;随着病情的发展,出血量增加,可伴有肛门坠胀感、全腹痛、肩胛部放射痛及胸痛、晕厥甚至休克。
1.正确避孕:学习正确避孕知识,在未有计划生育时应避免意外怀孕,这从根本上杜绝了宫外孕的发生。
2.及时治疗:输卵管炎症是造成输卵管受阻的最主要原因,生殖系统相关疾病也都可能改变输卵管的通畅度和功能,发现不适并及时治疗这些疾病都可以减少在怀孕时出现异位妊娠的几率。
3.体外受孕:有过宫外孕史女性,可以考虑体外受孕以避免宫外孕。
4.注意经期卫生:保持生殖系统的干净、卫生,防止生殖系统的感染。
","articleBody": "宫外孕又被称为异位妊娠,是由于受精卵在子宫体腔外的部位着床发育导致的。
宫外孕的典型症状为停经、腹痛及阴道出血。
1.宫外孕是由于输卵管或周围组织炎症、输卵管周围组织肿瘤、输卵管发育不良、输卵管手术史等因素导致输卵管通畅度不佳,阻碍受精卵正常通过,无法到达子宫内着床,使之在输卵管内或宫颈停留、着床、发育,从而引发异位妊娠。

2.宫外孕早期若未发生破裂或流产,一般不会有明显症状,但是输卵管异位妊娠者可能会有腹痛的症状;宫外孕的典型症状被称异位妊娠三联征,即停经、腹痛、阴道出血;随着病情的发展,出血量增加,可伴有肛门坠胀感、全腹痛、肩胛部放射痛及胸痛、晕厥甚至休克。
1.正确避孕:学习正确避孕知识,在未有计划生育时应避免意外怀孕,这从根本上杜绝了宫外孕的发生。
2.及时治疗:输卵管炎症是造成输卵管受阻的最主要原因,生殖系统相关疾病也都可能改变输卵管的通畅度和功能,发现不适并及时治疗这些疾病都可以减少在怀孕时出现异位妊娠的几率。
3.体外受孕:有过宫外孕史女性,可以考虑体外受孕以避免宫外孕。
4.注意经期卫生:保持生殖系统的干净、卫生,防止生殖系统的感染。
","scanCount": 56602}}} {"@context": "https://ziyuan.baidu.com/contexts/cambrian.jsonld","appid": "1650708455561748","icon": "https://www.med-credit.org.cn/style/images/ttlogo.png","content_tag": ["atlas"],"is_mcn": {"thumb_id": "v2rm41u3"},"accid": "4886d626a2804dee5f11168793ce361672f39c25","@id": "https://www.med-credit.org.cn/mobile/jingxuan/2/549739b8e2a74a0cf67720acc4bb9137.html","bagWordId": "181_1547866410225504256","title": "葡萄胎40天b超图片","pubDate": "2023-03-29T10:32:19","upDate": "2023-03-29T10:32:19","lrDate": "2023-03-29T10:32:19","description": "葡萄胎40天左右时B超的表现根据葡萄胎的类型不同而有较大的差异。","data": {"WebPage": {"headline": "葡萄胎40天b超图片","pcUrl": "https://www.med-credit.org.cn/jingxuan/2/549739b8e2a74a0cf67720acc4bb9137.html","wapUrl": "https://www.med-credit.org.cn/jingxuan/2/549739b8e2a74a0cf67720acc4bb9137.html","mipUrl": "https://www.med-credit.org.cn/mobile/jingxuan/2/549739b8e2a74a0cf67720acc4bb9137.html","fromSrc": "欢乐橙","datePublished": "2023-03-29T10:32:19","domain": "医疗","category": ["医疗权威文章合作"],"description": "葡萄胎40天左右时B超的表现根据葡萄胎的类型不同而有较大的差异。
","extra_headline": [""]},"Author": {"name": "种轶文","wapUrl": "https://www.med-credit.org.cn/doctor/575","pcUrl": "https://www.med-credit.org.cn/doctor/575","jobTitle": "副主任医师","headPortrait": "https://www.med-credit.org.cn/uploadfile/member/575/180x180.jpeg","id": "575","description": "种轶文,北京大学第三医院妇产科副主任医师","memberOf": {"legalName": "北京大学第三医院","department": "妇产科","organizationLevel": "三级甲等"}},"Article": {"summaryContent": "葡萄胎40天左右时B超的表现根据葡萄胎的类型不同而有较大的差异。
葡萄胎肉眼表现为子宫腔内形成了大小不一的水泡,水泡之间借着蒂相连成串,看起来像葡萄。

1.葡萄胎有两种类型:完全性和不完全性。完全性葡萄胎在怀孕40天时一般表现为:子宫的大小超过相应孕周,宫内没有妊娠囊或胎心搏动,宫腔内充满了不均一的短条状回声,呈“落雪征”,水泡较大的时候会表现出一个“蜂窝状”。除外还能测到双侧或者一侧卵巢囊肿。
2.部分性葡萄胎在胎盘部位出现水泡样的胎块引起的超声图像改变,有时可以见到胎儿或者羊膜腔,胎儿通常畸形。早期葡萄胎的超声征象不典型,容易误诊。
只要葡萄胎诊断明确,都要进行清宫,一般采用吸刮术。清宫之前需要注意有无休克、子痫前期、甲状腺功能亢进等合并症,如有需要对症处理。
","articleBody": "葡萄胎40天左右时B超的表现根据葡萄胎的类型不同而有较大的差异。
葡萄胎肉眼表现为子宫腔内形成了大小不一的水泡,水泡之间借着蒂相连成串,看起来像葡萄。

1.葡萄胎有两种类型:完全性和不完全性。完全性葡萄胎在怀孕40天时一般表现为:子宫的大小超过相应孕周,宫内没有妊娠囊或胎心搏动,宫腔内充满了不均一的短条状回声,呈“落雪征”,水泡较大的时候会表现出一个“蜂窝状”。除外还能测到双侧或者一侧卵巢囊肿。
2.部分性葡萄胎在胎盘部位出现水泡样的胎块引起的超声图像改变,有时可以见到胎儿或者羊膜腔,胎儿通常畸形。早期葡萄胎的超声征象不典型,容易误诊。
只要葡萄胎诊断明确,都要进行清宫,一般采用吸刮术。清宫之前需要注意有无休克、子痫前期、甲状腺功能亢进等合并症,如有需要对症处理。
","scanCount": 56601}}} {"@context": "https://ziyuan.baidu.com/contexts/cambrian.jsonld","appid": "1650708455561748","icon": "https://www.med-credit.org.cn/style/images/ttlogo.png","content_tag": ["atlas"],"is_mcn": {"thumb_id": "v2rm41u3"},"accid": "4886d626a2804dee5f11168793ce361672f39c25","@id": "https://www.med-credit.org.cn/mobile/jingxuan/2/b39da2bffb85356e51c980c1023e7357.html","bagWordId": "181_1547866410259058688","title": "怀孕五周有褐色血图片","pubDate": "2023-03-29T10:32:19","upDate": "2023-03-29T10:32:19","lrDate": "2023-03-29T10:32:19","description": "怀孕五周有褐色血可能是由于先兆流产或异位妊娠。","data": {"WebPage": {"headline": "怀孕五周有褐色血图片","pcUrl": "https://www.med-credit.org.cn/jingxuan/2/b39da2bffb85356e51c980c1023e7357.html","wapUrl": "https://www.med-credit.org.cn/jingxuan/2/b39da2bffb85356e51c980c1023e7357.html","mipUrl": "https://www.med-credit.org.cn/mobile/jingxuan/2/b39da2bffb85356e51c980c1023e7357.html","fromSrc": "欢乐橙","datePublished": "2023-03-29T10:32:19","domain": "医疗","category": ["医疗权威文章合作"],"description": "怀孕五周有褐色血可能是由于先兆流产或异位妊娠。
","extra_headline": [""]},"Author": {"name": "种轶文","wapUrl": "https://www.med-credit.org.cn/doctor/575","pcUrl": "https://www.med-credit.org.cn/doctor/575","jobTitle": "副主任医师","headPortrait": "https://www.med-credit.org.cn/uploadfile/member/575/180x180.jpeg","id": "575","description": "种轶文,北京大学第三医院妇产科副主任医师","memberOf": {"legalName": "北京大学第三医院","department": "妇产科","organizationLevel": "三级甲等"}},"Article": {"summaryContent": "怀孕五周有褐色血可能是由于先兆流产或异位妊娠。
怀孕五周胚胎状况尚未稳定,遇到阴道褐色血应考虑为病理情况,及时前往医院检查。

1、先兆流产:怀孕五周胚胎状况还不稳定,此时阴道流出褐色血,应考虑为先兆流产。多由于大量运动、过度劳累或性行为所致。此时应注意休息,避免剧烈运动和性行为,症状缓解者可继续妊娠。如果有腹痛和流血量持续增大的情况可能发展为难免流产,应及时前往医院进行治疗。
2、异位妊娠:又称为宫外孕,可伴有阴道流褐色血。当受精卵在子宫以外的地方着床,导致胚胎无法长期存活,胚胎组织长到一定程度会破裂出血,此时因前往医院做血HCG和B超检查等进行诊断,避免异位妊娠破裂导致大量出血。
怀孕五周流褐色血应及时前往医院检查,避免更为严重的后果。
","articleBody": "怀孕五周有褐色血可能是由于先兆流产或异位妊娠。
怀孕五周胚胎状况尚未稳定,遇到阴道褐色血应考虑为病理情况,及时前往医院检查。

1、先兆流产:怀孕五周胚胎状况还不稳定,此时阴道流出褐色血,应考虑为先兆流产。多由于大量运动、过度劳累或性行为所致。此时应注意休息,避免剧烈运动和性行为,症状缓解者可继续妊娠。如果有腹痛和流血量持续增大的情况可能发展为难免流产,应及时前往医院进行治疗。
2、异位妊娠:又称为宫外孕,可伴有阴道流褐色血。当受精卵在子宫以外的地方着床,导致胚胎无法长期存活,胚胎组织长到一定程度会破裂出血,此时因前往医院做血HCG和B超检查等进行诊断,避免异位妊娠破裂导致大量出血。
怀孕五周流褐色血应及时前往医院检查,避免更为严重的后果。
","scanCount": 56600}}} {"@context": "https://ziyuan.baidu.com/contexts/cambrian.jsonld","appid": "1650708455561748","icon": "https://www.med-credit.org.cn/style/images/ttlogo.png","content_tag": ["atlas"],"is_mcn": {"thumb_id": "v2rm41u3"},"accid": "4886d626a2804dee5f11168793ce361672f39c25","@id": "https://www.med-credit.org.cn/mobile/jingxuan/2/e6d6acf867644bcd5883412b01b52bae.html","bagWordId": "181_1547866410296807424","title": "胎儿鼻泪管囊肿图片","pubDate": "2023-03-29T10:32:19","upDate": "2023-03-29T10:32:19","lrDate": "2023-03-29T10:32:19","description": "胎儿鼻泪管囊肿是由于胎儿鼻泪管堵塞导致的面部畸形。","data": {"WebPage": {"headline": "胎儿鼻泪管囊肿图片","pcUrl": "https://www.med-credit.org.cn/jingxuan/2/e6d6acf867644bcd5883412b01b52bae.html","wapUrl": "https://www.med-credit.org.cn/jingxuan/2/e6d6acf867644bcd5883412b01b52bae.html","mipUrl": "https://www.med-credit.org.cn/mobile/jingxuan/2/e6d6acf867644bcd5883412b01b52bae.html","fromSrc": "欢乐橙","datePublished": "2023-03-29T10:32:19","domain": "医疗","category": ["医疗权威文章合作"],"description": "胎儿鼻泪管囊肿是由于胎儿鼻泪管堵塞导致的面部畸形。
","extra_headline": [""]},"Author": {"name": "种轶文","wapUrl": "https://www.med-credit.org.cn/doctor/575","pcUrl": "https://www.med-credit.org.cn/doctor/575","jobTitle": "副主任医师","headPortrait": "https://www.med-credit.org.cn/uploadfile/member/575/180x180.jpeg","id": "575","description": "种轶文,北京大学第三医院妇产科副主任医师","memberOf": {"legalName": "北京大学第三医院","department": "妇产科","organizationLevel": "三级甲等"}},"Article": {"summaryContent": "胎儿鼻泪管囊肿是由于胎儿鼻泪管堵塞导致的面部畸形。
大部分胎儿的鼻泪管囊肿会自愈。
1、胎儿鼻泪管囊肿是由于胚胎时期组织异常增生堵塞鼻泪管而引发的囊肿,属于胎儿面部畸形问题。表现为溢泪、鼻塞,严重者可并发面部蜂窝组织炎、结膜炎、泪囊炎等疾病。B超声像图特征是眼眶鼻侧下方有圆形或类圆形的异常区域,内径通常不超过15mm,边界较清楚。

2、单纯性先天性鼻泪管囊肿是一种良性疾病,大部分可自愈,一般不需进行干预治疗。超声检查能较好地显示胎儿鼻泪管囊肿。如果在孕期被诊断胎儿鼻泪管囊肿,孕妇应定期随访,动态监测其转归,做胎儿排畸筛查。由于大部分鼻泪管囊肿可自愈,所以在新生儿期常不进行干预,适当手法按摩、热敷可促进鼻泪管开通。对于不能自愈者或有并发症者选择外科治疗。
胎儿被检查出鼻泪管囊肿时孕妇应避免过度焦虑,不沾烟酒,适当运动,保障足够的营养摄入,在良好的环境中养胎。
","articleBody": "胎儿鼻泪管囊肿是由于胎儿鼻泪管堵塞导致的面部畸形。
大部分胎儿的鼻泪管囊肿会自愈。
1、胎儿鼻泪管囊肿是由于胚胎时期组织异常增生堵塞鼻泪管而引发的囊肿,属于胎儿面部畸形问题。表现为溢泪、鼻塞,严重者可并发面部蜂窝组织炎、结膜炎、泪囊炎等疾病。B超声像图特征是眼眶鼻侧下方有圆形或类圆形的异常区域,内径通常不超过15mm,边界较清楚。

2、单纯性先天性鼻泪管囊肿是一种良性疾病,大部分可自愈,一般不需进行干预治疗。超声检查能较好地显示胎儿鼻泪管囊肿。如果在孕期被诊断胎儿鼻泪管囊肿,孕妇应定期随访,动态监测其转归,做胎儿排畸筛查。由于大部分鼻泪管囊肿可自愈,所以在新生儿期常不进行干预,适当手法按摩、热敷可促进鼻泪管开通。对于不能自愈者或有并发症者选择外科治疗。
胎儿被检查出鼻泪管囊肿时孕妇应避免过度焦虑,不沾烟酒,适当运动,保障足够的营养摄入,在良好的环境中养胎。
","scanCount": 56599}}} {"@context": "https://ziyuan.baidu.com/contexts/cambrian.jsonld","appid": "1650708455561748","icon": "https://www.med-credit.org.cn/style/images/ttlogo.png","content_tag": ["atlas"],"is_mcn": {"thumb_id": "v2rm41u3"},"accid": "4886d626a2804dee5f11168793ce361672f39c25","@id": "https://www.med-credit.org.cn/mobile/jingxuan/2/bfe337a12ec41cd5cd9740e807aa0a7b.html","bagWordId": "181_1547866410372304896","title": "胎盘早剥图片","pubDate": "2023-03-29T10:32:19","upDate": "2023-03-29T10:32:19","lrDate": "2023-03-29T10:32:19","description": "胎盘早剥可能是由于生理性因素引起的,如高龄妊娠,也可能是由于病理性因素引起的如跌打撞击。","data": {"WebPage": {"headline": "胎盘早剥图片","pcUrl": "https://www.med-credit.org.cn/jingxuan/2/bfe337a12ec41cd5cd9740e807aa0a7b.html","wapUrl": "https://www.med-credit.org.cn/jingxuan/2/bfe337a12ec41cd5cd9740e807aa0a7b.html","mipUrl": "https://www.med-credit.org.cn/mobile/jingxuan/2/bfe337a12ec41cd5cd9740e807aa0a7b.html","fromSrc": "欢乐橙","datePublished": "2023-03-29T10:32:19","domain": "医疗","category": ["医疗权威文章合作"],"description": "胎盘早剥可能是由于生理性因素引起的,如高龄妊娠,也可能是由于病理性因素引起的如跌打撞击。
","extra_headline": [""]},"Author": {"name": "种轶文","wapUrl": "https://www.med-credit.org.cn/doctor/575","pcUrl": "https://www.med-credit.org.cn/doctor/575","jobTitle": "副主任医师","headPortrait": "https://www.med-credit.org.cn/uploadfile/member/575/180x180.jpeg","id": "575","description": "种轶文,北京大学第三医院妇产科副主任医师","memberOf": {"legalName": "北京大学第三医院","department": "妇产科","organizationLevel": "三级甲等"}},"Article": {"summaryContent": "胎盘早剥可能是由于生理性因素引起的,如高龄妊娠,也可能是由于病理性因素引起的如跌打撞击。
胎盘早剥临床常表现为子宫收缩,背痛腹痛。

1.由生理因素引起的胎盘早剥常见于高龄妊娠妇女,也可见于怀孕时曾发生过胎盘早剥者。
2.由病理因素引起的胎盘早剥常见于妊娠期高血压,或是慢性高血压,妊娠期间如有子宫内感染也会增加胎盘早剥的风险,此外,如果妊娠期孕妇收到击打,跌落,摔伤也会增加胎盘早剥的几率。
1.胎盘早剥常见症状为妊娠妇女的腰痛、背痛和子宫压痛或僵硬感,子宫收缩常常发生,其中腹痛和背痛常较急发作。
2.胎盘早剥也可引起间歇性出血,但也可不出现阴道出血症状,因人而异。
当孕妇出现明显的腹痛背痛、以及子宫严重不适症状时,请及时前往医院进行相关检查与相应治疗。
","articleBody": "胎盘早剥可能是由于生理性因素引起的,如高龄妊娠,也可能是由于病理性因素引起的如跌打撞击。
胎盘早剥临床常表现为子宫收缩,背痛腹痛。

1.由生理因素引起的胎盘早剥常见于高龄妊娠妇女,也可见于怀孕时曾发生过胎盘早剥者。
2.由病理因素引起的胎盘早剥常见于妊娠期高血压,或是慢性高血压,妊娠期间如有子宫内感染也会增加胎盘早剥的风险,此外,如果妊娠期孕妇收到击打,跌落,摔伤也会增加胎盘早剥的几率。
1.胎盘早剥常见症状为妊娠妇女的腰痛、背痛和子宫压痛或僵硬感,子宫收缩常常发生,其中腹痛和背痛常较急发作。
2.胎盘早剥也可引起间歇性出血,但也可不出现阴道出血症状,因人而异。
当孕妇出现明显的腹痛背痛、以及子宫严重不适症状时,请及时前往医院进行相关检查与相应治疗。
","scanCount": 56598}}} {"@context": "https://ziyuan.baidu.com/contexts/cambrian.jsonld","appid": "1650708455561748","icon": "https://www.med-credit.org.cn/style/images/ttlogo.png","content_tag": ["atlas"],"is_mcn": {"thumb_id": "v2rm41u3"},"accid": "4886d626a2804dee5f11168793ce361672f39c25","@id": "https://www.med-credit.org.cn/mobile/jingxuan/2/8368e91884d4659769199f7e40f1c575.html","bagWordId": "181_1547866410405859328","title": "胎儿鼻骨发育不良生下来图片","pubDate": "2023-03-29T10:32:19","upDate": "2023-03-29T10:32:19","lrDate": "2023-03-29T10:32:19","description": "胎儿鼻骨发育不良可能是染色体异常导致的,也可能是由于母亲在妊娠期的生活环境影响导致胎儿发育畸形导致的。","data": {"WebPage": {"headline": "胎儿鼻骨发育不良生下来图片","pcUrl": "https://www.med-credit.org.cn/jingxuan/2/8368e91884d4659769199f7e40f1c575.html","wapUrl": "https://www.med-credit.org.cn/jingxuan/2/8368e91884d4659769199f7e40f1c575.html","mipUrl": "https://www.med-credit.org.cn/mobile/jingxuan/2/8368e91884d4659769199f7e40f1c575.html","fromSrc": "欢乐橙","datePublished": "2023-03-29T10:32:19","domain": "医疗","category": ["医疗权威文章合作"],"description": "胎儿鼻骨发育不良可能是染色体异常导致的,也可能是由于母亲在妊娠期的生活环境影响导致胎儿发育畸形导致的。
","extra_headline": [""]},"Author": {"name": "种轶文","wapUrl": "https://www.med-credit.org.cn/doctor/575","pcUrl": "https://www.med-credit.org.cn/doctor/575","jobTitle": "副主任医师","headPortrait": "https://www.med-credit.org.cn/uploadfile/member/575/180x180.jpeg","id": "575","description": "种轶文,北京大学第三医院妇产科副主任医师","memberOf": {"legalName": "北京大学第三医院","department": "妇产科","organizationLevel": "三级甲等"}},"Article": {"summaryContent": "胎儿鼻骨发育不良可能是染色体异常导致的,也可能是由于母亲在妊娠期的生活环境影响导致胎儿发育畸形导致的。
临床常表现为面部鼻梁病理性坍塌或鼻骨长度病理性短小。

1.由于常染色体异常导致的胎儿鼻骨发育不良常见于唐氏综合征婴幼儿,即患儿的第21号染色体由正常的2条变成了3条,故也成为‘’21三体综合征‘’。大约60-80%的唐氏儿伴有鼻骨发育不全如鼻骨缺失或短小的面部特征。
2.由母亲在妊娠期间生活环境较差导致的胎儿发育畸形,常见于母亲长期处于营养不良,高辐射,休息情况较差的身体状况下而引起胎儿的畸形发育或是发育不良。
1.由唐氏综合征引起的胎儿鼻骨发育不良可见鼻骨缺失或短小症状,同时伴有精神发育迟滞,智力相对低下的病症。
2.由妊娠期母亲处于不良环境下诱导的胎儿鼻骨发育不良一般不伴随智力障碍问题,症状多为单一面部缺陷,但也不排除其他并发症。
","articleBody": "胎儿鼻骨发育不良可能是染色体异常导致的,也可能是由于母亲在妊娠期的生活环境影响导致胎儿发育畸形导致的。
临床常表现为面部鼻梁病理性坍塌或鼻骨长度病理性短小。

1.由于常染色体异常导致的胎儿鼻骨发育不良常见于唐氏综合征婴幼儿,即患儿的第21号染色体由正常的2条变成了3条,故也成为‘’21三体综合征‘’。大约60-80%的唐氏儿伴有鼻骨发育不全如鼻骨缺失或短小的面部特征。
2.由母亲在妊娠期间生活环境较差导致的胎儿发育畸形,常见于母亲长期处于营养不良,高辐射,休息情况较差的身体状况下而引起胎儿的畸形发育或是发育不良。
1.由唐氏综合征引起的胎儿鼻骨发育不良可见鼻骨缺失或短小症状,同时伴有精神发育迟滞,智力相对低下的病症。
2.由妊娠期母亲处于不良环境下诱导的胎儿鼻骨发育不良一般不伴随智力障碍问题,症状多为单一面部缺陷,但也不排除其他并发症。
","scanCount": 56597}}} {"@context": "https://ziyuan.baidu.com/contexts/cambrian.jsonld","appid": "1650708455561748","icon": "https://www.med-credit.org.cn/style/images/ttlogo.png","content_tag": ["atlas"],"is_mcn": {"thumb_id": "v2rm41u3"},"accid": "4886d626a2804dee5f11168793ce361672f39c25","@id": "https://www.med-credit.org.cn/mobile/jingxuan/2/ad69b397b9f55a82c85cf6cd21c10477.html","bagWordId": "181_1547866410443608064","title": "孕晚期见红是什么颜色的图片","pubDate": "2023-03-29T10:32:19","upDate": "2023-03-29T10:32:19","lrDate": "2023-03-29T10:32:19","description": "在怀孕晚期见红,颜色一般是鲜红色或者茶褐色。","data": {"WebPage": {"headline": "孕晚期见红是什么颜色的图片","pcUrl": "https://www.med-credit.org.cn/jingxuan/2/ad69b397b9f55a82c85cf6cd21c10477.html","wapUrl": "https://www.med-credit.org.cn/jingxuan/2/ad69b397b9f55a82c85cf6cd21c10477.html","mipUrl": "https://www.med-credit.org.cn/mobile/jingxuan/2/ad69b397b9f55a82c85cf6cd21c10477.html","fromSrc": "欢乐橙","datePublished": "2023-03-29T10:32:19","domain": "医疗","category": ["医疗权威文章合作"],"description": "在怀孕晚期见红,颜色一般是鲜红色或者茶褐色。
","extra_headline": [""]},"Author": {"name": "种轶文","wapUrl": "https://www.med-credit.org.cn/doctor/575","pcUrl": "https://www.med-credit.org.cn/doctor/575","jobTitle": "副主任医师","headPortrait": "https://www.med-credit.org.cn/uploadfile/member/575/180x180.jpeg","id": "575","description": "种轶文,北京大学第三医院妇产科副主任医师","memberOf": {"legalName": "北京大学第三医院","department": "妇产科","organizationLevel": "三级甲等"}},"Article": {"summaryContent": "在怀孕晚期见红,颜色一般是鲜红色或者茶褐色。
孕晚期见红一般是由于子宫收缩、胎膜和子宫壁分离导致初出血。
1.正常的孕晚期见红的颜色一般为鲜红色或茶褐色,偶尔会有咖啡色,量少于正常月经量,且不会出现其他不适症状,预示不久将临产;异常见红表现为出血量多且可伴腹痛。

2.孕晚期少量见红一般是由于宫颈内口处的胎膜与子宫壁的发生了分离,导致了该处的毛细血管破裂,所以就会有少许的出血,由于混合宫颈的黏液,所以是呈淡红色;也可以由于前置胎盘引起异常出血。
怀孕晚期出现见红,在排除宫颈息肉或者其他的原因导致的阴道流血之外,首先考虑是先兆临产的可能。最好去医院查胎心监护,看宫缩的情况,如果出现规律的宫缩,并且有腹痛,阵发性的下腹坠胀感,这就是先兆临产。
","articleBody": "在怀孕晚期见红,颜色一般是鲜红色或者茶褐色。
孕晚期见红一般是由于子宫收缩、胎膜和子宫壁分离导致初出血。
1.正常的孕晚期见红的颜色一般为鲜红色或茶褐色,偶尔会有咖啡色,量少于正常月经量,且不会出现其他不适症状,预示不久将临产;异常见红表现为出血量多且可伴腹痛。

2.孕晚期少量见红一般是由于宫颈内口处的胎膜与子宫壁的发生了分离,导致了该处的毛细血管破裂,所以就会有少许的出血,由于混合宫颈的黏液,所以是呈淡红色;也可以由于前置胎盘引起异常出血。
怀孕晚期出现见红,在排除宫颈息肉或者其他的原因导致的阴道流血之外,首先考虑是先兆临产的可能。最好去医院查胎心监护,看宫缩的情况,如果出现规律的宫缩,并且有腹痛,阵发性的下腹坠胀感,这就是先兆临产。
","scanCount": 56596}}} {"@context": "https://ziyuan.baidu.com/contexts/cambrian.jsonld","appid": "1650708455561748","icon": "https://www.med-credit.org.cn/style/images/ttlogo.png","content_tag": ["atlas"],"is_mcn": {"thumb_id": "v2rm41u3"},"accid": "4886d626a2804dee5f11168793ce361672f39c25","@id": "https://www.med-credit.org.cn/mobile/jingxuan/2/8e40fdaf7d9b3caa0c7bd517dd0eecf0.html","bagWordId": "181_1547866410477162496","title": "怀孕六个月阴壁膨出图片","pubDate": "2023-03-29T10:32:19","upDate": "2023-03-29T10:32:19","lrDate": "2023-03-29T10:32:19","description": "怀孕六个月阴道壁膨出可能是正常生理现象、也可能是因为腹腔内压力过大造成的。","data": {"WebPage": {"headline": "怀孕六个月阴壁膨出图片","pcUrl": "https://www.med-credit.org.cn/jingxuan/2/8e40fdaf7d9b3caa0c7bd517dd0eecf0.html","wapUrl": "https://www.med-credit.org.cn/jingxuan/2/8e40fdaf7d9b3caa0c7bd517dd0eecf0.html","mipUrl": "https://www.med-credit.org.cn/mobile/jingxuan/2/8e40fdaf7d9b3caa0c7bd517dd0eecf0.html","fromSrc": "欢乐橙","datePublished": "2023-03-29T10:32:19","domain": "医疗","category": ["医疗权威文章合作"],"description": "怀孕六个月阴道壁膨出可能是正常生理现象、也可能是因为腹腔内压力过大造成的。
","extra_headline": [""]},"Author": {"name": "种轶文","wapUrl": "https://www.med-credit.org.cn/doctor/575","pcUrl": "https://www.med-credit.org.cn/doctor/575","jobTitle": "副主任医师","headPortrait": "https://www.med-credit.org.cn/uploadfile/member/575/180x180.jpeg","id": "575","description": "种轶文,北京大学第三医院妇产科副主任医师","memberOf": {"legalName": "北京大学第三医院","department": "妇产科","organizationLevel": "三级甲等"}},"Article": {"summaryContent": "怀孕六个月阴道壁膨出可能是正常生理现象、也可能是因为腹腔内压力过大造成的。
孕期阴道壁膨出,并没有特别好的治疗办法,可以从生活方式干预来进行治疗。
1、怀孕时,胎儿逐渐增大,导致盆腔压力负荷加重,压迫盆腔组织向外膨出。子宫的增大会压迫到阴部和骶骨,当受到更大的压力和一种下降的感觉时,阴部就会出现膨胀的现象。

2、孕妇在怀孕期间我们经常出现便秘、长时间用力排便、蹲马桶的时间过久,或者是自己怀孕期间可以经常使用处于下蹲位,都会引起和加重阴道壁膨出。
1、一般在产后半年以内可以选择做提肛运动,或者有条件的做产后盆底康复治疗来改善目前的症状,如严重者需要及时的做前壁修补术。
2、注意调整饮食习惯和结构,增加食物中粗纤维的摄入量,多吃胡萝卜、萝卜、香蕉、猕猴桃、红薯等食物,多喝水促进排便。
3、不要因为长时间的蹲马桶,即使是有便秘的症状,蹲马桶的时间也不能超过8分钟。
","articleBody": "怀孕六个月阴道壁膨出可能是正常生理现象、也可能是因为腹腔内压力过大造成的。
孕期阴道壁膨出,并没有特别好的治疗办法,可以从生活方式干预来进行治疗。
1、怀孕时,胎儿逐渐增大,导致盆腔压力负荷加重,压迫盆腔组织向外膨出。子宫的增大会压迫到阴部和骶骨,当受到更大的压力和一种下降的感觉时,阴部就会出现膨胀的现象。

2、孕妇在怀孕期间我们经常出现便秘、长时间用力排便、蹲马桶的时间过久,或者是自己怀孕期间可以经常使用处于下蹲位,都会引起和加重阴道壁膨出。
1、一般在产后半年以内可以选择做提肛运动,或者有条件的做产后盆底康复治疗来改善目前的症状,如严重者需要及时的做前壁修补术。
2、注意调整饮食习惯和结构,增加食物中粗纤维的摄入量,多吃胡萝卜、萝卜、香蕉、猕猴桃、红薯等食物,多喝水促进排便。
3、不要因为长时间的蹲马桶,即使是有便秘的症状,蹲马桶的时间也不能超过8分钟。
","scanCount": 56595}}} {"@context": "https://ziyuan.baidu.com/contexts/cambrian.jsonld","appid": "1650708455561748","icon": "https://www.med-credit.org.cn/style/images/ttlogo.png","content_tag": ["atlas"],"is_mcn": {"thumb_id": "v2rm41u3"},"accid": "4886d626a2804dee5f11168793ce361672f39c25","@id": "https://www.med-credit.org.cn/mobile/jingxuan/2/9a01bd1d77c41552cc52af3086c5d67a.html","bagWordId": "181_1547866410514911232","title": "脐带连着白色管状物图","pubDate": "2023-03-29T10:32:19","upDate": "2023-03-29T10:32:19","lrDate": "2023-03-29T10:32:19","description": "脐带连着白色管状物,可能是由于剪脐带的时候遗留下来的,属于正常的现象。","data": {"WebPage": {"headline": "脐带连着白色管状物图","pcUrl": "https://www.med-credit.org.cn/jingxuan/2/9a01bd1d77c41552cc52af3086c5d67a.html","wapUrl": "https://www.med-credit.org.cn/jingxuan/2/9a01bd1d77c41552cc52af3086c5d67a.html","mipUrl": "https://www.med-credit.org.cn/mobile/jingxuan/2/9a01bd1d77c41552cc52af3086c5d67a.html","fromSrc": "欢乐橙","datePublished": "2023-03-29T10:32:19","domain": "医疗","category": ["医疗权威文章合作"],"description": "脐带连着白色管状物,可能是由于剪脐带的时候遗留下来的,属于正常的现象。
","extra_headline": [""]},"Author": {"name": "种轶文","wapUrl": "https://www.med-credit.org.cn/doctor/575","pcUrl": "https://www.med-credit.org.cn/doctor/575","jobTitle": "副主任医师","headPortrait": "https://www.med-credit.org.cn/uploadfile/member/575/180x180.jpeg","id": "575","description": "种轶文,北京大学第三医院妇产科副主任医师","memberOf": {"legalName": "北京大学第三医院","department": "妇产科","organizationLevel": "三级甲等"}},"Article": {"summaryContent": "脐带连着白色管状物,可能是由于剪脐带的时候遗留下来的,属于正常的现象。
如果没有变红肿,没有感染,不要强行拉出来,自行掉落。

脐带是胎儿在母体内时吸收营养及氧气的主要通道,出生后被剪断留下一段脐带的残端。一般出生后7天左右干燥脱落,最后将宝宝的肚部留下小凹陷。正常情况下肚脐是一个完整的皮肤,无黏膜,没有分泌功能,无分泌物。
新生儿出生脐带结扎以后所形成的残端叫脐痂;脐痂大部分在生后10天左右会自行脱落,但由于受不同因素的影响,脱落时间会有一定的差异。
在脐痂未脱落之前,注意保护好脐部,每天可以用碘伏进行2~3次的消毒;洗澡的时候尽量避免接触到水,若出现异常情况,要及时检查。
","articleBody": "脐带连着白色管状物,可能是由于剪脐带的时候遗留下来的,属于正常的现象。
如果没有变红肿,没有感染,不要强行拉出来,自行掉落。

脐带是胎儿在母体内时吸收营养及氧气的主要通道,出生后被剪断留下一段脐带的残端。一般出生后7天左右干燥脱落,最后将宝宝的肚部留下小凹陷。正常情况下肚脐是一个完整的皮肤,无黏膜,没有分泌功能,无分泌物。
新生儿出生脐带结扎以后所形成的残端叫脐痂;脐痂大部分在生后10天左右会自行脱落,但由于受不同因素的影响,脱落时间会有一定的差异。
在脐痂未脱落之前,注意保护好脐部,每天可以用碘伏进行2~3次的消毒;洗澡的时候尽量避免接触到水,若出现异常情况,要及时检查。
","scanCount": 56594}}} {"@context": "https://ziyuan.baidu.com/contexts/cambrian.jsonld","appid": "1650708455561748","icon": "https://www.med-credit.org.cn/style/images/ttlogo.png","content_tag": ["atlas"],"is_mcn": {"thumb_id": "v2rm41u3"},"accid": "4886d626a2804dee5f11168793ce361672f39c25","@id": "https://www.med-credit.org.cn/mobile/jingxuan/2/1260e64a98f90073fd5e84243a72b160.html","bagWordId": "23_1526478084713222144","title": "孕22周标准孕肚图","pubDate": "2023-03-29T10:32:19","upDate": "2023-03-29T10:32:19","lrDate": "2023-03-29T10:32:19","description": "孕22周时女性的肚子会随着胎儿的发育逐渐变大,子宫高和腹围开始增大,宫高大约在18-22.5cm之间,腹围大约在80-91cm之间。","data": {"WebPage": {"headline": "孕22周标准孕肚图","pcUrl": "https://www.med-credit.org.cn/jingxuan/2/1260e64a98f90073fd5e84243a72b160.html","wapUrl": "https://www.med-credit.org.cn/jingxuan/2/1260e64a98f90073fd5e84243a72b160.html","mipUrl": "https://www.med-credit.org.cn/mobile/jingxuan/2/1260e64a98f90073fd5e84243a72b160.html","fromSrc": "欢乐橙","datePublished": "2023-03-29T10:32:19","domain": "医疗","category": ["医疗权威文章合作"],"description": "孕22周时女性的肚子会随着胎儿的发育逐渐变大,子宫高和腹围开始增大,宫高大约在18-22.5cm之间,腹围大约在80-91cm之间。
","extra_headline": [""]},"Author": {"name": "种轶文","wapUrl": "https://www.med-credit.org.cn/doctor/575","pcUrl": "https://www.med-credit.org.cn/doctor/575","jobTitle": "副主任医师","headPortrait": "https://www.med-credit.org.cn/uploadfile/member/575/180x180.jpeg","id": "575","description": "种轶文,北京大学第三医院妇产科副主任医师","memberOf": {"legalName": "北京大学第三医院","department": "妇产科","organizationLevel": "三级甲等"}},"Article": {"summaryContent": "孕22周时女性的肚子会随着胎儿的发育逐渐变大,子宫高和腹围开始增大,宫高大约在18-22.5cm之间,腹围大约在80-91cm之间。
每个人的体质都是不同的,孕妇肚子变大的程度和速度也不尽相同,还会出现不同程度的妊娠反应。
女性怀孕22周的时候,子宫为适应胎儿的变大也会逐渐增大,表现为子宫底升高到18-22.5cm,孕妇的腹围也会增加,在80-91cm间,子宫还会继续上升并开始压迫肺部,可以由此判断妊娠期和胎儿的发育生长情况。

不同的孕妇对妊娠的身体反应也是不太相同的,由于体质原因,肚子变大的时间也不太相同,大部分孕妇会在怀孕3个月后开始显怀,但也有些孕妇怀孕4、5个月孕肚也不是很明显,只要定期检查没有问题就是正常的。妊娠初期还会有一些妊娠反应,如头晕、乏力、嗜睡等情况,一般会在妊娠3个月左右自行消失。
孕妇养成良好的生活规律,晚上不要熬夜,早点睡觉,睡觉前不要进行激烈的活动和情绪紧张,以免延长入睡时间。还可以按摩、泡脚缓解疲劳,听音乐改善心情。
","articleBody": "孕22周时女性的肚子会随着胎儿的发育逐渐变大,子宫高和腹围开始增大,宫高大约在18-22.5cm之间,腹围大约在80-91cm之间。
每个人的体质都是不同的,孕妇肚子变大的程度和速度也不尽相同,还会出现不同程度的妊娠反应。
女性怀孕22周的时候,子宫为适应胎儿的变大也会逐渐增大,表现为子宫底升高到18-22.5cm,孕妇的腹围也会增加,在80-91cm间,子宫还会继续上升并开始压迫肺部,可以由此判断妊娠期和胎儿的发育生长情况。

不同的孕妇对妊娠的身体反应也是不太相同的,由于体质原因,肚子变大的时间也不太相同,大部分孕妇会在怀孕3个月后开始显怀,但也有些孕妇怀孕4、5个月孕肚也不是很明显,只要定期检查没有问题就是正常的。妊娠初期还会有一些妊娠反应,如头晕、乏力、嗜睡等情况,一般会在妊娠3个月左右自行消失。
孕妇养成良好的生活规律,晚上不要熬夜,早点睡觉,睡觉前不要进行激烈的活动和情绪紧张,以免延长入睡时间。还可以按摩、泡脚缓解疲劳,听音乐改善心情。
","scanCount": 56549}}} {"@context": "https://ziyuan.baidu.com/contexts/cambrian.jsonld","appid": "1650708455561748","icon": "https://www.med-credit.org.cn/style/images/ttlogo.png","content_tag": ["atlas"],"is_mcn": {"thumb_id": "v2rm41u3"},"accid": "4886d626a2804dee5f11168793ce361672f39c25","@id": "https://www.med-credit.org.cn/mobile/jingxuan/2/b4ccbc974d0d25349290a0289d64fe86.html","bagWordId": "23_1526478016463507456","title": "宫颈多发囊肿图片","pubDate": "2023-03-29T10:32:19","upDate": "2023-03-29T10:32:19","lrDate": "2023-03-29T10:32:19","description": "宫颈多发囊肿是宫颈表面或内在的多发性小囊肿,为宫颈慢性炎症的表现。","data": {"WebPage": {"headline": "宫颈多发囊肿图片","pcUrl": "https://www.med-credit.org.cn/jingxuan/2/b4ccbc974d0d25349290a0289d64fe86.html","wapUrl": "https://www.med-credit.org.cn/jingxuan/2/b4ccbc974d0d25349290a0289d64fe86.html","mipUrl": "https://www.med-credit.org.cn/mobile/jingxuan/2/b4ccbc974d0d25349290a0289d64fe86.html","fromSrc": "欢乐橙","datePublished": "2023-03-29T10:32:19","domain": "医疗","category": ["医疗权威文章合作"],"description": "宫颈多发囊肿是宫颈表面或内在的多发性小囊肿,为宫颈慢性炎症的表现。
","extra_headline": [""]},"Author": {"name": "种轶文","wapUrl": "https://www.med-credit.org.cn/doctor/575","pcUrl": "https://www.med-credit.org.cn/doctor/575","jobTitle": "副主任医师","headPortrait": "https://www.med-credit.org.cn/uploadfile/member/575/180x180.jpeg","id": "575","description": "种轶文,北京大学第三医院妇产科副主任医师","memberOf": {"legalName": "北京大学第三医院","department": "妇产科","organizationLevel": "三级甲等"}},"Article": {"summaryContent": "宫颈多发囊肿是宫颈表面或内在的多发性小囊肿,为宫颈慢性炎症的表现。
宫颈多发囊肿是因宫颈慢性炎症阻塞宫颈腺管的开口,导致腺体分泌物潴留,进而形成宫颈囊肿。

宫颈多发囊肿为散在分布于宫颈表面或内部的黄白色小囊泡,大小不一,突出子宫颈的表面,可伴有糜烂。宫颈多发囊肿为宫颈的慢性炎症,可伴有白带增多、月经不调、盆腔炎等,长期炎症刺激还可使宫颈肥大。
宫颈多发囊肿主要因宫颈感染各种病原体后,发生炎症反应,而后炎症修复愈合过程中,新生的鳞状上皮过度增生将腺管口阻塞,腺体内分泌物无法排出,滞留形成囊性肿物。
宫颈多发囊肿一般不会恶变,若没有临床症状,可定期观察,无需治疗。但宫颈囊肿多合并其他类型炎症,可行液基薄层细胞检测以及人乳头瘤病毒(HPV)筛查,排除宫颈癌前病变或宫颈癌。如果出现性交后出血或白带过多等症状影响生活,应到正规医院妇产科进行诊治,通过激光、冷冻或微波等物理方式治疗后可治愈。
","articleBody": "宫颈多发囊肿是宫颈表面或内在的多发性小囊肿,为宫颈慢性炎症的表现。
宫颈多发囊肿是因宫颈慢性炎症阻塞宫颈腺管的开口,导致腺体分泌物潴留,进而形成宫颈囊肿。

宫颈多发囊肿为散在分布于宫颈表面或内部的黄白色小囊泡,大小不一,突出子宫颈的表面,可伴有糜烂。宫颈多发囊肿为宫颈的慢性炎症,可伴有白带增多、月经不调、盆腔炎等,长期炎症刺激还可使宫颈肥大。
宫颈多发囊肿主要因宫颈感染各种病原体后,发生炎症反应,而后炎症修复愈合过程中,新生的鳞状上皮过度增生将腺管口阻塞,腺体内分泌物无法排出,滞留形成囊性肿物。
宫颈多发囊肿一般不会恶变,若没有临床症状,可定期观察,无需治疗。但宫颈囊肿多合并其他类型炎症,可行液基薄层细胞检测以及人乳头瘤病毒(HPV)筛查,排除宫颈癌前病变或宫颈癌。如果出现性交后出血或白带过多等症状影响生活,应到正规医院妇产科进行诊治,通过激光、冷冻或微波等物理方式治疗后可治愈。
","scanCount": 56548}}} {"@context": "https://ziyuan.baidu.com/contexts/cambrian.jsonld","appid": "1650708455561748","icon": "https://www.med-credit.org.cn/style/images/ttlogo.png","content_tag": ["atlas"],"is_mcn": {"thumb_id": "v2rm41u3"},"accid": "4886d626a2804dee5f11168793ce361672f39c25","@id": "https://www.med-credit.org.cn/mobile/jingxuan/2/b984e2467f32cf1e81eb4c523bac01c1.html","bagWordId": "23_1526478093189910528","title": "孕妇大肚子图片","pubDate": "2023-03-29T10:32:19","upDate": "2023-03-29T10:32:19","lrDate": "2023-03-29T10:32:19","description": "女性妊娠期的肚子会随着胎儿的发育逐渐变大,子宫高和腹围开始增大,像充气的气球。","data": {"WebPage": {"headline": "孕妇大肚子图片","pcUrl": "https://www.med-credit.org.cn/jingxuan/2/b984e2467f32cf1e81eb4c523bac01c1.html","wapUrl": "https://www.med-credit.org.cn/jingxuan/2/b984e2467f32cf1e81eb4c523bac01c1.html","mipUrl": "https://www.med-credit.org.cn/mobile/jingxuan/2/b984e2467f32cf1e81eb4c523bac01c1.html","fromSrc": "欢乐橙","datePublished": "2023-03-29T10:32:19","domain": "医疗","category": ["医疗权威文章合作"],"description": "女性妊娠期的肚子会随着胎儿的发育逐渐变大,子宫高和腹围开始增大,像充气的气球。
","extra_headline": [""]},"Author": {"name": "种轶文","wapUrl": "https://www.med-credit.org.cn/doctor/575","pcUrl": "https://www.med-credit.org.cn/doctor/575","jobTitle": "副主任医师","headPortrait": "https://www.med-credit.org.cn/uploadfile/member/575/180x180.jpeg","id": "575","description": "种轶文,北京大学第三医院妇产科副主任医师","memberOf": {"legalName": "北京大学第三医院","department": "妇产科","organizationLevel": "三级甲等"}},"Article": {"summaryContent": "女性妊娠期的肚子会随着胎儿的发育逐渐变大,子宫高和腹围开始增大,像充气的气球。
每个人的体质都是不同的,孕妇肚子变大的程度和速度也不尽相同,还会出现不同程度的妊娠反应。
女性怀孕的时候,子宫为适应胎儿的变大也会逐渐增大,通常表现为子宫底升高,孕妇的腹围也会增加,可以用来作为衡量孕妇肚子大小的一个标准,还可以由此判断妊娠期和胎儿的发育生长情况。

不同的孕妇对妊娠的身体反应也是不太相同的,由于体质原因,肚子变大的时间也不太相同,大部分孕妇会在怀孕3个月后开始显怀,但也有些孕妇怀孕4、5个月孕肚也不是很明显,只要定期检查没有问题就是正常的。妊娠初期还会有一些妊娠反应,如头晕、乏力、嗜睡等情况,一般会在妊娠3个月左右自行消失。
孕妇养成良好的生活规律,晚上不要熬夜,早点睡觉,睡觉前不要进行激烈的活动和情绪紧张,以免延长入睡时间。还可以按摩、泡脚缓解疲劳,听音乐改善心情。
","articleBody": "女性妊娠期的肚子会随着胎儿的发育逐渐变大,子宫高和腹围开始增大,像充气的气球。
每个人的体质都是不同的,孕妇肚子变大的程度和速度也不尽相同,还会出现不同程度的妊娠反应。
女性怀孕的时候,子宫为适应胎儿的变大也会逐渐增大,通常表现为子宫底升高,孕妇的腹围也会增加,可以用来作为衡量孕妇肚子大小的一个标准,还可以由此判断妊娠期和胎儿的发育生长情况。

不同的孕妇对妊娠的身体反应也是不太相同的,由于体质原因,肚子变大的时间也不太相同,大部分孕妇会在怀孕3个月后开始显怀,但也有些孕妇怀孕4、5个月孕肚也不是很明显,只要定期检查没有问题就是正常的。妊娠初期还会有一些妊娠反应,如头晕、乏力、嗜睡等情况,一般会在妊娠3个月左右自行消失。
孕妇养成良好的生活规律,晚上不要熬夜,早点睡觉,睡觉前不要进行激烈的活动和情绪紧张,以免延长入睡时间。还可以按摩、泡脚缓解疲劳,听音乐改善心情。
","scanCount": 56547}}} {"@context": "https://ziyuan.baidu.com/contexts/cambrian.jsonld","appid": "1650708455561748","icon": "https://www.med-credit.org.cn/style/images/ttlogo.png","content_tag": ["atlas"],"is_mcn": {"thumb_id": "v2rm41u3"},"accid": "4886d626a2804dee5f11168793ce361672f39c25","@id": "https://www.med-credit.org.cn/mobile/jingxuan/2/2d2f104d5c53691efdb64d63c21fc124.html","bagWordId": "23_1526478084860022784","title": "剖腹产刀口脂肪液化图","pubDate": "2023-03-29T10:32:19","upDate": "2023-03-29T10:32:19","lrDate": "2023-03-29T10:32:19","description": "剖腹产伤口脂肪液化,主要表现为伤口部位出现残液。","data": {"WebPage": {"headline": "剖腹产刀口脂肪液化图","pcUrl": "https://www.med-credit.org.cn/jingxuan/2/2d2f104d5c53691efdb64d63c21fc124.html","wapUrl": "https://www.med-credit.org.cn/jingxuan/2/2d2f104d5c53691efdb64d63c21fc124.html","mipUrl": "https://www.med-credit.org.cn/mobile/jingxuan/2/2d2f104d5c53691efdb64d63c21fc124.html","fromSrc": "欢乐橙","datePublished": "2023-03-29T10:32:19","domain": "医疗","category": ["医疗权威文章合作"],"description": "剖腹产伤口脂肪液化,主要表现为伤口部位出现残液。
","extra_headline": [""]},"Author": {"name": "种轶文","wapUrl": "https://www.med-credit.org.cn/doctor/575","pcUrl": "https://www.med-credit.org.cn/doctor/575","jobTitle": "副主任医师","headPortrait": "https://www.med-credit.org.cn/uploadfile/member/575/180x180.jpeg","id": "575","description": "种轶文,北京大学第三医院妇产科副主任医师","memberOf": {"legalName": "北京大学第三医院","department": "妇产科","organizationLevel": "三级甲等"}},"Article": {"summaryContent": "剖腹产伤口脂肪液化,主要表现为伤口部位出现残液。
剖腹产刀口脂肪发生液化,与患者的体型,术中使用的高频电刀,术后伤口感染有极大的关系。
脂肪液化是指在手术以后,伤口部位的脂肪由于坏死,氧化分解等原因由固态变为液态的过程,多发生在术后3-9天左右。脂肪液化会影响到剖腹产伤口的愈合。

剖腹产伤口脂肪发生液化的原因主要有三个,其一是因为患者自身腹部脂肪较多,导致伤口恢复缓慢,出现脂肪液化;其二,术中使用高频电刀切开皮肤以及组织,导致伤口部位的毛细血管中血液循环不通畅;其三,术后伤口感染,伤口部位皮肤坏死,出现脂肪液化,如果发现伤口部位渗液较多,应早期引流,应用抗生素。
1.出现脂肪液化的患者应及时就医,根据症状进行相应处理。
2.饮食方面以清淡易消化为主,忌食辛辣刺激食物。
3.适当进行锻炼,促进血液循环,加速伤口愈合。
","articleBody": "剖腹产伤口脂肪液化,主要表现为伤口部位出现残液。
剖腹产刀口脂肪发生液化,与患者的体型,术中使用的高频电刀,术后伤口感染有极大的关系。
脂肪液化是指在手术以后,伤口部位的脂肪由于坏死,氧化分解等原因由固态变为液态的过程,多发生在术后3-9天左右。脂肪液化会影响到剖腹产伤口的愈合。

剖腹产伤口脂肪发生液化的原因主要有三个,其一是因为患者自身腹部脂肪较多,导致伤口恢复缓慢,出现脂肪液化;其二,术中使用高频电刀切开皮肤以及组织,导致伤口部位的毛细血管中血液循环不通畅;其三,术后伤口感染,伤口部位皮肤坏死,出现脂肪液化,如果发现伤口部位渗液较多,应早期引流,应用抗生素。
1.出现脂肪液化的患者应及时就医,根据症状进行相应处理。
2.饮食方面以清淡易消化为主,忌食辛辣刺激食物。
3.适当进行锻炼,促进血液循环,加速伤口愈合。
","scanCount": 56546}}} {"@context": "https://ziyuan.baidu.com/contexts/cambrian.jsonld","appid": "1650708455561748","icon": "https://www.med-credit.org.cn/style/images/ttlogo.png","content_tag": ["atlas"],"is_mcn": {"thumb_id": "v2rm41u3"},"accid": "4886d626a2804dee5f11168793ce361672f39c25","@id": "https://www.med-credit.org.cn/mobile/jingxuan/2/16b5360eeb5fa59dec685603a0bd73bf.html","bagWordId": "23_1526478092535599104","title": "孕晚期快生了分泌物图片","pubDate": "2023-03-29T10:32:19","upDate": "2023-03-29T10:32:19","lrDate": "2023-03-29T10:32:19","description": "孕晚期快生了的分泌物可表现为白色或乳白色,絮状,高度黏稠,无腥臭味,也没有其它不适,是一种正常的妊娠生理变化,一般无需特殊处理。","data": {"WebPage": {"headline": "孕晚期快生了分泌物图片","pcUrl": "https://www.med-credit.org.cn/jingxuan/2/16b5360eeb5fa59dec685603a0bd73bf.html","wapUrl": "https://www.med-credit.org.cn/jingxuan/2/16b5360eeb5fa59dec685603a0bd73bf.html","mipUrl": "https://www.med-credit.org.cn/mobile/jingxuan/2/16b5360eeb5fa59dec685603a0bd73bf.html","fromSrc": "欢乐橙","datePublished": "2023-03-29T10:32:19","domain": "医疗","category": ["医疗权威文章合作"],"description": "孕晚期快生了的分泌物可表现为白色或乳白色,絮状,高度黏稠,无腥臭味,也没有其它不适,是一种正常的妊娠生理变化,一般无需特殊处理。
","extra_headline": [""]},"Author": {"name": "种轶文","wapUrl": "https://www.med-credit.org.cn/doctor/575","pcUrl": "https://www.med-credit.org.cn/doctor/575","jobTitle": "副主任医师","headPortrait": "https://www.med-credit.org.cn/uploadfile/member/575/180x180.jpeg","id": "575","description": "种轶文,北京大学第三医院妇产科副主任医师","memberOf": {"legalName": "北京大学第三医院","department": "妇产科","organizationLevel": "三级甲等"}},"Article": {"summaryContent": "孕晚期快生了的分泌物可表现为白色或乳白色,絮状,高度黏稠,无腥臭味,也没有其它不适,是一种正常的妊娠生理变化,一般无需特殊处理。
孕晚期分泌物大多数是正常的,出现异常的分泌物要及时去医院处理。

在孕晚期,由于受到激素水平的影响,导致宫颈管分泌较多的黏液,而这些黏液起到软化宫颈、润滑阴道的作用,所以会有白色、絮状,黏稠物出现,有助于分娩。
1、分泌物多呈黄色或绿色的豆腐渣样,也可能分泌物为白色黏稠状,但有时候会伴有异味、外阴瘙痒等症状,属于阴道炎的一种表现。
2、在孕晚期时出现白色黏稠物,如果是在站立行走时出现的比较多,需考虑胎膜早破的可能性。
1、先兆临产:由于临产前部分蜕膜会与子宫壁分离,导致细小血管发生破裂、出血,血在阴道存留时间长,从而出现褐色分泌物,此时应检查胎儿的胎动和胎心变化。
2、宫颈柱状上皮异位:雌激素水平高会导致柱状上皮向外扩展,孕妇的宫颈一般会呈现表面为颗粒状,触碰可能有阴道出血,无需治疗,不会影响分娩。
","articleBody": "孕晚期快生了的分泌物可表现为白色或乳白色,絮状,高度黏稠,无腥臭味,也没有其它不适,是一种正常的妊娠生理变化,一般无需特殊处理。
孕晚期分泌物大多数是正常的,出现异常的分泌物要及时去医院处理。

在孕晚期,由于受到激素水平的影响,导致宫颈管分泌较多的黏液,而这些黏液起到软化宫颈、润滑阴道的作用,所以会有白色、絮状,黏稠物出现,有助于分娩。
1、分泌物多呈黄色或绿色的豆腐渣样,也可能分泌物为白色黏稠状,但有时候会伴有异味、外阴瘙痒等症状,属于阴道炎的一种表现。
2、在孕晚期时出现白色黏稠物,如果是在站立行走时出现的比较多,需考虑胎膜早破的可能性。
1、先兆临产:由于临产前部分蜕膜会与子宫壁分离,导致细小血管发生破裂、出血,血在阴道存留时间长,从而出现褐色分泌物,此时应检查胎儿的胎动和胎心变化。
2、宫颈柱状上皮异位:雌激素水平高会导致柱状上皮向外扩展,孕妇的宫颈一般会呈现表面为颗粒状,触碰可能有阴道出血,无需治疗,不会影响分娩。
","scanCount": 56545}}} {"@context": "https://ziyuan.baidu.com/contexts/cambrian.jsonld","appid": "1650708455561748","icon": "https://www.med-credit.org.cn/style/images/ttlogo.png","content_tag": ["atlas"],"is_mcn": {"thumb_id": "v2rm41u3"},"accid": "4886d626a2804dee5f11168793ce361672f39c25","@id": "https://www.med-credit.org.cn/mobile/jingxuan/2/caf9f6859a717f5b53217ee0e7987681.html","bagWordId": "23_1526478019756036096","title": "多囊卵巢b超图","pubDate": "2023-03-29T10:32:19","upDate": "2023-03-29T10:32:19","lrDate": "2023-03-29T10:32:19","description": "多囊卵巢的B超可表现为卵巢增大,包膜增厚,一侧或双侧的卵巢内可以看到大于12个,但直径小于10毫米的卵泡,回声增强。","data": {"WebPage": {"headline": "多囊卵巢b超图","pcUrl": "https://www.med-credit.org.cn/jingxuan/2/caf9f6859a717f5b53217ee0e7987681.html","wapUrl": "https://www.med-credit.org.cn/jingxuan/2/caf9f6859a717f5b53217ee0e7987681.html","mipUrl": "https://www.med-credit.org.cn/mobile/jingxuan/2/caf9f6859a717f5b53217ee0e7987681.html","fromSrc": "欢乐橙","datePublished": "2023-03-29T10:32:19","domain": "医疗","category": ["医疗权威文章合作"],"description": "多囊卵巢的B超可表现为卵巢增大,包膜增厚,一侧或双侧的卵巢内可以看到大于12个,但直径小于10毫米的卵泡,回声增强。
","extra_headline": [""]},"Author": {"name": "种轶文","wapUrl": "https://www.med-credit.org.cn/doctor/575","pcUrl": "https://www.med-credit.org.cn/doctor/575","jobTitle": "副主任医师","headPortrait": "https://www.med-credit.org.cn/uploadfile/member/575/180x180.jpeg","id": "575","description": "种轶文,北京大学第三医院妇产科副主任医师","memberOf": {"legalName": "北京大学第三医院","department": "妇产科","organizationLevel": "三级甲等"}},"Article": {"summaryContent": "多囊卵巢的B超可表现为卵巢增大,包膜增厚,一侧或双侧的卵巢内可以看到大于12个,但直径小于10毫米的卵泡,回声增强。
多囊卵巢在临床上一般表现为多囊卵巢综合征。

患者一般可出现月经不调,主要表现为月经稀少,闭经等,部分患者还可出现不孕表现,同时,还可出现多毛,肥胖、痤疮、脱发等症状。
多囊卵巢综合征可能与遗传、内分泌等有关。多囊卵巢综合征存在一定的家族聚集性,可能与遗传有关;研究还发现多囊卵巢综合征与雄激素分泌过多有关。还发现肥胖、糖尿病、高血压等患者更容易出现多囊卵巢综合征。
1、患者日常要注意减肥,还要注意改善不良的生活习惯,建议清淡饮食,少吃油腻、辛辣的食物,还要注意戒烟限酒等。
2、药物治疗上,患者可以在医生指导下服用孕激素进行治疗,常用药物有地屈孕酮、黄体酮等;还可以口服避孕药,如炔雌醇环丙孕酮、屈螺酮炔雌醇。
","articleBody": "多囊卵巢的B超可表现为卵巢增大,包膜增厚,一侧或双侧的卵巢内可以看到大于12个,但直径小于10毫米的卵泡,回声增强。
多囊卵巢在临床上一般表现为多囊卵巢综合征。

患者一般可出现月经不调,主要表现为月经稀少,闭经等,部分患者还可出现不孕表现,同时,还可出现多毛,肥胖、痤疮、脱发等症状。
多囊卵巢综合征可能与遗传、内分泌等有关。多囊卵巢综合征存在一定的家族聚集性,可能与遗传有关;研究还发现多囊卵巢综合征与雄激素分泌过多有关。还发现肥胖、糖尿病、高血压等患者更容易出现多囊卵巢综合征。
1、患者日常要注意减肥,还要注意改善不良的生活习惯,建议清淡饮食,少吃油腻、辛辣的食物,还要注意戒烟限酒等。
2、药物治疗上,患者可以在医生指导下服用孕激素进行治疗,常用药物有地屈孕酮、黄体酮等;还可以口服避孕药,如炔雌醇环丙孕酮、屈螺酮炔雌醇。
","scanCount": 56544}}} {"@context": "https://ziyuan.baidu.com/contexts/cambrian.jsonld","appid": "1650708455561748","icon": "https://www.med-credit.org.cn/style/images/ttlogo.png","content_tag": ["atlas"],"is_mcn": {"thumb_id": "v2rm41u3"},"accid": "4886d626a2804dee5f11168793ce361672f39c25","@id": "https://www.med-credit.org.cn/mobile/jingxuan/2/46438379468f49b47a32e304004952d5.html","bagWordId": "23_1526478014613819392","title": "怀孕试纸图","pubDate": "2023-03-29T10:32:19","upDate": "2023-03-29T10:32:19","lrDate": "2023-03-29T10:32:19","description": "怀孕试纸,即早早孕试纸,是通过检测尿液中的人体绒毛膜促性腺激素(HCG)浓度,来确定女性是否受孕。","data": {"WebPage": {"headline": "怀孕试纸图","pcUrl": "https://www.med-credit.org.cn/jingxuan/2/46438379468f49b47a32e304004952d5.html","wapUrl": "https://www.med-credit.org.cn/jingxuan/2/46438379468f49b47a32e304004952d5.html","mipUrl": "https://www.med-credit.org.cn/mobile/jingxuan/2/46438379468f49b47a32e304004952d5.html","fromSrc": "欢乐橙","datePublished": "2023-03-29T10:32:19","domain": "医疗","category": ["医疗权威文章合作"],"description": "怀孕试纸,即早早孕试纸,是通过检测尿液中的人体绒毛膜促性腺激素(HCG)浓度,来确定女性是否受孕。
","extra_headline": [""]},"Author": {"name": "种轶文","wapUrl": "https://www.med-credit.org.cn/doctor/575","pcUrl": "https://www.med-credit.org.cn/doctor/575","jobTitle": "副主任医师","headPortrait": "https://www.med-credit.org.cn/uploadfile/member/575/180x180.jpeg","id": "575","description": "种轶文,北京大学第三医院妇产科副主任医师","memberOf": {"legalName": "北京大学第三医院","department": "妇产科","organizationLevel": "三级甲等"}},"Article": {"summaryContent": "怀孕试纸,即早早孕试纸,是通过检测尿液中的人体绒毛膜促性腺激素(HCG)浓度,来确定女性是否受孕。
用早早孕试纸测早孕时最好是用晨尿进行测试,比较能准确测出结果。

早早孕试纸两条红杠说明是阳性,即怀孕,一条杠则说明是阴性表示未怀孕,一深一浅则说明是弱阳性,怀孕的概率是百分之五十,有可能是刚刚怀上,体内的类绒毛膜促性腺激素水平还处于比较低的范围,这个时候如果检测的尿液浓度比较低,可能就检测结果不太明显。也可能是子宫疾病或卵巢疾病导致体内的激素水平不稳定。
测早孕的时候最好是用晨尿检测,晨尿的浓度比较高,同时前一天晚上不要喝太多水,避免尿液被稀释。怀孕二条杠一深一浅可以过两天后再检测一次。
如果再次检测,试纸的指示还是一深一浅,建议去医院进行检查,看看是否是身体疾病导致激素水平不定。
","articleBody": "怀孕试纸,即早早孕试纸,是通过检测尿液中的人体绒毛膜促性腺激素(HCG)浓度,来确定女性是否受孕。
用早早孕试纸测早孕时最好是用晨尿进行测试,比较能准确测出结果。

早早孕试纸两条红杠说明是阳性,即怀孕,一条杠则说明是阴性表示未怀孕,一深一浅则说明是弱阳性,怀孕的概率是百分之五十,有可能是刚刚怀上,体内的类绒毛膜促性腺激素水平还处于比较低的范围,这个时候如果检测的尿液浓度比较低,可能就检测结果不太明显。也可能是子宫疾病或卵巢疾病导致体内的激素水平不稳定。
测早孕的时候最好是用晨尿检测,晨尿的浓度比较高,同时前一天晚上不要喝太多水,避免尿液被稀释。怀孕二条杠一深一浅可以过两天后再检测一次。
如果再次检测,试纸的指示还是一深一浅,建议去医院进行检查,看看是否是身体疾病导致激素水平不定。
","scanCount": 56543}}} {"@context": "https://ziyuan.baidu.com/contexts/cambrian.jsonld","appid": "1650708455561748","icon": "https://www.med-credit.org.cn/style/images/ttlogo.png","content_tag": ["atlas"],"is_mcn": {"thumb_id": "v2rm41u3"},"accid": "4886d626a2804dee5f11168793ce361672f39c25","@id": "https://www.med-credit.org.cn/mobile/jingxuan/2/a69c71b535178144f83c8a411667a38e.html","bagWordId": "23_1526478024575291392","title": "y型节育环图片","pubDate": "2023-03-29T10:32:19","upDate": "2023-03-29T10:32:19","lrDate": "2023-03-29T10:32:19","description": "Y型节育环是一种金属节育环,通过环的两臂将输卵管的开口堵住进而达到避孕的作用。","data": {"WebPage": {"headline": "y型节育环图片","pcUrl": "https://www.med-credit.org.cn/jingxuan/2/a69c71b535178144f83c8a411667a38e.html","wapUrl": "https://www.med-credit.org.cn/jingxuan/2/a69c71b535178144f83c8a411667a38e.html","mipUrl": "https://www.med-credit.org.cn/mobile/jingxuan/2/a69c71b535178144f83c8a411667a38e.html","fromSrc": "欢乐橙","datePublished": "2023-03-29T10:32:19","domain": "医疗","category": ["医疗权威文章合作"],"description": "Y型节育环是一种金属节育环,通过环的两臂将输卵管的开口堵住进而达到避孕的作用。
","extra_headline": [""]},"Author": {"name": "种轶文","wapUrl": "https://www.med-credit.org.cn/doctor/575","pcUrl": "https://www.med-credit.org.cn/doctor/575","jobTitle": "副主任医师","headPortrait": "https://www.med-credit.org.cn/uploadfile/member/575/180x180.jpeg","id": "575","description": "种轶文,北京大学第三医院妇产科副主任医师","memberOf": {"legalName": "北京大学第三医院","department": "妇产科","organizationLevel": "三级甲等"}},"Article": {"summaryContent": "Y型节育环是一种金属节育环,通过环的两臂将输卵管的开口堵住进而达到避孕的作用。
Y型节育环从形态上来说是最符合宫腔形态的一种节育环。
1、Y型节育环一般使用记忆合金支架,此种材质不易变形,因此使用年限较长,此外,此种节育环还带有硅胶无尾丝,可以有效的预防逆向感染,从而降低妇科炎症的发生率。

Y型节育环还含有一种药物消炎痛,可以减少阴道出血的概率。
2、Y型节育环的缺点是其臂很容易嵌到肌层,不易取环。另外,此种节育环主轴的小圈比较小,进一步加大了取环的难度,很容易造成取环不成功。
节育环是目前一种有效的避孕措施,有避孕需求的可前往医院进行相关咨询,在月经结束后3~7天即可安装。另外,建议安装了节育环的女性定期到医院进行检查,若出现节育环移位等问题需要及时处理。
","articleBody": "Y型节育环是一种金属节育环,通过环的两臂将输卵管的开口堵住进而达到避孕的作用。
Y型节育环从形态上来说是最符合宫腔形态的一种节育环。
1、Y型节育环一般使用记忆合金支架,此种材质不易变形,因此使用年限较长,此外,此种节育环还带有硅胶无尾丝,可以有效的预防逆向感染,从而降低妇科炎症的发生率。

Y型节育环还含有一种药物消炎痛,可以减少阴道出血的概率。
2、Y型节育环的缺点是其臂很容易嵌到肌层,不易取环。另外,此种节育环主轴的小圈比较小,进一步加大了取环的难度,很容易造成取环不成功。
节育环是目前一种有效的避孕措施,有避孕需求的可前往医院进行相关咨询,在月经结束后3~7天即可安装。另外,建议安装了节育环的女性定期到医院进行检查,若出现节育环移位等问题需要及时处理。
","scanCount": 56542}}} {"@context": "https://ziyuan.baidu.com/contexts/cambrian.jsonld","appid": "1650708455561748","icon": "https://www.med-credit.org.cn/style/images/ttlogo.png","content_tag": ["atlas"],"is_mcn": {"thumb_id": "v2rm41u3"},"accid": "4886d626a2804dee5f11168793ce361672f39c25","@id": "https://www.med-credit.org.cn/mobile/jingxuan/2/e1fce3826106e7087f021cef77c722f3.html","bagWordId": "23_1526478032481554432","title": "乳酪样白带分泌物图片","pubDate": "2023-03-29T10:32:19","upDate": "2023-03-29T10:32:19","lrDate": "2023-03-29T10:32:19","description": "若有些女性的白带一直呈乳酪样白带且无腥臭味则为正常现象,若由无色、透明液体变成乳酪样白带则提示有炎症存在。","data": {"WebPage": {"headline": "乳酪样白带分泌物图片","pcUrl": "https://www.med-credit.org.cn/jingxuan/2/e1fce3826106e7087f021cef77c722f3.html","wapUrl": "https://www.med-credit.org.cn/jingxuan/2/e1fce3826106e7087f021cef77c722f3.html","mipUrl": "https://www.med-credit.org.cn/mobile/jingxuan/2/e1fce3826106e7087f021cef77c722f3.html","fromSrc": "欢乐橙","datePublished": "2023-03-29T10:32:19","domain": "医疗","category": ["医疗权威文章合作"],"description": "若有些女性的白带一直呈乳酪样白带且无腥臭味则为正常现象,若由无色、透明液体变成乳酪样白带则提示有炎症存在。
","extra_headline": [""]},"Author": {"name": "种轶文","wapUrl": "https://www.med-credit.org.cn/doctor/575","pcUrl": "https://www.med-credit.org.cn/doctor/575","jobTitle": "副主任医师","headPortrait": "https://www.med-credit.org.cn/uploadfile/member/575/180x180.jpeg","id": "575","description": "种轶文,北京大学第三医院妇产科副主任医师","memberOf": {"legalName": "北京大学第三医院","department": "妇产科","organizationLevel": "三级甲等"}},"Article": {"summaryContent": "若有些女性的白带一直呈乳酪样白带且无腥臭味则为正常现象,若由无色、透明液体变成乳酪样白带则提示有炎症存在。
产生乳酪样白带的原因有很多,比如内分泌失调、支原体感染等。
1、大部分女性的白带正常情况下呈现出无色、透明的液体,若突然变成浓稠的奶酪状,并有腥臭味,则很可能有细菌的感染,此时通常还会伴有外阴部的瘙痒。

常见感染阴道的细菌为白色念珠菌,此时可以用5%的碳酸氢钠清洗阴道。
2、除细菌感染外,当女性患者近期饮食不规律,或处于月经期前后,也可能导致机体的内分泌失调,进而出现白带异常,此时可以先通过改善饮食和睡眠状况来进行初步调理。
女性患者若发现有阴道细菌感染的症状,建议及时前往医院进行相关检查,比如妇科内检和白带化验等,进而明确诊断和治疗。
","articleBody": "若有些女性的白带一直呈乳酪样白带且无腥臭味则为正常现象,若由无色、透明液体变成乳酪样白带则提示有炎症存在。
产生乳酪样白带的原因有很多,比如内分泌失调、支原体感染等。
1、大部分女性的白带正常情况下呈现出无色、透明的液体,若突然变成浓稠的奶酪状,并有腥臭味,则很可能有细菌的感染,此时通常还会伴有外阴部的瘙痒。

常见感染阴道的细菌为白色念珠菌,此时可以用5%的碳酸氢钠清洗阴道。
2、除细菌感染外,当女性患者近期饮食不规律,或处于月经期前后,也可能导致机体的内分泌失调,进而出现白带异常,此时可以先通过改善饮食和睡眠状况来进行初步调理。
女性患者若发现有阴道细菌感染的症状,建议及时前往医院进行相关检查,比如妇科内检和白带化验等,进而明确诊断和治疗。
","scanCount": 56541}}} {"@context": "https://ziyuan.baidu.com/contexts/cambrian.jsonld","appid": "1650708455561748","icon": "https://www.med-credit.org.cn/style/images/ttlogo.png","content_tag": ["atlas"],"is_mcn": {"thumb_id": "v2rm41u3"},"accid": "4886d626a2804dee5f11168793ce361672f39c25","@id": "https://www.med-credit.org.cn/mobile/jingxuan/2/d09c9382fc4b35b85cdb8b2f55ccac22.html","bagWordId": "23_1526478022054514688","title": "下体有褐色的东西又不像月经图片","pubDate": "2023-03-29T10:32:19","upDate": "2023-03-29T10:32:19","lrDate": "2023-03-29T10:32:19","description": "下体有褐色液体流出,下体一般指阴道,通常是指分泌物呈现褐色或者咖啡色。","data": {"WebPage": {"headline": "下体有褐色的东西又不像月经图片","pcUrl": "https://www.med-credit.org.cn/jingxuan/2/d09c9382fc4b35b85cdb8b2f55ccac22.html","wapUrl": "https://www.med-credit.org.cn/jingxuan/2/d09c9382fc4b35b85cdb8b2f55ccac22.html","mipUrl": "https://www.med-credit.org.cn/mobile/jingxuan/2/d09c9382fc4b35b85cdb8b2f55ccac22.html","fromSrc": "欢乐橙","datePublished": "2023-03-29T10:32:19","domain": "医疗","category": ["医疗权威文章合作"],"description": "下体有褐色液体流出,下体一般指阴道,通常是指分泌物呈现褐色或者咖啡色。
","extra_headline": [""]},"Author": {"name": "种轶文","wapUrl": "https://www.med-credit.org.cn/doctor/575","pcUrl": "https://www.med-credit.org.cn/doctor/575","jobTitle": "副主任医师","headPortrait": "https://www.med-credit.org.cn/uploadfile/member/575/180x180.jpeg","id": "575","description": "种轶文,北京大学第三医院妇产科副主任医师","memberOf": {"legalName": "北京大学第三医院","department": "妇产科","organizationLevel": "三级甲等"}},"Article": {"summaryContent": "下体有褐色液体流出,下体一般指阴道,通常是指分泌物呈现褐色或者咖啡色。
下体有褐色液体流出又不像月经,属于非经期出血,与生理性因素和病理性因素有关。
阴道有褐色液体流出又不像月经,是指在非经期出现出血或者是白带异常,经血混有白带就会出现分泌物褐色的情况。

生理性原因包括排卵期出血或者是放置宫内节育器的副作用。病理性原因包括激素水平下降如黄体功能不全或者是甲状腺功能低下,宫腔有创操作如人工流产术和刮宫术后,都会导致阴道有褐色液体流出又不像月经。
1.日常生活中出现此种状况应保持良好的心态,保证规律的作息,养成良好的卫生生活习惯。
2.如伴有其它症状,建议前往医院就诊,在医生的指导下进行规范化治疗。
3.阴道分泌物为褐色,建议在日常生活中适当的运动,增强体魄。
","articleBody": "下体有褐色液体流出,下体一般指阴道,通常是指分泌物呈现褐色或者咖啡色。
下体有褐色液体流出又不像月经,属于非经期出血,与生理性因素和病理性因素有关。
阴道有褐色液体流出又不像月经,是指在非经期出现出血或者是白带异常,经血混有白带就会出现分泌物褐色的情况。

生理性原因包括排卵期出血或者是放置宫内节育器的副作用。病理性原因包括激素水平下降如黄体功能不全或者是甲状腺功能低下,宫腔有创操作如人工流产术和刮宫术后,都会导致阴道有褐色液体流出又不像月经。
1.日常生活中出现此种状况应保持良好的心态,保证规律的作息,养成良好的卫生生活习惯。
2.如伴有其它症状,建议前往医院就诊,在医生的指导下进行规范化治疗。
3.阴道分泌物为褐色,建议在日常生活中适当的运动,增强体魄。
","scanCount": 56540}}} {"@context": "https://ziyuan.baidu.com/contexts/cambrian.jsonld","appid": "1650708455561748","icon": "https://www.med-credit.org.cn/style/images/ttlogo.png","content_tag": ["atlas"],"is_mcn": {"thumb_id": "v2rm41u3"},"accid": "4886d626a2804dee5f11168793ce361672f39c25","@id": "https://www.med-credit.org.cn/mobile/jingxuan/2/8586dffdd5c1f93c391fc4182428affc.html","bagWordId": "23_1526478093940690944","title": "正常怀孕5个月肚子图片","pubDate": "2023-03-29T10:32:19","upDate": "2023-03-29T10:32:19","lrDate": "2023-03-29T10:32:19","description": "孕5个月时女性的肚子有比较明显的变化了,腹围大约78-85厘米。","data": {"WebPage": {"headline": "正常怀孕5个月肚子图片","pcUrl": "https://www.med-credit.org.cn/jingxuan/2/8586dffdd5c1f93c391fc4182428affc.html","wapUrl": "https://www.med-credit.org.cn/jingxuan/2/8586dffdd5c1f93c391fc4182428affc.html","mipUrl": "https://www.med-credit.org.cn/mobile/jingxuan/2/8586dffdd5c1f93c391fc4182428affc.html","fromSrc": "欢乐橙","datePublished": "2023-03-29T10:32:19","domain": "医疗","category": ["医疗权威文章合作"],"description": "孕5个月时女性的肚子有比较明显的变化了,腹围大约78-85厘米。
","extra_headline": [""]},"Author": {"name": "种轶文","wapUrl": "https://www.med-credit.org.cn/doctor/575","pcUrl": "https://www.med-credit.org.cn/doctor/575","jobTitle": "副主任医师","headPortrait": "https://www.med-credit.org.cn/uploadfile/member/575/180x180.jpeg","id": "575","description": "种轶文,北京大学第三医院妇产科副主任医师","memberOf": {"legalName": "北京大学第三医院","department": "妇产科","organizationLevel": "三级甲等"}},"Article": {"summaryContent": "孕5个月时女性的肚子有比较明显的变化了,腹围大约78-85厘米。
每个人的体质都是不同的,孕妇肚子变大的程度和速度也不尽相同,还会出现不同程度的妊娠反应。
女性怀孕5个月的时候,子宫为适应胎儿的变大也会逐渐增大,表现为子宫底升高,大约为15-21厘米,腹围也会增加,可以达到78-85厘米,肉眼看比较明显,随着胎儿的生长发育,子宫还会继续变大上升,可以由此判断妊娠期和胎儿的发育生长情况。

不同的孕妇对妊娠的身体反应也是不太相同的,由于体质原因,肚子变大的时间也不太相同,大部分孕妇会在怀孕3个月后开始显怀,但也有些孕妇怀孕4、5个月孕肚也不是很明显,只要定期检查没有问题就是正常的。
孕妇养成良好的生活规律,晚上不要熬夜,早点睡觉,睡觉前不要进行激烈的活动和情绪紧张,以免延长入睡时间。还可以按摩、泡脚缓解疲劳,听音乐改善心情。
","articleBody": "孕5个月时女性的肚子有比较明显的变化了,腹围大约78-85厘米。
每个人的体质都是不同的,孕妇肚子变大的程度和速度也不尽相同,还会出现不同程度的妊娠反应。
女性怀孕5个月的时候,子宫为适应胎儿的变大也会逐渐增大,表现为子宫底升高,大约为15-21厘米,腹围也会增加,可以达到78-85厘米,肉眼看比较明显,随着胎儿的生长发育,子宫还会继续变大上升,可以由此判断妊娠期和胎儿的发育生长情况。

不同的孕妇对妊娠的身体反应也是不太相同的,由于体质原因,肚子变大的时间也不太相同,大部分孕妇会在怀孕3个月后开始显怀,但也有些孕妇怀孕4、5个月孕肚也不是很明显,只要定期检查没有问题就是正常的。
孕妇养成良好的生活规律,晚上不要熬夜,早点睡觉,睡觉前不要进行激烈的活动和情绪紧张,以免延长入睡时间。还可以按摩、泡脚缓解疲劳,听音乐改善心情。
","scanCount": 56539}}} {"@context": "https://ziyuan.baidu.com/contexts/cambrian.jsonld","appid": "1650708455561748","icon": "https://www.med-credit.org.cn/style/images/ttlogo.png","content_tag": ["atlas"],"is_mcn": {"thumb_id": "v2rm41u3"},"accid": "4886d626a2804dee5f11168793ce361672f39c25","@id": "https://www.med-credit.org.cn/mobile/jingxuan/2/abd39f28000354f429b525723969a9d1.html","bagWordId": "23_1526478020016082944","title": "葡萄胎b超显示图","pubDate": "2023-03-29T10:32:19","upDate": "2023-03-29T10:32:19","lrDate": "2023-03-29T10:32:19","description": "1、葡萄胎在b超检查时会有两种情况形态发生,第一种为完全性葡萄胎,第二种是部分性葡萄胎。","data": {"WebPage": {"headline": "葡萄胎b超显示图","pcUrl": "https://www.med-credit.org.cn/jingxuan/2/abd39f28000354f429b525723969a9d1.html","wapUrl": "https://www.med-credit.org.cn/jingxuan/2/abd39f28000354f429b525723969a9d1.html","mipUrl": "https://www.med-credit.org.cn/mobile/jingxuan/2/abd39f28000354f429b525723969a9d1.html","fromSrc": "欢乐橙","datePublished": "2023-03-29T10:32:19","domain": "医疗","category": ["医疗权威文章合作"],"description": "1、葡萄胎在b超检查时会有两种情况形态发生,第一种为完全性葡萄胎,第二种是部分性葡萄胎。
","extra_headline": [""]},"Author": {"name": "种轶文","wapUrl": "https://www.med-credit.org.cn/doctor/575","pcUrl": "https://www.med-credit.org.cn/doctor/575","jobTitle": "副主任医师","headPortrait": "https://www.med-credit.org.cn/uploadfile/member/575/180x180.jpeg","id": "575","description": "种轶文,北京大学第三医院妇产科副主任医师","memberOf": {"legalName": "北京大学第三医院","department": "妇产科","organizationLevel": "三级甲等"}},"Article": {"summaryContent": "1、葡萄胎在b超检查时会有两种情况形态发生,第一种为完全性葡萄胎,第二种是部分性葡萄胎。
2、葡萄胎如果在b超下不明显需要结合促绒毛膜性腺激素的检查来进行确诊。

1、完全性葡萄糖在b超检查时会发现宫腔内呈蜂窝状,且充满密集型条状回声,还会有卵巢囊肿的情况发生,并且完全性葡萄胎不会有胎芽及胎心的搏动,这时就需要考虑为葡萄胎的可能性。
2、部分性葡萄胎会出现胎囊或者胎体回声,但是没有胎心,并且伴有一定的畸形,检测不到胎盘,并有强烈的血流回声。
3、葡萄胎如果通过b超查看不清晰的,需要同时结合促绒毛膜性腺激素的检查进行诊断,如果持续增高并且数值特别大则考虑为葡萄胎。
一但怀有葡萄胎会出现腹痛,阴道流血的情况发生,确诊后需要立即住院进行手术治疗,并且注意防止复发需要在手术后1~2年在进行备孕。
","articleBody": "1、葡萄胎在b超检查时会有两种情况形态发生,第一种为完全性葡萄胎,第二种是部分性葡萄胎。
2、葡萄胎如果在b超下不明显需要结合促绒毛膜性腺激素的检查来进行确诊。

1、完全性葡萄糖在b超检查时会发现宫腔内呈蜂窝状,且充满密集型条状回声,还会有卵巢囊肿的情况发生,并且完全性葡萄胎不会有胎芽及胎心的搏动,这时就需要考虑为葡萄胎的可能性。
2、部分性葡萄胎会出现胎囊或者胎体回声,但是没有胎心,并且伴有一定的畸形,检测不到胎盘,并有强烈的血流回声。
3、葡萄胎如果通过b超查看不清晰的,需要同时结合促绒毛膜性腺激素的检查进行诊断,如果持续增高并且数值特别大则考虑为葡萄胎。
一但怀有葡萄胎会出现腹痛,阴道流血的情况发生,确诊后需要立即住院进行手术治疗,并且注意防止复发需要在手术后1~2年在进行备孕。
","scanCount": 56538}}} {"@context": "https://ziyuan.baidu.com/contexts/cambrian.jsonld","appid": "1650708455561748","icon": "https://www.med-credit.org.cn/style/images/ttlogo.png","content_tag": ["atlas"],"is_mcn": {"thumb_id": "v2rm41u3"},"accid": "4886d626a2804dee5f11168793ce361672f39c25","@id": "https://www.med-credit.org.cn/mobile/jingxuan/2/f3f6472c528b6448068bb70fa55d7075.html","bagWordId": "23_1526478015851139072","title": "女性霉菌长什么样子","pubDate": "2023-03-29T10:32:19","upDate": "2023-03-29T10:32:19","lrDate": "2023-03-29T10:32:19","description": "霉菌的形态是白色、褐色、灰色,或鲜艳的颜色,引起女性相关疾病为霉菌性阴道炎。","data": {"WebPage": {"headline": "女性霉菌长什么样子","pcUrl": "https://www.med-credit.org.cn/jingxuan/2/f3f6472c528b6448068bb70fa55d7075.html","wapUrl": "https://www.med-credit.org.cn/jingxuan/2/f3f6472c528b6448068bb70fa55d7075.html","mipUrl": "https://www.med-credit.org.cn/mobile/jingxuan/2/f3f6472c528b6448068bb70fa55d7075.html","fromSrc": "欢乐橙","datePublished": "2023-03-29T10:32:19","domain": "医疗","category": ["医疗权威文章合作"],"description": "霉菌的形态是白色、褐色、灰色,或鲜艳的颜色,引起女性相关疾病为霉菌性阴道炎。
","extra_headline": [""]},"Author": {"name": "种轶文","wapUrl": "https://www.med-credit.org.cn/doctor/575","pcUrl": "https://www.med-credit.org.cn/doctor/575","jobTitle": "副主任医师","headPortrait": "https://www.med-credit.org.cn/uploadfile/member/575/180x180.jpeg","id": "575","description": "种轶文,北京大学第三医院妇产科副主任医师","memberOf": {"legalName": "北京大学第三医院","department": "妇产科","organizationLevel": "三级甲等"}},"Article": {"summaryContent": "霉菌的形态是白色、褐色、灰色,或鲜艳的颜色,引起女性相关疾病为霉菌性阴道炎。
霉菌性阴道炎主要临床表现是外阴瘙痒、灼痛、性交痛以及尿痛,部分病人阴道分泌物增多。

霉菌属于是真菌的一种,霉菌的颜色不止一种,通常是白色、褐色以及灰色等,并且是以菌落聚集,菌落是绒毛状、絮状以及蛛网状,形态偏大,表面干燥,非透明,表现或松或紧的形态;霉菌比较喜欢在温暖潮湿的环境生存,如:浴室、卫生间、水池等,所以应保持干燥的环境。
1、排尿疼痛。
2、阴道分泌物增多,其特有表现是——白色稠厚且豆腐渣样状。
3、外阴水肿,并且伴有皮肤抓挠痕迹,病情严重情况下,会出现表皮脱落。
1、长期使用抗生素等药物,导致外阴的环境有利于霉菌的繁殖。
2、妊娠时机体免疫力下降,适合霉菌的繁殖。
3、由于糖尿病病人免疫力下降。
4、长期大量使用免疫抑制剂,使机体抵抗力下降。
","articleBody": "霉菌的形态是白色、褐色、灰色,或鲜艳的颜色,引起女性相关疾病为霉菌性阴道炎。
霉菌性阴道炎主要临床表现是外阴瘙痒、灼痛、性交痛以及尿痛,部分病人阴道分泌物增多。

霉菌属于是真菌的一种,霉菌的颜色不止一种,通常是白色、褐色以及灰色等,并且是以菌落聚集,菌落是绒毛状、絮状以及蛛网状,形态偏大,表面干燥,非透明,表现或松或紧的形态;霉菌比较喜欢在温暖潮湿的环境生存,如:浴室、卫生间、水池等,所以应保持干燥的环境。
1、排尿疼痛。
2、阴道分泌物增多,其特有表现是——白色稠厚且豆腐渣样状。
3、外阴水肿,并且伴有皮肤抓挠痕迹,病情严重情况下,会出现表皮脱落。
1、长期使用抗生素等药物,导致外阴的环境有利于霉菌的繁殖。
2、妊娠时机体免疫力下降,适合霉菌的繁殖。
3、由于糖尿病病人免疫力下降。
4、长期大量使用免疫抑制剂,使机体抵抗力下降。
","scanCount": 56537}}} {"@context": "https://ziyuan.baidu.com/contexts/cambrian.jsonld","appid": "1650708455561748","icon": "https://www.med-credit.org.cn/style/images/ttlogo.png","content_tag": ["atlas"],"is_mcn": {"thumb_id": "v2rm41u3"},"accid": "4886d626a2804dee5f11168793ce361672f39c25","@id": "https://www.med-credit.org.cn/mobile/jingxuan/2/fb90f7fe93d6d99daebaaac80b51f5bf.html","bagWordId": "23_1526478085547888640","title": "怀孕38天孕囊大小图片","pubDate": "2023-03-29T10:32:19","upDate": "2023-03-29T10:32:19","lrDate": "2023-03-29T10:32:19","description": "怀孕38天孕囊大小约为0.5cm-0.9cm左右,具体根据怀孕状态有关。","data": {"WebPage": {"headline": "怀孕38天孕囊大小图片","pcUrl": "https://www.med-credit.org.cn/jingxuan/2/fb90f7fe93d6d99daebaaac80b51f5bf.html","wapUrl": "https://www.med-credit.org.cn/jingxuan/2/fb90f7fe93d6d99daebaaac80b51f5bf.html","mipUrl": "https://www.med-credit.org.cn/mobile/jingxuan/2/fb90f7fe93d6d99daebaaac80b51f5bf.html","fromSrc": "欢乐橙","datePublished": "2023-03-29T10:32:19","domain": "医疗","category": ["医疗权威文章合作"],"description": "怀孕38天孕囊大小约为0.5cm-0.9cm左右,具体根据怀孕状态有关。
","extra_headline": [""]},"Author": {"name": "种轶文","wapUrl": "https://www.med-credit.org.cn/doctor/575","pcUrl": "https://www.med-credit.org.cn/doctor/575","jobTitle": "副主任医师","headPortrait": "https://www.med-credit.org.cn/uploadfile/member/575/180x180.jpeg","id": "575","description": "种轶文,北京大学第三医院妇产科副主任医师","memberOf": {"legalName": "北京大学第三医院","department": "妇产科","organizationLevel": "三级甲等"}},"Article": {"summaryContent": "怀孕38天孕囊大小约为0.5cm-0.9cm左右,具体根据怀孕状态有关。
怀孕38天为怀孕初期,需要注意一些事情,避免意外发生。

正常的孕囊是一种形态规则的圆形或者是一种类圆形,随着怀孕时间的延长以及孕囊的成长,形状可呈现椭圆形。孕囊根据怀孕时间的变化逐渐生长发育形成胎芽、胎儿。同时孕囊的大小也在逐渐变大,当怀孕38天的时候,孕囊变大约为0.5cm-0.9cm左右左右。
1.怀孕初期,注意避免剧烈运动,减少流产的可能。
2.要做到远离辐射环境,要戒烟戒酒,不要吸二手烟,药物也不可滥用。
3.怀孕后要补充充足的蛋白质,注意营养全面均衡,同时维生素要保证,有利于胎儿的发育。
4.怀孕初期尤其要注意安全,对于孕囊的大小,可以通过彩超进行确定,有些情况可能会造成孕囊的偏小或者偏大,以及不易观察的情况出现。这时候可以通过化验检查进行确定,遵医嘱进行规范检查。
","articleBody": "怀孕38天孕囊大小约为0.5cm-0.9cm左右,具体根据怀孕状态有关。
怀孕38天为怀孕初期,需要注意一些事情,避免意外发生。

正常的孕囊是一种形态规则的圆形或者是一种类圆形,随着怀孕时间的延长以及孕囊的成长,形状可呈现椭圆形。孕囊根据怀孕时间的变化逐渐生长发育形成胎芽、胎儿。同时孕囊的大小也在逐渐变大,当怀孕38天的时候,孕囊变大约为0.5cm-0.9cm左右左右。
1.怀孕初期,注意避免剧烈运动,减少流产的可能。
2.要做到远离辐射环境,要戒烟戒酒,不要吸二手烟,药物也不可滥用。
3.怀孕后要补充充足的蛋白质,注意营养全面均衡,同时维生素要保证,有利于胎儿的发育。
4.怀孕初期尤其要注意安全,对于孕囊的大小,可以通过彩超进行确定,有些情况可能会造成孕囊的偏小或者偏大,以及不易观察的情况出现。这时候可以通过化验检查进行确定,遵医嘱进行规范检查。
","scanCount": 56536}}} {"@context": "https://ziyuan.baidu.com/contexts/cambrian.jsonld","appid": "1650708455561748","icon": "https://www.med-credit.org.cn/style/images/ttlogo.png","content_tag": ["atlas"],"is_mcn": {"thumb_id": "v2rm41u3"},"accid": "4886d626a2804dee5f11168793ce361672f39c25","@id": "https://www.med-credit.org.cn/mobile/jingxuan/2/4478868e3675ed44be23a3d53f571665.html","bagWordId": "23_1526478087875727360","title": "羊水试纸测试结果图片","pubDate": "2023-03-29T10:32:19","upDate": "2023-03-29T10:32:19","lrDate": "2023-03-29T10:32:19","description": "羊水试纸也就是PH试纸,一般的PH试纸呈黄色,用来检测阴道漏出液的酸碱性,进而判断是否有羊水渗出。","data": {"WebPage": {"headline": "羊水试纸测试结果图片","pcUrl": "https://www.med-credit.org.cn/jingxuan/2/4478868e3675ed44be23a3d53f571665.html","wapUrl": "https://www.med-credit.org.cn/jingxuan/2/4478868e3675ed44be23a3d53f571665.html","mipUrl": "https://www.med-credit.org.cn/mobile/jingxuan/2/4478868e3675ed44be23a3d53f571665.html","fromSrc": "欢乐橙","datePublished": "2023-03-29T10:32:19","domain": "医疗","category": ["医疗权威文章合作"],"description": "羊水试纸也就是PH试纸,一般的PH试纸呈黄色,用来检测阴道漏出液的酸碱性,进而判断是否有羊水渗出。
","extra_headline": [""]},"Author": {"name": "种轶文","wapUrl": "https://www.med-credit.org.cn/doctor/575","pcUrl": "https://www.med-credit.org.cn/doctor/575","jobTitle": "副主任医师","headPortrait": "https://www.med-credit.org.cn/uploadfile/member/575/180x180.jpeg","id": "575","description": "种轶文,北京大学第三医院妇产科副主任医师","memberOf": {"legalName": "北京大学第三医院","department": "妇产科","organizationLevel": "三级甲等"}},"Article": {"summaryContent": "羊水试纸也就是PH试纸,一般的PH试纸呈黄色,用来检测阴道漏出液的酸碱性,进而判断是否有羊水渗出。
羊水呈碱性,遇PH试纸会使试纸颜色发生改变,颜色改变与试纸材料有关,试纸可能呈蓝色,也可能呈黄色。
1、在使用羊水检测试纸时将黄色的指示剂条对准阴道,直至有渗液流出,即可进行观察,若试纸条变色,比如变成蓝色,则说明可能存在羊水,若试纸条呈黄色,则说明可能只是正常的分泌物,不需要过于担心。


2、若发现试纸条变色,一般要考虑胎膜早破,进而使羊水进入阴道,此时需要及时前往医院进行相关的治疗,必要时还要使用抗生素来预防宫内感染,降低感染风险。
孕妇日常应注意休息,避免长期的熬夜与过度劳累,并且注意卫生,若发现阴道有分泌物需及时进行自检或前往医院进行专业的检查,避免造成孕妇与胎儿的损伤。
","articleBody": "羊水试纸也就是PH试纸,一般的PH试纸呈黄色,用来检测阴道漏出液的酸碱性,进而判断是否有羊水渗出。
羊水呈碱性,遇PH试纸会使试纸颜色发生改变,颜色改变与试纸材料有关,试纸可能呈蓝色,也可能呈黄色。
1、在使用羊水检测试纸时将黄色的指示剂条对准阴道,直至有渗液流出,即可进行观察,若试纸条变色,比如变成蓝色,则说明可能存在羊水,若试纸条呈黄色,则说明可能只是正常的分泌物,不需要过于担心。


2、若发现试纸条变色,一般要考虑胎膜早破,进而使羊水进入阴道,此时需要及时前往医院进行相关的治疗,必要时还要使用抗生素来预防宫内感染,降低感染风险。
孕妇日常应注意休息,避免长期的熬夜与过度劳累,并且注意卫生,若发现阴道有分泌物需及时进行自检或前往医院进行专业的检查,避免造成孕妇与胎儿的损伤。
","scanCount": 56535}}} {"@context": "https://ziyuan.baidu.com/contexts/cambrian.jsonld","appid": "1650708455561748","icon": "https://www.med-credit.org.cn/style/images/ttlogo.png","content_tag": ["atlas"],"is_mcn": {"thumb_id": "v2rm41u3"},"accid": "4886d626a2804dee5f11168793ce361672f39c25","@id": "https://www.med-credit.org.cn/mobile/jingxuan/2/115a62b7840806c3586df333c5e3f3c1.html","bagWordId": "23_1526478016601919488","title": "安舒环有几种图片","pubDate": "2023-03-29T10:32:19","upDate": "2023-03-29T10:32:19","lrDate": "2023-03-29T10:32:19","description": "没有安舒环有几种的说法,只有节育环有哪几种的说法,具体厂家选择需要在医生的指导下使用。","data": {"WebPage": {"headline": "安舒环有几种图片","pcUrl": "https://www.med-credit.org.cn/jingxuan/2/115a62b7840806c3586df333c5e3f3c1.html","wapUrl": "https://www.med-credit.org.cn/jingxuan/2/115a62b7840806c3586df333c5e3f3c1.html","mipUrl": "https://www.med-credit.org.cn/mobile/jingxuan/2/115a62b7840806c3586df333c5e3f3c1.html","fromSrc": "欢乐橙","datePublished": "2023-03-29T10:32:19","domain": "医疗","category": ["医疗权威文章合作"],"description": "没有安舒环有几种的说法,只有节育环有哪几种的说法,具体厂家选择需要在医生的指导下使用。
","extra_headline": [""]},"Author": {"name": "种轶文","wapUrl": "https://www.med-credit.org.cn/doctor/575","pcUrl": "https://www.med-credit.org.cn/doctor/575","jobTitle": "副主任医师","headPortrait": "https://www.med-credit.org.cn/uploadfile/member/575/180x180.jpeg","id": "575","description": "种轶文,北京大学第三医院妇产科副主任医师","memberOf": {"legalName": "北京大学第三医院","department": "妇产科","organizationLevel": "三级甲等"}},"Article": {"summaryContent": "没有安舒环有几种的说法,只有节育环有哪几种的说法,具体厂家选择需要在医生的指导下使用。
安舒环是目前一种新型的避孕环,对于长期没有生育计划的女性,可以在月经干净后3-5天去正规医院放安舒环,安舒环主要是Y型。
安舒环是女性用的一种宫腔内放置的节育环,呈Y型设计,适合子宫动能原理,避免子宫收缩引起的刺痛。

节育环会影响子宫内膜的周期性变化,破坏受精卵着床的环境,同时,还能够定时的释放铜离子,铜离子具有杀死精子的作用,阻断同房以后卵子形成受精卵的过程。通过这两方面共同作用的结果,可以起到很好的避孕作用,另外,安舒环里面还含有消炎痛的成分,能够缓慢的释放这种药物,可以起到一定的消炎、止痛及止血的作用,对于女性月经期的痛经症状,以及月经血量过多、经期淋漓不尽等症状都具有一定的治疗作用。
有些女性在放环后会有腰痛、月经量多、月经不规律等表现。
放安舒环要根据自己的个人情况和身体状况综合考虑,对于身体健康的育龄期妇女,都可以放置安舒环,顺产后三个月,剖腹产后半年就可以放环。
","articleBody": "没有安舒环有几种的说法,只有节育环有哪几种的说法,具体厂家选择需要在医生的指导下使用。
安舒环是目前一种新型的避孕环,对于长期没有生育计划的女性,可以在月经干净后3-5天去正规医院放安舒环,安舒环主要是Y型。
安舒环是女性用的一种宫腔内放置的节育环,呈Y型设计,适合子宫动能原理,避免子宫收缩引起的刺痛。

节育环会影响子宫内膜的周期性变化,破坏受精卵着床的环境,同时,还能够定时的释放铜离子,铜离子具有杀死精子的作用,阻断同房以后卵子形成受精卵的过程。通过这两方面共同作用的结果,可以起到很好的避孕作用,另外,安舒环里面还含有消炎痛的成分,能够缓慢的释放这种药物,可以起到一定的消炎、止痛及止血的作用,对于女性月经期的痛经症状,以及月经血量过多、经期淋漓不尽等症状都具有一定的治疗作用。
有些女性在放环后会有腰痛、月经量多、月经不规律等表现。
放安舒环要根据自己的个人情况和身体状况综合考虑,对于身体健康的育龄期妇女,都可以放置安舒环,顺产后三个月,剖腹产后半年就可以放环。
","scanCount": 56534}}} {"@context": "https://ziyuan.baidu.com/contexts/cambrian.jsonld","appid": "1650708455561748","icon": "https://www.med-credit.org.cn/style/images/ttlogo.png","content_tag": ["atlas"],"is_mcn": {"thumb_id": "v2rm41u3"},"accid": "4886d626a2804dee5f11168793ce361672f39c25","@id": "https://www.med-credit.org.cn/mobile/jingxuan/2/52558bfc6f94dd482d3c92b06e04b066.html","bagWordId": "23_1526478014517350400","title": "白带浓稠浆糊图片","pubDate": "2023-03-29T10:32:19","upDate": "2023-03-29T10:32:19","lrDate": "2023-03-29T10:32:19","description": "白带呈浓稠浆糊状,量增多,可能是生理性因素,如果伴有外阴瘙痒时,考虑是病理性因素引起的。","data": {"WebPage": {"headline": "白带浓稠浆糊图片","pcUrl": "https://www.med-credit.org.cn/jingxuan/2/52558bfc6f94dd482d3c92b06e04b066.html","wapUrl": "https://www.med-credit.org.cn/jingxuan/2/52558bfc6f94dd482d3c92b06e04b066.html","mipUrl": "https://www.med-credit.org.cn/mobile/jingxuan/2/52558bfc6f94dd482d3c92b06e04b066.html","fromSrc": "欢乐橙","datePublished": "2023-03-29T10:32:19","domain": "医疗","category": ["医疗权威文章合作"],"description": "白带呈浓稠浆糊状,量增多,可能是生理性因素,如果伴有外阴瘙痒时,考虑是病理性因素引起的。
","extra_headline": [""]},"Author": {"name": "种轶文","wapUrl": "https://www.med-credit.org.cn/doctor/575","pcUrl": "https://www.med-credit.org.cn/doctor/575","jobTitle": "副主任医师","headPortrait": "https://www.med-credit.org.cn/uploadfile/member/575/180x180.jpeg","id": "575","description": "种轶文,北京大学第三医院妇产科副主任医师","memberOf": {"legalName": "北京大学第三医院","department": "妇产科","organizationLevel": "三级甲等"}},"Article": {"summaryContent": "白带呈浓稠浆糊状,量增多,可能是生理性因素,如果伴有外阴瘙痒时,考虑是病理性因素引起的。
白带是由阴道黏膜的渗出液、宫颈管以及子宫内膜腺体分泌液等混合形成的。正常白带性状是乳白色浆糊状或蛋清样,量少、黏稠,且不伴有异味。

1、生理原因:比如排卵期前或应用雌激素后,会出现无色透明黏性白带与鸡蛋清相似或稍有混浊,白带量增多且变得粘稠,像浆糊一样,很少有其他症状。
2、病理原因:常见于宫颈糜烂、慢性宫颈炎等其他感染疾病,会出现黄色黏液性的白带、腰骶部酸痛、腹部下坠等症状,此时需及时就诊,排除宫颈部位的炎症和肿瘤。
3、急性子宫炎及宫颈炎:大部分患者无症状,有症状者主要表现为阴道分泌物增多,呈黏液脓性。
1、预防感染,白带异常很多情况下就是由于细菌等感染造成的,预防感染的发生,可以很好的避免白带异常的发生。
2、注意个人卫生,比如要每日清洗自己的外阴部,并且穿着宽松的棉质内裤,保持外阴部的清洁卫生和透气。
3、注意定期检查,定期进行检查是女性身体健康的一个保证,一般女性正常一年要接受一次全面的妇科检查,以便及时发现疾病并进行及时的治疗。
","articleBody": "白带呈浓稠浆糊状,量增多,可能是生理性因素,如果伴有外阴瘙痒时,考虑是病理性因素引起的。
白带是由阴道黏膜的渗出液、宫颈管以及子宫内膜腺体分泌液等混合形成的。正常白带性状是乳白色浆糊状或蛋清样,量少、黏稠,且不伴有异味。

1、生理原因:比如排卵期前或应用雌激素后,会出现无色透明黏性白带与鸡蛋清相似或稍有混浊,白带量增多且变得粘稠,像浆糊一样,很少有其他症状。
2、病理原因:常见于宫颈糜烂、慢性宫颈炎等其他感染疾病,会出现黄色黏液性的白带、腰骶部酸痛、腹部下坠等症状,此时需及时就诊,排除宫颈部位的炎症和肿瘤。
3、急性子宫炎及宫颈炎:大部分患者无症状,有症状者主要表现为阴道分泌物增多,呈黏液脓性。
1、预防感染,白带异常很多情况下就是由于细菌等感染造成的,预防感染的发生,可以很好的避免白带异常的发生。
2、注意个人卫生,比如要每日清洗自己的外阴部,并且穿着宽松的棉质内裤,保持外阴部的清洁卫生和透气。
3、注意定期检查,定期进行检查是女性身体健康的一个保证,一般女性正常一年要接受一次全面的妇科检查,以便及时发现疾病并进行及时的治疗。
","scanCount": 56533}}} {"@context": "https://ziyuan.baidu.com/contexts/cambrian.jsonld","appid": "1650708455561748","icon": "https://www.med-credit.org.cn/style/images/ttlogo.png","content_tag": ["atlas"],"is_mcn": {"thumb_id": "v2rm41u3"},"accid": "4886d626a2804dee5f11168793ce361672f39c25","@id": "https://www.med-credit.org.cn/mobile/jingxuan/2/eb939e5e8206a0dd3ed43e20bc9db47d.html","bagWordId": "23_1526478017306562560","title": "宫腔镜是什么样子的图片","pubDate": "2023-03-29T10:32:19","upDate": "2023-03-29T10:32:19","lrDate": "2023-03-29T10:32:19","description": "宫腔镜顶部为光源和镜头,光源连接其管鞘系统和成像系统。","data": {"WebPage": {"headline": "宫腔镜是什么样子的图片","pcUrl": "https://www.med-credit.org.cn/jingxuan/2/eb939e5e8206a0dd3ed43e20bc9db47d.html","wapUrl": "https://www.med-credit.org.cn/jingxuan/2/eb939e5e8206a0dd3ed43e20bc9db47d.html","mipUrl": "https://www.med-credit.org.cn/mobile/jingxuan/2/eb939e5e8206a0dd3ed43e20bc9db47d.html","fromSrc": "欢乐橙","datePublished": "2023-03-29T10:32:19","domain": "医疗","category": ["医疗权威文章合作"],"description": "宫腔镜顶部为光源和镜头,光源连接其管鞘系统和成像系统。
","extra_headline": [""]},"Author": {"name": "种轶文","wapUrl": "https://www.med-credit.org.cn/doctor/575","pcUrl": "https://www.med-credit.org.cn/doctor/575","jobTitle": "副主任医师","headPortrait": "https://www.med-credit.org.cn/uploadfile/member/575/180x180.jpeg","id": "575","description": "种轶文,北京大学第三医院妇产科副主任医师","memberOf": {"legalName": "北京大学第三医院","department": "妇产科","organizationLevel": "三级甲等"}},"Article": {"summaryContent": "宫腔镜顶部为光源和镜头,光源连接其管鞘系统和成像系统。
宫腔镜目前多用于妇科检查和治疗等,临床中应用非常广泛。

1、宫腔镜由光学系统、管鞘系统、能源系统、成像系统等组成。临床中多见由鞘套和镜体等组成的硬镜,鞘套外径约4毫米至5毫米,内部有闭塞器。
2、通过宫腔镜可检查子宫内有无异物、有无宫腔粘连、有无子宫畸形等,观察子宫内情况。通过宫腔镜可进行各种手术操作,如子宫内膜息肉摘除术、宫腔粘连分解术、纵膈子宫形成术、子宫黏膜下肌瘤切除、宫腔内异物取出术等。通过宫腔镜可进行输卵管通液、用药等。
宫腔镜具有创伤小、恢复快、术后并发症少等优点,但最好在月经结束后的3天到5天进行宫腔镜检查,避免经期检查,检查前3天需避免性生活、阴道冲洗及盆浴等,清淡饮食,避免食用辛辣等刺激性食物。检查后需配合服用消炎类药物,保持个人卫生等。
","articleBody": "宫腔镜顶部为光源和镜头,光源连接其管鞘系统和成像系统。
宫腔镜目前多用于妇科检查和治疗等,临床中应用非常广泛。

1、宫腔镜由光学系统、管鞘系统、能源系统、成像系统等组成。临床中多见由鞘套和镜体等组成的硬镜,鞘套外径约4毫米至5毫米,内部有闭塞器。
2、通过宫腔镜可检查子宫内有无异物、有无宫腔粘连、有无子宫畸形等,观察子宫内情况。通过宫腔镜可进行各种手术操作,如子宫内膜息肉摘除术、宫腔粘连分解术、纵膈子宫形成术、子宫黏膜下肌瘤切除、宫腔内异物取出术等。通过宫腔镜可进行输卵管通液、用药等。
宫腔镜具有创伤小、恢复快、术后并发症少等优点,但最好在月经结束后的3天到5天进行宫腔镜检查,避免经期检查,检查前3天需避免性生活、阴道冲洗及盆浴等,清淡饮食,避免食用辛辣等刺激性食物。检查后需配合服用消炎类药物,保持个人卫生等。
","scanCount": 56532}}} {"@context": "https://ziyuan.baidu.com/contexts/cambrian.jsonld","appid": "1650708455561748","icon": "https://www.med-credit.org.cn/style/images/ttlogo.png","content_tag": ["atlas"],"is_mcn": {"thumb_id": "v2rm41u3"},"accid": "4886d626a2804dee5f11168793ce361672f39c25","@id": "https://www.med-credit.org.cn/mobile/jingxuan/2/1f595a7e547c26150dd6711a0dc92e5e.html","bagWordId": "23_1526478030044663808","title": "五个月b超图片真实","pubDate": "2023-03-29T10:32:19","upDate": "2023-03-29T10:32:19","lrDate": "2023-03-29T10:32:19","description": "1.女性怀孕五个月通过B超查看会看到成型的胎儿,可以清晰地看到宝宝的头部、四肢和身体。","data": {"WebPage": {"headline": "五个月b超图片真实","pcUrl": "https://www.med-credit.org.cn/jingxuan/2/1f595a7e547c26150dd6711a0dc92e5e.html","wapUrl": "https://www.med-credit.org.cn/jingxuan/2/1f595a7e547c26150dd6711a0dc92e5e.html","mipUrl": "https://www.med-credit.org.cn/mobile/jingxuan/2/1f595a7e547c26150dd6711a0dc92e5e.html","fromSrc": "欢乐橙","datePublished": "2023-03-29T10:32:19","domain": "医疗","category": ["医疗权威文章合作"],"description": "1.女性怀孕五个月通过B超查看会看到成型的胎儿,可以清晰地看到宝宝的头部、四肢和身体。
","extra_headline": [""]},"Author": {"name": "种轶文","wapUrl": "https://www.med-credit.org.cn/doctor/575","pcUrl": "https://www.med-credit.org.cn/doctor/575","jobTitle": "副主任医师","headPortrait": "https://www.med-credit.org.cn/uploadfile/member/575/180x180.jpeg","id": "575","description": "种轶文,北京大学第三医院妇产科副主任医师","memberOf": {"legalName": "北京大学第三医院","department": "妇产科","organizationLevel": "三级甲等"}},"Article": {"summaryContent": "1.女性怀孕五个月通过B超查看会看到成型的胎儿,可以清晰地看到宝宝的头部、四肢和身体。
2.女性怀孕五个月时处于孕中期,会出现各种明显的身体变化。

女性怀孕五个月通过B超查看可以明显看到成型的胎儿,孕中期的女性身体会有明显的变化,肚子显怀,有时会出现胎动。孕妇的体重明显增加,子宫在腹腔内慢慢变大,子宫颈已经到达肚脐的位置。由于子宫增大,压迫到膀胱,会出现尿频的现象。乳房在激素的影响下,会明显膨胀,臀部的脂肪增多,孕妇的体型会变得较为丰满。
建议去医院进行B超检查时需要憋尿,在这期间避免食用刺激性食物,以免影响观察。孕妇在孕期时要注意每天适当锻炼,控制体重,同时适当补充一些营养物质。
","articleBody": "1.女性怀孕五个月通过B超查看会看到成型的胎儿,可以清晰地看到宝宝的头部、四肢和身体。
2.女性怀孕五个月时处于孕中期,会出现各种明显的身体变化。

女性怀孕五个月通过B超查看可以明显看到成型的胎儿,孕中期的女性身体会有明显的变化,肚子显怀,有时会出现胎动。孕妇的体重明显增加,子宫在腹腔内慢慢变大,子宫颈已经到达肚脐的位置。由于子宫增大,压迫到膀胱,会出现尿频的现象。乳房在激素的影响下,会明显膨胀,臀部的脂肪增多,孕妇的体型会变得较为丰满。
建议去医院进行B超检查时需要憋尿,在这期间避免食用刺激性食物,以免影响观察。孕妇在孕期时要注意每天适当锻炼,控制体重,同时适当补充一些营养物质。
","scanCount": 56531}}} {"@context": "https://ziyuan.baidu.com/contexts/cambrian.jsonld","appid": "1650708455561748","icon": "https://www.med-credit.org.cn/style/images/ttlogo.png","content_tag": ["atlas"],"is_mcn": {"thumb_id": "v2rm41u3"},"accid": "4886d626a2804dee5f11168793ce361672f39c25","@id": "https://www.med-credit.org.cn/mobile/jingxuan/2/90b02c547c70393128036d00a6006b50.html","bagWordId": "23_1526478086533550080","title": "羊水护垫测试结果图片","pubDate": "2023-03-29T10:32:19","upDate": "2023-03-29T10:32:19","lrDate": "2023-03-29T10:32:19","description": "1.羊水护垫测试结果变为深蓝色表示羊水漏出。","data": {"WebPage": {"headline": "羊水护垫测试结果图片","pcUrl": "https://www.med-credit.org.cn/jingxuan/2/90b02c547c70393128036d00a6006b50.html","wapUrl": "https://www.med-credit.org.cn/jingxuan/2/90b02c547c70393128036d00a6006b50.html","mipUrl": "https://www.med-credit.org.cn/mobile/jingxuan/2/90b02c547c70393128036d00a6006b50.html","fromSrc": "欢乐橙","datePublished": "2023-03-29T10:32:19","domain": "医疗","category": ["医疗权威文章合作"],"description": "1.羊水护垫测试结果变为深蓝色表示羊水漏出。
","extra_headline": [""]},"Author": {"name": "种轶文","wapUrl": "https://www.med-credit.org.cn/doctor/575","pcUrl": "https://www.med-credit.org.cn/doctor/575","jobTitle": "副主任医师","headPortrait": "https://www.med-credit.org.cn/uploadfile/member/575/180x180.jpeg","id": "575","description": "种轶文,北京大学第三医院妇产科副主任医师","memberOf": {"legalName": "北京大学第三医院","department": "妇产科","organizationLevel": "三级甲等"}},"Article": {"summaryContent": "1.羊水护垫测试结果变为深蓝色表示羊水漏出。
2.羊水检测护垫使用场景多在预产期前2-3个月使用,可以检测羊水早破的情况,外形与平时使用的经期护垫类似。

因羊水是属碱性,而正常白带通常是属于酸性或者是中性,故如果是胎膜早破而致使羊水漏出,通常会造成羊水护垫测试变为深蓝色。但单纯的白带分泌物不会变色。
羊水护垫测试指的是通过试纸的方式,检测分泌物是羊水还是尿液,从而判断是否为羊水流出。一般在预产期前的2到3个月即可使用,作为羊水破裂早期参考。
羊水检测护垫结果并不准确,受到其他很多因素的干扰,如阴道炎、感染等因素也会导致PH数值出现改变。若有不适要及时到医院就诊,放松心情,注意干净卫生,穿宽松透气的内衣,出现羊水破裂注意臀部抬高,及时到医院进行下一步治疗。
","articleBody": "1.羊水护垫测试结果变为深蓝色表示羊水漏出。
2.羊水检测护垫使用场景多在预产期前2-3个月使用,可以检测羊水早破的情况,外形与平时使用的经期护垫类似。

因羊水是属碱性,而正常白带通常是属于酸性或者是中性,故如果是胎膜早破而致使羊水漏出,通常会造成羊水护垫测试变为深蓝色。但单纯的白带分泌物不会变色。
羊水护垫测试指的是通过试纸的方式,检测分泌物是羊水还是尿液,从而判断是否为羊水流出。一般在预产期前的2到3个月即可使用,作为羊水破裂早期参考。
羊水检测护垫结果并不准确,受到其他很多因素的干扰,如阴道炎、感染等因素也会导致PH数值出现改变。若有不适要及时到医院就诊,放松心情,注意干净卫生,穿宽松透气的内衣,出现羊水破裂注意臀部抬高,及时到医院进行下一步治疗。
","scanCount": 56530}}} {"@context": "https://ziyuan.baidu.com/contexts/cambrian.jsonld","appid": "1650708455561748","icon": "https://www.med-credit.org.cn/style/images/ttlogo.png","content_tag": ["atlas"],"is_mcn": {"thumb_id": "v2rm41u3"},"accid": "4886d626a2804dee5f11168793ce361672f39c25","@id": "https://www.med-credit.org.cn/mobile/jingxuan/2/17103335de935dda10a61ff34ef47197.html","bagWordId": "23_1526478092028088320","title": "怀孕七个月标准肚子照片","pubDate": "2023-03-29T10:32:19","upDate": "2023-03-29T10:32:19","lrDate": "2023-03-29T10:32:19","description": "孕7个月时女性的肚子比较明显隆起,大概高22-29厘米。","data": {"WebPage": {"headline": "怀孕七个月标准肚子照片","pcUrl": "https://www.med-credit.org.cn/jingxuan/2/17103335de935dda10a61ff34ef47197.html","wapUrl": "https://www.med-credit.org.cn/jingxuan/2/17103335de935dda10a61ff34ef47197.html","mipUrl": "https://www.med-credit.org.cn/mobile/jingxuan/2/17103335de935dda10a61ff34ef47197.html","fromSrc": "欢乐橙","datePublished": "2023-03-29T10:32:19","domain": "医疗","category": ["医疗权威文章合作"],"description": "孕7个月时女性的肚子比较明显隆起,大概高22-29厘米。
","extra_headline": [""]},"Author": {"name": "种轶文","wapUrl": "https://www.med-credit.org.cn/doctor/575","pcUrl": "https://www.med-credit.org.cn/doctor/575","jobTitle": "副主任医师","headPortrait": "https://www.med-credit.org.cn/uploadfile/member/575/180x180.jpeg","id": "575","description": "种轶文,北京大学第三医院妇产科副主任医师","memberOf": {"legalName": "北京大学第三医院","department": "妇产科","organizationLevel": "三级甲等"}},"Article": {"summaryContent": "孕7个月时女性的肚子比较明显隆起,大概高22-29厘米。
每个人的体质都是不同的,孕妇肚子变大的程度和速度也不尽相同。
女性怀孕7个月的时候是属于妊娠期的晚期了,子宫增大使肚子向外鼓胀,子宫的大小通常是肚脐和耻骨联合中间偏上一横指的高度,肉眼看比较明显,隆起高度大概在22-29厘米。

随着胎儿的生长发育,子宫还会继续变大上升,可以由此判断妊娠期和胎儿的发育生长情况。
不同的孕妇对妊娠的身体反应也是不太相同的,由于体质原因,肚子变大的时间也不太相同,如果检查没什么问题就是正常的。但如果子宫太大可能是血糖过高,羊水过多,胎儿长得太快;子宫太小可能是营养不良引起,胎儿发育得比较迟缓。
孕妇养成良好的生活规律,晚上不要熬夜,早点睡觉,睡觉前不要进行激烈的活动和情绪紧张,以免延长入睡时间。还可以按摩、泡脚缓解疲劳,听音乐改善心情。
","articleBody": "孕7个月时女性的肚子比较明显隆起,大概高22-29厘米。
每个人的体质都是不同的,孕妇肚子变大的程度和速度也不尽相同。
女性怀孕7个月的时候是属于妊娠期的晚期了,子宫增大使肚子向外鼓胀,子宫的大小通常是肚脐和耻骨联合中间偏上一横指的高度,肉眼看比较明显,隆起高度大概在22-29厘米。

随着胎儿的生长发育,子宫还会继续变大上升,可以由此判断妊娠期和胎儿的发育生长情况。
不同的孕妇对妊娠的身体反应也是不太相同的,由于体质原因,肚子变大的时间也不太相同,如果检查没什么问题就是正常的。但如果子宫太大可能是血糖过高,羊水过多,胎儿长得太快;子宫太小可能是营养不良引起,胎儿发育得比较迟缓。
孕妇养成良好的生活规律,晚上不要熬夜,早点睡觉,睡觉前不要进行激烈的活动和情绪紧张,以免延长入睡时间。还可以按摩、泡脚缓解疲劳,听音乐改善心情。
","scanCount": 56529}}} {"@context": "https://ziyuan.baidu.com/contexts/cambrian.jsonld","appid": "1650708455561748","icon": "https://www.med-credit.org.cn/style/images/ttlogo.png","content_tag": ["atlas"],"is_mcn": {"thumb_id": "v2rm41u3"},"accid": "4886d626a2804dee5f11168793ce361672f39c25","@id": "https://www.med-credit.org.cn/mobile/jingxuan/2/70c89e475bf49841576608a2e5c60b56.html","bagWordId": "23_1526478030774472704","title": "2度宫颈糜烂排出物图","pubDate": "2023-03-29T10:32:19","upDate": "2023-03-29T10:32:19","lrDate": "2023-03-29T10:32:19","description": "宫颈二度糜烂的女性,排出物是白带,如浓鼻涕,以及外阴有明显异味等不适的表现。","data": {"WebPage": {"headline": "2度宫颈糜烂排出物图","pcUrl": "https://www.med-credit.org.cn/jingxuan/2/70c89e475bf49841576608a2e5c60b56.html","wapUrl": "https://www.med-credit.org.cn/jingxuan/2/70c89e475bf49841576608a2e5c60b56.html","mipUrl": "https://www.med-credit.org.cn/mobile/jingxuan/2/70c89e475bf49841576608a2e5c60b56.html","fromSrc": "欢乐橙","datePublished": "2023-03-29T10:32:19","domain": "医疗","category": ["医疗权威文章合作"],"description": "宫颈二度糜烂的女性,排出物是白带,如浓鼻涕,以及外阴有明显异味等不适的表现。
","extra_headline": [""]},"Author": {"name": "种轶文","wapUrl": "https://www.med-credit.org.cn/doctor/575","pcUrl": "https://www.med-credit.org.cn/doctor/575","jobTitle": "副主任医师","headPortrait": "https://www.med-credit.org.cn/uploadfile/member/575/180x180.jpeg","id": "575","description": "种轶文,北京大学第三医院妇产科副主任医师","memberOf": {"legalName": "北京大学第三医院","department": "妇产科","organizationLevel": "三级甲等"}},"Article": {"summaryContent": "宫颈二度糜烂的女性,排出物是白带,如浓鼻涕,以及外阴有明显异味等不适的表现。
宫颈糜烂又名子宫颈柱状上皮异位,在激素的作用下,位于正常的柱状上皮细胞向外延伸异味,外移至子宫颈阴道部的一种现象。

1、宫颈糜烂排出的东西是炎症的细胞脱落,如果用药在阴道,排出东西是药物残留物,这是正常的阴道用药现象。部分女性会有阴道上药的同时出现宫颈表皮的脱落,混合白带的情况。
2、宫颈糜烂较轻的患者基本无明显症状,白带可能增多,往往容易被忽视。
3、宫颈糜烂中重度一般很难区分,往往合并在一起,宫颈糜烂Ⅱ度一般为中度,中重度患者患者症状表现为白带增多、外阴瘙痒、色黄质黏稠,或血丝夹在白带中。
4、由于宫颈淋巴道直接与宫旁结缔组织相通,炎症可循淋巴循环向盆腔扩散,从而导致腰骶酸痛,小腹坠胀等症状的盆腔结缔组织炎。
Ⅰ度:异位面积小于子宫颈总面积的1/3,为轻度。
Ⅱ度:异位面积占整个宫颈面积的1/3~2/3,为中度。
Ⅲ度:异位面积大于整个宫颈面积的2/3,为重度。
","articleBody": "宫颈二度糜烂的女性,排出物是白带,如浓鼻涕,以及外阴有明显异味等不适的表现。
宫颈糜烂又名子宫颈柱状上皮异位,在激素的作用下,位于正常的柱状上皮细胞向外延伸异味,外移至子宫颈阴道部的一种现象。

1、宫颈糜烂排出的东西是炎症的细胞脱落,如果用药在阴道,排出东西是药物残留物,这是正常的阴道用药现象。部分女性会有阴道上药的同时出现宫颈表皮的脱落,混合白带的情况。
2、宫颈糜烂较轻的患者基本无明显症状,白带可能增多,往往容易被忽视。
3、宫颈糜烂中重度一般很难区分,往往合并在一起,宫颈糜烂Ⅱ度一般为中度,中重度患者患者症状表现为白带增多、外阴瘙痒、色黄质黏稠,或血丝夹在白带中。
4、由于宫颈淋巴道直接与宫旁结缔组织相通,炎症可循淋巴循环向盆腔扩散,从而导致腰骶酸痛,小腹坠胀等症状的盆腔结缔组织炎。
Ⅰ度:异位面积小于子宫颈总面积的1/3,为轻度。
Ⅱ度:异位面积占整个宫颈面积的1/3~2/3,为中度。
Ⅲ度:异位面积大于整个宫颈面积的2/3,为重度。
","scanCount": 56528}}} {"@context": "https://ziyuan.baidu.com/contexts/cambrian.jsonld","appid": "1650708455561748","icon": "https://www.med-credit.org.cn/style/images/ttlogo.png","content_tag": ["atlas"],"is_mcn": {"thumb_id": "v2rm41u3"},"accid": "4886d626a2804dee5f11168793ce361672f39c25","@id": "https://www.med-credit.org.cn/mobile/jingxuan/2/71c7d7536b85f3eede310415652952c8.html","bagWordId": "23_1526478012176928768","title": "白带像白皮的症状图片","pubDate": "2023-03-29T10:32:19","upDate": "2023-03-29T10:32:19","lrDate": "2023-03-29T10:32:19","description": "1.白带像白皮样的症状可能有阴道炎。此外还会伴有外阴瘙痒等表现。","data": {"WebPage": {"headline": "白带像白皮的症状图片","pcUrl": "https://www.med-credit.org.cn/jingxuan/2/71c7d7536b85f3eede310415652952c8.html","wapUrl": "https://www.med-credit.org.cn/jingxuan/2/71c7d7536b85f3eede310415652952c8.html","mipUrl": "https://www.med-credit.org.cn/mobile/jingxuan/2/71c7d7536b85f3eede310415652952c8.html","fromSrc": "欢乐橙","datePublished": "2023-03-29T10:32:19","domain": "医疗","category": ["医疗权威文章合作"],"description": "1.白带像白皮样的症状可能有阴道炎。此外还会伴有外阴瘙痒等表现。
","extra_headline": [""]},"Author": {"name": "种轶文","wapUrl": "https://www.med-credit.org.cn/doctor/575","pcUrl": "https://www.med-credit.org.cn/doctor/575","jobTitle": "副主任医师","headPortrait": "https://www.med-credit.org.cn/uploadfile/member/575/180x180.jpeg","id": "575","description": "种轶文,北京大学第三医院妇产科副主任医师","memberOf": {"legalName": "北京大学第三医院","department": "妇产科","organizationLevel": "三级甲等"}},"Article": {"summaryContent": "1.白带像白皮样的症状可能有阴道炎。此外还会伴有外阴瘙痒等表现。
2.白带像白皮的症状是由于念珠菌感染。

1.主要症状表现为外阴阴道的瘙痒,瘙痒的程度非常严重,常常有妇女因为奇痒而坐不住,睡不着。此外,还会有外阴皮肤增厚、粗糙、肿胀、疼痛;阴道内烧灼痛、性交痛、尿痛、尿频、白带增多像豆腐渣样,严重者有一块一块的白带从阴道排出。急性期还可以见到糜烂以及浅表溃疡的情况。
2.为了缓解症状,患者可以到泌尿外科就诊。主要采用抗真菌药物进行治疗,如咪康唑,但是孕妇以及哺乳期妇女、对本药物过敏者等禁止使用,而且长时间使用可有皮疹、恶心、呕吐等不良反应。
患者在日常生活中注意卫生,保持清爽,经常清洗外阴,常更换内衣裤。不吃辛辣、刺激、油腻的食物,可以多吃富含蛋白质的食物,如鱼类、牛奶等。
","articleBody": "1.白带像白皮样的症状可能有阴道炎。此外还会伴有外阴瘙痒等表现。
2.白带像白皮的症状是由于念珠菌感染。

1.主要症状表现为外阴阴道的瘙痒,瘙痒的程度非常严重,常常有妇女因为奇痒而坐不住,睡不着。此外,还会有外阴皮肤增厚、粗糙、肿胀、疼痛;阴道内烧灼痛、性交痛、尿痛、尿频、白带增多像豆腐渣样,严重者有一块一块的白带从阴道排出。急性期还可以见到糜烂以及浅表溃疡的情况。
2.为了缓解症状,患者可以到泌尿外科就诊。主要采用抗真菌药物进行治疗,如咪康唑,但是孕妇以及哺乳期妇女、对本药物过敏者等禁止使用,而且长时间使用可有皮疹、恶心、呕吐等不良反应。
患者在日常生活中注意卫生,保持清爽,经常清洗外阴,常更换内衣裤。不吃辛辣、刺激、油腻的食物,可以多吃富含蛋白质的食物,如鱼类、牛奶等。
","scanCount": 56527}}} {"@context": "https://ziyuan.baidu.com/contexts/cambrian.jsonld","appid": "1650708455561748","icon": "https://www.med-credit.org.cn/style/images/ttlogo.png","content_tag": ["atlas"],"is_mcn": {"thumb_id": "v2rm41u3"},"accid": "4886d626a2804dee5f11168793ce361672f39c25","@id": "https://www.med-credit.org.cn/mobile/jingxuan/2/e684df9f1365d34de5ec1cf36d1f0fc4.html","bagWordId": "23_1526478086634213376","title": "胎儿唇腭裂四维图片","pubDate": "2023-03-29T10:32:19","upDate": "2023-03-29T10:32:19","lrDate": "2023-03-29T10:32:19","description": "胎儿唇腭裂,是指先天性的上嘴唇开裂,有单侧裂开,也有双侧裂开的,因为它好像是兔子的嘴唇,所以,民间又俗称为“兔唇”。","data": {"WebPage": {"headline": "胎儿唇腭裂四维图片","pcUrl": "https://www.med-credit.org.cn/jingxuan/2/e684df9f1365d34de5ec1cf36d1f0fc4.html","wapUrl": "https://www.med-credit.org.cn/jingxuan/2/e684df9f1365d34de5ec1cf36d1f0fc4.html","mipUrl": "https://www.med-credit.org.cn/mobile/jingxuan/2/e684df9f1365d34de5ec1cf36d1f0fc4.html","fromSrc": "欢乐橙","datePublished": "2023-03-29T10:32:19","domain": "医疗","category": ["医疗权威文章合作"],"description": "胎儿唇腭裂,是指先天性的上嘴唇开裂,有单侧裂开,也有双侧裂开的,因为它好像是兔子的嘴唇,所以,民间又俗称为“兔唇”。
","extra_headline": [""]},"Author": {"name": "种轶文","wapUrl": "https://www.med-credit.org.cn/doctor/575","pcUrl": "https://www.med-credit.org.cn/doctor/575","jobTitle": "副主任医师","headPortrait": "https://www.med-credit.org.cn/uploadfile/member/575/180x180.jpeg","id": "575","description": "种轶文,北京大学第三医院妇产科副主任医师","memberOf": {"legalName": "北京大学第三医院","department": "妇产科","organizationLevel": "三级甲等"}},"Article": {"summaryContent": "胎儿唇腭裂,是指先天性的上嘴唇开裂,有单侧裂开,也有双侧裂开的,因为它好像是兔子的嘴唇,所以,民间又俗称为“兔唇”。
唇腭裂最佳筛查时间在孕20周到24周,通过四维彩超可以查出来。

1、遗传因素:部分唇裂或腭裂患者,在其直系或旁系亲属中可发现类似畸形的发生,因而认为唇腭裂畸形和遗传存在一定的关系。
2、环境因素:孕早期各种不良因素的影响,如病毒感染,特别是风疹病毒、流感病毒等病毒;有毒物质,如常见的氮芥类、反应停以及烷基化物等,也可诱发胎儿唇裂的出现;营养缺乏,如缺乏叶酸或维生素A等物质,也可诱发唇裂,还有接触放射性物质等原因。
唇腭裂是由于颜面部发育不良,导致唇部或腭部出现不同程度裂隙的先天性口腔颌面畸形,至少要到12周至14周以上才能完全融合。胎儿太小很难分辨出来,最佳的筛查时间是妊娠20周到24周。
唇腭裂在怀孕20到24周的时候通过四维彩超进行检查,可以看出来胎儿的唇部以及牙槽嵴的先天组织缺损,对于胎儿的畸形如唇裂、腭裂、心血管畸形、骨骼发育等都能早期诊断。
","articleBody": "胎儿唇腭裂,是指先天性的上嘴唇开裂,有单侧裂开,也有双侧裂开的,因为它好像是兔子的嘴唇,所以,民间又俗称为“兔唇”。
唇腭裂最佳筛查时间在孕20周到24周,通过四维彩超可以查出来。

1、遗传因素:部分唇裂或腭裂患者,在其直系或旁系亲属中可发现类似畸形的发生,因而认为唇腭裂畸形和遗传存在一定的关系。
2、环境因素:孕早期各种不良因素的影响,如病毒感染,特别是风疹病毒、流感病毒等病毒;有毒物质,如常见的氮芥类、反应停以及烷基化物等,也可诱发胎儿唇裂的出现;营养缺乏,如缺乏叶酸或维生素A等物质,也可诱发唇裂,还有接触放射性物质等原因。
唇腭裂是由于颜面部发育不良,导致唇部或腭部出现不同程度裂隙的先天性口腔颌面畸形,至少要到12周至14周以上才能完全融合。胎儿太小很难分辨出来,最佳的筛查时间是妊娠20周到24周。
唇腭裂在怀孕20到24周的时候通过四维彩超进行检查,可以看出来胎儿的唇部以及牙槽嵴的先天组织缺损,对于胎儿的畸形如唇裂、腭裂、心血管畸形、骨骼发育等都能早期诊断。
","scanCount": 56525}}} {"@context": "https://ziyuan.baidu.com/contexts/cambrian.jsonld","appid": "1650708455561748","icon": "https://www.med-credit.org.cn/style/images/ttlogo.png","content_tag": ["atlas"],"is_mcn": {"thumb_id": "v2rm41u3"},"accid": "4886d626a2804dee5f11168793ce361672f39c25","@id": "https://www.med-credit.org.cn/mobile/jingxuan/2/677ec468cec8dd509bd779a21d06b8a2.html","bagWordId": "23_1526478032842264576","title": "验孕棒的图片","pubDate": "2023-03-29T10:32:19","upDate": "2023-03-29T10:32:19","lrDate": "2023-03-29T10:32:19","description": "1、验孕棒是用来检测是否怀孕的,测试的时候使用的是尿液。","data": {"WebPage": {"headline": "验孕棒的图片","pcUrl": "https://www.med-credit.org.cn/jingxuan/2/677ec468cec8dd509bd779a21d06b8a2.html","wapUrl": "https://www.med-credit.org.cn/jingxuan/2/677ec468cec8dd509bd779a21d06b8a2.html","mipUrl": "https://www.med-credit.org.cn/mobile/jingxuan/2/677ec468cec8dd509bd779a21d06b8a2.html","fromSrc": "欢乐橙","datePublished": "2023-03-29T10:32:19","domain": "医疗","category": ["医疗权威文章合作"],"description": "1、验孕棒是用来检测是否怀孕的,测试的时候使用的是尿液。
","extra_headline": [""]},"Author": {"name": "种轶文","wapUrl": "https://www.med-credit.org.cn/doctor/575","pcUrl": "https://www.med-credit.org.cn/doctor/575","jobTitle": "副主任医师","headPortrait": "https://www.med-credit.org.cn/uploadfile/member/575/180x180.jpeg","id": "575","description": "种轶文,北京大学第三医院妇产科副主任医师","memberOf": {"legalName": "北京大学第三医院","department": "妇产科","organizationLevel": "三级甲等"}},"Article": {"summaryContent": "1、验孕棒是用来检测是否怀孕的,测试的时候使用的是尿液。
2、全新的验孕棒是没有线的。通常情况下,出现双线表明怀孕了,单线表示可能没有怀孕,测完没有出现线条,可能是使用方式不对或者验孕棒损坏。
验孕棒的原理是检测HCG值,这个一种激素,只有怀孕的时候才能检测出来,在尿液和血液中存在。一般情况下由于刚怀孕激素分泌量少,不容易测验出来,所以建议在月经推迟后10-14天后检测,检测的时候建议用晨尿。


如果验孕棒上出现两条红色钱,且明显清晰,表明已怀孕;如果只有一条红线,表明没有怀孕;如果出现一深一浅,在测试区的线较浅,在对照区的线颜色较深,这种情况是有怀孕的可能。
正规的验孕棒准确率大约在80%左右,一些药物或者饮食可能会影响到测试的结果,所以使用的时候一定要仔细阅读注意事项,通过验孕棒检测的结果并一定百分百准确,所以感觉有怀孕的可能的话尽快到医院看医生。
","articleBody": "1、验孕棒是用来检测是否怀孕的,测试的时候使用的是尿液。
2、全新的验孕棒是没有线的。通常情况下,出现双线表明怀孕了,单线表示可能没有怀孕,测完没有出现线条,可能是使用方式不对或者验孕棒损坏。
验孕棒的原理是检测HCG值,这个一种激素,只有怀孕的时候才能检测出来,在尿液和血液中存在。一般情况下由于刚怀孕激素分泌量少,不容易测验出来,所以建议在月经推迟后10-14天后检测,检测的时候建议用晨尿。


如果验孕棒上出现两条红色钱,且明显清晰,表明已怀孕;如果只有一条红线,表明没有怀孕;如果出现一深一浅,在测试区的线较浅,在对照区的线颜色较深,这种情况是有怀孕的可能。
正规的验孕棒准确率大约在80%左右,一些药物或者饮食可能会影响到测试的结果,所以使用的时候一定要仔细阅读注意事项,通过验孕棒检测的结果并一定百分百准确,所以感觉有怀孕的可能的话尽快到医院看医生。
","scanCount": 56524}}} {"@context": "https://ziyuan.baidu.com/contexts/cambrian.jsonld","appid": "1650708455561748","icon": "https://www.med-credit.org.cn/style/images/ttlogo.png","content_tag": ["atlas"],"is_mcn": {"thumb_id": "v2rm41u3"},"accid": "4886d626a2804dee5f11168793ce361672f39c25","@id": "https://www.med-credit.org.cn/mobile/jingxuan/2/16f5d06f1642a9a1385c44afc12a5633.html","bagWordId": "23_1526478020603285504","title": "黄绿色白带图片","pubDate": "2023-03-29T10:32:19","upDate": "2023-03-29T10:32:19","lrDate": "2023-03-29T10:32:19","description": "1、正常的白带是无色或者乳白的,出现黄绿色的白带,表明白带异常,考虑是阴道或宫颈有炎症引起的。","data": {"WebPage": {"headline": "黄绿色白带图片","pcUrl": "https://www.med-credit.org.cn/jingxuan/2/16f5d06f1642a9a1385c44afc12a5633.html","wapUrl": "https://www.med-credit.org.cn/jingxuan/2/16f5d06f1642a9a1385c44afc12a5633.html","mipUrl": "https://www.med-credit.org.cn/mobile/jingxuan/2/16f5d06f1642a9a1385c44afc12a5633.html","fromSrc": "欢乐橙","datePublished": "2023-03-29T10:32:19","domain": "医疗","category": ["医疗权威文章合作"],"description": "1、正常的白带是无色或者乳白的,出现黄绿色的白带,表明白带异常,考虑是阴道或宫颈有炎症引起的。
","extra_headline": [""]},"Author": {"name": "种轶文","wapUrl": "https://www.med-credit.org.cn/doctor/575","pcUrl": "https://www.med-credit.org.cn/doctor/575","jobTitle": "副主任医师","headPortrait": "https://www.med-credit.org.cn/uploadfile/member/575/180x180.jpeg","id": "575","description": "种轶文,北京大学第三医院妇产科副主任医师","memberOf": {"legalName": "北京大学第三医院","department": "妇产科","organizationLevel": "三级甲等"}},"Article": {"summaryContent": "1、正常的白带是无色或者乳白的,出现黄绿色的白带,表明白带异常,考虑是阴道或宫颈有炎症引起的。
2、女性正常白带为稀薄、透明、无异味的。如果白带颜色、性状发生改变,并出现异味,建议做一个白带的常规检查。

1、如果白带呈黄绿色,稀薄、有泡沫、有腥臭味,考虑是滴虫性阴道炎;如果白带是黄绿色,呈凝乳样或酸奶样、豆渣样,伴有明显的外阴瘙痒,考虑是霉菌性感染引起的;如果白带是黄绿色、阴道分泌物明显增多,呈恶臭味,考虑是细菌感染引起的。黄绿色白带只是一种症状,并不能够判断是某种疾病,需要到医院进行检查。
2、正常白带是白色的,有时透明,有时稍微粘稠,没有异味。排卵期的白带透明、量多,而其他时间则量少、稍粘稠。此外,在天气炎热,从事体力活动时,这些白带分泌量也会增加,如果没有异味或者别的伴随症状一般就没多大问题。
如果出现黄绿色白带,除了去医院检查治疗外,平时的生活中建议保持外阴的清洁,每晚清洗外阴,选择纯棉、透气性好的内裤,有利于炎症的恢复。
","articleBody": "1、正常的白带是无色或者乳白的,出现黄绿色的白带,表明白带异常,考虑是阴道或宫颈有炎症引起的。
2、女性正常白带为稀薄、透明、无异味的。如果白带颜色、性状发生改变,并出现异味,建议做一个白带的常规检查。

1、如果白带呈黄绿色,稀薄、有泡沫、有腥臭味,考虑是滴虫性阴道炎;如果白带是黄绿色,呈凝乳样或酸奶样、豆渣样,伴有明显的外阴瘙痒,考虑是霉菌性感染引起的;如果白带是黄绿色、阴道分泌物明显增多,呈恶臭味,考虑是细菌感染引起的。黄绿色白带只是一种症状,并不能够判断是某种疾病,需要到医院进行检查。
2、正常白带是白色的,有时透明,有时稍微粘稠,没有异味。排卵期的白带透明、量多,而其他时间则量少、稍粘稠。此外,在天气炎热,从事体力活动时,这些白带分泌量也会增加,如果没有异味或者别的伴随症状一般就没多大问题。
如果出现黄绿色白带,除了去医院检查治疗外,平时的生活中建议保持外阴的清洁,每晚清洗外阴,选择纯棉、透气性好的内裤,有利于炎症的恢复。
","scanCount": 56523}}} {"@context": "https://ziyuan.baidu.com/contexts/cambrian.jsonld","appid": "1650708455561748","icon": "https://www.med-credit.org.cn/style/images/ttlogo.png","content_tag": ["atlas"],"is_mcn": {"thumb_id": "v2rm41u3"},"accid": "4886d626a2804dee5f11168793ce361672f39c25","@id": "https://www.med-credit.org.cn/mobile/jingxuan/2/8d5884fa7a516aeadc85dbf39b8c57f7.html","bagWordId": "23_1526478018816512000","title": "乳白色白带图片","pubDate": "2023-03-29T10:32:19","upDate": "2023-03-29T10:32:19","lrDate": "2023-03-29T10:32:19","description": "1、如果白带是乳白色的,量比较少,并且没有异味或者只有淡淡的腥味的话,是属于正常情况的。","data": {"WebPage": {"headline": "乳白色白带图片","pcUrl": "https://www.med-credit.org.cn/jingxuan/2/8d5884fa7a516aeadc85dbf39b8c57f7.html","wapUrl": "https://www.med-credit.org.cn/jingxuan/2/8d5884fa7a516aeadc85dbf39b8c57f7.html","mipUrl": "https://www.med-credit.org.cn/mobile/jingxuan/2/8d5884fa7a516aeadc85dbf39b8c57f7.html","fromSrc": "欢乐橙","datePublished": "2023-03-29T10:32:19","domain": "医疗","category": ["医疗权威文章合作"],"description": "1、如果白带是乳白色的,量比较少,并且没有异味或者只有淡淡的腥味的话,是属于正常情况的。
","extra_headline": [""]},"Author": {"name": "种轶文","wapUrl": "https://www.med-credit.org.cn/doctor/575","pcUrl": "https://www.med-credit.org.cn/doctor/575","jobTitle": "副主任医师","headPortrait": "https://www.med-credit.org.cn/uploadfile/member/575/180x180.jpeg","id": "575","description": "种轶文,北京大学第三医院妇产科副主任医师","memberOf": {"legalName": "北京大学第三医院","department": "妇产科","organizationLevel": "三级甲等"}},"Article": {"summaryContent": "1、如果白带是乳白色的,量比较少,并且没有异味或者只有淡淡的腥味的话,是属于正常情况的。
2、女性正常白带为稀薄、透明或白色的、无异味的。如果白带颜色、性状发生改变,并出现异味,那最好做一个白带常规检查。

1、如果白带为乳白色凝乳状或豆腐渣样,可能为外阴阴道假丝酵母菌病;如果白带表现为灰白色、稀薄状,那可能是细菌性阴道病;如果出现大量乳白色的白带,首先考虑霉菌性阴道炎,霉菌性阴道炎主要的症状表现为阴道分泌物增多,呈现大量白色凝乳状的分泌物,分泌物刺激外阴出现外阴的瘙痒,灼痛或者导致外阴肿胀,皮革样。具体是哪种类型阴道炎需要做白带常规检查才能知道。
2、正常白带是白色白带,有时透明,有时粘稠,没有异味。排卵期的白带透明、量多,而其他时间则量少、稍粘稠。此外,在天气炎热,从事体力活动时,这些白带分泌量也会增加,如果没有异味或者别的伴随症状一般就没多大问题。
建议女性在日常生活中一定要保持外阴清洁,勤换内裤,所穿过的内裤清洗之后,一定在太阳底下晾晒,彻底晾干之后再穿,这样就可以在一定程度上避免病原菌的感染。
","articleBody": "1、如果白带是乳白色的,量比较少,并且没有异味或者只有淡淡的腥味的话,是属于正常情况的。
2、女性正常白带为稀薄、透明或白色的、无异味的。如果白带颜色、性状发生改变,并出现异味,那最好做一个白带常规检查。

1、如果白带为乳白色凝乳状或豆腐渣样,可能为外阴阴道假丝酵母菌病;如果白带表现为灰白色、稀薄状,那可能是细菌性阴道病;如果出现大量乳白色的白带,首先考虑霉菌性阴道炎,霉菌性阴道炎主要的症状表现为阴道分泌物增多,呈现大量白色凝乳状的分泌物,分泌物刺激外阴出现外阴的瘙痒,灼痛或者导致外阴肿胀,皮革样。具体是哪种类型阴道炎需要做白带常规检查才能知道。
2、正常白带是白色白带,有时透明,有时粘稠,没有异味。排卵期的白带透明、量多,而其他时间则量少、稍粘稠。此外,在天气炎热,从事体力活动时,这些白带分泌量也会增加,如果没有异味或者别的伴随症状一般就没多大问题。
建议女性在日常生活中一定要保持外阴清洁,勤换内裤,所穿过的内裤清洗之后,一定在太阳底下晾晒,彻底晾干之后再穿,这样就可以在一定程度上避免病原菌的感染。
","scanCount": 56522}}} {"@context": "https://ziyuan.baidu.com/contexts/cambrian.jsonld","appid": "1650708455561748","icon": "https://www.med-credit.org.cn/style/images/ttlogo.png","content_tag": ["atlas"],"is_mcn": {"thumb_id": "v2rm41u3"},"accid": "4886d626a2804dee5f11168793ce361672f39c25","@id": "https://www.med-credit.org.cn/mobile/jingxuan/2/cb4988a57db545db41685cb5eef2a28b.html","bagWordId": "23_1526478020175466496","title": "阴超探头仪器图片","pubDate": "2023-03-29T10:32:19","upDate": "2023-03-29T10:32:19","lrDate": "2023-03-29T10:32:19","description": "阴超是阴道B超的简称,又称腔内B超,是将B超探头放入阴道进行超声诊断的方法。对于已婚女性,可以通过阴道检查,但对于没有性生活的女性,不宜行此检查。","data": {"WebPage": {"headline": "阴超探头仪器图片","pcUrl": "https://www.med-credit.org.cn/jingxuan/2/cb4988a57db545db41685cb5eef2a28b.html","wapUrl": "https://www.med-credit.org.cn/jingxuan/2/cb4988a57db545db41685cb5eef2a28b.html","mipUrl": "https://www.med-credit.org.cn/mobile/jingxuan/2/cb4988a57db545db41685cb5eef2a28b.html","fromSrc": "欢乐橙","datePublished": "2023-03-29T10:32:19","domain": "医疗","category": ["医疗权威文章合作"],"description": "阴超是阴道B超的简称,又称腔内B超,是将B超探头放入阴道进行超声诊断的方法。对于已婚女性,可以通过阴道检查,但对于没有性生活的女性,不宜行此检查。
","extra_headline": [""]},"Author": {"name": "种轶文","wapUrl": "https://www.med-credit.org.cn/doctor/575","pcUrl": "https://www.med-credit.org.cn/doctor/575","jobTitle": "副主任医师","headPortrait": "https://www.med-credit.org.cn/uploadfile/member/575/180x180.jpeg","id": "575","description": "种轶文,北京大学第三医院妇产科副主任医师","memberOf": {"legalName": "北京大学第三医院","department": "妇产科","organizationLevel": "三级甲等"}},"Article": {"summaryContent": "阴超是阴道B超的简称,又称腔内B超,是将B超探头放入阴道进行超声诊断的方法。对于已婚女性,可以通过阴道检查,但对于没有性生活的女性,不宜行此检查。
阴超适合妇科方面的各种检查,比腹部彩超更清楚。
1、阴超探头仪器,探头比较细长,直径约2cm,是圆柱形,末端是圆形的,探头的表面比较光滑。

做检查的时候,让患者平躺于检查床上,采取截石位。然后取出探头,涂抹上医用耦合剂,在探头的外面套上乳胶套,检查一下乳胶套是否完好无损,然后再缓慢地插入阴道,切忌粗暴用力。探头进入阴道约10cm时,可以显示出子宫的图像,要采取多个切面扫查子宫,观察子宫的病变,观察完子宫的病变之后,再检查双侧的附件及整个的盆腔。
2、阴超检查要避开经期,最好在月经干净3-7天进行。通过阴道彩超探头,可以进行卵泡监测、宫外孕确诊及盆腔占位病变等的诊断,与腹部B超相比,看子宫的图像更加清晰,结果更加准确,而且被检查者不需憋尿,可随到随检,还不受肥胖、腹部疤痕及肠腔充气等干扰。
女性要定期做妇科检查,注意经期卫生,保持充足的睡眠,适当体育锻炼,合理饮食,身体有异常情况要及时就诊。
","articleBody": "阴超是阴道B超的简称,又称腔内B超,是将B超探头放入阴道进行超声诊断的方法。对于已婚女性,可以通过阴道检查,但对于没有性生活的女性,不宜行此检查。
阴超适合妇科方面的各种检查,比腹部彩超更清楚。
1、阴超探头仪器,探头比较细长,直径约2cm,是圆柱形,末端是圆形的,探头的表面比较光滑。

做检查的时候,让患者平躺于检查床上,采取截石位。然后取出探头,涂抹上医用耦合剂,在探头的外面套上乳胶套,检查一下乳胶套是否完好无损,然后再缓慢地插入阴道,切忌粗暴用力。探头进入阴道约10cm时,可以显示出子宫的图像,要采取多个切面扫查子宫,观察子宫的病变,观察完子宫的病变之后,再检查双侧的附件及整个的盆腔。
2、阴超检查要避开经期,最好在月经干净3-7天进行。通过阴道彩超探头,可以进行卵泡监测、宫外孕确诊及盆腔占位病变等的诊断,与腹部B超相比,看子宫的图像更加清晰,结果更加准确,而且被检查者不需憋尿,可随到随检,还不受肥胖、腹部疤痕及肠腔充气等干扰。
女性要定期做妇科检查,注意经期卫生,保持充足的睡眠,适当体育锻炼,合理饮食,身体有异常情况要及时就诊。
","scanCount": 56521}}} {"@context": "https://ziyuan.baidu.com/contexts/cambrian.jsonld","appid": "1650708455561748","icon": "https://www.med-credit.org.cn/style/images/ttlogo.png","content_tag": ["atlas"],"is_mcn": {"thumb_id": "v2rm41u3"},"accid": "4886d626a2804dee5f11168793ce361672f39c25","@id": "https://www.med-credit.org.cn/mobile/jingxuan/2/baa42703acb7baa47630561bdfa8d236.html","bagWordId": "23_1526478092330078208","title": "严重缺氧胎心监护图","pubDate": "2023-03-29T10:32:19","upDate": "2023-03-29T10:32:19","lrDate": "2023-03-29T10:32:19","description": "胎心监护的晚期减速及频繁的变异减速图形是胎儿宫内缺氧的图形。","data": {"WebPage": {"headline": "严重缺氧胎心监护图","pcUrl": "https://www.med-credit.org.cn/jingxuan/2/baa42703acb7baa47630561bdfa8d236.html","wapUrl": "https://www.med-credit.org.cn/jingxuan/2/baa42703acb7baa47630561bdfa8d236.html","mipUrl": "https://www.med-credit.org.cn/mobile/jingxuan/2/baa42703acb7baa47630561bdfa8d236.html","fromSrc": "欢乐橙","datePublished": "2023-03-29T10:32:19","domain": "医疗","category": ["医疗权威文章合作"],"description": "胎心监护的晚期减速及频繁的变异减速图形是胎儿宫内缺氧的图形。
","extra_headline": [""]},"Author": {"name": "种轶文","wapUrl": "https://www.med-credit.org.cn/doctor/575","pcUrl": "https://www.med-credit.org.cn/doctor/575","jobTitle": "副主任医师","headPortrait": "https://www.med-credit.org.cn/uploadfile/member/575/180x180.jpeg","id": "575","description": "种轶文,北京大学第三医院妇产科副主任医师","memberOf": {"legalName": "北京大学第三医院","department": "妇产科","organizationLevel": "三级甲等"}},"Article": {"summaryContent": "胎心监护的晚期减速及频繁的变异减速图形是胎儿宫内缺氧的图形。
胎心监护可以通过胎心率、胎心基线等情况判断孩子是否发生宫内缺氧。

1、胎心率:出现持续10分钟以上的胎心心动过速(是指胎心率大于160次/分)或者胎心过缓(是指胎心率小于110次/分),考虑是胎儿宫内缺氧。
2、胎心基线:胎心的基线变平,其波动的幅度小于10次,而且持续较长时间,考虑胎儿宫内缺氧。
3、除了胎心监护可以判断胎儿在宫内是否有缺氧的现象,还可以通过胎动、胎儿醒睡周期、超声检查等情况综合判断。
1、胎儿缺氧又称为胎儿窘迫,原因包括胎盘异常、脐带异常、母体血液循环障碍、母体宫缩不协调、胎儿发育异常等。
2、孕妇需要及时吸氧治疗,吸氧可以增加孕妇的血氧浓度,从而通过胎盘血,传递给胎儿氧气,可改变子宫内环境,让胎儿正常发育。
3、孕期孕妇平常可以保持左侧卧位,这样能有效增加孕妇子宫和胎盘之间的血液供应,增加胎儿的氧气量。
","articleBody": "胎心监护的晚期减速及频繁的变异减速图形是胎儿宫内缺氧的图形。
胎心监护可以通过胎心率、胎心基线等情况判断孩子是否发生宫内缺氧。

1、胎心率:出现持续10分钟以上的胎心心动过速(是指胎心率大于160次/分)或者胎心过缓(是指胎心率小于110次/分),考虑是胎儿宫内缺氧。
2、胎心基线:胎心的基线变平,其波动的幅度小于10次,而且持续较长时间,考虑胎儿宫内缺氧。
3、除了胎心监护可以判断胎儿在宫内是否有缺氧的现象,还可以通过胎动、胎儿醒睡周期、超声检查等情况综合判断。
1、胎儿缺氧又称为胎儿窘迫,原因包括胎盘异常、脐带异常、母体血液循环障碍、母体宫缩不协调、胎儿发育异常等。
2、孕妇需要及时吸氧治疗,吸氧可以增加孕妇的血氧浓度,从而通过胎盘血,传递给胎儿氧气,可改变子宫内环境,让胎儿正常发育。
3、孕期孕妇平常可以保持左侧卧位,这样能有效增加孕妇子宫和胎盘之间的血液供应,增加胎儿的氧气量。
","scanCount": 56520}}} {"@context": "https://ziyuan.baidu.com/contexts/cambrian.jsonld","appid": "1650708455561748","icon": "https://www.med-credit.org.cn/style/images/ttlogo.png","content_tag": ["atlas"],"is_mcn": {"thumb_id": "v2rm41u3"},"accid": "4886d626a2804dee5f11168793ce361672f39c25","@id": "https://www.med-credit.org.cn/mobile/jingxuan/2/2fc5714ba7f3f3b5109d7e4b2d0e691a.html","bagWordId": "23_1526478031189708800","title": "药流下来的胚胎是什么样子的","pubDate": "2023-03-29T10:32:19","upDate": "2023-03-29T10:32:19","lrDate": "2023-03-29T10:32:19","description": "药流下来的胚胎为白色的似小块肥肉的圆形组织,有的则呈血块状。","data": {"WebPage": {"headline": "药流下来的胚胎是什么样子的","pcUrl": "https://www.med-credit.org.cn/jingxuan/2/2fc5714ba7f3f3b5109d7e4b2d0e691a.html","wapUrl": "https://www.med-credit.org.cn/jingxuan/2/2fc5714ba7f3f3b5109d7e4b2d0e691a.html","mipUrl": "https://www.med-credit.org.cn/mobile/jingxuan/2/2fc5714ba7f3f3b5109d7e4b2d0e691a.html","fromSrc": "欢乐橙","datePublished": "2023-03-29T10:32:19","domain": "医疗","category": ["医疗权威文章合作"],"description": "药流下来的胚胎为白色的似小块肥肉的圆形组织,有的则呈血块状。
","extra_headline": [""]},"Author": {"name": "种轶文","wapUrl": "https://www.med-credit.org.cn/doctor/575","pcUrl": "https://www.med-credit.org.cn/doctor/575","jobTitle": "副主任医师","headPortrait": "https://www.med-credit.org.cn/uploadfile/member/575/180x180.jpeg","id": "575","description": "种轶文,北京大学第三医院妇产科副主任医师","memberOf": {"legalName": "北京大学第三医院","department": "妇产科","organizationLevel": "三级甲等"}},"Article": {"summaryContent": "药流下来的胚胎为白色的似小块肥肉的圆形组织,有的则呈血块状。
药流是怀孕早期通过服用或注射药物进行终止妊娠的方式。
药物流产时,身体会排出胚胎和胎盘等物质,排出的白色的像一块肥肉的圆形组织就是胚胎和胎囊,同时还会排出黑色或者是青色的,形状有点类似鱼肠的组织,这是绒毛膜。

药流是通过使用药物的方式来终止妊娠,临床上常用的药物是米非司酮与前列腺素联合应用,米非司酮可以使子宫内膜变性坏死、同时还可以软化宫颈,而前列腺素则是可以使子宫收缩,帮助胚胎排出。药物流产操作比较简便、有效,但目前通常用于终止早期的妊娠。
需要进行药物流产者必须到正规医院并在医生的指导下进行药物流产,这样才能保证妇女的健康与安全。药物流产后要注意休息,不要剧烈运动,要注意局部卫生,避免感染。
","articleBody": "药流下来的胚胎为白色的似小块肥肉的圆形组织,有的则呈血块状。
药流是怀孕早期通过服用或注射药物进行终止妊娠的方式。
药物流产时,身体会排出胚胎和胎盘等物质,排出的白色的像一块肥肉的圆形组织就是胚胎和胎囊,同时还会排出黑色或者是青色的,形状有点类似鱼肠的组织,这是绒毛膜。

药流是通过使用药物的方式来终止妊娠,临床上常用的药物是米非司酮与前列腺素联合应用,米非司酮可以使子宫内膜变性坏死、同时还可以软化宫颈,而前列腺素则是可以使子宫收缩,帮助胚胎排出。药物流产操作比较简便、有效,但目前通常用于终止早期的妊娠。
需要进行药物流产者必须到正规医院并在医生的指导下进行药物流产,这样才能保证妇女的健康与安全。药物流产后要注意休息,不要剧烈运动,要注意局部卫生,避免感染。
","scanCount": 56519}}} {"@context": "https://ziyuan.baidu.com/contexts/cambrian.jsonld","appid": "1650708455561748","icon": "https://www.med-credit.org.cn/style/images/ttlogo.png","content_tag": ["atlas"],"is_mcn": {"thumb_id": "v2rm41u3"},"accid": "4886d626a2804dee5f11168793ce361672f39c25","@id": "https://www.med-credit.org.cn/mobile/jingxuan/2/bce7c3cec95bbd89be3aed8d0b83fdea.html","bagWordId": "23_1526478093236047872","title": "胎儿颈部u型压迹图片","pubDate": "2023-03-29T10:32:19","upDate": "2023-03-29T10:32:19","lrDate": "2023-03-29T10:32:19","description": "胎儿颈部U型压迹是超声中的一个描述性诊断,说明出现了脐带绕颈一圈的现象,此种情况十分常见。","data": {"WebPage": {"headline": "胎儿颈部u型压迹图片","pcUrl": "https://www.med-credit.org.cn/jingxuan/2/bce7c3cec95bbd89be3aed8d0b83fdea.html","wapUrl": "https://www.med-credit.org.cn/jingxuan/2/bce7c3cec95bbd89be3aed8d0b83fdea.html","mipUrl": "https://www.med-credit.org.cn/mobile/jingxuan/2/bce7c3cec95bbd89be3aed8d0b83fdea.html","fromSrc": "欢乐橙","datePublished": "2023-03-29T10:32:19","domain": "医疗","category": ["医疗权威文章合作"],"description": "胎儿颈部U型压迹是超声中的一个描述性诊断,说明出现了脐带绕颈一圈的现象,此种情况十分常见。
","extra_headline": [""]},"Author": {"name": "种轶文","wapUrl": "https://www.med-credit.org.cn/doctor/575","pcUrl": "https://www.med-credit.org.cn/doctor/575","jobTitle": "副主任医师","headPortrait": "https://www.med-credit.org.cn/uploadfile/member/575/180x180.jpeg","id": "575","description": "种轶文,北京大学第三医院妇产科副主任医师","memberOf": {"legalName": "北京大学第三医院","department": "妇产科","organizationLevel": "三级甲等"}},"Article": {"summaryContent": "胎儿颈部U型压迹是超声中的一个描述性诊断,说明出现了脐带绕颈一圈的现象,此种情况十分常见。
此种现象发生的原因可能与脐带过长、胎儿小、羊水过多等因素有关。
1、脐带绕颈一周提示u型压迹,脐带绕颈两周就提示W型压迹,此时对胎儿的影响均不是很大,若脐带绕颈三周及三周以上会导致宫内窘迫、缺氧等症状,此种情况需及时入院观察治疗。

2、脐带绕颈的情况较常见,脐带过长、胎儿较小、羊水多以及胎动频繁均可以导致此种情况。
若检查出u型压迹孕妇可以不用过于担心,因为胎儿后期的活动可能会缓解此种情况,建议孕妇要定期产检并且学会自测胎动,一般情况下胎儿正常胎动次数为12小时30次,胎动过少或者胎动频繁都要警惕胎儿发生宫内缺氧,此时需要及时前往医院进行专业诊断。
","articleBody": "胎儿颈部U型压迹是超声中的一个描述性诊断,说明出现了脐带绕颈一圈的现象,此种情况十分常见。
此种现象发生的原因可能与脐带过长、胎儿小、羊水过多等因素有关。
1、脐带绕颈一周提示u型压迹,脐带绕颈两周就提示W型压迹,此时对胎儿的影响均不是很大,若脐带绕颈三周及三周以上会导致宫内窘迫、缺氧等症状,此种情况需及时入院观察治疗。

2、脐带绕颈的情况较常见,脐带过长、胎儿较小、羊水多以及胎动频繁均可以导致此种情况。
若检查出u型压迹孕妇可以不用过于担心,因为胎儿后期的活动可能会缓解此种情况,建议孕妇要定期产检并且学会自测胎动,一般情况下胎儿正常胎动次数为12小时30次,胎动过少或者胎动频繁都要警惕胎儿发生宫内缺氧,此时需要及时前往医院进行专业诊断。
","scanCount": 56518}}} {"@context": "https://ziyuan.baidu.com/contexts/cambrian.jsonld","appid": "1650708455561748","icon": "https://www.med-credit.org.cn/style/images/ttlogo.png","content_tag": ["atlas"],"is_mcn": {"thumb_id": "v2rm41u3"},"accid": "4886d626a2804dee5f11168793ce361672f39c25","@id": "https://www.med-credit.org.cn/mobile/jingxuan/2/c82cb4953bf623d59070879188e71ff7.html","bagWordId": "23_1526478025670004736","title": "药流排出来的绒毛是什么样的","pubDate": "2023-03-29T10:32:19","upDate": "2023-03-29T10:32:19","lrDate": "2023-03-29T10:32:19","description": "药流下来的绒毛是黑色或者是青色的,形状有点类似鱼肠的组织。","data": {"WebPage": {"headline": "药流排出来的绒毛是什么样的","pcUrl": "https://www.med-credit.org.cn/jingxuan/2/c82cb4953bf623d59070879188e71ff7.html","wapUrl": "https://www.med-credit.org.cn/jingxuan/2/c82cb4953bf623d59070879188e71ff7.html","mipUrl": "https://www.med-credit.org.cn/mobile/jingxuan/2/c82cb4953bf623d59070879188e71ff7.html","fromSrc": "欢乐橙","datePublished": "2023-03-29T10:32:19","domain": "医疗","category": ["医疗权威文章合作"],"description": "药流下来的绒毛是黑色或者是青色的,形状有点类似鱼肠的组织。
","extra_headline": [""]},"Author": {"name": "种轶文","wapUrl": "https://www.med-credit.org.cn/doctor/575","pcUrl": "https://www.med-credit.org.cn/doctor/575","jobTitle": "副主任医师","headPortrait": "https://www.med-credit.org.cn/uploadfile/member/575/180x180.jpeg","id": "575","description": "种轶文,北京大学第三医院妇产科副主任医师","memberOf": {"legalName": "北京大学第三医院","department": "妇产科","organizationLevel": "三级甲等"}},"Article": {"summaryContent": "药流下来的绒毛是黑色或者是青色的,形状有点类似鱼肠的组织。
药流是怀孕早期通过服用或注射药物进行终止妊娠的方式。
药物流产时,身体会排出胚胎和胎盘等物质,排出的白色的像一块肥肉的圆形组织就是胚胎和胎囊,同时还会排出黑色或者是青色的,形状有点类似鱼肠的组织,这是绒毛膜。

药流是通过使用药物的方式来终止妊娠,临床上常用的药物是米非司酮与前列腺素联合应用,米非司酮可以使子宫内膜变性坏死、同时还可以软化宫颈,而前列腺素则是可以使子宫收缩,帮助胚胎排出。药物流产操作比较简便、有效,但目前通常用于终止早期的妊娠。
需要进行药物流产者必须到正规医院并在医生的指导下进行药物流产,这样才能保证妇女的健康与安全。药物流产后要注意休息,不要剧烈运动,要注意局部卫生,避免感染。
","articleBody": "药流下来的绒毛是黑色或者是青色的,形状有点类似鱼肠的组织。
药流是怀孕早期通过服用或注射药物进行终止妊娠的方式。
药物流产时,身体会排出胚胎和胎盘等物质,排出的白色的像一块肥肉的圆形组织就是胚胎和胎囊,同时还会排出黑色或者是青色的,形状有点类似鱼肠的组织,这是绒毛膜。

药流是通过使用药物的方式来终止妊娠,临床上常用的药物是米非司酮与前列腺素联合应用,米非司酮可以使子宫内膜变性坏死、同时还可以软化宫颈,而前列腺素则是可以使子宫收缩,帮助胚胎排出。药物流产操作比较简便、有效,但目前通常用于终止早期的妊娠。
需要进行药物流产者必须到正规医院并在医生的指导下进行药物流产,这样才能保证妇女的健康与安全。药物流产后要注意休息,不要剧烈运动,要注意局部卫生,避免感染。
","scanCount": 56517}}} {"@context": "https://ziyuan.baidu.com/contexts/cambrian.jsonld","appid": "1650708455561748","icon": "https://www.med-credit.org.cn/style/images/ttlogo.png","content_tag": ["atlas"],"is_mcn": {"thumb_id": "v2rm41u3"},"accid": "4886d626a2804dee5f11168793ce361672f39c25","@id": "https://www.med-credit.org.cn/mobile/jingxuan/2/399fb45fd398946e11dea1ef6ab78edb.html","bagWordId": "23_1526478019806367744","title": "酸奶状白带图片","pubDate": "2023-03-29T10:32:19","upDate": "2023-03-29T10:32:19","lrDate": "2023-03-29T10:32:19","description": "酸奶状白带主要指的是呈糊状或者凝乳状的呈乳白色的白带,并且常伴有异味。","data": {"WebPage": {"headline": "酸奶状白带图片","pcUrl": "https://www.med-credit.org.cn/jingxuan/2/399fb45fd398946e11dea1ef6ab78edb.html","wapUrl": "https://www.med-credit.org.cn/jingxuan/2/399fb45fd398946e11dea1ef6ab78edb.html","mipUrl": "https://www.med-credit.org.cn/mobile/jingxuan/2/399fb45fd398946e11dea1ef6ab78edb.html","fromSrc": "欢乐橙","datePublished": "2023-03-29T10:32:19","domain": "医疗","category": ["医疗权威文章合作"],"description": "酸奶状白带主要指的是呈糊状或者凝乳状的呈乳白色的白带,并且常伴有异味。
","extra_headline": [""]},"Author": {"name": "种轶文","wapUrl": "https://www.med-credit.org.cn/doctor/575","pcUrl": "https://www.med-credit.org.cn/doctor/575","jobTitle": "副主任医师","headPortrait": "https://www.med-credit.org.cn/uploadfile/member/575/180x180.jpeg","id": "575","description": "种轶文,北京大学第三医院妇产科副主任医师","memberOf": {"legalName": "北京大学第三医院","department": "妇产科","organizationLevel": "三级甲等"}},"Article": {"summaryContent": "酸奶状白带主要指的是呈糊状或者凝乳状的呈乳白色的白带,并且常伴有异味。
出现此种症状一般提示存在阴道炎或者宫颈炎等妇科炎症。

1、正常情况下的白带呈无色无味,并且局部无瘙痒、红肿等不适症状,若出现酸奶状白带,即浓稠的、呈乳白色的白带时,常常提示有阴道炎症,比如霉菌性阴道炎,此时常有外阴的局部瘙痒、红肿、疼痛等不适症状。出现此种症状还可能是由于月经周期内的激素变化引起,此时则属于正常现象。
2、霉菌性阴道炎一般是由于机体抵抗力低下、大量使用抗生素等因素引起,此时需要及时前往医院进行检查,一般会使用窥阴器检查阴道、做白带常规的检查等。
阴道炎是女性患者多发的疾病,故平时一定要注意保护外阴的清洁,尽量每天用清水清洗外阴,不可冲洗阴道,勤换内裤。
","articleBody": "酸奶状白带主要指的是呈糊状或者凝乳状的呈乳白色的白带,并且常伴有异味。
出现此种症状一般提示存在阴道炎或者宫颈炎等妇科炎症。

1、正常情况下的白带呈无色无味,并且局部无瘙痒、红肿等不适症状,若出现酸奶状白带,即浓稠的、呈乳白色的白带时,常常提示有阴道炎症,比如霉菌性阴道炎,此时常有外阴的局部瘙痒、红肿、疼痛等不适症状。出现此种症状还可能是由于月经周期内的激素变化引起,此时则属于正常现象。
2、霉菌性阴道炎一般是由于机体抵抗力低下、大量使用抗生素等因素引起,此时需要及时前往医院进行检查,一般会使用窥阴器检查阴道、做白带常规的检查等。
阴道炎是女性患者多发的疾病,故平时一定要注意保护外阴的清洁,尽量每天用清水清洗外阴,不可冲洗阴道,勤换内裤。
","scanCount": 56516}}} {"@context": "https://ziyuan.baidu.com/contexts/cambrian.jsonld","appid": "1650708455561748","icon": "https://www.med-credit.org.cn/style/images/ttlogo.png","content_tag": ["atlas"],"is_mcn": {"thumb_id": "v2rm41u3"},"accid": "4886d626a2804dee5f11168793ce361672f39c25","@id": "https://www.med-credit.org.cn/mobile/jingxuan/2/139ae9f8c76fb5b0ef2f3dc0b1426bbf.html","bagWordId": "23_1526478086340612096","title": "怀孕三个月图片","pubDate": "2023-03-29T10:32:19","upDate": "2023-03-29T10:32:19","lrDate": "2023-03-29T10:32:19","description": "孕3个月时女性的肚子不会有明显的变化,胎儿大概为2-9厘米。","data": {"WebPage": {"headline": "怀孕三个月图片","pcUrl": "https://www.med-credit.org.cn/jingxuan/2/139ae9f8c76fb5b0ef2f3dc0b1426bbf.html","wapUrl": "https://www.med-credit.org.cn/jingxuan/2/139ae9f8c76fb5b0ef2f3dc0b1426bbf.html","mipUrl": "https://www.med-credit.org.cn/mobile/jingxuan/2/139ae9f8c76fb5b0ef2f3dc0b1426bbf.html","fromSrc": "欢乐橙","datePublished": "2023-03-29T10:32:19","domain": "医疗","category": ["医疗权威文章合作"],"description": "孕3个月时女性的肚子不会有明显的变化,胎儿大概为2-9厘米。
","extra_headline": [""]},"Author": {"name": "种轶文","wapUrl": "https://www.med-credit.org.cn/doctor/575","pcUrl": "https://www.med-credit.org.cn/doctor/575","jobTitle": "副主任医师","headPortrait": "https://www.med-credit.org.cn/uploadfile/member/575/180x180.jpeg","id": "575","description": "种轶文,北京大学第三医院妇产科副主任医师","memberOf": {"legalName": "北京大学第三医院","department": "妇产科","organizationLevel": "三级甲等"}},"Article": {"summaryContent": "孕3个月时女性的肚子不会有明显的变化,胎儿大概为2-9厘米。
每个人的体质都是不同的,孕妇肚子变大的程度和速度也不尽相同,还会出现不同程度的妊娠反应。
女性怀孕3个月的时候,肚子显怀不是很明显,胎儿大小也大概为2-9厘米,子宫为适应胎儿的变大也会逐渐增大,表现为子宫底升高,腹围也会增加,但肉眼看不是很明显。

随着胎儿的生长发育,子宫还会继续上升,可以由此判断妊娠期和胎儿的发育生长情况。
不同的孕妇对妊娠的身体反应也是不太相同的,由于体质原因,肚子变大的时间也不太相同,大部分孕妇会在怀孕3个月后开始显怀,但也有些孕妇怀孕4、5个月孕肚也不是很明显,只要定期检查没有问题就是正常的。妊娠初期还会有一些妊娠反应,如头晕、乏力、嗜睡等情况,一般会在妊娠3个月左右自行消失。
孕妇养成良好的生活规律,晚上不要熬夜,早点睡觉,睡觉前不要进行激烈的活动和情绪紧张,以免延长入睡时间。还可以按摩、泡脚缓解疲劳,听音乐改善心情。
","articleBody": "孕3个月时女性的肚子不会有明显的变化,胎儿大概为2-9厘米。
每个人的体质都是不同的,孕妇肚子变大的程度和速度也不尽相同,还会出现不同程度的妊娠反应。
女性怀孕3个月的时候,肚子显怀不是很明显,胎儿大小也大概为2-9厘米,子宫为适应胎儿的变大也会逐渐增大,表现为子宫底升高,腹围也会增加,但肉眼看不是很明显。

随着胎儿的生长发育,子宫还会继续上升,可以由此判断妊娠期和胎儿的发育生长情况。
不同的孕妇对妊娠的身体反应也是不太相同的,由于体质原因,肚子变大的时间也不太相同,大部分孕妇会在怀孕3个月后开始显怀,但也有些孕妇怀孕4、5个月孕肚也不是很明显,只要定期检查没有问题就是正常的。妊娠初期还会有一些妊娠反应,如头晕、乏力、嗜睡等情况,一般会在妊娠3个月左右自行消失。
孕妇养成良好的生活规律,晚上不要熬夜,早点睡觉,睡觉前不要进行激烈的活动和情绪紧张,以免延长入睡时间。还可以按摩、泡脚缓解疲劳,听音乐改善心情。
","scanCount": 56515}}} {"@context": "https://ziyuan.baidu.com/contexts/cambrian.jsonld","appid": "1650708455561748","icon": "https://www.med-credit.org.cn/style/images/ttlogo.png","content_tag": ["atlas"],"is_mcn": {"thumb_id": "v2rm41u3"},"accid": "4886d626a2804dee5f11168793ce361672f39c25","@id": "https://www.med-credit.org.cn/mobile/jingxuan/2/1835adb62ef14f91f3abaacd45fece5a.html","bagWordId": "23_1526478094980878336","title": "怀孕二条杠一深一浅图片","pubDate": "2023-03-29T10:32:19","upDate": "2023-03-29T10:32:19","lrDate": "2023-03-29T10:32:19","description": "怀孕二条杠一深一浅可能是刚怀孕,类绒毛膜促性腺激素HCG水平较低,检测不明显;也可能是患有子宫或卵巢疾病,影响激素水平。","data": {"WebPage": {"headline": "怀孕二条杠一深一浅图片","pcUrl": "https://www.med-credit.org.cn/jingxuan/2/1835adb62ef14f91f3abaacd45fece5a.html","wapUrl": "https://www.med-credit.org.cn/jingxuan/2/1835adb62ef14f91f3abaacd45fece5a.html","mipUrl": "https://www.med-credit.org.cn/mobile/jingxuan/2/1835adb62ef14f91f3abaacd45fece5a.html","fromSrc": "欢乐橙","datePublished": "2023-03-29T10:32:19","domain": "医疗","category": ["医疗权威文章合作"],"description": "怀孕二条杠一深一浅可能是刚怀孕,类绒毛膜促性腺激素HCG水平较低,检测不明显;也可能是患有子宫或卵巢疾病,影响激素水平。
","extra_headline": [""]},"Author": {"name": "种轶文","wapUrl": "https://www.med-credit.org.cn/doctor/575","pcUrl": "https://www.med-credit.org.cn/doctor/575","jobTitle": "副主任医师","headPortrait": "https://www.med-credit.org.cn/uploadfile/member/575/180x180.jpeg","id": "575","description": "种轶文,北京大学第三医院妇产科副主任医师","memberOf": {"legalName": "北京大学第三医院","department": "妇产科","organizationLevel": "三级甲等"}},"Article": {"summaryContent": "怀孕二条杠一深一浅可能是刚怀孕,类绒毛膜促性腺激素HCG水平较低,检测不明显;也可能是患有子宫或卵巢疾病,影响激素水平。
用验孕棒测早孕时最好是用晨尿进行测试,比较能准确测出结果。

验孕棒两条红杠说明是阳性,表示女性已经怀孕,一深一浅则说明是弱阳性,怀孕的概率是百分之五十,有可能是刚刚怀上,体内的类绒毛膜促性腺激素水平还处于比较低的范围,这个时候如果检测的尿液浓度比较低,可能就检测结果不太明显。也可能是子宫疾病或卵巢疾病导致体内的激素水平不稳定。
测早孕的时候最好是用晨尿检测,晨尿的浓度比较高,同时前一天晚上不要喝太多水,避免尿液被稀释。怀孕二条杠一深一浅可以过两天后再检测一次。
如果再次检测,验孕棒的指示还是一深一浅,建议去医院进行检查,看看是否是身体疾病导致激素水平不定。
","articleBody": "怀孕二条杠一深一浅可能是刚怀孕,类绒毛膜促性腺激素HCG水平较低,检测不明显;也可能是患有子宫或卵巢疾病,影响激素水平。
用验孕棒测早孕时最好是用晨尿进行测试,比较能准确测出结果。

验孕棒两条红杠说明是阳性,表示女性已经怀孕,一深一浅则说明是弱阳性,怀孕的概率是百分之五十,有可能是刚刚怀上,体内的类绒毛膜促性腺激素水平还处于比较低的范围,这个时候如果检测的尿液浓度比较低,可能就检测结果不太明显。也可能是子宫疾病或卵巢疾病导致体内的激素水平不稳定。
测早孕的时候最好是用晨尿检测,晨尿的浓度比较高,同时前一天晚上不要喝太多水,避免尿液被稀释。怀孕二条杠一深一浅可以过两天后再检测一次。
如果再次检测,验孕棒的指示还是一深一浅,建议去医院进行检查,看看是否是身体疾病导致激素水平不定。
","scanCount": 56514}}} {"@context": "https://ziyuan.baidu.com/contexts/cambrian.jsonld","appid": "1650708455561748","icon": "https://www.med-credit.org.cn/style/images/ttlogo.png","content_tag": ["atlas"],"is_mcn": {"thumb_id": "v2rm41u3"},"accid": "4886d626a2804dee5f11168793ce361672f39c25","@id": "https://www.med-credit.org.cn/mobile/jingxuan/2/b04e243bbe07aa6d8c557eff44216ad3.html","bagWordId": "23_1526478024004866048","title": "药流快20天褐色分泌物图片","pubDate": "2023-03-29T10:32:19","upDate": "2023-03-29T10:32:19","lrDate": "2023-03-29T10:32:19","description": "药流是指药物流产,药物流产后20天还有褐色分泌物,可能是药物流产不全、感染等原因造成的。","data": {"WebPage": {"headline": "药流快20天褐色分泌物图片","pcUrl": "https://www.med-credit.org.cn/jingxuan/2/b04e243bbe07aa6d8c557eff44216ad3.html","wapUrl": "https://www.med-credit.org.cn/jingxuan/2/b04e243bbe07aa6d8c557eff44216ad3.html","mipUrl": "https://www.med-credit.org.cn/mobile/jingxuan/2/b04e243bbe07aa6d8c557eff44216ad3.html","fromSrc": "欢乐橙","datePublished": "2023-03-29T10:32:19","domain": "医疗","category": ["医疗权威文章合作"],"description": "药流是指药物流产,药物流产后20天还有褐色分泌物,可能是药物流产不全、感染等原因造成的。
","extra_headline": [""]},"Author": {"name": "种轶文","wapUrl": "https://www.med-credit.org.cn/doctor/575","pcUrl": "https://www.med-credit.org.cn/doctor/575","jobTitle": "副主任医师","headPortrait": "https://www.med-credit.org.cn/uploadfile/member/575/180x180.jpeg","id": "575","description": "种轶文,北京大学第三医院妇产科副主任医师","memberOf": {"legalName": "北京大学第三医院","department": "妇产科","organizationLevel": "三级甲等"}},"Article": {"summaryContent": "药流是指药物流产,药物流产后20天还有褐色分泌物,可能是药物流产不全、感染等原因造成的。
药物流产是指在医生指导下服用米非司酮和米索前列醇等药物终止早期妊娠的方法。

1、药物流产后,由于孕囊排出体外,一般会伴有阴道出血,但一般持续7到10天。药物流产后20天阴道还有褐色分泌物,一般是不正常的,可能是药物流产不全,子宫内仍有绒毛、蜕膜组织等残留,持续刺激子宫,导致患者持续20天阴道还有出血。
2、药物流产后,如果患者不注意个人卫生卫生,就容易因为阴道出血发生逆行感染,从而导致药物流产后20天还有褐色分泌物。
1、药物流产后20天还有褐色分泌物,患者需要及时就诊,完善B超等相关检查,查明宫腔内是否有胚胎残留,或者是感染等导致的阴道持续异常出血。
2、如果是宫腔内有残留导致的,建议患者及时进行清宫术等治疗;如果是感染导致的,患者可以遵医嘱服用阿莫西林、头孢曲松钠等抗生素抗感染。
患者在药物流产后,要注意休息,半个月内避免进行重体力活动;还要注意个人卫生,要每天清洗外阴及阴道,洗澡时选择淋浴,不要盆浴。
","articleBody": "药流是指药物流产,药物流产后20天还有褐色分泌物,可能是药物流产不全、感染等原因造成的。
药物流产是指在医生指导下服用米非司酮和米索前列醇等药物终止早期妊娠的方法。

1、药物流产后,由于孕囊排出体外,一般会伴有阴道出血,但一般持续7到10天。药物流产后20天阴道还有褐色分泌物,一般是不正常的,可能是药物流产不全,子宫内仍有绒毛、蜕膜组织等残留,持续刺激子宫,导致患者持续20天阴道还有出血。
2、药物流产后,如果患者不注意个人卫生卫生,就容易因为阴道出血发生逆行感染,从而导致药物流产后20天还有褐色分泌物。
1、药物流产后20天还有褐色分泌物,患者需要及时就诊,完善B超等相关检查,查明宫腔内是否有胚胎残留,或者是感染等导致的阴道持续异常出血。
2、如果是宫腔内有残留导致的,建议患者及时进行清宫术等治疗;如果是感染导致的,患者可以遵医嘱服用阿莫西林、头孢曲松钠等抗生素抗感染。
患者在药物流产后,要注意休息,半个月内避免进行重体力活动;还要注意个人卫生,要每天清洗外阴及阴道,洗澡时选择淋浴,不要盆浴。
","scanCount": 56513}}} {"@context": "https://ziyuan.baidu.com/contexts/cambrian.jsonld","appid": "1650708455561748","icon": "https://www.med-credit.org.cn/style/images/ttlogo.png","content_tag": ["atlas"],"is_mcn": {"thumb_id": "v2rm41u3"},"accid": "4886d626a2804dee5f11168793ce361672f39c25","@id": "https://www.med-credit.org.cn/mobile/jingxuan/2/eedfe116352dcdfe899496258591fb73.html","bagWordId": "23_1526478017046515712","title": "宫颈口有一坨肉凸出来图片","pubDate": "2023-03-29T10:32:19","upDate": "2023-03-29T10:32:19","lrDate": "2023-03-29T10:32:19","description": "1.宫颈口有一坨肉凸出来,一般可见于宫颈息肉、纳氏囊、尖锐湿疣等疾病。","data": {"WebPage": {"headline": "宫颈口有一坨肉凸出来图片","pcUrl": "https://www.med-credit.org.cn/jingxuan/2/eedfe116352dcdfe899496258591fb73.html","wapUrl": "https://www.med-credit.org.cn/jingxuan/2/eedfe116352dcdfe899496258591fb73.html","mipUrl": "https://www.med-credit.org.cn/mobile/jingxuan/2/eedfe116352dcdfe899496258591fb73.html","fromSrc": "欢乐橙","datePublished": "2023-03-29T10:32:19","domain": "医疗","category": ["医疗权威文章合作"],"description": "1.宫颈口有一坨肉凸出来,一般可见于宫颈息肉、纳氏囊、尖锐湿疣等疾病。
","extra_headline": [""]},"Author": {"name": "种轶文","wapUrl": "https://www.med-credit.org.cn/doctor/575","pcUrl": "https://www.med-credit.org.cn/doctor/575","jobTitle": "副主任医师","headPortrait": "https://www.med-credit.org.cn/uploadfile/member/575/180x180.jpeg","id": "575","description": "种轶文,北京大学第三医院妇产科副主任医师","memberOf": {"legalName": "北京大学第三医院","department": "妇产科","organizationLevel": "三级甲等"}},"Article": {"summaryContent": "1.宫颈口有一坨肉凸出来,一般可见于宫颈息肉、纳氏囊、尖锐湿疣等疾病。
2.主要症状为宫颈的舌状的赘生物,发生恶变则为菜花样。

1、宫颈息肉:由于宫颈上皮组织长时间受到炎症刺激后进而增生,形成赘生物。触摸宫颈时,可感觉到明显的凸出,同时可能存在少量出血。
2、纳氏囊:又称子宫颈腺囊肿,宫颈部位长期存在慢性炎症,导致腺管堵塞,分泌物无法及时排出,堆积于腺管内,从而出现明显的包块。
3、宫颈上皮内病变:多发生于高危性生活人群,因为宫颈感染HPV病毒,导致局部出现尖锐湿疣,表现为凸起、异常的增生物。
1、宫颈息肉:如果患者的息肉直径小于1cm,无接触性出血和白带异常等情况,无需进行治疗。如果患者有阴道出血、白带异常等情况,并且息肉体积直径大于1cm,建议及时采取手术切除。
2、纳氏囊:因为囊肿璧较厚,生长速度较为缓慢,若未出现明显症状,则无需进行特殊处理,坚持定期进行宫颈筛查即可。
3、宫颈上皮内病变:及时去除诱因,以抗病毒药物、免疫力提升药物,如患者无生育要求,且病变较为严重,可考虑进行“宫颈锥切术”。
","articleBody": "1.宫颈口有一坨肉凸出来,一般可见于宫颈息肉、纳氏囊、尖锐湿疣等疾病。
2.主要症状为宫颈的舌状的赘生物,发生恶变则为菜花样。

1、宫颈息肉:由于宫颈上皮组织长时间受到炎症刺激后进而增生,形成赘生物。触摸宫颈时,可感觉到明显的凸出,同时可能存在少量出血。
2、纳氏囊:又称子宫颈腺囊肿,宫颈部位长期存在慢性炎症,导致腺管堵塞,分泌物无法及时排出,堆积于腺管内,从而出现明显的包块。
3、宫颈上皮内病变:多发生于高危性生活人群,因为宫颈感染HPV病毒,导致局部出现尖锐湿疣,表现为凸起、异常的增生物。
1、宫颈息肉:如果患者的息肉直径小于1cm,无接触性出血和白带异常等情况,无需进行治疗。如果患者有阴道出血、白带异常等情况,并且息肉体积直径大于1cm,建议及时采取手术切除。
2、纳氏囊:因为囊肿璧较厚,生长速度较为缓慢,若未出现明显症状,则无需进行特殊处理,坚持定期进行宫颈筛查即可。
3、宫颈上皮内病变:及时去除诱因,以抗病毒药物、免疫力提升药物,如患者无生育要求,且病变较为严重,可考虑进行“宫颈锥切术”。
","scanCount": 56512}}} {"@context": "https://ziyuan.baidu.com/contexts/cambrian.jsonld","appid": "1650708455561748","icon": "https://www.med-credit.org.cn/style/images/ttlogo.png","content_tag": ["atlas"],"is_mcn": {"thumb_id": "v2rm41u3"},"accid": "4886d626a2804dee5f11168793ce361672f39c25","@id": "https://www.med-credit.org.cn/mobile/jingxuan/2/23202e3bcd5c601d8e2c0aaeedcf71a6.html","bagWordId": "23_1526478032942927872","title": "巴氏腺液真实图片","pubDate": "2023-03-29T10:32:19","upDate": "2023-03-29T10:32:19","lrDate": "2023-03-29T10:32:19","description": "巴氏腺液是女性阴道里流出的一种有粘性的液体,主要呈白色或者透明状,有润滑、清洁阴道以及保护精子的作用。","data": {"WebPage": {"headline": "巴氏腺液真实图片","pcUrl": "https://www.med-credit.org.cn/jingxuan/2/23202e3bcd5c601d8e2c0aaeedcf71a6.html","wapUrl": "https://www.med-credit.org.cn/jingxuan/2/23202e3bcd5c601d8e2c0aaeedcf71a6.html","mipUrl": "https://www.med-credit.org.cn/mobile/jingxuan/2/23202e3bcd5c601d8e2c0aaeedcf71a6.html","fromSrc": "欢乐橙","datePublished": "2023-03-29T10:32:19","domain": "医疗","category": ["医疗权威文章合作"],"description": "巴氏腺液是女性阴道里流出的一种有粘性的液体,主要呈白色或者透明状,有润滑、清洁阴道以及保护精子的作用。
","extra_headline": [""]},"Author": {"name": "种轶文","wapUrl": "https://www.med-credit.org.cn/doctor/575","pcUrl": "https://www.med-credit.org.cn/doctor/575","jobTitle": "副主任医师","headPortrait": "https://www.med-credit.org.cn/uploadfile/member/575/180x180.jpeg","id": "575","description": "种轶文,北京大学第三医院妇产科副主任医师","memberOf": {"legalName": "北京大学第三医院","department": "妇产科","organizationLevel": "三级甲等"}},"Article": {"summaryContent": "巴氏腺液是女性阴道里流出的一种有粘性的液体,主要呈白色或者透明状,有润滑、清洁阴道以及保护精子的作用。
巴氏腺液分泌的量与自身健康状况、饮食、月经、受到的性刺激有关。

1、保护阴道:此种液体平时可以阻挡病原体入侵阴道,当进行性生活时可以起到润滑的作用。
2、保护精子:巴氏腺液可以中和阴道的酸性环境,提高精子的存活率。
3、健康判断:此种液体还可以提示某些炎症,比如阴道炎、盆腔炎、宫颈炎等,常表现为分泌物的异味、阴部的瘙痒等。
4、兴奋判断:在性生活过程中,若分泌液越浓稠,往往提示着兴奋度越高。
1、过度清洁:若女性反复进行阴道内的冲洗,可能会导致阴道无法留住应有的分泌物,导致干涩。
2、前戏不足:女性的性唤起需要一定的时间,若没有充足的准备就进行性生活可能导致受伤。
3、药物因素:长期服用避孕药也可导致分泌减少。
","articleBody": "巴氏腺液是女性阴道里流出的一种有粘性的液体,主要呈白色或者透明状,有润滑、清洁阴道以及保护精子的作用。
巴氏腺液分泌的量与自身健康状况、饮食、月经、受到的性刺激有关。

1、保护阴道:此种液体平时可以阻挡病原体入侵阴道,当进行性生活时可以起到润滑的作用。
2、保护精子:巴氏腺液可以中和阴道的酸性环境,提高精子的存活率。
3、健康判断:此种液体还可以提示某些炎症,比如阴道炎、盆腔炎、宫颈炎等,常表现为分泌物的异味、阴部的瘙痒等。
4、兴奋判断:在性生活过程中,若分泌液越浓稠,往往提示着兴奋度越高。
1、过度清洁:若女性反复进行阴道内的冲洗,可能会导致阴道无法留住应有的分泌物,导致干涩。
2、前戏不足:女性的性唤起需要一定的时间,若没有充足的准备就进行性生活可能导致受伤。
3、药物因素:长期服用避孕药也可导致分泌减少。
","scanCount": 56511}}} {"@context": "https://ziyuan.baidu.com/contexts/cambrian.jsonld","appid": "1650708455561748","icon": "https://www.med-credit.org.cn/style/images/ttlogo.png","content_tag": ["atlas"],"is_mcn": {"thumb_id": "v2rm41u3"},"accid": "4886d626a2804dee5f11168793ce361672f39c25","@id": "https://www.med-credit.org.cn/mobile/jingxuan/2/ee79be57e14776bdc483a842b1639270.html","bagWordId": "23_1526478017256230912","title": "白带怎样才算正常图片","pubDate": "2023-03-29T10:32:19","upDate": "2023-03-29T10:32:19","lrDate": "2023-03-29T10:32:19","description": "正常情况下,白带的数量相对较少,白色或无色透明,有时粘稠,稀疏,无味。","data": {"WebPage": {"headline": "白带怎样才算正常图片","pcUrl": "https://www.med-credit.org.cn/jingxuan/2/ee79be57e14776bdc483a842b1639270.html","wapUrl": "https://www.med-credit.org.cn/jingxuan/2/ee79be57e14776bdc483a842b1639270.html","mipUrl": "https://www.med-credit.org.cn/mobile/jingxuan/2/ee79be57e14776bdc483a842b1639270.html","fromSrc": "欢乐橙","datePublished": "2023-03-29T10:32:19","domain": "医疗","category": ["医疗权威文章合作"],"description": "正常情况下,白带的数量相对较少,白色或无色透明,有时粘稠,稀疏,无味。
","extra_headline": [""]},"Author": {"name": "种轶文","wapUrl": "https://www.med-credit.org.cn/doctor/575","pcUrl": "https://www.med-credit.org.cn/doctor/575","jobTitle": "副主任医师","headPortrait": "https://www.med-credit.org.cn/uploadfile/member/575/180x180.jpeg","id": "575","description": "种轶文,北京大学第三医院妇产科副主任医师","memberOf": {"legalName": "北京大学第三医院","department": "妇产科","organizationLevel": "三级甲等"}},"Article": {"summaryContent": "正常情况下,白带的数量相对较少,白色或无色透明,有时粘稠,稀疏,无味。
白带主要是宫颈粘液和阴道脱落细胞形成,病理性的白带有异味,色变且稠,白带性状的改变与阴道感染或生殖系统的疾病密切相关。
1.正常白带数量较少,无色无味。

不同月经周期的性状可能稍有改变,如从透明状到乳白状;在排卵或性唤起时分泌物会增多;妊娠期气味可能也会有所改变;白带在女性生殖系统中起着重要的维护作用,发生异常时需要进行检查。
2.异常性状:豆渣样伴随外阴瘙痒可能是霉菌性阴道炎;黄色或黄绿色、呈泡沫状、有臭味伴外阴瘙痒及小便不适可能是滴虫性阴道炎;腥臭味可能是细菌性阴道炎;脓性白带或有外阴道炎症状可能是子宫内膜炎;脓性带血可能是宫颈炎。
1.注意私处卫生,每天用水冲洗外阴,内裤至少每日一换。
2.不要滥用清洗液,会破坏阴道酸碱平衡,菌群失调。
3.选择舒适透气的裤子。
","articleBody": "正常情况下,白带的数量相对较少,白色或无色透明,有时粘稠,稀疏,无味。
白带主要是宫颈粘液和阴道脱落细胞形成,病理性的白带有异味,色变且稠,白带性状的改变与阴道感染或生殖系统的疾病密切相关。
1.正常白带数量较少,无色无味。

不同月经周期的性状可能稍有改变,如从透明状到乳白状;在排卵或性唤起时分泌物会增多;妊娠期气味可能也会有所改变;白带在女性生殖系统中起着重要的维护作用,发生异常时需要进行检查。
2.异常性状:豆渣样伴随外阴瘙痒可能是霉菌性阴道炎;黄色或黄绿色、呈泡沫状、有臭味伴外阴瘙痒及小便不适可能是滴虫性阴道炎;腥臭味可能是细菌性阴道炎;脓性白带或有外阴道炎症状可能是子宫内膜炎;脓性带血可能是宫颈炎。
1.注意私处卫生,每天用水冲洗外阴,内裤至少每日一换。
2.不要滥用清洗液,会破坏阴道酸碱平衡,菌群失调。
3.选择舒适透气的裤子。
","scanCount": 56510}}} {"@context": "https://ziyuan.baidu.com/contexts/cambrian.jsonld","appid": "1650708455561748","icon": "https://www.med-credit.org.cn/style/images/ttlogo.png","content_tag": ["atlas"],"is_mcn": {"thumb_id": "v2rm41u3"},"accid": "4886d626a2804dee5f11168793ce361672f39c25","@id": "https://www.med-credit.org.cn/mobile/jingxuan/2/5332578fb8425b62c55406e04f2d078d.html","bagWordId": "23_1526478031244234752","title": "宫颈疣体图片","pubDate": "2023-03-29T10:32:19","upDate": "2023-03-29T10:32:19","lrDate": "2023-03-29T10:32:19","description": "局部出现微小淡红色丘疹,顶端稍尖,表面凸凹不平、多数无不适、少数有瘙痒、灼痛。","data": {"WebPage": {"headline": "宫颈疣体图片","pcUrl": "https://www.med-credit.org.cn/jingxuan/2/5332578fb8425b62c55406e04f2d078d.html","wapUrl": "https://www.med-credit.org.cn/jingxuan/2/5332578fb8425b62c55406e04f2d078d.html","mipUrl": "https://www.med-credit.org.cn/mobile/jingxuan/2/5332578fb8425b62c55406e04f2d078d.html","fromSrc": "欢乐橙","datePublished": "2023-03-29T10:32:19","domain": "医疗","category": ["医疗权威文章合作"],"description": "局部出现微小淡红色丘疹,顶端稍尖,表面凸凹不平、多数无不适、少数有瘙痒、灼痛。
","extra_headline": [""]},"Author": {"name": "种轶文","wapUrl": "https://www.med-credit.org.cn/doctor/575","pcUrl": "https://www.med-credit.org.cn/doctor/575","jobTitle": "副主任医师","headPortrait": "https://www.med-credit.org.cn/uploadfile/member/575/180x180.jpeg","id": "575","description": "种轶文,北京大学第三医院妇产科副主任医师","memberOf": {"legalName": "北京大学第三医院","department": "妇产科","organizationLevel": "三级甲等"}},"Article": {"summaryContent": "局部出现微小淡红色丘疹,顶端稍尖,表面凸凹不平、多数无不适、少数有瘙痒、灼痛。
考虑为人乳头瘤病毒感染所导致的尖锐湿疣。
1、症状:尖锐湿疣发生初期会局部出现微小淡红色的丘疹,其顶端稍尖,表面是凸凹不平的、多数疣体无明显不适、少数会有瘙痒、灼痛感。
随病情发展,疣体会逐渐增大呈菜花状、乳头状或者是鸡冠状的增生物,倾向与相互融合,根部还可能以蒂相连。尖锐湿疣患者常常会伴有有脓性分泌物、表面糜烂、恶臭的情况,严重的患者还可能会融合成大片,布满外阴或肛门皮肤。
2、病因:宫颈尖锐湿疣是由人乳头瘤病毒(HPV)感染所致,可引起妇女阴道口、大小阴唇、尿道口、阴道壁等处生长疣体,其形态各异。该病毒还可以通过感染宫颈部而引起宫颈炎,长期有发展成宫颈癌的风险。传播途径常为性传播,通过性交在性伴侣间发生感染,可以引起生殖器发生丘疹样改变。人乳头瘤病毒会经皮肤或黏膜的微损伤创面来侵入人体,引起肛门周围、生殖器、会阴部的表皮发生疣样增生性的病变。3、治疗:可以采用激光等去除疣体,在辅助用免疫制剂和抗病毒的药物进行治疗。
平时进行性行为时最好是使用避孕套,有一定预防传染性传播疾病的作用。
","articleBody": "局部出现微小淡红色丘疹,顶端稍尖,表面凸凹不平、多数无不适、少数有瘙痒、灼痛。
考虑为人乳头瘤病毒感染所导致的尖锐湿疣。
1、症状:尖锐湿疣发生初期会局部出现微小淡红色的丘疹,其顶端稍尖,表面是凸凹不平的、多数疣体无明显不适、少数会有瘙痒、灼痛感。
随病情发展,疣体会逐渐增大呈菜花状、乳头状或者是鸡冠状的增生物,倾向与相互融合,根部还可能以蒂相连。尖锐湿疣患者常常会伴有有脓性分泌物、表面糜烂、恶臭的情况,严重的患者还可能会融合成大片,布满外阴或肛门皮肤。
2、病因:宫颈尖锐湿疣是由人乳头瘤病毒(HPV)感染所致,可引起妇女阴道口、大小阴唇、尿道口、阴道壁等处生长疣体,其形态各异。该病毒还可以通过感染宫颈部而引起宫颈炎,长期有发展成宫颈癌的风险。传播途径常为性传播,通过性交在性伴侣间发生感染,可以引起生殖器发生丘疹样改变。人乳头瘤病毒会经皮肤或黏膜的微损伤创面来侵入人体,引起肛门周围、生殖器、会阴部的表皮发生疣样增生性的病变。3、治疗:可以采用激光等去除疣体,在辅助用免疫制剂和抗病毒的药物进行治疗。
平时进行性行为时最好是使用避孕套,有一定预防传染性传播疾病的作用。
","scanCount": 56509}}} {"@context": "https://ziyuan.baidu.com/contexts/cambrian.jsonld","appid": "1650708455561748","icon": "https://www.med-credit.org.cn/style/images/ttlogo.png","content_tag": ["atlas"],"is_mcn": {"thumb_id": "v2rm41u3"},"accid": "4886d626a2804dee5f11168793ce361672f39c25","@id": "https://www.med-credit.org.cn/mobile/jingxuan/2/a5419b3c7dd4496b14509aa8b834e560.html","bagWordId": "23_1526478092636262400","title": "产后白色恶露图片","pubDate": "2023-03-29T10:32:19","upDate": "2023-03-29T10:32:19","lrDate": "2023-03-29T10:32:19","description": "1.产后白色恶露质地粘稠,色泽比较白,还有大量的白细胞、坏死组织蜕膜以及表皮细胞和细菌等等,一般是正常的恶露颜色。","data": {"WebPage": {"headline": "产后白色恶露图片","pcUrl": "https://www.med-credit.org.cn/jingxuan/2/a5419b3c7dd4496b14509aa8b834e560.html","wapUrl": "https://www.med-credit.org.cn/jingxuan/2/a5419b3c7dd4496b14509aa8b834e560.html","mipUrl": "https://www.med-credit.org.cn/mobile/jingxuan/2/a5419b3c7dd4496b14509aa8b834e560.html","fromSrc": "欢乐橙","datePublished": "2023-03-29T10:32:19","domain": "医疗","category": ["医疗权威文章合作"],"description": "1.产后白色恶露质地粘稠,色泽比较白,还有大量的白细胞、坏死组织蜕膜以及表皮细胞和细菌等等,一般是正常的恶露颜色。
","extra_headline": [""]},"Author": {"name": "种轶文","wapUrl": "https://www.med-credit.org.cn/doctor/575","pcUrl": "https://www.med-credit.org.cn/doctor/575","jobTitle": "副主任医师","headPortrait": "https://www.med-credit.org.cn/uploadfile/member/575/180x180.jpeg","id": "575","description": "种轶文,北京大学第三医院妇产科副主任医师","memberOf": {"legalName": "北京大学第三医院","department": "妇产科","organizationLevel": "三级甲等"}},"Article": {"summaryContent": "1.产后白色恶露质地粘稠,色泽比较白,还有大量的白细胞、坏死组织蜕膜以及表皮细胞和细菌等等,一般是正常的恶露颜色。
2.恶露的量以及颜色跟子宫的恢复状况有密切相关,一般持续三周就会干净。

1.孕妇分娩以后,将胎儿包裹的卵膜以及子宫内膜残片与子宫内的胎盘脱落的地方以及因分娩受伤地方的血液一起排出来,如此就形成了恶露。
2.如果白色恶露持续三天依旧不停,可能是宫内复旧不良,此时需要进行复检工作,查找精确原因。
1.孕妇应在分娩前对各种妊娠病进行积极治疗,比如阴道炎和妊娠高血压等等。
2.如果孕妇出现胎膜早破,产程较长或者进行了剖腹产,应该使用抗生素来预防感染。
3.在孕妇分娩后应该要仔细检查胎膜和胎膜是否完全,如果有残留应及时处理,防止产后恶露以及流血。
4.孕妇应坚持哺乳,因为哺乳有利于孕妇的子宫收缩与恶露排出。
","articleBody": "1.产后白色恶露质地粘稠,色泽比较白,还有大量的白细胞、坏死组织蜕膜以及表皮细胞和细菌等等,一般是正常的恶露颜色。
2.恶露的量以及颜色跟子宫的恢复状况有密切相关,一般持续三周就会干净。

1.孕妇分娩以后,将胎儿包裹的卵膜以及子宫内膜残片与子宫内的胎盘脱落的地方以及因分娩受伤地方的血液一起排出来,如此就形成了恶露。
2.如果白色恶露持续三天依旧不停,可能是宫内复旧不良,此时需要进行复检工作,查找精确原因。
1.孕妇应在分娩前对各种妊娠病进行积极治疗,比如阴道炎和妊娠高血压等等。
2.如果孕妇出现胎膜早破,产程较长或者进行了剖腹产,应该使用抗生素来预防感染。
3.在孕妇分娩后应该要仔细检查胎膜和胎膜是否完全,如果有残留应及时处理,防止产后恶露以及流血。
4.孕妇应坚持哺乳,因为哺乳有利于孕妇的子宫收缩与恶露排出。
","scanCount": 56508}}} {"@context": "https://ziyuan.baidu.com/contexts/cambrian.jsonld","appid": "1650708455561748","icon": "https://www.med-credit.org.cn/style/images/ttlogo.png","content_tag": ["atlas"],"is_mcn": {"thumb_id": "v2rm41u3"},"accid": "4886d626a2804dee5f11168793ce361672f39c25","@id": "https://www.med-credit.org.cn/mobile/jingxuan/2/3a8389fc7a2401ef198c7f75e0201cd5.html","bagWordId": "23_1526478029000282112","title": "血丝分泌物图片","pubDate": "2023-03-29T10:32:19","upDate": "2023-03-29T10:32:19","lrDate": "2023-03-29T10:32:19","description": "血丝分泌物一般指阴道出现血丝分泌物,即阴道白带中混有血液,血量多少不一。","data": {"WebPage": {"headline": "血丝分泌物图片","pcUrl": "https://www.med-credit.org.cn/jingxuan/2/3a8389fc7a2401ef198c7f75e0201cd5.html","wapUrl": "https://www.med-credit.org.cn/jingxuan/2/3a8389fc7a2401ef198c7f75e0201cd5.html","mipUrl": "https://www.med-credit.org.cn/mobile/jingxuan/2/3a8389fc7a2401ef198c7f75e0201cd5.html","fromSrc": "欢乐橙","datePublished": "2023-03-29T10:32:19","domain": "医疗","category": ["医疗权威文章合作"],"description": "血丝分泌物一般指阴道出现血丝分泌物,即阴道白带中混有血液,血量多少不一。
","extra_headline": [""]},"Author": {"name": "种轶文","wapUrl": "https://www.med-credit.org.cn/doctor/575","pcUrl": "https://www.med-credit.org.cn/doctor/575","jobTitle": "副主任医师","headPortrait": "https://www.med-credit.org.cn/uploadfile/member/575/180x180.jpeg","id": "575","description": "种轶文,北京大学第三医院妇产科副主任医师","memberOf": {"legalName": "北京大学第三医院","department": "妇产科","organizationLevel": "三级甲等"}},"Article": {"summaryContent": "血丝分泌物一般指阴道出现血丝分泌物,即阴道白带中混有血液,血量多少不一。
血丝分泌物出现的具体原因有生理性原因或病理性原因等。
白带是女性从阴道里流出来的液体,正常颜色为乳白色或者无色透明,无味。血丝分泌物是指白带中带有少量血丝、偶尔也会伴有小腹疼痛。

对于血丝分泌物的出现,生理性原因可能是因为由于生理期激素水平的波动,可能会出现排卵期出血的情况,属于正常的生理现象,不需特殊处理;对于病理性原因,包括阴道病变,如各类阴道炎、阴道肿瘤、阴道外伤等;宫颈病变如宫颈炎、宫颈息肉等;宫腔内疾病如子宫内膜息肉、子宫内膜增生性疾病等;妊娠相关疾病如先兆流产、异位妊娠等。
1.女生若发现白带有血丝,应及时到医院就诊,明确病因,遵医嘱完善相关检查并进行治疗。
2.日常生活中注意调整好心态,积极应对每件事情。
3.适当进行锻炼,提高自身免疫力。
","articleBody": "血丝分泌物一般指阴道出现血丝分泌物,即阴道白带中混有血液,血量多少不一。
血丝分泌物出现的具体原因有生理性原因或病理性原因等。
白带是女性从阴道里流出来的液体,正常颜色为乳白色或者无色透明,无味。血丝分泌物是指白带中带有少量血丝、偶尔也会伴有小腹疼痛。

对于血丝分泌物的出现,生理性原因可能是因为由于生理期激素水平的波动,可能会出现排卵期出血的情况,属于正常的生理现象,不需特殊处理;对于病理性原因,包括阴道病变,如各类阴道炎、阴道肿瘤、阴道外伤等;宫颈病变如宫颈炎、宫颈息肉等;宫腔内疾病如子宫内膜息肉、子宫内膜增生性疾病等;妊娠相关疾病如先兆流产、异位妊娠等。
1.女生若发现白带有血丝,应及时到医院就诊,明确病因,遵医嘱完善相关检查并进行治疗。
2.日常生活中注意调整好心态,积极应对每件事情。
3.适当进行锻炼,提高自身免疫力。
","scanCount": 56507}}} {"@context": "https://ziyuan.baidu.com/contexts/cambrian.jsonld","appid": "1650708455561748","icon": "https://www.med-credit.org.cn/style/images/ttlogo.png","content_tag": ["atlas"],"is_mcn": {"thumb_id": "v2rm41u3"},"accid": "4886d626a2804dee5f11168793ce361672f39c25","@id": "https://www.med-credit.org.cn/mobile/jingxuan/2/5093e3101a8120589731466877e4f548.html","bagWordId": "23_1526478031609139200","title": "引产后排出的胎膜图片","pubDate": "2023-03-29T10:32:19","upDate": "2023-03-29T10:32:19","lrDate": "2023-03-29T10:32:19","description": "引产后排出的胎膜一般情况下是红色的膜状物。","data": {"WebPage": {"headline": "引产后排出的胎膜图片","pcUrl": "https://www.med-credit.org.cn/jingxuan/2/5093e3101a8120589731466877e4f548.html","wapUrl": "https://www.med-credit.org.cn/jingxuan/2/5093e3101a8120589731466877e4f548.html","mipUrl": "https://www.med-credit.org.cn/mobile/jingxuan/2/5093e3101a8120589731466877e4f548.html","fromSrc": "欢乐橙","datePublished": "2023-03-29T10:32:19","domain": "医疗","category": ["医疗权威文章合作"],"description": "引产后排出的胎膜一般情况下是红色的膜状物。
","extra_headline": [""]},"Author": {"name": "种轶文","wapUrl": "https://www.med-credit.org.cn/doctor/575","pcUrl": "https://www.med-credit.org.cn/doctor/575","jobTitle": "副主任医师","headPortrait": "https://www.med-credit.org.cn/uploadfile/member/575/180x180.jpeg","id": "575","description": "种轶文,北京大学第三医院妇产科副主任医师","memberOf": {"legalName": "北京大学第三医院","department": "妇产科","organizationLevel": "三级甲等"}},"Article": {"summaryContent": "引产后排出的胎膜一般情况下是红色的膜状物。
引产后胎膜、胎盘残留在宫腔内时间较长可能会引起引产术后感染。
胎膜俗称胎衣,但胎衣不包括母体胎盘。

胎膜包括绒毛膜、羊膜、卵黄囊、尿囊和脐带。引产后排出的胎膜一般为红色膜状物,不同的人可能颜色深浅、形态各异。
引产后胎膜、胎盘残留在宫腔内时间较长可能会引起引产术后感染。为了避免感染,孕妇在引产前一定要禁房事1周,洗澡,尤其是下腹部及阴部更应清洗干净;引产时医生应严格执行无菌操作;引产后如有阴道出血、发热,应查明原因,清除宫腔内的残留组织以止血及避免感染源的存在。患者一旦出现发热,要做细菌培养,并予以大剂量的抗生素以控制感染。还应避免盆腔炎、腹膜炎或败血症等严重并发症的发生。
1、引产后应注意饮食,少吃辛辣生冷食品。
2、术后2周内,适当卧床休息,不做重体力劳动,放松心情。
3、1个月内禁止性生活,以防生殖器官感染。如果有发热、腹痛、阴道分泌物有异常气味或有异常阴道分泌物,应及时就诊。
","articleBody": "引产后排出的胎膜一般情况下是红色的膜状物。
引产后胎膜、胎盘残留在宫腔内时间较长可能会引起引产术后感染。
胎膜俗称胎衣,但胎衣不包括母体胎盘。

胎膜包括绒毛膜、羊膜、卵黄囊、尿囊和脐带。引产后排出的胎膜一般为红色膜状物,不同的人可能颜色深浅、形态各异。
引产后胎膜、胎盘残留在宫腔内时间较长可能会引起引产术后感染。为了避免感染,孕妇在引产前一定要禁房事1周,洗澡,尤其是下腹部及阴部更应清洗干净;引产时医生应严格执行无菌操作;引产后如有阴道出血、发热,应查明原因,清除宫腔内的残留组织以止血及避免感染源的存在。患者一旦出现发热,要做细菌培养,并予以大剂量的抗生素以控制感染。还应避免盆腔炎、腹膜炎或败血症等严重并发症的发生。
1、引产后应注意饮食,少吃辛辣生冷食品。
2、术后2周内,适当卧床休息,不做重体力劳动,放松心情。
3、1个月内禁止性生活,以防生殖器官感染。如果有发热、腹痛、阴道分泌物有异常气味或有异常阴道分泌物,应及时就诊。
","scanCount": 56506}}} {"@context": "https://ziyuan.baidu.com/contexts/cambrian.jsonld","appid": "1650708455561748","icon": "https://www.med-credit.org.cn/style/images/ttlogo.png","content_tag": ["atlas"],"is_mcn": {"thumb_id": "v2rm41u3"},"accid": "4886d626a2804dee5f11168793ce361672f39c25","@id": "https://www.med-credit.org.cn/mobile/jingxuan/2/1d9bf830f9d7d7c5b1ebb624f777116a.html","bagWordId": "23_1526478013712044032","title": "hpv取样刷子图片","pubDate": "2023-03-29T10:32:19","upDate": "2023-03-29T10:32:19","lrDate": "2023-03-29T10:32:19","description": "hpv取样刷子是一次性的宫颈取样毛刷,由毛刷、手柄、套管等组成,有多种材质。","data": {"WebPage": {"headline": "hpv取样刷子图片","pcUrl": "https://www.med-credit.org.cn/jingxuan/2/1d9bf830f9d7d7c5b1ebb624f777116a.html","wapUrl": "https://www.med-credit.org.cn/jingxuan/2/1d9bf830f9d7d7c5b1ebb624f777116a.html","mipUrl": "https://www.med-credit.org.cn/mobile/jingxuan/2/1d9bf830f9d7d7c5b1ebb624f777116a.html","fromSrc": "欢乐橙","datePublished": "2023-03-29T10:32:19","domain": "医疗","category": ["医疗权威文章合作"],"description": "hpv取样刷子是一次性的宫颈取样毛刷,由毛刷、手柄、套管等组成,有多种材质。
","extra_headline": [""]},"Author": {"name": "种轶文","wapUrl": "https://www.med-credit.org.cn/doctor/575","pcUrl": "https://www.med-credit.org.cn/doctor/575","jobTitle": "副主任医师","headPortrait": "https://www.med-credit.org.cn/uploadfile/member/575/180x180.jpeg","id": "575","description": "种轶文,北京大学第三医院妇产科副主任医师","memberOf": {"legalName": "北京大学第三医院","department": "妇产科","organizationLevel": "三级甲等"}},"Article": {"summaryContent": "hpv取样刷子是一次性的宫颈取样毛刷,由毛刷、手柄、套管等组成,有多种材质。
临床上常在妇科检查时用来进行宫颈细胞采样、收集子宫颈内膜细胞,也能用于阴道分泌物取样。主要用于hpv病毒检测。

将hpv取样刷头深入子宫颈管,使较短的刷毛与子宫颈口充分接触,抵住取样刷,同一方向旋转取样,或将hpv刷头直接接触取样部位进行取样。.将取样刷在保存液瓶内涮洗,折断刷头于保存液瓶内或直接弃去。
hpv取样刷头材质柔软,根据妇科宫颈解剖学设计,能够充分与宫颈口内外四周及子宫内膜接触;通过拭取脱落的上皮细胞进行检测,对宫颈癌及妇科疾病的进行早期诊断。
1.取样前24小时不能进行性生活,48小时内不能冲洗阴道。
2.不能使用润滑剂。
3.取样过程用力适中,避免出血。
","articleBody": "hpv取样刷子是一次性的宫颈取样毛刷,由毛刷、手柄、套管等组成,有多种材质。
临床上常在妇科检查时用来进行宫颈细胞采样、收集子宫颈内膜细胞,也能用于阴道分泌物取样。主要用于hpv病毒检测。

将hpv取样刷头深入子宫颈管,使较短的刷毛与子宫颈口充分接触,抵住取样刷,同一方向旋转取样,或将hpv刷头直接接触取样部位进行取样。.将取样刷在保存液瓶内涮洗,折断刷头于保存液瓶内或直接弃去。
hpv取样刷头材质柔软,根据妇科宫颈解剖学设计,能够充分与宫颈口内外四周及子宫内膜接触;通过拭取脱落的上皮细胞进行检测,对宫颈癌及妇科疾病的进行早期诊断。
1.取样前24小时不能进行性生活,48小时内不能冲洗阴道。
2.不能使用润滑剂。
3.取样过程用力适中,避免出血。
","scanCount": 56505}}} {"@context": "https://ziyuan.baidu.com/contexts/cambrian.jsonld","appid": "1650708455561748","icon": "https://www.med-credit.org.cn/style/images/ttlogo.png","content_tag": ["atlas"],"is_mcn": {"thumb_id": "v2rm41u3"},"accid": "4886d626a2804dee5f11168793ce361672f39c25","@id": "https://www.med-credit.org.cn/mobile/jingxuan/2/eeeb37e870de3bdd6046112802a3478b.html","bagWordId": "23_1526478021999988736","title": "宫颈炎的真实图片","pubDate": "2023-03-29T10:32:19","upDate": "2023-03-29T10:32:19","lrDate": "2023-03-29T10:32:19","description": "宫颈炎是妇科女性常见的一种疾病,分为慢性宫颈炎和急性宫颈炎,一般会出现阴道分泌物的异常,尿频、尿急,阴道尿道炎症等。","data": {"WebPage": {"headline": "宫颈炎的真实图片","pcUrl": "https://www.med-credit.org.cn/jingxuan/2/eeeb37e870de3bdd6046112802a3478b.html","wapUrl": "https://www.med-credit.org.cn/jingxuan/2/eeeb37e870de3bdd6046112802a3478b.html","mipUrl": "https://www.med-credit.org.cn/mobile/jingxuan/2/eeeb37e870de3bdd6046112802a3478b.html","fromSrc": "欢乐橙","datePublished": "2023-03-29T10:32:19","domain": "医疗","category": ["医疗权威文章合作"],"description": "宫颈炎是妇科女性常见的一种疾病,分为慢性宫颈炎和急性宫颈炎,一般会出现阴道分泌物的异常,尿频、尿急,阴道尿道炎症等。
","extra_headline": [""]},"Author": {"name": "种轶文","wapUrl": "https://www.med-credit.org.cn/doctor/575","pcUrl": "https://www.med-credit.org.cn/doctor/575","jobTitle": "副主任医师","headPortrait": "https://www.med-credit.org.cn/uploadfile/member/575/180x180.jpeg","id": "575","description": "种轶文,北京大学第三医院妇产科副主任医师","memberOf": {"legalName": "北京大学第三医院","department": "妇产科","organizationLevel": "三级甲等"}},"Article": {"summaryContent": "宫颈炎是妇科女性常见的一种疾病,分为慢性宫颈炎和急性宫颈炎,一般会出现阴道分泌物的异常,尿频、尿急,阴道尿道炎症等。
宫颈炎主要是由于分娩、流产等子宫性的手术而引起细菌的感染导致的。

1.急性宫颈炎主要的病理表现为宫颈会红肿,以及颈管粘膜的水肿。而慢性宫颈炎会有宫颈肥大、宫颈息肉、糜烂样的改变以及宫颈外翻等。
2.急性宫颈炎的患者最明显的是会出现阴道分泌物的增多,并且为脓粘液型,从而引起外阴的瘙痒不适,在性生活时会有疼痛感,如果同时有尿路的感染会出现尿频尿急尿痛等症状。
3.慢性宫颈炎的患者白带会出现异常的增多,为淡黄色,偶尔还有血丝,或者接触性出血,同时患者会常常感觉腰骶部或者下腹部疼痛,尤其在月经、排便时会加重。如果炎症蔓延有可能会波及到膀胱周围的组织或者膀胱三角区,出现尿路不适的刺激症状,例如尿频、排尿困难等。
有宫颈炎的患者日常一定要注意个人卫生,勤洗澡和换洗衣物,贴身的异物要注意杀菌消毒。当感到病情严重时要及时就医检查。
","articleBody": "宫颈炎是妇科女性常见的一种疾病,分为慢性宫颈炎和急性宫颈炎,一般会出现阴道分泌物的异常,尿频、尿急,阴道尿道炎症等。
宫颈炎主要是由于分娩、流产等子宫性的手术而引起细菌的感染导致的。

1.急性宫颈炎主要的病理表现为宫颈会红肿,以及颈管粘膜的水肿。而慢性宫颈炎会有宫颈肥大、宫颈息肉、糜烂样的改变以及宫颈外翻等。
2.急性宫颈炎的患者最明显的是会出现阴道分泌物的增多,并且为脓粘液型,从而引起外阴的瘙痒不适,在性生活时会有疼痛感,如果同时有尿路的感染会出现尿频尿急尿痛等症状。
3.慢性宫颈炎的患者白带会出现异常的增多,为淡黄色,偶尔还有血丝,或者接触性出血,同时患者会常常感觉腰骶部或者下腹部疼痛,尤其在月经、排便时会加重。如果炎症蔓延有可能会波及到膀胱周围的组织或者膀胱三角区,出现尿路不适的刺激症状,例如尿频、排尿困难等。
有宫颈炎的患者日常一定要注意个人卫生,勤洗澡和换洗衣物,贴身的异物要注意杀菌消毒。当感到病情严重时要及时就医检查。
","scanCount": 56504}}} {"@context": "https://ziyuan.baidu.com/contexts/cambrian.jsonld","appid": "1650708455561748","icon": "https://www.med-credit.org.cn/style/images/ttlogo.png","content_tag": ["atlas"],"is_mcn": {"thumb_id": "v2rm41u3"},"accid": "4886d626a2804dee5f11168793ce361672f39c25","@id": "https://www.med-credit.org.cn/mobile/jingxuan/2/49600bb2d62f5db6a2a5ebbf09f80a09.html","bagWordId": "23_1526478090518138880","title": "rot胎位在肚子里的图片","pubDate": "2023-03-29T10:32:19","upDate": "2023-03-29T10:32:19","lrDate": "2023-03-29T10:32:19","description": "1、ROT胎位是指枕右横位,是在晚孕期间的正常胎位。","data": {"WebPage": {"headline": "rot胎位在肚子里的图片","pcUrl": "https://www.med-credit.org.cn/jingxuan/2/49600bb2d62f5db6a2a5ebbf09f80a09.html","wapUrl": "https://www.med-credit.org.cn/jingxuan/2/49600bb2d62f5db6a2a5ebbf09f80a09.html","mipUrl": "https://www.med-credit.org.cn/mobile/jingxuan/2/49600bb2d62f5db6a2a5ebbf09f80a09.html","fromSrc": "欢乐橙","datePublished": "2023-03-29T10:32:19","domain": "医疗","category": ["医疗权威文章合作"],"description": "1、ROT胎位是指枕右横位,是在晚孕期间的正常胎位。
","extra_headline": [""]},"Author": {"name": "种轶文","wapUrl": "https://www.med-credit.org.cn/doctor/575","pcUrl": "https://www.med-credit.org.cn/doctor/575","jobTitle": "副主任医师","headPortrait": "https://www.med-credit.org.cn/uploadfile/member/575/180x180.jpeg","id": "575","description": "种轶文,北京大学第三医院妇产科副主任医师","memberOf": {"legalName": "北京大学第三医院","department": "妇产科","organizationLevel": "三级甲等"}},"Article": {"summaryContent": "1、ROT胎位是指枕右横位,是在晚孕期间的正常胎位。
2、ROT胎位,这是胎儿常见的胎位之一,是属于头位的一种,其中可根据胎儿在子宫内的位置分为其他方位。
在母亲的子宫腔内,胎位处于头位,胎臀部朝向孕妇的上腹部,并且枕骨朝向母亲右侧,呈现横位姿势,称为右枕横位。

妊娠32周以后,胎位在子宫内生长发育迅速,羊水逐渐变少,胎儿与子宫壁贴紧,因此,胎儿在宫内的位置与姿势是恒定的,而ROT胎位是属于头位的一种,在检查过程中只要羊水正常,胎盘位置正常,宫颈成熟度良好,胎儿的各项指标均在正常的范围之内,胎儿的头适合产道,孕妇身体各方面都不错的情况下,可以顺产。
胎儿先露部的指示点与母体骨盆的关系称胎方位,胎先露可以分为:头先露,其中头先露又可分为枕先露和面先露;臀先露;肩先露等。
女性怀孕32周以后,需要定期观察胎位的变化,并且定期去医院进行彩超的检查,如果条件不允许不能够进行阴道分娩,可以选择剖宫产,防止发生危险。
","articleBody": "1、ROT胎位是指枕右横位,是在晚孕期间的正常胎位。
2、ROT胎位,这是胎儿常见的胎位之一,是属于头位的一种,其中可根据胎儿在子宫内的位置分为其他方位。
在母亲的子宫腔内,胎位处于头位,胎臀部朝向孕妇的上腹部,并且枕骨朝向母亲右侧,呈现横位姿势,称为右枕横位。

妊娠32周以后,胎位在子宫内生长发育迅速,羊水逐渐变少,胎儿与子宫壁贴紧,因此,胎儿在宫内的位置与姿势是恒定的,而ROT胎位是属于头位的一种,在检查过程中只要羊水正常,胎盘位置正常,宫颈成熟度良好,胎儿的各项指标均在正常的范围之内,胎儿的头适合产道,孕妇身体各方面都不错的情况下,可以顺产。
胎儿先露部的指示点与母体骨盆的关系称胎方位,胎先露可以分为:头先露,其中头先露又可分为枕先露和面先露;臀先露;肩先露等。
女性怀孕32周以后,需要定期观察胎位的变化,并且定期去医院进行彩超的检查,如果条件不允许不能够进行阴道分娩,可以选择剖宫产,防止发生危险。
","scanCount": 56503}}} {"@context": "https://ziyuan.baidu.com/contexts/cambrian.jsonld","appid": "1650708455561748","icon": "https://www.med-credit.org.cn/style/images/ttlogo.png","content_tag": ["atlas"],"is_mcn": {"thumb_id": "v2rm41u3"},"accid": "4886d626a2804dee5f11168793ce361672f39c25","@id": "https://www.med-credit.org.cn/mobile/jingxuan/2/f9309cd1079df540c7628b8d0f81f5ab.html","bagWordId": "23_1526478018766180352","title": "黄体图片","pubDate": "2023-03-29T10:32:19","upDate": "2023-03-29T10:32:19","lrDate": "2023-03-29T10:32:19","description": "1.黄体是女性排卵后由卵泡快速转变而成的富有血管的腺体样结构。","data": {"WebPage": {"headline": "黄体图片","pcUrl": "https://www.med-credit.org.cn/jingxuan/2/f9309cd1079df540c7628b8d0f81f5ab.html","wapUrl": "https://www.med-credit.org.cn/jingxuan/2/f9309cd1079df540c7628b8d0f81f5ab.html","mipUrl": "https://www.med-credit.org.cn/mobile/jingxuan/2/f9309cd1079df540c7628b8d0f81f5ab.html","fromSrc": "欢乐橙","datePublished": "2023-03-29T10:32:19","domain": "医疗","category": ["医疗权威文章合作"],"description": "1.黄体是女性排卵后由卵泡快速转变而成的富有血管的腺体样结构。
","extra_headline": [""]},"Author": {"name": "种轶文","wapUrl": "https://www.med-credit.org.cn/doctor/575","pcUrl": "https://www.med-credit.org.cn/doctor/575","jobTitle": "副主任医师","headPortrait": "https://www.med-credit.org.cn/uploadfile/member/575/180x180.jpeg","id": "575","description": "种轶文,北京大学第三医院妇产科副主任医师","memberOf": {"legalName": "北京大学第三医院","department": "妇产科","organizationLevel": "三级甲等"}},"Article": {"summaryContent": "1.黄体是女性排卵后由卵泡快速转变而成的富有血管的腺体样结构。
2.排卵以后所残留的卵泡壁会塌陷下去,卵泡膜当中的结缔组织和毛细血管会伸入到颗粒层,并在LH的作用下演变为体积较大、富含毛细血管并且具备内分泌功能的细胞团。这些细胞团在新鲜的时候显示为黄色,被称为黄体。
1.黄体是由粒黄体细胞和膜黄体细胞两种细胞所构成的。

2.粒黄体细胞是由卵泡颗粒细胞转变而来的,位置处在黄体的中央,细胞大而且染色淡,主要是负责分泌孕酮。
3.而膜黄体细胞主要处在黄体的周边,表面并不平坦,细胞小而且染色深,主要是负责合成雌激素。
1.月经周期过后,黄体可以让子宫粘膜内腺体生产和让子宫充血、内膜增厚,这样可以为受精卵的植入作好充分的准备。并且可以在受精卵植入以后使子宫产生胎盘,减少妊娠期间子宫的兴奋性,抑制它的活动,让胎儿安全生长。
2.黄体可以与雌激素一起作用来促进乳房发育,为孕妇的产乳作好充足准备。
3.让宫颈口闭合以及让黏液减少和变稠,这样精子就不容易穿透,并且可以抑制排卵。
4.抑制平滑肌的收缩。
","articleBody": "1.黄体是女性排卵后由卵泡快速转变而成的富有血管的腺体样结构。
2.排卵以后所残留的卵泡壁会塌陷下去,卵泡膜当中的结缔组织和毛细血管会伸入到颗粒层,并在LH的作用下演变为体积较大、富含毛细血管并且具备内分泌功能的细胞团。这些细胞团在新鲜的时候显示为黄色,被称为黄体。
1.黄体是由粒黄体细胞和膜黄体细胞两种细胞所构成的。

2.粒黄体细胞是由卵泡颗粒细胞转变而来的,位置处在黄体的中央,细胞大而且染色淡,主要是负责分泌孕酮。
3.而膜黄体细胞主要处在黄体的周边,表面并不平坦,细胞小而且染色深,主要是负责合成雌激素。
1.月经周期过后,黄体可以让子宫粘膜内腺体生产和让子宫充血、内膜增厚,这样可以为受精卵的植入作好充分的准备。并且可以在受精卵植入以后使子宫产生胎盘,减少妊娠期间子宫的兴奋性,抑制它的活动,让胎儿安全生长。
2.黄体可以与雌激素一起作用来促进乳房发育,为孕妇的产乳作好充足准备。
3.让宫颈口闭合以及让黏液减少和变稠,这样精子就不容易穿透,并且可以抑制排卵。
4.抑制平滑肌的收缩。
","scanCount": 56502}}} {"@context": "https://ziyuan.baidu.com/contexts/cambrian.jsonld","appid": "1650708455561748","icon": "https://www.med-credit.org.cn/style/images/ttlogo.png","content_tag": ["atlas"],"is_mcn": {"thumb_id": "v2rm41u3"},"accid": "4886d626a2804dee5f11168793ce361672f39c25","@id": "https://www.med-credit.org.cn/mobile/jingxuan/2/f0904292720e9e3207f713c0c2467f8d.html","bagWordId": "23_1526478018086703104","title": "流产掉下来葡萄胎图片","pubDate": "2023-03-29T10:32:19","upDate": "2023-03-29T10:32:19","lrDate": "2023-03-29T10:32:19","description": "葡萄胎是导致流产的一种疾病,是在孕妇妊娠期间胎盘内的绒毛滋养细胞不断增生,间质水肿明显,从而会导致大小不一的水泡形成,这些水泡会串联成串,像葡萄一样,所以称为葡萄胎。","data": {"WebPage": {"headline": "流产掉下来葡萄胎图片","pcUrl": "https://www.med-credit.org.cn/jingxuan/2/f0904292720e9e3207f713c0c2467f8d.html","wapUrl": "https://www.med-credit.org.cn/jingxuan/2/f0904292720e9e3207f713c0c2467f8d.html","mipUrl": "https://www.med-credit.org.cn/mobile/jingxuan/2/f0904292720e9e3207f713c0c2467f8d.html","fromSrc": "欢乐橙","datePublished": "2023-03-29T10:32:19","domain": "医疗","category": ["医疗权威文章合作"],"description": "葡萄胎是导致流产的一种疾病,是在孕妇妊娠期间胎盘内的绒毛滋养细胞不断增生,间质水肿明显,从而会导致大小不一的水泡形成,这些水泡会串联成串,像葡萄一样,所以称为葡萄胎。
","extra_headline": [""]},"Author": {"name": "种轶文","wapUrl": "https://www.med-credit.org.cn/doctor/575","pcUrl": "https://www.med-credit.org.cn/doctor/575","jobTitle": "副主任医师","headPortrait": "https://www.med-credit.org.cn/uploadfile/member/575/180x180.jpeg","id": "575","description": "种轶文,北京大学第三医院妇产科副主任医师","memberOf": {"legalName": "北京大学第三医院","department": "妇产科","organizationLevel": "三级甲等"}},"Article": {"summaryContent": "葡萄胎是导致流产的一种疾病,是在孕妇妊娠期间胎盘内的绒毛滋养细胞不断增生,间质水肿明显,从而会导致大小不一的水泡形成,这些水泡会串联成串,像葡萄一样,所以称为葡萄胎。
葡萄胎的形成有营养、感染、内分泌、基因等因素有关。

葡萄胎根据胎盘绒毛的受累情况可以分为完全性葡萄胎和部分性葡萄胎。完全性葡萄胎的患者所有胎盘绒毛受累,整个子宫内都会充满水泡,滋养层细胞弥漫性增生,一般不会看见胎儿和胎儿组织。而部分性葡萄胎是部分胎盘绒毛变性肿胀,只有一部分滋养细胞增生,能够看到胎儿和胎儿组织。
孕妇某些营养不足会导致葡萄胎的产生,例如胡萝卜素、维生素A以及一些微量元素等,当患者营养不足体内叶酸含量不足会影响胸腺嘧啶的产生。另外还有内分泌失调、孕卵本身的异常等都可能导致葡萄胎的产生。
发生葡萄胎导致孕妇流产后一定要及时就医,好好处理,并且注意术后的恢复等,以免影响患者的健康以及更好的利于下一次的备孕。
","articleBody": "葡萄胎是导致流产的一种疾病,是在孕妇妊娠期间胎盘内的绒毛滋养细胞不断增生,间质水肿明显,从而会导致大小不一的水泡形成,这些水泡会串联成串,像葡萄一样,所以称为葡萄胎。
葡萄胎的形成有营养、感染、内分泌、基因等因素有关。

葡萄胎根据胎盘绒毛的受累情况可以分为完全性葡萄胎和部分性葡萄胎。完全性葡萄胎的患者所有胎盘绒毛受累,整个子宫内都会充满水泡,滋养层细胞弥漫性增生,一般不会看见胎儿和胎儿组织。而部分性葡萄胎是部分胎盘绒毛变性肿胀,只有一部分滋养细胞增生,能够看到胎儿和胎儿组织。
孕妇某些营养不足会导致葡萄胎的产生,例如胡萝卜素、维生素A以及一些微量元素等,当患者营养不足体内叶酸含量不足会影响胸腺嘧啶的产生。另外还有内分泌失调、孕卵本身的异常等都可能导致葡萄胎的产生。
发生葡萄胎导致孕妇流产后一定要及时就医,好好处理,并且注意术后的恢复等,以免影响患者的健康以及更好的利于下一次的备孕。
","scanCount": 56501}}} {"@context": "https://ziyuan.baidu.com/contexts/cambrian.jsonld","appid": "1650708455561748","icon": "https://www.med-credit.org.cn/style/images/ttlogo.png","content_tag": ["atlas"],"is_mcn": {"thumb_id": "v2rm41u3"},"accid": "4886d626a2804dee5f11168793ce361672f39c25","@id": "https://www.med-credit.org.cn/mobile/jingxuan/2/c9d0aa4affea3788b9a7b567d70ad830.html","bagWordId": "23_1526478018866843648","title": "宫颈炎分泌物是什么样的图片","pubDate": "2023-03-29T10:32:19","upDate": "2023-03-29T10:32:19","lrDate": "2023-03-29T10:32:19","description": "宫颈炎分泌物主要表现为阴道的分泌物增多并且呈黏液脓性。","data": {"WebPage": {"headline": "宫颈炎分泌物是什么样的图片","pcUrl": "https://www.med-credit.org.cn/jingxuan/2/c9d0aa4affea3788b9a7b567d70ad830.html","wapUrl": "https://www.med-credit.org.cn/jingxuan/2/c9d0aa4affea3788b9a7b567d70ad830.html","mipUrl": "https://www.med-credit.org.cn/mobile/jingxuan/2/c9d0aa4affea3788b9a7b567d70ad830.html","fromSrc": "欢乐橙","datePublished": "2023-03-29T10:32:19","domain": "医疗","category": ["医疗权威文章合作"],"description": "宫颈炎分泌物主要表现为阴道的分泌物增多并且呈黏液脓性。
","extra_headline": [""]},"Author": {"name": "种轶文","wapUrl": "https://www.med-credit.org.cn/doctor/575","pcUrl": "https://www.med-credit.org.cn/doctor/575","jobTitle": "副主任医师","headPortrait": "https://www.med-credit.org.cn/uploadfile/member/575/180x180.jpeg","id": "575","description": "种轶文,北京大学第三医院妇产科副主任医师","memberOf": {"legalName": "北京大学第三医院","department": "妇产科","organizationLevel": "三级甲等"}},"Article": {"summaryContent": "宫颈炎分泌物主要表现为阴道的分泌物增多并且呈黏液脓性。
宫颈炎分为急性和慢性两种,主要是由于细菌侵入引发的严重感染。

1、急性宫颈炎:急性宫颈炎常常在不洁的性生活之后发生,主要表现为白带脓性,或者伴有同房后出血。阴道分泌物的增多也会刺激外阴导致瘙痒灼热。严重的话还会合并尿路感染、性交疼痛和下腹坠痛等症状。一般治疗及时的话很快就会痊愈。
2、慢性宫颈炎:慢性宫颈炎症状不典型,可由急性宫颈炎的反复发作转变而来,也可以为病原体的持续感染而导致。慢性宫颈炎可伴有或不伴有白带增多,白带可呈淡黄色或者血丝色,一般下腹或者腰骶疼痛为常见症状,并且常常伴有宫颈肥大和宫颈息肉等症状。
急性宫颈炎的治疗主要为抗生素治疗,一般会采取全身的彻底治疗,以免发展为慢性宫颈炎。而慢性宫颈炎以局部治疗为主,根据不同的病变采取药物或者手术治疗。
","articleBody": "宫颈炎分泌物主要表现为阴道的分泌物增多并且呈黏液脓性。
宫颈炎分为急性和慢性两种,主要是由于细菌侵入引发的严重感染。

1、急性宫颈炎:急性宫颈炎常常在不洁的性生活之后发生,主要表现为白带脓性,或者伴有同房后出血。阴道分泌物的增多也会刺激外阴导致瘙痒灼热。严重的话还会合并尿路感染、性交疼痛和下腹坠痛等症状。一般治疗及时的话很快就会痊愈。
2、慢性宫颈炎:慢性宫颈炎症状不典型,可由急性宫颈炎的反复发作转变而来,也可以为病原体的持续感染而导致。慢性宫颈炎可伴有或不伴有白带增多,白带可呈淡黄色或者血丝色,一般下腹或者腰骶疼痛为常见症状,并且常常伴有宫颈肥大和宫颈息肉等症状。
急性宫颈炎的治疗主要为抗生素治疗,一般会采取全身的彻底治疗,以免发展为慢性宫颈炎。而慢性宫颈炎以局部治疗为主,根据不同的病变采取药物或者手术治疗。
","scanCount": 56500}}} {"@context": "https://ziyuan.baidu.com/contexts/cambrian.jsonld","appid": "1650708455561748","icon": "https://www.med-credit.org.cn/style/images/ttlogo.png","content_tag": ["atlas"],"is_mcn": {"thumb_id": "v2rm41u3"},"accid": "4886d626a2804dee5f11168793ce361672f39c25","@id": "https://www.med-credit.org.cn/mobile/jingxuan/2/0db13425f7d49ae359c2516e2de85d1a.html","bagWordId": "23_1526478029730091008","title": "验孕棒的照片","pubDate": "2023-03-29T10:32:19","upDate": "2023-03-29T10:32:19","lrDate": "2023-03-29T10:32:19","description": "1.验孕棒通常看起来像一根钢笔或体温计一样大小,中间有一个稍微凹陷的地方用来观察颜色的变化,一侧为手持的一段,另一侧一般是一个小孔方便将尿液滴在其中。","data": {"WebPage": {"headline": "验孕棒的照片","pcUrl": "https://www.med-credit.org.cn/jingxuan/2/0db13425f7d49ae359c2516e2de85d1a.html","wapUrl": "https://www.med-credit.org.cn/jingxuan/2/0db13425f7d49ae359c2516e2de85d1a.html","mipUrl": "https://www.med-credit.org.cn/mobile/jingxuan/2/0db13425f7d49ae359c2516e2de85d1a.html","fromSrc": "欢乐橙","datePublished": "2023-03-29T10:32:19","domain": "医疗","category": ["医疗权威文章合作"],"description": "1.验孕棒通常看起来像一根钢笔或体温计一样大小,中间有一个稍微凹陷的地方用来观察颜色的变化,一侧为手持的一段,另一侧一般是一个小孔方便将尿液滴在其中。
","extra_headline": [""]},"Author": {"name": "种轶文","wapUrl": "https://www.med-credit.org.cn/doctor/575","pcUrl": "https://www.med-credit.org.cn/doctor/575","jobTitle": "副主任医师","headPortrait": "https://www.med-credit.org.cn/uploadfile/member/575/180x180.jpeg","id": "575","description": "种轶文,北京大学第三医院妇产科副主任医师","memberOf": {"legalName": "北京大学第三医院","department": "妇产科","organizationLevel": "三级甲等"}},"Article": {"summaryContent": "1.验孕棒通常看起来像一根钢笔或体温计一样大小,中间有一个稍微凹陷的地方用来观察颜色的变化,一侧为手持的一段,另一侧一般是一个小孔方便将尿液滴在其中。
2.验孕棒的检测方法主要是通过尿液中人绒毛膜促性腺激素而判断是否出现怀孕。

当女性怀孕的时候,体内会有大量雌、孕激素分泌,其中人绒毛膜促性腺激素的变化比较明显,容易被检测到,所以验孕棒的原理一般是通过检测尿液中人绒毛膜促性腺激素,来观察验孕棒是否出现相应反应而判断有无怀孕的情况。如果验孕棒中间的试纸部位出现了两条线,则说明很可能已经怀孕了。
虽然验孕棒的灵敏度较高,但是由于使用方法的不正确也会造成异常结果。检测的时间最好是在进行性行为的7-10天后,此时受精卵一般已经着床,如果检测早上的晨尿的话准确度也更高一些。
","articleBody": "1.验孕棒通常看起来像一根钢笔或体温计一样大小,中间有一个稍微凹陷的地方用来观察颜色的变化,一侧为手持的一段,另一侧一般是一个小孔方便将尿液滴在其中。
2.验孕棒的检测方法主要是通过尿液中人绒毛膜促性腺激素而判断是否出现怀孕。

当女性怀孕的时候,体内会有大量雌、孕激素分泌,其中人绒毛膜促性腺激素的变化比较明显,容易被检测到,所以验孕棒的原理一般是通过检测尿液中人绒毛膜促性腺激素,来观察验孕棒是否出现相应反应而判断有无怀孕的情况。如果验孕棒中间的试纸部位出现了两条线,则说明很可能已经怀孕了。
虽然验孕棒的灵敏度较高,但是由于使用方法的不正确也会造成异常结果。检测的时间最好是在进行性行为的7-10天后,此时受精卵一般已经着床,如果检测早上的晨尿的话准确度也更高一些。
","scanCount": 56499}}} {"@context": "https://ziyuan.baidu.com/contexts/cambrian.jsonld","appid": "1650708455561748","icon": "https://www.med-credit.org.cn/style/images/ttlogo.png","content_tag": ["atlas"],"is_mcn": {"thumb_id": "v2rm41u3"},"accid": "4886d626a2804dee5f11168793ce361672f39c25","@id": "https://www.med-credit.org.cn/mobile/jingxuan/2/271ce92c4e0d427ca214ebf3f16805d2.html","bagWordId": "23_1526478087926059008","title": "nt检查图片","pubDate": "2023-03-29T10:32:19","upDate": "2023-03-29T10:32:19","lrDate": "2023-03-29T10:32:19","description": "1、NT检查又被称为颈后透明层厚度检查,是在女性怀孕后的11+6~13+6周进行的b超检查。","data": {"WebPage": {"headline": "nt检查图片","pcUrl": "https://www.med-credit.org.cn/jingxuan/2/271ce92c4e0d427ca214ebf3f16805d2.html","wapUrl": "https://www.med-credit.org.cn/jingxuan/2/271ce92c4e0d427ca214ebf3f16805d2.html","mipUrl": "https://www.med-credit.org.cn/mobile/jingxuan/2/271ce92c4e0d427ca214ebf3f16805d2.html","fromSrc": "欢乐橙","datePublished": "2023-03-29T10:32:19","domain": "医疗","category": ["医疗权威文章合作"],"description": "1、NT检查又被称为颈后透明层厚度检查,是在女性怀孕后的11+6~13+6周进行的b超检查。
","extra_headline": [""]},"Author": {"name": "种轶文","wapUrl": "https://www.med-credit.org.cn/doctor/575","pcUrl": "https://www.med-credit.org.cn/doctor/575","jobTitle": "副主任医师","headPortrait": "https://www.med-credit.org.cn/uploadfile/member/575/180x180.jpeg","id": "575","description": "种轶文,北京大学第三医院妇产科副主任医师","memberOf": {"legalName": "北京大学第三医院","department": "妇产科","organizationLevel": "三级甲等"}},"Article": {"summaryContent": "1、NT检查又被称为颈后透明层厚度检查,是在女性怀孕后的11+6~13+6周进行的b超检查。
2、NT是用来查看胎儿在早期是否有畸形和染色体异常等情况的检查。
1、NT检查主要检查胎儿颈后的透明层厚度,如果厚度3mm之内则表示为正常,不会有太大的风险,但是如果NT值一但超过了3mm则提示NT增后,需要进行进一步的检查,来排查胎儿是否出现了畸形或者染色体异常的情况发生。

2、NT在正常值内就可以继续等待下一次的唐氏筛查,而NT结果出现异常时需要根据当地的医疗条件进行羊水穿刺、无创DNA等方式来检查胎儿的发育情况。
3、NT检查也并不能作为查看胎儿是否出现问题的重要标准,准确率在百分之70左右,还需要等孕中期进行进一步的检查。
注意在NT检查前孕妇尽量避免过量的饮水和吃饭,以免导致胎儿过于活跃,影响检查进度。
","articleBody": "1、NT检查又被称为颈后透明层厚度检查,是在女性怀孕后的11+6~13+6周进行的b超检查。
2、NT是用来查看胎儿在早期是否有畸形和染色体异常等情况的检查。
1、NT检查主要检查胎儿颈后的透明层厚度,如果厚度3mm之内则表示为正常,不会有太大的风险,但是如果NT值一但超过了3mm则提示NT增后,需要进行进一步的检查,来排查胎儿是否出现了畸形或者染色体异常的情况发生。

2、NT在正常值内就可以继续等待下一次的唐氏筛查,而NT结果出现异常时需要根据当地的医疗条件进行羊水穿刺、无创DNA等方式来检查胎儿的发育情况。
3、NT检查也并不能作为查看胎儿是否出现问题的重要标准,准确率在百分之70左右,还需要等孕中期进行进一步的检查。
注意在NT检查前孕妇尽量避免过量的饮水和吃饭,以免导致胎儿过于活跃,影响检查进度。
","scanCount": 56498}}} {"@context": "https://ziyuan.baidu.com/contexts/cambrian.jsonld","appid": "1650708455561748","icon": "https://www.med-credit.org.cn/style/images/ttlogo.png","content_tag": ["atlas"],"is_mcn": {"thumb_id": "v2rm41u3"},"accid": "4886d626a2804dee5f11168793ce361672f39c25","@id": "https://www.med-credit.org.cn/mobile/jingxuan/2/c551df0b06e920ef4dae4052486da16a.html","bagWordId": "23_1526478023170199552","title": "白带呈白色浆糊状图片","pubDate": "2023-03-29T10:32:19","upDate": "2023-03-29T10:32:19","lrDate": "2023-03-29T10:32:19","description": "1、白带呈白色浆糊状的原因有两种,主要分为生理性因素和病理性因素,如果是生理性因素,患者则不用做过多处理;如果为病理性原因,要及时查明病因并针对治疗。","data": {"WebPage": {"headline": "白带呈白色浆糊状图片","pcUrl": "https://www.med-credit.org.cn/jingxuan/2/c551df0b06e920ef4dae4052486da16a.html","wapUrl": "https://www.med-credit.org.cn/jingxuan/2/c551df0b06e920ef4dae4052486da16a.html","mipUrl": "https://www.med-credit.org.cn/mobile/jingxuan/2/c551df0b06e920ef4dae4052486da16a.html","fromSrc": "欢乐橙","datePublished": "2023-03-29T10:32:19","domain": "医疗","category": ["医疗权威文章合作"],"description": "1、白带呈白色浆糊状的原因有两种,主要分为生理性因素和病理性因素,如果是生理性因素,患者则不用做过多处理;如果为病理性原因,要及时查明病因并针对治疗。
","extra_headline": [""]},"Author": {"name": "种轶文","wapUrl": "https://www.med-credit.org.cn/doctor/575","pcUrl": "https://www.med-credit.org.cn/doctor/575","jobTitle": "副主任医师","headPortrait": "https://www.med-credit.org.cn/uploadfile/member/575/180x180.jpeg","id": "575","description": "种轶文,北京大学第三医院妇产科副主任医师","memberOf": {"legalName": "北京大学第三医院","department": "妇产科","organizationLevel": "三级甲等"}},"Article": {"summaryContent": "1、白带呈白色浆糊状的原因有两种,主要分为生理性因素和病理性因素,如果是生理性因素,患者则不用做过多处理;如果为病理性原因,要及时查明病因并针对治疗。
2、白带呈白色浆糊状还需要注意个人卫生,做好清洁,每天更换内裤,将内裤放在阳光下暴晒,并且要保持阴道的干燥和清洁。

1、生理性因素:
正常白带分泌物是无色呈透明稀薄的,也可是白色糊状,且没有任何异味及外阴瘙痒。排卵期会出现白带增多,呈白色稀糊状,无明显异味,也不伴任何不适症状。此时无需进行任何特殊性治疗,但要注意个人卫生及清洁。
2、病理性因素:
①阴道炎:患者可见白带分泌物呈白色黏稠像浆糊且出现异味,同时分泌物增多,伴有外阴部瘙痒、腹部疼痛等不适症状。
②宫颈炎
③子宫内膜炎
④恶性病变
若出现病理性因素应及时去医院治疗。
1、养成良好的生活习惯,保证充足的休息。
2、饮食上应注意营养均衡,避免吃辛辣刺激等食物,多吃水果蔬菜。
3、内裤要每天更换,清洗之后不要放于潮湿的环境中,要放在太阳光下暴晒,同时要注意个人卫生。
","articleBody": "1、白带呈白色浆糊状的原因有两种,主要分为生理性因素和病理性因素,如果是生理性因素,患者则不用做过多处理;如果为病理性原因,要及时查明病因并针对治疗。
2、白带呈白色浆糊状还需要注意个人卫生,做好清洁,每天更换内裤,将内裤放在阳光下暴晒,并且要保持阴道的干燥和清洁。

1、生理性因素:
正常白带分泌物是无色呈透明稀薄的,也可是白色糊状,且没有任何异味及外阴瘙痒。排卵期会出现白带增多,呈白色稀糊状,无明显异味,也不伴任何不适症状。此时无需进行任何特殊性治疗,但要注意个人卫生及清洁。
2、病理性因素:
①阴道炎:患者可见白带分泌物呈白色黏稠像浆糊且出现异味,同时分泌物增多,伴有外阴部瘙痒、腹部疼痛等不适症状。
②宫颈炎
③子宫内膜炎
④恶性病变
若出现病理性因素应及时去医院治疗。
1、养成良好的生活习惯,保证充足的休息。
2、饮食上应注意营养均衡,避免吃辛辣刺激等食物,多吃水果蔬菜。
3、内裤要每天更换,清洗之后不要放于潮湿的环境中,要放在太阳光下暴晒,同时要注意个人卫生。
","scanCount": 56497}}} {"@context": "https://ziyuan.baidu.com/contexts/cambrian.jsonld","appid": "1650708455561748","icon": "https://www.med-credit.org.cn/style/images/ttlogo.png","content_tag": ["atlas"],"is_mcn": {"thumb_id": "v2rm41u3"},"accid": "4886d626a2804dee5f11168793ce361672f39c25","@id": "https://www.med-credit.org.cn/mobile/jingxuan/2/a6ba5e2ba8dc6c7c9ab905fab7f3a8fc.html","bagWordId": "23_1526478032531886080","title": "不正常白带分泌物图片","pubDate": "2023-03-29T10:32:19","upDate": "2023-03-29T10:32:19","lrDate": "2023-03-29T10:32:19","description": "不正常白带分泌物一般指的是阴道部位,是指白带在颜色、量以及质等方面出现的异常改变,如豆腐渣样或脓性白带等,还可能伴有瘙痒、压痛等症状。","data": {"WebPage": {"headline": "不正常白带分泌物图片","pcUrl": "https://www.med-credit.org.cn/jingxuan/2/a6ba5e2ba8dc6c7c9ab905fab7f3a8fc.html","wapUrl": "https://www.med-credit.org.cn/jingxuan/2/a6ba5e2ba8dc6c7c9ab905fab7f3a8fc.html","mipUrl": "https://www.med-credit.org.cn/mobile/jingxuan/2/a6ba5e2ba8dc6c7c9ab905fab7f3a8fc.html","fromSrc": "欢乐橙","datePublished": "2023-03-29T10:32:19","domain": "医疗","category": ["医疗权威文章合作"],"description": "不正常白带分泌物一般指的是阴道部位,是指白带在颜色、量以及质等方面出现的异常改变,如豆腐渣样或脓性白带等,还可能伴有瘙痒、压痛等症状。
","extra_headline": [""]},"Author": {"name": "种轶文","wapUrl": "https://www.med-credit.org.cn/doctor/575","pcUrl": "https://www.med-credit.org.cn/doctor/575","jobTitle": "副主任医师","headPortrait": "https://www.med-credit.org.cn/uploadfile/member/575/180x180.jpeg","id": "575","description": "种轶文,北京大学第三医院妇产科副主任医师","memberOf": {"legalName": "北京大学第三医院","department": "妇产科","organizationLevel": "三级甲等"}},"Article": {"summaryContent": "不正常白带分泌物一般指的是阴道部位,是指白带在颜色、量以及质等方面出现的异常改变,如豆腐渣样或脓性白带等,还可能伴有瘙痒、压痛等症状。
白带主要是宫颈粘液和阴道脱落细胞形成,正常情况下无色无味,在感染相关妇科疾病时容易出现异常白带。

1.白带量明显增多,呈透明粘性:般在患者使用阴道避孕药或服用雌激素药物所引起。提示慢性宫颈炎的可能。
2.黄白色泡沫稀薄白带:是滴虫性阴道炎的典型症状,一般伴有外阴瘙痒。
3.豆腐渣样白带:提示存在酵母菌阴道炎,可同时存在外阴瘙痒。
4.白带呈灰白色有鱼腥味:细菌性阴道炎。
5.脓性白带:质地粘稠,明显臭味,一般提示细菌感染,常见于宫颈炎。
6.血性白带:白带中带血,常见于宫颈癌、子宫黏膜下肌瘤等。
在确定病因后,遵医嘱进行药物治疗:常用抗生素药物、抗菌药物,起到灭菌、消炎的作用来缓解瘙痒、异味的症状。
","articleBody": "不正常白带分泌物一般指的是阴道部位,是指白带在颜色、量以及质等方面出现的异常改变,如豆腐渣样或脓性白带等,还可能伴有瘙痒、压痛等症状。
白带主要是宫颈粘液和阴道脱落细胞形成,正常情况下无色无味,在感染相关妇科疾病时容易出现异常白带。

1.白带量明显增多,呈透明粘性:般在患者使用阴道避孕药或服用雌激素药物所引起。提示慢性宫颈炎的可能。
2.黄白色泡沫稀薄白带:是滴虫性阴道炎的典型症状,一般伴有外阴瘙痒。
3.豆腐渣样白带:提示存在酵母菌阴道炎,可同时存在外阴瘙痒。
4.白带呈灰白色有鱼腥味:细菌性阴道炎。
5.脓性白带:质地粘稠,明显臭味,一般提示细菌感染,常见于宫颈炎。
6.血性白带:白带中带血,常见于宫颈癌、子宫黏膜下肌瘤等。
在确定病因后,遵医嘱进行药物治疗:常用抗生素药物、抗菌药物,起到灭菌、消炎的作用来缓解瘙痒、异味的症状。
","scanCount": 56496}}} {"@context": "https://ziyuan.baidu.com/contexts/cambrian.jsonld","appid": "1650708455561748","icon": "https://www.med-credit.org.cn/style/images/ttlogo.png","content_tag": ["atlas"],"is_mcn": {"thumb_id": "v2rm41u3"},"accid": "4886d626a2804dee5f11168793ce361672f39c25","@id": "https://www.med-credit.org.cn/mobile/jingxuan/2/a70e662af5d711ed83b70807e46116f4.html","bagWordId": "23_1526478025149911040","title": "阳性验孕棒真实图片","pubDate": "2023-03-29T10:32:19","upDate": "2023-03-29T10:32:19","lrDate": "2023-03-29T10:32:19","description": "验孕棒阳性一般是指验孕棒检查时出现两条杠,说明这是怀孕了。","data": {"WebPage": {"headline": "阳性验孕棒真实图片","pcUrl": "https://www.med-credit.org.cn/jingxuan/2/a70e662af5d711ed83b70807e46116f4.html","wapUrl": "https://www.med-credit.org.cn/jingxuan/2/a70e662af5d711ed83b70807e46116f4.html","mipUrl": "https://www.med-credit.org.cn/mobile/jingxuan/2/a70e662af5d711ed83b70807e46116f4.html","fromSrc": "欢乐橙","datePublished": "2023-03-29T10:32:19","domain": "医疗","category": ["医疗权威文章合作"],"description": "验孕棒阳性一般是指验孕棒检查时出现两条杠,说明这是怀孕了。
","extra_headline": [""]},"Author": {"name": "种轶文","wapUrl": "https://www.med-credit.org.cn/doctor/575","pcUrl": "https://www.med-credit.org.cn/doctor/575","jobTitle": "副主任医师","headPortrait": "https://www.med-credit.org.cn/uploadfile/member/575/180x180.jpeg","id": "575","description": "种轶文,北京大学第三医院妇产科副主任医师","memberOf": {"legalName": "北京大学第三医院","department": "妇产科","organizationLevel": "三级甲等"}},"Article": {"summaryContent": "验孕棒阳性一般是指验孕棒检查时出现两条杠,说明这是怀孕了。
女性如果出现月经推迟等等月经紊乱现象,此时通常需要采用验孕棒进行自我检查。
1.验孕棒使用方法为,取一个干净的容器来留取尿液,然后把验孕棒检测端放置到尿液中,几秒后取出,放到一旁晾至,然后观察检测结果。如果在自检时,验孕棒出现两条杠,这就说明尿妊娠试验为阳性,表示怀孕了。

2.如果只出现了一条杠,这就说明尿妊娠试验为阴性,表示为暂时没有怀孕。
3.若没有任何一条杠显示,这说明尿妊娠试纸失效了,此时需要更换试纸,重新进行检测。
但验孕棒也会存在一定程度上的误差,并不是100%准确,因此验孕棒呈阳性也并非是真的怀孕了,只能作为初步检查的一个参考标准。因此,查出验孕棒阳性后,建议最好去医院做一个检查,查血hcg来确认是否怀孕。
","articleBody": "验孕棒阳性一般是指验孕棒检查时出现两条杠,说明这是怀孕了。
女性如果出现月经推迟等等月经紊乱现象,此时通常需要采用验孕棒进行自我检查。
1.验孕棒使用方法为,取一个干净的容器来留取尿液,然后把验孕棒检测端放置到尿液中,几秒后取出,放到一旁晾至,然后观察检测结果。如果在自检时,验孕棒出现两条杠,这就说明尿妊娠试验为阳性,表示怀孕了。

2.如果只出现了一条杠,这就说明尿妊娠试验为阴性,表示为暂时没有怀孕。
3.若没有任何一条杠显示,这说明尿妊娠试纸失效了,此时需要更换试纸,重新进行检测。
但验孕棒也会存在一定程度上的误差,并不是100%准确,因此验孕棒呈阳性也并非是真的怀孕了,只能作为初步检查的一个参考标准。因此,查出验孕棒阳性后,建议最好去医院做一个检查,查血hcg来确认是否怀孕。
","scanCount": 56495}}} {"@context": "https://ziyuan.baidu.com/contexts/cambrian.jsonld","appid": "1650708455561748","icon": "https://www.med-credit.org.cn/style/images/ttlogo.png","content_tag": ["atlas"],"is_mcn": {"thumb_id": "v2rm41u3"},"accid": "4886d626a2804dee5f11168793ce361672f39c25","@id": "https://www.med-credit.org.cn/mobile/jingxuan/2/e16a05de11ce255ff165e4c9a6e585ed.html","bagWordId": "23_1526478014894837760","title": "正常血块是什么样子的图片","pubDate": "2023-03-29T10:32:19","upDate": "2023-03-29T10:32:19","lrDate": "2023-03-29T10:32:19","description": "正常血块是在身体某部位出血后,血液流出凝集形成的块状物质,一般正常的血块呈暗红色或者暗黑色等,甚至有些还伴有一定的异味。","data": {"WebPage": {"headline": "正常血块是什么样子的图片","pcUrl": "https://www.med-credit.org.cn/jingxuan/2/e16a05de11ce255ff165e4c9a6e585ed.html","wapUrl": "https://www.med-credit.org.cn/jingxuan/2/e16a05de11ce255ff165e4c9a6e585ed.html","mipUrl": "https://www.med-credit.org.cn/mobile/jingxuan/2/e16a05de11ce255ff165e4c9a6e585ed.html","fromSrc": "欢乐橙","datePublished": "2023-03-29T10:32:19","domain": "医疗","category": ["医疗权威文章合作"],"description": "正常血块是在身体某部位出血后,血液流出凝集形成的块状物质,一般正常的血块呈暗红色或者暗黑色等,甚至有些还伴有一定的异味。
","extra_headline": [""]},"Author": {"name": "种轶文","wapUrl": "https://www.med-credit.org.cn/doctor/575","pcUrl": "https://www.med-credit.org.cn/doctor/575","jobTitle": "副主任医师","headPortrait": "https://www.med-credit.org.cn/uploadfile/member/575/180x180.jpeg","id": "575","description": "种轶文,北京大学第三医院妇产科副主任医师","memberOf": {"legalName": "北京大学第三医院","department": "妇产科","organizationLevel": "三级甲等"}},"Article": {"summaryContent": "正常血块是在身体某部位出血后,血液流出凝集形成的块状物质,一般正常的血块呈暗红色或者暗黑色等,甚至有些还伴有一定的异味。
正常血块的形成可以发生在体表,也可能是在身体内部,例如皮肤划破割伤、剧烈撞击导致体内器官或者血管的破裂等。
血液里含有白细胞、红细胞和血小板等,所以在出现的早期时血液是红色的,随后血小板发挥凝血功能,使流出的血液发生凝集,一定程度上也能防止血液的继续流出,血液凝集时里面的纤维蛋白会收缩,包绕着白细胞、红细胞和血小板,将血清排出,最后形成血块,呈暗红色,较硬。

血块的形成可以见于多种疾病,例如一些肿瘤患者的消化道血块、膀胱血块,女性月经也有可能含有血块,以及动脉粥样硬化患者的血管内含有的血块,还有皮肤表面损伤所导致的肉眼直接能看到的血块。
尤其是皮肤表面的血块,在刚刚形成时不要用手去抓挠或者清理,在做止血措施之前血块本身能够发挥一定的止血功能。
","articleBody": "正常血块是在身体某部位出血后,血液流出凝集形成的块状物质,一般正常的血块呈暗红色或者暗黑色等,甚至有些还伴有一定的异味。
正常血块的形成可以发生在体表,也可能是在身体内部,例如皮肤划破割伤、剧烈撞击导致体内器官或者血管的破裂等。
血液里含有白细胞、红细胞和血小板等,所以在出现的早期时血液是红色的,随后血小板发挥凝血功能,使流出的血液发生凝集,一定程度上也能防止血液的继续流出,血液凝集时里面的纤维蛋白会收缩,包绕着白细胞、红细胞和血小板,将血清排出,最后形成血块,呈暗红色,较硬。

血块的形成可以见于多种疾病,例如一些肿瘤患者的消化道血块、膀胱血块,女性月经也有可能含有血块,以及动脉粥样硬化患者的血管内含有的血块,还有皮肤表面损伤所导致的肉眼直接能看到的血块。
尤其是皮肤表面的血块,在刚刚形成时不要用手去抓挠或者清理,在做止血措施之前血块本身能够发挥一定的止血功能。
","scanCount": 56494}}} {"@context": "https://ziyuan.baidu.com/contexts/cambrian.jsonld","appid": "1650708455561748","icon": "https://www.med-credit.org.cn/style/images/ttlogo.png","content_tag": ["atlas"],"is_mcn": {"thumb_id": "v2rm41u3"},"accid": "4886d626a2804dee5f11168793ce361672f39c25","@id": "https://www.med-credit.org.cn/mobile/jingxuan/2/9bcd77f4483bec35138ff6ed805d364a.html","bagWordId": "23_1526478023484772352","title": "输卵管图","pubDate": "2023-03-29T10:32:19","upDate": "2023-03-29T10:32:19","lrDate": "2023-03-29T10:32:19","description": "输卵管是女性生殖系统的重要构成部分,位于女性盆腔,整体的形态呈管状。","data": {"WebPage": {"headline": "输卵管图","pcUrl": "https://www.med-credit.org.cn/jingxuan/2/9bcd77f4483bec35138ff6ed805d364a.html","wapUrl": "https://www.med-credit.org.cn/jingxuan/2/9bcd77f4483bec35138ff6ed805d364a.html","mipUrl": "https://www.med-credit.org.cn/mobile/jingxuan/2/9bcd77f4483bec35138ff6ed805d364a.html","fromSrc": "欢乐橙","datePublished": "2023-03-29T10:32:19","domain": "医疗","category": ["医疗权威文章合作"],"description": "输卵管是女性生殖系统的重要构成部分,位于女性盆腔,整体的形态呈管状。
","extra_headline": [""]},"Author": {"name": "种轶文","wapUrl": "https://www.med-credit.org.cn/doctor/575","pcUrl": "https://www.med-credit.org.cn/doctor/575","jobTitle": "副主任医师","headPortrait": "https://www.med-credit.org.cn/uploadfile/member/575/180x180.jpeg","id": "575","description": "种轶文,北京大学第三医院妇产科副主任医师","memberOf": {"legalName": "北京大学第三医院","department": "妇产科","organizationLevel": "三级甲等"}},"Article": {"summaryContent": "输卵管是女性生殖系统的重要构成部分,位于女性盆腔,整体的形态呈管状。
输卵管在女性生殖中起着非常重要的作用,对拾卵、精子获能、卵子受精、受精卵输送及早期胚胎的生存和发育起着重要作用。
输卵管是女性生子系统的组成部分,位于盆腔,正常人有两条,分别位于子宫的两侧。输卵管根据形态分为四个部分:间质部、峡部、壶腹部、漏斗部。

输卵管能为精子和输卵管的相遇与结合提供了良好的环境,在一定的时间内将精子和卵子输送至壶腹部,使两者结合为受精卵。受精卵在输卵管中经过一段时间的发育,时机成熟时会进入子宫腔内着床,进行最为重要的孕育阶段。
炎症、肿瘤、外伤导致的输卵管的堵塞都可能引起精子与卵细胞的相遇或结合过程受阻,从而导致不孕不育,因此需要及时治疗输卵管的疾病。
","articleBody": "输卵管是女性生殖系统的重要构成部分,位于女性盆腔,整体的形态呈管状。
输卵管在女性生殖中起着非常重要的作用,对拾卵、精子获能、卵子受精、受精卵输送及早期胚胎的生存和发育起着重要作用。
输卵管是女性生子系统的组成部分,位于盆腔,正常人有两条,分别位于子宫的两侧。输卵管根据形态分为四个部分:间质部、峡部、壶腹部、漏斗部。

输卵管能为精子和输卵管的相遇与结合提供了良好的环境,在一定的时间内将精子和卵子输送至壶腹部,使两者结合为受精卵。受精卵在输卵管中经过一段时间的发育,时机成熟时会进入子宫腔内着床,进行最为重要的孕育阶段。
炎症、肿瘤、外伤导致的输卵管的堵塞都可能引起精子与卵细胞的相遇或结合过程受阻,从而导致不孕不育,因此需要及时治疗输卵管的疾病。
","scanCount": 56493}}} {"@context": "https://ziyuan.baidu.com/contexts/cambrian.jsonld","appid": "1650708455561748","icon": "https://www.med-credit.org.cn/style/images/ttlogo.png","content_tag": ["atlas"],"is_mcn": {"thumb_id": "v2rm41u3"},"accid": "4886d626a2804dee5f11168793ce361672f39c25","@id": "https://www.med-credit.org.cn/mobile/jingxuan/2/9b9574c5ce74fce38160bc6e5f5793ae.html","bagWordId": "23_1526478012227260416","title": "正常分泌物图片","pubDate": "2023-03-29T10:32:19","upDate": "2023-03-29T10:32:19","lrDate": "2023-03-29T10:32:19","description": "1、正常分泌物,常指女性阴道分泌物,即白带,一般是无色呈透明稀薄的,也可是白色糊状,且没有任何异味,量少,称为生理性的阴道分泌物。","data": {"WebPage": {"headline": "正常分泌物图片","pcUrl": "https://www.med-credit.org.cn/jingxuan/2/9b9574c5ce74fce38160bc6e5f5793ae.html","wapUrl": "https://www.med-credit.org.cn/jingxuan/2/9b9574c5ce74fce38160bc6e5f5793ae.html","mipUrl": "https://www.med-credit.org.cn/mobile/jingxuan/2/9b9574c5ce74fce38160bc6e5f5793ae.html","fromSrc": "欢乐橙","datePublished": "2023-03-29T10:32:19","domain": "医疗","category": ["医疗权威文章合作"],"description": "1、正常分泌物,常指女性阴道分泌物,即白带,一般是无色呈透明稀薄的,也可是白色糊状,且没有任何异味,量少,称为生理性的阴道分泌物。
","extra_headline": [""]},"Author": {"name": "种轶文","wapUrl": "https://www.med-credit.org.cn/doctor/575","pcUrl": "https://www.med-credit.org.cn/doctor/575","jobTitle": "副主任医师","headPortrait": "https://www.med-credit.org.cn/uploadfile/member/575/180x180.jpeg","id": "575","description": "种轶文,北京大学第三医院妇产科副主任医师","memberOf": {"legalName": "北京大学第三医院","department": "妇产科","organizationLevel": "三级甲等"}},"Article": {"summaryContent": "1、正常分泌物,常指女性阴道分泌物,即白带,一般是无色呈透明稀薄的,也可是白色糊状,且没有任何异味,量少,称为生理性的阴道分泌物。
2、当出现阴道炎、子宫颈炎以及出现恶性癌变时,阴道分泌物可以明显的增多且性质发生改变,称为病理性的阴道分泌物。
正常白带分泌物是无色呈透明稀薄的,也可是白色糊状,且没有任何异味及外阴瘙痒。排卵期会出现白带增多,呈白色稀糊状,无明显异味,也不伴任何不适症状。此时无需进行任何特殊性治疗,但要注意个人卫生及清洁。

当分泌物出现异常时,常可见一下这些疾病如阴道炎,宫颈炎,子宫内膜炎,恶性病变等,若出现病理性因素应及时去医院治疗。
1、养成良好的生活习惯,保证充足的休息。
2、饮食上应注意营养均衡,避免吃辛辣刺激等食物,多吃水果蔬菜。
3、内裤要每天更换,清洗之后不要放于潮湿的环境中,要放在太阳光下暴晒,同时要注意个人卫生。
","articleBody": "1、正常分泌物,常指女性阴道分泌物,即白带,一般是无色呈透明稀薄的,也可是白色糊状,且没有任何异味,量少,称为生理性的阴道分泌物。
2、当出现阴道炎、子宫颈炎以及出现恶性癌变时,阴道分泌物可以明显的增多且性质发生改变,称为病理性的阴道分泌物。
正常白带分泌物是无色呈透明稀薄的,也可是白色糊状,且没有任何异味及外阴瘙痒。排卵期会出现白带增多,呈白色稀糊状,无明显异味,也不伴任何不适症状。此时无需进行任何特殊性治疗,但要注意个人卫生及清洁。

当分泌物出现异常时,常可见一下这些疾病如阴道炎,宫颈炎,子宫内膜炎,恶性病变等,若出现病理性因素应及时去医院治疗。
1、养成良好的生活习惯,保证充足的休息。
2、饮食上应注意营养均衡,避免吃辛辣刺激等食物,多吃水果蔬菜。
3、内裤要每天更换,清洗之后不要放于潮湿的环境中,要放在太阳光下暴晒,同时要注意个人卫生。
","scanCount": 56492}}} {"@context": "https://ziyuan.baidu.com/contexts/cambrian.jsonld","appid": "1650708455561748","icon": "https://www.med-credit.org.cn/style/images/ttlogo.png","content_tag": ["atlas"],"is_mcn": {"thumb_id": "v2rm41u3"},"accid": "4886d626a2804dee5f11168793ce361672f39c25","@id": "https://www.med-credit.org.cn/mobile/jingxuan/2/5c9719267cfaad5aa127a36dbc4dc4b4.html","bagWordId": "23_1526478024730480640","title": "流产下来的胚胎图片","pubDate": "2023-03-29T10:32:19","upDate": "2023-03-29T10:32:19","lrDate": "2023-03-29T10:32:19","description": "1.流产出来的胚胎外形会有所不同,新鲜胚胎为白色球状物,若死亡时间过长则为糜烂肉块样。","data": {"WebPage": {"headline": "流产下来的胚胎图片","pcUrl": "https://www.med-credit.org.cn/jingxuan/2/5c9719267cfaad5aa127a36dbc4dc4b4.html","wapUrl": "https://www.med-credit.org.cn/jingxuan/2/5c9719267cfaad5aa127a36dbc4dc4b4.html","mipUrl": "https://www.med-credit.org.cn/mobile/jingxuan/2/5c9719267cfaad5aa127a36dbc4dc4b4.html","fromSrc": "欢乐橙","datePublished": "2023-03-29T10:32:19","domain": "医疗","category": ["医疗权威文章合作"],"description": "1.流产出来的胚胎外形会有所不同,新鲜胚胎为白色球状物,若死亡时间过长则为糜烂肉块样。
","extra_headline": [""]},"Author": {"name": "种轶文","wapUrl": "https://www.med-credit.org.cn/doctor/575","pcUrl": "https://www.med-credit.org.cn/doctor/575","jobTitle": "副主任医师","headPortrait": "https://www.med-credit.org.cn/uploadfile/member/575/180x180.jpeg","id": "575","description": "种轶文,北京大学第三医院妇产科副主任医师","memberOf": {"legalName": "北京大学第三医院","department": "妇产科","organizationLevel": "三级甲等"}},"Article": {"summaryContent": "1.流产出来的胚胎外形会有所不同,新鲜胚胎为白色球状物,若死亡时间过长则为糜烂肉块样。
2.导致流产的原因多样,可能和遗传因素、环境因素、母体因素等有关系。
流产的胚胎一大部分是由于染色体异常,可能为数目或结构发生了变化。外界环境如某些重金属元素和化学物质、物理辐射等因素也会导致胚胎流产。

如果孕妇本身出现了某些疾病或异常情况也会流产,如某些全身性疾病、生殖器官疾病、内分泌失调或创伤等情况,某些免疫系统问题甚至也可能引起流产。
虽然流产的病因和种类多样,但是流产后由于女性身体和心理上都比较脆弱,这时候最好要加强护理和监护,避免运动多卧床休息,给予积极的营养支持治疗补充能量,家人和丈夫应多关心陪护女性使其心情慢慢恢复,否则容易出现抑郁症的问题。
","articleBody": "1.流产出来的胚胎外形会有所不同,新鲜胚胎为白色球状物,若死亡时间过长则为糜烂肉块样。
2.导致流产的原因多样,可能和遗传因素、环境因素、母体因素等有关系。
流产的胚胎一大部分是由于染色体异常,可能为数目或结构发生了变化。外界环境如某些重金属元素和化学物质、物理辐射等因素也会导致胚胎流产。

如果孕妇本身出现了某些疾病或异常情况也会流产,如某些全身性疾病、生殖器官疾病、内分泌失调或创伤等情况,某些免疫系统问题甚至也可能引起流产。
虽然流产的病因和种类多样,但是流产后由于女性身体和心理上都比较脆弱,这时候最好要加强护理和监护,避免运动多卧床休息,给予积极的营养支持治疗补充能量,家人和丈夫应多关心陪护女性使其心情慢慢恢复,否则容易出现抑郁症的问题。
","scanCount": 56491}}} {"@context": "https://ziyuan.baidu.com/contexts/cambrian.jsonld","appid": "1650708455561748","icon": "https://www.med-credit.org.cn/style/images/ttlogo.png","content_tag": ["atlas"],"is_mcn": {"thumb_id": "v2rm41u3"},"accid": "4886d626a2804dee5f11168793ce361672f39c25","@id": "https://www.med-credit.org.cn/mobile/jingxuan/2/6e366e691322db99955972382c570725.html","bagWordId": "23_1526478015129718784","title": "线索细胞图片","pubDate": "2023-03-29T10:32:19","upDate": "2023-03-29T10:32:19","lrDate": "2023-03-29T10:32:19","description": "1、线索细胞是一种鳞状上皮细胞,指的是黏附有大量的加德纳菌和其他短小杆菌的一种细胞。这种细胞的边缘呈现锯齿状,表面粗糙,有斑点和大量的细小颗粒。","data": {"WebPage": {"headline": "线索细胞图片","pcUrl": "https://www.med-credit.org.cn/jingxuan/2/6e366e691322db99955972382c570725.html","wapUrl": "https://www.med-credit.org.cn/jingxuan/2/6e366e691322db99955972382c570725.html","mipUrl": "https://www.med-credit.org.cn/mobile/jingxuan/2/6e366e691322db99955972382c570725.html","fromSrc": "欢乐橙","datePublished": "2023-03-29T10:32:19","domain": "医疗","category": ["医疗权威文章合作"],"description": "1、线索细胞是一种鳞状上皮细胞,指的是黏附有大量的加德纳菌和其他短小杆菌的一种细胞。这种细胞的边缘呈现锯齿状,表面粗糙,有斑点和大量的细小颗粒。
","extra_headline": [""]},"Author": {"name": "种轶文","wapUrl": "https://www.med-credit.org.cn/doctor/575","pcUrl": "https://www.med-credit.org.cn/doctor/575","jobTitle": "副主任医师","headPortrait": "https://www.med-credit.org.cn/uploadfile/member/575/180x180.jpeg","id": "575","description": "种轶文,北京大学第三医院妇产科副主任医师","memberOf": {"legalName": "北京大学第三医院","department": "妇产科","organizationLevel": "三级甲等"}},"Article": {"summaryContent": "1、线索细胞是一种鳞状上皮细胞,指的是黏附有大量的加德纳菌和其他短小杆菌的一种细胞。这种细胞的边缘呈现锯齿状,表面粗糙,有斑点和大量的细小颗粒。
2、如果在阴道分泌物中发现线索细胞,可以作为诊断加德纳菌性阴道炎的重要指标之一。

1、细菌性阴道病的典型特征之一就是线索细胞,结合加德纳杆菌检测,就可以作出细菌性阴道病的诊断。
2、检查结果必须由临床专业医生根据病史、症状、特征以及其他辅助结果,全面综合分析进行判断。
1、适合检查的人群:患有细菌性阴道炎的患者;
2、采集方法:阴道分泌物采集;
3、在标本采集前24小时不能性交、盆浴、阴道检查、阴道灌洗和上药等;
4、注意向患者说明标本采集的方法和注意事项,并且注意保护患者的隐私;
5、检查结果为阳性时,则判断为有加德纳菌性阴道炎。
","articleBody": "1、线索细胞是一种鳞状上皮细胞,指的是黏附有大量的加德纳菌和其他短小杆菌的一种细胞。这种细胞的边缘呈现锯齿状,表面粗糙,有斑点和大量的细小颗粒。
2、如果在阴道分泌物中发现线索细胞,可以作为诊断加德纳菌性阴道炎的重要指标之一。

1、细菌性阴道病的典型特征之一就是线索细胞,结合加德纳杆菌检测,就可以作出细菌性阴道病的诊断。
2、检查结果必须由临床专业医生根据病史、症状、特征以及其他辅助结果,全面综合分析进行判断。
1、适合检查的人群:患有细菌性阴道炎的患者;
2、采集方法:阴道分泌物采集;
3、在标本采集前24小时不能性交、盆浴、阴道检查、阴道灌洗和上药等;
4、注意向患者说明标本采集的方法和注意事项,并且注意保护患者的隐私;
5、检查结果为阳性时,则判断为有加德纳菌性阴道炎。
","scanCount": 56490}}} {"@context": "https://ziyuan.baidu.com/contexts/cambrian.jsonld","appid": "1650708455561748","icon": "https://www.med-credit.org.cn/style/images/ttlogo.png","content_tag": ["atlas"],"is_mcn": {"thumb_id": "v2rm41u3"},"accid": "4886d626a2804dee5f11168793ce361672f39c25","@id": "https://www.med-credit.org.cn/mobile/jingxuan/2/b175584ef4394373fec91a89bdbd5b25.html","bagWordId": "23_1526478024415907840","title": "流产流出来的胚胎图片","pubDate": "2023-03-29T10:32:19","upDate": "2023-03-29T10:32:19","lrDate": "2023-03-29T10:32:19","description": "1.流产出来的胚胎外形会有所不同,新鲜胚胎为白色球状物,若死亡时间过长则为糜烂肉块样。","data": {"WebPage": {"headline": "流产流出来的胚胎图片","pcUrl": "https://www.med-credit.org.cn/jingxuan/2/b175584ef4394373fec91a89bdbd5b25.html","wapUrl": "https://www.med-credit.org.cn/jingxuan/2/b175584ef4394373fec91a89bdbd5b25.html","mipUrl": "https://www.med-credit.org.cn/mobile/jingxuan/2/b175584ef4394373fec91a89bdbd5b25.html","fromSrc": "欢乐橙","datePublished": "2023-03-29T10:32:19","domain": "医疗","category": ["医疗权威文章合作"],"description": "1.流产出来的胚胎外形会有所不同,新鲜胚胎为白色球状物,若死亡时间过长则为糜烂肉块样。
","extra_headline": [""]},"Author": {"name": "种轶文","wapUrl": "https://www.med-credit.org.cn/doctor/575","pcUrl": "https://www.med-credit.org.cn/doctor/575","jobTitle": "副主任医师","headPortrait": "https://www.med-credit.org.cn/uploadfile/member/575/180x180.jpeg","id": "575","description": "种轶文,北京大学第三医院妇产科副主任医师","memberOf": {"legalName": "北京大学第三医院","department": "妇产科","organizationLevel": "三级甲等"}},"Article": {"summaryContent": "1.流产出来的胚胎外形会有所不同,新鲜胚胎为白色球状物,若死亡时间过长则为糜烂肉块样。
2.导致流产的原因多样,可能和遗传因素、环境因素、母体因素等有关系。
流产的胚胎一大部分是由于染色体异常,可能为数目或结构发生了变化。外界环境如某些重金属元素和化学物质、物理辐射等因素也会导致胚胎流产。

如果孕妇本身出现了某些疾病或异常情况也会流产,如某些全身性疾病、生殖器官疾病、内分泌失调或创伤等情况,某些免疫系统问题甚至也可能引起流产。
虽然流产的病因和种类多样,但是流产后由于女性身体和心理上都比较脆弱,这时候最好要加强护理和监护,避免运动多卧床休息,给予积极的营养支持治疗补充能量,家人和丈夫应多关心陪护女性使其心情慢慢恢复,否则容易出现抑郁症的问题。
","articleBody": "1.流产出来的胚胎外形会有所不同,新鲜胚胎为白色球状物,若死亡时间过长则为糜烂肉块样。
2.导致流产的原因多样,可能和遗传因素、环境因素、母体因素等有关系。
流产的胚胎一大部分是由于染色体异常,可能为数目或结构发生了变化。外界环境如某些重金属元素和化学物质、物理辐射等因素也会导致胚胎流产。

如果孕妇本身出现了某些疾病或异常情况也会流产,如某些全身性疾病、生殖器官疾病、内分泌失调或创伤等情况,某些免疫系统问题甚至也可能引起流产。
虽然流产的病因和种类多样,但是流产后由于女性身体和心理上都比较脆弱,这时候最好要加强护理和监护,避免运动多卧床休息,给予积极的营养支持治疗补充能量,家人和丈夫应多关心陪护女性使其心情慢慢恢复,否则容易出现抑郁症的问题。
","scanCount": 56489}}} {"@context": "https://ziyuan.baidu.com/contexts/cambrian.jsonld","appid": "1650708455561748","icon": "https://www.med-credit.org.cn/style/images/ttlogo.png","content_tag": ["atlas"],"is_mcn": {"thumb_id": "v2rm41u3"},"accid": "4886d626a2804dee5f11168793ce361672f39c25","@id": "https://www.med-credit.org.cn/mobile/jingxuan/2/ea133432e93610c52c261a3cd9bd86f8.html","bagWordId": "23_1526478021215653888","title": "女性排出来豆腐渣图片","pubDate": "2023-03-29T10:32:19","upDate": "2023-03-29T10:32:19","lrDate": "2023-03-29T10:32:19","description": "1、女性阴道排出来豆腐渣样分泌物是外阴道假丝酵母菌病的典型特征,又称霉菌性阴道炎,是假丝酵母菌感染导致的,是常见的女性妇科疾病之一。","data": {"WebPage": {"headline": "女性排出来豆腐渣图片","pcUrl": "https://www.med-credit.org.cn/jingxuan/2/ea133432e93610c52c261a3cd9bd86f8.html","wapUrl": "https://www.med-credit.org.cn/jingxuan/2/ea133432e93610c52c261a3cd9bd86f8.html","mipUrl": "https://www.med-credit.org.cn/mobile/jingxuan/2/ea133432e93610c52c261a3cd9bd86f8.html","fromSrc": "欢乐橙","datePublished": "2023-03-29T10:32:19","domain": "医疗","category": ["医疗权威文章合作"],"description": "1、女性阴道排出来豆腐渣样分泌物是外阴道假丝酵母菌病的典型特征,又称霉菌性阴道炎,是假丝酵母菌感染导致的,是常见的女性妇科疾病之一。
","extra_headline": [""]},"Author": {"name": "种轶文","wapUrl": "https://www.med-credit.org.cn/doctor/575","pcUrl": "https://www.med-credit.org.cn/doctor/575","jobTitle": "副主任医师","headPortrait": "https://www.med-credit.org.cn/uploadfile/member/575/180x180.jpeg","id": "575","description": "种轶文,北京大学第三医院妇产科副主任医师","memberOf": {"legalName": "北京大学第三医院","department": "妇产科","organizationLevel": "三级甲等"}},"Article": {"summaryContent": "1、女性阴道排出来豆腐渣样分泌物是外阴道假丝酵母菌病的典型特征,又称霉菌性阴道炎,是假丝酵母菌感染导致的,是常见的女性妇科疾病之一。
2、外阴道假丝酵母菌病是由于身体抵抗力降低、个人卫生问题或者性传播而引起的。
外阴道假丝酵母菌性阴道炎的典型症状就是——分泌物增多、稠厚、并且是豆腐渣样或凝乳状。通常会有外阴瘙痒、烧灼性疼痛以及出现尿痛和外阴水肿等情况。

1、长期大量应用抗生素或者雌激素。
2、妊娠时机体免疫力下降。
3、糖尿病病人免疫力下降。
4、大量应用免疫抑制剂,使机体抵抗力下降。
1、养成良好的生活习惯,保证充足的休息,不穿紧身内裤。
2、饮食上应注意营养均衡,避免吃辛辣刺激等食物,多吃水果蔬菜。
3、注意不要过度清洗外阴和阴道,导致阴道酸碱平衡失调,利于假丝酵母菌的繁殖。
4、内裤要经常更换,清洗之后不要放于潮湿的环境中,有利于假丝酵母菌的繁殖,应放在太阳光下暴晒,同时要注意个人卫生。
","articleBody": "1、女性阴道排出来豆腐渣样分泌物是外阴道假丝酵母菌病的典型特征,又称霉菌性阴道炎,是假丝酵母菌感染导致的,是常见的女性妇科疾病之一。
2、外阴道假丝酵母菌病是由于身体抵抗力降低、个人卫生问题或者性传播而引起的。
外阴道假丝酵母菌性阴道炎的典型症状就是——分泌物增多、稠厚、并且是豆腐渣样或凝乳状。通常会有外阴瘙痒、烧灼性疼痛以及出现尿痛和外阴水肿等情况。

1、长期大量应用抗生素或者雌激素。
2、妊娠时机体免疫力下降。
3、糖尿病病人免疫力下降。
4、大量应用免疫抑制剂,使机体抵抗力下降。
1、养成良好的生活习惯,保证充足的休息,不穿紧身内裤。
2、饮食上应注意营养均衡,避免吃辛辣刺激等食物,多吃水果蔬菜。
3、注意不要过度清洗外阴和阴道,导致阴道酸碱平衡失调,利于假丝酵母菌的繁殖。
4、内裤要经常更换,清洗之后不要放于潮湿的环境中,有利于假丝酵母菌的繁殖,应放在太阳光下暴晒,同时要注意个人卫生。
","scanCount": 56488}}} {"@context": "https://ziyuan.baidu.com/contexts/cambrian.jsonld","appid": "1650708455561748","icon": "https://www.med-credit.org.cn/style/images/ttlogo.png","content_tag": ["atlas"],"is_mcn": {"thumb_id": "v2rm41u3"},"accid": "4886d626a2804dee5f11168793ce361672f39c25","@id": "https://www.med-credit.org.cn/mobile/jingxuan/2/6d2079f05f3f49479279ab9c8ae3cc55.html","bagWordId": "23_1526478085745020928","title": "怀孕图片验孕棒图片 真人","pubDate": "2023-03-29T10:32:19","upDate": "2023-03-29T10:32:19","lrDate": "2023-03-29T10:32:19","description": "1.验孕棒的检测方法主要是通过尿液中人绒毛膜促性腺激素的含量,怀孕时含量增高容易和试纸中的物质发生反应而出现相应变化。","data": {"WebPage": {"headline": "怀孕图片验孕棒图片 真人","pcUrl": "https://www.med-credit.org.cn/jingxuan/2/6d2079f05f3f49479279ab9c8ae3cc55.html","wapUrl": "https://www.med-credit.org.cn/jingxuan/2/6d2079f05f3f49479279ab9c8ae3cc55.html","mipUrl": "https://www.med-credit.org.cn/mobile/jingxuan/2/6d2079f05f3f49479279ab9c8ae3cc55.html","fromSrc": "欢乐橙","datePublished": "2023-03-29T10:32:19","domain": "医疗","category": ["医疗权威文章合作"],"description": "1.验孕棒的检测方法主要是通过尿液中人绒毛膜促性腺激素的含量,怀孕时含量增高容易和试纸中的物质发生反应而出现相应变化。
","extra_headline": [""]},"Author": {"name": "种轶文","wapUrl": "https://www.med-credit.org.cn/doctor/575","pcUrl": "https://www.med-credit.org.cn/doctor/575","jobTitle": "副主任医师","headPortrait": "https://www.med-credit.org.cn/uploadfile/member/575/180x180.jpeg","id": "575","description": "种轶文,北京大学第三医院妇产科副主任医师","memberOf": {"legalName": "北京大学第三医院","department": "妇产科","organizationLevel": "三级甲等"}},"Article": {"summaryContent": "1.验孕棒的检测方法主要是通过尿液中人绒毛膜促性腺激素的含量,怀孕时含量增高容易和试纸中的物质发生反应而出现相应变化。
2.验孕棒通常看起来像一根钢笔或体温计一样大小,中间有一个稍微凹陷的地方用来观察颜色的变化,一侧为手持的一段,另一侧一般是一个小孔方便将尿液滴在其中。
当女性怀孕的时候,体内会有大量雌、孕激素分泌,其中人绒毛膜促性腺激素的变化比较明显,容易被检测到,所以验孕棒的原理一般是通过检测尿液中人绒毛膜促性腺激素来观察验孕棒是否出现相应反应而判断有无怀孕的情况。

如果验孕棒中间的试纸部位出现了两条线,则说明很可能已经怀孕了。
虽然验孕棒的灵敏度较高,但是由于使用方法的不正确也会造成异常结果。检测的时间最好是在进行性行为的7-10天后,此时受精卵一般已经着床,如果检测早上的晨尿的话准确度也更高一些。
","articleBody": "1.验孕棒的检测方法主要是通过尿液中人绒毛膜促性腺激素的含量,怀孕时含量增高容易和试纸中的物质发生反应而出现相应变化。
2.验孕棒通常看起来像一根钢笔或体温计一样大小,中间有一个稍微凹陷的地方用来观察颜色的变化,一侧为手持的一段,另一侧一般是一个小孔方便将尿液滴在其中。
当女性怀孕的时候,体内会有大量雌、孕激素分泌,其中人绒毛膜促性腺激素的变化比较明显,容易被检测到,所以验孕棒的原理一般是通过检测尿液中人绒毛膜促性腺激素来观察验孕棒是否出现相应反应而判断有无怀孕的情况。

如果验孕棒中间的试纸部位出现了两条线,则说明很可能已经怀孕了。
虽然验孕棒的灵敏度较高,但是由于使用方法的不正确也会造成异常结果。检测的时间最好是在进行性行为的7-10天后,此时受精卵一般已经着床,如果检测早上的晨尿的话准确度也更高一些。
","scanCount": 56487}}} {"@context": "https://ziyuan.baidu.com/contexts/cambrian.jsonld","appid": "1650708455561748","icon": "https://www.med-credit.org.cn/style/images/ttlogo.png","content_tag": ["atlas"],"is_mcn": {"thumb_id": "v2rm41u3"},"accid": "4886d626a2804dee5f11168793ce361672f39c25","@id": "https://www.med-credit.org.cn/mobile/jingxuan/2/64ddb78468497ab64a5109a90ac69c78.html","bagWordId": "23_1526478023589629952","title": "输卵管是什么样子的图片","pubDate": "2023-03-29T10:32:19","upDate": "2023-03-29T10:32:19","lrDate": "2023-03-29T10:32:19","description": "输卵管是女性生殖系统的重要构成部分,位于女性盆腔,整体的形态呈管状。","data": {"WebPage": {"headline": "输卵管是什么样子的图片","pcUrl": "https://www.med-credit.org.cn/jingxuan/2/64ddb78468497ab64a5109a90ac69c78.html","wapUrl": "https://www.med-credit.org.cn/jingxuan/2/64ddb78468497ab64a5109a90ac69c78.html","mipUrl": "https://www.med-credit.org.cn/mobile/jingxuan/2/64ddb78468497ab64a5109a90ac69c78.html","fromSrc": "欢乐橙","datePublished": "2023-03-29T10:32:19","domain": "医疗","category": ["医疗权威文章合作"],"description": "输卵管是女性生殖系统的重要构成部分,位于女性盆腔,整体的形态呈管状。
","extra_headline": [""]},"Author": {"name": "种轶文","wapUrl": "https://www.med-credit.org.cn/doctor/575","pcUrl": "https://www.med-credit.org.cn/doctor/575","jobTitle": "副主任医师","headPortrait": "https://www.med-credit.org.cn/uploadfile/member/575/180x180.jpeg","id": "575","description": "种轶文,北京大学第三医院妇产科副主任医师","memberOf": {"legalName": "北京大学第三医院","department": "妇产科","organizationLevel": "三级甲等"}},"Article": {"summaryContent": "输卵管是女性生殖系统的重要构成部分,位于女性盆腔,整体的形态呈管状。
输卵管在女性生殖中起着非常重要的作用,对拾卵、精子获能、卵子受精、受精卵输送及早期胚胎的生存和发育起着重要作用。
输卵管是女性生子系统的组成部分,位于盆腔,正常人有两条,分别位于子宫的两侧。输卵管根据形态分为四个部分:间质部、峡部、壶腹部、漏斗部。

输卵管能为精子和输卵管的相遇与结合提供了良好的环境,在一定的时间内将精子和卵子输送至壶腹部,使两者结合为受精卵。受精卵在输卵管中经过一段时间的发育,时机成熟时会进入子宫腔内着床,进行最为重要的孕育阶段。
炎症、肿瘤、外伤导致的输卵管的堵塞都可能引起精子与卵细胞的相遇或结合过程受阻,从而导致不孕不育,因此需要及时治疗输卵管的疾病。
","articleBody": "输卵管是女性生殖系统的重要构成部分,位于女性盆腔,整体的形态呈管状。
输卵管在女性生殖中起着非常重要的作用,对拾卵、精子获能、卵子受精、受精卵输送及早期胚胎的生存和发育起着重要作用。
输卵管是女性生子系统的组成部分,位于盆腔,正常人有两条,分别位于子宫的两侧。输卵管根据形态分为四个部分:间质部、峡部、壶腹部、漏斗部。

输卵管能为精子和输卵管的相遇与结合提供了良好的环境,在一定的时间内将精子和卵子输送至壶腹部,使两者结合为受精卵。受精卵在输卵管中经过一段时间的发育,时机成熟时会进入子宫腔内着床,进行最为重要的孕育阶段。
炎症、肿瘤、外伤导致的输卵管的堵塞都可能引起精子与卵细胞的相遇或结合过程受阻,从而导致不孕不育,因此需要及时治疗输卵管的疾病。
","scanCount": 56486}}} {"@context": "https://ziyuan.baidu.com/contexts/cambrian.jsonld","appid": "1650708455561748","icon": "https://www.med-credit.org.cn/style/images/ttlogo.png","content_tag": ["atlas"],"is_mcn": {"thumb_id": "v2rm41u3"},"accid": "4886d626a2804dee5f11168793ce361672f39c25","@id": "https://www.med-credit.org.cn/mobile/jingxuan/2/506b1b3d456a417677c012bd7b2d1d6c.html","bagWordId": "23_1526478085497556992","title": "胎儿枕后位图片","pubDate": "2023-03-29T10:32:19","upDate": "2023-03-29T10:32:19","lrDate": "2023-03-29T10:32:19","description": "胎儿枕后位即胎儿枕部位于产妇骨盆的后方或侧方。","data": {"WebPage": {"headline": "胎儿枕后位图片","pcUrl": "https://www.med-credit.org.cn/jingxuan/2/506b1b3d456a417677c012bd7b2d1d6c.html","wapUrl": "https://www.med-credit.org.cn/jingxuan/2/506b1b3d456a417677c012bd7b2d1d6c.html","mipUrl": "https://www.med-credit.org.cn/mobile/jingxuan/2/506b1b3d456a417677c012bd7b2d1d6c.html","fromSrc": "欢乐橙","datePublished": "2023-03-29T10:32:19","domain": "医疗","category": ["医疗权威文章合作"],"description": "胎儿枕后位即胎儿枕部位于产妇骨盆的后方或侧方。
","extra_headline": [""]},"Author": {"name": "种轶文","wapUrl": "https://www.med-credit.org.cn/doctor/575","pcUrl": "https://www.med-credit.org.cn/doctor/575","jobTitle": "副主任医师","headPortrait": "https://www.med-credit.org.cn/uploadfile/member/575/180x180.jpeg","id": "575","description": "种轶文,北京大学第三医院妇产科副主任医师","memberOf": {"legalName": "北京大学第三医院","department": "妇产科","organizationLevel": "三级甲等"}},"Article": {"summaryContent": "胎儿枕后位即胎儿枕部位于产妇骨盆的后方或侧方。
多发生于骨盆入口前半部轻微狭窄,影响枕前位胎儿的头部下降、衔接,而入口后半部宽松,胎儿枕部多后转入盆。

枕后位能够在腹部扪及胎儿的肢体,而胎背则在腹部的一侧,且位置靠后,胎心音位于腹部侧方略遥远。可经阴道或B超检查进行确诊胎头矢状缝与产妇骨盆斜径一致,前囱在前,后囱在后。产前诊断的胎儿枕后位大多可转为枕前位,而临产胎头已衔接的胎儿枕后位可影响产程,应当予以重视。
处理及注意事项:
枕后位多数能自然转为前位娩出,但需耐心等待,注意观察宫缩、产程进展以及及胎心音的变化,积极安慰鼓励产妇,并注意防治衰竭及脱水。如果宫口开全超过两个小时,胎头已达坐骨棘,应考虑可通过胎头吸引器或产钳助产。对于深横阻滞的产妇,可通过胎头吸引器或将胎头转为枕前位或者正枕后位;会阴较紧产妇或初产妇,须行会阴侧切,以免造成深度撕裂。
如果出现宫缩乏力、胎头不下、宫口不扩张或头盆不称应及时行剖宫产。
","articleBody": "胎儿枕后位即胎儿枕部位于产妇骨盆的后方或侧方。
多发生于骨盆入口前半部轻微狭窄,影响枕前位胎儿的头部下降、衔接,而入口后半部宽松,胎儿枕部多后转入盆。

枕后位能够在腹部扪及胎儿的肢体,而胎背则在腹部的一侧,且位置靠后,胎心音位于腹部侧方略遥远。可经阴道或B超检查进行确诊胎头矢状缝与产妇骨盆斜径一致,前囱在前,后囱在后。产前诊断的胎儿枕后位大多可转为枕前位,而临产胎头已衔接的胎儿枕后位可影响产程,应当予以重视。
处理及注意事项:
枕后位多数能自然转为前位娩出,但需耐心等待,注意观察宫缩、产程进展以及及胎心音的变化,积极安慰鼓励产妇,并注意防治衰竭及脱水。如果宫口开全超过两个小时,胎头已达坐骨棘,应考虑可通过胎头吸引器或产钳助产。对于深横阻滞的产妇,可通过胎头吸引器或将胎头转为枕前位或者正枕后位;会阴较紧产妇或初产妇,须行会阴侧切,以免造成深度撕裂。
如果出现宫缩乏力、胎头不下、宫口不扩张或头盆不称应及时行剖宫产。
","scanCount": 56485}}} {"@context": "https://ziyuan.baidu.com/contexts/cambrian.jsonld","appid": "1650708455561748","icon": "https://www.med-credit.org.cn/style/images/ttlogo.png","content_tag": ["atlas"],"is_mcn": {"thumb_id": "v2rm41u3"},"accid": "4886d626a2804dee5f11168793ce361672f39c25","@id": "https://www.med-credit.org.cn/mobile/jingxuan/2/c59cea2447cc7984c8d35b95da94c62f.html","bagWordId": "23_1526478017981845504","title": "浆液恶露是什么样子","pubDate": "2023-03-29T10:32:19","upDate": "2023-03-29T10:32:19","lrDate": "2023-03-29T10:32:19","description": "浆液性恶露一般呈现淡红色,主要含有较多的浆液,持续时间为10天。","data": {"WebPage": {"headline": "浆液恶露是什么样子","pcUrl": "https://www.med-credit.org.cn/jingxuan/2/c59cea2447cc7984c8d35b95da94c62f.html","wapUrl": "https://www.med-credit.org.cn/jingxuan/2/c59cea2447cc7984c8d35b95da94c62f.html","mipUrl": "https://www.med-credit.org.cn/mobile/jingxuan/2/c59cea2447cc7984c8d35b95da94c62f.html","fromSrc": "欢乐橙","datePublished": "2023-03-29T10:32:19","domain": "医疗","category": ["医疗权威文章合作"],"description": "浆液性恶露一般呈现淡红色,主要含有较多的浆液,持续时间为10天。
","extra_headline": [""]},"Author": {"name": "种轶文","wapUrl": "https://www.med-credit.org.cn/doctor/575","pcUrl": "https://www.med-credit.org.cn/doctor/575","jobTitle": "副主任医师","headPortrait": "https://www.med-credit.org.cn/uploadfile/member/575/180x180.jpeg","id": "575","description": "种轶文,北京大学第三医院妇产科副主任医师","memberOf": {"legalName": "北京大学第三医院","department": "妇产科","organizationLevel": "三级甲等"}},"Article": {"summaryContent": "浆液性恶露一般呈现淡红色,主要含有较多的浆液,持续时间为10天。
浆液性恶露一般在产后一个星期左右出现,是产后正常反应。

1、恶露是一种妊娠后的正常排泄反应,主要是由于胎儿出生后,胎盘也会从子宫处剥离并造成一定的创面,这些创面就会混合有血液、坏死的脱膜组织和粘液细菌等,经过阴道排出后就形成了恶露。随着子宫的恢复,恶露的数量和颜色也会慢慢变化,因此恶露也常常用来衡量子宫恢复的程度。
2、恶露根据颜色和主要成分不同,根据发展的病程一般可分为血性恶露、浆液性恶露和白色恶露。血性恶露以含有大量鲜红色血液而得名,经过3-4天后会转为浆液性恶露。浆液恶露的颜色就会转变成淡红色,含有大量的粘液和坏死组织。持续7-10天左右最终会变成白色的恶露,白色恶露会含有大量白细胞和细菌等。
如何产后2周还伴有血性恶露,并且还有酸臭味,表明子宫恢复得不太好,子宫内可能残留有胎盘类物质,随时有大出血可能,这时要引起重视。
","articleBody": "浆液性恶露一般呈现淡红色,主要含有较多的浆液,持续时间为10天。
浆液性恶露一般在产后一个星期左右出现,是产后正常反应。

1、恶露是一种妊娠后的正常排泄反应,主要是由于胎儿出生后,胎盘也会从子宫处剥离并造成一定的创面,这些创面就会混合有血液、坏死的脱膜组织和粘液细菌等,经过阴道排出后就形成了恶露。随着子宫的恢复,恶露的数量和颜色也会慢慢变化,因此恶露也常常用来衡量子宫恢复的程度。
2、恶露根据颜色和主要成分不同,根据发展的病程一般可分为血性恶露、浆液性恶露和白色恶露。血性恶露以含有大量鲜红色血液而得名,经过3-4天后会转为浆液性恶露。浆液恶露的颜色就会转变成淡红色,含有大量的粘液和坏死组织。持续7-10天左右最终会变成白色的恶露,白色恶露会含有大量白细胞和细菌等。
如何产后2周还伴有血性恶露,并且还有酸臭味,表明子宫恢复得不太好,子宫内可能残留有胎盘类物质,随时有大出血可能,这时要引起重视。
","scanCount": 56484}}} {"@context": "https://ziyuan.baidu.com/contexts/cambrian.jsonld","appid": "1650708455561748","icon": "https://www.med-credit.org.cn/style/images/ttlogo.png","content_tag": ["atlas"],"is_mcn": {"thumb_id": "v2rm41u3"},"accid": "4886d626a2804dee5f11168793ce361672f39c25","@id": "https://www.med-credit.org.cn/mobile/jingxuan/2/564f5cf62fd3a9a9ccffd861da7405c4.html","bagWordId": "23_1526478031709802496","title": "瘢痕子宫图片","pubDate": "2023-03-29T10:32:19","upDate": "2023-03-29T10:32:19","lrDate": "2023-03-29T10:32:19","description": "瘢痕子宫指子宫经过切开术后,其缝合面愈合形成疤痕。","data": {"WebPage": {"headline": "瘢痕子宫图片","pcUrl": "https://www.med-credit.org.cn/jingxuan/2/564f5cf62fd3a9a9ccffd861da7405c4.html","wapUrl": "https://www.med-credit.org.cn/jingxuan/2/564f5cf62fd3a9a9ccffd861da7405c4.html","mipUrl": "https://www.med-credit.org.cn/mobile/jingxuan/2/564f5cf62fd3a9a9ccffd861da7405c4.html","fromSrc": "欢乐橙","datePublished": "2023-03-29T10:32:19","domain": "医疗","category": ["医疗权威文章合作"],"description": "瘢痕子宫指子宫经过切开术后,其缝合面愈合形成疤痕。
","extra_headline": [""]},"Author": {"name": "种轶文","wapUrl": "https://www.med-credit.org.cn/doctor/575","pcUrl": "https://www.med-credit.org.cn/doctor/575","jobTitle": "副主任医师","headPortrait": "https://www.med-credit.org.cn/uploadfile/member/575/180x180.jpeg","id": "575","description": "种轶文,北京大学第三医院妇产科副主任医师","memberOf": {"legalName": "北京大学第三医院","department": "妇产科","organizationLevel": "三级甲等"}},"Article": {"summaryContent": "瘢痕子宫指子宫经过切开术后,其缝合面愈合形成疤痕。
瘢痕子宫多由剖宫产术或子宫肌瘤剔除术后,缝合残端愈合形成瘢痕导致。
1.预后瘢痕子宫如果愈合良好,则不会对日后的月经和生育等造成过多影响。

但如果瘢痕子宫愈合不良,可能会形成瘢痕憩室、出现经期后淋漓出血等症状。
2.病因:瘢痕子宫的主要由剖宫产、子宫肌瘤剔除、子宫穿孔或破裂修复以及子宫成形等妇产科手术导致,其中剖宫产是瘢痕子宫的最主要原因。
瘢痕子宫无进行特殊治疗,若出现剖宫产后瘢痕愈合不良或者准备再次妊娠,可以考虑行经阴道或腹腔镜或经腹瘢痕修补术。瘢痕子宫若再次怀孕可能会有子宫破裂、胚胎瘢痕处着床、胎盘植入或剖腹产术后愈合不良的风险。瘢痕子宫如果怀孕应密切注重产检,定期复查腹部彩色多普勒超声和妇科彩色多普勒超声,监控受精卵的发育情况,避免受精卵在子宫瘢痕处着床。计划生二胎的女性慎重选择剖腹产,建议最好尽量阴道分娩。
","articleBody": "瘢痕子宫指子宫经过切开术后,其缝合面愈合形成疤痕。
瘢痕子宫多由剖宫产术或子宫肌瘤剔除术后,缝合残端愈合形成瘢痕导致。
1.预后瘢痕子宫如果愈合良好,则不会对日后的月经和生育等造成过多影响。

但如果瘢痕子宫愈合不良,可能会形成瘢痕憩室、出现经期后淋漓出血等症状。
2.病因:瘢痕子宫的主要由剖宫产、子宫肌瘤剔除、子宫穿孔或破裂修复以及子宫成形等妇产科手术导致,其中剖宫产是瘢痕子宫的最主要原因。
瘢痕子宫无进行特殊治疗,若出现剖宫产后瘢痕愈合不良或者准备再次妊娠,可以考虑行经阴道或腹腔镜或经腹瘢痕修补术。瘢痕子宫若再次怀孕可能会有子宫破裂、胚胎瘢痕处着床、胎盘植入或剖腹产术后愈合不良的风险。瘢痕子宫如果怀孕应密切注重产检,定期复查腹部彩色多普勒超声和妇科彩色多普勒超声,监控受精卵的发育情况,避免受精卵在子宫瘢痕处着床。计划生二胎的女性慎重选择剖腹产,建议最好尽量阴道分娩。
","scanCount": 56483}}} {"@context": "https://ziyuan.baidu.com/contexts/cambrian.jsonld","appid": "1650708455561748","icon": "https://www.med-credit.org.cn/style/images/ttlogo.png","content_tag": ["atlas"],"is_mcn": {"thumb_id": "v2rm41u3"},"accid": "4886d626a2804dee5f11168793ce361672f39c25","@id": "https://www.med-credit.org.cn/mobile/jingxuan/2/1ee09c5d07a53684980626008f96e939.html","bagWordId": "23_1526478028169809920","title": "妇科疣是什么样子图片","pubDate": "2023-03-29T10:32:19","upDate": "2023-03-29T10:32:19","lrDate": "2023-03-29T10:32:19","description": "妇科疣一般指尖锐湿疣,表现为单个或多个的淡红色小颗粒,后逐渐增多增大,呈乳头状、菜花状、鸡冠状或蕈状。","data": {"WebPage": {"headline": "妇科疣是什么样子图片","pcUrl": "https://www.med-credit.org.cn/jingxuan/2/1ee09c5d07a53684980626008f96e939.html","wapUrl": "https://www.med-credit.org.cn/jingxuan/2/1ee09c5d07a53684980626008f96e939.html","mipUrl": "https://www.med-credit.org.cn/mobile/jingxuan/2/1ee09c5d07a53684980626008f96e939.html","fromSrc": "欢乐橙","datePublished": "2023-03-29T10:32:19","domain": "医疗","category": ["医疗权威文章合作"],"description": "妇科疣一般指尖锐湿疣,表现为单个或多个的淡红色小颗粒,后逐渐增多增大,呈乳头状、菜花状、鸡冠状或蕈状。
","extra_headline": [""]},"Author": {"name": "种轶文","wapUrl": "https://www.med-credit.org.cn/doctor/575","pcUrl": "https://www.med-credit.org.cn/doctor/575","jobTitle": "副主任医师","headPortrait": "https://www.med-credit.org.cn/uploadfile/member/575/180x180.jpeg","id": "575","description": "种轶文,北京大学第三医院妇产科副主任医师","memberOf": {"legalName": "北京大学第三医院","department": "妇产科","organizationLevel": "三级甲等"}},"Article": {"summaryContent": "妇科疣一般指尖锐湿疣,表现为单个或多个的淡红色小颗粒,后逐渐增多增大,呈乳头状、菜花状、鸡冠状或蕈状。
尖锐湿疣与HPV的感染有关,性行为可传播HPV。
1.尖锐湿疣好发于外生殖器和肛门周围,皮损起初表现为单个或多个的淡红色小颗粒,质软。随后皮损逐渐增多、增大,可呈各种形态,可伴有糜烂、破溃、渗出等等。

2.尖锐湿疣是HPV感染引起的疾病,HPV主要感染人的皮肤和黏膜,性行为是其传播途径。多个性伴侣、不洁性行为、自身免疫低下如艾滋病患者更易感染HPV。
1.发病期间,禁止性行为,保持外阴卫生。
2.局部使用咪喹莫特、鬼臼毒素、赛儿茶素软膏等涂抹患处,也可使用三氯乙酸溶液冲洗、湿敷。
3.物理治疗包括冷冻治疗、激光治疗、微波治疗等等,直接破坏皮损,清除皮损。
4.若尖锐湿疣分布广泛,药物或物理治疗无效,可采用手术切除。
","articleBody": "妇科疣一般指尖锐湿疣,表现为单个或多个的淡红色小颗粒,后逐渐增多增大,呈乳头状、菜花状、鸡冠状或蕈状。
尖锐湿疣与HPV的感染有关,性行为可传播HPV。
1.尖锐湿疣好发于外生殖器和肛门周围,皮损起初表现为单个或多个的淡红色小颗粒,质软。随后皮损逐渐增多、增大,可呈各种形态,可伴有糜烂、破溃、渗出等等。

2.尖锐湿疣是HPV感染引起的疾病,HPV主要感染人的皮肤和黏膜,性行为是其传播途径。多个性伴侣、不洁性行为、自身免疫低下如艾滋病患者更易感染HPV。
1.发病期间,禁止性行为,保持外阴卫生。
2.局部使用咪喹莫特、鬼臼毒素、赛儿茶素软膏等涂抹患处,也可使用三氯乙酸溶液冲洗、湿敷。
3.物理治疗包括冷冻治疗、激光治疗、微波治疗等等,直接破坏皮损,清除皮损。
4.若尖锐湿疣分布广泛,药物或物理治疗无效,可采用手术切除。
","scanCount": 56482}}} {"@context": "https://ziyuan.baidu.com/contexts/cambrian.jsonld","appid": "1650708455561748","icon": "https://www.med-credit.org.cn/style/images/ttlogo.png","content_tag": ["atlas"],"is_mcn": {"thumb_id": "v2rm41u3"},"accid": "4886d626a2804dee5f11168793ce361672f39c25","@id": "https://www.med-credit.org.cn/mobile/jingxuan/2/7bd337f115c0d8c21dc96bf3cb2a982a.html","bagWordId": "23_1526478028434051072","title": "手上hpv病毒是什么样子","pubDate": "2023-03-29T10:32:19","upDate": "2023-03-29T10:32:19","lrDate": "2023-03-29T10:32:19","description": "手上的HPV病毒,一般为感染HPV所引起的疣类疾病,常见的为扁平疣以及寻常疣等。","data": {"WebPage": {"headline": "手上hpv病毒是什么样子","pcUrl": "https://www.med-credit.org.cn/jingxuan/2/7bd337f115c0d8c21dc96bf3cb2a982a.html","wapUrl": "https://www.med-credit.org.cn/jingxuan/2/7bd337f115c0d8c21dc96bf3cb2a982a.html","mipUrl": "https://www.med-credit.org.cn/mobile/jingxuan/2/7bd337f115c0d8c21dc96bf3cb2a982a.html","fromSrc": "欢乐橙","datePublished": "2023-03-29T10:32:19","domain": "医疗","category": ["医疗权威文章合作"],"description": "手上的HPV病毒,一般为感染HPV所引起的疣类疾病,常见的为扁平疣以及寻常疣等。
","extra_headline": [""]},"Author": {"name": "种轶文","wapUrl": "https://www.med-credit.org.cn/doctor/575","pcUrl": "https://www.med-credit.org.cn/doctor/575","jobTitle": "副主任医师","headPortrait": "https://www.med-credit.org.cn/uploadfile/member/575/180x180.jpeg","id": "575","description": "种轶文,北京大学第三医院妇产科副主任医师","memberOf": {"legalName": "北京大学第三医院","department": "妇产科","organizationLevel": "三级甲等"}},"Article": {"summaryContent": "手上的HPV病毒,一般为感染HPV所引起的疣类疾病,常见的为扁平疣以及寻常疣等。
患者皮肤局部出现微小丘疹、表面隆起、多数无不适反应、少数有瘙痒、灼痛感。
1.扁平疣:

大多骤然发生,为米粒大到绿豆大扁平隆起的丘疹,表面光滑,质硬,浅褐色或正常皮色,圆形、椭圆形或多角形,数目较多,多数密集,偶可沿抓痕排列成条状(同形反应)。
2.寻常疣:

寻常疣初起为针尖大丘疹,渐增至豌豆大或更大,圆形或多角形,表面粗糙呈刺状,质硬,灰黄、污黄或污褐色,继续发育呈乳头状增殖。
治疗方法:可以采用激光等去除疣体,在辅助用免疫制剂和抗病毒的药物进行治疗。
","articleBody": "手上的HPV病毒,一般为感染HPV所引起的疣类疾病,常见的为扁平疣以及寻常疣等。
患者皮肤局部出现微小丘疹、表面隆起、多数无不适反应、少数有瘙痒、灼痛感。
1.扁平疣:

大多骤然发生,为米粒大到绿豆大扁平隆起的丘疹,表面光滑,质硬,浅褐色或正常皮色,圆形、椭圆形或多角形,数目较多,多数密集,偶可沿抓痕排列成条状(同形反应)。
2.寻常疣:

寻常疣初起为针尖大丘疹,渐增至豌豆大或更大,圆形或多角形,表面粗糙呈刺状,质硬,灰黄、污黄或污褐色,继续发育呈乳头状增殖。
治疗方法:可以采用激光等去除疣体,在辅助用免疫制剂和抗病毒的药物进行治疗。
","scanCount": 56481}}} {"@context": "https://ziyuan.baidu.com/contexts/cambrian.jsonld","appid": "1650708455561748","icon": "https://www.med-credit.org.cn/style/images/ttlogo.png","content_tag": ["atlas"],"is_mcn": {"thumb_id": "v2rm41u3"},"accid": "4886d626a2804dee5f11168793ce361672f39c25","@id": "https://www.med-credit.org.cn/mobile/jingxuan/2/920f122a9e07ec031e05df34012df92e.html","bagWordId": "23_1526478021005938688","title": "月经疹图片是什么样子的","pubDate": "2023-03-29T10:32:19","upDate": "2023-03-29T10:32:19","lrDate": "2023-03-29T10:32:19","description": "其四肢、躯干局部出现大疱、红斑、水疱、丘疹风团,伴有瘙痒感。","data": {"WebPage": {"headline": "月经疹图片是什么样子的","pcUrl": "https://www.med-credit.org.cn/jingxuan/2/920f122a9e07ec031e05df34012df92e.html","wapUrl": "https://www.med-credit.org.cn/jingxuan/2/920f122a9e07ec031e05df34012df92e.html","mipUrl": "https://www.med-credit.org.cn/mobile/jingxuan/2/920f122a9e07ec031e05df34012df92e.html","fromSrc": "欢乐橙","datePublished": "2023-03-29T10:32:19","domain": "医疗","category": ["医疗权威文章合作"],"description": "其四肢、躯干局部出现大疱、红斑、水疱、丘疹风团,伴有瘙痒感。
","extra_headline": [""]},"Author": {"name": "种轶文","wapUrl": "https://www.med-credit.org.cn/doctor/575","pcUrl": "https://www.med-credit.org.cn/doctor/575","jobTitle": "副主任医师","headPortrait": "https://www.med-credit.org.cn/uploadfile/member/575/180x180.jpeg","id": "575","description": "种轶文,北京大学第三医院妇产科副主任医师","memberOf": {"legalName": "北京大学第三医院","department": "妇产科","organizationLevel": "三级甲等"}},"Article": {"summaryContent": "其四肢、躯干局部出现大疱、红斑、水疱、丘疹风团,伴有瘙痒感。
卵巢分泌的孕酮的突然升高而引起机体的变态反应,即机体对性激素产生了自身免疫反应,由此引起过敏性皮疹。

1、月经疹是一种与月经周期相关联的过敏性皮肤疾病。月经周期随着性激素水平的变化而出现皮疹,通常持续整个月经周期,主要原因是体内的孕激素突然升高引起了机体的免疫反应,导致过敏性皮疹。
2、常发生于四肢、躯干局部,皮肤表面会出现丘疹风团、红斑、水疱、大疱、糜烂渗液,会有明显的瘙痒感,月经期结束后皮疹会自然减退和消失。
如果瘙痒感较为严重,可以涂抹一些止痒的药膏如皮炎平等进行缓解。建议患者保证充足的睡眠,根据自身情况,适当地增加户外锻炼,增强机体的抵抗力和适应能力。注意饮食均衡,尽量少食油腻及刺激性食物,多吃一点富含维生素的蔬菜和水果,其中柑橘和椰菜有显著的抗过敏功效。
","articleBody": "其四肢、躯干局部出现大疱、红斑、水疱、丘疹风团,伴有瘙痒感。
卵巢分泌的孕酮的突然升高而引起机体的变态反应,即机体对性激素产生了自身免疫反应,由此引起过敏性皮疹。

1、月经疹是一种与月经周期相关联的过敏性皮肤疾病。月经周期随着性激素水平的变化而出现皮疹,通常持续整个月经周期,主要原因是体内的孕激素突然升高引起了机体的免疫反应,导致过敏性皮疹。
2、常发生于四肢、躯干局部,皮肤表面会出现丘疹风团、红斑、水疱、大疱、糜烂渗液,会有明显的瘙痒感,月经期结束后皮疹会自然减退和消失。
如果瘙痒感较为严重,可以涂抹一些止痒的药膏如皮炎平等进行缓解。建议患者保证充足的睡眠,根据自身情况,适当地增加户外锻炼,增强机体的抵抗力和适应能力。注意饮食均衡,尽量少食油腻及刺激性食物,多吃一点富含维生素的蔬菜和水果,其中柑橘和椰菜有显著的抗过敏功效。
","scanCount": 56480}}} {"@context": "https://ziyuan.baidu.com/contexts/cambrian.jsonld","appid": "1650708455561748","icon": "https://www.med-credit.org.cn/style/images/ttlogo.png","content_tag": ["atlas"],"is_mcn": {"thumb_id": "v2rm41u3"},"accid": "4886d626a2804dee5f11168793ce361672f39c25","@id": "https://www.med-credit.org.cn/mobile/jingxuan/2/fbe052428613e0e27368b9329d885047.html","bagWordId": "23_1526478023061147648","title": "子宫肌瘤的图片是什么样","pubDate": "2023-03-29T10:32:19","upDate": "2023-03-29T10:32:19","lrDate": "2023-03-29T10:32:19","description": "子宫肌瘤是子宫平滑肌内的可活动实性包块,无压痛,可见于子宫体和子宫颈。","data": {"WebPage": {"headline": "子宫肌瘤的图片是什么样","pcUrl": "https://www.med-credit.org.cn/jingxuan/2/fbe052428613e0e27368b9329d885047.html","wapUrl": "https://www.med-credit.org.cn/jingxuan/2/fbe052428613e0e27368b9329d885047.html","mipUrl": "https://www.med-credit.org.cn/mobile/jingxuan/2/fbe052428613e0e27368b9329d885047.html","fromSrc": "欢乐橙","datePublished": "2023-03-29T10:32:19","domain": "医疗","category": ["医疗权威文章合作"],"description": "子宫肌瘤是子宫平滑肌内的可活动实性包块,无压痛,可见于子宫体和子宫颈。
","extra_headline": [""]},"Author": {"name": "种轶文","wapUrl": "https://www.med-credit.org.cn/doctor/575","pcUrl": "https://www.med-credit.org.cn/doctor/575","jobTitle": "副主任医师","headPortrait": "https://www.med-credit.org.cn/uploadfile/member/575/180x180.jpeg","id": "575","description": "种轶文,北京大学第三医院妇产科副主任医师","memberOf": {"legalName": "北京大学第三医院","department": "妇产科","organizationLevel": "三级甲等"}},"Article": {"summaryContent": "子宫肌瘤是子宫平滑肌内的可活动实性包块,无压痛,可见于子宫体和子宫颈。
子宫肌瘤的病因尚不十分清楚,可能与正常肌层细胞突变、性激素、生长因子等有关。

子宫肌瘤症状与肌瘤生长部位和速度、大小、数等有关,常见症状包括:子宫出血(如月经量增多、经期延长或周期缩短等),多见于黏膜下肌瘤及肌壁间肌瘤;腹部包块及压迫症状,包块多呈实性,可活动,无压痛,可引起周围器官压迫症状;下腹坠胀感、腰背酸痛;白带异常;不孕或流产等。
子宫肌瘤病因不清,其发生发展受到多种因素共同作用。雌激素、盆腔慢性充血均可能诱发子宫肌瘤或促使其生长,神经中枢通过调节卵巢功能、激素代谢对子宫肌瘤的发生也至关重要。
子宫肌瘤较小或无症状的患者无需进行治疗,定期复查即可,45岁以上且无症状的患者,肌瘤会随绝经停止生长并逐渐萎缩。若肌瘤持续增大或有明显症状可采取抗雌激素药物治疗,肌瘤较大或症状严重者可行肌瘤切除术,并进行病理检查,确定是否为良性。
","articleBody": "子宫肌瘤是子宫平滑肌内的可活动实性包块,无压痛,可见于子宫体和子宫颈。
子宫肌瘤的病因尚不十分清楚,可能与正常肌层细胞突变、性激素、生长因子等有关。

子宫肌瘤症状与肌瘤生长部位和速度、大小、数等有关,常见症状包括:子宫出血(如月经量增多、经期延长或周期缩短等),多见于黏膜下肌瘤及肌壁间肌瘤;腹部包块及压迫症状,包块多呈实性,可活动,无压痛,可引起周围器官压迫症状;下腹坠胀感、腰背酸痛;白带异常;不孕或流产等。
子宫肌瘤病因不清,其发生发展受到多种因素共同作用。雌激素、盆腔慢性充血均可能诱发子宫肌瘤或促使其生长,神经中枢通过调节卵巢功能、激素代谢对子宫肌瘤的发生也至关重要。
子宫肌瘤较小或无症状的患者无需进行治疗,定期复查即可,45岁以上且无症状的患者,肌瘤会随绝经停止生长并逐渐萎缩。若肌瘤持续增大或有明显症状可采取抗雌激素药物治疗,肌瘤较大或症状严重者可行肌瘤切除术,并进行病理检查,确定是否为良性。
","scanCount": 56479}}} {"@context": "https://ziyuan.baidu.com/contexts/cambrian.jsonld","appid": "1650708455561748","icon": "https://www.med-credit.org.cn/style/images/ttlogo.png","content_tag": ["atlas"],"is_mcn": {"thumb_id": "v2rm41u3"},"accid": "4886d626a2804dee5f11168793ce361672f39c25","@id": "https://www.med-credit.org.cn/mobile/jingxuan/2/108123a21279020af73fa3c04e0bbbdc.html","bagWordId": "23_1526478088739753984","title": "孕晚期静脉曲张图片","pubDate": "2023-03-29T10:32:19","upDate": "2023-03-29T10:32:19","lrDate": "2023-03-29T10:32:19","description": "孕晚期静脉曲张可能由于先天性静脉血管薄弱,也可能是由于继发性静脉曲张引起。","data": {"WebPage": {"headline": "孕晚期静脉曲张图片","pcUrl": "https://www.med-credit.org.cn/jingxuan/2/108123a21279020af73fa3c04e0bbbdc.html","wapUrl": "https://www.med-credit.org.cn/jingxuan/2/108123a21279020af73fa3c04e0bbbdc.html","mipUrl": "https://www.med-credit.org.cn/mobile/jingxuan/2/108123a21279020af73fa3c04e0bbbdc.html","fromSrc": "欢乐橙","datePublished": "2023-03-29T10:32:19","domain": "医疗","category": ["医疗权威文章合作"],"description": "孕晚期静脉曲张可能由于先天性静脉血管薄弱,也可能是由于继发性静脉曲张引起。
","extra_headline": [""]},"Author": {"name": "种轶文","wapUrl": "https://www.med-credit.org.cn/doctor/575","pcUrl": "https://www.med-credit.org.cn/doctor/575","jobTitle": "副主任医师","headPortrait": "https://www.med-credit.org.cn/uploadfile/member/575/180x180.jpeg","id": "575","description": "种轶文,北京大学第三医院妇产科副主任医师","memberOf": {"legalName": "北京大学第三医院","department": "妇产科","organizationLevel": "三级甲等"}},"Article": {"summaryContent": "孕晚期静脉曲张可能由于先天性静脉血管薄弱,也可能是由于继发性静脉曲张引起。
一般表现为静脉凸出于皮肤表面,可伴有颜色改变。

1.孕晚期静脉曲张常出现在腿部、颈部或会阴部。
2.可见静脉在接近皮肤表面处凸出弯曲,呈紫或蓝色。
1.先天性静脉血管薄弱引起的孕晚期静脉曲张可见于孕妇长时间站立后,可见下肢静脉曲张,此情况较少见。
2.孕晚期会出现以曲张骼外静脉压迫引起的继发性静脉曲张,在孕晚期,子宫需要大量的血液供应,使盆腔静脉和骼内静脉血液回流增加,导致静脉内的压力增大,也会使下肢薄壁静脉异常扩张。
当静脉曲张严重出现静脉破裂的情况时,请及时前往医院就医,以获得及时有效的治疗。
","articleBody": "孕晚期静脉曲张可能由于先天性静脉血管薄弱,也可能是由于继发性静脉曲张引起。
一般表现为静脉凸出于皮肤表面,可伴有颜色改变。

1.孕晚期静脉曲张常出现在腿部、颈部或会阴部。
2.可见静脉在接近皮肤表面处凸出弯曲,呈紫或蓝色。
1.先天性静脉血管薄弱引起的孕晚期静脉曲张可见于孕妇长时间站立后,可见下肢静脉曲张,此情况较少见。
2.孕晚期会出现以曲张骼外静脉压迫引起的继发性静脉曲张,在孕晚期,子宫需要大量的血液供应,使盆腔静脉和骼内静脉血液回流增加,导致静脉内的压力增大,也会使下肢薄壁静脉异常扩张。
当静脉曲张严重出现静脉破裂的情况时,请及时前往医院就医,以获得及时有效的治疗。
","scanCount": 56478}}} {"@context": "https://ziyuan.baidu.com/contexts/cambrian.jsonld","appid": "1650708455561748","icon": "https://www.med-credit.org.cn/style/images/ttlogo.png","content_tag": ["atlas"],"is_mcn": {"thumb_id": "v2rm41u3"},"accid": "4886d626a2804dee5f11168793ce361672f39c25","@id": "https://www.med-credit.org.cn/mobile/jingxuan/2/abcf01161e42711cca1640f3f3affbd9.html","bagWordId": "23_1526478025615478784","title": "输卵管堵塞图片","pubDate": "2023-03-29T10:32:19","upDate": "2023-03-29T10:32:19","lrDate": "2023-03-29T10:32:19","description": "输卵管堵塞是一种常见于年轻女性的疾病,多为细菌感染所致,是导致女性不孕的主要原因之一。","data": {"WebPage": {"headline": "输卵管堵塞图片","pcUrl": "https://www.med-credit.org.cn/jingxuan/2/abcf01161e42711cca1640f3f3affbd9.html","wapUrl": "https://www.med-credit.org.cn/jingxuan/2/abcf01161e42711cca1640f3f3affbd9.html","mipUrl": "https://www.med-credit.org.cn/mobile/jingxuan/2/abcf01161e42711cca1640f3f3affbd9.html","fromSrc": "欢乐橙","datePublished": "2023-03-29T10:32:19","domain": "医疗","category": ["医疗权威文章合作"],"description": "输卵管堵塞是一种常见于年轻女性的疾病,多为细菌感染所致,是导致女性不孕的主要原因之一。
","extra_headline": [""]},"Author": {"name": "种轶文","wapUrl": "https://www.med-credit.org.cn/doctor/575","pcUrl": "https://www.med-credit.org.cn/doctor/575","jobTitle": "副主任医师","headPortrait": "https://www.med-credit.org.cn/uploadfile/member/575/180x180.jpeg","id": "575","description": "种轶文,北京大学第三医院妇产科副主任医师","memberOf": {"legalName": "北京大学第三医院","department": "妇产科","organizationLevel": "三级甲等"}},"Article": {"summaryContent": "输卵管堵塞是一种常见于年轻女性的疾病,多为细菌感染所致,是导致女性不孕的主要原因之一。
其一般没有特殊表现,多于堵塞继发感染之后出现发热、腹痛等症状。

1.目前输卵管堵塞常见的原因为细菌感染,如淋病奈瑟菌等侵入外阴部,上行感染至输卵管造成堵塞。
2.还有一部分患者是先天性输卵管堵塞,或在手术后出现堵塞。
1.输卵管堵塞时可无症状,患者平常生活不受影响,若是细菌感染导致的输卵管堵塞可在急性感染期时出现发热、下腹部疼痛等症状,或出现异于平常的阴道分泌物增多。
2.部分患者并发其他部位的感染,可出现腹部胀感。子宫内膜异位患者可出现痛经,平常无痛经的患者需引起注意。
3.患者在出现下腹部疼痛、阴道分泌物增多或者伴有发热时,要及时就诊,输卵管堵塞一般经影像学检查方可确诊。
","articleBody": "输卵管堵塞是一种常见于年轻女性的疾病,多为细菌感染所致,是导致女性不孕的主要原因之一。
其一般没有特殊表现,多于堵塞继发感染之后出现发热、腹痛等症状。

1.目前输卵管堵塞常见的原因为细菌感染,如淋病奈瑟菌等侵入外阴部,上行感染至输卵管造成堵塞。
2.还有一部分患者是先天性输卵管堵塞,或在手术后出现堵塞。
1.输卵管堵塞时可无症状,患者平常生活不受影响,若是细菌感染导致的输卵管堵塞可在急性感染期时出现发热、下腹部疼痛等症状,或出现异于平常的阴道分泌物增多。
2.部分患者并发其他部位的感染,可出现腹部胀感。子宫内膜异位患者可出现痛经,平常无痛经的患者需引起注意。
3.患者在出现下腹部疼痛、阴道分泌物增多或者伴有发热时,要及时就诊,输卵管堵塞一般经影像学检查方可确诊。
","scanCount": 56477}}} {"@context": "https://ziyuan.baidu.com/contexts/cambrian.jsonld","appid": "1650708455561748","icon": "https://www.med-credit.org.cn/style/images/ttlogo.png","content_tag": ["atlas"],"is_mcn": {"thumb_id": "v2rm41u3"},"accid": "4886d626a2804dee5f11168793ce361672f39c25","@id": "https://www.med-credit.org.cn/mobile/jingxuan/2/203c1e7c242b21085b9873af06febfe3.html","bagWordId": "23_1526478029830754304","title": "正常子宫输卵管造影图片","pubDate": "2023-03-29T10:32:19","upDate": "2023-03-29T10:32:19","lrDate": "2023-03-29T10:32:19","description": "正常的子宫输卵管造影可见子宫位于盆腔的中央,边缘光滑,没有毛刺;双侧输卵管在子宫捎上面一点自然走行。","data": {"WebPage": {"headline": "正常子宫输卵管造影图片","pcUrl": "https://www.med-credit.org.cn/jingxuan/2/203c1e7c242b21085b9873af06febfe3.html","wapUrl": "https://www.med-credit.org.cn/jingxuan/2/203c1e7c242b21085b9873af06febfe3.html","mipUrl": "https://www.med-credit.org.cn/mobile/jingxuan/2/203c1e7c242b21085b9873af06febfe3.html","fromSrc": "欢乐橙","datePublished": "2023-03-29T10:32:19","domain": "医疗","category": ["医疗权威文章合作"],"description": "正常的子宫输卵管造影可见子宫位于盆腔的中央,边缘光滑,没有毛刺;双侧输卵管在子宫捎上面一点自然走行。
","extra_headline": [""]},"Author": {"name": "种轶文","wapUrl": "https://www.med-credit.org.cn/doctor/575","pcUrl": "https://www.med-credit.org.cn/doctor/575","jobTitle": "副主任医师","headPortrait": "https://www.med-credit.org.cn/uploadfile/member/575/180x180.jpeg","id": "575","description": "种轶文,北京大学第三医院妇产科副主任医师","memberOf": {"legalName": "北京大学第三医院","department": "妇产科","organizationLevel": "三级甲等"}},"Article": {"summaryContent": "正常的子宫输卵管造影可见子宫位于盆腔的中央,边缘光滑,没有毛刺;双侧输卵管在子宫捎上面一点自然走行。
在造影剂20分钟复查时,双侧的输卵管没有造影剂集聚。

1、子宫输卵管造影正常可见子宫呈倒三角形,边缘没有充盈缺损;双侧输卵管的造影剂呈现出均匀的走向且最后从伞部进入到盆腔。
2、若子宫不呈正常的倒三角形、内膜呈现出锯齿状或毛刺状等提示有子宫内膜的结核;若输卵管的形态不规则,可见串珠状,则可能有输卵管结核。
3、子宫输卵管造影可用于检查输卵管和子宫的疾病,许多不孕的女性可用此检测手段发现病因。
值得注意的是,子宫输卵管造影有以下几种禁忌症:
1、有急性或者亚急性的内外生殖器炎症。
2、患有严重的全身性疾病。
3、对碘过敏的人群禁用。
4、妊娠、近期进行了宫腔手术的人群应在6周后再做此项检查。
","articleBody": "正常的子宫输卵管造影可见子宫位于盆腔的中央,边缘光滑,没有毛刺;双侧输卵管在子宫捎上面一点自然走行。
在造影剂20分钟复查时,双侧的输卵管没有造影剂集聚。

1、子宫输卵管造影正常可见子宫呈倒三角形,边缘没有充盈缺损;双侧输卵管的造影剂呈现出均匀的走向且最后从伞部进入到盆腔。
2、若子宫不呈正常的倒三角形、内膜呈现出锯齿状或毛刺状等提示有子宫内膜的结核;若输卵管的形态不规则,可见串珠状,则可能有输卵管结核。
3、子宫输卵管造影可用于检查输卵管和子宫的疾病,许多不孕的女性可用此检测手段发现病因。
值得注意的是,子宫输卵管造影有以下几种禁忌症:
1、有急性或者亚急性的内外生殖器炎症。
2、患有严重的全身性疾病。
3、对碘过敏的人群禁用。
4、妊娠、近期进行了宫腔手术的人群应在6周后再做此项检查。
","scanCount": 56476}}} {"@context": "https://ziyuan.baidu.com/contexts/cambrian.jsonld","appid": "1650708455561748","icon": "https://www.med-credit.org.cn/style/images/ttlogo.png","content_tag": ["atlas"],"is_mcn": {"thumb_id": "v2rm41u3"},"accid": "4886d626a2804dee5f11168793ce361672f39c25","@id": "https://www.med-credit.org.cn/mobile/jingxuan/2/b5f546ae8d211254cec91859c498cadd.html","bagWordId": "23_1526478028949950464","title": "流产的症状图片","pubDate": "2023-03-29T10:32:19","upDate": "2023-03-29T10:32:19","lrDate": "2023-03-29T10:32:19","description": "流产的症状主要表现为停经后出现腹痛、阴道流血,可伴有腰腹部坠胀、阴道排出胚胎及其他附属物。","data": {"WebPage": {"headline": "流产的症状图片","pcUrl": "https://www.med-credit.org.cn/jingxuan/2/b5f546ae8d211254cec91859c498cadd.html","wapUrl": "https://www.med-credit.org.cn/jingxuan/2/b5f546ae8d211254cec91859c498cadd.html","mipUrl": "https://www.med-credit.org.cn/mobile/jingxuan/2/b5f546ae8d211254cec91859c498cadd.html","fromSrc": "欢乐橙","datePublished": "2023-03-29T10:32:19","domain": "医疗","category": ["医疗权威文章合作"],"description": "流产的症状主要表现为停经后出现腹痛、阴道流血,可伴有腰腹部坠胀、阴道排出胚胎及其他附属物。
","extra_headline": [""]},"Author": {"name": "种轶文","wapUrl": "https://www.med-credit.org.cn/doctor/575","pcUrl": "https://www.med-credit.org.cn/doctor/575","jobTitle": "副主任医师","headPortrait": "https://www.med-credit.org.cn/uploadfile/member/575/180x180.jpeg","id": "575","description": "种轶文,北京大学第三医院妇产科副主任医师","memberOf": {"legalName": "北京大学第三医院","department": "妇产科","organizationLevel": "三级甲等"}},"Article": {"summaryContent": "流产的症状主要表现为停经后出现腹痛、阴道流血,可伴有腰腹部坠胀、阴道排出胚胎及其他附属物。
流产的原因包括胚胎染色体异常、母体因素、父亲精子染色体异常、环境因素等。
1.症状:流产的症状一般是先出现腹痛、阴道流血或血性白带,此阶段为先兆流产。进一步发展可出现阴道流血量增多或腹痛加重,如果发展为难免流产,可有胚胎组织排出,为毛绒样或肉块样组织。

2.病因:流产最常见的原因是胚胎染色体异常,其次是母体因素,比如孕妇本身有严重全身性疾病、生殖系统异常、内分泌异常、免疫功能异常等;男性精子染色体异常也可导致流产;还有一些环境因素,如孕妇接触有毒有害物质、放射线等均可导致流产。
3.注意事项:如果确认怀孕后出现阴道流血、下腹痛等症状,孕妇需要及时到妇科门诊就诊检查。还有部分女性停经后出现异常的腹痛、阴道出血误以为是月经失调,当出现月经不同于以往情况时,一定要谨慎,排除流产的可能。
","articleBody": "流产的症状主要表现为停经后出现腹痛、阴道流血,可伴有腰腹部坠胀、阴道排出胚胎及其他附属物。
流产的原因包括胚胎染色体异常、母体因素、父亲精子染色体异常、环境因素等。
1.症状:流产的症状一般是先出现腹痛、阴道流血或血性白带,此阶段为先兆流产。进一步发展可出现阴道流血量增多或腹痛加重,如果发展为难免流产,可有胚胎组织排出,为毛绒样或肉块样组织。

2.病因:流产最常见的原因是胚胎染色体异常,其次是母体因素,比如孕妇本身有严重全身性疾病、生殖系统异常、内分泌异常、免疫功能异常等;男性精子染色体异常也可导致流产;还有一些环境因素,如孕妇接触有毒有害物质、放射线等均可导致流产。
3.注意事项:如果确认怀孕后出现阴道流血、下腹痛等症状,孕妇需要及时到妇科门诊就诊检查。还有部分女性停经后出现异常的腹痛、阴道出血误以为是月经失调,当出现月经不同于以往情况时,一定要谨慎,排除流产的可能。
","scanCount": 56475}}} {"@context": "https://ziyuan.baidu.com/contexts/cambrian.jsonld","appid": "1650708455561748","icon": "https://www.med-credit.org.cn/style/images/ttlogo.png","content_tag": ["atlas"],"is_mcn": {"thumb_id": "v2rm41u3"},"accid": "4886d626a2804dee5f11168793ce361672f39c25","@id": "https://www.med-credit.org.cn/mobile/jingxuan/2/fd09a1449ab1e38ffe30f4f31542a67b.html","bagWordId": "23_1526478018137034752","title": "儿童妇科炎症症状表现图片","pubDate": "2023-03-29T10:32:19","upDate": "2023-03-29T10:32:19","lrDate": "2023-03-29T10:32:19","description": "1.儿童妇科炎症,一般指儿童外阴阴道炎,主要表现为外阴分泌物增多,呈脓性,有时可以看到脓性分泌物从阴道口流出。大量分泌物刺激引起外阴瘙痒、儿童哭闹、烦躁不安或者用手搔抓。","data": {"WebPage": {"headline": "儿童妇科炎症症状表现图片","pcUrl": "https://www.med-credit.org.cn/jingxuan/2/fd09a1449ab1e38ffe30f4f31542a67b.html","wapUrl": "https://www.med-credit.org.cn/jingxuan/2/fd09a1449ab1e38ffe30f4f31542a67b.html","mipUrl": "https://www.med-credit.org.cn/mobile/jingxuan/2/fd09a1449ab1e38ffe30f4f31542a67b.html","fromSrc": "欢乐橙","datePublished": "2023-03-29T10:32:19","domain": "医疗","category": ["医疗权威文章合作"],"description": "1.儿童妇科炎症,一般指儿童外阴阴道炎,主要表现为外阴分泌物增多,呈脓性,有时可以看到脓性分泌物从阴道口流出。大量分泌物刺激引起外阴瘙痒、儿童哭闹、烦躁不安或者用手搔抓。
","extra_headline": [""]},"Author": {"name": "种轶文","wapUrl": "https://www.med-credit.org.cn/doctor/575","pcUrl": "https://www.med-credit.org.cn/doctor/575","jobTitle": "副主任医师","headPortrait": "https://www.med-credit.org.cn/uploadfile/member/575/180x180.jpeg","id": "575","description": "种轶文,北京大学第三医院妇产科副主任医师","memberOf": {"legalName": "北京大学第三医院","department": "妇产科","organizationLevel": "三级甲等"}},"Article": {"summaryContent": "1.儿童妇科炎症,一般指儿童外阴阴道炎,主要表现为外阴分泌物增多,呈脓性,有时可以看到脓性分泌物从阴道口流出。大量分泌物刺激引起外阴瘙痒、儿童哭闹、烦躁不安或者用手搔抓。
2.部分儿童在患有外阴阴道炎时同时还会伴有尿道感染,出现尿频、尿急、尿痛的症状。

1.儿童的外阴尚未发育良好,不能遮盖尿道口和阴道前庭,细菌容易入侵。且其阴道环境不同与成人,雌激素水平低,阴道上皮薄,糖原少,易受细菌感染。
2.儿童可能存在卫生习惯不良,外阴不洁、尿液及粪便污染、外阴损伤等因素。
1.首先要保持外阴清洁干燥,穿舒适的内裤,减少摩擦。
2.针对病原体选择合适的抗生素治疗,或者用吸管将抗生素滴入阴道治疗。
3.对症支持治疗,如果有寄生虫感染则要驱虫治疗,小阴唇黏连的患者需要外涂激素软膏,严重的要分离黏连,并涂抹抗生素软膏。
","articleBody": "1.儿童妇科炎症,一般指儿童外阴阴道炎,主要表现为外阴分泌物增多,呈脓性,有时可以看到脓性分泌物从阴道口流出。大量分泌物刺激引起外阴瘙痒、儿童哭闹、烦躁不安或者用手搔抓。
2.部分儿童在患有外阴阴道炎时同时还会伴有尿道感染,出现尿频、尿急、尿痛的症状。

1.儿童的外阴尚未发育良好,不能遮盖尿道口和阴道前庭,细菌容易入侵。且其阴道环境不同与成人,雌激素水平低,阴道上皮薄,糖原少,易受细菌感染。
2.儿童可能存在卫生习惯不良,外阴不洁、尿液及粪便污染、外阴损伤等因素。
1.首先要保持外阴清洁干燥,穿舒适的内裤,减少摩擦。
2.针对病原体选择合适的抗生素治疗,或者用吸管将抗生素滴入阴道治疗。
3.对症支持治疗,如果有寄生虫感染则要驱虫治疗,小阴唇黏连的患者需要外涂激素软膏,严重的要分离黏连,并涂抹抗生素软膏。
","scanCount": 56474}}} {"@context": "https://ziyuan.baidu.com/contexts/cambrian.jsonld","appid": "1650708455561748","icon": "https://www.med-credit.org.cn/style/images/ttlogo.png","content_tag": ["atlas"],"is_mcn": {"thumb_id": "v2rm41u3"},"accid": "4886d626a2804dee5f11168793ce361672f39c25","@id": "https://www.med-credit.org.cn/mobile/jingxuan/2/c25341d2291ebeeea0fe8272a363037c.html","bagWordId": "23_1526478033668542464","title": "霉菌性妇科炎症分泌物图片","pubDate": "2023-03-29T10:32:19","upDate": "2023-03-29T10:32:19","lrDate": "2023-03-29T10:32:19","description": "霉菌性阴道炎症主要症状表现为豆渣样白带、外阴瘙痒。","data": {"WebPage": {"headline": "霉菌性妇科炎症分泌物图片","pcUrl": "https://www.med-credit.org.cn/jingxuan/2/c25341d2291ebeeea0fe8272a363037c.html","wapUrl": "https://www.med-credit.org.cn/jingxuan/2/c25341d2291ebeeea0fe8272a363037c.html","mipUrl": "https://www.med-credit.org.cn/mobile/jingxuan/2/c25341d2291ebeeea0fe8272a363037c.html","fromSrc": "欢乐橙","datePublished": "2023-03-29T10:32:19","domain": "医疗","category": ["医疗权威文章合作"],"description": "霉菌性阴道炎症主要症状表现为豆渣样白带、外阴瘙痒。
","extra_headline": [""]},"Author": {"name": "种轶文","wapUrl": "https://www.med-credit.org.cn/doctor/575","pcUrl": "https://www.med-credit.org.cn/doctor/575","jobTitle": "副主任医师","headPortrait": "https://www.med-credit.org.cn/uploadfile/member/575/180x180.jpeg","id": "575","description": "种轶文,北京大学第三医院妇产科副主任医师","memberOf": {"legalName": "北京大学第三医院","department": "妇产科","organizationLevel": "三级甲等"}},"Article": {"summaryContent": "霉菌性阴道炎症主要症状表现为豆渣样白带、外阴瘙痒。
霉菌性阴道炎是由假丝酵母菌引起的一种常见妇科炎症。

1.症状:霉菌性阴道炎又称念珠菌性阴道炎,是一种女性常见的妇科疾病。症状表现为阴道分泌物增多,通常是比较典型的豆腐渣样、凝乳样白带,同时可有阴道外阴瘙痒、灼痛、性交痛等症状。也有少部分患者携带病原菌但无症状。
2.病因:霉菌性阴道炎是由假丝酵母菌引起的。假丝酵母菌属于真菌的一种,正常女性的阴道中也会存在这个病原菌,在人体健康状态下是不致病的,但在人体免疫力下降、阴道菌群生态失调的情况下,就会引起炎症反应,出现一系列不适症状。
3.诱因:常见引起霉菌性阴道炎的诱因包括:不注意外阴清洁、免疫力下降、长期使用抗生素或激素药物等。
当出现白带异常、外阴瘙痒疼痛等症状时,应及时到妇科就诊治疗。平时注意不要清洗阴道内部,因为会破坏阴道的菌群平衡。需要每天更换内裤,内裤最好可以暴晒或者是烫洗后晾干。保持饮食清淡,不要吃辛辣刺激的食物,平时加强锻炼,增强抵抗力。
","articleBody": "霉菌性阴道炎症主要症状表现为豆渣样白带、外阴瘙痒。
霉菌性阴道炎是由假丝酵母菌引起的一种常见妇科炎症。

1.症状:霉菌性阴道炎又称念珠菌性阴道炎,是一种女性常见的妇科疾病。症状表现为阴道分泌物增多,通常是比较典型的豆腐渣样、凝乳样白带,同时可有阴道外阴瘙痒、灼痛、性交痛等症状。也有少部分患者携带病原菌但无症状。
2.病因:霉菌性阴道炎是由假丝酵母菌引起的。假丝酵母菌属于真菌的一种,正常女性的阴道中也会存在这个病原菌,在人体健康状态下是不致病的,但在人体免疫力下降、阴道菌群生态失调的情况下,就会引起炎症反应,出现一系列不适症状。
3.诱因:常见引起霉菌性阴道炎的诱因包括:不注意外阴清洁、免疫力下降、长期使用抗生素或激素药物等。
当出现白带异常、外阴瘙痒疼痛等症状时,应及时到妇科就诊治疗。平时注意不要清洗阴道内部,因为会破坏阴道的菌群平衡。需要每天更换内裤,内裤最好可以暴晒或者是烫洗后晾干。保持饮食清淡,不要吃辛辣刺激的食物,平时加强锻炼,增强抵抗力。
","scanCount": 56473}}} {"@context": "https://ziyuan.baidu.com/contexts/cambrian.jsonld","appid": "1650708455561748","icon": "https://www.med-credit.org.cn/style/images/ttlogo.png","content_tag": ["atlas"],"is_mcn": {"thumb_id": "v2rm41u3"},"accid": "4886d626a2804dee5f11168793ce361672f39c25","@id": "https://www.med-credit.org.cn/mobile/jingxuan/2/74d584cf62cfc23880bcf39e56af3692.html","bagWordId": "23_1526478014471213056","title": "子宫息肉图片真实图片","pubDate": "2023-03-29T10:32:19","upDate": "2023-03-29T10:32:19","lrDate": "2023-03-29T10:32:19","description": "子宫息肉有时没有明显症状,有时会引起白带的异常、月经增多、阴道出血、子宫变大、疼痛等。","data": {"WebPage": {"headline": "子宫息肉图片真实图片","pcUrl": "https://www.med-credit.org.cn/jingxuan/2/74d584cf62cfc23880bcf39e56af3692.html","wapUrl": "https://www.med-credit.org.cn/jingxuan/2/74d584cf62cfc23880bcf39e56af3692.html","mipUrl": "https://www.med-credit.org.cn/mobile/jingxuan/2/74d584cf62cfc23880bcf39e56af3692.html","fromSrc": "欢乐橙","datePublished": "2023-03-29T10:32:19","domain": "医疗","category": ["医疗权威文章合作"],"description": "子宫息肉有时没有明显症状,有时会引起白带的异常、月经增多、阴道出血、子宫变大、疼痛等。
","extra_headline": [""]},"Author": {"name": "种轶文","wapUrl": "https://www.med-credit.org.cn/doctor/575","pcUrl": "https://www.med-credit.org.cn/doctor/575","jobTitle": "副主任医师","headPortrait": "https://www.med-credit.org.cn/uploadfile/member/575/180x180.jpeg","id": "575","description": "种轶文,北京大学第三医院妇产科副主任医师","memberOf": {"legalName": "北京大学第三医院","department": "妇产科","organizationLevel": "三级甲等"}},"Article": {"summaryContent": "子宫息肉有时没有明显症状,有时会引起白带的异常、月经增多、阴道出血、子宫变大、疼痛等。
子宫息肉一般是由于内分泌失调或者炎症等因素刺激导致的,是一种常见的宫腔内病变。

1.病因:当女性体内雌激素过高时,长期的刺激会使子宫的内膜发生过度生长而形成息肉。一些炎症的长期刺激也会使宫颈管发生粘膜局部增生性能病变,随之增生的粘膜从基底部会向宫颈口外慢慢突出形成息肉,并且容易引发出血和复发。
2.症状:有子宫颈息肉的患者会出现带血丝的白带,且白带增多,这是由于一些蒂较大的息肉可以从宫颈口脱出而引起阴道少量出血,如果息肉发生感染、坏死、溃疡等,就会有脓性或血性白带的产生。子宫颈的异常出血还有可能是因为女性月经过多或者经期延长等,有些人在夫妻生活后大便用力也可能会出血。
3.治疗:子宫颈息肉的治疗主要是手术切除,要根据患者的年龄、息肉位置、大小、生长速度等具体情况来确定手术的类型。
","articleBody": "子宫息肉有时没有明显症状,有时会引起白带的异常、月经增多、阴道出血、子宫变大、疼痛等。
子宫息肉一般是由于内分泌失调或者炎症等因素刺激导致的,是一种常见的宫腔内病变。

1.病因:当女性体内雌激素过高时,长期的刺激会使子宫的内膜发生过度生长而形成息肉。一些炎症的长期刺激也会使宫颈管发生粘膜局部增生性能病变,随之增生的粘膜从基底部会向宫颈口外慢慢突出形成息肉,并且容易引发出血和复发。
2.症状:有子宫颈息肉的患者会出现带血丝的白带,且白带增多,这是由于一些蒂较大的息肉可以从宫颈口脱出而引起阴道少量出血,如果息肉发生感染、坏死、溃疡等,就会有脓性或血性白带的产生。子宫颈的异常出血还有可能是因为女性月经过多或者经期延长等,有些人在夫妻生活后大便用力也可能会出血。
3.治疗:子宫颈息肉的治疗主要是手术切除,要根据患者的年龄、息肉位置、大小、生长速度等具体情况来确定手术的类型。
","scanCount": 56472}}} {"@context": "https://ziyuan.baidu.com/contexts/cambrian.jsonld","appid": "1650708455561748","icon": "https://www.med-credit.org.cn/style/images/ttlogo.png","content_tag": ["atlas"],"is_mcn": {"thumb_id": "v2rm41u3"},"accid": "4886d626a2804dee5f11168793ce361672f39c25","@id": "https://www.med-credit.org.cn/mobile/jingxuan/2/46f464cc8e8f17491373f35a4f56997a.html","bagWordId": "23_1526478022687854592","title": "卵巢是什么样子图片","pubDate": "2023-03-29T10:32:19","upDate": "2023-03-29T10:32:19","lrDate": "2023-03-29T10:32:19","description": "卵巢是女性特有的器官,位于盆腔内,卵巢呈扁卵圆形,分为上下端、前后缘和内外侧面。","data": {"WebPage": {"headline": "卵巢是什么样子图片","pcUrl": "https://www.med-credit.org.cn/jingxuan/2/46f464cc8e8f17491373f35a4f56997a.html","wapUrl": "https://www.med-credit.org.cn/jingxuan/2/46f464cc8e8f17491373f35a4f56997a.html","mipUrl": "https://www.med-credit.org.cn/mobile/jingxuan/2/46f464cc8e8f17491373f35a4f56997a.html","fromSrc": "欢乐橙","datePublished": "2023-03-29T10:32:19","domain": "医疗","category": ["医疗权威文章合作"],"description": "卵巢是女性特有的器官,位于盆腔内,卵巢呈扁卵圆形,分为上下端、前后缘和内外侧面。
","extra_headline": [""]},"Author": {"name": "种轶文","wapUrl": "https://www.med-credit.org.cn/doctor/575","pcUrl": "https://www.med-credit.org.cn/doctor/575","jobTitle": "副主任医师","headPortrait": "https://www.med-credit.org.cn/uploadfile/member/575/180x180.jpeg","id": "575","description": "种轶文,北京大学第三医院妇产科副主任医师","memberOf": {"legalName": "北京大学第三医院","department": "妇产科","organizationLevel": "三级甲等"}},"Article": {"summaryContent": "卵巢是女性特有的器官,位于盆腔内,卵巢呈扁卵圆形,分为上下端、前后缘和内外侧面。
卵巢常常会发生一些肿瘤等疾病,主要是由于激素、炎症、生活习惯、压力等因素造成的。

1.卵巢的外侧面紧贴盆腔壁,在髂内动脉和髂外动脉的夹角处,而内侧面朝着子宫的方向;上端和盆腔壁通过卵巢悬韧带相连,下端和子宫通过固有韧带相连;后缘附着着系膜,里面有淋巴管、血管、神经贯穿。
2.卵巢的大小是随年龄的增长而逐渐长大成熟的,儿童时期其表面光滑,青春期后因为多次排卵内表面会形成瘢痕,凹凸不平,性成熟时期卵巢最大,绝经后的妇女卵巢会逐渐减小。卵巢主要是产生和外排卵细胞,分泌性激素,来保证和促进女性特征的形成和成熟,中年之后,作用开始减小。
卵巢很容易发生肿瘤。是威胁女性健康的一个很大的危险因素,所以尤其是在月经时期女性一定要注意,不吃寒凉、辛辣的食物,少熬夜等。
","articleBody": "卵巢是女性特有的器官,位于盆腔内,卵巢呈扁卵圆形,分为上下端、前后缘和内外侧面。
卵巢常常会发生一些肿瘤等疾病,主要是由于激素、炎症、生活习惯、压力等因素造成的。

1.卵巢的外侧面紧贴盆腔壁,在髂内动脉和髂外动脉的夹角处,而内侧面朝着子宫的方向;上端和盆腔壁通过卵巢悬韧带相连,下端和子宫通过固有韧带相连;后缘附着着系膜,里面有淋巴管、血管、神经贯穿。
2.卵巢的大小是随年龄的增长而逐渐长大成熟的,儿童时期其表面光滑,青春期后因为多次排卵内表面会形成瘢痕,凹凸不平,性成熟时期卵巢最大,绝经后的妇女卵巢会逐渐减小。卵巢主要是产生和外排卵细胞,分泌性激素,来保证和促进女性特征的形成和成熟,中年之后,作用开始减小。
卵巢很容易发生肿瘤。是威胁女性健康的一个很大的危险因素,所以尤其是在月经时期女性一定要注意,不吃寒凉、辛辣的食物,少熬夜等。
","scanCount": 56471}}} {"@context": "https://ziyuan.baidu.com/contexts/cambrian.jsonld","appid": "1650708455561748","icon": "https://www.med-credit.org.cn/style/images/ttlogo.png","content_tag": ["atlas"],"is_mcn": {"thumb_id": "v2rm41u3"},"accid": "4886d626a2804dee5f11168793ce361672f39c25","@id": "https://www.med-credit.org.cn/mobile/jingxuan/2/1c5632e77bfb1d5986cca39751a596e5.html","bagWordId": "23_1526478022318755840","title": "细菌性阴炎排泄物图片","pubDate": "2023-03-29T10:32:19","upDate": "2023-03-29T10:32:19","lrDate": "2023-03-29T10:32:19","description": "细菌性阴道炎典型症状为阴道分泌物增多,呈灰白稀薄状,有鱼腥味。","data": {"WebPage": {"headline": "细菌性阴炎排泄物图片","pcUrl": "https://www.med-credit.org.cn/jingxuan/2/1c5632e77bfb1d5986cca39751a596e5.html","wapUrl": "https://www.med-credit.org.cn/jingxuan/2/1c5632e77bfb1d5986cca39751a596e5.html","mipUrl": "https://www.med-credit.org.cn/mobile/jingxuan/2/1c5632e77bfb1d5986cca39751a596e5.html","fromSrc": "欢乐橙","datePublished": "2023-03-29T10:32:19","domain": "医疗","category": ["医疗权威文章合作"],"description": "细菌性阴道炎典型症状为阴道分泌物增多,呈灰白稀薄状,有鱼腥味。
","extra_headline": [""]},"Author": {"name": "种轶文","wapUrl": "https://www.med-credit.org.cn/doctor/575","pcUrl": "https://www.med-credit.org.cn/doctor/575","jobTitle": "副主任医师","headPortrait": "https://www.med-credit.org.cn/uploadfile/member/575/180x180.jpeg","id": "575","description": "种轶文,北京大学第三医院妇产科副主任医师","memberOf": {"legalName": "北京大学第三医院","department": "妇产科","organizationLevel": "三级甲等"}},"Article": {"summaryContent": "细菌性阴道炎典型症状为阴道分泌物增多,呈灰白稀薄状,有鱼腥味。
细菌性阴道炎并非单一致病菌所致,通常是由多种致病菌共同引起。
1.症状:细菌性阴道炎是育龄期妇女常见的妇科炎症。出现炎症时,阴道分泌物会增多,呈现灰白色并且会有比较明显的鱼腥臭味,还可伴有外阴瘙痒或灼热感。也有部分患者携带病原菌但无症状。

2.病因:正常情况下,女性阴道内存在有多种病原菌,主要依靠乳酸杆菌维持阴道内的酸性环境,使阴道内环境处于一个相对平衡的稳定状态。当乳酸杆菌减少,微生态失衡时,就会有大量其他病原菌繁殖,从而导致炎症的发生。
3.诱因:细菌性阴道炎常见的诱因包括:不注意外阴清洁、性生活不洁或多个性伴侣、免疫力下降等。
注意事项:当出现白带增多、异味、外阴瘙痒等症状时,应及时到妇科就诊治疗。平时注意不要清洗阴道内部,因为会破坏阴道的菌群平衡。需要每天更换内裤,内裤最好可以暴晒或者是烫洗后晾干。保持饮食清淡,不要吃辛辣刺激的食物,平时加强锻炼,增强抵抗力。
","articleBody": "细菌性阴道炎典型症状为阴道分泌物增多,呈灰白稀薄状,有鱼腥味。
细菌性阴道炎并非单一致病菌所致,通常是由多种致病菌共同引起。
1.症状:细菌性阴道炎是育龄期妇女常见的妇科炎症。出现炎症时,阴道分泌物会增多,呈现灰白色并且会有比较明显的鱼腥臭味,还可伴有外阴瘙痒或灼热感。也有部分患者携带病原菌但无症状。

2.病因:正常情况下,女性阴道内存在有多种病原菌,主要依靠乳酸杆菌维持阴道内的酸性环境,使阴道内环境处于一个相对平衡的稳定状态。当乳酸杆菌减少,微生态失衡时,就会有大量其他病原菌繁殖,从而导致炎症的发生。
3.诱因:细菌性阴道炎常见的诱因包括:不注意外阴清洁、性生活不洁或多个性伴侣、免疫力下降等。
注意事项:当出现白带增多、异味、外阴瘙痒等症状时,应及时到妇科就诊治疗。平时注意不要清洗阴道内部,因为会破坏阴道的菌群平衡。需要每天更换内裤,内裤最好可以暴晒或者是烫洗后晾干。保持饮食清淡,不要吃辛辣刺激的食物,平时加强锻炼,增强抵抗力。
","scanCount": 56470}}} {"@context": "https://ziyuan.baidu.com/contexts/cambrian.jsonld","appid": "1650708455561748","icon": "https://www.med-credit.org.cn/style/images/ttlogo.png","content_tag": ["atlas"],"is_mcn": {"thumb_id": "v2rm41u3"},"accid": "4886d626a2804dee5f11168793ce361672f39c25","@id": "https://www.med-credit.org.cn/mobile/jingxuan/2/1e4f99a3efe0ef70571e90bed6c46365.html","bagWordId": "23_1526478013045149696","title": "什么是恶露图片","pubDate": "2023-03-29T10:32:19","upDate": "2023-03-29T10:32:19","lrDate": "2023-03-29T10:32:19","description": "产后恶露含有血液、坏死蜕膜等组织,并伴有血腥味但无臭味,其颜色和内容物随着时间而变化。","data": {"WebPage": {"headline": "什么是恶露图片","pcUrl": "https://www.med-credit.org.cn/jingxuan/2/1e4f99a3efe0ef70571e90bed6c46365.html","wapUrl": "https://www.med-credit.org.cn/jingxuan/2/1e4f99a3efe0ef70571e90bed6c46365.html","mipUrl": "https://www.med-credit.org.cn/mobile/jingxuan/2/1e4f99a3efe0ef70571e90bed6c46365.html","fromSrc": "欢乐橙","datePublished": "2023-03-29T10:32:19","domain": "医疗","category": ["医疗权威文章合作"],"description": "产后恶露含有血液、坏死蜕膜等组织,并伴有血腥味但无臭味,其颜色和内容物随着时间而变化。
","extra_headline": [""]},"Author": {"name": "种轶文","wapUrl": "https://www.med-credit.org.cn/doctor/575","pcUrl": "https://www.med-credit.org.cn/doctor/575","jobTitle": "副主任医师","headPortrait": "https://www.med-credit.org.cn/uploadfile/member/575/180x180.jpeg","id": "575","description": "种轶文,北京大学第三医院妇产科副主任医师","memberOf": {"legalName": "北京大学第三医院","department": "妇产科","organizationLevel": "三级甲等"}},"Article": {"summaryContent": "产后恶露含有血液、坏死蜕膜等组织,并伴有血腥味但无臭味,其颜色和内容物随着时间而变化。
恶露是产后从阴道分泌出来的排泄物,正常情况下在产后2-3周可以完全排尽。
正常的恶露根据颜色、内容物和时间的不同,一般可分为三种:血性恶露、浆液恶露和白色恶露。产后的最初几天,恶露的量比较多,颜色鲜红,为红色的血性恶露。3-5天之后含血量逐渐减少,恶露变成淡红色,所以称为浆液恶露。产后15天左右,浆液逐渐减少,白细胞的数目不断增多,变为白色恶露。恶露的多少具有个体差异,一般刨宫产的女性恶露时间比较长。



恶露是产妇分娩后随着子宫蜕膜如胎盘附着物的脱落。通过对恶露的观察,观察其数量、颜色和气味变化等,可以了解子宫的修复情况。如果产妇的恶露长时间不干净,这表明母亲的子宫恢复不良,提示产妇宫内胎盘残留,可能会引发炎症或者宫颈糜烂,甚至是宫颈息肉,一定要引起重视。
恶露长时间淋漓不尽时,要注意寻找病因进行治疗。如果B超显示含有组织物残留,则可以进行清宫手术;如果有感染的话,可以在医生的指导下进行抗感染治疗。
","articleBody": "产后恶露含有血液、坏死蜕膜等组织,并伴有血腥味但无臭味,其颜色和内容物随着时间而变化。
恶露是产后从阴道分泌出来的排泄物,正常情况下在产后2-3周可以完全排尽。
正常的恶露根据颜色、内容物和时间的不同,一般可分为三种:血性恶露、浆液恶露和白色恶露。产后的最初几天,恶露的量比较多,颜色鲜红,为红色的血性恶露。3-5天之后含血量逐渐减少,恶露变成淡红色,所以称为浆液恶露。产后15天左右,浆液逐渐减少,白细胞的数目不断增多,变为白色恶露。恶露的多少具有个体差异,一般刨宫产的女性恶露时间比较长。



恶露是产妇分娩后随着子宫蜕膜如胎盘附着物的脱落。通过对恶露的观察,观察其数量、颜色和气味变化等,可以了解子宫的修复情况。如果产妇的恶露长时间不干净,这表明母亲的子宫恢复不良,提示产妇宫内胎盘残留,可能会引发炎症或者宫颈糜烂,甚至是宫颈息肉,一定要引起重视。
恶露长时间淋漓不尽时,要注意寻找病因进行治疗。如果B超显示含有组织物残留,则可以进行清宫手术;如果有感染的话,可以在医生的指导下进行抗感染治疗。
","scanCount": 56060}}} {"@context": "https://ziyuan.baidu.com/contexts/cambrian.jsonld","appid": "1650708455561748","icon": "https://www.med-credit.org.cn/style/images/ttlogo.png","content_tag": ["atlas"],"is_mcn": {"thumb_id": "v2rm41u3"},"accid": "4886d626a2804dee5f11168793ce361672f39c25","@id": "https://www.med-credit.org.cn/mobile/jingxuan/2/32da271f183d67d8045d4fa0025c1599.html","bagWordId": "ff0c6c474684ccf2","title": "排出纸屑样分泌物图片","pubDate": "2023-03-29T10:32:19","upDate": "2023-03-29T10:32:19","lrDate": "2023-03-29T10:32:19","description": "1.排出纸屑样分泌物,可能是霉菌性阴道炎引起的。","data": {"WebPage": {"headline": "排出纸屑样分泌物图片","pcUrl": "https://www.med-credit.org.cn/jingxuan/2/32da271f183d67d8045d4fa0025c1599.html","wapUrl": "https://www.med-credit.org.cn/jingxuan/2/32da271f183d67d8045d4fa0025c1599.html","mipUrl": "https://www.med-credit.org.cn/mobile/jingxuan/2/32da271f183d67d8045d4fa0025c1599.html","fromSrc": "欢乐橙","datePublished": "2023-03-29T10:32:19","domain": "医疗","category": ["医疗权威文章合作"],"description": "1.排出纸屑样分泌物,可能是霉菌性阴道炎引起的。
","extra_headline": [""]},"Author": {"name": "种轶文","wapUrl": "https://www.med-credit.org.cn/doctor/575","pcUrl": "https://www.med-credit.org.cn/doctor/575","jobTitle": "副主任医师","headPortrait": "https://www.med-credit.org.cn/uploadfile/member/575/180x180.jpeg","id": "575","description": "种轶文,北京大学第三医院妇产科副主任医师","memberOf": {"legalName": "北京大学第三医院","department": "妇产科","organizationLevel": "三级甲等"}},"Article": {"summaryContent": "概述:
1.排出纸屑样分泌物,可能是霉菌性阴道炎引起的。
2.排出纸屑样分泌物,可能是使用阴道栓塞的药物引起的。

纸屑样分泌物图片
病因:
1.霉菌性阴道炎:白带正常的应该是透明的或乳白色的,没有异味的或略带腥味,纸屑样分泌物是白带异常的表现。患者可能是由于霉菌感染引起的,可表现有白带增多,分泌物呈纸屑样、豆腐渣样或凝乳状、片状。患者通常还有外阴瘙痒的症状,有时还伴有尿频、尿痛,外阴可能有红肿灼痛,急性期可以见受损的糜烂或表面溃疡。患者需要及时前往医院治疗,可以使用抗真菌药物如咪康唑栓剂等。
2.药物引起:若患者患有阴道炎等疾病,使用栓剂药物后如克霉唑栓等,患者可能会排出纸屑样分泌物的症状,若患者有使用相关药物,则无需太过担心。
","articleBody": "概述:
1.排出纸屑样分泌物,可能是霉菌性阴道炎引起的。
2.排出纸屑样分泌物,可能是使用阴道栓塞的药物引起的。

纸屑样分泌物图片
病因:
1.霉菌性阴道炎:白带正常的应该是透明的或乳白色的,没有异味的或略带腥味,纸屑样分泌物是白带异常的表现。患者可能是由于霉菌感染引起的,可表现有白带增多,分泌物呈纸屑样、豆腐渣样或凝乳状、片状。患者通常还有外阴瘙痒的症状,有时还伴有尿频、尿痛,外阴可能有红肿灼痛,急性期可以见受损的糜烂或表面溃疡。患者需要及时前往医院治疗,可以使用抗真菌药物如咪康唑栓剂等。
2.药物引起:若患者患有阴道炎等疾病,使用栓剂药物后如克霉唑栓等,患者可能会排出纸屑样分泌物的症状,若患者有使用相关药物,则无需太过担心。
","scanCount": 56059}}} {"@context": "https://ziyuan.baidu.com/contexts/cambrian.jsonld","appid": "1650708455561748","icon": "https://www.med-credit.org.cn/style/images/ttlogo.png","content_tag": ["atlas"],"is_mcn": {"thumb_id": "v2rm41u3"},"accid": "4886d626a2804dee5f11168793ce361672f39c25","@id": "https://www.med-credit.org.cn/mobile/jingxuan/2/df45f64f5beb7d5a969d13bce8ae1828.html","bagWordId": "1ca55c056f85c552","title": "剖腹产三次子宫里面疤痕图片","pubDate": "2023-03-29T10:32:19","upDate": "2023-03-29T10:32:19","lrDate": "2023-03-29T10:32:19","description": "1.三次剖腹产术后可能会造成瘢痕子宫、瘢痕憩室等并发症。","data": {"WebPage": {"headline": "剖腹产三次子宫里面疤痕图片","pcUrl": "https://www.med-credit.org.cn/jingxuan/2/df45f64f5beb7d5a969d13bce8ae1828.html","wapUrl": "https://www.med-credit.org.cn/jingxuan/2/df45f64f5beb7d5a969d13bce8ae1828.html","mipUrl": "https://www.med-credit.org.cn/mobile/jingxuan/2/df45f64f5beb7d5a969d13bce8ae1828.html","fromSrc": "欢乐橙","datePublished": "2023-03-29T10:32:19","domain": "医疗","category": ["医疗权威文章合作"],"description": "1.三次剖腹产术后可能会造成瘢痕子宫、瘢痕憩室等并发症。
","extra_headline": [""]},"Author": {"name": "种轶文","wapUrl": "https://www.med-credit.org.cn/doctor/575","pcUrl": "https://www.med-credit.org.cn/doctor/575","jobTitle": "副主任医师","headPortrait": "https://www.med-credit.org.cn/uploadfile/member/575/180x180.jpeg","id": "575","description": "种轶文,北京大学第三医院妇产科副主任医师","memberOf": {"legalName": "北京大学第三医院","department": "妇产科","organizationLevel": "三级甲等"}},"Article": {"summaryContent": "1.三次剖腹产术后可能会造成瘢痕子宫、瘢痕憩室等并发症。
2.剖腹产三次后子宫里面疤痕情况与剖腹产术后恢复时间长短有关。
1.瘢痕子宫:

患者多次做剖腹产后,由于多次刮宫或宫腔感染使局部子宫内膜生长不良,再次怀孕易出现前置胎盘和胎盘粘连等疾病。生产过程中会有大出血的可能性,一般建议患者清理宫腔,取出胎盘组织,达到治疗目的。
2.瘢痕憩室:

剖宫产手术时需同时切开腹腔及子宫,取出婴儿后再进行缝合,如子宫疤痕愈合较差,局部形成凹陷,导致瘢痕愈合不良形成瘢痕憩室。如果瘢痕憩室的体积较大,对下次妊娠存在潜在危险。因此建议患者再次怀孕时间应与上次剖宫手术间隔2年以上。
","articleBody": "1.三次剖腹产术后可能会造成瘢痕子宫、瘢痕憩室等并发症。
2.剖腹产三次后子宫里面疤痕情况与剖腹产术后恢复时间长短有关。
1.瘢痕子宫:

患者多次做剖腹产后,由于多次刮宫或宫腔感染使局部子宫内膜生长不良,再次怀孕易出现前置胎盘和胎盘粘连等疾病。生产过程中会有大出血的可能性,一般建议患者清理宫腔,取出胎盘组织,达到治疗目的。
2.瘢痕憩室:

剖宫产手术时需同时切开腹腔及子宫,取出婴儿后再进行缝合,如子宫疤痕愈合较差,局部形成凹陷,导致瘢痕愈合不良形成瘢痕憩室。如果瘢痕憩室的体积较大,对下次妊娠存在潜在危险。因此建议患者再次怀孕时间应与上次剖宫手术间隔2年以上。
","scanCount": 56058}}} {"@context": "https://ziyuan.baidu.com/contexts/cambrian.jsonld","appid": "1650708455561748","icon": "https://www.med-credit.org.cn/style/images/ttlogo.png","content_tag": ["atlas"],"is_mcn": {"thumb_id": "v2rm41u3"},"accid": "4886d626a2804dee5f11168793ce361672f39c25","@id": "https://www.med-credit.org.cn/mobile/jingxuan/2/815538bbf673e15024b05ab8ca2f39e6.html","bagWordId": "7a1a4060f8e8605d","title": "宫颈糜烂电烤过程图片","pubDate": "2023-03-29T10:32:19","upDate": "2023-03-29T10:32:19","lrDate": "2023-03-29T10:32:19","description": "宫颈糜烂电烤是指通过电凝刀手术直接进行治疗,通过高频的电流,让出血周围的组织凝固,既可以止血又可以起到治疗作用。","data": {"WebPage": {"headline": "宫颈糜烂电烤过程图片","pcUrl": "https://www.med-credit.org.cn/jingxuan/2/815538bbf673e15024b05ab8ca2f39e6.html","wapUrl": "https://www.med-credit.org.cn/jingxuan/2/815538bbf673e15024b05ab8ca2f39e6.html","mipUrl": "https://www.med-credit.org.cn/mobile/jingxuan/2/815538bbf673e15024b05ab8ca2f39e6.html","fromSrc": "欢乐橙","datePublished": "2023-03-29T10:32:19","domain": "医疗","category": ["医疗权威文章合作"],"description": "宫颈糜烂电烤是指通过电凝刀手术直接进行治疗,通过高频的电流,让出血周围的组织凝固,既可以止血又可以起到治疗作用。
","extra_headline": [""]},"Author": {"name": "种轶文","wapUrl": "https://www.med-credit.org.cn/doctor/575","pcUrl": "https://www.med-credit.org.cn/doctor/575","jobTitle": "副主任医师","headPortrait": "https://www.med-credit.org.cn/uploadfile/member/575/180x180.jpeg","id": "575","description": "种轶文,北京大学第三医院妇产科副主任医师","memberOf": {"legalName": "北京大学第三医院","department": "妇产科","organizationLevel": "三级甲等"}},"Article": {"summaryContent": "概述:
宫颈糜烂电烤是指通过电凝刀手术直接进行治疗,通过高频的电流,让出血周围的组织凝固,既可以止血又可以起到治疗作用。
1.宫颈糜烂现在改名为宫颈柱状上皮异位,由于柱状上皮菲薄,其下间质透出,呈红色,肉眼看似糜烂,所以之前称为宫颈糜烂,但并不是真正的糜烂,所以现在已停止使用这个词。
2.生理性宫颈柱状上皮异位,和青春期、妊娠期的雌激素水平升高有关。属于正常现象,无不适症状。其他会引起宫颈柱状上皮异位的原因还有病毒感染、细菌感染等,容易导致宫颈炎,可能会出现阴道分泌物增多、白带呈淡黄色或脓性伴异味、下腹疼痛、腰酸、月经期间出血等表现。
3.如果是由于雌激素水平升高导致的,则不用进行治疗,激素水平下降后会自行消退。

宫颈糜烂电烤过程
","articleBody": "概述:
宫颈糜烂电烤是指通过电凝刀手术直接进行治疗,通过高频的电流,让出血周围的组织凝固,既可以止血又可以起到治疗作用。
1.宫颈糜烂现在改名为宫颈柱状上皮异位,由于柱状上皮菲薄,其下间质透出,呈红色,肉眼看似糜烂,所以之前称为宫颈糜烂,但并不是真正的糜烂,所以现在已停止使用这个词。
2.生理性宫颈柱状上皮异位,和青春期、妊娠期的雌激素水平升高有关。属于正常现象,无不适症状。其他会引起宫颈柱状上皮异位的原因还有病毒感染、细菌感染等,容易导致宫颈炎,可能会出现阴道分泌物增多、白带呈淡黄色或脓性伴异味、下腹疼痛、腰酸、月经期间出血等表现。
3.如果是由于雌激素水平升高导致的,则不用进行治疗,激素水平下降后会自行消退。

宫颈糜烂电烤过程
","scanCount": 56057}}} {"@context": "https://ziyuan.baidu.com/contexts/cambrian.jsonld","appid": "1650708455561748","icon": "https://www.med-credit.org.cn/style/images/ttlogo.png","content_tag": ["atlas"],"is_mcn": {"thumb_id": "v2rm41u3"},"accid": "4886d626a2804dee5f11168793ce361672f39c25","@id": "https://www.med-credit.org.cn/mobile/jingxuan/2/711039e7661745b17a2b050fdb8e9d31.html","bagWordId": "7c0c673c0446a7ef","title": "正常的性激素六项报告单图片","pubDate": "2023-03-29T10:32:19","upDate": "2023-03-29T10:32:19","lrDate": "2023-03-29T10:32:19","description": "当患者进行了性激素六项检查后,在检查结果报告单上可以看到参考范围和检测结果两栏,每个项目检测结果与参考范围不同可代表相应激素不同的异常情况。","data": {"WebPage": {"headline": "正常的性激素六项报告单图片","pcUrl": "https://www.med-credit.org.cn/jingxuan/2/711039e7661745b17a2b050fdb8e9d31.html","wapUrl": "https://www.med-credit.org.cn/jingxuan/2/711039e7661745b17a2b050fdb8e9d31.html","mipUrl": "https://www.med-credit.org.cn/mobile/jingxuan/2/711039e7661745b17a2b050fdb8e9d31.html","fromSrc": "欢乐橙","datePublished": "2023-03-29T10:32:19","domain": "医疗","category": ["医疗权威文章合作"],"description": "当患者进行了性激素六项检查后,在检查结果报告单上可以看到参考范围和检测结果两栏,每个项目检测结果与参考范围不同可代表相应激素不同的异常情况。
","extra_headline": [""]},"Author": {"name": "种轶文","wapUrl": "https://www.med-credit.org.cn/doctor/575","pcUrl": "https://www.med-credit.org.cn/doctor/575","jobTitle": "副主任医师","headPortrait": "https://www.med-credit.org.cn/uploadfile/member/575/180x180.jpeg","id": "575","description": "种轶文,北京大学第三医院妇产科副主任医师","memberOf": {"legalName": "北京大学第三医院","department": "妇产科","organizationLevel": "三级甲等"}},"Article": {"summaryContent": "当患者进行了性激素六项检查后,在检查结果报告单上可以看到参考范围和检测结果两栏,每个项目检测结果与参考范围不同可代表相应激素不同的异常情况。

1、卵泡刺激素(FSH):若升高,提示患者可能存在卵巢功能不全,如降低,表明患者可能患有器质性疾病。
2、黄体生成素(LH):若升高,提示患者可能有多囊卵巢综合征,如降低,表明患者可能患有下丘脑功能性疾病。
3、雌二醇(E2):根据患者个体情况,抽血时间不同综合判断雌二醇降低的意义。
4、孕酮(P):黄体期该指标降低,多见于卵巢无排卵、黄体功能不足的患者。
5、睾酮(T):该指标升高,多提示受检者可能患有多囊卵巢综合征、卵巢男性化肿瘤、肾上腺皮质增生等疾病。
6、催乳素(P):催乳素受很多因素的影响,该指标升高,需要结合患者个体情况综合分析诊断。
性激素六项检查的某一项或某几项偏低,要根据患者的具体病情分析判断,针对病因,在医生的指导下进行对症治疗。
","articleBody": "当患者进行了性激素六项检查后,在检查结果报告单上可以看到参考范围和检测结果两栏,每个项目检测结果与参考范围不同可代表相应激素不同的异常情况。

1、卵泡刺激素(FSH):若升高,提示患者可能存在卵巢功能不全,如降低,表明患者可能患有器质性疾病。
2、黄体生成素(LH):若升高,提示患者可能有多囊卵巢综合征,如降低,表明患者可能患有下丘脑功能性疾病。
3、雌二醇(E2):根据患者个体情况,抽血时间不同综合判断雌二醇降低的意义。
4、孕酮(P):黄体期该指标降低,多见于卵巢无排卵、黄体功能不足的患者。
5、睾酮(T):该指标升高,多提示受检者可能患有多囊卵巢综合征、卵巢男性化肿瘤、肾上腺皮质增生等疾病。
6、催乳素(P):催乳素受很多因素的影响,该指标升高,需要结合患者个体情况综合分析诊断。
性激素六项检查的某一项或某几项偏低,要根据患者的具体病情分析判断,针对病因,在医生的指导下进行对症治疗。
","scanCount": 56056}}} {"@context": "https://ziyuan.baidu.com/contexts/cambrian.jsonld","appid": "1650708455561748","icon": "https://www.med-credit.org.cn/style/images/ttlogo.png","content_tag": ["atlas"],"is_mcn": {"thumb_id": "v2rm41u3"},"accid": "4886d626a2804dee5f11168793ce361672f39c25","@id": "https://www.med-credit.org.cn/mobile/jingxuan/2/f5ec77fa09390822ff3ff93eeb177bb0.html","bagWordId": "e0fcec8243e6aa67","title": "黄体酮凝胶怎么塞到深处图解","pubDate": "2023-03-29T10:32:19","upDate": "2023-03-29T10:32:19","lrDate": "2023-03-29T10:32:19","description": "黄体酮阴道缓释凝胶使用前要先从包装中取出给药器,给药器上面同时带有凝胶和盖帽,然后握好给药器的粗端,将药物甩至细顶端,去掉盖帽。接着患者取坐姿,将给药器的细顶端放入阴道,所达深度至少是细端管子的一半,按压粗端将凝胶挤入阴道内。","data": {"WebPage": {"headline": "黄体酮凝胶怎么塞到深处图解","pcUrl": "https://www.med-credit.org.cn/jingxuan/2/f5ec77fa09390822ff3ff93eeb177bb0.html","wapUrl": "https://www.med-credit.org.cn/jingxuan/2/f5ec77fa09390822ff3ff93eeb177bb0.html","mipUrl": "https://www.med-credit.org.cn/mobile/jingxuan/2/f5ec77fa09390822ff3ff93eeb177bb0.html","fromSrc": "欢乐橙","datePublished": "2023-03-29T10:32:19","domain": "医疗","category": ["医疗权威文章合作"],"description": "黄体酮阴道缓释凝胶使用前要先从包装中取出给药器,给药器上面同时带有凝胶和盖帽,然后握好给药器的粗端,将药物甩至细顶端,去掉盖帽。接着患者取坐姿,将给药器的细顶端放入阴道,所达深度至少是细端管子的一半,按压粗端将凝胶挤入阴道内。
","extra_headline": [""]},"Author": {"name": "种轶文","wapUrl": "https://www.med-credit.org.cn/doctor/575","pcUrl": "https://www.med-credit.org.cn/doctor/575","jobTitle": "副主任医师","headPortrait": "https://www.med-credit.org.cn/uploadfile/member/575/180x180.jpeg","id": "575","description": "种轶文,北京大学第三医院妇产科副主任医师","memberOf": {"legalName": "北京大学第三医院","department": "妇产科","organizationLevel": "三级甲等"}},"Article": {"summaryContent": "概述:
黄体酮阴道缓释凝胶使用前要先从包装中取出给药器,给药器上面同时带有凝胶和盖帽,然后握好给药器的粗端,将药物甩至细顶端,去掉盖帽。接着患者取坐姿,将给药器的细顶端放入阴道,所达深度至少是细端管子的一半,按压粗端将凝胶挤入阴道内。
1、黄体酮阴道缓释凝胶一般是用于辅助生育中黄体酮的补充治疗。试管婴儿治疗妊娠后,有一段时间需要黄体支持治疗。而黄体酮注射的话会在注射部位出现疼痛、硬块和红肿等,因此这种体外给药成为很好的替代选择。
2、在进行阴道给药时最好要先洗干净外阴,洗净双手,接着取出给药器时要从粗端拿出,最大程度避免污染,给药之后最好平躺半个小时左右,使药物在体内充分发挥。使用药物之后禁止剧烈运动,同时避免性生活,但不需绝对卧床休息。一般3-5会有凝胶随分泌物排出,这个是正常现象。
黄体酮阴道缓释凝胶每日一次给药,晚上或者白天都可以。一般开始阴道给药后,不建议和其他阴道药物一起使用,如果一定要使用,最好要间隔6小时以上再使用,避免产生不良后果。

黄体酮阴道缓释凝胶使用说明
","articleBody": "概述:
黄体酮阴道缓释凝胶使用前要先从包装中取出给药器,给药器上面同时带有凝胶和盖帽,然后握好给药器的粗端,将药物甩至细顶端,去掉盖帽。接着患者取坐姿,将给药器的细顶端放入阴道,所达深度至少是细端管子的一半,按压粗端将凝胶挤入阴道内。
1、黄体酮阴道缓释凝胶一般是用于辅助生育中黄体酮的补充治疗。试管婴儿治疗妊娠后,有一段时间需要黄体支持治疗。而黄体酮注射的话会在注射部位出现疼痛、硬块和红肿等,因此这种体外给药成为很好的替代选择。
2、在进行阴道给药时最好要先洗干净外阴,洗净双手,接着取出给药器时要从粗端拿出,最大程度避免污染,给药之后最好平躺半个小时左右,使药物在体内充分发挥。使用药物之后禁止剧烈运动,同时避免性生活,但不需绝对卧床休息。一般3-5会有凝胶随分泌物排出,这个是正常现象。
黄体酮阴道缓释凝胶每日一次给药,晚上或者白天都可以。一般开始阴道给药后,不建议和其他阴道药物一起使用,如果一定要使用,最好要间隔6小时以上再使用,避免产生不良后果。

黄体酮阴道缓释凝胶使用说明
","scanCount": 56055}}} {"@context": "https://ziyuan.baidu.com/contexts/cambrian.jsonld","appid": "1650708455561748","icon": "https://www.med-credit.org.cn/style/images/ttlogo.png","content_tag": ["atlas"],"is_mcn": {"thumb_id": "v2rm41u3"},"accid": "4886d626a2804dee5f11168793ce361672f39c25","@id": "https://www.med-credit.org.cn/mobile/jingxuan/2/3ad191cf49fbe416336e74e04fe492d3.html","bagWordId": "692f383c5bde1e8e","title": "子宫脱垂的图片","pubDate": "2023-03-29T10:32:19","upDate": "2023-03-29T10:32:19","lrDate": "2023-03-29T10:32:19","description": "子宫脱垂一般分为三级,即轻度、中度、重度子宫脱垂,不同程度的子宫脱垂其表现不同。","data": {"WebPage": {"headline": "子宫脱垂的图片","pcUrl": "https://www.med-credit.org.cn/jingxuan/2/3ad191cf49fbe416336e74e04fe492d3.html","wapUrl": "https://www.med-credit.org.cn/jingxuan/2/3ad191cf49fbe416336e74e04fe492d3.html","mipUrl": "https://www.med-credit.org.cn/mobile/jingxuan/2/3ad191cf49fbe416336e74e04fe492d3.html","fromSrc": "欢乐橙","datePublished": "2023-03-29T10:32:19","domain": "医疗","category": ["医疗权威文章合作"],"description": "子宫脱垂一般分为三级,即轻度、中度、重度子宫脱垂,不同程度的子宫脱垂其表现不同。
","extra_headline": [""]},"Author": {"name": "种轶文","wapUrl": "https://www.med-credit.org.cn/doctor/575","pcUrl": "https://www.med-credit.org.cn/doctor/575","jobTitle": "副主任医师","headPortrait": "https://www.med-credit.org.cn/uploadfile/member/575/180x180.jpeg","id": "575","description": "种轶文,北京大学第三医院妇产科副主任医师","memberOf": {"legalName": "北京大学第三医院","department": "妇产科","organizationLevel": "三级甲等"}},"Article": {"summaryContent": "概述:
子宫脱垂一般分为三级,即轻度、中度、重度子宫脱垂,不同程度的子宫脱垂其表现不同。
症状:
1、轻度子宫脱垂:轻度子宫脱垂一般不会引起明显的症状或体征,部分伴有轻微腹部下坠感、腰酸,走路及下蹲时更明显,平卧休息后缓解。
2、中度子宫脱垂:患者可能出现腰骶部疼痛、尿液外溢、阴道脱出肿物、月经改变的症状,还会伴有下腹部和阴道的下坠感,尤其在劳动后更明显,平卧休息后缓解。
3、重度子宫脱垂:患者可有腰骶部疼痛、阴道脱出肿物及脱出肿物溃疡或出血、排尿困难、子宫局部增厚或角化等症状,还会伴有下腹部和阴道的下坠感,尤其在劳动后更明显,平卧休息后缓解。

子宫脱垂
治疗方法:
建议患者做肛门的收缩运动,锻炼盆底肌肉,预防子宫进一步下垂,还可进行盆底的理疗,促进患者盆底肌肉的恢复,有利于治疗患者子宫脱垂。若患者出现明显症状应及时进行手术治疗。
注意事项:
日常生活中要注意规律作息和清淡饮食,避免熬夜和进食辛辣等刺激性食物,还可进行适当的体育锻炼。若出现子宫脱垂的症状,应及时到医院就诊,明确病因并采取相应的治疗措施。
","articleBody": "概述:
子宫脱垂一般分为三级,即轻度、中度、重度子宫脱垂,不同程度的子宫脱垂其表现不同。
症状:
1、轻度子宫脱垂:轻度子宫脱垂一般不会引起明显的症状或体征,部分伴有轻微腹部下坠感、腰酸,走路及下蹲时更明显,平卧休息后缓解。
2、中度子宫脱垂:患者可能出现腰骶部疼痛、尿液外溢、阴道脱出肿物、月经改变的症状,还会伴有下腹部和阴道的下坠感,尤其在劳动后更明显,平卧休息后缓解。
3、重度子宫脱垂:患者可有腰骶部疼痛、阴道脱出肿物及脱出肿物溃疡或出血、排尿困难、子宫局部增厚或角化等症状,还会伴有下腹部和阴道的下坠感,尤其在劳动后更明显,平卧休息后缓解。

子宫脱垂
治疗方法:
建议患者做肛门的收缩运动,锻炼盆底肌肉,预防子宫进一步下垂,还可进行盆底的理疗,促进患者盆底肌肉的恢复,有利于治疗患者子宫脱垂。若患者出现明显症状应及时进行手术治疗。
注意事项:
日常生活中要注意规律作息和清淡饮食,避免熬夜和进食辛辣等刺激性食物,还可进行适当的体育锻炼。若出现子宫脱垂的症状,应及时到医院就诊,明确病因并采取相应的治疗措施。
","scanCount": 56054}}} {"@context": "https://ziyuan.baidu.com/contexts/cambrian.jsonld","appid": "1650708455561748","icon": "https://www.med-credit.org.cn/style/images/ttlogo.png","content_tag": ["atlas"],"is_mcn": {"thumb_id": "v2rm41u3"},"accid": "4886d626a2804dee5f11168793ce361672f39c25","@id": "https://www.med-credit.org.cn/mobile/jingxuan/2/7ef367a2dbe9c8308be2edbd6b86d9d2.html","bagWordId": "398108854a9208e7","title": "女性hpv症状图片","pubDate": "2023-03-29T10:32:19","upDate": "2023-03-29T10:32:19","lrDate": "2023-03-29T10:32:19","description": "1.女生感染HPV后,临床症状可以表现为阴道分泌物异常、皮肤及黏膜赘生物生成、外阴或阴道上皮病变等。","data": {"WebPage": {"headline": "女性hpv症状图片","pcUrl": "https://www.med-credit.org.cn/jingxuan/2/7ef367a2dbe9c8308be2edbd6b86d9d2.html","wapUrl": "https://www.med-credit.org.cn/jingxuan/2/7ef367a2dbe9c8308be2edbd6b86d9d2.html","mipUrl": "https://www.med-credit.org.cn/mobile/jingxuan/2/7ef367a2dbe9c8308be2edbd6b86d9d2.html","fromSrc": "欢乐橙","datePublished": "2023-03-29T10:32:19","domain": "医疗","category": ["医疗权威文章合作"],"description": "1.女生感染HPV后,临床症状可以表现为阴道分泌物异常、皮肤及黏膜赘生物生成、外阴或阴道上皮病变等。
","extra_headline": [""]},"Author": {"name": "种轶文","wapUrl": "https://www.med-credit.org.cn/doctor/575","pcUrl": "https://www.med-credit.org.cn/doctor/575","jobTitle": "副主任医师","headPortrait": "https://www.med-credit.org.cn/uploadfile/member/575/180x180.jpeg","id": "575","description": "种轶文,北京大学第三医院妇产科副主任医师","memberOf": {"legalName": "北京大学第三医院","department": "妇产科","organizationLevel": "三级甲等"}},"Article": {"summaryContent": "1.女生感染HPV后,临床症状可以表现为阴道分泌物异常、皮肤及黏膜赘生物生成、外阴或阴道上皮病变等。
2.女性感染HPV,一般分为感染低危型的HPV病毒以高危型的HPV病毒,以及症状也会表现出相应的差别。
1.低危型HPV感染症状:


常分为寻常疣、扁平疣、跖疣、生殖器疣(尖锐湿疣)、口腔疣、咽喉疣及疣状表皮发育不良等,常出现不同程度的突起等,呈丘疹状、丝状、圆形、椭圆形突起等。
2.高危型的HPV感染,如宫颈癌症状:

1)阴道流血:早期多为接触性出血,中晚期为不规则阴道流血。
2)阴道排液:多数患者有阴道排液,液体为白色或血性,可稀薄如水样或米泔状,或有腥臭。
3)晚期症状:如尿频、尿急、便秘、下肢肿痛等。
","articleBody": "1.女生感染HPV后,临床症状可以表现为阴道分泌物异常、皮肤及黏膜赘生物生成、外阴或阴道上皮病变等。
2.女性感染HPV,一般分为感染低危型的HPV病毒以高危型的HPV病毒,以及症状也会表现出相应的差别。
1.低危型HPV感染症状:


常分为寻常疣、扁平疣、跖疣、生殖器疣(尖锐湿疣)、口腔疣、咽喉疣及疣状表皮发育不良等,常出现不同程度的突起等,呈丘疹状、丝状、圆形、椭圆形突起等。
2.高危型的HPV感染,如宫颈癌症状:

1)阴道流血:早期多为接触性出血,中晚期为不规则阴道流血。
2)阴道排液:多数患者有阴道排液,液体为白色或血性,可稀薄如水样或米泔状,或有腥臭。
3)晚期症状:如尿频、尿急、便秘、下肢肿痛等。
","scanCount": 56053}}} {"@context": "https://ziyuan.baidu.com/contexts/cambrian.jsonld","appid": "1650708455561748","icon": "https://www.med-credit.org.cn/style/images/ttlogo.png","content_tag": ["atlas"],"is_mcn": {"thumb_id": "v2rm41u3"},"accid": "4886d626a2804dee5f11168793ce361672f39c25","@id": "https://www.med-credit.org.cn/mobile/jingxuan/2/8cc053b06d17e7e5d1c09cc773267de4.html","bagWordId": "95a323c32fbe46c6","title": "女士上环有几种图片","pubDate": "2023-03-29T10:32:19","upDate": "2023-03-29T10:32:19","lrDate": "2023-03-29T10:32:19","description": "女性上环,也就是女性使用宫内节孕器避孕。根据分类方法不同,节育环的类型也不同,常见的有以下几种。","data": {"WebPage": {"headline": "女士上环有几种图片","pcUrl": "https://www.med-credit.org.cn/jingxuan/2/8cc053b06d17e7e5d1c09cc773267de4.html","wapUrl": "https://www.med-credit.org.cn/jingxuan/2/8cc053b06d17e7e5d1c09cc773267de4.html","mipUrl": "https://www.med-credit.org.cn/mobile/jingxuan/2/8cc053b06d17e7e5d1c09cc773267de4.html","fromSrc": "欢乐橙","datePublished": "2023-03-29T10:32:19","domain": "医疗","category": ["医疗权威文章合作"],"description": "女性上环,也就是女性使用宫内节孕器避孕。根据分类方法不同,节育环的类型也不同,常见的有以下几种。
","extra_headline": [""]},"Author": {"name": "种轶文","wapUrl": "https://www.med-credit.org.cn/doctor/575","pcUrl": "https://www.med-credit.org.cn/doctor/575","jobTitle": "副主任医师","headPortrait": "https://www.med-credit.org.cn/uploadfile/member/575/180x180.jpeg","id": "575","description": "种轶文,北京大学第三医院妇产科副主任医师","memberOf": {"legalName": "北京大学第三医院","department": "妇产科","organizationLevel": "三级甲等"}},"Article": {"summaryContent": "女性上环,也就是女性使用宫内节孕器避孕。根据分类方法不同,节育环的类型也不同,常见的有以下几种。

1.节育环可以根据其具体的材料分为惰性宫内节育器和活性宫内节育器,惰性宫内节育器是由惰性材料如金属、硅胶、塑料等制成。这一类的节育环脱落率和带器妊娠率高;活性宫内节育器内含有活性物质,如铜离子、激素以及药物等,这些物质能够提高避孕效果,减少副作用。
2.另外根据节育环的形态,还可以分为t型、弓形以及无支架宫内节育器。带铜的T形环,避孕效果比较好,脱落的几率比较低,并且副作用比较小。带铜的弓形环,可以在体内放置时间在五年左右。无支架的固定式的一种环,适用于反复脱环以及子宫腔比较大的女性。
一般情况需要医院进行进一步检查,在医生的指导下选择合适的环,在上环后需要注意休息,不能做剧烈的运动,之后也要注意上环的时限,记得及时去医院做环拆除。
","articleBody": "女性上环,也就是女性使用宫内节孕器避孕。根据分类方法不同,节育环的类型也不同,常见的有以下几种。

1.节育环可以根据其具体的材料分为惰性宫内节育器和活性宫内节育器,惰性宫内节育器是由惰性材料如金属、硅胶、塑料等制成。这一类的节育环脱落率和带器妊娠率高;活性宫内节育器内含有活性物质,如铜离子、激素以及药物等,这些物质能够提高避孕效果,减少副作用。
2.另外根据节育环的形态,还可以分为t型、弓形以及无支架宫内节育器。带铜的T形环,避孕效果比较好,脱落的几率比较低,并且副作用比较小。带铜的弓形环,可以在体内放置时间在五年左右。无支架的固定式的一种环,适用于反复脱环以及子宫腔比较大的女性。
一般情况需要医院进行进一步检查,在医生的指导下选择合适的环,在上环后需要注意休息,不能做剧烈的运动,之后也要注意上环的时限,记得及时去医院做环拆除。
","scanCount": 56052}}} {"@context": "https://ziyuan.baidu.com/contexts/cambrian.jsonld","appid": "1650708455561748","icon": "https://www.med-credit.org.cn/style/images/ttlogo.png","content_tag": ["atlas"],"is_mcn": {"thumb_id": "v2rm41u3"},"accid": "4886d626a2804dee5f11168793ce361672f39c25","@id": "https://www.med-credit.org.cn/mobile/jingxuan/2/f23e8bdd3c71d813d05989ccf6bc0b41.html","bagWordId": "4c3f9902c1d10176","title": "怀孕3个月真实图片 正常","pubDate": "2023-03-29T10:32:19","upDate": "2023-03-29T10:32:19","lrDate": "2023-03-29T10:32:19","description": "正常怀孕三个月会出现停经、早孕反应、子宫变大、乳房变大、循环系统等各系统出现变化等等。","data": {"WebPage": {"headline": "怀孕3个月真实图片 正常","pcUrl": "https://www.med-credit.org.cn/jingxuan/2/f23e8bdd3c71d813d05989ccf6bc0b41.html","wapUrl": "https://www.med-credit.org.cn/jingxuan/2/f23e8bdd3c71d813d05989ccf6bc0b41.html","mipUrl": "https://www.med-credit.org.cn/mobile/jingxuan/2/f23e8bdd3c71d813d05989ccf6bc0b41.html","fromSrc": "欢乐橙","datePublished": "2023-03-29T10:32:19","domain": "医疗","category": ["医疗权威文章合作"],"description": "正常怀孕三个月会出现停经、早孕反应、子宫变大、乳房变大、循环系统等各系统出现变化等等。
","extra_headline": [""]},"Author": {"name": "种轶文","wapUrl": "https://www.med-credit.org.cn/doctor/575","pcUrl": "https://www.med-credit.org.cn/doctor/575","jobTitle": "副主任医师","headPortrait": "https://www.med-credit.org.cn/uploadfile/member/575/180x180.jpeg","id": "575","description": "种轶文,北京大学第三医院妇产科副主任医师","memberOf": {"legalName": "北京大学第三医院","department": "妇产科","organizationLevel": "三级甲等"}},"Article": {"summaryContent": "概述:
正常怀孕三个月会出现停经、早孕反应、子宫变大、乳房变大、循环系统等各系统出现变化等等。
症状:
1.停经。
2.早孕反应,包括恶心、呕吐、畏寒等,多在12周也就是三个月时停止,少数人延后。3.子宫变大,12周时,增大的子宫超出盆腔,在耻骨联合上方可以触及,也就是从三月开始多数母体可以看出子宫膨大。
4.乳房变大,发胀,乳头增大变黑,乳晕颜色变深,周边可有肿大的结节,称为蒙氏结节。
5.血压在妊娠早期、中期偏低,后期时血压升高。
6.仰卧位时,尿量增高,如果子宫增大压迫膀胱,可能出现尿频。
7.孕妇乳头、乳晕、腹白线、外阴等处出现色素沉着。
8.孕三月时,孕妇基础代谢会稍微降低,怀孕后期升高,对蛋白质需求升高,孕期体重逐渐升高。

怀孕3个月
","articleBody": "概述:
正常怀孕三个月会出现停经、早孕反应、子宫变大、乳房变大、循环系统等各系统出现变化等等。
症状:
1.停经。
2.早孕反应,包括恶心、呕吐、畏寒等,多在12周也就是三个月时停止,少数人延后。3.子宫变大,12周时,增大的子宫超出盆腔,在耻骨联合上方可以触及,也就是从三月开始多数母体可以看出子宫膨大。
4.乳房变大,发胀,乳头增大变黑,乳晕颜色变深,周边可有肿大的结节,称为蒙氏结节。
5.血压在妊娠早期、中期偏低,后期时血压升高。
6.仰卧位时,尿量增高,如果子宫增大压迫膀胱,可能出现尿频。
7.孕妇乳头、乳晕、腹白线、外阴等处出现色素沉着。
8.孕三月时,孕妇基础代谢会稍微降低,怀孕后期升高,对蛋白质需求升高,孕期体重逐渐升高。

怀孕3个月
","scanCount": 56051}}} {"@context": "https://ziyuan.baidu.com/contexts/cambrian.jsonld","appid": "1650708455561748","icon": "https://www.med-credit.org.cn/style/images/ttlogo.png","content_tag": ["atlas"],"is_mcn": {"thumb_id": "v2rm41u3"},"accid": "4886d626a2804dee5f11168793ce361672f39c25","@id": "https://www.med-credit.org.cn/mobile/jingxuan/2/7046420c02ad7b8c4255da94330db3c1.html","bagWordId": "ff1c4af3a56766bc","title": "稽留流产60天排出胚囊图片","pubDate": "2023-03-29T10:32:19","upDate": "2023-03-29T10:32:19","lrDate": "2023-03-29T10:32:19","description": "稽留流产60天排出的孕囊形态因人而异,一般呈团状肉块样,白色或粉红色,或者呈囊状,表面有绒毛。","data": {"WebPage": {"headline": "稽留流产60天排出胚囊图片","pcUrl": "https://www.med-credit.org.cn/jingxuan/2/7046420c02ad7b8c4255da94330db3c1.html","wapUrl": "https://www.med-credit.org.cn/jingxuan/2/7046420c02ad7b8c4255da94330db3c1.html","mipUrl": "https://www.med-credit.org.cn/mobile/jingxuan/2/7046420c02ad7b8c4255da94330db3c1.html","fromSrc": "欢乐橙","datePublished": "2023-03-29T10:32:19","domain": "医疗","category": ["医疗权威文章合作"],"description": "稽留流产60天排出的孕囊形态因人而异,一般呈团状肉块样,白色或粉红色,或者呈囊状,表面有绒毛。
","extra_headline": [""]},"Author": {"name": "种轶文","wapUrl": "https://www.med-credit.org.cn/doctor/575","pcUrl": "https://www.med-credit.org.cn/doctor/575","jobTitle": "副主任医师","headPortrait": "https://www.med-credit.org.cn/uploadfile/member/575/180x180.jpeg","id": "575","description": "种轶文,北京大学第三医院妇产科副主任医师","memberOf": {"legalName": "北京大学第三医院","department": "妇产科","organizationLevel": "三级甲等"}},"Article": {"summaryContent": "稽留流产60天排出的孕囊形态因人而异,一般呈团状肉块样,白色或粉红色,或者呈囊状,表面有绒毛。

1.稽留流产属于自然流产的一种类型,比较特殊,主要是指胎儿或胚胎在宫腔内死亡一段时间内并没有及时的自然流出。胚胎染色体异常是最常见的原因,另外孕妇免疫功能异常、内分泌异常、环境因素等原因也可引起。
2.患者可表现为阴道少量流血、早孕反应消失、下腹痛等症状,部分患者早期可没有症状。该病需要及时治疗,将死亡的胚胎通过使用米索前列醇、前列腺素等药物引出或刮宫术取出。
3.排出或取出的孕囊组织若在体内停留时间过长,已经机化,多为肉样团块状。若时间较短,可能呈表面带有白色绒毛的囊状。
孕妇若有任何不舒服的症状应及时去医院就诊,平常要保持健康的生活方式,保持心情愉悦,适当的进行锻炼。
","articleBody": "稽留流产60天排出的孕囊形态因人而异,一般呈团状肉块样,白色或粉红色,或者呈囊状,表面有绒毛。

1.稽留流产属于自然流产的一种类型,比较特殊,主要是指胎儿或胚胎在宫腔内死亡一段时间内并没有及时的自然流出。胚胎染色体异常是最常见的原因,另外孕妇免疫功能异常、内分泌异常、环境因素等原因也可引起。
2.患者可表现为阴道少量流血、早孕反应消失、下腹痛等症状,部分患者早期可没有症状。该病需要及时治疗,将死亡的胚胎通过使用米索前列醇、前列腺素等药物引出或刮宫术取出。
3.排出或取出的孕囊组织若在体内停留时间过长,已经机化,多为肉样团块状。若时间较短,可能呈表面带有白色绒毛的囊状。
孕妇若有任何不舒服的症状应及时去医院就诊,平常要保持健康的生活方式,保持心情愉悦,适当的进行锻炼。
","scanCount": 56050}}} {"@context": "https://ziyuan.baidu.com/contexts/cambrian.jsonld","appid": "1650708455561748","icon": "https://www.med-credit.org.cn/style/images/ttlogo.png","content_tag": ["atlas"],"is_mcn": {"thumb_id": "v2rm41u3"},"accid": "4886d626a2804dee5f11168793ce361672f39c25","@id": "https://www.med-credit.org.cn/mobile/jingxuan/2/1cd97d132e3ee481e16ac585574c91ca.html","bagWordId": "2ab184229c13a9f7","title": "胎盘什么样子的图片","pubDate": "2023-03-29T10:32:19","upDate": "2023-03-29T10:32:19","lrDate": "2023-03-29T10:32:19","description": "1.胎盘是呈圆盘状的,中央厚而边缘薄,嵌在子宫壁中,由羊膜、叶状绒毛膜和底蜕膜构成。","data": {"WebPage": {"headline": "胎盘什么样子的图片","pcUrl": "https://www.med-credit.org.cn/jingxuan/2/1cd97d132e3ee481e16ac585574c91ca.html","wapUrl": "https://www.med-credit.org.cn/jingxuan/2/1cd97d132e3ee481e16ac585574c91ca.html","mipUrl": "https://www.med-credit.org.cn/mobile/jingxuan/2/1cd97d132e3ee481e16ac585574c91ca.html","fromSrc": "欢乐橙","datePublished": "2023-03-29T10:32:19","domain": "医疗","category": ["医疗权威文章合作"],"description": "1.胎盘是呈圆盘状的,中央厚而边缘薄,嵌在子宫壁中,由羊膜、叶状绒毛膜和底蜕膜构成。
","extra_headline": [""]},"Author": {"name": "种轶文","wapUrl": "https://www.med-credit.org.cn/doctor/575","pcUrl": "https://www.med-credit.org.cn/doctor/575","jobTitle": "副主任医师","headPortrait": "https://www.med-credit.org.cn/uploadfile/member/575/180x180.jpeg","id": "575","description": "种轶文,北京大学第三医院妇产科副主任医师","memberOf": {"legalName": "北京大学第三医院","department": "妇产科","organizationLevel": "三级甲等"}},"Article": {"summaryContent": "1.胎盘是呈圆盘状的,中央厚而边缘薄,嵌在子宫壁中,由羊膜、叶状绒毛膜和底蜕膜构成。
2.胎盘是胎儿和母体之间物质交换的器官。胎儿在子宫中发育,依靠胎盘从母体中获取营养。

1.胎盘主要由羊膜、叶状绒毛膜和底蜕膜构成。其中,羊膜是胎盘最内层,表面光滑,无血管、神经、淋巴,正常厚度厚0.05mm;叶状绒毛膜是胎盘的主要部分,主要供应血液,进行母子间物质交换,具有胎盘屏障的作用;底蜕膜是构成胎盘的母体部分,仅占有很小部分。
2.一般情况下,正常足月妊娠胎盘厚度1-3cm。胎盘厚度随孕期推进会有所变化,测量结果也因体位等因素有所差异。若发生异常情况如胎盘出血、糖尿病、血型不和、胎儿染色体异常等情况,通过超声检查,可明确胎盘的厚度及位置。
","articleBody": "1.胎盘是呈圆盘状的,中央厚而边缘薄,嵌在子宫壁中,由羊膜、叶状绒毛膜和底蜕膜构成。
2.胎盘是胎儿和母体之间物质交换的器官。胎儿在子宫中发育,依靠胎盘从母体中获取营养。

1.胎盘主要由羊膜、叶状绒毛膜和底蜕膜构成。其中,羊膜是胎盘最内层,表面光滑,无血管、神经、淋巴,正常厚度厚0.05mm;叶状绒毛膜是胎盘的主要部分,主要供应血液,进行母子间物质交换,具有胎盘屏障的作用;底蜕膜是构成胎盘的母体部分,仅占有很小部分。
2.一般情况下,正常足月妊娠胎盘厚度1-3cm。胎盘厚度随孕期推进会有所变化,测量结果也因体位等因素有所差异。若发生异常情况如胎盘出血、糖尿病、血型不和、胎儿染色体异常等情况,通过超声检查,可明确胎盘的厚度及位置。
","scanCount": 56049}}} {"@context": "https://ziyuan.baidu.com/contexts/cambrian.jsonld","appid": "1650708455561748","icon": "https://www.med-credit.org.cn/style/images/ttlogo.png","content_tag": ["atlas"],"is_mcn": {"thumb_id": "v2rm41u3"},"accid": "4886d626a2804dee5f11168793ce361672f39c25","@id": "https://www.med-credit.org.cn/mobile/jingxuan/2/ab75da2e84e2ac3e04281846e9174ac7.html","bagWordId": "c8d269cc7f301839","title": "20周胎儿四维真实图片","pubDate": "2023-03-29T10:32:19","upDate": "2023-03-29T10:32:19","lrDate": "2023-03-29T10:32:19","description": "20周胎儿四维彩超可以看到同人形的头面部、四肢发育情况。","data": {"WebPage": {"headline": "20周胎儿四维真实图片","pcUrl": "https://www.med-credit.org.cn/jingxuan/2/ab75da2e84e2ac3e04281846e9174ac7.html","wapUrl": "https://www.med-credit.org.cn/jingxuan/2/ab75da2e84e2ac3e04281846e9174ac7.html","mipUrl": "https://www.med-credit.org.cn/mobile/jingxuan/2/ab75da2e84e2ac3e04281846e9174ac7.html","fromSrc": "欢乐橙","datePublished": "2023-03-29T10:32:19","domain": "医疗","category": ["医疗权威文章合作"],"description": "20周胎儿四维彩超可以看到同人形的头面部、四肢发育情况。
","extra_headline": [""]},"Author": {"name": "种轶文","wapUrl": "https://www.med-credit.org.cn/doctor/575","pcUrl": "https://www.med-credit.org.cn/doctor/575","jobTitle": "副主任医师","headPortrait": "https://www.med-credit.org.cn/uploadfile/member/575/180x180.jpeg","id": "575","description": "种轶文,北京大学第三医院妇产科副主任医师","memberOf": {"legalName": "北京大学第三医院","department": "妇产科","organizationLevel": "三级甲等"}},"Article": {"summaryContent": "20周胎儿四维彩超可以看到同人形的头面部、四肢发育情况。

1、四维彩超是指四维医学彩色超声成像技术,因其无创性、实时性等优点应用于产科检查。产科通过四维彩超能实时立体观察胎儿颜面、四肢与躯干等的器官发育状况,也可以直观观察到胎儿在母体中的状态,对于胎儿是否正常发育、是否有心血管等其他系统畸形有早期诊断的价值。
2、胚胎正常在6周开始发育颜面部,先形成视网膜而后发育眼、唇、耳等颜面部器官。到20周时四维彩超能显示胎儿基本的面容,且有时能看见胎儿动眼、张合口唇的动作。胚胎正常在第6周开始发育四肢,到20周时已经能从四维彩超上看到清晰的四肢与形态发育完好的手指、脚趾,四肢和手指、脚趾的功能已经发育完备,也能借助四肢发育感知周围环境。因此四维彩超上能看见胎儿能在母亲子宫中做出简单的伸手、屈腿等动作,甚至能出现更灵活的其他动作,手指也能出现弯曲等细微动作。因此20周胎儿四维彩超检查能看到胎儿同人形的头面部与四肢的发育情况。
做四维彩超时穿宽松的衣物有利于露出腹部,也便于检查时遇上胎儿在休息能适当走动让胎儿开始活动,在胎儿活动的状态下进行检查,有利于全面的检查各个方位。
","articleBody": "20周胎儿四维彩超可以看到同人形的头面部、四肢发育情况。

1、四维彩超是指四维医学彩色超声成像技术,因其无创性、实时性等优点应用于产科检查。产科通过四维彩超能实时立体观察胎儿颜面、四肢与躯干等的器官发育状况,也可以直观观察到胎儿在母体中的状态,对于胎儿是否正常发育、是否有心血管等其他系统畸形有早期诊断的价值。
2、胚胎正常在6周开始发育颜面部,先形成视网膜而后发育眼、唇、耳等颜面部器官。到20周时四维彩超能显示胎儿基本的面容,且有时能看见胎儿动眼、张合口唇的动作。胚胎正常在第6周开始发育四肢,到20周时已经能从四维彩超上看到清晰的四肢与形态发育完好的手指、脚趾,四肢和手指、脚趾的功能已经发育完备,也能借助四肢发育感知周围环境。因此四维彩超上能看见胎儿能在母亲子宫中做出简单的伸手、屈腿等动作,甚至能出现更灵活的其他动作,手指也能出现弯曲等细微动作。因此20周胎儿四维彩超检查能看到胎儿同人形的头面部与四肢的发育情况。
做四维彩超时穿宽松的衣物有利于露出腹部,也便于检查时遇上胎儿在休息能适当走动让胎儿开始活动,在胎儿活动的状态下进行检查,有利于全面的检查各个方位。
","scanCount": 56048}}} {"@context": "https://ziyuan.baidu.com/contexts/cambrian.jsonld","appid": "1650708455561748","icon": "https://www.med-credit.org.cn/style/images/ttlogo.png","content_tag": ["atlas"],"is_mcn": {"thumb_id": "v2rm41u3"},"accid": "4886d626a2804dee5f11168793ce361672f39c25","@id": "https://www.med-credit.org.cn/mobile/jingxuan/2/f8586be25ebbf553a57186306f2777ec.html","bagWordId": "2483bf1e4bf21b63","title": "孕检报告单图片","pubDate": "2023-03-29T10:32:19","upDate": "2023-03-29T10:32:19","lrDate": "2023-03-29T10:32:19","description": "孕检报告单包括的孕检查有:血尿检查、传染五项、B超检查、NT/NF筛查、唐氏筛查等。","data": {"WebPage": {"headline": "孕检报告单图片","pcUrl": "https://www.med-credit.org.cn/jingxuan/2/f8586be25ebbf553a57186306f2777ec.html","wapUrl": "https://www.med-credit.org.cn/jingxuan/2/f8586be25ebbf553a57186306f2777ec.html","mipUrl": "https://www.med-credit.org.cn/mobile/jingxuan/2/f8586be25ebbf553a57186306f2777ec.html","fromSrc": "欢乐橙","datePublished": "2023-03-29T10:32:19","domain": "医疗","category": ["医疗权威文章合作"],"description": "孕检报告单包括的孕检查有:血尿检查、传染五项、B超检查、NT/NF筛查、唐氏筛查等。
","extra_headline": [""]},"Author": {"name": "种轶文","wapUrl": "https://www.med-credit.org.cn/doctor/575","pcUrl": "https://www.med-credit.org.cn/doctor/575","jobTitle": "副主任医师","headPortrait": "https://www.med-credit.org.cn/uploadfile/member/575/180x180.jpeg","id": "575","description": "种轶文,北京大学第三医院妇产科副主任医师","memberOf": {"legalName": "北京大学第三医院","department": "妇产科","organizationLevel": "三级甲等"}},"Article": {"summaryContent": "概述:
孕检报告单包括的孕检查有:血尿检查、传染五项、B超检查、NT/NF筛查、唐氏筛查等。

孕检报告单图片
孕检报告单
1、血尿检查:孕妇产检内容含有血液检查和尿液检查,包括检查肝功能,肾功能,凝血功能等,若孕妇血尿中的hcg浓度大于10,则代表孕妇怀孕。
2、传染五项:孕妇产检内容也包括传染病五项,如甲肝,乙肝表面抗原,丙肝抗体,梅毒和人免疫缺陷细胞测定等,若传染五项出现阳性字样、“+”或双箭头,代表患者可能存在该类传染病毒。
3、B超检查:孕期B超检查是常见的检查方法之一,根据孕妇怀孕的周期进行常规B超检查,检测胎心胎芽孕囊等。
4、NT/NF筛查:筛查是指用B超测量胎儿颈部透明带厚度,预防评估胎儿是否患有早期唐氏综合征,且只能在孕前期14周内进行NT检查,超过14周则进行NF检查,医生会根据具体的情况,决定孕妇是否做羊水穿刺、绒毛穿刺或小儿超声心动图,该项检查与胎儿是否畸形有关。
5、唐氏筛查:唐氏筛查是通过化验孕妇血液检测母体血清中甲型胎儿蛋白,绒毛促性激素和游离雌三醇的浓度,判断胎儿是否患有先天性愚型或神经管缺陷等。
综上所述,孕期检查根据不同时期会有不同的检查,可根据孕妇临床情况在专业医生的指导下进行各项产检,以便确保孕妇及胎儿的健康。
","articleBody": "概述:
孕检报告单包括的孕检查有:血尿检查、传染五项、B超检查、NT/NF筛查、唐氏筛查等。

孕检报告单图片
孕检报告单
1、血尿检查:孕妇产检内容含有血液检查和尿液检查,包括检查肝功能,肾功能,凝血功能等,若孕妇血尿中的hcg浓度大于10,则代表孕妇怀孕。
2、传染五项:孕妇产检内容也包括传染病五项,如甲肝,乙肝表面抗原,丙肝抗体,梅毒和人免疫缺陷细胞测定等,若传染五项出现阳性字样、“+”或双箭头,代表患者可能存在该类传染病毒。
3、B超检查:孕期B超检查是常见的检查方法之一,根据孕妇怀孕的周期进行常规B超检查,检测胎心胎芽孕囊等。
4、NT/NF筛查:筛查是指用B超测量胎儿颈部透明带厚度,预防评估胎儿是否患有早期唐氏综合征,且只能在孕前期14周内进行NT检查,超过14周则进行NF检查,医生会根据具体的情况,决定孕妇是否做羊水穿刺、绒毛穿刺或小儿超声心动图,该项检查与胎儿是否畸形有关。
5、唐氏筛查:唐氏筛查是通过化验孕妇血液检测母体血清中甲型胎儿蛋白,绒毛促性激素和游离雌三醇的浓度,判断胎儿是否患有先天性愚型或神经管缺陷等。
综上所述,孕期检查根据不同时期会有不同的检查,可根据孕妇临床情况在专业医生的指导下进行各项产检,以便确保孕妇及胎儿的健康。
","scanCount": 56047}}} {"@context": "https://ziyuan.baidu.com/contexts/cambrian.jsonld","appid": "1650708455561748","icon": "https://www.med-credit.org.cn/style/images/ttlogo.png","content_tag": ["atlas"],"is_mcn": {"thumb_id": "v2rm41u3"},"accid": "4886d626a2804dee5f11168793ce361672f39c25","@id": "https://www.med-credit.org.cn/mobile/jingxuan/2/ca7f122c4f53fbb884571b6ceea08340.html","bagWordId": "e38414f0d542cca0","title": "孕早期绒毛脱落图片","pubDate": "2023-03-29T10:32:19","upDate": "2023-03-29T10:32:19","lrDate": "2023-03-29T10:32:19","description": "1.孕早期绒毛膜脱落症状有阴道流血、下腹部疼痛、腰部疼痛等现象。","data": {"WebPage": {"headline": "孕早期绒毛脱落图片","pcUrl": "https://www.med-credit.org.cn/jingxuan/2/ca7f122c4f53fbb884571b6ceea08340.html","wapUrl": "https://www.med-credit.org.cn/jingxuan/2/ca7f122c4f53fbb884571b6ceea08340.html","mipUrl": "https://www.med-credit.org.cn/mobile/jingxuan/2/ca7f122c4f53fbb884571b6ceea08340.html","fromSrc": "欢乐橙","datePublished": "2023-03-29T10:32:19","domain": "医疗","category": ["医疗权威文章合作"],"description": "1.孕早期绒毛膜脱落症状有阴道流血、下腹部疼痛、腰部疼痛等现象。
","extra_headline": [""]},"Author": {"name": "种轶文","wapUrl": "https://www.med-credit.org.cn/doctor/575","pcUrl": "https://www.med-credit.org.cn/doctor/575","jobTitle": "副主任医师","headPortrait": "https://www.med-credit.org.cn/uploadfile/member/575/180x180.jpeg","id": "575","description": "种轶文,北京大学第三医院妇产科副主任医师","memberOf": {"legalName": "北京大学第三医院","department": "妇产科","organizationLevel": "三级甲等"}},"Article": {"summaryContent": "1.孕早期绒毛膜脱落症状有阴道流血、下腹部疼痛、腰部疼痛等现象。
2.孕早期绒毛膜脱落可能是先兆流产的征兆。

1.阴道流血:孕早期绒毛膜脱落会导致阴道出血,类似月经症状,建议患者及时就医,进行超声检查,避免延误病情。
2.下腹部疼痛:孕早期绒毛膜脱落还会导致下腹部疼痛,且正常孕早期出现下腹部疼痛显现也不能忽视,需要及时检查,建议患者及时就医,尽早治疗,确保母子平安。
3.腰部疼痛:孕早期绒毛膜脱落还会引起腰部酸痛,多由于子宫后倾,压迫直肠韧带导致,单纯腰部疼痛可无需在意,若腰部疼痛伴随阴道出血需要患者及时进行治疗。
综上所述,孕早期绒毛膜脱落可能是先兆流产的征兆,建议患者及时进行治疗,寻求专业医生的帮助,及时注射黄体酮、绒促素等药物保胎,注意日常饮食作息,养成良好的作息习惯,适度运动等。
","articleBody": "1.孕早期绒毛膜脱落症状有阴道流血、下腹部疼痛、腰部疼痛等现象。
2.孕早期绒毛膜脱落可能是先兆流产的征兆。

1.阴道流血:孕早期绒毛膜脱落会导致阴道出血,类似月经症状,建议患者及时就医,进行超声检查,避免延误病情。
2.下腹部疼痛:孕早期绒毛膜脱落还会导致下腹部疼痛,且正常孕早期出现下腹部疼痛显现也不能忽视,需要及时检查,建议患者及时就医,尽早治疗,确保母子平安。
3.腰部疼痛:孕早期绒毛膜脱落还会引起腰部酸痛,多由于子宫后倾,压迫直肠韧带导致,单纯腰部疼痛可无需在意,若腰部疼痛伴随阴道出血需要患者及时进行治疗。
综上所述,孕早期绒毛膜脱落可能是先兆流产的征兆,建议患者及时进行治疗,寻求专业医生的帮助,及时注射黄体酮、绒促素等药物保胎,注意日常饮食作息,养成良好的作息习惯,适度运动等。
","scanCount": 56046}}} {"@context": "https://ziyuan.baidu.com/contexts/cambrian.jsonld","appid": "1650708455561748","icon": "https://www.med-credit.org.cn/style/images/ttlogo.png","content_tag": ["atlas"],"is_mcn": {"thumb_id": "v2rm41u3"},"accid": "4886d626a2804dee5f11168793ce361672f39c25","@id": "https://www.med-credit.org.cn/mobile/jingxuan/2/6bc2af737ea3bdfff8ad3274b54c3cd0.html","bagWordId": "27277c453eee6894","title": "唐氏综合症是啥病 长相图片","pubDate": "2023-03-29T10:32:19","upDate": "2023-03-29T10:32:19","lrDate": "2023-03-29T10:32:19","description": "1.唐氏综合征患儿长相多表现为头小、双目外眦上斜,眼距增宽等。","data": {"WebPage": {"headline": "唐氏综合症是啥病 长相图片","pcUrl": "https://www.med-credit.org.cn/jingxuan/2/6bc2af737ea3bdfff8ad3274b54c3cd0.html","wapUrl": "https://www.med-credit.org.cn/jingxuan/2/6bc2af737ea3bdfff8ad3274b54c3cd0.html","mipUrl": "https://www.med-credit.org.cn/mobile/jingxuan/2/6bc2af737ea3bdfff8ad3274b54c3cd0.html","fromSrc": "欢乐橙","datePublished": "2023-03-29T10:32:19","domain": "医疗","category": ["医疗权威文章合作"],"description": "1.唐氏综合征患儿长相多表现为头小、双目外眦上斜,眼距增宽等。
","extra_headline": [""]},"Author": {"name": "种轶文","wapUrl": "https://www.med-credit.org.cn/doctor/575","pcUrl": "https://www.med-credit.org.cn/doctor/575","jobTitle": "副主任医师","headPortrait": "https://www.med-credit.org.cn/uploadfile/member/575/180x180.jpeg","id": "575","description": "种轶文,北京大学第三医院妇产科副主任医师","memberOf": {"legalName": "北京大学第三医院","department": "妇产科","organizationLevel": "三级甲等"}},"Article": {"summaryContent": "1.唐氏综合征患儿长相多表现为头小、双目外眦上斜,眼距增宽等。
2.唐氏综合征是一种21号常染色体数目异常导致的出生缺陷,多伴有其他先天异常。

1.唐氏综合征的病因是由于21号常染色体数目增加一条变成3条,属于染色体畸变,主要受遗传、环境等因素影响。
2.该疾病患者出生时有明显特殊面容,表现为头小而圆、前囟关闭延迟,眼距宽、眼裂小、双眼外眦上斜,鼻梁低平、外耳小、张口伸舌流涎。
3.该疾病患者除特殊面容外,多伴有躯干和肢体异常、生长发育缓慢等症状。如四肢短、韧带松弛、手指粗短、肌张力低下等异常;患者身长、体重均较低、体格动作发育迟缓、语言表达等智力发育障碍。
","articleBody": "1.唐氏综合征患儿长相多表现为头小、双目外眦上斜,眼距增宽等。
2.唐氏综合征是一种21号常染色体数目异常导致的出生缺陷,多伴有其他先天异常。

1.唐氏综合征的病因是由于21号常染色体数目增加一条变成3条,属于染色体畸变,主要受遗传、环境等因素影响。
2.该疾病患者出生时有明显特殊面容,表现为头小而圆、前囟关闭延迟,眼距宽、眼裂小、双眼外眦上斜,鼻梁低平、外耳小、张口伸舌流涎。
3.该疾病患者除特殊面容外,多伴有躯干和肢体异常、生长发育缓慢等症状。如四肢短、韧带松弛、手指粗短、肌张力低下等异常;患者身长、体重均较低、体格动作发育迟缓、语言表达等智力发育障碍。
","scanCount": 56045}}} {"@context": "https://ziyuan.baidu.com/contexts/cambrian.jsonld","appid": "1650708455561748","icon": "https://www.med-credit.org.cn/style/images/ttlogo.png","content_tag": ["atlas"],"is_mcn": {"thumb_id": "v2rm41u3"},"accid": "4886d626a2804dee5f11168793ce361672f39c25","@id": "https://www.med-credit.org.cn/mobile/jingxuan/2/d97cf3cfeb56b8346d445547e2afa458.html","bagWordId": "cdf60b4128eed27b","title": "剖腹产刀口一个针眼化脓图片","pubDate": "2023-03-29T10:32:19","upDate": "2023-03-29T10:32:19","lrDate": "2023-03-29T10:32:19","description": "1.剖腹产刀口一个针眼化脓可能由于缝合线不吸收导致。","data": {"WebPage": {"headline": "剖腹产刀口一个针眼化脓图片","pcUrl": "https://www.med-credit.org.cn/jingxuan/2/d97cf3cfeb56b8346d445547e2afa458.html","wapUrl": "https://www.med-credit.org.cn/jingxuan/2/d97cf3cfeb56b8346d445547e2afa458.html","mipUrl": "https://www.med-credit.org.cn/mobile/jingxuan/2/d97cf3cfeb56b8346d445547e2afa458.html","fromSrc": "欢乐橙","datePublished": "2023-03-29T10:32:19","domain": "医疗","category": ["医疗权威文章合作"],"description": "1.剖腹产刀口一个针眼化脓可能由于缝合线不吸收导致。
","extra_headline": [""]},"Author": {"name": "种轶文","wapUrl": "https://www.med-credit.org.cn/doctor/575","pcUrl": "https://www.med-credit.org.cn/doctor/575","jobTitle": "副主任医师","headPortrait": "https://www.med-credit.org.cn/uploadfile/member/575/180x180.jpeg","id": "575","description": "种轶文,北京大学第三医院妇产科副主任医师","memberOf": {"legalName": "北京大学第三医院","department": "妇产科","organizationLevel": "三级甲等"}},"Article": {"summaryContent": "1.剖腹产刀口一个针眼化脓可能由于缝合线不吸收导致。
2.剖腹产刀口一个针眼化脓还可能因为创面感染等原因导致。

1.缝合线不吸收:缝针后如果针眼化脓,考虑是对线头不吸收的原因所导致的。剖腹产刀口多采用可吸收线缝合,但是由于缝合线质量、个人体质等因素,也会导致缝合线不吸收,出现创面感染形成脓包的情况。一般建议患者及时到医院就诊,在医生的指导下将线头摘出,注意消炎抗感染处理即可。
2.创面感染:剖腹产刀口进行缝针处理后,如换药、清洁不到位,易导致创面组织发炎,长时间炎症刺激后形成脓包。一般建议患者在医生指导下使用阿莫西林、头孢等抗炎药物,达到较好的消炎效果,避免症状加重,同时还可以使用碘伏消毒。
","articleBody": "1.剖腹产刀口一个针眼化脓可能由于缝合线不吸收导致。
2.剖腹产刀口一个针眼化脓还可能因为创面感染等原因导致。

1.缝合线不吸收:缝针后如果针眼化脓,考虑是对线头不吸收的原因所导致的。剖腹产刀口多采用可吸收线缝合,但是由于缝合线质量、个人体质等因素,也会导致缝合线不吸收,出现创面感染形成脓包的情况。一般建议患者及时到医院就诊,在医生的指导下将线头摘出,注意消炎抗感染处理即可。
2.创面感染:剖腹产刀口进行缝针处理后,如换药、清洁不到位,易导致创面组织发炎,长时间炎症刺激后形成脓包。一般建议患者在医生指导下使用阿莫西林、头孢等抗炎药物,达到较好的消炎效果,避免症状加重,同时还可以使用碘伏消毒。
","scanCount": 56044}}} {"@context": "https://ziyuan.baidu.com/contexts/cambrian.jsonld","appid": "1650708455561748","icon": "https://www.med-credit.org.cn/style/images/ttlogo.png","content_tag": ["atlas"],"is_mcn": {"thumb_id": "v2rm41u3"},"accid": "4886d626a2804dee5f11168793ce361672f39c25","@id": "https://www.med-credit.org.cn/mobile/jingxuan/2/edd27493a3f01147148a13efb7e61317.html","bagWordId": "5cabcd0276ef2b1a","title": "母乳图片","pubDate": "2023-03-29T10:32:19","upDate": "2023-03-29T10:32:19","lrDate": "2023-03-29T10:32:19","description": "母乳是产后女性乳房产生的用作哺育婴儿的汁液,母乳内含有多种营养物质。","data": {"WebPage": {"headline": "母乳图片","pcUrl": "https://www.med-credit.org.cn/jingxuan/2/edd27493a3f01147148a13efb7e61317.html","wapUrl": "https://www.med-credit.org.cn/jingxuan/2/edd27493a3f01147148a13efb7e61317.html","mipUrl": "https://www.med-credit.org.cn/mobile/jingxuan/2/edd27493a3f01147148a13efb7e61317.html","fromSrc": "欢乐橙","datePublished": "2023-03-29T10:32:19","domain": "医疗","category": ["医疗权威文章合作"],"description": "母乳是产后女性乳房产生的用作哺育婴儿的汁液,母乳内含有多种营养物质。
","extra_headline": [""]},"Author": {"name": "种轶文","wapUrl": "https://www.med-credit.org.cn/doctor/575","pcUrl": "https://www.med-credit.org.cn/doctor/575","jobTitle": "副主任医师","headPortrait": "https://www.med-credit.org.cn/uploadfile/member/575/180x180.jpeg","id": "575","description": "种轶文,北京大学第三医院妇产科副主任医师","memberOf": {"legalName": "北京大学第三医院","department": "妇产科","organizationLevel": "三级甲等"}},"Article": {"summaryContent": "母乳是产后女性乳房产生的用作哺育婴儿的汁液,母乳内含有多种营养物质。

1.母乳是新生儿降生初期最主要的营养物质来源,母乳中含有乳铁蛋白、碳水化合物、蛋白质、脂肪、维生素、矿物质、脂肪酸和牛磺酸等营养物质。
2.母乳是婴儿成长最自然、最安全、最完整的天然食物,它含有婴儿成长所需的所有营养和抗体,丰富的钙和磷可以使宝宝长的又高又壮;免疫球蛋白可以有效预防及保护婴儿免于感染及慢性病的发生;比非得因子和寡糖可以抑制肠道病菌增生和帮助消化。除此之外,哺喂母乳的亲密接触和亲子关系可刺激婴儿脑部及心智发育。
3.科学家已经发现母乳含有超过700种细菌。这些细菌的作用尚未完全研究清楚,但是这种微生物多样性能够帮助婴儿消化母乳或者促进婴儿的免疫体系形成。
","articleBody": "母乳是产后女性乳房产生的用作哺育婴儿的汁液,母乳内含有多种营养物质。

1.母乳是新生儿降生初期最主要的营养物质来源,母乳中含有乳铁蛋白、碳水化合物、蛋白质、脂肪、维生素、矿物质、脂肪酸和牛磺酸等营养物质。
2.母乳是婴儿成长最自然、最安全、最完整的天然食物,它含有婴儿成长所需的所有营养和抗体,丰富的钙和磷可以使宝宝长的又高又壮;免疫球蛋白可以有效预防及保护婴儿免于感染及慢性病的发生;比非得因子和寡糖可以抑制肠道病菌增生和帮助消化。除此之外,哺喂母乳的亲密接触和亲子关系可刺激婴儿脑部及心智发育。
3.科学家已经发现母乳含有超过700种细菌。这些细菌的作用尚未完全研究清楚,但是这种微生物多样性能够帮助婴儿消化母乳或者促进婴儿的免疫体系形成。
","scanCount": 56043}}} {"@context": "https://ziyuan.baidu.com/contexts/cambrian.jsonld","appid": "1650708455561748","icon": "https://www.med-credit.org.cn/style/images/ttlogo.png","content_tag": ["atlas"],"is_mcn": {"thumb_id": "v2rm41u3"},"accid": "4886d626a2804dee5f11168793ce361672f39c25","@id": "https://www.med-credit.org.cn/mobile/jingxuan/2/0ae1f06c855864ab90e55e6abc3fc29d.html","bagWordId": "88131eacc7c1de4c","title": "孕妇胯骨在哪个位置图片","pubDate": "2023-03-29T10:32:19","upDate": "2023-03-29T10:32:19","lrDate": "2023-03-29T10:32:19","description": "孕妇的胯骨在小腹左右,盆腔两侧,大腿上方。","data": {"WebPage": {"headline": "孕妇胯骨在哪个位置图片","pcUrl": "https://www.med-credit.org.cn/jingxuan/2/0ae1f06c855864ab90e55e6abc3fc29d.html","wapUrl": "https://www.med-credit.org.cn/jingxuan/2/0ae1f06c855864ab90e55e6abc3fc29d.html","mipUrl": "https://www.med-credit.org.cn/mobile/jingxuan/2/0ae1f06c855864ab90e55e6abc3fc29d.html","fromSrc": "欢乐橙","datePublished": "2023-03-29T10:32:19","domain": "医疗","category": ["医疗权威文章合作"],"description": "孕妇的胯骨在小腹左右,盆腔两侧,大腿上方。
","extra_headline": [""]},"Author": {"name": "种轶文","wapUrl": "https://www.med-credit.org.cn/doctor/575","pcUrl": "https://www.med-credit.org.cn/doctor/575","jobTitle": "副主任医师","headPortrait": "https://www.med-credit.org.cn/uploadfile/member/575/180x180.jpeg","id": "575","description": "种轶文,北京大学第三医院妇产科副主任医师","memberOf": {"legalName": "北京大学第三医院","department": "妇产科","organizationLevel": "三级甲等"}},"Article": {"summaryContent": "概述:
孕妇的胯骨在小腹左右,盆腔两侧,大腿上方。

胯骨图片
1.孕妇的胯骨位于骨盆内,胯骨,即髋骨,在哺乳动物中,构成骨盆外侧半的向上扩展的大骨,髋骨由三部分组成:髂骨,坐骨和耻骨。胯骨是一个大的不规则骨,从中心向上面和下面不规则膨胀。
2.两个髋骨在耻骨联合处连接,并与骶骨和尾骨一起构成骨盆的骨骼组成部分,即围绕骨盆腔的骨盆带。它们在骶髂关节处与骶骨连接,骶骨是轴向骨架的一部分。每个髋骨通过大的球窝关节连接到相应的股骨的臀部。
3.若孕产妇胯骨出现病变,建议患者及时就医进行进一步检查及治疗,听从医生指导,对症治疗,平时注意休息,保证睡眠充足,养成良好的作息习惯,调整饮食结构,尽量选择清淡饮食,多补充新鲜水果,蔬菜,适当进行体育锻炼。
","articleBody": "概述:
孕妇的胯骨在小腹左右,盆腔两侧,大腿上方。

胯骨图片
1.孕妇的胯骨位于骨盆内,胯骨,即髋骨,在哺乳动物中,构成骨盆外侧半的向上扩展的大骨,髋骨由三部分组成:髂骨,坐骨和耻骨。胯骨是一个大的不规则骨,从中心向上面和下面不规则膨胀。
2.两个髋骨在耻骨联合处连接,并与骶骨和尾骨一起构成骨盆的骨骼组成部分,即围绕骨盆腔的骨盆带。它们在骶髂关节处与骶骨连接,骶骨是轴向骨架的一部分。每个髋骨通过大的球窝关节连接到相应的股骨的臀部。
3.若孕产妇胯骨出现病变,建议患者及时就医进行进一步检查及治疗,听从医生指导,对症治疗,平时注意休息,保证睡眠充足,养成良好的作息习惯,调整饮食结构,尽量选择清淡饮食,多补充新鲜水果,蔬菜,适当进行体育锻炼。
","scanCount": 56042}}} {"@context": "https://ziyuan.baidu.com/contexts/cambrian.jsonld","appid": "1650708455561748","icon": "https://www.med-credit.org.cn/style/images/ttlogo.png","content_tag": ["atlas"],"is_mcn": {"thumb_id": "v2rm41u3"},"accid": "4886d626a2804dee5f11168793ce361672f39c25","@id": "https://www.med-credit.org.cn/mobile/jingxuan/2/1358995049fbd4e3e34f45c35dc4d92e.html","bagWordId": "4bb1a6b5f51bb2b4","title": "怀孕4周孕囊大小图片","pubDate": "2023-03-29T10:32:19","upDate": "2023-03-29T10:32:19","lrDate": "2023-03-29T10:32:19","description": "孕囊也称妊娠囊,是由羊膜和血管包裹住的胚胎组织。孕期4周的孕囊一般是2-4厘米椭圆形状。","data": {"WebPage": {"headline": "怀孕4周孕囊大小图片","pcUrl": "https://www.med-credit.org.cn/jingxuan/2/1358995049fbd4e3e34f45c35dc4d92e.html","wapUrl": "https://www.med-credit.org.cn/jingxuan/2/1358995049fbd4e3e34f45c35dc4d92e.html","mipUrl": "https://www.med-credit.org.cn/mobile/jingxuan/2/1358995049fbd4e3e34f45c35dc4d92e.html","fromSrc": "欢乐橙","datePublished": "2023-03-29T10:32:19","domain": "医疗","category": ["医疗权威文章合作"],"description": "孕囊也称妊娠囊,是由羊膜和血管包裹住的胚胎组织。孕期4周的孕囊一般是2-4厘米椭圆形状。
","extra_headline": [""]},"Author": {"name": "种轶文","wapUrl": "https://www.med-credit.org.cn/doctor/575","pcUrl": "https://www.med-credit.org.cn/doctor/575","jobTitle": "副主任医师","headPortrait": "https://www.med-credit.org.cn/uploadfile/member/575/180x180.jpeg","id": "575","description": "种轶文,北京大学第三医院妇产科副主任医师","memberOf": {"legalName": "北京大学第三医院","department": "妇产科","organizationLevel": "三级甲等"}},"Article": {"summaryContent": "概述:
孕囊也称妊娠囊,是由羊膜和血管包裹住的胚胎组织。孕期4周的孕囊一般是2-4厘米椭圆形状。

怀孕4周孕囊图片
症状:
1.检查方法:可以去三甲医院或专科妇产医院通过B超可以清楚地看到它的大小和形状,孕期4周的孕囊一般是2-4厘米椭圆形状。由此可以判断是宫内孕还是宫外孕。
2.若月经周期不规律而且比较长,那么排卵期也会相对比较晚,这种情况下怀孕4周看不到孕囊,可以等到怀孕6周左右的时候去医院进行B超检查,在观察期间一定要注意好休息,不要过度劳累。
3.怀孕4周是胎儿发育的黄金时期,一定要定时检查,多加注意,合理饮食,补充营养,防止出现意外。
4.会有部分胎儿可能发育的比较快导致孕囊达到8厘米的情况,这些都是正常情况,我们必须定期去医院检查绒毛膜促进腺激素。如果B超检查看不到胎心率和胚芽,那么这样的孕囊是不健康的,一定要注意早期流产。
","articleBody": "概述:
孕囊也称妊娠囊,是由羊膜和血管包裹住的胚胎组织。孕期4周的孕囊一般是2-4厘米椭圆形状。

怀孕4周孕囊图片
症状:
1.检查方法:可以去三甲医院或专科妇产医院通过B超可以清楚地看到它的大小和形状,孕期4周的孕囊一般是2-4厘米椭圆形状。由此可以判断是宫内孕还是宫外孕。
2.若月经周期不规律而且比较长,那么排卵期也会相对比较晚,这种情况下怀孕4周看不到孕囊,可以等到怀孕6周左右的时候去医院进行B超检查,在观察期间一定要注意好休息,不要过度劳累。
3.怀孕4周是胎儿发育的黄金时期,一定要定时检查,多加注意,合理饮食,补充营养,防止出现意外。
4.会有部分胎儿可能发育的比较快导致孕囊达到8厘米的情况,这些都是正常情况,我们必须定期去医院检查绒毛膜促进腺激素。如果B超检查看不到胎心率和胚芽,那么这样的孕囊是不健康的,一定要注意早期流产。
","scanCount": 56041}}} {"@context": "https://ziyuan.baidu.com/contexts/cambrian.jsonld","appid": "1650708455561748","icon": "https://www.med-credit.org.cn/style/images/ttlogo.png","content_tag": ["atlas"],"is_mcn": {"thumb_id": "v2rm41u3"},"accid": "4886d626a2804dee5f11168793ce361672f39c25","@id": "https://www.med-credit.org.cn/mobile/jingxuan/2/190602361f4fc800676be8e5168fbb4b.html","bagWordId": "0ee6e2677a7ba185","title": "羊水和尿液的区别图","pubDate": "2023-03-29T10:32:19","upDate": "2023-03-29T10:32:19","lrDate": "2023-03-29T10:32:19","description": "羊水和尿液的区别主要表现在流出的多少以及部位、液体性质和孕妇自身感觉等方面。","data": {"WebPage": {"headline": "羊水和尿液的区别图","pcUrl": "https://www.med-credit.org.cn/jingxuan/2/190602361f4fc800676be8e5168fbb4b.html","wapUrl": "https://www.med-credit.org.cn/jingxuan/2/190602361f4fc800676be8e5168fbb4b.html","mipUrl": "https://www.med-credit.org.cn/mobile/jingxuan/2/190602361f4fc800676be8e5168fbb4b.html","fromSrc": "欢乐橙","datePublished": "2023-03-29T10:32:19","domain": "医疗","category": ["医疗权威文章合作"],"description": "羊水和尿液的区别主要表现在流出的多少以及部位、液体性质和孕妇自身感觉等方面。
","extra_headline": [""]},"Author": {"name": "种轶文","wapUrl": "https://www.med-credit.org.cn/doctor/575","pcUrl": "https://www.med-credit.org.cn/doctor/575","jobTitle": "副主任医师","headPortrait": "https://www.med-credit.org.cn/uploadfile/member/575/180x180.jpeg","id": "575","description": "种轶文,北京大学第三医院妇产科副主任医师","memberOf": {"legalName": "北京大学第三医院","department": "妇产科","organizationLevel": "三级甲等"}},"Article": {"summaryContent": "概述:
羊水和尿液的区别主要表现在流出的多少以及部位、液体性质和孕妇自身感觉等方面。
区别:
1、流出的多少和部位:在液体流出时观察部位,羊水从阴部流下来,而尿液是从尿道口排出。另外,羊水的量较尿液多一些。
2、液体性质:羊水的性质通常无色无味,孕晚期可稍浑浊而不透明。尿液多为淡黄色,会有氨臭的气味。取PH试纸测定,羊水的PH值约为7.0~7.5,试纸变为蓝色,尿液的PH值约为5.5~6.5,试纸不变色。
3、孕妇感觉:孕妇可以根据感觉来区分,通常情况下羊水是不可控的且有时伴有见红,而尿液可以用肌肉控制,且液体排除伴有舒畅的感觉。另外,如果伴有阵痛则为羊水,羊水破裂提示即将临产。

尿液
注意事项:
如果感觉可能是尿液且没有其他不适,则不需要过于担心,保持局部清洁即可。如果可能为羊水,请立即在家人的陪同下前往产检建档的医院就诊,不要过多走动,以免造成不良后果。
","articleBody": "概述:
羊水和尿液的区别主要表现在流出的多少以及部位、液体性质和孕妇自身感觉等方面。
区别:
1、流出的多少和部位:在液体流出时观察部位,羊水从阴部流下来,而尿液是从尿道口排出。另外,羊水的量较尿液多一些。
2、液体性质:羊水的性质通常无色无味,孕晚期可稍浑浊而不透明。尿液多为淡黄色,会有氨臭的气味。取PH试纸测定,羊水的PH值约为7.0~7.5,试纸变为蓝色,尿液的PH值约为5.5~6.5,试纸不变色。
3、孕妇感觉:孕妇可以根据感觉来区分,通常情况下羊水是不可控的且有时伴有见红,而尿液可以用肌肉控制,且液体排除伴有舒畅的感觉。另外,如果伴有阵痛则为羊水,羊水破裂提示即将临产。

尿液
注意事项:
如果感觉可能是尿液且没有其他不适,则不需要过于担心,保持局部清洁即可。如果可能为羊水,请立即在家人的陪同下前往产检建档的医院就诊,不要过多走动,以免造成不良后果。
","scanCount": 56040}}} {"@context": "https://ziyuan.baidu.com/contexts/cambrian.jsonld","appid": "1650708455561748","icon": "https://www.med-credit.org.cn/style/images/ttlogo.png","content_tag": ["atlas"],"is_mcn": {"thumb_id": "v2rm41u3"},"accid": "4886d626a2804dee5f11168793ce361672f39c25","@id": "https://www.med-credit.org.cn/mobile/jingxuan/2/c6e65be57531784ec8af984eceaf00d6.html","bagWordId": "4a5143788365ad06","title": "怀孕六周孕囊图片","pubDate": "2023-03-29T10:32:19","upDate": "2023-03-29T10:32:19","lrDate": "2023-03-29T10:32:19","description": "1.怀孕6周孕囊大约直径为2cm,呈现出椭圆形或圆形,偶尔也会出现长条状。","data": {"WebPage": {"headline": "怀孕六周孕囊图片","pcUrl": "https://www.med-credit.org.cn/jingxuan/2/c6e65be57531784ec8af984eceaf00d6.html","wapUrl": "https://www.med-credit.org.cn/jingxuan/2/c6e65be57531784ec8af984eceaf00d6.html","mipUrl": "https://www.med-credit.org.cn/mobile/jingxuan/2/c6e65be57531784ec8af984eceaf00d6.html","fromSrc": "欢乐橙","datePublished": "2023-03-29T10:32:19","domain": "医疗","category": ["医疗权威文章合作"],"description": "1.怀孕6周孕囊大约直径为2cm,呈现出椭圆形或圆形,偶尔也会出现长条状。
","extra_headline": [""]},"Author": {"name": "种轶文","wapUrl": "https://www.med-credit.org.cn/doctor/575","pcUrl": "https://www.med-credit.org.cn/doctor/575","jobTitle": "副主任医师","headPortrait": "https://www.med-credit.org.cn/uploadfile/member/575/180x180.jpeg","id": "575","description": "种轶文,北京大学第三医院妇产科副主任医师","memberOf": {"legalName": "北京大学第三医院","department": "妇产科","organizationLevel": "三级甲等"}},"Article": {"summaryContent": "概述:
1.怀孕6周孕囊大约直径为2cm,呈现出椭圆形或圆形,偶尔也会出现长条状。
2.孕囊是原始的胎盘组织。

怀孕六周孕囊图片
外观及注意事项:
1.孕囊被羊膜、血管网包裹的小胚胎。孕囊是怀孕最初的形态,那时候胎儿还没有形成,胎芽出现时已经有胎心跳动了。
2.怀孕6周孕囊孕囊的位置可出现在子宫的前臂、后壁、上部、中部、宫底。怀孕6周通过B超可以清晰的看到孕囊,并可见胎心和胎芽,此时胎儿身长大约长到0.85厘米,并且有脑泡、呼吸、头部、额面器官、消化、神经等器官分化。
3.怀孕6周胚胎并不稳定,应放松心情,注意休息,多食用核桃、鱼类等促进神经系统发育,补充叶酸,禁烟禁酒禁咖啡以及各种兴奋剂等,在床边准备易消化的食物如面包、饼干、水等以防晨吐,抑制恶心症状,多吃蔬菜,应及时孕检,避免性生活。
","articleBody": "概述:
1.怀孕6周孕囊大约直径为2cm,呈现出椭圆形或圆形,偶尔也会出现长条状。
2.孕囊是原始的胎盘组织。

怀孕六周孕囊图片
外观及注意事项:
1.孕囊被羊膜、血管网包裹的小胚胎。孕囊是怀孕最初的形态,那时候胎儿还没有形成,胎芽出现时已经有胎心跳动了。
2.怀孕6周孕囊孕囊的位置可出现在子宫的前臂、后壁、上部、中部、宫底。怀孕6周通过B超可以清晰的看到孕囊,并可见胎心和胎芽,此时胎儿身长大约长到0.85厘米,并且有脑泡、呼吸、头部、额面器官、消化、神经等器官分化。
3.怀孕6周胚胎并不稳定,应放松心情,注意休息,多食用核桃、鱼类等促进神经系统发育,补充叶酸,禁烟禁酒禁咖啡以及各种兴奋剂等,在床边准备易消化的食物如面包、饼干、水等以防晨吐,抑制恶心症状,多吃蔬菜,应及时孕检,避免性生活。
","scanCount": 56039}}} {"@context": "https://ziyuan.baidu.com/contexts/cambrian.jsonld","appid": "1650708455561748","icon": "https://www.med-credit.org.cn/style/images/ttlogo.png","content_tag": ["atlas"],"is_mcn": {"thumb_id": "v2rm41u3"},"accid": "4886d626a2804dee5f11168793ce361672f39c25","@id": "https://www.med-credit.org.cn/mobile/jingxuan/2/a7ab5ff96b110db78674c9153a2159a2.html","bagWordId": "ffb5b8be88eefeb6","title": "孕38周有果冻状分泌物图片","pubDate": "2023-03-29T10:32:19","upDate": "2023-03-29T10:32:19","lrDate": "2023-03-29T10:32:19","description": "孕38周有果冻状分泌物是临产的表现,但也需注意分泌物中是否有其他颜色。","data": {"WebPage": {"headline": "孕38周有果冻状分泌物图片","pcUrl": "https://www.med-credit.org.cn/jingxuan/2/a7ab5ff96b110db78674c9153a2159a2.html","wapUrl": "https://www.med-credit.org.cn/jingxuan/2/a7ab5ff96b110db78674c9153a2159a2.html","mipUrl": "https://www.med-credit.org.cn/mobile/jingxuan/2/a7ab5ff96b110db78674c9153a2159a2.html","fromSrc": "欢乐橙","datePublished": "2023-03-29T10:32:19","domain": "医疗","category": ["医疗权威文章合作"],"description": "孕38周有果冻状分泌物是临产的表现,但也需注意分泌物中是否有其他颜色。
","extra_headline": [""]},"Author": {"name": "种轶文","wapUrl": "https://www.med-credit.org.cn/doctor/575","pcUrl": "https://www.med-credit.org.cn/doctor/575","jobTitle": "副主任医师","headPortrait": "https://www.med-credit.org.cn/uploadfile/member/575/180x180.jpeg","id": "575","description": "种轶文,北京大学第三医院妇产科副主任医师","memberOf": {"legalName": "北京大学第三医院","department": "妇产科","organizationLevel": "三级甲等"}},"Article": {"summaryContent": "孕38周有果冻状分泌物是临产的表现,但也需注意分泌物中是否有其他颜色。
不同的分泌物颜色可能有不同的原因。

1.正常果冻状分泌物:一般在怀孕第38周时孕妇会发现有果冻状的分泌物排出体外,这是是孕晚期的正常现象,该现象的出现是因为在孕晚期时孕妇的宫颈管会逐渐变软、缩短,这是身体为了临产做准备,此时宫颈的腺体会大量分泌,由于分泌的激素性质较粘稠,所以表现为果冻状。此时应该注意胎心、胎动以及孕妇血压的变化,如胎心正常、羊水适量则可安心待产,建议孕妇保持心情放松、规律饮食、避免劳累。
2.分泌物带红色或褐色:一般临床称这种现象为见红,一般见红24至48小时左右即开始分娩,需保持密切观察。
3.分泌物颜色异常:这种情况多考虑阴道炎等疾病,需及时行白带检查,及时治疗。
建议孕妇当出现果冻状分泌物时尽快前往医院,以便得到及时的护理。
","articleBody": "孕38周有果冻状分泌物是临产的表现,但也需注意分泌物中是否有其他颜色。
不同的分泌物颜色可能有不同的原因。

1.正常果冻状分泌物:一般在怀孕第38周时孕妇会发现有果冻状的分泌物排出体外,这是是孕晚期的正常现象,该现象的出现是因为在孕晚期时孕妇的宫颈管会逐渐变软、缩短,这是身体为了临产做准备,此时宫颈的腺体会大量分泌,由于分泌的激素性质较粘稠,所以表现为果冻状。此时应该注意胎心、胎动以及孕妇血压的变化,如胎心正常、羊水适量则可安心待产,建议孕妇保持心情放松、规律饮食、避免劳累。
2.分泌物带红色或褐色:一般临床称这种现象为见红,一般见红24至48小时左右即开始分娩,需保持密切观察。
3.分泌物颜色异常:这种情况多考虑阴道炎等疾病,需及时行白带检查,及时治疗。
建议孕妇当出现果冻状分泌物时尽快前往医院,以便得到及时的护理。
","scanCount": 56038}}} {"@context": "https://ziyuan.baidu.com/contexts/cambrian.jsonld","appid": "1650708455561748","icon": "https://www.med-credit.org.cn/style/images/ttlogo.png","content_tag": ["atlas"],"is_mcn": {"thumb_id": "v2rm41u3"},"accid": "4886d626a2804dee5f11168793ce361672f39c25","@id": "https://www.med-credit.org.cn/mobile/jingxuan/2/f488ced493c7b57f12cb58e42c022634.html","bagWordId": "e3fa718932f1ff05","title": "剖腹产麻药针多长图片","pubDate": "2023-03-29T10:32:19","upDate": "2023-03-29T10:32:19","lrDate": "2023-03-29T10:32:19","description": "剖腹产打麻药的针长大概8cm。","data": {"WebPage": {"headline": "剖腹产麻药针多长图片","pcUrl": "https://www.med-credit.org.cn/jingxuan/2/f488ced493c7b57f12cb58e42c022634.html","wapUrl": "https://www.med-credit.org.cn/jingxuan/2/f488ced493c7b57f12cb58e42c022634.html","mipUrl": "https://www.med-credit.org.cn/mobile/jingxuan/2/f488ced493c7b57f12cb58e42c022634.html","fromSrc": "欢乐橙","datePublished": "2023-03-29T10:32:19","domain": "医疗","category": ["医疗权威文章合作"],"description": "剖腹产打麻药的针长大概8cm。
","extra_headline": [""]},"Author": {"name": "种轶文","wapUrl": "https://www.med-credit.org.cn/doctor/575","pcUrl": "https://www.med-credit.org.cn/doctor/575","jobTitle": "副主任医师","headPortrait": "https://www.med-credit.org.cn/uploadfile/member/575/180x180.jpeg","id": "575","description": "种轶文,北京大学第三医院妇产科副主任医师","memberOf": {"legalName": "北京大学第三医院","department": "妇产科","organizationLevel": "三级甲等"}},"Article": {"summaryContent": "概述:
剖腹产打麻药的针长大概8cm。

剖腹产麻醉针图片
1.剖腹产的麻醉方式是在临床上很常见的一种麻醉方式,打麻药的针是临床上较为常用的腰椎穿刺针,腰椎穿刺针会比一般的临床使用的注射针要长和粗一点,剖腹产的常用麻醉方式是腰椎麻醉,注射麻醉时采取左卧位的方式,屈膝至胸前,蜷缩成虾米状,使腰3、腰4尽可能的暴露,麻醉师将药物注射至腰椎内,注射的部位可能会出现皮下出血、红肿等相关情况,若出现红肿,可能是存在感染,应用碘伏或酒精消毒,一天一次,大概5~7天可以治愈。
2.此外椎管内麻醉因为是交感神经被阻滞,最长出现的是血压下降,因为硬脊膜被穿破,脑脊液会渗漏,导致脊柱内的压力下降,易出现麻醉后头痛的症状。如果麻醉的平面稍高,会出现胸闷气促,吸气无力等症状。
","articleBody": "概述:
剖腹产打麻药的针长大概8cm。

剖腹产麻醉针图片
1.剖腹产的麻醉方式是在临床上很常见的一种麻醉方式,打麻药的针是临床上较为常用的腰椎穿刺针,腰椎穿刺针会比一般的临床使用的注射针要长和粗一点,剖腹产的常用麻醉方式是腰椎麻醉,注射麻醉时采取左卧位的方式,屈膝至胸前,蜷缩成虾米状,使腰3、腰4尽可能的暴露,麻醉师将药物注射至腰椎内,注射的部位可能会出现皮下出血、红肿等相关情况,若出现红肿,可能是存在感染,应用碘伏或酒精消毒,一天一次,大概5~7天可以治愈。
2.此外椎管内麻醉因为是交感神经被阻滞,最长出现的是血压下降,因为硬脊膜被穿破,脑脊液会渗漏,导致脊柱内的压力下降,易出现麻醉后头痛的症状。如果麻醉的平面稍高,会出现胸闷气促,吸气无力等症状。
","scanCount": 56037}}} {"@context": "https://ziyuan.baidu.com/contexts/cambrian.jsonld","appid": "1650708455561748","icon": "https://www.med-credit.org.cn/style/images/ttlogo.png","content_tag": ["atlas"],"is_mcn": {"thumb_id": "v2rm41u3"},"accid": "4886d626a2804dee5f11168793ce361672f39c25","@id": "https://www.med-credit.org.cn/mobile/jingxuan/2/6315aaaa9ef3b56eaeefe881cc28fd92.html","bagWordId": "1eab54900e9c966f","title": "胎盘低置提升姿势图片","pubDate": "2023-03-29T10:32:19","upDate": "2023-03-29T10:32:19","lrDate": "2023-03-29T10:32:19","description": "1.胎盘低置提升姿势可以睡觉时可以把枕头放在屁股下。","data": {"WebPage": {"headline": "胎盘低置提升姿势图片","pcUrl": "https://www.med-credit.org.cn/jingxuan/2/6315aaaa9ef3b56eaeefe881cc28fd92.html","wapUrl": "https://www.med-credit.org.cn/jingxuan/2/6315aaaa9ef3b56eaeefe881cc28fd92.html","mipUrl": "https://www.med-credit.org.cn/mobile/jingxuan/2/6315aaaa9ef3b56eaeefe881cc28fd92.html","fromSrc": "欢乐橙","datePublished": "2023-03-29T10:32:19","domain": "医疗","category": ["医疗权威文章合作"],"description": "1.胎盘低置提升姿势可以睡觉时可以把枕头放在屁股下。
","extra_headline": [""]},"Author": {"name": "种轶文","wapUrl": "https://www.med-credit.org.cn/doctor/575","pcUrl": "https://www.med-credit.org.cn/doctor/575","jobTitle": "副主任医师","headPortrait": "https://www.med-credit.org.cn/uploadfile/member/575/180x180.jpeg","id": "575","description": "种轶文,北京大学第三医院妇产科副主任医师","memberOf": {"legalName": "北京大学第三医院","department": "妇产科","organizationLevel": "三级甲等"}},"Article": {"summaryContent": "1.胎盘低置提升姿势可以睡觉时可以把枕头放在屁股下。
2.胎盘位置正常分为前壁胎盘、后壁胎盘、宫底胎盘、侧壁胎盘,如果胎盘低置就属于胎盘位置异常。
解释
1.胎盘低置容易出现无痛性阴道出血,平时需要注意避免剧烈运动、避免性生活。
2.如果是孕早期发现低置胎盘,随着孕周增加胎盘位置有可能上升,平时需要注意卧床休息,睡觉时可以把枕头放在屁股下有利于胎盘提升,但需要感觉舒适,如果感觉不舒服就可以不用枕头。
3.卧床休息时可以对四肢进行按摩,有利于血液循环,从而有利于胎儿及胎盘位置的上升,还需要加强营养均衡,多吃蔬菜、水果补充维生素,多吃核桃、杏核等坚果类食物补充钙物质,有利于胎盘上升及胎儿发育,定期产检确定胎盘情况。
","articleBody": "1.胎盘低置提升姿势可以睡觉时可以把枕头放在屁股下。
2.胎盘位置正常分为前壁胎盘、后壁胎盘、宫底胎盘、侧壁胎盘,如果胎盘低置就属于胎盘位置异常。
解释
1.胎盘低置容易出现无痛性阴道出血,平时需要注意避免剧烈运动、避免性生活。
2.如果是孕早期发现低置胎盘,随着孕周增加胎盘位置有可能上升,平时需要注意卧床休息,睡觉时可以把枕头放在屁股下有利于胎盘提升,但需要感觉舒适,如果感觉不舒服就可以不用枕头。
3.卧床休息时可以对四肢进行按摩,有利于血液循环,从而有利于胎儿及胎盘位置的上升,还需要加强营养均衡,多吃蔬菜、水果补充维生素,多吃核桃、杏核等坚果类食物补充钙物质,有利于胎盘上升及胎儿发育,定期产检确定胎盘情况。
","scanCount": 56036}}} {"@context": "https://ziyuan.baidu.com/contexts/cambrian.jsonld","appid": "1650708455561748","icon": "https://www.med-credit.org.cn/style/images/ttlogo.png","content_tag": ["atlas"],"is_mcn": {"thumb_id": "v2rm41u3"},"accid": "4886d626a2804dee5f11168793ce361672f39c25","@id": "https://www.med-credit.org.cn/mobile/jingxuan/2/b640967eb65410b4135c22ff7a2af5e7.html","bagWordId": "30b781a869d24e9a","title": "孕早期正常腹痛位置图","pubDate": "2023-03-29T10:32:19","upDate": "2023-03-29T10:32:19","lrDate": "2023-03-29T10:32:19","description": "孕早期正常的腹痛位置位于胃部位置或者下腹部疼痛。","data": {"WebPage": {"headline": "孕早期正常腹痛位置图","pcUrl": "https://www.med-credit.org.cn/jingxuan/2/b640967eb65410b4135c22ff7a2af5e7.html","wapUrl": "https://www.med-credit.org.cn/jingxuan/2/b640967eb65410b4135c22ff7a2af5e7.html","mipUrl": "https://www.med-credit.org.cn/mobile/jingxuan/2/b640967eb65410b4135c22ff7a2af5e7.html","fromSrc": "欢乐橙","datePublished": "2023-03-29T10:32:19","domain": "医疗","category": ["医疗权威文章合作"],"description": "孕早期正常的腹痛位置位于胃部位置或者下腹部疼痛。
","extra_headline": [""]},"Author": {"name": "种轶文","wapUrl": "https://www.med-credit.org.cn/doctor/575","pcUrl": "https://www.med-credit.org.cn/doctor/575","jobTitle": "副主任医师","headPortrait": "https://www.med-credit.org.cn/uploadfile/member/575/180x180.jpeg","id": "575","description": "种轶文,北京大学第三医院妇产科副主任医师","memberOf": {"legalName": "北京大学第三医院","department": "妇产科","organizationLevel": "三级甲等"}},"Article": {"summaryContent": "孕早期正常的腹痛位置位于胃部位置或者下腹部疼痛。
孕早期生理性的腹痛可能由于胃酸分泌过多,激素分泌异常导致的。

1.孕早期正常的腹痛,即生理性腹痛。部分孕妇会感觉有些胃痛,有时还伴有呕吐等早孕反应,这主要是由孕早期胃酸分泌增多引起的。
2.还有些孕妇孕早期下腹部会有些许的疼痛坠胀的感觉,且孕妇自觉腰部酸痛不已。疼痛一开始是半个小时两三次,每次持续45秒,以后变为10分钟两次,每次持续2~3分钟。
2.孕早期异常腹痛:
孕早期除了生理性的腹痛,还需要警惕病理性的腹痛,如果出现阵发性小腹痛或有规则腹痛、腰痛、骨盆腔痛,如果同时伴有阴道点状出血或腹部明显下坠感,可能预示着先兆流产。如出现单侧下腹部剧痛,伴有阴道出血或出现昏厥,可能是宫外孕。患者需要及时前往医院进行检查治疗。
","articleBody": "孕早期正常的腹痛位置位于胃部位置或者下腹部疼痛。
孕早期生理性的腹痛可能由于胃酸分泌过多,激素分泌异常导致的。

1.孕早期正常的腹痛,即生理性腹痛。部分孕妇会感觉有些胃痛,有时还伴有呕吐等早孕反应,这主要是由孕早期胃酸分泌增多引起的。
2.还有些孕妇孕早期下腹部会有些许的疼痛坠胀的感觉,且孕妇自觉腰部酸痛不已。疼痛一开始是半个小时两三次,每次持续45秒,以后变为10分钟两次,每次持续2~3分钟。
2.孕早期异常腹痛:
孕早期除了生理性的腹痛,还需要警惕病理性的腹痛,如果出现阵发性小腹痛或有规则腹痛、腰痛、骨盆腔痛,如果同时伴有阴道点状出血或腹部明显下坠感,可能预示着先兆流产。如出现单侧下腹部剧痛,伴有阴道出血或出现昏厥,可能是宫外孕。患者需要及时前往医院进行检查治疗。
","scanCount": 56035}}} {"@context": "https://ziyuan.baidu.com/contexts/cambrian.jsonld","appid": "1650708455561748","icon": "https://www.med-credit.org.cn/style/images/ttlogo.png","content_tag": ["atlas"],"is_mcn": {"thumb_id": "v2rm41u3"},"accid": "4886d626a2804dee5f11168793ce361672f39c25","@id": "https://www.med-credit.org.cn/mobile/jingxuan/2/eadebe155418d86eefc1efe47bea47e6.html","bagWordId": "c838d28641aa3e91","title": "产后肚皮松垮严重图片","pubDate": "2023-03-29T10:32:19","upDate": "2023-03-29T10:32:19","lrDate": "2023-03-29T10:32:19","description": "产后肚皮松垮严重表现为皮肤褶皱增多。","data": {"WebPage": {"headline": "产后肚皮松垮严重图片","pcUrl": "https://www.med-credit.org.cn/jingxuan/2/eadebe155418d86eefc1efe47bea47e6.html","wapUrl": "https://www.med-credit.org.cn/jingxuan/2/eadebe155418d86eefc1efe47bea47e6.html","mipUrl": "https://www.med-credit.org.cn/mobile/jingxuan/2/eadebe155418d86eefc1efe47bea47e6.html","fromSrc": "欢乐橙","datePublished": "2023-03-29T10:32:19","domain": "医疗","category": ["医疗权威文章合作"],"description": "产后肚皮松垮严重表现为皮肤褶皱增多。
","extra_headline": [""]},"Author": {"name": "种轶文","wapUrl": "https://www.med-credit.org.cn/doctor/575","pcUrl": "https://www.med-credit.org.cn/doctor/575","jobTitle": "副主任医师","headPortrait": "https://www.med-credit.org.cn/uploadfile/member/575/180x180.jpeg","id": "575","description": "种轶文,北京大学第三医院妇产科副主任医师","memberOf": {"legalName": "北京大学第三医院","department": "妇产科","organizationLevel": "三级甲等"}},"Article": {"summaryContent": "产后肚皮松垮严重表现为皮肤褶皱增多。
1.因为孕激素和雌激素的影响,孕妇体内的内分泌环境发生改变,导致血容量增加,发生皮下水肿,产后,血容量减少,水肿减轻,腹部腹壁松弛。
2.由于在妊娠期时,孕妇需要摄入大量营养,导致皮下脂肪增多,而生产后导致腹壁松弛。
3.在妊娠期时,体内松弛素的影响,而导致腹直肌等腹部肌肉肌纤维松弛,生产后,仍然受松弛素影响,导致腹部的腹壁松弛。

1.如果是由于激素的改变,导致血容量增加,产后导致腹壁的松弛的情况,通常在产褥期的时候能够恢复正常,身体会将多余的水分代谢完。
2.如果是脂肪堆积导致的腹壁松弛,则可以通过锻炼、腹部按摩将腹部多余的脂肪减少,从而恢复腹部肌肉的紧致。
3.在产褥期后,进行适当的体育锻炼,像是瑜伽、体操等运动,这些都有利于恢复女性的身体体型、恢复腹部肌肉的紧致。
4.注意饮食的清淡,避免吃油腻、辛辣、刺激、生冷的食物,以及少摄入脂肪、糖含量过多的食物。
5.注意休息,保证良好睡眠。
","articleBody": "产后肚皮松垮严重表现为皮肤褶皱增多。
1.因为孕激素和雌激素的影响,孕妇体内的内分泌环境发生改变,导致血容量增加,发生皮下水肿,产后,血容量减少,水肿减轻,腹部腹壁松弛。
2.由于在妊娠期时,孕妇需要摄入大量营养,导致皮下脂肪增多,而生产后导致腹壁松弛。
3.在妊娠期时,体内松弛素的影响,而导致腹直肌等腹部肌肉肌纤维松弛,生产后,仍然受松弛素影响,导致腹部的腹壁松弛。

1.如果是由于激素的改变,导致血容量增加,产后导致腹壁的松弛的情况,通常在产褥期的时候能够恢复正常,身体会将多余的水分代谢完。
2.如果是脂肪堆积导致的腹壁松弛,则可以通过锻炼、腹部按摩将腹部多余的脂肪减少,从而恢复腹部肌肉的紧致。
3.在产褥期后,进行适当的体育锻炼,像是瑜伽、体操等运动,这些都有利于恢复女性的身体体型、恢复腹部肌肉的紧致。
4.注意饮食的清淡,避免吃油腻、辛辣、刺激、生冷的食物,以及少摄入脂肪、糖含量过多的食物。
5.注意休息,保证良好睡眠。
","scanCount": 56034}}} {"@context": "https://ziyuan.baidu.com/contexts/cambrian.jsonld","appid": "1650708455561748","icon": "https://www.med-credit.org.cn/style/images/ttlogo.png","content_tag": ["atlas"],"is_mcn": {"thumb_id": "v2rm41u3"},"accid": "4886d626a2804dee5f11168793ce361672f39c25","@id": "https://www.med-credit.org.cn/mobile/jingxuan/2/446eabd2e5fd665579f9c0caade8d395.html","bagWordId": "24d106d8b16b9727","title": "卵巢癌腹痛的位置图片","pubDate": "2023-03-29T10:32:19","upDate": "2023-03-29T10:32:19","lrDate": "2023-03-29T10:32:19","description": "卵巢癌腹痛的位置在下腹。除腹痛外,卵巢癌还会出现腹胀、食欲下降、消瘦、阴道流血等表现。","data": {"WebPage": {"headline": "卵巢癌腹痛的位置图片","pcUrl": "https://www.med-credit.org.cn/jingxuan/2/446eabd2e5fd665579f9c0caade8d395.html","wapUrl": "https://www.med-credit.org.cn/jingxuan/2/446eabd2e5fd665579f9c0caade8d395.html","mipUrl": "https://www.med-credit.org.cn/mobile/jingxuan/2/446eabd2e5fd665579f9c0caade8d395.html","fromSrc": "欢乐橙","datePublished": "2023-03-29T10:32:19","domain": "医疗","category": ["医疗权威文章合作"],"description": "卵巢癌腹痛的位置在下腹。除腹痛外,卵巢癌还会出现腹胀、食欲下降、消瘦、阴道流血等表现。
","extra_headline": [""]},"Author": {"name": "种轶文","wapUrl": "https://www.med-credit.org.cn/doctor/575","pcUrl": "https://www.med-credit.org.cn/doctor/575","jobTitle": "副主任医师","headPortrait": "https://www.med-credit.org.cn/uploadfile/member/575/180x180.jpeg","id": "575","description": "种轶文,北京大学第三医院妇产科副主任医师","memberOf": {"legalName": "北京大学第三医院","department": "妇产科","organizationLevel": "三级甲等"}},"Article": {"summaryContent": "卵巢癌腹痛的位置在下腹。除腹痛外,卵巢癌还会出现腹胀、食欲下降、消瘦、阴道流血等表现。

1.腹痛:卵巢癌早期常常并没有什么症状,随着肿块不断增大,会出现腹胀、腹痛等占位压迫性表现,包块较大者还可以在下腹部病变侧扪及包块。同时卵巢癌晚期由于肿瘤生长刺激炎症反应发生还会产生腹水,腹水的增多也会导致腹胀腹痛的表现。
2.其他症状:除腹痛以外,卵巢癌还会出现消瘦、食欲下降、阴道流血等表现,由于卵巢癌为恶性消耗性疾病,同时肿块占位会对腹腔内肠管等消化器官产生压迫作用,会导致患者出现食欲减退、消瘦的表现。一些影响内分泌功能的肿瘤,如子宫内膜癌卵巢转移者可能会出现不规则阴道流血、卵巢恶性性索间质肿瘤会出现绝经后阴道流血等。
","articleBody": "卵巢癌腹痛的位置在下腹。除腹痛外,卵巢癌还会出现腹胀、食欲下降、消瘦、阴道流血等表现。

1.腹痛:卵巢癌早期常常并没有什么症状,随着肿块不断增大,会出现腹胀、腹痛等占位压迫性表现,包块较大者还可以在下腹部病变侧扪及包块。同时卵巢癌晚期由于肿瘤生长刺激炎症反应发生还会产生腹水,腹水的增多也会导致腹胀腹痛的表现。
2.其他症状:除腹痛以外,卵巢癌还会出现消瘦、食欲下降、阴道流血等表现,由于卵巢癌为恶性消耗性疾病,同时肿块占位会对腹腔内肠管等消化器官产生压迫作用,会导致患者出现食欲减退、消瘦的表现。一些影响内分泌功能的肿瘤,如子宫内膜癌卵巢转移者可能会出现不规则阴道流血、卵巢恶性性索间质肿瘤会出现绝经后阴道流血等。
","scanCount": 56033}}} {"@context": "https://ziyuan.baidu.com/contexts/cambrian.jsonld","appid": "1650708455561748","icon": "https://www.med-credit.org.cn/style/images/ttlogo.png","content_tag": ["atlas"],"is_mcn": {"thumb_id": "v2rm41u3"},"accid": "4886d626a2804dee5f11168793ce361672f39c25","@id": "https://www.med-credit.org.cn/mobile/jingxuan/2/bbffa53afcb6993ff92a8a26ae2c22f9.html","bagWordId": "6e5aab4aba8254d1","title": "胎心监护满分图","pubDate": "2023-03-29T10:32:19","upDate": "2023-03-29T10:32:19","lrDate": "2023-03-29T10:32:19","description": "胎心监护满分是十分,即胎心率基线波动在120-160次/分之间,胎心率的摆动幅度在10-25次/分,并且一分钟内胎心波动次数大于或等于6次。","data": {"WebPage": {"headline": "胎心监护满分图","pcUrl": "https://www.med-credit.org.cn/jingxuan/2/bbffa53afcb6993ff92a8a26ae2c22f9.html","wapUrl": "https://www.med-credit.org.cn/jingxuan/2/bbffa53afcb6993ff92a8a26ae2c22f9.html","mipUrl": "https://www.med-credit.org.cn/mobile/jingxuan/2/bbffa53afcb6993ff92a8a26ae2c22f9.html","fromSrc": "欢乐橙","datePublished": "2023-03-29T10:32:19","domain": "医疗","category": ["医疗权威文章合作"],"description": "胎心监护满分是十分,即胎心率基线波动在120-160次/分之间,胎心率的摆动幅度在10-25次/分,并且一分钟内胎心波动次数大于或等于6次。
","extra_headline": [""]},"Author": {"name": "种轶文","wapUrl": "https://www.med-credit.org.cn/doctor/575","pcUrl": "https://www.med-credit.org.cn/doctor/575","jobTitle": "副主任医师","headPortrait": "https://www.med-credit.org.cn/uploadfile/member/575/180x180.jpeg","id": "575","description": "种轶文,北京大学第三医院妇产科副主任医师","memberOf": {"legalName": "北京大学第三医院","department": "妇产科","organizationLevel": "三级甲等"}},"Article": {"summaryContent": "胎心监护满分是十分,即胎心率基线波动在120-160次/分之间,胎心率的摆动幅度在10-25次/分,并且一分钟内胎心波动次数大于或等于6次。

胎心率基线是指在无胎动以及子宫收缩的影响下,10分钟以上的胎心率平均值,是一条波动起伏的带状曲线,曲线中央的一条假想线,便是胎心率基线。
胎心率的暂时性加快或减慢是因为受到了胎动、宫缩、触诊及声响刺激的影响,随后会恢复到基线水平。通过这个指标能够判断胎儿是否处于危险状态。
胎心监护如果低于八分,责可能胎儿出现了缺氧的情况,要注意换茬胎儿的状态,及时通知医生进行处理。
孕妇在怀孕过程中建议每周去医院做一次胎心监护,其他时间可以自己在家数胎动。一般来说,在每日三餐后以卧床或坐位数一个小时的胎动,将三次的胎动数相加并乘以4,如果次数大于30次,则说明胎儿情况良好,如严重不足,则需前往医院进行进一步的检查。
","articleBody": "胎心监护满分是十分,即胎心率基线波动在120-160次/分之间,胎心率的摆动幅度在10-25次/分,并且一分钟内胎心波动次数大于或等于6次。

胎心率基线是指在无胎动以及子宫收缩的影响下,10分钟以上的胎心率平均值,是一条波动起伏的带状曲线,曲线中央的一条假想线,便是胎心率基线。
胎心率的暂时性加快或减慢是因为受到了胎动、宫缩、触诊及声响刺激的影响,随后会恢复到基线水平。通过这个指标能够判断胎儿是否处于危险状态。
胎心监护如果低于八分,责可能胎儿出现了缺氧的情况,要注意换茬胎儿的状态,及时通知医生进行处理。
孕妇在怀孕过程中建议每周去医院做一次胎心监护,其他时间可以自己在家数胎动。一般来说,在每日三餐后以卧床或坐位数一个小时的胎动,将三次的胎动数相加并乘以4,如果次数大于30次,则说明胎儿情况良好,如严重不足,则需前往医院进行进一步的检查。
","scanCount": 56032}}} {"@context": "https://ziyuan.baidu.com/contexts/cambrian.jsonld","appid": "1650708455561748","icon": "https://www.med-credit.org.cn/style/images/ttlogo.png","content_tag": ["atlas"],"is_mcn": {"thumb_id": "v2rm41u3"},"accid": "4886d626a2804dee5f11168793ce361672f39c25","@id": "https://www.med-credit.org.cn/mobile/jingxuan/2/84052e22fd0776981b67514ec2bdfb4f.html","bagWordId": "aa242460e4c9282e","title": "羊水一度二度三度图片","pubDate": "2023-03-29T10:32:19","upDate": "2023-03-29T10:32:19","lrDate": "2023-03-29T10:32:19","description": "1.临床上的羊水Ⅰ度、Ⅱ度、Ⅲ度是指羊水的浑浊程度。","data": {"WebPage": {"headline": "羊水一度二度三度图片","pcUrl": "https://www.med-credit.org.cn/jingxuan/2/84052e22fd0776981b67514ec2bdfb4f.html","wapUrl": "https://www.med-credit.org.cn/jingxuan/2/84052e22fd0776981b67514ec2bdfb4f.html","mipUrl": "https://www.med-credit.org.cn/mobile/jingxuan/2/84052e22fd0776981b67514ec2bdfb4f.html","fromSrc": "欢乐橙","datePublished": "2023-03-29T10:32:19","domain": "医疗","category": ["医疗权威文章合作"],"description": "1.临床上的羊水Ⅰ度、Ⅱ度、Ⅲ度是指羊水的浑浊程度。
","extra_headline": [""]},"Author": {"name": "种轶文","wapUrl": "https://www.med-credit.org.cn/doctor/575","pcUrl": "https://www.med-credit.org.cn/doctor/575","jobTitle": "副主任医师","headPortrait": "https://www.med-credit.org.cn/uploadfile/member/575/180x180.jpeg","id": "575","description": "种轶文,北京大学第三医院妇产科副主任医师","memberOf": {"legalName": "北京大学第三医院","department": "妇产科","organizationLevel": "三级甲等"}},"Article": {"summaryContent": "概述:
1.临床上的羊水Ⅰ度、Ⅱ度、Ⅲ度是指羊水的浑浊程度。
2.临床一般会在孕妇临产或破水后对羊水性状进行混浊程度的分度,并通过分度来评判胎儿的缺氧程度。
外观及其他:
1.正常羊水表现为稀薄透明、淡黄色的液体,孕晚期的羊水会含有各种毳毛、胎脂以及上皮细胞,甚至会见到固体的有形物质。
2.Ⅰ度羊水一般表现为淡黄色或略带褐色、黄色,性状较透明、轻薄、清亮。Ⅱ度羊水一般表现为墨绿色,性状仍然较稀薄。Ⅲ度羊水一般表现为是黄绿色且较粘稠,类似于粪便污染。
I度羊水图片

Ⅱ度羊水图片

Ⅲ度羊水图片
3.在正常情况下,由于胎儿在子宫内时肛门括约肌会紧闭,并不会有胎粪排出,但当胎儿缺氧时,会引起肛门括约肌松弛,肠蠕动增加,导致胎粪排出,羊水被胎粪污染,排出的胎粪越多,羊水污染的程度就越重,也说明胎儿缺氧的程度越重。
4.临产后,如果羊水处于Ⅰ-Ⅱ度之间,孕妇如果可以分娩,在医师的严格监测下,是可以继续分娩的。但如果羊水达到Ⅲ度,胎儿随时有缺氧窒息的风险,需立即终止妊娠,行剖宫产将胎儿取出。
","articleBody": "概述:
1.临床上的羊水Ⅰ度、Ⅱ度、Ⅲ度是指羊水的浑浊程度。
2.临床一般会在孕妇临产或破水后对羊水性状进行混浊程度的分度,并通过分度来评判胎儿的缺氧程度。
外观及其他:
1.正常羊水表现为稀薄透明、淡黄色的液体,孕晚期的羊水会含有各种毳毛、胎脂以及上皮细胞,甚至会见到固体的有形物质。
2.Ⅰ度羊水一般表现为淡黄色或略带褐色、黄色,性状较透明、轻薄、清亮。Ⅱ度羊水一般表现为墨绿色,性状仍然较稀薄。Ⅲ度羊水一般表现为是黄绿色且较粘稠,类似于粪便污染。
I度羊水图片

Ⅱ度羊水图片

Ⅲ度羊水图片
3.在正常情况下,由于胎儿在子宫内时肛门括约肌会紧闭,并不会有胎粪排出,但当胎儿缺氧时,会引起肛门括约肌松弛,肠蠕动增加,导致胎粪排出,羊水被胎粪污染,排出的胎粪越多,羊水污染的程度就越重,也说明胎儿缺氧的程度越重。
4.临产后,如果羊水处于Ⅰ-Ⅱ度之间,孕妇如果可以分娩,在医师的严格监测下,是可以继续分娩的。但如果羊水达到Ⅲ度,胎儿随时有缺氧窒息的风险,需立即终止妊娠,行剖宫产将胎儿取出。
","scanCount": 56031}}} {"@context": "https://ziyuan.baidu.com/contexts/cambrian.jsonld","appid": "1650708455561748","icon": "https://www.med-credit.org.cn/style/images/ttlogo.png","content_tag": ["atlas"],"is_mcn": {"thumb_id": "v2rm41u3"},"accid": "4886d626a2804dee5f11168793ce361672f39c25","@id": "https://www.med-credit.org.cn/mobile/jingxuan/2/6ef8e0d9ea2153539696b9d6319aa0e2.html","bagWordId": "fe79707abed9d5f3","title": "不同孕期sd pi ri值对照表","pubDate": "2023-03-29T10:32:19","upDate": "2023-03-29T10:32:19","lrDate": "2023-03-29T10:32:19","description": "不同孕期S/D值的变化规律是:怀孕中期(孕13—27周),S/D正常值在3.0—3.5左右;在怀孕晚期(孕27—40周),S/D正常值在2.0—3.0左右;孕期PI的正常值一般小于1.5,RI的正常值一般在0.8以下。","data": {"WebPage": {"headline": "不同孕期sd pi ri值对照表","pcUrl": "https://www.med-credit.org.cn/jingxuan/2/6ef8e0d9ea2153539696b9d6319aa0e2.html","wapUrl": "https://www.med-credit.org.cn/jingxuan/2/6ef8e0d9ea2153539696b9d6319aa0e2.html","mipUrl": "https://www.med-credit.org.cn/mobile/jingxuan/2/6ef8e0d9ea2153539696b9d6319aa0e2.html","fromSrc": "欢乐橙","datePublished": "2023-03-29T10:32:19","domain": "医疗","category": ["医疗权威文章合作"],"description": "不同孕期S/D值的变化规律是:怀孕中期(孕13—27周),S/D正常值在3.0—3.5左右;在怀孕晚期(孕27—40周),S/D正常值在2.0—3.0左右;孕期PI的正常值一般小于1.5,RI的正常值一般在0.8以下。
","extra_headline": [""]},"Author": {"name": "种轶文","wapUrl": "https://www.med-credit.org.cn/doctor/575","pcUrl": "https://www.med-credit.org.cn/doctor/575","jobTitle": "副主任医师","headPortrait": "https://www.med-credit.org.cn/uploadfile/member/575/180x180.jpeg","id": "575","description": "种轶文,北京大学第三医院妇产科副主任医师","memberOf": {"legalName": "北京大学第三医院","department": "妇产科","organizationLevel": "三级甲等"}},"Article": {"summaryContent": "不同孕期S/D值的变化规律是:怀孕中期(孕13—27周),S/D正常值在3.0—3.5左右;在怀孕晚期(孕27—40周),S/D正常值在2.0—3.0左右;孕期PI的正常值一般小于1.5,RI的正常值一般在0.8以下。

1.S/D:是胎儿脐动脉收缩压与舒张压的比值,跟胎儿供血有关,数值出现异常说明胎盘功能不良或脐带。在正常妊娠情况下,孕周增加,胎儿S下降,D升高,比值下降,近足月妊娠时S/D小于3。随着妊娠的进展,S/D值一般是逐渐降低的。S/D比值升高表明胎儿可能宫内缺氧,要结合胎心监护的评分综合分析胎儿目前宫内情况,作出相应的决定。
2.PI:搏动指数,各孕周PI的正常值范围:孕21-27周为1.08±0.22~1.00±0.20;孕28-40周为0.95±0.19~0.84±0.16。
3.RI:阻力指数,各孕周RI的正常值范围:孕21-27周为0.63±0.08~0.63±0.07;孕28-40周为0.63±0.07~0.53±0.08。
怀孕期间,需要定期产检,一旦发现S/D、PI、RI异常,需要及时治疗。
","articleBody": "不同孕期S/D值的变化规律是:怀孕中期(孕13—27周),S/D正常值在3.0—3.5左右;在怀孕晚期(孕27—40周),S/D正常值在2.0—3.0左右;孕期PI的正常值一般小于1.5,RI的正常值一般在0.8以下。

1.S/D:是胎儿脐动脉收缩压与舒张压的比值,跟胎儿供血有关,数值出现异常说明胎盘功能不良或脐带。在正常妊娠情况下,孕周增加,胎儿S下降,D升高,比值下降,近足月妊娠时S/D小于3。随着妊娠的进展,S/D值一般是逐渐降低的。S/D比值升高表明胎儿可能宫内缺氧,要结合胎心监护的评分综合分析胎儿目前宫内情况,作出相应的决定。
2.PI:搏动指数,各孕周PI的正常值范围:孕21-27周为1.08±0.22~1.00±0.20;孕28-40周为0.95±0.19~0.84±0.16。
3.RI:阻力指数,各孕周RI的正常值范围:孕21-27周为0.63±0.08~0.63±0.07;孕28-40周为0.63±0.07~0.53±0.08。
怀孕期间,需要定期产检,一旦发现S/D、PI、RI异常,需要及时治疗。
","scanCount": 56030}}} {"@context": "https://ziyuan.baidu.com/contexts/cambrian.jsonld","appid": "1650708455561748","icon": "https://www.med-credit.org.cn/style/images/ttlogo.png","content_tag": ["atlas"],"is_mcn": {"thumb_id": "v2rm41u3"},"accid": "4886d626a2804dee5f11168793ce361672f39c25","@id": "https://www.med-credit.org.cn/mobile/jingxuan/2/8bff7f7bb41a8f8bcacef991bb49fad0.html","bagWordId": "a38e939f0df9b117","title": "剖腹产麻醉针多粗图片","pubDate": "2023-03-29T10:32:19","upDate": "2023-03-29T10:32:19","lrDate": "2023-03-29T10:32:19","description": "剖腹产麻醉针直径1.2mm-2mm左右。","data": {"WebPage": {"headline": "剖腹产麻醉针多粗图片","pcUrl": "https://www.med-credit.org.cn/jingxuan/2/8bff7f7bb41a8f8bcacef991bb49fad0.html","wapUrl": "https://www.med-credit.org.cn/jingxuan/2/8bff7f7bb41a8f8bcacef991bb49fad0.html","mipUrl": "https://www.med-credit.org.cn/mobile/jingxuan/2/8bff7f7bb41a8f8bcacef991bb49fad0.html","fromSrc": "欢乐橙","datePublished": "2023-03-29T10:32:19","domain": "医疗","category": ["医疗权威文章合作"],"description": "剖腹产麻醉针直径1.2mm-2mm左右。
","extra_headline": [""]},"Author": {"name": "种轶文","wapUrl": "https://www.med-credit.org.cn/doctor/575","pcUrl": "https://www.med-credit.org.cn/doctor/575","jobTitle": "副主任医师","headPortrait": "https://www.med-credit.org.cn/uploadfile/member/575/180x180.jpeg","id": "575","description": "种轶文,北京大学第三医院妇产科副主任医师","memberOf": {"legalName": "北京大学第三医院","department": "妇产科","organizationLevel": "三级甲等"}},"Article": {"summaryContent": "剖腹产麻醉针直径1.2mm-2mm左右。

1.剖腹产常采取蛛网膜下隙-硬膜外联合麻醉,蛛网膜下隙神经阻滞过程为体位固定后,首先用利多卡因或普鲁卡因对皮内、皮下、棘间韧带逐层浸润麻醉,再行蛛网膜下隙穿刺术。因局部浸润麻醉所需时间很短,因此在穿刺过程中,患者是没有痛感的。硬膜外麻醉所用穿刺针直径较蛛网膜下隙神经阻滞所用穿刺针大,用作内侧置入硬膜外导管,但穿刺术前同样会进行表皮及皮下浸润麻醉,患者同样没有明显痛感。只有在进行表皮局部麻醉时,初进针会有痛感,但此种感觉对于即将临盆的产妇而言更是微乎其微。
2.因此,需要进行剖腹产的患者无需过度担心麻醉针的粗细,它的根本目的是为了减轻患者的痛苦,是为手术更好进行服务的。
","articleBody": "剖腹产麻醉针直径1.2mm-2mm左右。

1.剖腹产常采取蛛网膜下隙-硬膜外联合麻醉,蛛网膜下隙神经阻滞过程为体位固定后,首先用利多卡因或普鲁卡因对皮内、皮下、棘间韧带逐层浸润麻醉,再行蛛网膜下隙穿刺术。因局部浸润麻醉所需时间很短,因此在穿刺过程中,患者是没有痛感的。硬膜外麻醉所用穿刺针直径较蛛网膜下隙神经阻滞所用穿刺针大,用作内侧置入硬膜外导管,但穿刺术前同样会进行表皮及皮下浸润麻醉,患者同样没有明显痛感。只有在进行表皮局部麻醉时,初进针会有痛感,但此种感觉对于即将临盆的产妇而言更是微乎其微。
2.因此,需要进行剖腹产的患者无需过度担心麻醉针的粗细,它的根本目的是为了减轻患者的痛苦,是为手术更好进行服务的。
","scanCount": 56029}}} {"@context": "https://ziyuan.baidu.com/contexts/cambrian.jsonld","appid": "1650708455561748","icon": "https://www.med-credit.org.cn/style/images/ttlogo.png","content_tag": ["atlas"],"is_mcn": {"thumb_id": "v2rm41u3"},"accid": "4886d626a2804dee5f11168793ce361672f39c25","@id": "https://www.med-credit.org.cn/mobile/jingxuan/2/6ac2f0a4937f84f478a8028e375b33da.html","bagWordId": "b44f724999490f87","title": "高位破水分泌物图片","pubDate": "2023-03-29T10:32:19","upDate": "2023-03-29T10:32:19","lrDate": "2023-03-29T10:32:19","description": "高位破水分泌物为破水位置较高,靠近子宫,通常孕妇会有阴道潮湿的感觉,但流出的速度慢,有点类似阴道感染时分泌物流出的症状,引起高位破水分泌物的原因很多,可能是生殖道感染、羊膜腔压力升高、胎膜受力不均等。","data": {"WebPage": {"headline": "高位破水分泌物图片","pcUrl": "https://www.med-credit.org.cn/jingxuan/2/6ac2f0a4937f84f478a8028e375b33da.html","wapUrl": "https://www.med-credit.org.cn/jingxuan/2/6ac2f0a4937f84f478a8028e375b33da.html","mipUrl": "https://www.med-credit.org.cn/mobile/jingxuan/2/6ac2f0a4937f84f478a8028e375b33da.html","fromSrc": "欢乐橙","datePublished": "2023-03-29T10:32:19","domain": "医疗","category": ["医疗权威文章合作"],"description": "高位破水分泌物为破水位置较高,靠近子宫,通常孕妇会有阴道潮湿的感觉,但流出的速度慢,有点类似阴道感染时分泌物流出的症状,引起高位破水分泌物的原因很多,可能是生殖道感染、羊膜腔压力升高、胎膜受力不均等。
","extra_headline": [""]},"Author": {"name": "种轶文","wapUrl": "https://www.med-credit.org.cn/doctor/575","pcUrl": "https://www.med-credit.org.cn/doctor/575","jobTitle": "副主任医师","headPortrait": "https://www.med-credit.org.cn/uploadfile/member/575/180x180.jpeg","id": "575","description": "种轶文,北京大学第三医院妇产科副主任医师","memberOf": {"legalName": "北京大学第三医院","department": "妇产科","organizationLevel": "三级甲等"}},"Article": {"summaryContent": "高位破水分泌物为破水位置较高,靠近子宫,通常孕妇会有阴道潮湿的感觉,但流出的速度慢,有点类似阴道感染时分泌物流出的症状,引起高位破水分泌物的原因很多,可能是生殖道感染、羊膜腔压力升高、胎膜受力不均等。

1.生殖道感染:常见病原菌为厌氧菌、衣原体等。通过上行感染宫颈内口胎膜,导致胎膜局部张力下降,引起破水分泌物出现。治疗为应用抗生素治疗感染,比如青霉素、罗红霉素、广谱抗生素等治疗。药物应用应在医生指导下使用。
2.羊膜腔压力升高:妊娠晚期的薄弱区为覆盖宫颈局部的胎膜,当宫颈的压力过高时,可使胎膜破裂引起分泌物出现。治疗为高臀位卧床休息、加强营养、注意个人卫生,避免引起宫颈压力过高的情况出现。
3.胎膜受力不均:头盆不称、胎位异常等可使胎儿先露部不能与骨盆入口很好的衔接,导致羊膜囊受力不均,引起胎膜破水分泌物出现。
治疗为保证足够的休息,避免腹压突然增高,有明确剖宫产指征时,进行剖宫产终止妊娠。日常生活中,饮食要以高热量、高蛋白为主,确保足够的能量摄入;注意个人卫生,正确使用会阴垫,勤换洗内衣内裤;定期到医院产检。如果应用药物治疗,药物应用应在医生指导下使用,禁止自行停药换药等。发现问题,及时就诊,遵医嘱治疗。
","articleBody": "高位破水分泌物为破水位置较高,靠近子宫,通常孕妇会有阴道潮湿的感觉,但流出的速度慢,有点类似阴道感染时分泌物流出的症状,引起高位破水分泌物的原因很多,可能是生殖道感染、羊膜腔压力升高、胎膜受力不均等。

1.生殖道感染:常见病原菌为厌氧菌、衣原体等。通过上行感染宫颈内口胎膜,导致胎膜局部张力下降,引起破水分泌物出现。治疗为应用抗生素治疗感染,比如青霉素、罗红霉素、广谱抗生素等治疗。药物应用应在医生指导下使用。
2.羊膜腔压力升高:妊娠晚期的薄弱区为覆盖宫颈局部的胎膜,当宫颈的压力过高时,可使胎膜破裂引起分泌物出现。治疗为高臀位卧床休息、加强营养、注意个人卫生,避免引起宫颈压力过高的情况出现。
3.胎膜受力不均:头盆不称、胎位异常等可使胎儿先露部不能与骨盆入口很好的衔接,导致羊膜囊受力不均,引起胎膜破水分泌物出现。
治疗为保证足够的休息,避免腹压突然增高,有明确剖宫产指征时,进行剖宫产终止妊娠。日常生活中,饮食要以高热量、高蛋白为主,确保足够的能量摄入;注意个人卫生,正确使用会阴垫,勤换洗内衣内裤;定期到医院产检。如果应用药物治疗,药物应用应在医生指导下使用,禁止自行停药换药等。发现问题,及时就诊,遵医嘱治疗。
","scanCount": 56028}}} {"@context": "https://ziyuan.baidu.com/contexts/cambrian.jsonld","appid": "1650708455561748","icon": "https://www.med-credit.org.cn/style/images/ttlogo.png","content_tag": ["atlas"],"is_mcn": {"thumb_id": "v2rm41u3"},"accid": "4886d626a2804dee5f11168793ce361672f39c25","@id": "https://www.med-credit.org.cn/mobile/jingxuan/2/9b57eeb710ce66c52bfe9512592699b5.html","bagWordId": "62d032352b2d887b","title": "怀孕1一9月孕肚变化图","pubDate": "2023-03-29T10:32:19","upDate": "2023-03-29T10:32:19","lrDate": "2023-03-29T10:32:19","description": "怀孕1~9个月,孕妇肚子会逐渐增大。","data": {"WebPage": {"headline": "怀孕1一9月孕肚变化图","pcUrl": "https://www.med-credit.org.cn/jingxuan/2/9b57eeb710ce66c52bfe9512592699b5.html","wapUrl": "https://www.med-credit.org.cn/jingxuan/2/9b57eeb710ce66c52bfe9512592699b5.html","mipUrl": "https://www.med-credit.org.cn/mobile/jingxuan/2/9b57eeb710ce66c52bfe9512592699b5.html","fromSrc": "欢乐橙","datePublished": "2023-03-29T10:32:19","domain": "医疗","category": ["医疗权威文章合作"],"description": "怀孕1~9个月,孕妇肚子会逐渐增大。
","extra_headline": [""]},"Author": {"name": "种轶文","wapUrl": "https://www.med-credit.org.cn/doctor/575","pcUrl": "https://www.med-credit.org.cn/doctor/575","jobTitle": "副主任医师","headPortrait": "https://www.med-credit.org.cn/uploadfile/member/575/180x180.jpeg","id": "575","description": "种轶文,北京大学第三医院妇产科副主任医师","memberOf": {"legalName": "北京大学第三医院","department": "妇产科","organizationLevel": "三级甲等"}},"Article": {"summaryContent": "怀孕1~9个月,孕妇肚子会逐渐增大。

怀孕第1~3个月,表面看孕妇与孕前体型基本无差,若怀多胎则第三月可能看出腹部微凸。
至第4个月末时,胎儿体重约达120克,孕肚从表面可看出小腹微凸。
至第5个月末时,胎儿体重约250~300克,孕妇的下腹部隆起明显腹壁可摸到子宫内的胎体。
至第6个月时,胎儿体重约600~700克,孕妇出现典型孕妇体型,子宫底高18~21厘米,24周后可在腹壁摸到圆而硬的胎头、宽而软的胎臀、宽而平坦的胎背及小而不规则的胎儿肢体。
至第7个月时,胎儿体重约达1000克,孕妇子宫继续增大高度约26厘米,腹壁可摸到胎儿头、背及四肢,胎动活跃。
至第9个月时,胎儿体重约2.5千克,孕妇子宫持续增大高度约30厘米。
","articleBody": "怀孕1~9个月,孕妇肚子会逐渐增大。

怀孕第1~3个月,表面看孕妇与孕前体型基本无差,若怀多胎则第三月可能看出腹部微凸。
至第4个月末时,胎儿体重约达120克,孕肚从表面可看出小腹微凸。
至第5个月末时,胎儿体重约250~300克,孕妇的下腹部隆起明显腹壁可摸到子宫内的胎体。
至第6个月时,胎儿体重约600~700克,孕妇出现典型孕妇体型,子宫底高18~21厘米,24周后可在腹壁摸到圆而硬的胎头、宽而软的胎臀、宽而平坦的胎背及小而不规则的胎儿肢体。
至第7个月时,胎儿体重约达1000克,孕妇子宫继续增大高度约26厘米,腹壁可摸到胎儿头、背及四肢,胎动活跃。
至第9个月时,胎儿体重约2.5千克,孕妇子宫持续增大高度约30厘米。
","scanCount": 56027}}} {"@context": "https://ziyuan.baidu.com/contexts/cambrian.jsonld","appid": "1650708455561748","icon": "https://www.med-credit.org.cn/style/images/ttlogo.png","content_tag": ["atlas"],"is_mcn": {"thumb_id": "v2rm41u3"},"accid": "4886d626a2804dee5f11168793ce361672f39c25","@id": "https://www.med-credit.org.cn/mobile/jingxuan/2/8ef3a9cc36b42483e1efab74d178290d.html","bagWordId": "1152e8669c32a858","title": "孕吐高峰期曲线图","pubDate": "2023-03-29T10:32:19","upDate": "2023-03-29T10:32:19","lrDate": "2023-03-29T10:32:19","description": "孕吐高峰期曲线图是由妊娠周数和HCG含量组合而成,随着怀孕周期改变HCG的含量随之变化。","data": {"WebPage": {"headline": "孕吐高峰期曲线图","pcUrl": "https://www.med-credit.org.cn/jingxuan/2/8ef3a9cc36b42483e1efab74d178290d.html","wapUrl": "https://www.med-credit.org.cn/jingxuan/2/8ef3a9cc36b42483e1efab74d178290d.html","mipUrl": "https://www.med-credit.org.cn/mobile/jingxuan/2/8ef3a9cc36b42483e1efab74d178290d.html","fromSrc": "欢乐橙","datePublished": "2023-03-29T10:32:19","domain": "医疗","category": ["医疗权威文章合作"],"description": "孕吐高峰期曲线图是由妊娠周数和HCG含量组合而成,随着怀孕周期改变HCG的含量随之变化。
","extra_headline": [""]},"Author": {"name": "种轶文","wapUrl": "https://www.med-credit.org.cn/doctor/575","pcUrl": "https://www.med-credit.org.cn/doctor/575","jobTitle": "副主任医师","headPortrait": "https://www.med-credit.org.cn/uploadfile/member/575/180x180.jpeg","id": "575","description": "种轶文,北京大学第三医院妇产科副主任医师","memberOf": {"legalName": "北京大学第三医院","department": "妇产科","organizationLevel": "三级甲等"}},"Article": {"summaryContent": "孕吐高峰期曲线图是由妊娠周数和HCG含量组合而成,随着怀孕周期改变HCG的含量随之变化。

1.孕吐高峰期曲线中,前10周孕妇人绒毛膜促性腺激素(HCG)指数将迅速上升,最高可达到60IU/ml,在8到10周的时候达到最高峰,此时孕产妇将会产生强烈的孕吐情况,并伴随头晕、疲惫、恶心等早孕反应。
2.在10到20周内孕妇人绒毛膜促性腺激素(HCG)指数将迅速下降,甚至降到10IU/ml以下,在12周左右,孕产妇的早孕反应将会明显好转。
3.在20周以后孕妇人绒毛膜促性腺激素(HCG)指数将保持平稳水平,不会再有明显变化,孕妇早孕反应也会相应消失。
综上所述,正常孕产妇早孕反应与人绒毛膜促性腺激素(HCG)密切相关,大多数孕产妇于怀孕后6周左右出现早孕反应,如恶心呕吐、头晕疲惫等现象,怀孕12周左右早孕症状几乎消失,逐渐恢复正常。
","articleBody": "孕吐高峰期曲线图是由妊娠周数和HCG含量组合而成,随着怀孕周期改变HCG的含量随之变化。

1.孕吐高峰期曲线中,前10周孕妇人绒毛膜促性腺激素(HCG)指数将迅速上升,最高可达到60IU/ml,在8到10周的时候达到最高峰,此时孕产妇将会产生强烈的孕吐情况,并伴随头晕、疲惫、恶心等早孕反应。
2.在10到20周内孕妇人绒毛膜促性腺激素(HCG)指数将迅速下降,甚至降到10IU/ml以下,在12周左右,孕产妇的早孕反应将会明显好转。
3.在20周以后孕妇人绒毛膜促性腺激素(HCG)指数将保持平稳水平,不会再有明显变化,孕妇早孕反应也会相应消失。
综上所述,正常孕产妇早孕反应与人绒毛膜促性腺激素(HCG)密切相关,大多数孕产妇于怀孕后6周左右出现早孕反应,如恶心呕吐、头晕疲惫等现象,怀孕12周左右早孕症状几乎消失,逐渐恢复正常。
","scanCount": 56026}}} {"@context": "https://ziyuan.baidu.com/contexts/cambrian.jsonld","appid": "1650708455561748","icon": "https://www.med-credit.org.cn/style/images/ttlogo.png","content_tag": ["atlas"],"is_mcn": {"thumb_id": "v2rm41u3"},"accid": "4886d626a2804dee5f11168793ce361672f39c25","@id": "https://www.med-credit.org.cn/mobile/jingxuan/2/33782b5f8de7d606f482e7fb2970eb1f.html","bagWordId": "aae173e11070519d","title": "葡萄胎实图","pubDate": "2023-03-29T10:32:19","upDate": "2023-03-29T10:32:19","lrDate": "2023-03-29T10:32:19","description": "1.葡萄胎是指妊娠后胚胎形成大小不一的水泡,水泡连接成串,形如葡萄。","data": {"WebPage": {"headline": "葡萄胎实图","pcUrl": "https://www.med-credit.org.cn/jingxuan/2/33782b5f8de7d606f482e7fb2970eb1f.html","wapUrl": "https://www.med-credit.org.cn/jingxuan/2/33782b5f8de7d606f482e7fb2970eb1f.html","mipUrl": "https://www.med-credit.org.cn/mobile/jingxuan/2/33782b5f8de7d606f482e7fb2970eb1f.html","fromSrc": "欢乐橙","datePublished": "2023-03-29T10:32:19","domain": "医疗","category": ["医疗权威文章合作"],"description": "1.葡萄胎是指妊娠后胚胎形成大小不一的水泡,水泡连接成串,形如葡萄。
","extra_headline": [""]},"Author": {"name": "种轶文","wapUrl": "https://www.med-credit.org.cn/doctor/575","pcUrl": "https://www.med-credit.org.cn/doctor/575","jobTitle": "副主任医师","headPortrait": "https://www.med-credit.org.cn/uploadfile/member/575/180x180.jpeg","id": "575","description": "种轶文,北京大学第三医院妇产科副主任医师","memberOf": {"legalName": "北京大学第三医院","department": "妇产科","organizationLevel": "三级甲等"}},"Article": {"summaryContent": "概述:
1.葡萄胎是指妊娠后胚胎形成大小不一的水泡,水泡连接成串,形如葡萄。
2.葡萄胎是一种妊娠滋养细胞疾病。

葡萄胎图片
病因症状:
1.该疾病病因目前尚不十分明确,多考虑与遗传、营养、环境等因素有关。由于葡萄胎是一种异常妊娠,早期症状与正常妊娠相似,但临床多见停经后阴道流血、剧烈呕吐、腹痛等症状。
2.根据病理分型和临床表现可分为完全性葡萄胎和部分性葡萄胎。完全性是指宫腔内无胎儿或胚胎组织存在,宫腔内充满水泡样组织;部分性是指胎儿与葡萄胎共同生长,但是胎儿多死亡,偶见孕龄较小活胎或畸胎。
3.该疾病一旦确诊应立即予以清除,常见治疗方式主要包括清宫术、子宫切除术,通过清除宫内葡萄胎组织,达到治疗目的。日常注意清淡饮食,多进食高蛋白、富含维生素食物,保持充足睡眠,注意个人卫生,保持轻松愉快心情。
","articleBody": "概述:
1.葡萄胎是指妊娠后胚胎形成大小不一的水泡,水泡连接成串,形如葡萄。
2.葡萄胎是一种妊娠滋养细胞疾病。

葡萄胎图片
病因症状:
1.该疾病病因目前尚不十分明确,多考虑与遗传、营养、环境等因素有关。由于葡萄胎是一种异常妊娠,早期症状与正常妊娠相似,但临床多见停经后阴道流血、剧烈呕吐、腹痛等症状。
2.根据病理分型和临床表现可分为完全性葡萄胎和部分性葡萄胎。完全性是指宫腔内无胎儿或胚胎组织存在,宫腔内充满水泡样组织;部分性是指胎儿与葡萄胎共同生长,但是胎儿多死亡,偶见孕龄较小活胎或畸胎。
3.该疾病一旦确诊应立即予以清除,常见治疗方式主要包括清宫术、子宫切除术,通过清除宫内葡萄胎组织,达到治疗目的。日常注意清淡饮食,多进食高蛋白、富含维生素食物,保持充足睡眠,注意个人卫生,保持轻松愉快心情。
","scanCount": 56025}}} {"@context": "https://ziyuan.baidu.com/contexts/cambrian.jsonld","appid": "1650708455561748","icon": "https://www.med-credit.org.cn/style/images/ttlogo.png","content_tag": ["atlas"],"is_mcn": {"thumb_id": "v2rm41u3"},"accid": "4886d626a2804dee5f11168793ce361672f39c25","@id": "https://www.med-credit.org.cn/mobile/jingxuan/2/e0de9980cddb9866c2423b665c51e8b1.html","bagWordId": "d68ef787592f010d","title": "宫外孕出血真实图片","pubDate": "2023-03-29T10:32:19","upDate": "2023-03-29T10:32:19","lrDate": "2023-03-29T10:32:19","description": "宫外孕出血可表现为阴道流血或者腹腔内流血。","data": {"WebPage": {"headline": "宫外孕出血真实图片","pcUrl": "https://www.med-credit.org.cn/jingxuan/2/e0de9980cddb9866c2423b665c51e8b1.html","wapUrl": "https://www.med-credit.org.cn/jingxuan/2/e0de9980cddb9866c2423b665c51e8b1.html","mipUrl": "https://www.med-credit.org.cn/mobile/jingxuan/2/e0de9980cddb9866c2423b665c51e8b1.html","fromSrc": "欢乐橙","datePublished": "2023-03-29T10:32:19","domain": "医疗","category": ["医疗权威文章合作"],"description": "宫外孕出血可表现为阴道流血或者腹腔内流血。
","extra_headline": [""]},"Author": {"name": "种轶文","wapUrl": "https://www.med-credit.org.cn/doctor/575","pcUrl": "https://www.med-credit.org.cn/doctor/575","jobTitle": "副主任医师","headPortrait": "https://www.med-credit.org.cn/uploadfile/member/575/180x180.jpeg","id": "575","description": "种轶文,北京大学第三医院妇产科副主任医师","memberOf": {"legalName": "北京大学第三医院","department": "妇产科","organizationLevel": "三级甲等"}},"Article": {"summaryContent": "宫外孕出血可表现为阴道流血或者腹腔内流血。

1.宫外孕也称为异位妊娠,指的是孕卵在子宫腔外着床发育的异常妊娠过程,以输卵管妊娠最常见。病因常由于输卵管管腔或周围的炎症,引起管腔通畅不佳,阻碍孕卵正常运行,使之在输卵管内停留、着床、发育,导致输卵管妊娠流产或破裂。
2.宫外孕的出血分为两大类:腹腔内出血以及阴道流血。
1)腹腔内出血:从外表面看不到出血征象,但是腹腔内会有大量的血液,患者会伴随有剧烈的腹痛、肛门下坠感,甚至会有心慌、晕厥等失血性休克的症状。
2)阴道出血:如果胚胎附着在宫颈或剖宫产瘢痕等处,一旦发生流产,可能会出现阴道大出血。此时可能肚子不疼,但是出血很多,也可能会出现失血性休克的症状。
","articleBody": "宫外孕出血可表现为阴道流血或者腹腔内流血。

1.宫外孕也称为异位妊娠,指的是孕卵在子宫腔外着床发育的异常妊娠过程,以输卵管妊娠最常见。病因常由于输卵管管腔或周围的炎症,引起管腔通畅不佳,阻碍孕卵正常运行,使之在输卵管内停留、着床、发育,导致输卵管妊娠流产或破裂。
2.宫外孕的出血分为两大类:腹腔内出血以及阴道流血。
1)腹腔内出血:从外表面看不到出血征象,但是腹腔内会有大量的血液,患者会伴随有剧烈的腹痛、肛门下坠感,甚至会有心慌、晕厥等失血性休克的症状。
2)阴道出血:如果胚胎附着在宫颈或剖宫产瘢痕等处,一旦发生流产,可能会出现阴道大出血。此时可能肚子不疼,但是出血很多,也可能会出现失血性休克的症状。
","scanCount": 56024}}} {"@context": "https://ziyuan.baidu.com/contexts/cambrian.jsonld","appid": "1650708455561748","icon": "https://www.med-credit.org.cn/style/images/ttlogo.png","content_tag": ["atlas"],"is_mcn": {"thumb_id": "v2rm41u3"},"accid": "4886d626a2804dee5f11168793ce361672f39c25","@id": "https://www.med-credit.org.cn/mobile/jingxuan/2/e44c4b39025dbfd35e7cf165ff232364.html","bagWordId": "d87ec738f4677b74","title": "怀孕的肚子和胖的肚子区别图片","pubDate": "2023-03-29T10:32:19","upDate": "2023-03-29T10:32:19","lrDate": "2023-03-29T10:32:19","description": "怀孕所引起的肚子大和肥胖所引起的肚子大是有很大的区别的,比如说肚子增大的快慢,肚子的柔软程度,孕期反应是否存在,肚子是否单独增大等方面。","data": {"WebPage": {"headline": "怀孕的肚子和胖的肚子区别图片","pcUrl": "https://www.med-credit.org.cn/jingxuan/2/e44c4b39025dbfd35e7cf165ff232364.html","wapUrl": "https://www.med-credit.org.cn/jingxuan/2/e44c4b39025dbfd35e7cf165ff232364.html","mipUrl": "https://www.med-credit.org.cn/mobile/jingxuan/2/e44c4b39025dbfd35e7cf165ff232364.html","fromSrc": "欢乐橙","datePublished": "2023-03-29T10:32:19","domain": "医疗","category": ["医疗权威文章合作"],"description": "怀孕所引起的肚子大和肥胖所引起的肚子大是有很大的区别的,比如说肚子增大的快慢,肚子的柔软程度,孕期反应是否存在,肚子是否单独增大等方面。
","extra_headline": [""]},"Author": {"name": "种轶文","wapUrl": "https://www.med-credit.org.cn/doctor/575","pcUrl": "https://www.med-credit.org.cn/doctor/575","jobTitle": "副主任医师","headPortrait": "https://www.med-credit.org.cn/uploadfile/member/575/180x180.jpeg","id": "575","description": "种轶文,北京大学第三医院妇产科副主任医师","memberOf": {"legalName": "北京大学第三医院","department": "妇产科","organizationLevel": "三级甲等"}},"Article": {"summaryContent": "概述:
怀孕所引起的肚子大和肥胖所引起的肚子大是有很大的区别的,比如说肚子增大的快慢,肚子的柔软程度,孕期反应是否存在,肚子是否单独增大等方面。

怀孕肚子和胖的肚子区别图片
区别:
1.肚子增大的快慢:女性如果是由于肥胖所引起的肚子大,其增大的程度与月份并没有明显的关联,但是在怀孕时,肚子增大呈现一定的与孕周数相关的表现。
2.肚子的柔软程度:如果是由于肥胖所引起的肚子大,肚子一般是由于腹部脂肪堆积,肚子非常的柔软,在吸气时可明显缩小。但是如果是由于怀孕引起的肚子增大,肚子是比较硬的,并不柔软,同时也不会随着呼吸有太大的变化。
3.孕期反应是否存在:在肥胖导致的腹部增大时,是不存在孕期反应的,但是对于怀孕的女性来说,除了肚子增大,还会存在多种孕期反应,比如恶心,呕吐,乳房胀痛等。
4.肚子是否单独增大:如果只有腹部增大而全身未有其他明显表现,可能是怀孕导致的。由于肥胖导致的除了肚子大外,也可怜全身肥胖的表现。
","articleBody": "概述:
怀孕所引起的肚子大和肥胖所引起的肚子大是有很大的区别的,比如说肚子增大的快慢,肚子的柔软程度,孕期反应是否存在,肚子是否单独增大等方面。

怀孕肚子和胖的肚子区别图片
区别:
1.肚子增大的快慢:女性如果是由于肥胖所引起的肚子大,其增大的程度与月份并没有明显的关联,但是在怀孕时,肚子增大呈现一定的与孕周数相关的表现。
2.肚子的柔软程度:如果是由于肥胖所引起的肚子大,肚子一般是由于腹部脂肪堆积,肚子非常的柔软,在吸气时可明显缩小。但是如果是由于怀孕引起的肚子增大,肚子是比较硬的,并不柔软,同时也不会随着呼吸有太大的变化。
3.孕期反应是否存在:在肥胖导致的腹部增大时,是不存在孕期反应的,但是对于怀孕的女性来说,除了肚子增大,还会存在多种孕期反应,比如恶心,呕吐,乳房胀痛等。
4.肚子是否单独增大:如果只有腹部增大而全身未有其他明显表现,可能是怀孕导致的。由于肥胖导致的除了肚子大外,也可怜全身肥胖的表现。
","scanCount": 56023}}} {"@context": "https://ziyuan.baidu.com/contexts/cambrian.jsonld","appid": "1650708455561748","icon": "https://www.med-credit.org.cn/style/images/ttlogo.png","content_tag": ["atlas"],"is_mcn": {"thumb_id": "v2rm41u3"},"accid": "4886d626a2804dee5f11168793ce361672f39c25","@id": "https://www.med-credit.org.cn/mobile/jingxuan/2/40897e83f00fe33a516e3a20cd6ceac2.html","bagWordId": "71acb3258d90a8df","title": "宫颈早期癌醋酸白图片","pubDate": "2023-03-29T10:32:19","upDate": "2023-03-29T10:32:19","lrDate": "2023-03-29T10:32:19","description": "宫颈癌的高危因素包括人乳头瘤病毒(HPV)感染、吸烟、过早的性生活、性伴侣过多、免疫抑制、口服避孕药等。","data": {"WebPage": {"headline": "宫颈早期癌醋酸白图片","pcUrl": "https://www.med-credit.org.cn/jingxuan/2/40897e83f00fe33a516e3a20cd6ceac2.html","wapUrl": "https://www.med-credit.org.cn/jingxuan/2/40897e83f00fe33a516e3a20cd6ceac2.html","mipUrl": "https://www.med-credit.org.cn/mobile/jingxuan/2/40897e83f00fe33a516e3a20cd6ceac2.html","fromSrc": "欢乐橙","datePublished": "2023-03-29T10:32:19","domain": "医疗","category": ["医疗权威文章合作"],"description": "宫颈癌的高危因素包括人乳头瘤病毒(HPV)感染、吸烟、过早的性生活、性伴侣过多、免疫抑制、口服避孕药等。
","extra_headline": [""]},"Author": {"name": "种轶文","wapUrl": "https://www.med-credit.org.cn/doctor/575","pcUrl": "https://www.med-credit.org.cn/doctor/575","jobTitle": "副主任医师","headPortrait": "https://www.med-credit.org.cn/uploadfile/member/575/180x180.jpeg","id": "575","description": "种轶文,北京大学第三医院妇产科副主任医师","memberOf": {"legalName": "北京大学第三医院","department": "妇产科","organizationLevel": "三级甲等"}},"Article": {"summaryContent": "概述:
宫颈癌的高危因素包括人乳头瘤病毒(HPV)感染、吸烟、过早的性生活、性伴侣过多、免疫抑制、口服避孕药等。如伴有HPV感染的宫颈早癌,在醋酸白试验中,被HPV感染的上皮细胞生成的角蛋白与正常细胞不同,涂上冰醋酸会显白,因此外涂冰醋酸2~5分钟后,可以看到皮损部位变白,周围正常部位则不变色。
症状:
宫颈癌早期没有明显症状,随着疾病进展,可以出现:阴道流血,多为接触后出现,绝经后的老年患者则表现为不规则阴道流血;阴道排液,可为白色/血性。晚期因病灶累及范围可出现不同的症状,如:尿频、尿急;输尿管梗阻;全身衰竭症状如贫血、恶病质等。
诊断:
早期诊断应该采用“三阶梯”程序:宫颈细胞学检查和(或)HPV检测、阴道镜检查、子宫颈活检,其中以组织学诊断为确诊依据。
治疗方法:
手术治疗,根据癌灶浸润情况,选择不同术式,其中早期宫颈癌的年轻患者可予保留卵巢及阴道功能。放射治疗,主要用于早期患者、辅助治疗以及姑息性治疗;全身治疗:如全身化疗、靶向、免疫治疗,常用于晚期和辅助治疗等。
预防宫颈癌的方法有:
接种HPV预防性疫苗,阻断HPV的感染以预防子宫癌;规范宫颈癌筛查,早期发现子宫颈上皮内瘤变,对高级别病变及时治疗,阻断宫颈浸润癌发生;保持生活方式健康。

醋酸白试验
","articleBody": "概述:
宫颈癌的高危因素包括人乳头瘤病毒(HPV)感染、吸烟、过早的性生活、性伴侣过多、免疫抑制、口服避孕药等。如伴有HPV感染的宫颈早癌,在醋酸白试验中,被HPV感染的上皮细胞生成的角蛋白与正常细胞不同,涂上冰醋酸会显白,因此外涂冰醋酸2~5分钟后,可以看到皮损部位变白,周围正常部位则不变色。
症状:
宫颈癌早期没有明显症状,随着疾病进展,可以出现:阴道流血,多为接触后出现,绝经后的老年患者则表现为不规则阴道流血;阴道排液,可为白色/血性。晚期因病灶累及范围可出现不同的症状,如:尿频、尿急;输尿管梗阻;全身衰竭症状如贫血、恶病质等。
诊断:
早期诊断应该采用“三阶梯”程序:宫颈细胞学检查和(或)HPV检测、阴道镜检查、子宫颈活检,其中以组织学诊断为确诊依据。
治疗方法:
手术治疗,根据癌灶浸润情况,选择不同术式,其中早期宫颈癌的年轻患者可予保留卵巢及阴道功能。放射治疗,主要用于早期患者、辅助治疗以及姑息性治疗;全身治疗:如全身化疗、靶向、免疫治疗,常用于晚期和辅助治疗等。
预防宫颈癌的方法有:
接种HPV预防性疫苗,阻断HPV的感染以预防子宫癌;规范宫颈癌筛查,早期发现子宫颈上皮内瘤变,对高级别病变及时治疗,阻断宫颈浸润癌发生;保持生活方式健康。

醋酸白试验
","scanCount": 56022}}} {"@context": "https://ziyuan.baidu.com/contexts/cambrian.jsonld","appid": "1650708455561748","icon": "https://www.med-credit.org.cn/style/images/ttlogo.png","content_tag": ["atlas"],"is_mcn": {"thumb_id": "v2rm41u3"},"accid": "4886d626a2804dee5f11168793ce361672f39c25","@id": "https://www.med-credit.org.cn/mobile/jingxuan/2/6bc1f3066b5c81a2bfafec3435b2fff4.html","bagWordId": "7391edc7504c475b","title": "唐氏综合征图片","pubDate": "2023-03-29T10:32:19","upDate": "2023-03-29T10:32:19","lrDate": "2023-03-29T10:32:19","description": "1.唐氏综合征儿童的特征有典型特殊面容、智力落后、畸形、免疫功能低下等。","data": {"WebPage": {"headline": "唐氏综合征图片","pcUrl": "https://www.med-credit.org.cn/jingxuan/2/6bc1f3066b5c81a2bfafec3435b2fff4.html","wapUrl": "https://www.med-credit.org.cn/jingxuan/2/6bc1f3066b5c81a2bfafec3435b2fff4.html","mipUrl": "https://www.med-credit.org.cn/mobile/jingxuan/2/6bc1f3066b5c81a2bfafec3435b2fff4.html","fromSrc": "欢乐橙","datePublished": "2023-03-29T10:32:19","domain": "医疗","category": ["医疗权威文章合作"],"description": "1.唐氏综合征儿童的特征有典型特殊面容、智力落后、畸形、免疫功能低下等。
","extra_headline": [""]},"Author": {"name": "种轶文","wapUrl": "https://www.med-credit.org.cn/doctor/575","pcUrl": "https://www.med-credit.org.cn/doctor/575","jobTitle": "副主任医师","headPortrait": "https://www.med-credit.org.cn/uploadfile/member/575/180x180.jpeg","id": "575","description": "种轶文,北京大学第三医院妇产科副主任医师","memberOf": {"legalName": "北京大学第三医院","department": "妇产科","organizationLevel": "三级甲等"}},"Article": {"summaryContent": "1.唐氏综合征儿童的特征有典型特殊面容、智力落后、畸形、免疫功能低下等。
2.唐氏综合征发生率与母亲怀孕年龄有相关,是21号染色体异常导致的。

1、特殊面容:唐氏综合征患儿典型特殊面容为眼间距较宽,眼裂较小眼,外侧上斜,鼻根低平,耳朵小而圆,舌头常伸出口外。该面容较为特殊,建议患儿家长及时进行检查。
2、智力落后:唐氏综合症患儿智力落后为最突出表现其程度不一,视具体临床情况而定,患者可进行染色体检查,唐氏综合症患儿生长速度比同龄孩子要慢,需要家长及时注意。
3、畸形:唐氏综合症患儿小部分伴随先天性心脏病,消化道畸形,唇腭裂,多指畸形等症状需要患儿家长及时观察及时就医,通过手术矫正器官系统出现的畸形。
4、免疫功能低下:唐氏综合症患儿免疫功能低下,易患有多种感染,患者可在专业医生指导下进行药物治疗。
","articleBody": "1.唐氏综合征儿童的特征有典型特殊面容、智力落后、畸形、免疫功能低下等。
2.唐氏综合征发生率与母亲怀孕年龄有相关,是21号染色体异常导致的。

1、特殊面容:唐氏综合征患儿典型特殊面容为眼间距较宽,眼裂较小眼,外侧上斜,鼻根低平,耳朵小而圆,舌头常伸出口外。该面容较为特殊,建议患儿家长及时进行检查。
2、智力落后:唐氏综合症患儿智力落后为最突出表现其程度不一,视具体临床情况而定,患者可进行染色体检查,唐氏综合症患儿生长速度比同龄孩子要慢,需要家长及时注意。
3、畸形:唐氏综合症患儿小部分伴随先天性心脏病,消化道畸形,唇腭裂,多指畸形等症状需要患儿家长及时观察及时就医,通过手术矫正器官系统出现的畸形。
4、免疫功能低下:唐氏综合症患儿免疫功能低下,易患有多种感染,患者可在专业医生指导下进行药物治疗。
","scanCount": 56021}}} {"@context": "https://ziyuan.baidu.com/contexts/cambrian.jsonld","appid": "1650708455561748","icon": "https://www.med-credit.org.cn/style/images/ttlogo.png","content_tag": ["atlas"],"is_mcn": {"thumb_id": "v2rm41u3"},"accid": "4886d626a2804dee5f11168793ce361672f39c25","@id": "https://www.med-credit.org.cn/mobile/jingxuan/2/c48c6b34f36fb20e4be5a6c03a250ec1.html","bagWordId": "fd702e9bd9b31770","title": "母乳颜色对照表","pubDate": "2023-03-29T10:32:19","upDate": "2023-03-29T10:32:19","lrDate": "2023-03-29T10:32:19","description": "母乳中,初乳呈浓稠黄色,营养价值较高;几天后转变为成熟乳,乳汁由黄色转为白色。","data": {"WebPage": {"headline": "母乳颜色对照表","pcUrl": "https://www.med-credit.org.cn/jingxuan/2/c48c6b34f36fb20e4be5a6c03a250ec1.html","wapUrl": "https://www.med-credit.org.cn/jingxuan/2/c48c6b34f36fb20e4be5a6c03a250ec1.html","mipUrl": "https://www.med-credit.org.cn/mobile/jingxuan/2/c48c6b34f36fb20e4be5a6c03a250ec1.html","fromSrc": "欢乐橙","datePublished": "2023-03-29T10:32:19","domain": "医疗","category": ["医疗权威文章合作"],"description": "母乳中,初乳呈浓稠黄色,营养价值较高;几天后转变为成熟乳,乳汁由黄色转为白色。
","extra_headline": [""]},"Author": {"name": "种轶文","wapUrl": "https://www.med-credit.org.cn/doctor/575","pcUrl": "https://www.med-credit.org.cn/doctor/575","jobTitle": "副主任医师","headPortrait": "https://www.med-credit.org.cn/uploadfile/member/575/180x180.jpeg","id": "575","description": "种轶文,北京大学第三医院妇产科副主任医师","memberOf": {"legalName": "北京大学第三医院","department": "妇产科","organizationLevel": "三级甲等"}},"Article": {"summaryContent": "概述:
母乳中,初乳呈浓稠黄色,营养价值较高;几天后转变为成熟乳,乳汁由黄色转为白色。
1.同一次哺乳过程中也可见到乳汁颜色的差异,一次哺乳过程中最先吮吸到的乳汁乳糖含量高,颜色清淡透明。经过一段时间吮吸后,哺乳后期乳糖较少脂肪含量高乳汁颜色更白更浓稠。
2.有些时候即便是健康的母亲,乳汁颜色也可见到改变。当妈妈食用太多黄色橘色食物,乳汁可变为黄色。如果妈妈吃了很多颜色重的深红食物,乳汁可见为粉红色。食用大量绿色蔬菜时,乳汁可见为绿色。
3.当妈妈患乳腺炎时乳汁可见为黄色类似初乳状,当妈妈乳头破损时乳汁可呈红色或棕色,锈管综合征时乳汁可见铁锈色,乳腺管内乳头状瘤可见持续乳汁带血。

母乳颜色对照
","articleBody": "概述:
母乳中,初乳呈浓稠黄色,营养价值较高;几天后转变为成熟乳,乳汁由黄色转为白色。
1.同一次哺乳过程中也可见到乳汁颜色的差异,一次哺乳过程中最先吮吸到的乳汁乳糖含量高,颜色清淡透明。经过一段时间吮吸后,哺乳后期乳糖较少脂肪含量高乳汁颜色更白更浓稠。
2.有些时候即便是健康的母亲,乳汁颜色也可见到改变。当妈妈食用太多黄色橘色食物,乳汁可变为黄色。如果妈妈吃了很多颜色重的深红食物,乳汁可见为粉红色。食用大量绿色蔬菜时,乳汁可见为绿色。
3.当妈妈患乳腺炎时乳汁可见为黄色类似初乳状,当妈妈乳头破损时乳汁可呈红色或棕色,锈管综合征时乳汁可见铁锈色,乳腺管内乳头状瘤可见持续乳汁带血。

母乳颜色对照
","scanCount": 56020}}} {"@context": "https://ziyuan.baidu.com/contexts/cambrian.jsonld","appid": "1650708455561748","icon": "https://www.med-credit.org.cn/style/images/ttlogo.png","content_tag": ["atlas"],"is_mcn": {"thumb_id": "v2rm41u3"},"accid": "4886d626a2804dee5f11168793ce361672f39c25","@id": "https://www.med-credit.org.cn/mobile/jingxuan/2/7aecd343c4158ba918aac77c84dd98df.html","bagWordId": "ca58ae8155b3774f","title": "宫颈短保胎卧床姿势图","pubDate": "2023-03-29T10:32:19","upDate": "2023-03-29T10:32:19","lrDate": "2023-03-29T10:32:19","description": "宫颈管偏短的孕妇最佳卧床姿势是左侧卧位,还可以适当垫高臀部。","data": {"WebPage": {"headline": "宫颈短保胎卧床姿势图","pcUrl": "https://www.med-credit.org.cn/jingxuan/2/7aecd343c4158ba918aac77c84dd98df.html","wapUrl": "https://www.med-credit.org.cn/jingxuan/2/7aecd343c4158ba918aac77c84dd98df.html","mipUrl": "https://www.med-credit.org.cn/mobile/jingxuan/2/7aecd343c4158ba918aac77c84dd98df.html","fromSrc": "欢乐橙","datePublished": "2023-03-29T10:32:19","domain": "医疗","category": ["医疗权威文章合作"],"description": "宫颈管偏短的孕妇最佳卧床姿势是左侧卧位,还可以适当垫高臀部。
","extra_headline": [""]},"Author": {"name": "种轶文","wapUrl": "https://www.med-credit.org.cn/doctor/575","pcUrl": "https://www.med-credit.org.cn/doctor/575","jobTitle": "副主任医师","headPortrait": "https://www.med-credit.org.cn/uploadfile/member/575/180x180.jpeg","id": "575","description": "种轶文,北京大学第三医院妇产科副主任医师","memberOf": {"legalName": "北京大学第三医院","department": "妇产科","organizationLevel": "三级甲等"}},"Article": {"summaryContent": "宫颈管偏短的孕妇最佳卧床姿势是左侧卧位,还可以适当垫高臀部。

1、在孕期,正常宫颈管长度应在3.5cm以上,如果宫颈管长度小于3cm就属于宫颈管缩短。怀孕时若出现宫颈管缩短,容易导致流产或早产,所以一定要注意预防和监测。
2、宫颈管偏短的孕妇,最佳卧床姿势是左侧卧位。尤其是孕中晚期,由于增大的子宫压迫下腔静脉,会影响胎盘的血液供应,所以孕中晚期一般建议孕妇采取左侧卧位。宫颈管偏短的孕妇还可以适当垫高臀部,通过减轻重力作用减轻对宫颈管的压力。当然孕妇也可以平卧和侧卧交替进行,但需要注意的是不要长时间保持平卧姿势。
3、除了卧床休息以外,如有必要还可以进行宫颈环扎术,以及使用保胎药物抑制宫缩等手段预防早产。宫颈管偏短的女性在孕期要尽量减少下地活动,预防便秘避免长时间蹲厕所,还要避免孕期性生活。定期做好产检监测胎儿生长发育以及宫颈管变化情况,如果出现腹痛下腹坠胀、阴道流血流液等症状应及时就诊检查。
","articleBody": "宫颈管偏短的孕妇最佳卧床姿势是左侧卧位,还可以适当垫高臀部。

1、在孕期,正常宫颈管长度应在3.5cm以上,如果宫颈管长度小于3cm就属于宫颈管缩短。怀孕时若出现宫颈管缩短,容易导致流产或早产,所以一定要注意预防和监测。
2、宫颈管偏短的孕妇,最佳卧床姿势是左侧卧位。尤其是孕中晚期,由于增大的子宫压迫下腔静脉,会影响胎盘的血液供应,所以孕中晚期一般建议孕妇采取左侧卧位。宫颈管偏短的孕妇还可以适当垫高臀部,通过减轻重力作用减轻对宫颈管的压力。当然孕妇也可以平卧和侧卧交替进行,但需要注意的是不要长时间保持平卧姿势。
3、除了卧床休息以外,如有必要还可以进行宫颈环扎术,以及使用保胎药物抑制宫缩等手段预防早产。宫颈管偏短的女性在孕期要尽量减少下地活动,预防便秘避免长时间蹲厕所,还要避免孕期性生活。定期做好产检监测胎儿生长发育以及宫颈管变化情况,如果出现腹痛下腹坠胀、阴道流血流液等症状应及时就诊检查。
","scanCount": 56019}}} {"@context": "https://ziyuan.baidu.com/contexts/cambrian.jsonld","appid": "1650708455561748","icon": "https://www.med-credit.org.cn/style/images/ttlogo.png","content_tag": ["atlas"],"is_mcn": {"thumb_id": "v2rm41u3"},"accid": "4886d626a2804dee5f11168793ce361672f39c25","@id": "https://www.med-credit.org.cn/mobile/jingxuan/2/cb6238f9ac60a18a6f1e8b7eab2d198b.html","bagWordId": "91a1ae470812aa56","title": "卵巢癌的肚子疼痛点图","pubDate": "2023-03-29T10:32:19","upDate": "2023-03-29T10:32:19","lrDate": "2023-03-29T10:32:19","description": "女性在发生卵巢癌时,疼痛点可表现为在下腹部或者是腰骶部,但是也有一些情况下,疼痛的部位并不不明显,可表现为下腹部,腹部疼痛,与大多数引起腹部疼痛的疾病区分并不明显。","data": {"WebPage": {"headline": "卵巢癌的肚子疼痛点图","pcUrl": "https://www.med-credit.org.cn/jingxuan/2/cb6238f9ac60a18a6f1e8b7eab2d198b.html","wapUrl": "https://www.med-credit.org.cn/jingxuan/2/cb6238f9ac60a18a6f1e8b7eab2d198b.html","mipUrl": "https://www.med-credit.org.cn/mobile/jingxuan/2/cb6238f9ac60a18a6f1e8b7eab2d198b.html","fromSrc": "欢乐橙","datePublished": "2023-03-29T10:32:19","domain": "医疗","category": ["医疗权威文章合作"],"description": "女性在发生卵巢癌时,疼痛点可表现为在下腹部或者是腰骶部,但是也有一些情况下,疼痛的部位并不不明显,可表现为下腹部,腹部疼痛,与大多数引起腹部疼痛的疾病区分并不明显。
","extra_headline": [""]},"Author": {"name": "种轶文","wapUrl": "https://www.med-credit.org.cn/doctor/575","pcUrl": "https://www.med-credit.org.cn/doctor/575","jobTitle": "副主任医师","headPortrait": "https://www.med-credit.org.cn/uploadfile/member/575/180x180.jpeg","id": "575","description": "种轶文,北京大学第三医院妇产科副主任医师","memberOf": {"legalName": "北京大学第三医院","department": "妇产科","organizationLevel": "三级甲等"}},"Article": {"summaryContent": "女性在发生卵巢癌时,疼痛点可表现为在下腹部或者是腰骶部,但是也有一些情况下,疼痛的部位并不不明显,可表现为下腹部,腹部疼痛,与大多数引起腹部疼痛的疾病区分并不明显。

1.卵巢癌所引起的疼痛,一般情况下是压痛或者是弥漫性疼痛,疼痛位置在下腹部或腰骶部等,一般不会出现类似阑尾炎所引起的反跳痛,疼痛并不剧烈,需要及时去医院进行确认,早期治疗。
2.此外,随着癌症的进一步发展,癌细胞可能从卵巢向其他地方进行转移,如果转移至上腹部,也可能表现为上腹部疼痛,比如说肝区疼痛。如果转移至胸腔,可导致胸部疼痛,转移至骨可导致骨节疼痛。癌细胞转移之后,癌症发展进入晚期,治疗效果并不明显,后期化疗时疼痛更加明显,也会发生一些明显的全身化疗反应,恶心呕吐,厌食,脱发等。
","articleBody": "女性在发生卵巢癌时,疼痛点可表现为在下腹部或者是腰骶部,但是也有一些情况下,疼痛的部位并不不明显,可表现为下腹部,腹部疼痛,与大多数引起腹部疼痛的疾病区分并不明显。

1.卵巢癌所引起的疼痛,一般情况下是压痛或者是弥漫性疼痛,疼痛位置在下腹部或腰骶部等,一般不会出现类似阑尾炎所引起的反跳痛,疼痛并不剧烈,需要及时去医院进行确认,早期治疗。
2.此外,随着癌症的进一步发展,癌细胞可能从卵巢向其他地方进行转移,如果转移至上腹部,也可能表现为上腹部疼痛,比如说肝区疼痛。如果转移至胸腔,可导致胸部疼痛,转移至骨可导致骨节疼痛。癌细胞转移之后,癌症发展进入晚期,治疗效果并不明显,后期化疗时疼痛更加明显,也会发生一些明显的全身化疗反应,恶心呕吐,厌食,脱发等。
","scanCount": 56018}}} {"@context": "https://ziyuan.baidu.com/contexts/cambrian.jsonld","appid": "1650708455561748","icon": "https://www.med-credit.org.cn/style/images/ttlogo.png","content_tag": ["atlas"],"is_mcn": {"thumb_id": "v2rm41u3"},"accid": "4886d626a2804dee5f11168793ce361672f39c25","@id": "https://www.med-credit.org.cn/mobile/jingxuan/2/4cc49238370a8dcf57c2de76a65ac0d4.html","bagWordId": "60e1569898d1100d","title": "发动前肚子是哪个位置疼","pubDate": "2023-03-29T10:32:19","upDate": "2023-03-29T10:32:19","lrDate": "2023-03-29T10:32:19","description": "发动前肚子多在下腹部或者腰背部疼痛。","data": {"WebPage": {"headline": "发动前肚子是哪个位置疼","pcUrl": "https://www.med-credit.org.cn/jingxuan/2/4cc49238370a8dcf57c2de76a65ac0d4.html","wapUrl": "https://www.med-credit.org.cn/jingxuan/2/4cc49238370a8dcf57c2de76a65ac0d4.html","mipUrl": "https://www.med-credit.org.cn/mobile/jingxuan/2/4cc49238370a8dcf57c2de76a65ac0d4.html","fromSrc": "欢乐橙","datePublished": "2023-03-29T10:32:19","domain": "医疗","category": ["医疗权威文章合作"],"description": "发动前肚子多在下腹部或者腰背部疼痛。
","extra_headline": [""]},"Author": {"name": "种轶文","wapUrl": "https://www.med-credit.org.cn/doctor/575","pcUrl": "https://www.med-credit.org.cn/doctor/575","jobTitle": "副主任医师","headPortrait": "https://www.med-credit.org.cn/uploadfile/member/575/180x180.jpeg","id": "575","description": "种轶文,北京大学第三医院妇产科副主任医师","memberOf": {"legalName": "北京大学第三医院","department": "妇产科","organizationLevel": "三级甲等"}},"Article": {"summaryContent": "发动前肚子多在下腹部或者腰背部疼痛。

1.孕妇在孕晚期会发生不规则的宫缩,由于子宫肌层的敏感,时间一般不固定,孕妇感到下腹部疼痛并且有腹胀的感觉。若不规则的腹痛后伴随着规律性的宫缩,此时宫颈会下降,产道会扩张,胎儿的身体不再像子宫内蜷缩的状态而是处于伸直的情况,子宫通过推挤胎儿使胎儿顺着产道往下走,因从产妇会感觉到下腹部有撕裂样疼痛。
2.胎儿在入盆后,会压迫盆腔的骨头以及神经而疼痛。

且随着腹中胎儿的增大、以及羊水的增多,对于腰部进行压迫,孕妇经常出现腰部酸痛不适,有下坠感,严重者孕妇只能卧床休息来缓解。
孕妇在发动前的肚子疼要重视,若孕晚期伴有出血、破羊水,要及时赶往医院,结合检查判断孕妇是否符合生产条件
","articleBody": "发动前肚子多在下腹部或者腰背部疼痛。

1.孕妇在孕晚期会发生不规则的宫缩,由于子宫肌层的敏感,时间一般不固定,孕妇感到下腹部疼痛并且有腹胀的感觉。若不规则的腹痛后伴随着规律性的宫缩,此时宫颈会下降,产道会扩张,胎儿的身体不再像子宫内蜷缩的状态而是处于伸直的情况,子宫通过推挤胎儿使胎儿顺着产道往下走,因从产妇会感觉到下腹部有撕裂样疼痛。
2.胎儿在入盆后,会压迫盆腔的骨头以及神经而疼痛。

且随着腹中胎儿的增大、以及羊水的增多,对于腰部进行压迫,孕妇经常出现腰部酸痛不适,有下坠感,严重者孕妇只能卧床休息来缓解。
孕妇在发动前的肚子疼要重视,若孕晚期伴有出血、破羊水,要及时赶往医院,结合检查判断孕妇是否符合生产条件
","scanCount": 56017}}} {"@context": "https://ziyuan.baidu.com/contexts/cambrian.jsonld","appid": "1650708455561748","icon": "https://www.med-credit.org.cn/style/images/ttlogo.png","content_tag": ["atlas"],"is_mcn": {"thumb_id": "v2rm41u3"},"accid": "4886d626a2804dee5f11168793ce361672f39c25","@id": "https://www.med-credit.org.cn/mobile/jingxuan/2/682a115ae5904e97874458bc7333580b.html","bagWordId": "7cf6aed6d715778a","title": "产后胎膜残留排出图片","pubDate": "2023-03-29T10:32:19","upDate": "2023-03-29T10:32:19","lrDate": "2023-03-29T10:32:19","description": "产后胎膜残留一般可以通过自行排出或者药物排出。","data": {"WebPage": {"headline": "产后胎膜残留排出图片","pcUrl": "https://www.med-credit.org.cn/jingxuan/2/682a115ae5904e97874458bc7333580b.html","wapUrl": "https://www.med-credit.org.cn/jingxuan/2/682a115ae5904e97874458bc7333580b.html","mipUrl": "https://www.med-credit.org.cn/mobile/jingxuan/2/682a115ae5904e97874458bc7333580b.html","fromSrc": "欢乐橙","datePublished": "2023-03-29T10:32:19","domain": "医疗","category": ["医疗权威文章合作"],"description": "产后胎膜残留一般可以通过自行排出或者药物排出。
","extra_headline": [""]},"Author": {"name": "种轶文","wapUrl": "https://www.med-credit.org.cn/doctor/575","pcUrl": "https://www.med-credit.org.cn/doctor/575","jobTitle": "副主任医师","headPortrait": "https://www.med-credit.org.cn/uploadfile/member/575/180x180.jpeg","id": "575","description": "种轶文,北京大学第三医院妇产科副主任医师","memberOf": {"legalName": "北京大学第三医院","department": "妇产科","organizationLevel": "三级甲等"}},"Article": {"summaryContent": "概述:
产后胎膜残留一般可以通过自行排出或者药物排出。
1、在生产之后若出现胎膜残留一般情况下是能够自然排出体外的,若在胎盘娩出后就发现胎膜缺损,此时直接可以在无菌的条件下将手深入宫腔内取出剩余的胎盘。
2、此种情况下还可以使用一些中成药来增加子宫的收缩力。同时还需要服用一些消炎药,比如双氯芬、吲哚美辛等,避免产后的感染。
3、如果胎盘的残留导致阴道流血多,使子宫出现炎症且用药治疗无效的话则需要做B超来看胎膜的情况,并且还需要化验血的hCG值检查有无滋养细胞的疾病。

产后胎膜残留
注意事项:
值得注意的是,若存在胎膜残留,孕妇产后可以适当的下床运动,这也有利于胎膜的排出,若无法自行排出、用药治疗无效且出现相关症状,则需要及时前往医院进行检查,必要时还需要做清宫手术。在术后还要注意个人的卫生。
","articleBody": "概述:
产后胎膜残留一般可以通过自行排出或者药物排出。
1、在生产之后若出现胎膜残留一般情况下是能够自然排出体外的,若在胎盘娩出后就发现胎膜缺损,此时直接可以在无菌的条件下将手深入宫腔内取出剩余的胎盘。
2、此种情况下还可以使用一些中成药来增加子宫的收缩力。同时还需要服用一些消炎药,比如双氯芬、吲哚美辛等,避免产后的感染。
3、如果胎盘的残留导致阴道流血多,使子宫出现炎症且用药治疗无效的话则需要做B超来看胎膜的情况,并且还需要化验血的hCG值检查有无滋养细胞的疾病。

产后胎膜残留
注意事项:
值得注意的是,若存在胎膜残留,孕妇产后可以适当的下床运动,这也有利于胎膜的排出,若无法自行排出、用药治疗无效且出现相关症状,则需要及时前往医院进行检查,必要时还需要做清宫手术。在术后还要注意个人的卫生。
","scanCount": 56016}}} {"@context": "https://ziyuan.baidu.com/contexts/cambrian.jsonld","appid": "1650708455561748","icon": "https://www.med-credit.org.cn/style/images/ttlogo.png","content_tag": ["atlas"],"is_mcn": {"thumb_id": "v2rm41u3"},"accid": "4886d626a2804dee5f11168793ce361672f39c25","@id": "https://www.med-credit.org.cn/mobile/jingxuan/2/a8c46d24251fe463a93bd2078e88e6af.html","bagWordId": "962c0199687d1edc","title": "宫缩胎监图和无宫缩图对比","pubDate": "2023-03-29T10:32:19","upDate": "2023-03-29T10:32:19","lrDate": "2023-03-29T10:32:19","description": "宫缩胎监和无宫缩的对比可以表现为胎心率基线的差别。","data": {"WebPage": {"headline": "宫缩胎监图和无宫缩图对比","pcUrl": "https://www.med-credit.org.cn/jingxuan/2/a8c46d24251fe463a93bd2078e88e6af.html","wapUrl": "https://www.med-credit.org.cn/jingxuan/2/a8c46d24251fe463a93bd2078e88e6af.html","mipUrl": "https://www.med-credit.org.cn/mobile/jingxuan/2/a8c46d24251fe463a93bd2078e88e6af.html","fromSrc": "欢乐橙","datePublished": "2023-03-29T10:32:19","domain": "医疗","category": ["医疗权威文章合作"],"description": "宫缩胎监和无宫缩的对比可以表现为胎心率基线的差别。
","extra_headline": [""]},"Author": {"name": "种轶文","wapUrl": "https://www.med-credit.org.cn/doctor/575","pcUrl": "https://www.med-credit.org.cn/doctor/575","jobTitle": "副主任医师","headPortrait": "https://www.med-credit.org.cn/uploadfile/member/575/180x180.jpeg","id": "575","description": "种轶文,北京大学第三医院妇产科副主任医师","memberOf": {"legalName": "北京大学第三医院","department": "妇产科","organizationLevel": "三级甲等"}},"Article": {"summaryContent": "概述:
宫缩胎监和无宫缩的对比可以表现为胎心率基线的差别。
1、无宫缩的情况下,胎心率基线为110-160次/分,振幅一般在25次/分之内为正常。
2、宫缩时会出现与宫缩一同出现的胎心率的减低。减速开始到胎心率降到最低的时间大于30s,最低点常与宫缩峰值同时出现。正常宫缩时,观察30分钟,十分钟内有5次或者五次以下的宫缩,如果超过5次即宫缩过频,此时应该记录有没有胎心率的变化。如果在宫缩时出现脐带受压,导致胎儿迷走神经兴奋,就会出现在正常的胎心率中突然胎心率急剧下降。如果在变异减速的同时出现宫缩,减速的起始、深度以及持续时间与宫缩没有固定的规律性。电子胎心监护可以同时描述子宫收缩与胎动的情况,是产科不可或缺的检查手段。早期减速反映胎儿情况良好;晚期减速表示胎儿缺氧或者胎盘的功能不良;出现变异减速往往表示胎儿有脐带受压。

宫缩胎监
","articleBody": "概述:
宫缩胎监和无宫缩的对比可以表现为胎心率基线的差别。
1、无宫缩的情况下,胎心率基线为110-160次/分,振幅一般在25次/分之内为正常。
2、宫缩时会出现与宫缩一同出现的胎心率的减低。减速开始到胎心率降到最低的时间大于30s,最低点常与宫缩峰值同时出现。正常宫缩时,观察30分钟,十分钟内有5次或者五次以下的宫缩,如果超过5次即宫缩过频,此时应该记录有没有胎心率的变化。如果在宫缩时出现脐带受压,导致胎儿迷走神经兴奋,就会出现在正常的胎心率中突然胎心率急剧下降。如果在变异减速的同时出现宫缩,减速的起始、深度以及持续时间与宫缩没有固定的规律性。电子胎心监护可以同时描述子宫收缩与胎动的情况,是产科不可或缺的检查手段。早期减速反映胎儿情况良好;晚期减速表示胎儿缺氧或者胎盘的功能不良;出现变异减速往往表示胎儿有脐带受压。

宫缩胎监
","scanCount": 56015}}} {"@context": "https://ziyuan.baidu.com/contexts/cambrian.jsonld","appid": "1650708455561748","icon": "https://www.med-credit.org.cn/style/images/ttlogo.png","content_tag": ["atlas"],"is_mcn": {"thumb_id": "v2rm41u3"},"accid": "4886d626a2804dee5f11168793ce361672f39c25","@id": "https://www.med-credit.org.cn/mobile/jingxuan/2/a7693c9aea7ecad35ff6ab10fcc6cc05.html","bagWordId": "388470a977fc39fa","title": "怀孕1一9月子宫变化图","pubDate": "2023-03-29T10:32:19","upDate": "2023-03-29T10:32:19","lrDate": "2023-03-29T10:32:19","description": "怀孕1-9月子宫变化较为明显,以显著增大为主要特征。","data": {"WebPage": {"headline": "怀孕1一9月子宫变化图","pcUrl": "https://www.med-credit.org.cn/jingxuan/2/a7693c9aea7ecad35ff6ab10fcc6cc05.html","wapUrl": "https://www.med-credit.org.cn/jingxuan/2/a7693c9aea7ecad35ff6ab10fcc6cc05.html","mipUrl": "https://www.med-credit.org.cn/mobile/jingxuan/2/a7693c9aea7ecad35ff6ab10fcc6cc05.html","fromSrc": "欢乐橙","datePublished": "2023-03-29T10:32:19","domain": "医疗","category": ["医疗权威文章合作"],"description": "怀孕1-9月子宫变化较为明显,以显著增大为主要特征。
","extra_headline": [""]},"Author": {"name": "种轶文","wapUrl": "https://www.med-credit.org.cn/doctor/575","pcUrl": "https://www.med-credit.org.cn/doctor/575","jobTitle": "副主任医师","headPortrait": "https://www.med-credit.org.cn/uploadfile/member/575/180x180.jpeg","id": "575","description": "种轶文,北京大学第三医院妇产科副主任医师","memberOf": {"legalName": "北京大学第三医院","department": "妇产科","organizationLevel": "三级甲等"}},"Article": {"summaryContent": "怀孕1-9月子宫变化较为明显,以显著增大为主要特征。早期妊娠时可发现宫颈阴道部充血呈紫黑色,妊娠6-8周时双合诊检查子宫峡部较软,感觉宫颈与宫体似乎不相连称为黑加征;中晚期妊娠时腹部检查即可触及增大的子宫,子宫最多可增大至脐部与剑突(胸骨最下端)之间或略高。

1.早期妊娠子宫的主要症状为停经,此时超声检查发现宫内孕囊或胚芽是确定宫内妊娠的金标准。
2.中晚期妊娠即14-28周及以后子宫的主要临床表现为子宫增大和胎动,孕妇可感受到腹部逐渐增大。
3.妊娠四个月时手测宫底高度在肚脐与耻骨之间;妊娠六个月时手测宫底高度在肚脐上一横指的位置;妊娠八个月时手测宫底高度在肚脐与剑突之间;妊娠九月时手测宫底高度在剑突下两横指。
妊娠早期时即三个月左右,由于子宫在盆腔内前倾压迫膀胱可导致孕妇尿频,当子宫增大超出盆腔后尿频症消失。中晚期妊娠4-9个月是胎儿成熟的重要时期,可以通过腹部触及子宫增大程度判断胎儿的生长情况。规律的按时的产检对于孕妇及胎儿都是非常必要的。
","articleBody": "怀孕1-9月子宫变化较为明显,以显著增大为主要特征。早期妊娠时可发现宫颈阴道部充血呈紫黑色,妊娠6-8周时双合诊检查子宫峡部较软,感觉宫颈与宫体似乎不相连称为黑加征;中晚期妊娠时腹部检查即可触及增大的子宫,子宫最多可增大至脐部与剑突(胸骨最下端)之间或略高。

1.早期妊娠子宫的主要症状为停经,此时超声检查发现宫内孕囊或胚芽是确定宫内妊娠的金标准。
2.中晚期妊娠即14-28周及以后子宫的主要临床表现为子宫增大和胎动,孕妇可感受到腹部逐渐增大。
3.妊娠四个月时手测宫底高度在肚脐与耻骨之间;妊娠六个月时手测宫底高度在肚脐上一横指的位置;妊娠八个月时手测宫底高度在肚脐与剑突之间;妊娠九月时手测宫底高度在剑突下两横指。
妊娠早期时即三个月左右,由于子宫在盆腔内前倾压迫膀胱可导致孕妇尿频,当子宫增大超出盆腔后尿频症消失。中晚期妊娠4-9个月是胎儿成熟的重要时期,可以通过腹部触及子宫增大程度判断胎儿的生长情况。规律的按时的产检对于孕妇及胎儿都是非常必要的。
","scanCount": 56014}}} {"@context": "https://ziyuan.baidu.com/contexts/cambrian.jsonld","appid": "1650708455561748","icon": "https://www.med-credit.org.cn/style/images/ttlogo.png","content_tag": ["atlas"],"is_mcn": {"thumb_id": "v2rm41u3"},"accid": "4886d626a2804dee5f11168793ce361672f39c25","@id": "https://www.med-credit.org.cn/mobile/jingxuan/2/a6ef6f722abbb9ba9523d6698b4453c5.html","bagWordId": "a212480000eed53b","title": "引产后正常恶露图片","pubDate": "2023-03-29T10:32:19","upDate": "2023-03-29T10:32:19","lrDate": "2023-03-29T10:32:19","description": "引产后正常恶露会随着时间改变颜色与性状,分为红色恶露、浆液恶露、白色恶露,正常恶露会持续三周左右,正常恶露包括血液、脱落的子宫蜕膜和一些坏死的蜕膜组织。","data": {"WebPage": {"headline": "引产后正常恶露图片","pcUrl": "https://www.med-credit.org.cn/jingxuan/2/a6ef6f722abbb9ba9523d6698b4453c5.html","wapUrl": "https://www.med-credit.org.cn/jingxuan/2/a6ef6f722abbb9ba9523d6698b4453c5.html","mipUrl": "https://www.med-credit.org.cn/mobile/jingxuan/2/a6ef6f722abbb9ba9523d6698b4453c5.html","fromSrc": "欢乐橙","datePublished": "2023-03-29T10:32:19","domain": "医疗","category": ["医疗权威文章合作"],"description": "引产后正常恶露会随着时间改变颜色与性状,分为红色恶露、浆液恶露、白色恶露,正常恶露会持续三周左右,正常恶露包括血液、脱落的子宫蜕膜和一些坏死的蜕膜组织。
","extra_headline": ["引产后正常恶露"]},"Author": {"name": "种轶文","wapUrl": "https://www.med-credit.org.cn/doctor/575","pcUrl": "https://www.med-credit.org.cn/doctor/575","jobTitle": "副主任医师","headPortrait": "https://www.med-credit.org.cn/uploadfile/member/575/180x180.jpeg","id": "575","description": "种轶文,北京大学第三医院妇产科副主任医师","memberOf": {"legalName": "北京大学第三医院","department": "妇产科","organizationLevel": "三级甲等"}},"Article": {"summaryContent": "引产后正常恶露会随着时间改变颜色与性状,分为红色恶露、浆液恶露、白色恶露,正常恶露会持续三周左右,正常恶露包括血液、脱落的子宫蜕膜和一些坏死的蜕膜组织。

1、红色恶露:引产后第一周,恶露颜色以红色为主,颜色逐渐由鲜红转为暗红,恶露数量逐渐减少。
2、浆液恶露:在引产后第二周,恶露会从红色逐渐转变为暗红色或黑褐色的浆液恶露,浆液恶露的出现一般提示子宫内膜已经没有明显出血。
3、白色恶露:在浆液恶露以后,排出的恶露为表现为白色的白色恶露,主要由子宫内膜与大量白细胞排出所引起。
一般四周后恶露会基本消失,阴道只有少量的白色分泌物,如果恶露持续呈红色,且时间较长,则考虑为宫腔有残留,如残留物小于1.5cm,可在医生指导下服用米非司酮行保守治疗,如残留物过大,须及时行清宫手术治疗。
","articleBody": "引产后正常恶露会随着时间改变颜色与性状,分为红色恶露、浆液恶露、白色恶露,正常恶露会持续三周左右,正常恶露包括血液、脱落的子宫蜕膜和一些坏死的蜕膜组织。

1、红色恶露:引产后第一周,恶露颜色以红色为主,颜色逐渐由鲜红转为暗红,恶露数量逐渐减少。
2、浆液恶露:在引产后第二周,恶露会从红色逐渐转变为暗红色或黑褐色的浆液恶露,浆液恶露的出现一般提示子宫内膜已经没有明显出血。
3、白色恶露:在浆液恶露以后,排出的恶露为表现为白色的白色恶露,主要由子宫内膜与大量白细胞排出所引起。
一般四周后恶露会基本消失,阴道只有少量的白色分泌物,如果恶露持续呈红色,且时间较长,则考虑为宫腔有残留,如残留物小于1.5cm,可在医生指导下服用米非司酮行保守治疗,如残留物过大,须及时行清宫手术治疗。
","scanCount": 55845}}} {"@context": "https://ziyuan.baidu.com/contexts/cambrian.jsonld","appid": "1650708455561748","icon": "https://www.med-credit.org.cn/style/images/ttlogo.png","content_tag": ["atlas"],"is_mcn": {"thumb_id": "v2rm41u3"},"accid": "4886d626a2804dee5f11168793ce361672f39c25","@id": "https://www.med-credit.org.cn/mobile/jingxuan/2/384e928165ebd6cfd6ec9595763052aa.html","bagWordId": "fb9eee5851ab9ce1","title": "早孕试纸两条红线一深一浅图片","pubDate": "2023-03-29T10:32:19","upDate": "2023-03-29T10:32:19","lrDate": "2023-03-29T10:32:19","description": "早孕检测试纸一深一浅提示存在怀孕的可能,需要完善血液学检查和影像学检查进一步明确诊断。","data": {"WebPage": {"headline": "早孕试纸两条红线一深一浅图片","pcUrl": "https://www.med-credit.org.cn/jingxuan/2/384e928165ebd6cfd6ec9595763052aa.html","wapUrl": "https://www.med-credit.org.cn/jingxuan/2/384e928165ebd6cfd6ec9595763052aa.html","mipUrl": "https://www.med-credit.org.cn/mobile/jingxuan/2/384e928165ebd6cfd6ec9595763052aa.html","fromSrc": "欢乐橙","datePublished": "2023-03-29T10:32:19","domain": "医疗","category": ["医疗权威文章合作"],"description": "早孕检测试纸一深一浅提示存在怀孕的可能,需要完善血液学检查和影像学检查进一步明确诊断。
","extra_headline": ["早孕试纸两条红线一深一浅"]},"Author": {"name": "种轶文","wapUrl": "https://www.med-credit.org.cn/doctor/575","pcUrl": "https://www.med-credit.org.cn/doctor/575","jobTitle": "副主任医师","headPortrait": "https://www.med-credit.org.cn/uploadfile/member/575/180x180.jpeg","id": "575","description": "种轶文,北京大学第三医院妇产科副主任医师","memberOf": {"legalName": "北京大学第三医院","department": "妇产科","organizationLevel": "三级甲等"}},"Article": {"summaryContent": "早孕检测试纸一深一浅提示存在怀孕的可能,需要完善血液学检查和影像学检查进一步明确诊断。

处于生育期且有性生活史的健康妇女,平时月经周期规则,停经10日以上且测早孕试纸出现上述情况时,应高度怀疑妊娠的可能。但早孕检测试纸的结果并不能给出明确的诊断,需要到妇产科门诊抽血查血清hCG、查妇科B超来进一步做出判断。
早孕试纸的检测结果也会受到多重因素的影响:人绒毛膜促性腺激素只有在受精卵着床至少7-10天才会出现在尿液中,因此过早地检测可能会出现假阴性的情况。一些胚胎源性的疾病如葡萄胎、绒毛膜癌等疾病也会使尿液中出现人绒毛膜促性腺激素。
早孕试纸出现一深一浅时也需要结合自身临床症状来判断,早孕症状一般有:停经,出现畏寒、头晕、嗜睡、食欲缺乏、喜食酸物、情绪波动大,小便次数增多,乳房胀痛等。
","articleBody": "早孕检测试纸一深一浅提示存在怀孕的可能,需要完善血液学检查和影像学检查进一步明确诊断。

处于生育期且有性生活史的健康妇女,平时月经周期规则,停经10日以上且测早孕试纸出现上述情况时,应高度怀疑妊娠的可能。但早孕检测试纸的结果并不能给出明确的诊断,需要到妇产科门诊抽血查血清hCG、查妇科B超来进一步做出判断。
早孕试纸的检测结果也会受到多重因素的影响:人绒毛膜促性腺激素只有在受精卵着床至少7-10天才会出现在尿液中,因此过早地检测可能会出现假阴性的情况。一些胚胎源性的疾病如葡萄胎、绒毛膜癌等疾病也会使尿液中出现人绒毛膜促性腺激素。
早孕试纸出现一深一浅时也需要结合自身临床症状来判断,早孕症状一般有:停经,出现畏寒、头晕、嗜睡、食欲缺乏、喜食酸物、情绪波动大,小便次数增多,乳房胀痛等。
","scanCount": 55844}}} {"@context": "https://ziyuan.baidu.com/contexts/cambrian.jsonld","appid": "1650708455561748","icon": "https://www.med-credit.org.cn/style/images/ttlogo.png","content_tag": ["atlas"],"is_mcn": {"thumb_id": "v2rm41u3"},"accid": "4886d626a2804dee5f11168793ce361672f39c25","@id": "https://www.med-credit.org.cn/mobile/jingxuan/2/6c60a4bee931bf14d733911390ba4b29.html","bagWordId": "49a102f43b1cf4eb","title": "正常白带干了像粉末图片","pubDate": "2023-03-29T10:32:19","upDate": "2023-03-29T10:32:19","lrDate": "2023-03-29T10:32:19","description": "正常白带干了像粉末可能是霉菌性阴道炎或宫颈癌所致。","data": {"WebPage": {"headline": "正常白带干了像粉末图片","pcUrl": "https://www.med-credit.org.cn/jingxuan/2/6c60a4bee931bf14d733911390ba4b29.html","wapUrl": "https://www.med-credit.org.cn/jingxuan/2/6c60a4bee931bf14d733911390ba4b29.html","mipUrl": "https://www.med-credit.org.cn/mobile/jingxuan/2/6c60a4bee931bf14d733911390ba4b29.html","fromSrc": "欢乐橙","datePublished": "2023-03-29T10:32:19","domain": "医疗","category": ["医疗权威文章合作"],"description": "正常白带干了像粉末可能是霉菌性阴道炎或宫颈癌所致。
","extra_headline": ["正常白带干了像粉末"]},"Author": {"name": "种轶文","wapUrl": "https://www.med-credit.org.cn/doctor/575","pcUrl": "https://www.med-credit.org.cn/doctor/575","jobTitle": "副主任医师","headPortrait": "https://www.med-credit.org.cn/uploadfile/member/575/180x180.jpeg","id": "575","description": "种轶文,北京大学第三医院妇产科副主任医师","memberOf": {"legalName": "北京大学第三医院","department": "妇产科","organizationLevel": "三级甲等"}},"Article": {"summaryContent": "正常白带干了像粉末可能是霉菌性阴道炎或宫颈癌所致。

被细菌、病毒、寄生虫等致病物质感染可能会引起阴道的炎症感染,霉菌性阴道炎常指被假丝酵母菌感染所致,炎症常伴有分泌物的增多、肿胀及疼痛,因此伴随白色稠状的类似于豆腐渣或凝乳的阴道分泌物,
因此正常白带干了像粉末可能是霉菌性阴道炎引起的。常在医生的指导下,局部用药治疗阴道炎,给予克霉唑栓剂或氟康唑软膏抗真菌治疗,还可以配合微波理疗、热敷按摩。日常注意保持阴道的干燥、清洁,便后在局部用碱性溶液清洗,清洗过程手法轻柔,以免破坏阴道皮肤的角质层,还要使阴道周围皮肤保持干燥。患者注意勤换内裤,生活用品可以用开水消毒。
宫颈癌指的是常发生于子宫颈部的肿瘤,一般属于恶性肿瘤,常伴随阴道异常出血、异味、大量脓性分泌物等症状。可能会引起正常白带干了像粉末,肿瘤治疗要结合实际情况考虑手术治疗如全子宫切除术外,还要根据患者的病情,选择辅助治疗。例如,放疗、化疗或靶向治疗。
患者要养成良好的生活习惯,配合适当的运动,增强免疫力。经过自我调节、排解压力、注意休息、保持心情的舒畅。
","articleBody": "正常白带干了像粉末可能是霉菌性阴道炎或宫颈癌所致。

被细菌、病毒、寄生虫等致病物质感染可能会引起阴道的炎症感染,霉菌性阴道炎常指被假丝酵母菌感染所致,炎症常伴有分泌物的增多、肿胀及疼痛,因此伴随白色稠状的类似于豆腐渣或凝乳的阴道分泌物,
因此正常白带干了像粉末可能是霉菌性阴道炎引起的。常在医生的指导下,局部用药治疗阴道炎,给予克霉唑栓剂或氟康唑软膏抗真菌治疗,还可以配合微波理疗、热敷按摩。日常注意保持阴道的干燥、清洁,便后在局部用碱性溶液清洗,清洗过程手法轻柔,以免破坏阴道皮肤的角质层,还要使阴道周围皮肤保持干燥。患者注意勤换内裤,生活用品可以用开水消毒。
宫颈癌指的是常发生于子宫颈部的肿瘤,一般属于恶性肿瘤,常伴随阴道异常出血、异味、大量脓性分泌物等症状。可能会引起正常白带干了像粉末,肿瘤治疗要结合实际情况考虑手术治疗如全子宫切除术外,还要根据患者的病情,选择辅助治疗。例如,放疗、化疗或靶向治疗。
患者要养成良好的生活习惯,配合适当的运动,增强免疫力。经过自我调节、排解压力、注意休息、保持心情的舒畅。
","scanCount": 55843}}} {"@context": "https://ziyuan.baidu.com/contexts/cambrian.jsonld","appid": "1650708455561748","icon": "https://www.med-credit.org.cn/style/images/ttlogo.png","content_tag": ["atlas"],"is_mcn": {"thumb_id": "v2rm41u3"},"accid": "4886d626a2804dee5f11168793ce361672f39c25","@id": "https://www.med-credit.org.cn/mobile/jingxuan/2/a4fe78b7f11bba635521d3eacce06ea9.html","bagWordId": "87fe6c1af6178a07","title": "白带是什么样子的图片","pubDate": "2023-03-29T10:32:19","upDate": "2023-03-29T10:32:19","lrDate": "2023-03-29T10:32:19","description": "正常白带是一种白色、透明状、无味、量少的液体。异常白带可出现黄绿色、豆腐渣样、带血等情况。若白带出现异常,应及时就医。","data": {"WebPage": {"headline": "白带是什么样子的图片","pcUrl": "https://www.med-credit.org.cn/jingxuan/2/a4fe78b7f11bba635521d3eacce06ea9.html","wapUrl": "https://www.med-credit.org.cn/jingxuan/2/a4fe78b7f11bba635521d3eacce06ea9.html","mipUrl": "https://www.med-credit.org.cn/mobile/jingxuan/2/a4fe78b7f11bba635521d3eacce06ea9.html","fromSrc": "欢乐橙","datePublished": "2023-03-29T10:32:19","domain": "医疗","category": ["医疗权威文章合作"],"description": "正常白带是一种白色、透明状、无味、量少的液体。异常白带可出现黄绿色、豆腐渣样、带血等情况。若白带出现异常,应及时就医。
","extra_headline": [""]},"Author": {"name": "种轶文","wapUrl": "https://www.med-credit.org.cn/doctor/575","pcUrl": "https://www.med-credit.org.cn/doctor/575","jobTitle": "副主任医师","headPortrait": "https://www.med-credit.org.cn/uploadfile/member/575/180x180.jpeg","id": "575","description": "种轶文,北京大学第三医院妇产科副主任医师","memberOf": {"legalName": "北京大学第三医院","department": "妇产科","organizationLevel": "三级甲等"}},"Article": {"summaryContent": "正常白带是一种白色、透明状、无味、量少的液体。异常白带可出现黄绿色、豆腐渣样、带血等情况。若白带出现异常,应及时就医。

白带主要是经女性阴道分泌的一种生理性分泌物。一般在青春期前,月经未至之前,女性不分泌,而随着年龄的增长,在到达青春期后,随着女性体内激素水平的变化,开始分泌白带,一般不会引起不适症状。
一些女性由于免疫力低、未及时做好卫生防护出现致病菌感染,也会使得白带出现异常。白带的颜色若呈黄绿色且伴有外阴瘙痒、红肿、甚至溃烂,多为阴道滴虫感染所致;若白带呈豆腐渣样,且阴部有其它不适症状,多为霉菌感染;如患者的白带中带血,则提示患者有子宫息肉、子宫内膜炎等,此外还有其它病因所致的白带异常。
未绝经前的女性都应注意白带变化,白带可作为提示信号,反映体内的一些疾病。若白带出现异常,应注意好个人卫生,及时就医,在医生指导下进行治疗。
","articleBody": "正常白带是一种白色、透明状、无味、量少的液体。异常白带可出现黄绿色、豆腐渣样、带血等情况。若白带出现异常,应及时就医。

白带主要是经女性阴道分泌的一种生理性分泌物。一般在青春期前,月经未至之前,女性不分泌,而随着年龄的增长,在到达青春期后,随着女性体内激素水平的变化,开始分泌白带,一般不会引起不适症状。
一些女性由于免疫力低、未及时做好卫生防护出现致病菌感染,也会使得白带出现异常。白带的颜色若呈黄绿色且伴有外阴瘙痒、红肿、甚至溃烂,多为阴道滴虫感染所致;若白带呈豆腐渣样,且阴部有其它不适症状,多为霉菌感染;如患者的白带中带血,则提示患者有子宫息肉、子宫内膜炎等,此外还有其它病因所致的白带异常。
未绝经前的女性都应注意白带变化,白带可作为提示信号,反映体内的一些疾病。若白带出现异常,应注意好个人卫生,及时就医,在医生指导下进行治疗。
","scanCount": 55842}}} {"@context": "https://ziyuan.baidu.com/contexts/cambrian.jsonld","appid": "1650708455561748","icon": "https://www.med-credit.org.cn/style/images/ttlogo.png","content_tag": ["atlas"],"is_mcn": {"thumb_id": "v2rm41u3"},"accid": "4886d626a2804dee5f11168793ce361672f39c25","@id": "https://www.med-credit.org.cn/mobile/jingxuan/2/1266a00bf790d75b26af308b8b71f140.html","bagWordId": "9ee32d16d9cd0038","title": "验孕棒两条杠一深一浅图片","pubDate": "2023-03-29T10:32:19","upDate": "2023-03-29T10:32:19","lrDate": "2023-03-29T10:32:19","description": "验孕棒两条杠一深一浅代表弱阳性,即可能已经怀孕但人绒毛膜促性腺激素浓度不够,也可能并未怀孕,因体内雌孕激素不平衡导致该结果。","data": {"WebPage": {"headline": "验孕棒两条杠一深一浅图片","pcUrl": "https://www.med-credit.org.cn/jingxuan/2/1266a00bf790d75b26af308b8b71f140.html","wapUrl": "https://www.med-credit.org.cn/jingxuan/2/1266a00bf790d75b26af308b8b71f140.html","mipUrl": "https://www.med-credit.org.cn/mobile/jingxuan/2/1266a00bf790d75b26af308b8b71f140.html","fromSrc": "欢乐橙","datePublished": "2023-03-29T10:32:19","domain": "医疗","category": ["医疗权威文章合作"],"description": "验孕棒两条杠一深一浅代表弱阳性,即可能已经怀孕但人绒毛膜促性腺激素浓度不够,也可能并未怀孕,因体内雌孕激素不平衡导致该结果。
","extra_headline": [""]},"Author": {"name": "种轶文","wapUrl": "https://www.med-credit.org.cn/doctor/575","pcUrl": "https://www.med-credit.org.cn/doctor/575","jobTitle": "副主任医师","headPortrait": "https://www.med-credit.org.cn/uploadfile/member/575/180x180.jpeg","id": "575","description": "种轶文,北京大学第三医院妇产科副主任医师","memberOf": {"legalName": "北京大学第三医院","department": "妇产科","organizationLevel": "三级甲等"}},"Article": {"summaryContent": "验孕棒两条杠一深一浅代表弱阳性,即可能已经怀孕但人绒毛膜促性腺激素浓度不够,也可能并未怀孕,因体内雌孕激素不平衡导致该结果。

验孕棒工作原理为通过验孕棒中带有显色剂的抗体与受检者尿液中的人绒毛膜促性腺激素抗原结合反应后显色,验证患者是否怀孕。显色条件为人绒毛膜促性腺激素浓度大于500个单位,试纸可显示出两条红线。如果受检者未受孕,体内人绒毛膜促性腺激素浓度是低于25个单位的,不会使显色剂显色,试纸只显示一条红线。一般性生活后半月,如受孕即可检测出阳性结果。当结果一深一浅,则代表受检者体内人绒毛膜促性腺激素处于临界水平,此时应再次进行检测,可于1周后进行复检,也可就诊于当地医院行血清人绒毛膜促性腺激素检测,进一步配合超声明确是否怀孕。
因此验孕棒一深一浅代表受检者体内人绒毛膜促性腺激素较常人高,但不足怀孕界值,需再次检测。
","articleBody": "验孕棒两条杠一深一浅代表弱阳性,即可能已经怀孕但人绒毛膜促性腺激素浓度不够,也可能并未怀孕,因体内雌孕激素不平衡导致该结果。

验孕棒工作原理为通过验孕棒中带有显色剂的抗体与受检者尿液中的人绒毛膜促性腺激素抗原结合反应后显色,验证患者是否怀孕。显色条件为人绒毛膜促性腺激素浓度大于500个单位,试纸可显示出两条红线。如果受检者未受孕,体内人绒毛膜促性腺激素浓度是低于25个单位的,不会使显色剂显色,试纸只显示一条红线。一般性生活后半月,如受孕即可检测出阳性结果。当结果一深一浅,则代表受检者体内人绒毛膜促性腺激素处于临界水平,此时应再次进行检测,可于1周后进行复检,也可就诊于当地医院行血清人绒毛膜促性腺激素检测,进一步配合超声明确是否怀孕。
因此验孕棒一深一浅代表受检者体内人绒毛膜促性腺激素较常人高,但不足怀孕界值,需再次检测。
","scanCount": 55841}}} {"@context": "https://ziyuan.baidu.com/contexts/cambrian.jsonld","appid": "1650708455561748","icon": "https://www.med-credit.org.cn/style/images/ttlogo.png","content_tag": ["atlas"],"is_mcn": {"thumb_id": "v2rm41u3"},"accid": "4886d626a2804dee5f11168793ce361672f39c25","@id": "https://www.med-credit.org.cn/mobile/jingxuan/2/0de00d61533ff757053369a9700ba31d.html","bagWordId": "6d1b588a5cd6192a","title": "早孕试纸图片两杠照片","pubDate": "2023-03-29T10:32:19","upDate": "2023-03-29T10:32:19","lrDate": "2023-03-29T10:32:19","description": "早孕检测试纸两道杠提示存在怀孕的可能,需要完善血液学检查和影像学检查进一步明确诊断。","data": {"WebPage": {"headline": "早孕试纸图片两杠照片","pcUrl": "https://www.med-credit.org.cn/jingxuan/2/0de00d61533ff757053369a9700ba31d.html","wapUrl": "https://www.med-credit.org.cn/jingxuan/2/0de00d61533ff757053369a9700ba31d.html","mipUrl": "https://www.med-credit.org.cn/mobile/jingxuan/2/0de00d61533ff757053369a9700ba31d.html","fromSrc": "欢乐橙","datePublished": "2023-03-29T10:32:19","domain": "医疗","category": ["医疗权威文章合作"],"description": "早孕检测试纸两道杠提示存在怀孕的可能,需要完善血液学检查和影像学检查进一步明确诊断。
","extra_headline": ["早孕试纸两杠照片"]},"Author": {"name": "种轶文","wapUrl": "https://www.med-credit.org.cn/doctor/575","pcUrl": "https://www.med-credit.org.cn/doctor/575","jobTitle": "副主任医师","headPortrait": "https://www.med-credit.org.cn/uploadfile/member/575/180x180.jpeg","id": "575","description": "种轶文,北京大学第三医院妇产科副主任医师","memberOf": {"legalName": "北京大学第三医院","department": "妇产科","organizationLevel": "三级甲等"}},"Article": {"summaryContent": "早孕检测试纸两道杠提示存在怀孕的可能,需要完善血液学检查和影像学检查进一步明确诊断。

处于生育期且有性生活史的健康妇女,平时月经周期规则,停经10日以上且测早孕试纸出现上述情况时,应高度怀疑妊娠的可能。但早孕检测试纸的结果并不能给出明确的诊断,需要到妇产科门诊抽血查血清hCG、查妇科B超来进一步做出判断。人绒毛膜促性腺激素只有在受精卵着床至少7-10天才会出现在尿液中,因此过早地检测可能会出现假阴性的情况。一些胚胎源性的疾病如葡萄胎、绒毛膜癌等疾病也会使尿液中出现人绒毛膜促性腺激素。
早孕试纸出现一深一浅时也需要结合自身临床症状来判断,早孕症状一般有:停经,出现畏寒、头晕、嗜睡、食欲缺乏、喜食酸物、情绪波动大,小便次数增多,乳房胀痛等。
","articleBody": "早孕检测试纸两道杠提示存在怀孕的可能,需要完善血液学检查和影像学检查进一步明确诊断。

处于生育期且有性生活史的健康妇女,平时月经周期规则,停经10日以上且测早孕试纸出现上述情况时,应高度怀疑妊娠的可能。但早孕检测试纸的结果并不能给出明确的诊断,需要到妇产科门诊抽血查血清hCG、查妇科B超来进一步做出判断。人绒毛膜促性腺激素只有在受精卵着床至少7-10天才会出现在尿液中,因此过早地检测可能会出现假阴性的情况。一些胚胎源性的疾病如葡萄胎、绒毛膜癌等疾病也会使尿液中出现人绒毛膜促性腺激素。
早孕试纸出现一深一浅时也需要结合自身临床症状来判断,早孕症状一般有:停经,出现畏寒、头晕、嗜睡、食欲缺乏、喜食酸物、情绪波动大,小便次数增多,乳房胀痛等。
","scanCount": 55840}}} {"@context": "https://ziyuan.baidu.com/contexts/cambrian.jsonld","appid": "1650708455561748","icon": "https://www.med-credit.org.cn/style/images/ttlogo.png","content_tag": ["atlas"],"is_mcn": {"thumb_id": "v2rm41u3"},"accid": "4886d626a2804dee5f11168793ce361672f39c25","@id": "https://www.med-credit.org.cn/mobile/jingxuan/2/579021c14342d0baf8836da9716832f8.html","bagWordId": "426f838a40098562","title": "产后两个月分泌物黄粘图片","pubDate": "2023-03-29T10:32:19","upDate": "2023-03-29T10:32:19","lrDate": "2023-03-29T10:32:19","description": "生产后两个月分泌物发黄粘稠可能是滴虫性阴道炎、宫颈炎、子宫内膜炎等。","data": {"WebPage": {"headline": "产后两个月分泌物黄粘图片","pcUrl": "https://www.med-credit.org.cn/jingxuan/2/579021c14342d0baf8836da9716832f8.html","wapUrl": "https://www.med-credit.org.cn/jingxuan/2/579021c14342d0baf8836da9716832f8.html","mipUrl": "https://www.med-credit.org.cn/mobile/jingxuan/2/579021c14342d0baf8836da9716832f8.html","fromSrc": "欢乐橙","datePublished": "2023-03-29T10:32:19","domain": "医疗","category": ["医疗权威文章合作"],"description": "生产后两个月分泌物发黄粘稠可能是滴虫性阴道炎、宫颈炎、子宫内膜炎等。
","extra_headline": ["产后两个月分泌物黄粘"]},"Author": {"name": "种轶文","wapUrl": "https://www.med-credit.org.cn/doctor/575","pcUrl": "https://www.med-credit.org.cn/doctor/575","jobTitle": "副主任医师","headPortrait": "https://www.med-credit.org.cn/uploadfile/member/575/180x180.jpeg","id": "575","description": "种轶文,北京大学第三医院妇产科副主任医师","memberOf": {"legalName": "北京大学第三医院","department": "妇产科","organizationLevel": "三级甲等"}},"Article": {"summaryContent": "生产后两个月分泌物发黄粘稠可能是滴虫性阴道炎、宫颈炎、子宫内膜炎等。

1、滴虫性阴道炎:当阴道遭到阴道毛滴虫的感染,就会导致女性的白带呈现出发黄,粘稠的状态,主要是通过性接触传播,此时多通过在医生指导下服用甲硝唑等药物进行治疗,注意哺乳期妇女不宜用药。
2、宫颈炎:当阴道菌群紊乱,内分泌失调,病原体感染等导致宫颈炎时,即可出现白带增加,呈脓性、淡黄色,可伴有异味,主要通过在医生指导下服用多西环素等抗生素治疗,也可通过激光等物理方法治疗,如同时存在宫颈息肉,则需要行息肉摘除手术。
3、子宫内膜炎:患有子宫内膜炎的患者,白带可呈现脓性、发黄的情况,且多伴有下腹痛或下腹部坠胀感,一般在医生指导下服用抗生素治疗,如头孢克肟和甲硝唑等,情况严重时,就需要介入手术。
如有白带有异常情况,请及时至医院妇科门诊检查治疗,日常生活注意卫生,每天用清水清洗阴部,锻炼身体,合理膳食。
","articleBody": "生产后两个月分泌物发黄粘稠可能是滴虫性阴道炎、宫颈炎、子宫内膜炎等。

1、滴虫性阴道炎:当阴道遭到阴道毛滴虫的感染,就会导致女性的白带呈现出发黄,粘稠的状态,主要是通过性接触传播,此时多通过在医生指导下服用甲硝唑等药物进行治疗,注意哺乳期妇女不宜用药。
2、宫颈炎:当阴道菌群紊乱,内分泌失调,病原体感染等导致宫颈炎时,即可出现白带增加,呈脓性、淡黄色,可伴有异味,主要通过在医生指导下服用多西环素等抗生素治疗,也可通过激光等物理方法治疗,如同时存在宫颈息肉,则需要行息肉摘除手术。
3、子宫内膜炎:患有子宫内膜炎的患者,白带可呈现脓性、发黄的情况,且多伴有下腹痛或下腹部坠胀感,一般在医生指导下服用抗生素治疗,如头孢克肟和甲硝唑等,情况严重时,就需要介入手术。
如有白带有异常情况,请及时至医院妇科门诊检查治疗,日常生活注意卫生,每天用清水清洗阴部,锻炼身体,合理膳食。
","scanCount": 55839}}} {"@context": "https://ziyuan.baidu.com/contexts/cambrian.jsonld","appid": "1650708455561748","icon": "https://www.med-credit.org.cn/style/images/ttlogo.png","content_tag": ["atlas"],"is_mcn": {"thumb_id": "v2rm41u3"},"accid": "4886d626a2804dee5f11168793ce361672f39c25","@id": "https://www.med-credit.org.cn/mobile/jingxuan/2/563c1a6959878a292e5f086a3e425ec9.html","bagWordId": "6c476fad226bfb0b","title": "宫颈息肉掉出来了图片","pubDate": "2023-03-29T10:32:19","upDate": "2023-03-29T10:32:19","lrDate": "2023-03-29T10:32:19","description": "宫颈息肉一般柔软较脆,过大的息肉在剧烈活动时可能脱出阴道,使患者出现宫颈息肉掉出来的感觉。","data": {"WebPage": {"headline": "宫颈息肉掉出来了图片","pcUrl": "https://www.med-credit.org.cn/jingxuan/2/563c1a6959878a292e5f086a3e425ec9.html","wapUrl": "https://www.med-credit.org.cn/jingxuan/2/563c1a6959878a292e5f086a3e425ec9.html","mipUrl": "https://www.med-credit.org.cn/mobile/jingxuan/2/563c1a6959878a292e5f086a3e425ec9.html","fromSrc": "欢乐橙","datePublished": "2023-03-29T10:32:19","domain": "医疗","category": ["医疗权威文章合作"],"description": "宫颈息肉一般柔软较脆,过大的息肉在剧烈活动时可能脱出阴道,使患者出现宫颈息肉掉出来的感觉。
","extra_headline": ["宫颈息肉掉出来了"]},"Author": {"name": "种轶文","wapUrl": "https://www.med-credit.org.cn/doctor/575","pcUrl": "https://www.med-credit.org.cn/doctor/575","jobTitle": "副主任医师","headPortrait": "https://www.med-credit.org.cn/uploadfile/member/575/180x180.jpeg","id": "575","description": "种轶文,北京大学第三医院妇产科副主任医师","memberOf": {"legalName": "北京大学第三医院","department": "妇产科","organizationLevel": "三级甲等"}},"Article": {"summaryContent": "宫颈息肉一般柔软较脆,过大的息肉在剧烈活动时可能脱出阴道,使患者出现宫颈息肉掉出来的感觉。

宫颈息肉为宫颈处所生长的赘生物,与宫颈壁有蒂相连,与炎症刺激、血管堵塞、激素分泌异常等因素有关,患者可有月经失调、白带增多、阴道异常流血等表现。息肉一般柔软较脆,摩擦时容易出血,过大的息肉在剧烈活动时还可能掉出阴道口。若继发感染,还可能出现化脓、异味等表现。
对于该病,患者需尽早诊断并治疗。多数选择手术等方式来摘除息肉,术后应在医生指导下配合使用止痛药及止血药。使用激光、电灼等物理疗法也有一定功效。若存在宫颈炎等原发病,还需结合抗生素等药物治疗。
尽管该病的癌变概率较低,但仍建议患者进行组织活检以确定是否发生癌变。患者日常需注意私处卫生清洁,定期进行妇科检查,平时注意休息,戒烟戒酒,健康饮食。
","articleBody": "宫颈息肉一般柔软较脆,过大的息肉在剧烈活动时可能脱出阴道,使患者出现宫颈息肉掉出来的感觉。

宫颈息肉为宫颈处所生长的赘生物,与宫颈壁有蒂相连,与炎症刺激、血管堵塞、激素分泌异常等因素有关,患者可有月经失调、白带增多、阴道异常流血等表现。息肉一般柔软较脆,摩擦时容易出血,过大的息肉在剧烈活动时还可能掉出阴道口。若继发感染,还可能出现化脓、异味等表现。
对于该病,患者需尽早诊断并治疗。多数选择手术等方式来摘除息肉,术后应在医生指导下配合使用止痛药及止血药。使用激光、电灼等物理疗法也有一定功效。若存在宫颈炎等原发病,还需结合抗生素等药物治疗。
尽管该病的癌变概率较低,但仍建议患者进行组织活检以确定是否发生癌变。患者日常需注意私处卫生清洁,定期进行妇科检查,平时注意休息,戒烟戒酒,健康饮食。
","scanCount": 55838}}} {"@context": "https://ziyuan.baidu.com/contexts/cambrian.jsonld","appid": "1650708455561748","icon": "https://www.med-credit.org.cn/style/images/ttlogo.png","content_tag": ["atlas"],"is_mcn": {"thumb_id": "v2rm41u3"},"accid": "4886d626a2804dee5f11168793ce361672f39c25","@id": "https://www.med-credit.org.cn/mobile/jingxuan/2/5d92d690ccecf1e6b4a72f8967f86101.html","bagWordId": "e0f1ddf4d76346c4","title": "孕妇图片肚子大全 十月怀胎","pubDate": "2023-03-29T10:32:19","upDate": "2023-03-29T10:32:19","lrDate": "2023-03-29T10:32:19","description": "孕妇十月怀胎的肚子大小与胎儿以及个体差异有关,影响孕妇孕肚大小的因素有:宝宝位置、羊水的多少或母体的胖瘦相关。","data": {"WebPage": {"headline": "孕妇图片肚子大全 十月怀胎","pcUrl": "https://www.med-credit.org.cn/jingxuan/2/5d92d690ccecf1e6b4a72f8967f86101.html","wapUrl": "https://www.med-credit.org.cn/jingxuan/2/5d92d690ccecf1e6b4a72f8967f86101.html","mipUrl": "https://www.med-credit.org.cn/mobile/jingxuan/2/5d92d690ccecf1e6b4a72f8967f86101.html","fromSrc": "欢乐橙","datePublished": "2023-03-29T10:32:19","domain": "医疗","category": ["医疗权威文章合作"],"description": "孕妇十月怀胎的肚子大小与胎儿以及个体差异有关,影响孕妇孕肚大小的因素有:宝宝位置、羊水的多少或母体的胖瘦相关。
","extra_headline": ["孕妇肚子大全 十月怀胎"]},"Author": {"name": "种轶文","wapUrl": "https://www.med-credit.org.cn/doctor/575","pcUrl": "https://www.med-credit.org.cn/doctor/575","jobTitle": "副主任医师","headPortrait": "https://www.med-credit.org.cn/uploadfile/member/575/180x180.jpeg","id": "575","description": "种轶文,北京大学第三医院妇产科副主任医师","memberOf": {"legalName": "北京大学第三医院","department": "妇产科","organizationLevel": "三级甲等"}},"Article": {"summaryContent": "孕妇十月怀胎的肚子大小与胎儿以及个体差异有关,影响孕妇孕肚大小的因素有:宝宝位置、羊水的多少或母体的胖瘦相关。

1、宝宝位置:孕妇十月怀胎的肚子大小与宝宝的位置密切相关,宝宝在子宫前方的位置或子宫后方的位置都会影响肚子的大小,宝宝的位置在子宫前方位置的孕妇腹部明显比在宝宝位置在子宫后方的孕妇腹部要大。
羊水多少:孕妇羊水的多少也会决定腹部的大小,根据个体差异不同,孕妇羊水也是不同的。
2、母体胖瘦:孕妇腹部大小也与母体本身的胖瘦有关,母体本身较瘦腹部脂肪层较少的孕妇明显比母体本身腹部脂肪层厚的孕妇腹部要小。
十月怀胎的孕妇的肚子大概有50~60cm,还应排除怀有双胎或多胎的孕妇。具体大小还要胎儿及个体差异相关。孕产妇可定期进行产检,确保胎儿及自身健康。
","articleBody": "孕妇十月怀胎的肚子大小与胎儿以及个体差异有关,影响孕妇孕肚大小的因素有:宝宝位置、羊水的多少或母体的胖瘦相关。

1、宝宝位置:孕妇十月怀胎的肚子大小与宝宝的位置密切相关,宝宝在子宫前方的位置或子宫后方的位置都会影响肚子的大小,宝宝的位置在子宫前方位置的孕妇腹部明显比在宝宝位置在子宫后方的孕妇腹部要大。
羊水多少:孕妇羊水的多少也会决定腹部的大小,根据个体差异不同,孕妇羊水也是不同的。
2、母体胖瘦:孕妇腹部大小也与母体本身的胖瘦有关,母体本身较瘦腹部脂肪层较少的孕妇明显比母体本身腹部脂肪层厚的孕妇腹部要小。
十月怀胎的孕妇的肚子大概有50~60cm,还应排除怀有双胎或多胎的孕妇。具体大小还要胎儿及个体差异相关。孕产妇可定期进行产检,确保胎儿及自身健康。
","scanCount": 55837}}} {"@context": "https://ziyuan.baidu.com/contexts/cambrian.jsonld","appid": "1650708455561748","icon": "https://www.med-credit.org.cn/style/images/ttlogo.png","content_tag": ["atlas"],"is_mcn": {"thumb_id": "v2rm41u3"},"accid": "4886d626a2804dee5f11168793ce361672f39c25","@id": "https://www.med-credit.org.cn/mobile/jingxuan/2/ad9396dcececb396328b5db6436c3f09.html","bagWordId": "8d08ad49167fd553","title": "怀孕一个月小腹图片","pubDate": "2023-03-29T10:32:19","upDate": "2023-03-29T10:32:19","lrDate": "2023-03-29T10:32:19","description": "怀孕1个月时小腹的大小和平时没有什么变化。","data": {"WebPage": {"headline": "怀孕一个月小腹图片","pcUrl": "https://www.med-credit.org.cn/jingxuan/2/ad9396dcececb396328b5db6436c3f09.html","wapUrl": "https://www.med-credit.org.cn/jingxuan/2/ad9396dcececb396328b5db6436c3f09.html","mipUrl": "https://www.med-credit.org.cn/mobile/jingxuan/2/ad9396dcececb396328b5db6436c3f09.html","fromSrc": "欢乐橙","datePublished": "2023-03-29T10:32:19","domain": "医疗","category": ["医疗权威文章合作"],"description": "怀孕1个月时小腹的大小和平时没有什么变化。
","extra_headline": [""]},"Author": {"name": "种轶文","wapUrl": "https://www.med-credit.org.cn/doctor/575","pcUrl": "https://www.med-credit.org.cn/doctor/575","jobTitle": "副主任医师","headPortrait": "https://www.med-credit.org.cn/uploadfile/member/575/180x180.jpeg","id": "575","description": "种轶文,北京大学第三医院妇产科副主任医师","memberOf": {"legalName": "北京大学第三医院","department": "妇产科","organizationLevel": "三级甲等"}},"Article": {"summaryContent": "怀孕1个月时小腹的大小和平时没有什么变化。

怀孕是指精子和卵子相遇后在输卵管内形成受精卵,受精卵通过输卵管到达子宫内,受精卵在子宫内经过大概280天的子宫生长,最终发育成一个健康的胎儿。
从末次月经的第一天到婴儿的分娩是完整的孕育婴儿的过程,这个过程大概需要280天。在第一个月时精子和卵子在输卵管形成受精卵,在受精卵形成后在发育的过程中也朝着子宫的方向移动,在大概第3天时到达子宫腔,在大概第6天时在子宫内膜内着床,着床后受精卵形成一边发育一边在输卵管内向子宫方向移动,3~4天后到达子宫腔,6~8天就着床于营养丰富的子宫内膜里,着床后的受精卵已经分裂成胚泡,胚泡表面分裂出绒毛。进一步深入子宫内膜,向母体吸收营养,此时的胚泡的直径大概2mm左右,所以怀孕第1个月的小腹和平时没有什么区别。
","articleBody": "怀孕1个月时小腹的大小和平时没有什么变化。

怀孕是指精子和卵子相遇后在输卵管内形成受精卵,受精卵通过输卵管到达子宫内,受精卵在子宫内经过大概280天的子宫生长,最终发育成一个健康的胎儿。
从末次月经的第一天到婴儿的分娩是完整的孕育婴儿的过程,这个过程大概需要280天。在第一个月时精子和卵子在输卵管形成受精卵,在受精卵形成后在发育的过程中也朝着子宫的方向移动,在大概第3天时到达子宫腔,在大概第6天时在子宫内膜内着床,着床后受精卵形成一边发育一边在输卵管内向子宫方向移动,3~4天后到达子宫腔,6~8天就着床于营养丰富的子宫内膜里,着床后的受精卵已经分裂成胚泡,胚泡表面分裂出绒毛。进一步深入子宫内膜,向母体吸收营养,此时的胚泡的直径大概2mm左右,所以怀孕第1个月的小腹和平时没有什么区别。
","scanCount": 55836}}} {"@context": "https://ziyuan.baidu.com/contexts/cambrian.jsonld","appid": "1650708455561748","icon": "https://www.med-credit.org.cn/style/images/ttlogo.png","content_tag": ["atlas"],"is_mcn": {"thumb_id": "v2rm41u3"},"accid": "4886d626a2804dee5f11168793ce361672f39c25","@id": "https://www.med-credit.org.cn/mobile/jingxuan/2/02ef1dcd24b81f29f6bd45fda2fab34a.html","bagWordId": "d6edca71a6feb0cc","title": "早早孕试纸用法步骤图","pubDate": "2023-03-29T10:32:19","upDate": "2023-03-29T10:32:19","lrDate": "2023-03-29T10:32:19","description": "选择晨尿然后使用验孕试纸。","data": {"WebPage": {"headline": "早早孕试纸用法步骤图","pcUrl": "https://www.med-credit.org.cn/jingxuan/2/02ef1dcd24b81f29f6bd45fda2fab34a.html","wapUrl": "https://www.med-credit.org.cn/jingxuan/2/02ef1dcd24b81f29f6bd45fda2fab34a.html","mipUrl": "https://www.med-credit.org.cn/mobile/jingxuan/2/02ef1dcd24b81f29f6bd45fda2fab34a.html","fromSrc": "欢乐橙","datePublished": "2023-03-29T10:32:19","domain": "医疗","category": ["医疗权威文章合作"],"description": "选择晨尿然后使用验孕试纸。
","extra_headline": ["早早孕试纸用法步骤"]},"Author": {"name": "种轶文","wapUrl": "https://www.med-credit.org.cn/doctor/575","pcUrl": "https://www.med-credit.org.cn/doctor/575","jobTitle": "副主任医师","headPortrait": "https://www.med-credit.org.cn/uploadfile/member/575/180x180.jpeg","id": "575","description": "种轶文,北京大学第三医院妇产科副主任医师","memberOf": {"legalName": "北京大学第三医院","department": "妇产科","organizationLevel": "三级甲等"}},"Article": {"summaryContent": "选择晨尿然后使用验孕试纸。

一、最好是选择晨尿,也就是早晨起来第1泡尿。此时还没有喝水和进食,尿液处于浓缩状态,准确率比较高。
二、用干净的容器或者是一次性尿杯收集尿液。
三、取出试纸条,首先要检查外包装有无破损,再就是有没有过期。找到铝箔袋切口撕斯开取出试纸条。
四、将试纸带有箭头的一端插入盛有尿液的容器中,注意尿液不允许超过参考线,大约三秒钟后取出放平。
五、耐心等待,大约5-10分钟内观察检测结果。
早早孕试纸主要是测量尿中的绒毛膜促性腺激素的浓度。
如果刚怀孕时间不久可能会出现假阴性,并不代表没有怀孕。
早早孕试纸使用比较简单,也很方便,但只能作为初步筛查,会出现假阳性和假阴性的情况。
建议有性生活没有采取保护措施的女性可以隔天再查,必要时到医院化验血hCG来确诊,以免耽误治疗。如果反复测量数次都是弱阳性,也要及时到医院复查。
","articleBody": "选择晨尿然后使用验孕试纸。

一、最好是选择晨尿,也就是早晨起来第1泡尿。此时还没有喝水和进食,尿液处于浓缩状态,准确率比较高。
二、用干净的容器或者是一次性尿杯收集尿液。
三、取出试纸条,首先要检查外包装有无破损,再就是有没有过期。找到铝箔袋切口撕斯开取出试纸条。
四、将试纸带有箭头的一端插入盛有尿液的容器中,注意尿液不允许超过参考线,大约三秒钟后取出放平。
五、耐心等待,大约5-10分钟内观察检测结果。
早早孕试纸主要是测量尿中的绒毛膜促性腺激素的浓度。
如果刚怀孕时间不久可能会出现假阴性,并不代表没有怀孕。
早早孕试纸使用比较简单,也很方便,但只能作为初步筛查,会出现假阳性和假阴性的情况。
建议有性生活没有采取保护措施的女性可以隔天再查,必要时到医院化验血hCG来确诊,以免耽误治疗。如果反复测量数次都是弱阳性,也要及时到医院复查。
","scanCount": 55835}}} {"@context": "https://ziyuan.baidu.com/contexts/cambrian.jsonld","appid": "1650708455561748","icon": "https://www.med-credit.org.cn/style/images/ttlogo.png","content_tag": ["atlas"],"is_mcn": {"thumb_id": "v2rm41u3"},"accid": "4886d626a2804dee5f11168793ce361672f39c25","@id": "https://www.med-credit.org.cn/mobile/jingxuan/2/ff2bb88751b2bcb962bdc767a1a65aa0.html","bagWordId": "10c19d1ba164d874","title": "吃米非司酮后掉下血块图片","pubDate": "2023-03-29T10:32:19","upDate": "2023-03-29T10:32:19","lrDate": "2023-03-29T10:32:19","description": "服用米非司酮后掉下血块,一般是由于患者的胚胎组织已死亡,并且胚胎及蜕膜组织出现与宫壁相剥离并排出的现象,产生了流产。","data": {"WebPage": {"headline": "吃米非司酮后掉下血块图片","pcUrl": "https://www.med-credit.org.cn/jingxuan/2/ff2bb88751b2bcb962bdc767a1a65aa0.html","wapUrl": "https://www.med-credit.org.cn/jingxuan/2/ff2bb88751b2bcb962bdc767a1a65aa0.html","mipUrl": "https://www.med-credit.org.cn/mobile/jingxuan/2/ff2bb88751b2bcb962bdc767a1a65aa0.html","fromSrc": "欢乐橙","datePublished": "2023-03-29T10:32:19","domain": "医疗","category": ["医疗权威文章合作"],"description": "服用米非司酮后掉下血块,一般是由于患者的胚胎组织已死亡,并且胚胎及蜕膜组织出现与宫壁相剥离并排出的现象,产生了流产。
","extra_headline": [""]},"Author": {"name": "种轶文","wapUrl": "https://www.med-credit.org.cn/doctor/575","pcUrl": "https://www.med-credit.org.cn/doctor/575","jobTitle": "副主任医师","headPortrait": "https://www.med-credit.org.cn/uploadfile/member/575/180x180.jpeg","id": "575","description": "种轶文,北京大学第三医院妇产科副主任医师","memberOf": {"legalName": "北京大学第三医院","department": "妇产科","organizationLevel": "三级甲等"}},"Article": {"summaryContent": "服用米非司酮后掉下血块,一般是由于患者的胚胎组织已死亡,并且胚胎及蜕膜组织出现与宫壁相剥离并排出的现象,产生了流产。

患者服用米非司酮,出现大量血块,并且有白色的绒毛状的孕囊出现,说明孕囊已经从胎盘上脱落下来,妊娠已经终止。
患者服用米非司酮后,出现大量血块和白色的孕囊,需要到医院进行B超检查,并确定宫腔中是否存在胚胎组织残留,如果患者存在流产不全的情况,需要进行宫清手术,以及时清除胚胎残留物。
患者服用米非司酮后,出现持续性且出血量大于以往的月经量时,一定要及时处理,否则会造成血压降低,甚至引起休克等症状。
米非司酮适用于需要流产的停经不超过四十九天的孕妇,服药后需在八至十五日随诊,常与米索前列醇联用进行药物流产,建议在医生的指导下合理用药。
","articleBody": "服用米非司酮后掉下血块,一般是由于患者的胚胎组织已死亡,并且胚胎及蜕膜组织出现与宫壁相剥离并排出的现象,产生了流产。

患者服用米非司酮,出现大量血块,并且有白色的绒毛状的孕囊出现,说明孕囊已经从胎盘上脱落下来,妊娠已经终止。
患者服用米非司酮后,出现大量血块和白色的孕囊,需要到医院进行B超检查,并确定宫腔中是否存在胚胎组织残留,如果患者存在流产不全的情况,需要进行宫清手术,以及时清除胚胎残留物。
患者服用米非司酮后,出现持续性且出血量大于以往的月经量时,一定要及时处理,否则会造成血压降低,甚至引起休克等症状。
米非司酮适用于需要流产的停经不超过四十九天的孕妇,服药后需在八至十五日随诊,常与米索前列醇联用进行药物流产,建议在医生的指导下合理用药。
","scanCount": 55834}}} {"@context": "https://ziyuan.baidu.com/contexts/cambrian.jsonld","appid": "1650708455561748","icon": "https://www.med-credit.org.cn/style/images/ttlogo.png","content_tag": ["atlas"],"is_mcn": {"thumb_id": "v2rm41u3"},"accid": "4886d626a2804dee5f11168793ce361672f39c25","@id": "https://www.med-credit.org.cn/mobile/jingxuan/2/09db24cf528080732f4ff10580c58f75.html","bagWordId": "39957baecc75e6f2","title": "子宫钳图片大全","pubDate": "2023-03-29T10:32:19","upDate": "2023-03-29T10:32:19","lrDate": "2023-03-29T10:32:19","description": "子宫钳是一种特殊的外科手术器械,用于抓取和夹持女性子宫内的组织。","data": {"WebPage": {"headline": "子宫钳图片大全","pcUrl": "https://www.med-credit.org.cn/jingxuan/2/09db24cf528080732f4ff10580c58f75.html","wapUrl": "https://www.med-credit.org.cn/jingxuan/2/09db24cf528080732f4ff10580c58f75.html","mipUrl": "https://www.med-credit.org.cn/mobile/jingxuan/2/09db24cf528080732f4ff10580c58f75.html","fromSrc": "欢乐橙","datePublished": "2023-03-29T10:32:19","domain": "医疗","category": ["医疗权威文章合作"],"description": "子宫钳是一种特殊的外科手术器械,用于抓取和夹持女性子宫内的组织。
","extra_headline": ["子宫钳大全"]},"Author": {"name": "种轶文","wapUrl": "https://www.med-credit.org.cn/doctor/575","pcUrl": "https://www.med-credit.org.cn/doctor/575","jobTitle": "副主任医师","headPortrait": "https://www.med-credit.org.cn/uploadfile/member/575/180x180.jpeg","id": "575","description": "种轶文,北京大学第三医院妇产科副主任医师","memberOf": {"legalName": "北京大学第三医院","department": "妇产科","organizationLevel": "三级甲等"}},"Article": {"summaryContent": "子宫钳是一种特殊的外科手术器械,用于抓取和夹持女性子宫内的组织。





大多数子宫钳是由碳钢制成的,有一个类似剪刀的夹持器,在另一端有一个夹持面。妇产科镊子通常被归为同一组称为子宫钳,因为许多可以互换使用。大多数需要子宫钳的程序通常包括夹持子宫周围的血管或组织或取出组织进行活检和其他检查。
子宫钳的种类很多,基本上可以分为三类:单钩的、双钩的和鼠齿的。单钩及双钩的子宫钳子:钳柄有弹性和咬合挂钩,钳前端是爪形或者是钩形,可以在夹持的过程中将钩刺入宫颈外口,避免牵拉时脱落;鼠齿子宫钳:钳头端呈鼠齿状,钳身微微弯曲,钳柄有弹性和咬合挂钩。
","articleBody": "子宫钳是一种特殊的外科手术器械,用于抓取和夹持女性子宫内的组织。





大多数子宫钳是由碳钢制成的,有一个类似剪刀的夹持器,在另一端有一个夹持面。妇产科镊子通常被归为同一组称为子宫钳,因为许多可以互换使用。大多数需要子宫钳的程序通常包括夹持子宫周围的血管或组织或取出组织进行活检和其他检查。
子宫钳的种类很多,基本上可以分为三类:单钩的、双钩的和鼠齿的。单钩及双钩的子宫钳子:钳柄有弹性和咬合挂钩,钳前端是爪形或者是钩形,可以在夹持的过程中将钩刺入宫颈外口,避免牵拉时脱落;鼠齿子宫钳:钳头端呈鼠齿状,钳身微微弯曲,钳柄有弹性和咬合挂钩。
","scanCount": 55833}}} {"@context": "https://ziyuan.baidu.com/contexts/cambrian.jsonld","appid": "1650708455561748","icon": "https://www.med-credit.org.cn/style/images/ttlogo.png","content_tag": ["atlas"],"is_mcn": {"thumb_id": "v2rm41u3"},"accid": "4886d626a2804dee5f11168793ce361672f39c25","@id": "https://www.med-credit.org.cn/mobile/jingxuan/2/6627878fb5737b43e456039b8dce5060.html","bagWordId": "d6343d62ec648729","title": "没怀孕的验孕棒图片","pubDate": "2023-03-29T10:32:19","upDate": "2023-03-29T10:32:19","lrDate": "2023-03-29T10:32:19","description": "未怀孕者验孕棒显示为一条横杠。验孕棒又称早孕试验、尿妊娠试验,通过检测尿液中人绒毛膜促性腺激素(hCG)的有无可以初步判断是否怀孕。","data": {"WebPage": {"headline": "没怀孕的验孕棒图片","pcUrl": "https://www.med-credit.org.cn/jingxuan/2/6627878fb5737b43e456039b8dce5060.html","wapUrl": "https://www.med-credit.org.cn/jingxuan/2/6627878fb5737b43e456039b8dce5060.html","mipUrl": "https://www.med-credit.org.cn/mobile/jingxuan/2/6627878fb5737b43e456039b8dce5060.html","fromSrc": "欢乐橙","datePublished": "2023-03-29T10:32:19","domain": "医疗","category": ["医疗权威文章合作"],"description": "未怀孕者验孕棒显示为一条横杠。验孕棒又称早孕试验、尿妊娠试验,通过检测尿液中人绒毛膜促性腺激素(hCG)的有无可以初步判断是否怀孕。
","extra_headline": [""]},"Author": {"name": "种轶文","wapUrl": "https://www.med-credit.org.cn/doctor/575","pcUrl": "https://www.med-credit.org.cn/doctor/575","jobTitle": "副主任医师","headPortrait": "https://www.med-credit.org.cn/uploadfile/member/575/180x180.jpeg","id": "575","description": "种轶文,北京大学第三医院妇产科副主任医师","memberOf": {"legalName": "北京大学第三医院","department": "妇产科","organizationLevel": "三级甲等"}},"Article": {"summaryContent": "未怀孕者验孕棒显示为一条横杠。验孕棒又称早孕试验、尿妊娠试验,通过检测尿液中人绒毛膜促性腺激素(hCG)的有无可以初步判断是否怀孕。
验孕棒的结果可能表现为两条清晰横杠、一条横杠、一深一浅两条横杠。

没有怀孕者验孕棒显示为一条横杠,这是由于尿液中没有hCG,不能与试纸上的抗hCG抗体发生反应,因此不能显色。
1、两条横杠:两条清晰条横杠可以判断为怀孕。早孕试纸的原理是双抗体夹心法。尿液中的hCG通过虹吸作用与试纸上的抗hCG抗体发生反应,产生一条色带并进一步前进,形成对照线色带。故试纸显示两条横杠则可以证明尿液中含有hCG,可以初步判断为早孕状态,需要到医院做进一步检查。
2、一深一浅:一深一浅的结果提示尿妊娠试验弱阳性,不能排除妊娠的可能,尿液稀释、怀孕时间短、hCG含量较低、葡萄胎、早孕试纸太敏感等原因都会导致这种结果,可以过几天再次进行测试,或到医院完善检查,确定是否妊娠。
","articleBody": "未怀孕者验孕棒显示为一条横杠。验孕棒又称早孕试验、尿妊娠试验,通过检测尿液中人绒毛膜促性腺激素(hCG)的有无可以初步判断是否怀孕。
验孕棒的结果可能表现为两条清晰横杠、一条横杠、一深一浅两条横杠。

没有怀孕者验孕棒显示为一条横杠,这是由于尿液中没有hCG,不能与试纸上的抗hCG抗体发生反应,因此不能显色。
1、两条横杠:两条清晰条横杠可以判断为怀孕。早孕试纸的原理是双抗体夹心法。尿液中的hCG通过虹吸作用与试纸上的抗hCG抗体发生反应,产生一条色带并进一步前进,形成对照线色带。故试纸显示两条横杠则可以证明尿液中含有hCG,可以初步判断为早孕状态,需要到医院做进一步检查。
2、一深一浅:一深一浅的结果提示尿妊娠试验弱阳性,不能排除妊娠的可能,尿液稀释、怀孕时间短、hCG含量较低、葡萄胎、早孕试纸太敏感等原因都会导致这种结果,可以过几天再次进行测试,或到医院完善检查,确定是否妊娠。
","scanCount": 55832}}} {"@context": "https://ziyuan.baidu.com/contexts/cambrian.jsonld","appid": "1650708455561748","icon": "https://www.med-credit.org.cn/style/images/ttlogo.png","content_tag": ["atlas"],"is_mcn": {"thumb_id": "v2rm41u3"},"accid": "4886d626a2804dee5f11168793ce361672f39c25","@id": "https://www.med-credit.org.cn/mobile/jingxuan/2/d0e5014c9410119c818c8f6323c43862.html","bagWordId": "456febf59ee14ca3","title": "怀孕8周孕囊大小图片","pubDate": "2023-03-29T10:32:19","upDate": "2023-03-29T10:32:19","lrDate": "2023-03-29T10:32:19","description": "一般来说,孕八周时,孕囊大小为2到3厘米,但是,不同的孕妇有不同的表现。有的情况下,孕八周时,孕囊只有1到2厘米,有的情况,孕八周时,孕囊有3到4厘米,孕囊的大小与很多因素有关,比如说孕周,排卵的早晚,受精卵形成的早晚等。","data": {"WebPage": {"headline": "怀孕8周孕囊大小图片","pcUrl": "https://www.med-credit.org.cn/jingxuan/2/d0e5014c9410119c818c8f6323c43862.html","wapUrl": "https://www.med-credit.org.cn/jingxuan/2/d0e5014c9410119c818c8f6323c43862.html","mipUrl": "https://www.med-credit.org.cn/mobile/jingxuan/2/d0e5014c9410119c818c8f6323c43862.html","fromSrc": "欢乐橙","datePublished": "2023-03-29T10:32:19","domain": "医疗","category": ["医疗权威文章合作"],"description": "一般来说,孕八周时,孕囊大小为2到3厘米,但是,不同的孕妇有不同的表现。有的情况下,孕八周时,孕囊只有1到2厘米,有的情况,孕八周时,孕囊有3到4厘米,孕囊的大小与很多因素有关,比如说孕周,排卵的早晚,受精卵形成的早晚等。
","extra_headline": [""]},"Author": {"name": "种轶文","wapUrl": "https://www.med-credit.org.cn/doctor/575","pcUrl": "https://www.med-credit.org.cn/doctor/575","jobTitle": "副主任医师","headPortrait": "https://www.med-credit.org.cn/uploadfile/member/575/180x180.jpeg","id": "575","description": "种轶文,北京大学第三医院妇产科副主任医师","memberOf": {"legalName": "北京大学第三医院","department": "妇产科","organizationLevel": "三级甲等"}},"Article": {"summaryContent": "一般来说,孕八周时,孕囊大小为2到3厘米,但是,不同的孕妇有不同的表现。有的情况下,孕八周时,孕囊只有1到2厘米,有的情况,孕八周时,孕囊有3到4厘米,孕囊的大小与很多因素有关,比如说孕周,排卵的早晚,受精卵形成的早晚等。

1、与孕周相关:一般来说,孕周越大孕囊的大小也越大,这是正常的生长发育规律,如果随着孕周的增大孕囊并没有明显的发育,可能要考虑胚胎停止发育的可能性,做进一步的检查以及治疗。
2、与排卵的早晚有关:一般来说,排卵越早,孕囊的大小越大,排卵较晚,孕囊可能会有偏小的情况。
3、与受精卵形成的早晚有关:一般来说,受精卵形成的越早,孕囊发育的越早,大小会更大一点,反之则小一点,但是要值得注意的是,孕囊的大小与胎儿的健康并没有直接的关系,孕囊大并不代表着胎儿生长发育快,孕囊小也并不代表着胎儿生长发育慢。孕妇在怀孕期间一定要积极的听从医生的建议,不要过分的焦虑,积极快乐的心态有利于身体健康。
","articleBody": "一般来说,孕八周时,孕囊大小为2到3厘米,但是,不同的孕妇有不同的表现。有的情况下,孕八周时,孕囊只有1到2厘米,有的情况,孕八周时,孕囊有3到4厘米,孕囊的大小与很多因素有关,比如说孕周,排卵的早晚,受精卵形成的早晚等。

1、与孕周相关:一般来说,孕周越大孕囊的大小也越大,这是正常的生长发育规律,如果随着孕周的增大孕囊并没有明显的发育,可能要考虑胚胎停止发育的可能性,做进一步的检查以及治疗。
2、与排卵的早晚有关:一般来说,排卵越早,孕囊的大小越大,排卵较晚,孕囊可能会有偏小的情况。
3、与受精卵形成的早晚有关:一般来说,受精卵形成的越早,孕囊发育的越早,大小会更大一点,反之则小一点,但是要值得注意的是,孕囊的大小与胎儿的健康并没有直接的关系,孕囊大并不代表着胎儿生长发育快,孕囊小也并不代表着胎儿生长发育慢。孕妇在怀孕期间一定要积极的听从医生的建议,不要过分的焦虑,积极快乐的心态有利于身体健康。
","scanCount": 55831}}} {"@context": "https://ziyuan.baidu.com/contexts/cambrian.jsonld","appid": "1650708455561748","icon": "https://www.med-credit.org.cn/style/images/ttlogo.png","content_tag": ["atlas"],"is_mcn": {"thumb_id": "v2rm41u3"},"accid": "4886d626a2804dee5f11168793ce361672f39c25","@id": "https://www.med-credit.org.cn/mobile/jingxuan/2/d91e19411d5cd43245ec9e05bf5cefed.html","bagWordId": "098004c235d836bd","title": "白带发黄图片","pubDate": "2023-03-29T10:32:19","upDate": "2023-03-29T10:32:19","lrDate": "2023-03-29T10:32:19","description": "白带发黄分为生理性和病理性发黄。","data": {"WebPage": {"headline": "白带发黄图片","pcUrl": "https://www.med-credit.org.cn/jingxuan/2/d91e19411d5cd43245ec9e05bf5cefed.html","wapUrl": "https://www.med-credit.org.cn/jingxuan/2/d91e19411d5cd43245ec9e05bf5cefed.html","mipUrl": "https://www.med-credit.org.cn/mobile/jingxuan/2/d91e19411d5cd43245ec9e05bf5cefed.html","fromSrc": "欢乐橙","datePublished": "2023-03-29T10:32:19","domain": "医疗","category": ["医疗权威文章合作"],"description": "白带发黄分为生理性和病理性发黄。
","extra_headline": [""]},"Author": {"name": "种轶文","wapUrl": "https://www.med-credit.org.cn/doctor/575","pcUrl": "https://www.med-credit.org.cn/doctor/575","jobTitle": "副主任医师","headPortrait": "https://www.med-credit.org.cn/uploadfile/member/575/180x180.jpeg","id": "575","description": "种轶文,北京大学第三医院妇产科副主任医师","memberOf": {"legalName": "北京大学第三医院","department": "妇产科","organizationLevel": "三级甲等"}},"Article": {"summaryContent": "白带发黄分为生理性和病理性发黄。
病理性白带发黄一般提示身体有炎症的发生。
正常情况下,阴道的白带不会过多,其相对数量会随着作息、激素等的变化而略有差异,表现为白色透明,多为无味或者略带有腥味,在排卵前后可能还会有拉丝样的白带,这些都是正常的。

白带发黄分为生理性和病理性发黄。生理性发黄症状一般不严重,通过多喝热水、避免吃入辛辣食物和注意卫生就能缓解,月经来潮之前也会伴有白带发黄,这些都是比较正常的。病理性白带发黄,可能还伴有气味、粘度等的改变,还会伴有腹痛等其他症状,这就提示可能出现感染,需要去医院检查才能进一步明确治疗。
在日常生活中,如果短期出现白带发黄,可以通过使用一些洗护用品,症状没有缓解就要及时就医。平时要注意休息,避免熬夜和上火等,还有注意阴道的干燥和清洁,以免炎症的发生。
","articleBody": "白带发黄分为生理性和病理性发黄。
病理性白带发黄一般提示身体有炎症的发生。
正常情况下,阴道的白带不会过多,其相对数量会随着作息、激素等的变化而略有差异,表现为白色透明,多为无味或者略带有腥味,在排卵前后可能还会有拉丝样的白带,这些都是正常的。

白带发黄分为生理性和病理性发黄。生理性发黄症状一般不严重,通过多喝热水、避免吃入辛辣食物和注意卫生就能缓解,月经来潮之前也会伴有白带发黄,这些都是比较正常的。病理性白带发黄,可能还伴有气味、粘度等的改变,还会伴有腹痛等其他症状,这就提示可能出现感染,需要去医院检查才能进一步明确治疗。
在日常生活中,如果短期出现白带发黄,可以通过使用一些洗护用品,症状没有缓解就要及时就医。平时要注意休息,避免熬夜和上火等,还有注意阴道的干燥和清洁,以免炎症的发生。
","scanCount": 55830}}} {"@context": "https://ziyuan.baidu.com/contexts/cambrian.jsonld","appid": "1650708455561748","icon": "https://www.med-credit.org.cn/style/images/ttlogo.png","content_tag": ["atlas"],"is_mcn": {"thumb_id": "v2rm41u3"},"accid": "4886d626a2804dee5f11168793ce361672f39c25","@id": "https://www.med-credit.org.cn/mobile/jingxuan/2/28f5cd4456bf8eae00a0f8d94fbb42c8.html","bagWordId": "187e9e2217b20b52","title": "排卵试纸一浅一深图解","pubDate": "2023-03-29T10:32:19","upDate": "2023-03-29T10:32:19","lrDate": "2023-03-29T10:32:19","description": "排卵试纸一深一浅代表弱阳性结果,多考虑还未排卵、测试失败、排卵结束等情况。","data": {"WebPage": {"headline": "排卵试纸一浅一深图解","pcUrl": "https://www.med-credit.org.cn/jingxuan/2/28f5cd4456bf8eae00a0f8d94fbb42c8.html","wapUrl": "https://www.med-credit.org.cn/jingxuan/2/28f5cd4456bf8eae00a0f8d94fbb42c8.html","mipUrl": "https://www.med-credit.org.cn/mobile/jingxuan/2/28f5cd4456bf8eae00a0f8d94fbb42c8.html","fromSrc": "欢乐橙","datePublished": "2023-03-29T10:32:19","domain": "医疗","category": ["医疗权威文章合作"],"description": "排卵试纸一深一浅代表弱阳性结果,多考虑还未排卵、测试失败、排卵结束等情况。
","extra_headline": ["排卵试纸一浅一深解"]},"Author": {"name": "种轶文","wapUrl": "https://www.med-credit.org.cn/doctor/575","pcUrl": "https://www.med-credit.org.cn/doctor/575","jobTitle": "副主任医师","headPortrait": "https://www.med-credit.org.cn/uploadfile/member/575/180x180.jpeg","id": "575","description": "种轶文,北京大学第三医院妇产科副主任医师","memberOf": {"legalName": "北京大学第三医院","department": "妇产科","organizationLevel": "三级甲等"}},"Article": {"summaryContent": "排卵试纸一深一浅代表弱阳性结果,多考虑还未排卵、测试失败、排卵结束等情况。

1、还未排卵:患者此时多处于排卵期,但是由于出现促黄体生成素高峰时,排卵试纸才会表现出两条较深颜色,因此,患者尚未进入高峰期时也会出现一深一浅情况。
2、测试失败:如果患者使用劣质、过期试纸,或者患者测试前口服大量水,尿液被稀释,也会出现试纸一深一浅的情况。
排卵结束:当促黄体生成素高峰结束后,即排卵结束后,测试纸显示颜色也会变浅,出现一深一浅的情况。
一般建议患者测试时不选择晨尿,可选择除晨尿外的任何时间。出现一深一浅结果后,可再次进行测试,如仍为阴性或弱阳性结果,多考虑结果正常;出现排卵试纸两条较深颜色时,通常12-24小时会出现排卵。
","articleBody": "排卵试纸一深一浅代表弱阳性结果,多考虑还未排卵、测试失败、排卵结束等情况。

1、还未排卵:患者此时多处于排卵期,但是由于出现促黄体生成素高峰时,排卵试纸才会表现出两条较深颜色,因此,患者尚未进入高峰期时也会出现一深一浅情况。
2、测试失败:如果患者使用劣质、过期试纸,或者患者测试前口服大量水,尿液被稀释,也会出现试纸一深一浅的情况。
排卵结束:当促黄体生成素高峰结束后,即排卵结束后,测试纸显示颜色也会变浅,出现一深一浅的情况。
一般建议患者测试时不选择晨尿,可选择除晨尿外的任何时间。出现一深一浅结果后,可再次进行测试,如仍为阴性或弱阳性结果,多考虑结果正常;出现排卵试纸两条较深颜色时,通常12-24小时会出现排卵。
","scanCount": 55829}}} {"@context": "https://ziyuan.baidu.com/contexts/cambrian.jsonld","appid": "1650708455561748","icon": "https://www.med-credit.org.cn/style/images/ttlogo.png","content_tag": ["atlas"],"is_mcn": {"thumb_id": "v2rm41u3"},"accid": "4886d626a2804dee5f11168793ce361672f39c25","@id": "https://www.med-credit.org.cn/mobile/jingxuan/2/561aa73d339d3ee023c3866bbc529d6a.html","bagWordId": "f2f739ad3f8a438a","title": "月经周期表图","pubDate": "2023-03-29T10:32:19","upDate": "2023-03-29T10:32:19","lrDate": "2023-03-29T10:32:19","description": "正常月经周期是指女性每个月会由于卵巢激素的周期性变化,从而引起子宫内膜的周期性剥脱的生理过程。","data": {"WebPage": {"headline": "月经周期表图","pcUrl": "https://www.med-credit.org.cn/jingxuan/2/561aa73d339d3ee023c3866bbc529d6a.html","wapUrl": "https://www.med-credit.org.cn/jingxuan/2/561aa73d339d3ee023c3866bbc529d6a.html","mipUrl": "https://www.med-credit.org.cn/mobile/jingxuan/2/561aa73d339d3ee023c3866bbc529d6a.html","fromSrc": "欢乐橙","datePublished": "2023-03-29T10:32:19","domain": "医疗","category": ["医疗权威文章合作"],"description": "正常月经周期是指女性每个月会由于卵巢激素的周期性变化,从而引起子宫内膜的周期性剥脱的生理过程。
","extra_headline": [""]},"Author": {"name": "种轶文","wapUrl": "https://www.med-credit.org.cn/doctor/575","pcUrl": "https://www.med-credit.org.cn/doctor/575","jobTitle": "副主任医师","headPortrait": "https://www.med-credit.org.cn/uploadfile/member/575/180x180.jpeg","id": "575","description": "种轶文,北京大学第三医院妇产科副主任医师","memberOf": {"legalName": "北京大学第三医院","department": "妇产科","organizationLevel": "三级甲等"}},"Article": {"summaryContent": "正常月经周期是指女性每个月会由于卵巢激素的周期性变化,从而引起子宫内膜的周期性剥脱的生理过程。

一般以第一次月经来的时间为第一天,与第二次月经来的中间间隔时间为一个月经周期,一般正常月经周期为28至30天,如果出现提前或者延迟,也一般在7天以内,正常月经经期持续时间为3至7天,月经量大概20至70毫升之间。
影响月经周期的因素有饮食、情绪、作息等。也有少数人的月经周期并不在正常范围内,可能会两个月或者三个月,甚至一年来一次月经,这种情况的患者如果月经经期正常且月经量也正常,身体也并未出现任何不适,一般不需要进行特殊治疗。建议月经周期、经期或月经量出现紊乱的患者及时前往正规医院就诊,以避免疾病的出现。
","articleBody": "正常月经周期是指女性每个月会由于卵巢激素的周期性变化,从而引起子宫内膜的周期性剥脱的生理过程。

一般以第一次月经来的时间为第一天,与第二次月经来的中间间隔时间为一个月经周期,一般正常月经周期为28至30天,如果出现提前或者延迟,也一般在7天以内,正常月经经期持续时间为3至7天,月经量大概20至70毫升之间。
影响月经周期的因素有饮食、情绪、作息等。也有少数人的月经周期并不在正常范围内,可能会两个月或者三个月,甚至一年来一次月经,这种情况的患者如果月经经期正常且月经量也正常,身体也并未出现任何不适,一般不需要进行特殊治疗。建议月经周期、经期或月经量出现紊乱的患者及时前往正规医院就诊,以避免疾病的出现。
","scanCount": 55828}}} {"@context": "https://ziyuan.baidu.com/contexts/cambrian.jsonld","appid": "1650708455561748","icon": "https://www.med-credit.org.cn/style/images/ttlogo.png","content_tag": ["atlas"],"is_mcn": {"thumb_id": "v2rm41u3"},"accid": "4886d626a2804dee5f11168793ce361672f39c25","@id": "https://www.med-credit.org.cn/mobile/jingxuan/2/44ecafccff4114d47fca9e85c155fcb9.html","bagWordId": "099e12295fbcc905","title": "脐带掉了还有黑色结痂图片","pubDate": "2023-03-29T10:32:19","upDate": "2023-03-29T10:32:19","lrDate": "2023-03-29T10:32:19","description": "脐带掉了肚子上还有黑色结痂,是已经干燥结痂的脐带血。","data": {"WebPage": {"headline": "脐带掉了还有黑色结痂图片","pcUrl": "https://www.med-credit.org.cn/jingxuan/2/44ecafccff4114d47fca9e85c155fcb9.html","wapUrl": "https://www.med-credit.org.cn/jingxuan/2/44ecafccff4114d47fca9e85c155fcb9.html","mipUrl": "https://www.med-credit.org.cn/mobile/jingxuan/2/44ecafccff4114d47fca9e85c155fcb9.html","fromSrc": "欢乐橙","datePublished": "2023-03-29T10:32:19","domain": "医疗","category": ["医疗权威文章合作"],"description": "脐带掉了肚子上还有黑色结痂,是已经干燥结痂的脐带血。
","extra_headline": ["脐带掉了还有黑色结痂"]},"Author": {"name": "种轶文","wapUrl": "https://www.med-credit.org.cn/doctor/575","pcUrl": "https://www.med-credit.org.cn/doctor/575","jobTitle": "副主任医师","headPortrait": "https://www.med-credit.org.cn/uploadfile/member/575/180x180.jpeg","id": "575","description": "种轶文,北京大学第三医院妇产科副主任医师","memberOf": {"legalName": "北京大学第三医院","department": "妇产科","organizationLevel": "三级甲等"}},"Article": {"summaryContent": "脐带掉了肚子上还有黑色结痂,是已经干燥结痂的脐带血。
患者如无其他明显不适症状,一般属于正常现象,不需要特殊处理。

新生儿出生后医务人员立即结扎脐带,阻断血流并与母体分离。此时脐带残端血液会逐渐干燥结痂,形成黑色结痂。一般1~2周后可自行脱落。
患儿如肚脐周围未出现感染、红肿、甚至化脓的症状,一般不需要特殊处理,注意使用碘伏消毒,避免感染即可。
患儿如伴有感染症状,多是由于护理不当,或者脐带出血导致的感染,建议应在医生指导下予以碘伏每天消毒,每天消毒2~3次,注意保持肚脐周围干燥清洁。如症状持续不能缓解,建议予以头孢等药物消炎抗感染治疗。新生儿体质虚弱,家长应注意护理,避免二次感染,影响新生儿生长发育。具体药物使用建议患者应在医生指导下使用。
","articleBody": "脐带掉了肚子上还有黑色结痂,是已经干燥结痂的脐带血。
患者如无其他明显不适症状,一般属于正常现象,不需要特殊处理。

新生儿出生后医务人员立即结扎脐带,阻断血流并与母体分离。此时脐带残端血液会逐渐干燥结痂,形成黑色结痂。一般1~2周后可自行脱落。
患儿如肚脐周围未出现感染、红肿、甚至化脓的症状,一般不需要特殊处理,注意使用碘伏消毒,避免感染即可。
患儿如伴有感染症状,多是由于护理不当,或者脐带出血导致的感染,建议应在医生指导下予以碘伏每天消毒,每天消毒2~3次,注意保持肚脐周围干燥清洁。如症状持续不能缓解,建议予以头孢等药物消炎抗感染治疗。新生儿体质虚弱,家长应注意护理,避免二次感染,影响新生儿生长发育。具体药物使用建议患者应在医生指导下使用。
","scanCount": 55827}}} {"@context": "https://ziyuan.baidu.com/contexts/cambrian.jsonld","appid": "1650708455561748","icon": "https://www.med-credit.org.cn/style/images/ttlogo.png","content_tag": ["atlas"],"is_mcn": {"thumb_id": "v2rm41u3"},"accid": "4886d626a2804dee5f11168793ce361672f39c25","@id": "https://www.med-credit.org.cn/mobile/jingxuan/2/847d334d599212f9cdca10eeabf938f4.html","bagWordId": "b14b51b5553df919","title": "怀孕9周胎儿彩超图片","pubDate": "2023-03-29T10:32:19","upDate": "2023-03-29T10:32:19","lrDate": "2023-03-29T10:32:19","description": "一般来说怀孕九个周的时候做彩超,此时可发现,胎儿大小还非常小,可能只有两三个厘米左右,可以看到胎心胎芽以及胎儿头部等。","data": {"WebPage": {"headline": "怀孕9周胎儿彩超图片","pcUrl": "https://www.med-credit.org.cn/jingxuan/2/847d334d599212f9cdca10eeabf938f4.html","wapUrl": "https://www.med-credit.org.cn/jingxuan/2/847d334d599212f9cdca10eeabf938f4.html","mipUrl": "https://www.med-credit.org.cn/mobile/jingxuan/2/847d334d599212f9cdca10eeabf938f4.html","fromSrc": "欢乐橙","datePublished": "2023-03-29T10:32:19","domain": "医疗","category": ["医疗权威文章合作"],"description": "一般来说怀孕九个周的时候做彩超,此时可发现,胎儿大小还非常小,可能只有两三个厘米左右,可以看到胎心胎芽以及胎儿头部等。
","extra_headline": ["怀孕9周胎儿彩超"]},"Author": {"name": "种轶文","wapUrl": "https://www.med-credit.org.cn/doctor/575","pcUrl": "https://www.med-credit.org.cn/doctor/575","jobTitle": "副主任医师","headPortrait": "https://www.med-credit.org.cn/uploadfile/member/575/180x180.jpeg","id": "575","description": "种轶文,北京大学第三医院妇产科副主任医师","memberOf": {"legalName": "北京大学第三医院","department": "妇产科","organizationLevel": "三级甲等"}},"Article": {"summaryContent": "一般来说怀孕九个周的时候做彩超,此时可发现,胎儿大小还非常小,可能只有两三个厘米左右,可以看到胎心胎芽以及胎儿头部等。
孕妇注意补充营养,如有不适,需及时前往医院。

1.胎心胎芽:一般说在怀孕35天左右时就可以通过阴道彩超看到孕囊,50天左右时就可通过彩超观察到胎儿的胎心胎芽。九个周时,胎心胎芽更加明显,如果九周时通过彩超未能发现胎心胎芽,这种情况下很大可能性胎儿停止发育,有很大的流产可能。
2.其他:如果胎儿发育正常,孕九周时头颅钙化已经开始出现,我们也能够看到胎儿的头部,脸部,眼睛,四肢,手脚等部位也开始发育,其中最明显的就是胎儿的头部,此时头部已经开始钙化,所以可看到头部较大。此时要注意补钙,九周是胎儿发育的关键时期。
如果孕周正常,胎儿发育正常,此时孕妇要更加注意,积极补充营养保持良好的心态。如果胎儿发育不正常,有流产倾向,此时一定要去正规的医院做流产手术,同时,避免大出血。
","articleBody": "一般来说怀孕九个周的时候做彩超,此时可发现,胎儿大小还非常小,可能只有两三个厘米左右,可以看到胎心胎芽以及胎儿头部等。
孕妇注意补充营养,如有不适,需及时前往医院。

1.胎心胎芽:一般说在怀孕35天左右时就可以通过阴道彩超看到孕囊,50天左右时就可通过彩超观察到胎儿的胎心胎芽。九个周时,胎心胎芽更加明显,如果九周时通过彩超未能发现胎心胎芽,这种情况下很大可能性胎儿停止发育,有很大的流产可能。
2.其他:如果胎儿发育正常,孕九周时头颅钙化已经开始出现,我们也能够看到胎儿的头部,脸部,眼睛,四肢,手脚等部位也开始发育,其中最明显的就是胎儿的头部,此时头部已经开始钙化,所以可看到头部较大。此时要注意补钙,九周是胎儿发育的关键时期。
如果孕周正常,胎儿发育正常,此时孕妇要更加注意,积极补充营养保持良好的心态。如果胎儿发育不正常,有流产倾向,此时一定要去正规的医院做流产手术,同时,避免大出血。
","scanCount": 55826}}} {"@context": "https://ziyuan.baidu.com/contexts/cambrian.jsonld","appid": "1650708455561748","icon": "https://www.med-credit.org.cn/style/images/ttlogo.png","content_tag": ["atlas"],"is_mcn": {"thumb_id": "v2rm41u3"},"accid": "4886d626a2804dee5f11168793ce361672f39c25","@id": "https://www.med-credit.org.cn/mobile/jingxuan/2/c0cc5f9b23140cb308270f6866b7176a.html","bagWordId": "e17927fe04ce8da9","title": "试条表示怀孕的图片","pubDate": "2023-03-29T10:32:19","upDate": "2023-03-29T10:32:19","lrDate": "2023-03-29T10:32:19","description": "验孕试条的中央分为对照区与检测区,如果这两个区域都出现明显红线,则表明怀孕了。","data": {"WebPage": {"headline": "试条表示怀孕的图片","pcUrl": "https://www.med-credit.org.cn/jingxuan/2/c0cc5f9b23140cb308270f6866b7176a.html","wapUrl": "https://www.med-credit.org.cn/jingxuan/2/c0cc5f9b23140cb308270f6866b7176a.html","mipUrl": "https://www.med-credit.org.cn/mobile/jingxuan/2/c0cc5f9b23140cb308270f6866b7176a.html","fromSrc": "欢乐橙","datePublished": "2023-03-29T10:32:19","domain": "医疗","category": ["医疗权威文章合作"],"description": "验孕试条的中央分为对照区与检测区,如果这两个区域都出现明显红线,则表明怀孕了。
","extra_headline": ["试条表示怀孕的"]},"Author": {"name": "种轶文","wapUrl": "https://www.med-credit.org.cn/doctor/575","pcUrl": "https://www.med-credit.org.cn/doctor/575","jobTitle": "副主任医师","headPortrait": "https://www.med-credit.org.cn/uploadfile/member/575/180x180.jpeg","id": "575","description": "种轶文,北京大学第三医院妇产科副主任医师","memberOf": {"legalName": "北京大学第三医院","department": "妇产科","organizationLevel": "三级甲等"}},"Article": {"summaryContent": "验孕试条的中央分为对照区与检测区,如果这两个区域都出现明显红线,则表明怀孕了。

判读验孕试条前首先得确保我们操作正确,结果才可信,避免无效结果出现。首先,早晨醒来留取尿液样本,确保留样容器清洁卫生。保证双手清洁干燥拿出验孕试条,将试条浸于尿液样本5秒,避免样本接触观察区,影响结果。而后等待1分钟左右判读结果。
如上所说,两条红线表示已经怀孕,但如果对照区出现深色红线,测试区浅浅一条红线,称为弱阳性,即体内人绒毛膜促性腺激素有所升高,但不明确表示怀孕,需隔日或间隔1周再次检测,也可前往当地医院抽血行人绒毛膜促性腺激素测定。如果只有测试区出现红线,对照区未出现红线或两个区域都没有红线,则表明此次结果无效,需要重新测试。
","articleBody": "验孕试条的中央分为对照区与检测区,如果这两个区域都出现明显红线,则表明怀孕了。

判读验孕试条前首先得确保我们操作正确,结果才可信,避免无效结果出现。首先,早晨醒来留取尿液样本,确保留样容器清洁卫生。保证双手清洁干燥拿出验孕试条,将试条浸于尿液样本5秒,避免样本接触观察区,影响结果。而后等待1分钟左右判读结果。
如上所说,两条红线表示已经怀孕,但如果对照区出现深色红线,测试区浅浅一条红线,称为弱阳性,即体内人绒毛膜促性腺激素有所升高,但不明确表示怀孕,需隔日或间隔1周再次检测,也可前往当地医院抽血行人绒毛膜促性腺激素测定。如果只有测试区出现红线,对照区未出现红线或两个区域都没有红线,则表明此次结果无效,需要重新测试。
","scanCount": 55825}}} {"@context": "https://ziyuan.baidu.com/contexts/cambrian.jsonld","appid": "1650708455561748","icon": "https://www.med-credit.org.cn/style/images/ttlogo.png","content_tag": ["atlas"],"is_mcn": {"thumb_id": "v2rm41u3"},"accid": "4886d626a2804dee5f11168793ce361672f39c25","@id": "https://www.med-credit.org.cn/mobile/jingxuan/2/7d93619c868de495f6359044665f9545.html","bagWordId": "b0466bab6a4861f1","title": "怀孕37周轻微见红图片","pubDate": "2023-03-29T10:32:19","upDate": "2023-03-29T10:32:19","lrDate": "2023-03-29T10:32:19","description": "怀孕37周轻微见红正常情况下考虑为即将生产,需要做好生产准备。","data": {"WebPage": {"headline": "怀孕37周轻微见红图片","pcUrl": "https://www.med-credit.org.cn/jingxuan/2/7d93619c868de495f6359044665f9545.html","wapUrl": "https://www.med-credit.org.cn/jingxuan/2/7d93619c868de495f6359044665f9545.html","mipUrl": "https://www.med-credit.org.cn/mobile/jingxuan/2/7d93619c868de495f6359044665f9545.html","fromSrc": "欢乐橙","datePublished": "2023-03-29T10:32:19","domain": "医疗","category": ["医疗权威文章合作"],"description": "怀孕37周轻微见红正常情况下考虑为即将生产,需要做好生产准备。
","extra_headline": [""]},"Author": {"name": "种轶文","wapUrl": "https://www.med-credit.org.cn/doctor/575","pcUrl": "https://www.med-credit.org.cn/doctor/575","jobTitle": "副主任医师","headPortrait": "https://www.med-credit.org.cn/uploadfile/member/575/180x180.jpeg","id": "575","description": "种轶文,北京大学第三医院妇产科副主任医师","memberOf": {"legalName": "北京大学第三医院","department": "妇产科","organizationLevel": "三级甲等"}},"Article": {"summaryContent": "怀孕37周轻微见红正常情况下考虑为即将生产,需要做好生产准备。
非正常情况下可能出现了前置胎盘或胎盘早剥等情况发生。

1、生产前兆:怀孕37周轻微见红首先应该考虑的是是否出现了生产前兆,由于孕37周属于孕晚期,在见红后就需要立即去医院进行胎儿位置以及宫口开放的检查,查看是否达到生产的标准,并做好生产准备。
2、前置胎盘:若在怀孕期间胎盘位置都不太好,孕晚期出现了出血若排除生产的情况下需要进行B超检查,查看是否有前置胎盘的情况发生,必要时需要立即进行剖宫产手术终止妊娠以免对胎儿和孕妇造成危害。
3、胎盘早剥:孕晚期出现出血或伴随剧烈疼痛时需要排除是否出现了胎盘早剥的情况发生,胎盘早剥是怀孕期间最危险的并发症会对生命造成危害,需要及时进行检查治疗。
除了上述相对常见的原因外,还有其他的可能性疾病,比如慢性盆腔炎。
建议在孕37周出现见红立即去医院进行就诊,避免劳累避免压力过大,放松心情。
","articleBody": "怀孕37周轻微见红正常情况下考虑为即将生产,需要做好生产准备。
非正常情况下可能出现了前置胎盘或胎盘早剥等情况发生。

1、生产前兆:怀孕37周轻微见红首先应该考虑的是是否出现了生产前兆,由于孕37周属于孕晚期,在见红后就需要立即去医院进行胎儿位置以及宫口开放的检查,查看是否达到生产的标准,并做好生产准备。
2、前置胎盘:若在怀孕期间胎盘位置都不太好,孕晚期出现了出血若排除生产的情况下需要进行B超检查,查看是否有前置胎盘的情况发生,必要时需要立即进行剖宫产手术终止妊娠以免对胎儿和孕妇造成危害。
3、胎盘早剥:孕晚期出现出血或伴随剧烈疼痛时需要排除是否出现了胎盘早剥的情况发生,胎盘早剥是怀孕期间最危险的并发症会对生命造成危害,需要及时进行检查治疗。
除了上述相对常见的原因外,还有其他的可能性疾病,比如慢性盆腔炎。
建议在孕37周出现见红立即去医院进行就诊,避免劳累避免压力过大,放松心情。
","scanCount": 55824}}} {"@context": "https://ziyuan.baidu.com/contexts/cambrian.jsonld","appid": "1650708455561748","icon": "https://www.med-credit.org.cn/style/images/ttlogo.png","content_tag": ["atlas"],"is_mcn": {"thumb_id": "v2rm41u3"},"accid": "4886d626a2804dee5f11168793ce361672f39c25","@id": "https://www.med-credit.org.cn/mobile/jingxuan/2/dc6dfceeaf82158119a295c6a17f8eee.html","bagWordId": "47730548e931ef14","title": "怀孕40天双胞胎b超图片","pubDate": "2023-03-29T10:32:19","upDate": "2023-03-29T10:32:19","lrDate": "2023-03-29T10:32:19","description": "女性怀孕40天如果是双胞胎通过B超查看会有两种情况,第一种为有两个卵黄囊,两个胎心胎芽,另外一种为一个卵黄囊内有两个胎心和胎芽。","data": {"WebPage": {"headline": "怀孕40天双胞胎b超图片","pcUrl": "https://www.med-credit.org.cn/jingxuan/2/dc6dfceeaf82158119a295c6a17f8eee.html","wapUrl": "https://www.med-credit.org.cn/jingxuan/2/dc6dfceeaf82158119a295c6a17f8eee.html","mipUrl": "https://www.med-credit.org.cn/mobile/jingxuan/2/dc6dfceeaf82158119a295c6a17f8eee.html","fromSrc": "欢乐橙","datePublished": "2023-03-29T10:32:19","domain": "医疗","category": ["医疗权威文章合作"],"description": "女性怀孕40天如果是双胞胎通过B超查看会有两种情况,第一种为有两个卵黄囊,两个胎心胎芽,另外一种为一个卵黄囊内有两个胎心和胎芽。
","extra_headline": [""]},"Author": {"name": "种轶文","wapUrl": "https://www.med-credit.org.cn/doctor/575","pcUrl": "https://www.med-credit.org.cn/doctor/575","jobTitle": "副主任医师","headPortrait": "https://www.med-credit.org.cn/uploadfile/member/575/180x180.jpeg","id": "575","description": "种轶文,北京大学第三医院妇产科副主任医师","memberOf": {"legalName": "北京大学第三医院","department": "妇产科","organizationLevel": "三级甲等"}},"Article": {"summaryContent": "女性怀孕40天如果是双胞胎通过B超查看会有两种情况,第一种为有两个卵黄囊,两个胎心胎芽,另外一种为一个卵黄囊内有两个胎心和胎芽。


双胞胎分为同卵双胞胎和异卵双胞胎,异卵双胞胎表示有两个卵囊,两个胎儿不在同一个卵囊内,40天左右B超查看能看到明显的两个卵黄囊,有的孕妇着床较晚通过B超查看只能看到卵黄囊还不能看见胎心胎芽也是正常现象。
同卵双胞胎在40天左右的时候只能看到一个卵黄囊,着床较晚的孕妇还不能听见胎心胎芽,如果着床较早的孕妇可以听见一个卵黄囊内有两个胎心则代表为双胞胎。
建议去医院进行B超检查时需要憋尿,在这期间避免食用刺激性食物,以免影响观察。
","articleBody": "女性怀孕40天如果是双胞胎通过B超查看会有两种情况,第一种为有两个卵黄囊,两个胎心胎芽,另外一种为一个卵黄囊内有两个胎心和胎芽。


双胞胎分为同卵双胞胎和异卵双胞胎,异卵双胞胎表示有两个卵囊,两个胎儿不在同一个卵囊内,40天左右B超查看能看到明显的两个卵黄囊,有的孕妇着床较晚通过B超查看只能看到卵黄囊还不能看见胎心胎芽也是正常现象。
同卵双胞胎在40天左右的时候只能看到一个卵黄囊,着床较晚的孕妇还不能听见胎心胎芽,如果着床较早的孕妇可以听见一个卵黄囊内有两个胎心则代表为双胞胎。
建议去医院进行B超检查时需要憋尿,在这期间避免食用刺激性食物,以免影响观察。
","scanCount": 55823}}} {"@context": "https://ziyuan.baidu.com/contexts/cambrian.jsonld","appid": "1650708455561748","icon": "https://www.med-credit.org.cn/style/images/ttlogo.png","content_tag": ["atlas"],"is_mcn": {"thumb_id": "v2rm41u3"},"accid": "4886d626a2804dee5f11168793ce361672f39c25","@id": "https://www.med-credit.org.cn/mobile/jingxuan/2/3e82f2e20b237b04c548fe071391a3c7.html","bagWordId": "18f3f8208df80605","title": "怀孕初期流黄水图片","pubDate": "2023-03-29T10:32:19","upDate": "2023-03-29T10:32:19","lrDate": "2023-03-29T10:32:19","description": "怀孕初期流黄水是不正常的,考虑孕妇有阴道炎的可能。","data": {"WebPage": {"headline": "怀孕初期流黄水图片","pcUrl": "https://www.med-credit.org.cn/jingxuan/2/3e82f2e20b237b04c548fe071391a3c7.html","wapUrl": "https://www.med-credit.org.cn/jingxuan/2/3e82f2e20b237b04c548fe071391a3c7.html","mipUrl": "https://www.med-credit.org.cn/mobile/jingxuan/2/3e82f2e20b237b04c548fe071391a3c7.html","fromSrc": "欢乐橙","datePublished": "2023-03-29T10:32:19","domain": "医疗","category": ["医疗权威文章合作"],"description": "怀孕初期流黄水是不正常的,考虑孕妇有阴道炎的可能。
","extra_headline": ["怀孕初期流黄水"]},"Author": {"name": "种轶文","wapUrl": "https://www.med-credit.org.cn/doctor/575","pcUrl": "https://www.med-credit.org.cn/doctor/575","jobTitle": "副主任医师","headPortrait": "https://www.med-credit.org.cn/uploadfile/member/575/180x180.jpeg","id": "575","description": "种轶文,北京大学第三医院妇产科副主任医师","memberOf": {"legalName": "北京大学第三医院","department": "妇产科","organizationLevel": "三级甲等"}},"Article": {"summaryContent": "怀孕初期流黄水是不正常的,考虑孕妇有阴道炎的可能。
怀孕初期流黄水可能是因为感染致病菌造成的。

怀孕初期,孕妇可能会有一些分泌物,但正常情况下不会出现黄水。孕妇在怀孕初期,由于体内激素水平的变化,阴道内环境酸碱度也会产生相应变化,受到致病菌的感染或者接触到不洁的衣物以及座便器等而导致阴道炎。
患者可出现黄色分泌物、外阴瘙痒不适、红肿,尿少、浑浊,排尿时有疼痛感。经医院可化验白带以及病原学检查,患者可针对致病菌治疗。
在怀孕期间,孕妇应勤换衣物,穿一些棉质的衣物,保持会阴部干燥卫生。阴道炎对于孕妇来说是危险的,可能会影响到胎儿发育,需及时治疗,在医生的指导下规范用药,不能独自用药,有一些药品会影响到胎儿生长、发育。
","articleBody": "怀孕初期流黄水是不正常的,考虑孕妇有阴道炎的可能。
怀孕初期流黄水可能是因为感染致病菌造成的。

怀孕初期,孕妇可能会有一些分泌物,但正常情况下不会出现黄水。孕妇在怀孕初期,由于体内激素水平的变化,阴道内环境酸碱度也会产生相应变化,受到致病菌的感染或者接触到不洁的衣物以及座便器等而导致阴道炎。
患者可出现黄色分泌物、外阴瘙痒不适、红肿,尿少、浑浊,排尿时有疼痛感。经医院可化验白带以及病原学检查,患者可针对致病菌治疗。
在怀孕期间,孕妇应勤换衣物,穿一些棉质的衣物,保持会阴部干燥卫生。阴道炎对于孕妇来说是危险的,可能会影响到胎儿发育,需及时治疗,在医生的指导下规范用药,不能独自用药,有一些药品会影响到胎儿生长、发育。
","scanCount": 55822}}} {"@context": "https://ziyuan.baidu.com/contexts/cambrian.jsonld","appid": "1650708455561748","icon": "https://www.med-credit.org.cn/style/images/ttlogo.png","content_tag": ["atlas"],"is_mcn": {"thumb_id": "v2rm41u3"},"accid": "4886d626a2804dee5f11168793ce361672f39c25","@id": "https://www.med-credit.org.cn/mobile/jingxuan/2/b1653c8004d2ff805c98404f37971989.html","bagWordId": "b1777929218971fe","title": "早孕双胞胎b超图片","pubDate": "2023-03-29T10:32:19","upDate": "2023-03-29T10:32:19","lrDate": "2023-03-29T10:32:19","description": "早孕双胞胎B超检查一般为两个妊娠囊,且子宫比单胎孕妇子宫要大。此外双胎孕产妇还有妊娠反应出现早、孕酮数值较高等表现。","data": {"WebPage": {"headline": "早孕双胞胎b超图片","pcUrl": "https://www.med-credit.org.cn/jingxuan/2/b1653c8004d2ff805c98404f37971989.html","wapUrl": "https://www.med-credit.org.cn/jingxuan/2/b1653c8004d2ff805c98404f37971989.html","mipUrl": "https://www.med-credit.org.cn/mobile/jingxuan/2/b1653c8004d2ff805c98404f37971989.html","fromSrc": "欢乐橙","datePublished": "2023-03-29T10:32:19","domain": "医疗","category": ["医疗权威文章合作"],"description": "早孕双胞胎B超检查一般为两个妊娠囊,且子宫比单胎孕妇子宫要大。此外双胎孕产妇还有妊娠反应出现早、孕酮数值较高等表现。
","extra_headline": ["早孕双胞胎b超"]},"Author": {"name": "种轶文","wapUrl": "https://www.med-credit.org.cn/doctor/575","pcUrl": "https://www.med-credit.org.cn/doctor/575","jobTitle": "副主任医师","headPortrait": "https://www.med-credit.org.cn/uploadfile/member/575/180x180.jpeg","id": "575","description": "种轶文,北京大学第三医院妇产科副主任医师","memberOf": {"legalName": "北京大学第三医院","department": "妇产科","organizationLevel": "三级甲等"}},"Article": {"summaryContent": "早孕双胞胎B超检查一般为两个妊娠囊,且子宫比单胎孕妇子宫要大。此外双胎孕产妇还有妊娠反应出现早、孕酮数值较高等表现。

1、两个妊娠囊:早孕双胞胎B超检查一般会表现为两个妊娠囊,且子宫比单胎孕妇子宫明显增大,而且每个妊娠囊都可见胚胎、心管搏动和卵黄囊结构。
2、妊娠反应较早:双胎孕产妇其妊娠早孕反应明显比单胎孕产妇早孕反应出现时间早,且症状更为明显,需要孕产妇保持良好情绪,合理饮食,积极进行产检。
3、孕酮指数较高:早孕双胎孕产妇血常规孕酮数值HCG数值均高于正常数值的参考范围,属于临床常见现象,孕产妇不必焦虑紧张。
综上所述早孕双胞胎B超多为两个妊娠囊,孕产妇应及时观察,注意胎儿健康,在专业医生指导下进行日常护理,确保母体及胎儿健康。
","articleBody": "早孕双胞胎B超检查一般为两个妊娠囊,且子宫比单胎孕妇子宫要大。此外双胎孕产妇还有妊娠反应出现早、孕酮数值较高等表现。

1、两个妊娠囊:早孕双胞胎B超检查一般会表现为两个妊娠囊,且子宫比单胎孕妇子宫明显增大,而且每个妊娠囊都可见胚胎、心管搏动和卵黄囊结构。
2、妊娠反应较早:双胎孕产妇其妊娠早孕反应明显比单胎孕产妇早孕反应出现时间早,且症状更为明显,需要孕产妇保持良好情绪,合理饮食,积极进行产检。
3、孕酮指数较高:早孕双胎孕产妇血常规孕酮数值HCG数值均高于正常数值的参考范围,属于临床常见现象,孕产妇不必焦虑紧张。
综上所述早孕双胞胎B超多为两个妊娠囊,孕产妇应及时观察,注意胎儿健康,在专业医生指导下进行日常护理,确保母体及胎儿健康。
","scanCount": 55821}}} {"@context": "https://ziyuan.baidu.com/contexts/cambrian.jsonld","appid": "1650708455561748","icon": "https://www.med-credit.org.cn/style/images/ttlogo.png","content_tag": ["atlas"],"is_mcn": {"thumb_id": "v2rm41u3"},"accid": "4886d626a2804dee5f11168793ce361672f39c25","@id": "https://www.med-credit.org.cn/mobile/jingxuan/2/913485dc966995182f7a1db60bb3940b.html","bagWordId": "b22b0b80d905bb7f","title": "宫外孕图片","pubDate": "2023-03-29T10:32:19","upDate": "2023-03-29T10:32:19","lrDate": "2023-03-29T10:32:19","description": "宫外孕在临床上称为异位妊娠,一般情况下是指受精卵在女性患者子宫体腔以外的部位着床和发育,输卵管妊娠其中最常见,占95%。","data": {"WebPage": {"headline": "宫外孕图片","pcUrl": "https://www.med-credit.org.cn/jingxuan/2/913485dc966995182f7a1db60bb3940b.html","wapUrl": "https://www.med-credit.org.cn/jingxuan/2/913485dc966995182f7a1db60bb3940b.html","mipUrl": "https://www.med-credit.org.cn/mobile/jingxuan/2/913485dc966995182f7a1db60bb3940b.html","fromSrc": "欢乐橙","datePublished": "2023-03-29T10:32:19","domain": "医疗","category": ["医疗权威文章合作"],"description": "宫外孕在临床上称为异位妊娠,一般情况下是指受精卵在女性患者子宫体腔以外的部位着床和发育,输卵管妊娠其中最常见,占95%。
","extra_headline": [""]},"Author": {"name": "种轶文","wapUrl": "https://www.med-credit.org.cn/doctor/575","pcUrl": "https://www.med-credit.org.cn/doctor/575","jobTitle": "副主任医师","headPortrait": "https://www.med-credit.org.cn/uploadfile/member/575/180x180.jpeg","id": "575","description": "种轶文,北京大学第三医院妇产科副主任医师","memberOf": {"legalName": "北京大学第三医院","department": "妇产科","organizationLevel": "三级甲等"}},"Article": {"summaryContent": "宫外孕在临床上称为异位妊娠,一般情况下是指受精卵在女性患者子宫体腔以外的部位着床和发育,输卵管妊娠其中最常见,占95%。
异位妊娠在临床上的典型症状一般包括早期症状、异位妊娠三联征。


1.早期症状:在输卵管妊娠早期,如果患者没有发生破裂或者流产,这个时候一般没有特殊的临床表现,有可能会出现腹痛。
2.异位妊娠三联征:在临床上患者表现为阴道流血,腹痛和停经。对于大多数患者来说,可能会有6~8周的停经,另外对于输卵管妊娠患者来说,临床症状可能主要表现为腹痛,其次对于胚胎死亡之后的患者,常伴有不规则的阴道出血,而且颜色比较暗红,量少。
在治疗方面需要根据患者病情的轻重缓急,来采取相应的措施。对于病情较轻的患者,可以采用药物治疗,建议患者可以选择甲氨蝶呤来治疗,如果患者内出血量较大,建议患者要尽快选择手术治疗。
","articleBody": "宫外孕在临床上称为异位妊娠,一般情况下是指受精卵在女性患者子宫体腔以外的部位着床和发育,输卵管妊娠其中最常见,占95%。
异位妊娠在临床上的典型症状一般包括早期症状、异位妊娠三联征。


1.早期症状:在输卵管妊娠早期,如果患者没有发生破裂或者流产,这个时候一般没有特殊的临床表现,有可能会出现腹痛。
2.异位妊娠三联征:在临床上患者表现为阴道流血,腹痛和停经。对于大多数患者来说,可能会有6~8周的停经,另外对于输卵管妊娠患者来说,临床症状可能主要表现为腹痛,其次对于胚胎死亡之后的患者,常伴有不规则的阴道出血,而且颜色比较暗红,量少。
在治疗方面需要根据患者病情的轻重缓急,来采取相应的措施。对于病情较轻的患者,可以采用药物治疗,建议患者可以选择甲氨蝶呤来治疗,如果患者内出血量较大,建议患者要尽快选择手术治疗。
","scanCount": 55820}}} {"@context": "https://ziyuan.baidu.com/contexts/cambrian.jsonld","appid": "1650708455561748","icon": "https://www.med-credit.org.cn/style/images/ttlogo.png","content_tag": ["atlas"],"is_mcn": {"thumb_id": "v2rm41u3"},"accid": "4886d626a2804dee5f11168793ce361672f39c25","@id": "https://www.med-credit.org.cn/mobile/jingxuan/2/3ba0a837e309c1bad06c9c146eb9b772.html","bagWordId": "7e8ced90e3b5d0a8","title": "孕16周肚子隆起图片","pubDate": "2023-03-29T10:32:19","upDate": "2023-03-29T10:32:19","lrDate": "2023-03-29T10:32:19","description": "正常情况下,怀孕16周的孕妇子宫底的高度是肚脐与耻骨联合上缘中点连线之间。","data": {"WebPage": {"headline": "孕16周肚子隆起图片","pcUrl": "https://www.med-credit.org.cn/jingxuan/2/3ba0a837e309c1bad06c9c146eb9b772.html","wapUrl": "https://www.med-credit.org.cn/jingxuan/2/3ba0a837e309c1bad06c9c146eb9b772.html","mipUrl": "https://www.med-credit.org.cn/mobile/jingxuan/2/3ba0a837e309c1bad06c9c146eb9b772.html","fromSrc": "欢乐橙","datePublished": "2023-03-29T10:32:19","domain": "医疗","category": ["医疗权威文章合作"],"description": "正常情况下,怀孕16周的孕妇子宫底的高度是肚脐与耻骨联合上缘中点连线之间。
","extra_headline": [""]},"Author": {"name": "种轶文","wapUrl": "https://www.med-credit.org.cn/doctor/575","pcUrl": "https://www.med-credit.org.cn/doctor/575","jobTitle": "副主任医师","headPortrait": "https://www.med-credit.org.cn/uploadfile/member/575/180x180.jpeg","id": "575","description": "种轶文,北京大学第三医院妇产科副主任医师","memberOf": {"legalName": "北京大学第三医院","department": "妇产科","organizationLevel": "三级甲等"}},"Article": {"summaryContent": "正常情况下,怀孕16周的孕妇子宫底的高度是肚脐与耻骨联合上缘中点连线之间。

一般在怀孕12周后,增大后的子宫便会突出于盆腔,且随着孕周的增加孕妇的腹部也会逐渐隆起,此时检查结果显示胎儿身长大约在12.5厘米左右,体重在110克左右,从肉眼可观察到小肚子轻微膨隆,部分孕妇可在这一时期初次感受到胎动。但由于不同孕妇之间体型不同、胎儿发育情况不同、羊水量不同等因素的影响,腹部隆起的速度与程度也会有一定的区别,建议定期前往医院就诊,行超声检查,如果胎儿的发育正常则不需进行特殊治疗。
孕16周时早孕反应基本消失,胎儿对营养的需求也逐渐增高,孕妇需适当补充铁质与钙质以满足营养所需,此外除了体能、身高、血常规、血压等基本孕期检查外,该须对婴儿进行唐氏综合征的筛查,孕妇也应规律作息、避免劳累、保持少食多餐、清淡饮食、补充蛋白、保持乐观的心态。
","articleBody": "正常情况下,怀孕16周的孕妇子宫底的高度是肚脐与耻骨联合上缘中点连线之间。

一般在怀孕12周后,增大后的子宫便会突出于盆腔,且随着孕周的增加孕妇的腹部也会逐渐隆起,此时检查结果显示胎儿身长大约在12.5厘米左右,体重在110克左右,从肉眼可观察到小肚子轻微膨隆,部分孕妇可在这一时期初次感受到胎动。但由于不同孕妇之间体型不同、胎儿发育情况不同、羊水量不同等因素的影响,腹部隆起的速度与程度也会有一定的区别,建议定期前往医院就诊,行超声检查,如果胎儿的发育正常则不需进行特殊治疗。
孕16周时早孕反应基本消失,胎儿对营养的需求也逐渐增高,孕妇需适当补充铁质与钙质以满足营养所需,此外除了体能、身高、血常规、血压等基本孕期检查外,该须对婴儿进行唐氏综合征的筛查,孕妇也应规律作息、避免劳累、保持少食多餐、清淡饮食、补充蛋白、保持乐观的心态。
","scanCount": 55819}}} {"@context": "https://ziyuan.baidu.com/contexts/cambrian.jsonld","appid": "1650708455561748","icon": "https://www.med-credit.org.cn/style/images/ttlogo.png","content_tag": ["atlas"],"is_mcn": {"thumb_id": "v2rm41u3"},"accid": "4886d626a2804dee5f11168793ce361672f39c25","@id": "https://www.med-credit.org.cn/mobile/jingxuan/2/79f36930bd9f8e9b7c4fa66afa929d89.html","bagWordId": "6258da52e9b57746","title": "怀孕初期出血颜色表现图","pubDate": "2023-03-29T10:32:19","upDate": "2023-03-29T10:32:19","lrDate": "2023-03-29T10:32:19","description": "怀孕初期阴道出血根据不同的原因表现出的颜色也不同,一般会出现红褐色、茶褐色或者粉红色。","data": {"WebPage": {"headline": "怀孕初期出血颜色表现图","pcUrl": "https://www.med-credit.org.cn/jingxuan/2/79f36930bd9f8e9b7c4fa66afa929d89.html","wapUrl": "https://www.med-credit.org.cn/jingxuan/2/79f36930bd9f8e9b7c4fa66afa929d89.html","mipUrl": "https://www.med-credit.org.cn/mobile/jingxuan/2/79f36930bd9f8e9b7c4fa66afa929d89.html","fromSrc": "欢乐橙","datePublished": "2023-03-29T10:32:19","domain": "医疗","category": ["医疗权威文章合作"],"description": "怀孕初期阴道出血根据不同的原因表现出的颜色也不同,一般会出现红褐色、茶褐色或者粉红色。
","extra_headline": [""]},"Author": {"name": "种轶文","wapUrl": "https://www.med-credit.org.cn/doctor/575","pcUrl": "https://www.med-credit.org.cn/doctor/575","jobTitle": "副主任医师","headPortrait": "https://www.med-credit.org.cn/uploadfile/member/575/180x180.jpeg","id": "575","description": "种轶文,北京大学第三医院妇产科副主任医师","memberOf": {"legalName": "北京大学第三医院","department": "妇产科","organizationLevel": "三级甲等"}},"Article": {"summaryContent": "怀孕初期阴道出血根据不同的原因表现出的颜色也不同,一般会出现红褐色、茶褐色或者粉红色。
怀孕初期阴道出血可能是生化妊娠、先兆流产、着床出血等原因引起的。


1、生化妊娠:孕胚没有着床成功,发生自然流产,出血量可能和月经量、时间一样,或者少量出血,一般出血颜色可能是红褐色、粉红色。
2、先兆流产:如果流血量多、腹痛明显,考虑可能是先兆流产,B超下会显示胎儿外围的绒毛膜与子宫壁有稍微分离,绒毛膜下产生流血,会出现红褐色或者粉红色出血。
3、着床出血:孕胚冲破子宫内膜植入子宫内膜着床,在植入过程当中可能会有子宫内膜血管破裂,出现少量出血现象,这是生理反应,颜色为茶褐色,出血量比较少3-5天停止,一般是不会影响胎儿的正常生长发育,也不需要特殊处理,慢慢就会消失。
除了上述相对常见的原因外,还有其他的可能性疾病,比如孕激素不足。建议患者出现这种症状后,及时去医院就诊,查明病因后,予以针对性治疗。
","articleBody": "怀孕初期阴道出血根据不同的原因表现出的颜色也不同,一般会出现红褐色、茶褐色或者粉红色。
怀孕初期阴道出血可能是生化妊娠、先兆流产、着床出血等原因引起的。


1、生化妊娠:孕胚没有着床成功,发生自然流产,出血量可能和月经量、时间一样,或者少量出血,一般出血颜色可能是红褐色、粉红色。
2、先兆流产:如果流血量多、腹痛明显,考虑可能是先兆流产,B超下会显示胎儿外围的绒毛膜与子宫壁有稍微分离,绒毛膜下产生流血,会出现红褐色或者粉红色出血。
3、着床出血:孕胚冲破子宫内膜植入子宫内膜着床,在植入过程当中可能会有子宫内膜血管破裂,出现少量出血现象,这是生理反应,颜色为茶褐色,出血量比较少3-5天停止,一般是不会影响胎儿的正常生长发育,也不需要特殊处理,慢慢就会消失。
除了上述相对常见的原因外,还有其他的可能性疾病,比如孕激素不足。建议患者出现这种症状后,及时去医院就诊,查明病因后,予以针对性治疗。
","scanCount": 55817}}} {"@context": "https://ziyuan.baidu.com/contexts/cambrian.jsonld","appid": "1650708455561748","icon": "https://www.med-credit.org.cn/style/images/ttlogo.png","content_tag": ["atlas"],"is_mcn": {"thumb_id": "v2rm41u3"},"accid": "4886d626a2804dee5f11168793ce361672f39c25","@id": "https://www.med-credit.org.cn/mobile/jingxuan/2/c16b097a1ad6452294b8ba98ead25754.html","bagWordId": "598e1706c902ab7d","title": "剖腹产恢复好的刀口图","pubDate": "2023-03-29T10:32:19","upDate": "2023-03-29T10:32:19","lrDate": "2023-03-29T10:32:19","description": "剖腹产的伤口愈合后会是一道红色的疤痕。","data": {"WebPage": {"headline": "剖腹产恢复好的刀口图","pcUrl": "https://www.med-credit.org.cn/jingxuan/2/c16b097a1ad6452294b8ba98ead25754.html","wapUrl": "https://www.med-credit.org.cn/jingxuan/2/c16b097a1ad6452294b8ba98ead25754.html","mipUrl": "https://www.med-credit.org.cn/mobile/jingxuan/2/c16b097a1ad6452294b8ba98ead25754.html","fromSrc": "欢乐橙","datePublished": "2023-03-29T10:32:19","domain": "医疗","category": ["医疗权威文章合作"],"description": "剖腹产的伤口愈合后会是一道红色的疤痕。
","extra_headline": ["剖腹产恢复好的刀口"]},"Author": {"name": "种轶文","wapUrl": "https://www.med-credit.org.cn/doctor/575","pcUrl": "https://www.med-credit.org.cn/doctor/575","jobTitle": "副主任医师","headPortrait": "https://www.med-credit.org.cn/uploadfile/member/575/180x180.jpeg","id": "575","description": "种轶文,北京大学第三医院妇产科副主任医师","memberOf": {"legalName": "北京大学第三医院","department": "妇产科","organizationLevel": "三级甲等"}},"Article": {"summaryContent": "剖腹产的伤口愈合后会是一道红色的疤痕。
剖腹产指的是在分娩过程中,因为家人的意愿或者胎儿有一些特殊的情况,如臀位或者疤痕子宫等,医生会选择开刀手术的方法取出婴儿,从而使婴儿平安的出生的一种手段。

剖腹产最好是在胎儿39周的时候进行,此时胎儿的器官已经相对发育成熟,此时剖腹产会对婴儿的损害最小,剖腹产的过程大概需要1个小时,主要是麻醉、剖腹,接生和缝合这四个步骤。
剖腹产后孕妇应尽量避免腹部切口沾水,避免伤口额感染。对全身的清洁使用擦浴的方式,待伤口愈合后可以使用淋浴的方式,在恶露未排干净之前要注意每天冲洗外阴2次左右,此时应防止脏水进入阴道内;若伤口发生红、肿、热、痛的症状,不可自己随意处理,应该及时就医,以免伤口感染迁延不愈。
","articleBody": "剖腹产的伤口愈合后会是一道红色的疤痕。
剖腹产指的是在分娩过程中,因为家人的意愿或者胎儿有一些特殊的情况,如臀位或者疤痕子宫等,医生会选择开刀手术的方法取出婴儿,从而使婴儿平安的出生的一种手段。

剖腹产最好是在胎儿39周的时候进行,此时胎儿的器官已经相对发育成熟,此时剖腹产会对婴儿的损害最小,剖腹产的过程大概需要1个小时,主要是麻醉、剖腹,接生和缝合这四个步骤。
剖腹产后孕妇应尽量避免腹部切口沾水,避免伤口额感染。对全身的清洁使用擦浴的方式,待伤口愈合后可以使用淋浴的方式,在恶露未排干净之前要注意每天冲洗外阴2次左右,此时应防止脏水进入阴道内;若伤口发生红、肿、热、痛的症状,不可自己随意处理,应该及时就医,以免伤口感染迁延不愈。
","scanCount": 55816}}} {"@context": "https://ziyuan.baidu.com/contexts/cambrian.jsonld","appid": "1650708455561748","icon": "https://www.med-credit.org.cn/style/images/ttlogo.png","content_tag": ["atlas"],"is_mcn": {"thumb_id": "v2rm41u3"},"accid": "4886d626a2804dee5f11168793ce361672f39c25","@id": "https://www.med-credit.org.cn/mobile/jingxuan/2/cda2a9a11f21a49a3c82f5d4399d7fb1.html","bagWordId": "ac3e40a2e9e23c8f","title": "孕晚期见红图片","pubDate": "2023-03-29T10:32:19","upDate": "2023-03-29T10:32:19","lrDate": "2023-03-29T10:32:19","description": "孕晚期见红为临产征兆,孕妇可密切观察,其原因可能为胎儿早产、临产、胎盘位置异常等","data": {"WebPage": {"headline": "孕晚期见红图片","pcUrl": "https://www.med-credit.org.cn/jingxuan/2/cda2a9a11f21a49a3c82f5d4399d7fb1.html","wapUrl": "https://www.med-credit.org.cn/jingxuan/2/cda2a9a11f21a49a3c82f5d4399d7fb1.html","mipUrl": "https://www.med-credit.org.cn/mobile/jingxuan/2/cda2a9a11f21a49a3c82f5d4399d7fb1.html","fromSrc": "欢乐橙","datePublished": "2023-03-29T10:32:19","domain": "医疗","category": ["医疗权威文章合作"],"description": "孕晚期见红为临产征兆,孕妇可密切观察,其原因可能为胎儿早产、临产、胎盘位置异常等
","extra_headline": ["孕晚期见红"]},"Author": {"name": "种轶文","wapUrl": "https://www.med-credit.org.cn/doctor/575","pcUrl": "https://www.med-credit.org.cn/doctor/575","jobTitle": "副主任医师","headPortrait": "https://www.med-credit.org.cn/uploadfile/member/575/180x180.jpeg","id": "575","description": "种轶文,北京大学第三医院妇产科副主任医师","memberOf": {"legalName": "北京大学第三医院","department": "妇产科","organizationLevel": "三级甲等"}},"Article": {"summaryContent": "孕晚期见红为临产征兆,孕妇可密切观察,其原因可能为胎儿早产、临产、胎盘位置异常等

1、胎儿早产:若孕产妇孕期30周内有出血,表示胎儿有早产可能,建议孕产妇及时去医院就诊,查看胎儿情况,必要时及时终止妊娠,以免出现胎儿缺氧,引起严重后果。胎儿临产:孕产妇孕期36~40周内,出现出血情况属于正常现象,为临产征兆。建议孕产妇立即去医院进行待产,避免过度劳累。
2、胎盘位置异常:孕产妇孕晚期出现胎盘位置异常。可能出现阴道出血,并伴随腹部疼痛,建议孕产妇及时就医进行进一步超声检查,查看胎儿及胎盘的情况。必要时需要立即终止妊娠,以免引起严重后果。
综上所述,孕晚期见红多为临产征兆,孕妇可观察有无宫缩现象,建议孕妇及时到医院进行检查或待产。
","articleBody": "孕晚期见红为临产征兆,孕妇可密切观察,其原因可能为胎儿早产、临产、胎盘位置异常等

1、胎儿早产:若孕产妇孕期30周内有出血,表示胎儿有早产可能,建议孕产妇及时去医院就诊,查看胎儿情况,必要时及时终止妊娠,以免出现胎儿缺氧,引起严重后果。胎儿临产:孕产妇孕期36~40周内,出现出血情况属于正常现象,为临产征兆。建议孕产妇立即去医院进行待产,避免过度劳累。
2、胎盘位置异常:孕产妇孕晚期出现胎盘位置异常。可能出现阴道出血,并伴随腹部疼痛,建议孕产妇及时就医进行进一步超声检查,查看胎儿及胎盘的情况。必要时需要立即终止妊娠,以免引起严重后果。
综上所述,孕晚期见红多为临产征兆,孕妇可观察有无宫缩现象,建议孕妇及时到医院进行检查或待产。
","scanCount": 55815}}} {"@context": "https://ziyuan.baidu.com/contexts/cambrian.jsonld","appid": "1650708455561748","icon": "https://www.med-credit.org.cn/style/images/ttlogo.png","content_tag": ["atlas"],"is_mcn": {"thumb_id": "v2rm41u3"},"accid": "4886d626a2804dee5f11168793ce361672f39c25","@id": "https://www.med-credit.org.cn/mobile/jingxuan/2/9f0ed4c74f60966772e2fa41c19b9116.html","bagWordId": "e2f3a263e98f8b80","title": "NT检查图片","pubDate": "2023-03-29T10:32:19","upDate": "2023-03-29T10:32:19","lrDate": "2023-03-29T10:32:19","description": "NT检查是颈项透明层检查,是产妇在11-13周左右做的一个检查胎儿的颈后皮部透明带扫描。","data": {"WebPage": {"headline": "NT检查图片","pcUrl": "https://www.med-credit.org.cn/jingxuan/2/9f0ed4c74f60966772e2fa41c19b9116.html","wapUrl": "https://www.med-credit.org.cn/jingxuan/2/9f0ed4c74f60966772e2fa41c19b9116.html","mipUrl": "https://www.med-credit.org.cn/mobile/jingxuan/2/9f0ed4c74f60966772e2fa41c19b9116.html","fromSrc": "欢乐橙","datePublished": "2023-03-29T10:32:19","domain": "医疗","category": ["医疗权威文章合作"],"description": "NT检查是颈项透明层检查,是产妇在11-13周左右做的一个检查胎儿的颈后皮部透明带扫描。
","extra_headline": [""]},"Author": {"name": "种轶文","wapUrl": "https://www.med-credit.org.cn/doctor/575","pcUrl": "https://www.med-credit.org.cn/doctor/575","jobTitle": "副主任医师","headPortrait": "https://www.med-credit.org.cn/uploadfile/member/575/180x180.jpeg","id": "575","description": "种轶文,北京大学第三医院妇产科副主任医师","memberOf": {"legalName": "北京大学第三医院","department": "妇产科","organizationLevel": "三级甲等"}},"Article": {"summaryContent": "NT检查是颈项透明层检查,是产妇在11-13周左右做的一个检查胎儿的颈后皮部透明带扫描。
若颈项透明层检查显示异常,需采取羊水穿刺或绒毛膜检查做进一步分析。

1、检查目的:颈项透明层检查主要是通过B超检查胎儿的母体内颈部皮下无回声透明层的厚度,超声提示胎儿是否畸形。若患者颈项透明层检查超过正常范围值2.5mm时,则需进一步通过羊水穿刺仔细排查,若最后确定为畸形或其它疾病,孕妇可在医生的建议下确定是否终止妊娠。
2、检查内容:一般颈部皮下无回声透明层的厚度增加,则提示胎儿有问题,出现胎儿的染色体或者结构发生异常。需根据羊水穿刺或绒毛膜检查做进一步的染色体分析,便于孕妇采取应对措施。
颈项透明层检查对于孕妇来说是非常必要的,尤其是高龄产妇、曾经有过唐氏综合征患儿的孕妇或有家族遗传史,可以帮助孕妇规避一些风险,且颈项透明层检查是产前诊断,孕妇要在规定时间内按时到医院进行筛查。
","articleBody": "NT检查是颈项透明层检查,是产妇在11-13周左右做的一个检查胎儿的颈后皮部透明带扫描。
若颈项透明层检查显示异常,需采取羊水穿刺或绒毛膜检查做进一步分析。

1、检查目的:颈项透明层检查主要是通过B超检查胎儿的母体内颈部皮下无回声透明层的厚度,超声提示胎儿是否畸形。若患者颈项透明层检查超过正常范围值2.5mm时,则需进一步通过羊水穿刺仔细排查,若最后确定为畸形或其它疾病,孕妇可在医生的建议下确定是否终止妊娠。
2、检查内容:一般颈部皮下无回声透明层的厚度增加,则提示胎儿有问题,出现胎儿的染色体或者结构发生异常。需根据羊水穿刺或绒毛膜检查做进一步的染色体分析,便于孕妇采取应对措施。
颈项透明层检查对于孕妇来说是非常必要的,尤其是高龄产妇、曾经有过唐氏综合征患儿的孕妇或有家族遗传史,可以帮助孕妇规避一些风险,且颈项透明层检查是产前诊断,孕妇要在规定时间内按时到医院进行筛查。
","scanCount": 55813}}} {"@context": "https://ziyuan.baidu.com/contexts/cambrian.jsonld","appid": "1650708455561748","icon": "https://www.med-credit.org.cn/style/images/ttlogo.png","content_tag": ["atlas"],"is_mcn": {"thumb_id": "v2rm41u3"},"accid": "4886d626a2804dee5f11168793ce361672f39c25","@id": "https://www.med-credit.org.cn/mobile/jingxuan/2/5873c4c000ebac0e2d0a8d213a5d28bc.html","bagWordId": "ba1dbb972d0ea4ff","title": "怀孕初期黑色渣子图片","pubDate": "2023-03-29T10:32:19","upDate": "2023-03-29T10:32:19","lrDate": "2023-03-29T10:32:19","description": "怀孕初期阴道有黑色渣子状分泌物,一般是有出血的情况。","data": {"WebPage": {"headline": "怀孕初期黑色渣子图片","pcUrl": "https://www.med-credit.org.cn/jingxuan/2/5873c4c000ebac0e2d0a8d213a5d28bc.html","wapUrl": "https://www.med-credit.org.cn/jingxuan/2/5873c4c000ebac0e2d0a8d213a5d28bc.html","mipUrl": "https://www.med-credit.org.cn/mobile/jingxuan/2/5873c4c000ebac0e2d0a8d213a5d28bc.html","fromSrc": "欢乐橙","datePublished": "2023-03-29T10:32:19","domain": "医疗","category": ["医疗权威文章合作"],"description": "怀孕初期阴道有黑色渣子状分泌物,一般是有出血的情况。
","extra_headline": [""]},"Author": {"name": "种轶文","wapUrl": "https://www.med-credit.org.cn/doctor/575","pcUrl": "https://www.med-credit.org.cn/doctor/575","jobTitle": "副主任医师","headPortrait": "https://www.med-credit.org.cn/uploadfile/member/575/180x180.jpeg","id": "575","description": "种轶文,北京大学第三医院妇产科副主任医师","memberOf": {"legalName": "北京大学第三医院","department": "妇产科","organizationLevel": "三级甲等"}},"Article": {"summaryContent": "怀孕初期阴道有黑色渣子状分泌物,一般是有出血的情况。
怀孕初期阴道有黑色渣子状分泌物可能是工匠言、宫外孕、先兆流产等原因导致。

1.宫颈炎:怀孕初期若患有宫颈炎,阴道可能会出现异常出血,常伴有灰色、淡黄色脓性白带,出血量较少时,血液会附着在阴道内部,并与氧气或其他细菌发生反应,从而出现黑色的块状分泌物。宫颈炎一般是由细菌感染造成的,孕妇需及时去医院做内诊检查,遵医嘱用药。
2.宫外孕:即异位妊娠,指受精卵在子宫体腔以外的地方着床和发育,也可导致阴道出血且包含子宫内膜,如果确诊为异位妊娠,则需要及时手术治疗。
3.先兆流产:一般先兆流产的孕妇出血量较少,血液在阴道内留存时间较长,就会呈现黑色分泌物。建议做彩超和化验孕酮及hCG,避免过度劳累,注意饮食和休息,预防流产。
除了上述相对常见的原因外,还有其他的可能性疾病,比如胚胎停育。建议患者出现这种症状后,及时去医院就诊,查明病因后,予以针对性治疗。
","articleBody": "怀孕初期阴道有黑色渣子状分泌物,一般是有出血的情况。
怀孕初期阴道有黑色渣子状分泌物可能是工匠言、宫外孕、先兆流产等原因导致。

1.宫颈炎:怀孕初期若患有宫颈炎,阴道可能会出现异常出血,常伴有灰色、淡黄色脓性白带,出血量较少时,血液会附着在阴道内部,并与氧气或其他细菌发生反应,从而出现黑色的块状分泌物。宫颈炎一般是由细菌感染造成的,孕妇需及时去医院做内诊检查,遵医嘱用药。
2.宫外孕:即异位妊娠,指受精卵在子宫体腔以外的地方着床和发育,也可导致阴道出血且包含子宫内膜,如果确诊为异位妊娠,则需要及时手术治疗。
3.先兆流产:一般先兆流产的孕妇出血量较少,血液在阴道内留存时间较长,就会呈现黑色分泌物。建议做彩超和化验孕酮及hCG,避免过度劳累,注意饮食和休息,预防流产。
除了上述相对常见的原因外,还有其他的可能性疾病,比如胚胎停育。建议患者出现这种症状后,及时去医院就诊,查明病因后,予以针对性治疗。
","scanCount": 55812}}} {"@context": "https://ziyuan.baidu.com/contexts/cambrian.jsonld","appid": "1650708455561748","icon": "https://www.med-credit.org.cn/style/images/ttlogo.png","content_tag": ["atlas"],"is_mcn": {"thumb_id": "v2rm41u3"},"accid": "4886d626a2804dee5f11168793ce361672f39c25","@id": "https://www.med-credit.org.cn/mobile/jingxuan/2/904c209375cfdcf82496c5ad91863c8f.html","bagWordId": "42f94aec2fa8b834","title": "刚怀孕的白带图片","pubDate": "2023-03-29T10:32:19","upDate": "2023-03-29T10:32:19","lrDate": "2023-03-29T10:32:19","description": "女性刚怀孕时体内雌孕激素分泌水平增加,宫颈以及阴道黏膜在激素的作用下分泌物增多,白带出现增多,可能伴有白带粘稠的症状。","data": {"WebPage": {"headline": "刚怀孕的白带图片","pcUrl": "https://www.med-credit.org.cn/jingxuan/2/904c209375cfdcf82496c5ad91863c8f.html","wapUrl": "https://www.med-credit.org.cn/jingxuan/2/904c209375cfdcf82496c5ad91863c8f.html","mipUrl": "https://www.med-credit.org.cn/mobile/jingxuan/2/904c209375cfdcf82496c5ad91863c8f.html","fromSrc": "欢乐橙","datePublished": "2023-03-29T10:32:19","domain": "医疗","category": ["医疗权威文章合作"],"description": "女性刚怀孕时体内雌孕激素分泌水平增加,宫颈以及阴道黏膜在激素的作用下分泌物增多,白带出现增多,可能伴有白带粘稠的症状。
","extra_headline": [""]},"Author": {"name": "种轶文","wapUrl": "https://www.med-credit.org.cn/doctor/575","pcUrl": "https://www.med-credit.org.cn/doctor/575","jobTitle": "副主任医师","headPortrait": "https://www.med-credit.org.cn/uploadfile/member/575/180x180.jpeg","id": "575","description": "种轶文,北京大学第三医院妇产科副主任医师","memberOf": {"legalName": "北京大学第三医院","department": "妇产科","organizationLevel": "三级甲等"}},"Article": {"summaryContent": "女性刚怀孕时体内雌孕激素分泌水平增加,宫颈以及阴道黏膜在激素的作用下分泌物增多,白带出现增多,可能伴有白带粘稠的症状。
当白带出现异常时考虑为阴道炎引起的,可遵医嘱选择合适的药物进行治疗。

在女性刚怀孕时如果伴有外阴瘙痒、白带有异味等不适的症状,考虑是一种异常的症状,有可能是由阴道炎等因素引起的。
孕期阴道炎一般分为外阴阴道假丝酵母菌病、细菌性阴道炎、滴虫性阴道炎,分别需要给予抗真菌、抗炎以及抗滴虫的药物治疗。怀孕期间,如果症状不严重,建议最好先无需治疗。
有异常需及时到医院进行白带常规、妇科的常规检查等,明确具体的病因。怀孕期间使用任何药物,都需要在医生的指导监护下用药,不能自行乱用。
","articleBody": "女性刚怀孕时体内雌孕激素分泌水平增加,宫颈以及阴道黏膜在激素的作用下分泌物增多,白带出现增多,可能伴有白带粘稠的症状。
当白带出现异常时考虑为阴道炎引起的,可遵医嘱选择合适的药物进行治疗。

在女性刚怀孕时如果伴有外阴瘙痒、白带有异味等不适的症状,考虑是一种异常的症状,有可能是由阴道炎等因素引起的。
孕期阴道炎一般分为外阴阴道假丝酵母菌病、细菌性阴道炎、滴虫性阴道炎,分别需要给予抗真菌、抗炎以及抗滴虫的药物治疗。怀孕期间,如果症状不严重,建议最好先无需治疗。
有异常需及时到医院进行白带常规、妇科的常规检查等,明确具体的病因。怀孕期间使用任何药物,都需要在医生的指导监护下用药,不能自行乱用。
","scanCount": 55811}}} {"@context": "https://ziyuan.baidu.com/contexts/cambrian.jsonld","appid": "1650708455561748","icon": "https://www.med-credit.org.cn/style/images/ttlogo.png","content_tag": ["atlas"],"is_mcn": {"thumb_id": "v2rm41u3"},"accid": "4886d626a2804dee5f11168793ce361672f39c25","@id": "https://www.med-credit.org.cn/mobile/jingxuan/2/b3c679d36becb5a556bd5a143d224c38.html","bagWordId": "089bcefa6ba4fb31","title": "宫外孕排出包块图片","pubDate": "2023-03-29T10:32:19","upDate": "2023-03-29T10:32:19","lrDate": "2023-03-29T10:32:19","description": "宫外孕形成包块是不能通过子宫阴道出口排出的。","data": {"WebPage": {"headline": "宫外孕排出包块图片","pcUrl": "https://www.med-credit.org.cn/jingxuan/2/b3c679d36becb5a556bd5a143d224c38.html","wapUrl": "https://www.med-credit.org.cn/jingxuan/2/b3c679d36becb5a556bd5a143d224c38.html","mipUrl": "https://www.med-credit.org.cn/mobile/jingxuan/2/b3c679d36becb5a556bd5a143d224c38.html","fromSrc": "欢乐橙","datePublished": "2023-03-29T10:32:19","domain": "医疗","category": ["医疗权威文章合作"],"description": "宫外孕形成包块是不能通过子宫阴道出口排出的。
","extra_headline": ["宫外孕排出包块"]},"Author": {"name": "种轶文","wapUrl": "https://www.med-credit.org.cn/doctor/575","pcUrl": "https://www.med-credit.org.cn/doctor/575","jobTitle": "副主任医师","headPortrait": "https://www.med-credit.org.cn/uploadfile/member/575/180x180.jpeg","id": "575","description": "种轶文,北京大学第三医院妇产科副主任医师","memberOf": {"legalName": "北京大学第三医院","department": "妇产科","organizationLevel": "三级甲等"}},"Article": {"summaryContent": "宫外孕形成包块是不能通过子宫阴道出口排出的。

发生宫外孕临床表现上可以表现为停经,偶可伴有一侧下腹腹痛、阴道流血。完善hCG检查可以发现血hCG升高,通过B超检查未发现子宫宫内无回声,而在附件区,即输卵管卵巢部位可以发现得到包块回声团,可以高回声、低回声,时间延长,随着胚胎发育还可以发现绒毛样、胎囊样改变、可听到胎心音等胚胎发育的表现。
宫外孕持续发展,由于胚胎大国大可能会发生宫外孕破裂出血,破坏输卵管、卵巢等结局,因此,为了尽可能改善预后,宫外孕患者建议尽早结束异位妊娠,宫外孕的治疗方法包括药物治疗及手术治疗。早期无任何症状发现宫外孕,且宫外孕盆腔包括小于3cm,血hCG小于2000者可以选择药物治疗,通常选择甲氨蝶呤,可能阴道流血增多,治疗后定期复查B超及血hCG以确定疗效;有药物治疗禁忌证及出现症状、包块过大、宫外孕孕囊破裂者应选则手术治疗。
","articleBody": "宫外孕形成包块是不能通过子宫阴道出口排出的。

发生宫外孕临床表现上可以表现为停经,偶可伴有一侧下腹腹痛、阴道流血。完善hCG检查可以发现血hCG升高,通过B超检查未发现子宫宫内无回声,而在附件区,即输卵管卵巢部位可以发现得到包块回声团,可以高回声、低回声,时间延长,随着胚胎发育还可以发现绒毛样、胎囊样改变、可听到胎心音等胚胎发育的表现。
宫外孕持续发展,由于胚胎大国大可能会发生宫外孕破裂出血,破坏输卵管、卵巢等结局,因此,为了尽可能改善预后,宫外孕患者建议尽早结束异位妊娠,宫外孕的治疗方法包括药物治疗及手术治疗。早期无任何症状发现宫外孕,且宫外孕盆腔包括小于3cm,血hCG小于2000者可以选择药物治疗,通常选择甲氨蝶呤,可能阴道流血增多,治疗后定期复查B超及血hCG以确定疗效;有药物治疗禁忌证及出现症状、包块过大、宫外孕孕囊破裂者应选则手术治疗。
","scanCount": 55810}}} {"@context": "https://ziyuan.baidu.com/contexts/cambrian.jsonld","appid": "1650708455561748","icon": "https://www.med-credit.org.cn/style/images/ttlogo.png","content_tag": ["atlas"],"is_mcn": {"thumb_id": "v2rm41u3"},"accid": "4886d626a2804dee5f11168793ce361672f39c25","@id": "https://www.med-credit.org.cn/mobile/jingxuan/2/57605f2b58bfde9e190ee33f4cc109fa.html","bagWordId": "866a454374b6a2ca","title": "怀孕九周胎儿彩超真实图片","pubDate": "2023-03-29T10:32:19","upDate": "2023-03-29T10:32:19","lrDate": "2023-03-29T10:32:19","description": "怀孕九周左右,这个时期彩超检测可以看到胎儿大小一般不超过三厘米,开始有了准确的胎心跳跃,胎儿的肌肉神经开始初步发育,胎儿的手部也开始变得有些弯曲,眼帘开始完全能够覆盖住眼睛。","data": {"WebPage": {"headline": "怀孕九周胎儿彩超真实图片","pcUrl": "https://www.med-credit.org.cn/jingxuan/2/57605f2b58bfde9e190ee33f4cc109fa.html","wapUrl": "https://www.med-credit.org.cn/jingxuan/2/57605f2b58bfde9e190ee33f4cc109fa.html","mipUrl": "https://www.med-credit.org.cn/mobile/jingxuan/2/57605f2b58bfde9e190ee33f4cc109fa.html","fromSrc": "欢乐橙","datePublished": "2023-03-29T10:32:19","domain": "医疗","category": ["医疗权威文章合作"],"description": "怀孕九周左右,这个时期彩超检测可以看到胎儿大小一般不超过三厘米,开始有了准确的胎心跳跃,胎儿的肌肉神经开始初步发育,胎儿的手部也开始变得有些弯曲,眼帘开始完全能够覆盖住眼睛。
","extra_headline": ["怀孕九周胎儿彩超真实"]},"Author": {"name": "种轶文","wapUrl": "https://www.med-credit.org.cn/doctor/575","pcUrl": "https://www.med-credit.org.cn/doctor/575","jobTitle": "副主任医师","headPortrait": "https://www.med-credit.org.cn/uploadfile/member/575/180x180.jpeg","id": "575","description": "种轶文,北京大学第三医院妇产科副主任医师","memberOf": {"legalName": "北京大学第三医院","department": "妇产科","organizationLevel": "三级甲等"}},"Article": {"summaryContent": "怀孕九周左右,这个时期彩超检测可以看到胎儿大小一般不超过三厘米,开始有了准确的胎心跳跃,胎儿的肌肉神经开始初步发育,胎儿的手部也开始变得有些弯曲,眼帘开始完全能够覆盖住眼睛。

这个时候彩超的重点不仅仅放在胎儿是否有胎心跳动,最重要的是要观察胎儿的大小及形态。监测孕妇体内的羊水正常值也是非常重要的,在怀孕九周左右孕妇体内的羊水正常值应该能够达到200毫升左右。这时的胎盘成熟度应该是零级。这个阶段孕妇的子宫开始慢慢膨胀,孕妇会觉得肚子会有微微的胀气,分泌物也在逐渐的增多,这都是正常现象。
这个时期的准妈妈们应该定时去医院检查,胎心检测各方面都正常的话,准妈妈们就可以放下心来了,把重心放在自己身体的养生保健方面,健康饮食,也要有适度的锻炼,迎接宝宝的下一个阶段。
","articleBody": "怀孕九周左右,这个时期彩超检测可以看到胎儿大小一般不超过三厘米,开始有了准确的胎心跳跃,胎儿的肌肉神经开始初步发育,胎儿的手部也开始变得有些弯曲,眼帘开始完全能够覆盖住眼睛。

这个时候彩超的重点不仅仅放在胎儿是否有胎心跳动,最重要的是要观察胎儿的大小及形态。监测孕妇体内的羊水正常值也是非常重要的,在怀孕九周左右孕妇体内的羊水正常值应该能够达到200毫升左右。这时的胎盘成熟度应该是零级。这个阶段孕妇的子宫开始慢慢膨胀,孕妇会觉得肚子会有微微的胀气,分泌物也在逐渐的增多,这都是正常现象。
这个时期的准妈妈们应该定时去医院检查,胎心检测各方面都正常的话,准妈妈们就可以放下心来了,把重心放在自己身体的养生保健方面,健康饮食,也要有适度的锻炼,迎接宝宝的下一个阶段。
","scanCount": 55809}}} {"@context": "https://ziyuan.baidu.com/contexts/cambrian.jsonld","appid": "1650708455561748","icon": "https://www.med-credit.org.cn/style/images/ttlogo.png","content_tag": ["atlas"],"is_mcn": {"thumb_id": "v2rm41u3"},"accid": "4886d626a2804dee5f11168793ce361672f39c25","@id": "https://www.med-credit.org.cn/mobile/jingxuan/2/a50ea17223b67114cc0e986d327d220f.html","bagWordId": "98edb7c794fc170e","title": "剖腹产线头不吸收图","pubDate": "2023-03-29T10:32:19","upDate": "2023-03-29T10:32:19","lrDate": "2023-03-29T10:32:19","description": "剖腹产手术以后线头不吸收,主要表现为创面附近突起肿块,伴有局部有疼痛、发痒、流出脓液等症状。","data": {"WebPage": {"headline": "剖腹产线头不吸收图","pcUrl": "https://www.med-credit.org.cn/jingxuan/2/a50ea17223b67114cc0e986d327d220f.html","wapUrl": "https://www.med-credit.org.cn/jingxuan/2/a50ea17223b67114cc0e986d327d220f.html","mipUrl": "https://www.med-credit.org.cn/mobile/jingxuan/2/a50ea17223b67114cc0e986d327d220f.html","fromSrc": "欢乐橙","datePublished": "2023-03-29T10:32:19","domain": "医疗","category": ["医疗权威文章合作"],"description": "剖腹产手术以后线头不吸收,主要表现为创面附近突起肿块,伴有局部有疼痛、发痒、流出脓液等症状。
","extra_headline": [""]},"Author": {"name": "种轶文","wapUrl": "https://www.med-credit.org.cn/doctor/575","pcUrl": "https://www.med-credit.org.cn/doctor/575","jobTitle": "副主任医师","headPortrait": "https://www.med-credit.org.cn/uploadfile/member/575/180x180.jpeg","id": "575","description": "种轶文,北京大学第三医院妇产科副主任医师","memberOf": {"legalName": "北京大学第三医院","department": "妇产科","organizationLevel": "三级甲等"}},"Article": {"summaryContent": "剖腹产手术以后线头不吸收,主要表现为创面附近突起肿块,伴有局部有疼痛、发痒、流出脓液等症状。

剖腹产手术后如果缝合线头不吸收,多是由于顺产后多采用可吸收线缝合,剖宫产缝合线大概在2周到3个月完全吸收,线头可在产后40天左右自行脱落。但是由于缝合线质量、个人体质等因素,导致缝合线不吸收,出现创面感染,甚至形成脓包的情况。
一般建议患者及时到医院就诊,在医生的指导下将线头摘出即可,然后配合使用阿莫西林、头孢等抗炎药物,达到较好的消炎效果,避免局部有疼痛、发痒、流出脓液等加重症状,同时还可以使用碘伏消毒。
建议患者剖腹产后注意休息,如有脓包形成、红肿疼痛等症状,应及时到医院就诊,在医生指导下选择合适治疗方案。
","articleBody": "剖腹产手术以后线头不吸收,主要表现为创面附近突起肿块,伴有局部有疼痛、发痒、流出脓液等症状。

剖腹产手术后如果缝合线头不吸收,多是由于顺产后多采用可吸收线缝合,剖宫产缝合线大概在2周到3个月完全吸收,线头可在产后40天左右自行脱落。但是由于缝合线质量、个人体质等因素,导致缝合线不吸收,出现创面感染,甚至形成脓包的情况。
一般建议患者及时到医院就诊,在医生的指导下将线头摘出即可,然后配合使用阿莫西林、头孢等抗炎药物,达到较好的消炎效果,避免局部有疼痛、发痒、流出脓液等加重症状,同时还可以使用碘伏消毒。
建议患者剖腹产后注意休息,如有脓包形成、红肿疼痛等症状,应及时到医院就诊,在医生指导下选择合适治疗方案。
","scanCount": 55808}}} {"@context": "https://ziyuan.baidu.com/contexts/cambrian.jsonld","appid": "1650708455561748","icon": "https://www.med-credit.org.cn/style/images/ttlogo.png","content_tag": ["atlas"],"is_mcn": {"thumb_id": "v2rm41u3"},"accid": "4886d626a2804dee5f11168793ce361672f39c25","@id": "https://www.med-credit.org.cn/mobile/jingxuan/2/116102f183bf65b90d95eb58cec202d5.html","bagWordId": "084e61950e4cd24d","title": "怀孕4个月四维彩超图","pubDate": "2023-03-29T10:32:19","upDate": "2023-03-29T10:32:19","lrDate": "2023-03-29T10:32:19","description": "对于怀孕4个月的孕妇患者来说,四维彩超能够比较全面具体的观察胎儿的发育情况,可以明确的检查到胎儿的口腔、肢体、心脏、鼻子等各个器官。对于孕妇来说,在怀孕期间一定要定时进行产检,时刻观察胎儿的发育情况。","data": {"WebPage": {"headline": "怀孕4个月四维彩超图","pcUrl": "https://www.med-credit.org.cn/jingxuan/2/116102f183bf65b90d95eb58cec202d5.html","wapUrl": "https://www.med-credit.org.cn/jingxuan/2/116102f183bf65b90d95eb58cec202d5.html","mipUrl": "https://www.med-credit.org.cn/mobile/jingxuan/2/116102f183bf65b90d95eb58cec202d5.html","fromSrc": "欢乐橙","datePublished": "2023-03-29T10:32:19","domain": "医疗","category": ["医疗权威文章合作"],"description": "对于怀孕4个月的孕妇患者来说,四维彩超能够比较全面具体的观察胎儿的发育情况,可以明确的检查到胎儿的口腔、肢体、心脏、鼻子等各个器官。对于孕妇来说,在怀孕期间一定要定时进行产检,时刻观察胎儿的发育情况。
","extra_headline": ["怀孕4个月四维彩超"]},"Author": {"name": "种轶文","wapUrl": "https://www.med-credit.org.cn/doctor/575","pcUrl": "https://www.med-credit.org.cn/doctor/575","jobTitle": "副主任医师","headPortrait": "https://www.med-credit.org.cn/uploadfile/member/575/180x180.jpeg","id": "575","description": "种轶文,北京大学第三医院妇产科副主任医师","memberOf": {"legalName": "北京大学第三医院","department": "妇产科","organizationLevel": "三级甲等"}},"Article": {"summaryContent": "对于怀孕4个月的孕妇患者来说,四维彩超能够比较全面具体的观察胎儿的发育情况,可以明确的检查到胎儿的口腔、肢体、心脏、鼻子等各个器官。对于孕妇来说,在怀孕期间一定要定时进行产检,时刻观察胎儿的发育情况。

怀孕4个月做彩超检查可以看胎儿整个的发育情况。怀孕4个月胎儿分化成型,胎盘形成。可以通过检查胎儿的颅骨光环还有脊椎四肢判断胎儿发育是否正常,可以判断胎儿大小是否符合怀孕的天数。再是通过检查胎心,胎儿内脏器官是否发育正常,胎盘羊水是否正常。
孕妇身体中的某些疾病可以通过定时的产前检查被发现,若被发现的疾病严重影响妊娠的话,患者可以选择及时进行人工流产。
其次通过产前检查,可以使孕妇患者获取有关孕期的营养方面以及生理卫生方面的知识,了解产前产后应该注意的问题以及正常分娩的常识。通过系统检查可以预测分娩时有无困难,然后再决定分娩的地点以及方式,这样可以减轻产时和产后的危险。
因此综上所述,对于孕妇患者来说,产前检查非常有必要。
","articleBody": "对于怀孕4个月的孕妇患者来说,四维彩超能够比较全面具体的观察胎儿的发育情况,可以明确的检查到胎儿的口腔、肢体、心脏、鼻子等各个器官。对于孕妇来说,在怀孕期间一定要定时进行产检,时刻观察胎儿的发育情况。

怀孕4个月做彩超检查可以看胎儿整个的发育情况。怀孕4个月胎儿分化成型,胎盘形成。可以通过检查胎儿的颅骨光环还有脊椎四肢判断胎儿发育是否正常,可以判断胎儿大小是否符合怀孕的天数。再是通过检查胎心,胎儿内脏器官是否发育正常,胎盘羊水是否正常。
孕妇身体中的某些疾病可以通过定时的产前检查被发现,若被发现的疾病严重影响妊娠的话,患者可以选择及时进行人工流产。
其次通过产前检查,可以使孕妇患者获取有关孕期的营养方面以及生理卫生方面的知识,了解产前产后应该注意的问题以及正常分娩的常识。通过系统检查可以预测分娩时有无困难,然后再决定分娩的地点以及方式,这样可以减轻产时和产后的危险。
因此综上所述,对于孕妇患者来说,产前检查非常有必要。
","scanCount": 55807}}} {"@context": "https://ziyuan.baidu.com/contexts/cambrian.jsonld","appid": "1650708455561748","icon": "https://www.med-credit.org.cn/style/images/ttlogo.png","content_tag": ["atlas"],"is_mcn": {"thumb_id": "v2rm41u3"},"accid": "4886d626a2804dee5f11168793ce361672f39c25","@id": "https://www.med-credit.org.cn/mobile/jingxuan/2/229ed4c33b97e6a773a40ec6335dd170.html","bagWordId": "59423fc39ee76d69","title": "怀孕照片验孕棒实拍显示图片","pubDate": "2023-03-29T10:32:19","upDate": "2023-03-29T10:32:19","lrDate": "2023-03-29T10:32:19","description": "怀孕了验孕棒上会显示两条线。","data": {"WebPage": {"headline": "怀孕照片验孕棒实拍显示图片","pcUrl": "https://www.med-credit.org.cn/jingxuan/2/229ed4c33b97e6a773a40ec6335dd170.html","wapUrl": "https://www.med-credit.org.cn/jingxuan/2/229ed4c33b97e6a773a40ec6335dd170.html","mipUrl": "https://www.med-credit.org.cn/mobile/jingxuan/2/229ed4c33b97e6a773a40ec6335dd170.html","fromSrc": "欢乐橙","datePublished": "2023-03-29T10:32:19","domain": "医疗","category": ["医疗权威文章合作"],"description": "怀孕了验孕棒上会显示两条线。
","extra_headline": [""]},"Author": {"name": "种轶文","wapUrl": "https://www.med-credit.org.cn/doctor/575","pcUrl": "https://www.med-credit.org.cn/doctor/575","jobTitle": "副主任医师","headPortrait": "https://www.med-credit.org.cn/uploadfile/member/575/180x180.jpeg","id": "575","description": "种轶文,北京大学第三医院妇产科副主任医师","memberOf": {"legalName": "北京大学第三医院","department": "妇产科","organizationLevel": "三级甲等"}},"Article": {"summaryContent": "怀孕了验孕棒上会显示两条线。
一般验孕棒最好在早晨使用,此时尿中的hCG含量最高,更易诊断。

1、原理:孕妇在怀孕后受精卵在子宫体内着床后,人体的激素水平会发生变化,hCG在血中以及尿中分布,而验孕棒则是对于尿中hCG的含量进行测定。
2、验孕棒的使用方法:选取在晨尿,此时的尿中的hCG含量最高,更容易帮助女性进行诊断。将验孕棒放在尿中,若怀孕,结果可在一分钟内显示,未怀孕结果在三分钟无变化。不能超过五分钟,否则判断的结果无效。
3、验孕棒的结果:若怀孕,验孕棒会显示两条线。两条线可为一深一浅或者两条线均明显。此时一般均表示怀孕。
孕妇在使用验孕棒确诊怀孕后,可到医院妇产科确诊,并在医生的要求下产检,怀孕期间要及时补充所需要摄入的药物以及食用富含营养的食物,定期产检。
","articleBody": "怀孕了验孕棒上会显示两条线。
一般验孕棒最好在早晨使用,此时尿中的hCG含量最高,更易诊断。

1、原理:孕妇在怀孕后受精卵在子宫体内着床后,人体的激素水平会发生变化,hCG在血中以及尿中分布,而验孕棒则是对于尿中hCG的含量进行测定。
2、验孕棒的使用方法:选取在晨尿,此时的尿中的hCG含量最高,更容易帮助女性进行诊断。将验孕棒放在尿中,若怀孕,结果可在一分钟内显示,未怀孕结果在三分钟无变化。不能超过五分钟,否则判断的结果无效。
3、验孕棒的结果:若怀孕,验孕棒会显示两条线。两条线可为一深一浅或者两条线均明显。此时一般均表示怀孕。
孕妇在使用验孕棒确诊怀孕后,可到医院妇产科确诊,并在医生的要求下产检,怀孕期间要及时补充所需要摄入的药物以及食用富含营养的食物,定期产检。
","scanCount": 55806}}} {"@context": "https://ziyuan.baidu.com/contexts/cambrian.jsonld","appid": "1650708455561748","icon": "https://www.med-credit.org.cn/style/images/ttlogo.png","content_tag": ["atlas"],"is_mcn": {"thumb_id": "v2rm41u3"},"accid": "4886d626a2804dee5f11168793ce361672f39c25","@id": "https://www.med-credit.org.cn/mobile/jingxuan/2/9ee0d11221f3679f1dbf8d12c62d94d3.html","bagWordId": "2aa9778d2672fb93","title": "LSA胎位图","pubDate": "2023-03-29T10:32:19","upDate": "2023-03-29T10:32:19","lrDate": "2023-03-29T10:32:19","description": "LSA胎位即臀先露(左骶前),臀先露以胎儿骶骨为指示点,骶左前表示骶骨位于母体骨盆左侧前部。","data": {"WebPage": {"headline": "LSA胎位图","pcUrl": "https://www.med-credit.org.cn/jingxuan/2/9ee0d11221f3679f1dbf8d12c62d94d3.html","wapUrl": "https://www.med-credit.org.cn/jingxuan/2/9ee0d11221f3679f1dbf8d12c62d94d3.html","mipUrl": "https://www.med-credit.org.cn/mobile/jingxuan/2/9ee0d11221f3679f1dbf8d12c62d94d3.html","fromSrc": "欢乐橙","datePublished": "2023-03-29T10:32:19","domain": "医疗","category": ["医疗权威文章合作"],"description": "LSA胎位即臀先露(左骶前),臀先露以胎儿骶骨为指示点,骶左前表示骶骨位于母体骨盆左侧前部。
","extra_headline": ["lsa胎位"]},"Author": {"name": "种轶文","wapUrl": "https://www.med-credit.org.cn/doctor/575","pcUrl": "https://www.med-credit.org.cn/doctor/575","jobTitle": "副主任医师","headPortrait": "https://www.med-credit.org.cn/uploadfile/member/575/180x180.jpeg","id": "575","description": "种轶文,北京大学第三医院妇产科副主任医师","memberOf": {"legalName": "北京大学第三医院","department": "妇产科","organizationLevel": "三级甲等"}},"Article": {"summaryContent": "LSA胎位即臀先露(左骶前),臀先露以胎儿骶骨为指示点,骶左前表示骶骨位于母体骨盆左侧前部。
若30周后臀先露(左骶前)胎位未能转为头先露,可给予孕妇一些干预措施进行矫正,如胸膝卧位训练、外倒转术等。若分娩前仍无法转位,孕妇可在医生指导下选择适合的分娩方式。

LSA胎位显示胎儿在母体子宫中的方位位置,是一种异常胎位,代表臀先露(左骶前),臀先露以胎儿骶骨为指示点,左骶前表示骶骨位于母体骨盆左侧前部。
臀先露(左骶前)因臀部径线小,不能有效贴紧宫颈下段,将影响宫颈扩张,会导致产程延长或停滞、宫缩乏力、产后出血等多种问题。臀部形态不规则,造成羊膜囊受力不均匀,引发胎膜早破,增加感染风险。
一般情况下,臀先露的胎儿在28~32周之间大部分能够自行转为头先露,并逐渐固定。
对于臀先露的胎儿,30周后如未能转为头先露,可以给予孕妇一些干预措施进行矫正,如胸膝卧位训练、外倒转术等。分娩前仍无法转位时,在产检各方面数据均正常,单臀先露的情况下,可以经产科医生监护下进行阴道试产。如果存在骨盆狭窄、软产道异常、胎儿体重过大,脐带脱垂、疤痕子宫等情况时,可能需要选择进行剖宫产术,避免发生新生儿窒息等危险情况。
","articleBody": "LSA胎位即臀先露(左骶前),臀先露以胎儿骶骨为指示点,骶左前表示骶骨位于母体骨盆左侧前部。
若30周后臀先露(左骶前)胎位未能转为头先露,可给予孕妇一些干预措施进行矫正,如胸膝卧位训练、外倒转术等。若分娩前仍无法转位,孕妇可在医生指导下选择适合的分娩方式。

LSA胎位显示胎儿在母体子宫中的方位位置,是一种异常胎位,代表臀先露(左骶前),臀先露以胎儿骶骨为指示点,左骶前表示骶骨位于母体骨盆左侧前部。
臀先露(左骶前)因臀部径线小,不能有效贴紧宫颈下段,将影响宫颈扩张,会导致产程延长或停滞、宫缩乏力、产后出血等多种问题。臀部形态不规则,造成羊膜囊受力不均匀,引发胎膜早破,增加感染风险。
一般情况下,臀先露的胎儿在28~32周之间大部分能够自行转为头先露,并逐渐固定。
对于臀先露的胎儿,30周后如未能转为头先露,可以给予孕妇一些干预措施进行矫正,如胸膝卧位训练、外倒转术等。分娩前仍无法转位时,在产检各方面数据均正常,单臀先露的情况下,可以经产科医生监护下进行阴道试产。如果存在骨盆狭窄、软产道异常、胎儿体重过大,脐带脱垂、疤痕子宫等情况时,可能需要选择进行剖宫产术,避免发生新生儿窒息等危险情况。
","scanCount": 55805}}} {"@context": "https://ziyuan.baidu.com/contexts/cambrian.jsonld","appid": "1650708455561748","icon": "https://www.med-credit.org.cn/style/images/ttlogo.png","content_tag": ["atlas"],"is_mcn": {"thumb_id": "v2rm41u3"},"accid": "4886d626a2804dee5f11168793ce361672f39c25","@id": "https://www.med-credit.org.cn/mobile/jingxuan/2/4d1c7f6ef52e856e6790e067a560f84c.html","bagWordId": "6aae5fa6e66ead71","title": "孕晚期正常分泌物图片","pubDate": "2023-03-29T10:32:19","upDate": "2023-03-29T10:32:19","lrDate": "2023-03-29T10:32:19","description": "孕晚期正常分泌物为乳白色或半透明且有一定粘稠度。多为白带、宫腔黏液栓或是羊水等。","data": {"WebPage": {"headline": "孕晚期正常分泌物图片","pcUrl": "https://www.med-credit.org.cn/jingxuan/2/4d1c7f6ef52e856e6790e067a560f84c.html","wapUrl": "https://www.med-credit.org.cn/jingxuan/2/4d1c7f6ef52e856e6790e067a560f84c.html","mipUrl": "https://www.med-credit.org.cn/mobile/jingxuan/2/4d1c7f6ef52e856e6790e067a560f84c.html","fromSrc": "欢乐橙","datePublished": "2023-03-29T10:32:19","domain": "医疗","category": ["医疗权威文章合作"],"description": "孕晚期正常分泌物为乳白色或半透明且有一定粘稠度。多为白带、宫腔黏液栓或是羊水等。
","extra_headline": ["孕晚期正常分泌物"]},"Author": {"name": "种轶文","wapUrl": "https://www.med-credit.org.cn/doctor/575","pcUrl": "https://www.med-credit.org.cn/doctor/575","jobTitle": "副主任医师","headPortrait": "https://www.med-credit.org.cn/uploadfile/member/575/180x180.jpeg","id": "575","description": "种轶文,北京大学第三医院妇产科副主任医师","memberOf": {"legalName": "北京大学第三医院","department": "妇产科","organizationLevel": "三级甲等"}},"Article": {"summaryContent": "孕晚期正常分泌物为乳白色或半透明且有一定粘稠度。多为白带、宫腔黏液栓或是羊水等。

1、白带:孕妇在孕晚期,雌激素、孕激素水平上升,孕产妇会出现阴道分泌物多,通常表现为白带增多,且颜色以及气味无异常改变。
宫腔黏液栓:孕妇孕晚期也可能分泌宫腔黏液栓,宫腔黏液栓主要作用是阻隔细菌、保护胎儿不受细菌侵害。若宫腔黏液栓排出,多为孕妇临产征兆,建议孕产妇积极做好待产准备。
2、羊水:若是胎膜破裂,流出羊水,可能误认为是孕晚期分泌物,羊水属于临产表现之一,若发生羊水破裂,建议孕产妇及时就医,积极待产,保持良好心情。
综上所述,孕晚期正常分泌物为乳白色,且有一定的粘稠度,若患者若出现分泌物颜色异常或是气味异常。需要及时就医,明确病因,以免影响母体与胎儿的健康。
","articleBody": "孕晚期正常分泌物为乳白色或半透明且有一定粘稠度。多为白带、宫腔黏液栓或是羊水等。

1、白带:孕妇在孕晚期,雌激素、孕激素水平上升,孕产妇会出现阴道分泌物多,通常表现为白带增多,且颜色以及气味无异常改变。
宫腔黏液栓:孕妇孕晚期也可能分泌宫腔黏液栓,宫腔黏液栓主要作用是阻隔细菌、保护胎儿不受细菌侵害。若宫腔黏液栓排出,多为孕妇临产征兆,建议孕产妇积极做好待产准备。
2、羊水:若是胎膜破裂,流出羊水,可能误认为是孕晚期分泌物,羊水属于临产表现之一,若发生羊水破裂,建议孕产妇及时就医,积极待产,保持良好心情。
综上所述,孕晚期正常分泌物为乳白色,且有一定的粘稠度,若患者若出现分泌物颜色异常或是气味异常。需要及时就医,明确病因,以免影响母体与胎儿的健康。
","scanCount": 55804}}} {"@context": "https://ziyuan.baidu.com/contexts/cambrian.jsonld","appid": "1650708455561748","icon": "https://www.med-credit.org.cn/style/images/ttlogo.png","content_tag": ["atlas"],"is_mcn": {"thumb_id": "v2rm41u3"},"accid": "4886d626a2804dee5f11168793ce361672f39c25","@id": "https://www.med-credit.org.cn/mobile/jingxuan/2/e579b15b942e926db41153ca786c6147.html","bagWordId": "85c26fbdbcbe2018","title": "怀孕4个月孕肚图片","pubDate": "2023-03-29T10:32:19","upDate": "2023-03-29T10:32:19","lrDate": "2023-03-29T10:32:19","description": "怀孕4个月也就是16周,孕妇子宫会逐渐高出盆腔水平,在正常情况下,标准宫高是16-20.6厘米,腹围在77-89厘米之间,大小类似于柚子大小。孕妇体重也会相应得增加4至5公斤左右。对于不同的孕妇,孕肚大小会有差异。","data": {"WebPage": {"headline": "怀孕4个月孕肚图片","pcUrl": "https://www.med-credit.org.cn/jingxuan/2/e579b15b942e926db41153ca786c6147.html","wapUrl": "https://www.med-credit.org.cn/jingxuan/2/e579b15b942e926db41153ca786c6147.html","mipUrl": "https://www.med-credit.org.cn/mobile/jingxuan/2/e579b15b942e926db41153ca786c6147.html","fromSrc": "欢乐橙","datePublished": "2023-03-29T10:32:19","domain": "医疗","category": ["医疗权威文章合作"],"description": "怀孕4个月也就是16周,孕妇子宫会逐渐高出盆腔水平,在正常情况下,标准宫高是16-20.6厘米,腹围在77-89厘米之间,大小类似于柚子大小。孕妇体重也会相应得增加4至5公斤左右。对于不同的孕妇,孕肚大小会有差异。
","extra_headline": [""]},"Author": {"name": "种轶文","wapUrl": "https://www.med-credit.org.cn/doctor/575","pcUrl": "https://www.med-credit.org.cn/doctor/575","jobTitle": "副主任医师","headPortrait": "https://www.med-credit.org.cn/uploadfile/member/575/180x180.jpeg","id": "575","description": "种轶文,北京大学第三医院妇产科副主任医师","memberOf": {"legalName": "北京大学第三医院","department": "妇产科","organizationLevel": "三级甲等"}},"Article": {"summaryContent": "怀孕4个月也就是16周,孕妇子宫会逐渐高出盆腔水平,在正常情况下,标准宫高是16-20.6厘米,腹围在77-89厘米之间,大小类似于柚子大小。孕妇体重也会相应得增加4至5公斤左右。对于不同的孕妇,孕肚大小会有差异。

孕妇体型不同,孕肚大小会有差异。体型偏瘦的孕妇,下腹部会有比较明显的隆起;对于偏胖的孕妇,由于皮下脂肪层较厚的原因,可能看不出明显的小腹隆起。
怀孕4个月属于孕中期,孕妇摄入的营养多少对于胎儿的发育影响很大,如果孕妇摄入的营养比较多,体重和腹围可能会高一些,如果孕妇营养状况不良,就可能导致胎儿较小,腹围较小,这个时候孕妇就需要多吃一些营养丰富的食物,注意营养搭配,合理改善饮食。
建议孕期妇女定期去医院检查,只要孕期检查胎儿生长发育一切正常一般不需要担心孕肚大小的问题。
","articleBody": "怀孕4个月也就是16周,孕妇子宫会逐渐高出盆腔水平,在正常情况下,标准宫高是16-20.6厘米,腹围在77-89厘米之间,大小类似于柚子大小。孕妇体重也会相应得增加4至5公斤左右。对于不同的孕妇,孕肚大小会有差异。

孕妇体型不同,孕肚大小会有差异。体型偏瘦的孕妇,下腹部会有比较明显的隆起;对于偏胖的孕妇,由于皮下脂肪层较厚的原因,可能看不出明显的小腹隆起。
怀孕4个月属于孕中期,孕妇摄入的营养多少对于胎儿的发育影响很大,如果孕妇摄入的营养比较多,体重和腹围可能会高一些,如果孕妇营养状况不良,就可能导致胎儿较小,腹围较小,这个时候孕妇就需要多吃一些营养丰富的食物,注意营养搭配,合理改善饮食。
建议孕期妇女定期去医院检查,只要孕期检查胎儿生长发育一切正常一般不需要担心孕肚大小的问题。
","scanCount": 55803}}} {"@context": "https://ziyuan.baidu.com/contexts/cambrian.jsonld","appid": "1650708455561748","icon": "https://www.med-credit.org.cn/style/images/ttlogo.png","content_tag": ["atlas"],"is_mcn": {"thumb_id": "v2rm41u3"},"accid": "4886d626a2804dee5f11168793ce361672f39c25","@id": "https://www.med-credit.org.cn/mobile/jingxuan/2/1b1839568ee4b7af5d065682177bf2ff.html","bagWordId": "dc7fd8c75f52c906","title": "分娩图片","pubDate": "2023-03-29T10:32:19","upDate": "2023-03-29T10:32:19","lrDate": "2023-03-29T10:32:19","description": "分娩特指胎儿与母体分离,成为独立个体而存在的时期和过程。","data": {"WebPage": {"headline": "分娩图片","pcUrl": "https://www.med-credit.org.cn/jingxuan/2/1b1839568ee4b7af5d065682177bf2ff.html","wapUrl": "https://www.med-credit.org.cn/jingxuan/2/1b1839568ee4b7af5d065682177bf2ff.html","mipUrl": "https://www.med-credit.org.cn/mobile/jingxuan/2/1b1839568ee4b7af5d065682177bf2ff.html","fromSrc": "欢乐橙","datePublished": "2023-03-29T10:32:19","domain": "医疗","category": ["医疗权威文章合作"],"description": "分娩特指胎儿与母体分离,成为独立个体而存在的时期和过程。
","extra_headline": [""]},"Author": {"name": "种轶文","wapUrl": "https://www.med-credit.org.cn/doctor/575","pcUrl": "https://www.med-credit.org.cn/doctor/575","jobTitle": "副主任医师","headPortrait": "https://www.med-credit.org.cn/uploadfile/member/575/180x180.jpeg","id": "575","description": "种轶文,北京大学第三医院妇产科副主任医师","memberOf": {"legalName": "北京大学第三医院","department": "妇产科","organizationLevel": "三级甲等"}},"Article": {"summaryContent": "分娩特指胎儿与母体分离,成为独立个体而存在的时期和过程。

分娩的全过程分为三个产程,第一产程:宫口扩张期,从出现间歇5~6分钟的规律宫缩开始起,到宫颈口完全扩张至10厘米。初产妇约需11~12小时,经产妇约需6~8小时;第二产程:胎儿娩出期,从宫颈口完全扩张至胎儿娩出。初产妇需1~2小时,经产妇通常数分钟即可;第三产程:胎盘娩出期,从胎儿娩出至胎盘娩出,约需5~15分钟,最长不应超过30分钟。
分娩可分为自然阴道分娩和剖宫产分娩,两者有各自的优缺点。自然阴道分娩时胎儿经过产道自然挤压,可避免新生儿患“湿肺”症等;手术并发症少、创伤少;有利于产后恶露的排出,子宫复原,产后恢复快,对以后的生育不会产生影响,出奶也比较快。但是对阴道有一定的损伤;宫缩疼痛较重;遇到难产时需要转成剖腹产。而剖腹产可以使孕妇免遭受阵痛之苦,腹腔内伴有其他疾病时,也可一起处理,但是剖腹产手术对产妇的损伤较大,产后恢复得比自然阴道分娩慢,而且还会有可能发生手术后遗症。
子宫收缩引起的阵痛会贯穿整个过程,与月经期痛性痉挛相似,只是更强烈些。分娩痛是生理性疼痛,一般人都可忍受,但是生产时必须经过一段时间的剧痛,在分娩过程中,要避免大喊大叫,也可选择无痛分娩。总之要选择合适自己的分娩方式。
","articleBody": "分娩特指胎儿与母体分离,成为独立个体而存在的时期和过程。

分娩的全过程分为三个产程,第一产程:宫口扩张期,从出现间歇5~6分钟的规律宫缩开始起,到宫颈口完全扩张至10厘米。初产妇约需11~12小时,经产妇约需6~8小时;第二产程:胎儿娩出期,从宫颈口完全扩张至胎儿娩出。初产妇需1~2小时,经产妇通常数分钟即可;第三产程:胎盘娩出期,从胎儿娩出至胎盘娩出,约需5~15分钟,最长不应超过30分钟。
分娩可分为自然阴道分娩和剖宫产分娩,两者有各自的优缺点。自然阴道分娩时胎儿经过产道自然挤压,可避免新生儿患“湿肺”症等;手术并发症少、创伤少;有利于产后恶露的排出,子宫复原,产后恢复快,对以后的生育不会产生影响,出奶也比较快。但是对阴道有一定的损伤;宫缩疼痛较重;遇到难产时需要转成剖腹产。而剖腹产可以使孕妇免遭受阵痛之苦,腹腔内伴有其他疾病时,也可一起处理,但是剖腹产手术对产妇的损伤较大,产后恢复得比自然阴道分娩慢,而且还会有可能发生手术后遗症。
子宫收缩引起的阵痛会贯穿整个过程,与月经期痛性痉挛相似,只是更强烈些。分娩痛是生理性疼痛,一般人都可忍受,但是生产时必须经过一段时间的剧痛,在分娩过程中,要避免大喊大叫,也可选择无痛分娩。总之要选择合适自己的分娩方式。
","scanCount": 55802}}} {"@context": "https://ziyuan.baidu.com/contexts/cambrian.jsonld","appid": "1650708455561748","icon": "https://www.med-credit.org.cn/style/images/ttlogo.png","content_tag": ["atlas"],"is_mcn": {"thumb_id": "v2rm41u3"},"accid": "4886d626a2804dee5f11168793ce361672f39c25","@id": "https://www.med-credit.org.cn/mobile/jingxuan/2/4ccfcb1aa26a75ddbcd6291d357f1685.html","bagWordId": "7bc6078a4fe67d9f","title": "羊水和白带的区别图片","pubDate": "2023-03-29T10:32:19","upDate": "2023-03-29T10:32:19","lrDate": "2023-03-29T10:32:19","description": "羊水和白带的区别可以从肉眼颜色形态上看,也可以从处在的位置区分。白带是来自于女性阴道的正常分泌物通常为白色,羊水是妊娠期女性羊膜腔内的透明没有颜色的液体。","data": {"WebPage": {"headline": "羊水和白带的区别图片","pcUrl": "https://www.med-credit.org.cn/jingxuan/2/4ccfcb1aa26a75ddbcd6291d357f1685.html","wapUrl": "https://www.med-credit.org.cn/jingxuan/2/4ccfcb1aa26a75ddbcd6291d357f1685.html","mipUrl": "https://www.med-credit.org.cn/mobile/jingxuan/2/4ccfcb1aa26a75ddbcd6291d357f1685.html","fromSrc": "欢乐橙","datePublished": "2023-03-29T10:32:19","domain": "医疗","category": ["医疗权威文章合作"],"description": "羊水和白带的区别可以从肉眼颜色形态上看,也可以从处在的位置区分。白带是来自于女性阴道的正常分泌物通常为白色,羊水是妊娠期女性羊膜腔内的透明没有颜色的液体。
","extra_headline": [""]},"Author": {"name": "种轶文","wapUrl": "https://www.med-credit.org.cn/doctor/575","pcUrl": "https://www.med-credit.org.cn/doctor/575","jobTitle": "副主任医师","headPortrait": "https://www.med-credit.org.cn/uploadfile/member/575/180x180.jpeg","id": "575","description": "种轶文,北京大学第三医院妇产科副主任医师","memberOf": {"legalName": "北京大学第三医院","department": "妇产科","organizationLevel": "三级甲等"}},"Article": {"summaryContent": "羊水和白带的区别可以从肉眼颜色形态上看,也可以从处在的位置区分。白带是来自于女性阴道的正常分泌物通常为白色,羊水是妊娠期女性羊膜腔内的透明没有颜色的液体。


1、外观区别:健康女性白带肉眼观为白色稀糊样或蛋清外观,较为粘稠没有腥臭味。一般情况下仅少量分泌,主要包括阴道黏膜、前庭大腺、宫颈腺体、子宫内膜的分泌物。而羊水是一种碱性液体,羊水大部分组成成分是水,此外在羊水中还可检测到矿物质、尿素、尿酸、肌酐、胎脂、也可见胎儿上皮细胞等。
2、作用区别:白带富含较多水分可以维持女性阴道的湿润度,有利于缓解阴道前后壁的摩擦,对于防止阴道壁摩擦受损有着重要意义。湿润的白带的可以使女性阴道更有弹性,可以增加性生活的愉快感也有利于受孕。羊水对于妊娠期妇女来说也是非常重要的,主要起到了保护胎儿的作用,特别是在维持胎儿生长环境这方面。
","articleBody": "羊水和白带的区别可以从肉眼颜色形态上看,也可以从处在的位置区分。白带是来自于女性阴道的正常分泌物通常为白色,羊水是妊娠期女性羊膜腔内的透明没有颜色的液体。


1、外观区别:健康女性白带肉眼观为白色稀糊样或蛋清外观,较为粘稠没有腥臭味。一般情况下仅少量分泌,主要包括阴道黏膜、前庭大腺、宫颈腺体、子宫内膜的分泌物。而羊水是一种碱性液体,羊水大部分组成成分是水,此外在羊水中还可检测到矿物质、尿素、尿酸、肌酐、胎脂、也可见胎儿上皮细胞等。
2、作用区别:白带富含较多水分可以维持女性阴道的湿润度,有利于缓解阴道前后壁的摩擦,对于防止阴道壁摩擦受损有着重要意义。湿润的白带的可以使女性阴道更有弹性,可以增加性生活的愉快感也有利于受孕。羊水对于妊娠期妇女来说也是非常重要的,主要起到了保护胎儿的作用,特别是在维持胎儿生长环境这方面。
","scanCount": 55801}}} {"@context": "https://ziyuan.baidu.com/contexts/cambrian.jsonld","appid": "1650708455561748","icon": "https://www.med-credit.org.cn/style/images/ttlogo.png","content_tag": ["atlas"],"is_mcn": {"thumb_id": "v2rm41u3"},"accid": "4886d626a2804dee5f11168793ce361672f39c25","@id": "https://www.med-credit.org.cn/mobile/jingxuan/2/fbfb75b367016afd8af699e4bc6c8b09.html","bagWordId": "14e14de19c5821f7","title": "怀孕5个月肚子图","pubDate": "2023-03-29T10:32:19","upDate": "2023-03-29T10:32:19","lrDate": "2023-03-29T10:32:19","description": "女性怀孕五个月时,也就是孕周大约20周左右,肚子大概有柚子那么大,医学上标准来说,大约宫底在脐上一横指左右,孕妇此时主要还是表现为下腹突出,上腹部的突出表现并不明显。","data": {"WebPage": {"headline": "怀孕5个月肚子图","pcUrl": "https://www.med-credit.org.cn/jingxuan/2/fbfb75b367016afd8af699e4bc6c8b09.html","wapUrl": "https://www.med-credit.org.cn/jingxuan/2/fbfb75b367016afd8af699e4bc6c8b09.html","mipUrl": "https://www.med-credit.org.cn/mobile/jingxuan/2/fbfb75b367016afd8af699e4bc6c8b09.html","fromSrc": "欢乐橙","datePublished": "2023-03-29T10:32:19","domain": "医疗","category": ["医疗权威文章合作"],"description": "女性怀孕五个月时,也就是孕周大约20周左右,肚子大概有柚子那么大,医学上标准来说,大约宫底在脐上一横指左右,孕妇此时主要还是表现为下腹突出,上腹部的突出表现并不明显。
","extra_headline": [""]},"Author": {"name": "种轶文","wapUrl": "https://www.med-credit.org.cn/doctor/575","pcUrl": "https://www.med-credit.org.cn/doctor/575","jobTitle": "副主任医师","headPortrait": "https://www.med-credit.org.cn/uploadfile/member/575/180x180.jpeg","id": "575","description": "种轶文,北京大学第三医院妇产科副主任医师","memberOf": {"legalName": "北京大学第三医院","department": "妇产科","organizationLevel": "三级甲等"}},"Article": {"summaryContent": "女性怀孕五个月时,也就是孕周大约20周左右,肚子大概有柚子那么大,医学上标准来说,大约宫底在脐上一横指左右,孕妇此时主要还是表现为下腹突出,上腹部的突出表现并不明显。

女性妊娠时子宫随着妊娠孕周而逐渐增大,一般来说在孕12周的时候,子宫就可以由盆腔而进入腹腔,三四个月的时候开始显怀,到五个月时,子宫逐渐增大,在脐水平和脐水平线上一指左右。
此外,在孕16周左右,妇女即可用仪器听到胎心,在孕20周左右时可感觉到胎动,胎心也更加明显。之后,随着月份的增大,五个月之后的,子宫逐渐向上腹部凸起,此时可见到子宫压迫胃肠道、压迫膈肌的症状,可表现为食欲不振便秘,憋气,胸闷等症状,此时要特别的注意,但这些可能都是生理现象,在排除疾病的情况下,孕妇保持好愉快的心情,可做适量运动。
","articleBody": "女性怀孕五个月时,也就是孕周大约20周左右,肚子大概有柚子那么大,医学上标准来说,大约宫底在脐上一横指左右,孕妇此时主要还是表现为下腹突出,上腹部的突出表现并不明显。

女性妊娠时子宫随着妊娠孕周而逐渐增大,一般来说在孕12周的时候,子宫就可以由盆腔而进入腹腔,三四个月的时候开始显怀,到五个月时,子宫逐渐增大,在脐水平和脐水平线上一指左右。
此外,在孕16周左右,妇女即可用仪器听到胎心,在孕20周左右时可感觉到胎动,胎心也更加明显。之后,随着月份的增大,五个月之后的,子宫逐渐向上腹部凸起,此时可见到子宫压迫胃肠道、压迫膈肌的症状,可表现为食欲不振便秘,憋气,胸闷等症状,此时要特别的注意,但这些可能都是生理现象,在排除疾病的情况下,孕妇保持好愉快的心情,可做适量运动。
","scanCount": 55799}}} {"@context": "https://ziyuan.baidu.com/contexts/cambrian.jsonld","appid": "1650708455561748","icon": "https://www.med-credit.org.cn/style/images/ttlogo.png","content_tag": ["atlas"],"is_mcn": {"thumb_id": "v2rm41u3"},"accid": "4886d626a2804dee5f11168793ce361672f39c25","@id": "https://www.med-credit.org.cn/mobile/jingxuan/2/3f2be613003a0be0343fa269efa1fbb8.html","bagWordId": "22fad8ef1a79bdf5","title": "怀孕4个月孕肚实图","pubDate": "2023-03-29T10:32:19","upDate": "2023-03-29T10:32:19","lrDate": "2023-03-29T10:32:19","description": "怀孕4个月也就是16周,孕妇子宫会逐渐高出盆腔水平,在正常情况下,标准宫高是16-20.6厘米,腹围在77-89厘米之间,大小类似于柚子大小。孕妇体重也会相应得增加4至5公斤左右。对于不同的孕妇,孕肚大小会有差异。","data": {"WebPage": {"headline": "怀孕4个月孕肚实图","pcUrl": "https://www.med-credit.org.cn/jingxuan/2/3f2be613003a0be0343fa269efa1fbb8.html","wapUrl": "https://www.med-credit.org.cn/jingxuan/2/3f2be613003a0be0343fa269efa1fbb8.html","mipUrl": "https://www.med-credit.org.cn/mobile/jingxuan/2/3f2be613003a0be0343fa269efa1fbb8.html","fromSrc": "欢乐橙","datePublished": "2023-03-29T10:32:19","domain": "医疗","category": ["医疗权威文章合作"],"description": "怀孕4个月也就是16周,孕妇子宫会逐渐高出盆腔水平,在正常情况下,标准宫高是16-20.6厘米,腹围在77-89厘米之间,大小类似于柚子大小。孕妇体重也会相应得增加4至5公斤左右。对于不同的孕妇,孕肚大小会有差异。
","extra_headline": ["怀孕4个月孕肚实"]},"Author": {"name": "种轶文","wapUrl": "https://www.med-credit.org.cn/doctor/575","pcUrl": "https://www.med-credit.org.cn/doctor/575","jobTitle": "副主任医师","headPortrait": "https://www.med-credit.org.cn/uploadfile/member/575/180x180.jpeg","id": "575","description": "种轶文,北京大学第三医院妇产科副主任医师","memberOf": {"legalName": "北京大学第三医院","department": "妇产科","organizationLevel": "三级甲等"}},"Article": {"summaryContent": "怀孕4个月也就是16周,孕妇子宫会逐渐高出盆腔水平,在正常情况下,标准宫高是16-20.6厘米,腹围在77-89厘米之间,大小类似于柚子大小。孕妇体重也会相应得增加4至5公斤左右。对于不同的孕妇,孕肚大小会有差异。

孕妇体型不同,孕肚大小会有差异。体型偏瘦的孕妇,下腹部会有比较明显的隆起;对于偏胖的孕妇,由于皮下脂肪层较厚的原因,可能看不出明显的小腹隆起。
怀孕4个月属于孕中期,孕妇摄入的营养多少对于胎儿的发育影响很大,如果孕妇摄入的营养比较多,体重和腹围可能会高一些,如果孕妇营养状况不良,就可能导致胎儿较小,腹围较小,这个时候孕妇就需要多吃一些营养丰富的食物,注意营养搭配,合理改善饮食。
建议孕期妇女定期去医院检查,只要孕期检查表示胎儿生长发育一切正常就不需要担心孕肚大小的问题。
","articleBody": "怀孕4个月也就是16周,孕妇子宫会逐渐高出盆腔水平,在正常情况下,标准宫高是16-20.6厘米,腹围在77-89厘米之间,大小类似于柚子大小。孕妇体重也会相应得增加4至5公斤左右。对于不同的孕妇,孕肚大小会有差异。

孕妇体型不同,孕肚大小会有差异。体型偏瘦的孕妇,下腹部会有比较明显的隆起;对于偏胖的孕妇,由于皮下脂肪层较厚的原因,可能看不出明显的小腹隆起。
怀孕4个月属于孕中期,孕妇摄入的营养多少对于胎儿的发育影响很大,如果孕妇摄入的营养比较多,体重和腹围可能会高一些,如果孕妇营养状况不良,就可能导致胎儿较小,腹围较小,这个时候孕妇就需要多吃一些营养丰富的食物,注意营养搭配,合理改善饮食。
建议孕期妇女定期去医院检查,只要孕期检查表示胎儿生长发育一切正常就不需要担心孕肚大小的问题。
","scanCount": 55798}}} {"@context": "https://ziyuan.baidu.com/contexts/cambrian.jsonld","appid": "1650708455561748","icon": "https://www.med-credit.org.cn/style/images/ttlogo.png","content_tag": ["atlas"],"is_mcn": {"thumb_id": "v2rm41u3"},"accid": "4886d626a2804dee5f11168793ce361672f39c25","@id": "https://www.med-credit.org.cn/mobile/jingxuan/2/d6b4a5d21559411d250d58d55f160ec0.html","bagWordId": "26c7a1f29384f6c7","title": "剖腹产脂肪液化图片","pubDate": "2023-03-29T10:32:19","upDate": "2023-03-29T10:32:19","lrDate": "2023-03-29T10:32:19","description": "剖腹产脂肪液化,多是由于患者自身脂肪较多、术后创面感染、使用高频电刀切开组织等因素导致。","data": {"WebPage": {"headline": "剖腹产脂肪液化图片","pcUrl": "https://www.med-credit.org.cn/jingxuan/2/d6b4a5d21559411d250d58d55f160ec0.html","wapUrl": "https://www.med-credit.org.cn/jingxuan/2/d6b4a5d21559411d250d58d55f160ec0.html","mipUrl": "https://www.med-credit.org.cn/mobile/jingxuan/2/d6b4a5d21559411d250d58d55f160ec0.html","fromSrc": "欢乐橙","datePublished": "2023-03-29T10:32:19","domain": "医疗","category": ["医疗权威文章合作"],"description": "剖腹产脂肪液化,多是由于患者自身脂肪较多、术后创面感染、使用高频电刀切开组织等因素导致。
","extra_headline": ["剖腹产脂肪液化"]},"Author": {"name": "种轶文","wapUrl": "https://www.med-credit.org.cn/doctor/575","pcUrl": "https://www.med-credit.org.cn/doctor/575","jobTitle": "副主任医师","headPortrait": "https://www.med-credit.org.cn/uploadfile/member/575/180x180.jpeg","id": "575","description": "种轶文,北京大学第三医院妇产科副主任医师","memberOf": {"legalName": "北京大学第三医院","department": "妇产科","organizationLevel": "三级甲等"}},"Article": {"summaryContent": "剖腹产脂肪液化,多是由于患者自身脂肪较多、术后创面感染、使用高频电刀切开组织等因素导致。

1.脂肪较多:患者由于肥胖自身脂肪较多,影响剖宫产术后创面愈合,创面愈合缓慢,进一步出现脂肪液化等症状。
2.术后创面感染:患者剖腹产后由于创面处理不当,未予以换药、清洁等操作,导致患者组织发生坏死,导致脂肪液化。一般建议患者应注意早期引流,应用阿莫西林、头孢等抗生素消炎抗感染。
3.使用高频电刀切开组织:患者使用电刀切开皮肤及皮下组织,导致脂肪组织内毛细血管血液循环不畅,形成脂肪液化。
患者出现脂肪液化等症状时,应及时到医院就诊,使用生理盐水灌洗腔隙后,凡士林纱布填塞引流,1~2周引流完成后创面可逐渐愈合。
","articleBody": "剖腹产脂肪液化,多是由于患者自身脂肪较多、术后创面感染、使用高频电刀切开组织等因素导致。

1.脂肪较多:患者由于肥胖自身脂肪较多,影响剖宫产术后创面愈合,创面愈合缓慢,进一步出现脂肪液化等症状。
2.术后创面感染:患者剖腹产后由于创面处理不当,未予以换药、清洁等操作,导致患者组织发生坏死,导致脂肪液化。一般建议患者应注意早期引流,应用阿莫西林、头孢等抗生素消炎抗感染。
3.使用高频电刀切开组织:患者使用电刀切开皮肤及皮下组织,导致脂肪组织内毛细血管血液循环不畅,形成脂肪液化。
患者出现脂肪液化等症状时,应及时到医院就诊,使用生理盐水灌洗腔隙后,凡士林纱布填塞引流,1~2周引流完成后创面可逐渐愈合。
","scanCount": 55797}}} {"@context": "https://ziyuan.baidu.com/contexts/cambrian.jsonld","appid": "1650708455561748","icon": "https://www.med-credit.org.cn/style/images/ttlogo.png","content_tag": ["atlas"],"is_mcn": {"thumb_id": "v2rm41u3"},"accid": "4886d626a2804dee5f11168793ce361672f39c25","@id": "https://www.med-credit.org.cn/mobile/jingxuan/2/429da13ba2031896c502e6f1926145a9.html","bagWordId": "794db9a49eda28c0","title": "孕妇肚子照片","pubDate": "2023-03-29T10:32:19","upDate": "2023-03-29T10:32:19","lrDate": "2023-03-29T10:32:19","description": "孕期孕妇肚子的变化会随着宝宝的生长而增大,孕期孕妇肚子的变化主要有,子宫增大,色素沉着,腹直线或妊娠纹明显等。","data": {"WebPage": {"headline": "孕妇肚子照片","pcUrl": "https://www.med-credit.org.cn/jingxuan/2/429da13ba2031896c502e6f1926145a9.html","wapUrl": "https://www.med-credit.org.cn/jingxuan/2/429da13ba2031896c502e6f1926145a9.html","mipUrl": "https://www.med-credit.org.cn/mobile/jingxuan/2/429da13ba2031896c502e6f1926145a9.html","fromSrc": "欢乐橙","datePublished": "2023-03-29T10:32:19","domain": "医疗","category": ["医疗权威文章合作"],"description": "孕期孕妇肚子的变化会随着宝宝的生长而增大,孕期孕妇肚子的变化主要有,子宫增大,色素沉着,腹直线或妊娠纹明显等。
","extra_headline": ["孕妇肚子照片"]},"Author": {"name": "种轶文","wapUrl": "https://www.med-credit.org.cn/doctor/575","pcUrl": "https://www.med-credit.org.cn/doctor/575","jobTitle": "副主任医师","headPortrait": "https://www.med-credit.org.cn/uploadfile/member/575/180x180.jpeg","id": "575","description": "种轶文,北京大学第三医院妇产科副主任医师","memberOf": {"legalName": "北京大学第三医院","department": "妇产科","organizationLevel": "三级甲等"}},"Article": {"summaryContent": "孕期孕妇肚子的变化会随着宝宝的生长而增大,孕期孕妇肚子的变化主要有,子宫增大,色素沉着,腹直线或妊娠纹明显等。

1、子宫增大:随着胎儿的生长,孕妇子宫会随之增大,并且形成胎盘和羊水,直到孕晚期一般宫底可达肋骨下缘。
色素沉着:怀孕后雌激素和孕激素会发生明显改变,使孕妇产生色素沉着,故很多孕妇在怀孕后皮肤会变黑,孕妇需要尽量缓解焦虑情绪,保持良好心情。
2、腹直线或妊娠纹明显:随着胎儿的生长和激素水平的改变,会导致腹部腹直线妊娠纹明显,孕妇可在专业医生指导下使用外用药物,减少妊娠纹的产生。
综上所述,孕期孕妇肚子的变化会随着胎儿的变化而变化,且会产生相应的伴随症状,孕妇可进行定期产检,确保腹中胎儿的身体健康,保持良好心情,放松心理压力,避免自身的过度紧张和焦虑即可。
","articleBody": "孕期孕妇肚子的变化会随着宝宝的生长而增大,孕期孕妇肚子的变化主要有,子宫增大,色素沉着,腹直线或妊娠纹明显等。

1、子宫增大:随着胎儿的生长,孕妇子宫会随之增大,并且形成胎盘和羊水,直到孕晚期一般宫底可达肋骨下缘。
色素沉着:怀孕后雌激素和孕激素会发生明显改变,使孕妇产生色素沉着,故很多孕妇在怀孕后皮肤会变黑,孕妇需要尽量缓解焦虑情绪,保持良好心情。
2、腹直线或妊娠纹明显:随着胎儿的生长和激素水平的改变,会导致腹部腹直线妊娠纹明显,孕妇可在专业医生指导下使用外用药物,减少妊娠纹的产生。
综上所述,孕期孕妇肚子的变化会随着胎儿的变化而变化,且会产生相应的伴随症状,孕妇可进行定期产检,确保腹中胎儿的身体健康,保持良好心情,放松心理压力,避免自身的过度紧张和焦虑即可。
","scanCount": 55796}}} {"@context": "https://ziyuan.baidu.com/contexts/cambrian.jsonld","appid": "1650708455561748","icon": "https://www.med-credit.org.cn/style/images/ttlogo.png","content_tag": ["atlas"],"is_mcn": {"thumb_id": "v2rm41u3"},"accid": "4886d626a2804dee5f11168793ce361672f39c25","@id": "https://www.med-credit.org.cn/mobile/jingxuan/2/79b042d05fc5dea1a40665dc6bb36911.html","bagWordId": "f601023afd9c1b2d","title": "小肚腩和怀孕的区别图","pubDate": "2023-03-29T10:32:19","upDate": "2023-03-29T10:32:19","lrDate": "2023-03-29T10:32:19","description": "小肚腩和怀孕的区别在于B超检查、人绒毛膜促性腺激素检查、伴随症状等方面。","data": {"WebPage": {"headline": "小肚腩和怀孕的区别图","pcUrl": "https://www.med-credit.org.cn/jingxuan/2/79b042d05fc5dea1a40665dc6bb36911.html","wapUrl": "https://www.med-credit.org.cn/jingxuan/2/79b042d05fc5dea1a40665dc6bb36911.html","mipUrl": "https://www.med-credit.org.cn/mobile/jingxuan/2/79b042d05fc5dea1a40665dc6bb36911.html","fromSrc": "欢乐橙","datePublished": "2023-03-29T10:32:19","domain": "医疗","category": ["医疗权威文章合作"],"description": "小肚腩和怀孕的区别在于B超检查、人绒毛膜促性腺激素检查、伴随症状等方面。
","extra_headline": [""]},"Author": {"name": "种轶文","wapUrl": "https://www.med-credit.org.cn/doctor/575","pcUrl": "https://www.med-credit.org.cn/doctor/575","jobTitle": "副主任医师","headPortrait": "https://www.med-credit.org.cn/uploadfile/member/575/180x180.jpeg","id": "575","description": "种轶文,北京大学第三医院妇产科副主任医师","memberOf": {"legalName": "北京大学第三医院","department": "妇产科","organizationLevel": "三级甲等"}},"Article": {"summaryContent": "小肚腩和怀孕的区别在于B超检查、人绒毛膜促性腺激素检查、伴随症状等方面。


1.B超检查:妊娠早期患者与小肚腩患者外观几乎无明显区别,但是通过B超检查,二者还是存在明显区别的。小肚腩通过B超检查,子宫内未存在其他部分,处于未孕状态,仅可见脂肪堆积;怀孕通过B超检查可发现宫腔内有胎儿存在。
2.人绒毛膜促性腺激素检查:怀孕后,孕妇体内的人绒毛膜促性腺激素(hCG)分泌增加,在怀孕10天左右,体内hCG即可累积到界限值,通过血或尿可检测到。但是尿中hCG浓度低于血中hCG浓度,故血hCG检测能更早的确定妊娠;小肚腩患者激素水平未见明显改变。
3.伴随症状:妊娠患者多伴有停经、恶心、乏力、乳房胀大等症状,小肚腩患者除腹部增大外,基本无其他明显改变。
","articleBody": "小肚腩和怀孕的区别在于B超检查、人绒毛膜促性腺激素检查、伴随症状等方面。


1.B超检查:妊娠早期患者与小肚腩患者外观几乎无明显区别,但是通过B超检查,二者还是存在明显区别的。小肚腩通过B超检查,子宫内未存在其他部分,处于未孕状态,仅可见脂肪堆积;怀孕通过B超检查可发现宫腔内有胎儿存在。
2.人绒毛膜促性腺激素检查:怀孕后,孕妇体内的人绒毛膜促性腺激素(hCG)分泌增加,在怀孕10天左右,体内hCG即可累积到界限值,通过血或尿可检测到。但是尿中hCG浓度低于血中hCG浓度,故血hCG检测能更早的确定妊娠;小肚腩患者激素水平未见明显改变。
3.伴随症状:妊娠患者多伴有停经、恶心、乏力、乳房胀大等症状,小肚腩患者除腹部增大外,基本无其他明显改变。
","scanCount": 55795}}} {"@context": "https://ziyuan.baidu.com/contexts/cambrian.jsonld","appid": "1650708455561748","icon": "https://www.med-credit.org.cn/style/images/ttlogo.png","content_tag": ["atlas"],"is_mcn": {"thumb_id": "v2rm41u3"},"accid": "4886d626a2804dee5f11168793ce361672f39c25","@id": "https://www.med-credit.org.cn/mobile/jingxuan/2/078704ed2882af0e2e639fde1f34d845.html","bagWordId": "293c87a1e08761a5","title": "怀孕初期正常分泌物图","pubDate": "2023-03-29T10:32:19","upDate": "2023-03-29T10:32:19","lrDate": "2023-03-29T10:32:19","description": "怀孕初期,由于孕妇体内激素水平的变化,阴道分泌物可表现为白色或淡黄色,有轻微腥味,没有特殊异常气味。","data": {"WebPage": {"headline": "怀孕初期正常分泌物图","pcUrl": "https://www.med-credit.org.cn/jingxuan/2/078704ed2882af0e2e639fde1f34d845.html","wapUrl": "https://www.med-credit.org.cn/jingxuan/2/078704ed2882af0e2e639fde1f34d845.html","mipUrl": "https://www.med-credit.org.cn/mobile/jingxuan/2/078704ed2882af0e2e639fde1f34d845.html","fromSrc": "欢乐橙","datePublished": "2023-03-29T10:32:19","domain": "医疗","category": ["医疗权威文章合作"],"description": "怀孕初期,由于孕妇体内激素水平的变化,阴道分泌物可表现为白色或淡黄色,有轻微腥味,没有特殊异常气味。
","extra_headline": [""]},"Author": {"name": "种轶文","wapUrl": "https://www.med-credit.org.cn/doctor/575","pcUrl": "https://www.med-credit.org.cn/doctor/575","jobTitle": "副主任医师","headPortrait": "https://www.med-credit.org.cn/uploadfile/member/575/180x180.jpeg","id": "575","description": "种轶文,北京大学第三医院妇产科副主任医师","memberOf": {"legalName": "北京大学第三医院","department": "妇产科","organizationLevel": "三级甲等"}},"Article": {"summaryContent": "怀孕初期,由于孕妇体内激素水平的变化,阴道分泌物可表现为白色或淡黄色,有轻微腥味,没有特殊异常气味。
女性在怀孕初期需注意补充营养,多吃坚果、水果等,同时可遵医嘱服用叶酸。

女性在怀孕初期,由于体内雌孕激素水平增高,从而导致子宫充血,生殖腺体分泌增多,会出现生理性的分泌物增加,这是一种正常的现象,一般没有太大问题。但是如果发现分泌物的颜色、性状、气味有所改变,表现为其他颜色或者有刺激性气味,这个时候就需要额外注意,需要去医院做进一步的检查以明确诊断。
在怀孕初期,女性除了分泌物增加之外,可能还伴有恶心,呕吐,厌食,乳房胀痛等症状,这也是一些孕妇怀孕初期的正常反应,这个时候要注意补充营养,多吃蛋白质、坚果、蛋类、水果,在医生的指导下补充叶酸,帮助婴儿发育,同时也要休息保持心情愉快,避免过度紧张。
","articleBody": "怀孕初期,由于孕妇体内激素水平的变化,阴道分泌物可表现为白色或淡黄色,有轻微腥味,没有特殊异常气味。
女性在怀孕初期需注意补充营养,多吃坚果、水果等,同时可遵医嘱服用叶酸。

女性在怀孕初期,由于体内雌孕激素水平增高,从而导致子宫充血,生殖腺体分泌增多,会出现生理性的分泌物增加,这是一种正常的现象,一般没有太大问题。但是如果发现分泌物的颜色、性状、气味有所改变,表现为其他颜色或者有刺激性气味,这个时候就需要额外注意,需要去医院做进一步的检查以明确诊断。
在怀孕初期,女性除了分泌物增加之外,可能还伴有恶心,呕吐,厌食,乳房胀痛等症状,这也是一些孕妇怀孕初期的正常反应,这个时候要注意补充营养,多吃蛋白质、坚果、蛋类、水果,在医生的指导下补充叶酸,帮助婴儿发育,同时也要休息保持心情愉快,避免过度紧张。
","scanCount": 55794}}} {"@context": "https://ziyuan.baidu.com/contexts/cambrian.jsonld","appid": "1650708455561748","icon": "https://www.med-credit.org.cn/style/images/ttlogo.png","content_tag": ["atlas"],"is_mcn": {"thumb_id": "v2rm41u3"},"accid": "4886d626a2804dee5f11168793ce361672f39c25","@id": "https://www.med-credit.org.cn/mobile/jingxuan/2/ecdb090735c90aa4dfe767df5bbd6c6f.html","bagWordId": "9ccf8e9de94ceb15","title": "宫外孕流产排出物图片","pubDate": "2023-03-29T10:32:19","upDate": "2023-03-29T10:32:19","lrDate": "2023-03-29T10:32:19","description": "宫外孕流产排出物是附着于宫腔的蜕膜排出、少量血液以及已失去活性的胚胎组织。","data": {"WebPage": {"headline": "宫外孕流产排出物图片","pcUrl": "https://www.med-credit.org.cn/jingxuan/2/ecdb090735c90aa4dfe767df5bbd6c6f.html","wapUrl": "https://www.med-credit.org.cn/jingxuan/2/ecdb090735c90aa4dfe767df5bbd6c6f.html","mipUrl": "https://www.med-credit.org.cn/mobile/jingxuan/2/ecdb090735c90aa4dfe767df5bbd6c6f.html","fromSrc": "欢乐橙","datePublished": "2023-03-29T10:32:19","domain": "医疗","category": ["医疗权威文章合作"],"description": "宫外孕流产排出物是附着于宫腔的蜕膜排出、少量血液以及已失去活性的胚胎组织。
","extra_headline": [""]},"Author": {"name": "种轶文","wapUrl": "https://www.med-credit.org.cn/doctor/575","pcUrl": "https://www.med-credit.org.cn/doctor/575","jobTitle": "副主任医师","headPortrait": "https://www.med-credit.org.cn/uploadfile/member/575/180x180.jpeg","id": "575","description": "种轶文,北京大学第三医院妇产科副主任医师","memberOf": {"legalName": "北京大学第三医院","department": "妇产科","organizationLevel": "三级甲等"}},"Article": {"summaryContent": "宫外孕流产排出物是附着于宫腔的蜕膜排出、少量血液以及已失去活性的胚胎组织。

宫外孕经药物或手术流产应将已失去活性的组织取出或排出,以免在宫腔内造成感染。由于体内孕激素水平的下降,子宫内的蜕膜会逐渐脱落,一些小血管破裂会造成出血。导致宫外孕的病因有很多,如女性多次流产导致输卵管粘连、输卵管炎症、不正常的生活方式导致的内分泌失调等,因此女性在准备怀孕时,要去医院检查子宫、输卵管、卵巢的情况,若身体各方面素质良好,方可备孕。
宫外孕流产后应注意休息,多吃一些营养的食品,调整好身体状况,注意会阴部卫生,预防感染,且在身体未恢复之前尽量不要有性生活,以免造成子宫内部炎症。在下次怀孕前要检查身体的状况。
","articleBody": "宫外孕流产排出物是附着于宫腔的蜕膜排出、少量血液以及已失去活性的胚胎组织。

宫外孕经药物或手术流产应将已失去活性的组织取出或排出,以免在宫腔内造成感染。由于体内孕激素水平的下降,子宫内的蜕膜会逐渐脱落,一些小血管破裂会造成出血。导致宫外孕的病因有很多,如女性多次流产导致输卵管粘连、输卵管炎症、不正常的生活方式导致的内分泌失调等,因此女性在准备怀孕时,要去医院检查子宫、输卵管、卵巢的情况,若身体各方面素质良好,方可备孕。
宫外孕流产后应注意休息,多吃一些营养的食品,调整好身体状况,注意会阴部卫生,预防感染,且在身体未恢复之前尽量不要有性生活,以免造成子宫内部炎症。在下次怀孕前要检查身体的状况。
","scanCount": 55793}}} {"@context": "https://ziyuan.baidu.com/contexts/cambrian.jsonld","appid": "1650708455561748","icon": "https://www.med-credit.org.cn/style/images/ttlogo.png","content_tag": ["atlas"],"is_mcn": {"thumb_id": "v2rm41u3"},"accid": "4886d626a2804dee5f11168793ce361672f39c25","@id": "https://www.med-credit.org.cn/mobile/jingxuan/2/caed183bb8bd49b4250e4205de751efa.html","bagWordId": "7f816ad78d24da2f","title": "怀孕两条杠一深一浅图片","pubDate": "2023-03-29T10:32:19","upDate": "2023-03-29T10:32:19","lrDate": "2023-03-29T10:32:19","description": "怀孕两条杠,一深一浅,一般情况下这表明女性有怀孕的可能,但并不确定。可以去医院做进一步的检查,也可以隔一周再次测验进行确认。","data": {"WebPage": {"headline": "怀孕两条杠一深一浅图片","pcUrl": "https://www.med-credit.org.cn/jingxuan/2/caed183bb8bd49b4250e4205de751efa.html","wapUrl": "https://www.med-credit.org.cn/jingxuan/2/caed183bb8bd49b4250e4205de751efa.html","mipUrl": "https://www.med-credit.org.cn/mobile/jingxuan/2/caed183bb8bd49b4250e4205de751efa.html","fromSrc": "欢乐橙","datePublished": "2023-03-29T10:32:19","domain": "医疗","category": ["医疗权威文章合作"],"description": "怀孕两条杠,一深一浅,一般情况下这表明女性有怀孕的可能,但并不确定。可以去医院做进一步的检查,也可以隔一周再次测验进行确认。
","extra_headline": [""]},"Author": {"name": "种轶文","wapUrl": "https://www.med-credit.org.cn/doctor/575","pcUrl": "https://www.med-credit.org.cn/doctor/575","jobTitle": "副主任医师","headPortrait": "https://www.med-credit.org.cn/uploadfile/member/575/180x180.jpeg","id": "575","description": "种轶文,北京大学第三医院妇产科副主任医师","memberOf": {"legalName": "北京大学第三医院","department": "妇产科","organizationLevel": "三级甲等"}},"Article": {"summaryContent": "怀孕两条杠,一深一浅,一般情况下这表明女性有怀孕的可能,但并不确定。可以去医院做进一步的检查,也可以隔一周再次测验进行确认。

验孕棒的作用机理主要是通过检测女性尿液中人绒毛膜促性腺激素,也就是尿hCG是否呈现阳性来确定女性是否怀孕。所以验孕棒表现为一条线时,即表明尿hCG阴性,代表女性没有怀孕。
如果验孕棒表现为一个红色线一个淡红色线,即表明尿hCG弱阳性,代表女性可能怀孕但时间较短,也可能没有怀孕,可以选择再次测试,也可以选择过几天再测或者去医院进一步确定。如果验孕棒表现为两条红线,即尿hCG强阳性,代表女性有很大的可能性怀孕。
但是要注意的是,为了尽可能保证结果的准确性,在测试时,一定要按照说明书标准步骤测试。如果没有按照说明书上的说明操作,可能会导致假阳性,所以建议在出现两条杠一深一浅时最好去医院进行确定。
","articleBody": "怀孕两条杠,一深一浅,一般情况下这表明女性有怀孕的可能,但并不确定。可以去医院做进一步的检查,也可以隔一周再次测验进行确认。

验孕棒的作用机理主要是通过检测女性尿液中人绒毛膜促性腺激素,也就是尿hCG是否呈现阳性来确定女性是否怀孕。所以验孕棒表现为一条线时,即表明尿hCG阴性,代表女性没有怀孕。
如果验孕棒表现为一个红色线一个淡红色线,即表明尿hCG弱阳性,代表女性可能怀孕但时间较短,也可能没有怀孕,可以选择再次测试,也可以选择过几天再测或者去医院进一步确定。如果验孕棒表现为两条红线,即尿hCG强阳性,代表女性有很大的可能性怀孕。
但是要注意的是,为了尽可能保证结果的准确性,在测试时,一定要按照说明书标准步骤测试。如果没有按照说明书上的说明操作,可能会导致假阳性,所以建议在出现两条杠一深一浅时最好去医院进行确定。
","scanCount": 55791}}} {"@context": "https://ziyuan.baidu.com/contexts/cambrian.jsonld","appid": "1650708455561748","icon": "https://www.med-credit.org.cn/style/images/ttlogo.png","content_tag": ["atlas"],"is_mcn": {"thumb_id": "v2rm41u3"},"accid": "4886d626a2804dee5f11168793ce361672f39c25","@id": "https://www.med-credit.org.cn/mobile/jingxuan/2/9c670e440ada7ab1264b0385d593a222.html","bagWordId": "a09a47f4eb57ad91","title": "催产球囊图片","pubDate": "2023-03-29T10:32:19","upDate": "2023-03-29T10:32:19","lrDate": "2023-03-29T10:32:19","description": "催产球囊是一种放在宫颈内外口的球囊,可以加快孕妇产程。","data": {"WebPage": {"headline": "催产球囊图片","pcUrl": "https://www.med-credit.org.cn/jingxuan/2/9c670e440ada7ab1264b0385d593a222.html","wapUrl": "https://www.med-credit.org.cn/jingxuan/2/9c670e440ada7ab1264b0385d593a222.html","mipUrl": "https://www.med-credit.org.cn/mobile/jingxuan/2/9c670e440ada7ab1264b0385d593a222.html","fromSrc": "欢乐橙","datePublished": "2023-03-29T10:32:19","domain": "医疗","category": ["医疗权威文章合作"],"description": "催产球囊是一种放在宫颈内外口的球囊,可以加快孕妇产程。
","extra_headline": ["催产球囊"]},"Author": {"name": "种轶文","wapUrl": "https://www.med-credit.org.cn/doctor/575","pcUrl": "https://www.med-credit.org.cn/doctor/575","jobTitle": "副主任医师","headPortrait": "https://www.med-credit.org.cn/uploadfile/member/575/180x180.jpeg","id": "575","description": "种轶文,北京大学第三医院妇产科副主任医师","memberOf": {"legalName": "北京大学第三医院","department": "妇产科","organizationLevel": "三级甲等"}},"Article": {"summaryContent": "催产球囊是一种放在宫颈内外口的球囊,通过温和、机械的物理方式扩张宫颈口,引起宫缩、加速产程,从而帮助孕妇在生产过程中更加顺利的将胎儿娩出。

催产球囊操作简单,目前在临床上被广泛使用,适用于宫颈条件较差的产妇。临床上在配合缩宫素等可有效加快孕妇产程,减轻其痛苦,同时也减轻孕妇的经济压力。
催产球囊放置虽简单,但容易造成宫腔感染。在进行手术操作时要严格遵守无菌处理,且术后要使用抗生素消炎、抗菌处理。催产球囊虽然操作简单、花费少,但并非适用于任何孕妇,若孕妇可经自然条件生产以及一些不适宜经阴道分娩的产妇,则不需要球囊。临床上产妇在使用球囊时应综合考虑孕妇的身体状况,评估其身体生产条件。
","articleBody": "催产球囊是一种放在宫颈内外口的球囊,通过温和、机械的物理方式扩张宫颈口,引起宫缩、加速产程,从而帮助孕妇在生产过程中更加顺利的将胎儿娩出。

催产球囊操作简单,目前在临床上被广泛使用,适用于宫颈条件较差的产妇。临床上在配合缩宫素等可有效加快孕妇产程,减轻其痛苦,同时也减轻孕妇的经济压力。
催产球囊放置虽简单,但容易造成宫腔感染。在进行手术操作时要严格遵守无菌处理,且术后要使用抗生素消炎、抗菌处理。催产球囊虽然操作简单、花费少,但并非适用于任何孕妇,若孕妇可经自然条件生产以及一些不适宜经阴道分娩的产妇,则不需要球囊。临床上产妇在使用球囊时应综合考虑孕妇的身体状况,评估其身体生产条件。
","scanCount": 55790}}} {"@context": "https://ziyuan.baidu.com/contexts/cambrian.jsonld","appid": "1650708455561748","icon": "https://www.med-credit.org.cn/style/images/ttlogo.png","content_tag": ["atlas"],"is_mcn": {"thumb_id": "v2rm41u3"},"accid": "4886d626a2804dee5f11168793ce361672f39c25","@id": "https://www.med-credit.org.cn/mobile/jingxuan/2/adb7ad2e6f3e7a2bb9abb209ec2ffd4d.html","bagWordId": "9c48c2de8068c0ab","title": "怀孕45天褐色液体图片","pubDate": "2023-03-29T10:32:19","upDate": "2023-03-29T10:32:19","lrDate": "2023-03-29T10:32:19","description": "怀孕45天的时候,患者的阴道内出现褐色分泌物,一般情况下在临床上有可能是由于先兆流产引起的。","data": {"WebPage": {"headline": "怀孕45天褐色液体图片","pcUrl": "https://www.med-credit.org.cn/jingxuan/2/adb7ad2e6f3e7a2bb9abb209ec2ffd4d.html","wapUrl": "https://www.med-credit.org.cn/jingxuan/2/adb7ad2e6f3e7a2bb9abb209ec2ffd4d.html","mipUrl": "https://www.med-credit.org.cn/mobile/jingxuan/2/adb7ad2e6f3e7a2bb9abb209ec2ffd4d.html","fromSrc": "欢乐橙","datePublished": "2023-03-29T10:32:19","domain": "医疗","category": ["医疗权威文章合作"],"description": "怀孕45天的时候,患者的阴道内出现褐色分泌物,一般情况下在临床上有可能是由于先兆流产引起的。
","extra_headline": ["怀孕45天褐色液体"]},"Author": {"name": "种轶文","wapUrl": "https://www.med-credit.org.cn/doctor/575","pcUrl": "https://www.med-credit.org.cn/doctor/575","jobTitle": "副主任医师","headPortrait": "https://www.med-credit.org.cn/uploadfile/member/575/180x180.jpeg","id": "575","description": "种轶文,北京大学第三医院妇产科副主任医师","memberOf": {"legalName": "北京大学第三医院","department": "妇产科","organizationLevel": "三级甲等"}},"Article": {"summaryContent": "怀孕45天的时候,患者的阴道内出现褐色分泌物,一般情况下在临床上有可能是由于先兆流产引起的。
常见的原因一般有黄体功能异常、受外力不当以及胚胎发育不良。

1.黄体功能异常:黄体功能不全的患者可能会出现异常的子宫出血,从而引起妊娠早期的流产。女性患者在月经周期中有卵泡发育,也有排卵,如果在黄体期时孕激素分泌不足,或者黄体出现过早的衰退的话,就会引起黄体期缩短,从而出现妊娠早期的流产。建议患者可以口服黄体酮。
2.受外力不当:对于孕妇患者来说,在妊娠期间,如果子宫受到外力的作用,很有可能会引起子宫的异常出血,从而引起妊娠早期的流产。建议患者在妊娠期间要注意防护,尽量多卧床休息。
3.胚胎发育不良:胚胎发育不良的原因可能有生殖道感染、营养不良、孕妇生殖器官畸形等等。建议患者去医院做全面的体检,避免接触有毒的物质,注意休息。
","articleBody": "怀孕45天的时候,患者的阴道内出现褐色分泌物,一般情况下在临床上有可能是由于先兆流产引起的。
常见的原因一般有黄体功能异常、受外力不当以及胚胎发育不良。

1.黄体功能异常:黄体功能不全的患者可能会出现异常的子宫出血,从而引起妊娠早期的流产。女性患者在月经周期中有卵泡发育,也有排卵,如果在黄体期时孕激素分泌不足,或者黄体出现过早的衰退的话,就会引起黄体期缩短,从而出现妊娠早期的流产。建议患者可以口服黄体酮。
2.受外力不当:对于孕妇患者来说,在妊娠期间,如果子宫受到外力的作用,很有可能会引起子宫的异常出血,从而引起妊娠早期的流产。建议患者在妊娠期间要注意防护,尽量多卧床休息。
3.胚胎发育不良:胚胎发育不良的原因可能有生殖道感染、营养不良、孕妇生殖器官畸形等等。建议患者去医院做全面的体检,避免接触有毒的物质,注意休息。
","scanCount": 55789}}} {"@context": "https://ziyuan.baidu.com/contexts/cambrian.jsonld","appid": "1650708455561748","icon": "https://www.med-credit.org.cn/style/images/ttlogo.png","content_tag": ["atlas"],"is_mcn": {"thumb_id": "v2rm41u3"},"accid": "4886d626a2804dee5f11168793ce361672f39c25","@id": "https://www.med-credit.org.cn/mobile/jingxuan/2/9f87a77fe734e0b556678a6514c69fb5.html","bagWordId": "4f16a08a80375dda","title": "快生的宫缩曲线图","pubDate": "2023-03-29T10:32:19","upDate": "2023-03-29T10:32:19","lrDate": "2023-03-29T10:32:19","description": "快生的宫缩曲线为有规律的宫缩,临产时的宫缩为5-6分钟一次,每次持续30秒以上。在宫口全开时,时间缩短为1-2分钟一次,持续30秒。宫缩压力曲线会上升在20-60mmHg。","data": {"WebPage": {"headline": "快生的宫缩曲线图","pcUrl": "https://www.med-credit.org.cn/jingxuan/2/9f87a77fe734e0b556678a6514c69fb5.html","wapUrl": "https://www.med-credit.org.cn/jingxuan/2/9f87a77fe734e0b556678a6514c69fb5.html","mipUrl": "https://www.med-credit.org.cn/mobile/jingxuan/2/9f87a77fe734e0b556678a6514c69fb5.html","fromSrc": "欢乐橙","datePublished": "2023-03-29T10:32:19","domain": "医疗","category": ["医疗权威文章合作"],"description": "快生的宫缩曲线为有规律的宫缩,临产时的宫缩为5-6分钟一次,每次持续30秒以上。在宫口全开时,时间缩短为1-2分钟一次,持续30秒。宫缩压力曲线会上升在20-60mmHg。
","extra_headline": [""]},"Author": {"name": "种轶文","wapUrl": "https://www.med-credit.org.cn/doctor/575","pcUrl": "https://www.med-credit.org.cn/doctor/575","jobTitle": "副主任医师","headPortrait": "https://www.med-credit.org.cn/uploadfile/member/575/180x180.jpeg","id": "575","description": "种轶文,北京大学第三医院妇产科副主任医师","memberOf": {"legalName": "北京大学第三医院","department": "妇产科","organizationLevel": "三级甲等"}},"Article": {"summaryContent": "快生的宫缩曲线为有规律的宫缩,临产时的宫缩为5-6分钟一次,每次持续30秒以上。在宫口全开时,时间缩短为1-2分钟一次,持续30秒。宫缩压力曲线会上升在20-60mmHg。

1、宫缩曲线测量:在宫底安装胎心监护,医生通过胎心监护的机器可显示胎心变化以及宫缩曲线。
2、宫缩曲线组成:宫缩强度、宫缩时间,胎心监护一般测量时间为20分钟,临产时,宫缩的强度会由弱变强,宫缩的时间也会逐渐缩短。在宫缩曲线上可反映出宫缩频率以及宫缩的压力表现,来推测产妇目前的身体状况,也可区分宫缩是否为假性宫缩。
当产妇感觉到宫缩次数规律出现频率也来越快、腹部疼痛、阴道内有液体流出,则提示孕妇将要生产,应立即赶往医院生产。宫缩的状况可直接影响到胎儿的娩出,当宫缩曲线发生异常时,医生可立即采取对应措施,早发现、早治疗。
","articleBody": "快生的宫缩曲线为有规律的宫缩,临产时的宫缩为5-6分钟一次,每次持续30秒以上。在宫口全开时,时间缩短为1-2分钟一次,持续30秒。宫缩压力曲线会上升在20-60mmHg。

1、宫缩曲线测量:在宫底安装胎心监护,医生通过胎心监护的机器可显示胎心变化以及宫缩曲线。
2、宫缩曲线组成:宫缩强度、宫缩时间,胎心监护一般测量时间为20分钟,临产时,宫缩的强度会由弱变强,宫缩的时间也会逐渐缩短。在宫缩曲线上可反映出宫缩频率以及宫缩的压力表现,来推测产妇目前的身体状况,也可区分宫缩是否为假性宫缩。
当产妇感觉到宫缩次数规律出现频率也来越快、腹部疼痛、阴道内有液体流出,则提示孕妇将要生产,应立即赶往医院生产。宫缩的状况可直接影响到胎儿的娩出,当宫缩曲线发生异常时,医生可立即采取对应措施,早发现、早治疗。
","scanCount": 55788}}} {"@context": "https://ziyuan.baidu.com/contexts/cambrian.jsonld","appid": "1650708455561748","icon": "https://www.med-credit.org.cn/style/images/ttlogo.png","content_tag": ["atlas"],"is_mcn": {"thumb_id": "v2rm41u3"},"accid": "4886d626a2804dee5f11168793ce361672f39c25","@id": "https://www.med-credit.org.cn/mobile/jingxuan/2/b67937006e7927ed202b358fcf1f0271.html","bagWordId": "27df55d5e7fb4a85","title": "脐带脱落后不正常图片","pubDate": "2023-03-29T10:32:19","upDate": "2023-03-29T10:32:19","lrDate": "2023-03-29T10:32:19","description": "脐带脱落不正常,一般是指脐带脱落不完全,或脐带脱落后肚脐周围渗血严重、红肿,且伴有脓性分泌物。","data": {"WebPage": {"headline": "脐带脱落后不正常图片","pcUrl": "https://www.med-credit.org.cn/jingxuan/2/b67937006e7927ed202b358fcf1f0271.html","wapUrl": "https://www.med-credit.org.cn/jingxuan/2/b67937006e7927ed202b358fcf1f0271.html","mipUrl": "https://www.med-credit.org.cn/mobile/jingxuan/2/b67937006e7927ed202b358fcf1f0271.html","fromSrc": "欢乐橙","datePublished": "2023-03-29T10:32:19","domain": "医疗","category": ["医疗权威文章合作"],"description": "脐带脱落不正常,一般是指脐带脱落不完全,或脐带脱落后肚脐周围渗血严重、红肿,且伴有脓性分泌物。
","extra_headline": ["脐带脱落后不正常"]},"Author": {"name": "种轶文","wapUrl": "https://www.med-credit.org.cn/doctor/575","pcUrl": "https://www.med-credit.org.cn/doctor/575","jobTitle": "副主任医师","headPortrait": "https://www.med-credit.org.cn/uploadfile/member/575/180x180.jpeg","id": "575","description": "种轶文,北京大学第三医院妇产科副主任医师","memberOf": {"legalName": "北京大学第三医院","department": "妇产科","organizationLevel": "三级甲等"}},"Article": {"summaryContent": "脐带脱落不正常,一般是指脐带脱落不完全,或脐带脱落后肚脐周围渗血严重、红肿,且伴有脓性分泌物。

脐带通常在胎儿出生后2周左右会脱落,如果长时间不脱落可能导致患者出现脐周感染、出血等情况。因此,如果超过2周脐带仍没有脱落,多考虑脐带较粗,需要再次结扎,一般结扎3~4天后脐带会慢慢缺血坏死、脱落。
如果婴儿超过1个月脐带仍没有脱落,一般建议将脐带直接处理掉。注意每天换药,使用碘酒等药物进行清洁处理。保持脐周清洁,2周左右黏膜会慢慢干瘪、萎缩,达到愈合目的。
建议家长不要自行剪断婴儿脐带,保持脐带周围清洁和干燥。患儿如伴有渗血、脐周感染等情况,应及时到医院就诊,在医生指导下选择合适治疗方案。
","articleBody": "脐带脱落不正常,一般是指脐带脱落不完全,或脐带脱落后肚脐周围渗血严重、红肿,且伴有脓性分泌物。

脐带通常在胎儿出生后2周左右会脱落,如果长时间不脱落可能导致患者出现脐周感染、出血等情况。因此,如果超过2周脐带仍没有脱落,多考虑脐带较粗,需要再次结扎,一般结扎3~4天后脐带会慢慢缺血坏死、脱落。
如果婴儿超过1个月脐带仍没有脱落,一般建议将脐带直接处理掉。注意每天换药,使用碘酒等药物进行清洁处理。保持脐周清洁,2周左右黏膜会慢慢干瘪、萎缩,达到愈合目的。
建议家长不要自行剪断婴儿脐带,保持脐带周围清洁和干燥。患儿如伴有渗血、脐周感染等情况,应及时到医院就诊,在医生指导下选择合适治疗方案。
","scanCount": 55787}}} {"@context": "https://ziyuan.baidu.com/contexts/cambrian.jsonld","appid": "1650708455561748","icon": "https://www.med-credit.org.cn/style/images/ttlogo.png","content_tag": ["atlas"],"is_mcn": {"thumb_id": "v2rm41u3"},"accid": "4886d626a2804dee5f11168793ce361672f39c25","@id": "https://www.med-credit.org.cn/mobile/jingxuan/2/4feca518a54ba1443aecb26e7204a960.html","bagWordId": "142bd14e34f19ecb","title": "孕肚变化过程图","pubDate": "2023-03-29T10:32:19","upDate": "2023-03-29T10:32:19","lrDate": "2023-03-29T10:32:19","description": "女性在怀孕后肚子变化一般表现为第一个月至第十个月肚子逐渐增大,妊娠女性早期的肚子在孕期第一个月至第三个月内一般无法肉眼观察到明显变化,一般在妊娠第三个月至第十个月期间可以肉眼观察到腹部逐渐膨隆并逐渐增大。","data": {"WebPage": {"headline": "孕肚变化过程图","pcUrl": "https://www.med-credit.org.cn/jingxuan/2/4feca518a54ba1443aecb26e7204a960.html","wapUrl": "https://www.med-credit.org.cn/jingxuan/2/4feca518a54ba1443aecb26e7204a960.html","mipUrl": "https://www.med-credit.org.cn/mobile/jingxuan/2/4feca518a54ba1443aecb26e7204a960.html","fromSrc": "欢乐橙","datePublished": "2023-03-29T10:32:19","domain": "医疗","category": ["医疗权威文章合作"],"description": "女性在怀孕后肚子变化一般表现为第一个月至第十个月肚子逐渐增大,妊娠女性早期的肚子在孕期第一个月至第三个月内一般无法肉眼观察到明显变化,一般在妊娠第三个月至第十个月期间可以肉眼观察到腹部逐渐膨隆并逐渐增大。
","extra_headline": ["孕肚变化过程"]},"Author": {"name": "种轶文","wapUrl": "https://www.med-credit.org.cn/doctor/575","pcUrl": "https://www.med-credit.org.cn/doctor/575","jobTitle": "副主任医师","headPortrait": "https://www.med-credit.org.cn/uploadfile/member/575/180x180.jpeg","id": "575","description": "种轶文,北京大学第三医院妇产科副主任医师","memberOf": {"legalName": "北京大学第三医院","department": "妇产科","organizationLevel": "三级甲等"}},"Article": {"summaryContent": "女性在怀孕后肚子变化一般表现为第一个月至第十个月肚子逐渐增大,妊娠女性早期的肚子在孕期第一个月至第三个月内一般无法肉眼观察到明显变化,一般在妊娠第三个月至第十个月期间可以肉眼观察到腹部逐渐膨隆并逐渐增大。

1.妊娠早期三个月内:此时婴儿在宫腔中基本未成型,所以这个期间内肚子的变化一般不大,从外观无法肉眼观察到明显变化,或仅有一些早孕反应,比如恶心、呕吐等。
2.妊娠三个月后:此时宫腔内的胎儿逐渐成型,在这个期间内肚子会稍微有点变化,但是一般不明显。
3.妊娠四至五个月:此时的孕妇一般可以肉眼观察到腹部膨隆。
4.妊娠六至七个月:此时孕妇的子宫已经有了明显增大,宫底也超出了肚脐,此时肚子的增大比较明显,可以轻松观察到。
5.妊娠八至十个月:此时孕妇的肚子已经非常明显。
","articleBody": "女性在怀孕后肚子变化一般表现为第一个月至第十个月肚子逐渐增大,妊娠女性早期的肚子在孕期第一个月至第三个月内一般无法肉眼观察到明显变化,一般在妊娠第三个月至第十个月期间可以肉眼观察到腹部逐渐膨隆并逐渐增大。

1.妊娠早期三个月内:此时婴儿在宫腔中基本未成型,所以这个期间内肚子的变化一般不大,从外观无法肉眼观察到明显变化,或仅有一些早孕反应,比如恶心、呕吐等。
2.妊娠三个月后:此时宫腔内的胎儿逐渐成型,在这个期间内肚子会稍微有点变化,但是一般不明显。
3.妊娠四至五个月:此时的孕妇一般可以肉眼观察到腹部膨隆。
4.妊娠六至七个月:此时孕妇的子宫已经有了明显增大,宫底也超出了肚脐,此时肚子的增大比较明显,可以轻松观察到。
5.妊娠八至十个月:此时孕妇的肚子已经非常明显。
","scanCount": 55786}}} {"@context": "https://ziyuan.baidu.com/contexts/cambrian.jsonld","appid": "1650708455561748","icon": "https://www.med-credit.org.cn/style/images/ttlogo.png","content_tag": ["atlas"],"is_mcn": {"thumb_id": "v2rm41u3"},"accid": "4886d626a2804dee5f11168793ce361672f39c25","@id": "https://www.med-credit.org.cn/mobile/jingxuan/2/8039330e5cd9bb496513d3beb96613c1.html","bagWordId": "3de2a5ca1b7bae8a","title": "宫外孕排出的蜕膜图片","pubDate": "2023-03-29T10:32:19","upDate": "2023-03-29T10:32:19","lrDate": "2023-03-29T10:32:19","description": "宫外孕排出的蜕膜一般是药物流产排出的组织。","data": {"WebPage": {"headline": "宫外孕排出的蜕膜图片","pcUrl": "https://www.med-credit.org.cn/jingxuan/2/8039330e5cd9bb496513d3beb96613c1.html","wapUrl": "https://www.med-credit.org.cn/jingxuan/2/8039330e5cd9bb496513d3beb96613c1.html","mipUrl": "https://www.med-credit.org.cn/mobile/jingxuan/2/8039330e5cd9bb496513d3beb96613c1.html","fromSrc": "欢乐橙","datePublished": "2023-03-29T10:32:19","domain": "医疗","category": ["医疗权威文章合作"],"description": "宫外孕排出的蜕膜一般是药物流产排出的组织。
","extra_headline": ["宫外孕排出的蜕膜"]},"Author": {"name": "种轶文","wapUrl": "https://www.med-credit.org.cn/doctor/575","pcUrl": "https://www.med-credit.org.cn/doctor/575","jobTitle": "副主任医师","headPortrait": "https://www.med-credit.org.cn/uploadfile/member/575/180x180.jpeg","id": "575","description": "种轶文,北京大学第三医院妇产科副主任医师","memberOf": {"legalName": "北京大学第三医院","department": "妇产科","organizationLevel": "三级甲等"}},"Article": {"summaryContent": "宫外孕排出的蜕膜一般是药物流产排出的组织。
宫外孕患者需要及时前往医院治疗,一般可以使用药物或手术治疗。

在药物流产后,胚胎死亡,体内激素水平下降,会导致蜕膜从子宫内剥离,随着血液从阴道排出。在蜕膜形成后,分为三种即底蜕膜、包蜕膜、真蜕膜。它们是连接着母体以及胎儿的重要媒介。有丰富的血液供应以及营养支持,帮助胎儿在子宫内更好的发育,对于孕妇的身体状况、胚胎的着床、生长、发育都非常重要。
宫外孕是指胎儿的不正常着床,症状为阴道出血、腹痛等,在怀疑宫外孕时,要及时到医院检查,结合超声检查提示孕囊在子宫体外,可诊断为宫外孕,根据妊娠时间以及出血量等症状判断使用药物或手术进行流产。
","articleBody": "宫外孕排出的蜕膜一般是药物流产排出的组织。
宫外孕患者需要及时前往医院治疗,一般可以使用药物或手术治疗。

在药物流产后,胚胎死亡,体内激素水平下降,会导致蜕膜从子宫内剥离,随着血液从阴道排出。在蜕膜形成后,分为三种即底蜕膜、包蜕膜、真蜕膜。它们是连接着母体以及胎儿的重要媒介。有丰富的血液供应以及营养支持,帮助胎儿在子宫内更好的发育,对于孕妇的身体状况、胚胎的着床、生长、发育都非常重要。
宫外孕是指胎儿的不正常着床,症状为阴道出血、腹痛等,在怀疑宫外孕时,要及时到医院检查,结合超声检查提示孕囊在子宫体外,可诊断为宫外孕,根据妊娠时间以及出血量等症状判断使用药物或手术进行流产。
","scanCount": 55785}}} {"@context": "https://ziyuan.baidu.com/contexts/cambrian.jsonld","appid": "1650708455561748","icon": "https://www.med-credit.org.cn/style/images/ttlogo.png","content_tag": ["atlas"],"is_mcn": {"thumb_id": "v2rm41u3"},"accid": "4886d626a2804dee5f11168793ce361672f39c25","@id": "https://www.med-credit.org.cn/mobile/jingxuan/2/15ef7a5bdebb0ed94e17a25a71e23f32.html","bagWordId": "cc28d9d8a4f3037e","title": "剖腹产刀口一个月恢复正常图","pubDate": "2023-03-29T10:32:19","upDate": "2023-03-29T10:32:19","lrDate": "2023-03-29T10:32:19","description": "剖腹产刀口恢复好的标准是切口边缘皮肤对合良好,未见红肿、液体渗出等症状。","data": {"WebPage": {"headline": "剖腹产刀口一个月恢复正常图","pcUrl": "https://www.med-credit.org.cn/jingxuan/2/15ef7a5bdebb0ed94e17a25a71e23f32.html","wapUrl": "https://www.med-credit.org.cn/jingxuan/2/15ef7a5bdebb0ed94e17a25a71e23f32.html","mipUrl": "https://www.med-credit.org.cn/mobile/jingxuan/2/15ef7a5bdebb0ed94e17a25a71e23f32.html","fromSrc": "欢乐橙","datePublished": "2023-03-29T10:32:19","domain": "医疗","category": ["医疗权威文章合作"],"description": "剖腹产刀口恢复好的标准是切口边缘皮肤对合良好,未见红肿、液体渗出等症状。
","extra_headline": [""]},"Author": {"name": "种轶文","wapUrl": "https://www.med-credit.org.cn/doctor/575","pcUrl": "https://www.med-credit.org.cn/doctor/575","jobTitle": "副主任医师","headPortrait": "https://www.med-credit.org.cn/uploadfile/member/575/180x180.jpeg","id": "575","description": "种轶文,北京大学第三医院妇产科副主任医师","memberOf": {"legalName": "北京大学第三医院","department": "妇产科","organizationLevel": "三级甲等"}},"Article": {"summaryContent": "剖腹产刀口恢复好的标准是切口边缘皮肤对合良好,未见红肿、液体渗出等症状。
剖腹产后刀口应注意消毒,在愈合前切勿碰水。

剖腹产刀口恢复时间与个人体质相关。一般7~10天后切口边缘对合良好,可以拆除缝线,30天左右创面未见红肿、液体渗出,创面完全愈合,可以进行日常活动。
剖腹产术后患者应注意消毒处理,定时换药处理,必要时可遵医嘱口服阿莫西林、头孢等抗生素消炎抗感染;患者恢复期间应注意保护刀口,在创面愈合之前不能够碰水,避免过度牵拉刀口,影响创面愈合;多摄入富含蛋白质食物,如鸡蛋、牛奶等食物。
剖腹产术后1个月患者创面痊愈,属于正常情况。患者术后创面愈合如有异常情况,应及时到医院就诊,在医生指导下选择合适的治疗方案,避免自行用药,以免延误病情。
","articleBody": "剖腹产刀口恢复好的标准是切口边缘皮肤对合良好,未见红肿、液体渗出等症状。
剖腹产后刀口应注意消毒,在愈合前切勿碰水。

剖腹产刀口恢复时间与个人体质相关。一般7~10天后切口边缘对合良好,可以拆除缝线,30天左右创面未见红肿、液体渗出,创面完全愈合,可以进行日常活动。
剖腹产术后患者应注意消毒处理,定时换药处理,必要时可遵医嘱口服阿莫西林、头孢等抗生素消炎抗感染;患者恢复期间应注意保护刀口,在创面愈合之前不能够碰水,避免过度牵拉刀口,影响创面愈合;多摄入富含蛋白质食物,如鸡蛋、牛奶等食物。
剖腹产术后1个月患者创面痊愈,属于正常情况。患者术后创面愈合如有异常情况,应及时到医院就诊,在医生指导下选择合适的治疗方案,避免自行用药,以免延误病情。
","scanCount": 55784}}} {"@context": "https://ziyuan.baidu.com/contexts/cambrian.jsonld","appid": "1650708455561748","icon": "https://www.med-credit.org.cn/style/images/ttlogo.png","content_tag": ["atlas"],"is_mcn": {"thumb_id": "v2rm41u3"},"accid": "4886d626a2804dee5f11168793ce361672f39c25","@id": "https://www.med-credit.org.cn/mobile/jingxuan/2/35c5adecba09369c01ee47f25782f95a.html","bagWordId": "f52b18adaafb83f2","title": "十月怀胎肚子变化图","pubDate": "2023-03-29T10:32:19","upDate": "2023-03-29T10:32:19","lrDate": "2023-03-29T10:32:19","description": "十月怀胎肚子变化一般表现为第一个月至第十个月孕妇的肚子会逐渐增大,妊娠女性早期的肚子在孕期第一个月至第三个月内一般无法肉眼观察到明显变化,一般在妊娠第三个月至第十个月期间可以肉眼观察到腹部逐渐膨隆并逐渐增大。","data": {"WebPage": {"headline": "十月怀胎肚子变化图","pcUrl": "https://www.med-credit.org.cn/jingxuan/2/35c5adecba09369c01ee47f25782f95a.html","wapUrl": "https://www.med-credit.org.cn/jingxuan/2/35c5adecba09369c01ee47f25782f95a.html","mipUrl": "https://www.med-credit.org.cn/mobile/jingxuan/2/35c5adecba09369c01ee47f25782f95a.html","fromSrc": "欢乐橙","datePublished": "2023-03-29T10:32:19","domain": "医疗","category": ["医疗权威文章合作"],"description": "十月怀胎肚子变化一般表现为第一个月至第十个月孕妇的肚子会逐渐增大,妊娠女性早期的肚子在孕期第一个月至第三个月内一般无法肉眼观察到明显变化,一般在妊娠第三个月至第十个月期间可以肉眼观察到腹部逐渐膨隆并逐渐增大。
","extra_headline": ["十月怀胎肚子变化"]},"Author": {"name": "种轶文","wapUrl": "https://www.med-credit.org.cn/doctor/575","pcUrl": "https://www.med-credit.org.cn/doctor/575","jobTitle": "副主任医师","headPortrait": "https://www.med-credit.org.cn/uploadfile/member/575/180x180.jpeg","id": "575","description": "种轶文,北京大学第三医院妇产科副主任医师","memberOf": {"legalName": "北京大学第三医院","department": "妇产科","organizationLevel": "三级甲等"}},"Article": {"summaryContent": "十月怀胎肚子变化一般表现为第一个月至第十个月孕妇的肚子会逐渐增大,妊娠女性早期的肚子在孕期第一个月至第三个月内一般无法肉眼观察到明显变化,一般在妊娠第三个月至第十个月期间可以肉眼观察到腹部逐渐膨隆并逐渐增大。

1.妊娠早期三个月内:此时婴儿在宫腔中基本未成型,所以这个期间内肚子的变化一般不大,从外观无法肉眼观察到明显变化,或仅有一些早孕反应,比如恶心、呕吐等。
2.妊娠三个月后:此时宫腔内的胎儿逐渐成型,在这个期间内肚子会稍微有点变化,但是一般不明显。
3.妊娠四至五个月:此时的孕妇一般可以肉眼观察到腹部膨隆。
4.妊娠六至七个月:此时孕妇的子宫已经有了明显增大,宫底也超出了肚脐,此时肚子的增大比较明显,可以轻松观察到。
5.妊娠八至十个月:此时孕妇的肚子已经非常明显。
","articleBody": "十月怀胎肚子变化一般表现为第一个月至第十个月孕妇的肚子会逐渐增大,妊娠女性早期的肚子在孕期第一个月至第三个月内一般无法肉眼观察到明显变化,一般在妊娠第三个月至第十个月期间可以肉眼观察到腹部逐渐膨隆并逐渐增大。

1.妊娠早期三个月内:此时婴儿在宫腔中基本未成型,所以这个期间内肚子的变化一般不大,从外观无法肉眼观察到明显变化,或仅有一些早孕反应,比如恶心、呕吐等。
2.妊娠三个月后:此时宫腔内的胎儿逐渐成型,在这个期间内肚子会稍微有点变化,但是一般不明显。
3.妊娠四至五个月:此时的孕妇一般可以肉眼观察到腹部膨隆。
4.妊娠六至七个月:此时孕妇的子宫已经有了明显增大,宫底也超出了肚脐,此时肚子的增大比较明显,可以轻松观察到。
5.妊娠八至十个月:此时孕妇的肚子已经非常明显。
","scanCount": 55783}}} {"@context": "https://ziyuan.baidu.com/contexts/cambrian.jsonld","appid": "1650708455561748","icon": "https://www.med-credit.org.cn/style/images/ttlogo.png","content_tag": ["atlas"],"is_mcn": {"thumb_id": "v2rm41u3"},"accid": "4886d626a2804dee5f11168793ce361672f39c25","@id": "https://www.med-credit.org.cn/mobile/jingxuan/2/1200bf93fcc608d452148d7548b0560c.html","bagWordId": "a6b521e013303fa1","title": "怀孕40天孕囊大小图片","pubDate": "2023-03-29T10:32:19","upDate": "2023-03-29T10:32:19","lrDate": "2023-03-29T10:32:19","description": "对于怀孕40天的女性患者来说,其孕囊的正常大小,需要根据不同的情况来判断。因为每个女性患者的月经周期都是不相同的。","data": {"WebPage": {"headline": "怀孕40天孕囊大小图片","pcUrl": "https://www.med-credit.org.cn/jingxuan/2/1200bf93fcc608d452148d7548b0560c.html","wapUrl": "https://www.med-credit.org.cn/jingxuan/2/1200bf93fcc608d452148d7548b0560c.html","mipUrl": "https://www.med-credit.org.cn/mobile/jingxuan/2/1200bf93fcc608d452148d7548b0560c.html","fromSrc": "欢乐橙","datePublished": "2023-03-29T10:32:19","domain": "医疗","category": ["医疗权威文章合作"],"description": "对于怀孕40天的女性患者来说,其孕囊的正常大小,需要根据不同的情况来判断。因为每个女性患者的月经周期都是不相同的。
","extra_headline": ["怀孕40天孕囊大小"]},"Author": {"name": "种轶文","wapUrl": "https://www.med-credit.org.cn/doctor/575","pcUrl": "https://www.med-credit.org.cn/doctor/575","jobTitle": "副主任医师","headPortrait": "https://www.med-credit.org.cn/uploadfile/member/575/180x180.jpeg","id": "575","description": "种轶文,北京大学第三医院妇产科副主任医师","memberOf": {"legalName": "北京大学第三医院","department": "妇产科","organizationLevel": "三级甲等"}},"Article": {"summaryContent": "对于怀孕40天的女性患者来说,其孕囊的正常大小,需要根据不同的情况来判断。因为每个女性患者的月经周期都是不相同的。

对于一些月经周期较短的女性患者,其排卵和受孕的时间就会较早一些,那么对于这些女性患者而言,怀孕40天的孕囊就相对较大了,一般情况下孕囊的直径可能大于1cm。
对于一些月经周期较长的女性患者来说,排卵受孕的时间就会相对较晚,那么这些患者怀孕40天的孕囊就会相对较小一些,一般情况下孕囊的直径可能小于1cm。
对于一些月经周期比较规律的女性患者来说,比如月经周期在28~30天左右的女性患者,怀孕40天的孕囊,一般直径可能在2cm左右。
建议孕妇在怀孕期间要注意定时产检,另外在饮食方面要注意清淡,少吃寒凉油腻食物,多补充营养。
","articleBody": "对于怀孕40天的女性患者来说,其孕囊的正常大小,需要根据不同的情况来判断。因为每个女性患者的月经周期都是不相同的。

对于一些月经周期较短的女性患者,其排卵和受孕的时间就会较早一些,那么对于这些女性患者而言,怀孕40天的孕囊就相对较大了,一般情况下孕囊的直径可能大于1cm。
对于一些月经周期较长的女性患者来说,排卵受孕的时间就会相对较晚,那么这些患者怀孕40天的孕囊就会相对较小一些,一般情况下孕囊的直径可能小于1cm。
对于一些月经周期比较规律的女性患者来说,比如月经周期在28~30天左右的女性患者,怀孕40天的孕囊,一般直径可能在2cm左右。
建议孕妇在怀孕期间要注意定时产检,另外在饮食方面要注意清淡,少吃寒凉油腻食物,多补充营养。
","scanCount": 55782}}} {"@context": "https://ziyuan.baidu.com/contexts/cambrian.jsonld","appid": "1650708455561748","icon": "https://www.med-credit.org.cn/style/images/ttlogo.png","content_tag": ["atlas"],"is_mcn": {"thumb_id": "v2rm41u3"},"accid": "4886d626a2804dee5f11168793ce361672f39c25","@id": "https://www.med-credit.org.cn/mobile/jingxuan/2/fa557dd9ecb83314ad2e1a3cdc730823.html","bagWordId": "6cf8897d6b4084ed","title": "怀孕45天孕囊大小图片","pubDate": "2023-03-29T10:32:19","upDate": "2023-03-29T10:32:19","lrDate": "2023-03-29T10:32:19","description": "对于怀孕45天的女性患者来说,一般情况下在临床上其孕囊大小,大概在15毫米左右。","data": {"WebPage": {"headline": "怀孕45天孕囊大小图片","pcUrl": "https://www.med-credit.org.cn/jingxuan/2/fa557dd9ecb83314ad2e1a3cdc730823.html","wapUrl": "https://www.med-credit.org.cn/jingxuan/2/fa557dd9ecb83314ad2e1a3cdc730823.html","mipUrl": "https://www.med-credit.org.cn/mobile/jingxuan/2/fa557dd9ecb83314ad2e1a3cdc730823.html","fromSrc": "欢乐橙","datePublished": "2023-03-29T10:32:19","domain": "医疗","category": ["医疗权威文章合作"],"description": "对于怀孕45天的女性患者来说,一般情况下在临床上其孕囊大小,大概在15毫米左右。
","extra_headline": [""]},"Author": {"name": "种轶文","wapUrl": "https://www.med-credit.org.cn/doctor/575","pcUrl": "https://www.med-credit.org.cn/doctor/575","jobTitle": "副主任医师","headPortrait": "https://www.med-credit.org.cn/uploadfile/member/575/180x180.jpeg","id": "575","description": "种轶文,北京大学第三医院妇产科副主任医师","memberOf": {"legalName": "北京大学第三医院","department": "妇产科","organizationLevel": "三级甲等"}},"Article": {"summaryContent": "对于怀孕45天的女性患者来说,一般情况下在临床上其孕囊大小,大概在15毫米左右。

怀孕45天的女性患者,孕囊基本在15毫米左右,这个时候有可能会看到胎儿的胎心搏动,以及胎儿的头部、脑部和各个器官,比如神经、消化、呼吸器官都开始进行逐渐分化。
超声波检查可以比较准确的显示孕囊的大小,其次还可以检测到胎儿的心跳。另外也有一些女性患者,可能由于情绪紧张,或者其他原因从而导致排卵期错后、月经推迟,这些因素会导致孕妇孕囊偏小的情况,如果在这种情况下,依然能够听到胎心看到胎囊的话,是可以继续妊娠的。
但是如果停经时间超过60天,另外也听不到胎心,看不见胎囊的话,建议患者要去医院做相关检查。
","articleBody": "对于怀孕45天的女性患者来说,一般情况下在临床上其孕囊大小,大概在15毫米左右。

怀孕45天的女性患者,孕囊基本在15毫米左右,这个时候有可能会看到胎儿的胎心搏动,以及胎儿的头部、脑部和各个器官,比如神经、消化、呼吸器官都开始进行逐渐分化。
超声波检查可以比较准确的显示孕囊的大小,其次还可以检测到胎儿的心跳。另外也有一些女性患者,可能由于情绪紧张,或者其他原因从而导致排卵期错后、月经推迟,这些因素会导致孕妇孕囊偏小的情况,如果在这种情况下,依然能够听到胎心看到胎囊的话,是可以继续妊娠的。
但是如果停经时间超过60天,另外也听不到胎心,看不见胎囊的话,建议患者要去医院做相关检查。
","scanCount": 55780}}} {"@context": "https://ziyuan.baidu.com/contexts/cambrian.jsonld","appid": "1650708455561748","icon": "https://www.med-credit.org.cn/style/images/ttlogo.png","content_tag": ["atlas"],"is_mcn": {"thumb_id": "v2rm41u3"},"accid": "4886d626a2804dee5f11168793ce361672f39c25","@id": "https://www.med-credit.org.cn/mobile/jingxuan/2/70b4e8d2acaa4acb99ee573c2d606ab1.html","bagWordId": "534fc546b17d2330","title": "胎儿在子宫里的图片","pubDate": "2023-03-29T10:32:19","upDate": "2023-03-29T10:32:19","lrDate": "2023-03-29T10:32:19","description": "胎儿在子宫里主要有头位、臀位、横位这3种姿势。","data": {"WebPage": {"headline": "胎儿在子宫里的图片","pcUrl": "https://www.med-credit.org.cn/jingxuan/2/70b4e8d2acaa4acb99ee573c2d606ab1.html","wapUrl": "https://www.med-credit.org.cn/jingxuan/2/70b4e8d2acaa4acb99ee573c2d606ab1.html","mipUrl": "https://www.med-credit.org.cn/mobile/jingxuan/2/70b4e8d2acaa4acb99ee573c2d606ab1.html","fromSrc": "欢乐橙","datePublished": "2023-03-29T10:32:19","domain": "医疗","category": ["医疗权威文章合作"],"description": "胎儿在子宫里主要有头位、臀位、横位这3种姿势。
","extra_headline": [""]},"Author": {"name": "种轶文","wapUrl": "https://www.med-credit.org.cn/doctor/575","pcUrl": "https://www.med-credit.org.cn/doctor/575","jobTitle": "副主任医师","headPortrait": "https://www.med-credit.org.cn/uploadfile/member/575/180x180.jpeg","id": "575","description": "种轶文,北京大学第三医院妇产科副主任医师","memberOf": {"legalName": "北京大学第三医院","department": "妇产科","organizationLevel": "三级甲等"}},"Article": {"summaryContent": "胎儿在子宫里主要有头位、臀位、横位这3种姿势。
头位为正常胎位,一般无需担心;若胎儿在子宫中为臀位,孕妇可采用膝胸卧位进行矫正;若为横位,也可采用膝胸卧位进行矫正,若胎位没有改变,可在生产时选择剖宫手术进行分娩。

1.头位:即胎儿头朝下,为正常胎位。一般胎儿生长至28周及分娩时,大部分为头朝下姿势,也是正常的“胎儿姿势”。该种胎位分娩一般较为顺利,患者不需要过分担心。
2.臀位:即头朝上,屁股朝下,是胎位不正的一种表现。如在妊娠30周以前出现,患者不需要过分担心,由于胎儿较小,在宫内活动时是可以自行转过来的;如果孕30周后仍然为臀位,一般建议采用膝胸卧位进行矫正,每天2~3次,每次大概15分钟,可以在一定程度上促进胎儿臀部离开骨盆,纠正胎位。

3.横位:即胎儿横在子宫里面。与臀位一样,均不利于孕妇分娩。一般建议采用膝胸卧位进行矫正,定期B超复查,如果胎位没有改变,自然分娩的可能性较小,建议患者在医生指导下进行剖宫手术分娩。
","articleBody": "胎儿在子宫里主要有头位、臀位、横位这3种姿势。
头位为正常胎位,一般无需担心;若胎儿在子宫中为臀位,孕妇可采用膝胸卧位进行矫正;若为横位,也可采用膝胸卧位进行矫正,若胎位没有改变,可在生产时选择剖宫手术进行分娩。

1.头位:即胎儿头朝下,为正常胎位。一般胎儿生长至28周及分娩时,大部分为头朝下姿势,也是正常的“胎儿姿势”。该种胎位分娩一般较为顺利,患者不需要过分担心。
2.臀位:即头朝上,屁股朝下,是胎位不正的一种表现。如在妊娠30周以前出现,患者不需要过分担心,由于胎儿较小,在宫内活动时是可以自行转过来的;如果孕30周后仍然为臀位,一般建议采用膝胸卧位进行矫正,每天2~3次,每次大概15分钟,可以在一定程度上促进胎儿臀部离开骨盆,纠正胎位。

3.横位:即胎儿横在子宫里面。与臀位一样,均不利于孕妇分娩。一般建议采用膝胸卧位进行矫正,定期B超复查,如果胎位没有改变,自然分娩的可能性较小,建议患者在医生指导下进行剖宫手术分娩。
","scanCount": 55779}}} {"@context": "https://ziyuan.baidu.com/contexts/cambrian.jsonld","appid": "1650708455561748","icon": "https://www.med-credit.org.cn/style/images/ttlogo.png","content_tag": ["atlas"],"is_mcn": {"thumb_id": "v2rm41u3"},"accid": "4886d626a2804dee5f11168793ce361672f39c25","@id": "https://www.med-credit.org.cn/mobile/jingxuan/2/f114d0d1abe556b5dea20a7b7d83d62d.html","bagWordId": "75d18e64298e9019","title": "怀孕两个月小腹的图片","pubDate": "2023-03-29T10:32:19","upDate": "2023-03-29T10:32:19","lrDate": "2023-03-29T10:32:19","description": "正常情况下,怀孕两个月时,小腹部是没有明显的变化的,并不会有明显的凸起表现。","data": {"WebPage": {"headline": "怀孕两个月小腹的图片","pcUrl": "https://www.med-credit.org.cn/jingxuan/2/f114d0d1abe556b5dea20a7b7d83d62d.html","wapUrl": "https://www.med-credit.org.cn/jingxuan/2/f114d0d1abe556b5dea20a7b7d83d62d.html","mipUrl": "https://www.med-credit.org.cn/mobile/jingxuan/2/f114d0d1abe556b5dea20a7b7d83d62d.html","fromSrc": "欢乐橙","datePublished": "2023-03-29T10:32:19","domain": "医疗","category": ["医疗权威文章合作"],"description": "正常情况下,怀孕两个月时,小腹部是没有明显的变化的,并不会有明显的凸起表现。
","extra_headline": ["怀孕两个月小腹的"]},"Author": {"name": "种轶文","wapUrl": "https://www.med-credit.org.cn/doctor/575","pcUrl": "https://www.med-credit.org.cn/doctor/575","jobTitle": "副主任医师","headPortrait": "https://www.med-credit.org.cn/uploadfile/member/575/180x180.jpeg","id": "575","description": "种轶文,北京大学第三医院妇产科副主任医师","memberOf": {"legalName": "北京大学第三医院","department": "妇产科","organizationLevel": "三级甲等"}},"Article": {"summaryContent": "正常情况下,怀孕两个月时,小腹部是没有明显的变化的,并不会有明显的凸起表现。

正常怀孕时,在孕早期一两个月时,胚胎可能只有零点几厘米到一两厘米大小,所以说子宫不会有明显的增大,小腹部也不会有明显的凸起。
但是如果在怀孕早期,两个月时发现小腹部凸起,可能是由于怀孕早期营养过剩所导致的脂肪堆积,这个时候要尤其注意,怀孕期间可加强营养,但不能营养过剩,这对胎儿也是不好的。
在孕早期一两个月时,小腹部没有明显的凸起,但是孕妇可有其他一些早孕反应,比如恶心,呕吐,厌食,乳房胀痛等,是由于怀孕期间雌孕激素分泌增加所引起的胃肠道功能紊乱。
此外在怀孕早期一定要注意补充叶酸,加强营养,可吃一些坚果,水果,维生素,也可以做适量的运动,但不可做过量运动,避免劳累,注意保持心情愉快。
","articleBody": "正常情况下,怀孕两个月时,小腹部是没有明显的变化的,并不会有明显的凸起表现。

正常怀孕时,在孕早期一两个月时,胚胎可能只有零点几厘米到一两厘米大小,所以说子宫不会有明显的增大,小腹部也不会有明显的凸起。
但是如果在怀孕早期,两个月时发现小腹部凸起,可能是由于怀孕早期营养过剩所导致的脂肪堆积,这个时候要尤其注意,怀孕期间可加强营养,但不能营养过剩,这对胎儿也是不好的。
在孕早期一两个月时,小腹部没有明显的凸起,但是孕妇可有其他一些早孕反应,比如恶心,呕吐,厌食,乳房胀痛等,是由于怀孕期间雌孕激素分泌增加所引起的胃肠道功能紊乱。
此外在怀孕早期一定要注意补充叶酸,加强营养,可吃一些坚果,水果,维生素,也可以做适量的运动,但不可做过量运动,避免劳累,注意保持心情愉快。
","scanCount": 55778}}} {"@context": "https://ziyuan.baidu.com/contexts/cambrian.jsonld","appid": "1650708455561748","icon": "https://www.med-credit.org.cn/style/images/ttlogo.png","content_tag": ["atlas"],"is_mcn": {"thumb_id": "v2rm41u3"},"accid": "4886d626a2804dee5f11168793ce361672f39c25","@id": "https://www.med-credit.org.cn/mobile/jingxuan/2/e7c6e1718ba3124f5d405555fc443457.html","bagWordId": "b294143c3ac3d145","title": "孕十一周真实肚子图片","pubDate": "2023-03-29T10:32:19","upDate": "2023-03-29T10:32:19","lrDate": "2023-03-29T10:32:19","description": "孕11周真实腹部大小不能一概而论,与孕妇个体差异、多胎或单胎有关。","data": {"WebPage": {"headline": "孕十一周真实肚子图片","pcUrl": "https://www.med-credit.org.cn/jingxuan/2/e7c6e1718ba3124f5d405555fc443457.html","wapUrl": "https://www.med-credit.org.cn/jingxuan/2/e7c6e1718ba3124f5d405555fc443457.html","mipUrl": "https://www.med-credit.org.cn/mobile/jingxuan/2/e7c6e1718ba3124f5d405555fc443457.html","fromSrc": "欢乐橙","datePublished": "2023-03-29T10:32:19","domain": "医疗","category": ["医疗权威文章合作"],"description": "孕11周真实腹部大小不能一概而论,与孕妇个体差异、多胎或单胎有关。
","extra_headline": ["孕十一周真实肚子"]},"Author": {"name": "种轶文","wapUrl": "https://www.med-credit.org.cn/doctor/575","pcUrl": "https://www.med-credit.org.cn/doctor/575","jobTitle": "副主任医师","headPortrait": "https://www.med-credit.org.cn/uploadfile/member/575/180x180.jpeg","id": "575","description": "种轶文,北京大学第三医院妇产科副主任医师","memberOf": {"legalName": "北京大学第三医院","department": "妇产科","organizationLevel": "三级甲等"}},"Article": {"summaryContent": "孕11周真实腹部大小不能一概而论,与孕妇个体差异、多胎或单胎有关。

1、个体差异:不同的孕妇起个体差异不同,就孕妇本身来说,有些孕妇本身腹部脂肪层较厚,孕11周变化并不明显,部分孕妇孕前腹部脂肪层较薄可能会有细微差异。可进行B超或彩超检查,会发现子宫明显增大。
2、多胎:多胎孕妇孕十一周子宫大小明显比单胎孕妇要大具体情况需要看胎儿数量以及胎儿的发育状况确定,一般来说会超出盆腔范围,腹部变化明显。多胎孕妇应及时进行腹部B超检查,密切注意胎儿发育情况,确保胎儿健康发育。
3、单胎:单胎孕妇孕11周子宫大小与成年人拳头大小相似,位于盆腔内,腹部无明显变化。
综上所述,孕11周孕妇真实腹部大小不能一概而论需要根据临床情况确定,普遍单胎孕妇11周腹部变化并不明显。
","articleBody": "孕11周真实腹部大小不能一概而论,与孕妇个体差异、多胎或单胎有关。

1、个体差异:不同的孕妇起个体差异不同,就孕妇本身来说,有些孕妇本身腹部脂肪层较厚,孕11周变化并不明显,部分孕妇孕前腹部脂肪层较薄可能会有细微差异。可进行B超或彩超检查,会发现子宫明显增大。
2、多胎:多胎孕妇孕十一周子宫大小明显比单胎孕妇要大具体情况需要看胎儿数量以及胎儿的发育状况确定,一般来说会超出盆腔范围,腹部变化明显。多胎孕妇应及时进行腹部B超检查,密切注意胎儿发育情况,确保胎儿健康发育。
3、单胎:单胎孕妇孕11周子宫大小与成年人拳头大小相似,位于盆腔内,腹部无明显变化。
综上所述,孕11周孕妇真实腹部大小不能一概而论需要根据临床情况确定,普遍单胎孕妇11周腹部变化并不明显。
","scanCount": 55776}}} {"@context": "https://ziyuan.baidu.com/contexts/cambrian.jsonld","appid": "1650708455561748","icon": "https://www.med-credit.org.cn/style/images/ttlogo.png","content_tag": ["atlas"],"is_mcn": {"thumb_id": "v2rm41u3"},"accid": "4886d626a2804dee5f11168793ce361672f39c25","@id": "https://www.med-credit.org.cn/mobile/jingxuan/2/cedc58a4542f82aa2ec2654cd71eb441.html","bagWordId": "c123b18fa073efcf","title": "孕50天褐色分泌物图片","pubDate": "2023-03-29T10:32:19","upDate": "2023-03-29T10:32:19","lrDate": "2023-03-29T10:32:19","description": "孕50天阴道有褐色分泌物说明阴道存在出血的情况,孕50天阴道出血常见于先兆流产、宫外孕、绒毛膜癌等情况。","data": {"WebPage": {"headline": "孕50天褐色分泌物图片","pcUrl": "https://www.med-credit.org.cn/jingxuan/2/cedc58a4542f82aa2ec2654cd71eb441.html","wapUrl": "https://www.med-credit.org.cn/jingxuan/2/cedc58a4542f82aa2ec2654cd71eb441.html","mipUrl": "https://www.med-credit.org.cn/mobile/jingxuan/2/cedc58a4542f82aa2ec2654cd71eb441.html","fromSrc": "欢乐橙","datePublished": "2023-03-29T10:32:19","domain": "医疗","category": ["医疗权威文章合作"],"description": "孕50天阴道有褐色分泌物说明阴道存在出血的情况,孕50天阴道出血常见于先兆流产、宫外孕、绒毛膜癌等情况。
","extra_headline": [""]},"Author": {"name": "种轶文","wapUrl": "https://www.med-credit.org.cn/doctor/575","pcUrl": "https://www.med-credit.org.cn/doctor/575","jobTitle": "副主任医师","headPortrait": "https://www.med-credit.org.cn/uploadfile/member/575/180x180.jpeg","id": "575","description": "种轶文,北京大学第三医院妇产科副主任医师","memberOf": {"legalName": "北京大学第三医院","department": "妇产科","organizationLevel": "三级甲等"}},"Article": {"summaryContent": "孕50天阴道有褐色分泌物说明阴道存在出血的情况,孕50天阴道出血常见于先兆流产、宫外孕、绒毛膜癌等情况。
孕50天阴道有褐色分泌物需前往医院寻求诊治,明确病因,确定诊疗方案。

1.先兆流产:先兆流产最常见的表现为阴道不规则出血,或可伴有下腹痛。先兆流产多与孕妇内分泌异常、胚胎染色体异常、免疫功能紊乱等因素有关。一般可遵医嘱使用地屈孕酮等孕激素药物进行保胎治疗,如果治疗后症状加重,则考虑为难免性流产,须终止妊娠。
2.宫外孕:宫外孕早期表现与先兆流产类似,仅有阴道出血、下腹痛等症状,晚期胚胎着床部位破裂可引起大出血危及孕妇生命。任何能引起输卵管结构异常的因素都有一定几率引起受精卵异位着床,从而导致宫外孕的产生。宫外孕一经诊断,须积极治疗,避免病情发展引起大出血。
3.绒毛膜癌:绒毛膜癌主要表现为阴道异常出血,重症患者可出现肝、脑、肺等器官的远处转移现象。该病目前病因尚不明确且发病率较低。目前在治疗上以化疗为主,再辅以手术切除治疗。
除了上述相对常见的原因外,还有其他的可能性疾病,比如宫颈炎。建议患者出现这种症状后,及时去医院就诊,查明病因后,予以针对性治疗。
","articleBody": "孕50天阴道有褐色分泌物说明阴道存在出血的情况,孕50天阴道出血常见于先兆流产、宫外孕、绒毛膜癌等情况。
孕50天阴道有褐色分泌物需前往医院寻求诊治,明确病因,确定诊疗方案。

1.先兆流产:先兆流产最常见的表现为阴道不规则出血,或可伴有下腹痛。先兆流产多与孕妇内分泌异常、胚胎染色体异常、免疫功能紊乱等因素有关。一般可遵医嘱使用地屈孕酮等孕激素药物进行保胎治疗,如果治疗后症状加重,则考虑为难免性流产,须终止妊娠。
2.宫外孕:宫外孕早期表现与先兆流产类似,仅有阴道出血、下腹痛等症状,晚期胚胎着床部位破裂可引起大出血危及孕妇生命。任何能引起输卵管结构异常的因素都有一定几率引起受精卵异位着床,从而导致宫外孕的产生。宫外孕一经诊断,须积极治疗,避免病情发展引起大出血。
3.绒毛膜癌:绒毛膜癌主要表现为阴道异常出血,重症患者可出现肝、脑、肺等器官的远处转移现象。该病目前病因尚不明确且发病率较低。目前在治疗上以化疗为主,再辅以手术切除治疗。
除了上述相对常见的原因外,还有其他的可能性疾病,比如宫颈炎。建议患者出现这种症状后,及时去医院就诊,查明病因后,予以针对性治疗。
","scanCount": 55775}}} {"@context": "https://ziyuan.baidu.com/contexts/cambrian.jsonld","appid": "1650708455561748","icon": "https://www.med-credit.org.cn/style/images/ttlogo.png","content_tag": ["atlas"],"is_mcn": {"thumb_id": "v2rm41u3"},"accid": "4886d626a2804dee5f11168793ce361672f39c25","@id": "https://www.med-credit.org.cn/mobile/jingxuan/2/5341e09f0344d65172160f8fa74c84a0.html","bagWordId": "f4adeb6812ed2af7","title": "催产水囊长什么样图片","pubDate": "2023-03-29T10:32:19","upDate": "2023-03-29T10:32:19","lrDate": "2023-03-29T10:32:19","description": "催产水囊是一种塑料弹性囊,催产水囊是将水囊置于产妇宫颈口,在水囊内注入200-300ml的生理盐水,使腹腔内压力升高,产妇通过运动引起宫腔机械性扩张,引起宫缩,加快产程。在水囊取出后再配合催产素使胎儿更早的娩出。","data": {"WebPage": {"headline": "催产水囊长什么样图片","pcUrl": "https://www.med-credit.org.cn/jingxuan/2/5341e09f0344d65172160f8fa74c84a0.html","wapUrl": "https://www.med-credit.org.cn/jingxuan/2/5341e09f0344d65172160f8fa74c84a0.html","mipUrl": "https://www.med-credit.org.cn/mobile/jingxuan/2/5341e09f0344d65172160f8fa74c84a0.html","fromSrc": "欢乐橙","datePublished": "2023-03-29T10:32:19","domain": "医疗","category": ["医疗权威文章合作"],"description": "催产水囊是一种塑料弹性囊,催产水囊是将水囊置于产妇宫颈口,在水囊内注入200-300ml的生理盐水,使腹腔内压力升高,产妇通过运动引起宫腔机械性扩张,引起宫缩,加快产程。在水囊取出后再配合催产素使胎儿更早的娩出。
","extra_headline": [""]},"Author": {"name": "种轶文","wapUrl": "https://www.med-credit.org.cn/doctor/575","pcUrl": "https://www.med-credit.org.cn/doctor/575","jobTitle": "副主任医师","headPortrait": "https://www.med-credit.org.cn/uploadfile/member/575/180x180.jpeg","id": "575","description": "种轶文,北京大学第三医院妇产科副主任医师","memberOf": {"legalName": "北京大学第三医院","department": "妇产科","organizationLevel": "三级甲等"}},"Article": {"summaryContent": "催产水囊是一种塑料弹性囊,催产水囊是将水囊置于产妇宫颈口,在水囊内注入200-300ml的生理盐水,使腹腔内压力升高,产妇通过运动引起宫腔机械性扩张,引起宫缩,加快产程。在水囊取出后再配合催产素使胎儿更早的娩出。
注意催产水囊需要在医生的指导下使用,随时关注孕产妇身体状态。

当孕妇足月生产且选择经阴道分娩的方式,并且没有高血压、心脏病等病史、身体条件良好,可选择使用催产水囊。但是如果有前置胎盘、阴道炎症、胎儿营养不良等情况不建议使用。
催产水囊的使用非常简单,在进行操作时,要严格消毒,一般在孕妇体内大概10个小时。若孕妇在放置水囊后压迫膀胱而出现排尿困难的症状,需要减少水囊中的生理盐水。孕妇在使用催产水囊的过程中若有出血、感染、体温升高等情况应及时处理,同时要密切注意产妇的生命体征,以免发生意外。
","articleBody": "催产水囊是一种塑料弹性囊,催产水囊是将水囊置于产妇宫颈口,在水囊内注入200-300ml的生理盐水,使腹腔内压力升高,产妇通过运动引起宫腔机械性扩张,引起宫缩,加快产程。在水囊取出后再配合催产素使胎儿更早的娩出。
注意催产水囊需要在医生的指导下使用,随时关注孕产妇身体状态。

当孕妇足月生产且选择经阴道分娩的方式,并且没有高血压、心脏病等病史、身体条件良好,可选择使用催产水囊。但是如果有前置胎盘、阴道炎症、胎儿营养不良等情况不建议使用。
催产水囊的使用非常简单,在进行操作时,要严格消毒,一般在孕妇体内大概10个小时。若孕妇在放置水囊后压迫膀胱而出现排尿困难的症状,需要减少水囊中的生理盐水。孕妇在使用催产水囊的过程中若有出血、感染、体温升高等情况应及时处理,同时要密切注意产妇的生命体征,以免发生意外。
","scanCount": 55773}}} {"@context": "https://ziyuan.baidu.com/contexts/cambrian.jsonld","appid": "1650708455561748","icon": "https://www.med-credit.org.cn/style/images/ttlogo.png","content_tag": ["atlas"],"is_mcn": {"thumb_id": "v2rm41u3"},"accid": "4886d626a2804dee5f11168793ce361672f39c25","@id": "https://www.med-credit.org.cn/mobile/jingxuan/2/a6a19d5b1b949924877090d316460f97.html","bagWordId": "cf9f039b7625f19a","title": "怀孕棒怎么样看图片","pubDate": "2023-03-29T10:32:19","upDate": "2023-03-29T10:32:19","lrDate": "2023-03-29T10:32:19","description": "一般来说,验孕棒表现为一条线为尿HCG阴性,表明女性可能未怀孕;表现为一个红色线一个淡红色线为尿HCG弱阳性,表明女性可能怀孕了也可能没怀孕;验孕棒表现为两条红线为尿HCG强阳性,一般表明女性可能已经怀孕。","data": {"WebPage": {"headline": "怀孕棒怎么样看图片","pcUrl": "https://www.med-credit.org.cn/jingxuan/2/a6a19d5b1b949924877090d316460f97.html","wapUrl": "https://www.med-credit.org.cn/jingxuan/2/a6a19d5b1b949924877090d316460f97.html","mipUrl": "https://www.med-credit.org.cn/mobile/jingxuan/2/a6a19d5b1b949924877090d316460f97.html","fromSrc": "欢乐橙","datePublished": "2023-03-29T10:32:19","domain": "医疗","category": ["医疗权威文章合作"],"description": "一般来说,验孕棒表现为一条线为尿HCG阴性,表明女性可能未怀孕;表现为一个红色线一个淡红色线为尿HCG弱阳性,表明女性可能怀孕了也可能没怀孕;验孕棒表现为两条红线为尿HCG强阳性,一般表明女性可能已经怀孕。
","extra_headline": [""]},"Author": {"name": "种轶文","wapUrl": "https://www.med-credit.org.cn/doctor/575","pcUrl": "https://www.med-credit.org.cn/doctor/575","jobTitle": "副主任医师","headPortrait": "https://www.med-credit.org.cn/uploadfile/member/575/180x180.jpeg","id": "575","description": "种轶文,北京大学第三医院妇产科副主任医师","memberOf": {"legalName": "北京大学第三医院","department": "妇产科","organizationLevel": "三级甲等"}},"Article": {"summaryContent": "一般来说,验孕棒表现为一条线为尿HCG阴性,表明女性可能未怀孕;表现为一个红色线一个淡红色线为尿HCG弱阳性,表明女性可能怀孕了也可能没怀孕;验孕棒表现为两条红线为尿HCG强阳性,一般表明女性可能已经怀孕。
验孕棒的作用机理主要是通过检测女性尿液中人绒毛膜促性腺激素,也就是尿HCG是否呈现阳性来确定女性是否怀孕。

1、尿HCG阴性:一般来说,验孕棒表现为一条线时,即表明尿HCG阴性,代表女性没有怀孕。但是也有可能是怀孕时间太短,尿HCG含量过低,可以过一周再测一次。

2、尿HCG弱阳性:如果验孕棒表现为一个红色线一个淡红色线,即表明尿HCG弱阳性,代表女性可能怀孕的时间较短,也可能没有怀孕,可以选择再次测试,也可以选择过几天再测或者去医院进一步确定。

3、尿HCG强阳性:如果验孕棒表现为两条红线,即尿HCG强阳性,代表女性有很大的可能怀孕了,此时可以再测一次确定,也可以去医院做进一步检查确定。此外要注意的是,为了尽可能保证结果的准确性,在测试时,一定要按照说明书的步骤进行测试。
","articleBody": "一般来说,验孕棒表现为一条线为尿HCG阴性,表明女性可能未怀孕;表现为一个红色线一个淡红色线为尿HCG弱阳性,表明女性可能怀孕了也可能没怀孕;验孕棒表现为两条红线为尿HCG强阳性,一般表明女性可能已经怀孕。
验孕棒的作用机理主要是通过检测女性尿液中人绒毛膜促性腺激素,也就是尿HCG是否呈现阳性来确定女性是否怀孕。

1、尿HCG阴性:一般来说,验孕棒表现为一条线时,即表明尿HCG阴性,代表女性没有怀孕。但是也有可能是怀孕时间太短,尿HCG含量过低,可以过一周再测一次。

2、尿HCG弱阳性:如果验孕棒表现为一个红色线一个淡红色线,即表明尿HCG弱阳性,代表女性可能怀孕的时间较短,也可能没有怀孕,可以选择再次测试,也可以选择过几天再测或者去医院进一步确定。

3、尿HCG强阳性:如果验孕棒表现为两条红线,即尿HCG强阳性,代表女性有很大的可能怀孕了,此时可以再测一次确定,也可以去医院做进一步检查确定。此外要注意的是,为了尽可能保证结果的准确性,在测试时,一定要按照说明书的步骤进行测试。
","scanCount": 55772}}} {"@context": "https://ziyuan.baidu.com/contexts/cambrian.jsonld","appid": "1650708455561748","icon": "https://www.med-credit.org.cn/style/images/ttlogo.png","content_tag": ["atlas"],"is_mcn": {"thumb_id": "v2rm41u3"},"accid": "4886d626a2804dee5f11168793ce361672f39c25","@id": "https://www.med-credit.org.cn/mobile/jingxuan/2/66884dae68856993393813125e2c06bd.html","bagWordId": "c287b158efd1f40a","title": "怀孕肚子哪里最先鼓起来图片","pubDate": "2023-03-29T10:32:19","upDate": "2023-03-29T10:32:19","lrDate": "2023-03-29T10:32:19","description": "女性在怀孕时,下腹是最先鼓起来的部位,随着怀孕孕周逐渐增大,可逐渐由下腹部到盆腔到中腹部到上腹部。","data": {"WebPage": {"headline": "怀孕肚子哪里最先鼓起来图片","pcUrl": "https://www.med-credit.org.cn/jingxuan/2/66884dae68856993393813125e2c06bd.html","wapUrl": "https://www.med-credit.org.cn/jingxuan/2/66884dae68856993393813125e2c06bd.html","mipUrl": "https://www.med-credit.org.cn/mobile/jingxuan/2/66884dae68856993393813125e2c06bd.html","fromSrc": "欢乐橙","datePublished": "2023-03-29T10:32:19","domain": "医疗","category": ["医疗权威文章合作"],"description": "女性在怀孕时,下腹是最先鼓起来的部位,随着怀孕孕周逐渐增大,可逐渐由下腹部到盆腔到中腹部到上腹部。
","extra_headline": [""]},"Author": {"name": "种轶文","wapUrl": "https://www.med-credit.org.cn/doctor/575","pcUrl": "https://www.med-credit.org.cn/doctor/575","jobTitle": "副主任医师","headPortrait": "https://www.med-credit.org.cn/uploadfile/member/575/180x180.jpeg","id": "575","description": "种轶文,北京大学第三医院妇产科副主任医师","memberOf": {"legalName": "北京大学第三医院","department": "妇产科","organizationLevel": "三级甲等"}},"Article": {"summaryContent": "女性在怀孕时,下腹是最先鼓起来的部位,随着怀孕孕周逐渐增大,可逐渐由下腹部到盆腔到中腹部到上腹部。
怀孕期间孕妇有一定的妊娠反应,以及孕妇在怀孕期间需注意饮食、运动等。

怀孕早期,从精子与卵子结合,受精卵从输卵管转移到子宫内部进行着床,之后可能正常生长发育,在这个过程中,由于子宫位于下腹部,所以下腹部是最先鼓起来的。
一般情况下,到怀孕四五个月时才能明显的观察到腹部增大,这是由于子宫随着胎儿的发育,子宫逐渐增大,由盆腔扩展到腹腔,这个时候可以观察到腹部增大。五个月时子宫底可达到脐部左右,至中腹部,腹部增大明显,之后随着月份越来越大,腹部也越来越大,在生产前期可能达到胃部水平,至上腹部。
在整个怀孕过程中,女性的腹部逐渐增大,可能会产生多种孕期反应,比如恶心,呕吐,厌食,乳房胀痛等,所以在怀孕期间一定要保持心情愉快,可以做适量活动,但不能过度劳累,同时也要加强营养,可以吃一些水果,坚果,蛋类等食物。
","articleBody": "女性在怀孕时,下腹是最先鼓起来的部位,随着怀孕孕周逐渐增大,可逐渐由下腹部到盆腔到中腹部到上腹部。
怀孕期间孕妇有一定的妊娠反应,以及孕妇在怀孕期间需注意饮食、运动等。

怀孕早期,从精子与卵子结合,受精卵从输卵管转移到子宫内部进行着床,之后可能正常生长发育,在这个过程中,由于子宫位于下腹部,所以下腹部是最先鼓起来的。
一般情况下,到怀孕四五个月时才能明显的观察到腹部增大,这是由于子宫随着胎儿的发育,子宫逐渐增大,由盆腔扩展到腹腔,这个时候可以观察到腹部增大。五个月时子宫底可达到脐部左右,至中腹部,腹部增大明显,之后随着月份越来越大,腹部也越来越大,在生产前期可能达到胃部水平,至上腹部。
在整个怀孕过程中,女性的腹部逐渐增大,可能会产生多种孕期反应,比如恶心,呕吐,厌食,乳房胀痛等,所以在怀孕期间一定要保持心情愉快,可以做适量活动,但不能过度劳累,同时也要加强营养,可以吃一些水果,坚果,蛋类等食物。
","scanCount": 55771}}} {"@context": "https://ziyuan.baidu.com/contexts/cambrian.jsonld","appid": "1650708455561748","icon": "https://www.med-credit.org.cn/style/images/ttlogo.png","content_tag": ["atlas"],"is_mcn": {"thumb_id": "v2rm41u3"},"accid": "4886d626a2804dee5f11168793ce361672f39c25","@id": "https://www.med-credit.org.cn/mobile/jingxuan/2/2a86ae763a395389fde3c46228dad68b.html","bagWordId": "1bd2ce6d1a8e5d64","title": "孕早期出血伴有血凝块图片","pubDate": "2023-03-29T10:32:19","upDate": "2023-03-29T10:32:19","lrDate": "2023-03-29T10:32:19","description": "孕早期出血伴有血凝块,应当引起重视。","data": {"WebPage": {"headline": "孕早期出血伴有血凝块图片","pcUrl": "https://www.med-credit.org.cn/jingxuan/2/2a86ae763a395389fde3c46228dad68b.html","wapUrl": "https://www.med-credit.org.cn/jingxuan/2/2a86ae763a395389fde3c46228dad68b.html","mipUrl": "https://www.med-credit.org.cn/mobile/jingxuan/2/2a86ae763a395389fde3c46228dad68b.html","fromSrc": "欢乐橙","datePublished": "2023-03-29T10:32:19","domain": "医疗","category": ["医疗权威文章合作"],"description": "孕早期出血伴有血凝块,应当引起重视。
","extra_headline": ["孕早期出血伴有血凝块"]},"Author": {"name": "种轶文","wapUrl": "https://www.med-credit.org.cn/doctor/575","pcUrl": "https://www.med-credit.org.cn/doctor/575","jobTitle": "副主任医师","headPortrait": "https://www.med-credit.org.cn/uploadfile/member/575/180x180.jpeg","id": "575","description": "种轶文,北京大学第三医院妇产科副主任医师","memberOf": {"legalName": "北京大学第三医院","department": "妇产科","organizationLevel": "三级甲等"}},"Article": {"summaryContent": "孕早期出血伴有血凝块,应当引起重视。可能是先兆流产或异位妊娠的表现。

1、先兆流产:先兆流产一般表现为为妊娠28周内出现阴道流血以及下腹痛,多数患者在经过治疗和休息后症状消失,可以继续妊娠,但如果出现阴道流血量增多或下腹疼痛加剧的症状,则可能发展成难免流产。先兆流产多与染色体异常、子宫畸形、内分泌异常、环境等因素有关。先兆流产的孕妇应注意休息、减少不必要的运动、注意补充营养,有必要可以给予孕激素进行保胎治疗,如果治疗后症状加重,则考虑为难免性流产,需停止妊娠。
2、异位妊娠:一般异位妊娠早期的表现与先兆流产类似,仅表现为阴道流血、下腹痛、停经,晚期可能突然出现阴道大出血危及孕妇生命。异位妊娠多于输卵管病变引起受精卵异常着床有关,比如输卵管炎症导致粘连、输卵管发育不良、流产史、异位妊娠史等。一旦确诊为异位妊娠,就应立即开始治疗,避免发展到后期造成阴道破裂大出血危及孕妇生命,常见的治疗方式有输卵管切除术、输卵管造口术、输卵管切开术。孕妇一旦出现阴道流血现象,应立即前往医院就诊,争取尽快治疗,避免病情迁延造成严重后果。
","articleBody": "孕早期出血伴有血凝块,应当引起重视。可能是先兆流产或异位妊娠的表现。

1、先兆流产:先兆流产一般表现为为妊娠28周内出现阴道流血以及下腹痛,多数患者在经过治疗和休息后症状消失,可以继续妊娠,但如果出现阴道流血量增多或下腹疼痛加剧的症状,则可能发展成难免流产。先兆流产多与染色体异常、子宫畸形、内分泌异常、环境等因素有关。先兆流产的孕妇应注意休息、减少不必要的运动、注意补充营养,有必要可以给予孕激素进行保胎治疗,如果治疗后症状加重,则考虑为难免性流产,需停止妊娠。
2、异位妊娠:一般异位妊娠早期的表现与先兆流产类似,仅表现为阴道流血、下腹痛、停经,晚期可能突然出现阴道大出血危及孕妇生命。异位妊娠多于输卵管病变引起受精卵异常着床有关,比如输卵管炎症导致粘连、输卵管发育不良、流产史、异位妊娠史等。一旦确诊为异位妊娠,就应立即开始治疗,避免发展到后期造成阴道破裂大出血危及孕妇生命,常见的治疗方式有输卵管切除术、输卵管造口术、输卵管切开术。孕妇一旦出现阴道流血现象,应立即前往医院就诊,争取尽快治疗,避免病情迁延造成严重后果。
","scanCount": 55770}}} {"@context": "https://ziyuan.baidu.com/contexts/cambrian.jsonld","appid": "1650708455561748","icon": "https://www.med-credit.org.cn/style/images/ttlogo.png","content_tag": ["atlas"],"is_mcn": {"thumb_id": "v2rm41u3"},"accid": "4886d626a2804dee5f11168793ce361672f39c25","@id": "https://www.med-credit.org.cn/mobile/jingxuan/2/c6ee304533d0d509fee072c4d3c3dc78.html","bagWordId": "d4f3e833192012f7","title": "48小时阴性的截图","pubDate": "2023-03-29T10:32:19","upDate": "2023-03-29T10:32:19","lrDate": "2023-03-29T10:32:19","description": "核酸阴性证明分为两种,一种是含有医院公章的检验报告单(有电子版和纸质版)。","data": {"WebPage": {"headline": "48小时阴性的截图","pcUrl": "https://www.med-credit.org.cn/jingxuan/2/c6ee304533d0d509fee072c4d3c3dc78.html","wapUrl": "https://www.med-credit.org.cn/jingxuan/2/c6ee304533d0d509fee072c4d3c3dc78.html","mipUrl": "https://www.med-credit.org.cn/mobile/jingxuan/2/c6ee304533d0d509fee072c4d3c3dc78.html","fromSrc": "欢乐橙","datePublished": "2023-03-29T10:32:19","domain": "医疗","category": ["医疗权威文章合作"],"description": "核酸阴性证明分为两种,一种是含有医院公章的检验报告单(有电子版和纸质版)。
","extra_headline": ["48小时阴性的截"]},"Author": {"name": "种轶文","wapUrl": "https://www.med-credit.org.cn/doctor/575","pcUrl": "https://www.med-credit.org.cn/doctor/575","jobTitle": "副主任医师","headPortrait": "https://www.med-credit.org.cn/uploadfile/member/575/180x180.jpeg","id": "575","description": "种轶文,北京大学第三医院妇产科副主任医师","memberOf": {"legalName": "北京大学第三医院","department": "妇产科","organizationLevel": "三级甲等"}},"Article": {"summaryContent": "核酸阴性证明分为两种,一种是含有医院公章的检验报告单(有电子版和纸质版),另一种是在小程序(如:粤康码、湖北省健康码、穗康码)上查询到得核酸阴性证明。
1、检验报告单
该检验报告单含有新冠病毒检测结果和医院公章,一般需要去指定公众号下载电子版,也可线下前往医院打印。
2、小程序

(1)本地常用小程序
搜索本地所用的健康码小程序,一般会显示近期核酸阴性记录。
不同地方核酸检测结果上传的小程序不同,请以当地常用小程序为准。
(2)“国家政务服务平台”
微信小程序“国家政务服务平台”一般也可以查询自己最近的一次核酸检测,部分地区核酸检测结果查询可能存在延迟。
不同地区常用小程序不同,数据可能互通,可能不互通。如需要外出,请提前查询好,以防耽误您的行程。
","articleBody": "核酸阴性证明分为两种,一种是含有医院公章的检验报告单(有电子版和纸质版),另一种是在小程序(如:粤康码、湖北省健康码、穗康码)上查询到得核酸阴性证明。
1、检验报告单
该检验报告单含有新冠病毒检测结果和医院公章,一般需要去指定公众号下载电子版,也可线下前往医院打印。
2、小程序

(1)本地常用小程序
搜索本地所用的健康码小程序,一般会显示近期核酸阴性记录。
不同地方核酸检测结果上传的小程序不同,请以当地常用小程序为准。
(2)“国家政务服务平台”
微信小程序“国家政务服务平台”一般也可以查询自己最近的一次核酸检测,部分地区核酸检测结果查询可能存在延迟。
不同地区常用小程序不同,数据可能互通,可能不互通。如需要外出,请提前查询好,以防耽误您的行程。
","scanCount": 55769}}} {"@context": "https://ziyuan.baidu.com/contexts/cambrian.jsonld","appid": "1650708455561748","icon": "https://www.med-credit.org.cn/style/images/ttlogo.png","content_tag": ["atlas"],"is_mcn": {"thumb_id": "tznru43s"},"accid": "4886d626a2804dee5f11168793ce361672f39c25","@id": "https://www.med-credit.org.cn/mobile/jingxuan/2/d7e4e07978b20689394e60c485c71d6e.html","bagWordId": "783_1598581058570293248","title": "跖疣疣体是什么样子","pubDate": "2023-03-16T16:40:46","upDate": "2023-03-16T16:40:46","lrDate": "2023-03-16T16:40:46","description": "跖疣疣体是由人乳头瘤病毒(HPV)感染引起的足跖部皮肤良性增生物,好发于足部受挤压处。","data": {"WebPage": {"headline": "跖疣疣体是什么样子","pcUrl": "https://www.med-credit.org.cn/jingxuan/2/d7e4e07978b20689394e60c485c71d6e.html","wapUrl": "https://www.med-credit.org.cn/jingxuan/2/d7e4e07978b20689394e60c485c71d6e.html","mipUrl": "https://www.med-credit.org.cn/mobile/jingxuan/2/d7e4e07978b20689394e60c485c71d6e.html","fromSrc": "欢乐橙","datePublished": "2023-03-16T16:40:46","domain": "医疗","category": ["医疗权威文章合作"],"description": "跖疣疣体是由人乳头瘤病毒(HPV)感染引起的足跖部皮肤良性增生物,好发于足部受挤压处。
","extra_headline": [""]},"Author": {"name": "张岚","wapUrl": "https://www.med-credit.org.cn/doctor/556","pcUrl": "https://www.med-credit.org.cn/doctor/556","jobTitle": "副主任医师","headPortrait": "https://www.med-credit.org.cn/uploadfile/member/556/180x180.jpeg","id": "556","description": "张岚,中国医科大学附属第一医院皮肤病与性病科副主任医师","memberOf": {"legalName": "中国医科大学附属第一医院","department": "皮肤科","organizationLevel": "三级甲等"}},"Article": {"summaryContent": "跖疣疣体是由人乳头瘤病毒(HPV)感染引起的足跖部皮肤良性增生物,好发于足部受挤压处。
皮损处可见角质增生以及周围角质环。临床常使用物理疗法进行治疗。
1.好发部位:跖疣易发于足部的受挤压处,如足跟部、跖骨头或是跖间受压处,也可发于足底跖掌部。

2.症状:跖疣是人乳头瘤病毒感染所引起,表现为皮损处的圆形乳头状角质增生,感染的皮损周围被增厚的角质环包围,处理掉表面的角质层可见皮损下方出现疏松的角质化软芯,以及周围毛细血管破裂而渗透出的凝固而成的黑色小点。一般跖疣只含有一个角质软芯,如果含有多个则称之为镶嵌疣。跖疣可在正常行走或跑步时表现出疼痛感,疼痛感可剧烈可轻微,也有部分患者不表现出任何疼痛感。
临床一般采用物理疗法治疗,如冷冻疗法、电灼疗法、激光治疗等等,也可使用针灸治疗。但当患者出现严重不适感时请及时前往医院就诊。
","articleBody": "跖疣疣体是由人乳头瘤病毒(HPV)感染引起的足跖部皮肤良性增生物,好发于足部受挤压处。
皮损处可见角质增生以及周围角质环。临床常使用物理疗法进行治疗。
1.好发部位:跖疣易发于足部的受挤压处,如足跟部、跖骨头或是跖间受压处,也可发于足底跖掌部。

2.症状:跖疣是人乳头瘤病毒感染所引起,表现为皮损处的圆形乳头状角质增生,感染的皮损周围被增厚的角质环包围,处理掉表面的角质层可见皮损下方出现疏松的角质化软芯,以及周围毛细血管破裂而渗透出的凝固而成的黑色小点。一般跖疣只含有一个角质软芯,如果含有多个则称之为镶嵌疣。跖疣可在正常行走或跑步时表现出疼痛感,疼痛感可剧烈可轻微,也有部分患者不表现出任何疼痛感。
临床一般采用物理疗法治疗,如冷冻疗法、电灼疗法、激光治疗等等,也可使用针灸治疗。但当患者出现严重不适感时请及时前往医院就诊。
","scanCount": 32854}}} {"@context": "https://ziyuan.baidu.com/contexts/cambrian.jsonld","appid": "1650708455561748","icon": "https://www.med-credit.org.cn/style/images/ttlogo.png","content_tag": ["atlas"],"is_mcn": {"thumb_id": "tznru43s"},"accid": "4886d626a2804dee5f11168793ce361672f39c25","@id": "https://www.med-credit.org.cn/mobile/jingxuan/2/d2862f0343f72c1fc1cecf765f12341e.html","bagWordId": "783_1598581058624819200","title": "皮肤红肿中间白色脓点图片","pubDate": "2023-03-16T16:40:46","upDate": "2023-03-16T16:40:46","lrDate": "2023-03-16T16:40:46","description": "皮肤红肿中间白色脓点常见于金黄色葡萄球菌感染,常表现为单个或多发的中间白周围红的丘疹,可大可小,在按压时可有轻微疼痛感。","data": {"WebPage": {"headline": "皮肤红肿中间白色脓点图片","pcUrl": "https://www.med-credit.org.cn/jingxuan/2/d2862f0343f72c1fc1cecf765f12341e.html","wapUrl": "https://www.med-credit.org.cn/jingxuan/2/d2862f0343f72c1fc1cecf765f12341e.html","mipUrl": "https://www.med-credit.org.cn/mobile/jingxuan/2/d2862f0343f72c1fc1cecf765f12341e.html","fromSrc": "欢乐橙","datePublished": "2023-03-16T16:40:46","domain": "医疗","category": ["医疗权威文章合作"],"description": "皮肤红肿中间白色脓点常见于金黄色葡萄球菌感染,常表现为单个或多发的中间白周围红的丘疹,可大可小,在按压时可有轻微疼痛感。
","extra_headline": [""]},"Author": {"name": "张岚","wapUrl": "https://www.med-credit.org.cn/doctor/556","pcUrl": "https://www.med-credit.org.cn/doctor/556","jobTitle": "副主任医师","headPortrait": "https://www.med-credit.org.cn/uploadfile/member/556/180x180.jpeg","id": "556","description": "张岚,中国医科大学附属第一医院皮肤病与性病科副主任医师","memberOf": {"legalName": "中国医科大学附属第一医院","department": "皮肤科","organizationLevel": "三级甲等"}},"Article": {"summaryContent": "皮肤红肿中间白色脓点常见于金黄色葡萄球菌感染,常表现为单个或多发的中间白周围红的丘疹,可大可小,在按压时可有轻微疼痛感。
临床上常采用保守治疗,如果感染灶较大可将脓液抽出,同时遵医嘱涂抹红霉素软膏。

1.单发性:金黄色葡萄球菌感染形成的红疹与脓点常常单发,几乎不连成片发作,具有一定的自限性,但如果挤压脓点与红疹可能造成感染灶的扩大。
2.大小不定性:发作时的大小取决于感染灶大小,中间呈现白脓点的红疹可仅1mm-2mm,也可大至数厘米,小的感染灶在按压和挤压后也可扩大为较大感染灶。
3.有典型的炎症反应:在脓点与红疹处可出现炎症反应相关的红肿热痛等现象,但多数仅在触碰或轻微按压时出现,少见瘙痒感,除非较大感染灶否则一般无明显不适感。
一般采用保守治疗即可,较小感染灶可无需处理,一般自行修复与脱落,较大感染灶可抽出中间白色脓液,可遵医嘱在患处周围擦拭红霉素软膏等药物。如果出现严重的不良反应或炎症症状请及时前往医院进行相关检查与治疗。
","articleBody": "皮肤红肿中间白色脓点常见于金黄色葡萄球菌感染,常表现为单个或多发的中间白周围红的丘疹,可大可小,在按压时可有轻微疼痛感。
临床上常采用保守治疗,如果感染灶较大可将脓液抽出,同时遵医嘱涂抹红霉素软膏。

1.单发性:金黄色葡萄球菌感染形成的红疹与脓点常常单发,几乎不连成片发作,具有一定的自限性,但如果挤压脓点与红疹可能造成感染灶的扩大。
2.大小不定性:发作时的大小取决于感染灶大小,中间呈现白脓点的红疹可仅1mm-2mm,也可大至数厘米,小的感染灶在按压和挤压后也可扩大为较大感染灶。
3.有典型的炎症反应:在脓点与红疹处可出现炎症反应相关的红肿热痛等现象,但多数仅在触碰或轻微按压时出现,少见瘙痒感,除非较大感染灶否则一般无明显不适感。
一般采用保守治疗即可,较小感染灶可无需处理,一般自行修复与脱落,较大感染灶可抽出中间白色脓液,可遵医嘱在患处周围擦拭红霉素软膏等药物。如果出现严重的不良反应或炎症症状请及时前往医院进行相关检查与治疗。
","scanCount": 32853}}} {"@context": "https://ziyuan.baidu.com/contexts/cambrian.jsonld","appid": "1650708455561748","icon": "https://www.med-credit.org.cn/style/images/ttlogo.png","content_tag": ["atlas"],"is_mcn": {"thumb_id": "tznru43s"},"accid": "4886d626a2804dee5f11168793ce361672f39c25","@id": "https://www.med-credit.org.cn/mobile/jingxuan/2/93954865792408c51bd309fe566bbfcd.html","bagWordId": "783_1598581059019083776","title": "疱疹脓包怎么回事图片","pubDate": "2023-03-16T16:40:46","upDate": "2023-03-16T16:40:46","lrDate": "2023-03-16T16:40:46","description": "疱疹脓包一般指的是疱疹样脓疱病,是一种少见的急性危重症皮肤病,多见于孕妇。临床常表现为广泛的红斑基础上多发对称性分布的群集小脓疱,常成批发作,同时伴有严重的全身不良反应。","data": {"WebPage": {"headline": "疱疹脓包怎么回事图片","pcUrl": "https://www.med-credit.org.cn/jingxuan/2/93954865792408c51bd309fe566bbfcd.html","wapUrl": "https://www.med-credit.org.cn/jingxuan/2/93954865792408c51bd309fe566bbfcd.html","mipUrl": "https://www.med-credit.org.cn/mobile/jingxuan/2/93954865792408c51bd309fe566bbfcd.html","fromSrc": "欢乐橙","datePublished": "2023-03-16T16:40:46","domain": "医疗","category": ["医疗权威文章合作"],"description": "疱疹脓包一般指的是疱疹样脓疱病,是一种少见的急性危重症皮肤病,多见于孕妇。临床常表现为广泛的红斑基础上多发对称性分布的群集小脓疱,常成批发作,同时伴有严重的全身不良反应。
","extra_headline": [""]},"Author": {"name": "张岚","wapUrl": "https://www.med-credit.org.cn/doctor/556","pcUrl": "https://www.med-credit.org.cn/doctor/556","jobTitle": "副主任医师","headPortrait": "https://www.med-credit.org.cn/uploadfile/member/556/180x180.jpeg","id": "556","description": "张岚,中国医科大学附属第一医院皮肤病与性病科副主任医师","memberOf": {"legalName": "中国医科大学附属第一医院","department": "皮肤科","organizationLevel": "三级甲等"}},"Article": {"summaryContent": "疱疹脓包一般指的是疱疹样脓疱病,是一种少见的急性危重症皮肤病,多见于孕妇。临床常表现为广泛的红斑基础上多发对称性分布的群集小脓疱,常成批发作,同时伴有严重的全身不良反应。
临床上以支持治疗与针对性用药治疗为主。

1.好发人群、部位:常见于中年孕妇妊娠中期前后,也可见于男性以及幼儿,皮疹常先发于腹股沟、腋窝、乳房下、脐部等处,之后广泛发作于全身。
2、症状:早期皮肤上出现红斑,表面很快出现针头大或绿豆大小的脓疱。向周围扩展,排列成环形、多环形,有时互相融合成片。数日后脓疱干燥形成暗褐色痂皮,周围又有新疱。在身体的摩擦部位可见糜烂面肉芽增殖,隆起皮面,表面有黄绿色痂,类似增殖性天疱疮。皮损消退后留下棕红色色素沉着。舌、颊黏膜,甚至生殖器、食管、肠黏膜可波及。
本病一般针对性的补充钙剂和维生素D,同时对症处理并发症状。用药方面可遵医嘱使用糖皮质激素如泼尼松。患者如果出现该病症建议前往医院及时就诊并进行治疗。
","articleBody": "疱疹脓包一般指的是疱疹样脓疱病,是一种少见的急性危重症皮肤病,多见于孕妇。临床常表现为广泛的红斑基础上多发对称性分布的群集小脓疱,常成批发作,同时伴有严重的全身不良反应。
临床上以支持治疗与针对性用药治疗为主。

1.好发人群、部位:常见于中年孕妇妊娠中期前后,也可见于男性以及幼儿,皮疹常先发于腹股沟、腋窝、乳房下、脐部等处,之后广泛发作于全身。
2、症状:早期皮肤上出现红斑,表面很快出现针头大或绿豆大小的脓疱。向周围扩展,排列成环形、多环形,有时互相融合成片。数日后脓疱干燥形成暗褐色痂皮,周围又有新疱。在身体的摩擦部位可见糜烂面肉芽增殖,隆起皮面,表面有黄绿色痂,类似增殖性天疱疮。皮损消退后留下棕红色色素沉着。舌、颊黏膜,甚至生殖器、食管、肠黏膜可波及。
本病一般针对性的补充钙剂和维生素D,同时对症处理并发症状。用药方面可遵医嘱使用糖皮质激素如泼尼松。患者如果出现该病症建议前往医院及时就诊并进行治疗。
","scanCount": 32851}}} {"@context": "https://ziyuan.baidu.com/contexts/cambrian.jsonld","appid": "1650708455561748","icon": "https://www.med-credit.org.cn/style/images/ttlogo.png","content_tag": ["atlas"],"is_mcn": {"thumb_id": "tznru43s"},"accid": "4886d626a2804dee5f11168793ce361672f39c25","@id": "https://www.med-credit.org.cn/mobile/jingxuan/2/a8d5426751d500017f46479c78a9757a.html","bagWordId": "783_1598581060034105344","title": "寻常型银屑病好转症状图","pubDate": "2023-03-16T16:40:46","upDate": "2023-03-16T16:40:46","lrDate": "2023-03-16T16:40:46","description": "寻常型银屑病一般症状相对较轻,当寻常型银屑病好转时会表现为皮损变薄,脱屑减少,色泽转暗,同时疼痛感、瘙痒也逐渐减轻、不再出现新发的皮损、炎性渗出也减少。","data": {"WebPage": {"headline": "寻常型银屑病好转症状图","pcUrl": "https://www.med-credit.org.cn/jingxuan/2/a8d5426751d500017f46479c78a9757a.html","wapUrl": "https://www.med-credit.org.cn/jingxuan/2/a8d5426751d500017f46479c78a9757a.html","mipUrl": "https://www.med-credit.org.cn/mobile/jingxuan/2/a8d5426751d500017f46479c78a9757a.html","fromSrc": "欢乐橙","datePublished": "2023-03-16T16:40:46","domain": "医疗","category": ["医疗权威文章合作"],"description": "寻常型银屑病一般症状相对较轻,当寻常型银屑病好转时会表现为皮损变薄,脱屑减少,色泽转暗,同时疼痛感、瘙痒也逐渐减轻、不再出现新发的皮损、炎性渗出也减少。
","extra_headline": [""]},"Author": {"name": "张岚","wapUrl": "https://www.med-credit.org.cn/doctor/556","pcUrl": "https://www.med-credit.org.cn/doctor/556","jobTitle": "副主任医师","headPortrait": "https://www.med-credit.org.cn/uploadfile/member/556/180x180.jpeg","id": "556","description": "张岚,中国医科大学附属第一医院皮肤病与性病科副主任医师","memberOf": {"legalName": "中国医科大学附属第一医院","department": "皮肤科","organizationLevel": "三级甲等"}},"Article": {"summaryContent": "寻常型银屑病一般症状相对较轻,当寻常型银屑病好转时会表现为皮损变薄,脱屑减少,色泽转暗,同时疼痛感、瘙痒也逐渐减轻、不再出现新发的皮损、炎性渗出也减少。
寻常型银屑病在好转后仍需按医嘱使用药物,切勿抓挠患处,避免引起感染。

1、脱屑、水疱:寻常型银屑病常有红斑和鳞屑症状,红斑多发于面部、前臂和手背、边缘会出现皮疹且伴有大量鳞屑,有时还会有水疱出现,伴有瘙痒;当好转时,红斑转暗,脱屑逐渐减少,不再有水疱发生且瘙痒感下降。
2、疼痛:寻常型银屑病发病时常有刺痛或其他疼痛感,在好转过程中逐渐减轻直至消失。
3、炎性渗出:寻常型银屑病可有炎性渗出以及结痂的不断产生,在好转过程中炎性渗出减少或消失,新结痂不再出现,旧结痂随着好转而凝固暗沉最后脱落。
患者在好转过程中依然需要遵医嘱按时按量使用药物,切不可随意停药换药,以免导致疾病的复发以及其他后遗症。此外,在疾病的好转过程中注意不要抓挠患处,以免导致其他正常部位的感染。
","articleBody": "寻常型银屑病一般症状相对较轻,当寻常型银屑病好转时会表现为皮损变薄,脱屑减少,色泽转暗,同时疼痛感、瘙痒也逐渐减轻、不再出现新发的皮损、炎性渗出也减少。
寻常型银屑病在好转后仍需按医嘱使用药物,切勿抓挠患处,避免引起感染。

1、脱屑、水疱:寻常型银屑病常有红斑和鳞屑症状,红斑多发于面部、前臂和手背、边缘会出现皮疹且伴有大量鳞屑,有时还会有水疱出现,伴有瘙痒;当好转时,红斑转暗,脱屑逐渐减少,不再有水疱发生且瘙痒感下降。
2、疼痛:寻常型银屑病发病时常有刺痛或其他疼痛感,在好转过程中逐渐减轻直至消失。
3、炎性渗出:寻常型银屑病可有炎性渗出以及结痂的不断产生,在好转过程中炎性渗出减少或消失,新结痂不再出现,旧结痂随着好转而凝固暗沉最后脱落。
患者在好转过程中依然需要遵医嘱按时按量使用药物,切不可随意停药换药,以免导致疾病的复发以及其他后遗症。此外,在疾病的好转过程中注意不要抓挠患处,以免导致其他正常部位的感染。
","scanCount": 32842}}} {"@context": "https://ziyuan.baidu.com/contexts/cambrian.jsonld","appid": "1650708455561748","icon": "https://www.med-credit.org.cn/style/images/ttlogo.png","content_tag": ["atlas"],"is_mcn": {"thumb_id": "tznru43s"},"accid": "4886d626a2804dee5f11168793ce361672f39c25","@id": "https://www.med-credit.org.cn/mobile/jingxuan/2/ac7548e7c2a823f8fa7d910c576e3fa5.html","bagWordId": "783_1598581060365455360","title": "男性腿上有红血丝图片","pubDate": "2023-03-16T16:40:46","upDate": "2023-03-16T16:40:46","lrDate": "2023-03-16T16:40:46","description": "男性腿上有红血丝为毛细血管扩张所引起的现象,常见原因有:站立过久、饮食不节制、抓挠或炎症等,可见明显皮肤下红色毛细血管纹路。","data": {"WebPage": {"headline": "男性腿上有红血丝图片","pcUrl": "https://www.med-credit.org.cn/jingxuan/2/ac7548e7c2a823f8fa7d910c576e3fa5.html","wapUrl": "https://www.med-credit.org.cn/jingxuan/2/ac7548e7c2a823f8fa7d910c576e3fa5.html","mipUrl": "https://www.med-credit.org.cn/mobile/jingxuan/2/ac7548e7c2a823f8fa7d910c576e3fa5.html","fromSrc": "欢乐橙","datePublished": "2023-03-16T16:40:46","domain": "医疗","category": ["医疗权威文章合作"],"description": "男性腿上有红血丝为毛细血管扩张所引起的现象,常见原因有:站立过久、饮食不节制、抓挠或炎症等,可见明显皮肤下红色毛细血管纹路。
","extra_headline": [""]},"Author": {"name": "张岚","wapUrl": "https://www.med-credit.org.cn/doctor/556","pcUrl": "https://www.med-credit.org.cn/doctor/556","jobTitle": "副主任医师","headPortrait": "https://www.med-credit.org.cn/uploadfile/member/556/180x180.jpeg","id": "556","description": "张岚,中国医科大学附属第一医院皮肤病与性病科副主任医师","memberOf": {"legalName": "中国医科大学附属第一医院","department": "皮肤科","organizationLevel": "三级甲等"}},"Article": {"summaryContent": "男性腿上有红血丝为毛细血管扩张所引起的现象,常见原因有:站立过久、饮食不节制、抓挠或炎症等,可见明显皮肤下红色毛细血管纹路。
在日常生活中需注意饮食,若为炎症反应,可在医生的指导下选择药物进行治疗。

1、站立过久:久站会引起红血丝,长时间的站立会引起下肢静脉血液循环不畅通,从而导致下肢血管血流受阻,诱发下肢毛细血管扩张,导致腿上出现红血丝。
2、饮食不节制:饮食不节制也会引起红血丝,如长期吃过于辛辣刺激的食物比如火锅烧烤等,都会导致血压升高,从而诱发下肢毛细血管扩张。
3、抓挠或炎症:抓挠、炎症也会导致毛细血管扩张,如果过度抓挠或是本身该区域存在炎症反应,则该位置的皮肤下的毛细血管就会因为炎症因子而通透性增加,引起毛细血管的扩张。
除了上述相对常见的原因外,还有其他的可能性原因,比如色素性紫癜性皮肤病。如果腿上的红血丝长期不消失,则要及时去医院就诊,查明病因后,予以针对性治疗。
患者平时要注意清淡饮食、戒烟戒酒,缓解下肢疲劳,如果存在炎症可以遵医嘱使用地塞米松乳膏消炎,也可以前往医院进行相应的检查与治疗。
","articleBody": "男性腿上有红血丝为毛细血管扩张所引起的现象,常见原因有:站立过久、饮食不节制、抓挠或炎症等,可见明显皮肤下红色毛细血管纹路。
在日常生活中需注意饮食,若为炎症反应,可在医生的指导下选择药物进行治疗。

1、站立过久:久站会引起红血丝,长时间的站立会引起下肢静脉血液循环不畅通,从而导致下肢血管血流受阻,诱发下肢毛细血管扩张,导致腿上出现红血丝。
2、饮食不节制:饮食不节制也会引起红血丝,如长期吃过于辛辣刺激的食物比如火锅烧烤等,都会导致血压升高,从而诱发下肢毛细血管扩张。
3、抓挠或炎症:抓挠、炎症也会导致毛细血管扩张,如果过度抓挠或是本身该区域存在炎症反应,则该位置的皮肤下的毛细血管就会因为炎症因子而通透性增加,引起毛细血管的扩张。
除了上述相对常见的原因外,还有其他的可能性原因,比如色素性紫癜性皮肤病。如果腿上的红血丝长期不消失,则要及时去医院就诊,查明病因后,予以针对性治疗。
患者平时要注意清淡饮食、戒烟戒酒,缓解下肢疲劳,如果存在炎症可以遵医嘱使用地塞米松乳膏消炎,也可以前往医院进行相应的检查与治疗。
","scanCount": 32839}}} {"@context": "https://ziyuan.baidu.com/contexts/cambrian.jsonld","appid": "1650708455561748","icon": "https://www.med-credit.org.cn/style/images/ttlogo.png","content_tag": ["atlas"],"is_mcn": {"thumb_id": "tznru43s"},"accid": "4886d626a2804dee5f11168793ce361672f39c25","@id": "https://www.med-credit.org.cn/mobile/jingxuan/2/d7dbe0e4a5439af245faa03d7ff88329.html","bagWordId": "783_1598581060583559168","title": "头皮老年疣图片","pubDate": "2023-03-16T16:40:46","upDate": "2023-03-16T16:40:46","lrDate": "2023-03-16T16:40:46","description": "老年疣又称脂溢性角化病,临床常表现为上皮痣即褐色斑片,可随时间推移而增大、粗糙化,失去光泽,直至呈暗褐色甚至黑色,其特征症状为毛囊角栓。","data": {"WebPage": {"headline": "头皮老年疣图片","pcUrl": "https://www.med-credit.org.cn/jingxuan/2/d7dbe0e4a5439af245faa03d7ff88329.html","wapUrl": "https://www.med-credit.org.cn/jingxuan/2/d7dbe0e4a5439af245faa03d7ff88329.html","mipUrl": "https://www.med-credit.org.cn/mobile/jingxuan/2/d7dbe0e4a5439af245faa03d7ff88329.html","fromSrc": "欢乐橙","datePublished": "2023-03-16T16:40:46","domain": "医疗","category": ["医疗权威文章合作"],"description": "老年疣又称脂溢性角化病,临床常表现为上皮痣即褐色斑片,可随时间推移而增大、粗糙化,失去光泽,直至呈暗褐色甚至黑色,其特征症状为毛囊角栓。
","extra_headline": [""]},"Author": {"name": "张岚","wapUrl": "https://www.med-credit.org.cn/doctor/556","pcUrl": "https://www.med-credit.org.cn/doctor/556","jobTitle": "副主任医师","headPortrait": "https://www.med-credit.org.cn/uploadfile/member/556/180x180.jpeg","id": "556","description": "张岚,中国医科大学附属第一医院皮肤病与性病科副主任医师","memberOf": {"legalName": "中国医科大学附属第一医院","department": "皮肤科","organizationLevel": "三级甲等"}},"Article": {"summaryContent": "老年疣又称脂溢性角化病,临床常表现为上皮痣即褐色斑片,可随时间推移而增大、粗糙化,失去光泽,直至呈暗褐色甚至黑色,其特征症状为毛囊角栓。
本病一般无需治疗,但如有恶化趋势则需检查并治疗,可常用手术、激光以及冷冻治疗等方法。

1、早期表现:早期可常见于面部、头皮、躯干、上肢,也可发生于体表任何部位,如颈、股部、臀部、小腿等,但不累及掌、跖;小而扁平、境界清楚的斑片,表面光滑或略呈乳头瘤状,淡黄褐或茶褐色。
2、中晚期表现:中晚期损害渐渐增大,底部呈圆、椭圆或不规则形,偶有蒂,直径1mm~1cm,或数厘米,边缘清楚,表面呈乳头瘤样,渐干燥、粗糙,失去光泽,可形成一层油脂性厚痂。色素沉着可显著,呈黄褐至黑色,陈旧性损害的颜色变异大,可呈正常皮色或淡茶褐色乃至暗褐色,甚至黑色。
3、特征症状:特征症状为毛囊角栓,甚至早期较小皮疹就能看得很清楚。
本病一般无需治疗,仅为美容问题。如有瘙痒或发生炎症,或诊断有病变趋势时,可手术切除。此外,可用激光、冷冻治疗。但如诊断尚未明确,治疗前最好先作活检,以免误诊。
","articleBody": "老年疣又称脂溢性角化病,临床常表现为上皮痣即褐色斑片,可随时间推移而增大、粗糙化,失去光泽,直至呈暗褐色甚至黑色,其特征症状为毛囊角栓。
本病一般无需治疗,但如有恶化趋势则需检查并治疗,可常用手术、激光以及冷冻治疗等方法。

1、早期表现:早期可常见于面部、头皮、躯干、上肢,也可发生于体表任何部位,如颈、股部、臀部、小腿等,但不累及掌、跖;小而扁平、境界清楚的斑片,表面光滑或略呈乳头瘤状,淡黄褐或茶褐色。
2、中晚期表现:中晚期损害渐渐增大,底部呈圆、椭圆或不规则形,偶有蒂,直径1mm~1cm,或数厘米,边缘清楚,表面呈乳头瘤样,渐干燥、粗糙,失去光泽,可形成一层油脂性厚痂。色素沉着可显著,呈黄褐至黑色,陈旧性损害的颜色变异大,可呈正常皮色或淡茶褐色乃至暗褐色,甚至黑色。
3、特征症状:特征症状为毛囊角栓,甚至早期较小皮疹就能看得很清楚。
本病一般无需治疗,仅为美容问题。如有瘙痒或发生炎症,或诊断有病变趋势时,可手术切除。此外,可用激光、冷冻治疗。但如诊断尚未明确,治疗前最好先作活检,以免误诊。
","scanCount": 32836}}} {"@context": "https://ziyuan.baidu.com/contexts/cambrian.jsonld","appid": "1650708455561748","icon": "https://www.med-credit.org.cn/style/images/ttlogo.png","content_tag": ["atlas"],"is_mcn": {"thumb_id": "x5e7zgbw"},"accid": "4886d626a2804dee5f11168793ce361672f39c25","@id": "https://www.med-credit.org.cn/mobile/jingxuan/2/a109b9d325be9372f44ab959b255e0c3.html","bagWordId": "783_1598581062118674432","title": "结膜炎分泌物图片","pubDate": "2023-03-16T16:40:46","upDate": "2023-03-16T16:40:46","lrDate": "2023-03-16T16:40:46","description": "不同结膜炎的分泌物有略微的不同。病毒性结膜炎分泌物多呈水样或浆液性;细菌性结膜炎分泌物多为黏液性及脓性;过敏性结膜炎分泌物为粘稠丝状。","data": {"WebPage": {"headline": "结膜炎分泌物图片","pcUrl": "https://www.med-credit.org.cn/jingxuan/2/a109b9d325be9372f44ab959b255e0c3.html","wapUrl": "https://www.med-credit.org.cn/jingxuan/2/a109b9d325be9372f44ab959b255e0c3.html","mipUrl": "https://www.med-credit.org.cn/mobile/jingxuan/2/a109b9d325be9372f44ab959b255e0c3.html","fromSrc": "欢乐橙","datePublished": "2023-03-16T16:40:46","domain": "医疗","category": ["医疗权威文章合作"],"description": "不同结膜炎的分泌物有略微的不同。病毒性结膜炎分泌物多呈水样或浆液性;细菌性结膜炎分泌物多为黏液性及脓性;过敏性结膜炎分泌物为粘稠丝状。
","extra_headline": [""]},"Author": {"name": "钟一凡","wapUrl": "https://www.med-credit.org.cn/doctor/521","pcUrl": "https://www.med-credit.org.cn/doctor/521","jobTitle": "主治医师","headPortrait": "https://www.med-credit.org.cn/uploadfile/member/521/180x180.jpeg","id": "521","description": "钟一凡,中国医科大学附属第一医院眼科主治医师","memberOf": {"legalName": "中国医科大学附属第一医院","department": "眼科","organizationLevel": "三级甲等"}},"Article": {"summaryContent": "不同结膜炎的分泌物有略微的不同。病毒性结膜炎分泌物多呈水样或浆液性;细菌性结膜炎分泌物多为黏液性及脓性;过敏性结膜炎分泌物为粘稠丝状。
当结膜炎患者出现分泌物时,可在医生的指导下选择合适的药物进行治疗,平时不要滥用眼药水。



1、分类症状:常见的结膜炎包括病毒性结膜炎、细菌性结膜炎和过敏性结膜炎。其中,病毒性结膜炎是最常见的结膜炎。病毒性结膜炎分泌物多呈水样或浆液性;细菌性结膜炎分泌物呈较稀的浆液性,随病情进展变成黏液性及脓性;过敏性结膜炎分泌物为粘稠丝状。
2、处理方法:分泌物不要用手去擦拭,最好是用清水冲洗干净,同时用消炎或者针对性的眼药水,可以在医生指导下用普拉洛芬滴眼液或者双氯芬酸钠滴眼液等,也可以针对性的用一些抗感染的滴眼液,以达到治疗的目的。
当眼睛不舒服时,不要用手揉眼睛。当有异物时,应该先闭上眼睛,然后睁开眼睛并眨眼,平时不要滥用眼药水,许多眼药水含有防腐剂,如果只是眼睛干燥或疲劳,一般不使用含防腐剂的人工泪液。
","articleBody": "不同结膜炎的分泌物有略微的不同。病毒性结膜炎分泌物多呈水样或浆液性;细菌性结膜炎分泌物多为黏液性及脓性;过敏性结膜炎分泌物为粘稠丝状。
当结膜炎患者出现分泌物时,可在医生的指导下选择合适的药物进行治疗,平时不要滥用眼药水。



1、分类症状:常见的结膜炎包括病毒性结膜炎、细菌性结膜炎和过敏性结膜炎。其中,病毒性结膜炎是最常见的结膜炎。病毒性结膜炎分泌物多呈水样或浆液性;细菌性结膜炎分泌物呈较稀的浆液性,随病情进展变成黏液性及脓性;过敏性结膜炎分泌物为粘稠丝状。
2、处理方法:分泌物不要用手去擦拭,最好是用清水冲洗干净,同时用消炎或者针对性的眼药水,可以在医生指导下用普拉洛芬滴眼液或者双氯芬酸钠滴眼液等,也可以针对性的用一些抗感染的滴眼液,以达到治疗的目的。
当眼睛不舒服时,不要用手揉眼睛。当有异物时,应该先闭上眼睛,然后睁开眼睛并眨眼,平时不要滥用眼药水,许多眼药水含有防腐剂,如果只是眼睛干燥或疲劳,一般不使用含防腐剂的人工泪液。
","scanCount": 32823}}} {"@context": "https://ziyuan.baidu.com/contexts/cambrian.jsonld","appid": "1650708455561748","icon": "https://www.med-credit.org.cn/style/images/ttlogo.png","content_tag": ["atlas"],"is_mcn": {"thumb_id": "x5e7zgbw"},"accid": "4886d626a2804dee5f11168793ce361672f39c25","@id": "https://www.med-credit.org.cn/mobile/jingxuan/2/4b2b82086037dc39ea2bb9e6fd6300b5.html","bagWordId": "783_1598581063192416256","title": "眼结膜黄斑图片","pubDate": "2023-03-16T16:40:46","upDate": "2023-03-16T16:40:46","lrDate": "2023-03-16T16:40:46","description": "眼结膜黄斑有可能是睑裂斑,睑裂斑通常不会有症状,但若发生炎症,可出现结膜充血、发红、眼痒等表现。","data": {"WebPage": {"headline": "眼结膜黄斑图片","pcUrl": "https://www.med-credit.org.cn/jingxuan/2/4b2b82086037dc39ea2bb9e6fd6300b5.html","wapUrl": "https://www.med-credit.org.cn/jingxuan/2/4b2b82086037dc39ea2bb9e6fd6300b5.html","mipUrl": "https://www.med-credit.org.cn/mobile/jingxuan/2/4b2b82086037dc39ea2bb9e6fd6300b5.html","fromSrc": "欢乐橙","datePublished": "2023-03-16T16:40:46","domain": "医疗","category": ["医疗权威文章合作"],"description": "眼结膜黄斑有可能是睑裂斑,睑裂斑通常不会有症状,但若发生炎症,可出现结膜充血、发红、眼痒等表现。
","extra_headline": [""]},"Author": {"name": "钟一凡","wapUrl": "https://www.med-credit.org.cn/doctor/521","pcUrl": "https://www.med-credit.org.cn/doctor/521","jobTitle": "主治医师","headPortrait": "https://www.med-credit.org.cn/uploadfile/member/521/180x180.jpeg","id": "521","description": "钟一凡,中国医科大学附属第一医院眼科主治医师","memberOf": {"legalName": "中国医科大学附属第一医院","department": "眼科","organizationLevel": "三级甲等"}},"Article": {"summaryContent": "眼结膜黄斑有可能是睑裂斑,睑裂斑通常不会有症状,但若发生炎症,可出现结膜充血、发红、眼痒等表现。
睑裂斑患者在发生炎症时可遵医嘱使用药物进行治疗,必要时可手术切除。

睑裂斑通常无症状,其外观常似脂质渗入上下皮下组织,内含黄色透明弹性团。角膜缘附近睑裂处的球结膜有三角形凸起的斑块,三角形基底面向角膜。若发生睑裂斑炎,可出现结膜充血、发红、眼痒的症状。
睑裂斑一般无须治疗,发生炎症时可遵医嘱使用非甾体消炎药或糖皮质激素滴眼。严重影响外观、反复慢性炎症或影响角膜接触镜佩戴时可考虑切除。
","articleBody": "眼结膜黄斑有可能是睑裂斑,睑裂斑通常不会有症状,但若发生炎症,可出现结膜充血、发红、眼痒等表现。
睑裂斑患者在发生炎症时可遵医嘱使用药物进行治疗,必要时可手术切除。

睑裂斑通常无症状,其外观常似脂质渗入上下皮下组织,内含黄色透明弹性团。角膜缘附近睑裂处的球结膜有三角形凸起的斑块,三角形基底面向角膜。若发生睑裂斑炎,可出现结膜充血、发红、眼痒的症状。
睑裂斑一般无须治疗,发生炎症时可遵医嘱使用非甾体消炎药或糖皮质激素滴眼。严重影响外观、反复慢性炎症或影响角膜接触镜佩戴时可考虑切除。
","scanCount": 32814}}} {"@context": "https://ziyuan.baidu.com/contexts/cambrian.jsonld","appid": "1650708455561748","icon": "https://www.med-credit.org.cn/style/images/ttlogo.png","content_tag": ["atlas"],"is_mcn": {"thumb_id": "x5e7zgbw"},"accid": "4886d626a2804dee5f11168793ce361672f39c25","@id": "https://www.med-credit.org.cn/mobile/jingxuan/2/ec21579e8088050e5fb7882f0e1dedbe.html","bagWordId": "783_1598581063410520064","title": "眼眶内静脉曲张图片","pubDate": "2023-03-16T16:40:46","upDate": "2023-03-16T16:40:46","lrDate": "2023-03-16T16:40:46","description": "眼眶静脉曲张是常见的眶内血管畸形。其畸形血管由大小不等的静脉构成,输入和输出血管均为静脉。","data": {"WebPage": {"headline": "眼眶内静脉曲张图片","pcUrl": "https://www.med-credit.org.cn/jingxuan/2/ec21579e8088050e5fb7882f0e1dedbe.html","wapUrl": "https://www.med-credit.org.cn/jingxuan/2/ec21579e8088050e5fb7882f0e1dedbe.html","mipUrl": "https://www.med-credit.org.cn/mobile/jingxuan/2/ec21579e8088050e5fb7882f0e1dedbe.html","fromSrc": "欢乐橙","datePublished": "2023-03-16T16:40:46","domain": "医疗","category": ["医疗权威文章合作"],"description": "眼眶静脉曲张是常见的眶内血管畸形。其畸形血管由大小不等的静脉构成,输入和输出血管均为静脉。
","extra_headline": [""]},"Author": {"name": "钟一凡","wapUrl": "https://www.med-credit.org.cn/doctor/521","pcUrl": "https://www.med-credit.org.cn/doctor/521","jobTitle": "主治医师","headPortrait": "https://www.med-credit.org.cn/uploadfile/member/521/180x180.jpeg","id": "521","description": "钟一凡,中国医科大学附属第一医院眼科主治医师","memberOf": {"legalName": "中国医科大学附属第一医院","department": "眼科","organizationLevel": "三级甲等"}},"Article": {"summaryContent": "眼眶静脉曲张是常见的眶内血管畸形。其畸形血管由大小不等的静脉构成,输入和输出血管均为静脉。
眼眶静脉曲张患者的症状包括直立或端坐位眼球位置正常或内陷,低头或压迫颈静脉后眼球突出等。
一般采用保守治疗或者手术治疗。

眼眶静脉曲张患者的症状包括直立或端坐位眼球位置正常或内陷,低头或压迫颈静脉后眼球突出,眶周肿胀,上睑下垂,眼球运动障碍,甚至一过性视力丧失,并伴恶心呕吐,眼眶胀痛等。严重时会出现畸形血管破裂的现象。
眼眶静脉曲张症状较轻的患者一般可采用保守治疗,如避免长时间低头、过力、情绪激动等诱因,睡眠头高位,喷嚏或咳嗽时用手压迫患眼,女性分娩时眼部绷带加压等。对于进展较快、症状明显且影响正常生活和工作者,可以采用直视下经眼眶畸形血管内介入栓塞术进行治疗。
","articleBody": "眼眶静脉曲张是常见的眶内血管畸形。其畸形血管由大小不等的静脉构成,输入和输出血管均为静脉。
眼眶静脉曲张患者的症状包括直立或端坐位眼球位置正常或内陷,低头或压迫颈静脉后眼球突出等。
一般采用保守治疗或者手术治疗。

眼眶静脉曲张患者的症状包括直立或端坐位眼球位置正常或内陷,低头或压迫颈静脉后眼球突出,眶周肿胀,上睑下垂,眼球运动障碍,甚至一过性视力丧失,并伴恶心呕吐,眼眶胀痛等。严重时会出现畸形血管破裂的现象。
眼眶静脉曲张症状较轻的患者一般可采用保守治疗,如避免长时间低头、过力、情绪激动等诱因,睡眠头高位,喷嚏或咳嗽时用手压迫患眼,女性分娩时眼部绷带加压等。对于进展较快、症状明显且影响正常生活和工作者,可以采用直视下经眼眶畸形血管内介入栓塞术进行治疗。
","scanCount": 32811}}} {"@context": "https://ziyuan.baidu.com/contexts/cambrian.jsonld","appid": "1650708455561748","icon": "https://www.med-credit.org.cn/style/images/ttlogo.png","content_tag": ["atlas"],"is_mcn": {"thumb_id": "6s1p03j8e"},"accid": "4886d626a2804dee5f11168793ce361672f39c25","@id": "https://www.med-credit.org.cn/mobile/jingxuan/2/259cc05890b049e10eeb2c29f2e762c9.html","bagWordId": "783_1598581064366821376","title": "颈椎和脊椎的区别图","pubDate": "2023-03-16T16:40:46","upDate": "2023-03-16T16:40:46","lrDate": "2023-03-16T16:40:46","description": "脊椎是脊柱的任意一个椎体,可以表示颈椎,也可以表示其他椎体。脊椎相关疾病有脊柱侧弯、脊柱骨折;颈椎常见疾病为神经根型颈椎病。","data": {"WebPage": {"headline": "颈椎和脊椎的区别图","pcUrl": "https://www.med-credit.org.cn/jingxuan/2/259cc05890b049e10eeb2c29f2e762c9.html","wapUrl": "https://www.med-credit.org.cn/jingxuan/2/259cc05890b049e10eeb2c29f2e762c9.html","mipUrl": "https://www.med-credit.org.cn/mobile/jingxuan/2/259cc05890b049e10eeb2c29f2e762c9.html","fromSrc": "欢乐橙","datePublished": "2023-03-16T16:40:46","domain": "医疗","category": ["医疗权威文章合作"],"description": "脊椎是脊柱的任意一个椎体,可以表示颈椎,也可以表示其他椎体。脊椎相关疾病有脊柱侧弯、脊柱骨折;颈椎常见疾病为神经根型颈椎病。
","extra_headline": [""]},"Author": {"name": "富灵杰","wapUrl": "https://www.med-credit.org.cn/doctor/569","pcUrl": "https://www.med-credit.org.cn/doctor/569","jobTitle": "副主任医师","headPortrait": "https://www.med-credit.org.cn/uploadfile/member/569/180x180.jpeg","id": "569","description": "富灵杰,上海交通大学医学院附属第九人民医院骨科副主任医师","memberOf": {"legalName": "上海交通大学医学院附属第九人民医院","department": "骨科","organizationLevel": "三级甲等"}},"Article": {"summaryContent": "脊椎是脊柱的任意一个椎体,可以表示颈椎,也可以表示其他椎体。脊椎相关疾病有脊柱侧弯、脊柱骨折;颈椎常见疾病为神经根型颈椎病。


脊椎形成脊柱,除了颈椎,还有其他椎体,比如胸椎、腰椎、骶椎和尾椎等,其中颈椎由七块椎骨构成。脊椎可以是7块颈椎、12块胸椎、5块腰椎、5块骶椎和3-4块尾椎,成年后骶椎和尾椎分别融合成1块骶骨和1块尾骨。椎骨一般由前方的椎体和后方的椎弓组成。
颈椎共7块,横突孔是颈椎的特征性结构,内有椎动脉和椎静脉通过。颈椎的椎体较小,横断面呈椭圆形,椎孔呈三角形,上、下关节突关节面几乎呈水平位。
1、脊椎相关
(1)脊柱侧弯:表现为一个节段或数个节段的的椎骨向侧方弯曲或伴有椎体的旋转,可随年龄增加而症状逐渐加重,出现身体失衡、高低肩、长短腿,严重者可影响呼吸和心脏功能,甚至出现神经压迫及瘫痪。
(2)脊柱骨折:表现为躯干活动受限、骨折区域的疼痛,可出现畸形;严重者可合并脊髓和神经根损伤,出现不同程度的感觉障碍、运动障碍甚至二便功能障碍。
2、神经根型颈椎病:表现为颈部活动受限和僵硬,颈肩部、上肢放射状疼痛,且疼痛会随颈部活动或姿势调整而加重或减轻,可伴随上肢的运动功能、感觉功能障碍。
","articleBody": "脊椎是脊柱的任意一个椎体,可以表示颈椎,也可以表示其他椎体。脊椎相关疾病有脊柱侧弯、脊柱骨折;颈椎常见疾病为神经根型颈椎病。


脊椎形成脊柱,除了颈椎,还有其他椎体,比如胸椎、腰椎、骶椎和尾椎等,其中颈椎由七块椎骨构成。脊椎可以是7块颈椎、12块胸椎、5块腰椎、5块骶椎和3-4块尾椎,成年后骶椎和尾椎分别融合成1块骶骨和1块尾骨。椎骨一般由前方的椎体和后方的椎弓组成。
颈椎共7块,横突孔是颈椎的特征性结构,内有椎动脉和椎静脉通过。颈椎的椎体较小,横断面呈椭圆形,椎孔呈三角形,上、下关节突关节面几乎呈水平位。
1、脊椎相关
(1)脊柱侧弯:表现为一个节段或数个节段的的椎骨向侧方弯曲或伴有椎体的旋转,可随年龄增加而症状逐渐加重,出现身体失衡、高低肩、长短腿,严重者可影响呼吸和心脏功能,甚至出现神经压迫及瘫痪。
(2)脊柱骨折:表现为躯干活动受限、骨折区域的疼痛,可出现畸形;严重者可合并脊髓和神经根损伤,出现不同程度的感觉障碍、运动障碍甚至二便功能障碍。
2、神经根型颈椎病:表现为颈部活动受限和僵硬,颈肩部、上肢放射状疼痛,且疼痛会随颈部活动或姿势调整而加重或减轻,可伴随上肢的运动功能、感觉功能障碍。
","scanCount": 32802}}} {"@context": "https://ziyuan.baidu.com/contexts/cambrian.jsonld","appid": "1650708455561748","icon": "https://www.med-credit.org.cn/style/images/ttlogo.png","content_tag": ["atlas"],"is_mcn": {"thumb_id": "6s1p03j8e"},"accid": "4886d626a2804dee5f11168793ce361672f39c25","@id": "https://www.med-credit.org.cn/mobile/jingxuan/2/002c191860086130501e7e0a9261cdf2.html","bagWordId": "783_1598581065088241664","title": "腰椎向左侧弯曲图片","pubDate": "2023-03-16T16:40:46","upDate": "2023-03-16T16:40:46","lrDate": "2023-03-16T16:40:46","description": "腰椎向左侧弯一般是由于姿势不良、遗传因素、退变性腰椎侧弯等因素导致。","data": {"WebPage": {"headline": "腰椎向左侧弯曲图片","pcUrl": "https://www.med-credit.org.cn/jingxuan/2/002c191860086130501e7e0a9261cdf2.html","wapUrl": "https://www.med-credit.org.cn/jingxuan/2/002c191860086130501e7e0a9261cdf2.html","mipUrl": "https://www.med-credit.org.cn/mobile/jingxuan/2/002c191860086130501e7e0a9261cdf2.html","fromSrc": "欢乐橙","datePublished": "2023-03-16T16:40:46","domain": "医疗","category": ["医疗权威文章合作"],"description": "腰椎向左侧弯一般是由于姿势不良、遗传因素、退变性腰椎侧弯等因素导致。
","extra_headline": [""]},"Author": {"name": "富灵杰","wapUrl": "https://www.med-credit.org.cn/doctor/569","pcUrl": "https://www.med-credit.org.cn/doctor/569","jobTitle": "副主任医师","headPortrait": "https://www.med-credit.org.cn/uploadfile/member/569/180x180.jpeg","id": "569","description": "富灵杰,上海交通大学医学院附属第九人民医院骨科副主任医师","memberOf": {"legalName": "上海交通大学医学院附属第九人民医院","department": "骨科","organizationLevel": "三级甲等"}},"Article": {"summaryContent": "腰椎向左侧弯一般是由于姿势不良、遗传因素、退变性腰椎侧弯等因素导致。
腰椎向左侧弯可通过姿势矫正、手术矫正等方式进行治疗。

1、姿势不良:腰椎向左侧弯的程度不严重时,一般与姿势不良有关,如经常用右手提重物、平时坐着时喜欢用左手托腮、站立时重心过于靠左侧。
2、遗传因素:严重的腰椎向左侧弯一般与先天椎体发育不良、腰椎畸形等因素有关。
3、退变性腰椎侧弯:老年人骨质疏松、骨质增生以及肌肉的萎缩等造成了脊柱两侧的肌肉的不平衡,从而引起腰椎的退变性侧弯。
除了上述相对常见的原因外,还有其他的可能性疾病,比如脊髓灰质炎。建议患者出现这种症状后,及时去医院就诊,查明病因后,予以针对性治疗。
当腰椎侧弯角度<40°且无先天性骨畸形时,可通过运动矫正,如右侧腰部肌肉的力量训练、游泳、吊单杠;除此以外,还可以通过矫形支具进行治疗,对于年龄较小的患者治疗效果好,需要注意定期复查,以按时调整或更换支具。
当腰椎向左侧弯角度>40°时,一般建议进行手术治疗,但可能会造成较大的手术创伤和较多的并发症。
","articleBody": "腰椎向左侧弯一般是由于姿势不良、遗传因素、退变性腰椎侧弯等因素导致。
腰椎向左侧弯可通过姿势矫正、手术矫正等方式进行治疗。

1、姿势不良:腰椎向左侧弯的程度不严重时,一般与姿势不良有关,如经常用右手提重物、平时坐着时喜欢用左手托腮、站立时重心过于靠左侧。
2、遗传因素:严重的腰椎向左侧弯一般与先天椎体发育不良、腰椎畸形等因素有关。
3、退变性腰椎侧弯:老年人骨质疏松、骨质增生以及肌肉的萎缩等造成了脊柱两侧的肌肉的不平衡,从而引起腰椎的退变性侧弯。
除了上述相对常见的原因外,还有其他的可能性疾病,比如脊髓灰质炎。建议患者出现这种症状后,及时去医院就诊,查明病因后,予以针对性治疗。
当腰椎侧弯角度<40°且无先天性骨畸形时,可通过运动矫正,如右侧腰部肌肉的力量训练、游泳、吊单杠;除此以外,还可以通过矫形支具进行治疗,对于年龄较小的患者治疗效果好,需要注意定期复查,以按时调整或更换支具。
当腰椎向左侧弯角度>40°时,一般建议进行手术治疗,但可能会造成较大的手术创伤和较多的并发症。
","scanCount": 32798}}} {"@context": "https://ziyuan.baidu.com/contexts/cambrian.jsonld","appid": "1650708455561748","icon": "https://www.med-credit.org.cn/style/images/ttlogo.png","content_tag": ["atlas"],"is_mcn": {"thumb_id": "6s1p03j8e"},"accid": "4886d626a2804dee5f11168793ce361672f39c25","@id": "https://www.med-credit.org.cn/mobile/jingxuan/2/dfd157fe39a026d8ad793afa0ae8d959.html","bagWordId": "783_1598581065146961920","title": "腰丛、骶丛位置图","pubDate": "2023-03-16T16:40:46","upDate": "2023-03-16T16:40:46","lrDate": "2023-03-16T16:40:46","description": "腰丛位于腰大肌的深面,由部分胸神经和腰神经的前支组成;骶丛位于盆腔内,由腰骶干、骶神经、尾神经组成。","data": {"WebPage": {"headline": "腰丛、骶丛位置图","pcUrl": "https://www.med-credit.org.cn/jingxuan/2/dfd157fe39a026d8ad793afa0ae8d959.html","wapUrl": "https://www.med-credit.org.cn/jingxuan/2/dfd157fe39a026d8ad793afa0ae8d959.html","mipUrl": "https://www.med-credit.org.cn/mobile/jingxuan/2/dfd157fe39a026d8ad793afa0ae8d959.html","fromSrc": "欢乐橙","datePublished": "2023-03-16T16:40:46","domain": "医疗","category": ["医疗权威文章合作"],"description": "腰丛位于腰大肌的深面,由部分胸神经和腰神经的前支组成;骶丛位于盆腔内,由腰骶干、骶神经、尾神经组成。
","extra_headline": [""]},"Author": {"name": "富灵杰","wapUrl": "https://www.med-credit.org.cn/doctor/569","pcUrl": "https://www.med-credit.org.cn/doctor/569","jobTitle": "副主任医师","headPortrait": "https://www.med-credit.org.cn/uploadfile/member/569/180x180.jpeg","id": "569","description": "富灵杰,上海交通大学医学院附属第九人民医院骨科副主任医师","memberOf": {"legalName": "上海交通大学医学院附属第九人民医院","department": "骨科","organizationLevel": "三级甲等"}},"Article": {"summaryContent": "腰丛位于腰大肌的深面,由部分胸神经和腰神经的前支组成;骶丛位于盆腔内,由腰骶干、骶神经、尾神经组成。
腰丛和骶丛对于腰部和下肢的运动、感觉功能具有重要作用。

1、腰丛:位于腰大肌的肌质内,由第12胸神经前支的小部分,第1~3腰神经前支和第4腰神经前支的一部分组成,分支为髂腹下神经和髂腹股沟神经、股神经、闭孔神经、生殖股神经、股外侧皮神经。

2、骶丛:位于盆腔内,在骶骨及梨状肌前面,髂内动脉的后方,由第四腰神经、第五腰神经、全部骶神经和尾神经的前支组成,分支为臀上神经,臀下神经,股后皮神经,阴部神经,坐骨神经。
1、腰丛:就近发出分支支配腰方肌和髂腰肌,控制腰部的侧屈、前屈运动和髋部的屈曲运动,还发出分支于大腿的前部、内侧部以及腹股沟区,支配腰部、会阴部以及大腿的部分皮肤区域的感觉。
2、骶丛:支配肛周、生殖器、臀部、大腿外侧、大腿后侧的肌肉控制与相关皮区感觉功能。
","articleBody": "腰丛位于腰大肌的深面,由部分胸神经和腰神经的前支组成;骶丛位于盆腔内,由腰骶干、骶神经、尾神经组成。
腰丛和骶丛对于腰部和下肢的运动、感觉功能具有重要作用。

1、腰丛:位于腰大肌的肌质内,由第12胸神经前支的小部分,第1~3腰神经前支和第4腰神经前支的一部分组成,分支为髂腹下神经和髂腹股沟神经、股神经、闭孔神经、生殖股神经、股外侧皮神经。

2、骶丛:位于盆腔内,在骶骨及梨状肌前面,髂内动脉的后方,由第四腰神经、第五腰神经、全部骶神经和尾神经的前支组成,分支为臀上神经,臀下神经,股后皮神经,阴部神经,坐骨神经。
1、腰丛:就近发出分支支配腰方肌和髂腰肌,控制腰部的侧屈、前屈运动和髋部的屈曲运动,还发出分支于大腿的前部、内侧部以及腹股沟区,支配腰部、会阴部以及大腿的部分皮肤区域的感觉。
2、骶丛:支配肛周、生殖器、臀部、大腿外侧、大腿后侧的肌肉控制与相关皮区感觉功能。
","scanCount": 32797}}} {"@context": "https://ziyuan.baidu.com/contexts/cambrian.jsonld","appid": "1650708455561748","icon": "https://www.med-credit.org.cn/style/images/ttlogo.png","content_tag": ["atlas"],"is_mcn": {"thumb_id": "6s1p03j8e"},"accid": "4886d626a2804dee5f11168793ce361672f39c25","@id": "https://www.med-credit.org.cn/mobile/jingxuan/2/4eed392ee7b239fa38f9fc2d0de3b1f6.html","bagWordId": "783_1598581065574780928","title": "硬膜囊在什么位置图","pubDate": "2023-03-16T16:40:46","upDate": "2023-03-16T16:40:46","lrDate": "2023-03-16T16:40:46","description": "硬膜囊是椎管内的膜样组织,里面含有脑脊液和脊髓神经。","data": {"WebPage": {"headline": "硬膜囊在什么位置图","pcUrl": "https://www.med-credit.org.cn/jingxuan/2/4eed392ee7b239fa38f9fc2d0de3b1f6.html","wapUrl": "https://www.med-credit.org.cn/jingxuan/2/4eed392ee7b239fa38f9fc2d0de3b1f6.html","mipUrl": "https://www.med-credit.org.cn/mobile/jingxuan/2/4eed392ee7b239fa38f9fc2d0de3b1f6.html","fromSrc": "欢乐橙","datePublished": "2023-03-16T16:40:46","domain": "医疗","category": ["医疗权威文章合作"],"description": "硬膜囊是椎管内的膜样组织,里面含有脑脊液和脊髓神经。
","extra_headline": [""]},"Author": {"name": "富灵杰","wapUrl": "https://www.med-credit.org.cn/doctor/569","pcUrl": "https://www.med-credit.org.cn/doctor/569","jobTitle": "副主任医师","headPortrait": "https://www.med-credit.org.cn/uploadfile/member/569/180x180.jpeg","id": "569","description": "富灵杰,上海交通大学医学院附属第九人民医院骨科副主任医师","memberOf": {"legalName": "上海交通大学医学院附属第九人民医院","department": "骨科","organizationLevel": "三级甲等"}},"Article": {"summaryContent": "硬膜囊是椎管内的膜样组织,里面含有脑脊液和脊髓神经。
由于邻近组织的增生、钙化等因素,硬膜囊会有受压的情况。

硬膜囊由致密结缔组织构成,厚而坚韧,形成一长筒状的硬膜囊。上方附于枕骨大孔边缘,与硬脑膜相续,向下在第2骶椎高度形成一盲端,并借终丝附于尾骨。硬膜囊内有脑脊液、脊髓和31对脊神经根,每对脊神经根穿硬膜囊时被包被形成神经外膜,并与椎间孔周围的结缔组织紧密相连,起固定作用。
硬膜囊常见的相关疾病一般是硬膜囊受压。由于椎间盘的突出、黄韧带的肥厚以及关节突关节的增生,还有骨刺形成,都会引起硬膜囊受到压迫,大部分情况下不会引起明显的症状,只是一种影像学上的表现。如果压迫到了神经,会产生相应的神经损害的症状,需要进行手术治疗解除神经的压迫。
","articleBody": "硬膜囊是椎管内的膜样组织,里面含有脑脊液和脊髓神经。
由于邻近组织的增生、钙化等因素,硬膜囊会有受压的情况。

硬膜囊由致密结缔组织构成,厚而坚韧,形成一长筒状的硬膜囊。上方附于枕骨大孔边缘,与硬脑膜相续,向下在第2骶椎高度形成一盲端,并借终丝附于尾骨。硬膜囊内有脑脊液、脊髓和31对脊神经根,每对脊神经根穿硬膜囊时被包被形成神经外膜,并与椎间孔周围的结缔组织紧密相连,起固定作用。
硬膜囊常见的相关疾病一般是硬膜囊受压。由于椎间盘的突出、黄韧带的肥厚以及关节突关节的增生,还有骨刺形成,都会引起硬膜囊受到压迫,大部分情况下不会引起明显的症状,只是一种影像学上的表现。如果压迫到了神经,会产生相应的神经损害的症状,需要进行手术治疗解除神经的压迫。
","scanCount": 32793}}} {"@context": "https://ziyuan.baidu.com/contexts/cambrian.jsonld","appid": "1650708455561748","icon": "https://www.med-credit.org.cn/style/images/ttlogo.png","content_tag": ["atlas"],"is_mcn": {"thumb_id": "6s1p03j8e"},"accid": "4886d626a2804dee5f11168793ce361672f39c25","@id": "https://www.med-credit.org.cn/mobile/jingxuan/2/c72dd2be0ec61797585bee1efb5d24f8.html","bagWordId": "783_1598581065956462592","title": "人体腰部骨骼结构高清图","pubDate": "2023-03-16T16:40:46","upDate": "2023-03-16T16:40:46","lrDate": "2023-03-16T16:40:46","description": "人体的腰部骨骼由五块腰椎、一块骶骨以及两侧髂骨组成。","data": {"WebPage": {"headline": "人体腰部骨骼结构高清图","pcUrl": "https://www.med-credit.org.cn/jingxuan/2/c72dd2be0ec61797585bee1efb5d24f8.html","wapUrl": "https://www.med-credit.org.cn/jingxuan/2/c72dd2be0ec61797585bee1efb5d24f8.html","mipUrl": "https://www.med-credit.org.cn/mobile/jingxuan/2/c72dd2be0ec61797585bee1efb5d24f8.html","fromSrc": "欢乐橙","datePublished": "2023-03-16T16:40:46","domain": "医疗","category": ["医疗权威文章合作"],"description": "人体的腰部骨骼由五块腰椎、一块骶骨以及两侧髂骨组成。
","extra_headline": [""]},"Author": {"name": "富灵杰","wapUrl": "https://www.med-credit.org.cn/doctor/569","pcUrl": "https://www.med-credit.org.cn/doctor/569","jobTitle": "副主任医师","headPortrait": "https://www.med-credit.org.cn/uploadfile/member/569/180x180.jpeg","id": "569","description": "富灵杰,上海交通大学医学院附属第九人民医院骨科副主任医师","memberOf": {"legalName": "上海交通大学医学院附属第九人民医院","department": "骨科","organizationLevel": "三级甲等"}},"Article": {"summaryContent": "人体的腰部骨骼由五块腰椎、一块骶骨以及两侧髂骨组成。
腰椎、骶骨、髂骨各自形态不同,组成不同。


1、腰椎的形态:腰椎的组成共有五块椎骨,通过肌肉、韧带及关节相连接,其椎体较为粗壮,椎孔呈三角形。腰椎的上下关节突粗大,呈矢状位排列,能灵活进行屈伸运动。
2、骶骨的形态:骶骨由五块骶椎融合而成,呈底朝上而尖向下的三角形。前面凹陷,上缘中份向前隆凸,中部有四条横线,横线两端有四对骶前孔。骶骨的背面粗糙隆凸,正中线上有骶正中嵴,骶外侧有四对骶后孔。骶前、后孔均与骶管相通,内有骶神经通过。骶骨通过肌肉、韧带等软组织与腰椎相连接。
3、髂骨的形态:髂骨由肥厚的髂骨体和扁阔的髂骨翼构成。髂骨翼上缘肥厚,形成髂嵴。髂嵴前端和后端分别为髂前上棘和髂后上棘。髂前上棘后方5~7cm处,髂嵴外唇向上突起为髂结节。在髂前、髂后上棘的下方各有髂前下棘和髂后下棘。髂骨翼内面为浅阔的髂窝,髂窝下界的圆钝骨嵴称弓状线。髂骨翼后下方粗糙的耳状面与骶骨相关节。耳状面后上方由髂粗隆借韧带与骶骨相连接。髂骨翼外面为臀面,由臀肌附着。
","articleBody": "人体的腰部骨骼由五块腰椎、一块骶骨以及两侧髂骨组成。
腰椎、骶骨、髂骨各自形态不同,组成不同。


1、腰椎的形态:腰椎的组成共有五块椎骨,通过肌肉、韧带及关节相连接,其椎体较为粗壮,椎孔呈三角形。腰椎的上下关节突粗大,呈矢状位排列,能灵活进行屈伸运动。
2、骶骨的形态:骶骨由五块骶椎融合而成,呈底朝上而尖向下的三角形。前面凹陷,上缘中份向前隆凸,中部有四条横线,横线两端有四对骶前孔。骶骨的背面粗糙隆凸,正中线上有骶正中嵴,骶外侧有四对骶后孔。骶前、后孔均与骶管相通,内有骶神经通过。骶骨通过肌肉、韧带等软组织与腰椎相连接。
3、髂骨的形态:髂骨由肥厚的髂骨体和扁阔的髂骨翼构成。髂骨翼上缘肥厚,形成髂嵴。髂嵴前端和后端分别为髂前上棘和髂后上棘。髂前上棘后方5~7cm处,髂嵴外唇向上突起为髂结节。在髂前、髂后上棘的下方各有髂前下棘和髂后下棘。髂骨翼内面为浅阔的髂窝,髂窝下界的圆钝骨嵴称弓状线。髂骨翼后下方粗糙的耳状面与骶骨相关节。耳状面后上方由髂粗隆借韧带与骶骨相连接。髂骨翼外面为臀面,由臀肌附着。
","scanCount": 32789}}} {"@context": "https://ziyuan.baidu.com/contexts/cambrian.jsonld","appid": "1650708455561748","icon": "https://www.med-credit.org.cn/style/images/ttlogo.png","content_tag": ["atlas"],"is_mcn": {"thumb_id": "6s1p03j8e"},"accid": "4886d626a2804dee5f11168793ce361672f39c25","@id": "https://www.med-credit.org.cn/mobile/jingxuan/2/1a43823ed6aa5873532a5b26a5fdcecc.html","bagWordId": "783_1598581066170372096","title": "腰椎关节面矢状面图片","pubDate": "2023-03-16T16:40:46","upDate": "2023-03-16T16:40:46","lrDate": "2023-03-16T16:40:46","description": "腰椎有各一对上、下关节突,分别与邻近椎体的下、上关节突相关节,腰椎关节突的关节面沿呈矢状面排列。","data": {"WebPage": {"headline": "腰椎关节面矢状面图片","pcUrl": "https://www.med-credit.org.cn/jingxuan/2/1a43823ed6aa5873532a5b26a5fdcecc.html","wapUrl": "https://www.med-credit.org.cn/jingxuan/2/1a43823ed6aa5873532a5b26a5fdcecc.html","mipUrl": "https://www.med-credit.org.cn/mobile/jingxuan/2/1a43823ed6aa5873532a5b26a5fdcecc.html","fromSrc": "欢乐橙","datePublished": "2023-03-16T16:40:46","domain": "医疗","category": ["医疗权威文章合作"],"description": "腰椎有各一对上、下关节突,分别与邻近椎体的下、上关节突相关节,腰椎关节突的关节面沿呈矢状面排列。
","extra_headline": [""]},"Author": {"name": "富灵杰","wapUrl": "https://www.med-credit.org.cn/doctor/569","pcUrl": "https://www.med-credit.org.cn/doctor/569","jobTitle": "副主任医师","headPortrait": "https://www.med-credit.org.cn/uploadfile/member/569/180x180.jpeg","id": "569","description": "富灵杰,上海交通大学医学院附属第九人民医院骨科副主任医师","memberOf": {"legalName": "上海交通大学医学院附属第九人民医院","department": "骨科","organizationLevel": "三级甲等"}},"Article": {"summaryContent": "腰椎有各一对上、下关节突,分别与邻近椎体的下、上关节突相关节,腰椎关节突的关节面沿呈矢状面排列。
腰椎关节突关节面的矢状面排列对人体活动的功能发挥具有重要作用。如出现关节面异常会引起人体不适和功能受限。

腰椎关节突分为上关节突和下关节突,上关节突自椎弓根后上方发出,扩大并斜向后外方。下关节突由椎板下外方发出凸隆,伸向前外方。其中上关节突与上方的腰椎的下关节突相关节;下关节突与下方腰椎的上关节突相关节。
1、作用:腰椎的关节突呈矢状面排列,能使人体最大化发挥脊柱屈伸、侧屈的功能,并能提供少许的旋转角度。可以满足人类日常的弯腰办公、弯腰拾物等动作。
2、异常症状:如果关节突排列异常、发生错位、退变、增生等情况,可能会产生疼痛、活动受限、弯腰或伸腰不能等症状。
","articleBody": "腰椎有各一对上、下关节突,分别与邻近椎体的下、上关节突相关节,腰椎关节突的关节面沿呈矢状面排列。
腰椎关节突关节面的矢状面排列对人体活动的功能发挥具有重要作用。如出现关节面异常会引起人体不适和功能受限。

腰椎关节突分为上关节突和下关节突,上关节突自椎弓根后上方发出,扩大并斜向后外方。下关节突由椎板下外方发出凸隆,伸向前外方。其中上关节突与上方的腰椎的下关节突相关节;下关节突与下方腰椎的上关节突相关节。
1、作用:腰椎的关节突呈矢状面排列,能使人体最大化发挥脊柱屈伸、侧屈的功能,并能提供少许的旋转角度。可以满足人类日常的弯腰办公、弯腰拾物等动作。
2、异常症状:如果关节突排列异常、发生错位、退变、增生等情况,可能会产生疼痛、活动受限、弯腰或伸腰不能等症状。
","scanCount": 32788}}} {"@context": "https://ziyuan.baidu.com/contexts/cambrian.jsonld","appid": "1650708455561748","icon": "https://www.med-credit.org.cn/style/images/ttlogo.png","content_tag": ["atlas"],"is_mcn": {"thumb_id": "lnsk06v2"},"accid": "4886d626a2804dee5f11168793ce361672f39c25","@id": "https://www.med-credit.org.cn/mobile/jingxuan/2/c6a94f95bfccf9442a8cc7b151d10b4c.html","bagWordId": "939_1620691331821080576","title": "蜘蛛网过敏长红疙瘩图片","pubDate": "2023-03-16T16:40:46","upDate": "2023-03-16T16:40:46","lrDate": "2023-03-16T16:40:46","description": "蜘蛛网过敏长红疙瘩会导致皮肤表面出现大小不一的疙瘩,伴有瘙痒和红肿的情况。","data": {"WebPage": {"headline": "蜘蛛网过敏长红疙瘩图片","pcUrl": "https://www.med-credit.org.cn/jingxuan/2/c6a94f95bfccf9442a8cc7b151d10b4c.html","wapUrl": "https://www.med-credit.org.cn/jingxuan/2/c6a94f95bfccf9442a8cc7b151d10b4c.html","mipUrl": "https://www.med-credit.org.cn/mobile/jingxuan/2/c6a94f95bfccf9442a8cc7b151d10b4c.html","fromSrc": "欢乐橙","datePublished": "2023-03-16T16:40:46","domain": "医疗","category": ["医疗权威文章合作"],"description": "蜘蛛网过敏长红疙瘩会导致皮肤表面出现大小不一的疙瘩,伴有瘙痒和红肿的情况。
","extra_headline": [""]},"Author": {"name": "王霞","wapUrl": "https://www.med-credit.org.cn/doctor/578","pcUrl": "https://www.med-credit.org.cn/doctor/578","jobTitle": "副主任医师","headPortrait": "https://www.med-credit.org.cn/uploadfile/member/578/180x180.jpeg","id": "578","description": "王霞,广州医科大学附属第一医院皮肤科副主任医师","memberOf": {"legalName": "广州医科大学附属第一医院","department": "皮肤科","organizationLevel": "三级甲等"}},"Article": {"summaryContent": "蜘蛛网过敏长红疙瘩会导致皮肤表面出现大小不一的疙瘩,伴有瘙痒和红肿的情况。
蜘蛛网过敏长红疙瘩有可能是过敏性皮炎引起的,需遵医嘱使用药物进行治疗。

蜘蛛本身带有一定的毒素,如果毒素残留在蜘蛛网上,当皮肤接触到蜘蛛网时,可能会产生过敏反应,另外,如果自身是过敏体质或者是自身免疫力低下,接触蜘蛛网时有可能会产生过敏反应,从而引起过敏性皮炎,导致皮肤表面出现皮疹,伴有瘙痒或者是红肿等症状。
可以及时的使用温热水将皮肤表面清洗干净,遵医嘱在皮疹及瘙痒部位涂抹炉甘石洗剂、曲安奈德乳膏等药物来改善,如果症状过于严重,还需要配合医生的指导,使用抗过敏类的药物来治疗,比如氯雷他定片、西替利嗪片等。
在平常生活中要注意皮肤的清洁,不要用手反复抓挠瘙痒的部位。
","articleBody": "蜘蛛网过敏长红疙瘩会导致皮肤表面出现大小不一的疙瘩,伴有瘙痒和红肿的情况。
蜘蛛网过敏长红疙瘩有可能是过敏性皮炎引起的,需遵医嘱使用药物进行治疗。

蜘蛛本身带有一定的毒素,如果毒素残留在蜘蛛网上,当皮肤接触到蜘蛛网时,可能会产生过敏反应,另外,如果自身是过敏体质或者是自身免疫力低下,接触蜘蛛网时有可能会产生过敏反应,从而引起过敏性皮炎,导致皮肤表面出现皮疹,伴有瘙痒或者是红肿等症状。
可以及时的使用温热水将皮肤表面清洗干净,遵医嘱在皮疹及瘙痒部位涂抹炉甘石洗剂、曲安奈德乳膏等药物来改善,如果症状过于严重,还需要配合医生的指导,使用抗过敏类的药物来治疗,比如氯雷他定片、西替利嗪片等。
在平常生活中要注意皮肤的清洁,不要用手反复抓挠瘙痒的部位。
","scanCount": 32782}}} {"@context": "https://ziyuan.baidu.com/contexts/cambrian.jsonld","appid": "1650708455561748","icon": "https://www.med-credit.org.cn/style/images/ttlogo.png","content_tag": ["atlas"],"is_mcn": {"thumb_id": "ay28xrnt0"},"accid": "4886d626a2804dee5f11168793ce361672f39c25","@id": "https://www.med-credit.org.cn/mobile/jingxuan/2/96e43c942cf693949060a4c900b18615.html","bagWordId": "407_1570734617705582592","title": "颞下颌关节是哪个位置图片","pubDate": "2023-03-16T16:40:46","upDate": "2023-03-16T16:40:46","lrDate": "2023-03-16T16:40:46","description": "颞下颌关节位于外耳门前方,并与枕骨基底部和岩锥重叠。","data": {"WebPage": {"headline": "颞下颌关节是哪个位置图片","pcUrl": "https://www.med-credit.org.cn/jingxuan/2/96e43c942cf693949060a4c900b18615.html","wapUrl": "https://www.med-credit.org.cn/jingxuan/2/96e43c942cf693949060a4c900b18615.html","mipUrl": "https://www.med-credit.org.cn/mobile/jingxuan/2/96e43c942cf693949060a4c900b18615.html","fromSrc": "欢乐橙","datePublished": "2023-03-16T16:40:46","domain": "医疗","category": ["医疗权威文章合作"],"description": "颞下颌关节位于外耳门前方,并与枕骨基底部和岩锥重叠。
","extra_headline": [""]},"Author": {"name": "李斯文","wapUrl": "https://www.med-credit.org.cn/doctor/546","pcUrl": "https://www.med-credit.org.cn/doctor/546","jobTitle": "主治医师","headPortrait": "https://www.med-credit.org.cn/uploadfile/member/546/180x180.jpeg","id": "546","description": "李斯文,中国医科大学附属口腔医院口腔科主治医师","memberOf": {"legalName": "中国医科大学附属口腔医院","department": "口腔科","organizationLevel": "三级甲等"}},"Article": {"summaryContent": "颞下颌关节位于外耳门前方,并与枕骨基底部和岩锥重叠。
颞下颌关节出现问题即颞下颌关节紊乱。

颞下颌关节位于外耳门前方,并与枕骨基底部和岩锥重叠,一般沿下颌支后缘向上可追寻出下颌小头的圆形轮廓。从解剖上来讲,颞下颌关节是头面部唯一能动的关节,它是由颞骨的关节窝和下颌骨的髁状突共同组成,在这个关节部位除了关节突和关节窝,中间还垫了一个垫片叫做关节盘。
由于颞下颌关节的使用频率非常高,咀嚼的时候会运动,说话的时候也会运动。长期习惯大笑大张口、习惯性下颌运动过度、关节盘松弛会导致颞下颌关节出现一些问题,即颞下颌关节紊乱。常出现肌肉疼痛、开口受限等症状。对于颞下颌关节紊乱病以保守治疗为主,重点帮助肌群的功能恢复,限制大张口,使张口在正常范围内。
平常注意减少颞下颌关节持续承受异常压力的机会,如咬硬物、偏侧咀嚼、磨牙症、紧咬牙、外伤、车祸、下颌受到外力打击等,避免关节表面软骨受到破坏,从而导致关节退行性变发生。尽量减少大笑呕吐、大张口进食等行为,防止髁突过度前移,出现关节半脱位、下颌颏部或下颌受外伤也会引起下颌关节半脱位。
","articleBody": "颞下颌关节位于外耳门前方,并与枕骨基底部和岩锥重叠。
颞下颌关节出现问题即颞下颌关节紊乱。

颞下颌关节位于外耳门前方,并与枕骨基底部和岩锥重叠,一般沿下颌支后缘向上可追寻出下颌小头的圆形轮廓。从解剖上来讲,颞下颌关节是头面部唯一能动的关节,它是由颞骨的关节窝和下颌骨的髁状突共同组成,在这个关节部位除了关节突和关节窝,中间还垫了一个垫片叫做关节盘。
由于颞下颌关节的使用频率非常高,咀嚼的时候会运动,说话的时候也会运动。长期习惯大笑大张口、习惯性下颌运动过度、关节盘松弛会导致颞下颌关节出现一些问题,即颞下颌关节紊乱。常出现肌肉疼痛、开口受限等症状。对于颞下颌关节紊乱病以保守治疗为主,重点帮助肌群的功能恢复,限制大张口,使张口在正常范围内。
平常注意减少颞下颌关节持续承受异常压力的机会,如咬硬物、偏侧咀嚼、磨牙症、紧咬牙、外伤、车祸、下颌受到外力打击等,避免关节表面软骨受到破坏,从而导致关节退行性变发生。尽量减少大笑呕吐、大张口进食等行为,防止髁突过度前移,出现关节半脱位、下颌颏部或下颌受外伤也会引起下颌关节半脱位。
","scanCount": 32779}}} {"@context": "https://ziyuan.baidu.com/contexts/cambrian.jsonld","appid": "1650708455561748","icon": "https://www.med-credit.org.cn/style/images/ttlogo.png","content_tag": ["atlas"],"is_mcn": {"thumb_id": "ay28xrnt0"},"accid": "4886d626a2804dee5f11168793ce361672f39c25","@id": "https://www.med-credit.org.cn/mobile/jingxuan/2/383d2b22797225f0ac0099584b877eed.html","bagWordId": "939_1620691329140920320","title": "牙槽骨增生白色组织图片","pubDate": "2023-03-16T16:40:46","upDate": "2023-03-16T16:40:46","lrDate": "2023-03-16T16:40:46","description": "牙槽骨增生白色组织一般是牙槽骨增生。","data": {"WebPage": {"headline": "牙槽骨增生白色组织图片","pcUrl": "https://www.med-credit.org.cn/jingxuan/2/383d2b22797225f0ac0099584b877eed.html","wapUrl": "https://www.med-credit.org.cn/jingxuan/2/383d2b22797225f0ac0099584b877eed.html","mipUrl": "https://www.med-credit.org.cn/mobile/jingxuan/2/383d2b22797225f0ac0099584b877eed.html","fromSrc": "欢乐橙","datePublished": "2023-03-16T16:40:46","domain": "医疗","category": ["医疗权威文章合作"],"description": "牙槽骨增生白色组织一般是牙槽骨增生。
","extra_headline": [""]},"Author": {"name": "李斯文","wapUrl": "https://www.med-credit.org.cn/doctor/546","pcUrl": "https://www.med-credit.org.cn/doctor/546","jobTitle": "主治医师","headPortrait": "https://www.med-credit.org.cn/uploadfile/member/546/180x180.jpeg","id": "546","description": "李斯文,中国医科大学附属口腔医院口腔科主治医师","memberOf": {"legalName": "中国医科大学附属口腔医院","department": "口腔科","organizationLevel": "三级甲等"}},"Article": {"summaryContent": "牙槽骨增生白色组织一般是牙槽骨增生。
牙槽骨增生多数是因为个别牙齿位置异常,其承受的咀嚼力较大,牙弓转弯处承受剪切力大的地方也会导致牙槽骨增生。

1、原因:个别牙齿的位置出现异常,其承受的咀嚼力比正常牙齿的还要大,经常受到的力大,会造成牙槽骨增生;在牙弓的转弯处,承受的剪切力会导致牙槽骨增生;当牙龈经常受到辛辣食物的刺激,很有可能导致牙槽骨增生。
2、治疗:当发现自身出现牙槽骨增生时,可以先观察一段时间,如果没有出现什么不适感,可以不进行治疗;但当牙槽骨增生引起口腔不适感时,则需前往医院接受手术治疗。
在日常饮食中不要经常吃一些硬度很高的食物,缓解牙齿咀嚼的压力;饮食以清淡为主,尽量避免进食辛辣刺激性的食物,可以多吃一些富含维生素的水果以及蔬菜。在日常生活中要注意口腔的卫生,早晚刷牙,当进食一些味道较重的食物时,可以在进食后漱口。
","articleBody": "牙槽骨增生白色组织一般是牙槽骨增生。
牙槽骨增生多数是因为个别牙齿位置异常,其承受的咀嚼力较大,牙弓转弯处承受剪切力大的地方也会导致牙槽骨增生。

1、原因:个别牙齿的位置出现异常,其承受的咀嚼力比正常牙齿的还要大,经常受到的力大,会造成牙槽骨增生;在牙弓的转弯处,承受的剪切力会导致牙槽骨增生;当牙龈经常受到辛辣食物的刺激,很有可能导致牙槽骨增生。
2、治疗:当发现自身出现牙槽骨增生时,可以先观察一段时间,如果没有出现什么不适感,可以不进行治疗;但当牙槽骨增生引起口腔不适感时,则需前往医院接受手术治疗。
在日常饮食中不要经常吃一些硬度很高的食物,缓解牙齿咀嚼的压力;饮食以清淡为主,尽量避免进食辛辣刺激性的食物,可以多吃一些富含维生素的水果以及蔬菜。在日常生活中要注意口腔的卫生,早晚刷牙,当进食一些味道较重的食物时,可以在进食后漱口。
","scanCount": 32778}}} {"@context": "https://ziyuan.baidu.com/contexts/cambrian.jsonld","appid": "1650708455561748","icon": "https://www.med-credit.org.cn/style/images/ttlogo.png","content_tag": ["atlas"],"is_mcn": {"thumb_id": "6s1p03j8e"},"accid": "4886d626a2804dee5f11168793ce361672f39c25","@id": "https://www.med-credit.org.cn/mobile/jingxuan/2/994a1b8a8b42a409974b4b8c8e7e5dd1.html","bagWordId": "939_1620691330571177984","title": "冈上肌的位置示意图","pubDate": "2023-03-16T16:40:46","upDate": "2023-03-16T16:40:46","lrDate": "2023-03-16T16:40:46","description": "冈上肌位于斜方肌深面,起自肩胛骨冈上窝,止于肱骨大结节上部。","data": {"WebPage": {"headline": "冈上肌的位置示意图","pcUrl": "https://www.med-credit.org.cn/jingxuan/2/994a1b8a8b42a409974b4b8c8e7e5dd1.html","wapUrl": "https://www.med-credit.org.cn/jingxuan/2/994a1b8a8b42a409974b4b8c8e7e5dd1.html","mipUrl": "https://www.med-credit.org.cn/mobile/jingxuan/2/994a1b8a8b42a409974b4b8c8e7e5dd1.html","fromSrc": "欢乐橙","datePublished": "2023-03-16T16:40:46","domain": "医疗","category": ["医疗权威文章合作"],"description": "冈上肌位于斜方肌深面,起自肩胛骨冈上窝,止于肱骨大结节上部。
","extra_headline": [""]},"Author": {"name": "富灵杰","wapUrl": "https://www.med-credit.org.cn/doctor/569","pcUrl": "https://www.med-credit.org.cn/doctor/569","jobTitle": "副主任医师","headPortrait": "https://www.med-credit.org.cn/uploadfile/member/569/180x180.jpeg","id": "569","description": "富灵杰,上海交通大学医学院附属第九人民医院骨科副主任医师","memberOf": {"legalName": "上海交通大学医学院附属第九人民医院","department": "骨科","organizationLevel": "三级甲等"}},"Article": {"summaryContent": "冈上肌位于斜方肌深面,起自肩胛骨冈上窝,止于肱骨大结节上部。
核磁共振上可见冈上肌位于肩胛骨的背面,横向延伸以包裹在肱骨头的顶部以附着在其关节盂唇上。位于上斜方肌的下方。

1、位置:冈上肌位于斜方肌深面,起自肩胛骨冈上窝,肌束向外侧经肩峰和喙肩韧带下方汇合成肌腱,越过肩关节上方并与肩关节囊融合,止于肱骨大结节上部。
2、表现:冈上肌腱损伤通常表现为外展功能受限,可以通过抬高患者的手臂和肩胛骨的高度来判断。若损伤可表现为抬起时疼痛,外展幅度受限。
3、治疗:对于冈上肌肌腱损伤多采用综合治疗的方法,观察磁共振的损伤程度,若磁共振未显示撕裂症,仅表现周围水肿,密度影增加等表现,可通过局部注射镇痛药物,完全制动,给予相应的理疗,微波治疗等;若在磁共振上显示撕裂严重,需要进行手术治疗,目前多采用肩关节镜来使用缝合铆钉修复撕裂的肌腱,若完全断裂,甚至需要肌腱移植术等术式。
冈上肌对肩关节的主动运动有重要意义,若出现冈上肌的疼痛及肩关节外展功能受限的时候要及时就诊,切勿延误病情,在医生的指导下规范治疗,早日恢复。
","articleBody": "冈上肌位于斜方肌深面,起自肩胛骨冈上窝,止于肱骨大结节上部。
核磁共振上可见冈上肌位于肩胛骨的背面,横向延伸以包裹在肱骨头的顶部以附着在其关节盂唇上。位于上斜方肌的下方。

1、位置:冈上肌位于斜方肌深面,起自肩胛骨冈上窝,肌束向外侧经肩峰和喙肩韧带下方汇合成肌腱,越过肩关节上方并与肩关节囊融合,止于肱骨大结节上部。
2、表现:冈上肌腱损伤通常表现为外展功能受限,可以通过抬高患者的手臂和肩胛骨的高度来判断。若损伤可表现为抬起时疼痛,外展幅度受限。
3、治疗:对于冈上肌肌腱损伤多采用综合治疗的方法,观察磁共振的损伤程度,若磁共振未显示撕裂症,仅表现周围水肿,密度影增加等表现,可通过局部注射镇痛药物,完全制动,给予相应的理疗,微波治疗等;若在磁共振上显示撕裂严重,需要进行手术治疗,目前多采用肩关节镜来使用缝合铆钉修复撕裂的肌腱,若完全断裂,甚至需要肌腱移植术等术式。
冈上肌对肩关节的主动运动有重要意义,若出现冈上肌的疼痛及肩关节外展功能受限的时候要及时就诊,切勿延误病情,在医生的指导下规范治疗,早日恢复。
","scanCount": 32772}}} {"@context": "https://ziyuan.baidu.com/contexts/cambrian.jsonld","appid": "1650708455561748","icon": "https://www.med-credit.org.cn/style/images/ttlogo.png","content_tag": ["atlas"],"is_mcn": {"thumb_id": "6s1p03j8e"},"accid": "4886d626a2804dee5f11168793ce361672f39c25","@id": "https://www.med-credit.org.cn/mobile/jingxuan/2/5c6512375b196684acf42b9660e6f36f.html","bagWordId": "407_1570734602929049600","title": "女性的锁骨位置示意图","pubDate": "2023-03-16T16:40:46","upDate": "2023-03-16T16:40:46","lrDate": "2023-03-16T16:40:46","description": "女性锁骨在颈根部,横架于胸廓前上方,位于皮下。锁骨是上肢带的组成部分,是连接肩胛骨与胸骨的“S”形细长骨。","data": {"WebPage": {"headline": "女性的锁骨位置示意图","pcUrl": "https://www.med-credit.org.cn/jingxuan/2/5c6512375b196684acf42b9660e6f36f.html","wapUrl": "https://www.med-credit.org.cn/jingxuan/2/5c6512375b196684acf42b9660e6f36f.html","mipUrl": "https://www.med-credit.org.cn/mobile/jingxuan/2/5c6512375b196684acf42b9660e6f36f.html","fromSrc": "欢乐橙","datePublished": "2023-03-16T16:40:46","domain": "医疗","category": ["医疗权威文章合作"],"description": "女性锁骨在颈根部,横架于胸廓前上方,位于皮下。锁骨是上肢带的组成部分,是连接肩胛骨与胸骨的“S”形细长骨。
","extra_headline": [""]},"Author": {"name": "富灵杰","wapUrl": "https://www.med-credit.org.cn/doctor/569","pcUrl": "https://www.med-credit.org.cn/doctor/569","jobTitle": "副主任医师","headPortrait": "https://www.med-credit.org.cn/uploadfile/member/569/180x180.jpeg","id": "569","description": "富灵杰,上海交通大学医学院附属第九人民医院骨科副主任医师","memberOf": {"legalName": "上海交通大学医学院附属第九人民医院","department": "骨科","organizationLevel": "三级甲等"}},"Article": {"summaryContent": "女性锁骨在颈根部,横架于胸廓前上方,位于皮下。锁骨是上肢带的组成部分,是连接肩胛骨与胸骨的“S”形细长骨。
锁骨主要负责维持肩关节在正常位置,增加上肢的活动范围和提高工作效能。
1.结构位置:锁骨呈“S”形,位置在颈根部,外侧1/3凸弯向后,内侧2/3凸弯向前,架于胸廓前上方,位于皮下,它的全长都能触摸到。锁骨是无骨髓腔的,在胎儿体内是首先骨化的骨,是膜内成骨的骨。锁骨骨折多发于中、外1/3交界处,人跌倒时多为肩或手着地时,向躯干传递的压力大于该薄弱部骨强度时即可发生骨折。

2.功能:锁骨可以抬高第一肋骨,可以有协助吸气的作用,另外锁骨覆盖在上肢的大血管、神经干上,所以在位置上有保护这些结构的作用。
锁骨是人上肢重要的骨性标志物,血运丰富,利于愈合,如果出现锁骨骨折,在位置尚可的情况下可以采用保守治疗的方式,因为在不切开皮肤组织的前提下,锁骨基本都可骨性愈合。如果粉碎严重,需要进行手术治疗。
","articleBody": "女性锁骨在颈根部,横架于胸廓前上方,位于皮下。锁骨是上肢带的组成部分,是连接肩胛骨与胸骨的“S”形细长骨。
锁骨主要负责维持肩关节在正常位置,增加上肢的活动范围和提高工作效能。
1.结构位置:锁骨呈“S”形,位置在颈根部,外侧1/3凸弯向后,内侧2/3凸弯向前,架于胸廓前上方,位于皮下,它的全长都能触摸到。锁骨是无骨髓腔的,在胎儿体内是首先骨化的骨,是膜内成骨的骨。锁骨骨折多发于中、外1/3交界处,人跌倒时多为肩或手着地时,向躯干传递的压力大于该薄弱部骨强度时即可发生骨折。

2.功能:锁骨可以抬高第一肋骨,可以有协助吸气的作用,另外锁骨覆盖在上肢的大血管、神经干上,所以在位置上有保护这些结构的作用。
锁骨是人上肢重要的骨性标志物,血运丰富,利于愈合,如果出现锁骨骨折,在位置尚可的情况下可以采用保守治疗的方式,因为在不切开皮肤组织的前提下,锁骨基本都可骨性愈合。如果粉碎严重,需要进行手术治疗。
","scanCount": 32770}}} {"@context": "https://ziyuan.baidu.com/contexts/cambrian.jsonld","appid": "1650708455561748","icon": "https://www.med-credit.org.cn/style/images/ttlogo.png","content_tag": ["atlas"],"is_mcn": {"thumb_id": "lnsk06v2"},"accid": "4886d626a2804dee5f11168793ce361672f39c25","@id": "https://www.med-credit.org.cn/mobile/jingxuan/2/8d55bb14a184b281286b9855e6a381c9.html","bagWordId": "939_1620691332529917952","title": "异物肉芽肿图片","pubDate": "2023-03-16T16:40:46","upDate": "2023-03-16T16:40:46","lrDate": "2023-03-16T16:40:46","description": "异物肉芽肿是异物进入人体皮肤组织后,创伤部位异常增生而形成的肉芽组织的病变。","data": {"WebPage": {"headline": "异物肉芽肿图片","pcUrl": "https://www.med-credit.org.cn/jingxuan/2/8d55bb14a184b281286b9855e6a381c9.html","wapUrl": "https://www.med-credit.org.cn/jingxuan/2/8d55bb14a184b281286b9855e6a381c9.html","mipUrl": "https://www.med-credit.org.cn/mobile/jingxuan/2/8d55bb14a184b281286b9855e6a381c9.html","fromSrc": "欢乐橙","datePublished": "2023-03-16T16:40:46","domain": "医疗","category": ["医疗权威文章合作"],"description": "异物肉芽肿是异物进入人体皮肤组织后,创伤部位异常增生而形成的肉芽组织的病变。
","extra_headline": [""]},"Author": {"name": "王霞","wapUrl": "https://www.med-credit.org.cn/doctor/578","pcUrl": "https://www.med-credit.org.cn/doctor/578","jobTitle": "副主任医师","headPortrait": "https://www.med-credit.org.cn/uploadfile/member/578/180x180.jpeg","id": "578","description": "王霞,广州医科大学附属第一医院皮肤科副主任医师","memberOf": {"legalName": "广州医科大学附属第一医院","department": "皮肤科","organizationLevel": "三级甲等"}},"Article": {"summaryContent": "异物肉芽肿是异物进入人体皮肤组织后,创伤部位异常增生而形成的肉芽组织的病变。
异物肉芽肿病理检查可见典型异物反应、异物过敏反应、特异性异物肉芽肿。

局部出现突出皮肤的新生肉芽组织,由于局部的黏膜血管较为脆弱,所以易受到外在因素的刺激,从而出现出血以及疼痛不适感。若患者异物肉芽肿形成后出现继发感染,皮肤表面会出现丘疹、水肿、瘀斑、溃疡、色素沉着、炎症反应及炎症细胞浸润等情况,部分皮损处皮肤颜色可呈红色或紫红,且表面红晕明显、疼痛明显,并伴有皮温升高的症状。
1、典型异物反应:为巨噬细胞及异物巨细胞包围异物,四周有淋巴样细胞和浆细胞浸润,尚可见异物。如缝线、液状石蜡油、硅盐、毛发等均可引起异物反应。
2、异物过敏反应:可出现上皮样细胞构成的结核样结节,巨细胞及干酪样坏死可有可无,但缺乏或少有吞噬异物现象,钴铍或纹身颜料可引起异物过敏反应。
3、特异性异物肉芽肿:如纹身肉芽肿可见颜料颗粒,硅肉芽肿为非结核性肉芽肿,为多数巨噬细胞和多核细胞的炎症浸润,可见折光性强的针状硅结晶。
","articleBody": "异物肉芽肿是异物进入人体皮肤组织后,创伤部位异常增生而形成的肉芽组织的病变。
异物肉芽肿病理检查可见典型异物反应、异物过敏反应、特异性异物肉芽肿。

局部出现突出皮肤的新生肉芽组织,由于局部的黏膜血管较为脆弱,所以易受到外在因素的刺激,从而出现出血以及疼痛不适感。若患者异物肉芽肿形成后出现继发感染,皮肤表面会出现丘疹、水肿、瘀斑、溃疡、色素沉着、炎症反应及炎症细胞浸润等情况,部分皮损处皮肤颜色可呈红色或紫红,且表面红晕明显、疼痛明显,并伴有皮温升高的症状。
1、典型异物反应:为巨噬细胞及异物巨细胞包围异物,四周有淋巴样细胞和浆细胞浸润,尚可见异物。如缝线、液状石蜡油、硅盐、毛发等均可引起异物反应。
2、异物过敏反应:可出现上皮样细胞构成的结核样结节,巨细胞及干酪样坏死可有可无,但缺乏或少有吞噬异物现象,钴铍或纹身颜料可引起异物过敏反应。
3、特异性异物肉芽肿:如纹身肉芽肿可见颜料颗粒,硅肉芽肿为非结核性肉芽肿,为多数巨噬细胞和多核细胞的炎症浸润,可见折光性强的针状硅结晶。
","scanCount": 32764}}} {"@context": "https://ziyuan.baidu.com/contexts/cambrian.jsonld","appid": "1650708455561748","icon": "https://www.med-credit.org.cn/style/images/ttlogo.png","content_tag": ["atlas"],"is_mcn": {"thumb_id": "6s1p03j8e"},"accid": "4886d626a2804dee5f11168793ce361672f39c25","@id": "https://www.med-credit.org.cn/mobile/jingxuan/2/b291c64dd29dd57c651998f71da4722d.html","bagWordId": "269_1558063592987693056","title": "枢椎解剖图","pubDate": "2023-03-16T16:40:46","upDate": "2023-03-16T16:40:46","lrDate": "2023-03-16T16:40:46","description": "枢椎是第二颈椎,有不同于其他脊骨的齿突,与寰椎构成寰枢关节。","data": {"WebPage": {"headline": "枢椎解剖图","pcUrl": "https://www.med-credit.org.cn/jingxuan/2/b291c64dd29dd57c651998f71da4722d.html","wapUrl": "https://www.med-credit.org.cn/jingxuan/2/b291c64dd29dd57c651998f71da4722d.html","mipUrl": "https://www.med-credit.org.cn/mobile/jingxuan/2/b291c64dd29dd57c651998f71da4722d.html","fromSrc": "欢乐橙","datePublished": "2023-03-16T16:40:46","domain": "医疗","category": ["医疗权威文章合作"],"description": "枢椎是第二颈椎,有不同于其他脊骨的齿突,与寰椎构成寰枢关节。
","extra_headline": [""]},"Author": {"name": "富灵杰","wapUrl": "https://www.med-credit.org.cn/doctor/569","pcUrl": "https://www.med-credit.org.cn/doctor/569","jobTitle": "副主任医师","headPortrait": "https://www.med-credit.org.cn/uploadfile/member/569/180x180.jpeg","id": "569","description": "富灵杰,上海交通大学医学院附属第九人民医院骨科副主任医师","memberOf": {"legalName": "上海交通大学医学院附属第九人民医院","department": "骨科","organizationLevel": "三级甲等"}},"Article": {"summaryContent": "枢椎是第二颈椎,有不同于其他脊骨的齿突,与寰椎构成寰枢关节。
寰椎损伤可引起寰枢关节损伤,导致头颈部运动障碍。
日常生活中应避免突然的头颈部甩动,减少低头时间,防止颈部受伤。

颈椎一共有七节,枢椎位于第二节,属于上位颈椎。其椎体向上突出,称为齿突,与寰椎也就是第一颈椎的齿突凹连接,形成寰枢关节。寰枢关节活动度大,控制头部的俯仰,侧屈,旋转等动作。
当枢椎受到暴力外伤或头颈部快速大范围运动、颈部长期处于不正确姿势时,容易出现寰枢关节脱位或受损,导致关节充血水肿,功能障碍。患者感到头颈部疼痛,活动受限。同时还可能引起脊髓及其发出的神经受损,出现上肢麻木等症状,严重者可出现瘫痪。
日常生活中对颈椎的保护至关重要,应避免突然的头颈部甩动,减少低头时间,使用高度合适的枕头。平时做好保护措施,防止颈部外伤。老年人及骨质疏松人群应适当补钙。
","articleBody": "枢椎是第二颈椎,有不同于其他脊骨的齿突,与寰椎构成寰枢关节。
寰椎损伤可引起寰枢关节损伤,导致头颈部运动障碍。
日常生活中应避免突然的头颈部甩动,减少低头时间,防止颈部受伤。

颈椎一共有七节,枢椎位于第二节,属于上位颈椎。其椎体向上突出,称为齿突,与寰椎也就是第一颈椎的齿突凹连接,形成寰枢关节。寰枢关节活动度大,控制头部的俯仰,侧屈,旋转等动作。
当枢椎受到暴力外伤或头颈部快速大范围运动、颈部长期处于不正确姿势时,容易出现寰枢关节脱位或受损,导致关节充血水肿,功能障碍。患者感到头颈部疼痛,活动受限。同时还可能引起脊髓及其发出的神经受损,出现上肢麻木等症状,严重者可出现瘫痪。
日常生活中对颈椎的保护至关重要,应避免突然的头颈部甩动,减少低头时间,使用高度合适的枕头。平时做好保护措施,防止颈部外伤。老年人及骨质疏松人群应适当补钙。
","scanCount": 32758}}} {"@context": "https://ziyuan.baidu.com/contexts/cambrian.jsonld","appid": "1650708455561748","icon": "https://www.med-credit.org.cn/style/images/ttlogo.png","content_tag": ["atlas"],"is_mcn": {"thumb_id": "6s1phww1w"},"accid": "4886d626a2804dee5f11168793ce361672f39c25","@id": "https://www.med-credit.org.cn/mobile/jingxuan/2/4f86ed8809f438362e8909f67b9b89aa.html","bagWordId": "269_1558063583806361600","title": "棘突图片","pubDate": "2023-03-16T16:40:46","upDate": "2023-03-16T16:40:46","lrDate": "2023-03-16T16:40:46","description": "棘突是脊椎特有的骨性结构,是脊椎椎体髓弓中央的刺状或棱鳞形的隆起部分,在背部可触及。","data": {"WebPage": {"headline": "棘突图片","pcUrl": "https://www.med-credit.org.cn/jingxuan/2/4f86ed8809f438362e8909f67b9b89aa.html","wapUrl": "https://www.med-credit.org.cn/jingxuan/2/4f86ed8809f438362e8909f67b9b89aa.html","mipUrl": "https://www.med-credit.org.cn/mobile/jingxuan/2/4f86ed8809f438362e8909f67b9b89aa.html","fromSrc": "欢乐橙","datePublished": "2023-03-16T16:40:46","domain": "医疗","category": ["医疗权威文章合作"],"description": "棘突是脊椎特有的骨性结构,是脊椎椎体髓弓中央的刺状或棱鳞形的隆起部分,在背部可触及。
","extra_headline": [""]},"Author": {"name": "王维","wapUrl": "https://www.med-credit.org.cn/doctor/513","pcUrl": "https://www.med-credit.org.cn/doctor/513","jobTitle": "主治医师","headPortrait": "https://www.med-credit.org.cn/uploadfile/member/513/180x180.jpeg","id": "513","description": "王维,中国医科大学附属盛京医院骨科主治医师","memberOf": {"legalName": "中国医科大学附属盛京医院","department": "骨科","organizationLevel": "三级甲等"}},"Article": {"summaryContent": "棘突是脊椎特有的骨性结构,是脊椎椎体髓弓中央的刺状或棱鳞形的隆起部分,在背部可触及。
棘突是椎骨承受外力作用首当其冲的结构,是保护脊椎的重要部分。
长期劳损会导致棘突间韧带出现炎症,引起棘突及其周围疼痛。
棘突向后突出易于触及,便于体格检查和手术的准确定位。

椎骨主要由椎体、椎弓、棘突和横突、关节突构成。其中棘突是椎骨承受外力作用首当其冲的结构,是保护脊椎的重要部分。棘突也可附着韧带,增强椎骨稳定性。注意颈椎棘突短而分杈,位置较水平。胸椎棘突细长,斜向后下。呈叠瓦状排列;腰椎棘突呈宽而短的板状,水平向后凸出。
棘突间韧带受损而出现炎症时,会引起棘突及其周围疼痛,多是由于长期劳损所致。如长时间保持弯腰姿势工作或坐姿不恰当,腰椎反复弯曲,棘上韧带会因过分牵拉、不断摩擦而受损,进而导致慢性炎症,出现局限性疼痛,有明显按压痛和叩击痛。
棘突向后突出易于触及,便于体格检查和手术的准确定位,如低头时后颈部隆起最高部位为第七颈椎棘突。棘突位于椎板连接处,可附着肌肉韧带,有利于增强椎骨稳定性。而腰椎棘突之间间隙大,有利于腰椎穿刺或麻醉,临床上进行椎管内治疗时,常常在腰椎棘突间隙内操作。
","articleBody": "棘突是脊椎特有的骨性结构,是脊椎椎体髓弓中央的刺状或棱鳞形的隆起部分,在背部可触及。
棘突是椎骨承受外力作用首当其冲的结构,是保护脊椎的重要部分。
长期劳损会导致棘突间韧带出现炎症,引起棘突及其周围疼痛。
棘突向后突出易于触及,便于体格检查和手术的准确定位。

椎骨主要由椎体、椎弓、棘突和横突、关节突构成。其中棘突是椎骨承受外力作用首当其冲的结构,是保护脊椎的重要部分。棘突也可附着韧带,增强椎骨稳定性。注意颈椎棘突短而分杈,位置较水平。胸椎棘突细长,斜向后下。呈叠瓦状排列;腰椎棘突呈宽而短的板状,水平向后凸出。
棘突间韧带受损而出现炎症时,会引起棘突及其周围疼痛,多是由于长期劳损所致。如长时间保持弯腰姿势工作或坐姿不恰当,腰椎反复弯曲,棘上韧带会因过分牵拉、不断摩擦而受损,进而导致慢性炎症,出现局限性疼痛,有明显按压痛和叩击痛。
棘突向后突出易于触及,便于体格检查和手术的准确定位,如低头时后颈部隆起最高部位为第七颈椎棘突。棘突位于椎板连接处,可附着肌肉韧带,有利于增强椎骨稳定性。而腰椎棘突之间间隙大,有利于腰椎穿刺或麻醉,临床上进行椎管内治疗时,常常在腰椎棘突间隙内操作。
","scanCount": 32757}}} {"@context": "https://ziyuan.baidu.com/contexts/cambrian.jsonld","appid": "1650708455561748","icon": "https://www.med-credit.org.cn/style/images/ttlogo.png","content_tag": ["atlas"],"is_mcn": {"thumb_id": "6s1phww1w"},"accid": "4886d626a2804dee5f11168793ce361672f39c25","@id": "https://www.med-credit.org.cn/mobile/jingxuan/2/2d2076bc8b038b29f3891cd7432ecdf3.html","bagWordId": "269_1558063584821383168","title": "椎间孔图片","pubDate": "2023-03-16T16:40:46","upDate": "2023-03-16T16:40:46","lrDate": "2023-03-16T16:40:46","description": "椎间孔是由相邻椎骨的椎弓根上下切迹共同围成,有血管和神经通过。","data": {"WebPage": {"headline": "椎间孔图片","pcUrl": "https://www.med-credit.org.cn/jingxuan/2/2d2076bc8b038b29f3891cd7432ecdf3.html","wapUrl": "https://www.med-credit.org.cn/jingxuan/2/2d2076bc8b038b29f3891cd7432ecdf3.html","mipUrl": "https://www.med-credit.org.cn/mobile/jingxuan/2/2d2076bc8b038b29f3891cd7432ecdf3.html","fromSrc": "欢乐橙","datePublished": "2023-03-16T16:40:46","domain": "医疗","category": ["医疗权威文章合作"],"description": "椎间孔是由相邻椎骨的椎弓根上下切迹共同围成,有血管和神经通过。
","extra_headline": [""]},"Author": {"name": "王维","wapUrl": "https://www.med-credit.org.cn/doctor/513","pcUrl": "https://www.med-credit.org.cn/doctor/513","jobTitle": "主治医师","headPortrait": "https://www.med-credit.org.cn/uploadfile/member/513/180x180.jpeg","id": "513","description": "王维,中国医科大学附属盛京医院骨科主治医师","memberOf": {"legalName": "中国医科大学附属盛京医院","department": "骨科","organizationLevel": "三级甲等"}},"Article": {"summaryContent": "椎间孔是由相邻椎骨的椎弓根上下切迹共同围成,有血管和神经通过。
椎骨退行性变时,可导致椎间孔变窄,压迫脊神经根。

1、解剖:椎间孔位于脊椎后外侧,是上一节椎弓根的下切迹和下一节的上切迹共同围成,脊髓发出的脊神经及血管在其中通过。脊神经一共三十一对,都经同序数的椎体上方或下方椎间孔穿出,形成特定的位置关系。
2、临床:若椎间孔出现损伤和病变,都可能累及脊神经,导致感觉和运动障碍,出现脊神经支配部位的麻木、无力等症状。最常见的疾病就是椎体退行性变,随着年龄的增大及长时间超负荷使用,椎骨各结构衰变,可导致椎间孔变窄,压迫神经根。另外,慢性劳损也是重要原因,不良的睡眠姿势和工作、生活体位,使椎骨出现劳损。
平时要养成良好的生活习惯,加强锻炼,避免脊柱外伤。
","articleBody": "椎间孔是由相邻椎骨的椎弓根上下切迹共同围成,有血管和神经通过。
椎骨退行性变时,可导致椎间孔变窄,压迫脊神经根。

1、解剖:椎间孔位于脊椎后外侧,是上一节椎弓根的下切迹和下一节的上切迹共同围成,脊髓发出的脊神经及血管在其中通过。脊神经一共三十一对,都经同序数的椎体上方或下方椎间孔穿出,形成特定的位置关系。
2、临床:若椎间孔出现损伤和病变,都可能累及脊神经,导致感觉和运动障碍,出现脊神经支配部位的麻木、无力等症状。最常见的疾病就是椎体退行性变,随着年龄的增大及长时间超负荷使用,椎骨各结构衰变,可导致椎间孔变窄,压迫神经根。另外,慢性劳损也是重要原因,不良的睡眠姿势和工作、生活体位,使椎骨出现劳损。
平时要养成良好的生活习惯,加强锻炼,避免脊柱外伤。
","scanCount": 32756}}} {"@context": "https://ziyuan.baidu.com/contexts/cambrian.jsonld","appid": "1650708455561748","icon": "https://www.med-credit.org.cn/style/images/ttlogo.png","content_tag": ["atlas"],"is_mcn": {"thumb_id": "ay28xrnt0"},"accid": "4886d626a2804dee5f11168793ce361672f39c25","@id": "https://www.med-credit.org.cn/mobile/jingxuan/2/1befe64ee69bea8aa17d6a90ada8839e.html","bagWordId": "181_1547866419402641408","title": "哈钦森牙与桑葚牙图片","pubDate": "2023-03-16T16:40:46","upDate": "2023-03-16T16:40:46","lrDate": "2023-03-16T16:40:46","description": "哈钦森牙指的是切牙切缘核心呈半月状贫乏,上宽下窄,牙体短而厚呈圆柱状,牙间隙增宽。","data": {"WebPage": {"headline": "哈钦森牙与桑葚牙图片","pcUrl": "https://www.med-credit.org.cn/jingxuan/2/1befe64ee69bea8aa17d6a90ada8839e.html","wapUrl": "https://www.med-credit.org.cn/jingxuan/2/1befe64ee69bea8aa17d6a90ada8839e.html","mipUrl": "https://www.med-credit.org.cn/mobile/jingxuan/2/1befe64ee69bea8aa17d6a90ada8839e.html","fromSrc": "欢乐橙","datePublished": "2023-03-16T16:40:46","domain": "医疗","category": ["医疗权威文章合作"],"description": "哈钦森牙指的是切牙切缘核心呈半月状贫乏,上宽下窄,牙体短而厚呈圆柱状,牙间隙增宽。
","extra_headline": [""]},"Author": {"name": "李斯文","wapUrl": "https://www.med-credit.org.cn/doctor/546","pcUrl": "https://www.med-credit.org.cn/doctor/546","jobTitle": "主治医师","headPortrait": "https://www.med-credit.org.cn/uploadfile/member/546/180x180.jpeg","id": "546","description": "李斯文,中国医科大学附属口腔医院口腔科主治医师","memberOf": {"legalName": "中国医科大学附属口腔医院","department": "口腔科","organizationLevel": "三级甲等"}},"Article": {"summaryContent": "哈钦森牙指的是切牙切缘核心呈半月状贫乏,上宽下窄,牙体短而厚呈圆柱状,牙间隙增宽。
桑葚牙即桑葚状磨牙,表现为第一恒磨牙牙尖皱缩,表面粗糙,有小结节和坑窝。
一般需要进行复合树脂或者全冠修复治疗。患者应保持饮食清淡,戒烟戒酒。


1.症状:哈钦森牙和桑葚状磨牙是先天性梅毒患者的特征性表现。先天性梅毒患者会出现牙齿参差不齐、糜烂、有斑点、发育不全等症状,还伴有听力减退、口周放射性深色条纹等症状。
2.治疗:对于先天性梅毒患者,首先应进行梅毒治疗。对于先天性梅毒患者形态各异的切牙,可以采用复合树脂或者全冠修复治疗,第一恒磨牙可采用嵌体或全冠修复治疗。
患者在治疗期间,保持饮食清淡,戒烟戒酒,避免过食辛辣、油腻、刺激性食物,以及保持心情的愉悦,适当运动和锻炼咀嚼功能。
","articleBody": "哈钦森牙指的是切牙切缘核心呈半月状贫乏,上宽下窄,牙体短而厚呈圆柱状,牙间隙增宽。
桑葚牙即桑葚状磨牙,表现为第一恒磨牙牙尖皱缩,表面粗糙,有小结节和坑窝。
一般需要进行复合树脂或者全冠修复治疗。患者应保持饮食清淡,戒烟戒酒。


1.症状:哈钦森牙和桑葚状磨牙是先天性梅毒患者的特征性表现。先天性梅毒患者会出现牙齿参差不齐、糜烂、有斑点、发育不全等症状,还伴有听力减退、口周放射性深色条纹等症状。
2.治疗:对于先天性梅毒患者,首先应进行梅毒治疗。对于先天性梅毒患者形态各异的切牙,可以采用复合树脂或者全冠修复治疗,第一恒磨牙可采用嵌体或全冠修复治疗。
患者在治疗期间,保持饮食清淡,戒烟戒酒,避免过食辛辣、油腻、刺激性食物,以及保持心情的愉悦,适当运动和锻炼咀嚼功能。
","scanCount": 32754}}} {"@context": "https://ziyuan.baidu.com/contexts/cambrian.jsonld","appid": "1650708455561748","icon": "https://www.med-credit.org.cn/style/images/ttlogo.png","content_tag": ["atlas"],"is_mcn": {"thumb_id": "3w128mji2"},"accid": "4886d626a2804dee5f11168793ce361672f39c25","@id": "https://www.med-credit.org.cn/mobile/jingxuan/2/386de8f3827c4344cefd1f7f868a8bbe.html","bagWordId": "22_1526480553258258432","title": "颊白线图片","pubDate": "2023-03-16T16:40:46","upDate": "2023-03-16T16:40:46","lrDate": "2023-03-16T16:40:46","description": "颊白线为出现在双颊粘膜的线状隆起,它的颜色多以灰白色为主。","data": {"WebPage": {"headline": "颊白线图片","pcUrl": "https://www.med-credit.org.cn/jingxuan/2/386de8f3827c4344cefd1f7f868a8bbe.html","wapUrl": "https://www.med-credit.org.cn/jingxuan/2/386de8f3827c4344cefd1f7f868a8bbe.html","mipUrl": "https://www.med-credit.org.cn/mobile/jingxuan/2/386de8f3827c4344cefd1f7f868a8bbe.html","fromSrc": "欢乐橙","datePublished": "2023-03-16T16:40:46","domain": "医疗","category": ["医疗权威文章合作"],"description": "颊白线为出现在双颊粘膜的线状隆起,它的颜色多以灰白色为主。
","extra_headline": [""]},"Author": {"name": "曲乐","wapUrl": "https://www.med-credit.org.cn/doctor/554","pcUrl": "https://www.med-credit.org.cn/doctor/554","jobTitle": "副主任医师","headPortrait": "https://www.med-credit.org.cn/uploadfile/member/554/180x180.jpeg","id": "554","description": "曲乐,副主任医师、医学博士、硕士研究生导师、美容主诊医师、公派留美访问学者。主持国家自然科学基金及省市课题多项,在国内外高水平专业杂志发表中英文论文20余篇,参编英文专著1部。现任辽宁省免疫学会委员。","memberOf": {"legalName": "中国医科大学附属第一医院","department": "皮肤科","organizationLevel": "三级甲等"}},"Article": {"summaryContent": "颊白线为出现在双颊粘膜的线状隆起,它的颜色多以灰白色为主。
颊白线产生是因为在咀嚼时,牙齿对颊粘膜不断地刺激,从而使得颊粘膜遭受物理性刺激所导致的一种反应。

颊白线的特点为此白线和上下牙齿在咬合时的缝进行相对应,这个白线的外粘膜表面是比较光滑、柔软并且还是富有弹性的。在咬牙时,线状隆起常常位于牙的咬合面,并且自口角处一直向后延伸直到翼下颌韧带前。
作为正常的颊部,黏膜是可以和牙齿紧密贴合的。但是对于一些肥胖的人来说,颊部的黏膜会更突起,要比正常的更加贴合紧密,这样就会造成黏膜被牙齿压迫的情况,最终就会在咬合线的部位出现一个白色的隆起。
但是如果出现了颊白线,请不要紧张,建议到医院进行检查,日常生活中不要经常刺激口腔黏膜,并且要随时复诊观察,避免不良情况的出现。
","articleBody": "颊白线为出现在双颊粘膜的线状隆起,它的颜色多以灰白色为主。
颊白线产生是因为在咀嚼时,牙齿对颊粘膜不断地刺激,从而使得颊粘膜遭受物理性刺激所导致的一种反应。

颊白线的特点为此白线和上下牙齿在咬合时的缝进行相对应,这个白线的外粘膜表面是比较光滑、柔软并且还是富有弹性的。在咬牙时,线状隆起常常位于牙的咬合面,并且自口角处一直向后延伸直到翼下颌韧带前。
作为正常的颊部,黏膜是可以和牙齿紧密贴合的。但是对于一些肥胖的人来说,颊部的黏膜会更突起,要比正常的更加贴合紧密,这样就会造成黏膜被牙齿压迫的情况,最终就会在咬合线的部位出现一个白色的隆起。
但是如果出现了颊白线,请不要紧张,建议到医院进行检查,日常生活中不要经常刺激口腔黏膜,并且要随时复诊观察,避免不良情况的出现。
","scanCount": 32746}}} {"@context": "https://ziyuan.baidu.com/contexts/cambrian.jsonld","appid": "1650708455561748","icon": "https://www.med-credit.org.cn/style/images/ttlogo.png","content_tag": ["atlas"],"is_mcn": {"thumb_id": "fe2jhbe4e"},"accid": "4886d626a2804dee5f11168793ce361672f39c25","@id": "https://www.med-credit.org.cn/mobile/jingxuan/2/357c63efa5be1b45308d135318ca48a5.html","bagWordId": "23_1526477958670192640","title": "真实肝脏图片","pubDate": "2023-03-16T16:40:46","upDate": "2023-03-16T16:40:46","lrDate": "2023-03-16T16:40:46","description": "肝脏是人体内最大的一个消化器官,真实肝脏为红褐色,呈楔形,质地柔软而脆。","data": {"WebPage": {"headline": "真实肝脏图片","pcUrl": "https://www.med-credit.org.cn/jingxuan/2/357c63efa5be1b45308d135318ca48a5.html","wapUrl": "https://www.med-credit.org.cn/jingxuan/2/357c63efa5be1b45308d135318ca48a5.html","mipUrl": "https://www.med-credit.org.cn/mobile/jingxuan/2/357c63efa5be1b45308d135318ca48a5.html","fromSrc": "欢乐橙","datePublished": "2023-03-16T16:40:46","domain": "医疗","category": ["医疗权威文章合作"],"description": "肝脏是人体内最大的一个消化器官,真实肝脏为红褐色,呈楔形,质地柔软而脆。
","extra_headline": [""]},"Author": {"name": "孙婷丽","wapUrl": "https://www.med-credit.org.cn/doctor/510","pcUrl": "https://www.med-credit.org.cn/doctor/510","jobTitle": "主治医师","headPortrait": "https://www.med-credit.org.cn/uploadfile/member/510/180x180.jpeg","id": "510","description": "孙婷丽,中国医科大学附属盛京医院全科医学主治医师","memberOf": {"legalName": "中国医科大学附属盛京医院","department": "内科","organizationLevel": "三级甲等"}},"Article": {"summaryContent": "肝脏是人体内最大的一个消化器官,真实肝脏为红褐色,呈楔形,质地柔软而脆。
肝脏位于腹部,在体内主要发挥代谢功能。

肝脏是人体最大的一个消化器官,呈不规则的楔形、红褐色、右边钝圆、左边薄窄。肝脏上面紧邻膈肌,下部紧邻胃、十二指肠、胆囊、结肠。后面和肾上腺、肾、食管贲门相邻。

肝脏在体内主要发挥代谢作用:例如维生素的代谢,维生素A、B、C、D、K等的合成和储存都和肝脏有密切联系,如果肝脏出现功能损害可出现夜盲症、皮肤干燥症等,同时也会出现激素失调而导致阴毛、腋毛减少或者阳痿、月经不调、肝掌、蜘蛛痣等。
肝脏可以分泌、排泄胆汁,还能将体内代谢的有毒物质减毒或者灭毒排出体外。
由于肝脏是人体的代谢器官,进入人体内的酒精由肝脏分解代谢,但这并不代表可以肆意喝酒,肝脏的分解代谢能力是有限的,超其功能范围则容易引发酒精肝、脂肪肝等。
","articleBody": "肝脏是人体内最大的一个消化器官,真实肝脏为红褐色,呈楔形,质地柔软而脆。
肝脏位于腹部,在体内主要发挥代谢功能。

肝脏是人体最大的一个消化器官,呈不规则的楔形、红褐色、右边钝圆、左边薄窄。肝脏上面紧邻膈肌,下部紧邻胃、十二指肠、胆囊、结肠。后面和肾上腺、肾、食管贲门相邻。

肝脏在体内主要发挥代谢作用:例如维生素的代谢,维生素A、B、C、D、K等的合成和储存都和肝脏有密切联系,如果肝脏出现功能损害可出现夜盲症、皮肤干燥症等,同时也会出现激素失调而导致阴毛、腋毛减少或者阳痿、月经不调、肝掌、蜘蛛痣等。
肝脏可以分泌、排泄胆汁,还能将体内代谢的有毒物质减毒或者灭毒排出体外。
由于肝脏是人体的代谢器官,进入人体内的酒精由肝脏分解代谢,但这并不代表可以肆意喝酒,肝脏的分解代谢能力是有限的,超其功能范围则容易引发酒精肝、脂肪肝等。
","scanCount": 32745}}} {"@context": "https://ziyuan.baidu.com/contexts/cambrian.jsonld","appid": "1650708455561748","icon": "https://www.med-credit.org.cn/style/images/ttlogo.png","content_tag": ["atlas"],"is_mcn": {"thumb_id": "kdec8d11"},"accid": "4886d626a2804dee5f11168793ce361672f39c25","@id": "https://www.med-credit.org.cn/mobile/jingxuan/2/53c62a50f421d97d87e7e5e99a6d696e.html","bagWordId": "23_1526478064999993344","title": "富贵包对比图","pubDate": "2023-03-16T16:40:46","upDate": "2023-03-16T16:40:46","lrDate": "2023-03-16T16:40:46","description": "富贵包是脖子后面出现了长包的现象,一般是颈部后背侧正中处有明显隆起的包块,没有明显的边界,严重时会引起颈椎方面的疾病。","data": {"WebPage": {"headline": "富贵包对比图","pcUrl": "https://www.med-credit.org.cn/jingxuan/2/53c62a50f421d97d87e7e5e99a6d696e.html","wapUrl": "https://www.med-credit.org.cn/jingxuan/2/53c62a50f421d97d87e7e5e99a6d696e.html","mipUrl": "https://www.med-credit.org.cn/mobile/jingxuan/2/53c62a50f421d97d87e7e5e99a6d696e.html","fromSrc": "欢乐橙","datePublished": "2023-03-16T16:40:46","domain": "医疗","category": ["医疗权威文章合作"],"description": "富贵包是脖子后面出现了长包的现象,一般是颈部后背侧正中处有明显隆起的包块,没有明显的边界,严重时会引起颈椎方面的疾病。
","extra_headline": [""]},"Author": {"name": "王丽","wapUrl": "https://www.med-credit.org.cn/doctor/512","pcUrl": "https://www.med-credit.org.cn/doctor/512","jobTitle": "主治医师","headPortrait": "https://www.med-credit.org.cn/uploadfile/member/512/180x180.jpeg","id": "512","description": "王丽,中国医科大学附属第一医院普外科主治医师","memberOf": {"legalName": "中国医科大学附属第一医院","department": "普外科","organizationLevel": "三级甲等"}},"Article": {"summaryContent": "富贵包是脖子后面出现了长包的现象,一般是颈部后背侧正中处有明显隆起的包块,没有明显的边界,严重时会引起颈椎方面的疾病。
富贵包可能会引起头晕、头痛等症状,也可能会导致上肢肩背部出现放射性疼痛以及麻木无力等症状。

富贵包一般是指颈部后背侧正中处的明显隆起的包块,也就是在上背部、颈椎、胸椎连接的部位,通常由脖子后面的脂肪堆积形成,没有明显边界,用手触摸时比较硬,没有弹性,并且还会随着年龄的增长而变大。
富贵包可能会压迫颈部血管,导致大脑供血不足,诱发头晕、头昏等症状;富贵包也会压迫颈椎,容易导致颈椎病,由于颈椎的迅速退行性改变,可能会导致神经根受到压迫,一旦产生这种压迫就会导致上肢肩背部出现放射性疼痛以及麻木无力等;也有可能导致患者颈椎前方的交感神经受到刺激,从而产生头痛、偏头痛、视物不清、耳鸣等一系列表现。
","articleBody": "富贵包是脖子后面出现了长包的现象,一般是颈部后背侧正中处有明显隆起的包块,没有明显的边界,严重时会引起颈椎方面的疾病。
富贵包可能会引起头晕、头痛等症状,也可能会导致上肢肩背部出现放射性疼痛以及麻木无力等症状。

富贵包一般是指颈部后背侧正中处的明显隆起的包块,也就是在上背部、颈椎、胸椎连接的部位,通常由脖子后面的脂肪堆积形成,没有明显边界,用手触摸时比较硬,没有弹性,并且还会随着年龄的增长而变大。
富贵包可能会压迫颈部血管,导致大脑供血不足,诱发头晕、头昏等症状;富贵包也会压迫颈椎,容易导致颈椎病,由于颈椎的迅速退行性改变,可能会导致神经根受到压迫,一旦产生这种压迫就会导致上肢肩背部出现放射性疼痛以及麻木无力等;也有可能导致患者颈椎前方的交感神经受到刺激,从而产生头痛、偏头痛、视物不清、耳鸣等一系列表现。
","scanCount": 32744}}} {"@context": "https://ziyuan.baidu.com/contexts/cambrian.jsonld","appid": "1650708455561748","icon": "https://www.med-credit.org.cn/style/images/ttlogo.png","content_tag": ["atlas"],"is_mcn": {"thumb_id": "ay28xrnt0"},"accid": "4886d626a2804dee5f11168793ce361672f39c25","@id": "https://www.med-credit.org.cn/mobile/jingxuan/2/aa555afc9643c1e8c1c63c7f4dd1b032.html","bagWordId": "23_1526477948993933312","title": "口腔照片图","pubDate": "2023-03-16T16:40:46","upDate": "2023-03-16T16:40:46","lrDate": "2023-03-16T16:40:46","description": "口腔作为消化道开始的部分,前面借助口腔裂口与外界相通,后面通过咽峡与咽喉相接续。","data": {"WebPage": {"headline": "口腔照片图","pcUrl": "https://www.med-credit.org.cn/jingxuan/2/aa555afc9643c1e8c1c63c7f4dd1b032.html","wapUrl": "https://www.med-credit.org.cn/jingxuan/2/aa555afc9643c1e8c1c63c7f4dd1b032.html","mipUrl": "https://www.med-credit.org.cn/mobile/jingxuan/2/aa555afc9643c1e8c1c63c7f4dd1b032.html","fromSrc": "欢乐橙","datePublished": "2023-03-16T16:40:46","domain": "医疗","category": ["医疗权威文章合作"],"description": "口腔作为消化道开始的部分,前面借助口腔裂口与外界相通,后面通过咽峡与咽喉相接续。
","extra_headline": [""]},"Author": {"name": "李斯文","wapUrl": "https://www.med-credit.org.cn/doctor/546","pcUrl": "https://www.med-credit.org.cn/doctor/546","jobTitle": "主治医师","headPortrait": "https://www.med-credit.org.cn/uploadfile/member/546/180x180.jpeg","id": "546","description": "李斯文,中国医科大学附属口腔医院口腔科主治医师","memberOf": {"legalName": "中国医科大学附属口腔医院","department": "口腔科","organizationLevel": "三级甲等"}},"Article": {"summaryContent": "口腔作为消化道开始的部分,前面借助口腔裂口与外界相通,后面通过咽峡与咽喉相接续。
口腔是人体的重要器官,内部结构以及分泌物质对人体有很重要的作用。
平时要做好口腔卫生,避免口腔疾病的发生。

口腔的前面是嘴唇,两个侧面是颊部,后面是咽腔,上部称为腭,下部是口底,而舌头位于中间,整个口腔内侧表层均为黏膜组织。牙龈、表情肌群、咀嚼肌群及三大口腔唾液腺为软组织。牙齿、颌骨、牙槽骨为硬组织。
口腔内的牙齿是身体中最硬的组织,食物进入口腔后牙齿能发挥切割、研磨食物的作用。舌头在口腔内转动灵活,能够起到辅助发音、搅拌运送食物的作用。口腔内有腮腺和许多小的唾液腺,每天分泌的唾液可以润滑口腔、吞咽及混合食团。唾液腺分泌的许多消化酶,对食物可以起到初步的消化作用。
平时要做好口腔卫生,避免口腔疾病的发生。掌握正确的刷牙姿势和顺序,保持口腔的清新,注意每日的刷牙频次,保证口腔的清洁。
","articleBody": "口腔作为消化道开始的部分,前面借助口腔裂口与外界相通,后面通过咽峡与咽喉相接续。
口腔是人体的重要器官,内部结构以及分泌物质对人体有很重要的作用。
平时要做好口腔卫生,避免口腔疾病的发生。

口腔的前面是嘴唇,两个侧面是颊部,后面是咽腔,上部称为腭,下部是口底,而舌头位于中间,整个口腔内侧表层均为黏膜组织。牙龈、表情肌群、咀嚼肌群及三大口腔唾液腺为软组织。牙齿、颌骨、牙槽骨为硬组织。
口腔内的牙齿是身体中最硬的组织,食物进入口腔后牙齿能发挥切割、研磨食物的作用。舌头在口腔内转动灵活,能够起到辅助发音、搅拌运送食物的作用。口腔内有腮腺和许多小的唾液腺,每天分泌的唾液可以润滑口腔、吞咽及混合食团。唾液腺分泌的许多消化酶,对食物可以起到初步的消化作用。
平时要做好口腔卫生,避免口腔疾病的发生。掌握正确的刷牙姿势和顺序,保持口腔的清新,注意每日的刷牙频次,保证口腔的清洁。
","scanCount": 32740}}} {"@context": "https://ziyuan.baidu.com/contexts/cambrian.jsonld","appid": "1650708455561748","icon": "https://www.med-credit.org.cn/style/images/ttlogo.png","content_tag": ["atlas"],"is_mcn": {"thumb_id": "6s1p03j8e"},"accid": "4886d626a2804dee5f11168793ce361672f39c25","@id": "https://www.med-credit.org.cn/mobile/jingxuan/2/366af3785d8d59794bb4c4e0e2b97ef8.html","bagWordId": "22_1526480490066874368","title": "腰椎2,3,4,5图","pubDate": "2023-03-16T16:40:46","upDate": "2023-03-16T16:40:46","lrDate": "2023-03-16T16:40:46","description": "腰椎依次增大,第二、三、四、五腰椎都是前高后低的肾形柱状外观。关节突位于矢状位,横突向后外方,较短薄。","data": {"WebPage": {"headline": "腰椎2,3,4,5图","pcUrl": "https://www.med-credit.org.cn/jingxuan/2/366af3785d8d59794bb4c4e0e2b97ef8.html","wapUrl": "https://www.med-credit.org.cn/jingxuan/2/366af3785d8d59794bb4c4e0e2b97ef8.html","mipUrl": "https://www.med-credit.org.cn/mobile/jingxuan/2/366af3785d8d59794bb4c4e0e2b97ef8.html","fromSrc": "欢乐橙","datePublished": "2023-03-16T16:40:46","domain": "医疗","category": ["医疗权威文章合作"],"description": "腰椎依次增大,第二、三、四、五腰椎都是前高后低的肾形柱状外观。关节突位于矢状位,横突向后外方,较短薄。
","extra_headline": [""]},"Author": {"name": "富灵杰","wapUrl": "https://www.med-credit.org.cn/doctor/569","pcUrl": "https://www.med-credit.org.cn/doctor/569","jobTitle": "副主任医师","headPortrait": "https://www.med-credit.org.cn/uploadfile/member/569/180x180.jpeg","id": "569","description": "富灵杰,上海交通大学医学院附属第九人民医院骨科副主任医师","memberOf": {"legalName": "上海交通大学医学院附属第九人民医院","department": "骨科","organizationLevel": "三级甲等"}},"Article": {"summaryContent": "腰椎依次增大,第二、三、四、五腰椎都是前高后低的肾形柱状外观。关节突位于矢状位,横突向后外方,较短薄。
腰椎具有支撑人体、协调运动和保护脊髓的功能。

腰椎的椎体较大,呈横椭圆形。椎体中部略细,上下端膨大,上面观在左右径上凹陷,下面观在前后径上凹陷。上、下椎体间形成马鞍状对合,以保持腰部脊柱运动的相对稳定。椎弓根粗大,上、下椎弓根合成椎间孔。神经根的营养动脉也从此孔进入椎管中。棘突位于椎弓的正中央,为长方形的扁骨板,水平伸向后,可在皮下触及。椎弓和前面的椎体共同围成锥孔,上下椎孔重叠,形成椎管,保护着脊髓和神经。腰椎间盘位于两个椎体之间,由髓核、纤维环和软骨板三部分构成。
腰椎从上向下,担负身体80%的重量,因此具有支撑人体的功能。腰椎之间的椎间盘厚实有力,具有较强的弹性缓冲能力。由于弹性协调能力强、灵活度高的特点,腰椎能协调人体进行各种复杂的常规动作。脊髓走行于椎管内,腰椎能保护脊髓免受外力的伤害。
","articleBody": "腰椎依次增大,第二、三、四、五腰椎都是前高后低的肾形柱状外观。关节突位于矢状位,横突向后外方,较短薄。
腰椎具有支撑人体、协调运动和保护脊髓的功能。

腰椎的椎体较大,呈横椭圆形。椎体中部略细,上下端膨大,上面观在左右径上凹陷,下面观在前后径上凹陷。上、下椎体间形成马鞍状对合,以保持腰部脊柱运动的相对稳定。椎弓根粗大,上、下椎弓根合成椎间孔。神经根的营养动脉也从此孔进入椎管中。棘突位于椎弓的正中央,为长方形的扁骨板,水平伸向后,可在皮下触及。椎弓和前面的椎体共同围成锥孔,上下椎孔重叠,形成椎管,保护着脊髓和神经。腰椎间盘位于两个椎体之间,由髓核、纤维环和软骨板三部分构成。
腰椎从上向下,担负身体80%的重量,因此具有支撑人体的功能。腰椎之间的椎间盘厚实有力,具有较强的弹性缓冲能力。由于弹性协调能力强、灵活度高的特点,腰椎能协调人体进行各种复杂的常规动作。脊髓走行于椎管内,腰椎能保护脊髓免受外力的伤害。
","scanCount": 32738}}} {"@context": "https://ziyuan.baidu.com/contexts/cambrian.jsonld","appid": "1650708455561748","icon": "https://www.med-credit.org.cn/style/images/ttlogo.png","content_tag": ["atlas"],"is_mcn": {"thumb_id": "fe2jhbe4e"},"accid": "4886d626a2804dee5f11168793ce361672f39c25","@id": "https://www.med-credit.org.cn/mobile/jingxuan/2/af17db39d8b2469442d212b661693fc5.html","bagWordId": "23_1526477997882740736","title": "温度计38.5℃真实图片","pubDate": "2023-03-16T16:40:46","upDate": "2023-03-16T16:40:46","lrDate": "2023-03-16T16:40:46","description": "温度计38.5℃,水银温度计可表现出水银柱上升到38℃到39℃之间;电子式体温计,则可直接显示出38.5℃的读数。","data": {"WebPage": {"headline": "温度计38.5℃真实图片","pcUrl": "https://www.med-credit.org.cn/jingxuan/2/af17db39d8b2469442d212b661693fc5.html","wapUrl": "https://www.med-credit.org.cn/jingxuan/2/af17db39d8b2469442d212b661693fc5.html","mipUrl": "https://www.med-credit.org.cn/mobile/jingxuan/2/af17db39d8b2469442d212b661693fc5.html","fromSrc": "欢乐橙","datePublished": "2023-03-16T16:40:46","domain": "医疗","category": ["医疗权威文章合作"],"description": "温度计38.5℃,水银温度计可表现出水银柱上升到38℃到39℃之间;电子式体温计,则可直接显示出38.5℃的读数。
","extra_headline": [""]},"Author": {"name": "孙婷丽","wapUrl": "https://www.med-credit.org.cn/doctor/510","pcUrl": "https://www.med-credit.org.cn/doctor/510","jobTitle": "主治医师","headPortrait": "https://www.med-credit.org.cn/uploadfile/member/510/180x180.jpeg","id": "510","description": "孙婷丽,中国医科大学附属盛京医院全科医学主治医师","memberOf": {"legalName": "中国医科大学附属盛京医院","department": "内科","organizationLevel": "三级甲等"}},"Article": {"summaryContent": "温度计38.5℃,水银温度计可表现出水银柱上升到38℃到39℃之间;电子式体温计,则可直接显示出38.5℃的读数。
38.5℃一般属于中等度热,需要及时就医治疗。

腋窝下测温正常范围为36~37℃,超过37℃称为发热。按照发热温度分类,可分为低热、中等度热、高热、超高热,以口腔温度为标准,低热为37.3~38℃,中等度热为38.1~39℃,高热为39.1~41℃,超高热为41℃以上。
虽然发热一般不会危及生命,但不明原因的发热,以及小儿、老年人、孕妇等人群出现发热时,均应及时就医。发热可就诊于发热门诊、急诊科、感染科、呼吸科等。
由于发热常是一些传染性疾病的重要表现,因此有接触风险的人出现发热后,应当做好防护后及时就医,避免传播给他人。
","articleBody": "温度计38.5℃,水银温度计可表现出水银柱上升到38℃到39℃之间;电子式体温计,则可直接显示出38.5℃的读数。
38.5℃一般属于中等度热,需要及时就医治疗。

腋窝下测温正常范围为36~37℃,超过37℃称为发热。按照发热温度分类,可分为低热、中等度热、高热、超高热,以口腔温度为标准,低热为37.3~38℃,中等度热为38.1~39℃,高热为39.1~41℃,超高热为41℃以上。
虽然发热一般不会危及生命,但不明原因的发热,以及小儿、老年人、孕妇等人群出现发热时,均应及时就医。发热可就诊于发热门诊、急诊科、感染科、呼吸科等。
由于发热常是一些传染性疾病的重要表现,因此有接触风险的人出现发热后,应当做好防护后及时就医,避免传播给他人。
","scanCount": 32731}}} {"@context": "https://ziyuan.baidu.com/contexts/cambrian.jsonld","appid": "1650708455561748","icon": "https://www.med-credit.org.cn/style/images/ttlogo.png","content_tag": ["atlas"],"is_mcn": {"thumb_id": "lntvzimb"},"accid": "4886d626a2804dee5f11168793ce361672f39c25","@id": "https://www.med-credit.org.cn/mobile/jingxuan/2/53379f16baaa4cd8b6af2d38e2c0d059.html","bagWordId": "23_1526477979952091136","title": "黑眼圈图","pubDate": "2023-03-16T16:40:46","upDate": "2023-03-16T16:40:46","lrDate": "2023-03-16T16:40:46","description": "黑眼圈主要表现为眼眶下皮肤软组织水肿、颜色发黑变暗。","data": {"WebPage": {"headline": "黑眼圈图","pcUrl": "https://www.med-credit.org.cn/jingxuan/2/53379f16baaa4cd8b6af2d38e2c0d059.html","wapUrl": "https://www.med-credit.org.cn/jingxuan/2/53379f16baaa4cd8b6af2d38e2c0d059.html","mipUrl": "https://www.med-credit.org.cn/mobile/jingxuan/2/53379f16baaa4cd8b6af2d38e2c0d059.html","fromSrc": "欢乐橙","datePublished": "2023-03-16T16:40:46","domain": "医疗","category": ["医疗权威文章合作"],"description": "黑眼圈主要表现为眼眶下皮肤软组织水肿、颜色发黑变暗。
","extra_headline": [""]},"Author": {"name": "崔馨","wapUrl": "https://www.med-credit.org.cn/doctor/576","pcUrl": "https://www.med-credit.org.cn/doctor/576","jobTitle": "副主任医师","headPortrait": "https://www.med-credit.org.cn/uploadfile/member/576/180x180.jpeg","id": "576","description": "崔馨,解放军总医院眼科副主任医师","memberOf": {"legalName": "解放军总医院","department": "眼科","organizationLevel": "三级甲等"}},"Article": {"summaryContent": "黑眼圈主要表现为眼眶下皮肤软组织水肿、颜色发黑变暗。
黑眼圈的成因主要是皮下静脉扩张或色素沉着,黑眼圈可以提前预防。

黑眼圈的临床表现为眼眶下皮肤软组织水肿、颜色发黑变暗,可伴随视疲劳,但一般无疼痛或瘙痒感。部分患者眼眶周围皮肤色素沉着,使眼周肤色加深。还可能伴随下睑下方加重的横线或皱褶。


黑眼圈的常见病因有两种,一种是血管型黑眼圈,可见于过敏性鼻炎,引起局部血液循环不好或者血管扩张时,透过眼眶周围菲薄的皮肤组织,呈现黑眼圈样改变;另一种是色素型黑眼圈,成因是年龄、日晒、接触物导致的色素在眼眶周围皮肤沉淀,黑眼圈也会越来越明显。
预防黑眼圈日常应注意保证充足的睡眠,积极治疗过敏性鼻炎,控制其发作。女性日常化妆后,应彻底卸妆,清洁皮肤,避免化妆品残留在睑结膜。
","articleBody": "黑眼圈主要表现为眼眶下皮肤软组织水肿、颜色发黑变暗。
黑眼圈的成因主要是皮下静脉扩张或色素沉着,黑眼圈可以提前预防。

黑眼圈的临床表现为眼眶下皮肤软组织水肿、颜色发黑变暗,可伴随视疲劳,但一般无疼痛或瘙痒感。部分患者眼眶周围皮肤色素沉着,使眼周肤色加深。还可能伴随下睑下方加重的横线或皱褶。


黑眼圈的常见病因有两种,一种是血管型黑眼圈,可见于过敏性鼻炎,引起局部血液循环不好或者血管扩张时,透过眼眶周围菲薄的皮肤组织,呈现黑眼圈样改变;另一种是色素型黑眼圈,成因是年龄、日晒、接触物导致的色素在眼眶周围皮肤沉淀,黑眼圈也会越来越明显。
预防黑眼圈日常应注意保证充足的睡眠,积极治疗过敏性鼻炎,控制其发作。女性日常化妆后,应彻底卸妆,清洁皮肤,避免化妆品残留在睑结膜。
","scanCount": 32730}}} {"@context": "https://ziyuan.baidu.com/contexts/cambrian.jsonld","appid": "1650708455561748","icon": "https://www.med-credit.org.cn/style/images/ttlogo.png","content_tag": ["atlas"],"is_mcn": {"thumb_id": "yfygkay6"},"accid": "4886d626a2804dee5f11168793ce361672f39c25","@id": "https://www.med-credit.org.cn/mobile/jingxuan/2/0d384ef0e403ac4346a7632176fa2840.html","bagWordId": "23_1526478112911527936","title": "喉乳头状瘤图片及症状","pubDate": "2023-03-16T16:40:46","upDate": "2023-03-16T16:40:46","lrDate": "2023-03-16T16:40:46","description": "喉乳头状瘤可能与乳头状瘤病毒(HPV)感染有关,多发于悬雍垂底部、腭舌弓及扁桃体表面等。","data": {"WebPage": {"headline": "喉乳头状瘤图片及症状","pcUrl": "https://www.med-credit.org.cn/jingxuan/2/0d384ef0e403ac4346a7632176fa2840.html","wapUrl": "https://www.med-credit.org.cn/jingxuan/2/0d384ef0e403ac4346a7632176fa2840.html","mipUrl": "https://www.med-credit.org.cn/mobile/jingxuan/2/0d384ef0e403ac4346a7632176fa2840.html","fromSrc": "欢乐橙","datePublished": "2023-03-16T16:40:46","domain": "医疗","category": ["医疗权威文章合作"],"description": "喉乳头状瘤可能与乳头状瘤病毒(HPV)感染有关,多发于悬雍垂底部、腭舌弓及扁桃体表面等。
","extra_headline": [""]},"Author": {"name": "王立银","wapUrl": "https://www.med-credit.org.cn/doctor/520","pcUrl": "https://www.med-credit.org.cn/doctor/520","jobTitle": "主治医师","headPortrait": "https://www.med-credit.org.cn/uploadfile/member/520/180x180.jpeg","id": "520","description": "王立银,中国医科大学附属盛京医院耳鼻咽喉头颈外科主治医师","memberOf": {"legalName": "中国医科大学附属盛京医院","department": "耳鼻咽喉头颈外科","organizationLevel": "三级甲等"}},"Article": {"summaryContent": "喉乳头状瘤可能与乳头状瘤病毒(HPV)感染有关,多发于悬雍垂底部、腭舌弓及扁桃体表面等。
患者可有喉异物感、呼吸困难、咳嗽或声音嘶哑等症状。

喉乳头状瘤是比较多见的良性肿瘤,可能与乳头状瘤病毒(HPV)感染有关,多发生在悬雍垂底部、腭舌弓及扁桃体表面等部位。
1、喉异物感:肿瘤较大时会感觉喉有异物阻塞感,甚至出现吞咽困难。
2、呼吸困难:肿瘤增生阻塞气道时,可引起呼吸困难。
3、咳嗽:多由肿瘤刺激引起。
4、声音嘶哑:随着肿瘤增大,遮挡或累及喉部时出现声音嘶哑,严重者出现发声障碍甚至失声。
除了上述相对常见的症状外,患者还可以出现吞咽困难。建议患者出现以上不适症状后,及时去医院就诊,查明病因后,予以针对性治疗。
","articleBody": "喉乳头状瘤可能与乳头状瘤病毒(HPV)感染有关,多发于悬雍垂底部、腭舌弓及扁桃体表面等。
患者可有喉异物感、呼吸困难、咳嗽或声音嘶哑等症状。

喉乳头状瘤是比较多见的良性肿瘤,可能与乳头状瘤病毒(HPV)感染有关,多发生在悬雍垂底部、腭舌弓及扁桃体表面等部位。
1、喉异物感:肿瘤较大时会感觉喉有异物阻塞感,甚至出现吞咽困难。
2、呼吸困难:肿瘤增生阻塞气道时,可引起呼吸困难。
3、咳嗽:多由肿瘤刺激引起。
4、声音嘶哑:随着肿瘤增大,遮挡或累及喉部时出现声音嘶哑,严重者出现发声障碍甚至失声。
除了上述相对常见的症状外,患者还可以出现吞咽困难。建议患者出现以上不适症状后,及时去医院就诊,查明病因后,予以针对性治疗。
","scanCount": 19905}}} {"@context": "https://ziyuan.baidu.com/contexts/cambrian.jsonld","appid": "1650708455561748","icon": "https://www.med-credit.org.cn/style/images/ttlogo.png","content_tag": ["atlas"],"is_mcn": {"thumb_id": "lnsk06v2"},"accid": "4886d626a2804dee5f11168793ce361672f39c25","@id": "https://www.med-credit.org.cn/mobile/jingxuan/2/22b81c2e10a152f1bdd0b1f85c1f98d9.html","bagWordId": "22_1526480553178566656","title": "胸口痤疮的症状和图片","pubDate": "2023-03-16T16:40:46","upDate": "2023-03-16T16:40:46","lrDate": "2023-03-16T16:40:46","description": "胸口痤疮的主要症状为粉刺、丘疹、脓疱,常常伴有皮脂溢出。","data": {"WebPage": {"headline": "胸口痤疮的症状和图片","pcUrl": "https://www.med-credit.org.cn/jingxuan/2/22b81c2e10a152f1bdd0b1f85c1f98d9.html","wapUrl": "https://www.med-credit.org.cn/jingxuan/2/22b81c2e10a152f1bdd0b1f85c1f98d9.html","mipUrl": "https://www.med-credit.org.cn/mobile/jingxuan/2/22b81c2e10a152f1bdd0b1f85c1f98d9.html","fromSrc": "欢乐橙","datePublished": "2023-03-16T16:40:46","domain": "医疗","category": ["医疗权威文章合作"],"description": "胸口痤疮的主要症状为粉刺、丘疹、脓疱,常常伴有皮脂溢出。
","extra_headline": [""]},"Author": {"name": "王霞","wapUrl": "https://www.med-credit.org.cn/doctor/578","pcUrl": "https://www.med-credit.org.cn/doctor/578","jobTitle": "副主任医师","headPortrait": "https://www.med-credit.org.cn/uploadfile/member/578/180x180.jpeg","id": "578","description": "王霞,广州医科大学附属第一医院皮肤科副主任医师","memberOf": {"legalName": "广州医科大学附属第一医院","department": "皮肤科","organizationLevel": "三级甲等"}},"Article": {"summaryContent": "胸口痤疮的主要症状为粉刺、丘疹、脓疱,常常伴有皮脂溢出。
胸口痤疮的病因主要是雄激素水平异常、皮脂大量分泌、毛囊周围细胞角化异常和痤疮丙酸杆菌引起的炎症反应;其治疗方法包括了一般治疗、外用药物以及口服药物。

1.症状:痤疮开始时表现为圆锥型丘疹,如粉刺,粉刺可挤出黄白色豆腐渣样物质;随后粉刺内细菌和皮脂的混合物引起炎症,形成炎性丘疹;最后可发展成红色疼痛的结节、内含脓液的囊肿或破溃后形成窦道和瘢痕。
2.病因:青春期或服用药物导致的雄激素水平升高、高温、高油脂饮食都会导致皮脂大量分泌,大量的油脂导致痤疮丙酸杆菌大量繁殖,刺激皮肤产生炎症,出现痤疮。
1.一般治疗:保持健康的饮食、良好的生活习惯,定时清洁皮肤。
2.外用药物:维A酸类药物改善皮肤角质及抗炎,过氧苯甲酰或抗生素抗菌。
3.口服药物:严重痤疮还需要合并口服药物,常用抗生素、异维A酸或激素类药物。
","articleBody": "胸口痤疮的主要症状为粉刺、丘疹、脓疱,常常伴有皮脂溢出。
胸口痤疮的病因主要是雄激素水平异常、皮脂大量分泌、毛囊周围细胞角化异常和痤疮丙酸杆菌引起的炎症反应;其治疗方法包括了一般治疗、外用药物以及口服药物。

1.症状:痤疮开始时表现为圆锥型丘疹,如粉刺,粉刺可挤出黄白色豆腐渣样物质;随后粉刺内细菌和皮脂的混合物引起炎症,形成炎性丘疹;最后可发展成红色疼痛的结节、内含脓液的囊肿或破溃后形成窦道和瘢痕。
2.病因:青春期或服用药物导致的雄激素水平升高、高温、高油脂饮食都会导致皮脂大量分泌,大量的油脂导致痤疮丙酸杆菌大量繁殖,刺激皮肤产生炎症,出现痤疮。
1.一般治疗:保持健康的饮食、良好的生活习惯,定时清洁皮肤。
2.外用药物:维A酸类药物改善皮肤角质及抗炎,过氧苯甲酰或抗生素抗菌。
3.口服药物:严重痤疮还需要合并口服药物,常用抗生素、异维A酸或激素类药物。
","scanCount": 32727}}} {"@context": "https://ziyuan.baidu.com/contexts/cambrian.jsonld","appid": "1650708455561748","icon": "https://www.med-credit.org.cn/style/images/ttlogo.png","content_tag": ["atlas"],"is_mcn": {"thumb_id": "lntvzimb"},"accid": "4886d626a2804dee5f11168793ce361672f39c25","@id": "https://www.med-credit.org.cn/mobile/jingxuan/2/8dd453b93ae100aba0a1f34c510d8f07.html","bagWordId": "23_1526477976793780224","title": "正常瞳孔图片","pubDate": "2023-03-16T16:40:46","upDate": "2023-03-16T16:40:46","lrDate": "2023-03-16T16:40:46","description": "正常瞳孔是位于眼球虹膜中心的黑色透明圆孔,直径约为2~5毫米。","data": {"WebPage": {"headline": "正常瞳孔图片","pcUrl": "https://www.med-credit.org.cn/jingxuan/2/8dd453b93ae100aba0a1f34c510d8f07.html","wapUrl": "https://www.med-credit.org.cn/jingxuan/2/8dd453b93ae100aba0a1f34c510d8f07.html","mipUrl": "https://www.med-credit.org.cn/mobile/jingxuan/2/8dd453b93ae100aba0a1f34c510d8f07.html","fromSrc": "欢乐橙","datePublished": "2023-03-16T16:40:46","domain": "医疗","category": ["医疗权威文章合作"],"description": "正常瞳孔是位于眼球虹膜中心的黑色透明圆孔,直径约为2~5毫米。
","extra_headline": [""]},"Author": {"name": "崔馨","wapUrl": "https://www.med-credit.org.cn/doctor/576","pcUrl": "https://www.med-credit.org.cn/doctor/576","jobTitle": "副主任医师","headPortrait": "https://www.med-credit.org.cn/uploadfile/member/576/180x180.jpeg","id": "576","description": "崔馨,解放军总医院眼科副主任医师","memberOf": {"legalName": "解放军总医院","department": "眼科","organizationLevel": "三级甲等"}},"Article": {"summaryContent": "正常瞳孔是位于眼球虹膜中心的黑色透明圆孔,直径约为2~5毫米。
瞳孔可以调节进入的光线量,当瞳孔异常时,提示可能患有某些疾病。

1.形态:瞳孔是巩膜中心的圆孔,位于眼球血管膜前部。瞳孔大小约为2~5毫米,随年龄、屈光状态、目标远近或情绪变化等不同。瞳孔括约肌沿瞳孔呈环形排列,其收缩可使瞳孔缩小;瞳孔放大肌沿瞳孔放射状排列,其收缩可使瞳孔散大。
2.功能:瞳孔通过放大和收缩调节进入的光线量。正常人瞳孔可反射性地调节大小,光线增强,瞳孔缩小;光线减弱,瞳孔散大。若瞳孔反射异常或消失,表明神经调节可能发生障碍,故临床常通过瞳孔对光反射检查神经系统功能状态。
交感神经信号、阿托品或可卡因等可导致瞳孔扩散,瞳孔扩散还可判断死亡。强光、吗啡或海洛因等药物可使瞳孔缩小,面部交感神经受损可导致单侧瞳孔缩小。当瞳孔出现对光反应迟钝或消失等,可能意味疾病发生。瞳孔呈白色见于白内障、青光眼、眼外伤或全身性疾病等情况。如发现瞳孔异常,应立即到正规医院的眼科或内科就诊。
","articleBody": "正常瞳孔是位于眼球虹膜中心的黑色透明圆孔,直径约为2~5毫米。
瞳孔可以调节进入的光线量,当瞳孔异常时,提示可能患有某些疾病。

1.形态:瞳孔是巩膜中心的圆孔,位于眼球血管膜前部。瞳孔大小约为2~5毫米,随年龄、屈光状态、目标远近或情绪变化等不同。瞳孔括约肌沿瞳孔呈环形排列,其收缩可使瞳孔缩小;瞳孔放大肌沿瞳孔放射状排列,其收缩可使瞳孔散大。
2.功能:瞳孔通过放大和收缩调节进入的光线量。正常人瞳孔可反射性地调节大小,光线增强,瞳孔缩小;光线减弱,瞳孔散大。若瞳孔反射异常或消失,表明神经调节可能发生障碍,故临床常通过瞳孔对光反射检查神经系统功能状态。
交感神经信号、阿托品或可卡因等可导致瞳孔扩散,瞳孔扩散还可判断死亡。强光、吗啡或海洛因等药物可使瞳孔缩小,面部交感神经受损可导致单侧瞳孔缩小。当瞳孔出现对光反应迟钝或消失等,可能意味疾病发生。瞳孔呈白色见于白内障、青光眼、眼外伤或全身性疾病等情况。如发现瞳孔异常,应立即到正规医院的眼科或内科就诊。
","scanCount": 32726}}} {"@context": "https://ziyuan.baidu.com/contexts/cambrian.jsonld","appid": "1650708455561748","icon": "https://www.med-credit.org.cn/style/images/ttlogo.png","content_tag": ["atlas"],"is_mcn": {"thumb_id": "6s1phww1w"},"accid": "4886d626a2804dee5f11168793ce361672f39c25","@id": "https://www.med-credit.org.cn/mobile/jingxuan/2/a13fce715afc3f2492d46dc9c5bfd351.html","bagWordId": "22_1526480534983675904","title": "骨盆后倾图片","pubDate": "2023-03-16T16:40:46","upDate": "2023-03-16T16:40:46","lrDate": "2023-03-16T16:40:46","description": "骨盆后倾表现为骨盆整体向后倾斜,腰椎出现代偿性变直、驼背等。","data": {"WebPage": {"headline": "骨盆后倾图片","pcUrl": "https://www.med-credit.org.cn/jingxuan/2/a13fce715afc3f2492d46dc9c5bfd351.html","wapUrl": "https://www.med-credit.org.cn/jingxuan/2/a13fce715afc3f2492d46dc9c5bfd351.html","mipUrl": "https://www.med-credit.org.cn/mobile/jingxuan/2/a13fce715afc3f2492d46dc9c5bfd351.html","fromSrc": "欢乐橙","datePublished": "2023-03-16T16:40:46","domain": "医疗","category": ["医疗权威文章合作"],"description": "骨盆后倾表现为骨盆整体向后倾斜,腰椎出现代偿性变直、驼背等。
","extra_headline": [""]},"Author": {"name": "王维","wapUrl": "https://www.med-credit.org.cn/doctor/513","pcUrl": "https://www.med-credit.org.cn/doctor/513","jobTitle": "主治医师","headPortrait": "https://www.med-credit.org.cn/uploadfile/member/513/180x180.jpeg","id": "513","description": "王维,中国医科大学附属盛京医院骨科主治医师","memberOf": {"legalName": "中国医科大学附属盛京医院","department": "骨科","organizationLevel": "三级甲等"}},"Article": {"summaryContent": "骨盆后倾表现为骨盆整体向后倾斜,腰椎出现代偿性变直、驼背等。
骨盆后倾多因腰背部和腹部等肌肉力量不平衡,骨盆维持位不稳定所致,也可因外伤或先天发育畸形导致。

站立时,髂前上棘与耻骨联合的连线形成的平面,健康情况下是与地面垂直的;而骨盆后倾时,骨盆向后倾斜一定角度,耻骨联合处于髂前上棘的前方。可伴有小腹前凸、驼背以及腰部酸痛等症状。
骨盆后倾多因肌力不均所致,腰背肌、腹肌和大腿腘绳肌等力量不平衡,可导致维持骨盆位置不稳,进而出现骨盆后倾。此外,外伤或先天发育畸形等因素也能够导致骨盆后倾,但相对少见。
出现骨盆后倾应及时就诊治疗,以免病情进一步发展。骨盆后倾如果不及时纠正,则会出现代偿性驼背、膝关节负荷过重以及盆腔脏器受压等。患者可通过对腰背部肌肉、腹部肌肉、髂腰肌以及大腿肌肉进行相应锻炼,完善力量平衡,可以纠正骨盆后倾。
","articleBody": "骨盆后倾表现为骨盆整体向后倾斜,腰椎出现代偿性变直、驼背等。
骨盆后倾多因腰背部和腹部等肌肉力量不平衡,骨盆维持位不稳定所致,也可因外伤或先天发育畸形导致。

站立时,髂前上棘与耻骨联合的连线形成的平面,健康情况下是与地面垂直的;而骨盆后倾时,骨盆向后倾斜一定角度,耻骨联合处于髂前上棘的前方。可伴有小腹前凸、驼背以及腰部酸痛等症状。
骨盆后倾多因肌力不均所致,腰背肌、腹肌和大腿腘绳肌等力量不平衡,可导致维持骨盆位置不稳,进而出现骨盆后倾。此外,外伤或先天发育畸形等因素也能够导致骨盆后倾,但相对少见。
出现骨盆后倾应及时就诊治疗,以免病情进一步发展。骨盆后倾如果不及时纠正,则会出现代偿性驼背、膝关节负荷过重以及盆腔脏器受压等。患者可通过对腰背部肌肉、腹部肌肉、髂腰肌以及大腿肌肉进行相应锻炼,完善力量平衡,可以纠正骨盆后倾。
","scanCount": 32723}}} {"@context": "https://ziyuan.baidu.com/contexts/cambrian.jsonld","appid": "1650708455561748","icon": "https://www.med-credit.org.cn/style/images/ttlogo.png","content_tag": ["atlas"],"is_mcn": {"thumb_id": "5i2i5w1lm"},"accid": "4886d626a2804dee5f11168793ce361672f39c25","@id": "https://www.med-credit.org.cn/mobile/jingxuan/2/0a758812f2615b7865d29cc151fcd314.html","bagWordId": "23_1526477938050994176","title": "盘状红斑狼疮最初症状图片","pubDate": "2023-03-16T16:40:46","upDate": "2023-03-16T16:40:46","lrDate": "2023-03-16T16:40:46","description": "盘状红斑狼疮最初症状为盘状的红色斑片,形状为圆形或者不规则形,边界清楚。","data": {"WebPage": {"headline": "盘状红斑狼疮最初症状图片","pcUrl": "https://www.med-credit.org.cn/jingxuan/2/0a758812f2615b7865d29cc151fcd314.html","wapUrl": "https://www.med-credit.org.cn/jingxuan/2/0a758812f2615b7865d29cc151fcd314.html","mipUrl": "https://www.med-credit.org.cn/mobile/jingxuan/2/0a758812f2615b7865d29cc151fcd314.html","fromSrc": "欢乐橙","datePublished": "2023-03-16T16:40:46","domain": "医疗","category": ["医疗权威文章合作"],"description": "盘状红斑狼疮最初症状为盘状的红色斑片,形状为圆形或者不规则形,边界清楚。
","extra_headline": [""]},"Author": {"name": "宁旺斌","wapUrl": "https://www.med-credit.org.cn/doctor/524","pcUrl": "https://www.med-credit.org.cn/doctor/524","jobTitle": "副主任医师","headPortrait": "https://www.med-credit.org.cn/uploadfile/member/524/180x180.jpeg","id": "524","description": "宁旺斌,中南大学湘雅医院风湿免疫科副主任医师","memberOf": {"legalName": "中南大学湘雅医院","department": "风湿免疫科","organizationLevel": "三级甲等"}},"Article": {"summaryContent": "盘状红斑狼疮最初症状为盘状的红色斑片,形状为圆形或者不规则形,边界清楚。
患者可在医生指导下选择合适的药物进行治疗,常用药物为皮质类固醇药物、糖皮质激素等。

发生盘状红斑狼疮时,皮损部位最初表现为红色斑片,大小有几毫米至10毫米以上,斑片上面可有毛细血管扩张和灰褐色的黏着性鳞屑。当不经治疗时,皮损部位会逐渐向外扩散,并且在皮损中央出现萎缩。后期可用手剥离鳞屑,可见鳞屑上出现刺状损伤。盘状红斑狼疮一般好发于双颊突出部位,头皮或者鼻梁等,并且可以持续反复发作。
盘状红斑狼疮是一种慢性复发性疾病,一般在生育期的妇女里面比较常见。而此病的患病率在不同人群里面有遗传差异,患者可将致病基因遗传给下一代并且发病。
发生盘状红斑狼疮时,要注意早期治疗,一般可以使用皮质类固醇药物进行外部涂抹,也可以在医生指导下服用糖皮质激素等进行治疗。同时,要避免在阳光或者紫外线下长期暴晒。
","articleBody": "盘状红斑狼疮最初症状为盘状的红色斑片,形状为圆形或者不规则形,边界清楚。
患者可在医生指导下选择合适的药物进行治疗,常用药物为皮质类固醇药物、糖皮质激素等。

发生盘状红斑狼疮时,皮损部位最初表现为红色斑片,大小有几毫米至10毫米以上,斑片上面可有毛细血管扩张和灰褐色的黏着性鳞屑。当不经治疗时,皮损部位会逐渐向外扩散,并且在皮损中央出现萎缩。后期可用手剥离鳞屑,可见鳞屑上出现刺状损伤。盘状红斑狼疮一般好发于双颊突出部位,头皮或者鼻梁等,并且可以持续反复发作。
盘状红斑狼疮是一种慢性复发性疾病,一般在生育期的妇女里面比较常见。而此病的患病率在不同人群里面有遗传差异,患者可将致病基因遗传给下一代并且发病。
发生盘状红斑狼疮时,要注意早期治疗,一般可以使用皮质类固醇药物进行外部涂抹,也可以在医生指导下服用糖皮质激素等进行治疗。同时,要避免在阳光或者紫外线下长期暴晒。
","scanCount": 32716}}} {"@context": "https://ziyuan.baidu.com/contexts/cambrian.jsonld","appid": "1650708455561748","icon": "https://www.med-credit.org.cn/style/images/ttlogo.png","content_tag": ["atlas"],"is_mcn": {"thumb_id": "g76756sx"},"accid": "4886d626a2804dee5f11168793ce361672f39c25","@id": "https://www.med-credit.org.cn/mobile/jingxuan/2/30df553ef7e84ea24cd1cc3bff1ff7b2.html","bagWordId": "177efc528ab7ae10","title": "天突的准确位置图","pubDate": "2023-03-16T16:40:46","upDate": "2023-03-16T16:40:46","lrDate": "2023-03-16T16:40:46","description": "天突指的是天突穴,天突穴在颈前区,胸骨上窝中央,前正中线上。","data": {"WebPage": {"headline": "天突的准确位置图","pcUrl": "https://www.med-credit.org.cn/jingxuan/2/30df553ef7e84ea24cd1cc3bff1ff7b2.html","wapUrl": "https://www.med-credit.org.cn/jingxuan/2/30df553ef7e84ea24cd1cc3bff1ff7b2.html","mipUrl": "https://www.med-credit.org.cn/mobile/jingxuan/2/30df553ef7e84ea24cd1cc3bff1ff7b2.html","fromSrc": "欢乐橙","datePublished": "2023-03-16T16:40:46","domain": "医疗","category": ["医疗权威文章合作"],"description": "天突指的是天突穴,天突穴在颈前区,胸骨上窝中央,前正中线上。
","extra_headline": [""]},"Author": {"name": "张婷","wapUrl": "https://www.med-credit.org.cn/doctor/555","pcUrl": "https://www.med-credit.org.cn/doctor/555","jobTitle": "副主任医师","headPortrait": "https://www.med-credit.org.cn/uploadfile/member/555/180x180.jpeg","id": "555","description": "张婷,中南大学湘雅三医院中西医结合科副主任医师","memberOf": {"legalName": "中南大学湘雅三医院","department": "中西医结合科","organizationLevel": "三级甲等"}},"Article": {"summaryContent": "天突指的是天突穴,天突穴在颈前区,胸骨上窝中央,前正中线上。
天突穴主要治疗肺系疾病和气机不畅类病症。
1、解剖位置:在左右胸锁乳突肌之间,深层左右为胸骨舌骨甲状肌;布有皮下颈静脉弓,甲状腺下动脉分支,深层为气管,再向下,在胸骨柄后方为无名静脉及主动脉弓;布有锁骨上神经前支。取穴可用食指往喉结下方移动,待移动到锁骨中间凹陷处,凹陷部中央即为天突穴。

2、穴位功效:主要治疗肺系疾病和气机不畅类病症。肺系疾病有咳嗽、哮喘、胸痛、咽喉肿痛、暴喑等;气机不畅类病症有喑气、梅核气、噎膈等。临床配合其他穴位治疗。配定喘、膻中、丰隆,宣肺降气化痰,治哮喘;配内关、中脘,理气降逆和胃,治呃逆;配涌泉、内关,降气通络,治失语。
先直刺0.2-0.3寸,然后沿胸骨柄后缘,气管前缘缓慢向下刺入0.5~1寸;可灸。注意上述操作需要在专业的医生操作下进行,避免对机体产生不良影响。
","articleBody": "天突指的是天突穴,天突穴在颈前区,胸骨上窝中央,前正中线上。
天突穴主要治疗肺系疾病和气机不畅类病症。
1、解剖位置:在左右胸锁乳突肌之间,深层左右为胸骨舌骨甲状肌;布有皮下颈静脉弓,甲状腺下动脉分支,深层为气管,再向下,在胸骨柄后方为无名静脉及主动脉弓;布有锁骨上神经前支。取穴可用食指往喉结下方移动,待移动到锁骨中间凹陷处,凹陷部中央即为天突穴。

2、穴位功效:主要治疗肺系疾病和气机不畅类病症。肺系疾病有咳嗽、哮喘、胸痛、咽喉肿痛、暴喑等;气机不畅类病症有喑气、梅核气、噎膈等。临床配合其他穴位治疗。配定喘、膻中、丰隆,宣肺降气化痰,治哮喘;配内关、中脘,理气降逆和胃,治呃逆;配涌泉、内关,降气通络,治失语。
先直刺0.2-0.3寸,然后沿胸骨柄后缘,气管前缘缓慢向下刺入0.5~1寸;可灸。注意上述操作需要在专业的医生操作下进行,避免对机体产生不良影响。
","scanCount": 5330}}} {"@context": "https://ziyuan.baidu.com/contexts/cambrian.jsonld","appid": "1650708455561748","icon": "https://www.med-credit.org.cn/style/images/ttlogo.png","content_tag": ["atlas"],"is_mcn": {"thumb_id": "0jui1zp8"},"accid": "4886d626a2804dee5f11168793ce361672f39c25","@id": "https://www.med-credit.org.cn/mobile/jingxuan/2/5738e95daf6efd33c0dcb305a3303814.html","bagWordId": "557531b927e9e9aa","title": "腹股沟位置图","pubDate": "2023-03-16T16:40:46","upDate": "2023-03-16T16:40:46","lrDate": "2023-03-16T16:40:46","description": "腹股沟位于腹股沟韧带的上方大约1.5厘米,是由肌与筋膜之间形成的一个潜在的间隙。","data": {"WebPage": {"headline": "腹股沟位置图","pcUrl": "https://www.med-credit.org.cn/jingxuan/2/5738e95daf6efd33c0dcb305a3303814.html","wapUrl": "https://www.med-credit.org.cn/jingxuan/2/5738e95daf6efd33c0dcb305a3303814.html","mipUrl": "https://www.med-credit.org.cn/mobile/jingxuan/2/5738e95daf6efd33c0dcb305a3303814.html","fromSrc": "欢乐橙","datePublished": "2023-03-16T16:40:46","domain": "医疗","category": ["医疗权威文章合作"],"description": "腹股沟位于腹股沟韧带的上方大约1.5厘米,是由肌与筋膜之间形成的一个潜在的间隙。
","extra_headline": ["腹股沟位置"]},"Author": {"name": "陈璐","wapUrl": "https://www.med-credit.org.cn/doctor/494","pcUrl": "https://www.med-credit.org.cn/doctor/494","jobTitle": "主治医师","headPortrait": "https://www.med-credit.org.cn/uploadfile/member/494/180x180.jpeg","id": "494","description": "陈璐,中南大学湘雅医院普外科主治医师。","memberOf": {"legalName": "中南大学湘雅医院","department": "普外科(胃肠外科)","organizationLevel": "三级甲等"}},"Article": {"summaryContent": "腹股沟位于腹股沟韧带的上方大约1.5厘米,是由肌与筋膜之间形成的一个潜在的间隙。

腹股沟位于人体的腹部下方,腹股沟韧带走行的区域,长约4-5厘米。在腹股沟里面有男性的精索或者女性的子宫圆韧带通过。腹股沟构成的管道是人体体表的薄弱位置,当人体腹内压过高会在腹股沟管形成疝。
腹股沟有两个口和四个壁组成。其中内口又叫做深环,位于腹股沟韧带上方1.5cm处,是腹横筋膜在腹下外侧包裹精索形成的,它的起始部位呈卵圆形。腹股沟管的外口即浅环,里面有精索或者子宫圆韧带通过。
腹股沟的前壁是腹肌腱膜;后壁是腹横筋膜和联合腱;在腹股沟的上壁为腹内斜肌与腹横肌的弓状下缘;下壁是腹股沟韧带。
","articleBody": "腹股沟位于腹股沟韧带的上方大约1.5厘米,是由肌与筋膜之间形成的一个潜在的间隙。

腹股沟位于人体的腹部下方,腹股沟韧带走行的区域,长约4-5厘米。在腹股沟里面有男性的精索或者女性的子宫圆韧带通过。腹股沟构成的管道是人体体表的薄弱位置,当人体腹内压过高会在腹股沟管形成疝。
腹股沟有两个口和四个壁组成。其中内口又叫做深环,位于腹股沟韧带上方1.5cm处,是腹横筋膜在腹下外侧包裹精索形成的,它的起始部位呈卵圆形。腹股沟管的外口即浅环,里面有精索或者子宫圆韧带通过。
腹股沟的前壁是腹肌腱膜;后壁是腹横筋膜和联合腱;在腹股沟的上壁为腹内斜肌与腹横肌的弓状下缘;下壁是腹股沟韧带。
","scanCount": 9679}}} {"@context": "https://ziyuan.baidu.com/contexts/cambrian.jsonld","appid": "1650708455561748","icon": "https://www.med-credit.org.cn/style/images/ttlogo.png","content_tag": ["atlas"],"is_mcn": {"thumb_id": "g76756sx"},"accid": "4886d626a2804dee5f11168793ce361672f39c25","@id": "https://www.med-credit.org.cn/mobile/jingxuan/2/8504bb17fe73eb49ba3292482d5de665.html","bagWordId": "bc4632190a2f4468","title": "鸡血藤长什么样子图片","pubDate": "2023-03-16T16:40:46","upDate": "2023-03-16T16:40:46","lrDate": "2023-03-16T16:40:46","description": "鸡血藤是豆科植物密花豆的干燥藤茎。新鲜鸡血藤叶子呈卵状长椭圆形或卵状披针形,花冠紫色或玫瑰红色。中药鸡血藤呈椭圆形、长矩圆形或不规则的斜切片。","data": {"WebPage": {"headline": "鸡血藤长什么样子图片","pcUrl": "https://www.med-credit.org.cn/jingxuan/2/8504bb17fe73eb49ba3292482d5de665.html","wapUrl": "https://www.med-credit.org.cn/jingxuan/2/8504bb17fe73eb49ba3292482d5de665.html","mipUrl": "https://www.med-credit.org.cn/mobile/jingxuan/2/8504bb17fe73eb49ba3292482d5de665.html","fromSrc": "欢乐橙","datePublished": "2023-03-16T16:40:46","domain": "医疗","category": ["医疗权威文章合作"],"description": "鸡血藤是豆科植物密花豆的干燥藤茎。新鲜鸡血藤叶子呈卵状长椭圆形或卵状披针形,花冠紫色或玫瑰红色。中药鸡血藤呈椭圆形、长矩圆形或不规则的斜切片。
","extra_headline": [""]},"Author": {"name": "张婷","wapUrl": "https://www.med-credit.org.cn/doctor/555","pcUrl": "https://www.med-credit.org.cn/doctor/555","jobTitle": "副主任医师","headPortrait": "https://www.med-credit.org.cn/uploadfile/member/555/180x180.jpeg","id": "555","description": "张婷,中南大学湘雅三医院中西医结合科副主任医师","memberOf": {"legalName": "中南大学湘雅三医院","department": "中西医结合科","organizationLevel": "三级甲等"}},"Article": {"summaryContent": "鸡血藤是豆科植物密花豆的干燥藤茎。新鲜鸡血藤叶子呈卵状长椭圆形或卵状披针形,花冠紫色或玫瑰红色。中药鸡血藤呈椭圆形、长矩圆形或不规则的斜切片。
鸡血藤可治疗女性月经不调、风湿痹痛、血虚萎黄等症状。
1、新鲜鸡血藤:木质藤本,除花序和幼嫩部分有黄褐色柔毛外,其余无毛。羽状复叶;小叶7~9,卵状长椭圆形或卵状披针形,长4~12厘米,宽1.5~5.5厘米,两面均无毛,网脉明显。圆锥花序顶生,下垂,序轴有黄色疏柔毛,花多而密集,单生于序轴的节上;萼钟形,裂齿短而钝;花冠紫色或玫瑰红色,无毛。

2、中药鸡血藤:中药鸡血藤呈椭圆形、长矩圆形或不规则的斜切片,厚0.3~1cm。栓皮灰棕色,有的可见灰白色斑,栓皮脱落处显红棕色。质坚硬。切面木部红棕色或棕色,导管孔多数;韧皮部有树脂状分泌物呈红棕色至黑棕色,与木部相间排列呈数个同心性椭圆形环或偏心性半圆形环;髓部偏向一侧。气微,味涩。

鸡血藤生于山谷林间、山地灌丛中。分布于广东、广西、云南等地。功能主治为活血补血,调经止痛,舒经活络,可用于治疗女性月经不调、痛经、闭经以及风湿痹痛、麻木、瘫痪、血虚萎黄等症状。
用药期间需注意忌食寒凉、生冷食物、忌食辛辣油腻食物。如果已经怀孕、计划怀孕或是在哺乳期,请及时告知医生并咨询是否可用中药治疗。儿童用药须在医生指导和成人监护下进行。
","articleBody": "鸡血藤是豆科植物密花豆的干燥藤茎。新鲜鸡血藤叶子呈卵状长椭圆形或卵状披针形,花冠紫色或玫瑰红色。中药鸡血藤呈椭圆形、长矩圆形或不规则的斜切片。
鸡血藤可治疗女性月经不调、风湿痹痛、血虚萎黄等症状。
1、新鲜鸡血藤:木质藤本,除花序和幼嫩部分有黄褐色柔毛外,其余无毛。羽状复叶;小叶7~9,卵状长椭圆形或卵状披针形,长4~12厘米,宽1.5~5.5厘米,两面均无毛,网脉明显。圆锥花序顶生,下垂,序轴有黄色疏柔毛,花多而密集,单生于序轴的节上;萼钟形,裂齿短而钝;花冠紫色或玫瑰红色,无毛。

2、中药鸡血藤:中药鸡血藤呈椭圆形、长矩圆形或不规则的斜切片,厚0.3~1cm。栓皮灰棕色,有的可见灰白色斑,栓皮脱落处显红棕色。质坚硬。切面木部红棕色或棕色,导管孔多数;韧皮部有树脂状分泌物呈红棕色至黑棕色,与木部相间排列呈数个同心性椭圆形环或偏心性半圆形环;髓部偏向一侧。气微,味涩。

鸡血藤生于山谷林间、山地灌丛中。分布于广东、广西、云南等地。功能主治为活血补血,调经止痛,舒经活络,可用于治疗女性月经不调、痛经、闭经以及风湿痹痛、麻木、瘫痪、血虚萎黄等症状。
用药期间需注意忌食寒凉、生冷食物、忌食辛辣油腻食物。如果已经怀孕、计划怀孕或是在哺乳期,请及时告知医生并咨询是否可用中药治疗。儿童用药须在医生指导和成人监护下进行。
","scanCount": 32684}}} {"@context": "https://ziyuan.baidu.com/contexts/cambrian.jsonld","appid": "1650708455561748","icon": "https://www.med-credit.org.cn/style/images/ttlogo.png","content_tag": ["atlas"],"is_mcn": {"thumb_id": "0jui1zp8"},"accid": "4886d626a2804dee5f11168793ce361672f39c25","@id": "https://www.med-credit.org.cn/mobile/jingxuan/2/b8499900dd0c1c4aa4d4d1e5a67d8333.html","bagWordId": "ab6ccceb697ab95d","title": "侧隐窝解剖位置示意图","pubDate": "2023-03-16T16:40:46","upDate": "2023-03-16T16:40:46","lrDate": "2023-03-16T16:40:46","description": "侧隐窝的解剖位置位于椎管的前外侧,其前面为椎体以及椎间盘后缘,外面为椎弓根的内面,后面为黄韧带及其后的上关节突前面与椎板和椎弓根连合处,内面是硬脊膜外缘,其入口即上关节突的前缘。","data": {"WebPage": {"headline": "侧隐窝解剖位置示意图","pcUrl": "https://www.med-credit.org.cn/jingxuan/2/b8499900dd0c1c4aa4d4d1e5a67d8333.html","wapUrl": "https://www.med-credit.org.cn/jingxuan/2/b8499900dd0c1c4aa4d4d1e5a67d8333.html","mipUrl": "https://www.med-credit.org.cn/mobile/jingxuan/2/b8499900dd0c1c4aa4d4d1e5a67d8333.html","fromSrc": "欢乐橙","datePublished": "2023-03-16T16:40:46","domain": "医疗","category": ["医疗权威文章合作"],"description": "侧隐窝的解剖位置位于椎管的前外侧,其前面为椎体以及椎间盘后缘,外面为椎弓根的内面,后面为黄韧带及其后的上关节突前面与椎板和椎弓根连合处,内面是硬脊膜外缘,其入口即上关节突的前缘。
","extra_headline": [""]},"Author": {"name": "陈璐","wapUrl": "https://www.med-credit.org.cn/doctor/494","pcUrl": "https://www.med-credit.org.cn/doctor/494","jobTitle": "主治医师","headPortrait": "https://www.med-credit.org.cn/uploadfile/member/494/180x180.jpeg","id": "494","description": "陈璐,中南大学湘雅医院普外科主治医师。","memberOf": {"legalName": "中南大学湘雅医院","department": "普外科(胃肠外科)","organizationLevel": "三级甲等"}},"Article": {"summaryContent": "侧隐窝的解剖位置位于椎管的前外侧,其前面为椎体以及椎间盘后缘,外面为椎弓根的内面,后面为黄韧带及其后的上关节突前面与椎板和椎弓根连合处,内面是硬脊膜外缘,其入口即上关节突的前缘。

侧隐窝为椎孔两侧向外陷入部分,脊神经根通道就由其向外下方形成,与椎间孔相连接。侧隐窝是椎弓根内缘及关节突前缘和椎体后缘构成的骨性凹陷,是神经根下行走向椎间孔的通道,呈矩形或漏斗状,前壁为椎体后上部,紧靠椎间盘后缘的下方,外侧壁为椎弓根内缘,后壁为上关节突的前面,内侧是硬膜囊。侧隐窝两侧基本是对称的,前后径不小于3mm,小于2mm就是狭窄。
椎管最狭窄的部分就是侧隐窝,是神经根通过的通道,其横径越大,矢径越小,那么就表示侧隐窝越深越窄。
","articleBody": "侧隐窝的解剖位置位于椎管的前外侧,其前面为椎体以及椎间盘后缘,外面为椎弓根的内面,后面为黄韧带及其后的上关节突前面与椎板和椎弓根连合处,内面是硬脊膜外缘,其入口即上关节突的前缘。

侧隐窝为椎孔两侧向外陷入部分,脊神经根通道就由其向外下方形成,与椎间孔相连接。侧隐窝是椎弓根内缘及关节突前缘和椎体后缘构成的骨性凹陷,是神经根下行走向椎间孔的通道,呈矩形或漏斗状,前壁为椎体后上部,紧靠椎间盘后缘的下方,外侧壁为椎弓根内缘,后壁为上关节突的前面,内侧是硬膜囊。侧隐窝两侧基本是对称的,前后径不小于3mm,小于2mm就是狭窄。
椎管最狭窄的部分就是侧隐窝,是神经根通过的通道,其横径越大,矢径越小,那么就表示侧隐窝越深越窄。
","scanCount": 32653}}} {"@context": "https://ziyuan.baidu.com/contexts/cambrian.jsonld","appid": "1650708455561748","icon": "https://www.med-credit.org.cn/style/images/ttlogo.png","content_tag": ["atlas"],"is_mcn": {"thumb_id": "0jui1zp8"},"accid": "4886d626a2804dee5f11168793ce361672f39c25","@id": "https://www.med-credit.org.cn/mobile/jingxuan/2/0ea117073ae75bc078c2a42ba8a8318e.html","bagWordId": "b48610c6efffc1e6","title": "女人疝气的位置图片","pubDate": "2023-03-16T16:40:46","upDate": "2023-03-16T16:40:46","lrDate": "2023-03-16T16:40:46","description": "女人疝气根据类型的差异,位置也不同,若属于股疝,疝气一般位于大腿的前内部或前部,可呈单发或多发。若属于腹股沟疝,疝气位于腹股沟区。","data": {"WebPage": {"headline": "女人疝气的位置图片","pcUrl": "https://www.med-credit.org.cn/jingxuan/2/0ea117073ae75bc078c2a42ba8a8318e.html","wapUrl": "https://www.med-credit.org.cn/jingxuan/2/0ea117073ae75bc078c2a42ba8a8318e.html","mipUrl": "https://www.med-credit.org.cn/mobile/jingxuan/2/0ea117073ae75bc078c2a42ba8a8318e.html","fromSrc": "欢乐橙","datePublished": "2023-03-16T16:40:46","domain": "医疗","category": ["医疗权威文章合作"],"description": "女人疝气根据类型的差异,位置也不同,若属于股疝,疝气一般位于大腿的前内部或前部,可呈单发或多发。若属于腹股沟疝,疝气位于腹股沟区。
","extra_headline": [""]},"Author": {"name": "陈璐","wapUrl": "https://www.med-credit.org.cn/doctor/494","pcUrl": "https://www.med-credit.org.cn/doctor/494","jobTitle": "主治医师","headPortrait": "https://www.med-credit.org.cn/uploadfile/member/494/180x180.jpeg","id": "494","description": "陈璐,中南大学湘雅医院普外科主治医师。","memberOf": {"legalName": "中南大学湘雅医院","department": "普外科(胃肠外科)","organizationLevel": "三级甲等"}},"Article": {"summaryContent": "女人疝气根据类型的差异,位置也不同,若属于股疝,疝气一般位于大腿的前内部或前部,可呈单发或多发。若属于腹股沟疝,疝气位于腹股沟区。
女人疝气一般需在医生的指导下选择适合自身病情的手术治疗方法,常见方法有疝囊高位结扎术、经腹腔镜疝修补术和无张力疝修补术。

1、股疝:女人最常见的疝气是股疝,一般位于大腿的前内部或前部,可呈单发或多发,发生机制是由于相关内容物通过股环,在股管薄弱区形成疝囊,临床上常表现为在大腿的前内部或前部可见半圆形的隆起物。
2、腹股沟疝:腹股沟疝分为直疝和斜疝,斜疝多见,疝气均位于腹股沟区,即大腿根部与下腹部交界的部位。腹股沟疝常常指肠道内容物进入腹股沟的薄弱区形成的疝囊,疝囊开始时体积较小,一般具有坠胀感,因而在腹股沟上方形成条状隆起。
临床上疝气一般需要进行手术治疗,如疝囊高位结扎术、经腹腔镜疝修补术和无张力疝修补术。尽量选择在疾病初期进行手术,术中操作相对更简便,因而预后良好,术后并发症更轻微。
","articleBody": "女人疝气根据类型的差异,位置也不同,若属于股疝,疝气一般位于大腿的前内部或前部,可呈单发或多发。若属于腹股沟疝,疝气位于腹股沟区。
女人疝气一般需在医生的指导下选择适合自身病情的手术治疗方法,常见方法有疝囊高位结扎术、经腹腔镜疝修补术和无张力疝修补术。

1、股疝:女人最常见的疝气是股疝,一般位于大腿的前内部或前部,可呈单发或多发,发生机制是由于相关内容物通过股环,在股管薄弱区形成疝囊,临床上常表现为在大腿的前内部或前部可见半圆形的隆起物。
2、腹股沟疝:腹股沟疝分为直疝和斜疝,斜疝多见,疝气均位于腹股沟区,即大腿根部与下腹部交界的部位。腹股沟疝常常指肠道内容物进入腹股沟的薄弱区形成的疝囊,疝囊开始时体积较小,一般具有坠胀感,因而在腹股沟上方形成条状隆起。
临床上疝气一般需要进行手术治疗,如疝囊高位结扎术、经腹腔镜疝修补术和无张力疝修补术。尽量选择在疾病初期进行手术,术中操作相对更简便,因而预后良好,术后并发症更轻微。
","scanCount": 32650}}} {"@context": "https://ziyuan.baidu.com/contexts/cambrian.jsonld","appid": "1650708455561748","icon": "https://www.med-credit.org.cn/style/images/ttlogo.png","content_tag": ["atlas"],"is_mcn": {"thumb_id": "0jui1zp8"},"accid": "4886d626a2804dee5f11168793ce361672f39c25","@id": "https://www.med-credit.org.cn/mobile/jingxuan/2/1a7e53d713a5603a8d91884691d4b565.html","bagWordId": "4c8d417bf4119a32","title": "伤口愈合后长白色颗粒图片","pubDate": "2023-03-16T16:40:46","upDate": "2023-03-16T16:40:46","lrDate": "2023-03-16T16:40:46","description": "伤口愈合后长白色颗粒可能是肉芽组织生长、瘢痕组织增生、伤口感染等引起","data": {"WebPage": {"headline": "伤口愈合后长白色颗粒图片","pcUrl": "https://www.med-credit.org.cn/jingxuan/2/1a7e53d713a5603a8d91884691d4b565.html","wapUrl": "https://www.med-credit.org.cn/jingxuan/2/1a7e53d713a5603a8d91884691d4b565.html","mipUrl": "https://www.med-credit.org.cn/mobile/jingxuan/2/1a7e53d713a5603a8d91884691d4b565.html","fromSrc": "欢乐橙","datePublished": "2023-03-16T16:40:46","domain": "医疗","category": ["医疗权威文章合作"],"description": "伤口愈合后长白色颗粒可能是肉芽组织生长、瘢痕组织增生、伤口感染等引起
","extra_headline": [""]},"Author": {"name": "陈璐","wapUrl": "https://www.med-credit.org.cn/doctor/494","pcUrl": "https://www.med-credit.org.cn/doctor/494","jobTitle": "主治医师","headPortrait": "https://www.med-credit.org.cn/uploadfile/member/494/180x180.jpeg","id": "494","description": "陈璐,中南大学湘雅医院普外科主治医师。","memberOf": {"legalName": "中南大学湘雅医院","department": "普外科(胃肠外科)","organizationLevel": "三级甲等"}},"Article": {"summaryContent": "伤口愈合后长白色颗粒可能是肉芽组织生长、瘢痕组织增生、伤口感染等引起
若伤口还伴不适症状,建议及时到医院就诊,在医生指导下对症治疗。

1、肉芽组织生长:在伤口愈合过程中,一般3-5天皮下肉芽组织会逐渐长出,为正常现象,不用过于担心。
2、瘢痕组织增生:伤口愈合一段时间后,皮肤表面可出现瘢痕组织生长,对于瘢痕增生也是人体的一个修复过程,是纤维细胞和成纤维细胞反复修复引起,也为正常现象,一般也不用过于担心。
3、伤口感染:若不注意伤口愈合部位的卫生,导致局部汗腺、毛囊及皮脂腺排泄管阻塞,引起毛囊炎等情况。通常建议保持局部皮肤清洁干燥,做好消毒工作,如用碘伏消毒,以防止感染。必要时也可遵医嘱使用莫匹罗星软膏,进行抗感染治疗。
除了上述相对常见的原因外,还有其他的可能性疾病,比如丘疹。建议患者出现这种症状后,及时去医院就诊,查明病因后,予以针对性治疗。
","articleBody": "伤口愈合后长白色颗粒可能是肉芽组织生长、瘢痕组织增生、伤口感染等引起
若伤口还伴不适症状,建议及时到医院就诊,在医生指导下对症治疗。

1、肉芽组织生长:在伤口愈合过程中,一般3-5天皮下肉芽组织会逐渐长出,为正常现象,不用过于担心。
2、瘢痕组织增生:伤口愈合一段时间后,皮肤表面可出现瘢痕组织生长,对于瘢痕增生也是人体的一个修复过程,是纤维细胞和成纤维细胞反复修复引起,也为正常现象,一般也不用过于担心。
3、伤口感染:若不注意伤口愈合部位的卫生,导致局部汗腺、毛囊及皮脂腺排泄管阻塞,引起毛囊炎等情况。通常建议保持局部皮肤清洁干燥,做好消毒工作,如用碘伏消毒,以防止感染。必要时也可遵医嘱使用莫匹罗星软膏,进行抗感染治疗。
除了上述相对常见的原因外,还有其他的可能性疾病,比如丘疹。建议患者出现这种症状后,及时去医院就诊,查明病因后,予以针对性治疗。
","scanCount": 32646}}} {"@context": "https://ziyuan.baidu.com/contexts/cambrian.jsonld","appid": "1650708455561748","icon": "https://www.med-credit.org.cn/style/images/ttlogo.png","content_tag": ["atlas"],"is_mcn": {"thumb_id": "c1nhtnyb"},"accid": "4886d626a2804dee5f11168793ce361672f39c25","@id": "https://www.med-credit.org.cn/mobile/jingxuan/2/7b454a43c13685826e9d2ff65e5fb76b.html","bagWordId": "43dbc1290576971a","title": "脚大拇指发白的图片","pubDate": "2023-03-16T16:40:46","upDate": "2023-03-16T16:40:46","lrDate": "2023-03-16T16:40:46","description": "脚大拇趾发白可能是正常生理现象引起的,也可能是甲沟炎、微循环不良等原因导致的。","data": {"WebPage": {"headline": "脚大拇指发白的图片","pcUrl": "https://www.med-credit.org.cn/jingxuan/2/7b454a43c13685826e9d2ff65e5fb76b.html","wapUrl": "https://www.med-credit.org.cn/jingxuan/2/7b454a43c13685826e9d2ff65e5fb76b.html","mipUrl": "https://www.med-credit.org.cn/mobile/jingxuan/2/7b454a43c13685826e9d2ff65e5fb76b.html","fromSrc": "欢乐橙","datePublished": "2023-03-16T16:40:46","domain": "医疗","category": ["医疗权威文章合作"],"description": "脚大拇趾发白可能是正常生理现象引起的,也可能是甲沟炎、微循环不良等原因导致的。
","extra_headline": ["脚大拇指发白的"]},"Author": {"name": "王晓彦","wapUrl": "https://www.med-credit.org.cn/doctor/541","pcUrl": "https://www.med-credit.org.cn/doctor/541","jobTitle": "主任医师","headPortrait": "https://www.med-credit.org.cn/uploadfile/member/541/180x180.jpeg","id": "541","description": "王晓彦,首都医科大学附属北京天坛医院皮肤科主任医师","memberOf": {"legalName": "首都医科大学附属北京天坛医院","department": "皮肤科","organizationLevel": "三级甲等"}},"Article": {"summaryContent": "脚大拇趾发白可能是正常生理现象引起的,也可能是甲沟炎、微循环不良等原因导致的。
患者需在医生的指导下选择合适的药物进行治疗。

1、正常生理现象:如果两个脚的大拇趾经常处于潮湿的环境中,受水分的影响,局部细胞吸水膨胀,末梢血液循环不畅,可能会导致发白,一般不需要过于担心,避免长期处于潮湿的环境中,即可逐渐恢复。
2、甲沟炎:由于患者趾甲剪得太短造成局部被细菌感染可能会引起甲沟炎,从而导致脚大拇趾出现肿胀、颜色改变、疼痛等症状出现。患者注意局部进行消毒处理,可以选用2%的碘酒进行涂擦消毒。若肿胀明显,可配合酒精湿敷。还要考虑进行抗炎消肿处理,建议在医生的指导下用局部外用抗真菌药物进行改善,临床上常用的有盐酸萘替芬软膏和硝酸咪康唑乳膏等。如果症状长期没有得到控制,或者甲沟炎反复发作,考虑感染已经向周围组织扩散,则建议遵医嘱服用抗生素药物进行治疗,如头孢氨苄颗粒、阿莫西林颗粒等。每天可以使用温水泡脚2~4次,也可以在水里加适量的双氧水,有助于减缓疼痛和消肿。
3、微循环不良:如果患者患有心脑血管疾病,可能会影响患者血液微循环系统,脚趾甲处供血不足会出现发白的情况,偶见两个脚的大拇趾部位,出现发白的非特异性症状。可以在医生的配合指导下,服用活血化瘀的药物进行治疗,比如复方丹参片、延胡索、川芎等。
除了上述相对常见的原因外,还有其他的可能性疾病,比如足癣。建议患者出现这种症状后,及时去医院就诊,查明病因后,予以针对性治疗。
患者在治疗期间要注意局部的清洁和卫生,避免进食辛辣和刺激性的食物。
","articleBody": "脚大拇趾发白可能是正常生理现象引起的,也可能是甲沟炎、微循环不良等原因导致的。
患者需在医生的指导下选择合适的药物进行治疗。

1、正常生理现象:如果两个脚的大拇趾经常处于潮湿的环境中,受水分的影响,局部细胞吸水膨胀,末梢血液循环不畅,可能会导致发白,一般不需要过于担心,避免长期处于潮湿的环境中,即可逐渐恢复。
2、甲沟炎:由于患者趾甲剪得太短造成局部被细菌感染可能会引起甲沟炎,从而导致脚大拇趾出现肿胀、颜色改变、疼痛等症状出现。患者注意局部进行消毒处理,可以选用2%的碘酒进行涂擦消毒。若肿胀明显,可配合酒精湿敷。还要考虑进行抗炎消肿处理,建议在医生的指导下用局部外用抗真菌药物进行改善,临床上常用的有盐酸萘替芬软膏和硝酸咪康唑乳膏等。如果症状长期没有得到控制,或者甲沟炎反复发作,考虑感染已经向周围组织扩散,则建议遵医嘱服用抗生素药物进行治疗,如头孢氨苄颗粒、阿莫西林颗粒等。每天可以使用温水泡脚2~4次,也可以在水里加适量的双氧水,有助于减缓疼痛和消肿。
3、微循环不良:如果患者患有心脑血管疾病,可能会影响患者血液微循环系统,脚趾甲处供血不足会出现发白的情况,偶见两个脚的大拇趾部位,出现发白的非特异性症状。可以在医生的配合指导下,服用活血化瘀的药物进行治疗,比如复方丹参片、延胡索、川芎等。
除了上述相对常见的原因外,还有其他的可能性疾病,比如足癣。建议患者出现这种症状后,及时去医院就诊,查明病因后,予以针对性治疗。
患者在治疗期间要注意局部的清洁和卫生,避免进食辛辣和刺激性的食物。
","scanCount": 7980}}} {"@context": "https://ziyuan.baidu.com/contexts/cambrian.jsonld","appid": "1650708455561748","icon": "https://www.med-credit.org.cn/style/images/ttlogo.png","content_tag": ["atlas"],"is_mcn": {"thumb_id": "3w128mji2"},"accid": "4886d626a2804dee5f11168793ce361672f39c25","@id": "https://www.med-credit.org.cn/mobile/jingxuan/2/f398006ff2fbe6e28a613994aae4547c.html","bagWordId": "903b299cc967478b","title": "女性梅毒疹图片","pubDate": "2023-03-16T16:40:46","upDate": "2023-03-16T16:40:46","lrDate": "2023-03-16T16:40:46","description": "梅毒疹是二期梅毒的典型表现,女性梅毒疹呈现红色或者红褐色的丘疹、斑丘疹,有的皮肤粘膜上可以出现脓疱或者溃疡。","data": {"WebPage": {"headline": "女性梅毒疹图片","pcUrl": "https://www.med-credit.org.cn/jingxuan/2/f398006ff2fbe6e28a613994aae4547c.html","wapUrl": "https://www.med-credit.org.cn/jingxuan/2/f398006ff2fbe6e28a613994aae4547c.html","mipUrl": "https://www.med-credit.org.cn/mobile/jingxuan/2/f398006ff2fbe6e28a613994aae4547c.html","fromSrc": "欢乐橙","datePublished": "2023-03-16T16:40:46","domain": "医疗","category": ["医疗权威文章合作"],"description": "梅毒疹是二期梅毒的典型表现,女性梅毒疹呈现红色或者红褐色的丘疹、斑丘疹,有的皮肤粘膜上可以出现脓疱或者溃疡。
","extra_headline": ["女性梅毒疹"]},"Author": {"name": "曲乐","wapUrl": "https://www.med-credit.org.cn/doctor/554","pcUrl": "https://www.med-credit.org.cn/doctor/554","jobTitle": "副主任医师","headPortrait": "https://www.med-credit.org.cn/uploadfile/member/554/180x180.jpeg","id": "554","description": "曲乐,副主任医师、医学博士、硕士研究生导师、美容主诊医师、公派留美访问学者。主持国家自然科学基金及省市课题多项,在国内外高水平专业杂志发表中英文论文20余篇,参编英文专著1部。现任辽宁省免疫学会委员。","memberOf": {"legalName": "中国医科大学附属第一医院","department": "皮肤科","organizationLevel": "三级甲等"}},"Article": {"summaryContent": "梅毒疹是二期梅毒的典型表现,女性梅毒疹呈现红色或者红褐色的丘疹、斑丘疹,有的皮肤粘膜上可以出现脓疱或者溃疡。
梅毒是一种危害很大的传染病,因此需要及时治疗,可给予药物治疗。

女性梅毒疹的黏膜表现较为广泛,早期对称,以后呈多形性,也有皮疹局限,自觉症状轻微,破坏性小,传染性强。女性梅毒疹常见的有斑疹、斑丘疹、丘疹、丘疹鳞屑性梅毒疹、毛囊疹、雅司样疹、脓疱疹、砺壳样疹、溃疡疹等。开始的损害为斑疹,发生于硬下疳后5~8周,分布于躯干、四肢屈侧,圆形或椭圆形,玫瑰色,直径0.5~1cm,数天后消退。最常见的皮疹为斑丘疹,发生于感染后2~4个月,分布全身,包括面部、躯干、四肢屈侧,铜红色,掌跖部位的皮疹具有特征性。丘疹也是女性梅毒疹最常见并且具有特征性的皮疹,数目比斑疹少,铜红色,顶端扁平或尖顶状,表面光滑,分布于掌跖、躯干、上下肢和面部,有的皮疹播散或泛发,有的皮疹孤立,播散皮疹形成环状或弓形。
青霉素是治疗各期梅毒的首选药物,包括苄星青霉素、普鲁卡因青霉素等,治疗失败的非常少见。其他的药物包括四环素、多西环素、红霉素和第三代头孢类抗生素等,注意药物的使用需要在医生的指导下进行。
","articleBody": "梅毒疹是二期梅毒的典型表现,女性梅毒疹呈现红色或者红褐色的丘疹、斑丘疹,有的皮肤粘膜上可以出现脓疱或者溃疡。
梅毒是一种危害很大的传染病,因此需要及时治疗,可给予药物治疗。

女性梅毒疹的黏膜表现较为广泛,早期对称,以后呈多形性,也有皮疹局限,自觉症状轻微,破坏性小,传染性强。女性梅毒疹常见的有斑疹、斑丘疹、丘疹、丘疹鳞屑性梅毒疹、毛囊疹、雅司样疹、脓疱疹、砺壳样疹、溃疡疹等。开始的损害为斑疹,发生于硬下疳后5~8周,分布于躯干、四肢屈侧,圆形或椭圆形,玫瑰色,直径0.5~1cm,数天后消退。最常见的皮疹为斑丘疹,发生于感染后2~4个月,分布全身,包括面部、躯干、四肢屈侧,铜红色,掌跖部位的皮疹具有特征性。丘疹也是女性梅毒疹最常见并且具有特征性的皮疹,数目比斑疹少,铜红色,顶端扁平或尖顶状,表面光滑,分布于掌跖、躯干、上下肢和面部,有的皮疹播散或泛发,有的皮疹孤立,播散皮疹形成环状或弓形。
青霉素是治疗各期梅毒的首选药物,包括苄星青霉素、普鲁卡因青霉素等,治疗失败的非常少见。其他的药物包括四环素、多西环素、红霉素和第三代头孢类抗生素等,注意药物的使用需要在医生的指导下进行。
","scanCount": 7649}}} {"@context": "https://ziyuan.baidu.com/contexts/cambrian.jsonld","appid": "1650708455561748","icon": "https://www.med-credit.org.cn/style/images/ttlogo.png","content_tag": ["atlas"],"is_mcn": {"thumb_id": "3w128mji2"},"accid": "4886d626a2804dee5f11168793ce361672f39c25","@id": "https://www.med-credit.org.cn/mobile/jingxuan/2/908d348b4aa5f37125cbced440d7a93e.html","bagWordId": "d94ad3286f9ee3ad","title": "身上螨虫过敏症状图片","pubDate": "2023-03-16T16:40:46","upDate": "2023-03-16T16:40:46","lrDate": "2023-03-16T16:40:46","description": "身上出现螨虫过敏,症状较轻时可能有皮疹、眼睛发红、打喷嚏、流鼻涕等现象。严重时可能会有咳嗽气喘、呼吸困难等表现。","data": {"WebPage": {"headline": "身上螨虫过敏症状图片","pcUrl": "https://www.med-credit.org.cn/jingxuan/2/908d348b4aa5f37125cbced440d7a93e.html","wapUrl": "https://www.med-credit.org.cn/jingxuan/2/908d348b4aa5f37125cbced440d7a93e.html","mipUrl": "https://www.med-credit.org.cn/mobile/jingxuan/2/908d348b4aa5f37125cbced440d7a93e.html","fromSrc": "欢乐橙","datePublished": "2023-03-16T16:40:46","domain": "医疗","category": ["医疗权威文章合作"],"description": "身上出现螨虫过敏,症状较轻时可能有皮疹、眼睛发红、打喷嚏、流鼻涕等现象。严重时可能会有咳嗽气喘、呼吸困难等表现。
","extra_headline": [""]},"Author": {"name": "曲乐","wapUrl": "https://www.med-credit.org.cn/doctor/554","pcUrl": "https://www.med-credit.org.cn/doctor/554","jobTitle": "副主任医师","headPortrait": "https://www.med-credit.org.cn/uploadfile/member/554/180x180.jpeg","id": "554","description": "曲乐,副主任医师、医学博士、硕士研究生导师、美容主诊医师、公派留美访问学者。主持国家自然科学基金及省市课题多项,在国内外高水平专业杂志发表中英文论文20余篇,参编英文专著1部。现任辽宁省免疫学会委员。","memberOf": {"legalName": "中国医科大学附属第一医院","department": "皮肤科","organizationLevel": "三级甲等"}},"Article": {"summaryContent": "身上出现螨虫过敏,症状较轻时可能有皮疹、眼睛发红、打喷嚏、流鼻涕等现象。严重时可能会有咳嗽气喘、呼吸困难等表现。
患者应及时前往皮肤科进行诊治,遵医嘱使用药物治疗。日常生活中做好皮肤清洁工作。

螨虫常寄生在人体的皮肤上,若皮肤、黏膜接触过多螨虫或被其叮咬常会引起过敏的表现,症状较轻时可能会有皮疹,表现为红色小丘疹,伴有瘙痒感,也可出现眼睛发红、流涕、打喷嚏等表现;较严重时可能出现咳嗽气喘、呼吸困难等征象,也可伴随长期反复的慢性皮炎。
对于该病,建议及时到皮肤科就诊,确定过敏原后进行脱敏治疗。患者可遵医嘱使用抗组胺药物如氯雷他定来缓解,也可选择糖皮质激素如糠酸莫米松等药物来治疗。
该病重在预防,平时要做好皮肤清洁护理工作,定期去除角质,以免螨虫在毛囊中生长而堵塞毛孔。定期打扫房间卫生,清洗更换睡衣、床单等用品,经常开窗通风,勤晒被子及衣物,保持室内干燥整洁。
","articleBody": "身上出现螨虫过敏,症状较轻时可能有皮疹、眼睛发红、打喷嚏、流鼻涕等现象。严重时可能会有咳嗽气喘、呼吸困难等表现。
患者应及时前往皮肤科进行诊治,遵医嘱使用药物治疗。日常生活中做好皮肤清洁工作。

螨虫常寄生在人体的皮肤上,若皮肤、黏膜接触过多螨虫或被其叮咬常会引起过敏的表现,症状较轻时可能会有皮疹,表现为红色小丘疹,伴有瘙痒感,也可出现眼睛发红、流涕、打喷嚏等表现;较严重时可能出现咳嗽气喘、呼吸困难等征象,也可伴随长期反复的慢性皮炎。
对于该病,建议及时到皮肤科就诊,确定过敏原后进行脱敏治疗。患者可遵医嘱使用抗组胺药物如氯雷他定来缓解,也可选择糖皮质激素如糠酸莫米松等药物来治疗。
该病重在预防,平时要做好皮肤清洁护理工作,定期去除角质,以免螨虫在毛囊中生长而堵塞毛孔。定期打扫房间卫生,清洗更换睡衣、床单等用品,经常开窗通风,勤晒被子及衣物,保持室内干燥整洁。
","scanCount": 32628}}} {"@context": "https://ziyuan.baidu.com/contexts/cambrian.jsonld","appid": "1650708455561748","icon": "https://www.med-credit.org.cn/style/images/ttlogo.png","content_tag": ["atlas"],"is_mcn": {"thumb_id": "c1nhtnyb"},"accid": "4886d626a2804dee5f11168793ce361672f39c25","@id": "https://www.med-credit.org.cn/mobile/jingxuan/2/6c5aae66ba656abbab82573b0921f00a.html","bagWordId": "e8fd288d244dea10","title": "搭背疮图片","pubDate": "2023-03-16T16:40:46","upDate": "2023-03-16T16:40:46","lrDate": "2023-03-16T16:40:46","description": "搭背疮一般指疖疮,可能是激素分泌失调或细菌感染所致。","data": {"WebPage": {"headline": "搭背疮图片","pcUrl": "https://www.med-credit.org.cn/jingxuan/2/6c5aae66ba656abbab82573b0921f00a.html","wapUrl": "https://www.med-credit.org.cn/jingxuan/2/6c5aae66ba656abbab82573b0921f00a.html","mipUrl": "https://www.med-credit.org.cn/mobile/jingxuan/2/6c5aae66ba656abbab82573b0921f00a.html","fromSrc": "欢乐橙","datePublished": "2023-03-16T16:40:46","domain": "医疗","category": ["医疗权威文章合作"],"description": "搭背疮一般指疖疮,可能是激素分泌失调或细菌感染所致。
","extra_headline": [""]},"Author": {"name": "王晓彦","wapUrl": "https://www.med-credit.org.cn/doctor/541","pcUrl": "https://www.med-credit.org.cn/doctor/541","jobTitle": "主任医师","headPortrait": "https://www.med-credit.org.cn/uploadfile/member/541/180x180.jpeg","id": "541","description": "王晓彦,首都医科大学附属北京天坛医院皮肤科主任医师","memberOf": {"legalName": "首都医科大学附属北京天坛医院","department": "皮肤科","organizationLevel": "三级甲等"}},"Article": {"summaryContent": "搭背疮一般指疖疮,可能是激素分泌失调或细菌感染所致。
可能会出现局部化脓,以及发热、疼痛等症状。
1、激素分泌失调:疖疮常指与毛囊皮脂腺有关的皮肤性炎症,往往与患者的激素分泌息息相关。若患者暴饮暴食或长期熬夜可能会导致内分泌系统失调,导致激素过度分泌,引起皮脂溢出,可能会伴随丘疹、囊肿、脓疱,由于背部肌肉神经等分布广泛,造成患者背上出现搭背疮。病程发展比较长,注意补充营养,规律进食,清淡饮食,少食辛辣。患者可以遵医嘱外敷维A酸类药物,配合口服维生素B12治疗,用于预防再次感染。还可以使用避孕药调整激素水平。

2、细菌感染:不规律的作息或疾病等原因,可能会导致机体免疫力低下,易被细菌等致病物质侵入而引起感染,造成炎症反应,引起背部黏膜层的异常增生或突起,导致患者背上搭背疮形成,临床上常伴随化脓、发热、局部疼痛的症状。常给予生理盐水、聚维酮碘溶液或高锰酸钾溶液冲洗,还可以遵医嘱服用抗生素如头孢氨苄胶囊、左氧氟沙星胶囊抗炎治疗,必要时考虑手术切除,配合电灼、激光或微波等技术处理。

患者注意及时复查,养成良好的生活习惯,配合适当的运动,增强免疫力。经过自我调节、排解压力、注意休息、保持心情的舒畅。
","articleBody": "搭背疮一般指疖疮,可能是激素分泌失调或细菌感染所致。
可能会出现局部化脓,以及发热、疼痛等症状。
1、激素分泌失调:疖疮常指与毛囊皮脂腺有关的皮肤性炎症,往往与患者的激素分泌息息相关。若患者暴饮暴食或长期熬夜可能会导致内分泌系统失调,导致激素过度分泌,引起皮脂溢出,可能会伴随丘疹、囊肿、脓疱,由于背部肌肉神经等分布广泛,造成患者背上出现搭背疮。病程发展比较长,注意补充营养,规律进食,清淡饮食,少食辛辣。患者可以遵医嘱外敷维A酸类药物,配合口服维生素B12治疗,用于预防再次感染。还可以使用避孕药调整激素水平。

2、细菌感染:不规律的作息或疾病等原因,可能会导致机体免疫力低下,易被细菌等致病物质侵入而引起感染,造成炎症反应,引起背部黏膜层的异常增生或突起,导致患者背上搭背疮形成,临床上常伴随化脓、发热、局部疼痛的症状。常给予生理盐水、聚维酮碘溶液或高锰酸钾溶液冲洗,还可以遵医嘱服用抗生素如头孢氨苄胶囊、左氧氟沙星胶囊抗炎治疗,必要时考虑手术切除,配合电灼、激光或微波等技术处理。

患者注意及时复查,养成良好的生活习惯,配合适当的运动,增强免疫力。经过自我调节、排解压力、注意休息、保持心情的舒畅。
","scanCount": 32611}}} {"@context": "https://ziyuan.baidu.com/contexts/cambrian.jsonld","appid": "1650708455561748","icon": "https://www.med-credit.org.cn/style/images/ttlogo.png","content_tag": ["atlas"],"is_mcn": {"thumb_id": "c1nhtnyb"},"accid": "4886d626a2804dee5f11168793ce361672f39c25","@id": "https://www.med-credit.org.cn/mobile/jingxuan/2/310f0d1a1f1e60ff49041fdada78320d.html","bagWordId": "425989608318c901","title": "角质是什么样子图片","pubDate": "2023-03-16T16:40:46","upDate": "2023-03-16T16:40:46","lrDate": "2023-03-16T16:40:46","description": "角质为一层非常薄的角质膜,大约0.02毫米厚,在保护身体方面起着重要作用。","data": {"WebPage": {"headline": "角质是什么样子图片","pcUrl": "https://www.med-credit.org.cn/jingxuan/2/310f0d1a1f1e60ff49041fdada78320d.html","wapUrl": "https://www.med-credit.org.cn/jingxuan/2/310f0d1a1f1e60ff49041fdada78320d.html","mipUrl": "https://www.med-credit.org.cn/mobile/jingxuan/2/310f0d1a1f1e60ff49041fdada78320d.html","fromSrc": "欢乐橙","datePublished": "2023-03-16T16:40:46","domain": "医疗","category": ["医疗权威文章合作"],"description": "角质为一层非常薄的角质膜,大约0.02毫米厚,在保护身体方面起着重要作用。
","extra_headline": [""]},"Author": {"name": "王晓彦","wapUrl": "https://www.med-credit.org.cn/doctor/541","pcUrl": "https://www.med-credit.org.cn/doctor/541","jobTitle": "主任医师","headPortrait": "https://www.med-credit.org.cn/uploadfile/member/541/180x180.jpeg","id": "541","description": "王晓彦,首都医科大学附属北京天坛医院皮肤科主任医师","memberOf": {"legalName": "首都医科大学附属北京天坛医院","department": "皮肤科","organizationLevel": "三级甲等"}},"Article": {"summaryContent": "角质为一层非常薄的角质膜,大约0.02毫米厚,在保护身体方面起着重要作用。
角质代谢缓慢时,可去除,避免引起皮肤疾病。

角质不是一种单一物质,而是高度不饱和的高级脂肪酸的聚合物,角质细胞核和细胞器已经完全消失了,是皮肤表面的死细胞层,这是一层非常薄的角质膜,大约0.02毫米厚,但在保护身体方面起着重要作用。
角质层是人体的第一道天然屏障,对低压电流有一定的抵抗力,阻力值受皮肤、汗腺分泌和排泄活动、心理状态和气候等因素影响。也有吸收光线的能力,保护身体的器官和组织免受紫外线的伤害。其次,角质表面的弱酸性不适合寄生细菌的繁殖,表面脂膜中的游离脂肪酸可以抑制寄生细菌的生长,如长链饱和脂肪酸和油酸可以抑制化脓性链球菌的生长。角质层的半透膜具有良好的屏障作用,可以降低水分的流失。
正常健康的皮肤不需要特别去角质,但当角质代谢缓慢时,甚至当皮肤生病时,皮肤看起来不均匀、暗沉、保水性差,则需要一些方法来去除本应剥落的旧角质和废角质。相反,过度去角质也会导致皮肤损伤。
","articleBody": "角质为一层非常薄的角质膜,大约0.02毫米厚,在保护身体方面起着重要作用。
角质代谢缓慢时,可去除,避免引起皮肤疾病。

角质不是一种单一物质,而是高度不饱和的高级脂肪酸的聚合物,角质细胞核和细胞器已经完全消失了,是皮肤表面的死细胞层,这是一层非常薄的角质膜,大约0.02毫米厚,但在保护身体方面起着重要作用。
角质层是人体的第一道天然屏障,对低压电流有一定的抵抗力,阻力值受皮肤、汗腺分泌和排泄活动、心理状态和气候等因素影响。也有吸收光线的能力,保护身体的器官和组织免受紫外线的伤害。其次,角质表面的弱酸性不适合寄生细菌的繁殖,表面脂膜中的游离脂肪酸可以抑制寄生细菌的生长,如长链饱和脂肪酸和油酸可以抑制化脓性链球菌的生长。角质层的半透膜具有良好的屏障作用,可以降低水分的流失。
正常健康的皮肤不需要特别去角质,但当角质代谢缓慢时,甚至当皮肤生病时,皮肤看起来不均匀、暗沉、保水性差,则需要一些方法来去除本应剥落的旧角质和废角质。相反,过度去角质也会导致皮肤损伤。
","scanCount": 32600}}} {"@context": "https://ziyuan.baidu.com/contexts/cambrian.jsonld","appid": "1650708455561748","icon": "https://www.med-credit.org.cn/style/images/ttlogo.png","content_tag": ["atlas"],"is_mcn": {"thumb_id": "3w128mji2"},"accid": "4886d626a2804dee5f11168793ce361672f39c25","@id": "https://www.med-credit.org.cn/mobile/jingxuan/2/4a15c04c359ed5d142b7b71d696bd52a.html","bagWordId": "efe44ca044fa7e31","title": "手上真菌感染图片","pubDate": "2023-03-16T16:40:46","upDate": "2023-03-16T16:40:46","lrDate": "2023-03-16T16:40:46","description": "手上真菌感染主要的表现为患处出现脱屑,伴有瘙痒感,严重者还会出现水疱甚至局部破溃的现象。","data": {"WebPage": {"headline": "手上真菌感染图片","pcUrl": "https://www.med-credit.org.cn/jingxuan/2/4a15c04c359ed5d142b7b71d696bd52a.html","wapUrl": "https://www.med-credit.org.cn/jingxuan/2/4a15c04c359ed5d142b7b71d696bd52a.html","mipUrl": "https://www.med-credit.org.cn/mobile/jingxuan/2/4a15c04c359ed5d142b7b71d696bd52a.html","fromSrc": "欢乐橙","datePublished": "2023-03-16T16:40:46","domain": "医疗","category": ["医疗权威文章合作"],"description": "手上真菌感染主要的表现为患处出现脱屑,伴有瘙痒感,严重者还会出现水疱甚至局部破溃的现象。
","extra_headline": ["手上真菌感染"]},"Author": {"name": "曲乐","wapUrl": "https://www.med-credit.org.cn/doctor/554","pcUrl": "https://www.med-credit.org.cn/doctor/554","jobTitle": "副主任医师","headPortrait": "https://www.med-credit.org.cn/uploadfile/member/554/180x180.jpeg","id": "554","description": "曲乐,副主任医师、医学博士、硕士研究生导师、美容主诊医师、公派留美访问学者。主持国家自然科学基金及省市课题多项,在国内外高水平专业杂志发表中英文论文20余篇,参编英文专著1部。现任辽宁省免疫学会委员。","memberOf": {"legalName": "中国医科大学附属第一医院","department": "皮肤科","organizationLevel": "三级甲等"}},"Article": {"summaryContent": "手上真菌感染主要的表现为患处出现脱屑,伴有瘙痒感,严重者还会出现水疱甚至局部破溃的现象。
手上出现真菌感染时,主要可以分为两种类型,局部皮肤的感染和指甲的损害。患者需要在医生的指导下选择合适的药物进行治疗。
1、皮肤病变:皮肤的局部感染,比如手癣,这种情况在早期主要表现为患处皮肤出现皮疹,周围皮肤发红,具有明显瘙痒感,如果患者长期抓挠还可能出现皮肤色素沉着甚至是苔藓样改变等。在疾病后期会出现一定的渗出液或是水疱,如果水疱破溃还会出现较多的渗出液,最后会结痂。

2、指甲病变:指甲的损害,比如灰指甲。如果病症的程度较轻,一般只会表现为局部指甲的颜色改变,可能会出现指甲质地异常,比如变脆,增厚,开裂等。严重时,真菌侵犯到甲床,还容易导致甲床被破坏,最终导致指甲整体脱落。

手部的真菌感染主要通过服用或是外用抗真菌药物进行治疗的。如果患者的症状较轻,可以遵医嘱外用药物比如酮康唑乳膏等涂抹患处;如果程度较重,已经出现皮肤角化增厚,可以使用苯甲酸乳膏治疗。严重的患者需要口服药物,比如伊曲康唑等。
","articleBody": "手上真菌感染主要的表现为患处出现脱屑,伴有瘙痒感,严重者还会出现水疱甚至局部破溃的现象。
手上出现真菌感染时,主要可以分为两种类型,局部皮肤的感染和指甲的损害。患者需要在医生的指导下选择合适的药物进行治疗。
1、皮肤病变:皮肤的局部感染,比如手癣,这种情况在早期主要表现为患处皮肤出现皮疹,周围皮肤发红,具有明显瘙痒感,如果患者长期抓挠还可能出现皮肤色素沉着甚至是苔藓样改变等。在疾病后期会出现一定的渗出液或是水疱,如果水疱破溃还会出现较多的渗出液,最后会结痂。

2、指甲病变:指甲的损害,比如灰指甲。如果病症的程度较轻,一般只会表现为局部指甲的颜色改变,可能会出现指甲质地异常,比如变脆,增厚,开裂等。严重时,真菌侵犯到甲床,还容易导致甲床被破坏,最终导致指甲整体脱落。

手部的真菌感染主要通过服用或是外用抗真菌药物进行治疗的。如果患者的症状较轻,可以遵医嘱外用药物比如酮康唑乳膏等涂抹患处;如果程度较重,已经出现皮肤角化增厚,可以使用苯甲酸乳膏治疗。严重的患者需要口服药物,比如伊曲康唑等。
","scanCount": 9896}}} {"@context": "https://ziyuan.baidu.com/contexts/cambrian.jsonld","appid": "1650708455561748","icon": "https://www.med-credit.org.cn/style/images/ttlogo.png","content_tag": ["atlas"],"is_mcn": {"thumb_id": "3w128mji2"},"accid": "4886d626a2804dee5f11168793ce361672f39c25","@id": "https://www.med-credit.org.cn/mobile/jingxuan/2/4dd4378e8fa74cbeb71f8424360d066a.html","bagWordId": "8070d4475aa667bf","title": "身上出毒气疙瘩图片","pubDate": "2023-03-16T16:40:46","upDate": "2023-03-16T16:40:46","lrDate": "2023-03-16T16:40:46","description": "身上出毒气疙瘩可能是毛囊炎、湿疹、寻常疣等原因导致的。","data": {"WebPage": {"headline": "身上出毒气疙瘩图片","pcUrl": "https://www.med-credit.org.cn/jingxuan/2/4dd4378e8fa74cbeb71f8424360d066a.html","wapUrl": "https://www.med-credit.org.cn/jingxuan/2/4dd4378e8fa74cbeb71f8424360d066a.html","mipUrl": "https://www.med-credit.org.cn/mobile/jingxuan/2/4dd4378e8fa74cbeb71f8424360d066a.html","fromSrc": "欢乐橙","datePublished": "2023-03-16T16:40:46","domain": "医疗","category": ["医疗权威文章合作"],"description": "身上出毒气疙瘩可能是毛囊炎、湿疹、寻常疣等原因导致的。
","extra_headline": ["身上出毒气疙瘩"]},"Author": {"name": "曲乐","wapUrl": "https://www.med-credit.org.cn/doctor/554","pcUrl": "https://www.med-credit.org.cn/doctor/554","jobTitle": "副主任医师","headPortrait": "https://www.med-credit.org.cn/uploadfile/member/554/180x180.jpeg","id": "554","description": "曲乐,副主任医师、医学博士、硕士研究生导师、美容主诊医师、公派留美访问学者。主持国家自然科学基金及省市课题多项,在国内外高水平专业杂志发表中英文论文20余篇,参编英文专著1部。现任辽宁省免疫学会委员。","memberOf": {"legalName": "中国医科大学附属第一医院","department": "皮肤科","organizationLevel": "三级甲等"}},"Article": {"summaryContent": "身上出毒气疙瘩可能是毛囊炎、湿疹、寻常疣等原因导致的。
患者可在医生的指导下选择适合自身病情的方法进行治疗,常用方法包括药物治疗、手术治疗。
1、毛囊炎:毛囊炎是以毛囊受累为主的炎症性皮肤病,好发于头面部、躯干部以及四肢。毛囊炎表现为以毛囊为中心的红色丘疹,有时顶部有白色脓疱,直径在 2~5 mm 左右,边缘可有红晕。丘疹容易发展为脓疱,脓疱内含有白色或黄白色的脓液,破裂后结痂,有时破裂后会流出脓血。可能会伴有瘙痒、触痛或疼痛感。患者应该在医生的指导下,常给予聚维酮碘溶液消毒治疗,还可以给予抗生素治疗,往往选用红霉素软膏、头孢氨苄胶囊治疗。注意规律用药,及时复查。必要时需要手术治疗,常将病灶切开,引流出脓液。

2、湿疹:湿疹是一种慢性、炎症性、瘙痒性皮肤病。急性期表现为红斑、水肿、粟粒大小的丘疹、丘疱疹、水疱,糜烂及渗出,伴有瘙痒感;亚急性期表现为红肿和渗出减轻,糜烂面结痂、脱屑;慢性期主要表现为粗糙肥厚、苔藓样变。湿疹急性发作但无水疱、糜烂、渗出时,建议使用炉甘石洗剂、糖皮质激素乳膏或凝胶;大量渗出时应选择冷湿敷,如3%硼酸溶液、0.1%盐酸小檗碱溶液、0.1%依沙吖啶溶液等;有糜烂但渗出不多时可用氧化锌油剂。亚急性期皮损建议外用氧化锌糊剂、糖皮质激素乳膏。慢性期皮损建议外用糖皮质激素软膏、硬膏、乳剂或酊剂等。

3、寻常疣:寻常疣是由人乳头瘤病毒(HPV)感染引起的皮肤良性增生物。寻常疣可发生在身体的任何部位,主要表现为坚实的丘疹,表面粗糙,可长期存在,不引起自觉症状,偶有压痛。随着病情进展,病损逐渐增大、增多,摩擦或碰撞时易出血。常选择液氮冷冻或电灼的方式治疗,还可以选择激光手术治疗,或者手术切除、刮除,配合药物水杨酸外敷治疗。注意用药需遵医嘱。

除了上述相对常见的原因外,还有其他的可能性疾病,比如过敏性皮炎。建议患者出现这种症状后,及时去医院就诊,查明病因后,予以针对性治疗。
注意用药需遵医嘱。患者需养成良好的饮食,保证饮食营养均衡,规律进食,多吃一点水果和蔬菜,切忌生冷的食物。注意避免摄入油炸食品、碳酸饮料等垃圾食品,可以适当多吃蛋、奶制品、豆制品、瘦肉等。患者可以结合适当的锻炼,增强自身的免疫能力。
","articleBody": "身上出毒气疙瘩可能是毛囊炎、湿疹、寻常疣等原因导致的。
患者可在医生的指导下选择适合自身病情的方法进行治疗,常用方法包括药物治疗、手术治疗。
1、毛囊炎:毛囊炎是以毛囊受累为主的炎症性皮肤病,好发于头面部、躯干部以及四肢。毛囊炎表现为以毛囊为中心的红色丘疹,有时顶部有白色脓疱,直径在 2~5 mm 左右,边缘可有红晕。丘疹容易发展为脓疱,脓疱内含有白色或黄白色的脓液,破裂后结痂,有时破裂后会流出脓血。可能会伴有瘙痒、触痛或疼痛感。患者应该在医生的指导下,常给予聚维酮碘溶液消毒治疗,还可以给予抗生素治疗,往往选用红霉素软膏、头孢氨苄胶囊治疗。注意规律用药,及时复查。必要时需要手术治疗,常将病灶切开,引流出脓液。

2、湿疹:湿疹是一种慢性、炎症性、瘙痒性皮肤病。急性期表现为红斑、水肿、粟粒大小的丘疹、丘疱疹、水疱,糜烂及渗出,伴有瘙痒感;亚急性期表现为红肿和渗出减轻,糜烂面结痂、脱屑;慢性期主要表现为粗糙肥厚、苔藓样变。湿疹急性发作但无水疱、糜烂、渗出时,建议使用炉甘石洗剂、糖皮质激素乳膏或凝胶;大量渗出时应选择冷湿敷,如3%硼酸溶液、0.1%盐酸小檗碱溶液、0.1%依沙吖啶溶液等;有糜烂但渗出不多时可用氧化锌油剂。亚急性期皮损建议外用氧化锌糊剂、糖皮质激素乳膏。慢性期皮损建议外用糖皮质激素软膏、硬膏、乳剂或酊剂等。

3、寻常疣:寻常疣是由人乳头瘤病毒(HPV)感染引起的皮肤良性增生物。寻常疣可发生在身体的任何部位,主要表现为坚实的丘疹,表面粗糙,可长期存在,不引起自觉症状,偶有压痛。随着病情进展,病损逐渐增大、增多,摩擦或碰撞时易出血。常选择液氮冷冻或电灼的方式治疗,还可以选择激光手术治疗,或者手术切除、刮除,配合药物水杨酸外敷治疗。注意用药需遵医嘱。

除了上述相对常见的原因外,还有其他的可能性疾病,比如过敏性皮炎。建议患者出现这种症状后,及时去医院就诊,查明病因后,予以针对性治疗。
注意用药需遵医嘱。患者需养成良好的饮食,保证饮食营养均衡,规律进食,多吃一点水果和蔬菜,切忌生冷的食物。注意避免摄入油炸食品、碳酸饮料等垃圾食品,可以适当多吃蛋、奶制品、豆制品、瘦肉等。患者可以结合适当的锻炼,增强自身的免疫能力。
","scanCount": 8201}}} {"@context": "https://ziyuan.baidu.com/contexts/cambrian.jsonld","appid": "1650708455561748","icon": "https://www.med-credit.org.cn/style/images/ttlogo.png","content_tag": ["atlas"],"is_mcn": {"thumb_id": "0jui1zp8"},"accid": "4886d626a2804dee5f11168793ce361672f39c25","@id": "https://www.med-credit.org.cn/mobile/jingxuan/2/d3f87d497fe5a931e93090c4a4ce3f25.html","bagWordId": "39c4938d88df6a30","title": "皮下结节的症状图片","pubDate": "2023-03-16T16:40:46","upDate": "2023-03-16T16:40:46","lrDate": "2023-03-16T16:40:46","description": "皮下结节为一种质地较硬,直径为0.2~5cm大小的圆形或椭圆形小结节,可伴或不伴有疼痛。","data": {"WebPage": {"headline": "皮下结节的症状图片","pcUrl": "https://www.med-credit.org.cn/jingxuan/2/d3f87d497fe5a931e93090c4a4ce3f25.html","wapUrl": "https://www.med-credit.org.cn/jingxuan/2/d3f87d497fe5a931e93090c4a4ce3f25.html","mipUrl": "https://www.med-credit.org.cn/mobile/jingxuan/2/d3f87d497fe5a931e93090c4a4ce3f25.html","fromSrc": "欢乐橙","datePublished": "2023-03-16T16:40:46","domain": "医疗","category": ["医疗权威文章合作"],"description": "皮下结节为一种质地较硬,直径为0.2~5cm大小的圆形或椭圆形小结节,可伴或不伴有疼痛。
","extra_headline": ["皮下结节的症状"]},"Author": {"name": "陈璐","wapUrl": "https://www.med-credit.org.cn/doctor/494","pcUrl": "https://www.med-credit.org.cn/doctor/494","jobTitle": "主治医师","headPortrait": "https://www.med-credit.org.cn/uploadfile/member/494/180x180.jpeg","id": "494","description": "陈璐,中南大学湘雅医院普外科主治医师。","memberOf": {"legalName": "中南大学湘雅医院","department": "普外科(胃肠外科)","organizationLevel": "三级甲等"}},"Article": {"summaryContent": "皮下结节为一种质地较硬,直径为0.2~5cm大小的圆形或椭圆形小结节,可伴或不伴有疼痛。
皮下结节包括了类风湿结节、痛风结节、结节性红斑等。
1、类风湿结节:关节与骨隆突处出现数目不多的结节常为类风湿结节,它主要是由于皮下组织和(或)真皮内纤维蛋白样物质聚积及组织细胞等成分所致。其特点为质较硬如橡皮,多无压痛,大小为数mm至2 cm不等,与皮肤粘连或不粘连,好发于肘背侧、指关节、肩骨突、枕骨突、腓肠肌腱等处。

2、痛风结节:也称为痛风石,是血液尿酸超过饱和浓度,尿酸盐针状结晶在皮下结缔组织沉积,引起慢性异物样反应所致。一般以外耳的耳轮、对耳轮、跖趾、指(趾)关节及掌指关节等部位多见。为大小不一(小至小米粒,大至l~2cm)黄白色结节,或无症状,或有疼痛。较大结节表面皮肤变薄、破溃可排出白恶样物质,不易愈合,继发感染少见,为痛风的特征性病变。

3、结节性红斑:多见于青壮年女性,好发于小腿伸侧,常为对称性、大小不一(直径l~5 cm)、数目不等(2-50个以上)的疼痛性结节。结节发生较快,可略高于皮面,皮肤紧张,周围可有水肿,表面可有压痛。皮损由鲜红色变为紫红色,最后可为黄色。常持续数天至数周而逐渐消退,多不发生溃疡,不留瘢痕,但易复发。可见于溶血性链球菌等感染、自身免疫病、某些药物(如溴剂、口服避孕药等)及麻风等。有的结节由孤立而逐渐增多,病程持续数年,结节炎症轻微,压痛较轻,称为慢性结节性红斑。

除了上述相对常见的类型外,皮下结节还包括了脂膜炎结节。建议患者出现以上症状后,及时去医院就诊,查明病因后,予以针对性治疗。
","articleBody": "皮下结节为一种质地较硬,直径为0.2~5cm大小的圆形或椭圆形小结节,可伴或不伴有疼痛。
皮下结节包括了类风湿结节、痛风结节、结节性红斑等。
1、类风湿结节:关节与骨隆突处出现数目不多的结节常为类风湿结节,它主要是由于皮下组织和(或)真皮内纤维蛋白样物质聚积及组织细胞等成分所致。其特点为质较硬如橡皮,多无压痛,大小为数mm至2 cm不等,与皮肤粘连或不粘连,好发于肘背侧、指关节、肩骨突、枕骨突、腓肠肌腱等处。

2、痛风结节:也称为痛风石,是血液尿酸超过饱和浓度,尿酸盐针状结晶在皮下结缔组织沉积,引起慢性异物样反应所致。一般以外耳的耳轮、对耳轮、跖趾、指(趾)关节及掌指关节等部位多见。为大小不一(小至小米粒,大至l~2cm)黄白色结节,或无症状,或有疼痛。较大结节表面皮肤变薄、破溃可排出白恶样物质,不易愈合,继发感染少见,为痛风的特征性病变。

3、结节性红斑:多见于青壮年女性,好发于小腿伸侧,常为对称性、大小不一(直径l~5 cm)、数目不等(2-50个以上)的疼痛性结节。结节发生较快,可略高于皮面,皮肤紧张,周围可有水肿,表面可有压痛。皮损由鲜红色变为紫红色,最后可为黄色。常持续数天至数周而逐渐消退,多不发生溃疡,不留瘢痕,但易复发。可见于溶血性链球菌等感染、自身免疫病、某些药物(如溴剂、口服避孕药等)及麻风等。有的结节由孤立而逐渐增多,病程持续数年,结节炎症轻微,压痛较轻,称为慢性结节性红斑。

除了上述相对常见的类型外,皮下结节还包括了脂膜炎结节。建议患者出现以上症状后,及时去医院就诊,查明病因后,予以针对性治疗。
","scanCount": 9409}}} {"@context": "https://ziyuan.baidu.com/contexts/cambrian.jsonld","appid": "1650708455561748","icon": "https://www.med-credit.org.cn/style/images/ttlogo.png","content_tag": ["atlas"],"is_mcn": {"thumb_id": "0jui1zp8"},"accid": "4886d626a2804dee5f11168793ce361672f39c25","@id": "https://www.med-credit.org.cn/mobile/jingxuan/2/b8724defa5c2beaa0c280c39371c35ad.html","bagWordId": "dc8dbaedebe7cfed","title": "粘液腺囊肿图片","pubDate": "2023-03-16T16:40:46","upDate": "2023-03-16T16:40:46","lrDate": "2023-03-16T16:40:46","description": "黏液腺囊肿,医学上标准称为唾液腺黏液囊肿,是最常见的唾液腺的瘤样病变,包括一般的黏液囊肿和舌下腺囊肿,其中舌下腺囊肿可分为单纯型、口外形以及混合型。","data": {"WebPage": {"headline": "粘液腺囊肿图片","pcUrl": "https://www.med-credit.org.cn/jingxuan/2/b8724defa5c2beaa0c280c39371c35ad.html","wapUrl": "https://www.med-credit.org.cn/jingxuan/2/b8724defa5c2beaa0c280c39371c35ad.html","mipUrl": "https://www.med-credit.org.cn/mobile/jingxuan/2/b8724defa5c2beaa0c280c39371c35ad.html","fromSrc": "欢乐橙","datePublished": "2023-03-16T16:40:46","domain": "医疗","category": ["医疗权威文章合作"],"description": "黏液腺囊肿,医学上标准称为唾液腺黏液囊肿,是最常见的唾液腺的瘤样病变,包括一般的黏液囊肿和舌下腺囊肿,其中舌下腺囊肿可分为单纯型、口外形以及混合型。
","extra_headline": ["粘液腺囊肿"]},"Author": {"name": "陈璐","wapUrl": "https://www.med-credit.org.cn/doctor/494","pcUrl": "https://www.med-credit.org.cn/doctor/494","jobTitle": "主治医师","headPortrait": "https://www.med-credit.org.cn/uploadfile/member/494/180x180.jpeg","id": "494","description": "陈璐,中南大学湘雅医院普外科主治医师。","memberOf": {"legalName": "中南大学湘雅医院","department": "普外科(胃肠外科)","organizationLevel": "三级甲等"}},"Article": {"summaryContent": "黏液腺囊肿,医学上标准称为唾液腺黏液囊肿,是最常见的唾液腺的瘤样病变,包括一般的黏液囊肿和舌下腺囊肿,其中舌下腺囊肿可分为单纯型、口外形以及混合型。
患者主要表现为口腔黏膜下浅蓝紫色的半透明小疱,囊肿易被咬破,而流出蛋清样黏稠透明或略带黄色的液体,破裂处愈合后易再次形成囊肿。
1、黏液囊肿:好发于舌尖腹侧以及下唇,呈浅蓝色、半透明小疱,状似水疱。多为黄豆至樱桃大小,质地柔软且有弹性。由于舌体运动受到下前牙摩擦以及不自觉地咬下唇动作,囊肿易被咬破,流出蛋清样黏稠的透明液体,囊肿消失,待破溃处愈合后又会被黏液充满,再次形成囊肿。反复破损后表现为较厚的白色瘢痕状突起,囊肿不再透明。

2、舌下腺囊肿:

(1)单纯型:占三型中的大多数,位于舌下区,常位于口底一侧,即舌头下方与一侧的牙床之间。囊肿呈浅蓝紫色,触之柔软而有波动感。较大囊肿可将舌抬起,像是长了两个舌头。囊肿会因创伤破裂,流出蛋清样黏稠而略带黄色的液体,随后囊肿平复。在破裂的创口愈合后几天,又会长大形成囊肿。
(2)口外形:不表现在口底,而主要为下颌下区肿物,触诊柔软,不可压缩,与皮肤无粘连。低头时因为重力原因,囊肿稍增大。
(3)混合型:为上述两种的混合类型,即囊肿可出现在舌下区和下颌下区的任何部位。
","articleBody": "黏液腺囊肿,医学上标准称为唾液腺黏液囊肿,是最常见的唾液腺的瘤样病变,包括一般的黏液囊肿和舌下腺囊肿,其中舌下腺囊肿可分为单纯型、口外形以及混合型。
患者主要表现为口腔黏膜下浅蓝紫色的半透明小疱,囊肿易被咬破,而流出蛋清样黏稠透明或略带黄色的液体,破裂处愈合后易再次形成囊肿。
1、黏液囊肿:好发于舌尖腹侧以及下唇,呈浅蓝色、半透明小疱,状似水疱。多为黄豆至樱桃大小,质地柔软且有弹性。由于舌体运动受到下前牙摩擦以及不自觉地咬下唇动作,囊肿易被咬破,流出蛋清样黏稠的透明液体,囊肿消失,待破溃处愈合后又会被黏液充满,再次形成囊肿。反复破损后表现为较厚的白色瘢痕状突起,囊肿不再透明。

2、舌下腺囊肿:

(1)单纯型:占三型中的大多数,位于舌下区,常位于口底一侧,即舌头下方与一侧的牙床之间。囊肿呈浅蓝紫色,触之柔软而有波动感。较大囊肿可将舌抬起,像是长了两个舌头。囊肿会因创伤破裂,流出蛋清样黏稠而略带黄色的液体,随后囊肿平复。在破裂的创口愈合后几天,又会长大形成囊肿。
(2)口外形:不表现在口底,而主要为下颌下区肿物,触诊柔软,不可压缩,与皮肤无粘连。低头时因为重力原因,囊肿稍增大。
(3)混合型:为上述两种的混合类型,即囊肿可出现在舌下区和下颌下区的任何部位。
","scanCount": 6087}}} {"@context": "https://ziyuan.baidu.com/contexts/cambrian.jsonld","appid": "1650708455561748","icon": "https://www.med-credit.org.cn/style/images/ttlogo.png","content_tag": ["atlas"],"is_mcn": {"thumb_id": "0jui1zp8"},"accid": "4886d626a2804dee5f11168793ce361672f39c25","@id": "https://www.med-credit.org.cn/mobile/jingxuan/2/24ab811e55e62c009eea7d80e41f1456.html","bagWordId": "27899d73731563f7","title": "小肠疝气图片","pubDate": "2023-03-16T16:40:46","upDate": "2023-03-16T16:40:46","lrDate": "2023-03-16T16:40:46","description": "小肠疝气一般在腹壁呈球形或半球形的凸出肿块,包括腹股沟疝和脐疝。","data": {"WebPage": {"headline": "小肠疝气图片","pcUrl": "https://www.med-credit.org.cn/jingxuan/2/24ab811e55e62c009eea7d80e41f1456.html","wapUrl": "https://www.med-credit.org.cn/jingxuan/2/24ab811e55e62c009eea7d80e41f1456.html","mipUrl": "https://www.med-credit.org.cn/mobile/jingxuan/2/24ab811e55e62c009eea7d80e41f1456.html","fromSrc": "欢乐橙","datePublished": "2023-03-16T16:40:46","domain": "医疗","category": ["医疗权威文章合作"],"description": "小肠疝气一般在腹壁呈球形或半球形的凸出肿块,包括腹股沟疝和脐疝。
","extra_headline": ["小肠疝气"]},"Author": {"name": "陈璐","wapUrl": "https://www.med-credit.org.cn/doctor/494","pcUrl": "https://www.med-credit.org.cn/doctor/494","jobTitle": "主治医师","headPortrait": "https://www.med-credit.org.cn/uploadfile/member/494/180x180.jpeg","id": "494","description": "陈璐,中南大学湘雅医院普外科主治医师。","memberOf": {"legalName": "中南大学湘雅医院","department": "普外科(胃肠外科)","organizationLevel": "三级甲等"}},"Article": {"summaryContent": "小肠疝气一般在腹壁呈球形或半球形的凸出肿块,包括腹股沟疝和脐疝。
小肠疝气一般可通过手术的方法进行治疗,常见手术方法为疝囊高位结扎术、经腹腔镜疝修补术和无张力疝修补术。

小肠疝气是指小肠从腹壁的薄弱处或局部扩展突出至皮下处,常见的有腹股沟疝和脐疝。任何致使腹腔压力增高的因素都有可能诱发疝气,肠道内容物就可能进入腹壁薄弱区,导致疝囊形成,一般在腹壁呈凸起的肿块,肿块开始时体积较小,可能伴有轻度的坠胀感;一段时间后,肿块逐渐增大,压迫周围组织导致胀痛产生,肿物会在咳嗽、站立、劳动或行走时突出,躺着休息肿块可被腹腔回纳,从而消失。
若不及时处理小肠疝气,疝囊可能会进入阴囊,会影响患者的日常生活,甚至可能会发生嵌顿导致死亡,这种情况比较严重。因此建议患者尽早进行手术治疗,如疝囊高位结扎术、经腹腔镜疝修补术和无张力疝修补术。
日常生活中,患者注意饮食防止便秘,将发生疝气的可能性尽量降低。避免穿过于紧身的衣裤,以宽松舒适为主。建议患者发现疝气时,及时前往医院进行诊治,在医生医嘱下行规范的治疗。
","articleBody": "小肠疝气一般在腹壁呈球形或半球形的凸出肿块,包括腹股沟疝和脐疝。
小肠疝气一般可通过手术的方法进行治疗,常见手术方法为疝囊高位结扎术、经腹腔镜疝修补术和无张力疝修补术。

小肠疝气是指小肠从腹壁的薄弱处或局部扩展突出至皮下处,常见的有腹股沟疝和脐疝。任何致使腹腔压力增高的因素都有可能诱发疝气,肠道内容物就可能进入腹壁薄弱区,导致疝囊形成,一般在腹壁呈凸起的肿块,肿块开始时体积较小,可能伴有轻度的坠胀感;一段时间后,肿块逐渐增大,压迫周围组织导致胀痛产生,肿物会在咳嗽、站立、劳动或行走时突出,躺着休息肿块可被腹腔回纳,从而消失。
若不及时处理小肠疝气,疝囊可能会进入阴囊,会影响患者的日常生活,甚至可能会发生嵌顿导致死亡,这种情况比较严重。因此建议患者尽早进行手术治疗,如疝囊高位结扎术、经腹腔镜疝修补术和无张力疝修补术。
日常生活中,患者注意饮食防止便秘,将发生疝气的可能性尽量降低。避免穿过于紧身的衣裤,以宽松舒适为主。建议患者发现疝气时,及时前往医院进行诊治,在医生医嘱下行规范的治疗。
","scanCount": 8391}}} {"@context": "https://ziyuan.baidu.com/contexts/cambrian.jsonld","appid": "1650708455561748","icon": "https://www.med-credit.org.cn/style/images/ttlogo.png","content_tag": ["atlas"],"is_mcn": {"thumb_id": "e4oal99d"},"accid": "4886d626a2804dee5f11168793ce361672f39c25","@id": "https://www.med-credit.org.cn/mobile/jingxuan/2/c9d19f1b477bc8dc61c94f0a1d34caf6.html","bagWordId": "54e6121ae0f9abb6","title": "咽喉息肉图片","pubDate": "2023-03-16T16:40:46","upDate": "2023-03-16T16:40:46","lrDate": "2023-03-16T16:40:46","description": "咽喉息肉在临床上常呈白色透明或淡红色的、椭圆形或圆形的、黄豆大小或葡萄样带蒂的小型疣芽。","data": {"WebPage": {"headline": "咽喉息肉图片","pcUrl": "https://www.med-credit.org.cn/jingxuan/2/c9d19f1b477bc8dc61c94f0a1d34caf6.html","wapUrl": "https://www.med-credit.org.cn/jingxuan/2/c9d19f1b477bc8dc61c94f0a1d34caf6.html","mipUrl": "https://www.med-credit.org.cn/mobile/jingxuan/2/c9d19f1b477bc8dc61c94f0a1d34caf6.html","fromSrc": "欢乐橙","datePublished": "2023-03-16T16:40:46","domain": "医疗","category": ["医疗权威文章合作"],"description": "咽喉息肉在临床上常呈白色透明或淡红色的、椭圆形或圆形的、黄豆大小或葡萄样带蒂的小型疣芽。
","extra_headline": [""]},"Author": {"name": "谢洪","wapUrl": "https://www.med-credit.org.cn/doctor/538","pcUrl": "https://www.med-credit.org.cn/doctor/538","jobTitle": "副主任医师","headPortrait": "https://www.med-credit.org.cn/uploadfile/member/538/180x180.jpeg","id": "538","description": "谢洪,首都医科大学附属北京世纪坛医院耳鼻喉头颈外科副主任医师","memberOf": {"legalName": "首都医科大学附属北京世纪坛医院","department": "耳鼻喉头颈外科","organizationLevel": "三级甲等"}},"Article": {"summaryContent": "咽喉息肉在临床上常呈白色透明或淡红色的、椭圆形或圆形的、黄豆大小或葡萄样带蒂的小型疣芽。
咽喉息肉治疗方法通常以手术治疗为主,建议术后进行病理活检,并根据活检结果选择后续治疗方法。

1、症状:病毒感染、免疫力低下或刺激性食物等可能会刺激咽喉,导致局部黏膜层产生异常增生或突起,从而出现白色透明或淡红色的、椭圆形或圆形的、黄豆大小或葡萄样带蒂的小型疣芽,即咽喉息肉,常伴随声音嘶哑、异物感、局部疼痛、吞咽困难的症状。
2、治疗:通常考虑手术治疗如息肉摘除术,配合电灼、激光或微波等技术处理。取病理活检以明确病理类型,并避免息肉进一步恶变。有研究明确显示,如果时间够长,息肉可能会恶化而癌变。若病理活检表明息肉属于恶性肿瘤,建议患者尽快去医院就诊,行B超检查或者CT检查,查明病因,明确诊断。肿瘤治疗除手术切除外,还要根据患者的病情,选择辅助治疗,例如,放疗、化疗或靶向治疗。
患者要养成良好的生活习惯,配合适当的运动,增强免疫力。要注意休息、保持心情舒畅。
","articleBody": "咽喉息肉在临床上常呈白色透明或淡红色的、椭圆形或圆形的、黄豆大小或葡萄样带蒂的小型疣芽。
咽喉息肉治疗方法通常以手术治疗为主,建议术后进行病理活检,并根据活检结果选择后续治疗方法。

1、症状:病毒感染、免疫力低下或刺激性食物等可能会刺激咽喉,导致局部黏膜层产生异常增生或突起,从而出现白色透明或淡红色的、椭圆形或圆形的、黄豆大小或葡萄样带蒂的小型疣芽,即咽喉息肉,常伴随声音嘶哑、异物感、局部疼痛、吞咽困难的症状。
2、治疗:通常考虑手术治疗如息肉摘除术,配合电灼、激光或微波等技术处理。取病理活检以明确病理类型,并避免息肉进一步恶变。有研究明确显示,如果时间够长,息肉可能会恶化而癌变。若病理活检表明息肉属于恶性肿瘤,建议患者尽快去医院就诊,行B超检查或者CT检查,查明病因,明确诊断。肿瘤治疗除手术切除外,还要根据患者的病情,选择辅助治疗,例如,放疗、化疗或靶向治疗。
患者要养成良好的生活习惯,配合适当的运动,增强免疫力。要注意休息、保持心情舒畅。
","scanCount": 32576}}} {"@context": "https://ziyuan.baidu.com/contexts/cambrian.jsonld","appid": "1650708455561748","icon": "https://www.med-credit.org.cn/style/images/ttlogo.png","content_tag": ["atlas"],"is_mcn": {"thumb_id": "e4oal99d"},"accid": "4886d626a2804dee5f11168793ce361672f39c25","@id": "https://www.med-credit.org.cn/mobile/jingxuan/2/fb4f1bcd34603fe7d7967d7d96dd6540.html","bagWordId": "29d8cfd193118876","title": "扁桃体旁边长息肉图片","pubDate": "2023-03-16T16:40:46","upDate": "2023-03-16T16:40:46","lrDate": "2023-03-16T16:40:46","description": "扁桃体旁边长息肉,可能是乳头状瘤、扁桃体息肉、扁桃体囊肿等原因导致。","data": {"WebPage": {"headline": "扁桃体旁边长息肉图片","pcUrl": "https://www.med-credit.org.cn/jingxuan/2/fb4f1bcd34603fe7d7967d7d96dd6540.html","wapUrl": "https://www.med-credit.org.cn/jingxuan/2/fb4f1bcd34603fe7d7967d7d96dd6540.html","mipUrl": "https://www.med-credit.org.cn/mobile/jingxuan/2/fb4f1bcd34603fe7d7967d7d96dd6540.html","fromSrc": "欢乐橙","datePublished": "2023-03-16T16:40:46","domain": "医疗","category": ["医疗权威文章合作"],"description": "扁桃体旁边长息肉,可能是乳头状瘤、扁桃体息肉、扁桃体囊肿等原因导致。
","extra_headline": ["扁桃体旁边长息肉"]},"Author": {"name": "谢洪","wapUrl": "https://www.med-credit.org.cn/doctor/538","pcUrl": "https://www.med-credit.org.cn/doctor/538","jobTitle": "副主任医师","headPortrait": "https://www.med-credit.org.cn/uploadfile/member/538/180x180.jpeg","id": "538","description": "谢洪,首都医科大学附属北京世纪坛医院耳鼻喉头颈外科副主任医师","memberOf": {"legalName": "首都医科大学附属北京世纪坛医院","department": "耳鼻喉头颈外科","organizationLevel": "三级甲等"}},"Article": {"summaryContent": "扁桃体旁边长息肉,可能是乳头状瘤、扁桃体息肉、扁桃体囊肿等原因导致。
日常生活中需要注意生活习惯,出现此种情况后建议及时到正规的医院进行就诊,明确病因后采取针对性措施进行治疗。

1、乳头状瘤:如果局部黏膜发生破损,在身体免疫力低下时感染人乳头瘤病毒,就有可能会出现乳头状瘤。建议患者及时到医院就诊,一般需要采取手术治疗将乳头状瘤切除,单纯使用药物很难起到明显的治疗效果。
2、扁桃体息肉:多因慢性炎症长期刺激或过敏反应引起扁桃体上皮增生,导致息肉形成。扁桃体息肉的治疗还没有特效药物,只能采取手术治疗。为防止单纯切除后息肉复发,可以结合自身情况将扁桃体连同息肉一起切除。
3、扁桃体囊肿:多因扁桃体隐窝口阻塞,隐窝内分泌物排出受阻,从而形成滞留性囊肿,通常位于扁桃体表面,一般为黄白色。扁桃体囊肿一般无需特殊治疗,如果扁桃体炎反复发作,可考虑扁桃体摘除术。
除了上述相对常见的原因外,还有其他的可能性疾病,比如淋巴滤泡增生。建议患者出现这种症状后,及时去医院就诊,查明病因后,予以针对性治疗。
患者注意及时复查,养成良好的生活习惯。患者可以补充适量的氨基酸、锌、不饱和脂肪酸等营养,有助于促进伤口愈合,还能预防瘢痕形成,可适量吃芥菜、油菜、山楂、菜花、苦瓜、橄榄油、亚麻籽油等食物。
","articleBody": "扁桃体旁边长息肉,可能是乳头状瘤、扁桃体息肉、扁桃体囊肿等原因导致。
日常生活中需要注意生活习惯,出现此种情况后建议及时到正规的医院进行就诊,明确病因后采取针对性措施进行治疗。

1、乳头状瘤:如果局部黏膜发生破损,在身体免疫力低下时感染人乳头瘤病毒,就有可能会出现乳头状瘤。建议患者及时到医院就诊,一般需要采取手术治疗将乳头状瘤切除,单纯使用药物很难起到明显的治疗效果。
2、扁桃体息肉:多因慢性炎症长期刺激或过敏反应引起扁桃体上皮增生,导致息肉形成。扁桃体息肉的治疗还没有特效药物,只能采取手术治疗。为防止单纯切除后息肉复发,可以结合自身情况将扁桃体连同息肉一起切除。
3、扁桃体囊肿:多因扁桃体隐窝口阻塞,隐窝内分泌物排出受阻,从而形成滞留性囊肿,通常位于扁桃体表面,一般为黄白色。扁桃体囊肿一般无需特殊治疗,如果扁桃体炎反复发作,可考虑扁桃体摘除术。
除了上述相对常见的原因外,还有其他的可能性疾病,比如淋巴滤泡增生。建议患者出现这种症状后,及时去医院就诊,查明病因后,予以针对性治疗。
患者注意及时复查,养成良好的生活习惯。患者可以补充适量的氨基酸、锌、不饱和脂肪酸等营养,有助于促进伤口愈合,还能预防瘢痕形成,可适量吃芥菜、油菜、山楂、菜花、苦瓜、橄榄油、亚麻籽油等食物。
","scanCount": 5056}}} {"@context": "https://ziyuan.baidu.com/contexts/cambrian.jsonld","appid": "1650708455561748","icon": "https://www.med-credit.org.cn/style/images/ttlogo.png","content_tag": ["atlas"],"is_mcn": {"thumb_id": "e4oal99d"},"accid": "4886d626a2804dee5f11168793ce361672f39c25","@id": "https://www.med-credit.org.cn/mobile/jingxuan/2/56849be9ccec91b081b75cdb88baa5ef.html","bagWordId": "4f8e9bee3a83c68f","title": "正常的扁桃体高清图片","pubDate": "2023-03-16T16:40:46","upDate": "2023-03-16T16:40:46","lrDate": "2023-03-16T16:40:46","description": "正常人的扁桃体表面比较光滑,并且颜色呈淡红色,也不会出现不适的症状或者黏连的情况。","data": {"WebPage": {"headline": "正常的扁桃体高清图片","pcUrl": "https://www.med-credit.org.cn/jingxuan/2/56849be9ccec91b081b75cdb88baa5ef.html","wapUrl": "https://www.med-credit.org.cn/jingxuan/2/56849be9ccec91b081b75cdb88baa5ef.html","mipUrl": "https://www.med-credit.org.cn/mobile/jingxuan/2/56849be9ccec91b081b75cdb88baa5ef.html","fromSrc": "欢乐橙","datePublished": "2023-03-16T16:40:46","domain": "医疗","category": ["医疗权威文章合作"],"description": "正常人的扁桃体表面比较光滑,并且颜色呈淡红色,也不会出现不适的症状或者黏连的情况。
","extra_headline": [""]},"Author": {"name": "谢洪","wapUrl": "https://www.med-credit.org.cn/doctor/538","pcUrl": "https://www.med-credit.org.cn/doctor/538","jobTitle": "副主任医师","headPortrait": "https://www.med-credit.org.cn/uploadfile/member/538/180x180.jpeg","id": "538","description": "谢洪,首都医科大学附属北京世纪坛医院耳鼻喉头颈外科副主任医师","memberOf": {"legalName": "首都医科大学附属北京世纪坛医院","department": "耳鼻喉头颈外科","organizationLevel": "三级甲等"}},"Article": {"summaryContent": "正常人的扁桃体表面比较光滑,并且颜色呈淡红色,也不会出现不适的症状或者黏连的情况。
平时注意保护扁桃体,预防出现扁桃体的异常疾病。

扁桃体属于人体的淋巴组织,在两侧腭舌弓与腭咽弓围成的三角形扁桃体窝中,检查时会发现扁桃体的表面比较光滑,颜色呈淡红色,扁桃体隐窝口的结构也比较的清楚,没有分泌物潴留,扁桃体与周围的组织也不会出现明显的粘连,触诊时可感觉扁桃体柔软,也不会出现压痛的情况,这种情况下属于正常的扁桃体。一般情况下3岁到5岁时淋巴组织增生,扁桃体会出现生理性的肥大,随着年龄的增长会逐渐的萎缩。
扁桃体主要负责抵御病原菌的侵袭,可以起到一定的免疫功能。平时需要多注意对扁桃体的保护;多喝水,保持咽喉部的湿润:必要时可以泡胖大海喝;注意避免长时间唱歌、讲话等,让咽喉部有休息的时间;避免摄入太多辛辣生冷的食物。
","articleBody": "正常人的扁桃体表面比较光滑,并且颜色呈淡红色,也不会出现不适的症状或者黏连的情况。
平时注意保护扁桃体,预防出现扁桃体的异常疾病。

扁桃体属于人体的淋巴组织,在两侧腭舌弓与腭咽弓围成的三角形扁桃体窝中,检查时会发现扁桃体的表面比较光滑,颜色呈淡红色,扁桃体隐窝口的结构也比较的清楚,没有分泌物潴留,扁桃体与周围的组织也不会出现明显的粘连,触诊时可感觉扁桃体柔软,也不会出现压痛的情况,这种情况下属于正常的扁桃体。一般情况下3岁到5岁时淋巴组织增生,扁桃体会出现生理性的肥大,随着年龄的增长会逐渐的萎缩。
扁桃体主要负责抵御病原菌的侵袭,可以起到一定的免疫功能。平时需要多注意对扁桃体的保护;多喝水,保持咽喉部的湿润:必要时可以泡胖大海喝;注意避免长时间唱歌、讲话等,让咽喉部有休息的时间;避免摄入太多辛辣生冷的食物。
","scanCount": 32575}}} {"@context": "https://ziyuan.baidu.com/contexts/cambrian.jsonld","appid": "1650708455561748","icon": "https://www.med-credit.org.cn/style/images/ttlogo.png","content_tag": ["atlas"],"is_mcn": {"thumb_id": "e4oal99d"},"accid": "4886d626a2804dee5f11168793ce361672f39c25","@id": "https://www.med-credit.org.cn/mobile/jingxuan/2/f8c1a58ff4a6a00b9f66e8c058086443.html","bagWordId": "9271b5e346d8e9a6","title": "腺样体肥大是什么症状图片","pubDate": "2023-03-16T16:40:46","upDate": "2023-03-16T16:40:46","lrDate": "2023-03-16T16:40:46","description": "腺样体肥大即腺样体被各种原因的炎症反复刺激进而发生增生肥大,并引起相关症状。","data": {"WebPage": {"headline": "腺样体肥大是什么症状图片","pcUrl": "https://www.med-credit.org.cn/jingxuan/2/f8c1a58ff4a6a00b9f66e8c058086443.html","wapUrl": "https://www.med-credit.org.cn/jingxuan/2/f8c1a58ff4a6a00b9f66e8c058086443.html","mipUrl": "https://www.med-credit.org.cn/mobile/jingxuan/2/f8c1a58ff4a6a00b9f66e8c058086443.html","fromSrc": "欢乐橙","datePublished": "2023-03-16T16:40:46","domain": "医疗","category": ["医疗权威文章合作"],"description": "腺样体肥大即腺样体被各种原因的炎症反复刺激进而发生增生肥大,并引起相关症状。
","extra_headline": [""]},"Author": {"name": "谢洪","wapUrl": "https://www.med-credit.org.cn/doctor/538","pcUrl": "https://www.med-credit.org.cn/doctor/538","jobTitle": "副主任医师","headPortrait": "https://www.med-credit.org.cn/uploadfile/member/538/180x180.jpeg","id": "538","description": "谢洪,首都医科大学附属北京世纪坛医院耳鼻喉头颈外科副主任医师","memberOf": {"legalName": "首都医科大学附属北京世纪坛医院","department": "耳鼻喉头颈外科","organizationLevel": "三级甲等"}},"Article": {"summaryContent": "腺样体肥大即腺样体被各种原因的炎症反复刺激进而发生增生肥大,并引起相关症状。
腺样体肥大可导致鼻部、耳部、咽喉和下呼吸道等出现不适症状,同时也可引起阻塞性睡眠呼吸暂停、嗜睡、易激惹、生长发育减慢等全身症状。

腺样体位于鼻咽顶壁和后壁交界处,两侧咽隐窝之间。腺样体被各种原因的炎症反复刺激,进而发生增生肥大,具有病理意义,并引起相关症状,称为腺样体肥大。
1、局部症状
(1)鼻部症状:主要症状是鼻塞,同时可有流涕等表现,说话时带有闭塞性鼻音。
(2)耳部症状:可发生分泌性中耳炎,甚至化脓性中耳炎,出现耳闷、耳痛、听力下降等症状。
(3)咽喉和下呼吸道症状:分泌物下流并刺激呼吸道黏膜,可引起咽部不适、阵咳、支气管炎症状。
(4)颌面骨发育异常:由于长期的腺样体组织增生影响通气,可致张口呼吸,长期张口呼吸可使颌面骨发育改变,出现腺样体面容。
2、全身症状:长期的气道阻塞可影响睡眠,出现阻塞性睡眠呼吸暂停,伴发睡眠时缺氧。在长期作用下,儿童患者可出现全身症状,如嗜睡、易激惹、生长发育减慢、甚至认知障碍,可伴有睡眠多梦、易惊醒、磨牙、反应迟钝、注意力不集中、遗尿等。伴有急性腺样体炎时,可由炎症引发全身感染中毒症状,如发热、食欲减退、鼻塞、脓涕等。
","articleBody": "腺样体肥大即腺样体被各种原因的炎症反复刺激进而发生增生肥大,并引起相关症状。
腺样体肥大可导致鼻部、耳部、咽喉和下呼吸道等出现不适症状,同时也可引起阻塞性睡眠呼吸暂停、嗜睡、易激惹、生长发育减慢等全身症状。

腺样体位于鼻咽顶壁和后壁交界处,两侧咽隐窝之间。腺样体被各种原因的炎症反复刺激,进而发生增生肥大,具有病理意义,并引起相关症状,称为腺样体肥大。
1、局部症状
(1)鼻部症状:主要症状是鼻塞,同时可有流涕等表现,说话时带有闭塞性鼻音。
(2)耳部症状:可发生分泌性中耳炎,甚至化脓性中耳炎,出现耳闷、耳痛、听力下降等症状。
(3)咽喉和下呼吸道症状:分泌物下流并刺激呼吸道黏膜,可引起咽部不适、阵咳、支气管炎症状。
(4)颌面骨发育异常:由于长期的腺样体组织增生影响通气,可致张口呼吸,长期张口呼吸可使颌面骨发育改变,出现腺样体面容。
2、全身症状:长期的气道阻塞可影响睡眠,出现阻塞性睡眠呼吸暂停,伴发睡眠时缺氧。在长期作用下,儿童患者可出现全身症状,如嗜睡、易激惹、生长发育减慢、甚至认知障碍,可伴有睡眠多梦、易惊醒、磨牙、反应迟钝、注意力不集中、遗尿等。伴有急性腺样体炎时,可由炎症引发全身感染中毒症状,如发热、食欲减退、鼻塞、脓涕等。
","scanCount": 32573}}} {"@context": "https://ziyuan.baidu.com/contexts/cambrian.jsonld","appid": "1650708455561748","icon": "https://www.med-credit.org.cn/style/images/ttlogo.png","content_tag": ["atlas"],"is_mcn": {"thumb_id": "e4oal99d"},"accid": "4886d626a2804dee5f11168793ce361672f39c25","@id": "https://www.med-credit.org.cn/mobile/jingxuan/2/96501799dd244a87bf9c997efe5d4399.html","bagWordId": "1bbbf7567eb5036f","title": "扁桃体正常的图片","pubDate": "2023-03-16T16:40:46","upDate": "2023-03-16T16:40:46","lrDate": "2023-03-16T16:40:46","description": "正常人的扁桃体表面比较光滑,并且颜色呈淡红色,也不会出现不适的症状或者黏连的情况。","data": {"WebPage": {"headline": "扁桃体正常的图片","pcUrl": "https://www.med-credit.org.cn/jingxuan/2/96501799dd244a87bf9c997efe5d4399.html","wapUrl": "https://www.med-credit.org.cn/jingxuan/2/96501799dd244a87bf9c997efe5d4399.html","mipUrl": "https://www.med-credit.org.cn/mobile/jingxuan/2/96501799dd244a87bf9c997efe5d4399.html","fromSrc": "欢乐橙","datePublished": "2023-03-16T16:40:46","domain": "医疗","category": ["医疗权威文章合作"],"description": "正常人的扁桃体表面比较光滑,并且颜色呈淡红色,也不会出现不适的症状或者黏连的情况。
","extra_headline": [""]},"Author": {"name": "谢洪","wapUrl": "https://www.med-credit.org.cn/doctor/538","pcUrl": "https://www.med-credit.org.cn/doctor/538","jobTitle": "副主任医师","headPortrait": "https://www.med-credit.org.cn/uploadfile/member/538/180x180.jpeg","id": "538","description": "谢洪,首都医科大学附属北京世纪坛医院耳鼻喉头颈外科副主任医师","memberOf": {"legalName": "首都医科大学附属北京世纪坛医院","department": "耳鼻喉头颈外科","organizationLevel": "三级甲等"}},"Article": {"summaryContent": "正常人的扁桃体表面比较光滑,并且颜色呈淡红色,也不会出现不适的症状或者黏连的情况。
当扁桃体被感染时,极易引起急性扁桃体炎、扁桃体周脓肿、扁桃体结石等疾病,需及时就医治疗。

扁桃体属于人体的淋巴组织,在两侧腭舌弓与腭咽弓围成的三角形扁桃体窝中,检查时会发现扁桃体的表面比较光滑,颜色呈淡红色,扁桃体隐窝口的结构也比较的清楚,没有分泌物潴留,扁桃体与周围的组织也不会出现明显的粘连,触诊时可感觉扁桃体柔软,也不会出现压痛的情况,这种情况下属于正常的扁桃体。一般情况下3岁到5岁时淋巴组织增生,扁桃体会出现生理性的肥大,随着年龄的增长会逐渐的萎缩。
临床上扁桃体发生感染病变时,容易引起急性扁桃体炎、扁桃体周脓肿、扁桃体结石等疾病,可出现扁桃体肿大、疼痛、发热、吞咽困难等症状。此时需要及时就医治疗。
","articleBody": "正常人的扁桃体表面比较光滑,并且颜色呈淡红色,也不会出现不适的症状或者黏连的情况。
当扁桃体被感染时,极易引起急性扁桃体炎、扁桃体周脓肿、扁桃体结石等疾病,需及时就医治疗。

扁桃体属于人体的淋巴组织,在两侧腭舌弓与腭咽弓围成的三角形扁桃体窝中,检查时会发现扁桃体的表面比较光滑,颜色呈淡红色,扁桃体隐窝口的结构也比较的清楚,没有分泌物潴留,扁桃体与周围的组织也不会出现明显的粘连,触诊时可感觉扁桃体柔软,也不会出现压痛的情况,这种情况下属于正常的扁桃体。一般情况下3岁到5岁时淋巴组织增生,扁桃体会出现生理性的肥大,随着年龄的增长会逐渐的萎缩。
临床上扁桃体发生感染病变时,容易引起急性扁桃体炎、扁桃体周脓肿、扁桃体结石等疾病,可出现扁桃体肿大、疼痛、发热、吞咽困难等症状。此时需要及时就医治疗。
","scanCount": 32570}}} {"@context": "https://ziyuan.baidu.com/contexts/cambrian.jsonld","appid": "1650708455561748","icon": "https://www.med-credit.org.cn/style/images/ttlogo.png","content_tag": ["atlas"],"is_mcn": {"thumb_id": "e4oal99d"},"accid": "4886d626a2804dee5f11168793ce361672f39c25","@id": "https://www.med-credit.org.cn/mobile/jingxuan/2/5a949171d27d293f674abc8af66075c2.html","bagWordId": "a13ac8f68d6e6094","title": "鼻子内壁溃烂图片","pubDate": "2023-03-16T16:40:46","upDate": "2023-03-16T16:40:46","lrDate": "2023-03-16T16:40:46","description": "鼻子内壁溃烂可能是长期不正确的行为、急性鼻炎、鼻窦炎等所致。","data": {"WebPage": {"headline": "鼻子内壁溃烂图片","pcUrl": "https://www.med-credit.org.cn/jingxuan/2/5a949171d27d293f674abc8af66075c2.html","wapUrl": "https://www.med-credit.org.cn/jingxuan/2/5a949171d27d293f674abc8af66075c2.html","mipUrl": "https://www.med-credit.org.cn/mobile/jingxuan/2/5a949171d27d293f674abc8af66075c2.html","fromSrc": "欢乐橙","datePublished": "2023-03-16T16:40:46","domain": "医疗","category": ["医疗权威文章合作"],"description": "鼻子内壁溃烂可能是长期不正确的行为、急性鼻炎、鼻窦炎等所致。
","extra_headline": ["鼻子内壁溃烂"]},"Author": {"name": "谢洪","wapUrl": "https://www.med-credit.org.cn/doctor/538","pcUrl": "https://www.med-credit.org.cn/doctor/538","jobTitle": "副主任医师","headPortrait": "https://www.med-credit.org.cn/uploadfile/member/538/180x180.jpeg","id": "538","description": "谢洪,首都医科大学附属北京世纪坛医院耳鼻喉头颈外科副主任医师","memberOf": {"legalName": "首都医科大学附属北京世纪坛医院","department": "耳鼻喉头颈外科","organizationLevel": "三级甲等"}},"Article": {"summaryContent": "鼻子内壁溃烂可能是长期不正确的行为、急性鼻炎、鼻窦炎等所致。
一般可以遵医嘱采用药物治疗,严重时还需给予手术治疗。

1、长期不正确的行为:若患者鼻腔敏感,鼻粘膜处于较脆弱的状态,血管分布丰富,长期捏鼻梁、挖鼻孔、擤鼻涕等可能会使鼻粘膜受损而引起出血,引起局部炎症反应,导致鼻子内壁溃烂。首先需要尽快止血消毒,先用干净的纱布或毛巾压迫止血5~10分钟,必要时配合氨甲环酸止血治疗。若伤口情况严重,出血较多,建议及时前往医院就诊,在医生的指导下行规范化的治疗,先使用生理盐水清洗鼻腔,去除鼻腔及其周围的血痂、杂物,再用双氧水或络合碘进行消毒。患者可以外敷维A酸类药物,用于预防再次感染,配合红霉素软膏或左氧氟沙星消炎治疗。患者应该避免长期捏鼻梁、挖鼻孔、擤鼻涕等行为。
2、急性鼻炎:由于身体抵抗力下降,细菌或病毒侵袭到上呼吸道,鼻腔黏膜可以出现炎症,使鼻腔黏膜糜烂,表现流鼻涕、涕中带血等情况。鼻炎治疗以药物治疗为主如激素药、抗组胺药物,当经药物治疗症状无改善,严重影响生活质量或合并慢性鼻-鼻窦炎、鼻息肉等疾病的患者,可考虑手术治疗。
2、鼻窦炎:不规律的作息或暴饮暴食等原因,可能会导致机体免疫力低下,易被细菌、病毒等致病物质侵入而引起鼻窦感染,造成炎症反应,引起黏膜层的异常增生或糜烂,临床上常伴随流涕、鼻塞、发热的症状,常给予抗生素如头孢氨苄胶囊、阿莫西林胶囊抗炎治疗,患者注意及时复查,养成良好的生活习惯。
除了上述相对常见的原因外,还有其他的可能性疾病,比如萎缩性鼻炎。建议患者出现这种症状后,及时去医院就诊,查明病因后,予以针对性治疗。
","articleBody": "鼻子内壁溃烂可能是长期不正确的行为、急性鼻炎、鼻窦炎等所致。
一般可以遵医嘱采用药物治疗,严重时还需给予手术治疗。

1、长期不正确的行为:若患者鼻腔敏感,鼻粘膜处于较脆弱的状态,血管分布丰富,长期捏鼻梁、挖鼻孔、擤鼻涕等可能会使鼻粘膜受损而引起出血,引起局部炎症反应,导致鼻子内壁溃烂。首先需要尽快止血消毒,先用干净的纱布或毛巾压迫止血5~10分钟,必要时配合氨甲环酸止血治疗。若伤口情况严重,出血较多,建议及时前往医院就诊,在医生的指导下行规范化的治疗,先使用生理盐水清洗鼻腔,去除鼻腔及其周围的血痂、杂物,再用双氧水或络合碘进行消毒。患者可以外敷维A酸类药物,用于预防再次感染,配合红霉素软膏或左氧氟沙星消炎治疗。患者应该避免长期捏鼻梁、挖鼻孔、擤鼻涕等行为。
2、急性鼻炎:由于身体抵抗力下降,细菌或病毒侵袭到上呼吸道,鼻腔黏膜可以出现炎症,使鼻腔黏膜糜烂,表现流鼻涕、涕中带血等情况。鼻炎治疗以药物治疗为主如激素药、抗组胺药物,当经药物治疗症状无改善,严重影响生活质量或合并慢性鼻-鼻窦炎、鼻息肉等疾病的患者,可考虑手术治疗。
2、鼻窦炎:不规律的作息或暴饮暴食等原因,可能会导致机体免疫力低下,易被细菌、病毒等致病物质侵入而引起鼻窦感染,造成炎症反应,引起黏膜层的异常增生或糜烂,临床上常伴随流涕、鼻塞、发热的症状,常给予抗生素如头孢氨苄胶囊、阿莫西林胶囊抗炎治疗,患者注意及时复查,养成良好的生活习惯。
除了上述相对常见的原因外,还有其他的可能性疾病,比如萎缩性鼻炎。建议患者出现这种症状后,及时去医院就诊,查明病因后,予以针对性治疗。
","scanCount": 6863}}} {"@context": "https://ziyuan.baidu.com/contexts/cambrian.jsonld","appid": "1650708455561748","icon": "https://www.med-credit.org.cn/style/images/ttlogo.png","content_tag": ["atlas"],"is_mcn": {"thumb_id": "e4oal99d"},"accid": "4886d626a2804dee5f11168793ce361672f39c25","@id": "https://www.med-credit.org.cn/mobile/jingxuan/2/cf315f777672ee8aeb7141f94ed3a79a.html","bagWordId": "aaea084b66c7dedb","title": "张嘴看见咽喉壁有水泡图片","pubDate": "2023-03-16T16:40:46","upDate": "2023-03-16T16:40:46","lrDate": "2023-03-16T16:40:46","description": "张嘴看见咽喉壁有水泡分两类,即口腔内疱性损害、口腔溃疡类损害,建议患者症状未好转时,需及时前往医院就诊治疗。","data": {"WebPage": {"headline": "张嘴看见咽喉壁有水泡图片","pcUrl": "https://www.med-credit.org.cn/jingxuan/2/cf315f777672ee8aeb7141f94ed3a79a.html","wapUrl": "https://www.med-credit.org.cn/jingxuan/2/cf315f777672ee8aeb7141f94ed3a79a.html","mipUrl": "https://www.med-credit.org.cn/mobile/jingxuan/2/cf315f777672ee8aeb7141f94ed3a79a.html","fromSrc": "欢乐橙","datePublished": "2023-03-16T16:40:46","domain": "医疗","category": ["医疗权威文章合作"],"description": "张嘴看见咽喉壁有水泡分两类,即口腔内疱性损害、口腔溃疡类损害,建议患者症状未好转时,需及时前往医院就诊治疗。
","extra_headline": ["张嘴看见咽喉壁有水泡"]},"Author": {"name": "谢洪","wapUrl": "https://www.med-credit.org.cn/doctor/538","pcUrl": "https://www.med-credit.org.cn/doctor/538","jobTitle": "副主任医师","headPortrait": "https://www.med-credit.org.cn/uploadfile/member/538/180x180.jpeg","id": "538","description": "谢洪,首都医科大学附属北京世纪坛医院耳鼻喉头颈外科副主任医师","memberOf": {"legalName": "首都医科大学附属北京世纪坛医院","department": "耳鼻喉头颈外科","organizationLevel": "三级甲等"}},"Article": {"summaryContent": "张嘴看见咽喉壁有水泡分两类,即口腔内疱性损害、口腔溃疡类损害,建议患者症状未好转时,需及时前往医院就诊治疗。

1、口腔内疱性损害:常因为病毒感染、药物反应、创伤(烫伤常见)和疱性黏膜皮肤病所致,也包括一些唾液腺囊肿。
2、口腔溃疡类损害:如结核性溃疡、癌性溃疡、创伤性血疱和溃疡存在明确病因;复发性口腔溃疡、白塞病、克罗恩病与赖特尔综合征,病因则尚不明确,可能与免疫因素、遗传因素、系统相关疾病、感染因素、环境因素等有关。部分血液系统疾病患者,口腔黏膜在轻度刺激下即可出现疱或溃疡,实质仍是创伤性疱或溃疡。
若长时间未好转,患者要及时前往医院就诊,在医生指导下针对具体病因进行治疗。
","articleBody": "张嘴看见咽喉壁有水泡分两类,即口腔内疱性损害、口腔溃疡类损害,建议患者症状未好转时,需及时前往医院就诊治疗。

1、口腔内疱性损害:常因为病毒感染、药物反应、创伤(烫伤常见)和疱性黏膜皮肤病所致,也包括一些唾液腺囊肿。
2、口腔溃疡类损害:如结核性溃疡、癌性溃疡、创伤性血疱和溃疡存在明确病因;复发性口腔溃疡、白塞病、克罗恩病与赖特尔综合征,病因则尚不明确,可能与免疫因素、遗传因素、系统相关疾病、感染因素、环境因素等有关。部分血液系统疾病患者,口腔黏膜在轻度刺激下即可出现疱或溃疡,实质仍是创伤性疱或溃疡。
若长时间未好转,患者要及时前往医院就诊,在医生指导下针对具体病因进行治疗。
","scanCount": 8064}}} {"@context": "https://ziyuan.baidu.com/contexts/cambrian.jsonld","appid": "1650708455561748","icon": "https://www.med-credit.org.cn/style/images/ttlogo.png","content_tag": ["atlas"],"is_mcn": {"thumb_id": "e4oal99d"},"accid": "4886d626a2804dee5f11168793ce361672f39c25","@id": "https://www.med-credit.org.cn/mobile/jingxuan/2/3d7ff8d82098a9facd31855100bf6552.html","bagWordId": "f3e3e79f66da5591","title": "咽喉上长小白点的图片","pubDate": "2023-03-16T16:40:46","upDate": "2023-03-16T16:40:46","lrDate": "2023-03-16T16:40:46","description": "咽喉上长小白点可能是由于急性化脓性扁桃体炎、慢性扁桃体炎、喉白斑等原因导致。","data": {"WebPage": {"headline": "咽喉上长小白点的图片","pcUrl": "https://www.med-credit.org.cn/jingxuan/2/3d7ff8d82098a9facd31855100bf6552.html","wapUrl": "https://www.med-credit.org.cn/jingxuan/2/3d7ff8d82098a9facd31855100bf6552.html","mipUrl": "https://www.med-credit.org.cn/mobile/jingxuan/2/3d7ff8d82098a9facd31855100bf6552.html","fromSrc": "欢乐橙","datePublished": "2023-03-16T16:40:46","domain": "医疗","category": ["医疗权威文章合作"],"description": "咽喉上长小白点可能是由于急性化脓性扁桃体炎、慢性扁桃体炎、喉白斑等原因导致。
","extra_headline": [""]},"Author": {"name": "谢洪","wapUrl": "https://www.med-credit.org.cn/doctor/538","pcUrl": "https://www.med-credit.org.cn/doctor/538","jobTitle": "副主任医师","headPortrait": "https://www.med-credit.org.cn/uploadfile/member/538/180x180.jpeg","id": "538","description": "谢洪,首都医科大学附属北京世纪坛医院耳鼻喉头颈外科副主任医师","memberOf": {"legalName": "首都医科大学附属北京世纪坛医院","department": "耳鼻喉头颈外科","organizationLevel": "三级甲等"}},"Article": {"summaryContent": "咽喉上长小白点可能是由于急性化脓性扁桃体炎、慢性扁桃体炎、喉白斑等原因导致。
当出现不适症状时需前往医院寻求诊治,在医生的指导下选择合适的药物进行治疗。

1.急性化脓性扁桃体炎:如果存在有急性化脓性扁桃体炎,通常会有头疼、发热、咽喉部疼痛的症状,扁桃体处可见白色化脓物。该疾病以抗生素治疗为主;对于发热患者可对症给予物理降温治疗;反复急性发作,待炎症得到控制后,可考虑行扁桃体摘除术。
2.慢性扁桃体炎:通常会出现反复的扁桃体发炎,在扁桃体隐窝部位可能会形成白色的栓子,有些还会形成扁桃体角化症,可能会有口臭的情况。可给予患者抗菌药物,同时注意增强免疫力,适当结合免疫疗法,辅助预防全身并发症的发生。严重时还可给予手术治疗。
3.喉白斑:如果咽喉部位存在白斑,在喉咙壁会看到白色的东西,有时可能会是白色斑片一样的改变,需要密切观察,定期随访,严重需及时手术治疗。
除了上述相对常见的原因外,还有其他的可能性疾病,比如口咽癌。建议患者出现这种症状后,及时去医院就诊,查明病因后,予以针对性治疗。
","articleBody": "咽喉上长小白点可能是由于急性化脓性扁桃体炎、慢性扁桃体炎、喉白斑等原因导致。
当出现不适症状时需前往医院寻求诊治,在医生的指导下选择合适的药物进行治疗。

1.急性化脓性扁桃体炎:如果存在有急性化脓性扁桃体炎,通常会有头疼、发热、咽喉部疼痛的症状,扁桃体处可见白色化脓物。该疾病以抗生素治疗为主;对于发热患者可对症给予物理降温治疗;反复急性发作,待炎症得到控制后,可考虑行扁桃体摘除术。
2.慢性扁桃体炎:通常会出现反复的扁桃体发炎,在扁桃体隐窝部位可能会形成白色的栓子,有些还会形成扁桃体角化症,可能会有口臭的情况。可给予患者抗菌药物,同时注意增强免疫力,适当结合免疫疗法,辅助预防全身并发症的发生。严重时还可给予手术治疗。
3.喉白斑:如果咽喉部位存在白斑,在喉咙壁会看到白色的东西,有时可能会是白色斑片一样的改变,需要密切观察,定期随访,严重需及时手术治疗。
除了上述相对常见的原因外,还有其他的可能性疾病,比如口咽癌。建议患者出现这种症状后,及时去医院就诊,查明病因后,予以针对性治疗。
","scanCount": 32555}}} {"@context": "https://ziyuan.baidu.com/contexts/cambrian.jsonld","appid": "1650708455561748","icon": "https://www.med-credit.org.cn/style/images/ttlogo.png","content_tag": ["atlas"],"is_mcn": {"thumb_id": "ay28xrnt0"},"accid": "4886d626a2804dee5f11168793ce361672f39c25","@id": "https://www.med-credit.org.cn/mobile/jingxuan/2/1a1690f8ab468006a9237ebd4e7d6ec6.html","bagWordId": "c37807786d1893e5","title": "口腔溃疡癌变早期症状图片","pubDate": "2023-03-16T16:40:46","upDate": "2023-03-16T16:40:46","lrDate": "2023-03-16T16:40:46","description": "口腔溃疡癌变的早期症状主要有溃疡变大、长时间不能自愈、疼痛等。患者需要及时前往医院就诊治疗,避免病情进展。","data": {"WebPage": {"headline": "口腔溃疡癌变早期症状图片","pcUrl": "https://www.med-credit.org.cn/jingxuan/2/1a1690f8ab468006a9237ebd4e7d6ec6.html","wapUrl": "https://www.med-credit.org.cn/jingxuan/2/1a1690f8ab468006a9237ebd4e7d6ec6.html","mipUrl": "https://www.med-credit.org.cn/mobile/jingxuan/2/1a1690f8ab468006a9237ebd4e7d6ec6.html","fromSrc": "欢乐橙","datePublished": "2023-03-16T16:40:46","domain": "医疗","category": ["医疗权威文章合作"],"description": "口腔溃疡癌变的早期症状主要有溃疡变大、长时间不能自愈、疼痛等。患者需要及时前往医院就诊治疗,避免病情进展。
","extra_headline": ["口腔溃疡癌变早期症状"]},"Author": {"name": "李斯文","wapUrl": "https://www.med-credit.org.cn/doctor/546","pcUrl": "https://www.med-credit.org.cn/doctor/546","jobTitle": "主治医师","headPortrait": "https://www.med-credit.org.cn/uploadfile/member/546/180x180.jpeg","id": "546","description": "李斯文,中国医科大学附属口腔医院口腔科主治医师","memberOf": {"legalName": "中国医科大学附属口腔医院","department": "口腔科","organizationLevel": "三级甲等"}},"Article": {"summaryContent": "口腔溃疡癌变的早期症状主要有溃疡变大、长时间不能自愈、疼痛等。患者需要及时前往医院就诊治疗,避免病情进展。

1.溃疡变大:口腔溃疡发生在固定的部位,如果反复在同一个部位发生溃疡,并且溃疡慢慢变大,就有可能是口腔溃疡癌变的早期症状。
2.长时间不能自愈:一般的复发性口腔溃疡持续一到两周就可以自愈,如果口腔溃疡持续的时间比较长,甚至超过了一个月都没有自愈,就要警惕是口腔溃疡癌变的可能性。
3.疼痛:口腔溃疡癌变早期有可能会出现疼痛的症状,这种疼痛会比口腔溃疡更痒、更疼痛、更剧烈、更顽固,还有可能会引起耳部、咽喉部的疼痛。
除了上述相对常见的症状外,还有其他的症状,比如消瘦。
一般而言,口腔溃疡在一周左右就可以自动愈合,但是如果口腔溃疡个数过多、面积太大或长时间没有愈合则需要及时到医院进行相关检查。
","articleBody": "口腔溃疡癌变的早期症状主要有溃疡变大、长时间不能自愈、疼痛等。患者需要及时前往医院就诊治疗,避免病情进展。

1.溃疡变大:口腔溃疡发生在固定的部位,如果反复在同一个部位发生溃疡,并且溃疡慢慢变大,就有可能是口腔溃疡癌变的早期症状。
2.长时间不能自愈:一般的复发性口腔溃疡持续一到两周就可以自愈,如果口腔溃疡持续的时间比较长,甚至超过了一个月都没有自愈,就要警惕是口腔溃疡癌变的可能性。
3.疼痛:口腔溃疡癌变早期有可能会出现疼痛的症状,这种疼痛会比口腔溃疡更痒、更疼痛、更剧烈、更顽固,还有可能会引起耳部、咽喉部的疼痛。
除了上述相对常见的症状外,还有其他的症状,比如消瘦。
一般而言,口腔溃疡在一周左右就可以自动愈合,但是如果口腔溃疡个数过多、面积太大或长时间没有愈合则需要及时到医院进行相关检查。
","scanCount": 9897}}} {"@context": "https://ziyuan.baidu.com/contexts/cambrian.jsonld","appid": "1650708455561748","icon": "https://www.med-credit.org.cn/style/images/ttlogo.png","content_tag": ["atlas"],"is_mcn": {"thumb_id": "e4oal99d"},"accid": "4886d626a2804dee5f11168793ce361672f39c25","@id": "https://www.med-credit.org.cn/mobile/jingxuan/2/c5dafde0aef4ea19840aa609e4fd4063.html","bagWordId": "e39e89aa19c8e7e1","title": "喉咙上有白色米粒图片","pubDate": "2023-03-16T16:40:46","upDate": "2023-03-16T16:40:46","lrDate": "2023-03-16T16:40:46","description": "喉咙上有白色米粒可能是扁桃体结石、急性扁桃体炎、慢性扁桃体炎等引起。","data": {"WebPage": {"headline": "喉咙上有白色米粒图片","pcUrl": "https://www.med-credit.org.cn/jingxuan/2/c5dafde0aef4ea19840aa609e4fd4063.html","wapUrl": "https://www.med-credit.org.cn/jingxuan/2/c5dafde0aef4ea19840aa609e4fd4063.html","mipUrl": "https://www.med-credit.org.cn/mobile/jingxuan/2/c5dafde0aef4ea19840aa609e4fd4063.html","fromSrc": "欢乐橙","datePublished": "2023-03-16T16:40:46","domain": "医疗","category": ["医疗权威文章合作"],"description": "喉咙上有白色米粒可能是扁桃体结石、急性扁桃体炎、慢性扁桃体炎等引起。
","extra_headline": ["喉咙上有白色米粒"]},"Author": {"name": "谢洪","wapUrl": "https://www.med-credit.org.cn/doctor/538","pcUrl": "https://www.med-credit.org.cn/doctor/538","jobTitle": "副主任医师","headPortrait": "https://www.med-credit.org.cn/uploadfile/member/538/180x180.jpeg","id": "538","description": "谢洪,首都医科大学附属北京世纪坛医院耳鼻喉头颈外科副主任医师","memberOf": {"legalName": "首都医科大学附属北京世纪坛医院","department": "耳鼻喉头颈外科","organizationLevel": "三级甲等"}},"Article": {"summaryContent": "喉咙上有白色米粒可能是扁桃体结石、急性扁桃体炎、慢性扁桃体炎等引起。
一般可以给予药物、手术治疗,建议患者及时前往医院就诊治疗。

1、扁桃体结石:若患者的扁桃体隐窝长期淤积食物残渣、分泌物、细菌,各种成分发生化学反应或细菌代谢物,可能在扁桃体内形成结石,导致喉咙上有白色米粒。患者注意餐后及时刷牙漱口,注意口腔清洁,常在医生的指导下给予消炎药治疗,如非甾体抗炎药如布洛芬缓释片、抗生素如氨苄西林胶囊、左氧氟沙星胶囊等药物。配合采用排石疗法,清洗扁桃体异物,必要时考虑手术切除扁桃体而根治。
2、急性扁桃体炎:不规律的作息或暴饮暴食等原因,可能会导致机体免疫力低下,易被细菌、病毒等致病物质侵入而引起扁桃体感染,造成急性发作性炎症,引起黏膜层的异常增生或突起,导致喉咙上有白色米粒形成,临床上常伴随喉咙痛、发热的症状,常给予抗生素如头孢氨苄胶囊、左氧氟沙星胶囊抗炎治疗,患者注意及时复查,养成良好的生活习惯。
3、慢性扁桃体炎:常考虑是由于慢性扁桃体炎反复发作,导致患者扁桃体隐窝过度角化,形成尖锐的沙粒样物质,附着在扁桃体表面上。有的时候特别臭,用力之后可以咳出,影响患者正常的工作、生活还有交流,有时会引发明显的咽部异物感。治疗方面,可以遵医嘱用复方替硝唑溶液、康复新液漱口,减少白色分泌物,还可以用开喉剑喷雾剂,或者西瓜霜喷雾剂等,能够有效减轻扁桃体上面的炎症,减少瘢痕形成。积极治疗之后病情会有好转,必要的时候可以到医院行扁桃体冲洗,还可以将扁桃体切除。
除了上述相对常见的原因外,还有其他的可能性疾病,比如咽喉囊肿。建议患者出现这种症状后,及时去医院就诊,查明病因后,予以针对性治疗。
","articleBody": "喉咙上有白色米粒可能是扁桃体结石、急性扁桃体炎、慢性扁桃体炎等引起。
一般可以给予药物、手术治疗,建议患者及时前往医院就诊治疗。

1、扁桃体结石:若患者的扁桃体隐窝长期淤积食物残渣、分泌物、细菌,各种成分发生化学反应或细菌代谢物,可能在扁桃体内形成结石,导致喉咙上有白色米粒。患者注意餐后及时刷牙漱口,注意口腔清洁,常在医生的指导下给予消炎药治疗,如非甾体抗炎药如布洛芬缓释片、抗生素如氨苄西林胶囊、左氧氟沙星胶囊等药物。配合采用排石疗法,清洗扁桃体异物,必要时考虑手术切除扁桃体而根治。
2、急性扁桃体炎:不规律的作息或暴饮暴食等原因,可能会导致机体免疫力低下,易被细菌、病毒等致病物质侵入而引起扁桃体感染,造成急性发作性炎症,引起黏膜层的异常增生或突起,导致喉咙上有白色米粒形成,临床上常伴随喉咙痛、发热的症状,常给予抗生素如头孢氨苄胶囊、左氧氟沙星胶囊抗炎治疗,患者注意及时复查,养成良好的生活习惯。
3、慢性扁桃体炎:常考虑是由于慢性扁桃体炎反复发作,导致患者扁桃体隐窝过度角化,形成尖锐的沙粒样物质,附着在扁桃体表面上。有的时候特别臭,用力之后可以咳出,影响患者正常的工作、生活还有交流,有时会引发明显的咽部异物感。治疗方面,可以遵医嘱用复方替硝唑溶液、康复新液漱口,减少白色分泌物,还可以用开喉剑喷雾剂,或者西瓜霜喷雾剂等,能够有效减轻扁桃体上面的炎症,减少瘢痕形成。积极治疗之后病情会有好转,必要的时候可以到医院行扁桃体冲洗,还可以将扁桃体切除。
除了上述相对常见的原因外,还有其他的可能性疾病,比如咽喉囊肿。建议患者出现这种症状后,及时去医院就诊,查明病因后,予以针对性治疗。
","scanCount": 8941}}} {"@context": "https://ziyuan.baidu.com/contexts/cambrian.jsonld","appid": "1650708455561748","icon": "https://www.med-credit.org.cn/style/images/ttlogo.png","content_tag": ["atlas"],"is_mcn": {"thumb_id": "ay28xrnt0"},"accid": "4886d626a2804dee5f11168793ce361672f39c25","@id": "https://www.med-credit.org.cn/mobile/jingxuan/2/679bffcf759086bb0a831b98420d2546.html","bagWordId": "f25abb65ccc95a7e","title": "牙齿脱矿早期图片","pubDate": "2023-03-16T16:40:46","upDate": "2023-03-16T16:40:46","lrDate": "2023-03-16T16:40:46","description": "牙齿脱矿主要原因是酸腐蚀,早期表现为牙齿表面可隐约见到白垩色的小斑点,面积较小。","data": {"WebPage": {"headline": "牙齿脱矿早期图片","pcUrl": "https://www.med-credit.org.cn/jingxuan/2/679bffcf759086bb0a831b98420d2546.html","wapUrl": "https://www.med-credit.org.cn/jingxuan/2/679bffcf759086bb0a831b98420d2546.html","mipUrl": "https://www.med-credit.org.cn/mobile/jingxuan/2/679bffcf759086bb0a831b98420d2546.html","fromSrc": "欢乐橙","datePublished": "2023-03-16T16:40:46","domain": "医疗","category": ["医疗权威文章合作"],"description": "牙齿脱矿主要原因是酸腐蚀,早期表现为牙齿表面可隐约见到白垩色的小斑点,面积较小。
","extra_headline": [""]},"Author": {"name": "李斯文","wapUrl": "https://www.med-credit.org.cn/doctor/546","pcUrl": "https://www.med-credit.org.cn/doctor/546","jobTitle": "主治医师","headPortrait": "https://www.med-credit.org.cn/uploadfile/member/546/180x180.jpeg","id": "546","description": "李斯文,中国医科大学附属口腔医院口腔科主治医师","memberOf": {"legalName": "中国医科大学附属口腔医院","department": "口腔科","organizationLevel": "三级甲等"}},"Article": {"summaryContent": "牙齿脱矿主要原因是酸腐蚀,早期表现为牙齿表面可隐约见到白垩色的小斑点,面积较小。
牙齿脱矿应该进行再矿化治疗,严重的话要根据牙齿脱矿的程度进行补牙、牙冠修复治疗等治疗方案。

1、病因:使牙齿脱矿的主要原因是酸腐蚀,酸可以沿牙齿硬组织中孔隙较多、结构薄弱的部位扩散,溶解无机物。随着牙釉质中的钙离子减少,牙齿表面逐渐形成白斑。牙齿在脱矿的同时也发生着再矿化,该平衡如未受到破坏,则暂时不会形成龋病。
2、症状:牙齿脱矿症状首先是有白色斑块,然后慢慢变成黄色、褐色,如果不加以控制,最后会变成实质性的龋齿龋洞。
牙齿脱矿常见的原因是碳酸饮料以及龋齿,没有缺损的时候,可以局部涂氟促进再矿化。有缺损的话,首先应该进行去龋,在去龋过程中进行牙髓状态的临床诊断,当牙齿脱矿在牙釉质时,无敏感、疼痛等不适症状,可直接进行补牙,若在前牙对于美观要求较高的牙齿应注意选择如树脂材料等与天然牙颜色较为接近的材料进行补牙,对美观要求更高者可进行全瓷冠修复治疗。
","articleBody": "牙齿脱矿主要原因是酸腐蚀,早期表现为牙齿表面可隐约见到白垩色的小斑点,面积较小。
牙齿脱矿应该进行再矿化治疗,严重的话要根据牙齿脱矿的程度进行补牙、牙冠修复治疗等治疗方案。

1、病因:使牙齿脱矿的主要原因是酸腐蚀,酸可以沿牙齿硬组织中孔隙较多、结构薄弱的部位扩散,溶解无机物。随着牙釉质中的钙离子减少,牙齿表面逐渐形成白斑。牙齿在脱矿的同时也发生着再矿化,该平衡如未受到破坏,则暂时不会形成龋病。
2、症状:牙齿脱矿症状首先是有白色斑块,然后慢慢变成黄色、褐色,如果不加以控制,最后会变成实质性的龋齿龋洞。
牙齿脱矿常见的原因是碳酸饮料以及龋齿,没有缺损的时候,可以局部涂氟促进再矿化。有缺损的话,首先应该进行去龋,在去龋过程中进行牙髓状态的临床诊断,当牙齿脱矿在牙釉质时,无敏感、疼痛等不适症状,可直接进行补牙,若在前牙对于美观要求较高的牙齿应注意选择如树脂材料等与天然牙颜色较为接近的材料进行补牙,对美观要求更高者可进行全瓷冠修复治疗。
","scanCount": 32540}}} {"@context": "https://ziyuan.baidu.com/contexts/cambrian.jsonld","appid": "1650708455561748","icon": "https://www.med-credit.org.cn/style/images/ttlogo.png","content_tag": ["atlas"],"is_mcn": {"thumb_id": "e4oal99d"},"accid": "4886d626a2804dee5f11168793ce361672f39c25","@id": "https://www.med-credit.org.cn/mobile/jingxuan/2/47f1c09f52e3c9daad1f70ac664b75a1.html","bagWordId": "ceb4575ae7b4930f","title": "蒜头鼻和肉鼻子的区别图片","pubDate": "2023-03-16T16:40:46","upDate": "2023-03-16T16:40:46","lrDate": "2023-03-16T16:40:46","description": "蒜头鼻是鼻翼两边较宽,而肉鼻子主要是鼻尖上有肉肉。","data": {"WebPage": {"headline": "蒜头鼻和肉鼻子的区别图片","pcUrl": "https://www.med-credit.org.cn/jingxuan/2/47f1c09f52e3c9daad1f70ac664b75a1.html","wapUrl": "https://www.med-credit.org.cn/jingxuan/2/47f1c09f52e3c9daad1f70ac664b75a1.html","mipUrl": "https://www.med-credit.org.cn/mobile/jingxuan/2/47f1c09f52e3c9daad1f70ac664b75a1.html","fromSrc": "欢乐橙","datePublished": "2023-03-16T16:40:46","domain": "医疗","category": ["医疗权威文章合作"],"description": "蒜头鼻是鼻翼两边较宽,而肉鼻子主要是鼻尖上有肉肉。
","extra_headline": ["蒜头鼻和肉鼻子的区别"]},"Author": {"name": "谢洪","wapUrl": "https://www.med-credit.org.cn/doctor/538","pcUrl": "https://www.med-credit.org.cn/doctor/538","jobTitle": "副主任医师","headPortrait": "https://www.med-credit.org.cn/uploadfile/member/538/180x180.jpeg","id": "538","description": "谢洪,首都医科大学附属北京世纪坛医院耳鼻喉头颈外科副主任医师","memberOf": {"legalName": "首都医科大学附属北京世纪坛医院","department": "耳鼻喉头颈外科","organizationLevel": "三级甲等"}},"Article": {"summaryContent": "蒜头鼻是鼻翼两边较宽,而肉鼻子主要是鼻尖上有肉肉。
肉鼻子会随着年龄增长而消失,不用手术治疗,蒜头鼻则要通过手术方法治疗。


肉鼻子能够随着年龄增长而变小,蒜头鼻不会,而且鼻组织部分形态会随时间沿着固定方向去增长。
蒜头鼻是因为侧鼻翼软骨分开角度过大以及外侧鼻翼软骨向后所而导致的,然后形成像蒜头一样的鼻子。肉鼻子是整个鼻子的骨架较小,整个鼻子呈现肉感,没有骨感,就像块肉一样在脸上。
肉鼻子是因为软组织肥厚而显得有肉感,没有骨感,蒜头鼻是因为鼻头皮下脂肪和纤维组织增厚,鼻翼软骨的增生,鼻翼软骨的角度过大及后缩导致的。
肉鼻子会随着年龄增长而消失,不用手术治疗,蒜头鼻则要通过手术方法治疗。如果在青少年时期就发现了软骨畸形导致的蒜头鼻,则可以通过鼻夹或按摩的方法去纠正;如果是成年时期后发现,则需要进行医美手术重塑。
","articleBody": "蒜头鼻是鼻翼两边较宽,而肉鼻子主要是鼻尖上有肉肉。
肉鼻子会随着年龄增长而消失,不用手术治疗,蒜头鼻则要通过手术方法治疗。


肉鼻子能够随着年龄增长而变小,蒜头鼻不会,而且鼻组织部分形态会随时间沿着固定方向去增长。
蒜头鼻是因为侧鼻翼软骨分开角度过大以及外侧鼻翼软骨向后所而导致的,然后形成像蒜头一样的鼻子。肉鼻子是整个鼻子的骨架较小,整个鼻子呈现肉感,没有骨感,就像块肉一样在脸上。
肉鼻子是因为软组织肥厚而显得有肉感,没有骨感,蒜头鼻是因为鼻头皮下脂肪和纤维组织增厚,鼻翼软骨的增生,鼻翼软骨的角度过大及后缩导致的。
肉鼻子会随着年龄增长而消失,不用手术治疗,蒜头鼻则要通过手术方法治疗。如果在青少年时期就发现了软骨畸形导致的蒜头鼻,则可以通过鼻夹或按摩的方法去纠正;如果是成年时期后发现,则需要进行医美手术重塑。
","scanCount": 9652}}} {"@context": "https://ziyuan.baidu.com/contexts/cambrian.jsonld","appid": "1650708455561748","icon": "https://www.med-credit.org.cn/style/images/ttlogo.png","content_tag": ["atlas"],"is_mcn": {"thumb_id": "e4oal99d"},"accid": "4886d626a2804dee5f11168793ce361672f39c25","@id": "https://www.med-credit.org.cn/mobile/jingxuan/2/a7458b058c0aa3053b23b982f5dc4c36.html","bagWordId": "225d244fae026aba","title": "腺样体肥大面容照片","pubDate": "2023-03-16T16:40:46","upDate": "2023-03-16T16:40:46","lrDate": "2023-03-16T16:40:46","description": "腺样体肥大面容主要表现为上颌骨变长,上切牙突出,唇厚,缺乏表情的面容。","data": {"WebPage": {"headline": "腺样体肥大面容照片","pcUrl": "https://www.med-credit.org.cn/jingxuan/2/a7458b058c0aa3053b23b982f5dc4c36.html","wapUrl": "https://www.med-credit.org.cn/jingxuan/2/a7458b058c0aa3053b23b982f5dc4c36.html","mipUrl": "https://www.med-credit.org.cn/mobile/jingxuan/2/a7458b058c0aa3053b23b982f5dc4c36.html","fromSrc": "欢乐橙","datePublished": "2023-03-16T16:40:46","domain": "医疗","category": ["医疗权威文章合作"],"description": "腺样体肥大面容主要表现为上颌骨变长,上切牙突出,唇厚,缺乏表情的面容。
","extra_headline": [""]},"Author": {"name": "谢洪","wapUrl": "https://www.med-credit.org.cn/doctor/538","pcUrl": "https://www.med-credit.org.cn/doctor/538","jobTitle": "副主任医师","headPortrait": "https://www.med-credit.org.cn/uploadfile/member/538/180x180.jpeg","id": "538","description": "谢洪,首都医科大学附属北京世纪坛医院耳鼻喉头颈外科副主任医师","memberOf": {"legalName": "首都医科大学附属北京世纪坛医院","department": "耳鼻喉头颈外科","organizationLevel": "三级甲等"}},"Article": {"summaryContent": "腺样体肥大面容主要表现为上颌骨变长,上切牙突出,唇厚,缺乏表情的面容。
出现腺样体肥大面容时要及时就医,一般可进行腺样体切除手术。

腺样体面容主要是由于长期的腺样体组织增生影响到通气功能,导致张口呼吸,长此以往可使颌面骨发育改变。多表现为上颌骨变长,上切牙突出,唇厚,缺乏表情的面容。
除了腺样体面容,腺样体肥大患者还可表现为鼻塞、流涕、分泌性中耳炎甚至化脓性中耳炎、耳闷耳痛、听力下降、咽部不适、阵咳等局部症状和阻塞性睡眠呼吸暂停伴发睡眠时缺氧、易激惹、嗜睡、生长发育减慢和认知障碍等全身症状,还可出现吞咽困难、食欲减退等伴随症状。
腺样体肥大面容对孩子的整个生长发育都有可能产生影响,因此出现腺样体面容、鼻塞、耳闷耳痛、咽部不适等症状应就医检查,严重时需切除腺样体。可以通过避免反复炎症刺激、避免接触过敏源、合理饮食、避免吸入二手烟来预防腺样体肥大。
","articleBody": "腺样体肥大面容主要表现为上颌骨变长,上切牙突出,唇厚,缺乏表情的面容。
出现腺样体肥大面容时要及时就医,一般可进行腺样体切除手术。

腺样体面容主要是由于长期的腺样体组织增生影响到通气功能,导致张口呼吸,长此以往可使颌面骨发育改变。多表现为上颌骨变长,上切牙突出,唇厚,缺乏表情的面容。
除了腺样体面容,腺样体肥大患者还可表现为鼻塞、流涕、分泌性中耳炎甚至化脓性中耳炎、耳闷耳痛、听力下降、咽部不适、阵咳等局部症状和阻塞性睡眠呼吸暂停伴发睡眠时缺氧、易激惹、嗜睡、生长发育减慢和认知障碍等全身症状,还可出现吞咽困难、食欲减退等伴随症状。
腺样体肥大面容对孩子的整个生长发育都有可能产生影响,因此出现腺样体面容、鼻塞、耳闷耳痛、咽部不适等症状应就医检查,严重时需切除腺样体。可以通过避免反复炎症刺激、避免接触过敏源、合理饮食、避免吸入二手烟来预防腺样体肥大。
","scanCount": 32535}}} {"@context": "https://ziyuan.baidu.com/contexts/cambrian.jsonld","appid": "1650708455561748","icon": "https://www.med-credit.org.cn/style/images/ttlogo.png","content_tag": ["atlas"],"is_mcn": {"thumb_id": "ay28xrnt0"},"accid": "4886d626a2804dee5f11168793ce361672f39c25","@id": "https://www.med-credit.org.cn/mobile/jingxuan/2/9266ef74e5a55fb32fc38b61cb000a63.html","bagWordId": "ac089951fe74126d","title": "口腔结构图","pubDate": "2023-03-16T16:40:46","upDate": "2023-03-16T16:40:46","lrDate": "2023-03-16T16:40:46","description": "口腔其前壁为上、下唇,侧壁为颊,上壁为腭,下壁为口底。向前经口唇围成的口裂通向外界,向后经咽峡与咽相通。口腔可分为口腔前庭和固有口腔。前者是位于上、下唇和颊与上、下牙弓和牙龈之间的间隙,后者位于上、下牙弓和牙龈所围成的空间,其顶为腭,底部(口底)由黏膜、肌肉和皮肤组成。","data": {"WebPage": {"headline": "口腔结构图","pcUrl": "https://www.med-credit.org.cn/jingxuan/2/9266ef74e5a55fb32fc38b61cb000a63.html","wapUrl": "https://www.med-credit.org.cn/jingxuan/2/9266ef74e5a55fb32fc38b61cb000a63.html","mipUrl": "https://www.med-credit.org.cn/mobile/jingxuan/2/9266ef74e5a55fb32fc38b61cb000a63.html","fromSrc": "欢乐橙","datePublished": "2023-03-16T16:40:46","domain": "医疗","category": ["医疗权威文章合作"],"description": "口腔其前壁为上、下唇,侧壁为颊,上壁为腭,下壁为口底。向前经口唇围成的口裂通向外界,向后经咽峡与咽相通。口腔可分为口腔前庭和固有口腔。前者是位于上、下唇和颊与上、下牙弓和牙龈之间的间隙,后者位于上、下牙弓和牙龈所围成的空间,其顶为腭,底部(口底)由黏膜、肌肉和皮肤组成。
","extra_headline": ["口腔结构"]},"Author": {"name": "李斯文","wapUrl": "https://www.med-credit.org.cn/doctor/546","pcUrl": "https://www.med-credit.org.cn/doctor/546","jobTitle": "主治医师","headPortrait": "https://www.med-credit.org.cn/uploadfile/member/546/180x180.jpeg","id": "546","description": "李斯文,中国医科大学附属口腔医院口腔科主治医师","memberOf": {"legalName": "中国医科大学附属口腔医院","department": "口腔科","organizationLevel": "三级甲等"}},"Article": {"summaryContent": "口腔其前壁为上、下唇,侧壁为颊,上壁为腭,下壁为口底。向前经口唇围成的口裂通向外界,向后经咽峡与咽相通。口腔可分为口腔前庭和固有口腔。前者是位于上、下唇和颊与上、下牙弓和牙龈之间的间隙,后者位于上、下牙弓和牙龈所围成的空间,其顶为腭,底部(口底)由黏膜、肌肉和皮肤组成。


1、口唇:构成口腔的前壁,分为上、下唇。两唇之间的裂隙称口裂,其两侧结合处称口角。上唇的外面正中线上有一纵行的浅沟称为人中,是人类特有的结构,昏迷病人急救时常在此处进行针刺或指压刺激,促使病人苏醒。
2、颊:构成口腔的两侧壁,与上唇之间的浅沟为鼻唇沟。
3、腭:构成固有口腔的顶。其前2/3为硬腭,主要由骨腭为基础,覆盖黏膜而成。软腭后部斜向后下,称腭帆。腭帆后缘游离,中央有向下的突起称腭垂。腭垂的两侧有两对黏膜皱襞分别连于舌根和咽的侧壁,前方的一对称腭舌弓,后方的一对称腭咽弓。两弓间的窝称扁桃体窝,内容纳腭扁桃体。腭垂、两侧的腭舌弓与舌根共同围成咽峡,是口腔与咽的分界线。
4、舌:位于口腔底,是一肌性器官,具有感受味觉、协助咀嚼和吞咽食物以及辅助发音等功能。舌的形态舌分为上、下两面。上面称舌背,其后部以呈“八”形的界沟分为前2/3的舌体和后1/3的舌根,舌体的前端称舌尖。舌的下面正中线上有一连于口腔底的黏膜皱襞,称舌系带,其根部的两侧各有一小黏膜隆起,称舌下阜,是下颌下腺与舌下腺大管的开口处。舌下阜的后外方延续为舌下襞,其深面埋舌下腺。
","articleBody": "口腔其前壁为上、下唇,侧壁为颊,上壁为腭,下壁为口底。向前经口唇围成的口裂通向外界,向后经咽峡与咽相通。口腔可分为口腔前庭和固有口腔。前者是位于上、下唇和颊与上、下牙弓和牙龈之间的间隙,后者位于上、下牙弓和牙龈所围成的空间,其顶为腭,底部(口底)由黏膜、肌肉和皮肤组成。


1、口唇:构成口腔的前壁,分为上、下唇。两唇之间的裂隙称口裂,其两侧结合处称口角。上唇的外面正中线上有一纵行的浅沟称为人中,是人类特有的结构,昏迷病人急救时常在此处进行针刺或指压刺激,促使病人苏醒。
2、颊:构成口腔的两侧壁,与上唇之间的浅沟为鼻唇沟。
3、腭:构成固有口腔的顶。其前2/3为硬腭,主要由骨腭为基础,覆盖黏膜而成。软腭后部斜向后下,称腭帆。腭帆后缘游离,中央有向下的突起称腭垂。腭垂的两侧有两对黏膜皱襞分别连于舌根和咽的侧壁,前方的一对称腭舌弓,后方的一对称腭咽弓。两弓间的窝称扁桃体窝,内容纳腭扁桃体。腭垂、两侧的腭舌弓与舌根共同围成咽峡,是口腔与咽的分界线。
4、舌:位于口腔底,是一肌性器官,具有感受味觉、协助咀嚼和吞咽食物以及辅助发音等功能。舌的形态舌分为上、下两面。上面称舌背,其后部以呈“八”形的界沟分为前2/3的舌体和后1/3的舌根,舌体的前端称舌尖。舌的下面正中线上有一连于口腔底的黏膜皱襞,称舌系带,其根部的两侧各有一小黏膜隆起,称舌下阜,是下颌下腺与舌下腺大管的开口处。舌下阜的后外方延续为舌下襞,其深面埋舌下腺。
","scanCount": 5428}}} {"@context": "https://ziyuan.baidu.com/contexts/cambrian.jsonld","appid": "1650708455561748","icon": "https://www.med-credit.org.cn/style/images/ttlogo.png","content_tag": ["atlas"],"is_mcn": {"thumb_id": "ay28xrnt0"},"accid": "4886d626a2804dee5f11168793ce361672f39c25","@id": "https://www.med-credit.org.cn/mobile/jingxuan/2/1cdc737ad7718a0e32eb8505fe4ecdaf.html","bagWordId": "951a472975ff5d83","title": "牙齿结构图解剖图","pubDate": "2023-03-16T16:40:46","upDate": "2023-03-16T16:40:46","lrDate": "2023-03-16T16:40:46","description": "牙齿是由牙质、牙釉质、牙骨质和牙髓组成。牙齿是人体具有坚硬性质的器官,其解剖位置位于上下颌骨的牙槽内。","data": {"WebPage": {"headline": "牙齿结构图解剖图","pcUrl": "https://www.med-credit.org.cn/jingxuan/2/1cdc737ad7718a0e32eb8505fe4ecdaf.html","wapUrl": "https://www.med-credit.org.cn/jingxuan/2/1cdc737ad7718a0e32eb8505fe4ecdaf.html","mipUrl": "https://www.med-credit.org.cn/mobile/jingxuan/2/1cdc737ad7718a0e32eb8505fe4ecdaf.html","fromSrc": "欢乐橙","datePublished": "2023-03-16T16:40:46","domain": "医疗","category": ["医疗权威文章合作"],"description": "牙齿是由牙质、牙釉质、牙骨质和牙髓组成。牙齿是人体具有坚硬性质的器官,其解剖位置位于上下颌骨的牙槽内。
","extra_headline": [""]},"Author": {"name": "李斯文","wapUrl": "https://www.med-credit.org.cn/doctor/546","pcUrl": "https://www.med-credit.org.cn/doctor/546","jobTitle": "主治医师","headPortrait": "https://www.med-credit.org.cn/uploadfile/member/546/180x180.jpeg","id": "546","description": "李斯文,中国医科大学附属口腔医院口腔科主治医师","memberOf": {"legalName": "中国医科大学附属口腔医院","department": "口腔科","organizationLevel": "三级甲等"}},"Article": {"summaryContent": "牙齿是由牙质、牙釉质、牙骨质和牙髓组成。牙齿是人体具有坚硬性质的器官,其解剖位置位于上下颌骨的牙槽内。
当其结构发生病变时,会引起一系列临床症状,日常生活中应注意口腔卫生,避免发生病变。

1、牙质:是牙齿的主体部分,其颜色多呈淡黄色,硬度仅次于牙釉质,大于牙骨质。
2、牙釉质:是附着于牙质外的组织,其硬度为人体最硬组织。正常的牙釉质呈淡黄色,可透过牙釉质见牙齿光泽,以判断是否具有牙组织的病理变化。
3、牙骨质:位于牙根及牙颈之间牙质的外围,其组织与骨组织类似,是牙钙化组织中硬度最小的1种。
4、牙髓:位于牙腔组织深层,由结缔组织、神经和血管组成。同时由于牙髓内含有感觉神经末梢,在牙髓发炎时,可伴有剧烈疼痛症状。
临床上当牙齿发生病变时,患者可出现牙齿对冷热变化敏感、疼痛、牙齿变色、牙齿松动、牙龈红肿、出血等症状。当牙齿出现不适症状时,需要及时就医治疗。同时在日常生活中需要养成刷牙习惯,保持口腔卫生,以预防口腔疾病。
","articleBody": "牙齿是由牙质、牙釉质、牙骨质和牙髓组成。牙齿是人体具有坚硬性质的器官,其解剖位置位于上下颌骨的牙槽内。
当其结构发生病变时,会引起一系列临床症状,日常生活中应注意口腔卫生,避免发生病变。

1、牙质:是牙齿的主体部分,其颜色多呈淡黄色,硬度仅次于牙釉质,大于牙骨质。
2、牙釉质:是附着于牙质外的组织,其硬度为人体最硬组织。正常的牙釉质呈淡黄色,可透过牙釉质见牙齿光泽,以判断是否具有牙组织的病理变化。
3、牙骨质:位于牙根及牙颈之间牙质的外围,其组织与骨组织类似,是牙钙化组织中硬度最小的1种。
4、牙髓:位于牙腔组织深层,由结缔组织、神经和血管组成。同时由于牙髓内含有感觉神经末梢,在牙髓发炎时,可伴有剧烈疼痛症状。
临床上当牙齿发生病变时,患者可出现牙齿对冷热变化敏感、疼痛、牙齿变色、牙齿松动、牙龈红肿、出血等症状。当牙齿出现不适症状时,需要及时就医治疗。同时在日常生活中需要养成刷牙习惯,保持口腔卫生,以预防口腔疾病。
","scanCount": 32526}}} {"@context": "https://ziyuan.baidu.com/contexts/cambrian.jsonld","appid": "1650708455561748","icon": "https://www.med-credit.org.cn/style/images/ttlogo.png","content_tag": ["atlas"],"is_mcn": {"thumb_id": "ay28xrnt0"},"accid": "4886d626a2804dee5f11168793ce361672f39c25","@id": "https://www.med-credit.org.cn/mobile/jingxuan/2/ec8ab42c401d35ed4eba95005ea71e4a.html","bagWordId": "2facdc93b86af48a","title": "牙菌斑长什么样子图片","pubDate": "2023-03-16T16:40:46","upDate": "2023-03-16T16:40:46","lrDate": "2023-03-16T16:40:46","description": "牙菌斑是粘附在牙齿表面的一层淡黄色的黏性生物膜,实质由多种细菌及各种食物残渣混合形成,也就是牙垢。","data": {"WebPage": {"headline": "牙菌斑长什么样子图片","pcUrl": "https://www.med-credit.org.cn/jingxuan/2/ec8ab42c401d35ed4eba95005ea71e4a.html","wapUrl": "https://www.med-credit.org.cn/jingxuan/2/ec8ab42c401d35ed4eba95005ea71e4a.html","mipUrl": "https://www.med-credit.org.cn/mobile/jingxuan/2/ec8ab42c401d35ed4eba95005ea71e4a.html","fromSrc": "欢乐橙","datePublished": "2023-03-16T16:40:46","domain": "医疗","category": ["医疗权威文章合作"],"description": "牙菌斑是粘附在牙齿表面的一层淡黄色的黏性生物膜,实质由多种细菌及各种食物残渣混合形成,也就是牙垢。
","extra_headline": [""]},"Author": {"name": "李斯文","wapUrl": "https://www.med-credit.org.cn/doctor/546","pcUrl": "https://www.med-credit.org.cn/doctor/546","jobTitle": "主治医师","headPortrait": "https://www.med-credit.org.cn/uploadfile/member/546/180x180.jpeg","id": "546","description": "李斯文,中国医科大学附属口腔医院口腔科主治医师","memberOf": {"legalName": "中国医科大学附属口腔医院","department": "口腔科","organizationLevel": "三级甲等"}},"Article": {"summaryContent": "牙菌斑是粘附在牙齿表面的一层淡黄色的黏性生物膜,实质由多种细菌及各种食物残渣混合形成,也就是牙垢。
日常生活中需要注意牙齿卫生以及饮食习惯,预防牙菌斑的形成。

牙菌斑附着在牙齿上,是一种致密、复杂的非矿化团块,通常由凝胶样基质包裹菌群形成,其中的细菌以牙齿上的糖质作为食物,不断繁殖,继而形成牙结石。牙菌斑中有特定的微生物,容易引起牙龈炎、牙周炎及龋齿等问题。
如不进行刷牙、漱口、牙线清理等牙齿清洁方式,牙菌斑可在24小时内累积形成。菌斑细菌,尤其是产酸、耐酸的变异链球菌,可利用蔗糖产生葡聚糖,构成生物膜,使该细菌牢固地黏附在牙齿表面,进一步腐蚀牙体。
预防牙菌斑形成的主要方式是养成良好的口腔习惯,对牙齿进行机械清洁,日常正确有效的刷牙、使用牙线,定期进行口腔护理(洗牙、洁牙等)能有效防止牙菌斑形成。采用控糖饮食法,减糖能抑制牙菌斑生长,从而减少牙结石生成。
","articleBody": "牙菌斑是粘附在牙齿表面的一层淡黄色的黏性生物膜,实质由多种细菌及各种食物残渣混合形成,也就是牙垢。
日常生活中需要注意牙齿卫生以及饮食习惯,预防牙菌斑的形成。

牙菌斑附着在牙齿上,是一种致密、复杂的非矿化团块,通常由凝胶样基质包裹菌群形成,其中的细菌以牙齿上的糖质作为食物,不断繁殖,继而形成牙结石。牙菌斑中有特定的微生物,容易引起牙龈炎、牙周炎及龋齿等问题。
如不进行刷牙、漱口、牙线清理等牙齿清洁方式,牙菌斑可在24小时内累积形成。菌斑细菌,尤其是产酸、耐酸的变异链球菌,可利用蔗糖产生葡聚糖,构成生物膜,使该细菌牢固地黏附在牙齿表面,进一步腐蚀牙体。
预防牙菌斑形成的主要方式是养成良好的口腔习惯,对牙齿进行机械清洁,日常正确有效的刷牙、使用牙线,定期进行口腔护理(洗牙、洁牙等)能有效防止牙菌斑形成。采用控糖饮食法,减糖能抑制牙菌斑生长,从而减少牙结石生成。
","scanCount": 32524}}} {"@context": "https://ziyuan.baidu.com/contexts/cambrian.jsonld","appid": "1650708455561748","icon": "https://www.med-credit.org.cn/style/images/ttlogo.png","content_tag": ["atlas"],"is_mcn": {"thumb_id": "ay28xrnt0"},"accid": "4886d626a2804dee5f11168793ce361672f39c25","@id": "https://www.med-credit.org.cn/mobile/jingxuan/2/0a9c57318cf649dba220f915d64a5194.html","bagWordId": "f1f446e37c8ed60d","title": "婴儿鹅口疮高清图片","pubDate": "2023-03-16T16:40:46","upDate": "2023-03-16T16:40:46","lrDate": "2023-03-16T16:40:46","description": "婴儿鹅口疮的特征表现是颊黏膜、腭、舌或口咽表面覆有白色斑块,用棉签拭擦难以擦去。","data": {"WebPage": {"headline": "婴儿鹅口疮高清图片","pcUrl": "https://www.med-credit.org.cn/jingxuan/2/0a9c57318cf649dba220f915d64a5194.html","wapUrl": "https://www.med-credit.org.cn/jingxuan/2/0a9c57318cf649dba220f915d64a5194.html","mipUrl": "https://www.med-credit.org.cn/mobile/jingxuan/2/0a9c57318cf649dba220f915d64a5194.html","fromSrc": "欢乐橙","datePublished": "2023-03-16T16:40:46","domain": "医疗","category": ["医疗权威文章合作"],"description": "婴儿鹅口疮的特征表现是颊黏膜、腭、舌或口咽表面覆有白色斑块,用棉签拭擦难以擦去。
","extra_headline": [""]},"Author": {"name": "李斯文","wapUrl": "https://www.med-credit.org.cn/doctor/546","pcUrl": "https://www.med-credit.org.cn/doctor/546","jobTitle": "主治医师","headPortrait": "https://www.med-credit.org.cn/uploadfile/member/546/180x180.jpeg","id": "546","description": "李斯文,中国医科大学附属口腔医院口腔科主治医师","memberOf": {"legalName": "中国医科大学附属口腔医院","department": "口腔科","organizationLevel": "三级甲等"}},"Article": {"summaryContent": "婴儿鹅口疮的特征表现是颊黏膜、腭、舌或口咽表面覆有白色斑块,用棉签拭擦难以擦去。
可给予患婴抗真菌治疗,注意婴儿日常用品的消毒,以及药物需要在医生的指导下使用。

婴儿鹅口疮是假丝酵母菌感染引起的口腔黏膜病变。假丝酵母菌是人类胃肠道和泌尿生殖道的正常菌群,菌群失衡时就会侵袭机体引发疾病。
鹅口疮的诱发因素还包括不合理使用抗生素、长期吸入糖皮质激素。顽固性、复发性或广泛性的鹅口疮,需要评估婴儿是否存在细胞免疫缺陷。
婴儿鹅口疮的治疗包括抗真菌治疗和预防再次感染。抗真菌一般遵医嘱采用制霉菌素混悬液,涂抹于口腔内。如用药后仍无改善时,需要进行真菌培养和药敏试验。预防再次感染主要是清洁、消毒婴儿放入口中的物品和身体部位(如手、脚),用过的奶瓶和安抚奶嘴应在每次用过后煮沸消毒。
","articleBody": "婴儿鹅口疮的特征表现是颊黏膜、腭、舌或口咽表面覆有白色斑块,用棉签拭擦难以擦去。
可给予患婴抗真菌治疗,注意婴儿日常用品的消毒,以及药物需要在医生的指导下使用。

婴儿鹅口疮是假丝酵母菌感染引起的口腔黏膜病变。假丝酵母菌是人类胃肠道和泌尿生殖道的正常菌群,菌群失衡时就会侵袭机体引发疾病。
鹅口疮的诱发因素还包括不合理使用抗生素、长期吸入糖皮质激素。顽固性、复发性或广泛性的鹅口疮,需要评估婴儿是否存在细胞免疫缺陷。
婴儿鹅口疮的治疗包括抗真菌治疗和预防再次感染。抗真菌一般遵医嘱采用制霉菌素混悬液,涂抹于口腔内。如用药后仍无改善时,需要进行真菌培养和药敏试验。预防再次感染主要是清洁、消毒婴儿放入口中的物品和身体部位(如手、脚),用过的奶瓶和安抚奶嘴应在每次用过后煮沸消毒。
","scanCount": 32522}}} {"@context": "https://ziyuan.baidu.com/contexts/cambrian.jsonld","appid": "1650708455561748","icon": "https://www.med-credit.org.cn/style/images/ttlogo.png","content_tag": ["atlas"],"is_mcn": {"thumb_id": "e4oal99d"},"accid": "4886d626a2804dee5f11168793ce361672f39c25","@id": "https://www.med-credit.org.cn/mobile/jingxuan/2/6dbfb6539ad54fdcbed7ea20181197bb.html","bagWordId": "a3ac6560560c7634","title": "正常咽炎咳出血图片","pubDate": "2023-03-16T16:40:46","upDate": "2023-03-16T16:40:46","lrDate": "2023-03-16T16:40:46","description": "正常咽炎咳出血有可能是因为病毒感染、细菌感染、环境因素等引起。","data": {"WebPage": {"headline": "正常咽炎咳出血图片","pcUrl": "https://www.med-credit.org.cn/jingxuan/2/6dbfb6539ad54fdcbed7ea20181197bb.html","wapUrl": "https://www.med-credit.org.cn/jingxuan/2/6dbfb6539ad54fdcbed7ea20181197bb.html","mipUrl": "https://www.med-credit.org.cn/mobile/jingxuan/2/6dbfb6539ad54fdcbed7ea20181197bb.html","fromSrc": "欢乐橙","datePublished": "2023-03-16T16:40:46","domain": "医疗","category": ["医疗权威文章合作"],"description": "正常咽炎咳出血有可能是因为病毒感染、细菌感染、环境因素等引起。
","extra_headline": ["正常咽炎咳出血"]},"Author": {"name": "谢洪","wapUrl": "https://www.med-credit.org.cn/doctor/538","pcUrl": "https://www.med-credit.org.cn/doctor/538","jobTitle": "副主任医师","headPortrait": "https://www.med-credit.org.cn/uploadfile/member/538/180x180.jpeg","id": "538","description": "谢洪,首都医科大学附属北京世纪坛医院耳鼻喉头颈外科副主任医师","memberOf": {"legalName": "首都医科大学附属北京世纪坛医院","department": "耳鼻喉头颈外科","organizationLevel": "三级甲等"}},"Article": {"summaryContent": "正常咽炎咳出血有可能是因为病毒感染、细菌感染、环境因素等引起。
一般是由于咳嗽导致充血性黏膜破裂和出血,出血量通常不会很大。

1、病毒感染:是最常见病因,常见致病病毒为科萨奇病毒、腺病毒、副流感病毒,其次是流感病毒和鼻病毒,通过飞沫和人体密切接触在人群中传播。
2、细菌感染:常见致病细菌为链球菌、葡萄球菌和肺炎链球菌。其中感染A组乙型链球菌较为严重,可导致咽部组织的化脓性病变。
3、环境因素:粉尘、刺激性气体、干燥、烟雾等不良环境可引发咽炎。
除了上述相对常见的原因外,还有其他的病因,比如职业因素引起。
咳嗽出血一般不是主要症状,患者常表现为咽部干燥、发痒、咽痛、吞咽困难等咽部不适症状,伴或不伴有发热、头痛等全身症状。
主要采用局部治疗的方式,如药物含漱、激光;对于全身症状明显或明确病因的患者,在一般对症治疗和局部治疗的基础上,使用抗生素、抗病毒药来对抗病原,减少并发症发生。另外,患者还需要改善个人生活环境和习惯,去除病因,增强抵抗力。
","articleBody": "正常咽炎咳出血有可能是因为病毒感染、细菌感染、环境因素等引起。
一般是由于咳嗽导致充血性黏膜破裂和出血,出血量通常不会很大。

1、病毒感染:是最常见病因,常见致病病毒为科萨奇病毒、腺病毒、副流感病毒,其次是流感病毒和鼻病毒,通过飞沫和人体密切接触在人群中传播。
2、细菌感染:常见致病细菌为链球菌、葡萄球菌和肺炎链球菌。其中感染A组乙型链球菌较为严重,可导致咽部组织的化脓性病变。
3、环境因素:粉尘、刺激性气体、干燥、烟雾等不良环境可引发咽炎。
除了上述相对常见的原因外,还有其他的病因,比如职业因素引起。
咳嗽出血一般不是主要症状,患者常表现为咽部干燥、发痒、咽痛、吞咽困难等咽部不适症状,伴或不伴有发热、头痛等全身症状。
主要采用局部治疗的方式,如药物含漱、激光;对于全身症状明显或明确病因的患者,在一般对症治疗和局部治疗的基础上,使用抗生素、抗病毒药来对抗病原,减少并发症发生。另外,患者还需要改善个人生活环境和习惯,去除病因,增强抵抗力。
","scanCount": 5487}}} {"@context": "https://ziyuan.baidu.com/contexts/cambrian.jsonld","appid": "1650708455561748","icon": "https://www.med-credit.org.cn/style/images/ttlogo.png","content_tag": ["atlas"],"is_mcn": {"thumb_id": "6s1phww1w"},"accid": "4886d626a2804dee5f11168793ce361672f39c25","@id": "https://www.med-credit.org.cn/mobile/jingxuan/2/ce2542ad72ce3c611717f6f6a1054ac4.html","bagWordId": "51455b69dd91fc3d","title": "颈椎构造高清图解","pubDate": "2023-03-16T16:40:46","upDate": "2023-03-16T16:40:46","lrDate": "2023-03-16T16:40:46","description": "颈椎一共有七个。自上而下分别是寰椎,枢椎,第三颈椎,第四颈椎,第五颈椎,第六颈椎,第七颈椎。","data": {"WebPage": {"headline": "颈椎构造高清图解","pcUrl": "https://www.med-credit.org.cn/jingxuan/2/ce2542ad72ce3c611717f6f6a1054ac4.html","wapUrl": "https://www.med-credit.org.cn/jingxuan/2/ce2542ad72ce3c611717f6f6a1054ac4.html","mipUrl": "https://www.med-credit.org.cn/mobile/jingxuan/2/ce2542ad72ce3c611717f6f6a1054ac4.html","fromSrc": "欢乐橙","datePublished": "2023-03-16T16:40:46","domain": "医疗","category": ["医疗权威文章合作"],"description": "颈椎一共有七个。自上而下分别是寰椎,枢椎,第三颈椎,第四颈椎,第五颈椎,第六颈椎,第七颈椎。
","extra_headline": [""]},"Author": {"name": "王维","wapUrl": "https://www.med-credit.org.cn/doctor/513","pcUrl": "https://www.med-credit.org.cn/doctor/513","jobTitle": "主治医师","headPortrait": "https://www.med-credit.org.cn/uploadfile/member/513/180x180.jpeg","id": "513","description": "王维,中国医科大学附属盛京医院骨科主治医师","memberOf": {"legalName": "中国医科大学附属盛京医院","department": "骨科","organizationLevel": "三级甲等"}},"Article": {"summaryContent": "颈椎一共有七个。自上而下分别是寰椎,枢椎,第三颈椎,第四颈椎,第五颈椎,第六颈椎,第七颈椎。
各颈椎发生病变时,会出现相关异常症状,不适症状未及时缓解时,患者需要及时前往医院就诊。

1、第一颈椎:又叫寰椎,它没有椎体和棘突,由前后弓和侧块组成。
2、第二颈椎:又叫枢椎,它的椎板较厚,它的棘突比第三颈椎大。脊柱的横突是小的:方向是向下的,只有一个明显的后结节。
3、第三颈椎:支撑头部,协助脑部供血作用。
4、第四颈椎、第五颈椎和第六颈椎:这三节颈椎都属于下颈椎,比较容易发病,以五、六最为常见。
5、第七颈椎:又叫隆椎,它的棘突很长,末端不是分叉的,它与颈部旋转有密切连接。
在第三颈椎出现问题时候,人常会感觉到眩晕、头昏沉,同时也会出现偏头痛、颈肩综合征、神经痛、粉刺、痘疹、湿疹、牙痛、张口不能等各种症状。第四颈椎出现问题时候,人体会出现头昏、恶心、双手麻木、肩周炎、落枕、鼻塞、牙痛等症状。因此在平时生活中需多注意保护颈椎,同时注意避免颈部受寒。
","articleBody": "颈椎一共有七个。自上而下分别是寰椎,枢椎,第三颈椎,第四颈椎,第五颈椎,第六颈椎,第七颈椎。
各颈椎发生病变时,会出现相关异常症状,不适症状未及时缓解时,患者需要及时前往医院就诊。

1、第一颈椎:又叫寰椎,它没有椎体和棘突,由前后弓和侧块组成。
2、第二颈椎:又叫枢椎,它的椎板较厚,它的棘突比第三颈椎大。脊柱的横突是小的:方向是向下的,只有一个明显的后结节。
3、第三颈椎:支撑头部,协助脑部供血作用。
4、第四颈椎、第五颈椎和第六颈椎:这三节颈椎都属于下颈椎,比较容易发病,以五、六最为常见。
5、第七颈椎:又叫隆椎,它的棘突很长,末端不是分叉的,它与颈部旋转有密切连接。
在第三颈椎出现问题时候,人常会感觉到眩晕、头昏沉,同时也会出现偏头痛、颈肩综合征、神经痛、粉刺、痘疹、湿疹、牙痛、张口不能等各种症状。第四颈椎出现问题时候,人体会出现头昏、恶心、双手麻木、肩周炎、落枕、鼻塞、牙痛等症状。因此在平时生活中需多注意保护颈椎,同时注意避免颈部受寒。
","scanCount": 32519}}} {"@context": "https://ziyuan.baidu.com/contexts/cambrian.jsonld","appid": "1650708455561748","icon": "https://www.med-credit.org.cn/style/images/ttlogo.png","content_tag": ["atlas"],"is_mcn": {"thumb_id": "6s1phww1w"},"accid": "4886d626a2804dee5f11168793ce361672f39c25","@id": "https://www.med-credit.org.cn/mobile/jingxuan/2/9a6d66a4d6f84d701cb64b7e33ed4180.html","bagWordId": "979200bf21b8eb3a","title": "足弓是哪个位置","pubDate": "2023-03-16T16:40:46","upDate": "2023-03-16T16:40:46","lrDate": "2023-03-16T16:40:46","description": "足弓是位于人体足底部的一个正常生理结构,由足部多块骨骼及韧带肌肉共同构成的弓形支撑架构。","data": {"WebPage": {"headline": "足弓是哪个位置","pcUrl": "https://www.med-credit.org.cn/jingxuan/2/9a6d66a4d6f84d701cb64b7e33ed4180.html","wapUrl": "https://www.med-credit.org.cn/jingxuan/2/9a6d66a4d6f84d701cb64b7e33ed4180.html","mipUrl": "https://www.med-credit.org.cn/mobile/jingxuan/2/9a6d66a4d6f84d701cb64b7e33ed4180.html","fromSrc": "欢乐橙","datePublished": "2023-03-16T16:40:46","domain": "医疗","category": ["医疗权威文章合作"],"description": "足弓是位于人体足底部的一个正常生理结构,由足部多块骨骼及韧带肌肉共同构成的弓形支撑架构。
","extra_headline": [""]},"Author": {"name": "王维","wapUrl": "https://www.med-credit.org.cn/doctor/513","pcUrl": "https://www.med-credit.org.cn/doctor/513","jobTitle": "主治医师","headPortrait": "https://www.med-credit.org.cn/uploadfile/member/513/180x180.jpeg","id": "513","description": "王维,中国医科大学附属盛京医院骨科主治医师","memberOf": {"legalName": "中国医科大学附属盛京医院","department": "骨科","organizationLevel": "三级甲等"}},"Article": {"summaryContent": "足弓是位于人体足底部的一个正常生理结构,由足部多块骨骼及韧带肌肉共同构成的弓形支撑架构。
扁平足(低足弓)和高足弓都属于病理状态。日常生活中需注意足部保健,预防异常足弓表现出现。

参与足弓构成的骨骼包括跟骨、距骨、足舟骨、楔骨及跖骨。第1、5跖骨头及跟骨后结节为足底的三个受力点,三角支架之间的骨骼和韧带肌肉组织形成一拱顶形板装结构。其柔韧性好,具有减压减震的作用,可以根据地面调整形态。
1、扁平足:扁平足主要表现为足弓降低或消失,足部骨骼失去正常排列,伴随前足外展,后足外翻。这种情况会导致患者负重能力差,影响行走。
2、高足弓:高足弓会引起足底筋膜炎,在运动时由于足底跖筋膜受到的牵拉力较大而容易造成慢性撕裂。
预防足弓异常需要注意足部保健,运动时要穿着底部柔软度合适的运动鞋。女性应避免长时间穿着高跟鞋,调整不正确的站姿及行走姿势,以免影响足部受力。
","articleBody": "足弓是位于人体足底部的一个正常生理结构,由足部多块骨骼及韧带肌肉共同构成的弓形支撑架构。
扁平足(低足弓)和高足弓都属于病理状态。日常生活中需注意足部保健,预防异常足弓表现出现。

参与足弓构成的骨骼包括跟骨、距骨、足舟骨、楔骨及跖骨。第1、5跖骨头及跟骨后结节为足底的三个受力点,三角支架之间的骨骼和韧带肌肉组织形成一拱顶形板装结构。其柔韧性好,具有减压减震的作用,可以根据地面调整形态。
1、扁平足:扁平足主要表现为足弓降低或消失,足部骨骼失去正常排列,伴随前足外展,后足外翻。这种情况会导致患者负重能力差,影响行走。
2、高足弓:高足弓会引起足底筋膜炎,在运动时由于足底跖筋膜受到的牵拉力较大而容易造成慢性撕裂。
预防足弓异常需要注意足部保健,运动时要穿着底部柔软度合适的运动鞋。女性应避免长时间穿着高跟鞋,调整不正确的站姿及行走姿势,以免影响足部受力。
","scanCount": 32511}}} {"@context": "https://ziyuan.baidu.com/contexts/cambrian.jsonld","appid": "1650708455561748","icon": "https://www.med-credit.org.cn/style/images/ttlogo.png","content_tag": ["atlas"],"is_mcn": {"thumb_id": "6s1phww1w"},"accid": "4886d626a2804dee5f11168793ce361672f39c25","@id": "https://www.med-credit.org.cn/mobile/jingxuan/2/d5552a1dece763b040ed590131d34c79.html","bagWordId": "80909980c8d16746","title": "手受伤的照片","pubDate": "2023-03-16T16:40:46","upDate": "2023-03-16T16:40:46","lrDate": "2023-03-16T16:40:46","description": "手受伤可能会出现流血、皮肤破裂、手部功能障碍等表现。症状严重者需及时前往医院就诊治疗。","data": {"WebPage": {"headline": "手受伤的照片","pcUrl": "https://www.med-credit.org.cn/jingxuan/2/d5552a1dece763b040ed590131d34c79.html","wapUrl": "https://www.med-credit.org.cn/jingxuan/2/d5552a1dece763b040ed590131d34c79.html","mipUrl": "https://www.med-credit.org.cn/mobile/jingxuan/2/d5552a1dece763b040ed590131d34c79.html","fromSrc": "欢乐橙","datePublished": "2023-03-16T16:40:46","domain": "医疗","category": ["医疗权威文章合作"],"description": "手受伤可能会出现流血、皮肤破裂、手部功能障碍等表现。症状严重者需及时前往医院就诊治疗。
","extra_headline": ["手受伤的照片"]},"Author": {"name": "王维","wapUrl": "https://www.med-credit.org.cn/doctor/513","pcUrl": "https://www.med-credit.org.cn/doctor/513","jobTitle": "主治医师","headPortrait": "https://www.med-credit.org.cn/uploadfile/member/513/180x180.jpeg","id": "513","description": "王维,中国医科大学附属盛京医院骨科主治医师","memberOf": {"legalName": "中国医科大学附属盛京医院","department": "骨科","organizationLevel": "三级甲等"}},"Article": {"summaryContent": "手受伤可能会出现流血、皮肤破裂、手部功能障碍等表现。症状严重者需及时前往医院就诊治疗。

手部损伤时,如果是切割导致可出现切口边缘出血,但血供充足,愈合快;如果是碾压伤,皮肤会撕裂甚至撕脱。血运严重破坏,恢复受到影响。如果周围出现苍白、青紫或者冰凉,提示皮肤的活力不良。
手部损伤会出现运动的异常,表现为功能位的手姿势异常。如果损伤到屈肌肌腱,手指的伸直角度会加大,如果损伤伸指肌腱,受伤手指会加大屈曲角度。在掌指关节部位的屈指深浅肌腱断裂,会出现手指伸直。
如果手部损伤累积到神经的损伤,如正中神经、尺神经以及桡神经,会出现相对应的表现。正中神经损伤会造成手指不能捏起物体,对掌功能消失。同时可以有手掌桡侧半、拇指、示指以及中指、环指桡侧半的感觉障碍。桡神经损伤会出现典型的垂腕的表现。
","articleBody": "手受伤可能会出现流血、皮肤破裂、手部功能障碍等表现。症状严重者需及时前往医院就诊治疗。

手部损伤时,如果是切割导致可出现切口边缘出血,但血供充足,愈合快;如果是碾压伤,皮肤会撕裂甚至撕脱。血运严重破坏,恢复受到影响。如果周围出现苍白、青紫或者冰凉,提示皮肤的活力不良。
手部损伤会出现运动的异常,表现为功能位的手姿势异常。如果损伤到屈肌肌腱,手指的伸直角度会加大,如果损伤伸指肌腱,受伤手指会加大屈曲角度。在掌指关节部位的屈指深浅肌腱断裂,会出现手指伸直。
如果手部损伤累积到神经的损伤,如正中神经、尺神经以及桡神经,会出现相对应的表现。正中神经损伤会造成手指不能捏起物体,对掌功能消失。同时可以有手掌桡侧半、拇指、示指以及中指、环指桡侧半的感觉障碍。桡神经损伤会出现典型的垂腕的表现。
","scanCount": 6679}}} {"@context": "https://ziyuan.baidu.com/contexts/cambrian.jsonld","appid": "1650708455561748","icon": "https://www.med-credit.org.cn/style/images/ttlogo.png","content_tag": ["atlas"],"is_mcn": {"thumb_id": "6s1phww1w"},"accid": "4886d626a2804dee5f11168793ce361672f39c25","@id": "https://www.med-credit.org.cn/mobile/jingxuan/2/4e37c8f3d27729992a48f1fec743f189.html","bagWordId": "07427af7f091f689","title": "驼背图片","pubDate": "2023-03-16T16:40:46","upDate": "2023-03-16T16:40:46","lrDate": "2023-03-16T16:40:46","description": "驼背的表现是胸背向后隆起畸形,主要是由于胸椎过度后凸,正常腰椎前凸消失。引起驼背的常见疾病包括佝偻病、老年人骨质疏松症、强直性脊柱炎等。","data": {"WebPage": {"headline": "驼背图片","pcUrl": "https://www.med-credit.org.cn/jingxuan/2/4e37c8f3d27729992a48f1fec743f189.html","wapUrl": "https://www.med-credit.org.cn/jingxuan/2/4e37c8f3d27729992a48f1fec743f189.html","mipUrl": "https://www.med-credit.org.cn/mobile/jingxuan/2/4e37c8f3d27729992a48f1fec743f189.html","fromSrc": "欢乐橙","datePublished": "2023-03-16T16:40:46","domain": "医疗","category": ["医疗权威文章合作"],"description": "驼背的表现是胸背向后隆起畸形,主要是由于胸椎过度后凸,正常腰椎前凸消失。引起驼背的常见疾病包括佝偻病、老年人骨质疏松症、强直性脊柱炎等。
","extra_headline": [""]},"Author": {"name": "王维","wapUrl": "https://www.med-credit.org.cn/doctor/513","pcUrl": "https://www.med-credit.org.cn/doctor/513","jobTitle": "主治医师","headPortrait": "https://www.med-credit.org.cn/uploadfile/member/513/180x180.jpeg","id": "513","description": "王维,中国医科大学附属盛京医院骨科主治医师","memberOf": {"legalName": "中国医科大学附属盛京医院","department": "骨科","organizationLevel": "三级甲等"}},"Article": {"summaryContent": "驼背的表现是胸背向后隆起畸形,主要是由于胸椎过度后凸,正常腰椎前凸消失。引起驼背的常见疾病包括佝偻病、老年人骨质疏松症、强直性脊柱炎等。

1、佝偻病:好发于小儿的骨软化症,由于软骨钙化,脊柱椎体发育障碍,形成后凸畸形。
2、老年人骨质疏松症:老年人由于骨质疏松导致椎体高度丢失,多节段椎体楔形变,最终表现为胸腰部后凸畸形,临床症状可有腰背痛进行性加重,活动受限,有驼背、身高缩短等畸形特征。
3、强直性脊柱炎:表现为脊柱韧带附着处发生骨化,最终导致脊椎的僵硬、强直和畸形,出现强直性驼背。
除了上述相对常见的原因外,还有其他的可能性疾病,比如脊柱结核。建议患者出现这种症状后,及时去医院就诊,查明病因后,予以针对性治疗。
","articleBody": "驼背的表现是胸背向后隆起畸形,主要是由于胸椎过度后凸,正常腰椎前凸消失。引起驼背的常见疾病包括佝偻病、老年人骨质疏松症、强直性脊柱炎等。

1、佝偻病:好发于小儿的骨软化症,由于软骨钙化,脊柱椎体发育障碍,形成后凸畸形。
2、老年人骨质疏松症:老年人由于骨质疏松导致椎体高度丢失,多节段椎体楔形变,最终表现为胸腰部后凸畸形,临床症状可有腰背痛进行性加重,活动受限,有驼背、身高缩短等畸形特征。
3、强直性脊柱炎:表现为脊柱韧带附着处发生骨化,最终导致脊椎的僵硬、强直和畸形,出现强直性驼背。
除了上述相对常见的原因外,还有其他的可能性疾病,比如脊柱结核。建议患者出现这种症状后,及时去医院就诊,查明病因后,予以针对性治疗。
","scanCount": 32510}}} {"@context": "https://ziyuan.baidu.com/contexts/cambrian.jsonld","appid": "1650708455561748","icon": "https://www.med-credit.org.cn/style/images/ttlogo.png","content_tag": ["atlas"],"is_mcn": {"thumb_id": "g76756sx"},"accid": "4886d626a2804dee5f11168793ce361672f39c25","@id": "https://www.med-credit.org.cn/mobile/jingxuan/2/b22f3d8e62d32b20b9d460df47291fb8.html","bagWordId": "0f1b25b0ca04e7b9","title": "杠板归图片","pubDate": "2023-03-16T16:40:46","upDate": "2023-03-16T16:40:46","lrDate": "2023-03-16T16:40:46","description": "杠板归是一种蓼科的蔓生草本植物,在夏季开花时采割地上部分,晒干可作为中药材。","data": {"WebPage": {"headline": "杠板归图片","pcUrl": "https://www.med-credit.org.cn/jingxuan/2/b22f3d8e62d32b20b9d460df47291fb8.html","wapUrl": "https://www.med-credit.org.cn/jingxuan/2/b22f3d8e62d32b20b9d460df47291fb8.html","mipUrl": "https://www.med-credit.org.cn/mobile/jingxuan/2/b22f3d8e62d32b20b9d460df47291fb8.html","fromSrc": "欢乐橙","datePublished": "2023-03-16T16:40:46","domain": "医疗","category": ["医疗权威文章合作"],"description": "杠板归是一种蓼科的蔓生草本植物,在夏季开花时采割地上部分,晒干可作为中药材。
","extra_headline": ["杠板归"]},"Author": {"name": "张婷","wapUrl": "https://www.med-credit.org.cn/doctor/555","pcUrl": "https://www.med-credit.org.cn/doctor/555","jobTitle": "副主任医师","headPortrait": "https://www.med-credit.org.cn/uploadfile/member/555/180x180.jpeg","id": "555","description": "张婷,中南大学湘雅三医院中西医结合科副主任医师","memberOf": {"legalName": "中南大学湘雅三医院","department": "中西医结合科","organizationLevel": "三级甲等"}},"Article": {"summaryContent": "杠板归是一种蓼科的蔓生草本植物,在夏季开花时采割地上部分,晒干可作为中药材。
杠板归具有清热解毒、利水消肿、止咳的功效。注意需要在医师的指导下食用。


1、外形:杠板归一般生长在山谷、灌木丛或水沟旁。植株长约1~2m,全株无毛;茎有棱,棱上有倒钩刺。叶互生,叶柄盾状,叶片近三角形,下面叶脉疏有钩刺。花序顶生或生于上部叶腋,呈短穗状,花比较小但数量多,花被为白色或淡红色,裂片卵形。果实球形,暗褐色,有光泽。
2、功效:此药材具有清热解毒、利水消肿、止咳的功效。可以治疗咽喉肿痛、肺热咳嗽,水肿尿少,湿疹等。配伍霍香对于脾胃损伤导致的腹泻、湿热泻痢也有一定疗效。本品也有活血化瘀的作用,与乳香同用,可治疗跌打损伤。
杠板归可以煎煮内服,或者取适量煎汤熏洗外用。鲜品也可以作为日常食用,春季采摘嫩叶,用沸水焯熟后,再用清水浸洗,可凉拌、炒食。由于存在一定的药性,因此不能长期大量食用。
","articleBody": "杠板归是一种蓼科的蔓生草本植物,在夏季开花时采割地上部分,晒干可作为中药材。
杠板归具有清热解毒、利水消肿、止咳的功效。注意需要在医师的指导下食用。


1、外形:杠板归一般生长在山谷、灌木丛或水沟旁。植株长约1~2m,全株无毛;茎有棱,棱上有倒钩刺。叶互生,叶柄盾状,叶片近三角形,下面叶脉疏有钩刺。花序顶生或生于上部叶腋,呈短穗状,花比较小但数量多,花被为白色或淡红色,裂片卵形。果实球形,暗褐色,有光泽。
2、功效:此药材具有清热解毒、利水消肿、止咳的功效。可以治疗咽喉肿痛、肺热咳嗽,水肿尿少,湿疹等。配伍霍香对于脾胃损伤导致的腹泻、湿热泻痢也有一定疗效。本品也有活血化瘀的作用,与乳香同用,可治疗跌打损伤。
杠板归可以煎煮内服,或者取适量煎汤熏洗外用。鲜品也可以作为日常食用,春季采摘嫩叶,用沸水焯熟后,再用清水浸洗,可凉拌、炒食。由于存在一定的药性,因此不能长期大量食用。
","scanCount": 6415}}} {"@context": "https://ziyuan.baidu.com/contexts/cambrian.jsonld","appid": "1650708455561748","icon": "https://www.med-credit.org.cn/style/images/ttlogo.png","content_tag": ["atlas"],"is_mcn": {"thumb_id": "6s1phww1w"},"accid": "4886d626a2804dee5f11168793ce361672f39c25","@id": "https://www.med-credit.org.cn/mobile/jingxuan/2/1bdbb499041e60bc56ec7cae80902d46.html","bagWordId": "1fc8c32f4c550e27","title": "腰椎最怕三种睡姿图片","pubDate": "2023-03-16T16:40:46","upDate": "2023-03-16T16:40:46","lrDate": "2023-03-16T16:40:46","description": "腰椎最怕三种睡姿是不正确的侧身式睡姿、蜷缩式睡姿和趴卧式睡姿。","data": {"WebPage": {"headline": "腰椎最怕三种睡姿图片","pcUrl": "https://www.med-credit.org.cn/jingxuan/2/1bdbb499041e60bc56ec7cae80902d46.html","wapUrl": "https://www.med-credit.org.cn/jingxuan/2/1bdbb499041e60bc56ec7cae80902d46.html","mipUrl": "https://www.med-credit.org.cn/mobile/jingxuan/2/1bdbb499041e60bc56ec7cae80902d46.html","fromSrc": "欢乐橙","datePublished": "2023-03-16T16:40:46","domain": "医疗","category": ["医疗权威文章合作"],"description": "腰椎最怕三种睡姿是不正确的侧身式睡姿、蜷缩式睡姿和趴卧式睡姿。
","extra_headline": ["腰椎最怕三种睡姿"]},"Author": {"name": "王维","wapUrl": "https://www.med-credit.org.cn/doctor/513","pcUrl": "https://www.med-credit.org.cn/doctor/513","jobTitle": "主治医师","headPortrait": "https://www.med-credit.org.cn/uploadfile/member/513/180x180.jpeg","id": "513","description": "王维,中国医科大学附属盛京医院骨科主治医师","memberOf": {"legalName": "中国医科大学附属盛京医院","department": "骨科","organizationLevel": "三级甲等"}},"Article": {"summaryContent": "腰椎最怕三种睡姿是不正确的侧身式睡姿、蜷缩式睡姿和趴卧式睡姿。

1.不正确的侧身式睡姿:一般来说,侧睡是对腰椎有保护作用的睡姿,但如果是不正确的侧身式睡姿则会对腰椎产生损害。正常的侧着睡是一条腿轻放在另一条腿上使两条腿叠放在一起,这可以让腰椎承受的压力最小。而不正确的侧身式睡姿就是腰部稍微往前倾,把一条腿放在另一条腿的前方的床上,让两条腿不叠放在一起。这种姿势会导致腰部脊柱向前倾,使腰部出现过多的拉力从而导致腰椎的损伤。可以在两腿之间放一个小枕头或枕垫来减轻腰椎和腰肌的压力。
2.蜷缩式睡姿:蜷缩式睡姿会让脊柱保持一个长时间的弯曲状态,从而导致过度拉伸了腰部和背部的肌肉,也会使头颈部受压。如果保持长时间的蜷缩式睡姿,容易感到腰酸背痛和造成习惯性驼背。
3.趴卧式睡姿:趴卧式睡姿会使脊柱长时间处于一种紧绷的状态而无法放松,且影响腰部和背部的血液流动,从而导致相应的肌肉变得酸痛。
","articleBody": "腰椎最怕三种睡姿是不正确的侧身式睡姿、蜷缩式睡姿和趴卧式睡姿。

1.不正确的侧身式睡姿:一般来说,侧睡是对腰椎有保护作用的睡姿,但如果是不正确的侧身式睡姿则会对腰椎产生损害。正常的侧着睡是一条腿轻放在另一条腿上使两条腿叠放在一起,这可以让腰椎承受的压力最小。而不正确的侧身式睡姿就是腰部稍微往前倾,把一条腿放在另一条腿的前方的床上,让两条腿不叠放在一起。这种姿势会导致腰部脊柱向前倾,使腰部出现过多的拉力从而导致腰椎的损伤。可以在两腿之间放一个小枕头或枕垫来减轻腰椎和腰肌的压力。
2.蜷缩式睡姿:蜷缩式睡姿会让脊柱保持一个长时间的弯曲状态,从而导致过度拉伸了腰部和背部的肌肉,也会使头颈部受压。如果保持长时间的蜷缩式睡姿,容易感到腰酸背痛和造成习惯性驼背。
3.趴卧式睡姿:趴卧式睡姿会使脊柱长时间处于一种紧绷的状态而无法放松,且影响腰部和背部的血液流动,从而导致相应的肌肉变得酸痛。
","scanCount": 7235}}} {"@context": "https://ziyuan.baidu.com/contexts/cambrian.jsonld","appid": "1650708455561748","icon": "https://www.med-credit.org.cn/style/images/ttlogo.png","content_tag": ["atlas"],"is_mcn": {"thumb_id": "6s1phww1w"},"accid": "4886d626a2804dee5f11168793ce361672f39c25","@id": "https://www.med-credit.org.cn/mobile/jingxuan/2/7398a97a72380c65412f0b144d1d81a5.html","bagWordId": "31b51b10a5484664","title": "正常人站直的腿型图片","pubDate": "2023-03-16T16:40:46","upDate": "2023-03-16T16:40:46","lrDate": "2023-03-16T16:40:46","description": "正常人站直的腿型应是人体膝关节能够并拢,并且在膝关节并拢的同时,人体踝关节也能并拢,表现为双腿笔直,且无弯曲现象。","data": {"WebPage": {"headline": "正常人站直的腿型图片","pcUrl": "https://www.med-credit.org.cn/jingxuan/2/7398a97a72380c65412f0b144d1d81a5.html","wapUrl": "https://www.med-credit.org.cn/jingxuan/2/7398a97a72380c65412f0b144d1d81a5.html","mipUrl": "https://www.med-credit.org.cn/mobile/jingxuan/2/7398a97a72380c65412f0b144d1d81a5.html","fromSrc": "欢乐橙","datePublished": "2023-03-16T16:40:46","domain": "医疗","category": ["医疗权威文章合作"],"description": "正常人站直的腿型应是人体膝关节能够并拢,并且在膝关节并拢的同时,人体踝关节也能并拢,表现为双腿笔直,且无弯曲现象。
","extra_headline": [""]},"Author": {"name": "王维","wapUrl": "https://www.med-credit.org.cn/doctor/513","pcUrl": "https://www.med-credit.org.cn/doctor/513","jobTitle": "主治医师","headPortrait": "https://www.med-credit.org.cn/uploadfile/member/513/180x180.jpeg","id": "513","description": "王维,中国医科大学附属盛京医院骨科主治医师","memberOf": {"legalName": "中国医科大学附属盛京医院","department": "骨科","organizationLevel": "三级甲等"}},"Article": {"summaryContent": "正常人站直的腿型应是人体膝关节能够并拢,并且在膝关节并拢的同时,人体踝关节也能并拢,表现为双腿笔直,且无弯曲现象。
异常腿型有膝内翻、膝外翻等,在日常生活中应注意走路姿势,预防出现异常腿型。
1、正常腿型:正常人站直时可形成4个窗口,分别是大腿以下到膝盖以上、膝盖以下到小腿、小腿到踝关节以上及踝关节到脚。

2、异常腿型:先天因素、营养缺乏、外伤骨折、某些疾病、走路姿势不正确等都会导致异常腿型。若直立时,膝盖内侧面可接触而脚踝分开,表现为膝关节内翻,那么腿型会类似于英文字母X,称为X腿型,即膝内翻。若膝盖内侧面不能接触而脚踝可并拢,表现为膝关节外翻,腿型则会类似于英文字母O,称为O型腿,即膝外翻。

在日常生活中,要养成正确的走路姿势:身体直立,双眼目视前方,手臂放松垂于身体两侧随走路自然摆动,脚尖朝前,不要朝内或朝外。
","articleBody": "正常人站直的腿型应是人体膝关节能够并拢,并且在膝关节并拢的同时,人体踝关节也能并拢,表现为双腿笔直,且无弯曲现象。
异常腿型有膝内翻、膝外翻等,在日常生活中应注意走路姿势,预防出现异常腿型。
1、正常腿型:正常人站直时可形成4个窗口,分别是大腿以下到膝盖以上、膝盖以下到小腿、小腿到踝关节以上及踝关节到脚。

2、异常腿型:先天因素、营养缺乏、外伤骨折、某些疾病、走路姿势不正确等都会导致异常腿型。若直立时,膝盖内侧面可接触而脚踝分开,表现为膝关节内翻,那么腿型会类似于英文字母X,称为X腿型,即膝内翻。若膝盖内侧面不能接触而脚踝可并拢,表现为膝关节外翻,腿型则会类似于英文字母O,称为O型腿,即膝外翻。

在日常生活中,要养成正确的走路姿势:身体直立,双眼目视前方,手臂放松垂于身体两侧随走路自然摆动,脚尖朝前,不要朝内或朝外。
","scanCount": 32504}}} {"@context": "https://ziyuan.baidu.com/contexts/cambrian.jsonld","appid": "1650708455561748","icon": "https://www.med-credit.org.cn/style/images/ttlogo.png","content_tag": ["atlas"],"is_mcn": {"thumb_id": "g76756sx"},"accid": "4886d626a2804dee5f11168793ce361672f39c25","@id": "https://www.med-credit.org.cn/mobile/jingxuan/2/94e464c460fba3a3cfd44447a8cf94f1.html","bagWordId": "7c4c220d6ac174b1","title": "王不留行图片","pubDate": "2023-03-16T16:40:46","upDate": "2023-03-16T16:40:46","lrDate": "2023-03-16T16:40:46","description": "王不留行是一种石竹科植物麦蓝菜的干燥成熟种子,具有活血通经、下乳消肿、利尿通淋的作用。","data": {"WebPage": {"headline": "王不留行图片","pcUrl": "https://www.med-credit.org.cn/jingxuan/2/94e464c460fba3a3cfd44447a8cf94f1.html","wapUrl": "https://www.med-credit.org.cn/jingxuan/2/94e464c460fba3a3cfd44447a8cf94f1.html","mipUrl": "https://www.med-credit.org.cn/mobile/jingxuan/2/94e464c460fba3a3cfd44447a8cf94f1.html","fromSrc": "欢乐橙","datePublished": "2023-03-16T16:40:46","domain": "医疗","category": ["医疗权威文章合作"],"description": "王不留行是一种石竹科植物麦蓝菜的干燥成熟种子,具有活血通经、下乳消肿、利尿通淋的作用。
","extra_headline": ["王不留行"]},"Author": {"name": "张婷","wapUrl": "https://www.med-credit.org.cn/doctor/555","pcUrl": "https://www.med-credit.org.cn/doctor/555","jobTitle": "副主任医师","headPortrait": "https://www.med-credit.org.cn/uploadfile/member/555/180x180.jpeg","id": "555","description": "张婷,中南大学湘雅三医院中西医结合科副主任医师","memberOf": {"legalName": "中南大学湘雅三医院","department": "中西医结合科","organizationLevel": "三级甲等"}},"Article": {"summaryContent": "王不留行是一种石竹科植物麦蓝菜的干燥成熟种子,具有活血通经、下乳消肿、利尿通淋的作用。

1、活血通经:本品苦泄性平,善于通利血脉,活血通经,走而不守,可用于瘀滞经产病症。适用于妇女淤血经闭、痛经等情况。常配合当归、川芎、香附使用。
2、下乳消肿:本品归属肝经、胃经,擅长宣通血脉。适用于孕妇产后乳汁不下,乳房胀痛,有明显的调畅气血作用;治产后气血亏虚,乳汁稀少,常配伍黄芪、当归。
3、利尿通淋:本品性善下行,善活血利尿通淋。治多种淋证,常配伍石韦、瞿麦、冬葵子等。
1、使用注意:孕妇慎用。
2、药物成分:主要含三萜包苷,黄酮苷,环肽,类脂和脂肪酸,单糖。
3.其他作用:王不留行水煎剂还具有收缩血管平滑肌,抗早孕、兴奋子宫、抗肿瘤的作用。
","articleBody": "王不留行是一种石竹科植物麦蓝菜的干燥成熟种子,具有活血通经、下乳消肿、利尿通淋的作用。

1、活血通经:本品苦泄性平,善于通利血脉,活血通经,走而不守,可用于瘀滞经产病症。适用于妇女淤血经闭、痛经等情况。常配合当归、川芎、香附使用。
2、下乳消肿:本品归属肝经、胃经,擅长宣通血脉。适用于孕妇产后乳汁不下,乳房胀痛,有明显的调畅气血作用;治产后气血亏虚,乳汁稀少,常配伍黄芪、当归。
3、利尿通淋:本品性善下行,善活血利尿通淋。治多种淋证,常配伍石韦、瞿麦、冬葵子等。
1、使用注意:孕妇慎用。
2、药物成分:主要含三萜包苷,黄酮苷,环肽,类脂和脂肪酸,单糖。
3.其他作用:王不留行水煎剂还具有收缩血管平滑肌,抗早孕、兴奋子宫、抗肿瘤的作用。
","scanCount": 6611}}} {"@context": "https://ziyuan.baidu.com/contexts/cambrian.jsonld","appid": "1650708455561748","icon": "https://www.med-credit.org.cn/style/images/ttlogo.png","content_tag": ["atlas"],"is_mcn": {"thumb_id": "g76756sx"},"accid": "4886d626a2804dee5f11168793ce361672f39c25","@id": "https://www.med-credit.org.cn/mobile/jingxuan/2/503b7ab5037b06b6d077d8d71418ab5f.html","bagWordId": "995bf87e5fe48551","title": "黄连图片","pubDate": "2023-03-16T16:40:46","upDate": "2023-03-16T16:40:46","lrDate": "2023-03-16T16:40:46","description": "黄连为毛莫科植物黄连的干燥根茎,具有清热燥湿,泻火解毒的功效。","data": {"WebPage": {"headline": "黄连图片","pcUrl": "https://www.med-credit.org.cn/jingxuan/2/503b7ab5037b06b6d077d8d71418ab5f.html","wapUrl": "https://www.med-credit.org.cn/jingxuan/2/503b7ab5037b06b6d077d8d71418ab5f.html","mipUrl": "https://www.med-credit.org.cn/mobile/jingxuan/2/503b7ab5037b06b6d077d8d71418ab5f.html","fromSrc": "欢乐橙","datePublished": "2023-03-16T16:40:46","domain": "医疗","category": ["医疗权威文章合作"],"description": "黄连为毛莫科植物黄连的干燥根茎,具有清热燥湿,泻火解毒的功效。
","extra_headline": [""]},"Author": {"name": "张婷","wapUrl": "https://www.med-credit.org.cn/doctor/555","pcUrl": "https://www.med-credit.org.cn/doctor/555","jobTitle": "副主任医师","headPortrait": "https://www.med-credit.org.cn/uploadfile/member/555/180x180.jpeg","id": "555","description": "张婷,中南大学湘雅三医院中西医结合科副主任医师","memberOf": {"legalName": "中南大学湘雅三医院","department": "中西医结合科","organizationLevel": "三级甲等"}},"Article": {"summaryContent": "黄连为毛莫科植物黄连的干燥根茎,具有清热燥湿,泻火解毒的功效。

1.外形:黄连多集聚成簇,常弯曲,形如鸡爪,单枝根茎长3~6cm,直径0.3~0.8cm。表面灰黄色或黄褐色,粗糙,有不规则结节状隆起、须根及须根残基,有的节间表面平滑如茎秆,习称“过桥”。
2.功效:黄连为苦寒药物,味苦能燥湿、药物性质偏寒。因此黄连能够燥湿清热,尤以清心、胃二经之火见长。临床上,黄连多用于治疗湿热之症,用于肠胃湿热所导致的肠炎腹泻、细菌性痢疾。还可以应用于湿热痞满、呕吐吞酸、泻痢、黄疸、消渴、痈肿疔疮。外治可治疗湿疹、湿疮、耳道流脓。
3.成分:黄连主要活性成分是以小檗碱为主的小檗碱类生物碱,黄连及小檗碱在治疗糖尿病、血脂异常等代谢疾病以及抗氧化方面表现突出。同时药理学研究发现黄连还具有一定的抗菌、抗炎、保护胃粘膜等作用。
","articleBody": "黄连为毛莫科植物黄连的干燥根茎,具有清热燥湿,泻火解毒的功效。

1.外形:黄连多集聚成簇,常弯曲,形如鸡爪,单枝根茎长3~6cm,直径0.3~0.8cm。表面灰黄色或黄褐色,粗糙,有不规则结节状隆起、须根及须根残基,有的节间表面平滑如茎秆,习称“过桥”。
2.功效:黄连为苦寒药物,味苦能燥湿、药物性质偏寒。因此黄连能够燥湿清热,尤以清心、胃二经之火见长。临床上,黄连多用于治疗湿热之症,用于肠胃湿热所导致的肠炎腹泻、细菌性痢疾。还可以应用于湿热痞满、呕吐吞酸、泻痢、黄疸、消渴、痈肿疔疮。外治可治疗湿疹、湿疮、耳道流脓。
3.成分:黄连主要活性成分是以小檗碱为主的小檗碱类生物碱,黄连及小檗碱在治疗糖尿病、血脂异常等代谢疾病以及抗氧化方面表现突出。同时药理学研究发现黄连还具有一定的抗菌、抗炎、保护胃粘膜等作用。
","scanCount": 32496}}} {"@context": "https://ziyuan.baidu.com/contexts/cambrian.jsonld","appid": "1650708455561748","icon": "https://www.med-credit.org.cn/style/images/ttlogo.png","content_tag": ["atlas"],"is_mcn": {"thumb_id": "g76756sx"},"accid": "4886d626a2804dee5f11168793ce361672f39c25","@id": "https://www.med-credit.org.cn/mobile/jingxuan/2/5f293087df82806732c09f0894a41db4.html","bagWordId": "9acf77ae249b593e","title": "胖大海图片","pubDate": "2023-03-16T16:40:46","upDate": "2023-03-16T16:40:46","lrDate": "2023-03-16T16:40:46","description": "胖大海是一味能用于清热解毒、清肺、利咽、润肠通便的中药。","data": {"WebPage": {"headline": "胖大海图片","pcUrl": "https://www.med-credit.org.cn/jingxuan/2/5f293087df82806732c09f0894a41db4.html","wapUrl": "https://www.med-credit.org.cn/jingxuan/2/5f293087df82806732c09f0894a41db4.html","mipUrl": "https://www.med-credit.org.cn/mobile/jingxuan/2/5f293087df82806732c09f0894a41db4.html","fromSrc": "欢乐橙","datePublished": "2023-03-16T16:40:46","domain": "医疗","category": ["医疗权威文章合作"],"description": "胖大海是一味能用于清热解毒、清肺、利咽、润肠通便的中药。
","extra_headline": ["胖大海"]},"Author": {"name": "张婷","wapUrl": "https://www.med-credit.org.cn/doctor/555","pcUrl": "https://www.med-credit.org.cn/doctor/555","jobTitle": "副主任医师","headPortrait": "https://www.med-credit.org.cn/uploadfile/member/555/180x180.jpeg","id": "555","description": "张婷,中南大学湘雅三医院中西医结合科副主任医师","memberOf": {"legalName": "中南大学湘雅三医院","department": "中西医结合科","organizationLevel": "三级甲等"}},"Article": {"summaryContent": "胖大海是一味能用于清热解毒、清肺、利咽、润肠通便的中药。
可以通过一定的方法鉴别胖大海的真伪,注意需要在药师或医师的指导下使用。

1.外形:胖大海外形呈椭圆形或纺锤形,棕色或暗棕色,其表面有不规则的细密干皱沟纹,浸泡在水中会膨胀成为海绵絮状物。
2.辨别方法:目前市面上有用圆粒苹婆的成熟种子假冒胖大海来售卖,鉴别方法可以采用“一摇二看三试”,即用手摇晃胖大海,内部没有声响便是正品;观察其外型呈椭圆形且两端尖似橄榄便是正品;取一粒泡入水杯,能快速膨胀,并充满整杯的为正品。
3.功效:胖大海性纯阴,能治六经之火,具有清热解毒、清肺、利咽、润肠通便的功效,一般适用于急慢性咽炎、咽痛、便秘或尿道结石,也能帮助教师或歌唱家舒缓喉咙不舒服;胖大海不可长期服用,过量服用可能会引起咽部干涩而呼吸困难,由于其性寒也会引起胃痛。
适量服用胖大海泡水有益身体,结合一些药物如甘草、橄榄、枸杞效果更佳,在初次服用时最好询问药师或医生,少量服用无不适后再继续,如有不适应及时就医诊治。
","articleBody": "胖大海是一味能用于清热解毒、清肺、利咽、润肠通便的中药。
可以通过一定的方法鉴别胖大海的真伪,注意需要在药师或医师的指导下使用。

1.外形:胖大海外形呈椭圆形或纺锤形,棕色或暗棕色,其表面有不规则的细密干皱沟纹,浸泡在水中会膨胀成为海绵絮状物。
2.辨别方法:目前市面上有用圆粒苹婆的成熟种子假冒胖大海来售卖,鉴别方法可以采用“一摇二看三试”,即用手摇晃胖大海,内部没有声响便是正品;观察其外型呈椭圆形且两端尖似橄榄便是正品;取一粒泡入水杯,能快速膨胀,并充满整杯的为正品。
3.功效:胖大海性纯阴,能治六经之火,具有清热解毒、清肺、利咽、润肠通便的功效,一般适用于急慢性咽炎、咽痛、便秘或尿道结石,也能帮助教师或歌唱家舒缓喉咙不舒服;胖大海不可长期服用,过量服用可能会引起咽部干涩而呼吸困难,由于其性寒也会引起胃痛。
适量服用胖大海泡水有益身体,结合一些药物如甘草、橄榄、枸杞效果更佳,在初次服用时最好询问药师或医生,少量服用无不适后再继续,如有不适应及时就医诊治。
","scanCount": 6801}}} {"@context": "https://ziyuan.baidu.com/contexts/cambrian.jsonld","appid": "1650708455561748","icon": "https://www.med-credit.org.cn/style/images/ttlogo.png","content_tag": ["atlas"],"is_mcn": {"thumb_id": "g76756sx"},"accid": "4886d626a2804dee5f11168793ce361672f39c25","@id": "https://www.med-credit.org.cn/mobile/jingxuan/2/0f5270092f82e8b0a384de34bdf663f2.html","bagWordId": "73849ba41cd573fe","title": "地黄的图片","pubDate": "2023-03-16T16:40:46","upDate": "2023-03-16T16:40:46","lrDate": "2023-03-16T16:40:46","description": "地黄有根、茎、叶片等,具有独特的外形特点,地黄可被制成中药使用,其具有清热凉血、养阴生津功效。注意药物需要在医生的指导下使用。","data": {"WebPage": {"headline": "地黄的图片","pcUrl": "https://www.med-credit.org.cn/jingxuan/2/0f5270092f82e8b0a384de34bdf663f2.html","wapUrl": "https://www.med-credit.org.cn/jingxuan/2/0f5270092f82e8b0a384de34bdf663f2.html","mipUrl": "https://www.med-credit.org.cn/mobile/jingxuan/2/0f5270092f82e8b0a384de34bdf663f2.html","fromSrc": "欢乐橙","datePublished": "2023-03-16T16:40:46","domain": "医疗","category": ["医疗权威文章合作"],"description": "地黄有根、茎、叶片等,具有独特的外形特点,地黄可被制成中药使用,其具有清热凉血、养阴生津功效。注意药物需要在医生的指导下使用。
","extra_headline": [""]},"Author": {"name": "张婷","wapUrl": "https://www.med-credit.org.cn/doctor/555","pcUrl": "https://www.med-credit.org.cn/doctor/555","jobTitle": "副主任医师","headPortrait": "https://www.med-credit.org.cn/uploadfile/member/555/180x180.jpeg","id": "555","description": "张婷,中南大学湘雅三医院中西医结合科副主任医师","memberOf": {"legalName": "中南大学湘雅三医院","department": "中西医结合科","organizationLevel": "三级甲等"}},"Article": {"summaryContent": "地黄有根、茎、叶片等,具有独特的外形特点,地黄可被制成中药使用,其具有清热凉血、养阴生津功效。注意药物需要在医生的指导下使用。


1、外形特点:地黄是属多年生草本植物,根茎肉质,鲜时黄色;茎紫红色,叶片卵形至长椭圆形,上面绿色,下面略带紫色或呈紫红色,边缘具不规则圆齿或钝锯齿。花序上升或弯曲,在茎顶部略排成总状花序,或全部单生叶腋,花期4-7月;蒴果卵形至长卵形,果期4-7月。
2、功效作用:地黄可因其清热凉血的功效用于温热病热入营血证,可与其他不同药材同用制清营汤、清热地黄汤、青蒿鳖甲汤;因其养阴生津的功效与麦冬等配伍用于热病伤津、烦渴多饮;也可用于血热出血症,治血热、呕血、衄血,常与鲜荷叶、生侧柏叶合用制药丸。
","articleBody": "地黄有根、茎、叶片等,具有独特的外形特点,地黄可被制成中药使用,其具有清热凉血、养阴生津功效。注意药物需要在医生的指导下使用。


1、外形特点:地黄是属多年生草本植物,根茎肉质,鲜时黄色;茎紫红色,叶片卵形至长椭圆形,上面绿色,下面略带紫色或呈紫红色,边缘具不规则圆齿或钝锯齿。花序上升或弯曲,在茎顶部略排成总状花序,或全部单生叶腋,花期4-7月;蒴果卵形至长卵形,果期4-7月。
2、功效作用:地黄可因其清热凉血的功效用于温热病热入营血证,可与其他不同药材同用制清营汤、清热地黄汤、青蒿鳖甲汤;因其养阴生津的功效与麦冬等配伍用于热病伤津、烦渴多饮;也可用于血热出血症,治血热、呕血、衄血,常与鲜荷叶、生侧柏叶合用制药丸。
","scanCount": 32491}}} {"@context": "https://ziyuan.baidu.com/contexts/cambrian.jsonld","appid": "1650708455561748","icon": "https://www.med-credit.org.cn/style/images/ttlogo.png","content_tag": ["atlas"],"is_mcn": {"thumb_id": "g76756sx"},"accid": "4886d626a2804dee5f11168793ce361672f39c25","@id": "https://www.med-credit.org.cn/mobile/jingxuan/2/9e88cdddadd7816d3d271f82e78d7df1.html","bagWordId": "d13e6b1b8fd92fd5","title": "龙胆草图片","pubDate": "2023-03-16T16:40:46","upDate": "2023-03-16T16:40:46","lrDate": "2023-03-16T16:40:46","description": "龙胆草是一种中药名,入药部位是高山龙胆科植物龙胆的干燥根及根茎。","data": {"WebPage": {"headline": "龙胆草图片","pcUrl": "https://www.med-credit.org.cn/jingxuan/2/9e88cdddadd7816d3d271f82e78d7df1.html","wapUrl": "https://www.med-credit.org.cn/jingxuan/2/9e88cdddadd7816d3d271f82e78d7df1.html","mipUrl": "https://www.med-credit.org.cn/mobile/jingxuan/2/9e88cdddadd7816d3d271f82e78d7df1.html","fromSrc": "欢乐橙","datePublished": "2023-03-16T16:40:46","domain": "医疗","category": ["医疗权威文章合作"],"description": "龙胆草是一种中药名,入药部位是高山龙胆科植物龙胆的干燥根及根茎。
","extra_headline": ["龙胆草"]},"Author": {"name": "张婷","wapUrl": "https://www.med-credit.org.cn/doctor/555","pcUrl": "https://www.med-credit.org.cn/doctor/555","jobTitle": "副主任医师","headPortrait": "https://www.med-credit.org.cn/uploadfile/member/555/180x180.jpeg","id": "555","description": "张婷,中南大学湘雅三医院中西医结合科副主任医师","memberOf": {"legalName": "中南大学湘雅三医院","department": "中西医结合科","organizationLevel": "三级甲等"}},"Article": {"summaryContent": "龙胆草是一种中药名,入药部位是高山龙胆科植物龙胆的干燥根及根茎。
龙胆草具有清热燥湿,泻肝胆火的功效,在临床上可以治疗一系列疾病,但注意需要在医生的指导下使用。


1、生长环境:龙胆草耐寒,喜欢生长在潮湿凉爽的气候环境中,肥沃、排水好的沙质土壤。野生的常见于山区、坡地及灌木丛。地势高、干燥,阳光直射强烈,土壤贫瘠、粘度大的地区难以栽培。
2、功效:龙胆草入药一般称为龙胆,性寒,味苦。主要药用功效是清热燥湿,泻肝胆火。主治寒邪、热邪入侵引起的骨骼、关节疼痛。也可用于治疗肝火旺盛、黄疸目赤等症。对于缓解湿疹瘙痒,耳鸣耳聋,口苦胸胁痛,部分妇科疾患如外阴肿痒、白带多等也有一定作用。能驱除外邪之气的侵入,缓解由惊恐而引起的抽搐发作或癫痫。
使用龙胆草时需要注意,剂量一定要严格控制,应按中医师处方剂量使用,不能擅自增加。服用过量会引起恶心呕吐、不思饮食等表现。本品药性大苦大寒,过量服用会损伤胃中气,脾胃两虚的人忌服,不宜在空腹时服用,否则易因泄力太大而导致尿量增加。
","articleBody": "龙胆草是一种中药名,入药部位是高山龙胆科植物龙胆的干燥根及根茎。
龙胆草具有清热燥湿,泻肝胆火的功效,在临床上可以治疗一系列疾病,但注意需要在医生的指导下使用。


1、生长环境:龙胆草耐寒,喜欢生长在潮湿凉爽的气候环境中,肥沃、排水好的沙质土壤。野生的常见于山区、坡地及灌木丛。地势高、干燥,阳光直射强烈,土壤贫瘠、粘度大的地区难以栽培。
2、功效:龙胆草入药一般称为龙胆,性寒,味苦。主要药用功效是清热燥湿,泻肝胆火。主治寒邪、热邪入侵引起的骨骼、关节疼痛。也可用于治疗肝火旺盛、黄疸目赤等症。对于缓解湿疹瘙痒,耳鸣耳聋,口苦胸胁痛,部分妇科疾患如外阴肿痒、白带多等也有一定作用。能驱除外邪之气的侵入,缓解由惊恐而引起的抽搐发作或癫痫。
使用龙胆草时需要注意,剂量一定要严格控制,应按中医师处方剂量使用,不能擅自增加。服用过量会引起恶心呕吐、不思饮食等表现。本品药性大苦大寒,过量服用会损伤胃中气,脾胃两虚的人忌服,不宜在空腹时服用,否则易因泄力太大而导致尿量增加。
","scanCount": 6293}}} {"@context": "https://ziyuan.baidu.com/contexts/cambrian.jsonld","appid": "1650708455561748","icon": "https://www.med-credit.org.cn/style/images/ttlogo.png","content_tag": ["atlas"],"is_mcn": {"thumb_id": "ay28xrnt0"},"accid": "4886d626a2804dee5f11168793ce361672f39c25","@id": "https://www.med-credit.org.cn/mobile/jingxuan/2/c40d1d309561c6b30b1d8bd008580b7b.html","bagWordId": "2b23a5b046b750b8","title": "口腔侧壁长黑色血泡图","pubDate": "2023-03-16T16:40:46","upDate": "2023-03-16T16:40:46","lrDate": "2023-03-16T16:40:46","description": "口腔侧壁长黑色血泡可能是不良饮食习惯、外伤、血管瘤等原因引起,建议先就诊查明原因后再规范治疗。","data": {"WebPage": {"headline": "口腔侧壁长黑色血泡图","pcUrl": "https://www.med-credit.org.cn/jingxuan/2/c40d1d309561c6b30b1d8bd008580b7b.html","wapUrl": "https://www.med-credit.org.cn/jingxuan/2/c40d1d309561c6b30b1d8bd008580b7b.html","mipUrl": "https://www.med-credit.org.cn/mobile/jingxuan/2/c40d1d309561c6b30b1d8bd008580b7b.html","fromSrc": "欢乐橙","datePublished": "2023-03-16T16:40:46","domain": "医疗","category": ["医疗权威文章合作"],"description": "口腔侧壁长黑色血泡可能是不良饮食习惯、外伤、血管瘤等原因引起,建议先就诊查明原因后再规范治疗。
","extra_headline": ["口腔侧壁长黑色血泡"]},"Author": {"name": "李斯文","wapUrl": "https://www.med-credit.org.cn/doctor/546","pcUrl": "https://www.med-credit.org.cn/doctor/546","jobTitle": "主治医师","headPortrait": "https://www.med-credit.org.cn/uploadfile/member/546/180x180.jpeg","id": "546","description": "李斯文,中国医科大学附属口腔医院口腔科主治医师","memberOf": {"legalName": "中国医科大学附属口腔医院","department": "口腔科","organizationLevel": "三级甲等"}},"Article": {"summaryContent": "口腔侧壁长黑色血泡可能是不良饮食习惯、外伤、血管瘤等原因引起,建议先就诊查明原因后再规范治疗。

1、不良饮食习惯:如果平时喜欢食用温度过高的食物,比如热粥、涮锅、煎炸食品等,或者喜欢咀嚼体积较大,且比较干硬的食物,饮食过程中吞咽食物的速度过快等,均容易导致口腔黏膜损伤,进而形成创伤性血泡,如果其中的血液、组织液等没有被吸收,长时间淤积,则可能表现为口腔内壁起黑血泡。
2、外伤:如果口腔内壁的黏膜受到外力撞击,或者被牙齿咬伤,亦可导致局部黏膜下出血,进而形成血泡,起初可呈鲜红色,经过一定时间之后,可逐渐变成紫黑色。由于血泡壁较薄,通常较容易破溃,可能继发感染形成糜烂或者溃疡。故需要保持口腔卫生,避免感染。
3、血管瘤:患者常把血管瘤误描述为血泡,血管瘤常见于老年人,出现在舌背部、下唇,与咬伤无关,按压时变小。如果出现活动性出血,患者应及时前往医院,通过外科手术切除。如从未出过血,单纯为一个血泡,患者年纪较大,此时可选择不治疗,平时注意别将其碰破,定期复查即可。
除了上述相对常见的原因外,还有其他的可能性疾病,比如血液病。建议患者出现这种症状后,及时去医院就诊,查明病因后,予以针对性治疗。
","articleBody": "口腔侧壁长黑色血泡可能是不良饮食习惯、外伤、血管瘤等原因引起,建议先就诊查明原因后再规范治疗。

1、不良饮食习惯:如果平时喜欢食用温度过高的食物,比如热粥、涮锅、煎炸食品等,或者喜欢咀嚼体积较大,且比较干硬的食物,饮食过程中吞咽食物的速度过快等,均容易导致口腔黏膜损伤,进而形成创伤性血泡,如果其中的血液、组织液等没有被吸收,长时间淤积,则可能表现为口腔内壁起黑血泡。
2、外伤:如果口腔内壁的黏膜受到外力撞击,或者被牙齿咬伤,亦可导致局部黏膜下出血,进而形成血泡,起初可呈鲜红色,经过一定时间之后,可逐渐变成紫黑色。由于血泡壁较薄,通常较容易破溃,可能继发感染形成糜烂或者溃疡。故需要保持口腔卫生,避免感染。
3、血管瘤:患者常把血管瘤误描述为血泡,血管瘤常见于老年人,出现在舌背部、下唇,与咬伤无关,按压时变小。如果出现活动性出血,患者应及时前往医院,通过外科手术切除。如从未出过血,单纯为一个血泡,患者年纪较大,此时可选择不治疗,平时注意别将其碰破,定期复查即可。
除了上述相对常见的原因外,还有其他的可能性疾病,比如血液病。建议患者出现这种症状后,及时去医院就诊,查明病因后,予以针对性治疗。
","scanCount": 9401}}} {"@context": "https://ziyuan.baidu.com/contexts/cambrian.jsonld","appid": "1650708455561748","icon": "https://www.med-credit.org.cn/style/images/ttlogo.png","content_tag": ["atlas"],"is_mcn": {"thumb_id": "g76756sx"},"accid": "4886d626a2804dee5f11168793ce361672f39c25","@id": "https://www.med-credit.org.cn/mobile/jingxuan/2/701a2ecbcbb61c0c91c982d1bf0f4776.html","bagWordId": "acedf5ef905b585a","title": "骨碎补图片","pubDate": "2023-03-16T16:40:46","upDate": "2023-03-16T16:40:46","lrDate": "2023-03-16T16:40:46","description": "骨碎补是一种水龙骨科植物槲蕨根茎、是一种活血疗伤中药材。","data": {"WebPage": {"headline": "骨碎补图片","pcUrl": "https://www.med-credit.org.cn/jingxuan/2/701a2ecbcbb61c0c91c982d1bf0f4776.html","wapUrl": "https://www.med-credit.org.cn/jingxuan/2/701a2ecbcbb61c0c91c982d1bf0f4776.html","mipUrl": "https://www.med-credit.org.cn/mobile/jingxuan/2/701a2ecbcbb61c0c91c982d1bf0f4776.html","fromSrc": "欢乐橙","datePublished": "2023-03-16T16:40:46","domain": "医疗","category": ["医疗权威文章合作"],"description": "骨碎补是一种水龙骨科植物槲蕨根茎、是一种活血疗伤中药材。
","extra_headline": [""]},"Author": {"name": "张婷","wapUrl": "https://www.med-credit.org.cn/doctor/555","pcUrl": "https://www.med-credit.org.cn/doctor/555","jobTitle": "副主任医师","headPortrait": "https://www.med-credit.org.cn/uploadfile/member/555/180x180.jpeg","id": "555","description": "张婷,中南大学湘雅三医院中西医结合科副主任医师","memberOf": {"legalName": "中南大学湘雅三医院","department": "中西医结合科","organizationLevel": "三级甲等"}},"Article": {"summaryContent": "骨碎补是一种水龙骨科植物槲蕨根茎、是一种活血疗伤中药材。
骨碎补在临床上可用于跌扑闪挫、筋骨折伤;治疗肾虛腰痛,筋骨痿软,耳鸣耳聋,牙齿松动,久泻;用于斑秃,白癜风患者。但注意药物需要在医师的指导下使用。

1、外形
(1)新鲜骨碎补:根状茎长而横走,鳞片阔披针形或披针形,叶远生,叶柄深禾秆色或带棕色,叶片五角形,四回羽裂;羽片对生或近对生,有短柄,斜展,裂片椭圆形,孢子囊群生于小脉顶端,囊群盖管状,先端截形,褐色,厚膜质。

(2)中药骨碎补:本品呈扁平长条状,多弯曲,有分枝,长5~15cm,宽1~1.5cm,厚0.2~0.5cm。表面密被深棕色至暗棕色的小鳞片,柔软如毛,经火燎者呈棕褐色或暗褐色,两侧及上表面均具凸起或凹下的圆形叶痕,少数有叶柄残基及须根残留。体轻,质脆,易折断,断面红棕色,椎管束呈黄色点状,排列成环。无臭,味淡,微涩。
2、药性:苦,温。归肝、肾经。
3、功效:活血疗伤止痛,补肾强骨;外用消风祛斑。
4、应用
(1)跌扑闪挫,筋骨折伤:本品苦温,入肝肾经,能活血通经,散瘀消肿,疗伤止痛,续筋接骨,以善补骨碎而得名,为伤科要药。治跌扑损伤,可单用本品浸酒服,并外敷,亦可水煎服;或配伍乳香、没药等。
(2)治疗肾虛腰痛,筋骨痿软,耳鸣耳聋,牙齿松动,久泻:本品苦温性燥,入肾经,能温补肾阳,强筋健骨,可治肾阳虛损之证。治肾虛腰痛脚弱,常配伍补骨脂、牛膝等。治肾虛耳鸣、耳聋、牙痛,常配伍熟地、山茱萸等。治肾虛久泻,既可单用,如《本草纲目》以本品研末,入猪肾中煨熟食之;亦可配补骨脂、益智仁。
(3)用于斑秃,白癜风患者:以加强温肾暖脾止泻之外用能消风祛斑,故可用于治疗斑秃、白癜风等。
","articleBody": "骨碎补是一种水龙骨科植物槲蕨根茎、是一种活血疗伤中药材。
骨碎补在临床上可用于跌扑闪挫、筋骨折伤;治疗肾虛腰痛,筋骨痿软,耳鸣耳聋,牙齿松动,久泻;用于斑秃,白癜风患者。但注意药物需要在医师的指导下使用。

1、外形
(1)新鲜骨碎补:根状茎长而横走,鳞片阔披针形或披针形,叶远生,叶柄深禾秆色或带棕色,叶片五角形,四回羽裂;羽片对生或近对生,有短柄,斜展,裂片椭圆形,孢子囊群生于小脉顶端,囊群盖管状,先端截形,褐色,厚膜质。

(2)中药骨碎补:本品呈扁平长条状,多弯曲,有分枝,长5~15cm,宽1~1.5cm,厚0.2~0.5cm。表面密被深棕色至暗棕色的小鳞片,柔软如毛,经火燎者呈棕褐色或暗褐色,两侧及上表面均具凸起或凹下的圆形叶痕,少数有叶柄残基及须根残留。体轻,质脆,易折断,断面红棕色,椎管束呈黄色点状,排列成环。无臭,味淡,微涩。
2、药性:苦,温。归肝、肾经。
3、功效:活血疗伤止痛,补肾强骨;外用消风祛斑。
4、应用
(1)跌扑闪挫,筋骨折伤:本品苦温,入肝肾经,能活血通经,散瘀消肿,疗伤止痛,续筋接骨,以善补骨碎而得名,为伤科要药。治跌扑损伤,可单用本品浸酒服,并外敷,亦可水煎服;或配伍乳香、没药等。
(2)治疗肾虛腰痛,筋骨痿软,耳鸣耳聋,牙齿松动,久泻:本品苦温性燥,入肾经,能温补肾阳,强筋健骨,可治肾阳虛损之证。治肾虛腰痛脚弱,常配伍补骨脂、牛膝等。治肾虛耳鸣、耳聋、牙痛,常配伍熟地、山茱萸等。治肾虛久泻,既可单用,如《本草纲目》以本品研末,入猪肾中煨熟食之;亦可配补骨脂、益智仁。
(3)用于斑秃,白癜风患者:以加强温肾暖脾止泻之外用能消风祛斑,故可用于治疗斑秃、白癜风等。
","scanCount": 32490}}} {"@context": "https://ziyuan.baidu.com/contexts/cambrian.jsonld","appid": "1650708455561748","icon": "https://www.med-credit.org.cn/style/images/ttlogo.png","content_tag": ["atlas"],"is_mcn": {"thumb_id": "g76756sx"},"accid": "4886d626a2804dee5f11168793ce361672f39c25","@id": "https://www.med-credit.org.cn/mobile/jingxuan/2/980039edb0d8e3800d5c2340af484226.html","bagWordId": "91cb19a47db5a7c2","title": "麦冬图片","pubDate": "2023-03-16T16:40:46","upDate": "2023-03-16T16:40:46","lrDate": "2023-03-16T16:40:46","description": "麦冬为百合科植物麦冬的干燥块根,为临床上常用的滋阴中药。","data": {"WebPage": {"headline": "麦冬图片","pcUrl": "https://www.med-credit.org.cn/jingxuan/2/980039edb0d8e3800d5c2340af484226.html","wapUrl": "https://www.med-credit.org.cn/jingxuan/2/980039edb0d8e3800d5c2340af484226.html","mipUrl": "https://www.med-credit.org.cn/mobile/jingxuan/2/980039edb0d8e3800d5c2340af484226.html","fromSrc": "欢乐橙","datePublished": "2023-03-16T16:40:46","domain": "医疗","category": ["医疗权威文章合作"],"description": "麦冬为百合科植物麦冬的干燥块根,为临床上常用的滋阴中药。
","extra_headline": [""]},"Author": {"name": "张婷","wapUrl": "https://www.med-credit.org.cn/doctor/555","pcUrl": "https://www.med-credit.org.cn/doctor/555","jobTitle": "副主任医师","headPortrait": "https://www.med-credit.org.cn/uploadfile/member/555/180x180.jpeg","id": "555","description": "张婷,中南大学湘雅三医院中西医结合科副主任医师","memberOf": {"legalName": "中南大学湘雅三医院","department": "中西医结合科","organizationLevel": "三级甲等"}},"Article": {"summaryContent": "麦冬为百合科植物麦冬的干燥块根,为临床上常用的滋阴中药。
麦冬在临床上有很多的药理作用,患者需注意服用方法,且需在医生的指导下使用。


1.外形:麦冬是一种多年生草本植物,根茎细长并且匍匐有节。节上有白色鳞片,有许多须根,其根茎坚硬。花被片常稍下垂而不展开,披针形,长约5毫米,白色或淡紫色;花药三角状披针形,长2.5-3毫米;花柱长约4毫米,较粗,宽约1毫米,基部宽阔,向上渐狭。种子球形,直径7-8毫米。
2.功效:麦冬具有养阴生津、润肺清心之功效,可用于治疗热病伤津、心烦口渴等病症。同时,根据现代药理研究,甾体皂苷和高异黄酮是麦冬块根的主要活性成分。因此,麦冬具有抗心肌缺血、抗血栓形成、改善微循环、抗炎、免疫调节、调节血糖、抗疲劳、抗衰老、抗哮喘、抗过敏、预防肺损伤等药理作用。
麦冬主要用法包括煎服、外用两个方面。避免与款冬花,苦参、青葙子药物合用。同时脾胃虚寒便溏、风寒感冒、痰湿咳嗽者忌服。
","articleBody": "麦冬为百合科植物麦冬的干燥块根,为临床上常用的滋阴中药。
麦冬在临床上有很多的药理作用,患者需注意服用方法,且需在医生的指导下使用。


1.外形:麦冬是一种多年生草本植物,根茎细长并且匍匐有节。节上有白色鳞片,有许多须根,其根茎坚硬。花被片常稍下垂而不展开,披针形,长约5毫米,白色或淡紫色;花药三角状披针形,长2.5-3毫米;花柱长约4毫米,较粗,宽约1毫米,基部宽阔,向上渐狭。种子球形,直径7-8毫米。
2.功效:麦冬具有养阴生津、润肺清心之功效,可用于治疗热病伤津、心烦口渴等病症。同时,根据现代药理研究,甾体皂苷和高异黄酮是麦冬块根的主要活性成分。因此,麦冬具有抗心肌缺血、抗血栓形成、改善微循环、抗炎、免疫调节、调节血糖、抗疲劳、抗衰老、抗哮喘、抗过敏、预防肺损伤等药理作用。
麦冬主要用法包括煎服、外用两个方面。避免与款冬花,苦参、青葙子药物合用。同时脾胃虚寒便溏、风寒感冒、痰湿咳嗽者忌服。
","scanCount": 32469}}} {"@context": "https://ziyuan.baidu.com/contexts/cambrian.jsonld","appid": "1650708455561748","icon": "https://www.med-credit.org.cn/style/images/ttlogo.png","content_tag": ["atlas"],"is_mcn": {"thumb_id": "ay28xrnt0"},"accid": "4886d626a2804dee5f11168793ce361672f39c25","@id": "https://www.med-credit.org.cn/mobile/jingxuan/2/b562e40ef40e63c3fcde0edb35ea546a.html","bagWordId": "605cf0eb22cd55cd","title": "口腔癌刚开始的图片","pubDate": "2023-03-16T16:40:46","upDate": "2023-03-16T16:40:46","lrDate": "2023-03-16T16:40:46","description": "口腔癌刚开始可能出现黏膜异常、肌肉异常、肿块等症状。","data": {"WebPage": {"headline": "口腔癌刚开始的图片","pcUrl": "https://www.med-credit.org.cn/jingxuan/2/b562e40ef40e63c3fcde0edb35ea546a.html","wapUrl": "https://www.med-credit.org.cn/jingxuan/2/b562e40ef40e63c3fcde0edb35ea546a.html","mipUrl": "https://www.med-credit.org.cn/mobile/jingxuan/2/b562e40ef40e63c3fcde0edb35ea546a.html","fromSrc": "欢乐橙","datePublished": "2023-03-16T16:40:46","domain": "医疗","category": ["医疗权威文章合作"],"description": "口腔癌刚开始可能出现黏膜异常、肌肉异常、肿块等症状。
","extra_headline": [""]},"Author": {"name": "李斯文","wapUrl": "https://www.med-credit.org.cn/doctor/546","pcUrl": "https://www.med-credit.org.cn/doctor/546","jobTitle": "主治医师","headPortrait": "https://www.med-credit.org.cn/uploadfile/member/546/180x180.jpeg","id": "546","description": "李斯文,中国医科大学附属口腔医院口腔科主治医师","memberOf": {"legalName": "中国医科大学附属口腔医院","department": "口腔科","organizationLevel": "三级甲等"}},"Article": {"summaryContent": "口腔癌刚开始可能出现黏膜异常、肌肉异常、肿块等症状。
口腔癌刚开始可以在医生的指导下选择合适的手术方式进行治疗。

1、黏膜异常:口腔黏膜出现异常,口腔内会有大量的白斑或红斑出现,口腔黏膜表面粗糙,且伴有明显的疼痛,在喝水或吃东西时疼痛症状会更加剧烈,口腔内会出现大量难以愈合的溃疡,会伴随着出血,局部会有明显的肿块。
2、肌肉异常:面部肌肉出现异常,嘴巴无法进行正常的咬合动作,张嘴幅度也会受到一定限制,舌头会出现麻木的感觉,还可能会引起牙齿松动。
3、肿块:在舌头或者颊部出现不明原因的硬结、肿块,特别是形状不规则的硬块如菜花样肿块等,一般属于口腔癌的早期症状。

除了上述相对常见的症状外,还有其他的可能性症状,比如口腔偶有刺激性疼痛。
当口腔出现白斑,红斑等症状,需及时就医,在医生指导下进行检查和处理,减少癌变的几率。一旦确诊口腔癌,应该在医生指导下进行合理治疗如手术治疗。
","articleBody": "口腔癌刚开始可能出现黏膜异常、肌肉异常、肿块等症状。
口腔癌刚开始可以在医生的指导下选择合适的手术方式进行治疗。

1、黏膜异常:口腔黏膜出现异常,口腔内会有大量的白斑或红斑出现,口腔黏膜表面粗糙,且伴有明显的疼痛,在喝水或吃东西时疼痛症状会更加剧烈,口腔内会出现大量难以愈合的溃疡,会伴随着出血,局部会有明显的肿块。
2、肌肉异常:面部肌肉出现异常,嘴巴无法进行正常的咬合动作,张嘴幅度也会受到一定限制,舌头会出现麻木的感觉,还可能会引起牙齿松动。
3、肿块:在舌头或者颊部出现不明原因的硬结、肿块,特别是形状不规则的硬块如菜花样肿块等,一般属于口腔癌的早期症状。

除了上述相对常见的症状外,还有其他的可能性症状,比如口腔偶有刺激性疼痛。
当口腔出现白斑,红斑等症状,需及时就医,在医生指导下进行检查和处理,减少癌变的几率。一旦确诊口腔癌,应该在医生指导下进行合理治疗如手术治疗。
","scanCount": 32466}}} {"@context": "https://ziyuan.baidu.com/contexts/cambrian.jsonld","appid": "1650708455561748","icon": "https://www.med-credit.org.cn/style/images/ttlogo.png","content_tag": ["atlas"],"is_mcn": {"thumb_id": "ay28xrnt0"},"accid": "4886d626a2804dee5f11168793ce361672f39c25","@id": "https://www.med-credit.org.cn/mobile/jingxuan/2/d3711d75a6ec2005daedef6a8c662e8c.html","bagWordId": "1da001d0c1a2479d","title": "必须拔掉的智齿图","pubDate": "2023-03-16T16:40:46","upDate": "2023-03-16T16:40:46","lrDate": "2023-03-16T16:40:46","description": "智齿必须拔掉的情况有很多种,一般有炎症、龋齿、牵连邻齿等,都建议拔掉。","data": {"WebPage": {"headline": "必须拔掉的智齿图","pcUrl": "https://www.med-credit.org.cn/jingxuan/2/d3711d75a6ec2005daedef6a8c662e8c.html","wapUrl": "https://www.med-credit.org.cn/jingxuan/2/d3711d75a6ec2005daedef6a8c662e8c.html","mipUrl": "https://www.med-credit.org.cn/mobile/jingxuan/2/d3711d75a6ec2005daedef6a8c662e8c.html","fromSrc": "欢乐橙","datePublished": "2023-03-16T16:40:46","domain": "医疗","category": ["医疗权威文章合作"],"description": "智齿必须拔掉的情况有很多种,一般有炎症、龋齿、牵连邻齿等,都建议拔掉。
","extra_headline": [""]},"Author": {"name": "李斯文","wapUrl": "https://www.med-credit.org.cn/doctor/546","pcUrl": "https://www.med-credit.org.cn/doctor/546","jobTitle": "主治医师","headPortrait": "https://www.med-credit.org.cn/uploadfile/member/546/180x180.jpeg","id": "546","description": "李斯文,中国医科大学附属口腔医院口腔科主治医师","memberOf": {"legalName": "中国医科大学附属口腔医院","department": "口腔科","organizationLevel": "三级甲等"}},"Article": {"summaryContent": "智齿必须拔掉的情况有很多种,一般有炎症、龋齿、牵连邻齿等,都建议拔掉。
1.炎症:因生长发育空间不足,智齿没有完全长出来,容易反复发炎疼痛,建议拔掉。

2.龋齿:智齿所处的位置容易清洁不到位,导致蛀牙。蛀牙之后不是需要补就是要做根管治疗,如果是智齿蛀牙,建议直接拔掉。

3.牵连邻齿:因生长空间拥挤智齿可能会斜靠在第二磨牙上,引起疼痛和牙齿松动。

除了上述相对常见的类型外,还有其他的必须拔掉的智齿,比如发生了脓肿的智齿。建议患者出现这种症状后,及时去医院就诊。
虽然拔智齿在日常生活中很常见,但有一些情况是需要特别注意的,有高血压、心脏病、肾病、肝病、甲状腺疾病、精神类疾病的患者以及妊娠期女性都需要在医生的详细诊断下才能确定是否能拔智齿。拔完智齿多注意休息,补充一些营养,多吃柔软的食物。
","articleBody": "智齿必须拔掉的情况有很多种,一般有炎症、龋齿、牵连邻齿等,都建议拔掉。
1.炎症:因生长发育空间不足,智齿没有完全长出来,容易反复发炎疼痛,建议拔掉。

2.龋齿:智齿所处的位置容易清洁不到位,导致蛀牙。蛀牙之后不是需要补就是要做根管治疗,如果是智齿蛀牙,建议直接拔掉。

3.牵连邻齿:因生长空间拥挤智齿可能会斜靠在第二磨牙上,引起疼痛和牙齿松动。

除了上述相对常见的类型外,还有其他的必须拔掉的智齿,比如发生了脓肿的智齿。建议患者出现这种症状后,及时去医院就诊。
虽然拔智齿在日常生活中很常见,但有一些情况是需要特别注意的,有高血压、心脏病、肾病、肝病、甲状腺疾病、精神类疾病的患者以及妊娠期女性都需要在医生的详细诊断下才能确定是否能拔智齿。拔完智齿多注意休息,补充一些营养,多吃柔软的食物。
","scanCount": 32461}}} {"@context": "https://ziyuan.baidu.com/contexts/cambrian.jsonld","appid": "1650708455561748","icon": "https://www.med-credit.org.cn/style/images/ttlogo.png","content_tag": ["atlas"],"is_mcn": {"thumb_id": "ay28xrnt0"},"accid": "4886d626a2804dee5f11168793ce361672f39c25","@id": "https://www.med-credit.org.cn/mobile/jingxuan/2/d3147caf99aeae759794177992b0d884.html","bagWordId": "d72e50f8dfa85ac4","title": "牙龈癌一般都有什么前兆图片","pubDate": "2023-03-16T16:40:46","upDate": "2023-03-16T16:40:46","lrDate": "2023-03-16T16:40:46","description": "牙龈癌的前兆主要有牙龈增生或肿块、牙龈溃疡、牙齿松动或疼痛及其他。","data": {"WebPage": {"headline": "牙龈癌一般都有什么前兆图片","pcUrl": "https://www.med-credit.org.cn/jingxuan/2/d3147caf99aeae759794177992b0d884.html","wapUrl": "https://www.med-credit.org.cn/jingxuan/2/d3147caf99aeae759794177992b0d884.html","mipUrl": "https://www.med-credit.org.cn/mobile/jingxuan/2/d3147caf99aeae759794177992b0d884.html","fromSrc": "欢乐橙","datePublished": "2023-03-16T16:40:46","domain": "医疗","category": ["医疗权威文章合作"],"description": "牙龈癌的前兆主要有牙龈增生或肿块、牙龈溃疡、牙齿松动或疼痛及其他。
","extra_headline": [""]},"Author": {"name": "李斯文","wapUrl": "https://www.med-credit.org.cn/doctor/546","pcUrl": "https://www.med-credit.org.cn/doctor/546","jobTitle": "主治医师","headPortrait": "https://www.med-credit.org.cn/uploadfile/member/546/180x180.jpeg","id": "546","description": "李斯文,中国医科大学附属口腔医院口腔科主治医师","memberOf": {"legalName": "中国医科大学附属口腔医院","department": "口腔科","organizationLevel": "三级甲等"}},"Article": {"summaryContent": "牙龈癌的前兆主要有牙龈增生或肿块、牙龈溃疡、牙齿松动或疼痛及其他。
可以给予患者手术、放化疗治疗,并嘱咐患者需要注意饮食,定期前往医院复查。


1.病因:牙龈癌多与基因突变、饮酒、吸烟、嚼槟榔、病毒感染、慢性炎症或物理刺激等因素有关,该病早期可能会有牙龈增生、肿块、溃疡、牙齿松动或疼痛等征象,随着疾病进展,患者可能出现张口困难、口腔出血等表现,病变周围可能有淋巴结转移。
2.治疗:该病多数是鳞状细胞癌,早期病情较轻时一般选择手术根治处理,晚期病人可选择放疗或者化疗来缓解。此外,也可遵医嘱使用西妥昔单抗等靶向药物治疗。由于牙龈癌可能影响到患者的吞咽、咀嚼及说话等动作,必要时可能需要修复或重建患者口腔的正常结构,建议选择综合治疗。
患者恢复期建议定期检查随访,饮食上注意清淡健康,营养均衡,适当活动及休息。平时注意戒烟戒酒,尽量不吃槟榔,定期进行口腔检查,保持口腔卫生干净。
","articleBody": "牙龈癌的前兆主要有牙龈增生或肿块、牙龈溃疡、牙齿松动或疼痛及其他。
可以给予患者手术、放化疗治疗,并嘱咐患者需要注意饮食,定期前往医院复查。


1.病因:牙龈癌多与基因突变、饮酒、吸烟、嚼槟榔、病毒感染、慢性炎症或物理刺激等因素有关,该病早期可能会有牙龈增生、肿块、溃疡、牙齿松动或疼痛等征象,随着疾病进展,患者可能出现张口困难、口腔出血等表现,病变周围可能有淋巴结转移。
2.治疗:该病多数是鳞状细胞癌,早期病情较轻时一般选择手术根治处理,晚期病人可选择放疗或者化疗来缓解。此外,也可遵医嘱使用西妥昔单抗等靶向药物治疗。由于牙龈癌可能影响到患者的吞咽、咀嚼及说话等动作,必要时可能需要修复或重建患者口腔的正常结构,建议选择综合治疗。
患者恢复期建议定期检查随访,饮食上注意清淡健康,营养均衡,适当活动及休息。平时注意戒烟戒酒,尽量不吃槟榔,定期进行口腔检查,保持口腔卫生干净。
","scanCount": 32459}}} {"@context": "https://ziyuan.baidu.com/contexts/cambrian.jsonld","appid": "1650708455561748","icon": "https://www.med-credit.org.cn/style/images/ttlogo.png","content_tag": ["atlas"],"is_mcn": {"thumb_id": "tznru43s"},"accid": "4886d626a2804dee5f11168793ce361672f39c25","@id": "https://www.med-credit.org.cn/mobile/jingxuan/2/f5989caaaabd041205e75b31c57ed2c3.html","bagWordId": "783_1598581058289274880","title": "先天性指甲发育不良图片","pubDate": "2023-03-13T18:08:06","upDate": "2023-03-13T18:08:06","lrDate": "2023-03-13T18:08:06","description": "先天性指甲发育不良常见于常染色体的显性遗传所导致的先天性外胚叶发育不良,临床可见指甲的增厚或变薄,可见指甲表面的线纹,甲板浑浊状。","data": {"WebPage": {"headline": "先天性指甲发育不良图片","pcUrl": "https://www.med-credit.org.cn/jingxuan/2/f5989caaaabd041205e75b31c57ed2c3.html","wapUrl": "https://www.med-credit.org.cn/jingxuan/2/f5989caaaabd041205e75b31c57ed2c3.html","mipUrl": "https://www.med-credit.org.cn/mobile/jingxuan/2/f5989caaaabd041205e75b31c57ed2c3.html","fromSrc": "欢乐橙","datePublished": "2023-03-13T18:08:06","domain": "医疗","category": ["医疗权威文章合作"],"description": "先天性指甲发育不良常见于常染色体的显性遗传所导致的先天性外胚叶发育不良,临床可见指甲的增厚或变薄,可见指甲表面的线纹,甲板浑浊状。
","extra_headline": [""]},"Author": {"name": "张岚","wapUrl": "https://www.med-credit.org.cn/doctor/556","pcUrl": "https://www.med-credit.org.cn/doctor/556","jobTitle": "副主任医师","headPortrait": "https://www.med-credit.org.cn/uploadfile/member/556/180x180.jpeg","id": "556","description": "张岚,中国医科大学附属第一医院皮肤病与性病科副主任医师","memberOf": {"legalName": "中国医科大学附属第一医院","department": "皮肤科","organizationLevel": "三级甲等"}},"Article": {"summaryContent": "先天性指甲发育不良常见于常染色体的显性遗传所导致的先天性外胚叶发育不良,临床可见指甲的增厚或变薄,可见指甲表面的线纹,甲板浑浊状。
临床常采用针对性治疗缓解症状,如遵医嘱补充维生素、铁以及钙剂来促进指甲发育。

1.甲板增厚或变薄:先天性指甲发育不良常可见指甲甲板的增厚或变薄,为病理性的症状,特别是变薄的指甲甲板,会导致指甲对自身甲床的保护能力降低,更容易受到伤害。
2.线纹:先天性指甲发育不良可见指甲表面出现较多的表浅的细小条纹,为线状,呈嵴状纵向分布,也可表现为切状痕迹。
3.甲板浑浊状:先天性指甲发育不良可见表面呈现如同砂纸一般的外观,甲板失去正常的光泽,为乳白色浑浊状。
针对先天性指甲发育不良多采用对症治疗,如在医生的指导下补充维生素A和维生素E,以及补充适量铁以及钙剂来促进指甲的发育。如果指甲出现了严重的不适感请及时前往医院进行相关检查与治疗。
","articleBody": "先天性指甲发育不良常见于常染色体的显性遗传所导致的先天性外胚叶发育不良,临床可见指甲的增厚或变薄,可见指甲表面的线纹,甲板浑浊状。
临床常采用针对性治疗缓解症状,如遵医嘱补充维生素、铁以及钙剂来促进指甲发育。

1.甲板增厚或变薄:先天性指甲发育不良常可见指甲甲板的增厚或变薄,为病理性的症状,特别是变薄的指甲甲板,会导致指甲对自身甲床的保护能力降低,更容易受到伤害。
2.线纹:先天性指甲发育不良可见指甲表面出现较多的表浅的细小条纹,为线状,呈嵴状纵向分布,也可表现为切状痕迹。
3.甲板浑浊状:先天性指甲发育不良可见表面呈现如同砂纸一般的外观,甲板失去正常的光泽,为乳白色浑浊状。
针对先天性指甲发育不良多采用对症治疗,如在医生的指导下补充维生素A和维生素E,以及补充适量铁以及钙剂来促进指甲的发育。如果指甲出现了严重的不适感请及时前往医院进行相关检查与治疗。
","scanCount": 32856}}} {"@context": "https://ziyuan.baidu.com/contexts/cambrian.jsonld","appid": "1650708455561748","icon": "https://www.med-credit.org.cn/style/images/ttlogo.png","content_tag": ["atlas"],"is_mcn": {"thumb_id": "tznru43s"},"accid": "4886d626a2804dee5f11168793ce361672f39c25","@id": "https://www.med-credit.org.cn/mobile/jingxuan/2/a6f7b4cd1f75ebfd035ef80864fd5d26.html","bagWordId": "783_1598581058457047040","title": "蛇盘疮在眼睛周围图片","pubDate": "2023-03-13T18:08:06","upDate": "2023-03-13T18:08:06","lrDate": "2023-03-13T18:08:06","description": "蛇盘疮临床上常指带状疱疹,常发于春秋季节,以成年人多见。发作于眼周的带状疱疹,可表现为分布于眼周神经区域的红斑、水疱,部分患者会出现发热、全身乏力、食欲不振等症状。","data": {"WebPage": {"headline": "蛇盘疮在眼睛周围图片","pcUrl": "https://www.med-credit.org.cn/jingxuan/2/a6f7b4cd1f75ebfd035ef80864fd5d26.html","wapUrl": "https://www.med-credit.org.cn/jingxuan/2/a6f7b4cd1f75ebfd035ef80864fd5d26.html","mipUrl": "https://www.med-credit.org.cn/mobile/jingxuan/2/a6f7b4cd1f75ebfd035ef80864fd5d26.html","fromSrc": "欢乐橙","datePublished": "2023-03-13T18:08:06","domain": "医疗","category": ["医疗权威文章合作"],"description": "蛇盘疮临床上常指带状疱疹,常发于春秋季节,以成年人多见。发作于眼周的带状疱疹,可表现为分布于眼周神经区域的红斑、水疱,部分患者会出现发热、全身乏力、食欲不振等症状。
","extra_headline": [""]},"Author": {"name": "张岚","wapUrl": "https://www.med-credit.org.cn/doctor/556","pcUrl": "https://www.med-credit.org.cn/doctor/556","jobTitle": "副主任医师","headPortrait": "https://www.med-credit.org.cn/uploadfile/member/556/180x180.jpeg","id": "556","description": "张岚,中国医科大学附属第一医院皮肤病与性病科副主任医师","memberOf": {"legalName": "中国医科大学附属第一医院","department": "皮肤科","organizationLevel": "三级甲等"}},"Article": {"summaryContent": "蛇盘疮临床上常指带状疱疹,常发于春秋季节,以成年人多见。发作于眼周的带状疱疹,可表现为分布于眼周神经区域的红斑、水疱,部分患者会出现发热、全身乏力、食欲不振等症状。
可在医生的指导下使用镇痛剂以及抗病毒药物进行治疗。

1.前驱症状:眼周的带状疱疹常在发病前有轻度发热现象,以及伴随全身无力和不适感,一些患者还有食欲不振的症状。通常患处皮肤出现灼热感和神经痛等典型的前驱症状。
2.眼周症状:3天以内在眼周神经部位就会出现不规则红斑,后继发数量较多且群集的粟粒,且会迅速扩大至绿豆大小,然后转为水疱,水疱内容物澄澈透明,疱壁饱满。在发病后的2~5天内可有新的皮疹出现,几日后水疱内容物浑浊化脓,或是破裂形成糜烂面,最后干燥结痂,痂脱落后逐渐愈合,一般不留下瘢痕。
一般可遵医嘱使用镇痛剂加抗病毒药物治疗,如使用阿司匹林镇痛加上阿昔洛韦抗病毒。最近也有加用糖皮质激素缓解症状的用药方法。如果患者出现眼周或身体任意部位带状疱疹,请及时前往医院进行相关治疗。
","articleBody": "蛇盘疮临床上常指带状疱疹,常发于春秋季节,以成年人多见。发作于眼周的带状疱疹,可表现为分布于眼周神经区域的红斑、水疱,部分患者会出现发热、全身乏力、食欲不振等症状。
可在医生的指导下使用镇痛剂以及抗病毒药物进行治疗。

1.前驱症状:眼周的带状疱疹常在发病前有轻度发热现象,以及伴随全身无力和不适感,一些患者还有食欲不振的症状。通常患处皮肤出现灼热感和神经痛等典型的前驱症状。
2.眼周症状:3天以内在眼周神经部位就会出现不规则红斑,后继发数量较多且群集的粟粒,且会迅速扩大至绿豆大小,然后转为水疱,水疱内容物澄澈透明,疱壁饱满。在发病后的2~5天内可有新的皮疹出现,几日后水疱内容物浑浊化脓,或是破裂形成糜烂面,最后干燥结痂,痂脱落后逐渐愈合,一般不留下瘢痕。
一般可遵医嘱使用镇痛剂加抗病毒药物治疗,如使用阿司匹林镇痛加上阿昔洛韦抗病毒。最近也有加用糖皮质激素缓解症状的用药方法。如果患者出现眼周或身体任意部位带状疱疹,请及时前往医院进行相关治疗。
","scanCount": 32855}}} {"@context": "https://ziyuan.baidu.com/contexts/cambrian.jsonld","appid": "1650708455561748","icon": "https://www.med-credit.org.cn/style/images/ttlogo.png","content_tag": ["atlas"],"is_mcn": {"thumb_id": "tznru43s"},"accid": "4886d626a2804dee5f11168793ce361672f39c25","@id": "https://www.med-credit.org.cn/mobile/jingxuan/2/0a032c72fea36571d8568a900d399b74.html","bagWordId": "783_1598581060646473728","title": "嘴巴长扁平苔藓图片","pubDate": "2023-03-13T18:08:06","upDate": "2023-03-13T18:08:06","lrDate": "2023-03-13T18:08:06","description": "嘴巴长扁平苔藓指的是口腔扁平苔藓,是一种常见的口腔黏膜慢性炎性疾病,口腔内壁扁平苔藓的病因尚不明确,可能与多种致病因素有关,如免疫因素、精神因素等。","data": {"WebPage": {"headline": "嘴巴长扁平苔藓图片","pcUrl": "https://www.med-credit.org.cn/jingxuan/2/0a032c72fea36571d8568a900d399b74.html","wapUrl": "https://www.med-credit.org.cn/jingxuan/2/0a032c72fea36571d8568a900d399b74.html","mipUrl": "https://www.med-credit.org.cn/mobile/jingxuan/2/0a032c72fea36571d8568a900d399b74.html","fromSrc": "欢乐橙","datePublished": "2023-03-13T18:08:06","domain": "医疗","category": ["医疗权威文章合作"],"description": "嘴巴长扁平苔藓指的是口腔扁平苔藓,是一种常见的口腔黏膜慢性炎性疾病,口腔内壁扁平苔藓的病因尚不明确,可能与多种致病因素有关,如免疫因素、精神因素等。
","extra_headline": [""]},"Author": {"name": "张岚","wapUrl": "https://www.med-credit.org.cn/doctor/556","pcUrl": "https://www.med-credit.org.cn/doctor/556","jobTitle": "副主任医师","headPortrait": "https://www.med-credit.org.cn/uploadfile/member/556/180x180.jpeg","id": "556","description": "张岚,中国医科大学附属第一医院皮肤病与性病科副主任医师","memberOf": {"legalName": "中国医科大学附属第一医院","department": "皮肤科","organizationLevel": "三级甲等"}},"Article": {"summaryContent": "嘴巴长扁平苔藓指的是口腔扁平苔藓,是一种常见的口腔黏膜慢性炎性疾病,口腔内壁扁平苔藓的病因尚不明确,可能与多种致病因素有关,如免疫因素、精神因素等。
口腔的典型表现为珠光白色条纹交织、延伸,形成条索状、网状、树枝状、环状及斑块状等多种形态的黏膜损害,临床常分为斑纹型、糜烂型和萎缩型。

1.斑纹型:表现为白色花纹及丘疹性白色损害,多见于颊、唇、附着龈及移行部黏膜,损害区黏膜的柔性与弹性基本正常,病人自觉黏膜表面粗糙。
2.糜烂型:在白色斑纹的基础上,呈现充血剥脱糜烂面,多见于颊黏膜、舌背、舌腹、形状不规则,糜烂面有时有极薄的淡黄色假膜。软腭部尚可见到上皮菲薄的水疱,或疱破后形成的糜烂病损。
3.萎缩型:常见于舌背部,表现为圆形、椭圆形的乳头萎缩斑片,呈稀疏云雾状白色损害,表面平伏。硬腭的萎缩斑呈不规则星状形,略红色斑片,周围常有乳白角化斑点。损害除单独发生于口腔外,也可皮肤与黏膜先后或同时罹患。皮肤损害的特点,为扁平而有光泽的多角形丘疹,如绿豆大小、浅紫色、融合后状如苔藓。
口腔扁平苔藓的病因和发病机制尚不明确,目前认为可能与多种因素相关,包括免疫因素、精神因素、内分泌因素、感染因素、微循环障碍、遗传因素、系统性疾病以及口腔局部刺激因素等。
","articleBody": "嘴巴长扁平苔藓指的是口腔扁平苔藓,是一种常见的口腔黏膜慢性炎性疾病,口腔内壁扁平苔藓的病因尚不明确,可能与多种致病因素有关,如免疫因素、精神因素等。
口腔的典型表现为珠光白色条纹交织、延伸,形成条索状、网状、树枝状、环状及斑块状等多种形态的黏膜损害,临床常分为斑纹型、糜烂型和萎缩型。

1.斑纹型:表现为白色花纹及丘疹性白色损害,多见于颊、唇、附着龈及移行部黏膜,损害区黏膜的柔性与弹性基本正常,病人自觉黏膜表面粗糙。
2.糜烂型:在白色斑纹的基础上,呈现充血剥脱糜烂面,多见于颊黏膜、舌背、舌腹、形状不规则,糜烂面有时有极薄的淡黄色假膜。软腭部尚可见到上皮菲薄的水疱,或疱破后形成的糜烂病损。
3.萎缩型:常见于舌背部,表现为圆形、椭圆形的乳头萎缩斑片,呈稀疏云雾状白色损害,表面平伏。硬腭的萎缩斑呈不规则星状形,略红色斑片,周围常有乳白角化斑点。损害除单独发生于口腔外,也可皮肤与黏膜先后或同时罹患。皮肤损害的特点,为扁平而有光泽的多角形丘疹,如绿豆大小、浅紫色、融合后状如苔藓。
口腔扁平苔藓的病因和发病机制尚不明确,目前认为可能与多种因素相关,包括免疫因素、精神因素、内分泌因素、感染因素、微循环障碍、遗传因素、系统性疾病以及口腔局部刺激因素等。
","scanCount": 32835}}} {"@context": "https://ziyuan.baidu.com/contexts/cambrian.jsonld","appid": "1650708455561748","icon": "https://www.med-credit.org.cn/style/images/ttlogo.png","content_tag": ["atlas"],"is_mcn": {"thumb_id": "x5e7zgbw"},"accid": "4886d626a2804dee5f11168793ce361672f39c25","@id": "https://www.med-credit.org.cn/mobile/jingxuan/2/30993dd3f1632f5c0311a3d53962165b.html","bagWordId": "783_1598581062676516864","title": "结膜性疱疹图片","pubDate": "2023-03-13T18:08:06","upDate": "2023-03-13T18:08:06","lrDate": "2023-03-13T18:08:06","description": "结膜性疱疹一般指的是疱疹性结膜炎,疱疹性结膜炎是由于疱疹病毒感染引起的,从而出现结膜充血、肿胀等情况,还会出现局部的痛痒等不适感。","data": {"WebPage": {"headline": "结膜性疱疹图片","pcUrl": "https://www.med-credit.org.cn/jingxuan/2/30993dd3f1632f5c0311a3d53962165b.html","wapUrl": "https://www.med-credit.org.cn/jingxuan/2/30993dd3f1632f5c0311a3d53962165b.html","mipUrl": "https://www.med-credit.org.cn/mobile/jingxuan/2/30993dd3f1632f5c0311a3d53962165b.html","fromSrc": "欢乐橙","datePublished": "2023-03-13T18:08:06","domain": "医疗","category": ["医疗权威文章合作"],"description": "结膜性疱疹一般指的是疱疹性结膜炎,疱疹性结膜炎是由于疱疹病毒感染引起的,从而出现结膜充血、肿胀等情况,还会出现局部的痛痒等不适感。
","extra_headline": [""]},"Author": {"name": "钟一凡","wapUrl": "https://www.med-credit.org.cn/doctor/521","pcUrl": "https://www.med-credit.org.cn/doctor/521","jobTitle": "主治医师","headPortrait": "https://www.med-credit.org.cn/uploadfile/member/521/180x180.jpeg","id": "521","description": "钟一凡,中国医科大学附属第一医院眼科主治医师","memberOf": {"legalName": "中国医科大学附属第一医院","department": "眼科","organizationLevel": "三级甲等"}},"Article": {"summaryContent": "结膜性疱疹一般指的是疱疹性结膜炎,疱疹性结膜炎是由于疱疹病毒感染引起的,从而出现结膜充血、肿胀等情况,还会出现局部的痛痒等不适感。
疱疹性结膜炎的症状为分泌物增多、睑缘溃疡、结膜充血水肿、乳头增生、滤泡形成等。引起疱疹性结膜炎的原因有食物过敏、细菌感染等。

1、症状:疱疹性结膜炎眼部会出现大量水样或浆液性分泌物,在靠近睑缘内侧有针尖大小的局限性溃疡,并且结膜血管会扩张,出现充血症状,颜色为鲜红色,以睑部和穹窿部结膜最为明显,充血的血管位于结膜表面,推动时血管会随之移动,严重者会出现结膜水肿的症状,疱疹性结膜炎除上述症状外,还有可能出现结膜出血、流泪、异物感、烧灼感以及疼痛感等症状。
2、原因:引起疱疹性结膜炎的原因有很多,最常见的是因食物过敏引起,如海鲜过敏、花生过敏等,会出现不同程度的身体炎症,疱疹性结膜炎就是其中一种。也有可能是由于用眼不当或者经常性揉眼等原因导致真菌、细菌等入侵眼部引起疱疹性结膜炎,除了以上因素外,在服用一些药物后,也容易出现疱疹性结膜炎的症状,这是由于药物副作用引起。
","articleBody": "结膜性疱疹一般指的是疱疹性结膜炎,疱疹性结膜炎是由于疱疹病毒感染引起的,从而出现结膜充血、肿胀等情况,还会出现局部的痛痒等不适感。
疱疹性结膜炎的症状为分泌物增多、睑缘溃疡、结膜充血水肿、乳头增生、滤泡形成等。引起疱疹性结膜炎的原因有食物过敏、细菌感染等。

1、症状:疱疹性结膜炎眼部会出现大量水样或浆液性分泌物,在靠近睑缘内侧有针尖大小的局限性溃疡,并且结膜血管会扩张,出现充血症状,颜色为鲜红色,以睑部和穹窿部结膜最为明显,充血的血管位于结膜表面,推动时血管会随之移动,严重者会出现结膜水肿的症状,疱疹性结膜炎除上述症状外,还有可能出现结膜出血、流泪、异物感、烧灼感以及疼痛感等症状。
2、原因:引起疱疹性结膜炎的原因有很多,最常见的是因食物过敏引起,如海鲜过敏、花生过敏等,会出现不同程度的身体炎症,疱疹性结膜炎就是其中一种。也有可能是由于用眼不当或者经常性揉眼等原因导致真菌、细菌等入侵眼部引起疱疹性结膜炎,除了以上因素外,在服用一些药物后,也容易出现疱疹性结膜炎的症状,这是由于药物副作用引起。
","scanCount": 32819}}} {"@context": "https://ziyuan.baidu.com/contexts/cambrian.jsonld","appid": "1650708455561748","icon": "https://www.med-credit.org.cn/style/images/ttlogo.png","content_tag": ["atlas"],"is_mcn": {"thumb_id": "x5e7zgbw"},"accid": "4886d626a2804dee5f11168793ce361672f39c25","@id": "https://www.med-credit.org.cn/mobile/jingxuan/2/11cd4ced09e9248a566ed533f3336fb5.html","bagWordId": "783_1598581063301468160","title": "检查黄斑病变的格子图","pubDate": "2023-03-13T18:08:06","upDate": "2023-03-13T18:08:06","lrDate": "2023-03-13T18:08:06","description": "检查黄斑病变的格子图为阿姆斯勒方格,可以帮助检查我们的黄斑是否健康,黄斑具有其特定的临床功能。","data": {"WebPage": {"headline": "检查黄斑病变的格子图","pcUrl": "https://www.med-credit.org.cn/jingxuan/2/11cd4ced09e9248a566ed533f3336fb5.html","wapUrl": "https://www.med-credit.org.cn/jingxuan/2/11cd4ced09e9248a566ed533f3336fb5.html","mipUrl": "https://www.med-credit.org.cn/mobile/jingxuan/2/11cd4ced09e9248a566ed533f3336fb5.html","fromSrc": "欢乐橙","datePublished": "2023-03-13T18:08:06","domain": "医疗","category": ["医疗权威文章合作"],"description": "检查黄斑病变的格子图为阿姆斯勒方格,可以帮助检查我们的黄斑是否健康,黄斑具有其特定的临床功能。
","extra_headline": [""]},"Author": {"name": "钟一凡","wapUrl": "https://www.med-credit.org.cn/doctor/521","pcUrl": "https://www.med-credit.org.cn/doctor/521","jobTitle": "主治医师","headPortrait": "https://www.med-credit.org.cn/uploadfile/member/521/180x180.jpeg","id": "521","description": "钟一凡,中国医科大学附属第一医院眼科主治医师","memberOf": {"legalName": "中国医科大学附属第一医院","department": "眼科","organizationLevel": "三级甲等"}},"Article": {"summaryContent": "检查黄斑病变的格子图为阿姆斯勒方格,可以帮助检查我们的黄斑是否健康,黄斑具有其特定的临床功能。
检查黄斑病变的格子图需要注意使用方法以及如何观察。

1、使用方法:检测时首先要把表格放在视平线30厘米的距离,也就是平时看书的距离,周围光线要明亮均匀(如果有近视或者老花,需要佩戴原有的眼镜进行测试),然后用手或者眼罩遮住左眼,右眼凝视方格表中的黑点,再重复同样的步骤检测左眼。
2、对照结果:如果看到的表格完整且规则,则说明黄斑是健康的,若出现视野中心模糊不清,有黑影、暗点,或者表格扭曲、缺损,这是黄斑变性的症状,建议去专业的眼科医院进行眼底检查。
黄斑位于人眼的光学中心区,上面集中大量视功能细胞,能够识别形状、大小、颜色、深浅、距离等大多数光学信号,是决定视功能的重要部位。
","articleBody": "检查黄斑病变的格子图为阿姆斯勒方格,可以帮助检查我们的黄斑是否健康,黄斑具有其特定的临床功能。
检查黄斑病变的格子图需要注意使用方法以及如何观察。

1、使用方法:检测时首先要把表格放在视平线30厘米的距离,也就是平时看书的距离,周围光线要明亮均匀(如果有近视或者老花,需要佩戴原有的眼镜进行测试),然后用手或者眼罩遮住左眼,右眼凝视方格表中的黑点,再重复同样的步骤检测左眼。
2、对照结果:如果看到的表格完整且规则,则说明黄斑是健康的,若出现视野中心模糊不清,有黑影、暗点,或者表格扭曲、缺损,这是黄斑变性的症状,建议去专业的眼科医院进行眼底检查。
黄斑位于人眼的光学中心区,上面集中大量视功能细胞,能够识别形状、大小、颜色、深浅、距离等大多数光学信号,是决定视功能的重要部位。
","scanCount": 32812}}} {"@context": "https://ziyuan.baidu.com/contexts/cambrian.jsonld","appid": "1650708455561748","icon": "https://www.med-credit.org.cn/style/images/ttlogo.png","content_tag": ["atlas"],"is_mcn": {"thumb_id": "x5e7zgbw"},"accid": "4886d626a2804dee5f11168793ce361672f39c25","@id": "https://www.med-credit.org.cn/mobile/jingxuan/2/6059d5d5af5ab376028a1e25ed968487.html","bagWordId": "783_1598581063469240320","title": "泪囊炎和结膜炎的图片","pubDate": "2023-03-13T18:08:06","upDate": "2023-03-13T18:08:06","lrDate": "2023-03-13T18:08:06","description": "泪囊炎是细菌在泪囊处大量繁殖并产生炎症的疾病,表现为泪道阻塞并伴有流脓。","data": {"WebPage": {"headline": "泪囊炎和结膜炎的图片","pcUrl": "https://www.med-credit.org.cn/jingxuan/2/6059d5d5af5ab376028a1e25ed968487.html","wapUrl": "https://www.med-credit.org.cn/jingxuan/2/6059d5d5af5ab376028a1e25ed968487.html","mipUrl": "https://www.med-credit.org.cn/mobile/jingxuan/2/6059d5d5af5ab376028a1e25ed968487.html","fromSrc": "欢乐橙","datePublished": "2023-03-13T18:08:06","domain": "医疗","category": ["医疗权威文章合作"],"description": "泪囊炎是细菌在泪囊处大量繁殖并产生炎症的疾病,表现为泪道阻塞并伴有流脓。
","extra_headline": [""]},"Author": {"name": "钟一凡","wapUrl": "https://www.med-credit.org.cn/doctor/521","pcUrl": "https://www.med-credit.org.cn/doctor/521","jobTitle": "主治医师","headPortrait": "https://www.med-credit.org.cn/uploadfile/member/521/180x180.jpeg","id": "521","description": "钟一凡,中国医科大学附属第一医院眼科主治医师","memberOf": {"legalName": "中国医科大学附属第一医院","department": "眼科","organizationLevel": "三级甲等"}},"Article": {"summaryContent": "泪囊炎是细菌在泪囊处大量繁殖并产生炎症的疾病,表现为泪道阻塞并伴有流脓。
结膜炎是眼球的结膜发生炎症,主要表现为结膜充血、渗出增多、细胞浸润等。可以给予患者药物、物理、手术治疗。


1、泪囊炎:主要症状有溢泪,有泪液流出,或黏性、脓性分泌物自泪小点(下眼皮的内眼角位置)流出;眼角肿胀及压痛、眼睛充血;除此之外还会有全身症状,泪囊炎急性发作时,还可能出现耳前、颌下淋巴结肿大,以及发热、寒战等全身不适。
2、结膜炎:主要表现为结膜血管充血,眼睛发红,眼红的部位在穹隆部明显、向角膜缘方向逐渐减轻,并且眼睛有异物感、瘙痒、灼热感以及畏光、流泪等。
泪囊炎是泪囊局部发炎,结膜炎是结膜的发炎,但是结膜炎有可能由于泪囊炎感染扩散导致结膜炎,并且泪囊炎会出现泪囊区的红、肿、疼,病人会有局部发热或胀痛的感觉,可以给予患者抗生素药物、泪道冲洗,还可能需要进行手术治疗。结膜炎更为常见,局部用一些眼药水、眼药膏就可以得到解决,而且病程较短。
","articleBody": "泪囊炎是细菌在泪囊处大量繁殖并产生炎症的疾病,表现为泪道阻塞并伴有流脓。
结膜炎是眼球的结膜发生炎症,主要表现为结膜充血、渗出增多、细胞浸润等。可以给予患者药物、物理、手术治疗。


1、泪囊炎:主要症状有溢泪,有泪液流出,或黏性、脓性分泌物自泪小点(下眼皮的内眼角位置)流出;眼角肿胀及压痛、眼睛充血;除此之外还会有全身症状,泪囊炎急性发作时,还可能出现耳前、颌下淋巴结肿大,以及发热、寒战等全身不适。
2、结膜炎:主要表现为结膜血管充血,眼睛发红,眼红的部位在穹隆部明显、向角膜缘方向逐渐减轻,并且眼睛有异物感、瘙痒、灼热感以及畏光、流泪等。
泪囊炎是泪囊局部发炎,结膜炎是结膜的发炎,但是结膜炎有可能由于泪囊炎感染扩散导致结膜炎,并且泪囊炎会出现泪囊区的红、肿、疼,病人会有局部发热或胀痛的感觉,可以给予患者抗生素药物、泪道冲洗,还可能需要进行手术治疗。结膜炎更为常见,局部用一些眼药水、眼药膏就可以得到解决,而且病程较短。
","scanCount": 32810}}} {"@context": "https://ziyuan.baidu.com/contexts/cambrian.jsonld","appid": "1650708455561748","icon": "https://www.med-credit.org.cn/style/images/ttlogo.png","content_tag": ["atlas"],"is_mcn": {"thumb_id": "yfygkay6"},"accid": "4886d626a2804dee5f11168793ce361672f39c25","@id": "https://www.med-credit.org.cn/mobile/jingxuan/2/f060d11e3fba3840ccb79c8394182729.html","bagWordId": "407_1570734596385935360","title": "扁桃体发炎化脓的照片","pubDate": "2023-03-13T18:08:06","upDate": "2023-03-13T18:08:06","lrDate": "2023-03-13T18:08:06","description": "扁桃体发炎会发现扁桃体被白色、灰白或者微黄的东西所覆盖,扁桃体和舌腭弓呈弥漫性充血、肿大。","data": {"WebPage": {"headline": "扁桃体发炎化脓的照片","pcUrl": "https://www.med-credit.org.cn/jingxuan/2/f060d11e3fba3840ccb79c8394182729.html","wapUrl": "https://www.med-credit.org.cn/jingxuan/2/f060d11e3fba3840ccb79c8394182729.html","mipUrl": "https://www.med-credit.org.cn/mobile/jingxuan/2/f060d11e3fba3840ccb79c8394182729.html","fromSrc": "欢乐橙","datePublished": "2023-03-13T18:08:06","domain": "医疗","category": ["医疗权威文章合作"],"description": "扁桃体发炎会发现扁桃体被白色、灰白或者微黄的东西所覆盖,扁桃体和舌腭弓呈弥漫性充血、肿大。
","extra_headline": [""]},"Author": {"name": "王立银","wapUrl": "https://www.med-credit.org.cn/doctor/520","pcUrl": "https://www.med-credit.org.cn/doctor/520","jobTitle": "主治医师","headPortrait": "https://www.med-credit.org.cn/uploadfile/member/520/180x180.jpeg","id": "520","description": "王立银,中国医科大学附属盛京医院耳鼻咽喉头颈外科主治医师","memberOf": {"legalName": "中国医科大学附属盛京医院","department": "耳鼻咽喉头颈外科","organizationLevel": "三级甲等"}},"Article": {"summaryContent": "扁桃体发炎会发现扁桃体被白色、灰白或者微黄的东西所覆盖,扁桃体和舌腭弓呈弥漫性充血、肿大。
扁桃体发炎会有咽喉疼痛、发热、咽干、口臭、肿大、全身不良反应等症状。

扁桃体发炎化脓时在隐窝口可见黄、白色干酪样点状物,是细菌的生长及残留的脓性栓塞物,经常会导致口臭、咽干、发痒、异物感,包括阻塞感、压迫感;扁桃体和舌腭弓呈弥漫性充血、肿大,严重时会导致呼吸困难等表现。
急性扁桃体炎发作时疼痛较为剧烈;发炎后会导致体温调节中枢的混乱,导致体温升高;因脓栓及病毒感染,人会有口臭、异物感;小儿多常见扁桃体肿大;当扁桃体产生的脓性分泌物被吞咽后会引起胃肠道的吸收,从而产生全身的不良反应。
","articleBody": "扁桃体发炎会发现扁桃体被白色、灰白或者微黄的东西所覆盖,扁桃体和舌腭弓呈弥漫性充血、肿大。
扁桃体发炎会有咽喉疼痛、发热、咽干、口臭、肿大、全身不良反应等症状。

扁桃体发炎化脓时在隐窝口可见黄、白色干酪样点状物,是细菌的生长及残留的脓性栓塞物,经常会导致口臭、咽干、发痒、异物感,包括阻塞感、压迫感;扁桃体和舌腭弓呈弥漫性充血、肿大,严重时会导致呼吸困难等表现。
急性扁桃体炎发作时疼痛较为剧烈;发炎后会导致体温调节中枢的混乱,导致体温升高;因脓栓及病毒感染,人会有口臭、异物感;小儿多常见扁桃体肿大;当扁桃体产生的脓性分泌物被吞咽后会引起胃肠道的吸收,从而产生全身的不良反应。
","scanCount": 32773}}} {"@context": "https://ziyuan.baidu.com/contexts/cambrian.jsonld","appid": "1650708455561748","icon": "https://www.med-credit.org.cn/style/images/ttlogo.png","content_tag": ["atlas"],"is_mcn": {"thumb_id": "3w128mji2"},"accid": "4886d626a2804dee5f11168793ce361672f39c25","@id": "https://www.med-credit.org.cn/mobile/jingxuan/2/de64d6b6e46eabcb525a89078614ca99.html","bagWordId": "23_1526477934053822464","title": "真实疤痕图片","pubDate": "2023-03-13T18:08:06","upDate": "2023-03-13T18:08:06","lrDate": "2023-03-13T18:08:06","description": "疤痕是一种不正常的皮肤组织结构,外观一般发红,组织纹理异于旁边正常皮肤,形状各式各样,不规则。","data": {"WebPage": {"headline": "真实疤痕图片","pcUrl": "https://www.med-credit.org.cn/jingxuan/2/de64d6b6e46eabcb525a89078614ca99.html","wapUrl": "https://www.med-credit.org.cn/jingxuan/2/de64d6b6e46eabcb525a89078614ca99.html","mipUrl": "https://www.med-credit.org.cn/mobile/jingxuan/2/de64d6b6e46eabcb525a89078614ca99.html","fromSrc": "欢乐橙","datePublished": "2023-03-13T18:08:06","domain": "医疗","category": ["医疗权威文章合作"],"description": "疤痕是一种不正常的皮肤组织结构,外观一般发红,组织纹理异于旁边正常皮肤,形状各式各样,不规则。
","extra_headline": [""]},"Author": {"name": "曲乐","wapUrl": "https://www.med-credit.org.cn/doctor/554","pcUrl": "https://www.med-credit.org.cn/doctor/554","jobTitle": "副主任医师","headPortrait": "https://www.med-credit.org.cn/uploadfile/member/554/180x180.jpeg","id": "554","description": "曲乐,副主任医师、医学博士、硕士研究生导师、美容主诊医师、公派留美访问学者。主持国家自然科学基金及省市课题多项,在国内外高水平专业杂志发表中英文论文20余篇,参编英文专著1部。现任辽宁省免疫学会委员。","memberOf": {"legalName": "中国医科大学附属第一医院","department": "皮肤科","organizationLevel": "三级甲等"}},"Article": {"summaryContent": "疤痕是一种不正常的皮肤组织结构,外观一般发红,组织纹理异于旁边正常皮肤,形状各式各样,不规则。
预防是治疗疤痕的关键,应从创伤发生时开始。一般可在医生指导下使用药物或者手术进行治疗。

疤痕本质上是正常皮肤组织失去组织活性而形成的异常的、不健全的组织,是伤口愈合的必然生理反应,也是必然结果。疤痕主要是由纤维蛋白构成的,在伤口恢复过程中,组织胶原的产生和积聚会使伤口强度增加,但这是有益的。
疤痕出现时常常会形成疤痕疙瘩,呈瘤状增生,外表光滑,红润而亮,经常伴有毛细血管扩张。受损的皮肤边缘向外延伸,呈蟹脚样改变。
预防及控制感染是疤痕形成前的主要预防措施。可以通过局部注射糖皮质激素来抑制局部过量的胶原纤维,达到抑制疤痕的作用。也可遵医嘱局部外用咪喹莫特乳膏进行治疗。较大的疤痕还可通过手术进行切除。
","articleBody": "疤痕是一种不正常的皮肤组织结构,外观一般发红,组织纹理异于旁边正常皮肤,形状各式各样,不规则。
预防是治疗疤痕的关键,应从创伤发生时开始。一般可在医生指导下使用药物或者手术进行治疗。

疤痕本质上是正常皮肤组织失去组织活性而形成的异常的、不健全的组织,是伤口愈合的必然生理反应,也是必然结果。疤痕主要是由纤维蛋白构成的,在伤口恢复过程中,组织胶原的产生和积聚会使伤口强度增加,但这是有益的。
疤痕出现时常常会形成疤痕疙瘩,呈瘤状增生,外表光滑,红润而亮,经常伴有毛细血管扩张。受损的皮肤边缘向外延伸,呈蟹脚样改变。
预防及控制感染是疤痕形成前的主要预防措施。可以通过局部注射糖皮质激素来抑制局部过量的胶原纤维,达到抑制疤痕的作用。也可遵医嘱局部外用咪喹莫特乳膏进行治疗。较大的疤痕还可通过手术进行切除。
","scanCount": 32752}}} {"@context": "https://ziyuan.baidu.com/contexts/cambrian.jsonld","appid": "1650708455561748","icon": "https://www.med-credit.org.cn/style/images/ttlogo.png","content_tag": ["atlas"],"is_mcn": {"thumb_id": "yfygkay6"},"accid": "4886d626a2804dee5f11168793ce361672f39c25","@id": "https://www.med-credit.org.cn/mobile/jingxuan/2/63d073cdb5b556f39e6f9f56c85d69b2.html","bagWordId": "23_1526478113565839360","title": "杯状耳图片","pubDate": "2023-03-13T18:08:06","upDate": "2023-03-13T18:08:06","lrDate": "2023-03-13T18:08:06","description": "杯状耳又称为卷曲耳,主要表现为耳轮紧缩,耳郭软骨卷曲。","data": {"WebPage": {"headline": "杯状耳图片","pcUrl": "https://www.med-credit.org.cn/jingxuan/2/63d073cdb5b556f39e6f9f56c85d69b2.html","wapUrl": "https://www.med-credit.org.cn/jingxuan/2/63d073cdb5b556f39e6f9f56c85d69b2.html","mipUrl": "https://www.med-credit.org.cn/mobile/jingxuan/2/63d073cdb5b556f39e6f9f56c85d69b2.html","fromSrc": "欢乐橙","datePublished": "2023-03-13T18:08:06","domain": "医疗","category": ["医疗权威文章合作"],"description": "杯状耳又称为卷曲耳,主要表现为耳轮紧缩,耳郭软骨卷曲。
","extra_headline": [""]},"Author": {"name": "王立银","wapUrl": "https://www.med-credit.org.cn/doctor/520","pcUrl": "https://www.med-credit.org.cn/doctor/520","jobTitle": "主治医师","headPortrait": "https://www.med-credit.org.cn/uploadfile/member/520/180x180.jpeg","id": "520","description": "王立银,中国医科大学附属盛京医院耳鼻咽喉头颈外科主治医师","memberOf": {"legalName": "中国医科大学附属盛京医院","department": "耳鼻咽喉头颈外科","organizationLevel": "三级甲等"}},"Article": {"summaryContent": "杯状耳又称为卷曲耳,主要表现为耳轮紧缩,耳郭软骨卷曲。
杯状耳属于一种先天性耳廓畸形,一般需要进行手术矫形。

杯状耳多双侧发生,但左右不一定对称。耳郭卷曲呈杯状,轻症者仅有耳轮自身折叠,重者整个耳郭上部下垂,缺乏软骨支撑,卷曲几乎呈管状。盖住耳道口。耳轮脚向前下移位,对耳轮及其上脚扁平甚至消失,耳舟变宽。部分患者可伴有颌面部畸形。
杯状耳发病与遗传有关,通常在6岁以后考虑进行手术治疗。手术目的为增加耳轮和耳舟的长度,使卷曲的耳郭复位,双侧病变可在一次手术完成。常用的方法有耳轮脚V-Y推进法,软骨放射状切开复位法,外耳轮成形加耳后舌形皮瓣V-Y皮瓣移行修补法。
局部皮肤合并感染或存在耳部瘘孔的患者,需要先对瘘孔进行处理,控制感染。儿童一般采用全身麻醉,成人或可配合的儿童采用局麻,即耳部神经阻滞麻醉。
","articleBody": "杯状耳又称为卷曲耳,主要表现为耳轮紧缩,耳郭软骨卷曲。
杯状耳属于一种先天性耳廓畸形,一般需要进行手术矫形。

杯状耳多双侧发生,但左右不一定对称。耳郭卷曲呈杯状,轻症者仅有耳轮自身折叠,重者整个耳郭上部下垂,缺乏软骨支撑,卷曲几乎呈管状。盖住耳道口。耳轮脚向前下移位,对耳轮及其上脚扁平甚至消失,耳舟变宽。部分患者可伴有颌面部畸形。
杯状耳发病与遗传有关,通常在6岁以后考虑进行手术治疗。手术目的为增加耳轮和耳舟的长度,使卷曲的耳郭复位,双侧病变可在一次手术完成。常用的方法有耳轮脚V-Y推进法,软骨放射状切开复位法,外耳轮成形加耳后舌形皮瓣V-Y皮瓣移行修补法。
局部皮肤合并感染或存在耳部瘘孔的患者,需要先对瘘孔进行处理,控制感染。儿童一般采用全身麻醉,成人或可配合的儿童采用局麻,即耳部神经阻滞麻醉。
","scanCount": 32750}}} {"@context": "https://ziyuan.baidu.com/contexts/cambrian.jsonld","appid": "1650708455561748","icon": "https://www.med-credit.org.cn/style/images/ttlogo.png","content_tag": ["atlas"],"is_mcn": {"thumb_id": "3w128mji2"},"accid": "4886d626a2804dee5f11168793ce361672f39c25","@id": "https://www.med-credit.org.cn/mobile/jingxuan/2/dd5019acf3339b80e8c3bc37000d812e.html","bagWordId": "23_1526477923647754240","title": "刀疤图片","pubDate": "2023-03-13T18:08:06","upDate": "2023-03-13T18:08:06","lrDate": "2023-03-13T18:08:06","description": "刀疤常表现为凸起于表皮的条状疤痕样症状。","data": {"WebPage": {"headline": "刀疤图片","pcUrl": "https://www.med-credit.org.cn/jingxuan/2/dd5019acf3339b80e8c3bc37000d812e.html","wapUrl": "https://www.med-credit.org.cn/jingxuan/2/dd5019acf3339b80e8c3bc37000d812e.html","mipUrl": "https://www.med-credit.org.cn/mobile/jingxuan/2/dd5019acf3339b80e8c3bc37000d812e.html","fromSrc": "欢乐橙","datePublished": "2023-03-13T18:08:06","domain": "医疗","category": ["医疗权威文章合作"],"description": "刀疤常表现为凸起于表皮的条状疤痕样症状。
","extra_headline": [""]},"Author": {"name": "曲乐","wapUrl": "https://www.med-credit.org.cn/doctor/554","pcUrl": "https://www.med-credit.org.cn/doctor/554","jobTitle": "副主任医师","headPortrait": "https://www.med-credit.org.cn/uploadfile/member/554/180x180.jpeg","id": "554","description": "曲乐,副主任医师、医学博士、硕士研究生导师、美容主诊医师、公派留美访问学者。主持国家自然科学基金及省市课题多项,在国内外高水平专业杂志发表中英文论文20余篇,参编英文专著1部。现任辽宁省免疫学会委员。","memberOf": {"legalName": "中国医科大学附属第一医院","department": "皮肤科","organizationLevel": "三级甲等"}},"Article": {"summaryContent": "刀疤常表现为凸起于表皮的条状疤痕样症状。
刀疤一般是因刀具砍伤或是划伤后,疤痕组织增生导致的,可以给予相应痕修复术。

刀疤表现为凸起于皮肤表面的疤痕组织增生,外观契合伤口形状,一般为条形,也可见条索状,疤痕表面一般光滑,也可见粗糙样,肉眼可见与周围皮肤纹理不相称。常可见肉色,红色或白色样刀疤,如果是老旧刀疤,则常有色素沉积症状,即刀疤发黑。
刀疤是疤痕组织增生引起的,一般伤口较深,已经达到真皮乳头层,引起纤维母细胞活化增生过度,产生过多纤维组织,进而形成疤痕。
如果不影响机体正常生理功能或无不可耐受的不适感,可以不进行处理。如果对外观要求较高或无法忍受,可在医院或专业医美机构做相应的疤痕修复术,如疤痕松解局部改形术、疤痕切除游离植皮术等。
","articleBody": "刀疤常表现为凸起于表皮的条状疤痕样症状。
刀疤一般是因刀具砍伤或是划伤后,疤痕组织增生导致的,可以给予相应痕修复术。

刀疤表现为凸起于皮肤表面的疤痕组织增生,外观契合伤口形状,一般为条形,也可见条索状,疤痕表面一般光滑,也可见粗糙样,肉眼可见与周围皮肤纹理不相称。常可见肉色,红色或白色样刀疤,如果是老旧刀疤,则常有色素沉积症状,即刀疤发黑。
刀疤是疤痕组织增生引起的,一般伤口较深,已经达到真皮乳头层,引起纤维母细胞活化增生过度,产生过多纤维组织,进而形成疤痕。
如果不影响机体正常生理功能或无不可耐受的不适感,可以不进行处理。如果对外观要求较高或无法忍受,可在医院或专业医美机构做相应的疤痕修复术,如疤痕松解局部改形术、疤痕切除游离植皮术等。
","scanCount": 32742}}} {"@context": "https://ziyuan.baidu.com/contexts/cambrian.jsonld","appid": "1650708455561748","icon": "https://www.med-credit.org.cn/style/images/ttlogo.png","content_tag": ["atlas"],"is_mcn": {"thumb_id": "3w128mji2"},"accid": "4886d626a2804dee5f11168793ce361672f39c25","@id": "https://www.med-credit.org.cn/mobile/jingxuan/2/4a2586660f90c0f29eb89a57664f5ca1.html","bagWordId": "22_1526480545725288448","title": "蛇缠腰的图片","pubDate": "2023-03-13T18:08:06","upDate": "2023-03-13T18:08:06","lrDate": "2023-03-13T18:08:06","description": "蛇缠腰即带状疱疹,因疱疹多发生在腰部,民间俗称为缠腰火丹、蛇缠腰等。","data": {"WebPage": {"headline": "蛇缠腰的图片","pcUrl": "https://www.med-credit.org.cn/jingxuan/2/4a2586660f90c0f29eb89a57664f5ca1.html","wapUrl": "https://www.med-credit.org.cn/jingxuan/2/4a2586660f90c0f29eb89a57664f5ca1.html","mipUrl": "https://www.med-credit.org.cn/mobile/jingxuan/2/4a2586660f90c0f29eb89a57664f5ca1.html","fromSrc": "欢乐橙","datePublished": "2023-03-13T18:08:06","domain": "医疗","category": ["医疗权威文章合作"],"description": "蛇缠腰即带状疱疹,因疱疹多发生在腰部,民间俗称为缠腰火丹、蛇缠腰等。
","extra_headline": [""]},"Author": {"name": "曲乐","wapUrl": "https://www.med-credit.org.cn/doctor/554","pcUrl": "https://www.med-credit.org.cn/doctor/554","jobTitle": "副主任医师","headPortrait": "https://www.med-credit.org.cn/uploadfile/member/554/180x180.jpeg","id": "554","description": "曲乐,副主任医师、医学博士、硕士研究生导师、美容主诊医师、公派留美访问学者。主持国家自然科学基金及省市课题多项,在国内外高水平专业杂志发表中英文论文20余篇,参编英文专著1部。现任辽宁省免疫学会委员。","memberOf": {"legalName": "中国医科大学附属第一医院","department": "皮肤科","organizationLevel": "三级甲等"}},"Article": {"summaryContent": "蛇缠腰即带状疱疹,因疱疹多发生在腰部,民间俗称为缠腰火丹、蛇缠腰等。
带状疱疹由水痘-带状疱疹病毒引起,由于皮疹呈带状分布,所以叫做带状疱疹。这类疾病具有一定传染性。
带状疱疹的皮疹通常发生在身体的一侧,表现为疼痛、沿着周围神经走向成群分布的水疱,不跨过身体的中线,可发生于头面部、颈、胸、腹部及四肢。
带状疱疹起病往往由于儿时患过水痘而致水痘-带状疱疹病毒潜伏在身体里,当成人抵抗力下降时,潜伏的病毒“苏醒”而再度活跃,且沿着感觉神经感染,发展为带状疱疹。
如果人体的免疫系统出现问题,人对疾病和感染的免疫力会下降。HIV感染或艾滋病、恶性肿瘤、使用免疫抑制药物或化疗药物,这些患者比较容易出现带状疱疹。

带状疱疹主要症状是疼痛,随后出现皮疹,主要是丘疱疹和水疱。身体任何部位都可发病,如胸部、腹部及四肢,当累及头、面(特别是眼睛)时症状最重。
避免摩擦或挤压导致水疱破裂形成的二次感染,及时休息,可在医生指导下局部使用阿昔洛韦乳膏,喷昔洛韦乳膏等缓解症状。
","articleBody": "蛇缠腰即带状疱疹,因疱疹多发生在腰部,民间俗称为缠腰火丹、蛇缠腰等。
带状疱疹由水痘-带状疱疹病毒引起,由于皮疹呈带状分布,所以叫做带状疱疹。这类疾病具有一定传染性。
带状疱疹的皮疹通常发生在身体的一侧,表现为疼痛、沿着周围神经走向成群分布的水疱,不跨过身体的中线,可发生于头面部、颈、胸、腹部及四肢。
带状疱疹起病往往由于儿时患过水痘而致水痘-带状疱疹病毒潜伏在身体里,当成人抵抗力下降时,潜伏的病毒“苏醒”而再度活跃,且沿着感觉神经感染,发展为带状疱疹。
如果人体的免疫系统出现问题,人对疾病和感染的免疫力会下降。HIV感染或艾滋病、恶性肿瘤、使用免疫抑制药物或化疗药物,这些患者比较容易出现带状疱疹。

带状疱疹主要症状是疼痛,随后出现皮疹,主要是丘疱疹和水疱。身体任何部位都可发病,如胸部、腹部及四肢,当累及头、面(特别是眼睛)时症状最重。
避免摩擦或挤压导致水疱破裂形成的二次感染,及时休息,可在医生指导下局部使用阿昔洛韦乳膏,喷昔洛韦乳膏等缓解症状。
","scanCount": 32739}}} {"@context": "https://ziyuan.baidu.com/contexts/cambrian.jsonld","appid": "1650708455561748","icon": "https://www.med-credit.org.cn/style/images/ttlogo.png","content_tag": ["atlas"],"is_mcn": {"thumb_id": "6s1phww1w"},"accid": "4886d626a2804dee5f11168793ce361672f39c25","@id": "https://www.med-credit.org.cn/mobile/jingxuan/2/da77ee65cc51e1ac462da093e4e24a1f.html","bagWordId": "22_1526480493703335936","title": "大脖子图片","pubDate": "2023-03-13T18:08:06","upDate": "2023-03-13T18:08:06","lrDate": "2023-03-13T18:08:06","description": "大脖子病又叫单纯性甲状腺肿,是由多种原因导致的患者颈部肿大,还可能会出现低热、盗汗等代谢症状。","data": {"WebPage": {"headline": "大脖子图片","pcUrl": "https://www.med-credit.org.cn/jingxuan/2/da77ee65cc51e1ac462da093e4e24a1f.html","wapUrl": "https://www.med-credit.org.cn/jingxuan/2/da77ee65cc51e1ac462da093e4e24a1f.html","mipUrl": "https://www.med-credit.org.cn/mobile/jingxuan/2/da77ee65cc51e1ac462da093e4e24a1f.html","fromSrc": "欢乐橙","datePublished": "2023-03-13T18:08:06","domain": "医疗","category": ["医疗权威文章合作"],"description": "大脖子病又叫单纯性甲状腺肿,是由多种原因导致的患者颈部肿大,还可能会出现低热、盗汗等代谢症状。
","extra_headline": [""]},"Author": {"name": "王维","wapUrl": "https://www.med-credit.org.cn/doctor/513","pcUrl": "https://www.med-credit.org.cn/doctor/513","jobTitle": "主治医师","headPortrait": "https://www.med-credit.org.cn/uploadfile/member/513/180x180.jpeg","id": "513","description": "王维,中国医科大学附属盛京医院骨科主治医师","memberOf": {"legalName": "中国医科大学附属盛京医院","department": "骨科","organizationLevel": "三级甲等"}},"Article": {"summaryContent": "大脖子病又叫单纯性甲状腺肿,是由多种原因导致的患者颈部肿大,还可能会出现低热、盗汗等代谢症状。
导致单纯性甲状腺肿的原因主要有碘缺乏、碘摄入高、遗传因素等。

1.碘缺乏:是最常见的病因,可能是由于患者处于青春期或哺乳期等特殊时期导致需碘量增加,或是患者平时饮食清淡导致摄入碘不足,最终导致甲状腺激素合成不足,垂体为了维持平衡会分泌过量的促甲状腺激素,导致甲状腺肿大。
2.碘摄入过高:比如患者常年饮食口味重,加入过量的食盐或是饮用含高碘的水,会抑制甲状腺素的合成与释放,造成颈部肿大。
3.遗传因素:也会引起甲状腺激素合成障碍,导致患者颈部肿大。
除了上述相对常见的原因外,还有其他的可能病因,比如大量服用四环素类药物。
","articleBody": "大脖子病又叫单纯性甲状腺肿,是由多种原因导致的患者颈部肿大,还可能会出现低热、盗汗等代谢症状。
导致单纯性甲状腺肿的原因主要有碘缺乏、碘摄入高、遗传因素等。

1.碘缺乏:是最常见的病因,可能是由于患者处于青春期或哺乳期等特殊时期导致需碘量增加,或是患者平时饮食清淡导致摄入碘不足,最终导致甲状腺激素合成不足,垂体为了维持平衡会分泌过量的促甲状腺激素,导致甲状腺肿大。
2.碘摄入过高:比如患者常年饮食口味重,加入过量的食盐或是饮用含高碘的水,会抑制甲状腺素的合成与释放,造成颈部肿大。
3.遗传因素:也会引起甲状腺激素合成障碍,导致患者颈部肿大。
除了上述相对常见的原因外,还有其他的可能病因,比如大量服用四环素类药物。
","scanCount": 32713}}} {"@context": "https://ziyuan.baidu.com/contexts/cambrian.jsonld","appid": "1650708455561748","icon": "https://www.med-credit.org.cn/style/images/ttlogo.png","content_tag": ["atlas"],"is_mcn": {"thumb_id": "g76756sx"},"accid": "4886d626a2804dee5f11168793ce361672f39c25","@id": "https://www.med-credit.org.cn/mobile/jingxuan/2/5785cbc66ad4cf56504490f8ab6d8c25.html","bagWordId": "8c83a730377df080","title": "丹参图片植物图片","pubDate": "2023-03-13T18:08:06","upDate": "2023-03-13T18:08:06","lrDate": "2023-03-13T18:08:06","description": "丹参是唇形科植物丹参的根茎和干燥根。具有活血祛瘀、凉血消痈、清心除烦、通经止痛等功效。","data": {"WebPage": {"headline": "丹参图片植物图片","pcUrl": "https://www.med-credit.org.cn/jingxuan/2/5785cbc66ad4cf56504490f8ab6d8c25.html","wapUrl": "https://www.med-credit.org.cn/jingxuan/2/5785cbc66ad4cf56504490f8ab6d8c25.html","mipUrl": "https://www.med-credit.org.cn/mobile/jingxuan/2/5785cbc66ad4cf56504490f8ab6d8c25.html","fromSrc": "欢乐橙","datePublished": "2023-03-13T18:08:06","domain": "医疗","category": ["医疗权威文章合作"],"description": "丹参是唇形科植物丹参的根茎和干燥根。具有活血祛瘀、凉血消痈、清心除烦、通经止痛等功效。
","extra_headline": [""]},"Author": {"name": "张婷","wapUrl": "https://www.med-credit.org.cn/doctor/555","pcUrl": "https://www.med-credit.org.cn/doctor/555","jobTitle": "副主任医师","headPortrait": "https://www.med-credit.org.cn/uploadfile/member/555/180x180.jpeg","id": "555","description": "张婷,中南大学湘雅三医院中西医结合科副主任医师","memberOf": {"legalName": "中南大学湘雅三医院","department": "中西医结合科","organizationLevel": "三级甲等"}},"Article": {"summaryContent": "丹参是唇形科植物丹参的根茎和干燥根。具有活血祛瘀、凉血消痈、清心除烦、通经止痛等功效。
主要用于脘腹疼痛、胸痹心痛、痛经闭经、疮疡肿痛、心烦不眠等证。


丹参根茎粗短,表面多为棕红色或暗棕红色,粗糙,具纵皱纹。老根常呈可剥落的紫棕色鳞片状的疏松外皮。切断面疏松有裂隙,质地坚硬但脆,比较容易被折断。常见的丹参饮片为类圆形的厚片,表面红黄色或黄棕色,边缘呈暗红棕色,有轻微的苦涩味。
丹参喜温润的气候,耐寒且对环境的适应力强。主要生长在低坡、林下草地等土壤肥厚、排水性好的地方。目前全国大部分地区都有栽培,其中盛产于山西、江苏、安徽、四川等地。
丹参性微寒,味苦,归心、肝经。多数情况下丹参用于煎服,如果用作活血化瘀,则适合酒炙用。丹参如果使用不当或者用量过多,会有导致中毒的风险,所以最好在专业医师的指导下使用。女性月经过多、无淤血者禁用;孕妇要慎用;并要注意不能和藜芦同时使用。
","articleBody": "丹参是唇形科植物丹参的根茎和干燥根。具有活血祛瘀、凉血消痈、清心除烦、通经止痛等功效。
主要用于脘腹疼痛、胸痹心痛、痛经闭经、疮疡肿痛、心烦不眠等证。


丹参根茎粗短,表面多为棕红色或暗棕红色,粗糙,具纵皱纹。老根常呈可剥落的紫棕色鳞片状的疏松外皮。切断面疏松有裂隙,质地坚硬但脆,比较容易被折断。常见的丹参饮片为类圆形的厚片,表面红黄色或黄棕色,边缘呈暗红棕色,有轻微的苦涩味。
丹参喜温润的气候,耐寒且对环境的适应力强。主要生长在低坡、林下草地等土壤肥厚、排水性好的地方。目前全国大部分地区都有栽培,其中盛产于山西、江苏、安徽、四川等地。
丹参性微寒,味苦,归心、肝经。多数情况下丹参用于煎服,如果用作活血化瘀,则适合酒炙用。丹参如果使用不当或者用量过多,会有导致中毒的风险,所以最好在专业医师的指导下使用。女性月经过多、无淤血者禁用;孕妇要慎用;并要注意不能和藜芦同时使用。
","scanCount": 32710}}} {"@context": "https://ziyuan.baidu.com/contexts/cambrian.jsonld","appid": "1650708455561748","icon": "https://www.med-credit.org.cn/style/images/ttlogo.png","content_tag": ["atlas"],"is_mcn": {"thumb_id": "0jui1zp8"},"accid": "4886d626a2804dee5f11168793ce361672f39c25","@id": "https://www.med-credit.org.cn/mobile/jingxuan/2/be1f8f2fd899e0cd715351abf7a1f865.html","bagWordId": "f1bd020e9cfcd143","title": "横隔膜位置图片","pubDate": "2023-03-13T18:08:06","upDate": "2023-03-13T18:08:06","lrDate": "2023-03-13T18:08:06","description": "横隔膜是胸腔和腹腔之间的分隔,起于上位腰椎前面的肋弓内面,以及剑突的后面,集中于中心腱,位于双侧肺脏和心脏的下面,脾脏、肝脏、胃的上方。","data": {"WebPage": {"headline": "横隔膜位置图片","pcUrl": "https://www.med-credit.org.cn/jingxuan/2/be1f8f2fd899e0cd715351abf7a1f865.html","wapUrl": "https://www.med-credit.org.cn/jingxuan/2/be1f8f2fd899e0cd715351abf7a1f865.html","mipUrl": "https://www.med-credit.org.cn/mobile/jingxuan/2/be1f8f2fd899e0cd715351abf7a1f865.html","fromSrc": "欢乐橙","datePublished": "2023-03-13T18:08:06","domain": "医疗","category": ["医疗权威文章合作"],"description": "横隔膜是胸腔和腹腔之间的分隔,起于上位腰椎前面的肋弓内面,以及剑突的后面,集中于中心腱,位于双侧肺脏和心脏的下面,脾脏、肝脏、胃的上方。
","extra_headline": [""]},"Author": {"name": "陈璐","wapUrl": "https://www.med-credit.org.cn/doctor/494","pcUrl": "https://www.med-credit.org.cn/doctor/494","jobTitle": "主治医师","headPortrait": "https://www.med-credit.org.cn/uploadfile/member/494/180x180.jpeg","id": "494","description": "陈璐,中南大学湘雅医院普外科主治医师。","memberOf": {"legalName": "中南大学湘雅医院","department": "普外科(胃肠外科)","organizationLevel": "三级甲等"}},"Article": {"summaryContent": "横隔膜是胸腔和腹腔之间的分隔,起于上位腰椎前面的肋弓内面,以及剑突的后面,集中于中心腱,位于双侧肺脏和心脏的下面,脾脏、肝脏、胃的上方。
横隔膜是进行腹式呼吸时起主要作用的肌肉。

横隔膜是中间分隔腹腔和胸腔的膜状肌肉,是从直肌系统的颈部分化而来的。横膈膜的前方连结了胸骨柄的剑突;第1到第3腰椎与弓状韧带连结横膈膜的后方;横膈膜的前方和外侧与腹横肌共同连结了第6到第12节肋软骨。
在横隔膜上,还可见到主动脉裂孔,有主动脉和胸导管通过;腔静脉孔:有下腔静脉通过;食管裂孔:有食管和迷走神经通过。胸膜是紧贴于胸腔面上,腹膜则是紧贴在肌性组织的腹腔面上。
横隔膜是进行腹式呼吸时起主要作用的肌肉,其向下运动时胸廓扩张,气体进入肺部,即吸气过程。横膈肌能帮助肺呼吸,通过收张帮助肺呼出吸入气体。除了帮助呼吸外,横隔膜在呕吐、排便的时候还可以增加腹压。
","articleBody": "横隔膜是胸腔和腹腔之间的分隔,起于上位腰椎前面的肋弓内面,以及剑突的后面,集中于中心腱,位于双侧肺脏和心脏的下面,脾脏、肝脏、胃的上方。
横隔膜是进行腹式呼吸时起主要作用的肌肉。

横隔膜是中间分隔腹腔和胸腔的膜状肌肉,是从直肌系统的颈部分化而来的。横膈膜的前方连结了胸骨柄的剑突;第1到第3腰椎与弓状韧带连结横膈膜的后方;横膈膜的前方和外侧与腹横肌共同连结了第6到第12节肋软骨。
在横隔膜上,还可见到主动脉裂孔,有主动脉和胸导管通过;腔静脉孔:有下腔静脉通过;食管裂孔:有食管和迷走神经通过。胸膜是紧贴于胸腔面上,腹膜则是紧贴在肌性组织的腹腔面上。
横隔膜是进行腹式呼吸时起主要作用的肌肉,其向下运动时胸廓扩张,气体进入肺部,即吸气过程。横膈肌能帮助肺呼吸,通过收张帮助肺呼出吸入气体。除了帮助呼吸外,横隔膜在呕吐、排便的时候还可以增加腹压。
","scanCount": 32708}}} {"@context": "https://ziyuan.baidu.com/contexts/cambrian.jsonld","appid": "1650708455561748","icon": "https://www.med-credit.org.cn/style/images/ttlogo.png","content_tag": ["atlas"],"is_mcn": {"thumb_id": "6s1phww1w"},"accid": "4886d626a2804dee5f11168793ce361672f39c25","@id": "https://www.med-credit.org.cn/mobile/jingxuan/2/f1035eb9d7f188b241c1c268f47461ca.html","bagWordId": "f055e2763140d72f","title": "分清左手右手图片","pubDate": "2023-03-13T18:08:06","upDate": "2023-03-13T18:08:06","lrDate": "2023-03-13T18:08:06","description": "一般情况下,比较常用的方法是:惯用手是右手,即:使用筷子的是右手,写字的是右手,另一只手是左手。","data": {"WebPage": {"headline": "分清左手右手图片","pcUrl": "https://www.med-credit.org.cn/jingxuan/2/f1035eb9d7f188b241c1c268f47461ca.html","wapUrl": "https://www.med-credit.org.cn/jingxuan/2/f1035eb9d7f188b241c1c268f47461ca.html","mipUrl": "https://www.med-credit.org.cn/mobile/jingxuan/2/f1035eb9d7f188b241c1c268f47461ca.html","fromSrc": "欢乐橙","datePublished": "2023-03-13T18:08:06","domain": "医疗","category": ["医疗权威文章合作"],"description": "一般情况下,比较常用的方法是:惯用手是右手,即:使用筷子的是右手,写字的是右手,另一只手是左手。
","extra_headline": [""]},"Author": {"name": "王维","wapUrl": "https://www.med-credit.org.cn/doctor/513","pcUrl": "https://www.med-credit.org.cn/doctor/513","jobTitle": "主治医师","headPortrait": "https://www.med-credit.org.cn/uploadfile/member/513/180x180.jpeg","id": "513","description": "王维,中国医科大学附属盛京医院骨科主治医师","memberOf": {"legalName": "中国医科大学附属盛京医院","department": "骨科","organizationLevel": "三级甲等"}},"Article": {"summaryContent": "一般情况下,比较常用的方法是:惯用手是右手,即:使用筷子的是右手,写字的是右手,另一只手是左手。
对于左撇子来说,惯用手是左手,即:使用筷子的是左手,写字的是左手,另一只手的右手。如果宝宝在分左右时出现异常,家长就需要注意孩子是否有感觉统合失调。

研究表明,大约九成的人喜欢并习惯于使用右手,只有大约一成的人的左手更为灵巧或两只手都同样灵巧。
无法区分左右手,可能是左右不分造成的。
左和右实际是用来区分两个方向的,无论是在生活中还是在教学中都会用到左和右。
一般情况下,2~3岁的宝宝应该能够分清楚左右了,如果宝宝在分左右时出现异常,家长就需要注意看看是不是感觉统合失调。导致感觉统合失调的原因,主要有先天因素和后天因素两个方面。
1、先天因素:孕期出现一些胎位不正、用过药物、有过感染等;
2、后天因素:孩子活动空间狭小,爬行不足,造成前庭平衡失常;过早使用学步车,对孩子过分保护,破坏了孩子的摸、爬、滚等行为;娇纵溺爱,孩子动手能力不足。
","articleBody": "一般情况下,比较常用的方法是:惯用手是右手,即:使用筷子的是右手,写字的是右手,另一只手是左手。
对于左撇子来说,惯用手是左手,即:使用筷子的是左手,写字的是左手,另一只手的右手。如果宝宝在分左右时出现异常,家长就需要注意孩子是否有感觉统合失调。

研究表明,大约九成的人喜欢并习惯于使用右手,只有大约一成的人的左手更为灵巧或两只手都同样灵巧。
无法区分左右手,可能是左右不分造成的。
左和右实际是用来区分两个方向的,无论是在生活中还是在教学中都会用到左和右。
一般情况下,2~3岁的宝宝应该能够分清楚左右了,如果宝宝在分左右时出现异常,家长就需要注意看看是不是感觉统合失调。导致感觉统合失调的原因,主要有先天因素和后天因素两个方面。
1、先天因素:孕期出现一些胎位不正、用过药物、有过感染等;
2、后天因素:孩子活动空间狭小,爬行不足,造成前庭平衡失常;过早使用学步车,对孩子过分保护,破坏了孩子的摸、爬、滚等行为;娇纵溺爱,孩子动手能力不足。
","scanCount": 32702}}} {"@context": "https://ziyuan.baidu.com/contexts/cambrian.jsonld","appid": "1650708455561748","icon": "https://www.med-credit.org.cn/style/images/ttlogo.png","content_tag": ["atlas"],"is_mcn": {"thumb_id": "0jui1zp8"},"accid": "4886d626a2804dee5f11168793ce361672f39c25","@id": "https://www.med-credit.org.cn/mobile/jingxuan/2/d2ff27459cfb1c893c8ce0aeabe6ebf1.html","bagWordId": "03e79a1469edfded","title": "被狗咬伤一级二级伤图片","pubDate": "2023-03-13T18:08:06","upDate": "2023-03-13T18:08:06","lrDate": "2023-03-13T18:08:06","description": "被狗咬伤后如果没有皮肤破损没有痕迹被判定为一级,有痕迹破损但是没有出血被判定为二级。","data": {"WebPage": {"headline": "被狗咬伤一级二级伤图片","pcUrl": "https://www.med-credit.org.cn/jingxuan/2/d2ff27459cfb1c893c8ce0aeabe6ebf1.html","wapUrl": "https://www.med-credit.org.cn/jingxuan/2/d2ff27459cfb1c893c8ce0aeabe6ebf1.html","mipUrl": "https://www.med-credit.org.cn/mobile/jingxuan/2/d2ff27459cfb1c893c8ce0aeabe6ebf1.html","fromSrc": "欢乐橙","datePublished": "2023-03-13T18:08:06","domain": "医疗","category": ["医疗权威文章合作"],"description": "被狗咬伤后如果没有皮肤破损没有痕迹被判定为一级,有痕迹破损但是没有出血被判定为二级。
","extra_headline": ["狗咬伤一级二级伤"]},"Author": {"name": "陈璐","wapUrl": "https://www.med-credit.org.cn/doctor/494","pcUrl": "https://www.med-credit.org.cn/doctor/494","jobTitle": "主治医师","headPortrait": "https://www.med-credit.org.cn/uploadfile/member/494/180x180.jpeg","id": "494","description": "陈璐,中南大学湘雅医院普外科主治医师。","memberOf": {"legalName": "中南大学湘雅医院","department": "普外科(胃肠外科)","organizationLevel": "三级甲等"}},"Article": {"summaryContent": "被狗咬伤后如果没有皮肤破损没有痕迹被判定为一级,有痕迹破损但是没有出血被判定为二级。
动物咬伤程度的判定是通过皮肤破损程度以及体表的痕迹进行鉴定的。
患者如果被狗咬伤致皮肤破损,应及时前往医院注射狂犬病疫苗。
1、一级伤口:如果体表没有留下明显痕迹比如牙印或是血痕,皮肤没有破损,这种情况被认为是一级伤口,是不需要注射疫苗的,使用消毒液冲洗即可。

2、二级伤口:如果体表出现明显白痕甚至是血痕,有牙印,皮肤出现破损但是没有出血,这种情况被认为是二级伤口。如果出现这种情况建议患者立即使用酒精或肥皂水进行消毒,然后用纯净水反复冲洗伤口,及时前往医院,由医生来判断是否有必要注射疫苗。

由于狂犬病目前是没有有效的治愈手段的,建议患者如果出现被狗咬伤致皮肤破损的情况,应立即前往医院注射狂犬病疫苗。在前往医院途中,患者要注意尽量保持伤口暴露。平时尽量离流浪猫狗远一点,避免被咬伤。
","articleBody": "被狗咬伤后如果没有皮肤破损没有痕迹被判定为一级,有痕迹破损但是没有出血被判定为二级。
动物咬伤程度的判定是通过皮肤破损程度以及体表的痕迹进行鉴定的。
患者如果被狗咬伤致皮肤破损,应及时前往医院注射狂犬病疫苗。
1、一级伤口:如果体表没有留下明显痕迹比如牙印或是血痕,皮肤没有破损,这种情况被认为是一级伤口,是不需要注射疫苗的,使用消毒液冲洗即可。

2、二级伤口:如果体表出现明显白痕甚至是血痕,有牙印,皮肤出现破损但是没有出血,这种情况被认为是二级伤口。如果出现这种情况建议患者立即使用酒精或肥皂水进行消毒,然后用纯净水反复冲洗伤口,及时前往医院,由医生来判断是否有必要注射疫苗。

由于狂犬病目前是没有有效的治愈手段的,建议患者如果出现被狗咬伤致皮肤破损的情况,应立即前往医院注射狂犬病疫苗。在前往医院途中,患者要注意尽量保持伤口暴露。平时尽量离流浪猫狗远一点,避免被咬伤。
","scanCount": 9752}}} {"@context": "https://ziyuan.baidu.com/contexts/cambrian.jsonld","appid": "1650708455561748","icon": "https://www.med-credit.org.cn/style/images/ttlogo.png","content_tag": ["atlas"],"is_mcn": {"thumb_id": "0jui1zp8"},"accid": "4886d626a2804dee5f11168793ce361672f39c25","@id": "https://www.med-credit.org.cn/mobile/jingxuan/2/0dadd5d5f959368af0d7842d7bfb15a7.html","bagWordId": "2d9042cf191088ad","title": "横膈肌的位置图片","pubDate": "2023-03-13T18:08:06","upDate": "2023-03-13T18:08:06","lrDate": "2023-03-13T18:08:06","description": "横膈肌一般指的是膈肌,处于胸前和腹腔之间。可分三部分:胸骨部起于剑突后面;肋骨部起于第6肋的内面;腰部起于第2~3腰椎前面和第1腰椎横突。膈肌为人体的主要呼吸肌。","data": {"WebPage": {"headline": "横膈肌的位置图片","pcUrl": "https://www.med-credit.org.cn/jingxuan/2/0dadd5d5f959368af0d7842d7bfb15a7.html","wapUrl": "https://www.med-credit.org.cn/jingxuan/2/0dadd5d5f959368af0d7842d7bfb15a7.html","mipUrl": "https://www.med-credit.org.cn/mobile/jingxuan/2/0dadd5d5f959368af0d7842d7bfb15a7.html","fromSrc": "欢乐橙","datePublished": "2023-03-13T18:08:06","domain": "医疗","category": ["医疗权威文章合作"],"description": "横膈肌一般指的是膈肌,处于胸前和腹腔之间。可分三部分:胸骨部起于剑突后面;肋骨部起于第6肋的内面;腰部起于第2~3腰椎前面和第1腰椎横突。膈肌为人体的主要呼吸肌。
","extra_headline": [""]},"Author": {"name": "陈璐","wapUrl": "https://www.med-credit.org.cn/doctor/494","pcUrl": "https://www.med-credit.org.cn/doctor/494","jobTitle": "主治医师","headPortrait": "https://www.med-credit.org.cn/uploadfile/member/494/180x180.jpeg","id": "494","description": "陈璐,中南大学湘雅医院普外科主治医师。","memberOf": {"legalName": "中南大学湘雅医院","department": "普外科(胃肠外科)","organizationLevel": "三级甲等"}},"Article": {"summaryContent": "横膈肌一般指的是膈肌,处于胸前和腹腔之间。可分三部分:胸骨部起于剑突后面;肋骨部起于第6肋的内面;腰部起于第2~3腰椎前面和第1腰椎横突。膈肌为人体的主要呼吸肌。

膈肌是位于腹腔与胸腔之间的肌肉纤维结构,构成胸腔的底,下面是腹腔,呈圆屋顶形,是一种圆顶形扁薄的阔肌,中央部分向胸腔凸出。
膈的中央中心腱是由腱膜样结构形成,因此肌纤维呈辐射状排列,附着于胸廓下口的胸壁。膈上有三个裂孔,由后向前分别是:
①主动脉裂孔:位于脊柱与膈之间,有主动脉及胸导管通过;
②食管裂孔:在主动脉裂孔的左前方,有迷走神经以及食管通过;
③腔静脉裂孔:处于食管裂孔右前方的中心腱内,有下腔静脉通过。
膈肌为主要呼吸肌,当它收缩时,胸腔和肺的容积随着扩大,肺内压降低,外界空气进入肺脏,即吸气的过程。膈肌舒张,腹腔内脏压迫膈肌,向上复位,肺和胸腔的容积缩小,肺内气压升高,气体被迫呼出体外,即呼气的过程。膈肌下降,还可以增加腹压,有利于分娩、排便和呕吐。
","articleBody": "横膈肌一般指的是膈肌,处于胸前和腹腔之间。可分三部分:胸骨部起于剑突后面;肋骨部起于第6肋的内面;腰部起于第2~3腰椎前面和第1腰椎横突。膈肌为人体的主要呼吸肌。

膈肌是位于腹腔与胸腔之间的肌肉纤维结构,构成胸腔的底,下面是腹腔,呈圆屋顶形,是一种圆顶形扁薄的阔肌,中央部分向胸腔凸出。
膈的中央中心腱是由腱膜样结构形成,因此肌纤维呈辐射状排列,附着于胸廓下口的胸壁。膈上有三个裂孔,由后向前分别是:
①主动脉裂孔:位于脊柱与膈之间,有主动脉及胸导管通过;
②食管裂孔:在主动脉裂孔的左前方,有迷走神经以及食管通过;
③腔静脉裂孔:处于食管裂孔右前方的中心腱内,有下腔静脉通过。
膈肌为主要呼吸肌,当它收缩时,胸腔和肺的容积随着扩大,肺内压降低,外界空气进入肺脏,即吸气的过程。膈肌舒张,腹腔内脏压迫膈肌,向上复位,肺和胸腔的容积缩小,肺内气压升高,气体被迫呼出体外,即呼气的过程。膈肌下降,还可以增加腹压,有利于分娩、排便和呕吐。
","scanCount": 32696}}} {"@context": "https://ziyuan.baidu.com/contexts/cambrian.jsonld","appid": "1650708455561748","icon": "https://www.med-credit.org.cn/style/images/ttlogo.png","content_tag": ["atlas"],"is_mcn": {"thumb_id": "0jui1zp8"},"accid": "4886d626a2804dee5f11168793ce361672f39c25","@id": "https://www.med-credit.org.cn/mobile/jingxuan/2/c36bcf2b68df8965979826affb3863b3.html","bagWordId": "3642447c63bf5300","title": "被猫咬伤伤口肿胀发炎图片","pubDate": "2023-03-13T18:08:06","upDate": "2023-03-13T18:08:06","lrDate": "2023-03-13T18:08:06","description": "被猫咬伤伤口肿胀发炎,患者常表现为发热、局部丘疹、头晕乏力以及消化系统症状。被猫咬伤后,患者要及时就医治疗,并接种狂犬病疫苗。","data": {"WebPage": {"headline": "被猫咬伤伤口肿胀发炎图片","pcUrl": "https://www.med-credit.org.cn/jingxuan/2/c36bcf2b68df8965979826affb3863b3.html","wapUrl": "https://www.med-credit.org.cn/jingxuan/2/c36bcf2b68df8965979826affb3863b3.html","mipUrl": "https://www.med-credit.org.cn/mobile/jingxuan/2/c36bcf2b68df8965979826affb3863b3.html","fromSrc": "欢乐橙","datePublished": "2023-03-13T18:08:06","domain": "医疗","category": ["医疗权威文章合作"],"description": "被猫咬伤伤口肿胀发炎,患者常表现为发热、局部丘疹、头晕乏力以及消化系统症状。被猫咬伤后,患者要及时就医治疗,并接种狂犬病疫苗。
","extra_headline": ["被猫咬伤伤口肿胀发炎"]},"Author": {"name": "陈璐","wapUrl": "https://www.med-credit.org.cn/doctor/494","pcUrl": "https://www.med-credit.org.cn/doctor/494","jobTitle": "主治医师","headPortrait": "https://www.med-credit.org.cn/uploadfile/member/494/180x180.jpeg","id": "494","description": "陈璐,中南大学湘雅医院普外科主治医师。","memberOf": {"legalName": "中南大学湘雅医院","department": "普外科(胃肠外科)","organizationLevel": "三级甲等"}},"Article": {"summaryContent": "被猫咬伤伤口肿胀发炎,患者常表现为发热、局部丘疹、头晕乏力以及消化系统症状。被猫咬伤后,患者要及时就医治疗,并接种狂犬病疫苗。

1、发热:被猫咬伤伤口不及时处理,易被细菌、病毒等致病物质侵入而引起局部感染,造成炎症反应,引起发热。
2、丘疹:局部感染会分泌大量炎性分泌物淤积在伤口处,或引起皮肤黏膜层的异常增生或突起,从而形成局部丘疹。
3、头晕乏力以及消化系统症状:由于患者发热时处于免疫力低下的状态,高热会促使机体代谢,消耗大量的营养物质,同时高热会抑制消化酶的活性,导致头晕乏力以及食欲下降、消化不良等消化系统症状。
若不及时处理肿胀发炎的伤口,可能会造成严重的后果,患者应该初步清创处理,然后接种狂犬病疫苗,配合药物抗菌治疗。配合退热贴敷在额头,发热症状一般可以得到缓解。必要时给予非甾体抗炎药如布洛芬缓释片或双氯芬酸钠片治疗。
","articleBody": "被猫咬伤伤口肿胀发炎,患者常表现为发热、局部丘疹、头晕乏力以及消化系统症状。被猫咬伤后,患者要及时就医治疗,并接种狂犬病疫苗。

1、发热:被猫咬伤伤口不及时处理,易被细菌、病毒等致病物质侵入而引起局部感染,造成炎症反应,引起发热。
2、丘疹:局部感染会分泌大量炎性分泌物淤积在伤口处,或引起皮肤黏膜层的异常增生或突起,从而形成局部丘疹。
3、头晕乏力以及消化系统症状:由于患者发热时处于免疫力低下的状态,高热会促使机体代谢,消耗大量的营养物质,同时高热会抑制消化酶的活性,导致头晕乏力以及食欲下降、消化不良等消化系统症状。
若不及时处理肿胀发炎的伤口,可能会造成严重的后果,患者应该初步清创处理,然后接种狂犬病疫苗,配合药物抗菌治疗。配合退热贴敷在额头,发热症状一般可以得到缓解。必要时给予非甾体抗炎药如布洛芬缓释片或双氯芬酸钠片治疗。
","scanCount": 6151}}} {"@context": "https://ziyuan.baidu.com/contexts/cambrian.jsonld","appid": "1650708455561748","icon": "https://www.med-credit.org.cn/style/images/ttlogo.png","content_tag": ["atlas"],"is_mcn": {"thumb_id": "0jui1zp8"},"accid": "4886d626a2804dee5f11168793ce361672f39c25","@id": "https://www.med-credit.org.cn/mobile/jingxuan/2/5de21678e41f6aee750469f400de7b58.html","bagWordId": "1c52c29dfedc3fd7","title": "手术后引流液颜色分类图片","pubDate": "2023-03-13T18:08:06","upDate": "2023-03-13T18:08:06","lrDate": "2023-03-13T18:08:06","description": "手术后,引流液的颜色分为红色、黄色、淡黄色、脓性物质及其他不常见的颜色。若引流管出现问题,要及时告知医生。","data": {"WebPage": {"headline": "手术后引流液颜色分类图片","pcUrl": "https://www.med-credit.org.cn/jingxuan/2/5de21678e41f6aee750469f400de7b58.html","wapUrl": "https://www.med-credit.org.cn/jingxuan/2/5de21678e41f6aee750469f400de7b58.html","mipUrl": "https://www.med-credit.org.cn/mobile/jingxuan/2/5de21678e41f6aee750469f400de7b58.html","fromSrc": "欢乐橙","datePublished": "2023-03-13T18:08:06","domain": "医疗","category": ["医疗权威文章合作"],"description": "手术后,引流液的颜色分为红色、黄色、淡黄色、脓性物质及其他不常见的颜色。若引流管出现问题,要及时告知医生。
","extra_headline": [""]},"Author": {"name": "陈璐","wapUrl": "https://www.med-credit.org.cn/doctor/494","pcUrl": "https://www.med-credit.org.cn/doctor/494","jobTitle": "主治医师","headPortrait": "https://www.med-credit.org.cn/uploadfile/member/494/180x180.jpeg","id": "494","description": "陈璐,中南大学湘雅医院普外科主治医师。","memberOf": {"legalName": "中南大学湘雅医院","department": "普外科(胃肠外科)","organizationLevel": "三级甲等"}},"Article": {"summaryContent": "手术后,引流液的颜色分为红色、黄色、淡黄色、脓性物质及其他不常见的颜色。若引流管出现问题,要及时告知医生。

1、红色:术后前3天较常见,以术后当天最明显。其主要成分是血液,可以是手术冲洗后残留的积血,或者小的血管渗血,或者术中变异血管的结扎不确切等。
2、黄色:常可有红色渐变为黄色,既可以为渗出液或者漏出液,或者胰瘘,也可以是肠瘘形成的,此类常伴有气体和食物残渣等。
3、淡黄色:腹腔感染感染得到控制后变为淡黄色。
4、脓性物质:可见腹腔感染,或者感染灶清除不彻底等。
其他颜色如墨绿色,见于胆道相关手术后的胆瘘。
保持引流管通畅,随时注意观察不要受压或扭曲;还要注意引流管的固定,尤其是翻身或者搬动患者时,以免移位或脱出;搬动患者时注意引流瓶的位置不能高于插管口的平面。可以先夹闭引流管再搬动患者,等体位稳定后再开放引流管。注意保持引流管切口和伤口部位的清洁卫生,以防感染。
","articleBody": "手术后,引流液的颜色分为红色、黄色、淡黄色、脓性物质及其他不常见的颜色。若引流管出现问题,要及时告知医生。

1、红色:术后前3天较常见,以术后当天最明显。其主要成分是血液,可以是手术冲洗后残留的积血,或者小的血管渗血,或者术中变异血管的结扎不确切等。
2、黄色:常可有红色渐变为黄色,既可以为渗出液或者漏出液,或者胰瘘,也可以是肠瘘形成的,此类常伴有气体和食物残渣等。
3、淡黄色:腹腔感染感染得到控制后变为淡黄色。
4、脓性物质:可见腹腔感染,或者感染灶清除不彻底等。
其他颜色如墨绿色,见于胆道相关手术后的胆瘘。
保持引流管通畅,随时注意观察不要受压或扭曲;还要注意引流管的固定,尤其是翻身或者搬动患者时,以免移位或脱出;搬动患者时注意引流瓶的位置不能高于插管口的平面。可以先夹闭引流管再搬动患者,等体位稳定后再开放引流管。注意保持引流管切口和伤口部位的清洁卫生,以防感染。
","scanCount": 32694}}} {"@context": "https://ziyuan.baidu.com/contexts/cambrian.jsonld","appid": "1650708455561748","icon": "https://www.med-credit.org.cn/style/images/ttlogo.png","content_tag": ["atlas"],"is_mcn": {"thumb_id": "g76756sx"},"accid": "4886d626a2804dee5f11168793ce361672f39c25","@id": "https://www.med-credit.org.cn/mobile/jingxuan/2/d696d7bc526a6dbc23a6f9aa5c2803a6.html","bagWordId": "c786ecc87dcb8d8e","title": "筋骨草的功效与作用图片","pubDate": "2023-03-13T18:08:06","upDate": "2023-03-13T18:08:06","lrDate": "2023-03-13T18:08:06","description": "筋骨草是唇形科植物,筋骨草属多年生草本植物。","data": {"WebPage": {"headline": "筋骨草的功效与作用图片","pcUrl": "https://www.med-credit.org.cn/jingxuan/2/d696d7bc526a6dbc23a6f9aa5c2803a6.html","wapUrl": "https://www.med-credit.org.cn/jingxuan/2/d696d7bc526a6dbc23a6f9aa5c2803a6.html","mipUrl": "https://www.med-credit.org.cn/mobile/jingxuan/2/d696d7bc526a6dbc23a6f9aa5c2803a6.html","fromSrc": "欢乐橙","datePublished": "2023-03-13T18:08:06","domain": "医疗","category": ["医疗权威文章合作"],"description": "筋骨草是唇形科植物,筋骨草属多年生草本植物。
","extra_headline": [""]},"Author": {"name": "张婷","wapUrl": "https://www.med-credit.org.cn/doctor/555","pcUrl": "https://www.med-credit.org.cn/doctor/555","jobTitle": "副主任医师","headPortrait": "https://www.med-credit.org.cn/uploadfile/member/555/180x180.jpeg","id": "555","description": "张婷,中南大学湘雅三医院中西医结合科副主任医师","memberOf": {"legalName": "中南大学湘雅三医院","department": "中西医结合科","organizationLevel": "三级甲等"}},"Article": {"summaryContent": "筋骨草是唇形科植物,筋骨草属多年生草本植物。
筋骨草的全草可以入药,其具有解毒消肿,凉血清热的功效,可用于治疗肺热咯血、跌打损伤、扁桃腺炎、咽喉炎等疾病。


筋骨草为多年生草本,高20~35厘米。茎的上部直立,而下部卧地,方形,带为紫色,被白柔毛。叶对生,具柄,有翅,被白毛;叶片长倒卵形,先端较钝,基部呈宽楔形,长5~11厘米,宽2.2~3.8厘米,边缘有不规则波状粗钝齿,上面呈深绿色,下面为绿色,被疏白毛。穗状花序,顶生,有叶状苞片;花冠紫色,唇形,上唇短、细,下唇大、长。其花期在夏季,果期在秋季。常生于田边、山坡、路旁、菜园地。
筋骨草具有解毒消肿,凉血清热的功效。可用于扁桃体炎、肺热咯血、咽喉炎以及扭伤。常常与其他药物配伍应用:筋骨草与大青呼,两种药都是味苦、性寒,筋骨草凉血清热,还可以解毒,大青叶清热解毒,并且还可以消斑凉血,两者相互为用,凉血止血,清热解毒,作用尤强。适用于肺热咯血、肺热咳嗽等;筋骨草与蒲公英两药均有解毒,清热,消肿的功效。筋骨草偏于消肿,蒲公英重在解毒,两药配伍,相辅相成。常用于痈肿疗毒等证。
","articleBody": "筋骨草是唇形科植物,筋骨草属多年生草本植物。
筋骨草的全草可以入药,其具有解毒消肿,凉血清热的功效,可用于治疗肺热咯血、跌打损伤、扁桃腺炎、咽喉炎等疾病。


筋骨草为多年生草本,高20~35厘米。茎的上部直立,而下部卧地,方形,带为紫色,被白柔毛。叶对生,具柄,有翅,被白毛;叶片长倒卵形,先端较钝,基部呈宽楔形,长5~11厘米,宽2.2~3.8厘米,边缘有不规则波状粗钝齿,上面呈深绿色,下面为绿色,被疏白毛。穗状花序,顶生,有叶状苞片;花冠紫色,唇形,上唇短、细,下唇大、长。其花期在夏季,果期在秋季。常生于田边、山坡、路旁、菜园地。
筋骨草具有解毒消肿,凉血清热的功效。可用于扁桃体炎、肺热咯血、咽喉炎以及扭伤。常常与其他药物配伍应用:筋骨草与大青呼,两种药都是味苦、性寒,筋骨草凉血清热,还可以解毒,大青叶清热解毒,并且还可以消斑凉血,两者相互为用,凉血止血,清热解毒,作用尤强。适用于肺热咯血、肺热咳嗽等;筋骨草与蒲公英两药均有解毒,清热,消肿的功效。筋骨草偏于消肿,蒲公英重在解毒,两药配伍,相辅相成。常用于痈肿疗毒等证。
","scanCount": 32693}}} {"@context": "https://ziyuan.baidu.com/contexts/cambrian.jsonld","appid": "1650708455561748","icon": "https://www.med-credit.org.cn/style/images/ttlogo.png","content_tag": ["atlas"],"is_mcn": {"thumb_id": "g76756sx"},"accid": "4886d626a2804dee5f11168793ce361672f39c25","@id": "https://www.med-credit.org.cn/mobile/jingxuan/2/7d2733a46e10963130a30141abfbed7c.html","bagWordId": "ba52cc0c6cd118c0","title": "四物汤是哪四物图片","pubDate": "2023-03-13T18:08:06","upDate": "2023-03-13T18:08:06","lrDate": "2023-03-13T18:08:06","description": "四物汤是以川芎、当归、熟地黄、白芍这四味药材为主要原料熬制而成的汤剂。其具有补血、调经的功效,有较强的抗氧化能力,在临床中应用广泛。","data": {"WebPage": {"headline": "四物汤是哪四物图片","pcUrl": "https://www.med-credit.org.cn/jingxuan/2/7d2733a46e10963130a30141abfbed7c.html","wapUrl": "https://www.med-credit.org.cn/jingxuan/2/7d2733a46e10963130a30141abfbed7c.html","mipUrl": "https://www.med-credit.org.cn/mobile/jingxuan/2/7d2733a46e10963130a30141abfbed7c.html","fromSrc": "欢乐橙","datePublished": "2023-03-13T18:08:06","domain": "医疗","category": ["医疗权威文章合作"],"description": "四物汤是以川芎、当归、熟地黄、白芍这四味药材为主要原料熬制而成的汤剂。其具有补血、调经的功效,有较强的抗氧化能力,在临床中应用广泛。
","extra_headline": ["四物汤是哪四物"]},"Author": {"name": "张婷","wapUrl": "https://www.med-credit.org.cn/doctor/555","pcUrl": "https://www.med-credit.org.cn/doctor/555","jobTitle": "副主任医师","headPortrait": "https://www.med-credit.org.cn/uploadfile/member/555/180x180.jpeg","id": "555","description": "张婷,中南大学湘雅三医院中西医结合科副主任医师","memberOf": {"legalName": "中南大学湘雅三医院","department": "中西医结合科","organizationLevel": "三级甲等"}},"Article": {"summaryContent": "四物汤是以川芎、当归、熟地黄、白芍这四味药材为主要原料熬制而成的汤剂。其具有补血、调经的功效,有较强的抗氧化能力,在临床中应用广泛。

四物汤是补血、养血的经典药膳,广泛用于治疗妇科疾病,其药理作用能促进外周血和脾脏红细胞的表达,增加肾脏促红细胞生成素的产生,使得造血增加,并能抑制相关炎症,使得体内血液系统能更好地维持在一个活跃的水平。
在目前的研究中,四物汤具有较强的抗氧化能力,可显著改善血管内皮壁的抗损伤能力,并且减低全血粘度、红细胞聚集程度,消除部分体内新陈代谢产生的自由基,从而达到延缓衰老的作用;活血效果也是其带来的一个益处,能改善血流循环速度,使得凝血减轻,有助于改善瘀血部位的血供,能更快地活血祛瘀。
四物汤在临床上的应用也多种多样,可帮助改善血虚症状,减轻各类妇科疾病的症状;在恶性肿瘤患者身上,能适度地提高免疫力,改善患者生活质量。建议在中医师的指导下服用该药。
","articleBody": "四物汤是以川芎、当归、熟地黄、白芍这四味药材为主要原料熬制而成的汤剂。其具有补血、调经的功效,有较强的抗氧化能力,在临床中应用广泛。

四物汤是补血、养血的经典药膳,广泛用于治疗妇科疾病,其药理作用能促进外周血和脾脏红细胞的表达,增加肾脏促红细胞生成素的产生,使得造血增加,并能抑制相关炎症,使得体内血液系统能更好地维持在一个活跃的水平。
在目前的研究中,四物汤具有较强的抗氧化能力,可显著改善血管内皮壁的抗损伤能力,并且减低全血粘度、红细胞聚集程度,消除部分体内新陈代谢产生的自由基,从而达到延缓衰老的作用;活血效果也是其带来的一个益处,能改善血流循环速度,使得凝血减轻,有助于改善瘀血部位的血供,能更快地活血祛瘀。
四物汤在临床上的应用也多种多样,可帮助改善血虚症状,减轻各类妇科疾病的症状;在恶性肿瘤患者身上,能适度地提高免疫力,改善患者生活质量。建议在中医师的指导下服用该药。
","scanCount": 6824}}} {"@context": "https://ziyuan.baidu.com/contexts/cambrian.jsonld","appid": "1650708455561748","icon": "https://www.med-credit.org.cn/style/images/ttlogo.png","content_tag": ["atlas"],"is_mcn": {"thumb_id": "g76756sx"},"accid": "4886d626a2804dee5f11168793ce361672f39c25","@id": "https://www.med-credit.org.cn/mobile/jingxuan/2/7bb79bafce3e615f9a6b9cc0f4135199.html","bagWordId": "7cc6fb56c5120cd0","title": "铧头草图片","pubDate": "2023-03-13T18:08:06","upDate": "2023-03-13T18:08:06","lrDate": "2023-03-13T18:08:06","description": "铧头草是采自堇菜科植物白花地丁、长萼堇菜或尼泊尔堇菜的全草或带根全草。铧头草味微苦带辛,性寒,具有清热解毒、散瘀消肿的功效。","data": {"WebPage": {"headline": "铧头草图片","pcUrl": "https://www.med-credit.org.cn/jingxuan/2/7bb79bafce3e615f9a6b9cc0f4135199.html","wapUrl": "https://www.med-credit.org.cn/jingxuan/2/7bb79bafce3e615f9a6b9cc0f4135199.html","mipUrl": "https://www.med-credit.org.cn/mobile/jingxuan/2/7bb79bafce3e615f9a6b9cc0f4135199.html","fromSrc": "欢乐橙","datePublished": "2023-03-13T18:08:06","domain": "医疗","category": ["医疗权威文章合作"],"description": "铧头草是采自堇菜科植物白花地丁、长萼堇菜或尼泊尔堇菜的全草或带根全草。铧头草味微苦带辛,性寒,具有清热解毒、散瘀消肿的功效。
","extra_headline": [""]},"Author": {"name": "张婷","wapUrl": "https://www.med-credit.org.cn/doctor/555","pcUrl": "https://www.med-credit.org.cn/doctor/555","jobTitle": "副主任医师","headPortrait": "https://www.med-credit.org.cn/uploadfile/member/555/180x180.jpeg","id": "555","description": "张婷,中南大学湘雅三医院中西医结合科副主任医师","memberOf": {"legalName": "中南大学湘雅三医院","department": "中西医结合科","organizationLevel": "三级甲等"}},"Article": {"summaryContent": "铧头草是采自堇菜科植物白花地丁、长萼堇菜或尼泊尔堇菜的全草或带根全草。铧头草味微苦带辛,性寒,具有清热解毒、散瘀消肿的功效。


铧头草为多年生草本,无地上茎。根茎通常较粗短,长5~10mm,斜生或垂直。叶基生,莲座状;叶柄较长,上半部有狭而明显的翅;托叶褐色,约3/4与叶柄合生;叶片狭披针形、长三角状戟形或三角状卵形,长2~7.5cm,宽0.5~3cm,先端尖,有时稍钝圆,基部截形或略呈浅心形,有时宽楔形,花期后叶增大,垂片开展并具明显的牙齿,边缘具疏而浅的波状齿。
铧头草味微苦带辛,性寒,具有清热解毒、散瘀消肿的功效。临床上常捣敷用于治疗痈、疖炎症早期。药理研究发现对于金黄色葡萄球菌、卡他球菌、痢疾杆菌等细菌具有抑菌作用。
","articleBody": "铧头草是采自堇菜科植物白花地丁、长萼堇菜或尼泊尔堇菜的全草或带根全草。铧头草味微苦带辛,性寒,具有清热解毒、散瘀消肿的功效。


铧头草为多年生草本,无地上茎。根茎通常较粗短,长5~10mm,斜生或垂直。叶基生,莲座状;叶柄较长,上半部有狭而明显的翅;托叶褐色,约3/4与叶柄合生;叶片狭披针形、长三角状戟形或三角状卵形,长2~7.5cm,宽0.5~3cm,先端尖,有时稍钝圆,基部截形或略呈浅心形,有时宽楔形,花期后叶增大,垂片开展并具明显的牙齿,边缘具疏而浅的波状齿。
铧头草味微苦带辛,性寒,具有清热解毒、散瘀消肿的功效。临床上常捣敷用于治疗痈、疖炎症早期。药理研究发现对于金黄色葡萄球菌、卡他球菌、痢疾杆菌等细菌具有抑菌作用。
","scanCount": 32692}}} {"@context": "https://ziyuan.baidu.com/contexts/cambrian.jsonld","appid": "1650708455561748","icon": "https://www.med-credit.org.cn/style/images/ttlogo.png","content_tag": ["atlas"],"is_mcn": {"thumb_id": "g76756sx"},"accid": "4886d626a2804dee5f11168793ce361672f39c25","@id": "https://www.med-credit.org.cn/mobile/jingxuan/2/1a1cb7bfd139c43b89a40fa2ef38320c.html","bagWordId": "56d782c05a6d3d2d","title": "长寿草图片","pubDate": "2023-03-13T18:08:06","upDate": "2023-03-13T18:08:06","lrDate": "2023-03-13T18:08:06","description": "长寿草是伞形科当归属多年生草本植物,也称明日叶,茎直立,分枝多,是一种药食兼用的植物,药用部位主要是茎、叶、根。其性温,味甘,有强肝健胃、清热利尿的功效。","data": {"WebPage": {"headline": "长寿草图片","pcUrl": "https://www.med-credit.org.cn/jingxuan/2/1a1cb7bfd139c43b89a40fa2ef38320c.html","wapUrl": "https://www.med-credit.org.cn/jingxuan/2/1a1cb7bfd139c43b89a40fa2ef38320c.html","mipUrl": "https://www.med-credit.org.cn/mobile/jingxuan/2/1a1cb7bfd139c43b89a40fa2ef38320c.html","fromSrc": "欢乐橙","datePublished": "2023-03-13T18:08:06","domain": "医疗","category": ["医疗权威文章合作"],"description": "长寿草是伞形科当归属多年生草本植物,也称明日叶,茎直立,分枝多,是一种药食兼用的植物,药用部位主要是茎、叶、根。其性温,味甘,有强肝健胃、清热利尿的功效。
","extra_headline": ["长寿草"]},"Author": {"name": "张婷","wapUrl": "https://www.med-credit.org.cn/doctor/555","pcUrl": "https://www.med-credit.org.cn/doctor/555","jobTitle": "副主任医师","headPortrait": "https://www.med-credit.org.cn/uploadfile/member/555/180x180.jpeg","id": "555","description": "张婷,中南大学湘雅三医院中西医结合科副主任医师","memberOf": {"legalName": "中南大学湘雅三医院","department": "中西医结合科","organizationLevel": "三级甲等"}},"Article": {"summaryContent": "长寿草是伞形科当归属多年生草本植物,也称明日叶,茎直立,分枝多,是一种药食兼用的植物,药用部位主要是茎、叶、根。其性温,味甘,有强肝健胃、清热利尿的功效。


长寿草植株高约80-120厘米,茎直立,分枝多,根据植株外形颜色,可分成青茎种、红茎种与混合等三个种类。叶大,叶内含黄色液汁,花序呈伞状,被短毛。果实长椭圆形,稍扁平。通常生长在冷凉至温暖的环境下,适合的温度为12-22℃,忌高温高湿,一般在高海拔低温地带种植。
长寿草性温,味甘。用作中药材时主要功效是强肝健胃,清热利尿。富含叶绿素,有助于防止细胞老化、有助于调节血压水平,调理慢性疾病。具有益气、安神的效果,有利于缓解失眠、便秘等症状。
长寿草近年来栽培作为健康蔬菜食用,嫩茎叶茎枝经过翻炒、凉拌、火锅、煮汤、炖肉或做成茶汁等多种烹饪方式,可制作成菜肴。具有食疗功效,有利于增强身体免疫力、抗菌、抗血栓等。
","articleBody": "长寿草是伞形科当归属多年生草本植物,也称明日叶,茎直立,分枝多,是一种药食兼用的植物,药用部位主要是茎、叶、根。其性温,味甘,有强肝健胃、清热利尿的功效。


长寿草植株高约80-120厘米,茎直立,分枝多,根据植株外形颜色,可分成青茎种、红茎种与混合等三个种类。叶大,叶内含黄色液汁,花序呈伞状,被短毛。果实长椭圆形,稍扁平。通常生长在冷凉至温暖的环境下,适合的温度为12-22℃,忌高温高湿,一般在高海拔低温地带种植。
长寿草性温,味甘。用作中药材时主要功效是强肝健胃,清热利尿。富含叶绿素,有助于防止细胞老化、有助于调节血压水平,调理慢性疾病。具有益气、安神的效果,有利于缓解失眠、便秘等症状。
长寿草近年来栽培作为健康蔬菜食用,嫩茎叶茎枝经过翻炒、凉拌、火锅、煮汤、炖肉或做成茶汁等多种烹饪方式,可制作成菜肴。具有食疗功效,有利于增强身体免疫力、抗菌、抗血栓等。
","scanCount": 8945}}} {"@context": "https://ziyuan.baidu.com/contexts/cambrian.jsonld","appid": "1650708455561748","icon": "https://www.med-credit.org.cn/style/images/ttlogo.png","content_tag": ["atlas"],"is_mcn": {"thumb_id": "g76756sx"},"accid": "4886d626a2804dee5f11168793ce361672f39c25","@id": "https://www.med-credit.org.cn/mobile/jingxuan/2/e4f3d98bfc723ff855e0b7ba410e0be2.html","bagWordId": "b40f206f5eabe79a","title": "白花蛇图片","pubDate": "2023-03-13T18:08:06","upDate": "2023-03-13T18:08:06","lrDate": "2023-03-13T18:08:06","description": "白花蛇是蝮蛇科动物尖吻蝮(五步蛇)的干燥全体,可以入药。以干燥、条大、花纹斑块明显、头尾齐全者为佳。其性温,味咸、甘,有祛风通络、止痉攻毒的功效。","data": {"WebPage": {"headline": "白花蛇图片","pcUrl": "https://www.med-credit.org.cn/jingxuan/2/e4f3d98bfc723ff855e0b7ba410e0be2.html","wapUrl": "https://www.med-credit.org.cn/jingxuan/2/e4f3d98bfc723ff855e0b7ba410e0be2.html","mipUrl": "https://www.med-credit.org.cn/mobile/jingxuan/2/e4f3d98bfc723ff855e0b7ba410e0be2.html","fromSrc": "欢乐橙","datePublished": "2023-03-13T18:08:06","domain": "医疗","category": ["医疗权威文章合作"],"description": "白花蛇是蝮蛇科动物尖吻蝮(五步蛇)的干燥全体,可以入药。以干燥、条大、花纹斑块明显、头尾齐全者为佳。其性温,味咸、甘,有祛风通络、止痉攻毒的功效。
","extra_headline": [""]},"Author": {"name": "张婷","wapUrl": "https://www.med-credit.org.cn/doctor/555","pcUrl": "https://www.med-credit.org.cn/doctor/555","jobTitle": "副主任医师","headPortrait": "https://www.med-credit.org.cn/uploadfile/member/555/180x180.jpeg","id": "555","description": "张婷,中南大学湘雅三医院中西医结合科副主任医师","memberOf": {"legalName": "中南大学湘雅三医院","department": "中西医结合科","organizationLevel": "三级甲等"}},"Article": {"summaryContent": "白花蛇是蝮蛇科动物尖吻蝮(五步蛇)的干燥全体,可以入药。以干燥、条大、花纹斑块明显、头尾齐全者为佳。其性温,味咸、甘,有祛风通络、止痉攻毒的功效。
白花蛇身上的花纹似白花,呈方形;蛇头大似三角形,身长0.6~1.2米,背上有24块斜方格,嘴里长着4只长牙,腹部也有斑纹,白色横纹较多,多为黑白相间。小白花蛇,头部两腮部位为白色。花纹间距明显,较清晰,比赤练蛇宽。大白花蛇长大后头部两腮白色部位逐渐减小至消失,环纹黑白区分更明显。


白花蛇性温,味咸、甘;有毒;归肝经。其祛风通络,止痉攻毒的作用较强;为癣癞恶疮、顽痹风瘫之要药。常用于治疗中风偏瘫、、破伤风、疥癣、淋病等。白花蛇祛风定惊作用较强。配伍应用:白花蛇配蜈蚣﹐两者皆入肝经,祛风定惊的作用均较强。二药相配,相互促进,适用于破伤风、小儿惊风、筋脉拘挛等症。注意需要在医师指导下用药。
","articleBody": "白花蛇是蝮蛇科动物尖吻蝮(五步蛇)的干燥全体,可以入药。以干燥、条大、花纹斑块明显、头尾齐全者为佳。其性温,味咸、甘,有祛风通络、止痉攻毒的功效。
白花蛇身上的花纹似白花,呈方形;蛇头大似三角形,身长0.6~1.2米,背上有24块斜方格,嘴里长着4只长牙,腹部也有斑纹,白色横纹较多,多为黑白相间。小白花蛇,头部两腮部位为白色。花纹间距明显,较清晰,比赤练蛇宽。大白花蛇长大后头部两腮白色部位逐渐减小至消失,环纹黑白区分更明显。


白花蛇性温,味咸、甘;有毒;归肝经。其祛风通络,止痉攻毒的作用较强;为癣癞恶疮、顽痹风瘫之要药。常用于治疗中风偏瘫、、破伤风、疥癣、淋病等。白花蛇祛风定惊作用较强。配伍应用:白花蛇配蜈蚣﹐两者皆入肝经,祛风定惊的作用均较强。二药相配,相互促进,适用于破伤风、小儿惊风、筋脉拘挛等症。注意需要在医师指导下用药。
","scanCount": 32690}}} {"@context": "https://ziyuan.baidu.com/contexts/cambrian.jsonld","appid": "1650708455561748","icon": "https://www.med-credit.org.cn/style/images/ttlogo.png","content_tag": ["atlas"],"is_mcn": {"thumb_id": "6s37k24n"},"accid": "4886d626a2804dee5f11168793ce361672f39c25","@id": "https://www.med-credit.org.cn/mobile/jingxuan/2/d7f6dd6a4a0531838791b9d60cc32e11.html","bagWordId": "a687d065518e4266","title": "舌苔照片","pubDate": "2023-03-13T18:08:06","upDate": "2023-03-13T18:08:06","lrDate": "2023-03-13T18:08:06","description": "舌苔是舌背上的一层薄白而润的苔状物,由脱落的角化上皮、唾液和食物碎屑等组成。正常人的舌苔,一般是薄而均匀地平铺在舌面,在舌面中部、根部稍厚。出现异常的舌苔时,可以通过饮食或中医治疗来调理。","data": {"WebPage": {"headline": "舌苔照片","pcUrl": "https://www.med-credit.org.cn/jingxuan/2/d7f6dd6a4a0531838791b9d60cc32e11.html","wapUrl": "https://www.med-credit.org.cn/jingxuan/2/d7f6dd6a4a0531838791b9d60cc32e11.html","mipUrl": "https://www.med-credit.org.cn/mobile/jingxuan/2/d7f6dd6a4a0531838791b9d60cc32e11.html","fromSrc": "欢乐橙","datePublished": "2023-03-13T18:08:06","domain": "医疗","category": ["医疗权威文章合作"],"description": "舌苔是舌背上的一层薄白而润的苔状物,由脱落的角化上皮、唾液和食物碎屑等组成。正常人的舌苔,一般是薄而均匀地平铺在舌面,在舌面中部、根部稍厚。出现异常的舌苔时,可以通过饮食或中医治疗来调理。
","extra_headline": [""]},"Author": {"name": "王成阳","wapUrl": "https://www.med-credit.org.cn/doctor/574","pcUrl": "https://www.med-credit.org.cn/doctor/574","jobTitle": "副主任医师","headPortrait": "https://www.med-credit.org.cn/uploadfile/member/574/180x180.jpeg","id": "574","description": "王成阳,安徽医科大学附属巢湖医院中医科副主任医师","memberOf": {"legalName": "安徽医科大学附属巢湖医院","department": "中医科","organizationLevel": "三级甲等"}},"Article": {"summaryContent": "舌苔是舌背上的一层薄白而润的苔状物,由脱落的角化上皮、唾液和食物碎屑等组成。正常人的舌苔,一般是薄而均匀地平铺在舌面,在舌面中部、根部稍厚。出现异常的舌苔时,可以通过饮食或中医治疗来调理。

中医认为,舌苔是由胃气所生。在正常情况下,通过吞咽动作和唾液等的冲洗,舌苔表现为薄薄的一片白色平铺在舌面上。而当患病时,舌苔的变化可以反映身体五脏六腑的变化。一般可以通过观察舌苔,从颜色、厚薄和润燥等评估疾病。
正常舌象可概括为六个字:“淡红舌薄白苔”,具体地说,舌色淡红鲜明,舌质滋润,舌体大小适中,柔软灵活,舌苔均匀、薄白而润。
如果出现舌苔过厚过腻等,一般可以通过饮食或者中医调理来改善,不可用力去刮舌苔。不当的刮舌苔,可能会损伤舌苔,刺激味蕾,严重的话甚至会使味觉减退和食欲下降,有可能影响到身体的健康。
","articleBody": "舌苔是舌背上的一层薄白而润的苔状物,由脱落的角化上皮、唾液和食物碎屑等组成。正常人的舌苔,一般是薄而均匀地平铺在舌面,在舌面中部、根部稍厚。出现异常的舌苔时,可以通过饮食或中医治疗来调理。

中医认为,舌苔是由胃气所生。在正常情况下,通过吞咽动作和唾液等的冲洗,舌苔表现为薄薄的一片白色平铺在舌面上。而当患病时,舌苔的变化可以反映身体五脏六腑的变化。一般可以通过观察舌苔,从颜色、厚薄和润燥等评估疾病。
正常舌象可概括为六个字:“淡红舌薄白苔”,具体地说,舌色淡红鲜明,舌质滋润,舌体大小适中,柔软灵活,舌苔均匀、薄白而润。
如果出现舌苔过厚过腻等,一般可以通过饮食或者中医调理来改善,不可用力去刮舌苔。不当的刮舌苔,可能会损伤舌苔,刺激味蕾,严重的话甚至会使味觉减退和食欲下降,有可能影响到身体的健康。
","scanCount": 32689}}} {"@context": "https://ziyuan.baidu.com/contexts/cambrian.jsonld","appid": "1650708455561748","icon": "https://www.med-credit.org.cn/style/images/ttlogo.png","content_tag": ["atlas"],"is_mcn": {"thumb_id": "0jui1zp8"},"accid": "4886d626a2804dee5f11168793ce361672f39c25","@id": "https://www.med-credit.org.cn/mobile/jingxuan/2/c40f998dc98deeebb41a7fc6d15aaf81.html","bagWordId": "25531bb3963a2681","title": "留置针回血正常图片","pubDate": "2023-03-13T18:08:06","upDate": "2023-03-13T18:08:06","lrDate": "2023-03-13T18:08:06","description": "留置针回血正常时的表现是,向导管缓慢推注无菌生理盐水无阻力感,轻轻抽吸可见血液回流。使用静脉留置针时应严格按照无菌操作,避免发生感染。","data": {"WebPage": {"headline": "留置针回血正常图片","pcUrl": "https://www.med-credit.org.cn/jingxuan/2/c40f998dc98deeebb41a7fc6d15aaf81.html","wapUrl": "https://www.med-credit.org.cn/jingxuan/2/c40f998dc98deeebb41a7fc6d15aaf81.html","mipUrl": "https://www.med-credit.org.cn/mobile/jingxuan/2/c40f998dc98deeebb41a7fc6d15aaf81.html","fromSrc": "欢乐橙","datePublished": "2023-03-13T18:08:06","domain": "医疗","category": ["医疗权威文章合作"],"description": "留置针回血正常时的表现是,向导管缓慢推注无菌生理盐水无阻力感,轻轻抽吸可见血液回流。使用静脉留置针时应严格按照无菌操作,避免发生感染。
","extra_headline": ["留置针回血正常"]},"Author": {"name": "陈璐","wapUrl": "https://www.med-credit.org.cn/doctor/494","pcUrl": "https://www.med-credit.org.cn/doctor/494","jobTitle": "主治医师","headPortrait": "https://www.med-credit.org.cn/uploadfile/member/494/180x180.jpeg","id": "494","description": "陈璐,中南大学湘雅医院普外科主治医师。","memberOf": {"legalName": "中南大学湘雅医院","department": "普外科(胃肠外科)","organizationLevel": "三级甲等"}},"Article": {"summaryContent": "留置针回血正常时的表现是,向导管缓慢推注无菌生理盐水无阻力感,轻轻抽吸可见血液回流。使用静脉留置针时应严格按照无菌操作,避免发生感染。

外周静脉留置针是一种静脉输液工具,使药物快速进入体内。能用于补充液体、营养液,维持体内电解质平衡,纠正血容量不足。
与头皮针比较,留置针能在一定时间内持续保持静脉通道,方便用药治疗,可减少对静脉进行反复穿刺,能保护血管。
使用静脉留置针时应严格按照无菌操作,避免发生感染。在穿刺后及每次连接输液前,应确认留置导管是否通畅。如检查发现推注阻力大,抽吸无回血时,调整位置无改善则提示导管堵塞,应拔除留置针。当怀疑存在导管相关血液感染时,拔管后应对导管进行细菌培养。在使用静脉留置针期间,应对穿刺部位加强固定,避免导管脱出或移位。定期检查穿刺部位及周边皮肤情况,观察是否存在渗液、渗血,局部红肿或皮肤损伤等。
","articleBody": "留置针回血正常时的表现是,向导管缓慢推注无菌生理盐水无阻力感,轻轻抽吸可见血液回流。使用静脉留置针时应严格按照无菌操作,避免发生感染。

外周静脉留置针是一种静脉输液工具,使药物快速进入体内。能用于补充液体、营养液,维持体内电解质平衡,纠正血容量不足。
与头皮针比较,留置针能在一定时间内持续保持静脉通道,方便用药治疗,可减少对静脉进行反复穿刺,能保护血管。
使用静脉留置针时应严格按照无菌操作,避免发生感染。在穿刺后及每次连接输液前,应确认留置导管是否通畅。如检查发现推注阻力大,抽吸无回血时,调整位置无改善则提示导管堵塞,应拔除留置针。当怀疑存在导管相关血液感染时,拔管后应对导管进行细菌培养。在使用静脉留置针期间,应对穿刺部位加强固定,避免导管脱出或移位。定期检查穿刺部位及周边皮肤情况,观察是否存在渗液、渗血,局部红肿或皮肤损伤等。
","scanCount": 9421}}} {"@context": "https://ziyuan.baidu.com/contexts/cambrian.jsonld","appid": "1650708455561748","icon": "https://www.med-credit.org.cn/style/images/ttlogo.png","content_tag": ["atlas"],"is_mcn": {"thumb_id": "g76756sx"},"accid": "4886d626a2804dee5f11168793ce361672f39c25","@id": "https://www.med-credit.org.cn/mobile/jingxuan/2/001954db408833d88da893543d54a5a1.html","bagWordId": "bfa223ddf18f2acc","title": "鱼香草图片","pubDate": "2023-03-13T18:08:06","upDate": "2023-03-13T18:08:06","lrDate": "2023-03-13T18:08:06","description": "鱼香草是一种中草药,为多年生芳香性草本植物留兰香的茎、叶或嫩枝头,采摘后晾干加工入药。其性凉、味辛,有散风热、消肿毒、健胃止吐的功效。鱼香草外形与薄荷相似,需进行鉴别。","data": {"WebPage": {"headline": "鱼香草图片","pcUrl": "https://www.med-credit.org.cn/jingxuan/2/001954db408833d88da893543d54a5a1.html","wapUrl": "https://www.med-credit.org.cn/jingxuan/2/001954db408833d88da893543d54a5a1.html","mipUrl": "https://www.med-credit.org.cn/mobile/jingxuan/2/001954db408833d88da893543d54a5a1.html","fromSrc": "欢乐橙","datePublished": "2023-03-13T18:08:06","domain": "医疗","category": ["医疗权威文章合作"],"description": "鱼香草是一种中草药,为多年生芳香性草本植物留兰香的茎、叶或嫩枝头,采摘后晾干加工入药。其性凉、味辛,有散风热、消肿毒、健胃止吐的功效。鱼香草外形与薄荷相似,需进行鉴别。
","extra_headline": ["鱼香草"]},"Author": {"name": "张婷","wapUrl": "https://www.med-credit.org.cn/doctor/555","pcUrl": "https://www.med-credit.org.cn/doctor/555","jobTitle": "副主任医师","headPortrait": "https://www.med-credit.org.cn/uploadfile/member/555/180x180.jpeg","id": "555","description": "张婷,中南大学湘雅三医院中西医结合科副主任医师","memberOf": {"legalName": "中南大学湘雅三医院","department": "中西医结合科","organizationLevel": "三级甲等"}},"Article": {"summaryContent": "鱼香草是一种中草药,为多年生芳香性草本植物留兰香的茎、叶或嫩枝头,采摘后晾干加工入药。其性凉、味辛,有散风热、消肿毒、健胃止吐的功效。鱼香草外形与薄荷相似,需进行鉴别。


鱼香草的植株茎钝四棱形,上部分枝较多,叶对生,叶柄短或接近无柄,叶呈卵圆形或长圆状,表面皱曲、有柔毛,边缘有钝锯齿,叶面上面绿色,下面淡绿色。
鱼香草性凉、味辛、无毒,主要的功效是散风热、消肿毒,健胃止吐、润肤。主要用于治疗伤风感冒,眼部疾病,胃痛不适,疮疖及皮肤皲裂等,对鼻衄,目赤也有一定的缓解作用。该中药用于治胃痛、感冒咳嗽时用煎水服后内服。治疗脚部皮肤皲裂时,用煎水熏洗或全草捣汁涂敷于患处。
鱼香草外形与薄荷相似,尤其是叶片颜色。其区别主要是花朵及气味,鱼香草的花呈穗状,有米粒大小的白色花朵,薄荷花花冠呈唇形,为淡红、青紫色或白色。鱼香草的味道比薄荷更加浓烈,凑近能闻到淡淡的鱼香味。
","articleBody": "鱼香草是一种中草药,为多年生芳香性草本植物留兰香的茎、叶或嫩枝头,采摘后晾干加工入药。其性凉、味辛,有散风热、消肿毒、健胃止吐的功效。鱼香草外形与薄荷相似,需进行鉴别。


鱼香草的植株茎钝四棱形,上部分枝较多,叶对生,叶柄短或接近无柄,叶呈卵圆形或长圆状,表面皱曲、有柔毛,边缘有钝锯齿,叶面上面绿色,下面淡绿色。
鱼香草性凉、味辛、无毒,主要的功效是散风热、消肿毒,健胃止吐、润肤。主要用于治疗伤风感冒,眼部疾病,胃痛不适,疮疖及皮肤皲裂等,对鼻衄,目赤也有一定的缓解作用。该中药用于治胃痛、感冒咳嗽时用煎水服后内服。治疗脚部皮肤皲裂时,用煎水熏洗或全草捣汁涂敷于患处。
鱼香草外形与薄荷相似,尤其是叶片颜色。其区别主要是花朵及气味,鱼香草的花呈穗状,有米粒大小的白色花朵,薄荷花花冠呈唇形,为淡红、青紫色或白色。鱼香草的味道比薄荷更加浓烈,凑近能闻到淡淡的鱼香味。
","scanCount": 6648}}} {"@context": "https://ziyuan.baidu.com/contexts/cambrian.jsonld","appid": "1650708455561748","icon": "https://www.med-credit.org.cn/style/images/ttlogo.png","content_tag": ["atlas"],"is_mcn": {"thumb_id": "g76756sx"},"accid": "4886d626a2804dee5f11168793ce361672f39c25","@id": "https://www.med-credit.org.cn/mobile/jingxuan/2/94d5167228c6d274e5d9fdee08289c48.html","bagWordId": "0c933ddf87de419c","title": "夏枯草的图片与功效","pubDate": "2023-03-13T18:08:06","upDate": "2023-03-13T18:08:06","lrDate": "2023-03-13T18:08:06","description": "夏枯草为唇形科植物夏枯草的果穗。其味苦、辛,性寒,有清火,明目,散结,消肿的功效。","data": {"WebPage": {"headline": "夏枯草的图片与功效","pcUrl": "https://www.med-credit.org.cn/jingxuan/2/94d5167228c6d274e5d9fdee08289c48.html","wapUrl": "https://www.med-credit.org.cn/jingxuan/2/94d5167228c6d274e5d9fdee08289c48.html","mipUrl": "https://www.med-credit.org.cn/mobile/jingxuan/2/94d5167228c6d274e5d9fdee08289c48.html","fromSrc": "欢乐橙","datePublished": "2023-03-13T18:08:06","domain": "医疗","category": ["医疗权威文章合作"],"description": "夏枯草为唇形科植物夏枯草的果穗。其味苦、辛,性寒,有清火,明目,散结,消肿的功效。
","extra_headline": ["夏枯草的与功效"]},"Author": {"name": "张婷","wapUrl": "https://www.med-credit.org.cn/doctor/555","pcUrl": "https://www.med-credit.org.cn/doctor/555","jobTitle": "副主任医师","headPortrait": "https://www.med-credit.org.cn/uploadfile/member/555/180x180.jpeg","id": "555","description": "张婷,中南大学湘雅三医院中西医结合科副主任医师","memberOf": {"legalName": "中南大学湘雅三医院","department": "中西医结合科","organizationLevel": "三级甲等"}},"Article": {"summaryContent": "夏枯草为唇形科植物夏枯草的果穗。其味苦、辛,性寒,有清火,明目,散结,消肿的功效。


本品呈棒状,略扁,长1.5~8厘米,直径为0.8~1.5厘米,淡棕色至棕红色。每一苞片内有花3朵,花冠大多已经脱落,宿粤二唇形,内有小坚果4枚,棕色,卵圆形,尖端处有白色突起。气微,味淡。花期4~6月。果期7~10月。多生于溪边、草地、荒坡、林边及路旁,分布于全国各省。
夏枯草味苦、辛,性寒。有清火,明目,散结,消肿的功能。用于畏光流泪,目赤肿痛,眩晕头痛,筋骨疼痛,口眼歪斜,急性黄疸型传染性肝炎,肺结核,瘵疡,带下,血崩,瘦瘤,甲状腺肿大,高血压症,淋巴结结核,乳腺增生等症。
","articleBody": "夏枯草为唇形科植物夏枯草的果穗。其味苦、辛,性寒,有清火,明目,散结,消肿的功效。


本品呈棒状,略扁,长1.5~8厘米,直径为0.8~1.5厘米,淡棕色至棕红色。每一苞片内有花3朵,花冠大多已经脱落,宿粤二唇形,内有小坚果4枚,棕色,卵圆形,尖端处有白色突起。气微,味淡。花期4~6月。果期7~10月。多生于溪边、草地、荒坡、林边及路旁,分布于全国各省。
夏枯草味苦、辛,性寒。有清火,明目,散结,消肿的功能。用于畏光流泪,目赤肿痛,眩晕头痛,筋骨疼痛,口眼歪斜,急性黄疸型传染性肝炎,肺结核,瘵疡,带下,血崩,瘦瘤,甲状腺肿大,高血压症,淋巴结结核,乳腺增生等症。
","scanCount": 9239}}} {"@context": "https://ziyuan.baidu.com/contexts/cambrian.jsonld","appid": "1650708455561748","icon": "https://www.med-credit.org.cn/style/images/ttlogo.png","content_tag": ["atlas"],"is_mcn": {"thumb_id": "0jui1zp8"},"accid": "4886d626a2804dee5f11168793ce361672f39c25","@id": "https://www.med-credit.org.cn/mobile/jingxuan/2/53653b903a6afd3afbbc5905522e6e6e.html","bagWordId": "ff2d60d00047321f","title": "坏疽图片","pubDate": "2023-03-13T18:08:06","upDate": "2023-03-13T18:08:06","lrDate": "2023-03-13T18:08:06","description": "坏疽是指局部组织出现坏死、发黑等特殊形态改变,多由疾病、创伤等因素导致血液循环障碍引起,造成局部组织大面积缺血、坏死、并继发腐败菌感染。","data": {"WebPage": {"headline": "坏疽图片","pcUrl": "https://www.med-credit.org.cn/jingxuan/2/53653b903a6afd3afbbc5905522e6e6e.html","wapUrl": "https://www.med-credit.org.cn/jingxuan/2/53653b903a6afd3afbbc5905522e6e6e.html","mipUrl": "https://www.med-credit.org.cn/mobile/jingxuan/2/53653b903a6afd3afbbc5905522e6e6e.html","fromSrc": "欢乐橙","datePublished": "2023-03-13T18:08:06","domain": "医疗","category": ["医疗权威文章合作"],"description": "坏疽是指局部组织出现坏死、发黑等特殊形态改变,多由疾病、创伤等因素导致血液循环障碍引起,造成局部组织大面积缺血、坏死、并继发腐败菌感染。
","extra_headline": ["坏疽"]},"Author": {"name": "陈璐","wapUrl": "https://www.med-credit.org.cn/doctor/494","pcUrl": "https://www.med-credit.org.cn/doctor/494","jobTitle": "主治医师","headPortrait": "https://www.med-credit.org.cn/uploadfile/member/494/180x180.jpeg","id": "494","description": "陈璐,中南大学湘雅医院普外科主治医师。","memberOf": {"legalName": "中南大学湘雅医院","department": "普外科(胃肠外科)","organizationLevel": "三级甲等"}},"Article": {"summaryContent": "坏疽是指局部组织出现坏死、发黑等特殊形态改变,多由疾病、创伤等因素导致血液循环障碍引起,造成局部组织大面积缺血、坏死、并继发腐败菌感染。
坏疽可分为干性坏疽和湿性坏疽,两者的症状不同。
坏疽患者应注意坏疽肢体的护理,保持干燥、卫生,并及时就医治疗。
1、干性坏疽:多因动脉粥样硬化、周围动脉疾病等引起,主要发生于四肢末端,因动脉阻塞,静脉回流通畅,水分丢失过多引起。坏死区干燥呈黑色。此外,干性坏疽继发感染时会转为湿性坏疽。

2、湿性坏疽:多因感染引起,主要发生于肺、肠、阑尾、子宫等与外界相通的器官。坏死区或者坏死组织与健康组织界限不清、肿胀、呈黑色或者暗绿色,因腐败菌感染可伴有恶臭。

坏疽患者应注意坏疽肢体的护理,保持干燥、卫生,避免肢体受压、避免擦伤,同时注意坏疽的伴随症状,若出现继发感染、发热等全身症状时,应及时就医。
","articleBody": "坏疽是指局部组织出现坏死、发黑等特殊形态改变,多由疾病、创伤等因素导致血液循环障碍引起,造成局部组织大面积缺血、坏死、并继发腐败菌感染。
坏疽可分为干性坏疽和湿性坏疽,两者的症状不同。
坏疽患者应注意坏疽肢体的护理,保持干燥、卫生,并及时就医治疗。
1、干性坏疽:多因动脉粥样硬化、周围动脉疾病等引起,主要发生于四肢末端,因动脉阻塞,静脉回流通畅,水分丢失过多引起。坏死区干燥呈黑色。此外,干性坏疽继发感染时会转为湿性坏疽。

2、湿性坏疽:多因感染引起,主要发生于肺、肠、阑尾、子宫等与外界相通的器官。坏死区或者坏死组织与健康组织界限不清、肿胀、呈黑色或者暗绿色,因腐败菌感染可伴有恶臭。

坏疽患者应注意坏疽肢体的护理,保持干燥、卫生,避免肢体受压、避免擦伤,同时注意坏疽的伴随症状,若出现继发感染、发热等全身症状时,应及时就医。
","scanCount": 8604}}} {"@context": "https://ziyuan.baidu.com/contexts/cambrian.jsonld","appid": "1650708455561748","icon": "https://www.med-credit.org.cn/style/images/ttlogo.png","content_tag": ["atlas"],"is_mcn": {"thumb_id": "0jui1zp8"},"accid": "4886d626a2804dee5f11168793ce361672f39c25","@id": "https://www.med-credit.org.cn/mobile/jingxuan/2/b3d3bf92707832852bab54321c2fb3d5.html","bagWordId": "39b4e8a777b5455b","title": "撕裂伤口图片","pubDate": "2023-03-13T18:08:06","upDate": "2023-03-13T18:08:06","lrDate": "2023-03-13T18:08:06","description": "撕裂伤口通常表现为皮肤裂口不规则,可呈放射状、交叉、线性但伤口不能对合,深浅不一,可能存在皮肤缺失。撕裂伤口一般需要进行局部清洁、清创去除坏死组织、消毒以及缝合。","data": {"WebPage": {"headline": "撕裂伤口图片","pcUrl": "https://www.med-credit.org.cn/jingxuan/2/b3d3bf92707832852bab54321c2fb3d5.html","wapUrl": "https://www.med-credit.org.cn/jingxuan/2/b3d3bf92707832852bab54321c2fb3d5.html","mipUrl": "https://www.med-credit.org.cn/mobile/jingxuan/2/b3d3bf92707832852bab54321c2fb3d5.html","fromSrc": "欢乐橙","datePublished": "2023-03-13T18:08:06","domain": "医疗","category": ["医疗权威文章合作"],"description": "撕裂伤口通常表现为皮肤裂口不规则,可呈放射状、交叉、线性但伤口不能对合,深浅不一,可能存在皮肤缺失。撕裂伤口一般需要进行局部清洁、清创去除坏死组织、消毒以及缝合。
","extra_headline": [""]},"Author": {"name": "陈璐","wapUrl": "https://www.med-credit.org.cn/doctor/494","pcUrl": "https://www.med-credit.org.cn/doctor/494","jobTitle": "主治医师","headPortrait": "https://www.med-credit.org.cn/uploadfile/member/494/180x180.jpeg","id": "494","description": "陈璐,中南大学湘雅医院普外科主治医师。","memberOf": {"legalName": "中南大学湘雅医院","department": "普外科(胃肠外科)","organizationLevel": "三级甲等"}},"Article": {"summaryContent": "撕裂伤口通常表现为皮肤裂口不规则,可呈放射状、交叉、线性但伤口不能对合,深浅不一,可能存在皮肤缺失。撕裂伤口一般需要进行局部清洁、清创去除坏死组织、消毒以及缝合。

皮肤撕裂伤一般是皮肤受到张力较大的外力撞击,或动物撕咬所致的皮肤撕裂、出血。因皮肤受到撕扯的外力分配不均,伤口裂开处皮肤各层结构撕裂情况不规则,并可能造成浅表血管、神经损伤,出血量相对较多,且疼痛较明显。伤口通常不能自然闭合,需要及时进行清创及缝合等处理。
对于单纯撕裂伤,在进行局部清洁、清创去除坏死组织、消毒后,可以通过缝钉或缝线一期闭合。缝合时注意保持皮肤完整性。
对于复杂的撕裂伤,因可能存在局部皮肤结构的缺失及血管、神经损伤,因此在止血、清创后要仔细检查伤口结构,可能需要进行血管及神经的修复,张力过大的不规则皮肤边缘可能需要整形外科技术如移植皮瓣,以获得良好的美观和功能恢复。
","articleBody": "撕裂伤口通常表现为皮肤裂口不规则,可呈放射状、交叉、线性但伤口不能对合,深浅不一,可能存在皮肤缺失。撕裂伤口一般需要进行局部清洁、清创去除坏死组织、消毒以及缝合。

皮肤撕裂伤一般是皮肤受到张力较大的外力撞击,或动物撕咬所致的皮肤撕裂、出血。因皮肤受到撕扯的外力分配不均,伤口裂开处皮肤各层结构撕裂情况不规则,并可能造成浅表血管、神经损伤,出血量相对较多,且疼痛较明显。伤口通常不能自然闭合,需要及时进行清创及缝合等处理。
对于单纯撕裂伤,在进行局部清洁、清创去除坏死组织、消毒后,可以通过缝钉或缝线一期闭合。缝合时注意保持皮肤完整性。
对于复杂的撕裂伤,因可能存在局部皮肤结构的缺失及血管、神经损伤,因此在止血、清创后要仔细检查伤口结构,可能需要进行血管及神经的修复,张力过大的不规则皮肤边缘可能需要整形外科技术如移植皮瓣,以获得良好的美观和功能恢复。
","scanCount": 32681}}} {"@context": "https://ziyuan.baidu.com/contexts/cambrian.jsonld","appid": "1650708455561748","icon": "https://www.med-credit.org.cn/style/images/ttlogo.png","content_tag": ["atlas"],"is_mcn": {"thumb_id": "g76756sx"},"accid": "4886d626a2804dee5f11168793ce361672f39c25","@id": "https://www.med-credit.org.cn/mobile/jingxuan/2/ccb01868ac2e0fa147b0cf96b8701e08.html","bagWordId": "6609415bfaabb3f8","title": "猴子姜的图片及功效","pubDate": "2023-03-13T18:08:06","upDate": "2023-03-13T18:08:06","lrDate": "2023-03-13T18:08:06","description": "猴子姜一般指的是骨碎补,是槲蕨科(或水龙骨科)植物槲蕨的根状茎。其性温,味甘、苦,有止痛活血,祛风湿,续骨补肾的功效。","data": {"WebPage": {"headline": "猴子姜的图片及功效","pcUrl": "https://www.med-credit.org.cn/jingxuan/2/ccb01868ac2e0fa147b0cf96b8701e08.html","wapUrl": "https://www.med-credit.org.cn/jingxuan/2/ccb01868ac2e0fa147b0cf96b8701e08.html","mipUrl": "https://www.med-credit.org.cn/mobile/jingxuan/2/ccb01868ac2e0fa147b0cf96b8701e08.html","fromSrc": "欢乐橙","datePublished": "2023-03-13T18:08:06","domain": "医疗","category": ["医疗权威文章合作"],"description": "猴子姜一般指的是骨碎补,是槲蕨科(或水龙骨科)植物槲蕨的根状茎。其性温,味甘、苦,有止痛活血,祛风湿,续骨补肾的功效。
","extra_headline": [""]},"Author": {"name": "张婷","wapUrl": "https://www.med-credit.org.cn/doctor/555","pcUrl": "https://www.med-credit.org.cn/doctor/555","jobTitle": "副主任医师","headPortrait": "https://www.med-credit.org.cn/uploadfile/member/555/180x180.jpeg","id": "555","description": "张婷,中南大学湘雅三医院中西医结合科副主任医师","memberOf": {"legalName": "中南大学湘雅三医院","department": "中西医结合科","organizationLevel": "三级甲等"}},"Article": {"summaryContent": "猴子姜一般指的是骨碎补,是槲蕨科(或水龙骨科)植物槲蕨的根状茎。其性温,味甘、苦,有止痛活血,祛风湿,续骨补肾的功效。


骨碎补附生于草本。根状茎长而横走,肉质肥厚似生姜状,密生金黄色或棕黄色线形的鳞片,鳞片边缘有长流苏。叶二型;不生孢子的叶呈红棕色,生于孢子叶的基部,阔卵形,无柄,宽3~6cm,长5~7cm,先端尖,基部为心形,边缘羽状浅裂,两面均无毛,叶脉较明显;孢子为叶绿色,长圆形,长25~40cm,宽14~18cm,羽状深裂,裂片7~13对,披针形,长7~9cm,宽2~3cm,两面均无毛;叶柄有翅。孢子为圆形囊群,沿中肋两侧各2~4行,无囊群盖。夏、秋季为其孢子期。常附生于岩石上、树干上或墙上。
骨碎补性温,味甘、苦。归肝、肾经。可治跌打,止痛活血,祛风湿,续骨补肾。适用于腰痛肾虚,牙齿松动,耳聋耳鸣,筋骨折伤,跌扑闪挫;外用可治白癜风,斑秃。
","articleBody": "猴子姜一般指的是骨碎补,是槲蕨科(或水龙骨科)植物槲蕨的根状茎。其性温,味甘、苦,有止痛活血,祛风湿,续骨补肾的功效。


骨碎补附生于草本。根状茎长而横走,肉质肥厚似生姜状,密生金黄色或棕黄色线形的鳞片,鳞片边缘有长流苏。叶二型;不生孢子的叶呈红棕色,生于孢子叶的基部,阔卵形,无柄,宽3~6cm,长5~7cm,先端尖,基部为心形,边缘羽状浅裂,两面均无毛,叶脉较明显;孢子为叶绿色,长圆形,长25~40cm,宽14~18cm,羽状深裂,裂片7~13对,披针形,长7~9cm,宽2~3cm,两面均无毛;叶柄有翅。孢子为圆形囊群,沿中肋两侧各2~4行,无囊群盖。夏、秋季为其孢子期。常附生于岩石上、树干上或墙上。
骨碎补性温,味甘、苦。归肝、肾经。可治跌打,止痛活血,祛风湿,续骨补肾。适用于腰痛肾虚,牙齿松动,耳聋耳鸣,筋骨折伤,跌扑闪挫;外用可治白癜风,斑秃。
","scanCount": 32680}}} {"@context": "https://ziyuan.baidu.com/contexts/cambrian.jsonld","appid": "1650708455561748","icon": "https://www.med-credit.org.cn/style/images/ttlogo.png","content_tag": ["atlas"],"is_mcn": {"thumb_id": "g76756sx"},"accid": "4886d626a2804dee5f11168793ce361672f39c25","@id": "https://www.med-credit.org.cn/mobile/jingxuan/2/5f8d4d91a1c264393f825e73ca479209.html","bagWordId": "eefd608a7ecb2e46","title": "姜半夏图片","pubDate": "2023-03-13T18:08:06","upDate": "2023-03-13T18:08:06","lrDate": "2023-03-13T18:08:06","description": "姜半夏是指由白矾和生姜炮制过的半夏,与半夏相比,降低了毒副作用。其具有燥湿化痰,温化寒痰的功效。孕妇慎用该药。","data": {"WebPage": {"headline": "姜半夏图片","pcUrl": "https://www.med-credit.org.cn/jingxuan/2/5f8d4d91a1c264393f825e73ca479209.html","wapUrl": "https://www.med-credit.org.cn/jingxuan/2/5f8d4d91a1c264393f825e73ca479209.html","mipUrl": "https://www.med-credit.org.cn/mobile/jingxuan/2/5f8d4d91a1c264393f825e73ca479209.html","fromSrc": "欢乐橙","datePublished": "2023-03-13T18:08:06","domain": "医疗","category": ["医疗权威文章合作"],"description": "姜半夏是指由白矾和生姜炮制过的半夏,与半夏相比,降低了毒副作用。其具有燥湿化痰,温化寒痰的功效。孕妇慎用该药。
","extra_headline": ["姜半夏"]},"Author": {"name": "张婷","wapUrl": "https://www.med-credit.org.cn/doctor/555","pcUrl": "https://www.med-credit.org.cn/doctor/555","jobTitle": "副主任医师","headPortrait": "https://www.med-credit.org.cn/uploadfile/member/555/180x180.jpeg","id": "555","description": "张婷,中南大学湘雅三医院中西医结合科副主任医师","memberOf": {"legalName": "中南大学湘雅三医院","department": "中西医结合科","organizationLevel": "三级甲等"}},"Article": {"summaryContent": "姜半夏是指由白矾和生姜炮制过的半夏,与半夏相比,降低了毒副作用。其具有燥湿化痰,温化寒痰的功效。孕妇慎用该药。

半夏是天南星科植物半夏的干燥的块茎,别称为水玉、地文、三步跳等近十几种,具有燥湿化痰、止痛、消肿止痛、温化寒痰等作用,性温,味辛,有毒。
姜半夏是用清水把半夏浸泡彻底湿润后,再取生姜切片熬汤、与白矾三者共煮。经过炮制之后的姜半夏,燥湿化痰,温化寒痰的功效增加,还具有降逆止呕,止吐作用,同时,毒副作用大大减低。
虽然姜半夏经过炮制加工后毒性降低了,但对于孕妇来说仍然需慎用,妊娠呕吐不宜用姜半夏,以免对孕妇和胎儿健康不利。此外,婴幼儿的胃肠道也比较脆弱,同样不宜服用姜半夏,以免刺激胃肠道,反而加重不适。
","articleBody": "姜半夏是指由白矾和生姜炮制过的半夏,与半夏相比,降低了毒副作用。其具有燥湿化痰,温化寒痰的功效。孕妇慎用该药。

半夏是天南星科植物半夏的干燥的块茎,别称为水玉、地文、三步跳等近十几种,具有燥湿化痰、止痛、消肿止痛、温化寒痰等作用,性温,味辛,有毒。
姜半夏是用清水把半夏浸泡彻底湿润后,再取生姜切片熬汤、与白矾三者共煮。经过炮制之后的姜半夏,燥湿化痰,温化寒痰的功效增加,还具有降逆止呕,止吐作用,同时,毒副作用大大减低。
虽然姜半夏经过炮制加工后毒性降低了,但对于孕妇来说仍然需慎用,妊娠呕吐不宜用姜半夏,以免对孕妇和胎儿健康不利。此外,婴幼儿的胃肠道也比较脆弱,同样不宜服用姜半夏,以免刺激胃肠道,反而加重不适。
","scanCount": 8680}}} {"@context": "https://ziyuan.baidu.com/contexts/cambrian.jsonld","appid": "1650708455561748","icon": "https://www.med-credit.org.cn/style/images/ttlogo.png","content_tag": ["atlas"],"is_mcn": {"thumb_id": "g76756sx"},"accid": "4886d626a2804dee5f11168793ce361672f39c25","@id": "https://www.med-credit.org.cn/mobile/jingxuan/2/edd0a25b7acc9e1caee9c625629b0a87.html","bagWordId": "37c6dcaa15c92a91","title": "抽筋草图片功效与作用","pubDate": "2023-03-13T18:08:06","upDate": "2023-03-13T18:08:06","lrDate": "2023-03-13T18:08:06","description": "抽筋草是石竹科植物星毛繁缕抽筋草的全草。别名:小被单草、单背叶、被单草、小鹅肠草、滇繁缕。其味辛、性凉,有止痛除湿、息风平肝的功效。","data": {"WebPage": {"headline": "抽筋草图片功效与作用","pcUrl": "https://www.med-credit.org.cn/jingxuan/2/edd0a25b7acc9e1caee9c625629b0a87.html","wapUrl": "https://www.med-credit.org.cn/jingxuan/2/edd0a25b7acc9e1caee9c625629b0a87.html","mipUrl": "https://www.med-credit.org.cn/mobile/jingxuan/2/edd0a25b7acc9e1caee9c625629b0a87.html","fromSrc": "欢乐橙","datePublished": "2023-03-13T18:08:06","domain": "医疗","category": ["医疗权威文章合作"],"description": "抽筋草是石竹科植物星毛繁缕抽筋草的全草。别名:小被单草、单背叶、被单草、小鹅肠草、滇繁缕。其味辛、性凉,有止痛除湿、息风平肝的功效。
","extra_headline": ["抽筋草功效与作用"]},"Author": {"name": "张婷","wapUrl": "https://www.med-credit.org.cn/doctor/555","pcUrl": "https://www.med-credit.org.cn/doctor/555","jobTitle": "副主任医师","headPortrait": "https://www.med-credit.org.cn/uploadfile/member/555/180x180.jpeg","id": "555","description": "张婷,中南大学湘雅三医院中西医结合科副主任医师","memberOf": {"legalName": "中南大学湘雅三医院","department": "中西医结合科","organizationLevel": "三级甲等"}},"Article": {"summaryContent": "抽筋草是石竹科植物星毛繁缕抽筋草的全草。别名:小被单草、单背叶、被单草、小鹅肠草、滇繁缕。其味辛、性凉,有止痛除湿、息风平肝的功效。


抽筋草味辛、性凉,为多年生匍匐蔓生草本,长60~90厘米。全株密被白色星状柔毛。茎上部半直立,基部匍匐,灰绿色,分枝稀疏,质脆易断,有不定根,节膨大。单叶互生;叶柄非常短而近于无柄;叶片狭卵形或卵状椭圆形,长2~3.5厘米,宽8~~12毫米,先端渐尖,基部微抱茎或心形,两面被白色星状毛,全缘,下面比较密。
抽筋草的主要功效为止痛除湿、息风平肝。可用于治疗中风不语、风湿骨痛、口眼歪斜、疮痈、小儿惊风等。
","articleBody": "抽筋草是石竹科植物星毛繁缕抽筋草的全草。别名:小被单草、单背叶、被单草、小鹅肠草、滇繁缕。其味辛、性凉,有止痛除湿、息风平肝的功效。


抽筋草味辛、性凉,为多年生匍匐蔓生草本,长60~90厘米。全株密被白色星状柔毛。茎上部半直立,基部匍匐,灰绿色,分枝稀疏,质脆易断,有不定根,节膨大。单叶互生;叶柄非常短而近于无柄;叶片狭卵形或卵状椭圆形,长2~3.5厘米,宽8~~12毫米,先端渐尖,基部微抱茎或心形,两面被白色星状毛,全缘,下面比较密。
抽筋草的主要功效为止痛除湿、息风平肝。可用于治疗中风不语、风湿骨痛、口眼歪斜、疮痈、小儿惊风等。
","scanCount": 5532}}} {"@context": "https://ziyuan.baidu.com/contexts/cambrian.jsonld","appid": "1650708455561748","icon": "https://www.med-credit.org.cn/style/images/ttlogo.png","content_tag": ["atlas"],"is_mcn": {"thumb_id": "g76756sx"},"accid": "4886d626a2804dee5f11168793ce361672f39c25","@id": "https://www.med-credit.org.cn/mobile/jingxuan/2/3f0fd17e442e87237f475f4b68edafbb.html","bagWordId": "f231057a4d482e62","title": "枸杞叶图片","pubDate": "2023-03-13T18:08:06","upDate": "2023-03-13T18:08:06","lrDate": "2023-03-13T18:08:06","description": "枸杞叶是蔓生植物,叶片呈卵形或长椭圆形。","data": {"WebPage": {"headline": "枸杞叶图片","pcUrl": "https://www.med-credit.org.cn/jingxuan/2/3f0fd17e442e87237f475f4b68edafbb.html","wapUrl": "https://www.med-credit.org.cn/jingxuan/2/3f0fd17e442e87237f475f4b68edafbb.html","mipUrl": "https://www.med-credit.org.cn/mobile/jingxuan/2/3f0fd17e442e87237f475f4b68edafbb.html","fromSrc": "欢乐橙","datePublished": "2023-03-13T18:08:06","domain": "医疗","category": ["医疗权威文章合作"],"description": "枸杞叶是蔓生植物,叶片呈卵形或长椭圆形。
","extra_headline": ["枸杞叶"]},"Author": {"name": "张婷","wapUrl": "https://www.med-credit.org.cn/doctor/555","pcUrl": "https://www.med-credit.org.cn/doctor/555","jobTitle": "副主任医师","headPortrait": "https://www.med-credit.org.cn/uploadfile/member/555/180x180.jpeg","id": "555","description": "张婷,中南大学湘雅三医院中西医结合科副主任医师","memberOf": {"legalName": "中南大学湘雅三医院","department": "中西医结合科","organizationLevel": "三级甲等"}},"Article": {"summaryContent": "枸杞叶是蔓生植物,叶片呈卵形或长椭圆形。
枸杞叶有清热明目、提高身体免疫力的功效。
枸杞叶不宜久煮,一般沸腾几分钟后出锅即可。


枸杞叶是蔓生植物,茎干较细,其叶片稍小,呈卵形或长椭圆形,长2-7cm,宽0.5-2.5cm,先端尖或钝,两面无毛,鲜嫩的叶子能闻到一股甘甜的清香。
枸杞叶中含有多种对身体有益的活性成分如黄酮类化合物、粗多糖、甜菜碱以及枸杞苷,其中黄酮类有助于抗疲劳、抗抑郁,粗多糖在体内转化少且清除自由基效果佳能帮助提高身体免疫力,而甜菜碱、枸杞苷则对慢性疾病有一定的辅助治疗的作用。
由于枸杞叶中含有较多的胡萝卜素,因此具有明目的功效。枸杞嫩叶可以作为新鲜时蔬食用,也可以和瘦肉、猪肝等一起煮汤食用,具有清肝、明目、生津止渴的作用。
温度过高时,枸杞叶的活性成分容易被破坏,一般都会在肉熟透之后,再放进汤里,沸腾几分钟后出锅即可。
","articleBody": "枸杞叶是蔓生植物,叶片呈卵形或长椭圆形。
枸杞叶有清热明目、提高身体免疫力的功效。
枸杞叶不宜久煮,一般沸腾几分钟后出锅即可。


枸杞叶是蔓生植物,茎干较细,其叶片稍小,呈卵形或长椭圆形,长2-7cm,宽0.5-2.5cm,先端尖或钝,两面无毛,鲜嫩的叶子能闻到一股甘甜的清香。
枸杞叶中含有多种对身体有益的活性成分如黄酮类化合物、粗多糖、甜菜碱以及枸杞苷,其中黄酮类有助于抗疲劳、抗抑郁,粗多糖在体内转化少且清除自由基效果佳能帮助提高身体免疫力,而甜菜碱、枸杞苷则对慢性疾病有一定的辅助治疗的作用。
由于枸杞叶中含有较多的胡萝卜素,因此具有明目的功效。枸杞嫩叶可以作为新鲜时蔬食用,也可以和瘦肉、猪肝等一起煮汤食用,具有清肝、明目、生津止渴的作用。
温度过高时,枸杞叶的活性成分容易被破坏,一般都会在肉熟透之后,再放进汤里,沸腾几分钟后出锅即可。
","scanCount": 8604}}} {"@context": "https://ziyuan.baidu.com/contexts/cambrian.jsonld","appid": "1650708455561748","icon": "https://www.med-credit.org.cn/style/images/ttlogo.png","content_tag": ["atlas"],"is_mcn": {"thumb_id": "g76756sx"},"accid": "4886d626a2804dee5f11168793ce361672f39c25","@id": "https://www.med-credit.org.cn/mobile/jingxuan/2/2070b299967d68b804a9f920ca8afc5a.html","bagWordId": "b0182b9a742b9d6d","title": "照海的准确位置图","pubDate": "2023-03-13T18:08:06","upDate": "2023-03-13T18:08:06","lrDate": "2023-03-13T18:08:06","description": "照海的准确位置在足内侧,内踝尖下方凹陷处。其作用包括利咽喉、养阴液、调下焦、清神志。可用于治疗扁桃体炎、咽喉干燥等疾病。","data": {"WebPage": {"headline": "照海的准确位置图","pcUrl": "https://www.med-credit.org.cn/jingxuan/2/2070b299967d68b804a9f920ca8afc5a.html","wapUrl": "https://www.med-credit.org.cn/jingxuan/2/2070b299967d68b804a9f920ca8afc5a.html","mipUrl": "https://www.med-credit.org.cn/mobile/jingxuan/2/2070b299967d68b804a9f920ca8afc5a.html","fromSrc": "欢乐橙","datePublished": "2023-03-13T18:08:06","domain": "医疗","category": ["医疗权威文章合作"],"description": "照海的准确位置在足内侧,内踝尖下方凹陷处。其作用包括利咽喉、养阴液、调下焦、清神志。可用于治疗扁桃体炎、咽喉干燥等疾病。
","extra_headline": [""]},"Author": {"name": "张婷","wapUrl": "https://www.med-credit.org.cn/doctor/555","pcUrl": "https://www.med-credit.org.cn/doctor/555","jobTitle": "副主任医师","headPortrait": "https://www.med-credit.org.cn/uploadfile/member/555/180x180.jpeg","id": "555","description": "张婷,中南大学湘雅三医院中西医结合科副主任医师","memberOf": {"legalName": "中南大学湘雅三医院","department": "中西医结合科","organizationLevel": "三级甲等"}},"Article": {"summaryContent": "照海的准确位置在足内侧,内踝尖下方凹陷处。其作用包括利咽喉、养阴液、调下焦、清神志。可用于治疗扁桃体炎、咽喉干燥等疾病。

照海穴的准确位置在足内侧,内踝尖下方凹陷处。取坐位垂足,由内踝尖垂直向下推,至下缘凹陷处,按压有酸痛感处。
照海属足少阴肾经,为八脉交会穴之一,通阴蹻脉。主要作用是利咽喉、养阴液、调下焦、清神志。主要用于治疗扁桃体炎,咽喉干燥,精神分裂症,肾炎,目赤肿痛,惊恐不宁,癔病,月经不调,痛经,阴痒,赤白带下,小便频数;便秘。调理跻脉:失眠,癫痫,嗜卧,运动平衡失调,疝气。现用于扁桃体炎,慢性咽喉炎,子宫脱垂,癫痫,神经衰弱,便秘等。配三阴交穴、中极穴可以治痛经,月经不调,赤白带下。配命门穴、肾俞穴、腰阳关穴、志室穴、委中穴可以治疗肾虚腰痛。
","articleBody": "照海的准确位置在足内侧,内踝尖下方凹陷处。其作用包括利咽喉、养阴液、调下焦、清神志。可用于治疗扁桃体炎、咽喉干燥等疾病。

照海穴的准确位置在足内侧,内踝尖下方凹陷处。取坐位垂足,由内踝尖垂直向下推,至下缘凹陷处,按压有酸痛感处。
照海属足少阴肾经,为八脉交会穴之一,通阴蹻脉。主要作用是利咽喉、养阴液、调下焦、清神志。主要用于治疗扁桃体炎,咽喉干燥,精神分裂症,肾炎,目赤肿痛,惊恐不宁,癔病,月经不调,痛经,阴痒,赤白带下,小便频数;便秘。调理跻脉:失眠,癫痫,嗜卧,运动平衡失调,疝气。现用于扁桃体炎,慢性咽喉炎,子宫脱垂,癫痫,神经衰弱,便秘等。配三阴交穴、中极穴可以治痛经,月经不调,赤白带下。配命门穴、肾俞穴、腰阳关穴、志室穴、委中穴可以治疗肾虚腰痛。
","scanCount": 32672}}} {"@context": "https://ziyuan.baidu.com/contexts/cambrian.jsonld","appid": "1650708455561748","icon": "https://www.med-credit.org.cn/style/images/ttlogo.png","content_tag": ["atlas"],"is_mcn": {"thumb_id": "g76756sx"},"accid": "4886d626a2804dee5f11168793ce361672f39c25","@id": "https://www.med-credit.org.cn/mobile/jingxuan/2/9e9dfcb89f1e56339b2899d1ecb8646d.html","bagWordId": "508957a0fef9e13c","title": "大黄的功效与作用图片","pubDate": "2023-03-13T18:08:06","upDate": "2023-03-13T18:08:06","lrDate": "2023-03-13T18:08:06","description": "大黄的功效有泻下攻积,清热泻火,凉血解毒,逐瘀通经。其作用包括导泻、治疗急性胰腺炎、预防及治疗胃、十二指肠溃疡。","data": {"WebPage": {"headline": "大黄的功效与作用图片","pcUrl": "https://www.med-credit.org.cn/jingxuan/2/9e9dfcb89f1e56339b2899d1ecb8646d.html","wapUrl": "https://www.med-credit.org.cn/jingxuan/2/9e9dfcb89f1e56339b2899d1ecb8646d.html","mipUrl": "https://www.med-credit.org.cn/mobile/jingxuan/2/9e9dfcb89f1e56339b2899d1ecb8646d.html","fromSrc": "欢乐橙","datePublished": "2023-03-13T18:08:06","domain": "医疗","category": ["医疗权威文章合作"],"description": "大黄的功效有泻下攻积,清热泻火,凉血解毒,逐瘀通经。其作用包括导泻、治疗急性胰腺炎、预防及治疗胃、十二指肠溃疡。
","extra_headline": [""]},"Author": {"name": "张婷","wapUrl": "https://www.med-credit.org.cn/doctor/555","pcUrl": "https://www.med-credit.org.cn/doctor/555","jobTitle": "副主任医师","headPortrait": "https://www.med-credit.org.cn/uploadfile/member/555/180x180.jpeg","id": "555","description": "张婷,中南大学湘雅三医院中西医结合科副主任医师","memberOf": {"legalName": "中南大学湘雅三医院","department": "中西医结合科","organizationLevel": "三级甲等"}},"Article": {"summaryContent": "大黄的功效有泻下攻积,清热泻火,凉血解毒,逐瘀通经。其作用包括导泻、治疗急性胰腺炎、预防及治疗胃、十二指肠溃疡。
日常生活中需要注意防病,且一旦出现疾病,需及时前往医院治疗,不可擅自用药。


1、导泻。主要用于治疗便秘患者,作用一般较为猛烈,因此效果明显,但慎用于体质较虚弱的患者,因其泻下作用强烈。同时中医理论表明,大黄易伤津液,长期应用也可造成便秘。
2、治疗急性胰腺炎。有临床案例证实,大黄可以降低急性胰腺炎时炎症因子的释放,从而缓解炎症,同时能够保护胰腺,改善免疫紊乱,起到治疗急性胰腺炎的作用。
3、预防及治疗胃、十二指肠溃疡。现代研究表明,大黄粉可抑制幽门螺杆菌,促进溃疡愈合等,因此可用于治疗消化道溃疡病。
除了上述相对常见的作用外,还有其他的用处,比如止血,活血,降血脂,抗感染,改善肾功能,利尿,抗氧化等。
在日常生活中,我们要注意保持健康的生活方式,防患于未然,即使中药能够起到调理、治疗作用,但拥有一个健康的身体才最有助于生活。如果出现不适等,要及时就医,切勿随意服药。
","articleBody": "大黄的功效有泻下攻积,清热泻火,凉血解毒,逐瘀通经。其作用包括导泻、治疗急性胰腺炎、预防及治疗胃、十二指肠溃疡。
日常生活中需要注意防病,且一旦出现疾病,需及时前往医院治疗,不可擅自用药。


1、导泻。主要用于治疗便秘患者,作用一般较为猛烈,因此效果明显,但慎用于体质较虚弱的患者,因其泻下作用强烈。同时中医理论表明,大黄易伤津液,长期应用也可造成便秘。
2、治疗急性胰腺炎。有临床案例证实,大黄可以降低急性胰腺炎时炎症因子的释放,从而缓解炎症,同时能够保护胰腺,改善免疫紊乱,起到治疗急性胰腺炎的作用。
3、预防及治疗胃、十二指肠溃疡。现代研究表明,大黄粉可抑制幽门螺杆菌,促进溃疡愈合等,因此可用于治疗消化道溃疡病。
除了上述相对常见的作用外,还有其他的用处,比如止血,活血,降血脂,抗感染,改善肾功能,利尿,抗氧化等。
在日常生活中,我们要注意保持健康的生活方式,防患于未然,即使中药能够起到调理、治疗作用,但拥有一个健康的身体才最有助于生活。如果出现不适等,要及时就医,切勿随意服药。
","scanCount": 32671}}} {"@context": "https://ziyuan.baidu.com/contexts/cambrian.jsonld","appid": "1650708455561748","icon": "https://www.med-credit.org.cn/style/images/ttlogo.png","content_tag": ["atlas"],"is_mcn": {"thumb_id": "g76756sx"},"accid": "4886d626a2804dee5f11168793ce361672f39c25","@id": "https://www.med-credit.org.cn/mobile/jingxuan/2/6a121fabfd3d015fd720dfe3fff4a715.html","bagWordId": "f53f2e5609311043","title": "白附子的图片","pubDate": "2023-03-13T18:08:06","upDate": "2023-03-13T18:08:06","lrDate": "2023-03-13T18:08:06","description": "白附子又称禹白附,为天南星科植物独脚莲的干燥块茎。","data": {"WebPage": {"headline": "白附子的图片","pcUrl": "https://www.med-credit.org.cn/jingxuan/2/6a121fabfd3d015fd720dfe3fff4a715.html","wapUrl": "https://www.med-credit.org.cn/jingxuan/2/6a121fabfd3d015fd720dfe3fff4a715.html","mipUrl": "https://www.med-credit.org.cn/mobile/jingxuan/2/6a121fabfd3d015fd720dfe3fff4a715.html","fromSrc": "欢乐橙","datePublished": "2023-03-13T18:08:06","domain": "医疗","category": ["医疗权威文章合作"],"description": "白附子又称禹白附,为天南星科植物独脚莲的干燥块茎。
","extra_headline": ["白附子的"]},"Author": {"name": "张婷","wapUrl": "https://www.med-credit.org.cn/doctor/555","pcUrl": "https://www.med-credit.org.cn/doctor/555","jobTitle": "副主任医师","headPortrait": "https://www.med-credit.org.cn/uploadfile/member/555/180x180.jpeg","id": "555","description": "张婷,中南大学湘雅三医院中西医结合科副主任医师","memberOf": {"legalName": "中南大学湘雅三医院","department": "中西医结合科","organizationLevel": "三级甲等"}},"Article": {"summaryContent": "白附子又称禹白附,为天南星科植物独脚莲的干燥块茎。
白附子具有祛风痰、定惊搐、解毒散结、止痛之功效,注意药物需在医师的指导下使用,其具有一定的用药禁忌。


白附子为入阳明经的中药,因与附子相似故得此名。白附子色白,其根形呈长方形或长卵形,中部稍缢缩,形如蚕茧,具环纹。同时其味辛,性温,有毒;归胃、肝经。临床使用中需要与附子加以鉴别,附子是由毛茛科植物乌头的根茎经过药物炮制工序而成。外形上无毛,单叶互生、质厚,颜色多呈深绿色或紫碧色,掌状深裂。
白附子内服治疗中风痰壅、口眼歪斜、语言謇涩、痰厥头痛、偏正头痛、惊风癫痫、破伤风;外用可治瘰疬痰核、毒蛇咬伤。
因白附子有小毒,临床内服需要以炮制品入药。同时在实际使用的过程中,需要控制白附子的药量;外用生品适量捣烂熬膏或研末以酒调敷患处。阴虚血虚动风或热盛动风者及孕妇均不宜用。
","articleBody": "白附子又称禹白附,为天南星科植物独脚莲的干燥块茎。
白附子具有祛风痰、定惊搐、解毒散结、止痛之功效,注意药物需在医师的指导下使用,其具有一定的用药禁忌。


白附子为入阳明经的中药,因与附子相似故得此名。白附子色白,其根形呈长方形或长卵形,中部稍缢缩,形如蚕茧,具环纹。同时其味辛,性温,有毒;归胃、肝经。临床使用中需要与附子加以鉴别,附子是由毛茛科植物乌头的根茎经过药物炮制工序而成。外形上无毛,单叶互生、质厚,颜色多呈深绿色或紫碧色,掌状深裂。
白附子内服治疗中风痰壅、口眼歪斜、语言謇涩、痰厥头痛、偏正头痛、惊风癫痫、破伤风;外用可治瘰疬痰核、毒蛇咬伤。
因白附子有小毒,临床内服需要以炮制品入药。同时在实际使用的过程中,需要控制白附子的药量;外用生品适量捣烂熬膏或研末以酒调敷患处。阴虚血虚动风或热盛动风者及孕妇均不宜用。
","scanCount": 7798}}} {"@context": "https://ziyuan.baidu.com/contexts/cambrian.jsonld","appid": "1650708455561748","icon": "https://www.med-credit.org.cn/style/images/ttlogo.png","content_tag": ["atlas"],"is_mcn": {"thumb_id": "g76756sx"},"accid": "4886d626a2804dee5f11168793ce361672f39c25","@id": "https://www.med-credit.org.cn/mobile/jingxuan/2/3b989d31fe8d40970edd64d2731cce58.html","bagWordId": "9a7ac7ed9c7641c0","title": "垂盆草的功效与作用及图片","pubDate": "2023-03-13T18:08:06","upDate": "2023-03-13T18:08:06","lrDate": "2023-03-13T18:08:06","description": "垂盆草是景天科,景天属多年生草本多肉植物。别名:鼠牙半支、狗牙齿。","data": {"WebPage": {"headline": "垂盆草的功效与作用及图片","pcUrl": "https://www.med-credit.org.cn/jingxuan/2/3b989d31fe8d40970edd64d2731cce58.html","wapUrl": "https://www.med-credit.org.cn/jingxuan/2/3b989d31fe8d40970edd64d2731cce58.html","mipUrl": "https://www.med-credit.org.cn/mobile/jingxuan/2/3b989d31fe8d40970edd64d2731cce58.html","fromSrc": "欢乐橙","datePublished": "2023-03-13T18:08:06","domain": "医疗","category": ["医疗权威文章合作"],"description": "垂盆草是景天科,景天属多年生草本多肉植物。别名:鼠牙半支、狗牙齿。
","extra_headline": ["垂盆草的功效与作用及"]},"Author": {"name": "张婷","wapUrl": "https://www.med-credit.org.cn/doctor/555","pcUrl": "https://www.med-credit.org.cn/doctor/555","jobTitle": "副主任医师","headPortrait": "https://www.med-credit.org.cn/uploadfile/member/555/180x180.jpeg","id": "555","description": "张婷,中南大学湘雅三医院中西医结合科副主任医师","memberOf": {"legalName": "中南大学湘雅三医院","department": "中西医结合科","organizationLevel": "三级甲等"}},"Article": {"summaryContent": "垂盆草是景天科,景天属多年生草本多肉植物。别名:鼠牙半支、狗牙齿。
垂盆草的主要功效为清热解毒、利湿退黄,主治湿热黄疸、痈肿疮疡等疾病。


垂盆草为多年生肉质草本。茎平卧或上部直立,不育枝和花枝细弱,匍匐生根。3枚叶轮生,无柄;叶片倒披针形至矩圆形,肉质,全缘。花序聚伞状,有3~5个分枝;花无梗,芎片5枚,披针形至矩圆形,花瓣5片,披针形至矩圆形,呈淡黄色,顶端有较长的短尖头;雄蕊较花瓣短;心皮5个,略叉开。茎纤细,长可达20cm以上,部分节上可见纤细的不定根。花期在4~5月,果期于6~7月。常生于海拔1600m以下的山谷阴湿处、低山坡岩石上。垂盆草性喜半阴、温暖湿润的环境,适应性比较强,耐旱、耐寒,不择土壤,在疏松的砂质壤土中生长较佳。
垂盆草味微苦、甘,气微,性凉。归胆、肝、小肠经。茎叶较为脆嫩多汁,微酸,还可作蔬菜食用。垂盆草的主要功效为清热解毒、利湿退黄。主治湿热黄疸、痈肿疮疡、水火烫伤、口腔溃疡及湿疹、咽喉肿痛、带状疱疹以及小便不利。
","articleBody": "垂盆草是景天科,景天属多年生草本多肉植物。别名:鼠牙半支、狗牙齿。
垂盆草的主要功效为清热解毒、利湿退黄,主治湿热黄疸、痈肿疮疡等疾病。


垂盆草为多年生肉质草本。茎平卧或上部直立,不育枝和花枝细弱,匍匐生根。3枚叶轮生,无柄;叶片倒披针形至矩圆形,肉质,全缘。花序聚伞状,有3~5个分枝;花无梗,芎片5枚,披针形至矩圆形,花瓣5片,披针形至矩圆形,呈淡黄色,顶端有较长的短尖头;雄蕊较花瓣短;心皮5个,略叉开。茎纤细,长可达20cm以上,部分节上可见纤细的不定根。花期在4~5月,果期于6~7月。常生于海拔1600m以下的山谷阴湿处、低山坡岩石上。垂盆草性喜半阴、温暖湿润的环境,适应性比较强,耐旱、耐寒,不择土壤,在疏松的砂质壤土中生长较佳。
垂盆草味微苦、甘,气微,性凉。归胆、肝、小肠经。茎叶较为脆嫩多汁,微酸,还可作蔬菜食用。垂盆草的主要功效为清热解毒、利湿退黄。主治湿热黄疸、痈肿疮疡、水火烫伤、口腔溃疡及湿疹、咽喉肿痛、带状疱疹以及小便不利。
","scanCount": 8154}}} {"@context": "https://ziyuan.baidu.com/contexts/cambrian.jsonld","appid": "1650708455561748","icon": "https://www.med-credit.org.cn/style/images/ttlogo.png","content_tag": ["atlas"],"is_mcn": {"thumb_id": "g76756sx"},"accid": "4886d626a2804dee5f11168793ce361672f39c25","@id": "https://www.med-credit.org.cn/mobile/jingxuan/2/dd301c9d5e8cb1606eb3eebf5fc2efed.html","bagWordId": "ecc17bae757ec4cb","title": "真正的益母草图片","pubDate": "2023-03-13T18:08:06","upDate": "2023-03-13T18:08:06","lrDate": "2023-03-13T18:08:06","description": "益母草是一种具有药用价值的植物,全株均可入药,地上部分为中药益母草,新鲜或干燥均有药用功效,根部另作为中药益母草根入药。","data": {"WebPage": {"headline": "真正的益母草图片","pcUrl": "https://www.med-credit.org.cn/jingxuan/2/dd301c9d5e8cb1606eb3eebf5fc2efed.html","wapUrl": "https://www.med-credit.org.cn/jingxuan/2/dd301c9d5e8cb1606eb3eebf5fc2efed.html","mipUrl": "https://www.med-credit.org.cn/mobile/jingxuan/2/dd301c9d5e8cb1606eb3eebf5fc2efed.html","fromSrc": "欢乐橙","datePublished": "2023-03-13T18:08:06","domain": "医疗","category": ["医疗权威文章合作"],"description": "益母草是一种具有药用价值的植物,全株均可入药,地上部分为中药益母草,新鲜或干燥均有药用功效,根部另作为中药益母草根入药。
","extra_headline": [""]},"Author": {"name": "张婷","wapUrl": "https://www.med-credit.org.cn/doctor/555","pcUrl": "https://www.med-credit.org.cn/doctor/555","jobTitle": "副主任医师","headPortrait": "https://www.med-credit.org.cn/uploadfile/member/555/180x180.jpeg","id": "555","description": "张婷,中南大学湘雅三医院中西医结合科副主任医师","memberOf": {"legalName": "中南大学湘雅三医院","department": "中西医结合科","organizationLevel": "三级甲等"}},"Article": {"summaryContent": "益母草是一种具有药用价值的植物,全株均可入药,地上部分为中药益母草,新鲜或干燥均有药用功效,根部另作为中药益母草根入药。
益母草的功效是消肿利尿,活血调经,清热解毒。如需用药,需在医生指导下使用。


鲜益母草幼苗期无茎,基生叶圆心形。花期茎呈棱柱状,冠部分枝多,叶片为青绿色,交互对生,有柄,质鲜嫩,揉碎有汁液。鲜品春季幼苗期至初夏花前期采割,干品在夏季茎叶茂盛、花开前或刚开放时采割晾晒。此草药生长范围广,可适应多种环境,向阳处生长旺盛。
益母草的功效是消肿利尿,活血调经,清热解毒。常用于女性治疗闭经、痛经、月经不调、恶露不尽等疾病,也可用于治疗产后血晕及血闭不下者。益母草与没药、乳香同用能够治疗跌打损伤。单用或配合白茅根能治疗小便不利及水肿,捣碎外敷对疮疡肿毒等症状也有缓解作用。
益母草一般用于煎汤内服,或加工为药丸、散剂,新鲜时能捣烂外敷或煎汤外用冲洗。使用此药时需要注意,需要在医生的指导下使用。由于具有活血的作用,因此孕妇慎用。不宜与木通、马兜铃合用。
","articleBody": "益母草是一种具有药用价值的植物,全株均可入药,地上部分为中药益母草,新鲜或干燥均有药用功效,根部另作为中药益母草根入药。
益母草的功效是消肿利尿,活血调经,清热解毒。如需用药,需在医生指导下使用。


鲜益母草幼苗期无茎,基生叶圆心形。花期茎呈棱柱状,冠部分枝多,叶片为青绿色,交互对生,有柄,质鲜嫩,揉碎有汁液。鲜品春季幼苗期至初夏花前期采割,干品在夏季茎叶茂盛、花开前或刚开放时采割晾晒。此草药生长范围广,可适应多种环境,向阳处生长旺盛。
益母草的功效是消肿利尿,活血调经,清热解毒。常用于女性治疗闭经、痛经、月经不调、恶露不尽等疾病,也可用于治疗产后血晕及血闭不下者。益母草与没药、乳香同用能够治疗跌打损伤。单用或配合白茅根能治疗小便不利及水肿,捣碎外敷对疮疡肿毒等症状也有缓解作用。
益母草一般用于煎汤内服,或加工为药丸、散剂,新鲜时能捣烂外敷或煎汤外用冲洗。使用此药时需要注意,需要在医生的指导下使用。由于具有活血的作用,因此孕妇慎用。不宜与木通、马兜铃合用。
","scanCount": 32669}}} {"@context": "https://ziyuan.baidu.com/contexts/cambrian.jsonld","appid": "1650708455561748","icon": "https://www.med-credit.org.cn/style/images/ttlogo.png","content_tag": ["atlas"],"is_mcn": {"thumb_id": "g76756sx"},"accid": "4886d626a2804dee5f11168793ce361672f39c25","@id": "https://www.med-credit.org.cn/mobile/jingxuan/2/7ffeaabfb308d8e60b84ddf4ac469cce.html","bagWordId": "1d7d9ed7712adc4d","title": "紫金牛的图片","pubDate": "2023-03-13T18:08:06","upDate": "2023-03-13T18:08:06","lrDate": "2023-03-13T18:08:06","description": "紫金牛也称为矮茶,是一种小灌木,其全株及根可以供药用,是中国民间常用的中草药,也可以作为一种观赏植物。","data": {"WebPage": {"headline": "紫金牛的图片","pcUrl": "https://www.med-credit.org.cn/jingxuan/2/7ffeaabfb308d8e60b84ddf4ac469cce.html","wapUrl": "https://www.med-credit.org.cn/jingxuan/2/7ffeaabfb308d8e60b84ddf4ac469cce.html","mipUrl": "https://www.med-credit.org.cn/mobile/jingxuan/2/7ffeaabfb308d8e60b84ddf4ac469cce.html","fromSrc": "欢乐橙","datePublished": "2023-03-13T18:08:06","domain": "医疗","category": ["医疗权威文章合作"],"description": "紫金牛也称为矮茶,是一种小灌木,其全株及根可以供药用,是中国民间常用的中草药,也可以作为一种观赏植物。
","extra_headline": [""]},"Author": {"name": "张婷","wapUrl": "https://www.med-credit.org.cn/doctor/555","pcUrl": "https://www.med-credit.org.cn/doctor/555","jobTitle": "副主任医师","headPortrait": "https://www.med-credit.org.cn/uploadfile/member/555/180x180.jpeg","id": "555","description": "张婷,中南大学湘雅三医院中西医结合科副主任医师","memberOf": {"legalName": "中南大学湘雅三医院","department": "中西医结合科","organizationLevel": "三级甲等"}},"Article": {"summaryContent": "紫金牛也称为矮茶,是一种小灌木,其全株及根可以供药用,是中国民间常用的中草药,也可以作为一种观赏植物。
其药用功效主要是止咳化痰,祛风解毒,活血止痛。如需用药,需在医生指导下使用。


紫金牛多生长在温暖、湿润多雾、荫蔽的地方,适宜种植在富含腐殖质、疏松肥沃、排水良好的土壤中,如日照不强的林地、竹林、果园等。
此植物植株直立茎长达30厘米,不分枝,叶对生或近轮生,叶片坚接近革质,边缘呈细锯齿,果实为球形,鲜红色。
紫金牛的药用功效主要是止咳化痰,祛风解毒,活血止痛。可以用于治疗肺结核、慢性支气管炎及肺炎引起的咳嗽、咳痰。对肝炎、急性肾炎、痢疾、尿路感染、闭经等病症也有一定的疗效。也可改善跌打损伤、风湿骨痛、皮肤瘙痒等症状。
此中草药的副作用比较少,少数人服用后会出现头晕、头痛、腹痛、腹胀、恶心、腹泻等症状,但不影响继续服药。较大的治疗剂量一般对心、肝、肾无明显的毒性。如需使用该草药,需经中医生辨证后按剂量及疗程食用。
","articleBody": "紫金牛也称为矮茶,是一种小灌木,其全株及根可以供药用,是中国民间常用的中草药,也可以作为一种观赏植物。
其药用功效主要是止咳化痰,祛风解毒,活血止痛。如需用药,需在医生指导下使用。


紫金牛多生长在温暖、湿润多雾、荫蔽的地方,适宜种植在富含腐殖质、疏松肥沃、排水良好的土壤中,如日照不强的林地、竹林、果园等。
此植物植株直立茎长达30厘米,不分枝,叶对生或近轮生,叶片坚接近革质,边缘呈细锯齿,果实为球形,鲜红色。
紫金牛的药用功效主要是止咳化痰,祛风解毒,活血止痛。可以用于治疗肺结核、慢性支气管炎及肺炎引起的咳嗽、咳痰。对肝炎、急性肾炎、痢疾、尿路感染、闭经等病症也有一定的疗效。也可改善跌打损伤、风湿骨痛、皮肤瘙痒等症状。
此中草药的副作用比较少,少数人服用后会出现头晕、头痛、腹痛、腹胀、恶心、腹泻等症状,但不影响继续服药。较大的治疗剂量一般对心、肝、肾无明显的毒性。如需使用该草药,需经中医生辨证后按剂量及疗程食用。
","scanCount": 32667}}} {"@context": "https://ziyuan.baidu.com/contexts/cambrian.jsonld","appid": "1650708455561748","icon": "https://www.med-credit.org.cn/style/images/ttlogo.png","content_tag": ["atlas"],"is_mcn": {"thumb_id": "g76756sx"},"accid": "4886d626a2804dee5f11168793ce361672f39c25","@id": "https://www.med-credit.org.cn/mobile/jingxuan/2/036312d6344bd1c73b005e1a0c8116db.html","bagWordId": "bf7c0dd67dde5190","title": "猫爪草图片和功效","pubDate": "2023-03-13T18:08:06","upDate": "2023-03-13T18:08:06","lrDate": "2023-03-13T18:08:06","description": "猫爪草为毛茛科植物猫爪草的块根。","data": {"WebPage": {"headline": "猫爪草图片和功效","pcUrl": "https://www.med-credit.org.cn/jingxuan/2/036312d6344bd1c73b005e1a0c8116db.html","wapUrl": "https://www.med-credit.org.cn/jingxuan/2/036312d6344bd1c73b005e1a0c8116db.html","mipUrl": "https://www.med-credit.org.cn/mobile/jingxuan/2/036312d6344bd1c73b005e1a0c8116db.html","fromSrc": "欢乐橙","datePublished": "2023-03-13T18:08:06","domain": "医疗","category": ["医疗权威文章合作"],"description": "猫爪草为毛茛科植物猫爪草的块根。
","extra_headline": [""]},"Author": {"name": "张婷","wapUrl": "https://www.med-credit.org.cn/doctor/555","pcUrl": "https://www.med-credit.org.cn/doctor/555","jobTitle": "副主任医师","headPortrait": "https://www.med-credit.org.cn/uploadfile/member/555/180x180.jpeg","id": "555","description": "张婷,中南大学湘雅三医院中西医结合科副主任医师","memberOf": {"legalName": "中南大学湘雅三医院","department": "中西医结合科","organizationLevel": "三级甲等"}},"Article": {"summaryContent": "猫爪草为毛茛科植物猫爪草的块根。
功效为消肿、散结、止咳祛痰等。


猫爪草为多年生小草本。块根数个簇生,肉质,近纺锤形或近球形。茎高10~17cm,无毛或近无毛。基生叶丛生,有长柄,三出复叶或3浅裂至3深裂的单叶,小叶片长0.5~~1.7cm,宽0.5~1.5cm。茎生叶较小,多无柄,裂片细窄。花期3~4月,果期4~5月。猫爪草纺锤形,常3数个至20多个簇生成猫爪状,长3~~7mm,直径1.5~3.5mm。表面淡棕色至暗棕色,平滑或有细纵皱纹,顶端有茎痕或残留茎基及叶柄基部,下面间有须状细根。质坚实,断面类白色或淡棕色。多生于湿草地或水田边。气微,味淡、微辛。
味甘、辛,性温。有消肿、散结、止咳祛痰的作用。适用于肺结核,淋巴结结核未溃,疟疾,瘵病。
","articleBody": "猫爪草为毛茛科植物猫爪草的块根。
功效为消肿、散结、止咳祛痰等。


猫爪草为多年生小草本。块根数个簇生,肉质,近纺锤形或近球形。茎高10~17cm,无毛或近无毛。基生叶丛生,有长柄,三出复叶或3浅裂至3深裂的单叶,小叶片长0.5~~1.7cm,宽0.5~1.5cm。茎生叶较小,多无柄,裂片细窄。花期3~4月,果期4~5月。猫爪草纺锤形,常3数个至20多个簇生成猫爪状,长3~~7mm,直径1.5~3.5mm。表面淡棕色至暗棕色,平滑或有细纵皱纹,顶端有茎痕或残留茎基及叶柄基部,下面间有须状细根。质坚实,断面类白色或淡棕色。多生于湿草地或水田边。气微,味淡、微辛。
味甘、辛,性温。有消肿、散结、止咳祛痰的作用。适用于肺结核,淋巴结结核未溃,疟疾,瘵病。
","scanCount": 32666}}} {"@context": "https://ziyuan.baidu.com/contexts/cambrian.jsonld","appid": "1650708455561748","icon": "https://www.med-credit.org.cn/style/images/ttlogo.png","content_tag": ["atlas"],"is_mcn": {"thumb_id": "g76756sx"},"accid": "4886d626a2804dee5f11168793ce361672f39c25","@id": "https://www.med-credit.org.cn/mobile/jingxuan/2/0b1c9a287e6bd9c8e85432585de20b98.html","bagWordId": "98f56ffc3b08602f","title": "大蓟和小蓟的区别图","pubDate": "2023-03-13T18:08:06","upDate": "2023-03-13T18:08:06","lrDate": "2023-03-13T18:08:06","description": "大蓟与小蓟区别在于外观性状、化学成分、功效及药理作用等方面。","data": {"WebPage": {"headline": "大蓟和小蓟的区别图","pcUrl": "https://www.med-credit.org.cn/jingxuan/2/0b1c9a287e6bd9c8e85432585de20b98.html","wapUrl": "https://www.med-credit.org.cn/jingxuan/2/0b1c9a287e6bd9c8e85432585de20b98.html","mipUrl": "https://www.med-credit.org.cn/mobile/jingxuan/2/0b1c9a287e6bd9c8e85432585de20b98.html","fromSrc": "欢乐橙","datePublished": "2023-03-13T18:08:06","domain": "医疗","category": ["医疗权威文章合作"],"description": "大蓟与小蓟区别在于外观性状、化学成分、功效及药理作用等方面。
","extra_headline": ["大蓟和小蓟的区别"]},"Author": {"name": "张婷","wapUrl": "https://www.med-credit.org.cn/doctor/555","pcUrl": "https://www.med-credit.org.cn/doctor/555","jobTitle": "副主任医师","headPortrait": "https://www.med-credit.org.cn/uploadfile/member/555/180x180.jpeg","id": "555","description": "张婷,中南大学湘雅三医院中西医结合科副主任医师","memberOf": {"legalName": "中南大学湘雅三医院","department": "中西医结合科","organizationLevel": "三级甲等"}},"Article": {"summaryContent": "大蓟与小蓟区别在于外观性状、化学成分、功效及药理作用等方面。
大蓟长约1m,而小蓟长度较短多在0.5m左右。大蓟茎多呈褐色或绿褐色,其叶子多呈绿褐色,边缘具黄白色针刺。小蓟茎主要呈绿色或微带紫棕色,其叶子多为黄绿色,全缘或微波状,金黄色针刺,钟状。


大蓟凉血止血、散瘀消痈的功效较小蓟强,因此大蓟多应用于咳血、吐血及崩漏下血的血证。而小蓟较大蓟更利于利尿通淋,因此在临床应用上用于血尿、血淋等血证。现代研究表明,大蓟、小蓟含有不同的止血及调节血管的活性成分,具有不同的药理作用;小蓟能够治疗皮肤感染性疾病,大蓟则无此功效。
因此大蓟、小蓟外观形状、化学成分、功效及药理作用不完全相同,临床使用需要鉴别用药。
","articleBody": "大蓟与小蓟区别在于外观性状、化学成分、功效及药理作用等方面。
大蓟长约1m,而小蓟长度较短多在0.5m左右。大蓟茎多呈褐色或绿褐色,其叶子多呈绿褐色,边缘具黄白色针刺。小蓟茎主要呈绿色或微带紫棕色,其叶子多为黄绿色,全缘或微波状,金黄色针刺,钟状。


大蓟凉血止血、散瘀消痈的功效较小蓟强,因此大蓟多应用于咳血、吐血及崩漏下血的血证。而小蓟较大蓟更利于利尿通淋,因此在临床应用上用于血尿、血淋等血证。现代研究表明,大蓟、小蓟含有不同的止血及调节血管的活性成分,具有不同的药理作用;小蓟能够治疗皮肤感染性疾病,大蓟则无此功效。
因此大蓟、小蓟外观形状、化学成分、功效及药理作用不完全相同,临床使用需要鉴别用药。
","scanCount": 8740}}} {"@context": "https://ziyuan.baidu.com/contexts/cambrian.jsonld","appid": "1650708455561748","icon": "https://www.med-credit.org.cn/style/images/ttlogo.png","content_tag": ["atlas"],"is_mcn": {"thumb_id": "0jui1zp8"},"accid": "4886d626a2804dee5f11168793ce361672f39c25","@id": "https://www.med-credit.org.cn/mobile/jingxuan/2/eae74255eb60ce2f15f689cce39c2fb7.html","bagWordId": "3bf8b5531b76d912","title": "皮瓣坏死早期图片","pubDate": "2023-03-13T18:08:06","upDate": "2023-03-13T18:08:06","lrDate": "2023-03-13T18:08:06","description": "如果出现皮瓣坏死,首先会有皮下血管的循环不畅,表现血液流通障碍,进而出现一系列症状表现。","data": {"WebPage": {"headline": "皮瓣坏死早期图片","pcUrl": "https://www.med-credit.org.cn/jingxuan/2/eae74255eb60ce2f15f689cce39c2fb7.html","wapUrl": "https://www.med-credit.org.cn/jingxuan/2/eae74255eb60ce2f15f689cce39c2fb7.html","mipUrl": "https://www.med-credit.org.cn/mobile/jingxuan/2/eae74255eb60ce2f15f689cce39c2fb7.html","fromSrc": "欢乐橙","datePublished": "2023-03-13T18:08:06","domain": "医疗","category": ["医疗权威文章合作"],"description": "如果出现皮瓣坏死,首先会有皮下血管的循环不畅,表现血液流通障碍,进而出现一系列症状表现。
","extra_headline": [""]},"Author": {"name": "陈璐","wapUrl": "https://www.med-credit.org.cn/doctor/494","pcUrl": "https://www.med-credit.org.cn/doctor/494","jobTitle": "主治医师","headPortrait": "https://www.med-credit.org.cn/uploadfile/member/494/180x180.jpeg","id": "494","description": "陈璐,中南大学湘雅医院普外科主治医师。","memberOf": {"legalName": "中南大学湘雅医院","department": "普外科(胃肠外科)","organizationLevel": "三级甲等"}},"Article": {"summaryContent": "如果出现皮瓣坏死,首先会有皮下血管的循环不畅,表现血液流通障碍,进而出现一系列症状表现。
皮瓣坏死早期表现有皮瓣颜色改变、局部感觉改变、皮肤弹性消失等。当患者出现不适症状时,应尽快前往医院寻求治疗。

1.皮瓣颜色改变:由于皮瓣下静脉回流受阻,血运不通,皮肤颜色逐渐由红肿转为苍白,后进一步发黑变暗,皮瓣由红肿逐渐萎缩失去活性。有时会有暗黑色淤血渗出。
2.局部感觉改变:由于血液不通阻碍神经的传导,会出现皮肤伤口部分明显有冰冷及感觉麻木甚至无任何感觉。
3.皮肤弹性消失:皮瓣坏死后,皮瓣失去了营养供应,可能会使皮瓣失去弹性,甚至干燥、发硬。
除了上述相对常见的症状外,还可能出现皮瓣温度异常。建议患者出现这种症状后,及时去医院就诊,查明病因后,予以针对性治疗。
皮肤皮瓣坏死治疗早期可以拆除部分缝线解除淤血压迫,从而促进血液循环;局部保暖,避免受凉;如果是四肢皮瓣,要避免下垂肢体,尽量与心脏平行;应用抗凝及相关血管扩张药保证血液循环;局部应用促进组织生长药物,及时换药,保持伤口干燥,避免感染。注意需要在医师指导下操作治疗。
早期出现皮瓣坏死,应尽快医院就诊,防止皮瓣坏死加重,导致病情进一步恶化,早期还有缓解机会,否则很容易错过最佳治疗时机。
","articleBody": "如果出现皮瓣坏死,首先会有皮下血管的循环不畅,表现血液流通障碍,进而出现一系列症状表现。
皮瓣坏死早期表现有皮瓣颜色改变、局部感觉改变、皮肤弹性消失等。当患者出现不适症状时,应尽快前往医院寻求治疗。

1.皮瓣颜色改变:由于皮瓣下静脉回流受阻,血运不通,皮肤颜色逐渐由红肿转为苍白,后进一步发黑变暗,皮瓣由红肿逐渐萎缩失去活性。有时会有暗黑色淤血渗出。
2.局部感觉改变:由于血液不通阻碍神经的传导,会出现皮肤伤口部分明显有冰冷及感觉麻木甚至无任何感觉。
3.皮肤弹性消失:皮瓣坏死后,皮瓣失去了营养供应,可能会使皮瓣失去弹性,甚至干燥、发硬。
除了上述相对常见的症状外,还可能出现皮瓣温度异常。建议患者出现这种症状后,及时去医院就诊,查明病因后,予以针对性治疗。
皮肤皮瓣坏死治疗早期可以拆除部分缝线解除淤血压迫,从而促进血液循环;局部保暖,避免受凉;如果是四肢皮瓣,要避免下垂肢体,尽量与心脏平行;应用抗凝及相关血管扩张药保证血液循环;局部应用促进组织生长药物,及时换药,保持伤口干燥,避免感染。注意需要在医师指导下操作治疗。
早期出现皮瓣坏死,应尽快医院就诊,防止皮瓣坏死加重,导致病情进一步恶化,早期还有缓解机会,否则很容易错过最佳治疗时机。
","scanCount": 32658}}} {"@context": "https://ziyuan.baidu.com/contexts/cambrian.jsonld","appid": "1650708455561748","icon": "https://www.med-credit.org.cn/style/images/ttlogo.png","content_tag": ["atlas"],"is_mcn": {"thumb_id": "0jui1zp8"},"accid": "4886d626a2804dee5f11168793ce361672f39c25","@id": "https://www.med-credit.org.cn/mobile/jingxuan/2/2eee35efd5c85b58e7887b92bf26bced.html","bagWordId": "524cacc675f9fe33","title": "蒙氏结节的症状图片","pubDate": "2023-03-13T18:08:06","upDate": "2023-03-13T18:08:06","lrDate": "2023-03-13T18:08:06","description": "蒙氏结节就是孕期母体乳晕出现的一种结节状隆起,属于正常的生理现象,而非一种症状。","data": {"WebPage": {"headline": "蒙氏结节的症状图片","pcUrl": "https://www.med-credit.org.cn/jingxuan/2/2eee35efd5c85b58e7887b92bf26bced.html","wapUrl": "https://www.med-credit.org.cn/jingxuan/2/2eee35efd5c85b58e7887b92bf26bced.html","mipUrl": "https://www.med-credit.org.cn/mobile/jingxuan/2/2eee35efd5c85b58e7887b92bf26bced.html","fromSrc": "欢乐橙","datePublished": "2023-03-13T18:08:06","domain": "医疗","category": ["医疗权威文章合作"],"description": "蒙氏结节就是孕期母体乳晕出现的一种结节状隆起,属于正常的生理现象,而非一种症状。
","extra_headline": [""]},"Author": {"name": "陈璐","wapUrl": "https://www.med-credit.org.cn/doctor/494","pcUrl": "https://www.med-credit.org.cn/doctor/494","jobTitle": "主治医师","headPortrait": "https://www.med-credit.org.cn/uploadfile/member/494/180x180.jpeg","id": "494","description": "陈璐,中南大学湘雅医院普外科主治医师。","memberOf": {"legalName": "中南大学湘雅医院","department": "普外科(胃肠外科)","organizationLevel": "三级甲等"}},"Article": {"summaryContent": "蒙氏结节就是孕期母体乳晕出现的一种结节状隆起,属于正常的生理现象,而非一种症状。
蒙氏结节一般是深褐色的,它是早期妊娠的症状之一,可以帮助诊断早期妊娠。

怀孕之后,母体会发生一系列的变化,包括乳房的变化,其中包括乳房增大,乳头变黑,乳晕颜色加深等,乳晕周围的皮脂腺会变得肥大,形成散在的隆起,我们称为蒙氏结节。
蒙氏结节其实是乳房蒙氏腺的开口,母体分娩后分泌乳汁就是从蒙氏腺分泌的,在怀孕期间人体内分泌了大量的雌激素等激素,刺激乳腺的发育,为分泌乳汁做准备。
早期妊娠除了蒙氏结节等乳房变化外,还有许多方法帮助我们判断是否妊娠。平时有性生活,平时月经规律,一旦停经十天以上就可以考虑是否怀孕了。当然最能确定怀孕的是妇科检查,血、尿的HCG检测,还有子宫的超声等。
","articleBody": "蒙氏结节就是孕期母体乳晕出现的一种结节状隆起,属于正常的生理现象,而非一种症状。
蒙氏结节一般是深褐色的,它是早期妊娠的症状之一,可以帮助诊断早期妊娠。

怀孕之后,母体会发生一系列的变化,包括乳房的变化,其中包括乳房增大,乳头变黑,乳晕颜色加深等,乳晕周围的皮脂腺会变得肥大,形成散在的隆起,我们称为蒙氏结节。
蒙氏结节其实是乳房蒙氏腺的开口,母体分娩后分泌乳汁就是从蒙氏腺分泌的,在怀孕期间人体内分泌了大量的雌激素等激素,刺激乳腺的发育,为分泌乳汁做准备。
早期妊娠除了蒙氏结节等乳房变化外,还有许多方法帮助我们判断是否妊娠。平时有性生活,平时月经规律,一旦停经十天以上就可以考虑是否怀孕了。当然最能确定怀孕的是妇科检查,血、尿的HCG检测,还有子宫的超声等。
","scanCount": 32654}}} {"@context": "https://ziyuan.baidu.com/contexts/cambrian.jsonld","appid": "1650708455561748","icon": "https://www.med-credit.org.cn/style/images/ttlogo.png","content_tag": ["atlas"],"is_mcn": {"thumb_id": "0jui1zp8"},"accid": "4886d626a2804dee5f11168793ce361672f39c25","@id": "https://www.med-credit.org.cn/mobile/jingxuan/2/d7b02f98a5095f04a05ab0dd0260506d.html","bagWordId": "92b8c7a99363190e","title": "腹部位置图片","pubDate": "2023-03-13T18:08:06","upDate": "2023-03-13T18:08:06","lrDate": "2023-03-13T18:08:06","description": "腹部是躯干的重要组成部分,位于胸部与骨盆之间的区域。","data": {"WebPage": {"headline": "腹部位置图片","pcUrl": "https://www.med-credit.org.cn/jingxuan/2/d7b02f98a5095f04a05ab0dd0260506d.html","wapUrl": "https://www.med-credit.org.cn/jingxuan/2/d7b02f98a5095f04a05ab0dd0260506d.html","mipUrl": "https://www.med-credit.org.cn/mobile/jingxuan/2/d7b02f98a5095f04a05ab0dd0260506d.html","fromSrc": "欢乐橙","datePublished": "2023-03-13T18:08:06","domain": "医疗","category": ["医疗权威文章合作"],"description": "腹部是躯干的重要组成部分,位于胸部与骨盆之间的区域。
","extra_headline": [""]},"Author": {"name": "陈璐","wapUrl": "https://www.med-credit.org.cn/doctor/494","pcUrl": "https://www.med-credit.org.cn/doctor/494","jobTitle": "主治医师","headPortrait": "https://www.med-credit.org.cn/uploadfile/member/494/180x180.jpeg","id": "494","description": "陈璐,中南大学湘雅医院普外科主治医师。","memberOf": {"legalName": "中南大学湘雅医院","department": "普外科(胃肠外科)","organizationLevel": "三级甲等"}},"Article": {"summaryContent": "腹部是躯干的重要组成部分,位于胸部与骨盆之间的区域。
主要由腹壁、腹腔、和腹腔内容物组成。

腹部位于胸部及骨盆之间,临床上将由剑突、肋弓、第11肋前端、第12肋下缘和第12胸椎棘突之间构成的区域称为腹部的上界。同时将耻骨联合上缘、耻骨嵴、耻骨结节、腹股沟、髂嵴和第5腰椎棘突的连线之间的区域称为腹部的下界。对于腹部位置边界的区分以便更好判断腹部正常形态、相关脏器组织,了解其生理病理变化。
腹部主要由腹壁、腹腔及腹腔内容物所构成。腹壁主要以机体两侧腋后线延长线为界,腹壁与膈之间的区域为腹腔,腹腔内含有脏器、血管、神经、淋巴结、淋巴管等重要腹腔内容物。
由于腹部内包括有较多的器官,在日常生活中需避免腹部的外来暴击伤害,以防造成内脏出血。
","articleBody": "腹部是躯干的重要组成部分,位于胸部与骨盆之间的区域。
主要由腹壁、腹腔、和腹腔内容物组成。

腹部位于胸部及骨盆之间,临床上将由剑突、肋弓、第11肋前端、第12肋下缘和第12胸椎棘突之间构成的区域称为腹部的上界。同时将耻骨联合上缘、耻骨嵴、耻骨结节、腹股沟、髂嵴和第5腰椎棘突的连线之间的区域称为腹部的下界。对于腹部位置边界的区分以便更好判断腹部正常形态、相关脏器组织,了解其生理病理变化。
腹部主要由腹壁、腹腔及腹腔内容物所构成。腹壁主要以机体两侧腋后线延长线为界,腹壁与膈之间的区域为腹腔,腹腔内含有脏器、血管、神经、淋巴结、淋巴管等重要腹腔内容物。
由于腹部内包括有较多的器官,在日常生活中需避免腹部的外来暴击伤害,以防造成内脏出血。
","scanCount": 32647}}} {"@context": "https://ziyuan.baidu.com/contexts/cambrian.jsonld","appid": "1650708455561748","icon": "https://www.med-credit.org.cn/style/images/ttlogo.png","content_tag": ["atlas"],"is_mcn": {"thumb_id": "3w128mji2"},"accid": "4886d626a2804dee5f11168793ce361672f39c25","@id": "https://www.med-credit.org.cn/mobile/jingxuan/2/ba4dab7097d9bb343f1f1ebe8f8168f6.html","bagWordId": "51ac09fe813b780e","title": "小丘疹的早期症状图片","pubDate": "2023-03-13T18:08:06","upDate": "2023-03-13T18:08:06","lrDate": "2023-03-13T18:08:06","description": "小丘疹的性状各不相同,早期的小丘疹一般高于皮肤表面,其直径一般小于0.5厘米,聚集性丘疹可形成斑块。","data": {"WebPage": {"headline": "小丘疹的早期症状图片","pcUrl": "https://www.med-credit.org.cn/jingxuan/2/ba4dab7097d9bb343f1f1ebe8f8168f6.html","wapUrl": "https://www.med-credit.org.cn/jingxuan/2/ba4dab7097d9bb343f1f1ebe8f8168f6.html","mipUrl": "https://www.med-credit.org.cn/mobile/jingxuan/2/ba4dab7097d9bb343f1f1ebe8f8168f6.html","fromSrc": "欢乐橙","datePublished": "2023-03-13T18:08:06","domain": "医疗","category": ["医疗权威文章合作"],"description": "小丘疹的性状各不相同,早期的小丘疹一般高于皮肤表面,其直径一般小于0.5厘米,聚集性丘疹可形成斑块。
","extra_headline": [""]},"Author": {"name": "曲乐","wapUrl": "https://www.med-credit.org.cn/doctor/554","pcUrl": "https://www.med-credit.org.cn/doctor/554","jobTitle": "副主任医师","headPortrait": "https://www.med-credit.org.cn/uploadfile/member/554/180x180.jpeg","id": "554","description": "曲乐,副主任医师、医学博士、硕士研究生导师、美容主诊医师、公派留美访问学者。主持国家自然科学基金及省市课题多项,在国内外高水平专业杂志发表中英文论文20余篇,参编英文专著1部。现任辽宁省免疫学会委员。","memberOf": {"legalName": "中国医科大学附属第一医院","department": "皮肤科","organizationLevel": "三级甲等"}},"Article": {"summaryContent": "小丘疹的性状各不相同,早期的小丘疹一般高于皮肤表面,其直径一般小于0.5厘米,聚集性丘疹可形成斑块。
小丘疹是某种皮肤病的主要症状,可根据小丘疹的发病部位来初步诊断感染类型。

1、病因:小丘疹是最基本的皮肤损伤类型。而小丘疹形成的原因有很多,常见的有感染,比如病毒感染、细菌感染、寄生虫感染和真菌感染等。还有一些非感染性因素引起的,比如变态反应、血管炎性皮肤病和物理因素等引起的小丘疹。在治疗时要注意鉴别诊断。
2、症状:小丘疹可以发生在身体的各个部位, 一般表现在其皮肤上出现局限性、坚实以及坚硬的皮损等,早期小丘疹通常不会超过0.5厘米,聚集性丘疹可形成斑块。一般而言,可以根据小丘疹的发病部位来初步诊断感染类型。比如痤疮好发于面部和背部等,扁平苔癣好发于面颊及手背,尖锐湿疣好发于生殖器和肛周,带状疱疹好发于躯干等。
预防小丘疹的发生,平时要注意搞好环境卫生,杜绝昆虫和细菌的滋生。尤其春秋季节是好发季节,可以在所居住处定时喷洒杀虫剂,消灭蚊虫和臭虫。
","articleBody": "小丘疹的性状各不相同,早期的小丘疹一般高于皮肤表面,其直径一般小于0.5厘米,聚集性丘疹可形成斑块。
小丘疹是某种皮肤病的主要症状,可根据小丘疹的发病部位来初步诊断感染类型。

1、病因:小丘疹是最基本的皮肤损伤类型。而小丘疹形成的原因有很多,常见的有感染,比如病毒感染、细菌感染、寄生虫感染和真菌感染等。还有一些非感染性因素引起的,比如变态反应、血管炎性皮肤病和物理因素等引起的小丘疹。在治疗时要注意鉴别诊断。
2、症状:小丘疹可以发生在身体的各个部位, 一般表现在其皮肤上出现局限性、坚实以及坚硬的皮损等,早期小丘疹通常不会超过0.5厘米,聚集性丘疹可形成斑块。一般而言,可以根据小丘疹的发病部位来初步诊断感染类型。比如痤疮好发于面部和背部等,扁平苔癣好发于面颊及手背,尖锐湿疣好发于生殖器和肛周,带状疱疹好发于躯干等。
预防小丘疹的发生,平时要注意搞好环境卫生,杜绝昆虫和细菌的滋生。尤其春秋季节是好发季节,可以在所居住处定时喷洒杀虫剂,消灭蚊虫和臭虫。
","scanCount": 32643}}} {"@context": "https://ziyuan.baidu.com/contexts/cambrian.jsonld","appid": "1650708455561748","icon": "https://www.med-credit.org.cn/style/images/ttlogo.png","content_tag": ["atlas"],"is_mcn": {"thumb_id": "c1nhtnyb"},"accid": "4886d626a2804dee5f11168793ce361672f39c25","@id": "https://www.med-credit.org.cn/mobile/jingxuan/2/33e950ed55a877b7dc913629d9f8862c.html","bagWordId": "80204816c03cf25a","title": "干燥癣图片","pubDate": "2023-03-13T18:08:06","upDate": "2023-03-13T18:08:06","lrDate": "2023-03-13T18:08:06","description": "干燥癣在临床上指皮疹的一种形态,临床上常见于银屑病和特应性皮炎,前者的干燥癣常表现为在四肢或颈部出现红斑,其表面覆盖银白色的鳞屑。而后者的干燥癣常表现为湿疹样皮疹,皮疹周围皮肤干燥,在其表面有细碎糠状鳞屑附着,伴随瘙痒感。","data": {"WebPage": {"headline": "干燥癣图片","pcUrl": "https://www.med-credit.org.cn/jingxuan/2/33e950ed55a877b7dc913629d9f8862c.html","wapUrl": "https://www.med-credit.org.cn/jingxuan/2/33e950ed55a877b7dc913629d9f8862c.html","mipUrl": "https://www.med-credit.org.cn/mobile/jingxuan/2/33e950ed55a877b7dc913629d9f8862c.html","fromSrc": "欢乐橙","datePublished": "2023-03-13T18:08:06","domain": "医疗","category": ["医疗权威文章合作"],"description": "干燥癣在临床上指皮疹的一种形态,临床上常见于银屑病和特应性皮炎,前者的干燥癣常表现为在四肢或颈部出现红斑,其表面覆盖银白色的鳞屑。而后者的干燥癣常表现为湿疹样皮疹,皮疹周围皮肤干燥,在其表面有细碎糠状鳞屑附着,伴随瘙痒感。
","extra_headline": ["干燥癣"]},"Author": {"name": "王晓彦","wapUrl": "https://www.med-credit.org.cn/doctor/541","pcUrl": "https://www.med-credit.org.cn/doctor/541","jobTitle": "主任医师","headPortrait": "https://www.med-credit.org.cn/uploadfile/member/541/180x180.jpeg","id": "541","description": "王晓彦,首都医科大学附属北京天坛医院皮肤科主任医师","memberOf": {"legalName": "首都医科大学附属北京天坛医院","department": "皮肤科","organizationLevel": "三级甲等"}},"Article": {"summaryContent": "干燥癣在临床上指皮疹的一种形态,临床上常见于银屑病和特应性皮炎,前者的干燥癣常表现为在四肢或颈部出现红斑,其表面覆盖银白色的鳞屑。而后者的干燥癣常表现为湿疹样皮疹,皮疹周围皮肤干燥,在其表面有细碎糠状鳞屑附着,伴随瘙痒感。
患者可在医生的指导下选择合适的药物进行治疗。

1、银屑病:银屑病主要是由于环境刺激或遗传因素引起的局部皮肤病,干燥癣常表现在脱皮干燥的四肢或颈部出现红斑,在其表面覆盖银白色的鳞屑。建议及时前往医院就诊,行相关检查,在医生的指导下行规范化的治疗,如可给予卡泊三醇软膏配合糠酸莫米松乳膏进行治疗。
2、特应性皮炎:特应性皮炎属于慢性皮肤炎症性疾病,易复发,临床上干燥癣常表现为湿疹样皮疹,皮疹周围皮肤干燥,在其表面有细碎糠状鳞屑附着,还伴随剧烈的瘙痒感。治疗最重要的是注意休息,避免刺激性的食物,调整精神状态。常给予外敷的糖皮质激素如氢化可的松乳膏治疗,使用抗生素如夫西地酸乳膏抗菌治疗,还可以给予免疫抑制剂如环孢素进行治疗,必要时可配合微波理疗。患者还可以使用保湿润肤剂,用于预防再次感染。
","articleBody": "干燥癣在临床上指皮疹的一种形态,临床上常见于银屑病和特应性皮炎,前者的干燥癣常表现为在四肢或颈部出现红斑,其表面覆盖银白色的鳞屑。而后者的干燥癣常表现为湿疹样皮疹,皮疹周围皮肤干燥,在其表面有细碎糠状鳞屑附着,伴随瘙痒感。
患者可在医生的指导下选择合适的药物进行治疗。

1、银屑病:银屑病主要是由于环境刺激或遗传因素引起的局部皮肤病,干燥癣常表现在脱皮干燥的四肢或颈部出现红斑,在其表面覆盖银白色的鳞屑。建议及时前往医院就诊,行相关检查,在医生的指导下行规范化的治疗,如可给予卡泊三醇软膏配合糠酸莫米松乳膏进行治疗。
2、特应性皮炎:特应性皮炎属于慢性皮肤炎症性疾病,易复发,临床上干燥癣常表现为湿疹样皮疹,皮疹周围皮肤干燥,在其表面有细碎糠状鳞屑附着,还伴随剧烈的瘙痒感。治疗最重要的是注意休息,避免刺激性的食物,调整精神状态。常给予外敷的糖皮质激素如氢化可的松乳膏治疗,使用抗生素如夫西地酸乳膏抗菌治疗,还可以给予免疫抑制剂如环孢素进行治疗,必要时可配合微波理疗。患者还可以使用保湿润肤剂,用于预防再次感染。
","scanCount": 8915}}} {"@context": "https://ziyuan.baidu.com/contexts/cambrian.jsonld","appid": "1650708455561748","icon": "https://www.med-credit.org.cn/style/images/ttlogo.png","content_tag": ["atlas"],"is_mcn": {"thumb_id": "c1nhtnyb"},"accid": "4886d626a2804dee5f11168793ce361672f39c25","@id": "https://www.med-credit.org.cn/mobile/jingxuan/2/0af0baf12f7594705da5972e13ad0073.html","bagWordId": "ffd830edc246d607","title": "甲沟炎息肉最严重图片","pubDate": "2023-03-13T18:08:06","upDate": "2023-03-13T18:08:06","lrDate": "2023-03-13T18:08:06","description": "一般没有甲沟炎息肉最严重的说法,甲沟炎息肉较严重时息肉外形常为呈肉球样、糜烂样、红肿的小型疣芽,伴随大量脓液渗出、局部疼痛等症状。","data": {"WebPage": {"headline": "甲沟炎息肉最严重图片","pcUrl": "https://www.med-credit.org.cn/jingxuan/2/0af0baf12f7594705da5972e13ad0073.html","wapUrl": "https://www.med-credit.org.cn/jingxuan/2/0af0baf12f7594705da5972e13ad0073.html","mipUrl": "https://www.med-credit.org.cn/mobile/jingxuan/2/0af0baf12f7594705da5972e13ad0073.html","fromSrc": "欢乐橙","datePublished": "2023-03-13T18:08:06","domain": "医疗","category": ["医疗权威文章合作"],"description": "一般没有甲沟炎息肉最严重的说法,甲沟炎息肉较严重时息肉外形常为呈肉球样、糜烂样、红肿的小型疣芽,伴随大量脓液渗出、局部疼痛等症状。
","extra_headline": [""]},"Author": {"name": "王晓彦","wapUrl": "https://www.med-credit.org.cn/doctor/541","pcUrl": "https://www.med-credit.org.cn/doctor/541","jobTitle": "主任医师","headPortrait": "https://www.med-credit.org.cn/uploadfile/member/541/180x180.jpeg","id": "541","description": "王晓彦,首都医科大学附属北京天坛医院皮肤科主任医师","memberOf": {"legalName": "首都医科大学附属北京天坛医院","department": "皮肤科","organizationLevel": "三级甲等"}},"Article": {"summaryContent": "一般没有甲沟炎息肉最严重的说法,甲沟炎息肉较严重时息肉外形常为呈肉球样、糜烂样、红肿的小型疣芽,伴随大量脓液渗出、局部疼痛等症状。
甲沟炎息肉一般可以选择手术或者电灼的方法进行治疗,同时患者可遵医嘱使用对应的药物。

甲沟炎指被真菌等致病菌感染,沿指甲两侧的甲沟及其周围组织的炎症反应。常因甲周皮肤微小创伤如撕倒刺、咬甲、过度修甲等因素导致正常皮肤屏障破坏,继发微生物感染,黏膜层的异常增生或突起,导致甲沟炎息肉。最严重时息肉外形常为呈肉球样、糜烂样、红肿的小型疣芽,伴随大量脓液渗出、局部疼痛等症状。
如果甲沟炎引起的息肉体积比较大,可以直接采取外科手术的方法将息肉切除。如果息肉的体积不大,可以用电灼的方法治疗,利用其高温作用破坏息肉的组织细胞,达到使息肉坏死、脱落的效果。同时患者可以遵医嘱口服阿莫西林胶囊,或局部外用克林霉素磷酸酯凝胶等抗菌素类药膏治疗,控制局部的炎症反应。在局部外用药物之前,需要先彻底清洗创面。
","articleBody": "一般没有甲沟炎息肉最严重的说法,甲沟炎息肉较严重时息肉外形常为呈肉球样、糜烂样、红肿的小型疣芽,伴随大量脓液渗出、局部疼痛等症状。
甲沟炎息肉一般可以选择手术或者电灼的方法进行治疗,同时患者可遵医嘱使用对应的药物。

甲沟炎指被真菌等致病菌感染,沿指甲两侧的甲沟及其周围组织的炎症反应。常因甲周皮肤微小创伤如撕倒刺、咬甲、过度修甲等因素导致正常皮肤屏障破坏,继发微生物感染,黏膜层的异常增生或突起,导致甲沟炎息肉。最严重时息肉外形常为呈肉球样、糜烂样、红肿的小型疣芽,伴随大量脓液渗出、局部疼痛等症状。
如果甲沟炎引起的息肉体积比较大,可以直接采取外科手术的方法将息肉切除。如果息肉的体积不大,可以用电灼的方法治疗,利用其高温作用破坏息肉的组织细胞,达到使息肉坏死、脱落的效果。同时患者可以遵医嘱口服阿莫西林胶囊,或局部外用克林霉素磷酸酯凝胶等抗菌素类药膏治疗,控制局部的炎症反应。在局部外用药物之前,需要先彻底清洗创面。
","scanCount": 32638}}} {"@context": "https://ziyuan.baidu.com/contexts/cambrian.jsonld","appid": "1650708455561748","icon": "https://www.med-credit.org.cn/style/images/ttlogo.png","content_tag": ["atlas"],"is_mcn": {"thumb_id": "3w128mji2"},"accid": "4886d626a2804dee5f11168793ce361672f39c25","@id": "https://www.med-credit.org.cn/mobile/jingxuan/2/823eec8b45b49cbb010458ddcfe1472e.html","bagWordId": "bfcafb24ca4061ef","title": "疣的种类及图片","pubDate": "2023-03-13T18:08:06","upDate": "2023-03-13T18:08:06","lrDate": "2023-03-13T18:08:06","description": "疣是由感染人乳头瘤病毒(HPV)所引起的不同程度的皮肤黏膜病变。","data": {"WebPage": {"headline": "疣的种类及图片","pcUrl": "https://www.med-credit.org.cn/jingxuan/2/823eec8b45b49cbb010458ddcfe1472e.html","wapUrl": "https://www.med-credit.org.cn/jingxuan/2/823eec8b45b49cbb010458ddcfe1472e.html","mipUrl": "https://www.med-credit.org.cn/mobile/jingxuan/2/823eec8b45b49cbb010458ddcfe1472e.html","fromSrc": "欢乐橙","datePublished": "2023-03-13T18:08:06","domain": "医疗","category": ["医疗权威文章合作"],"description": "疣是由感染人乳头瘤病毒(HPV)所引起的不同程度的皮肤黏膜病变。
","extra_headline": [""]},"Author": {"name": "曲乐","wapUrl": "https://www.med-credit.org.cn/doctor/554","pcUrl": "https://www.med-credit.org.cn/doctor/554","jobTitle": "副主任医师","headPortrait": "https://www.med-credit.org.cn/uploadfile/member/554/180x180.jpeg","id": "554","description": "曲乐,副主任医师、医学博士、硕士研究生导师、美容主诊医师、公派留美访问学者。主持国家自然科学基金及省市课题多项,在国内外高水平专业杂志发表中英文论文20余篇,参编英文专著1部。现任辽宁省免疫学会委员。","memberOf": {"legalName": "中国医科大学附属第一医院","department": "皮肤科","organizationLevel": "三级甲等"}},"Article": {"summaryContent": "疣是由感染人乳头瘤病毒(HPV)所引起的不同程度的皮肤黏膜病变。
临床常见表现为寻常疣、扁平疣、尖锐湿疣等,是一种良性赘生物。

1、寻常疣:俗称“瘊子”,全身可见,以手部为主,通常为扁平状,黄豆大小的灰褐色丘疹,表面粗糙,质地坚硬,可有乳头瘤状的增生。发生于甲周称为甲周疣,疣体细长而顶端角化伴丝状疣,好发于头面及腋下。寻常疣自然情况下5年清除率能够达到90%。

2、扁平疣:儿童及青少年好发,多见于颜面、手臂、前臂。为米粒到黄豆大小,类圆形的扁平隆起丘疹,表面光滑、质硬,可为正常肤色,搔抓后可表现串珠状排列。病程慢性,提高免疫力后可自行消退。

3、尖锐湿疣:多由HPV-6及-11感染引起,可合并HPV-118、3335等高危型。主要通过性行为传播。男性多见于龟头、包皮,女性多见于大小阴唇、阴道口,也可见于肛门、口腔。可呈丘疹样,菜花状,乳头状、鸡冠状等形态,疣体常表现为白色、粉红色。多无明显自觉症状。
除了上述相对常见的疣外,还有其他的可能性,比如跖疣。
HPV感染一般潜伏期为6周~2年,治疗可于皮肤科进行,目前治疗主要有物理与外用药物,如冷冻、激光、光动力治疗以及抗病毒药物,如皮损较多,需分批分次进行,保证规范治疗是减少复发的关键。预防上可接种针对HPV的疫苗;积极锻炼提高身体抵抗力;注意卫生。
","articleBody": "疣是由感染人乳头瘤病毒(HPV)所引起的不同程度的皮肤黏膜病变。
临床常见表现为寻常疣、扁平疣、尖锐湿疣等,是一种良性赘生物。

1、寻常疣:俗称“瘊子”,全身可见,以手部为主,通常为扁平状,黄豆大小的灰褐色丘疹,表面粗糙,质地坚硬,可有乳头瘤状的增生。发生于甲周称为甲周疣,疣体细长而顶端角化伴丝状疣,好发于头面及腋下。寻常疣自然情况下5年清除率能够达到90%。

2、扁平疣:儿童及青少年好发,多见于颜面、手臂、前臂。为米粒到黄豆大小,类圆形的扁平隆起丘疹,表面光滑、质硬,可为正常肤色,搔抓后可表现串珠状排列。病程慢性,提高免疫力后可自行消退。

3、尖锐湿疣:多由HPV-6及-11感染引起,可合并HPV-118、3335等高危型。主要通过性行为传播。男性多见于龟头、包皮,女性多见于大小阴唇、阴道口,也可见于肛门、口腔。可呈丘疹样,菜花状,乳头状、鸡冠状等形态,疣体常表现为白色、粉红色。多无明显自觉症状。
除了上述相对常见的疣外,还有其他的可能性,比如跖疣。
HPV感染一般潜伏期为6周~2年,治疗可于皮肤科进行,目前治疗主要有物理与外用药物,如冷冻、激光、光动力治疗以及抗病毒药物,如皮损较多,需分批分次进行,保证规范治疗是减少复发的关键。预防上可接种针对HPV的疫苗;积极锻炼提高身体抵抗力;注意卫生。
","scanCount": 32637}}} {"@context": "https://ziyuan.baidu.com/contexts/cambrian.jsonld","appid": "1650708455561748","icon": "https://www.med-credit.org.cn/style/images/ttlogo.png","content_tag": ["atlas"],"is_mcn": {"thumb_id": "3w128mji2"},"accid": "4886d626a2804dee5f11168793ce361672f39c25","@id": "https://www.med-credit.org.cn/mobile/jingxuan/2/e012cb4a8ffc9c542f155bc2ff69150c.html","bagWordId": "6e08ade357294d2f","title": "皮肤病荨麻疹图片","pubDate": "2023-03-13T18:08:06","upDate": "2023-03-13T18:08:06","lrDate": "2023-03-13T18:08:06","description": "皮肤病荨麻疹,临床上患者会表现为成片、对称分布的小丘疹,一般呈红色、肤色或白色的圆形、不规则或椭圆形的风团状。","data": {"WebPage": {"headline": "皮肤病荨麻疹图片","pcUrl": "https://www.med-credit.org.cn/jingxuan/2/e012cb4a8ffc9c542f155bc2ff69150c.html","wapUrl": "https://www.med-credit.org.cn/jingxuan/2/e012cb4a8ffc9c542f155bc2ff69150c.html","mipUrl": "https://www.med-credit.org.cn/mobile/jingxuan/2/e012cb4a8ffc9c542f155bc2ff69150c.html","fromSrc": "欢乐橙","datePublished": "2023-03-13T18:08:06","domain": "医疗","category": ["医疗权威文章合作"],"description": "皮肤病荨麻疹,临床上患者会表现为成片、对称分布的小丘疹,一般呈红色、肤色或白色的圆形、不规则或椭圆形的风团状。
","extra_headline": ["皮肤病荨麻疹"]},"Author": {"name": "曲乐","wapUrl": "https://www.med-credit.org.cn/doctor/554","pcUrl": "https://www.med-credit.org.cn/doctor/554","jobTitle": "副主任医师","headPortrait": "https://www.med-credit.org.cn/uploadfile/member/554/180x180.jpeg","id": "554","description": "曲乐,副主任医师、医学博士、硕士研究生导师、美容主诊医师、公派留美访问学者。主持国家自然科学基金及省市课题多项,在国内外高水平专业杂志发表中英文论文20余篇,参编英文专著1部。现任辽宁省免疫学会委员。","memberOf": {"legalName": "中国医科大学附属第一医院","department": "皮肤科","organizationLevel": "三级甲等"}},"Article": {"summaryContent": "皮肤病荨麻疹,临床上患者会表现为成片、对称分布的小丘疹,一般呈红色、肤色或白色的圆形、不规则或椭圆形的风团状。
患者应避免接触过敏原,同时在医生的指导下使用合适的药物进行治疗。在日常生活中需注意饮食。

荨麻疹通常是由于接触变应原所致,皮肤黏膜的血管通透性下降,局部组织充血水肿,临床上患者会表现为成片、对称分布的小丘疹,一般呈红色、肤色或白色的圆形、不规则或椭圆形的风团状,还伴随剧烈的瘙痒感,甚至会累及全身。
首先患者应该积极地寻找过敏原,然后避免接触过敏原。患者应在医生指导下,给予抗过敏药物如氯雷他定片或抗组胺药如西替利嗪片治疗,给予炉甘石洗剂外用治疗,将其涂抹在患处,可以有效缓解瘙痒的症状。还可以给予免疫抑制剂如环孢素进行治疗。如果患者的患处水肿状况难以缓解,可以涂抹少量糖皮质激素软膏,有利于消炎止痛。
患者要注意不能饮酒、喝浓茶或咖啡,避免辛辣刺激性食物,如葱、姜、蒜、辣椒、咖喱、胡椒粉等,避免蟹、虾、金枪鱼、坚果等容易引起过敏的食物。
","articleBody": "皮肤病荨麻疹,临床上患者会表现为成片、对称分布的小丘疹,一般呈红色、肤色或白色的圆形、不规则或椭圆形的风团状。
患者应避免接触过敏原,同时在医生的指导下使用合适的药物进行治疗。在日常生活中需注意饮食。

荨麻疹通常是由于接触变应原所致,皮肤黏膜的血管通透性下降,局部组织充血水肿,临床上患者会表现为成片、对称分布的小丘疹,一般呈红色、肤色或白色的圆形、不规则或椭圆形的风团状,还伴随剧烈的瘙痒感,甚至会累及全身。
首先患者应该积极地寻找过敏原,然后避免接触过敏原。患者应在医生指导下,给予抗过敏药物如氯雷他定片或抗组胺药如西替利嗪片治疗,给予炉甘石洗剂外用治疗,将其涂抹在患处,可以有效缓解瘙痒的症状。还可以给予免疫抑制剂如环孢素进行治疗。如果患者的患处水肿状况难以缓解,可以涂抹少量糖皮质激素软膏,有利于消炎止痛。
患者要注意不能饮酒、喝浓茶或咖啡,避免辛辣刺激性食物,如葱、姜、蒜、辣椒、咖喱、胡椒粉等,避免蟹、虾、金枪鱼、坚果等容易引起过敏的食物。
","scanCount": 5919}}} {"@context": "https://ziyuan.baidu.com/contexts/cambrian.jsonld","appid": "1650708455561748","icon": "https://www.med-credit.org.cn/style/images/ttlogo.png","content_tag": ["atlas"],"is_mcn": {"thumb_id": "3w128mji2"},"accid": "4886d626a2804dee5f11168793ce361672f39c25","@id": "https://www.med-credit.org.cn/mobile/jingxuan/2/33e4949f029414f6de622e87d1f180dc.html","bagWordId": "40212c0339991586","title": "梅毒二期皮疹图","pubDate": "2023-03-13T18:08:06","upDate": "2023-03-13T18:08:06","lrDate": "2023-03-13T18:08:06","description": "梅毒二期皮疹以自觉症状轻微,分布广而稠密,以对称性发疹为特点。常见斑疹型梅毒疹、丘疹型梅毒疹、丘脓疱型梅毒疹、脓疱型梅毒疹这四种类型。","data": {"WebPage": {"headline": "梅毒二期皮疹图","pcUrl": "https://www.med-credit.org.cn/jingxuan/2/33e4949f029414f6de622e87d1f180dc.html","wapUrl": "https://www.med-credit.org.cn/jingxuan/2/33e4949f029414f6de622e87d1f180dc.html","mipUrl": "https://www.med-credit.org.cn/mobile/jingxuan/2/33e4949f029414f6de622e87d1f180dc.html","fromSrc": "欢乐橙","datePublished": "2023-03-13T18:08:06","domain": "医疗","category": ["医疗权威文章合作"],"description": "梅毒二期皮疹以自觉症状轻微,分布广而稠密,以对称性发疹为特点。常见斑疹型梅毒疹、丘疹型梅毒疹、丘脓疱型梅毒疹、脓疱型梅毒疹这四种类型。
","extra_headline": [""]},"Author": {"name": "曲乐","wapUrl": "https://www.med-credit.org.cn/doctor/554","pcUrl": "https://www.med-credit.org.cn/doctor/554","jobTitle": "副主任医师","headPortrait": "https://www.med-credit.org.cn/uploadfile/member/554/180x180.jpeg","id": "554","description": "曲乐,副主任医师、医学博士、硕士研究生导师、美容主诊医师、公派留美访问学者。主持国家自然科学基金及省市课题多项,在国内外高水平专业杂志发表中英文论文20余篇,参编英文专著1部。现任辽宁省免疫学会委员。","memberOf": {"legalName": "中国医科大学附属第一医院","department": "皮肤科","organizationLevel": "三级甲等"}},"Article": {"summaryContent": "梅毒二期皮疹以自觉症状轻微,分布广而稠密,以对称性发疹为特点。常见斑疹型梅毒疹、丘疹型梅毒疹、丘脓疱型梅毒疹、脓疱型梅毒疹这四种类型。
梅毒感染病程主要有三期,当发现自身患有梅毒时,需及时前往医院寻求诊治,在日常生活中做好消毒工作,戒烟酒。

1、斑疹型梅毒疹:最为多见,主要分布在躯干和四肢近端内侧,大小不等,直径约0.5~2厘米,常呈圆形,少数为椭圆形,偶如环状,色似玫瑰红,故称玫瑰斑疹。

2、丘疹型梅毒疹:比较多见,类型繁多。一般为2~5毫米直径的小丘疹,丘疹初为红铜色后转呈褐色。一般基质坚硬,表面可有少量鳞屑,此类疹型内含梅毒螺旋体,传染性很强。

3、丘脓疱型梅毒疹:较少见,初为斑疹,以后隆起,顶部生小脓疱而得名。分布较广,此种患者一般营养较差。
4、脓疱型梅毒疹:甚少见。
梅毒感染病程分为三期,一期主要表现为外生殖器有红斑,且红斑会发生坏死,形成无痛性溃疡,可伴有淋巴结肿大;二期除上述梅毒疹,还可侵犯骨、眼、神经,并有发烧、喉咙痛和视力下降等症状;三期最为严重,损害不仅累及皮肤黏膜,还对骨骼、心血管、神经系统有极大地损伤。治疗主要遵医嘱采用青霉素注射,保证足量足疗程的规范治疗是关键。
梅毒患者在平时要做好消毒、隔离,防止传染。个人物品专用,不与他人交叉使用,生活用品定期消毒,清淡饮食,不喝酒抽烟。
","articleBody": "梅毒二期皮疹以自觉症状轻微,分布广而稠密,以对称性发疹为特点。常见斑疹型梅毒疹、丘疹型梅毒疹、丘脓疱型梅毒疹、脓疱型梅毒疹这四种类型。
梅毒感染病程主要有三期,当发现自身患有梅毒时,需及时前往医院寻求诊治,在日常生活中做好消毒工作,戒烟酒。

1、斑疹型梅毒疹:最为多见,主要分布在躯干和四肢近端内侧,大小不等,直径约0.5~2厘米,常呈圆形,少数为椭圆形,偶如环状,色似玫瑰红,故称玫瑰斑疹。

2、丘疹型梅毒疹:比较多见,类型繁多。一般为2~5毫米直径的小丘疹,丘疹初为红铜色后转呈褐色。一般基质坚硬,表面可有少量鳞屑,此类疹型内含梅毒螺旋体,传染性很强。

3、丘脓疱型梅毒疹:较少见,初为斑疹,以后隆起,顶部生小脓疱而得名。分布较广,此种患者一般营养较差。
4、脓疱型梅毒疹:甚少见。
梅毒感染病程分为三期,一期主要表现为外生殖器有红斑,且红斑会发生坏死,形成无痛性溃疡,可伴有淋巴结肿大;二期除上述梅毒疹,还可侵犯骨、眼、神经,并有发烧、喉咙痛和视力下降等症状;三期最为严重,损害不仅累及皮肤黏膜,还对骨骼、心血管、神经系统有极大地损伤。治疗主要遵医嘱采用青霉素注射,保证足量足疗程的规范治疗是关键。
梅毒患者在平时要做好消毒、隔离,防止传染。个人物品专用,不与他人交叉使用,生活用品定期消毒,清淡饮食,不喝酒抽烟。
","scanCount": 32633}}} {"@context": "https://ziyuan.baidu.com/contexts/cambrian.jsonld","appid": "1650708455561748","icon": "https://www.med-credit.org.cn/style/images/ttlogo.png","content_tag": ["atlas"],"is_mcn": {"thumb_id": "3w128mji2"},"accid": "4886d626a2804dee5f11168793ce361672f39c25","@id": "https://www.med-credit.org.cn/mobile/jingxuan/2/f1b3e56dbdb92c3ddd7c0530def339a8.html","bagWordId": "ed0caf6355f33f00","title": "下巴疱疹最初症状图片","pubDate": "2023-03-13T18:08:06","upDate": "2023-03-13T18:08:06","lrDate": "2023-03-13T18:08:06","description": "下巴出现疱疹的早期可出现皮肤丘疹、水疱、疼痛、发热等症状。","data": {"WebPage": {"headline": "下巴疱疹最初症状图片","pcUrl": "https://www.med-credit.org.cn/jingxuan/2/f1b3e56dbdb92c3ddd7c0530def339a8.html","wapUrl": "https://www.med-credit.org.cn/jingxuan/2/f1b3e56dbdb92c3ddd7c0530def339a8.html","mipUrl": "https://www.med-credit.org.cn/mobile/jingxuan/2/f1b3e56dbdb92c3ddd7c0530def339a8.html","fromSrc": "欢乐橙","datePublished": "2023-03-13T18:08:06","domain": "医疗","category": ["医疗权威文章合作"],"description": "下巴出现疱疹的早期可出现皮肤丘疹、水疱、疼痛、发热等症状。
","extra_headline": [""]},"Author": {"name": "曲乐","wapUrl": "https://www.med-credit.org.cn/doctor/554","pcUrl": "https://www.med-credit.org.cn/doctor/554","jobTitle": "副主任医师","headPortrait": "https://www.med-credit.org.cn/uploadfile/member/554/180x180.jpeg","id": "554","description": "曲乐,副主任医师、医学博士、硕士研究生导师、美容主诊医师、公派留美访问学者。主持国家自然科学基金及省市课题多项,在国内外高水平专业杂志发表中英文论文20余篇,参编英文专著1部。现任辽宁省免疫学会委员。","memberOf": {"legalName": "中国医科大学附属第一医院","department": "皮肤科","organizationLevel": "三级甲等"}},"Article": {"summaryContent": "下巴出现疱疹的早期可出现皮肤丘疹、水疱、疼痛、发热等症状。
疱疹主要是感染疱疹病毒引起的。

1.丘疹、水疱:早期疱疹患者下巴皮肤部位可出现丘疹或红斑,无凸起,无瘙痒等不适。随着疾病的进展,丘疹的融合可发展为下巴位置的水疱。水疱面积较小,同时水疱可突出皮肤表面。水疱质地透明发亮。
2.疼痛:下巴水疱部位的皮肤可出现针刺样的疼痛。早期下巴疱疹疼痛多不剧烈,以阵发性疼痛为主。随着疾病的进展,疼痛可进一步发展,患处会出现剧烈疼痛。
3.发热:由于疱疹的发病主要以疱疹病毒的感染为主,因此在疾病的早期,病毒的入侵会引起机体免疫系统的防御反应,患者可出现发热症状。
除了上述相对常见的症状外,还有其他的可能表现,比如眼睛发红和发痒。
由于疱疹具有较快疾病传变性及一定程度感染性,因此当出现疱疹症状时,需要及时就医治疗,避免疱疹进一步发展。在日常生活中可进行疱疹病毒疫苗接种及提高自身免疫力,以预防疱疹的发病。
","articleBody": "下巴出现疱疹的早期可出现皮肤丘疹、水疱、疼痛、发热等症状。
疱疹主要是感染疱疹病毒引起的。

1.丘疹、水疱:早期疱疹患者下巴皮肤部位可出现丘疹或红斑,无凸起,无瘙痒等不适。随着疾病的进展,丘疹的融合可发展为下巴位置的水疱。水疱面积较小,同时水疱可突出皮肤表面。水疱质地透明发亮。
2.疼痛:下巴水疱部位的皮肤可出现针刺样的疼痛。早期下巴疱疹疼痛多不剧烈,以阵发性疼痛为主。随着疾病的进展,疼痛可进一步发展,患处会出现剧烈疼痛。
3.发热:由于疱疹的发病主要以疱疹病毒的感染为主,因此在疾病的早期,病毒的入侵会引起机体免疫系统的防御反应,患者可出现发热症状。
除了上述相对常见的症状外,还有其他的可能表现,比如眼睛发红和发痒。
由于疱疹具有较快疾病传变性及一定程度感染性,因此当出现疱疹症状时,需要及时就医治疗,避免疱疹进一步发展。在日常生活中可进行疱疹病毒疫苗接种及提高自身免疫力,以预防疱疹的发病。
","scanCount": 32631}}} {"@context": "https://ziyuan.baidu.com/contexts/cambrian.jsonld","appid": "1650708455561748","icon": "https://www.med-credit.org.cn/style/images/ttlogo.png","content_tag": ["atlas"],"is_mcn": {"thumb_id": "3w128mji2"},"accid": "4886d626a2804dee5f11168793ce361672f39c25","@id": "https://www.med-credit.org.cn/mobile/jingxuan/2/0b6b64a7e6fc1aa0396b5e71f59958aa.html","bagWordId": "7e149051f6ad9c74","title": "皮肤组织结构图","pubDate": "2023-03-13T18:08:06","upDate": "2023-03-13T18:08:06","lrDate": "2023-03-13T18:08:06","description": "皮肤的组织结构有:表皮、真皮、皮下组织。","data": {"WebPage": {"headline": "皮肤组织结构图","pcUrl": "https://www.med-credit.org.cn/jingxuan/2/0b6b64a7e6fc1aa0396b5e71f59958aa.html","wapUrl": "https://www.med-credit.org.cn/jingxuan/2/0b6b64a7e6fc1aa0396b5e71f59958aa.html","mipUrl": "https://www.med-credit.org.cn/mobile/jingxuan/2/0b6b64a7e6fc1aa0396b5e71f59958aa.html","fromSrc": "欢乐橙","datePublished": "2023-03-13T18:08:06","domain": "医疗","category": ["医疗权威文章合作"],"description": "皮肤的组织结构有:表皮、真皮、皮下组织。
","extra_headline": [""]},"Author": {"name": "曲乐","wapUrl": "https://www.med-credit.org.cn/doctor/554","pcUrl": "https://www.med-credit.org.cn/doctor/554","jobTitle": "副主任医师","headPortrait": "https://www.med-credit.org.cn/uploadfile/member/554/180x180.jpeg","id": "554","description": "曲乐,副主任医师、医学博士、硕士研究生导师、美容主诊医师、公派留美访问学者。主持国家自然科学基金及省市课题多项,在国内外高水平专业杂志发表中英文论文20余篇,参编英文专著1部。现任辽宁省免疫学会委员。","memberOf": {"legalName": "中国医科大学附属第一医院","department": "皮肤科","organizationLevel": "三级甲等"}},"Article": {"summaryContent": "皮肤的组织结构有:表皮、真皮、皮下组织。
人体大部分区域都是有毛的薄皮肤,而在掌趾、指/趾屈侧面则是较为深厚的无毛皮肤。在日常生活中需注意饮食银弹,多喝蜂蜜,保持皮肤细嫩有光泽。

1、表皮:表皮属于复层鳞状上皮,主要的构成细胞是角质形成细胞,还有朗格汉斯细胞、黑素细胞、梅克尔细胞等参与构成。根据外胚层分化阶段与特点,将其由深至浅分为5层:基底层、基层、颗粒层、透明层、角质层。
2、真皮:真皮层是不规则的致密的结缔组织,主要由纤维成分构成,以及基质和细胞成分。由深至浅可分为:有较大血管、神经等穿行的网状层和富含毛细血管与毛细淋巴管的乳头层。常说的胶原纤维在组织学上则主要在这层。这个部位具有丰富的皮肤附属器官,比如汗腺,毛囊,皮脂腺,以及大量的毛细血管,以及组织细胞等。
3、皮下组织:皮下组织,位于真皮层与肌膜之间,包括疏松结缔组织与脂肪小叶,因而又被叫做皮下脂肪层,其厚度受部位、性别与营养状况的影响。
身体大部分区域背覆的是有毛的薄皮肤,而在掌趾、指/趾屈侧面则是较为深厚的无毛皮肤,而能承受一定强度的机械性摩擦。在日常生活中需要饮食清淡,避免吃辛辣、刺激性的食物,同时可以多喝蜂蜜,可使皮肤红润细嫩,有光泽。
","articleBody": "皮肤的组织结构有:表皮、真皮、皮下组织。
人体大部分区域都是有毛的薄皮肤,而在掌趾、指/趾屈侧面则是较为深厚的无毛皮肤。在日常生活中需注意饮食银弹,多喝蜂蜜,保持皮肤细嫩有光泽。

1、表皮:表皮属于复层鳞状上皮,主要的构成细胞是角质形成细胞,还有朗格汉斯细胞、黑素细胞、梅克尔细胞等参与构成。根据外胚层分化阶段与特点,将其由深至浅分为5层:基底层、基层、颗粒层、透明层、角质层。
2、真皮:真皮层是不规则的致密的结缔组织,主要由纤维成分构成,以及基质和细胞成分。由深至浅可分为:有较大血管、神经等穿行的网状层和富含毛细血管与毛细淋巴管的乳头层。常说的胶原纤维在组织学上则主要在这层。这个部位具有丰富的皮肤附属器官,比如汗腺,毛囊,皮脂腺,以及大量的毛细血管,以及组织细胞等。
3、皮下组织:皮下组织,位于真皮层与肌膜之间,包括疏松结缔组织与脂肪小叶,因而又被叫做皮下脂肪层,其厚度受部位、性别与营养状况的影响。
身体大部分区域背覆的是有毛的薄皮肤,而在掌趾、指/趾屈侧面则是较为深厚的无毛皮肤,而能承受一定强度的机械性摩擦。在日常生活中需要饮食清淡,避免吃辛辣、刺激性的食物,同时可以多喝蜂蜜,可使皮肤红润细嫩,有光泽。
","scanCount": 32629}}} {"@context": "https://ziyuan.baidu.com/contexts/cambrian.jsonld","appid": "1650708455561748","icon": "https://www.med-credit.org.cn/style/images/ttlogo.png","content_tag": ["atlas"],"is_mcn": {"thumb_id": "3w128mji2"},"accid": "4886d626a2804dee5f11168793ce361672f39c25","@id": "https://www.med-credit.org.cn/mobile/jingxuan/2/8bf1942b7222dca6af5a5c70c8704df6.html","bagWordId": "f3187d3826fc4b5d","title": "胸口有红色的小血点图","pubDate": "2023-03-13T18:08:06","upDate": "2023-03-13T18:08:06","lrDate": "2023-03-13T18:08:06","description": "胸口有红色的小血点可能是血管痣、过敏性紫癜、毛囊炎等。","data": {"WebPage": {"headline": "胸口有红色的小血点图","pcUrl": "https://www.med-credit.org.cn/jingxuan/2/8bf1942b7222dca6af5a5c70c8704df6.html","wapUrl": "https://www.med-credit.org.cn/jingxuan/2/8bf1942b7222dca6af5a5c70c8704df6.html","mipUrl": "https://www.med-credit.org.cn/mobile/jingxuan/2/8bf1942b7222dca6af5a5c70c8704df6.html","fromSrc": "欢乐橙","datePublished": "2023-03-13T18:08:06","domain": "医疗","category": ["医疗权威文章合作"],"description": "胸口有红色的小血点可能是血管痣、过敏性紫癜、毛囊炎等。
","extra_headline": ["胸口有红色的小血点"]},"Author": {"name": "曲乐","wapUrl": "https://www.med-credit.org.cn/doctor/554","pcUrl": "https://www.med-credit.org.cn/doctor/554","jobTitle": "副主任医师","headPortrait": "https://www.med-credit.org.cn/uploadfile/member/554/180x180.jpeg","id": "554","description": "曲乐,副主任医师、医学博士、硕士研究生导师、美容主诊医师、公派留美访问学者。主持国家自然科学基金及省市课题多项,在国内外高水平专业杂志发表中英文论文20余篇,参编英文专著1部。现任辽宁省免疫学会委员。","memberOf": {"legalName": "中国医科大学附属第一医院","department": "皮肤科","organizationLevel": "三级甲等"}},"Article": {"summaryContent": "胸口有红色的小血点可能是血管痣、过敏性紫癜、毛囊炎等。
当发现胸口出现红色的小血点时需及时前往医院,遵医嘱使用合适的药物进行治疗。在日常生活中要注意卫生。

1、血管痣:在肥胖,药物等一些因素的影响下,会诱发血管痣,此时皮肤上就会出现红斑并逐渐增大,皮肤也可能肿大;此时可以在医生的指导下服用糖皮质激素如泼尼松等,注射平阳霉素,使用硬化剂如甘油酸钠等,必要时也可进行放疗,激光治疗和手术治疗。

2、过敏性紫癜:高于皮肤的紫红色皮疹,用手按压后多不消退,且随着出血的吸收,皮疹可能逐渐变为棕褐色等,大多数患者可逐渐自行消退;在医生指导下,可通过服用抗组胺药如盐酸异丙嗪等治疗,也可通过白细胞去除术改善。

3、毛囊炎:特别是马拉色菌毛囊炎,好发于胸背部,青少年多见,多表现为数十个至数百个不等的红色丘疹,可以挤出白色分泌物;通常以抗真菌治疗为主,可以在医生指导下使用咪唑类局部外用药如酮康唑等,也可服用氟康唑等药物进行治疗。
除了上述相对常见的原因外,还有其他的可能性疾病,比如粉刺。建议患者出现这种症状后,及时去医院就诊,查明病因后,予以针对性治疗。
在胸口发现红色小血点,如观察一段时间无好转或病情加重,应及时至正规医院检查,配合医生积极治疗,日常生活要注意卫生,坚持锻炼,清淡饮食等。
","articleBody": "胸口有红色的小血点可能是血管痣、过敏性紫癜、毛囊炎等。
当发现胸口出现红色的小血点时需及时前往医院,遵医嘱使用合适的药物进行治疗。在日常生活中要注意卫生。

1、血管痣:在肥胖,药物等一些因素的影响下,会诱发血管痣,此时皮肤上就会出现红斑并逐渐增大,皮肤也可能肿大;此时可以在医生的指导下服用糖皮质激素如泼尼松等,注射平阳霉素,使用硬化剂如甘油酸钠等,必要时也可进行放疗,激光治疗和手术治疗。

2、过敏性紫癜:高于皮肤的紫红色皮疹,用手按压后多不消退,且随着出血的吸收,皮疹可能逐渐变为棕褐色等,大多数患者可逐渐自行消退;在医生指导下,可通过服用抗组胺药如盐酸异丙嗪等治疗,也可通过白细胞去除术改善。

3、毛囊炎:特别是马拉色菌毛囊炎,好发于胸背部,青少年多见,多表现为数十个至数百个不等的红色丘疹,可以挤出白色分泌物;通常以抗真菌治疗为主,可以在医生指导下使用咪唑类局部外用药如酮康唑等,也可服用氟康唑等药物进行治疗。
除了上述相对常见的原因外,还有其他的可能性疾病,比如粉刺。建议患者出现这种症状后,及时去医院就诊,查明病因后,予以针对性治疗。
在胸口发现红色小血点,如观察一段时间无好转或病情加重,应及时至正规医院检查,配合医生积极治疗,日常生活要注意卫生,坚持锻炼,清淡饮食等。
","scanCount": 6096}}} {"@context": "https://ziyuan.baidu.com/contexts/cambrian.jsonld","appid": "1650708455561748","icon": "https://www.med-credit.org.cn/style/images/ttlogo.png","content_tag": ["atlas"],"is_mcn": {"thumb_id": "c1nhtnyb"},"accid": "4886d626a2804dee5f11168793ce361672f39c25","@id": "https://www.med-credit.org.cn/mobile/jingxuan/2/90ad5d0615b368c2fd98d541d7ee0ff4.html","bagWordId": "bf35c3684416f40e","title": "口水疹是什么样的图片","pubDate": "2023-03-13T18:08:06","upDate": "2023-03-13T18:08:06","lrDate": "2023-03-13T18:08:06","description": "口水疹是在口周及下巴出现红色皮疹,伴有皮肤潮红、瘙痒,严重者可有皮肤破损或脓疱。口水疹好发于婴儿。","data": {"WebPage": {"headline": "口水疹是什么样的图片","pcUrl": "https://www.med-credit.org.cn/jingxuan/2/90ad5d0615b368c2fd98d541d7ee0ff4.html","wapUrl": "https://www.med-credit.org.cn/jingxuan/2/90ad5d0615b368c2fd98d541d7ee0ff4.html","mipUrl": "https://www.med-credit.org.cn/mobile/jingxuan/2/90ad5d0615b368c2fd98d541d7ee0ff4.html","fromSrc": "欢乐橙","datePublished": "2023-03-13T18:08:06","domain": "医疗","category": ["医疗权威文章合作"],"description": "口水疹是在口周及下巴出现红色皮疹,伴有皮肤潮红、瘙痒,严重者可有皮肤破损或脓疱。口水疹好发于婴儿。
","extra_headline": [""]},"Author": {"name": "王晓彦","wapUrl": "https://www.med-credit.org.cn/doctor/541","pcUrl": "https://www.med-credit.org.cn/doctor/541","jobTitle": "主任医师","headPortrait": "https://www.med-credit.org.cn/uploadfile/member/541/180x180.jpeg","id": "541","description": "王晓彦,首都医科大学附属北京天坛医院皮肤科主任医师","memberOf": {"legalName": "首都医科大学附属北京天坛医院","department": "皮肤科","organizationLevel": "三级甲等"}},"Article": {"summaryContent": "口水疹是在口周及下巴出现红色皮疹,伴有皮肤潮红、瘙痒,严重者可有皮肤破损或脓疱。口水疹好发于婴儿。
当婴儿出现口水疹时,可遵医嘱使用合适的药物进行治疗。同时在日常生活中应注意保持婴儿局部皮肤干燥清洁。

1、好发人群:口水疹常发生于婴儿,主要是萌牙期的婴儿,口腔分泌唾液较多,经常反复流口水。因唾液中含有消化酶,会对口周及下巴的皮肤造成刺激,引起接触性皮炎。
2、症状:出现口水疹时,局部会有红色突起的丘疹,皮肤表面潮红,当存在皮肤损伤时可有渗液,病变部位主要集中在口周及下巴。如不注意及时清理口水及更换衣服,皮损可能蔓延至下颌及颈部皮肤。经摩擦导致皮肤破损后容易继发细菌感染。皮疹瘙痒明显,如继发感染会有疼痛感,会使婴儿出现哭闹、烦躁的表现。
当出现口水疹时,可遵医嘱使用炉甘石洗剂进行清洗,同时可以涂抹红霉素眼膏、氧化锌软膏等药物,也可以使用滑石粉进行擦拭,保持干燥。
预防口水疹应注意保持婴儿局部皮肤清洁,喂食后以及口水较多时用温水清洁面部及颈部,避免唾液对皮肤造成浸渍。使用柔软的棉质毛巾帮婴儿洗脸,避免摩擦造成皮肤破损。
","articleBody": "口水疹是在口周及下巴出现红色皮疹,伴有皮肤潮红、瘙痒,严重者可有皮肤破损或脓疱。口水疹好发于婴儿。
当婴儿出现口水疹时,可遵医嘱使用合适的药物进行治疗。同时在日常生活中应注意保持婴儿局部皮肤干燥清洁。

1、好发人群:口水疹常发生于婴儿,主要是萌牙期的婴儿,口腔分泌唾液较多,经常反复流口水。因唾液中含有消化酶,会对口周及下巴的皮肤造成刺激,引起接触性皮炎。
2、症状:出现口水疹时,局部会有红色突起的丘疹,皮肤表面潮红,当存在皮肤损伤时可有渗液,病变部位主要集中在口周及下巴。如不注意及时清理口水及更换衣服,皮损可能蔓延至下颌及颈部皮肤。经摩擦导致皮肤破损后容易继发细菌感染。皮疹瘙痒明显,如继发感染会有疼痛感,会使婴儿出现哭闹、烦躁的表现。
当出现口水疹时,可遵医嘱使用炉甘石洗剂进行清洗,同时可以涂抹红霉素眼膏、氧化锌软膏等药物,也可以使用滑石粉进行擦拭,保持干燥。
预防口水疹应注意保持婴儿局部皮肤清洁,喂食后以及口水较多时用温水清洁面部及颈部,避免唾液对皮肤造成浸渍。使用柔软的棉质毛巾帮婴儿洗脸,避免摩擦造成皮肤破损。
","scanCount": 32627}}} {"@context": "https://ziyuan.baidu.com/contexts/cambrian.jsonld","appid": "1650708455561748","icon": "https://www.med-credit.org.cn/style/images/ttlogo.png","content_tag": ["atlas"],"is_mcn": {"thumb_id": "c1nhtnyb"},"accid": "4886d626a2804dee5f11168793ce361672f39c25","@id": "https://www.med-credit.org.cn/mobile/jingxuan/2/7247428e472aaa746949550bcf9c3935.html","bagWordId": "432fc55a14eeb6c1","title": "耳癣初期图片","pubDate": "2023-03-13T18:08:06","upDate": "2023-03-13T18:08:06","lrDate": "2023-03-13T18:08:06","description": "耳癣初期表现为耳朵皮肤出现丘疹、水疱,并且伴有瘙痒感。","data": {"WebPage": {"headline": "耳癣初期图片","pcUrl": "https://www.med-credit.org.cn/jingxuan/2/7247428e472aaa746949550bcf9c3935.html","wapUrl": "https://www.med-credit.org.cn/jingxuan/2/7247428e472aaa746949550bcf9c3935.html","mipUrl": "https://www.med-credit.org.cn/mobile/jingxuan/2/7247428e472aaa746949550bcf9c3935.html","fromSrc": "欢乐橙","datePublished": "2023-03-13T18:08:06","domain": "医疗","category": ["医疗权威文章合作"],"description": "耳癣初期表现为耳朵皮肤出现丘疹、水疱,并且伴有瘙痒感。
","extra_headline": [""]},"Author": {"name": "王晓彦","wapUrl": "https://www.med-credit.org.cn/doctor/541","pcUrl": "https://www.med-credit.org.cn/doctor/541","jobTitle": "主任医师","headPortrait": "https://www.med-credit.org.cn/uploadfile/member/541/180x180.jpeg","id": "541","description": "王晓彦,首都医科大学附属北京天坛医院皮肤科主任医师","memberOf": {"legalName": "首都医科大学附属北京天坛医院","department": "皮肤科","organizationLevel": "三级甲等"}},"Article": {"summaryContent": "耳癣初期表现为耳朵皮肤出现丘疹、水疱,并且伴有瘙痒感。
耳癣患者应及时前往皮肤科就诊,在医生的指导下选择合适的药物进行治疗。

耳癣是指在耳廓部位由真菌直接或间接感染引起的皮肤病,属于体癣的一种,最常见的致病菌是红色毛癣菌。在患处会有红色丘疹、小水疱等损害,有鳞屑形成,边界较为清楚,呈环状,并且有瘙痒感,时间久了会有色素沉着。
糖尿病、肥胖容易出汗的人,以及长期服用糖皮质激素和免疫抑制剂的人容易患耳癣。如果本身就患有脂溢性皮炎或银屑病,也容易患有耳癣。
如果出现耳廓瘙痒、水疱等症状,则怀疑有耳癣,需要及时去皮肤科就诊。医生会结合皮损处进行检查,看是否存在菌丝或孢子以明确诊断。治疗以药物为主,常用的药物有复方苯甲酸酊、复方丙酸氟替卡松乳膏等,需在医生指导下使用。
","articleBody": "耳癣初期表现为耳朵皮肤出现丘疹、水疱,并且伴有瘙痒感。
耳癣患者应及时前往皮肤科就诊,在医生的指导下选择合适的药物进行治疗。

耳癣是指在耳廓部位由真菌直接或间接感染引起的皮肤病,属于体癣的一种,最常见的致病菌是红色毛癣菌。在患处会有红色丘疹、小水疱等损害,有鳞屑形成,边界较为清楚,呈环状,并且有瘙痒感,时间久了会有色素沉着。
糖尿病、肥胖容易出汗的人,以及长期服用糖皮质激素和免疫抑制剂的人容易患耳癣。如果本身就患有脂溢性皮炎或银屑病,也容易患有耳癣。
如果出现耳廓瘙痒、水疱等症状,则怀疑有耳癣,需要及时去皮肤科就诊。医生会结合皮损处进行检查,看是否存在菌丝或孢子以明确诊断。治疗以药物为主,常用的药物有复方苯甲酸酊、复方丙酸氟替卡松乳膏等,需在医生指导下使用。
","scanCount": 32626}}} {"@context": "https://ziyuan.baidu.com/contexts/cambrian.jsonld","appid": "1650708455561748","icon": "https://www.med-credit.org.cn/style/images/ttlogo.png","content_tag": ["atlas"],"is_mcn": {"thumb_id": "3w128mji2"},"accid": "4886d626a2804dee5f11168793ce361672f39c25","@id": "https://www.med-credit.org.cn/mobile/jingxuan/2/18a8d8e69797e11ec457e869ba5870e1.html","bagWordId": "de682a2bca21ffe9","title": "玫瑰糠疹后期蜕皮图","pubDate": "2023-03-13T18:08:06","upDate": "2023-03-13T18:08:06","lrDate": "2023-03-13T18:08:06","description": "玫瑰糠疹后期蜕皮主要表现为“领圈状”鳞屑,即脱屑从边缘朝向中心,呈卷烟纸样。","data": {"WebPage": {"headline": "玫瑰糠疹后期蜕皮图","pcUrl": "https://www.med-credit.org.cn/jingxuan/2/18a8d8e69797e11ec457e869ba5870e1.html","wapUrl": "https://www.med-credit.org.cn/jingxuan/2/18a8d8e69797e11ec457e869ba5870e1.html","mipUrl": "https://www.med-credit.org.cn/mobile/jingxuan/2/18a8d8e69797e11ec457e869ba5870e1.html","fromSrc": "欢乐橙","datePublished": "2023-03-13T18:08:06","domain": "医疗","category": ["医疗权威文章合作"],"description": "玫瑰糠疹后期蜕皮主要表现为“领圈状”鳞屑,即脱屑从边缘朝向中心,呈卷烟纸样。
","extra_headline": [""]},"Author": {"name": "曲乐","wapUrl": "https://www.med-credit.org.cn/doctor/554","pcUrl": "https://www.med-credit.org.cn/doctor/554","jobTitle": "副主任医师","headPortrait": "https://www.med-credit.org.cn/uploadfile/member/554/180x180.jpeg","id": "554","description": "曲乐,副主任医师、医学博士、硕士研究生导师、美容主诊医师、公派留美访问学者。主持国家自然科学基金及省市课题多项,在国内外高水平专业杂志发表中英文论文20余篇,参编英文专著1部。现任辽宁省免疫学会委员。","memberOf": {"legalName": "中国医科大学附属第一医院","department": "皮肤科","organizationLevel": "三级甲等"}},"Article": {"summaryContent": "玫瑰糠疹后期蜕皮主要表现为“领圈状”鳞屑,即脱屑从边缘朝向中心,呈卷烟纸样。
一般是由病毒感染引起。患者可使用温水沐浴,随后使用无香味的保湿乳液来缓解皮肤症状。

玫瑰糠疹是一种急性发疹性皮肤疾病,呈急性病程,具有自限性,可能为病毒感染引起。在疾病的后期,皮疹出现蜕皮,并且从皮损中央开始消退,遗留下游离缘朝向中心的卷烟纸样鳞屑,即“领圈状”鳞屑。继而红斑及皮疹逐渐消退,鳞屑慢慢消失,通常无残留病变,或仅遗留炎症后色素沉着。
玫瑰糠疹患者可以通过一些措施来缓解皮肤症状,如使用温水沐浴,避免使用热水。皮肤使用无香味的保湿乳液,同时应穿着宽松的衣物,保持皮肤清洁及干爽。
","articleBody": "玫瑰糠疹后期蜕皮主要表现为“领圈状”鳞屑,即脱屑从边缘朝向中心,呈卷烟纸样。
一般是由病毒感染引起。患者可使用温水沐浴,随后使用无香味的保湿乳液来缓解皮肤症状。

玫瑰糠疹是一种急性发疹性皮肤疾病,呈急性病程,具有自限性,可能为病毒感染引起。在疾病的后期,皮疹出现蜕皮,并且从皮损中央开始消退,遗留下游离缘朝向中心的卷烟纸样鳞屑,即“领圈状”鳞屑。继而红斑及皮疹逐渐消退,鳞屑慢慢消失,通常无残留病变,或仅遗留炎症后色素沉着。
玫瑰糠疹患者可以通过一些措施来缓解皮肤症状,如使用温水沐浴,避免使用热水。皮肤使用无香味的保湿乳液,同时应穿着宽松的衣物,保持皮肤清洁及干爽。
","scanCount": 32624}}} {"@context": "https://ziyuan.baidu.com/contexts/cambrian.jsonld","appid": "1650708455561748","icon": "https://www.med-credit.org.cn/style/images/ttlogo.png","content_tag": ["atlas"],"is_mcn": {"thumb_id": "lnsk06v2"},"accid": "4886d626a2804dee5f11168793ce361672f39c25","@id": "https://www.med-credit.org.cn/mobile/jingxuan/2/ea539ae46925ad7e67afe03ce8c06e0b.html","bagWordId": "e646d0b01ac4f988","title": "男性菜花状疣图片早期图片","pubDate": "2023-03-13T18:08:06","upDate": "2023-03-13T18:08:06","lrDate": "2023-03-13T18:08:06","description": "男性菜花状疣是尖锐湿疣的一种,早期为柔嫩的淡白色小丘疹,外表湿润,是一种肉质赘生物,可逐渐增大,单个或群集分布,并呈现颗粒状相互融合呈菜花状。","data": {"WebPage": {"headline": "男性菜花状疣图片早期图片","pcUrl": "https://www.med-credit.org.cn/jingxuan/2/ea539ae46925ad7e67afe03ce8c06e0b.html","wapUrl": "https://www.med-credit.org.cn/jingxuan/2/ea539ae46925ad7e67afe03ce8c06e0b.html","mipUrl": "https://www.med-credit.org.cn/mobile/jingxuan/2/ea539ae46925ad7e67afe03ce8c06e0b.html","fromSrc": "欢乐橙","datePublished": "2023-03-13T18:08:06","domain": "医疗","category": ["医疗权威文章合作"],"description": "男性菜花状疣是尖锐湿疣的一种,早期为柔嫩的淡白色小丘疹,外表湿润,是一种肉质赘生物,可逐渐增大,单个或群集分布,并呈现颗粒状相互融合呈菜花状。
","extra_headline": [""]},"Author": {"name": "王霞","wapUrl": "https://www.med-credit.org.cn/doctor/578","pcUrl": "https://www.med-credit.org.cn/doctor/578","jobTitle": "副主任医师","headPortrait": "https://www.med-credit.org.cn/uploadfile/member/578/180x180.jpeg","id": "578","description": "王霞,广州医科大学附属第一医院皮肤科副主任医师","memberOf": {"legalName": "广州医科大学附属第一医院","department": "皮肤科","organizationLevel": "三级甲等"}},"Article": {"summaryContent": "男性菜花状疣是尖锐湿疣的一种,早期为柔嫩的淡白色小丘疹,外表湿润,是一种肉质赘生物,可逐渐增大,单个或群集分布,并呈现颗粒状相互融合呈菜花状。
尖锐湿疣一般多出现在性关系紊乱的人群中,可在医生的指导下选择合适的治疗方案。

尖锐湿疣是由人乳头瘤病毒感染引起的以疣状病变为主的性传播疾病。早期为柔嫩的淡白色小丘疹,是一种肉质赘生物,形状可如菜花状、鸡冠状或者乳头状,无痛痒感,临床上表现为尖刺状,外表黏液增多使其湿润,容易发生糜烂和出血,皮损间常有脓液分泌物使之有恶臭味,可引起继发感染。
尖锐湿疣大多出现在性关系紊乱的人群中,也有一部分人是通过接触病人的贴身物品如内衣裤等传染,或者是通过母婴传播。
尖锐湿疣的治疗大多采用化学治疗,可以通过在医生指导下涂抹药物,若是遇到巨大的尖锐湿疣,也可以通过手术对整个疣体进行切除。尖锐湿疣主要是通过性接触感染。在日常生活中,要注意个人卫生,杜绝婚外性行为。还要预防接触传染,不用公共浴盆和坐式马桶等。
","articleBody": "男性菜花状疣是尖锐湿疣的一种,早期为柔嫩的淡白色小丘疹,外表湿润,是一种肉质赘生物,可逐渐增大,单个或群集分布,并呈现颗粒状相互融合呈菜花状。
尖锐湿疣一般多出现在性关系紊乱的人群中,可在医生的指导下选择合适的治疗方案。

尖锐湿疣是由人乳头瘤病毒感染引起的以疣状病变为主的性传播疾病。早期为柔嫩的淡白色小丘疹,是一种肉质赘生物,形状可如菜花状、鸡冠状或者乳头状,无痛痒感,临床上表现为尖刺状,外表黏液增多使其湿润,容易发生糜烂和出血,皮损间常有脓液分泌物使之有恶臭味,可引起继发感染。
尖锐湿疣大多出现在性关系紊乱的人群中,也有一部分人是通过接触病人的贴身物品如内衣裤等传染,或者是通过母婴传播。
尖锐湿疣的治疗大多采用化学治疗,可以通过在医生指导下涂抹药物,若是遇到巨大的尖锐湿疣,也可以通过手术对整个疣体进行切除。尖锐湿疣主要是通过性接触感染。在日常生活中,要注意个人卫生,杜绝婚外性行为。还要预防接触传染,不用公共浴盆和坐式马桶等。
","scanCount": 32623}}} {"@context": "https://ziyuan.baidu.com/contexts/cambrian.jsonld","appid": "1650708455561748","icon": "https://www.med-credit.org.cn/style/images/ttlogo.png","content_tag": ["atlas"],"is_mcn": {"thumb_id": "3w128mji2"},"accid": "4886d626a2804dee5f11168793ce361672f39c25","@id": "https://www.med-credit.org.cn/mobile/jingxuan/2/b2e578f0ffc91309697fd0d6585a8176.html","bagWordId": "1a2a726753735ce2","title": "轻微皮肌炎的症状图片","pubDate": "2023-03-13T18:08:06","upDate": "2023-03-13T18:08:06","lrDate": "2023-03-13T18:08:06","description": "轻微皮肌炎患者可能出现有皮疹、皮肤过度角化、肌无力、肌肉疼痛等症状。","data": {"WebPage": {"headline": "轻微皮肌炎的症状图片","pcUrl": "https://www.med-credit.org.cn/jingxuan/2/b2e578f0ffc91309697fd0d6585a8176.html","wapUrl": "https://www.med-credit.org.cn/jingxuan/2/b2e578f0ffc91309697fd0d6585a8176.html","mipUrl": "https://www.med-credit.org.cn/mobile/jingxuan/2/b2e578f0ffc91309697fd0d6585a8176.html","fromSrc": "欢乐橙","datePublished": "2023-03-13T18:08:06","domain": "医疗","category": ["医疗权威文章合作"],"description": "轻微皮肌炎患者可能出现有皮疹、皮肤过度角化、肌无力、肌肉疼痛等症状。
","extra_headline": [""]},"Author": {"name": "曲乐","wapUrl": "https://www.med-credit.org.cn/doctor/554","pcUrl": "https://www.med-credit.org.cn/doctor/554","jobTitle": "副主任医师","headPortrait": "https://www.med-credit.org.cn/uploadfile/member/554/180x180.jpeg","id": "554","description": "曲乐,副主任医师、医学博士、硕士研究生导师、美容主诊医师、公派留美访问学者。主持国家自然科学基金及省市课题多项,在国内外高水平专业杂志发表中英文论文20余篇,参编英文专著1部。现任辽宁省免疫学会委员。","memberOf": {"legalName": "中国医科大学附属第一医院","department": "皮肤科","organizationLevel": "三级甲等"}},"Article": {"summaryContent": "轻微皮肌炎患者可能出现有皮疹、皮肤过度角化、肌无力、肌肉疼痛等症状。
当出现轻微皮肌炎时建议尽早前往医院求诊,由医生制定适合的治疗方案。

1.皮疹:皮疹是皮肌炎患者较为常见的症状,皮疹主要分布于眼睑或眼眶周围一侧或双侧,颜色多呈紫红色,皮疹在阳光照射后可加重。部分患者在四肢、躯干等部位也可出现皮疹。
2.皮肤过度角化:轻微皮肌炎患者在早期可出现有皮肤粗糙、干燥、脱屑、皲裂等皮肤过度角化的症状。
3.肌无力:早期轻微皮肌炎患者其肌无力症状较轻,患者可表现为肌肉的疲乏,无法长期进行简单肌肉运动。如咀嚼肌受累时,患者可出现有呛咳、咀嚼困难等表现。早期肌无力发病进展也较缓慢。
4.肌肉疼痛:轻微皮肌炎患者可出现有双侧大腿、上臂或前臂的肌肉疼痛,多呈对称分布。其疼痛程度较严重皮肌炎较轻、持续时间短,在休息后可缓解。
除了上述相对常见的症状外,还可能出现低热。建议患者出现这种症状后,及时去医院就诊,查明病因后,予以针对性治疗。
由于皮肌炎属于自身免疫系统疾病,除了肌肉皮肤的损伤外,还可导致全身器官受累,严重者可致呼吸衰竭。因此对于出现早期轻微皮肌炎症状患者需要及时就医治疗。
","articleBody": "轻微皮肌炎患者可能出现有皮疹、皮肤过度角化、肌无力、肌肉疼痛等症状。
当出现轻微皮肌炎时建议尽早前往医院求诊,由医生制定适合的治疗方案。

1.皮疹:皮疹是皮肌炎患者较为常见的症状,皮疹主要分布于眼睑或眼眶周围一侧或双侧,颜色多呈紫红色,皮疹在阳光照射后可加重。部分患者在四肢、躯干等部位也可出现皮疹。
2.皮肤过度角化:轻微皮肌炎患者在早期可出现有皮肤粗糙、干燥、脱屑、皲裂等皮肤过度角化的症状。
3.肌无力:早期轻微皮肌炎患者其肌无力症状较轻,患者可表现为肌肉的疲乏,无法长期进行简单肌肉运动。如咀嚼肌受累时,患者可出现有呛咳、咀嚼困难等表现。早期肌无力发病进展也较缓慢。
4.肌肉疼痛:轻微皮肌炎患者可出现有双侧大腿、上臂或前臂的肌肉疼痛,多呈对称分布。其疼痛程度较严重皮肌炎较轻、持续时间短,在休息后可缓解。
除了上述相对常见的症状外,还可能出现低热。建议患者出现这种症状后,及时去医院就诊,查明病因后,予以针对性治疗。
由于皮肌炎属于自身免疫系统疾病,除了肌肉皮肤的损伤外,还可导致全身器官受累,严重者可致呼吸衰竭。因此对于出现早期轻微皮肌炎症状患者需要及时就医治疗。
","scanCount": 32621}}} {"@context": "https://ziyuan.baidu.com/contexts/cambrian.jsonld","appid": "1650708455561748","icon": "https://www.med-credit.org.cn/style/images/ttlogo.png","content_tag": ["atlas"],"is_mcn": {"thumb_id": "3w128mji2"},"accid": "4886d626a2804dee5f11168793ce361672f39c25","@id": "https://www.med-credit.org.cn/mobile/jingxuan/2/01dc545b0baf650a98d7eccf75bc39c7.html","bagWordId": "7f4ccfbd7dbb4bb9","title": "鲜红斑痣的图片","pubDate": "2023-03-13T18:08:06","upDate": "2023-03-13T18:08:06","lrDate": "2023-03-13T18:08:06","description": "鲜红斑痣是长在脸上、脖子上或者头皮上的暗红色、淡红色的斑片,随着时间的推移颜色会不断加深,高出皮肤。","data": {"WebPage": {"headline": "鲜红斑痣的图片","pcUrl": "https://www.med-credit.org.cn/jingxuan/2/01dc545b0baf650a98d7eccf75bc39c7.html","wapUrl": "https://www.med-credit.org.cn/jingxuan/2/01dc545b0baf650a98d7eccf75bc39c7.html","mipUrl": "https://www.med-credit.org.cn/mobile/jingxuan/2/01dc545b0baf650a98d7eccf75bc39c7.html","fromSrc": "欢乐橙","datePublished": "2023-03-13T18:08:06","domain": "医疗","category": ["医疗权威文章合作"],"description": "鲜红斑痣是长在脸上、脖子上或者头皮上的暗红色、淡红色的斑片,随着时间的推移颜色会不断加深,高出皮肤。
","extra_headline": [""]},"Author": {"name": "曲乐","wapUrl": "https://www.med-credit.org.cn/doctor/554","pcUrl": "https://www.med-credit.org.cn/doctor/554","jobTitle": "副主任医师","headPortrait": "https://www.med-credit.org.cn/uploadfile/member/554/180x180.jpeg","id": "554","description": "曲乐,副主任医师、医学博士、硕士研究生导师、美容主诊医师、公派留美访问学者。主持国家自然科学基金及省市课题多项,在国内外高水平专业杂志发表中英文论文20余篇,参编英文专著1部。现任辽宁省免疫学会委员。","memberOf": {"legalName": "中国医科大学附属第一医院","department": "皮肤科","organizationLevel": "三级甲等"}},"Article": {"summaryContent": "鲜红斑痣是长在脸上、脖子上或者头皮上的暗红色、淡红色的斑片,随着时间的推移颜色会不断加深,高出皮肤。
可能与遗传等多种因素有关,一般可选择激光或者光动力治疗。

鲜红斑痣表现为暗红色、淡红色的斑片,形状不一,边界是清晰的,起初并不会高于皮肤。一般出现在三叉神经分布的区域,比如面颈部、头皮等处,单侧分布比较常见。
鲜红斑痣的特点是用手按压斑片时,会部分或者完全褪色,停止按压,又恢复到原来的颜色和大小。随着年龄的增长,鲜红斑痣的皮损会不断地进展,颜色加深,高出皮面,有的甚至会形成结节。
鲜红斑痣是常见的先天性的血管畸形,与神经、血管、细胞因子、遗传基因等因素密切相关。对于后天性的鲜红斑痣,外伤是一个常见的诱因。
当发现新生儿头面部出现了红色的斑片,并且随着时间推移颜色加深时,需要及时到皮肤科就诊。对于鲜红斑痣的治疗,一般可在医生指导下采用激光或者光动力治疗,早期治疗可以有较好的效果。
","articleBody": "鲜红斑痣是长在脸上、脖子上或者头皮上的暗红色、淡红色的斑片,随着时间的推移颜色会不断加深,高出皮肤。
可能与遗传等多种因素有关,一般可选择激光或者光动力治疗。

鲜红斑痣表现为暗红色、淡红色的斑片,形状不一,边界是清晰的,起初并不会高于皮肤。一般出现在三叉神经分布的区域,比如面颈部、头皮等处,单侧分布比较常见。
鲜红斑痣的特点是用手按压斑片时,会部分或者完全褪色,停止按压,又恢复到原来的颜色和大小。随着年龄的增长,鲜红斑痣的皮损会不断地进展,颜色加深,高出皮面,有的甚至会形成结节。
鲜红斑痣是常见的先天性的血管畸形,与神经、血管、细胞因子、遗传基因等因素密切相关。对于后天性的鲜红斑痣,外伤是一个常见的诱因。
当发现新生儿头面部出现了红色的斑片,并且随着时间推移颜色加深时,需要及时到皮肤科就诊。对于鲜红斑痣的治疗,一般可在医生指导下采用激光或者光动力治疗,早期治疗可以有较好的效果。
","scanCount": 32619}}} {"@context": "https://ziyuan.baidu.com/contexts/cambrian.jsonld","appid": "1650708455561748","icon": "https://www.med-credit.org.cn/style/images/ttlogo.png","content_tag": ["atlas"],"is_mcn": {"thumb_id": "c1nhtnyb"},"accid": "4886d626a2804dee5f11168793ce361672f39c25","@id": "https://www.med-credit.org.cn/mobile/jingxuan/2/9f4ae56326a1dcb4027e8a16c8135b88.html","bagWordId": "61e96ca87591b796","title": "黑斑图片","pubDate": "2023-03-13T18:08:06","upDate": "2023-03-13T18:08:06","lrDate": "2023-03-13T18:08:06","description": "黑斑可呈点状或块状,表现为黑色、黄褐色或褐青色等颜色,多数比较小,表面可凸起或平滑。","data": {"WebPage": {"headline": "黑斑图片","pcUrl": "https://www.med-credit.org.cn/jingxuan/2/9f4ae56326a1dcb4027e8a16c8135b88.html","wapUrl": "https://www.med-credit.org.cn/jingxuan/2/9f4ae56326a1dcb4027e8a16c8135b88.html","mipUrl": "https://www.med-credit.org.cn/mobile/jingxuan/2/9f4ae56326a1dcb4027e8a16c8135b88.html","fromSrc": "欢乐橙","datePublished": "2023-03-13T18:08:06","domain": "医疗","category": ["医疗权威文章合作"],"description": "黑斑可呈点状或块状,表现为黑色、黄褐色或褐青色等颜色,多数比较小,表面可凸起或平滑。
","extra_headline": ["黑斑"]},"Author": {"name": "王晓彦","wapUrl": "https://www.med-credit.org.cn/doctor/541","pcUrl": "https://www.med-credit.org.cn/doctor/541","jobTitle": "主任医师","headPortrait": "https://www.med-credit.org.cn/uploadfile/member/541/180x180.jpeg","id": "541","description": "王晓彦,首都医科大学附属北京天坛医院皮肤科主任医师","memberOf": {"legalName": "首都医科大学附属北京天坛医院","department": "皮肤科","organizationLevel": "三级甲等"}},"Article": {"summaryContent": "黑斑可呈点状或块状,表现为黑色、黄褐色或褐青色等颜色,多数比较小,表面可凸起或平滑。
黑斑可在医生指导下选择药物、激光、冷冻等方法进行治疗。要养成良好的饮食习惯,注意防晒以及避免熬夜。

黑斑包括先天因素形成的胎记和后天因素所致的晒斑、黄褐斑等多种类型,多与紫外线照射、内分泌失调、精神压力大、化妆品或药物使用等原因有关。该类斑点多是点状或块状,可为黑色、黄褐色或褐青色等多种颜色,一般比较小,表面可凸起或平滑。
对于该病,需要结合病因治疗。一般可使用果酸、水杨酸等药物来加快皮肤的代谢,促进黑斑的淡化及消除。也可采取激光或冷冻等物理手段来去除黑色素,改善面部的黑斑。
饮食上要选择健康清淡的食物,多吃新鲜的水果及蔬菜,少吃辛辣、油腻等食物。出门在外时注意涂抹防晒霜,佩戴遮阳帽、遮阳伞等工具。平时注意使用温和的护肤品来保持皮肤水润。注意休息,避免熬夜,适当活动身体,保持心情放松。
","articleBody": "黑斑可呈点状或块状,表现为黑色、黄褐色或褐青色等颜色,多数比较小,表面可凸起或平滑。
黑斑可在医生指导下选择药物、激光、冷冻等方法进行治疗。要养成良好的饮食习惯,注意防晒以及避免熬夜。

黑斑包括先天因素形成的胎记和后天因素所致的晒斑、黄褐斑等多种类型,多与紫外线照射、内分泌失调、精神压力大、化妆品或药物使用等原因有关。该类斑点多是点状或块状,可为黑色、黄褐色或褐青色等多种颜色,一般比较小,表面可凸起或平滑。
对于该病,需要结合病因治疗。一般可使用果酸、水杨酸等药物来加快皮肤的代谢,促进黑斑的淡化及消除。也可采取激光或冷冻等物理手段来去除黑色素,改善面部的黑斑。
饮食上要选择健康清淡的食物,多吃新鲜的水果及蔬菜,少吃辛辣、油腻等食物。出门在外时注意涂抹防晒霜,佩戴遮阳帽、遮阳伞等工具。平时注意使用温和的护肤品来保持皮肤水润。注意休息,避免熬夜,适当活动身体,保持心情放松。
","scanCount": 6419}}} {"@context": "https://ziyuan.baidu.com/contexts/cambrian.jsonld","appid": "1650708455561748","icon": "https://www.med-credit.org.cn/style/images/ttlogo.png","content_tag": ["atlas"],"is_mcn": {"thumb_id": "3w128mji2"},"accid": "4886d626a2804dee5f11168793ce361672f39c25","@id": "https://www.med-credit.org.cn/mobile/jingxuan/2/7ceaebe7a76ea23014c46bbc16740819.html","bagWordId": "b7a967da7917ba2f","title": "脸上长好多小米粒痘痘图片","pubDate": "2023-03-13T18:08:06","upDate": "2023-03-13T18:08:06","lrDate": "2023-03-13T18:08:06","description": "脸上长好多小米粒痘痘可能是痤疮、粟丘疹、过敏等原因所致。","data": {"WebPage": {"headline": "脸上长好多小米粒痘痘图片","pcUrl": "https://www.med-credit.org.cn/jingxuan/2/7ceaebe7a76ea23014c46bbc16740819.html","wapUrl": "https://www.med-credit.org.cn/jingxuan/2/7ceaebe7a76ea23014c46bbc16740819.html","mipUrl": "https://www.med-credit.org.cn/mobile/jingxuan/2/7ceaebe7a76ea23014c46bbc16740819.html","fromSrc": "欢乐橙","datePublished": "2023-03-13T18:08:06","domain": "医疗","category": ["医疗权威文章合作"],"description": "脸上长好多小米粒痘痘可能是痤疮、粟丘疹、过敏等原因所致。
","extra_headline": ["脸上长好多小米粒痘痘"]},"Author": {"name": "曲乐","wapUrl": "https://www.med-credit.org.cn/doctor/554","pcUrl": "https://www.med-credit.org.cn/doctor/554","jobTitle": "副主任医师","headPortrait": "https://www.med-credit.org.cn/uploadfile/member/554/180x180.jpeg","id": "554","description": "曲乐,副主任医师、医学博士、硕士研究生导师、美容主诊医师、公派留美访问学者。主持国家自然科学基金及省市课题多项,在国内外高水平专业杂志发表中英文论文20余篇,参编英文专著1部。现任辽宁省免疫学会委员。","memberOf": {"legalName": "中国医科大学附属第一医院","department": "皮肤科","organizationLevel": "三级甲等"}},"Article": {"summaryContent": "脸上长好多小米粒痘痘可能是痤疮、粟丘疹、过敏等原因所致。
患者可及时前往医院进行检查,查明病因,根据病因选择合适的药物进行治疗。日常生活中需养成良好的饮食习惯。

1、痤疮:痤疮常指与毛囊皮脂腺有关的皮肤性炎症,皮肤损害表现为圆锥形丘疹,可出现白头粉刺或者黑头粉刺,患者一般无自觉症状,病情严重时会出现疼痛,丘疹可以发展为脓疱、囊肿、脓肿等形态。注意补充营养,规律进食,清淡饮食,少食辛辣。患者可以遵医嘱外敷异维A酸凝胶、过氧苯甲酰凝胶等药物,如果患者皮肤损害严重,可以口服地塞米松或者泼尼松。

2、粟丘疹:粟丘疹多与皮脂腺发育不成熟、汗管受损等因素有关。可能是表浅的白色珍珠球形丘疹,直径1-2mm。局部使用酒精消毒,用针挑破丘疹表面的皮肤,再挑出白色颗粒即可。
3、过敏:部分人群由于更换洗面奶、护肤品,对其中某些成分过敏,脸上会出现好多小颗粒痘痘,同时会伴有皮肤发红、瘙痒等表现。首先应该停止使用该洗面奶或者护肤品,其次可以涂抹一些抗过敏药物,例如糖皮质激素软膏等。
除了上述相对常见的原因外,还有其他的可能性疾病,比如汗管瘤。建议患者出现这种症状后,及时去医院就诊,查明病因后,予以针对性治疗。
患者养成良好的饮食习惯,保证饮食营养均衡,规律进食,多吃一点水果和蔬菜,切忌生冷的食物。注意避免摄入油炸食品、碳酸饮料等垃圾食品,可以适当多吃蛋、奶制品、豆制品、瘦肉等。患者可以结合适当的锻炼,增强自身的免疫能力。注意用药需遵医嘱。
","articleBody": "脸上长好多小米粒痘痘可能是痤疮、粟丘疹、过敏等原因所致。
患者可及时前往医院进行检查,查明病因,根据病因选择合适的药物进行治疗。日常生活中需养成良好的饮食习惯。

1、痤疮:痤疮常指与毛囊皮脂腺有关的皮肤性炎症,皮肤损害表现为圆锥形丘疹,可出现白头粉刺或者黑头粉刺,患者一般无自觉症状,病情严重时会出现疼痛,丘疹可以发展为脓疱、囊肿、脓肿等形态。注意补充营养,规律进食,清淡饮食,少食辛辣。患者可以遵医嘱外敷异维A酸凝胶、过氧苯甲酰凝胶等药物,如果患者皮肤损害严重,可以口服地塞米松或者泼尼松。

2、粟丘疹:粟丘疹多与皮脂腺发育不成熟、汗管受损等因素有关。可能是表浅的白色珍珠球形丘疹,直径1-2mm。局部使用酒精消毒,用针挑破丘疹表面的皮肤,再挑出白色颗粒即可。
3、过敏:部分人群由于更换洗面奶、护肤品,对其中某些成分过敏,脸上会出现好多小颗粒痘痘,同时会伴有皮肤发红、瘙痒等表现。首先应该停止使用该洗面奶或者护肤品,其次可以涂抹一些抗过敏药物,例如糖皮质激素软膏等。
除了上述相对常见的原因外,还有其他的可能性疾病,比如汗管瘤。建议患者出现这种症状后,及时去医院就诊,查明病因后,予以针对性治疗。
患者养成良好的饮食习惯,保证饮食营养均衡,规律进食,多吃一点水果和蔬菜,切忌生冷的食物。注意避免摄入油炸食品、碳酸饮料等垃圾食品,可以适当多吃蛋、奶制品、豆制品、瘦肉等。患者可以结合适当的锻炼,增强自身的免疫能力。注意用药需遵医嘱。
","scanCount": 9674}}} {"@context": "https://ziyuan.baidu.com/contexts/cambrian.jsonld","appid": "1650708455561748","icon": "https://www.med-credit.org.cn/style/images/ttlogo.png","content_tag": ["atlas"],"is_mcn": {"thumb_id": "c1nhtnyb"},"accid": "4886d626a2804dee5f11168793ce361672f39c25","@id": "https://www.med-credit.org.cn/mobile/jingxuan/2/e5a159d9e3d8060d9d959c5114864ebb.html","bagWordId": "c73d72384a172f2a","title": "蛋白质过敏起疹子图片","pubDate": "2023-03-13T18:08:06","upDate": "2023-03-13T18:08:06","lrDate": "2023-03-13T18:08:06","description": "蛋白质过敏起疹子常见的皮疹类型一般为风团样斑疹、丘疹或者丘疹性水疱性皮疹,可伴有瘙痒感。","data": {"WebPage": {"headline": "蛋白质过敏起疹子图片","pcUrl": "https://www.med-credit.org.cn/jingxuan/2/e5a159d9e3d8060d9d959c5114864ebb.html","wapUrl": "https://www.med-credit.org.cn/jingxuan/2/e5a159d9e3d8060d9d959c5114864ebb.html","mipUrl": "https://www.med-credit.org.cn/mobile/jingxuan/2/e5a159d9e3d8060d9d959c5114864ebb.html","fromSrc": "欢乐橙","datePublished": "2023-03-13T18:08:06","domain": "医疗","category": ["医疗权威文章合作"],"description": "蛋白质过敏起疹子常见的皮疹类型一般为风团样斑疹、丘疹或者丘疹性水疱性皮疹,可伴有瘙痒感。
","extra_headline": [""]},"Author": {"name": "王晓彦","wapUrl": "https://www.med-credit.org.cn/doctor/541","pcUrl": "https://www.med-credit.org.cn/doctor/541","jobTitle": "主任医师","headPortrait": "https://www.med-credit.org.cn/uploadfile/member/541/180x180.jpeg","id": "541","description": "王晓彦,首都医科大学附属北京天坛医院皮肤科主任医师","memberOf": {"legalName": "首都医科大学附属北京天坛医院","department": "皮肤科","organizationLevel": "三级甲等"}},"Article": {"summaryContent": "蛋白质过敏起疹子常见的皮疹类型一般为风团样斑疹、丘疹或者丘疹性水疱性皮疹,可伴有瘙痒感。
当出现疹子时,应该及时前往医院寻求诊治,可遵医嘱使用药物进行治疗。日常生活中需调整饮食习惯。


1、风团样斑疹:蛋白过敏最常见的皮肤表现是急性荨麻疹,一般在进食后数分钟内可出现风团样斑疹,可于身体任何部位出现局限性隆起的红斑,伴有中央苍白区,大小不一,可逐渐扩大融合。形态可为圆形、椭圆或不规则形状,伴剧烈瘙痒感,常在24小时内消退,不遗留痕迹及瘀斑。
2、丘疹:蛋白质过敏时也可能出现亚急性皮肤表现,皮疹的特点是大、小不等的红色丘疹。
3、丘疹性水疱性皮疹:通常对称分布于面颈部、躯干、肘、膝、臀部皮肤,偶尔会出现在口腔中。伴有瘙痒及灼烧感,水疱破裂后可缓解。
出现蛋白质过敏疹子时,应及时就诊,确认是否存在喉头水肿或全身性过敏反应等,以免出现过敏性休克等严重情况。轻症可遵医嘱口服抗组胺药物比如西替利嗪或者是氯雷他定,缓解皮肤瘙痒及皮疹。日常生活中要调整个人饮食,吃一些富含维生素的水果和蔬菜,能够补充身体所需要的营养成分,有助于提高自身免疫力。
","articleBody": "蛋白质过敏起疹子常见的皮疹类型一般为风团样斑疹、丘疹或者丘疹性水疱性皮疹,可伴有瘙痒感。
当出现疹子时,应该及时前往医院寻求诊治,可遵医嘱使用药物进行治疗。日常生活中需调整饮食习惯。


1、风团样斑疹:蛋白过敏最常见的皮肤表现是急性荨麻疹,一般在进食后数分钟内可出现风团样斑疹,可于身体任何部位出现局限性隆起的红斑,伴有中央苍白区,大小不一,可逐渐扩大融合。形态可为圆形、椭圆或不规则形状,伴剧烈瘙痒感,常在24小时内消退,不遗留痕迹及瘀斑。
2、丘疹:蛋白质过敏时也可能出现亚急性皮肤表现,皮疹的特点是大、小不等的红色丘疹。
3、丘疹性水疱性皮疹:通常对称分布于面颈部、躯干、肘、膝、臀部皮肤,偶尔会出现在口腔中。伴有瘙痒及灼烧感,水疱破裂后可缓解。
出现蛋白质过敏疹子时,应及时就诊,确认是否存在喉头水肿或全身性过敏反应等,以免出现过敏性休克等严重情况。轻症可遵医嘱口服抗组胺药物比如西替利嗪或者是氯雷他定,缓解皮肤瘙痒及皮疹。日常生活中要调整个人饮食,吃一些富含维生素的水果和蔬菜,能够补充身体所需要的营养成分,有助于提高自身免疫力。
","scanCount": 32618}}} {"@context": "https://ziyuan.baidu.com/contexts/cambrian.jsonld","appid": "1650708455561748","icon": "https://www.med-credit.org.cn/style/images/ttlogo.png","content_tag": ["atlas"],"is_mcn": {"thumb_id": "3w128mji2"},"accid": "4886d626a2804dee5f11168793ce361672f39c25","@id": "https://www.med-credit.org.cn/mobile/jingxuan/2/bcc8e812a7b67ceb24c404ddb87d6cd7.html","bagWordId": "361908a903852ebd","title": "梅毒皮肤病症状图片","pubDate": "2023-03-13T18:08:06","upDate": "2023-03-13T18:08:06","lrDate": "2023-03-13T18:08:06","description": "梅毒一期和二期主要侵犯皮肤黏膜出现硬下疳、梅毒疹等,晚期会侵犯心血管系统中枢神经系统和全身各个系统,出现结节性梅毒疹、梅毒性树胶肿。","data": {"WebPage": {"headline": "梅毒皮肤病症状图片","pcUrl": "https://www.med-credit.org.cn/jingxuan/2/bcc8e812a7b67ceb24c404ddb87d6cd7.html","wapUrl": "https://www.med-credit.org.cn/jingxuan/2/bcc8e812a7b67ceb24c404ddb87d6cd7.html","mipUrl": "https://www.med-credit.org.cn/mobile/jingxuan/2/bcc8e812a7b67ceb24c404ddb87d6cd7.html","fromSrc": "欢乐橙","datePublished": "2023-03-13T18:08:06","domain": "医疗","category": ["医疗权威文章合作"],"description": "梅毒一期和二期主要侵犯皮肤黏膜出现硬下疳、梅毒疹等,晚期会侵犯心血管系统中枢神经系统和全身各个系统,出现结节性梅毒疹、梅毒性树胶肿。
","extra_headline": ["梅毒皮肤病症状"]},"Author": {"name": "曲乐","wapUrl": "https://www.med-credit.org.cn/doctor/554","pcUrl": "https://www.med-credit.org.cn/doctor/554","jobTitle": "副主任医师","headPortrait": "https://www.med-credit.org.cn/uploadfile/member/554/180x180.jpeg","id": "554","description": "曲乐,副主任医师、医学博士、硕士研究生导师、美容主诊医师、公派留美访问学者。主持国家自然科学基金及省市课题多项,在国内外高水平专业杂志发表中英文论文20余篇,参编英文专著1部。现任辽宁省免疫学会委员。","memberOf": {"legalName": "中国医科大学附属第一医院","department": "皮肤科","organizationLevel": "三级甲等"}},"Article": {"summaryContent": "梅毒一期和二期主要侵犯皮肤黏膜出现硬下疳、梅毒疹等,晚期会侵犯心血管系统中枢神经系统和全身各个系统,出现结节性梅毒疹、梅毒性树胶肿。
梅毒需在医生的指导下选择合适的药物进行治疗,首选药物为青霉素类。

1、一期梅毒:主要表现为硬下疳,起初表现为小红斑,随着病情发展红斑发生坏死,形成直径为 1~2 cm圆形或椭圆形无痛性溃疡。

2、二期梅毒:主要以梅毒疹为特征,皮疹表现为掌趾部、躯干、四肢的斑疹,丘疹,脓包以及肛周扁平湿疣,掌趾部铜红色鳞屑斑丘疹具有特征性。
3、晚期梅毒:表现为结节性梅毒疹、梅毒性树胶肿,以及全身系统受累的症状。结节性梅毒疹多发生在头面部、肩部、背部,表现为呈簇状排列的铜红色结节。梅毒性树胶肿典型损害为 2~10 cm的马蹄形溃疡,边缘锐利,表面有黏稠树胶状分泌物。
梅毒患者需要及时就医,在医生的指导下规范治疗,以免延误病情。梅毒治愈后,需要复查1至3年。青霉素类为治疗梅毒的首选药物,常用药物有苄星青霉素、普鲁卡因水剂青霉素G肌肉注射。对青霉素过敏,通常会选择头孢曲松钠、阿奇霉素、红霉素等静脉输液治疗,但疗效较青霉素差。
","articleBody": "梅毒一期和二期主要侵犯皮肤黏膜出现硬下疳、梅毒疹等,晚期会侵犯心血管系统中枢神经系统和全身各个系统,出现结节性梅毒疹、梅毒性树胶肿。
梅毒需在医生的指导下选择合适的药物进行治疗,首选药物为青霉素类。

1、一期梅毒:主要表现为硬下疳,起初表现为小红斑,随着病情发展红斑发生坏死,形成直径为 1~2 cm圆形或椭圆形无痛性溃疡。

2、二期梅毒:主要以梅毒疹为特征,皮疹表现为掌趾部、躯干、四肢的斑疹,丘疹,脓包以及肛周扁平湿疣,掌趾部铜红色鳞屑斑丘疹具有特征性。
3、晚期梅毒:表现为结节性梅毒疹、梅毒性树胶肿,以及全身系统受累的症状。结节性梅毒疹多发生在头面部、肩部、背部,表现为呈簇状排列的铜红色结节。梅毒性树胶肿典型损害为 2~10 cm的马蹄形溃疡,边缘锐利,表面有黏稠树胶状分泌物。
梅毒患者需要及时就医,在医生的指导下规范治疗,以免延误病情。梅毒治愈后,需要复查1至3年。青霉素类为治疗梅毒的首选药物,常用药物有苄星青霉素、普鲁卡因水剂青霉素G肌肉注射。对青霉素过敏,通常会选择头孢曲松钠、阿奇霉素、红霉素等静脉输液治疗,但疗效较青霉素差。
","scanCount": 9873}}} {"@context": "https://ziyuan.baidu.com/contexts/cambrian.jsonld","appid": "1650708455561748","icon": "https://www.med-credit.org.cn/style/images/ttlogo.png","content_tag": ["atlas"],"is_mcn": {"thumb_id": "3w128mji2"},"accid": "4886d626a2804dee5f11168793ce361672f39c25","@id": "https://www.med-credit.org.cn/mobile/jingxuan/2/e35125a4b3123858f92cd1f3dad0b7ec.html","bagWordId": "a42d162e7bdc837c","title": "烂鼻子图片","pubDate": "2023-03-13T18:08:06","upDate": "2023-03-13T18:08:06","lrDate": "2023-03-13T18:08:06","description": "烂鼻子可能是长期不正确的行为或过敏性鼻炎所致。","data": {"WebPage": {"headline": "烂鼻子图片","pcUrl": "https://www.med-credit.org.cn/jingxuan/2/e35125a4b3123858f92cd1f3dad0b7ec.html","wapUrl": "https://www.med-credit.org.cn/jingxuan/2/e35125a4b3123858f92cd1f3dad0b7ec.html","mipUrl": "https://www.med-credit.org.cn/mobile/jingxuan/2/e35125a4b3123858f92cd1f3dad0b7ec.html","fromSrc": "欢乐橙","datePublished": "2023-03-13T18:08:06","domain": "医疗","category": ["医疗权威文章合作"],"description": "烂鼻子可能是长期不正确的行为或过敏性鼻炎所致。
","extra_headline": [""]},"Author": {"name": "曲乐","wapUrl": "https://www.med-credit.org.cn/doctor/554","pcUrl": "https://www.med-credit.org.cn/doctor/554","jobTitle": "副主任医师","headPortrait": "https://www.med-credit.org.cn/uploadfile/member/554/180x180.jpeg","id": "554","description": "曲乐,副主任医师、医学博士、硕士研究生导师、美容主诊医师、公派留美访问学者。主持国家自然科学基金及省市课题多项,在国内外高水平专业杂志发表中英文论文20余篇,参编英文专著1部。现任辽宁省免疫学会委员。","memberOf": {"legalName": "中国医科大学附属第一医院","department": "皮肤科","organizationLevel": "三级甲等"}},"Article": {"summaryContent": "烂鼻子可能是长期不正确的行为或过敏性鼻炎所致。
建议患者尽早前往医院诊治,在医生的指导下选择合适的药物进行治疗。

1、长期不正确的行为:若患者鼻腔敏感,鼻粘膜处于较脆弱的状态,血管分布丰富,长期捏鼻梁、挖鼻孔、擤鼻涕等可能会使鼻黏膜受损而引起局部炎症反应,导致鼻子出现溃烂。建议及时前往医院就诊,在医生的指导下行规范化的治疗,先使用生理盐水清洗鼻腔,去除鼻腔及其周围的血痂、杂物,再用双氧水进行消毒。患者可以外敷维A酸类药物,用于预防再次感染,配合抗生素红霉素软膏或左氧氟沙星消炎治疗。患者应该避免长期捏鼻梁、挖鼻孔、擤鼻涕等行为。
2、过敏性鼻炎:当患者接触过敏原如花粉、尘螨、动物皮毛等物质时,会立刻出现咳嗽、打喷嚏、流涕的症状。鼻腔黏膜有可能出现炎症性变化,由于炎症导致局部皮肤出现破损,如急性鼻炎导致黏膜充血、肿胀,如果此时鼻黏膜破损,两者结合也可能形成鼻子糜烂。首先患者应该积极地寻找过敏原,然后避免接触过敏原。其次患者要注意休息的环境,必须有干净整洁的卫生环境,尽量避免接触粉尘。同时遵医嘱口服抗组胺药物,如西替利嗪、氯雷他定等。最后还要保证饮食营养均衡,规律进食,清淡饮食,少食辛辣等刺激性食物。
","articleBody": "烂鼻子可能是长期不正确的行为或过敏性鼻炎所致。
建议患者尽早前往医院诊治,在医生的指导下选择合适的药物进行治疗。

1、长期不正确的行为:若患者鼻腔敏感,鼻粘膜处于较脆弱的状态,血管分布丰富,长期捏鼻梁、挖鼻孔、擤鼻涕等可能会使鼻黏膜受损而引起局部炎症反应,导致鼻子出现溃烂。建议及时前往医院就诊,在医生的指导下行规范化的治疗,先使用生理盐水清洗鼻腔,去除鼻腔及其周围的血痂、杂物,再用双氧水进行消毒。患者可以外敷维A酸类药物,用于预防再次感染,配合抗生素红霉素软膏或左氧氟沙星消炎治疗。患者应该避免长期捏鼻梁、挖鼻孔、擤鼻涕等行为。
2、过敏性鼻炎:当患者接触过敏原如花粉、尘螨、动物皮毛等物质时,会立刻出现咳嗽、打喷嚏、流涕的症状。鼻腔黏膜有可能出现炎症性变化,由于炎症导致局部皮肤出现破损,如急性鼻炎导致黏膜充血、肿胀,如果此时鼻黏膜破损,两者结合也可能形成鼻子糜烂。首先患者应该积极地寻找过敏原,然后避免接触过敏原。其次患者要注意休息的环境,必须有干净整洁的卫生环境,尽量避免接触粉尘。同时遵医嘱口服抗组胺药物,如西替利嗪、氯雷他定等。最后还要保证饮食营养均衡,规律进食,清淡饮食,少食辛辣等刺激性食物。
","scanCount": 32616}}} {"@context": "https://ziyuan.baidu.com/contexts/cambrian.jsonld","appid": "1650708455561748","icon": "https://www.med-credit.org.cn/style/images/ttlogo.png","content_tag": ["atlas"],"is_mcn": {"thumb_id": "3w128mji2"},"accid": "4886d626a2804dee5f11168793ce361672f39c25","@id": "https://www.med-credit.org.cn/mobile/jingxuan/2/4ef7b52f353a52a7e47ee89e238c397c.html","bagWordId": "33981556c96ca0fb","title": "梅花疹的症状和图片","pubDate": "2023-03-13T18:08:06","upDate": "2023-03-13T18:08:06","lrDate": "2023-03-13T18:08:06","description": "梅花疹,一般指的是玫瑰糠疹,损害通常为直径2~3cm的丘疹或者斑疹,可出现继发斑,皮损表现为玫瑰色或黄褐色的,直径0.5~2cm的椭圆或圆形斑疹,边缘附有卷烟纸样细薄鳞屑,可伴有瘙痒感。","data": {"WebPage": {"headline": "梅花疹的症状和图片","pcUrl": "https://www.med-credit.org.cn/jingxuan/2/4ef7b52f353a52a7e47ee89e238c397c.html","wapUrl": "https://www.med-credit.org.cn/jingxuan/2/4ef7b52f353a52a7e47ee89e238c397c.html","mipUrl": "https://www.med-credit.org.cn/mobile/jingxuan/2/4ef7b52f353a52a7e47ee89e238c397c.html","fromSrc": "欢乐橙","datePublished": "2023-03-13T18:08:06","domain": "医疗","category": ["医疗权威文章合作"],"description": "梅花疹,一般指的是玫瑰糠疹,损害通常为直径2~3cm的丘疹或者斑疹,可出现继发斑,皮损表现为玫瑰色或黄褐色的,直径0.5~2cm的椭圆或圆形斑疹,边缘附有卷烟纸样细薄鳞屑,可伴有瘙痒感。
","extra_headline": [""]},"Author": {"name": "曲乐","wapUrl": "https://www.med-credit.org.cn/doctor/554","pcUrl": "https://www.med-credit.org.cn/doctor/554","jobTitle": "副主任医师","headPortrait": "https://www.med-credit.org.cn/uploadfile/member/554/180x180.jpeg","id": "554","description": "曲乐,副主任医师、医学博士、硕士研究生导师、美容主诊医师、公派留美访问学者。主持国家自然科学基金及省市课题多项,在国内外高水平专业杂志发表中英文论文20余篇,参编英文专著1部。现任辽宁省免疫学会委员。","memberOf": {"legalName": "中国医科大学附属第一医院","department": "皮肤科","organizationLevel": "三级甲等"}},"Article": {"summaryContent": "梅花疹,一般指的是玫瑰糠疹,损害通常为直径2~3cm的丘疹或者斑疹,可出现继发斑,皮损表现为玫瑰色或黄褐色的,直径0.5~2cm的椭圆或圆形斑疹,边缘附有卷烟纸样细薄鳞屑,可伴有瘙痒感。
患者可在医生的指导下选择合适的药物进行治疗。

损害通常初起为单个丘疹或斑疹,中央色泽鲜艳呈橙红色,边缘呈淡红色,直径2~3cm,境界清楚,上覆糠秕样细薄鳞屑,称为母斑;母斑出现后2天至2个月,在躯干、颈部及四周近侧端相继出现泛发性、对称性的皮损,称为继发斑。
最具特征的继发斑皮损是直径0.5~2cm的椭圆或圆形斑疹,玫瑰色或黄褐色的,有细小皱纹,且常脱屑,边缘附有卷烟纸样细薄鳞屑;其长轴与皮纹方向平行,如胸背部皮损长轴倾向于肋骨平行,导致“圣诞树”样疹,在背部呈“八”字状分布,颈部呈近水平方向;患者还可有不同程度的瘙痒。
患者可遵医嘱使用外用炉甘石洗剂缓解症状,或者外用糖皮质激素软膏,如氢化可的松和倍他米松软膏,可以消肿止痒。如果瘙痒严重,影响睡眠,可口服抗组胺药物,如氯苯那敏片。
","articleBody": "梅花疹,一般指的是玫瑰糠疹,损害通常为直径2~3cm的丘疹或者斑疹,可出现继发斑,皮损表现为玫瑰色或黄褐色的,直径0.5~2cm的椭圆或圆形斑疹,边缘附有卷烟纸样细薄鳞屑,可伴有瘙痒感。
患者可在医生的指导下选择合适的药物进行治疗。

损害通常初起为单个丘疹或斑疹,中央色泽鲜艳呈橙红色,边缘呈淡红色,直径2~3cm,境界清楚,上覆糠秕样细薄鳞屑,称为母斑;母斑出现后2天至2个月,在躯干、颈部及四周近侧端相继出现泛发性、对称性的皮损,称为继发斑。
最具特征的继发斑皮损是直径0.5~2cm的椭圆或圆形斑疹,玫瑰色或黄褐色的,有细小皱纹,且常脱屑,边缘附有卷烟纸样细薄鳞屑;其长轴与皮纹方向平行,如胸背部皮损长轴倾向于肋骨平行,导致“圣诞树”样疹,在背部呈“八”字状分布,颈部呈近水平方向;患者还可有不同程度的瘙痒。
患者可遵医嘱使用外用炉甘石洗剂缓解症状,或者外用糖皮质激素软膏,如氢化可的松和倍他米松软膏,可以消肿止痒。如果瘙痒严重,影响睡眠,可口服抗组胺药物,如氯苯那敏片。
","scanCount": 32615}}} {"@context": "https://ziyuan.baidu.com/contexts/cambrian.jsonld","appid": "1650708455561748","icon": "https://www.med-credit.org.cn/style/images/ttlogo.png","content_tag": ["atlas"],"is_mcn": {"thumb_id": "c1nhtnyb"},"accid": "4886d626a2804dee5f11168793ce361672f39c25","@id": "https://www.med-credit.org.cn/mobile/jingxuan/2/ed32aaa1c0931d1693d4604204f31c48.html","bagWordId": "c6047aadf35fe70f","title": "长在腋窝的疣体图片","pubDate": "2023-03-13T18:08:06","upDate": "2023-03-13T18:08:06","lrDate": "2023-03-13T18:08:06","description": "长在腋窝的疣体可能是寻常疣、尖锐湿疣、扁平疣等。","data": {"WebPage": {"headline": "长在腋窝的疣体图片","pcUrl": "https://www.med-credit.org.cn/jingxuan/2/ed32aaa1c0931d1693d4604204f31c48.html","wapUrl": "https://www.med-credit.org.cn/jingxuan/2/ed32aaa1c0931d1693d4604204f31c48.html","mipUrl": "https://www.med-credit.org.cn/mobile/jingxuan/2/ed32aaa1c0931d1693d4604204f31c48.html","fromSrc": "欢乐橙","datePublished": "2023-03-13T18:08:06","domain": "医疗","category": ["医疗权威文章合作"],"description": "长在腋窝的疣体可能是寻常疣、尖锐湿疣、扁平疣等。
","extra_headline": ["长在腋窝的疣体"]},"Author": {"name": "王晓彦","wapUrl": "https://www.med-credit.org.cn/doctor/541","pcUrl": "https://www.med-credit.org.cn/doctor/541","jobTitle": "主任医师","headPortrait": "https://www.med-credit.org.cn/uploadfile/member/541/180x180.jpeg","id": "541","description": "王晓彦,首都医科大学附属北京天坛医院皮肤科主任医师","memberOf": {"legalName": "首都医科大学附属北京天坛医院","department": "皮肤科","organizationLevel": "三级甲等"}},"Article": {"summaryContent": "长在腋窝的疣体可能是寻常疣、尖锐湿疣、扁平疣等。
由于个体差异大,每种方式针对不同的情况。患者应该前往医院,行相关检查,在医生的指导下行规范化的治疗,选择最合适的药物和手术治疗。

1、寻常疣:寻常疣指被人乳头瘤病毒感染,导致皮肤增生的良性赘生物。常发生于腋窝、颜面部以及四肢,通常表现为质地坚硬的、呈绿豆或米粒大小的、表面粗糙的高出皮肤表面的疣状突起或小丘疹,颜色因人而异,在其表面可见小黑点,可能会伴有剧烈的瘙痒感或疼痛感。常选择液氮冷冻或电灼的方式治疗,还可以选择激光手术治疗,或者手术切除、刮除,配合药物炉甘石洗剂、曲咪新乳膏、水杨酸软膏消炎治疗。
2、尖锐湿疣:尖锐湿疣是由于人乳头瘤病毒(HPV)感染引起的疣体,大多数感染者有不洁的性生活史,疣体一般出现在外生殖器,也可能在腋窝出现,疣体会随着病情发展而逐渐增大,后期可呈菜花样或糜烂状,此病早期常考虑液氮冷冻、电灼或激光手术配合药物如咪喹莫特乳膏治疗,晚期可选择手术方式去除。

3、扁平疣:扁平疣由人乳头瘤病毒感染皮肤所致,是疣的一种,多发生在面部、手背及前臂等部位,也可出现在腋窝,皮损为高出正常皮肤的扁平丘疹,米粒至黄豆大小,呈圆形或椭圆形,表面光滑,质地较硬,颜色不定,呈淡褐色或是和正常皮肤颜色基本相同。可遵医嘱涂抹5%咪喹莫特乳膏、氟尿嘧啶软膏等,必要时可选择手术治疗。
除了上述相对常见的疣体外,还有可能性是丝状疣。建议患者出现这种症状后,及时去医院就诊,查明病因后,予以针对性治疗。
","articleBody": "长在腋窝的疣体可能是寻常疣、尖锐湿疣、扁平疣等。
由于个体差异大,每种方式针对不同的情况。患者应该前往医院,行相关检查,在医生的指导下行规范化的治疗,选择最合适的药物和手术治疗。

1、寻常疣:寻常疣指被人乳头瘤病毒感染,导致皮肤增生的良性赘生物。常发生于腋窝、颜面部以及四肢,通常表现为质地坚硬的、呈绿豆或米粒大小的、表面粗糙的高出皮肤表面的疣状突起或小丘疹,颜色因人而异,在其表面可见小黑点,可能会伴有剧烈的瘙痒感或疼痛感。常选择液氮冷冻或电灼的方式治疗,还可以选择激光手术治疗,或者手术切除、刮除,配合药物炉甘石洗剂、曲咪新乳膏、水杨酸软膏消炎治疗。
2、尖锐湿疣:尖锐湿疣是由于人乳头瘤病毒(HPV)感染引起的疣体,大多数感染者有不洁的性生活史,疣体一般出现在外生殖器,也可能在腋窝出现,疣体会随着病情发展而逐渐增大,后期可呈菜花样或糜烂状,此病早期常考虑液氮冷冻、电灼或激光手术配合药物如咪喹莫特乳膏治疗,晚期可选择手术方式去除。

3、扁平疣:扁平疣由人乳头瘤病毒感染皮肤所致,是疣的一种,多发生在面部、手背及前臂等部位,也可出现在腋窝,皮损为高出正常皮肤的扁平丘疹,米粒至黄豆大小,呈圆形或椭圆形,表面光滑,质地较硬,颜色不定,呈淡褐色或是和正常皮肤颜色基本相同。可遵医嘱涂抹5%咪喹莫特乳膏、氟尿嘧啶软膏等,必要时可选择手术治疗。
除了上述相对常见的疣体外,还有可能性是丝状疣。建议患者出现这种症状后,及时去医院就诊,查明病因后,予以针对性治疗。
","scanCount": 7064}}} {"@context": "https://ziyuan.baidu.com/contexts/cambrian.jsonld","appid": "1650708455561748","icon": "https://www.med-credit.org.cn/style/images/ttlogo.png","content_tag": ["atlas"],"is_mcn": {"thumb_id": "c1nhtnyb"},"accid": "4886d626a2804dee5f11168793ce361672f39c25","@id": "https://www.med-credit.org.cn/mobile/jingxuan/2/479dc6d0335295c10b7ebdeb94aa9716.html","bagWordId": "7f270c29518bc987","title": "带状疱疹结痂恢复图片","pubDate": "2023-03-13T18:08:06","upDate": "2023-03-13T18:08:06","lrDate": "2023-03-13T18:08:06","description": "带状疱疹恢复时,结痂会逐渐干燥,结痂呈现黑色,并且会逐渐自行脱落,可伴有轻微的瘙痒症状。","data": {"WebPage": {"headline": "带状疱疹结痂恢复图片","pcUrl": "https://www.med-credit.org.cn/jingxuan/2/479dc6d0335295c10b7ebdeb94aa9716.html","wapUrl": "https://www.med-credit.org.cn/jingxuan/2/479dc6d0335295c10b7ebdeb94aa9716.html","mipUrl": "https://www.med-credit.org.cn/mobile/jingxuan/2/479dc6d0335295c10b7ebdeb94aa9716.html","fromSrc": "欢乐橙","datePublished": "2023-03-13T18:08:06","domain": "医疗","category": ["医疗权威文章合作"],"description": "带状疱疹恢复时,结痂会逐渐干燥,结痂呈现黑色,并且会逐渐自行脱落,可伴有轻微的瘙痒症状。
","extra_headline": [""]},"Author": {"name": "王晓彦","wapUrl": "https://www.med-credit.org.cn/doctor/541","pcUrl": "https://www.med-credit.org.cn/doctor/541","jobTitle": "主任医师","headPortrait": "https://www.med-credit.org.cn/uploadfile/member/541/180x180.jpeg","id": "541","description": "王晓彦,首都医科大学附属北京天坛医院皮肤科主任医师","memberOf": {"legalName": "首都医科大学附属北京天坛医院","department": "皮肤科","organizationLevel": "三级甲等"}},"Article": {"summaryContent": "带状疱疹恢复时,结痂会逐渐干燥,结痂呈现黑色,并且会逐渐自行脱落,可伴有轻微的瘙痒症状。
当带状疱疹结痂时,可以遵医嘱使用合适的药物进行涂抹。在恢复期间要注意避免劳累。

带状疱疹是由潜伏在体内的水痘-带状疱疹病毒引起的感染性疾病,由于其引起的皮疹呈带状分布,所以叫做带状疱疹。典型的表现是皮肤成片发红,上面有水疱,好发于胸背部或头面部,患病处皮肤感觉烧灼、刺痛或者剧烈疼痛,像电击一样,轻微触摸也会引起明显疼痛。
在病情恢复期间水疱会逐渐的萎缩,出现结痂的现象,而且水疱周围红肿的情况也会逐渐的恢复,还有可能会导致局部的皮肤出现一些深紫色的色素沉着。在恢复期间结痂会逐渐干燥,结痂呈现黑色,并且会逐渐自行脱落,可伴有轻微的瘙痒症状。
带状疱疹结痂可以遵医嘱外涂硼酸氧化锌软膏,涂1元钱硬币的厚度,放置半小时到两小时之间,再用无菌棉球轻轻擦拭,将其擦掉。如果擦不掉,不能硬擦,过几天之后还是用同样的方法轻轻拭去。
在日常生活中,要避免劳累,合理安排作息,尽量不参加重体力劳动,保证充足的睡眠。尽可能保持心情舒畅,对康复有积极意义。
","articleBody": "带状疱疹恢复时,结痂会逐渐干燥,结痂呈现黑色,并且会逐渐自行脱落,可伴有轻微的瘙痒症状。
当带状疱疹结痂时,可以遵医嘱使用合适的药物进行涂抹。在恢复期间要注意避免劳累。

带状疱疹是由潜伏在体内的水痘-带状疱疹病毒引起的感染性疾病,由于其引起的皮疹呈带状分布,所以叫做带状疱疹。典型的表现是皮肤成片发红,上面有水疱,好发于胸背部或头面部,患病处皮肤感觉烧灼、刺痛或者剧烈疼痛,像电击一样,轻微触摸也会引起明显疼痛。
在病情恢复期间水疱会逐渐的萎缩,出现结痂的现象,而且水疱周围红肿的情况也会逐渐的恢复,还有可能会导致局部的皮肤出现一些深紫色的色素沉着。在恢复期间结痂会逐渐干燥,结痂呈现黑色,并且会逐渐自行脱落,可伴有轻微的瘙痒症状。
带状疱疹结痂可以遵医嘱外涂硼酸氧化锌软膏,涂1元钱硬币的厚度,放置半小时到两小时之间,再用无菌棉球轻轻擦拭,将其擦掉。如果擦不掉,不能硬擦,过几天之后还是用同样的方法轻轻拭去。
在日常生活中,要避免劳累,合理安排作息,尽量不参加重体力劳动,保证充足的睡眠。尽可能保持心情舒畅,对康复有积极意义。
","scanCount": 32613}}} {"@context": "https://ziyuan.baidu.com/contexts/cambrian.jsonld","appid": "1650708455561748","icon": "https://www.med-credit.org.cn/style/images/ttlogo.png","content_tag": ["atlas"],"is_mcn": {"thumb_id": "c1nhtnyb"},"accid": "4886d626a2804dee5f11168793ce361672f39c25","@id": "https://www.med-credit.org.cn/mobile/jingxuan/2/5160e340ad2f45739a3f66d421babe90.html","bagWordId": "bacb381dbee943b0","title": "冻疮什么样子图片","pubDate": "2023-03-13T18:08:06","upDate": "2023-03-13T18:08:06","lrDate": "2023-03-13T18:08:06","description": "冻疮的临床症状分为冻融前和复温后两大类。冻融前主要是皮肤苍白、硬块、麻木,复温后表现为红肿、灼痛、水泡。","data": {"WebPage": {"headline": "冻疮什么样子图片","pcUrl": "https://www.med-credit.org.cn/jingxuan/2/5160e340ad2f45739a3f66d421babe90.html","wapUrl": "https://www.med-credit.org.cn/jingxuan/2/5160e340ad2f45739a3f66d421babe90.html","mipUrl": "https://www.med-credit.org.cn/mobile/jingxuan/2/5160e340ad2f45739a3f66d421babe90.html","fromSrc": "欢乐橙","datePublished": "2023-03-13T18:08:06","domain": "医疗","category": ["医疗权威文章合作"],"description": "冻疮的临床症状分为冻融前和复温后两大类。冻融前主要是皮肤苍白、硬块、麻木,复温后表现为红肿、灼痛、水泡。
","extra_headline": [""]},"Author": {"name": "王晓彦","wapUrl": "https://www.med-credit.org.cn/doctor/541","pcUrl": "https://www.med-credit.org.cn/doctor/541","jobTitle": "主任医师","headPortrait": "https://www.med-credit.org.cn/uploadfile/member/541/180x180.jpeg","id": "541","description": "王晓彦,首都医科大学附属北京天坛医院皮肤科主任医师","memberOf": {"legalName": "首都医科大学附属北京天坛医院","department": "皮肤科","organizationLevel": "三级甲等"}},"Article": {"summaryContent": "冻疮的临床症状分为冻融前和复温后两大类。冻融前主要是皮肤苍白、硬块、麻木,复温后表现为红肿、灼痛、水泡。
冻疮在通过保暖复温后可自愈,若症状较严重,可遵医嘱选择合适的药物进行治疗。

冻疮的皮损为局限性的、暗紫红色、水肿性的斑块或结节,边界清楚,边缘呈鲜红色,压之褪色,表面肿胀光亮。严重者可发生水疱或皮肤溃疡。冻疮部位的皮肤瘙痒明显,受热后加剧,如果出现溃疡、糜烂可有疼痛。
冻融前因血管收缩,细胞外液形成冰晶,皮肤表现为苍白,皮温降低,皮肤硬块、可伴肢体麻木刺痛。复温后因局部血管扩张、充血渗出、蛋白变性等造成皮肤红肿、充血,出现烧灼感、刺痛、瘙痒,可伴表皮脱落、形成水泡,一般少有瘢痕。
冻疮一般经过保暖复温大多就可以自愈。如果症状比较严重,可以在医生的指导下选择可促进血液循环的药膏外涂伤口,如外涂肝素钠乳膏。冻疮恢复后一般无严重后遗症,若伴感染、其他严重并发症,建议及时到医院就诊,遵医嘱治疗。
","articleBody": "冻疮的临床症状分为冻融前和复温后两大类。冻融前主要是皮肤苍白、硬块、麻木,复温后表现为红肿、灼痛、水泡。
冻疮在通过保暖复温后可自愈,若症状较严重,可遵医嘱选择合适的药物进行治疗。

冻疮的皮损为局限性的、暗紫红色、水肿性的斑块或结节,边界清楚,边缘呈鲜红色,压之褪色,表面肿胀光亮。严重者可发生水疱或皮肤溃疡。冻疮部位的皮肤瘙痒明显,受热后加剧,如果出现溃疡、糜烂可有疼痛。
冻融前因血管收缩,细胞外液形成冰晶,皮肤表现为苍白,皮温降低,皮肤硬块、可伴肢体麻木刺痛。复温后因局部血管扩张、充血渗出、蛋白变性等造成皮肤红肿、充血,出现烧灼感、刺痛、瘙痒,可伴表皮脱落、形成水泡,一般少有瘢痕。
冻疮一般经过保暖复温大多就可以自愈。如果症状比较严重,可以在医生的指导下选择可促进血液循环的药膏外涂伤口,如外涂肝素钠乳膏。冻疮恢复后一般无严重后遗症,若伴感染、其他严重并发症,建议及时到医院就诊,遵医嘱治疗。
","scanCount": 32610}}} {"@context": "https://ziyuan.baidu.com/contexts/cambrian.jsonld","appid": "1650708455561748","icon": "https://www.med-credit.org.cn/style/images/ttlogo.png","content_tag": ["atlas"],"is_mcn": {"thumb_id": "3w128mji2"},"accid": "4886d626a2804dee5f11168793ce361672f39c25","@id": "https://www.med-credit.org.cn/mobile/jingxuan/2/443f570a287963603035e228e7389845.html","bagWordId": "a43f32fc0a8b41c8","title": "软疣图片","pubDate": "2023-03-13T18:08:06","upDate": "2023-03-13T18:08:06","lrDate": "2023-03-13T18:08:06","description": "软疣一般指传染性软疣,传染性软疣如米粒至豌豆大的半球形隆起,乳白,色灰白,周围微红,表面滑如涂蜡,中间部位有凹陷如脐窝﹐呈分散或簇集状,可挤出白色乳状物,会有瘙痒感。","data": {"WebPage": {"headline": "软疣图片","pcUrl": "https://www.med-credit.org.cn/jingxuan/2/443f570a287963603035e228e7389845.html","wapUrl": "https://www.med-credit.org.cn/jingxuan/2/443f570a287963603035e228e7389845.html","mipUrl": "https://www.med-credit.org.cn/mobile/jingxuan/2/443f570a287963603035e228e7389845.html","fromSrc": "欢乐橙","datePublished": "2023-03-13T18:08:06","domain": "医疗","category": ["医疗权威文章合作"],"description": "软疣一般指传染性软疣,传染性软疣如米粒至豌豆大的半球形隆起,乳白,色灰白,周围微红,表面滑如涂蜡,中间部位有凹陷如脐窝﹐呈分散或簇集状,可挤出白色乳状物,会有瘙痒感。
","extra_headline": [""]},"Author": {"name": "曲乐","wapUrl": "https://www.med-credit.org.cn/doctor/554","pcUrl": "https://www.med-credit.org.cn/doctor/554","jobTitle": "副主任医师","headPortrait": "https://www.med-credit.org.cn/uploadfile/member/554/180x180.jpeg","id": "554","description": "曲乐,副主任医师、医学博士、硕士研究生导师、美容主诊医师、公派留美访问学者。主持国家自然科学基金及省市课题多项,在国内外高水平专业杂志发表中英文论文20余篇,参编英文专著1部。现任辽宁省免疫学会委员。","memberOf": {"legalName": "中国医科大学附属第一医院","department": "皮肤科","organizationLevel": "三级甲等"}},"Article": {"summaryContent": "软疣一般指传染性软疣,传染性软疣如米粒至豌豆大的半球形隆起,乳白,色灰白,周围微红,表面滑如涂蜡,中间部位有凹陷如脐窝﹐呈分散或簇集状,可挤出白色乳状物,会有瘙痒感。
在日常生活中需注意避免前往公共浴池洗澡,勿与传染性软疣患者发生性关系。

传染性软疣可以发生在任何部位,尤其是躯干﹑颜面﹑臀部以及阴部,而且儿童及青年较为多见。如果病发于阴部,很大可能是性接触传播。
疣体就是包含在身体突起部位当中的一部分,可以从表面观察发现,软疣大小约米粒至豌豆,周围微红,表面滑如涂蜡,其顶部通常是突起的白色小点,刺破皮肤表面,用力挤患处,可发现患处会有白色的分泌物出现,呈现白色条状乳酪状。
通常患者的皮肤表面会有瘙痒的感觉,尤其是夜间。患者常常会用手抓挠,容易产生抓痕或是血痂,并且长时间无法消除。传染性软疣的中间部位是凹陷的,疣体被挤出后,会留下一个小洞,皮肤会慢慢愈合封住小的伤口。
主要是避免到公共浴池洗澡,卫生不干净的游泳池也不要去;不要使用公共浴巾、拖鞋等;不和传染性软疣患者发生性关系。
","articleBody": "软疣一般指传染性软疣,传染性软疣如米粒至豌豆大的半球形隆起,乳白,色灰白,周围微红,表面滑如涂蜡,中间部位有凹陷如脐窝﹐呈分散或簇集状,可挤出白色乳状物,会有瘙痒感。
在日常生活中需注意避免前往公共浴池洗澡,勿与传染性软疣患者发生性关系。

传染性软疣可以发生在任何部位,尤其是躯干﹑颜面﹑臀部以及阴部,而且儿童及青年较为多见。如果病发于阴部,很大可能是性接触传播。
疣体就是包含在身体突起部位当中的一部分,可以从表面观察发现,软疣大小约米粒至豌豆,周围微红,表面滑如涂蜡,其顶部通常是突起的白色小点,刺破皮肤表面,用力挤患处,可发现患处会有白色的分泌物出现,呈现白色条状乳酪状。
通常患者的皮肤表面会有瘙痒的感觉,尤其是夜间。患者常常会用手抓挠,容易产生抓痕或是血痂,并且长时间无法消除。传染性软疣的中间部位是凹陷的,疣体被挤出后,会留下一个小洞,皮肤会慢慢愈合封住小的伤口。
主要是避免到公共浴池洗澡,卫生不干净的游泳池也不要去;不要使用公共浴巾、拖鞋等;不和传染性软疣患者发生性关系。
","scanCount": 32605}}} {"@context": "https://ziyuan.baidu.com/contexts/cambrian.jsonld","appid": "1650708455561748","icon": "https://www.med-credit.org.cn/style/images/ttlogo.png","content_tag": ["atlas"],"is_mcn": {"thumb_id": "3w128mji2"},"accid": "4886d626a2804dee5f11168793ce361672f39c25","@id": "https://www.med-credit.org.cn/mobile/jingxuan/2/68a3f38241a67e6e87a01adaf7d057b0.html","bagWordId": "00c92e19f3e00d81","title": "血泡刺图片","pubDate": "2023-03-13T18:08:06","upDate": "2023-03-13T18:08:06","lrDate": "2023-03-13T18:08:06","description": "血泡刺一般指的是鸡眼,外观多为淡黄色的圆锥形的角质栓,患处可出现疼痛感。","data": {"WebPage": {"headline": "血泡刺图片","pcUrl": "https://www.med-credit.org.cn/jingxuan/2/68a3f38241a67e6e87a01adaf7d057b0.html","wapUrl": "https://www.med-credit.org.cn/jingxuan/2/68a3f38241a67e6e87a01adaf7d057b0.html","mipUrl": "https://www.med-credit.org.cn/mobile/jingxuan/2/68a3f38241a67e6e87a01adaf7d057b0.html","fromSrc": "欢乐橙","datePublished": "2023-03-13T18:08:06","domain": "医疗","category": ["医疗权威文章合作"],"description": "血泡刺一般指的是鸡眼,外观多为淡黄色的圆锥形的角质栓,患处可出现疼痛感。
","extra_headline": [""]},"Author": {"name": "曲乐","wapUrl": "https://www.med-credit.org.cn/doctor/554","pcUrl": "https://www.med-credit.org.cn/doctor/554","jobTitle": "副主任医师","headPortrait": "https://www.med-credit.org.cn/uploadfile/member/554/180x180.jpeg","id": "554","description": "曲乐,副主任医师、医学博士、硕士研究生导师、美容主诊医师、公派留美访问学者。主持国家自然科学基金及省市课题多项,在国内外高水平专业杂志发表中英文论文20余篇,参编英文专著1部。现任辽宁省免疫学会委员。","memberOf": {"legalName": "中国医科大学附属第一医院","department": "皮肤科","organizationLevel": "三级甲等"}},"Article": {"summaryContent": "血泡刺一般指的是鸡眼,外观多为淡黄色的圆锥形的角质栓,患处可出现疼痛感。
鸡眼主要是由于长期受压、摩擦引起的,患者应及时就医。

鸡眼在外观多表现为圆锥形的角质栓,颜色多是淡黄色或者深黄色,它的皮疹表面多是光滑的,与皮面平行或者是轻微隆起,外围是透明的黄色环。它的核心部位会压迫神经产生疼痛,此外患者还可出现有行走或活动时足底活动受限,如行走困难等症状。
鸡眼的主要病因是局部压迫、摩擦导致皮肤角质的增生。足底受力不均,摩擦压迫时间长了,皮肤的角质层受到外来刺激而增生明显,增生的角质往皮肤内部嵌入,故而形成鸡眼。好发于长久站立和行走、鞋子过紧的人群。
因此对于患有鸡眼的患者,需要及时就医治疗,避免拖延治疗从而导致病情加重,同时也要避免自行挑开或挖开鸡眼。在日常生活中应注意鞋靴合脚,易于触磨之处,可加海绵垫保护。
","articleBody": "血泡刺一般指的是鸡眼,外观多为淡黄色的圆锥形的角质栓,患处可出现疼痛感。
鸡眼主要是由于长期受压、摩擦引起的,患者应及时就医。

鸡眼在外观多表现为圆锥形的角质栓,颜色多是淡黄色或者深黄色,它的皮疹表面多是光滑的,与皮面平行或者是轻微隆起,外围是透明的黄色环。它的核心部位会压迫神经产生疼痛,此外患者还可出现有行走或活动时足底活动受限,如行走困难等症状。
鸡眼的主要病因是局部压迫、摩擦导致皮肤角质的增生。足底受力不均,摩擦压迫时间长了,皮肤的角质层受到外来刺激而增生明显,增生的角质往皮肤内部嵌入,故而形成鸡眼。好发于长久站立和行走、鞋子过紧的人群。
因此对于患有鸡眼的患者,需要及时就医治疗,避免拖延治疗从而导致病情加重,同时也要避免自行挑开或挖开鸡眼。在日常生活中应注意鞋靴合脚,易于触磨之处,可加海绵垫保护。
","scanCount": 32604}}} {"@context": "https://ziyuan.baidu.com/contexts/cambrian.jsonld","appid": "1650708455561748","icon": "https://www.med-credit.org.cn/style/images/ttlogo.png","content_tag": ["atlas"],"is_mcn": {"thumb_id": "3w128mji2"},"accid": "4886d626a2804dee5f11168793ce361672f39c25","@id": "https://www.med-credit.org.cn/mobile/jingxuan/2/24e5903d61f9cc2d2aec5f22b742e497.html","bagWordId": "378363daf560dcad","title": "皮肤分层结构图","pubDate": "2023-03-13T18:08:06","upDate": "2023-03-13T18:08:06","lrDate": "2023-03-13T18:08:06","description": "皮肤分层结构包括表皮、真皮、皮下组织这三部分。","data": {"WebPage": {"headline": "皮肤分层结构图","pcUrl": "https://www.med-credit.org.cn/jingxuan/2/24e5903d61f9cc2d2aec5f22b742e497.html","wapUrl": "https://www.med-credit.org.cn/jingxuan/2/24e5903d61f9cc2d2aec5f22b742e497.html","mipUrl": "https://www.med-credit.org.cn/mobile/jingxuan/2/24e5903d61f9cc2d2aec5f22b742e497.html","fromSrc": "欢乐橙","datePublished": "2023-03-13T18:08:06","domain": "医疗","category": ["医疗权威文章合作"],"description": "皮肤分层结构包括表皮、真皮、皮下组织这三部分。
","extra_headline": [""]},"Author": {"name": "曲乐","wapUrl": "https://www.med-credit.org.cn/doctor/554","pcUrl": "https://www.med-credit.org.cn/doctor/554","jobTitle": "副主任医师","headPortrait": "https://www.med-credit.org.cn/uploadfile/member/554/180x180.jpeg","id": "554","description": "曲乐,副主任医师、医学博士、硕士研究生导师、美容主诊医师、公派留美访问学者。主持国家自然科学基金及省市课题多项,在国内外高水平专业杂志发表中英文论文20余篇,参编英文专著1部。现任辽宁省免疫学会委员。","memberOf": {"legalName": "中国医科大学附属第一医院","department": "皮肤科","organizationLevel": "三级甲等"}},"Article": {"summaryContent": "皮肤分层结构包括表皮、真皮、皮下组织这三部分。
皮肤主要功能为屏障作用,可在一定程度上防止微生物入侵。

1、表皮:是由角质形成细胞及树枝状细胞两大类细胞组成。随着角质形成细胞演变过程,正常表皮从下至上分别是基底层、棘层、颗粒层和角质层。其中角质层位于皮肤最外层,与外界环境直接接触,是特殊的生物传感器。表皮及真皮连接处有一均匀紫红色的带,为表皮下基底膜带。
2、真皮:主要是结缔组织,包含神经、血管、淋巴管、肌肉及部分皮肤附属器。真皮主要分为乳头层及网状层。
3、皮下组织:皮下组织层比较疏松,充满脂肪细胞,也称为皮下脂肪层或脂膜。
皮肤的主要功能是屏障作用,包括色素、酸性、抗微生物屏障。表皮基底层的黑素细胞吸收紫外线,避免对皮肤造成伤害。正常皮肤偏酸性,具有一定的缓冲能力,有利于加速受损皮肤屏障的修复。完整的皮肤具有致密的防御能力,机械防止微生物入侵。
","articleBody": "皮肤分层结构包括表皮、真皮、皮下组织这三部分。
皮肤主要功能为屏障作用,可在一定程度上防止微生物入侵。

1、表皮:是由角质形成细胞及树枝状细胞两大类细胞组成。随着角质形成细胞演变过程,正常表皮从下至上分别是基底层、棘层、颗粒层和角质层。其中角质层位于皮肤最外层,与外界环境直接接触,是特殊的生物传感器。表皮及真皮连接处有一均匀紫红色的带,为表皮下基底膜带。
2、真皮:主要是结缔组织,包含神经、血管、淋巴管、肌肉及部分皮肤附属器。真皮主要分为乳头层及网状层。
3、皮下组织:皮下组织层比较疏松,充满脂肪细胞,也称为皮下脂肪层或脂膜。
皮肤的主要功能是屏障作用,包括色素、酸性、抗微生物屏障。表皮基底层的黑素细胞吸收紫外线,避免对皮肤造成伤害。正常皮肤偏酸性,具有一定的缓冲能力,有利于加速受损皮肤屏障的修复。完整的皮肤具有致密的防御能力,机械防止微生物入侵。
","scanCount": 32602}}} {"@context": "https://ziyuan.baidu.com/contexts/cambrian.jsonld","appid": "1650708455561748","icon": "https://www.med-credit.org.cn/style/images/ttlogo.png","content_tag": ["atlas"],"is_mcn": {"thumb_id": "3w128mji2"},"accid": "4886d626a2804dee5f11168793ce361672f39c25","@id": "https://www.med-credit.org.cn/mobile/jingxuan/2/619b910eb75bb31f9820d230e9b777b7.html","bagWordId": "99bf7ed66cd681a7","title": "羊胡子疮的症状和图片","pubDate": "2023-03-13T18:08:06","upDate": "2023-03-13T18:08:06","lrDate": "2023-03-13T18:08:06","description": "羊胡子疮表现为唇下皮肤出现针尖样大小的红色小丘疹,逐渐增多扩大为圆形,中心有米糠样鳞屑,边缘可有小丘疹、小水泡或鳞屑等,可伴有瘙痒感。","data": {"WebPage": {"headline": "羊胡子疮的症状和图片","pcUrl": "https://www.med-credit.org.cn/jingxuan/2/619b910eb75bb31f9820d230e9b777b7.html","wapUrl": "https://www.med-credit.org.cn/jingxuan/2/619b910eb75bb31f9820d230e9b777b7.html","mipUrl": "https://www.med-credit.org.cn/mobile/jingxuan/2/619b910eb75bb31f9820d230e9b777b7.html","fromSrc": "欢乐橙","datePublished": "2023-03-13T18:08:06","domain": "医疗","category": ["医疗权威文章合作"],"description": "羊胡子疮表现为唇下皮肤出现针尖样大小的红色小丘疹,逐渐增多扩大为圆形,中心有米糠样鳞屑,边缘可有小丘疹、小水泡或鳞屑等,可伴有瘙痒感。
","extra_headline": [""]},"Author": {"name": "曲乐","wapUrl": "https://www.med-credit.org.cn/doctor/554","pcUrl": "https://www.med-credit.org.cn/doctor/554","jobTitle": "副主任医师","headPortrait": "https://www.med-credit.org.cn/uploadfile/member/554/180x180.jpeg","id": "554","description": "曲乐,副主任医师、医学博士、硕士研究生导师、美容主诊医师、公派留美访问学者。主持国家自然科学基金及省市课题多项,在国内外高水平专业杂志发表中英文论文20余篇,参编英文专著1部。现任辽宁省免疫学会委员。","memberOf": {"legalName": "中国医科大学附属第一医院","department": "皮肤科","organizationLevel": "三级甲等"}},"Article": {"summaryContent": "羊胡子疮表现为唇下皮肤出现针尖样大小的红色小丘疹,逐渐增多扩大为圆形,中心有米糠样鳞屑,边缘可有小丘疹、小水泡或鳞屑等,可伴有瘙痒感。
羊胡子疮一般可在医生指导下使用药物进行治疗。

1、症状:羊胡子疮是口周皮肤受真菌感染所引起的,唇下皮肤常出现红色的小丘疹,为针尖样大小,逐渐增多扩大为圆形,中心有米糠样鳞屑,边缘可有小丘疹、小水泡或鳞屑等表现,可伴有皮肤瘙痒。
2、治疗:对于此病,可以遵医嘱局部涂抹咪康唑、克霉唑等药物治疗,注意保持病变处皮肤的干燥清洁,不要用手触摸或抓挠,以免引起细菌感染导致病变加重。尽量不要使用氟轻松软膏等糖皮质激素治疗,容易使感染范围扩大。
患者恢复期注意饮食要清淡健康,少吃油腻、辛辣等刺激性食物,多吃新鲜的水果及蔬菜,营养搭配要均衡合理。平时注意皮肤及用手卫生,若皮肤出现不适,及时就医咨询。日常注意休息,勤锻炼身体,增强自身抵抗力。
","articleBody": "羊胡子疮表现为唇下皮肤出现针尖样大小的红色小丘疹,逐渐增多扩大为圆形,中心有米糠样鳞屑,边缘可有小丘疹、小水泡或鳞屑等,可伴有瘙痒感。
羊胡子疮一般可在医生指导下使用药物进行治疗。

1、症状:羊胡子疮是口周皮肤受真菌感染所引起的,唇下皮肤常出现红色的小丘疹,为针尖样大小,逐渐增多扩大为圆形,中心有米糠样鳞屑,边缘可有小丘疹、小水泡或鳞屑等表现,可伴有皮肤瘙痒。
2、治疗:对于此病,可以遵医嘱局部涂抹咪康唑、克霉唑等药物治疗,注意保持病变处皮肤的干燥清洁,不要用手触摸或抓挠,以免引起细菌感染导致病变加重。尽量不要使用氟轻松软膏等糖皮质激素治疗,容易使感染范围扩大。
患者恢复期注意饮食要清淡健康,少吃油腻、辛辣等刺激性食物,多吃新鲜的水果及蔬菜,营养搭配要均衡合理。平时注意皮肤及用手卫生,若皮肤出现不适,及时就医咨询。日常注意休息,勤锻炼身体,增强自身抵抗力。
","scanCount": 32601}}} {"@context": "https://ziyuan.baidu.com/contexts/cambrian.jsonld","appid": "1650708455561748","icon": "https://www.med-credit.org.cn/style/images/ttlogo.png","content_tag": ["atlas"],"is_mcn": {"thumb_id": "3w128mji2"},"accid": "4886d626a2804dee5f11168793ce361672f39c25","@id": "https://www.med-credit.org.cn/mobile/jingxuan/2/e4351dae8169bbeecd645ec8f9aed45b.html","bagWordId": "5dc8be3d4f6ac3b2","title": "腿上长了一个硬疙瘩图片","pubDate": "2023-03-13T18:08:06","upDate": "2023-03-13T18:08:06","lrDate": "2023-03-13T18:08:06","description": "腿上长了一个硬疙瘩可能是皮脂腺囊肿、感染性毛囊炎、湿疹等引起的。","data": {"WebPage": {"headline": "腿上长了一个硬疙瘩图片","pcUrl": "https://www.med-credit.org.cn/jingxuan/2/e4351dae8169bbeecd645ec8f9aed45b.html","wapUrl": "https://www.med-credit.org.cn/jingxuan/2/e4351dae8169bbeecd645ec8f9aed45b.html","mipUrl": "https://www.med-credit.org.cn/mobile/jingxuan/2/e4351dae8169bbeecd645ec8f9aed45b.html","fromSrc": "欢乐橙","datePublished": "2023-03-13T18:08:06","domain": "医疗","category": ["医疗权威文章合作"],"description": "腿上长了一个硬疙瘩可能是皮脂腺囊肿、感染性毛囊炎、湿疹等引起的。
","extra_headline": ["腿上长了一个硬疙瘩"]},"Author": {"name": "曲乐","wapUrl": "https://www.med-credit.org.cn/doctor/554","pcUrl": "https://www.med-credit.org.cn/doctor/554","jobTitle": "副主任医师","headPortrait": "https://www.med-credit.org.cn/uploadfile/member/554/180x180.jpeg","id": "554","description": "曲乐,副主任医师、医学博士、硕士研究生导师、美容主诊医师、公派留美访问学者。主持国家自然科学基金及省市课题多项,在国内外高水平专业杂志发表中英文论文20余篇,参编英文专著1部。现任辽宁省免疫学会委员。","memberOf": {"legalName": "中国医科大学附属第一医院","department": "皮肤科","organizationLevel": "三级甲等"}},"Article": {"summaryContent": "腿上长了一个硬疙瘩可能是皮脂腺囊肿、感染性毛囊炎、湿疹等引起的。
可前往医院寻求诊治,一般可使用药物治疗,必要时可选择手术治疗。

1、皮脂腺囊肿:皮脂腺囊肿属于一种良性的皮肤肿瘤。这主要是因为人体的皮脂腺导管被堵塞后,导致腺体内分泌的皮脂腺不能正常排出,聚集在皮脂腺内形成囊肿,多数情况下对人体并无影响,无需特殊治疗,若体积增大,建议就医手术治疗。

2、感染性毛囊炎:感染性毛囊炎可以由细菌、真菌、病毒等引起,其好发于头皮、面部、臀部和大腿。毛囊炎表现为以毛囊为中心的红色丘疹,有时顶部有白色脓疱,直径在 2~5 mm 左右,边缘可有红晕。丘疹容易发展为脓疱,脓疱内含有白色或黄白色的脓液,破裂后结痂,有时破裂后会流出脓血。毛囊炎可能会有瘙痒、触痛或疼痛,位置深的毛囊炎疼痛更明显。患者应该在医生的指导下,给予聚维酮碘溶液消毒治疗,还可以给予抗生素治疗,往往选用红霉素软膏、头孢氨苄胶囊治疗。注意规律用药,及时复查。必要时需要手术治疗,常将病灶切开,引流出脓液。
3、湿疹:湿疹是一种皮肤损伤起疱、瘙痒感极强的皮肤炎症反应。可能会在腿部出现小丘疹或小水疱,患处可同时出现瘙痒、轻微疼痛感。注意不能挠破,容易造成感染和扩散。同时注意休息,避免刺激性的食物,调整精神状态。可遵医嘱使用药物,如炉甘石洗剂消炎治疗。
除了上述相对常见的原因外,还有其他的可能性疾病,比如寻常疣。建议患者出现这种症状后,及时去医院就诊,查明病因后,予以针对性治疗。
","articleBody": "腿上长了一个硬疙瘩可能是皮脂腺囊肿、感染性毛囊炎、湿疹等引起的。
可前往医院寻求诊治,一般可使用药物治疗,必要时可选择手术治疗。

1、皮脂腺囊肿:皮脂腺囊肿属于一种良性的皮肤肿瘤。这主要是因为人体的皮脂腺导管被堵塞后,导致腺体内分泌的皮脂腺不能正常排出,聚集在皮脂腺内形成囊肿,多数情况下对人体并无影响,无需特殊治疗,若体积增大,建议就医手术治疗。

2、感染性毛囊炎:感染性毛囊炎可以由细菌、真菌、病毒等引起,其好发于头皮、面部、臀部和大腿。毛囊炎表现为以毛囊为中心的红色丘疹,有时顶部有白色脓疱,直径在 2~5 mm 左右,边缘可有红晕。丘疹容易发展为脓疱,脓疱内含有白色或黄白色的脓液,破裂后结痂,有时破裂后会流出脓血。毛囊炎可能会有瘙痒、触痛或疼痛,位置深的毛囊炎疼痛更明显。患者应该在医生的指导下,给予聚维酮碘溶液消毒治疗,还可以给予抗生素治疗,往往选用红霉素软膏、头孢氨苄胶囊治疗。注意规律用药,及时复查。必要时需要手术治疗,常将病灶切开,引流出脓液。
3、湿疹:湿疹是一种皮肤损伤起疱、瘙痒感极强的皮肤炎症反应。可能会在腿部出现小丘疹或小水疱,患处可同时出现瘙痒、轻微疼痛感。注意不能挠破,容易造成感染和扩散。同时注意休息,避免刺激性的食物,调整精神状态。可遵医嘱使用药物,如炉甘石洗剂消炎治疗。
除了上述相对常见的原因外,还有其他的可能性疾病,比如寻常疣。建议患者出现这种症状后,及时去医院就诊,查明病因后,予以针对性治疗。
","scanCount": 6654}}} {"@context": "https://ziyuan.baidu.com/contexts/cambrian.jsonld","appid": "1650708455561748","icon": "https://www.med-credit.org.cn/style/images/ttlogo.png","content_tag": ["atlas"],"is_mcn": {"thumb_id": "3w128mji2"},"accid": "4886d626a2804dee5f11168793ce361672f39c25","@id": "https://www.med-credit.org.cn/mobile/jingxuan/2/db403e0bba997db1ca29779c6916b5c9.html","bagWordId": "988feaef5fb4452a","title": "手指甲发白图片","pubDate": "2023-03-13T18:08:06","upDate": "2023-03-13T18:08:06","lrDate": "2023-03-13T18:08:06","description": "手指甲发白可能是贫血、甲真菌病、肝病等因素所引起。","data": {"WebPage": {"headline": "手指甲发白图片","pcUrl": "https://www.med-credit.org.cn/jingxuan/2/db403e0bba997db1ca29779c6916b5c9.html","wapUrl": "https://www.med-credit.org.cn/jingxuan/2/db403e0bba997db1ca29779c6916b5c9.html","mipUrl": "https://www.med-credit.org.cn/mobile/jingxuan/2/db403e0bba997db1ca29779c6916b5c9.html","fromSrc": "欢乐橙","datePublished": "2023-03-13T18:08:06","domain": "医疗","category": ["医疗权威文章合作"],"description": "手指甲发白可能是贫血、甲真菌病、肝病等因素所引起。
","extra_headline": ["手指甲发白"]},"Author": {"name": "曲乐","wapUrl": "https://www.med-credit.org.cn/doctor/554","pcUrl": "https://www.med-credit.org.cn/doctor/554","jobTitle": "副主任医师","headPortrait": "https://www.med-credit.org.cn/uploadfile/member/554/180x180.jpeg","id": "554","description": "曲乐,副主任医师、医学博士、硕士研究生导师、美容主诊医师、公派留美访问学者。主持国家自然科学基金及省市课题多项,在国内外高水平专业杂志发表中英文论文20余篇,参编英文专著1部。现任辽宁省免疫学会委员。","memberOf": {"legalName": "中国医科大学附属第一医院","department": "皮肤科","organizationLevel": "三级甲等"}},"Article": {"summaryContent": "手指甲发白可能是贫血、甲真菌病、肝病等因素所引起。
若手指甲发白的症状比较明显,建议去医院就诊,明确病因,及时进行治疗。

1、贫血:如果体内存在贫血,使体内的血液不足,就会导致指甲颜色变白,通常为白蜡色,也没有光泽,可能还伴有面色苍白、乏力等症状。

2、甲真菌病:由各种真菌引起的甲板和(或)甲下组织感染的疾病。根据真菌侵犯甲的部位和程度的不同,分为白色浅表型、远端侧位甲下型、近端甲下型、全甲毁损型。白色浅表型表现为甲板浅层有点状或不规则白色浑浊,表面失去光泽或稍有凹凸不平。远端侧位甲下型表现为甲床出现大小不等的片状白斑,逐渐变成灰黄色,继而侵及甲板。近端甲下型多表现为甲半月和甲根部增厚、粗糙、白斑。如果累及全甲,则称为全甲毁损型。
3、肝硬化:肝硬化及肝功能衰竭可使甲床呈浑浊的乳白色,高达82%的肝硬化患者会发生这种甲改变,白甲累及除甲远端1~2mm外的整个甲,称为Terry甲。
除了上述相对常见的原因外,还有其他的可能性疾病,比如寄生虫病。建议患者出现这种症状后,及时去医院就诊,查明病因后,予以针对性治疗。
","articleBody": "手指甲发白可能是贫血、甲真菌病、肝病等因素所引起。
若手指甲发白的症状比较明显,建议去医院就诊,明确病因,及时进行治疗。

1、贫血:如果体内存在贫血,使体内的血液不足,就会导致指甲颜色变白,通常为白蜡色,也没有光泽,可能还伴有面色苍白、乏力等症状。

2、甲真菌病:由各种真菌引起的甲板和(或)甲下组织感染的疾病。根据真菌侵犯甲的部位和程度的不同,分为白色浅表型、远端侧位甲下型、近端甲下型、全甲毁损型。白色浅表型表现为甲板浅层有点状或不规则白色浑浊,表面失去光泽或稍有凹凸不平。远端侧位甲下型表现为甲床出现大小不等的片状白斑,逐渐变成灰黄色,继而侵及甲板。近端甲下型多表现为甲半月和甲根部增厚、粗糙、白斑。如果累及全甲,则称为全甲毁损型。
3、肝硬化:肝硬化及肝功能衰竭可使甲床呈浑浊的乳白色,高达82%的肝硬化患者会发生这种甲改变,白甲累及除甲远端1~2mm外的整个甲,称为Terry甲。
除了上述相对常见的原因外,还有其他的可能性疾病,比如寄生虫病。建议患者出现这种症状后,及时去医院就诊,查明病因后,予以针对性治疗。
","scanCount": 7480}}} {"@context": "https://ziyuan.baidu.com/contexts/cambrian.jsonld","appid": "1650708455561748","icon": "https://www.med-credit.org.cn/style/images/ttlogo.png","content_tag": ["atlas"],"is_mcn": {"thumb_id": "3w128mji2"},"accid": "4886d626a2804dee5f11168793ce361672f39c25","@id": "https://www.med-credit.org.cn/mobile/jingxuan/2/8b28c641c99244ec1ff15644ba03fb1f.html","bagWordId": "c59f12b3375e140f","title": "什么是蜘蛛痣图片","pubDate": "2023-03-13T18:08:06","upDate": "2023-03-13T18:08:06","lrDate": "2023-03-13T18:08:06","description": "蜘蛛痣是指好发于头颈部、上胸部及前臂的血管痣。因其外观形状与蜘蛛脚相似,又被称为蜘蛛痣。","data": {"WebPage": {"headline": "什么是蜘蛛痣图片","pcUrl": "https://www.med-credit.org.cn/jingxuan/2/8b28c641c99244ec1ff15644ba03fb1f.html","wapUrl": "https://www.med-credit.org.cn/jingxuan/2/8b28c641c99244ec1ff15644ba03fb1f.html","mipUrl": "https://www.med-credit.org.cn/mobile/jingxuan/2/8b28c641c99244ec1ff15644ba03fb1f.html","fromSrc": "欢乐橙","datePublished": "2023-03-13T18:08:06","domain": "医疗","category": ["医疗权威文章合作"],"description": "蜘蛛痣是指好发于头颈部、上胸部及前臂的血管痣。因其外观形状与蜘蛛脚相似,又被称为蜘蛛痣。
","extra_headline": [""]},"Author": {"name": "曲乐","wapUrl": "https://www.med-credit.org.cn/doctor/554","pcUrl": "https://www.med-credit.org.cn/doctor/554","jobTitle": "副主任医师","headPortrait": "https://www.med-credit.org.cn/uploadfile/member/554/180x180.jpeg","id": "554","description": "曲乐,副主任医师、医学博士、硕士研究生导师、美容主诊医师、公派留美访问学者。主持国家自然科学基金及省市课题多项,在国内外高水平专业杂志发表中英文论文20余篇,参编英文专著1部。现任辽宁省免疫学会委员。","memberOf": {"legalName": "中国医科大学附属第一医院","department": "皮肤科","organizationLevel": "三级甲等"}},"Article": {"summaryContent": "蜘蛛痣是指好发于头颈部、上胸部及前臂的血管痣。因其外观形状与蜘蛛脚相似,又被称为蜘蛛痣。
蜘蛛痣的发病可能与雌激素水平升高、肝炎、肝硬化、肝癌等因素相关。

1、症状:蜘蛛痣的皮肤损害多为中心略高起的红色小点,向周围有放射状扩张的毛细血管。蜘蛛痣是皮肤小动脉末端分支扩张所形成的血管痣,好发于头项部部、上胸部及前臂。
2、病因:蜘蛛痣的形成与雌激素水平升高有关。人体内的雌激素主要在肝脏进行灭活,当出现肝病,例如肝炎、肝硬化、肝癌等疾病,肝功能受损的时候,体内雌激素灭活减少,导致雌激素水平升高,就会引起小动脉毛细血管扩张。
当出现蜘蛛痣的症状时,则需要引起重视。这可能是慢性肝病或肝功能受损的表现,需要去医院进行进一步的检查与治疗。同时在生活中避免饮酒,减少肝脏损害,定期复查肝功指标。
","articleBody": "蜘蛛痣是指好发于头颈部、上胸部及前臂的血管痣。因其外观形状与蜘蛛脚相似,又被称为蜘蛛痣。
蜘蛛痣的发病可能与雌激素水平升高、肝炎、肝硬化、肝癌等因素相关。

1、症状:蜘蛛痣的皮肤损害多为中心略高起的红色小点,向周围有放射状扩张的毛细血管。蜘蛛痣是皮肤小动脉末端分支扩张所形成的血管痣,好发于头项部部、上胸部及前臂。
2、病因:蜘蛛痣的形成与雌激素水平升高有关。人体内的雌激素主要在肝脏进行灭活,当出现肝病,例如肝炎、肝硬化、肝癌等疾病,肝功能受损的时候,体内雌激素灭活减少,导致雌激素水平升高,就会引起小动脉毛细血管扩张。
当出现蜘蛛痣的症状时,则需要引起重视。这可能是慢性肝病或肝功能受损的表现,需要去医院进行进一步的检查与治疗。同时在生活中避免饮酒,减少肝脏损害,定期复查肝功指标。
","scanCount": 32597}}} {"@context": "https://ziyuan.baidu.com/contexts/cambrian.jsonld","appid": "1650708455561748","icon": "https://www.med-credit.org.cn/style/images/ttlogo.png","content_tag": ["atlas"],"is_mcn": {"thumb_id": "3w128mji2"},"accid": "4886d626a2804dee5f11168793ce361672f39c25","@id": "https://www.med-credit.org.cn/mobile/jingxuan/2/3ab3d5bcdc46f688448fe33dd1b4c7a5.html","bagWordId": "92c1d1b2b6300f0d","title": "眼角癣图片","pubDate": "2023-03-13T18:08:06","upDate": "2023-03-13T18:08:06","lrDate": "2023-03-13T18:08:06","description": "若患者被真菌感染,导致眼角癣常呈红色、成片分布的红斑,伴随眼睑潮红,在其表面可能有银白色的鳞屑、瘢痕或大量脓性分泌物覆盖。若是神经性皮炎所致,常呈苔藓化的红斑,可能会伴有剧烈的瘙痒感或疼痛感。","data": {"WebPage": {"headline": "眼角癣图片","pcUrl": "https://www.med-credit.org.cn/jingxuan/2/3ab3d5bcdc46f688448fe33dd1b4c7a5.html","wapUrl": "https://www.med-credit.org.cn/jingxuan/2/3ab3d5bcdc46f688448fe33dd1b4c7a5.html","mipUrl": "https://www.med-credit.org.cn/mobile/jingxuan/2/3ab3d5bcdc46f688448fe33dd1b4c7a5.html","fromSrc": "欢乐橙","datePublished": "2023-03-13T18:08:06","domain": "医疗","category": ["医疗权威文章合作"],"description": "若患者被真菌感染,导致眼角癣常呈红色、成片分布的红斑,伴随眼睑潮红,在其表面可能有银白色的鳞屑、瘢痕或大量脓性分泌物覆盖。若是神经性皮炎所致,常呈苔藓化的红斑,可能会伴有剧烈的瘙痒感或疼痛感。
","extra_headline": ["眼角癣"]},"Author": {"name": "曲乐","wapUrl": "https://www.med-credit.org.cn/doctor/554","pcUrl": "https://www.med-credit.org.cn/doctor/554","jobTitle": "副主任医师","headPortrait": "https://www.med-credit.org.cn/uploadfile/member/554/180x180.jpeg","id": "554","description": "曲乐,副主任医师、医学博士、硕士研究生导师、美容主诊医师、公派留美访问学者。主持国家自然科学基金及省市课题多项,在国内外高水平专业杂志发表中英文论文20余篇,参编英文专著1部。现任辽宁省免疫学会委员。","memberOf": {"legalName": "中国医科大学附属第一医院","department": "皮肤科","organizationLevel": "三级甲等"}},"Article": {"summaryContent": "若患者被真菌感染,导致眼角癣常呈红色、成片分布的红斑,伴随眼睑潮红,在其表面可能有银白色的鳞屑、瘢痕或大量脓性分泌物覆盖。若是神经性皮炎所致,常呈苔藓化的红斑,可能会伴有剧烈的瘙痒感或疼痛感。
当出现眼角癣时,应及时前往医院就诊,查明病因,一般可在医生指导下选择药物治疗。在治疗期间需注意局部清洁。

1、真菌感染:若患者被真菌感染,导致皮肤黏膜的血管通透性下降,局部组织充血水肿,引起眼角癣,临床上眼角癣常呈红色、成片分布的红斑,眼睑潮红,在其表面可能有银白色的鳞屑、瘢痕或大量脓性分泌物覆盖。首先患者应该积极地寻找变应原,然后避免接触被真菌感染的物质。考虑进行抗炎消肿处理,建议在医生的指导下用局部外用抗真菌药物进行改善,临床上常用的有盐酸萘替芬软膏和硝酸咪康唑乳膏等。
2、神经性皮炎:由于工作压力过大、近期情绪波动较大等精神性因素造成皮肤炎症性反应,局部增生引起苔藓化的红斑,导致眼角癣,可能会伴有剧烈的瘙痒感或疼痛感。注意千万不能挠破,容易造成感染和扩散。常考虑给予皮质类固醇激素软膏、凝胶、曲咪新乳膏、水杨酸软膏等药物消炎治疗。必要时可以涂抹少量糖皮质激素软膏。
患者在治疗期间要注意局部的清洁和卫生,避免辛辣和刺激性的食物。
","articleBody": "若患者被真菌感染,导致眼角癣常呈红色、成片分布的红斑,伴随眼睑潮红,在其表面可能有银白色的鳞屑、瘢痕或大量脓性分泌物覆盖。若是神经性皮炎所致,常呈苔藓化的红斑,可能会伴有剧烈的瘙痒感或疼痛感。
当出现眼角癣时,应及时前往医院就诊,查明病因,一般可在医生指导下选择药物治疗。在治疗期间需注意局部清洁。

1、真菌感染:若患者被真菌感染,导致皮肤黏膜的血管通透性下降,局部组织充血水肿,引起眼角癣,临床上眼角癣常呈红色、成片分布的红斑,眼睑潮红,在其表面可能有银白色的鳞屑、瘢痕或大量脓性分泌物覆盖。首先患者应该积极地寻找变应原,然后避免接触被真菌感染的物质。考虑进行抗炎消肿处理,建议在医生的指导下用局部外用抗真菌药物进行改善,临床上常用的有盐酸萘替芬软膏和硝酸咪康唑乳膏等。
2、神经性皮炎:由于工作压力过大、近期情绪波动较大等精神性因素造成皮肤炎症性反应,局部增生引起苔藓化的红斑,导致眼角癣,可能会伴有剧烈的瘙痒感或疼痛感。注意千万不能挠破,容易造成感染和扩散。常考虑给予皮质类固醇激素软膏、凝胶、曲咪新乳膏、水杨酸软膏等药物消炎治疗。必要时可以涂抹少量糖皮质激素软膏。
患者在治疗期间要注意局部的清洁和卫生,避免辛辣和刺激性的食物。
","scanCount": 7054}}} {"@context": "https://ziyuan.baidu.com/contexts/cambrian.jsonld","appid": "1650708455561748","icon": "https://www.med-credit.org.cn/style/images/ttlogo.png","content_tag": ["atlas"],"is_mcn": {"thumb_id": "3w128mji2"},"accid": "4886d626a2804dee5f11168793ce361672f39c25","@id": "https://www.med-credit.org.cn/mobile/jingxuan/2/6512fc4694dbe9a7270680468530e95d.html","bagWordId": "1f2cc215bcf497ab","title": "女性腹部有小红点图片","pubDate": "2023-03-13T18:08:06","upDate": "2023-03-13T18:08:06","lrDate": "2023-03-13T18:08:06","description": "女性腹部有小红点可能是湿疹、虫咬反应、过敏性紫癜等所致。","data": {"WebPage": {"headline": "女性腹部有小红点图片","pcUrl": "https://www.med-credit.org.cn/jingxuan/2/6512fc4694dbe9a7270680468530e95d.html","wapUrl": "https://www.med-credit.org.cn/jingxuan/2/6512fc4694dbe9a7270680468530e95d.html","mipUrl": "https://www.med-credit.org.cn/mobile/jingxuan/2/6512fc4694dbe9a7270680468530e95d.html","fromSrc": "欢乐橙","datePublished": "2023-03-13T18:08:06","domain": "医疗","category": ["医疗权威文章合作"],"description": "女性腹部有小红点可能是湿疹、虫咬反应、过敏性紫癜等所致。
","extra_headline": [""]},"Author": {"name": "曲乐","wapUrl": "https://www.med-credit.org.cn/doctor/554","pcUrl": "https://www.med-credit.org.cn/doctor/554","jobTitle": "副主任医师","headPortrait": "https://www.med-credit.org.cn/uploadfile/member/554/180x180.jpeg","id": "554","description": "曲乐,副主任医师、医学博士、硕士研究生导师、美容主诊医师、公派留美访问学者。主持国家自然科学基金及省市课题多项,在国内外高水平专业杂志发表中英文论文20余篇,参编英文专著1部。现任辽宁省免疫学会委员。","memberOf": {"legalName": "中国医科大学附属第一医院","department": "皮肤科","organizationLevel": "三级甲等"}},"Article": {"summaryContent": "女性腹部有小红点可能是湿疹、虫咬反应、过敏性紫癜等所致。
建议患者及时前往医院进行检查,明确病因,选择合适的治疗方案,一般可采用药物治疗的方法。

1、湿疹:湿疹是一种皮肤损伤起疱、瘙痒感极强的皮肤炎症反应。它的病因很复杂:如环境刺激、精神压力、消化系统疾病等。临床上常会产生成片、对称分布的小丘疹或小水疱,还伴随剧烈的瘙痒感。注意千万不能挠破,容易造成感染和扩散。治疗最重要的是注意休息,避免刺激性的食物,调整精神状态。遵医嘱配合药物炉甘石洗剂、凝胶、水杨酸软膏消炎治疗,患者还可以使用保湿润肤剂,用于预防再次感染。

2、虫咬反应:由于患者皮肤较为敏感,被蚊虫叮咬后,诱发虫咬皮炎,炎症刺激腹部皮肤,从而导致腹部出现红色皮疹的现象,并伴有瘙痒等症状。虫咬反应以对症和抗过敏治疗为主。可遵医嘱局部涂擦止痒剂,如炉甘石、清凉油等进行局部对症治疗。瘙痒和皮疹严重者,可口服抗组胺药物。

3、过敏性紫癜:过敏性紫癜属于风湿免疫性疾病,目前医学表明并不明确具体的发病机制,但不是由于对食物或药物等过敏所致,一般是遗传性或感染等因素造成皮肤的小血管收缩,引起出血性皮疹。患者应该积极地寻找过敏源,然后避免接触过敏源。患者应在医生指导下,给予非甾体抗炎药布洛芬缓释片、对乙酰氨基酚胶囊治疗,给予免疫抑制剂如环孢素进行治疗。给予抗过敏药物氯雷他定片治疗。
除了上述相对常见的原因外,还有其他的可能性疾病,比如蜘蛛痣。建议患者出现这种症状后,及时去医院就诊,查明病因后,予以针对性治疗。
","articleBody": "女性腹部有小红点可能是湿疹、虫咬反应、过敏性紫癜等所致。
建议患者及时前往医院进行检查,明确病因,选择合适的治疗方案,一般可采用药物治疗的方法。

1、湿疹:湿疹是一种皮肤损伤起疱、瘙痒感极强的皮肤炎症反应。它的病因很复杂:如环境刺激、精神压力、消化系统疾病等。临床上常会产生成片、对称分布的小丘疹或小水疱,还伴随剧烈的瘙痒感。注意千万不能挠破,容易造成感染和扩散。治疗最重要的是注意休息,避免刺激性的食物,调整精神状态。遵医嘱配合药物炉甘石洗剂、凝胶、水杨酸软膏消炎治疗,患者还可以使用保湿润肤剂,用于预防再次感染。

2、虫咬反应:由于患者皮肤较为敏感,被蚊虫叮咬后,诱发虫咬皮炎,炎症刺激腹部皮肤,从而导致腹部出现红色皮疹的现象,并伴有瘙痒等症状。虫咬反应以对症和抗过敏治疗为主。可遵医嘱局部涂擦止痒剂,如炉甘石、清凉油等进行局部对症治疗。瘙痒和皮疹严重者,可口服抗组胺药物。

3、过敏性紫癜:过敏性紫癜属于风湿免疫性疾病,目前医学表明并不明确具体的发病机制,但不是由于对食物或药物等过敏所致,一般是遗传性或感染等因素造成皮肤的小血管收缩,引起出血性皮疹。患者应该积极地寻找过敏源,然后避免接触过敏源。患者应在医生指导下,给予非甾体抗炎药布洛芬缓释片、对乙酰氨基酚胶囊治疗,给予免疫抑制剂如环孢素进行治疗。给予抗过敏药物氯雷他定片治疗。
除了上述相对常见的原因外,还有其他的可能性疾病,比如蜘蛛痣。建议患者出现这种症状后,及时去医院就诊,查明病因后,予以针对性治疗。
","scanCount": 32590}}} {"@context": "https://ziyuan.baidu.com/contexts/cambrian.jsonld","appid": "1650708455561748","icon": "https://www.med-credit.org.cn/style/images/ttlogo.png","content_tag": ["atlas"],"is_mcn": {"thumb_id": "0jui1zp8"},"accid": "4886d626a2804dee5f11168793ce361672f39c25","@id": "https://www.med-credit.org.cn/mobile/jingxuan/2/34432aa0186cacff429d21a24d71d5e4.html","bagWordId": "1d4262139f65de5a","title": "被电击伤图片","pubDate": "2023-03-13T18:08:06","upDate": "2023-03-13T18:08:06","lrDate": "2023-03-13T18:08:06","description": "被电击伤一般包括被低压电击伤和被高压电击伤,被低压电击伤时,创口一般较小,患处多为椭圆形或圆形的焦黄伤口,而被高压电击伤时,烧伤部位通常焦化。","data": {"WebPage": {"headline": "被电击伤图片","pcUrl": "https://www.med-credit.org.cn/jingxuan/2/34432aa0186cacff429d21a24d71d5e4.html","wapUrl": "https://www.med-credit.org.cn/jingxuan/2/34432aa0186cacff429d21a24d71d5e4.html","mipUrl": "https://www.med-credit.org.cn/mobile/jingxuan/2/34432aa0186cacff429d21a24d71d5e4.html","fromSrc": "欢乐橙","datePublished": "2023-03-13T18:08:06","domain": "医疗","category": ["医疗权威文章合作"],"description": "被电击伤一般包括被低压电击伤和被高压电击伤,被低压电击伤时,创口一般较小,患处多为椭圆形或圆形的焦黄伤口,而被高压电击伤时,烧伤部位通常焦化。
","extra_headline": [""]},"Author": {"name": "陈璐","wapUrl": "https://www.med-credit.org.cn/doctor/494","pcUrl": "https://www.med-credit.org.cn/doctor/494","jobTitle": "主治医师","headPortrait": "https://www.med-credit.org.cn/uploadfile/member/494/180x180.jpeg","id": "494","description": "陈璐,中南大学湘雅医院普外科主治医师。","memberOf": {"legalName": "中南大学湘雅医院","department": "普外科(胃肠外科)","organizationLevel": "三级甲等"}},"Article": {"summaryContent": "被电击伤一般包括被低压电击伤和被高压电击伤,被低压电击伤时,创口一般较小,患处多为椭圆形或圆形的焦黄伤口,而被高压电击伤时,烧伤部位通常焦化。
被电击伤还有可能引起血管栓塞、坏死、胸壁损伤等。

1、被低压电击伤:会出现电流进入点和流出点,创面较小、呈椭圆形或者圆形,患处皮肤焦黄或者灰白、干燥、边缘整齐,和正常皮肤分界清楚,一般不伤及内脏,致残率低。

2、被高压电击伤:会造成电流进出部位皮肤入口灼伤比出口严重,进口和出口可能都不止一处,烧伤部位焦化或碳化。触电肢体因屈肌收缩关节而处于屈曲位。
3、其他损伤:例如引起血管栓塞、坏死;胸壁损伤可以达到肋骨及肋间肌并发气胸;腹壁损伤可导致内脏坏死或空腔脏器坏死,穿孔;触电肌群强直性肌肉收缩可导致骨折或者关节脱位。
被电击伤是比较严重的损伤,出现电击伤的时候,首先要使触电者脱离电源,将触电者移到安全的地方。出现呼吸心跳骤停的时候,需要进行心肺复苏。还需要同时拨打120,及时去医院进一步救治。
","articleBody": "被电击伤一般包括被低压电击伤和被高压电击伤,被低压电击伤时,创口一般较小,患处多为椭圆形或圆形的焦黄伤口,而被高压电击伤时,烧伤部位通常焦化。
被电击伤还有可能引起血管栓塞、坏死、胸壁损伤等。

1、被低压电击伤:会出现电流进入点和流出点,创面较小、呈椭圆形或者圆形,患处皮肤焦黄或者灰白、干燥、边缘整齐,和正常皮肤分界清楚,一般不伤及内脏,致残率低。

2、被高压电击伤:会造成电流进出部位皮肤入口灼伤比出口严重,进口和出口可能都不止一处,烧伤部位焦化或碳化。触电肢体因屈肌收缩关节而处于屈曲位。
3、其他损伤:例如引起血管栓塞、坏死;胸壁损伤可以达到肋骨及肋间肌并发气胸;腹壁损伤可导致内脏坏死或空腔脏器坏死,穿孔;触电肌群强直性肌肉收缩可导致骨折或者关节脱位。
被电击伤是比较严重的损伤,出现电击伤的时候,首先要使触电者脱离电源,将触电者移到安全的地方。出现呼吸心跳骤停的时候,需要进行心肺复苏。还需要同时拨打120,及时去医院进一步救治。
","scanCount": 32580}}} {"@context": "https://ziyuan.baidu.com/contexts/cambrian.jsonld","appid": "1650708455561748","icon": "https://www.med-credit.org.cn/style/images/ttlogo.png","content_tag": ["atlas"],"is_mcn": {"thumb_id": "0jui1zp8"},"accid": "4886d626a2804dee5f11168793ce361672f39c25","@id": "https://www.med-credit.org.cn/mobile/jingxuan/2/056aac4c67db7f7d81d3ae339a3c00b9.html","bagWordId": "757cd788f75a88b4","title": "蒙氏结节图片","pubDate": "2023-03-13T18:08:06","upDate": "2023-03-13T18:08:06","lrDate": "2023-03-13T18:08:06","description": "乳晕周围的皮脂腺肥大,形成散在的结节状突起,一般呈深褐色,我们称为蒙氏结节,常见于女性怀孕后。","data": {"WebPage": {"headline": "蒙氏结节图片","pcUrl": "https://www.med-credit.org.cn/jingxuan/2/056aac4c67db7f7d81d3ae339a3c00b9.html","wapUrl": "https://www.med-credit.org.cn/jingxuan/2/056aac4c67db7f7d81d3ae339a3c00b9.html","mipUrl": "https://www.med-credit.org.cn/mobile/jingxuan/2/056aac4c67db7f7d81d3ae339a3c00b9.html","fromSrc": "欢乐橙","datePublished": "2023-03-13T18:08:06","domain": "医疗","category": ["医疗权威文章合作"],"description": "乳晕周围的皮脂腺肥大,形成散在的结节状突起,一般呈深褐色,我们称为蒙氏结节,常见于女性怀孕后。
","extra_headline": [""]},"Author": {"name": "陈璐","wapUrl": "https://www.med-credit.org.cn/doctor/494","pcUrl": "https://www.med-credit.org.cn/doctor/494","jobTitle": "主治医师","headPortrait": "https://www.med-credit.org.cn/uploadfile/member/494/180x180.jpeg","id": "494","description": "陈璐,中南大学湘雅医院普外科主治医师。","memberOf": {"legalName": "中南大学湘雅医院","department": "普外科(胃肠外科)","organizationLevel": "三级甲等"}},"Article": {"summaryContent": "乳晕周围的皮脂腺肥大,形成散在的结节状突起,一般呈深褐色,我们称为蒙氏结节,常见于女性怀孕后。
蒙氏结节是早期妊娠的症状之一,可以帮助诊断早期妊娠。早期妊娠的表现还包括了停经、早孕反应等。

怀孕之后,母体会发生一系列的变化,包括乳房的变化,其中包括乳房增大,乳头变黑,乳晕颜色加深等,乳晕周围的皮脂腺会变得肥大,形成散在的隆起,我们称为蒙氏结节,一般呈深褐色。
蒙氏腺是乳房内可以分泌乳汁的大皮脂腺,而蒙氏结节就是蒙氏腺的开口位置。女性怀孕后,身体内产生大量的雌激素和孕激素等各种激素,使乳腺发育,为泌乳做准备,这是蒙氏结节出现的原因。
1.停经:健康的育龄期女性,平时月经正常,如果出现推迟十日不来月经,可以考虑是否怀孕。
2.早孕反应:包括畏寒、头晕、乏力、嗜睡、缺乏食欲、喜欢吃酸的、恶心、呕吐等症状,常在怀孕六周左右出现,十二周左右消失。
3.乳房出现变化:表现为乳房胀痛。体积逐渐增大,乳头增大,乳头、乳晕颜色加深,出现蒙氏结节等。
除了上述相对常见的表现外,如果做妇科检查,也会有特殊表现,如阴道充血呈蓝紫色、子宫变大变软等等。
蒙氏结节是女性怀孕后出现的正常现象,是早期妊娠的症状之一,不需过于在意及担心。在分娩后,由于雌孕激素褪去,蒙氏结节会逐渐消失。
","articleBody": "乳晕周围的皮脂腺肥大,形成散在的结节状突起,一般呈深褐色,我们称为蒙氏结节,常见于女性怀孕后。
蒙氏结节是早期妊娠的症状之一,可以帮助诊断早期妊娠。早期妊娠的表现还包括了停经、早孕反应等。

怀孕之后,母体会发生一系列的变化,包括乳房的变化,其中包括乳房增大,乳头变黑,乳晕颜色加深等,乳晕周围的皮脂腺会变得肥大,形成散在的隆起,我们称为蒙氏结节,一般呈深褐色。
蒙氏腺是乳房内可以分泌乳汁的大皮脂腺,而蒙氏结节就是蒙氏腺的开口位置。女性怀孕后,身体内产生大量的雌激素和孕激素等各种激素,使乳腺发育,为泌乳做准备,这是蒙氏结节出现的原因。
1.停经:健康的育龄期女性,平时月经正常,如果出现推迟十日不来月经,可以考虑是否怀孕。
2.早孕反应:包括畏寒、头晕、乏力、嗜睡、缺乏食欲、喜欢吃酸的、恶心、呕吐等症状,常在怀孕六周左右出现,十二周左右消失。
3.乳房出现变化:表现为乳房胀痛。体积逐渐增大,乳头增大,乳头、乳晕颜色加深,出现蒙氏结节等。
除了上述相对常见的表现外,如果做妇科检查,也会有特殊表现,如阴道充血呈蓝紫色、子宫变大变软等等。
蒙氏结节是女性怀孕后出现的正常现象,是早期妊娠的症状之一,不需过于在意及担心。在分娩后,由于雌孕激素褪去,蒙氏结节会逐渐消失。
","scanCount": 32577}}} {"@context": "https://ziyuan.baidu.com/contexts/cambrian.jsonld","appid": "1650708455561748","icon": "https://www.med-credit.org.cn/style/images/ttlogo.png","content_tag": ["atlas"],"is_mcn": {"thumb_id": "e4oal99d"},"accid": "4886d626a2804dee5f11168793ce361672f39c25","@id": "https://www.med-credit.org.cn/mobile/jingxuan/2/b5148a10c07312f9fa05551b8bc01525.html","bagWordId": "f452da043e756a3d","title": "泪囊炎图片","pubDate": "2023-03-13T18:08:06","upDate": "2023-03-13T18:08:06","lrDate": "2023-03-13T18:08:06","description": "泪囊炎患者通常会有结膜充血、流泪、泪囊区皮肤发红、疼痛等症状。","data": {"WebPage": {"headline": "泪囊炎图片","pcUrl": "https://www.med-credit.org.cn/jingxuan/2/b5148a10c07312f9fa05551b8bc01525.html","wapUrl": "https://www.med-credit.org.cn/jingxuan/2/b5148a10c07312f9fa05551b8bc01525.html","mipUrl": "https://www.med-credit.org.cn/mobile/jingxuan/2/b5148a10c07312f9fa05551b8bc01525.html","fromSrc": "欢乐橙","datePublished": "2023-03-13T18:08:06","domain": "医疗","category": ["医疗权威文章合作"],"description": "泪囊炎患者通常会有结膜充血、流泪、泪囊区皮肤发红、疼痛等症状。
","extra_headline": [""]},"Author": {"name": "谢洪","wapUrl": "https://www.med-credit.org.cn/doctor/538","pcUrl": "https://www.med-credit.org.cn/doctor/538","jobTitle": "副主任医师","headPortrait": "https://www.med-credit.org.cn/uploadfile/member/538/180x180.jpeg","id": "538","description": "谢洪,首都医科大学附属北京世纪坛医院耳鼻喉头颈外科副主任医师","memberOf": {"legalName": "首都医科大学附属北京世纪坛医院","department": "耳鼻喉头颈外科","organizationLevel": "三级甲等"}},"Article": {"summaryContent": "泪囊炎患者通常会有结膜充血、流泪、泪囊区皮肤发红、疼痛等症状。
泪囊炎可在医生的指导下选择合适的药物进行治疗。

泪囊炎的患者可能会表现为结膜充血、流泪,有时有脓性分泌物。泪囊区的皮肤出现急性炎症的表现,即发红、发烫、肿胀、疼痛,局部压痛也比较明显,炎症也可能扩展到眼睑、鼻根部、面颊部,严重的会引起蜂窝织炎,出现畏寒、发热等全身不舒服的情况。
对于泪囊炎需要早期治疗,炎症早期可以局部热敷,全身给予抗生素如头孢克肟等药物口服治疗。如果发展成了慢性泪囊炎,就会出现溢泪的症状,挤压泪囊还会有脓性分泌物,这时首要的治疗就是恢复泪道通畅,消除泪囊里的细菌感染环境。注意用药需遵医嘱。
","articleBody": "泪囊炎患者通常会有结膜充血、流泪、泪囊区皮肤发红、疼痛等症状。
泪囊炎可在医生的指导下选择合适的药物进行治疗。

泪囊炎的患者可能会表现为结膜充血、流泪,有时有脓性分泌物。泪囊区的皮肤出现急性炎症的表现,即发红、发烫、肿胀、疼痛,局部压痛也比较明显,炎症也可能扩展到眼睑、鼻根部、面颊部,严重的会引起蜂窝织炎,出现畏寒、发热等全身不舒服的情况。
对于泪囊炎需要早期治疗,炎症早期可以局部热敷,全身给予抗生素如头孢克肟等药物口服治疗。如果发展成了慢性泪囊炎,就会出现溢泪的症状,挤压泪囊还会有脓性分泌物,这时首要的治疗就是恢复泪道通畅,消除泪囊里的细菌感染环境。注意用药需遵医嘱。
","scanCount": 32574}}} {"@context": "https://ziyuan.baidu.com/contexts/cambrian.jsonld","appid": "1650708455561748","icon": "https://www.med-credit.org.cn/style/images/ttlogo.png","content_tag": ["atlas"],"is_mcn": {"thumb_id": "e4oal99d"},"accid": "4886d626a2804dee5f11168793ce361672f39c25","@id": "https://www.med-credit.org.cn/mobile/jingxuan/2/c5c7fa104e7a3d0a2e34739fb4dd2aa6.html","bagWordId": "1a3a8f1110b47cc1","title": "手术全麻喉咙插管图片","pubDate": "2023-03-13T18:08:06","upDate": "2023-03-13T18:08:06","lrDate": "2023-03-13T18:08:06","description": "手术全麻喉咙插管,一般由医生左手持喉镜柄将喉镜放入口腔,当导管接近喉头时再将管端移至喉镜片处,将导管尖端插入声门,拔出管芯。","data": {"WebPage": {"headline": "手术全麻喉咙插管图片","pcUrl": "https://www.med-credit.org.cn/jingxuan/2/c5c7fa104e7a3d0a2e34739fb4dd2aa6.html","wapUrl": "https://www.med-credit.org.cn/jingxuan/2/c5c7fa104e7a3d0a2e34739fb4dd2aa6.html","mipUrl": "https://www.med-credit.org.cn/mobile/jingxuan/2/c5c7fa104e7a3d0a2e34739fb4dd2aa6.html","fromSrc": "欢乐橙","datePublished": "2023-03-13T18:08:06","domain": "医疗","category": ["医疗权威文章合作"],"description": "手术全麻喉咙插管,一般由医生左手持喉镜柄将喉镜放入口腔,当导管接近喉头时再将管端移至喉镜片处,将导管尖端插入声门,拔出管芯。
","extra_headline": [""]},"Author": {"name": "谢洪","wapUrl": "https://www.med-credit.org.cn/doctor/538","pcUrl": "https://www.med-credit.org.cn/doctor/538","jobTitle": "副主任医师","headPortrait": "https://www.med-credit.org.cn/uploadfile/member/538/180x180.jpeg","id": "538","description": "谢洪,首都医科大学附属北京世纪坛医院耳鼻喉头颈外科副主任医师","memberOf": {"legalName": "首都医科大学附属北京世纪坛医院","department": "耳鼻喉头颈外科","organizationLevel": "三级甲等"}},"Article": {"summaryContent": "手术全麻喉咙插管,一般由医生左手持喉镜柄将喉镜放入口腔,当导管接近喉头时再将管端移至喉镜片处,将导管尖端插入声门,拔出管芯。
手术全麻喉咙插管为一次性使用气管插管,用医用PVC材料制成,有三种类型,分别为加强型,可声门下吸引加强型,带光棒型。

手术全麻喉咙插管时,一般在摆正位置后,左手持喉镜柄将喉镜由右放入口腔,将舌体推向侧后缓慢推进,可见到悬雍垂。将镜片垂直提起前进,直到会厌显露。挑起会厌以显露声门。以右手拇指、食指及中指如持笔式持住导管的中、上段,尖端在下,由右进入口腔,直到导管接近喉头时再将管端移至喉镜片处,将导管尖端插入声门,拔出管芯。并借助注射器通过充气管将气囊充满空气,固定气管,导管插入气管内的深度成人为4~5cm,导管尖端至门齿的距离约18~22cm。
1.加强型:加强型为一条导管,下端为尖端,上端为接头,尖端旁有固定气囊,接头端侧端有充气管,导管内嵌螺旋导丝。
2.可声门下吸引加强型:可声门下吸引加强型则在加强型的基础上带有吸痰孔在声门下气囊上方,连接管壁内吸痰腔,可对气囊上方分泌物进行吸引,防止呼吸机相关性肺病的发生。
3.带光棒型:带光棒型则在声门下吸引加强型的基础上附带一次性使用光棒,加大一次性插管成功率,解决困难气道的难题。
1、保持呼吸道通畅,便于清除气管支气管内分泌物。
2、便于实施辅助呼吸和人工呼吸。
3、可以减少呼吸衰竭的病人呼吸道无效腔,便于给氧吸入和辅助呼吸。
","articleBody": "手术全麻喉咙插管,一般由医生左手持喉镜柄将喉镜放入口腔,当导管接近喉头时再将管端移至喉镜片处,将导管尖端插入声门,拔出管芯。
手术全麻喉咙插管为一次性使用气管插管,用医用PVC材料制成,有三种类型,分别为加强型,可声门下吸引加强型,带光棒型。

手术全麻喉咙插管时,一般在摆正位置后,左手持喉镜柄将喉镜由右放入口腔,将舌体推向侧后缓慢推进,可见到悬雍垂。将镜片垂直提起前进,直到会厌显露。挑起会厌以显露声门。以右手拇指、食指及中指如持笔式持住导管的中、上段,尖端在下,由右进入口腔,直到导管接近喉头时再将管端移至喉镜片处,将导管尖端插入声门,拔出管芯。并借助注射器通过充气管将气囊充满空气,固定气管,导管插入气管内的深度成人为4~5cm,导管尖端至门齿的距离约18~22cm。
1.加强型:加强型为一条导管,下端为尖端,上端为接头,尖端旁有固定气囊,接头端侧端有充气管,导管内嵌螺旋导丝。
2.可声门下吸引加强型:可声门下吸引加强型则在加强型的基础上带有吸痰孔在声门下气囊上方,连接管壁内吸痰腔,可对气囊上方分泌物进行吸引,防止呼吸机相关性肺病的发生。
3.带光棒型:带光棒型则在声门下吸引加强型的基础上附带一次性使用光棒,加大一次性插管成功率,解决困难气道的难题。
1、保持呼吸道通畅,便于清除气管支气管内分泌物。
2、便于实施辅助呼吸和人工呼吸。
3、可以减少呼吸衰竭的病人呼吸道无效腔,便于给氧吸入和辅助呼吸。
","scanCount": 32571}}} {"@context": "https://ziyuan.baidu.com/contexts/cambrian.jsonld","appid": "1650708455561748","icon": "https://www.med-credit.org.cn/style/images/ttlogo.png","content_tag": ["atlas"],"is_mcn": {"thumb_id": "e4oal99d"},"accid": "4886d626a2804dee5f11168793ce361672f39c25","@id": "https://www.med-credit.org.cn/mobile/jingxuan/2/913236e10e8fc246b746ffc557678b68.html","bagWordId": "ea7aa8c828a5f65d","title": "中耳炎图片","pubDate": "2023-03-13T18:08:06","upDate": "2023-03-13T18:08:06","lrDate": "2023-03-13T18:08:06","description": "中耳炎的主要临床表现包括耳痛、流脓、鼓膜穿孔、听力下降等。","data": {"WebPage": {"headline": "中耳炎图片","pcUrl": "https://www.med-credit.org.cn/jingxuan/2/913236e10e8fc246b746ffc557678b68.html","wapUrl": "https://www.med-credit.org.cn/jingxuan/2/913236e10e8fc246b746ffc557678b68.html","mipUrl": "https://www.med-credit.org.cn/mobile/jingxuan/2/913236e10e8fc246b746ffc557678b68.html","fromSrc": "欢乐橙","datePublished": "2023-03-13T18:08:06","domain": "医疗","category": ["医疗权威文章合作"],"description": "中耳炎的主要临床表现包括耳痛、流脓、鼓膜穿孔、听力下降等。
","extra_headline": ["中耳炎"]},"Author": {"name": "谢洪","wapUrl": "https://www.med-credit.org.cn/doctor/538","pcUrl": "https://www.med-credit.org.cn/doctor/538","jobTitle": "副主任医师","headPortrait": "https://www.med-credit.org.cn/uploadfile/member/538/180x180.jpeg","id": "538","description": "谢洪,首都医科大学附属北京世纪坛医院耳鼻喉头颈外科副主任医师","memberOf": {"legalName": "首都医科大学附属北京世纪坛医院","department": "耳鼻喉头颈外科","organizationLevel": "三级甲等"}},"Article": {"summaryContent": "中耳炎的主要临床表现包括耳痛、流脓、鼓膜穿孔、听力下降等。
中耳炎主要包括了化脓性中耳炎、非化脓性中耳炎、分泌性中耳炎,一般遵医嘱使用药物治疗,必要时可选择手术治疗。

1、化脓性中耳炎:一般是由化脓性细菌感染导致,又分为急性化脓性中耳炎和慢性化脓性中耳炎。急性的症状主要是耳痛、流脓;慢性的症状主要是耳内间断或持续性流脓、鼓膜穿孔、听力下降。
2、非化脓性中耳炎:一般的症状是听力下降、耳鸣、耳内有闷胀感。此种疾病大多发生于感冒之后、乘飞机下降或者潜水时。

3、分泌性中耳炎:当上呼吸道感染反复发作时,会影响咽鼓管的开放功能,导致中耳积液、黏稠分泌物等排出困难,从而使积液(如浆液、黏液)等聚集于鼓室或乳突腔,堵塞中耳部位。
1、化脓性中耳炎:若鼓膜未发生穿孔,可遵医嘱应用局部药物滴耳,比如苯酚甘油滴耳,消炎止痛。鼓膜穿孔后则禁用。如果症状较重,保守治疗效果不明显,鼓膜穿孔引流不畅等,则行鼓膜切开术,引流中耳脓液。
若鼓膜出现穿孔,可用过氧化氢溶液洗耳,再用氧氟沙星耳浴,待流脓停止后,鼓膜穿孔不愈合者,行鼓室成形术。
2、非化脓性中耳炎:首先应当针对耳痛症状进行对症治疗,通过局部使用滴耳剂缓解疼痛,或者口服解热镇痛药,减轻耳痛。如果考虑细菌感染,则酌情应用抗生素。
3、分泌性中耳炎:应尽早清除中耳积液。早期可以通过恢复咽鼓管功能加强中耳引流,从而利于积液排除或局部吸收。如保守治疗效果不理想,可通过鼓膜穿刺、鼓膜切开置管等方式清除中耳积液。同时积极实施全身性的治疗,选用红霉素、头孢呋辛等抗生素口服或静滴。
","articleBody": "中耳炎的主要临床表现包括耳痛、流脓、鼓膜穿孔、听力下降等。
中耳炎主要包括了化脓性中耳炎、非化脓性中耳炎、分泌性中耳炎,一般遵医嘱使用药物治疗,必要时可选择手术治疗。

1、化脓性中耳炎:一般是由化脓性细菌感染导致,又分为急性化脓性中耳炎和慢性化脓性中耳炎。急性的症状主要是耳痛、流脓;慢性的症状主要是耳内间断或持续性流脓、鼓膜穿孔、听力下降。
2、非化脓性中耳炎:一般的症状是听力下降、耳鸣、耳内有闷胀感。此种疾病大多发生于感冒之后、乘飞机下降或者潜水时。

3、分泌性中耳炎:当上呼吸道感染反复发作时,会影响咽鼓管的开放功能,导致中耳积液、黏稠分泌物等排出困难,从而使积液(如浆液、黏液)等聚集于鼓室或乳突腔,堵塞中耳部位。
1、化脓性中耳炎:若鼓膜未发生穿孔,可遵医嘱应用局部药物滴耳,比如苯酚甘油滴耳,消炎止痛。鼓膜穿孔后则禁用。如果症状较重,保守治疗效果不明显,鼓膜穿孔引流不畅等,则行鼓膜切开术,引流中耳脓液。
若鼓膜出现穿孔,可用过氧化氢溶液洗耳,再用氧氟沙星耳浴,待流脓停止后,鼓膜穿孔不愈合者,行鼓室成形术。
2、非化脓性中耳炎:首先应当针对耳痛症状进行对症治疗,通过局部使用滴耳剂缓解疼痛,或者口服解热镇痛药,减轻耳痛。如果考虑细菌感染,则酌情应用抗生素。
3、分泌性中耳炎:应尽早清除中耳积液。早期可以通过恢复咽鼓管功能加强中耳引流,从而利于积液排除或局部吸收。如保守治疗效果不理想,可通过鼓膜穿刺、鼓膜切开置管等方式清除中耳积液。同时积极实施全身性的治疗,选用红霉素、头孢呋辛等抗生素口服或静滴。
","scanCount": 7761}}} {"@context": "https://ziyuan.baidu.com/contexts/cambrian.jsonld","appid": "1650708455561748","icon": "https://www.med-credit.org.cn/style/images/ttlogo.png","content_tag": ["atlas"],"is_mcn": {"thumb_id": "e4oal99d"},"accid": "4886d626a2804dee5f11168793ce361672f39c25","@id": "https://www.med-credit.org.cn/mobile/jingxuan/2/a90dd31cd05aece6efe395193287241e.html","bagWordId": "0965694a2a37abf3","title": "咽后壁位置图片","pubDate": "2023-03-13T18:08:06","upDate": "2023-03-13T18:08:06","lrDate": "2023-03-13T18:08:06","description": "咽后壁位于口咽、咽腭弓之间,压舌板轻压舌体中部,就可以暴露咽后壁。","data": {"WebPage": {"headline": "咽后壁位置图片","pcUrl": "https://www.med-credit.org.cn/jingxuan/2/a90dd31cd05aece6efe395193287241e.html","wapUrl": "https://www.med-credit.org.cn/jingxuan/2/a90dd31cd05aece6efe395193287241e.html","mipUrl": "https://www.med-credit.org.cn/mobile/jingxuan/2/a90dd31cd05aece6efe395193287241e.html","fromSrc": "欢乐橙","datePublished": "2023-03-13T18:08:06","domain": "医疗","category": ["医疗权威文章合作"],"description": "咽后壁位于口咽、咽腭弓之间,压舌板轻压舌体中部,就可以暴露咽后壁。
","extra_headline": [""]},"Author": {"name": "谢洪","wapUrl": "https://www.med-credit.org.cn/doctor/538","pcUrl": "https://www.med-credit.org.cn/doctor/538","jobTitle": "副主任医师","headPortrait": "https://www.med-credit.org.cn/uploadfile/member/538/180x180.jpeg","id": "538","description": "谢洪,首都医科大学附属北京世纪坛医院耳鼻喉头颈外科副主任医师","memberOf": {"legalName": "首都医科大学附属北京世纪坛医院","department": "耳鼻喉头颈外科","organizationLevel": "三级甲等"}},"Article": {"summaryContent": "咽后壁位于口咽、咽腭弓之间,压舌板轻压舌体中部,就可以暴露咽后壁。
当咽后壁受到炎症感染从而导致淋巴滤泡增生时,可遵医嘱使用抗生素治疗,必要时可选择微波或者电凝烧灼。

咽后壁一般位于口咽、咽腭弓之间,咽后壁的上缘是软腭游离缘,下缘至舌背两侧,每侧咽腭弓的后方有纵行条索状淋巴组织,名咽侧索。咽侧索位于咽后壁的两侧,一般咽后壁容易暴露。咽后壁自内向外分为四层即黏膜层、纤维层、肌肉层和外膜层。
当咽后壁受到炎症、不良气体的刺激,可出现充血肿胀以及淋巴滤泡增生,大小不一,呈圆形或者椭圆形,炎症时可出现脓点,引起咽部的疼痛、发热等。可遵医嘱给予抗生素治疗,同时可给予微波或者电凝烧灼,但不宜烧灼过大,以免引起干燥性咽炎。
建议平时要注意增强幼儿抵抗力,特别是体质弱的婴幼儿,预防感冒和其他急性传染病,积极治疗鼻部及咽部疾病,预防发生咽后壁脓肿。
","articleBody": "咽后壁位于口咽、咽腭弓之间,压舌板轻压舌体中部,就可以暴露咽后壁。
当咽后壁受到炎症感染从而导致淋巴滤泡增生时,可遵医嘱使用抗生素治疗,必要时可选择微波或者电凝烧灼。

咽后壁一般位于口咽、咽腭弓之间,咽后壁的上缘是软腭游离缘,下缘至舌背两侧,每侧咽腭弓的后方有纵行条索状淋巴组织,名咽侧索。咽侧索位于咽后壁的两侧,一般咽后壁容易暴露。咽后壁自内向外分为四层即黏膜层、纤维层、肌肉层和外膜层。
当咽后壁受到炎症、不良气体的刺激,可出现充血肿胀以及淋巴滤泡增生,大小不一,呈圆形或者椭圆形,炎症时可出现脓点,引起咽部的疼痛、发热等。可遵医嘱给予抗生素治疗,同时可给予微波或者电凝烧灼,但不宜烧灼过大,以免引起干燥性咽炎。
建议平时要注意增强幼儿抵抗力,特别是体质弱的婴幼儿,预防感冒和其他急性传染病,积极治疗鼻部及咽部疾病,预防发生咽后壁脓肿。
","scanCount": 32566}}} {"@context": "https://ziyuan.baidu.com/contexts/cambrian.jsonld","appid": "1650708455561748","icon": "https://www.med-credit.org.cn/style/images/ttlogo.png","content_tag": ["atlas"],"is_mcn": {"thumb_id": "e4oal99d"},"accid": "4886d626a2804dee5f11168793ce361672f39c25","@id": "https://www.med-credit.org.cn/mobile/jingxuan/2/b729037006f7db78ce339442048b217c.html","bagWordId": "5ea1b7afe0dd422c","title": "正常鼻孔里面清晰图片","pubDate": "2023-03-13T18:08:06","upDate": "2023-03-13T18:08:06","lrDate": "2023-03-13T18:08:06","description": "正常鼻孔里有两部分,分别是鼻前庭和固有鼻腔。","data": {"WebPage": {"headline": "正常鼻孔里面清晰图片","pcUrl": "https://www.med-credit.org.cn/jingxuan/2/b729037006f7db78ce339442048b217c.html","wapUrl": "https://www.med-credit.org.cn/jingxuan/2/b729037006f7db78ce339442048b217c.html","mipUrl": "https://www.med-credit.org.cn/mobile/jingxuan/2/b729037006f7db78ce339442048b217c.html","fromSrc": "欢乐橙","datePublished": "2023-03-13T18:08:06","domain": "医疗","category": ["医疗权威文章合作"],"description": "正常鼻孔里有两部分,分别是鼻前庭和固有鼻腔。
","extra_headline": ["正常鼻孔里面清晰"]},"Author": {"name": "谢洪","wapUrl": "https://www.med-credit.org.cn/doctor/538","pcUrl": "https://www.med-credit.org.cn/doctor/538","jobTitle": "副主任医师","headPortrait": "https://www.med-credit.org.cn/uploadfile/member/538/180x180.jpeg","id": "538","description": "谢洪,首都医科大学附属北京世纪坛医院耳鼻喉头颈外科副主任医师","memberOf": {"legalName": "首都医科大学附属北京世纪坛医院","department": "耳鼻喉头颈外科","organizationLevel": "三级甲等"}},"Article": {"summaryContent": "正常鼻孔里有两部分,分别是鼻前庭和固有鼻腔。
肉眼可见的部分有鼻前庭、鼻中隔和双侧下鼻甲。

鼻腔被鼻中隔分为左右两侧。每侧鼻腔又分为鼻前庭和固有鼻腔。鼻前庭即长鼻毛的位置,是鼻腔前下部较为阔大的部分,向外始于鼻翼缘,向内止于鼻腔黏膜。鼻毛有过滤尘埃和净化空气的功能。皮下有丰富的皮脂腺和汗腺,是疖肿好发部位。
固有鼻腔是指鼻前庭以后的部分。外侧壁上有三个突出的长条骨片外覆黏膜,称鼻甲。鼻甲由上而下依次为上、中、下鼻甲,其下方的间隙分别为上、中、下鼻道。鼻中隔前下部有丰富的血管,约90%的鼻出血发生于此。鼻腔周围有四组八个鼻窦,即上颌窦、筛窦、额窦和蝶窦。
鼻子是呼吸道的门户,常常容易受外界的刺激而致病。一旦患上鼻病,不要觉得鼻病是小毛病而不重视,也不要滥用药物,一定要在专科医生的指导下治疗。
","articleBody": "正常鼻孔里有两部分,分别是鼻前庭和固有鼻腔。
肉眼可见的部分有鼻前庭、鼻中隔和双侧下鼻甲。

鼻腔被鼻中隔分为左右两侧。每侧鼻腔又分为鼻前庭和固有鼻腔。鼻前庭即长鼻毛的位置,是鼻腔前下部较为阔大的部分,向外始于鼻翼缘,向内止于鼻腔黏膜。鼻毛有过滤尘埃和净化空气的功能。皮下有丰富的皮脂腺和汗腺,是疖肿好发部位。
固有鼻腔是指鼻前庭以后的部分。外侧壁上有三个突出的长条骨片外覆黏膜,称鼻甲。鼻甲由上而下依次为上、中、下鼻甲,其下方的间隙分别为上、中、下鼻道。鼻中隔前下部有丰富的血管,约90%的鼻出血发生于此。鼻腔周围有四组八个鼻窦,即上颌窦、筛窦、额窦和蝶窦。
鼻子是呼吸道的门户,常常容易受外界的刺激而致病。一旦患上鼻病,不要觉得鼻病是小毛病而不重视,也不要滥用药物,一定要在专科医生的指导下治疗。
","scanCount": 6301}}} {"@context": "https://ziyuan.baidu.com/contexts/cambrian.jsonld","appid": "1650708455561748","icon": "https://www.med-credit.org.cn/style/images/ttlogo.png","content_tag": ["atlas"],"is_mcn": {"thumb_id": "e4oal99d"},"accid": "4886d626a2804dee5f11168793ce361672f39c25","@id": "https://www.med-credit.org.cn/mobile/jingxuan/2/af9eb96025c3bb47c600f7aa246df2ae.html","bagWordId": "d389585b72215373","title": "耳根在哪个位置图片","pubDate": "2023-03-13T18:08:06","upDate": "2023-03-13T18:08:06","lrDate": "2023-03-13T18:08:06","description": "一般耳根是指耳垂与面部交界的地方,也就是耳部垂直而下的尽头就叫耳根。耳垂最下面靠近脸的地方应该考虑是耳根的部位。","data": {"WebPage": {"headline": "耳根在哪个位置图片","pcUrl": "https://www.med-credit.org.cn/jingxuan/2/af9eb96025c3bb47c600f7aa246df2ae.html","wapUrl": "https://www.med-credit.org.cn/jingxuan/2/af9eb96025c3bb47c600f7aa246df2ae.html","mipUrl": "https://www.med-credit.org.cn/mobile/jingxuan/2/af9eb96025c3bb47c600f7aa246df2ae.html","fromSrc": "欢乐橙","datePublished": "2023-03-13T18:08:06","domain": "医疗","category": ["医疗权威文章合作"],"description": "一般耳根是指耳垂与面部交界的地方,也就是耳部垂直而下的尽头就叫耳根。耳垂最下面靠近脸的地方应该考虑是耳根的部位。
","extra_headline": [""]},"Author": {"name": "谢洪","wapUrl": "https://www.med-credit.org.cn/doctor/538","pcUrl": "https://www.med-credit.org.cn/doctor/538","jobTitle": "副主任医师","headPortrait": "https://www.med-credit.org.cn/uploadfile/member/538/180x180.jpeg","id": "538","description": "谢洪,首都医科大学附属北京世纪坛医院耳鼻喉头颈外科副主任医师","memberOf": {"legalName": "首都医科大学附属北京世纪坛医院","department": "耳鼻喉头颈外科","organizationLevel": "三级甲等"}},"Article": {"summaryContent": "一般耳根是指耳垂与面部交界的地方,也就是耳部垂直而下的尽头就叫耳根。耳垂最下面靠近脸的地方应该考虑是耳根的部位。

耳根位于耳朵与头颅相接触的部位,为一弧形的接触部位,起到耳朵与头部固定的作用,耳根处皮肤比较松弛,其周围的皮肤通常被用作头面部植皮,且颜色较为一致。
人们的耳根部有时候会出现疼痛,这可能是因为耳廓存在感染。如果本身就有慢性中耳炎的人耳根疼痛则有可能说明出现了恶化,要特别注意。另外由于人们越来越不注意颈椎,导致患颈椎疾病的人也越来越多,耳根疼痛也可能暗示颈椎出现了问题,要及时就医检查。
耳是人体很重要的一个器官,耳根部疼痛是很常见的,它往往意味着身体邻近部位出现了相应的炎症或者其他疾病,要及时引起注意并就医治疗。
","articleBody": "一般耳根是指耳垂与面部交界的地方,也就是耳部垂直而下的尽头就叫耳根。耳垂最下面靠近脸的地方应该考虑是耳根的部位。

耳根位于耳朵与头颅相接触的部位,为一弧形的接触部位,起到耳朵与头部固定的作用,耳根处皮肤比较松弛,其周围的皮肤通常被用作头面部植皮,且颜色较为一致。
人们的耳根部有时候会出现疼痛,这可能是因为耳廓存在感染。如果本身就有慢性中耳炎的人耳根疼痛则有可能说明出现了恶化,要特别注意。另外由于人们越来越不注意颈椎,导致患颈椎疾病的人也越来越多,耳根疼痛也可能暗示颈椎出现了问题,要及时就医检查。
耳是人体很重要的一个器官,耳根部疼痛是很常见的,它往往意味着身体邻近部位出现了相应的炎症或者其他疾病,要及时引起注意并就医治疗。
","scanCount": 32563}}} {"@context": "https://ziyuan.baidu.com/contexts/cambrian.jsonld","appid": "1650708455561748","icon": "https://www.med-credit.org.cn/style/images/ttlogo.png","content_tag": ["atlas"],"is_mcn": {"thumb_id": "e4oal99d"},"accid": "4886d626a2804dee5f11168793ce361672f39c25","@id": "https://www.med-credit.org.cn/mobile/jingxuan/2/d76a702a3c743bc00e0d5d4f3aaf6963.html","bagWordId": "5870c726f82c54ce","title": "鼻子内部结构图","pubDate": "2023-03-13T18:08:06","upDate": "2023-03-13T18:08:06","lrDate": "2023-03-13T18:08:06","description": "鼻腔被鼻中隔分为左右两侧。每侧鼻腔又分为鼻前庭和固有鼻腔。当鼻内部不适,如出现鼻塞、流涕以及其他异常症状,长时间未好转需及时前往医院就诊治疗。","data": {"WebPage": {"headline": "鼻子内部结构图","pcUrl": "https://www.med-credit.org.cn/jingxuan/2/d76a702a3c743bc00e0d5d4f3aaf6963.html","wapUrl": "https://www.med-credit.org.cn/jingxuan/2/d76a702a3c743bc00e0d5d4f3aaf6963.html","mipUrl": "https://www.med-credit.org.cn/mobile/jingxuan/2/d76a702a3c743bc00e0d5d4f3aaf6963.html","fromSrc": "欢乐橙","datePublished": "2023-03-13T18:08:06","domain": "医疗","category": ["医疗权威文章合作"],"description": "鼻腔被鼻中隔分为左右两侧。每侧鼻腔又分为鼻前庭和固有鼻腔。当鼻内部不适,如出现鼻塞、流涕以及其他异常症状,长时间未好转需及时前往医院就诊治疗。
","extra_headline": [""]},"Author": {"name": "谢洪","wapUrl": "https://www.med-credit.org.cn/doctor/538","pcUrl": "https://www.med-credit.org.cn/doctor/538","jobTitle": "副主任医师","headPortrait": "https://www.med-credit.org.cn/uploadfile/member/538/180x180.jpeg","id": "538","description": "谢洪,首都医科大学附属北京世纪坛医院耳鼻喉头颈外科副主任医师","memberOf": {"legalName": "首都医科大学附属北京世纪坛医院","department": "耳鼻喉头颈外科","organizationLevel": "三级甲等"}},"Article": {"summaryContent": "鼻腔被鼻中隔分为左右两侧。每侧鼻腔又分为鼻前庭和固有鼻腔。当鼻内部不适,如出现鼻塞、流涕以及其他异常症状,长时间未好转需及时前往医院就诊治疗。

1、鼻前庭:鼻前庭即长鼻毛的位置,是鼻腔前下部较为阔大的部分,向外始于鼻翼缘,向内止于鼻腔黏膜。生有粗硬的鼻毛,鼻毛有过滤尘埃和净化空气的功能。皮下有丰富的皮脂腺和汗腺,是疖肿好发部位。
2、固有鼻腔:固有鼻腔是指鼻前庭以后的部分。外侧壁上有三个突出的长条骨片外覆黏膜,称鼻甲。鼻甲由上而下依次为上鼻甲、中鼻甲和下鼻甲,其下方的间隙分别为上鼻道、中鼻道和下鼻道。鼻中隔前下部有丰富的血管,约90%的鼻出血发生于此。
鼻子是人体呼吸系统的第一道防线,当出现了鼻子不通气或者鼻炎,应该及时到耳鼻喉科就诊。
","articleBody": "鼻腔被鼻中隔分为左右两侧。每侧鼻腔又分为鼻前庭和固有鼻腔。当鼻内部不适,如出现鼻塞、流涕以及其他异常症状,长时间未好转需及时前往医院就诊治疗。

1、鼻前庭:鼻前庭即长鼻毛的位置,是鼻腔前下部较为阔大的部分,向外始于鼻翼缘,向内止于鼻腔黏膜。生有粗硬的鼻毛,鼻毛有过滤尘埃和净化空气的功能。皮下有丰富的皮脂腺和汗腺,是疖肿好发部位。
2、固有鼻腔:固有鼻腔是指鼻前庭以后的部分。外侧壁上有三个突出的长条骨片外覆黏膜,称鼻甲。鼻甲由上而下依次为上鼻甲、中鼻甲和下鼻甲,其下方的间隙分别为上鼻道、中鼻道和下鼻道。鼻中隔前下部有丰富的血管,约90%的鼻出血发生于此。
鼻子是人体呼吸系统的第一道防线,当出现了鼻子不通气或者鼻炎,应该及时到耳鼻喉科就诊。
","scanCount": 32561}}} {"@context": "https://ziyuan.baidu.com/contexts/cambrian.jsonld","appid": "1650708455561748","icon": "https://www.med-credit.org.cn/style/images/ttlogo.png","content_tag": ["atlas"],"is_mcn": {"thumb_id": "e4oal99d"},"accid": "4886d626a2804dee5f11168793ce361672f39c25","@id": "https://www.med-credit.org.cn/mobile/jingxuan/2/54902cd32d2398128b10a7aa5d4cb9b1.html","bagWordId": "b52404a6be4feda1","title": "正常鼻子和鼻炎图片","pubDate": "2023-03-13T18:08:06","upDate": "2023-03-13T18:08:06","lrDate": "2023-03-13T18:08:06","description": "正常鼻子和鼻炎的区别是鼻黏膜的改变和鼻部症状,鼻炎时鼻黏膜会出现病理性变化,伴随流涕、打喷嚏、鼻塞等症状。","data": {"WebPage": {"headline": "正常鼻子和鼻炎图片","pcUrl": "https://www.med-credit.org.cn/jingxuan/2/54902cd32d2398128b10a7aa5d4cb9b1.html","wapUrl": "https://www.med-credit.org.cn/jingxuan/2/54902cd32d2398128b10a7aa5d4cb9b1.html","mipUrl": "https://www.med-credit.org.cn/mobile/jingxuan/2/54902cd32d2398128b10a7aa5d4cb9b1.html","fromSrc": "欢乐橙","datePublished": "2023-03-13T18:08:06","domain": "医疗","category": ["医疗权威文章合作"],"description": "正常鼻子和鼻炎的区别是鼻黏膜的改变和鼻部症状,鼻炎时鼻黏膜会出现病理性变化,伴随流涕、打喷嚏、鼻塞等症状。
","extra_headline": ["正常鼻子和鼻炎"]},"Author": {"name": "谢洪","wapUrl": "https://www.med-credit.org.cn/doctor/538","pcUrl": "https://www.med-credit.org.cn/doctor/538","jobTitle": "副主任医师","headPortrait": "https://www.med-credit.org.cn/uploadfile/member/538/180x180.jpeg","id": "538","description": "谢洪,首都医科大学附属北京世纪坛医院耳鼻喉头颈外科副主任医师","memberOf": {"legalName": "首都医科大学附属北京世纪坛医院","department": "耳鼻喉头颈外科","organizationLevel": "三级甲等"}},"Article": {"summaryContent": "正常鼻子和鼻炎的区别是鼻黏膜的改变和鼻部症状,鼻炎时鼻黏膜会出现病理性变化,伴随流涕、打喷嚏、鼻塞等症状。



正常鼻子鼻腔黏膜光滑,无明显肿胀,呈粉红色,无异常分泌物。鼻炎时鼻腔黏膜会存在不同程度的充血、水肿,颜色发红或苍白,可能出现毛细血管扩张,鼻腔内分泌物增多,合并细菌感染时会出现大量脓性粘稠分泌物。
正常情况下,鼻部不会出现不适症状,能维持正常呼吸通气。鼻炎时患者会出现鼻塞、鼻痒、打喷嚏、流鼻涕(水样或脓涕),鼻充血明显时,会影响夜间睡眠,导致张口呼吸、打鼻鼾等表现。慢性变应性鼻炎时,眼睑下方可呈蓝紫色,为“过敏性黑眼圈”。反复鼻炎发作容易造成鼻腔黏膜破损毛细血管破裂出血。
鼻炎为常见病,日常生活中,注意进行适当体育锻炼,增强体质,避免上呼吸道感染。同时应避免吸烟或吸入二手烟,室内适当通风换气,保持空气清新,减少吸入粉尘,避免接触吸入性过敏原(如花粉、尘螨等),以上措施有助于预防鼻炎。
","articleBody": "正常鼻子和鼻炎的区别是鼻黏膜的改变和鼻部症状,鼻炎时鼻黏膜会出现病理性变化,伴随流涕、打喷嚏、鼻塞等症状。



正常鼻子鼻腔黏膜光滑,无明显肿胀,呈粉红色,无异常分泌物。鼻炎时鼻腔黏膜会存在不同程度的充血、水肿,颜色发红或苍白,可能出现毛细血管扩张,鼻腔内分泌物增多,合并细菌感染时会出现大量脓性粘稠分泌物。
正常情况下,鼻部不会出现不适症状,能维持正常呼吸通气。鼻炎时患者会出现鼻塞、鼻痒、打喷嚏、流鼻涕(水样或脓涕),鼻充血明显时,会影响夜间睡眠,导致张口呼吸、打鼻鼾等表现。慢性变应性鼻炎时,眼睑下方可呈蓝紫色,为“过敏性黑眼圈”。反复鼻炎发作容易造成鼻腔黏膜破损毛细血管破裂出血。
鼻炎为常见病,日常生活中,注意进行适当体育锻炼,增强体质,避免上呼吸道感染。同时应避免吸烟或吸入二手烟,室内适当通风换气,保持空气清新,减少吸入粉尘,避免接触吸入性过敏原(如花粉、尘螨等),以上措施有助于预防鼻炎。
","scanCount": 9663}}} {"@context": "https://ziyuan.baidu.com/contexts/cambrian.jsonld","appid": "1650708455561748","icon": "https://www.med-credit.org.cn/style/images/ttlogo.png","content_tag": ["atlas"],"is_mcn": {"thumb_id": "e4oal99d"},"accid": "4886d626a2804dee5f11168793ce361672f39c25","@id": "https://www.med-credit.org.cn/mobile/jingxuan/2/5fd9cefb7e9bc1e4c42d084f8e907bd7.html","bagWordId": "c825b4652649f250","title": "鼻炎图片与正常鼻子图片对比","pubDate": "2023-03-13T18:08:06","upDate": "2023-03-13T18:08:06","lrDate": "2023-03-13T18:08:06","description": "正常鼻子和鼻炎的区别是鼻黏膜的改变和鼻部症状,鼻炎时鼻黏膜会出现病理性变化,伴随流涕、打喷嚏、鼻塞等症状。","data": {"WebPage": {"headline": "鼻炎图片与正常鼻子图片对比","pcUrl": "https://www.med-credit.org.cn/jingxuan/2/5fd9cefb7e9bc1e4c42d084f8e907bd7.html","wapUrl": "https://www.med-credit.org.cn/jingxuan/2/5fd9cefb7e9bc1e4c42d084f8e907bd7.html","mipUrl": "https://www.med-credit.org.cn/mobile/jingxuan/2/5fd9cefb7e9bc1e4c42d084f8e907bd7.html","fromSrc": "欢乐橙","datePublished": "2023-03-13T18:08:06","domain": "医疗","category": ["医疗权威文章合作"],"description": "正常鼻子和鼻炎的区别是鼻黏膜的改变和鼻部症状,鼻炎时鼻黏膜会出现病理性变化,伴随流涕、打喷嚏、鼻塞等症状。
","extra_headline": ["鼻炎与正常鼻子对比"]},"Author": {"name": "谢洪","wapUrl": "https://www.med-credit.org.cn/doctor/538","pcUrl": "https://www.med-credit.org.cn/doctor/538","jobTitle": "副主任医师","headPortrait": "https://www.med-credit.org.cn/uploadfile/member/538/180x180.jpeg","id": "538","description": "谢洪,首都医科大学附属北京世纪坛医院耳鼻喉头颈外科副主任医师","memberOf": {"legalName": "首都医科大学附属北京世纪坛医院","department": "耳鼻喉头颈外科","organizationLevel": "三级甲等"}},"Article": {"summaryContent": "正常鼻子和鼻炎的区别是鼻黏膜的改变和鼻部症状,鼻炎时鼻黏膜会出现病理性变化,伴随流涕、打喷嚏、鼻塞等症状。



正常鼻子鼻腔黏膜光滑,无明显肿胀,呈粉红色,无异常分泌物。鼻炎时鼻腔黏膜会存在不同程度的充血、水肿,颜色发红或苍白,可能出现毛细血管扩张,鼻腔内分泌物增多,合并细菌感染时会出现大量脓性粘稠分泌物。
正常情况下,鼻部不会出现不适症状,能维持正常呼吸通气。鼻炎时患者会出现鼻塞、鼻痒、打喷嚏、流鼻涕(水样或脓涕),鼻充血明显时,会影响夜间睡眠,导致张口呼吸、打鼻鼾等表现。慢性变应性鼻炎时,眼睑下方可呈蓝紫色,为“过敏性黑眼圈”。反复鼻炎发作容易造成鼻腔黏膜破损毛细血管破裂出血。
鼻炎为常见病,日常生活中,注意进行适当体育锻炼,增强体质,避免上呼吸道感染。同时应避免吸烟或吸入二手烟,室内适当通风换气,保持空气清新,减少吸入粉尘,避免接触吸入性过敏原(如花粉、尘螨等),以上措施有助于预防鼻炎。
","articleBody": "正常鼻子和鼻炎的区别是鼻黏膜的改变和鼻部症状,鼻炎时鼻黏膜会出现病理性变化,伴随流涕、打喷嚏、鼻塞等症状。



正常鼻子鼻腔黏膜光滑,无明显肿胀,呈粉红色,无异常分泌物。鼻炎时鼻腔黏膜会存在不同程度的充血、水肿,颜色发红或苍白,可能出现毛细血管扩张,鼻腔内分泌物增多,合并细菌感染时会出现大量脓性粘稠分泌物。
正常情况下,鼻部不会出现不适症状,能维持正常呼吸通气。鼻炎时患者会出现鼻塞、鼻痒、打喷嚏、流鼻涕(水样或脓涕),鼻充血明显时,会影响夜间睡眠,导致张口呼吸、打鼻鼾等表现。慢性变应性鼻炎时,眼睑下方可呈蓝紫色,为“过敏性黑眼圈”。反复鼻炎发作容易造成鼻腔黏膜破损毛细血管破裂出血。
鼻炎为常见病,日常生活中,注意进行适当体育锻炼,增强体质,避免上呼吸道感染。同时应避免吸烟或吸入二手烟,室内适当通风换气,保持空气清新,减少吸入粉尘,避免接触吸入性过敏原(如花粉、尘螨等),以上措施有助于预防鼻炎。
","scanCount": 8824}}} {"@context": "https://ziyuan.baidu.com/contexts/cambrian.jsonld","appid": "1650708455561748","icon": "https://www.med-credit.org.cn/style/images/ttlogo.png","content_tag": ["atlas"],"is_mcn": {"thumb_id": "6s1phww1w"},"accid": "4886d626a2804dee5f11168793ce361672f39c25","@id": "https://www.med-credit.org.cn/mobile/jingxuan/2/16c11b9cdd191c745932b52c6e32e988.html","bagWordId": "322918f0b8ae75b3","title": "脚的部位名称图片","pubDate": "2023-03-13T18:08:06","upDate": "2023-03-13T18:08:06","lrDate": "2023-03-13T18:08:06","description": "脚主要是由脚趾、脚背和脚掌构成,是我们日常行走的活动性器官。","data": {"WebPage": {"headline": "脚的部位名称图片","pcUrl": "https://www.med-credit.org.cn/jingxuan/2/16c11b9cdd191c745932b52c6e32e988.html","wapUrl": "https://www.med-credit.org.cn/jingxuan/2/16c11b9cdd191c745932b52c6e32e988.html","mipUrl": "https://www.med-credit.org.cn/mobile/jingxuan/2/16c11b9cdd191c745932b52c6e32e988.html","fromSrc": "欢乐橙","datePublished": "2023-03-13T18:08:06","domain": "医疗","category": ["医疗权威文章合作"],"description": "脚主要是由脚趾、脚背和脚掌构成,是我们日常行走的活动性器官。
","extra_headline": [""]},"Author": {"name": "王维","wapUrl": "https://www.med-credit.org.cn/doctor/513","pcUrl": "https://www.med-credit.org.cn/doctor/513","jobTitle": "主治医师","headPortrait": "https://www.med-credit.org.cn/uploadfile/member/513/180x180.jpeg","id": "513","description": "王维,中国医科大学附属盛京医院骨科主治医师","memberOf": {"legalName": "中国医科大学附属盛京医院","department": "骨科","organizationLevel": "三级甲等"}},"Article": {"summaryContent": "脚主要是由脚趾、脚背和脚掌构成,是我们日常行走的活动性器官。
脚部易出现较多疾病,日常生活中应注意脚部的护理。


1、脚趾:正常一只脚的脚趾有5个,分别为踇趾、二趾、三趾、次脚趾、小脚趾,处于脚的前端,一般与脚底平面有一定的夹角,略向上弯曲,脚趾具有一定的弹性或活动性,能够方便行走和保持平衡。
2.脚背:脚背主要是由跗骨组成,因此也叫做跗面,位于脚上方的脚面,是脚趾和脚踝之前的部分,外观上为拱形,脚背容易受到外力的作用而造成伤害。
3.脚掌:脚掌即脚底,位于脚的最下方,是与地面直接或间接性接触的部分,承担着身体的重量,也可以与地面紧密联系而保持平衡,此外脚掌的汗腺也较多,常易于出汗。
脚部由许多骨骼、血管、神经组成,因此会出现较多疾病,比如骨折、足癣、鸡眼、扁平足等,所以我们需要关注脚的健康问题。日常生活中我们可以给脚按摩、泡热水脚、做好脚的保暖问题、适当的行走,这些措施可以促进脚的血液循环等问题而减少疾病的发生。
","articleBody": "脚主要是由脚趾、脚背和脚掌构成,是我们日常行走的活动性器官。
脚部易出现较多疾病,日常生活中应注意脚部的护理。


1、脚趾:正常一只脚的脚趾有5个,分别为踇趾、二趾、三趾、次脚趾、小脚趾,处于脚的前端,一般与脚底平面有一定的夹角,略向上弯曲,脚趾具有一定的弹性或活动性,能够方便行走和保持平衡。
2.脚背:脚背主要是由跗骨组成,因此也叫做跗面,位于脚上方的脚面,是脚趾和脚踝之前的部分,外观上为拱形,脚背容易受到外力的作用而造成伤害。
3.脚掌:脚掌即脚底,位于脚的最下方,是与地面直接或间接性接触的部分,承担着身体的重量,也可以与地面紧密联系而保持平衡,此外脚掌的汗腺也较多,常易于出汗。
脚部由许多骨骼、血管、神经组成,因此会出现较多疾病,比如骨折、足癣、鸡眼、扁平足等,所以我们需要关注脚的健康问题。日常生活中我们可以给脚按摩、泡热水脚、做好脚的保暖问题、适当的行走,这些措施可以促进脚的血液循环等问题而减少疾病的发生。
","scanCount": 32558}}} {"@context": "https://ziyuan.baidu.com/contexts/cambrian.jsonld","appid": "1650708455561748","icon": "https://www.med-credit.org.cn/style/images/ttlogo.png","content_tag": ["atlas"],"is_mcn": {"thumb_id": "6s1phww1w"},"accid": "4886d626a2804dee5f11168793ce361672f39c25","@id": "https://www.med-credit.org.cn/mobile/jingxuan/2/d75b17fb14e62c264719d136c0820180.html","bagWordId": "93614670da1a3a27","title": "足部骨骼图","pubDate": "2023-03-13T18:08:06","upDate": "2023-03-13T18:08:06","lrDate": "2023-03-13T18:08:06","description": "足部的骨骼即足骨,一共分为三个部分,足骨包括有跗骨、跖骨和趾骨。足骨一共有26块骨骼,其中跗骨7块,跖骨5块,趾骨14块。","data": {"WebPage": {"headline": "足部骨骼图","pcUrl": "https://www.med-credit.org.cn/jingxuan/2/d75b17fb14e62c264719d136c0820180.html","wapUrl": "https://www.med-credit.org.cn/jingxuan/2/d75b17fb14e62c264719d136c0820180.html","mipUrl": "https://www.med-credit.org.cn/mobile/jingxuan/2/d75b17fb14e62c264719d136c0820180.html","fromSrc": "欢乐橙","datePublished": "2023-03-13T18:08:06","domain": "医疗","category": ["医疗权威文章合作"],"description": "足部的骨骼即足骨,一共分为三个部分,足骨包括有跗骨、跖骨和趾骨。足骨一共有26块骨骼,其中跗骨7块,跖骨5块,趾骨14块。
","extra_headline": ["足部骨骼"]},"Author": {"name": "王维","wapUrl": "https://www.med-credit.org.cn/doctor/513","pcUrl": "https://www.med-credit.org.cn/doctor/513","jobTitle": "主治医师","headPortrait": "https://www.med-credit.org.cn/uploadfile/member/513/180x180.jpeg","id": "513","description": "王维,中国医科大学附属盛京医院骨科主治医师","memberOf": {"legalName": "中国医科大学附属盛京医院","department": "骨科","organizationLevel": "三级甲等"}},"Article": {"summaryContent": "足部的骨骼即足骨,一共分为三个部分,足骨包括有跗骨、跖骨和趾骨。足骨一共有26块骨骼,其中跗骨7块,跖骨5块,趾骨14块。
足骨内的各结构具有其特定的临床意义。

1、跗骨:属于短骨,有七块,分为前、中、后三列。由于下肢具有支持和承受体重作用,跗骨几乎占据全足的一半。后列上方为距骨,下方为跟骨,距骨前方位于中列的是足舟骨,前列由内向外依次为内侧楔骨、中间楔骨、外侧楔骨和骰骨。
2、跖骨:由内向外分为第1~5跖骨,每一跖骨近侧端为底,与跗骨相接,中间为体,远侧端为头。跖骨形状和排列与掌骨相一致。
3、趾骨:有14块,其中拇趾2块,较为粗壮,其余各趾均为3块,较为细小。靠近脚掌的趾骨称为近节趾骨,远端为远节趾骨,中间部分为中节趾骨。
下肢的支持和承重功能一半都是由跗骨占据。距骨上面有前宽后窄的关节面,叫距骨滑车,与内、外踝和胫骨的下关节面相关节。距骨下方的骨隆起为舟骨粗隆,是临床截肢手术的重要体表标志。足舟骨前方与3块楔骨相关节,外侧的骰骨与跟骨相接。
","articleBody": "足部的骨骼即足骨,一共分为三个部分,足骨包括有跗骨、跖骨和趾骨。足骨一共有26块骨骼,其中跗骨7块,跖骨5块,趾骨14块。
足骨内的各结构具有其特定的临床意义。

1、跗骨:属于短骨,有七块,分为前、中、后三列。由于下肢具有支持和承受体重作用,跗骨几乎占据全足的一半。后列上方为距骨,下方为跟骨,距骨前方位于中列的是足舟骨,前列由内向外依次为内侧楔骨、中间楔骨、外侧楔骨和骰骨。
2、跖骨:由内向外分为第1~5跖骨,每一跖骨近侧端为底,与跗骨相接,中间为体,远侧端为头。跖骨形状和排列与掌骨相一致。
3、趾骨:有14块,其中拇趾2块,较为粗壮,其余各趾均为3块,较为细小。靠近脚掌的趾骨称为近节趾骨,远端为远节趾骨,中间部分为中节趾骨。
下肢的支持和承重功能一半都是由跗骨占据。距骨上面有前宽后窄的关节面,叫距骨滑车,与内、外踝和胫骨的下关节面相关节。距骨下方的骨隆起为舟骨粗隆,是临床截肢手术的重要体表标志。足舟骨前方与3块楔骨相关节,外侧的骰骨与跟骨相接。
","scanCount": 8849}}} {"@context": "https://ziyuan.baidu.com/contexts/cambrian.jsonld","appid": "1650708455561748","icon": "https://www.med-credit.org.cn/style/images/ttlogo.png","content_tag": ["atlas"],"is_mcn": {"thumb_id": "6s1phww1w"},"accid": "4886d626a2804dee5f11168793ce361672f39c25","@id": "https://www.med-credit.org.cn/mobile/jingxuan/2/d897445dae2d31ec3ec5b78979a43065.html","bagWordId": "ad64ecd15cb1cb02","title": "肱骨解剖图","pubDate": "2023-03-13T18:08:06","upDate": "2023-03-13T18:08:06","lrDate": "2023-03-13T18:08:06","description": "肱骨是人体上肢最大的管状骨,分为肱骨体和上下两端,上端与肩胛骨相连,下端与尺骨、桡骨相连。","data": {"WebPage": {"headline": "肱骨解剖图","pcUrl": "https://www.med-credit.org.cn/jingxuan/2/d897445dae2d31ec3ec5b78979a43065.html","wapUrl": "https://www.med-credit.org.cn/jingxuan/2/d897445dae2d31ec3ec5b78979a43065.html","mipUrl": "https://www.med-credit.org.cn/mobile/jingxuan/2/d897445dae2d31ec3ec5b78979a43065.html","fromSrc": "欢乐橙","datePublished": "2023-03-13T18:08:06","domain": "医疗","category": ["医疗权威文章合作"],"description": "肱骨是人体上肢最大的管状骨,分为肱骨体和上下两端,上端与肩胛骨相连,下端与尺骨、桡骨相连。
","extra_headline": [""]},"Author": {"name": "王维","wapUrl": "https://www.med-credit.org.cn/doctor/513","pcUrl": "https://www.med-credit.org.cn/doctor/513","jobTitle": "主治医师","headPortrait": "https://www.med-credit.org.cn/uploadfile/member/513/180x180.jpeg","id": "513","description": "王维,中国医科大学附属盛京医院骨科主治医师","memberOf": {"legalName": "中国医科大学附属盛京医院","department": "骨科","organizationLevel": "三级甲等"}},"Article": {"summaryContent": "肱骨是人体上肢最大的管状骨,分为肱骨体和上下两端,上端与肩胛骨相连,下端与尺骨、桡骨相连。
若肱骨发生骨折,可根据病情选择保守治疗、手法复位、手术治疗、康复治疗方法。

1、肱骨上端:有向着上后内侧的一个半圆形的肱骨头,与肩胛骨的关节盂相连,形成关节。肱骨头的外侧还有前面,有大结节和小结节,二者向下分别延伸为大结节脊和小结节脊。肱骨上端和体部交界的地方,比较细,叫做外科颈,此处较易发生骨折。
2、肱骨体:上半部是圆柱形的,下半部则是三棱柱形的。肱骨体的中间外侧有三角肌粗隆,是我们手臂三角肌附着的地方,后面的中间还有一个桡神经沟,其中有桡神经。
3、肱骨下端:肱骨的下端比较扁,外侧有半球形的肱骨小头与桡骨连接;内侧则有滑车状的肱骨滑车与尺骨形成关节。下端与体交界的地方,骨质比较薄,如果受到暴力可发生骨折。
如果肱骨骨折可能伤害到神经、血管和肌肉,会对我们的生活质量造成很大的影响,一旦受伤要及时就诊治疗。
1、保守治疗:骨折没有移位的,可采用保守治疗,进行悬吊,制动,定期复查。
2、手法复位及外固定:如果骨折出现移位,一般需要进行复位,可以采用手法复位加外固定的方式治疗。
3、手术治疗:如果手法复位失败,或者骨折伤到神经,有感染等等不适合手法复位的情况,就需要手术复位,然后内固定的方式。
4、康复治疗:术后恢复良好的情况下,可以采用康复治疗,抬高患肢,逐步活动关节,从指关节慢慢到腕关节、肘关节、肩关节,活动的频率和幅度也从小到大。
","articleBody": "肱骨是人体上肢最大的管状骨,分为肱骨体和上下两端,上端与肩胛骨相连,下端与尺骨、桡骨相连。
若肱骨发生骨折,可根据病情选择保守治疗、手法复位、手术治疗、康复治疗方法。

1、肱骨上端:有向着上后内侧的一个半圆形的肱骨头,与肩胛骨的关节盂相连,形成关节。肱骨头的外侧还有前面,有大结节和小结节,二者向下分别延伸为大结节脊和小结节脊。肱骨上端和体部交界的地方,比较细,叫做外科颈,此处较易发生骨折。
2、肱骨体:上半部是圆柱形的,下半部则是三棱柱形的。肱骨体的中间外侧有三角肌粗隆,是我们手臂三角肌附着的地方,后面的中间还有一个桡神经沟,其中有桡神经。
3、肱骨下端:肱骨的下端比较扁,外侧有半球形的肱骨小头与桡骨连接;内侧则有滑车状的肱骨滑车与尺骨形成关节。下端与体交界的地方,骨质比较薄,如果受到暴力可发生骨折。
如果肱骨骨折可能伤害到神经、血管和肌肉,会对我们的生活质量造成很大的影响,一旦受伤要及时就诊治疗。
1、保守治疗:骨折没有移位的,可采用保守治疗,进行悬吊,制动,定期复查。
2、手法复位及外固定:如果骨折出现移位,一般需要进行复位,可以采用手法复位加外固定的方式治疗。
3、手术治疗:如果手法复位失败,或者骨折伤到神经,有感染等等不适合手法复位的情况,就需要手术复位,然后内固定的方式。
4、康复治疗:术后恢复良好的情况下,可以采用康复治疗,抬高患肢,逐步活动关节,从指关节慢慢到腕关节、肘关节、肩关节,活动的频率和幅度也从小到大。
","scanCount": 32557}}} {"@context": "https://ziyuan.baidu.com/contexts/cambrian.jsonld","appid": "1650708455561748","icon": "https://www.med-credit.org.cn/style/images/ttlogo.png","content_tag": ["atlas"],"is_mcn": {"thumb_id": "e4oal99d"},"accid": "4886d626a2804dee5f11168793ce361672f39c25","@id": "https://www.med-credit.org.cn/mobile/jingxuan/2/db1e19ed6cc32ca7b08c90a36ed668fa.html","bagWordId": "24becc7ddc9c4de9","title": "喉咙内壁长疙瘩图片","pubDate": "2023-03-13T18:08:06","upDate": "2023-03-13T18:08:06","lrDate": "2023-03-13T18:08:06","description": "喉咙内壁长疙瘩可能是慢性咽炎、慢性扁桃体炎、咽部乳头状瘤等引起。","data": {"WebPage": {"headline": "喉咙内壁长疙瘩图片","pcUrl": "https://www.med-credit.org.cn/jingxuan/2/db1e19ed6cc32ca7b08c90a36ed668fa.html","wapUrl": "https://www.med-credit.org.cn/jingxuan/2/db1e19ed6cc32ca7b08c90a36ed668fa.html","mipUrl": "https://www.med-credit.org.cn/mobile/jingxuan/2/db1e19ed6cc32ca7b08c90a36ed668fa.html","fromSrc": "欢乐橙","datePublished": "2023-03-13T18:08:06","domain": "医疗","category": ["医疗权威文章合作"],"description": "喉咙内壁长疙瘩可能是慢性咽炎、慢性扁桃体炎、咽部乳头状瘤等引起。
","extra_headline": ["喉咙内壁长疙瘩"]},"Author": {"name": "谢洪","wapUrl": "https://www.med-credit.org.cn/doctor/538","pcUrl": "https://www.med-credit.org.cn/doctor/538","jobTitle": "副主任医师","headPortrait": "https://www.med-credit.org.cn/uploadfile/member/538/180x180.jpeg","id": "538","description": "谢洪,首都医科大学附属北京世纪坛医院耳鼻喉头颈外科副主任医师","memberOf": {"legalName": "首都医科大学附属北京世纪坛医院","department": "耳鼻喉头颈外科","organizationLevel": "三级甲等"}},"Article": {"summaryContent": "喉咙内壁长疙瘩可能是慢性咽炎、慢性扁桃体炎、咽部乳头状瘤等引起。
可以给予患者药物或者手术治疗。

1、慢性咽炎:一般可能是细菌感染,或环境因素引起的,一般建议忌辛辣刺激性食物,清淡饮食,多吃水果蔬菜、补充人体所需,禁食生冷寒凉食物,比如冷饮、萝卜、梨子、荸荠等。可在医生指导下口服金嗓利咽颗粒、银黄含片、蒲地蓝口服液等药进行治疗。
2、慢性扁桃体炎:不规律的作息或暴饮暴食等原因,可能会导致机体免疫力低下,易被细菌、病毒等致病物质侵入而引起扁桃体感染,造成炎症反应,引起黏膜层的异常增生或突起,导致喉咙内壁的疙瘩形成,临床上常伴随喉咙痛、发热的症状,常给予抗生素如头孢氨苄胶囊、左氧氟沙星胶囊抗炎治疗,患者注意及时复查,养成良好的生活习惯。
3、咽部乳头状瘤:指被人乳头瘤病毒感染,导致皮肤增生所形成的良性肿瘤。该病多发生在悬雍垂底部、腭舌弓、扁桃体以及喉部黏膜表面等部位,肿瘤较小时患者感觉不到症状,肿瘤较大时会出现咽部异物感、吞咽困难、发声功能障碍等。常选择液氮冷冻或电灼的方式治疗,还可以选择激光手术治疗,或者手术切除、刮除,配合药物水杨酸外敷治疗。
除了上述相对常见的原因外,还有其他的可能性疾病,比如咽喉部恶性肿瘤。若长时间未好转,患者要及时前往医院就诊,针对具体病因进行治疗。
","articleBody": "喉咙内壁长疙瘩可能是慢性咽炎、慢性扁桃体炎、咽部乳头状瘤等引起。
可以给予患者药物或者手术治疗。

1、慢性咽炎:一般可能是细菌感染,或环境因素引起的,一般建议忌辛辣刺激性食物,清淡饮食,多吃水果蔬菜、补充人体所需,禁食生冷寒凉食物,比如冷饮、萝卜、梨子、荸荠等。可在医生指导下口服金嗓利咽颗粒、银黄含片、蒲地蓝口服液等药进行治疗。
2、慢性扁桃体炎:不规律的作息或暴饮暴食等原因,可能会导致机体免疫力低下,易被细菌、病毒等致病物质侵入而引起扁桃体感染,造成炎症反应,引起黏膜层的异常增生或突起,导致喉咙内壁的疙瘩形成,临床上常伴随喉咙痛、发热的症状,常给予抗生素如头孢氨苄胶囊、左氧氟沙星胶囊抗炎治疗,患者注意及时复查,养成良好的生活习惯。
3、咽部乳头状瘤:指被人乳头瘤病毒感染,导致皮肤增生所形成的良性肿瘤。该病多发生在悬雍垂底部、腭舌弓、扁桃体以及喉部黏膜表面等部位,肿瘤较小时患者感觉不到症状,肿瘤较大时会出现咽部异物感、吞咽困难、发声功能障碍等。常选择液氮冷冻或电灼的方式治疗,还可以选择激光手术治疗,或者手术切除、刮除,配合药物水杨酸外敷治疗。
除了上述相对常见的原因外,还有其他的可能性疾病,比如咽喉部恶性肿瘤。若长时间未好转,患者要及时前往医院就诊,针对具体病因进行治疗。
","scanCount": 8861}}} {"@context": "https://ziyuan.baidu.com/contexts/cambrian.jsonld","appid": "1650708455561748","icon": "https://www.med-credit.org.cn/style/images/ttlogo.png","content_tag": ["atlas"],"is_mcn": {"thumb_id": "6s1phww1w"},"accid": "4886d626a2804dee5f11168793ce361672f39c25","@id": "https://www.med-credit.org.cn/mobile/jingxuan/2/489524559dec93385413e426b0632f13.html","bagWordId": "cdeb153a6aa6d67d","title": "脚部骨头结构图","pubDate": "2023-03-13T18:08:06","upDate": "2023-03-13T18:08:06","lrDate": "2023-03-13T18:08:06","description": "脚部骨头即足骨,足骨包括跗骨、趾骨和跖骨。","data": {"WebPage": {"headline": "脚部骨头结构图","pcUrl": "https://www.med-credit.org.cn/jingxuan/2/489524559dec93385413e426b0632f13.html","wapUrl": "https://www.med-credit.org.cn/jingxuan/2/489524559dec93385413e426b0632f13.html","mipUrl": "https://www.med-credit.org.cn/mobile/jingxuan/2/489524559dec93385413e426b0632f13.html","fromSrc": "欢乐橙","datePublished": "2023-03-13T18:08:06","domain": "医疗","category": ["医疗权威文章合作"],"description": "脚部骨头即足骨,足骨包括跗骨、趾骨和跖骨。
","extra_headline": [""]},"Author": {"name": "王维","wapUrl": "https://www.med-credit.org.cn/doctor/513","pcUrl": "https://www.med-credit.org.cn/doctor/513","jobTitle": "主治医师","headPortrait": "https://www.med-credit.org.cn/uploadfile/member/513/180x180.jpeg","id": "513","description": "王维,中国医科大学附属盛京医院骨科主治医师","memberOf": {"legalName": "中国医科大学附属盛京医院","department": "骨科","organizationLevel": "三级甲等"}},"Article": {"summaryContent": "脚部骨头即足骨,足骨包括跗骨、趾骨和跖骨。

1、跗骨:属于短骨,有七块,分为前、中、后三列。由于下肢具有支持和承受体重作用,跗骨几乎占据全足的一半。后列上方为距骨,下方为跟骨,距骨前方位于中列的是足舟骨,前列由内向外依次为内侧楔骨、中间楔骨、外侧楔骨和骰骨。
2、跖骨:由内向外分为第1~5跖骨,每一跖骨近侧端为底,与跗骨相接,中间为体,远侧端为头。跖骨形状和排列与掌骨相一致。
3、趾骨:有14块,其中拇趾2块,较为粗壮,其余各趾均为3块,较为细小。靠近脚掌的趾骨称为近节趾骨,远端为远节趾骨,中间部分为中节趾骨。
","articleBody": "脚部骨头即足骨,足骨包括跗骨、趾骨和跖骨。

1、跗骨:属于短骨,有七块,分为前、中、后三列。由于下肢具有支持和承受体重作用,跗骨几乎占据全足的一半。后列上方为距骨,下方为跟骨,距骨前方位于中列的是足舟骨,前列由内向外依次为内侧楔骨、中间楔骨、外侧楔骨和骰骨。
2、跖骨:由内向外分为第1~5跖骨,每一跖骨近侧端为底,与跗骨相接,中间为体,远侧端为头。跖骨形状和排列与掌骨相一致。
3、趾骨:有14块,其中拇趾2块,较为粗壮,其余各趾均为3块,较为细小。靠近脚掌的趾骨称为近节趾骨,远端为远节趾骨,中间部分为中节趾骨。
","scanCount": 32556}}} {"@context": "https://ziyuan.baidu.com/contexts/cambrian.jsonld","appid": "1650708455561748","icon": "https://www.med-credit.org.cn/style/images/ttlogo.png","content_tag": ["atlas"],"is_mcn": {"thumb_id": "e4oal99d"},"accid": "4886d626a2804dee5f11168793ce361672f39c25","@id": "https://www.med-credit.org.cn/mobile/jingxuan/2/b676833fb078e2c384b0d166b8bdb572.html","bagWordId": "0211ab677b91d20a","title": "耳石症手法复位图解","pubDate": "2023-03-13T18:08:06","upDate": "2023-03-13T18:08:06","lrDate": "2023-03-13T18:08:06","description": "耳石症手法复位最常用的有Epley法,其分为六个步骤。","data": {"WebPage": {"headline": "耳石症手法复位图解","pcUrl": "https://www.med-credit.org.cn/jingxuan/2/b676833fb078e2c384b0d166b8bdb572.html","wapUrl": "https://www.med-credit.org.cn/jingxuan/2/b676833fb078e2c384b0d166b8bdb572.html","mipUrl": "https://www.med-credit.org.cn/mobile/jingxuan/2/b676833fb078e2c384b0d166b8bdb572.html","fromSrc": "欢乐橙","datePublished": "2023-03-13T18:08:06","domain": "医疗","category": ["医疗权威文章合作"],"description": "耳石症手法复位最常用的有Epley法,其分为六个步骤。
","extra_headline": ["耳石症手法复位解"]},"Author": {"name": "谢洪","wapUrl": "https://www.med-credit.org.cn/doctor/538","pcUrl": "https://www.med-credit.org.cn/doctor/538","jobTitle": "副主任医师","headPortrait": "https://www.med-credit.org.cn/uploadfile/member/538/180x180.jpeg","id": "538","description": "谢洪,首都医科大学附属北京世纪坛医院耳鼻喉头颈外科副主任医师","memberOf": {"legalName": "首都医科大学附属北京世纪坛医院","department": "耳鼻喉头颈外科","organizationLevel": "三级甲等"}},"Article": {"summaryContent": "耳石症手法复位最常用的有Epley法,其分为六个步骤。

1.让患者坐在治疗床上。
2.把患者的头向有耳石的一侧选择45°。
3.帮助患者迅速躺下,呈仰卧位,头垂于床边。
4.将患者的头向健侧转90°。
5.让患者全身,包括头部,一起继续向正常的那边转90°,使患者侧卧在床上,这个时候,患者的头已经相对于仰卧位翻转了135°。
6.让患者恢复坐位,到此完成了一个治疗循环。
7.每一体位至少要保持30-60秒。治疗要一直进行到患者在任意位置上都无眩晕以及眼震出现,然后再重复2-3个循环。
耳石症又叫做良性阵发性位置性眩晕,是最常见的前庭周围性眩晕,有一定的自限性,一般几天到几个月就可以自愈,但是经常复发,治疗耳石症有许多方法:
1.手法复位:最有效的就是耳石复位,除了上述的Epley法外,还有Lempert法和使用耳石复位仪复位。
2.药物:在原则上不能复位耳石,但如果耳石症发合并有其他疾病或复位后出现眩晕、平衡障碍等情况,可以使用药物缓解,比如倍他司汀等。
3.手术:如果有极少数患者在手法复位后仍然迁延不愈,并且已经严重影响到自己的日常生活,就可考虑做手术治疗,如行半规管堵塞术。
4.康复治疗:还可以做前庭康复,提高患者前庭功能,减轻前庭损伤导致的后遗症,可以作为辅助治疗。
","articleBody": "耳石症手法复位最常用的有Epley法,其分为六个步骤。

1.让患者坐在治疗床上。
2.把患者的头向有耳石的一侧选择45°。
3.帮助患者迅速躺下,呈仰卧位,头垂于床边。
4.将患者的头向健侧转90°。
5.让患者全身,包括头部,一起继续向正常的那边转90°,使患者侧卧在床上,这个时候,患者的头已经相对于仰卧位翻转了135°。
6.让患者恢复坐位,到此完成了一个治疗循环。
7.每一体位至少要保持30-60秒。治疗要一直进行到患者在任意位置上都无眩晕以及眼震出现,然后再重复2-3个循环。
耳石症又叫做良性阵发性位置性眩晕,是最常见的前庭周围性眩晕,有一定的自限性,一般几天到几个月就可以自愈,但是经常复发,治疗耳石症有许多方法:
1.手法复位:最有效的就是耳石复位,除了上述的Epley法外,还有Lempert法和使用耳石复位仪复位。
2.药物:在原则上不能复位耳石,但如果耳石症发合并有其他疾病或复位后出现眩晕、平衡障碍等情况,可以使用药物缓解,比如倍他司汀等。
3.手术:如果有极少数患者在手法复位后仍然迁延不愈,并且已经严重影响到自己的日常生活,就可考虑做手术治疗,如行半规管堵塞术。
4.康复治疗:还可以做前庭康复,提高患者前庭功能,减轻前庭损伤导致的后遗症,可以作为辅助治疗。
","scanCount": 8110}}} {"@context": "https://ziyuan.baidu.com/contexts/cambrian.jsonld","appid": "1650708455561748","icon": "https://www.med-credit.org.cn/style/images/ttlogo.png","content_tag": ["atlas"],"is_mcn": {"thumb_id": "e4oal99d"},"accid": "4886d626a2804dee5f11168793ce361672f39c25","@id": "https://www.med-credit.org.cn/mobile/jingxuan/2/b01cb51cdb932dfb3d94d776af32ba5b.html","bagWordId": "19ded644767491a8","title": "耳癌的早期样子图片","pubDate": "2023-03-13T18:08:06","upDate": "2023-03-13T18:08:06","lrDate": "2023-03-13T18:08:06","description": "耳癌也叫耳部恶性肿瘤,可出现耳廓癌、外耳道癌及中耳癌等,在耳癌早期可能会出现耳部肿物、耳朵疼痛、听力下降、异常耳部溢液等症状。","data": {"WebPage": {"headline": "耳癌的早期样子图片","pcUrl": "https://www.med-credit.org.cn/jingxuan/2/b01cb51cdb932dfb3d94d776af32ba5b.html","wapUrl": "https://www.med-credit.org.cn/jingxuan/2/b01cb51cdb932dfb3d94d776af32ba5b.html","mipUrl": "https://www.med-credit.org.cn/mobile/jingxuan/2/b01cb51cdb932dfb3d94d776af32ba5b.html","fromSrc": "欢乐橙","datePublished": "2023-03-13T18:08:06","domain": "医疗","category": ["医疗权威文章合作"],"description": "耳癌也叫耳部恶性肿瘤,可出现耳廓癌、外耳道癌及中耳癌等,在耳癌早期可能会出现耳部肿物、耳朵疼痛、听力下降、异常耳部溢液等症状。
","extra_headline": [""]},"Author": {"name": "谢洪","wapUrl": "https://www.med-credit.org.cn/doctor/538","pcUrl": "https://www.med-credit.org.cn/doctor/538","jobTitle": "副主任医师","headPortrait": "https://www.med-credit.org.cn/uploadfile/member/538/180x180.jpeg","id": "538","description": "谢洪,首都医科大学附属北京世纪坛医院耳鼻喉头颈外科副主任医师","memberOf": {"legalName": "首都医科大学附属北京世纪坛医院","department": "耳鼻喉头颈外科","organizationLevel": "三级甲等"}},"Article": {"summaryContent": "耳癌也叫耳部恶性肿瘤,可出现耳廓癌、外耳道癌及中耳癌等,在耳癌早期可能会出现耳部肿物、耳朵疼痛、听力下降、异常耳部溢液等症状。
患者确诊为耳癌后需及时前往医院就诊治疗。

部分患者可出现有耳部疼痛,多以夜间疼痛为主,疼痛性质多为刺痛或跳痛,早期疼痛持续时间较短、频率较低。随着病情加重部分患者疼痛程度及频率会加重,可出现耳后及咽部的放射性疼痛。
当外耳道及中耳道肿物体积较大时,容易挤压正常耳道组织,出现有传导性的听力下降。早期主要以血性分泌物或浑浊液体为主,随着病情加重,出现血性分泌物的量会增多。
因此当患者出现以上异常耳部症状时,需要及时就医治疗。如为耳癌应尽早进行抗肿瘤治疗。同时对患有耳部慢性炎症疾病患者需要预防性治疗,在日常生活中注意耳部的清洁卫生。
","articleBody": "耳癌也叫耳部恶性肿瘤,可出现耳廓癌、外耳道癌及中耳癌等,在耳癌早期可能会出现耳部肿物、耳朵疼痛、听力下降、异常耳部溢液等症状。
患者确诊为耳癌后需及时前往医院就诊治疗。

部分患者可出现有耳部疼痛,多以夜间疼痛为主,疼痛性质多为刺痛或跳痛,早期疼痛持续时间较短、频率较低。随着病情加重部分患者疼痛程度及频率会加重,可出现耳后及咽部的放射性疼痛。
当外耳道及中耳道肿物体积较大时,容易挤压正常耳道组织,出现有传导性的听力下降。早期主要以血性分泌物或浑浊液体为主,随着病情加重,出现血性分泌物的量会增多。
因此当患者出现以上异常耳部症状时,需要及时就医治疗。如为耳癌应尽早进行抗肿瘤治疗。同时对患有耳部慢性炎症疾病患者需要预防性治疗,在日常生活中注意耳部的清洁卫生。
","scanCount": 32553}}} {"@context": "https://ziyuan.baidu.com/contexts/cambrian.jsonld","appid": "1650708455561748","icon": "https://www.med-credit.org.cn/style/images/ttlogo.png","content_tag": ["atlas"],"is_mcn": {"thumb_id": "e4oal99d"},"accid": "4886d626a2804dee5f11168793ce361672f39c25","@id": "https://www.med-credit.org.cn/mobile/jingxuan/2/75a391e987d183ce02309f61c551ce26.html","bagWordId": "30889af509e999ec","title": "耳朵后面乳突图片","pubDate": "2023-03-13T18:08:06","upDate": "2023-03-13T18:08:06","lrDate": "2023-03-13T18:08:06","description": "乳突是颞骨上的一个正常部分,是位于乳突部的一个圆锥形突出,在耳朵的后面,体表是可以触及的。","data": {"WebPage": {"headline": "耳朵后面乳突图片","pcUrl": "https://www.med-credit.org.cn/jingxuan/2/75a391e987d183ce02309f61c551ce26.html","wapUrl": "https://www.med-credit.org.cn/jingxuan/2/75a391e987d183ce02309f61c551ce26.html","mipUrl": "https://www.med-credit.org.cn/mobile/jingxuan/2/75a391e987d183ce02309f61c551ce26.html","fromSrc": "欢乐橙","datePublished": "2023-03-13T18:08:06","domain": "医疗","category": ["医疗权威文章合作"],"description": "乳突是颞骨上的一个正常部分,是位于乳突部的一个圆锥形突出,在耳朵的后面,体表是可以触及的。
","extra_headline": [""]},"Author": {"name": "谢洪","wapUrl": "https://www.med-credit.org.cn/doctor/538","pcUrl": "https://www.med-credit.org.cn/doctor/538","jobTitle": "副主任医师","headPortrait": "https://www.med-credit.org.cn/uploadfile/member/538/180x180.jpeg","id": "538","description": "谢洪,首都医科大学附属北京世纪坛医院耳鼻喉头颈外科副主任医师","memberOf": {"legalName": "首都医科大学附属北京世纪坛医院","department": "耳鼻喉头颈外科","organizationLevel": "三级甲等"}},"Article": {"summaryContent": "乳突是颞骨上的一个正常部分,是位于乳突部的一个圆锥形突出,在耳朵的后面,体表是可以触及的。
乳突外面粗糙,附着有肌肉。乳突大小不一,存在性别差异,一般情况下男性的乳突比女性大,并且乳突具有一定的临床意义。

乳突是人体正常解剖生理结构,是存在于耳后一个可以明显触及的圆锥形凸起,起到众多肌肉的附着点的作用。乳突的重要作用就是作为多个肌肉的附着点。外面有枕肌及耳后肌附着,外下方有胸锁乳突肌、头夹肌、头最长肌附着。因男性的肌肉拉动有力,促进了乳突发育,故多数男性的乳突要比女性的大。乳突里面有许多腔隙,里面是空心的,含有气体,因此叫做乳突气房,可以起到减轻颅骨重量的作用。
","articleBody": "乳突是颞骨上的一个正常部分,是位于乳突部的一个圆锥形突出,在耳朵的后面,体表是可以触及的。
乳突外面粗糙,附着有肌肉。乳突大小不一,存在性别差异,一般情况下男性的乳突比女性大,并且乳突具有一定的临床意义。

乳突是人体正常解剖生理结构,是存在于耳后一个可以明显触及的圆锥形凸起,起到众多肌肉的附着点的作用。乳突的重要作用就是作为多个肌肉的附着点。外面有枕肌及耳后肌附着,外下方有胸锁乳突肌、头夹肌、头最长肌附着。因男性的肌肉拉动有力,促进了乳突发育,故多数男性的乳突要比女性的大。乳突里面有许多腔隙,里面是空心的,含有气体,因此叫做乳突气房,可以起到减轻颅骨重量的作用。
","scanCount": 32551}}} {"@context": "https://ziyuan.baidu.com/contexts/cambrian.jsonld","appid": "1650708455561748","icon": "https://www.med-credit.org.cn/style/images/ttlogo.png","content_tag": ["atlas"],"is_mcn": {"thumb_id": "6s1phww1w"},"accid": "4886d626a2804dee5f11168793ce361672f39c25","@id": "https://www.med-credit.org.cn/mobile/jingxuan/2/29380891c61a17b43378aacaccd50307.html","bagWordId": "2c1c66bbc6264e4d","title": "肘窝的准确位置图","pubDate": "2023-03-13T18:08:06","upDate": "2023-03-13T18:08:06","lrDate": "2023-03-13T18:08:06","description": "肘窝位于肘关节前面,为三角凹窝。上界为肱骨内、外上髁之间的连线,内侧为旋前圆肌,外侧界为肱桡肌。","data": {"WebPage": {"headline": "肘窝的准确位置图","pcUrl": "https://www.med-credit.org.cn/jingxuan/2/29380891c61a17b43378aacaccd50307.html","wapUrl": "https://www.med-credit.org.cn/jingxuan/2/29380891c61a17b43378aacaccd50307.html","mipUrl": "https://www.med-credit.org.cn/mobile/jingxuan/2/29380891c61a17b43378aacaccd50307.html","fromSrc": "欢乐橙","datePublished": "2023-03-13T18:08:06","domain": "医疗","category": ["医疗权威文章合作"],"description": "肘窝位于肘关节前面,为三角凹窝。上界为肱骨内、外上髁之间的连线,内侧为旋前圆肌,外侧界为肱桡肌。
","extra_headline": [""]},"Author": {"name": "王维","wapUrl": "https://www.med-credit.org.cn/doctor/513","pcUrl": "https://www.med-credit.org.cn/doctor/513","jobTitle": "主治医师","headPortrait": "https://www.med-credit.org.cn/uploadfile/member/513/180x180.jpeg","id": "513","description": "王维,中国医科大学附属盛京医院骨科主治医师","memberOf": {"legalName": "中国医科大学附属盛京医院","department": "骨科","organizationLevel": "三级甲等"}},"Article": {"summaryContent": "肘窝位于肘关节前面,为三角凹窝。上界为肱骨内、外上髁之间的连线,内侧为旋前圆肌,外侧界为肱桡肌。
窝内主要结构自外向内有肱二头肌腱,肱动脉及其分支,正中神经,有一定的临床意义。

1、位置:肘窝是肘前面的凹窝,它的周界上界为两上髁之连线,旋前肌构成其内侧界;肱桡肌构成其外侧界。肘窝之底由旋后肌和肱肌构成。
2、结构:肘窝是一个重要的区域,肱动脉在此区终止,分为尺动脉和桡动脉;此窝还含有肱二头肌腱及正中神经和桡神经行程之一部分。肘窝邻近的肌通常是属于前臂的肌群。旋后肌参与构成肘窝之底;肱桡肌作成肘窝之外侧界,作用是屈肘;旋前圆肌形成肘窝的内侧界,参与机体的旋前臂与屈肘。
3、作用:肘窝皮下有大量的脂肪组织,其中包含神经、静脉、淋巴结和淋巴管。肘窝是静脉注射、抽血的常见部位,所以皮下层的皮静脉在临床上有重要意义。主要静脉有贵要静脉以及肘正中静脉。
","articleBody": "肘窝位于肘关节前面,为三角凹窝。上界为肱骨内、外上髁之间的连线,内侧为旋前圆肌,外侧界为肱桡肌。
窝内主要结构自外向内有肱二头肌腱,肱动脉及其分支,正中神经,有一定的临床意义。

1、位置:肘窝是肘前面的凹窝,它的周界上界为两上髁之连线,旋前肌构成其内侧界;肱桡肌构成其外侧界。肘窝之底由旋后肌和肱肌构成。
2、结构:肘窝是一个重要的区域,肱动脉在此区终止,分为尺动脉和桡动脉;此窝还含有肱二头肌腱及正中神经和桡神经行程之一部分。肘窝邻近的肌通常是属于前臂的肌群。旋后肌参与构成肘窝之底;肱桡肌作成肘窝之外侧界,作用是屈肘;旋前圆肌形成肘窝的内侧界,参与机体的旋前臂与屈肘。
3、作用:肘窝皮下有大量的脂肪组织,其中包含神经、静脉、淋巴结和淋巴管。肘窝是静脉注射、抽血的常见部位,所以皮下层的皮静脉在临床上有重要意义。主要静脉有贵要静脉以及肘正中静脉。
","scanCount": 32549}}} {"@context": "https://ziyuan.baidu.com/contexts/cambrian.jsonld","appid": "1650708455561748","icon": "https://www.med-credit.org.cn/style/images/ttlogo.png","content_tag": ["atlas"],"is_mcn": {"thumb_id": "6s1phww1w"},"accid": "4886d626a2804dee5f11168793ce361672f39c25","@id": "https://www.med-credit.org.cn/mobile/jingxuan/2/eecf127049144bdcd7dbf81474b02f20.html","bagWordId": "f5928b1c7a2f0587","title": "骨盆前倾图片","pubDate": "2023-03-13T18:08:06","upDate": "2023-03-13T18:08:06","lrDate": "2023-03-13T18:08:06","description": "骨盆前倾是指骨盆向前倾斜一定角度,而身体伴随着臀部后凸、小腹前凸的情况。","data": {"WebPage": {"headline": "骨盆前倾图片","pcUrl": "https://www.med-credit.org.cn/jingxuan/2/eecf127049144bdcd7dbf81474b02f20.html","wapUrl": "https://www.med-credit.org.cn/jingxuan/2/eecf127049144bdcd7dbf81474b02f20.html","mipUrl": "https://www.med-credit.org.cn/mobile/jingxuan/2/eecf127049144bdcd7dbf81474b02f20.html","fromSrc": "欢乐橙","datePublished": "2023-03-13T18:08:06","domain": "医疗","category": ["医疗权威文章合作"],"description": "骨盆前倾是指骨盆向前倾斜一定角度,而身体伴随着臀部后凸、小腹前凸的情况。
","extra_headline": [""]},"Author": {"name": "王维","wapUrl": "https://www.med-credit.org.cn/doctor/513","pcUrl": "https://www.med-credit.org.cn/doctor/513","jobTitle": "主治医师","headPortrait": "https://www.med-credit.org.cn/uploadfile/member/513/180x180.jpeg","id": "513","description": "王维,中国医科大学附属盛京医院骨科主治医师","memberOf": {"legalName": "中国医科大学附属盛京医院","department": "骨科","organizationLevel": "三级甲等"}},"Article": {"summaryContent": "骨盆前倾是指骨盆向前倾斜一定角度,而身体伴随着臀部后凸、小腹前凸的情况。
骨盆前倾会带来一系列危害,因此在发现存在骨盆前倾时要及时就医问诊。

1.判断方法:判断是否有骨盆前倾的方法是背靠墙面,脚跟和双肩一起靠在墙壁上,将手掌插入腰后,如果缝隙大于一掌的厚度,就是骨盆前倾,如果腰和墙面之间的缝隙大于一拳,就是严重的骨盆前倾。
2.症状:骨盆前倾的危害主要有人体比例失衡造成骨骼畸变以至于关节变形,会出现内外八字腿的情况;还会导致下半身肥胖,小腹突起以及臀部脂肪侧向囤积,破坏身体曲线,使得身材失调;由于脂肪累积以及骨盆移位导致的肌肉压迫坐骨神经及腰部神经,因而较易引发腰背部疼痛;在压迫更大时还会压迫血管,引起血液不流通,出现下半身发冷畏寒的症状。
","articleBody": "骨盆前倾是指骨盆向前倾斜一定角度,而身体伴随着臀部后凸、小腹前凸的情况。
骨盆前倾会带来一系列危害,因此在发现存在骨盆前倾时要及时就医问诊。

1.判断方法:判断是否有骨盆前倾的方法是背靠墙面,脚跟和双肩一起靠在墙壁上,将手掌插入腰后,如果缝隙大于一掌的厚度,就是骨盆前倾,如果腰和墙面之间的缝隙大于一拳,就是严重的骨盆前倾。
2.症状:骨盆前倾的危害主要有人体比例失衡造成骨骼畸变以至于关节变形,会出现内外八字腿的情况;还会导致下半身肥胖,小腹突起以及臀部脂肪侧向囤积,破坏身体曲线,使得身材失调;由于脂肪累积以及骨盆移位导致的肌肉压迫坐骨神经及腰部神经,因而较易引发腰背部疼痛;在压迫更大时还会压迫血管,引起血液不流通,出现下半身发冷畏寒的症状。
","scanCount": 32547}}} {"@context": "https://ziyuan.baidu.com/contexts/cambrian.jsonld","appid": "1650708455561748","icon": "https://www.med-credit.org.cn/style/images/ttlogo.png","content_tag": ["atlas"],"is_mcn": {"thumb_id": "6s1phww1w"},"accid": "4886d626a2804dee5f11168793ce361672f39c25","@id": "https://www.med-credit.org.cn/mobile/jingxuan/2/41f206c7a8de25c55cfb4b36434e1813.html","bagWordId": "b2721210d9befba7","title": "肱三头肌位置图","pubDate": "2023-03-13T18:08:06","upDate": "2023-03-13T18:08:06","lrDate": "2023-03-13T18:08:06","description": "肱三头肌位于上臂后面的皮肤下,有三个头,长头从肩胛骨盂下结节开始,外侧头从肱体后面的桡神经沟外上部开始,内侧头从肱体后面的桡神经沟内下部开始。","data": {"WebPage": {"headline": "肱三头肌位置图","pcUrl": "https://www.med-credit.org.cn/jingxuan/2/41f206c7a8de25c55cfb4b36434e1813.html","wapUrl": "https://www.med-credit.org.cn/jingxuan/2/41f206c7a8de25c55cfb4b36434e1813.html","mipUrl": "https://www.med-credit.org.cn/mobile/jingxuan/2/41f206c7a8de25c55cfb4b36434e1813.html","fromSrc": "欢乐橙","datePublished": "2023-03-13T18:08:06","domain": "医疗","category": ["医疗权威文章合作"],"description": "肱三头肌位于上臂后面的皮肤下,有三个头,长头从肩胛骨盂下结节开始,外侧头从肱体后面的桡神经沟外上部开始,内侧头从肱体后面的桡神经沟内下部开始。
","extra_headline": [""]},"Author": {"name": "王维","wapUrl": "https://www.med-credit.org.cn/doctor/513","pcUrl": "https://www.med-credit.org.cn/doctor/513","jobTitle": "主治医师","headPortrait": "https://www.med-credit.org.cn/uploadfile/member/513/180x180.jpeg","id": "513","description": "王维,中国医科大学附属盛京医院骨科主治医师","memberOf": {"legalName": "中国医科大学附属盛京医院","department": "骨科","organizationLevel": "三级甲等"}},"Article": {"summaryContent": "肱三头肌位于上臂后面的皮肤下,有三个头,长头从肩胛骨盂下结节开始,外侧头从肱体后面的桡神经沟外上部开始,内侧头从肱体后面的桡神经沟内下部开始。

1、长头:起于肩胛骨肾盂下结节,止于尺骨鹰嘴,肱三头肌的长头是唯一沿着手臂内侧浅层运动的肌肉,这些解剖特征有助于其定位,与肱三头肌的长头相比,三角肌的纤维走行是倾斜的。
2、外侧头:起于肱骨后部的近端,止于尺骨鹰嘴。
3、内侧头:起于肱骨后部的远端,止于尺骨鹰嘴。
当手臂拉伸时,三头肌力减小,随着肩关节位置的改变而改变肌肉力量,因肱三头肌长头肌腱的位置不如臂举的位置合适,因此臂举可以承受更大的负荷。
肱三头肌疼痛多为肌肉表浅的损伤,当外界刺激或锻炼时,肌肉受到过多的牵引会导致肱三头肌疼痛,在健身之前,可以做一些伸展运动,在力所能及的范围内锻炼,并且不要超过肌肉所能承受的负荷。
","articleBody": "肱三头肌位于上臂后面的皮肤下,有三个头,长头从肩胛骨盂下结节开始,外侧头从肱体后面的桡神经沟外上部开始,内侧头从肱体后面的桡神经沟内下部开始。

1、长头:起于肩胛骨肾盂下结节,止于尺骨鹰嘴,肱三头肌的长头是唯一沿着手臂内侧浅层运动的肌肉,这些解剖特征有助于其定位,与肱三头肌的长头相比,三角肌的纤维走行是倾斜的。
2、外侧头:起于肱骨后部的近端,止于尺骨鹰嘴。
3、内侧头:起于肱骨后部的远端,止于尺骨鹰嘴。
当手臂拉伸时,三头肌力减小,随着肩关节位置的改变而改变肌肉力量,因肱三头肌长头肌腱的位置不如臂举的位置合适,因此臂举可以承受更大的负荷。
肱三头肌疼痛多为肌肉表浅的损伤,当外界刺激或锻炼时,肌肉受到过多的牵引会导致肱三头肌疼痛,在健身之前,可以做一些伸展运动,在力所能及的范围内锻炼,并且不要超过肌肉所能承受的负荷。
","scanCount": 32545}}} {"@context": "https://ziyuan.baidu.com/contexts/cambrian.jsonld","appid": "1650708455561748","icon": "https://www.med-credit.org.cn/style/images/ttlogo.png","content_tag": ["atlas"],"is_mcn": {"thumb_id": "6s1phww1w"},"accid": "4886d626a2804dee5f11168793ce361672f39c25","@id": "https://www.med-credit.org.cn/mobile/jingxuan/2/ae81c09ee9cf2b5cd3ee8b88784777c0.html","bagWordId": "b41b765c300f1c75","title": "韧带损伤一二三度区别图解","pubDate": "2023-03-13T18:08:06","upDate": "2023-03-13T18:08:06","lrDate": "2023-03-13T18:08:06","description": "韧带损伤可根据韧带纤维损伤程度和累及关节活动可分为一度、二度、三度。","data": {"WebPage": {"headline": "韧带损伤一二三度区别图解","pcUrl": "https://www.med-credit.org.cn/jingxuan/2/ae81c09ee9cf2b5cd3ee8b88784777c0.html","wapUrl": "https://www.med-credit.org.cn/jingxuan/2/ae81c09ee9cf2b5cd3ee8b88784777c0.html","mipUrl": "https://www.med-credit.org.cn/mobile/jingxuan/2/ae81c09ee9cf2b5cd3ee8b88784777c0.html","fromSrc": "欢乐橙","datePublished": "2023-03-13T18:08:06","domain": "医疗","category": ["医疗权威文章合作"],"description": "韧带损伤可根据韧带纤维损伤程度和累及关节活动可分为一度、二度、三度。
","extra_headline": [""]},"Author": {"name": "王维","wapUrl": "https://www.med-credit.org.cn/doctor/513","pcUrl": "https://www.med-credit.org.cn/doctor/513","jobTitle": "主治医师","headPortrait": "https://www.med-credit.org.cn/uploadfile/member/513/180x180.jpeg","id": "513","description": "王维,中国医科大学附属盛京医院骨科主治医师","memberOf": {"legalName": "中国医科大学附属盛京医院","department": "骨科","organizationLevel": "三级甲等"}},"Article": {"summaryContent": "韧带损伤可根据韧带纤维损伤程度和累及关节活动可分为一度、二度、三度。
对于韧带损伤的治疗方法,可根据不同程度的韧带损伤对症处理。

1.一度:有少量韧带纤维的撕裂,往往会伴随有局部的压痛,没有关节不稳定的情况。
2.二度:存在有比较多的纤维的撕裂,可伴有轻至中度的关节不稳。
3.三度:韧带存在完全的断裂,伴有显著的关节不稳定。
一般认为,一度损伤,仅仅对症处理即可,不需要制动。二度损伤,大部分可采用保守治疗,同时需要制动相关关节以保护受损韧带,加快其恢复。三度损伤,一般需要手术修复或者重建。对于三度损伤患者的术后康复,有利于恢复关节功能,却往往被忽视,但由于长期负荷降低会导致肌肉及韧带的进一步萎缩,继而降低膝关节稳定性,所以重视术后康复,才能促进关节功能更快恢复,目前重建术后常用的康复治疗方法主要有支具保护、物理治疗、肌力训练、关节活动度训练、神经肌肉训练等。
","articleBody": "韧带损伤可根据韧带纤维损伤程度和累及关节活动可分为一度、二度、三度。
对于韧带损伤的治疗方法,可根据不同程度的韧带损伤对症处理。

1.一度:有少量韧带纤维的撕裂,往往会伴随有局部的压痛,没有关节不稳定的情况。
2.二度:存在有比较多的纤维的撕裂,可伴有轻至中度的关节不稳。
3.三度:韧带存在完全的断裂,伴有显著的关节不稳定。
一般认为,一度损伤,仅仅对症处理即可,不需要制动。二度损伤,大部分可采用保守治疗,同时需要制动相关关节以保护受损韧带,加快其恢复。三度损伤,一般需要手术修复或者重建。对于三度损伤患者的术后康复,有利于恢复关节功能,却往往被忽视,但由于长期负荷降低会导致肌肉及韧带的进一步萎缩,继而降低膝关节稳定性,所以重视术后康复,才能促进关节功能更快恢复,目前重建术后常用的康复治疗方法主要有支具保护、物理治疗、肌力训练、关节活动度训练、神经肌肉训练等。
","scanCount": 32542}}} {"@context": "https://ziyuan.baidu.com/contexts/cambrian.jsonld","appid": "1650708455561748","icon": "https://www.med-credit.org.cn/style/images/ttlogo.png","content_tag": ["atlas"],"is_mcn": {"thumb_id": "6s1phww1w"},"accid": "4886d626a2804dee5f11168793ce361672f39c25","@id": "https://www.med-credit.org.cn/mobile/jingxuan/2/27b795b94eb13e6e18f8983793ddf4ed.html","bagWordId": "8b0e54ad1d4bf119","title": "脚部位名称图解","pubDate": "2023-03-13T18:08:06","upDate": "2023-03-13T18:08:06","lrDate": "2023-03-13T18:08:06","description": "脚主要是由脚趾、脚背和脚掌构成,是我们日常行走的活动性器官。","data": {"WebPage": {"headline": "脚部位名称图解","pcUrl": "https://www.med-credit.org.cn/jingxuan/2/27b795b94eb13e6e18f8983793ddf4ed.html","wapUrl": "https://www.med-credit.org.cn/jingxuan/2/27b795b94eb13e6e18f8983793ddf4ed.html","mipUrl": "https://www.med-credit.org.cn/mobile/jingxuan/2/27b795b94eb13e6e18f8983793ddf4ed.html","fromSrc": "欢乐橙","datePublished": "2023-03-13T18:08:06","domain": "医疗","category": ["医疗权威文章合作"],"description": "脚主要是由脚趾、脚背和脚掌构成,是我们日常行走的活动性器官。
","extra_headline": [""]},"Author": {"name": "王维","wapUrl": "https://www.med-credit.org.cn/doctor/513","pcUrl": "https://www.med-credit.org.cn/doctor/513","jobTitle": "主治医师","headPortrait": "https://www.med-credit.org.cn/uploadfile/member/513/180x180.jpeg","id": "513","description": "王维,中国医科大学附属盛京医院骨科主治医师","memberOf": {"legalName": "中国医科大学附属盛京医院","department": "骨科","organizationLevel": "三级甲等"}},"Article": {"summaryContent": "脚主要是由脚趾、脚背和脚掌构成,是我们日常行走的活动性器官。
脚部易出现较多疾病,日常生活中应注意脚部的护理。


1、脚趾:正常一只脚的脚趾有5个,分别为踇趾、二趾、三趾、次脚趾、小脚趾,处于脚的前端,一般与脚底平面有一定的夹角,略向上弯曲,脚趾具有一定的弹性或活动性,能够方便行走和保持平衡。
2.脚背:脚背主要是由跗骨组成,因此也叫做跗面,位于脚上方的脚面,是脚趾和脚踝之前的部分,外观上为拱形,脚背容易受到外力的作用而造成伤害。
3.脚掌:脚掌即脚底,位于脚的最下方,是与地面直接或间接性接触的部分,承担着身体的重量,也可以与地面紧密联系而保持平衡,此外脚掌的汗腺也较多,常易于出汗。
脚部由许多骨骼、血管、神经组成,因此会出现较多疾病,比如骨折、足癣、鸡眼、扁平足等,所以我们需要关注脚的健康问题。日常生活中我们可以给脚按摩、泡热水脚、做好脚的保暖问题、适当的行走,这些措施可以促进脚的血液循环等问题而减少疾病的发生。
","articleBody": "脚主要是由脚趾、脚背和脚掌构成,是我们日常行走的活动性器官。
脚部易出现较多疾病,日常生活中应注意脚部的护理。


1、脚趾:正常一只脚的脚趾有5个,分别为踇趾、二趾、三趾、次脚趾、小脚趾,处于脚的前端,一般与脚底平面有一定的夹角,略向上弯曲,脚趾具有一定的弹性或活动性,能够方便行走和保持平衡。
2.脚背:脚背主要是由跗骨组成,因此也叫做跗面,位于脚上方的脚面,是脚趾和脚踝之前的部分,外观上为拱形,脚背容易受到外力的作用而造成伤害。
3.脚掌:脚掌即脚底,位于脚的最下方,是与地面直接或间接性接触的部分,承担着身体的重量,也可以与地面紧密联系而保持平衡,此外脚掌的汗腺也较多,常易于出汗。
脚部由许多骨骼、血管、神经组成,因此会出现较多疾病,比如骨折、足癣、鸡眼、扁平足等,所以我们需要关注脚的健康问题。日常生活中我们可以给脚按摩、泡热水脚、做好脚的保暖问题、适当的行走,这些措施可以促进脚的血液循环等问题而减少疾病的发生。
","scanCount": 32541}}} {"@context": "https://ziyuan.baidu.com/contexts/cambrian.jsonld","appid": "1650708455561748","icon": "https://www.med-credit.org.cn/style/images/ttlogo.png","content_tag": ["atlas"],"is_mcn": {"thumb_id": "6s1p03j8e"},"accid": "4886d626a2804dee5f11168793ce361672f39c25","@id": "https://www.med-credit.org.cn/mobile/jingxuan/2/61d5dd0f48c0459a8a562ae4389f77bd.html","bagWordId": "5e5368efe115f85a","title": "腰大肌位置图片","pubDate": "2023-03-13T18:08:06","upDate": "2023-03-13T18:08:06","lrDate": "2023-03-13T18:08:06","description": "腰大肌位于腰椎两侧的长肌,它大部分位于腰椎椎体与横突之间的陷沟内,肌纤维以羽状形式向外 下方排列走行,形成上下较细、中段较粗的类似纺锤状的条形肌肉。","data": {"WebPage": {"headline": "腰大肌位置图片","pcUrl": "https://www.med-credit.org.cn/jingxuan/2/61d5dd0f48c0459a8a562ae4389f77bd.html","wapUrl": "https://www.med-credit.org.cn/jingxuan/2/61d5dd0f48c0459a8a562ae4389f77bd.html","mipUrl": "https://www.med-credit.org.cn/mobile/jingxuan/2/61d5dd0f48c0459a8a562ae4389f77bd.html","fromSrc": "欢乐橙","datePublished": "2023-03-13T18:08:06","domain": "医疗","category": ["医疗权威文章合作"],"description": "腰大肌位于腰椎两侧的长肌,它大部分位于腰椎椎体与横突之间的陷沟内,肌纤维以羽状形式向外 下方排列走行,形成上下较细、中段较粗的类似纺锤状的条形肌肉。
","extra_headline": ["腰大肌位置"]},"Author": {"name": "富灵杰","wapUrl": "https://www.med-credit.org.cn/doctor/569","pcUrl": "https://www.med-credit.org.cn/doctor/569","jobTitle": "副主任医师","headPortrait": "https://www.med-credit.org.cn/uploadfile/member/569/180x180.jpeg","id": "569","description": "富灵杰,上海交通大学医学院附属第九人民医院骨科副主任医师","memberOf": {"legalName": "上海交通大学医学院附属第九人民医院","department": "骨科","organizationLevel": "三级甲等"}},"Article": {"summaryContent": "腰大肌位于腰椎两侧的长肌,它大部分位于腰椎椎体与横突之间的陷沟内,肌纤维以羽状形式向外 下方排列走行,形成上下较细、中段较粗的类似纺锤状的条形肌肉。
腰大肌可以维持直立姿势以及具有其他功能。损伤后会出现一系列临床症状。

1、结构:腰大肌是构成髂腰肌的一块肌肉。位于腰椎的两侧。起自腰椎体和侧面的横突。而在腰大肌的外侧,是构成髂腰肌的另外一块肌肉:髂肌。髂肌呈扇形,起自髂窝。腰大肌与髂肌向下走形并汇合,经过腹股沟韧带的深面,终止于股骨的小转子。腰大肌收缩可以使得髋关节做前屈和外旋的动作。如果将下肢固定,可以使躯干前屈,比如人们在健身时做仰卧起坐时,就是腰大肌在起作用。
2、功能:腰大肌是组成髋肌前群的重要结构,受腰丛神经支配。与其他的下肢肌肉共同维持人体的直立姿势,支持人体体重与行走。因此腰大肌要比上肢的肌肉更加粗壮。
在生活中如果出现腰大肌的损伤,会导致脊柱的侧凸或者后凸。常见的腰椎间盘突出的患者很大可能是由于脊柱的病变损伤以及一侧腰大肌的病变共同导致。
","articleBody": "腰大肌位于腰椎两侧的长肌,它大部分位于腰椎椎体与横突之间的陷沟内,肌纤维以羽状形式向外 下方排列走行,形成上下较细、中段较粗的类似纺锤状的条形肌肉。
腰大肌可以维持直立姿势以及具有其他功能。损伤后会出现一系列临床症状。

1、结构:腰大肌是构成髂腰肌的一块肌肉。位于腰椎的两侧。起自腰椎体和侧面的横突。而在腰大肌的外侧,是构成髂腰肌的另外一块肌肉:髂肌。髂肌呈扇形,起自髂窝。腰大肌与髂肌向下走形并汇合,经过腹股沟韧带的深面,终止于股骨的小转子。腰大肌收缩可以使得髋关节做前屈和外旋的动作。如果将下肢固定,可以使躯干前屈,比如人们在健身时做仰卧起坐时,就是腰大肌在起作用。
2、功能:腰大肌是组成髋肌前群的重要结构,受腰丛神经支配。与其他的下肢肌肉共同维持人体的直立姿势,支持人体体重与行走。因此腰大肌要比上肢的肌肉更加粗壮。
在生活中如果出现腰大肌的损伤,会导致脊柱的侧凸或者后凸。常见的腰椎间盘突出的患者很大可能是由于脊柱的病变损伤以及一侧腰大肌的病变共同导致。
","scanCount": 8909}}} {"@context": "https://ziyuan.baidu.com/contexts/cambrian.jsonld","appid": "1650708455561748","icon": "https://www.med-credit.org.cn/style/images/ttlogo.png","content_tag": ["atlas"],"is_mcn": {"thumb_id": "6s1phww1w"},"accid": "4886d626a2804dee5f11168793ce361672f39c25","@id": "https://www.med-credit.org.cn/mobile/jingxuan/2/6ae270cea261fffee58bdf7d4fd26872.html","bagWordId": "b39700ef1ecf7fd1","title": "脊柱侧弯图片","pubDate": "2023-03-13T18:08:06","upDate": "2023-03-13T18:08:06","lrDate": "2023-03-13T18:08:06","description": "脊柱侧弯的表现是脊柱畸形,异常向侧方弯曲。","data": {"WebPage": {"headline": "脊柱侧弯图片","pcUrl": "https://www.med-credit.org.cn/jingxuan/2/6ae270cea261fffee58bdf7d4fd26872.html","wapUrl": "https://www.med-credit.org.cn/jingxuan/2/6ae270cea261fffee58bdf7d4fd26872.html","mipUrl": "https://www.med-credit.org.cn/mobile/jingxuan/2/6ae270cea261fffee58bdf7d4fd26872.html","fromSrc": "欢乐橙","datePublished": "2023-03-13T18:08:06","domain": "医疗","category": ["医疗权威文章合作"],"description": "脊柱侧弯的表现是脊柱畸形,异常向侧方弯曲。
","extra_headline": ["脊柱侧弯"]},"Author": {"name": "王维","wapUrl": "https://www.med-credit.org.cn/doctor/513","pcUrl": "https://www.med-credit.org.cn/doctor/513","jobTitle": "主治医师","headPortrait": "https://www.med-credit.org.cn/uploadfile/member/513/180x180.jpeg","id": "513","description": "王维,中国医科大学附属盛京医院骨科主治医师","memberOf": {"legalName": "中国医科大学附属盛京医院","department": "骨科","organizationLevel": "三级甲等"}},"Article": {"summaryContent": "脊柱侧弯的表现是脊柱畸形,异常向侧方弯曲。
脊柱侧弯通常发生在儿童及青少年,成人也可能发生退行性脊柱侧弯。

脊柱侧弯是指在冠状面上脊柱向侧方弯曲,可伴有不同程度的脊柱旋转。
青少年特发性脊柱侧弯病因尚不明确,与遗传有一定关系,其他可能有关的因素包括生长激素分泌异常,脊旁肌肉组织异常,褪黑素分泌异常等。患者通常在体检时被发现躯体不对称,存在重度胸椎弯曲时,将会引起限制性肺疾病。
成人脊柱侧弯可以由青少年脊柱侧弯进展所致,也可为“新发”,常见病因包括脊柱退行性病变、代谢性骨病(如骨质疏松)等。发病机制主要是椎间盘及关节突的不对称变形,使脊柱负荷失衡和脊椎滑脱。
","articleBody": "脊柱侧弯的表现是脊柱畸形,异常向侧方弯曲。
脊柱侧弯通常发生在儿童及青少年,成人也可能发生退行性脊柱侧弯。

脊柱侧弯是指在冠状面上脊柱向侧方弯曲,可伴有不同程度的脊柱旋转。
青少年特发性脊柱侧弯病因尚不明确,与遗传有一定关系,其他可能有关的因素包括生长激素分泌异常,脊旁肌肉组织异常,褪黑素分泌异常等。患者通常在体检时被发现躯体不对称,存在重度胸椎弯曲时,将会引起限制性肺疾病。
成人脊柱侧弯可以由青少年脊柱侧弯进展所致,也可为“新发”,常见病因包括脊柱退行性病变、代谢性骨病(如骨质疏松)等。发病机制主要是椎间盘及关节突的不对称变形,使脊柱负荷失衡和脊椎滑脱。
","scanCount": 5869}}} {"@context": "https://ziyuan.baidu.com/contexts/cambrian.jsonld","appid": "1650708455561748","icon": "https://www.med-credit.org.cn/style/images/ttlogo.png","content_tag": ["atlas"],"is_mcn": {"thumb_id": "ay28xrnt0"},"accid": "4886d626a2804dee5f11168793ce361672f39c25","@id": "https://www.med-credit.org.cn/mobile/jingxuan/2/67f8b8ad73001fd2b3dffbda8ba5babc.html","bagWordId": "fe57154d0144c951","title": "干槽症灰白色假膜图片","pubDate": "2023-03-13T18:08:06","upDate": "2023-03-13T18:08:06","lrDate": "2023-03-13T18:08:06","description": "干槽症灰白色假膜一般是干槽症的表现之一,是拔牙后牙槽骨壁表面骨质坏死,有灰白色假膜覆盖。","data": {"WebPage": {"headline": "干槽症灰白色假膜图片","pcUrl": "https://www.med-credit.org.cn/jingxuan/2/67f8b8ad73001fd2b3dffbda8ba5babc.html","wapUrl": "https://www.med-credit.org.cn/jingxuan/2/67f8b8ad73001fd2b3dffbda8ba5babc.html","mipUrl": "https://www.med-credit.org.cn/mobile/jingxuan/2/67f8b8ad73001fd2b3dffbda8ba5babc.html","fromSrc": "欢乐橙","datePublished": "2023-03-13T18:08:06","domain": "医疗","category": ["医疗权威文章合作"],"description": "干槽症灰白色假膜一般是干槽症的表现之一,是拔牙后牙槽骨壁表面骨质坏死,有灰白色假膜覆盖。
","extra_headline": [""]},"Author": {"name": "李斯文","wapUrl": "https://www.med-credit.org.cn/doctor/546","pcUrl": "https://www.med-credit.org.cn/doctor/546","jobTitle": "主治医师","headPortrait": "https://www.med-credit.org.cn/uploadfile/member/546/180x180.jpeg","id": "546","description": "李斯文,中国医科大学附属口腔医院口腔科主治医师","memberOf": {"legalName": "中国医科大学附属口腔医院","department": "口腔科","organizationLevel": "三级甲等"}},"Article": {"summaryContent": "干槽症灰白色假膜一般是干槽症的表现之一,是拔牙后牙槽骨壁表面骨质坏死,有灰白色假膜覆盖。
干槽症病因不明确,该疾病一般可在医生的指导下使用抗炎药以及抗生素进行治疗,拔牙后应注意口腔卫生。

1.症状:干槽症一般发生在拔牙后的3-4天,有严重的持续性疼痛,并向头顶、下颌和耳颞散射,疼痛长达数十天之久。经口腔检查,拔牙创面未见正常血凝块、牙槽窝空虚、牙槽骨壁外露。有灰白色假膜或腐烂坏死物质,臭味明显,并伴有发热和淋巴结肿大的症状。
2.病因:干槽症的病因还不明确,可能是由于创伤后的骨面出现感染,导致难以形成血凝块,影响伤口的愈合。吸烟人群、免疫功能低下的老年人或不正确的拔牙方法都容易导致干槽症的发生。
3.治疗:可以通过彻底清创,隔绝外界对牙槽窝的刺激进行止痛,并促进伤口的愈合。可遵医嘱采用抗炎药和抗生素进行治疗,如阿司匹林、青霉素等。
在拔牙后漱口和刷牙都应该避开牙槽窝的位置,直到完全愈合。保持口腔清洁,不抽烟,避免熬夜,注意休息。
","articleBody": "干槽症灰白色假膜一般是干槽症的表现之一,是拔牙后牙槽骨壁表面骨质坏死,有灰白色假膜覆盖。
干槽症病因不明确,该疾病一般可在医生的指导下使用抗炎药以及抗生素进行治疗,拔牙后应注意口腔卫生。

1.症状:干槽症一般发生在拔牙后的3-4天,有严重的持续性疼痛,并向头顶、下颌和耳颞散射,疼痛长达数十天之久。经口腔检查,拔牙创面未见正常血凝块、牙槽窝空虚、牙槽骨壁外露。有灰白色假膜或腐烂坏死物质,臭味明显,并伴有发热和淋巴结肿大的症状。
2.病因:干槽症的病因还不明确,可能是由于创伤后的骨面出现感染,导致难以形成血凝块,影响伤口的愈合。吸烟人群、免疫功能低下的老年人或不正确的拔牙方法都容易导致干槽症的发生。
3.治疗:可以通过彻底清创,隔绝外界对牙槽窝的刺激进行止痛,并促进伤口的愈合。可遵医嘱采用抗炎药和抗生素进行治疗,如阿司匹林、青霉素等。
在拔牙后漱口和刷牙都应该避开牙槽窝的位置,直到完全愈合。保持口腔清洁,不抽烟,避免熬夜,注意休息。
","scanCount": 32539}}} {"@context": "https://ziyuan.baidu.com/contexts/cambrian.jsonld","appid": "1650708455561748","icon": "https://www.med-credit.org.cn/style/images/ttlogo.png","content_tag": ["atlas"],"is_mcn": {"thumb_id": "6s1phww1w"},"accid": "4886d626a2804dee5f11168793ce361672f39c25","@id": "https://www.med-credit.org.cn/mobile/jingxuan/2/a9bd8ff07e67e8b94f810daad15ee83e.html","bagWordId": "5e39e6c49f6677af","title": "正常颈椎弯曲度图片","pubDate": "2023-03-13T18:08:06","upDate": "2023-03-13T18:08:06","lrDate": "2023-03-13T18:08:06","description": "正常颈椎弯曲度一般是向前弓。","data": {"WebPage": {"headline": "正常颈椎弯曲度图片","pcUrl": "https://www.med-credit.org.cn/jingxuan/2/a9bd8ff07e67e8b94f810daad15ee83e.html","wapUrl": "https://www.med-credit.org.cn/jingxuan/2/a9bd8ff07e67e8b94f810daad15ee83e.html","mipUrl": "https://www.med-credit.org.cn/mobile/jingxuan/2/a9bd8ff07e67e8b94f810daad15ee83e.html","fromSrc": "欢乐橙","datePublished": "2023-03-13T18:08:06","domain": "医疗","category": ["医疗权威文章合作"],"description": "正常颈椎弯曲度一般是向前弓。
","extra_headline": [""]},"Author": {"name": "王维","wapUrl": "https://www.med-credit.org.cn/doctor/513","pcUrl": "https://www.med-credit.org.cn/doctor/513","jobTitle": "主治医师","headPortrait": "https://www.med-credit.org.cn/uploadfile/member/513/180x180.jpeg","id": "513","description": "王维,中国医科大学附属盛京医院骨科主治医师","memberOf": {"legalName": "中国医科大学附属盛京医院","department": "骨科","organizationLevel": "三级甲等"}},"Article": {"summaryContent": "正常颈椎弯曲度一般是向前弓。
颈椎曲度变小会出现相应病变症状,在日常生活中应该积极预防颈椎出现相关病变。

颈椎是有一定的弯曲度的,人们正常的颈椎曲度大致相同,正常的生理曲线是向前凸状。正常弯曲幅度在21-22度之间。
如果颈椎曲度变小,就意味着颈椎变直,颈椎周围的肌肉会继续紧张,颈椎间盘的压力也会增加,容易使颈椎肌肉拉伤,颈椎间盘突出和颈椎管退行性变。一些长期伏案工作的人群或是学生人群,颈椎会出现颈椎曲度的改变,变直或者反曲,多半都会有相应症状,比如颈部疼痛、不适、活动受限,或者是神经根刺激症状,如四肢麻木、疼痛、无力,还有走路踩棉花感等。
对此,平时多注意不要长时间保持着低头姿势,多活动颈部,必要时可以做米字操,进行一些按摩等。增强颈背肌的功能锻炼,注意坐姿,挺直背部,减少含胸、收腹、低头的动作,多做小燕飞、平板支撑等,加强颈椎及肌肉力量。若出现较严重的现象,及时到当地医院就诊。
","articleBody": "正常颈椎弯曲度一般是向前弓。
颈椎曲度变小会出现相应病变症状,在日常生活中应该积极预防颈椎出现相关病变。

颈椎是有一定的弯曲度的,人们正常的颈椎曲度大致相同,正常的生理曲线是向前凸状。正常弯曲幅度在21-22度之间。
如果颈椎曲度变小,就意味着颈椎变直,颈椎周围的肌肉会继续紧张,颈椎间盘的压力也会增加,容易使颈椎肌肉拉伤,颈椎间盘突出和颈椎管退行性变。一些长期伏案工作的人群或是学生人群,颈椎会出现颈椎曲度的改变,变直或者反曲,多半都会有相应症状,比如颈部疼痛、不适、活动受限,或者是神经根刺激症状,如四肢麻木、疼痛、无力,还有走路踩棉花感等。
对此,平时多注意不要长时间保持着低头姿势,多活动颈部,必要时可以做米字操,进行一些按摩等。增强颈背肌的功能锻炼,注意坐姿,挺直背部,减少含胸、收腹、低头的动作,多做小燕飞、平板支撑等,加强颈椎及肌肉力量。若出现较严重的现象,及时到当地医院就诊。
","scanCount": 32538}}} {"@context": "https://ziyuan.baidu.com/contexts/cambrian.jsonld","appid": "1650708455561748","icon": "https://www.med-credit.org.cn/style/images/ttlogo.png","content_tag": ["atlas"],"is_mcn": {"thumb_id": "ay28xrnt0"},"accid": "4886d626a2804dee5f11168793ce361672f39c25","@id": "https://www.med-credit.org.cn/mobile/jingxuan/2/ec66acba143dfed18dfa20fa38b366b6.html","bagWordId": "e7de108f573cecb6","title": "牙龈是哪个部位图片","pubDate": "2023-03-13T18:08:06","upDate": "2023-03-13T18:08:06","lrDate": "2023-03-13T18:08:06","description": "牙龈是口腔黏膜的一部分,是围绕在牙颈及牙根周围的软组织,覆盖于牙槽骨之上。","data": {"WebPage": {"headline": "牙龈是哪个部位图片","pcUrl": "https://www.med-credit.org.cn/jingxuan/2/ec66acba143dfed18dfa20fa38b366b6.html","wapUrl": "https://www.med-credit.org.cn/jingxuan/2/ec66acba143dfed18dfa20fa38b366b6.html","mipUrl": "https://www.med-credit.org.cn/mobile/jingxuan/2/ec66acba143dfed18dfa20fa38b366b6.html","fromSrc": "欢乐橙","datePublished": "2023-03-13T18:08:06","domain": "医疗","category": ["医疗权威文章合作"],"description": "牙龈是口腔黏膜的一部分,是围绕在牙颈及牙根周围的软组织,覆盖于牙槽骨之上。
","extra_headline": ["牙龈是哪个部位"]},"Author": {"name": "李斯文","wapUrl": "https://www.med-credit.org.cn/doctor/546","pcUrl": "https://www.med-credit.org.cn/doctor/546","jobTitle": "主治医师","headPortrait": "https://www.med-credit.org.cn/uploadfile/member/546/180x180.jpeg","id": "546","description": "李斯文,中国医科大学附属口腔医院口腔科主治医师","memberOf": {"legalName": "中国医科大学附属口腔医院","department": "口腔科","organizationLevel": "三级甲等"}},"Article": {"summaryContent": "牙龈是口腔黏膜的一部分,是围绕在牙颈及牙根周围的软组织,覆盖于牙槽骨之上。
正常牙龈一般为粉红色及与周围组织紧贴。牙龈发生病变时会出现一系列异常症状。日常生活中也需注意保护牙龈及其他口腔结构。

正常的牙龈呈粉红色,质地坚韧。牙龈与牙颈部紧密贴合,将牙根和牙周结构与外部环境隔离开,对牙齿有支撑和保护作用。正常情况下牙龈没有异常增生、萎缩,无出血、水肿。健康状态的牙龈决定了牙冠颈部的外形,并对牙体修复十分重要。
当牙龈出现疾病时,会出现一些异常情况。牙龈炎、牙周炎会出现牙龈肿胀、牙龈出血。某些全身性疾病如维生素C缺乏症、肝脏疾病或凝血功能障碍等,也能造成牙龈出血。慢性牙周炎、牙龈瘘管时,挤压牙龈可有脓液溢出。铅中毒时牙龈的游离缘会出现蓝灰色铅线。
日常口腔护理时应注意保护牙龈,晨起及入睡前使用正确的刷牙方法(竖刷法)刷牙,力度要恰当,以免对牙龈造成机械损伤。饭后使用牙线对牙齿进行清洁,预防牙菌斑及牙石形成,避免细菌造成牙龈炎、牙周炎等口腔疾病,定期进行口腔检查、洗牙及洁牙。
","articleBody": "牙龈是口腔黏膜的一部分,是围绕在牙颈及牙根周围的软组织,覆盖于牙槽骨之上。
正常牙龈一般为粉红色及与周围组织紧贴。牙龈发生病变时会出现一系列异常症状。日常生活中也需注意保护牙龈及其他口腔结构。

正常的牙龈呈粉红色,质地坚韧。牙龈与牙颈部紧密贴合,将牙根和牙周结构与外部环境隔离开,对牙齿有支撑和保护作用。正常情况下牙龈没有异常增生、萎缩,无出血、水肿。健康状态的牙龈决定了牙冠颈部的外形,并对牙体修复十分重要。
当牙龈出现疾病时,会出现一些异常情况。牙龈炎、牙周炎会出现牙龈肿胀、牙龈出血。某些全身性疾病如维生素C缺乏症、肝脏疾病或凝血功能障碍等,也能造成牙龈出血。慢性牙周炎、牙龈瘘管时,挤压牙龈可有脓液溢出。铅中毒时牙龈的游离缘会出现蓝灰色铅线。
日常口腔护理时应注意保护牙龈,晨起及入睡前使用正确的刷牙方法(竖刷法)刷牙,力度要恰当,以免对牙龈造成机械损伤。饭后使用牙线对牙齿进行清洁,预防牙菌斑及牙石形成,避免细菌造成牙龈炎、牙周炎等口腔疾病,定期进行口腔检查、洗牙及洁牙。
","scanCount": 7872}}} {"@context": "https://ziyuan.baidu.com/contexts/cambrian.jsonld","appid": "1650708455561748","icon": "https://www.med-credit.org.cn/style/images/ttlogo.png","content_tag": ["atlas"],"is_mcn": {"thumb_id": "6s1phww1w"},"accid": "4886d626a2804dee5f11168793ce361672f39c25","@id": "https://www.med-credit.org.cn/mobile/jingxuan/2/d8bf61cceda4d623faa4179eddc89555.html","bagWordId": "f5d7873b44fa2e14","title": "扁平足图片","pubDate": "2023-03-13T18:08:06","upDate": "2023-03-13T18:08:06","lrDate": "2023-03-13T18:08:06","description": "扁平足可由先天或后天因素引起,通常表现为足弓低平或者消失,在站立位、行走时足弓塌陷,脚底变平。若影响日常生活,患者需及时前往医院就诊治疗。","data": {"WebPage": {"headline": "扁平足图片","pcUrl": "https://www.med-credit.org.cn/jingxuan/2/d8bf61cceda4d623faa4179eddc89555.html","wapUrl": "https://www.med-credit.org.cn/jingxuan/2/d8bf61cceda4d623faa4179eddc89555.html","mipUrl": "https://www.med-credit.org.cn/mobile/jingxuan/2/d8bf61cceda4d623faa4179eddc89555.html","fromSrc": "欢乐橙","datePublished": "2023-03-13T18:08:06","domain": "医疗","category": ["医疗权威文章合作"],"description": "扁平足可由先天或后天因素引起,通常表现为足弓低平或者消失,在站立位、行走时足弓塌陷,脚底变平。若影响日常生活,患者需及时前往医院就诊治疗。
","extra_headline": [""]},"Author": {"name": "王维","wapUrl": "https://www.med-credit.org.cn/doctor/513","pcUrl": "https://www.med-credit.org.cn/doctor/513","jobTitle": "主治医师","headPortrait": "https://www.med-credit.org.cn/uploadfile/member/513/180x180.jpeg","id": "513","description": "王维,中国医科大学附属盛京医院骨科主治医师","memberOf": {"legalName": "中国医科大学附属盛京医院","department": "骨科","organizationLevel": "三级甲等"}},"Article": {"summaryContent": "扁平足可由先天或后天因素引起,通常表现为足弓低平或者消失,在站立位、行走时足弓塌陷,脚底变平。若影响日常生活,患者需及时前往医院就诊治疗。

1.病因:扁平足可由先天或后天因素引起足踝部肌肉、肌腱或韧带的功能不全,骨骼结构发育异常,导致无法维持正常的足弓生理结构而形成的。足骨畸形,如足舟骨结节过大、跟骨外翻等,或先天性足部韧带、肌肉松弛等先天性因素和足部外伤、疾病或慢性劳损,损伤足骨和维持足弓的韧带和肌肉等后天性因素均可引发本病。肥胖人群、患有慢性血管疾病的患者,如糖尿病、高血压等,穿鞋不当均会增加患本病的风险。
2.症状:扁平足表现为足弓低平或者消失,在站立位、行走时足弓塌陷,脚底变平。大部分扁平足患者通常无明显症状,少数人群会出现足踝部及小腿下部疼痛症状,常伴有站立姿态和行走步态发生改变。同时还可伴有足踝关节肿胀,或拇趾外翻、后跟外翻或膝关节X型腿畸形等。
","articleBody": "扁平足可由先天或后天因素引起,通常表现为足弓低平或者消失,在站立位、行走时足弓塌陷,脚底变平。若影响日常生活,患者需及时前往医院就诊治疗。

1.病因:扁平足可由先天或后天因素引起足踝部肌肉、肌腱或韧带的功能不全,骨骼结构发育异常,导致无法维持正常的足弓生理结构而形成的。足骨畸形,如足舟骨结节过大、跟骨外翻等,或先天性足部韧带、肌肉松弛等先天性因素和足部外伤、疾病或慢性劳损,损伤足骨和维持足弓的韧带和肌肉等后天性因素均可引发本病。肥胖人群、患有慢性血管疾病的患者,如糖尿病、高血压等,穿鞋不当均会增加患本病的风险。
2.症状:扁平足表现为足弓低平或者消失,在站立位、行走时足弓塌陷,脚底变平。大部分扁平足患者通常无明显症状,少数人群会出现足踝部及小腿下部疼痛症状,常伴有站立姿态和行走步态发生改变。同时还可伴有足踝关节肿胀,或拇趾外翻、后跟外翻或膝关节X型腿畸形等。
","scanCount": 32534}}} {"@context": "https://ziyuan.baidu.com/contexts/cambrian.jsonld","appid": "1650708455561748","icon": "https://www.med-credit.org.cn/style/images/ttlogo.png","content_tag": ["atlas"],"is_mcn": {"thumb_id": "ay28xrnt0"},"accid": "4886d626a2804dee5f11168793ce361672f39c25","@id": "https://www.med-credit.org.cn/mobile/jingxuan/2/b527ee64fd2c4368c1386dd87840961a.html","bagWordId": "0dd103e942ec8139","title": "大龅牙图片","pubDate": "2023-03-13T18:08:06","upDate": "2023-03-13T18:08:06","lrDate": "2023-03-13T18:08:06","description": "大龅牙也就是专业上所说的上颌前突畸形或双颌前突畸形,是牙颌面畸形的典型表现,患者一般侧面面容呈现凸面型,自然状态下双唇不能完全闭合,口内上下前牙唇倾,前牙深覆盖,若出现不良症状,可前往医院治疗。","data": {"WebPage": {"headline": "大龅牙图片","pcUrl": "https://www.med-credit.org.cn/jingxuan/2/b527ee64fd2c4368c1386dd87840961a.html","wapUrl": "https://www.med-credit.org.cn/jingxuan/2/b527ee64fd2c4368c1386dd87840961a.html","mipUrl": "https://www.med-credit.org.cn/mobile/jingxuan/2/b527ee64fd2c4368c1386dd87840961a.html","fromSrc": "欢乐橙","datePublished": "2023-03-13T18:08:06","domain": "医疗","category": ["医疗权威文章合作"],"description": "大龅牙也就是专业上所说的上颌前突畸形或双颌前突畸形,是牙颌面畸形的典型表现,患者一般侧面面容呈现凸面型,自然状态下双唇不能完全闭合,口内上下前牙唇倾,前牙深覆盖,若出现不良症状,可前往医院治疗。
","extra_headline": [""]},"Author": {"name": "李斯文","wapUrl": "https://www.med-credit.org.cn/doctor/546","pcUrl": "https://www.med-credit.org.cn/doctor/546","jobTitle": "主治医师","headPortrait": "https://www.med-credit.org.cn/uploadfile/member/546/180x180.jpeg","id": "546","description": "李斯文,中国医科大学附属口腔医院口腔科主治医师","memberOf": {"legalName": "中国医科大学附属口腔医院","department": "口腔科","organizationLevel": "三级甲等"}},"Article": {"summaryContent": "大龅牙也就是专业上所说的上颌前突畸形或双颌前突畸形,是牙颌面畸形的典型表现,患者一般侧面面容呈现凸面型,自然状态下双唇不能完全闭合,口内上下前牙唇倾,前牙深覆盖,若出现不良症状,可前往医院治疗。

1.一般症状:大龅牙是一种常见颌面部畸形,是由一些先天遗传因素和后天因素为基础,在某些不良的生活习惯如长期吮下唇、口呼吸导致的疾病。一般表现为面中部前凸、颏部相对后缩,唇颏沟消失,上唇突出于审美平面前方。
2.典型症状:典型的症状是面中部前突,自然状态下双唇不能闭合,笑时牙龈暴露过多,下唇常卷曲于上前牙下方。颏部相对后缩,颏部肌肉隆起呈包块状。
3.伴随症状:大龅牙的患者常伴随有发音不标准,口腔健康不佳如牙齿不易清洁等症状,有些患者会因此出现心理问题。
大龅牙虽然不伴有功能障碍,但是非常影响美观。因此一旦出现严重上颌前突畸形或者换牙时牙齿拥挤,需要尽早就医。可以通过去除不良习惯等诱因,使口腔正畸治疗得到改善。
","articleBody": "大龅牙也就是专业上所说的上颌前突畸形或双颌前突畸形,是牙颌面畸形的典型表现,患者一般侧面面容呈现凸面型,自然状态下双唇不能完全闭合,口内上下前牙唇倾,前牙深覆盖,若出现不良症状,可前往医院治疗。

1.一般症状:大龅牙是一种常见颌面部畸形,是由一些先天遗传因素和后天因素为基础,在某些不良的生活习惯如长期吮下唇、口呼吸导致的疾病。一般表现为面中部前凸、颏部相对后缩,唇颏沟消失,上唇突出于审美平面前方。
2.典型症状:典型的症状是面中部前突,自然状态下双唇不能闭合,笑时牙龈暴露过多,下唇常卷曲于上前牙下方。颏部相对后缩,颏部肌肉隆起呈包块状。
3.伴随症状:大龅牙的患者常伴随有发音不标准,口腔健康不佳如牙齿不易清洁等症状,有些患者会因此出现心理问题。
大龅牙虽然不伴有功能障碍,但是非常影响美观。因此一旦出现严重上颌前突畸形或者换牙时牙齿拥挤,需要尽早就医。可以通过去除不良习惯等诱因,使口腔正畸治疗得到改善。
","scanCount": 32530}}} {"@context": "https://ziyuan.baidu.com/contexts/cambrian.jsonld","appid": "1650708455561748","icon": "https://www.med-credit.org.cn/style/images/ttlogo.png","content_tag": ["atlas"],"is_mcn": {"thumb_id": "6s1phww1w"},"accid": "4886d626a2804dee5f11168793ce361672f39c25","@id": "https://www.med-credit.org.cn/mobile/jingxuan/2/dcf2a3e0f87d62cc1b11da1adbc782e0.html","bagWordId": "a7bc65a903e67cd7","title": "女性坐骨神经在哪个部位图片","pubDate": "2023-03-13T18:08:06","upDate": "2023-03-13T18:08:06","lrDate": "2023-03-13T18:08:06","description": "女性坐骨神经的位置在臀部,起始于腰脊髓,止于足跟部,作用是支配所属区域的运动和感觉。","data": {"WebPage": {"headline": "女性坐骨神经在哪个部位图片","pcUrl": "https://www.med-credit.org.cn/jingxuan/2/dcf2a3e0f87d62cc1b11da1adbc782e0.html","wapUrl": "https://www.med-credit.org.cn/jingxuan/2/dcf2a3e0f87d62cc1b11da1adbc782e0.html","mipUrl": "https://www.med-credit.org.cn/mobile/jingxuan/2/dcf2a3e0f87d62cc1b11da1adbc782e0.html","fromSrc": "欢乐橙","datePublished": "2023-03-13T18:08:06","domain": "医疗","category": ["医疗权威文章合作"],"description": "女性坐骨神经的位置在臀部,起始于腰脊髓,止于足跟部,作用是支配所属区域的运动和感觉。
","extra_headline": [""]},"Author": {"name": "王维","wapUrl": "https://www.med-credit.org.cn/doctor/513","pcUrl": "https://www.med-credit.org.cn/doctor/513","jobTitle": "主治医师","headPortrait": "https://www.med-credit.org.cn/uploadfile/member/513/180x180.jpeg","id": "513","description": "王维,中国医科大学附属盛京医院骨科主治医师","memberOf": {"legalName": "中国医科大学附属盛京医院","department": "骨科","organizationLevel": "三级甲等"}},"Article": {"summaryContent": "女性坐骨神经的位置在臀部,起始于腰脊髓,止于足跟部,作用是支配所属区域的运动和感觉。
多种因素可以导致坐骨神经受损,并出现一系列临床症状。

女性坐骨神经是人体最大的神经,起始段是第4、第5腰椎以及第1~3的脊髓段神经根。在脊髓腔内汇合后向下走形经盆腔进入坐骨大孔,然后经过梨状肌、闭孔内肌等臀部肌肉,再经大腿肌群深层走向小腿,在小腿的后方进行延伸。在大腿后又分为胫神经和腓总神经,并且其分支穿过小腿前后再传至足部各部。坐骨神经是多处神经组合而成,胫神经和腓总神经占多数,而且其功能主要是支配臀部、大腿和小腿部的运动和感觉。
创伤、外力压迫、梨状肌综合征是造成坐骨神经损伤的常见因素,引起坐骨神经痛。坐骨神经痛的临床表现主要是慢性或反复发作性腰腿痛,还可能存在部分小腿肌肉组织无力症状,而髋关节及膝关节活动基本正常。
","articleBody": "女性坐骨神经的位置在臀部,起始于腰脊髓,止于足跟部,作用是支配所属区域的运动和感觉。
多种因素可以导致坐骨神经受损,并出现一系列临床症状。

女性坐骨神经是人体最大的神经,起始段是第4、第5腰椎以及第1~3的脊髓段神经根。在脊髓腔内汇合后向下走形经盆腔进入坐骨大孔,然后经过梨状肌、闭孔内肌等臀部肌肉,再经大腿肌群深层走向小腿,在小腿的后方进行延伸。在大腿后又分为胫神经和腓总神经,并且其分支穿过小腿前后再传至足部各部。坐骨神经是多处神经组合而成,胫神经和腓总神经占多数,而且其功能主要是支配臀部、大腿和小腿部的运动和感觉。
创伤、外力压迫、梨状肌综合征是造成坐骨神经损伤的常见因素,引起坐骨神经痛。坐骨神经痛的临床表现主要是慢性或反复发作性腰腿痛,还可能存在部分小腿肌肉组织无力症状,而髋关节及膝关节活动基本正常。
","scanCount": 32527}}} {"@context": "https://ziyuan.baidu.com/contexts/cambrian.jsonld","appid": "1650708455561748","icon": "https://www.med-credit.org.cn/style/images/ttlogo.png","content_tag": ["atlas"],"is_mcn": {"thumb_id": "6s1phww1w"},"accid": "4886d626a2804dee5f11168793ce361672f39c25","@id": "https://www.med-credit.org.cn/mobile/jingxuan/2/2349b62224c526aba9f2bc9cc401ff96.html","bagWordId": "6b6c971ef0f8b40b","title": "踝关节图片","pubDate": "2023-03-13T18:08:06","upDate": "2023-03-13T18:08:06","lrDate": "2023-03-13T18:08:06","description": "踝关节由胫骨、腓骨下端的关节面与距骨滑车构成,故又名距骨小腿关节。踝关节分为内踝、外踝、后踝。","data": {"WebPage": {"headline": "踝关节图片","pcUrl": "https://www.med-credit.org.cn/jingxuan/2/2349b62224c526aba9f2bc9cc401ff96.html","wapUrl": "https://www.med-credit.org.cn/jingxuan/2/2349b62224c526aba9f2bc9cc401ff96.html","mipUrl": "https://www.med-credit.org.cn/mobile/jingxuan/2/2349b62224c526aba9f2bc9cc401ff96.html","fromSrc": "欢乐橙","datePublished": "2023-03-13T18:08:06","domain": "医疗","category": ["医疗权威文章合作"],"description": "踝关节由胫骨、腓骨下端的关节面与距骨滑车构成,故又名距骨小腿关节。踝关节分为内踝、外踝、后踝。
","extra_headline": ["踝关节"]},"Author": {"name": "王维","wapUrl": "https://www.med-credit.org.cn/doctor/513","pcUrl": "https://www.med-credit.org.cn/doctor/513","jobTitle": "主治医师","headPortrait": "https://www.med-credit.org.cn/uploadfile/member/513/180x180.jpeg","id": "513","description": "王维,中国医科大学附属盛京医院骨科主治医师","memberOf": {"legalName": "中国医科大学附属盛京医院","department": "骨科","organizationLevel": "三级甲等"}},"Article": {"summaryContent": "踝关节由胫骨、腓骨下端的关节面与距骨滑车构成,故又名距骨小腿关节。踝关节分为内踝、外踝、后踝。
踝关节有一定功能作用,踝关节受伤后需及时前往医院就诊治疗。

踝关节中胫骨远端内侧突出的部位称内踝,腓骨远端突出的部位称外踝,后缘唇状突起部位称后踝。从冠状面上来说,外踝较内踝低;从矢状面来说,外踝较内踝后,这一解剖特点可以防止距骨过度外翻。
踝关节主要承受人体在行走、跑步、旋转等活动时各方向的应力,当足尖向上时,小腿与足之间的夹角小于90°称背屈;当足尖向下,夹角大于90°,称之为跖屈。跖屈时,踝关节可以做一定的侧方运动,此时则容易发生内翻,损伤踝关节。踝关节解剖复杂,在肌肉、韧带、关节等的协同作用下,完成运动活动。如果不慎踝关节受伤,建议尽早就医,明确诊断,遵医嘱规范化治疗。
","articleBody": "踝关节由胫骨、腓骨下端的关节面与距骨滑车构成,故又名距骨小腿关节。踝关节分为内踝、外踝、后踝。
踝关节有一定功能作用,踝关节受伤后需及时前往医院就诊治疗。

踝关节中胫骨远端内侧突出的部位称内踝,腓骨远端突出的部位称外踝,后缘唇状突起部位称后踝。从冠状面上来说,外踝较内踝低;从矢状面来说,外踝较内踝后,这一解剖特点可以防止距骨过度外翻。
踝关节主要承受人体在行走、跑步、旋转等活动时各方向的应力,当足尖向上时,小腿与足之间的夹角小于90°称背屈;当足尖向下,夹角大于90°,称之为跖屈。跖屈时,踝关节可以做一定的侧方运动,此时则容易发生内翻,损伤踝关节。踝关节解剖复杂,在肌肉、韧带、关节等的协同作用下,完成运动活动。如果不慎踝关节受伤,建议尽早就医,明确诊断,遵医嘱规范化治疗。
","scanCount": 7475}}} {"@context": "https://ziyuan.baidu.com/contexts/cambrian.jsonld","appid": "1650708455561748","icon": "https://www.med-credit.org.cn/style/images/ttlogo.png","content_tag": ["atlas"],"is_mcn": {"thumb_id": "ay28xrnt0"},"accid": "4886d626a2804dee5f11168793ce361672f39c25","@id": "https://www.med-credit.org.cn/mobile/jingxuan/2/a2add5c59ec3942c9ff13a1bf44a54bf.html","bagWordId": "bf03283763546862","title": "牙髓拔出来的图片","pubDate": "2023-03-13T18:08:06","upDate": "2023-03-13T18:08:06","lrDate": "2023-03-13T18:08:06","description": "牙髓拔出来一般是患者进行了牙髓摘除术。","data": {"WebPage": {"headline": "牙髓拔出来的图片","pcUrl": "https://www.med-credit.org.cn/jingxuan/2/a2add5c59ec3942c9ff13a1bf44a54bf.html","wapUrl": "https://www.med-credit.org.cn/jingxuan/2/a2add5c59ec3942c9ff13a1bf44a54bf.html","mipUrl": "https://www.med-credit.org.cn/mobile/jingxuan/2/a2add5c59ec3942c9ff13a1bf44a54bf.html","fromSrc": "欢乐橙","datePublished": "2023-03-13T18:08:06","domain": "医疗","category": ["医疗权威文章合作"],"description": "牙髓拔出来一般是患者进行了牙髓摘除术。
","extra_headline": [""]},"Author": {"name": "李斯文","wapUrl": "https://www.med-credit.org.cn/doctor/546","pcUrl": "https://www.med-credit.org.cn/doctor/546","jobTitle": "主治医师","headPortrait": "https://www.med-credit.org.cn/uploadfile/member/546/180x180.jpeg","id": "546","description": "李斯文,中国医科大学附属口腔医院口腔科主治医师","memberOf": {"legalName": "中国医科大学附属口腔医院","department": "口腔科","organizationLevel": "三级甲等"}},"Article": {"summaryContent": "牙髓拔出来一般是患者进行了牙髓摘除术。
牙髓组织位于牙齿内部的牙髓腔内,牙髓具有一定生理功能,且出现病变时,会引起一系列临床症状。

牙髓摘除术适用于各种牙髓炎;成人由于增龄变化引起的牙髓退行性变;在牙体手术中的意外穿髓者;外伤牙冠折断在龈上者。对于牙根过于弯曲、狭窄的患牙,牙内吸收使根管壁变得太薄的患牙,牙冠破坏过大难以修复的后牙均不宜行牙髓摘除术。
1、形态:牙髓腔的外形与牙体形态大致相似,牙冠部髓腔较大,称髓室,牙根部髓腔较细小,称根管,根尖部有小孔,称根尖孔。牙髓组织主要包含神经、血管,淋巴和结缔组织,还有排列在牙髓外周的造牙本质细胞,其作用是造牙本质。
2、功能及病变:牙髓的主要功能包括营养、感觉、防御等。但当牙冠受损如龋病等外界因素刺激牙髓神经时,会产生难以忍受的强烈的疼痛。这是因为这里的神经对外界刺激异常敏感,故牙疼问题困扰了许多人。牙髓因受到病原刺激物的作用不同以及机体抵抗力的差异,出现不同的病理变化,在临床上会表现为一系列不同的症状和体征。牙髓充血状况持续时间较长后,转化为急性牙髓炎症。
","articleBody": "牙髓拔出来一般是患者进行了牙髓摘除术。
牙髓组织位于牙齿内部的牙髓腔内,牙髓具有一定生理功能,且出现病变时,会引起一系列临床症状。

牙髓摘除术适用于各种牙髓炎;成人由于增龄变化引起的牙髓退行性变;在牙体手术中的意外穿髓者;外伤牙冠折断在龈上者。对于牙根过于弯曲、狭窄的患牙,牙内吸收使根管壁变得太薄的患牙,牙冠破坏过大难以修复的后牙均不宜行牙髓摘除术。
1、形态:牙髓腔的外形与牙体形态大致相似,牙冠部髓腔较大,称髓室,牙根部髓腔较细小,称根管,根尖部有小孔,称根尖孔。牙髓组织主要包含神经、血管,淋巴和结缔组织,还有排列在牙髓外周的造牙本质细胞,其作用是造牙本质。
2、功能及病变:牙髓的主要功能包括营养、感觉、防御等。但当牙冠受损如龋病等外界因素刺激牙髓神经时,会产生难以忍受的强烈的疼痛。这是因为这里的神经对外界刺激异常敏感,故牙疼问题困扰了许多人。牙髓因受到病原刺激物的作用不同以及机体抵抗力的差异,出现不同的病理变化,在临床上会表现为一系列不同的症状和体征。牙髓充血状况持续时间较长后,转化为急性牙髓炎症。
","scanCount": 32525}}} {"@context": "https://ziyuan.baidu.com/contexts/cambrian.jsonld","appid": "1650708455561748","icon": "https://www.med-credit.org.cn/style/images/ttlogo.png","content_tag": ["atlas"],"is_mcn": {"thumb_id": "ay28xrnt0"},"accid": "4886d626a2804dee5f11168793ce361672f39c25","@id": "https://www.med-credit.org.cn/mobile/jingxuan/2/0d12923fae3e89d47dbe8c6e13f59538.html","bagWordId": "eb64eca4d7b98903","title": "龅牙的图片","pubDate": "2023-03-13T18:08:06","upDate": "2023-03-13T18:08:06","lrDate": "2023-03-13T18:08:06","description": "龅牙会表现出上牙前突、开唇露齿、露龈笑等,从脸部观察会觉得上唇比较突出。","data": {"WebPage": {"headline": "龅牙的图片","pcUrl": "https://www.med-credit.org.cn/jingxuan/2/0d12923fae3e89d47dbe8c6e13f59538.html","wapUrl": "https://www.med-credit.org.cn/jingxuan/2/0d12923fae3e89d47dbe8c6e13f59538.html","mipUrl": "https://www.med-credit.org.cn/mobile/jingxuan/2/0d12923fae3e89d47dbe8c6e13f59538.html","fromSrc": "欢乐橙","datePublished": "2023-03-13T18:08:06","domain": "医疗","category": ["医疗权威文章合作"],"description": "龅牙会表现出上牙前突、开唇露齿、露龈笑等,从脸部观察会觉得上唇比较突出。
","extra_headline": [""]},"Author": {"name": "李斯文","wapUrl": "https://www.med-credit.org.cn/doctor/546","pcUrl": "https://www.med-credit.org.cn/doctor/546","jobTitle": "主治医师","headPortrait": "https://www.med-credit.org.cn/uploadfile/member/546/180x180.jpeg","id": "546","description": "李斯文,中国医科大学附属口腔医院口腔科主治医师","memberOf": {"legalName": "中国医科大学附属口腔医院","department": "口腔科","organizationLevel": "三级甲等"}},"Article": {"summaryContent": "龅牙会表现出上牙前突、开唇露齿、露龈笑等,从脸部观察会觉得上唇比较突出。
龅牙可以进行相对应的治疗如预防性治疗、阻断性治疗、一般治疗、手术治疗。

典型的症状表现是面中部前突,自然状态下上下嘴唇无法完全闭合,笑的时候会过多暴露牙龈,下嘴唇卷曲于上前牙的下面,常伴有颏部后缩且有肌肉隆起等。
1、预防性治疗:及时治疗乳牙龋病,乳牙早失时需行缺隙保持。若有多生牙也建议拔除,还要及时治疗全身性疾病,如佝偻病等。
2、阻断性治疗:纠正自身不良习惯,如咬下唇、口呼吸。同时还可使用功能矫治器,补偿下颌发育不足情况。
3、一般治疗:拔牙治疗、使用辅助装置。
4、手术治疗:术前、术后正畸治疗,正颌手术等。
","articleBody": "龅牙会表现出上牙前突、开唇露齿、露龈笑等,从脸部观察会觉得上唇比较突出。
龅牙可以进行相对应的治疗如预防性治疗、阻断性治疗、一般治疗、手术治疗。

典型的症状表现是面中部前突,自然状态下上下嘴唇无法完全闭合,笑的时候会过多暴露牙龈,下嘴唇卷曲于上前牙的下面,常伴有颏部后缩且有肌肉隆起等。
1、预防性治疗:及时治疗乳牙龋病,乳牙早失时需行缺隙保持。若有多生牙也建议拔除,还要及时治疗全身性疾病,如佝偻病等。
2、阻断性治疗:纠正自身不良习惯,如咬下唇、口呼吸。同时还可使用功能矫治器,补偿下颌发育不足情况。
3、一般治疗:拔牙治疗、使用辅助装置。
4、手术治疗:术前、术后正畸治疗,正颌手术等。
","scanCount": 32521}}} {"@context": "https://ziyuan.baidu.com/contexts/cambrian.jsonld","appid": "1650708455561748","icon": "https://www.med-credit.org.cn/style/images/ttlogo.png","content_tag": ["atlas"],"is_mcn": {"thumb_id": "ay28xrnt0"},"accid": "4886d626a2804dee5f11168793ce361672f39c25","@id": "https://www.med-credit.org.cn/mobile/jingxuan/2/fbc0b8153898c3498997fa0740824fa8.html","bagWordId": "729a15ec0bb012b4","title": "口腔里长了一个小肉揪图片","pubDate": "2023-03-13T18:08:06","upDate": "2023-03-13T18:08:06","lrDate": "2023-03-13T18:08:06","description": "口腔里长了一个小肉揪可能是正常现象或病理因素所致。","data": {"WebPage": {"headline": "口腔里长了一个小肉揪图片","pcUrl": "https://www.med-credit.org.cn/jingxuan/2/fbc0b8153898c3498997fa0740824fa8.html","wapUrl": "https://www.med-credit.org.cn/jingxuan/2/fbc0b8153898c3498997fa0740824fa8.html","mipUrl": "https://www.med-credit.org.cn/mobile/jingxuan/2/fbc0b8153898c3498997fa0740824fa8.html","fromSrc": "欢乐橙","datePublished": "2023-03-13T18:08:06","domain": "医疗","category": ["医疗权威文章合作"],"description": "口腔里长了一个小肉揪可能是正常现象或病理因素所致。
","extra_headline": ["口腔里长了一个小肉揪"]},"Author": {"name": "李斯文","wapUrl": "https://www.med-credit.org.cn/doctor/546","pcUrl": "https://www.med-credit.org.cn/doctor/546","jobTitle": "主治医师","headPortrait": "https://www.med-credit.org.cn/uploadfile/member/546/180x180.jpeg","id": "546","description": "李斯文,中国医科大学附属口腔医院口腔科主治医师","memberOf": {"legalName": "中国医科大学附属口腔医院","department": "口腔科","organizationLevel": "三级甲等"}},"Article": {"summaryContent": "口腔里长了一个小肉揪可能是正常现象或病理因素所致。
病理因素可以给予患者手术治疗,患者出现异常症状,需及时前往医院就诊治疗。
1、正常情况

若口腔内的小肉揪位于上颌的第二磨牙附近的两侧对称的颊黏膜上,按压无疼痛感,则考虑为正常解剖结构,即腮腺管乳头。一般没有发生感染性炎症则无需治疗。
2、病理因素
(1)口腔黏膜增生:主要是由于长时间的咬合刺激,导致黏膜局限性增生。需要及时去医院口腔科进行处理,磨除过于尖锐的牙尖,或拆除不良的修复体。如果保守治疗效果不理想,需要将增生的黏膜组织进行手术切除。

(2)口腔黏液腺囊肿:主要是由于导管阻塞形成潴留性囊肿,患者一般无疼痛症状,如果伴有金黄色葡萄球菌感染,会引起局限性疼痛。对于黏液性囊肿需要及时进行手术切除,然后进行病理学检查。

除了上述相对常见的原因外,还有其他的可能性疾病,比如牙龈瘤。建议患者出现这种症状后,及时去医院就诊,查明病因后,予以针对性治疗。
","articleBody": "口腔里长了一个小肉揪可能是正常现象或病理因素所致。
病理因素可以给予患者手术治疗,患者出现异常症状,需及时前往医院就诊治疗。
1、正常情况

若口腔内的小肉揪位于上颌的第二磨牙附近的两侧对称的颊黏膜上,按压无疼痛感,则考虑为正常解剖结构,即腮腺管乳头。一般没有发生感染性炎症则无需治疗。
2、病理因素
(1)口腔黏膜增生:主要是由于长时间的咬合刺激,导致黏膜局限性增生。需要及时去医院口腔科进行处理,磨除过于尖锐的牙尖,或拆除不良的修复体。如果保守治疗效果不理想,需要将增生的黏膜组织进行手术切除。

(2)口腔黏液腺囊肿:主要是由于导管阻塞形成潴留性囊肿,患者一般无疼痛症状,如果伴有金黄色葡萄球菌感染,会引起局限性疼痛。对于黏液性囊肿需要及时进行手术切除,然后进行病理学检查。

除了上述相对常见的原因外,还有其他的可能性疾病,比如牙龈瘤。建议患者出现这种症状后,及时去医院就诊,查明病因后,予以针对性治疗。
","scanCount": 5018}}} {"@context": "https://ziyuan.baidu.com/contexts/cambrian.jsonld","appid": "1650708455561748","icon": "https://www.med-credit.org.cn/style/images/ttlogo.png","content_tag": ["atlas"],"is_mcn": {"thumb_id": "ay28xrnt0"},"accid": "4886d626a2804dee5f11168793ce361672f39c25","@id": "https://www.med-credit.org.cn/mobile/jingxuan/2/070623796d3770e59a1495d266078b16.html","bagWordId": "f5bc43ab05688a84","title": "婴儿长马牙图片","pubDate": "2023-03-13T18:08:06","upDate": "2023-03-13T18:08:06","lrDate": "2023-03-13T18:08:06","description": "婴儿长马牙表现为口腔内位于牙床、上颚或牙龈边缘有米粒大小,球状白色或淡黄色小斑点,数目不一。","data": {"WebPage": {"headline": "婴儿长马牙图片","pcUrl": "https://www.med-credit.org.cn/jingxuan/2/070623796d3770e59a1495d266078b16.html","wapUrl": "https://www.med-credit.org.cn/jingxuan/2/070623796d3770e59a1495d266078b16.html","mipUrl": "https://www.med-credit.org.cn/mobile/jingxuan/2/070623796d3770e59a1495d266078b16.html","fromSrc": "欢乐橙","datePublished": "2023-03-13T18:08:06","domain": "医疗","category": ["医疗权威文章合作"],"description": "婴儿长马牙表现为口腔内位于牙床、上颚或牙龈边缘有米粒大小,球状白色或淡黄色小斑点,数目不一。
","extra_headline": [""]},"Author": {"name": "李斯文","wapUrl": "https://www.med-credit.org.cn/doctor/546","pcUrl": "https://www.med-credit.org.cn/doctor/546","jobTitle": "主治医师","headPortrait": "https://www.med-credit.org.cn/uploadfile/member/546/180x180.jpeg","id": "546","description": "李斯文,中国医科大学附属口腔医院口腔科主治医师","memberOf": {"legalName": "中国医科大学附属口腔医院","department": "口腔科","organizationLevel": "三级甲等"}},"Article": {"summaryContent": "婴儿长马牙表现为口腔内位于牙床、上颚或牙龈边缘有米粒大小,球状白色或淡黄色小斑点,数目不一。
父母需注意婴儿口腔卫生护理,避免症状加重。

部分新生儿口腔检查时会发现马牙,别名有上皮珠、板牙。一般没有不适感,为角化产物堆积及黏液腺分泌物积留而成,是新生儿特有的正常生理现象。马牙对宝宝没有任何影响,通常会在数月内会自行脱落或被吸收,不需要进行处理。
在胎儿时期,通常在胚胎6周时,已形成牙的原始组织牙板,牙板上形成牙胚,随后牙胚会脱离牙板发育为牙齿,牙板将会被吸收消失。当某些断离的牙板未完全吸收,则会角化形成马牙。
对于婴儿口腔的清洁,应早晚使用专用湿巾或用清洁的消毒棉棒沾水轻轻拭擦,护理时动作应轻柔,避免损伤婴儿的口腔黏膜。对于马牙不能进行挑割,否则容易造成继发感染,严重者可能导致败血症。
","articleBody": "婴儿长马牙表现为口腔内位于牙床、上颚或牙龈边缘有米粒大小,球状白色或淡黄色小斑点,数目不一。
父母需注意婴儿口腔卫生护理,避免症状加重。

部分新生儿口腔检查时会发现马牙,别名有上皮珠、板牙。一般没有不适感,为角化产物堆积及黏液腺分泌物积留而成,是新生儿特有的正常生理现象。马牙对宝宝没有任何影响,通常会在数月内会自行脱落或被吸收,不需要进行处理。
在胎儿时期,通常在胚胎6周时,已形成牙的原始组织牙板,牙板上形成牙胚,随后牙胚会脱离牙板发育为牙齿,牙板将会被吸收消失。当某些断离的牙板未完全吸收,则会角化形成马牙。
对于婴儿口腔的清洁,应早晚使用专用湿巾或用清洁的消毒棉棒沾水轻轻拭擦,护理时动作应轻柔,避免损伤婴儿的口腔黏膜。对于马牙不能进行挑割,否则容易造成继发感染,严重者可能导致败血症。
","scanCount": 32515}}} {"@context": "https://ziyuan.baidu.com/contexts/cambrian.jsonld","appid": "1650708455561748","icon": "https://www.med-credit.org.cn/style/images/ttlogo.png","content_tag": ["atlas"],"is_mcn": {"thumb_id": "6s1phww1w"},"accid": "4886d626a2804dee5f11168793ce361672f39c25","@id": "https://www.med-credit.org.cn/mobile/jingxuan/2/9e281cd3d3c1030f47c6c3d4d34146a3.html","bagWordId": "3fd4a4001a865677","title": "股骨头在什么位置图解","pubDate": "2023-03-13T18:08:06","upDate": "2023-03-13T18:08:06","lrDate": "2023-03-13T18:08:06","description": "股骨头位于股骨上端,处于大腿根部,是股骨与髋骨构成关节的部分,股骨头与髋臼契合,由软组织及韧带包裹组合成髋关节。","data": {"WebPage": {"headline": "股骨头在什么位置图解","pcUrl": "https://www.med-credit.org.cn/jingxuan/2/9e281cd3d3c1030f47c6c3d4d34146a3.html","wapUrl": "https://www.med-credit.org.cn/jingxuan/2/9e281cd3d3c1030f47c6c3d4d34146a3.html","mipUrl": "https://www.med-credit.org.cn/mobile/jingxuan/2/9e281cd3d3c1030f47c6c3d4d34146a3.html","fromSrc": "欢乐橙","datePublished": "2023-03-13T18:08:06","domain": "医疗","category": ["医疗权威文章合作"],"description": "股骨头位于股骨上端,处于大腿根部,是股骨与髋骨构成关节的部分,股骨头与髋臼契合,由软组织及韧带包裹组合成髋关节。
","extra_headline": [""]},"Author": {"name": "王维","wapUrl": "https://www.med-credit.org.cn/doctor/513","pcUrl": "https://www.med-credit.org.cn/doctor/513","jobTitle": "主治医师","headPortrait": "https://www.med-credit.org.cn/uploadfile/member/513/180x180.jpeg","id": "513","description": "王维,中国医科大学附属盛京医院骨科主治医师","memberOf": {"legalName": "中国医科大学附属盛京医院","department": "骨科","organizationLevel": "三级甲等"}},"Article": {"summaryContent": "股骨头位于股骨上端,处于大腿根部,是股骨与髋骨构成关节的部分,股骨头与髋臼契合,由软组织及韧带包裹组合成髋关节。
股骨头受损伤后,产生相应病变,若出现异常症状,患者需及时前往医院治疗。

1、位置:股骨位于大腿,是人体最长的长骨,其上端顶端朝向内上,有一球形骨性凸起,称为股骨头。此部位与髋骨下方的半球形凹陷结构髋臼相对应,股骨头的关节面约为圆球的2/3,几乎全部纳入髋臼内,与髋臼的关节面接触。
2、病变:股骨头容易发生的疾病是脱位及骨折。髋关节关节囊后下部的韧带组织比较薄弱,脱位时,股骨头易向下方脱离。儿童髋关节发育不良,成人外力损伤均可导致髋关节脱位。髋关节骨折容易造成股骨头下方的股骨颈骨折,这个部位脆弱的血供使骨折后导致股骨头缺血坏死。
股骨头发生的疾病通常由跌倒引起,最常发生于老年人,特别是骨质疏松的患者。外伤后如持续出现髋部疼痛、肿胀或影响正常行走,应及时就诊,进行相关影像学检查确定骨骼及韧带情况。
","articleBody": "股骨头位于股骨上端,处于大腿根部,是股骨与髋骨构成关节的部分,股骨头与髋臼契合,由软组织及韧带包裹组合成髋关节。
股骨头受损伤后,产生相应病变,若出现异常症状,患者需及时前往医院治疗。

1、位置:股骨位于大腿,是人体最长的长骨,其上端顶端朝向内上,有一球形骨性凸起,称为股骨头。此部位与髋骨下方的半球形凹陷结构髋臼相对应,股骨头的关节面约为圆球的2/3,几乎全部纳入髋臼内,与髋臼的关节面接触。
2、病变:股骨头容易发生的疾病是脱位及骨折。髋关节关节囊后下部的韧带组织比较薄弱,脱位时,股骨头易向下方脱离。儿童髋关节发育不良,成人外力损伤均可导致髋关节脱位。髋关节骨折容易造成股骨头下方的股骨颈骨折,这个部位脆弱的血供使骨折后导致股骨头缺血坏死。
股骨头发生的疾病通常由跌倒引起,最常发生于老年人,特别是骨质疏松的患者。外伤后如持续出现髋部疼痛、肿胀或影响正常行走,应及时就诊,进行相关影像学检查确定骨骼及韧带情况。
","scanCount": 32514}}} {"@context": "https://ziyuan.baidu.com/contexts/cambrian.jsonld","appid": "1650708455561748","icon": "https://www.med-credit.org.cn/style/images/ttlogo.png","content_tag": ["atlas"],"is_mcn": {"thumb_id": "ay28xrnt0"},"accid": "4886d626a2804dee5f11168793ce361672f39c25","@id": "https://www.med-credit.org.cn/mobile/jingxuan/2/d8dbd13d8b7c3b9ff389279bae92fbf9.html","bagWordId": "dac3a1a792a0fca4","title": "口腔扁平苔藓图片","pubDate": "2023-03-13T18:08:06","upDate": "2023-03-13T18:08:06","lrDate": "2023-03-13T18:08:06","description": "口腔扁平苔藓在临床上常呈白色或灰白色,由于个体差异,形状可能呈网格状、树枝状、条纹状、水疱状、线状或斑块状,一般都是对称性分布。患者可以遵医嘱服用药物治疗。","data": {"WebPage": {"headline": "口腔扁平苔藓图片","pcUrl": "https://www.med-credit.org.cn/jingxuan/2/d8dbd13d8b7c3b9ff389279bae92fbf9.html","wapUrl": "https://www.med-credit.org.cn/jingxuan/2/d8dbd13d8b7c3b9ff389279bae92fbf9.html","mipUrl": "https://www.med-credit.org.cn/mobile/jingxuan/2/d8dbd13d8b7c3b9ff389279bae92fbf9.html","fromSrc": "欢乐橙","datePublished": "2023-03-13T18:08:06","domain": "医疗","category": ["医疗权威文章合作"],"description": "口腔扁平苔藓在临床上常呈白色或灰白色,由于个体差异,形状可能呈网格状、树枝状、条纹状、水疱状、线状或斑块状,一般都是对称性分布。患者可以遵医嘱服用药物治疗。
","extra_headline": [""]},"Author": {"name": "李斯文","wapUrl": "https://www.med-credit.org.cn/doctor/546","pcUrl": "https://www.med-credit.org.cn/doctor/546","jobTitle": "主治医师","headPortrait": "https://www.med-credit.org.cn/uploadfile/member/546/180x180.jpeg","id": "546","description": "李斯文,中国医科大学附属口腔医院口腔科主治医师","memberOf": {"legalName": "中国医科大学附属口腔医院","department": "口腔科","organizationLevel": "三级甲等"}},"Article": {"summaryContent": "口腔扁平苔藓在临床上常呈白色或灰白色,由于个体差异,形状可能呈网格状、树枝状、条纹状、水疱状、线状或斑块状,一般都是对称性分布。患者可以遵医嘱服用药物治疗。

由于工作压力过大、近期情绪波动较大等精神性因素或暴饮暴食、长期熬夜导致内分泌系统失调,造成口腔炎症性反应,局部增生引起苔藓化的红斑,一般与周围正常组织的边界清楚,在临床上常呈白色或灰白色,由于个体差异,形状可能呈网格状、树枝状、条纹状、水疱状、线状或斑块状,一般都是对称性分布,可能会伴有剧烈的瘙痒感或疼痛感。注意千万不能挠破,容易造成感染和扩散。
患者可以外敷维A酸类药物,配合口服维生素B12,用于预防再次感染。考虑进行抗炎消肿处理,建议在医生的指导下局部外用抗真菌药物进行改善,临床上常用的有盐酸萘替芬软膏和硝酸咪康唑乳膏等。给予外敷的糖皮质激素治疗,还可以给予免疫抑制剂如环孢素进行治疗。注意用药需遵医嘱。
","articleBody": "口腔扁平苔藓在临床上常呈白色或灰白色,由于个体差异,形状可能呈网格状、树枝状、条纹状、水疱状、线状或斑块状,一般都是对称性分布。患者可以遵医嘱服用药物治疗。

由于工作压力过大、近期情绪波动较大等精神性因素或暴饮暴食、长期熬夜导致内分泌系统失调,造成口腔炎症性反应,局部增生引起苔藓化的红斑,一般与周围正常组织的边界清楚,在临床上常呈白色或灰白色,由于个体差异,形状可能呈网格状、树枝状、条纹状、水疱状、线状或斑块状,一般都是对称性分布,可能会伴有剧烈的瘙痒感或疼痛感。注意千万不能挠破,容易造成感染和扩散。
患者可以外敷维A酸类药物,配合口服维生素B12,用于预防再次感染。考虑进行抗炎消肿处理,建议在医生的指导下局部外用抗真菌药物进行改善,临床上常用的有盐酸萘替芬软膏和硝酸咪康唑乳膏等。给予外敷的糖皮质激素治疗,还可以给予免疫抑制剂如环孢素进行治疗。注意用药需遵医嘱。
","scanCount": 32512}}} {"@context": "https://ziyuan.baidu.com/contexts/cambrian.jsonld","appid": "1650708455561748","icon": "https://www.med-credit.org.cn/style/images/ttlogo.png","content_tag": ["atlas"],"is_mcn": {"thumb_id": "e4oal99d"},"accid": "4886d626a2804dee5f11168793ce361672f39c25","@id": "https://www.med-credit.org.cn/mobile/jingxuan/2/0c8b105709d82a2691fceaedf90a4cc5.html","bagWordId": "bab85da2cb9b999f","title": "软腭在哪个位置图片","pubDate": "2023-03-13T18:08:06","upDate": "2023-03-13T18:08:06","lrDate": "2023-03-13T18:08:06","description": "软腭是指口腔顶部后1/3部分,静止状态下软腭垂向后下方。腭是口腔顶部,起到分隔口腔、鼻腔的作用。软腭为腭的后1/3,由骨骼肌被覆黏膜而构成。相应的,腭的前2/3部分则称为硬腭。","data": {"WebPage": {"headline": "软腭在哪个位置图片","pcUrl": "https://www.med-credit.org.cn/jingxuan/2/0c8b105709d82a2691fceaedf90a4cc5.html","wapUrl": "https://www.med-credit.org.cn/jingxuan/2/0c8b105709d82a2691fceaedf90a4cc5.html","mipUrl": "https://www.med-credit.org.cn/mobile/jingxuan/2/0c8b105709d82a2691fceaedf90a4cc5.html","fromSrc": "欢乐橙","datePublished": "2023-03-13T18:08:06","domain": "医疗","category": ["医疗权威文章合作"],"description": "软腭是指口腔顶部后1/3部分,静止状态下软腭垂向后下方。腭是口腔顶部,起到分隔口腔、鼻腔的作用。软腭为腭的后1/3,由骨骼肌被覆黏膜而构成。相应的,腭的前2/3部分则称为硬腭。
","extra_headline": ["软腭在哪个位置"]},"Author": {"name": "谢洪","wapUrl": "https://www.med-credit.org.cn/doctor/538","pcUrl": "https://www.med-credit.org.cn/doctor/538","jobTitle": "副主任医师","headPortrait": "https://www.med-credit.org.cn/uploadfile/member/538/180x180.jpeg","id": "538","description": "谢洪,首都医科大学附属北京世纪坛医院耳鼻喉头颈外科副主任医师","memberOf": {"legalName": "首都医科大学附属北京世纪坛医院","department": "耳鼻喉头颈外科","organizationLevel": "三级甲等"}},"Article": {"summaryContent": "软腭是指口腔顶部后1/3部分,静止状态下软腭垂向后下方。腭是口腔顶部,起到分隔口腔、鼻腔的作用。软腭为腭的后1/3,由骨骼肌被覆黏膜而构成。相应的,腭的前2/3部分则称为硬腭。

软腭前部分水平,后部分则斜向下,悬垂似船帆状,故称为腭帆。腭帆后缘游离,其正中部有一乳头样突起,向下垂,称为腭垂,又叫悬雍垂,起到阻止食物倒流入鼻腔的作用。
软腭两侧向外下方有两个弓状黏膜皱襞,前方的为腭舌弓,延展到舌根外侧,后者为腭咽弓,延长到咽后壁。咽峡则由腭垂、腭帆游离缘、两侧腭舌弓及舌根一同构成,形成口腔和咽的分界,也是口腔与咽的狭窄部分。
软腭的腭肌与咽肌协调运动,共同控制腭咽闭合,在言语、吞咽、呼吸等方面发挥重要作用。另一方面,当吞咽或说话时软腭上提,与咽后壁相贴,进而分隔口腔与鼻腔,具有防止食物、唾液等倒流入鼻腔的作用。
","articleBody": "软腭是指口腔顶部后1/3部分,静止状态下软腭垂向后下方。腭是口腔顶部,起到分隔口腔、鼻腔的作用。软腭为腭的后1/3,由骨骼肌被覆黏膜而构成。相应的,腭的前2/3部分则称为硬腭。

软腭前部分水平,后部分则斜向下,悬垂似船帆状,故称为腭帆。腭帆后缘游离,其正中部有一乳头样突起,向下垂,称为腭垂,又叫悬雍垂,起到阻止食物倒流入鼻腔的作用。
软腭两侧向外下方有两个弓状黏膜皱襞,前方的为腭舌弓,延展到舌根外侧,后者为腭咽弓,延长到咽后壁。咽峡则由腭垂、腭帆游离缘、两侧腭舌弓及舌根一同构成,形成口腔和咽的分界,也是口腔与咽的狭窄部分。
软腭的腭肌与咽肌协调运动,共同控制腭咽闭合,在言语、吞咽、呼吸等方面发挥重要作用。另一方面,当吞咽或说话时软腭上提,与咽后壁相贴,进而分隔口腔与鼻腔,具有防止食物、唾液等倒流入鼻腔的作用。
","scanCount": 9371}}} {"@context": "https://ziyuan.baidu.com/contexts/cambrian.jsonld","appid": "1650708455561748","icon": "https://www.med-credit.org.cn/style/images/ttlogo.png","content_tag": ["atlas"],"is_mcn": {"thumb_id": "6s1phww1w"},"accid": "4886d626a2804dee5f11168793ce361672f39c25","@id": "https://www.med-credit.org.cn/mobile/jingxuan/2/8c456c420f31dffbfda034d7a81a388e.html","bagWordId": "dfd5de18965ee034","title": "枕骨在哪个位置图","pubDate": "2023-03-13T18:08:06","upDate": "2023-03-13T18:08:06","lrDate": "2023-03-13T18:08:06","description": "枕骨系颅骨中的1块。参与组成脑颅,位于脑颅的后部,呈内凹外凸瓢状的扁骨。","data": {"WebPage": {"headline": "枕骨在哪个位置图","pcUrl": "https://www.med-credit.org.cn/jingxuan/2/8c456c420f31dffbfda034d7a81a388e.html","wapUrl": "https://www.med-credit.org.cn/jingxuan/2/8c456c420f31dffbfda034d7a81a388e.html","mipUrl": "https://www.med-credit.org.cn/mobile/jingxuan/2/8c456c420f31dffbfda034d7a81a388e.html","fromSrc": "欢乐橙","datePublished": "2023-03-13T18:08:06","domain": "医疗","category": ["医疗权威文章合作"],"description": "枕骨系颅骨中的1块。参与组成脑颅,位于脑颅的后部,呈内凹外凸瓢状的扁骨。
","extra_headline": [""]},"Author": {"name": "王维","wapUrl": "https://www.med-credit.org.cn/doctor/513","pcUrl": "https://www.med-credit.org.cn/doctor/513","jobTitle": "主治医师","headPortrait": "https://www.med-credit.org.cn/uploadfile/member/513/180x180.jpeg","id": "513","description": "王维,中国医科大学附属盛京医院骨科主治医师","memberOf": {"legalName": "中国医科大学附属盛京医院","department": "骨科","organizationLevel": "三级甲等"}},"Article": {"summaryContent": "枕骨系颅骨中的1块。参与组成脑颅,位于脑颅的后部,呈内凹外凸瓢状的扁骨。
即枕骨为颅骨后部围绕枕骨大孔的复合骨,位于头颅骨的后部分。外形或棱、或平、或长、或圆不一,枕骨结构异常在临床中会出现一系列相关疾病。

枕骨中央的大孔称枕骨大孔,颅腔与椎管经孔相通。枕骨大孔的前方为基底部,两侧为侧部,后方为枕鳞。基底部向前上与蝶骨体相接。侧部的外面有卵圆形隆凸称枕髁与寰椎组成寰枕关节。髁的上方有舌下神经管,有舌下神经通过。枕鳞组成颅后窝的下部,它的外面正中的后下方有枕外隆凸,由此向两侧延伸为上项线,这里是斜方肌附着处。
枕骨大孔疝是脑疝中一种尤为危急的类型,很容易导致生命中枢的功能障碍而引起患者死亡。枕骨大孔疝是小脑扁桃体受挤压向下疝出,压迫延髓,进而引起生命体征紊乱、意识障碍以及瞳孔变化等的病理过程,最常见于幕下病变。
","articleBody": "枕骨系颅骨中的1块。参与组成脑颅,位于脑颅的后部,呈内凹外凸瓢状的扁骨。
即枕骨为颅骨后部围绕枕骨大孔的复合骨,位于头颅骨的后部分。外形或棱、或平、或长、或圆不一,枕骨结构异常在临床中会出现一系列相关疾病。

枕骨中央的大孔称枕骨大孔,颅腔与椎管经孔相通。枕骨大孔的前方为基底部,两侧为侧部,后方为枕鳞。基底部向前上与蝶骨体相接。侧部的外面有卵圆形隆凸称枕髁与寰椎组成寰枕关节。髁的上方有舌下神经管,有舌下神经通过。枕鳞组成颅后窝的下部,它的外面正中的后下方有枕外隆凸,由此向两侧延伸为上项线,这里是斜方肌附着处。
枕骨大孔疝是脑疝中一种尤为危急的类型,很容易导致生命中枢的功能障碍而引起患者死亡。枕骨大孔疝是小脑扁桃体受挤压向下疝出,压迫延髓,进而引起生命体征紊乱、意识障碍以及瞳孔变化等的病理过程,最常见于幕下病变。
","scanCount": 32507}}} {"@context": "https://ziyuan.baidu.com/contexts/cambrian.jsonld","appid": "1650708455561748","icon": "https://www.med-credit.org.cn/style/images/ttlogo.png","content_tag": ["atlas"],"is_mcn": {"thumb_id": "ay28xrnt0"},"accid": "4886d626a2804dee5f11168793ce361672f39c25","@id": "https://www.med-credit.org.cn/mobile/jingxuan/2/ff0f77fa02f2520486794ef7832c37c5.html","bagWordId": "30ea32b52f11e2f8","title": "取下的牙结石图片","pubDate": "2023-03-13T18:08:06","upDate": "2023-03-13T18:08:06","lrDate": "2023-03-13T18:08:06","description": "取下的牙结石肉眼观察呈褐色或淡黄色细粉末状,部分与牙齿表面牙垢混合,刮下呈豆腐渣样。","data": {"WebPage": {"headline": "取下的牙结石图片","pcUrl": "https://www.med-credit.org.cn/jingxuan/2/ff0f77fa02f2520486794ef7832c37c5.html","wapUrl": "https://www.med-credit.org.cn/jingxuan/2/ff0f77fa02f2520486794ef7832c37c5.html","mipUrl": "https://www.med-credit.org.cn/mobile/jingxuan/2/ff0f77fa02f2520486794ef7832c37c5.html","fromSrc": "欢乐橙","datePublished": "2023-03-13T18:08:06","domain": "医疗","category": ["医疗权威文章合作"],"description": "取下的牙结石肉眼观察呈褐色或淡黄色细粉末状,部分与牙齿表面牙垢混合,刮下呈豆腐渣样。
","extra_headline": ["取下的牙结石"]},"Author": {"name": "李斯文","wapUrl": "https://www.med-credit.org.cn/doctor/546","pcUrl": "https://www.med-credit.org.cn/doctor/546","jobTitle": "主治医师","headPortrait": "https://www.med-credit.org.cn/uploadfile/member/546/180x180.jpeg","id": "546","description": "李斯文,中国医科大学附属口腔医院口腔科主治医师","memberOf": {"legalName": "中国医科大学附属口腔医院","department": "口腔科","organizationLevel": "三级甲等"}},"Article": {"summaryContent": "取下的牙结石肉眼观察呈褐色或淡黄色细粉末状,部分与牙齿表面牙垢混合,刮下呈豆腐渣样。
牙结石会导致一系列疾病如牙龈炎、牙龈萎缩、牙周炎。患者在日常生活中需注意,预防牙结石形成,出现异常症状,及时前往医院就诊治疗。

1、特点:牙结石是由牙齿表面的牙菌斑与钙离子、镁离子结合后形成,牢牢的粘附在牙齿表面,形成密密麻麻分布的黄色斑点。根据其水分、有机物、磷酸镁、碳酸钙的含量高低,牙结石的硬度有一定区别。一般情况下,牙结石一旦形成,难以通过日常刷牙去除,需要定期到口腔科进行洗牙或洁牙操作,清除牙结石。
2、症状:牙结石中存在大量细菌,牙菌斑在牙齿表面不断产生酸性物质腐蚀牙齿,最终将形成龋病。牙结石对牙龈的长期刺激,会导致牙龈炎、牙龈萎缩、牙周炎等疾病,影响口腔卫生环境,容易引起牙龈红肿、出血、疼痛,口臭,牙齿松动等多种问题。
牙结石形成的基础是牙菌斑,因此,为了预防牙结石生成,比较有效的方法是注意口腔及牙齿的清洁。早晚使用柔软度适中的牙刷,正确的刷牙方式,能避免牙齿表面形成菌斑。此外,应避免进食甜食及酸性食物,减少酸性物质对牙齿的腐蚀。
","articleBody": "取下的牙结石肉眼观察呈褐色或淡黄色细粉末状,部分与牙齿表面牙垢混合,刮下呈豆腐渣样。
牙结石会导致一系列疾病如牙龈炎、牙龈萎缩、牙周炎。患者在日常生活中需注意,预防牙结石形成,出现异常症状,及时前往医院就诊治疗。

1、特点:牙结石是由牙齿表面的牙菌斑与钙离子、镁离子结合后形成,牢牢的粘附在牙齿表面,形成密密麻麻分布的黄色斑点。根据其水分、有机物、磷酸镁、碳酸钙的含量高低,牙结石的硬度有一定区别。一般情况下,牙结石一旦形成,难以通过日常刷牙去除,需要定期到口腔科进行洗牙或洁牙操作,清除牙结石。
2、症状:牙结石中存在大量细菌,牙菌斑在牙齿表面不断产生酸性物质腐蚀牙齿,最终将形成龋病。牙结石对牙龈的长期刺激,会导致牙龈炎、牙龈萎缩、牙周炎等疾病,影响口腔卫生环境,容易引起牙龈红肿、出血、疼痛,口臭,牙齿松动等多种问题。
牙结石形成的基础是牙菌斑,因此,为了预防牙结石生成,比较有效的方法是注意口腔及牙齿的清洁。早晚使用柔软度适中的牙刷,正确的刷牙方式,能避免牙齿表面形成菌斑。此外,应避免进食甜食及酸性食物,减少酸性物质对牙齿的腐蚀。
","scanCount": 6347}}} {"@context": "https://ziyuan.baidu.com/contexts/cambrian.jsonld","appid": "1650708455561748","icon": "https://www.med-credit.org.cn/style/images/ttlogo.png","content_tag": ["atlas"],"is_mcn": {"thumb_id": "g76756sx"},"accid": "4886d626a2804dee5f11168793ce361672f39c25","@id": "https://www.med-credit.org.cn/mobile/jingxuan/2/2a7fb0eece2f7caf8e7af95d8d6d2fe5.html","bagWordId": "679e709fc26a0197","title": "人体五脏位置图","pubDate": "2023-03-13T18:08:06","upDate": "2023-03-13T18:08:06","lrDate": "2023-03-13T18:08:06","description": "脏腑是一个综合概念,是统一形态结构与生理功能“超解剖”的概念。五脏对应的器官分别是心、肝、脾、肺、肾。","data": {"WebPage": {"headline": "人体五脏位置图","pcUrl": "https://www.med-credit.org.cn/jingxuan/2/2a7fb0eece2f7caf8e7af95d8d6d2fe5.html","wapUrl": "https://www.med-credit.org.cn/jingxuan/2/2a7fb0eece2f7caf8e7af95d8d6d2fe5.html","mipUrl": "https://www.med-credit.org.cn/mobile/jingxuan/2/2a7fb0eece2f7caf8e7af95d8d6d2fe5.html","fromSrc": "欢乐橙","datePublished": "2023-03-13T18:08:06","domain": "医疗","category": ["医疗权威文章合作"],"description": "脏腑是一个综合概念,是统一形态结构与生理功能“超解剖”的概念。五脏对应的器官分别是心、肝、脾、肺、肾。
","extra_headline": [""]},"Author": {"name": "张婷","wapUrl": "https://www.med-credit.org.cn/doctor/555","pcUrl": "https://www.med-credit.org.cn/doctor/555","jobTitle": "副主任医师","headPortrait": "https://www.med-credit.org.cn/uploadfile/member/555/180x180.jpeg","id": "555","description": "张婷,中南大学湘雅三医院中西医结合科副主任医师","memberOf": {"legalName": "中南大学湘雅三医院","department": "中西医结合科","organizationLevel": "三级甲等"}},"Article": {"summaryContent": "脏腑是一个综合概念,是统一形态结构与生理功能“超解剖”的概念。五脏对应的器官分别是心、肝、脾、肺、肾。


1、位置:心位于胸腔中部偏左下方;肝位于人体右上腹,隐藏在右侧膈下和肋骨深面;脾在人体左上腹部;肺位于胸腔内,左右各一;肾脏在人体的腰部,在脊柱的两侧,左右各一。
2、功效:五脏作为人体生命活动中心,也是脏腑的核心,共同起到化生、贮藏精气的生理功能。五脏之间密切联系、相互联系、相互影响,共同完成人体整个生命活动。心圆而下尖,形如倒垂莲蕊,外有心包卫护,主血脉,主藏神;肺质地疏松,分叶状,主气、司呼吸,主通调水道,朝百脉、主治节;脾主运化、主升清和主统血;肝呈分叶状,主疏泄,主藏血;肾主藏精、主水和主纳气。
五脏六腑是古代中医学者提出的脏象学说的一个部分,脏象学说认为人体是通过经络结构把五脏六腑、四肢百骸、皮肉筋脉、七窍二阴相互联系起到而组成的一个整体,通过疾病出现在人的相对位置来判断是哪一器官出现问题,由外而内,从而进行相应的处理。
","articleBody": "脏腑是一个综合概念,是统一形态结构与生理功能“超解剖”的概念。五脏对应的器官分别是心、肝、脾、肺、肾。


1、位置:心位于胸腔中部偏左下方;肝位于人体右上腹,隐藏在右侧膈下和肋骨深面;脾在人体左上腹部;肺位于胸腔内,左右各一;肾脏在人体的腰部,在脊柱的两侧,左右各一。
2、功效:五脏作为人体生命活动中心,也是脏腑的核心,共同起到化生、贮藏精气的生理功能。五脏之间密切联系、相互联系、相互影响,共同完成人体整个生命活动。心圆而下尖,形如倒垂莲蕊,外有心包卫护,主血脉,主藏神;肺质地疏松,分叶状,主气、司呼吸,主通调水道,朝百脉、主治节;脾主运化、主升清和主统血;肝呈分叶状,主疏泄,主藏血;肾主藏精、主水和主纳气。
五脏六腑是古代中医学者提出的脏象学说的一个部分,脏象学说认为人体是通过经络结构把五脏六腑、四肢百骸、皮肉筋脉、七窍二阴相互联系起到而组成的一个整体,通过疾病出现在人的相对位置来判断是哪一器官出现问题,由外而内,从而进行相应的处理。
","scanCount": 32499}}} {"@context": "https://ziyuan.baidu.com/contexts/cambrian.jsonld","appid": "1650708455561748","icon": "https://www.med-credit.org.cn/style/images/ttlogo.png","content_tag": ["atlas"],"is_mcn": {"thumb_id": "6s37k24n"},"accid": "4886d626a2804dee5f11168793ce361672f39c25","@id": "https://www.med-credit.org.cn/mobile/jingxuan/2/5457b4a286c6942d9d4b5a02847781be.html","bagWordId": "f4802c401a7f1c58","title": "冬虫夏草图片","pubDate": "2023-03-13T18:08:06","upDate": "2023-03-13T18:08:06","lrDate": "2023-03-13T18:08:06","description": "冬虫夏草是一种药性平和的中药,在中医学当中被认定为补益药,是一种冬虫夏草菌寄生在昆虫幼虫的尸体上的复合体。","data": {"WebPage": {"headline": "冬虫夏草图片","pcUrl": "https://www.med-credit.org.cn/jingxuan/2/5457b4a286c6942d9d4b5a02847781be.html","wapUrl": "https://www.med-credit.org.cn/jingxuan/2/5457b4a286c6942d9d4b5a02847781be.html","mipUrl": "https://www.med-credit.org.cn/mobile/jingxuan/2/5457b4a286c6942d9d4b5a02847781be.html","fromSrc": "欢乐橙","datePublished": "2023-03-13T18:08:06","domain": "医疗","category": ["医疗权威文章合作"],"description": "冬虫夏草是一种药性平和的中药,在中医学当中被认定为补益药,是一种冬虫夏草菌寄生在昆虫幼虫的尸体上的复合体。
","extra_headline": [""]},"Author": {"name": "王成阳","wapUrl": "https://www.med-credit.org.cn/doctor/574","pcUrl": "https://www.med-credit.org.cn/doctor/574","jobTitle": "副主任医师","headPortrait": "https://www.med-credit.org.cn/uploadfile/member/574/180x180.jpeg","id": "574","description": "王成阳,安徽医科大学附属巢湖医院中医科副主任医师","memberOf": {"legalName": "安徽医科大学附属巢湖医院","department": "中医科","organizationLevel": "三级甲等"}},"Article": {"summaryContent": "冬虫夏草是一种药性平和的中药,在中医学当中被认定为补益药,是一种冬虫夏草菌寄生在昆虫幼虫的尸体上的复合体。
冬虫夏草具有补肾益肺,止血化痰的功效,注意需在医生指导下使用。

1、生长环境:冬虫夏草的生长条件较为严苛,它需要高寒、缺氧以及低气压,平均气温在0-23摄氏度,所以野生的冬虫夏草主要生长在我国的高原地区如青藏高原、云贵高原等,目前该类中草药还不能有效地人工种植。
2、外形:冬虫夏草分为“虫”和“草”两部分。“虫”的表面为深黄色至浅黄棕色,“草”部分为枯枝,大部分颜色是黑色,横截面黄白色,不空心。虫体表面有明显的环纹,闻起来有点干燥腐烂的昆虫的味道。
冬虫夏草含有虫草素、虫草酸、虫草多糖等多种活性物质,但最重要的成分是虫草素。虫草素对于身体的内分泌系统和神经系统都有着调节的作用。冬虫夏草具有补肾益肺,止血化痰的功效,用于治疗阳痿遗精、腰膝酸痛等症状,多采用煮水、炖汤方式食用。需要注意,不可以食用未煮熟的冬虫夏草,并且孕妇、婴儿禁止食用。
","articleBody": "冬虫夏草是一种药性平和的中药,在中医学当中被认定为补益药,是一种冬虫夏草菌寄生在昆虫幼虫的尸体上的复合体。
冬虫夏草具有补肾益肺,止血化痰的功效,注意需在医生指导下使用。

1、生长环境:冬虫夏草的生长条件较为严苛,它需要高寒、缺氧以及低气压,平均气温在0-23摄氏度,所以野生的冬虫夏草主要生长在我国的高原地区如青藏高原、云贵高原等,目前该类中草药还不能有效地人工种植。
2、外形:冬虫夏草分为“虫”和“草”两部分。“虫”的表面为深黄色至浅黄棕色,“草”部分为枯枝,大部分颜色是黑色,横截面黄白色,不空心。虫体表面有明显的环纹,闻起来有点干燥腐烂的昆虫的味道。
冬虫夏草含有虫草素、虫草酸、虫草多糖等多种活性物质,但最重要的成分是虫草素。虫草素对于身体的内分泌系统和神经系统都有着调节的作用。冬虫夏草具有补肾益肺,止血化痰的功效,用于治疗阳痿遗精、腰膝酸痛等症状,多采用煮水、炖汤方式食用。需要注意,不可以食用未煮熟的冬虫夏草,并且孕妇、婴儿禁止食用。
","scanCount": 32494}}} {"@context": "https://ziyuan.baidu.com/contexts/cambrian.jsonld","appid": "1650708455561748","icon": "https://www.med-credit.org.cn/style/images/ttlogo.png","content_tag": ["atlas"],"is_mcn": {"thumb_id": "ay28xrnt0"},"accid": "4886d626a2804dee5f11168793ce361672f39c25","@id": "https://www.med-credit.org.cn/mobile/jingxuan/2/a8d34377ccf8df6e7659c0377b739f05.html","bagWordId": "b1c2d69ffbdb6233","title": "牙龈长出来了一块软肉图片","pubDate": "2023-03-13T18:08:06","upDate": "2023-03-13T18:08:06","lrDate": "2023-03-13T18:08:06","description": "牙龈长出来了一块软肉可能是牙龈息肉、牙周脓肿、慢性根尖周炎等所致。","data": {"WebPage": {"headline": "牙龈长出来了一块软肉图片","pcUrl": "https://www.med-credit.org.cn/jingxuan/2/a8d34377ccf8df6e7659c0377b739f05.html","wapUrl": "https://www.med-credit.org.cn/jingxuan/2/a8d34377ccf8df6e7659c0377b739f05.html","mipUrl": "https://www.med-credit.org.cn/mobile/jingxuan/2/a8d34377ccf8df6e7659c0377b739f05.html","fromSrc": "欢乐橙","datePublished": "2023-03-13T18:08:06","domain": "医疗","category": ["医疗权威文章合作"],"description": "牙龈长出来了一块软肉可能是牙龈息肉、牙周脓肿、慢性根尖周炎等所致。
","extra_headline": ["牙龈长出来了一块软肉"]},"Author": {"name": "李斯文","wapUrl": "https://www.med-credit.org.cn/doctor/546","pcUrl": "https://www.med-credit.org.cn/doctor/546","jobTitle": "主治医师","headPortrait": "https://www.med-credit.org.cn/uploadfile/member/546/180x180.jpeg","id": "546","description": "李斯文,中国医科大学附属口腔医院口腔科主治医师","memberOf": {"legalName": "中国医科大学附属口腔医院","department": "口腔科","organizationLevel": "三级甲等"}},"Article": {"summaryContent": "牙龈长出来了一块软肉可能是牙龈息肉、牙周脓肿、慢性根尖周炎等所致。
患者需及时前往医院治疗,可以给予患者药物、物理或手术治疗。

1、牙龈息肉:息肉一般是患者不注意口腔清洁,导致局部刺激黏膜层产生的异常增生或突起,通常息肉外形为小型疣芽,一般呈淡红色的,常伴随异物感、局部疼痛的症状。通常考虑手术治疗如息肉摘除术,配合电灼、激光或微波等技术处理。取病理活检以明确病理类型,并避免息肉进一步恶变。
2、牙周脓肿:牙周脓肿是牙周炎进展到一定程度以后,牙周袋内积聚了细菌和菌斑,在机体抵抗力降低时可以导致牙龈隆起。发生牙周脓肿时可以在家里用淡盐水漱口,必要时可前往医院切开引流,同时用生理盐水或氯己定漱口液进行含漱,防止继发性的感染。
3、慢性根尖周炎:慢性根尖周炎一般无明显自觉症状,当患牙进行咀嚼动作时会有不适感,也可能发现牙龈上出现脓包。一般情况下需要拍片检查,确诊牙位,然后进行根管治疗,从根管内封药促进根尖周炎症的愈合,瘘道自然会消除,牙龈软肉疙瘩也会消失。
除了上述相对常见的原因外,还有其他的可能性疾病,比如牙龈瘤。建议患者出现这种症状后,及时去医院就诊,查明病因后,予以针对性治疗。
若长时间未好转,患者要及时前往医院就诊,针对具体病因进行治疗。
","articleBody": "牙龈长出来了一块软肉可能是牙龈息肉、牙周脓肿、慢性根尖周炎等所致。
患者需及时前往医院治疗,可以给予患者药物、物理或手术治疗。

1、牙龈息肉:息肉一般是患者不注意口腔清洁,导致局部刺激黏膜层产生的异常增生或突起,通常息肉外形为小型疣芽,一般呈淡红色的,常伴随异物感、局部疼痛的症状。通常考虑手术治疗如息肉摘除术,配合电灼、激光或微波等技术处理。取病理活检以明确病理类型,并避免息肉进一步恶变。
2、牙周脓肿:牙周脓肿是牙周炎进展到一定程度以后,牙周袋内积聚了细菌和菌斑,在机体抵抗力降低时可以导致牙龈隆起。发生牙周脓肿时可以在家里用淡盐水漱口,必要时可前往医院切开引流,同时用生理盐水或氯己定漱口液进行含漱,防止继发性的感染。
3、慢性根尖周炎:慢性根尖周炎一般无明显自觉症状,当患牙进行咀嚼动作时会有不适感,也可能发现牙龈上出现脓包。一般情况下需要拍片检查,确诊牙位,然后进行根管治疗,从根管内封药促进根尖周炎症的愈合,瘘道自然会消除,牙龈软肉疙瘩也会消失。
除了上述相对常见的原因外,还有其他的可能性疾病,比如牙龈瘤。建议患者出现这种症状后,及时去医院就诊,查明病因后,予以针对性治疗。
若长时间未好转,患者要及时前往医院就诊,针对具体病因进行治疗。
","scanCount": 9216}}} {"@context": "https://ziyuan.baidu.com/contexts/cambrian.jsonld","appid": "1650708455561748","icon": "https://www.med-credit.org.cn/style/images/ttlogo.png","content_tag": ["atlas"],"is_mcn": {"thumb_id": "e4oal99d"},"accid": "4886d626a2804dee5f11168793ce361672f39c25","@id": "https://www.med-credit.org.cn/mobile/jingxuan/2/d1b21c5549854e00bf4574c83ad97c5f.html","bagWordId": "b1848549dbd99104","title": "腺样体肥大图片","pubDate": "2023-03-13T18:08:06","upDate": "2023-03-13T18:08:06","lrDate": "2023-03-13T18:08:06","description": "腺样体肥大是由鼻窦炎、咽炎等呼吸道炎症,或者炎症造成的脓性分泌物刺激腺样体增生、肥大所致。","data": {"WebPage": {"headline": "腺样体肥大图片","pcUrl": "https://www.med-credit.org.cn/jingxuan/2/d1b21c5549854e00bf4574c83ad97c5f.html","wapUrl": "https://www.med-credit.org.cn/jingxuan/2/d1b21c5549854e00bf4574c83ad97c5f.html","mipUrl": "https://www.med-credit.org.cn/mobile/jingxuan/2/d1b21c5549854e00bf4574c83ad97c5f.html","fromSrc": "欢乐橙","datePublished": "2023-03-13T18:08:06","domain": "医疗","category": ["医疗权威文章合作"],"description": "腺样体肥大是由鼻窦炎、咽炎等呼吸道炎症,或者炎症造成的脓性分泌物刺激腺样体增生、肥大所致。
","extra_headline": [""]},"Author": {"name": "谢洪","wapUrl": "https://www.med-credit.org.cn/doctor/538","pcUrl": "https://www.med-credit.org.cn/doctor/538","jobTitle": "副主任医师","headPortrait": "https://www.med-credit.org.cn/uploadfile/member/538/180x180.jpeg","id": "538","description": "谢洪,首都医科大学附属北京世纪坛医院耳鼻喉头颈外科副主任医师","memberOf": {"legalName": "首都医科大学附属北京世纪坛医院","department": "耳鼻喉头颈外科","organizationLevel": "三级甲等"}},"Article": {"summaryContent": "腺样体肥大是由鼻窦炎、咽炎等呼吸道炎症,或者炎症造成的脓性分泌物刺激腺样体增生、肥大所致。
腺样体肥大患者会出现颌面骨发育异常、鼻部症状、耳部症状、咽喉和下呼吸道症状等,患者需及时前往医院治疗如物理、药物、手术治疗。

1、颌面骨发育异常:由于长期的腺样体组织增生影响通气,可致张口呼吸,长期张口呼吸可使颌面骨发育改变,出现腺样体面容。
2、鼻部症状:主要症状是鼻塞,同时可有流涕等表现,说话时带有闭塞性鼻音。
3、耳部症状:可发生分泌性中耳炎,甚至化脓性中耳炎,出现耳闷、耳痛、听力下降等症状。
4、咽喉和下呼吸道症状:分泌物下流并刺激呼吸道黏膜,可引起咽部不适、阵咳、支气管炎症状。
除了上述相对常见的症状外,还会出现阻塞性睡眠呼吸暂停的表现。建议患者出现这种症状后,及时去医院就诊,查明病因后,予以针对性治疗。
如果腺样体肥大并不严重,医生会采取物理和药物治疗。如果腺样体肥大非常明显且导致严重的症状,一般会考虑行腺样体切除术。
","articleBody": "腺样体肥大是由鼻窦炎、咽炎等呼吸道炎症,或者炎症造成的脓性分泌物刺激腺样体增生、肥大所致。
腺样体肥大患者会出现颌面骨发育异常、鼻部症状、耳部症状、咽喉和下呼吸道症状等,患者需及时前往医院治疗如物理、药物、手术治疗。

1、颌面骨发育异常:由于长期的腺样体组织增生影响通气,可致张口呼吸,长期张口呼吸可使颌面骨发育改变,出现腺样体面容。
2、鼻部症状:主要症状是鼻塞,同时可有流涕等表现,说话时带有闭塞性鼻音。
3、耳部症状:可发生分泌性中耳炎,甚至化脓性中耳炎,出现耳闷、耳痛、听力下降等症状。
4、咽喉和下呼吸道症状:分泌物下流并刺激呼吸道黏膜,可引起咽部不适、阵咳、支气管炎症状。
除了上述相对常见的症状外,还会出现阻塞性睡眠呼吸暂停的表现。建议患者出现这种症状后,及时去医院就诊,查明病因后,予以针对性治疗。
如果腺样体肥大并不严重,医生会采取物理和药物治疗。如果腺样体肥大非常明显且导致严重的症状,一般会考虑行腺样体切除术。
","scanCount": 32486}}} {"@context": "https://ziyuan.baidu.com/contexts/cambrian.jsonld","appid": "1650708455561748","icon": "https://www.med-credit.org.cn/style/images/ttlogo.png","content_tag": ["atlas"],"is_mcn": {"thumb_id": "ay28xrnt0"},"accid": "4886d626a2804dee5f11168793ce361672f39c25","@id": "https://www.med-credit.org.cn/mobile/jingxuan/2/fb71f9485bf10f38f8a1a80c16bd0e2a.html","bagWordId": "6d419325512c1f1c","title": "口腔上颚癌早期症状图片","pubDate": "2023-03-13T18:08:06","upDate": "2023-03-13T18:08:06","lrDate": "2023-03-13T18:08:06","description": "口腔上颚癌的早期症状并不明显,部分患者可有上颚黏膜增厚、溃疡、疼痛或肿块等表现。","data": {"WebPage": {"headline": "口腔上颚癌早期症状图片","pcUrl": "https://www.med-credit.org.cn/jingxuan/2/fb71f9485bf10f38f8a1a80c16bd0e2a.html","wapUrl": "https://www.med-credit.org.cn/jingxuan/2/fb71f9485bf10f38f8a1a80c16bd0e2a.html","mipUrl": "https://www.med-credit.org.cn/mobile/jingxuan/2/fb71f9485bf10f38f8a1a80c16bd0e2a.html","fromSrc": "欢乐橙","datePublished": "2023-03-13T18:08:06","domain": "医疗","category": ["医疗权威文章合作"],"description": "口腔上颚癌的早期症状并不明显,部分患者可有上颚黏膜增厚、溃疡、疼痛或肿块等表现。
","extra_headline": [""]},"Author": {"name": "李斯文","wapUrl": "https://www.med-credit.org.cn/doctor/546","pcUrl": "https://www.med-credit.org.cn/doctor/546","jobTitle": "主治医师","headPortrait": "https://www.med-credit.org.cn/uploadfile/member/546/180x180.jpeg","id": "546","description": "李斯文,中国医科大学附属口腔医院口腔科主治医师","memberOf": {"legalName": "中国医科大学附属口腔医院","department": "口腔科","organizationLevel": "三级甲等"}},"Article": {"summaryContent": "口腔上颚癌的早期症状并不明显,部分患者可有上颚黏膜增厚、溃疡、疼痛或肿块等表现。
患者可以选择手术、放化疗治疗,并注意生活习惯及定期复查。

1、症状:口腔上颚癌的发生与口腔卫生差、吸烟饮酒、咀嚼槟榔等因素有关,早期症状并不显著,部分患者可有上颚黏膜增厚、溃疡、疼痛或肿块等表现。随着病情进展,会出现明显的溃疡、疼痛等,晚期可出现说话受限、吞咽困难等症状。
2、治疗:对于该病,早期可进行手术处理,并清扫颈部的淋巴结,晚期时可选择放疗、化疗或免疫治疗等方式。
当患者出现长期不愈的口腔溃疡或其他异常表现时,需及时就医检查诊断,以免耽搁病情而影响治疗。恢复期间建议定期检查随访,饮食上以清淡健康食物为主,适当休息,避免熬夜及过度劳累。平时注意戒烟戒酒,尽量不吃槟榔,定期进行口腔检查,及时治疗口腔疾病,每天早晚认真刷牙,保持口腔卫生干净。
","articleBody": "口腔上颚癌的早期症状并不明显,部分患者可有上颚黏膜增厚、溃疡、疼痛或肿块等表现。
患者可以选择手术、放化疗治疗,并注意生活习惯及定期复查。

1、症状:口腔上颚癌的发生与口腔卫生差、吸烟饮酒、咀嚼槟榔等因素有关,早期症状并不显著,部分患者可有上颚黏膜增厚、溃疡、疼痛或肿块等表现。随着病情进展,会出现明显的溃疡、疼痛等,晚期可出现说话受限、吞咽困难等症状。
2、治疗:对于该病,早期可进行手术处理,并清扫颈部的淋巴结,晚期时可选择放疗、化疗或免疫治疗等方式。
当患者出现长期不愈的口腔溃疡或其他异常表现时,需及时就医检查诊断,以免耽搁病情而影响治疗。恢复期间建议定期检查随访,饮食上以清淡健康食物为主,适当休息,避免熬夜及过度劳累。平时注意戒烟戒酒,尽量不吃槟榔,定期进行口腔检查,及时治疗口腔疾病,每天早晚认真刷牙,保持口腔卫生干净。
","scanCount": 32483}}} {"@context": "https://ziyuan.baidu.com/contexts/cambrian.jsonld","appid": "1650708455561748","icon": "https://www.med-credit.org.cn/style/images/ttlogo.png","content_tag": ["atlas"],"is_mcn": {"thumb_id": "g76756sx"},"accid": "4886d626a2804dee5f11168793ce361672f39c25","@id": "https://www.med-credit.org.cn/mobile/jingxuan/2/a000085a62c8be3ce5dfab652ff553a5.html","bagWordId": "d0289902b403d97d","title": "白花蛇舌草图片","pubDate": "2023-03-13T18:08:06","upDate": "2023-03-13T18:08:06","lrDate": "2023-03-13T18:08:06","description": "白花蛇舌草为茜草科耳草属植物,作为药物使用时,常以全草入药。","data": {"WebPage": {"headline": "白花蛇舌草图片","pcUrl": "https://www.med-credit.org.cn/jingxuan/2/a000085a62c8be3ce5dfab652ff553a5.html","wapUrl": "https://www.med-credit.org.cn/jingxuan/2/a000085a62c8be3ce5dfab652ff553a5.html","mipUrl": "https://www.med-credit.org.cn/mobile/jingxuan/2/a000085a62c8be3ce5dfab652ff553a5.html","fromSrc": "欢乐橙","datePublished": "2023-03-13T18:08:06","domain": "医疗","category": ["医疗权威文章合作"],"description": "白花蛇舌草为茜草科耳草属植物,作为药物使用时,常以全草入药。
","extra_headline": [""]},"Author": {"name": "张婷","wapUrl": "https://www.med-credit.org.cn/doctor/555","pcUrl": "https://www.med-credit.org.cn/doctor/555","jobTitle": "副主任医师","headPortrait": "https://www.med-credit.org.cn/uploadfile/member/555/180x180.jpeg","id": "555","description": "张婷,中南大学湘雅三医院中西医结合科副主任医师","memberOf": {"legalName": "中南大学湘雅三医院","department": "中西医结合科","organizationLevel": "三级甲等"}},"Article": {"summaryContent": "白花蛇舌草为茜草科耳草属植物,作为药物使用时,常以全草入药。
白花蛇舌草具有清热解毒、利尿消肿、活血止痛的功效。


1.形状:白花蛇舌草是一年生披散草本,又名蛇总管、二叶律。白花蛇舌草为全体扭曲成团状,灰绿色或灰棕色,有主根。须根纤细,茎细而卷曲,多分枝,呈扁圆柱状,质脆易折断。生于低注田基等湿地,在夏秋季节采收。将全草晒干就是中药白花蛇舌草,亦可鲜用。需要与同属水线草进行鉴别,水线草为茎四棱形,多中空,稍硬。叶为条形或条状披针形。
2.功效:白花蛇舌草具有清热解毒、利尿消肿、活血止痛等功效。主要用于治疗肺热咳嗽、咽喉肿痛、肠痈、无名肿毒、蛇伤、疖疮、湿热淋、湿热黄疸、小儿疳积以及瘰疬等症。
","articleBody": "白花蛇舌草为茜草科耳草属植物,作为药物使用时,常以全草入药。
白花蛇舌草具有清热解毒、利尿消肿、活血止痛的功效。


1.形状:白花蛇舌草是一年生披散草本,又名蛇总管、二叶律。白花蛇舌草为全体扭曲成团状,灰绿色或灰棕色,有主根。须根纤细,茎细而卷曲,多分枝,呈扁圆柱状,质脆易折断。生于低注田基等湿地,在夏秋季节采收。将全草晒干就是中药白花蛇舌草,亦可鲜用。需要与同属水线草进行鉴别,水线草为茎四棱形,多中空,稍硬。叶为条形或条状披针形。
2.功效:白花蛇舌草具有清热解毒、利尿消肿、活血止痛等功效。主要用于治疗肺热咳嗽、咽喉肿痛、肠痈、无名肿毒、蛇伤、疖疮、湿热淋、湿热黄疸、小儿疳积以及瘰疬等症。
","scanCount": 32482}}} {"@context": "https://ziyuan.baidu.com/contexts/cambrian.jsonld","appid": "1650708455561748","icon": "https://www.med-credit.org.cn/style/images/ttlogo.png","content_tag": ["atlas"],"is_mcn": {"thumb_id": "g76756sx"},"accid": "4886d626a2804dee5f11168793ce361672f39c25","@id": "https://www.med-credit.org.cn/mobile/jingxuan/2/893720bb6d224afbd83b6c51675b0269.html","bagWordId": "03e6f3210bf53e80","title": "接骨草图片","pubDate": "2023-03-13T18:08:06","upDate": "2023-03-13T18:08:06","lrDate": "2023-03-13T18:08:06","description": "接骨草是一种药用植物,是忍冬科植物蒴藿的全草,通常在夏、秋季采收,晒干入药。","data": {"WebPage": {"headline": "接骨草图片","pcUrl": "https://www.med-credit.org.cn/jingxuan/2/893720bb6d224afbd83b6c51675b0269.html","wapUrl": "https://www.med-credit.org.cn/jingxuan/2/893720bb6d224afbd83b6c51675b0269.html","mipUrl": "https://www.med-credit.org.cn/mobile/jingxuan/2/893720bb6d224afbd83b6c51675b0269.html","fromSrc": "欢乐橙","datePublished": "2023-03-13T18:08:06","domain": "医疗","category": ["医疗权威文章合作"],"description": "接骨草是一种药用植物,是忍冬科植物蒴藿的全草,通常在夏、秋季采收,晒干入药。
","extra_headline": [""]},"Author": {"name": "张婷","wapUrl": "https://www.med-credit.org.cn/doctor/555","pcUrl": "https://www.med-credit.org.cn/doctor/555","jobTitle": "副主任医师","headPortrait": "https://www.med-credit.org.cn/uploadfile/member/555/180x180.jpeg","id": "555","description": "张婷,中南大学湘雅三医院中西医结合科副主任医师","memberOf": {"legalName": "中南大学湘雅三医院","department": "中西医结合科","organizationLevel": "三级甲等"}},"Article": {"summaryContent": "接骨草是一种药用植物,是忍冬科植物蒴藿的全草,通常在夏、秋季采收,晒干入药。
接骨草具有祛风除湿,通经活血,消炎解毒,散寒补肾的功效,在临床上具有广泛的应用。接骨草需要在医生的指导下使用,且其使用有一定的注意事项。


1、外形:接骨草为高大草本或半灌木,高可达2米;茎有棱条,羽状复叶的托叶叶状或有时退化成蓝色的腺体;小叶片互生或对生,狭卵形,先端长渐尖,基部钝圆,两侧不等,边缘具细锯齿,无托叶,复伞形花序顶生,大而疏散,总花梗基部托以叶状总苞片,纤细,可孕性花小;萼筒杯状,萼齿三角形;花冠白色,花黄色或紫色;果实红色,近圆形,表面有小疣状突起。4-5月开花,8-9月结果。
2、生长环境:接骨草主要产地位于长江以南,其植株适应性强,对气候要求不高,喜向阳而又稍耐阴。常生长于山坡、林下、沟边和草丛中,在肥沃、疏松的土壤中栽培生长良好。
3、功效:此药性温,味苦、辛,功效是祛风除湿,通经活血,消炎解毒,散寒补肾。临床上主要用于治疗风寒引起的四肢肌肉痉挛酸痛,关节酸痛、麻痹等症,也能治疗跌打损伤、骨折肿痛、外伤出血。对于急慢性肾炎、虚弱不足、脚部浮肿也有一定的疗效。根据现代医学研究,接骨草全草含有黄酮类、鞣质等成分,根部还含有丰富的生物碱,能加速骨折愈合和消肿。
接骨草可以内服或外用,内服一般用于煎汤,或按照一定的方剂配伍加工制作成药丸、散。外用需要取一定的剂量捣烂外敷或煎汤熏洗,或研磨成粉使用。此药孕妇忌用,一般人群也应注意控制剂量,药物过量会出现恶心、呕吐的症状。
","articleBody": "接骨草是一种药用植物,是忍冬科植物蒴藿的全草,通常在夏、秋季采收,晒干入药。
接骨草具有祛风除湿,通经活血,消炎解毒,散寒补肾的功效,在临床上具有广泛的应用。接骨草需要在医生的指导下使用,且其使用有一定的注意事项。


1、外形:接骨草为高大草本或半灌木,高可达2米;茎有棱条,羽状复叶的托叶叶状或有时退化成蓝色的腺体;小叶片互生或对生,狭卵形,先端长渐尖,基部钝圆,两侧不等,边缘具细锯齿,无托叶,复伞形花序顶生,大而疏散,总花梗基部托以叶状总苞片,纤细,可孕性花小;萼筒杯状,萼齿三角形;花冠白色,花黄色或紫色;果实红色,近圆形,表面有小疣状突起。4-5月开花,8-9月结果。
2、生长环境:接骨草主要产地位于长江以南,其植株适应性强,对气候要求不高,喜向阳而又稍耐阴。常生长于山坡、林下、沟边和草丛中,在肥沃、疏松的土壤中栽培生长良好。
3、功效:此药性温,味苦、辛,功效是祛风除湿,通经活血,消炎解毒,散寒补肾。临床上主要用于治疗风寒引起的四肢肌肉痉挛酸痛,关节酸痛、麻痹等症,也能治疗跌打损伤、骨折肿痛、外伤出血。对于急慢性肾炎、虚弱不足、脚部浮肿也有一定的疗效。根据现代医学研究,接骨草全草含有黄酮类、鞣质等成分,根部还含有丰富的生物碱,能加速骨折愈合和消肿。
接骨草可以内服或外用,内服一般用于煎汤,或按照一定的方剂配伍加工制作成药丸、散。外用需要取一定的剂量捣烂外敷或煎汤熏洗,或研磨成粉使用。此药孕妇忌用,一般人群也应注意控制剂量,药物过量会出现恶心、呕吐的症状。
","scanCount": 32479}}} {"@context": "https://ziyuan.baidu.com/contexts/cambrian.jsonld","appid": "1650708455561748","icon": "https://www.med-credit.org.cn/style/images/ttlogo.png","content_tag": ["atlas"],"is_mcn": {"thumb_id": "g76756sx"},"accid": "4886d626a2804dee5f11168793ce361672f39c25","@id": "https://www.med-credit.org.cn/mobile/jingxuan/2/2735c2ee06f37cdecf1f9b9df0fed4d7.html","bagWordId": "a3300e885a972389","title": "小茴香图片","pubDate": "2023-03-13T18:08:06","upDate": "2023-03-13T18:08:06","lrDate": "2023-03-13T18:08:06","description": "小茴香是植物茴香的干燥成熟果实,又名怀香、谷香等,可入药。","data": {"WebPage": {"headline": "小茴香图片","pcUrl": "https://www.med-credit.org.cn/jingxuan/2/2735c2ee06f37cdecf1f9b9df0fed4d7.html","wapUrl": "https://www.med-credit.org.cn/jingxuan/2/2735c2ee06f37cdecf1f9b9df0fed4d7.html","mipUrl": "https://www.med-credit.org.cn/mobile/jingxuan/2/2735c2ee06f37cdecf1f9b9df0fed4d7.html","fromSrc": "欢乐橙","datePublished": "2023-03-13T18:08:06","domain": "医疗","category": ["医疗权威文章合作"],"description": "小茴香是植物茴香的干燥成熟果实,又名怀香、谷香等,可入药。
","extra_headline": [""]},"Author": {"name": "张婷","wapUrl": "https://www.med-credit.org.cn/doctor/555","pcUrl": "https://www.med-credit.org.cn/doctor/555","jobTitle": "副主任医师","headPortrait": "https://www.med-credit.org.cn/uploadfile/member/555/180x180.jpeg","id": "555","description": "张婷,中南大学湘雅三医院中西医结合科副主任医师","memberOf": {"legalName": "中南大学湘雅三医院","department": "中西医结合科","organizationLevel": "三级甲等"}},"Article": {"summaryContent": "小茴香是植物茴香的干燥成熟果实,又名怀香、谷香等,可入药。
小茴香有温肾散寒,理气和胃的功效。


1.形状:小茴香为双悬果,呈长圆柱形,两端稍尖,长4~8mm,直径1.5~2.5mm。茎直立,灰绿色或苍白色,无毛。根圆柱状。果实长圆形,有纵棱5条,成熟时黄绿色。有特异香气,味微甜、辛。
2.功效:小茴香有温肾散寒,理气和胃的功效。对于由寒邪引起的胃痛、胃胀、腹泻、腹痛、呕吐都有明显的效果。现代医学研究证明,小茴香含挥发油、皂苷、三萜、蒽醌、黄酮、甾醇、强心苷、生物碱等成分,具有镇痛、抗菌、抗氧化、抗突变、增强免疫等作用。
","articleBody": "小茴香是植物茴香的干燥成熟果实,又名怀香、谷香等,可入药。
小茴香有温肾散寒,理气和胃的功效。


1.形状:小茴香为双悬果,呈长圆柱形,两端稍尖,长4~8mm,直径1.5~2.5mm。茎直立,灰绿色或苍白色,无毛。根圆柱状。果实长圆形,有纵棱5条,成熟时黄绿色。有特异香气,味微甜、辛。
2.功效:小茴香有温肾散寒,理气和胃的功效。对于由寒邪引起的胃痛、胃胀、腹泻、腹痛、呕吐都有明显的效果。现代医学研究证明,小茴香含挥发油、皂苷、三萜、蒽醌、黄酮、甾醇、强心苷、生物碱等成分,具有镇痛、抗菌、抗氧化、抗突变、增强免疫等作用。
","scanCount": 32476}}} {"@context": "https://ziyuan.baidu.com/contexts/cambrian.jsonld","appid": "1650708455561748","icon": "https://www.med-credit.org.cn/style/images/ttlogo.png","content_tag": ["atlas"],"is_mcn": {"thumb_id": "g76756sx"},"accid": "4886d626a2804dee5f11168793ce361672f39c25","@id": "https://www.med-credit.org.cn/mobile/jingxuan/2/57dea242a591223e0a3a1a9e664d33fe.html","bagWordId": "e6548f0d13c47218","title": "鬼针草的图片","pubDate": "2023-03-13T18:08:06","upDate": "2023-03-13T18:08:06","lrDate": "2023-03-13T18:08:06","description": "鬼针草为菊科植物,其叶片呈羽毛状,边缘有细齿。","data": {"WebPage": {"headline": "鬼针草的图片","pcUrl": "https://www.med-credit.org.cn/jingxuan/2/57dea242a591223e0a3a1a9e664d33fe.html","wapUrl": "https://www.med-credit.org.cn/jingxuan/2/57dea242a591223e0a3a1a9e664d33fe.html","mipUrl": "https://www.med-credit.org.cn/mobile/jingxuan/2/57dea242a591223e0a3a1a9e664d33fe.html","fromSrc": "欢乐橙","datePublished": "2023-03-13T18:08:06","domain": "医疗","category": ["医疗权威文章合作"],"description": "鬼针草为菊科植物,其叶片呈羽毛状,边缘有细齿。
","extra_headline": [""]},"Author": {"name": "张婷","wapUrl": "https://www.med-credit.org.cn/doctor/555","pcUrl": "https://www.med-credit.org.cn/doctor/555","jobTitle": "副主任医师","headPortrait": "https://www.med-credit.org.cn/uploadfile/member/555/180x180.jpeg","id": "555","description": "张婷,中南大学湘雅三医院中西医结合科副主任医师","memberOf": {"legalName": "中南大学湘雅三医院","department": "中西医结合科","organizationLevel": "三级甲等"}},"Article": {"summaryContent": "鬼针草为菊科植物,其叶片呈羽毛状,边缘有细齿。
鬼针草是一种具有清热解毒、活血祛风作用的中草药。注意用药需在医生指导下使用。


1.外形:鬼针草又被称为鬼菊、针包草等,属于菊科植物。茎中部叶片和下部叶片对称生长,叶片呈羽毛状,有较深的裂痕,边缘有不规则的细齿,两面有稀疏的短毛。花序是头状,苞片是椭圆形,顶端尖锐或迟钝。一般在8~9月开花,在9~11月结果。常生长在路边、树林的边缘,在我国各地都有生长。
2.功效:鬼针草性状偏寒、有苦味。有很好的抑菌、消毒的作用,常用于外敷,将鬼针草捣碎,用于治疗热毒所致的痈疮,对咽喉肿痛、感染所致的高热、毒蛇咬伤等都能起到一定的治疗作用。此外,对风湿腰痛、跌打瘀肿也有一定的疗效。
鬼针草一般在夏秋两季采集,然后晒干备用。由于鬼针草具有散瘀活血的作用,所以孕妇禁止食用,以防导致子宫出血、甚至流产;此外小孩的免疫力较低,所以婴幼儿应该谨慎使用,可咨询医生确定是否能使用。
","articleBody": "鬼针草为菊科植物,其叶片呈羽毛状,边缘有细齿。
鬼针草是一种具有清热解毒、活血祛风作用的中草药。注意用药需在医生指导下使用。


1.外形:鬼针草又被称为鬼菊、针包草等,属于菊科植物。茎中部叶片和下部叶片对称生长,叶片呈羽毛状,有较深的裂痕,边缘有不规则的细齿,两面有稀疏的短毛。花序是头状,苞片是椭圆形,顶端尖锐或迟钝。一般在8~9月开花,在9~11月结果。常生长在路边、树林的边缘,在我国各地都有生长。
2.功效:鬼针草性状偏寒、有苦味。有很好的抑菌、消毒的作用,常用于外敷,将鬼针草捣碎,用于治疗热毒所致的痈疮,对咽喉肿痛、感染所致的高热、毒蛇咬伤等都能起到一定的治疗作用。此外,对风湿腰痛、跌打瘀肿也有一定的疗效。
鬼针草一般在夏秋两季采集,然后晒干备用。由于鬼针草具有散瘀活血的作用,所以孕妇禁止食用,以防导致子宫出血、甚至流产;此外小孩的免疫力较低,所以婴幼儿应该谨慎使用,可咨询医生确定是否能使用。
","scanCount": 32472}}} {"@context": "https://ziyuan.baidu.com/contexts/cambrian.jsonld","appid": "1650708455561748","icon": "https://www.med-credit.org.cn/style/images/ttlogo.png","content_tag": ["atlas"],"is_mcn": {"thumb_id": "g76756sx"},"accid": "4886d626a2804dee5f11168793ce361672f39c25","@id": "https://www.med-credit.org.cn/mobile/jingxuan/2/075fc34d3bbfcdced8af4f29f5eeb30c.html","bagWordId": "417a366590eb5893","title": "农吉利草药图","pubDate": "2023-03-13T18:08:06","upDate": "2023-03-13T18:08:06","lrDate": "2023-03-13T18:08:06","description": "农吉利有茎、叶片、果实、种子。是一种可以清热解毒、利湿消积的中草药。用药时有相关服用方法和注意事项。","data": {"WebPage": {"headline": "农吉利草药图","pcUrl": "https://www.med-credit.org.cn/jingxuan/2/075fc34d3bbfcdced8af4f29f5eeb30c.html","wapUrl": "https://www.med-credit.org.cn/jingxuan/2/075fc34d3bbfcdced8af4f29f5eeb30c.html","mipUrl": "https://www.med-credit.org.cn/mobile/jingxuan/2/075fc34d3bbfcdced8af4f29f5eeb30c.html","fromSrc": "欢乐橙","datePublished": "2023-03-13T18:08:06","domain": "医疗","category": ["医疗权威文章合作"],"description": "农吉利有茎、叶片、果实、种子。是一种可以清热解毒、利湿消积的中草药。用药时有相关服用方法和注意事项。
","extra_headline": [""]},"Author": {"name": "张婷","wapUrl": "https://www.med-credit.org.cn/doctor/555","pcUrl": "https://www.med-credit.org.cn/doctor/555","jobTitle": "副主任医师","headPortrait": "https://www.med-credit.org.cn/uploadfile/member/555/180x180.jpeg","id": "555","description": "张婷,中南大学湘雅三医院中西医结合科副主任医师","memberOf": {"legalName": "中南大学湘雅三医院","department": "中西医结合科","organizationLevel": "三级甲等"}},"Article": {"summaryContent": "农吉利有茎、叶片、果实、种子。是一种可以清热解毒、利湿消积的中草药。用药时有相关服用方法和注意事项。


1.外形:农吉利又被称为野百合,全草可作为中药使用。其茎呈圆柱形,表面为灰绿色,上有灰白色的茸毛,稍有分枝。叶片多是皱缩卷曲的,为暗绿色,完整的叶片可呈线形或披针形,下面有柔毛。果实为长圆柱形,表面有白色或棕黄色长毛。其种子细小有光泽,呈肾形或心形,成熟时为棕色。气无,味淡。
2.功效:该药具有清热解毒、利湿消积的作用。临床常用其治疗痢疾、咳喘、风湿、疖肿等疾病,可以帮助缓解咽喉肿痛、口腔溃疡、腰腿酸痛等不适,对于毒蛇咬伤也有一定的治疗作用。此外,该药含有较多膳食纤维,可以促进人体胃肠的活动,改善便秘等问题。
该药既可煎汤内服,也可捣碎外敷或煎水洗。该药有毒,内服时需慎重,脾胃虚弱或肝肾功能不良的人群不宜食用。挑选时建议选择完整、果实较多、颜色较绿的药材较好。注意需要在医生的指导下使用。
","articleBody": "农吉利有茎、叶片、果实、种子。是一种可以清热解毒、利湿消积的中草药。用药时有相关服用方法和注意事项。


1.外形:农吉利又被称为野百合,全草可作为中药使用。其茎呈圆柱形,表面为灰绿色,上有灰白色的茸毛,稍有分枝。叶片多是皱缩卷曲的,为暗绿色,完整的叶片可呈线形或披针形,下面有柔毛。果实为长圆柱形,表面有白色或棕黄色长毛。其种子细小有光泽,呈肾形或心形,成熟时为棕色。气无,味淡。
2.功效:该药具有清热解毒、利湿消积的作用。临床常用其治疗痢疾、咳喘、风湿、疖肿等疾病,可以帮助缓解咽喉肿痛、口腔溃疡、腰腿酸痛等不适,对于毒蛇咬伤也有一定的治疗作用。此外,该药含有较多膳食纤维,可以促进人体胃肠的活动,改善便秘等问题。
该药既可煎汤内服,也可捣碎外敷或煎水洗。该药有毒,内服时需慎重,脾胃虚弱或肝肾功能不良的人群不宜食用。挑选时建议选择完整、果实较多、颜色较绿的药材较好。注意需要在医生的指导下使用。
","scanCount": 32471}}} {"@context": "https://ziyuan.baidu.com/contexts/cambrian.jsonld","appid": "1650708455561748","icon": "https://www.med-credit.org.cn/style/images/ttlogo.png","content_tag": ["atlas"],"is_mcn": {"thumb_id": "ay28xrnt0"},"accid": "4886d626a2804dee5f11168793ce361672f39c25","@id": "https://www.med-credit.org.cn/mobile/jingxuan/2/f12e57f70543b93c5a9ae705a06f766a.html","bagWordId": "0756654f433ad2f0","title": "舌系带正常和不正常对照图","pubDate": "2023-03-13T18:08:06","upDate": "2023-03-13T18:08:06","lrDate": "2023-03-13T18:08:06","description": "正常舌系带长短合适,附着点位于舌下接近舌根处,不影响舌头外形及活动,舌系带不正常(通常为舌系带短)时,由于牵拉造成舌尖有切迹,且舌头活动受到限制。","data": {"WebPage": {"headline": "舌系带正常和不正常对照图","pcUrl": "https://www.med-credit.org.cn/jingxuan/2/f12e57f70543b93c5a9ae705a06f766a.html","wapUrl": "https://www.med-credit.org.cn/jingxuan/2/f12e57f70543b93c5a9ae705a06f766a.html","mipUrl": "https://www.med-credit.org.cn/mobile/jingxuan/2/f12e57f70543b93c5a9ae705a06f766a.html","fromSrc": "欢乐橙","datePublished": "2023-03-13T18:08:06","domain": "医疗","category": ["医疗权威文章合作"],"description": "正常舌系带长短合适,附着点位于舌下接近舌根处,不影响舌头外形及活动,舌系带不正常(通常为舌系带短)时,由于牵拉造成舌尖有切迹,且舌头活动受到限制。
","extra_headline": [""]},"Author": {"name": "李斯文","wapUrl": "https://www.med-credit.org.cn/doctor/546","pcUrl": "https://www.med-credit.org.cn/doctor/546","jobTitle": "主治医师","headPortrait": "https://www.med-credit.org.cn/uploadfile/member/546/180x180.jpeg","id": "546","description": "李斯文,中国医科大学附属口腔医院口腔科主治医师","memberOf": {"legalName": "中国医科大学附属口腔医院","department": "口腔科","organizationLevel": "三级甲等"}},"Article": {"summaryContent": "正常舌系带长短合适,附着点位于舌下接近舌根处,不影响舌头外形及活动,舌系带不正常(通常为舌系带短)时,由于牵拉造成舌尖有切迹,且舌头活动受到限制。
舌系带不正常会引起一系列危害,不正常的舌系带可选择手术治疗。


舌系带不正常通常指的是舌系带过短,舌系带过短目前未有统一的标准定义,判断主要根据舌系带外形、附着点位置,以及其对舌部活动的影响等因素。舌系带过短主要的临床特征包括,附着点位于舌尖或舌尖附近,抬起舌头时难以触及上牙槽,伸舌无法超过下中切牙1-2mm以上,舌部向左右方向的活动受阻,舌向前伸时呈心形或舌尖有凹陷。
舌系带不正常还会造成一些口腔功能缺失,舌系带短的婴儿可能存在吸吮异常导致喂养困难,年幼儿可能会造成发音不清的问题。年长儿或青少年因舌运动受限还可能会引起社交尴尬、增加心理负担。
对于调整舌系带的手术治疗,主要目的是提高舌头的活动度,对于改善舌头形态帮助不大。主要的手术方式是系带切开术和系带成形术。
","articleBody": "正常舌系带长短合适,附着点位于舌下接近舌根处,不影响舌头外形及活动,舌系带不正常(通常为舌系带短)时,由于牵拉造成舌尖有切迹,且舌头活动受到限制。
舌系带不正常会引起一系列危害,不正常的舌系带可选择手术治疗。


舌系带不正常通常指的是舌系带过短,舌系带过短目前未有统一的标准定义,判断主要根据舌系带外形、附着点位置,以及其对舌部活动的影响等因素。舌系带过短主要的临床特征包括,附着点位于舌尖或舌尖附近,抬起舌头时难以触及上牙槽,伸舌无法超过下中切牙1-2mm以上,舌部向左右方向的活动受阻,舌向前伸时呈心形或舌尖有凹陷。
舌系带不正常还会造成一些口腔功能缺失,舌系带短的婴儿可能存在吸吮异常导致喂养困难,年幼儿可能会造成发音不清的问题。年长儿或青少年因舌运动受限还可能会引起社交尴尬、增加心理负担。
对于调整舌系带的手术治疗,主要目的是提高舌头的活动度,对于改善舌头形态帮助不大。主要的手术方式是系带切开术和系带成形术。
","scanCount": 32468}}} {"@context": "https://ziyuan.baidu.com/contexts/cambrian.jsonld","appid": "1650708455561748","icon": "https://www.med-credit.org.cn/style/images/ttlogo.png","content_tag": ["atlas"],"is_mcn": {"thumb_id": "ay28xrnt0"},"accid": "4886d626a2804dee5f11168793ce361672f39c25","@id": "https://www.med-credit.org.cn/mobile/jingxuan/2/a96c156e809c417a0907211a9e6af701.html","bagWordId": "025d7482bca833d8","title": "智齿图片","pubDate": "2023-03-13T18:08:06","upDate": "2023-03-13T18:08:06","lrDate": "2023-03-13T18:08:06","description": "智齿指口腔最内侧第三磨牙。","data": {"WebPage": {"headline": "智齿图片","pcUrl": "https://www.med-credit.org.cn/jingxuan/2/a96c156e809c417a0907211a9e6af701.html","wapUrl": "https://www.med-credit.org.cn/jingxuan/2/a96c156e809c417a0907211a9e6af701.html","mipUrl": "https://www.med-credit.org.cn/mobile/jingxuan/2/a96c156e809c417a0907211a9e6af701.html","fromSrc": "欢乐橙","datePublished": "2023-03-13T18:08:06","domain": "医疗","category": ["医疗权威文章合作"],"description": "智齿指口腔最内侧第三磨牙。
","extra_headline": ["智齿"]},"Author": {"name": "李斯文","wapUrl": "https://www.med-credit.org.cn/doctor/546","pcUrl": "https://www.med-credit.org.cn/doctor/546","jobTitle": "主治医师","headPortrait": "https://www.med-credit.org.cn/uploadfile/member/546/180x180.jpeg","id": "546","description": "李斯文,中国医科大学附属口腔医院口腔科主治医师","memberOf": {"legalName": "中国医科大学附属口腔医院","department": "口腔科","organizationLevel": "三级甲等"}},"Article": {"summaryContent": "智齿指口腔最内侧第三磨牙。
智齿出现会引起相关病变,一旦出现智齿,建议患者及时前往医院治疗。

长智齿本身是一种正常的生理现象,指口腔中第三磨牙长出的过程,为恒牙。由于各种原因,智齿长出时可能会存在空间不足,部分人群在长智齿的过程中会诱发智齿冠周炎,继而出现疼痛、脸肿大、不能咀嚼食物等表现。
18~25岁的成年人为智齿萌出的主要人群。智齿容易出现先天缺失、形态异常、位置异常。部分人群4颗智齿可全部萌出,部分人群可萌出1~3颗。
智齿萌出后如果位置不正,即使没有发炎疼痛,建议预防性拔除智齿,避免邻牙受到影响;当出现智齿冠周炎时需要进行治疗,主要是对症治疗,如应用广谱抗生素、中成药和止痛药,必要时需要切开引流,待炎症控制后拔除智齿。
","articleBody": "智齿指口腔最内侧第三磨牙。
智齿出现会引起相关病变,一旦出现智齿,建议患者及时前往医院治疗。

长智齿本身是一种正常的生理现象,指口腔中第三磨牙长出的过程,为恒牙。由于各种原因,智齿长出时可能会存在空间不足,部分人群在长智齿的过程中会诱发智齿冠周炎,继而出现疼痛、脸肿大、不能咀嚼食物等表现。
18~25岁的成年人为智齿萌出的主要人群。智齿容易出现先天缺失、形态异常、位置异常。部分人群4颗智齿可全部萌出,部分人群可萌出1~3颗。
智齿萌出后如果位置不正,即使没有发炎疼痛,建议预防性拔除智齿,避免邻牙受到影响;当出现智齿冠周炎时需要进行治疗,主要是对症治疗,如应用广谱抗生素、中成药和止痛药,必要时需要切开引流,待炎症控制后拔除智齿。
","scanCount": 8255}}} {"@context": "https://ziyuan.baidu.com/contexts/cambrian.jsonld","appid": "1650708455561748","icon": "https://www.med-credit.org.cn/style/images/ttlogo.png","content_tag": ["atlas"],"is_mcn": {"thumb_id": "ay28xrnt0"},"accid": "4886d626a2804dee5f11168793ce361672f39c25","@id": "https://www.med-credit.org.cn/mobile/jingxuan/2/07a939adfd1f89d6ed311f8b1c0c6246.html","bagWordId": "e03401b1db8a6e4c","title": "牙齿烂了个洞严重图片","pubDate": "2023-03-13T18:08:06","upDate": "2023-03-13T18:08:06","lrDate": "2023-03-13T18:08:06","description": "牙齿烂了个洞严重,多见于龋病,龋病严重时龋洞一般较大,患者可出现疼痛。","data": {"WebPage": {"headline": "牙齿烂了个洞严重图片","pcUrl": "https://www.med-credit.org.cn/jingxuan/2/07a939adfd1f89d6ed311f8b1c0c6246.html","wapUrl": "https://www.med-credit.org.cn/jingxuan/2/07a939adfd1f89d6ed311f8b1c0c6246.html","mipUrl": "https://www.med-credit.org.cn/mobile/jingxuan/2/07a939adfd1f89d6ed311f8b1c0c6246.html","fromSrc": "欢乐橙","datePublished": "2023-03-13T18:08:06","domain": "医疗","category": ["医疗权威文章合作"],"description": "牙齿烂了个洞严重,多见于龋病,龋病严重时龋洞一般较大,患者可出现疼痛。
","extra_headline": [""]},"Author": {"name": "李斯文","wapUrl": "https://www.med-credit.org.cn/doctor/546","pcUrl": "https://www.med-credit.org.cn/doctor/546","jobTitle": "主治医师","headPortrait": "https://www.med-credit.org.cn/uploadfile/member/546/180x180.jpeg","id": "546","description": "李斯文,中国医科大学附属口腔医院口腔科主治医师","memberOf": {"legalName": "中国医科大学附属口腔医院","department": "口腔科","organizationLevel": "三级甲等"}},"Article": {"summaryContent": "牙齿烂了个洞严重,多见于龋病,龋病严重时龋洞一般较大,患者可出现疼痛。
其病因主要与细菌、饮食、宿主等因素相关。

健康的牙齿表面应该是完整、光滑、有光泽的。龋病患者的牙齿在发病早期可能会出现白色斑块或黄褐色斑点,此时患者一般无自觉症状。中期以后患者会出现对冷、热、甜、酸敏感的现象,同时牙齿外观上会发现有龋洞。随着病程的发展龋洞也会越来越大,甚至还可引发牙髓炎、根尖周炎甚至颌骨炎症等一系列的并发症,最终可能导致牙齿丧失。
疾病发展到后期,症状严重,患牙一般龋洞比较大,龋损已达到牙本质深层,用牙科医生的探针或牙签等物体触碰有明显疼痛感,对外界刺激可出现比中期更明显的疼痛反应。
1、细菌:细菌为龋病发生的主要因素,口腔内的细菌种类较多。常见的致龋菌主要有变异链球菌、乳酸杆菌和放线菌等。变异链球菌和放线菌的产酸力都比较强,可造成牙质局部脱矿,导致龋病病变。变形链球菌能使牙齿光滑面发生龋病,放线菌能造成窝沟龋,而乳酸杆菌则会加速龋病的发展。
2、饮食:进食含糖(特别是蔗糖)较多的食物,糖可滞留于牙齿隐蔽部位,细菌利用糖代谢产生的有机酸可造成釉质脱矿,从而导致龋病的发生。
3、宿主:主要有牙齿和唾液两方面因素。牙齿排列不整齐、拥挤或者重叠均会增加龋病的发生风险。唾液是牙齿的外环境,它的质与量的变化,抗菌系统的改变以及缓冲能力都与龋病的发生发展有着紧密的联系。
除了上述相对常见的原因外,还有其他的可能性病因,比如老年人也易出现龋病。建议患者出现这种症状后,及时去医院就诊,查明病因后,予以针对性治疗。
","articleBody": "牙齿烂了个洞严重,多见于龋病,龋病严重时龋洞一般较大,患者可出现疼痛。
其病因主要与细菌、饮食、宿主等因素相关。

健康的牙齿表面应该是完整、光滑、有光泽的。龋病患者的牙齿在发病早期可能会出现白色斑块或黄褐色斑点,此时患者一般无自觉症状。中期以后患者会出现对冷、热、甜、酸敏感的现象,同时牙齿外观上会发现有龋洞。随着病程的发展龋洞也会越来越大,甚至还可引发牙髓炎、根尖周炎甚至颌骨炎症等一系列的并发症,最终可能导致牙齿丧失。
疾病发展到后期,症状严重,患牙一般龋洞比较大,龋损已达到牙本质深层,用牙科医生的探针或牙签等物体触碰有明显疼痛感,对外界刺激可出现比中期更明显的疼痛反应。
1、细菌:细菌为龋病发生的主要因素,口腔内的细菌种类较多。常见的致龋菌主要有变异链球菌、乳酸杆菌和放线菌等。变异链球菌和放线菌的产酸力都比较强,可造成牙质局部脱矿,导致龋病病变。变形链球菌能使牙齿光滑面发生龋病,放线菌能造成窝沟龋,而乳酸杆菌则会加速龋病的发展。
2、饮食:进食含糖(特别是蔗糖)较多的食物,糖可滞留于牙齿隐蔽部位,细菌利用糖代谢产生的有机酸可造成釉质脱矿,从而导致龋病的发生。
3、宿主:主要有牙齿和唾液两方面因素。牙齿排列不整齐、拥挤或者重叠均会增加龋病的发生风险。唾液是牙齿的外环境,它的质与量的变化,抗菌系统的改变以及缓冲能力都与龋病的发生发展有着紧密的联系。
除了上述相对常见的原因外,还有其他的可能性病因,比如老年人也易出现龋病。建议患者出现这种症状后,及时去医院就诊,查明病因后,予以针对性治疗。
","scanCount": 32467}}} {"@context": "https://ziyuan.baidu.com/contexts/cambrian.jsonld","appid": "1650708455561748","icon": "https://www.med-credit.org.cn/style/images/ttlogo.png","content_tag": ["atlas"],"is_mcn": {"thumb_id": "g76756sx"},"accid": "4886d626a2804dee5f11168793ce361672f39c25","@id": "https://www.med-credit.org.cn/mobile/jingxuan/2/d37660123fd89440e93e1a017201291e.html","bagWordId": "a5a3c8cbaebff78a","title": "白蒿的功效与作用图片","pubDate": "2023-03-13T18:08:06","upDate": "2023-03-13T18:08:06","lrDate": "2023-03-13T18:08:06","description": "白蒿具有清利湿热、利胆退黄、抗菌消炎的作用。","data": {"WebPage": {"headline": "白蒿的功效与作用图片","pcUrl": "https://www.med-credit.org.cn/jingxuan/2/d37660123fd89440e93e1a017201291e.html","wapUrl": "https://www.med-credit.org.cn/jingxuan/2/d37660123fd89440e93e1a017201291e.html","mipUrl": "https://www.med-credit.org.cn/mobile/jingxuan/2/d37660123fd89440e93e1a017201291e.html","fromSrc": "欢乐橙","datePublished": "2023-03-13T18:08:06","domain": "医疗","category": ["医疗权威文章合作"],"description": "白蒿具有清利湿热、利胆退黄、抗菌消炎的作用。
","extra_headline": ["白蒿的功效与作用"]},"Author": {"name": "张婷","wapUrl": "https://www.med-credit.org.cn/doctor/555","pcUrl": "https://www.med-credit.org.cn/doctor/555","jobTitle": "副主任医师","headPortrait": "https://www.med-credit.org.cn/uploadfile/member/555/180x180.jpeg","id": "555","description": "张婷,中南大学湘雅三医院中西医结合科副主任医师","memberOf": {"legalName": "中南大学湘雅三医院","department": "中西医结合科","organizationLevel": "三级甲等"}},"Article": {"summaryContent": "白蒿具有清利湿热、利胆退黄、抗菌消炎的作用。
白蒿是菊科艾属植物冷蒿,以带花全草入药。性味:味辛,性温。
1、清利湿热:白蒿性平、微寒,有清利湿热之效,常用于治疗黄疽、尿少、湿温、暑湿、湿疮瘙痒等风寒湿痹之症。
2、利胆退黄:白蒿味甘、性平,微寒,可以利胆退黄、补中益气。常用于治疗黄疸、心悸不安、饭量小而常有饥饿感,还能使人增长毛发、头发乌黑。
3、抗菌消炎:白蒿可以抗菌消炎,治寒湿脚气,可用白蒿、香樟树根、红禾麻等配伍清水煎服;治痢疾、腹泻时,可用白蒿、地马蜂、凤尾草清水煎服。


1.白蒿的形状:白蒿高度在50~150公分之间,茎干直立生长,叶片呈椭圆状的披针形,背面有灰白色绒毛。白蒿的开花期一般是在六月,有多层两性花,花朵呈半球形,有白色的托毛。白蒿通常只有一根根茎。
2.白蒿的生长环境:一般是在河边、草地、荒地等,分布在东北、华北及甘肃、陕西等地方。
3.茵陈与白蒿相似:白蒿和茵陈都是同一种植物,因不同季节而叫法不同。二月长出来的叫茵陈,四月的是白蒿。茵陈是多卷曲成团状,灰白色或灰绿色的,全身被有白色茸毛,茎比较小,质地脆,易折断,茵陈具有清热利湿,保护肝脏的功效。
","articleBody": "白蒿具有清利湿热、利胆退黄、抗菌消炎的作用。
白蒿是菊科艾属植物冷蒿,以带花全草入药。性味:味辛,性温。
1、清利湿热:白蒿性平、微寒,有清利湿热之效,常用于治疗黄疽、尿少、湿温、暑湿、湿疮瘙痒等风寒湿痹之症。
2、利胆退黄:白蒿味甘、性平,微寒,可以利胆退黄、补中益气。常用于治疗黄疸、心悸不安、饭量小而常有饥饿感,还能使人增长毛发、头发乌黑。
3、抗菌消炎:白蒿可以抗菌消炎,治寒湿脚气,可用白蒿、香樟树根、红禾麻等配伍清水煎服;治痢疾、腹泻时,可用白蒿、地马蜂、凤尾草清水煎服。


1.白蒿的形状:白蒿高度在50~150公分之间,茎干直立生长,叶片呈椭圆状的披针形,背面有灰白色绒毛。白蒿的开花期一般是在六月,有多层两性花,花朵呈半球形,有白色的托毛。白蒿通常只有一根根茎。
2.白蒿的生长环境:一般是在河边、草地、荒地等,分布在东北、华北及甘肃、陕西等地方。
3.茵陈与白蒿相似:白蒿和茵陈都是同一种植物,因不同季节而叫法不同。二月长出来的叫茵陈,四月的是白蒿。茵陈是多卷曲成团状,灰白色或灰绿色的,全身被有白色茸毛,茎比较小,质地脆,易折断,茵陈具有清热利湿,保护肝脏的功效。
","scanCount": 5493}}} {"@context": "https://ziyuan.baidu.com/contexts/cambrian.jsonld","appid": "1650708455561748","icon": "https://www.med-credit.org.cn/style/images/ttlogo.png","content_tag": ["atlas"],"is_mcn": {"thumb_id": "g76756sx"},"accid": "4886d626a2804dee5f11168793ce361672f39c25","@id": "https://www.med-credit.org.cn/mobile/jingxuan/2/5bbb37bd4fe4a870046f87d5482ba71e.html","bagWordId": "8a6aae9cb2bbe41c","title": "人体五脏六腑器官分布图","pubDate": "2023-03-13T18:08:06","upDate": "2023-03-13T18:08:06","lrDate": "2023-03-13T18:08:06","description": "五脏主要包括心脏、肝脏、脾脏、肺脏、肾脏。","data": {"WebPage": {"headline": "人体五脏六腑器官分布图","pcUrl": "https://www.med-credit.org.cn/jingxuan/2/5bbb37bd4fe4a870046f87d5482ba71e.html","wapUrl": "https://www.med-credit.org.cn/jingxuan/2/5bbb37bd4fe4a870046f87d5482ba71e.html","mipUrl": "https://www.med-credit.org.cn/mobile/jingxuan/2/5bbb37bd4fe4a870046f87d5482ba71e.html","fromSrc": "欢乐橙","datePublished": "2023-03-13T18:08:06","domain": "医疗","category": ["医疗权威文章合作"],"description": "五脏主要包括心脏、肝脏、脾脏、肺脏、肾脏。
","extra_headline": ["人体器官分五脏六腑器官分布"]},"Author": {"name": "张婷","wapUrl": "https://www.med-credit.org.cn/doctor/555","pcUrl": "https://www.med-credit.org.cn/doctor/555","jobTitle": "副主任医师","headPortrait": "https://www.med-credit.org.cn/uploadfile/member/555/180x180.jpeg","id": "555","description": "张婷,中南大学湘雅三医院中西医结合科副主任医师","memberOf": {"legalName": "中南大学湘雅三医院","department": "中西医结合科","organizationLevel": "三级甲等"}},"Article": {"summaryContent": "五脏主要包括心脏、肝脏、脾脏、肺脏、肾脏。
六腑主要包括胃、胆、小肠、大肠、膀胱、三焦。



1、五脏
心位于胸中,两肺之间,隔膜之上,外有心包卫护;肺位于胸腔,左右各一,覆盖于心之上;脾位于腹中,在膈之下,与胃相邻;肝位于腹腔,横膈之下,右胁之内;肾位于腰部,脊柱两侧,左右各一。
2、六腑
胆位于右胁下,与肝紧密相连,附于肝之短叶间,其形如囊,故又称胆囊;胃居膈下腹腔上部,通过贲门上接食管,通过幽门下连小肠,是饮食物出入胃腑的通道。小肠位于腹中,上接幽门,与胃相通,下端通过阑门与大肠相连,是一个相当细长的管道器官;大肠位于腹中,是一个粗大的管道样器官,其上口通过阑门与小肠相接,下口通过魄门与外界通连。膀胱居小腹中央,是一个中空的囊性器官,其上有输尿管与肾相通,下与尿道相连,开口于前阴;三焦为分布于胸腹腔的一个大腑,是划分内脏的区域部位,即是上焦、中焦、下焦的合称,上焦包括心、肺,中焦包括脾、胃,下焦主要指肾、膀胱、大肠、小肠。
","articleBody": "五脏主要包括心脏、肝脏、脾脏、肺脏、肾脏。
六腑主要包括胃、胆、小肠、大肠、膀胱、三焦。



1、五脏
心位于胸中,两肺之间,隔膜之上,外有心包卫护;肺位于胸腔,左右各一,覆盖于心之上;脾位于腹中,在膈之下,与胃相邻;肝位于腹腔,横膈之下,右胁之内;肾位于腰部,脊柱两侧,左右各一。
2、六腑
胆位于右胁下,与肝紧密相连,附于肝之短叶间,其形如囊,故又称胆囊;胃居膈下腹腔上部,通过贲门上接食管,通过幽门下连小肠,是饮食物出入胃腑的通道。小肠位于腹中,上接幽门,与胃相通,下端通过阑门与大肠相连,是一个相当细长的管道器官;大肠位于腹中,是一个粗大的管道样器官,其上口通过阑门与小肠相接,下口通过魄门与外界通连。膀胱居小腹中央,是一个中空的囊性器官,其上有输尿管与肾相通,下与尿道相连,开口于前阴;三焦为分布于胸腹腔的一个大腑,是划分内脏的区域部位,即是上焦、中焦、下焦的合称,上焦包括心、肺,中焦包括脾、胃,下焦主要指肾、膀胱、大肠、小肠。
","scanCount": 7486}}} {"@context": "https://ziyuan.baidu.com/contexts/cambrian.jsonld","appid": "1650708455561748","icon": "https://www.med-credit.org.cn/style/images/ttlogo.png","content_tag": ["atlas"],"is_mcn": {"thumb_id": "lnsk06v2"},"accid": "4886d626a2804dee5f11168793ce361672f39c25","@id": "https://www.med-credit.org.cn/mobile/jingxuan/2/d8b1683df4b1636208047716aa6edfc2.html","bagWordId": "654_1585949905870917632","title": "创伤愈合处长疹子图片","pubDate": "2023-02-27T18:39:40","upDate": "2023-02-27T18:39:40","lrDate": "2023-02-27T18:39:40","description": "创伤愈合处长疹子是指在皮肤创口的位置出现了一些小丘疹或者是疱疹,皮肤通常会发红。","data": {"WebPage": {"headline": "创伤愈合处长疹子图片","pcUrl": "https://www.med-credit.org.cn/jingxuan/2/d8b1683df4b1636208047716aa6edfc2.html","wapUrl": "https://www.med-credit.org.cn/jingxuan/2/d8b1683df4b1636208047716aa6edfc2.html","mipUrl": "https://www.med-credit.org.cn/mobile/jingxuan/2/d8b1683df4b1636208047716aa6edfc2.html","fromSrc": "欢乐橙","datePublished": "2023-02-27T18:39:40","domain": "医疗","category": ["医疗权威文章合作"],"description": "创伤愈合处长疹子是指在皮肤创口的位置出现了一些小丘疹或者是疱疹,皮肤通常会发红。
","extra_headline": [""]},"Author": {"name": "王霞","wapUrl": "https://www.med-credit.org.cn/doctor/578","pcUrl": "https://www.med-credit.org.cn/doctor/578","jobTitle": "副主任医师","headPortrait": "https://www.med-credit.org.cn/uploadfile/member/578/180x180.jpeg","id": "578","description": "王霞,广州医科大学附属第一医院皮肤科副主任医师","memberOf": {"legalName": "广州医科大学附属第一医院","department": "皮肤科","organizationLevel": "三级甲等"}},"Article": {"summaryContent": "创伤愈合处长疹子是指在皮肤创口的位置出现了一些小丘疹或者是疱疹,皮肤通常会发红。
创伤愈合处长疹子可能是浅表组织感染、过敏等引起的,可以使用药物或者是激光、冷冻等方法来治疗,还要调整好生活习惯以及饮食习惯。

1、浅表组织感染:伤口在愈合期间,如果没有做好局部的护理,可能会受到细菌或者病毒的侵袭而引起浅表组织的感染,导致局部出现一些红色的丘疹,伴有瘙痒的症状。建议遵医嘱使用抗感染的药物进行治疗,常用的药物有红霉素软膏、夫地西酸乳膏等。
2、过敏:伤口在愈合期间,如果接触到过敏物质,可能会引起局部的过敏反应,出现皮肤的红疹,同时伴有不同程度的瘙痒症状。建议遵医嘱使用抗过敏的药物进行治疗,常用药物有糠酸莫米松乳膏、盐酸赛庚啶乳膏等,比较严重时建议口服氯雷他定片、盐酸西替利嗪片等药物来改善。
创伤愈合期间建议保持局部皮肤的干净清洁,清淡饮食,有助于减少不良反应的发生。
","articleBody": "创伤愈合处长疹子是指在皮肤创口的位置出现了一些小丘疹或者是疱疹,皮肤通常会发红。
创伤愈合处长疹子可能是浅表组织感染、过敏等引起的,可以使用药物或者是激光、冷冻等方法来治疗,还要调整好生活习惯以及饮食习惯。

1、浅表组织感染:伤口在愈合期间,如果没有做好局部的护理,可能会受到细菌或者病毒的侵袭而引起浅表组织的感染,导致局部出现一些红色的丘疹,伴有瘙痒的症状。建议遵医嘱使用抗感染的药物进行治疗,常用的药物有红霉素软膏、夫地西酸乳膏等。
2、过敏:伤口在愈合期间,如果接触到过敏物质,可能会引起局部的过敏反应,出现皮肤的红疹,同时伴有不同程度的瘙痒症状。建议遵医嘱使用抗过敏的药物进行治疗,常用药物有糠酸莫米松乳膏、盐酸赛庚啶乳膏等,比较严重时建议口服氯雷他定片、盐酸西替利嗪片等药物来改善。
创伤愈合期间建议保持局部皮肤的干净清洁,清淡饮食,有助于减少不良反应的发生。
","scanCount": 52662}}} {"@context": "https://ziyuan.baidu.com/contexts/cambrian.jsonld","appid": "1650708455561748","icon": "https://www.med-credit.org.cn/style/images/ttlogo.png","content_tag": ["atlas"],"is_mcn": {"thumb_id": "lnsk06v2"},"accid": "4886d626a2804dee5f11168793ce361672f39c25","@id": "https://www.med-credit.org.cn/mobile/jingxuan/2/0d1f31f3d36347e52b88efa6d2d7385c.html","bagWordId": "654_1585949906089021440","title": "皮试红肿图片","pubDate": "2023-02-27T18:39:40","upDate": "2023-02-27T18:39:40","lrDate": "2023-02-27T18:39:40","description": "皮试红肿是指在做皮试的时候向皮肤内注入药物后,皮肤出现了局部红肿、出血等症状。","data": {"WebPage": {"headline": "皮试红肿图片","pcUrl": "https://www.med-credit.org.cn/jingxuan/2/0d1f31f3d36347e52b88efa6d2d7385c.html","wapUrl": "https://www.med-credit.org.cn/jingxuan/2/0d1f31f3d36347e52b88efa6d2d7385c.html","mipUrl": "https://www.med-credit.org.cn/mobile/jingxuan/2/0d1f31f3d36347e52b88efa6d2d7385c.html","fromSrc": "欢乐橙","datePublished": "2023-02-27T18:39:40","domain": "医疗","category": ["医疗权威文章合作"],"description": "皮试红肿是指在做皮试的时候向皮肤内注入药物后,皮肤出现了局部红肿、出血等症状。
","extra_headline": [""]},"Author": {"name": "王霞","wapUrl": "https://www.med-credit.org.cn/doctor/578","pcUrl": "https://www.med-credit.org.cn/doctor/578","jobTitle": "副主任医师","headPortrait": "https://www.med-credit.org.cn/uploadfile/member/578/180x180.jpeg","id": "578","description": "王霞,广州医科大学附属第一医院皮肤科副主任医师","memberOf": {"legalName": "广州医科大学附属第一医院","department": "皮肤科","organizationLevel": "三级甲等"}},"Article": {"summaryContent": "皮试红肿是指在做皮试的时候向皮肤内注入药物后,皮肤出现了局部红肿、出血等症状。
皮试红肿可能是针头刺激引起的,也可能是过敏或者操作不当引起局部血肿,可以使用按压、冰敷、药物等方法来改善,还要调整好生活习惯。

1、针头刺激:在做皮试的时候,通常需要使用注射器向局部注射药物,会对局部造成一定的创伤,短期内可能会出现红肿的现象,一般情况下会随着时间的推移逐渐好转,不用治疗。
2、血肿:做皮试时如果操作不当注射过深,可能会损伤局部的血管引起血肿,导致皮肤出现红肿出血的症状。建议做好局部的护理,可以适当的按压、冰敷,有助于症状的好转。
3、过敏:做皮试后如果局部出现红肿的症状,可能是对药物过敏,经过一段时间的休息,可能会自行好转,如果症状比较严重,可以遵医嘱使用盐酸西替利嗪片、氯雷他定片等药物来进行治疗。
做完皮试后局部出现红肿要注意皮肤的清洁卫生,避免让皮试的部位碰到冷水,不要去有污染的环境内活动。
","articleBody": "皮试红肿是指在做皮试的时候向皮肤内注入药物后,皮肤出现了局部红肿、出血等症状。
皮试红肿可能是针头刺激引起的,也可能是过敏或者操作不当引起局部血肿,可以使用按压、冰敷、药物等方法来改善,还要调整好生活习惯。

1、针头刺激:在做皮试的时候,通常需要使用注射器向局部注射药物,会对局部造成一定的创伤,短期内可能会出现红肿的现象,一般情况下会随着时间的推移逐渐好转,不用治疗。
2、血肿:做皮试时如果操作不当注射过深,可能会损伤局部的血管引起血肿,导致皮肤出现红肿出血的症状。建议做好局部的护理,可以适当的按压、冰敷,有助于症状的好转。
3、过敏:做皮试后如果局部出现红肿的症状,可能是对药物过敏,经过一段时间的休息,可能会自行好转,如果症状比较严重,可以遵医嘱使用盐酸西替利嗪片、氯雷他定片等药物来进行治疗。
做完皮试后局部出现红肿要注意皮肤的清洁卫生,避免让皮试的部位碰到冷水,不要去有污染的环境内活动。
","scanCount": 52664}}} {"@context": "https://ziyuan.baidu.com/contexts/cambrian.jsonld","appid": "1650708455561748","icon": "https://www.med-credit.org.cn/style/images/ttlogo.png","content_tag": ["atlas"],"is_mcn": {"thumb_id": "lnsk06v2"},"accid": "4886d626a2804dee5f11168793ce361672f39c25","@id": "https://www.med-credit.org.cn/mobile/jingxuan/2/2ffe07c384f4ac4dcce929a91e66af37.html","bagWordId": "654_1585949906307125248","title": "囊肿和疣的区别图片","pubDate": "2023-02-27T18:39:40","upDate": "2023-02-27T18:39:40","lrDate": "2023-02-27T18:39:40","description": "囊肿是一种囊性的良性包块,疣是由人乳头瘤病毒感染引起的一种皮肤病。","data": {"WebPage": {"headline": "囊肿和疣的区别图片","pcUrl": "https://www.med-credit.org.cn/jingxuan/2/2ffe07c384f4ac4dcce929a91e66af37.html","wapUrl": "https://www.med-credit.org.cn/jingxuan/2/2ffe07c384f4ac4dcce929a91e66af37.html","mipUrl": "https://www.med-credit.org.cn/mobile/jingxuan/2/2ffe07c384f4ac4dcce929a91e66af37.html","fromSrc": "欢乐橙","datePublished": "2023-02-27T18:39:40","domain": "医疗","category": ["医疗权威文章合作"],"description": "囊肿是一种囊性的良性包块,疣是由人乳头瘤病毒感染引起的一种皮肤病。
","extra_headline": [""]},"Author": {"name": "王霞","wapUrl": "https://www.med-credit.org.cn/doctor/578","pcUrl": "https://www.med-credit.org.cn/doctor/578","jobTitle": "副主任医师","headPortrait": "https://www.med-credit.org.cn/uploadfile/member/578/180x180.jpeg","id": "578","description": "王霞,广州医科大学附属第一医院皮肤科副主任医师","memberOf": {"legalName": "广州医科大学附属第一医院","department": "皮肤科","organizationLevel": "三级甲等"}},"Article": {"summaryContent": "囊肿是一种囊性的良性包块,疣是由人乳头瘤病毒感染引起的一种皮肤病。
囊肿和疣的区别在于病因不同、临床症状不同、治疗情况也不同,建议及时就医治疗。


1、病因不同:囊肿是由于皮下组织增生而引起的囊性包块,而疣是由人乳头瘤病毒感染而引起的。
2、临床症状不同:囊肿通常情况下会出现皮下的结节或者是丘疹,囊肿与深部的组织,一般情况下无粘连可以用手推动。疣可能是扁平状的、也可能是线状的、也可能会像菜花一样,如黄豆大小,皮肤颜色多呈现灰褐色或者棕色。
3、治疗情况:囊肿如果不影响周围的组织,一般情况下不用治疗。如果对周围组织造成压迫,导致患者出现一些不良的症状,可以采取手术的方法进行切除。而疣是病毒感染引起的,多需要遵医嘱采取抗病毒的治疗,比如五氟尿嘧啶软膏、咪喹莫特软膏等,也可遵医嘱进行冷冻治疗或者激光治疗。
建议到正规医院就诊,明确诊断是囊肿还是疣,在医生的指导下进行相应的治疗。
","articleBody": "囊肿是一种囊性的良性包块,疣是由人乳头瘤病毒感染引起的一种皮肤病。
囊肿和疣的区别在于病因不同、临床症状不同、治疗情况也不同,建议及时就医治疗。


1、病因不同:囊肿是由于皮下组织增生而引起的囊性包块,而疣是由人乳头瘤病毒感染而引起的。
2、临床症状不同:囊肿通常情况下会出现皮下的结节或者是丘疹,囊肿与深部的组织,一般情况下无粘连可以用手推动。疣可能是扁平状的、也可能是线状的、也可能会像菜花一样,如黄豆大小,皮肤颜色多呈现灰褐色或者棕色。
3、治疗情况:囊肿如果不影响周围的组织,一般情况下不用治疗。如果对周围组织造成压迫,导致患者出现一些不良的症状,可以采取手术的方法进行切除。而疣是病毒感染引起的,多需要遵医嘱采取抗病毒的治疗,比如五氟尿嘧啶软膏、咪喹莫特软膏等,也可遵医嘱进行冷冻治疗或者激光治疗。
建议到正规医院就诊,明确诊断是囊肿还是疣,在医生的指导下进行相应的治疗。
","scanCount": 52666}}} {"@context": "https://ziyuan.baidu.com/contexts/cambrian.jsonld","appid": "1650708455561748","icon": "https://www.med-credit.org.cn/style/images/ttlogo.png","content_tag": ["atlas"],"is_mcn": {"thumb_id": "lnsk06v2"},"accid": "4886d626a2804dee5f11168793ce361672f39c25","@id": "https://www.med-credit.org.cn/mobile/jingxuan/2/be31759e5d929e3ff27516482e99257f.html","bagWordId": "654_1585949906684612608","title": "脚掌黑色素瘤图片","pubDate": "2023-02-27T18:39:40","upDate": "2023-02-27T18:39:40","lrDate": "2023-02-27T18:39:40","description": "脚掌黑色素瘤通常在脚底的部位会出现一定程度的皮肤隆起,皮肤颜色不均匀,边界不规则,通常还伴有一定的瘙痒症状。","data": {"WebPage": {"headline": "脚掌黑色素瘤图片","pcUrl": "https://www.med-credit.org.cn/jingxuan/2/be31759e5d929e3ff27516482e99257f.html","wapUrl": "https://www.med-credit.org.cn/jingxuan/2/be31759e5d929e3ff27516482e99257f.html","mipUrl": "https://www.med-credit.org.cn/mobile/jingxuan/2/be31759e5d929e3ff27516482e99257f.html","fromSrc": "欢乐橙","datePublished": "2023-02-27T18:39:40","domain": "医疗","category": ["医疗权威文章合作"],"description": "脚掌黑色素瘤通常在脚底的部位会出现一定程度的皮肤隆起,皮肤颜色不均匀,边界不规则,通常还伴有一定的瘙痒症状。
","extra_headline": [""]},"Author": {"name": "王霞","wapUrl": "https://www.med-credit.org.cn/doctor/578","pcUrl": "https://www.med-credit.org.cn/doctor/578","jobTitle": "副主任医师","headPortrait": "https://www.med-credit.org.cn/uploadfile/member/578/180x180.jpeg","id": "578","description": "王霞,广州医科大学附属第一医院皮肤科副主任医师","memberOf": {"legalName": "广州医科大学附属第一医院","department": "皮肤科","organizationLevel": "三级甲等"}},"Article": {"summaryContent": "脚掌黑色素瘤通常在脚底的部位会出现一定程度的皮肤隆起,皮肤颜色不均匀,边界不规则,通常还伴有一定的瘙痒症状。
脚掌黑色素瘤通常属于恶性的黑色素瘤,可以通过激光治疗、冷冻治疗、外科手术切除等方式来改善,要注意生活以及饮食习惯。

常见的局部症状有:皮肤色素沉着区范围进行性增大且伴有卫星痣,周围边界不清楚,密度不均匀,凸起于皮肤,可伴有一定程度的瘙痒感。随着病情的进展可能出现局部的破溃、出血。一旦破溃后长期不愈合,且破溃范围进行性增大,可以出现局部的淋巴结转移,常见的是腹股沟部位的淋巴结肿大。
1、激光治疗:对于体积比较小的隆起性瘤体可以遵医嘱使用激光的方式来进行治疗,激光能够释放出高热能量,对局部进行烧灼,促使黑色素瘤组织坏死、脱落,达到治疗的效果。
2、冷冻治疗:脚掌部位黑色素瘤也可以遵医嘱进行冷冻治疗,在局部皮肤表面涂抹超低温的液态氮,通过低温促使瘤体组织冷冻坏死,达到去除色素瘤的效果。
3、外科手术治疗:如果黑色素瘤体积比较大或者嵌入较深,一般需要遵医嘱通过外科手术切除的方式去除。
在治疗期间要选择宽松以及透气性好的鞋子,少吃高油脂或者刺激性的食物。
","articleBody": "脚掌黑色素瘤通常在脚底的部位会出现一定程度的皮肤隆起,皮肤颜色不均匀,边界不规则,通常还伴有一定的瘙痒症状。
脚掌黑色素瘤通常属于恶性的黑色素瘤,可以通过激光治疗、冷冻治疗、外科手术切除等方式来改善,要注意生活以及饮食习惯。

常见的局部症状有:皮肤色素沉着区范围进行性增大且伴有卫星痣,周围边界不清楚,密度不均匀,凸起于皮肤,可伴有一定程度的瘙痒感。随着病情的进展可能出现局部的破溃、出血。一旦破溃后长期不愈合,且破溃范围进行性增大,可以出现局部的淋巴结转移,常见的是腹股沟部位的淋巴结肿大。
1、激光治疗:对于体积比较小的隆起性瘤体可以遵医嘱使用激光的方式来进行治疗,激光能够释放出高热能量,对局部进行烧灼,促使黑色素瘤组织坏死、脱落,达到治疗的效果。
2、冷冻治疗:脚掌部位黑色素瘤也可以遵医嘱进行冷冻治疗,在局部皮肤表面涂抹超低温的液态氮,通过低温促使瘤体组织冷冻坏死,达到去除色素瘤的效果。
3、外科手术治疗:如果黑色素瘤体积比较大或者嵌入较深,一般需要遵医嘱通过外科手术切除的方式去除。
在治疗期间要选择宽松以及透气性好的鞋子,少吃高油脂或者刺激性的食物。
","scanCount": 52671}}} {"@context": "https://ziyuan.baidu.com/contexts/cambrian.jsonld","appid": "1650708455561748","icon": "https://www.med-credit.org.cn/style/images/ttlogo.png","content_tag": ["atlas"],"is_mcn": {"thumb_id": "lnsk06v2"},"accid": "4886d626a2804dee5f11168793ce361672f39c25","@id": "https://www.med-credit.org.cn/mobile/jingxuan/2/69a490f95eb0781b44b5c09fd6e66225.html","bagWordId": "654_1585949907284398080","title": "眉毛里长扁平疣图","pubDate": "2023-02-27T18:39:40","upDate": "2023-02-27T18:39:40","lrDate": "2023-02-27T18:39:40","description": "眉毛里长扁平疣是指在眉毛的部位长出圆形或者椭圆形的丘疹,形态扁平。","data": {"WebPage": {"headline": "眉毛里长扁平疣图","pcUrl": "https://www.med-credit.org.cn/jingxuan/2/69a490f95eb0781b44b5c09fd6e66225.html","wapUrl": "https://www.med-credit.org.cn/jingxuan/2/69a490f95eb0781b44b5c09fd6e66225.html","mipUrl": "https://www.med-credit.org.cn/mobile/jingxuan/2/69a490f95eb0781b44b5c09fd6e66225.html","fromSrc": "欢乐橙","datePublished": "2023-02-27T18:39:40","domain": "医疗","category": ["医疗权威文章合作"],"description": "眉毛里长扁平疣是指在眉毛的部位长出圆形或者椭圆形的丘疹,形态扁平。
","extra_headline": [""]},"Author": {"name": "王霞","wapUrl": "https://www.med-credit.org.cn/doctor/578","pcUrl": "https://www.med-credit.org.cn/doctor/578","jobTitle": "副主任医师","headPortrait": "https://www.med-credit.org.cn/uploadfile/member/578/180x180.jpeg","id": "578","description": "王霞,广州医科大学附属第一医院皮肤科副主任医师","memberOf": {"legalName": "广州医科大学附属第一医院","department": "皮肤科","organizationLevel": "三级甲等"}},"Article": {"summaryContent": "眉毛里长扁平疣是指在眉毛的部位长出圆形或者椭圆形的丘疹,形态扁平。
眉毛里长扁平疣主要是感染了人乳头瘤病毒引起的,可以通过外部涂抹药物、液氮冷冻治疗以及自体免疫疗法改善,需要调整饮食习惯。

1、外部涂抹药物:扁平疣通常会在局部皮肤上出现小丘疹,多数没有特殊的症状。可以遵医嘱涂抹维A酸乳膏、重组人干扰素α2b凝胶等药物来改善。
2、液氮冷冻治疗:扁平疣疣体过大时,可以到正规医疗机构,遵医嘱通过液氮冷冻改善,液氮冷冻是向局部涂抹超低温的液态氮,促使局部的皮肤坏死并脱落,从而帮助去除扁平疣。
3、自体免疫疗法:扁平疣自体免疫疗法是通过取扁平疣的疣体植入到身体内,刺激机体产生相应的抗体,从而使机体产生特异性的免疫反应,最终达到治疗疾病的目的。
在平常生活中要调整好饮食习惯,避免吃辛辣以及刺激性的食物,比如辣椒或者是芥末等。
","articleBody": "眉毛里长扁平疣是指在眉毛的部位长出圆形或者椭圆形的丘疹,形态扁平。
眉毛里长扁平疣主要是感染了人乳头瘤病毒引起的,可以通过外部涂抹药物、液氮冷冻治疗以及自体免疫疗法改善,需要调整饮食习惯。

1、外部涂抹药物:扁平疣通常会在局部皮肤上出现小丘疹,多数没有特殊的症状。可以遵医嘱涂抹维A酸乳膏、重组人干扰素α2b凝胶等药物来改善。
2、液氮冷冻治疗:扁平疣疣体过大时,可以到正规医疗机构,遵医嘱通过液氮冷冻改善,液氮冷冻是向局部涂抹超低温的液态氮,促使局部的皮肤坏死并脱落,从而帮助去除扁平疣。
3、自体免疫疗法:扁平疣自体免疫疗法是通过取扁平疣的疣体植入到身体内,刺激机体产生相应的抗体,从而使机体产生特异性的免疫反应,最终达到治疗疾病的目的。
在平常生活中要调整好饮食习惯,避免吃辛辣以及刺激性的食物,比如辣椒或者是芥末等。
","scanCount": 52676}}} {"@context": "https://ziyuan.baidu.com/contexts/cambrian.jsonld","appid": "1650708455561748","icon": "https://www.med-credit.org.cn/style/images/ttlogo.png","content_tag": ["atlas"],"is_mcn": {"thumb_id": "lnsk06v2"},"accid": "4886d626a2804dee5f11168793ce361672f39c25","@id": "https://www.med-credit.org.cn/mobile/jingxuan/2/4c7d15dcf10c497cc2354d6066327243.html","bagWordId": "654_1585949907393449984","title": "大腿皮肤粗糙有小圆点图片","pubDate": "2023-02-27T18:39:40","upDate": "2023-02-27T18:39:40","lrDate": "2023-02-27T18:39:40","description": "大腿皮肤粗糙有小圆点是指腿部的皮肤缺乏水分,过于干燥而引起局部皮肤凸起,也可能是皮脂腺角化或者毛囊炎症引起的,要调整生活习惯以及饮食习惯,还要使用药物来改善。","data": {"WebPage": {"headline": "大腿皮肤粗糙有小圆点图片","pcUrl": "https://www.med-credit.org.cn/jingxuan/2/4c7d15dcf10c497cc2354d6066327243.html","wapUrl": "https://www.med-credit.org.cn/jingxuan/2/4c7d15dcf10c497cc2354d6066327243.html","mipUrl": "https://www.med-credit.org.cn/mobile/jingxuan/2/4c7d15dcf10c497cc2354d6066327243.html","fromSrc": "欢乐橙","datePublished": "2023-02-27T18:39:40","domain": "医疗","category": ["医疗权威文章合作"],"description": "大腿皮肤粗糙有小圆点是指腿部的皮肤缺乏水分,过于干燥而引起局部皮肤凸起,也可能是皮脂腺角化或者毛囊炎症引起的,要调整生活习惯以及饮食习惯,还要使用药物来改善。
","extra_headline": [""]},"Author": {"name": "王霞","wapUrl": "https://www.med-credit.org.cn/doctor/578","pcUrl": "https://www.med-credit.org.cn/doctor/578","jobTitle": "副主任医师","headPortrait": "https://www.med-credit.org.cn/uploadfile/member/578/180x180.jpeg","id": "578","description": "王霞,广州医科大学附属第一医院皮肤科副主任医师","memberOf": {"legalName": "广州医科大学附属第一医院","department": "皮肤科","organizationLevel": "三级甲等"}},"Article": {"summaryContent": "大腿皮肤粗糙有小圆点是指腿部的皮肤缺乏水分,过于干燥而引起局部皮肤凸起,也可能是皮脂腺角化或者毛囊炎症引起的,要调整生活习惯以及饮食习惯,还要使用药物来改善。

1、过于干燥:秋冬季节气候比较干燥,人体皮肤缺少水分,就会出现皮肤粗糙、脱屑、凸起的症状,可以适当补充水分,沐浴后涂抹保湿的润肤乳,改善皮肤干燥的症状。
2、皮脂腺角化:皮脂腺角化是一种遗传性的疾病,患者通常会出现皮肤的粗糙以及颗粒状的凸起。建议平时做好皮肤的护理,多吃维生素比较丰富的食物,还要遵医嘱使用软化皮脂腺角化的药物来改善,常用药物有维A酸乳膏或者是氟尿嘧啶乳膏等。
3、毛囊炎症:如果平时不注意皮肤护理,导致局部毛囊出现炎症反应,会引起局部的皮肤粗糙,毛囊堵塞堆积在皮肤表面,会出现皮肤上有凸起的小圆点。建议要加强皮肤的护理,保持局部干燥清洁,也可以遵医嘱涂抹抗感染的药物来改善,比如莫匹罗星软膏、夫地西酸乳膏等。
建议在日常生活中要勤洗澡,保持皮肤的湿润和清洁,促进症状的改善。
","articleBody": "大腿皮肤粗糙有小圆点是指腿部的皮肤缺乏水分,过于干燥而引起局部皮肤凸起,也可能是皮脂腺角化或者毛囊炎症引起的,要调整生活习惯以及饮食习惯,还要使用药物来改善。

1、过于干燥:秋冬季节气候比较干燥,人体皮肤缺少水分,就会出现皮肤粗糙、脱屑、凸起的症状,可以适当补充水分,沐浴后涂抹保湿的润肤乳,改善皮肤干燥的症状。
2、皮脂腺角化:皮脂腺角化是一种遗传性的疾病,患者通常会出现皮肤的粗糙以及颗粒状的凸起。建议平时做好皮肤的护理,多吃维生素比较丰富的食物,还要遵医嘱使用软化皮脂腺角化的药物来改善,常用药物有维A酸乳膏或者是氟尿嘧啶乳膏等。
3、毛囊炎症:如果平时不注意皮肤护理,导致局部毛囊出现炎症反应,会引起局部的皮肤粗糙,毛囊堵塞堆积在皮肤表面,会出现皮肤上有凸起的小圆点。建议要加强皮肤的护理,保持局部干燥清洁,也可以遵医嘱涂抹抗感染的药物来改善,比如莫匹罗星软膏、夫地西酸乳膏等。
建议在日常生活中要勤洗澡,保持皮肤的湿润和清洁,促进症状的改善。
","scanCount": 52678}}} {"@context": "https://ziyuan.baidu.com/contexts/cambrian.jsonld","appid": "1650708455561748","icon": "https://www.med-credit.org.cn/style/images/ttlogo.png","content_tag": ["atlas"],"is_mcn": {"thumb_id": "lnsk06v2"},"accid": "4886d626a2804dee5f11168793ce361672f39c25","@id": "https://www.med-credit.org.cn/mobile/jingxuan/2/e9009f452e709194d14e17a261aa796a.html","bagWordId": "654_1585949908152619008","title": "皮肤软组织坏死照片","pubDate": "2023-02-27T18:39:40","upDate": "2023-02-27T18:39:40","lrDate": "2023-02-27T18:39:40","description": "皮肤软组织坏死通常会导致局部皮肤颜色变暗,伴有坚硬的死皮组织,通常呈灰白色或者黄白色。","data": {"WebPage": {"headline": "皮肤软组织坏死照片","pcUrl": "https://www.med-credit.org.cn/jingxuan/2/e9009f452e709194d14e17a261aa796a.html","wapUrl": "https://www.med-credit.org.cn/jingxuan/2/e9009f452e709194d14e17a261aa796a.html","mipUrl": "https://www.med-credit.org.cn/mobile/jingxuan/2/e9009f452e709194d14e17a261aa796a.html","fromSrc": "欢乐橙","datePublished": "2023-02-27T18:39:40","domain": "医疗","category": ["医疗权威文章合作"],"description": "皮肤软组织坏死通常会导致局部皮肤颜色变暗,伴有坚硬的死皮组织,通常呈灰白色或者黄白色。
","extra_headline": [""]},"Author": {"name": "王霞","wapUrl": "https://www.med-credit.org.cn/doctor/578","pcUrl": "https://www.med-credit.org.cn/doctor/578","jobTitle": "副主任医师","headPortrait": "https://www.med-credit.org.cn/uploadfile/member/578/180x180.jpeg","id": "578","description": "王霞,广州医科大学附属第一医院皮肤科副主任医师","memberOf": {"legalName": "广州医科大学附属第一医院","department": "皮肤科","organizationLevel": "三级甲等"}},"Article": {"summaryContent": "皮肤软组织坏死通常会导致局部皮肤颜色变暗,伴有坚硬的死皮组织,通常呈灰白色或者黄白色。
皮肤软组织坏死通常是由于外伤或者术后感染导致的,可以使用药物或手术等方法来治疗,平时注意生活习惯以及饮食习惯。

1、外伤:如果皮肤表面出现伤口没有及时进行治疗或者是护理不到位,容易导致局部感染,会出现皮肤颜色变暗或者是有僵硬的死皮组织。可以遵医嘱使用碘伏、酒精对局部皮肤消毒,可使用红霉素软膏、环丙沙星乳膏等药物来改善,促进伤口愈合。
2、术后感染:手术后如果局部细菌感染或者是局部血液循环不畅,有可能会诱发皮肤出现溃疡,分泌出稀薄、红棕色、臭的脓液,最后导致皮肤的软组织出现坏死。建议遵医嘱采用手术清创的方法,将坏死的软组织去除,才能够使病情得到恢复。
在平常生活中要注意皮肤的清洁,宽松透气性好的衣服,调整好饮食习惯,避免吃辣椒、生姜等刺激性的食物。
","articleBody": "皮肤软组织坏死通常会导致局部皮肤颜色变暗,伴有坚硬的死皮组织,通常呈灰白色或者黄白色。
皮肤软组织坏死通常是由于外伤或者术后感染导致的,可以使用药物或手术等方法来治疗,平时注意生活习惯以及饮食习惯。

1、外伤:如果皮肤表面出现伤口没有及时进行治疗或者是护理不到位,容易导致局部感染,会出现皮肤颜色变暗或者是有僵硬的死皮组织。可以遵医嘱使用碘伏、酒精对局部皮肤消毒,可使用红霉素软膏、环丙沙星乳膏等药物来改善,促进伤口愈合。
2、术后感染:手术后如果局部细菌感染或者是局部血液循环不畅,有可能会诱发皮肤出现溃疡,分泌出稀薄、红棕色、臭的脓液,最后导致皮肤的软组织出现坏死。建议遵医嘱采用手术清创的方法,将坏死的软组织去除,才能够使病情得到恢复。
在平常生活中要注意皮肤的清洁,宽松透气性好的衣服,调整好饮食习惯,避免吃辣椒、生姜等刺激性的食物。
","scanCount": 52686}}} {"@context": "https://ziyuan.baidu.com/contexts/cambrian.jsonld","appid": "1650708455561748","icon": "https://www.med-credit.org.cn/style/images/ttlogo.png","content_tag": ["atlas"],"is_mcn": {"thumb_id": "lnsk06v2"},"accid": "4886d626a2804dee5f11168793ce361672f39c25","@id": "https://www.med-credit.org.cn/mobile/jingxuan/2/d463a589caac368af12e6c5b118b66ff.html","bagWordId": "654_1585949908647546880","title": "圆癣初期图片","pubDate": "2023-02-27T18:39:40","upDate": "2023-02-27T18:39:40","lrDate": "2023-02-27T18:39:40","description": "圆癣初期症状会出现圆形红斑、边缘出现密密麻麻的小丘疹或者是小水泡,呈现出外围扩张的斑块,边缘清楚中间消退。","data": {"WebPage": {"headline": "圆癣初期图片","pcUrl": "https://www.med-credit.org.cn/jingxuan/2/d463a589caac368af12e6c5b118b66ff.html","wapUrl": "https://www.med-credit.org.cn/jingxuan/2/d463a589caac368af12e6c5b118b66ff.html","mipUrl": "https://www.med-credit.org.cn/mobile/jingxuan/2/d463a589caac368af12e6c5b118b66ff.html","fromSrc": "欢乐橙","datePublished": "2023-02-27T18:39:40","domain": "医疗","category": ["医疗权威文章合作"],"description": "圆癣初期症状会出现圆形红斑、边缘出现密密麻麻的小丘疹或者是小水泡,呈现出外围扩张的斑块,边缘清楚中间消退。
","extra_headline": [""]},"Author": {"name": "王霞","wapUrl": "https://www.med-credit.org.cn/doctor/578","pcUrl": "https://www.med-credit.org.cn/doctor/578","jobTitle": "副主任医师","headPortrait": "https://www.med-credit.org.cn/uploadfile/member/578/180x180.jpeg","id": "578","description": "王霞,广州医科大学附属第一医院皮肤科副主任医师","memberOf": {"legalName": "广州医科大学附属第一医院","department": "皮肤科","organizationLevel": "三级甲等"}},"Article": {"summaryContent": "圆癣初期症状会出现圆形红斑、边缘出现密密麻麻的小丘疹或者是小水泡,呈现出外围扩张的斑块,边缘清楚中间消退。
圆癣有可能是真菌感染或者是不注意皮肤卫生导致的,可以使用药物来改善,还要调整好生活以及饮食习惯。

1、真菌感染:如果皮肤表面受到真菌感染时,可能会导致皮肤反复刺激,从而引起皮肤表面出现红斑或者是小丘疹的症状,随着病情的发展还可能会形成斑块。
2、不注意皮肤卫生:如果患者不注意皮肤卫生或者是没有勤换衣服、勤洗澡,就会导致皮肤存在大量的汗液,皮肤处在潮湿的环境,可能会导致皮肤表面出现小丘疹或者是小水泡,伴有局部瘙痒的症状。
皮肤表面的圆癣可以遵医嘱使用联苯苄唑凝胶、萘替芬酮康唑软膏来进行治疗。
在治疗期间患者饮食上尽量以清淡为主,避免食用辛辣、刺激性较强的食物,以免导致病情加重,出汗后及时的更换衣物。
","articleBody": "圆癣初期症状会出现圆形红斑、边缘出现密密麻麻的小丘疹或者是小水泡,呈现出外围扩张的斑块,边缘清楚中间消退。
圆癣有可能是真菌感染或者是不注意皮肤卫生导致的,可以使用药物来改善,还要调整好生活以及饮食习惯。

1、真菌感染:如果皮肤表面受到真菌感染时,可能会导致皮肤反复刺激,从而引起皮肤表面出现红斑或者是小丘疹的症状,随着病情的发展还可能会形成斑块。
2、不注意皮肤卫生:如果患者不注意皮肤卫生或者是没有勤换衣服、勤洗澡,就会导致皮肤存在大量的汗液,皮肤处在潮湿的环境,可能会导致皮肤表面出现小丘疹或者是小水泡,伴有局部瘙痒的症状。
皮肤表面的圆癣可以遵医嘱使用联苯苄唑凝胶、萘替芬酮康唑软膏来进行治疗。
在治疗期间患者饮食上尽量以清淡为主,避免食用辛辣、刺激性较强的食物,以免导致病情加重,出汗后及时的更换衣物。
","scanCount": 52689}}} {"@context": "https://ziyuan.baidu.com/contexts/cambrian.jsonld","appid": "1650708455561748","icon": "https://www.med-credit.org.cn/style/images/ttlogo.png","content_tag": ["atlas"],"is_mcn": {"thumb_id": "lnsk06v2"},"accid": "4886d626a2804dee5f11168793ce361672f39c25","@id": "https://www.med-credit.org.cn/mobile/jingxuan/2/30f76c308fbbdf6f4970247e6a19cb11.html","bagWordId": "654_1585949908702072832","title": "节段型白癜风图片","pubDate": "2023-02-27T18:39:40","upDate": "2023-02-27T18:39:40","lrDate": "2023-02-27T18:39:40","description": "节段型白癜风通常会出现白斑不对称,主要是沿着身体躯干节段性分布边界清楚的白斑,多数为卵圆形或不整形。","data": {"WebPage": {"headline": "节段型白癜风图片","pcUrl": "https://www.med-credit.org.cn/jingxuan/2/30f76c308fbbdf6f4970247e6a19cb11.html","wapUrl": "https://www.med-credit.org.cn/jingxuan/2/30f76c308fbbdf6f4970247e6a19cb11.html","mipUrl": "https://www.med-credit.org.cn/mobile/jingxuan/2/30f76c308fbbdf6f4970247e6a19cb11.html","fromSrc": "欢乐橙","datePublished": "2023-02-27T18:39:40","domain": "医疗","category": ["医疗权威文章合作"],"description": "节段型白癜风通常会出现白斑不对称,主要是沿着身体躯干节段性分布边界清楚的白斑,多数为卵圆形或不整形。
","extra_headline": [""]},"Author": {"name": "王霞","wapUrl": "https://www.med-credit.org.cn/doctor/578","pcUrl": "https://www.med-credit.org.cn/doctor/578","jobTitle": "副主任医师","headPortrait": "https://www.med-credit.org.cn/uploadfile/member/578/180x180.jpeg","id": "578","description": "王霞,广州医科大学附属第一医院皮肤科副主任医师","memberOf": {"legalName": "广州医科大学附属第一医院","department": "皮肤科","organizationLevel": "三级甲等"}},"Article": {"summaryContent": "节段型白癜风通常会出现白斑不对称,主要是沿着身体躯干节段性分布边界清楚的白斑,多数为卵圆形或不整形。
节段型白癜风可能是自身免疫力低引起的,也可能跟内分泌失调有一定的关系,要采用药物或者是光疗等方法来改善,调整好生活习惯。

1、自身免疫力低:如果患者存在慢性疾病经久不治,会导致自身免疫力过低,使患者出现皮肤干燥,时间长了可能会导致皮肤局部长白斑,斑点边界清晰。可以遵医嘱使用免疫调制剂或者是地塞米松、泼尼松龙等药物进行治疗。
2、遗传:若患者家族中有患此病者,也可能会引起该疾病的出现。
患有节段型白癫风可以遵医嘱使用免疫调制剂或者是地塞米松、泼尼松龙等药物进行治疗,也可以采用光疗的方法来缓解。
建议患者及时的调整不良的作息习惯,保证充足的睡眠,避免去有污染的环境内活动。
","articleBody": "节段型白癜风通常会出现白斑不对称,主要是沿着身体躯干节段性分布边界清楚的白斑,多数为卵圆形或不整形。
节段型白癜风可能是自身免疫力低引起的,也可能跟内分泌失调有一定的关系,要采用药物或者是光疗等方法来改善,调整好生活习惯。

1、自身免疫力低:如果患者存在慢性疾病经久不治,会导致自身免疫力过低,使患者出现皮肤干燥,时间长了可能会导致皮肤局部长白斑,斑点边界清晰。可以遵医嘱使用免疫调制剂或者是地塞米松、泼尼松龙等药物进行治疗。
2、遗传:若患者家族中有患此病者,也可能会引起该疾病的出现。
患有节段型白癫风可以遵医嘱使用免疫调制剂或者是地塞米松、泼尼松龙等药物进行治疗,也可以采用光疗的方法来缓解。
建议患者及时的调整不良的作息习惯,保证充足的睡眠,避免去有污染的环境内活动。
","scanCount": 52690}}} {"@context": "https://ziyuan.baidu.com/contexts/cambrian.jsonld","appid": "1650708455561748","icon": "https://www.med-credit.org.cn/style/images/ttlogo.png","content_tag": ["atlas"],"is_mcn": {"thumb_id": "lnsk06v2"},"accid": "4886d626a2804dee5f11168793ce361672f39c25","@id": "https://www.med-credit.org.cn/mobile/jingxuan/2/41e717507ed2888d381c466ae6bef686.html","bagWordId": "654_1585949908756598784","title": "夏天手臂上长小白点图片","pubDate": "2023-02-27T18:39:40","upDate": "2023-02-27T18:39:40","lrDate": "2023-02-27T18:39:40","description": "手臂上长小白点是在皮肤上出现分散性的小白点、颜色比较白,边界清楚。","data": {"WebPage": {"headline": "夏天手臂上长小白点图片","pcUrl": "https://www.med-credit.org.cn/jingxuan/2/41e717507ed2888d381c466ae6bef686.html","wapUrl": "https://www.med-credit.org.cn/jingxuan/2/41e717507ed2888d381c466ae6bef686.html","mipUrl": "https://www.med-credit.org.cn/mobile/jingxuan/2/41e717507ed2888d381c466ae6bef686.html","fromSrc": "欢乐橙","datePublished": "2023-02-27T18:39:40","domain": "医疗","category": ["医疗权威文章合作"],"description": "手臂上长小白点是在皮肤上出现分散性的小白点、颜色比较白,边界清楚。
","extra_headline": [""]},"Author": {"name": "王霞","wapUrl": "https://www.med-credit.org.cn/doctor/578","pcUrl": "https://www.med-credit.org.cn/doctor/578","jobTitle": "副主任医师","headPortrait": "https://www.med-credit.org.cn/uploadfile/member/578/180x180.jpeg","id": "578","description": "王霞,广州医科大学附属第一医院皮肤科副主任医师","memberOf": {"legalName": "广州医科大学附属第一医院","department": "皮肤科","organizationLevel": "三级甲等"}},"Article": {"summaryContent": "手臂上长小白点是在皮肤上出现分散性的小白点、颜色比较白,边界清楚。
手臂上长小白点有可能是色素减退或者是白癜风早期症状导致的,需要使用药物治疗,还要调整好生活习惯。

1、色素减退:手臂上长小白点有可能是色素减退引起的,通常跟紫外线照射、皮肤老化有一定的关系,会出现针尖或者是绿豆大小的斑点,通常情况下不需要做特殊的治疗,要做好皮肤护理,避免阳光暴晒,随着皮肤的新陈代谢症状可以得到缓解。
2、白癜风早期症状:有白癜风病情在早期时,会导致皮肤表面有一些白斑或者是小白点,数量不是很多,小白点边界模糊不清,发病时不会出现疼痛或瘙痒的症状。通常情况下可以遵医嘱使用复方甘草酸苷片、驱白巴布期片等药物治疗。
在平时出门时可以打上遮阳伞或者是戴上太阳帽,适当的喝一些温开水,加速身体内新陈代谢产物的排出。
","articleBody": "手臂上长小白点是在皮肤上出现分散性的小白点、颜色比较白,边界清楚。
手臂上长小白点有可能是色素减退或者是白癜风早期症状导致的,需要使用药物治疗,还要调整好生活习惯。

1、色素减退:手臂上长小白点有可能是色素减退引起的,通常跟紫外线照射、皮肤老化有一定的关系,会出现针尖或者是绿豆大小的斑点,通常情况下不需要做特殊的治疗,要做好皮肤护理,避免阳光暴晒,随着皮肤的新陈代谢症状可以得到缓解。
2、白癜风早期症状:有白癜风病情在早期时,会导致皮肤表面有一些白斑或者是小白点,数量不是很多,小白点边界模糊不清,发病时不会出现疼痛或瘙痒的症状。通常情况下可以遵医嘱使用复方甘草酸苷片、驱白巴布期片等药物治疗。
在平时出门时可以打上遮阳伞或者是戴上太阳帽,适当的喝一些温开水,加速身体内新陈代谢产物的排出。
","scanCount": 52691}}} {"@context": "https://ziyuan.baidu.com/contexts/cambrian.jsonld","appid": "1650708455561748","icon": "https://www.med-credit.org.cn/style/images/ttlogo.png","content_tag": ["atlas"],"is_mcn": {"thumb_id": "lnsk06v2"},"accid": "4886d626a2804dee5f11168793ce361672f39c25","@id": "https://www.med-credit.org.cn/mobile/jingxuan/2/e988fadf0f129bf85d454d37d92a6fcd.html","bagWordId": "654_1585949909138280448","title": "甲沟炎长肉芽初期图片","pubDate": "2023-02-27T18:39:40","upDate": "2023-02-27T18:39:40","lrDate": "2023-02-27T18:39:40","description": "甲沟炎长肉芽初期会引起指甲一侧的皮下组织出现红肿、疼痛的症状。","data": {"WebPage": {"headline": "甲沟炎长肉芽初期图片","pcUrl": "https://www.med-credit.org.cn/jingxuan/2/e988fadf0f129bf85d454d37d92a6fcd.html","wapUrl": "https://www.med-credit.org.cn/jingxuan/2/e988fadf0f129bf85d454d37d92a6fcd.html","mipUrl": "https://www.med-credit.org.cn/mobile/jingxuan/2/e988fadf0f129bf85d454d37d92a6fcd.html","fromSrc": "欢乐橙","datePublished": "2023-02-27T18:39:40","domain": "医疗","category": ["医疗权威文章合作"],"description": "甲沟炎长肉芽初期会引起指甲一侧的皮下组织出现红肿、疼痛的症状。
","extra_headline": [""]},"Author": {"name": "王霞","wapUrl": "https://www.med-credit.org.cn/doctor/578","pcUrl": "https://www.med-credit.org.cn/doctor/578","jobTitle": "副主任医师","headPortrait": "https://www.med-credit.org.cn/uploadfile/member/578/180x180.jpeg","id": "578","description": "王霞,广州医科大学附属第一医院皮肤科副主任医师","memberOf": {"legalName": "广州医科大学附属第一医院","department": "皮肤科","organizationLevel": "三级甲等"}},"Article": {"summaryContent": "甲沟炎长肉芽初期会引起指甲一侧的皮下组织出现红肿、疼痛的症状。
甲沟炎通常是由于外伤、细菌感染的原因导致的,需要使用药物或者是红、蓝光照射手术等方法来进行改善,要注意指甲部位的清洁。

1、外伤:如果过度修剪指甲或者是经常撕咬倒刺,可能会导致指甲部位出现微小的创伤,引起甲沟周围组织细菌感染,使甲沟正常皮肤屏障受损,会出现红肿、疼痛以及脓肿的症状。
2、细菌感染:如果经常穿过紧的鞋子,导致脚趾受到压迫,可能会引起甲沟受损,从而造成嵌甲,容易使甲沟内受到细菌感染,使患者出现甲沟部位红肿、疼痛等不适的症状。
对于症状轻微的甲沟炎患者,可以遵医嘱使用抗感染药物治疗,比如阿莫西林胶囊、罗红霉素胶囊等,如果症状比较严重,需要及时采用切开排脓方法处理,严重时还需要做拔甲手术。
平常生活中要注意指甲部位的清洁,避免穿透气性不好的鞋子或者是袜子。
","articleBody": "甲沟炎长肉芽初期会引起指甲一侧的皮下组织出现红肿、疼痛的症状。
甲沟炎通常是由于外伤、细菌感染的原因导致的,需要使用药物或者是红、蓝光照射手术等方法来进行改善,要注意指甲部位的清洁。

1、外伤:如果过度修剪指甲或者是经常撕咬倒刺,可能会导致指甲部位出现微小的创伤,引起甲沟周围组织细菌感染,使甲沟正常皮肤屏障受损,会出现红肿、疼痛以及脓肿的症状。
2、细菌感染:如果经常穿过紧的鞋子,导致脚趾受到压迫,可能会引起甲沟受损,从而造成嵌甲,容易使甲沟内受到细菌感染,使患者出现甲沟部位红肿、疼痛等不适的症状。
对于症状轻微的甲沟炎患者,可以遵医嘱使用抗感染药物治疗,比如阿莫西林胶囊、罗红霉素胶囊等,如果症状比较严重,需要及时采用切开排脓方法处理,严重时还需要做拔甲手术。
平常生活中要注意指甲部位的清洁,避免穿透气性不好的鞋子或者是袜子。
","scanCount": 52695}}} {"@context": "https://ziyuan.baidu.com/contexts/cambrian.jsonld","appid": "1650708455561748","icon": "https://www.med-credit.org.cn/style/images/ttlogo.png","content_tag": ["atlas"],"is_mcn": {"thumb_id": "lnsk06v2"},"accid": "4886d626a2804dee5f11168793ce361672f39c25","@id": "https://www.med-credit.org.cn/mobile/jingxuan/2/f7078dc8a58321448813b74ba0e74f3d.html","bagWordId": "654_1585949909197000704","title": "脚底长一粒粒凸起图片","pubDate": "2023-02-27T18:39:40","upDate": "2023-02-27T18:39:40","lrDate": "2023-02-27T18:39:40","description": "脚底长一粒粒凸起指的是脚上出现了许多小丘疹,皮肤异常凸起,会出现不同程度的瘙痒以及疼痛等症状。","data": {"WebPage": {"headline": "脚底长一粒粒凸起图片","pcUrl": "https://www.med-credit.org.cn/jingxuan/2/f7078dc8a58321448813b74ba0e74f3d.html","wapUrl": "https://www.med-credit.org.cn/jingxuan/2/f7078dc8a58321448813b74ba0e74f3d.html","mipUrl": "https://www.med-credit.org.cn/mobile/jingxuan/2/f7078dc8a58321448813b74ba0e74f3d.html","fromSrc": "欢乐橙","datePublished": "2023-02-27T18:39:40","domain": "医疗","category": ["医疗权威文章合作"],"description": "脚底长一粒粒凸起指的是脚上出现了许多小丘疹,皮肤异常凸起,会出现不同程度的瘙痒以及疼痛等症状。
","extra_headline": [""]},"Author": {"name": "王霞","wapUrl": "https://www.med-credit.org.cn/doctor/578","pcUrl": "https://www.med-credit.org.cn/doctor/578","jobTitle": "副主任医师","headPortrait": "https://www.med-credit.org.cn/uploadfile/member/578/180x180.jpeg","id": "578","description": "王霞,广州医科大学附属第一医院皮肤科副主任医师","memberOf": {"legalName": "广州医科大学附属第一医院","department": "皮肤科","organizationLevel": "三级甲等"}},"Article": {"summaryContent": "脚底长一粒粒凸起指的是脚上出现了许多小丘疹,皮肤异常凸起,会出现不同程度的瘙痒以及疼痛等症状。
脚底长一粒粒小点凸起有可能是湿疹、跖疣等原因引起的,需要使用药物或者是冷冻、激光等方法治疗,还要调整好生活习惯。

1、湿疹:如果患者经常穿着透气性差的鞋袜,容易导致脚长时间处于闷热、潮湿的状态,有可能会诱发湿疹,导致脚上出现丘疹。建议遵医嘱使用药物治疗,比如曲安奈德益康唑乳膏、盐酸左西替利嗪片等。
2、跖疣:如果患者经常穿着不合适的鞋子,容易导致皮肤受损,有可能会感染人乳头瘤病毒,导致跖疣越长越多。建议遵医嘱通过冷冻或激光的方式去除。
平常生活中要注意脚部的清洁,穿宽松的鞋子,及时更换袜子,避免做剧烈运动,每天晚上用温热水泡脚。
","articleBody": "脚底长一粒粒凸起指的是脚上出现了许多小丘疹,皮肤异常凸起,会出现不同程度的瘙痒以及疼痛等症状。
脚底长一粒粒小点凸起有可能是湿疹、跖疣等原因引起的,需要使用药物或者是冷冻、激光等方法治疗,还要调整好生活习惯。

1、湿疹:如果患者经常穿着透气性差的鞋袜,容易导致脚长时间处于闷热、潮湿的状态,有可能会诱发湿疹,导致脚上出现丘疹。建议遵医嘱使用药物治疗,比如曲安奈德益康唑乳膏、盐酸左西替利嗪片等。
2、跖疣:如果患者经常穿着不合适的鞋子,容易导致皮肤受损,有可能会感染人乳头瘤病毒,导致跖疣越长越多。建议遵医嘱通过冷冻或激光的方式去除。
平常生活中要注意脚部的清洁,穿宽松的鞋子,及时更换袜子,避免做剧烈运动,每天晚上用温热水泡脚。
","scanCount": 52696}}} {"@context": "https://ziyuan.baidu.com/contexts/cambrian.jsonld","appid": "1650708455561748","icon": "https://www.med-credit.org.cn/style/images/ttlogo.png","content_tag": ["atlas"],"is_mcn": {"thumb_id": "lnsk06v2"},"accid": "4886d626a2804dee5f11168793ce361672f39c25","@id": "https://www.med-credit.org.cn/mobile/jingxuan/2/11b7e21fc3f852a735d7459102478dc9.html","bagWordId": "654_1585949909599653888","title": "脚拇趾甲发紫图片","pubDate": "2023-02-27T18:39:40","upDate": "2023-02-27T18:39:40","lrDate": "2023-02-27T18:39:40","description": "脚拇趾甲发紫通常是指脚部的拇趾甲颜色发生改变,正常的趾甲颜色为淡红色或者肉色,患者可有肿胀、疼痛等不适症状。","data": {"WebPage": {"headline": "脚拇趾甲发紫图片","pcUrl": "https://www.med-credit.org.cn/jingxuan/2/11b7e21fc3f852a735d7459102478dc9.html","wapUrl": "https://www.med-credit.org.cn/jingxuan/2/11b7e21fc3f852a735d7459102478dc9.html","mipUrl": "https://www.med-credit.org.cn/mobile/jingxuan/2/11b7e21fc3f852a735d7459102478dc9.html","fromSrc": "欢乐橙","datePublished": "2023-02-27T18:39:40","domain": "医疗","category": ["医疗权威文章合作"],"description": "脚拇趾甲发紫通常是指脚部的拇趾甲颜色发生改变,正常的趾甲颜色为淡红色或者肉色,患者可有肿胀、疼痛等不适症状。
","extra_headline": [""]},"Author": {"name": "王霞","wapUrl": "https://www.med-credit.org.cn/doctor/578","pcUrl": "https://www.med-credit.org.cn/doctor/578","jobTitle": "副主任医师","headPortrait": "https://www.med-credit.org.cn/uploadfile/member/578/180x180.jpeg","id": "578","description": "王霞,广州医科大学附属第一医院皮肤科副主任医师","memberOf": {"legalName": "广州医科大学附属第一医院","department": "皮肤科","organizationLevel": "三级甲等"}},"Article": {"summaryContent": "脚拇趾甲发紫通常是指脚部的拇趾甲颜色发生改变,正常的趾甲颜色为淡红色或者肉色,患者可有肿胀、疼痛等不适症状。
脚拇趾甲的颜色出现发紫有可能是脚部受到外伤或者缺氧等原因引起的,可以将趾甲移除或者是使用药物来治疗。在日常生活中要选择透气的鞋子,避免剧烈运动。

1、外伤:如果在搬东西时不小心让较重物体砸伤脚趾,有可能会引起脚趾部位出现血瘀,引起脚部趾甲发紫,伴随肿胀以及疼痛。一般不太严重时,随着自身的血液循环会逐渐改善,如果较为严重时,可以遵医嘱把趾甲移除,同时把血瘀释放出来,能够促进局部的快速恢复。
2、缺氧:当人体因肺心病、心力衰竭等疾病处于缺氧状态时,流经脚趾甲的血液中含氧量过低,也会导致趾甲变紫,同时有可能会出现呼吸困难等伴随症状。可尽快前往医院查明病因,给予相应的治疗。
在日常生活中要选择宽松以及透气性好的鞋子袜子,不要长时间走路,避免做剧烈运动。
","articleBody": "脚拇趾甲发紫通常是指脚部的拇趾甲颜色发生改变,正常的趾甲颜色为淡红色或者肉色,患者可有肿胀、疼痛等不适症状。
脚拇趾甲的颜色出现发紫有可能是脚部受到外伤或者缺氧等原因引起的,可以将趾甲移除或者是使用药物来治疗。在日常生活中要选择透气的鞋子,避免剧烈运动。

1、外伤:如果在搬东西时不小心让较重物体砸伤脚趾,有可能会引起脚趾部位出现血瘀,引起脚部趾甲发紫,伴随肿胀以及疼痛。一般不太严重时,随着自身的血液循环会逐渐改善,如果较为严重时,可以遵医嘱把趾甲移除,同时把血瘀释放出来,能够促进局部的快速恢复。
2、缺氧:当人体因肺心病、心力衰竭等疾病处于缺氧状态时,流经脚趾甲的血液中含氧量过低,也会导致趾甲变紫,同时有可能会出现呼吸困难等伴随症状。可尽快前往医院查明病因,给予相应的治疗。
在日常生活中要选择宽松以及透气性好的鞋子袜子,不要长时间走路,避免做剧烈运动。
","scanCount": 52700}}} {"@context": "https://ziyuan.baidu.com/contexts/cambrian.jsonld","appid": "1650708455561748","icon": "https://www.med-credit.org.cn/style/images/ttlogo.png","content_tag": ["atlas"],"is_mcn": {"thumb_id": "lnsk06v2"},"accid": "4886d626a2804dee5f11168793ce361672f39c25","@id": "https://www.med-credit.org.cn/mobile/jingxuan/2/8a06034c3f9bb5a2061c9208baa9a717.html","bagWordId": "654_1585949909985529856","title": "女生手上长了小红斑图片","pubDate": "2023-02-27T18:39:40","upDate": "2023-02-27T18:39:40","lrDate": "2023-02-27T18:39:40","description": "女生手上长了小红斑通常是指手上出现了少量或者大面积的红色斑点,可伴有瘙痒等不适症状。","data": {"WebPage": {"headline": "女生手上长了小红斑图片","pcUrl": "https://www.med-credit.org.cn/jingxuan/2/8a06034c3f9bb5a2061c9208baa9a717.html","wapUrl": "https://www.med-credit.org.cn/jingxuan/2/8a06034c3f9bb5a2061c9208baa9a717.html","mipUrl": "https://www.med-credit.org.cn/mobile/jingxuan/2/8a06034c3f9bb5a2061c9208baa9a717.html","fromSrc": "欢乐橙","datePublished": "2023-02-27T18:39:40","domain": "医疗","category": ["医疗权威文章合作"],"description": "女生手上长了小红斑通常是指手上出现了少量或者大面积的红色斑点,可伴有瘙痒等不适症状。
","extra_headline": [""]},"Author": {"name": "王霞","wapUrl": "https://www.med-credit.org.cn/doctor/578","pcUrl": "https://www.med-credit.org.cn/doctor/578","jobTitle": "副主任医师","headPortrait": "https://www.med-credit.org.cn/uploadfile/member/578/180x180.jpeg","id": "578","description": "王霞,广州医科大学附属第一医院皮肤科副主任医师","memberOf": {"legalName": "广州医科大学附属第一医院","department": "皮肤科","organizationLevel": "三级甲等"}},"Article": {"summaryContent": "女生手上长了小红斑通常是指手上出现了少量或者大面积的红色斑点,可伴有瘙痒等不适症状。
手上出现小红斑的原因有可能是过敏、手癣等因素导致的,可以使用药物治疗,还要注意手部卫生、调整饮食。

1、过敏:如果手部接触到化学物品或者进食过多牛羊肉、海鲜等容易过敏的食物时,有可能会引起手部出现斑块,颜色多数为红色,还有可能伴有瘙痒等不适症状。需要遵医嘱服用氯雷他定片、盐酸西替利嗪片等抗过敏药物进行治疗。
2、手癣:手部感染真菌时,也有可能会引起手部出现面积不等的斑点,呈红色,同时还有可能会出现不同程度的瘙痒症状,可以遵医嘱涂抹抗真菌类的药膏治疗,常见酮康唑乳膏、盐酸特比萘芬乳膏等。
建议平时生活中要做好手部的清洁和卫生工作,同时也可以定期对手部进行消毒。短时间内尽量避免食用易过敏食物。
","articleBody": "女生手上长了小红斑通常是指手上出现了少量或者大面积的红色斑点,可伴有瘙痒等不适症状。
手上出现小红斑的原因有可能是过敏、手癣等因素导致的,可以使用药物治疗,还要注意手部卫生、调整饮食。

1、过敏:如果手部接触到化学物品或者进食过多牛羊肉、海鲜等容易过敏的食物时,有可能会引起手部出现斑块,颜色多数为红色,还有可能伴有瘙痒等不适症状。需要遵医嘱服用氯雷他定片、盐酸西替利嗪片等抗过敏药物进行治疗。
2、手癣:手部感染真菌时,也有可能会引起手部出现面积不等的斑点,呈红色,同时还有可能会出现不同程度的瘙痒症状,可以遵医嘱涂抹抗真菌类的药膏治疗,常见酮康唑乳膏、盐酸特比萘芬乳膏等。
建议平时生活中要做好手部的清洁和卫生工作,同时也可以定期对手部进行消毒。短时间内尽量避免食用易过敏食物。
","scanCount": 52704}}} {"@context": "https://ziyuan.baidu.com/contexts/cambrian.jsonld","appid": "1650708455561748","icon": "https://www.med-credit.org.cn/style/images/ttlogo.png","content_tag": ["atlas"],"is_mcn": {"thumb_id": "lnsk06v2"},"accid": "4886d626a2804dee5f11168793ce361672f39c25","@id": "https://www.med-credit.org.cn/mobile/jingxuan/2/f86d8937a22cfda96280542a48680141.html","bagWordId": "654_1585949910149107712","title": "紫红色丘疹图片","pubDate": "2023-02-27T18:39:40","upDate": "2023-02-27T18:39:40","lrDate": "2023-02-27T18:39:40","description": "紫红色丘疹通常是皮肤表面出现紫红色的水疱以及丘疹斑的现象,严重时还会出现局部瘙痒,可能会形成脓疱。","data": {"WebPage": {"headline": "紫红色丘疹图片","pcUrl": "https://www.med-credit.org.cn/jingxuan/2/f86d8937a22cfda96280542a48680141.html","wapUrl": "https://www.med-credit.org.cn/jingxuan/2/f86d8937a22cfda96280542a48680141.html","mipUrl": "https://www.med-credit.org.cn/mobile/jingxuan/2/f86d8937a22cfda96280542a48680141.html","fromSrc": "欢乐橙","datePublished": "2023-02-27T18:39:40","domain": "医疗","category": ["医疗权威文章合作"],"description": "紫红色丘疹通常是皮肤表面出现紫红色的水疱以及丘疹斑的现象,严重时还会出现局部瘙痒,可能会形成脓疱。
","extra_headline": [""]},"Author": {"name": "王霞","wapUrl": "https://www.med-credit.org.cn/doctor/578","pcUrl": "https://www.med-credit.org.cn/doctor/578","jobTitle": "副主任医师","headPortrait": "https://www.med-credit.org.cn/uploadfile/member/578/180x180.jpeg","id": "578","description": "王霞,广州医科大学附属第一医院皮肤科副主任医师","memberOf": {"legalName": "广州医科大学附属第一医院","department": "皮肤科","organizationLevel": "三级甲等"}},"Article": {"summaryContent": "紫红色丘疹通常是皮肤表面出现紫红色的水疱以及丘疹斑的现象,严重时还会出现局部瘙痒,可能会形成脓疱。
紫红色丘疹有可能是湿疹、皮肤血管炎等因素造成的,可以使用药物来治疗,要注意个人卫生,调整饮食习惯。

1、湿疹:当患有湿疹时,皮肤表面会出现紫色或者红色的丘疱疹,同时可能还会伴随瘙痒的症状。建议遵医嘱使用生理盐水或者硼酸溶液对局部进行湿敷,也可以涂抹糖皮质激素类乳膏来缓解瘙痒症状,比如复方醋酸地塞米松乳膏、地奈德软膏等。
2、皮肤血管炎:皮肤血管炎会引起皮肤表面出现紫红色的结节、丘疹、红斑等,同时有可能会伴随灼热感以及疼痛感。通常需要遵医嘱服用糖皮质激素类药物治疗,常用药物有醋酸泼尼松片、甲泼尼龙片等。
在平常生活中要注意皮肤的清洁卫生,避免吃刺激性过强的食物,比如辣椒、芥末油等。
","articleBody": "紫红色丘疹通常是皮肤表面出现紫红色的水疱以及丘疹斑的现象,严重时还会出现局部瘙痒,可能会形成脓疱。
紫红色丘疹有可能是湿疹、皮肤血管炎等因素造成的,可以使用药物来治疗,要注意个人卫生,调整饮食习惯。

1、湿疹:当患有湿疹时,皮肤表面会出现紫色或者红色的丘疱疹,同时可能还会伴随瘙痒的症状。建议遵医嘱使用生理盐水或者硼酸溶液对局部进行湿敷,也可以涂抹糖皮质激素类乳膏来缓解瘙痒症状,比如复方醋酸地塞米松乳膏、地奈德软膏等。
2、皮肤血管炎:皮肤血管炎会引起皮肤表面出现紫红色的结节、丘疹、红斑等,同时有可能会伴随灼热感以及疼痛感。通常需要遵医嘱服用糖皮质激素类药物治疗,常用药物有醋酸泼尼松片、甲泼尼龙片等。
在平常生活中要注意皮肤的清洁卫生,避免吃刺激性过强的食物,比如辣椒、芥末油等。
","scanCount": 52707}}} {"@context": "https://ziyuan.baidu.com/contexts/cambrian.jsonld","appid": "1650708455561748","icon": "https://www.med-credit.org.cn/style/images/ttlogo.png","content_tag": ["atlas"],"is_mcn": {"thumb_id": "lnsk06v2"},"accid": "4886d626a2804dee5f11168793ce361672f39c25","@id": "https://www.med-credit.org.cn/mobile/jingxuan/2/8bbda0b0536657bb2f837ac2e54c5cdf.html","bagWordId": "654_1585949910312685568","title": "掌跖脓疱病的图片","pubDate": "2023-02-27T18:39:40","upDate": "2023-02-27T18:39:40","lrDate": "2023-02-27T18:39:40","description": "掌跖脓疱病是一种慢性复发性皮肤病,其特征是手掌或脚底反复发生无菌性脓疱,还可出现棕色斑疹、红斑、皮肤脱屑,常常有瘙痒、烧灼感和疼痛。","data": {"WebPage": {"headline": "掌跖脓疱病的图片","pcUrl": "https://www.med-credit.org.cn/jingxuan/2/8bbda0b0536657bb2f837ac2e54c5cdf.html","wapUrl": "https://www.med-credit.org.cn/jingxuan/2/8bbda0b0536657bb2f837ac2e54c5cdf.html","mipUrl": "https://www.med-credit.org.cn/mobile/jingxuan/2/8bbda0b0536657bb2f837ac2e54c5cdf.html","fromSrc": "欢乐橙","datePublished": "2023-02-27T18:39:40","domain": "医疗","category": ["医疗权威文章合作"],"description": "掌跖脓疱病是一种慢性复发性皮肤病,其特征是手掌或脚底反复发生无菌性脓疱,还可出现棕色斑疹、红斑、皮肤脱屑,常常有瘙痒、烧灼感和疼痛。
","extra_headline": [""]},"Author": {"name": "王霞","wapUrl": "https://www.med-credit.org.cn/doctor/578","pcUrl": "https://www.med-credit.org.cn/doctor/578","jobTitle": "副主任医师","headPortrait": "https://www.med-credit.org.cn/uploadfile/member/578/180x180.jpeg","id": "578","description": "王霞,广州医科大学附属第一医院皮肤科副主任医师","memberOf": {"legalName": "广州医科大学附属第一医院","department": "皮肤科","organizationLevel": "三级甲等"}},"Article": {"summaryContent": "掌跖脓疱病是一种慢性复发性皮肤病,其特征是手掌或脚底反复发生无菌性脓疱,还可出现棕色斑疹、红斑、皮肤脱屑,常常有瘙痒、烧灼感和疼痛。
可在医生的指导下使用外用药物或者口服药物进行治疗。

1、发生部位:可仅发生在手掌和脚底,但是两个部位同时受累最为常见。在手部,皮损常出现在大鱼际、小鱼际和掌心;在足部,皮损常出现在足底中部、足背、足内侧缘和足外侧缘等部位。
2、皮损及症状特点:皮损为成批发生的无菌性脓疱,直径约1~10mm,散在分布。脓疱常常相互融合,1~2周后消退,遗留棕色斑疹。脓疱周围常有界限清楚的红斑、角化过度和皮肤脱屑。皮损部位通常有瘙痒和烧灼感,皮肤可出现裂缝,从而引起疼痛和出血。
1、外用药物:可在医生的指导下使用外用糖皮质激素、焦油类软膏、卡泊三醇软膏等药物。
2、口服药物:可遵医嘱口服环孢素、甲氨蝶呤、伊曲康唑等药物。
","articleBody": "掌跖脓疱病是一种慢性复发性皮肤病,其特征是手掌或脚底反复发生无菌性脓疱,还可出现棕色斑疹、红斑、皮肤脱屑,常常有瘙痒、烧灼感和疼痛。
可在医生的指导下使用外用药物或者口服药物进行治疗。

1、发生部位:可仅发生在手掌和脚底,但是两个部位同时受累最为常见。在手部,皮损常出现在大鱼际、小鱼际和掌心;在足部,皮损常出现在足底中部、足背、足内侧缘和足外侧缘等部位。
2、皮损及症状特点:皮损为成批发生的无菌性脓疱,直径约1~10mm,散在分布。脓疱常常相互融合,1~2周后消退,遗留棕色斑疹。脓疱周围常有界限清楚的红斑、角化过度和皮肤脱屑。皮损部位通常有瘙痒和烧灼感,皮肤可出现裂缝,从而引起疼痛和出血。
1、外用药物:可在医生的指导下使用外用糖皮质激素、焦油类软膏、卡泊三醇软膏等药物。
2、口服药物:可遵医嘱口服环孢素、甲氨蝶呤、伊曲康唑等药物。
","scanCount": 52709}}} {"@context": "https://ziyuan.baidu.com/contexts/cambrian.jsonld","appid": "1650708455561748","icon": "https://www.med-credit.org.cn/style/images/ttlogo.png","content_tag": ["atlas"],"is_mcn": {"thumb_id": "ay28xrnt0"},"accid": "4886d626a2804dee5f11168793ce361672f39c25","@id": "https://www.med-credit.org.cn/mobile/jingxuan/2/b1471048dc2f07d82a7cf6b038292c5f.html","bagWordId": "654_1585949910694367232","title": "牙槽骨增生出现硬疙瘩图片","pubDate": "2023-02-27T18:39:40","upDate": "2023-02-27T18:39:40","lrDate": "2023-02-27T18:39:40","description": "牙槽骨增生出现硬疙瘩通常是由于牙槽骨部位出现了凸起性的增生物质,患者可能会伴有疼痛的症状。","data": {"WebPage": {"headline": "牙槽骨增生出现硬疙瘩图片","pcUrl": "https://www.med-credit.org.cn/jingxuan/2/b1471048dc2f07d82a7cf6b038292c5f.html","wapUrl": "https://www.med-credit.org.cn/jingxuan/2/b1471048dc2f07d82a7cf6b038292c5f.html","mipUrl": "https://www.med-credit.org.cn/mobile/jingxuan/2/b1471048dc2f07d82a7cf6b038292c5f.html","fromSrc": "欢乐橙","datePublished": "2023-02-27T18:39:40","domain": "医疗","category": ["医疗权威文章合作"],"description": "牙槽骨增生出现硬疙瘩通常是由于牙槽骨部位出现了凸起性的增生物质,患者可能会伴有疼痛的症状。
","extra_headline": [""]},"Author": {"name": "李斯文","wapUrl": "https://www.med-credit.org.cn/doctor/546","pcUrl": "https://www.med-credit.org.cn/doctor/546","jobTitle": "主治医师","headPortrait": "https://www.med-credit.org.cn/uploadfile/member/546/180x180.jpeg","id": "546","description": "李斯文,中国医科大学附属口腔医院口腔科主治医师","memberOf": {"legalName": "中国医科大学附属口腔医院","department": "口腔科","organizationLevel": "三级甲等"}},"Article": {"summaryContent": "牙槽骨增生出现硬疙瘩通常是由于牙槽骨部位出现了凸起性的增生物质,患者可能会伴有疼痛的症状。
牙槽骨增生有可能是骨性凸起、牙周脓肿导致的,可以采用药物或手术等方法改善。

1、骨性凸起:如果个别牙齿位置异常,承受比正常牙齿的咀嚼力大时,有可能会引起局部的骨骼出现异常发育,造成牙槽骨增生,如果凸起的症状并不是特别严重,一般不需要治疗,如果凸起不断的变大,可以遵医嘱采用手术治疗。
2、牙周脓肿:如果牙龈部位长时间的受到炎症刺激,有可能会引起局部出现脓肿,容易诱发局部红肿、疼痛以及口臭的症状。建议遵医嘱及时进行手术切除,同时还需要服用消炎药物改善,常用的药物有甲硝唑片、左氧氟沙星胶囊等。
","articleBody": "牙槽骨增生出现硬疙瘩通常是由于牙槽骨部位出现了凸起性的增生物质,患者可能会伴有疼痛的症状。
牙槽骨增生有可能是骨性凸起、牙周脓肿导致的,可以采用药物或手术等方法改善。

1、骨性凸起:如果个别牙齿位置异常,承受比正常牙齿的咀嚼力大时,有可能会引起局部的骨骼出现异常发育,造成牙槽骨增生,如果凸起的症状并不是特别严重,一般不需要治疗,如果凸起不断的变大,可以遵医嘱采用手术治疗。
2、牙周脓肿:如果牙龈部位长时间的受到炎症刺激,有可能会引起局部出现脓肿,容易诱发局部红肿、疼痛以及口臭的症状。建议遵医嘱及时进行手术切除,同时还需要服用消炎药物改善,常用的药物有甲硝唑片、左氧氟沙星胶囊等。
","scanCount": 52713}}} {"@context": "https://ziyuan.baidu.com/contexts/cambrian.jsonld","appid": "1650708455561748","icon": "https://www.med-credit.org.cn/style/images/ttlogo.png","content_tag": ["atlas"],"is_mcn": {"thumb_id": "ay28xrnt0"},"accid": "4886d626a2804dee5f11168793ce361672f39c25","@id": "https://www.med-credit.org.cn/mobile/jingxuan/2/01c23735ca863a25cd51904d2f3a1973.html","bagWordId": "654_1585949910803419136","title": "上颚癌图片","pubDate": "2023-02-27T18:39:40","upDate": "2023-02-27T18:39:40","lrDate": "2023-02-27T18:39:40","description": "上颚癌通常是指上颚部位出现的恶性肿瘤,通常会引起上颚部位的黏膜出现增厚以及肿物的症状。","data": {"WebPage": {"headline": "上颚癌图片","pcUrl": "https://www.med-credit.org.cn/jingxuan/2/01c23735ca863a25cd51904d2f3a1973.html","wapUrl": "https://www.med-credit.org.cn/jingxuan/2/01c23735ca863a25cd51904d2f3a1973.html","mipUrl": "https://www.med-credit.org.cn/mobile/jingxuan/2/01c23735ca863a25cd51904d2f3a1973.html","fromSrc": "欢乐橙","datePublished": "2023-02-27T18:39:40","domain": "医疗","category": ["医疗权威文章合作"],"description": "上颚癌通常是指上颚部位出现的恶性肿瘤,通常会引起上颚部位的黏膜出现增厚以及肿物的症状。
","extra_headline": [""]},"Author": {"name": "李斯文","wapUrl": "https://www.med-credit.org.cn/doctor/546","pcUrl": "https://www.med-credit.org.cn/doctor/546","jobTitle": "主治医师","headPortrait": "https://www.med-credit.org.cn/uploadfile/member/546/180x180.jpeg","id": "546","description": "李斯文,中国医科大学附属口腔医院口腔科主治医师","memberOf": {"legalName": "中国医科大学附属口腔医院","department": "口腔科","organizationLevel": "三级甲等"}},"Article": {"summaryContent": "上颚癌通常是指上颚部位出现的恶性肿瘤,通常会引起上颚部位的黏膜出现增厚以及肿物的症状。
上颚癌可以采用手术、放疗、化疗等手段治疗。治疗期间患者应改善生活方式,术后定期前往医院复查。

上颚癌早期可以没有明显的自觉症状出现,有些病人可以发现上腭黏膜有增粗的现象,随着病情的发展,可以在上颚部位发现肿块,肿块也可以逐渐增大,表面可以出现破溃,形成恶性的溃疡,并伴有出血的现象,肿块继发感染时还可以有脓性分泌物流出。
早期的上腭癌病人,如果能够早发现、早诊断、早治疗,肿瘤没有扩散和转移,通过根治性的手术切除,一般可以治愈。中晚期的上颌癌病人,由于肿瘤开始扩散转移,通过手术不能将肿瘤彻底切除干净,手术后需要配合化疗、放疗、靶向药物治疗等控制病情。
治疗期间,患者应注意改变不良生活方式,给予合理适当的营养支持,保持乐观心态,定期前往医院做口腔检查。
","articleBody": "上颚癌通常是指上颚部位出现的恶性肿瘤,通常会引起上颚部位的黏膜出现增厚以及肿物的症状。
上颚癌可以采用手术、放疗、化疗等手段治疗。治疗期间患者应改善生活方式,术后定期前往医院复查。

上颚癌早期可以没有明显的自觉症状出现,有些病人可以发现上腭黏膜有增粗的现象,随着病情的发展,可以在上颚部位发现肿块,肿块也可以逐渐增大,表面可以出现破溃,形成恶性的溃疡,并伴有出血的现象,肿块继发感染时还可以有脓性分泌物流出。
早期的上腭癌病人,如果能够早发现、早诊断、早治疗,肿瘤没有扩散和转移,通过根治性的手术切除,一般可以治愈。中晚期的上颌癌病人,由于肿瘤开始扩散转移,通过手术不能将肿瘤彻底切除干净,手术后需要配合化疗、放疗、靶向药物治疗等控制病情。
治疗期间,患者应注意改变不良生活方式,给予合理适当的营养支持,保持乐观心态,定期前往医院做口腔检查。
","scanCount": 52714}}} {"@context": "https://ziyuan.baidu.com/contexts/cambrian.jsonld","appid": "1650708455561748","icon": "https://www.med-credit.org.cn/style/images/ttlogo.png","content_tag": ["atlas"],"is_mcn": {"thumb_id": "ay28xrnt0"},"accid": "4886d626a2804dee5f11168793ce361672f39c25","@id": "https://www.med-credit.org.cn/mobile/jingxuan/2/6c98c24ca463d540410e23b72becb7f0.html","bagWordId": "654_1585949911021522944","title": "口腔上颚混合瘤图片","pubDate": "2023-02-27T18:39:40","upDate": "2023-02-27T18:39:40","lrDate": "2023-02-27T18:39:40","description": "口腔上颚混合瘤通常属于良性病变,会在上腭部位出现凸起性的增生组织,同时可能还会伴随异物感以及疼痛等症状。","data": {"WebPage": {"headline": "口腔上颚混合瘤图片","pcUrl": "https://www.med-credit.org.cn/jingxuan/2/6c98c24ca463d540410e23b72becb7f0.html","wapUrl": "https://www.med-credit.org.cn/jingxuan/2/6c98c24ca463d540410e23b72becb7f0.html","mipUrl": "https://www.med-credit.org.cn/mobile/jingxuan/2/6c98c24ca463d540410e23b72becb7f0.html","fromSrc": "欢乐橙","datePublished": "2023-02-27T18:39:40","domain": "医疗","category": ["医疗权威文章合作"],"description": "口腔上颚混合瘤通常属于良性病变,会在上腭部位出现凸起性的增生组织,同时可能还会伴随异物感以及疼痛等症状。
","extra_headline": [""]},"Author": {"name": "李斯文","wapUrl": "https://www.med-credit.org.cn/doctor/546","pcUrl": "https://www.med-credit.org.cn/doctor/546","jobTitle": "主治医师","headPortrait": "https://www.med-credit.org.cn/uploadfile/member/546/180x180.jpeg","id": "546","description": "李斯文,中国医科大学附属口腔医院口腔科主治医师","memberOf": {"legalName": "中国医科大学附属口腔医院","department": "口腔科","organizationLevel": "三级甲等"}},"Article": {"summaryContent": "口腔上颚混合瘤通常属于良性病变,会在上腭部位出现凸起性的增生组织,同时可能还会伴随异物感以及疼痛等症状。
口腔上颚混合瘤有可能是不良的生活习惯、细菌滋生等因素诱发的,可以采用手术治疗,还要调整好生活以及饮食习惯。

1、不良的生活习惯:在生活中如果经常吸烟喝酒或者熬夜等情况下,有可能会对口腔产生刺激,导致口腔部位有增生性凸物的生成,伴有局部疼痛等症状。
2、细菌滋生:在平时不太注重口腔卫生的情况下,有可能会导致口腔内部大量存在食物残留以及细菌滋生,会致使口腔内部黏膜出现溃疡、白斑,在细菌的不断刺激下肿物逐渐生长。
患有口腔上颚混合瘤建议及时去正规的医院对局部进行X光片和病理检查,遵医嘱采用手术的方式进行切除。
建议在生活中不要长时间熬夜,避免身体过于劳累,多吃清淡的食物,避免吸烟、喝酒。
","articleBody": "口腔上颚混合瘤通常属于良性病变,会在上腭部位出现凸起性的增生组织,同时可能还会伴随异物感以及疼痛等症状。
口腔上颚混合瘤有可能是不良的生活习惯、细菌滋生等因素诱发的,可以采用手术治疗,还要调整好生活以及饮食习惯。

1、不良的生活习惯:在生活中如果经常吸烟喝酒或者熬夜等情况下,有可能会对口腔产生刺激,导致口腔部位有增生性凸物的生成,伴有局部疼痛等症状。
2、细菌滋生:在平时不太注重口腔卫生的情况下,有可能会导致口腔内部大量存在食物残留以及细菌滋生,会致使口腔内部黏膜出现溃疡、白斑,在细菌的不断刺激下肿物逐渐生长。
患有口腔上颚混合瘤建议及时去正规的医院对局部进行X光片和病理检查,遵医嘱采用手术的方式进行切除。
建议在生活中不要长时间熬夜,避免身体过于劳累,多吃清淡的食物,避免吸烟、喝酒。
","scanCount": 52715}}} {"@context": "https://ziyuan.baidu.com/contexts/cambrian.jsonld","appid": "1650708455561748","icon": "https://www.med-credit.org.cn/style/images/ttlogo.png","content_tag": ["atlas"],"is_mcn": {"thumb_id": "ay28xrnt0"},"accid": "4886d626a2804dee5f11168793ce361672f39c25","@id": "https://www.med-credit.org.cn/mobile/jingxuan/2/ba9373bdf1d2137e5a8d99f91ea20205.html","bagWordId": "654_1585949911235432448","title": "牙齿上长了个血包图片","pubDate": "2023-02-27T18:39:40","upDate": "2023-02-27T18:39:40","lrDate": "2023-02-27T18:39:40","description": "牙齿上长了个血包一般指的是牙龈脓肿,会导致牙龈局部出现红肿、疼痛、包块等症状。","data": {"WebPage": {"headline": "牙齿上长了个血包图片","pcUrl": "https://www.med-credit.org.cn/jingxuan/2/ba9373bdf1d2137e5a8d99f91ea20205.html","wapUrl": "https://www.med-credit.org.cn/jingxuan/2/ba9373bdf1d2137e5a8d99f91ea20205.html","mipUrl": "https://www.med-credit.org.cn/mobile/jingxuan/2/ba9373bdf1d2137e5a8d99f91ea20205.html","fromSrc": "欢乐橙","datePublished": "2023-02-27T18:39:40","domain": "医疗","category": ["医疗权威文章合作"],"description": "牙齿上长了个血包一般指的是牙龈脓肿,会导致牙龈局部出现红肿、疼痛、包块等症状。
","extra_headline": [""]},"Author": {"name": "李斯文","wapUrl": "https://www.med-credit.org.cn/doctor/546","pcUrl": "https://www.med-credit.org.cn/doctor/546","jobTitle": "主治医师","headPortrait": "https://www.med-credit.org.cn/uploadfile/member/546/180x180.jpeg","id": "546","description": "李斯文,中国医科大学附属口腔医院口腔科主治医师","memberOf": {"legalName": "中国医科大学附属口腔医院","department": "口腔科","organizationLevel": "三级甲等"}},"Article": {"summaryContent": "牙齿上长了个血包一般指的是牙龈脓肿,会导致牙龈局部出现红肿、疼痛、包块等症状。
牙龈脓肿有可能是创伤、根尖周炎等原因造成的,可以使用药物来改善,需要注意调整饮食、注意口腔卫生。

1、创伤:牙龈脓肿有可能是进食太烫的食物或者受到外力袭击、不小心咬伤等原因引起的,都有可能会引起牙龈部位出现创伤,局部会出现肿包。一般不需要进行特殊治疗,3~5天左右就可以自行吸收。
2、根尖周炎:根尖周炎通常是由于局部发炎而引起的黏膜受损以及局部脓肿,患者通常会有疼痛的症状,如果脓肿较为严重,需要遵医嘱对局部进行排流,服用消炎类的药物来改善,常用药物有甲硝唑片、牛黄解毒片等。
建议平时要饮食清淡,多吃一些含有维生素的水果或者蔬菜,养成定时刷牙和漱口的好习惯。
","articleBody": "牙齿上长了个血包一般指的是牙龈脓肿,会导致牙龈局部出现红肿、疼痛、包块等症状。
牙龈脓肿有可能是创伤、根尖周炎等原因造成的,可以使用药物来改善,需要注意调整饮食、注意口腔卫生。

1、创伤:牙龈脓肿有可能是进食太烫的食物或者受到外力袭击、不小心咬伤等原因引起的,都有可能会引起牙龈部位出现创伤,局部会出现肿包。一般不需要进行特殊治疗,3~5天左右就可以自行吸收。
2、根尖周炎:根尖周炎通常是由于局部发炎而引起的黏膜受损以及局部脓肿,患者通常会有疼痛的症状,如果脓肿较为严重,需要遵医嘱对局部进行排流,服用消炎类的药物来改善,常用药物有甲硝唑片、牛黄解毒片等。
建议平时要饮食清淡,多吃一些含有维生素的水果或者蔬菜,养成定时刷牙和漱口的好习惯。
","scanCount": 52716}}} {"@context": "https://ziyuan.baidu.com/contexts/cambrian.jsonld","appid": "1650708455561748","icon": "https://www.med-credit.org.cn/style/images/ttlogo.png","content_tag": ["atlas"],"is_mcn": {"thumb_id": "ay28xrnt0"},"accid": "4886d626a2804dee5f11168793ce361672f39c25","@id": "https://www.med-credit.org.cn/mobile/jingxuan/2/884f004f301d0341fdc2e6c4ff7ecfb0.html","bagWordId": "654_1585949911348678656","title": "喝饮料腐蚀牙齿的图片","pubDate": "2023-02-27T18:39:40","upDate": "2023-02-27T18:39:40","lrDate": "2023-02-27T18:39:40","description": "喝饮料腐蚀牙齿会导致牙齿出现敏感、牙釉质变薄的症状,甚至出现龋齿的情况。","data": {"WebPage": {"headline": "喝饮料腐蚀牙齿的图片","pcUrl": "https://www.med-credit.org.cn/jingxuan/2/884f004f301d0341fdc2e6c4ff7ecfb0.html","wapUrl": "https://www.med-credit.org.cn/jingxuan/2/884f004f301d0341fdc2e6c4ff7ecfb0.html","mipUrl": "https://www.med-credit.org.cn/mobile/jingxuan/2/884f004f301d0341fdc2e6c4ff7ecfb0.html","fromSrc": "欢乐橙","datePublished": "2023-02-27T18:39:40","domain": "医疗","category": ["医疗权威文章合作"],"description": "喝饮料腐蚀牙齿会导致牙齿出现敏感、牙釉质变薄的症状,甚至出现龋齿的情况。
","extra_headline": [""]},"Author": {"name": "李斯文","wapUrl": "https://www.med-credit.org.cn/doctor/546","pcUrl": "https://www.med-credit.org.cn/doctor/546","jobTitle": "主治医师","headPortrait": "https://www.med-credit.org.cn/uploadfile/member/546/180x180.jpeg","id": "546","description": "李斯文,中国医科大学附属口腔医院口腔科主治医师","memberOf": {"legalName": "中国医科大学附属口腔医院","department": "口腔科","organizationLevel": "三级甲等"}},"Article": {"summaryContent": "喝饮料腐蚀牙齿会导致牙齿出现敏感、牙釉质变薄的症状,甚至出现龋齿的情况。
喝饮料腐蚀牙齿有可能是饮料中含有大量的糖分、大量的碳酸等原因造成的,患者平时要注意口腔卫生,减少进食饮料、甜食等食物。

1、饮料中含有糖分:长时间喝一些糖分较高的饮料,糖分会在口腔环境里形成酸性物质,为细菌生长提供良好的生存条件,从而导致牙齿出现白色斑块或黄褐色斑点,最后牙齿上出现龋洞,引起龋齿。
2、饮料中碳酸含量较高:大量饮用碳酸性的饮料,有可能会导致酸性物质对牙釉质产生损伤,容易引起牙齿表面出现脱矿的现象,从而使牙齿变薄,牙齿也因此变得比较敏感。
牙齿敏感的患者应该尽量减少碳酸饮料、酸性食物、甜食等食物的摄入,也可选择较温和的牙膏来清洁牙齿。建议患者喝过碳酸饮料后要及时保持口腔清洁,避免龋齿的发生。
","articleBody": "喝饮料腐蚀牙齿会导致牙齿出现敏感、牙釉质变薄的症状,甚至出现龋齿的情况。
喝饮料腐蚀牙齿有可能是饮料中含有大量的糖分、大量的碳酸等原因造成的,患者平时要注意口腔卫生,减少进食饮料、甜食等食物。

1、饮料中含有糖分:长时间喝一些糖分较高的饮料,糖分会在口腔环境里形成酸性物质,为细菌生长提供良好的生存条件,从而导致牙齿出现白色斑块或黄褐色斑点,最后牙齿上出现龋洞,引起龋齿。
2、饮料中碳酸含量较高:大量饮用碳酸性的饮料,有可能会导致酸性物质对牙釉质产生损伤,容易引起牙齿表面出现脱矿的现象,从而使牙齿变薄,牙齿也因此变得比较敏感。
牙齿敏感的患者应该尽量减少碳酸饮料、酸性食物、甜食等食物的摄入,也可选择较温和的牙膏来清洁牙齿。建议患者喝过碳酸饮料后要及时保持口腔清洁,避免龋齿的发生。
","scanCount": 52717}}} {"@context": "https://ziyuan.baidu.com/contexts/cambrian.jsonld","appid": "1650708455561748","icon": "https://www.med-credit.org.cn/style/images/ttlogo.png","content_tag": ["atlas"],"is_mcn": {"thumb_id": "ay28xrnt0"},"accid": "4886d626a2804dee5f11168793ce361672f39c25","@id": "https://www.med-credit.org.cn/mobile/jingxuan/2/76d7e8fb9ca53a811e598effb647dfaa.html","bagWordId": "654_1585949911403204608","title": "拔牙后舌下腺肿的图片","pubDate": "2023-02-27T18:39:40","upDate": "2023-02-27T18:39:40","lrDate": "2023-02-27T18:39:40","description": "拔牙后舌下腺肿会导致舌头部位出现淤血,当淤血较多时聚集在一起会形成包块。","data": {"WebPage": {"headline": "拔牙后舌下腺肿的图片","pcUrl": "https://www.med-credit.org.cn/jingxuan/2/76d7e8fb9ca53a811e598effb647dfaa.html","wapUrl": "https://www.med-credit.org.cn/jingxuan/2/76d7e8fb9ca53a811e598effb647dfaa.html","mipUrl": "https://www.med-credit.org.cn/mobile/jingxuan/2/76d7e8fb9ca53a811e598effb647dfaa.html","fromSrc": "欢乐橙","datePublished": "2023-02-27T18:39:40","domain": "医疗","category": ["医疗权威文章合作"],"description": "拔牙后舌下腺肿会导致舌头部位出现淤血,当淤血较多时聚集在一起会形成包块。
","extra_headline": [""]},"Author": {"name": "李斯文","wapUrl": "https://www.med-credit.org.cn/doctor/546","pcUrl": "https://www.med-credit.org.cn/doctor/546","jobTitle": "主治医师","headPortrait": "https://www.med-credit.org.cn/uploadfile/member/546/180x180.jpeg","id": "546","description": "李斯文,中国医科大学附属口腔医院口腔科主治医师","memberOf": {"legalName": "中国医科大学附属口腔医院","department": "口腔科","organizationLevel": "三级甲等"}},"Article": {"summaryContent": "拔牙后舌下腺肿会导致舌头部位出现淤血,当淤血较多时聚集在一起会形成包块。
引起舌下腺肿胀可能是淤血、细菌感染等因素导致的,可以使用药物来改善,还要注意调整好饮食习惯。

1、淤血:拔牙的过程当中,有可能会对舌下腺部位的毛细血管产生损伤,当毛细血管破裂时,局部会出现淤血和肿胀的现象。一般在拔牙后随着自身的新陈代谢和血液循环,淤血会逐渐的被身体所吸收,无需特殊处理。
2、细菌感染:拔牙以后会在牙龈部位留下伤口,如果伤口没有做好护理和卫生,很容易导致局部受到细菌侵入,有可能会引起舌下腺肿胀,伴有包块的形成。
拔牙后舌下腺肿建议遵医嘱使用甲硝唑片以及阿莫西林胶囊等药物进行治疗。
在做完拔牙处理后要尽量吃质地较软的食物,比如粥类或者是面条等,避免食用坚硬的食物,比如核桃、坚果等。
","articleBody": "拔牙后舌下腺肿会导致舌头部位出现淤血,当淤血较多时聚集在一起会形成包块。
引起舌下腺肿胀可能是淤血、细菌感染等因素导致的,可以使用药物来改善,还要注意调整好饮食习惯。

1、淤血:拔牙的过程当中,有可能会对舌下腺部位的毛细血管产生损伤,当毛细血管破裂时,局部会出现淤血和肿胀的现象。一般在拔牙后随着自身的新陈代谢和血液循环,淤血会逐渐的被身体所吸收,无需特殊处理。
2、细菌感染:拔牙以后会在牙龈部位留下伤口,如果伤口没有做好护理和卫生,很容易导致局部受到细菌侵入,有可能会引起舌下腺肿胀,伴有包块的形成。
拔牙后舌下腺肿建议遵医嘱使用甲硝唑片以及阿莫西林胶囊等药物进行治疗。
在做完拔牙处理后要尽量吃质地较软的食物,比如粥类或者是面条等,避免食用坚硬的食物,比如核桃、坚果等。
","scanCount": 52718}}} {"@context": "https://ziyuan.baidu.com/contexts/cambrian.jsonld","appid": "1650708455561748","icon": "https://www.med-credit.org.cn/style/images/ttlogo.png","content_tag": ["atlas"],"is_mcn": {"thumb_id": "ay28xrnt0"},"accid": "4886d626a2804dee5f11168793ce361672f39c25","@id": "https://www.med-credit.org.cn/mobile/jingxuan/2/b717b871c6af0272b5d13a8fca53c943.html","bagWordId": "654_1585949911730360320","title": "智齿旁边的肉裂开了图片","pubDate": "2023-02-27T18:39:40","upDate": "2023-02-27T18:39:40","lrDate": "2023-02-27T18:39:40","description": "智齿旁边的肉裂开了通常是指智齿部位的牙龈出现开裂的现象,会伴有局部疼痛、红肿的症状。","data": {"WebPage": {"headline": "智齿旁边的肉裂开了图片","pcUrl": "https://www.med-credit.org.cn/jingxuan/2/b717b871c6af0272b5d13a8fca53c943.html","wapUrl": "https://www.med-credit.org.cn/jingxuan/2/b717b871c6af0272b5d13a8fca53c943.html","mipUrl": "https://www.med-credit.org.cn/mobile/jingxuan/2/b717b871c6af0272b5d13a8fca53c943.html","fromSrc": "欢乐橙","datePublished": "2023-02-27T18:39:40","domain": "医疗","category": ["医疗权威文章合作"],"description": "智齿旁边的肉裂开了通常是指智齿部位的牙龈出现开裂的现象,会伴有局部疼痛、红肿的症状。
","extra_headline": [""]},"Author": {"name": "李斯文","wapUrl": "https://www.med-credit.org.cn/doctor/546","pcUrl": "https://www.med-credit.org.cn/doctor/546","jobTitle": "主治医师","headPortrait": "https://www.med-credit.org.cn/uploadfile/member/546/180x180.jpeg","id": "546","description": "李斯文,中国医科大学附属口腔医院口腔科主治医师","memberOf": {"legalName": "中国医科大学附属口腔医院","department": "口腔科","organizationLevel": "三级甲等"}},"Article": {"summaryContent": "智齿旁边的肉裂开了通常是指智齿部位的牙龈出现开裂的现象,会伴有局部疼痛、红肿的症状。
智齿旁边的肉裂开了通常是智齿发炎、牙周疾病等原因导致的,可以使用药物、拔除智齿、洗牙等方法改善。

1、智齿发炎:如果智齿部位长期存在食物残留或者细菌滋生的情况,有可能会引起智齿部位的牙龈肿胀以及疼痛、开裂等炎症反应,此时可以遵医嘱服用牛黄解毒片、左氧氟沙星胶囊等药物消炎,如果疼痛感较为强烈时,也可以服用塞来昔布胶囊、布洛芬胶囊等止痛药物减缓疼痛,如果出现反复发炎,也可以拔除智齿。
2、牙周疾病:如果口腔内部出现牙结石、牙周炎、牙周脓肿、牙龈炎的情况下,有可能会导致智齿或者其他部位的牙龈出现开裂的现象。一般牙结石通常需要遵医嘱采用洗牙的方式进行处理,如果是炎症反应,则需要对局部进行消炎处理,常用药物有左氧氟沙星胶囊、阿莫西林胶囊等。
","articleBody": "智齿旁边的肉裂开了通常是指智齿部位的牙龈出现开裂的现象,会伴有局部疼痛、红肿的症状。
智齿旁边的肉裂开了通常是智齿发炎、牙周疾病等原因导致的,可以使用药物、拔除智齿、洗牙等方法改善。

1、智齿发炎:如果智齿部位长期存在食物残留或者细菌滋生的情况,有可能会引起智齿部位的牙龈肿胀以及疼痛、开裂等炎症反应,此时可以遵医嘱服用牛黄解毒片、左氧氟沙星胶囊等药物消炎,如果疼痛感较为强烈时,也可以服用塞来昔布胶囊、布洛芬胶囊等止痛药物减缓疼痛,如果出现反复发炎,也可以拔除智齿。
2、牙周疾病:如果口腔内部出现牙结石、牙周炎、牙周脓肿、牙龈炎的情况下,有可能会导致智齿或者其他部位的牙龈出现开裂的现象。一般牙结石通常需要遵医嘱采用洗牙的方式进行处理,如果是炎症反应,则需要对局部进行消炎处理,常用药物有左氧氟沙星胶囊、阿莫西林胶囊等。
","scanCount": 52720}}} {"@context": "https://ziyuan.baidu.com/contexts/cambrian.jsonld","appid": "1650708455561748","icon": "https://www.med-credit.org.cn/style/images/ttlogo.png","content_tag": ["atlas"],"is_mcn": {"thumb_id": "ay28xrnt0"},"accid": "4886d626a2804dee5f11168793ce361672f39c25","@id": "https://www.med-credit.org.cn/mobile/jingxuan/2/38facb1b4c3166e65d722ba42ca35aad.html","bagWordId": "654_1585949911784886272","title": "上颚牙齿异位萌出图片","pubDate": "2023-02-27T18:39:40","upDate": "2023-02-27T18:39:40","lrDate": "2023-02-27T18:39:40","description": "上颚牙齿异位萌出通常是指上颚部位的牙齿萌出在非正常的位置。","data": {"WebPage": {"headline": "上颚牙齿异位萌出图片","pcUrl": "https://www.med-credit.org.cn/jingxuan/2/38facb1b4c3166e65d722ba42ca35aad.html","wapUrl": "https://www.med-credit.org.cn/jingxuan/2/38facb1b4c3166e65d722ba42ca35aad.html","mipUrl": "https://www.med-credit.org.cn/mobile/jingxuan/2/38facb1b4c3166e65d722ba42ca35aad.html","fromSrc": "欢乐橙","datePublished": "2023-02-27T18:39:40","domain": "医疗","category": ["医疗权威文章合作"],"description": "上颚牙齿异位萌出通常是指上颚部位的牙齿萌出在非正常的位置。
","extra_headline": [""]},"Author": {"name": "李斯文","wapUrl": "https://www.med-credit.org.cn/doctor/546","pcUrl": "https://www.med-credit.org.cn/doctor/546","jobTitle": "主治医师","headPortrait": "https://www.med-credit.org.cn/uploadfile/member/546/180x180.jpeg","id": "546","description": "李斯文,中国医科大学附属口腔医院口腔科主治医师","memberOf": {"legalName": "中国医科大学附属口腔医院","department": "口腔科","organizationLevel": "三级甲等"}},"Article": {"summaryContent": "上颚牙齿异位萌出通常是指上颚部位的牙齿萌出在非正常的位置。
这种情况多发生在第一恒磨牙和尖牙区,可通过铜丝分离法、牙髓切断法、外科手术等方法进行治疗,具体治疗方法需根据自身病情选择。

1、第一颗磨牙异位萌出:由于第一恒磨牙向近中倾斜,体积较大,或牙齿大而牙弓相对较小,很容易出现异位萌出的情况。第一颗磨牙异位萌出它可能导致第二乳磨牙过早吸收,恒牙继续萌出受阻。如果第一恒磨牙受乳磨牙牙冠而非牙根的影响,可用铜丝分离法处理。如果第一恒磨牙位于第二乳磨牙的远中深部,受第二乳磨牙牙根的影响,可将第二乳磨牙进行牙髓切断术。
2、上颌恒尖牙异位萌出:上颌恒尖牙异位萌出是由于上颌恒尖牙萌出路径比其他牙长,在萌出过程中时常偏离正常路径。如果儿童到了10岁,上颌乳尖牙还未松动脱落,恒尖牙在颊沟处不明显,必须拍X线片确定恒尖牙的位置。此时,可以通过外科手术,暴露恒尖牙的牙冠,使该牙能正常萌出,也可以通过正畸方法使其达到正常的位置。
","articleBody": "上颚牙齿异位萌出通常是指上颚部位的牙齿萌出在非正常的位置。
这种情况多发生在第一恒磨牙和尖牙区,可通过铜丝分离法、牙髓切断法、外科手术等方法进行治疗,具体治疗方法需根据自身病情选择。

1、第一颗磨牙异位萌出:由于第一恒磨牙向近中倾斜,体积较大,或牙齿大而牙弓相对较小,很容易出现异位萌出的情况。第一颗磨牙异位萌出它可能导致第二乳磨牙过早吸收,恒牙继续萌出受阻。如果第一恒磨牙受乳磨牙牙冠而非牙根的影响,可用铜丝分离法处理。如果第一恒磨牙位于第二乳磨牙的远中深部,受第二乳磨牙牙根的影响,可将第二乳磨牙进行牙髓切断术。
2、上颌恒尖牙异位萌出:上颌恒尖牙异位萌出是由于上颌恒尖牙萌出路径比其他牙长,在萌出过程中时常偏离正常路径。如果儿童到了10岁,上颌乳尖牙还未松动脱落,恒尖牙在颊沟处不明显,必须拍X线片确定恒尖牙的位置。此时,可以通过外科手术,暴露恒尖牙的牙冠,使该牙能正常萌出,也可以通过正畸方法使其达到正常的位置。
","scanCount": 52721}}} {"@context": "https://ziyuan.baidu.com/contexts/cambrian.jsonld","appid": "1650708455561748","icon": "https://www.med-credit.org.cn/style/images/ttlogo.png","content_tag": ["atlas"],"is_mcn": {"thumb_id": "ay28xrnt0"},"accid": "4886d626a2804dee5f11168793ce361672f39c25","@id": "https://www.med-credit.org.cn/mobile/jingxuan/2/e240ca8693f8aaf51f1cb2b44a2bad43.html","bagWordId": "654_1585949912002990080","title": "智齿息肉图片","pubDate": "2023-02-27T18:39:40","upDate": "2023-02-27T18:39:40","lrDate": "2023-02-27T18:39:40","description": "智齿息肉通常是指在生长智齿的牙龈上出现了增生物,会引起局部出现肿胀的现象。","data": {"WebPage": {"headline": "智齿息肉图片","pcUrl": "https://www.med-credit.org.cn/jingxuan/2/e240ca8693f8aaf51f1cb2b44a2bad43.html","wapUrl": "https://www.med-credit.org.cn/jingxuan/2/e240ca8693f8aaf51f1cb2b44a2bad43.html","mipUrl": "https://www.med-credit.org.cn/mobile/jingxuan/2/e240ca8693f8aaf51f1cb2b44a2bad43.html","fromSrc": "欢乐橙","datePublished": "2023-02-27T18:39:40","domain": "医疗","category": ["医疗权威文章合作"],"description": "智齿息肉通常是指在生长智齿的牙龈上出现了增生物,会引起局部出现肿胀的现象。
","extra_headline": [""]},"Author": {"name": "李斯文","wapUrl": "https://www.med-credit.org.cn/doctor/546","pcUrl": "https://www.med-credit.org.cn/doctor/546","jobTitle": "主治医师","headPortrait": "https://www.med-credit.org.cn/uploadfile/member/546/180x180.jpeg","id": "546","description": "李斯文,中国医科大学附属口腔医院口腔科主治医师","memberOf": {"legalName": "中国医科大学附属口腔医院","department": "口腔科","organizationLevel": "三级甲等"}},"Article": {"summaryContent": "智齿息肉通常是指在生长智齿的牙龈上出现了增生物,会引起局部出现肿胀的现象。
智齿息肉可能是炎症刺激、结石齿引起的,可以使用药物、超声波洗牙、手术等方法改善。

1、炎症刺激:如果口腔内部存在炎症反应,没有及时配合医生进行治疗,局部受到反复的炎症刺激,容易诱发智齿息肉。在出现息肉的情况下,有可能会引起局部红肿以及疼痛的症状。建议遵医嘱使用消炎类的药物来治疗,比如左氧氟沙星胶囊、阿莫西林胶囊等,还可以采用手术的方式去除智齿部位的息肉组织。
2、结石:如果智齿或者邻牙部位的牙根柱,长时间附着结石,有可能会对局部的软组织产生刺激,容易引起局部出现肉芽增生以及息肉的现象。当口腔内部存在结石时,应遵医嘱及时采用超声波洗牙去除结石。
","articleBody": "智齿息肉通常是指在生长智齿的牙龈上出现了增生物,会引起局部出现肿胀的现象。
智齿息肉可能是炎症刺激、结石齿引起的,可以使用药物、超声波洗牙、手术等方法改善。

1、炎症刺激:如果口腔内部存在炎症反应,没有及时配合医生进行治疗,局部受到反复的炎症刺激,容易诱发智齿息肉。在出现息肉的情况下,有可能会引起局部红肿以及疼痛的症状。建议遵医嘱使用消炎类的药物来治疗,比如左氧氟沙星胶囊、阿莫西林胶囊等,还可以采用手术的方式去除智齿部位的息肉组织。
2、结石:如果智齿或者邻牙部位的牙根柱,长时间附着结石,有可能会对局部的软组织产生刺激,容易引起局部出现肉芽增生以及息肉的现象。当口腔内部存在结石时,应遵医嘱及时采用超声波洗牙去除结石。
","scanCount": 52722}}} {"@context": "https://ziyuan.baidu.com/contexts/cambrian.jsonld","appid": "1650708455561748","icon": "https://www.med-credit.org.cn/style/images/ttlogo.png","content_tag": ["atlas"],"is_mcn": {"thumb_id": "ay28xrnt0"},"accid": "4886d626a2804dee5f11168793ce361672f39c25","@id": "https://www.med-credit.org.cn/mobile/jingxuan/2/8ee6baa2830078ddb8b83ae1b854c585.html","bagWordId": "654_1585949912334340096","title": "口腔棘层肥厚图片","pubDate": "2023-02-27T18:39:40","upDate": "2023-02-27T18:39:40","lrDate": "2023-02-27T18:39:40","description": "口腔棘层肥厚通常是指口腔内部的棘层细胞数量不断增多,导致牙龈出现成簇状或乳头状的增生物,增高于黏膜表面,局部呈现出不规则的形状。","data": {"WebPage": {"headline": "口腔棘层肥厚图片","pcUrl": "https://www.med-credit.org.cn/jingxuan/2/8ee6baa2830078ddb8b83ae1b854c585.html","wapUrl": "https://www.med-credit.org.cn/jingxuan/2/8ee6baa2830078ddb8b83ae1b854c585.html","mipUrl": "https://www.med-credit.org.cn/mobile/jingxuan/2/8ee6baa2830078ddb8b83ae1b854c585.html","fromSrc": "欢乐橙","datePublished": "2023-02-27T18:39:40","domain": "医疗","category": ["医疗权威文章合作"],"description": "口腔棘层肥厚通常是指口腔内部的棘层细胞数量不断增多,导致牙龈出现成簇状或乳头状的增生物,增高于黏膜表面,局部呈现出不规则的形状。
","extra_headline": [""]},"Author": {"name": "李斯文","wapUrl": "https://www.med-credit.org.cn/doctor/546","pcUrl": "https://www.med-credit.org.cn/doctor/546","jobTitle": "主治医师","headPortrait": "https://www.med-credit.org.cn/uploadfile/member/546/180x180.jpeg","id": "546","description": "李斯文,中国医科大学附属口腔医院口腔科主治医师","memberOf": {"legalName": "中国医科大学附属口腔医院","department": "口腔科","organizationLevel": "三级甲等"}},"Article": {"summaryContent": "口腔棘层肥厚通常是指口腔内部的棘层细胞数量不断增多,导致牙龈出现成簇状或乳头状的增生物,增高于黏膜表面,局部呈现出不规则的形状。
通常是由于身体出现上火或者炎症感染导致的,可以服用药物来改善。

1、上火:如果平时生活中不太喜欢喝水,而且比较喜欢吃辛辣和刺激性的食物,有可能会引起身体出现缺水以及上火的症状,容易导致牙龈出现成簇状乳头瘤样增生。可以遵医嘱服用牛黄解毒丸、金银花颗粒等清热泻火的药物进行改善。
2、炎症感染:口腔内部长时间存在细菌和炎症,有可能会出现硬腭、舌背、咽部、牙龈等部位生长乳头状肿物,建议及时去正规医院进行痰液培养,必要时可以遵医嘱服用左氧氟沙星胶囊、阿莫西林胶囊等抗生素类药物进行治疗。
","articleBody": "口腔棘层肥厚通常是指口腔内部的棘层细胞数量不断增多,导致牙龈出现成簇状或乳头状的增生物,增高于黏膜表面,局部呈现出不规则的形状。
通常是由于身体出现上火或者炎症感染导致的,可以服用药物来改善。

1、上火:如果平时生活中不太喜欢喝水,而且比较喜欢吃辛辣和刺激性的食物,有可能会引起身体出现缺水以及上火的症状,容易导致牙龈出现成簇状乳头瘤样增生。可以遵医嘱服用牛黄解毒丸、金银花颗粒等清热泻火的药物进行改善。
2、炎症感染:口腔内部长时间存在细菌和炎症,有可能会出现硬腭、舌背、咽部、牙龈等部位生长乳头状肿物,建议及时去正规医院进行痰液培养,必要时可以遵医嘱服用左氧氟沙星胶囊、阿莫西林胶囊等抗生素类药物进行治疗。
","scanCount": 52724}}} {"@context": "https://ziyuan.baidu.com/contexts/cambrian.jsonld","appid": "1650708455561748","icon": "https://www.med-credit.org.cn/style/images/ttlogo.png","content_tag": ["atlas"],"is_mcn": {"thumb_id": "ay28xrnt0"},"accid": "4886d626a2804dee5f11168793ce361672f39c25","@id": "https://www.med-credit.org.cn/mobile/jingxuan/2/154e03e126efb736f29f72144e9ccbbf.html","bagWordId": "654_1585949912384671744","title": "智齿把旁边牙顶坏的图片","pubDate": "2023-02-27T18:39:40","upDate": "2023-02-27T18:39:40","lrDate": "2023-02-27T18:39:40","description": "智齿把旁边牙顶坏通常是因为智齿在生长时出现了歪斜,从而对旁边的磨牙造成损坏。","data": {"WebPage": {"headline": "智齿把旁边牙顶坏的图片","pcUrl": "https://www.med-credit.org.cn/jingxuan/2/154e03e126efb736f29f72144e9ccbbf.html","wapUrl": "https://www.med-credit.org.cn/jingxuan/2/154e03e126efb736f29f72144e9ccbbf.html","mipUrl": "https://www.med-credit.org.cn/mobile/jingxuan/2/154e03e126efb736f29f72144e9ccbbf.html","fromSrc": "欢乐橙","datePublished": "2023-02-27T18:39:40","domain": "医疗","category": ["医疗权威文章合作"],"description": "智齿把旁边牙顶坏通常是因为智齿在生长时出现了歪斜,从而对旁边的磨牙造成损坏。
","extra_headline": [""]},"Author": {"name": "李斯文","wapUrl": "https://www.med-credit.org.cn/doctor/546","pcUrl": "https://www.med-credit.org.cn/doctor/546","jobTitle": "主治医师","headPortrait": "https://www.med-credit.org.cn/uploadfile/member/546/180x180.jpeg","id": "546","description": "李斯文,中国医科大学附属口腔医院口腔科主治医师","memberOf": {"legalName": "中国医科大学附属口腔医院","department": "口腔科","organizationLevel": "三级甲等"}},"Article": {"summaryContent": "智齿把旁边牙顶坏通常是因为智齿在生长时出现了歪斜,从而对旁边的磨牙造成损坏。
可以根据牙齿损坏的程度选择药物、填充手术以及拔除牙齿等方式进行治疗。

1、药物治疗:如果在牙齿损害期间出现牙髓炎、牙周炎等疾病时,则需要遵医嘱服用阿莫西林胶囊、左氧氟沙星胶囊等药物,对局部进行消炎处理,避免引起炎症加重或者疼痛的现象。
2、填充手术:如果生长智齿时导致旁边磨牙出现龋坏的现象,需要遵医嘱将龋坏部位进行磨除,通过填充手术的方式,恢复牙齿正常的咀嚼功能。
3、拔除牙齿:如果智齿导致旁边的磨牙松动特别严重,没有保留价值的情况下,则需要遵医嘱对局部牙齿进行拔除处理,当局部恢复以后再进行修复义齿治疗。
","articleBody": "智齿把旁边牙顶坏通常是因为智齿在生长时出现了歪斜,从而对旁边的磨牙造成损坏。
可以根据牙齿损坏的程度选择药物、填充手术以及拔除牙齿等方式进行治疗。

1、药物治疗:如果在牙齿损害期间出现牙髓炎、牙周炎等疾病时,则需要遵医嘱服用阿莫西林胶囊、左氧氟沙星胶囊等药物,对局部进行消炎处理,避免引起炎症加重或者疼痛的现象。
2、填充手术:如果生长智齿时导致旁边磨牙出现龋坏的现象,需要遵医嘱将龋坏部位进行磨除,通过填充手术的方式,恢复牙齿正常的咀嚼功能。
3、拔除牙齿:如果智齿导致旁边的磨牙松动特别严重,没有保留价值的情况下,则需要遵医嘱对局部牙齿进行拔除处理,当局部恢复以后再进行修复义齿治疗。
","scanCount": 52725}}} {"@context": "https://ziyuan.baidu.com/contexts/cambrian.jsonld","appid": "1650708455561748","icon": "https://www.med-credit.org.cn/style/images/ttlogo.png","content_tag": ["atlas"],"is_mcn": {"thumb_id": "ay28xrnt0"},"accid": "4886d626a2804dee5f11168793ce361672f39c25","@id": "https://www.med-credit.org.cn/mobile/jingxuan/2/80671ad2f86d704651150e6975a19c76.html","bagWordId": "654_1585949912493723648","title": "什么是牙癌图片","pubDate": "2023-02-27T18:39:40","upDate": "2023-02-27T18:39:40","lrDate": "2023-02-27T18:39:40","description": "牙癌一般是指牙龈癌,在牙龈部位出现恶性肿瘤,会导致牙龈肿块、疼痛、出血、牙齿松动等情况。","data": {"WebPage": {"headline": "什么是牙癌图片","pcUrl": "https://www.med-credit.org.cn/jingxuan/2/80671ad2f86d704651150e6975a19c76.html","wapUrl": "https://www.med-credit.org.cn/jingxuan/2/80671ad2f86d704651150e6975a19c76.html","mipUrl": "https://www.med-credit.org.cn/mobile/jingxuan/2/80671ad2f86d704651150e6975a19c76.html","fromSrc": "欢乐橙","datePublished": "2023-02-27T18:39:40","domain": "医疗","category": ["医疗权威文章合作"],"description": "牙癌一般是指牙龈癌,在牙龈部位出现恶性肿瘤,会导致牙龈肿块、疼痛、出血、牙齿松动等情况。
","extra_headline": [""]},"Author": {"name": "李斯文","wapUrl": "https://www.med-credit.org.cn/doctor/546","pcUrl": "https://www.med-credit.org.cn/doctor/546","jobTitle": "主治医师","headPortrait": "https://www.med-credit.org.cn/uploadfile/member/546/180x180.jpeg","id": "546","description": "李斯文,中国医科大学附属口腔医院口腔科主治医师","memberOf": {"legalName": "中国医科大学附属口腔医院","department": "口腔科","organizationLevel": "三级甲等"}},"Article": {"summaryContent": "牙癌一般是指牙龈癌,在牙龈部位出现恶性肿瘤,会导致牙龈肿块、疼痛、出血、牙齿松动等情况。
牙龈癌可以在医生的指导下选择药物、手术、放疗、化疗等方法进行治疗。
1、病因:牙龈癌的发生与DNA突变的累积、吸烟、饮酒、咀嚼槟榔、慢性炎症,以及残根残冠、不良修复体的物理刺激,还有人乳头瘤病毒和免疫系统功能下降等因素有关。
2、症状:


1)牙龈肿块:位于牙龈部,表现为溃疡或者乳头状突起。
2)牙龈疼痛、出血:牙龈癌向牙槽突和颌骨浸润,破坏骨质,导致疼痛,发生出血。
3)牙齿松动:牙龈癌侵袭破坏骨质,引起牙齿松动,如果被当作一般的牙病将牙齿拔掉,伤口不愈合,会引起更多的牙齿松动或浮起。
4)牙龈溃疡:在牙龈或附近区域形成溃疡。
5)张口困难:下牙龈癌侵犯口底、颊部,如果向后发展到达磨牙后区,或者咬肌,能够造成张口困难。
1、药物治疗:牙龈癌可以遵医嘱使用化学药物进行术前化疗,主要采用DOPD方案(顺氯氨铂+长春新碱+平阳霉素+地塞米松)。
2、手术治疗:
1)病变仅局限于牙槽突未侵及至牙根尖水平者,下颌牙龈癌可行保留下颌骨下缘的颌骨矩形切除,上颌牙龈癌可行低位上颌骨切除。
2)如癌瘤已侵及下牙槽神经管,应行节段性甚至半侧下颌骨切除术。侵及上颌窦底而未破坏上颌窦者,应行上颌骨次全切除术,已侵入上颌窦者应行上颌骨切除术。
3)下颌骨部分或一侧切除者,酌情行钛接骨板连接缺损两端或行骨移植,以保证下颌骨连续性,避免下颌偏斜发生咬合紊乱,上颌骨切除后的缺损可用赝复体修复。晚期已累及邻近组织的牙龈癌应行扩大切除术,术后配合放射治疗。
3、放射治疗:手术完成后患者需要接受放疗作为辅助治疗,消除可能残余的癌细胞。部分晚期患者无法进行手术切除,可采用化疗或放疗作为姑息治疗的手段,缓解症状,延迟病情进展。
","articleBody": "牙癌一般是指牙龈癌,在牙龈部位出现恶性肿瘤,会导致牙龈肿块、疼痛、出血、牙齿松动等情况。
牙龈癌可以在医生的指导下选择药物、手术、放疗、化疗等方法进行治疗。
1、病因:牙龈癌的发生与DNA突变的累积、吸烟、饮酒、咀嚼槟榔、慢性炎症,以及残根残冠、不良修复体的物理刺激,还有人乳头瘤病毒和免疫系统功能下降等因素有关。
2、症状:


1)牙龈肿块:位于牙龈部,表现为溃疡或者乳头状突起。
2)牙龈疼痛、出血:牙龈癌向牙槽突和颌骨浸润,破坏骨质,导致疼痛,发生出血。
3)牙齿松动:牙龈癌侵袭破坏骨质,引起牙齿松动,如果被当作一般的牙病将牙齿拔掉,伤口不愈合,会引起更多的牙齿松动或浮起。
4)牙龈溃疡:在牙龈或附近区域形成溃疡。
5)张口困难:下牙龈癌侵犯口底、颊部,如果向后发展到达磨牙后区,或者咬肌,能够造成张口困难。
1、药物治疗:牙龈癌可以遵医嘱使用化学药物进行术前化疗,主要采用DOPD方案(顺氯氨铂+长春新碱+平阳霉素+地塞米松)。
2、手术治疗:
1)病变仅局限于牙槽突未侵及至牙根尖水平者,下颌牙龈癌可行保留下颌骨下缘的颌骨矩形切除,上颌牙龈癌可行低位上颌骨切除。
2)如癌瘤已侵及下牙槽神经管,应行节段性甚至半侧下颌骨切除术。侵及上颌窦底而未破坏上颌窦者,应行上颌骨次全切除术,已侵入上颌窦者应行上颌骨切除术。
3)下颌骨部分或一侧切除者,酌情行钛接骨板连接缺损两端或行骨移植,以保证下颌骨连续性,避免下颌偏斜发生咬合紊乱,上颌骨切除后的缺损可用赝复体修复。晚期已累及邻近组织的牙龈癌应行扩大切除术,术后配合放射治疗。
3、放射治疗:手术完成后患者需要接受放疗作为辅助治疗,消除可能残余的癌细胞。部分晚期患者无法进行手术切除,可采用化疗或放疗作为姑息治疗的手段,缓解症状,延迟病情进展。
","scanCount": 52726}}} {"@context": "https://ziyuan.baidu.com/contexts/cambrian.jsonld","appid": "1650708455561748","icon": "https://www.med-credit.org.cn/style/images/ttlogo.png","content_tag": ["atlas"],"is_mcn": {"thumb_id": "ay28xrnt0"},"accid": "4886d626a2804dee5f11168793ce361672f39c25","@id": "https://www.med-credit.org.cn/mobile/jingxuan/2/e7b15ab0b1d6302a88b6da7a7c74bcd2.html","bagWordId": "654_1585949914376966144","title": "上颚智齿往脸颊长图片","pubDate": "2023-02-27T18:39:40","upDate": "2023-02-27T18:39:40","lrDate": "2023-02-27T18:39:40","description": "上颚智齿往脸颊长又称阻生齿,是指生长在口腔最里侧的第三磨牙,向脸颊的方向生长。患者通常会出现脸部的疼痛、肿大,还可能会影响进食。","data": {"WebPage": {"headline": "上颚智齿往脸颊长图片","pcUrl": "https://www.med-credit.org.cn/jingxuan/2/e7b15ab0b1d6302a88b6da7a7c74bcd2.html","wapUrl": "https://www.med-credit.org.cn/jingxuan/2/e7b15ab0b1d6302a88b6da7a7c74bcd2.html","mipUrl": "https://www.med-credit.org.cn/mobile/jingxuan/2/e7b15ab0b1d6302a88b6da7a7c74bcd2.html","fromSrc": "欢乐橙","datePublished": "2023-02-27T18:39:40","domain": "医疗","category": ["医疗权威文章合作"],"description": "上颚智齿往脸颊长又称阻生齿,是指生长在口腔最里侧的第三磨牙,向脸颊的方向生长。患者通常会出现脸部的疼痛、肿大,还可能会影响进食。
","extra_headline": [""]},"Author": {"name": "李斯文","wapUrl": "https://www.med-credit.org.cn/doctor/546","pcUrl": "https://www.med-credit.org.cn/doctor/546","jobTitle": "主治医师","headPortrait": "https://www.med-credit.org.cn/uploadfile/member/546/180x180.jpeg","id": "546","description": "李斯文,中国医科大学附属口腔医院口腔科主治医师","memberOf": {"legalName": "中国医科大学附属口腔医院","department": "口腔科","organizationLevel": "三级甲等"}},"Article": {"summaryContent": "上颚智齿往脸颊长又称阻生齿,是指生长在口腔最里侧的第三磨牙,向脸颊的方向生长。患者通常会出现脸部的疼痛、肿大,还可能会影响进食。
上颚智齿往脸颊长需要及时就医进行检查,并通过拔牙的方式来改善,拔牙后还要选择冰敷缓解疼痛。

上颚智齿往脸颊方向长通常会对脸颊的部位造成一定的影响,对脸颊组织造成一定的摩擦,引起局部的疼痛、肿胀,严重时还可能会有出血的现象,影响正常的进食。建议及时到正规医院进行拍片检查,了解牙齿的具体情况以及牙槽骨的骨量,医生进行评估后,遵医嘱采取拔除治疗。在拔除时通常需要注射一定量的麻药,一般情况下没有太大的疼痛,多数人都能够接受。
拔除智齿后局部会有一定的损伤,短期内可能会有疼痛肿胀的情况,可以对局部进行冰敷缓解疼痛、肿胀等不适的症状。
","articleBody": "上颚智齿往脸颊长又称阻生齿,是指生长在口腔最里侧的第三磨牙,向脸颊的方向生长。患者通常会出现脸部的疼痛、肿大,还可能会影响进食。
上颚智齿往脸颊长需要及时就医进行检查,并通过拔牙的方式来改善,拔牙后还要选择冰敷缓解疼痛。

上颚智齿往脸颊方向长通常会对脸颊的部位造成一定的影响,对脸颊组织造成一定的摩擦,引起局部的疼痛、肿胀,严重时还可能会有出血的现象,影响正常的进食。建议及时到正规医院进行拍片检查,了解牙齿的具体情况以及牙槽骨的骨量,医生进行评估后,遵医嘱采取拔除治疗。在拔除时通常需要注射一定量的麻药,一般情况下没有太大的疼痛,多数人都能够接受。
拔除智齿后局部会有一定的损伤,短期内可能会有疼痛肿胀的情况,可以对局部进行冰敷缓解疼痛、肿胀等不适的症状。
","scanCount": 52733}}} {"@context": "https://ziyuan.baidu.com/contexts/cambrian.jsonld","appid": "1650708455561748","icon": "https://www.med-credit.org.cn/style/images/ttlogo.png","content_tag": ["atlas"],"is_mcn": {"thumb_id": "ay28xrnt0"},"accid": "4886d626a2804dee5f11168793ce361672f39c25","@id": "https://www.med-credit.org.cn/mobile/jingxuan/2/9e15d3193320bec3ae02c7b5b1df4fec.html","bagWordId": "654_1585949914796396544","title": "牙齿底部部分被腐蚀图片","pubDate": "2023-02-27T18:39:40","upDate": "2023-02-27T18:39:40","lrDate": "2023-02-27T18:39:40","description": "牙齿底部部分被腐蚀通常会出现疼痛、局部色素沉着等症状。","data": {"WebPage": {"headline": "牙齿底部部分被腐蚀图片","pcUrl": "https://www.med-credit.org.cn/jingxuan/2/9e15d3193320bec3ae02c7b5b1df4fec.html","wapUrl": "https://www.med-credit.org.cn/jingxuan/2/9e15d3193320bec3ae02c7b5b1df4fec.html","mipUrl": "https://www.med-credit.org.cn/mobile/jingxuan/2/9e15d3193320bec3ae02c7b5b1df4fec.html","fromSrc": "欢乐橙","datePublished": "2023-02-27T18:39:40","domain": "医疗","category": ["医疗权威文章合作"],"description": "牙齿底部部分被腐蚀通常会出现疼痛、局部色素沉着等症状。
","extra_headline": [""]},"Author": {"name": "李斯文","wapUrl": "https://www.med-credit.org.cn/doctor/546","pcUrl": "https://www.med-credit.org.cn/doctor/546","jobTitle": "主治医师","headPortrait": "https://www.med-credit.org.cn/uploadfile/member/546/180x180.jpeg","id": "546","description": "李斯文,中国医科大学附属口腔医院口腔科主治医师","memberOf": {"legalName": "中国医科大学附属口腔医院","department": "口腔科","organizationLevel": "三级甲等"}},"Article": {"summaryContent": "牙齿底部部分被腐蚀通常会出现疼痛、局部色素沉着等症状。
牙齿底部部分被腐蚀主要是牙齿楔状缺损、牙周病、牙齿龋坏等因素引起的,可以采用填充或者是药物、洗牙、手术等方法治疗,需要注意口腔卫生和调整饮食。

1、牙齿楔状缺损:如果牙齿有楔形缺损,牙齿的表面会不平整,如果做不好口腔的护理,通常会导致局部细菌滋生,从而腐蚀牙齿出现发黑的症状。建议及时到正规的口腔机构,遵医嘱去除腐蚀部位,并选择合适的材料进行填充。
2、牙周病:牙周病的患者会由于局部炎性代谢产物的刺激,牙龈出现萎缩,从而引起牙槽骨吸收、牙根暴露,当口腔内细菌不断滋生时会导致牙齿龋坏,出现牙齿根部腐蚀,患者可伴有局部疼痛的症状。建议及时遵医嘱采取抗感染的治疗,常用的药物有头孢克洛片、甲硝唑片等。必要时也可以通过洗牙或者龈下刮治术等方法来进行改善。
3、牙齿龋坏:如果刷牙不彻底,在牙颈部的牙面上会形成牙菌斑、牙结石,这种物质的长期堆积,会刺激牙体组织产生龋坏,从而出现牙齿底部部分被腐蚀的情况。牙根部发生龋坏的部位,如果比较浅,一般可以直接进行局部的充填和修复治疗,如果比较深,也是要杀神经做根管治疗以后,再进行局部的修复。
除了上述相对常见的原因外,还有其他的可能性病因,比如不良的修复体填充。
牙齿底部部分被腐蚀时要注意定时刷牙,还有漱口,不要吃过于生硬的食物,比如核桃、坚果等。
","articleBody": "牙齿底部部分被腐蚀通常会出现疼痛、局部色素沉着等症状。
牙齿底部部分被腐蚀主要是牙齿楔状缺损、牙周病、牙齿龋坏等因素引起的,可以采用填充或者是药物、洗牙、手术等方法治疗,需要注意口腔卫生和调整饮食。

1、牙齿楔状缺损:如果牙齿有楔形缺损,牙齿的表面会不平整,如果做不好口腔的护理,通常会导致局部细菌滋生,从而腐蚀牙齿出现发黑的症状。建议及时到正规的口腔机构,遵医嘱去除腐蚀部位,并选择合适的材料进行填充。
2、牙周病:牙周病的患者会由于局部炎性代谢产物的刺激,牙龈出现萎缩,从而引起牙槽骨吸收、牙根暴露,当口腔内细菌不断滋生时会导致牙齿龋坏,出现牙齿根部腐蚀,患者可伴有局部疼痛的症状。建议及时遵医嘱采取抗感染的治疗,常用的药物有头孢克洛片、甲硝唑片等。必要时也可以通过洗牙或者龈下刮治术等方法来进行改善。
3、牙齿龋坏:如果刷牙不彻底,在牙颈部的牙面上会形成牙菌斑、牙结石,这种物质的长期堆积,会刺激牙体组织产生龋坏,从而出现牙齿底部部分被腐蚀的情况。牙根部发生龋坏的部位,如果比较浅,一般可以直接进行局部的充填和修复治疗,如果比较深,也是要杀神经做根管治疗以后,再进行局部的修复。
除了上述相对常见的原因外,还有其他的可能性病因,比如不良的修复体填充。
牙齿底部部分被腐蚀时要注意定时刷牙,还有漱口,不要吃过于生硬的食物,比如核桃、坚果等。
","scanCount": 52734}}} {"@context": "https://ziyuan.baidu.com/contexts/cambrian.jsonld","appid": "1650708455561748","icon": "https://www.med-credit.org.cn/style/images/ttlogo.png","content_tag": ["atlas"],"is_mcn": {"thumb_id": "c1y5nkmt"},"accid": "4886d626a2804dee5f11168793ce361672f39c25","@id": "https://www.med-credit.org.cn/mobile/jingxuan/2/e822a219171b71decd3e9c20a269c16e.html","bagWordId": "654_1585949915165495296","title": "白带鼻涕状带血丝图片","pubDate": "2023-02-27T18:39:40","upDate": "2023-02-27T18:39:40","lrDate": "2023-02-27T18:39:40","description": "白带鼻涕状带血丝是指女性阴道的分泌物呈现鼻涕状,并带有一定量的血丝,可伴有外阴瘙痒、疼痛等症状表现。","data": {"WebPage": {"headline": "白带鼻涕状带血丝图片","pcUrl": "https://www.med-credit.org.cn/jingxuan/2/e822a219171b71decd3e9c20a269c16e.html","wapUrl": "https://www.med-credit.org.cn/jingxuan/2/e822a219171b71decd3e9c20a269c16e.html","mipUrl": "https://www.med-credit.org.cn/mobile/jingxuan/2/e822a219171b71decd3e9c20a269c16e.html","fromSrc": "欢乐橙","datePublished": "2023-02-27T18:39:40","domain": "医疗","category": ["医疗权威文章合作"],"description": "白带鼻涕状带血丝是指女性阴道的分泌物呈现鼻涕状,并带有一定量的血丝,可伴有外阴瘙痒、疼痛等症状表现。
","extra_headline": [""]},"Author": {"name": "夏瑜","wapUrl": "https://www.med-credit.org.cn/doctor/519","pcUrl": "https://www.med-credit.org.cn/doctor/519","jobTitle": "主治医师","headPortrait": "https://www.med-credit.org.cn/uploadfile/member/519/180x180.jpeg","id": "519","description": "夏瑜,中国医科大学附属盛京医院妇产科主治医师","memberOf": {"legalName": "中国医科大学附属盛京医院","department": "妇产科","organizationLevel": "三级甲等"}},"Article": {"summaryContent": "白带鼻涕状带血丝是指女性阴道的分泌物呈现鼻涕状,并带有一定量的血丝,可伴有外阴瘙痒、疼痛等症状表现。
白带鼻涕状带血丝可能是正常的生理现象,也可能是阴道炎或者宫颈炎等原因引起的,可以选择药物、手术或者是放疗、化疗等手段治疗,需要对于生活以及饮食习惯。

1、正常的生理现象:在女性的排卵期,通常白带会拉丝,呈现鼻涕状,如果处于排卵期,体内激素水平发生变化,少许子宫内膜脱落,会随着白带一块排出,因此会出现白带带血丝的情况,是属于正常的生理现象,无需治疗。
2、阴道炎:如果平常不注意个人卫生,易受到细菌、病毒、病原虫感染,导致阴道黏膜出现炎症,造成阴道黏膜充血、水肿,还会有血性分泌物随着白带一块排出,观察可见白带像鼻涕、伴有血丝。建议就医进行白带常规检查,如果是细菌或厌氧菌感染引起的阴道炎,可遵医嘱使用左氧氟沙星、头孢呋辛、甲硝唑等药物治疗。
3、宫颈炎:当宫颈粘膜出现急性炎症,导致局部糜烂、渗液,患者也可出现分泌物增多,分泌物中有血性像鼻涕样的白带等,患者可伴有外阴瘙痒、性交时疼痛等症状,明确诊断后,可遵医嘱使用阿奇霉素、多西环素等抗生素治疗,也可以通过阴道上药的方式,如遵医嘱使用甲硝唑栓等进行治疗。
除了上述相对常见的原因外,还有其他的可能性疾病,比如宫颈癌。
白带鼻涕状带血丝是要选择宽松以及透气好的内裤,治疗期间避免过性生活,饮食要以清淡为主,适当的吃含有维生素的水果和蔬菜。
","articleBody": "白带鼻涕状带血丝是指女性阴道的分泌物呈现鼻涕状,并带有一定量的血丝,可伴有外阴瘙痒、疼痛等症状表现。
白带鼻涕状带血丝可能是正常的生理现象,也可能是阴道炎或者宫颈炎等原因引起的,可以选择药物、手术或者是放疗、化疗等手段治疗,需要对于生活以及饮食习惯。

1、正常的生理现象:在女性的排卵期,通常白带会拉丝,呈现鼻涕状,如果处于排卵期,体内激素水平发生变化,少许子宫内膜脱落,会随着白带一块排出,因此会出现白带带血丝的情况,是属于正常的生理现象,无需治疗。
2、阴道炎:如果平常不注意个人卫生,易受到细菌、病毒、病原虫感染,导致阴道黏膜出现炎症,造成阴道黏膜充血、水肿,还会有血性分泌物随着白带一块排出,观察可见白带像鼻涕、伴有血丝。建议就医进行白带常规检查,如果是细菌或厌氧菌感染引起的阴道炎,可遵医嘱使用左氧氟沙星、头孢呋辛、甲硝唑等药物治疗。
3、宫颈炎:当宫颈粘膜出现急性炎症,导致局部糜烂、渗液,患者也可出现分泌物增多,分泌物中有血性像鼻涕样的白带等,患者可伴有外阴瘙痒、性交时疼痛等症状,明确诊断后,可遵医嘱使用阿奇霉素、多西环素等抗生素治疗,也可以通过阴道上药的方式,如遵医嘱使用甲硝唑栓等进行治疗。
除了上述相对常见的原因外,还有其他的可能性疾病,比如宫颈癌。
白带鼻涕状带血丝是要选择宽松以及透气好的内裤,治疗期间避免过性生活,饮食要以清淡为主,适当的吃含有维生素的水果和蔬菜。
","scanCount": 52738}}} {"@context": "https://ziyuan.baidu.com/contexts/cambrian.jsonld","appid": "1650708455561748","icon": "https://www.med-credit.org.cn/style/images/ttlogo.png","content_tag": ["atlas"],"is_mcn": {"thumb_id": "c1y5nkmt"},"accid": "4886d626a2804dee5f11168793ce361672f39c25","@id": "https://www.med-credit.org.cn/mobile/jingxuan/2/b81b6a0a2c4176c0e90900b58ea00d5d.html","bagWordId": "654_1585949915765280768","title": "子宫里排出像豆腐皮图","pubDate": "2023-02-27T18:39:40","upDate": "2023-02-27T18:39:40","lrDate": "2023-02-27T18:39:40","description": "子宫里排出像豆腐皮是指在子宫内排出形似豆腐皮样的分泌物,同时伴有外阴瘙痒、红肿等不适症状。","data": {"WebPage": {"headline": "子宫里排出像豆腐皮图","pcUrl": "https://www.med-credit.org.cn/jingxuan/2/b81b6a0a2c4176c0e90900b58ea00d5d.html","wapUrl": "https://www.med-credit.org.cn/jingxuan/2/b81b6a0a2c4176c0e90900b58ea00d5d.html","mipUrl": "https://www.med-credit.org.cn/mobile/jingxuan/2/b81b6a0a2c4176c0e90900b58ea00d5d.html","fromSrc": "欢乐橙","datePublished": "2023-02-27T18:39:40","domain": "医疗","category": ["医疗权威文章合作"],"description": "子宫里排出像豆腐皮是指在子宫内排出形似豆腐皮样的分泌物,同时伴有外阴瘙痒、红肿等不适症状。
","extra_headline": [""]},"Author": {"name": "夏瑜","wapUrl": "https://www.med-credit.org.cn/doctor/519","pcUrl": "https://www.med-credit.org.cn/doctor/519","jobTitle": "主治医师","headPortrait": "https://www.med-credit.org.cn/uploadfile/member/519/180x180.jpeg","id": "519","description": "夏瑜,中国医科大学附属盛京医院妇产科主治医师","memberOf": {"legalName": "中国医科大学附属盛京医院","department": "妇产科","organizationLevel": "三级甲等"}},"Article": {"summaryContent": "子宫里排出像豆腐皮是指在子宫内排出形似豆腐皮样的分泌物,同时伴有外阴瘙痒、红肿等不适症状。
子宫里排出像豆腐皮一般是外阴阴道假丝酵母菌病引起的,可以使用去除诱发因素、药物治疗等方法来处理。

1、病因:外阴阴道假丝酵母菌病是由假丝酵母菌而引起的阴道炎症,假丝酵母菌是一种条件致病菌,在健康状态下病原菌多存在于人体阴道内不致病,免疫力下降后才会侵犯组织,引起炎症反应。
2、症状:患者外阴瘙痒明显,持续时间长,严重者坐立不安,夜晚更加明显,影响工作和睡眠;部分患者有外阴烧灼感、性交痛和排尿痛;阴道分泌物为白色稠厚的凝乳状、豆腐渣样,也可为水样稀薄白带。少数患者出现白带异味;外阴红肿,可伴有抓痕,严重者可有皮肤皲裂、脱皮;阴道黏膜红肿、小阴唇内侧及阴道黏膜附有白色块状物,擦除后露出红肿黏膜面,急性期还可见糜烂及浅表溃疡。
1、去除诱发因素:如果是由于长时间服用广谱抗生素、雌激素等药物导致的外阴阴道假丝酵母菌病,需要及时停用该药物。
2、药物治疗:单纯性外阴阴道假丝酵母菌病局部用药包括克霉唑栓剂、咪康唑栓剂或制菌霉素栓剂等,全身用药常用氟康唑;对于复发型外阴阴道假丝酵母菌病,可选用咪康唑栓或软胶囊、克霉唑栓或片,口服用药可选用氟康唑。
注意药物的使用需要在医生的指导下用药。
","articleBody": "子宫里排出像豆腐皮是指在子宫内排出形似豆腐皮样的分泌物,同时伴有外阴瘙痒、红肿等不适症状。
子宫里排出像豆腐皮一般是外阴阴道假丝酵母菌病引起的,可以使用去除诱发因素、药物治疗等方法来处理。

1、病因:外阴阴道假丝酵母菌病是由假丝酵母菌而引起的阴道炎症,假丝酵母菌是一种条件致病菌,在健康状态下病原菌多存在于人体阴道内不致病,免疫力下降后才会侵犯组织,引起炎症反应。
2、症状:患者外阴瘙痒明显,持续时间长,严重者坐立不安,夜晚更加明显,影响工作和睡眠;部分患者有外阴烧灼感、性交痛和排尿痛;阴道分泌物为白色稠厚的凝乳状、豆腐渣样,也可为水样稀薄白带。少数患者出现白带异味;外阴红肿,可伴有抓痕,严重者可有皮肤皲裂、脱皮;阴道黏膜红肿、小阴唇内侧及阴道黏膜附有白色块状物,擦除后露出红肿黏膜面,急性期还可见糜烂及浅表溃疡。
1、去除诱发因素:如果是由于长时间服用广谱抗生素、雌激素等药物导致的外阴阴道假丝酵母菌病,需要及时停用该药物。
2、药物治疗:单纯性外阴阴道假丝酵母菌病局部用药包括克霉唑栓剂、咪康唑栓剂或制菌霉素栓剂等,全身用药常用氟康唑;对于复发型外阴阴道假丝酵母菌病,可选用咪康唑栓或软胶囊、克霉唑栓或片,口服用药可选用氟康唑。
注意药物的使用需要在医生的指导下用药。
","scanCount": 52740}}} {"@context": "https://ziyuan.baidu.com/contexts/cambrian.jsonld","appid": "1650708455561748","icon": "https://www.med-credit.org.cn/style/images/ttlogo.png","content_tag": ["atlas"],"is_mcn": {"thumb_id": "c1y5nkmt"},"accid": "4886d626a2804dee5f11168793ce361672f39c25","@id": "https://www.med-credit.org.cn/mobile/jingxuan/2/ec738720e82c52c7a25d585deaec3c9a.html","bagWordId": "654_1585949916553809920","title": "吃消炎药阴道有白色分泌物图","pubDate": "2023-02-27T18:39:40","upDate": "2023-02-27T18:39:40","lrDate": "2023-02-27T18:39:40","description": "吃消炎药阴道有白色分泌物是指吃了消炎药之后阴道出现了一些颜色发白的分泌物,可伴有臭味。","data": {"WebPage": {"headline": "吃消炎药阴道有白色分泌物图","pcUrl": "https://www.med-credit.org.cn/jingxuan/2/ec738720e82c52c7a25d585deaec3c9a.html","wapUrl": "https://www.med-credit.org.cn/jingxuan/2/ec738720e82c52c7a25d585deaec3c9a.html","mipUrl": "https://www.med-credit.org.cn/mobile/jingxuan/2/ec738720e82c52c7a25d585deaec3c9a.html","fromSrc": "欢乐橙","datePublished": "2023-02-27T18:39:40","domain": "医疗","category": ["医疗权威文章合作"],"description": "吃消炎药阴道有白色分泌物是指吃了消炎药之后阴道出现了一些颜色发白的分泌物,可伴有臭味。
","extra_headline": [""]},"Author": {"name": "夏瑜","wapUrl": "https://www.med-credit.org.cn/doctor/519","pcUrl": "https://www.med-credit.org.cn/doctor/519","jobTitle": "主治医师","headPortrait": "https://www.med-credit.org.cn/uploadfile/member/519/180x180.jpeg","id": "519","description": "夏瑜,中国医科大学附属盛京医院妇产科主治医师","memberOf": {"legalName": "中国医科大学附属盛京医院","department": "妇产科","organizationLevel": "三级甲等"}},"Article": {"summaryContent": "吃消炎药阴道有白色分泌物是指吃了消炎药之后阴道出现了一些颜色发白的分泌物,可伴有臭味。
吃消炎药阴道有白色分泌物可能是药物的正常反应,也可能是本身存在阴道炎症或者药物副作用等引起的,可以遵医嘱使用药物进行治疗。


1、正常反应:正常情况下女性阴道也可能会出现一些白色的分泌物,为白带。在服用消炎药物后可能会杀死宫腔内的细菌,细菌结合宫颈的一些粘液排出体外,也可能会形成白色分泌物。属于正常的反应,不用进行治疗。
2、药物副作用:消炎药物大部分是指抗生素药物,在长时间或者是大剂量服用药物的情况下,就有可能会导致阴道乳酸杆菌受到抑制,也会造成菌群失调,从而引起妇科炎症性的病变,导致白色分泌物排出。要及时停止使用药物才能帮助疾病恢复。
3、阴道炎症:由于细菌性阴道炎、外阴阴道假丝酵母菌病、滴虫性阴道炎等感染通常会引起白带异常,呈豆腐渣样、白带水样、臭味等改变。细菌性阴道炎患者可在医生指导下应用甲硝唑阴道栓塞药治疗;外阴阴道假丝酵母菌病可应用制霉菌素阴道栓、克霉唑阴道栓等塞药治疗。
除了上述相对常见的原因外,还有其他的可能性疾病,比如宫颈炎。
","articleBody": "吃消炎药阴道有白色分泌物是指吃了消炎药之后阴道出现了一些颜色发白的分泌物,可伴有臭味。
吃消炎药阴道有白色分泌物可能是药物的正常反应,也可能是本身存在阴道炎症或者药物副作用等引起的,可以遵医嘱使用药物进行治疗。


1、正常反应:正常情况下女性阴道也可能会出现一些白色的分泌物,为白带。在服用消炎药物后可能会杀死宫腔内的细菌,细菌结合宫颈的一些粘液排出体外,也可能会形成白色分泌物。属于正常的反应,不用进行治疗。
2、药物副作用:消炎药物大部分是指抗生素药物,在长时间或者是大剂量服用药物的情况下,就有可能会导致阴道乳酸杆菌受到抑制,也会造成菌群失调,从而引起妇科炎症性的病变,导致白色分泌物排出。要及时停止使用药物才能帮助疾病恢复。
3、阴道炎症:由于细菌性阴道炎、外阴阴道假丝酵母菌病、滴虫性阴道炎等感染通常会引起白带异常,呈豆腐渣样、白带水样、臭味等改变。细菌性阴道炎患者可在医生指导下应用甲硝唑阴道栓塞药治疗;外阴阴道假丝酵母菌病可应用制霉菌素阴道栓、克霉唑阴道栓等塞药治疗。
除了上述相对常见的原因外,还有其他的可能性疾病,比如宫颈炎。
","scanCount": 52741}}} {"@context": "https://ziyuan.baidu.com/contexts/cambrian.jsonld","appid": "1650708455561748","icon": "https://www.med-credit.org.cn/style/images/ttlogo.png","content_tag": ["atlas"],"is_mcn": {"thumb_id": "c1y5nkmt"},"accid": "4886d626a2804dee5f11168793ce361672f39c25","@id": "https://www.med-credit.org.cn/mobile/jingxuan/2/627c2dfef5c1ca43ee7e404f94b44106.html","bagWordId": "654_1585949917438808064","title": "子宫右前壁在什么位置图","pubDate": "2023-02-27T18:39:40","upDate": "2023-02-27T18:39:40","lrDate": "2023-02-27T18:39:40","description": "子宫右前壁一般是指胎盘处于子宫的前壁,但又偏右侧就被称为子宫右前壁。","data": {"WebPage": {"headline": "子宫右前壁在什么位置图","pcUrl": "https://www.med-credit.org.cn/jingxuan/2/627c2dfef5c1ca43ee7e404f94b44106.html","wapUrl": "https://www.med-credit.org.cn/jingxuan/2/627c2dfef5c1ca43ee7e404f94b44106.html","mipUrl": "https://www.med-credit.org.cn/mobile/jingxuan/2/627c2dfef5c1ca43ee7e404f94b44106.html","fromSrc": "欢乐橙","datePublished": "2023-02-27T18:39:40","domain": "医疗","category": ["医疗权威文章合作"],"description": "子宫右前壁一般是指胎盘处于子宫的前壁,但又偏右侧就被称为子宫右前壁。
","extra_headline": [""]},"Author": {"name": "夏瑜","wapUrl": "https://www.med-credit.org.cn/doctor/519","pcUrl": "https://www.med-credit.org.cn/doctor/519","jobTitle": "主治医师","headPortrait": "https://www.med-credit.org.cn/uploadfile/member/519/180x180.jpeg","id": "519","description": "夏瑜,中国医科大学附属盛京医院妇产科主治医师","memberOf": {"legalName": "中国医科大学附属盛京医院","department": "妇产科","organizationLevel": "三级甲等"}},"Article": {"summaryContent": "子宫右前壁一般是指胎盘处于子宫的前壁,但又偏右侧就被称为子宫右前壁。
胎盘在子宫内会位于多个部位,包括宫角、宫底、侧壁、后壁、前壁、子宫底部等,而比较常见的是子宫底部。子宫右前壁可以使用药物来调整,平时要调整好生活习惯。

在怀孕期间通过做三维彩超就能够发现胎盘的部位。需要关注的是否有完全性前置胎盘和胎盘低置,当胎盘位于右前壁时,属于一种正常的现象。而如果是完全性前置胎盘和胎盘低置,就会在分娩过程中出现大出血的情况。需要遵医嘱采用局部缝合的方式,并且还需要服用子宫收缩的药物进行治疗。尤其是完全性前置胎盘,一般建议通过剖腹产来终止妊娠,避免在妊娠期间出现大出血,给腹中的胎儿和自身的健康带来不利的影响。
在怀孕期间一定要注意多休息,避免劳累,保持心情舒畅,定期到医院进行产检。
","articleBody": "子宫右前壁一般是指胎盘处于子宫的前壁,但又偏右侧就被称为子宫右前壁。
胎盘在子宫内会位于多个部位,包括宫角、宫底、侧壁、后壁、前壁、子宫底部等,而比较常见的是子宫底部。子宫右前壁可以使用药物来调整,平时要调整好生活习惯。

在怀孕期间通过做三维彩超就能够发现胎盘的部位。需要关注的是否有完全性前置胎盘和胎盘低置,当胎盘位于右前壁时,属于一种正常的现象。而如果是完全性前置胎盘和胎盘低置,就会在分娩过程中出现大出血的情况。需要遵医嘱采用局部缝合的方式,并且还需要服用子宫收缩的药物进行治疗。尤其是完全性前置胎盘,一般建议通过剖腹产来终止妊娠,避免在妊娠期间出现大出血,给腹中的胎儿和自身的健康带来不利的影响。
在怀孕期间一定要注意多休息,避免劳累,保持心情舒畅,定期到医院进行产检。
","scanCount": 52744}}} {"@context": "https://ziyuan.baidu.com/contexts/cambrian.jsonld","appid": "1650708455561748","icon": "https://www.med-credit.org.cn/style/images/ttlogo.png","content_tag": ["atlas"],"is_mcn": {"thumb_id": "c1y5nkmt"},"accid": "4886d626a2804dee5f11168793ce361672f39c25","@id": "https://www.med-credit.org.cn/mobile/jingxuan/2/b607f15f244c4283dac0b009de482e79.html","bagWordId": "654_1585949917849849856","title": "刚怀孕试纸是不是特别浅图片","pubDate": "2023-02-27T18:39:40","upDate": "2023-02-27T18:39:40","lrDate": "2023-02-27T18:39:40","description": "刚怀孕试纸有可能特别浅,因为怀孕初期人绒毛膜促性腺激素(HCG)水平较低引起。","data": {"WebPage": {"headline": "刚怀孕试纸是不是特别浅图片","pcUrl": "https://www.med-credit.org.cn/jingxuan/2/b607f15f244c4283dac0b009de482e79.html","wapUrl": "https://www.med-credit.org.cn/jingxuan/2/b607f15f244c4283dac0b009de482e79.html","mipUrl": "https://www.med-credit.org.cn/mobile/jingxuan/2/b607f15f244c4283dac0b009de482e79.html","fromSrc": "欢乐橙","datePublished": "2023-02-27T18:39:40","domain": "医疗","category": ["医疗权威文章合作"],"description": "刚怀孕试纸有可能特别浅,因为怀孕初期人绒毛膜促性腺激素(HCG)水平较低引起。
","extra_headline": [""]},"Author": {"name": "夏瑜","wapUrl": "https://www.med-credit.org.cn/doctor/519","pcUrl": "https://www.med-credit.org.cn/doctor/519","jobTitle": "主治医师","headPortrait": "https://www.med-credit.org.cn/uploadfile/member/519/180x180.jpeg","id": "519","description": "夏瑜,中国医科大学附属盛京医院妇产科主治医师","memberOf": {"legalName": "中国医科大学附属盛京医院","department": "妇产科","organizationLevel": "三级甲等"}},"Article": {"summaryContent": "刚怀孕试纸有可能特别浅,因为怀孕初期人绒毛膜促性腺激素(HCG)水平较低引起。
刚怀孕的时候使用早孕试纸检测出现的颜色和体内的人绒毛膜促性腺激素水平有关,怀孕以后会出现恶心、嗜睡等症状,需要进一步检查,平时要调整好生活以及饮食习惯。

早孕试纸分为两头,需要根据说明书使用,将测试的一头放入尿液中,但在放入时一定要小心,不要超过标准线,等完全渗透后,取出平放,再观察5分钟左右,如果出现两个深红色的标记,则说明HCG含量比较高,表示已经怀孕。如果只出现一条杠,则可能说明并没有怀孕。怀孕的时候身体内的人绒毛膜促性腺激素水平较低,可能出现使用怀孕试纸检测显示颜色浅的情况。
在初次怀孕时不仅会出现停经的情况,并且还会伴有胸部胀痛、情绪不稳定、恶心、嗜睡、厌油腻、喜酸等症状,但也有一部分人群在假怀孕时,也会出现以上症状,所以是否怀孕,建议到医院通过做抽血、B超等相关检查来明确诊断。
在治疗期间要注意放松心情,不要产生太大的精神压力,饮食上可以多吃一些高蛋白食物。
","articleBody": "刚怀孕试纸有可能特别浅,因为怀孕初期人绒毛膜促性腺激素(HCG)水平较低引起。
刚怀孕的时候使用早孕试纸检测出现的颜色和体内的人绒毛膜促性腺激素水平有关,怀孕以后会出现恶心、嗜睡等症状,需要进一步检查,平时要调整好生活以及饮食习惯。

早孕试纸分为两头,需要根据说明书使用,将测试的一头放入尿液中,但在放入时一定要小心,不要超过标准线,等完全渗透后,取出平放,再观察5分钟左右,如果出现两个深红色的标记,则说明HCG含量比较高,表示已经怀孕。如果只出现一条杠,则可能说明并没有怀孕。怀孕的时候身体内的人绒毛膜促性腺激素水平较低,可能出现使用怀孕试纸检测显示颜色浅的情况。
在初次怀孕时不仅会出现停经的情况,并且还会伴有胸部胀痛、情绪不稳定、恶心、嗜睡、厌油腻、喜酸等症状,但也有一部分人群在假怀孕时,也会出现以上症状,所以是否怀孕,建议到医院通过做抽血、B超等相关检查来明确诊断。
在治疗期间要注意放松心情,不要产生太大的精神压力,饮食上可以多吃一些高蛋白食物。
","scanCount": 52746}}} {"@context": "https://ziyuan.baidu.com/contexts/cambrian.jsonld","appid": "1650708455561748","icon": "https://www.med-credit.org.cn/style/images/ttlogo.png","content_tag": ["atlas"],"is_mcn": {"thumb_id": "yfygkay6"},"accid": "4886d626a2804dee5f11168793ce361672f39c25","@id": "https://www.med-credit.org.cn/mobile/jingxuan/2/e331f51ef48389d06d31187b0954e555.html","bagWordId": "654_1585949919095558144","title": "耵聍腺图片","pubDate": "2023-02-27T18:39:40","upDate": "2023-02-27T18:39:40","lrDate": "2023-02-27T18:39:40","description": "耵聍腺表面会覆盖一层正常皮肤结构,而淡黄色粘稠分泌物就被称为耵聍,分布有皮肤附属器,比如汗腺、皮毛、皮脂腺等。","data": {"WebPage": {"headline": "耵聍腺图片","pcUrl": "https://www.med-credit.org.cn/jingxuan/2/e331f51ef48389d06d31187b0954e555.html","wapUrl": "https://www.med-credit.org.cn/jingxuan/2/e331f51ef48389d06d31187b0954e555.html","mipUrl": "https://www.med-credit.org.cn/mobile/jingxuan/2/e331f51ef48389d06d31187b0954e555.html","fromSrc": "欢乐橙","datePublished": "2023-02-27T18:39:40","domain": "医疗","category": ["医疗权威文章合作"],"description": "耵聍腺表面会覆盖一层正常皮肤结构,而淡黄色粘稠分泌物就被称为耵聍,分布有皮肤附属器,比如汗腺、皮毛、皮脂腺等。
","extra_headline": [""]},"Author": {"name": "王立银","wapUrl": "https://www.med-credit.org.cn/doctor/520","pcUrl": "https://www.med-credit.org.cn/doctor/520","jobTitle": "主治医师","headPortrait": "https://www.med-credit.org.cn/uploadfile/member/520/180x180.jpeg","id": "520","description": "王立银,中国医科大学附属盛京医院耳鼻咽喉头颈外科主治医师","memberOf": {"legalName": "中国医科大学附属盛京医院","department": "耳鼻咽喉头颈外科","organizationLevel": "三级甲等"}},"Article": {"summaryContent": "耵聍腺表面会覆盖一层正常皮肤结构,而淡黄色粘稠分泌物就被称为耵聍,分布有皮肤附属器,比如汗腺、皮毛、皮脂腺等。
耵聍腺也是人体演化蜕变过程时,由汗腺转变而成的,均匀的分布在外耳道的皮肤内,需要调整好生活习惯以及饮食习惯。

耵聍腺和汗腺分泌是否旺盛,主要受基因突变决定,耵聍腺会分泌大量的脂肪酸和蛋白质。耵聍腺具有保护黏附外物和外耳道皮肤的作用,需要借助张口、咀嚼等运动使耵聍自行排出,从而避免外耳道出现堵塞的情况,而如果耵聍凝聚成团就会阻塞在外耳道内,被称为耵聍栓塞。
当耵聍腺分泌不正常时不仅会导致耵聍栓塞,并且还会使听力下降,所以在平时生活中要做好耳部的清洁工作,保持耳道的干净和卫生。饮食上可以多吃富含高维生素的食物,比如新鲜水果、蔬菜等。
","articleBody": "耵聍腺表面会覆盖一层正常皮肤结构,而淡黄色粘稠分泌物就被称为耵聍,分布有皮肤附属器,比如汗腺、皮毛、皮脂腺等。
耵聍腺也是人体演化蜕变过程时,由汗腺转变而成的,均匀的分布在外耳道的皮肤内,需要调整好生活习惯以及饮食习惯。

耵聍腺和汗腺分泌是否旺盛,主要受基因突变决定,耵聍腺会分泌大量的脂肪酸和蛋白质。耵聍腺具有保护黏附外物和外耳道皮肤的作用,需要借助张口、咀嚼等运动使耵聍自行排出,从而避免外耳道出现堵塞的情况,而如果耵聍凝聚成团就会阻塞在外耳道内,被称为耵聍栓塞。
当耵聍腺分泌不正常时不仅会导致耵聍栓塞,并且还会使听力下降,所以在平时生活中要做好耳部的清洁工作,保持耳道的干净和卫生。饮食上可以多吃富含高维生素的食物,比如新鲜水果、蔬菜等。
","scanCount": 52748}}} {"@context": "https://ziyuan.baidu.com/contexts/cambrian.jsonld","appid": "1650708455561748","icon": "https://www.med-credit.org.cn/style/images/ttlogo.png","content_tag": ["atlas"],"is_mcn": {"thumb_id": "yfygkay6"},"accid": "4886d626a2804dee5f11168793ce361672f39c25","@id": "https://www.med-credit.org.cn/mobile/jingxuan/2/e78fdb49420930def6e9c7a654f3a6c2.html","bagWordId": "654_1585949919275913216","title": "鼻炎严重图片","pubDate": "2023-02-27T18:39:40","upDate": "2023-02-27T18:39:40","lrDate": "2023-02-27T18:39:40","description": "鼻炎严重时的表现为鼻黏膜肿胀、充血、水肿,并且伴有鼻塞、分泌粘液、鼻部异物感、喉咙疼痛,还有发热等症状。","data": {"WebPage": {"headline": "鼻炎严重图片","pcUrl": "https://www.med-credit.org.cn/jingxuan/2/e78fdb49420930def6e9c7a654f3a6c2.html","wapUrl": "https://www.med-credit.org.cn/jingxuan/2/e78fdb49420930def6e9c7a654f3a6c2.html","mipUrl": "https://www.med-credit.org.cn/mobile/jingxuan/2/e78fdb49420930def6e9c7a654f3a6c2.html","fromSrc": "欢乐橙","datePublished": "2023-02-27T18:39:40","domain": "医疗","category": ["医疗权威文章合作"],"description": "鼻炎严重时的表现为鼻黏膜肿胀、充血、水肿,并且伴有鼻塞、分泌粘液、鼻部异物感、喉咙疼痛,还有发热等症状。
","extra_headline": [""]},"Author": {"name": "王立银","wapUrl": "https://www.med-credit.org.cn/doctor/520","pcUrl": "https://www.med-credit.org.cn/doctor/520","jobTitle": "主治医师","headPortrait": "https://www.med-credit.org.cn/uploadfile/member/520/180x180.jpeg","id": "520","description": "王立银,中国医科大学附属盛京医院耳鼻咽喉头颈外科主治医师","memberOf": {"legalName": "中国医科大学附属盛京医院","department": "耳鼻咽喉头颈外科","organizationLevel": "三级甲等"}},"Article": {"summaryContent": "鼻炎严重时的表现为鼻黏膜肿胀、充血、水肿,并且伴有鼻塞、分泌粘液、鼻部异物感、喉咙疼痛,还有发热等症状。
鼻炎可能是由于不良生活习惯、环境因素、气候因素等原因所引起的,可以使用药物来治疗。

1、不良生活习惯:平时生活中如果长时间频繁的拔鼻毛、挖鼻孔等,可能会由于手部存在细菌,导致鼻腔被细菌感染,从而引发鼻黏膜肿胀或者是水肿。
2、环境因素:如果长时间处于有害物质污染的环境中或者粉尘、干燥的环境中,很特别容易刺激鼻黏膜,会导致鼻塞、鼻腔黏膜肿胀、咽喉疼痛等症状。
3、气候因素:特别是在寒冷的冬天或者夏季都容易使鼻黏膜受到刺激,会导致鼻塞、鼻腔都有粘液增多。
除了上述相对常见的原因外,还有其他的可能病因,比如职业性鼻炎。
一旦被确诊为鼻炎后建议遵医嘱通过服用羟甲唑啉喷雾剂、异丙托溴铵雾化液等药物进行治疗。
","articleBody": "鼻炎严重时的表现为鼻黏膜肿胀、充血、水肿,并且伴有鼻塞、分泌粘液、鼻部异物感、喉咙疼痛,还有发热等症状。
鼻炎可能是由于不良生活习惯、环境因素、气候因素等原因所引起的,可以使用药物来治疗。

1、不良生活习惯:平时生活中如果长时间频繁的拔鼻毛、挖鼻孔等,可能会由于手部存在细菌,导致鼻腔被细菌感染,从而引发鼻黏膜肿胀或者是水肿。
2、环境因素:如果长时间处于有害物质污染的环境中或者粉尘、干燥的环境中,很特别容易刺激鼻黏膜,会导致鼻塞、鼻腔黏膜肿胀、咽喉疼痛等症状。
3、气候因素:特别是在寒冷的冬天或者夏季都容易使鼻黏膜受到刺激,会导致鼻塞、鼻腔都有粘液增多。
除了上述相对常见的原因外,还有其他的可能病因,比如职业性鼻炎。
一旦被确诊为鼻炎后建议遵医嘱通过服用羟甲唑啉喷雾剂、异丙托溴铵雾化液等药物进行治疗。
","scanCount": 52749}}} {"@context": "https://ziyuan.baidu.com/contexts/cambrian.jsonld","appid": "1650708455561748","icon": "https://www.med-credit.org.cn/style/images/ttlogo.png","content_tag": ["atlas"],"is_mcn": {"thumb_id": "yfygkay6"},"accid": "4886d626a2804dee5f11168793ce361672f39c25","@id": "https://www.med-credit.org.cn/mobile/jingxuan/2/1cca466e90188d8af895f30dd431e16c.html","bagWordId": "654_1585949920207048704","title": "扁桃体发炎和结石的区别照片","pubDate": "2023-02-27T18:39:40","upDate": "2023-02-27T18:39:40","lrDate": "2023-02-27T18:39:40","description": "扁桃体发炎喉咙部会出现红肿、充血、脓性分泌物,并且伴有疼痛的情况,而结石是喉咙部出现一个黄色或者白色的米粒状硬块。","data": {"WebPage": {"headline": "扁桃体发炎和结石的区别照片","pcUrl": "https://www.med-credit.org.cn/jingxuan/2/1cca466e90188d8af895f30dd431e16c.html","wapUrl": "https://www.med-credit.org.cn/jingxuan/2/1cca466e90188d8af895f30dd431e16c.html","mipUrl": "https://www.med-credit.org.cn/mobile/jingxuan/2/1cca466e90188d8af895f30dd431e16c.html","fromSrc": "欢乐橙","datePublished": "2023-02-27T18:39:40","domain": "医疗","category": ["医疗权威文章合作"],"description": "扁桃体发炎喉咙部会出现红肿、充血、脓性分泌物,并且伴有疼痛的情况,而结石是喉咙部出现一个黄色或者白色的米粒状硬块。
","extra_headline": [""]},"Author": {"name": "王立银","wapUrl": "https://www.med-credit.org.cn/doctor/520","pcUrl": "https://www.med-credit.org.cn/doctor/520","jobTitle": "主治医师","headPortrait": "https://www.med-credit.org.cn/uploadfile/member/520/180x180.jpeg","id": "520","description": "王立银,中国医科大学附属盛京医院耳鼻咽喉头颈外科主治医师","memberOf": {"legalName": "中国医科大学附属盛京医院","department": "耳鼻咽喉头颈外科","organizationLevel": "三级甲等"}},"Article": {"summaryContent": "扁桃体发炎喉咙部会出现红肿、充血、脓性分泌物,并且伴有疼痛的情况,而结石是喉咙部出现一个黄色或者白色的米粒状硬块。
扁桃体发炎和结石的主要区别是发病时症状不同、发病原因不同、治疗方法也不一样。


1、症状不同:扁桃体发炎时表现为咽喉部出现疼痛的情况,而扁桃体结石主要表现为咽部有异物感或口腔有异味等,也有一部分患者在发病时不会出现任何明显症状。
2、发病原因不同:扁桃体发炎主要是由于急性细菌感染所引起的一种疾病,而扁桃体结石主要是由于慢性炎症反复刺激或口腔咽喉部分泌物积聚导致的。
3、治疗方法:扁桃体发炎时一般通过口服抗生素类的药物,就能达到治愈的目的,而扁桃体结石则需要采用手术的方法切除治疗。
","articleBody": "扁桃体发炎喉咙部会出现红肿、充血、脓性分泌物,并且伴有疼痛的情况,而结石是喉咙部出现一个黄色或者白色的米粒状硬块。
扁桃体发炎和结石的主要区别是发病时症状不同、发病原因不同、治疗方法也不一样。


1、症状不同:扁桃体发炎时表现为咽喉部出现疼痛的情况,而扁桃体结石主要表现为咽部有异物感或口腔有异味等,也有一部分患者在发病时不会出现任何明显症状。
2、发病原因不同:扁桃体发炎主要是由于急性细菌感染所引起的一种疾病,而扁桃体结石主要是由于慢性炎症反复刺激或口腔咽喉部分泌物积聚导致的。
3、治疗方法:扁桃体发炎时一般通过口服抗生素类的药物,就能达到治愈的目的,而扁桃体结石则需要采用手术的方法切除治疗。
","scanCount": 52752}}} {"@context": "https://ziyuan.baidu.com/contexts/cambrian.jsonld","appid": "1650708455561748","icon": "https://www.med-credit.org.cn/style/images/ttlogo.png","content_tag": ["atlas"],"is_mcn": {"thumb_id": "yfygkay6"},"accid": "4886d626a2804dee5f11168793ce361672f39c25","@id": "https://www.med-credit.org.cn/mobile/jingxuan/2/0a05ae4f1f92269ed062e7d34822ce9b.html","bagWordId": "654_1585949920710365184","title": "腺样体侧面面容图片","pubDate": "2023-02-27T18:39:40","upDate": "2023-02-27T18:39:40","lrDate": "2023-02-27T18:39:40","description": "腺样体侧面面容表现为唇弓变高、上唇变粗、牙齿不规则、切牙突出、牙列不齐、缺乏表情,并且伴有向外突出的情况。","data": {"WebPage": {"headline": "腺样体侧面面容图片","pcUrl": "https://www.med-credit.org.cn/jingxuan/2/0a05ae4f1f92269ed062e7d34822ce9b.html","wapUrl": "https://www.med-credit.org.cn/jingxuan/2/0a05ae4f1f92269ed062e7d34822ce9b.html","mipUrl": "https://www.med-credit.org.cn/mobile/jingxuan/2/0a05ae4f1f92269ed062e7d34822ce9b.html","fromSrc": "欢乐橙","datePublished": "2023-02-27T18:39:40","domain": "医疗","category": ["医疗权威文章合作"],"description": "腺样体侧面面容表现为唇弓变高、上唇变粗、牙齿不规则、切牙突出、牙列不齐、缺乏表情,并且伴有向外突出的情况。
","extra_headline": [""]},"Author": {"name": "王立银","wapUrl": "https://www.med-credit.org.cn/doctor/520","pcUrl": "https://www.med-credit.org.cn/doctor/520","jobTitle": "主治医师","headPortrait": "https://www.med-credit.org.cn/uploadfile/member/520/180x180.jpeg","id": "520","description": "王立银,中国医科大学附属盛京医院耳鼻咽喉头颈外科主治医师","memberOf": {"legalName": "中国医科大学附属盛京医院","department": "耳鼻咽喉头颈外科","organizationLevel": "三级甲等"}},"Article": {"summaryContent": "腺样体侧面面容表现为唇弓变高、上唇变粗、牙齿不规则、切牙突出、牙列不齐、缺乏表情,并且伴有向外突出的情况。
腺样体面容主要是指颌骨变长,一般多发于儿童期,发病原因主要是由于腺样体肥大所引起的,可以采用手术方法治疗,还要注意生活习惯以及饮食习惯。

1、病因:当腺样体炎症反复刺激时,如果不及时进行治疗,就会引发病理性肥大、增生的情况,从而导致儿童的生长发育受到影响,但由于儿童的鼻咽部较狭窄,腺样体肥大时就会出现鼻塞,而影响到正常呼吸,只能靠张口呼吸。
2、症状:长时间用口呼吸时就会使气流冲击硬腭,导致硬腭高拱、变形等,使面部的发育也会受到影响,出现鼻唇沟小、下颌骨下垂、咬合不良、下上切牙突出、牙齿排列不整齐等情况,严重时还可能会出现面部肌肉不易活动的现象。
3、治疗:一旦出现腺样体面容时,建议遵医嘱采用手术的方法进行治疗。
在治疗期间要放松心情,避免精神压力太大,要多吃一些含有维生素的水果或者蔬菜。
","articleBody": "腺样体侧面面容表现为唇弓变高、上唇变粗、牙齿不规则、切牙突出、牙列不齐、缺乏表情,并且伴有向外突出的情况。
腺样体面容主要是指颌骨变长,一般多发于儿童期,发病原因主要是由于腺样体肥大所引起的,可以采用手术方法治疗,还要注意生活习惯以及饮食习惯。

1、病因:当腺样体炎症反复刺激时,如果不及时进行治疗,就会引发病理性肥大、增生的情况,从而导致儿童的生长发育受到影响,但由于儿童的鼻咽部较狭窄,腺样体肥大时就会出现鼻塞,而影响到正常呼吸,只能靠张口呼吸。
2、症状:长时间用口呼吸时就会使气流冲击硬腭,导致硬腭高拱、变形等,使面部的发育也会受到影响,出现鼻唇沟小、下颌骨下垂、咬合不良、下上切牙突出、牙齿排列不整齐等情况,严重时还可能会出现面部肌肉不易活动的现象。
3、治疗:一旦出现腺样体面容时,建议遵医嘱采用手术的方法进行治疗。
在治疗期间要放松心情,避免精神压力太大,要多吃一些含有维生素的水果或者蔬菜。
","scanCount": 52754}}} {"@context": "https://ziyuan.baidu.com/contexts/cambrian.jsonld","appid": "1650708455561748","icon": "https://www.med-credit.org.cn/style/images/ttlogo.png","content_tag": ["atlas"],"is_mcn": {"thumb_id": "6s1p03j8e"},"accid": "4886d626a2804dee5f11168793ce361672f39c25","@id": "https://www.med-credit.org.cn/mobile/jingxuan/2/d90d62720455dafd35cd96c9a6c1bd7e.html","bagWordId": "654_1585949923407302656","title": "先天性胫骨弯曲图片","pubDate": "2023-02-27T18:39:40","upDate": "2023-02-27T18:39:40","lrDate": "2023-02-27T18:39:40","description": "先天性胫骨弯曲通常情况下会导致儿童出现胫骨畸形,从而出现小腿向后突出,肢体短缩。","data": {"WebPage": {"headline": "先天性胫骨弯曲图片","pcUrl": "https://www.med-credit.org.cn/jingxuan/2/d90d62720455dafd35cd96c9a6c1bd7e.html","wapUrl": "https://www.med-credit.org.cn/jingxuan/2/d90d62720455dafd35cd96c9a6c1bd7e.html","mipUrl": "https://www.med-credit.org.cn/mobile/jingxuan/2/d90d62720455dafd35cd96c9a6c1bd7e.html","fromSrc": "欢乐橙","datePublished": "2023-02-27T18:39:40","domain": "医疗","category": ["医疗权威文章合作"],"description": "先天性胫骨弯曲通常情况下会导致儿童出现胫骨畸形,从而出现小腿向后突出,肢体短缩。
","extra_headline": [""]},"Author": {"name": "富灵杰","wapUrl": "https://www.med-credit.org.cn/doctor/569","pcUrl": "https://www.med-credit.org.cn/doctor/569","jobTitle": "副主任医师","headPortrait": "https://www.med-credit.org.cn/uploadfile/member/569/180x180.jpeg","id": "569","description": "富灵杰,上海交通大学医学院附属第九人民医院骨科副主任医师","memberOf": {"legalName": "上海交通大学医学院附属第九人民医院","department": "骨科","organizationLevel": "三级甲等"}},"Article": {"summaryContent": "先天性胫骨弯曲通常情况下会导致儿童出现胫骨畸形,从而出现小腿向后突出,肢体短缩。
先天性胫骨弯曲可能是遗传因素影响或者是先天性发育不良等原因引起的,可以采用牵引佩戴矫正器手术等方法来矫正,要注意调整生活以及饮食习惯。

典型的临床表现是患儿的小腿中1/3处向前弯曲畸形,患肢短缩。X线平片可表现为向前弯曲或向后弯曲。X线特征性表现是胫骨弯曲多发生在胫骨中下l/3处,而且常伴同侧腓骨细小并中下1/3段弯曲。胫骨弯曲是本病的早期表现,随着患儿的生长和发育,患儿要逐渐站立、走路、跑步等活动,患侧肢体的病变不断进展和演化,最终将发生病理性骨折,形成假关节。
先天性胫骨弯曲是一种比较少见的先天性疾病,发病原因不清,一般认为可能是由于胎儿时期在子宫内的位置不正所致,部分病例有遗传倾向。
先天性胫骨弯曲可以遵医嘱采用牵引或者是佩戴矫正器等方法来改善,严重时需要采用手术的方法来治疗。在平常生活中要注意多休息,避免身体过于劳累,适当吃含钙、蛋白质的食物,比如排骨汤、鲫鱼汤、瘦肉、鸡蛋等。
","articleBody": "先天性胫骨弯曲通常情况下会导致儿童出现胫骨畸形,从而出现小腿向后突出,肢体短缩。
先天性胫骨弯曲可能是遗传因素影响或者是先天性发育不良等原因引起的,可以采用牵引佩戴矫正器手术等方法来矫正,要注意调整生活以及饮食习惯。

典型的临床表现是患儿的小腿中1/3处向前弯曲畸形,患肢短缩。X线平片可表现为向前弯曲或向后弯曲。X线特征性表现是胫骨弯曲多发生在胫骨中下l/3处,而且常伴同侧腓骨细小并中下1/3段弯曲。胫骨弯曲是本病的早期表现,随着患儿的生长和发育,患儿要逐渐站立、走路、跑步等活动,患侧肢体的病变不断进展和演化,最终将发生病理性骨折,形成假关节。
先天性胫骨弯曲是一种比较少见的先天性疾病,发病原因不清,一般认为可能是由于胎儿时期在子宫内的位置不正所致,部分病例有遗传倾向。
先天性胫骨弯曲可以遵医嘱采用牵引或者是佩戴矫正器等方法来改善,严重时需要采用手术的方法来治疗。在平常生活中要注意多休息,避免身体过于劳累,适当吃含钙、蛋白质的食物,比如排骨汤、鲫鱼汤、瘦肉、鸡蛋等。
","scanCount": 52771}}} {"@context": "https://ziyuan.baidu.com/contexts/cambrian.jsonld","appid": "1650708455561748","icon": "https://www.med-credit.org.cn/style/images/ttlogo.png","content_tag": ["atlas"],"is_mcn": {"thumb_id": "6s1p03j8e"},"accid": "4886d626a2804dee5f11168793ce361672f39c25","@id": "https://www.med-credit.org.cn/mobile/jingxuan/2/505852941e3ab343e348fcf244a33050.html","bagWordId": "654_1585949923902230528","title": "肋骨下面肌肉图片","pubDate": "2023-02-27T18:39:40","upDate": "2023-02-27T18:39:40","lrDate": "2023-02-27T18:39:40","description": "肋骨下面肌肉位于各肋间隙的外面,通常情况下和肋结节以及肋长提肌毗邻。","data": {"WebPage": {"headline": "肋骨下面肌肉图片","pcUrl": "https://www.med-credit.org.cn/jingxuan/2/505852941e3ab343e348fcf244a33050.html","wapUrl": "https://www.med-credit.org.cn/jingxuan/2/505852941e3ab343e348fcf244a33050.html","mipUrl": "https://www.med-credit.org.cn/mobile/jingxuan/2/505852941e3ab343e348fcf244a33050.html","fromSrc": "欢乐橙","datePublished": "2023-02-27T18:39:40","domain": "医疗","category": ["医疗权威文章合作"],"description": "肋骨下面肌肉位于各肋间隙的外面,通常情况下和肋结节以及肋长提肌毗邻。
","extra_headline": [""]},"Author": {"name": "富灵杰","wapUrl": "https://www.med-credit.org.cn/doctor/569","pcUrl": "https://www.med-credit.org.cn/doctor/569","jobTitle": "副主任医师","headPortrait": "https://www.med-credit.org.cn/uploadfile/member/569/180x180.jpeg","id": "569","description": "富灵杰,上海交通大学医学院附属第九人民医院骨科副主任医师","memberOf": {"legalName": "上海交通大学医学院附属第九人民医院","department": "骨科","organizationLevel": "三级甲等"}},"Article": {"summaryContent": "肋骨下面肌肉位于各肋间隙的外面,通常情况下和肋结节以及肋长提肌毗邻。
肋骨下面肌肉可以分为肋间外肌以及肋间内肌,平时要注意避免其受到损伤。

1、肋间外肌:肋间外肌位于肋间隙的外面,通常情况下共有11对,主要在上位肋骨下缘,能够起到吸气作用。
2、肋间内肌:肋间内肌属于呼气肌,主要位置在肋间隙内,可以用于参与呼吸的运动,可以起到帮助呼气与呼吸机的作用。
肋骨下面肌肉对身体没有起到重要的作用,所产生的实际功能也是比较复杂的。在平常生活中要做好肋骨下面肌肉的保护工作,避免局部受到外伤,另外还要调整好饮食习惯,少吃辛辣刺激的食物,比如辣椒、芥末油以及生姜等。适当的到户外去锻炼身体,增加自己的抵抗力。
","articleBody": "肋骨下面肌肉位于各肋间隙的外面,通常情况下和肋结节以及肋长提肌毗邻。
肋骨下面肌肉可以分为肋间外肌以及肋间内肌,平时要注意避免其受到损伤。

1、肋间外肌:肋间外肌位于肋间隙的外面,通常情况下共有11对,主要在上位肋骨下缘,能够起到吸气作用。
2、肋间内肌:肋间内肌属于呼气肌,主要位置在肋间隙内,可以用于参与呼吸的运动,可以起到帮助呼气与呼吸机的作用。
肋骨下面肌肉对身体没有起到重要的作用,所产生的实际功能也是比较复杂的。在平常生活中要做好肋骨下面肌肉的保护工作,避免局部受到外伤,另外还要调整好饮食习惯,少吃辛辣刺激的食物,比如辣椒、芥末油以及生姜等。适当的到户外去锻炼身体,增加自己的抵抗力。
","scanCount": 52774}}} {"@context": "https://ziyuan.baidu.com/contexts/cambrian.jsonld","appid": "1650708455561748","icon": "https://www.med-credit.org.cn/style/images/ttlogo.png","content_tag": ["atlas"],"is_mcn": {"thumb_id": "6s1p03j8e"},"accid": "4886d626a2804dee5f11168793ce361672f39c25","@id": "https://www.med-credit.org.cn/mobile/jingxuan/2/28f6f68ca0e659a6c11b276f274ec4ac.html","bagWordId": "654_1585949923948367872","title": "腓肠肌假性肥大图片","pubDate": "2023-02-27T18:39:40","upDate": "2023-02-27T18:39:40","lrDate": "2023-02-27T18:39:40","description": "腓肠肌假性肥大会导致腱反射减弱或者是消失,部分患者还会出现行为异常,尤其在踮脚尖的时候症状更加明显。","data": {"WebPage": {"headline": "腓肠肌假性肥大图片","pcUrl": "https://www.med-credit.org.cn/jingxuan/2/28f6f68ca0e659a6c11b276f274ec4ac.html","wapUrl": "https://www.med-credit.org.cn/jingxuan/2/28f6f68ca0e659a6c11b276f274ec4ac.html","mipUrl": "https://www.med-credit.org.cn/mobile/jingxuan/2/28f6f68ca0e659a6c11b276f274ec4ac.html","fromSrc": "欢乐橙","datePublished": "2023-02-27T18:39:40","domain": "医疗","category": ["医疗权威文章合作"],"description": "腓肠肌假性肥大会导致腱反射减弱或者是消失,部分患者还会出现行为异常,尤其在踮脚尖的时候症状更加明显。
","extra_headline": [""]},"Author": {"name": "富灵杰","wapUrl": "https://www.med-credit.org.cn/doctor/569","pcUrl": "https://www.med-credit.org.cn/doctor/569","jobTitle": "副主任医师","headPortrait": "https://www.med-credit.org.cn/uploadfile/member/569/180x180.jpeg","id": "569","description": "富灵杰,上海交通大学医学院附属第九人民医院骨科副主任医师","memberOf": {"legalName": "上海交通大学医学院附属第九人民医院","department": "骨科","organizationLevel": "三级甲等"}},"Article": {"summaryContent": "腓肠肌假性肥大会导致腱反射减弱或者是消失,部分患者还会出现行为异常,尤其在踮脚尖的时候症状更加明显。
腓肠肌假性肥大主要由于假肥大型肌营养不良引起。

假肥大型肌营养不良会引起患者出现腓肠肌假性肥大,绝大多数的患儿有腓肠肌的假性肥大,可见双侧的腓肠肌肥大,这是由于萎缩的肌纤维组织被脂肪充填而致,同时出现肌力减弱,但触之坚硬。患者一般在4~6岁时走路易跌,奔跑困难,逐渐出现走路和上楼困难,下蹲站起困难。神经系统检查可见四肢肌力低下,肌肉萎缩,腱反射减弱。由于骨盆带肌肉无力而呈典型的鸭步,肩带肌肉萎缩无力形成翼状肩或游离肩,腹肌和髂腰肌的萎缩无力形成特征性的Gowers征。
本病为遗传性疾病,多属X连锁隐性遗传,个别为染色体隐性遗传。
腓肠肌假性肥大可以遵医嘱使用糖皮质激素类的药物来治疗,常用药物有泼尼松片、泼尼松龙片等。
日常生活中要多做舒展性的运动,比如做瑜伽或者是打太极拳等,避免做剧烈运动来缓解。
","articleBody": "腓肠肌假性肥大会导致腱反射减弱或者是消失,部分患者还会出现行为异常,尤其在踮脚尖的时候症状更加明显。
腓肠肌假性肥大主要由于假肥大型肌营养不良引起。

假肥大型肌营养不良会引起患者出现腓肠肌假性肥大,绝大多数的患儿有腓肠肌的假性肥大,可见双侧的腓肠肌肥大,这是由于萎缩的肌纤维组织被脂肪充填而致,同时出现肌力减弱,但触之坚硬。患者一般在4~6岁时走路易跌,奔跑困难,逐渐出现走路和上楼困难,下蹲站起困难。神经系统检查可见四肢肌力低下,肌肉萎缩,腱反射减弱。由于骨盆带肌肉无力而呈典型的鸭步,肩带肌肉萎缩无力形成翼状肩或游离肩,腹肌和髂腰肌的萎缩无力形成特征性的Gowers征。
本病为遗传性疾病,多属X连锁隐性遗传,个别为染色体隐性遗传。
腓肠肌假性肥大可以遵医嘱使用糖皮质激素类的药物来治疗,常用药物有泼尼松片、泼尼松龙片等。
日常生活中要多做舒展性的运动,比如做瑜伽或者是打太极拳等,避免做剧烈运动来缓解。
","scanCount": 52775}}} {"@context": "https://ziyuan.baidu.com/contexts/cambrian.jsonld","appid": "1650708455561748","icon": "https://www.med-credit.org.cn/style/images/ttlogo.png","content_tag": ["atlas"],"is_mcn": {"thumb_id": "6s1p03j8e"},"accid": "4886d626a2804dee5f11168793ce361672f39c25","@id": "https://www.med-credit.org.cn/mobile/jingxuan/2/29555e0e918c155c0f9ee6853a65e09e.html","bagWordId": "654_1585949924636233728","title": "骨盆骨性标志图","pubDate": "2023-02-27T18:39:40","upDate": "2023-02-27T18:39:40","lrDate": "2023-02-27T18:39:40","description": "骨盆的骨性标志主要有髂前上棘和髂嵴、骶岬、耻骨联合、坐骨棘、坐骨结节、耻骨弓等。","data": {"WebPage": {"headline": "骨盆骨性标志图","pcUrl": "https://www.med-credit.org.cn/jingxuan/2/29555e0e918c155c0f9ee6853a65e09e.html","wapUrl": "https://www.med-credit.org.cn/jingxuan/2/29555e0e918c155c0f9ee6853a65e09e.html","mipUrl": "https://www.med-credit.org.cn/mobile/jingxuan/2/29555e0e918c155c0f9ee6853a65e09e.html","fromSrc": "欢乐橙","datePublished": "2023-02-27T18:39:40","domain": "医疗","category": ["医疗权威文章合作"],"description": "骨盆的骨性标志主要有髂前上棘和髂嵴、骶岬、耻骨联合、坐骨棘、坐骨结节、耻骨弓等。
","extra_headline": [""]},"Author": {"name": "富灵杰","wapUrl": "https://www.med-credit.org.cn/doctor/569","pcUrl": "https://www.med-credit.org.cn/doctor/569","jobTitle": "副主任医师","headPortrait": "https://www.med-credit.org.cn/uploadfile/member/569/180x180.jpeg","id": "569","description": "富灵杰,上海交通大学医学院附属第九人民医院骨科副主任医师","memberOf": {"legalName": "上海交通大学医学院附属第九人民医院","department": "骨科","organizationLevel": "三级甲等"}},"Article": {"summaryContent": "骨盆的骨性标志主要有髂前上棘和髂嵴、骶岬、耻骨联合、坐骨棘、坐骨结节、耻骨弓等。
骨盆骨性标志具有一定的临床意义。


髂前上棘和髂嵴:间接了解骨盆入口的横径。
骶岬:突出程度可直接影响骨盆入口前后径的大小。
耻骨联合:骨盆分界的标志之一,也是妊娠期尺侧子宫长度的标志。
坐骨棘:中骨盆平面的标志,是衡量中骨盆大小的重要径线;分娩过程中衡量胎先露下降程度的重要标志。
坐骨结节:两侧坐骨结节内缘间的距离为骨盆出口横径。
耻骨弓:判断骨盆出口横径大小的重要指标。
","articleBody": "骨盆的骨性标志主要有髂前上棘和髂嵴、骶岬、耻骨联合、坐骨棘、坐骨结节、耻骨弓等。
骨盆骨性标志具有一定的临床意义。


髂前上棘和髂嵴:间接了解骨盆入口的横径。
骶岬:突出程度可直接影响骨盆入口前后径的大小。
耻骨联合:骨盆分界的标志之一,也是妊娠期尺侧子宫长度的标志。
坐骨棘:中骨盆平面的标志,是衡量中骨盆大小的重要径线;分娩过程中衡量胎先露下降程度的重要标志。
坐骨结节:两侧坐骨结节内缘间的距离为骨盆出口横径。
耻骨弓:判断骨盆出口横径大小的重要指标。
","scanCount": 52778}}} {"@context": "https://ziyuan.baidu.com/contexts/cambrian.jsonld","appid": "1650708455561748","icon": "https://www.med-credit.org.cn/style/images/ttlogo.png","content_tag": ["atlas"],"is_mcn": {"thumb_id": "6s1p03j8e"},"accid": "4886d626a2804dee5f11168793ce361672f39c25","@id": "https://www.med-credit.org.cn/mobile/jingxuan/2/57ffbb124b192e6f6f97b6afe5ca6a71.html","bagWordId": "654_1585949925873553408","title": "肌肉钙化图片","pubDate": "2023-02-27T18:39:40","upDate": "2023-02-27T18:39:40","lrDate": "2023-02-27T18:39:40","description": "肌肉钙化会导致局部出现剧烈的疼痛,尤其在夜间疼痛感更加明显,另外还会伴有肌肉痉挛或者是活动受限等症状。","data": {"WebPage": {"headline": "肌肉钙化图片","pcUrl": "https://www.med-credit.org.cn/jingxuan/2/57ffbb124b192e6f6f97b6afe5ca6a71.html","wapUrl": "https://www.med-credit.org.cn/jingxuan/2/57ffbb124b192e6f6f97b6afe5ca6a71.html","mipUrl": "https://www.med-credit.org.cn/mobile/jingxuan/2/57ffbb124b192e6f6f97b6afe5ca6a71.html","fromSrc": "欢乐橙","datePublished": "2023-02-27T18:39:40","domain": "医疗","category": ["医疗权威文章合作"],"description": "肌肉钙化会导致局部出现剧烈的疼痛,尤其在夜间疼痛感更加明显,另外还会伴有肌肉痉挛或者是活动受限等症状。
","extra_headline": [""]},"Author": {"name": "富灵杰","wapUrl": "https://www.med-credit.org.cn/doctor/569","pcUrl": "https://www.med-credit.org.cn/doctor/569","jobTitle": "副主任医师","headPortrait": "https://www.med-credit.org.cn/uploadfile/member/569/180x180.jpeg","id": "569","description": "富灵杰,上海交通大学医学院附属第九人民医院骨科副主任医师","memberOf": {"legalName": "上海交通大学医学院附属第九人民医院","department": "骨科","organizationLevel": "三级甲等"}},"Article": {"summaryContent": "肌肉钙化会导致局部出现剧烈的疼痛,尤其在夜间疼痛感更加明显,另外还会伴有肌肉痉挛或者是活动受限等症状。
肌肉钙化通常可以采用按摩、热敷、使用药物等方法来改善。


肌肉钙化是由于肌肉损伤、循环等因素引起局部钙盐的异常沉积。肌肉钙化肌肉局部会出现肿块,并明显增大,同时会伴有明显疼痛,表面可以伴有局部皮温增高、压痛,主要是病变活跃期的表现。当病变进入到成熟期,肌肉内的钙化灶就会停止生长,常年表现为一个硬性肿块,有时候肿块可以消失,具有自限性。肿块如果接近在关节处,有时候还会影响关节功能和活动。
出现肌肉钙化可以通过按摩、热敷的方式来使肌肉放松,能够起到一定的缓解作用,如果钙化比较严重建议遵医嘱使用布洛芬胶囊等药物止痛、甲钴胺片等药物营养神经、阿托品等解痉药物以及其他药物进行治疗。
","articleBody": "肌肉钙化会导致局部出现剧烈的疼痛,尤其在夜间疼痛感更加明显,另外还会伴有肌肉痉挛或者是活动受限等症状。
肌肉钙化通常可以采用按摩、热敷、使用药物等方法来改善。


肌肉钙化是由于肌肉损伤、循环等因素引起局部钙盐的异常沉积。肌肉钙化肌肉局部会出现肿块,并明显增大,同时会伴有明显疼痛,表面可以伴有局部皮温增高、压痛,主要是病变活跃期的表现。当病变进入到成熟期,肌肉内的钙化灶就会停止生长,常年表现为一个硬性肿块,有时候肿块可以消失,具有自限性。肿块如果接近在关节处,有时候还会影响关节功能和活动。
出现肌肉钙化可以通过按摩、热敷的方式来使肌肉放松,能够起到一定的缓解作用,如果钙化比较严重建议遵医嘱使用布洛芬胶囊等药物止痛、甲钴胺片等药物营养神经、阿托品等解痉药物以及其他药物进行治疗。
","scanCount": 52782}}} {"@context": "https://ziyuan.baidu.com/contexts/cambrian.jsonld","appid": "1650708455561748","icon": "https://www.med-credit.org.cn/style/images/ttlogo.png","content_tag": ["atlas"],"is_mcn": {"thumb_id": "6s1p03j8e"},"accid": "4886d626a2804dee5f11168793ce361672f39c25","@id": "https://www.med-credit.org.cn/mobile/jingxuan/2/f2a05f7e14a5641da35630d02db1fc67.html","bagWordId": "654_1585949926506893312","title": "女生小腿腓肠肌发达的图","pubDate": "2023-02-27T18:39:40","upDate": "2023-02-27T18:39:40","lrDate": "2023-02-27T18:39:40","description": "腓肠肌发达是指小腿肌肉比较明显,女生小腿腓肠肌发达主要是由于皮下脂肪比较少,显得小腿外形不修长。","data": {"WebPage": {"headline": "女生小腿腓肠肌发达的图","pcUrl": "https://www.med-credit.org.cn/jingxuan/2/f2a05f7e14a5641da35630d02db1fc67.html","wapUrl": "https://www.med-credit.org.cn/jingxuan/2/f2a05f7e14a5641da35630d02db1fc67.html","mipUrl": "https://www.med-credit.org.cn/mobile/jingxuan/2/f2a05f7e14a5641da35630d02db1fc67.html","fromSrc": "欢乐橙","datePublished": "2023-02-27T18:39:40","domain": "医疗","category": ["医疗权威文章合作"],"description": "腓肠肌发达是指小腿肌肉比较明显,女生小腿腓肠肌发达主要是由于皮下脂肪比较少,显得小腿外形不修长。
","extra_headline": [""]},"Author": {"name": "富灵杰","wapUrl": "https://www.med-credit.org.cn/doctor/569","pcUrl": "https://www.med-credit.org.cn/doctor/569","jobTitle": "副主任医师","headPortrait": "https://www.med-credit.org.cn/uploadfile/member/569/180x180.jpeg","id": "569","description": "富灵杰,上海交通大学医学院附属第九人民医院骨科副主任医师","memberOf": {"legalName": "上海交通大学医学院附属第九人民医院","department": "骨科","organizationLevel": "三级甲等"}},"Article": {"summaryContent": "腓肠肌发达是指小腿肌肉比较明显,女生小腿腓肠肌发达主要是由于皮下脂肪比较少,显得小腿外形不修长。
腓肠肌发达建议采用按摩、针灸或者是手术等方法来治疗。

如果患者经常高强度的训练或者是运动过后腿部没有及时的拉伸、经常穿高跟鞋等,就容易导致腓肠肌发达,引起小腿粗壮,伴有肌肉隆起等表现。想要改善腓肠肌发达,可以通过局部按摩的方式来缓解,另外也要减少锻炼的时间以及锻炼的强度,在运动后或长期走路后,记得拉伸腿部,还可以选择瑜伽等运动改善腿部线条。
","articleBody": "腓肠肌发达是指小腿肌肉比较明显,女生小腿腓肠肌发达主要是由于皮下脂肪比较少,显得小腿外形不修长。
腓肠肌发达建议采用按摩、针灸或者是手术等方法来治疗。

如果患者经常高强度的训练或者是运动过后腿部没有及时的拉伸、经常穿高跟鞋等,就容易导致腓肠肌发达,引起小腿粗壮,伴有肌肉隆起等表现。想要改善腓肠肌发达,可以通过局部按摩的方式来缓解,另外也要减少锻炼的时间以及锻炼的强度,在运动后或长期走路后,记得拉伸腿部,还可以选择瑜伽等运动改善腿部线条。
","scanCount": 52784}}} {"@context": "https://ziyuan.baidu.com/contexts/cambrian.jsonld","appid": "1650708455561748","icon": "https://www.med-credit.org.cn/style/images/ttlogo.png","content_tag": ["atlas"],"is_mcn": {"thumb_id": "lntvzimb"},"accid": "4886d626a2804dee5f11168793ce361672f39c25","@id": "https://www.med-credit.org.cn/mobile/jingxuan/2/c8ab00ed78a6c1ce0cc1d5cf44c98035.html","bagWordId": "654_1585949926821466112","title": "眼睛恶性肿瘤的图片","pubDate": "2023-02-27T18:39:40","upDate": "2023-02-27T18:39:40","lrDate": "2023-02-27T18:39:40","description": "眼睛恶性肿瘤种类繁多,如可出现眼睑基底细胞癌、眼眶恶性肿瘤等。","data": {"WebPage": {"headline": "眼睛恶性肿瘤的图片","pcUrl": "https://www.med-credit.org.cn/jingxuan/2/c8ab00ed78a6c1ce0cc1d5cf44c98035.html","wapUrl": "https://www.med-credit.org.cn/jingxuan/2/c8ab00ed78a6c1ce0cc1d5cf44c98035.html","mipUrl": "https://www.med-credit.org.cn/mobile/jingxuan/2/c8ab00ed78a6c1ce0cc1d5cf44c98035.html","fromSrc": "欢乐橙","datePublished": "2023-02-27T18:39:40","domain": "医疗","category": ["医疗权威文章合作"],"description": "眼睛恶性肿瘤种类繁多,如可出现眼睑基底细胞癌、眼眶恶性肿瘤等。
","extra_headline": [""]},"Author": {"name": "崔馨","wapUrl": "https://www.med-credit.org.cn/doctor/576","pcUrl": "https://www.med-credit.org.cn/doctor/576","jobTitle": "副主任医师","headPortrait": "https://www.med-credit.org.cn/uploadfile/member/576/180x180.jpeg","id": "576","description": "崔馨,解放军总医院眼科副主任医师","memberOf": {"legalName": "解放军总医院","department": "眼科","organizationLevel": "三级甲等"}},"Article": {"summaryContent": "眼睛恶性肿瘤种类繁多,如可出现眼睑基底细胞癌、眼眶恶性肿瘤等。
眼睛恶性肿瘤可表现为肿块隆起,肿块可呈不规则形状,眼球活动障碍,眼视力障碍以及其他等。
1、眼睑基底细胞癌

1)结节溃疡型:临床最为多见,表现为高起,外观呈坚硬的“珍珠样”结节,表面毛细血管扩张。随着结节逐渐长大,中央发生溃疡,缓慢向周围发展,周围边缘隆起增厚呈镶边状,又称顽固性溃疡。
2)色素型基底细胞癌:形态学上与结节溃疡型相似,肿瘤呈结节或结节溃疡,但有黑色素沉着,呈灰蓝或灰黑色,可被误诊为恶性黑色素瘤。
3)硬斑或硬化型基底细胞癌:呈灰白色硬性斑块,边界不清。由于呈扁平状,临床上不易被发现,一般不形成溃疡。
2、眼眶恶性肿瘤

眼眶恶性肿瘤的临床首发症状常是复视和视力下降,其次为疼痛、眼睑下垂感、眼球突出感。常见眼球突出,其次为眼球活动障碍、眼球移位、眼睑下垂、视力下降、眼球内陷、球结膜水肿、眼睑肿胀。检查时还可以发现眼眶压力增高,有时还可以触及眼内肿块等。
","articleBody": "眼睛恶性肿瘤种类繁多,如可出现眼睑基底细胞癌、眼眶恶性肿瘤等。
眼睛恶性肿瘤可表现为肿块隆起,肿块可呈不规则形状,眼球活动障碍,眼视力障碍以及其他等。
1、眼睑基底细胞癌

1)结节溃疡型:临床最为多见,表现为高起,外观呈坚硬的“珍珠样”结节,表面毛细血管扩张。随着结节逐渐长大,中央发生溃疡,缓慢向周围发展,周围边缘隆起增厚呈镶边状,又称顽固性溃疡。
2)色素型基底细胞癌:形态学上与结节溃疡型相似,肿瘤呈结节或结节溃疡,但有黑色素沉着,呈灰蓝或灰黑色,可被误诊为恶性黑色素瘤。
3)硬斑或硬化型基底细胞癌:呈灰白色硬性斑块,边界不清。由于呈扁平状,临床上不易被发现,一般不形成溃疡。
2、眼眶恶性肿瘤

眼眶恶性肿瘤的临床首发症状常是复视和视力下降,其次为疼痛、眼睑下垂感、眼球突出感。常见眼球突出,其次为眼球活动障碍、眼球移位、眼睑下垂、视力下降、眼球内陷、球结膜水肿、眼睑肿胀。检查时还可以发现眼眶压力增高,有时还可以触及眼内肿块等。
","scanCount": 52787}}} {"@context": "https://ziyuan.baidu.com/contexts/cambrian.jsonld","appid": "1650708455561748","icon": "https://www.med-credit.org.cn/style/images/ttlogo.png","content_tag": ["atlas"],"is_mcn": {"thumb_id": "lntvzimb"},"accid": "4886d626a2804dee5f11168793ce361672f39c25","@id": "https://www.med-credit.org.cn/mobile/jingxuan/2/f995b6f6c8d4aac8595fe6ae26ecebd4.html","bagWordId": "654_1585949926863409152","title": "眼角旁边长了个小白点图片","pubDate": "2023-02-27T18:39:40","upDate": "2023-02-27T18:39:40","lrDate": "2023-02-27T18:39:40","description": "眼角旁边长了个小白点指的是眼角旁边出现白色的小丘疹,突出皮肤表层,形如针尖大小的小白点。","data": {"WebPage": {"headline": "眼角旁边长了个小白点图片","pcUrl": "https://www.med-credit.org.cn/jingxuan/2/f995b6f6c8d4aac8595fe6ae26ecebd4.html","wapUrl": "https://www.med-credit.org.cn/jingxuan/2/f995b6f6c8d4aac8595fe6ae26ecebd4.html","mipUrl": "https://www.med-credit.org.cn/mobile/jingxuan/2/f995b6f6c8d4aac8595fe6ae26ecebd4.html","fromSrc": "欢乐橙","datePublished": "2023-02-27T18:39:40","domain": "医疗","category": ["医疗权威文章合作"],"description": "眼角旁边长了个小白点指的是眼角旁边出现白色的小丘疹,突出皮肤表层,形如针尖大小的小白点。
","extra_headline": [""]},"Author": {"name": "崔馨","wapUrl": "https://www.med-credit.org.cn/doctor/576","pcUrl": "https://www.med-credit.org.cn/doctor/576","jobTitle": "副主任医师","headPortrait": "https://www.med-credit.org.cn/uploadfile/member/576/180x180.jpeg","id": "576","description": "崔馨,解放军总医院眼科副主任医师","memberOf": {"legalName": "解放军总医院","department": "眼科","organizationLevel": "三级甲等"}},"Article": {"summaryContent": "眼角旁边长了个小白点指的是眼角旁边出现白色的小丘疹,突出皮肤表层,形如针尖大小的小白点。
眼角旁边长了个小白点有可能是粟丘疹或者是白头粉刺、睑板腺管堵塞等引起的,可以使用药物治疗。
1、粟丘疹:眼角出现小白点可能是经常食用高热量、高脂肪的食物导致皮肤脂肪堆积过多,局部出现针尖大小的白点。可以遵医嘱使用无菌针头挑破,并且涂抹红霉素软膏、莫匹罗星软膏等药物来改善,如果脂肪粒较大时也可以采取激光治疗的方式来改善。

2、白头粉刺:痤疮常因为毛囊口被角质细胞堆积、堵塞,皮脂充塞其中,形成白色角化性丘疹,表面有表皮覆盖,与外界不相通。白头粉刺患者主要采取外用药物局部治疗,其中首选的就是维A酸类药物,若患者不能使用维A酸类药物,也可以选择过氧化苯甲酰、壬二酸、果酸等。

3、睑板腺管堵塞:考虑是睑板腺管堵塞后引起的脂质栓,睑板腺管开口在睑缘处,正常情况下是疏通,一旦受阻后容易在开口处形成黄白色泡状物。
除了上述相对常见的原因外,还有其他的可能性疾病,比如扁平疣。
","articleBody": "眼角旁边长了个小白点指的是眼角旁边出现白色的小丘疹,突出皮肤表层,形如针尖大小的小白点。
眼角旁边长了个小白点有可能是粟丘疹或者是白头粉刺、睑板腺管堵塞等引起的,可以使用药物治疗。
1、粟丘疹:眼角出现小白点可能是经常食用高热量、高脂肪的食物导致皮肤脂肪堆积过多,局部出现针尖大小的白点。可以遵医嘱使用无菌针头挑破,并且涂抹红霉素软膏、莫匹罗星软膏等药物来改善,如果脂肪粒较大时也可以采取激光治疗的方式来改善。

2、白头粉刺:痤疮常因为毛囊口被角质细胞堆积、堵塞,皮脂充塞其中,形成白色角化性丘疹,表面有表皮覆盖,与外界不相通。白头粉刺患者主要采取外用药物局部治疗,其中首选的就是维A酸类药物,若患者不能使用维A酸类药物,也可以选择过氧化苯甲酰、壬二酸、果酸等。

3、睑板腺管堵塞:考虑是睑板腺管堵塞后引起的脂质栓,睑板腺管开口在睑缘处,正常情况下是疏通,一旦受阻后容易在开口处形成黄白色泡状物。
除了上述相对常见的原因外,还有其他的可能性疾病,比如扁平疣。
","scanCount": 52788}}} {"@context": "https://ziyuan.baidu.com/contexts/cambrian.jsonld","appid": "1650708455561748","icon": "https://www.med-credit.org.cn/style/images/ttlogo.png","content_tag": ["atlas"],"is_mcn": {"thumb_id": "lntvzimb"},"accid": "4886d626a2804dee5f11168793ce361672f39c25","@id": "https://www.med-credit.org.cn/mobile/jingxuan/2/1caee041eb843a9ee16be661406b3667.html","bagWordId": "654_1585949927098290176","title": "玻璃体出血图片","pubDate": "2023-02-27T18:39:40","upDate": "2023-02-27T18:39:40","lrDate": "2023-02-27T18:39:40","description": "玻璃体出血通常是由于局部的血管破裂,从而引起玻璃体内出现积血的情况。","data": {"WebPage": {"headline": "玻璃体出血图片","pcUrl": "https://www.med-credit.org.cn/jingxuan/2/1caee041eb843a9ee16be661406b3667.html","wapUrl": "https://www.med-credit.org.cn/jingxuan/2/1caee041eb843a9ee16be661406b3667.html","mipUrl": "https://www.med-credit.org.cn/mobile/jingxuan/2/1caee041eb843a9ee16be661406b3667.html","fromSrc": "欢乐橙","datePublished": "2023-02-27T18:39:40","domain": "医疗","category": ["医疗权威文章合作"],"description": "玻璃体出血通常是由于局部的血管破裂,从而引起玻璃体内出现积血的情况。
","extra_headline": [""]},"Author": {"name": "崔馨","wapUrl": "https://www.med-credit.org.cn/doctor/576","pcUrl": "https://www.med-credit.org.cn/doctor/576","jobTitle": "副主任医师","headPortrait": "https://www.med-credit.org.cn/uploadfile/member/576/180x180.jpeg","id": "576","description": "崔馨,解放军总医院眼科副主任医师","memberOf": {"legalName": "解放军总医院","department": "眼科","organizationLevel": "三级甲等"}},"Article": {"summaryContent": "玻璃体出血通常是由于局部的血管破裂,从而引起玻璃体内出现积血的情况。
玻璃体出血有可能是外伤性、自发性、糖尿病视网膜病变等引起的。

1.外伤性
在眼外伤中,眼球穿孔伤或眼球钝挫伤都可造成外伤性玻璃体出血。在角巩膜穿孔伤、巩膜穿孔和眼后节的滞留性异物伤,玻璃体出血的发生率很高。眼球钝挫伤造成的眼球瞬间形变可致视网膜脉络膜破裂而发生玻璃体出血;前部玻璃体出血可由睫状体部位损伤所致。
2.自发性
自发性玻璃体出血的疾病较多,包括视网膜脉络膜的炎性、变性或肿瘤性疾病。一些血液系统疾病如白血病、视网膜劈裂症也可导致玻璃体出血,但较为少见。
3.糖尿病视网膜病变
在糖尿病视网膜病变患者,眼底出现新生血管可能导致玻璃体出血。出血可引起视力下降,部分患者不能靠血液自行吸收而恢复。
除了上述相对常见的原因外,还有其他的可能性病因,比如手术性。
","articleBody": "玻璃体出血通常是由于局部的血管破裂,从而引起玻璃体内出现积血的情况。
玻璃体出血有可能是外伤性、自发性、糖尿病视网膜病变等引起的。

1.外伤性
在眼外伤中,眼球穿孔伤或眼球钝挫伤都可造成外伤性玻璃体出血。在角巩膜穿孔伤、巩膜穿孔和眼后节的滞留性异物伤,玻璃体出血的发生率很高。眼球钝挫伤造成的眼球瞬间形变可致视网膜脉络膜破裂而发生玻璃体出血;前部玻璃体出血可由睫状体部位损伤所致。
2.自发性
自发性玻璃体出血的疾病较多,包括视网膜脉络膜的炎性、变性或肿瘤性疾病。一些血液系统疾病如白血病、视网膜劈裂症也可导致玻璃体出血,但较为少见。
3.糖尿病视网膜病变
在糖尿病视网膜病变患者,眼底出现新生血管可能导致玻璃体出血。出血可引起视力下降,部分患者不能靠血液自行吸收而恢复。
除了上述相对常见的原因外,还有其他的可能性病因,比如手术性。
","scanCount": 52790}}} {"@context": "https://ziyuan.baidu.com/contexts/cambrian.jsonld","appid": "1650708455561748","icon": "https://www.med-credit.org.cn/style/images/ttlogo.png","content_tag": ["atlas"],"is_mcn": {"thumb_id": "lntvzimb"},"accid": "4886d626a2804dee5f11168793ce361672f39c25","@id": "https://www.med-credit.org.cn/mobile/jingxuan/2/38b8ba243d01d3b3bce551a78d9aed80.html","bagWordId": "654_1585949927328976896","title": "角膜异物图片","pubDate": "2023-02-27T18:39:40","upDate": "2023-02-27T18:39:40","lrDate": "2023-02-27T18:39:40","description": "角膜异物是指异物进入角膜,从而出现的异物感、流泪以及其他症状。","data": {"WebPage": {"headline": "角膜异物图片","pcUrl": "https://www.med-credit.org.cn/jingxuan/2/38b8ba243d01d3b3bce551a78d9aed80.html","wapUrl": "https://www.med-credit.org.cn/jingxuan/2/38b8ba243d01d3b3bce551a78d9aed80.html","mipUrl": "https://www.med-credit.org.cn/mobile/jingxuan/2/38b8ba243d01d3b3bce551a78d9aed80.html","fromSrc": "欢乐橙","datePublished": "2023-02-27T18:39:40","domain": "医疗","category": ["医疗权威文章合作"],"description": "角膜异物是指异物进入角膜,从而出现的异物感、流泪以及其他症状。
","extra_headline": [""]},"Author": {"name": "崔馨","wapUrl": "https://www.med-credit.org.cn/doctor/576","pcUrl": "https://www.med-credit.org.cn/doctor/576","jobTitle": "副主任医师","headPortrait": "https://www.med-credit.org.cn/uploadfile/member/576/180x180.jpeg","id": "576","description": "崔馨,解放军总医院眼科副主任医师","memberOf": {"legalName": "解放军总医院","department": "眼科","organizationLevel": "三级甲等"}},"Article": {"summaryContent": "角膜异物是指异物进入角膜,从而出现的异物感、流泪以及其他症状。
角膜异物有可能是灰沫、小昆虫、金属碎块等引起的,需要紧急处理并及时前往医院治疗。

(1)空气的灰尘、小昆虫落入眼内。
(2)谷物中的碎壳。
(3)工矿意外爆炸或战时的爆炸碎屑溅入眼内。
(4)磨砂轮抛出的金属小块飞入眼内。
临床主要表现为异物感、畏光及流泪很突出,异物进入瞳孔区者可以引起视力障碍。异物进入眼内时,不要慌张,不可用手搓揉眼睛。畏光者可用眼罩或墨镜遮盖受伤眼睛。眼睛疼痛时,可用1%地卡因或4%可卡因滴眼。急送医院眼科去除异物。
","articleBody": "角膜异物是指异物进入角膜,从而出现的异物感、流泪以及其他症状。
角膜异物有可能是灰沫、小昆虫、金属碎块等引起的,需要紧急处理并及时前往医院治疗。

(1)空气的灰尘、小昆虫落入眼内。
(2)谷物中的碎壳。
(3)工矿意外爆炸或战时的爆炸碎屑溅入眼内。
(4)磨砂轮抛出的金属小块飞入眼内。
临床主要表现为异物感、畏光及流泪很突出,异物进入瞳孔区者可以引起视力障碍。异物进入眼内时,不要慌张,不可用手搓揉眼睛。畏光者可用眼罩或墨镜遮盖受伤眼睛。眼睛疼痛时,可用1%地卡因或4%可卡因滴眼。急送医院眼科去除异物。
","scanCount": 52791}}} {"@context": "https://ziyuan.baidu.com/contexts/cambrian.jsonld","appid": "1650708455561748","icon": "https://www.med-credit.org.cn/style/images/ttlogo.png","content_tag": ["atlas"],"is_mcn": {"thumb_id": "lntvzimb"},"accid": "4886d626a2804dee5f11168793ce361672f39c25","@id": "https://www.med-credit.org.cn/mobile/jingxuan/2/bdd9ec8e4d1c4b2816fae92d85381cc3.html","bagWordId": "654_1585949927693881344","title": "泪小管炎图片","pubDate": "2023-02-27T18:39:40","upDate": "2023-02-27T18:39:40","lrDate": "2023-02-27T18:39:40","description": "泪小管炎会引起眼睛出现红肿、疼痛、流泪以及其他症状。","data": {"WebPage": {"headline": "泪小管炎图片","pcUrl": "https://www.med-credit.org.cn/jingxuan/2/bdd9ec8e4d1c4b2816fae92d85381cc3.html","wapUrl": "https://www.med-credit.org.cn/jingxuan/2/bdd9ec8e4d1c4b2816fae92d85381cc3.html","mipUrl": "https://www.med-credit.org.cn/mobile/jingxuan/2/bdd9ec8e4d1c4b2816fae92d85381cc3.html","fromSrc": "欢乐橙","datePublished": "2023-02-27T18:39:40","domain": "医疗","category": ["医疗权威文章合作"],"description": "泪小管炎会引起眼睛出现红肿、疼痛、流泪以及其他症状。
","extra_headline": [""]},"Author": {"name": "崔馨","wapUrl": "https://www.med-credit.org.cn/doctor/576","pcUrl": "https://www.med-credit.org.cn/doctor/576","jobTitle": "副主任医师","headPortrait": "https://www.med-credit.org.cn/uploadfile/member/576/180x180.jpeg","id": "576","description": "崔馨,解放军总医院眼科副主任医师","memberOf": {"legalName": "解放军总医院","department": "眼科","organizationLevel": "三级甲等"}},"Article": {"summaryContent": "泪小管炎会引起眼睛出现红肿、疼痛、流泪以及其他症状。
泪小管炎可能是由于泪囊,泪小管周围的组织有炎症引起的相关病变。


1.流泪、眼红,有分泌物,上睑或下睑鼻侧轻触痛。
2.泪小点发红、凸起,泪小管周围皮肤发红。
3.压迫泪囊区时,有黏液或脓性分泌物从泪小点溢出。
4.可伴发局限于鼻侧的结膜炎。
5.用泪道探针探测泪小点有沙砾感。
与泪小管相延续的结膜组织出现炎症感染,泪液中有较多的致病菌则可诱发泪小管的炎症。泪小管与泪囊相连,若泪囊内有慢性炎症,可使泪小管发生上行性感染而引发泪小管炎。若泪小管周围组织的炎症,也常蔓延至泪小管,而引发泪小管炎。
","articleBody": "泪小管炎会引起眼睛出现红肿、疼痛、流泪以及其他症状。
泪小管炎可能是由于泪囊,泪小管周围的组织有炎症引起的相关病变。


1.流泪、眼红,有分泌物,上睑或下睑鼻侧轻触痛。
2.泪小点发红、凸起,泪小管周围皮肤发红。
3.压迫泪囊区时,有黏液或脓性分泌物从泪小点溢出。
4.可伴发局限于鼻侧的结膜炎。
5.用泪道探针探测泪小点有沙砾感。
与泪小管相延续的结膜组织出现炎症感染,泪液中有较多的致病菌则可诱发泪小管的炎症。泪小管与泪囊相连,若泪囊内有慢性炎症,可使泪小管发生上行性感染而引发泪小管炎。若泪小管周围组织的炎症,也常蔓延至泪小管,而引发泪小管炎。
","scanCount": 52792}}} {"@context": "https://ziyuan.baidu.com/contexts/cambrian.jsonld","appid": "1650708455561748","icon": "https://www.med-credit.org.cn/style/images/ttlogo.png","content_tag": ["atlas"],"is_mcn": {"thumb_id": "lntvzimb"},"accid": "4886d626a2804dee5f11168793ce361672f39c25","@id": "https://www.med-credit.org.cn/mobile/jingxuan/2/03282bdba1a787bc309d81060b00361e.html","bagWordId": "654_1585949928151060480","title": "虹膜黑色素瘤图片","pubDate": "2023-02-27T18:39:40","upDate": "2023-02-27T18:39:40","lrDate": "2023-02-27T18:39:40","description": "虹膜黑色素瘤是指在眼睛虹膜的位置会出现或大或小的黑点,在晚期部分患者会因并发症出现眼红、眼痛等症状。","data": {"WebPage": {"headline": "虹膜黑色素瘤图片","pcUrl": "https://www.med-credit.org.cn/jingxuan/2/03282bdba1a787bc309d81060b00361e.html","wapUrl": "https://www.med-credit.org.cn/jingxuan/2/03282bdba1a787bc309d81060b00361e.html","mipUrl": "https://www.med-credit.org.cn/mobile/jingxuan/2/03282bdba1a787bc309d81060b00361e.html","fromSrc": "欢乐橙","datePublished": "2023-02-27T18:39:40","domain": "医疗","category": ["医疗权威文章合作"],"description": "虹膜黑色素瘤是指在眼睛虹膜的位置会出现或大或小的黑点,在晚期部分患者会因并发症出现眼红、眼痛等症状。
","extra_headline": [""]},"Author": {"name": "崔馨","wapUrl": "https://www.med-credit.org.cn/doctor/576","pcUrl": "https://www.med-credit.org.cn/doctor/576","jobTitle": "副主任医师","headPortrait": "https://www.med-credit.org.cn/uploadfile/member/576/180x180.jpeg","id": "576","description": "崔馨,解放军总医院眼科副主任医师","memberOf": {"legalName": "解放军总医院","department": "眼科","organizationLevel": "三级甲等"}},"Article": {"summaryContent": "虹膜黑色素瘤是指在眼睛虹膜的位置会出现或大或小的黑点,在晚期部分患者会因并发症出现眼红、眼痛等症状。
虹膜黑色素瘤是一种较少见的发生于虹膜基质内黑色素细胞的恶性肿瘤,患者可以行手术治疗或化疗等。

患者一般多无症状,多数是无意中发现虹膜颜色改变或虹膜上有黑点。部分患者晚期因肿瘤坏死而继发前葡萄膜炎或前房积血,或继发青光眼而出现眼红、眼痛等症状。虹膜黑色素瘤可发生于虹膜的任何部位,但好发于下方虹膜,其次为颞侧、鼻侧和下方。
假如虹膜黑色素瘤患者的肿瘤非常小,并且生长的速度非常缓慢,那么只需要定期密切观察就可以。假如患者病变的范围并不大,并且肿瘤并没有累及周围组织,那么可以进行阶段性虹膜切除术。如果肿瘤已经累及小梁网,这个时候应该做虹膜小梁切除术。在手术之后患者还需要进行一段时间的化疗。
","articleBody": "虹膜黑色素瘤是指在眼睛虹膜的位置会出现或大或小的黑点,在晚期部分患者会因并发症出现眼红、眼痛等症状。
虹膜黑色素瘤是一种较少见的发生于虹膜基质内黑色素细胞的恶性肿瘤,患者可以行手术治疗或化疗等。

患者一般多无症状,多数是无意中发现虹膜颜色改变或虹膜上有黑点。部分患者晚期因肿瘤坏死而继发前葡萄膜炎或前房积血,或继发青光眼而出现眼红、眼痛等症状。虹膜黑色素瘤可发生于虹膜的任何部位,但好发于下方虹膜,其次为颞侧、鼻侧和下方。
假如虹膜黑色素瘤患者的肿瘤非常小,并且生长的速度非常缓慢,那么只需要定期密切观察就可以。假如患者病变的范围并不大,并且肿瘤并没有累及周围组织,那么可以进行阶段性虹膜切除术。如果肿瘤已经累及小梁网,这个时候应该做虹膜小梁切除术。在手术之后患者还需要进行一段时间的化疗。
","scanCount": 52797}}} {"@context": "https://ziyuan.baidu.com/contexts/cambrian.jsonld","appid": "1650708455561748","icon": "https://www.med-credit.org.cn/style/images/ttlogo.png","content_tag": ["atlas"],"is_mcn": {"thumb_id": "lntvzimb"},"accid": "4886d626a2804dee5f11168793ce361672f39c25","@id": "https://www.med-credit.org.cn/mobile/jingxuan/2/a7c6e8362f72df948dd2bf55a16f5bdf.html","bagWordId": "654_1585949928285278208","title": "下眼睑发青图片","pubDate": "2023-02-27T18:39:40","upDate": "2023-02-27T18:39:40","lrDate": "2023-02-27T18:39:40","description": "下眼睑发青是指下眼睑部位的皮肤颜色发青,偶尔会伴有局部轻微疼痛。","data": {"WebPage": {"headline": "下眼睑发青图片","pcUrl": "https://www.med-credit.org.cn/jingxuan/2/a7c6e8362f72df948dd2bf55a16f5bdf.html","wapUrl": "https://www.med-credit.org.cn/jingxuan/2/a7c6e8362f72df948dd2bf55a16f5bdf.html","mipUrl": "https://www.med-credit.org.cn/mobile/jingxuan/2/a7c6e8362f72df948dd2bf55a16f5bdf.html","fromSrc": "欢乐橙","datePublished": "2023-02-27T18:39:40","domain": "医疗","category": ["医疗权威文章合作"],"description": "下眼睑发青是指下眼睑部位的皮肤颜色发青,偶尔会伴有局部轻微疼痛。
","extra_headline": [""]},"Author": {"name": "崔馨","wapUrl": "https://www.med-credit.org.cn/doctor/576","pcUrl": "https://www.med-credit.org.cn/doctor/576","jobTitle": "副主任医师","headPortrait": "https://www.med-credit.org.cn/uploadfile/member/576/180x180.jpeg","id": "576","description": "崔馨,解放军总医院眼科副主任医师","memberOf": {"legalName": "解放军总医院","department": "眼科","organizationLevel": "三级甲等"}},"Article": {"summaryContent": "下眼睑发青是指下眼睑部位的皮肤颜色发青,偶尔会伴有局部轻微疼痛。
下眼睑发青可能是睡前喝太多水、化妆品残留、睡眠质量不好等引起的,需要合理用眼或者是采用热敷、按摩等方法的改善,平时要调整好生活以及饮食习惯。

1、睡前喝太多水:如果在睡觉前喝太多水,就会造成局部的血液循环不通畅,出现水肿和发青,可以通过轻轻的按摩方式来改善。
2、化妆品残留:可能是由于卸妆不干净造成的局部色素沉着,在卸妆的时候要彻底清洗眼周围皮肤,适当使用自己的保养品。
3、睡眠质量不好:如果患者最近压力比较大,就会造成睡眠质量不好,也会伴随着失眠症状出现下眼睑发青,可以在医生的指导下使用安神补脑口服液、甲钴胺片、安定片等药物治疗。
除了上述相对常见的原因外,还有其他的可能性疾病,比如外伤。
下眼睑发青的患者建议在日常生活中要加强饮食营养,保持规律的生活作息,及时就医治疗,促进症状改善。
","articleBody": "下眼睑发青是指下眼睑部位的皮肤颜色发青,偶尔会伴有局部轻微疼痛。
下眼睑发青可能是睡前喝太多水、化妆品残留、睡眠质量不好等引起的,需要合理用眼或者是采用热敷、按摩等方法的改善,平时要调整好生活以及饮食习惯。

1、睡前喝太多水:如果在睡觉前喝太多水,就会造成局部的血液循环不通畅,出现水肿和发青,可以通过轻轻的按摩方式来改善。
2、化妆品残留:可能是由于卸妆不干净造成的局部色素沉着,在卸妆的时候要彻底清洗眼周围皮肤,适当使用自己的保养品。
3、睡眠质量不好:如果患者最近压力比较大,就会造成睡眠质量不好,也会伴随着失眠症状出现下眼睑发青,可以在医生的指导下使用安神补脑口服液、甲钴胺片、安定片等药物治疗。
除了上述相对常见的原因外,还有其他的可能性疾病,比如外伤。
下眼睑发青的患者建议在日常生活中要加强饮食营养,保持规律的生活作息,及时就医治疗,促进症状改善。
","scanCount": 52798}}} {"@context": "https://ziyuan.baidu.com/contexts/cambrian.jsonld","appid": "1650708455561748","icon": "https://www.med-credit.org.cn/style/images/ttlogo.png","content_tag": ["atlas"],"is_mcn": {"thumb_id": "lntvzimb"},"accid": "4886d626a2804dee5f11168793ce361672f39c25","@id": "https://www.med-credit.org.cn/mobile/jingxuan/2/721d95cd1a7bdc78be73da1dd6908ee4.html","bagWordId": "654_1585949928566296576","title": "棘阿米巴角膜炎图片","pubDate": "2023-02-27T18:39:40","upDate": "2023-02-27T18:39:40","lrDate": "2023-02-27T18:39:40","description": "棘阿米巴角膜炎通常患者会出现眼部的疼痛、畏光、流泪以及视力下降、视物浑浊等症状,严重者甚至会出现角膜坏死穿孔。","data": {"WebPage": {"headline": "棘阿米巴角膜炎图片","pcUrl": "https://www.med-credit.org.cn/jingxuan/2/721d95cd1a7bdc78be73da1dd6908ee4.html","wapUrl": "https://www.med-credit.org.cn/jingxuan/2/721d95cd1a7bdc78be73da1dd6908ee4.html","mipUrl": "https://www.med-credit.org.cn/mobile/jingxuan/2/721d95cd1a7bdc78be73da1dd6908ee4.html","fromSrc": "欢乐橙","datePublished": "2023-02-27T18:39:40","domain": "医疗","category": ["医疗权威文章合作"],"description": "棘阿米巴角膜炎通常患者会出现眼部的疼痛、畏光、流泪以及视力下降、视物浑浊等症状,严重者甚至会出现角膜坏死穿孔。
","extra_headline": [""]},"Author": {"name": "崔馨","wapUrl": "https://www.med-credit.org.cn/doctor/576","pcUrl": "https://www.med-credit.org.cn/doctor/576","jobTitle": "副主任医师","headPortrait": "https://www.med-credit.org.cn/uploadfile/member/576/180x180.jpeg","id": "576","description": "崔馨,解放军总医院眼科副主任医师","memberOf": {"legalName": "解放军总医院","department": "眼科","organizationLevel": "三级甲等"}},"Article": {"summaryContent": "棘阿米巴角膜炎通常患者会出现眼部的疼痛、畏光、流泪以及视力下降、视物浑浊等症状,严重者甚至会出现角膜坏死穿孔。
棘阿米巴角膜炎可使用阳离子抑制剂、抗真菌的药物等药物进行治疗;当病情较为严重时可采取手术治疗。

1、早期:炎症早期主要表现为角膜上皮的不规则,上皮粗糙或反复上皮糜烂,有时可表现为假树枝状改变。患者常有明显的眼痛。
2、中期:随着病情发展,炎症逐渐侵及基质层,形成角膜前基质层的斑状、半环状或环状浸润有些病变类似于盘状角膜炎的改变,部分患者可有放射状角膜神经炎。此时患眼可出现明显的眼部刺激症状,包括眼部疼痛、畏光、流泪、视力不同程度的减退等。
3、后期:如未得到及时诊断与治疗,角膜浸润很快发展成角膜溃疡、基质脓肿,并有卫星灶形成和前房积脓严重者发生角膜坏死穿孔。如果角膜溃疡累及到角膜缘,常导致角膜缘炎,甚至巩膜炎。
1、药物治疗:可在医生指导下使用抗阿米巴药物治疗,其药物主要有阳离子抑制剂,如双氯苯双胍己烷;抗真菌的药物,如钠他霉素或者氟康唑滴眼液;严重的患者可以使用甲硝唑注射液、静脉点滴或口服。
2、手术治疗:当患眼出现溃疡时,病灶不深者可采用眼膜移植或结膜瓣遮盖手术;病灶比较深的可能需要做病灶清除,然后做板层的角膜移植;更加严重的,甚至发生角膜溃疡穿孔的病人可能需要做穿透角膜移植。
","articleBody": "棘阿米巴角膜炎通常患者会出现眼部的疼痛、畏光、流泪以及视力下降、视物浑浊等症状,严重者甚至会出现角膜坏死穿孔。
棘阿米巴角膜炎可使用阳离子抑制剂、抗真菌的药物等药物进行治疗;当病情较为严重时可采取手术治疗。

1、早期:炎症早期主要表现为角膜上皮的不规则,上皮粗糙或反复上皮糜烂,有时可表现为假树枝状改变。患者常有明显的眼痛。
2、中期:随着病情发展,炎症逐渐侵及基质层,形成角膜前基质层的斑状、半环状或环状浸润有些病变类似于盘状角膜炎的改变,部分患者可有放射状角膜神经炎。此时患眼可出现明显的眼部刺激症状,包括眼部疼痛、畏光、流泪、视力不同程度的减退等。
3、后期:如未得到及时诊断与治疗,角膜浸润很快发展成角膜溃疡、基质脓肿,并有卫星灶形成和前房积脓严重者发生角膜坏死穿孔。如果角膜溃疡累及到角膜缘,常导致角膜缘炎,甚至巩膜炎。
1、药物治疗:可在医生指导下使用抗阿米巴药物治疗,其药物主要有阳离子抑制剂,如双氯苯双胍己烷;抗真菌的药物,如钠他霉素或者氟康唑滴眼液;严重的患者可以使用甲硝唑注射液、静脉点滴或口服。
2、手术治疗:当患眼出现溃疡时,病灶不深者可采用眼膜移植或结膜瓣遮盖手术;病灶比较深的可能需要做病灶清除,然后做板层的角膜移植;更加严重的,甚至发生角膜溃疡穿孔的病人可能需要做穿透角膜移植。
","scanCount": 52800}}} {"@context": "https://ziyuan.baidu.com/contexts/cambrian.jsonld","appid": "1650708455561748","icon": "https://www.med-credit.org.cn/style/images/ttlogo.png","content_tag": ["atlas"],"is_mcn": {"thumb_id": "lntvzimb"},"accid": "4886d626a2804dee5f11168793ce361672f39c25","@id": "https://www.med-credit.org.cn/mobile/jingxuan/2/1e32285d52322bacb78c010d6f24d3a0.html","bagWordId": "654_1585949928612433920","title": "上眼皮内长个肉芽肿图片","pubDate": "2023-02-27T18:39:40","upDate": "2023-02-27T18:39:40","lrDate": "2023-02-27T18:39:40","description": "上眼皮内长个肉芽肿是指在上眼皮的部位长了一个肉芽凸起,通常伴有一定程度的疼痛或者瘙痒的症状。","data": {"WebPage": {"headline": "上眼皮内长个肉芽肿图片","pcUrl": "https://www.med-credit.org.cn/jingxuan/2/1e32285d52322bacb78c010d6f24d3a0.html","wapUrl": "https://www.med-credit.org.cn/jingxuan/2/1e32285d52322bacb78c010d6f24d3a0.html","mipUrl": "https://www.med-credit.org.cn/mobile/jingxuan/2/1e32285d52322bacb78c010d6f24d3a0.html","fromSrc": "欢乐橙","datePublished": "2023-02-27T18:39:40","domain": "医疗","category": ["医疗权威文章合作"],"description": "上眼皮内长个肉芽肿是指在上眼皮的部位长了一个肉芽凸起,通常伴有一定程度的疼痛或者瘙痒的症状。
","extra_headline": [""]},"Author": {"name": "崔馨","wapUrl": "https://www.med-credit.org.cn/doctor/576","pcUrl": "https://www.med-credit.org.cn/doctor/576","jobTitle": "副主任医师","headPortrait": "https://www.med-credit.org.cn/uploadfile/member/576/180x180.jpeg","id": "576","description": "崔馨,解放军总医院眼科副主任医师","memberOf": {"legalName": "解放军总医院","department": "眼科","organizationLevel": "三级甲等"}},"Article": {"summaryContent": "上眼皮内长个肉芽肿是指在上眼皮的部位长了一个肉芽凸起,通常伴有一定程度的疼痛或者瘙痒的症状。
上眼皮内长个肉芽肿可能是蚊虫叮咬、外伤或者睑板腺囊肿等原因引起的,平时要注意做好眼部护理以及注意饮食。

1、蚊虫叮咬:眼皮部位如果被蚊虫叮咬后,会导致毒素滞留到眼皮的皮肤当中,容易诱发虫咬性皮炎,进而使眼皮上长肉芽肿块,还可伴有明显的痒痛症状。
2、外伤:当上眼皮的部位受到外伤时,可能会引起局部组织液的渗出,导致出现局部的凸起。当反复受到外伤时,可能会引起纤维组织的增生出现肉芽肿。

3、睑板腺囊肿:可能由于慢性结膜炎或睑缘炎而致睑板腺出口阻塞,腺体的分泌物潴留在睑板内,对周围组织产生慢性刺激而引起,为慢性肉芽肿性炎症,可表现为眼皮上长个凸起肿块。而且该肉芽被纤维结缔组织包裹,囊内有慢性炎症细胞以及睑板腺分泌物浸润,还可伴有眼睑充血、肿胀等症状。
除了上述相对常见的原因外,还有其他的可能性疾病,比如丝状疣。建议患者出现这种症状后,及时去医院就诊,查明病因后,予以针对性治疗。
上眼皮内长了个肉芽肿后建议在日常的生活中要合理的用眼,避免用眼疲劳,以免加重不适的症状。在饮食上以清淡为主,多吃水果蔬菜,少吃辛辣刺激性食物。
","articleBody": "上眼皮内长个肉芽肿是指在上眼皮的部位长了一个肉芽凸起,通常伴有一定程度的疼痛或者瘙痒的症状。
上眼皮内长个肉芽肿可能是蚊虫叮咬、外伤或者睑板腺囊肿等原因引起的,平时要注意做好眼部护理以及注意饮食。

1、蚊虫叮咬:眼皮部位如果被蚊虫叮咬后,会导致毒素滞留到眼皮的皮肤当中,容易诱发虫咬性皮炎,进而使眼皮上长肉芽肿块,还可伴有明显的痒痛症状。
2、外伤:当上眼皮的部位受到外伤时,可能会引起局部组织液的渗出,导致出现局部的凸起。当反复受到外伤时,可能会引起纤维组织的增生出现肉芽肿。

3、睑板腺囊肿:可能由于慢性结膜炎或睑缘炎而致睑板腺出口阻塞,腺体的分泌物潴留在睑板内,对周围组织产生慢性刺激而引起,为慢性肉芽肿性炎症,可表现为眼皮上长个凸起肿块。而且该肉芽被纤维结缔组织包裹,囊内有慢性炎症细胞以及睑板腺分泌物浸润,还可伴有眼睑充血、肿胀等症状。
除了上述相对常见的原因外,还有其他的可能性疾病,比如丝状疣。建议患者出现这种症状后,及时去医院就诊,查明病因后,予以针对性治疗。
上眼皮内长了个肉芽肿后建议在日常的生活中要合理的用眼,避免用眼疲劳,以免加重不适的症状。在饮食上以清淡为主,多吃水果蔬菜,少吃辛辣刺激性食物。
","scanCount": 52801}}} {"@context": "https://ziyuan.baidu.com/contexts/cambrian.jsonld","appid": "1650708455561748","icon": "https://www.med-credit.org.cn/style/images/ttlogo.png","content_tag": ["atlas"],"is_mcn": {"thumb_id": "lntvzimb"},"accid": "4886d626a2804dee5f11168793ce361672f39c25","@id": "https://www.med-credit.org.cn/mobile/jingxuan/2/b6c6df46910b2bb37babcee8885b9b62.html","bagWordId": "654_1585949929249968128","title": "眼眶纤维瘤图片","pubDate": "2023-02-27T18:39:40","upDate": "2023-02-27T18:39:40","lrDate": "2023-02-27T18:39:40","description": "眼眶神经纤维瘤主要表现为眼睑肥厚、上睑下垂、眼球突出以及皮肤牛奶咖啡色素斑。","data": {"WebPage": {"headline": "眼眶纤维瘤图片","pcUrl": "https://www.med-credit.org.cn/jingxuan/2/b6c6df46910b2bb37babcee8885b9b62.html","wapUrl": "https://www.med-credit.org.cn/jingxuan/2/b6c6df46910b2bb37babcee8885b9b62.html","mipUrl": "https://www.med-credit.org.cn/mobile/jingxuan/2/b6c6df46910b2bb37babcee8885b9b62.html","fromSrc": "欢乐橙","datePublished": "2023-02-27T18:39:40","domain": "医疗","category": ["医疗权威文章合作"],"description": "眼眶神经纤维瘤主要表现为眼睑肥厚、上睑下垂、眼球突出以及皮肤牛奶咖啡色素斑。
","extra_headline": [""]},"Author": {"name": "崔馨","wapUrl": "https://www.med-credit.org.cn/doctor/576","pcUrl": "https://www.med-credit.org.cn/doctor/576","jobTitle": "副主任医师","headPortrait": "https://www.med-credit.org.cn/uploadfile/member/576/180x180.jpeg","id": "576","description": "崔馨,解放军总医院眼科副主任医师","memberOf": {"legalName": "解放军总医院","department": "眼科","organizationLevel": "三级甲等"}},"Article": {"summaryContent": "眼眶神经纤维瘤主要表现为眼睑肥厚、上睑下垂、眼球突出以及皮肤牛奶咖啡色素斑。
眼眶纤维瘤根据自身病情选择合适的手术治疗方式,如肿瘤切除术、眼睑整复术、上睑下垂矫正术等。

1、眼睑肥厚:眼睑软性肥厚,皮下肿瘤组织弥漫性增生,致使眼睑部隆起、皮肤松弛,上睑肥厚导致机械性下垂引起特征性上睑的S形畸形,触诊肿物质软,呈条索状、结节状,有“揉面感”,边界不清楚。
2、上睑下垂:可引起上睑下垂,眼睑肥厚严重者,可见皮肤下垂至面颊部,即“马面样神经纤维瘤”,眼球出现运动障碍,同时伴有视力的减退。
3、眼球突出:肿瘤发生于眶内可引起眼球突出。
4、皮肤牛奶咖啡色素斑:除眼部肿瘤皮肤表面外,躯干四肢等部位也较常见,发生在腋窝或腹股沟等非暴露部位的斑块。
眼眶神经纤维瘤可在医生指导下选择合适自身的手术治疗方式,可根据病情选择肿瘤部分切除或次全切除;也可依据眼睑、眼眶畸形情况选择眼睑整复术、眼睑缩短、外眦韧带固定、外眦成形和上睑下垂矫正术等。
","articleBody": "眼眶神经纤维瘤主要表现为眼睑肥厚、上睑下垂、眼球突出以及皮肤牛奶咖啡色素斑。
眼眶纤维瘤根据自身病情选择合适的手术治疗方式,如肿瘤切除术、眼睑整复术、上睑下垂矫正术等。

1、眼睑肥厚:眼睑软性肥厚,皮下肿瘤组织弥漫性增生,致使眼睑部隆起、皮肤松弛,上睑肥厚导致机械性下垂引起特征性上睑的S形畸形,触诊肿物质软,呈条索状、结节状,有“揉面感”,边界不清楚。
2、上睑下垂:可引起上睑下垂,眼睑肥厚严重者,可见皮肤下垂至面颊部,即“马面样神经纤维瘤”,眼球出现运动障碍,同时伴有视力的减退。
3、眼球突出:肿瘤发生于眶内可引起眼球突出。
4、皮肤牛奶咖啡色素斑:除眼部肿瘤皮肤表面外,躯干四肢等部位也较常见,发生在腋窝或腹股沟等非暴露部位的斑块。
眼眶神经纤维瘤可在医生指导下选择合适自身的手术治疗方式,可根据病情选择肿瘤部分切除或次全切除;也可依据眼睑、眼眶畸形情况选择眼睑整复术、眼睑缩短、外眦韧带固定、外眦成形和上睑下垂矫正术等。
","scanCount": 52804}}} {"@context": "https://ziyuan.baidu.com/contexts/cambrian.jsonld","appid": "1650708455561748","icon": "https://www.med-credit.org.cn/style/images/ttlogo.png","content_tag": ["atlas"],"is_mcn": {"thumb_id": "lntvzimb"},"accid": "4886d626a2804dee5f11168793ce361672f39c25","@id": "https://www.med-credit.org.cn/mobile/jingxuan/2/20973eb1c4264b02e8764fdaf8d34292.html","bagWordId": "654_1585949929342242816","title": "上眼睑睫毛根部水疱图片","pubDate": "2023-02-27T18:39:40","upDate": "2023-02-27T18:39:40","lrDate": "2023-02-27T18:39:40","description": "上眼睑睫毛根部水疱是指在上眼睑或者睫毛的部位出现了小水疱,通常伴有局部的肿胀和疼痛等症状。","data": {"WebPage": {"headline": "上眼睑睫毛根部水疱图片","pcUrl": "https://www.med-credit.org.cn/jingxuan/2/20973eb1c4264b02e8764fdaf8d34292.html","wapUrl": "https://www.med-credit.org.cn/jingxuan/2/20973eb1c4264b02e8764fdaf8d34292.html","mipUrl": "https://www.med-credit.org.cn/mobile/jingxuan/2/20973eb1c4264b02e8764fdaf8d34292.html","fromSrc": "欢乐橙","datePublished": "2023-02-27T18:39:40","domain": "医疗","category": ["医疗权威文章合作"],"description": "上眼睑睫毛根部水疱是指在上眼睑或者睫毛的部位出现了小水疱,通常伴有局部的肿胀和疼痛等症状。
","extra_headline": [""]},"Author": {"name": "崔馨","wapUrl": "https://www.med-credit.org.cn/doctor/576","pcUrl": "https://www.med-credit.org.cn/doctor/576","jobTitle": "副主任医师","headPortrait": "https://www.med-credit.org.cn/uploadfile/member/576/180x180.jpeg","id": "576","description": "崔馨,解放军总医院眼科副主任医师","memberOf": {"legalName": "解放军总医院","department": "眼科","organizationLevel": "三级甲等"}},"Article": {"summaryContent": "上眼睑睫毛根部水疱是指在上眼睑或者睫毛的部位出现了小水疱,通常伴有局部的肿胀和疼痛等症状。
上眼睑睫毛根部水疱可能是睑缘炎、眼睑湿疹或者病毒感染等引起的,可以在医生的指导下使用药物来改善。

1、睑缘炎:当患有睑缘炎时,眼睑处皮肤会出现小水疱,主要症状为皮肤干燥,脱屑,严重时会出现结膜炎、角膜炎等,患者可以在医生的指导下使用氧氟沙星眼膏、氯霉素滴眼液等治疗。

2、眼睑湿疹:如果平时不注意眼睑部位的卫生,也可能会导致局部出现湿疹,通常会在皮肤的表面出现红色丘疹水疱,并伴有瘙痒的症状。建议遵医嘱涂抹红霉素软膏、夫地西酸软膏等药物来进行改善,也可以口服抗过敏药物治疗,比如马来酸氯苯那敏片、氯雷他定片等。
3、病毒感染:眼睑部位如果发生病毒感染,比如带状疱疹病毒也可引起局部出现半透明水疱,并且伴有眼部疼痛等症状。建议遵医嘱进行抗病毒、营养神经的治疗,常用的药物有更昔洛韦滴眼液、神经生长因子等。
除了上述相对常见的原因外,还有其他的可能性疾病,比如睑板腺堵塞。建议患者出现这种症状后,及时去医院就诊,查明病因后,予以针对性治疗。
","articleBody": "上眼睑睫毛根部水疱是指在上眼睑或者睫毛的部位出现了小水疱,通常伴有局部的肿胀和疼痛等症状。
上眼睑睫毛根部水疱可能是睑缘炎、眼睑湿疹或者病毒感染等引起的,可以在医生的指导下使用药物来改善。

1、睑缘炎:当患有睑缘炎时,眼睑处皮肤会出现小水疱,主要症状为皮肤干燥,脱屑,严重时会出现结膜炎、角膜炎等,患者可以在医生的指导下使用氧氟沙星眼膏、氯霉素滴眼液等治疗。

2、眼睑湿疹:如果平时不注意眼睑部位的卫生,也可能会导致局部出现湿疹,通常会在皮肤的表面出现红色丘疹水疱,并伴有瘙痒的症状。建议遵医嘱涂抹红霉素软膏、夫地西酸软膏等药物来进行改善,也可以口服抗过敏药物治疗,比如马来酸氯苯那敏片、氯雷他定片等。
3、病毒感染:眼睑部位如果发生病毒感染,比如带状疱疹病毒也可引起局部出现半透明水疱,并且伴有眼部疼痛等症状。建议遵医嘱进行抗病毒、营养神经的治疗,常用的药物有更昔洛韦滴眼液、神经生长因子等。
除了上述相对常见的原因外,还有其他的可能性疾病,比如睑板腺堵塞。建议患者出现这种症状后,及时去医院就诊,查明病因后,予以针对性治疗。
","scanCount": 52806}}} {"@context": "https://ziyuan.baidu.com/contexts/cambrian.jsonld","appid": "1650708455561748","icon": "https://www.med-credit.org.cn/style/images/ttlogo.png","content_tag": ["atlas"],"is_mcn": {"thumb_id": "lntvzimb"},"accid": "4886d626a2804dee5f11168793ce361672f39c25","@id": "https://www.med-credit.org.cn/mobile/jingxuan/2/81e8ca78e2d2a530f9e1d1da4fa23d09.html","bagWordId": "654_1585949929388380160","title": "血脂高长出来的眼睑瘤图片","pubDate": "2023-02-27T18:39:40","upDate": "2023-02-27T18:39:40","lrDate": "2023-02-27T18:39:40","description": "血脂高长出来的眼睑瘤一般指的是睑黄瘤,常对称地发生于双上睑内眦部,多发或单发,表现为形态不规则、大小范围不等的橘黄色扁平斑块。","data": {"WebPage": {"headline": "血脂高长出来的眼睑瘤图片","pcUrl": "https://www.med-credit.org.cn/jingxuan/2/81e8ca78e2d2a530f9e1d1da4fa23d09.html","wapUrl": "https://www.med-credit.org.cn/jingxuan/2/81e8ca78e2d2a530f9e1d1da4fa23d09.html","mipUrl": "https://www.med-credit.org.cn/mobile/jingxuan/2/81e8ca78e2d2a530f9e1d1da4fa23d09.html","fromSrc": "欢乐橙","datePublished": "2023-02-27T18:39:40","domain": "医疗","category": ["医疗权威文章合作"],"description": "血脂高长出来的眼睑瘤一般指的是睑黄瘤,常对称地发生于双上睑内眦部,多发或单发,表现为形态不规则、大小范围不等的橘黄色扁平斑块。
","extra_headline": [""]},"Author": {"name": "崔馨","wapUrl": "https://www.med-credit.org.cn/doctor/576","pcUrl": "https://www.med-credit.org.cn/doctor/576","jobTitle": "副主任医师","headPortrait": "https://www.med-credit.org.cn/uploadfile/member/576/180x180.jpeg","id": "576","description": "崔馨,解放军总医院眼科副主任医师","memberOf": {"legalName": "解放军总医院","department": "眼科","organizationLevel": "三级甲等"}},"Article": {"summaryContent": "血脂高长出来的眼睑瘤一般指的是睑黄瘤,常对称地发生于双上睑内眦部,多发或单发,表现为形态不规则、大小范围不等的橘黄色扁平斑块。
睑黄瘤可通过药物治疗、手术治疗、激光治疗等方法进行治疗。

睑黄瘤是一种常见的眼睑皮肤良性病变,由于脂质的组织聚集形成的皮肤黄色丘疹,常对称的好发于双上睑内眦部,多发或单发,表现为形态不规则、大小范围不等的橘黄色扁平斑块。睑黄瘤一旦形成,不会自发消失,病变随着时间而逐渐增大,甚至相互融合形成绕眼周环绕一圈的特征性黄色外观。睑黄瘤患者一般无明显自觉症状,且不影响视觉功能,局部皮肤偶见瘙痒,但很少引起功能性问题。原发性者常有家族高脂蛋白血症,可伴或不伴有血脂异常。
1、药物治疗:可遵医嘱使用局部药物注射治疗,主要使用的药物包括肝素类药物(如肝素钠、低分子肝素钙和藻酸双酯钠等)及部分抗肿瘤药物(如平阳霉素)等。使用局部药物治疗时,需要反复注射药物,且容易复发。
2、手术治疗:对于较小病损,可直接或结合睑成形术予以切除;对较大病损,则需要修复创面。对位于上睑近内眦处,体积较大并跨越重睑线的睑黄瘤,现在较多利用重睑成形术切口获得的多余皮肤(以及眼轮匝肌),分别作为全厚皮片、皮下蒂皮瓣或肌皮瓣修复皮肤缺损,均可获得比较理想的效果。
3、激光治疗:可根据病灶情况选择CO2激光、氩激光、YAG激光、脉冲染料激光等方式。
","articleBody": "血脂高长出来的眼睑瘤一般指的是睑黄瘤,常对称地发生于双上睑内眦部,多发或单发,表现为形态不规则、大小范围不等的橘黄色扁平斑块。
睑黄瘤可通过药物治疗、手术治疗、激光治疗等方法进行治疗。

睑黄瘤是一种常见的眼睑皮肤良性病变,由于脂质的组织聚集形成的皮肤黄色丘疹,常对称的好发于双上睑内眦部,多发或单发,表现为形态不规则、大小范围不等的橘黄色扁平斑块。睑黄瘤一旦形成,不会自发消失,病变随着时间而逐渐增大,甚至相互融合形成绕眼周环绕一圈的特征性黄色外观。睑黄瘤患者一般无明显自觉症状,且不影响视觉功能,局部皮肤偶见瘙痒,但很少引起功能性问题。原发性者常有家族高脂蛋白血症,可伴或不伴有血脂异常。
1、药物治疗:可遵医嘱使用局部药物注射治疗,主要使用的药物包括肝素类药物(如肝素钠、低分子肝素钙和藻酸双酯钠等)及部分抗肿瘤药物(如平阳霉素)等。使用局部药物治疗时,需要反复注射药物,且容易复发。
2、手术治疗:对于较小病损,可直接或结合睑成形术予以切除;对较大病损,则需要修复创面。对位于上睑近内眦处,体积较大并跨越重睑线的睑黄瘤,现在较多利用重睑成形术切口获得的多余皮肤(以及眼轮匝肌),分别作为全厚皮片、皮下蒂皮瓣或肌皮瓣修复皮肤缺损,均可获得比较理想的效果。
3、激光治疗:可根据病灶情况选择CO2激光、氩激光、YAG激光、脉冲染料激光等方式。
","scanCount": 52807}}} {"@context": "https://ziyuan.baidu.com/contexts/cambrian.jsonld","appid": "1650708455561748","icon": "https://www.med-credit.org.cn/style/images/ttlogo.png","content_tag": ["atlas"],"is_mcn": {"thumb_id": "lntvzimb"},"accid": "4886d626a2804dee5f11168793ce361672f39c25","@id": "https://www.med-credit.org.cn/mobile/jingxuan/2/86daf1f208ee128b244109d56d263d21.html","bagWordId": "654_1585949929619066880","title": "眼睛周围水肿图","pubDate": "2023-02-27T18:39:40","upDate": "2023-02-27T18:39:40","lrDate": "2023-02-27T18:39:40","description": "眼睛周围水肿是指眼睛周围异于平时,外形肿胀突出,可伴有一定程度的疼痛。","data": {"WebPage": {"headline": "眼睛周围水肿图","pcUrl": "https://www.med-credit.org.cn/jingxuan/2/86daf1f208ee128b244109d56d263d21.html","wapUrl": "https://www.med-credit.org.cn/jingxuan/2/86daf1f208ee128b244109d56d263d21.html","mipUrl": "https://www.med-credit.org.cn/mobile/jingxuan/2/86daf1f208ee128b244109d56d263d21.html","fromSrc": "欢乐橙","datePublished": "2023-02-27T18:39:40","domain": "医疗","category": ["医疗权威文章合作"],"description": "眼睛周围水肿是指眼睛周围异于平时,外形肿胀突出,可伴有一定程度的疼痛。
","extra_headline": [""]},"Author": {"name": "崔馨","wapUrl": "https://www.med-credit.org.cn/doctor/576","pcUrl": "https://www.med-credit.org.cn/doctor/576","jobTitle": "副主任医师","headPortrait": "https://www.med-credit.org.cn/uploadfile/member/576/180x180.jpeg","id": "576","description": "崔馨,解放军总医院眼科副主任医师","memberOf": {"legalName": "解放军总医院","department": "眼科","organizationLevel": "三级甲等"}},"Article": {"summaryContent": "眼睛周围水肿是指眼睛周围异于平时,外形肿胀突出,可伴有一定程度的疼痛。
眼睛周围水肿可能是生理原因引起的,也可能是眼部炎症或者肾脏疾病等原因引起的,可以冷敷、控制饮水量、使用药物等方法来改善,还要注意做好局部护理工作。

1、生理原因:在日常的生活中如果头一天晚上饮水过多或者哭泣时间过长,水分或者泪液在眼睛周围堆积,可能会导致眼睛肿胀的症状出现。这种情况一般无需治疗,可采用冷敷或者热敷、睡前控制饮水量等方法来缓解此症状。

2、眼部炎症:如果平时不注意眼睛的卫生,导致眼部出现炎症反应,可能会引起眼部组织肿胀和疼痛,也可能会伴有眼睑发红的症状。建议遵医嘱使用消炎抗感染的药物治疗,常用药物有左氧氟沙星滴眼液、妥布霉素滴眼液等。

3、肾脏疾病:肾脏疾病的患者由于肾脏对水和电解质的代谢能力下降,水分在体内堆积可引起眼部的水肿。可以遵医嘱使用利尿剂药物来改善,如氢氯噻嗪片、呋塞米片等。
除了上述相对常见的原因外,还有其他的可能性疾病,比如血管神经性水肿。建议患者出现这种症状后,及时去医院就诊,查明病因后,予以针对性治疗。
眼睛周围水肿建议要保持局部的干净清洁,短期内饮食尽量以清淡为主,有助于症状的好转。
","articleBody": "眼睛周围水肿是指眼睛周围异于平时,外形肿胀突出,可伴有一定程度的疼痛。
眼睛周围水肿可能是生理原因引起的,也可能是眼部炎症或者肾脏疾病等原因引起的,可以冷敷、控制饮水量、使用药物等方法来改善,还要注意做好局部护理工作。

1、生理原因:在日常的生活中如果头一天晚上饮水过多或者哭泣时间过长,水分或者泪液在眼睛周围堆积,可能会导致眼睛肿胀的症状出现。这种情况一般无需治疗,可采用冷敷或者热敷、睡前控制饮水量等方法来缓解此症状。

2、眼部炎症:如果平时不注意眼睛的卫生,导致眼部出现炎症反应,可能会引起眼部组织肿胀和疼痛,也可能会伴有眼睑发红的症状。建议遵医嘱使用消炎抗感染的药物治疗,常用药物有左氧氟沙星滴眼液、妥布霉素滴眼液等。

3、肾脏疾病:肾脏疾病的患者由于肾脏对水和电解质的代谢能力下降,水分在体内堆积可引起眼部的水肿。可以遵医嘱使用利尿剂药物来改善,如氢氯噻嗪片、呋塞米片等。
除了上述相对常见的原因外,还有其他的可能性疾病,比如血管神经性水肿。建议患者出现这种症状后,及时去医院就诊,查明病因后,予以针对性治疗。
眼睛周围水肿建议要保持局部的干净清洁,短期内饮食尽量以清淡为主,有助于症状的好转。
","scanCount": 52810}}} {"@context": "https://ziyuan.baidu.com/contexts/cambrian.jsonld","appid": "1650708455561748","icon": "https://www.med-credit.org.cn/style/images/ttlogo.png","content_tag": ["atlas"],"is_mcn": {"thumb_id": "lntvzimb"},"accid": "4886d626a2804dee5f11168793ce361672f39c25","@id": "https://www.med-credit.org.cn/mobile/jingxuan/2/750d9f17b6e260a07c040fbc356d3129.html","bagWordId": "654_1585949929665204224","title": "角膜云翳初期照片","pubDate": "2023-02-27T18:39:40","upDate": "2023-02-27T18:39:40","lrDate": "2023-02-27T18:39:40","description": "角膜云翳初期通常是指角膜发生炎症反应后,在修复期间形成的不同厚度的瘢痕组织,患者可能会有轻微的局部不适感。","data": {"WebPage": {"headline": "角膜云翳初期照片","pcUrl": "https://www.med-credit.org.cn/jingxuan/2/750d9f17b6e260a07c040fbc356d3129.html","wapUrl": "https://www.med-credit.org.cn/jingxuan/2/750d9f17b6e260a07c040fbc356d3129.html","mipUrl": "https://www.med-credit.org.cn/mobile/jingxuan/2/750d9f17b6e260a07c040fbc356d3129.html","fromSrc": "欢乐橙","datePublished": "2023-02-27T18:39:40","domain": "医疗","category": ["医疗权威文章合作"],"description": "角膜云翳初期通常是指角膜发生炎症反应后,在修复期间形成的不同厚度的瘢痕组织,患者可能会有轻微的局部不适感。
","extra_headline": [""]},"Author": {"name": "崔馨","wapUrl": "https://www.med-credit.org.cn/doctor/576","pcUrl": "https://www.med-credit.org.cn/doctor/576","jobTitle": "副主任医师","headPortrait": "https://www.med-credit.org.cn/uploadfile/member/576/180x180.jpeg","id": "576","description": "崔馨,解放军总医院眼科副主任医师","memberOf": {"legalName": "解放军总医院","department": "眼科","organizationLevel": "三级甲等"}},"Article": {"summaryContent": "角膜云翳初期通常是指角膜发生炎症反应后,在修复期间形成的不同厚度的瘢痕组织,患者可能会有轻微的局部不适感。
角膜云翳通常是由于角膜外伤或者角膜炎等原因引起的。在初期可以通过药物治疗的方式来改善,注意眼部清洁。

1、角膜外伤:当角膜受外伤并逐渐修复时,其部分组织会被纤维组织所代替,会使角膜不太透明,从而造成角膜云翳。角膜部位受外伤后对角膜部位产生刺激,时间长了可能会诱发角膜部位轻微不适感。
2、角膜炎:如果现在用手揉眼睛或者是不注意眼部清洁卫生,会导致眼角膜部位受到细菌感染,从而诱发角膜炎。角膜炎在局部愈合后出现变性,从而出现浅层的瘢痕性混浊的情况。
3、角膜软化:角膜软化症也是会引起角膜云翳的,这类疾病主要是因为缺乏维生素A引起的。一般情况下,还伴随着畏光、夜盲等症状,通常发生于3岁以下的儿童;因此,如果小孩子出现角膜云翳的话,很有可能是角膜软化症引起的。
除了上述相对常见的原因外,还有其他的可能性疾病,比如上火。建议患者出现这种症状后,及时去医院就诊,查明病因后,予以针对性治疗。
如果角膜云翳症状轻微,患者可以在主治医师指导下,选择使用人工泪液保持角膜局部的湿润,有炎症的角膜云翳患者也可使用抗生素或激素滴眼液进行局部治疗。
角膜云翳在治疗期间应保持眼部的干净清洁,避免用手揉眼睛,减少感染的几率。
","articleBody": "角膜云翳初期通常是指角膜发生炎症反应后,在修复期间形成的不同厚度的瘢痕组织,患者可能会有轻微的局部不适感。
角膜云翳通常是由于角膜外伤或者角膜炎等原因引起的。在初期可以通过药物治疗的方式来改善,注意眼部清洁。

1、角膜外伤:当角膜受外伤并逐渐修复时,其部分组织会被纤维组织所代替,会使角膜不太透明,从而造成角膜云翳。角膜部位受外伤后对角膜部位产生刺激,时间长了可能会诱发角膜部位轻微不适感。
2、角膜炎:如果现在用手揉眼睛或者是不注意眼部清洁卫生,会导致眼角膜部位受到细菌感染,从而诱发角膜炎。角膜炎在局部愈合后出现变性,从而出现浅层的瘢痕性混浊的情况。
3、角膜软化:角膜软化症也是会引起角膜云翳的,这类疾病主要是因为缺乏维生素A引起的。一般情况下,还伴随着畏光、夜盲等症状,通常发生于3岁以下的儿童;因此,如果小孩子出现角膜云翳的话,很有可能是角膜软化症引起的。
除了上述相对常见的原因外,还有其他的可能性疾病,比如上火。建议患者出现这种症状后,及时去医院就诊,查明病因后,予以针对性治疗。
如果角膜云翳症状轻微,患者可以在主治医师指导下,选择使用人工泪液保持角膜局部的湿润,有炎症的角膜云翳患者也可使用抗生素或激素滴眼液进行局部治疗。
角膜云翳在治疗期间应保持眼部的干净清洁,避免用手揉眼睛,减少感染的几率。
","scanCount": 52811}}} {"@context": "https://ziyuan.baidu.com/contexts/cambrian.jsonld","appid": "1650708455561748","icon": "https://www.med-credit.org.cn/style/images/ttlogo.png","content_tag": ["atlas"],"is_mcn": {"thumb_id": "lntvzimb"},"accid": "4886d626a2804dee5f11168793ce361672f39c25","@id": "https://www.med-credit.org.cn/mobile/jingxuan/2/f2b7d08bdb094d834488c66177296798.html","bagWordId": "654_1585949929799421952","title": "眼底肿瘤的图片","pubDate": "2023-02-27T18:39:40","upDate": "2023-02-27T18:39:40","lrDate": "2023-02-27T18:39:40","description": "眼底肿瘤是指眼底的部位出现肿瘤,可能会导致患者出现眼球突出、结膜血管扩张等症状。","data": {"WebPage": {"headline": "眼底肿瘤的图片","pcUrl": "https://www.med-credit.org.cn/jingxuan/2/f2b7d08bdb094d834488c66177296798.html","wapUrl": "https://www.med-credit.org.cn/jingxuan/2/f2b7d08bdb094d834488c66177296798.html","mipUrl": "https://www.med-credit.org.cn/mobile/jingxuan/2/f2b7d08bdb094d834488c66177296798.html","fromSrc": "欢乐橙","datePublished": "2023-02-27T18:39:40","domain": "医疗","category": ["医疗权威文章合作"],"description": "眼底肿瘤是指眼底的部位出现肿瘤,可能会导致患者出现眼球突出、结膜血管扩张等症状。
","extra_headline": [""]},"Author": {"name": "崔馨","wapUrl": "https://www.med-credit.org.cn/doctor/576","pcUrl": "https://www.med-credit.org.cn/doctor/576","jobTitle": "副主任医师","headPortrait": "https://www.med-credit.org.cn/uploadfile/member/576/180x180.jpeg","id": "576","description": "崔馨,解放军总医院眼科副主任医师","memberOf": {"legalName": "解放军总医院","department": "眼科","organizationLevel": "三级甲等"}},"Article": {"summaryContent": "眼底肿瘤是指眼底的部位出现肿瘤,可能会导致患者出现眼球突出、结膜血管扩张等症状。
眼底肿瘤可能是由于遗传因素、内分泌失调、免疫缺陷等原因引起的。平时还要注意个人的护理、调整饮食习惯。

1、遗传因素:眼底肿瘤可能是由于遗传因素引起的,比如先天性的眼眶囊肿、先天性角膜皮样囊肿等,皮肤表面会有突出肿物的表现。
2、内分泌失调:内分泌失调的患者由于体内激素水平的紊乱,从而导致身体产生刺激时,可能会引起患者出现失眠,皮肤表面长斑,甚至诱发眼底出现肿瘤。
3、免疫缺陷:患有免疫缺陷性疾病,会导致自身的免疫力以及抵抗力下降而容易出现不良的病变,造成眼底有突出物,并且会出现结膜充血、疼痛等症状。
除了上述相对常见的原因外,还有可能是身体其他部位的肿瘤从血液转移到眼眶。建议患者出现这种症状后,及时去医院就诊,查明病因后,予以针对性治疗。
患者需适当地加强饮食营养,避免进食辛辣刺激性食物,同时可加强运动提高身体的免疫力,有利于疾病的好转。
","articleBody": "眼底肿瘤是指眼底的部位出现肿瘤,可能会导致患者出现眼球突出、结膜血管扩张等症状。
眼底肿瘤可能是由于遗传因素、内分泌失调、免疫缺陷等原因引起的。平时还要注意个人的护理、调整饮食习惯。

1、遗传因素:眼底肿瘤可能是由于遗传因素引起的,比如先天性的眼眶囊肿、先天性角膜皮样囊肿等,皮肤表面会有突出肿物的表现。
2、内分泌失调:内分泌失调的患者由于体内激素水平的紊乱,从而导致身体产生刺激时,可能会引起患者出现失眠,皮肤表面长斑,甚至诱发眼底出现肿瘤。
3、免疫缺陷:患有免疫缺陷性疾病,会导致自身的免疫力以及抵抗力下降而容易出现不良的病变,造成眼底有突出物,并且会出现结膜充血、疼痛等症状。
除了上述相对常见的原因外,还有可能是身体其他部位的肿瘤从血液转移到眼眶。建议患者出现这种症状后,及时去医院就诊,查明病因后,予以针对性治疗。
患者需适当地加强饮食营养,避免进食辛辣刺激性食物,同时可加强运动提高身体的免疫力,有利于疾病的好转。
","scanCount": 52812}}} {"@context": "https://ziyuan.baidu.com/contexts/cambrian.jsonld","appid": "1650708455561748","icon": "https://www.med-credit.org.cn/style/images/ttlogo.png","content_tag": ["atlas"],"is_mcn": {"thumb_id": "lntvzimb"},"accid": "4886d626a2804dee5f11168793ce361672f39c25","@id": "https://www.med-credit.org.cn/mobile/jingxuan/2/e5ee7bfdc6c708f25f4b3679ca6885d7.html","bagWordId": "654_1585949929937833984","title": "角膜浸润图片","pubDate": "2023-02-27T18:39:40","upDate": "2023-02-27T18:39:40","lrDate": "2023-02-27T18:39:40","description": "角膜浸润通常会在角膜的部位出现树枝状或者圆形的充血病灶以及眼膏状分泌物的情况。","data": {"WebPage": {"headline": "角膜浸润图片","pcUrl": "https://www.med-credit.org.cn/jingxuan/2/e5ee7bfdc6c708f25f4b3679ca6885d7.html","wapUrl": "https://www.med-credit.org.cn/jingxuan/2/e5ee7bfdc6c708f25f4b3679ca6885d7.html","mipUrl": "https://www.med-credit.org.cn/mobile/jingxuan/2/e5ee7bfdc6c708f25f4b3679ca6885d7.html","fromSrc": "欢乐橙","datePublished": "2023-02-27T18:39:40","domain": "医疗","category": ["医疗权威文章合作"],"description": "角膜浸润通常会在角膜的部位出现树枝状或者圆形的充血病灶以及眼膏状分泌物的情况。
","extra_headline": [""]},"Author": {"name": "崔馨","wapUrl": "https://www.med-credit.org.cn/doctor/576","pcUrl": "https://www.med-credit.org.cn/doctor/576","jobTitle": "副主任医师","headPortrait": "https://www.med-credit.org.cn/uploadfile/member/576/180x180.jpeg","id": "576","description": "崔馨,解放军总医院眼科副主任医师","memberOf": {"legalName": "解放军总医院","department": "眼科","organizationLevel": "三级甲等"}},"Article": {"summaryContent": "角膜浸润通常会在角膜的部位出现树枝状或者圆形的充血病灶以及眼膏状分泌物的情况。
角膜浸润一般是角膜发炎所致,可能是由于细菌、病毒、真菌感染等因素引起的,可以使用相应的药物来进行治疗,日常生活中还要注意局部的干净清洁。

1、细菌感染:细菌感染而引起的角膜局部炎症通常会导致角膜的部位出现圆形的浸润病灶,同时伴有一些脓性分泌物渗出,患者会出现眼痛、怕光、流泪等症状表现。建议遵医嘱使用抗生素药物治疗,常用的药物有左氧氟沙星滴眼液、妥布霉素地塞米松滴眼液等。

2、病毒感染:病毒感染引起的角膜炎症通常会导致角膜部位出现树枝状的病灶。其临床特点是反复发作,多次发作使角膜混浊逐次加重,最终可能致盲。需要遵医嘱使用抗病毒的药物改善,常用的药物有阿昔洛韦滴眼液、更昔洛韦滴眼液等。
3、真菌感染:真菌感染引起的角膜浸润则为眼膏状分泌物覆盖在浸润灶上。此病起病缓慢,刺激症状如咽痛、怕光等症状较轻,但致盲率高。可在医生指导下使用0.25%两性霉素B滴眼液、0.5%咪康唑滴眼液。
除了上述相对常见的原因外,还有可能是身体抵抗力下降引起的。建议患者出现这种症状后,及时去医院就诊,查明病因后,予以针对性治疗。
角膜浸润的患者在治疗期间应保持眼部的干净清洁,避免用手揉眼睛,有助于症状的好转。
","articleBody": "角膜浸润通常会在角膜的部位出现树枝状或者圆形的充血病灶以及眼膏状分泌物的情况。
角膜浸润一般是角膜发炎所致,可能是由于细菌、病毒、真菌感染等因素引起的,可以使用相应的药物来进行治疗,日常生活中还要注意局部的干净清洁。

1、细菌感染:细菌感染而引起的角膜局部炎症通常会导致角膜的部位出现圆形的浸润病灶,同时伴有一些脓性分泌物渗出,患者会出现眼痛、怕光、流泪等症状表现。建议遵医嘱使用抗生素药物治疗,常用的药物有左氧氟沙星滴眼液、妥布霉素地塞米松滴眼液等。

2、病毒感染:病毒感染引起的角膜炎症通常会导致角膜部位出现树枝状的病灶。其临床特点是反复发作,多次发作使角膜混浊逐次加重,最终可能致盲。需要遵医嘱使用抗病毒的药物改善,常用的药物有阿昔洛韦滴眼液、更昔洛韦滴眼液等。
3、真菌感染:真菌感染引起的角膜浸润则为眼膏状分泌物覆盖在浸润灶上。此病起病缓慢,刺激症状如咽痛、怕光等症状较轻,但致盲率高。可在医生指导下使用0.25%两性霉素B滴眼液、0.5%咪康唑滴眼液。
除了上述相对常见的原因外,还有可能是身体抵抗力下降引起的。建议患者出现这种症状后,及时去医院就诊,查明病因后,予以针对性治疗。
角膜浸润的患者在治疗期间应保持眼部的干净清洁,避免用手揉眼睛,有助于症状的好转。
","scanCount": 52815}}} {"@context": "https://ziyuan.baidu.com/contexts/cambrian.jsonld","appid": "1650708455561748","icon": "https://www.med-credit.org.cn/style/images/ttlogo.png","content_tag": ["atlas"],"is_mcn": {"thumb_id": "lntvzimb"},"accid": "4886d626a2804dee5f11168793ce361672f39c25","@id": "https://www.med-credit.org.cn/mobile/jingxuan/2/341d7ac13d1b08512d9ea8a2319e1c15.html","bagWordId": "654_1585949930160132096","title": "眼睛淤血图片","pubDate": "2023-02-27T18:39:40","upDate": "2023-02-27T18:39:40","lrDate": "2023-02-27T18:39:40","description": "眼睛淤血通常眼睛黏膜会出现充血、水肿的症状,并伴有不同程度的疼痛。","data": {"WebPage": {"headline": "眼睛淤血图片","pcUrl": "https://www.med-credit.org.cn/jingxuan/2/341d7ac13d1b08512d9ea8a2319e1c15.html","wapUrl": "https://www.med-credit.org.cn/jingxuan/2/341d7ac13d1b08512d9ea8a2319e1c15.html","mipUrl": "https://www.med-credit.org.cn/mobile/jingxuan/2/341d7ac13d1b08512d9ea8a2319e1c15.html","fromSrc": "欢乐橙","datePublished": "2023-02-27T18:39:40","domain": "医疗","category": ["医疗权威文章合作"],"description": "眼睛淤血通常眼睛黏膜会出现充血、水肿的症状,并伴有不同程度的疼痛。
","extra_headline": [""]},"Author": {"name": "崔馨","wapUrl": "https://www.med-credit.org.cn/doctor/576","pcUrl": "https://www.med-credit.org.cn/doctor/576","jobTitle": "副主任医师","headPortrait": "https://www.med-credit.org.cn/uploadfile/member/576/180x180.jpeg","id": "576","description": "崔馨,解放军总医院眼科副主任医师","memberOf": {"legalName": "解放军总医院","department": "眼科","organizationLevel": "三级甲等"}},"Article": {"summaryContent": "眼睛淤血通常眼睛黏膜会出现充血、水肿的症状,并伴有不同程度的疼痛。
眼睛淤血可能是由于外伤、眼部炎症等因素引起的,可以采用按压或者是使用药物等方法来改善,还要注意局部的清洁卫生。

1、外伤:当眼部受到外伤时,可能会导致局部的毛细血管发生破裂,眼部出现瘀斑、充血以及有血凝块的表现。要做好局部的护理,如果出血过多,建议及时进行按压的方法来改善,并到医院进行治疗。

2、眼部炎症:眼部炎症的患者,比如结膜炎、角膜炎等,通常由于局部炎性代谢产物的刺激可导致眼睛内部毛细血管扩张、充血。建议遵医嘱使用消炎抗感染的药物治疗,常用的药物有左氧氟沙星滴眼液、红霉素眼膏等。
3、高血压:当自身存在高血压时,可能会导致血管压力过大,眼睛内毛细血管容易发生破裂出血,一般会伴有头痛、心律失常、疲倦等症状。建议确诊后遵医嘱进行药物治疗,如盐酸哌唑嗪片。
除了上述相对常见的原因外,还有其他的可能性疾病,比如白血病。建议患者出现这种症状后,及时去医院就诊,查明病因后,予以针对性治疗。
眼睛淤血要注意眼部的清洁卫生,避免用手去触摸眼睛部位,不要看电子产品。
","articleBody": "眼睛淤血通常眼睛黏膜会出现充血、水肿的症状,并伴有不同程度的疼痛。
眼睛淤血可能是由于外伤、眼部炎症等因素引起的,可以采用按压或者是使用药物等方法来改善,还要注意局部的清洁卫生。

1、外伤:当眼部受到外伤时,可能会导致局部的毛细血管发生破裂,眼部出现瘀斑、充血以及有血凝块的表现。要做好局部的护理,如果出血过多,建议及时进行按压的方法来改善,并到医院进行治疗。

2、眼部炎症:眼部炎症的患者,比如结膜炎、角膜炎等,通常由于局部炎性代谢产物的刺激可导致眼睛内部毛细血管扩张、充血。建议遵医嘱使用消炎抗感染的药物治疗,常用的药物有左氧氟沙星滴眼液、红霉素眼膏等。
3、高血压:当自身存在高血压时,可能会导致血管压力过大,眼睛内毛细血管容易发生破裂出血,一般会伴有头痛、心律失常、疲倦等症状。建议确诊后遵医嘱进行药物治疗,如盐酸哌唑嗪片。
除了上述相对常见的原因外,还有其他的可能性疾病,比如白血病。建议患者出现这种症状后,及时去医院就诊,查明病因后,予以针对性治疗。
眼睛淤血要注意眼部的清洁卫生,避免用手去触摸眼睛部位,不要看电子产品。
","scanCount": 52817}}} {"@context": "https://ziyuan.baidu.com/contexts/cambrian.jsonld","appid": "1650708455561748","icon": "https://www.med-credit.org.cn/style/images/ttlogo.png","content_tag": ["atlas"],"is_mcn": {"thumb_id": "lnsk06v2"},"accid": "4886d626a2804dee5f11168793ce361672f39c25","@id": "https://www.med-credit.org.cn/mobile/jingxuan/2/2463ee463c9bd311b4731832b201d633.html","bagWordId": "407_1570734615528738816","title": "黄干巴菌图片","pubDate": "2023-02-27T18:39:40","upDate": "2023-02-27T18:39:40","lrDate": "2023-02-27T18:39:40","description": "黄干巴菌,是干巴菌的一种,是一种食用类的真菌,又被称为干巴革菌、对花菌。","data": {"WebPage": {"headline": "黄干巴菌图片","pcUrl": "https://www.med-credit.org.cn/jingxuan/2/2463ee463c9bd311b4731832b201d633.html","wapUrl": "https://www.med-credit.org.cn/jingxuan/2/2463ee463c9bd311b4731832b201d633.html","mipUrl": "https://www.med-credit.org.cn/mobile/jingxuan/2/2463ee463c9bd311b4731832b201d633.html","fromSrc": "欢乐橙","datePublished": "2023-02-27T18:39:40","domain": "医疗","category": ["医疗权威文章合作"],"description": "黄干巴菌,是干巴菌的一种,是一种食用类的真菌,又被称为干巴革菌、对花菌。
","extra_headline": [""]},"Author": {"name": "王霞","wapUrl": "https://www.med-credit.org.cn/doctor/578","pcUrl": "https://www.med-credit.org.cn/doctor/578","jobTitle": "副主任医师","headPortrait": "https://www.med-credit.org.cn/uploadfile/member/578/180x180.jpeg","id": "578","description": "王霞,广州医科大学附属第一医院皮肤科副主任医师","memberOf": {"legalName": "广州医科大学附属第一医院","department": "皮肤科","organizationLevel": "三级甲等"}},"Article": {"summaryContent": "黄干巴菌,是干巴菌的一种,是一种食用类的真菌,又被称为干巴革菌、对花菌。
黄干巴菌具有美味可口、独具异香的特点,它的营养非常丰富,是云南地区珍贵的野生食用菌。

1、形态特征:黄干巴菌具有革菌科的典型特征。全菌干燥革质,从基部分出扇状,或者莲座状瓣片。既不呈孔状,也不呈褶片状,而是表面光辫,或者具疣状突起;
2、分布区域:主要分布在滇中高原,主要产地在云南的昆明、曲靖、玉溪、楚雄,其次在云南的思茅、保山、大理、丽江。除此之外,在贵州西部以及四川南部的局部地区也有少量分布。它的分布区主要在北纬22°~27°和东经999°~106°,海拔800~2200m,并且集中在1000~2200m的松林中。
黄干巴菌是野生的食用菌中是最具有独特风味的,它内含粗蛋白19.2%、粗脂肪7.9%、灰份16.1%、总糖15.8%,并且还含有人体不能合成的多种氨基酸。
","articleBody": "黄干巴菌,是干巴菌的一种,是一种食用类的真菌,又被称为干巴革菌、对花菌。
黄干巴菌具有美味可口、独具异香的特点,它的营养非常丰富,是云南地区珍贵的野生食用菌。

1、形态特征:黄干巴菌具有革菌科的典型特征。全菌干燥革质,从基部分出扇状,或者莲座状瓣片。既不呈孔状,也不呈褶片状,而是表面光辫,或者具疣状突起;
2、分布区域:主要分布在滇中高原,主要产地在云南的昆明、曲靖、玉溪、楚雄,其次在云南的思茅、保山、大理、丽江。除此之外,在贵州西部以及四川南部的局部地区也有少量分布。它的分布区主要在北纬22°~27°和东经999°~106°,海拔800~2200m,并且集中在1000~2200m的松林中。
黄干巴菌是野生的食用菌中是最具有独特风味的,它内含粗蛋白19.2%、粗脂肪7.9%、灰份16.1%、总糖15.8%,并且还含有人体不能合成的多种氨基酸。
","scanCount": 51615}}} {"@context": "https://ziyuan.baidu.com/contexts/cambrian.jsonld","appid": "1650708455561748","icon": "https://www.med-credit.org.cn/style/images/ttlogo.png","content_tag": ["atlas"],"is_mcn": {"thumb_id": "yfygkay6"},"accid": "4886d626a2804dee5f11168793ce361672f39c25","@id": "https://www.med-credit.org.cn/mobile/jingxuan/2/879b3d1ebafa9efb3b47b29cfca8a67a.html","bagWordId": "407_1570734595589017600","title": "人体声带结构图","pubDate": "2023-02-27T18:39:40","upDate": "2023-02-27T18:39:40","lrDate": "2023-02-27T18:39:40","description": "人体的声带是位于喉腔的中部,由声带肌、声带韧带和黏膜三部分构成,左右相互对称,是发声器官的重要组成部分。","data": {"WebPage": {"headline": "人体声带结构图","pcUrl": "https://www.med-credit.org.cn/jingxuan/2/879b3d1ebafa9efb3b47b29cfca8a67a.html","wapUrl": "https://www.med-credit.org.cn/jingxuan/2/879b3d1ebafa9efb3b47b29cfca8a67a.html","mipUrl": "https://www.med-credit.org.cn/mobile/jingxuan/2/879b3d1ebafa9efb3b47b29cfca8a67a.html","fromSrc": "欢乐橙","datePublished": "2023-02-27T18:39:40","domain": "医疗","category": ["医疗权威文章合作"],"description": "人体的声带是位于喉腔的中部,由声带肌、声带韧带和黏膜三部分构成,左右相互对称,是发声器官的重要组成部分。
","extra_headline": [""]},"Author": {"name": "王立银","wapUrl": "https://www.med-credit.org.cn/doctor/520","pcUrl": "https://www.med-credit.org.cn/doctor/520","jobTitle": "主治医师","headPortrait": "https://www.med-credit.org.cn/uploadfile/member/520/180x180.jpeg","id": "520","description": "王立银,中国医科大学附属盛京医院耳鼻咽喉头颈外科主治医师","memberOf": {"legalName": "中国医科大学附属盛京医院","department": "耳鼻咽喉头颈外科","organizationLevel": "三级甲等"}},"Article": {"summaryContent": "人体的声带是位于喉腔的中部,由声带肌、声带韧带和黏膜三部分构成,左右相互对称,是发声器官的重要组成部分。

1.声带肌:声带肌是甲杓肌下部的肌束,位于声襞内,声韧带的外侧,发声时其收缩可使声襞变短而松弛;
2.声带韧带:位于弹性圆锥的上缘,张于甲状软骨前角的后面及杓状软骨声带突之间,此为声带的基础。声韧带位置表浅,易于从体表触得。声韧带作用为发音形式,若发音时失去圆润、清亮的音质,表现沙哑等,表示声韧带发生了有关病变;
3.声带黏膜:喉腔侧壁黏膜有上、下两对矢状位的黏膜皱襞。其上一对为室襞,两侧室襞间隙称前庭裂,下方为声襞或声带,声带黏膜具有相应的保护作用。
声带是发声器官的重要部分。音调的高低,主要取决于声带的位置、长度及紧张度,呼出的气流功能于声带上的力量。具体声带的位置、长短及紧张度由喉肌的运动来控制。呼出的气流功能作用于声带上的力量大小,一般由呼气时胸腔压力的大小决定。女子的声带一般较短,男子的声带一般较长,故女子的音调比男子高。男子到了青春期,喉部发育较快,声带面积显著短期变大,所以音调变低,出现变声的现象。
","articleBody": "人体的声带是位于喉腔的中部,由声带肌、声带韧带和黏膜三部分构成,左右相互对称,是发声器官的重要组成部分。

1.声带肌:声带肌是甲杓肌下部的肌束,位于声襞内,声韧带的外侧,发声时其收缩可使声襞变短而松弛;
2.声带韧带:位于弹性圆锥的上缘,张于甲状软骨前角的后面及杓状软骨声带突之间,此为声带的基础。声韧带位置表浅,易于从体表触得。声韧带作用为发音形式,若发音时失去圆润、清亮的音质,表现沙哑等,表示声韧带发生了有关病变;
3.声带黏膜:喉腔侧壁黏膜有上、下两对矢状位的黏膜皱襞。其上一对为室襞,两侧室襞间隙称前庭裂,下方为声襞或声带,声带黏膜具有相应的保护作用。
声带是发声器官的重要部分。音调的高低,主要取决于声带的位置、长度及紧张度,呼出的气流功能于声带上的力量。具体声带的位置、长短及紧张度由喉肌的运动来控制。呼出的气流功能作用于声带上的力量大小,一般由呼气时胸腔压力的大小决定。女子的声带一般较短,男子的声带一般较长,故女子的音调比男子高。男子到了青春期,喉部发育较快,声带面积显著短期变大,所以音调变低,出现变声的现象。
","scanCount": 51640}}} {"@context": "https://ziyuan.baidu.com/contexts/cambrian.jsonld","appid": "1650708455561748","icon": "https://www.med-credit.org.cn/style/images/ttlogo.png","content_tag": ["atlas"],"is_mcn": {"thumb_id": "6s1phww1w"},"accid": "4886d626a2804dee5f11168793ce361672f39c25","@id": "https://www.med-credit.org.cn/mobile/jingxuan/2/600e852b0f49260ea564d99d3aabba9a.html","bagWordId": "269_1558063588776611840","title": "脊柱图片3d解剖图","pubDate": "2023-02-27T18:39:40","upDate": "2023-02-27T18:39:40","lrDate": "2023-02-27T18:39:40","description": "脊柱由24块椎骨、1块骶骨和1块尾骨借骨连接而成,构成人体的中轴,上承载颅,下连肢带骨。","data": {"WebPage": {"headline": "脊柱图片3d解剖图","pcUrl": "https://www.med-credit.org.cn/jingxuan/2/600e852b0f49260ea564d99d3aabba9a.html","wapUrl": "https://www.med-credit.org.cn/jingxuan/2/600e852b0f49260ea564d99d3aabba9a.html","mipUrl": "https://www.med-credit.org.cn/mobile/jingxuan/2/600e852b0f49260ea564d99d3aabba9a.html","fromSrc": "欢乐橙","datePublished": "2023-02-27T18:39:40","domain": "医疗","category": ["医疗权威文章合作"],"description": "脊柱由24块椎骨、1块骶骨和1块尾骨借骨连接而成,构成人体的中轴,上承载颅,下连肢带骨。
","extra_headline": [""]},"Author": {"name": "王维","wapUrl": "https://www.med-credit.org.cn/doctor/513","pcUrl": "https://www.med-credit.org.cn/doctor/513","jobTitle": "主治医师","headPortrait": "https://www.med-credit.org.cn/uploadfile/member/513/180x180.jpeg","id": "513","description": "王维,中国医科大学附属盛京医院骨科主治医师","memberOf": {"legalName": "中国医科大学附属盛京医院","department": "骨科","organizationLevel": "三级甲等"}},"Article": {"summaryContent": "脊柱由24块椎骨、1块骶骨和1块尾骨借骨连接而成,构成人体的中轴,上承载颅,下连肢带骨。
脊柱的功能是支持躯干和保护脊髓。其活动范围较大。

成年男性的脊柱长约70cm,其长度会随着姿势、年龄和性别而变化。从前面观,自第2颈椎到第3腰椎的椎体宽度,自上而下随负载增加而逐渐加宽,到第2骶椎最宽,其后体积逐渐缩小。
正常人脊柱有轻度侧区,惯用右手的人脊柱上部略凸向右侧,下部则代偿性略向左凸。从后面观,可见所有椎骨棘突连贯形成纵嵴,位于背部正中线上。颈椎棘突呈水平位,胸椎棘突呈叠瓦状,腰椎棘突水平伸向后方。
侧面观脊柱有四个生理弯曲,分别为颈、胸、腰、骶4个部分。其中,颈曲、腰曲朝前,胸曲、骶曲朝后。
脊柱整体的运动范围是很大的,可作屈伸、侧屈、旋转和环转运动。脊柱的各部位的运动性质和范围不同,由于颈、腰部运动灵活,故损伤也较多见。
在生活中出现脊柱的疼痛,应该及时去医院进行专业检查,并遵照医师的指导进行脊柱的保护和康复。
","articleBody": "脊柱由24块椎骨、1块骶骨和1块尾骨借骨连接而成,构成人体的中轴,上承载颅,下连肢带骨。
脊柱的功能是支持躯干和保护脊髓。其活动范围较大。

成年男性的脊柱长约70cm,其长度会随着姿势、年龄和性别而变化。从前面观,自第2颈椎到第3腰椎的椎体宽度,自上而下随负载增加而逐渐加宽,到第2骶椎最宽,其后体积逐渐缩小。
正常人脊柱有轻度侧区,惯用右手的人脊柱上部略凸向右侧,下部则代偿性略向左凸。从后面观,可见所有椎骨棘突连贯形成纵嵴,位于背部正中线上。颈椎棘突呈水平位,胸椎棘突呈叠瓦状,腰椎棘突水平伸向后方。
侧面观脊柱有四个生理弯曲,分别为颈、胸、腰、骶4个部分。其中,颈曲、腰曲朝前,胸曲、骶曲朝后。
脊柱整体的运动范围是很大的,可作屈伸、侧屈、旋转和环转运动。脊柱的各部位的运动性质和范围不同,由于颈、腰部运动灵活,故损伤也较多见。
在生活中出现脊柱的疼痛,应该及时去医院进行专业检查,并遵照医师的指导进行脊柱的保护和康复。
","scanCount": 95617}}} {"@context": "https://ziyuan.baidu.com/contexts/cambrian.jsonld","appid": "1650708455561748","icon": "https://www.med-credit.org.cn/style/images/ttlogo.png","content_tag": ["atlas"],"is_mcn": {"thumb_id": "fe2jhbe4e"},"accid": "4886d626a2804dee5f11168793ce361672f39c25","@id": "https://www.med-credit.org.cn/mobile/jingxuan/2/c48d3d68a41ece2cb3a78339fc4f5a0e.html","bagWordId": "269_1558063569130491904","title": "裂头蚴图片","pubDate": "2023-02-27T18:39:40","upDate": "2023-02-27T18:39:40","lrDate": "2023-02-27T18:39:40","description": "裂头蚴是曼氏迭宫绦虫的幼虫,可寄生于人体,引起裂头蚴病。","data": {"WebPage": {"headline": "裂头蚴图片","pcUrl": "https://www.med-credit.org.cn/jingxuan/2/c48d3d68a41ece2cb3a78339fc4f5a0e.html","wapUrl": "https://www.med-credit.org.cn/jingxuan/2/c48d3d68a41ece2cb3a78339fc4f5a0e.html","mipUrl": "https://www.med-credit.org.cn/mobile/jingxuan/2/c48d3d68a41ece2cb3a78339fc4f5a0e.html","fromSrc": "欢乐橙","datePublished": "2023-02-27T18:39:40","domain": "医疗","category": ["医疗权威文章合作"],"description": "裂头蚴是曼氏迭宫绦虫的幼虫,可寄生于人体,引起裂头蚴病。
","extra_headline": [""]},"Author": {"name": "孙婷丽","wapUrl": "https://www.med-credit.org.cn/doctor/510","pcUrl": "https://www.med-credit.org.cn/doctor/510","jobTitle": "主治医师","headPortrait": "https://www.med-credit.org.cn/uploadfile/member/510/180x180.jpeg","id": "510","description": "孙婷丽,中国医科大学附属盛京医院全科医学主治医师","memberOf": {"legalName": "中国医科大学附属盛京医院","department": "内科","organizationLevel": "三级甲等"}},"Article": {"summaryContent": "裂头蚴是曼氏迭宫绦虫的幼虫,可寄生于人体,引起裂头蚴病。
裂头蚴可寄生在眼部、皮下、脑、肾、肺等部位出现不同部位的症状。

1.症状:裂头蚴在身体内寄生有短则2-10天,长达2-3年的潜伏期,一般在寄生的局部发病,不同部位有不同的症状。如眼部裂头蚴病表现为单眼眼睑红肿、畏光、流泪,眼睑或结膜下可有肿块;皮下裂头蚴多发在胸壁、腹壁、乳房、外生殖器、四肢等部位,有圆形或不规则的游走性结节,伴瘙痒、虫爬感,有时有疼痛等。
2.病因:裂头蚴可存在生的蛙、蛇、鸡、猪、马等,若生食含有裂头蚴的肉,或生肉直接接触到人体黏膜或伤口均可引起裂头蚴感染。另外,饮用生水或游泳时勿吞湖水可能将受感染的剑水蚤吞下,造成感染。
曼氏裂头蚴病的治疗主要依靠手术治疗,手术将虫体取净可根治疾病。若内脏裂头蚴病不适宜手术者,可使用药物治疗,可遵医嘱口服吡喹酮或阿苯达唑驱虫。
","articleBody": "裂头蚴是曼氏迭宫绦虫的幼虫,可寄生于人体,引起裂头蚴病。
裂头蚴可寄生在眼部、皮下、脑、肾、肺等部位出现不同部位的症状。

1.症状:裂头蚴在身体内寄生有短则2-10天,长达2-3年的潜伏期,一般在寄生的局部发病,不同部位有不同的症状。如眼部裂头蚴病表现为单眼眼睑红肿、畏光、流泪,眼睑或结膜下可有肿块;皮下裂头蚴多发在胸壁、腹壁、乳房、外生殖器、四肢等部位,有圆形或不规则的游走性结节,伴瘙痒、虫爬感,有时有疼痛等。
2.病因:裂头蚴可存在生的蛙、蛇、鸡、猪、马等,若生食含有裂头蚴的肉,或生肉直接接触到人体黏膜或伤口均可引起裂头蚴感染。另外,饮用生水或游泳时勿吞湖水可能将受感染的剑水蚤吞下,造成感染。
曼氏裂头蚴病的治疗主要依靠手术治疗,手术将虫体取净可根治疾病。若内脏裂头蚴病不适宜手术者,可使用药物治疗,可遵医嘱口服吡喹酮或阿苯达唑驱虫。
","scanCount": }}} {"@context": "https://ziyuan.baidu.com/contexts/cambrian.jsonld","appid": "1650708455561748","icon": "https://www.med-credit.org.cn/style/images/ttlogo.png","content_tag": ["atlas"],"is_mcn": {"thumb_id": "6s1phww1w"},"accid": "4886d626a2804dee5f11168793ce361672f39c25","@id": "https://www.med-credit.org.cn/mobile/jingxuan/2/6e21877ac9461e743a8bf8cfa376a6da.html","bagWordId": "22_1526480491954311168","title": "颈蹼图片","pubDate": "2023-02-27T18:39:40","upDate": "2023-02-27T18:39:40","lrDate": "2023-02-27T18:39:40","description": "颈蹼可能是胎儿发育畸形引起的,也可能是遗传原因引起的。","data": {"WebPage": {"headline": "颈蹼图片","pcUrl": "https://www.med-credit.org.cn/jingxuan/2/6e21877ac9461e743a8bf8cfa376a6da.html","wapUrl": "https://www.med-credit.org.cn/jingxuan/2/6e21877ac9461e743a8bf8cfa376a6da.html","mipUrl": "https://www.med-credit.org.cn/mobile/jingxuan/2/6e21877ac9461e743a8bf8cfa376a6da.html","fromSrc": "欢乐橙","datePublished": "2023-02-27T18:39:40","domain": "医疗","category": ["医疗权威文章合作"],"description": "颈蹼可能是胎儿发育畸形引起的,也可能是遗传原因引起的。
","extra_headline": [""]},"Author": {"name": "王维","wapUrl": "https://www.med-credit.org.cn/doctor/513","pcUrl": "https://www.med-credit.org.cn/doctor/513","jobTitle": "主治医师","headPortrait": "https://www.med-credit.org.cn/uploadfile/member/513/180x180.jpeg","id": "513","description": "王维,中国医科大学附属盛京医院骨科主治医师","memberOf": {"legalName": "中国医科大学附属盛京医院","department": "骨科","organizationLevel": "三级甲等"}},"Article": {"summaryContent": "颈蹼可能是胎儿发育畸形引起的,也可能是遗传原因引起的。
颈蹼临床表现为两侧肩与颈部连成一片,呈蹼状。

颈蹼常表现为肩部与颈部两侧有膜状增生相连接,颈部肩部活动一定程度的受限症状。
有些颈蹼患者还有发际线过低的症状,常表现为颈后发际线过低。
1.生活环境:可能是胎儿发育过程中因为母亲生活环境影响导致畸形发育,母亲如果在怀孕期间仍高强度体力劳动,或是长时间处于辐射量超标或化学污染严重的工作生活场所,就有可能导致胎儿畸形发育,出现颈蹼症状。
2.染色体缺失:可能是胎儿有一条性染色体缺失导致的颈蹼,大多见于女性胎儿,因性染色体缺失导致生殖腺发育不全所致的Turner综合征或Hipplefeil综合征在颈部的表现。
多以手术治疗为主,常使用“Z”成形术修复,同时辅以雌激素治疗。
","articleBody": "颈蹼可能是胎儿发育畸形引起的,也可能是遗传原因引起的。
颈蹼临床表现为两侧肩与颈部连成一片,呈蹼状。

颈蹼常表现为肩部与颈部两侧有膜状增生相连接,颈部肩部活动一定程度的受限症状。
有些颈蹼患者还有发际线过低的症状,常表现为颈后发际线过低。
1.生活环境:可能是胎儿发育过程中因为母亲生活环境影响导致畸形发育,母亲如果在怀孕期间仍高强度体力劳动,或是长时间处于辐射量超标或化学污染严重的工作生活场所,就有可能导致胎儿畸形发育,出现颈蹼症状。
2.染色体缺失:可能是胎儿有一条性染色体缺失导致的颈蹼,大多见于女性胎儿,因性染色体缺失导致生殖腺发育不全所致的Turner综合征或Hipplefeil综合征在颈部的表现。
多以手术治疗为主,常使用“Z”成形术修复,同时辅以雌激素治疗。
","scanCount": 51321}}} {"@context": "https://ziyuan.baidu.com/contexts/cambrian.jsonld","appid": "1650708455561748","icon": "https://www.med-credit.org.cn/style/images/ttlogo.png","content_tag": ["atlas"],"is_mcn": {"thumb_id": "v2aimpwl"},"accid": "4886d626a2804dee5f11168793ce361672f39c25","@id": "https://www.med-credit.org.cn/mobile/jingxuan/2/1ab02b8382de05442b09b4629e6495b9.html","bagWordId": "23_1526478035551784960","title": "恐高症测试图","pubDate": "2023-02-27T18:39:40","upDate": "2023-02-27T18:39:40","lrDate": "2023-02-27T18:39:40","description": "可通过观察站在高楼向下看、站在桥上看流水、坐电梯、站在摇晃的木桥上的反应来测试是否有恐高症。","data": {"WebPage": {"headline": "恐高症测试图","pcUrl": "https://www.med-credit.org.cn/jingxuan/2/1ab02b8382de05442b09b4629e6495b9.html","wapUrl": "https://www.med-credit.org.cn/jingxuan/2/1ab02b8382de05442b09b4629e6495b9.html","mipUrl": "https://www.med-credit.org.cn/mobile/jingxuan/2/1ab02b8382de05442b09b4629e6495b9.html","fromSrc": "欢乐橙","datePublished": "2023-02-27T18:39:40","domain": "医疗","category": ["医疗权威文章合作"],"description": "可通过观察站在高楼向下看、站在桥上看流水、坐电梯、站在摇晃的木桥上的反应来测试是否有恐高症。
","extra_headline": [""]},"Author": {"name": "周志可","wapUrl": "https://www.med-credit.org.cn/doctor/547","pcUrl": "https://www.med-credit.org.cn/doctor/547","jobTitle": "副主任医师","headPortrait": "https://www.med-credit.org.cn/uploadfile/member/547/180x180.jpeg","id": "547","description": "周志可,中国医科大学附属第一医院神经内科副主任医师","memberOf": {"legalName": "中国医科大学附属第一医院","department": "神经内科","organizationLevel": "三级甲等"}},"Article": {"summaryContent": "可通过观察站在高楼向下看、站在桥上看流水、坐电梯、站在摇晃的木桥上的反应来测试是否有恐高症。
恐高症可能是由于性格敏感、家族遗传史、经历过应激事件引起。

1.高楼:患恐高症的人站在高楼向下看,会产生眩晕感,站不稳,哆嗦。
2.桥上:患恐高症的人站在桥上看下面的流水会眩晕、双腿发软。
3.电梯:患恐高的人在电梯上升时会感到紧张、呼吸困难、心慌。
4.摇晃的木桥:患恐高症的人在摇晃的木桥上会心慌、头晕、冒冷汗。
1.家族史:恐高症有明显的家族聚集现象。若家族中多人患病很可能遗传。
2.性格:性格过于敏感,比较胆小、害羞,极内向,易焦虑,容易紧张。
3.童年阴影:曾经遭受过童年阴影,比如被虐待、父母婚姻不合、遭受欺凌等,应激反应诱发恐高症。
4.长期没有去高处的经历:一旦到达高处,平时习惯的系统平衡打乱,大脑无法准确定位,产生眩晕感。
5.青春期:青春期恐高症发病平均年龄为15岁。
营造良好的家庭氛围、融洽的亲子关系。培养自身对面逆境的适应能力。远离烟酒,坚持运动。
","articleBody": "可通过观察站在高楼向下看、站在桥上看流水、坐电梯、站在摇晃的木桥上的反应来测试是否有恐高症。
恐高症可能是由于性格敏感、家族遗传史、经历过应激事件引起。

1.高楼:患恐高症的人站在高楼向下看,会产生眩晕感,站不稳,哆嗦。
2.桥上:患恐高症的人站在桥上看下面的流水会眩晕、双腿发软。
3.电梯:患恐高的人在电梯上升时会感到紧张、呼吸困难、心慌。
4.摇晃的木桥:患恐高症的人在摇晃的木桥上会心慌、头晕、冒冷汗。
1.家族史:恐高症有明显的家族聚集现象。若家族中多人患病很可能遗传。
2.性格:性格过于敏感,比较胆小、害羞,极内向,易焦虑,容易紧张。
3.童年阴影:曾经遭受过童年阴影,比如被虐待、父母婚姻不合、遭受欺凌等,应激反应诱发恐高症。
4.长期没有去高处的经历:一旦到达高处,平时习惯的系统平衡打乱,大脑无法准确定位,产生眩晕感。
5.青春期:青春期恐高症发病平均年龄为15岁。
营造良好的家庭氛围、融洽的亲子关系。培养自身对面逆境的适应能力。远离烟酒,坚持运动。
","scanCount": 51471}}} {"@context": "https://ziyuan.baidu.com/contexts/cambrian.jsonld","appid": "1650708455561748","icon": "https://www.med-credit.org.cn/style/images/ttlogo.png","content_tag": ["atlas"],"is_mcn": {"thumb_id": "g76756sx"},"accid": "4886d626a2804dee5f11168793ce361672f39c25","@id": "https://www.med-credit.org.cn/mobile/jingxuan/2/745cc3d3c9dc744104e847486bb5fbef.html","bagWordId": "cf6f139ce5197674","title": "至阳的准确位置图","pubDate": "2023-02-27T18:39:40","upDate": "2023-02-27T18:39:40","lrDate": "2023-02-27T18:39:40","description": "至阳指的是至阳穴,至阳穴的准确位置在背部,当后正中线上,第7胸椎棘下凹陷中。","data": {"WebPage": {"headline": "至阳的准确位置图","pcUrl": "https://www.med-credit.org.cn/jingxuan/2/745cc3d3c9dc744104e847486bb5fbef.html","wapUrl": "https://www.med-credit.org.cn/jingxuan/2/745cc3d3c9dc744104e847486bb5fbef.html","mipUrl": "https://www.med-credit.org.cn/mobile/jingxuan/2/745cc3d3c9dc744104e847486bb5fbef.html","fromSrc": "欢乐橙","datePublished": "2023-02-27T18:39:40","domain": "医疗","category": ["医疗权威文章合作"],"description": "至阳指的是至阳穴,至阳穴的准确位置在背部,当后正中线上,第7胸椎棘下凹陷中。
","extra_headline": [""]},"Author": {"name": "张婷","wapUrl": "https://www.med-credit.org.cn/doctor/555","pcUrl": "https://www.med-credit.org.cn/doctor/555","jobTitle": "副主任医师","headPortrait": "https://www.med-credit.org.cn/uploadfile/member/555/180x180.jpeg","id": "555","description": "张婷,中南大学湘雅三医院中西医结合科副主任医师","memberOf": {"legalName": "中南大学湘雅三医院","department": "中西医结合科","organizationLevel": "三级甲等"}},"Article": {"summaryContent": "至阳指的是至阳穴,至阳穴的准确位置在背部,当后正中线上,第7胸椎棘下凹陷中。

1.准确位置:在背部,当后正中线上,第7胸椎棘下凹陷中。即取两侧肩胛下角连线与后正中线相交处椎体,其下缘凹陷处。
2.功效作用:属督脉。主要功效为宽胸利膈、利胆退黄。主要用于治疗肝胃疾患、胸肺等:如胸胁胀痛,腹背相引痛,气喘咳嗽,四肢重痛,腰背强痛,咳嗽,疟疾,气喘,黄疸,胸胁胀闷,胸胁胀痛,嵴背强痛,胃痛,腹痛,胃寒不能食,肠中鸣,腰背疼痛,少气懒言,嵴强,背痛,身体羸瘦等。现代又常用至阳穴治疗肝炎,支气管炎,胆囊炎,胸膜炎,胆道蛔虫症,肋间神经痛,带状疱疹,胃下垂,胃肠炎等。配日月穴、阳陵泉穴可以治黄疸,胁肋痛,呕吐。配内关穴、心俞穴可以治心律不齐以及胸闷。配足三里穴、内关穴、中脘穴治胃病。
","articleBody": "至阳指的是至阳穴,至阳穴的准确位置在背部,当后正中线上,第7胸椎棘下凹陷中。

1.准确位置:在背部,当后正中线上,第7胸椎棘下凹陷中。即取两侧肩胛下角连线与后正中线相交处椎体,其下缘凹陷处。
2.功效作用:属督脉。主要功效为宽胸利膈、利胆退黄。主要用于治疗肝胃疾患、胸肺等:如胸胁胀痛,腹背相引痛,气喘咳嗽,四肢重痛,腰背强痛,咳嗽,疟疾,气喘,黄疸,胸胁胀闷,胸胁胀痛,嵴背强痛,胃痛,腹痛,胃寒不能食,肠中鸣,腰背疼痛,少气懒言,嵴强,背痛,身体羸瘦等。现代又常用至阳穴治疗肝炎,支气管炎,胆囊炎,胸膜炎,胆道蛔虫症,肋间神经痛,带状疱疹,胃下垂,胃肠炎等。配日月穴、阳陵泉穴可以治黄疸,胁肋痛,呕吐。配内关穴、心俞穴可以治心律不齐以及胸闷。配足三里穴、内关穴、中脘穴治胃病。
","scanCount": 5432}}} {"@context": "https://ziyuan.baidu.com/contexts/cambrian.jsonld","appid": "1650708455561748","icon": "https://www.med-credit.org.cn/style/images/ttlogo.png","content_tag": ["atlas"],"is_mcn": {"thumb_id": "0jui1zp8"},"accid": "4886d626a2804dee5f11168793ce361672f39c25","@id": "https://www.med-credit.org.cn/mobile/jingxuan/2/46af9bbc9cace1b1b2997d67b77c9c22.html","bagWordId": "30d0ca38cb4ceab8","title": "剑突凸起图片","pubDate": "2023-02-27T18:39:40","upDate": "2023-02-27T18:39:40","lrDate": "2023-02-27T18:39:40","description": "剑突凸起在体表呈现为圆球状。胸骨剑突的形状有很多种,最常见的形状是刀剑样外观,也有部分人剑突呈分叉型,此外还有出现剑突孔。","data": {"WebPage": {"headline": "剑突凸起图片","pcUrl": "https://www.med-credit.org.cn/jingxuan/2/46af9bbc9cace1b1b2997d67b77c9c22.html","wapUrl": "https://www.med-credit.org.cn/jingxuan/2/46af9bbc9cace1b1b2997d67b77c9c22.html","mipUrl": "https://www.med-credit.org.cn/mobile/jingxuan/2/46af9bbc9cace1b1b2997d67b77c9c22.html","fromSrc": "欢乐橙","datePublished": "2023-02-27T18:39:40","domain": "医疗","category": ["医疗权威文章合作"],"description": "剑突凸起在体表呈现为圆球状。胸骨剑突的形状有很多种,最常见的形状是刀剑样外观,也有部分人剑突呈分叉型,此外还有出现剑突孔。
","extra_headline": ["剑突凸起"]},"Author": {"name": "陈璐","wapUrl": "https://www.med-credit.org.cn/doctor/494","pcUrl": "https://www.med-credit.org.cn/doctor/494","jobTitle": "主治医师","headPortrait": "https://www.med-credit.org.cn/uploadfile/member/494/180x180.jpeg","id": "494","description": "陈璐,中南大学湘雅医院普外科主治医师。","memberOf": {"legalName": "中南大学湘雅医院","department": "普外科(胃肠外科)","organizationLevel": "三级甲等"}},"Article": {"summaryContent": "剑突凸起在体表呈现为圆球状。胸骨剑突的形状有很多种,最常见的形状是刀剑样外观,也有部分人剑突呈分叉型,此外还有出现剑突孔。
不同人胸骨剑突的大小长度宽度以及厚度都有差异,并且剑突末端走行方向也不相同,有的在左侧有的在右侧。

胸骨剑突是胸骨最下端的部分,外形似剑尖。这个部位的骨质钙相对来说晚一些,剑突的下方是游离的,手可以摸到。剑突的尖部的位置刚好在腹部正中线上,所以剑突是躯干上重要方位标志之一,从剑突尖部引线这就是我们常说的腹部正中线。
剑突与胸骨的连接方式有2种类型,分别是骨性结合与软骨结合,主要取决于年龄的差异。儿童的剑突胸骨连接多为软骨结合,成年时期大多数人依然是软骨连结,少部分人会发展为骨性结合,目前已有学者发现剑突与胸骨体结合的位置表现为骨峰前凸,体表可以触及。
通常情况下剑突不易受到外伤,但临床可见剑突综合征。剑突综合征属于关节病,是一种较为低发的良性综合征,表现为胸骨剑突软骨组织的增生和周围组织的无菌性炎性病变等临床症状。
","articleBody": "剑突凸起在体表呈现为圆球状。胸骨剑突的形状有很多种,最常见的形状是刀剑样外观,也有部分人剑突呈分叉型,此外还有出现剑突孔。
不同人胸骨剑突的大小长度宽度以及厚度都有差异,并且剑突末端走行方向也不相同,有的在左侧有的在右侧。

胸骨剑突是胸骨最下端的部分,外形似剑尖。这个部位的骨质钙相对来说晚一些,剑突的下方是游离的,手可以摸到。剑突的尖部的位置刚好在腹部正中线上,所以剑突是躯干上重要方位标志之一,从剑突尖部引线这就是我们常说的腹部正中线。
剑突与胸骨的连接方式有2种类型,分别是骨性结合与软骨结合,主要取决于年龄的差异。儿童的剑突胸骨连接多为软骨结合,成年时期大多数人依然是软骨连结,少部分人会发展为骨性结合,目前已有学者发现剑突与胸骨体结合的位置表现为骨峰前凸,体表可以触及。
通常情况下剑突不易受到外伤,但临床可见剑突综合征。剑突综合征属于关节病,是一种较为低发的良性综合征,表现为胸骨剑突软骨组织的增生和周围组织的无菌性炎性病变等临床症状。
","scanCount": 8599}}} {"@context": "https://ziyuan.baidu.com/contexts/cambrian.jsonld","appid": "1650708455561748","icon": "https://www.med-credit.org.cn/style/images/ttlogo.png","content_tag": ["atlas"],"is_mcn": {"thumb_id": "c1nhtnyb"},"accid": "4886d626a2804dee5f11168793ce361672f39c25","@id": "https://www.med-credit.org.cn/mobile/jingxuan/2/02f48541afe9878522c93d7429e0c119.html","bagWordId": "4df5df55368fd12e","title": "肛门湿疹和疣的区别图","pubDate": "2023-02-27T18:39:40","upDate": "2023-02-27T18:39:40","lrDate": "2023-02-27T18:39:40","description": "肛门湿疹和疣在病因、临床症状以及治疗方法均存在区别。","data": {"WebPage": {"headline": "肛门湿疹和疣的区别图","pcUrl": "https://www.med-credit.org.cn/jingxuan/2/02f48541afe9878522c93d7429e0c119.html","wapUrl": "https://www.med-credit.org.cn/jingxuan/2/02f48541afe9878522c93d7429e0c119.html","mipUrl": "https://www.med-credit.org.cn/mobile/jingxuan/2/02f48541afe9878522c93d7429e0c119.html","fromSrc": "欢乐橙","datePublished": "2023-02-27T18:39:40","domain": "医疗","category": ["医疗权威文章合作"],"description": "肛门湿疹和疣在病因、临床症状以及治疗方法均存在区别。
","extra_headline": ["肛门湿疹和疣的区别"]},"Author": {"name": "王晓彦","wapUrl": "https://www.med-credit.org.cn/doctor/541","pcUrl": "https://www.med-credit.org.cn/doctor/541","jobTitle": "主任医师","headPortrait": "https://www.med-credit.org.cn/uploadfile/member/541/180x180.jpeg","id": "541","description": "王晓彦,首都医科大学附属北京天坛医院皮肤科主任医师","memberOf": {"legalName": "首都医科大学附属北京天坛医院","department": "皮肤科","organizationLevel": "三级甲等"}},"Article": {"summaryContent": "肛门湿疹和疣在病因、临床症状以及治疗方法均存在区别。
由于个体差异大,针对不同的情况有不同治疗方案。患者应该前往医院,行相关检查,在医生的指导下行规范化的治疗,选择最合适的药物和手术治疗。


1、病因不同:肛门湿疹是一种皮肤损伤起疱、瘙痒感极强的皮肤炎症反应。它的病因很复杂,环境刺激、精神压力、消化系统疾病均可能会引起肛门湿疹。而疣多是感染人乳头瘤病毒,导致皮肤增生的良性赘生物。
2、临床症状:肛门湿疹在临床上常会产生成片、对称分布的小丘疹或小水疱,还伴随剧烈的瘙痒感,注意千万不能挠破,容易造成感染和扩散。而疣通常表现为质地坚硬的、呈绿豆或米粒大小的、表面粗糙的高出皮肤表面的疣状突起或小丘疹,颜色因人而异,在其表面可见小黑点,可能会伴有剧烈的瘙痒感或疼痛感。
3、治疗方法:肛门湿疹通常考虑药物治疗,常给予炉甘石洗剂、凝胶、水杨酸软膏消炎治疗。而疣常选择液氮冷冻或电灼的方式治疗,还可以选择激光手术治疗。
","articleBody": "肛门湿疹和疣在病因、临床症状以及治疗方法均存在区别。
由于个体差异大,针对不同的情况有不同治疗方案。患者应该前往医院,行相关检查,在医生的指导下行规范化的治疗,选择最合适的药物和手术治疗。


1、病因不同:肛门湿疹是一种皮肤损伤起疱、瘙痒感极强的皮肤炎症反应。它的病因很复杂,环境刺激、精神压力、消化系统疾病均可能会引起肛门湿疹。而疣多是感染人乳头瘤病毒,导致皮肤增生的良性赘生物。
2、临床症状:肛门湿疹在临床上常会产生成片、对称分布的小丘疹或小水疱,还伴随剧烈的瘙痒感,注意千万不能挠破,容易造成感染和扩散。而疣通常表现为质地坚硬的、呈绿豆或米粒大小的、表面粗糙的高出皮肤表面的疣状突起或小丘疹,颜色因人而异,在其表面可见小黑点,可能会伴有剧烈的瘙痒感或疼痛感。
3、治疗方法:肛门湿疹通常考虑药物治疗,常给予炉甘石洗剂、凝胶、水杨酸软膏消炎治疗。而疣常选择液氮冷冻或电灼的方式治疗,还可以选择激光手术治疗。
","scanCount": 6254}}} {"@context": "https://ziyuan.baidu.com/contexts/cambrian.jsonld","appid": "1650708455561748","icon": "https://www.med-credit.org.cn/style/images/ttlogo.png","content_tag": ["atlas"],"is_mcn": {"thumb_id": "v2rm41u3"},"accid": "4886d626a2804dee5f11168793ce361672f39c25","@id": "https://www.med-credit.org.cn/mobile/jingxuan/2/f66a24963437a1a308cd7afa61867351.html","bagWordId": "62c5371879ec9573","title": "产后收腹带绑在哪个位置图","pubDate": "2023-02-27T18:39:40","upDate": "2023-02-27T18:39:40","lrDate": "2023-02-27T18:39:40","description": "产后收腹带应从耻骨部位到肚脐以上部位捆绑。","data": {"WebPage": {"headline": "产后收腹带绑在哪个位置图","pcUrl": "https://www.med-credit.org.cn/jingxuan/2/f66a24963437a1a308cd7afa61867351.html","wapUrl": "https://www.med-credit.org.cn/jingxuan/2/f66a24963437a1a308cd7afa61867351.html","mipUrl": "https://www.med-credit.org.cn/mobile/jingxuan/2/f66a24963437a1a308cd7afa61867351.html","fromSrc": "欢乐橙","datePublished": "2023-02-27T18:39:40","domain": "医疗","category": ["医疗权威文章合作"],"description": "产后收腹带应从耻骨部位到肚脐以上部位捆绑。
","extra_headline": ["产后收腹带绑在哪个位置"]},"Author": {"name": "种轶文","wapUrl": "https://www.med-credit.org.cn/doctor/575","pcUrl": "https://www.med-credit.org.cn/doctor/575","jobTitle": "副主任医师","headPortrait": "https://www.med-credit.org.cn/uploadfile/member/575/180x180.jpeg","id": "575","description": "种轶文,北京大学第三医院妇产科副主任医师","memberOf": {"legalName": "北京大学第三医院","department": "妇产科","organizationLevel": "三级甲等"}},"Article": {"summaryContent": "产后收腹带应从耻骨部位到肚脐以上部位捆绑。

产后收腹带应从耻骨联合部位到脐部捆绑12圈,前7圈重合缠绕,每绕1圈半要斜折一次。斜折即将腹带的正面转成反面,再继续绑下去,斜折的部位为臀部两侧。后5圈每圈往上挪高2公分,螺旋状的往上绑。最后盖过肚脐后用安全别针固定并将带头塞入即可,每次须绑足12圈,若腹围较大者须用3条腹带接成2条来使用。
孕妇在怀孕期间,随着胎儿的生长、羊水的增加,腹部会逐渐变大,会使腹腔内的脏腑位置抬高,盆腔变宽,甚至出现窄隙等情况,在生产后腹部会非常松弛,盆腔不能恢复,内脏位置空悬导致多种产后疾病,此时,应使用产后收腹带来帮助产妇恢复身体、排恶露等。
产后收腹带产妇应在吃饭时、洗澡等情况取下并且注意卫生,当出汗或者有污染的情况,应及时更换。不应长期使用,孕妇产后在使用产后收腹带的时候,应注意时间。若长期使用,会导致腹部血流不畅,进而引起下肢静脉回流不畅、腰肌劳损、痔疮等疾病。
","articleBody": "产后收腹带应从耻骨部位到肚脐以上部位捆绑。

产后收腹带应从耻骨联合部位到脐部捆绑12圈,前7圈重合缠绕,每绕1圈半要斜折一次。斜折即将腹带的正面转成反面,再继续绑下去,斜折的部位为臀部两侧。后5圈每圈往上挪高2公分,螺旋状的往上绑。最后盖过肚脐后用安全别针固定并将带头塞入即可,每次须绑足12圈,若腹围较大者须用3条腹带接成2条来使用。
孕妇在怀孕期间,随着胎儿的生长、羊水的增加,腹部会逐渐变大,会使腹腔内的脏腑位置抬高,盆腔变宽,甚至出现窄隙等情况,在生产后腹部会非常松弛,盆腔不能恢复,内脏位置空悬导致多种产后疾病,此时,应使用产后收腹带来帮助产妇恢复身体、排恶露等。
产后收腹带产妇应在吃饭时、洗澡等情况取下并且注意卫生,当出汗或者有污染的情况,应及时更换。不应长期使用,孕妇产后在使用产后收腹带的时候,应注意时间。若长期使用,会导致腹部血流不畅,进而引起下肢静脉回流不畅、腰肌劳损、痔疮等疾病。
","scanCount": 7208}}} {"@context": "https://ziyuan.baidu.com/contexts/cambrian.jsonld","appid": "1650708455561748","icon": "https://www.med-credit.org.cn/style/images/ttlogo.png","content_tag": ["atlas"],"is_mcn": {"thumb_id": "6s1phww1w"},"accid": "4886d626a2804dee5f11168793ce361672f39c25","@id": "https://www.med-credit.org.cn/mobile/jingxuan/2/2513170718e6f53ef21992f7a166419a.html","bagWordId": "70d0c978b2149220","title": "人体构造骨头图解","pubDate": "2023-02-27T18:39:40","upDate": "2023-02-27T18:39:40","lrDate": "2023-02-27T18:39:40","description": "人体骨头主要分为颅骨、躯干骨和四肢骨这几大类。","data": {"WebPage": {"headline": "人体构造骨头图解","pcUrl": "https://www.med-credit.org.cn/jingxuan/2/2513170718e6f53ef21992f7a166419a.html","wapUrl": "https://www.med-credit.org.cn/jingxuan/2/2513170718e6f53ef21992f7a166419a.html","mipUrl": "https://www.med-credit.org.cn/mobile/jingxuan/2/2513170718e6f53ef21992f7a166419a.html","fromSrc": "欢乐橙","datePublished": "2023-02-27T18:39:40","domain": "医疗","category": ["医疗权威文章合作"],"description": "人体骨头主要分为颅骨、躯干骨和四肢骨这几大类。
","extra_headline": ["人体构造骨头解"]},"Author": {"name": "王维","wapUrl": "https://www.med-credit.org.cn/doctor/513","pcUrl": "https://www.med-credit.org.cn/doctor/513","jobTitle": "主治医师","headPortrait": "https://www.med-credit.org.cn/uploadfile/member/513/180x180.jpeg","id": "513","description": "王维,中国医科大学附属盛京医院骨科主治医师","memberOf": {"legalName": "中国医科大学附属盛京医院","department": "骨科","organizationLevel": "三级甲等"}},"Article": {"summaryContent": "人体骨头主要分为颅骨、躯干骨和四肢骨这几大类。

人体一共有206块骨,其中有6块位于耳内,属于听觉感受器。其余均是人体支持和运动的重要单位。
1、颅骨:颅骨位于脊柱上方,由23块形状和大小不同的扁骨和不规则骨组成(中耳的3对听小骨未计入)。以眶上缘及外耳门上缘连线为分界线,将颅分为脑颅和面颅两部分。脑颅位于颅的后上部,包括成对的顶骨和颞骨,不成对的额骨、蝶骨、枕骨和筛骨,共8块,围成颅腔,容纳脑。面颅为颅的前下部分,包含成对的上颌骨、颧骨、鼻骨、泪骨、腭骨及鼻甲骨,不成对的犁骨、下颌骨、舌骨,共15块,构成眶、鼻腔、口腔和面部的骨性支架。
2、躯干骨:躯干骨包括椎骨、骶骨、尾骨、胸骨和肋骨。椎骨构成人体的脊柱,一共有24块,分别为7块颈椎、12块胸椎,5块腰椎。在脊柱下方相连的即骶骨,骶骨下方有小小的尾骨。在人体的前方,胸部有一块长形扁骨,即为胸骨,在胸骨下方有一个剑突。在胸骨的两边与脊柱的侧边相连,构成人体的肋骨。人体共有12对肋骨,起到支撑胸部的作用。
3、四肢骨:四肢骨包括上肢骨和下肢骨,由与躯干相连的肢带骨和自由活动的游离肢骨组成。一侧的上肢骨由肩胛骨1块、锁骨1块、上臂骨(肱骨)1块、前臂骨(桡骨、尺骨)2块和手骨27块(腕骨8块、掌骨5块和指骨14块)组成,两侧上肢骨共64块。
下肢骨一共有62块,每侧有髋骨1块、大腿骨(股骨)1块、膝盖骨(髌骨)1块、小腿骨(胫骨、腓骨)2块和足骨26块(跗骨7块,蹠骨5块和趾骨14块),共31块。
","articleBody": "人体骨头主要分为颅骨、躯干骨和四肢骨这几大类。

人体一共有206块骨,其中有6块位于耳内,属于听觉感受器。其余均是人体支持和运动的重要单位。
1、颅骨:颅骨位于脊柱上方,由23块形状和大小不同的扁骨和不规则骨组成(中耳的3对听小骨未计入)。以眶上缘及外耳门上缘连线为分界线,将颅分为脑颅和面颅两部分。脑颅位于颅的后上部,包括成对的顶骨和颞骨,不成对的额骨、蝶骨、枕骨和筛骨,共8块,围成颅腔,容纳脑。面颅为颅的前下部分,包含成对的上颌骨、颧骨、鼻骨、泪骨、腭骨及鼻甲骨,不成对的犁骨、下颌骨、舌骨,共15块,构成眶、鼻腔、口腔和面部的骨性支架。
2、躯干骨:躯干骨包括椎骨、骶骨、尾骨、胸骨和肋骨。椎骨构成人体的脊柱,一共有24块,分别为7块颈椎、12块胸椎,5块腰椎。在脊柱下方相连的即骶骨,骶骨下方有小小的尾骨。在人体的前方,胸部有一块长形扁骨,即为胸骨,在胸骨下方有一个剑突。在胸骨的两边与脊柱的侧边相连,构成人体的肋骨。人体共有12对肋骨,起到支撑胸部的作用。
3、四肢骨:四肢骨包括上肢骨和下肢骨,由与躯干相连的肢带骨和自由活动的游离肢骨组成。一侧的上肢骨由肩胛骨1块、锁骨1块、上臂骨(肱骨)1块、前臂骨(桡骨、尺骨)2块和手骨27块(腕骨8块、掌骨5块和指骨14块)组成,两侧上肢骨共64块。
下肢骨一共有62块,每侧有髋骨1块、大腿骨(股骨)1块、膝盖骨(髌骨)1块、小腿骨(胫骨、腓骨)2块和足骨26块(跗骨7块,蹠骨5块和趾骨14块),共31块。
","scanCount": 6959}}} {"@context": "https://ziyuan.baidu.com/contexts/cambrian.jsonld","appid": "1650708455561748","icon": "https://www.med-credit.org.cn/style/images/ttlogo.png","content_tag": ["atlas"],"is_mcn": {"thumb_id": "ay28xrnt0"},"accid": "4886d626a2804dee5f11168793ce361672f39c25","@id": "https://www.med-credit.org.cn/mobile/jingxuan/2/38eba2198aef712c6d35dde92b3ddff8.html","bagWordId": "b76c99eefb47ec32","title": "儿童换牙位置顺序图","pubDate": "2023-02-27T18:39:40","upDate": "2023-02-27T18:39:40","lrDate": "2023-02-27T18:39:40","description": "儿童换牙位置顺序遵从下颌到上颌,前门牙至后磨牙的规律,儿童一般在出生后6~10个月左右就开始长牙,儿童牙齿的生长过程一般需要花费1~2年左右的时间。","data": {"WebPage": {"headline": "儿童换牙位置顺序图","pcUrl": "https://www.med-credit.org.cn/jingxuan/2/38eba2198aef712c6d35dde92b3ddff8.html","wapUrl": "https://www.med-credit.org.cn/jingxuan/2/38eba2198aef712c6d35dde92b3ddff8.html","mipUrl": "https://www.med-credit.org.cn/mobile/jingxuan/2/38eba2198aef712c6d35dde92b3ddff8.html","fromSrc": "欢乐橙","datePublished": "2023-02-27T18:39:40","domain": "医疗","category": ["医疗权威文章合作"],"description": "儿童换牙位置顺序遵从下颌到上颌,前门牙至后磨牙的规律,儿童一般在出生后6~10个月左右就开始长牙,儿童牙齿的生长过程一般需要花费1~2年左右的时间。
","extra_headline": ["儿童换牙位置顺序"]},"Author": {"name": "李斯文","wapUrl": "https://www.med-credit.org.cn/doctor/546","pcUrl": "https://www.med-credit.org.cn/doctor/546","jobTitle": "主治医师","headPortrait": "https://www.med-credit.org.cn/uploadfile/member/546/180x180.jpeg","id": "546","description": "李斯文,中国医科大学附属口腔医院口腔科主治医师","memberOf": {"legalName": "中国医科大学附属口腔医院","department": "口腔科","organizationLevel": "三级甲等"}},"Article": {"summaryContent": "儿童换牙位置顺序遵从下颌到上颌,前门牙至后磨牙的规律,儿童一般在出生后6~10个月左右就开始长牙,儿童牙齿的生长过程一般需要花费1~2年左右的时间。

1、换牙顺序:在长牙的最初阶段,儿童的下齿槽一般会首先长出两颗门牙,随后上齿槽也会长出两颗门牙。随着时间的推移,上齿槽和下齿槽会继续长出外侧门牙,随后,第一乳磨牙会先后在儿童的上、下齿槽部位长出。儿童会逐渐长出乳磨牙以及犬牙,最后,儿童的上、下齿槽会继续生长出第二颗乳磨牙,牙齿第一阶段的生长完成。
2、影响因素:儿童牙齿生长的顺序可能与遗传以及日常摄入营养物质存在较大联系,大部分情况下是按照顺序出牙。
大多数儿童在6个月左右萌出第一颗牙齿,最晚不超过一周岁,只要儿童在两周岁半时20颗乳牙能够完全萌出,就是正常的现象。如果儿童存在出牙质量较差、长牙时间较慢,可以及时咨询当地儿科医生,如果是由于疾病引起,需要及时接受治疗。
","articleBody": "儿童换牙位置顺序遵从下颌到上颌,前门牙至后磨牙的规律,儿童一般在出生后6~10个月左右就开始长牙,儿童牙齿的生长过程一般需要花费1~2年左右的时间。

1、换牙顺序:在长牙的最初阶段,儿童的下齿槽一般会首先长出两颗门牙,随后上齿槽也会长出两颗门牙。随着时间的推移,上齿槽和下齿槽会继续长出外侧门牙,随后,第一乳磨牙会先后在儿童的上、下齿槽部位长出。儿童会逐渐长出乳磨牙以及犬牙,最后,儿童的上、下齿槽会继续生长出第二颗乳磨牙,牙齿第一阶段的生长完成。
2、影响因素:儿童牙齿生长的顺序可能与遗传以及日常摄入营养物质存在较大联系,大部分情况下是按照顺序出牙。
大多数儿童在6个月左右萌出第一颗牙齿,最晚不超过一周岁,只要儿童在两周岁半时20颗乳牙能够完全萌出,就是正常的现象。如果儿童存在出牙质量较差、长牙时间较慢,可以及时咨询当地儿科医生,如果是由于疾病引起,需要及时接受治疗。
","scanCount": 7644}}} {"@context": "https://ziyuan.baidu.com/contexts/cambrian.jsonld","appid": "1650708455561748","icon": "https://www.med-credit.org.cn/style/images/ttlogo.png","content_tag": ["atlas"],"is_mcn": {"thumb_id": "6s37k24n"},"accid": "4886d626a2804dee5f11168793ce361672f39c25","@id": "https://www.med-credit.org.cn/mobile/jingxuan/2/fead4eff5b97787b3e5a5b5dbc91ff41.html","bagWordId": "cf304bf815885624","title": "萹蓄图片","pubDate": "2023-02-24T16:53:30","upDate": "2023-02-24T16:53:30","lrDate": "2023-02-24T16:53:30","description": "萹蓄是蓼科蓼属植物,一年生草本。","data": {"WebPage": {"headline": "萹蓄图片","pcUrl": "https://www.med-credit.org.cn/jingxuan/2/fead4eff5b97787b3e5a5b5dbc91ff41.html","wapUrl": "https://www.med-credit.org.cn/jingxuan/2/fead4eff5b97787b3e5a5b5dbc91ff41.html","mipUrl": "https://www.med-credit.org.cn/mobile/jingxuan/2/fead4eff5b97787b3e5a5b5dbc91ff41.html","fromSrc": "欢乐橙","datePublished": "2023-02-24T16:53:30","domain": "医疗","category": ["医疗权威文章合作"],"description": "萹蓄是蓼科蓼属植物,一年生草本。
","extra_headline": [""]},"Author": {"name": "王成阳","wapUrl": "https://www.med-credit.org.cn/doctor/574","pcUrl": "https://www.med-credit.org.cn/doctor/574","jobTitle": "副主任医师","headPortrait": "https://www.med-credit.org.cn/uploadfile/member/574/180x180.jpeg","id": "574","description": "王成阳,安徽医科大学附属巢湖医院中医科副主任医师","memberOf": {"legalName": "安徽医科大学附属巢湖医院","department": "中医科","organizationLevel": "三级甲等"}},"Article": {"summaryContent": "萹蓄是蓼科蓼属植物,一年生草本。
萹蓄具有杀虫止痒、清热解毒等功效。


1.茎:茎平卧、上升或直立,高10-40厘米,自基部多分枝,具纵棱。
2.叶:叶椭圆形,狭椭圆形或披针形,长1-4厘米、宽3-12毫米。
3.花:花单生或数朵簇生于叶腋,遍布于植株;苞片薄膜质;花梗细,顶部具关节;花被5深裂,花被片椭圆形,长2-2.5毫米,绿色,边缘白色或淡红色;雄蕊8,花丝基部扩展;花柱3,柱头头状。
4.果:瘦果卵形,具3棱,长2.5-3毫米,黑褐色,密被由小点组成的细条纹,无光泽,与宿存花被近等长或稍超过。花期5-7月,果期6-8月。
萹蓄广泛分布于北温带,在中国各地都有分布。生长在海拔10-4200米的田边路、沟边湿地。全草供药用,具有杀虫止痒、通经利尿、清热解毒功效。萹蓄用于小便淋沥、涩痛时,常配伍瞿麦、滑石、木通等同用,如《和剂局方》八正散;用于皮肤湿疹、阴道滴虫等局部瘙痒时,可单味煎汤外洗,鲜品为佳;用于蛔虫、蛲虫、钩虫时,可配伍榧子、槟榔等杀虫药应用,亦可单味煎服。
","articleBody": "萹蓄是蓼科蓼属植物,一年生草本。
萹蓄具有杀虫止痒、清热解毒等功效。


1.茎:茎平卧、上升或直立,高10-40厘米,自基部多分枝,具纵棱。
2.叶:叶椭圆形,狭椭圆形或披针形,长1-4厘米、宽3-12毫米。
3.花:花单生或数朵簇生于叶腋,遍布于植株;苞片薄膜质;花梗细,顶部具关节;花被5深裂,花被片椭圆形,长2-2.5毫米,绿色,边缘白色或淡红色;雄蕊8,花丝基部扩展;花柱3,柱头头状。
4.果:瘦果卵形,具3棱,长2.5-3毫米,黑褐色,密被由小点组成的细条纹,无光泽,与宿存花被近等长或稍超过。花期5-7月,果期6-8月。
萹蓄广泛分布于北温带,在中国各地都有分布。生长在海拔10-4200米的田边路、沟边湿地。全草供药用,具有杀虫止痒、通经利尿、清热解毒功效。萹蓄用于小便淋沥、涩痛时,常配伍瞿麦、滑石、木通等同用,如《和剂局方》八正散;用于皮肤湿疹、阴道滴虫等局部瘙痒时,可单味煎汤外洗,鲜品为佳;用于蛔虫、蛲虫、钩虫时,可配伍榧子、槟榔等杀虫药应用,亦可单味煎服。
","scanCount": 5435}}} {"@context": "https://ziyuan.baidu.com/contexts/cambrian.jsonld","appid": "1650708455561748","icon": "https://www.med-credit.org.cn/style/images/ttlogo.png","content_tag": ["atlas"],"is_mcn": {"thumb_id": "6s37k24n"},"accid": "4886d626a2804dee5f11168793ce361672f39c25","@id": "https://www.med-credit.org.cn/mobile/jingxuan/2/6256e0238490987c813b41dc570a153c.html","bagWordId": "51b1ae9efa8a41ca","title": "荆芥图片","pubDate": "2023-02-24T16:53:30","upDate": "2023-02-24T16:53:30","lrDate": "2023-02-24T16:53:30","description": "荆芥又称为香荆荠、线荠、四棱杆蒿、假苏,是唇形科荆芥属植物荆芥的干燥地上部分。","data": {"WebPage": {"headline": "荆芥图片","pcUrl": "https://www.med-credit.org.cn/jingxuan/2/6256e0238490987c813b41dc570a153c.html","wapUrl": "https://www.med-credit.org.cn/jingxuan/2/6256e0238490987c813b41dc570a153c.html","mipUrl": "https://www.med-credit.org.cn/mobile/jingxuan/2/6256e0238490987c813b41dc570a153c.html","fromSrc": "欢乐橙","datePublished": "2023-02-24T16:53:30","domain": "医疗","category": ["医疗权威文章合作"],"description": "荆芥又称为香荆荠、线荠、四棱杆蒿、假苏,是唇形科荆芥属植物荆芥的干燥地上部分。
","extra_headline": [""]},"Author": {"name": "王成阳","wapUrl": "https://www.med-credit.org.cn/doctor/574","pcUrl": "https://www.med-credit.org.cn/doctor/574","jobTitle": "副主任医师","headPortrait": "https://www.med-credit.org.cn/uploadfile/member/574/180x180.jpeg","id": "574","description": "王成阳,安徽医科大学附属巢湖医院中医科副主任医师","memberOf": {"legalName": "安徽医科大学附属巢湖医院","department": "中医科","organizationLevel": "三级甲等"}},"Article": {"summaryContent": "荆芥又称为香荆荠、线荠、四棱杆蒿、假苏,是唇形科荆芥属植物荆芥的干燥地上部分。
荆芥属于解表中药,具有解表祛风、透疹止血等功效。


1.外形、生长环境:荆芥为一年生草本,具有强烈香气,茎直立,四棱形。上部分多枝,基部棕紫色,荆芥在7-9月的时间段生长,果期在9-11月;生长于山坡路旁或山谷、林缘,海拔在540-2700m之间;多栽培,亦有野生。
2.功效:荆芥为临床常用中药,性温、味辛,生品具有祛风解表、宣毒透疹、散瘀止血之功效,主治风寒感冒、咽喉肿痛,还可用于治疗风疹、疮疡等常见的皮肤疾病。荆芥炒炭后专功止血,可用于吐血、衄血、便血、崩漏、产后血晕等。现代药理学研究表明,荆芥具有抗炎、抗病毒、抑菌、解热镇痛和一定的抗肿瘤作用。
荆芥可进行煎汤内服及外用,同时由于荆芥属于芳香类药物,在煎煮上不宜久煎,以避免降低药效。
","articleBody": "荆芥又称为香荆荠、线荠、四棱杆蒿、假苏,是唇形科荆芥属植物荆芥的干燥地上部分。
荆芥属于解表中药,具有解表祛风、透疹止血等功效。


1.外形、生长环境:荆芥为一年生草本,具有强烈香气,茎直立,四棱形。上部分多枝,基部棕紫色,荆芥在7-9月的时间段生长,果期在9-11月;生长于山坡路旁或山谷、林缘,海拔在540-2700m之间;多栽培,亦有野生。
2.功效:荆芥为临床常用中药,性温、味辛,生品具有祛风解表、宣毒透疹、散瘀止血之功效,主治风寒感冒、咽喉肿痛,还可用于治疗风疹、疮疡等常见的皮肤疾病。荆芥炒炭后专功止血,可用于吐血、衄血、便血、崩漏、产后血晕等。现代药理学研究表明,荆芥具有抗炎、抗病毒、抑菌、解热镇痛和一定的抗肿瘤作用。
荆芥可进行煎汤内服及外用,同时由于荆芥属于芳香类药物,在煎煮上不宜久煎,以避免降低药效。
","scanCount": 32493}}} {"@context": "https://ziyuan.baidu.com/contexts/cambrian.jsonld","appid": "1650708455561748","icon": "https://www.med-credit.org.cn/style/images/ttlogo.png","content_tag": ["atlas"],"is_mcn": {"thumb_id": "6s37k24n"},"accid": "4886d626a2804dee5f11168793ce361672f39c25","@id": "https://www.med-credit.org.cn/mobile/jingxuan/2/6b0b321d5eb3ba091f37e7a7979b8729.html","bagWordId": "e1d5b96869c03a9f","title": "马齿苋图片","pubDate": "2023-02-24T16:53:30","upDate": "2023-02-24T16:53:30","lrDate": "2023-02-24T16:53:30","description": "马齿苋是一味清热药,为马齿苋科植物马齿苋的干燥地上部分。马齿苋外形皱缩卷曲,花朵呈黄色。","data": {"WebPage": {"headline": "马齿苋图片","pcUrl": "https://www.med-credit.org.cn/jingxuan/2/6b0b321d5eb3ba091f37e7a7979b8729.html","wapUrl": "https://www.med-credit.org.cn/jingxuan/2/6b0b321d5eb3ba091f37e7a7979b8729.html","mipUrl": "https://www.med-credit.org.cn/mobile/jingxuan/2/6b0b321d5eb3ba091f37e7a7979b8729.html","fromSrc": "欢乐橙","datePublished": "2023-02-24T16:53:30","domain": "医疗","category": ["医疗权威文章合作"],"description": "马齿苋是一味清热药,为马齿苋科植物马齿苋的干燥地上部分。马齿苋外形皱缩卷曲,花朵呈黄色。
","extra_headline": [""]},"Author": {"name": "王成阳","wapUrl": "https://www.med-credit.org.cn/doctor/574","pcUrl": "https://www.med-credit.org.cn/doctor/574","jobTitle": "副主任医师","headPortrait": "https://www.med-credit.org.cn/uploadfile/member/574/180x180.jpeg","id": "574","description": "王成阳,安徽医科大学附属巢湖医院中医科副主任医师","memberOf": {"legalName": "安徽医科大学附属巢湖医院","department": "中医科","organizationLevel": "三级甲等"}},"Article": {"summaryContent": "马齿苋是一味清热药,为马齿苋科植物马齿苋的干燥地上部分。马齿苋外形皱缩卷曲,花朵呈黄色。
海鲜多生长在高湿耐旱环境,具有清热解毒、凉血止血功效,但脾胃虚寒者慎用,孕妇忌用。


马齿苋多皱缩卷曲,常结成团。茎圆柱形,长可达30cm、直径0.1-0.2cm,表面黄褐色,有明显纵沟纹。叶对生或互生,易破碎,完整叶片倒卵形,长1-2.5cm、宽0.5-1.5cm;绿褐色,先端钝平或微缺,全缘。花小,3-5朵生于枝端,花瓣5,黄色。蒴果圆锥形,长约5mm,内含多数细小种子。
马齿苋喜生长在高湿,耐旱、耐涝的环境,具向阳性,适宜在各种田地和坡地栽培,以中性和弱酸性土壤较好。其发芽温度为18℃,最适宜生长温度为20-30℃。马齿苋具有清热解毒,凉血止血,止痢的功效。
需要注意的是:脾胃虚寒者慎用;不宜与甲鱼同食,否则会导致消化不良、食物中毒等症;孕妇忌用。
","articleBody": "马齿苋是一味清热药,为马齿苋科植物马齿苋的干燥地上部分。马齿苋外形皱缩卷曲,花朵呈黄色。
海鲜多生长在高湿耐旱环境,具有清热解毒、凉血止血功效,但脾胃虚寒者慎用,孕妇忌用。


马齿苋多皱缩卷曲,常结成团。茎圆柱形,长可达30cm、直径0.1-0.2cm,表面黄褐色,有明显纵沟纹。叶对生或互生,易破碎,完整叶片倒卵形,长1-2.5cm、宽0.5-1.5cm;绿褐色,先端钝平或微缺,全缘。花小,3-5朵生于枝端,花瓣5,黄色。蒴果圆锥形,长约5mm,内含多数细小种子。
马齿苋喜生长在高湿,耐旱、耐涝的环境,具向阳性,适宜在各种田地和坡地栽培,以中性和弱酸性土壤较好。其发芽温度为18℃,最适宜生长温度为20-30℃。马齿苋具有清热解毒,凉血止血,止痢的功效。
需要注意的是:脾胃虚寒者慎用;不宜与甲鱼同食,否则会导致消化不良、食物中毒等症;孕妇忌用。
","scanCount": 32489}}} {"@context": "https://ziyuan.baidu.com/contexts/cambrian.jsonld","appid": "1650708455561748","icon": "https://www.med-credit.org.cn/style/images/ttlogo.png","content_tag": ["atlas"],"is_mcn": {"thumb_id": "6s37k24n"},"accid": "4886d626a2804dee5f11168793ce361672f39c25","@id": "https://www.med-credit.org.cn/mobile/jingxuan/2/5cdc2b52ac71d022cf1808001fbb6dff.html","bagWordId": "78cd88f5af09af97","title": "紫苏叶图片","pubDate": "2023-02-24T16:53:30","upDate": "2023-02-24T16:53:30","lrDate": "2023-02-24T16:53:30","description": "紫苏叶是唇形科植物紫苏的干燥叶(或带嫩枝)。叶片多卷曲,展平后为卵圆形。","data": {"WebPage": {"headline": "紫苏叶图片","pcUrl": "https://www.med-credit.org.cn/jingxuan/2/5cdc2b52ac71d022cf1808001fbb6dff.html","wapUrl": "https://www.med-credit.org.cn/jingxuan/2/5cdc2b52ac71d022cf1808001fbb6dff.html","mipUrl": "https://www.med-credit.org.cn/mobile/jingxuan/2/5cdc2b52ac71d022cf1808001fbb6dff.html","fromSrc": "欢乐橙","datePublished": "2023-02-24T16:53:30","domain": "医疗","category": ["医疗权威文章合作"],"description": "紫苏叶是唇形科植物紫苏的干燥叶(或带嫩枝)。叶片多卷曲,展平后为卵圆形。
","extra_headline": [""]},"Author": {"name": "王成阳","wapUrl": "https://www.med-credit.org.cn/doctor/574","pcUrl": "https://www.med-credit.org.cn/doctor/574","jobTitle": "副主任医师","headPortrait": "https://www.med-credit.org.cn/uploadfile/member/574/180x180.jpeg","id": "574","description": "王成阳,安徽医科大学附属巢湖医院中医科副主任医师","memberOf": {"legalName": "安徽医科大学附属巢湖医院","department": "中医科","organizationLevel": "三级甲等"}},"Article": {"summaryContent": "紫苏叶是唇形科植物紫苏的干燥叶(或带嫩枝)。叶片多卷曲,展平后为卵圆形。
紫苏叶具有发汗解表、发散表寒、止呕和胃等作用,一般用法为煎服。


1.外形特点:叶片多皱缩卷曲、碎破,展平后呈卵圆形。先端是长尖或急尖的形状,基部呈圆形或宽楔形,边缘具圆锯齿。两面紫色或上表面绿色,下表面紫色,疏生灰白色毛,下表面有腺鳞,呈凹点状。气清香,味微辛。
2.功效作用:归肺经、脾经。主要功效是和胃行气,发汗解表。可应用于风寒表证,如感冒风寒,恶寒发热,鼻塞头痛,兼见咳嗽或胸闷不舒者。本品能发散表寒,开宣肺气,可与生姜同用。兼有咳嗽者,常配伍杏仁等;还可用于胸闷,脾胃气滞,呕吐的症状。紫苏叶具宽中行气,止呕和胃的功效。用于缓解妊娠呕吐效果也好,常与陈皮配伍,可以加强其安胎、止呕的效果。进食鱼蟹而引起的腹痛、吐泻,可以单用或配生姜服用,白芷煎服。
通常用法用量为煎服,不过要注意的是温病及气弱表虚者忌服。
","articleBody": "紫苏叶是唇形科植物紫苏的干燥叶(或带嫩枝)。叶片多卷曲,展平后为卵圆形。
紫苏叶具有发汗解表、发散表寒、止呕和胃等作用,一般用法为煎服。


1.外形特点:叶片多皱缩卷曲、碎破,展平后呈卵圆形。先端是长尖或急尖的形状,基部呈圆形或宽楔形,边缘具圆锯齿。两面紫色或上表面绿色,下表面紫色,疏生灰白色毛,下表面有腺鳞,呈凹点状。气清香,味微辛。
2.功效作用:归肺经、脾经。主要功效是和胃行气,发汗解表。可应用于风寒表证,如感冒风寒,恶寒发热,鼻塞头痛,兼见咳嗽或胸闷不舒者。本品能发散表寒,开宣肺气,可与生姜同用。兼有咳嗽者,常配伍杏仁等;还可用于胸闷,脾胃气滞,呕吐的症状。紫苏叶具宽中行气,止呕和胃的功效。用于缓解妊娠呕吐效果也好,常与陈皮配伍,可以加强其安胎、止呕的效果。进食鱼蟹而引起的腹痛、吐泻,可以单用或配生姜服用,白芷煎服。
通常用法用量为煎服,不过要注意的是温病及气弱表虚者忌服。
","scanCount": 32477}}} {"@context": "https://ziyuan.baidu.com/contexts/cambrian.jsonld","appid": "1650708455561748","icon": "https://www.med-credit.org.cn/style/images/ttlogo.png","content_tag": ["atlas"],"is_mcn": {"thumb_id": "lnsk06v2"},"accid": "4886d626a2804dee5f11168793ce361672f39c25","@id": "https://www.med-credit.org.cn/mobile/jingxuan/2/7c57b238f69f82c632126452c6c286b0.html","bagWordId": "939_1620691332609609728","title": "花斑癣严重图片","pubDate": "2023-02-16T17:14:57","upDate": "2023-02-16T17:14:57","lrDate": "2023-02-16T17:14:57","description": "花斑癣严重会出现片状,表面覆有鳞屑,皮损的颜色与患者肤色、日晒情况有关。偶尔伴有轻微的瘙痒感。","data": {"WebPage": {"headline": "花斑癣严重图片","pcUrl": "https://www.med-credit.org.cn/jingxuan/2/7c57b238f69f82c632126452c6c286b0.html","wapUrl": "https://www.med-credit.org.cn/jingxuan/2/7c57b238f69f82c632126452c6c286b0.html","mipUrl": "https://www.med-credit.org.cn/mobile/jingxuan/2/7c57b238f69f82c632126452c6c286b0.html","fromSrc": "欢乐橙","datePublished": "2023-02-16T17:14:57","domain": "医疗","category": ["医疗权威文章合作"],"description": "花斑癣严重会出现片状,表面覆有鳞屑,皮损的颜色与患者肤色、日晒情况有关。偶尔伴有轻微的瘙痒感。
","extra_headline": [""]},"Author": {"name": "王霞","wapUrl": "https://www.med-credit.org.cn/doctor/578","pcUrl": "https://www.med-credit.org.cn/doctor/578","jobTitle": "副主任医师","headPortrait": "https://www.med-credit.org.cn/uploadfile/member/578/180x180.jpeg","id": "578","description": "王霞,广州医科大学附属第一医院皮肤科副主任医师","memberOf": {"legalName": "广州医科大学附属第一医院","department": "皮肤科","organizationLevel": "三级甲等"}},"Article": {"summaryContent": "花斑癣严重会出现片状,表面覆有鳞屑,皮损的颜色与患者肤色、日晒情况有关。偶尔伴有轻微的瘙痒感。
本病以局部外用抗真菌药物治疗为主,如果皮损面积大或单纯外用药疗效不佳,可口服抗真菌药物进行治疗。

开始是以毛孔为中心、边界清楚的点状斑疹,加重以后逐渐增大至指甲盖大小,呈圆形或类圆形。之后,邻近皮损可相互融合成不规则大片状,表面覆有鳞屑。
皮损可为褐色、淡褐色、淡红色、淡黄色或白色等。
局部外用抗真菌药物治疗是首选疗法,常用的抗真菌药物有咪唑类如克霉唑、益康唑、咪康唑和丙烯胺类和一些其他抗真菌药物。对皮损面积大、严重而单独局部治疗效果不满意者,可选择口服药物治疗,常用的口服抗真菌药物包括伊曲康唑、氟康唑。注意用药需遵医嘱。
","articleBody": "花斑癣严重会出现片状,表面覆有鳞屑,皮损的颜色与患者肤色、日晒情况有关。偶尔伴有轻微的瘙痒感。
本病以局部外用抗真菌药物治疗为主,如果皮损面积大或单纯外用药疗效不佳,可口服抗真菌药物进行治疗。

开始是以毛孔为中心、边界清楚的点状斑疹,加重以后逐渐增大至指甲盖大小,呈圆形或类圆形。之后,邻近皮损可相互融合成不规则大片状,表面覆有鳞屑。
皮损可为褐色、淡褐色、淡红色、淡黄色或白色等。
局部外用抗真菌药物治疗是首选疗法,常用的抗真菌药物有咪唑类如克霉唑、益康唑、咪康唑和丙烯胺类和一些其他抗真菌药物。对皮损面积大、严重而单独局部治疗效果不满意者,可选择口服药物治疗,常用的口服抗真菌药物包括伊曲康唑、氟康唑。注意用药需遵医嘱。
","scanCount": 52697}}} {"@context": "https://ziyuan.baidu.com/contexts/cambrian.jsonld","appid": "1650708455561748","icon": "https://www.med-credit.org.cn/style/images/ttlogo.png","content_tag": ["atlas"],"is_mcn": {"thumb_id": "lnsk06v2"},"accid": "4886d626a2804dee5f11168793ce361672f39c25","@id": "https://www.med-credit.org.cn/mobile/jingxuan/2/fa502186615d8100a08c73f640954b9f.html","bagWordId": "939_1620691332928376832","title": "两边脚大拇趾指甲发紫图片","pubDate": "2023-02-16T17:14:57","upDate": "2023-02-16T17:14:57","lrDate": "2023-02-16T17:14:57","description": "两边脚大拇趾指甲发紫通常是指脚部的大拇趾的指甲颜色发生改变,正常的指甲颜色为淡红色或者肉色,患者可有肿胀、疼痛等不适症状。","data": {"WebPage": {"headline": "两边脚大拇趾指甲发紫图片","pcUrl": "https://www.med-credit.org.cn/jingxuan/2/fa502186615d8100a08c73f640954b9f.html","wapUrl": "https://www.med-credit.org.cn/jingxuan/2/fa502186615d8100a08c73f640954b9f.html","mipUrl": "https://www.med-credit.org.cn/mobile/jingxuan/2/fa502186615d8100a08c73f640954b9f.html","fromSrc": "欢乐橙","datePublished": "2023-02-16T17:14:57","domain": "医疗","category": ["医疗权威文章合作"],"description": "两边脚大拇趾指甲发紫通常是指脚部的大拇趾的指甲颜色发生改变,正常的指甲颜色为淡红色或者肉色,患者可有肿胀、疼痛等不适症状。
","extra_headline": [""]},"Author": {"name": "王霞","wapUrl": "https://www.med-credit.org.cn/doctor/578","pcUrl": "https://www.med-credit.org.cn/doctor/578","jobTitle": "副主任医师","headPortrait": "https://www.med-credit.org.cn/uploadfile/member/578/180x180.jpeg","id": "578","description": "王霞,广州医科大学附属第一医院皮肤科副主任医师","memberOf": {"legalName": "广州医科大学附属第一医院","department": "皮肤科","organizationLevel": "三级甲等"}},"Article": {"summaryContent": "两边脚大拇趾指甲发紫通常是指脚部的大拇趾的指甲颜色发生改变,正常的指甲颜色为淡红色或者肉色,患者可有肿胀、疼痛等不适症状。
脚趾的颜色出现发紫有可能是脚部受到外伤或者缺氧等原因引起的,可以将指甲移除或者是使用药物来治疗。

1、外伤:如果在搬东西时不小心让较重物体砸伤脚趾,有可能会引起脚趾部位出现血瘀,引起脚部指甲发紫,伴随肿胀以及疼痛。一般不太严重时,随着自身的血液循环会逐渐改善,如果较为严重时,可以遵医嘱把指甲移除,同时把血瘀释放出来,能够促进局部的快速恢复。
2、缺氧:当人体因肺心病、心力衰竭等疾病处于缺氧状态时,流经脚趾甲的血液中含氧量过低,也会导致指甲变紫,同时有可能会出现呼吸困难等伴随症状。可尽快前往医院查明病因,给予相应的治疗。
3、血虚型糖尿病足:患有此疾病的患者下肢长期处于血管闭塞或狭窄状态,导致脚趾甲长期供血不足,会变紫。患者需积极控制血糖,对于糖尿病足患者,首选胰岛素控制血糖。同时需前往医院进行其他治疗。
除了以上相对常见的原因外,还有其他可能性疾病,比如灰指甲。建议患者出现这种症状后,及时去医院就诊,查明病因后,予以针对性治疗。
","articleBody": "两边脚大拇趾指甲发紫通常是指脚部的大拇趾的指甲颜色发生改变,正常的指甲颜色为淡红色或者肉色,患者可有肿胀、疼痛等不适症状。
脚趾的颜色出现发紫有可能是脚部受到外伤或者缺氧等原因引起的,可以将指甲移除或者是使用药物来治疗。

1、外伤:如果在搬东西时不小心让较重物体砸伤脚趾,有可能会引起脚趾部位出现血瘀,引起脚部指甲发紫,伴随肿胀以及疼痛。一般不太严重时,随着自身的血液循环会逐渐改善,如果较为严重时,可以遵医嘱把指甲移除,同时把血瘀释放出来,能够促进局部的快速恢复。
2、缺氧:当人体因肺心病、心力衰竭等疾病处于缺氧状态时,流经脚趾甲的血液中含氧量过低,也会导致指甲变紫,同时有可能会出现呼吸困难等伴随症状。可尽快前往医院查明病因,给予相应的治疗。
3、血虚型糖尿病足:患有此疾病的患者下肢长期处于血管闭塞或狭窄状态,导致脚趾甲长期供血不足,会变紫。患者需积极控制血糖,对于糖尿病足患者,首选胰岛素控制血糖。同时需前往医院进行其他治疗。
除了以上相对常见的原因外,还有其他可能性疾病,比如灰指甲。建议患者出现这种症状后,及时去医院就诊,查明病因后,予以针对性治疗。
","scanCount": 52711}}} {"@context": "https://ziyuan.baidu.com/contexts/cambrian.jsonld","appid": "1650708455561748","icon": "https://www.med-credit.org.cn/style/images/ttlogo.png","content_tag": ["atlas"],"is_mcn": {"thumb_id": "lnsk06v2"},"accid": "4886d626a2804dee5f11168793ce361672f39c25","@id": "https://www.med-credit.org.cn/mobile/jingxuan/2/36bde24ac906a0bc68a2e7b9ec5d9423.html","bagWordId": "939_1620691332764798976","title": "脚丫子中间烂了裂开溃烂图片","pubDate": "2023-02-16T17:14:57","upDate": "2023-02-16T17:14:57","lrDate": "2023-02-16T17:14:57","description": "脚丫子即脚趾头,脚趾头中间烂了裂开溃烂通常伴有疼痛、瘙痒等不适症状。","data": {"WebPage": {"headline": "脚丫子中间烂了裂开溃烂图片","pcUrl": "https://www.med-credit.org.cn/jingxuan/2/36bde24ac906a0bc68a2e7b9ec5d9423.html","wapUrl": "https://www.med-credit.org.cn/jingxuan/2/36bde24ac906a0bc68a2e7b9ec5d9423.html","mipUrl": "https://www.med-credit.org.cn/mobile/jingxuan/2/36bde24ac906a0bc68a2e7b9ec5d9423.html","fromSrc": "欢乐橙","datePublished": "2023-02-16T17:14:57","domain": "医疗","category": ["医疗权威文章合作"],"description": "脚丫子即脚趾头,脚趾头中间烂了裂开溃烂通常伴有疼痛、瘙痒等不适症状。
","extra_headline": [""]},"Author": {"name": "王霞","wapUrl": "https://www.med-credit.org.cn/doctor/578","pcUrl": "https://www.med-credit.org.cn/doctor/578","jobTitle": "副主任医师","headPortrait": "https://www.med-credit.org.cn/uploadfile/member/578/180x180.jpeg","id": "578","description": "王霞,广州医科大学附属第一医院皮肤科副主任医师","memberOf": {"legalName": "广州医科大学附属第一医院","department": "皮肤科","organizationLevel": "三级甲等"}},"Article": {"summaryContent": "脚丫子即脚趾头,脚趾头中间烂了裂开溃烂通常伴有疼痛、瘙痒等不适症状。
脚趾头溃烂有可能是皮肤干燥、足癣、汗疱疹等因素造成的,可以使用药物来治疗,平时要注意脚部皮肤护理。

1、皮肤干燥:如果天气比较寒冷,身体缺乏水分,加上没有穿保暖的鞋子,容易导致脚趾头皮肤干燥开裂,开裂以后没有及时护理可能导致渗液产生,进而出现溃烂的症状,通常会有疼痛的症状。如果创面不大,可以先用生理盐水清洁渗液,然后用碘伏消毒,防止继发感染

2、足癣:当脚部感染真菌时有可能出现足癣,严重时会出现脚趾头中间开裂、溃烂,还会伴随瘙痒等症状。需要遵医嘱通过抗真菌类的药物治疗,常用药物有酮康唑软膏、特比萘芬软膏等。
3、汗疱疹:汗疱疹可能是因为局部过敏或者是过度紧张诱发的,会导致脚趾缝中间有一些小水泡,常伴有明显瘙痒,水泡破裂以后可能会出现裂开或者是溃烂。可以配合医生服用氯雷他定片或者是盐酸西替利嗪片等药物治疗,能够使症状得到缓解。
除了以上相对常见的原因外,还有其他可能性疾病,比如糖尿病足。建议患者出现这种症状后,及时去医院就诊,查明病因后,予以针对性治疗。
出现这种情况以后要做好脚部皮肤护理,避免经常搔抓破裂的皮肤,恢复期间要选择穿透气、宽松、舒适的鞋袜,不建议泡脚,以免引起皮肤损伤加重。
","articleBody": "脚丫子即脚趾头,脚趾头中间烂了裂开溃烂通常伴有疼痛、瘙痒等不适症状。
脚趾头溃烂有可能是皮肤干燥、足癣、汗疱疹等因素造成的,可以使用药物来治疗,平时要注意脚部皮肤护理。

1、皮肤干燥:如果天气比较寒冷,身体缺乏水分,加上没有穿保暖的鞋子,容易导致脚趾头皮肤干燥开裂,开裂以后没有及时护理可能导致渗液产生,进而出现溃烂的症状,通常会有疼痛的症状。如果创面不大,可以先用生理盐水清洁渗液,然后用碘伏消毒,防止继发感染

2、足癣:当脚部感染真菌时有可能出现足癣,严重时会出现脚趾头中间开裂、溃烂,还会伴随瘙痒等症状。需要遵医嘱通过抗真菌类的药物治疗,常用药物有酮康唑软膏、特比萘芬软膏等。
3、汗疱疹:汗疱疹可能是因为局部过敏或者是过度紧张诱发的,会导致脚趾缝中间有一些小水泡,常伴有明显瘙痒,水泡破裂以后可能会出现裂开或者是溃烂。可以配合医生服用氯雷他定片或者是盐酸西替利嗪片等药物治疗,能够使症状得到缓解。
除了以上相对常见的原因外,还有其他可能性疾病,比如糖尿病足。建议患者出现这种症状后,及时去医院就诊,查明病因后,予以针对性治疗。
出现这种情况以后要做好脚部皮肤护理,避免经常搔抓破裂的皮肤,恢复期间要选择穿透气、宽松、舒适的鞋袜,不建议泡脚,以免引起皮肤损伤加重。
","scanCount": 52712}}} {"@context": "https://ziyuan.baidu.com/contexts/cambrian.jsonld","appid": "1650708455561748","icon": "https://www.med-credit.org.cn/style/images/ttlogo.png","content_tag": ["atlas"],"is_mcn": {"thumb_id": "ay28xrnt0"},"accid": "4886d626a2804dee5f11168793ce361672f39c25","@id": "https://www.med-credit.org.cn/mobile/jingxuan/2/d34caff24d8553ca52e979338fa9ef17.html","bagWordId": "939_1620691330017529856","title": "舍格伦综合征口腔表现图片","pubDate": "2023-02-16T17:14:57","upDate": "2023-02-16T17:14:57","lrDate": "2023-02-16T17:14:57","description": "舍格伦综合征指的是干燥综合征,是累及外分泌腺体的慢性炎症性疾病。","data": {"WebPage": {"headline": "舍格伦综合征口腔表现图片","pcUrl": "https://www.med-credit.org.cn/jingxuan/2/d34caff24d8553ca52e979338fa9ef17.html","wapUrl": "https://www.med-credit.org.cn/jingxuan/2/d34caff24d8553ca52e979338fa9ef17.html","mipUrl": "https://www.med-credit.org.cn/mobile/jingxuan/2/d34caff24d8553ca52e979338fa9ef17.html","fromSrc": "欢乐橙","datePublished": "2023-02-16T17:14:57","domain": "医疗","category": ["医疗权威文章合作"],"description": "舍格伦综合征指的是干燥综合征,是累及外分泌腺体的慢性炎症性疾病。
","extra_headline": [""]},"Author": {"name": "李斯文","wapUrl": "https://www.med-credit.org.cn/doctor/546","pcUrl": "https://www.med-credit.org.cn/doctor/546","jobTitle": "主治医师","headPortrait": "https://www.med-credit.org.cn/uploadfile/member/546/180x180.jpeg","id": "546","description": "李斯文,中国医科大学附属口腔医院口腔科主治医师","memberOf": {"legalName": "中国医科大学附属口腔医院","department": "口腔科","organizationLevel": "三级甲等"}},"Article": {"summaryContent": "舍格伦综合征指的是干燥综合征,是累及外分泌腺体的慢性炎症性疾病。
干燥综合征通常会出现口干、“猖獗性”龋齿、舌面干裂等症状,患者应做好日常护理,同时可在医生的指导下使用药物来进行治疗。
1、口干:因患者唾液腺体出现病变,腺体分泌的液体减少,从而出现口干的症状,严重者可因口腔黏膜、牙齿及舌发黏而在讲话时需频繁饮水,吃固体食物时必须以水或流食伴随,有时夜间需起床饮水等。

2、“猖獗性”龋齿:一般表现为多个牙齿逐渐变黑,而后小片脱落,最终只有残根存留。

3、舌面干裂:可出现舌痛、舌面干裂、舌乳头萎缩舌面凹凸感消失等症状。
除了以上相对常见的症状外,还有其他可能性症状,比如口腔黏膜出现溃疡。建议患者出现这种症状后,及时去医院就诊,查明病因后,予以针对性治疗。
1、一般治疗:患者应做好日常护理,注意保湿,避免感染;可以使用人工唾液等各种人工替代品减轻口干燥等局部症状。
2、药物治疗:可以遵医嘱使用糖皮质激素缓解症状,常用的药物有地塞米松片、醋酸泼尼松片等。同时也可使用免疫抑制剂来治疗原发病,比如甲氨蝶呤片、羟氯喹片等。
","articleBody": "舍格伦综合征指的是干燥综合征,是累及外分泌腺体的慢性炎症性疾病。
干燥综合征通常会出现口干、“猖獗性”龋齿、舌面干裂等症状,患者应做好日常护理,同时可在医生的指导下使用药物来进行治疗。
1、口干:因患者唾液腺体出现病变,腺体分泌的液体减少,从而出现口干的症状,严重者可因口腔黏膜、牙齿及舌发黏而在讲话时需频繁饮水,吃固体食物时必须以水或流食伴随,有时夜间需起床饮水等。

2、“猖獗性”龋齿:一般表现为多个牙齿逐渐变黑,而后小片脱落,最终只有残根存留。

3、舌面干裂:可出现舌痛、舌面干裂、舌乳头萎缩舌面凹凸感消失等症状。
除了以上相对常见的症状外,还有其他可能性症状,比如口腔黏膜出现溃疡。建议患者出现这种症状后,及时去医院就诊,查明病因后,予以针对性治疗。
1、一般治疗:患者应做好日常护理,注意保湿,避免感染;可以使用人工唾液等各种人工替代品减轻口干燥等局部症状。
2、药物治疗:可以遵医嘱使用糖皮质激素缓解症状,常用的药物有地塞米松片、醋酸泼尼松片等。同时也可使用免疫抑制剂来治疗原发病,比如甲氨蝶呤片、羟氯喹片等。
","scanCount": 52735}}} {"@context": "https://ziyuan.baidu.com/contexts/cambrian.jsonld","appid": "1650708455561748","icon": "https://www.med-credit.org.cn/style/images/ttlogo.png","content_tag": ["atlas"],"is_mcn": {"thumb_id": "yfygkay6"},"accid": "4886d626a2804dee5f11168793ce361672f39c25","@id": "https://www.med-credit.org.cn/mobile/jingxuan/2/d0edc9e71787638041332697be608356.html","bagWordId": "939_1620691333561716736","title": "杓会厌襞图片","pubDate": "2023-02-16T17:14:57","upDate": "2023-02-16T17:14:57","lrDate": "2023-02-16T17:14:57","description": "杓会厌襞会导致杓会厌襞层面出现八字形的高密度状骨板,密度一般不均匀,而且会使同侧喉变形。","data": {"WebPage": {"headline": "杓会厌襞图片","pcUrl": "https://www.med-credit.org.cn/jingxuan/2/d0edc9e71787638041332697be608356.html","wapUrl": "https://www.med-credit.org.cn/jingxuan/2/d0edc9e71787638041332697be608356.html","mipUrl": "https://www.med-credit.org.cn/mobile/jingxuan/2/d0edc9e71787638041332697be608356.html","fromSrc": "欢乐橙","datePublished": "2023-02-16T17:14:57","domain": "医疗","category": ["医疗权威文章合作"],"description": "杓会厌襞会导致杓会厌襞层面出现八字形的高密度状骨板,密度一般不均匀,而且会使同侧喉变形。
","extra_headline": [""]},"Author": {"name": "王立银","wapUrl": "https://www.med-credit.org.cn/doctor/520","pcUrl": "https://www.med-credit.org.cn/doctor/520","jobTitle": "主治医师","headPortrait": "https://www.med-credit.org.cn/uploadfile/member/520/180x180.jpeg","id": "520","description": "王立银,中国医科大学附属盛京医院耳鼻咽喉头颈外科主治医师","memberOf": {"legalName": "中国医科大学附属盛京医院","department": "耳鼻咽喉头颈外科","organizationLevel": "三级甲等"}},"Article": {"summaryContent": "杓会厌襞会导致杓会厌襞层面出现八字形的高密度状骨板,密度一般不均匀,而且会使同侧喉变形。
杓会厌襞具有一定的生理功能。

杓会厌襞在咽喉部位的入口处两侧边缘,属于咽喉的一部分,构成咽喉发声、吞咽的部位,因此具有吞咽、发声的功能,也可能会出现囊肿、增厚等病症。
杓会厌襞是喉咙的黏膜皱襞,连接杓状软骨尖、会厌软骨,且杓会厌襞的粗细,受性别、发育等多种因素影响。杓会厌襞的发声方法是闭塞法,利用阻碍空气,使空气在声腔流动,从而产生声音,具体发出声音的部位是会厌,而杓会厌襞可通过触碰会厌从而发声。
此外,杓会厌襞产生的声音主要是清音,当杓会厌襞产生声音时,并不影响声带。另外,当杓会厌襞出现囊肿时,会影响吞咽功能,吞咽食物时,会感受到咽喉部位有异物,但杓会厌襞囊肿并不会影响日常发声。
","articleBody": "杓会厌襞会导致杓会厌襞层面出现八字形的高密度状骨板,密度一般不均匀,而且会使同侧喉变形。
杓会厌襞具有一定的生理功能。

杓会厌襞在咽喉部位的入口处两侧边缘,属于咽喉的一部分,构成咽喉发声、吞咽的部位,因此具有吞咽、发声的功能,也可能会出现囊肿、增厚等病症。
杓会厌襞是喉咙的黏膜皱襞,连接杓状软骨尖、会厌软骨,且杓会厌襞的粗细,受性别、发育等多种因素影响。杓会厌襞的发声方法是闭塞法,利用阻碍空气,使空气在声腔流动,从而产生声音,具体发出声音的部位是会厌,而杓会厌襞可通过触碰会厌从而发声。
此外,杓会厌襞产生的声音主要是清音,当杓会厌襞产生声音时,并不影响声带。另外,当杓会厌襞出现囊肿时,会影响吞咽功能,吞咽食物时,会感受到咽喉部位有异物,但杓会厌襞囊肿并不会影响日常发声。
","scanCount": 52759}}} {"@context": "https://ziyuan.baidu.com/contexts/cambrian.jsonld","appid": "1650708455561748","icon": "https://www.med-credit.org.cn/style/images/ttlogo.png","content_tag": ["atlas"],"is_mcn": {"thumb_id": "yfygkay6"},"accid": "4886d626a2804dee5f11168793ce361672f39c25","@id": "https://www.med-credit.org.cn/mobile/jingxuan/2/7655d817e476a6712631cf95b8dd987c.html","bagWordId": "939_1620691333721100288","title": "口腔喉咙里面长了个白色的凸起图片","pubDate": "2023-02-16T17:14:57","upDate": "2023-02-16T17:14:57","lrDate": "2023-02-16T17:14:57","description": "口腔喉咙里面长了个白色的凸起可能是会厌囊肿、扁桃体结石、咽部乳头状瘤等原因导致的。","data": {"WebPage": {"headline": "口腔喉咙里面长了个白色的凸起图片","pcUrl": "https://www.med-credit.org.cn/jingxuan/2/7655d817e476a6712631cf95b8dd987c.html","wapUrl": "https://www.med-credit.org.cn/jingxuan/2/7655d817e476a6712631cf95b8dd987c.html","mipUrl": "https://www.med-credit.org.cn/mobile/jingxuan/2/7655d817e476a6712631cf95b8dd987c.html","fromSrc": "欢乐橙","datePublished": "2023-02-16T17:14:57","domain": "医疗","category": ["医疗权威文章合作"],"description": "口腔喉咙里面长了个白色的凸起可能是会厌囊肿、扁桃体结石、咽部乳头状瘤等原因导致的。
","extra_headline": [""]},"Author": {"name": "王立银","wapUrl": "https://www.med-credit.org.cn/doctor/520","pcUrl": "https://www.med-credit.org.cn/doctor/520","jobTitle": "主治医师","headPortrait": "https://www.med-credit.org.cn/uploadfile/member/520/180x180.jpeg","id": "520","description": "王立银,中国医科大学附属盛京医院耳鼻咽喉头颈外科主治医师","memberOf": {"legalName": "中国医科大学附属盛京医院","department": "耳鼻咽喉头颈外科","organizationLevel": "三级甲等"}},"Article": {"summaryContent": "口腔喉咙里面长了个白色的凸起可能是会厌囊肿、扁桃体结石、咽部乳头状瘤等原因导致的。
建议及时到耳鼻喉科就诊,可以做血常规、喉镜等相关检查,有助于判断病情,然后进行针对性地治疗。

1、会厌囊肿:会厌是咽喉部的重要结构,会厌囊肿好发于会厌舌面,主要由于长期炎症刺激或外伤引起黏膜内腺体堵塞而导致,一般呈白色或淡黄色,查体可见咽喉上长了个白色的凸起物。如果囊肿比较小,可能没有其他不适症状,建议定期随访观察。如果囊肿比较大,可导致咽喉明显异物感,可以选择做支撑喉镜下会厌囊肿的切除手术。

2、扁桃体结石:当扁桃体隐窝分泌物增多,食物残渣、细菌等异物长时间堆积,可能会形成结石,一般位于扁桃体隐窝里面,呈白色或淡黄色,同时可伴随有异物感和口臭等症状。建议使用康复新液或淡盐水漱口,保持口腔卫生,定期到耳鼻喉科就诊,用棉签或镊子将结石清理出来。若病情特别严重,保守治疗无效,可以做双侧扁桃体的切除手术。
3、咽部乳头状瘤:主要是由人乳头瘤病毒感染引起,常见的生长部位是软腭、悬雍垂、咽后壁等,瘤体一般可呈现灰白色,可引起咽喉部异物感,自觉咽喉上长了个白色的凸起物,肿瘤会缓慢增大,存在癌变的可能性,建议做乳头状瘤的切除手术,术后需要定期复查。
除了以上相对常见的原因外,还有其他可能性疾病,比如急性咽喉炎。建议患者出现这种症状后,及时去医院就诊,查明病因后,予以针对性治疗。
","articleBody": "口腔喉咙里面长了个白色的凸起可能是会厌囊肿、扁桃体结石、咽部乳头状瘤等原因导致的。
建议及时到耳鼻喉科就诊,可以做血常规、喉镜等相关检查,有助于判断病情,然后进行针对性地治疗。

1、会厌囊肿:会厌是咽喉部的重要结构,会厌囊肿好发于会厌舌面,主要由于长期炎症刺激或外伤引起黏膜内腺体堵塞而导致,一般呈白色或淡黄色,查体可见咽喉上长了个白色的凸起物。如果囊肿比较小,可能没有其他不适症状,建议定期随访观察。如果囊肿比较大,可导致咽喉明显异物感,可以选择做支撑喉镜下会厌囊肿的切除手术。

2、扁桃体结石:当扁桃体隐窝分泌物增多,食物残渣、细菌等异物长时间堆积,可能会形成结石,一般位于扁桃体隐窝里面,呈白色或淡黄色,同时可伴随有异物感和口臭等症状。建议使用康复新液或淡盐水漱口,保持口腔卫生,定期到耳鼻喉科就诊,用棉签或镊子将结石清理出来。若病情特别严重,保守治疗无效,可以做双侧扁桃体的切除手术。
3、咽部乳头状瘤:主要是由人乳头瘤病毒感染引起,常见的生长部位是软腭、悬雍垂、咽后壁等,瘤体一般可呈现灰白色,可引起咽喉部异物感,自觉咽喉上长了个白色的凸起物,肿瘤会缓慢增大,存在癌变的可能性,建议做乳头状瘤的切除手术,术后需要定期复查。
除了以上相对常见的原因外,还有其他可能性疾病,比如急性咽喉炎。建议患者出现这种症状后,及时去医院就诊,查明病因后,予以针对性治疗。
","scanCount": 52764}}} {"@context": "https://ziyuan.baidu.com/contexts/cambrian.jsonld","appid": "1650708455561748","icon": "https://www.med-credit.org.cn/style/images/ttlogo.png","content_tag": ["atlas"],"is_mcn": {"thumb_id": "yfygkay6"},"accid": "4886d626a2804dee5f11168793ce361672f39c25","@id": "https://www.med-credit.org.cn/mobile/jingxuan/2/60223c06e5208d262c6a967541acbe69.html","bagWordId": "939_1620691333796597760","title": "喉结切除术疤痕图片","pubDate": "2023-02-16T17:14:57","upDate": "2023-02-16T17:14:57","lrDate": "2023-02-16T17:14:57","description": "疤痕的专业术语是瘢痕,喉结切除术瘢痕会导致局部出现高于皮肤表面的红色丘疹、斑块、结节或肿物。","data": {"WebPage": {"headline": "喉结切除术疤痕图片","pcUrl": "https://www.med-credit.org.cn/jingxuan/2/60223c06e5208d262c6a967541acbe69.html","wapUrl": "https://www.med-credit.org.cn/jingxuan/2/60223c06e5208d262c6a967541acbe69.html","mipUrl": "https://www.med-credit.org.cn/mobile/jingxuan/2/60223c06e5208d262c6a967541acbe69.html","fromSrc": "欢乐橙","datePublished": "2023-02-16T17:14:57","domain": "医疗","category": ["医疗权威文章合作"],"description": "疤痕的专业术语是瘢痕,喉结切除术瘢痕会导致局部出现高于皮肤表面的红色丘疹、斑块、结节或肿物。
","extra_headline": [""]},"Author": {"name": "王立银","wapUrl": "https://www.med-credit.org.cn/doctor/520","pcUrl": "https://www.med-credit.org.cn/doctor/520","jobTitle": "主治医师","headPortrait": "https://www.med-credit.org.cn/uploadfile/member/520/180x180.jpeg","id": "520","description": "王立银,中国医科大学附属盛京医院耳鼻咽喉头颈外科主治医师","memberOf": {"legalName": "中国医科大学附属盛京医院","department": "耳鼻咽喉头颈外科","organizationLevel": "三级甲等"}},"Article": {"summaryContent": "疤痕的专业术语是瘢痕,喉结切除术瘢痕会导致局部出现高于皮肤表面的红色丘疹、斑块、结节或肿物。
瘢痕通常分为常规瘢痕、增生性瘢痕、瘢痕疙瘩等。

1、常规瘢痕:常表现为皮肤表面粗糙或颜色改变,局限于损伤区域,无功能障碍,随着时间的推移,瘢痕可逐渐不明显。

2、增生性瘢痕:常表现为明显高于皮肤的红色斑块,但局限于外伤范围内,可有疼痛、瘙痒等不适。通常在外伤后数周或数月内发生,1~2年内部分可逐渐自发变平,对治疗反应好。
3、瘢痕疙瘩:通常表现为高出皮面的持续生长的红色斑块或结节,超出原损伤范围,质硬,外观呈“蟹爪样”,常伴疼痛或瘙痒。部分发生于皮肤外伤后,如割伤、打耳洞、手术切口等,也可见于痤疮皮损、蚊虫叮咬后,通常在受伤后1年内出现。也可自发形成,常发生于前胸、背部、肩部。对治疗反应相对差。
除了以上相对常见的瘢痕表现外,喉结切除术术后还可能出现萎缩性瘢痕。
","articleBody": "疤痕的专业术语是瘢痕,喉结切除术瘢痕会导致局部出现高于皮肤表面的红色丘疹、斑块、结节或肿物。
瘢痕通常分为常规瘢痕、增生性瘢痕、瘢痕疙瘩等。

1、常规瘢痕:常表现为皮肤表面粗糙或颜色改变,局限于损伤区域,无功能障碍,随着时间的推移,瘢痕可逐渐不明显。

2、增生性瘢痕:常表现为明显高于皮肤的红色斑块,但局限于外伤范围内,可有疼痛、瘙痒等不适。通常在外伤后数周或数月内发生,1~2年内部分可逐渐自发变平,对治疗反应好。
3、瘢痕疙瘩:通常表现为高出皮面的持续生长的红色斑块或结节,超出原损伤范围,质硬,外观呈“蟹爪样”,常伴疼痛或瘙痒。部分发生于皮肤外伤后,如割伤、打耳洞、手术切口等,也可见于痤疮皮损、蚊虫叮咬后,通常在受伤后1年内出现。也可自发形成,常发生于前胸、背部、肩部。对治疗反应相对差。
除了以上相对常见的瘢痕表现外,喉结切除术术后还可能出现萎缩性瘢痕。
","scanCount": 52769}}} {"@context": "https://ziyuan.baidu.com/contexts/cambrian.jsonld","appid": "1650708455561748","icon": "https://www.med-credit.org.cn/style/images/ttlogo.png","content_tag": ["atlas"],"is_mcn": {"thumb_id": "lntvzimb"},"accid": "4886d626a2804dee5f11168793ce361672f39c25","@id": "https://www.med-credit.org.cn/mobile/jingxuan/2/ab08f2c659e5d44d5a24169d662ba0aa.html","bagWordId": "939_1620691330881556480","title": "眼睛糜烂图片","pubDate": "2023-02-16T17:14:57","upDate": "2023-02-16T17:14:57","lrDate": "2023-02-16T17:14:57","description": "眼睛糜烂通常会导致角膜出现水肿,伴随着结膜充血、眼角分泌物多以及出现眼部化脓性病变。","data": {"WebPage": {"headline": "眼睛糜烂图片","pcUrl": "https://www.med-credit.org.cn/jingxuan/2/ab08f2c659e5d44d5a24169d662ba0aa.html","wapUrl": "https://www.med-credit.org.cn/jingxuan/2/ab08f2c659e5d44d5a24169d662ba0aa.html","mipUrl": "https://www.med-credit.org.cn/mobile/jingxuan/2/ab08f2c659e5d44d5a24169d662ba0aa.html","fromSrc": "欢乐橙","datePublished": "2023-02-16T17:14:57","domain": "医疗","category": ["医疗权威文章合作"],"description": "眼睛糜烂通常会导致角膜出现水肿,伴随着结膜充血、眼角分泌物多以及出现眼部化脓性病变。
","extra_headline": [""]},"Author": {"name": "崔馨","wapUrl": "https://www.med-credit.org.cn/doctor/576","pcUrl": "https://www.med-credit.org.cn/doctor/576","jobTitle": "副主任医师","headPortrait": "https://www.med-credit.org.cn/uploadfile/member/576/180x180.jpeg","id": "576","description": "崔馨,解放军总医院眼科副主任医师","memberOf": {"legalName": "解放军总医院","department": "眼科","organizationLevel": "三级甲等"}},"Article": {"summaryContent": "眼睛糜烂通常会导致角膜出现水肿,伴随着结膜充血、眼角分泌物多以及出现眼部化脓性病变。
眼睛糜烂有可能是慢性结膜炎或者是睑缘炎引起的,可以使用药物来进行治疗。

1、慢性结膜炎:出现慢性结膜炎会导致眼部产生大量脓性的分泌物,如果没有及时的治疗,会导致分泌物大量堆积在眼角,长时间会导致局部的皮肤出现腐蚀溃疡的情况。可以遵医嘱使用抗生素的眼药水来进行治疗,比如左氧氟沙星滴眼液、地塞米松滴眼液等,另外也可以服用抗生素药物,比如阿莫西林、左氧氟沙星等。
2、
2、睑缘炎:睑缘炎通常是由于自身抵抗力弱、不注意用眼卫生所导致。出现睑缘炎会引起眼睛出现烧灼、刺痛的症状并且还可能会导致眼睛分泌物增多,从而引发眼部糜烂的现象。由于睑缘炎通常是由于金黄色葡萄球菌感染所导致,可以遵医嘱使用妥布霉素滴眼液或者是左氧氟沙星滴眼液等药物来治疗。
","articleBody": "眼睛糜烂通常会导致角膜出现水肿,伴随着结膜充血、眼角分泌物多以及出现眼部化脓性病变。
眼睛糜烂有可能是慢性结膜炎或者是睑缘炎引起的,可以使用药物来进行治疗。

1、慢性结膜炎:出现慢性结膜炎会导致眼部产生大量脓性的分泌物,如果没有及时的治疗,会导致分泌物大量堆积在眼角,长时间会导致局部的皮肤出现腐蚀溃疡的情况。可以遵医嘱使用抗生素的眼药水来进行治疗,比如左氧氟沙星滴眼液、地塞米松滴眼液等,另外也可以服用抗生素药物,比如阿莫西林、左氧氟沙星等。
2、
2、睑缘炎:睑缘炎通常是由于自身抵抗力弱、不注意用眼卫生所导致。出现睑缘炎会引起眼睛出现烧灼、刺痛的症状并且还可能会导致眼睛分泌物增多,从而引发眼部糜烂的现象。由于睑缘炎通常是由于金黄色葡萄球菌感染所导致,可以遵医嘱使用妥布霉素滴眼液或者是左氧氟沙星滴眼液等药物来治疗。
","scanCount": 52785}}} {"@context": "https://ziyuan.baidu.com/contexts/cambrian.jsonld","appid": "1650708455561748","icon": "https://www.med-credit.org.cn/style/images/ttlogo.png","content_tag": ["atlas"],"is_mcn": {"thumb_id": "lnsk06v2"},"accid": "4886d626a2804dee5f11168793ce361672f39c25","@id": "https://www.med-credit.org.cn/mobile/jingxuan/2/2cc5d4574dbae68649af0a5e9496f4d4.html","bagWordId": "939_1620691331980464128","title": "急性接触性皮炎图片","pubDate": "2023-02-16T17:14:57","upDate": "2023-02-16T17:14:57","lrDate": "2023-02-16T17:14:57","description": "急性接触性皮炎会导致皮肤长出大量丘疹或者水疱,而且也会有糜烂、渗液以及结痂等不良反应。","data": {"WebPage": {"headline": "急性接触性皮炎图片","pcUrl": "https://www.med-credit.org.cn/jingxuan/2/2cc5d4574dbae68649af0a5e9496f4d4.html","wapUrl": "https://www.med-credit.org.cn/jingxuan/2/2cc5d4574dbae68649af0a5e9496f4d4.html","mipUrl": "https://www.med-credit.org.cn/mobile/jingxuan/2/2cc5d4574dbae68649af0a5e9496f4d4.html","fromSrc": "欢乐橙","datePublished": "2023-02-16T17:14:57","domain": "医疗","category": ["医疗权威文章合作"],"description": "急性接触性皮炎会导致皮肤长出大量丘疹或者水疱,而且也会有糜烂、渗液以及结痂等不良反应。
","extra_headline": [""]},"Author": {"name": "王霞","wapUrl": "https://www.med-credit.org.cn/doctor/578","pcUrl": "https://www.med-credit.org.cn/doctor/578","jobTitle": "副主任医师","headPortrait": "https://www.med-credit.org.cn/uploadfile/member/578/180x180.jpeg","id": "578","description": "王霞,广州医科大学附属第一医院皮肤科副主任医师","memberOf": {"legalName": "广州医科大学附属第一医院","department": "皮肤科","organizationLevel": "三级甲等"}},"Article": {"summaryContent": "急性接触性皮炎会导致皮肤长出大量丘疹或者水疱,而且也会有糜烂、渗液以及结痂等不良反应。
急性接触性皮炎考虑原发刺激或过敏引起。

1.原发刺激:因皮肤接触物直接刺激,可引起皮炎,接触后可引起反应,其严重性和接触方式有关,与接触物的化学性质、浓度、时间长短成正比,每隔一分钟到几个小时就会出现皮炎。与强酸强碱引起的皮炎有一定的关系。常表现为皮肤长出大量丘疹或者水疱。可以遵医嘱服用维生素C,在皮肤糜烂比较严重时,还可口服氢化可的松及类似糖皮质激素等药物;
2.过敏:只有少数过敏体质的人接触过敏物质后发病。第一次接触时没有任何反应,一般要经过4~20天的潜伏期,再接触同类物质后,可在几个小时到1~2天内在接触部位或邻近部位发生皮炎。皮肤可能会变得粗糙皲裂,并会伴随有瘙痒、烧灼等多种不适感,而极少数病例,也会发生发烧和头痛恶心等全身症状。一般需要遵医嘱服用抗组胺类药物,进行针对性治疗,具体可按剂量按疗程服用西替利嗪等。
患有接触性皮炎者在日常生活当中可通过运动提高身体的免疫能力,运动可以促进体内血液的循环,对于减轻过敏性皮炎症状也具备较好的效果。应该尽量避免辛辣刺激以及过于油腻的食物。
","articleBody": "急性接触性皮炎会导致皮肤长出大量丘疹或者水疱,而且也会有糜烂、渗液以及结痂等不良反应。
急性接触性皮炎考虑原发刺激或过敏引起。

1.原发刺激:因皮肤接触物直接刺激,可引起皮炎,接触后可引起反应,其严重性和接触方式有关,与接触物的化学性质、浓度、时间长短成正比,每隔一分钟到几个小时就会出现皮炎。与强酸强碱引起的皮炎有一定的关系。常表现为皮肤长出大量丘疹或者水疱。可以遵医嘱服用维生素C,在皮肤糜烂比较严重时,还可口服氢化可的松及类似糖皮质激素等药物;
2.过敏:只有少数过敏体质的人接触过敏物质后发病。第一次接触时没有任何反应,一般要经过4~20天的潜伏期,再接触同类物质后,可在几个小时到1~2天内在接触部位或邻近部位发生皮炎。皮肤可能会变得粗糙皲裂,并会伴随有瘙痒、烧灼等多种不适感,而极少数病例,也会发生发烧和头痛恶心等全身症状。一般需要遵医嘱服用抗组胺类药物,进行针对性治疗,具体可按剂量按疗程服用西替利嗪等。
患有接触性皮炎者在日常生活当中可通过运动提高身体的免疫能力,运动可以促进体内血液的循环,对于减轻过敏性皮炎症状也具备较好的效果。应该尽量避免辛辣刺激以及过于油腻的食物。
","scanCount": 51599}}} {"@context": "https://ziyuan.baidu.com/contexts/cambrian.jsonld","appid": "1650708455561748","icon": "https://www.med-credit.org.cn/style/images/ttlogo.png","content_tag": ["atlas"],"is_mcn": {"thumb_id": "tznru43s"},"accid": "4886d626a2804dee5f11168793ce361672f39c25","@id": "https://www.med-credit.org.cn/mobile/jingxuan/2/c4c3858d6737f9baf584ef2645a29f58.html","bagWordId": "783_1598581058176028672","title": "粟丘疹和汗管瘤的图片","pubDate": "2023-02-15T16:41:09","upDate": "2023-02-15T16:41:09","lrDate": "2023-02-15T16:41:09","description": "粟丘疹为皮肤表面或皮肤的附属器所形成的良性肿物或是囊肿,汗管瘤为表皮的脂肪代谢障碍引起的表皮内小汗腺导管的腺瘤。","data": {"WebPage": {"headline": "粟丘疹和汗管瘤的图片","pcUrl": "https://www.med-credit.org.cn/jingxuan/2/c4c3858d6737f9baf584ef2645a29f58.html","wapUrl": "https://www.med-credit.org.cn/jingxuan/2/c4c3858d6737f9baf584ef2645a29f58.html","mipUrl": "https://www.med-credit.org.cn/mobile/jingxuan/2/c4c3858d6737f9baf584ef2645a29f58.html","fromSrc": "欢乐橙","datePublished": "2023-02-15T16:41:09","domain": "医疗","category": ["医疗权威文章合作"],"description": "粟丘疹为皮肤表面或皮肤的附属器所形成的良性肿物或是囊肿,汗管瘤为表皮的脂肪代谢障碍引起的表皮内小汗腺导管的腺瘤。
","extra_headline": [""]},"Author": {"name": "张岚","wapUrl": "https://www.med-credit.org.cn/doctor/556","pcUrl": "https://www.med-credit.org.cn/doctor/556","jobTitle": "副主任医师","headPortrait": "https://www.med-credit.org.cn/uploadfile/member/556/180x180.jpeg","id": "556","description": "张岚,中国医科大学附属第一医院皮肤病与性病科副主任医师","memberOf": {"legalName": "中国医科大学附属第一医院","department": "皮肤科","organizationLevel": "三级甲等"}},"Article": {"summaryContent": "粟丘疹为皮肤表面或皮肤的附属器所形成的良性肿物或是囊肿,汗管瘤为表皮的脂肪代谢障碍引起的表皮内小汗腺导管的腺瘤。
粟丘疹皮损为黄白色、坚实的小丘疹,多见于面部,通常可以选择针挑、激光等方法进行治疗。汗管瘤呈半球形或扁平丘疹,一般无需治疗,也可通过激光治疗切除。


1.粟丘疹:常发于眼睑以及脸颊两侧或是额头,表现为白色或是黄白色的小丘疹,可略微凸起于表皮,用针挑出后可见如同米粒样的表面光滑小颗粒,有一定的密度。一般粟丘疹无明显自觉症状。
2.汗管瘤:常发作于上下眼睑以及前额的两侧,为大量肉色的小丘疹组合而成,表面一般呈现出平滑状或是圆形凸起状,当汗液堆积时,可呈现出半透明状,触之可感质地较硬,呈现出密集的分布但并不融合,一般表现为对称状分布的特点。
对于粟丘疹,可采用针挑的方法除去,或是激光治疗的方法除去,也可以选择不治疗,对日常生活没有影响。汗管瘤优选激光治疗,多次激光治疗后一般可完全治愈。但如果出现严重不良反应请及时前往医院进行相关的检查与治疗。
","articleBody": "粟丘疹为皮肤表面或皮肤的附属器所形成的良性肿物或是囊肿,汗管瘤为表皮的脂肪代谢障碍引起的表皮内小汗腺导管的腺瘤。
粟丘疹皮损为黄白色、坚实的小丘疹,多见于面部,通常可以选择针挑、激光等方法进行治疗。汗管瘤呈半球形或扁平丘疹,一般无需治疗,也可通过激光治疗切除。


1.粟丘疹:常发于眼睑以及脸颊两侧或是额头,表现为白色或是黄白色的小丘疹,可略微凸起于表皮,用针挑出后可见如同米粒样的表面光滑小颗粒,有一定的密度。一般粟丘疹无明显自觉症状。
2.汗管瘤:常发作于上下眼睑以及前额的两侧,为大量肉色的小丘疹组合而成,表面一般呈现出平滑状或是圆形凸起状,当汗液堆积时,可呈现出半透明状,触之可感质地较硬,呈现出密集的分布但并不融合,一般表现为对称状分布的特点。
对于粟丘疹,可采用针挑的方法除去,或是激光治疗的方法除去,也可以选择不治疗,对日常生活没有影响。汗管瘤优选激光治疗,多次激光治疗后一般可完全治愈。但如果出现严重不良反应请及时前往医院进行相关的检查与治疗。
","scanCount": 32858}}} {"@context": "https://ziyuan.baidu.com/contexts/cambrian.jsonld","appid": "1650708455561748","icon": "https://www.med-credit.org.cn/style/images/ttlogo.png","content_tag": ["atlas"],"is_mcn": {"thumb_id": "tznru43s"},"accid": "4886d626a2804dee5f11168793ce361672f39c25","@id": "https://www.med-credit.org.cn/mobile/jingxuan/2/e439cb768402eaa6c747f6b3931598ff.html","bagWordId": "783_1598581058234748928","title": "腿上长了个肉痣图片","pubDate": "2023-02-15T16:41:09","upDate": "2023-02-15T16:41:09","lrDate": "2023-02-15T16:41:09","description": "肉痣即黑色素痣,腿上长的肉痣为良性的黑色素细胞聚集于真皮与表皮的交界层,本身不构成疾病。","data": {"WebPage": {"headline": "腿上长了个肉痣图片","pcUrl": "https://www.med-credit.org.cn/jingxuan/2/e439cb768402eaa6c747f6b3931598ff.html","wapUrl": "https://www.med-credit.org.cn/jingxuan/2/e439cb768402eaa6c747f6b3931598ff.html","mipUrl": "https://www.med-credit.org.cn/mobile/jingxuan/2/e439cb768402eaa6c747f6b3931598ff.html","fromSrc": "欢乐橙","datePublished": "2023-02-15T16:41:09","domain": "医疗","category": ["医疗权威文章合作"],"description": "肉痣即黑色素痣,腿上长的肉痣为良性的黑色素细胞聚集于真皮与表皮的交界层,本身不构成疾病。
","extra_headline": [""]},"Author": {"name": "张岚","wapUrl": "https://www.med-credit.org.cn/doctor/556","pcUrl": "https://www.med-credit.org.cn/doctor/556","jobTitle": "副主任医师","headPortrait": "https://www.med-credit.org.cn/uploadfile/member/556/180x180.jpeg","id": "556","description": "张岚,中国医科大学附属第一医院皮肤病与性病科副主任医师","memberOf": {"legalName": "中国医科大学附属第一医院","department": "皮肤科","organizationLevel": "三级甲等"}},"Article": {"summaryContent": "肉痣即黑色素痣,腿上长的肉痣为良性的黑色素细胞聚集于真皮与表皮的交界层,本身不构成疾病。
可扁平可凸起也可呈现其他形状,颜色一般较深,可先天也可后天出现。一般无需治疗,但若比较大,也会有癌变的可能性,一般需要去除。

1.形状不定性:黑色素痣的形状、大小与产生位置都是不定的,无规律可循,可为扁平状,可为凸起状,可为颗粒状、疣状或是其他形状,一般颜色常为棕色、褐色或黑色,也可为蓝色。
2.先天性与后天性:先天性的黑色素痣大多于出生时或新生儿期时就已经存在,可随着个体的生长发育而不断增大,也可不变;后天的黑色素痣一般在六个月之后开始产生,一直到老年期都可能出现。一般的黑色素痣都不痛不痒,不会造成不适的感觉,表现为无感性。
虽然说黑色素痣绝大部分为正常的生理现象,无不适感,但较大或较为突出的黑色素痣癌变的可能性更大,一般需要去除。此外,如果黑色素痣部位出现严重的不适感请及时前往医院进行相关检查与治疗。
","articleBody": "肉痣即黑色素痣,腿上长的肉痣为良性的黑色素细胞聚集于真皮与表皮的交界层,本身不构成疾病。
可扁平可凸起也可呈现其他形状,颜色一般较深,可先天也可后天出现。一般无需治疗,但若比较大,也会有癌变的可能性,一般需要去除。

1.形状不定性:黑色素痣的形状、大小与产生位置都是不定的,无规律可循,可为扁平状,可为凸起状,可为颗粒状、疣状或是其他形状,一般颜色常为棕色、褐色或黑色,也可为蓝色。
2.先天性与后天性:先天性的黑色素痣大多于出生时或新生儿期时就已经存在,可随着个体的生长发育而不断增大,也可不变;后天的黑色素痣一般在六个月之后开始产生,一直到老年期都可能出现。一般的黑色素痣都不痛不痒,不会造成不适的感觉,表现为无感性。
虽然说黑色素痣绝大部分为正常的生理现象,无不适感,但较大或较为突出的黑色素痣癌变的可能性更大,一般需要去除。此外,如果黑色素痣部位出现严重的不适感请及时前往医院进行相关检查与治疗。
","scanCount": 32857}}} {"@context": "https://ziyuan.baidu.com/contexts/cambrian.jsonld","appid": "1650708455561748","icon": "https://www.med-credit.org.cn/style/images/ttlogo.png","content_tag": ["atlas"],"is_mcn": {"thumb_id": "tznru43s"},"accid": "4886d626a2804dee5f11168793ce361672f39c25","@id": "https://www.med-credit.org.cn/mobile/jingxuan/2/90052be29ec6a4359ab551afa705f222.html","bagWordId": "783_1598581058905837568","title": "皮肤擦伤结黄痂图片","pubDate": "2023-02-15T16:41:09","upDate": "2023-02-15T16:41:09","lrDate": "2023-02-15T16:41:09","description": "皮肤擦伤后表皮可有破损、渗液等表现,在恢复时,逐渐结痂,痂壳较软,开始呈淡黄色,表面凹凸不平,伴随疼痛。","data": {"WebPage": {"headline": "皮肤擦伤结黄痂图片","pcUrl": "https://www.med-credit.org.cn/jingxuan/2/90052be29ec6a4359ab551afa705f222.html","wapUrl": "https://www.med-credit.org.cn/jingxuan/2/90052be29ec6a4359ab551afa705f222.html","mipUrl": "https://www.med-credit.org.cn/mobile/jingxuan/2/90052be29ec6a4359ab551afa705f222.html","fromSrc": "欢乐橙","datePublished": "2023-02-15T16:41:09","domain": "医疗","category": ["医疗权威文章合作"],"description": "皮肤擦伤后表皮可有破损、渗液等表现,在恢复时,逐渐结痂,痂壳较软,开始呈淡黄色,表面凹凸不平,伴随疼痛。
","extra_headline": [""]},"Author": {"name": "张岚","wapUrl": "https://www.med-credit.org.cn/doctor/556","pcUrl": "https://www.med-credit.org.cn/doctor/556","jobTitle": "副主任医师","headPortrait": "https://www.med-credit.org.cn/uploadfile/member/556/180x180.jpeg","id": "556","description": "张岚,中国医科大学附属第一医院皮肤病与性病科副主任医师","memberOf": {"legalName": "中国医科大学附属第一医院","department": "皮肤科","organizationLevel": "三级甲等"}},"Article": {"summaryContent": "皮肤擦伤后表皮可有破损、渗液等表现,在恢复时,逐渐结痂,痂壳较软,开始呈淡黄色,表面凹凸不平,伴随疼痛。
在皮肤擦伤结黄痂时要注意定时进行消毒,保持清洁、卫生。

皮肤擦伤的临床症状主要为局部表现,一般无全身反应,受伤局部可有表皮破损、渗液、出血,也可有抓痕、擦痕、撞痕、压痕等伤痕,疼痛较剧烈。在擦伤初期结淡黄色痂,此时痂壳较软,常出现淡黄色液体,这些液体凝固后形成黄色的结痂,表面凹凸不平,属于正常的结痂,往往伴随的疼痛感较剧烈。
在皮肤结痂的过程中不要用手去挤压,也不要将结痂撕掉,可以局部应用碘伏进行消毒,伤口表面可以覆盖无菌纱布,让其结痂并自行脱落,结痂脱落后伤口就长出正常的肌肉和皮肤表层,同时还需保持清洁、卫生。
","articleBody": "皮肤擦伤后表皮可有破损、渗液等表现,在恢复时,逐渐结痂,痂壳较软,开始呈淡黄色,表面凹凸不平,伴随疼痛。
在皮肤擦伤结黄痂时要注意定时进行消毒,保持清洁、卫生。

皮肤擦伤的临床症状主要为局部表现,一般无全身反应,受伤局部可有表皮破损、渗液、出血,也可有抓痕、擦痕、撞痕、压痕等伤痕,疼痛较剧烈。在擦伤初期结淡黄色痂,此时痂壳较软,常出现淡黄色液体,这些液体凝固后形成黄色的结痂,表面凹凸不平,属于正常的结痂,往往伴随的疼痛感较剧烈。
在皮肤结痂的过程中不要用手去挤压,也不要将结痂撕掉,可以局部应用碘伏进行消毒,伤口表面可以覆盖无菌纱布,让其结痂并自行脱落,结痂脱落后伤口就长出正常的肌肉和皮肤表层,同时还需保持清洁、卫生。
","scanCount": 32852}}} {"@context": "https://ziyuan.baidu.com/contexts/cambrian.jsonld","appid": "1650708455561748","icon": "https://www.med-credit.org.cn/style/images/ttlogo.png","content_tag": ["atlas"],"is_mcn": {"thumb_id": "tznru43s"},"accid": "4886d626a2804dee5f11168793ce361672f39c25","@id": "https://www.med-credit.org.cn/mobile/jingxuan/2/2d5ec006f144d3de96d545c419b8d0ce.html","bagWordId": "783_1598581059081998336","title": "砷角化病图片","pubDate": "2023-02-15T16:41:09","upDate": "2023-02-15T16:41:09","lrDate": "2023-02-15T16:41:09","description": "砷角化病常因砷暴露所引起,临床常表现为身体的角化性损害,出现多样性的皮疹以及躯干的色素异常,同时也有出现恶性肿瘤的风险。","data": {"WebPage": {"headline": "砷角化病图片","pcUrl": "https://www.med-credit.org.cn/jingxuan/2/2d5ec006f144d3de96d545c419b8d0ce.html","wapUrl": "https://www.med-credit.org.cn/jingxuan/2/2d5ec006f144d3de96d545c419b8d0ce.html","mipUrl": "https://www.med-credit.org.cn/mobile/jingxuan/2/2d5ec006f144d3de96d545c419b8d0ce.html","fromSrc": "欢乐橙","datePublished": "2023-02-15T16:41:09","domain": "医疗","category": ["医疗权威文章合作"],"description": "砷角化病常因砷暴露所引起,临床常表现为身体的角化性损害,出现多样性的皮疹以及躯干的色素异常,同时也有出现恶性肿瘤的风险。
","extra_headline": [""]},"Author": {"name": "张岚","wapUrl": "https://www.med-credit.org.cn/doctor/556","pcUrl": "https://www.med-credit.org.cn/doctor/556","jobTitle": "副主任医师","headPortrait": "https://www.med-credit.org.cn/uploadfile/member/556/180x180.jpeg","id": "556","description": "张岚,中国医科大学附属第一医院皮肤病与性病科副主任医师","memberOf": {"legalName": "中国医科大学附属第一医院","department": "皮肤科","organizationLevel": "三级甲等"}},"Article": {"summaryContent": "砷角化病常因砷暴露所引起,临床常表现为身体的角化性损害,出现多样性的皮疹以及躯干的色素异常,同时也有出现恶性肿瘤的风险。
临床上一般通过停止砷接触以及在医生的指导下用药或局部治疗为主。

1.角化性损害:为砷角化病的典型症状之一,可见脚底掌跖的角化病变,以及皮疹,可累及到躯干部位,皮疹呈多样性,有点状、角化斑疹以及鸡眼状疣状角化。
2.身体的色素异常:可见于躯干部以及四肢,表现为色素沉着性异常即弥漫性褐色斑,混杂色素的脱失,脐部可见多彩状纸屑样色素沉着,为慢性砷中毒典型的躯干特征。
3.并发症状:砷角化病可伴发皮肤恶性肿瘤,以及可在尿液、汗液、皮肤组织和毛发检测到含砷量的显著升高,如出现表皮的炎症、浸润或是严重的溃疡症状时应该注意是否出现恶化。
首先停止与砷剂的接触,之后遵医嘱进行二巯基丙磺酸钠肌内注射、青霉胺口服、硫代硫酸钠静脉注射均可以缓解砷中毒症状,但用药过程中要严格监测给药量。如果患者出现了严重的不良反应请及时前往医院进行针对性的检查与治疗。
","articleBody": "砷角化病常因砷暴露所引起,临床常表现为身体的角化性损害,出现多样性的皮疹以及躯干的色素异常,同时也有出现恶性肿瘤的风险。
临床上一般通过停止砷接触以及在医生的指导下用药或局部治疗为主。

1.角化性损害:为砷角化病的典型症状之一,可见脚底掌跖的角化病变,以及皮疹,可累及到躯干部位,皮疹呈多样性,有点状、角化斑疹以及鸡眼状疣状角化。
2.身体的色素异常:可见于躯干部以及四肢,表现为色素沉着性异常即弥漫性褐色斑,混杂色素的脱失,脐部可见多彩状纸屑样色素沉着,为慢性砷中毒典型的躯干特征。
3.并发症状:砷角化病可伴发皮肤恶性肿瘤,以及可在尿液、汗液、皮肤组织和毛发检测到含砷量的显著升高,如出现表皮的炎症、浸润或是严重的溃疡症状时应该注意是否出现恶化。
首先停止与砷剂的接触,之后遵医嘱进行二巯基丙磺酸钠肌内注射、青霉胺口服、硫代硫酸钠静脉注射均可以缓解砷中毒症状,但用药过程中要严格监测给药量。如果患者出现了严重的不良反应请及时前往医院进行针对性的检查与治疗。
","scanCount": 32850}}} {"@context": "https://ziyuan.baidu.com/contexts/cambrian.jsonld","appid": "1650708455561748","icon": "https://www.med-credit.org.cn/style/images/ttlogo.png","content_tag": ["atlas"],"is_mcn": {"thumb_id": "tznru43s"},"accid": "4886d626a2804dee5f11168793ce361672f39c25","@id": "https://www.med-credit.org.cn/mobile/jingxuan/2/5a81d5e1609295b34b8b69668740e4aa.html","bagWordId": "783_1598581059207827456","title": "女性手指灰指甲图片","pubDate": "2023-02-15T16:41:09","upDate": "2023-02-15T16:41:09","lrDate": "2023-02-15T16:41:09","description": "灰指甲指的是甲癣,女性手指甲癣常为被真菌感染手指甲后出现的症状,临床上可见指甲形变,变灰或是变黄等症状,以及指甲表面出现灰色黄色条纹等。","data": {"WebPage": {"headline": "女性手指灰指甲图片","pcUrl": "https://www.med-credit.org.cn/jingxuan/2/5a81d5e1609295b34b8b69668740e4aa.html","wapUrl": "https://www.med-credit.org.cn/jingxuan/2/5a81d5e1609295b34b8b69668740e4aa.html","mipUrl": "https://www.med-credit.org.cn/mobile/jingxuan/2/5a81d5e1609295b34b8b69668740e4aa.html","fromSrc": "欢乐橙","datePublished": "2023-02-15T16:41:09","domain": "医疗","category": ["医疗权威文章合作"],"description": "灰指甲指的是甲癣,女性手指甲癣常为被真菌感染手指甲后出现的症状,临床上可见指甲形变,变灰或是变黄等症状,以及指甲表面出现灰色黄色条纹等。
","extra_headline": [""]},"Author": {"name": "张岚","wapUrl": "https://www.med-credit.org.cn/doctor/556","pcUrl": "https://www.med-credit.org.cn/doctor/556","jobTitle": "副主任医师","headPortrait": "https://www.med-credit.org.cn/uploadfile/member/556/180x180.jpeg","id": "556","description": "张岚,中国医科大学附属第一医院皮肤病与性病科副主任医师","memberOf": {"legalName": "中国医科大学附属第一医院","department": "皮肤科","organizationLevel": "三级甲等"}},"Article": {"summaryContent": "灰指甲指的是甲癣,女性手指甲癣常为被真菌感染手指甲后出现的症状,临床上可见指甲形变,变灰或是变黄等症状,以及指甲表面出现灰色黄色条纹等。
临床上常通过口服抗真菌药物配合抗真菌局部用药治疗。

1.指甲形变:即指甲在真菌感染下出现变形,比如变粗或变脆,或是扭曲的症状,严重情况下还可能导致整个指甲剥脱或坏死。
2.指甲灰化黄化:即指甲出现灰色或黄色的纹状条,可蔓延至整个指甲,同时在指甲的底部也可能出现灰色或黄色的斑点斑块,都是真菌繁殖所伴随出现的症状。
3.广泛的感染:当免疫力较低时,如果出现一个灰指甲则可能感染到周围正常的指甲,从而达到一传多的效果。
一般遵医嘱口服抗真菌药或是局部使用抗真菌乳膏治疗,如盐酸阿莫罗芬乳膏,同时保持手指或脚趾的干燥卫生。当指甲出现严重的不良症状时请及时前往医院进行针对性的检查与治疗。
","articleBody": "灰指甲指的是甲癣,女性手指甲癣常为被真菌感染手指甲后出现的症状,临床上可见指甲形变,变灰或是变黄等症状,以及指甲表面出现灰色黄色条纹等。
临床上常通过口服抗真菌药物配合抗真菌局部用药治疗。

1.指甲形变:即指甲在真菌感染下出现变形,比如变粗或变脆,或是扭曲的症状,严重情况下还可能导致整个指甲剥脱或坏死。
2.指甲灰化黄化:即指甲出现灰色或黄色的纹状条,可蔓延至整个指甲,同时在指甲的底部也可能出现灰色或黄色的斑点斑块,都是真菌繁殖所伴随出现的症状。
3.广泛的感染:当免疫力较低时,如果出现一个灰指甲则可能感染到周围正常的指甲,从而达到一传多的效果。
一般遵医嘱口服抗真菌药或是局部使用抗真菌乳膏治疗,如盐酸阿莫罗芬乳膏,同时保持手指或脚趾的干燥卫生。当指甲出现严重的不良症状时请及时前往医院进行针对性的检查与治疗。
","scanCount": 32849}}} {"@context": "https://ziyuan.baidu.com/contexts/cambrian.jsonld","appid": "1650708455561748","icon": "https://www.med-credit.org.cn/style/images/ttlogo.png","content_tag": ["atlas"],"is_mcn": {"thumb_id": "tznru43s"},"accid": "4886d626a2804dee5f11168793ce361672f39c25","@id": "https://www.med-credit.org.cn/mobile/jingxuan/2/a03b52c2a90e10ef9b74c86359b9c58c.html","bagWordId": "783_1598581059333656576","title": "头上荨麻疹图片","pubDate": "2023-02-15T16:41:09","upDate": "2023-02-15T16:41:09","lrDate": "2023-02-15T16:41:09","description": "头上荨麻疹常表现为头皮风团发作,一般为红色,易蔓延,可持续一段时间,可融合成片,常有瘙痒感,大小与形态不一。","data": {"WebPage": {"headline": "头上荨麻疹图片","pcUrl": "https://www.med-credit.org.cn/jingxuan/2/a03b52c2a90e10ef9b74c86359b9c58c.html","wapUrl": "https://www.med-credit.org.cn/jingxuan/2/a03b52c2a90e10ef9b74c86359b9c58c.html","mipUrl": "https://www.med-credit.org.cn/mobile/jingxuan/2/a03b52c2a90e10ef9b74c86359b9c58c.html","fromSrc": "欢乐橙","datePublished": "2023-02-15T16:41:09","domain": "医疗","category": ["医疗权威文章合作"],"description": "头上荨麻疹常表现为头皮风团发作,一般为红色,易蔓延,可持续一段时间,可融合成片,常有瘙痒感,大小与形态不一。
","extra_headline": [""]},"Author": {"name": "张岚","wapUrl": "https://www.med-credit.org.cn/doctor/556","pcUrl": "https://www.med-credit.org.cn/doctor/556","jobTitle": "副主任医师","headPortrait": "https://www.med-credit.org.cn/uploadfile/member/556/180x180.jpeg","id": "556","description": "张岚,中国医科大学附属第一医院皮肤病与性病科副主任医师","memberOf": {"legalName": "中国医科大学附属第一医院","department": "皮肤科","organizationLevel": "三级甲等"}},"Article": {"summaryContent": "头上荨麻疹常表现为头皮风团发作,一般为红色,易蔓延,可持续一段时间,可融合成片,常有瘙痒感,大小与形态不一。
针对荨麻疹常采取对症治疗和抗组胺药治疗的手段。

发作于头皮上的荨麻疹亦属于典型荨麻疹,会出现皮肤瘙痒,风团发作的症状。风团呈肉色、淡红色或鲜红色,可出现水肿性红斑。风团的大小不一且形状不定。风团发作时可蔓延,相互融合成片,有真皮乳头水肿症状,可反复成批发作,常发于傍晚。风团发作时间不定,一般发作后常持续数分钟到数小时,少数可持续数天后才消失。风团在消退后不留痕迹。风团发作时可感觉瘙痒难耐,更有甚者瘙痒至不能正常入睡,但也有少数患者瘙痒感轻微或是无瘙痒感。
荨麻疹的发病原因繁多,一般需要远离过敏源及进行对症治疗。可在医生的指导下使用抗组胺药来缓解,当荨麻疹急性发作时也可使用糖皮质激素。患者如果出现荨麻疹严重发作的症状请及时前往医院进行相关的检查与治疗。
","articleBody": "头上荨麻疹常表现为头皮风团发作,一般为红色,易蔓延,可持续一段时间,可融合成片,常有瘙痒感,大小与形态不一。
针对荨麻疹常采取对症治疗和抗组胺药治疗的手段。

发作于头皮上的荨麻疹亦属于典型荨麻疹,会出现皮肤瘙痒,风团发作的症状。风团呈肉色、淡红色或鲜红色,可出现水肿性红斑。风团的大小不一且形状不定。风团发作时可蔓延,相互融合成片,有真皮乳头水肿症状,可反复成批发作,常发于傍晚。风团发作时间不定,一般发作后常持续数分钟到数小时,少数可持续数天后才消失。风团在消退后不留痕迹。风团发作时可感觉瘙痒难耐,更有甚者瘙痒至不能正常入睡,但也有少数患者瘙痒感轻微或是无瘙痒感。
荨麻疹的发病原因繁多,一般需要远离过敏源及进行对症治疗。可在医生的指导下使用抗组胺药来缓解,当荨麻疹急性发作时也可使用糖皮质激素。患者如果出现荨麻疹严重发作的症状请及时前往医院进行相关的检查与治疗。
","scanCount": 32848}}} {"@context": "https://ziyuan.baidu.com/contexts/cambrian.jsonld","appid": "1650708455561748","icon": "https://www.med-credit.org.cn/style/images/ttlogo.png","content_tag": ["atlas"],"is_mcn": {"thumb_id": "tznru43s"},"accid": "4886d626a2804dee5f11168793ce361672f39c25","@id": "https://www.med-credit.org.cn/mobile/jingxuan/2/43fc762062a45dc76b6c4c6ed591d014.html","bagWordId": "783_1598581059392376832","title": "缺锌引起的皮肤病图片","pubDate": "2023-02-15T16:41:09","upDate": "2023-02-15T16:41:09","lrDate": "2023-02-15T16:41:09","description": "缺锌会导致皮肤出现干燥、糜烂、裂口等,还会促使皮肤黏膜易发生炎症以及出现痤疮。","data": {"WebPage": {"headline": "缺锌引起的皮肤病图片","pcUrl": "https://www.med-credit.org.cn/jingxuan/2/43fc762062a45dc76b6c4c6ed591d014.html","wapUrl": "https://www.med-credit.org.cn/jingxuan/2/43fc762062a45dc76b6c4c6ed591d014.html","mipUrl": "https://www.med-credit.org.cn/mobile/jingxuan/2/43fc762062a45dc76b6c4c6ed591d014.html","fromSrc": "欢乐橙","datePublished": "2023-02-15T16:41:09","domain": "医疗","category": ["医疗权威文章合作"],"description": "缺锌会导致皮肤出现干燥、糜烂、裂口等,还会促使皮肤黏膜易发生炎症以及出现痤疮。
","extra_headline": [""]},"Author": {"name": "张岚","wapUrl": "https://www.med-credit.org.cn/doctor/556","pcUrl": "https://www.med-credit.org.cn/doctor/556","jobTitle": "副主任医师","headPortrait": "https://www.med-credit.org.cn/uploadfile/member/556/180x180.jpeg","id": "556","description": "张岚,中国医科大学附属第一医院皮肤病与性病科副主任医师","memberOf": {"legalName": "中国医科大学附属第一医院","department": "皮肤科","organizationLevel": "三级甲等"}},"Article": {"summaryContent": "缺锌会导致皮肤出现干燥、糜烂、裂口等,还会促使皮肤黏膜易发生炎症以及出现痤疮。
日常生活中可通过饮食补锌,也可遵医嘱口服药物进行补锌。

缺锌的患者皮肤会出现干燥、脱皮、开裂、表面粗糙、暗淡无光等,容易使皮肤黏膜发生炎症,主要症状为皮肤发生糜烂、裂口,伴随疼痛,其次皮肤容易变得粗糙,不再细腻,缺锌以后也容易出现长痤疮的现象,尤其在面部和油脂分泌旺盛的地方容易出现痤疮,还会导致舌炎、口腔炎、眼结膜炎等疾病。
日常生活中要注意通过饮食补锌,适当增加富含锌的动物类食材,包括各种畜、禽、水产的肉类、蛋类和乳类。也可在医生的指导下口服葡萄糖酸锌咀嚼片。
","articleBody": "缺锌会导致皮肤出现干燥、糜烂、裂口等,还会促使皮肤黏膜易发生炎症以及出现痤疮。
日常生活中可通过饮食补锌,也可遵医嘱口服药物进行补锌。

缺锌的患者皮肤会出现干燥、脱皮、开裂、表面粗糙、暗淡无光等,容易使皮肤黏膜发生炎症,主要症状为皮肤发生糜烂、裂口,伴随疼痛,其次皮肤容易变得粗糙,不再细腻,缺锌以后也容易出现长痤疮的现象,尤其在面部和油脂分泌旺盛的地方容易出现痤疮,还会导致舌炎、口腔炎、眼结膜炎等疾病。
日常生活中要注意通过饮食补锌,适当增加富含锌的动物类食材,包括各种畜、禽、水产的肉类、蛋类和乳类。也可在医生的指导下口服葡萄糖酸锌咀嚼片。
","scanCount": 32847}}} {"@context": "https://ziyuan.baidu.com/contexts/cambrian.jsonld","appid": "1650708455561748","icon": "https://www.med-credit.org.cn/style/images/ttlogo.png","content_tag": ["atlas"],"is_mcn": {"thumb_id": "tznru43s"},"accid": "4886d626a2804dee5f11168793ce361672f39c25","@id": "https://www.med-credit.org.cn/mobile/jingxuan/2/406abdfb8c57cb95f63b859e102b3fb4.html","bagWordId": "783_1598581059694366720","title": "过敏性急性湿疹图片","pubDate": "2023-02-15T16:41:09","upDate": "2023-02-15T16:41:09","lrDate": "2023-02-15T16:41:09","description": "过敏性急性湿疹是一种常见的炎症性皮肤疾病,好发于躯干和四肢伸侧面。以对称分布的多形性皮疹为特点,发病部位自觉瘙痒。","data": {"WebPage": {"headline": "过敏性急性湿疹图片","pcUrl": "https://www.med-credit.org.cn/jingxuan/2/406abdfb8c57cb95f63b859e102b3fb4.html","wapUrl": "https://www.med-credit.org.cn/jingxuan/2/406abdfb8c57cb95f63b859e102b3fb4.html","mipUrl": "https://www.med-credit.org.cn/mobile/jingxuan/2/406abdfb8c57cb95f63b859e102b3fb4.html","fromSrc": "欢乐橙","datePublished": "2023-02-15T16:41:09","domain": "医疗","category": ["医疗权威文章合作"],"description": "过敏性急性湿疹是一种常见的炎症性皮肤疾病,好发于躯干和四肢伸侧面。以对称分布的多形性皮疹为特点,发病部位自觉瘙痒。
","extra_headline": [""]},"Author": {"name": "张岚","wapUrl": "https://www.med-credit.org.cn/doctor/556","pcUrl": "https://www.med-credit.org.cn/doctor/556","jobTitle": "副主任医师","headPortrait": "https://www.med-credit.org.cn/uploadfile/member/556/180x180.jpeg","id": "556","description": "张岚,中国医科大学附属第一医院皮肤病与性病科副主任医师","memberOf": {"legalName": "中国医科大学附属第一医院","department": "皮肤科","organizationLevel": "三级甲等"}},"Article": {"summaryContent": "过敏性急性湿疹是一种常见的炎症性皮肤疾病,好发于躯干和四肢伸侧面。以对称分布的多形性皮疹为特点,发病部位自觉瘙痒。
患者需远离过敏原,遵医嘱选择合适的外用药物以及内服药物进行治疗。

1、好发人群以及部位:过敏性急性湿疹好发于儿童,多见于躯干以及四肢伸侧面。
2、症状:出现多形性红斑、丘疹或者水疱,境界不清,呈对称分布,有渗出倾向。急性湿疹起病急,发病快,瘙痒感较剧烈,严重者可出现糜烂。
在日常生活中远离过敏原,同时在医生的指导下选择药物进行治疗,没有渗出糜烂时可以使用糖皮质激素乳膏或者炉甘石洗剂;有渗出糜烂的湿疹可以用氧化锌油剂,渗出多者可用3%硼酸溶液冷湿敷。也可口服抗组胺药进行止痒。
","articleBody": "过敏性急性湿疹是一种常见的炎症性皮肤疾病,好发于躯干和四肢伸侧面。以对称分布的多形性皮疹为特点,发病部位自觉瘙痒。
患者需远离过敏原,遵医嘱选择合适的外用药物以及内服药物进行治疗。

1、好发人群以及部位:过敏性急性湿疹好发于儿童,多见于躯干以及四肢伸侧面。
2、症状:出现多形性红斑、丘疹或者水疱,境界不清,呈对称分布,有渗出倾向。急性湿疹起病急,发病快,瘙痒感较剧烈,严重者可出现糜烂。
在日常生活中远离过敏原,同时在医生的指导下选择药物进行治疗,没有渗出糜烂时可以使用糖皮质激素乳膏或者炉甘石洗剂;有渗出糜烂的湿疹可以用氧化锌油剂,渗出多者可用3%硼酸溶液冷湿敷。也可口服抗组胺药进行止痒。
","scanCount": 32846}}} {"@context": "https://ziyuan.baidu.com/contexts/cambrian.jsonld","appid": "1650708455561748","icon": "https://www.med-credit.org.cn/style/images/ttlogo.png","content_tag": ["atlas"],"is_mcn": {"thumb_id": "tznru43s"},"accid": "4886d626a2804dee5f11168793ce361672f39c25","@id": "https://www.med-credit.org.cn/mobile/jingxuan/2/dfc974947e634a15cf248c6d008b2148.html","bagWordId": "783_1598581059811807232","title": "皮肤破了结痂图片","pubDate": "2023-02-15T16:41:09","upDate": "2023-02-15T16:41:09","lrDate": "2023-02-15T16:41:09","description": "皮肤破损后结痂为皮肤自愈的正常现象,是机体自身修复的方式之一。结痂可为暗红色、黑色、淡黄色等,不同的结痂颜色往往对应着不同类型的伤口。","data": {"WebPage": {"headline": "皮肤破了结痂图片","pcUrl": "https://www.med-credit.org.cn/jingxuan/2/dfc974947e634a15cf248c6d008b2148.html","wapUrl": "https://www.med-credit.org.cn/jingxuan/2/dfc974947e634a15cf248c6d008b2148.html","mipUrl": "https://www.med-credit.org.cn/mobile/jingxuan/2/dfc974947e634a15cf248c6d008b2148.html","fromSrc": "欢乐橙","datePublished": "2023-02-15T16:41:09","domain": "医疗","category": ["医疗权威文章合作"],"description": "皮肤破损后结痂为皮肤自愈的正常现象,是机体自身修复的方式之一。结痂可为暗红色、黑色、淡黄色等,不同的结痂颜色往往对应着不同类型的伤口。
","extra_headline": [""]},"Author": {"name": "张岚","wapUrl": "https://www.med-credit.org.cn/doctor/556","pcUrl": "https://www.med-credit.org.cn/doctor/556","jobTitle": "副主任医师","headPortrait": "https://www.med-credit.org.cn/uploadfile/member/556/180x180.jpeg","id": "556","description": "张岚,中国医科大学附属第一医院皮肤病与性病科副主任医师","memberOf": {"legalName": "中国医科大学附属第一医院","department": "皮肤科","organizationLevel": "三级甲等"}},"Article": {"summaryContent": "皮肤破损后结痂为皮肤自愈的正常现象,是机体自身修复的方式之一。结痂可为暗红色、黑色、淡黄色等,不同的结痂颜色往往对应着不同类型的伤口。
在结痂后应保持创面干洁,切勿强行撕脱结痂,使其自行脱落。

1.暗红色或是黑色的血痂:为出血占主导类型的伤口的标志,常见于血管丰富或血流量较多的位置,为最常见的血痂类型,如全身体表的大部分皮肤出血后,在外界的影响下变干燥,从而凝集成暗红色或黑色的血痂。
2.黄色的血痂:常见于伤口愈合过程中分泌的淡黄色渗出液所凝结而成,是以血清占主导所凝固的结痂,可为正常结痂,也可为皮肤炎症的表现之一。
3.灰黑色或灰白色结痂:该血痂常见于擦伤后皮肤恢复所结,如跑步过程中摔倒后的擦伤,或是运动过程中的擦伤在愈合过程中都可能出现该类型血痂,一般表现为边缘颜色深偏黑,中间颜色浅偏灰。
结痂后应保持创面的清洁、干燥,正常情况下,一到两周结痂会自然脱落。当结痂出现瘙痒时,可轻挠结痂处周围皮肤,切勿抠剥结痂,避免伤口二次受伤甚至是感染。
","articleBody": "皮肤破损后结痂为皮肤自愈的正常现象,是机体自身修复的方式之一。结痂可为暗红色、黑色、淡黄色等,不同的结痂颜色往往对应着不同类型的伤口。
在结痂后应保持创面干洁,切勿强行撕脱结痂,使其自行脱落。

1.暗红色或是黑色的血痂:为出血占主导类型的伤口的标志,常见于血管丰富或血流量较多的位置,为最常见的血痂类型,如全身体表的大部分皮肤出血后,在外界的影响下变干燥,从而凝集成暗红色或黑色的血痂。
2.黄色的血痂:常见于伤口愈合过程中分泌的淡黄色渗出液所凝结而成,是以血清占主导所凝固的结痂,可为正常结痂,也可为皮肤炎症的表现之一。
3.灰黑色或灰白色结痂:该血痂常见于擦伤后皮肤恢复所结,如跑步过程中摔倒后的擦伤,或是运动过程中的擦伤在愈合过程中都可能出现该类型血痂,一般表现为边缘颜色深偏黑,中间颜色浅偏灰。
结痂后应保持创面的清洁、干燥,正常情况下,一到两周结痂会自然脱落。当结痂出现瘙痒时,可轻挠结痂处周围皮肤,切勿抠剥结痂,避免伤口二次受伤甚至是感染。
","scanCount": 32845}}} {"@context": "https://ziyuan.baidu.com/contexts/cambrian.jsonld","appid": "1650708455561748","icon": "https://www.med-credit.org.cn/style/images/ttlogo.png","content_tag": ["atlas"],"is_mcn": {"thumb_id": "tznru43s"},"accid": "4886d626a2804dee5f11168793ce361672f39c25","@id": "https://www.med-credit.org.cn/mobile/jingxuan/2/7100ad40fdf6c36214fe98c5cfa1256f.html","bagWordId": "783_1598581059920859136","title": "肚脐旁边有一圈红图片","pubDate": "2023-02-15T16:41:09","upDate": "2023-02-15T16:41:09","lrDate": "2023-02-15T16:41:09","description": "肚脐旁有一圈红色可能是抓挠、炎症、过敏所致。前者可能少有不适感,后两者可能会出现疹子,常伴有持续的疼痛或瘙痒现象。","data": {"WebPage": {"headline": "肚脐旁边有一圈红图片","pcUrl": "https://www.med-credit.org.cn/jingxuan/2/7100ad40fdf6c36214fe98c5cfa1256f.html","wapUrl": "https://www.med-credit.org.cn/jingxuan/2/7100ad40fdf6c36214fe98c5cfa1256f.html","mipUrl": "https://www.med-credit.org.cn/mobile/jingxuan/2/7100ad40fdf6c36214fe98c5cfa1256f.html","fromSrc": "欢乐橙","datePublished": "2023-02-15T16:41:09","domain": "医疗","category": ["医疗权威文章合作"],"description": "肚脐旁有一圈红色可能是抓挠、炎症、过敏所致。前者可能少有不适感,后两者可能会出现疹子,常伴有持续的疼痛或瘙痒现象。
","extra_headline": [""]},"Author": {"name": "张岚","wapUrl": "https://www.med-credit.org.cn/doctor/556","pcUrl": "https://www.med-credit.org.cn/doctor/556","jobTitle": "副主任医师","headPortrait": "https://www.med-credit.org.cn/uploadfile/member/556/180x180.jpeg","id": "556","description": "张岚,中国医科大学附属第一医院皮肤病与性病科副主任医师","memberOf": {"legalName": "中国医科大学附属第一医院","department": "皮肤科","organizationLevel": "三级甲等"}},"Article": {"summaryContent": "肚脐旁有一圈红色可能是抓挠、炎症、过敏所致。前者可能少有不适感,后两者可能会出现疹子,常伴有持续的疼痛或瘙痒现象。
当肚脐旁边出现一圈红的症状时,可进行对因治疗,遵医嘱选择合适的药物进行涂抹缓解。

1、抓挠:抓挠所致红印为抓挠后该皮肤下毛细血管充血引起的红印现象,为正常的生理反应。
2、炎症:肚脐旁边一圈红印可能为该处皮肤因感染而产生的炎症反应,常有疼痛感或是瘙痒感,该处皮肤还可伴有凸起症状,呈现红肿状,可有炎性渗出液。
3、过敏性皮炎:此外,红印若是点状与点状连接成的一圈片状,则可能为过敏性皮炎,表现为1到2mm的红色小点呈片状分布,也伴有瘙痒与疼痛感。
除了上述相对常见的原因外,还有其他的可能性疾病,比如湿疹、荨麻疹。建议患者出现这种症状后,及时去医院就诊,查明病因后,予以针对性治疗。
如果是抓挠导致的一圈红印则无需治疗,停止抓挠即可自行缓解;感染所致则可在医生的指导下涂抹一些抗菌膏药如红霉素软膏;过敏性皮炎所致可遵医嘱涂抹糠酸莫米松乳膏进行缓解。
","articleBody": "肚脐旁有一圈红色可能是抓挠、炎症、过敏所致。前者可能少有不适感,后两者可能会出现疹子,常伴有持续的疼痛或瘙痒现象。
当肚脐旁边出现一圈红的症状时,可进行对因治疗,遵医嘱选择合适的药物进行涂抹缓解。

1、抓挠:抓挠所致红印为抓挠后该皮肤下毛细血管充血引起的红印现象,为正常的生理反应。
2、炎症:肚脐旁边一圈红印可能为该处皮肤因感染而产生的炎症反应,常有疼痛感或是瘙痒感,该处皮肤还可伴有凸起症状,呈现红肿状,可有炎性渗出液。
3、过敏性皮炎:此外,红印若是点状与点状连接成的一圈片状,则可能为过敏性皮炎,表现为1到2mm的红色小点呈片状分布,也伴有瘙痒与疼痛感。
除了上述相对常见的原因外,还有其他的可能性疾病,比如湿疹、荨麻疹。建议患者出现这种症状后,及时去医院就诊,查明病因后,予以针对性治疗。
如果是抓挠导致的一圈红印则无需治疗,停止抓挠即可自行缓解;感染所致则可在医生的指导下涂抹一些抗菌膏药如红霉素软膏;过敏性皮炎所致可遵医嘱涂抹糠酸莫米松乳膏进行缓解。
","scanCount": 32844}}} {"@context": "https://ziyuan.baidu.com/contexts/cambrian.jsonld","appid": "1650708455561748","icon": "https://www.med-credit.org.cn/style/images/ttlogo.png","content_tag": ["atlas"],"is_mcn": {"thumb_id": "tznru43s"},"accid": "4886d626a2804dee5f11168793ce361672f39c25","@id": "https://www.med-credit.org.cn/mobile/jingxuan/2/f26c084d1875fb2c680a7ec9805832ed.html","bagWordId": "783_1598581059979579392","title": "皮肤粥样硬化图片","pubDate": "2023-02-15T16:41:09","upDate": "2023-02-15T16:41:09","lrDate": "2023-02-15T16:41:09","description": "皮肤粥样硬化一般指的是硬皮病,可表现为集簇性或线状排列的斑点,周围伴紫红色晕。也可表现为局部皮损显著凹陷,成萎缩性,皮肤菲薄不发硬,硬化常沿肋间神经或一侧肢体呈带状分布的现象。","data": {"WebPage": {"headline": "皮肤粥样硬化图片","pcUrl": "https://www.med-credit.org.cn/jingxuan/2/f26c084d1875fb2c680a7ec9805832ed.html","wapUrl": "https://www.med-credit.org.cn/jingxuan/2/f26c084d1875fb2c680a7ec9805832ed.html","mipUrl": "https://www.med-credit.org.cn/mobile/jingxuan/2/f26c084d1875fb2c680a7ec9805832ed.html","fromSrc": "欢乐橙","datePublished": "2023-02-15T16:41:09","domain": "医疗","category": ["医疗权威文章合作"],"description": "皮肤粥样硬化一般指的是硬皮病,可表现为集簇性或线状排列的斑点,周围伴紫红色晕。也可表现为局部皮损显著凹陷,成萎缩性,皮肤菲薄不发硬,硬化常沿肋间神经或一侧肢体呈带状分布的现象。
","extra_headline": [""]},"Author": {"name": "张岚","wapUrl": "https://www.med-credit.org.cn/doctor/556","pcUrl": "https://www.med-credit.org.cn/doctor/556","jobTitle": "副主任医师","headPortrait": "https://www.med-credit.org.cn/uploadfile/member/556/180x180.jpeg","id": "556","description": "张岚,中国医科大学附属第一医院皮肤病与性病科副主任医师","memberOf": {"legalName": "中国医科大学附属第一医院","department": "皮肤科","organizationLevel": "三级甲等"}},"Article": {"summaryContent": "皮肤粥样硬化一般指的是硬皮病,可表现为集簇性或线状排列的斑点,周围伴紫红色晕。也可表现为局部皮损显著凹陷,成萎缩性,皮肤菲薄不发硬,硬化常沿肋间神经或一侧肢体呈带状分布的现象。
硬皮病患者可需按医嘱选择糖皮质激素、免疫抑制剂等药物进行治疗。

1、点滴状:硬皮病可表现为点滴状,多发生于上胸、颈、肩、臀或股部。损害为黄豆至五分硬币大小,白色或象牙色的集簇性或线状排列的斑点或圆形,有时稍有凹陷。病变活动时,周围有紫红色晕。早期质地硬,后期质地可变软或有“羊皮纸”感觉。
2、斑块状:硬皮病可表现为斑块状硬斑,较为常见,常发生于腹、背、颈、四肢、面。初呈圆或不规则淡红色或紫红色水肿性斑片,经数周或数月后扩大,直径可达1~10cm或更大,呈淡黄或象牙色。表面干燥平滑,具蜡样光泽。
3、线状:硬皮病也可表现为线状硬斑,硬化常沿肋间神经或一侧肢体呈带状分布,亦可发生于前额近正中部向头皮延伸呈刀砍形,局部皮损显著凹陷,开始即成萎缩性,皮肤菲薄不发硬,程度不等地贴着于骨面上。
硬皮病患者需进行戒烟,在日常生活中注意手足保暖,避免情绪激动;同时可在医生的指导下选择糖皮质激素、免疫抑制剂等药物进行治疗,减轻皮肤水肿以及硬化。
","articleBody": "皮肤粥样硬化一般指的是硬皮病,可表现为集簇性或线状排列的斑点,周围伴紫红色晕。也可表现为局部皮损显著凹陷,成萎缩性,皮肤菲薄不发硬,硬化常沿肋间神经或一侧肢体呈带状分布的现象。
硬皮病患者可需按医嘱选择糖皮质激素、免疫抑制剂等药物进行治疗。

1、点滴状:硬皮病可表现为点滴状,多发生于上胸、颈、肩、臀或股部。损害为黄豆至五分硬币大小,白色或象牙色的集簇性或线状排列的斑点或圆形,有时稍有凹陷。病变活动时,周围有紫红色晕。早期质地硬,后期质地可变软或有“羊皮纸”感觉。
2、斑块状:硬皮病可表现为斑块状硬斑,较为常见,常发生于腹、背、颈、四肢、面。初呈圆或不规则淡红色或紫红色水肿性斑片,经数周或数月后扩大,直径可达1~10cm或更大,呈淡黄或象牙色。表面干燥平滑,具蜡样光泽。
3、线状:硬皮病也可表现为线状硬斑,硬化常沿肋间神经或一侧肢体呈带状分布,亦可发生于前额近正中部向头皮延伸呈刀砍形,局部皮损显著凹陷,开始即成萎缩性,皮肤菲薄不发硬,程度不等地贴着于骨面上。
硬皮病患者需进行戒烟,在日常生活中注意手足保暖,避免情绪激动;同时可在医生的指导下选择糖皮质激素、免疫抑制剂等药物进行治疗,减轻皮肤水肿以及硬化。
","scanCount": 32843}}} {"@context": "https://ziyuan.baidu.com/contexts/cambrian.jsonld","appid": "1650708455561748","icon": "https://www.med-credit.org.cn/style/images/ttlogo.png","content_tag": ["atlas"],"is_mcn": {"thumb_id": "tznru43s"},"accid": "4886d626a2804dee5f11168793ce361672f39c25","@id": "https://www.med-credit.org.cn/mobile/jingxuan/2/2e45a225b9f02504033ff859b75368d0.html","bagWordId": "783_1598581060143157248","title": "阿托伐他汀钙片皮肤过敏图片","pubDate": "2023-02-15T16:41:09","upDate": "2023-02-15T16:41:09","lrDate": "2023-02-15T16:41:09","description": "阿托伐他汀钙片引起过敏反应常表现为经典的药物过敏反应,即皮肤出现风团、瘙痒、刺痛、触痛、发热、渗液等症状。","data": {"WebPage": {"headline": "阿托伐他汀钙片皮肤过敏图片","pcUrl": "https://www.med-credit.org.cn/jingxuan/2/2e45a225b9f02504033ff859b75368d0.html","wapUrl": "https://www.med-credit.org.cn/jingxuan/2/2e45a225b9f02504033ff859b75368d0.html","mipUrl": "https://www.med-credit.org.cn/mobile/jingxuan/2/2e45a225b9f02504033ff859b75368d0.html","fromSrc": "欢乐橙","datePublished": "2023-02-15T16:41:09","domain": "医疗","category": ["医疗权威文章合作"],"description": "阿托伐他汀钙片引起过敏反应常表现为经典的药物过敏反应,即皮肤出现风团、瘙痒、刺痛、触痛、发热、渗液等症状。
","extra_headline": [""]},"Author": {"name": "张岚","wapUrl": "https://www.med-credit.org.cn/doctor/556","pcUrl": "https://www.med-credit.org.cn/doctor/556","jobTitle": "副主任医师","headPortrait": "https://www.med-credit.org.cn/uploadfile/member/556/180x180.jpeg","id": "556","description": "张岚,中国医科大学附属第一医院皮肤病与性病科副主任医师","memberOf": {"legalName": "中国医科大学附属第一医院","department": "皮肤科","organizationLevel": "三级甲等"}},"Article": {"summaryContent": "阿托伐他汀钙片引起过敏反应常表现为经典的药物过敏反应,即皮肤出现风团、瘙痒、刺痛、触痛、发热、渗液等症状。
一般需要立刻停药并在医生的指导下使用抗过敏药物进行缓解。

1、荨麻疹及血管水肿型药疹:阿托伐他汀钙片引起的荨麻疹及血管水肿型药疹。此类药疹比较常见,特点是发生大小不等的风团,持续时间较长,自觉瘙痒,伴刺痛,触痛,伴有风团周围局部水肿。
2、剥脱性皮炎或红皮病型药疹:阿托伐他汀钙片引起的剥脱性皮炎或红皮病型药疹,表现为全身皮肤鲜红肿胀,伴以渗液、结痂,继而大片叶状鳞屑剥脱。渗液有臭味。粘膜亦可充血、水肿、糜烂等。此类皮疹可在开始时就全身发生,或在上述猩红热样或麻疹样皮疹的基础上发展而来。
3、重症多形红斑药疹:阿托伐他汀钙片引起的重症多形红斑药疹,为严重的大疱性多形红斑,除皮肤损害外,眼、口、外生殖器等出现严重的黏膜损害,有明显糜烂渗出与疼痛,常伴寒战高热,亦可并发支气管炎、肺炎、胸腔积液及肾脏损害。
出现药物过敏则需要立刻停药,及时前往医院就诊,可遵医嘱使用抗组胺药、糖皮质激素、支气管扩张药等缓解过敏症状。
","articleBody": "阿托伐他汀钙片引起过敏反应常表现为经典的药物过敏反应,即皮肤出现风团、瘙痒、刺痛、触痛、发热、渗液等症状。
一般需要立刻停药并在医生的指导下使用抗过敏药物进行缓解。

1、荨麻疹及血管水肿型药疹:阿托伐他汀钙片引起的荨麻疹及血管水肿型药疹。此类药疹比较常见,特点是发生大小不等的风团,持续时间较长,自觉瘙痒,伴刺痛,触痛,伴有风团周围局部水肿。
2、剥脱性皮炎或红皮病型药疹:阿托伐他汀钙片引起的剥脱性皮炎或红皮病型药疹,表现为全身皮肤鲜红肿胀,伴以渗液、结痂,继而大片叶状鳞屑剥脱。渗液有臭味。粘膜亦可充血、水肿、糜烂等。此类皮疹可在开始时就全身发生,或在上述猩红热样或麻疹样皮疹的基础上发展而来。
3、重症多形红斑药疹:阿托伐他汀钙片引起的重症多形红斑药疹,为严重的大疱性多形红斑,除皮肤损害外,眼、口、外生殖器等出现严重的黏膜损害,有明显糜烂渗出与疼痛,常伴寒战高热,亦可并发支气管炎、肺炎、胸腔积液及肾脏损害。
出现药物过敏则需要立刻停药,及时前往医院就诊,可遵医嘱使用抗组胺药、糖皮质激素、支气管扩张药等缓解过敏症状。
","scanCount": 32841}}} {"@context": "https://ziyuan.baidu.com/contexts/cambrian.jsonld","appid": "1650708455561748","icon": "https://www.med-credit.org.cn/style/images/ttlogo.png","content_tag": ["atlas"],"is_mcn": {"thumb_id": "tznru43s"},"accid": "4886d626a2804dee5f11168793ce361672f39c25","@id": "https://www.med-credit.org.cn/mobile/jingxuan/2/29b2d4d9bd4b6a743d1694eee17f3a9e.html","bagWordId": "783_1598581060306735104","title": "贴膏药皮肤变黑的图片","pubDate": "2023-02-15T16:41:09","upDate": "2023-02-15T16:41:09","lrDate": "2023-02-15T16:41:09","description": "贴膏药皮肤变黑可能是药物刺激或者过敏引起的。","data": {"WebPage": {"headline": "贴膏药皮肤变黑的图片","pcUrl": "https://www.med-credit.org.cn/jingxuan/2/29b2d4d9bd4b6a743d1694eee17f3a9e.html","wapUrl": "https://www.med-credit.org.cn/jingxuan/2/29b2d4d9bd4b6a743d1694eee17f3a9e.html","mipUrl": "https://www.med-credit.org.cn/mobile/jingxuan/2/29b2d4d9bd4b6a743d1694eee17f3a9e.html","fromSrc": "欢乐橙","datePublished": "2023-02-15T16:41:09","domain": "医疗","category": ["医疗权威文章合作"],"description": "贴膏药皮肤变黑可能是药物刺激或者过敏引起的。
","extra_headline": [""]},"Author": {"name": "张岚","wapUrl": "https://www.med-credit.org.cn/doctor/556","pcUrl": "https://www.med-credit.org.cn/doctor/556","jobTitle": "副主任医师","headPortrait": "https://www.med-credit.org.cn/uploadfile/member/556/180x180.jpeg","id": "556","description": "张岚,中国医科大学附属第一医院皮肤病与性病科副主任医师","memberOf": {"legalName": "中国医科大学附属第一医院","department": "皮肤科","organizationLevel": "三级甲等"}},"Article": {"summaryContent": "贴膏药皮肤变黑可能是药物刺激或者过敏引起的。
药物刺激皮肤后会使皮肤出现瘙痒,在抓挠瘙痒部位后可能会留下色素沉着;过敏之后皮肤会出现丘疹、瘙痒,在症状缓解后也可能会出现色素沉着,可遵医嘱选择合适药物进行治疗。

1、药物刺激:当长期贴着药膏时,药膏可能会对皮肤产生刺激作用,从而出现瘙痒的现象,而抓挠部位也会因此留下色素沉着,出现贴膏药后皮肤变黑的情况。一般这种情况无需特殊治疗,当去除膏药后,症状会逐渐好转。
2、过敏:若患者对膏药中某种成分过敏,可能会出现丘疹、瘙痒等不适症状,经过一定的治疗后,过敏症状缓解,而过敏部位可能会留下色素沉着,出现贴膏药后皮肤变黑的现象。可遵医嘱使用维生素E乳进行治疗。
","articleBody": "贴膏药皮肤变黑可能是药物刺激或者过敏引起的。
药物刺激皮肤后会使皮肤出现瘙痒,在抓挠瘙痒部位后可能会留下色素沉着;过敏之后皮肤会出现丘疹、瘙痒,在症状缓解后也可能会出现色素沉着,可遵医嘱选择合适药物进行治疗。

1、药物刺激:当长期贴着药膏时,药膏可能会对皮肤产生刺激作用,从而出现瘙痒的现象,而抓挠部位也会因此留下色素沉着,出现贴膏药后皮肤变黑的情况。一般这种情况无需特殊治疗,当去除膏药后,症状会逐渐好转。
2、过敏:若患者对膏药中某种成分过敏,可能会出现丘疹、瘙痒等不适症状,经过一定的治疗后,过敏症状缓解,而过敏部位可能会留下色素沉着,出现贴膏药后皮肤变黑的现象。可遵医嘱使用维生素E乳进行治疗。
","scanCount": 32840}}} {"@context": "https://ziyuan.baidu.com/contexts/cambrian.jsonld","appid": "1650708455561748","icon": "https://www.med-credit.org.cn/style/images/ttlogo.png","content_tag": ["atlas"],"is_mcn": {"thumb_id": "tznru43s"},"accid": "4886d626a2804dee5f11168793ce361672f39c25","@id": "https://www.med-credit.org.cn/mobile/jingxuan/2/e8cd622a66972ae81d478d19d7e800bf.html","bagWordId": "783_1598581060415787008","title": "头皮脂溢性皮炎早期图片","pubDate": "2023-02-15T16:41:09","upDate": "2023-02-15T16:41:09","lrDate": "2023-02-15T16:41:09","description": "头皮脂溢性皮炎早期时会有红斑、鳞屑、瘙痒以及其他表现。除早期症状外,若疾病继续进展,还会出现中后期的表现。","data": {"WebPage": {"headline": "头皮脂溢性皮炎早期图片","pcUrl": "https://www.med-credit.org.cn/jingxuan/2/e8cd622a66972ae81d478d19d7e800bf.html","wapUrl": "https://www.med-credit.org.cn/jingxuan/2/e8cd622a66972ae81d478d19d7e800bf.html","mipUrl": "https://www.med-credit.org.cn/mobile/jingxuan/2/e8cd622a66972ae81d478d19d7e800bf.html","fromSrc": "欢乐橙","datePublished": "2023-02-15T16:41:09","domain": "医疗","category": ["医疗权威文章合作"],"description": "头皮脂溢性皮炎早期时会有红斑、鳞屑、瘙痒以及其他表现。除早期症状外,若疾病继续进展,还会出现中后期的表现。
","extra_headline": [""]},"Author": {"name": "张岚","wapUrl": "https://www.med-credit.org.cn/doctor/556","pcUrl": "https://www.med-credit.org.cn/doctor/556","jobTitle": "副主任医师","headPortrait": "https://www.med-credit.org.cn/uploadfile/member/556/180x180.jpeg","id": "556","description": "张岚,中国医科大学附属第一医院皮肤病与性病科副主任医师","memberOf": {"legalName": "中国医科大学附属第一医院","department": "皮肤科","organizationLevel": "三级甲等"}},"Article": {"summaryContent": "头皮脂溢性皮炎早期时会有红斑、鳞屑、瘙痒以及其他表现。除早期症状外,若疾病继续进展,还会出现中后期的表现。
头皮脂溢性皮炎患者在日常生活中要规律作息,注意饮食,在医生的指导下选择合适的药物进行治疗。

1、早期表现:头皮脂溢性皮炎好发于成年人与婴幼儿,发病者常可见皮脂溢出。头皮脂溢性皮炎早期可见头皮弥漫红斑,表面被覆少许灰白色细碎鳞屑,因瘙痒常伴有散在抓痕;也可见少许头皮部位的红斑、糜烂、渗出。
2、中后期表现:头皮脂溢性皮炎常为局限性发作,为毛囊周围炎症性丘疹,随病情发展,丘疹融合成大小不等的黄红色斑片,边界清楚,上覆油腻性鳞屑或结痂。
日常生活中要规律作息,清淡饮食,避免抓挠。遵医嘱选择合适的药物进行治疗,可服用维生素B2、维生素B6、复合维生素B;瘙痒剧烈时可用具有镇静作用的第一代抗组胺药物或具有抗炎作用的第二代抗组胺药。炎症反应明显、皮损面积较大者,可短期口服四环素类抗生素或红霉素;选择合适的外用制剂如硫磺、煤焦油、水杨酸等局部治疗,以溶解脂肪、角质剥脱、消炎止痒为主。
","articleBody": "头皮脂溢性皮炎早期时会有红斑、鳞屑、瘙痒以及其他表现。除早期症状外,若疾病继续进展,还会出现中后期的表现。
头皮脂溢性皮炎患者在日常生活中要规律作息,注意饮食,在医生的指导下选择合适的药物进行治疗。

1、早期表现:头皮脂溢性皮炎好发于成年人与婴幼儿,发病者常可见皮脂溢出。头皮脂溢性皮炎早期可见头皮弥漫红斑,表面被覆少许灰白色细碎鳞屑,因瘙痒常伴有散在抓痕;也可见少许头皮部位的红斑、糜烂、渗出。
2、中后期表现:头皮脂溢性皮炎常为局限性发作,为毛囊周围炎症性丘疹,随病情发展,丘疹融合成大小不等的黄红色斑片,边界清楚,上覆油腻性鳞屑或结痂。
日常生活中要规律作息,清淡饮食,避免抓挠。遵医嘱选择合适的药物进行治疗,可服用维生素B2、维生素B6、复合维生素B;瘙痒剧烈时可用具有镇静作用的第一代抗组胺药物或具有抗炎作用的第二代抗组胺药。炎症反应明显、皮损面积较大者,可短期口服四环素类抗生素或红霉素;选择合适的外用制剂如硫磺、煤焦油、水杨酸等局部治疗,以溶解脂肪、角质剥脱、消炎止痒为主。
","scanCount": 32838}}} {"@context": "https://ziyuan.baidu.com/contexts/cambrian.jsonld","appid": "1650708455561748","icon": "https://www.med-credit.org.cn/style/images/ttlogo.png","content_tag": ["atlas"],"is_mcn": {"thumb_id": "tznru43s"},"accid": "4886d626a2804dee5f11168793ce361672f39c25","@id": "https://www.med-credit.org.cn/mobile/jingxuan/2/8c85a103a05d8ffc16f55c98453b421f.html","bagWordId": "783_1598581060529033216","title": "头皮毛母质瘤图片","pubDate": "2023-02-15T16:41:09","upDate": "2023-02-15T16:41:09","lrDate": "2023-02-15T16:41:09","description": "头皮毛母质瘤也称为钙化上皮瘤,多好发于青少年以及60~70岁人群。一般该瘤生长缓慢,表现为皮下坚硬结节和表皮肿物,常发生于头面部,少有破溃,表皮呈正常或淡蓝色。","data": {"WebPage": {"headline": "头皮毛母质瘤图片","pcUrl": "https://www.med-credit.org.cn/jingxuan/2/8c85a103a05d8ffc16f55c98453b421f.html","wapUrl": "https://www.med-credit.org.cn/jingxuan/2/8c85a103a05d8ffc16f55c98453b421f.html","mipUrl": "https://www.med-credit.org.cn/mobile/jingxuan/2/8c85a103a05d8ffc16f55c98453b421f.html","fromSrc": "欢乐橙","datePublished": "2023-02-15T16:41:09","domain": "医疗","category": ["医疗权威文章合作"],"description": "头皮毛母质瘤也称为钙化上皮瘤,多好发于青少年以及60~70岁人群。一般该瘤生长缓慢,表现为皮下坚硬结节和表皮肿物,常发生于头面部,少有破溃,表皮呈正常或淡蓝色。
","extra_headline": [""]},"Author": {"name": "张岚","wapUrl": "https://www.med-credit.org.cn/doctor/556","pcUrl": "https://www.med-credit.org.cn/doctor/556","jobTitle": "副主任医师","headPortrait": "https://www.med-credit.org.cn/uploadfile/member/556/180x180.jpeg","id": "556","description": "张岚,中国医科大学附属第一医院皮肤病与性病科副主任医师","memberOf": {"legalName": "中国医科大学附属第一医院","department": "皮肤科","organizationLevel": "三级甲等"}},"Article": {"summaryContent": "头皮毛母质瘤也称为钙化上皮瘤,多好发于青少年以及60~70岁人群。一般该瘤生长缓慢,表现为皮下坚硬结节和表皮肿物,常发生于头面部,少有破溃,表皮呈正常或淡蓝色。
常用的治疗手段为外科切除术治疗,若发生细菌感染,可遵医嘱使用青霉素进行治疗。

1、发病年龄:发病年龄呈双峰性,即好发于青少年,也好发于60~70岁人群,女性发病率较高。
2、好发部位:毛母质瘤生长较为缓慢,常发生于头面部,其次为上肢、颈、躯干及下肢。
3、典型症状:毛母质瘤的典型症状主要表现为皮下坚硬结节和表皮肿物。皮下硬性结节多为单发性结节,患者多无明显自觉症状,个别可向表皮穿通而排出内容物。肿物随年龄逐渐增大,多为圆形,直径约0.5~3cm不等,突出皮面,界限清楚,有一定活动度,表面颜色多正常或呈淡蓝色。
推荐采用外科手术治疗,行外科切除术切除瘤体即可治愈本病,但有2%~3%的患者局部可复发。若毛母质瘤导致皮肤破溃,继发细菌感染,可遵医嘱使用青霉素进行治疗,但在用药前需注意是否对此药过敏。
","articleBody": "头皮毛母质瘤也称为钙化上皮瘤,多好发于青少年以及60~70岁人群。一般该瘤生长缓慢,表现为皮下坚硬结节和表皮肿物,常发生于头面部,少有破溃,表皮呈正常或淡蓝色。
常用的治疗手段为外科切除术治疗,若发生细菌感染,可遵医嘱使用青霉素进行治疗。

1、发病年龄:发病年龄呈双峰性,即好发于青少年,也好发于60~70岁人群,女性发病率较高。
2、好发部位:毛母质瘤生长较为缓慢,常发生于头面部,其次为上肢、颈、躯干及下肢。
3、典型症状:毛母质瘤的典型症状主要表现为皮下坚硬结节和表皮肿物。皮下硬性结节多为单发性结节,患者多无明显自觉症状,个别可向表皮穿通而排出内容物。肿物随年龄逐渐增大,多为圆形,直径约0.5~3cm不等,突出皮面,界限清楚,有一定活动度,表面颜色多正常或呈淡蓝色。
推荐采用外科手术治疗,行外科切除术切除瘤体即可治愈本病,但有2%~3%的患者局部可复发。若毛母质瘤导致皮肤破溃,继发细菌感染,可遵医嘱使用青霉素进行治疗,但在用药前需注意是否对此药过敏。
","scanCount": 32837}}} {"@context": "https://ziyuan.baidu.com/contexts/cambrian.jsonld","appid": "1650708455561748","icon": "https://www.med-credit.org.cn/style/images/ttlogo.png","content_tag": ["atlas"],"is_mcn": {"thumb_id": "tznru43s"},"accid": "4886d626a2804dee5f11168793ce361672f39c25","@id": "https://www.med-credit.org.cn/mobile/jingxuan/2/f4df53cf2509ae44ab4bfba416071e35.html","bagWordId": "783_1598581060751331328","title": "全身大片过敏凸起疙瘩图片","pubDate": "2023-02-15T16:41:09","upDate": "2023-02-15T16:41:09","lrDate": "2023-02-15T16:41:09","description": "全身大片过敏凸起疙瘩有可能是荨麻疹、特应性皮炎、湿疹等原因引起的,患者可伴有瘙痒等不适症状。","data": {"WebPage": {"headline": "全身大片过敏凸起疙瘩图片","pcUrl": "https://www.med-credit.org.cn/jingxuan/2/f4df53cf2509ae44ab4bfba416071e35.html","wapUrl": "https://www.med-credit.org.cn/jingxuan/2/f4df53cf2509ae44ab4bfba416071e35.html","mipUrl": "https://www.med-credit.org.cn/mobile/jingxuan/2/f4df53cf2509ae44ab4bfba416071e35.html","fromSrc": "欢乐橙","datePublished": "2023-02-15T16:41:09","domain": "医疗","category": ["医疗权威文章合作"],"description": "全身大片过敏凸起疙瘩有可能是荨麻疹、特应性皮炎、湿疹等原因引起的,患者可伴有瘙痒等不适症状。
","extra_headline": [""]},"Author": {"name": "张岚","wapUrl": "https://www.med-credit.org.cn/doctor/556","pcUrl": "https://www.med-credit.org.cn/doctor/556","jobTitle": "副主任医师","headPortrait": "https://www.med-credit.org.cn/uploadfile/member/556/180x180.jpeg","id": "556","description": "张岚,中国医科大学附属第一医院皮肤病与性病科副主任医师","memberOf": {"legalName": "中国医科大学附属第一医院","department": "皮肤科","organizationLevel": "三级甲等"}},"Article": {"summaryContent": "全身大片过敏凸起疙瘩有可能是荨麻疹、特应性皮炎、湿疹等原因引起的,患者可伴有瘙痒等不适症状。
当查明病因后,可在医生的指导下选择合适的药物进行治疗。

1、荨麻疹:患者可自觉瘙痒,继而出现大小不等的圆形、椭圆形或不规则形风团,颜色为淡红色,单个或密集融合成片,一般持续数分钟至数小时后消退,不留痕迹,但容易复发,一日内可发作数次。可遵医嘱给予抗组胺药,如氯雷他定,病情严重或伴有喉头水肿,呼吸困难者,可遵医嘱使用盐酸肾上腺素注射液、糖皮质激素类药物进行治疗。
2、特应性皮炎:通常瘙痒剧烈,可表现为红斑、丘疹、水疱、渗出、糜烂和结痂,继发感染时可出现脓疱、脓痂、发热。可以进行局部治疗,如遵医嘱涂抹他克莫司软膏、丁酸氢化可的松乳膏等药物,也可遵医嘱口服盐酸西替利嗪等药物进行缓解。
3、湿疹:如果长期处于潮湿环境或者精神过度紧张,可能会使皮肤上出现湿疹,导致皮肤上形成红色的丘疹,并且伴有严重的瘙痒感,用手抓挠后还会导致症状加重,患者会出现全身起大片凸起红疙瘩,可以遵医嘱局部涂抹丁酸氢化可的松乳膏、醋酸曲安奈德乳膏等药膏治疗,能够起到抗炎和止痒的作用。
除了上述相对常见的原因外,还可能是药物过敏导致的。建议患者出现这种症状后,及时去医院就诊,查明病因后,予以针对性治疗。
","articleBody": "全身大片过敏凸起疙瘩有可能是荨麻疹、特应性皮炎、湿疹等原因引起的,患者可伴有瘙痒等不适症状。
当查明病因后,可在医生的指导下选择合适的药物进行治疗。

1、荨麻疹:患者可自觉瘙痒,继而出现大小不等的圆形、椭圆形或不规则形风团,颜色为淡红色,单个或密集融合成片,一般持续数分钟至数小时后消退,不留痕迹,但容易复发,一日内可发作数次。可遵医嘱给予抗组胺药,如氯雷他定,病情严重或伴有喉头水肿,呼吸困难者,可遵医嘱使用盐酸肾上腺素注射液、糖皮质激素类药物进行治疗。
2、特应性皮炎:通常瘙痒剧烈,可表现为红斑、丘疹、水疱、渗出、糜烂和结痂,继发感染时可出现脓疱、脓痂、发热。可以进行局部治疗,如遵医嘱涂抹他克莫司软膏、丁酸氢化可的松乳膏等药物,也可遵医嘱口服盐酸西替利嗪等药物进行缓解。
3、湿疹:如果长期处于潮湿环境或者精神过度紧张,可能会使皮肤上出现湿疹,导致皮肤上形成红色的丘疹,并且伴有严重的瘙痒感,用手抓挠后还会导致症状加重,患者会出现全身起大片凸起红疙瘩,可以遵医嘱局部涂抹丁酸氢化可的松乳膏、醋酸曲安奈德乳膏等药膏治疗,能够起到抗炎和止痒的作用。
除了上述相对常见的原因外,还可能是药物过敏导致的。建议患者出现这种症状后,及时去医院就诊,查明病因后,予以针对性治疗。
","scanCount": 32834}}} {"@context": "https://ziyuan.baidu.com/contexts/cambrian.jsonld","appid": "1650708455561748","icon": "https://www.med-credit.org.cn/style/images/ttlogo.png","content_tag": ["atlas"],"is_mcn": {"thumb_id": "x5e7zgbw"},"accid": "4886d626a2804dee5f11168793ce361672f39c25","@id": "https://www.med-credit.org.cn/mobile/jingxuan/2/69138519f4a674bd0cd4efcac10ada3d.html","bagWordId": "783_1598581060868771840","title": "眼睛下面长脓包图片","pubDate": "2023-02-15T16:41:09","upDate": "2023-02-15T16:41:09","lrDate": "2023-02-15T16:41:09","description": "眼睛下面长脓包可能是霰粒肿,又称睑板腺囊肿,多为圆形肿块,一般无疼痛感。","data": {"WebPage": {"headline": "眼睛下面长脓包图片","pcUrl": "https://www.med-credit.org.cn/jingxuan/2/69138519f4a674bd0cd4efcac10ada3d.html","wapUrl": "https://www.med-credit.org.cn/jingxuan/2/69138519f4a674bd0cd4efcac10ada3d.html","mipUrl": "https://www.med-credit.org.cn/mobile/jingxuan/2/69138519f4a674bd0cd4efcac10ada3d.html","fromSrc": "欢乐橙","datePublished": "2023-02-15T16:41:09","domain": "医疗","category": ["医疗权威文章合作"],"description": "眼睛下面长脓包可能是霰粒肿,又称睑板腺囊肿,多为圆形肿块,一般无疼痛感。
","extra_headline": [""]},"Author": {"name": "钟一凡","wapUrl": "https://www.med-credit.org.cn/doctor/521","pcUrl": "https://www.med-credit.org.cn/doctor/521","jobTitle": "主治医师","headPortrait": "https://www.med-credit.org.cn/uploadfile/member/521/180x180.jpeg","id": "521","description": "钟一凡,中国医科大学附属第一医院眼科主治医师","memberOf": {"legalName": "中国医科大学附属第一医院","department": "眼科","organizationLevel": "三级甲等"}},"Article": {"summaryContent": "眼睛下面长脓包可能是霰粒肿,又称睑板腺囊肿,多为圆形肿块,一般无疼痛感。
治疗时可以选择热敷、理疗按摩等方式,若脓包长时间没有消退,可进行手术切除。要注意休息,不可自行挑破霰粒肿。

1、症状:眼睑皮下圆形肿块,眼睑皮下可触及一个至数个大小不等的圆形肿块,小至米粒、绿豆,大至黄豆,表面光滑,不与皮肤粘连,边缘清楚。翻转眼睑,正对囊肿处的结膜呈紫红色或灰白色。病程缓慢,一般并无明显症状,眼部无疼痛,有时仅有沉重感。
2、治疗:早期较小的霰粒肿,可通过热敷或者理疗按摩疗法,促进消散吸收。若霰粒肿长期不能消退,且霰粒肿影响视力及外观的患者,应当进行手术切除。手术在局麻或全麻下进行,用刮匙将囊肿内容物刮除干净,分离后部囊壁并完整摘除囊肿,以防复发。
1、注意日常生活规律作息,保证休息,发病期间禁止熬夜。
2、不可自行挑破或挤破霰粒肿,类似行为可能造成感染。
","articleBody": "眼睛下面长脓包可能是霰粒肿,又称睑板腺囊肿,多为圆形肿块,一般无疼痛感。
治疗时可以选择热敷、理疗按摩等方式,若脓包长时间没有消退,可进行手术切除。要注意休息,不可自行挑破霰粒肿。

1、症状:眼睑皮下圆形肿块,眼睑皮下可触及一个至数个大小不等的圆形肿块,小至米粒、绿豆,大至黄豆,表面光滑,不与皮肤粘连,边缘清楚。翻转眼睑,正对囊肿处的结膜呈紫红色或灰白色。病程缓慢,一般并无明显症状,眼部无疼痛,有时仅有沉重感。
2、治疗:早期较小的霰粒肿,可通过热敷或者理疗按摩疗法,促进消散吸收。若霰粒肿长期不能消退,且霰粒肿影响视力及外观的患者,应当进行手术切除。手术在局麻或全麻下进行,用刮匙将囊肿内容物刮除干净,分离后部囊壁并完整摘除囊肿,以防复发。
1、注意日常生活规律作息,保证休息,发病期间禁止熬夜。
2、不可自行挑破或挤破霰粒肿,类似行为可能造成感染。
","scanCount": 32833}}} {"@context": "https://ziyuan.baidu.com/contexts/cambrian.jsonld","appid": "1650708455561748","icon": "https://www.med-credit.org.cn/style/images/ttlogo.png","content_tag": ["atlas"],"is_mcn": {"thumb_id": "x5e7zgbw"},"accid": "4886d626a2804dee5f11168793ce361672f39c25","@id": "https://www.med-credit.org.cn/mobile/jingxuan/2/da3f5eb90e59cb25378883c2ed4e3f2c.html","bagWordId": "783_1598581060977823744","title": "内眼角上眼皮里面长了肉芽囊肿图片","pubDate": "2023-02-15T16:41:09","upDate": "2023-02-15T16:41:09","lrDate": "2023-02-15T16:41:09","description": "内眼角上眼皮里面长了肉芽囊肿考虑为睑板腺囊肿,多表现为圆形肿块,当囊肿破溃后形成肉芽肿。","data": {"WebPage": {"headline": "内眼角上眼皮里面长了肉芽囊肿图片","pcUrl": "https://www.med-credit.org.cn/jingxuan/2/da3f5eb90e59cb25378883c2ed4e3f2c.html","wapUrl": "https://www.med-credit.org.cn/jingxuan/2/da3f5eb90e59cb25378883c2ed4e3f2c.html","mipUrl": "https://www.med-credit.org.cn/mobile/jingxuan/2/da3f5eb90e59cb25378883c2ed4e3f2c.html","fromSrc": "欢乐橙","datePublished": "2023-02-15T16:41:09","domain": "医疗","category": ["医疗权威文章合作"],"description": "内眼角上眼皮里面长了肉芽囊肿考虑为睑板腺囊肿,多表现为圆形肿块,当囊肿破溃后形成肉芽肿。
","extra_headline": [""]},"Author": {"name": "钟一凡","wapUrl": "https://www.med-credit.org.cn/doctor/521","pcUrl": "https://www.med-credit.org.cn/doctor/521","jobTitle": "主治医师","headPortrait": "https://www.med-credit.org.cn/uploadfile/member/521/180x180.jpeg","id": "521","description": "钟一凡,中国医科大学附属第一医院眼科主治医师","memberOf": {"legalName": "中国医科大学附属第一医院","department": "眼科","organizationLevel": "三级甲等"}},"Article": {"summaryContent": "内眼角上眼皮里面长了肉芽囊肿考虑为睑板腺囊肿,多表现为圆形肿块,当囊肿破溃后形成肉芽肿。
治疗时可以通过热敷、理疗按摩或者手术的方式。在日常生活中需注意休息,不可自行挑破囊肿。

1、症状:主要表现为内眼睑皮下有圆形肿块,一般无疼痛,小的囊肿可自行吸收,但多数长期不变,或逐渐变大,质地变软。也可自行破溃,排出胶样内容物,在睑结膜面形成肉芽肿,或在皮下形成暗紫红色的肉芽组织,类似小肉疙瘩。
2、治疗:早期较小的睑板腺囊肿,可通过热敷或者理疗按摩疗法,促进消散吸收。若睑板腺囊肿长期不能消退,且睑板腺囊肿影响视力及外观的患者,应当进行手术切除。手术在局麻或全麻下进行,用刮匙将囊肿内容物刮除干净,分离后部囊壁并完整摘除囊肿,以防复发。
1、注意日常生活规律作息,保证休息,发病期间禁止熬夜。
2、不可自行挑破或挤破睑板腺囊肿,类似行为可能造成感染。
","articleBody": "内眼角上眼皮里面长了肉芽囊肿考虑为睑板腺囊肿,多表现为圆形肿块,当囊肿破溃后形成肉芽肿。
治疗时可以通过热敷、理疗按摩或者手术的方式。在日常生活中需注意休息,不可自行挑破囊肿。

1、症状:主要表现为内眼睑皮下有圆形肿块,一般无疼痛,小的囊肿可自行吸收,但多数长期不变,或逐渐变大,质地变软。也可自行破溃,排出胶样内容物,在睑结膜面形成肉芽肿,或在皮下形成暗紫红色的肉芽组织,类似小肉疙瘩。
2、治疗:早期较小的睑板腺囊肿,可通过热敷或者理疗按摩疗法,促进消散吸收。若睑板腺囊肿长期不能消退,且睑板腺囊肿影响视力及外观的患者,应当进行手术切除。手术在局麻或全麻下进行,用刮匙将囊肿内容物刮除干净,分离后部囊壁并完整摘除囊肿,以防复发。
1、注意日常生活规律作息,保证休息,发病期间禁止熬夜。
2、不可自行挑破或挤破睑板腺囊肿,类似行为可能造成感染。
","scanCount": 32831}}} {"@context": "https://ziyuan.baidu.com/contexts/cambrian.jsonld","appid": "1650708455561748","icon": "https://www.med-credit.org.cn/style/images/ttlogo.png","content_tag": ["atlas"],"is_mcn": {"thumb_id": "x5e7zgbw"},"accid": "4886d626a2804dee5f11168793ce361672f39c25","@id": "https://www.med-credit.org.cn/mobile/jingxuan/2/48e9c573da113dd956a4f95c87fdccd6.html","bagWordId": "783_1598581061082681344","title": "眼球结膜松弛眼角有堆积图片","pubDate": "2023-02-15T16:41:09","upDate": "2023-02-15T16:41:09","lrDate": "2023-02-15T16:41:09","description": "眼球结膜松弛眼角有堆积通常可伴有眼部黏膜充血水肿,异物感,流泪等不适症状。","data": {"WebPage": {"headline": "眼球结膜松弛眼角有堆积图片","pcUrl": "https://www.med-credit.org.cn/jingxuan/2/48e9c573da113dd956a4f95c87fdccd6.html","wapUrl": "https://www.med-credit.org.cn/jingxuan/2/48e9c573da113dd956a4f95c87fdccd6.html","mipUrl": "https://www.med-credit.org.cn/mobile/jingxuan/2/48e9c573da113dd956a4f95c87fdccd6.html","fromSrc": "欢乐橙","datePublished": "2023-02-15T16:41:09","domain": "医疗","category": ["医疗权威文章合作"],"description": "眼球结膜松弛眼角有堆积通常可伴有眼部黏膜充血水肿,异物感,流泪等不适症状。
","extra_headline": [""]},"Author": {"name": "钟一凡","wapUrl": "https://www.med-credit.org.cn/doctor/521","pcUrl": "https://www.med-credit.org.cn/doctor/521","jobTitle": "主治医师","headPortrait": "https://www.med-credit.org.cn/uploadfile/member/521/180x180.jpeg","id": "521","description": "钟一凡,中国医科大学附属第一医院眼科主治医师","memberOf": {"legalName": "中国医科大学附属第一医院","department": "眼科","organizationLevel": "三级甲等"}},"Article": {"summaryContent": "眼球结膜松弛眼角有堆积通常可伴有眼部黏膜充血水肿,异物感,流泪等不适症状。
治疗时可以选择局部热敷、遵医嘱滴眼药水或者手术的方式,平时需注意用眼习惯。

1、轻中度松弛:对于轻度眼球结膜松弛,需要及时给予局部热蒸汽热敷熏蒸治疗,通过热量传导,改善微循环,减轻结膜松弛症状,另外要排查是否存在炎症性疾病,由于炎症反应会造成粘膜充血水肿,引发结膜褶皱松弛现象。需要给予普拉洛芬滴眼液进行局部点眼治疗,能帮助减轻水肿,预防结膜松弛症状的发生。
2、重度松弛:对于比较严重的结膜松弛症患者,会出现严重的异物感或者溢泪现象,有时还会合并眼部的疼痛,这时可以在医生指导下使用抗生素眼药水等进行治疗。如果治疗仍没有效果,可以进行手术治疗。
建议遵医嘱服用药物。平时注意用眼习惯,切勿长时间盯着电子设备。
","articleBody": "眼球结膜松弛眼角有堆积通常可伴有眼部黏膜充血水肿,异物感,流泪等不适症状。
治疗时可以选择局部热敷、遵医嘱滴眼药水或者手术的方式,平时需注意用眼习惯。

1、轻中度松弛:对于轻度眼球结膜松弛,需要及时给予局部热蒸汽热敷熏蒸治疗,通过热量传导,改善微循环,减轻结膜松弛症状,另外要排查是否存在炎症性疾病,由于炎症反应会造成粘膜充血水肿,引发结膜褶皱松弛现象。需要给予普拉洛芬滴眼液进行局部点眼治疗,能帮助减轻水肿,预防结膜松弛症状的发生。
2、重度松弛:对于比较严重的结膜松弛症患者,会出现严重的异物感或者溢泪现象,有时还会合并眼部的疼痛,这时可以在医生指导下使用抗生素眼药水等进行治疗。如果治疗仍没有效果,可以进行手术治疗。
建议遵医嘱服用药物。平时注意用眼习惯,切勿长时间盯着电子设备。
","scanCount": 32830}}} {"@context": "https://ziyuan.baidu.com/contexts/cambrian.jsonld","appid": "1650708455561748","icon": "https://www.med-credit.org.cn/style/images/ttlogo.png","content_tag": ["atlas"],"is_mcn": {"thumb_id": "x5e7zgbw"},"accid": "4886d626a2804dee5f11168793ce361672f39c25","@id": "https://www.med-credit.org.cn/mobile/jingxuan/2/26d96dcfc886fd690ada4218e72de36c.html","bagWordId": "783_1598581061250453504","title": "眼睛发炎包纱布图片","pubDate": "2023-02-15T16:41:09","upDate": "2023-02-15T16:41:09","lrDate": "2023-02-15T16:41:09","description": "眼睛发炎通常会有红、肿、痛等症状表现。","data": {"WebPage": {"headline": "眼睛发炎包纱布图片","pcUrl": "https://www.med-credit.org.cn/jingxuan/2/26d96dcfc886fd690ada4218e72de36c.html","wapUrl": "https://www.med-credit.org.cn/jingxuan/2/26d96dcfc886fd690ada4218e72de36c.html","mipUrl": "https://www.med-credit.org.cn/mobile/jingxuan/2/26d96dcfc886fd690ada4218e72de36c.html","fromSrc": "欢乐橙","datePublished": "2023-02-15T16:41:09","domain": "医疗","category": ["医疗权威文章合作"],"description": "眼睛发炎通常会有红、肿、痛等症状表现。
","extra_headline": [""]},"Author": {"name": "钟一凡","wapUrl": "https://www.med-credit.org.cn/doctor/521","pcUrl": "https://www.med-credit.org.cn/doctor/521","jobTitle": "主治医师","headPortrait": "https://www.med-credit.org.cn/uploadfile/member/521/180x180.jpeg","id": "521","description": "钟一凡,中国医科大学附属第一医院眼科主治医师","memberOf": {"legalName": "中国医科大学附属第一医院","department": "眼科","organizationLevel": "三级甲等"}},"Article": {"summaryContent": "眼睛发炎通常会有红、肿、痛等症状表现。
眼睛发炎包括了麦粒肿、结膜炎、角膜炎等,发炎的部位不同,其症状也不同。

1、麦粒肿:若眼皮发炎,通常是麦粒肿引起的,一般会有红、肿、痛的症状,也会触及到一个包块,触摸包块时疼痛会加重。
2、结膜炎:可能会出现结膜充血、水肿、有分泌物或者是流眼泪的症状。
3、角膜炎:可能会出现畏光、流泪以及黑眼珠周围的充血、视力下降的症状。
除了上述相对常见的原因外,还有其他的可能性疾病,比如虹膜睫状体炎。
","articleBody": "眼睛发炎通常会有红、肿、痛等症状表现。
眼睛发炎包括了麦粒肿、结膜炎、角膜炎等,发炎的部位不同,其症状也不同。

1、麦粒肿:若眼皮发炎,通常是麦粒肿引起的,一般会有红、肿、痛的症状,也会触及到一个包块,触摸包块时疼痛会加重。
2、结膜炎:可能会出现结膜充血、水肿、有分泌物或者是流眼泪的症状。
3、角膜炎:可能会出现畏光、流泪以及黑眼珠周围的充血、视力下降的症状。
除了上述相对常见的原因外,还有其他的可能性疾病,比如虹膜睫状体炎。
","scanCount": 32829}}} {"@context": "https://ziyuan.baidu.com/contexts/cambrian.jsonld","appid": "1650708455561748","icon": "https://www.med-credit.org.cn/style/images/ttlogo.png","content_tag": ["atlas"],"is_mcn": {"thumb_id": "x5e7zgbw"},"accid": "4886d626a2804dee5f11168793ce361672f39c25","@id": "https://www.med-credit.org.cn/mobile/jingxuan/2/13126f18c4a309a972600298808b7e68.html","bagWordId": "783_1598581061414031360","title": "眼睑丹毒图片","pubDate": "2023-02-15T16:41:09","upDate": "2023-02-15T16:41:09","lrDate": "2023-02-15T16:41:09","description": "眼睑丹毒是发生在眼睑皮肤和皮下组织的急性炎症,主要表现为眼皮红肿热痛、局部皮肤发硬,伴有剧烈疼痛感。","data": {"WebPage": {"headline": "眼睑丹毒图片","pcUrl": "https://www.med-credit.org.cn/jingxuan/2/13126f18c4a309a972600298808b7e68.html","wapUrl": "https://www.med-credit.org.cn/jingxuan/2/13126f18c4a309a972600298808b7e68.html","mipUrl": "https://www.med-credit.org.cn/mobile/jingxuan/2/13126f18c4a309a972600298808b7e68.html","fromSrc": "欢乐橙","datePublished": "2023-02-15T16:41:09","domain": "医疗","category": ["医疗权威文章合作"],"description": "眼睑丹毒是发生在眼睑皮肤和皮下组织的急性炎症,主要表现为眼皮红肿热痛、局部皮肤发硬,伴有剧烈疼痛感。
","extra_headline": [""]},"Author": {"name": "钟一凡","wapUrl": "https://www.med-credit.org.cn/doctor/521","pcUrl": "https://www.med-credit.org.cn/doctor/521","jobTitle": "主治医师","headPortrait": "https://www.med-credit.org.cn/uploadfile/member/521/180x180.jpeg","id": "521","description": "钟一凡,中国医科大学附属第一医院眼科主治医师","memberOf": {"legalName": "中国医科大学附属第一医院","department": "眼科","organizationLevel": "三级甲等"}},"Article": {"summaryContent": "眼睑丹毒是发生在眼睑皮肤和皮下组织的急性炎症,主要表现为眼皮红肿热痛、局部皮肤发硬,伴有剧烈疼痛感。
治疗时肌肉或静脉点滴大剂量的青霉素为首选,另外也可选择紫外线照射,在日常生活中需注意饮食以及作息。

1、症状:主要的症状是眼皮水肿,充血发红,发热,并且有明显的疼痛,可以伴有发烧,有的甚至不能睁眼,表面皮肤皮色鲜红、光滑,用手触摸局部皮肤质硬。与周围正常的皮肤分界清楚,局部有剧烈疼痛感,全身可伴有高热和耳前淋巴结肿大。
2、治疗:眼睑丹毒是由溶血性链球菌感染皮肤和皮下组织所引起,在医生指导下肌肉或静脉点滴大剂量的青霉素为首选治疗,同时,可对局部皮肤进行紫外线照射。眼睑丹毒可通过面部静脉或淋巴组织向眶内蔓延、扩散,可导致视神经炎、视神经萎缩甚至失明等。眼睑丹毒一旦确诊要积极治疗,合理用药,同时日常生活中要注意饮食清淡,作息规律,保持大便通畅。
","articleBody": "眼睑丹毒是发生在眼睑皮肤和皮下组织的急性炎症,主要表现为眼皮红肿热痛、局部皮肤发硬,伴有剧烈疼痛感。
治疗时肌肉或静脉点滴大剂量的青霉素为首选,另外也可选择紫外线照射,在日常生活中需注意饮食以及作息。

1、症状:主要的症状是眼皮水肿,充血发红,发热,并且有明显的疼痛,可以伴有发烧,有的甚至不能睁眼,表面皮肤皮色鲜红、光滑,用手触摸局部皮肤质硬。与周围正常的皮肤分界清楚,局部有剧烈疼痛感,全身可伴有高热和耳前淋巴结肿大。
2、治疗:眼睑丹毒是由溶血性链球菌感染皮肤和皮下组织所引起,在医生指导下肌肉或静脉点滴大剂量的青霉素为首选治疗,同时,可对局部皮肤进行紫外线照射。眼睑丹毒可通过面部静脉或淋巴组织向眶内蔓延、扩散,可导致视神经炎、视神经萎缩甚至失明等。眼睑丹毒一旦确诊要积极治疗,合理用药,同时日常生活中要注意饮食清淡,作息规律,保持大便通畅。
","scanCount": 32828}}} {"@context": "https://ziyuan.baidu.com/contexts/cambrian.jsonld","appid": "1650708455561748","icon": "https://www.med-credit.org.cn/style/images/ttlogo.png","content_tag": ["atlas"],"is_mcn": {"thumb_id": "x5e7zgbw"},"accid": "4886d626a2804dee5f11168793ce361672f39c25","@id": "https://www.med-credit.org.cn/mobile/jingxuan/2/116242fcf571ecce16c2c8cf2789862d.html","bagWordId": "783_1598581061636329472","title": "沙粒肿早期图片","pubDate": "2023-02-15T16:41:09","upDate": "2023-02-15T16:41:09","lrDate": "2023-02-15T16:41:09","description": "沙粒肿又称睑板腺囊肿,早期无明显症状,一般表现为眼睑皮下圆形肿块,无明显压痛,病灶对应睑结膜片状充血。","data": {"WebPage": {"headline": "沙粒肿早期图片","pcUrl": "https://www.med-credit.org.cn/jingxuan/2/116242fcf571ecce16c2c8cf2789862d.html","wapUrl": "https://www.med-credit.org.cn/jingxuan/2/116242fcf571ecce16c2c8cf2789862d.html","mipUrl": "https://www.med-credit.org.cn/mobile/jingxuan/2/116242fcf571ecce16c2c8cf2789862d.html","fromSrc": "欢乐橙","datePublished": "2023-02-15T16:41:09","domain": "医疗","category": ["医疗权威文章合作"],"description": "沙粒肿又称睑板腺囊肿,早期无明显症状,一般表现为眼睑皮下圆形肿块,无明显压痛,病灶对应睑结膜片状充血。
","extra_headline": [""]},"Author": {"name": "钟一凡","wapUrl": "https://www.med-credit.org.cn/doctor/521","pcUrl": "https://www.med-credit.org.cn/doctor/521","jobTitle": "主治医师","headPortrait": "https://www.med-credit.org.cn/uploadfile/member/521/180x180.jpeg","id": "521","description": "钟一凡,中国医科大学附属第一医院眼科主治医师","memberOf": {"legalName": "中国医科大学附属第一医院","department": "眼科","organizationLevel": "三级甲等"}},"Article": {"summaryContent": "沙粒肿又称睑板腺囊肿,早期无明显症状,一般表现为眼睑皮下圆形肿块,无明显压痛,病灶对应睑结膜片状充血。
治疗时可以选择热敷、理疗按摩或者手术的方式。

睑板腺囊肿早期无明显症状,其表现为眼睑皮下圆形肿块,大小不一。小的囊肿经仔细触摸才能发现。较大者可使皮肤隆起,但与皮肤无粘连。大的肿块可压迫眼球,产生散光而使视力下降,肿块一般无明显压痛。翻转眼睑,病灶相应的睑结膜面见片状充血,紫红色或灰蓝色。囊肿偶可溃破,排出胶样内容物后,在睑结膜面形成息肉样肉芽。
早期较小的睑板腺囊肿,可通过热敷或者理疗按摩疗法,促进消散吸收。若睑板腺囊肿长期不能消退,且睑板腺囊肿影响视力及外观的患者,应当进行手术切除。手术在局麻或全麻下进行,用刮匙将囊肿内容物刮除干净,分离后部囊壁并完整摘除囊肿,以防复发。
","articleBody": "沙粒肿又称睑板腺囊肿,早期无明显症状,一般表现为眼睑皮下圆形肿块,无明显压痛,病灶对应睑结膜片状充血。
治疗时可以选择热敷、理疗按摩或者手术的方式。

睑板腺囊肿早期无明显症状,其表现为眼睑皮下圆形肿块,大小不一。小的囊肿经仔细触摸才能发现。较大者可使皮肤隆起,但与皮肤无粘连。大的肿块可压迫眼球,产生散光而使视力下降,肿块一般无明显压痛。翻转眼睑,病灶相应的睑结膜面见片状充血,紫红色或灰蓝色。囊肿偶可溃破,排出胶样内容物后,在睑结膜面形成息肉样肉芽。
早期较小的睑板腺囊肿,可通过热敷或者理疗按摩疗法,促进消散吸收。若睑板腺囊肿长期不能消退,且睑板腺囊肿影响视力及外观的患者,应当进行手术切除。手术在局麻或全麻下进行,用刮匙将囊肿内容物刮除干净,分离后部囊壁并完整摘除囊肿,以防复发。
","scanCount": 32827}}} {"@context": "https://ziyuan.baidu.com/contexts/cambrian.jsonld","appid": "1650708455561748","icon": "https://www.med-credit.org.cn/style/images/ttlogo.png","content_tag": ["atlas"],"is_mcn": {"thumb_id": "x5e7zgbw"},"accid": "4886d626a2804dee5f11168793ce361672f39c25","@id": "https://www.med-credit.org.cn/mobile/jingxuan/2/b55c68fa8e1b759f178045dac20ea49e.html","bagWordId": "783_1598581061736992768","title": "针眼引流图片","pubDate": "2023-02-15T16:41:09","upDate": "2023-02-15T16:41:09","lrDate": "2023-02-15T16:41:09","description": "针眼在医学上叫做麦粒肿,是一种皮脂腺和睑板腺的急性化脓性炎症,当其化脓后可有红肿热痛的炎症反应。","data": {"WebPage": {"headline": "针眼引流图片","pcUrl": "https://www.med-credit.org.cn/jingxuan/2/b55c68fa8e1b759f178045dac20ea49e.html","wapUrl": "https://www.med-credit.org.cn/jingxuan/2/b55c68fa8e1b759f178045dac20ea49e.html","mipUrl": "https://www.med-credit.org.cn/mobile/jingxuan/2/b55c68fa8e1b759f178045dac20ea49e.html","fromSrc": "欢乐橙","datePublished": "2023-02-15T16:41:09","domain": "医疗","category": ["医疗权威文章合作"],"description": "针眼在医学上叫做麦粒肿,是一种皮脂腺和睑板腺的急性化脓性炎症,当其化脓后可有红肿热痛的炎症反应。
","extra_headline": [""]},"Author": {"name": "钟一凡","wapUrl": "https://www.med-credit.org.cn/doctor/521","pcUrl": "https://www.med-credit.org.cn/doctor/521","jobTitle": "主治医师","headPortrait": "https://www.med-credit.org.cn/uploadfile/member/521/180x180.jpeg","id": "521","description": "钟一凡,中国医科大学附属第一医院眼科主治医师","memberOf": {"legalName": "中国医科大学附属第一医院","department": "眼科","organizationLevel": "三级甲等"}},"Article": {"summaryContent": "针眼在医学上叫做麦粒肿,是一种皮脂腺和睑板腺的急性化脓性炎症,当其化脓后可有红肿热痛的炎症反应。
若脓液不多,麦粒肿2到3周内可完全治愈,但若脓液较多,可能需要1到2个月才能恢复。在平时需注意用眼习惯以及眼部卫生。

麦粒肿化脓的症状主要表现为红肿,同时伴有疼痛以及发热感,麦粒肿顶部可见白色脓尖。当炎症得到控制,脓液集聚形成波动感后,将其切开引流,如果脓腔小,同时脓液不多,1至2天内基本没有大量脓液流出,2到3周内可完全治愈,麦粒肿将逐渐消失。如果脓腔比较大,即使每天更换引流条,还是有太多的脓流出,脓液可能需要1到2个月才能逐渐清除,麦粒肿也可能逐渐消失。
不要用不干净的手、手帕及毛巾等擦眼睛,以防细菌感染。患者应注意平时用眼习惯,避免长时间用眼,少看手机、电脑、电视等电子设备。
","articleBody": "针眼在医学上叫做麦粒肿,是一种皮脂腺和睑板腺的急性化脓性炎症,当其化脓后可有红肿热痛的炎症反应。
若脓液不多,麦粒肿2到3周内可完全治愈,但若脓液较多,可能需要1到2个月才能恢复。在平时需注意用眼习惯以及眼部卫生。

麦粒肿化脓的症状主要表现为红肿,同时伴有疼痛以及发热感,麦粒肿顶部可见白色脓尖。当炎症得到控制,脓液集聚形成波动感后,将其切开引流,如果脓腔小,同时脓液不多,1至2天内基本没有大量脓液流出,2到3周内可完全治愈,麦粒肿将逐渐消失。如果脓腔比较大,即使每天更换引流条,还是有太多的脓流出,脓液可能需要1到2个月才能逐渐清除,麦粒肿也可能逐渐消失。
不要用不干净的手、手帕及毛巾等擦眼睛,以防细菌感染。患者应注意平时用眼习惯,避免长时间用眼,少看手机、电脑、电视等电子设备。
","scanCount": 32826}}} {"@context": "https://ziyuan.baidu.com/contexts/cambrian.jsonld","appid": "1650708455561748","icon": "https://www.med-credit.org.cn/style/images/ttlogo.png","content_tag": ["atlas"],"is_mcn": {"thumb_id": "x5e7zgbw"},"accid": "4886d626a2804dee5f11168793ce361672f39c25","@id": "https://www.med-credit.org.cn/mobile/jingxuan/2/0e9bc64a09dddca8a552c99e2fae55a2.html","bagWordId": "783_1598581061850238976","title": "睑裂斑炎图片","pubDate": "2023-02-15T16:41:09","upDate": "2023-02-15T16:41:09","lrDate": "2023-02-15T16:41:09","description": "睑裂斑是位于睑裂区角巩膜缘连接处的黄色结节,多见于鼻侧,内含黄色透明弹性组织。","data": {"WebPage": {"headline": "睑裂斑炎图片","pcUrl": "https://www.med-credit.org.cn/jingxuan/2/0e9bc64a09dddca8a552c99e2fae55a2.html","wapUrl": "https://www.med-credit.org.cn/jingxuan/2/0e9bc64a09dddca8a552c99e2fae55a2.html","mipUrl": "https://www.med-credit.org.cn/mobile/jingxuan/2/0e9bc64a09dddca8a552c99e2fae55a2.html","fromSrc": "欢乐橙","datePublished": "2023-02-15T16:41:09","domain": "医疗","category": ["医疗权威文章合作"],"description": "睑裂斑是位于睑裂区角巩膜缘连接处的黄色结节,多见于鼻侧,内含黄色透明弹性组织。
","extra_headline": [""]},"Author": {"name": "钟一凡","wapUrl": "https://www.med-credit.org.cn/doctor/521","pcUrl": "https://www.med-credit.org.cn/doctor/521","jobTitle": "主治医师","headPortrait": "https://www.med-credit.org.cn/uploadfile/member/521/180x180.jpeg","id": "521","description": "钟一凡,中国医科大学附属第一医院眼科主治医师","memberOf": {"legalName": "中国医科大学附属第一医院","department": "眼科","organizationLevel": "三级甲等"}},"Article": {"summaryContent": "睑裂斑是位于睑裂区角巩膜缘连接处的黄色结节,多见于鼻侧,内含黄色透明弹性组织。
睑裂斑炎往往就会有局部的充血水肿,有眼睛的异物感,同时伴有眼痒症状。

1、典型症状:睑裂斑典型症状是球结膜处有三角形隆起斑块,病变多呈灰色或者黄白色。三角形隆起斑块在眼睑裂部靠近角膜球结膜处有三角形黄白色或灰色隆起斑块。
2、炎性表现:主要有结膜充血水肿、发红以及表面粗糙、异物感、畏光的表现,可伴有眼痒症状。应该在医生指导下积极的用眼药水和眼药膏治疗,局部不要热敷,保持眼睛的清洁,不要用脏手揉眼睛,不要熬夜,避免过度用眼。如果眼睑闭合不全,应该积极的治疗,避免造成角膜的损害。睑裂斑如果影响患者的美观,可以考虑手术切除。
","articleBody": "睑裂斑是位于睑裂区角巩膜缘连接处的黄色结节,多见于鼻侧,内含黄色透明弹性组织。
睑裂斑炎往往就会有局部的充血水肿,有眼睛的异物感,同时伴有眼痒症状。

1、典型症状:睑裂斑典型症状是球结膜处有三角形隆起斑块,病变多呈灰色或者黄白色。三角形隆起斑块在眼睑裂部靠近角膜球结膜处有三角形黄白色或灰色隆起斑块。
2、炎性表现:主要有结膜充血水肿、发红以及表面粗糙、异物感、畏光的表现,可伴有眼痒症状。应该在医生指导下积极的用眼药水和眼药膏治疗,局部不要热敷,保持眼睛的清洁,不要用脏手揉眼睛,不要熬夜,避免过度用眼。如果眼睑闭合不全,应该积极的治疗,避免造成角膜的损害。睑裂斑如果影响患者的美观,可以考虑手术切除。
","scanCount": 32825}}} {"@context": "https://ziyuan.baidu.com/contexts/cambrian.jsonld","appid": "1650708455561748","icon": "https://www.med-credit.org.cn/style/images/ttlogo.png","content_tag": ["atlas"],"is_mcn": {"thumb_id": "x5e7zgbw"},"accid": "4886d626a2804dee5f11168793ce361672f39c25","@id": "https://www.med-credit.org.cn/mobile/jingxuan/2/c4a9cd5e95a06ebd23311f4576fc4010.html","bagWordId": "783_1598581061955096576","title": "角膜地形图怎么看","pubDate": "2023-02-15T16:41:09","upDate": "2023-02-15T16:41:09","lrDate": "2023-02-15T16:41:09","description": "角膜地形图上形状和颜色不同代表的含义也不一样,若为圆形,则代表角膜正常,若为椭圆形,则代表角膜变形。","data": {"WebPage": {"headline": "角膜地形图怎么看","pcUrl": "https://www.med-credit.org.cn/jingxuan/2/c4a9cd5e95a06ebd23311f4576fc4010.html","wapUrl": "https://www.med-credit.org.cn/jingxuan/2/c4a9cd5e95a06ebd23311f4576fc4010.html","mipUrl": "https://www.med-credit.org.cn/mobile/jingxuan/2/c4a9cd5e95a06ebd23311f4576fc4010.html","fromSrc": "欢乐橙","datePublished": "2023-02-15T16:41:09","domain": "医疗","category": ["医疗权威文章合作"],"description": "角膜地形图上形状和颜色不同代表的含义也不一样,若为圆形,则代表角膜正常,若为椭圆形,则代表角膜变形。
","extra_headline": [""]},"Author": {"name": "钟一凡","wapUrl": "https://www.med-credit.org.cn/doctor/521","pcUrl": "https://www.med-credit.org.cn/doctor/521","jobTitle": "主治医师","headPortrait": "https://www.med-credit.org.cn/uploadfile/member/521/180x180.jpeg","id": "521","description": "钟一凡,中国医科大学附属第一医院眼科主治医师","memberOf": {"legalName": "中国医科大学附属第一医院","department": "眼科","organizationLevel": "三级甲等"}},"Article": {"summaryContent": "角膜地形图上形状和颜色不同代表的含义也不一样,若为圆形,则代表角膜正常,若为椭圆形,则代表角膜变形。
角膜地形图都会用yl表示最终结果,若yl值超过300,代表着患者眼角膜出现严重的屈光不正。

角膜如果正常,在地形图上表现为圆形、呈现均匀分布。如果呈椭圆形,说明角膜变形、有散光。色彩的表现也是诊断的基础,地形图可以有不同的颜色表示,也可以有特定的颜色规格。一般来说,蓝色代表平坦部分,类似于平原一样,红色和橙色代表突出部分,类似高原和山脉,根据色彩的变化,可以对变色区域进行重点分析和检查。
角膜地形图都会用yl表示最终结果,yl后面的数据就是角膜的屈光度,数值越大表明眼角膜病变越严重,尤其当yl值超过300后,患者眼角膜出现严重的屈光不正,看东西就会有重影。此外,我们还应注意其他结果,如角膜表面的光滑度、视觉的位置偏差等,可以用来评估角膜的健康水平和帮助显示角膜损伤和老化程度。
","articleBody": "角膜地形图上形状和颜色不同代表的含义也不一样,若为圆形,则代表角膜正常,若为椭圆形,则代表角膜变形。
角膜地形图都会用yl表示最终结果,若yl值超过300,代表着患者眼角膜出现严重的屈光不正。

角膜如果正常,在地形图上表现为圆形、呈现均匀分布。如果呈椭圆形,说明角膜变形、有散光。色彩的表现也是诊断的基础,地形图可以有不同的颜色表示,也可以有特定的颜色规格。一般来说,蓝色代表平坦部分,类似于平原一样,红色和橙色代表突出部分,类似高原和山脉,根据色彩的变化,可以对变色区域进行重点分析和检查。
角膜地形图都会用yl表示最终结果,yl后面的数据就是角膜的屈光度,数值越大表明眼角膜病变越严重,尤其当yl值超过300后,患者眼角膜出现严重的屈光不正,看东西就会有重影。此外,我们还应注意其他结果,如角膜表面的光滑度、视觉的位置偏差等,可以用来评估角膜的健康水平和帮助显示角膜损伤和老化程度。
","scanCount": 32824}}} {"@context": "https://ziyuan.baidu.com/contexts/cambrian.jsonld","appid": "1650708455561748","icon": "https://www.med-credit.org.cn/style/images/ttlogo.png","content_tag": ["atlas"],"is_mcn": {"thumb_id": "x5e7zgbw"},"accid": "4886d626a2804dee5f11168793ce361672f39c25","@id": "https://www.med-credit.org.cn/mobile/jingxuan/2/1f620250d70e96f3caeeb6c0d6822cb9.html","bagWordId": "783_1598581062282252288","title": "过敏性结膜炎水肿图","pubDate": "2023-02-15T16:41:09","upDate": "2023-02-15T16:41:09","lrDate": "2023-02-15T16:41:09","description": "过敏性结膜炎水肿主要症状有眼睛发痒、畏光和流泪、结膜充血、视力下降等。","data": {"WebPage": {"headline": "过敏性结膜炎水肿图","pcUrl": "https://www.med-credit.org.cn/jingxuan/2/1f620250d70e96f3caeeb6c0d6822cb9.html","wapUrl": "https://www.med-credit.org.cn/jingxuan/2/1f620250d70e96f3caeeb6c0d6822cb9.html","mipUrl": "https://www.med-credit.org.cn/mobile/jingxuan/2/1f620250d70e96f3caeeb6c0d6822cb9.html","fromSrc": "欢乐橙","datePublished": "2023-02-15T16:41:09","domain": "医疗","category": ["医疗权威文章合作"],"description": "过敏性结膜炎水肿主要症状有眼睛发痒、畏光和流泪、结膜充血、视力下降等。
","extra_headline": [""]},"Author": {"name": "钟一凡","wapUrl": "https://www.med-credit.org.cn/doctor/521","pcUrl": "https://www.med-credit.org.cn/doctor/521","jobTitle": "主治医师","headPortrait": "https://www.med-credit.org.cn/uploadfile/member/521/180x180.jpeg","id": "521","description": "钟一凡,中国医科大学附属第一医院眼科主治医师","memberOf": {"legalName": "中国医科大学附属第一医院","department": "眼科","organizationLevel": "三级甲等"}},"Article": {"summaryContent": "过敏性结膜炎水肿主要症状有眼睛发痒、畏光和流泪、结膜充血、视力下降等。
过敏性结膜炎水肿患者需远离过敏原,并在医生的指导下选择合适的药物进行治疗。

过敏性结膜炎水肿最典型的症状之一就是眼部瘙痒不适,尤其是在夜间不适感会加重;同时眼部会有畏光、易流泪的症状,伴有明显的灼热不适感。其次,眼部分泌物增多,而且大部分是粘稠的丝状分泌物。结膜充血水肿也是过敏性结膜炎非常常见的症状,而且会随着病情的加重而不断加重,患者的眼睛会有轻微的疼痛、灼热等不适感。而对于一些严重过敏性结膜炎水肿的患者,会伴随视力下降、视力模糊的表现。
患者在生活中需要注意远离过敏原,并用洗眼液或清水冲洗眼睛。同时可在医生的指导下使用抗过敏药物进行治疗,如色甘酸钠滴眼液等,过敏反应严重时,患者还可遵医嘱口服氯雷他定等抗过敏药物进行治疗。
","articleBody": "过敏性结膜炎水肿主要症状有眼睛发痒、畏光和流泪、结膜充血、视力下降等。
过敏性结膜炎水肿患者需远离过敏原,并在医生的指导下选择合适的药物进行治疗。

过敏性结膜炎水肿最典型的症状之一就是眼部瘙痒不适,尤其是在夜间不适感会加重;同时眼部会有畏光、易流泪的症状,伴有明显的灼热不适感。其次,眼部分泌物增多,而且大部分是粘稠的丝状分泌物。结膜充血水肿也是过敏性结膜炎非常常见的症状,而且会随着病情的加重而不断加重,患者的眼睛会有轻微的疼痛、灼热等不适感。而对于一些严重过敏性结膜炎水肿的患者,会伴随视力下降、视力模糊的表现。
患者在生活中需要注意远离过敏原,并用洗眼液或清水冲洗眼睛。同时可在医生的指导下使用抗过敏药物进行治疗,如色甘酸钠滴眼液等,过敏反应严重时,患者还可遵医嘱口服氯雷他定等抗过敏药物进行治疗。
","scanCount": 32822}}} {"@context": "https://ziyuan.baidu.com/contexts/cambrian.jsonld","appid": "1650708455561748","icon": "https://www.med-credit.org.cn/style/images/ttlogo.png","content_tag": ["atlas"],"is_mcn": {"thumb_id": "x5e7zgbw"},"accid": "4886d626a2804dee5f11168793ce361672f39c25","@id": "https://www.med-credit.org.cn/mobile/jingxuan/2/28f9c512c618e9d14f97f1458536ecd1.html","bagWordId": "783_1598581062340972544","title": "眼静脉位置示意图","pubDate": "2023-02-15T16:41:09","upDate": "2023-02-15T16:41:09","lrDate": "2023-02-15T16:41:09","description": "眼静脉主要有眼上静脉、眼下静脉、视网膜中央静脉、涡静脉、睫前静脉。","data": {"WebPage": {"headline": "眼静脉位置示意图","pcUrl": "https://www.med-credit.org.cn/jingxuan/2/28f9c512c618e9d14f97f1458536ecd1.html","wapUrl": "https://www.med-credit.org.cn/jingxuan/2/28f9c512c618e9d14f97f1458536ecd1.html","mipUrl": "https://www.med-credit.org.cn/mobile/jingxuan/2/28f9c512c618e9d14f97f1458536ecd1.html","fromSrc": "欢乐橙","datePublished": "2023-02-15T16:41:09","domain": "医疗","category": ["医疗权威文章合作"],"description": "眼静脉主要有眼上静脉、眼下静脉、视网膜中央静脉、涡静脉、睫前静脉。
","extra_headline": [""]},"Author": {"name": "钟一凡","wapUrl": "https://www.med-credit.org.cn/doctor/521","pcUrl": "https://www.med-credit.org.cn/doctor/521","jobTitle": "主治医师","headPortrait": "https://www.med-credit.org.cn/uploadfile/member/521/180x180.jpeg","id": "521","description": "钟一凡,中国医科大学附属第一医院眼科主治医师","memberOf": {"legalName": "中国医科大学附属第一医院","department": "眼科","organizationLevel": "三级甲等"}},"Article": {"summaryContent": "眼静脉主要有眼上静脉、眼下静脉、视网膜中央静脉、涡静脉、睫前静脉。
眼静脉负责运回血液以营养眼睛,保持眼部功能。

1、眼上静脉:眼上静脉起自眶的前内侧,向前与面静脉吻合。本静脉干与眼动脉伴行,收纳与眼动脉分支的并行静脉血,向后经眶上裂注入海绵窦。
2、眼下静脉:眼下静脉起于眼眶前下部的小静脉。通常有两支,一支经眶上裂汇入眼上静脉,另一支行向外下方,经眶下裂,注入面深静脉及翼静脉丛。
3、眼球内的静脉:
(1)视网膜中央静脉:与同名动脉伴行,收集视网膜的血液回流。
(2)涡静脉:位于眼球壁血管膜的外层,有4~6条,收集虹膜、睫状体和全部脉络膜的血液回流。
(3)睫前静脉:收集眼球前部虹膜等处的血液回流。这些静脉部汇入眼上、下静脉。眼静脉无瓣膜,向前与面静脉吻合,向后注入海绵窦,因此,面部感染可经此途径侵入颅内。
","articleBody": "眼静脉主要有眼上静脉、眼下静脉、视网膜中央静脉、涡静脉、睫前静脉。
眼静脉负责运回血液以营养眼睛,保持眼部功能。

1、眼上静脉:眼上静脉起自眶的前内侧,向前与面静脉吻合。本静脉干与眼动脉伴行,收纳与眼动脉分支的并行静脉血,向后经眶上裂注入海绵窦。
2、眼下静脉:眼下静脉起于眼眶前下部的小静脉。通常有两支,一支经眶上裂汇入眼上静脉,另一支行向外下方,经眶下裂,注入面深静脉及翼静脉丛。
3、眼球内的静脉:
(1)视网膜中央静脉:与同名动脉伴行,收集视网膜的血液回流。
(2)涡静脉:位于眼球壁血管膜的外层,有4~6条,收集虹膜、睫状体和全部脉络膜的血液回流。
(3)睫前静脉:收集眼球前部虹膜等处的血液回流。这些静脉部汇入眼上、下静脉。眼静脉无瓣膜,向前与面静脉吻合,向后注入海绵窦,因此,面部感染可经此途径侵入颅内。
","scanCount": 32821}}} {"@context": "https://ziyuan.baidu.com/contexts/cambrian.jsonld","appid": "1650708455561748","icon": "https://www.med-credit.org.cn/style/images/ttlogo.png","content_tag": ["atlas"],"is_mcn": {"thumb_id": "x5e7zgbw"},"accid": "4886d626a2804dee5f11168793ce361672f39c25","@id": "https://www.med-credit.org.cn/mobile/jingxuan/2/c6e2b1bffe8100669eb9393d01f4c480.html","bagWordId": "783_1598581062450024448","title": "眼角皮脂腺囊肿图片","pubDate": "2023-02-15T16:41:09","upDate": "2023-02-15T16:41:09","lrDate": "2023-02-15T16:41:09","description": "眼角皮脂腺囊肿表现为皮肤上出现圆形肿物,硬度中等或有弹性,表面光滑,无波动感,有时表面可见皮脂腺开口受阻塞的小黑点。","data": {"WebPage": {"headline": "眼角皮脂腺囊肿图片","pcUrl": "https://www.med-credit.org.cn/jingxuan/2/c6e2b1bffe8100669eb9393d01f4c480.html","wapUrl": "https://www.med-credit.org.cn/jingxuan/2/c6e2b1bffe8100669eb9393d01f4c480.html","mipUrl": "https://www.med-credit.org.cn/mobile/jingxuan/2/c6e2b1bffe8100669eb9393d01f4c480.html","fromSrc": "欢乐橙","datePublished": "2023-02-15T16:41:09","domain": "医疗","category": ["医疗权威文章合作"],"description": "眼角皮脂腺囊肿表现为皮肤上出现圆形肿物,硬度中等或有弹性,表面光滑,无波动感,有时表面可见皮脂腺开口受阻塞的小黑点。
","extra_headline": [""]},"Author": {"name": "钟一凡","wapUrl": "https://www.med-credit.org.cn/doctor/521","pcUrl": "https://www.med-credit.org.cn/doctor/521","jobTitle": "主治医师","headPortrait": "https://www.med-credit.org.cn/uploadfile/member/521/180x180.jpeg","id": "521","description": "钟一凡,中国医科大学附属第一医院眼科主治医师","memberOf": {"legalName": "中国医科大学附属第一医院","department": "眼科","organizationLevel": "三级甲等"}},"Article": {"summaryContent": "眼角皮脂腺囊肿表现为皮肤上出现圆形肿物,硬度中等或有弹性,表面光滑,无波动感,有时表面可见皮脂腺开口受阻塞的小黑点。
若眼角皮脂腺囊肿无症状时可不治疗,若需治疗,一般以手术切除为主。在日常生活中要注意饮食以及个人卫生,可适当进行体育锻炼。

1、症状:多发于皮脂腺分布密集的头面,呈圆形,中等硬度或有弹性,无波动感,高出皮面,表面光滑,边界清晰。生长缓慢,大小体积不等,小的如米粒,大的如鸡蛋等。与皮肤粘连,底部与皮下组织没有粘连,有时表面可见皮脂腺开口受阻塞的小黑点,若按压周边可有白色溢出物,伴恶臭。
2、治疗:无症状时可不治疗,保持饮食健康,不吃油腻、刺激性食物,注意皮肤清洁和局部护理注意随访观察。皮脂腺囊肿易发感染,治疗以手术切除囊肿为主。
做好个人卫生,注意皮肤清洁。适当进行体育锻炼,增强体质,提高机体抵抗力。
","articleBody": "眼角皮脂腺囊肿表现为皮肤上出现圆形肿物,硬度中等或有弹性,表面光滑,无波动感,有时表面可见皮脂腺开口受阻塞的小黑点。
若眼角皮脂腺囊肿无症状时可不治疗,若需治疗,一般以手术切除为主。在日常生活中要注意饮食以及个人卫生,可适当进行体育锻炼。

1、症状:多发于皮脂腺分布密集的头面,呈圆形,中等硬度或有弹性,无波动感,高出皮面,表面光滑,边界清晰。生长缓慢,大小体积不等,小的如米粒,大的如鸡蛋等。与皮肤粘连,底部与皮下组织没有粘连,有时表面可见皮脂腺开口受阻塞的小黑点,若按压周边可有白色溢出物,伴恶臭。
2、治疗:无症状时可不治疗,保持饮食健康,不吃油腻、刺激性食物,注意皮肤清洁和局部护理注意随访观察。皮脂腺囊肿易发感染,治疗以手术切除囊肿为主。
做好个人卫生,注意皮肤清洁。适当进行体育锻炼,增强体质,提高机体抵抗力。
","scanCount": 32820}}} {"@context": "https://ziyuan.baidu.com/contexts/cambrian.jsonld","appid": "1650708455561748","icon": "https://www.med-credit.org.cn/style/images/ttlogo.png","content_tag": ["atlas"],"is_mcn": {"thumb_id": "x5e7zgbw"},"accid": "4886d626a2804dee5f11168793ce361672f39c25","@id": "https://www.med-credit.org.cn/mobile/jingxuan/2/df7ea3f5f426aa7b3239eeb4daa05424.html","bagWordId": "783_1598581062726848512","title": "单纯疱疹眼睑炎图片","pubDate": "2023-02-15T16:41:09","upDate": "2023-02-15T16:41:09","lrDate": "2023-02-15T16:41:09","description": "单纯疱疹眼睑炎一般表现为眼睑局部的皮肤出现丘疹或者透明的水疱。","data": {"WebPage": {"headline": "单纯疱疹眼睑炎图片","pcUrl": "https://www.med-credit.org.cn/jingxuan/2/df7ea3f5f426aa7b3239eeb4daa05424.html","wapUrl": "https://www.med-credit.org.cn/jingxuan/2/df7ea3f5f426aa7b3239eeb4daa05424.html","mipUrl": "https://www.med-credit.org.cn/mobile/jingxuan/2/df7ea3f5f426aa7b3239eeb4daa05424.html","fromSrc": "欢乐橙","datePublished": "2023-02-15T16:41:09","domain": "医疗","category": ["医疗权威文章合作"],"description": "单纯疱疹眼睑炎一般表现为眼睑局部的皮肤出现丘疹或者透明的水疱。
","extra_headline": [""]},"Author": {"name": "钟一凡","wapUrl": "https://www.med-credit.org.cn/doctor/521","pcUrl": "https://www.med-credit.org.cn/doctor/521","jobTitle": "主治医师","headPortrait": "https://www.med-credit.org.cn/uploadfile/member/521/180x180.jpeg","id": "521","description": "钟一凡,中国医科大学附属第一医院眼科主治医师","memberOf": {"legalName": "中国医科大学附属第一医院","department": "眼科","organizationLevel": "三级甲等"}},"Article": {"summaryContent": "单纯疱疹眼睑炎一般表现为眼睑局部的皮肤出现丘疹或者透明的水疱。
单纯疱疹眼睑炎水泡未破是不需要治疗的,当疱疹出现破溃可以通过滴眼液治疗、外用眼膏治疗、局部治疗等方法来缓解。

1、症状:单纯疱疹眼睑炎患者的一般表现主要为眼睛明显充血和发红,有强烈的异物感和刺痛感,以及畏光、流泪、视力下降等症状。用显微镜放大后,可以看到角膜上有树突状和地图状的不规则病变。
2、治疗:治疗时对于轻症的疱疹性眼睑炎患者可采用外用滴眼液治疗,在医生的指导下使用阿昔洛韦眼药水、氧氟沙星眼药水、地塞米松磷酸钠滴眼液等,这能起到消肿、止痛的疗效,更好地改善患者的病情,也可以外用眼膏治疗,例如金霉素软膏,可以改善疱疹性眼睑炎患者的病情。用药后注意眼部卫生,可有效预防感染等情况的出现。除此之外,单纯疱疹性眼睑炎应重视局部治疗,积极控制感染,可在眼睑局部使用抗生素溶液以及眼药,严重者可在结膜下注射或是全身用药,对于深层的眼睑炎患者可以加用皮质滴眼药物来治疗,但要遵医嘱用药。
","articleBody": "单纯疱疹眼睑炎一般表现为眼睑局部的皮肤出现丘疹或者透明的水疱。
单纯疱疹眼睑炎水泡未破是不需要治疗的,当疱疹出现破溃可以通过滴眼液治疗、外用眼膏治疗、局部治疗等方法来缓解。

1、症状:单纯疱疹眼睑炎患者的一般表现主要为眼睛明显充血和发红,有强烈的异物感和刺痛感,以及畏光、流泪、视力下降等症状。用显微镜放大后,可以看到角膜上有树突状和地图状的不规则病变。
2、治疗:治疗时对于轻症的疱疹性眼睑炎患者可采用外用滴眼液治疗,在医生的指导下使用阿昔洛韦眼药水、氧氟沙星眼药水、地塞米松磷酸钠滴眼液等,这能起到消肿、止痛的疗效,更好地改善患者的病情,也可以外用眼膏治疗,例如金霉素软膏,可以改善疱疹性眼睑炎患者的病情。用药后注意眼部卫生,可有效预防感染等情况的出现。除此之外,单纯疱疹性眼睑炎应重视局部治疗,积极控制感染,可在眼睑局部使用抗生素溶液以及眼药,严重者可在结膜下注射或是全身用药,对于深层的眼睑炎患者可以加用皮质滴眼药物来治疗,但要遵医嘱用药。
","scanCount": 32818}}} {"@context": "https://ziyuan.baidu.com/contexts/cambrian.jsonld","appid": "1650708455561748","icon": "https://www.med-credit.org.cn/style/images/ttlogo.png","content_tag": ["atlas"],"is_mcn": {"thumb_id": "x5e7zgbw"},"accid": "4886d626a2804dee5f11168793ce361672f39c25","@id": "https://www.med-credit.org.cn/mobile/jingxuan/2/eac8e0d06e9df04c58aba7f50c370288.html","bagWordId": "783_1598581062789763072","title": "内眼睑水肿图片","pubDate": "2023-02-15T16:41:09","upDate": "2023-02-15T16:41:09","lrDate": "2023-02-15T16:41:09","description": "内眼睑水肿是眼睑皮下组织中有液体潴留,表现为眼部皮肤紧张、光亮感。","data": {"WebPage": {"headline": "内眼睑水肿图片","pcUrl": "https://www.med-credit.org.cn/jingxuan/2/eac8e0d06e9df04c58aba7f50c370288.html","wapUrl": "https://www.med-credit.org.cn/jingxuan/2/eac8e0d06e9df04c58aba7f50c370288.html","mipUrl": "https://www.med-credit.org.cn/mobile/jingxuan/2/eac8e0d06e9df04c58aba7f50c370288.html","fromSrc": "欢乐橙","datePublished": "2023-02-15T16:41:09","domain": "医疗","category": ["医疗权威文章合作"],"description": "内眼睑水肿是眼睑皮下组织中有液体潴留,表现为眼部皮肤紧张、光亮感。
","extra_headline": [""]},"Author": {"name": "钟一凡","wapUrl": "https://www.med-credit.org.cn/doctor/521","pcUrl": "https://www.med-credit.org.cn/doctor/521","jobTitle": "主治医师","headPortrait": "https://www.med-credit.org.cn/uploadfile/member/521/180x180.jpeg","id": "521","description": "钟一凡,中国医科大学附属第一医院眼科主治医师","memberOf": {"legalName": "中国医科大学附属第一医院","department": "眼科","organizationLevel": "三级甲等"}},"Article": {"summaryContent": "内眼睑水肿是眼睑皮下组织中有液体潴留,表现为眼部皮肤紧张、光亮感。
根据内眼睑水肿的原因分为炎性水肿和非炎性水肿,患者可在医生指导下进行治疗。

1、炎性水肿:炎性水肿为局部原因,眼睑炎症或附近组织炎症如眼睑疖肿、睑腺炎、睑皮肤炎、泪囊炎、眶蜂窝织炎、丹毒、严重的急性结膜炎、鼻窦炎等,主要表现为眼睑皮肤红、肿、疼痛、局部皮肤温度升高,有时可有压痛,可伴有淋巴结肿大,严重者全身畏寒、发热。
治疗时需要根据具体的病因进行相应的治疗,如结膜炎为细菌感染引起,可在医生指导下应用妥布霉素滴眼液、氧氟沙星滴眼液等抗生素类的眼药,如果为病毒感染引起,可在医生指导下应用更昔洛韦滴眼液、阿昔洛韦滴眼液等抗病毒的眼药,同时也可以适当进行局部热敷,有助于炎症的消退。
2、非炎性水肿:非炎性为血液或淋巴液回流受阻,局部原因如睑内肿物,也可多见一些全身疾病如心脏疾病、肾病、贫血等,非炎性水肿的患者皮肤表现为苍白,有时按压有凹陷,这种情况不建议在家用药,建议及时到医院就诊。
","articleBody": "内眼睑水肿是眼睑皮下组织中有液体潴留,表现为眼部皮肤紧张、光亮感。
根据内眼睑水肿的原因分为炎性水肿和非炎性水肿,患者可在医生指导下进行治疗。

1、炎性水肿:炎性水肿为局部原因,眼睑炎症或附近组织炎症如眼睑疖肿、睑腺炎、睑皮肤炎、泪囊炎、眶蜂窝织炎、丹毒、严重的急性结膜炎、鼻窦炎等,主要表现为眼睑皮肤红、肿、疼痛、局部皮肤温度升高,有时可有压痛,可伴有淋巴结肿大,严重者全身畏寒、发热。
治疗时需要根据具体的病因进行相应的治疗,如结膜炎为细菌感染引起,可在医生指导下应用妥布霉素滴眼液、氧氟沙星滴眼液等抗生素类的眼药,如果为病毒感染引起,可在医生指导下应用更昔洛韦滴眼液、阿昔洛韦滴眼液等抗病毒的眼药,同时也可以适当进行局部热敷,有助于炎症的消退。
2、非炎性水肿:非炎性为血液或淋巴液回流受阻,局部原因如睑内肿物,也可多见一些全身疾病如心脏疾病、肾病、贫血等,非炎性水肿的患者皮肤表现为苍白,有时按压有凹陷,这种情况不建议在家用药,建议及时到医院就诊。
","scanCount": 32817}}} {"@context": "https://ziyuan.baidu.com/contexts/cambrian.jsonld","appid": "1650708455561748","icon": "https://www.med-credit.org.cn/style/images/ttlogo.png","content_tag": ["atlas"],"is_mcn": {"thumb_id": "x5e7zgbw"},"accid": "4886d626a2804dee5f11168793ce361672f39c25","@id": "https://www.med-credit.org.cn/mobile/jingxuan/2/f956fc1b46fbbbfe0c61bdbe74ffdb17.html","bagWordId": "783_1598581062848483328","title": "眼皮上长睑黄疣图片","pubDate": "2023-02-15T16:41:09","upDate": "2023-02-15T16:41:09","lrDate": "2023-02-15T16:41:09","description": "睑黄疣又称眼睑黄色瘤,是黄瘤的普通型,为脂质代谢障碍性疾病之一。","data": {"WebPage": {"headline": "眼皮上长睑黄疣图片","pcUrl": "https://www.med-credit.org.cn/jingxuan/2/f956fc1b46fbbbfe0c61bdbe74ffdb17.html","wapUrl": "https://www.med-credit.org.cn/jingxuan/2/f956fc1b46fbbbfe0c61bdbe74ffdb17.html","mipUrl": "https://www.med-credit.org.cn/mobile/jingxuan/2/f956fc1b46fbbbfe0c61bdbe74ffdb17.html","fromSrc": "欢乐橙","datePublished": "2023-02-15T16:41:09","domain": "医疗","category": ["医疗权威文章合作"],"description": "睑黄疣又称眼睑黄色瘤,是黄瘤的普通型,为脂质代谢障碍性疾病之一。
","extra_headline": [""]},"Author": {"name": "钟一凡","wapUrl": "https://www.med-credit.org.cn/doctor/521","pcUrl": "https://www.med-credit.org.cn/doctor/521","jobTitle": "主治医师","headPortrait": "https://www.med-credit.org.cn/uploadfile/member/521/180x180.jpeg","id": "521","description": "钟一凡,中国医科大学附属第一医院眼科主治医师","memberOf": {"legalName": "中国医科大学附属第一医院","department": "眼科","organizationLevel": "三级甲等"}},"Article": {"summaryContent": "睑黄疣又称眼睑黄色瘤,是黄瘤的普通型,为脂质代谢障碍性疾病之一。
眼睑黄色瘤的特征主要为橘黄色斑或斑块、无自觉症状、不断增长等。

1.橘黄色斑或斑块:脂蛋白代谢障碍、含量增高或结构异常时,过高的血浆脂质可能会促使脂质在组织中沉积,组织细胞吞噬沉积在组织中的脂质,从而形成黄瘤细胞,表现为橘黄色斑或斑块。
2.无自觉症状:眼睑黄色瘤是脂质沉积于眼睑部位而引起的,在黄瘤组织中常含有脂肪细胞和巨噬细胞,并可伴有全身的脂代谢异常,本病无自觉症状,主要影响患者的外貌。
3.不断增长:眼睑黄色瘤的主要病因是胆固醇、甘油三酯、磷脂等过度升高或局部沉积,如果患者使用激素类药物、食用油腻食物或过度肥胖等可导致体内脂质代谢紊乱,可能会刺激血浆蛋白异常或组织细胞异常增生,使得眼睑黄色瘤不断增长。
","articleBody": "睑黄疣又称眼睑黄色瘤,是黄瘤的普通型,为脂质代谢障碍性疾病之一。
眼睑黄色瘤的特征主要为橘黄色斑或斑块、无自觉症状、不断增长等。

1.橘黄色斑或斑块:脂蛋白代谢障碍、含量增高或结构异常时,过高的血浆脂质可能会促使脂质在组织中沉积,组织细胞吞噬沉积在组织中的脂质,从而形成黄瘤细胞,表现为橘黄色斑或斑块。
2.无自觉症状:眼睑黄色瘤是脂质沉积于眼睑部位而引起的,在黄瘤组织中常含有脂肪细胞和巨噬细胞,并可伴有全身的脂代谢异常,本病无自觉症状,主要影响患者的外貌。
3.不断增长:眼睑黄色瘤的主要病因是胆固醇、甘油三酯、磷脂等过度升高或局部沉积,如果患者使用激素类药物、食用油腻食物或过度肥胖等可导致体内脂质代谢紊乱,可能会刺激血浆蛋白异常或组织细胞异常增生,使得眼睑黄色瘤不断增长。
","scanCount": 32816}}} {"@context": "https://ziyuan.baidu.com/contexts/cambrian.jsonld","appid": "1650708455561748","icon": "https://www.med-credit.org.cn/style/images/ttlogo.png","content_tag": ["atlas"],"is_mcn": {"thumb_id": "x5e7zgbw"},"accid": "4886d626a2804dee5f11168793ce361672f39c25","@id": "https://www.med-credit.org.cn/mobile/jingxuan/2/f7fab1fff7560e68783ec701d6d5bc7b.html","bagWordId": "783_1598581063137890304","title": "一笑眼睛下面有肉凸起图片","pubDate": "2023-02-15T16:41:09","upDate": "2023-02-15T16:41:09","lrDate": "2023-02-15T16:41:09","description": "一笑眼睛下面有肉凸起是正常的生理结构,也可能是眼袋。","data": {"WebPage": {"headline": "一笑眼睛下面有肉凸起图片","pcUrl": "https://www.med-credit.org.cn/jingxuan/2/f7fab1fff7560e68783ec701d6d5bc7b.html","wapUrl": "https://www.med-credit.org.cn/jingxuan/2/f7fab1fff7560e68783ec701d6d5bc7b.html","mipUrl": "https://www.med-credit.org.cn/mobile/jingxuan/2/f7fab1fff7560e68783ec701d6d5bc7b.html","fromSrc": "欢乐橙","datePublished": "2023-02-15T16:41:09","domain": "医疗","category": ["医疗权威文章合作"],"description": "一笑眼睛下面有肉凸起是正常的生理结构,也可能是眼袋。
","extra_headline": [""]},"Author": {"name": "钟一凡","wapUrl": "https://www.med-credit.org.cn/doctor/521","pcUrl": "https://www.med-credit.org.cn/doctor/521","jobTitle": "主治医师","headPortrait": "https://www.med-credit.org.cn/uploadfile/member/521/180x180.jpeg","id": "521","description": "钟一凡,中国医科大学附属第一医院眼科主治医师","memberOf": {"legalName": "中国医科大学附属第一医院","department": "眼科","organizationLevel": "三级甲等"}},"Article": {"summaryContent": "一笑眼睛下面有肉凸起是正常的生理结构,也可能是眼袋。
一般不需要治疗,必要时可前往医院行医美治疗,患者还需注意日常生活护理等。

1、正常现象:当眼睛做笑容等表情动作时,下眼睑下方会有一个横型的肉条突起,凸起的横条是皮肤下面的眼轮匝肌,会随着眼部动作而显现或者消失,属于正常的生理表现,不需要治疗。
2、眼袋:如果是眼部皮肤松弛,眶内有脂肪堆积,则考虑是眼袋,主要是年龄增长的原因,另外跟经常熬夜也是有关系的,都有可能会导致眼袋的形成,但是不会给人体健康带来伤害,主要会影响到个人的美观。在眼袋症状比较严重的情况下,需要通过做激光手术的方法来治疗,这样才可以达到治愈的目的。
建议平时要少熬夜,少看手机、电脑,睡前可以热敷一下眼睛,同时也可以用有舒缓功效的眼霜,早晚做一下眼部的按摩,这样还是有一定的效果的。
","articleBody": "一笑眼睛下面有肉凸起是正常的生理结构,也可能是眼袋。
一般不需要治疗,必要时可前往医院行医美治疗,患者还需注意日常生活护理等。

1、正常现象:当眼睛做笑容等表情动作时,下眼睑下方会有一个横型的肉条突起,凸起的横条是皮肤下面的眼轮匝肌,会随着眼部动作而显现或者消失,属于正常的生理表现,不需要治疗。
2、眼袋:如果是眼部皮肤松弛,眶内有脂肪堆积,则考虑是眼袋,主要是年龄增长的原因,另外跟经常熬夜也是有关系的,都有可能会导致眼袋的形成,但是不会给人体健康带来伤害,主要会影响到个人的美观。在眼袋症状比较严重的情况下,需要通过做激光手术的方法来治疗,这样才可以达到治愈的目的。
建议平时要少熬夜,少看手机、电脑,睡前可以热敷一下眼睛,同时也可以用有舒缓功效的眼霜,早晚做一下眼部的按摩,这样还是有一定的效果的。
","scanCount": 32815}}} {"@context": "https://ziyuan.baidu.com/contexts/cambrian.jsonld","appid": "1650708455561748","icon": "https://www.med-credit.org.cn/style/images/ttlogo.png","content_tag": ["atlas"],"is_mcn": {"thumb_id": "x5e7zgbw"},"accid": "4886d626a2804dee5f11168793ce361672f39c25","@id": "https://www.med-credit.org.cn/mobile/jingxuan/2/331179653b9ed5df4c35a2d5653c09c0.html","bagWordId": "783_1598581063242747904","title": "下眼睑麦粒肿初期图片","pubDate": "2023-02-15T16:41:09","upDate": "2023-02-15T16:41:09","lrDate": "2023-02-15T16:41:09","description": "麦粒肿是睫毛毛囊附近的皮脂腺或睑板腺的急性化脓性炎症。该疾病一般表现为红、肿、热、痛以及其他症状等。","data": {"WebPage": {"headline": "下眼睑麦粒肿初期图片","pcUrl": "https://www.med-credit.org.cn/jingxuan/2/331179653b9ed5df4c35a2d5653c09c0.html","wapUrl": "https://www.med-credit.org.cn/jingxuan/2/331179653b9ed5df4c35a2d5653c09c0.html","mipUrl": "https://www.med-credit.org.cn/mobile/jingxuan/2/331179653b9ed5df4c35a2d5653c09c0.html","fromSrc": "欢乐橙","datePublished": "2023-02-15T16:41:09","domain": "医疗","category": ["医疗权威文章合作"],"description": "麦粒肿是睫毛毛囊附近的皮脂腺或睑板腺的急性化脓性炎症。该疾病一般表现为红、肿、热、痛以及其他症状等。
","extra_headline": [""]},"Author": {"name": "钟一凡","wapUrl": "https://www.med-credit.org.cn/doctor/521","pcUrl": "https://www.med-credit.org.cn/doctor/521","jobTitle": "主治医师","headPortrait": "https://www.med-credit.org.cn/uploadfile/member/521/180x180.jpeg","id": "521","description": "钟一凡,中国医科大学附属第一医院眼科主治医师","memberOf": {"legalName": "中国医科大学附属第一医院","department": "眼科","organizationLevel": "三级甲等"}},"Article": {"summaryContent": "麦粒肿是睫毛毛囊附近的皮脂腺或睑板腺的急性化脓性炎症。该疾病一般表现为红、肿、热、痛以及其他症状等。
造成麦粒肿的细菌多为金黄色葡萄球菌。患者需要及时前往医院,在医生指导下进行治疗。

下眼睑麦粒肿初期常表现为下眼睑部位出现热、痛、红、肿,到后期有脓液积聚时会出现黄色脓头,破溃排脓后疼痛会有所缓解,红肿消退。
1、卫生欠佳:使用不干净的手经常揉眼睛,导致致病菌感染眼部;
2、生活习惯欠佳:如经常熬夜、过度用眼等原因,导致机体抵抗力下降,致病菌侵袭眼部导致下眼皮麦粒肿;
3、饮食不注意:长期大量进食油炸、辛辣刺激性食物,导致腺体分泌物过多引起堵塞,诱发下眼皮麦粒肿。
下眼睑麦粒肿初期可以进行局部热敷缓解,同时眼睑和结膜囊内遵医嘱涂抗生素眼膏,如盐酸金霉素眼膏或妥布霉素地塞米松眼膏,必要时还可以口服头孢类抗生素进行治疗,如头孢克肟片、头孢地尼片等,如果后期比较严重可以通过手术治疗,在脓肿形成后手术切开脓肿引流,一般术后1周左右即可好转。
","articleBody": "麦粒肿是睫毛毛囊附近的皮脂腺或睑板腺的急性化脓性炎症。该疾病一般表现为红、肿、热、痛以及其他症状等。
造成麦粒肿的细菌多为金黄色葡萄球菌。患者需要及时前往医院,在医生指导下进行治疗。

下眼睑麦粒肿初期常表现为下眼睑部位出现热、痛、红、肿,到后期有脓液积聚时会出现黄色脓头,破溃排脓后疼痛会有所缓解,红肿消退。
1、卫生欠佳:使用不干净的手经常揉眼睛,导致致病菌感染眼部;
2、生活习惯欠佳:如经常熬夜、过度用眼等原因,导致机体抵抗力下降,致病菌侵袭眼部导致下眼皮麦粒肿;
3、饮食不注意:长期大量进食油炸、辛辣刺激性食物,导致腺体分泌物过多引起堵塞,诱发下眼皮麦粒肿。
下眼睑麦粒肿初期可以进行局部热敷缓解,同时眼睑和结膜囊内遵医嘱涂抗生素眼膏,如盐酸金霉素眼膏或妥布霉素地塞米松眼膏,必要时还可以口服头孢类抗生素进行治疗,如头孢克肟片、头孢地尼片等,如果后期比较严重可以通过手术治疗,在脓肿形成后手术切开脓肿引流,一般术后1周左右即可好转。
","scanCount": 32813}}} {"@context": "https://ziyuan.baidu.com/contexts/cambrian.jsonld","appid": "1650708455561748","icon": "https://www.med-credit.org.cn/style/images/ttlogo.png","content_tag": ["atlas"],"is_mcn": {"thumb_id": "6s1p03j8e"},"accid": "4886d626a2804dee5f11168793ce361672f39c25","@id": "https://www.med-credit.org.cn/mobile/jingxuan/2/cb36922b940aa31a0315302a031ad9eb.html","bagWordId": "783_1598581063578292224","title": "颈椎病贴耳贴位置示意图","pubDate": "2023-02-15T16:41:09","upDate": "2023-02-15T16:41:09","lrDate": "2023-02-15T16:41:09","description": "耳贴,一般指的是耳穴压豆贴压,治疗颈椎病一般是在耳穴的颈椎投影区进行治疗,能使患者耳朵感到酸麻胀或发热,刺激相应穴位,以达到治疗的效果。","data": {"WebPage": {"headline": "颈椎病贴耳贴位置示意图","pcUrl": "https://www.med-credit.org.cn/jingxuan/2/cb36922b940aa31a0315302a031ad9eb.html","wapUrl": "https://www.med-credit.org.cn/jingxuan/2/cb36922b940aa31a0315302a031ad9eb.html","mipUrl": "https://www.med-credit.org.cn/mobile/jingxuan/2/cb36922b940aa31a0315302a031ad9eb.html","fromSrc": "欢乐橙","datePublished": "2023-02-15T16:41:09","domain": "医疗","category": ["医疗权威文章合作"],"description": "耳贴,一般指的是耳穴压豆贴压,治疗颈椎病一般是在耳穴的颈椎投影区进行治疗,能使患者耳朵感到酸麻胀或发热,刺激相应穴位,以达到治疗的效果。
","extra_headline": [""]},"Author": {"name": "富灵杰","wapUrl": "https://www.med-credit.org.cn/doctor/569","pcUrl": "https://www.med-credit.org.cn/doctor/569","jobTitle": "副主任医师","headPortrait": "https://www.med-credit.org.cn/uploadfile/member/569/180x180.jpeg","id": "569","description": "富灵杰,上海交通大学医学院附属第九人民医院骨科副主任医师","memberOf": {"legalName": "上海交通大学医学院附属第九人民医院","department": "骨科","organizationLevel": "三级甲等"}},"Article": {"summaryContent": "耳贴,一般指的是耳穴压豆贴压,治疗颈椎病一般是在耳穴的颈椎投影区进行治疗,能使患者耳朵感到酸麻胀或发热,刺激相应穴位,以达到治疗的效果。
耳穴贴治疗属于保守治疗手段,不适用于所有人群,当颈椎病症状持续加重时,应当咨询医生,必要时接受手术治疗。

1、位置:耳部有投影区,属于全息疗法,即将人的整体投影到耳部。治疗颈椎病时可选择颈椎耳穴相应部位,其中主穴全选,包括神门、交感、颈椎、颈;配穴根据症状选择,包括肾、肝、脾、枕、额、缘中、枕小神经点。
2、作用:正常情况下,耳穴压豆会使患者的穴位处有酸、麻、胀、痛的感受,可促进血液循环、缓解颈部不适症状。
1、有外耳病变者不适合该疗法,如湿疹、破溃、感染。
2、注意防水、避免耳帖脱落。
3、对胶布过敏者,可用粘合纸代替。
4、对过度饥饿、疲劳、精神高度紧张、年老体弱、孕妇按压宜轻,急性疼痛性病症宜重手法强刺激,习惯性流产者慎用。
5、当颈椎病症状持续加重时,应考虑进行手术治疗。
","articleBody": "耳贴,一般指的是耳穴压豆贴压,治疗颈椎病一般是在耳穴的颈椎投影区进行治疗,能使患者耳朵感到酸麻胀或发热,刺激相应穴位,以达到治疗的效果。
耳穴贴治疗属于保守治疗手段,不适用于所有人群,当颈椎病症状持续加重时,应当咨询医生,必要时接受手术治疗。

1、位置:耳部有投影区,属于全息疗法,即将人的整体投影到耳部。治疗颈椎病时可选择颈椎耳穴相应部位,其中主穴全选,包括神门、交感、颈椎、颈;配穴根据症状选择,包括肾、肝、脾、枕、额、缘中、枕小神经点。
2、作用:正常情况下,耳穴压豆会使患者的穴位处有酸、麻、胀、痛的感受,可促进血液循环、缓解颈部不适症状。
1、有外耳病变者不适合该疗法,如湿疹、破溃、感染。
2、注意防水、避免耳帖脱落。
3、对胶布过敏者,可用粘合纸代替。
4、对过度饥饿、疲劳、精神高度紧张、年老体弱、孕妇按压宜轻,急性疼痛性病症宜重手法强刺激,习惯性流产者慎用。
5、当颈椎病症状持续加重时,应考虑进行手术治疗。
","scanCount": 32809}}} {"@context": "https://ziyuan.baidu.com/contexts/cambrian.jsonld","appid": "1650708455561748","icon": "https://www.med-credit.org.cn/style/images/ttlogo.png","content_tag": ["atlas"],"is_mcn": {"thumb_id": "6s1p03j8e"},"accid": "4886d626a2804dee5f11168793ce361672f39c25","@id": "https://www.med-credit.org.cn/mobile/jingxuan/2/4ac58902345433d92f108779a4a23823.html","bagWordId": "783_1598581063746064384","title": "神经根型颈椎病图片","pubDate": "2023-02-15T16:41:09","upDate": "2023-02-15T16:41:09","lrDate": "2023-02-15T16:41:09","description": "神经根型颈椎病因为神经根受压,表现为颈部活动受限、上肢感觉和运动功能减退等。","data": {"WebPage": {"headline": "神经根型颈椎病图片","pcUrl": "https://www.med-credit.org.cn/jingxuan/2/4ac58902345433d92f108779a4a23823.html","wapUrl": "https://www.med-credit.org.cn/jingxuan/2/4ac58902345433d92f108779a4a23823.html","mipUrl": "https://www.med-credit.org.cn/mobile/jingxuan/2/4ac58902345433d92f108779a4a23823.html","fromSrc": "欢乐橙","datePublished": "2023-02-15T16:41:09","domain": "医疗","category": ["医疗权威文章合作"],"description": "神经根型颈椎病因为神经根受压,表现为颈部活动受限、上肢感觉和运动功能减退等。
","extra_headline": [""]},"Author": {"name": "富灵杰","wapUrl": "https://www.med-credit.org.cn/doctor/569","pcUrl": "https://www.med-credit.org.cn/doctor/569","jobTitle": "副主任医师","headPortrait": "https://www.med-credit.org.cn/uploadfile/member/569/180x180.jpeg","id": "569","description": "富灵杰,上海交通大学医学院附属第九人民医院骨科副主任医师","memberOf": {"legalName": "上海交通大学医学院附属第九人民医院","department": "骨科","organizationLevel": "三级甲等"}},"Article": {"summaryContent": "神经根型颈椎病因为神经根受压,表现为颈部活动受限、上肢感觉和运动功能减退等。
神经根型颈椎病可以进行保守治疗,严重者需要手术治疗。

1、病因
神经根型颈椎病是因为单侧或者是双侧的脊神经根,受到了一定的刺激或压迫所引起的病症。
2、症状
1)颈部疼痛:是最早的临床症状,一般为放电样疼痛,当颈部活动、咳嗽及用力呼吸时可加重,可伴有颈部僵硬、肩部或肩胛骨内侧缘疼痛。
2)上肢疼痛和麻木:部分患者可出现上肢的疼痛和麻木,沿神经根的走行和支配区域呈放射分布,可因颈部位置和姿势调整而加重或减轻。
3)上肢感觉和运动异常:上肢可出现袖套感,对于针刺、轻抚、冷热刺激等出现感觉迟缓、感觉减退甚至感觉消失。此外,患者还会有肌力减退、肌肉萎缩等运动功能减退的表现。
1、急性发作:注意休息以减少颈部肌肉负担;可在医生指导下服用消炎镇痛药减轻或控制症状;当疼痛持续并影响生活时,可选择神经根阻滞疗法。
2、一般治疗:日常生活应避免长时间的低头、颈部前伸等不良姿势,注意颈部保暖,在医生指导或操作下进行颈椎牵引。
3、手术治疗:当保守治疗无效,颈部及上肢疼痛和麻木持续2个月以上时,应考虑接受手术治疗。
","articleBody": "神经根型颈椎病因为神经根受压,表现为颈部活动受限、上肢感觉和运动功能减退等。
神经根型颈椎病可以进行保守治疗,严重者需要手术治疗。

1、病因
神经根型颈椎病是因为单侧或者是双侧的脊神经根,受到了一定的刺激或压迫所引起的病症。
2、症状
1)颈部疼痛:是最早的临床症状,一般为放电样疼痛,当颈部活动、咳嗽及用力呼吸时可加重,可伴有颈部僵硬、肩部或肩胛骨内侧缘疼痛。
2)上肢疼痛和麻木:部分患者可出现上肢的疼痛和麻木,沿神经根的走行和支配区域呈放射分布,可因颈部位置和姿势调整而加重或减轻。
3)上肢感觉和运动异常:上肢可出现袖套感,对于针刺、轻抚、冷热刺激等出现感觉迟缓、感觉减退甚至感觉消失。此外,患者还会有肌力减退、肌肉萎缩等运动功能减退的表现。
1、急性发作:注意休息以减少颈部肌肉负担;可在医生指导下服用消炎镇痛药减轻或控制症状;当疼痛持续并影响生活时,可选择神经根阻滞疗法。
2、一般治疗:日常生活应避免长时间的低头、颈部前伸等不良姿势,注意颈部保暖,在医生指导或操作下进行颈椎牵引。
3、手术治疗:当保守治疗无效,颈部及上肢疼痛和麻木持续2个月以上时,应考虑接受手术治疗。
","scanCount": 32808}}} {"@context": "https://ziyuan.baidu.com/contexts/cambrian.jsonld","appid": "1650708455561748","icon": "https://www.med-credit.org.cn/style/images/ttlogo.png","content_tag": ["atlas"],"is_mcn": {"thumb_id": "6s1p03j8e"},"accid": "4886d626a2804dee5f11168793ce361672f39c25","@id": "https://www.med-credit.org.cn/mobile/jingxuan/2/40e08c81f7b332c699b21887e1827a5c.html","bagWordId": "783_1598581063804784640","title": "腰椎微创手术伤口图片","pubDate": "2023-02-15T16:41:09","upDate": "2023-02-15T16:41:09","lrDate": "2023-02-15T16:41:09","description": "腰椎微创手术伤口一般较小,位于腰部皮肤区域。","data": {"WebPage": {"headline": "腰椎微创手术伤口图片","pcUrl": "https://www.med-credit.org.cn/jingxuan/2/40e08c81f7b332c699b21887e1827a5c.html","wapUrl": "https://www.med-credit.org.cn/jingxuan/2/40e08c81f7b332c699b21887e1827a5c.html","mipUrl": "https://www.med-credit.org.cn/mobile/jingxuan/2/40e08c81f7b332c699b21887e1827a5c.html","fromSrc": "欢乐橙","datePublished": "2023-02-15T16:41:09","domain": "医疗","category": ["医疗权威文章合作"],"description": "腰椎微创手术伤口一般较小,位于腰部皮肤区域。
","extra_headline": [""]},"Author": {"name": "富灵杰","wapUrl": "https://www.med-credit.org.cn/doctor/569","pcUrl": "https://www.med-credit.org.cn/doctor/569","jobTitle": "副主任医师","headPortrait": "https://www.med-credit.org.cn/uploadfile/member/569/180x180.jpeg","id": "569","description": "富灵杰,上海交通大学医学院附属第九人民医院骨科副主任医师","memberOf": {"legalName": "上海交通大学医学院附属第九人民医院","department": "骨科","organizationLevel": "三级甲等"}},"Article": {"summaryContent": "腰椎微创手术伤口一般较小,位于腰部皮肤区域。
腰椎微创手术伤口术后需要注意护理以及注意饮食等。

腰椎微创手术伤口位于腰部皮肤区域,其特点是切口不大(直径一般不超过一厘米)、创伤小、不会破坏脊柱稳定性、局麻下即可操作、不易发生感染、容易愈合。因此,患者住院时间短,术后恢复快。
1、术后应当在硬板床上卧床休息2-3周,避免久坐。
2、减少腰部负荷,避免弯腰提重物。
3、注意饮食清淡,多喝水、多吃蔬菜水果,忌食油炸食物。
4、手术伤口处应保持干燥、温暖,避免受凉,夜间可进行局部的热敷。
5、当伤口疼痛缓解,创面愈合后,可在医生、康复师指导下进行腰背部肌力训练。
6、注意下床姿势,可通过抬高床头、侧卧将腿挪至床沿、用手支撑等方式坐起,减少腰椎压力,避免手术伤口的牵拉。
","articleBody": "腰椎微创手术伤口一般较小,位于腰部皮肤区域。
腰椎微创手术伤口术后需要注意护理以及注意饮食等。

腰椎微创手术伤口位于腰部皮肤区域,其特点是切口不大(直径一般不超过一厘米)、创伤小、不会破坏脊柱稳定性、局麻下即可操作、不易发生感染、容易愈合。因此,患者住院时间短,术后恢复快。
1、术后应当在硬板床上卧床休息2-3周,避免久坐。
2、减少腰部负荷,避免弯腰提重物。
3、注意饮食清淡,多喝水、多吃蔬菜水果,忌食油炸食物。
4、手术伤口处应保持干燥、温暖,避免受凉,夜间可进行局部的热敷。
5、当伤口疼痛缓解,创面愈合后,可在医生、康复师指导下进行腰背部肌力训练。
6、注意下床姿势,可通过抬高床头、侧卧将腿挪至床沿、用手支撑等方式坐起,减少腰椎压力,避免手术伤口的牵拉。
","scanCount": 32807}}} {"@context": "https://ziyuan.baidu.com/contexts/cambrian.jsonld","appid": "1650708455561748","icon": "https://www.med-credit.org.cn/style/images/ttlogo.png","content_tag": ["atlas"],"is_mcn": {"thumb_id": "6s1p03j8e"},"accid": "4886d626a2804dee5f11168793ce361672f39c25","@id": "https://www.med-credit.org.cn/mobile/jingxuan/2/9a0fa43ebc5076bc249aeb84fa1a936c.html","bagWordId": "783_1598581063913836544","title": "枢椎齿状突图片","pubDate": "2023-02-15T16:41:09","upDate": "2023-02-15T16:41:09","lrDate": "2023-02-15T16:41:09","description": "枢椎齿状突由其性状得名,是位于第二颈椎的骨性结构。","data": {"WebPage": {"headline": "枢椎齿状突图片","pcUrl": "https://www.med-credit.org.cn/jingxuan/2/9a0fa43ebc5076bc249aeb84fa1a936c.html","wapUrl": "https://www.med-credit.org.cn/jingxuan/2/9a0fa43ebc5076bc249aeb84fa1a936c.html","mipUrl": "https://www.med-credit.org.cn/mobile/jingxuan/2/9a0fa43ebc5076bc249aeb84fa1a936c.html","fromSrc": "欢乐橙","datePublished": "2023-02-15T16:41:09","domain": "医疗","category": ["医疗权威文章合作"],"description": "枢椎齿状突由其性状得名,是位于第二颈椎的骨性结构。
","extra_headline": [""]},"Author": {"name": "富灵杰","wapUrl": "https://www.med-credit.org.cn/doctor/569","pcUrl": "https://www.med-credit.org.cn/doctor/569","jobTitle": "副主任医师","headPortrait": "https://www.med-credit.org.cn/uploadfile/member/569/180x180.jpeg","id": "569","description": "富灵杰,上海交通大学医学院附属第九人民医院骨科副主任医师","memberOf": {"legalName": "上海交通大学医学院附属第九人民医院","department": "骨科","organizationLevel": "三级甲等"}},"Article": {"summaryContent": "枢椎齿状突由其性状得名,是位于第二颈椎的骨性结构。
枢椎齿状突与寰椎相关节,对于头部和颈部的支持与活动起重要作用。

1、形态:枢椎的椎体向上伸出指状突起,称为齿突,其高度高于枢椎,与寰椎平齐。
2、作用:齿状突是上颈椎关节重要的骨性联结结构,与寰椎的齿状凹相关节,属车轴关节。其借助于寰椎横韧带将齿状突束缚在一定的解剖范围来保持寰枢关节的稳定。寰枢关节以齿突为垂直轴进行旋转运动,使头连同寰椎绕齿突作旋转运动;此外,寰枕关节和寰枢关节构成联合关节,使头能作多轴运动,包括俯仰、侧屈和旋转运动。
1、齿状突骨折:表现为颈部剧烈疼痛且活动时加重、颈部活动受限(尤其是旋转活动)、双手托头的被迫姿势,部分患者还可出现头晕、头痛、恶心甚至呕吐等症状。
2、齿状突脱位:又称寰枢关节脱位,表现为枕颈区疼痛、点头和转头活动受限;严重者可导致脊髓损伤,出现四肢瘫痪、二便失禁甚至呼吸抑制而死亡等症状。
","articleBody": "枢椎齿状突由其性状得名,是位于第二颈椎的骨性结构。
枢椎齿状突与寰椎相关节,对于头部和颈部的支持与活动起重要作用。

1、形态:枢椎的椎体向上伸出指状突起,称为齿突,其高度高于枢椎,与寰椎平齐。
2、作用:齿状突是上颈椎关节重要的骨性联结结构,与寰椎的齿状凹相关节,属车轴关节。其借助于寰椎横韧带将齿状突束缚在一定的解剖范围来保持寰枢关节的稳定。寰枢关节以齿突为垂直轴进行旋转运动,使头连同寰椎绕齿突作旋转运动;此外,寰枕关节和寰枢关节构成联合关节,使头能作多轴运动,包括俯仰、侧屈和旋转运动。
1、齿状突骨折:表现为颈部剧烈疼痛且活动时加重、颈部活动受限(尤其是旋转活动)、双手托头的被迫姿势,部分患者还可出现头晕、头痛、恶心甚至呕吐等症状。
2、齿状突脱位:又称寰枢关节脱位,表现为枕颈区疼痛、点头和转头活动受限;严重者可导致脊髓损伤,出现四肢瘫痪、二便失禁甚至呼吸抑制而死亡等症状。
","scanCount": 32806}}} {"@context": "https://ziyuan.baidu.com/contexts/cambrian.jsonld","appid": "1650708455561748","icon": "https://www.med-credit.org.cn/style/images/ttlogo.png","content_tag": ["atlas"],"is_mcn": {"thumb_id": "6s1p03j8e"},"accid": "4886d626a2804dee5f11168793ce361672f39c25","@id": "https://www.med-credit.org.cn/mobile/jingxuan/2/2222454cef29a6aa5d5573603a771aaf.html","bagWordId": "783_1598581064140328960","title": "尾椎解剖图","pubDate": "2023-02-15T16:41:09","upDate": "2023-02-15T16:41:09","lrDate": "2023-02-15T16:41:09","description": "尾椎位于脊柱的最末端,正常的尾椎前后位的X光可显示其位置正常,与耻骨联合无重叠,各节均能显示。","data": {"WebPage": {"headline": "尾椎解剖图","pcUrl": "https://www.med-credit.org.cn/jingxuan/2/2222454cef29a6aa5d5573603a771aaf.html","wapUrl": "https://www.med-credit.org.cn/jingxuan/2/2222454cef29a6aa5d5573603a771aaf.html","mipUrl": "https://www.med-credit.org.cn/mobile/jingxuan/2/2222454cef29a6aa5d5573603a771aaf.html","fromSrc": "欢乐橙","datePublished": "2023-02-15T16:41:09","domain": "医疗","category": ["医疗权威文章合作"],"description": "尾椎位于脊柱的最末端,正常的尾椎前后位的X光可显示其位置正常,与耻骨联合无重叠,各节均能显示。
","extra_headline": [""]},"Author": {"name": "富灵杰","wapUrl": "https://www.med-credit.org.cn/doctor/569","pcUrl": "https://www.med-credit.org.cn/doctor/569","jobTitle": "副主任医师","headPortrait": "https://www.med-credit.org.cn/uploadfile/member/569/180x180.jpeg","id": "569","description": "富灵杰,上海交通大学医学院附属第九人民医院骨科副主任医师","memberOf": {"legalName": "上海交通大学医学院附属第九人民医院","department": "骨科","organizationLevel": "三级甲等"}},"Article": {"summaryContent": "尾椎位于脊柱的最末端,正常的尾椎前后位的X光可显示其位置正常,与耻骨联合无重叠,各节均能显示。
当尾椎骨折时,X线检查可见骨皮质的连续性中断,可伴有疼痛、酸胀等不适感。

尾椎形似三角形,由3-4块退化的尾椎融合而成,组成包括尾骨角、横突,是人体脊柱的末端。正常尾骨从正面投影下的X光影像在视野上可显示上缘包括第5腰椎,下缘包括耻骨联合以下,左右包括骶髂关节。尾骨下端位于耻骨联合之上,与其无重叠。X线检查可看到各节尾椎到骨盆边缘距离相等;骨纹理、皮质结构显示清晰,且无肠道内容物干扰。
尾骨骨折常由于跌倒、交通伤和高处坠落伤所致,可表现为神经疼痛、坐位疼痛、皮下淤血,X线检查可见骨皮质的连续性中断,还有空间结构发生改变。症状轻微时可保守治疗,有移位时需手术;当尾椎出现疼痛时,其症状往往会向臀区和大腿放射,俗称电视尾骨病,主要表现为看电视久坐后出现的疼痛、酸胀,因此建议在看电视时适当地活动腰部。
","articleBody": "尾椎位于脊柱的最末端,正常的尾椎前后位的X光可显示其位置正常,与耻骨联合无重叠,各节均能显示。
当尾椎骨折时,X线检查可见骨皮质的连续性中断,可伴有疼痛、酸胀等不适感。

尾椎形似三角形,由3-4块退化的尾椎融合而成,组成包括尾骨角、横突,是人体脊柱的末端。正常尾骨从正面投影下的X光影像在视野上可显示上缘包括第5腰椎,下缘包括耻骨联合以下,左右包括骶髂关节。尾骨下端位于耻骨联合之上,与其无重叠。X线检查可看到各节尾椎到骨盆边缘距离相等;骨纹理、皮质结构显示清晰,且无肠道内容物干扰。
尾骨骨折常由于跌倒、交通伤和高处坠落伤所致,可表现为神经疼痛、坐位疼痛、皮下淤血,X线检查可见骨皮质的连续性中断,还有空间结构发生改变。症状轻微时可保守治疗,有移位时需手术;当尾椎出现疼痛时,其症状往往会向臀区和大腿放射,俗称电视尾骨病,主要表现为看电视久坐后出现的疼痛、酸胀,因此建议在看电视时适当地活动腰部。
","scanCount": 32805}}} {"@context": "https://ziyuan.baidu.com/contexts/cambrian.jsonld","appid": "1650708455561748","icon": "https://www.med-credit.org.cn/style/images/ttlogo.png","content_tag": ["atlas"],"is_mcn": {"thumb_id": "6s1p03j8e"},"accid": "4886d626a2804dee5f11168793ce361672f39c25","@id": "https://www.med-credit.org.cn/mobile/jingxuan/2/681fccc3679d798345d87af75ca0d86b.html","bagWordId": "783_1598581064194854912","title": "腰椎前凸和后凸的区别图","pubDate": "2023-02-15T16:41:09","upDate": "2023-02-15T16:41:09","lrDate": "2023-02-15T16:41:09","description": "腰椎前凸和后凸在外形和症状上会有区别。","data": {"WebPage": {"headline": "腰椎前凸和后凸的区别图","pcUrl": "https://www.med-credit.org.cn/jingxuan/2/681fccc3679d798345d87af75ca0d86b.html","wapUrl": "https://www.med-credit.org.cn/jingxuan/2/681fccc3679d798345d87af75ca0d86b.html","mipUrl": "https://www.med-credit.org.cn/mobile/jingxuan/2/681fccc3679d798345d87af75ca0d86b.html","fromSrc": "欢乐橙","datePublished": "2023-02-15T16:41:09","domain": "医疗","category": ["医疗权威文章合作"],"description": "腰椎前凸和后凸在外形和症状上会有区别。
","extra_headline": [""]},"Author": {"name": "富灵杰","wapUrl": "https://www.med-credit.org.cn/doctor/569","pcUrl": "https://www.med-credit.org.cn/doctor/569","jobTitle": "副主任医师","headPortrait": "https://www.med-credit.org.cn/uploadfile/member/569/180x180.jpeg","id": "569","description": "富灵杰,上海交通大学医学院附属第九人民医院骨科副主任医师","memberOf": {"legalName": "上海交通大学医学院附属第九人民医院","department": "骨科","organizationLevel": "三级甲等"}},"Article": {"summaryContent": "腰椎前凸和后凸在外形和症状上会有区别。
腰椎前凸一般无需治疗;而后凸需要进行姿势矫正、运动锻炼,严重者可能需要进行手术治疗。

1、外形:正常腰椎生理曲度是向前的,因此腰椎前凸一般是正常的;而腰椎后凸一般表现为腰椎生理曲度变直。
2、症状:腰椎前凸一般不会出现特殊的症状;而腰椎后凸可能会导致髓核的膨出、突出甚至脱出的可能,从而导致脊神经根受压或脊髓压迫,出现腰酸胀痛、腰部活动受限、下肢麻木无力、行走苦难等症状,严重者可出现瘫痪。
1、腰椎前凸:一般不引起特殊症状,因此不需要进行治疗。
2、腰椎后凸:治疗一般根据患者的病情而定,如果仅引起轻微椎间盘膨出而不导致任何症状,则可通过姿势纠正、加强腰背部肌肉训练、吊单杠等方式进行治疗;当腰椎后凸引起腰部和下肢的麻木,则意味着脊神经受压,此时应避免剧烈的跑跳运动,尽快到医院进行治疗,一般建议进行手术治疗,进行椎骨融合术和髓核摘出术。
","articleBody": "腰椎前凸和后凸在外形和症状上会有区别。
腰椎前凸一般无需治疗;而后凸需要进行姿势矫正、运动锻炼,严重者可能需要进行手术治疗。

1、外形:正常腰椎生理曲度是向前的,因此腰椎前凸一般是正常的;而腰椎后凸一般表现为腰椎生理曲度变直。
2、症状:腰椎前凸一般不会出现特殊的症状;而腰椎后凸可能会导致髓核的膨出、突出甚至脱出的可能,从而导致脊神经根受压或脊髓压迫,出现腰酸胀痛、腰部活动受限、下肢麻木无力、行走苦难等症状,严重者可出现瘫痪。
1、腰椎前凸:一般不引起特殊症状,因此不需要进行治疗。
2、腰椎后凸:治疗一般根据患者的病情而定,如果仅引起轻微椎间盘膨出而不导致任何症状,则可通过姿势纠正、加强腰背部肌肉训练、吊单杠等方式进行治疗;当腰椎后凸引起腰部和下肢的麻木,则意味着脊神经受压,此时应避免剧烈的跑跳运动,尽快到医院进行治疗,一般建议进行手术治疗,进行椎骨融合术和髓核摘出术。
","scanCount": 32804}}} {"@context": "https://ziyuan.baidu.com/contexts/cambrian.jsonld","appid": "1650708455561748","icon": "https://www.med-credit.org.cn/style/images/ttlogo.png","content_tag": ["atlas"],"is_mcn": {"thumb_id": "6s1p03j8e"},"accid": "4886d626a2804dee5f11168793ce361672f39c25","@id": "https://www.med-credit.org.cn/mobile/jingxuan/2/a189be2c0204710284c7f7148b246a7c.html","bagWordId": "783_1598581064308101120","title": "腰椎间盘突出后埋线图片","pubDate": "2023-02-15T16:41:09","upDate": "2023-02-15T16:41:09","lrDate": "2023-02-15T16:41:09","description": "腰椎间盘突出后埋线,是一种治疗方法,一般选择特定的穴位处,埋入羊肠线。","data": {"WebPage": {"headline": "腰椎间盘突出后埋线图片","pcUrl": "https://www.med-credit.org.cn/jingxuan/2/a189be2c0204710284c7f7148b246a7c.html","wapUrl": "https://www.med-credit.org.cn/jingxuan/2/a189be2c0204710284c7f7148b246a7c.html","mipUrl": "https://www.med-credit.org.cn/mobile/jingxuan/2/a189be2c0204710284c7f7148b246a7c.html","fromSrc": "欢乐橙","datePublished": "2023-02-15T16:41:09","domain": "医疗","category": ["医疗权威文章合作"],"description": "腰椎间盘突出后埋线,是一种治疗方法,一般选择特定的穴位处,埋入羊肠线。
","extra_headline": [""]},"Author": {"name": "富灵杰","wapUrl": "https://www.med-credit.org.cn/doctor/569","pcUrl": "https://www.med-credit.org.cn/doctor/569","jobTitle": "副主任医师","headPortrait": "https://www.med-credit.org.cn/uploadfile/member/569/180x180.jpeg","id": "569","description": "富灵杰,上海交通大学医学院附属第九人民医院骨科副主任医师","memberOf": {"legalName": "上海交通大学医学院附属第九人民医院","department": "骨科","organizationLevel": "三级甲等"}},"Article": {"summaryContent": "腰椎间盘突出后埋线,是一种治疗方法,一般选择特定的穴位处,埋入羊肠线。
埋线治疗能对腰椎间盘突出治疗起到了持续性刺激穴位的作用。

一般情况下,腰椎间盘突出的埋线治疗首先要在患者的腰部,即膀胱经所在位置,选取1-2对穴位进行操作。如果出现下肢放射痛,可能会沿着膀胱经选取,比如环跳穴、承扶穴、三里穴、大肠俞、腰夹脊、阳陵泉、悬钟,沿着经络走向随症加减,选取不同穴位进行埋线治疗。
腰椎间盘突出的埋线治疗是把药物或者能够吸收的物质注射到穴位、经络、疼痛点。在羊肠线吸收的过程中,通过刺激穴位可以疏通经络、调整阴阳平衡、改善腰及下肢的循环、缓解腰部疼痛,增强免疫系统的反应,以达到治疗疾病的目的。
","articleBody": "腰椎间盘突出后埋线,是一种治疗方法,一般选择特定的穴位处,埋入羊肠线。
埋线治疗能对腰椎间盘突出治疗起到了持续性刺激穴位的作用。

一般情况下,腰椎间盘突出的埋线治疗首先要在患者的腰部,即膀胱经所在位置,选取1-2对穴位进行操作。如果出现下肢放射痛,可能会沿着膀胱经选取,比如环跳穴、承扶穴、三里穴、大肠俞、腰夹脊、阳陵泉、悬钟,沿着经络走向随症加减,选取不同穴位进行埋线治疗。
腰椎间盘突出的埋线治疗是把药物或者能够吸收的物质注射到穴位、经络、疼痛点。在羊肠线吸收的过程中,通过刺激穴位可以疏通经络、调整阴阳平衡、改善腰及下肢的循环、缓解腰部疼痛,增强免疫系统的反应,以达到治疗疾病的目的。
","scanCount": 32803}}} {"@context": "https://ziyuan.baidu.com/contexts/cambrian.jsonld","appid": "1650708455561748","icon": "https://www.med-credit.org.cn/style/images/ttlogo.png","content_tag": ["atlas"],"is_mcn": {"thumb_id": "6s1p03j8e"},"accid": "4886d626a2804dee5f11168793ce361672f39c25","@id": "https://www.med-credit.org.cn/mobile/jingxuan/2/59f254602c5b486b709899f9e1941c5d.html","bagWordId": "783_1598581064417153024","title": "椎体前缘的位置图","pubDate": "2023-02-15T16:41:09","upDate": "2023-02-15T16:41:09","lrDate": "2023-02-15T16:41:09","description": "椎体前缘是指椎体的最前方,其上有韧带和肌肉连接,对脊柱生理功能的维持起到一定作用。","data": {"WebPage": {"headline": "椎体前缘的位置图","pcUrl": "https://www.med-credit.org.cn/jingxuan/2/59f254602c5b486b709899f9e1941c5d.html","wapUrl": "https://www.med-credit.org.cn/jingxuan/2/59f254602c5b486b709899f9e1941c5d.html","mipUrl": "https://www.med-credit.org.cn/mobile/jingxuan/2/59f254602c5b486b709899f9e1941c5d.html","fromSrc": "欢乐橙","datePublished": "2023-02-15T16:41:09","domain": "医疗","category": ["医疗权威文章合作"],"description": "椎体前缘是指椎体的最前方,其上有韧带和肌肉连接,对脊柱生理功能的维持起到一定作用。
","extra_headline": [""]},"Author": {"name": "富灵杰","wapUrl": "https://www.med-credit.org.cn/doctor/569","pcUrl": "https://www.med-credit.org.cn/doctor/569","jobTitle": "副主任医师","headPortrait": "https://www.med-credit.org.cn/uploadfile/member/569/180x180.jpeg","id": "569","description": "富灵杰,上海交通大学医学院附属第九人民医院骨科副主任医师","memberOf": {"legalName": "上海交通大学医学院附属第九人民医院","department": "骨科","organizationLevel": "三级甲等"}},"Article": {"summaryContent": "椎体前缘是指椎体的最前方,其上有韧带和肌肉连接,对脊柱生理功能的维持起到一定作用。
椎体前缘常见疾病为骨质增生以及其他类型疾病。

椎体前缘一般为硬质骨,密度高,但是厚度较薄,上下面粗糙。邻近椎骨的椎体前缘通过前纵韧带连接。前纵韧带起自枕骨大孔前缘,下至第一或第二骶椎的椎体前缘,延续为骶尾前韧带,尔后下行终止于骶骨和尾骨表面。前纵韧带能防止脊柱过度前伸,也即人体的过度伸腰动作,同时还能阻止椎间盘向前脱出。
椎体前缘常见相关疾病为骨质增生,主要是由于长时间姿势不正、低头、弯腰等导致椎体退行病变,可出现腰部的酸胀、疼痛。少数患者可在椎体前缘处发现肿瘤病变,比如说常见的血管瘤、脂肪瘤等,可通过手术、化疗、放疗等方式进行治疗。
","articleBody": "椎体前缘是指椎体的最前方,其上有韧带和肌肉连接,对脊柱生理功能的维持起到一定作用。
椎体前缘常见疾病为骨质增生以及其他类型疾病。

椎体前缘一般为硬质骨,密度高,但是厚度较薄,上下面粗糙。邻近椎骨的椎体前缘通过前纵韧带连接。前纵韧带起自枕骨大孔前缘,下至第一或第二骶椎的椎体前缘,延续为骶尾前韧带,尔后下行终止于骶骨和尾骨表面。前纵韧带能防止脊柱过度前伸,也即人体的过度伸腰动作,同时还能阻止椎间盘向前脱出。
椎体前缘常见相关疾病为骨质增生,主要是由于长时间姿势不正、低头、弯腰等导致椎体退行病变,可出现腰部的酸胀、疼痛。少数患者可在椎体前缘处发现肿瘤病变,比如说常见的血管瘤、脂肪瘤等,可通过手术、化疗、放疗等方式进行治疗。
","scanCount": 32801}}} {"@context": "https://ziyuan.baidu.com/contexts/cambrian.jsonld","appid": "1650708455561748","icon": "https://www.med-credit.org.cn/style/images/ttlogo.png","content_tag": ["atlas"],"is_mcn": {"thumb_id": "6s1p03j8e"},"accid": "4886d626a2804dee5f11168793ce361672f39c25","@id": "https://www.med-credit.org.cn/mobile/jingxuan/2/1be4e7e296d55bfbcb9b25d15f24220e.html","bagWordId": "783_1598581064916275200","title": "第一腰椎构造图解","pubDate": "2023-02-15T16:41:09","upDate": "2023-02-15T16:41:09","lrDate": "2023-02-15T16:41:09","description": "第一腰椎椎体粗壮、上下关节突粗大,椎孔呈三角形,棘突宽而短。","data": {"WebPage": {"headline": "第一腰椎构造图解","pcUrl": "https://www.med-credit.org.cn/jingxuan/2/1be4e7e296d55bfbcb9b25d15f24220e.html","wapUrl": "https://www.med-credit.org.cn/jingxuan/2/1be4e7e296d55bfbcb9b25d15f24220e.html","mipUrl": "https://www.med-credit.org.cn/mobile/jingxuan/2/1be4e7e296d55bfbcb9b25d15f24220e.html","fromSrc": "欢乐橙","datePublished": "2023-02-15T16:41:09","domain": "医疗","category": ["医疗权威文章合作"],"description": "第一腰椎椎体粗壮、上下关节突粗大,椎孔呈三角形,棘突宽而短。
","extra_headline": [""]},"Author": {"name": "富灵杰","wapUrl": "https://www.med-credit.org.cn/doctor/569","pcUrl": "https://www.med-credit.org.cn/doctor/569","jobTitle": "副主任医师","headPortrait": "https://www.med-credit.org.cn/uploadfile/member/569/180x180.jpeg","id": "569","description": "富灵杰,上海交通大学医学院附属第九人民医院骨科副主任医师","memberOf": {"legalName": "上海交通大学医学院附属第九人民医院","department": "骨科","organizationLevel": "三级甲等"}},"Article": {"summaryContent": "第一腰椎椎体粗壮、上下关节突粗大,椎孔呈三角形,棘突宽而短。
第一腰椎具有支撑、缓冲振荡、维持姿势的作用。
第一腰椎由椎体、椎弓板、椎弓根、关节突、横突、棘突等结构组成。

1、椎体:由于负重关系,第一腰椎的椎体较为粗大,椎体的横断面呈肾形。
2、椎弓板:第一腰椎的椎弓板较厚,并略向后下倾斜,椎孔在下部比上部大;两侧椎弓板会合成椎弓板夹角,夹角变小可影响椎管的狭窄程度。
3、椎弓根:第一腰椎的椎弓根伸向后外,外形呈弧形,与椎板、椎体、关节突融合在一起,其厚度自上而下逐渐递增。
4、关节突:第一腰椎的上关节突由椎弓根发出,与第十二胸椎下关节突相关节;下关节突由椎弓板发出,与第二腰椎上关节突相关节。
5、横突:第一腰椎的横突起源于椎弓根的后部,由椎弓根与椎弓板会合处向外突出。在上关节突的后缘有一卵圆形隆起,称乳突,横突根部的后下侧有一小结节,为副突。
6、棘突:第一腰椎的棘突由两侧椎板在中线处汇合而成,呈长方形骨板,腰椎的棘突宽并且水平向后。
","articleBody": "第一腰椎椎体粗壮、上下关节突粗大,椎孔呈三角形,棘突宽而短。
第一腰椎具有支撑、缓冲振荡、维持姿势的作用。
第一腰椎由椎体、椎弓板、椎弓根、关节突、横突、棘突等结构组成。

1、椎体:由于负重关系,第一腰椎的椎体较为粗大,椎体的横断面呈肾形。
2、椎弓板:第一腰椎的椎弓板较厚,并略向后下倾斜,椎孔在下部比上部大;两侧椎弓板会合成椎弓板夹角,夹角变小可影响椎管的狭窄程度。
3、椎弓根:第一腰椎的椎弓根伸向后外,外形呈弧形,与椎板、椎体、关节突融合在一起,其厚度自上而下逐渐递增。
4、关节突:第一腰椎的上关节突由椎弓根发出,与第十二胸椎下关节突相关节;下关节突由椎弓板发出,与第二腰椎上关节突相关节。
5、横突:第一腰椎的横突起源于椎弓根的后部,由椎弓根与椎弓板会合处向外突出。在上关节突的后缘有一卵圆形隆起,称乳突,横突根部的后下侧有一小结节,为副突。
6、棘突:第一腰椎的棘突由两侧椎板在中线处汇合而成,呈长方形骨板,腰椎的棘突宽并且水平向后。
","scanCount": 32800}}} {"@context": "https://ziyuan.baidu.com/contexts/cambrian.jsonld","appid": "1650708455561748","icon": "https://www.med-credit.org.cn/style/images/ttlogo.png","content_tag": ["atlas"],"is_mcn": {"thumb_id": "6s1p03j8e"},"accid": "4886d626a2804dee5f11168793ce361672f39c25","@id": "https://www.med-credit.org.cn/mobile/jingxuan/2/d2b70e739900a0f8bbfc0b770b6d1564.html","bagWordId": "783_1598581065033715712","title": "椎弓根螺钉图片","pubDate": "2023-02-15T16:41:09","upDate": "2023-02-15T16:41:09","lrDate": "2023-02-15T16:41:09","description": "椎弓根螺钉一般采用特殊材料,能抵抗较大的拔出强度。","data": {"WebPage": {"headline": "椎弓根螺钉图片","pcUrl": "https://www.med-credit.org.cn/jingxuan/2/d2b70e739900a0f8bbfc0b770b6d1564.html","wapUrl": "https://www.med-credit.org.cn/jingxuan/2/d2b70e739900a0f8bbfc0b770b6d1564.html","mipUrl": "https://www.med-credit.org.cn/mobile/jingxuan/2/d2b70e739900a0f8bbfc0b770b6d1564.html","fromSrc": "欢乐橙","datePublished": "2023-02-15T16:41:09","domain": "医疗","category": ["医疗权威文章合作"],"description": "椎弓根螺钉一般采用特殊材料,能抵抗较大的拔出强度。
","extra_headline": [""]},"Author": {"name": "富灵杰","wapUrl": "https://www.med-credit.org.cn/doctor/569","pcUrl": "https://www.med-credit.org.cn/doctor/569","jobTitle": "副主任医师","headPortrait": "https://www.med-credit.org.cn/uploadfile/member/569/180x180.jpeg","id": "569","description": "富灵杰,上海交通大学医学院附属第九人民医院骨科副主任医师","memberOf": {"legalName": "上海交通大学医学院附属第九人民医院","department": "骨科","organizationLevel": "三级甲等"}},"Article": {"summaryContent": "椎弓根螺钉一般采用特殊材料,能抵抗较大的拔出强度。
椎弓根螺钉对于治疗腰椎退行性病变具有重要作用。

目前椎弓根螺钉骨水泥钉道强化技术可以应用的强化材料主要包括聚甲基丙稀酸甲酯(PMMA)、磷酸钙骨水泥(CPC)、硫酸钙骨水泥(CSC)、羟基磷灰石(HAP)、磷酸三钙(TCP)、钉道内植骨等,聚甲基丙烯酸甲酯(PMMA)是应用最早且最广泛的椎弓根螺钉钉道强化材料,也是目前临床上唯一批准使用的椎弓根螺钉骨水泥钉道强化材料,且已被证实是一种能有效提高骨质疏松症患者椎弓根钉稳定性的方式,可将椎弓根螺钉抗拔出强度增加到147%到300%,在临床应用对螺钉稳定性的增强效果已经得到充分证实,目前仍然是椎弓根钉道强化技术首选的强化材料。
椎弓根螺钉适用于椎骨融合手术,属于内固定材料。通过椎弓根钉内固定,脊柱能得到有效稳定,有利于局部植骨融合,让患者做完手术后,可以早期下床活动,有利于恢复。
","articleBody": "椎弓根螺钉一般采用特殊材料,能抵抗较大的拔出强度。
椎弓根螺钉对于治疗腰椎退行性病变具有重要作用。

目前椎弓根螺钉骨水泥钉道强化技术可以应用的强化材料主要包括聚甲基丙稀酸甲酯(PMMA)、磷酸钙骨水泥(CPC)、硫酸钙骨水泥(CSC)、羟基磷灰石(HAP)、磷酸三钙(TCP)、钉道内植骨等,聚甲基丙烯酸甲酯(PMMA)是应用最早且最广泛的椎弓根螺钉钉道强化材料,也是目前临床上唯一批准使用的椎弓根螺钉骨水泥钉道强化材料,且已被证实是一种能有效提高骨质疏松症患者椎弓根钉稳定性的方式,可将椎弓根螺钉抗拔出强度增加到147%到300%,在临床应用对螺钉稳定性的增强效果已经得到充分证实,目前仍然是椎弓根钉道强化技术首选的强化材料。
椎弓根螺钉适用于椎骨融合手术,属于内固定材料。通过椎弓根钉内固定,脊柱能得到有效稳定,有利于局部植骨融合,让患者做完手术后,可以早期下床活动,有利于恢复。
","scanCount": 32799}}} {"@context": "https://ziyuan.baidu.com/contexts/cambrian.jsonld","appid": "1650708455561748","icon": "https://www.med-credit.org.cn/style/images/ttlogo.png","content_tag": ["atlas"],"is_mcn": {"thumb_id": "6s1p03j8e"},"accid": "4886d626a2804dee5f11168793ce361672f39c25","@id": "https://www.med-credit.org.cn/mobile/jingxuan/2/edf70a4b559a2f917e2106f1aa085d59.html","bagWordId": "783_1598581065310539776","title": "腰椎横突结构图","pubDate": "2023-02-15T16:41:09","upDate": "2023-02-15T16:41:09","lrDate": "2023-02-15T16:41:09","description": "腰椎横突是腰椎的骨性突出结构,每一块腰椎左右各一个,位于各个腰椎椎弓根和椎弓板交界位置。","data": {"WebPage": {"headline": "腰椎横突结构图","pcUrl": "https://www.med-credit.org.cn/jingxuan/2/edf70a4b559a2f917e2106f1aa085d59.html","wapUrl": "https://www.med-credit.org.cn/jingxuan/2/edf70a4b559a2f917e2106f1aa085d59.html","mipUrl": "https://www.med-credit.org.cn/mobile/jingxuan/2/edf70a4b559a2f917e2106f1aa085d59.html","fromSrc": "欢乐橙","datePublished": "2023-02-15T16:41:09","domain": "医疗","category": ["医疗权威文章合作"],"description": "腰椎横突是腰椎的骨性突出结构,每一块腰椎左右各一个,位于各个腰椎椎弓根和椎弓板交界位置。
","extra_headline": [""]},"Author": {"name": "富灵杰","wapUrl": "https://www.med-credit.org.cn/doctor/569","pcUrl": "https://www.med-credit.org.cn/doctor/569","jobTitle": "副主任医师","headPortrait": "https://www.med-credit.org.cn/uploadfile/member/569/180x180.jpeg","id": "569","description": "富灵杰,上海交通大学医学院附属第九人民医院骨科副主任医师","memberOf": {"legalName": "上海交通大学医学院附属第九人民医院","department": "骨科","organizationLevel": "三级甲等"}},"Article": {"summaryContent": "腰椎横突是腰椎的骨性突出结构,每一块腰椎左右各一个,位于各个腰椎椎弓根和椎弓板交界位置。
腰椎横突是肌肉和韧带的附着位,对于生理功能维持和临床操作定位具有重要作用。

腰椎横突位于各个腰椎的后部的中外侧,左右各一,呈冠状位形状短而扁平,其中第三腰椎的横突最长。
腰椎横突上有许多肌肉和韧带附着,如多裂肌、腰横突间内侧肌、腰横突间外侧肌、胸最长肌、髂腰肋肌、横突间韧带。
腰椎横突对于脊柱冠状面的运动与稳定具有重要作用,其上连接的韧带与肌肉,能使得腰椎向一侧侧屈并限制其向对侧的过度侧屈,保持人体平衡。
腰椎横突还是体表骨性标志,能为临床医生提供疾病诊断、手术定位等帮助。
","articleBody": "腰椎横突是腰椎的骨性突出结构,每一块腰椎左右各一个,位于各个腰椎椎弓根和椎弓板交界位置。
腰椎横突是肌肉和韧带的附着位,对于生理功能维持和临床操作定位具有重要作用。

腰椎横突位于各个腰椎的后部的中外侧,左右各一,呈冠状位形状短而扁平,其中第三腰椎的横突最长。
腰椎横突上有许多肌肉和韧带附着,如多裂肌、腰横突间内侧肌、腰横突间外侧肌、胸最长肌、髂腰肋肌、横突间韧带。
腰椎横突对于脊柱冠状面的运动与稳定具有重要作用,其上连接的韧带与肌肉,能使得腰椎向一侧侧屈并限制其向对侧的过度侧屈,保持人体平衡。
腰椎横突还是体表骨性标志,能为临床医生提供疾病诊断、手术定位等帮助。
","scanCount": 32796}}} {"@context": "https://ziyuan.baidu.com/contexts/cambrian.jsonld","appid": "1650708455561748","icon": "https://www.med-credit.org.cn/style/images/ttlogo.png","content_tag": ["atlas"],"is_mcn": {"thumb_id": "6s1p03j8e"},"accid": "4886d626a2804dee5f11168793ce361672f39c25","@id": "https://www.med-credit.org.cn/mobile/jingxuan/2/7c62b8901f83a05da7febc41367c86d2.html","bagWordId": "783_1598581065365065728","title": "腰椎先天发育不良图片","pubDate": "2023-02-15T16:41:09","upDate": "2023-02-15T16:41:09","lrDate": "2023-02-15T16:41:09","description": "腰椎先天发育不良可表现为身高受限、体态异常。","data": {"WebPage": {"headline": "腰椎先天发育不良图片","pcUrl": "https://www.med-credit.org.cn/jingxuan/2/7c62b8901f83a05da7febc41367c86d2.html","wapUrl": "https://www.med-credit.org.cn/jingxuan/2/7c62b8901f83a05da7febc41367c86d2.html","mipUrl": "https://www.med-credit.org.cn/mobile/jingxuan/2/7c62b8901f83a05da7febc41367c86d2.html","fromSrc": "欢乐橙","datePublished": "2023-02-15T16:41:09","domain": "医疗","category": ["医疗权威文章合作"],"description": "腰椎先天发育不良可表现为身高受限、体态异常。
","extra_headline": [""]},"Author": {"name": "富灵杰","wapUrl": "https://www.med-credit.org.cn/doctor/569","pcUrl": "https://www.med-credit.org.cn/doctor/569","jobTitle": "副主任医师","headPortrait": "https://www.med-credit.org.cn/uploadfile/member/569/180x180.jpeg","id": "569","description": "富灵杰,上海交通大学医学院附属第九人民医院骨科副主任医师","memberOf": {"legalName": "上海交通大学医学院附属第九人民医院","department": "骨科","organizationLevel": "三级甲等"}},"Article": {"summaryContent": "腰椎先天发育不良可表现为身高受限、体态异常。
腰椎先天发育不良建议要及时到正规医院做全面的检查及诊治。

腰椎先天发育不良一般主要表现为短躯干、骨骺钙化延长以及视力异常和面容扁平的状态,另外还可能会出现齿突发育不良和腰椎前突的情况。大部分患者还会出现脊柱侧弯、关节疼痛、腰椎活动受限。
可通过弯腰触诊、视诊初步诊断,进一步确诊可借助放射线检查确认。X线检查可见腰椎前向移位,伴不同程度的轴向旋辐;腰髓关节小、结构不良,趋向水平;峡部狭长而薄弱;骶骨上关节面凹凸不平,前上缘圆滑,相应腰椎下关节面也有适应的改变;滑脱腰椎楔形变,后径变小。
一旦确诊有腰椎先天发育不良,建议在医生指导下进行康复运动训练。日常生活中不要参加太过剧烈的体育活动,尽量防止摔倒的情况出现,平常注意营养的均衡摄入,确保营养的充足供应。
","articleBody": "腰椎先天发育不良可表现为身高受限、体态异常。
腰椎先天发育不良建议要及时到正规医院做全面的检查及诊治。

腰椎先天发育不良一般主要表现为短躯干、骨骺钙化延长以及视力异常和面容扁平的状态,另外还可能会出现齿突发育不良和腰椎前突的情况。大部分患者还会出现脊柱侧弯、关节疼痛、腰椎活动受限。
可通过弯腰触诊、视诊初步诊断,进一步确诊可借助放射线检查确认。X线检查可见腰椎前向移位,伴不同程度的轴向旋辐;腰髓关节小、结构不良,趋向水平;峡部狭长而薄弱;骶骨上关节面凹凸不平,前上缘圆滑,相应腰椎下关节面也有适应的改变;滑脱腰椎楔形变,后径变小。
一旦确诊有腰椎先天发育不良,建议在医生指导下进行康复运动训练。日常生活中不要参加太过剧烈的体育活动,尽量防止摔倒的情况出现,平常注意营养的均衡摄入,确保营养的充足供应。
","scanCount": 32795}}} {"@context": "https://ziyuan.baidu.com/contexts/cambrian.jsonld","appid": "1650708455561748","icon": "https://www.med-credit.org.cn/style/images/ttlogo.png","content_tag": ["atlas"],"is_mcn": {"thumb_id": "6s1p03j8e"},"accid": "4886d626a2804dee5f11168793ce361672f39c25","@id": "https://www.med-credit.org.cn/mobile/jingxuan/2/e3e2ade67552d1d94caf979b4c1605f3.html","bagWordId": "783_1598581065469923328","title": "牙颈线图片","pubDate": "2023-02-15T16:41:09","upDate": "2023-02-15T16:41:09","lrDate": "2023-02-15T16:41:09","description": "牙颈线是牙根与牙冠的分界线,位于牙龈边缘。","data": {"WebPage": {"headline": "牙颈线图片","pcUrl": "https://www.med-credit.org.cn/jingxuan/2/e3e2ade67552d1d94caf979b4c1605f3.html","wapUrl": "https://www.med-credit.org.cn/jingxuan/2/e3e2ade67552d1d94caf979b4c1605f3.html","mipUrl": "https://www.med-credit.org.cn/mobile/jingxuan/2/e3e2ade67552d1d94caf979b4c1605f3.html","fromSrc": "欢乐橙","datePublished": "2023-02-15T16:41:09","domain": "医疗","category": ["医疗权威文章合作"],"description": "牙颈线是牙根与牙冠的分界线,位于牙龈边缘。
","extra_headline": [""]},"Author": {"name": "富灵杰","wapUrl": "https://www.med-credit.org.cn/doctor/569","pcUrl": "https://www.med-credit.org.cn/doctor/569","jobTitle": "副主任医师","headPortrait": "https://www.med-credit.org.cn/uploadfile/member/569/180x180.jpeg","id": "569","description": "富灵杰,上海交通大学医学院附属第九人民医院骨科副主任医师","memberOf": {"legalName": "上海交通大学医学院附属第九人民医院","department": "骨科","organizationLevel": "三级甲等"}},"Article": {"summaryContent": "牙颈线是牙根与牙冠的分界线,位于牙龈边缘。
牙颈线对于牙科修复、填充手术具有重要意义。

口腔中可以见到的牙冠称为临床牙冠,临床牙冠终点到根尖这段牙体组织为临床牙根。临床牙冠与临床牙根之间以牙颈为分界,这一分界成弧形曲线,称为牙颈线。牙齿的颈线位于牙龈的边缘的边缘、临床牙冠的底部。它是一个细长的、弧形的、不规则的边缘,构成了覆盖牙冠的牙釉质和覆盖牙根的牙骨质之间的边界。在这条线上,牙骨质通常与牙釉质略微重叠。
口腔修复时,要保证充填材料后牙颈线准确、整齐。牙冠和基托之间可隔以湿水玻璃纸进行试压,检查牙颈线是否整齐,可用剪刀修剪,再试压,至完全合适后去除玻璃纸。
","articleBody": "牙颈线是牙根与牙冠的分界线,位于牙龈边缘。
牙颈线对于牙科修复、填充手术具有重要意义。

口腔中可以见到的牙冠称为临床牙冠,临床牙冠终点到根尖这段牙体组织为临床牙根。临床牙冠与临床牙根之间以牙颈为分界,这一分界成弧形曲线,称为牙颈线。牙齿的颈线位于牙龈的边缘的边缘、临床牙冠的底部。它是一个细长的、弧形的、不规则的边缘,构成了覆盖牙冠的牙釉质和覆盖牙根的牙骨质之间的边界。在这条线上,牙骨质通常与牙釉质略微重叠。
口腔修复时,要保证充填材料后牙颈线准确、整齐。牙冠和基托之间可隔以湿水玻璃纸进行试压,检查牙颈线是否整齐,可用剪刀修剪,再试压,至完全合适后去除玻璃纸。
","scanCount": 32794}}} {"@context": "https://ziyuan.baidu.com/contexts/cambrian.jsonld","appid": "1650708455561748","icon": "https://www.med-credit.org.cn/style/images/ttlogo.png","content_tag": ["atlas"],"is_mcn": {"thumb_id": "6s1p03j8e"},"accid": "4886d626a2804dee5f11168793ce361672f39c25","@id": "https://www.med-credit.org.cn/mobile/jingxuan/2/45668cde3cfeedafa97cdc9782b501b5.html","bagWordId": "783_1598581065792884736","title": "颈椎第3、4节位置图片","pubDate": "2023-02-15T16:41:09","upDate": "2023-02-15T16:41:09","lrDate": "2023-02-15T16:41:09","description": "颈椎第3、4节向上连接枢椎,处于脊柱上端,与其他五节颈椎共同参与颈椎的结构。","data": {"WebPage": {"headline": "颈椎第3、4节位置图片","pcUrl": "https://www.med-credit.org.cn/jingxuan/2/45668cde3cfeedafa97cdc9782b501b5.html","wapUrl": "https://www.med-credit.org.cn/jingxuan/2/45668cde3cfeedafa97cdc9782b501b5.html","mipUrl": "https://www.med-credit.org.cn/mobile/jingxuan/2/45668cde3cfeedafa97cdc9782b501b5.html","fromSrc": "欢乐橙","datePublished": "2023-02-15T16:41:09","domain": "医疗","category": ["医疗权威文章合作"],"description": "颈椎第3、4节向上连接枢椎,处于脊柱上端,与其他五节颈椎共同参与颈椎的结构。
","extra_headline": [""]},"Author": {"name": "富灵杰","wapUrl": "https://www.med-credit.org.cn/doctor/569","pcUrl": "https://www.med-credit.org.cn/doctor/569","jobTitle": "副主任医师","headPortrait": "https://www.med-credit.org.cn/uploadfile/member/569/180x180.jpeg","id": "569","description": "富灵杰,上海交通大学医学院附属第九人民医院骨科副主任医师","memberOf": {"legalName": "上海交通大学医学院附属第九人民医院","department": "骨科","organizationLevel": "三级甲等"}},"Article": {"summaryContent": "颈椎第3、4节向上连接枢椎,处于脊柱上端,与其他五节颈椎共同参与颈椎的结构。
颈椎第3、4节中走行高位脊椎,需要注意保护,防止受伤。

颈椎共7节,第3、4节位于颈椎的中央,向上连接枢椎,向下连接第五颈椎。正常颈椎的生理曲度是向前的,通常颈椎第3、4节位于曲度最前端。
颈椎第3、4节的椎体较小,横断面呈椭圆形,椎孔呈三角形。其上、下关节突关节面几乎呈水平。椎体上面侧缘向上突起呈椎体钩,与上位椎体下面的两侧唇缘相接,形成钩椎关节。
颈椎第3、4节与其他五节共同构成颈椎,负责连接头颅和胸椎,支撑头部,还能保护脊髓和神经,减缓外力冲击的影响。
颈椎第3、4节内走行高位的脊髓,一旦相应水平位置的脊髓受到损伤,可能会造成四肢瘫痪、二便失禁,严重者可危及生命危险。因此,日常活动中应注意保护颈椎,避免受到外力撞击。
","articleBody": "颈椎第3、4节向上连接枢椎,处于脊柱上端,与其他五节颈椎共同参与颈椎的结构。
颈椎第3、4节中走行高位脊椎,需要注意保护,防止受伤。

颈椎共7节,第3、4节位于颈椎的中央,向上连接枢椎,向下连接第五颈椎。正常颈椎的生理曲度是向前的,通常颈椎第3、4节位于曲度最前端。
颈椎第3、4节的椎体较小,横断面呈椭圆形,椎孔呈三角形。其上、下关节突关节面几乎呈水平。椎体上面侧缘向上突起呈椎体钩,与上位椎体下面的两侧唇缘相接,形成钩椎关节。
颈椎第3、4节与其他五节共同构成颈椎,负责连接头颅和胸椎,支撑头部,还能保护脊髓和神经,减缓外力冲击的影响。
颈椎第3、4节内走行高位的脊髓,一旦相应水平位置的脊髓受到损伤,可能会造成四肢瘫痪、二便失禁,严重者可危及生命危险。因此,日常活动中应注意保护颈椎,避免受到外力撞击。
","scanCount": 32792}}} {"@context": "https://ziyuan.baidu.com/contexts/cambrian.jsonld","appid": "1650708455561748","icon": "https://www.med-credit.org.cn/style/images/ttlogo.png","content_tag": ["atlas"],"is_mcn": {"thumb_id": "6s1p03j8e"},"accid": "4886d626a2804dee5f11168793ce361672f39c25","@id": "https://www.med-credit.org.cn/mobile/jingxuan/2/e72f24688737d2dbdf5c03583fc5568d.html","bagWordId": "783_1598581065847410688","title": "女性脖子前面骨头突出图片","pubDate": "2023-02-15T16:41:09","upDate": "2023-02-15T16:41:09","lrDate": "2023-02-15T16:41:09","description": "女性脖子前面没有骨头,这种现象一般是指喉结突出,可能是遗传原因,可能是由于体内雄激素水平过高、占位性病变因素引起。","data": {"WebPage": {"headline": "女性脖子前面骨头突出图片","pcUrl": "https://www.med-credit.org.cn/jingxuan/2/e72f24688737d2dbdf5c03583fc5568d.html","wapUrl": "https://www.med-credit.org.cn/jingxuan/2/e72f24688737d2dbdf5c03583fc5568d.html","mipUrl": "https://www.med-credit.org.cn/mobile/jingxuan/2/e72f24688737d2dbdf5c03583fc5568d.html","fromSrc": "欢乐橙","datePublished": "2023-02-15T16:41:09","domain": "医疗","category": ["医疗权威文章合作"],"description": "女性脖子前面没有骨头,这种现象一般是指喉结突出,可能是遗传原因,可能是由于体内雄激素水平过高、占位性病变因素引起。
","extra_headline": [""]},"Author": {"name": "富灵杰","wapUrl": "https://www.med-credit.org.cn/doctor/569","pcUrl": "https://www.med-credit.org.cn/doctor/569","jobTitle": "副主任医师","headPortrait": "https://www.med-credit.org.cn/uploadfile/member/569/180x180.jpeg","id": "569","description": "富灵杰,上海交通大学医学院附属第九人民医院骨科副主任医师","memberOf": {"legalName": "上海交通大学医学院附属第九人民医院","department": "骨科","organizationLevel": "三级甲等"}},"Article": {"summaryContent": "女性脖子前面没有骨头,这种现象一般是指喉结突出,可能是遗传原因,可能是由于体内雄激素水平过高、占位性病变因素引起。
女性喉结突出较为明显应当及时到院就诊,查明病因,并遵从医嘱接受针对性治疗。

1、遗传:女性喉结突出可能是由于遗传导致的,如果家庭成员中有喉结突出的人,很有可能是直接遗传或者是隔代遗传造成。如果喉结突出并没有身体不适的现象,可以不需要治疗。
2、性激素水平异常:女性喉结突出可能是由于体内雄性激素水平过高,主要表现为腋下、阴部及乳房周围的毛发增多、月经失调、面部痤疮增多且月经期间会加重、影响卵巢正常排卵、男性化如声音变得粗犷。
3、占位性病变:女性喉结突出可能是由于甲状腺瘤导致的,主要表现为颈部出现肿块,而且肿块的质地比较硬、活动度良好,能随患者吞咽上下活动。部分女性甲状腺瘤由于体积比较大,还会出现呼吸困难、吞咽困难的症状。
除了上述相对常见的原因外,还有其他的可能性疾病,比如缺钙、先天性发育不良或外伤等,建议患者出现这种症状后,及时去医院就诊,查明病因后,予以针对性治疗。
","articleBody": "女性脖子前面没有骨头,这种现象一般是指喉结突出,可能是遗传原因,可能是由于体内雄激素水平过高、占位性病变因素引起。
女性喉结突出较为明显应当及时到院就诊,查明病因,并遵从医嘱接受针对性治疗。

1、遗传:女性喉结突出可能是由于遗传导致的,如果家庭成员中有喉结突出的人,很有可能是直接遗传或者是隔代遗传造成。如果喉结突出并没有身体不适的现象,可以不需要治疗。
2、性激素水平异常:女性喉结突出可能是由于体内雄性激素水平过高,主要表现为腋下、阴部及乳房周围的毛发增多、月经失调、面部痤疮增多且月经期间会加重、影响卵巢正常排卵、男性化如声音变得粗犷。
3、占位性病变:女性喉结突出可能是由于甲状腺瘤导致的,主要表现为颈部出现肿块,而且肿块的质地比较硬、活动度良好,能随患者吞咽上下活动。部分女性甲状腺瘤由于体积比较大,还会出现呼吸困难、吞咽困难的症状。
除了上述相对常见的原因外,还有其他的可能性疾病,比如缺钙、先天性发育不良或外伤等,建议患者出现这种症状后,及时去医院就诊,查明病因后,予以针对性治疗。
","scanCount": 32791}}} {"@context": "https://ziyuan.baidu.com/contexts/cambrian.jsonld","appid": "1650708455561748","icon": "https://www.med-credit.org.cn/style/images/ttlogo.png","content_tag": ["atlas"],"is_mcn": {"thumb_id": "6s1p03j8e"},"accid": "4886d626a2804dee5f11168793ce361672f39c25","@id": "https://www.med-credit.org.cn/mobile/jingxuan/2/51300bcb99ccfb0843e6eb9eb163c765.html","bagWordId": "783_1598581065897742336","title": "右侧椎动脉位置图","pubDate": "2023-02-15T16:41:09","upDate": "2023-02-15T16:41:09","lrDate": "2023-02-15T16:41:09","description": "右侧椎动脉起源于右侧锁骨下动脉,是右侧锁骨下动脉最大的分支。","data": {"WebPage": {"headline": "右侧椎动脉位置图","pcUrl": "https://www.med-credit.org.cn/jingxuan/2/51300bcb99ccfb0843e6eb9eb163c765.html","wapUrl": "https://www.med-credit.org.cn/jingxuan/2/51300bcb99ccfb0843e6eb9eb163c765.html","mipUrl": "https://www.med-credit.org.cn/mobile/jingxuan/2/51300bcb99ccfb0843e6eb9eb163c765.html","fromSrc": "欢乐橙","datePublished": "2023-02-15T16:41:09","domain": "医疗","category": ["医疗权威文章合作"],"description": "右侧椎动脉起源于右侧锁骨下动脉,是右侧锁骨下动脉最大的分支。
","extra_headline": [""]},"Author": {"name": "富灵杰","wapUrl": "https://www.med-credit.org.cn/doctor/569","pcUrl": "https://www.med-credit.org.cn/doctor/569","jobTitle": "副主任医师","headPortrait": "https://www.med-credit.org.cn/uploadfile/member/569/180x180.jpeg","id": "569","description": "富灵杰,上海交通大学医学院附属第九人民医院骨科副主任医师","memberOf": {"legalName": "上海交通大学医学院附属第九人民医院","department": "骨科","organizationLevel": "三级甲等"}},"Article": {"summaryContent": "右侧椎动脉起源于右侧锁骨下动脉,是右侧锁骨下动脉最大的分支。
右侧椎动脉相关疾病有椎动脉型颈椎病、后循环缺血。

右侧椎动脉起自右侧锁骨下动脉,从斜角肌内侧发出,向上穿行自颈6到第一颈椎右侧横突孔,经枕骨大孔进入颅腔,与左侧椎动脉回合形成基底动脉。
右侧椎动脉通常比左侧的细一些,下段较粗,向上逐渐变细。
1、椎动脉型颈椎病:是一种由于椎动脉受到刺激或压迫导致椎-基底动脉供血不足的疾病,主要表现为体位改变后出现的眩晕、视物模糊、恶心、呕吐,特殊检查如椎动脉扭曲实验、叩顶实验、臂丛神经牵拉实验有阳性表现。
2、后循环缺血:当椎动脉发生了动脉粥样硬化、夹层、迂曲时,可能会导致大脑后循环供血不足,导致小脑、脑干及枕叶皮质缺血,常见症状有眩晕、行走不稳、偏侧肢体无力等症状。
","articleBody": "右侧椎动脉起源于右侧锁骨下动脉,是右侧锁骨下动脉最大的分支。
右侧椎动脉相关疾病有椎动脉型颈椎病、后循环缺血。

右侧椎动脉起自右侧锁骨下动脉,从斜角肌内侧发出,向上穿行自颈6到第一颈椎右侧横突孔,经枕骨大孔进入颅腔,与左侧椎动脉回合形成基底动脉。
右侧椎动脉通常比左侧的细一些,下段较粗,向上逐渐变细。
1、椎动脉型颈椎病:是一种由于椎动脉受到刺激或压迫导致椎-基底动脉供血不足的疾病,主要表现为体位改变后出现的眩晕、视物模糊、恶心、呕吐,特殊检查如椎动脉扭曲实验、叩顶实验、臂丛神经牵拉实验有阳性表现。
2、后循环缺血:当椎动脉发生了动脉粥样硬化、夹层、迂曲时,可能会导致大脑后循环供血不足,导致小脑、脑干及枕叶皮质缺血,常见症状有眩晕、行走不稳、偏侧肢体无力等症状。
","scanCount": 32790}}} {"@context": "https://ziyuan.baidu.com/contexts/cambrian.jsonld","appid": "1650708455561748","icon": "https://www.med-credit.org.cn/style/images/ttlogo.png","content_tag": ["atlas"],"is_mcn": {"thumb_id": "6s1p03j8e"},"accid": "4886d626a2804dee5f11168793ce361672f39c25","@id": "https://www.med-credit.org.cn/mobile/jingxuan/2/5b09c2a2007e81678dd1858cbdbc7748.html","bagWordId": "783_1598581066220703744","title": "第一颈椎图片构造图解","pubDate": "2023-02-15T16:41:09","upDate": "2023-02-15T16:41:09","lrDate": "2023-02-15T16:41:09","description": "第一颈椎又称寰椎,位于脊柱整体的最上方,向上连接枕骨,其外形呈环形,无椎体。","data": {"WebPage": {"headline": "第一颈椎图片构造图解","pcUrl": "https://www.med-credit.org.cn/jingxuan/2/5b09c2a2007e81678dd1858cbdbc7748.html","wapUrl": "https://www.med-credit.org.cn/jingxuan/2/5b09c2a2007e81678dd1858cbdbc7748.html","mipUrl": "https://www.med-credit.org.cn/mobile/jingxuan/2/5b09c2a2007e81678dd1858cbdbc7748.html","fromSrc": "欢乐橙","datePublished": "2023-02-15T16:41:09","domain": "医疗","category": ["医疗权威文章合作"],"description": "第一颈椎又称寰椎,位于脊柱整体的最上方,向上连接枕骨,其外形呈环形,无椎体。
","extra_headline": [""]},"Author": {"name": "富灵杰","wapUrl": "https://www.med-credit.org.cn/doctor/569","pcUrl": "https://www.med-credit.org.cn/doctor/569","jobTitle": "副主任医师","headPortrait": "https://www.med-credit.org.cn/uploadfile/member/569/180x180.jpeg","id": "569","description": "富灵杰,上海交通大学医学院附属第九人民医院骨科副主任医师","memberOf": {"legalName": "上海交通大学医学院附属第九人民医院","department": "骨科","organizationLevel": "三级甲等"}},"Article": {"summaryContent": "第一颈椎又称寰椎,位于脊柱整体的最上方,向上连接枕骨,其外形呈环形,无椎体。
第一颈椎具有重要作用,与其相关的关节也十分重要,如寰枕关节、寰枢关节。

寰椎由前弓、后弓、侧块三部分组成,无椎体、棘突和关节突。
1、前弓:较短,后面正中有齿突凹,与枢椎的齿突相关节。
2、侧块:连接前后两弓,上面各有一椭圆形关节面,与枕髁相关节;下面有圆形关节面与枢椎相关节。
3、后弓:较长,上面有横行的椎动脉沟,沟内有椎动脉通过。
1、正常寰椎有支撑颅骨、维持颈椎稳定性的作用。
2、寰椎与枕骨形成寰枕关节,支撑头部的运动。
3、寰椎与枢椎构成寰枢关节,保护从中走行的延髓生命中枢,并临近椎动脉和高位脊髓。如果寰椎发生了退变、畸形、损伤,可能引起寰椎的脱位,造成瘫痪甚至危及生命。
","articleBody": "第一颈椎又称寰椎,位于脊柱整体的最上方,向上连接枕骨,其外形呈环形,无椎体。
第一颈椎具有重要作用,与其相关的关节也十分重要,如寰枕关节、寰枢关节。

寰椎由前弓、后弓、侧块三部分组成,无椎体、棘突和关节突。
1、前弓:较短,后面正中有齿突凹,与枢椎的齿突相关节。
2、侧块:连接前后两弓,上面各有一椭圆形关节面,与枕髁相关节;下面有圆形关节面与枢椎相关节。
3、后弓:较长,上面有横行的椎动脉沟,沟内有椎动脉通过。
1、正常寰椎有支撑颅骨、维持颈椎稳定性的作用。
2、寰椎与枕骨形成寰枕关节,支撑头部的运动。
3、寰椎与枢椎构成寰枢关节,保护从中走行的延髓生命中枢,并临近椎动脉和高位脊髓。如果寰椎发生了退变、畸形、损伤,可能引起寰椎的脱位,造成瘫痪甚至危及生命。
","scanCount": 32787}}} {"@context": "https://ziyuan.baidu.com/contexts/cambrian.jsonld","appid": "1650708455561748","icon": "https://www.med-credit.org.cn/style/images/ttlogo.png","content_tag": ["atlas"],"is_mcn": {"thumb_id": "6s1p03j8e"},"accid": "4886d626a2804dee5f11168793ce361672f39c25","@id": "https://www.med-credit.org.cn/mobile/jingxuan/2/463482c2531b40b468786e3e19c23358.html","bagWordId": "783_1598581066329755648","title": "骶椎S1S2位置图","pubDate": "2023-02-15T16:41:09","upDate": "2023-02-15T16:41:09","lrDate": "2023-02-15T16:41:09","description": "骶椎S1、S2在腰椎下方,位于对耳轮上下脚起始部隆起处至肾穴外上方。","data": {"WebPage": {"headline": "骶椎S1S2位置图","pcUrl": "https://www.med-credit.org.cn/jingxuan/2/463482c2531b40b468786e3e19c23358.html","wapUrl": "https://www.med-credit.org.cn/jingxuan/2/463482c2531b40b468786e3e19c23358.html","mipUrl": "https://www.med-credit.org.cn/mobile/jingxuan/2/463482c2531b40b468786e3e19c23358.html","fromSrc": "欢乐橙","datePublished": "2023-02-15T16:41:09","domain": "医疗","category": ["医疗权威文章合作"],"description": "骶椎S1、S2在腰椎下方,位于对耳轮上下脚起始部隆起处至肾穴外上方。
","extra_headline": [""]},"Author": {"name": "富灵杰","wapUrl": "https://www.med-credit.org.cn/doctor/569","pcUrl": "https://www.med-credit.org.cn/doctor/569","jobTitle": "副主任医师","headPortrait": "https://www.med-credit.org.cn/uploadfile/member/569/180x180.jpeg","id": "569","description": "富灵杰,上海交通大学医学院附属第九人民医院骨科副主任医师","memberOf": {"legalName": "上海交通大学医学院附属第九人民医院","department": "骨科","organizationLevel": "三级甲等"}},"Article": {"summaryContent": "骶椎S1、S2在腰椎下方,位于对耳轮上下脚起始部隆起处至肾穴外上方。
骶椎S1、S2与下方三块骶椎合成一块骨,为骨盆的后壁,上与第五腰椎相连。骶椎S1、S2在人体中起到一定的作用。

骶椎S1椎体位于腰部后正中的最下方,一般在体表的投影是以骨盆为界,向中间画一个横线,这时一般对应的是第4腰椎,然后向下大概数3横指就是骶椎S1;紧接骶椎S1下方位置是骶椎S2椎体,在骨盆后侧偏下的位置。
骶椎S1、S2与下方三块骶椎合并为一个整体,起到连接和支撑作用。上方连接腰椎,下方连接尾椎,水平方向连接骨盆,使得人体的脊柱与骨盆、下肢连接起来。
此外,骶椎S1、S2能保护当中走行的神经,包括支配会阴部、臀部、以及肛周的运动神经和感觉神经。
","articleBody": "骶椎S1、S2在腰椎下方,位于对耳轮上下脚起始部隆起处至肾穴外上方。
骶椎S1、S2与下方三块骶椎合成一块骨,为骨盆的后壁,上与第五腰椎相连。骶椎S1、S2在人体中起到一定的作用。

骶椎S1椎体位于腰部后正中的最下方,一般在体表的投影是以骨盆为界,向中间画一个横线,这时一般对应的是第4腰椎,然后向下大概数3横指就是骶椎S1;紧接骶椎S1下方位置是骶椎S2椎体,在骨盆后侧偏下的位置。
骶椎S1、S2与下方三块骶椎合并为一个整体,起到连接和支撑作用。上方连接腰椎,下方连接尾椎,水平方向连接骨盆,使得人体的脊柱与骨盆、下肢连接起来。
此外,骶椎S1、S2能保护当中走行的神经,包括支配会阴部、臀部、以及肛周的运动神经和感觉神经。
","scanCount": 32786}}} {"@context": "https://ziyuan.baidu.com/contexts/cambrian.jsonld","appid": "1650708455561748","icon": "https://www.med-credit.org.cn/style/images/ttlogo.png","content_tag": ["atlas"],"is_mcn": {"thumb_id": "yfygkay6"},"accid": "4886d626a2804dee5f11168793ce361672f39c25","@id": "https://www.med-credit.org.cn/mobile/jingxuan/2/5dde2d46f37a241d6afb5e0dda703421.html","bagWordId": "939_1620691333163257856","title": "耳轮和耳廓粘连在一起的图片","pubDate": "2023-02-15T16:41:09","upDate": "2023-02-15T16:41:09","lrDate": "2023-02-15T16:41:09","description": "耳轮和耳廓粘连在一起通常表现为耳廓外观的畸形,比如杯状耳、耳廓卷曲,还可能会伴随外耳道堵塞、听力下降等症状。","data": {"WebPage": {"headline": "耳轮和耳廓粘连在一起的图片","pcUrl": "https://www.med-credit.org.cn/jingxuan/2/5dde2d46f37a241d6afb5e0dda703421.html","wapUrl": "https://www.med-credit.org.cn/jingxuan/2/5dde2d46f37a241d6afb5e0dda703421.html","mipUrl": "https://www.med-credit.org.cn/mobile/jingxuan/2/5dde2d46f37a241d6afb5e0dda703421.html","fromSrc": "欢乐橙","datePublished": "2023-02-15T16:41:09","domain": "医疗","category": ["医疗权威文章合作"],"description": "耳轮和耳廓粘连在一起通常表现为耳廓外观的畸形,比如杯状耳、耳廓卷曲,还可能会伴随外耳道堵塞、听力下降等症状。
","extra_headline": [""]},"Author": {"name": "王立银","wapUrl": "https://www.med-credit.org.cn/doctor/520","pcUrl": "https://www.med-credit.org.cn/doctor/520","jobTitle": "主治医师","headPortrait": "https://www.med-credit.org.cn/uploadfile/member/520/180x180.jpeg","id": "520","description": "王立银,中国医科大学附属盛京医院耳鼻咽喉头颈外科主治医师","memberOf": {"legalName": "中国医科大学附属盛京医院","department": "耳鼻咽喉头颈外科","organizationLevel": "三级甲等"}},"Article": {"summaryContent": "耳轮和耳廓粘连在一起通常表现为耳廓外观的畸形,比如杯状耳、耳廓卷曲,还可能会伴随外耳道堵塞、听力下降等症状。
耳轮和耳廓粘连在一起可能是先天畸形,也可能是后天导致耳廓外伤引起的。

1、先天畸形:耳轮和耳廓粘连在一起可能是在胚胎时期母体受到病毒或者细菌感染,而导致胚胎耳廓发育畸形。一般可通过整形手术的方式来进行改善。
2、耳廓外伤:耳轮和耳廓粘连在一起有可能是后天耳廓受到外伤,局部发生感染没有得到及时的治疗导致的。建议到正规医院通过手术的方式分解粘连,并在医生的指导下使用相应的抗生素进行治疗。
手术治疗后要保持局部的干净清洁,饮食尽量以清淡为主,忌食辛辣刺激性的食物,有助于局部的恢复。
","articleBody": "耳轮和耳廓粘连在一起通常表现为耳廓外观的畸形,比如杯状耳、耳廓卷曲,还可能会伴随外耳道堵塞、听力下降等症状。
耳轮和耳廓粘连在一起可能是先天畸形,也可能是后天导致耳廓外伤引起的。

1、先天畸形:耳轮和耳廓粘连在一起可能是在胚胎时期母体受到病毒或者细菌感染,而导致胚胎耳廓发育畸形。一般可通过整形手术的方式来进行改善。
2、耳廓外伤:耳轮和耳廓粘连在一起有可能是后天耳廓受到外伤,局部发生感染没有得到及时的治疗导致的。建议到正规医院通过手术的方式分解粘连,并在医生的指导下使用相应的抗生素进行治疗。
手术治疗后要保持局部的干净清洁,饮食尽量以清淡为主,忌食辛辣刺激性的食物,有助于局部的恢复。
","scanCount": 32785}}} {"@context": "https://ziyuan.baidu.com/contexts/cambrian.jsonld","appid": "1650708455561748","icon": "https://www.med-credit.org.cn/style/images/ttlogo.png","content_tag": ["atlas"],"is_mcn": {"thumb_id": "lnsk06v2"},"accid": "4886d626a2804dee5f11168793ce361672f39c25","@id": "https://www.med-credit.org.cn/mobile/jingxuan/2/9652f57f73200e8508c32a4b48f16b94.html","bagWordId": "939_1620691331112243200","title": "手被洋辣子蛰了图片","pubDate": "2023-02-15T16:41:09","upDate": "2023-02-15T16:41:09","lrDate": "2023-02-15T16:41:09","description": "洋辣子又称褐边绿刺蛾,手被洋辣子蛰了通常会造成局部皮肤的红肿、疼痛,严重的还会出现出血、全身发热等症状。","data": {"WebPage": {"headline": "手被洋辣子蛰了图片","pcUrl": "https://www.med-credit.org.cn/jingxuan/2/9652f57f73200e8508c32a4b48f16b94.html","wapUrl": "https://www.med-credit.org.cn/jingxuan/2/9652f57f73200e8508c32a4b48f16b94.html","mipUrl": "https://www.med-credit.org.cn/mobile/jingxuan/2/9652f57f73200e8508c32a4b48f16b94.html","fromSrc": "欢乐橙","datePublished": "2023-02-15T16:41:09","domain": "医疗","category": ["医疗权威文章合作"],"description": "洋辣子又称褐边绿刺蛾,手被洋辣子蛰了通常会造成局部皮肤的红肿、疼痛,严重的还会出现出血、全身发热等症状。
","extra_headline": [""]},"Author": {"name": "王霞","wapUrl": "https://www.med-credit.org.cn/doctor/578","pcUrl": "https://www.med-credit.org.cn/doctor/578","jobTitle": "副主任医师","headPortrait": "https://www.med-credit.org.cn/uploadfile/member/578/180x180.jpeg","id": "578","description": "王霞,广州医科大学附属第一医院皮肤科副主任医师","memberOf": {"legalName": "广州医科大学附属第一医院","department": "皮肤科","organizationLevel": "三级甲等"}},"Article": {"summaryContent": "洋辣子又称褐边绿刺蛾,手被洋辣子蛰了通常会造成局部皮肤的红肿、疼痛,严重的还会出现出血、全身发热等症状。
手被洋辣子蛰了一般可通过日常护理、口服药物或者外用药物来进行改善。

1、日常护理:手被洋辣子蛰了首先应观察局部是否有刺入的细毛,如果有细毛应及时拔出。拔出细毛后应做好局部的护理,局部通常会有疼痛、肿胀的症状,可以进行局部冰敷改善症状。
2、口服药物:手被洋辣子蛰了可以在专业医生的指导下口服抗组胺类的药物来进行治疗,常用的药物有氯雷他定片、西替利嗪片等。症状比较严重的也可遵医嘱结合消炎止痛药物来进行治疗,比如阿莫西林胶囊、左氧氟沙星片等。
3、外用药物:手被洋辣子蛰了可以遵医嘱外涂药物来改善,常用的药物有地奈德乳膏、夫西地酸乳膏等,同时也可使用硼酸溶液、炉甘石洗剂来治疗。
手被洋辣子蛰了应避免用手抓挠或按压局部的皮肤,以免加重疼痛的症状。
","articleBody": "洋辣子又称褐边绿刺蛾,手被洋辣子蛰了通常会造成局部皮肤的红肿、疼痛,严重的还会出现出血、全身发热等症状。
手被洋辣子蛰了一般可通过日常护理、口服药物或者外用药物来进行改善。

1、日常护理:手被洋辣子蛰了首先应观察局部是否有刺入的细毛,如果有细毛应及时拔出。拔出细毛后应做好局部的护理,局部通常会有疼痛、肿胀的症状,可以进行局部冰敷改善症状。
2、口服药物:手被洋辣子蛰了可以在专业医生的指导下口服抗组胺类的药物来进行治疗,常用的药物有氯雷他定片、西替利嗪片等。症状比较严重的也可遵医嘱结合消炎止痛药物来进行治疗,比如阿莫西林胶囊、左氧氟沙星片等。
3、外用药物:手被洋辣子蛰了可以遵医嘱外涂药物来改善,常用的药物有地奈德乳膏、夫西地酸乳膏等,同时也可使用硼酸溶液、炉甘石洗剂来治疗。
手被洋辣子蛰了应避免用手抓挠或按压局部的皮肤,以免加重疼痛的症状。
","scanCount": 32784}}} {"@context": "https://ziyuan.baidu.com/contexts/cambrian.jsonld","appid": "1650708455561748","icon": "https://www.med-credit.org.cn/style/images/ttlogo.png","content_tag": ["atlas"],"is_mcn": {"thumb_id": "lnsk06v2"},"accid": "4886d626a2804dee5f11168793ce361672f39c25","@id": "https://www.med-credit.org.cn/mobile/jingxuan/2/fc7e32d9f591ce5ee72bd0f6412b34b6.html","bagWordId": "939_1620691331586199552","title": "皮癣和银屑病的区别图片","pubDate": "2023-02-15T16:41:09","upDate": "2023-02-15T16:41:09","lrDate": "2023-02-15T16:41:09","description": "银屑病又称牛皮癣,皮癣一般指的是皮肤癣菌病,皮肤癣菌病和银屑病的区别在于病因不同、症状不同、治疗也不同。","data": {"WebPage": {"headline": "皮癣和银屑病的区别图片","pcUrl": "https://www.med-credit.org.cn/jingxuan/2/fc7e32d9f591ce5ee72bd0f6412b34b6.html","wapUrl": "https://www.med-credit.org.cn/jingxuan/2/fc7e32d9f591ce5ee72bd0f6412b34b6.html","mipUrl": "https://www.med-credit.org.cn/mobile/jingxuan/2/fc7e32d9f591ce5ee72bd0f6412b34b6.html","fromSrc": "欢乐橙","datePublished": "2023-02-15T16:41:09","domain": "医疗","category": ["医疗权威文章合作"],"description": "银屑病又称牛皮癣,皮癣一般指的是皮肤癣菌病,皮肤癣菌病和银屑病的区别在于病因不同、症状不同、治疗也不同。
","extra_headline": [""]},"Author": {"name": "王霞","wapUrl": "https://www.med-credit.org.cn/doctor/578","pcUrl": "https://www.med-credit.org.cn/doctor/578","jobTitle": "副主任医师","headPortrait": "https://www.med-credit.org.cn/uploadfile/member/578/180x180.jpeg","id": "578","description": "王霞,广州医科大学附属第一医院皮肤科副主任医师","memberOf": {"legalName": "广州医科大学附属第一医院","department": "皮肤科","organizationLevel": "三级甲等"}},"Article": {"summaryContent": "银屑病又称牛皮癣,皮癣一般指的是皮肤癣菌病,皮肤癣菌病和银屑病的区别在于病因不同、症状不同、治疗也不同。
皮肤癣菌病和银屑病的患者建议在日常的生活中要做好皮肤的护理,在洗澡的时候避免使用刺激性的沐浴用品,以免加重病情。


1、病因不同:皮肤癣菌病通常是由真菌感染引起的,银屑病则是免疫系统疾病,但都可能是由于免疫力低下或者免疫功能出现障碍引起的。
2、症状不同:不同的皮肤癣菌病通常会出现不同颜色的鳞屑、斑点,好发于头部以及四肢。银屑病通常会出现红色的斑块、鳞屑,边界清楚,好发于头皮以及膝关节深侧。
3、治疗不同:皮肤癣菌病的治疗主要以抗真菌治疗为主,可以在医生的指导下局部涂抹氟康唑软膏等药物来改善。银屑病通常需要使用调节免疫的药物来进行治疗,也可以局部涂抹糖皮质激素软膏等。
","articleBody": "银屑病又称牛皮癣,皮癣一般指的是皮肤癣菌病,皮肤癣菌病和银屑病的区别在于病因不同、症状不同、治疗也不同。
皮肤癣菌病和银屑病的患者建议在日常的生活中要做好皮肤的护理,在洗澡的时候避免使用刺激性的沐浴用品,以免加重病情。


1、病因不同:皮肤癣菌病通常是由真菌感染引起的,银屑病则是免疫系统疾病,但都可能是由于免疫力低下或者免疫功能出现障碍引起的。
2、症状不同:不同的皮肤癣菌病通常会出现不同颜色的鳞屑、斑点,好发于头部以及四肢。银屑病通常会出现红色的斑块、鳞屑,边界清楚,好发于头皮以及膝关节深侧。
3、治疗不同:皮肤癣菌病的治疗主要以抗真菌治疗为主,可以在医生的指导下局部涂抹氟康唑软膏等药物来改善。银屑病通常需要使用调节免疫的药物来进行治疗,也可以局部涂抹糖皮质激素软膏等。
","scanCount": 32783}}} {"@context": "https://ziyuan.baidu.com/contexts/cambrian.jsonld","appid": "1650708455561748","icon": "https://www.med-credit.org.cn/style/images/ttlogo.png","content_tag": ["atlas"],"is_mcn": {"thumb_id": "lnsk06v2"},"accid": "4886d626a2804dee5f11168793ce361672f39c25","@id": "https://www.med-credit.org.cn/mobile/jingxuan/2/b4028e9d7febf2c93c75e9ed3a2560b6.html","bagWordId": "939_1620691333083566080","title": "甲癣脚指甲图片","pubDate": "2023-02-15T16:41:09","upDate": "2023-02-15T16:41:09","lrDate": "2023-02-15T16:41:09","description": "甲癣脚指甲一般可表现为指甲增厚、分离、变色、萎缩、脱落、翘起、表面凹凸不平、脚沟炎等,根据发病类型的不同,其脚指甲症状表现就会不同。","data": {"WebPage": {"headline": "甲癣脚指甲图片","pcUrl": "https://www.med-credit.org.cn/jingxuan/2/b4028e9d7febf2c93c75e9ed3a2560b6.html","wapUrl": "https://www.med-credit.org.cn/jingxuan/2/b4028e9d7febf2c93c75e9ed3a2560b6.html","mipUrl": "https://www.med-credit.org.cn/mobile/jingxuan/2/b4028e9d7febf2c93c75e9ed3a2560b6.html","fromSrc": "欢乐橙","datePublished": "2023-02-15T16:41:09","domain": "医疗","category": ["医疗权威文章合作"],"description": "甲癣脚指甲一般可表现为指甲增厚、分离、变色、萎缩、脱落、翘起、表面凹凸不平、脚沟炎等,根据发病类型的不同,其脚指甲症状表现就会不同。
","extra_headline": [""]},"Author": {"name": "王霞","wapUrl": "https://www.med-credit.org.cn/doctor/578","pcUrl": "https://www.med-credit.org.cn/doctor/578","jobTitle": "副主任医师","headPortrait": "https://www.med-credit.org.cn/uploadfile/member/578/180x180.jpeg","id": "578","description": "王霞,广州医科大学附属第一医院皮肤科副主任医师","memberOf": {"legalName": "广州医科大学附属第一医院","department": "皮肤科","organizationLevel": "三级甲等"}},"Article": {"summaryContent": "甲癣脚指甲一般可表现为指甲增厚、分离、变色、萎缩、脱落、翘起、表面凹凸不平、脚沟炎等,根据发病类型的不同,其脚指甲症状表现就会不同。
甲癣俗称“灰指甲”,是由皮肤癣菌侵犯甲板及甲下所引起的甲病变。

1、白色浅表型:由于真菌直接从甲板浅表层侵入,甲板慢慢出现斑状或者不规则片状的白色浑浊,随后甲板颜色逐渐变为黄白色,甲板质地也变得松脆易碎;

2、远端侧位甲下型:此型最为常见,真菌首先从一侧甲廓侵犯甲周远端以及侧端,随后蔓延至甲床,使之变灰黄浑浊、脆性增加,极易破损或呈蛀虫状;

3、近端甲下型:这一类型的患者通常免疫力会下降,真菌从近端甲小皮质入侵,初期患者甲半月部出现白斑,随着甲板生长逐渐往外移,白斑也跟着移动生长,甲半月和甲根部粗糙增厚、凹凸不平甚至出现破损,常常伴有甲沟炎;
4、甲板内型:此类型真菌一般侵害部分只是甲板,甲板呈白色或者灰白色,没有明显增厚或者萎缩,也没有炎症;

5、全甲毁损型:这种类型较为少见,表现为全甲板受到侵蚀、破坏、脱落,甲床异常增厚。
若病情不严重,可选用外用的抗真菌药物进行治疗,如复方聚维酮碘搽剂;如果病情较为严重,可以选用口服抗真菌药物,如伊曲康唑分散片,盐酸特比萘芬片。
","articleBody": "甲癣脚指甲一般可表现为指甲增厚、分离、变色、萎缩、脱落、翘起、表面凹凸不平、脚沟炎等,根据发病类型的不同,其脚指甲症状表现就会不同。
甲癣俗称“灰指甲”,是由皮肤癣菌侵犯甲板及甲下所引起的甲病变。

1、白色浅表型:由于真菌直接从甲板浅表层侵入,甲板慢慢出现斑状或者不规则片状的白色浑浊,随后甲板颜色逐渐变为黄白色,甲板质地也变得松脆易碎;

2、远端侧位甲下型:此型最为常见,真菌首先从一侧甲廓侵犯甲周远端以及侧端,随后蔓延至甲床,使之变灰黄浑浊、脆性增加,极易破损或呈蛀虫状;

3、近端甲下型:这一类型的患者通常免疫力会下降,真菌从近端甲小皮质入侵,初期患者甲半月部出现白斑,随着甲板生长逐渐往外移,白斑也跟着移动生长,甲半月和甲根部粗糙增厚、凹凸不平甚至出现破损,常常伴有甲沟炎;
4、甲板内型:此类型真菌一般侵害部分只是甲板,甲板呈白色或者灰白色,没有明显增厚或者萎缩,也没有炎症;

5、全甲毁损型:这种类型较为少见,表现为全甲板受到侵蚀、破坏、脱落,甲床异常增厚。
若病情不严重,可选用外用的抗真菌药物进行治疗,如复方聚维酮碘搽剂;如果病情较为严重,可以选用口服抗真菌药物,如伊曲康唑分散片,盐酸特比萘芬片。
","scanCount": 32781}}} {"@context": "https://ziyuan.baidu.com/contexts/cambrian.jsonld","appid": "1650708455561748","icon": "https://www.med-credit.org.cn/style/images/ttlogo.png","content_tag": ["atlas"],"is_mcn": {"thumb_id": "lnsk06v2"},"accid": "4886d626a2804dee5f11168793ce361672f39c25","@id": "https://www.med-credit.org.cn/mobile/jingxuan/2/d94ea58732f5f13af09471171270b301.html","bagWordId": "939_1620691332848685056","title": "荨麻疹长在耳朵上是什么样子","pubDate": "2023-02-15T16:41:09","upDate": "2023-02-15T16:41:09","lrDate": "2023-02-15T16:41:09","description": "荨麻疹长在耳朵上表现为耳部皮肤上伴有红斑和大小可变的中央肿胀,常伴有瘙痒感。","data": {"WebPage": {"headline": "荨麻疹长在耳朵上是什么样子","pcUrl": "https://www.med-credit.org.cn/jingxuan/2/d94ea58732f5f13af09471171270b301.html","wapUrl": "https://www.med-credit.org.cn/jingxuan/2/d94ea58732f5f13af09471171270b301.html","mipUrl": "https://www.med-credit.org.cn/mobile/jingxuan/2/d94ea58732f5f13af09471171270b301.html","fromSrc": "欢乐橙","datePublished": "2023-02-15T16:41:09","domain": "医疗","category": ["医疗权威文章合作"],"description": "荨麻疹长在耳朵上表现为耳部皮肤上伴有红斑和大小可变的中央肿胀,常伴有瘙痒感。
","extra_headline": [""]},"Author": {"name": "王霞","wapUrl": "https://www.med-credit.org.cn/doctor/578","pcUrl": "https://www.med-credit.org.cn/doctor/578","jobTitle": "副主任医师","headPortrait": "https://www.med-credit.org.cn/uploadfile/member/578/180x180.jpeg","id": "578","description": "王霞,广州医科大学附属第一医院皮肤科副主任医师","memberOf": {"legalName": "广州医科大学附属第一医院","department": "皮肤科","organizationLevel": "三级甲等"}},"Article": {"summaryContent": "荨麻疹长在耳朵上表现为耳部皮肤上伴有红斑和大小可变的中央肿胀,常伴有瘙痒感。
荨麻疹考虑外源性刺激或异常免疫反应引起。

1、外观:荨麻疹长在耳朵上表现为耳部皮肤上出现风团,是荨麻疹最典型的症状,发作形式多样,风团大小和形态不一,可孤立分布或扩大融合成片。伴有红斑和大小可变的中央肿胀,常伴有瘙痒感。
2、病因:荨麻疹的病因较为复杂,根据来源不同,大致分为外源性因素和内源性因素如异常免疫反应两类。外源性因素往往是一过性的,常见因素有摩擦、压力、冷热变化、日光照射等物理因素;动物蛋白如鱼类、蛋类等食物因素;呼吸道吸入物及皮肤接触物等。慢性隐匿性感染与自身免疫反应等可刺激肥大细胞及相关免疫细胞发生异常的免疫反应,进而导致荨麻疹。
主要寻找荨麻疹的病因并设法消除,并进行抗过敏和对症治疗,以完全缓解症状。抗组胺药可以拮抗组胺作用,抑制血管渗出,减轻组织水肿,从而缓解荨麻疹风团红肿和瘙痒及其他过敏症状。
","articleBody": "荨麻疹长在耳朵上表现为耳部皮肤上伴有红斑和大小可变的中央肿胀,常伴有瘙痒感。
荨麻疹考虑外源性刺激或异常免疫反应引起。

1、外观:荨麻疹长在耳朵上表现为耳部皮肤上出现风团,是荨麻疹最典型的症状,发作形式多样,风团大小和形态不一,可孤立分布或扩大融合成片。伴有红斑和大小可变的中央肿胀,常伴有瘙痒感。
2、病因:荨麻疹的病因较为复杂,根据来源不同,大致分为外源性因素和内源性因素如异常免疫反应两类。外源性因素往往是一过性的,常见因素有摩擦、压力、冷热变化、日光照射等物理因素;动物蛋白如鱼类、蛋类等食物因素;呼吸道吸入物及皮肤接触物等。慢性隐匿性感染与自身免疫反应等可刺激肥大细胞及相关免疫细胞发生异常的免疫反应,进而导致荨麻疹。
主要寻找荨麻疹的病因并设法消除,并进行抗过敏和对症治疗,以完全缓解症状。抗组胺药可以拮抗组胺作用,抑制血管渗出,减轻组织水肿,从而缓解荨麻疹风团红肿和瘙痒及其他过敏症状。
","scanCount": 32780}}} {"@context": "https://ziyuan.baidu.com/contexts/cambrian.jsonld","appid": "1650708455561748","icon": "https://www.med-credit.org.cn/style/images/ttlogo.png","content_tag": ["atlas"],"is_mcn": {"thumb_id": "ay28xrnt0"},"accid": "4886d626a2804dee5f11168793ce361672f39c25","@id": "https://www.med-credit.org.cn/mobile/jingxuan/2/a9435a6f0c2c393cc08c08d9e9b1a002.html","bagWordId": "939_1620691329304498176","title": "口腔窦道图片","pubDate": "2023-02-15T16:41:09","upDate": "2023-02-15T16:41:09","lrDate": "2023-02-15T16:41:09","description": "口腔窦道是存在于口腔的窦道,一般是根尖或者牙根分叉处有炎症,脓液穿破了各层组织流出体外,形成的盲道。","data": {"WebPage": {"headline": "口腔窦道图片","pcUrl": "https://www.med-credit.org.cn/jingxuan/2/a9435a6f0c2c393cc08c08d9e9b1a002.html","wapUrl": "https://www.med-credit.org.cn/jingxuan/2/a9435a6f0c2c393cc08c08d9e9b1a002.html","mipUrl": "https://www.med-credit.org.cn/mobile/jingxuan/2/a9435a6f0c2c393cc08c08d9e9b1a002.html","fromSrc": "欢乐橙","datePublished": "2023-02-15T16:41:09","domain": "医疗","category": ["医疗权威文章合作"],"description": "口腔窦道是存在于口腔的窦道,一般是根尖或者牙根分叉处有炎症,脓液穿破了各层组织流出体外,形成的盲道。
","extra_headline": [""]},"Author": {"name": "李斯文","wapUrl": "https://www.med-credit.org.cn/doctor/546","pcUrl": "https://www.med-credit.org.cn/doctor/546","jobTitle": "主治医师","headPortrait": "https://www.med-credit.org.cn/uploadfile/member/546/180x180.jpeg","id": "546","description": "李斯文,中国医科大学附属口腔医院口腔科主治医师","memberOf": {"legalName": "中国医科大学附属口腔医院","department": "口腔科","organizationLevel": "三级甲等"}},"Article": {"summaryContent": "口腔窦道是存在于口腔的窦道,一般是根尖或者牙根分叉处有炎症,脓液穿破了各层组织流出体外,形成的盲道。
口腔窦道多由根尖炎造成,可通过药物或者手术治疗。

1.病因以及症状:口腔窦道多数是因为慢性根尖周炎存在脓肿,脓液从皮肤开口排出,形成瘘孔或炎症性结节的疾病。初始常为一红色小丘疹或疖肿样损害,逐渐增大,继而表面糜烂、破溃、排脓,呈化脓性肉芽肿外观,损害周围软组织,使之呈现大片红肿,触之有弹性及波动感。
2.口腔窦道的治疗:药物治疗选用敏感抗生素抗感染治疗,对窦道较浅的患者效果较好。手术治疗腔隙不深的简单性窦道,可在局部麻醉后用刮匙搔刮窦道,以清除其内的肉芽或坏死组织及线头等异物,保持窦道创面清洁,用凡士林纱布或合适的敷料轻轻填塞引流腔隙,每日换药,促使窦道由底部逐渐变浅而痊愈。
治疗期间应清淡饮食,避免刺激窦道而影响恢复。
","articleBody": "口腔窦道是存在于口腔的窦道,一般是根尖或者牙根分叉处有炎症,脓液穿破了各层组织流出体外,形成的盲道。
口腔窦道多由根尖炎造成,可通过药物或者手术治疗。

1.病因以及症状:口腔窦道多数是因为慢性根尖周炎存在脓肿,脓液从皮肤开口排出,形成瘘孔或炎症性结节的疾病。初始常为一红色小丘疹或疖肿样损害,逐渐增大,继而表面糜烂、破溃、排脓,呈化脓性肉芽肿外观,损害周围软组织,使之呈现大片红肿,触之有弹性及波动感。
2.口腔窦道的治疗:药物治疗选用敏感抗生素抗感染治疗,对窦道较浅的患者效果较好。手术治疗腔隙不深的简单性窦道,可在局部麻醉后用刮匙搔刮窦道,以清除其内的肉芽或坏死组织及线头等异物,保持窦道创面清洁,用凡士林纱布或合适的敷料轻轻填塞引流腔隙,每日换药,促使窦道由底部逐渐变浅而痊愈。
治疗期间应清淡饮食,避免刺激窦道而影响恢复。
","scanCount": 32777}}} {"@context": "https://ziyuan.baidu.com/contexts/cambrian.jsonld","appid": "1650708455561748","icon": "https://www.med-credit.org.cn/style/images/ttlogo.png","content_tag": ["atlas"],"is_mcn": {"thumb_id": "ay28xrnt0"},"accid": "4886d626a2804dee5f11168793ce361672f39c25","@id": "https://www.med-credit.org.cn/mobile/jingxuan/2/c5db8bc0e963943fa2a127caa2344940.html","bagWordId": "939_1620691329472270336","title": "前牙图片","pubDate": "2023-02-15T16:41:09","upDate": "2023-02-15T16:41:09","lrDate": "2023-02-15T16:41:09","description": "前牙一般是指我们张嘴就能看到的牙齿,包括了中切牙、侧切牙、尖牙。","data": {"WebPage": {"headline": "前牙图片","pcUrl": "https://www.med-credit.org.cn/jingxuan/2/c5db8bc0e963943fa2a127caa2344940.html","wapUrl": "https://www.med-credit.org.cn/jingxuan/2/c5db8bc0e963943fa2a127caa2344940.html","mipUrl": "https://www.med-credit.org.cn/mobile/jingxuan/2/c5db8bc0e963943fa2a127caa2344940.html","fromSrc": "欢乐橙","datePublished": "2023-02-15T16:41:09","domain": "医疗","category": ["医疗权威文章合作"],"description": "前牙一般是指我们张嘴就能看到的牙齿,包括了中切牙、侧切牙、尖牙。
","extra_headline": [""]},"Author": {"name": "李斯文","wapUrl": "https://www.med-credit.org.cn/doctor/546","pcUrl": "https://www.med-credit.org.cn/doctor/546","jobTitle": "主治医师","headPortrait": "https://www.med-credit.org.cn/uploadfile/member/546/180x180.jpeg","id": "546","description": "李斯文,中国医科大学附属口腔医院口腔科主治医师","memberOf": {"legalName": "中国医科大学附属口腔医院","department": "口腔科","organizationLevel": "三级甲等"}},"Article": {"summaryContent": "前牙一般是指我们张嘴就能看到的牙齿,包括了中切牙、侧切牙、尖牙。
前牙具有咀嚼、辅助发音、支撑口唇面部等功能。

1、前牙外形:前牙咬合面主要是由唇面以及舌面相交形成切缘,一般唇面较平,但舌侧比较凸,它们会在接触区形成切脊。
2、前牙分类:前牙一般分为中切牙、侧切牙以及尖牙。
1)中切牙:中切牙指的是上、下颌中切牙,中切牙是体积最大、近远中径最宽的切牙,位于中线两侧,左右中切牙的近中面彼此相对,中切牙一共有四颗;
2)侧切牙:侧切牙指的是上、下颌侧切牙,上颌侧切牙的形态与上颌中切牙相似,但体积略小,位于中切牙的远中,为切牙组中唇面最突、舌窝最深的,侧切牙一共有四颗;
3)尖牙:尖牙俗称虎牙,位于口角处,从前门牙往后数第三颗即为尖牙;
3、前牙功能:前牙一般具有咀嚼、辅助发音以及支撑口唇面部的功能,切牙主要起切割食物的作用,而尖牙是起刺穿以及撕裂食物的作用。
在日常生活中要注意保护牙齿,早晚刷牙,保持口腔的清洁;在饮食上可多吃一些排骨汤、水果以及蔬菜,均衡饮食,保证足够的营养物质摄入。
","articleBody": "前牙一般是指我们张嘴就能看到的牙齿,包括了中切牙、侧切牙、尖牙。
前牙具有咀嚼、辅助发音、支撑口唇面部等功能。

1、前牙外形:前牙咬合面主要是由唇面以及舌面相交形成切缘,一般唇面较平,但舌侧比较凸,它们会在接触区形成切脊。
2、前牙分类:前牙一般分为中切牙、侧切牙以及尖牙。
1)中切牙:中切牙指的是上、下颌中切牙,中切牙是体积最大、近远中径最宽的切牙,位于中线两侧,左右中切牙的近中面彼此相对,中切牙一共有四颗;
2)侧切牙:侧切牙指的是上、下颌侧切牙,上颌侧切牙的形态与上颌中切牙相似,但体积略小,位于中切牙的远中,为切牙组中唇面最突、舌窝最深的,侧切牙一共有四颗;
3)尖牙:尖牙俗称虎牙,位于口角处,从前门牙往后数第三颗即为尖牙;
3、前牙功能:前牙一般具有咀嚼、辅助发音以及支撑口唇面部的功能,切牙主要起切割食物的作用,而尖牙是起刺穿以及撕裂食物的作用。
在日常生活中要注意保护牙齿,早晚刷牙,保持口腔的清洁;在饮食上可多吃一些排骨汤、水果以及蔬菜,均衡饮食,保证足够的营养物质摄入。
","scanCount": 32776}}} {"@context": "https://ziyuan.baidu.com/contexts/cambrian.jsonld","appid": "1650708455561748","icon": "https://www.med-credit.org.cn/style/images/ttlogo.png","content_tag": ["atlas"],"is_mcn": {"thumb_id": "yfygkay6"},"accid": "4886d626a2804dee5f11168793ce361672f39c25","@id": "https://www.med-credit.org.cn/mobile/jingxuan/2/d4744682b4dc4e907aad1dc7f5320678.html","bagWordId": "939_1620691333482024960","title": "鼻子白头图片","pubDate": "2023-02-15T16:41:09","upDate": "2023-02-15T16:41:09","lrDate": "2023-02-15T16:41:09","description": "鼻子的白头,指的是鼻子出现白头粉刺,是皮肤分泌的油脂长期在毛囊里,没有即时彻底清除后积攒在毛孔中形成的。","data": {"WebPage": {"headline": "鼻子白头图片","pcUrl": "https://www.med-credit.org.cn/jingxuan/2/d4744682b4dc4e907aad1dc7f5320678.html","wapUrl": "https://www.med-credit.org.cn/jingxuan/2/d4744682b4dc4e907aad1dc7f5320678.html","mipUrl": "https://www.med-credit.org.cn/mobile/jingxuan/2/d4744682b4dc4e907aad1dc7f5320678.html","fromSrc": "欢乐橙","datePublished": "2023-02-15T16:41:09","domain": "医疗","category": ["医疗权威文章合作"],"description": "鼻子的白头,指的是鼻子出现白头粉刺,是皮肤分泌的油脂长期在毛囊里,没有即时彻底清除后积攒在毛孔中形成的。
","extra_headline": [""]},"Author": {"name": "王立银","wapUrl": "https://www.med-credit.org.cn/doctor/520","pcUrl": "https://www.med-credit.org.cn/doctor/520","jobTitle": "主治医师","headPortrait": "https://www.med-credit.org.cn/uploadfile/member/520/180x180.jpeg","id": "520","description": "王立银,中国医科大学附属盛京医院耳鼻咽喉头颈外科主治医师","memberOf": {"legalName": "中国医科大学附属盛京医院","department": "耳鼻咽喉头颈外科","organizationLevel": "三级甲等"}},"Article": {"summaryContent": "鼻子的白头,指的是鼻子出现白头粉刺,是皮肤分泌的油脂长期在毛囊里,没有即时彻底清除后积攒在毛孔中形成的。
鼻子又是在危险三角区,为了避免颅内感染,不建议用手去挤压,可以通过外用药物治疗。

如果鼻子有白头可以在白天的时候涂抹夫西地酸乳膏,晚上睡觉前可以点涂异维A酸红霉素凝胶,治疗4-8周的时间会逐渐消退,如果消退不了则可以口服多西环素片以及丹参酮胶囊,但要按照医生的要求服药。也可以从中医角度分析,根据自身的舌苔及脉象来判断属于什么症型,选择合适的方剂来治疗。
在平时生活中可以定期去除堆积在毛孔的角质废物,用酸类的产品促进细胞代谢,避免废角质堆积、堵塞毛囊口,形成白头。使用含有控油、去角质或者酸类等成份的护肤品,也能够帮助预防白头的产生。
饮食方面要少吃辛辣、坚果类食品,这一类食物容易促进面部油脂的分泌,从而导致白头的产生。平时要多喝水,多吃青菜蔬果,加速身体的新陈代谢,促进细胞分解油脂的能力。
","articleBody": "鼻子的白头,指的是鼻子出现白头粉刺,是皮肤分泌的油脂长期在毛囊里,没有即时彻底清除后积攒在毛孔中形成的。
鼻子又是在危险三角区,为了避免颅内感染,不建议用手去挤压,可以通过外用药物治疗。

如果鼻子有白头可以在白天的时候涂抹夫西地酸乳膏,晚上睡觉前可以点涂异维A酸红霉素凝胶,治疗4-8周的时间会逐渐消退,如果消退不了则可以口服多西环素片以及丹参酮胶囊,但要按照医生的要求服药。也可以从中医角度分析,根据自身的舌苔及脉象来判断属于什么症型,选择合适的方剂来治疗。
在平时生活中可以定期去除堆积在毛孔的角质废物,用酸类的产品促进细胞代谢,避免废角质堆积、堵塞毛囊口,形成白头。使用含有控油、去角质或者酸类等成份的护肤品,也能够帮助预防白头的产生。
饮食方面要少吃辛辣、坚果类食品,这一类食物容易促进面部油脂的分泌,从而导致白头的产生。平时要多喝水,多吃青菜蔬果,加速身体的新陈代谢,促进细胞分解油脂的能力。
","scanCount": 32775}}} {"@context": "https://ziyuan.baidu.com/contexts/cambrian.jsonld","appid": "1650708455561748","icon": "https://www.med-credit.org.cn/style/images/ttlogo.png","content_tag": ["atlas"],"is_mcn": {"thumb_id": "yfygkay6"},"accid": "4886d626a2804dee5f11168793ce361672f39c25","@id": "https://www.med-credit.org.cn/mobile/jingxuan/2/646c756134b9c67955f83ab8727470bc.html","bagWordId": "939_1620691333322641408","title": "扁桃体示意图","pubDate": "2023-02-15T16:41:09","upDate": "2023-02-15T16:41:09","lrDate": "2023-02-15T16:41:09","description": "扁桃体是淋巴组织团块位于口咽部的上皮。","data": {"WebPage": {"headline": "扁桃体示意图","pcUrl": "https://www.med-credit.org.cn/jingxuan/2/646c756134b9c67955f83ab8727470bc.html","wapUrl": "https://www.med-credit.org.cn/jingxuan/2/646c756134b9c67955f83ab8727470bc.html","mipUrl": "https://www.med-credit.org.cn/mobile/jingxuan/2/646c756134b9c67955f83ab8727470bc.html","fromSrc": "欢乐橙","datePublished": "2023-02-15T16:41:09","domain": "医疗","category": ["医疗权威文章合作"],"description": "扁桃体是淋巴组织团块位于口咽部的上皮。
","extra_headline": [""]},"Author": {"name": "王立银","wapUrl": "https://www.med-credit.org.cn/doctor/520","pcUrl": "https://www.med-credit.org.cn/doctor/520","jobTitle": "主治医师","headPortrait": "https://www.med-credit.org.cn/uploadfile/member/520/180x180.jpeg","id": "520","description": "王立银,中国医科大学附属盛京医院耳鼻咽喉头颈外科主治医师","memberOf": {"legalName": "中国医科大学附属盛京医院","department": "耳鼻咽喉头颈外科","organizationLevel": "三级甲等"}},"Article": {"summaryContent": "扁桃体是淋巴组织团块位于口咽部的上皮。
按其位置分别由腭扁桃体、咽扁桃体、舌扁桃体等组成。

1.腭扁桃体:位于口咽部的腭扁桃体,在咽峡的侧壁,在舌腭弓和咽腭弓之间,外形是扁卵圆形形态,在其表面覆盖有粘膜上皮,左右各一个,我们通常所说的扁桃体肥大及急性扁桃体炎,其实就是指腭扁桃体变大。腭扁桃中含有许多T细胞、B细胞、浆细胞及巨噬细胞,这充分表示腭扁桃体和体内的免疫有着密切的联系。
2.咽扁桃体:咽扁桃体又称为腺样体,其位置在咽后壁,表面有假复层纤毛柱状上皮。粘膜层形成有纵行皱襞,固有层中含较多的淋巴组织,以及上皮内也可以看见淋巴细胞浸润。
3.舌扁桃体:在舌根与咽前壁就可见我们所说的舌扁桃体,表层有复层扁平上皮和浅隐窝。
虽然扁桃体具有较强的免疫功能,但人在5到6岁之后,扁桃体的免疫功能逐渐会被其它器官所取代,如胸腺等。如果出现扁桃体肿大等情况,要及时去医院就诊。
","articleBody": "扁桃体是淋巴组织团块位于口咽部的上皮。
按其位置分别由腭扁桃体、咽扁桃体、舌扁桃体等组成。

1.腭扁桃体:位于口咽部的腭扁桃体,在咽峡的侧壁,在舌腭弓和咽腭弓之间,外形是扁卵圆形形态,在其表面覆盖有粘膜上皮,左右各一个,我们通常所说的扁桃体肥大及急性扁桃体炎,其实就是指腭扁桃体变大。腭扁桃中含有许多T细胞、B细胞、浆细胞及巨噬细胞,这充分表示腭扁桃体和体内的免疫有着密切的联系。
2.咽扁桃体:咽扁桃体又称为腺样体,其位置在咽后壁,表面有假复层纤毛柱状上皮。粘膜层形成有纵行皱襞,固有层中含较多的淋巴组织,以及上皮内也可以看见淋巴细胞浸润。
3.舌扁桃体:在舌根与咽前壁就可见我们所说的舌扁桃体,表层有复层扁平上皮和浅隐窝。
虽然扁桃体具有较强的免疫功能,但人在5到6岁之后,扁桃体的免疫功能逐渐会被其它器官所取代,如胸腺等。如果出现扁桃体肿大等情况,要及时去医院就诊。
","scanCount": 32774}}} {"@context": "https://ziyuan.baidu.com/contexts/cambrian.jsonld","appid": "1650708455561748","icon": "https://www.med-credit.org.cn/style/images/ttlogo.png","content_tag": ["atlas"],"is_mcn": {"thumb_id": "6s1p03j8e"},"accid": "4886d626a2804dee5f11168793ce361672f39c25","@id": "https://www.med-credit.org.cn/mobile/jingxuan/2/5e0676e5d83f1afc823161fa4ab60aa9.html","bagWordId": "939_1620691330650869760","title": "小圆肌的位置图片","pubDate": "2023-02-15T16:41:09","upDate": "2023-02-15T16:41:09","lrDate": "2023-02-15T16:41:09","description": "小圆肌位于冈下肌的下方,冈下窝内,肩关节的后面。起始于肩胛骨的腋窝上缘三分之二背面,经肩关节后部,止于肱骨大结节下部。","data": {"WebPage": {"headline": "小圆肌的位置图片","pcUrl": "https://www.med-credit.org.cn/jingxuan/2/5e0676e5d83f1afc823161fa4ab60aa9.html","wapUrl": "https://www.med-credit.org.cn/jingxuan/2/5e0676e5d83f1afc823161fa4ab60aa9.html","mipUrl": "https://www.med-credit.org.cn/mobile/jingxuan/2/5e0676e5d83f1afc823161fa4ab60aa9.html","fromSrc": "欢乐橙","datePublished": "2023-02-15T16:41:09","domain": "医疗","category": ["医疗权威文章合作"],"description": "小圆肌位于冈下肌的下方,冈下窝内,肩关节的后面。起始于肩胛骨的腋窝上缘三分之二背面,经肩关节后部,止于肱骨大结节下部。
","extra_headline": [""]},"Author": {"name": "富灵杰","wapUrl": "https://www.med-credit.org.cn/doctor/569","pcUrl": "https://www.med-credit.org.cn/doctor/569","jobTitle": "副主任医师","headPortrait": "https://www.med-credit.org.cn/uploadfile/member/569/180x180.jpeg","id": "569","description": "富灵杰,上海交通大学医学院附属第九人民医院骨科副主任医师","memberOf": {"legalName": "上海交通大学医学院附属第九人民医院","department": "骨科","organizationLevel": "三级甲等"}},"Article": {"summaryContent": "小圆肌位于冈下肌的下方,冈下窝内,肩关节的后面。起始于肩胛骨的腋窝上缘三分之二背面,经肩关节后部,止于肱骨大结节下部。
小圆肌的主要功能是外旋,内收肱骨,损伤时多会导致肩痛及肩关节活动时小指及环指麻木。

1.位置:小圆肌位于冈下肌的下方,大部分被三角肌所遮盖,为圆柱形的小肌,起自肩胛骨腋缘的上2/3的背面,肌束向外移行于扁腱,抵止于肱骨大结节的下压迹和肩关节囊。
2.异常症状:小圆肌与冈下肌功能几乎相同,都是使肩关节外旋,而小圆肌比较倾向于协助的作用。小圆肌是引起后外侧肩部疼痛的主要肌肉,小圆肌损伤时可卡压周围的神经束,如腋神经与桡神经等,导致远端的肢体麻木;肩痛剧烈的患者可以通过腋神经封闭来缓解症状。患者在肩关节活动时,会有肩关节内部的不适感。可明确定位出疼痛位置。一般疼痛症状比活动受限明显,有关节盂内有异物感等错觉。
小圆肌损伤若不严重可行物理按摩等方法治疗,若疼痛感较强烈或肩关节明显受限,需就诊于正规医院,在医生的指导下规范治疗,切勿延误病情。
","articleBody": "小圆肌位于冈下肌的下方,冈下窝内,肩关节的后面。起始于肩胛骨的腋窝上缘三分之二背面,经肩关节后部,止于肱骨大结节下部。
小圆肌的主要功能是外旋,内收肱骨,损伤时多会导致肩痛及肩关节活动时小指及环指麻木。

1.位置:小圆肌位于冈下肌的下方,大部分被三角肌所遮盖,为圆柱形的小肌,起自肩胛骨腋缘的上2/3的背面,肌束向外移行于扁腱,抵止于肱骨大结节的下压迹和肩关节囊。
2.异常症状:小圆肌与冈下肌功能几乎相同,都是使肩关节外旋,而小圆肌比较倾向于协助的作用。小圆肌是引起后外侧肩部疼痛的主要肌肉,小圆肌损伤时可卡压周围的神经束,如腋神经与桡神经等,导致远端的肢体麻木;肩痛剧烈的患者可以通过腋神经封闭来缓解症状。患者在肩关节活动时,会有肩关节内部的不适感。可明确定位出疼痛位置。一般疼痛症状比活动受限明显,有关节盂内有异物感等错觉。
小圆肌损伤若不严重可行物理按摩等方法治疗,若疼痛感较强烈或肩关节明显受限,需就诊于正规医院,在医生的指导下规范治疗,切勿延误病情。
","scanCount": 32771}}} {"@context": "https://ziyuan.baidu.com/contexts/cambrian.jsonld","appid": "1650708455561748","icon": "https://www.med-credit.org.cn/style/images/ttlogo.png","content_tag": ["atlas"],"is_mcn": {"thumb_id": "6s1p03j8e"},"accid": "4886d626a2804dee5f11168793ce361672f39c25","@id": "https://www.med-credit.org.cn/mobile/jingxuan/2/971b8108d7768efc23f83e9a50dd013c.html","bagWordId": "939_1620691330801864704","title": "长收肌位置图","pubDate": "2023-02-15T16:41:09","upDate": "2023-02-15T16:41:09","lrDate": "2023-02-15T16:41:09","description": "长收肌位于大腿的内侧,是形状为长三角形的扁肌。","data": {"WebPage": {"headline": "长收肌位置图","pcUrl": "https://www.med-credit.org.cn/jingxuan/2/971b8108d7768efc23f83e9a50dd013c.html","wapUrl": "https://www.med-credit.org.cn/jingxuan/2/971b8108d7768efc23f83e9a50dd013c.html","mipUrl": "https://www.med-credit.org.cn/mobile/jingxuan/2/971b8108d7768efc23f83e9a50dd013c.html","fromSrc": "欢乐橙","datePublished": "2023-02-15T16:41:09","domain": "医疗","category": ["医疗权威文章合作"],"description": "长收肌位于大腿的内侧,是形状为长三角形的扁肌。
","extra_headline": [""]},"Author": {"name": "富灵杰","wapUrl": "https://www.med-credit.org.cn/doctor/569","pcUrl": "https://www.med-credit.org.cn/doctor/569","jobTitle": "副主任医师","headPortrait": "https://www.med-credit.org.cn/uploadfile/member/569/180x180.jpeg","id": "569","description": "富灵杰,上海交通大学医学院附属第九人民医院骨科副主任医师","memberOf": {"legalName": "上海交通大学医学院附属第九人民医院","department": "骨科","organizationLevel": "三级甲等"}},"Article": {"summaryContent": "长收肌位于大腿的内侧,是形状为长三角形的扁肌。
长收肌具有特定的功能、神经支配和血液供应。

1.位置:长收肌和耻骨肌处于同一个平面内,在三块收肌中的最前面,扁且大,形成了股三角的内侧界。长收肌起始于耻骨嵴和耻骨联合间角的前方,往后外方下降形成一个宽的肌腹,终止于股骨粗线中段。长收肌常常与股内收肌、大收肌、短收肌互相交叉重叠。
2.功能:长收肌收缩时,可以使大腿呈现外旋和内收的状态。神经支配--长收肌由闭孔神经前支支配。血液供应--闭孔动脉前支是长收肌的血液供应,进入长收肌后会分布于肌腹。
治疗内收型股骨颈骨折时,应用长收肌和闭孔神经切断加经皮折断式加压螺纹钉固定的方式,效果较好。这种治疗方式适用于病程小于3周的非完全粉碎型股骨颈骨折,它的手术创伤较小,对手术后早期的功能锻炼有利,很适用于年纪较大、身体状况不好、不能耐受大手术的患者。
","articleBody": "长收肌位于大腿的内侧,是形状为长三角形的扁肌。
长收肌具有特定的功能、神经支配和血液供应。

1.位置:长收肌和耻骨肌处于同一个平面内,在三块收肌中的最前面,扁且大,形成了股三角的内侧界。长收肌起始于耻骨嵴和耻骨联合间角的前方,往后外方下降形成一个宽的肌腹,终止于股骨粗线中段。长收肌常常与股内收肌、大收肌、短收肌互相交叉重叠。
2.功能:长收肌收缩时,可以使大腿呈现外旋和内收的状态。神经支配--长收肌由闭孔神经前支支配。血液供应--闭孔动脉前支是长收肌的血液供应,进入长收肌后会分布于肌腹。
治疗内收型股骨颈骨折时,应用长收肌和闭孔神经切断加经皮折断式加压螺纹钉固定的方式,效果较好。这种治疗方式适用于病程小于3周的非完全粉碎型股骨颈骨折,它的手术创伤较小,对手术后早期的功能锻炼有利,很适用于年纪较大、身体状况不好、不能耐受大手术的患者。
","scanCount": 32769}}} {"@context": "https://ziyuan.baidu.com/contexts/cambrian.jsonld","appid": "1650708455561748","icon": "https://www.med-credit.org.cn/style/images/ttlogo.png","content_tag": ["atlas"],"is_mcn": {"thumb_id": "lnsk06v2"},"accid": "4886d626a2804dee5f11168793ce361672f39c25","@id": "https://www.med-credit.org.cn/mobile/jingxuan/2/34520bf1b15c2f082a674ff9b2f75cea.html","bagWordId": "939_1620691332055961600","title": "皮肤粘连图片","pubDate": "2023-02-15T16:41:09","upDate": "2023-02-15T16:41:09","lrDate": "2023-02-15T16:41:09","description": "皮肤粘连的典型症状包括皮肤损害、瘢痕、感觉运动障碍等。","data": {"WebPage": {"headline": "皮肤粘连图片","pcUrl": "https://www.med-credit.org.cn/jingxuan/2/34520bf1b15c2f082a674ff9b2f75cea.html","wapUrl": "https://www.med-credit.org.cn/jingxuan/2/34520bf1b15c2f082a674ff9b2f75cea.html","mipUrl": "https://www.med-credit.org.cn/mobile/jingxuan/2/34520bf1b15c2f082a674ff9b2f75cea.html","fromSrc": "欢乐橙","datePublished": "2023-02-15T16:41:09","domain": "医疗","category": ["医疗权威文章合作"],"description": "皮肤粘连的典型症状包括皮肤损害、瘢痕、感觉运动障碍等。
","extra_headline": [""]},"Author": {"name": "王霞","wapUrl": "https://www.med-credit.org.cn/doctor/578","pcUrl": "https://www.med-credit.org.cn/doctor/578","jobTitle": "副主任医师","headPortrait": "https://www.med-credit.org.cn/uploadfile/member/578/180x180.jpeg","id": "578","description": "王霞,广州医科大学附属第一医院皮肤科副主任医师","memberOf": {"legalName": "广州医科大学附属第一医院","department": "皮肤科","organizationLevel": "三级甲等"}},"Article": {"summaryContent": "皮肤粘连的典型症状包括皮肤损害、瘢痕、感觉运动障碍等。
皮肤粘连患者需要及早就医治疗,可给予一般治疗、药物治疗、手术治疗等。

1、皮肤损害:皮肤粘连一般继发于严重的皮肤损害,表现为皮肤破溃、缺损、糜烂,可有水疱、溃疡形成,损害周围红肿疼痛,有渗液。
2、瘢痕:在皮肤愈合过程中,胶原组织填补伤口,重建皮肤完整性,以重构机体保护屏障。皮肤与周围组织、肌肉相粘连,牵拉周围的肌肉纤维形成瘢痕。
3、感觉运动障碍:皮肤粘连严重者可导致皮肤和肌肉挛缩影响肢体运动,出现活动不灵活。深层的皮肤损伤累及周围的血管和神经,患者自觉疲乏疼痛或感觉障碍。
除了上述相对常见的原因外,还有其他的可能性疾病,比如肢体畸形。
1、一般治疗
1)轻度皮肤粘连的患者需要彻底清洁和消毒皮肤,治疗伤口,包扎和保护伤口,通常可自行愈合。
2)烧伤病人需要切痂,大面积缺损需要皮肤移植。
3)全身性疾病或周围性疾病引起的皮肤粘连还需要治疗原发性疾病。
2、药物治疗:抗生素软膏适用于合并感染的患者,可用莫匹罗星、酮康唑等。
3、手术治疗:皮肤粘连松解术适用于保守治疗无效且对皮肤和肢体功能障碍有严重影响的患者。通过手术放松皮肤与周围组织的粘连,有助于缓解疼痛和功能障碍。
","articleBody": "皮肤粘连的典型症状包括皮肤损害、瘢痕、感觉运动障碍等。
皮肤粘连患者需要及早就医治疗,可给予一般治疗、药物治疗、手术治疗等。

1、皮肤损害:皮肤粘连一般继发于严重的皮肤损害,表现为皮肤破溃、缺损、糜烂,可有水疱、溃疡形成,损害周围红肿疼痛,有渗液。
2、瘢痕:在皮肤愈合过程中,胶原组织填补伤口,重建皮肤完整性,以重构机体保护屏障。皮肤与周围组织、肌肉相粘连,牵拉周围的肌肉纤维形成瘢痕。
3、感觉运动障碍:皮肤粘连严重者可导致皮肤和肌肉挛缩影响肢体运动,出现活动不灵活。深层的皮肤损伤累及周围的血管和神经,患者自觉疲乏疼痛或感觉障碍。
除了上述相对常见的原因外,还有其他的可能性疾病,比如肢体畸形。
1、一般治疗
1)轻度皮肤粘连的患者需要彻底清洁和消毒皮肤,治疗伤口,包扎和保护伤口,通常可自行愈合。
2)烧伤病人需要切痂,大面积缺损需要皮肤移植。
3)全身性疾病或周围性疾病引起的皮肤粘连还需要治疗原发性疾病。
2、药物治疗:抗生素软膏适用于合并感染的患者,可用莫匹罗星、酮康唑等。
3、手术治疗:皮肤粘连松解术适用于保守治疗无效且对皮肤和肢体功能障碍有严重影响的患者。通过手术放松皮肤与周围组织的粘连,有助于缓解疼痛和功能障碍。
","scanCount": 32768}}} {"@context": "https://ziyuan.baidu.com/contexts/cambrian.jsonld","appid": "1650708455561748","icon": "https://www.med-credit.org.cn/style/images/ttlogo.png","content_tag": ["atlas"],"is_mcn": {"thumb_id": "lnsk06v2"},"accid": "4886d626a2804dee5f11168793ce361672f39c25","@id": "https://www.med-credit.org.cn/mobile/jingxuan/2/1a2a2792de2cacb92c3e5fe5130f24cd.html","bagWordId": "939_1620691331431010304","title": "挛缩性疤痕图片","pubDate": "2023-02-15T16:41:09","upDate": "2023-02-15T16:41:09","lrDate": "2023-02-15T16:41:09","description": "挛缩性疤痕常见于深度烧伤愈合后,由于疤痕收缩,经常导致外形改变和功能障碍,长时间的的疤痕挛缩可以影响骨骼、肌肉、神经、血管等组织的发育,必须及时处理。","data": {"WebPage": {"headline": "挛缩性疤痕图片","pcUrl": "https://www.med-credit.org.cn/jingxuan/2/1a2a2792de2cacb92c3e5fe5130f24cd.html","wapUrl": "https://www.med-credit.org.cn/jingxuan/2/1a2a2792de2cacb92c3e5fe5130f24cd.html","mipUrl": "https://www.med-credit.org.cn/mobile/jingxuan/2/1a2a2792de2cacb92c3e5fe5130f24cd.html","fromSrc": "欢乐橙","datePublished": "2023-02-15T16:41:09","domain": "医疗","category": ["医疗权威文章合作"],"description": "挛缩性疤痕常见于深度烧伤愈合后,由于疤痕收缩,经常导致外形改变和功能障碍,长时间的的疤痕挛缩可以影响骨骼、肌肉、神经、血管等组织的发育,必须及时处理。
","extra_headline": [""]},"Author": {"name": "王霞","wapUrl": "https://www.med-credit.org.cn/doctor/578","pcUrl": "https://www.med-credit.org.cn/doctor/578","jobTitle": "副主任医师","headPortrait": "https://www.med-credit.org.cn/uploadfile/member/578/180x180.jpeg","id": "578","description": "王霞,广州医科大学附属第一医院皮肤科副主任医师","memberOf": {"legalName": "广州医科大学附属第一医院","department": "皮肤科","organizationLevel": "三级甲等"}},"Article": {"summaryContent": "挛缩性疤痕常见于深度烧伤愈合后,由于疤痕收缩,经常导致外形改变和功能障碍,长时间的的疤痕挛缩可以影响骨骼、肌肉、神经、血管等组织的发育,必须及时处理。
一般可通过功能性锻炼、激光、药物、手术这几种方法进行治疗。

1、临床表现:挛缩性疤痕主要有三种主要临床表现,第一是烧伤后会出现疤痕挛缩导致脖子歪,嘴唇出现挛缩会有嘴唇外翻、流口水等;第二是口角歪斜,闭不上眼睛,抬不起眉毛,甚至不能说话,语言功能出现障碍;第三是在四肢上主要表现为四肢挛缩,伸不直手指,伸不直关节,正常的走路受到了限制。
2、治疗:主要四种治疗方法,第一是功能性锻炼,包括被动锻炼、主动锻炼和压迫锻炼,这可以牵动患者局部周围正常的皮肤向中间部位收缩,有利用疤痕愈合;第二是激光,激光的热能可以直接治疗患者受损的皮肤组织,进而刺激患者局部皮肤的胶原蛋白增生;第三是药物,主要是卤米松乳膏等激素类的药物;第四是手术,严重的患者需要进行手术治疗,一般使用局部皮斑转植皮手术等。
患者在恢复期间应该避免用手抓挠,防止病情持续性加重。
","articleBody": "挛缩性疤痕常见于深度烧伤愈合后,由于疤痕收缩,经常导致外形改变和功能障碍,长时间的的疤痕挛缩可以影响骨骼、肌肉、神经、血管等组织的发育,必须及时处理。
一般可通过功能性锻炼、激光、药物、手术这几种方法进行治疗。

1、临床表现:挛缩性疤痕主要有三种主要临床表现,第一是烧伤后会出现疤痕挛缩导致脖子歪,嘴唇出现挛缩会有嘴唇外翻、流口水等;第二是口角歪斜,闭不上眼睛,抬不起眉毛,甚至不能说话,语言功能出现障碍;第三是在四肢上主要表现为四肢挛缩,伸不直手指,伸不直关节,正常的走路受到了限制。
2、治疗:主要四种治疗方法,第一是功能性锻炼,包括被动锻炼、主动锻炼和压迫锻炼,这可以牵动患者局部周围正常的皮肤向中间部位收缩,有利用疤痕愈合;第二是激光,激光的热能可以直接治疗患者受损的皮肤组织,进而刺激患者局部皮肤的胶原蛋白增生;第三是药物,主要是卤米松乳膏等激素类的药物;第四是手术,严重的患者需要进行手术治疗,一般使用局部皮斑转植皮手术等。
患者在恢复期间应该避免用手抓挠,防止病情持续性加重。
","scanCount": 32767}}} {"@context": "https://ziyuan.baidu.com/contexts/cambrian.jsonld","appid": "1650708455561748","icon": "https://www.med-credit.org.cn/style/images/ttlogo.png","content_tag": ["atlas"],"is_mcn": {"thumb_id": "lnsk06v2"},"accid": "4886d626a2804dee5f11168793ce361672f39c25","@id": "https://www.med-credit.org.cn/mobile/jingxuan/2/737f7259ef7530efe5448724e1bbd48e.html","bagWordId": "939_1620691332215345152","title": "甲缘疣图片","pubDate": "2023-02-15T16:41:09","upDate": "2023-02-15T16:41:09","lrDate": "2023-02-15T16:41:09","description": "甲缘疣是由于人乳头瘤病毒感染引起的,病毒颗粒通过破损的表皮进入人体,感染表皮的角质形成细胞,从而形成甲缘疣。","data": {"WebPage": {"headline": "甲缘疣图片","pcUrl": "https://www.med-credit.org.cn/jingxuan/2/737f7259ef7530efe5448724e1bbd48e.html","wapUrl": "https://www.med-credit.org.cn/jingxuan/2/737f7259ef7530efe5448724e1bbd48e.html","mipUrl": "https://www.med-credit.org.cn/mobile/jingxuan/2/737f7259ef7530efe5448724e1bbd48e.html","fromSrc": "欢乐橙","datePublished": "2023-02-15T16:41:09","domain": "医疗","category": ["医疗权威文章合作"],"description": "甲缘疣是由于人乳头瘤病毒感染引起的,病毒颗粒通过破损的表皮进入人体,感染表皮的角质形成细胞,从而形成甲缘疣。
","extra_headline": [""]},"Author": {"name": "王霞","wapUrl": "https://www.med-credit.org.cn/doctor/578","pcUrl": "https://www.med-credit.org.cn/doctor/578","jobTitle": "副主任医师","headPortrait": "https://www.med-credit.org.cn/uploadfile/member/578/180x180.jpeg","id": "578","description": "王霞,广州医科大学附属第一医院皮肤科副主任医师","memberOf": {"legalName": "广州医科大学附属第一医院","department": "皮肤科","organizationLevel": "三级甲等"}},"Article": {"summaryContent": "甲缘疣是由于人乳头瘤病毒感染引起的,病毒颗粒通过破损的表皮进入人体,感染表皮的角质形成细胞,从而形成甲缘疣。
甲缘疣具有一定的传染性,可以传染到表皮任何部位。

1、病因:人乳头瘤病毒(HPV)通过皮肤黏膜微小破损进入上皮细胞内(特别是基底层细胞)并复制、增殖,导致上皮细胞异常分化和增生,引起上皮良性增生物形成,从而发生疾病;
2、治疗:甲缘疣是一种寻常疣,有时可自然消退,不必治疗。若局部疼痛严重,或有治疗需求,可通过药物、手术、物理等方法进行治疗。其中外用药物包括:(1)水杨酸:常被应用的有40%水杨酸软膏等。可松解角质,使疣损害便于刮除;(2)维A酸类药物:常用维A酸乳膏等,对甲周疣也有一定的治疗效果;(3)其他:患者还可酌情使用5%咪喹莫特乳膏、氟尿嘧啶软膏等治疗。还可采用皮损内注射药物,如使用盐酸平阳霉素、维生素D等进行皮损内注射,也具有一定的疗效。
甲缘疣患者应注意保持皮肤的完整性,避免搔抓、切除疣体,避免传染他人。治疗后按时复诊,由医生判断是否痊愈。注意用药需遵医嘱。
","articleBody": "甲缘疣是由于人乳头瘤病毒感染引起的,病毒颗粒通过破损的表皮进入人体,感染表皮的角质形成细胞,从而形成甲缘疣。
甲缘疣具有一定的传染性,可以传染到表皮任何部位。

1、病因:人乳头瘤病毒(HPV)通过皮肤黏膜微小破损进入上皮细胞内(特别是基底层细胞)并复制、增殖,导致上皮细胞异常分化和增生,引起上皮良性增生物形成,从而发生疾病;
2、治疗:甲缘疣是一种寻常疣,有时可自然消退,不必治疗。若局部疼痛严重,或有治疗需求,可通过药物、手术、物理等方法进行治疗。其中外用药物包括:(1)水杨酸:常被应用的有40%水杨酸软膏等。可松解角质,使疣损害便于刮除;(2)维A酸类药物:常用维A酸乳膏等,对甲周疣也有一定的治疗效果;(3)其他:患者还可酌情使用5%咪喹莫特乳膏、氟尿嘧啶软膏等治疗。还可采用皮损内注射药物,如使用盐酸平阳霉素、维生素D等进行皮损内注射,也具有一定的疗效。
甲缘疣患者应注意保持皮肤的完整性,避免搔抓、切除疣体,避免传染他人。治疗后按时复诊,由医生判断是否痊愈。注意用药需遵医嘱。
","scanCount": 32766}}} {"@context": "https://ziyuan.baidu.com/contexts/cambrian.jsonld","appid": "1650708455561748","icon": "https://www.med-credit.org.cn/style/images/ttlogo.png","content_tag": ["atlas"],"is_mcn": {"thumb_id": "lnsk06v2"},"accid": "4886d626a2804dee5f11168793ce361672f39c25","@id": "https://www.med-credit.org.cn/mobile/jingxuan/2/97656f900eea19712d337f0b1f43a076.html","bagWordId": "407_1570734612823412736","title": "隐翅虫感染图片","pubDate": "2023-02-15T16:41:09","upDate": "2023-02-15T16:41:09","lrDate": "2023-02-15T16:41:09","description": "隐翅虫感染考虑为隐翅虫皮炎。","data": {"WebPage": {"headline": "隐翅虫感染图片","pcUrl": "https://www.med-credit.org.cn/jingxuan/2/97656f900eea19712d337f0b1f43a076.html","wapUrl": "https://www.med-credit.org.cn/jingxuan/2/97656f900eea19712d337f0b1f43a076.html","mipUrl": "https://www.med-credit.org.cn/mobile/jingxuan/2/97656f900eea19712d337f0b1f43a076.html","fromSrc": "欢乐橙","datePublished": "2023-02-15T16:41:09","domain": "医疗","category": ["医疗权威文章合作"],"description": "隐翅虫感染考虑为隐翅虫皮炎。
","extra_headline": [""]},"Author": {"name": "王霞","wapUrl": "https://www.med-credit.org.cn/doctor/578","pcUrl": "https://www.med-credit.org.cn/doctor/578","jobTitle": "副主任医师","headPortrait": "https://www.med-credit.org.cn/uploadfile/member/578/180x180.jpeg","id": "578","description": "王霞,广州医科大学附属第一医院皮肤科副主任医师","memberOf": {"legalName": "广州医科大学附属第一医院","department": "皮肤科","organizationLevel": "三级甲等"}},"Article": {"summaryContent": "隐翅虫感染考虑为隐翅虫皮炎。
隐翅虫感染多表现为皮肤点、线或片状红斑、水疱等。

1、病因:隐翅虫皮炎是毒隐翅虫停留在皮肤表面,在拍击时,虫体内的强酸性毒液接触到皮肤从而引起皮肤急性炎症反应;
2、症状:多发生于容易叮咬的部位,如面部、颈部、四肢、胸背部等,皮肤出现红斑、水疱、脓疱、糜烂等,同时可伴有瘙痒和烧灼样疼痛;严重的情况下可能出现发热、头痛、淋巴结肿大等全身症状;
3、治疗:可使用清水或者4%的苏打溶液进行清洗,若皮肤有红斑损害,可以用糖皮质激素霜剂涂抹患处;对于红肿明显且有糜烂面的患处,可用高锰酸钾溶液进行冷湿敷;有全身症状的患者可以在医生指导下服用抗组胺药物,比如氯雷他定、西替利嗪等。
日常生活中,为避免发生隐翅虫感染,应该注意保持居室环境卫生,及时清除周围的杂草垃圾,定期喷药杀虫。晚上可使用窗帘、蚊帐等挡住虫子飞入。出现隐翅虫感染时应该及时就医,根据具体情况遵医嘱治疗。
","articleBody": "隐翅虫感染考虑为隐翅虫皮炎。
隐翅虫感染多表现为皮肤点、线或片状红斑、水疱等。

1、病因:隐翅虫皮炎是毒隐翅虫停留在皮肤表面,在拍击时,虫体内的强酸性毒液接触到皮肤从而引起皮肤急性炎症反应;
2、症状:多发生于容易叮咬的部位,如面部、颈部、四肢、胸背部等,皮肤出现红斑、水疱、脓疱、糜烂等,同时可伴有瘙痒和烧灼样疼痛;严重的情况下可能出现发热、头痛、淋巴结肿大等全身症状;
3、治疗:可使用清水或者4%的苏打溶液进行清洗,若皮肤有红斑损害,可以用糖皮质激素霜剂涂抹患处;对于红肿明显且有糜烂面的患处,可用高锰酸钾溶液进行冷湿敷;有全身症状的患者可以在医生指导下服用抗组胺药物,比如氯雷他定、西替利嗪等。
日常生活中,为避免发生隐翅虫感染,应该注意保持居室环境卫生,及时清除周围的杂草垃圾,定期喷药杀虫。晚上可使用窗帘、蚊帐等挡住虫子飞入。出现隐翅虫感染时应该及时就医,根据具体情况遵医嘱治疗。
","scanCount": 32765}}} {"@context": "https://ziyuan.baidu.com/contexts/cambrian.jsonld","appid": "1650708455561748","icon": "https://www.med-credit.org.cn/style/images/ttlogo.png","content_tag": ["atlas"],"is_mcn": {"thumb_id": "ay28xrnt0"},"accid": "4886d626a2804dee5f11168793ce361672f39c25","@id": "https://www.med-credit.org.cn/mobile/jingxuan/2/6bfbc82168b76a0a98485a78b55014c3.html","bagWordId": "939_1620691329627459584","title": "四环素牙齿图片","pubDate": "2023-02-15T16:41:09","upDate": "2023-02-15T16:41:09","lrDate": "2023-02-15T16:41:09","description": "四环素牙齿,即四环素牙,指的是由四环素染色的牙齿,四环素是由四环素催化脱卤生物合成的一种抗生素,它的毒性较低,可以引起牙釉质的发育不全。","data": {"WebPage": {"headline": "四环素牙齿图片","pcUrl": "https://www.med-credit.org.cn/jingxuan/2/6bfbc82168b76a0a98485a78b55014c3.html","wapUrl": "https://www.med-credit.org.cn/jingxuan/2/6bfbc82168b76a0a98485a78b55014c3.html","mipUrl": "https://www.med-credit.org.cn/mobile/jingxuan/2/6bfbc82168b76a0a98485a78b55014c3.html","fromSrc": "欢乐橙","datePublished": "2023-02-15T16:41:09","domain": "医疗","category": ["医疗权威文章合作"],"description": "四环素牙齿,即四环素牙,指的是由四环素染色的牙齿,四环素是由四环素催化脱卤生物合成的一种抗生素,它的毒性较低,可以引起牙釉质的发育不全。
","extra_headline": [""]},"Author": {"name": "李斯文","wapUrl": "https://www.med-credit.org.cn/doctor/546","pcUrl": "https://www.med-credit.org.cn/doctor/546","jobTitle": "主治医师","headPortrait": "https://www.med-credit.org.cn/uploadfile/member/546/180x180.jpeg","id": "546","description": "李斯文,中国医科大学附属口腔医院口腔科主治医师","memberOf": {"legalName": "中国医科大学附属口腔医院","department": "口腔科","organizationLevel": "三级甲等"}},"Article": {"summaryContent": "四环素牙齿,即四环素牙,指的是由四环素染色的牙齿,四环素是由四环素催化脱卤生物合成的一种抗生素,它的毒性较低,可以引起牙釉质的发育不全。
四环素对牙的影响在牙的着色方面,也可能会出现合并牙釉质的发育不全。

四环素族药物本身的颜色,比如去甲基金霉素呈现镉黄色,而上霉素呈现柠檬色。降解四环素而呈现的光泽。因为四环素对光比较敏感的原因,它可以在紫外线或者日光下变成其他颜色。
四环素在牙本质内,因为结合的部位深浅不同,而使牙本质着色的程度有所不同。离牙釉质越近时,越容易着色。
与牙釉质本身的结构也有关系。在严重牙釉质发育不全或者完全丧失,则会出现着色的牙釉质明显外露;如果是轻度牙的釉质发育不全,则可遮盖着色的牙本质,从而使牙色接近正常的颜色。
四环素牙需要与遗传性乳光牙进行区分。遗传性乳光牙的牙冠呈半透明乳光色,可以为浅黄色或者呈现棕黄色。
","articleBody": "四环素牙齿,即四环素牙,指的是由四环素染色的牙齿,四环素是由四环素催化脱卤生物合成的一种抗生素,它的毒性较低,可以引起牙釉质的发育不全。
四环素对牙的影响在牙的着色方面,也可能会出现合并牙釉质的发育不全。

四环素族药物本身的颜色,比如去甲基金霉素呈现镉黄色,而上霉素呈现柠檬色。降解四环素而呈现的光泽。因为四环素对光比较敏感的原因,它可以在紫外线或者日光下变成其他颜色。
四环素在牙本质内,因为结合的部位深浅不同,而使牙本质着色的程度有所不同。离牙釉质越近时,越容易着色。
与牙釉质本身的结构也有关系。在严重牙釉质发育不全或者完全丧失,则会出现着色的牙釉质明显外露;如果是轻度牙的釉质发育不全,则可遮盖着色的牙本质,从而使牙色接近正常的颜色。
四环素牙需要与遗传性乳光牙进行区分。遗传性乳光牙的牙冠呈半透明乳光色,可以为浅黄色或者呈现棕黄色。
","scanCount": 32763}}} {"@context": "https://ziyuan.baidu.com/contexts/cambrian.jsonld","appid": "1650708455561748","icon": "https://www.med-credit.org.cn/style/images/ttlogo.png","content_tag": ["atlas"],"is_mcn": {"thumb_id": "ay28xrnt0"},"accid": "4886d626a2804dee5f11168793ce361672f39c25","@id": "https://www.med-credit.org.cn/mobile/jingxuan/2/6074b9ae8a4c6b4fe81acacdd75ffcdd.html","bagWordId": "939_1620691329220612096","title": "倒数第二颗牙齿烂了图","pubDate": "2023-02-15T16:41:09","upDate": "2023-02-15T16:41:09","lrDate": "2023-02-15T16:41:09","description": "倒数第二颗牙齿烂了会出现牙齿龋坏的情况,牙齿表面的矿物质被填充腐质,发黑,严重的会出现一个牙洞,或者牙齿松动。","data": {"WebPage": {"headline": "倒数第二颗牙齿烂了图","pcUrl": "https://www.med-credit.org.cn/jingxuan/2/6074b9ae8a4c6b4fe81acacdd75ffcdd.html","wapUrl": "https://www.med-credit.org.cn/jingxuan/2/6074b9ae8a4c6b4fe81acacdd75ffcdd.html","mipUrl": "https://www.med-credit.org.cn/mobile/jingxuan/2/6074b9ae8a4c6b4fe81acacdd75ffcdd.html","fromSrc": "欢乐橙","datePublished": "2023-02-15T16:41:09","domain": "医疗","category": ["医疗权威文章合作"],"description": "倒数第二颗牙齿烂了会出现牙齿龋坏的情况,牙齿表面的矿物质被填充腐质,发黑,严重的会出现一个牙洞,或者牙齿松动。
","extra_headline": [""]},"Author": {"name": "李斯文","wapUrl": "https://www.med-credit.org.cn/doctor/546","pcUrl": "https://www.med-credit.org.cn/doctor/546","jobTitle": "主治医师","headPortrait": "https://www.med-credit.org.cn/uploadfile/member/546/180x180.jpeg","id": "546","description": "李斯文,中国医科大学附属口腔医院口腔科主治医师","memberOf": {"legalName": "中国医科大学附属口腔医院","department": "口腔科","organizationLevel": "三级甲等"}},"Article": {"summaryContent": "倒数第二颗牙齿烂了会出现牙齿龋坏的情况,牙齿表面的矿物质被填充腐质,发黑,严重的会出现一个牙洞,或者牙齿松动。
倒数第二颗牙齿烂了主要考虑是细菌繁殖或牙齿堆积食物残渣引起。

1、细菌繁殖:细菌是引发龋病的主要因素,细菌代谢食物中的碳水化合物产生有机酸,造成牙体硬组织溶解,最终形成龋洞。智齿烂了严重的会出现一个牙洞,或者牙齿松动。如果牙齿龋坏到牙神经会引起牙痛以及牙髓炎等;
2、牙齿堆积食物残渣:牙齿点隙窝沟是龋病的好发部位,牙齿排列拥挤、重叠、不整齐等,容易堆积食物残渣从而产生龋病。常常会引发疼痛、发炎、牙龈肿痛以及出血的症状;
主要是进行补牙,对牙体组织实质缺损、不能自行修复的患者,一般通过手术去除坏龋部分,再用复合树脂或银汞合金填充。
平时需要注意口腔卫生,每天早晚坚持刷牙,饭后要用清水漱口。注意预防龋齿,平时不要吃过硬的食物,也不要吃太多的甜食。定期洁牙,这样不仅能清除牙菌斑,而且也可以发现隐藏的牙病。
","articleBody": "倒数第二颗牙齿烂了会出现牙齿龋坏的情况,牙齿表面的矿物质被填充腐质,发黑,严重的会出现一个牙洞,或者牙齿松动。
倒数第二颗牙齿烂了主要考虑是细菌繁殖或牙齿堆积食物残渣引起。

1、细菌繁殖:细菌是引发龋病的主要因素,细菌代谢食物中的碳水化合物产生有机酸,造成牙体硬组织溶解,最终形成龋洞。智齿烂了严重的会出现一个牙洞,或者牙齿松动。如果牙齿龋坏到牙神经会引起牙痛以及牙髓炎等;
2、牙齿堆积食物残渣:牙齿点隙窝沟是龋病的好发部位,牙齿排列拥挤、重叠、不整齐等,容易堆积食物残渣从而产生龋病。常常会引发疼痛、发炎、牙龈肿痛以及出血的症状;
主要是进行补牙,对牙体组织实质缺损、不能自行修复的患者,一般通过手术去除坏龋部分,再用复合树脂或银汞合金填充。
平时需要注意口腔卫生,每天早晚坚持刷牙,饭后要用清水漱口。注意预防龋齿,平时不要吃过硬的食物,也不要吃太多的甜食。定期洁牙,这样不仅能清除牙菌斑,而且也可以发现隐藏的牙病。
","scanCount": 32762}}} {"@context": "https://ziyuan.baidu.com/contexts/cambrian.jsonld","appid": "1650708455561748","icon": "https://www.med-credit.org.cn/style/images/ttlogo.png","content_tag": ["atlas"],"is_mcn": {"thumb_id": "ay28xrnt0"},"accid": "4886d626a2804dee5f11168793ce361672f39c25","@id": "https://www.med-credit.org.cn/mobile/jingxuan/2/80cf66bbf8d055825353b8a23e5fd5cc.html","bagWordId": "407_1570734626731724800","title": "拔牙的钳子图","pubDate": "2023-02-15T16:41:09","upDate": "2023-02-15T16:41:09","lrDate": "2023-02-15T16:41:09","description": "拔牙的钳子即拔牙钳,是一种拔牙所用的器械,拔牙钳由钳柄、关节和钳喙三部分组成。","data": {"WebPage": {"headline": "拔牙的钳子图","pcUrl": "https://www.med-credit.org.cn/jingxuan/2/80cf66bbf8d055825353b8a23e5fd5cc.html","wapUrl": "https://www.med-credit.org.cn/jingxuan/2/80cf66bbf8d055825353b8a23e5fd5cc.html","mipUrl": "https://www.med-credit.org.cn/mobile/jingxuan/2/80cf66bbf8d055825353b8a23e5fd5cc.html","fromSrc": "欢乐橙","datePublished": "2023-02-15T16:41:09","domain": "医疗","category": ["医疗权威文章合作"],"description": "拔牙的钳子即拔牙钳,是一种拔牙所用的器械,拔牙钳由钳柄、关节和钳喙三部分组成。
","extra_headline": [""]},"Author": {"name": "李斯文","wapUrl": "https://www.med-credit.org.cn/doctor/546","pcUrl": "https://www.med-credit.org.cn/doctor/546","jobTitle": "主治医师","headPortrait": "https://www.med-credit.org.cn/uploadfile/member/546/180x180.jpeg","id": "546","description": "李斯文,中国医科大学附属口腔医院口腔科主治医师","memberOf": {"legalName": "中国医科大学附属口腔医院","department": "口腔科","organizationLevel": "三级甲等"}},"Article": {"summaryContent": "拔牙的钳子即拔牙钳,是一种拔牙所用的器械,拔牙钳由钳柄、关节和钳喙三部分组成。
不同的拔牙钳的用途也不尽相同。

1、外观:拔牙钳由钳柄、关节以及钳喙三部分组成。关节能够将钳喙以及钳柄的结构连接,同时还能使其自由活动。钳柄是手术者握持的部分,形状有直线形、反角形等;
2、用途:非对称型的钳喙,应该设计为拔出上颌磨牙所用,与柄所成的角度决定拔牙钳的用途。如果是钳柄与钳喙为平行,通常是用于拔除上颌牙;如果钳柄与钳喙为垂直,多用于拔除下颌牙齿。钳喙为外凸内凹形,其内凹的设计主要是为了夹住牙冠以及牙根,使用的时候与牙骨质呈面与面的接触,锐利的钳缘的设计可以使牙龈附着分离,使牙钳更广泛地夹住牙根。
建议到正规医疗机构选择专业医师来拔牙,拔牙以后也要做好口腔的护理工作,有利于局部的血栓组织快速的修复,还可以防止局部出现溃疡。
","articleBody": "拔牙的钳子即拔牙钳,是一种拔牙所用的器械,拔牙钳由钳柄、关节和钳喙三部分组成。
不同的拔牙钳的用途也不尽相同。

1、外观:拔牙钳由钳柄、关节以及钳喙三部分组成。关节能够将钳喙以及钳柄的结构连接,同时还能使其自由活动。钳柄是手术者握持的部分,形状有直线形、反角形等;
2、用途:非对称型的钳喙,应该设计为拔出上颌磨牙所用,与柄所成的角度决定拔牙钳的用途。如果是钳柄与钳喙为平行,通常是用于拔除上颌牙;如果钳柄与钳喙为垂直,多用于拔除下颌牙齿。钳喙为外凸内凹形,其内凹的设计主要是为了夹住牙冠以及牙根,使用的时候与牙骨质呈面与面的接触,锐利的钳缘的设计可以使牙龈附着分离,使牙钳更广泛地夹住牙根。
建议到正规医疗机构选择专业医师来拔牙,拔牙以后也要做好口腔的护理工作,有利于局部的血栓组织快速的修复,还可以防止局部出现溃疡。
","scanCount": 32761}}} {"@context": "https://ziyuan.baidu.com/contexts/cambrian.jsonld","appid": "1650708455561748","icon": "https://www.med-credit.org.cn/style/images/ttlogo.png","content_tag": ["atlas"],"is_mcn": {"thumb_id": "ay28xrnt0"},"accid": "4886d626a2804dee5f11168793ce361672f39c25","@id": "https://www.med-credit.org.cn/mobile/jingxuan/2/38f11b78d1fcbfb6eb49cee93294f592.html","bagWordId": "939_1620691330097221632","title": "牙菌斑图片","pubDate": "2023-02-15T16:41:09","upDate": "2023-02-15T16:41:09","lrDate": "2023-02-15T16:41:09","description": "牙菌斑是细菌沉积在牙齿表面时形成的一层生物膜。","data": {"WebPage": {"headline": "牙菌斑图片","pcUrl": "https://www.med-credit.org.cn/jingxuan/2/38f11b78d1fcbfb6eb49cee93294f592.html","wapUrl": "https://www.med-credit.org.cn/jingxuan/2/38f11b78d1fcbfb6eb49cee93294f592.html","mipUrl": "https://www.med-credit.org.cn/mobile/jingxuan/2/38f11b78d1fcbfb6eb49cee93294f592.html","fromSrc": "欢乐橙","datePublished": "2023-02-15T16:41:09","domain": "医疗","category": ["医疗权威文章合作"],"description": "牙菌斑是细菌沉积在牙齿表面时形成的一层生物膜。
","extra_headline": [""]},"Author": {"name": "李斯文","wapUrl": "https://www.med-credit.org.cn/doctor/546","pcUrl": "https://www.med-credit.org.cn/doctor/546","jobTitle": "主治医师","headPortrait": "https://www.med-credit.org.cn/uploadfile/member/546/180x180.jpeg","id": "546","description": "李斯文,中国医科大学附属口腔医院口腔科主治医师","memberOf": {"legalName": "中国医科大学附属口腔医院","department": "口腔科","organizationLevel": "三级甲等"}},"Article": {"summaryContent": "牙菌斑是细菌沉积在牙齿表面时形成的一层生物膜。
牙菌斑的出现容易导致口腔疾病的产生,因此控制牙菌斑是预防口腔疾病的重要措施。

1、牙龈炎:牙菌斑引起的牙龈炎将会导致游离龈、附着龈,或者牙龈乳头呈鲜红色或者暗红色,出现牙龈水肿;
2、牙周炎:菌斑性牙龈炎没有积极治疗的话,就会引起牙周支持组织的破坏,即牙周炎;
3、龋病:若牙齿上面的牙菌斑没有完全的去除,牙菌斑上面的细菌就会产酸,进而引起牙面脱矿,牙齿颜色将会失去光泽。
1、机械性的清除方法是清除牙菌斑的唯一途径;
2、另外,平时要多注意口腔卫生。首先应该经常刷牙,因为每天早晚刷牙可以去除口腔中大部分的菌斑;
3、建议每半年到一年左右洗一次牙,可以使用超声波震荡的办法去除牙菌斑。
","articleBody": "牙菌斑是细菌沉积在牙齿表面时形成的一层生物膜。
牙菌斑的出现容易导致口腔疾病的产生,因此控制牙菌斑是预防口腔疾病的重要措施。

1、牙龈炎:牙菌斑引起的牙龈炎将会导致游离龈、附着龈,或者牙龈乳头呈鲜红色或者暗红色,出现牙龈水肿;
2、牙周炎:菌斑性牙龈炎没有积极治疗的话,就会引起牙周支持组织的破坏,即牙周炎;
3、龋病:若牙齿上面的牙菌斑没有完全的去除,牙菌斑上面的细菌就会产酸,进而引起牙面脱矿,牙齿颜色将会失去光泽。
1、机械性的清除方法是清除牙菌斑的唯一途径;
2、另外,平时要多注意口腔卫生。首先应该经常刷牙,因为每天早晚刷牙可以去除口腔中大部分的菌斑;
3、建议每半年到一年左右洗一次牙,可以使用超声波震荡的办法去除牙菌斑。
","scanCount": 32760}}} {"@context": "https://ziyuan.baidu.com/contexts/cambrian.jsonld","appid": "1650708455561748","icon": "https://www.med-credit.org.cn/style/images/ttlogo.png","content_tag": ["atlas"],"is_mcn": {"thumb_id": "v2rm41u3"},"accid": "4886d626a2804dee5f11168793ce361672f39c25","@id": "https://www.med-credit.org.cn/mobile/jingxuan/2/a830acde282f4278d58447346a67d1a4.html","bagWordId": "181_1547866409411809280","title": "异位妊娠图片","pubDate": "2023-02-15T16:41:09","upDate": "2023-02-15T16:41:09","lrDate": "2023-02-15T16:41:09","description": "异位妊娠在B超图像可发现宫腔内无妊娠囊,宫外部位看到妊娠囊或胎心搏动。","data": {"WebPage": {"headline": "异位妊娠图片","pcUrl": "https://www.med-credit.org.cn/jingxuan/2/a830acde282f4278d58447346a67d1a4.html","wapUrl": "https://www.med-credit.org.cn/jingxuan/2/a830acde282f4278d58447346a67d1a4.html","mipUrl": "https://www.med-credit.org.cn/mobile/jingxuan/2/a830acde282f4278d58447346a67d1a4.html","fromSrc": "欢乐橙","datePublished": "2023-02-15T16:41:09","domain": "医疗","category": ["医疗权威文章合作"],"description": "异位妊娠在B超图像可发现宫腔内无妊娠囊,宫外部位看到妊娠囊或胎心搏动。
","extra_headline": [""]},"Author": {"name": "种轶文","wapUrl": "https://www.med-credit.org.cn/doctor/575","pcUrl": "https://www.med-credit.org.cn/doctor/575","jobTitle": "副主任医师","headPortrait": "https://www.med-credit.org.cn/uploadfile/member/575/180x180.jpeg","id": "575","description": "种轶文,北京大学第三医院妇产科副主任医师","memberOf": {"legalName": "北京大学第三医院","department": "妇产科","organizationLevel": "三级甲等"}},"Article": {"summaryContent": "异位妊娠在B超图像可发现宫腔内无妊娠囊,宫外部位看到妊娠囊或胎心搏动。
异位妊娠可能由于输卵管病变而出现,可以给予患者药物治疗、手术治疗等。

1.异位妊娠:早期一般无特殊症状,随后可出现停经、腹痛、阴道流血三联征。若没有及时治疗,可进展为全腹痛,肛门坠胀感,甚至休克昏迷。医院检查HCG值一般大于正常妊娠值,B超图像可出现宫外妊娠表现,如宫外孕囊、宫外胎心搏动等,最常见的异位妊娠是输卵管妊娠。
2.输卵管异位妊娠:输卵管疾病导致的输卵管异位妊娠最为常见,常见的输卵管疾病有输卵管炎、输卵管发育不良、输卵管周围肿瘤、输卵管子宫内膜异位等等。其余部位病变也可造成该部位异位妊娠,如卵巢、宫颈等。吸烟、年龄大、不洁性行为、内分泌异常等原因可增加异位妊娠的发病几率。
1、药物治疗:早期无症状的异位妊娠可采用药物治疗,常用甲氨蝶呤致妊娠物死亡,排出,治疗期间及治疗后需定期复查超声,检测病情进展。
2、手术治疗:患者生命体征不稳定、异位妊娠持续进展、药物治疗无效或禁用药物治疗者,可采用手术治疗,有生育需求者采用输卵管造口术或输卵管切开术等保守手术,大出血伴休克患者采用输卵管切除术。
","articleBody": "异位妊娠在B超图像可发现宫腔内无妊娠囊,宫外部位看到妊娠囊或胎心搏动。
异位妊娠可能由于输卵管病变而出现,可以给予患者药物治疗、手术治疗等。

1.异位妊娠:早期一般无特殊症状,随后可出现停经、腹痛、阴道流血三联征。若没有及时治疗,可进展为全腹痛,肛门坠胀感,甚至休克昏迷。医院检查HCG值一般大于正常妊娠值,B超图像可出现宫外妊娠表现,如宫外孕囊、宫外胎心搏动等,最常见的异位妊娠是输卵管妊娠。
2.输卵管异位妊娠:输卵管疾病导致的输卵管异位妊娠最为常见,常见的输卵管疾病有输卵管炎、输卵管发育不良、输卵管周围肿瘤、输卵管子宫内膜异位等等。其余部位病变也可造成该部位异位妊娠,如卵巢、宫颈等。吸烟、年龄大、不洁性行为、内分泌异常等原因可增加异位妊娠的发病几率。
1、药物治疗:早期无症状的异位妊娠可采用药物治疗,常用甲氨蝶呤致妊娠物死亡,排出,治疗期间及治疗后需定期复查超声,检测病情进展。
2、手术治疗:患者生命体征不稳定、异位妊娠持续进展、药物治疗无效或禁用药物治疗者,可采用手术治疗,有生育需求者采用输卵管造口术或输卵管切开术等保守手术,大出血伴休克患者采用输卵管切除术。
","scanCount": 32755}}} {"@context": "https://ziyuan.baidu.com/contexts/cambrian.jsonld","appid": "1650708455561748","icon": "https://www.med-credit.org.cn/style/images/ttlogo.png","content_tag": ["atlas"],"is_mcn": {"thumb_id": "x5e7zgbw"},"accid": "4886d626a2804dee5f11168793ce361672f39c25","@id": "https://www.med-credit.org.cn/mobile/jingxuan/2/27bdb656714972268a77e7a4697991c2.html","bagWordId": "23_1526477978505056256","title": "色盲测试图片","pubDate": "2023-02-15T16:41:09","upDate": "2023-02-15T16:41:09","lrDate": "2023-02-15T16:41:09","description": "色盲测试是根据假同色原理设计的一种用于筛选色觉异常的检查方法。","data": {"WebPage": {"headline": "色盲测试图片","pcUrl": "https://www.med-credit.org.cn/jingxuan/2/27bdb656714972268a77e7a4697991c2.html","wapUrl": "https://www.med-credit.org.cn/jingxuan/2/27bdb656714972268a77e7a4697991c2.html","mipUrl": "https://www.med-credit.org.cn/mobile/jingxuan/2/27bdb656714972268a77e7a4697991c2.html","fromSrc": "欢乐橙","datePublished": "2023-02-15T16:41:09","domain": "医疗","category": ["医疗权威文章合作"],"description": "色盲测试是根据假同色原理设计的一种用于筛选色觉异常的检查方法。
","extra_headline": [""]},"Author": {"name": "钟一凡","wapUrl": "https://www.med-credit.org.cn/doctor/521","pcUrl": "https://www.med-credit.org.cn/doctor/521","jobTitle": "主治医师","headPortrait": "https://www.med-credit.org.cn/uploadfile/member/521/180x180.jpeg","id": "521","description": "钟一凡,中国医科大学附属第一医院眼科主治医师","memberOf": {"legalName": "中国医科大学附属第一医院","department": "眼科","organizationLevel": "三级甲等"}},"Article": {"summaryContent": "色盲测试是根据假同色原理设计的一种用于筛选色觉异常的检查方法。
色盲是先天性色觉障碍,遗传方式为性染色体隐性遗传。

色盲测试图中的颜色大多是浅红色和浅绿色交叉,是用来干扰测试人的。如果测试人是色盲的话,他会分辨不出两种颜色,因此无法分别由于色差构成的数字或图案。读图规则图片中正确答案的图形一般色调是不同于背景色的。
红绿色盲是由X染色体上的两对基因所决定的,即绿色盲基因和红色盲基因。这两对基因在X染色体上是连锁的。红绿色盲的遗传方式是X染色体连锁隐性遗传。女性有两条X染色体,因此需要等位基因都为致病基因才会表现患病。而男性只有一条X染色体,因此只需一个色盲基因就表现出色盲,所以男性的发病率是大于女性的。
色盲的患者可以通过佩戴色盲矫正镜来起到矫正色觉障碍的作用。
","articleBody": "色盲测试是根据假同色原理设计的一种用于筛选色觉异常的检查方法。
色盲是先天性色觉障碍,遗传方式为性染色体隐性遗传。

色盲测试图中的颜色大多是浅红色和浅绿色交叉,是用来干扰测试人的。如果测试人是色盲的话,他会分辨不出两种颜色,因此无法分别由于色差构成的数字或图案。读图规则图片中正确答案的图形一般色调是不同于背景色的。
红绿色盲是由X染色体上的两对基因所决定的,即绿色盲基因和红色盲基因。这两对基因在X染色体上是连锁的。红绿色盲的遗传方式是X染色体连锁隐性遗传。女性有两条X染色体,因此需要等位基因都为致病基因才会表现患病。而男性只有一条X染色体,因此只需一个色盲基因就表现出色盲,所以男性的发病率是大于女性的。
色盲的患者可以通过佩戴色盲矫正镜来起到矫正色觉障碍的作用。
","scanCount": 32753}}} {"@context": "https://ziyuan.baidu.com/contexts/cambrian.jsonld","appid": "1650708455561748","icon": "https://www.med-credit.org.cn/style/images/ttlogo.png","content_tag": ["atlas"],"is_mcn": {"thumb_id": "fe2jhbe4e"},"accid": "4886d626a2804dee5f11168793ce361672f39c25","@id": "https://www.med-credit.org.cn/mobile/jingxuan/2/4a643ed1f505bccc63115cf33c5b322b.html","bagWordId": "23_1526477990412685312","title": "体检颜色辨别图","pubDate": "2023-02-15T16:41:09","upDate": "2023-02-15T16:41:09","lrDate": "2023-02-15T16:41:09","description": "体检颜色辨别图,一般是指色盲色弱检测图,是根据假同色的原理来设计的一种用于检查色觉异常的方法。","data": {"WebPage": {"headline": "体检颜色辨别图","pcUrl": "https://www.med-credit.org.cn/jingxuan/2/4a643ed1f505bccc63115cf33c5b322b.html","wapUrl": "https://www.med-credit.org.cn/jingxuan/2/4a643ed1f505bccc63115cf33c5b322b.html","mipUrl": "https://www.med-credit.org.cn/mobile/jingxuan/2/4a643ed1f505bccc63115cf33c5b322b.html","fromSrc": "欢乐橙","datePublished": "2023-02-15T16:41:09","domain": "医疗","category": ["医疗权威文章合作"],"description": "体检颜色辨别图,一般是指色盲色弱检测图,是根据假同色的原理来设计的一种用于检查色觉异常的方法。
","extra_headline": [""]},"Author": {"name": "孙婷丽","wapUrl": "https://www.med-credit.org.cn/doctor/510","pcUrl": "https://www.med-credit.org.cn/doctor/510","jobTitle": "主治医师","headPortrait": "https://www.med-credit.org.cn/uploadfile/member/510/180x180.jpeg","id": "510","description": "孙婷丽,中国医科大学附属盛京医院全科医学主治医师","memberOf": {"legalName": "中国医科大学附属盛京医院","department": "内科","organizationLevel": "三级甲等"}},"Article": {"summaryContent": "体检颜色辨别图,一般是指色盲色弱检测图,是根据假同色的原理来设计的一种用于检查色觉异常的方法。
色盲色弱都是先天性色觉障碍,遗传方式为性染色体隐性遗传。
色盲不可以辨别一些颜色甚至是所有颜色,色弱则是指辨别颜色的能力比较弱,颜色比较饱和的时候才能分辨出来颜色。色弱测试图中的颜色大多是浅红色和浅绿色交叉,是用来干扰测试人的。

如果测试人是色弱的话,他分辨两种颜色的能力比较差,因此无法分辨由于较小色差构成的数字或图案。
红绿色盲色弱是由X染色体上的基因所决定的,即绿色盲基因和红色盲基因。这两对基因在X染色体上是连锁的。遗传方式是性染色体X连锁隐性遗传。女性体内细胞有两条X染色体,因此需要等位基因都为致病基因才会表现患病。而男性只有一条X染色体,因此只需一个色盲基因就表现出色盲,所以男性的发病率是大于女性的。
色盲色弱的患者可以通过佩戴色盲矫正镜来起到矫正色觉障碍的作用。
","articleBody": "体检颜色辨别图,一般是指色盲色弱检测图,是根据假同色的原理来设计的一种用于检查色觉异常的方法。
色盲色弱都是先天性色觉障碍,遗传方式为性染色体隐性遗传。
色盲不可以辨别一些颜色甚至是所有颜色,色弱则是指辨别颜色的能力比较弱,颜色比较饱和的时候才能分辨出来颜色。色弱测试图中的颜色大多是浅红色和浅绿色交叉,是用来干扰测试人的。

如果测试人是色弱的话,他分辨两种颜色的能力比较差,因此无法分辨由于较小色差构成的数字或图案。
红绿色盲色弱是由X染色体上的基因所决定的,即绿色盲基因和红色盲基因。这两对基因在X染色体上是连锁的。遗传方式是性染色体X连锁隐性遗传。女性体内细胞有两条X染色体,因此需要等位基因都为致病基因才会表现患病。而男性只有一条X染色体,因此只需一个色盲基因就表现出色盲,所以男性的发病率是大于女性的。
色盲色弱的患者可以通过佩戴色盲矫正镜来起到矫正色觉障碍的作用。
","scanCount": 32751}}} {"@context": "https://ziyuan.baidu.com/contexts/cambrian.jsonld","appid": "1650708455561748","icon": "https://www.med-credit.org.cn/style/images/ttlogo.png","content_tag": ["atlas"],"is_mcn": {"thumb_id": "3w128mji2"},"accid": "4886d626a2804dee5f11168793ce361672f39c25","@id": "https://www.med-credit.org.cn/mobile/jingxuan/2/a42d0c090daa614ebb0b3ba62b1e1c55.html","bagWordId": "22_1526480555946807296","title": "鼻背纹图片","pubDate": "2023-02-15T16:41:09","upDate": "2023-02-15T16:41:09","lrDate": "2023-02-15T16:41:09","description": "鼻背纹可能是因为皮肤干燥引起的。","data": {"WebPage": {"headline": "鼻背纹图片","pcUrl": "https://www.med-credit.org.cn/jingxuan/2/a42d0c090daa614ebb0b3ba62b1e1c55.html","wapUrl": "https://www.med-credit.org.cn/jingxuan/2/a42d0c090daa614ebb0b3ba62b1e1c55.html","mipUrl": "https://www.med-credit.org.cn/mobile/jingxuan/2/a42d0c090daa614ebb0b3ba62b1e1c55.html","fromSrc": "欢乐橙","datePublished": "2023-02-15T16:41:09","domain": "医疗","category": ["医疗权威文章合作"],"description": "鼻背纹可能是因为皮肤干燥引起的。
","extra_headline": [""]},"Author": {"name": "曲乐","wapUrl": "https://www.med-credit.org.cn/doctor/554","pcUrl": "https://www.med-credit.org.cn/doctor/554","jobTitle": "副主任医师","headPortrait": "https://www.med-credit.org.cn/uploadfile/member/554/180x180.jpeg","id": "554","description": "曲乐,副主任医师、医学博士、硕士研究生导师、美容主诊医师、公派留美访问学者。主持国家自然科学基金及省市课题多项,在国内外高水平专业杂志发表中英文论文20余篇,参编英文专著1部。现任辽宁省免疫学会委员。","memberOf": {"legalName": "中国医科大学附属第一医院","department": "皮肤科","organizationLevel": "三级甲等"}},"Article": {"summaryContent": "鼻背纹可能是因为皮肤干燥引起的。
鼻背纹也可能是因为年龄增长皮肤老化引起的。
皮肤干燥缺水引起的鼻背纹常见于干性皮肤人群。此类人群皮肤皮脂腺分泌油脂较少,如果未及时补水则容易引起皮肤干燥缺水,从而导致皮肤紧缩、皱褶,产生鼻背纹。
年龄增长,皮肤老化引起的鼻背纹为正常生理现象,原因为皮肤胶原蛋白随年龄增长而流失,且皮肤锁水能力下降,导致皮肤松弛,皱缩,出现鼻背纹。

鼻背纹出现在鼻梁以及鼻根部,鼻梁部常出现沿鼻梁方向的竖状鼻背纹;鼻根部常出现垂直于鼻子的横向鼻背纹。鼻背纹临床上呈细条状,竖状鼻背纹一般长约1~2cm,横状鼻背纹一般长约0.5~1cm,横状纹与竖状纹常延伸至眼周皱纹。
一般注意补水保湿即可缓解,如果是年龄增长引起的鼻背纹可进行玻尿酸填充治疗。
","articleBody": "鼻背纹可能是因为皮肤干燥引起的。
鼻背纹也可能是因为年龄增长皮肤老化引起的。
皮肤干燥缺水引起的鼻背纹常见于干性皮肤人群。此类人群皮肤皮脂腺分泌油脂较少,如果未及时补水则容易引起皮肤干燥缺水,从而导致皮肤紧缩、皱褶,产生鼻背纹。
年龄增长,皮肤老化引起的鼻背纹为正常生理现象,原因为皮肤胶原蛋白随年龄增长而流失,且皮肤锁水能力下降,导致皮肤松弛,皱缩,出现鼻背纹。

鼻背纹出现在鼻梁以及鼻根部,鼻梁部常出现沿鼻梁方向的竖状鼻背纹;鼻根部常出现垂直于鼻子的横向鼻背纹。鼻背纹临床上呈细条状,竖状鼻背纹一般长约1~2cm,横状鼻背纹一般长约0.5~1cm,横状纹与竖状纹常延伸至眼周皱纹。
一般注意补水保湿即可缓解,如果是年龄增长引起的鼻背纹可进行玻尿酸填充治疗。
","scanCount": 32749}}} {"@context": "https://ziyuan.baidu.com/contexts/cambrian.jsonld","appid": "1650708455561748","icon": "https://www.med-credit.org.cn/style/images/ttlogo.png","content_tag": ["atlas"],"is_mcn": {"thumb_id": "kdec8d11"},"accid": "4886d626a2804dee5f11168793ce361672f39c25","@id": "https://www.med-credit.org.cn/mobile/jingxuan/2/7c39989f063d513c7d0c34730dc4217b.html","bagWordId": "23_1526478059916496896","title": "淋巴引流手法图片","pubDate": "2023-02-15T16:41:09","upDate": "2023-02-15T16:41:09","lrDate": "2023-02-15T16:41:09","description": "淋巴引流手法主要是在人体淋巴结的主要集中处如腋下、下颌、锁骨外侧、耳前、耳后等处顺着淋巴的流向进行缓慢推压。","data": {"WebPage": {"headline": "淋巴引流手法图片","pcUrl": "https://www.med-credit.org.cn/jingxuan/2/7c39989f063d513c7d0c34730dc4217b.html","wapUrl": "https://www.med-credit.org.cn/jingxuan/2/7c39989f063d513c7d0c34730dc4217b.html","mipUrl": "https://www.med-credit.org.cn/mobile/jingxuan/2/7c39989f063d513c7d0c34730dc4217b.html","fromSrc": "欢乐橙","datePublished": "2023-02-15T16:41:09","domain": "医疗","category": ["医疗权威文章合作"],"description": "淋巴引流手法主要是在人体淋巴结的主要集中处如腋下、下颌、锁骨外侧、耳前、耳后等处顺着淋巴的流向进行缓慢推压。
","extra_headline": [""]},"Author": {"name": "王丽","wapUrl": "https://www.med-credit.org.cn/doctor/512","pcUrl": "https://www.med-credit.org.cn/doctor/512","jobTitle": "主治医师","headPortrait": "https://www.med-credit.org.cn/uploadfile/member/512/180x180.jpeg","id": "512","description": "王丽,中国医科大学附属第一医院普外科主治医师","memberOf": {"legalName": "中国医科大学附属第一医院","department": "普外科","organizationLevel": "三级甲等"}},"Article": {"summaryContent": "淋巴引流手法主要是在人体淋巴结的主要集中处如腋下、下颌、锁骨外侧、耳前、耳后等处顺着淋巴的流向进行缓慢推压。
淋巴引流手法的意义就是通过推压将淋巴液排出。有利于净化皮肤的深层部,预防疾病的发生。

1、淋巴结抽压排液法:开始推压时,应先从流畅的淋巴结淋巴液开始。根据推压部位使用不同的手技,就是以抽压(如压再吸上)淋巴结,使淋巴结畅通的方法。按压的时间约为2秒钟重复一次。
2、排液法:靠近淋巴结的部分,向淋巴结方向加压轻轻推的方法。基本原则为重复做三次排液法,但症状明显时,要增加操作的次数。
1、有利于淋巴的生成。
2、有利于增强淋巴管的功能。
3、对机体组织的舒缓保护作用。
1、肝脏功能不全者禁做。
2、月经来临的2~3天禁做。
3、按摩前禁止暴饮暴食。
4、孕妇不宜做腹部按摩。
5、心功能不全者禁做。
","articleBody": "淋巴引流手法主要是在人体淋巴结的主要集中处如腋下、下颌、锁骨外侧、耳前、耳后等处顺着淋巴的流向进行缓慢推压。
淋巴引流手法的意义就是通过推压将淋巴液排出。有利于净化皮肤的深层部,预防疾病的发生。

1、淋巴结抽压排液法:开始推压时,应先从流畅的淋巴结淋巴液开始。根据推压部位使用不同的手技,就是以抽压(如压再吸上)淋巴结,使淋巴结畅通的方法。按压的时间约为2秒钟重复一次。
2、排液法:靠近淋巴结的部分,向淋巴结方向加压轻轻推的方法。基本原则为重复做三次排液法,但症状明显时,要增加操作的次数。
1、有利于淋巴的生成。
2、有利于增强淋巴管的功能。
3、对机体组织的舒缓保护作用。
1、肝脏功能不全者禁做。
2、月经来临的2~3天禁做。
3、按摩前禁止暴饮暴食。
4、孕妇不宜做腹部按摩。
5、心功能不全者禁做。
","scanCount": 32748}}} {"@context": "https://ziyuan.baidu.com/contexts/cambrian.jsonld","appid": "1650708455561748","icon": "https://www.med-credit.org.cn/style/images/ttlogo.png","content_tag": ["atlas"],"is_mcn": {"thumb_id": "q3br2w1g"},"accid": "4886d626a2804dee5f11168793ce361672f39c25","@id": "https://www.med-credit.org.cn/mobile/jingxuan/2/011320589acaabbf0971a291605c5cf9.html","bagWordId": "23_1526478126790479872","title": "心电监护仪三导联图","pubDate": "2023-02-15T16:41:09","upDate": "2023-02-15T16:41:09","lrDate": "2023-02-15T16:41:09","description": "心电监护仪三导联为一种监测生命体征的设备,可以监测人体的心电信号、心率、血压、血氧饱和度、呼吸频率等指标。","data": {"WebPage": {"headline": "心电监护仪三导联图","pcUrl": "https://www.med-credit.org.cn/jingxuan/2/011320589acaabbf0971a291605c5cf9.html","wapUrl": "https://www.med-credit.org.cn/jingxuan/2/011320589acaabbf0971a291605c5cf9.html","mipUrl": "https://www.med-credit.org.cn/mobile/jingxuan/2/011320589acaabbf0971a291605c5cf9.html","fromSrc": "欢乐橙","datePublished": "2023-02-15T16:41:09","domain": "医疗","category": ["医疗权威文章合作"],"description": "心电监护仪三导联为一种监测生命体征的设备,可以监测人体的心电信号、心率、血压、血氧饱和度、呼吸频率等指标。
","extra_headline": [""]},"Author": {"name": "王传合","wapUrl": "https://www.med-credit.org.cn/doctor/551","pcUrl": "https://www.med-credit.org.cn/doctor/551","jobTitle": "副主任医师","headPortrait": "https://www.med-credit.org.cn/uploadfile/member/551/180x180.jpeg","id": "551","description": "王传合,中国医科大学附属盛京医院心血管内科副主任医师","memberOf": {"legalName": "中国医科大学附属盛京医院","department": "心血管内科","organizationLevel": "三级甲等"}},"Article": {"summaryContent": "心电监护仪三导联为一种监测生命体征的设备,可以监测人体的心电信号、心率、血压、血氧饱和度、呼吸频率等指标。
目前临床应用的心电监护仪一般有三导联和五导联两种,不同心电监护仪的电极片位置有所不同。

1、三导联的心电监护仪电极片放置位置为:白色导联在右锁骨中线与第1肋间隙交点,黑色导联在左锁骨线与第1肋间隙交点,红色导联在左锁骨中线剑突水平处。
2、五导联的心电监护仪电极片放置位置为:白色导联在右锁骨中线与第1肋间交点,黑色导联在左锁骨中线与第1肋间交点,红色导联在左锁骨中线剑突水平处,绿色导联在右锁骨中线剑突水平处,棕色导联在胸骨左缘第4肋间。
1、不要空腹:禁食可能导致低血糖,从而导致缺氧,而缺氧会导致心脏代偿性加速和心率加快。
2、检查前2小时禁喝浓茶、咖啡等:心电图检查前不适合喝浓茶,会使心率加快或早搏,影响测试结果的准确性。
3、避免剧烈活动:剧烈活动使能量消耗增加,新陈代谢加快,导致心跳加快。
4、着方便检查的衣物:心电图导联电极应置于受试者的手腕和胸部。女性在检查前不建议穿连衣裙、连体衣,以免造成不便。
","articleBody": "心电监护仪三导联为一种监测生命体征的设备,可以监测人体的心电信号、心率、血压、血氧饱和度、呼吸频率等指标。
目前临床应用的心电监护仪一般有三导联和五导联两种,不同心电监护仪的电极片位置有所不同。

1、三导联的心电监护仪电极片放置位置为:白色导联在右锁骨中线与第1肋间隙交点,黑色导联在左锁骨线与第1肋间隙交点,红色导联在左锁骨中线剑突水平处。
2、五导联的心电监护仪电极片放置位置为:白色导联在右锁骨中线与第1肋间交点,黑色导联在左锁骨中线与第1肋间交点,红色导联在左锁骨中线剑突水平处,绿色导联在右锁骨中线剑突水平处,棕色导联在胸骨左缘第4肋间。
1、不要空腹:禁食可能导致低血糖,从而导致缺氧,而缺氧会导致心脏代偿性加速和心率加快。
2、检查前2小时禁喝浓茶、咖啡等:心电图检查前不适合喝浓茶,会使心率加快或早搏,影响测试结果的准确性。
3、避免剧烈活动:剧烈活动使能量消耗增加,新陈代谢加快,导致心跳加快。
4、着方便检查的衣物:心电图导联电极应置于受试者的手腕和胸部。女性在检查前不建议穿连衣裙、连体衣,以免造成不便。
","scanCount": 32747}}} {"@context": "https://ziyuan.baidu.com/contexts/cambrian.jsonld","appid": "1650708455561748","icon": "https://www.med-credit.org.cn/style/images/ttlogo.png","content_tag": ["atlas"],"is_mcn": {"thumb_id": "ay28xrnt0"},"accid": "4886d626a2804dee5f11168793ce361672f39c25","@id": "https://www.med-credit.org.cn/mobile/jingxuan/2/2fee62eba8e8c717e976d55cc8dd36c3.html","bagWordId": "23_1526477949384003584","title": "龅牙图片","pubDate": "2023-02-15T16:41:09","upDate": "2023-02-15T16:41:09","lrDate": "2023-02-15T16:41:09","description": "龅牙是一种牙齿的畸形,表现为上颌前突畸形或者双颌前突畸形,一般情况不会出现功能障碍。","data": {"WebPage": {"headline": "龅牙图片","pcUrl": "https://www.med-credit.org.cn/jingxuan/2/2fee62eba8e8c717e976d55cc8dd36c3.html","wapUrl": "https://www.med-credit.org.cn/jingxuan/2/2fee62eba8e8c717e976d55cc8dd36c3.html","mipUrl": "https://www.med-credit.org.cn/mobile/jingxuan/2/2fee62eba8e8c717e976d55cc8dd36c3.html","fromSrc": "欢乐橙","datePublished": "2023-02-15T16:41:09","domain": "医疗","category": ["医疗权威文章合作"],"description": "龅牙是一种牙齿的畸形,表现为上颌前突畸形或者双颌前突畸形,一般情况不会出现功能障碍。
","extra_headline": [""]},"Author": {"name": "李斯文","wapUrl": "https://www.med-credit.org.cn/doctor/546","pcUrl": "https://www.med-credit.org.cn/doctor/546","jobTitle": "主治医师","headPortrait": "https://www.med-credit.org.cn/uploadfile/member/546/180x180.jpeg","id": "546","description": "李斯文,中国医科大学附属口腔医院口腔科主治医师","memberOf": {"legalName": "中国医科大学附属口腔医院","department": "口腔科","organizationLevel": "三级甲等"}},"Article": {"summaryContent": "龅牙是一种牙齿的畸形,表现为上颌前突畸形或者双颌前突畸形,一般情况不会出现功能障碍。
龅牙可能是先天遗传导致的,也可能是后天的一些不良习惯形成的。

有龅牙的人牙齿常常显露在外面,自然状态时上下嘴唇呈张开状态,微笑时会有很多牙龈外露,并且颏向后缩。当强迫闭紧嘴巴时,下唇部的下面和颏之间能见到有软组织明显隆起。上下门牙都向外突出,不整齐。
龅牙有家庭聚集现象,遗传是产生龅牙的一个因素,因为随着人类的不断进化,吃的东西逐渐细小,牙弓也随之变小,导致牙齿拥挤,排列出现龅牙。
后天不好的口腔习惯也会引起龅牙,例如吮吸手指等。另外还有唇腭裂也有可能导致龅牙的产生。
小孩子在长牙以及换牙的阶段一定要注意口腔卫生,并且不要用舌头去舔牙齿。
","articleBody": "龅牙是一种牙齿的畸形,表现为上颌前突畸形或者双颌前突畸形,一般情况不会出现功能障碍。
龅牙可能是先天遗传导致的,也可能是后天的一些不良习惯形成的。

有龅牙的人牙齿常常显露在外面,自然状态时上下嘴唇呈张开状态,微笑时会有很多牙龈外露,并且颏向后缩。当强迫闭紧嘴巴时,下唇部的下面和颏之间能见到有软组织明显隆起。上下门牙都向外突出,不整齐。
龅牙有家庭聚集现象,遗传是产生龅牙的一个因素,因为随着人类的不断进化,吃的东西逐渐细小,牙弓也随之变小,导致牙齿拥挤,排列出现龅牙。
后天不好的口腔习惯也会引起龅牙,例如吮吸手指等。另外还有唇腭裂也有可能导致龅牙的产生。
小孩子在长牙以及换牙的阶段一定要注意口腔卫生,并且不要用舌头去舔牙齿。
","scanCount": 32743}}} {"@context": "https://ziyuan.baidu.com/contexts/cambrian.jsonld","appid": "1650708455561748","icon": "https://www.med-credit.org.cn/style/images/ttlogo.png","content_tag": ["atlas"],"is_mcn": {"thumb_id": "fe2jhbe4e"},"accid": "4886d626a2804dee5f11168793ce361672f39c25","@id": "https://www.med-credit.org.cn/mobile/jingxuan/2/c44f64bb9efa29e0038ee11fca649a90.html","bagWordId": "23_1526477995521347584","title": "显微镜下细菌形态图","pubDate": "2023-02-15T16:41:09","upDate": "2023-02-15T16:41:09","lrDate": "2023-02-15T16:41:09","description": "细菌有多种形态,在显微镜下可以看到各种各样的细菌形态,但没法看到细菌的各层详细结构。","data": {"WebPage": {"headline": "显微镜下细菌形态图","pcUrl": "https://www.med-credit.org.cn/jingxuan/2/c44f64bb9efa29e0038ee11fca649a90.html","wapUrl": "https://www.med-credit.org.cn/jingxuan/2/c44f64bb9efa29e0038ee11fca649a90.html","mipUrl": "https://www.med-credit.org.cn/mobile/jingxuan/2/c44f64bb9efa29e0038ee11fca649a90.html","fromSrc": "欢乐橙","datePublished": "2023-02-15T16:41:09","domain": "医疗","category": ["医疗权威文章合作"],"description": "细菌有多种形态,在显微镜下可以看到各种各样的细菌形态,但没法看到细菌的各层详细结构。
","extra_headline": [""]},"Author": {"name": "孙婷丽","wapUrl": "https://www.med-credit.org.cn/doctor/510","pcUrl": "https://www.med-credit.org.cn/doctor/510","jobTitle": "主治医师","headPortrait": "https://www.med-credit.org.cn/uploadfile/member/510/180x180.jpeg","id": "510","description": "孙婷丽,中国医科大学附属盛京医院全科医学主治医师","memberOf": {"legalName": "中国医科大学附属盛京医院","department": "内科","organizationLevel": "三级甲等"}},"Article": {"summaryContent": "细菌有多种形态,在显微镜下可以看到各种各样的细菌形态,但没法看到细菌的各层详细结构。
显微镜的选择也和观察到的细胞形态相关。

细菌分杆菌、球菌、螺旋菌,其在光学显微镜下形态分别为杆型或长条型,球型或椭圆型,弯曲折叠型,若换至高倍视野,且细菌活力足够强,还可以看到细菌的运动。
日常用于观察的为光学显微镜,其最大放大倍数一般为500倍,可以看清楚0.2微米的微生物,而大多数细菌都大于3微米,因此均可见。
而用于科研的电子显微镜,则可观察到细菌的各种结构,包括膜、质、核三部分、以及各类型细胞器,区分革兰阴阳性菌的细胞壁。
绝大多数细菌都具有一定的致病性,而在我们周围的环境中也分布着各种各样的细菌,虽然大多数细菌都和人类和谐共生,但在一定条件下也会变成致病菌,因此,要正确认识细菌,勤洗手,爱清洁,养成好习惯,才能远离疾病,健康生活。
","articleBody": "细菌有多种形态,在显微镜下可以看到各种各样的细菌形态,但没法看到细菌的各层详细结构。
显微镜的选择也和观察到的细胞形态相关。

细菌分杆菌、球菌、螺旋菌,其在光学显微镜下形态分别为杆型或长条型,球型或椭圆型,弯曲折叠型,若换至高倍视野,且细菌活力足够强,还可以看到细菌的运动。
日常用于观察的为光学显微镜,其最大放大倍数一般为500倍,可以看清楚0.2微米的微生物,而大多数细菌都大于3微米,因此均可见。
而用于科研的电子显微镜,则可观察到细菌的各种结构,包括膜、质、核三部分、以及各类型细胞器,区分革兰阴阳性菌的细胞壁。
绝大多数细菌都具有一定的致病性,而在我们周围的环境中也分布着各种各样的细菌,虽然大多数细菌都和人类和谐共生,但在一定条件下也会变成致病菌,因此,要正确认识细菌,勤洗手,爱清洁,养成好习惯,才能远离疾病,健康生活。
","scanCount": 32741}}} {"@context": "https://ziyuan.baidu.com/contexts/cambrian.jsonld","appid": "1650708455561748","icon": "https://www.med-credit.org.cn/style/images/ttlogo.png","content_tag": ["atlas"],"is_mcn": {"thumb_id": "fe2jhbe4e"},"accid": "4886d626a2804dee5f11168793ce361672f39c25","@id": "https://www.med-credit.org.cn/mobile/jingxuan/2/18dfc0fdbfd4ae1fb340884cf6363820.html","bagWordId": "23_1526477960851230720","title": "DNA衍射图谱","pubDate": "2023-02-15T16:41:09","upDate": "2023-02-15T16:41:09","lrDate": "2023-02-15T16:41:09","description": "DNA衍射图谱全称为DNA分子X射线衍射图谱,本质上是两个波的光程产生位相差,最后由两个衍射图谱叠加而成的图谱。","data": {"WebPage": {"headline": "DNA衍射图谱","pcUrl": "https://www.med-credit.org.cn/jingxuan/2/18dfc0fdbfd4ae1fb340884cf6363820.html","wapUrl": "https://www.med-credit.org.cn/jingxuan/2/18dfc0fdbfd4ae1fb340884cf6363820.html","mipUrl": "https://www.med-credit.org.cn/mobile/jingxuan/2/18dfc0fdbfd4ae1fb340884cf6363820.html","fromSrc": "欢乐橙","datePublished": "2023-02-15T16:41:09","domain": "医疗","category": ["医疗权威文章合作"],"description": "DNA衍射图谱全称为DNA分子X射线衍射图谱,本质上是两个波的光程产生位相差,最后由两个衍射图谱叠加而成的图谱。
","extra_headline": [""]},"Author": {"name": "孙婷丽","wapUrl": "https://www.med-credit.org.cn/doctor/510","pcUrl": "https://www.med-credit.org.cn/doctor/510","jobTitle": "主治医师","headPortrait": "https://www.med-credit.org.cn/uploadfile/member/510/180x180.jpeg","id": "510","description": "孙婷丽,中国医科大学附属盛京医院全科医学主治医师","memberOf": {"legalName": "中国医科大学附属盛京医院","department": "内科","organizationLevel": "三级甲等"}},"Article": {"summaryContent": "DNA衍射图谱全称为DNA分子X射线衍射图谱,本质上是两个波的光程产生位相差,最后由两个衍射图谱叠加而成的图谱。
富兰克林通过DNA衍射图谱发现DNA的双螺旋结构。

1953年《自然》杂志发表了一篇文章《在钠DNA的晶体结构中双链螺旋的证明》,通过DNA分子X射线衍射图谱阐述了DNA双螺旋结构的建立,这篇文章的作者是富兰克林。由于X射线在照射DNA分子时,先后经两个互成角度单缝后发生衍射,由此形成的衍射图谱呈"X"形,富兰克林据此推测DNA分子结构呈螺旋形。随后沃森与克里克通过双螺旋模型吻合富兰克林的DNA衍射图谱数据确认了DNA分子的双螺旋模型。
衍射是指波遇到障碍物时偏离原来直线传播的物理现象。光在传播过程中,当遇到遮蔽物或小孔径时,将偏离本身的直线路径而绕到障碍物后面传播的现象,叫光的衍射。衍射会产生明暗相间的花纹,表示不同的衍射角度和强度。DNA分子的衍射属于晶体衍射,因此衍射DNA分子的X射线产生的衍射图谱即为DNA衍射图谱。
","articleBody": "DNA衍射图谱全称为DNA分子X射线衍射图谱,本质上是两个波的光程产生位相差,最后由两个衍射图谱叠加而成的图谱。
富兰克林通过DNA衍射图谱发现DNA的双螺旋结构。

1953年《自然》杂志发表了一篇文章《在钠DNA的晶体结构中双链螺旋的证明》,通过DNA分子X射线衍射图谱阐述了DNA双螺旋结构的建立,这篇文章的作者是富兰克林。由于X射线在照射DNA分子时,先后经两个互成角度单缝后发生衍射,由此形成的衍射图谱呈"X"形,富兰克林据此推测DNA分子结构呈螺旋形。随后沃森与克里克通过双螺旋模型吻合富兰克林的DNA衍射图谱数据确认了DNA分子的双螺旋模型。
衍射是指波遇到障碍物时偏离原来直线传播的物理现象。光在传播过程中,当遇到遮蔽物或小孔径时,将偏离本身的直线路径而绕到障碍物后面传播的现象,叫光的衍射。衍射会产生明暗相间的花纹,表示不同的衍射角度和强度。DNA分子的衍射属于晶体衍射,因此衍射DNA分子的X射线产生的衍射图谱即为DNA衍射图谱。
","scanCount": 32737}}} {"@context": "https://ziyuan.baidu.com/contexts/cambrian.jsonld","appid": "1650708455561748","icon": "https://www.med-credit.org.cn/style/images/ttlogo.png","content_tag": ["atlas"],"is_mcn": {"thumb_id": "6s1phww1w"},"accid": "4886d626a2804dee5f11168793ce361672f39c25","@id": "https://www.med-credit.org.cn/mobile/jingxuan/2/e33431e0ea3a62bd6342d85c4cc84bc9.html","bagWordId": "22_1526480487919390720","title": "腰窝是什么样图片","pubDate": "2023-02-15T16:41:09","upDate": "2023-02-15T16:41:09","lrDate": "2023-02-15T16:41:09","description": "腰窝一般是成对出现的,就是后背腰间的两个凹下去的窝,位于腰椎和骶椎骨上方连接处的两侧。","data": {"WebPage": {"headline": "腰窝是什么样图片","pcUrl": "https://www.med-credit.org.cn/jingxuan/2/e33431e0ea3a62bd6342d85c4cc84bc9.html","wapUrl": "https://www.med-credit.org.cn/jingxuan/2/e33431e0ea3a62bd6342d85c4cc84bc9.html","mipUrl": "https://www.med-credit.org.cn/mobile/jingxuan/2/e33431e0ea3a62bd6342d85c4cc84bc9.html","fromSrc": "欢乐橙","datePublished": "2023-02-15T16:41:09","domain": "医疗","category": ["医疗权威文章合作"],"description": "腰窝一般是成对出现的,就是后背腰间的两个凹下去的窝,位于腰椎和骶椎骨上方连接处的两侧。
","extra_headline": [""]},"Author": {"name": "王维","wapUrl": "https://www.med-credit.org.cn/doctor/513","pcUrl": "https://www.med-credit.org.cn/doctor/513","jobTitle": "主治医师","headPortrait": "https://www.med-credit.org.cn/uploadfile/member/513/180x180.jpeg","id": "513","description": "王维,中国医科大学附属盛京医院骨科主治医师","memberOf": {"legalName": "中国医科大学附属盛京医院","department": "骨科","organizationLevel": "三级甲等"}},"Article": {"summaryContent": "腰窝一般是成对出现的,就是后背腰间的两个凹下去的窝,位于腰椎和骶椎骨上方连接处的两侧。
腰窝是正常的生理结构,在医学上被称作“麦凯斯菱”,俗称“腰窝”。

很多有腰窝的人主要是因为后背和臀部相连接的地方的肌肉比较薄所以才会有凹陷,腰窝只是我们身体形态的特征,大多数都是没有害处的,有“腰窝”只能说明这个人体型消瘦,并不是什么病理现象。
大多数的人拥有腰窝是天生的,但是我们也可以通过锻炼形成腰窝。
1、反向卷腹
动作要领:先躺在瑜伽垫上,双腿并拢且弯曲。双手抓着前端或哑铃,保持我们上半身稳定,抬起臀部和下背,蜷曲身体并挤压腹部肌肉,到一定位置后停顿一下再慢慢复原,速度不要太快。
2、反式仰卧起坐
动作要领:趴在瑜伽垫上,双手放在腰侧,依靠腰椎和臀小肌的力量将我们的上半身挺起大概40°,再放下。每天大概做3-4组,15个为一组。
","articleBody": "腰窝一般是成对出现的,就是后背腰间的两个凹下去的窝,位于腰椎和骶椎骨上方连接处的两侧。
腰窝是正常的生理结构,在医学上被称作“麦凯斯菱”,俗称“腰窝”。

很多有腰窝的人主要是因为后背和臀部相连接的地方的肌肉比较薄所以才会有凹陷,腰窝只是我们身体形态的特征,大多数都是没有害处的,有“腰窝”只能说明这个人体型消瘦,并不是什么病理现象。
大多数的人拥有腰窝是天生的,但是我们也可以通过锻炼形成腰窝。
1、反向卷腹
动作要领:先躺在瑜伽垫上,双腿并拢且弯曲。双手抓着前端或哑铃,保持我们上半身稳定,抬起臀部和下背,蜷曲身体并挤压腹部肌肉,到一定位置后停顿一下再慢慢复原,速度不要太快。
2、反式仰卧起坐
动作要领:趴在瑜伽垫上,双手放在腰侧,依靠腰椎和臀小肌的力量将我们的上半身挺起大概40°,再放下。每天大概做3-4组,15个为一组。
","scanCount": 32736}}} {"@context": "https://ziyuan.baidu.com/contexts/cambrian.jsonld","appid": "1650708455561748","icon": "https://www.med-credit.org.cn/style/images/ttlogo.png","content_tag": ["atlas"],"is_mcn": {"thumb_id": "yfygkay6"},"accid": "4886d626a2804dee5f11168793ce361672f39c25","@id": "https://www.med-credit.org.cn/mobile/jingxuan/2/ed0e195a724b79ff70a3f7b6de1e03c8.html","bagWordId": "23_1526478108679475200","title": "鼻镜图片","pubDate": "2023-02-15T16:41:09","upDate": "2023-02-15T16:41:09","lrDate": "2023-02-15T16:41:09","description": "鼻镜是用于检查鼻腔的一种器械,通过检查部位的异常变化来诊断疾病。","data": {"WebPage": {"headline": "鼻镜图片","pcUrl": "https://www.med-credit.org.cn/jingxuan/2/ed0e195a724b79ff70a3f7b6de1e03c8.html","wapUrl": "https://www.med-credit.org.cn/jingxuan/2/ed0e195a724b79ff70a3f7b6de1e03c8.html","mipUrl": "https://www.med-credit.org.cn/mobile/jingxuan/2/ed0e195a724b79ff70a3f7b6de1e03c8.html","fromSrc": "欢乐橙","datePublished": "2023-02-15T16:41:09","domain": "医疗","category": ["医疗权威文章合作"],"description": "鼻镜是用于检查鼻腔的一种器械,通过检查部位的异常变化来诊断疾病。
","extra_headline": [""]},"Author": {"name": "王立银","wapUrl": "https://www.med-credit.org.cn/doctor/520","pcUrl": "https://www.med-credit.org.cn/doctor/520","jobTitle": "主治医师","headPortrait": "https://www.med-credit.org.cn/uploadfile/member/520/180x180.jpeg","id": "520","description": "王立银,中国医科大学附属盛京医院耳鼻咽喉头颈外科主治医师","memberOf": {"legalName": "中国医科大学附属盛京医院","department": "耳鼻咽喉头颈外科","organizationLevel": "三级甲等"}},"Article": {"summaryContent": "鼻镜是用于检查鼻腔的一种器械,通过检查部位的异常变化来诊断疾病。
鼻镜的使用根据检查部位的不同,检查手法也不相同。

鼻镜检查是通过额镜反射的光线来观察鼻腔内的变化,包括观察鼻腔粘膜的色泽,鼻中隔的形态以及有无肿物或异物等,根据与正常状态的对比从而达到诊断疾病的目的。
1.鼻前庭检查法:被检查者要后仰头,检查者通过使用左手来固定被检查者的额部,并且通过右拇指将检查者的鼻尖向后上抬起,从而来检查鼻前庭系统的全貌。
2.鼻腔检查法:检查者左手或右手可以拿着鼻镜,用拇指及食指手持鼻镜关节处,将鼻镜柄贴着掌心,其他各指分别夹持一个柄脚,通过反射光线照在鼻尖部,然后慢慢张开前鼻镜,依次检查鼻腔各部。
鼻镜不应进入鼻腔内部太深,以免造成疼痛或损伤鼻中隔粘膜引起鼻出血。当取出鼻镜时,不可完全夹毕,以免夹持到鼻毛引起疼痛。
","articleBody": "鼻镜是用于检查鼻腔的一种器械,通过检查部位的异常变化来诊断疾病。
鼻镜的使用根据检查部位的不同,检查手法也不相同。

鼻镜检查是通过额镜反射的光线来观察鼻腔内的变化,包括观察鼻腔粘膜的色泽,鼻中隔的形态以及有无肿物或异物等,根据与正常状态的对比从而达到诊断疾病的目的。
1.鼻前庭检查法:被检查者要后仰头,检查者通过使用左手来固定被检查者的额部,并且通过右拇指将检查者的鼻尖向后上抬起,从而来检查鼻前庭系统的全貌。
2.鼻腔检查法:检查者左手或右手可以拿着鼻镜,用拇指及食指手持鼻镜关节处,将鼻镜柄贴着掌心,其他各指分别夹持一个柄脚,通过反射光线照在鼻尖部,然后慢慢张开前鼻镜,依次检查鼻腔各部。
鼻镜不应进入鼻腔内部太深,以免造成疼痛或损伤鼻中隔粘膜引起鼻出血。当取出鼻镜时,不可完全夹毕,以免夹持到鼻毛引起疼痛。
","scanCount": 32735}}} {"@context": "https://ziyuan.baidu.com/contexts/cambrian.jsonld","appid": "1650708455561748","icon": "https://www.med-credit.org.cn/style/images/ttlogo.png","content_tag": ["atlas"],"is_mcn": {"thumb_id": "q3br2w1g"},"accid": "4886d626a2804dee5f11168793ce361672f39c25","@id": "https://www.med-credit.org.cn/mobile/jingxuan/2/c66e6646d3d17f98511207f15efe7fa5.html","bagWordId": "23_1526478129676161024","title": "便携式心电图机","pubDate": "2023-02-15T16:41:09","upDate": "2023-02-15T16:41:09","lrDate": "2023-02-15T16:41:09","description": "便携式心电图机是一种实时监控、可移动化的心电信号采集分析仪器。","data": {"WebPage": {"headline": "便携式心电图机","pcUrl": "https://www.med-credit.org.cn/jingxuan/2/c66e6646d3d17f98511207f15efe7fa5.html","wapUrl": "https://www.med-credit.org.cn/jingxuan/2/c66e6646d3d17f98511207f15efe7fa5.html","mipUrl": "https://www.med-credit.org.cn/mobile/jingxuan/2/c66e6646d3d17f98511207f15efe7fa5.html","fromSrc": "欢乐橙","datePublished": "2023-02-15T16:41:09","domain": "医疗","category": ["医疗权威文章合作"],"description": "便携式心电图机是一种实时监控、可移动化的心电信号采集分析仪器。
","extra_headline": [""]},"Author": {"name": "王传合","wapUrl": "https://www.med-credit.org.cn/doctor/551","pcUrl": "https://www.med-credit.org.cn/doctor/551","jobTitle": "副主任医师","headPortrait": "https://www.med-credit.org.cn/uploadfile/member/551/180x180.jpeg","id": "551","description": "王传合,中国医科大学附属盛京医院心血管内科副主任医师","memberOf": {"legalName": "中国医科大学附属盛京医院","department": "心血管内科","organizationLevel": "三级甲等"}},"Article": {"summaryContent": "便携式心电图机是一种实时监控、可移动化的心电信号采集分析仪器。
便携式心电图机设计理念关注于便于携带、保存数据、传输数据等方面。

由于其目的是为了对心脏的健康状况随时进行监护与便于移动、携带,在设计上首先保证采用液晶显示系统对心电波形和工作菜单可实时显示;将需要存储的心电信息利用外部存储器加以保存,便于就诊参考提取;外接打印机可便于信息记录的整理和保存;便于对人体心电信号的采集与医疗机构间的传送。便携式心电图机运行系统包括心电采集电路、带通滤波及主放大电路和电信号处理及显示电路。
针对静态的心电监护设备体积笨重、价格昂贵和不便于携带的局限性,便携式心电图机是一种能够实时监控并且价格低廉的便携式心电信号采集仪,且具有存储一定时间内心电数据并通过USB接口与PC机进行数据传输后在显示器上实时显示心电波形的功能。
便携式心电图机适合在家庭中使用,作为心血管疾病患者心脏状况的实时监控仪器。而且有体积小、功能齐全且易于操作、便于携带的特点,记录的数据具有重要的临床参考价值。
","articleBody": "便携式心电图机是一种实时监控、可移动化的心电信号采集分析仪器。
便携式心电图机设计理念关注于便于携带、保存数据、传输数据等方面。

由于其目的是为了对心脏的健康状况随时进行监护与便于移动、携带,在设计上首先保证采用液晶显示系统对心电波形和工作菜单可实时显示;将需要存储的心电信息利用外部存储器加以保存,便于就诊参考提取;外接打印机可便于信息记录的整理和保存;便于对人体心电信号的采集与医疗机构间的传送。便携式心电图机运行系统包括心电采集电路、带通滤波及主放大电路和电信号处理及显示电路。
针对静态的心电监护设备体积笨重、价格昂贵和不便于携带的局限性,便携式心电图机是一种能够实时监控并且价格低廉的便携式心电信号采集仪,且具有存储一定时间内心电数据并通过USB接口与PC机进行数据传输后在显示器上实时显示心电波形的功能。
便携式心电图机适合在家庭中使用,作为心血管疾病患者心脏状况的实时监控仪器。而且有体积小、功能齐全且易于操作、便于携带的特点,记录的数据具有重要的临床参考价值。
","scanCount": 32734}}} {"@context": "https://ziyuan.baidu.com/contexts/cambrian.jsonld","appid": "1650708455561748","icon": "https://www.med-credit.org.cn/style/images/ttlogo.png","content_tag": ["atlas"],"is_mcn": {"thumb_id": "3w128mji2"},"accid": "4886d626a2804dee5f11168793ce361672f39c25","@id": "https://www.med-credit.org.cn/mobile/jingxuan/2/af34194ff5f5a17043049e4b25782813.html","bagWordId": "22_1526480541619064832","title": "中国白化病人照片","pubDate": "2023-02-15T16:41:09","upDate": "2023-02-15T16:41:09","lrDate": "2023-02-15T16:41:09","description": "中国白化病人主要表现为皮肤、毛发发白,眼睛无色素,瞳孔呈红色。","data": {"WebPage": {"headline": "中国白化病人照片","pcUrl": "https://www.med-credit.org.cn/jingxuan/2/af34194ff5f5a17043049e4b25782813.html","wapUrl": "https://www.med-credit.org.cn/jingxuan/2/af34194ff5f5a17043049e4b25782813.html","mipUrl": "https://www.med-credit.org.cn/mobile/jingxuan/2/af34194ff5f5a17043049e4b25782813.html","fromSrc": "欢乐橙","datePublished": "2023-02-15T16:41:09","domain": "医疗","category": ["医疗权威文章合作"],"description": "中国白化病人主要表现为皮肤、毛发发白,眼睛无色素,瞳孔呈红色。
","extra_headline": [""]},"Author": {"name": "曲乐","wapUrl": "https://www.med-credit.org.cn/doctor/554","pcUrl": "https://www.med-credit.org.cn/doctor/554","jobTitle": "副主任医师","headPortrait": "https://www.med-credit.org.cn/uploadfile/member/554/180x180.jpeg","id": "554","description": "曲乐,副主任医师、医学博士、硕士研究生导师、美容主诊医师、公派留美访问学者。主持国家自然科学基金及省市课题多项,在国内外高水平专业杂志发表中英文论文20余篇,参编英文专著1部。现任辽宁省免疫学会委员。","memberOf": {"legalName": "中国医科大学附属第一医院","department": "皮肤科","organizationLevel": "三级甲等"}},"Article": {"summaryContent": "中国白化病人主要表现为皮肤、毛发发白,眼睛无色素,瞳孔呈红色。
白化病是一种遗传性色素缺乏病,患者黑素合成障碍、黑素小体形成或运转障碍、成黑素细胞移行与存活障碍,导致色素脱失。

1、症状:中国白化病患者毛发通常为淡黄色甚至纯白色、银白色,纤细如丝。皮肤乳白色或粉红色,干燥,双眼眉毛及睫毛均为白色或淡黄色,巩膜为透明淡灰色,瞳孔呈红色或淡褐色。由于缺乏色素的保护,患者对阳光敏感,容易晒伤,眼睛畏光流泪。
2、病因:患者黑素细胞数目与形态正常,由于酪氨酸酶基因突变造成酪氨酸生成不足以及酪氨酸酶活性减少或缺乏,致使黑素细胞内前黑素体不能转变成黑素体或黑素体不能黑化而导致皮肤病变。
白化病目前尚无有效的治疗方法。患者应避免日光照射,出门撑遮阳伞、外用防晒霜防止皮肤过早老化以及癌变。佩戴墨色眼镜对眼睛加以保护,减轻畏光不适的症状。
","articleBody": "中国白化病人主要表现为皮肤、毛发发白,眼睛无色素,瞳孔呈红色。
白化病是一种遗传性色素缺乏病,患者黑素合成障碍、黑素小体形成或运转障碍、成黑素细胞移行与存活障碍,导致色素脱失。

1、症状:中国白化病患者毛发通常为淡黄色甚至纯白色、银白色,纤细如丝。皮肤乳白色或粉红色,干燥,双眼眉毛及睫毛均为白色或淡黄色,巩膜为透明淡灰色,瞳孔呈红色或淡褐色。由于缺乏色素的保护,患者对阳光敏感,容易晒伤,眼睛畏光流泪。
2、病因:患者黑素细胞数目与形态正常,由于酪氨酸酶基因突变造成酪氨酸生成不足以及酪氨酸酶活性减少或缺乏,致使黑素细胞内前黑素体不能转变成黑素体或黑素体不能黑化而导致皮肤病变。
白化病目前尚无有效的治疗方法。患者应避免日光照射,出门撑遮阳伞、外用防晒霜防止皮肤过早老化以及癌变。佩戴墨色眼镜对眼睛加以保护,减轻畏光不适的症状。
","scanCount": 32733}}} {"@context": "https://ziyuan.baidu.com/contexts/cambrian.jsonld","appid": "1650708455561748","icon": "https://www.med-credit.org.cn/style/images/ttlogo.png","content_tag": ["atlas"],"is_mcn": {"thumb_id": "ay28xrnt0"},"accid": "4886d626a2804dee5f11168793ce361672f39c25","@id": "https://www.med-credit.org.cn/mobile/jingxuan/2/75fd81233eac173236a6a55fef93e1e6.html","bagWordId": "23_1526477950378053632","title": "后槽牙的标准牙齿图片","pubDate": "2023-02-15T16:41:09","upDate": "2023-02-15T16:41:09","lrDate": "2023-02-15T16:41:09","description": "后槽牙的医学名称为磨牙,其标准牙齿个数为8-12颗。","data": {"WebPage": {"headline": "后槽牙的标准牙齿图片","pcUrl": "https://www.med-credit.org.cn/jingxuan/2/75fd81233eac173236a6a55fef93e1e6.html","wapUrl": "https://www.med-credit.org.cn/jingxuan/2/75fd81233eac173236a6a55fef93e1e6.html","mipUrl": "https://www.med-credit.org.cn/mobile/jingxuan/2/75fd81233eac173236a6a55fef93e1e6.html","fromSrc": "欢乐橙","datePublished": "2023-02-15T16:41:09","domain": "医疗","category": ["医疗权威文章合作"],"description": "后槽牙的医学名称为磨牙,其标准牙齿个数为8-12颗。
","extra_headline": [""]},"Author": {"name": "李斯文","wapUrl": "https://www.med-credit.org.cn/doctor/546","pcUrl": "https://www.med-credit.org.cn/doctor/546","jobTitle": "主治医师","headPortrait": "https://www.med-credit.org.cn/uploadfile/member/546/180x180.jpeg","id": "546","description": "李斯文,中国医科大学附属口腔医院口腔科主治医师","memberOf": {"legalName": "中国医科大学附属口腔医院","department": "口腔科","organizationLevel": "三级甲等"}},"Article": {"summaryContent": "后槽牙的医学名称为磨牙,其标准牙齿个数为8-12颗。
磨牙的主要功能是咀嚼。

磨牙位于牙床的最末端,一般分为第一磨牙、第二磨牙和第三磨牙,其中第三磨牙又称为智齿,由于个体差异某些人不会长智齿,磨牙通常情况下有8颗,如果智齿出现,则为12颗。
磨牙的主要功能是咀嚼研磨食物,如果磨牙缺失对咀嚼效率影响较大,缺失后应尽早到医院进行修补。
部分智齿在生长时可能会出现位置不正,所以存在发炎或者疼痛的情况,就需要去正规医院将长出的智齿拔掉。
当牙齿出现酸痛,进食冷热酸甜等食物时出现不舒服的感觉或者发现牙齿发黑有洞时,及时就医。做好牙齿部位的清洁以免出现口腔疾病。养成良好的生活习惯,每天早晚各刷一次牙,饭后也要及时漱口,避免出现食物残留。
","articleBody": "后槽牙的医学名称为磨牙,其标准牙齿个数为8-12颗。
磨牙的主要功能是咀嚼。

磨牙位于牙床的最末端,一般分为第一磨牙、第二磨牙和第三磨牙,其中第三磨牙又称为智齿,由于个体差异某些人不会长智齿,磨牙通常情况下有8颗,如果智齿出现,则为12颗。
磨牙的主要功能是咀嚼研磨食物,如果磨牙缺失对咀嚼效率影响较大,缺失后应尽早到医院进行修补。
部分智齿在生长时可能会出现位置不正,所以存在发炎或者疼痛的情况,就需要去正规医院将长出的智齿拔掉。
当牙齿出现酸痛,进食冷热酸甜等食物时出现不舒服的感觉或者发现牙齿发黑有洞时,及时就医。做好牙齿部位的清洁以免出现口腔疾病。养成良好的生活习惯,每天早晚各刷一次牙,饭后也要及时漱口,避免出现食物残留。
","scanCount": 32732}}} {"@context": "https://ziyuan.baidu.com/contexts/cambrian.jsonld","appid": "1650708455561748","icon": "https://www.med-credit.org.cn/style/images/ttlogo.png","content_tag": ["atlas"],"is_mcn": {"thumb_id": "yfygkay6"},"accid": "4886d626a2804dee5f11168793ce361672f39c25","@id": "https://www.med-credit.org.cn/mobile/jingxuan/2/edb04597e8d149a1038f4ab47fe3858e.html","bagWordId": "23_1526478102312521728","title": "招风耳什么样图片","pubDate": "2023-02-15T16:41:09","upDate": "2023-02-15T16:41:09","lrDate": "2023-02-15T16:41:09","description": "招风耳表现为耳廓大且平坦,与颅骨近乎呈直角,多为两侧同发。","data": {"WebPage": {"headline": "招风耳什么样图片","pcUrl": "https://www.med-credit.org.cn/jingxuan/2/edb04597e8d149a1038f4ab47fe3858e.html","wapUrl": "https://www.med-credit.org.cn/jingxuan/2/edb04597e8d149a1038f4ab47fe3858e.html","mipUrl": "https://www.med-credit.org.cn/mobile/jingxuan/2/edb04597e8d149a1038f4ab47fe3858e.html","fromSrc": "欢乐橙","datePublished": "2023-02-15T16:41:09","domain": "医疗","category": ["医疗权威文章合作"],"description": "招风耳表现为耳廓大且平坦,与颅骨近乎呈直角,多为两侧同发。
","extra_headline": [""]},"Author": {"name": "王立银","wapUrl": "https://www.med-credit.org.cn/doctor/520","pcUrl": "https://www.med-credit.org.cn/doctor/520","jobTitle": "主治医师","headPortrait": "https://www.med-credit.org.cn/uploadfile/member/520/180x180.jpeg","id": "520","description": "王立银,中国医科大学附属盛京医院耳鼻咽喉头颈外科主治医师","memberOf": {"legalName": "中国医科大学附属盛京医院","department": "耳鼻咽喉头颈外科","organizationLevel": "三级甲等"}},"Article": {"summaryContent": "招风耳表现为耳廓大且平坦,与颅骨近乎呈直角,多为两侧同发。
招风耳为先天性畸形,多因舟甲角的角度过大所导致。

招风耳即为外耳横突畸形,常为双侧发病,形态各异,可出现左右不对称。正常耳廓上部与头侧面距离小于2厘米,夹角约为30度,而外耳横突畸形的该角度可增大至90度,耳廓垂直立于头两侧,宽大且平坦,耳甲腔过大过深。招风耳大多不会影响听力,但可因外形等因素引发心理障碍,尤其是儿童。
招风耳具体的致病因素尚不明确,多为先天性畸形,胚胎时期对耳轮形成不全、耳甲软骨发育异常或胎位不正等因素压迫耳廓可导致外耳横突畸形,具有一定遗传性,在家族亲属中多有同样畸形。此外,外伤、耳后炎症或肿瘤等也是致病因素。
招风耳属耳廓形态畸形,特征较为明显,虽不影响听力,但可能因影响美观而对患者心理产生不良影响,可尽早干预。且耳软骨硬度会随年龄增长而增加,建议学龄前接受治疗,可到正规医院通过佩戴模具、无创矫正修复或手术等方式进行改善,并做好日常护理。
","articleBody": "招风耳表现为耳廓大且平坦,与颅骨近乎呈直角,多为两侧同发。
招风耳为先天性畸形,多因舟甲角的角度过大所导致。

招风耳即为外耳横突畸形,常为双侧发病,形态各异,可出现左右不对称。正常耳廓上部与头侧面距离小于2厘米,夹角约为30度,而外耳横突畸形的该角度可增大至90度,耳廓垂直立于头两侧,宽大且平坦,耳甲腔过大过深。招风耳大多不会影响听力,但可因外形等因素引发心理障碍,尤其是儿童。
招风耳具体的致病因素尚不明确,多为先天性畸形,胚胎时期对耳轮形成不全、耳甲软骨发育异常或胎位不正等因素压迫耳廓可导致外耳横突畸形,具有一定遗传性,在家族亲属中多有同样畸形。此外,外伤、耳后炎症或肿瘤等也是致病因素。
招风耳属耳廓形态畸形,特征较为明显,虽不影响听力,但可能因影响美观而对患者心理产生不良影响,可尽早干预。且耳软骨硬度会随年龄增长而增加,建议学龄前接受治疗,可到正规医院通过佩戴模具、无创矫正修复或手术等方式进行改善,并做好日常护理。
","scanCount": 32729}}} {"@context": "https://ziyuan.baidu.com/contexts/cambrian.jsonld","appid": "1650708455561748","icon": "https://www.med-credit.org.cn/style/images/ttlogo.png","content_tag": ["atlas"],"is_mcn": {"thumb_id": "lnsk06v2"},"accid": "4886d626a2804dee5f11168793ce361672f39c25","@id": "https://www.med-credit.org.cn/mobile/jingxuan/2/49306ac1f5c5c1940f7a681a5521093b.html","bagWordId": "22_1526480541803614208","title": "鸡眼什么样子才算好","pubDate": "2023-02-15T16:41:09","upDate": "2023-02-15T16:41:09","lrDate": "2023-02-15T16:41:09","description": "长鸡眼部位恢复正常,一般表现为角质栓脱落,局部疼痛的消失,并且皮肤表面恢复正常的纹理。","data": {"WebPage": {"headline": "鸡眼什么样子才算好","pcUrl": "https://www.med-credit.org.cn/jingxuan/2/49306ac1f5c5c1940f7a681a5521093b.html","wapUrl": "https://www.med-credit.org.cn/jingxuan/2/49306ac1f5c5c1940f7a681a5521093b.html","mipUrl": "https://www.med-credit.org.cn/mobile/jingxuan/2/49306ac1f5c5c1940f7a681a5521093b.html","fromSrc": "欢乐橙","datePublished": "2023-02-15T16:41:09","domain": "医疗","category": ["医疗权威文章合作"],"description": "长鸡眼部位恢复正常,一般表现为角质栓脱落,局部疼痛的消失,并且皮肤表面恢复正常的纹理。
","extra_headline": [""]},"Author": {"name": "王霞","wapUrl": "https://www.med-credit.org.cn/doctor/578","pcUrl": "https://www.med-credit.org.cn/doctor/578","jobTitle": "副主任医师","headPortrait": "https://www.med-credit.org.cn/uploadfile/member/578/180x180.jpeg","id": "578","description": "王霞,广州医科大学附属第一医院皮肤科副主任医师","memberOf": {"legalName": "广州医科大学附属第一医院","department": "皮肤科","organizationLevel": "三级甲等"}},"Article": {"summaryContent": "长鸡眼部位恢复正常,一般表现为角质栓脱落,局部疼痛的消失,并且皮肤表面恢复正常的纹理。
鸡眼一般是局部长期受到摩擦和压迫而造成的,鸡眼需要预防其发生。

1、鸡眼症状:鸡眼一般好发于脚底与脚趾,当患者行走或者局部摩擦时,则鸡眼可压迫患处的感觉神经而引起剧烈的疼痛。皮损部位为豆子大小的凸起,表面光滑,境界清楚,颜色表现为淡黄色或者深黄色,中央可见倒圆栓入真皮内。
2、治疗及恢复:鸡眼的治疗首先要注意去除诱因,平时不可长期穿高跟鞋或者质地较硬的鞋,一般过一段时间后鸡眼就会自行消退。当不能自行恢复时,可尝试贴鸡眼膏。如果药物治疗没有效果,甚至患处屡发感染时,可以考虑进行手术切除。切除鸡眼后,多数鸡眼会逐渐变软,慢慢恢复为正常皮肤纹理。
要避免鸡眼的发生,预防显得尤其重要。平时要注意穿着宽松的鞋子,运动过后也要注意脚部放松,一般可以用热水泡脚,可促进血液循环。
","articleBody": "长鸡眼部位恢复正常,一般表现为角质栓脱落,局部疼痛的消失,并且皮肤表面恢复正常的纹理。
鸡眼一般是局部长期受到摩擦和压迫而造成的,鸡眼需要预防其发生。

1、鸡眼症状:鸡眼一般好发于脚底与脚趾,当患者行走或者局部摩擦时,则鸡眼可压迫患处的感觉神经而引起剧烈的疼痛。皮损部位为豆子大小的凸起,表面光滑,境界清楚,颜色表现为淡黄色或者深黄色,中央可见倒圆栓入真皮内。
2、治疗及恢复:鸡眼的治疗首先要注意去除诱因,平时不可长期穿高跟鞋或者质地较硬的鞋,一般过一段时间后鸡眼就会自行消退。当不能自行恢复时,可尝试贴鸡眼膏。如果药物治疗没有效果,甚至患处屡发感染时,可以考虑进行手术切除。切除鸡眼后,多数鸡眼会逐渐变软,慢慢恢复为正常皮肤纹理。
要避免鸡眼的发生,预防显得尤其重要。平时要注意穿着宽松的鞋子,运动过后也要注意脚部放松,一般可以用热水泡脚,可促进血液循环。
","scanCount": 32728}}} {"@context": "https://ziyuan.baidu.com/contexts/cambrian.jsonld","appid": "1650708455561748","icon": "https://www.med-credit.org.cn/style/images/ttlogo.png","content_tag": ["atlas"],"is_mcn": {"thumb_id": "lnsk06v2"},"accid": "4886d626a2804dee5f11168793ce361672f39c25","@id": "https://www.med-credit.org.cn/mobile/jingxuan/2/48fb01c178b1773c04854d758d67b048.html","bagWordId": "22_1526480553824489472","title": "皮肤癣的种类与辨别图片","pubDate": "2023-02-15T16:41:09","upDate": "2023-02-15T16:41:09","lrDate": "2023-02-15T16:41:09","description": "皮肤癣可根据发病部位分为头癣、体癣、手足癣和甲癣,可以根据部位以及症状辨别。","data": {"WebPage": {"headline": "皮肤癣的种类与辨别图片","pcUrl": "https://www.med-credit.org.cn/jingxuan/2/48fb01c178b1773c04854d758d67b048.html","wapUrl": "https://www.med-credit.org.cn/jingxuan/2/48fb01c178b1773c04854d758d67b048.html","mipUrl": "https://www.med-credit.org.cn/mobile/jingxuan/2/48fb01c178b1773c04854d758d67b048.html","fromSrc": "欢乐橙","datePublished": "2023-02-15T16:41:09","domain": "医疗","category": ["医疗权威文章合作"],"description": "皮肤癣可根据发病部位分为头癣、体癣、手足癣和甲癣,可以根据部位以及症状辨别。
","extra_headline": [""]},"Author": {"name": "王霞","wapUrl": "https://www.med-credit.org.cn/doctor/578","pcUrl": "https://www.med-credit.org.cn/doctor/578","jobTitle": "副主任医师","headPortrait": "https://www.med-credit.org.cn/uploadfile/member/578/180x180.jpeg","id": "578","description": "王霞,广州医科大学附属第一医院皮肤科副主任医师","memberOf": {"legalName": "广州医科大学附属第一医院","department": "皮肤科","organizationLevel": "三级甲等"}},"Article": {"summaryContent": "皮肤癣可根据发病部位分为头癣、体癣、手足癣和甲癣,可以根据部位以及症状辨别。
皮肤癣是皮肤由于浅部真菌感染导致的皮肤病,主要致病菌为皮肤癣菌,包括毛癣菌、小孢子菌、表皮癣菌等等。
不同癣感染的病原体不同,以毛癣菌和小孢子菌为主,可通过直接接触或间接接触传染,局部多汗、潮湿、伴有其他皮损、免疫力较低、皮肤不洁都是真菌病的诱发因素。
1.头癣:表现为头部黄癣痂、鳞屑样斑块或黑点样斑块,常常伴有脱发,轻度瘙痒。

2.体癣:表现为鳞屑样的红色斑片,边界清晰,瘙痒明显。

3.手足癣:可表现为水疱型,鳞屑角化型,浸渍糜烂型。

4.甲癣:则表现为甲的黄白色浑浊、增厚或变脆、破损。

将患者的病发、病甲尽可能去除,保持皮肤干洁,不刺激皮肤。外用咪唑类、丙烯胺类或糖皮质激素药物涂抹患处。症状严重、反复多次发作或迁延不愈者,可口服抗真菌药如特比萘芬、伊曲康唑加强疗效,合并感染者要使用抗生素治疗。注意用药需遵医嘱。
","articleBody": "皮肤癣可根据发病部位分为头癣、体癣、手足癣和甲癣,可以根据部位以及症状辨别。
皮肤癣是皮肤由于浅部真菌感染导致的皮肤病,主要致病菌为皮肤癣菌,包括毛癣菌、小孢子菌、表皮癣菌等等。
不同癣感染的病原体不同,以毛癣菌和小孢子菌为主,可通过直接接触或间接接触传染,局部多汗、潮湿、伴有其他皮损、免疫力较低、皮肤不洁都是真菌病的诱发因素。
1.头癣:表现为头部黄癣痂、鳞屑样斑块或黑点样斑块,常常伴有脱发,轻度瘙痒。

2.体癣:表现为鳞屑样的红色斑片,边界清晰,瘙痒明显。

3.手足癣:可表现为水疱型,鳞屑角化型,浸渍糜烂型。

4.甲癣:则表现为甲的黄白色浑浊、增厚或变脆、破损。

将患者的病发、病甲尽可能去除,保持皮肤干洁,不刺激皮肤。外用咪唑类、丙烯胺类或糖皮质激素药物涂抹患处。症状严重、反复多次发作或迁延不愈者,可口服抗真菌药如特比萘芬、伊曲康唑加强疗效,合并感染者要使用抗生素治疗。注意用药需遵医嘱。
","scanCount": 32725}}} {"@context": "https://ziyuan.baidu.com/contexts/cambrian.jsonld","appid": "1650708455561748","icon": "https://www.med-credit.org.cn/style/images/ttlogo.png","content_tag": ["atlas"],"is_mcn": {"thumb_id": "yfygkay6"},"accid": "4886d626a2804dee5f11168793ce361672f39c25","@id": "https://www.med-credit.org.cn/mobile/jingxuan/2/f4992b5d1d6ef7d0727bf6a21d6e7859.html","bagWordId": "23_1526478115944009728","title": "耳漏图片","pubDate": "2023-02-15T16:41:09","upDate": "2023-02-15T16:41:09","lrDate": "2023-02-15T16:41:09","description": "耳漏是指某些非脓性液体从外耳道流出,流出的液体可为浆液性或血性等,可由不同的原因所引起。","data": {"WebPage": {"headline": "耳漏图片","pcUrl": "https://www.med-credit.org.cn/jingxuan/2/f4992b5d1d6ef7d0727bf6a21d6e7859.html","wapUrl": "https://www.med-credit.org.cn/jingxuan/2/f4992b5d1d6ef7d0727bf6a21d6e7859.html","mipUrl": "https://www.med-credit.org.cn/mobile/jingxuan/2/f4992b5d1d6ef7d0727bf6a21d6e7859.html","fromSrc": "欢乐橙","datePublished": "2023-02-15T16:41:09","domain": "医疗","category": ["医疗权威文章合作"],"description": "耳漏是指某些非脓性液体从外耳道流出,流出的液体可为浆液性或血性等,可由不同的原因所引起。
","extra_headline": [""]},"Author": {"name": "王立银","wapUrl": "https://www.med-credit.org.cn/doctor/520","pcUrl": "https://www.med-credit.org.cn/doctor/520","jobTitle": "主治医师","headPortrait": "https://www.med-credit.org.cn/uploadfile/member/520/180x180.jpeg","id": "520","description": "王立银,中国医科大学附属盛京医院耳鼻咽喉头颈外科主治医师","memberOf": {"legalName": "中国医科大学附属盛京医院","department": "耳鼻咽喉头颈外科","organizationLevel": "三级甲等"}},"Article": {"summaryContent": "耳漏是指某些非脓性液体从外耳道流出,流出的液体可为浆液性或血性等,可由不同的原因所引起。
耳漏的原因有很多,如外耳道湿疹、皮肤破损、某些细菌感染、中耳癌等都可以出现耳漏的现象。

1.浆液性:流出液若为粘稠的淡黄色油脂状液体,一般是由于外耳道皮肤的皮脂腺分泌太多所引起的,所以呈油脂状。

2.血性:流出液若为血性液体,可能是由于不小心用手或工具戳破了外耳道皮肤引起流血,也可能是长了乳突状瘤。患有中耳炎的人如果突然出现了外耳道血性液体则可能是发生了中耳癌。颅底骨折的人可能从外耳道流出清亮的液体。
为了防止耳漏的发生,日常生活中要尽量保证外耳道的干净清洁,不要经常掏耳朵或在耳道内用力抠,哺乳期女性需要注意哺乳姿势的正确性,哺乳的时侯将小孩抱起,头部竖起来,同时也要预防外耳道感染和鼓膜外伤。
","articleBody": "耳漏是指某些非脓性液体从外耳道流出,流出的液体可为浆液性或血性等,可由不同的原因所引起。
耳漏的原因有很多,如外耳道湿疹、皮肤破损、某些细菌感染、中耳癌等都可以出现耳漏的现象。

1.浆液性:流出液若为粘稠的淡黄色油脂状液体,一般是由于外耳道皮肤的皮脂腺分泌太多所引起的,所以呈油脂状。

2.血性:流出液若为血性液体,可能是由于不小心用手或工具戳破了外耳道皮肤引起流血,也可能是长了乳突状瘤。患有中耳炎的人如果突然出现了外耳道血性液体则可能是发生了中耳癌。颅底骨折的人可能从外耳道流出清亮的液体。
为了防止耳漏的发生,日常生活中要尽量保证外耳道的干净清洁,不要经常掏耳朵或在耳道内用力抠,哺乳期女性需要注意哺乳姿势的正确性,哺乳的时侯将小孩抱起,头部竖起来,同时也要预防外耳道感染和鼓膜外伤。
","scanCount": 32724}}} {"@context": "https://ziyuan.baidu.com/contexts/cambrian.jsonld","appid": "1650708455561748","icon": "https://www.med-credit.org.cn/style/images/ttlogo.png","content_tag": ["atlas"],"is_mcn": {"thumb_id": "fe2jhbe4e"},"accid": "4886d626a2804dee5f11168793ce361672f39c25","@id": "https://www.med-credit.org.cn/mobile/jingxuan/2/0f41bf8372adb4f904573b01bfe2f8f2.html","bagWordId": "23_1526478007483502592","title": "马凡氏综合征图片","pubDate": "2023-02-15T16:41:09","upDate": "2023-02-15T16:41:09","lrDate": "2023-02-15T16:41:09","description": "马凡氏综合征的症状主要为心血管疾病,以及四肢、脚趾及手指细长的症状,还可能出现眼部疾病等。","data": {"WebPage": {"headline": "马凡氏综合征图片","pcUrl": "https://www.med-credit.org.cn/jingxuan/2/0f41bf8372adb4f904573b01bfe2f8f2.html","wapUrl": "https://www.med-credit.org.cn/jingxuan/2/0f41bf8372adb4f904573b01bfe2f8f2.html","mipUrl": "https://www.med-credit.org.cn/mobile/jingxuan/2/0f41bf8372adb4f904573b01bfe2f8f2.html","fromSrc": "欢乐橙","datePublished": "2023-02-15T16:41:09","domain": "医疗","category": ["医疗权威文章合作"],"description": "马凡氏综合征的症状主要为心血管疾病,以及四肢、脚趾及手指细长的症状,还可能出现眼部疾病等。
","extra_headline": [""]},"Author": {"name": "孙婷丽","wapUrl": "https://www.med-credit.org.cn/doctor/510","pcUrl": "https://www.med-credit.org.cn/doctor/510","jobTitle": "主治医师","headPortrait": "https://www.med-credit.org.cn/uploadfile/member/510/180x180.jpeg","id": "510","description": "孙婷丽,中国医科大学附属盛京医院全科医学主治医师","memberOf": {"legalName": "中国医科大学附属盛京医院","department": "内科","organizationLevel": "三级甲等"}},"Article": {"summaryContent": "马凡氏综合征的症状主要为心血管疾病,以及四肢、脚趾及手指细长的症状,还可能出现眼部疾病等。
马凡氏综合征是一种遗传性、先天性的疾病。

1、心血管异常:马凡氏综合征在心血管方面具有夹层动脉瘤、心脏瓣膜病变的症状,伴有乏力、嘴唇发绀、呼吸困难等症状,还可能会引发心内膜炎。
2、肌肉与骨骼异常:马凡氏综合征在肌肉与骨骼方面具有韧带松弛、肌张力不高,以及四肢、脚趾与手指细长,身材比较高等症状。
3、眼部异常:马凡氏综合征在眼部方面有高度近视、晶状体脱落等症状。
马凡氏综合征患者可以进行药物治疗以及手术治疗,建议患者在医生的指导下使用降压药物,如β-受体阻滞剂美托洛尔、血管紧张素Ⅱ受体阻断药氯沙坦等。患者也可以通过主动脉根部置换术、眼科手术、胸骨矫正手术、脊柱侧弯手术等手术方法进行治疗。
","articleBody": "马凡氏综合征的症状主要为心血管疾病,以及四肢、脚趾及手指细长的症状,还可能出现眼部疾病等。
马凡氏综合征是一种遗传性、先天性的疾病。

1、心血管异常:马凡氏综合征在心血管方面具有夹层动脉瘤、心脏瓣膜病变的症状,伴有乏力、嘴唇发绀、呼吸困难等症状,还可能会引发心内膜炎。
2、肌肉与骨骼异常:马凡氏综合征在肌肉与骨骼方面具有韧带松弛、肌张力不高,以及四肢、脚趾与手指细长,身材比较高等症状。
3、眼部异常:马凡氏综合征在眼部方面有高度近视、晶状体脱落等症状。
马凡氏综合征患者可以进行药物治疗以及手术治疗,建议患者在医生的指导下使用降压药物,如β-受体阻滞剂美托洛尔、血管紧张素Ⅱ受体阻断药氯沙坦等。患者也可以通过主动脉根部置换术、眼科手术、胸骨矫正手术、脊柱侧弯手术等手术方法进行治疗。
","scanCount": 32721}}} {"@context": "https://ziyuan.baidu.com/contexts/cambrian.jsonld","appid": "1650708455561748","icon": "https://www.med-credit.org.cn/style/images/ttlogo.png","content_tag": ["atlas"],"is_mcn": {"thumb_id": "3w128mji2"},"accid": "4886d626a2804dee5f11168793ce361672f39c25","@id": "https://www.med-credit.org.cn/mobile/jingxuan/2/a6b37f672c9b36cf7b12b5617bdad532.html","bagWordId": "23_1526477923916189696","title": "白化病人照片","pubDate": "2023-02-15T16:41:09","upDate": "2023-02-15T16:41:09","lrDate": "2023-02-15T16:41:09","description": "白化病可表现为皮肤和毛发呈白色、眼睛畏光。","data": {"WebPage": {"headline": "白化病人照片","pcUrl": "https://www.med-credit.org.cn/jingxuan/2/a6b37f672c9b36cf7b12b5617bdad532.html","wapUrl": "https://www.med-credit.org.cn/jingxuan/2/a6b37f672c9b36cf7b12b5617bdad532.html","mipUrl": "https://www.med-credit.org.cn/mobile/jingxuan/2/a6b37f672c9b36cf7b12b5617bdad532.html","fromSrc": "欢乐橙","datePublished": "2023-02-15T16:41:09","domain": "医疗","category": ["医疗权威文章合作"],"description": "白化病可表现为皮肤和毛发呈白色、眼睛畏光。
","extra_headline": [""]},"Author": {"name": "曲乐","wapUrl": "https://www.med-credit.org.cn/doctor/554","pcUrl": "https://www.med-credit.org.cn/doctor/554","jobTitle": "副主任医师","headPortrait": "https://www.med-credit.org.cn/uploadfile/member/554/180x180.jpeg","id": "554","description": "曲乐,副主任医师、医学博士、硕士研究生导师、美容主诊医师、公派留美访问学者。主持国家自然科学基金及省市课题多项,在国内外高水平专业杂志发表中英文论文20余篇,参编英文专著1部。现任辽宁省免疫学会委员。","memberOf": {"legalName": "中国医科大学附属第一医院","department": "皮肤科","organizationLevel": "三级甲等"}},"Article": {"summaryContent": "白化病可表现为皮肤和毛发呈白色、眼睛畏光。
白化病是因酪氨酸酶缺乏或者功能减弱所导致。

白化病患者的主要表现为全身的皮肤呈现弥漫的粉白或淡黄白色,阳光照射时可能会伴发基底细胞癌或鳞状细胞癌等皮肤癌状疾病,患者的头发、睫毛、眉毛、胡须、腋毛以及阴毛等均呈白色,眼睛的虹膜为粉红色或者淡蓝色,还可有畏光、流泪、眼球震颤或散光等表现,且多数患者可能存在身体以及智力发育迟缓。
白化病为常染色体隐性遗传,较常发生于近亲结婚。患者的父母都携带有白化病基因,但是他们本身并不发病,但如果父母双亲将他们所携带的白化病致病基因同时遗传给孩子,那么就会导致其子女罹患白化病。
白化病目前尚无根治方法,仅可以通过遮光等物理方法减轻患者的不适症状,还可以使用光敏性药物、激素等使白斑减弱甚至消失。除对症治疗外,还应通过禁止近亲结婚、产前遗传咨询和基因诊断预防白化病。
","articleBody": "白化病可表现为皮肤和毛发呈白色、眼睛畏光。
白化病是因酪氨酸酶缺乏或者功能减弱所导致。

白化病患者的主要表现为全身的皮肤呈现弥漫的粉白或淡黄白色,阳光照射时可能会伴发基底细胞癌或鳞状细胞癌等皮肤癌状疾病,患者的头发、睫毛、眉毛、胡须、腋毛以及阴毛等均呈白色,眼睛的虹膜为粉红色或者淡蓝色,还可有畏光、流泪、眼球震颤或散光等表现,且多数患者可能存在身体以及智力发育迟缓。
白化病为常染色体隐性遗传,较常发生于近亲结婚。患者的父母都携带有白化病基因,但是他们本身并不发病,但如果父母双亲将他们所携带的白化病致病基因同时遗传给孩子,那么就会导致其子女罹患白化病。
白化病目前尚无根治方法,仅可以通过遮光等物理方法减轻患者的不适症状,还可以使用光敏性药物、激素等使白斑减弱甚至消失。除对症治疗外,还应通过禁止近亲结婚、产前遗传咨询和基因诊断预防白化病。
","scanCount": 32720}}} {"@context": "https://ziyuan.baidu.com/contexts/cambrian.jsonld","appid": "1650708455561748","icon": "https://www.med-credit.org.cn/style/images/ttlogo.png","content_tag": ["atlas"],"is_mcn": {"thumb_id": "3w128mji2"},"accid": "4886d626a2804dee5f11168793ce361672f39c25","@id": "https://www.med-credit.org.cn/mobile/jingxuan/2/33256ca6bc342a9b9a296a1e59cb9e4a.html","bagWordId": "23_1526477919981932544","title": "福代斯斑点图片","pubDate": "2023-02-15T16:41:09","upDate": "2023-02-15T16:41:09","lrDate": "2023-02-15T16:41:09","description": "福代斯斑点多呈现淡黄色或白色,为无明显的皮肤隆起,类似粟粒大小的扁平状丘疹。分布密集,部分可融合,多在口腔、外生殖器分布。","data": {"WebPage": {"headline": "福代斯斑点图片","pcUrl": "https://www.med-credit.org.cn/jingxuan/2/33256ca6bc342a9b9a296a1e59cb9e4a.html","wapUrl": "https://www.med-credit.org.cn/jingxuan/2/33256ca6bc342a9b9a296a1e59cb9e4a.html","mipUrl": "https://www.med-credit.org.cn/mobile/jingxuan/2/33256ca6bc342a9b9a296a1e59cb9e4a.html","fromSrc": "欢乐橙","datePublished": "2023-02-15T16:41:09","domain": "医疗","category": ["医疗权威文章合作"],"description": "福代斯斑点多呈现淡黄色或白色,为无明显的皮肤隆起,类似粟粒大小的扁平状丘疹。分布密集,部分可融合,多在口腔、外生殖器分布。
","extra_headline": [""]},"Author": {"name": "曲乐","wapUrl": "https://www.med-credit.org.cn/doctor/554","pcUrl": "https://www.med-credit.org.cn/doctor/554","jobTitle": "副主任医师","headPortrait": "https://www.med-credit.org.cn/uploadfile/member/554/180x180.jpeg","id": "554","description": "曲乐,副主任医师、医学博士、硕士研究生导师、美容主诊医师、公派留美访问学者。主持国家自然科学基金及省市课题多项,在国内外高水平专业杂志发表中英文论文20余篇,参编英文专著1部。现任辽宁省免疫学会委员。","memberOf": {"legalName": "中国医科大学附属第一医院","department": "皮肤科","organizationLevel": "三级甲等"}},"Article": {"summaryContent": "福代斯斑点多呈现淡黄色或白色,为无明显的皮肤隆起,类似粟粒大小的扁平状丘疹。分布密集,部分可融合,多在口腔、外生殖器分布。
福代斯斑点原因是由于皮脂腺发育异常及皮脂腺增生导致的。

福代斯斑点为唇部、口腔黏膜及外生殖器部位皮脂腺的增生性病变。患者一般无明显感觉,触之有些许细泥沙样感觉,少数患者有局部刺激感,若发生在食管处的福代斯斑点可能在吞咽时有异物感及吞咽困难,较少见。
福代斯斑点为良性病变,无需要特殊处理,若在颜面部等影响美观后可通过手术办法去除。
平时生活中要注意隐私卫生,勤洗换贴身衣物,保证作息规律。
有些疾病的症状和治疗与福代斯斑点多类似,如果生活中有不洁行为要及时就诊医院,活检组织进行确诊,以防延误治疗。
","articleBody": "福代斯斑点多呈现淡黄色或白色,为无明显的皮肤隆起,类似粟粒大小的扁平状丘疹。分布密集,部分可融合,多在口腔、外生殖器分布。
福代斯斑点原因是由于皮脂腺发育异常及皮脂腺增生导致的。

福代斯斑点为唇部、口腔黏膜及外生殖器部位皮脂腺的增生性病变。患者一般无明显感觉,触之有些许细泥沙样感觉,少数患者有局部刺激感,若发生在食管处的福代斯斑点可能在吞咽时有异物感及吞咽困难,较少见。
福代斯斑点为良性病变,无需要特殊处理,若在颜面部等影响美观后可通过手术办法去除。
平时生活中要注意隐私卫生,勤洗换贴身衣物,保证作息规律。
有些疾病的症状和治疗与福代斯斑点多类似,如果生活中有不洁行为要及时就诊医院,活检组织进行确诊,以防延误治疗。
","scanCount": 32719}}} {"@context": "https://ziyuan.baidu.com/contexts/cambrian.jsonld","appid": "1650708455561748","icon": "https://www.med-credit.org.cn/style/images/ttlogo.png","content_tag": ["atlas"],"is_mcn": {"thumb_id": "lnsk06v2"},"accid": "4886d626a2804dee5f11168793ce361672f39c25","@id": "https://www.med-credit.org.cn/mobile/jingxuan/2/5e3d7126ebf37e62797dabcac4a6dce7.html","bagWordId": "22_1526480540721483776","title": "反甲和匙状甲图片","pubDate": "2023-02-15T16:41:09","upDate": "2023-02-15T16:41:09","lrDate": "2023-02-15T16:41:09","description": "反甲又称为匙状甲、凹甲,反甲和匙状甲可能与遗传因素有关。","data": {"WebPage": {"headline": "反甲和匙状甲图片","pcUrl": "https://www.med-credit.org.cn/jingxuan/2/5e3d7126ebf37e62797dabcac4a6dce7.html","wapUrl": "https://www.med-credit.org.cn/jingxuan/2/5e3d7126ebf37e62797dabcac4a6dce7.html","mipUrl": "https://www.med-credit.org.cn/mobile/jingxuan/2/5e3d7126ebf37e62797dabcac4a6dce7.html","fromSrc": "欢乐橙","datePublished": "2023-02-15T16:41:09","domain": "医疗","category": ["医疗权威文章合作"],"description": "反甲又称为匙状甲、凹甲,反甲和匙状甲可能与遗传因素有关。
","extra_headline": [""]},"Author": {"name": "王霞","wapUrl": "https://www.med-credit.org.cn/doctor/578","pcUrl": "https://www.med-credit.org.cn/doctor/578","jobTitle": "副主任医师","headPortrait": "https://www.med-credit.org.cn/uploadfile/member/578/180x180.jpeg","id": "578","description": "王霞,广州医科大学附属第一医院皮肤科副主任医师","memberOf": {"legalName": "广州医科大学附属第一医院","department": "皮肤科","organizationLevel": "三级甲等"}},"Article": {"summaryContent": "反甲又称为匙状甲、凹甲,反甲和匙状甲可能与遗传因素有关。
反甲和匙状甲可能与一些疾病有关。

反甲是比较常见的一种指(趾)甲板畸形,其特征临床表现主要为甲质变薄、表面粗糙但脆弱,其形状为中央凹陷、两侧肥厚,因像汤匙故又名匙状甲。可分为先天性反甲和后天性反甲。
1.先天性反甲:一般常发生在3岁以内婴幼儿,主要是遗传父母的反甲,随着年龄的增长和发育多可得到改善,但也有少数患者长大后症状仍不消失。
2.后天性反甲:可由一些疾病导致,比如常见的缺铁性贫血、维生素缺乏症、冠心病、甲状腺功能亢进、风湿热等。另外高原地区由于空气氧气稀薄、可以导致组织缺氧、代谢紊乱,引起反甲。长期接触洗衣粉、洗洁精等化学洗涤剂也可诱发此病。
祛除病因后,多可得到改善。可服用维生素、胱氨酸等药物,少数患者需要采取拔甲等手术方式治疗。
","articleBody": "反甲又称为匙状甲、凹甲,反甲和匙状甲可能与遗传因素有关。
反甲和匙状甲可能与一些疾病有关。

反甲是比较常见的一种指(趾)甲板畸形,其特征临床表现主要为甲质变薄、表面粗糙但脆弱,其形状为中央凹陷、两侧肥厚,因像汤匙故又名匙状甲。可分为先天性反甲和后天性反甲。
1.先天性反甲:一般常发生在3岁以内婴幼儿,主要是遗传父母的反甲,随着年龄的增长和发育多可得到改善,但也有少数患者长大后症状仍不消失。
2.后天性反甲:可由一些疾病导致,比如常见的缺铁性贫血、维生素缺乏症、冠心病、甲状腺功能亢进、风湿热等。另外高原地区由于空气氧气稀薄、可以导致组织缺氧、代谢紊乱,引起反甲。长期接触洗衣粉、洗洁精等化学洗涤剂也可诱发此病。
祛除病因后,多可得到改善。可服用维生素、胱氨酸等药物,少数患者需要采取拔甲等手术方式治疗。
","scanCount": 32718}}} {"@context": "https://ziyuan.baidu.com/contexts/cambrian.jsonld","appid": "1650708455561748","icon": "https://www.med-credit.org.cn/style/images/ttlogo.png","content_tag": ["atlas"],"is_mcn": {"thumb_id": "3w128mji2"},"accid": "4886d626a2804dee5f11168793ce361672f39c25","@id": "https://www.med-credit.org.cn/mobile/jingxuan/2/935302290249afb3bf0f2a53c472d8aa.html","bagWordId": "22_1526480547415592960","title": "兽皮痣图片","pubDate": "2023-02-15T16:41:09","upDate": "2023-02-15T16:41:09","lrDate": "2023-02-15T16:41:09","description": "兽皮痣为先天性黑素细胞痣中的一种,黑素细胞痣大小从几毫米到一大片,一大片甚至直径长达20cm。","data": {"WebPage": {"headline": "兽皮痣图片","pcUrl": "https://www.med-credit.org.cn/jingxuan/2/935302290249afb3bf0f2a53c472d8aa.html","wapUrl": "https://www.med-credit.org.cn/jingxuan/2/935302290249afb3bf0f2a53c472d8aa.html","mipUrl": "https://www.med-credit.org.cn/mobile/jingxuan/2/935302290249afb3bf0f2a53c472d8aa.html","fromSrc": "欢乐橙","datePublished": "2023-02-15T16:41:09","domain": "医疗","category": ["医疗权威文章合作"],"description": "兽皮痣为先天性黑素细胞痣中的一种,黑素细胞痣大小从几毫米到一大片,一大片甚至直径长达20cm。
","extra_headline": [""]},"Author": {"name": "曲乐","wapUrl": "https://www.med-credit.org.cn/doctor/554","pcUrl": "https://www.med-credit.org.cn/doctor/554","jobTitle": "副主任医师","headPortrait": "https://www.med-credit.org.cn/uploadfile/member/554/180x180.jpeg","id": "554","description": "曲乐,副主任医师、医学博士、硕士研究生导师、美容主诊医师、公派留美访问学者。主持国家自然科学基金及省市课题多项,在国内外高水平专业杂志发表中英文论文20余篇,参编英文专著1部。现任辽宁省免疫学会委员。","memberOf": {"legalName": "中国医科大学附属第一医院","department": "皮肤科","organizationLevel": "三级甲等"}},"Article": {"summaryContent": "兽皮痣为先天性黑素细胞痣中的一种,黑素细胞痣大小从几毫米到一大片,一大片甚至直径长达20cm。
一般兽皮痣是由黑色素细胞癌变,形成的黑色肿瘤,黑痣一般为良性肿瘤,通常不发生恶变。

一般来说,兽皮痣为先天性色痣,且相较于后天性色痣更易癌变,恶变几率达到10%。其分布广泛,侵犯面积较大,侵犯部位的程度也有深有浅,有些兽皮痣甚至能穿透表皮和真皮,达到皮下脂肪组织。
早期就可长出又黑又粗又硬的毛,随着人体的生长发育逐渐扩张,兽皮痣的表面可褶皱成疣状,愈发粗糙,颜色也更加接近黑色,同时长出更多黑粗硬毛。
如兽皮痣长在脊柱周围,则很可能合并脊柱裂,位于肢体时,可合并血管痣,脂肪瘤或神经纤维瘤。
一般可通过手术治疗兽皮痣,如直接切除植皮手术。
如黑痣出现突然生长变快、侵犯正常皮肤范围扩大,痣周红肿疼痛,表面开始脱毛,渗血溃烂,痣附件淋巴结肿大,则提示癌变。
如果兽皮痣出现红肿疼痛溃烂等疑似癌变症状,请及时前往医院检查治疗。
","articleBody": "兽皮痣为先天性黑素细胞痣中的一种,黑素细胞痣大小从几毫米到一大片,一大片甚至直径长达20cm。
一般兽皮痣是由黑色素细胞癌变,形成的黑色肿瘤,黑痣一般为良性肿瘤,通常不发生恶变。

一般来说,兽皮痣为先天性色痣,且相较于后天性色痣更易癌变,恶变几率达到10%。其分布广泛,侵犯面积较大,侵犯部位的程度也有深有浅,有些兽皮痣甚至能穿透表皮和真皮,达到皮下脂肪组织。
早期就可长出又黑又粗又硬的毛,随着人体的生长发育逐渐扩张,兽皮痣的表面可褶皱成疣状,愈发粗糙,颜色也更加接近黑色,同时长出更多黑粗硬毛。
如兽皮痣长在脊柱周围,则很可能合并脊柱裂,位于肢体时,可合并血管痣,脂肪瘤或神经纤维瘤。
一般可通过手术治疗兽皮痣,如直接切除植皮手术。
如黑痣出现突然生长变快、侵犯正常皮肤范围扩大,痣周红肿疼痛,表面开始脱毛,渗血溃烂,痣附件淋巴结肿大,则提示癌变。
如果兽皮痣出现红肿疼痛溃烂等疑似癌变症状,请及时前往医院检查治疗。
","scanCount": 32717}}} {"@context": "https://ziyuan.baidu.com/contexts/cambrian.jsonld","appid": "1650708455561748","icon": "https://www.med-credit.org.cn/style/images/ttlogo.png","content_tag": ["atlas"],"is_mcn": {"thumb_id": "x5e7zgbw"},"accid": "4886d626a2804dee5f11168793ce361672f39c25","@id": "https://www.med-credit.org.cn/mobile/jingxuan/2/3228e224a849ae0261df11750e669346.html","bagWordId": "23_1526477975615180800","title": "黄斑图片","pubDate": "2023-02-15T16:41:09","upDate": "2023-02-15T16:41:09","lrDate": "2023-02-15T16:41:09","description": "黄斑位于眼底视网膜,处于眼睛的光学中心区,为暗红色或者红褐色的区域。","data": {"WebPage": {"headline": "黄斑图片","pcUrl": "https://www.med-credit.org.cn/jingxuan/2/3228e224a849ae0261df11750e669346.html","wapUrl": "https://www.med-credit.org.cn/jingxuan/2/3228e224a849ae0261df11750e669346.html","mipUrl": "https://www.med-credit.org.cn/mobile/jingxuan/2/3228e224a849ae0261df11750e669346.html","fromSrc": "欢乐橙","datePublished": "2023-02-15T16:41:09","domain": "医疗","category": ["医疗权威文章合作"],"description": "黄斑位于眼底视网膜,处于眼睛的光学中心区,为暗红色或者红褐色的区域。
","extra_headline": [""]},"Author": {"name": "钟一凡","wapUrl": "https://www.med-credit.org.cn/doctor/521","pcUrl": "https://www.med-credit.org.cn/doctor/521","jobTitle": "主治医师","headPortrait": "https://www.med-credit.org.cn/uploadfile/member/521/180x180.jpeg","id": "521","description": "钟一凡,中国医科大学附属第一医院眼科主治医师","memberOf": {"legalName": "中国医科大学附属第一医院","department": "眼科","organizationLevel": "三级甲等"}},"Article": {"summaryContent": "黄斑位于眼底视网膜,处于眼睛的光学中心区,为暗红色或者红褐色的区域。
黄斑区可以感受外界的大部分视觉信息,是视力中最灵敏、最重要的部位。

黄斑区富含叶黄素,颜色比周围的视网膜暗些。人体死亡或者眼球脱离后,黄斑区又显示为淡黄色。而中央凹进去的黄斑区是中央凹,是视力中最敏感的地方。一般做视力检查时,通过检查黄斑区可反映视力情况。
黄斑病变时,黄斑部有黄灰色的渗出性病灶,病灶表现为圆形或椭圆形的病灶,边界不清,并且伴有边缘出现弧形或环形的出血,可在病程末期时,黄斑区会转变为黄白色瘢痕。黄斑病可能与遗传因素、年龄增长等因素有关。也可受其他眼部疾病的影响,高血压、糖尿病和心血管疾病的老年人也是特别容易患上黄斑病变。
老年黄斑区的治疗黄金时间是发病后的三个月,因此出现视力模糊、眼睛酸痛甚至视物变形时,要注意到医院去检查明确诊断,以免耽误病情。
","articleBody": "黄斑位于眼底视网膜,处于眼睛的光学中心区,为暗红色或者红褐色的区域。
黄斑区可以感受外界的大部分视觉信息,是视力中最灵敏、最重要的部位。

黄斑区富含叶黄素,颜色比周围的视网膜暗些。人体死亡或者眼球脱离后,黄斑区又显示为淡黄色。而中央凹进去的黄斑区是中央凹,是视力中最敏感的地方。一般做视力检查时,通过检查黄斑区可反映视力情况。
黄斑病变时,黄斑部有黄灰色的渗出性病灶,病灶表现为圆形或椭圆形的病灶,边界不清,并且伴有边缘出现弧形或环形的出血,可在病程末期时,黄斑区会转变为黄白色瘢痕。黄斑病可能与遗传因素、年龄增长等因素有关。也可受其他眼部疾病的影响,高血压、糖尿病和心血管疾病的老年人也是特别容易患上黄斑病变。
老年黄斑区的治疗黄金时间是发病后的三个月,因此出现视力模糊、眼睛酸痛甚至视物变形时,要注意到医院去检查明确诊断,以免耽误病情。
","scanCount": 32715}}} {"@context": "https://ziyuan.baidu.com/contexts/cambrian.jsonld","appid": "1650708455561748","icon": "https://www.med-credit.org.cn/style/images/ttlogo.png","content_tag": ["atlas"],"is_mcn": {"thumb_id": "3w128mji2"},"accid": "4886d626a2804dee5f11168793ce361672f39c25","@id": "https://www.med-credit.org.cn/mobile/jingxuan/2/4ac221a63514acf41b23199f0efd69a7.html","bagWordId": "22_1526480557599363072","title": "脓癣图片","pubDate": "2023-02-15T16:41:09","upDate": "2023-02-15T16:41:09","lrDate": "2023-02-15T16:41:09","description": "发生脓癣时,病损部位的头皮和毛囊可化脓,呈现肿胀凸起,用力挤压会出现浆液或者半透明脓液。","data": {"WebPage": {"headline": "脓癣图片","pcUrl": "https://www.med-credit.org.cn/jingxuan/2/4ac221a63514acf41b23199f0efd69a7.html","wapUrl": "https://www.med-credit.org.cn/jingxuan/2/4ac221a63514acf41b23199f0efd69a7.html","mipUrl": "https://www.med-credit.org.cn/mobile/jingxuan/2/4ac221a63514acf41b23199f0efd69a7.html","fromSrc": "欢乐橙","datePublished": "2023-02-15T16:41:09","domain": "医疗","category": ["医疗权威文章合作"],"description": "发生脓癣时,病损部位的头皮和毛囊可化脓,呈现肿胀凸起,用力挤压会出现浆液或者半透明脓液。
","extra_headline": [""]},"Author": {"name": "曲乐","wapUrl": "https://www.med-credit.org.cn/doctor/554","pcUrl": "https://www.med-credit.org.cn/doctor/554","jobTitle": "副主任医师","headPortrait": "https://www.med-credit.org.cn/uploadfile/member/554/180x180.jpeg","id": "554","description": "曲乐,副主任医师、医学博士、硕士研究生导师、美容主诊医师、公派留美访问学者。主持国家自然科学基金及省市课题多项,在国内外高水平专业杂志发表中英文论文20余篇,参编英文专著1部。现任辽宁省免疫学会委员。","memberOf": {"legalName": "中国医科大学附属第一医院","department": "皮肤科","organizationLevel": "三级甲等"}},"Article": {"summaryContent": "发生脓癣时,病损部位的头皮和毛囊可化脓,呈现肿胀凸起,用力挤压会出现浆液或者半透明脓液。
脓癣可以选择外用以及口服药物治疗,严重时还需手术治疗,注意需要在医生指导下用药。

脓癣的发病初期会在患处出现密集的丘疹和小脓包,之后逐渐融合成一片或者数片红肿块,肿块摸起来质地较软并且有波动感,可有局部的疼痛和压痛。局部发病之后容易拔出,但是愈合之后可形成瘢痕,并且瘢痕脱落后会形成永久性脱发。一般本病还伴有颈部淋巴结的肿大,甚至还会出现倦怠、发热等全身不适症状。
1.外涂药物:
如果脓癣属于化脓性毛囊炎,需要遵医嘱使用抗真菌的药物进行治疗,比如可以外涂克霉唑软膏、金霉素软膏、复方苯甲酸软膏等,具有抑制真菌、预防感染的作用,一般可以缓解症状。
2.口服药物:
如果脓癣继发于细菌感染,就会出现明显的疼痛感,出现红肿现象,一般需要使用抗生素进行治疗,比如常用的药物有氨苄西林胶囊、红霉素,还有莫西沙星等,可以起到杀菌、消炎的作用,从而使脓癣症状得到缓解。
3.引流手术:
如果脓癣出现溃烂,症状比较严重,一般需要通过引流手术,将脓癣部位进行切除,可以使脓液排出,可以预防脓癣复发,有效地缓解症状。
脓癣的药物治疗需要在医生的指导下进行使用,避免盲目用药。如果确诊脓癣,为了减少疾病的不良影响,建议及时就诊。
","articleBody": "发生脓癣时,病损部位的头皮和毛囊可化脓,呈现肿胀凸起,用力挤压会出现浆液或者半透明脓液。
脓癣可以选择外用以及口服药物治疗,严重时还需手术治疗,注意需要在医生指导下用药。

脓癣的发病初期会在患处出现密集的丘疹和小脓包,之后逐渐融合成一片或者数片红肿块,肿块摸起来质地较软并且有波动感,可有局部的疼痛和压痛。局部发病之后容易拔出,但是愈合之后可形成瘢痕,并且瘢痕脱落后会形成永久性脱发。一般本病还伴有颈部淋巴结的肿大,甚至还会出现倦怠、发热等全身不适症状。
1.外涂药物:
如果脓癣属于化脓性毛囊炎,需要遵医嘱使用抗真菌的药物进行治疗,比如可以外涂克霉唑软膏、金霉素软膏、复方苯甲酸软膏等,具有抑制真菌、预防感染的作用,一般可以缓解症状。
2.口服药物:
如果脓癣继发于细菌感染,就会出现明显的疼痛感,出现红肿现象,一般需要使用抗生素进行治疗,比如常用的药物有氨苄西林胶囊、红霉素,还有莫西沙星等,可以起到杀菌、消炎的作用,从而使脓癣症状得到缓解。
3.引流手术:
如果脓癣出现溃烂,症状比较严重,一般需要通过引流手术,将脓癣部位进行切除,可以使脓液排出,可以预防脓癣复发,有效地缓解症状。
脓癣的药物治疗需要在医生的指导下进行使用,避免盲目用药。如果确诊脓癣,为了减少疾病的不良影响,建议及时就诊。
","scanCount": 32714}}} {"@context": "https://ziyuan.baidu.com/contexts/cambrian.jsonld","appid": "1650708455561748","icon": "https://www.med-credit.org.cn/style/images/ttlogo.png","content_tag": ["atlas"],"is_mcn": {"thumb_id": "g76756sx"},"accid": "4886d626a2804dee5f11168793ce361672f39c25","@id": "https://www.med-credit.org.cn/mobile/jingxuan/2/0bda132835f0129f91639b64e791c280.html","bagWordId": "f2cda6b187e602cc","title": "急脉的准确位置图作用","pubDate": "2023-02-15T16:41:09","upDate": "2023-02-15T16:41:09","lrDate": "2023-02-15T16:41:09","description": "急脉穴的准确位置在耻骨结节的外侧,当气冲外下方腹股沟股动脉搏动处,前正中线旁开2.5寸。主要功效作用为通调下焦,疏理肝胆,理气导疝。","data": {"WebPage": {"headline": "急脉的准确位置图作用","pcUrl": "https://www.med-credit.org.cn/jingxuan/2/0bda132835f0129f91639b64e791c280.html","wapUrl": "https://www.med-credit.org.cn/jingxuan/2/0bda132835f0129f91639b64e791c280.html","mipUrl": "https://www.med-credit.org.cn/mobile/jingxuan/2/0bda132835f0129f91639b64e791c280.html","fromSrc": "欢乐橙","datePublished": "2023-02-15T16:41:09","domain": "医疗","category": ["医疗权威文章合作"],"description": "急脉穴的准确位置在耻骨结节的外侧,当气冲外下方腹股沟股动脉搏动处,前正中线旁开2.5寸。主要功效作用为通调下焦,疏理肝胆,理气导疝。
","extra_headline": [""]},"Author": {"name": "张婷","wapUrl": "https://www.med-credit.org.cn/doctor/555","pcUrl": "https://www.med-credit.org.cn/doctor/555","jobTitle": "副主任医师","headPortrait": "https://www.med-credit.org.cn/uploadfile/member/555/180x180.jpeg","id": "555","description": "张婷,中南大学湘雅三医院中西医结合科副主任医师","memberOf": {"legalName": "中南大学湘雅三医院","department": "中西医结合科","organizationLevel": "三级甲等"}},"Article": {"summaryContent": "急脉穴的准确位置在耻骨结节的外侧,当气冲外下方腹股沟股动脉搏动处,前正中线旁开2.5寸。主要功效作用为通调下焦,疏理肝胆,理气导疝。
1.准确位置:在耻骨结节的外侧,当气冲外下方腹股沟股动脉搏动处,前正中线旁开2.5寸。取仰卧位,于耻骨联合下缘旁开2.5寸,腹股沟股动脉搏动处。

2.功效主治:属足厥阴肝经。有通调下焦,疏理肝胆,理气导疝的作用。主要可以治疗少腹、前阴等疾患,如少腹疼痛,茎中痛,疝气偏坠,阴挺,疝气,股内侧痛,小腹痛,少腹痛,阴茎痛,月经不调,腿痛,外阴肿痛,睾丸痛,现代又用急脉穴治疗睾丸炎,鞘膜积液,子宫脱垂,子宫下垂,睾丸鞘膜积液,阴部肿痛等。
用中指指腹轻揉左右急脉穴,每次1~3分钟,可改善精力减退、腰腿寒冷。艾炷灸或温针灸3~5壮,或艾条灸5~10分钟。刺灸直刺0.5~1.0寸,局部有酸胀感,或扩散至外阴部。刺时须避开股支、动脉、静脉。要注意的是,针刺时针尖不宜向肝脏或脾脏方向深刺,以免造成肝、脾损伤。注意上述操作需要在医生的指导下进行。
","articleBody": "急脉穴的准确位置在耻骨结节的外侧,当气冲外下方腹股沟股动脉搏动处,前正中线旁开2.5寸。主要功效作用为通调下焦,疏理肝胆,理气导疝。
1.准确位置:在耻骨结节的外侧,当气冲外下方腹股沟股动脉搏动处,前正中线旁开2.5寸。取仰卧位,于耻骨联合下缘旁开2.5寸,腹股沟股动脉搏动处。

2.功效主治:属足厥阴肝经。有通调下焦,疏理肝胆,理气导疝的作用。主要可以治疗少腹、前阴等疾患,如少腹疼痛,茎中痛,疝气偏坠,阴挺,疝气,股内侧痛,小腹痛,少腹痛,阴茎痛,月经不调,腿痛,外阴肿痛,睾丸痛,现代又用急脉穴治疗睾丸炎,鞘膜积液,子宫脱垂,子宫下垂,睾丸鞘膜积液,阴部肿痛等。
用中指指腹轻揉左右急脉穴,每次1~3分钟,可改善精力减退、腰腿寒冷。艾炷灸或温针灸3~5壮,或艾条灸5~10分钟。刺灸直刺0.5~1.0寸,局部有酸胀感,或扩散至外阴部。刺时须避开股支、动脉、静脉。要注意的是,针刺时针尖不宜向肝脏或脾脏方向深刺,以免造成肝、脾损伤。注意上述操作需要在医生的指导下进行。
","scanCount": 32711}}} {"@context": "https://ziyuan.baidu.com/contexts/cambrian.jsonld","appid": "1650708455561748","icon": "https://www.med-credit.org.cn/style/images/ttlogo.png","content_tag": ["atlas"],"is_mcn": {"thumb_id": "lnsk06v2"},"accid": "4886d626a2804dee5f11168793ce361672f39c25","@id": "https://www.med-credit.org.cn/mobile/jingxuan/2/86d8d7327adc8f951872791935d33c9a.html","bagWordId": "55db2a4b1a044d87","title": "真的尖锐湿疣用醋酸后的图片","pubDate": "2023-02-15T16:41:09","upDate": "2023-02-15T16:41:09","lrDate": "2023-02-15T16:41:09","description": "真的尖锐湿疣用醋酸后会变白,患者需要及时前往医院治疗。","data": {"WebPage": {"headline": "真的尖锐湿疣用醋酸后的图片","pcUrl": "https://www.med-credit.org.cn/jingxuan/2/86d8d7327adc8f951872791935d33c9a.html","wapUrl": "https://www.med-credit.org.cn/jingxuan/2/86d8d7327adc8f951872791935d33c9a.html","mipUrl": "https://www.med-credit.org.cn/mobile/jingxuan/2/86d8d7327adc8f951872791935d33c9a.html","fromSrc": "欢乐橙","datePublished": "2023-02-15T16:41:09","domain": "医疗","category": ["医疗权威文章合作"],"description": "真的尖锐湿疣用醋酸后会变白,患者需要及时前往医院治疗。
","extra_headline": [""]},"Author": {"name": "王霞","wapUrl": "https://www.med-credit.org.cn/doctor/578","pcUrl": "https://www.med-credit.org.cn/doctor/578","jobTitle": "副主任医师","headPortrait": "https://www.med-credit.org.cn/uploadfile/member/578/180x180.jpeg","id": "578","description": "王霞,广州医科大学附属第一医院皮肤科副主任医师","memberOf": {"legalName": "广州医科大学附属第一医院","department": "皮肤科","organizationLevel": "三级甲等"}},"Article": {"summaryContent": "真的尖锐湿疣用醋酸后会变白,患者需要及时前往医院治疗。
做醋酸白试验检查有一定的注意事项,需要遵医嘱进行。

1、表现:尖锐湿疣,是由于感染HPV(人乳头瘤病毒)所致,在醋酸白试验中,被HPV感染的上皮细胞生成的角蛋白与正常细胞不同,涂上冰醋酸会显白,因此外涂冰醋酸2~5分钟后,可以看到皮损部位变白,周围正常部位则不变色。
2、治疗:治疗上可于皮肤科进行,目前治疗主要有物理与外用药物,如冷冻、激光、光动力治疗,局部疣体应尽量去除,潜伏感染与亚临床感染应尽量消除,因此保证规范治疗是减少复发的关键。
做醋酸白试验检查时要求清洗病变局部,保持局部干净、干燥。且保持情绪状态平缓,不要过于恐惧、忧虑而使精神负担过重导致心理机能失调,扰乱机体正常免疫功能,使病情加重或易复发。
","articleBody": "真的尖锐湿疣用醋酸后会变白,患者需要及时前往医院治疗。
做醋酸白试验检查有一定的注意事项,需要遵医嘱进行。

1、表现:尖锐湿疣,是由于感染HPV(人乳头瘤病毒)所致,在醋酸白试验中,被HPV感染的上皮细胞生成的角蛋白与正常细胞不同,涂上冰醋酸会显白,因此外涂冰醋酸2~5分钟后,可以看到皮损部位变白,周围正常部位则不变色。
2、治疗:治疗上可于皮肤科进行,目前治疗主要有物理与外用药物,如冷冻、激光、光动力治疗,局部疣体应尽量去除,潜伏感染与亚临床感染应尽量消除,因此保证规范治疗是减少复发的关键。
做醋酸白试验检查时要求清洗病变局部,保持局部干净、干燥。且保持情绪状态平缓,不要过于恐惧、忧虑而使精神负担过重导致心理机能失调,扰乱机体正常免疫功能,使病情加重或易复发。
","scanCount": 32709}}} {"@context": "https://ziyuan.baidu.com/contexts/cambrian.jsonld","appid": "1650708455561748","icon": "https://www.med-credit.org.cn/style/images/ttlogo.png","content_tag": ["atlas"],"is_mcn": {"thumb_id": "0jui1zp8"},"accid": "4886d626a2804dee5f11168793ce361672f39c25","@id": "https://www.med-credit.org.cn/mobile/jingxuan/2/f4b330c699c9f2cc8aa7656e4b467c25.html","bagWordId": "bde82509253c58cf","title": "腹直肌分离三指照片","pubDate": "2023-02-15T16:41:09","upDate": "2023-02-15T16:41:09","lrDate": "2023-02-15T16:41:09","description": "腹直肌分离三指属于异常情况,一般是由于妊娠、肥胖、年龄等因素导致。腹直肌分离是是双侧腹直肌在中线部位分离,当间距超过2cm时,考虑为异常。","data": {"WebPage": {"headline": "腹直肌分离三指照片","pcUrl": "https://www.med-credit.org.cn/jingxuan/2/f4b330c699c9f2cc8aa7656e4b467c25.html","wapUrl": "https://www.med-credit.org.cn/jingxuan/2/f4b330c699c9f2cc8aa7656e4b467c25.html","mipUrl": "https://www.med-credit.org.cn/mobile/jingxuan/2/f4b330c699c9f2cc8aa7656e4b467c25.html","fromSrc": "欢乐橙","datePublished": "2023-02-15T16:41:09","domain": "医疗","category": ["医疗权威文章合作"],"description": "腹直肌分离三指属于异常情况,一般是由于妊娠、肥胖、年龄等因素导致。腹直肌分离是是双侧腹直肌在中线部位分离,当间距超过2cm时,考虑为异常。
","extra_headline": [""]},"Author": {"name": "陈璐","wapUrl": "https://www.med-credit.org.cn/doctor/494","pcUrl": "https://www.med-credit.org.cn/doctor/494","jobTitle": "主治医师","headPortrait": "https://www.med-credit.org.cn/uploadfile/member/494/180x180.jpeg","id": "494","description": "陈璐,中南大学湘雅医院普外科主治医师。","memberOf": {"legalName": "中南大学湘雅医院","department": "普外科(胃肠外科)","organizationLevel": "三级甲等"}},"Article": {"summaryContent": "腹直肌分离三指属于异常情况,一般是由于妊娠、肥胖、年龄等因素导致。腹直肌分离是是双侧腹直肌在中线部位分离,当间距超过2cm时,考虑为异常。

妊娠是导致腹直肌分离的最常见原因,几乎所有孕晚期的女性均存在,仅程度不同。部分在分娩后可恢复。妊娠期间随着腹部隆起,腹直肌间的筋膜软化扩张,导致左右两束腹直肌间隙增大。而高龄产妇、巨大儿、多胎妊娠、剖宫产等危险因素会造成产后持续存在腹直肌分离。肥胖人群腹部脂肪堆积,对腹白线的结缔组织受到长期持续的机械压力,导致腹直肌分离。年龄方面的影响主要是皮肤、韧带、肌纤维的弹性逐渐减弱,此因素引起的分离通常较严重且较难恢复。
无论哪种原因导致的腹直肌分离,治疗主要包括保守康复训练及外科手术修补两个方面。
1、保守治疗:主要是减少腹部脂肪,控制体重。进行腹部肌肉锻炼,如俯卧时收紧腹直肌、半平板支撑等运动。
2、外科手术修补:术式比较多样,需要根据患者情况选择,常用的包括单纯折叠术、折叠术+补片等。
","articleBody": "腹直肌分离三指属于异常情况,一般是由于妊娠、肥胖、年龄等因素导致。腹直肌分离是是双侧腹直肌在中线部位分离,当间距超过2cm时,考虑为异常。

妊娠是导致腹直肌分离的最常见原因,几乎所有孕晚期的女性均存在,仅程度不同。部分在分娩后可恢复。妊娠期间随着腹部隆起,腹直肌间的筋膜软化扩张,导致左右两束腹直肌间隙增大。而高龄产妇、巨大儿、多胎妊娠、剖宫产等危险因素会造成产后持续存在腹直肌分离。肥胖人群腹部脂肪堆积,对腹白线的结缔组织受到长期持续的机械压力,导致腹直肌分离。年龄方面的影响主要是皮肤、韧带、肌纤维的弹性逐渐减弱,此因素引起的分离通常较严重且较难恢复。
无论哪种原因导致的腹直肌分离,治疗主要包括保守康复训练及外科手术修补两个方面。
1、保守治疗:主要是减少腹部脂肪,控制体重。进行腹部肌肉锻炼,如俯卧时收紧腹直肌、半平板支撑等运动。
2、外科手术修补:术式比较多样,需要根据患者情况选择,常用的包括单纯折叠术、折叠术+补片等。
","scanCount": 32707}}} {"@context": "https://ziyuan.baidu.com/contexts/cambrian.jsonld","appid": "1650708455561748","icon": "https://www.med-credit.org.cn/style/images/ttlogo.png","content_tag": ["atlas"],"is_mcn": {"thumb_id": "ay28xrnt0"},"accid": "4886d626a2804dee5f11168793ce361672f39c25","@id": "https://www.med-credit.org.cn/mobile/jingxuan/2/bc7677cf6fa73ad2f23a7f200b1b6e4c.html","bagWordId": "70297560198ac034","title": "口腔拭子采集方法图解","pubDate": "2023-02-15T16:41:09","upDate": "2023-02-15T16:41:09","lrDate": "2023-02-15T16:41:09","description": "咽拭子,也即口腔拭子的采集,需要被采集者张口充分暴露口咽部,利用消毒长棉签在被采集者的两侧咽腭弓、咽后壁、扁桃体及舌根等处轻柔擦拭其表面的分泌物。取得后,将标本放入采样管内,拧紧盖子,避免标本污染而影响最终检测的结果。","data": {"WebPage": {"headline": "口腔拭子采集方法图解","pcUrl": "https://www.med-credit.org.cn/jingxuan/2/bc7677cf6fa73ad2f23a7f200b1b6e4c.html","wapUrl": "https://www.med-credit.org.cn/jingxuan/2/bc7677cf6fa73ad2f23a7f200b1b6e4c.html","mipUrl": "https://www.med-credit.org.cn/mobile/jingxuan/2/bc7677cf6fa73ad2f23a7f200b1b6e4c.html","fromSrc": "欢乐橙","datePublished": "2023-02-15T16:41:09","domain": "医疗","category": ["医疗权威文章合作"],"description": "咽拭子,也即口腔拭子的采集,需要被采集者张口充分暴露口咽部,利用消毒长棉签在被采集者的两侧咽腭弓、咽后壁、扁桃体及舌根等处轻柔擦拭其表面的分泌物。取得后,将标本放入采样管内,拧紧盖子,避免标本污染而影响最终检测的结果。
","extra_headline": [""]},"Author": {"name": "李斯文","wapUrl": "https://www.med-credit.org.cn/doctor/546","pcUrl": "https://www.med-credit.org.cn/doctor/546","jobTitle": "主治医师","headPortrait": "https://www.med-credit.org.cn/uploadfile/member/546/180x180.jpeg","id": "546","description": "李斯文,中国医科大学附属口腔医院口腔科主治医师","memberOf": {"legalName": "中国医科大学附属口腔医院","department": "口腔科","organizationLevel": "三级甲等"}},"Article": {"summaryContent": "咽拭子,也即口腔拭子的采集,需要被采集者张口充分暴露口咽部,利用消毒长棉签在被采集者的两侧咽腭弓、咽后壁、扁桃体及舌根等处轻柔擦拭其表面的分泌物。取得后,将标本放入采样管内,拧紧盖子,避免标本污染而影响最终检测的结果。

在采集前需做好相关准备。首先医务人员需要做好防护措施,如对新冠病毒采集还需保证三级生物安全防护,着防护服、帽子、N95医用口罩,鞋套,乳胶手套,防护面罩;物品准备包括咽拭子采集套装、压舌板、快速手消毒液、手电筒、记号笔等。
采集开始前需做到有效沟通与安抚,如询问被采集者是否有不适,告知被采集者采集流程,采集过程可能稍有不适,属于正常反应,无需恐惧。
采集完成的标本应在室温下30min内尽快送检,一般标本不采用低温保存的方法。采集过程及结束需严格注意手卫生,采集完成后,按照规范脱去手套、防护服等防护用品,采集过程中产生的垃圾应放置到黄色垃圾袋中统一处理。
","articleBody": "咽拭子,也即口腔拭子的采集,需要被采集者张口充分暴露口咽部,利用消毒长棉签在被采集者的两侧咽腭弓、咽后壁、扁桃体及舌根等处轻柔擦拭其表面的分泌物。取得后,将标本放入采样管内,拧紧盖子,避免标本污染而影响最终检测的结果。

在采集前需做好相关准备。首先医务人员需要做好防护措施,如对新冠病毒采集还需保证三级生物安全防护,着防护服、帽子、N95医用口罩,鞋套,乳胶手套,防护面罩;物品准备包括咽拭子采集套装、压舌板、快速手消毒液、手电筒、记号笔等。
采集开始前需做到有效沟通与安抚,如询问被采集者是否有不适,告知被采集者采集流程,采集过程可能稍有不适,属于正常反应,无需恐惧。
采集完成的标本应在室温下30min内尽快送检,一般标本不采用低温保存的方法。采集过程及结束需严格注意手卫生,采集完成后,按照规范脱去手套、防护服等防护用品,采集过程中产生的垃圾应放置到黄色垃圾袋中统一处理。
","scanCount": 32706}}} {"@context": "https://ziyuan.baidu.com/contexts/cambrian.jsonld","appid": "1650708455561748","icon": "https://www.med-credit.org.cn/style/images/ttlogo.png","content_tag": ["atlas"],"is_mcn": {"thumb_id": "g76756sx"},"accid": "4886d626a2804dee5f11168793ce361672f39c25","@id": "https://www.med-credit.org.cn/mobile/jingxuan/2/06e67781d9c3e8bc00d186f830e48654.html","bagWordId": "0030e350f492c862","title": "长强的准确位置图","pubDate": "2023-02-15T16:41:09","upDate": "2023-02-15T16:41:09","lrDate": "2023-02-15T16:41:09","description": "长强穴在尾骨尖端下方的凹陷中。","data": {"WebPage": {"headline": "长强的准确位置图","pcUrl": "https://www.med-credit.org.cn/jingxuan/2/06e67781d9c3e8bc00d186f830e48654.html","wapUrl": "https://www.med-credit.org.cn/jingxuan/2/06e67781d9c3e8bc00d186f830e48654.html","mipUrl": "https://www.med-credit.org.cn/mobile/jingxuan/2/06e67781d9c3e8bc00d186f830e48654.html","fromSrc": "欢乐橙","datePublished": "2023-02-15T16:41:09","domain": "医疗","category": ["医疗权威文章合作"],"description": "长强穴在尾骨尖端下方的凹陷中。
","extra_headline": [""]},"Author": {"name": "张婷","wapUrl": "https://www.med-credit.org.cn/doctor/555","pcUrl": "https://www.med-credit.org.cn/doctor/555","jobTitle": "副主任医师","headPortrait": "https://www.med-credit.org.cn/uploadfile/member/555/180x180.jpeg","id": "555","description": "张婷,中南大学湘雅三医院中西医结合科副主任医师","memberOf": {"legalName": "中南大学湘雅三医院","department": "中西医结合科","organizationLevel": "三级甲等"}},"Article": {"summaryContent": "长强穴在尾骨尖端下方的凹陷中。
1、准确位置:在会阴区尾骨下方,尾骨端与肛门连线的中点处。长强穴下为皮肤、皮下组织、肛尾韧带。浅层主要布有尾神经的后支。深层有阴部神经的分支,肛神经,阴部内动、静脉的分支或属支,肛动、静脉。

2、作用:长强位于尾骶部,临近大肠,可调理大肠气机,治疗泄泻、便秘、便血。其穴居肛门附近,故又可治疗痔疮、脱肛等肠系类疾病。督脉阳脉之海,长强穴位于督脉之尾端,通于任脉,可调和阴阳,又可调任督之气,治疗癫痫。现代临床主要用于治疗痔疮、癫痫、癔病等。还可以配百会穴治脱肛,头昏、配腰奇穴治癫痫、配小肠俞穴治大小便难、淋症。
针刺部位紧靠尾骨前面斜刺0.8~1寸。不宜直刺以免伤到直肠,引起感染。采用按摩方式需要正坐,上半身前俯,另外一手放到臀后,用力用中指揉按长强穴位置,早晚各按揉1~3分钟,对治疗便秘、痔疮、脱肛,并迅速止泻很有效果。注意上述操作需要在专业医生的操作下进行。
","articleBody": "长强穴在尾骨尖端下方的凹陷中。
1、准确位置:在会阴区尾骨下方,尾骨端与肛门连线的中点处。长强穴下为皮肤、皮下组织、肛尾韧带。浅层主要布有尾神经的后支。深层有阴部神经的分支,肛神经,阴部内动、静脉的分支或属支,肛动、静脉。

2、作用:长强位于尾骶部,临近大肠,可调理大肠气机,治疗泄泻、便秘、便血。其穴居肛门附近,故又可治疗痔疮、脱肛等肠系类疾病。督脉阳脉之海,长强穴位于督脉之尾端,通于任脉,可调和阴阳,又可调任督之气,治疗癫痫。现代临床主要用于治疗痔疮、癫痫、癔病等。还可以配百会穴治脱肛,头昏、配腰奇穴治癫痫、配小肠俞穴治大小便难、淋症。
针刺部位紧靠尾骨前面斜刺0.8~1寸。不宜直刺以免伤到直肠,引起感染。采用按摩方式需要正坐,上半身前俯,另外一手放到臀后,用力用中指揉按长强穴位置,早晚各按揉1~3分钟,对治疗便秘、痔疮、脱肛,并迅速止泻很有效果。注意上述操作需要在专业医生的操作下进行。
","scanCount": 32705}}} {"@context": "https://ziyuan.baidu.com/contexts/cambrian.jsonld","appid": "1650708455561748","icon": "https://www.med-credit.org.cn/style/images/ttlogo.png","content_tag": ["atlas"],"is_mcn": {"thumb_id": "ay28xrnt0"},"accid": "4886d626a2804dee5f11168793ce361672f39c25","@id": "https://www.med-credit.org.cn/mobile/jingxuan/2/6d9aceb952c9b4faa0d28d752ec0828a.html","bagWordId": "31f680e1b447fcae","title": "口腔图片图解","pubDate": "2023-02-15T16:41:09","upDate": "2023-02-15T16:41:09","lrDate": "2023-02-15T16:41:09","description": "口腔的前壁是口唇,后壁是咽部,侧壁是颊部,顶部是腭部,底部是口底。口腔内有舌、牙、唾液腺等器官。","data": {"WebPage": {"headline": "口腔图片图解","pcUrl": "https://www.med-credit.org.cn/jingxuan/2/6d9aceb952c9b4faa0d28d752ec0828a.html","wapUrl": "https://www.med-credit.org.cn/jingxuan/2/6d9aceb952c9b4faa0d28d752ec0828a.html","mipUrl": "https://www.med-credit.org.cn/mobile/jingxuan/2/6d9aceb952c9b4faa0d28d752ec0828a.html","fromSrc": "欢乐橙","datePublished": "2023-02-15T16:41:09","domain": "医疗","category": ["医疗权威文章合作"],"description": "口腔的前壁是口唇,后壁是咽部,侧壁是颊部,顶部是腭部,底部是口底。口腔内有舌、牙、唾液腺等器官。
","extra_headline": [""]},"Author": {"name": "李斯文","wapUrl": "https://www.med-credit.org.cn/doctor/546","pcUrl": "https://www.med-credit.org.cn/doctor/546","jobTitle": "主治医师","headPortrait": "https://www.med-credit.org.cn/uploadfile/member/546/180x180.jpeg","id": "546","description": "李斯文,中国医科大学附属口腔医院口腔科主治医师","memberOf": {"legalName": "中国医科大学附属口腔医院","department": "口腔科","organizationLevel": "三级甲等"}},"Article": {"summaryContent": "口腔的前壁是口唇,后壁是咽部,侧壁是颊部,顶部是腭部,底部是口底。口腔内有舌、牙、唾液腺等器官。

口腔是消化道的起始段,承担着咀嚼功能、语言功能、吞咽功能、感觉功能等重要功能。
口腔向前经口裂可与外界相通,向后经咽峡可与咽部相通。口腔,还可以以牙列为分界线,分为牙列外围的口腔前庭和牙列内的固有口腔。固有口腔内的腭部又可分为前2/3的硬腭和后1/3的软腭,软腭之后又有腭帆、腭垂、腭舌弓、腭咽弓等结构,腭舌弓与腭咽弓可构成容纳腭扁桃体的扁桃体窝,软腭最下部是悬雍垂。口底主要由黏膜、肌肉和皮肤组成,黏膜下方还有舌下腺。
口腔疾病也是日常生活中较常见的一类疾病,常见的口腔疾病有口臭病、牙痛、口腔溃疡、龋齿、牙周病等。口腔疾病往往以预防为主,采取防治结合的方法。掌握正确的刷牙方式,早晚刷牙,保持口腔清洁清新,少抽烟,少吃甜食。若发现有口腔疾病,应及时治疗。
","articleBody": "口腔的前壁是口唇,后壁是咽部,侧壁是颊部,顶部是腭部,底部是口底。口腔内有舌、牙、唾液腺等器官。

口腔是消化道的起始段,承担着咀嚼功能、语言功能、吞咽功能、感觉功能等重要功能。
口腔向前经口裂可与外界相通,向后经咽峡可与咽部相通。口腔,还可以以牙列为分界线,分为牙列外围的口腔前庭和牙列内的固有口腔。固有口腔内的腭部又可分为前2/3的硬腭和后1/3的软腭,软腭之后又有腭帆、腭垂、腭舌弓、腭咽弓等结构,腭舌弓与腭咽弓可构成容纳腭扁桃体的扁桃体窝,软腭最下部是悬雍垂。口底主要由黏膜、肌肉和皮肤组成,黏膜下方还有舌下腺。
口腔疾病也是日常生活中较常见的一类疾病,常见的口腔疾病有口臭病、牙痛、口腔溃疡、龋齿、牙周病等。口腔疾病往往以预防为主,采取防治结合的方法。掌握正确的刷牙方式,早晚刷牙,保持口腔清洁清新,少抽烟,少吃甜食。若发现有口腔疾病,应及时治疗。
","scanCount": 32703}}} {"@context": "https://ziyuan.baidu.com/contexts/cambrian.jsonld","appid": "1650708455561748","icon": "https://www.med-credit.org.cn/style/images/ttlogo.png","content_tag": ["atlas"],"is_mcn": {"thumb_id": "g76756sx"},"accid": "4886d626a2804dee5f11168793ce361672f39c25","@id": "https://www.med-credit.org.cn/mobile/jingxuan/2/26879b7fc36ce463eead4f4c9a09af9e.html","bagWordId": "ba0e9cf233d34a1a","title": "重楼图片","pubDate": "2023-02-15T16:41:09","upDate": "2023-02-15T16:41:09","lrDate": "2023-02-15T16:41:09","description": "重楼,属清热解毒药。性微寒,味苦。有小毒。归肝经。","data": {"WebPage": {"headline": "重楼图片","pcUrl": "https://www.med-credit.org.cn/jingxuan/2/26879b7fc36ce463eead4f4c9a09af9e.html","wapUrl": "https://www.med-credit.org.cn/jingxuan/2/26879b7fc36ce463eead4f4c9a09af9e.html","mipUrl": "https://www.med-credit.org.cn/mobile/jingxuan/2/26879b7fc36ce463eead4f4c9a09af9e.html","fromSrc": "欢乐橙","datePublished": "2023-02-15T16:41:09","domain": "医疗","category": ["医疗权威文章合作"],"description": "重楼,属清热解毒药。性微寒,味苦。有小毒。归肝经。
","extra_headline": [""]},"Author": {"name": "张婷","wapUrl": "https://www.med-credit.org.cn/doctor/555","pcUrl": "https://www.med-credit.org.cn/doctor/555","jobTitle": "副主任医师","headPortrait": "https://www.med-credit.org.cn/uploadfile/member/555/180x180.jpeg","id": "555","description": "张婷,中南大学湘雅三医院中西医结合科副主任医师","memberOf": {"legalName": "中南大学湘雅三医院","department": "中西医结合科","organizationLevel": "三级甲等"}},"Article": {"summaryContent": "重楼,属清热解毒药。性微寒,味苦。有小毒。归肝经。
重楼是多年生草本。根茎较粗壮,结节明显。叶6~10片轮生,叶片是披针形、卵状长圆形至倒卵形。外轮花是绿色长卵形,内轮花是黄色略带披针形;花期一般在6到7月,果期9到10月。一般长在山地林下或路旁草丛比较潮湿的地方。分布于广西、四川、贵州、云南等地。

重楼一般在秋季采挖,除去须根,洗净,晒干。药材性状为结节状扁圆柱形,略弯曲,质地坚实,断面平坦,颜色是白色至浅棕色。无臭,味微苦、麻。
重楼有清热解毒、消肿止痛、凉肝定惊的功效,可用于治疗咽喉肿痛、疔疮痈肿、毒蛇咬伤、跌扑伤痛、惊风抽搐等。治疗乳痈乳岩,可用重楼与生姜水煎兑少许白酒引服,另用芹菜适量捣烂敷患处。治疗咽喉肿痛,可用重楼配伍桔梗、牛蒡子,水煎服。治疗扭伤瘀肿,可用重楼与酒磨成浓汁,涂擦伤处。重楼可水煎服,也可外用。但重楼性微寒,虚寒证、阴性疮疡及孕妇禁服。注意需要在医师指导下用药。
","articleBody": "重楼,属清热解毒药。性微寒,味苦。有小毒。归肝经。
重楼是多年生草本。根茎较粗壮,结节明显。叶6~10片轮生,叶片是披针形、卵状长圆形至倒卵形。外轮花是绿色长卵形,内轮花是黄色略带披针形;花期一般在6到7月,果期9到10月。一般长在山地林下或路旁草丛比较潮湿的地方。分布于广西、四川、贵州、云南等地。

重楼一般在秋季采挖,除去须根,洗净,晒干。药材性状为结节状扁圆柱形,略弯曲,质地坚实,断面平坦,颜色是白色至浅棕色。无臭,味微苦、麻。
重楼有清热解毒、消肿止痛、凉肝定惊的功效,可用于治疗咽喉肿痛、疔疮痈肿、毒蛇咬伤、跌扑伤痛、惊风抽搐等。治疗乳痈乳岩,可用重楼与生姜水煎兑少许白酒引服,另用芹菜适量捣烂敷患处。治疗咽喉肿痛,可用重楼配伍桔梗、牛蒡子,水煎服。治疗扭伤瘀肿,可用重楼与酒磨成浓汁,涂擦伤处。重楼可水煎服,也可外用。但重楼性微寒,虚寒证、阴性疮疡及孕妇禁服。注意需要在医师指导下用药。
","scanCount": 32701}}} {"@context": "https://ziyuan.baidu.com/contexts/cambrian.jsonld","appid": "1650708455561748","icon": "https://www.med-credit.org.cn/style/images/ttlogo.png","content_tag": ["atlas"],"is_mcn": {"thumb_id": "g76756sx"},"accid": "4886d626a2804dee5f11168793ce361672f39c25","@id": "https://www.med-credit.org.cn/mobile/jingxuan/2/784dc2e2929dbfbef6ba2fee4d5814d0.html","bagWordId": "173e0bbcc649f31d","title": "少府的准确位置图","pubDate": "2023-02-15T16:41:09","upDate": "2023-02-15T16:41:09","lrDate": "2023-02-15T16:41:09","description": "少府穴位在手掌面的第4、5掌骨间,位于握拳的时候小指指尖落下的位置。","data": {"WebPage": {"headline": "少府的准确位置图","pcUrl": "https://www.med-credit.org.cn/jingxuan/2/784dc2e2929dbfbef6ba2fee4d5814d0.html","wapUrl": "https://www.med-credit.org.cn/jingxuan/2/784dc2e2929dbfbef6ba2fee4d5814d0.html","mipUrl": "https://www.med-credit.org.cn/mobile/jingxuan/2/784dc2e2929dbfbef6ba2fee4d5814d0.html","fromSrc": "欢乐橙","datePublished": "2023-02-15T16:41:09","domain": "医疗","category": ["医疗权威文章合作"],"description": "少府穴位在手掌面的第4、5掌骨间,位于握拳的时候小指指尖落下的位置。
","extra_headline": [""]},"Author": {"name": "张婷","wapUrl": "https://www.med-credit.org.cn/doctor/555","pcUrl": "https://www.med-credit.org.cn/doctor/555","jobTitle": "副主任医师","headPortrait": "https://www.med-credit.org.cn/uploadfile/member/555/180x180.jpeg","id": "555","description": "张婷,中南大学湘雅三医院中西医结合科副主任医师","memberOf": {"legalName": "中南大学湘雅三医院","department": "中西医结合科","organizationLevel": "三级甲等"}},"Article": {"summaryContent": "少府穴位在手掌面的第4、5掌骨间,位于握拳的时候小指指尖落下的位置。

1.位置:少府穴位在手掌面的第4、5掌骨间,位于握拳的时候小指指尖落下的位置。属手少阴心经,具有清心泻火、滋阴降火、理气活络的作用,按摩此穴位可以泻心火,安全有效。
2.按压少府穴有众多功效:
1)可以治疗心脏系统疾病,如心悸心慌、心动过速、胸痛、失眠等。
2)可以治疗神经系统疾病,如癫痫、小儿惊风等。
3)还可以治疗手部异常,比如手腕疼痛,屈伸困难,手指痉挛等等。
4)其他症状如阴部瘙痒、皮肤瘙痒、小便不利、遗尿,月经过多也可以治疗。
","articleBody": "少府穴位在手掌面的第4、5掌骨间,位于握拳的时候小指指尖落下的位置。

1.位置:少府穴位在手掌面的第4、5掌骨间,位于握拳的时候小指指尖落下的位置。属手少阴心经,具有清心泻火、滋阴降火、理气活络的作用,按摩此穴位可以泻心火,安全有效。
2.按压少府穴有众多功效:
1)可以治疗心脏系统疾病,如心悸心慌、心动过速、胸痛、失眠等。
2)可以治疗神经系统疾病,如癫痫、小儿惊风等。
3)还可以治疗手部异常,比如手腕疼痛,屈伸困难,手指痉挛等等。
4)其他症状如阴部瘙痒、皮肤瘙痒、小便不利、遗尿,月经过多也可以治疗。
","scanCount": 32700}}} {"@context": "https://ziyuan.baidu.com/contexts/cambrian.jsonld","appid": "1650708455561748","icon": "https://www.med-credit.org.cn/style/images/ttlogo.png","content_tag": ["atlas"],"is_mcn": {"thumb_id": "g76756sx"},"accid": "4886d626a2804dee5f11168793ce361672f39c25","@id": "https://www.med-credit.org.cn/mobile/jingxuan/2/3e2dce8c095c7ec658c40bcd036195e6.html","bagWordId": "76e88c07cdccdae1","title": "地机的准确位置图","pubDate": "2023-02-15T16:41:09","upDate": "2023-02-15T16:41:09","lrDate": "2023-02-15T16:41:09","description": "地机位于小腿的内侧,在内踝尖和阴陵泉的连线上,阴陵泉下部3寸处。","data": {"WebPage": {"headline": "地机的准确位置图","pcUrl": "https://www.med-credit.org.cn/jingxuan/2/3e2dce8c095c7ec658c40bcd036195e6.html","wapUrl": "https://www.med-credit.org.cn/jingxuan/2/3e2dce8c095c7ec658c40bcd036195e6.html","mipUrl": "https://www.med-credit.org.cn/mobile/jingxuan/2/3e2dce8c095c7ec658c40bcd036195e6.html","fromSrc": "欢乐橙","datePublished": "2023-02-15T16:41:09","domain": "医疗","category": ["医疗权威文章合作"],"description": "地机位于小腿的内侧,在内踝尖和阴陵泉的连线上,阴陵泉下部3寸处。
","extra_headline": [""]},"Author": {"name": "张婷","wapUrl": "https://www.med-credit.org.cn/doctor/555","pcUrl": "https://www.med-credit.org.cn/doctor/555","jobTitle": "副主任医师","headPortrait": "https://www.med-credit.org.cn/uploadfile/member/555/180x180.jpeg","id": "555","description": "张婷,中南大学湘雅三医院中西医结合科副主任医师","memberOf": {"legalName": "中南大学湘雅三医院","department": "中西医结合科","organizationLevel": "三级甲等"}},"Article": {"summaryContent": "地机位于小腿的内侧,在内踝尖和阴陵泉的连线上,阴陵泉下部3寸处。
地机是小腿内侧的一个穴位,在内踝尖和阴陵泉的连线上,位于阴陵泉下3寸处。该处分布着大隐静脉、胫后动静脉等多个血管及神经分支,按摩或针刺该穴位具有调经止带、健脾渗湿的功效。

临床上可利用该穴位来治疗阴道炎、痛经、月经不调、功能性子宫出血等妇科疾病,也可治疗泌尿或生殖系统疾病如遗精、腰痛、精液缺乏等。此外,对于胃肠痉挛、腹痛腹胀、乳腺炎等疾病也有一定的缓解作用。
针刺该穴位时注意控制深度在0.5-0.8寸左右,局部可能会有酸胀感,建议在专业人士指导下施针。按摩时应注意控制力度及时间,以免力度过大、时间过长而引起损伤。建议使用拇指指腹按摩,由轻至重逐渐增加力度,一直达到可以忍受的程度。按摩时间多为1分钟左右,每天建议按摩1-2次。
","articleBody": "地机位于小腿的内侧,在内踝尖和阴陵泉的连线上,阴陵泉下部3寸处。
地机是小腿内侧的一个穴位,在内踝尖和阴陵泉的连线上,位于阴陵泉下3寸处。该处分布着大隐静脉、胫后动静脉等多个血管及神经分支,按摩或针刺该穴位具有调经止带、健脾渗湿的功效。

临床上可利用该穴位来治疗阴道炎、痛经、月经不调、功能性子宫出血等妇科疾病,也可治疗泌尿或生殖系统疾病如遗精、腰痛、精液缺乏等。此外,对于胃肠痉挛、腹痛腹胀、乳腺炎等疾病也有一定的缓解作用。
针刺该穴位时注意控制深度在0.5-0.8寸左右,局部可能会有酸胀感,建议在专业人士指导下施针。按摩时应注意控制力度及时间,以免力度过大、时间过长而引起损伤。建议使用拇指指腹按摩,由轻至重逐渐增加力度,一直达到可以忍受的程度。按摩时间多为1分钟左右,每天建议按摩1-2次。
","scanCount": 32699}}} {"@context": "https://ziyuan.baidu.com/contexts/cambrian.jsonld","appid": "1650708455561748","icon": "https://www.med-credit.org.cn/style/images/ttlogo.png","content_tag": ["atlas"],"is_mcn": {"thumb_id": "6s37k24n"},"accid": "4886d626a2804dee5f11168793ce361672f39c25","@id": "https://www.med-credit.org.cn/mobile/jingxuan/2/40152b57d7f1930c92cb3d036b0cc860.html","bagWordId": "9586409be6805706","title": "艾叶图片","pubDate": "2023-02-15T16:41:09","upDate": "2023-02-15T16:41:09","lrDate": "2023-02-15T16:41:09","description": "艾叶是一种具有温经止血类的中草药,具有平喘、镇痛、抗过敏等作用。","data": {"WebPage": {"headline": "艾叶图片","pcUrl": "https://www.med-credit.org.cn/jingxuan/2/40152b57d7f1930c92cb3d036b0cc860.html","wapUrl": "https://www.med-credit.org.cn/jingxuan/2/40152b57d7f1930c92cb3d036b0cc860.html","mipUrl": "https://www.med-credit.org.cn/mobile/jingxuan/2/40152b57d7f1930c92cb3d036b0cc860.html","fromSrc": "欢乐橙","datePublished": "2023-02-15T16:41:09","domain": "医疗","category": ["医疗权威文章合作"],"description": "艾叶是一种具有温经止血类的中草药,具有平喘、镇痛、抗过敏等作用。
","extra_headline": [""]},"Author": {"name": "王成阳","wapUrl": "https://www.med-credit.org.cn/doctor/574","pcUrl": "https://www.med-credit.org.cn/doctor/574","jobTitle": "副主任医师","headPortrait": "https://www.med-credit.org.cn/uploadfile/member/574/180x180.jpeg","id": "574","description": "王成阳,安徽医科大学附属巢湖医院中医科副主任医师","memberOf": {"legalName": "安徽医科大学附属巢湖医院","department": "中医科","organizationLevel": "三级甲等"}},"Article": {"summaryContent": "艾叶是一种具有温经止血类的中草药,具有平喘、镇痛、抗过敏等作用。

艾叶对气候的适应性很强,所以非常容易繁衍生长,除了一些极度干旱或是寒冷的地区以外几乎在全国都有生长,目前主要以人工方式栽培在丘陵和较低海拔的山脉地区,在种植过程中会采用富含腐殖质的壤土,一般会将养殖温度控制在24-30摄氏度。艾叶的质地较弱,叶片多皱缩卷曲、破碎不全,完整的叶片展开后呈椭圆形,边缘是不规则的锯齿状,茎顶部叶全缘或3裂。艾叶与其它植物区别的主要特征是其叶子背后呈灰白色,并且具有较浓郁的香气。在选购艾叶时一般以叶肉厚且颜色青白者为佳。
现代药理学研究证明,艾叶能缩短出血、凝血时间,对肺炎球菌、甲、乙溶血性链球菌等有抑制作用。在临床上,艾叶主要用于虚寒性出血的病症,比如崩漏;也可以用于虚寒性月经不调。艾叶通常会采用水煎服,也可外用,但由于艾叶药性温燥,阴虚血热者应禁止使用。
","articleBody": "艾叶是一种具有温经止血类的中草药,具有平喘、镇痛、抗过敏等作用。

艾叶对气候的适应性很强,所以非常容易繁衍生长,除了一些极度干旱或是寒冷的地区以外几乎在全国都有生长,目前主要以人工方式栽培在丘陵和较低海拔的山脉地区,在种植过程中会采用富含腐殖质的壤土,一般会将养殖温度控制在24-30摄氏度。艾叶的质地较弱,叶片多皱缩卷曲、破碎不全,完整的叶片展开后呈椭圆形,边缘是不规则的锯齿状,茎顶部叶全缘或3裂。艾叶与其它植物区别的主要特征是其叶子背后呈灰白色,并且具有较浓郁的香气。在选购艾叶时一般以叶肉厚且颜色青白者为佳。
现代药理学研究证明,艾叶能缩短出血、凝血时间,对肺炎球菌、甲、乙溶血性链球菌等有抑制作用。在临床上,艾叶主要用于虚寒性出血的病症,比如崩漏;也可以用于虚寒性月经不调。艾叶通常会采用水煎服,也可外用,但由于艾叶药性温燥,阴虚血热者应禁止使用。
","scanCount": 32698}}} {"@context": "https://ziyuan.baidu.com/contexts/cambrian.jsonld","appid": "1650708455561748","icon": "https://www.med-credit.org.cn/style/images/ttlogo.png","content_tag": ["atlas"],"is_mcn": {"thumb_id": "0jui1zp8"},"accid": "4886d626a2804dee5f11168793ce361672f39c25","@id": "https://www.med-credit.org.cn/mobile/jingxuan/2/756a73f37aea945afdebfae5c63f5bbd.html","bagWordId": "dc123379afe0a372","title": "腋臭手术伤口发炎化脓的图片","pubDate": "2023-02-15T16:41:09","upDate": "2023-02-15T16:41:09","lrDate": "2023-02-15T16:41:09","description": "腋臭手术伤口发炎化脓常表现为切口红肿伴随大量脓液渗出。","data": {"WebPage": {"headline": "腋臭手术伤口发炎化脓的图片","pcUrl": "https://www.med-credit.org.cn/jingxuan/2/756a73f37aea945afdebfae5c63f5bbd.html","wapUrl": "https://www.med-credit.org.cn/jingxuan/2/756a73f37aea945afdebfae5c63f5bbd.html","mipUrl": "https://www.med-credit.org.cn/mobile/jingxuan/2/756a73f37aea945afdebfae5c63f5bbd.html","fromSrc": "欢乐橙","datePublished": "2023-02-15T16:41:09","domain": "医疗","category": ["医疗权威文章合作"],"description": "腋臭手术伤口发炎化脓常表现为切口红肿伴随大量脓液渗出。
","extra_headline": [""]},"Author": {"name": "陈璐","wapUrl": "https://www.med-credit.org.cn/doctor/494","pcUrl": "https://www.med-credit.org.cn/doctor/494","jobTitle": "主治医师","headPortrait": "https://www.med-credit.org.cn/uploadfile/member/494/180x180.jpeg","id": "494","description": "陈璐,中南大学湘雅医院普外科主治医师。","memberOf": {"legalName": "中南大学湘雅医院","department": "普外科(胃肠外科)","organizationLevel": "三级甲等"}},"Article": {"summaryContent": "腋臭手术伤口发炎化脓常表现为切口红肿伴随大量脓液渗出。
腋臭手术切口容易被细菌、病毒等致病微生物感染或缝线未完全拆除形成异物肉芽肿,导致伤口炎症性反应,甚至发生化脓。

常表现为伤口愈合不佳、发热、切口红肿伴随大量脓液渗出、局部疼痛等症状。
建议及时前往医院就诊,行相关检查,在医生的指导下行规范化的治疗,如仔细检查后拆除异物,遵医嘱进行清创,剪开或者脱去手术切口周围的衣物,将伤口暴露于空气中,先使用生理盐水清洗伤口,去除伤口及其周围的血痂、杂物,再用双氧水或络合碘进行消毒,必要时可考虑重新缝合。
消毒清创或缝合处理结束后,可以使用透气的纱布、无菌绷带或油性的无菌敷料进行包扎,注意定期更换敷料。遵医嘱配合给予抗生素如阿莫西林胶囊、头孢克洛胶囊治疗,还可以给予非甾体抗炎药如塞来昔布胶囊、布洛芬缓释片等止痛治疗。
患者术后要遵医嘱,避免辛辣刺激性食物,保证饮食营养均衡,清淡饮食,少食辛辣,多吃一点瓜果和蔬菜,及时吃饭,切忌生冷的食物。患者要养成良好的生活习惯,配合适当的运动,增强免疫力。
","articleBody": "腋臭手术伤口发炎化脓常表现为切口红肿伴随大量脓液渗出。
腋臭手术切口容易被细菌、病毒等致病微生物感染或缝线未完全拆除形成异物肉芽肿,导致伤口炎症性反应,甚至发生化脓。

常表现为伤口愈合不佳、发热、切口红肿伴随大量脓液渗出、局部疼痛等症状。
建议及时前往医院就诊,行相关检查,在医生的指导下行规范化的治疗,如仔细检查后拆除异物,遵医嘱进行清创,剪开或者脱去手术切口周围的衣物,将伤口暴露于空气中,先使用生理盐水清洗伤口,去除伤口及其周围的血痂、杂物,再用双氧水或络合碘进行消毒,必要时可考虑重新缝合。
消毒清创或缝合处理结束后,可以使用透气的纱布、无菌绷带或油性的无菌敷料进行包扎,注意定期更换敷料。遵医嘱配合给予抗生素如阿莫西林胶囊、头孢克洛胶囊治疗,还可以给予非甾体抗炎药如塞来昔布胶囊、布洛芬缓释片等止痛治疗。
患者术后要遵医嘱,避免辛辣刺激性食物,保证饮食营养均衡,清淡饮食,少食辛辣,多吃一点瓜果和蔬菜,及时吃饭,切忌生冷的食物。患者要养成良好的生活习惯,配合适当的运动,增强免疫力。
","scanCount": 32697}}} {"@context": "https://ziyuan.baidu.com/contexts/cambrian.jsonld","appid": "1650708455561748","icon": "https://www.med-credit.org.cn/style/images/ttlogo.png","content_tag": ["atlas"],"is_mcn": {"thumb_id": "0jui1zp8"},"accid": "4886d626a2804dee5f11168793ce361672f39c25","@id": "https://www.med-credit.org.cn/mobile/jingxuan/2/bc6aab40eb69c4258933c036b0577624.html","bagWordId": "0f5bd29ee92800d6","title": "颈部富贵包图片 ","pubDate": "2023-02-15T16:41:09","upDate": "2023-02-15T16:41:09","lrDate": "2023-02-15T16:41:09","description": "富贵包是颈椎附近的一个包块。一般身材较胖的人易出现或者说更为明显,因此称为富贵包,多由不良生活姿势引起。","data": {"WebPage": {"headline": "颈部富贵包图片 ","pcUrl": "https://www.med-credit.org.cn/jingxuan/2/bc6aab40eb69c4258933c036b0577624.html","wapUrl": "https://www.med-credit.org.cn/jingxuan/2/bc6aab40eb69c4258933c036b0577624.html","mipUrl": "https://www.med-credit.org.cn/mobile/jingxuan/2/bc6aab40eb69c4258933c036b0577624.html","fromSrc": "欢乐橙","datePublished": "2023-02-15T16:41:09","domain": "医疗","category": ["医疗权威文章合作"],"description": "富贵包是颈椎附近的一个包块。一般身材较胖的人易出现或者说更为明显,因此称为富贵包,多由不良生活姿势引起。
","extra_headline": [""]},"Author": {"name": "陈璐","wapUrl": "https://www.med-credit.org.cn/doctor/494","pcUrl": "https://www.med-credit.org.cn/doctor/494","jobTitle": "主治医师","headPortrait": "https://www.med-credit.org.cn/uploadfile/member/494/180x180.jpeg","id": "494","description": "陈璐,中南大学湘雅医院普外科主治医师。","memberOf": {"legalName": "中南大学湘雅医院","department": "普外科(胃肠外科)","organizationLevel": "三级甲等"}},"Article": {"summaryContent": "富贵包是颈椎附近的一个包块。一般身材较胖的人易出现或者说更为明显,因此称为富贵包,多由不良生活姿势引起。

长时间低头,使颈椎承受的压力加重,增加了肌肉负担,肌肉长期处于紧张状态,该处的血液循环受到影响,容易导致软组织的炎症和脂肪堆积从而产生富贵包。
可以采用直接触摸颈后肌肉或者靠墙站立的方式来判断自己是否有富贵包。富贵包不是一种颈椎病,但是已经形成富贵包的患者要警惕颈椎病的发生,可以根据拍X线片来区分这两种疾病。
患者应经常进行颈部的锻炼,不要长时间的低头看手机。可以进行一些颈部、背部的肌肉拉伸,如果已经形成了富贵包还可以通过按摩来缓解。
","articleBody": "富贵包是颈椎附近的一个包块。一般身材较胖的人易出现或者说更为明显,因此称为富贵包,多由不良生活姿势引起。

长时间低头,使颈椎承受的压力加重,增加了肌肉负担,肌肉长期处于紧张状态,该处的血液循环受到影响,容易导致软组织的炎症和脂肪堆积从而产生富贵包。
可以采用直接触摸颈后肌肉或者靠墙站立的方式来判断自己是否有富贵包。富贵包不是一种颈椎病,但是已经形成富贵包的患者要警惕颈椎病的发生,可以根据拍X线片来区分这两种疾病。
患者应经常进行颈部的锻炼,不要长时间的低头看手机。可以进行一些颈部、背部的肌肉拉伸,如果已经形成了富贵包还可以通过按摩来缓解。
","scanCount": 32695}}} {"@context": "https://ziyuan.baidu.com/contexts/cambrian.jsonld","appid": "1650708455561748","icon": "https://www.med-credit.org.cn/style/images/ttlogo.png","content_tag": ["atlas"],"is_mcn": {"thumb_id": "g76756sx"},"accid": "4886d626a2804dee5f11168793ce361672f39c25","@id": "https://www.med-credit.org.cn/mobile/jingxuan/2/6072f91b3be04276fee2cd9b6ab47271.html","bagWordId": "50ee5c06d5c70436","title": "支沟的作用与功效位置","pubDate": "2023-02-15T16:41:09","upDate": "2023-02-15T16:41:09","lrDate": "2023-02-15T16:41:09","description": "支沟穴的位置:在前臂后区,腕背侧远端横纹上3寸,尺骨与桡骨间隙中点。","data": {"WebPage": {"headline": "支沟的作用与功效位置","pcUrl": "https://www.med-credit.org.cn/jingxuan/2/6072f91b3be04276fee2cd9b6ab47271.html","wapUrl": "https://www.med-credit.org.cn/jingxuan/2/6072f91b3be04276fee2cd9b6ab47271.html","mipUrl": "https://www.med-credit.org.cn/mobile/jingxuan/2/6072f91b3be04276fee2cd9b6ab47271.html","fromSrc": "欢乐橙","datePublished": "2023-02-15T16:41:09","domain": "医疗","category": ["医疗权威文章合作"],"description": "支沟穴的位置:在前臂后区,腕背侧远端横纹上3寸,尺骨与桡骨间隙中点。
","extra_headline": [""]},"Author": {"name": "张婷","wapUrl": "https://www.med-credit.org.cn/doctor/555","pcUrl": "https://www.med-credit.org.cn/doctor/555","jobTitle": "副主任医师","headPortrait": "https://www.med-credit.org.cn/uploadfile/member/555/180x180.jpeg","id": "555","description": "张婷,中南大学湘雅三医院中西医结合科副主任医师","memberOf": {"legalName": "中南大学湘雅三医院","department": "中西医结合科","organizationLevel": "三级甲等"}},"Article": {"summaryContent": "支沟穴的位置:在前臂后区,腕背侧远端横纹上3寸,尺骨与桡骨间隙中点。

1、五官科病症。如耳聋、耳鸣、目赤肿痛、目痛、咽喉肿痛。
2、妇科病症。如闭经、产后血晕、乳汁分必不足。
3、消化系统病症。如泄泻、痢疾、便秘、腹痛、肠炎。
4、其他病症。如腰腹疼痛、胁肋痛、热病、四肢浮肿、上肢瘫痪、心绞痛、心肌炎、胸膜炎、肺炎。
","articleBody": "支沟穴的位置:在前臂后区,腕背侧远端横纹上3寸,尺骨与桡骨间隙中点。

1、五官科病症。如耳聋、耳鸣、目赤肿痛、目痛、咽喉肿痛。
2、妇科病症。如闭经、产后血晕、乳汁分必不足。
3、消化系统病症。如泄泻、痢疾、便秘、腹痛、肠炎。
4、其他病症。如腰腹疼痛、胁肋痛、热病、四肢浮肿、上肢瘫痪、心绞痛、心肌炎、胸膜炎、肺炎。
","scanCount": 32691}}} {"@context": "https://ziyuan.baidu.com/contexts/cambrian.jsonld","appid": "1650708455561748","icon": "https://www.med-credit.org.cn/style/images/ttlogo.png","content_tag": ["atlas"],"is_mcn": {"thumb_id": "g76756sx"},"accid": "4886d626a2804dee5f11168793ce361672f39c25","@id": "https://www.med-credit.org.cn/mobile/jingxuan/2/e772141b1e6fe172ddf948a7a3cad603.html","bagWordId": "05fe3e1775e0e1d8","title": "浮白的准确位置图图解","pubDate": "2023-02-15T16:41:09","upDate": "2023-02-15T16:41:09","lrDate": "2023-02-15T16:41:09","description": "浮白在头部耳后乳突的后上方。","data": {"WebPage": {"headline": "浮白的准确位置图图解","pcUrl": "https://www.med-credit.org.cn/jingxuan/2/e772141b1e6fe172ddf948a7a3cad603.html","wapUrl": "https://www.med-credit.org.cn/jingxuan/2/e772141b1e6fe172ddf948a7a3cad603.html","mipUrl": "https://www.med-credit.org.cn/mobile/jingxuan/2/e772141b1e6fe172ddf948a7a3cad603.html","fromSrc": "欢乐橙","datePublished": "2023-02-15T16:41:09","domain": "医疗","category": ["医疗权威文章合作"],"description": "浮白在头部耳后乳突的后上方。
","extra_headline": [""]},"Author": {"name": "张婷","wapUrl": "https://www.med-credit.org.cn/doctor/555","pcUrl": "https://www.med-credit.org.cn/doctor/555","jobTitle": "副主任医师","headPortrait": "https://www.med-credit.org.cn/uploadfile/member/555/180x180.jpeg","id": "555","description": "张婷,中南大学湘雅三医院中西医结合科副主任医师","memberOf": {"legalName": "中南大学湘雅三医院","department": "中西医结合科","organizationLevel": "三级甲等"}},"Article": {"summaryContent": "浮白在头部耳后乳突的后上方。

浮白是头部的一个穴位,位于耳后乳突的后上方,该处分布着耳后的动、静脉及枕大神经的分支,针刺或按摩该穴位具有清热除湿、理气散结、散风止痛的功效。临床可利用该穴位来治疗头痛、耳鸣、耳聋、面痛及面神经炎等多种疾病,对于醉酒所致的头疼也有一定缓解作用。此外,还能帮助治疗坐骨神经痛、两肋疼痛等不适,当眼部感到疲劳、干涩或肿痛时,也可利用该穴位来缓解。
针刺该穴位时注意控制深度在0.5-0.8寸左右,局部可能会有酸胀感,建议在专业人士指导下施针。按摩时应注意控制力度及时间,以免力度过大、时间过长而引起损伤。一般在每天睡觉前和次日起床后按摩,建议使用双手指头轻揉头皮,从前额经过头顶到枕部,每次按摩2-4分钟,每分钟来回按揉30-40次,以后可逐步增加至每次5-10分钟。注意该操作需要在医生指导下进行。
","articleBody": "浮白在头部耳后乳突的后上方。

浮白是头部的一个穴位,位于耳后乳突的后上方,该处分布着耳后的动、静脉及枕大神经的分支,针刺或按摩该穴位具有清热除湿、理气散结、散风止痛的功效。临床可利用该穴位来治疗头痛、耳鸣、耳聋、面痛及面神经炎等多种疾病,对于醉酒所致的头疼也有一定缓解作用。此外,还能帮助治疗坐骨神经痛、两肋疼痛等不适,当眼部感到疲劳、干涩或肿痛时,也可利用该穴位来缓解。
针刺该穴位时注意控制深度在0.5-0.8寸左右,局部可能会有酸胀感,建议在专业人士指导下施针。按摩时应注意控制力度及时间,以免力度过大、时间过长而引起损伤。一般在每天睡觉前和次日起床后按摩,建议使用双手指头轻揉头皮,从前额经过头顶到枕部,每次按摩2-4分钟,每分钟来回按揉30-40次,以后可逐步增加至每次5-10分钟。注意该操作需要在医生指导下进行。
","scanCount": 32688}}} {"@context": "https://ziyuan.baidu.com/contexts/cambrian.jsonld","appid": "1650708455561748","icon": "https://www.med-credit.org.cn/style/images/ttlogo.png","content_tag": ["atlas"],"is_mcn": {"thumb_id": "g76756sx"},"accid": "4886d626a2804dee5f11168793ce361672f39c25","@id": "https://www.med-credit.org.cn/mobile/jingxuan/2/50b6b1eaa9d1cbfe2f9f44c6f209faa8.html","bagWordId": "0bb0fb7c8b0d8153","title": "毛慈菇图片","pubDate": "2023-02-15T16:41:09","upDate": "2023-02-15T16:41:09","lrDate": "2023-02-15T16:41:09","description": "毛慈菇是一种味道为甘、微辛、性凉的植物,别名茅慈菇、山慈菇。","data": {"WebPage": {"headline": "毛慈菇图片","pcUrl": "https://www.med-credit.org.cn/jingxuan/2/50b6b1eaa9d1cbfe2f9f44c6f209faa8.html","wapUrl": "https://www.med-credit.org.cn/jingxuan/2/50b6b1eaa9d1cbfe2f9f44c6f209faa8.html","mipUrl": "https://www.med-credit.org.cn/mobile/jingxuan/2/50b6b1eaa9d1cbfe2f9f44c6f209faa8.html","fromSrc": "欢乐橙","datePublished": "2023-02-15T16:41:09","domain": "医疗","category": ["医疗权威文章合作"],"description": "毛慈菇是一种味道为甘、微辛、性凉的植物,别名茅慈菇、山慈菇。
","extra_headline": [""]},"Author": {"name": "张婷","wapUrl": "https://www.med-credit.org.cn/doctor/555","pcUrl": "https://www.med-credit.org.cn/doctor/555","jobTitle": "副主任医师","headPortrait": "https://www.med-credit.org.cn/uploadfile/member/555/180x180.jpeg","id": "555","description": "张婷,中南大学湘雅三医院中西医结合科副主任医师","memberOf": {"legalName": "中南大学湘雅三医院","department": "中西医结合科","organizationLevel": "三级甲等"}},"Article": {"summaryContent": "毛慈菇是一种味道为甘、微辛、性凉的植物,别名茅慈菇、山慈菇。
1、外形特点:毛慈菇是表面呈纵皱纹和纵沟的黄棕色或褐棕色的一种不规则的扁球形或圆锥形菌,顶端有钝状突起,底部有须根痕。质地坚硬,难以折断,韧性高,折断后可以看到断面呈灰白色或黄白色,略呈角质。中间部分有几条微突起的环节,节上是鳞片叶干枯腐烂后遗留的丝状纤维。

2、功效作用:毛慈菇味甘、微辛,性凉,具有清热解毒、化痰散结的功效。临床上内服、外敷毛慈菇用以治疗痈肿疔毒、瘰疬结核患者;常与制半夏、地螯虫和石见穿等药材配合治疗食管癌患者;也常配合昆布、海藻、夏枯草、象贝应用于淋巴肿瘤患者。
毛慈菇主要是在夏、秋两季采挖。通常采挖后会把毛慈菇用水清洗除去杂质后再浸水1小时,再放进沸水锅中,煮到毛慈菇透白后捞出,洗净干燥,再切片或者捣碎待用。
","articleBody": "毛慈菇是一种味道为甘、微辛、性凉的植物,别名茅慈菇、山慈菇。
1、外形特点:毛慈菇是表面呈纵皱纹和纵沟的黄棕色或褐棕色的一种不规则的扁球形或圆锥形菌,顶端有钝状突起,底部有须根痕。质地坚硬,难以折断,韧性高,折断后可以看到断面呈灰白色或黄白色,略呈角质。中间部分有几条微突起的环节,节上是鳞片叶干枯腐烂后遗留的丝状纤维。

2、功效作用:毛慈菇味甘、微辛,性凉,具有清热解毒、化痰散结的功效。临床上内服、外敷毛慈菇用以治疗痈肿疔毒、瘰疬结核患者;常与制半夏、地螯虫和石见穿等药材配合治疗食管癌患者;也常配合昆布、海藻、夏枯草、象贝应用于淋巴肿瘤患者。
毛慈菇主要是在夏、秋两季采挖。通常采挖后会把毛慈菇用水清洗除去杂质后再浸水1小时,再放进沸水锅中,煮到毛慈菇透白后捞出,洗净干燥,再切片或者捣碎待用。
","scanCount": 32687}}} {"@context": "https://ziyuan.baidu.com/contexts/cambrian.jsonld","appid": "1650708455561748","icon": "https://www.med-credit.org.cn/style/images/ttlogo.png","content_tag": ["atlas"],"is_mcn": {"thumb_id": "g76756sx"},"accid": "4886d626a2804dee5f11168793ce361672f39c25","@id": "https://www.med-credit.org.cn/mobile/jingxuan/2/5ff29285c22b9ecf2e930f240897d2b9.html","bagWordId": "a3891029544bfbc7","title": "一点红图片和主治功效是什么","pubDate": "2023-02-15T16:41:09","upDate": "2023-02-15T16:41:09","lrDate": "2023-02-15T16:41:09","description": "一点红的功效为消肿散瘀、清热解毒;主治口腔溃疡,上呼吸道感染,乳腺炎,肺炎,湿疹,肠炎,菌痢,疮疖痈肿,尿路感染,跌打损伤。","data": {"WebPage": {"headline": "一点红图片和主治功效是什么","pcUrl": "https://www.med-credit.org.cn/jingxuan/2/5ff29285c22b9ecf2e930f240897d2b9.html","wapUrl": "https://www.med-credit.org.cn/jingxuan/2/5ff29285c22b9ecf2e930f240897d2b9.html","mipUrl": "https://www.med-credit.org.cn/mobile/jingxuan/2/5ff29285c22b9ecf2e930f240897d2b9.html","fromSrc": "欢乐橙","datePublished": "2023-02-15T16:41:09","domain": "医疗","category": ["医疗权威文章合作"],"description": "一点红的功效为消肿散瘀、清热解毒;主治口腔溃疡,上呼吸道感染,乳腺炎,肺炎,湿疹,肠炎,菌痢,疮疖痈肿,尿路感染,跌打损伤。
","extra_headline": [""]},"Author": {"name": "张婷","wapUrl": "https://www.med-credit.org.cn/doctor/555","pcUrl": "https://www.med-credit.org.cn/doctor/555","jobTitle": "副主任医师","headPortrait": "https://www.med-credit.org.cn/uploadfile/member/555/180x180.jpeg","id": "555","description": "张婷,中南大学湘雅三医院中西医结合科副主任医师","memberOf": {"legalName": "中南大学湘雅三医院","department": "中西医结合科","organizationLevel": "三级甲等"}},"Article": {"summaryContent": "一点红的功效为消肿散瘀、清热解毒;主治口腔溃疡,上呼吸道感染,乳腺炎,肺炎,湿疹,肠炎,菌痢,疮疖痈肿,尿路感染,跌打损伤。

一点红是菊科植物一点红的干燥全草。别名:叶下红、红背叶、羊蹄草。常生于山坡草地、村旁、路边。夏、秋季采收全草,晒干或鲜用,可用作药材。一点红性凉、味苦。有散瘀消肿,清热解毒,利尿,活血的功效。主要用于治疗口腔溃疡,上呼吸道感染,肠炎,菌痢,乳腺炎,肺炎,尿路感染,湿疹,疮疖痈肿,跌打损伤等,效果较好。
","articleBody": "一点红的功效为消肿散瘀、清热解毒;主治口腔溃疡,上呼吸道感染,乳腺炎,肺炎,湿疹,肠炎,菌痢,疮疖痈肿,尿路感染,跌打损伤。

一点红是菊科植物一点红的干燥全草。别名:叶下红、红背叶、羊蹄草。常生于山坡草地、村旁、路边。夏、秋季采收全草,晒干或鲜用,可用作药材。一点红性凉、味苦。有散瘀消肿,清热解毒,利尿,活血的功效。主要用于治疗口腔溃疡,上呼吸道感染,肠炎,菌痢,乳腺炎,肺炎,尿路感染,湿疹,疮疖痈肿,跌打损伤等,效果较好。
","scanCount": 32683}}} {"@context": "https://ziyuan.baidu.com/contexts/cambrian.jsonld","appid": "1650708455561748","icon": "https://www.med-credit.org.cn/style/images/ttlogo.png","content_tag": ["atlas"],"is_mcn": {"thumb_id": "g76756sx"},"accid": "4886d626a2804dee5f11168793ce361672f39c25","@id": "https://www.med-credit.org.cn/mobile/jingxuan/2/778f9f4ad8a1353beeba47331e84d90e.html","bagWordId": "1b6a7e68dd68f008","title": "下丹田的准确位置图片","pubDate": "2023-02-15T16:41:09","upDate": "2023-02-15T16:41:09","lrDate": "2023-02-15T16:41:09","description": "下丹田为任脉关元穴,神厥穴,脐下三寸之处,为藏精之所,大体就是肚脐周围的部分。","data": {"WebPage": {"headline": "下丹田的准确位置图片","pcUrl": "https://www.med-credit.org.cn/jingxuan/2/778f9f4ad8a1353beeba47331e84d90e.html","wapUrl": "https://www.med-credit.org.cn/jingxuan/2/778f9f4ad8a1353beeba47331e84d90e.html","mipUrl": "https://www.med-credit.org.cn/mobile/jingxuan/2/778f9f4ad8a1353beeba47331e84d90e.html","fromSrc": "欢乐橙","datePublished": "2023-02-15T16:41:09","domain": "医疗","category": ["医疗权威文章合作"],"description": "下丹田为任脉关元穴,神厥穴,脐下三寸之处,为藏精之所,大体就是肚脐周围的部分。
","extra_headline": [""]},"Author": {"name": "张婷","wapUrl": "https://www.med-credit.org.cn/doctor/555","pcUrl": "https://www.med-credit.org.cn/doctor/555","jobTitle": "副主任医师","headPortrait": "https://www.med-credit.org.cn/uploadfile/member/555/180x180.jpeg","id": "555","description": "张婷,中南大学湘雅三医院中西医结合科副主任医师","memberOf": {"legalName": "中南大学湘雅三医院","department": "中西医结合科","organizationLevel": "三级甲等"}},"Article": {"summaryContent": "下丹田为任脉关元穴,神厥穴,脐下三寸之处,为藏精之所,大体就是肚脐周围的部分。

下丹田这个体腔的分层空间,左右是输尿管;左右偏上是肾脏和肾上腺;再往上,左上方是胃和脾,右上方是肝和胆;正下方是小肠;再往下是膀胱;膀胱再下则是睾丸和附睾;下丹田体腔的平衡位是横结肠,左下方是降结肠,脐上一点是胰脏,右下方是升结肠,十二指肠在此窍穴的右方纵穿而过;再往前的分层空间是动脉和静脉的分叉处,下丹田的后分层空间是性腺神经及太阳神经丛的部位;最后面的分层空间正对位是腰椎骨,下部则是骨盆。
腹部脐下的阴交、神阙、气海、关元、石门、命门等穴位都别称“丹田”。准确点说就是脐下一寸半,或四指三寸处。居直肠之前,膀胱之后,有腹壁下动静脉,分布着第十一、十二肋间神经前皮枝,是三阴任脉之会。
","articleBody": "下丹田为任脉关元穴,神厥穴,脐下三寸之处,为藏精之所,大体就是肚脐周围的部分。

下丹田这个体腔的分层空间,左右是输尿管;左右偏上是肾脏和肾上腺;再往上,左上方是胃和脾,右上方是肝和胆;正下方是小肠;再往下是膀胱;膀胱再下则是睾丸和附睾;下丹田体腔的平衡位是横结肠,左下方是降结肠,脐上一点是胰脏,右下方是升结肠,十二指肠在此窍穴的右方纵穿而过;再往前的分层空间是动脉和静脉的分叉处,下丹田的后分层空间是性腺神经及太阳神经丛的部位;最后面的分层空间正对位是腰椎骨,下部则是骨盆。
腹部脐下的阴交、神阙、气海、关元、石门、命门等穴位都别称“丹田”。准确点说就是脐下一寸半,或四指三寸处。居直肠之前,膀胱之后,有腹壁下动静脉,分布着第十一、十二肋间神经前皮枝,是三阴任脉之会。
","scanCount": 32682}}} {"@context": "https://ziyuan.baidu.com/contexts/cambrian.jsonld","appid": "1650708455561748","icon": "https://www.med-credit.org.cn/style/images/ttlogo.png","content_tag": ["atlas"],"is_mcn": {"thumb_id": "g76756sx"},"accid": "4886d626a2804dee5f11168793ce361672f39c25","@id": "https://www.med-credit.org.cn/mobile/jingxuan/2/e33b5b9a680de19519829261659ce569.html","bagWordId": "31d964cc17437e36","title": "商阳准确位置图和功效","pubDate": "2023-02-15T16:41:09","upDate": "2023-02-15T16:41:09","lrDate": "2023-02-15T16:41:09","description": "商阳穴位于食指末节的桡侧,距指甲根角0.1寸,具有清热泻火、解毒消肿的功效。","data": {"WebPage": {"headline": "商阳准确位置图和功效","pcUrl": "https://www.med-credit.org.cn/jingxuan/2/e33b5b9a680de19519829261659ce569.html","wapUrl": "https://www.med-credit.org.cn/jingxuan/2/e33b5b9a680de19519829261659ce569.html","mipUrl": "https://www.med-credit.org.cn/mobile/jingxuan/2/e33b5b9a680de19519829261659ce569.html","fromSrc": "欢乐橙","datePublished": "2023-02-15T16:41:09","domain": "医疗","category": ["医疗权威文章合作"],"description": "商阳穴位于食指末节的桡侧,距指甲根角0.1寸,具有清热泻火、解毒消肿的功效。
","extra_headline": [""]},"Author": {"name": "张婷","wapUrl": "https://www.med-credit.org.cn/doctor/555","pcUrl": "https://www.med-credit.org.cn/doctor/555","jobTitle": "副主任医师","headPortrait": "https://www.med-credit.org.cn/uploadfile/member/555/180x180.jpeg","id": "555","description": "张婷,中南大学湘雅三医院中西医结合科副主任医师","memberOf": {"legalName": "中南大学湘雅三医院","department": "中西医结合科","organizationLevel": "三级甲等"}},"Article": {"summaryContent": "商阳穴位于食指末节的桡侧,距指甲根角0.1寸,具有清热泻火、解毒消肿的功效。

商阳是食指末端关节桡侧的一个穴位,距离指甲根角处0.1寸,该处分布手指及掌、背的动、静脉网和多个神经分支,按摩或针灸此处可以发挥清热泻火、解毒消肿的功效。
中医常利用此穴位来治疗牙疼、咽喉肿痛、手指麻木、耳聋耳鸣、发烧咳喘及中风昏迷等疾病。日常掐揉或刮拭该穴位,有利于调节消化道的功能,促进人体的新陈代谢,缓解便秘及暴饮暴食所致的不适。对于男性患者,常按摩该穴还具有强精壮阳的作用,有助于延缓性衰老。现代研究发现,刺激该穴位还可以影响脑部血液循环,对于脑出血等疾病具有一定的急救功效。
由于该穴位处有较多神经分布,因此不适合自行针灸处理,建议在专业人士的指导下治疗。按摩掐揉该穴位时注意控制好力度及时间,一般使用中指沿着肌肉方向按摩,时间在2-5分钟左右即可。
","articleBody": "商阳穴位于食指末节的桡侧,距指甲根角0.1寸,具有清热泻火、解毒消肿的功效。

商阳是食指末端关节桡侧的一个穴位,距离指甲根角处0.1寸,该处分布手指及掌、背的动、静脉网和多个神经分支,按摩或针灸此处可以发挥清热泻火、解毒消肿的功效。
中医常利用此穴位来治疗牙疼、咽喉肿痛、手指麻木、耳聋耳鸣、发烧咳喘及中风昏迷等疾病。日常掐揉或刮拭该穴位,有利于调节消化道的功能,促进人体的新陈代谢,缓解便秘及暴饮暴食所致的不适。对于男性患者,常按摩该穴还具有强精壮阳的作用,有助于延缓性衰老。现代研究发现,刺激该穴位还可以影响脑部血液循环,对于脑出血等疾病具有一定的急救功效。
由于该穴位处有较多神经分布,因此不适合自行针灸处理,建议在专业人士的指导下治疗。按摩掐揉该穴位时注意控制好力度及时间,一般使用中指沿着肌肉方向按摩,时间在2-5分钟左右即可。
","scanCount": 32679}}} {"@context": "https://ziyuan.baidu.com/contexts/cambrian.jsonld","appid": "1650708455561748","icon": "https://www.med-credit.org.cn/style/images/ttlogo.png","content_tag": ["atlas"],"is_mcn": {"thumb_id": "g76756sx"},"accid": "4886d626a2804dee5f11168793ce361672f39c25","@id": "https://www.med-credit.org.cn/mobile/jingxuan/2/bc1c025f018ccf28cc12516f96fcd41e.html","bagWordId": "2609d801016752f3","title": "三导联位置黑白红","pubDate": "2023-02-15T16:41:09","upDate": "2023-02-15T16:41:09","lrDate": "2023-02-15T16:41:09","description": "三联导管是心电监护仪上的三个导联线,其白黑红三个电极分别连接的位置是:白色电极片置于右侧锁骨中间的下部;黑色电极片置于左腋前线第四肋间;红色电极片置于剑突下方靠右的位置。","data": {"WebPage": {"headline": "三导联位置黑白红","pcUrl": "https://www.med-credit.org.cn/jingxuan/2/bc1c025f018ccf28cc12516f96fcd41e.html","wapUrl": "https://www.med-credit.org.cn/jingxuan/2/bc1c025f018ccf28cc12516f96fcd41e.html","mipUrl": "https://www.med-credit.org.cn/mobile/jingxuan/2/bc1c025f018ccf28cc12516f96fcd41e.html","fromSrc": "欢乐橙","datePublished": "2023-02-15T16:41:09","domain": "医疗","category": ["医疗权威文章合作"],"description": "三联导管是心电监护仪上的三个导联线,其白黑红三个电极分别连接的位置是:白色电极片置于右侧锁骨中间的下部;黑色电极片置于左腋前线第四肋间;红色电极片置于剑突下方靠右的位置。
","extra_headline": [""]},"Author": {"name": "张婷","wapUrl": "https://www.med-credit.org.cn/doctor/555","pcUrl": "https://www.med-credit.org.cn/doctor/555","jobTitle": "副主任医师","headPortrait": "https://www.med-credit.org.cn/uploadfile/member/555/180x180.jpeg","id": "555","description": "张婷,中南大学湘雅三医院中西医结合科副主任医师","memberOf": {"legalName": "中南大学湘雅三医院","department": "中西医结合科","organizationLevel": "三级甲等"}},"Article": {"summaryContent": "三联导管是心电监护仪上的三个导联线,其白黑红三个电极分别连接的位置是:白色电极片置于右侧锁骨中间的下部;黑色电极片置于左腋前线第四肋间;红色电极片置于剑突下方靠右的位置。

在进行心电监护前首先皮肤要保持洁净、干燥,并且用磨砂纸将身体需要贴放电极片部位的皮肤表面角质层擦拭干净。用清水清洗干净,并用纸擦干或自然晾干。将准备好的电极贴片粘贴到相应正确的位置。取出导联线,将3根电极导联线扣入心电电极贴片中,将三个电极放置于身体的正确位置。最后将心电导联线另一端插头沿箭头方向正确插入监测设备,即可经行监测。
注意临床上三导联心电导线颜色标记为红、黄、绿或白、黑、红,两者一一对应。
","articleBody": "三联导管是心电监护仪上的三个导联线,其白黑红三个电极分别连接的位置是:白色电极片置于右侧锁骨中间的下部;黑色电极片置于左腋前线第四肋间;红色电极片置于剑突下方靠右的位置。

在进行心电监护前首先皮肤要保持洁净、干燥,并且用磨砂纸将身体需要贴放电极片部位的皮肤表面角质层擦拭干净。用清水清洗干净,并用纸擦干或自然晾干。将准备好的电极贴片粘贴到相应正确的位置。取出导联线,将3根电极导联线扣入心电电极贴片中,将三个电极放置于身体的正确位置。最后将心电导联线另一端插头沿箭头方向正确插入监测设备,即可经行监测。
注意临床上三导联心电导线颜色标记为红、黄、绿或白、黑、红,两者一一对应。
","scanCount": 32670}}} {"@context": "https://ziyuan.baidu.com/contexts/cambrian.jsonld","appid": "1650708455561748","icon": "https://www.med-credit.org.cn/style/images/ttlogo.png","content_tag": ["atlas"],"is_mcn": {"thumb_id": "g76756sx"},"accid": "4886d626a2804dee5f11168793ce361672f39c25","@id": "https://www.med-credit.org.cn/mobile/jingxuan/2/6c803e3360897c9b2ebd5fa2ef87066f.html","bagWordId": "cabc1b27e92f51a0","title": "至阴准确位置图和作用及功效","pubDate": "2023-02-15T16:41:09","upDate": "2023-02-15T16:41:09","lrDate": "2023-02-15T16:41:09","description": "至阴穴是人体的一个穴位,准确位置在足小趾外侧趾甲角旁0.1寸。","data": {"WebPage": {"headline": "至阴准确位置图和作用及功效","pcUrl": "https://www.med-credit.org.cn/jingxuan/2/6c803e3360897c9b2ebd5fa2ef87066f.html","wapUrl": "https://www.med-credit.org.cn/jingxuan/2/6c803e3360897c9b2ebd5fa2ef87066f.html","mipUrl": "https://www.med-credit.org.cn/mobile/jingxuan/2/6c803e3360897c9b2ebd5fa2ef87066f.html","fromSrc": "欢乐橙","datePublished": "2023-02-15T16:41:09","domain": "医疗","category": ["医疗权威文章合作"],"description": "至阴穴是人体的一个穴位,准确位置在足小趾外侧趾甲角旁0.1寸。
","extra_headline": [""]},"Author": {"name": "张婷","wapUrl": "https://www.med-credit.org.cn/doctor/555","pcUrl": "https://www.med-credit.org.cn/doctor/555","jobTitle": "副主任医师","headPortrait": "https://www.med-credit.org.cn/uploadfile/member/555/180x180.jpeg","id": "555","description": "张婷,中南大学湘雅三医院中西医结合科副主任医师","memberOf": {"legalName": "中南大学湘雅三医院","department": "中西医结合科","organizationLevel": "三级甲等"}},"Article": {"summaryContent": "至阴穴是人体的一个穴位,准确位置在足小趾外侧趾甲角旁0.1寸。

至阴穴的准确位置在足小趾外侧趾甲角旁0.1寸。至,到达;阴,阴阳之阴,在此指足少阴肾经。经脉由此从足太阳下至少阴,故名。解剖下有趾背动脉及趾跖侧固有动脉形成的动脉网;布有趾跖侧固有神经及足背外侧皮神经。
至阴穴是足太阳膀胱经的井穴,五行属金。功效为散热升气、开窍苏厥、清头明目、理气活血、正胎催产。主要可以治疗胎位不足、胎衣不下、难产、目痛、头痛、鼻塞、眩晕、鼻血。现代常用于治疗胎位不正、神经性头痛等。艾灸至阴矫正胎位,成功率较高。配伍配百会、太冲可以治疗头痛。
","articleBody": "至阴穴是人体的一个穴位,准确位置在足小趾外侧趾甲角旁0.1寸。

至阴穴的准确位置在足小趾外侧趾甲角旁0.1寸。至,到达;阴,阴阳之阴,在此指足少阴肾经。经脉由此从足太阳下至少阴,故名。解剖下有趾背动脉及趾跖侧固有动脉形成的动脉网;布有趾跖侧固有神经及足背外侧皮神经。
至阴穴是足太阳膀胱经的井穴,五行属金。功效为散热升气、开窍苏厥、清头明目、理气活血、正胎催产。主要可以治疗胎位不足、胎衣不下、难产、目痛、头痛、鼻塞、眩晕、鼻血。现代常用于治疗胎位不正、神经性头痛等。艾灸至阴矫正胎位,成功率较高。配伍配百会、太冲可以治疗头痛。
","scanCount": 32668}}} {"@context": "https://ziyuan.baidu.com/contexts/cambrian.jsonld","appid": "1650708455561748","icon": "https://www.med-credit.org.cn/style/images/ttlogo.png","content_tag": ["atlas"],"is_mcn": {"thumb_id": "0jui1zp8"},"accid": "4886d626a2804dee5f11168793ce361672f39c25","@id": "https://www.med-credit.org.cn/mobile/jingxuan/2/ca3ee288847939af51ad707cc6dbd6bd.html","bagWordId": "bed34edcf22c8a3a","title": "腹部结构图","pubDate": "2023-02-15T16:41:09","upDate": "2023-02-15T16:41:09","lrDate": "2023-02-15T16:41:09","description": "腹部结构由腹壁、腹膜、腹部肌肉和腹部脏器等结构组成。","data": {"WebPage": {"headline": "腹部结构图","pcUrl": "https://www.med-credit.org.cn/jingxuan/2/ca3ee288847939af51ad707cc6dbd6bd.html","wapUrl": "https://www.med-credit.org.cn/jingxuan/2/ca3ee288847939af51ad707cc6dbd6bd.html","mipUrl": "https://www.med-credit.org.cn/mobile/jingxuan/2/ca3ee288847939af51ad707cc6dbd6bd.html","fromSrc": "欢乐橙","datePublished": "2023-02-15T16:41:09","domain": "医疗","category": ["医疗权威文章合作"],"description": "腹部结构由腹壁、腹膜、腹部肌肉和腹部脏器等结构组成。
","extra_headline": [""]},"Author": {"name": "陈璐","wapUrl": "https://www.med-credit.org.cn/doctor/494","pcUrl": "https://www.med-credit.org.cn/doctor/494","jobTitle": "主治医师","headPortrait": "https://www.med-credit.org.cn/uploadfile/member/494/180x180.jpeg","id": "494","description": "陈璐,中南大学湘雅医院普外科主治医师。","memberOf": {"legalName": "中南大学湘雅医院","department": "普外科(胃肠外科)","organizationLevel": "三级甲等"}},"Article": {"summaryContent": "腹部结构由腹壁、腹膜、腹部肌肉和腹部脏器等结构组成。

1、腹壁:腹壁分为前腹壁、后腹壁和侧腹壁。三部分腹壁结构相同,包括深层的腹膜外脂肪,壁层腹膜和筋膜。
2、腹膜:腹膜是全身面积最大、配布最复杂的浆膜,包括脏腹膜和壁腹膜。
3、腹部肌肉:腹肌包括腹直肌、腹外斜肌,腹内斜肌和腹横肌。
4、腹部脏器:腹部器官包括上腹部的胃、十二指肠、肝脏、胆囊和脾脏等器官,以及下腹部的、小肠、直肠、结肠、直肠、输尿管和膀胱等器官。
腹部如果出现不适,常见的原因可能有慢性胃炎、消化性溃疡胆囊炎、胆囊结石、肝炎、肠炎、妇科炎症和妇科肿瘤等。建议患者前往正规医院就诊,请勿自行盲目用药,以免造成不良后果。患者需在医生的指导下查明原因后积极治疗,以免耽误病情。
","articleBody": "腹部结构由腹壁、腹膜、腹部肌肉和腹部脏器等结构组成。

1、腹壁:腹壁分为前腹壁、后腹壁和侧腹壁。三部分腹壁结构相同,包括深层的腹膜外脂肪,壁层腹膜和筋膜。
2、腹膜:腹膜是全身面积最大、配布最复杂的浆膜,包括脏腹膜和壁腹膜。
3、腹部肌肉:腹肌包括腹直肌、腹外斜肌,腹内斜肌和腹横肌。
4、腹部脏器:腹部器官包括上腹部的胃、十二指肠、肝脏、胆囊和脾脏等器官,以及下腹部的、小肠、直肠、结肠、直肠、输尿管和膀胱等器官。
腹部如果出现不适,常见的原因可能有慢性胃炎、消化性溃疡胆囊炎、胆囊结石、肝炎、肠炎、妇科炎症和妇科肿瘤等。建议患者前往正规医院就诊,请勿自行盲目用药,以免造成不良后果。患者需在医生的指导下查明原因后积极治疗,以免耽误病情。
","scanCount": 32661}}} {"@context": "https://ziyuan.baidu.com/contexts/cambrian.jsonld","appid": "1650708455561748","icon": "https://www.med-credit.org.cn/style/images/ttlogo.png","content_tag": ["atlas"],"is_mcn": {"thumb_id": "0jui1zp8"},"accid": "4886d626a2804dee5f11168793ce361672f39c25","@id": "https://www.med-credit.org.cn/mobile/jingxuan/2/000a3433eca8df9d9d842c2b2ef42ff2.html","bagWordId": "f543a03b40bc0507","title": "大腿淋巴结的位置图片","pubDate": "2023-02-15T16:41:09","upDate": "2023-02-15T16:41:09","lrDate": "2023-02-15T16:41:09","description": "大腿淋巴结主要位于双侧腹股沟区及腘窝,腹股沟处包含深、浅淋巴结群。","data": {"WebPage": {"headline": "大腿淋巴结的位置图片","pcUrl": "https://www.med-credit.org.cn/jingxuan/2/000a3433eca8df9d9d842c2b2ef42ff2.html","wapUrl": "https://www.med-credit.org.cn/jingxuan/2/000a3433eca8df9d9d842c2b2ef42ff2.html","mipUrl": "https://www.med-credit.org.cn/mobile/jingxuan/2/000a3433eca8df9d9d842c2b2ef42ff2.html","fromSrc": "欢乐橙","datePublished": "2023-02-15T16:41:09","domain": "医疗","category": ["医疗权威文章合作"],"description": "大腿淋巴结主要位于双侧腹股沟区及腘窝,腹股沟处包含深、浅淋巴结群。
","extra_headline": [""]},"Author": {"name": "陈璐","wapUrl": "https://www.med-credit.org.cn/doctor/494","pcUrl": "https://www.med-credit.org.cn/doctor/494","jobTitle": "主治医师","headPortrait": "https://www.med-credit.org.cn/uploadfile/member/494/180x180.jpeg","id": "494","description": "陈璐,中南大学湘雅医院普外科主治医师。","memberOf": {"legalName": "中南大学湘雅医院","department": "普外科(胃肠外科)","organizationLevel": "三级甲等"}},"Article": {"summaryContent": "大腿淋巴结主要位于双侧腹股沟区及腘窝,腹股沟处包含深、浅淋巴结群。

腹股沟位于下腹部前内侧与大腿根部连接的部位。腹股沟浅淋巴结位于腹股沟区皮下组织中,此部位正常或肿大的淋巴结均可在体查中扪及。腹股沟深淋巴结位于股骨沟区深部股静脉根部周围,收纳腹股沟浅淋巴结的输出管及下肢的深淋巴管回流的淋巴液,其输出管汇入髂外淋巴结。
腘窝是位于膝部后方的一个菱形凹陷区域,腘淋巴结就位于腘窝的皮下组织中,属于外周淋巴结。屈膝时,可在腘窝触及肿大的淋巴结。腘淋巴结收集下肢皮下组织中浅淋巴管的淋巴液,通过输出管回流至腹股沟浅淋巴结,最终注入腹股沟深淋巴结。
腹股沟淋巴结肿大通常是由下肢感染、性传播疾病(如生殖器疱疹、梅毒等)或恶性肿瘤引起。感染所致的淋巴结肿大通常伴有疼痛,而恶性肿瘤转移导致的淋巴结肿大一般为无痛性。
","articleBody": "大腿淋巴结主要位于双侧腹股沟区及腘窝,腹股沟处包含深、浅淋巴结群。

腹股沟位于下腹部前内侧与大腿根部连接的部位。腹股沟浅淋巴结位于腹股沟区皮下组织中,此部位正常或肿大的淋巴结均可在体查中扪及。腹股沟深淋巴结位于股骨沟区深部股静脉根部周围,收纳腹股沟浅淋巴结的输出管及下肢的深淋巴管回流的淋巴液,其输出管汇入髂外淋巴结。
腘窝是位于膝部后方的一个菱形凹陷区域,腘淋巴结就位于腘窝的皮下组织中,属于外周淋巴结。屈膝时,可在腘窝触及肿大的淋巴结。腘淋巴结收集下肢皮下组织中浅淋巴管的淋巴液,通过输出管回流至腹股沟浅淋巴结,最终注入腹股沟深淋巴结。
腹股沟淋巴结肿大通常是由下肢感染、性传播疾病(如生殖器疱疹、梅毒等)或恶性肿瘤引起。感染所致的淋巴结肿大通常伴有疼痛,而恶性肿瘤转移导致的淋巴结肿大一般为无痛性。
","scanCount": 32652}}} {"@context": "https://ziyuan.baidu.com/contexts/cambrian.jsonld","appid": "1650708455561748","icon": "https://www.med-credit.org.cn/style/images/ttlogo.png","content_tag": ["atlas"],"is_mcn": {"thumb_id": "0jui1zp8"},"accid": "4886d626a2804dee5f11168793ce361672f39c25","@id": "https://www.med-credit.org.cn/mobile/jingxuan/2/86407a6a49295dd76acb001aea7dbaf7.html","bagWordId": "6bdcd37e577c07dc","title": "女生手划伤的图片","pubDate": "2023-02-15T16:41:09","upDate": "2023-02-15T16:41:09","lrDate": "2023-02-15T16:41:09","description": "女生手划伤了常伴随出血、局部肿胀、疼痛的表现。","data": {"WebPage": {"headline": "女生手划伤的图片","pcUrl": "https://www.med-credit.org.cn/jingxuan/2/86407a6a49295dd76acb001aea7dbaf7.html","wapUrl": "https://www.med-credit.org.cn/jingxuan/2/86407a6a49295dd76acb001aea7dbaf7.html","mipUrl": "https://www.med-credit.org.cn/mobile/jingxuan/2/86407a6a49295dd76acb001aea7dbaf7.html","fromSrc": "欢乐橙","datePublished": "2023-02-15T16:41:09","domain": "医疗","category": ["医疗权威文章合作"],"description": "女生手划伤了常伴随出血、局部肿胀、疼痛的表现。
","extra_headline": [""]},"Author": {"name": "陈璐","wapUrl": "https://www.med-credit.org.cn/doctor/494","pcUrl": "https://www.med-credit.org.cn/doctor/494","jobTitle": "主治医师","headPortrait": "https://www.med-credit.org.cn/uploadfile/member/494/180x180.jpeg","id": "494","description": "陈璐,中南大学湘雅医院普外科主治医师。","memberOf": {"legalName": "中南大学湘雅医院","department": "普外科(胃肠外科)","organizationLevel": "三级甲等"}},"Article": {"summaryContent": "女生手划伤了常伴随出血、局部肿胀、疼痛的表现。
由于外伤导致女生手划伤了,毛细血管破裂而引起出血,而皮下瘀血未被完全吸收,使得血块机化,可能会形成淤血肿块。

女生手划伤了导致局部组织破损,甚至损伤手部的浅层神经,常伴随疼痛的症状。先初步局部消毒止血处理,先用干净的纱布或毛巾压迫止血5~10分钟,在保证环境安全的基础上,用干净的棉签蘸取碘液消毒。必要时可以考虑手术清除血肿,患者应该积极配合医生的治疗,根据不同的情况,选择最适合有效的治疗方法。
患者需要补充适量的氨基酸、锌、不饱和脂肪酸等营养,有助于促进伤口愈合,还能预防瘢痕形成,可适量吃芥菜、油菜、山楂、菜花、苦瓜、橄榄油、亚麻籽油等。
","articleBody": "女生手划伤了常伴随出血、局部肿胀、疼痛的表现。
由于外伤导致女生手划伤了,毛细血管破裂而引起出血,而皮下瘀血未被完全吸收,使得血块机化,可能会形成淤血肿块。

女生手划伤了导致局部组织破损,甚至损伤手部的浅层神经,常伴随疼痛的症状。先初步局部消毒止血处理,先用干净的纱布或毛巾压迫止血5~10分钟,在保证环境安全的基础上,用干净的棉签蘸取碘液消毒。必要时可以考虑手术清除血肿,患者应该积极配合医生的治疗,根据不同的情况,选择最适合有效的治疗方法。
患者需要补充适量的氨基酸、锌、不饱和脂肪酸等营养,有助于促进伤口愈合,还能预防瘢痕形成,可适量吃芥菜、油菜、山楂、菜花、苦瓜、橄榄油、亚麻籽油等。
","scanCount": 32645}}} {"@context": "https://ziyuan.baidu.com/contexts/cambrian.jsonld","appid": "1650708455561748","icon": "https://www.med-credit.org.cn/style/images/ttlogo.png","content_tag": ["atlas"],"is_mcn": {"thumb_id": "3w128mji2"},"accid": "4886d626a2804dee5f11168793ce361672f39c25","@id": "https://www.med-credit.org.cn/mobile/jingxuan/2/6508850663f8ea22b13ce962706f51f8.html","bagWordId": "4867366fc69688be","title": "手指囊肿长什么样子图片","pubDate": "2023-02-15T16:41:09","upDate": "2023-02-15T16:41:09","lrDate": "2023-02-15T16:41:09","description": "手指囊肿通常表现为皮下或指关节背侧的囊性包块,常见的有表皮样囊肿和手指腱鞘囊肿。","data": {"WebPage": {"headline": "手指囊肿长什么样子图片","pcUrl": "https://www.med-credit.org.cn/jingxuan/2/6508850663f8ea22b13ce962706f51f8.html","wapUrl": "https://www.med-credit.org.cn/jingxuan/2/6508850663f8ea22b13ce962706f51f8.html","mipUrl": "https://www.med-credit.org.cn/mobile/jingxuan/2/6508850663f8ea22b13ce962706f51f8.html","fromSrc": "欢乐橙","datePublished": "2023-02-15T16:41:09","domain": "医疗","category": ["医疗权威文章合作"],"description": "手指囊肿通常表现为皮下或指关节背侧的囊性包块,常见的有表皮样囊肿和手指腱鞘囊肿。
","extra_headline": [""]},"Author": {"name": "曲乐","wapUrl": "https://www.med-credit.org.cn/doctor/554","pcUrl": "https://www.med-credit.org.cn/doctor/554","jobTitle": "副主任医师","headPortrait": "https://www.med-credit.org.cn/uploadfile/member/554/180x180.jpeg","id": "554","description": "曲乐,副主任医师、医学博士、硕士研究生导师、美容主诊医师、公派留美访问学者。主持国家自然科学基金及省市课题多项,在国内外高水平专业杂志发表中英文论文20余篇,参编英文专著1部。现任辽宁省免疫学会委员。","memberOf": {"legalName": "中国医科大学附属第一医院","department": "皮肤科","organizationLevel": "三级甲等"}},"Article": {"summaryContent": "手指囊肿通常表现为皮下或指关节背侧的囊性包块,常见的有表皮样囊肿和手指腱鞘囊肿。
一般认为可能与外部刺激有关系。

手指表皮样囊肿是一种珍珠样囊肿或结节,小而硬,不透光,通常小于1cm,触诊时可自由移动。最常见的位置是示指或中指的远节指骨掌面,或在指缝间。一般情况下随时间会自发消失。
腱鞘囊肿可发生在身体任何部位,在手部通常位于远端指间关节背侧。体格检查时腱鞘囊肿可能表现为局部明显肿胀,或可能仅表现为受累的关节痛。囊肿通常质韧、圆形、表面光滑,触诊感觉有弹性,伴有触痛。囊肿大小随时间会发生改变。偶然情况下囊肿可挤压并引起神经卡压,从而导致手指局部感觉、运动异常。
手指表皮囊肿大部分能自行消退,一般不需要进行特殊治疗。
部分腱鞘囊肿不经治疗也可消退,可以进行随访观察。当囊肿进行性增大或对神经、血管造成明显压迫表现,明显影响美观时,可考虑采取治疗,如穿刺针抽吸引流,或手术治疗取出囊肿。
对于性质不明的囊肿,可能需要进行病理活检检查确定病因。
","articleBody": "手指囊肿通常表现为皮下或指关节背侧的囊性包块,常见的有表皮样囊肿和手指腱鞘囊肿。
一般认为可能与外部刺激有关系。

手指表皮样囊肿是一种珍珠样囊肿或结节,小而硬,不透光,通常小于1cm,触诊时可自由移动。最常见的位置是示指或中指的远节指骨掌面,或在指缝间。一般情况下随时间会自发消失。
腱鞘囊肿可发生在身体任何部位,在手部通常位于远端指间关节背侧。体格检查时腱鞘囊肿可能表现为局部明显肿胀,或可能仅表现为受累的关节痛。囊肿通常质韧、圆形、表面光滑,触诊感觉有弹性,伴有触痛。囊肿大小随时间会发生改变。偶然情况下囊肿可挤压并引起神经卡压,从而导致手指局部感觉、运动异常。
手指表皮囊肿大部分能自行消退,一般不需要进行特殊治疗。
部分腱鞘囊肿不经治疗也可消退,可以进行随访观察。当囊肿进行性增大或对神经、血管造成明显压迫表现,明显影响美观时,可考虑采取治疗,如穿刺针抽吸引流,或手术治疗取出囊肿。
对于性质不明的囊肿,可能需要进行病理活检检查确定病因。
","scanCount": 32642}}} {"@context": "https://ziyuan.baidu.com/contexts/cambrian.jsonld","appid": "1650708455561748","icon": "https://www.med-credit.org.cn/style/images/ttlogo.png","content_tag": ["atlas"],"is_mcn": {"thumb_id": "3w128mji2"},"accid": "4886d626a2804dee5f11168793ce361672f39c25","@id": "https://www.med-credit.org.cn/mobile/jingxuan/2/4a55f371385e9f7913a657d743a81f4b.html","bagWordId": "8fccb2c569d3b587","title": "蟑螂咬人后的皮肤症状图片","pubDate": "2023-02-15T16:41:09","upDate": "2023-02-15T16:41:09","lrDate": "2023-02-15T16:41:09","description": "被蟑螂咬过后的皮肤可能有红斑、肿痛、瘙痒等症状,部分患者可能出现丘疹、风团或水泡等表现。","data": {"WebPage": {"headline": "蟑螂咬人后的皮肤症状图片","pcUrl": "https://www.med-credit.org.cn/jingxuan/2/4a55f371385e9f7913a657d743a81f4b.html","wapUrl": "https://www.med-credit.org.cn/jingxuan/2/4a55f371385e9f7913a657d743a81f4b.html","mipUrl": "https://www.med-credit.org.cn/mobile/jingxuan/2/4a55f371385e9f7913a657d743a81f4b.html","fromSrc": "欢乐橙","datePublished": "2023-02-15T16:41:09","domain": "医疗","category": ["医疗权威文章合作"],"description": "被蟑螂咬过后的皮肤可能有红斑、肿痛、瘙痒等症状,部分患者可能出现丘疹、风团或水泡等表现。
","extra_headline": [""]},"Author": {"name": "曲乐","wapUrl": "https://www.med-credit.org.cn/doctor/554","pcUrl": "https://www.med-credit.org.cn/doctor/554","jobTitle": "副主任医师","headPortrait": "https://www.med-credit.org.cn/uploadfile/member/554/180x180.jpeg","id": "554","description": "曲乐,副主任医师、医学博士、硕士研究生导师、美容主诊医师、公派留美访问学者。主持国家自然科学基金及省市课题多项,在国内外高水平专业杂志发表中英文论文20余篇,参编英文专著1部。现任辽宁省免疫学会委员。","memberOf": {"legalName": "中国医科大学附属第一医院","department": "皮肤科","organizationLevel": "三级甲等"}},"Article": {"summaryContent": "被蟑螂咬过后的皮肤可能有红斑、肿痛、瘙痒等症状,部分患者可能出现丘疹、风团或水泡等表现。

蟑螂的唾液中含有细菌等多种病原体,被咬伤后皮肤可能出现炎症或过敏等问题,局部会有红斑、肿痛、瘙痒等不适,有时也会出现丘疹、风团或水泡等表现。若患者症状较严重,可能出现发热、伤口化脓、全身皮疹、呼吸困难等症状。
一般被蟑螂咬伤后,及时冲洗伤口,并使用医用酒精或碘伏进行消毒,多数不会出现严重后果。若治疗不及时,伤口可能恶化感染或患者过敏较严重,此时需要立即就医处理,可遵医嘱使用氢化可的松乳膏等药物涂抹伤口,也可选择氯雷他定等药物进行抗过敏治疗。
建议患者被蟑螂咬伤后及时对伤口清洗消毒,若有不适要立即就医。患者应定期打扫卫生,保持居住环境干燥整洁,必要时可购买蟑螂药物来消灭蟑螂。在野外环境中注意做好防护措施。
","articleBody": "被蟑螂咬过后的皮肤可能有红斑、肿痛、瘙痒等症状,部分患者可能出现丘疹、风团或水泡等表现。

蟑螂的唾液中含有细菌等多种病原体,被咬伤后皮肤可能出现炎症或过敏等问题,局部会有红斑、肿痛、瘙痒等不适,有时也会出现丘疹、风团或水泡等表现。若患者症状较严重,可能出现发热、伤口化脓、全身皮疹、呼吸困难等症状。
一般被蟑螂咬伤后,及时冲洗伤口,并使用医用酒精或碘伏进行消毒,多数不会出现严重后果。若治疗不及时,伤口可能恶化感染或患者过敏较严重,此时需要立即就医处理,可遵医嘱使用氢化可的松乳膏等药物涂抹伤口,也可选择氯雷他定等药物进行抗过敏治疗。
建议患者被蟑螂咬伤后及时对伤口清洗消毒,若有不适要立即就医。患者应定期打扫卫生,保持居住环境干燥整洁,必要时可购买蟑螂药物来消灭蟑螂。在野外环境中注意做好防护措施。
","scanCount": 32641}}} {"@context": "https://ziyuan.baidu.com/contexts/cambrian.jsonld","appid": "1650708455561748","icon": "https://www.med-credit.org.cn/style/images/ttlogo.png","content_tag": ["atlas"],"is_mcn": {"thumb_id": "c1nhtnyb"},"accid": "4886d626a2804dee5f11168793ce361672f39c25","@id": "https://www.med-credit.org.cn/mobile/jingxuan/2/701929e1fbc536c2f0841d383561b30a.html","bagWordId": "f599f1166c708d84","title": "化妆品过敏图片","pubDate": "2023-02-15T16:41:09","upDate": "2023-02-15T16:41:09","lrDate": "2023-02-15T16:41:09","description": "当使用化妆品发生过敏时,皮肤可出现红斑、水泡、丘疹等表现,可伴有瘙痒或刺痛感。","data": {"WebPage": {"headline": "化妆品过敏图片","pcUrl": "https://www.med-credit.org.cn/jingxuan/2/701929e1fbc536c2f0841d383561b30a.html","wapUrl": "https://www.med-credit.org.cn/jingxuan/2/701929e1fbc536c2f0841d383561b30a.html","mipUrl": "https://www.med-credit.org.cn/mobile/jingxuan/2/701929e1fbc536c2f0841d383561b30a.html","fromSrc": "欢乐橙","datePublished": "2023-02-15T16:41:09","domain": "医疗","category": ["医疗权威文章合作"],"description": "当使用化妆品发生过敏时,皮肤可出现红斑、水泡、丘疹等表现,可伴有瘙痒或刺痛感。
","extra_headline": [""]},"Author": {"name": "王晓彦","wapUrl": "https://www.med-credit.org.cn/doctor/541","pcUrl": "https://www.med-credit.org.cn/doctor/541","jobTitle": "主任医师","headPortrait": "https://www.med-credit.org.cn/uploadfile/member/541/180x180.jpeg","id": "541","description": "王晓彦,首都医科大学附属北京天坛医院皮肤科主任医师","memberOf": {"legalName": "首都医科大学附属北京天坛医院","department": "皮肤科","organizationLevel": "三级甲等"}},"Article": {"summaryContent": "当使用化妆品发生过敏时,皮肤可出现红斑、水泡、丘疹等表现,可伴有瘙痒或刺痛感。
患者可以使用药物或者脱敏治疗。

在使用化妆品时,其含有的某些成分可刺激人体的免疫系统,引起一系列的免疫反应,使组胺等物质释放并作用于血管,进而导致皮肤出现过敏表现,如红斑、水泡、丘疹等,有时会有脱屑或潮红,可伴有瘙痒或刺痛感,继发感染时可能会出现脓疱或流水等症状。
对于该现象,患者应立即停止使用致敏的化妆品,可遵医嘱使用氯雷他定等抗组胺药物缓解,无效时也可选择地塞米松等糖皮质激素来治疗,必要时可以进行脱敏治疗。此外,光疗、中药等方式对治疗皮肤过敏也有一定的功效。
患者恢复期间应选择清淡健康的食物,少吃辛辣、油腻的食品,适当休息,避免熬夜及过度劳累。注意选择温和无刺激的化妆产品,做好皮肤保湿,瘙痒时不要用手抓挠,以免引起感染。
","articleBody": "当使用化妆品发生过敏时,皮肤可出现红斑、水泡、丘疹等表现,可伴有瘙痒或刺痛感。
患者可以使用药物或者脱敏治疗。

在使用化妆品时,其含有的某些成分可刺激人体的免疫系统,引起一系列的免疫反应,使组胺等物质释放并作用于血管,进而导致皮肤出现过敏表现,如红斑、水泡、丘疹等,有时会有脱屑或潮红,可伴有瘙痒或刺痛感,继发感染时可能会出现脓疱或流水等症状。
对于该现象,患者应立即停止使用致敏的化妆品,可遵医嘱使用氯雷他定等抗组胺药物缓解,无效时也可选择地塞米松等糖皮质激素来治疗,必要时可以进行脱敏治疗。此外,光疗、中药等方式对治疗皮肤过敏也有一定的功效。
患者恢复期间应选择清淡健康的食物,少吃辛辣、油腻的食品,适当休息,避免熬夜及过度劳累。注意选择温和无刺激的化妆产品,做好皮肤保湿,瘙痒时不要用手抓挠,以免引起感染。
","scanCount": 32640}}} {"@context": "https://ziyuan.baidu.com/contexts/cambrian.jsonld","appid": "1650708455561748","icon": "https://www.med-credit.org.cn/style/images/ttlogo.png","content_tag": ["atlas"],"is_mcn": {"thumb_id": "0jui1zp8"},"accid": "4886d626a2804dee5f11168793ce361672f39c25","@id": "https://www.med-credit.org.cn/mobile/jingxuan/2/8a2b781b6610ac17407d77e52552e776.html","bagWordId": "04171fb9617828fe","title": "淋巴结位置图","pubDate": "2023-02-15T16:41:09","upDate": "2023-02-15T16:41:09","lrDate": "2023-02-15T16:41:09","description": "淋巴结的位置主要分布于耳、枕后、下颌、颏下、颈部、腋窝、滑车上、腹部、腹股沟区以及腘窝。","data": {"WebPage": {"headline": "淋巴结位置图","pcUrl": "https://www.med-credit.org.cn/jingxuan/2/8a2b781b6610ac17407d77e52552e776.html","wapUrl": "https://www.med-credit.org.cn/jingxuan/2/8a2b781b6610ac17407d77e52552e776.html","mipUrl": "https://www.med-credit.org.cn/mobile/jingxuan/2/8a2b781b6610ac17407d77e52552e776.html","fromSrc": "欢乐橙","datePublished": "2023-02-15T16:41:09","domain": "医疗","category": ["医疗权威文章合作"],"description": "淋巴结的位置主要分布于耳、枕后、下颌、颏下、颈部、腋窝、滑车上、腹部、腹股沟区以及腘窝。
","extra_headline": [""]},"Author": {"name": "陈璐","wapUrl": "https://www.med-credit.org.cn/doctor/494","pcUrl": "https://www.med-credit.org.cn/doctor/494","jobTitle": "主治医师","headPortrait": "https://www.med-credit.org.cn/uploadfile/member/494/180x180.jpeg","id": "494","description": "陈璐,中南大学湘雅医院普外科主治医师。","memberOf": {"legalName": "中南大学湘雅医院","department": "普外科(胃肠外科)","organizationLevel": "三级甲等"}},"Article": {"summaryContent": "淋巴结的位置主要分布于耳、枕后、下颌、颏下、颈部、腋窝、滑车上、腹部、腹股沟区以及腘窝。
淋巴系统是机体重要的一部分,广泛分布于全身,重要的脏器、区域等均有淋巴分布,淋巴结一般分布于体表,主要是耳前淋巴结、耳后淋巴结、枕淋巴结、下颌下淋巴结、颏下淋巴结、颈前淋巴结、颈后淋巴结、锁骨上淋巴结、腋窝、滑车上淋巴结、腹部、腹股沟区以及腘窝。

患者要养成良好的生活习惯,配合适当的运动,增强免疫力。还要注意不能饮酒、喝浓茶或咖啡,避免辛辣刺激性食物,如葱、姜、蒜、辣椒、咖喱、胡椒粉等,避免蟹、虾、金枪鱼、坚果等容易引起过敏的食物。若出现淋巴结肿大、发热的症状,建议患者及时就医,明确具体情况,并遵医嘱治疗。
","articleBody": "淋巴结的位置主要分布于耳、枕后、下颌、颏下、颈部、腋窝、滑车上、腹部、腹股沟区以及腘窝。
淋巴系统是机体重要的一部分,广泛分布于全身,重要的脏器、区域等均有淋巴分布,淋巴结一般分布于体表,主要是耳前淋巴结、耳后淋巴结、枕淋巴结、下颌下淋巴结、颏下淋巴结、颈前淋巴结、颈后淋巴结、锁骨上淋巴结、腋窝、滑车上淋巴结、腹部、腹股沟区以及腘窝。

患者要养成良好的生活习惯,配合适当的运动,增强免疫力。还要注意不能饮酒、喝浓茶或咖啡,避免辛辣刺激性食物,如葱、姜、蒜、辣椒、咖喱、胡椒粉等,避免蟹、虾、金枪鱼、坚果等容易引起过敏的食物。若出现淋巴结肿大、发热的症状,建议患者及时就医,明确具体情况,并遵医嘱治疗。
","scanCount": 32639}}} {"@context": "https://ziyuan.baidu.com/contexts/cambrian.jsonld","appid": "1650708455561748","icon": "https://www.med-credit.org.cn/style/images/ttlogo.png","content_tag": ["atlas"],"is_mcn": {"thumb_id": "lnsk06v2"},"accid": "4886d626a2804dee5f11168793ce361672f39c25","@id": "https://www.med-credit.org.cn/mobile/jingxuan/2/f98807ce57abf5ff38c3d74ce26f2bdd.html","bagWordId": "05d4528ff3ca270e","title": "毛囊炎形成大硬结图片","pubDate": "2023-02-15T16:41:09","upDate": "2023-02-15T16:41:09","lrDate": "2023-02-15T16:41:09","description": "毛囊炎形成大硬结表现为质地坚硬的、绿豆或米粒大小的、表面粗糙的高出皮肤表面的疣状突起或小丘疹,颜色因人而异,在其表面可见小黑点。","data": {"WebPage": {"headline": "毛囊炎形成大硬结图片","pcUrl": "https://www.med-credit.org.cn/jingxuan/2/f98807ce57abf5ff38c3d74ce26f2bdd.html","wapUrl": "https://www.med-credit.org.cn/jingxuan/2/f98807ce57abf5ff38c3d74ce26f2bdd.html","mipUrl": "https://www.med-credit.org.cn/mobile/jingxuan/2/f98807ce57abf5ff38c3d74ce26f2bdd.html","fromSrc": "欢乐橙","datePublished": "2023-02-15T16:41:09","domain": "医疗","category": ["医疗权威文章合作"],"description": "毛囊炎形成大硬结表现为质地坚硬的、绿豆或米粒大小的、表面粗糙的高出皮肤表面的疣状突起或小丘疹,颜色因人而异,在其表面可见小黑点。
","extra_headline": [""]},"Author": {"name": "王霞","wapUrl": "https://www.med-credit.org.cn/doctor/578","pcUrl": "https://www.med-credit.org.cn/doctor/578","jobTitle": "副主任医师","headPortrait": "https://www.med-credit.org.cn/uploadfile/member/578/180x180.jpeg","id": "578","description": "王霞,广州医科大学附属第一医院皮肤科副主任医师","memberOf": {"legalName": "广州医科大学附属第一医院","department": "皮肤科","organizationLevel": "三级甲等"}},"Article": {"summaryContent": "毛囊炎形成大硬结表现为质地坚硬的、绿豆或米粒大小的、表面粗糙的高出皮肤表面的疣状突起或小丘疹,颜色因人而异,在其表面可见小黑点。
可能由于自身抵抗力下降时局部发生感染所致。

不规律的作息或暴饮暴食等原因,可能会导致机体免疫力低下,易被细菌等致病物质侵入而引起局部感染,造成炎症反应,引起局部黏膜层的异常增生或突起,导致毛囊炎形成大硬结。常表现为局部出现红肿、疼痛,毛囊的自身结构受到破坏,分泌大量炎性分泌物淤积在局部而形成丘疹或大硬结,形成的大硬结一般呈质地坚硬的、绿豆或米粒大小的、表面粗糙的高出皮肤表面的疣状突起或小丘疹,颜色因人而异,在其表面可见小黑点。
患者应该在医生的指导下,常给予聚维酮碘溶液或过氧化氢溶液消毒治疗,还可以给予抗生素治疗,往往选用红霉素软膏、头孢氨苄胶囊治疗。注意规律用药,及时复查。必要时需要手术治疗,常将病灶切开,引流出脓液。
患者要注意不能饮酒、喝浓茶或咖啡,避免辛辣刺激性食物,如葱、姜、蒜、辣椒、咖喱、胡椒粉等,避免蟹、虾、金枪鱼、坚果等容易引起过敏的食物。
","articleBody": "毛囊炎形成大硬结表现为质地坚硬的、绿豆或米粒大小的、表面粗糙的高出皮肤表面的疣状突起或小丘疹,颜色因人而异,在其表面可见小黑点。
可能由于自身抵抗力下降时局部发生感染所致。

不规律的作息或暴饮暴食等原因,可能会导致机体免疫力低下,易被细菌等致病物质侵入而引起局部感染,造成炎症反应,引起局部黏膜层的异常增生或突起,导致毛囊炎形成大硬结。常表现为局部出现红肿、疼痛,毛囊的自身结构受到破坏,分泌大量炎性分泌物淤积在局部而形成丘疹或大硬结,形成的大硬结一般呈质地坚硬的、绿豆或米粒大小的、表面粗糙的高出皮肤表面的疣状突起或小丘疹,颜色因人而异,在其表面可见小黑点。
患者应该在医生的指导下,常给予聚维酮碘溶液或过氧化氢溶液消毒治疗,还可以给予抗生素治疗,往往选用红霉素软膏、头孢氨苄胶囊治疗。注意规律用药,及时复查。必要时需要手术治疗,常将病灶切开,引流出脓液。
患者要注意不能饮酒、喝浓茶或咖啡,避免辛辣刺激性食物,如葱、姜、蒜、辣椒、咖喱、胡椒粉等,避免蟹、虾、金枪鱼、坚果等容易引起过敏的食物。
","scanCount": 32636}}} {"@context": "https://ziyuan.baidu.com/contexts/cambrian.jsonld","appid": "1650708455561748","icon": "https://www.med-credit.org.cn/style/images/ttlogo.png","content_tag": ["atlas"],"is_mcn": {"thumb_id": "c1nhtnyb"},"accid": "4886d626a2804dee5f11168793ce361672f39c25","@id": "https://www.med-credit.org.cn/mobile/jingxuan/2/d6bcc9d82362e6aad53f05a476ed81ab.html","bagWordId": "0a39ee119571dcb2","title": "痘痘脸图片女","pubDate": "2023-02-15T16:41:09","upDate": "2023-02-15T16:41:09","lrDate": "2023-02-15T16:41:09","description": "女生的痘痘(即痤疮)脸可能会有粉刺、丘疹、脓疱等表现,好发于脸部皮脂腺密集的区域,如、额头、下颌、面颊等。","data": {"WebPage": {"headline": "痘痘脸图片女","pcUrl": "https://www.med-credit.org.cn/jingxuan/2/d6bcc9d82362e6aad53f05a476ed81ab.html","wapUrl": "https://www.med-credit.org.cn/jingxuan/2/d6bcc9d82362e6aad53f05a476ed81ab.html","mipUrl": "https://www.med-credit.org.cn/mobile/jingxuan/2/d6bcc9d82362e6aad53f05a476ed81ab.html","fromSrc": "欢乐橙","datePublished": "2023-02-15T16:41:09","domain": "医疗","category": ["医疗权威文章合作"],"description": "女生的痘痘(即痤疮)脸可能会有粉刺、丘疹、脓疱等表现,好发于脸部皮脂腺密集的区域,如、额头、下颌、面颊等。
","extra_headline": [""]},"Author": {"name": "王晓彦","wapUrl": "https://www.med-credit.org.cn/doctor/541","pcUrl": "https://www.med-credit.org.cn/doctor/541","jobTitle": "主任医师","headPortrait": "https://www.med-credit.org.cn/uploadfile/member/541/180x180.jpeg","id": "541","description": "王晓彦,首都医科大学附属北京天坛医院皮肤科主任医师","memberOf": {"legalName": "首都医科大学附属北京天坛医院","department": "皮肤科","organizationLevel": "三级甲等"}},"Article": {"summaryContent": "女生的痘痘(即痤疮)脸可能会有粉刺、丘疹、脓疱等表现,好发于脸部皮脂腺密集的区域,如、额头、下颌、面颊等。
女生出现痘痘脸可能由于经常使用油性护肤品或者化妆品、有不良的饮食习惯如高糖、高脂饮食、糖皮质激素类药物、雄激素类药物的使用所致。


不同分级的痤疮表现也有所不同。
轻度I级的痤疮患者,脸部会有白头粉刺和黑头粉刺;
中度II级的痤疮患者,脸部会出现丘疹,是小而红的疙瘩;
中度III级的痤疮患者,脸部的丘疹顶端会出现脓疱;
重度IV级痤疮的患者,脸部会有大小不一的,暗红色的结节或囊肿。
出现了痘痘脸可以寻求正规医院的专科医生帮助,通过药物治疗、物理疗法、针清、切开引流、皮肤护理等手段来进行治疗改善,“打败”痘痘脸。
","articleBody": "女生的痘痘(即痤疮)脸可能会有粉刺、丘疹、脓疱等表现,好发于脸部皮脂腺密集的区域,如、额头、下颌、面颊等。
女生出现痘痘脸可能由于经常使用油性护肤品或者化妆品、有不良的饮食习惯如高糖、高脂饮食、糖皮质激素类药物、雄激素类药物的使用所致。


不同分级的痤疮表现也有所不同。
轻度I级的痤疮患者,脸部会有白头粉刺和黑头粉刺;
中度II级的痤疮患者,脸部会出现丘疹,是小而红的疙瘩;
中度III级的痤疮患者,脸部的丘疹顶端会出现脓疱;
重度IV级痤疮的患者,脸部会有大小不一的,暗红色的结节或囊肿。
出现了痘痘脸可以寻求正规医院的专科医生帮助,通过药物治疗、物理疗法、针清、切开引流、皮肤护理等手段来进行治疗改善,“打败”痘痘脸。
","scanCount": 32635}}} {"@context": "https://ziyuan.baidu.com/contexts/cambrian.jsonld","appid": "1650708455561748","icon": "https://www.med-credit.org.cn/style/images/ttlogo.png","content_tag": ["atlas"],"is_mcn": {"thumb_id": "3w128mji2"},"accid": "4886d626a2804dee5f11168793ce361672f39c25","@id": "https://www.med-credit.org.cn/mobile/jingxuan/2/05e9b94dae197b42d23ea3853e88ae21.html","bagWordId": "583a73ba4987b64e","title": "皮肤肿瘤的图片","pubDate": "2023-02-15T16:41:09","upDate": "2023-02-15T16:41:09","lrDate": "2023-02-15T16:41:09","description": "皮肤肿瘤多以红斑、角化、水泡、丘疹、溃疡等形式出现,良性肿瘤一般边缘整齐,排列较规则,很少出血;恶性肿瘤多数边界不清,易出血。","data": {"WebPage": {"headline": "皮肤肿瘤的图片","pcUrl": "https://www.med-credit.org.cn/jingxuan/2/05e9b94dae197b42d23ea3853e88ae21.html","wapUrl": "https://www.med-credit.org.cn/jingxuan/2/05e9b94dae197b42d23ea3853e88ae21.html","mipUrl": "https://www.med-credit.org.cn/mobile/jingxuan/2/05e9b94dae197b42d23ea3853e88ae21.html","fromSrc": "欢乐橙","datePublished": "2023-02-15T16:41:09","domain": "医疗","category": ["医疗权威文章合作"],"description": "皮肤肿瘤多以红斑、角化、水泡、丘疹、溃疡等形式出现,良性肿瘤一般边缘整齐,排列较规则,很少出血;恶性肿瘤多数边界不清,易出血。
","extra_headline": [""]},"Author": {"name": "曲乐","wapUrl": "https://www.med-credit.org.cn/doctor/554","pcUrl": "https://www.med-credit.org.cn/doctor/554","jobTitle": "副主任医师","headPortrait": "https://www.med-credit.org.cn/uploadfile/member/554/180x180.jpeg","id": "554","description": "曲乐,副主任医师、医学博士、硕士研究生导师、美容主诊医师、公派留美访问学者。主持国家自然科学基金及省市课题多项,在国内外高水平专业杂志发表中英文论文20余篇,参编英文专著1部。现任辽宁省免疫学会委员。","memberOf": {"legalName": "中国医科大学附属第一医院","department": "皮肤科","organizationLevel": "三级甲等"}},"Article": {"summaryContent": "皮肤肿瘤多以红斑、角化、水泡、丘疹、溃疡等形式出现,良性肿瘤一般边缘整齐,排列较规则,很少出血;恶性肿瘤多数边界不清,易出血。
可能与遗传因素、免疫因素、以及环境刺激有关系。

病毒感染、免疫缺陷、电离辐射、紫外线等多种因素都有可能引起皮肤肿瘤。该疾病分为良性和恶性,能以红斑、角化、水泡、丘疹、溃疡等多种形式表现出来,良性病变一般边缘整齐,排列较规则,很少发生出血或溃疡;恶性病变多为侵袭性或破坏性生长,边界常不清楚,形状不规则,容易引起出血或溃疡。
对于该病的治疗,早期可以选择手术根治处理,对于手术无法切除或晚期病人可以采取放疗、化疗或放化疗结合的方式治疗。
患者恢复期间的饮食应以清淡健康食物为主,少吃油腻、辛辣等刺激性食物,适当休息,避免熬夜及过度劳累。平时注意戒烟戒酒,不要频繁地洗澡,洗澡时揉搓的力度要合适,同时不要过度地进行日光浴。
","articleBody": "皮肤肿瘤多以红斑、角化、水泡、丘疹、溃疡等形式出现,良性肿瘤一般边缘整齐,排列较规则,很少出血;恶性肿瘤多数边界不清,易出血。
可能与遗传因素、免疫因素、以及环境刺激有关系。

病毒感染、免疫缺陷、电离辐射、紫外线等多种因素都有可能引起皮肤肿瘤。该疾病分为良性和恶性,能以红斑、角化、水泡、丘疹、溃疡等多种形式表现出来,良性病变一般边缘整齐,排列较规则,很少发生出血或溃疡;恶性病变多为侵袭性或破坏性生长,边界常不清楚,形状不规则,容易引起出血或溃疡。
对于该病的治疗,早期可以选择手术根治处理,对于手术无法切除或晚期病人可以采取放疗、化疗或放化疗结合的方式治疗。
患者恢复期间的饮食应以清淡健康食物为主,少吃油腻、辛辣等刺激性食物,适当休息,避免熬夜及过度劳累。平时注意戒烟戒酒,不要频繁地洗澡,洗澡时揉搓的力度要合适,同时不要过度地进行日光浴。
","scanCount": 32625}}} {"@context": "https://ziyuan.baidu.com/contexts/cambrian.jsonld","appid": "1650708455561748","icon": "https://www.med-credit.org.cn/style/images/ttlogo.png","content_tag": ["atlas"],"is_mcn": {"thumb_id": "c1nhtnyb"},"accid": "4886d626a2804dee5f11168793ce361672f39c25","@id": "https://www.med-credit.org.cn/mobile/jingxuan/2/730ea908ce83970076495837cad1f935.html","bagWordId": "5d028ca3c8aab4cb","title": "粉刺和闭口的区别图片","pubDate": "2023-02-15T16:41:09","upDate": "2023-02-15T16:41:09","lrDate": "2023-02-15T16:41:09","description": "粉刺和闭口的区别是闭口只是粉刺其中的一种类型,粉刺除闭口之外还有其他类型。粉刺可以分为闭口和开口粉刺两种类型。","data": {"WebPage": {"headline": "粉刺和闭口的区别图片","pcUrl": "https://www.med-credit.org.cn/jingxuan/2/730ea908ce83970076495837cad1f935.html","wapUrl": "https://www.med-credit.org.cn/jingxuan/2/730ea908ce83970076495837cad1f935.html","mipUrl": "https://www.med-credit.org.cn/mobile/jingxuan/2/730ea908ce83970076495837cad1f935.html","fromSrc": "欢乐橙","datePublished": "2023-02-15T16:41:09","domain": "医疗","category": ["医疗权威文章合作"],"description": "粉刺和闭口的区别是闭口只是粉刺其中的一种类型,粉刺除闭口之外还有其他类型。粉刺可以分为闭口和开口粉刺两种类型。
","extra_headline": [""]},"Author": {"name": "王晓彦","wapUrl": "https://www.med-credit.org.cn/doctor/541","pcUrl": "https://www.med-credit.org.cn/doctor/541","jobTitle": "主任医师","headPortrait": "https://www.med-credit.org.cn/uploadfile/member/541/180x180.jpeg","id": "541","description": "王晓彦,首都医科大学附属北京天坛医院皮肤科主任医师","memberOf": {"legalName": "首都医科大学附属北京天坛医院","department": "皮肤科","organizationLevel": "三级甲等"}},"Article": {"summaryContent": "粉刺和闭口的区别是闭口只是粉刺其中的一种类型,粉刺除闭口之外还有其他类型。粉刺可以分为闭口和开口粉刺两种类型。


1.闭合性粉刺:也称白头粉刺,是由于在毛囊皮脂腺导管内存在着被堵塞住的皮脂和角化物,使其表面呈现灰白色或淡黄色,并很难找到毛囊口,里面的内容物不能被挤出,但伸拉皮肤的时候可以看见里面的脂栓内容物。因为闭口粉刺是在皮脂分泌异常从而堵塞住了毛囊皮脂腺导管的条件下形成的较硬丘疹。
2.开放性粉刺:也称黑头粉刺,是由于皮脂腺分泌大量皮脂,并且堵塞在在毛囊皮脂腺导管内,从而刺激了毛囊上皮细胞的角化。而脱落的毛囊上皮细胞与角化毛囊上皮细胞的碎片一起堆积在毛囊口,从而形成表面有黑点的黑头粉刺。
","articleBody": "粉刺和闭口的区别是闭口只是粉刺其中的一种类型,粉刺除闭口之外还有其他类型。粉刺可以分为闭口和开口粉刺两种类型。


1.闭合性粉刺:也称白头粉刺,是由于在毛囊皮脂腺导管内存在着被堵塞住的皮脂和角化物,使其表面呈现灰白色或淡黄色,并很难找到毛囊口,里面的内容物不能被挤出,但伸拉皮肤的时候可以看见里面的脂栓内容物。因为闭口粉刺是在皮脂分泌异常从而堵塞住了毛囊皮脂腺导管的条件下形成的较硬丘疹。
2.开放性粉刺:也称黑头粉刺,是由于皮脂腺分泌大量皮脂,并且堵塞在在毛囊皮脂腺导管内,从而刺激了毛囊上皮细胞的角化。而脱落的毛囊上皮细胞与角化毛囊上皮细胞的碎片一起堆积在毛囊口,从而形成表面有黑点的黑头粉刺。
","scanCount": 32622}}} {"@context": "https://ziyuan.baidu.com/contexts/cambrian.jsonld","appid": "1650708455561748","icon": "https://www.med-credit.org.cn/style/images/ttlogo.png","content_tag": ["atlas"],"is_mcn": {"thumb_id": "c1nhtnyb"},"accid": "4886d626a2804dee5f11168793ce361672f39c25","@id": "https://www.med-credit.org.cn/mobile/jingxuan/2/36360d3f49436a19f918c2db8cd95700.html","bagWordId": "b2ddeaf594e1c67b","title": "后背毛囊炎图片","pubDate": "2023-02-15T16:41:09","upDate": "2023-02-15T16:41:09","lrDate": "2023-02-15T16:41:09","description": "后背毛囊炎呈炎症性的疣状突起、脓疱或小丘疹,由于个体差异,丘疹的大小可能类似针尖、绿豆或米粒不等,颜色因人而异,在周围可见红晕,在其表面可见小黑点。","data": {"WebPage": {"headline": "后背毛囊炎图片","pcUrl": "https://www.med-credit.org.cn/jingxuan/2/36360d3f49436a19f918c2db8cd95700.html","wapUrl": "https://www.med-credit.org.cn/jingxuan/2/36360d3f49436a19f918c2db8cd95700.html","mipUrl": "https://www.med-credit.org.cn/mobile/jingxuan/2/36360d3f49436a19f918c2db8cd95700.html","fromSrc": "欢乐橙","datePublished": "2023-02-15T16:41:09","domain": "医疗","category": ["医疗权威文章合作"],"description": "后背毛囊炎呈炎症性的疣状突起、脓疱或小丘疹,由于个体差异,丘疹的大小可能类似针尖、绿豆或米粒不等,颜色因人而异,在周围可见红晕,在其表面可见小黑点。
","extra_headline": [""]},"Author": {"name": "王晓彦","wapUrl": "https://www.med-credit.org.cn/doctor/541","pcUrl": "https://www.med-credit.org.cn/doctor/541","jobTitle": "主任医师","headPortrait": "https://www.med-credit.org.cn/uploadfile/member/541/180x180.jpeg","id": "541","description": "王晓彦,首都医科大学附属北京天坛医院皮肤科主任医师","memberOf": {"legalName": "首都医科大学附属北京天坛医院","department": "皮肤科","organizationLevel": "三级甲等"}},"Article": {"summaryContent": "后背毛囊炎呈炎症性的疣状突起、脓疱或小丘疹,由于个体差异,丘疹的大小可能类似针尖、绿豆或米粒不等,颜色因人而异,在周围可见红晕,在其表面可见小黑点。
若不及时消毒处理可能会发生糜烂,痊愈后可能形成疤痕且伴随永久性的脱毛。

不规律的作息或暴饮暴食等原因,可能会导致机体免疫力低下,易被细菌等致病物质侵入而引起局部感染,造成炎症反应,引起局部黏膜层的异常增生或突起,导致后背毛囊炎呈炎症性的疣状突起或小丘疹,还可能是炎症常表现局部红肿、疼痛,毛囊的自身结构受到破坏,分泌大量炎性分泌物淤积在局部而形成脓疱,由于个体差异,其形状可能呈针尖、绿豆或米粒大小不等,颜色因人而异,在周围可见红晕,在其表面可见小黑点,内容物类似于油脂样的“豆渣物〞,感染后伴随奇臭。若不及时消毒处理可能会发生糜烂,痊愈后可能形成疤痕且伴随永久性的脱毛。
患者应该在医生的指导下治疗,常给予聚维酮碘溶液或过氧化氢溶液消毒治疗,还可以给予抗生素治疗,往往选用红霉素软膏、头孢氨苄胶囊治疗。注意规律用药,及时复查。必要时需要手术治疗,常将病灶切开,引流出脓液。
患者要养成良好的生活习惯,配合适当的运动,增强免疫力。经过自我调节、排解压力、注意休息、保持心情的舒畅。
","articleBody": "后背毛囊炎呈炎症性的疣状突起、脓疱或小丘疹,由于个体差异,丘疹的大小可能类似针尖、绿豆或米粒不等,颜色因人而异,在周围可见红晕,在其表面可见小黑点。
若不及时消毒处理可能会发生糜烂,痊愈后可能形成疤痕且伴随永久性的脱毛。

不规律的作息或暴饮暴食等原因,可能会导致机体免疫力低下,易被细菌等致病物质侵入而引起局部感染,造成炎症反应,引起局部黏膜层的异常增生或突起,导致后背毛囊炎呈炎症性的疣状突起或小丘疹,还可能是炎症常表现局部红肿、疼痛,毛囊的自身结构受到破坏,分泌大量炎性分泌物淤积在局部而形成脓疱,由于个体差异,其形状可能呈针尖、绿豆或米粒大小不等,颜色因人而异,在周围可见红晕,在其表面可见小黑点,内容物类似于油脂样的“豆渣物〞,感染后伴随奇臭。若不及时消毒处理可能会发生糜烂,痊愈后可能形成疤痕且伴随永久性的脱毛。
患者应该在医生的指导下治疗,常给予聚维酮碘溶液或过氧化氢溶液消毒治疗,还可以给予抗生素治疗,往往选用红霉素软膏、头孢氨苄胶囊治疗。注意规律用药,及时复查。必要时需要手术治疗,常将病灶切开,引流出脓液。
患者要养成良好的生活习惯,配合适当的运动,增强免疫力。经过自我调节、排解压力、注意休息、保持心情的舒畅。
","scanCount": 32617}}} {"@context": "https://ziyuan.baidu.com/contexts/cambrian.jsonld","appid": "1650708455561748","icon": "https://www.med-credit.org.cn/style/images/ttlogo.png","content_tag": ["atlas"],"is_mcn": {"thumb_id": "c1nhtnyb"},"accid": "4886d626a2804dee5f11168793ce361672f39c25","@id": "https://www.med-credit.org.cn/mobile/jingxuan/2/c4f2e69a3007ca22094c015c062d0adc.html","bagWordId": "25b39df0bc7bdf41","title": "结节性红斑早期图片","pubDate": "2023-02-15T16:41:09","upDate": "2023-02-15T16:41:09","lrDate": "2023-02-15T16:41:09","description": "结节性红斑早期一般会出现皮肤红斑结节,可能伴有关节肿胀、疼痛,发病前可能有上呼吸道感染前驱症状。","data": {"WebPage": {"headline": "结节性红斑早期图片","pcUrl": "https://www.med-credit.org.cn/jingxuan/2/c4f2e69a3007ca22094c015c062d0adc.html","wapUrl": "https://www.med-credit.org.cn/jingxuan/2/c4f2e69a3007ca22094c015c062d0adc.html","mipUrl": "https://www.med-credit.org.cn/mobile/jingxuan/2/c4f2e69a3007ca22094c015c062d0adc.html","fromSrc": "欢乐橙","datePublished": "2023-02-15T16:41:09","domain": "医疗","category": ["医疗权威文章合作"],"description": "结节性红斑早期一般会出现皮肤红斑结节,可能伴有关节肿胀、疼痛,发病前可能有上呼吸道感染前驱症状。
","extra_headline": [""]},"Author": {"name": "王晓彦","wapUrl": "https://www.med-credit.org.cn/doctor/541","pcUrl": "https://www.med-credit.org.cn/doctor/541","jobTitle": "主任医师","headPortrait": "https://www.med-credit.org.cn/uploadfile/member/541/180x180.jpeg","id": "541","description": "王晓彦,首都医科大学附属北京天坛医院皮肤科主任医师","memberOf": {"legalName": "首都医科大学附属北京天坛医院","department": "皮肤科","organizationLevel": "三级甲等"}},"Article": {"summaryContent": "结节性红斑早期一般会出现皮肤红斑结节,可能伴有关节肿胀、疼痛,发病前可能有上呼吸道感染前驱症状。
结节性红斑通常预后良好,大部分患者能自行消退或经对症治疗后消退,少数存在慢性基础疾病的患者可能会有复发,积极控制诱因能降低复发率。

结节性红斑是一种迟发型超敏反应,女性发病率高于男性,最常见于10~40岁的女性。发病机制未完全明确,可能与皮下脂肪层间隔性脂膜炎有关。感染(尤其是链球菌感染)是最常见的病因。
在发病前1~3周,患者可能有发热、乏力不适、关节肿痛等表现,随后出现皮肤红斑。疾病早期(起病数日内)可形成典型的皮损,表现为双侧胫前出现红斑性结节,直径约2-5cm,稍高出于皮面,伴有疼痛,通常不能移动、不破溃。结节通常在2个月内自行消退,消退过程中可能出现继发性瘀斑,色素沉着需要数周至数月才消退。
","articleBody": "结节性红斑早期一般会出现皮肤红斑结节,可能伴有关节肿胀、疼痛,发病前可能有上呼吸道感染前驱症状。
结节性红斑通常预后良好,大部分患者能自行消退或经对症治疗后消退,少数存在慢性基础疾病的患者可能会有复发,积极控制诱因能降低复发率。

结节性红斑是一种迟发型超敏反应,女性发病率高于男性,最常见于10~40岁的女性。发病机制未完全明确,可能与皮下脂肪层间隔性脂膜炎有关。感染(尤其是链球菌感染)是最常见的病因。
在发病前1~3周,患者可能有发热、乏力不适、关节肿痛等表现,随后出现皮肤红斑。疾病早期(起病数日内)可形成典型的皮损,表现为双侧胫前出现红斑性结节,直径约2-5cm,稍高出于皮面,伴有疼痛,通常不能移动、不破溃。结节通常在2个月内自行消退,消退过程中可能出现继发性瘀斑,色素沉着需要数周至数月才消退。
","scanCount": 32614}}} {"@context": "https://ziyuan.baidu.com/contexts/cambrian.jsonld","appid": "1650708455561748","icon": "https://www.med-credit.org.cn/style/images/ttlogo.png","content_tag": ["atlas"],"is_mcn": {"thumb_id": "3w128mji2"},"accid": "4886d626a2804dee5f11168793ce361672f39c25","@id": "https://www.med-credit.org.cn/mobile/jingxuan/2/babd865d6dea9bee7c0e7711d6f58c0b.html","bagWordId": "43fb821b978e5f97","title": "奶疹是什么样子的","pubDate": "2023-02-15T16:41:09","upDate": "2023-02-15T16:41:09","lrDate": "2023-02-15T16:41:09","description": "奶疹是一种常见的过敏性皮肤病,多发于新生儿。一般表现为红斑和丘疹,之后可能会出现流水和结痂,表皮粗糙,还可能伴有潮红和灼热。","data": {"WebPage": {"headline": "奶疹是什么样子的","pcUrl": "https://www.med-credit.org.cn/jingxuan/2/babd865d6dea9bee7c0e7711d6f58c0b.html","wapUrl": "https://www.med-credit.org.cn/jingxuan/2/babd865d6dea9bee7c0e7711d6f58c0b.html","mipUrl": "https://www.med-credit.org.cn/mobile/jingxuan/2/babd865d6dea9bee7c0e7711d6f58c0b.html","fromSrc": "欢乐橙","datePublished": "2023-02-15T16:41:09","domain": "医疗","category": ["医疗权威文章合作"],"description": "奶疹是一种常见的过敏性皮肤病,多发于新生儿。一般表现为红斑和丘疹,之后可能会出现流水和结痂,表皮粗糙,还可能伴有潮红和灼热。
","extra_headline": [""]},"Author": {"name": "曲乐","wapUrl": "https://www.med-credit.org.cn/doctor/554","pcUrl": "https://www.med-credit.org.cn/doctor/554","jobTitle": "副主任医师","headPortrait": "https://www.med-credit.org.cn/uploadfile/member/554/180x180.jpeg","id": "554","description": "曲乐,副主任医师、医学博士、硕士研究生导师、美容主诊医师、公派留美访问学者。主持国家自然科学基金及省市课题多项,在国内外高水平专业杂志发表中英文论文20余篇,参编英文专著1部。现任辽宁省免疫学会委员。","memberOf": {"legalName": "中国医科大学附属第一医院","department": "皮肤科","organizationLevel": "三级甲等"}},"Article": {"summaryContent": "奶疹是一种常见的过敏性皮肤病,多发于新生儿。一般表现为红斑和丘疹,之后可能会出现流水和结痂,表皮粗糙,还可能伴有潮红和灼热。
一般与遗传因素、环境因素、免疫因素等有关系。

奶疹又叫婴儿湿疹,为婴儿一年四季常见病。常见病因有遗传因素,家族里面有过敏性体质的宝宝更容易发生奶疹;也有可能是吸入或者食用一些过敏物质所导致,比如说吸入花粉、粉尘和进食一些过敏性奶粉等,这些都是诱发宝宝发生奶疹的原因。
轻微的奶疹可以通过使用润肤乳等保湿产品就可以消除症状,如果是重度的奶疹,并且持续时间比较长,那可以使用一些弱效的激素软膏来进行药物治疗,但一般使用不能超过一周,一周后没有好转要寻求医生帮助治疗。
宝宝奶疹一般病程比较短,而且预后较好。在平时生活中要预防奶疹的发生,首先要在饮食上多注意,避免进食过敏性食物,而且母乳喂养也要保证母亲饮食的健康;宝宝的衣物要选择纯棉制品,减少织物的不利刺激。
","articleBody": "奶疹是一种常见的过敏性皮肤病,多发于新生儿。一般表现为红斑和丘疹,之后可能会出现流水和结痂,表皮粗糙,还可能伴有潮红和灼热。
一般与遗传因素、环境因素、免疫因素等有关系。

奶疹又叫婴儿湿疹,为婴儿一年四季常见病。常见病因有遗传因素,家族里面有过敏性体质的宝宝更容易发生奶疹;也有可能是吸入或者食用一些过敏物质所导致,比如说吸入花粉、粉尘和进食一些过敏性奶粉等,这些都是诱发宝宝发生奶疹的原因。
轻微的奶疹可以通过使用润肤乳等保湿产品就可以消除症状,如果是重度的奶疹,并且持续时间比较长,那可以使用一些弱效的激素软膏来进行药物治疗,但一般使用不能超过一周,一周后没有好转要寻求医生帮助治疗。
宝宝奶疹一般病程比较短,而且预后较好。在平时生活中要预防奶疹的发生,首先要在饮食上多注意,避免进食过敏性食物,而且母乳喂养也要保证母亲饮食的健康;宝宝的衣物要选择纯棉制品,减少织物的不利刺激。
","scanCount": 32612}}} {"@context": "https://ziyuan.baidu.com/contexts/cambrian.jsonld","appid": "1650708455561748","icon": "https://www.med-credit.org.cn/style/images/ttlogo.png","content_tag": ["atlas"],"is_mcn": {"thumb_id": "3w128mji2"},"accid": "4886d626a2804dee5f11168793ce361672f39c25","@id": "https://www.med-credit.org.cn/mobile/jingxuan/2/72597fa773e1235e48e87faab6a1f6b5.html","bagWordId": "695dce99c1012875","title": "热毒疮与湿毒疮的图片","pubDate": "2023-02-15T16:41:09","upDate": "2023-02-15T16:41:09","lrDate": "2023-02-15T16:41:09","description": "热毒疮与湿毒疮的区别主要在性质、表现及治疗上。","data": {"WebPage": {"headline": "热毒疮与湿毒疮的图片","pcUrl": "https://www.med-credit.org.cn/jingxuan/2/72597fa773e1235e48e87faab6a1f6b5.html","wapUrl": "https://www.med-credit.org.cn/jingxuan/2/72597fa773e1235e48e87faab6a1f6b5.html","mipUrl": "https://www.med-credit.org.cn/mobile/jingxuan/2/72597fa773e1235e48e87faab6a1f6b5.html","fromSrc": "欢乐橙","datePublished": "2023-02-15T16:41:09","domain": "医疗","category": ["医疗权威文章合作"],"description": "热毒疮与湿毒疮的区别主要在性质、表现及治疗上。
","extra_headline": [""]},"Author": {"name": "曲乐","wapUrl": "https://www.med-credit.org.cn/doctor/554","pcUrl": "https://www.med-credit.org.cn/doctor/554","jobTitle": "副主任医师","headPortrait": "https://www.med-credit.org.cn/uploadfile/member/554/180x180.jpeg","id": "554","description": "曲乐,副主任医师、医学博士、硕士研究生导师、美容主诊医师、公派留美访问学者。主持国家自然科学基金及省市课题多项,在国内外高水平专业杂志发表中英文论文20余篇,参编英文专著1部。现任辽宁省免疫学会委员。","memberOf": {"legalName": "中国医科大学附属第一医院","department": "皮肤科","organizationLevel": "三级甲等"}},"Article": {"summaryContent": "热毒疮与湿毒疮的区别主要在性质、表现及治疗上。
1、性质不同:热毒疮通常是由肺热和外感热毒引起的。湿毒疮发于小腿,多是因为体内存在的一些热毒或过敏因素,使身体产生一些排斥及免疫反应。
2、表现不同:热毒疮常表现为脓疱型,有时还可能会有黄稠脓液出现,周围皮肤有时出现红晕及明显疼痛感,还会出现大便秘结、小便黄赤等症状。湿毒疮常会出现红疹及瘙痒感,伤口会出现溃烂、化脓的症状,还会出现大便稀薄、脾胃不和等症状。


3、治疗不同:热毒疮主要是用袪热排湿类药物来进行治疗,如头孢克肟胶囊,在患处也可涂抹一些红霉素软膏,严重时也可用维A酸乳膏。湿毒疮治疗的基本原则是清热、化湿、活血,要坚持药物治疗和一般治疗,还要远离过敏物质,避免刺激皮肤的各种因素。
日常饮食上,湿毒疮患者还要注意保持饮食清淡,多食水果蔬菜及易消化的食物,多喝水,忌刺激性、油腻、生冷及易引起上火的食物。要知道,湿毒疮患者病愈后,若饮食上不妥当就又会复发,所以要调理好身体,避免发病。
","articleBody": "热毒疮与湿毒疮的区别主要在性质、表现及治疗上。
1、性质不同:热毒疮通常是由肺热和外感热毒引起的。湿毒疮发于小腿,多是因为体内存在的一些热毒或过敏因素,使身体产生一些排斥及免疫反应。
2、表现不同:热毒疮常表现为脓疱型,有时还可能会有黄稠脓液出现,周围皮肤有时出现红晕及明显疼痛感,还会出现大便秘结、小便黄赤等症状。湿毒疮常会出现红疹及瘙痒感,伤口会出现溃烂、化脓的症状,还会出现大便稀薄、脾胃不和等症状。


3、治疗不同:热毒疮主要是用袪热排湿类药物来进行治疗,如头孢克肟胶囊,在患处也可涂抹一些红霉素软膏,严重时也可用维A酸乳膏。湿毒疮治疗的基本原则是清热、化湿、活血,要坚持药物治疗和一般治疗,还要远离过敏物质,避免刺激皮肤的各种因素。
日常饮食上,湿毒疮患者还要注意保持饮食清淡,多食水果蔬菜及易消化的食物,多喝水,忌刺激性、油腻、生冷及易引起上火的食物。要知道,湿毒疮患者病愈后,若饮食上不妥当就又会复发,所以要调理好身体,避免发病。
","scanCount": 32609}}} {"@context": "https://ziyuan.baidu.com/contexts/cambrian.jsonld","appid": "1650708455561748","icon": "https://www.med-credit.org.cn/style/images/ttlogo.png","content_tag": ["atlas"],"is_mcn": {"thumb_id": "3w128mji2"},"accid": "4886d626a2804dee5f11168793ce361672f39c25","@id": "https://www.med-credit.org.cn/mobile/jingxuan/2/84ade1eccac7a0a48eba1abe77f1c9d1.html","bagWordId": "ae0ec4492b7f1975","title": "跳蚤咬的红疙瘩图片","pubDate": "2023-02-15T16:41:09","upDate": "2023-02-15T16:41:09","lrDate": "2023-02-15T16:41:09","description": "跳蚤咬的红疙瘩一般较硬,成群出现,可成风团或丘疹状,中间可观察到针眼,表面有时有小水泡,伴有剧烈瘙痒。","data": {"WebPage": {"headline": "跳蚤咬的红疙瘩图片","pcUrl": "https://www.med-credit.org.cn/jingxuan/2/84ade1eccac7a0a48eba1abe77f1c9d1.html","wapUrl": "https://www.med-credit.org.cn/jingxuan/2/84ade1eccac7a0a48eba1abe77f1c9d1.html","mipUrl": "https://www.med-credit.org.cn/mobile/jingxuan/2/84ade1eccac7a0a48eba1abe77f1c9d1.html","fromSrc": "欢乐橙","datePublished": "2023-02-15T16:41:09","domain": "医疗","category": ["医疗权威文章合作"],"description": "跳蚤咬的红疙瘩一般较硬,成群出现,可成风团或丘疹状,中间可观察到针眼,表面有时有小水泡,伴有剧烈瘙痒。
","extra_headline": [""]},"Author": {"name": "曲乐","wapUrl": "https://www.med-credit.org.cn/doctor/554","pcUrl": "https://www.med-credit.org.cn/doctor/554","jobTitle": "副主任医师","headPortrait": "https://www.med-credit.org.cn/uploadfile/member/554/180x180.jpeg","id": "554","description": "曲乐,副主任医师、医学博士、硕士研究生导师、美容主诊医师、公派留美访问学者。主持国家自然科学基金及省市课题多项,在国内外高水平专业杂志发表中英文论文20余篇,参编英文专著1部。现任辽宁省免疫学会委员。","memberOf": {"legalName": "中国医科大学附属第一医院","department": "皮肤科","organizationLevel": "三级甲等"}},"Article": {"summaryContent": "跳蚤咬的红疙瘩一般较硬,成群出现,可成风团或丘疹状,中间可观察到针眼,表面有时有小水泡,伴有剧烈瘙痒。

跳蚤会携带细菌等多种病原体,被咬伤后皮肤可能由于炎症或过敏而出现红疙瘩,一般成群出现,肿胀较硬,可成风团或丘疹状,中间可观察到针眼,表面有时会有小水泡,患者常感到剧烈瘙痒。
对于跳蚤咬伤,可局部使用肥皂水或生理盐水冲洗,然后涂抹碘伏进行消毒,也可使用红霉素软膏等药物涂抹伤口来预防感染。注意保持病变处皮肤的干燥清洁,不要用手触摸或抓挠,以免引起细菌感染导致病变加重。
建议患者被跳蚤咬伤后及时处理伤口,若有不适要立即就医。恢复期间注意饮食清淡健康,营养均衡。患者应注意个人卫生,定期打扫房间,保持居住环境干燥整洁,必要时可购买杀虫药来消灭跳蚤,在野外环境中注意做好防护措施。
","articleBody": "跳蚤咬的红疙瘩一般较硬,成群出现,可成风团或丘疹状,中间可观察到针眼,表面有时有小水泡,伴有剧烈瘙痒。

跳蚤会携带细菌等多种病原体,被咬伤后皮肤可能由于炎症或过敏而出现红疙瘩,一般成群出现,肿胀较硬,可成风团或丘疹状,中间可观察到针眼,表面有时会有小水泡,患者常感到剧烈瘙痒。
对于跳蚤咬伤,可局部使用肥皂水或生理盐水冲洗,然后涂抹碘伏进行消毒,也可使用红霉素软膏等药物涂抹伤口来预防感染。注意保持病变处皮肤的干燥清洁,不要用手触摸或抓挠,以免引起细菌感染导致病变加重。
建议患者被跳蚤咬伤后及时处理伤口,若有不适要立即就医。恢复期间注意饮食清淡健康,营养均衡。患者应注意个人卫生,定期打扫房间,保持居住环境干燥整洁,必要时可购买杀虫药来消灭跳蚤,在野外环境中注意做好防护措施。
","scanCount": 32608}}} {"@context": "https://ziyuan.baidu.com/contexts/cambrian.jsonld","appid": "1650708455561748","icon": "https://www.med-credit.org.cn/style/images/ttlogo.png","content_tag": ["atlas"],"is_mcn": {"thumb_id": "3w128mji2"},"accid": "4886d626a2804dee5f11168793ce361672f39c25","@id": "https://www.med-credit.org.cn/mobile/jingxuan/2/04a4382a7f17182c3007ddc90e5c7a52.html","bagWordId": "3b207dc1de6745b0","title": "头皮牛皮肤癣图片","pubDate": "2023-02-15T16:41:09","upDate": "2023-02-15T16:41:09","lrDate": "2023-02-15T16:41:09","description": "头皮牛皮肤癣在临床上常表现为红色、成片分布的丘疹或硬结,一般与周围正常组织的边界清楚,在其表面有银白色的鳞屑、皮脂或大量脓性分泌物覆盖,常伴随脱发、剧烈瘙痒或疼痛的症状。","data": {"WebPage": {"headline": "头皮牛皮肤癣图片","pcUrl": "https://www.med-credit.org.cn/jingxuan/2/04a4382a7f17182c3007ddc90e5c7a52.html","wapUrl": "https://www.med-credit.org.cn/jingxuan/2/04a4382a7f17182c3007ddc90e5c7a52.html","mipUrl": "https://www.med-credit.org.cn/mobile/jingxuan/2/04a4382a7f17182c3007ddc90e5c7a52.html","fromSrc": "欢乐橙","datePublished": "2023-02-15T16:41:09","domain": "医疗","category": ["医疗权威文章合作"],"description": "头皮牛皮肤癣在临床上常表现为红色、成片分布的丘疹或硬结,一般与周围正常组织的边界清楚,在其表面有银白色的鳞屑、皮脂或大量脓性分泌物覆盖,常伴随脱发、剧烈瘙痒或疼痛的症状。
","extra_headline": [""]},"Author": {"name": "曲乐","wapUrl": "https://www.med-credit.org.cn/doctor/554","pcUrl": "https://www.med-credit.org.cn/doctor/554","jobTitle": "副主任医师","headPortrait": "https://www.med-credit.org.cn/uploadfile/member/554/180x180.jpeg","id": "554","description": "曲乐,副主任医师、医学博士、硕士研究生导师、美容主诊医师、公派留美访问学者。主持国家自然科学基金及省市课题多项,在国内外高水平专业杂志发表中英文论文20余篇,参编英文专著1部。现任辽宁省免疫学会委员。","memberOf": {"legalName": "中国医科大学附属第一医院","department": "皮肤科","organizationLevel": "三级甲等"}},"Article": {"summaryContent": "头皮牛皮肤癣在临床上常表现为红色、成片分布的丘疹或硬结,一般与周围正常组织的边界清楚,在其表面有银白色的鳞屑、皮脂或大量脓性分泌物覆盖,常伴随脱发、剧烈瘙痒或疼痛的症状。
一般与真菌感染有关。

头皮牛皮肤癣属于头部常见的银屑病,由于工作压力过大、近期情绪波动较大等精神性因素或暴饮暴食、长期熬夜导致内分泌系统失调,造成头皮炎症性反应,局部增生引起红色、成片分布的丘疹或硬结,一般与周围正常组织的边界清楚,在其表面有银白色的鳞屑、皮脂或大量脓性分泌物覆盖,可能会伴有脱发、剧烈的瘙痒感或疼痛感。注意千万不能挠破,容易造成感染和扩散。
患者注意补充营养,规律进食,清淡饮食,少食辛辣。患者可以外敷维A酸类药物,配合口服维生素B12,用于预防再次感染。常给予生理盐水、聚维酮碘溶液或过氧化氢溶液冲洗头皮,还可以给予抗生素如头孢氨苄胶囊、左氧氟沙星胶囊抗炎治疗,给予外敷的糖皮质激素治疗,还可以给予免疫抑制剂如环孢素进行治疗。
患者在治疗期间要注意局部的清洁和卫生,避免辛辣和刺激性的食物。
","articleBody": "头皮牛皮肤癣在临床上常表现为红色、成片分布的丘疹或硬结,一般与周围正常组织的边界清楚,在其表面有银白色的鳞屑、皮脂或大量脓性分泌物覆盖,常伴随脱发、剧烈瘙痒或疼痛的症状。
一般与真菌感染有关。

头皮牛皮肤癣属于头部常见的银屑病,由于工作压力过大、近期情绪波动较大等精神性因素或暴饮暴食、长期熬夜导致内分泌系统失调,造成头皮炎症性反应,局部增生引起红色、成片分布的丘疹或硬结,一般与周围正常组织的边界清楚,在其表面有银白色的鳞屑、皮脂或大量脓性分泌物覆盖,可能会伴有脱发、剧烈的瘙痒感或疼痛感。注意千万不能挠破,容易造成感染和扩散。
患者注意补充营养,规律进食,清淡饮食,少食辛辣。患者可以外敷维A酸类药物,配合口服维生素B12,用于预防再次感染。常给予生理盐水、聚维酮碘溶液或过氧化氢溶液冲洗头皮,还可以给予抗生素如头孢氨苄胶囊、左氧氟沙星胶囊抗炎治疗,给予外敷的糖皮质激素治疗,还可以给予免疫抑制剂如环孢素进行治疗。
患者在治疗期间要注意局部的清洁和卫生,避免辛辣和刺激性的食物。
","scanCount": 32606}}} {"@context": "https://ziyuan.baidu.com/contexts/cambrian.jsonld","appid": "1650708455561748","icon": "https://www.med-credit.org.cn/style/images/ttlogo.png","content_tag": ["atlas"],"is_mcn": {"thumb_id": "0jui1zp8"},"accid": "4886d626a2804dee5f11168793ce361672f39c25","@id": "https://www.med-credit.org.cn/mobile/jingxuan/2/ab7c40dbf61dc77235fe0f52639d8de1.html","bagWordId": "91ac700187440817","title": "狗咬牙齿印一般什么样子图片","pubDate": "2023-02-15T16:41:09","upDate": "2023-02-15T16:41:09","lrDate": "2023-02-15T16:41:09","description": "被狗咬伤后的牙印与狗咬皮肤时所用的牙齿有关,其形状并不确定。狗的牙齿包括门齿、犬齿及臼齿,被犬齿咬伤后的牙印多是圆形或锥形的洞,边缘一般较光滑,呈对称性分布;被门齿咬伤的伤口一般横向分布,臼齿是用来磨碎食物的,很少会咬伤人。","data": {"WebPage": {"headline": "狗咬牙齿印一般什么样子图片","pcUrl": "https://www.med-credit.org.cn/jingxuan/2/ab7c40dbf61dc77235fe0f52639d8de1.html","wapUrl": "https://www.med-credit.org.cn/jingxuan/2/ab7c40dbf61dc77235fe0f52639d8de1.html","mipUrl": "https://www.med-credit.org.cn/mobile/jingxuan/2/ab7c40dbf61dc77235fe0f52639d8de1.html","fromSrc": "欢乐橙","datePublished": "2023-02-15T16:41:09","domain": "医疗","category": ["医疗权威文章合作"],"description": "被狗咬伤后的牙印与狗咬皮肤时所用的牙齿有关,其形状并不确定。狗的牙齿包括门齿、犬齿及臼齿,被犬齿咬伤后的牙印多是圆形或锥形的洞,边缘一般较光滑,呈对称性分布;被门齿咬伤的伤口一般横向分布,臼齿是用来磨碎食物的,很少会咬伤人。
","extra_headline": [""]},"Author": {"name": "陈璐","wapUrl": "https://www.med-credit.org.cn/doctor/494","pcUrl": "https://www.med-credit.org.cn/doctor/494","jobTitle": "主治医师","headPortrait": "https://www.med-credit.org.cn/uploadfile/member/494/180x180.jpeg","id": "494","description": "陈璐,中南大学湘雅医院普外科主治医师。","memberOf": {"legalName": "中南大学湘雅医院","department": "普外科(胃肠外科)","organizationLevel": "三级甲等"}},"Article": {"summaryContent": "被狗咬伤后的牙印与狗咬皮肤时所用的牙齿有关,其形状并不确定。狗的牙齿包括门齿、犬齿及臼齿,被犬齿咬伤后的牙印多是圆形或锥形的洞,边缘一般较光滑,呈对称性分布;被门齿咬伤的伤口一般横向分布,臼齿是用来磨碎食物的,很少会咬伤人。

患者一旦被咬伤,皮肤出现破损,无论伤口大小,都有感染狂犬病毒的可能。一旦发病,患者的神经系统就会受到病毒入侵而病变,引起狂躁、意识障碍等症状,最终引起死亡。该病一旦发生就会死亡,且当前没有任何措施可以有效救治,因此建议患者被咬伤后尽早注射狂犬疫苗。
建议患者日常与猫、狗等小动物玩耍时注意做好防护措施。平时要定期给猫、狗接种疫苗,保持小动物的卫生清洁。接种疫苗后要注意休息,忌食辛辣、烟酒、咖啡及浓茶等食物,一旦发生不适及时就医处理。
","articleBody": "被狗咬伤后的牙印与狗咬皮肤时所用的牙齿有关,其形状并不确定。狗的牙齿包括门齿、犬齿及臼齿,被犬齿咬伤后的牙印多是圆形或锥形的洞,边缘一般较光滑,呈对称性分布;被门齿咬伤的伤口一般横向分布,臼齿是用来磨碎食物的,很少会咬伤人。

患者一旦被咬伤,皮肤出现破损,无论伤口大小,都有感染狂犬病毒的可能。一旦发病,患者的神经系统就会受到病毒入侵而病变,引起狂躁、意识障碍等症状,最终引起死亡。该病一旦发生就会死亡,且当前没有任何措施可以有效救治,因此建议患者被咬伤后尽早注射狂犬疫苗。
建议患者日常与猫、狗等小动物玩耍时注意做好防护措施。平时要定期给猫、狗接种疫苗,保持小动物的卫生清洁。接种疫苗后要注意休息,忌食辛辣、烟酒、咖啡及浓茶等食物,一旦发生不适及时就医处理。
","scanCount": 32603}}} {"@context": "https://ziyuan.baidu.com/contexts/cambrian.jsonld","appid": "1650708455561748","icon": "https://www.med-credit.org.cn/style/images/ttlogo.png","content_tag": ["atlas"],"is_mcn": {"thumb_id": "c1nhtnyb"},"accid": "4886d626a2804dee5f11168793ce361672f39c25","@id": "https://www.med-credit.org.cn/mobile/jingxuan/2/fa748ccad78501650801825b49e85f93.html","bagWordId": "c35f8dd04e19a960","title": "脚鸡眼图片","pubDate": "2023-02-15T16:41:09","upDate": "2023-02-15T16:41:09","lrDate": "2023-02-15T16:41:09","description": "脚鸡眼是位于足部局部皮肤的角质层过度增厚,中央可见“核”,常伴有疼痛。","data": {"WebPage": {"headline": "脚鸡眼图片","pcUrl": "https://www.med-credit.org.cn/jingxuan/2/fa748ccad78501650801825b49e85f93.html","wapUrl": "https://www.med-credit.org.cn/jingxuan/2/fa748ccad78501650801825b49e85f93.html","mipUrl": "https://www.med-credit.org.cn/mobile/jingxuan/2/fa748ccad78501650801825b49e85f93.html","fromSrc": "欢乐橙","datePublished": "2023-02-15T16:41:09","domain": "医疗","category": ["医疗权威文章合作"],"description": "脚鸡眼是位于足部局部皮肤的角质层过度增厚,中央可见“核”,常伴有疼痛。
","extra_headline": [""]},"Author": {"name": "王晓彦","wapUrl": "https://www.med-credit.org.cn/doctor/541","pcUrl": "https://www.med-credit.org.cn/doctor/541","jobTitle": "主任医师","headPortrait": "https://www.med-credit.org.cn/uploadfile/member/541/180x180.jpeg","id": "541","description": "王晓彦,首都医科大学附属北京天坛医院皮肤科主任医师","memberOf": {"legalName": "首都医科大学附属北京天坛医院","department": "皮肤科","organizationLevel": "三级甲等"}},"Article": {"summaryContent": "脚鸡眼是位于足部局部皮肤的角质层过度增厚,中央可见“核”,常伴有疼痛。
鸡眼的首选治疗是外用水杨酸贴膏,贴药前需要削平鸡眼,每次更换药物时需要使用甲锉去除病灶处的白色坏死组织。

脚部鸡眼通常发生在受压迫的皮肤部位,如突出的跖骨跖面、趾缝间或趾关节的背面。常见原因是鞋不合适、潜在骨刺或步态异常,导致皮损处的皮肤反复被摩擦及压迫,引起皮肤最外层(角质层)弥漫性增厚。
鸡眼的典型表现为局限性圆锥形、尖顶部陷入皮肤中呈黄色的皮肤硬性增厚,表面光滑。随着病情进展,疼痛逐渐加重,严重者疼痛剧烈将影响行走。
对于面积较大的鸡眼,可以使用含有水杨酸的凡士林外用涂抹患处,用药应注意保护周围正常皮肤,且需要定期复诊,检查治疗效果。
","articleBody": "脚鸡眼是位于足部局部皮肤的角质层过度增厚,中央可见“核”,常伴有疼痛。
鸡眼的首选治疗是外用水杨酸贴膏,贴药前需要削平鸡眼,每次更换药物时需要使用甲锉去除病灶处的白色坏死组织。

脚部鸡眼通常发生在受压迫的皮肤部位,如突出的跖骨跖面、趾缝间或趾关节的背面。常见原因是鞋不合适、潜在骨刺或步态异常,导致皮损处的皮肤反复被摩擦及压迫,引起皮肤最外层(角质层)弥漫性增厚。
鸡眼的典型表现为局限性圆锥形、尖顶部陷入皮肤中呈黄色的皮肤硬性增厚,表面光滑。随着病情进展,疼痛逐渐加重,严重者疼痛剧烈将影响行走。
对于面积较大的鸡眼,可以使用含有水杨酸的凡士林外用涂抹患处,用药应注意保护周围正常皮肤,且需要定期复诊,检查治疗效果。
","scanCount": 32599}}} {"@context": "https://ziyuan.baidu.com/contexts/cambrian.jsonld","appid": "1650708455561748","icon": "https://www.med-credit.org.cn/style/images/ttlogo.png","content_tag": ["atlas"],"is_mcn": {"thumb_id": "c1nhtnyb"},"accid": "4886d626a2804dee5f11168793ce361672f39c25","@id": "https://www.med-credit.org.cn/mobile/jingxuan/2/689ce9862f3b5a2d3a1b018d20be3541.html","bagWordId": "97b4ae556266a654","title": "黄褐斑和雀斑的区别图","pubDate": "2023-02-15T16:41:09","upDate": "2023-02-15T16:41:09","lrDate": "2023-02-15T16:41:09","description": "黄褐斑和雀斑的区别在于病因、好发人群、好发部位、皮损特点、治疗方法都有所不同。","data": {"WebPage": {"headline": "黄褐斑和雀斑的区别图","pcUrl": "https://www.med-credit.org.cn/jingxuan/2/689ce9862f3b5a2d3a1b018d20be3541.html","wapUrl": "https://www.med-credit.org.cn/jingxuan/2/689ce9862f3b5a2d3a1b018d20be3541.html","mipUrl": "https://www.med-credit.org.cn/mobile/jingxuan/2/689ce9862f3b5a2d3a1b018d20be3541.html","fromSrc": "欢乐橙","datePublished": "2023-02-15T16:41:09","domain": "医疗","category": ["医疗权威文章合作"],"description": "黄褐斑和雀斑的区别在于病因、好发人群、好发部位、皮损特点、治疗方法都有所不同。
","extra_headline": [""]},"Author": {"name": "王晓彦","wapUrl": "https://www.med-credit.org.cn/doctor/541","pcUrl": "https://www.med-credit.org.cn/doctor/541","jobTitle": "主任医师","headPortrait": "https://www.med-credit.org.cn/uploadfile/member/541/180x180.jpeg","id": "541","description": "王晓彦,首都医科大学附属北京天坛医院皮肤科主任医师","memberOf": {"legalName": "首都医科大学附属北京天坛医院","department": "皮肤科","organizationLevel": "三级甲等"}},"Article": {"summaryContent": "黄褐斑和雀斑的区别在于病因、好发人群、好发部位、皮损特点、治疗方法都有所不同。


1、病因、好发人群:黄褐斑的病因主要与遗传、日晒、性激素水平有关;雀斑的病因由遗传和光照引起。黄褐斑好发于中年女性、孕妇;雀斑好发于女性、儿童。
2、好发部位:黄褐斑好发于颧骨突出部位、前额、上唇、鼻部和下颌;雀斑好发于鼻部、两侧脸颊、手背、颈肩。
3、皮损特点:黄褐斑皮损大小不一,边界清楚,形状不规则;雀斑皮损为针尖至米粒大小,为圆形、卵圆形或不规则型。
4、治疗方法:黄褐斑主要通过外用药和口服药治疗;雀斑主要通过激光、光子嫩肤治疗。
无论是黄褐斑还是雀斑,做好防晒很重要。除了外出日晒,室内的电脑辐射、灯光也会加重色素沉着,因此不管在室内还是室外,都要涂防晒霜。此外,保持良好的生活习惯,维持内分泌的平衡,可有效淡化斑点。
临床上色斑有数十种类型,需要多方面综合分析才能鉴别。建议不要自己盲目判断治斑。
","articleBody": "黄褐斑和雀斑的区别在于病因、好发人群、好发部位、皮损特点、治疗方法都有所不同。


1、病因、好发人群:黄褐斑的病因主要与遗传、日晒、性激素水平有关;雀斑的病因由遗传和光照引起。黄褐斑好发于中年女性、孕妇;雀斑好发于女性、儿童。
2、好发部位:黄褐斑好发于颧骨突出部位、前额、上唇、鼻部和下颌;雀斑好发于鼻部、两侧脸颊、手背、颈肩。
3、皮损特点:黄褐斑皮损大小不一,边界清楚,形状不规则;雀斑皮损为针尖至米粒大小,为圆形、卵圆形或不规则型。
4、治疗方法:黄褐斑主要通过外用药和口服药治疗;雀斑主要通过激光、光子嫩肤治疗。
无论是黄褐斑还是雀斑,做好防晒很重要。除了外出日晒,室内的电脑辐射、灯光也会加重色素沉着,因此不管在室内还是室外,都要涂防晒霜。此外,保持良好的生活习惯,维持内分泌的平衡,可有效淡化斑点。
临床上色斑有数十种类型,需要多方面综合分析才能鉴别。建议不要自己盲目判断治斑。
","scanCount": 32598}}} {"@context": "https://ziyuan.baidu.com/contexts/cambrian.jsonld","appid": "1650708455561748","icon": "https://www.med-credit.org.cn/style/images/ttlogo.png","content_tag": ["atlas"],"is_mcn": {"thumb_id": "0jui1zp8"},"accid": "4886d626a2804dee5f11168793ce361672f39c25","@id": "https://www.med-credit.org.cn/mobile/jingxuan/2/5866455066c95e794323f38a9e72b919.html","bagWordId": "165901e019071d3a","title": "伤口感染白色腐肉图片","pubDate": "2023-02-15T16:41:09","upDate": "2023-02-15T16:41:09","lrDate": "2023-02-15T16:41:09","description": "伤口感染后出现白色腐肉多为坏死组织,应及时局部清创处理,并加以抗感染治疗。","data": {"WebPage": {"headline": "伤口感染白色腐肉图片","pcUrl": "https://www.med-credit.org.cn/jingxuan/2/5866455066c95e794323f38a9e72b919.html","wapUrl": "https://www.med-credit.org.cn/jingxuan/2/5866455066c95e794323f38a9e72b919.html","mipUrl": "https://www.med-credit.org.cn/mobile/jingxuan/2/5866455066c95e794323f38a9e72b919.html","fromSrc": "欢乐橙","datePublished": "2023-02-15T16:41:09","domain": "医疗","category": ["医疗权威文章合作"],"description": "伤口感染后出现白色腐肉多为坏死组织,应及时局部清创处理,并加以抗感染治疗。
","extra_headline": [""]},"Author": {"name": "陈璐","wapUrl": "https://www.med-credit.org.cn/doctor/494","pcUrl": "https://www.med-credit.org.cn/doctor/494","jobTitle": "主治医师","headPortrait": "https://www.med-credit.org.cn/uploadfile/member/494/180x180.jpeg","id": "494","description": "陈璐,中南大学湘雅医院普外科主治医师。","memberOf": {"legalName": "中南大学湘雅医院","department": "普外科(胃肠外科)","organizationLevel": "三级甲等"}},"Article": {"summaryContent": "伤口感染后出现白色腐肉多为坏死组织,应及时局部清创处理,并加以抗感染治疗。

1、局部清创处理:当伤口遭到感染出现腐肉时,患者应及时前往正规医院,在医生的建议下予以清创处理,将坏死组织剥离,并用碘伏等消毒,要注意避免过度清创导致创口出血,要谨遵医嘱定期换药。
2、抗感染治疗:当患者完成局部清创处理后,可以在医生指导下外敷红霉素软膏等消炎药物,同时可以口服一些抗生素,如阿莫西林、头孢呋辛等,加强抗感染的治疗。
建议患者尽可能不要自行解决,如有感染的扩散等不良情况,请及时至医院感染科就诊,配合医生根据个人的具体情况对症处理。在后期护理中,要注意避免污染伤口,注意观察伤口的恢复情况,日常生活中也要注意合理饮食,避免刺激性食物和海鲜等,多吃新鲜蔬果,规律作息,不要熬夜,加强锻炼。
","articleBody": "伤口感染后出现白色腐肉多为坏死组织,应及时局部清创处理,并加以抗感染治疗。

1、局部清创处理:当伤口遭到感染出现腐肉时,患者应及时前往正规医院,在医生的建议下予以清创处理,将坏死组织剥离,并用碘伏等消毒,要注意避免过度清创导致创口出血,要谨遵医嘱定期换药。
2、抗感染治疗:当患者完成局部清创处理后,可以在医生指导下外敷红霉素软膏等消炎药物,同时可以口服一些抗生素,如阿莫西林、头孢呋辛等,加强抗感染的治疗。
建议患者尽可能不要自行解决,如有感染的扩散等不良情况,请及时至医院感染科就诊,配合医生根据个人的具体情况对症处理。在后期护理中,要注意避免污染伤口,注意观察伤口的恢复情况,日常生活中也要注意合理饮食,避免刺激性食物和海鲜等,多吃新鲜蔬果,规律作息,不要熬夜,加强锻炼。
","scanCount": 32596}}} {"@context": "https://ziyuan.baidu.com/contexts/cambrian.jsonld","appid": "1650708455561748","icon": "https://www.med-credit.org.cn/style/images/ttlogo.png","content_tag": ["atlas"],"is_mcn": {"thumb_id": "c1nhtnyb"},"accid": "4886d626a2804dee5f11168793ce361672f39c25","@id": "https://www.med-credit.org.cn/mobile/jingxuan/2/7f6357e441a4550e92cf86d0a5ebf84c.html","bagWordId": "43d89831ba92c3b5","title": "闭口和痘痘的区别图","pubDate": "2023-02-15T16:41:09","upDate": "2023-02-15T16:41:09","lrDate": "2023-02-15T16:41:09","description": "闭口和痘痘的区别主要是其皮肤病变程度、形态不同,这两种皮损属于寻常痤疮不同阶段的活动性皮损。","data": {"WebPage": {"headline": "闭口和痘痘的区别图","pcUrl": "https://www.med-credit.org.cn/jingxuan/2/7f6357e441a4550e92cf86d0a5ebf84c.html","wapUrl": "https://www.med-credit.org.cn/jingxuan/2/7f6357e441a4550e92cf86d0a5ebf84c.html","mipUrl": "https://www.med-credit.org.cn/mobile/jingxuan/2/7f6357e441a4550e92cf86d0a5ebf84c.html","fromSrc": "欢乐橙","datePublished": "2023-02-15T16:41:09","domain": "医疗","category": ["医疗权威文章合作"],"description": "闭口和痘痘的区别主要是其皮肤病变程度、形态不同,这两种皮损属于寻常痤疮不同阶段的活动性皮损。
","extra_headline": [""]},"Author": {"name": "王晓彦","wapUrl": "https://www.med-credit.org.cn/doctor/541","pcUrl": "https://www.med-credit.org.cn/doctor/541","jobTitle": "主任医师","headPortrait": "https://www.med-credit.org.cn/uploadfile/member/541/180x180.jpeg","id": "541","description": "王晓彦,首都医科大学附属北京天坛医院皮肤科主任医师","memberOf": {"legalName": "首都医科大学附属北京天坛医院","department": "皮肤科","organizationLevel": "三级甲等"}},"Article": {"summaryContent": "闭口和痘痘的区别主要是其皮肤病变程度、形态不同,这两种皮损属于寻常痤疮不同阶段的活动性皮损。


寻常痤疮是一种慢性、复发性的皮肤病变,为常见病,是毛囊皮脂腺单位的炎症性疾病。
1、闭口:在医学上称为闭合性粉刺,由微小粉刺(皮肤过度角化栓)发展而来。其形态特征是圆顶状平滑丘疹,非炎症性,直径通常小于5mm,呈肤色、发白或灰色。
2、痘痘:一般是指丘疹脓疱型痤疮,其直径一般小于5mm,是相对浅表的皮肤炎性病灶,可表现为红色丘疹,或脓疱疹。皮损处的毛囊破坏,细菌及促炎症脂质、角蛋白释放进入皮肤组织,导致免疫应答促进炎症反应。
在日常生活中,高糖、高脂饮食会增加上述疾病发生的风险。闭合性粉刺(闭口)及炎性丘疹(痘痘)的患者日常应注意保持清淡饮食,均衡营养,补充足够的水分。同时注意皮肤护理,避免使用刺激性的清洁用品洗脸,不要挑挤粉刺及痤疮,避免损伤皮肤继发感染。使用化妆品后注意彻底清洁皮肤,避免毛孔堵塞。
","articleBody": "闭口和痘痘的区别主要是其皮肤病变程度、形态不同,这两种皮损属于寻常痤疮不同阶段的活动性皮损。


寻常痤疮是一种慢性、复发性的皮肤病变,为常见病,是毛囊皮脂腺单位的炎症性疾病。
1、闭口:在医学上称为闭合性粉刺,由微小粉刺(皮肤过度角化栓)发展而来。其形态特征是圆顶状平滑丘疹,非炎症性,直径通常小于5mm,呈肤色、发白或灰色。
2、痘痘:一般是指丘疹脓疱型痤疮,其直径一般小于5mm,是相对浅表的皮肤炎性病灶,可表现为红色丘疹,或脓疱疹。皮损处的毛囊破坏,细菌及促炎症脂质、角蛋白释放进入皮肤组织,导致免疫应答促进炎症反应。
在日常生活中,高糖、高脂饮食会增加上述疾病发生的风险。闭合性粉刺(闭口)及炎性丘疹(痘痘)的患者日常应注意保持清淡饮食,均衡营养,补充足够的水分。同时注意皮肤护理,避免使用刺激性的清洁用品洗脸,不要挑挤粉刺及痤疮,避免损伤皮肤继发感染。使用化妆品后注意彻底清洁皮肤,避免毛孔堵塞。
","scanCount": 32595}}} {"@context": "https://ziyuan.baidu.com/contexts/cambrian.jsonld","appid": "1650708455561748","icon": "https://www.med-credit.org.cn/style/images/ttlogo.png","content_tag": ["atlas"],"is_mcn": {"thumb_id": "c1nhtnyb"},"accid": "4886d626a2804dee5f11168793ce361672f39c25","@id": "https://www.med-credit.org.cn/mobile/jingxuan/2/c4aa553eeba23ff7ff7e642e01c669f0.html","bagWordId": "93e8a606978a318a","title": "黑色素斑图片","pubDate": "2023-02-15T16:41:09","upDate": "2023-02-15T16:41:09","lrDate": "2023-02-15T16:41:09","description": "黑色素斑多数面积较小,表面隆起或光滑,颜色呈黑色或深褐色,可伴有毛发。","data": {"WebPage": {"headline": "黑色素斑图片","pcUrl": "https://www.med-credit.org.cn/jingxuan/2/c4aa553eeba23ff7ff7e642e01c669f0.html","wapUrl": "https://www.med-credit.org.cn/jingxuan/2/c4aa553eeba23ff7ff7e642e01c669f0.html","mipUrl": "https://www.med-credit.org.cn/mobile/jingxuan/2/c4aa553eeba23ff7ff7e642e01c669f0.html","fromSrc": "欢乐橙","datePublished": "2023-02-15T16:41:09","domain": "医疗","category": ["医疗权威文章合作"],"description": "黑色素斑多数面积较小,表面隆起或光滑,颜色呈黑色或深褐色,可伴有毛发。
","extra_headline": [""]},"Author": {"name": "王晓彦","wapUrl": "https://www.med-credit.org.cn/doctor/541","pcUrl": "https://www.med-credit.org.cn/doctor/541","jobTitle": "主任医师","headPortrait": "https://www.med-credit.org.cn/uploadfile/member/541/180x180.jpeg","id": "541","description": "王晓彦,首都医科大学附属北京天坛医院皮肤科主任医师","memberOf": {"legalName": "首都医科大学附属北京天坛医院","department": "皮肤科","organizationLevel": "三级甲等"}},"Article": {"summaryContent": "黑色素斑多数面积较小,表面隆起或光滑,颜色呈黑色或深褐色,可伴有毛发。
日常要少吃辛辣、油腻等食物,多吃新鲜的水果及蔬菜,注意休息,避免熬夜,适当活动身体,保持心情放松。

遗传、紫外线照射、内分泌失调、药物使用、精神压力大等因素都可能使表皮内的黑色素颗粒的代谢出现异常,从而导致黑色素分布不均而形成黑色素斑。此类斑点多为黑色或深褐色,面积一般不大,表面可呈隆起或光滑,可伴有毛发。
建议先就医查明具体原因后再针对性治疗。对于该病,可以通过使用氢醌霜等药物治疗,也可采取激光等物理手段来消除色素沉着。此外,也可局部注射水光针来加快皮肤的代谢,有利于促进色素的淡化。
除了针对性治疗外,患者最重要的是做好皮肤的防晒和保湿工作,出门在外注意涂抹防晒霜,佩戴遮阳帽、遮阳伞等工具。平时注意使用温和的护肤品来保持皮肤水润。
","articleBody": "黑色素斑多数面积较小,表面隆起或光滑,颜色呈黑色或深褐色,可伴有毛发。
日常要少吃辛辣、油腻等食物,多吃新鲜的水果及蔬菜,注意休息,避免熬夜,适当活动身体,保持心情放松。

遗传、紫外线照射、内分泌失调、药物使用、精神压力大等因素都可能使表皮内的黑色素颗粒的代谢出现异常,从而导致黑色素分布不均而形成黑色素斑。此类斑点多为黑色或深褐色,面积一般不大,表面可呈隆起或光滑,可伴有毛发。
建议先就医查明具体原因后再针对性治疗。对于该病,可以通过使用氢醌霜等药物治疗,也可采取激光等物理手段来消除色素沉着。此外,也可局部注射水光针来加快皮肤的代谢,有利于促进色素的淡化。
除了针对性治疗外,患者最重要的是做好皮肤的防晒和保湿工作,出门在外注意涂抹防晒霜,佩戴遮阳帽、遮阳伞等工具。平时注意使用温和的护肤品来保持皮肤水润。
","scanCount": 32594}}} {"@context": "https://ziyuan.baidu.com/contexts/cambrian.jsonld","appid": "1650708455561748","icon": "https://www.med-credit.org.cn/style/images/ttlogo.png","content_tag": ["atlas"],"is_mcn": {"thumb_id": "3w128mji2"},"accid": "4886d626a2804dee5f11168793ce361672f39c25","@id": "https://www.med-credit.org.cn/mobile/jingxuan/2/d1ebe5c195dac1ceebfd1acc06a7889a.html","bagWordId": "2f8ca17198ce85b2","title": "皮肤湿疹图片","pubDate": "2023-02-15T16:41:09","upDate": "2023-02-15T16:41:09","lrDate": "2023-02-15T16:41:09","description": "皮肤湿疹在临床上常会产生成片、对称分布的小丘疹或小水疱,还伴随剧烈的瘙痒感,甚至蔓延全身。","data": {"WebPage": {"headline": "皮肤湿疹图片","pcUrl": "https://www.med-credit.org.cn/jingxuan/2/d1ebe5c195dac1ceebfd1acc06a7889a.html","wapUrl": "https://www.med-credit.org.cn/jingxuan/2/d1ebe5c195dac1ceebfd1acc06a7889a.html","mipUrl": "https://www.med-credit.org.cn/mobile/jingxuan/2/d1ebe5c195dac1ceebfd1acc06a7889a.html","fromSrc": "欢乐橙","datePublished": "2023-02-15T16:41:09","domain": "医疗","category": ["医疗权威文章合作"],"description": "皮肤湿疹在临床上常会产生成片、对称分布的小丘疹或小水疱,还伴随剧烈的瘙痒感,甚至蔓延全身。
","extra_headline": [""]},"Author": {"name": "曲乐","wapUrl": "https://www.med-credit.org.cn/doctor/554","pcUrl": "https://www.med-credit.org.cn/doctor/554","jobTitle": "副主任医师","headPortrait": "https://www.med-credit.org.cn/uploadfile/member/554/180x180.jpeg","id": "554","description": "曲乐,副主任医师、医学博士、硕士研究生导师、美容主诊医师、公派留美访问学者。主持国家自然科学基金及省市课题多项,在国内外高水平专业杂志发表中英文论文20余篇,参编英文专著1部。现任辽宁省免疫学会委员。","memberOf": {"legalName": "中国医科大学附属第一医院","department": "皮肤科","organizationLevel": "三级甲等"}},"Article": {"summaryContent": "皮肤湿疹在临床上常会产生成片、对称分布的小丘疹或小水疱,还伴随剧烈的瘙痒感,甚至蔓延全身。
可能是因为遗传或者刺激等多种因素影响造成的。

湿疹是一种皮肤损伤起疱、瘙痒感极强的皮肤炎症反应。它的病因很复杂如环境刺激、精神压力、消化系统疾病等。临床上常会产生成片、对称分布的小丘疹或小水疱,还伴随剧烈的瘙痒感,甚至蔓延全身。注意千万不能挠破,容易造成感染和扩散。
湿疹并不是湿气过重所致,因此除湿的方法对湿疹无效。治疗最重要的是注意休息,避免刺激性的食物,调整精神状态。建议患者及时前往医院就诊,行相关检查,在医生的指导下行规范化的治疗,配合药物如炉甘石洗剂或凝胶、水杨酸软膏消炎治疗,给予外敷的糖皮质激素治疗,还可以给予免疫抑制剂如环孢素进行治疗。患者还可以使用保湿润肤剂,用于预防再次感染。
患者要注意不能饮酒、喝浓茶或咖啡,避免辛辣刺激性食物,如葱、姜、蒜、辣椒、咖喱、胡椒粉等,避免蟹、虾、金枪鱼、坚果等容易引起过敏的食物。
","articleBody": "皮肤湿疹在临床上常会产生成片、对称分布的小丘疹或小水疱,还伴随剧烈的瘙痒感,甚至蔓延全身。
可能是因为遗传或者刺激等多种因素影响造成的。

湿疹是一种皮肤损伤起疱、瘙痒感极强的皮肤炎症反应。它的病因很复杂如环境刺激、精神压力、消化系统疾病等。临床上常会产生成片、对称分布的小丘疹或小水疱,还伴随剧烈的瘙痒感,甚至蔓延全身。注意千万不能挠破,容易造成感染和扩散。
湿疹并不是湿气过重所致,因此除湿的方法对湿疹无效。治疗最重要的是注意休息,避免刺激性的食物,调整精神状态。建议患者及时前往医院就诊,行相关检查,在医生的指导下行规范化的治疗,配合药物如炉甘石洗剂或凝胶、水杨酸软膏消炎治疗,给予外敷的糖皮质激素治疗,还可以给予免疫抑制剂如环孢素进行治疗。患者还可以使用保湿润肤剂,用于预防再次感染。
患者要注意不能饮酒、喝浓茶或咖啡,避免辛辣刺激性食物,如葱、姜、蒜、辣椒、咖喱、胡椒粉等,避免蟹、虾、金枪鱼、坚果等容易引起过敏的食物。
","scanCount": 32593}}} {"@context": "https://ziyuan.baidu.com/contexts/cambrian.jsonld","appid": "1650708455561748","icon": "https://www.med-credit.org.cn/style/images/ttlogo.png","content_tag": ["atlas"],"is_mcn": {"thumb_id": "3w128mji2"},"accid": "4886d626a2804dee5f11168793ce361672f39c25","@id": "https://www.med-credit.org.cn/mobile/jingxuan/2/436ef10a8fe3d52c602a0ed6be484e3b.html","bagWordId": "4c490a494015ea0d","title": "如何判断是不是蛇胆疮图片","pubDate": "2023-02-15T16:41:09","upDate": "2023-02-15T16:41:09","lrDate": "2023-02-15T16:41:09","description": "蛇胆疮,在医学上称为带状疱疹。常根据带状疱疹的典型临床表现如红斑、水疱、神经痛等来诊断该病。","data": {"WebPage": {"headline": "如何判断是不是蛇胆疮图片","pcUrl": "https://www.med-credit.org.cn/jingxuan/2/436ef10a8fe3d52c602a0ed6be484e3b.html","wapUrl": "https://www.med-credit.org.cn/jingxuan/2/436ef10a8fe3d52c602a0ed6be484e3b.html","mipUrl": "https://www.med-credit.org.cn/mobile/jingxuan/2/436ef10a8fe3d52c602a0ed6be484e3b.html","fromSrc": "欢乐橙","datePublished": "2023-02-15T16:41:09","domain": "医疗","category": ["医疗权威文章合作"],"description": "蛇胆疮,在医学上称为带状疱疹。常根据带状疱疹的典型临床表现如红斑、水疱、神经痛等来诊断该病。
","extra_headline": [""]},"Author": {"name": "曲乐","wapUrl": "https://www.med-credit.org.cn/doctor/554","pcUrl": "https://www.med-credit.org.cn/doctor/554","jobTitle": "副主任医师","headPortrait": "https://www.med-credit.org.cn/uploadfile/member/554/180x180.jpeg","id": "554","description": "曲乐,副主任医师、医学博士、硕士研究生导师、美容主诊医师、公派留美访问学者。主持国家自然科学基金及省市课题多项,在国内外高水平专业杂志发表中英文论文20余篇,参编英文专著1部。现任辽宁省免疫学会委员。","memberOf": {"legalName": "中国医科大学附属第一医院","department": "皮肤科","organizationLevel": "三级甲等"}},"Article": {"summaryContent": "蛇胆疮,在医学上称为带状疱疹。常根据带状疱疹的典型临床表现如红斑、水疱、神经痛等来诊断该病。
常使用抗病毒药物来治疗带状疱疹,一般在皮疹和疼痛症状发生后的一到两天服用阿昔洛韦。

带状疱疹是由水痘带状疱疹病毒引起,一般根据该病的典型临床表现来判断。老年人更容易患此病,带状疱疹的发生与年龄相关。患者皮肤表面可出现红斑,红斑上有黄豆大小的水疱,皮疹常呈带状分布。一般在三周左右,水疱可脱落结痂。患者在皮疹发生的部位可有持续或阵发性的疼痛,可呈刀割样或钝痛,老年人的疼痛可能更加明显。部分患者在有上述表现前,可能还会出现头痛无力等症状。
","articleBody": "蛇胆疮,在医学上称为带状疱疹。常根据带状疱疹的典型临床表现如红斑、水疱、神经痛等来诊断该病。
常使用抗病毒药物来治疗带状疱疹,一般在皮疹和疼痛症状发生后的一到两天服用阿昔洛韦。

带状疱疹是由水痘带状疱疹病毒引起,一般根据该病的典型临床表现来判断。老年人更容易患此病,带状疱疹的发生与年龄相关。患者皮肤表面可出现红斑,红斑上有黄豆大小的水疱,皮疹常呈带状分布。一般在三周左右,水疱可脱落结痂。患者在皮疹发生的部位可有持续或阵发性的疼痛,可呈刀割样或钝痛,老年人的疼痛可能更加明显。部分患者在有上述表现前,可能还会出现头痛无力等症状。
","scanCount": 32592}}} {"@context": "https://ziyuan.baidu.com/contexts/cambrian.jsonld","appid": "1650708455561748","icon": "https://www.med-credit.org.cn/style/images/ttlogo.png","content_tag": ["atlas"],"is_mcn": {"thumb_id": "0jui1zp8"},"accid": "4886d626a2804dee5f11168793ce361672f39c25","@id": "https://www.med-credit.org.cn/mobile/jingxuan/2/2a9e58c90cf25d9e2e93f4c7c9dc2fea.html","bagWordId": "42da95867c72feba","title": "轻微富贵包和正常颈部图片","pubDate": "2023-02-15T16:41:09","upDate": "2023-02-15T16:41:09","lrDate": "2023-02-15T16:41:09","description": "轻微富贵包和正常颈部的区别在于在第七颈椎和第一胸椎处是否有凸出的硬包块。","data": {"WebPage": {"headline": "轻微富贵包和正常颈部图片","pcUrl": "https://www.med-credit.org.cn/jingxuan/2/2a9e58c90cf25d9e2e93f4c7c9dc2fea.html","wapUrl": "https://www.med-credit.org.cn/jingxuan/2/2a9e58c90cf25d9e2e93f4c7c9dc2fea.html","mipUrl": "https://www.med-credit.org.cn/mobile/jingxuan/2/2a9e58c90cf25d9e2e93f4c7c9dc2fea.html","fromSrc": "欢乐橙","datePublished": "2023-02-15T16:41:09","domain": "医疗","category": ["医疗权威文章合作"],"description": "轻微富贵包和正常颈部的区别在于在第七颈椎和第一胸椎处是否有凸出的硬包块。
","extra_headline": [""]},"Author": {"name": "陈璐","wapUrl": "https://www.med-credit.org.cn/doctor/494","pcUrl": "https://www.med-credit.org.cn/doctor/494","jobTitle": "主治医师","headPortrait": "https://www.med-credit.org.cn/uploadfile/member/494/180x180.jpeg","id": "494","description": "陈璐,中南大学湘雅医院普外科主治医师。","memberOf": {"legalName": "中南大学湘雅医院","department": "普外科(胃肠外科)","organizationLevel": "三级甲等"}},"Article": {"summaryContent": "轻微富贵包和正常颈部的区别在于在第七颈椎和第一胸椎处是否有凸出的硬包块。
1.正常的颈部:后面是平整光滑,没有凸起的东西。轻微富贵包是在第七颈椎和第一胸椎处有凸出的包块。

2.轻微富贵包:主要是大椎穴瘀堵引起的一种症状,是由于局部皮下脂肪增厚而形成的,致使局部的血液循环不流通引起的脂肪堆积。

出现了轻微富贵包是身体向我们发出的一种提醒信号,近期的不良体态如探头,驼背,腰部力量不足,颈椎长时间负荷工作,局部压力紧张等,应该注意自身的姿势体态,注意颈椎的呵护,避免长时间低头办公或者是玩手机。
平时注意颈部的压力,多挺直腰板、缩头,保持良好的坐姿姿势。也可以日常多加呵护,如进行按摩放松,用热毛巾热敷脖子,做米字操,抬头保持一分钟等。如果病情加重,出现头晕手麻、走路轻飘飘等症状,应及时到医院进行诊断治疗。
","articleBody": "轻微富贵包和正常颈部的区别在于在第七颈椎和第一胸椎处是否有凸出的硬包块。
1.正常的颈部:后面是平整光滑,没有凸起的东西。轻微富贵包是在第七颈椎和第一胸椎处有凸出的包块。

2.轻微富贵包:主要是大椎穴瘀堵引起的一种症状,是由于局部皮下脂肪增厚而形成的,致使局部的血液循环不流通引起的脂肪堆积。

出现了轻微富贵包是身体向我们发出的一种提醒信号,近期的不良体态如探头,驼背,腰部力量不足,颈椎长时间负荷工作,局部压力紧张等,应该注意自身的姿势体态,注意颈椎的呵护,避免长时间低头办公或者是玩手机。
平时注意颈部的压力,多挺直腰板、缩头,保持良好的坐姿姿势。也可以日常多加呵护,如进行按摩放松,用热毛巾热敷脖子,做米字操,抬头保持一分钟等。如果病情加重,出现头晕手麻、走路轻飘飘等症状,应及时到医院进行诊断治疗。
","scanCount": 32591}}} {"@context": "https://ziyuan.baidu.com/contexts/cambrian.jsonld","appid": "1650708455561748","icon": "https://www.med-credit.org.cn/style/images/ttlogo.png","content_tag": ["atlas"],"is_mcn": {"thumb_id": "0jui1zp8"},"accid": "4886d626a2804dee5f11168793ce361672f39c25","@id": "https://www.med-credit.org.cn/mobile/jingxuan/2/3f9cf5c5f4adeb246ee95ad67b901028.html","bagWordId": "d523d276d9e802a3","title": "受伤流血的图片 ","pubDate": "2023-02-15T16:41:09","upDate": "2023-02-15T16:41:09","lrDate": "2023-02-15T16:41:09","description": "受伤流血一般表现为血液从受伤的伤口中流出,还常常伴有其他症状。","data": {"WebPage": {"headline": "受伤流血的图片 ","pcUrl": "https://www.med-credit.org.cn/jingxuan/2/3f9cf5c5f4adeb246ee95ad67b901028.html","wapUrl": "https://www.med-credit.org.cn/jingxuan/2/3f9cf5c5f4adeb246ee95ad67b901028.html","mipUrl": "https://www.med-credit.org.cn/mobile/jingxuan/2/3f9cf5c5f4adeb246ee95ad67b901028.html","fromSrc": "欢乐橙","datePublished": "2023-02-15T16:41:09","domain": "医疗","category": ["医疗权威文章合作"],"description": "受伤流血一般表现为血液从受伤的伤口中流出,还常常伴有其他症状。
","extra_headline": [""]},"Author": {"name": "陈璐","wapUrl": "https://www.med-credit.org.cn/doctor/494","pcUrl": "https://www.med-credit.org.cn/doctor/494","jobTitle": "主治医师","headPortrait": "https://www.med-credit.org.cn/uploadfile/member/494/180x180.jpeg","id": "494","description": "陈璐,中南大学湘雅医院普外科主治医师。","memberOf": {"legalName": "中南大学湘雅医院","department": "普外科(胃肠外科)","organizationLevel": "三级甲等"}},"Article": {"summaryContent": "受伤流血一般表现为血液从受伤的伤口中流出,还常常伴有其他症状。
受伤流血需要及时治疗,如可采用消毒、止血、输血等方法。

受伤后血液流出一般血液表现为鲜红色,伤口较小一般会立即凝固结痂。若伤口较大则血流量较大,患者还可能会出现头晕、脸色苍白、嘴唇发白、休克等情况。此时需要立即送往医院治疗。
首先需要尽快止血消毒,先用干净的纱布或毛巾压迫止血5~10分钟,若伤口情况严重,出血较多,建议及时前往医院就诊,在医生的指导下行规范化的治疗。若患者有活动性出血的症状,一定要立即输血。查明出血的具体位置及原因,尽早止血,常给予凝血酶止血治疗。可以配合食物疗法,患者需要补充富含铁质的食物,例如猪肝、鸭血,菠菜、黄豆等。
","articleBody": "受伤流血一般表现为血液从受伤的伤口中流出,还常常伴有其他症状。
受伤流血需要及时治疗,如可采用消毒、止血、输血等方法。

受伤后血液流出一般血液表现为鲜红色,伤口较小一般会立即凝固结痂。若伤口较大则血流量较大,患者还可能会出现头晕、脸色苍白、嘴唇发白、休克等情况。此时需要立即送往医院治疗。
首先需要尽快止血消毒,先用干净的纱布或毛巾压迫止血5~10分钟,若伤口情况严重,出血较多,建议及时前往医院就诊,在医生的指导下行规范化的治疗。若患者有活动性出血的症状,一定要立即输血。查明出血的具体位置及原因,尽早止血,常给予凝血酶止血治疗。可以配合食物疗法,患者需要补充富含铁质的食物,例如猪肝、鸭血,菠菜、黄豆等。
","scanCount": 32587}}} {"@context": "https://ziyuan.baidu.com/contexts/cambrian.jsonld","appid": "1650708455561748","icon": "https://www.med-credit.org.cn/style/images/ttlogo.png","content_tag": ["atlas"],"is_mcn": {"thumb_id": "0jui1zp8"},"accid": "4886d626a2804dee5f11168793ce361672f39c25","@id": "https://www.med-credit.org.cn/mobile/jingxuan/2/56e68b8c34600f5b71a6698bd090ba78.html","bagWordId": "fbb4d44a86fd1981","title": "淋巴位置图","pubDate": "2023-02-15T16:41:09","upDate": "2023-02-15T16:41:09","lrDate": "2023-02-15T16:41:09","description": "淋巴位置主要分布于耳、枕后、下颌、颏下、颈部、腋窝、滑车上、腹部、腹股沟区以及腘窝。","data": {"WebPage": {"headline": "淋巴位置图","pcUrl": "https://www.med-credit.org.cn/jingxuan/2/56e68b8c34600f5b71a6698bd090ba78.html","wapUrl": "https://www.med-credit.org.cn/jingxuan/2/56e68b8c34600f5b71a6698bd090ba78.html","mipUrl": "https://www.med-credit.org.cn/mobile/jingxuan/2/56e68b8c34600f5b71a6698bd090ba78.html","fromSrc": "欢乐橙","datePublished": "2023-02-15T16:41:09","domain": "医疗","category": ["医疗权威文章合作"],"description": "淋巴位置主要分布于耳、枕后、下颌、颏下、颈部、腋窝、滑车上、腹部、腹股沟区以及腘窝。
","extra_headline": [""]},"Author": {"name": "陈璐","wapUrl": "https://www.med-credit.org.cn/doctor/494","pcUrl": "https://www.med-credit.org.cn/doctor/494","jobTitle": "主治医师","headPortrait": "https://www.med-credit.org.cn/uploadfile/member/494/180x180.jpeg","id": "494","description": "陈璐,中南大学湘雅医院普外科主治医师。","memberOf": {"legalName": "中南大学湘雅医院","department": "普外科(胃肠外科)","organizationLevel": "三级甲等"}},"Article": {"summaryContent": "淋巴位置主要分布于耳、枕后、下颌、颏下、颈部、腋窝、滑车上、腹部、腹股沟区以及腘窝。

淋巴系统是机体重要的一部分,广泛分布于全身,重要的脏器、区域等均有淋巴分布,淋巴结一般分布于体表,主要是耳前淋巴结、耳后淋巴结、枕淋巴结、下颌下淋巴结、颏下淋巴结、颈前淋巴结、颈后淋巴结、锁骨上淋巴结、腋窝、滑车上淋巴结、腹部、腹股沟区以及腘窝。
1、相关疾病:淋巴结由于其特殊结构,常被刺激,造成淋巴结肿大。常在淋巴结广泛分布的部位可见肿块,触之疼痛,还伴有发热。
2、治疗:急性淋巴结炎需要及时治疗,治疗方法比较常规,治疗效果较好。先初步处理,冷敷于淋巴结处,缓解肿胀的症状。24小时之后再热敷,还可以配合一定的理疗、按摩、推拿等。可遵医嘱使用抗生素治疗如左氧氟沙星胶囊、阿莫西林胶囊、头孢氨苄颗粒等。还可以给予消炎药如布洛芬缓释片止痛治疗。若有脓肿,则穿刺抽脓、切开引流。
","articleBody": "淋巴位置主要分布于耳、枕后、下颌、颏下、颈部、腋窝、滑车上、腹部、腹股沟区以及腘窝。

淋巴系统是机体重要的一部分,广泛分布于全身,重要的脏器、区域等均有淋巴分布,淋巴结一般分布于体表,主要是耳前淋巴结、耳后淋巴结、枕淋巴结、下颌下淋巴结、颏下淋巴结、颈前淋巴结、颈后淋巴结、锁骨上淋巴结、腋窝、滑车上淋巴结、腹部、腹股沟区以及腘窝。
1、相关疾病:淋巴结由于其特殊结构,常被刺激,造成淋巴结肿大。常在淋巴结广泛分布的部位可见肿块,触之疼痛,还伴有发热。
2、治疗:急性淋巴结炎需要及时治疗,治疗方法比较常规,治疗效果较好。先初步处理,冷敷于淋巴结处,缓解肿胀的症状。24小时之后再热敷,还可以配合一定的理疗、按摩、推拿等。可遵医嘱使用抗生素治疗如左氧氟沙星胶囊、阿莫西林胶囊、头孢氨苄颗粒等。还可以给予消炎药如布洛芬缓释片止痛治疗。若有脓肿,则穿刺抽脓、切开引流。
","scanCount": 32583}}} {"@context": "https://ziyuan.baidu.com/contexts/cambrian.jsonld","appid": "1650708455561748","icon": "https://www.med-credit.org.cn/style/images/ttlogo.png","content_tag": ["atlas"],"is_mcn": {"thumb_id": "e4oal99d"},"accid": "4886d626a2804dee5f11168793ce361672f39c25","@id": "https://www.med-credit.org.cn/mobile/jingxuan/2/3a3504914e730bcf8b0d917e118782f3.html","bagWordId": "830cf2d2b3a7db12","title": "采集咽拭子准确部位图片","pubDate": "2023-02-15T16:41:09","upDate": "2023-02-15T16:41:09","lrDate": "2023-02-15T16:41:09","description": "咽拭子采集的准确部位包括两侧咽腭弓、咽后壁、扁桃体及舌根等处。","data": {"WebPage": {"headline": "采集咽拭子准确部位图片","pcUrl": "https://www.med-credit.org.cn/jingxuan/2/3a3504914e730bcf8b0d917e118782f3.html","wapUrl": "https://www.med-credit.org.cn/jingxuan/2/3a3504914e730bcf8b0d917e118782f3.html","mipUrl": "https://www.med-credit.org.cn/mobile/jingxuan/2/3a3504914e730bcf8b0d917e118782f3.html","fromSrc": "欢乐橙","datePublished": "2023-02-15T16:41:09","domain": "医疗","category": ["医疗权威文章合作"],"description": "咽拭子采集的准确部位包括两侧咽腭弓、咽后壁、扁桃体及舌根等处。
","extra_headline": [""]},"Author": {"name": "谢洪","wapUrl": "https://www.med-credit.org.cn/doctor/538","pcUrl": "https://www.med-credit.org.cn/doctor/538","jobTitle": "副主任医师","headPortrait": "https://www.med-credit.org.cn/uploadfile/member/538/180x180.jpeg","id": "538","description": "谢洪,首都医科大学附属北京世纪坛医院耳鼻喉头颈外科副主任医师","memberOf": {"legalName": "首都医科大学附属北京世纪坛医院","department": "耳鼻喉头颈外科","organizationLevel": "三级甲等"}},"Article": {"summaryContent": "咽拭子采集的准确部位包括两侧咽腭弓、咽后壁、扁桃体及舌根等处。

1、准备工作:在采集前医务人员需要做好防护措施,如对新冠病毒采集还需保证三级生物安全防护,着防护服、帽子、N95医用口罩,鞋套,乳胶手套,防护面罩;最基本的物品准备包括咽拭子采集套装、压舌板、快速手消毒液、手电筒、记号笔等。
2、采集环境:采集环境尽量保证是单独密闭的空间,减少交叉感染,采集前做好物品检查与核对工作,检查采集用品的有效期,采样管信息条码的完整性,核对被采集者的信息。采集开始前需做到有效沟通与安抚,如询问被采集者是否有不适,告知被采集者采集流程,采集过程可能稍有不适,属于正常反应,无需恐惧。
3、采集部位:采集需要被采集者张口充分暴露口咽部,采集者利用消毒长棉签在被采集者的两侧咽腭弓、咽后壁、扁桃体及舌根等处轻柔擦拭其表面的分泌物。取得分泌物后,将标本放入采样管内,拧紧盖子,避免标本污染而影响最终检测的结果。采集完成的标本应在室温下30min内尽快送检。
采集过程及结束需严格注意手卫生,采集完成后,按照规范脱去手套、防护服等防护用品,采集过程中产生的垃圾应放置到黄色垃圾袋中统一处理。
","articleBody": "咽拭子采集的准确部位包括两侧咽腭弓、咽后壁、扁桃体及舌根等处。

1、准备工作:在采集前医务人员需要做好防护措施,如对新冠病毒采集还需保证三级生物安全防护,着防护服、帽子、N95医用口罩,鞋套,乳胶手套,防护面罩;最基本的物品准备包括咽拭子采集套装、压舌板、快速手消毒液、手电筒、记号笔等。
2、采集环境:采集环境尽量保证是单独密闭的空间,减少交叉感染,采集前做好物品检查与核对工作,检查采集用品的有效期,采样管信息条码的完整性,核对被采集者的信息。采集开始前需做到有效沟通与安抚,如询问被采集者是否有不适,告知被采集者采集流程,采集过程可能稍有不适,属于正常反应,无需恐惧。
3、采集部位:采集需要被采集者张口充分暴露口咽部,采集者利用消毒长棉签在被采集者的两侧咽腭弓、咽后壁、扁桃体及舌根等处轻柔擦拭其表面的分泌物。取得分泌物后,将标本放入采样管内,拧紧盖子,避免标本污染而影响最终检测的结果。采集完成的标本应在室温下30min内尽快送检。
采集过程及结束需严格注意手卫生,采集完成后,按照规范脱去手套、防护服等防护用品,采集过程中产生的垃圾应放置到黄色垃圾袋中统一处理。
","scanCount": 32572}}} {"@context": "https://ziyuan.baidu.com/contexts/cambrian.jsonld","appid": "1650708455561748","icon": "https://www.med-credit.org.cn/style/images/ttlogo.png","content_tag": ["atlas"],"is_mcn": {"thumb_id": "e4oal99d"},"accid": "4886d626a2804dee5f11168793ce361672f39c25","@id": "https://www.med-credit.org.cn/mobile/jingxuan/2/a1aa33a153de9807712f84aefc34a1b4.html","bagWordId": "18a20793552193e6","title": "一个正常人的喉咙图片","pubDate": "2023-02-15T16:41:09","upDate": "2023-02-15T16:41:09","lrDate": "2023-02-15T16:41:09","description": "正常人的喉咙是清晰的,有正常的咽喉部结构存在,为漏斗形管道,上宽下窄。喉咙是呼吸道和消化道共同的通道,向上与鼻腔相通,向前与口腔相连,分为鼻咽部、口咽部和喉咽部。","data": {"WebPage": {"headline": "一个正常人的喉咙图片","pcUrl": "https://www.med-credit.org.cn/jingxuan/2/a1aa33a153de9807712f84aefc34a1b4.html","wapUrl": "https://www.med-credit.org.cn/jingxuan/2/a1aa33a153de9807712f84aefc34a1b4.html","mipUrl": "https://www.med-credit.org.cn/mobile/jingxuan/2/a1aa33a153de9807712f84aefc34a1b4.html","fromSrc": "欢乐橙","datePublished": "2023-02-15T16:41:09","domain": "医疗","category": ["医疗权威文章合作"],"description": "正常人的喉咙是清晰的,有正常的咽喉部结构存在,为漏斗形管道,上宽下窄。喉咙是呼吸道和消化道共同的通道,向上与鼻腔相通,向前与口腔相连,分为鼻咽部、口咽部和喉咽部。
","extra_headline": [""]},"Author": {"name": "谢洪","wapUrl": "https://www.med-credit.org.cn/doctor/538","pcUrl": "https://www.med-credit.org.cn/doctor/538","jobTitle": "副主任医师","headPortrait": "https://www.med-credit.org.cn/uploadfile/member/538/180x180.jpeg","id": "538","description": "谢洪,首都医科大学附属北京世纪坛医院耳鼻喉头颈外科副主任医师","memberOf": {"legalName": "首都医科大学附属北京世纪坛医院","department": "耳鼻喉头颈外科","organizationLevel": "三级甲等"}},"Article": {"summaryContent": "正常人的喉咙是清晰的,有正常的咽喉部结构存在,为漏斗形管道,上宽下窄。喉咙是呼吸道和消化道共同的通道,向上与鼻腔相通,向前与口腔相连,分为鼻咽部、口咽部和喉咽部。
鼻咽部位于软腭的后上方。口咽部位于软腭游离缘与会厌上缘之间。喉咽部位于会厌、游离缘与环状软骨下缘之间,有喉体的结构。咽喉靠近口腔的舌腭弓和靠近后方的舌咽弓构成扁桃体窝,容纳扁桃体。

正常人的喉咙颜色是淡红色,黏膜光滑、无充血、肿胀。扁桃体无肿大、出血、粘连。咽后壁以及舌根部没有明显的淋巴滤泡增生。会厌抬举良好,没有明显充血。双侧声带无充血及新生物,闭合正常。双侧梨状窝无积液,无新生物,吞咽正常。
喉咙与外界相通,很容易受到细菌、病毒、粉尘等的入侵,导致一些炎症的发生。如果咽喉部有炎症刺激,检查时会看见咽喉部暗红色或者鲜红色充血,双侧扁桃体充血,表面可见脓栓附着,舌根部、咽后壁大量的淋巴滤泡增生呈团片状隆起。
当喉咙有炎症时,要注意保护嗓子,多喝水,少讲话,避免辛辣刺激性食物。
","articleBody": "正常人的喉咙是清晰的,有正常的咽喉部结构存在,为漏斗形管道,上宽下窄。喉咙是呼吸道和消化道共同的通道,向上与鼻腔相通,向前与口腔相连,分为鼻咽部、口咽部和喉咽部。
鼻咽部位于软腭的后上方。口咽部位于软腭游离缘与会厌上缘之间。喉咽部位于会厌、游离缘与环状软骨下缘之间,有喉体的结构。咽喉靠近口腔的舌腭弓和靠近后方的舌咽弓构成扁桃体窝,容纳扁桃体。

正常人的喉咙颜色是淡红色,黏膜光滑、无充血、肿胀。扁桃体无肿大、出血、粘连。咽后壁以及舌根部没有明显的淋巴滤泡增生。会厌抬举良好,没有明显充血。双侧声带无充血及新生物,闭合正常。双侧梨状窝无积液,无新生物,吞咽正常。
喉咙与外界相通,很容易受到细菌、病毒、粉尘等的入侵,导致一些炎症的发生。如果咽喉部有炎症刺激,检查时会看见咽喉部暗红色或者鲜红色充血,双侧扁桃体充血,表面可见脓栓附着,舌根部、咽后壁大量的淋巴滤泡增生呈团片状隆起。
当喉咙有炎症时,要注意保护嗓子,多喝水,少讲话,避免辛辣刺激性食物。
","scanCount": 32567}}} {"@context": "https://ziyuan.baidu.com/contexts/cambrian.jsonld","appid": "1650708455561748","icon": "https://www.med-credit.org.cn/style/images/ttlogo.png","content_tag": ["atlas"],"is_mcn": {"thumb_id": "e4oal99d"},"accid": "4886d626a2804dee5f11168793ce361672f39c25","@id": "https://www.med-credit.org.cn/mobile/jingxuan/2/b56dfa37bd21e9014561adaa76365102.html","bagWordId": "75e7fd662439bc4e","title": "咽拭子采样正确手法图片","pubDate": "2023-02-15T16:41:09","upDate": "2023-02-15T16:41:09","lrDate": "2023-02-15T16:41:09","description": "咽拭子采样的正确方法是取坐位或半坐卧位,受检者头微仰、嘴张大,并把头靠在墙上或抵于椅背上固定不动,医护人员通过棉签进行采集。","data": {"WebPage": {"headline": "咽拭子采样正确手法图片","pcUrl": "https://www.med-credit.org.cn/jingxuan/2/b56dfa37bd21e9014561adaa76365102.html","wapUrl": "https://www.med-credit.org.cn/jingxuan/2/b56dfa37bd21e9014561adaa76365102.html","mipUrl": "https://www.med-credit.org.cn/mobile/jingxuan/2/b56dfa37bd21e9014561adaa76365102.html","fromSrc": "欢乐橙","datePublished": "2023-02-15T16:41:09","domain": "医疗","category": ["医疗权威文章合作"],"description": "咽拭子采样的正确方法是取坐位或半坐卧位,受检者头微仰、嘴张大,并把头靠在墙上或抵于椅背上固定不动,医护人员通过棉签进行采集。
","extra_headline": [""]},"Author": {"name": "谢洪","wapUrl": "https://www.med-credit.org.cn/doctor/538","pcUrl": "https://www.med-credit.org.cn/doctor/538","jobTitle": "副主任医师","headPortrait": "https://www.med-credit.org.cn/uploadfile/member/538/180x180.jpeg","id": "538","description": "谢洪,首都医科大学附属北京世纪坛医院耳鼻喉头颈外科副主任医师","memberOf": {"legalName": "首都医科大学附属北京世纪坛医院","department": "耳鼻喉头颈外科","organizationLevel": "三级甲等"}},"Article": {"summaryContent": "咽拭子采样的正确方法是取坐位或半坐卧位,受检者头微仰、嘴张大,并把头靠在墙上或抵于椅背上固定不动,医护人员通过棉签进行采集。

咽拭子在受检者双侧咽扁桃体部位作“上、下三个来回的快速擦拭”及在咽后壁作“左、右三个来回的快速擦拭”,避免接触舌头、牙齿、牙龈。若遇不适,退出休息一会再重试。
采集者将受检者所采集的样本装入病毒检测液里进行培养收集,并密封保存。采集者每采集一名受检者之后,都应该用酒精进行消毒手部,再重新拆开棉签,避免传染病毒,产生误测的情况。
口咽拭子检测前喝水会冲淡附着于咽喉部的细菌病毒,特别是喝热水和抑制病毒的活性,为提高咽拭子核酸检测的准确度,检测前15-30分钟避免喝水。为防止呕吐,采集咽拭子标本应避免在进食后2小时内进行,同时动作应轻、稳。
","articleBody": "咽拭子采样的正确方法是取坐位或半坐卧位,受检者头微仰、嘴张大,并把头靠在墙上或抵于椅背上固定不动,医护人员通过棉签进行采集。

咽拭子在受检者双侧咽扁桃体部位作“上、下三个来回的快速擦拭”及在咽后壁作“左、右三个来回的快速擦拭”,避免接触舌头、牙齿、牙龈。若遇不适,退出休息一会再重试。
采集者将受检者所采集的样本装入病毒检测液里进行培养收集,并密封保存。采集者每采集一名受检者之后,都应该用酒精进行消毒手部,再重新拆开棉签,避免传染病毒,产生误测的情况。
口咽拭子检测前喝水会冲淡附着于咽喉部的细菌病毒,特别是喝热水和抑制病毒的活性,为提高咽拭子核酸检测的准确度,检测前15-30分钟避免喝水。为防止呕吐,采集咽拭子标本应避免在进食后2小时内进行,同时动作应轻、稳。
","scanCount": 32564}}} {"@context": "https://ziyuan.baidu.com/contexts/cambrian.jsonld","appid": "1650708455561748","icon": "https://www.med-credit.org.cn/style/images/ttlogo.png","content_tag": ["atlas"],"is_mcn": {"thumb_id": "e4oal99d"},"accid": "4886d626a2804dee5f11168793ce361672f39c25","@id": "https://www.med-credit.org.cn/mobile/jingxuan/2/8c46639043152088fd91b09c021d9b1d.html","bagWordId": "d76e73646f6456f6","title": "耳朵结构图与名称","pubDate": "2023-02-15T16:41:09","upDate": "2023-02-15T16:41:09","lrDate": "2023-02-15T16:41:09","description": "耳,又称为前庭蜗器,可分为内耳、中耳和外耳。","data": {"WebPage": {"headline": "耳朵结构图与名称","pcUrl": "https://www.med-credit.org.cn/jingxuan/2/8c46639043152088fd91b09c021d9b1d.html","wapUrl": "https://www.med-credit.org.cn/jingxuan/2/8c46639043152088fd91b09c021d9b1d.html","mipUrl": "https://www.med-credit.org.cn/mobile/jingxuan/2/8c46639043152088fd91b09c021d9b1d.html","fromSrc": "欢乐橙","datePublished": "2023-02-15T16:41:09","domain": "医疗","category": ["医疗权威文章合作"],"description": "耳,又称为前庭蜗器,可分为内耳、中耳和外耳。
","extra_headline": [""]},"Author": {"name": "谢洪","wapUrl": "https://www.med-credit.org.cn/doctor/538","pcUrl": "https://www.med-credit.org.cn/doctor/538","jobTitle": "副主任医师","headPortrait": "https://www.med-credit.org.cn/uploadfile/member/538/180x180.jpeg","id": "538","description": "谢洪,首都医科大学附属北京世纪坛医院耳鼻喉头颈外科副主任医师","memberOf": {"legalName": "首都医科大学附属北京世纪坛医院","department": "耳鼻喉头颈外科","organizationLevel": "三级甲等"}},"Article": {"summaryContent": "耳,又称为前庭蜗器,可分为内耳、中耳和外耳。

1、外耳
(1)耳廓:临床常用采血部位;
(2)外耳道:外耳门——鼓膜这一段;
(3)鼓膜。
2、中耳
(1)鼓室:颞骨岩部内,内有听小骨、韧带肌、血管和神经。
(2)咽鼓管:鼻咽部——鼓室这一段,长大约3.5~4cm。分为咽鼓管骨部和咽鼓管软骨部。
(3)乳突窦和乳突小房:在鼓室上隐窝的上面。
3、内耳
(1)骨迷路:前庭、骨半规管、耳蜗;
(2)膜迷路:椭圆囊和球囊、膜半规管、蜗管;
(3)内耳道:颞骨岩部后面的中部,内耳门——内耳道这一段,长约10mm。
外耳和中耳的主要作用是收集和传导声波。内耳中则含有听觉感受器。
不要经常掏耳朵,以防损伤耳朵或造成耵聍栓塞。若有不适,请及时就医,寻求专业治疗。
","articleBody": "耳,又称为前庭蜗器,可分为内耳、中耳和外耳。

1、外耳
(1)耳廓:临床常用采血部位;
(2)外耳道:外耳门——鼓膜这一段;
(3)鼓膜。
2、中耳
(1)鼓室:颞骨岩部内,内有听小骨、韧带肌、血管和神经。
(2)咽鼓管:鼻咽部——鼓室这一段,长大约3.5~4cm。分为咽鼓管骨部和咽鼓管软骨部。
(3)乳突窦和乳突小房:在鼓室上隐窝的上面。
3、内耳
(1)骨迷路:前庭、骨半规管、耳蜗;
(2)膜迷路:椭圆囊和球囊、膜半规管、蜗管;
(3)内耳道:颞骨岩部后面的中部,内耳门——内耳道这一段,长约10mm。
外耳和中耳的主要作用是收集和传导声波。内耳中则含有听觉感受器。
不要经常掏耳朵,以防损伤耳朵或造成耵聍栓塞。若有不适,请及时就医,寻求专业治疗。
","scanCount": 32560}}} {"@context": "https://ziyuan.baidu.com/contexts/cambrian.jsonld","appid": "1650708455561748","icon": "https://www.med-credit.org.cn/style/images/ttlogo.png","content_tag": ["atlas"],"is_mcn": {"thumb_id": "6s1phww1w"},"accid": "4886d626a2804dee5f11168793ce361672f39c25","@id": "https://www.med-credit.org.cn/mobile/jingxuan/2/c9fb073bd5962f472dda63f54ef58a84.html","bagWordId": "969682cb953a21b1","title": "臀桥主要锻炼哪个部位","pubDate": "2023-02-15T16:41:09","upDate": "2023-02-15T16:41:09","lrDate": "2023-02-15T16:41:09","description": "臀桥主要锻炼臀大肌、下背部肌肉和腹部核心肌肉群。","data": {"WebPage": {"headline": "臀桥主要锻炼哪个部位","pcUrl": "https://www.med-credit.org.cn/jingxuan/2/c9fb073bd5962f472dda63f54ef58a84.html","wapUrl": "https://www.med-credit.org.cn/jingxuan/2/c9fb073bd5962f472dda63f54ef58a84.html","mipUrl": "https://www.med-credit.org.cn/mobile/jingxuan/2/c9fb073bd5962f472dda63f54ef58a84.html","fromSrc": "欢乐橙","datePublished": "2023-02-15T16:41:09","domain": "医疗","category": ["医疗权威文章合作"],"description": "臀桥主要锻炼臀大肌、下背部肌肉和腹部核心肌肉群。
","extra_headline": [""]},"Author": {"name": "王维","wapUrl": "https://www.med-credit.org.cn/doctor/513","pcUrl": "https://www.med-credit.org.cn/doctor/513","jobTitle": "主治医师","headPortrait": "https://www.med-credit.org.cn/uploadfile/member/513/180x180.jpeg","id": "513","description": "王维,中国医科大学附属盛京医院骨科主治医师","memberOf": {"legalName": "中国医科大学附属盛京医院","department": "骨科","organizationLevel": "三级甲等"}},"Article": {"summaryContent": "臀桥主要锻炼臀大肌、下背部肌肉和腹部核心肌肉群。

1、臀部肌肉:在做臀桥动作时,臀部会发力,进而起到锻炼臀部肌肉的效果。臀部肌肉有臀大肌、臀中肌、臀小肌和梨状肌,臀小肌和梨状肌是深层肌肉。臀桥练习过程中收紧臀部肌肉和依靠臀部力气抬起下腰部,有倾向向后伸且有外旋大腿的趋势,臀大肌能得到最有效的锻炼。
2、下背部肌肉:在练习单腿臀桥、仰卧翘腿臀桥、杠铃臀桥等进阶臀桥练习时,都可以锻炼到下背部肌肉,激活背部深层稳定肌群,其中以竖脊肌的锻炼效果最佳,能预防腰背痛。
3、腹部核心肌肉:在臀桥的练习中,腹部起支撑作用,臀部上下起伏时,腹部肌肉也随之收缩,锻炼到了核心肌群。
仰卧在平坦处,双腿屈曲,宽度略宽于肩部,呼气抬起臀部,保证大腿与身体呈一条直线,上背部支撑在地面上,下背部与臀部悬空,动作达到顶部后感觉到臀部有强烈的收缩挤压感,并在落下臀部时吸气。
","articleBody": "臀桥主要锻炼臀大肌、下背部肌肉和腹部核心肌肉群。

1、臀部肌肉:在做臀桥动作时,臀部会发力,进而起到锻炼臀部肌肉的效果。臀部肌肉有臀大肌、臀中肌、臀小肌和梨状肌,臀小肌和梨状肌是深层肌肉。臀桥练习过程中收紧臀部肌肉和依靠臀部力气抬起下腰部,有倾向向后伸且有外旋大腿的趋势,臀大肌能得到最有效的锻炼。
2、下背部肌肉:在练习单腿臀桥、仰卧翘腿臀桥、杠铃臀桥等进阶臀桥练习时,都可以锻炼到下背部肌肉,激活背部深层稳定肌群,其中以竖脊肌的锻炼效果最佳,能预防腰背痛。
3、腹部核心肌肉:在臀桥的练习中,腹部起支撑作用,臀部上下起伏时,腹部肌肉也随之收缩,锻炼到了核心肌群。
仰卧在平坦处,双腿屈曲,宽度略宽于肩部,呼气抬起臀部,保证大腿与身体呈一条直线,上背部支撑在地面上,下背部与臀部悬空,动作达到顶部后感觉到臀部有强烈的收缩挤压感,并在落下臀部时吸气。
","scanCount": 32559}}} {"@context": "https://ziyuan.baidu.com/contexts/cambrian.jsonld","appid": "1650708455561748","icon": "https://www.med-credit.org.cn/style/images/ttlogo.png","content_tag": ["atlas"],"is_mcn": {"thumb_id": "e4oal99d"},"accid": "4886d626a2804dee5f11168793ce361672f39c25","@id": "https://www.med-credit.org.cn/mobile/jingxuan/2/af76719f14219a026cf2372b9ea17230.html","bagWordId": "a64838b6c66bc97a","title": "张嘴呼吸会变丑图片","pubDate": "2023-02-15T16:41:09","upDate": "2023-02-15T16:41:09","lrDate": "2023-02-15T16:41:09","description": "张嘴呼吸会变丑主要是由于腺样体肥大造成上下颌骨发育异常。","data": {"WebPage": {"headline": "张嘴呼吸会变丑图片","pcUrl": "https://www.med-credit.org.cn/jingxuan/2/af76719f14219a026cf2372b9ea17230.html","wapUrl": "https://www.med-credit.org.cn/jingxuan/2/af76719f14219a026cf2372b9ea17230.html","mipUrl": "https://www.med-credit.org.cn/mobile/jingxuan/2/af76719f14219a026cf2372b9ea17230.html","fromSrc": "欢乐橙","datePublished": "2023-02-15T16:41:09","domain": "医疗","category": ["医疗权威文章合作"],"description": "张嘴呼吸会变丑主要是由于腺样体肥大造成上下颌骨发育异常。
","extra_headline": [""]},"Author": {"name": "谢洪","wapUrl": "https://www.med-credit.org.cn/doctor/538","pcUrl": "https://www.med-credit.org.cn/doctor/538","jobTitle": "副主任医师","headPortrait": "https://www.med-credit.org.cn/uploadfile/member/538/180x180.jpeg","id": "538","description": "谢洪,首都医科大学附属北京世纪坛医院耳鼻喉头颈外科副主任医师","memberOf": {"legalName": "首都医科大学附属北京世纪坛医院","department": "耳鼻喉头颈外科","organizationLevel": "三级甲等"}},"Article": {"summaryContent": "张嘴呼吸会变丑主要是由于腺样体肥大造成上下颌骨发育异常。

腺样体肥大通常继发于鼻炎、鼻窦炎、中耳炎等疾病,会引起鼻塞、打鼾、张口呼吸等症状。腺样体面容表现为面部窄长、腭骨高拱、舌低、上颌窄、下颌尖以及开唇露齿、表情呆滞。
腺样体肥大导致面容变丑的机制是肥大的腺体导致鼻气道阻塞,鼻腔缺乏有效气流刺激,影响鼻腔和外鼻发育,造成小鼻畸形。患者鼻通气不良被迫张口呼吸,会阻碍腭部向下发育,引起持续开唇外貌,同时下颌向后下旋转,颌面部骨骼的生长失衡,关节肌肉发育随之发生变化,颊肌力增大,压迫上颌牙弓,导致上下颌牙弓狭窄。
腺样体是一个淋巴组织,出生后随着生长发育逐渐增大,在6岁时其大小达到峰值,10岁以后逐渐开始萎缩。儿童在发育过程中,如持续出现张口呼吸,应及时到耳鼻喉科就诊检查,确认腺样体发育情况,当存在明显的气道梗阻,以及反复发作或慢性的上呼吸道感染(累及耳、鼻、鼻窦、口咽、腺样体、扁桃体等部位)时,需要考虑进行腺样体切除术。
","articleBody": "张嘴呼吸会变丑主要是由于腺样体肥大造成上下颌骨发育异常。

腺样体肥大通常继发于鼻炎、鼻窦炎、中耳炎等疾病,会引起鼻塞、打鼾、张口呼吸等症状。腺样体面容表现为面部窄长、腭骨高拱、舌低、上颌窄、下颌尖以及开唇露齿、表情呆滞。
腺样体肥大导致面容变丑的机制是肥大的腺体导致鼻气道阻塞,鼻腔缺乏有效气流刺激,影响鼻腔和外鼻发育,造成小鼻畸形。患者鼻通气不良被迫张口呼吸,会阻碍腭部向下发育,引起持续开唇外貌,同时下颌向后下旋转,颌面部骨骼的生长失衡,关节肌肉发育随之发生变化,颊肌力增大,压迫上颌牙弓,导致上下颌牙弓狭窄。
腺样体是一个淋巴组织,出生后随着生长发育逐渐增大,在6岁时其大小达到峰值,10岁以后逐渐开始萎缩。儿童在发育过程中,如持续出现张口呼吸,应及时到耳鼻喉科就诊检查,确认腺样体发育情况,当存在明显的气道梗阻,以及反复发作或慢性的上呼吸道感染(累及耳、鼻、鼻窦、口咽、腺样体、扁桃体等部位)时,需要考虑进行腺样体切除术。
","scanCount": 32554}}} {"@context": "https://ziyuan.baidu.com/contexts/cambrian.jsonld","appid": "1650708455561748","icon": "https://www.med-credit.org.cn/style/images/ttlogo.png","content_tag": ["atlas"],"is_mcn": {"thumb_id": "6s1phww1w"},"accid": "4886d626a2804dee5f11168793ce361672f39c25","@id": "https://www.med-credit.org.cn/mobile/jingxuan/2/dacda2f1a5aed0461e246c2ad019981b.html","bagWordId": "7ddadde344c35682","title": "手臂肌肉图","pubDate": "2023-02-15T16:41:09","upDate": "2023-02-15T16:41:09","lrDate": "2023-02-15T16:41:09","description": "手臂的肌肉主要由上肢带肌,臂肌构成。","data": {"WebPage": {"headline": "手臂肌肉图","pcUrl": "https://www.med-credit.org.cn/jingxuan/2/dacda2f1a5aed0461e246c2ad019981b.html","wapUrl": "https://www.med-credit.org.cn/jingxuan/2/dacda2f1a5aed0461e246c2ad019981b.html","mipUrl": "https://www.med-credit.org.cn/mobile/jingxuan/2/dacda2f1a5aed0461e246c2ad019981b.html","fromSrc": "欢乐橙","datePublished": "2023-02-15T16:41:09","domain": "医疗","category": ["医疗权威文章合作"],"description": "手臂的肌肉主要由上肢带肌,臂肌构成。
","extra_headline": [""]},"Author": {"name": "王维","wapUrl": "https://www.med-credit.org.cn/doctor/513","pcUrl": "https://www.med-credit.org.cn/doctor/513","jobTitle": "主治医师","headPortrait": "https://www.med-credit.org.cn/uploadfile/member/513/180x180.jpeg","id": "513","description": "王维,中国医科大学附属盛京医院骨科主治医师","memberOf": {"legalName": "中国医科大学附属盛京医院","department": "骨科","organizationLevel": "三级甲等"}},"Article": {"summaryContent": "手臂的肌肉主要由上肢带肌,臂肌构成。

1、上肢带肌组成及作用:用于与肩关节相连接的肌肉就是所谓的上肢带肌。主要起到运动肩关节、增强肩关节稳定性的作用。主要有三角肌、肩胛下肌以及与肩胛骨相连的冈上肌、冈下肌、小圆肌和大圆肌。其中浅层的三角肌可以使肩关节外展。大圆肌和肩胛下肌可以共同作用,使肩关节做内收、内旋的动作。其他的深部肌肉可以使肩关节外旋。
2、臂肌组成及作用:覆盖于肱骨上的肌肉叫做臂肌。一部分为屈肌、一部分为伸肌。其中肱二头肌、肱肌和喙肱肌位于上臂的前方。受到肌皮神经支配。肱二头肌是很常见的屈肘关节肌肉,可以使前臂向后旋。在上臂的后方主要是肱三头肌。受到桡神经的支配。可以支配伸肘动作,协助肩关节内收。
在前臂的肌肉主要的作用是辅助完成肘关节、腕关节以及手关节的运动。主要有桡侧腕屈肌、尺侧腕屈肌、拇长屈肌、指深屈肌等肌群。
","articleBody": "手臂的肌肉主要由上肢带肌,臂肌构成。

1、上肢带肌组成及作用:用于与肩关节相连接的肌肉就是所谓的上肢带肌。主要起到运动肩关节、增强肩关节稳定性的作用。主要有三角肌、肩胛下肌以及与肩胛骨相连的冈上肌、冈下肌、小圆肌和大圆肌。其中浅层的三角肌可以使肩关节外展。大圆肌和肩胛下肌可以共同作用,使肩关节做内收、内旋的动作。其他的深部肌肉可以使肩关节外旋。
2、臂肌组成及作用:覆盖于肱骨上的肌肉叫做臂肌。一部分为屈肌、一部分为伸肌。其中肱二头肌、肱肌和喙肱肌位于上臂的前方。受到肌皮神经支配。肱二头肌是很常见的屈肘关节肌肉,可以使前臂向后旋。在上臂的后方主要是肱三头肌。受到桡神经的支配。可以支配伸肘动作,协助肩关节内收。
在前臂的肌肉主要的作用是辅助完成肘关节、腕关节以及手关节的运动。主要有桡侧腕屈肌、尺侧腕屈肌、拇长屈肌、指深屈肌等肌群。
","scanCount": 32552}}} {"@context": "https://ziyuan.baidu.com/contexts/cambrian.jsonld","appid": "1650708455561748","icon": "https://www.med-credit.org.cn/style/images/ttlogo.png","content_tag": ["atlas"],"is_mcn": {"thumb_id": "6s1phww1w"},"accid": "4886d626a2804dee5f11168793ce361672f39c25","@id": "https://www.med-credit.org.cn/mobile/jingxuan/2/6030c15c1eeec208b50ee667ddeb764b.html","bagWordId": "7b4b027527655460","title": "腰窝在什么部位 图片","pubDate": "2023-02-15T16:41:09","upDate": "2023-02-15T16:41:09","lrDate": "2023-02-15T16:41:09","description": "“腰窝”是人体背后腰间两个凹下去的窝,位于骶椎骨上方和腰椎连接处的两侧。","data": {"WebPage": {"headline": "腰窝在什么部位 图片","pcUrl": "https://www.med-credit.org.cn/jingxuan/2/6030c15c1eeec208b50ee667ddeb764b.html","wapUrl": "https://www.med-credit.org.cn/jingxuan/2/6030c15c1eeec208b50ee667ddeb764b.html","mipUrl": "https://www.med-credit.org.cn/mobile/jingxuan/2/6030c15c1eeec208b50ee667ddeb764b.html","fromSrc": "欢乐橙","datePublished": "2023-02-15T16:41:09","domain": "医疗","category": ["医疗权威文章合作"],"description": "“腰窝”是人体背后腰间两个凹下去的窝,位于骶椎骨上方和腰椎连接处的两侧。
","extra_headline": [""]},"Author": {"name": "王维","wapUrl": "https://www.med-credit.org.cn/doctor/513","pcUrl": "https://www.med-credit.org.cn/doctor/513","jobTitle": "主治医师","headPortrait": "https://www.med-credit.org.cn/uploadfile/member/513/180x180.jpeg","id": "513","description": "王维,中国医科大学附属盛京医院骨科主治医师","memberOf": {"legalName": "中国医科大学附属盛京医院","department": "骨科","organizationLevel": "三级甲等"}},"Article": {"summaryContent": "“腰窝”是人体背后腰间两个凹下去的窝,位于骶椎骨上方和腰椎连接处的两侧。
临床上称作“麦凯斯菱”(临床术语)、有时也被叫做“骶凹”(结构术语)。

资料显示,德国的妇产科医生麦凯斯通过不懈研究发现臀部中间裂缝上方有块菱形空间,在这个空间的脊柱骨上的菱形肌肉比其他部位要薄要紧。
为了纪念麦凯斯医生,医学界达成共识,用麦凯斯医生的名字将此处命名为“麦凯斯菱”。
“腰窝”受到遗传基因的影响。大部分腰窝属于生理性腰窝,没有任何害处,当然也不需要任何治疗。少部分腰窝属于病理性药物,预示着有脊柱裂或骶骨、脊髓等潜在的异常,需要做检查排除异常。
关于腰窝有两种错误的认识:
1、不能认为只是“美女”才会腰窝,各种男女都可能具有。
2、“腰窝”与肾亏之间不具有逻辑关系,也就是说具有“腰窝”的人不一定肾亏。
","articleBody": "“腰窝”是人体背后腰间两个凹下去的窝,位于骶椎骨上方和腰椎连接处的两侧。
临床上称作“麦凯斯菱”(临床术语)、有时也被叫做“骶凹”(结构术语)。

资料显示,德国的妇产科医生麦凯斯通过不懈研究发现臀部中间裂缝上方有块菱形空间,在这个空间的脊柱骨上的菱形肌肉比其他部位要薄要紧。
为了纪念麦凯斯医生,医学界达成共识,用麦凯斯医生的名字将此处命名为“麦凯斯菱”。
“腰窝”受到遗传基因的影响。大部分腰窝属于生理性腰窝,没有任何害处,当然也不需要任何治疗。少部分腰窝属于病理性药物,预示着有脊柱裂或骶骨、脊髓等潜在的异常,需要做检查排除异常。
关于腰窝有两种错误的认识:
1、不能认为只是“美女”才会腰窝,各种男女都可能具有。
2、“腰窝”与肾亏之间不具有逻辑关系,也就是说具有“腰窝”的人不一定肾亏。
","scanCount": 32550}}} {"@context": "https://ziyuan.baidu.com/contexts/cambrian.jsonld","appid": "1650708455561748","icon": "https://www.med-credit.org.cn/style/images/ttlogo.png","content_tag": ["atlas"],"is_mcn": {"thumb_id": "e4oal99d"},"accid": "4886d626a2804dee5f11168793ce361672f39c25","@id": "https://www.med-credit.org.cn/mobile/jingxuan/2/34c70326f86b0ead872616d8529cd0a1.html","bagWordId": "2664b52e4550580d","title": "耳洞增生初期是什么样图片","pubDate": "2023-02-15T16:41:09","upDate": "2023-02-15T16:41:09","lrDate": "2023-02-15T16:41:09","description": "耳洞增生初期的表现为耳朵部位会出现发硬血肿,以及皮肤会有一定的凸起,并且伴有烧灼感和瘙痒。","data": {"WebPage": {"headline": "耳洞增生初期是什么样图片","pcUrl": "https://www.med-credit.org.cn/jingxuan/2/34c70326f86b0ead872616d8529cd0a1.html","wapUrl": "https://www.med-credit.org.cn/jingxuan/2/34c70326f86b0ead872616d8529cd0a1.html","mipUrl": "https://www.med-credit.org.cn/mobile/jingxuan/2/34c70326f86b0ead872616d8529cd0a1.html","fromSrc": "欢乐橙","datePublished": "2023-02-15T16:41:09","domain": "医疗","category": ["医疗权威文章合作"],"description": "耳洞增生初期的表现为耳朵部位会出现发硬血肿,以及皮肤会有一定的凸起,并且伴有烧灼感和瘙痒。
","extra_headline": [""]},"Author": {"name": "谢洪","wapUrl": "https://www.med-credit.org.cn/doctor/538","pcUrl": "https://www.med-credit.org.cn/doctor/538","jobTitle": "副主任医师","headPortrait": "https://www.med-credit.org.cn/uploadfile/member/538/180x180.jpeg","id": "538","description": "谢洪,首都医科大学附属北京世纪坛医院耳鼻喉头颈外科副主任医师","memberOf": {"legalName": "首都医科大学附属北京世纪坛医院","department": "耳鼻喉头颈外科","organizationLevel": "三级甲等"}},"Article": {"summaryContent": "耳洞增生初期的表现为耳朵部位会出现发硬血肿,以及皮肤会有一定的凸起,并且伴有烧灼感和瘙痒。
耳洞增生初期有发硬血肿,血肿高于皮肤表层,且会变厚发硬,因毛细管血肿所以表现为鲜红色或深红色。血肿的基底端与深组织没有较多的黏连,所以收拢性较小。一般不会造成比较严重的功能问题。

若耳洞周围的皮肤显著高过周边正常的皮肤,则会产生变厚发硬的现象。因存在毛细管血肿,所以突出的皮肤为鲜红色或紫红色。而这时痒和痛为临床症状,常因皮肤瘙痒而进行抓挠导致表层溃破。在过一段时间后血肿可进行缓解,表层的颜色变浅,皮肤慢慢变平整、痛痒可以进行缓解以至消退。
如果耳洞在增生期发生瘙痒时,用酒精进行消毒。而对于已经形成的较明显的疤痕疙瘩,可以到整形科或者是耳鼻喉科将其切除。
","articleBody": "耳洞增生初期的表现为耳朵部位会出现发硬血肿,以及皮肤会有一定的凸起,并且伴有烧灼感和瘙痒。
耳洞增生初期有发硬血肿,血肿高于皮肤表层,且会变厚发硬,因毛细管血肿所以表现为鲜红色或深红色。血肿的基底端与深组织没有较多的黏连,所以收拢性较小。一般不会造成比较严重的功能问题。

若耳洞周围的皮肤显著高过周边正常的皮肤,则会产生变厚发硬的现象。因存在毛细管血肿,所以突出的皮肤为鲜红色或紫红色。而这时痒和痛为临床症状,常因皮肤瘙痒而进行抓挠导致表层溃破。在过一段时间后血肿可进行缓解,表层的颜色变浅,皮肤慢慢变平整、痛痒可以进行缓解以至消退。
如果耳洞在增生期发生瘙痒时,用酒精进行消毒。而对于已经形成的较明显的疤痕疙瘩,可以到整形科或者是耳鼻喉科将其切除。
","scanCount": 32548}}} {"@context": "https://ziyuan.baidu.com/contexts/cambrian.jsonld","appid": "1650708455561748","icon": "https://www.med-credit.org.cn/style/images/ttlogo.png","content_tag": ["atlas"],"is_mcn": {"thumb_id": "ay28xrnt0"},"accid": "4886d626a2804dee5f11168793ce361672f39c25","@id": "https://www.med-credit.org.cn/mobile/jingxuan/2/d261784bc2176ccf89924fc64bbaabc3.html","bagWordId": "7a08d38761425ea3","title": "小孩牙龈发炎脓包图片","pubDate": "2023-02-15T16:41:09","upDate": "2023-02-15T16:41:09","lrDate": "2023-02-15T16:41:09","description": "小孩牙龈发炎脓包是位于牙龈处牙齿旁或下牙龈的红色软丘疹,部分中央可见白色脓栓。","data": {"WebPage": {"headline": "小孩牙龈发炎脓包图片","pcUrl": "https://www.med-credit.org.cn/jingxuan/2/d261784bc2176ccf89924fc64bbaabc3.html","wapUrl": "https://www.med-credit.org.cn/jingxuan/2/d261784bc2176ccf89924fc64bbaabc3.html","mipUrl": "https://www.med-credit.org.cn/mobile/jingxuan/2/d261784bc2176ccf89924fc64bbaabc3.html","fromSrc": "欢乐橙","datePublished": "2023-02-15T16:41:09","domain": "医疗","category": ["医疗权威文章合作"],"description": "小孩牙龈发炎脓包是位于牙龈处牙齿旁或下牙龈的红色软丘疹,部分中央可见白色脓栓。
","extra_headline": [""]},"Author": {"name": "李斯文","wapUrl": "https://www.med-credit.org.cn/doctor/546","pcUrl": "https://www.med-credit.org.cn/doctor/546","jobTitle": "主治医师","headPortrait": "https://www.med-credit.org.cn/uploadfile/member/546/180x180.jpeg","id": "546","description": "李斯文,中国医科大学附属口腔医院口腔科主治医师","memberOf": {"legalName": "中国医科大学附属口腔医院","department": "口腔科","organizationLevel": "三级甲等"}},"Article": {"summaryContent": "小孩牙龈发炎脓包是位于牙龈处牙齿旁或下牙龈的红色软丘疹,部分中央可见白色脓栓。
小孩牙龈发炎形成脓包是牙髓坏死(脓肿)的其中一种表现。患病时儿童可感觉局部有明显的疼痛感,伴有牙龈发胀及包块。

口腔检查时可见患处牙龈红肿,局部有丘疹状凸起,可有波动感,中央因包裹脓液呈白色或乳白色乳,明显触痛。部分脓包可能会自行破溃,可见引流瘘管的出口,按压可有脓液流出。窦道阻塞时可引发急性疼痛和肿胀。
根尖处有纤细的牙髓组织束,是恒牙唯一的神经血管供应。当牙髓血管神经损伤,会造成牙髓缺血性坏死,引起对应牙根处出现牙龈脓包。如不进行及时的治疗,牙龈脓包长时间持续可能演变为纤维瘤。
小孩牙龈脓包的治疗主要是对牙龈牙周炎症、牙髓坏死进行处理。应安排儿童及时就诊口腔科,对病灶进行彻底清创、冲洗、消毒后,必要时拔除牙髓,脓包一般很快消退。情况严重时,可能需要拔除患牙,避免感染进一步发展造成颌面部感染。
","articleBody": "小孩牙龈发炎脓包是位于牙龈处牙齿旁或下牙龈的红色软丘疹,部分中央可见白色脓栓。
小孩牙龈发炎形成脓包是牙髓坏死(脓肿)的其中一种表现。患病时儿童可感觉局部有明显的疼痛感,伴有牙龈发胀及包块。

口腔检查时可见患处牙龈红肿,局部有丘疹状凸起,可有波动感,中央因包裹脓液呈白色或乳白色乳,明显触痛。部分脓包可能会自行破溃,可见引流瘘管的出口,按压可有脓液流出。窦道阻塞时可引发急性疼痛和肿胀。
根尖处有纤细的牙髓组织束,是恒牙唯一的神经血管供应。当牙髓血管神经损伤,会造成牙髓缺血性坏死,引起对应牙根处出现牙龈脓包。如不进行及时的治疗,牙龈脓包长时间持续可能演变为纤维瘤。
小孩牙龈脓包的治疗主要是对牙龈牙周炎症、牙髓坏死进行处理。应安排儿童及时就诊口腔科,对病灶进行彻底清创、冲洗、消毒后,必要时拔除牙髓,脓包一般很快消退。情况严重时,可能需要拔除患牙,避免感染进一步发展造成颌面部感染。
","scanCount": 32546}}} {"@context": "https://ziyuan.baidu.com/contexts/cambrian.jsonld","appid": "1650708455561748","icon": "https://www.med-credit.org.cn/style/images/ttlogo.png","content_tag": ["atlas"],"is_mcn": {"thumb_id": "ay28xrnt0"},"accid": "4886d626a2804dee5f11168793ce361672f39c25","@id": "https://www.med-credit.org.cn/mobile/jingxuan/2/a87cf7761fbe90ddbdfe926b73cb61c2.html","bagWordId": "6bb386cac56d7446","title": "舌头白斑癌变早期图片","pubDate": "2023-02-15T16:41:09","upDate": "2023-02-15T16:41:09","lrDate": "2023-02-15T16:41:09","description": "舌头白斑也就是我们常说的口腔黏膜白斑,它也是一种癌变的早期症状。另外,舌癌癌变早期还可能伴有口腔溃疡、白斑增大且变得粗糙和变硬,这时候就要警惕是否癌变。","data": {"WebPage": {"headline": "舌头白斑癌变早期图片","pcUrl": "https://www.med-credit.org.cn/jingxuan/2/a87cf7761fbe90ddbdfe926b73cb61c2.html","wapUrl": "https://www.med-credit.org.cn/jingxuan/2/a87cf7761fbe90ddbdfe926b73cb61c2.html","mipUrl": "https://www.med-credit.org.cn/mobile/jingxuan/2/a87cf7761fbe90ddbdfe926b73cb61c2.html","fromSrc": "欢乐橙","datePublished": "2023-02-15T16:41:09","domain": "医疗","category": ["医疗权威文章合作"],"description": "舌头白斑也就是我们常说的口腔黏膜白斑,它也是一种癌变的早期症状。另外,舌癌癌变早期还可能伴有口腔溃疡、白斑增大且变得粗糙和变硬,这时候就要警惕是否癌变。
","extra_headline": [""]},"Author": {"name": "李斯文","wapUrl": "https://www.med-credit.org.cn/doctor/546","pcUrl": "https://www.med-credit.org.cn/doctor/546","jobTitle": "主治医师","headPortrait": "https://www.med-credit.org.cn/uploadfile/member/546/180x180.jpeg","id": "546","description": "李斯文,中国医科大学附属口腔医院口腔科主治医师","memberOf": {"legalName": "中国医科大学附属口腔医院","department": "口腔科","organizationLevel": "三级甲等"}},"Article": {"summaryContent": "舌头白斑也就是我们常说的口腔黏膜白斑,它也是一种癌变的早期症状。另外,舌癌癌变早期还可能伴有口腔溃疡、白斑增大且变得粗糙和变硬,这时候就要警惕是否癌变。

1、症状:舌头白斑一般多发生于舌背或舌腹,界限也比较清楚,颜色表现为乳白或者微黄的白色,病变部位会伴有颗粒增生,表现为凹凸不平。大片的白斑部位还会散发着小区域的红色病变。而白斑一般可分为均质型、疣状增生型、颗粒型和糜烂型。
2、病因:舌头白斑按照其病变,一般可分为良性的白色角化症和恶变前的白斑。而舌头白斑的发生与多种因素有关。常见的有长期吸烟和喝酒,还有喜爱吃烫和辛辣的食物,这些因素都会刺激白斑的发生。如果继续接受不良刺激和慢性摩擦,白斑转化为癌症常为白斑出现之后的2-4年,一般好发于40岁以上的男性。
要预防舌头白斑病变,首先要注意饮食,戒烟戒酒和辛辣食物,尤其男性要减少或者不吃槟榔。可以适当涂抹鱼肝油或者维生素来控制白斑。若出现白斑部位红斑或者出血等,要及时就医治疗。
","articleBody": "舌头白斑也就是我们常说的口腔黏膜白斑,它也是一种癌变的早期症状。另外,舌癌癌变早期还可能伴有口腔溃疡、白斑增大且变得粗糙和变硬,这时候就要警惕是否癌变。

1、症状:舌头白斑一般多发生于舌背或舌腹,界限也比较清楚,颜色表现为乳白或者微黄的白色,病变部位会伴有颗粒增生,表现为凹凸不平。大片的白斑部位还会散发着小区域的红色病变。而白斑一般可分为均质型、疣状增生型、颗粒型和糜烂型。
2、病因:舌头白斑按照其病变,一般可分为良性的白色角化症和恶变前的白斑。而舌头白斑的发生与多种因素有关。常见的有长期吸烟和喝酒,还有喜爱吃烫和辛辣的食物,这些因素都会刺激白斑的发生。如果继续接受不良刺激和慢性摩擦,白斑转化为癌症常为白斑出现之后的2-4年,一般好发于40岁以上的男性。
要预防舌头白斑病变,首先要注意饮食,戒烟戒酒和辛辣食物,尤其男性要减少或者不吃槟榔。可以适当涂抹鱼肝油或者维生素来控制白斑。若出现白斑部位红斑或者出血等,要及时就医治疗。
","scanCount": 32544}}} {"@context": "https://ziyuan.baidu.com/contexts/cambrian.jsonld","appid": "1650708455561748","icon": "https://www.med-credit.org.cn/style/images/ttlogo.png","content_tag": ["atlas"],"is_mcn": {"thumb_id": "e4oal99d"},"accid": "4886d626a2804dee5f11168793ce361672f39c25","@id": "https://www.med-credit.org.cn/mobile/jingxuan/2/61a3acd768783724d5039c073f2578ef.html","bagWordId": "d25d8290bc278206","title": "耳洞发炎是什么样子图片","pubDate": "2023-02-15T16:41:09","upDate": "2023-02-15T16:41:09","lrDate": "2023-02-15T16:41:09","description": "耳洞发炎表现为耳洞周围的皮肤有明显的红肿,且可能会有伴有化脓的表现,同时可出现周围的皮肤有瘙痒、疼痛的感觉。","data": {"WebPage": {"headline": "耳洞发炎是什么样子图片","pcUrl": "https://www.med-credit.org.cn/jingxuan/2/61a3acd768783724d5039c073f2578ef.html","wapUrl": "https://www.med-credit.org.cn/jingxuan/2/61a3acd768783724d5039c073f2578ef.html","mipUrl": "https://www.med-credit.org.cn/mobile/jingxuan/2/61a3acd768783724d5039c073f2578ef.html","fromSrc": "欢乐橙","datePublished": "2023-02-15T16:41:09","domain": "医疗","category": ["医疗权威文章合作"],"description": "耳洞发炎表现为耳洞周围的皮肤有明显的红肿,且可能会有伴有化脓的表现,同时可出现周围的皮肤有瘙痒、疼痛的感觉。
","extra_headline": [""]},"Author": {"name": "谢洪","wapUrl": "https://www.med-credit.org.cn/doctor/538","pcUrl": "https://www.med-credit.org.cn/doctor/538","jobTitle": "副主任医师","headPortrait": "https://www.med-credit.org.cn/uploadfile/member/538/180x180.jpeg","id": "538","description": "谢洪,首都医科大学附属北京世纪坛医院耳鼻喉头颈外科副主任医师","memberOf": {"legalName": "首都医科大学附属北京世纪坛医院","department": "耳鼻喉头颈外科","organizationLevel": "三级甲等"}},"Article": {"summaryContent": "耳洞发炎表现为耳洞周围的皮肤有明显的红肿,且可能会有伴有化脓的表现,同时可出现周围的皮肤有瘙痒、疼痛的感觉。
一部分人在打完耳洞后,耳洞及周围皮肤出现红肿现象,这主要是由于伤口未完全愈合,并且合并轻微的感染所引起的。

当耳洞皮肤出现红肿的时候,最好用酒精对伤口进行一定的消毒,并且不要接触不干净的水源;因为耳洞伤口若接触到细菌,很容易会加重感染,出现流脓的现象。如果流脓过多,需要去医院进行脓液抽取并结合相关药物治疗。
耳洞化脓是耳洞伤口遭到感染的一个重要的标志。耳洞伤口化脓有多种原因,有可能是因为细菌感染。因细菌感染后没有及时控制感染,导致感染程度不断提高,出现瘙痒、疼痛,最终导致伤口化脓。
","articleBody": "耳洞发炎表现为耳洞周围的皮肤有明显的红肿,且可能会有伴有化脓的表现,同时可出现周围的皮肤有瘙痒、疼痛的感觉。
一部分人在打完耳洞后,耳洞及周围皮肤出现红肿现象,这主要是由于伤口未完全愈合,并且合并轻微的感染所引起的。

当耳洞皮肤出现红肿的时候,最好用酒精对伤口进行一定的消毒,并且不要接触不干净的水源;因为耳洞伤口若接触到细菌,很容易会加重感染,出现流脓的现象。如果流脓过多,需要去医院进行脓液抽取并结合相关药物治疗。
耳洞化脓是耳洞伤口遭到感染的一个重要的标志。耳洞伤口化脓有多种原因,有可能是因为细菌感染。因细菌感染后没有及时控制感染,导致感染程度不断提高,出现瘙痒、疼痛,最终导致伤口化脓。
","scanCount": 32543}}} {"@context": "https://ziyuan.baidu.com/contexts/cambrian.jsonld","appid": "1650708455561748","icon": "https://www.med-credit.org.cn/style/images/ttlogo.png","content_tag": ["atlas"],"is_mcn": {"thumb_id": "ay28xrnt0"},"accid": "4886d626a2804dee5f11168793ce361672f39c25","@id": "https://www.med-credit.org.cn/mobile/jingxuan/2/5b2f929ae3383cba5bc6214dcd0d6cc7.html","bagWordId": "89a6a9aef756046f","title": "牙齿腐蚀初期图片","pubDate": "2023-02-15T16:41:09","upDate": "2023-02-15T16:41:09","lrDate": "2023-02-15T16:41:09","description": "牙齿腐蚀初期表现为窝沟白垩色的点或斑。","data": {"WebPage": {"headline": "牙齿腐蚀初期图片","pcUrl": "https://www.med-credit.org.cn/jingxuan/2/5b2f929ae3383cba5bc6214dcd0d6cc7.html","wapUrl": "https://www.med-credit.org.cn/jingxuan/2/5b2f929ae3383cba5bc6214dcd0d6cc7.html","mipUrl": "https://www.med-credit.org.cn/mobile/jingxuan/2/5b2f929ae3383cba5bc6214dcd0d6cc7.html","fromSrc": "欢乐橙","datePublished": "2023-02-15T16:41:09","domain": "医疗","category": ["医疗权威文章合作"],"description": "牙齿腐蚀初期表现为窝沟白垩色的点或斑。
","extra_headline": [""]},"Author": {"name": "李斯文","wapUrl": "https://www.med-credit.org.cn/doctor/546","pcUrl": "https://www.med-credit.org.cn/doctor/546","jobTitle": "主治医师","headPortrait": "https://www.med-credit.org.cn/uploadfile/member/546/180x180.jpeg","id": "546","description": "李斯文,中国医科大学附属口腔医院口腔科主治医师","memberOf": {"legalName": "中国医科大学附属口腔医院","department": "口腔科","organizationLevel": "三级甲等"}},"Article": {"summaryContent": "牙齿腐蚀初期表现为窝沟白垩色的点或斑。

牙齿开始腐蚀预示着龋齿(蛀牙)的形成。牙齿腐蚀初期大都是浅龋,主要表现为窝沟牙釉质形成白垩色的点或斑,一般患者的浅龋没有明显的症状,对冷热酸甜刺激也没有太大反应。但是随着龋齿的不断发展,可发展为黄褐色或褐色,当受到冷热酸甜刺激时会出现牙疼的症状。
浅龋形成的牙斑会溶解牙釉质中的钙、磷,最终形成龋齿。龋齿对人的健康的危害较大,严重者会导致全身性感染。
如果牙齿腐蚀发现得早并及时治疗,一般对身体健康没有严重的危害。但是如果细菌从龋齿进入了血液,病情可能会恶化,严重时可能会导致感染性心内膜炎。如果患有出血性疾病如血友病等,在拔牙之前,应当告知医生。
因此我们要积极预防牙齿腐蚀的发生,在日常生活中勤刷牙,而且要刷的彻底;少吃糖、点心;使用的牙膏及漱口水含氟,饮用加氟的水;定期去口腔诊所洗牙,并做检查。
","articleBody": "牙齿腐蚀初期表现为窝沟白垩色的点或斑。

牙齿开始腐蚀预示着龋齿(蛀牙)的形成。牙齿腐蚀初期大都是浅龋,主要表现为窝沟牙釉质形成白垩色的点或斑,一般患者的浅龋没有明显的症状,对冷热酸甜刺激也没有太大反应。但是随着龋齿的不断发展,可发展为黄褐色或褐色,当受到冷热酸甜刺激时会出现牙疼的症状。
浅龋形成的牙斑会溶解牙釉质中的钙、磷,最终形成龋齿。龋齿对人的健康的危害较大,严重者会导致全身性感染。
如果牙齿腐蚀发现得早并及时治疗,一般对身体健康没有严重的危害。但是如果细菌从龋齿进入了血液,病情可能会恶化,严重时可能会导致感染性心内膜炎。如果患有出血性疾病如血友病等,在拔牙之前,应当告知医生。
因此我们要积极预防牙齿腐蚀的发生,在日常生活中勤刷牙,而且要刷的彻底;少吃糖、点心;使用的牙膏及漱口水含氟,饮用加氟的水;定期去口腔诊所洗牙,并做检查。
","scanCount": 32536}}} {"@context": "https://ziyuan.baidu.com/contexts/cambrian.jsonld","appid": "1650708455561748","icon": "https://www.med-credit.org.cn/style/images/ttlogo.png","content_tag": ["atlas"],"is_mcn": {"thumb_id": "6s1phww1w"},"accid": "4886d626a2804dee5f11168793ce361672f39c25","@id": "https://www.med-credit.org.cn/mobile/jingxuan/2/5a5877b38a41c480259f8a92eefc6d95.html","bagWordId": "0e344b8c4ccb02c1","title": "腿长从哪里开始量图解","pubDate": "2023-02-15T16:41:09","upDate": "2023-02-15T16:41:09","lrDate": "2023-02-15T16:41:09","description": "在解剖学上腿长严格来讲是指胫骨和股骨的长度,而在实际测量中因为股骨头在髋臼窝内,不易测量,通常测量近端髂前上棘到远端内踝的距离。也可以选择股骨大转子到踝关节内测。由于体表标志不易摸取以及具体方法不同,可能测得腿长有一定误差。","data": {"WebPage": {"headline": "腿长从哪里开始量图解","pcUrl": "https://www.med-credit.org.cn/jingxuan/2/5a5877b38a41c480259f8a92eefc6d95.html","wapUrl": "https://www.med-credit.org.cn/jingxuan/2/5a5877b38a41c480259f8a92eefc6d95.html","mipUrl": "https://www.med-credit.org.cn/mobile/jingxuan/2/5a5877b38a41c480259f8a92eefc6d95.html","fromSrc": "欢乐橙","datePublished": "2023-02-15T16:41:09","domain": "医疗","category": ["医疗权威文章合作"],"description": "在解剖学上腿长严格来讲是指胫骨和股骨的长度,而在实际测量中因为股骨头在髋臼窝内,不易测量,通常测量近端髂前上棘到远端内踝的距离。也可以选择股骨大转子到踝关节内测。由于体表标志不易摸取以及具体方法不同,可能测得腿长有一定误差。
","extra_headline": [""]},"Author": {"name": "王维","wapUrl": "https://www.med-credit.org.cn/doctor/513","pcUrl": "https://www.med-credit.org.cn/doctor/513","jobTitle": "主治医师","headPortrait": "https://www.med-credit.org.cn/uploadfile/member/513/180x180.jpeg","id": "513","description": "王维,中国医科大学附属盛京医院骨科主治医师","memberOf": {"legalName": "中国医科大学附属盛京医院","department": "骨科","organizationLevel": "三级甲等"}},"Article": {"summaryContent": "在解剖学上腿长严格来讲是指胫骨和股骨的长度,而在实际测量中因为股骨头在髋臼窝内,不易测量,通常测量近端髂前上棘到远端内踝的距离。也可以选择股骨大转子到踝关节内测。由于体表标志不易摸取以及具体方法不同,可能测得腿长有一定误差。

1、测量方法:被测量者采取仰卧位或站立位,寻找一条较长不易伸缩的线,将其一端固定于近端髂前上棘,拉直后固定于远端内踝部位予标记。测量该点到起始端的长度,就能得到所测量腿长的绝对长度。
2、影响因素:下肢生长受到遗传与环境的双重影响。相对来说,环境远甚于基因对下肢与身长的影响。在儿童、青少年中,发育较慢,身材相比同龄人矮小多数是因为腿的相对较短,这一数据能够反映孩子在生长发育阶段所处生活环境的质量。
腿长测量中既要关注一侧腿长、身材比例,也要关注双侧腿长对比。这些数据不仅仅影响身体仪表的美感,也可能与疾病相关。如一侧肢体较另一侧有缩短,可能是先天性短肢畸形、关节脱位、骨折等原因引起的。
如感到下肢异常已影响正常生活,建议患者及时就医寻求正规诊断,在医生指导下对症对因治疗。
","articleBody": "在解剖学上腿长严格来讲是指胫骨和股骨的长度,而在实际测量中因为股骨头在髋臼窝内,不易测量,通常测量近端髂前上棘到远端内踝的距离。也可以选择股骨大转子到踝关节内测。由于体表标志不易摸取以及具体方法不同,可能测得腿长有一定误差。

1、测量方法:被测量者采取仰卧位或站立位,寻找一条较长不易伸缩的线,将其一端固定于近端髂前上棘,拉直后固定于远端内踝部位予标记。测量该点到起始端的长度,就能得到所测量腿长的绝对长度。
2、影响因素:下肢生长受到遗传与环境的双重影响。相对来说,环境远甚于基因对下肢与身长的影响。在儿童、青少年中,发育较慢,身材相比同龄人矮小多数是因为腿的相对较短,这一数据能够反映孩子在生长发育阶段所处生活环境的质量。
腿长测量中既要关注一侧腿长、身材比例,也要关注双侧腿长对比。这些数据不仅仅影响身体仪表的美感,也可能与疾病相关。如一侧肢体较另一侧有缩短,可能是先天性短肢畸形、关节脱位、骨折等原因引起的。
如感到下肢异常已影响正常生活,建议患者及时就医寻求正规诊断,在医生指导下对症对因治疗。
","scanCount": 32533}}} {"@context": "https://ziyuan.baidu.com/contexts/cambrian.jsonld","appid": "1650708455561748","icon": "https://www.med-credit.org.cn/style/images/ttlogo.png","content_tag": ["atlas"],"is_mcn": {"thumb_id": "g76756sx"},"accid": "4886d626a2804dee5f11168793ce361672f39c25","@id": "https://www.med-credit.org.cn/mobile/jingxuan/2/07fa0904f3ac901a344d9efad8cd45c0.html","bagWordId": "fbccc50a55453922","title": "曲骨的准确位置图","pubDate": "2023-02-15T16:41:09","upDate": "2023-02-15T16:41:09","lrDate": "2023-02-15T16:41:09","description": "曲骨指的是曲骨穴,曲骨穴在腹下部耻骨联合上缘上方凹陷处。","data": {"WebPage": {"headline": "曲骨的准确位置图","pcUrl": "https://www.med-credit.org.cn/jingxuan/2/07fa0904f3ac901a344d9efad8cd45c0.html","wapUrl": "https://www.med-credit.org.cn/jingxuan/2/07fa0904f3ac901a344d9efad8cd45c0.html","mipUrl": "https://www.med-credit.org.cn/mobile/jingxuan/2/07fa0904f3ac901a344d9efad8cd45c0.html","fromSrc": "欢乐橙","datePublished": "2023-02-15T16:41:09","domain": "医疗","category": ["医疗权威文章合作"],"description": "曲骨指的是曲骨穴,曲骨穴在腹下部耻骨联合上缘上方凹陷处。
","extra_headline": [""]},"Author": {"name": "张婷","wapUrl": "https://www.med-credit.org.cn/doctor/555","pcUrl": "https://www.med-credit.org.cn/doctor/555","jobTitle": "副主任医师","headPortrait": "https://www.med-credit.org.cn/uploadfile/member/555/180x180.jpeg","id": "555","description": "张婷,中南大学湘雅三医院中西医结合科副主任医师","memberOf": {"legalName": "中南大学湘雅三医院","department": "中西医结合科","organizationLevel": "三级甲等"}},"Article": {"summaryContent": "曲骨指的是曲骨穴,曲骨穴在腹下部耻骨联合上缘上方凹陷处。

1、准确位置:取穴时取仰卧位,于腹部中线,耻骨联合上缘凹陷处取穴。解剖位置曲骨穴下为皮肤、皮下组织、腹白线、腹横筋膜、腹膜外脂肪、壁腹膜。浅层主要布有髂腹下神经前皮支和腹壁浅静脉的属支。深层主要有髂腹下神经的分支。
2、功效作用:曲骨穴属于任脉,主要的功效是通利小便、调经止痛。可用以治疗遗尿、小便不利、癃闭等前阴部疾病;还可用于男科妇科病,男科疾病如遗精、阳萎、阴囊湿痒等病,妇科如月经不调、痛经、赤白带下等病。还可配伍其他穴位治疗,配肾俞、志室、大赫、关元、命门治阳萎、遗精;配膀胱俞、肾俞、次髎、阴陵泉、蠡沟治阳萎、遗精、癃闭、淋症、阴痒、湿疹、带下;配中极、关元、肾俞治肾虚、遗尿、小便不利;配关元、命门、阴交治宫寒不孕、痛经。
","articleBody": "曲骨指的是曲骨穴,曲骨穴在腹下部耻骨联合上缘上方凹陷处。

1、准确位置:取穴时取仰卧位,于腹部中线,耻骨联合上缘凹陷处取穴。解剖位置曲骨穴下为皮肤、皮下组织、腹白线、腹横筋膜、腹膜外脂肪、壁腹膜。浅层主要布有髂腹下神经前皮支和腹壁浅静脉的属支。深层主要有髂腹下神经的分支。
2、功效作用:曲骨穴属于任脉,主要的功效是通利小便、调经止痛。可用以治疗遗尿、小便不利、癃闭等前阴部疾病;还可用于男科妇科病,男科疾病如遗精、阳萎、阴囊湿痒等病,妇科如月经不调、痛经、赤白带下等病。还可配伍其他穴位治疗,配肾俞、志室、大赫、关元、命门治阳萎、遗精;配膀胱俞、肾俞、次髎、阴陵泉、蠡沟治阳萎、遗精、癃闭、淋症、阴痒、湿疹、带下;配中极、关元、肾俞治肾虚、遗尿、小便不利;配关元、命门、阴交治宫寒不孕、痛经。
","scanCount": 32532}}} {"@context": "https://ziyuan.baidu.com/contexts/cambrian.jsonld","appid": "1650708455561748","icon": "https://www.med-credit.org.cn/style/images/ttlogo.png","content_tag": ["atlas"],"is_mcn": {"thumb_id": "6s1phww1w"},"accid": "4886d626a2804dee5f11168793ce361672f39c25","@id": "https://www.med-credit.org.cn/mobile/jingxuan/2/7b89865711e9f8643dac88d166344e9e.html","bagWordId": "8fe99e93add87de4","title": "腰椎图片构造图解","pubDate": "2023-02-15T16:41:09","upDate": "2023-02-15T16:41:09","lrDate": "2023-02-15T16:41:09","description": "腰椎位于胸椎之下,有五块,构成脊柱的一部分。","data": {"WebPage": {"headline": "腰椎图片构造图解","pcUrl": "https://www.med-credit.org.cn/jingxuan/2/7b89865711e9f8643dac88d166344e9e.html","wapUrl": "https://www.med-credit.org.cn/jingxuan/2/7b89865711e9f8643dac88d166344e9e.html","mipUrl": "https://www.med-credit.org.cn/mobile/jingxuan/2/7b89865711e9f8643dac88d166344e9e.html","fromSrc": "欢乐橙","datePublished": "2023-02-15T16:41:09","domain": "医疗","category": ["医疗权威文章合作"],"description": "腰椎位于胸椎之下,有五块,构成脊柱的一部分。
","extra_headline": [""]},"Author": {"name": "王维","wapUrl": "https://www.med-credit.org.cn/doctor/513","pcUrl": "https://www.med-credit.org.cn/doctor/513","jobTitle": "主治医师","headPortrait": "https://www.med-credit.org.cn/uploadfile/member/513/180x180.jpeg","id": "513","description": "王维,中国医科大学附属盛京医院骨科主治医师","memberOf": {"legalName": "中国医科大学附属盛京医院","department": "骨科","organizationLevel": "三级甲等"}},"Article": {"summaryContent": "腰椎位于胸椎之下,有五块,构成脊柱的一部分。
腰椎主要是由椎体以及椎弓组成的。

由于腰椎需要负重,因此腰椎的椎体粗壮,横断面呈肾形。在腰椎的中间有一个孔,称之为腰椎孔,呈三角形。腰椎与上下椎体之间的关节突比较粗大。上关节突的后缘有一个卵圆形的凸起,即乳突。腰椎的棘突比较宽短,呈板状。腰椎的各个棘突之间的间隙,因此在临床上一般在此处做腰穿的入路。

腰椎主要包括椎体和椎弓构成。椎体主要起到负重的作用。在椎体的后面微微凹陷,与椎弓共同构成椎孔,里面有脊髓存在。在椎弓上有一些突起,分别为棘突、横突和关节突。
小儿的脊髓末端平第二腰椎,因此一般在第四腰椎下缘进行腰穿。而成年人的脊髓末端平第一腰椎,因而腰穿的入路在第二腰椎下缘。做腰穿可以了解患者的脑脊液情况,通过观察脑脊液的性状、蛋白质含量、糖和氯化物等物质的含量来判断患者的疾病情况。
","articleBody": "腰椎位于胸椎之下,有五块,构成脊柱的一部分。
腰椎主要是由椎体以及椎弓组成的。

由于腰椎需要负重,因此腰椎的椎体粗壮,横断面呈肾形。在腰椎的中间有一个孔,称之为腰椎孔,呈三角形。腰椎与上下椎体之间的关节突比较粗大。上关节突的后缘有一个卵圆形的凸起,即乳突。腰椎的棘突比较宽短,呈板状。腰椎的各个棘突之间的间隙,因此在临床上一般在此处做腰穿的入路。

腰椎主要包括椎体和椎弓构成。椎体主要起到负重的作用。在椎体的后面微微凹陷,与椎弓共同构成椎孔,里面有脊髓存在。在椎弓上有一些突起,分别为棘突、横突和关节突。
小儿的脊髓末端平第二腰椎,因此一般在第四腰椎下缘进行腰穿。而成年人的脊髓末端平第一腰椎,因而腰穿的入路在第二腰椎下缘。做腰穿可以了解患者的脑脊液情况,通过观察脑脊液的性状、蛋白质含量、糖和氯化物等物质的含量来判断患者的疾病情况。
","scanCount": 32529}}} {"@context": "https://ziyuan.baidu.com/contexts/cambrian.jsonld","appid": "1650708455561748","icon": "https://www.med-credit.org.cn/style/images/ttlogo.png","content_tag": ["atlas"],"is_mcn": {"thumb_id": "6s1phww1w"},"accid": "4886d626a2804dee5f11168793ce361672f39c25","@id": "https://www.med-credit.org.cn/mobile/jingxuan/2/d90ae3fb9054d4792642d5fad7e65cef.html","bagWordId": "e73368ac5f58b3c1","title": "髂前上棘体表定位图","pubDate": "2023-02-15T16:41:09","upDate": "2023-02-15T16:41:09","lrDate": "2023-02-15T16:41:09","description": "髂前上棘体表定位在仰卧位时,位于髂骨嵴向前感觉到骨性突起最高处,是髂嵴的最前端。","data": {"WebPage": {"headline": "髂前上棘体表定位图","pcUrl": "https://www.med-credit.org.cn/jingxuan/2/d90ae3fb9054d4792642d5fad7e65cef.html","wapUrl": "https://www.med-credit.org.cn/jingxuan/2/d90ae3fb9054d4792642d5fad7e65cef.html","mipUrl": "https://www.med-credit.org.cn/mobile/jingxuan/2/d90ae3fb9054d4792642d5fad7e65cef.html","fromSrc": "欢乐橙","datePublished": "2023-02-15T16:41:09","domain": "医疗","category": ["医疗权威文章合作"],"description": "髂前上棘体表定位在仰卧位时,位于髂骨嵴向前感觉到骨性突起最高处,是髂嵴的最前端。
","extra_headline": [""]},"Author": {"name": "王维","wapUrl": "https://www.med-credit.org.cn/doctor/513","pcUrl": "https://www.med-credit.org.cn/doctor/513","jobTitle": "主治医师","headPortrait": "https://www.med-credit.org.cn/uploadfile/member/513/180x180.jpeg","id": "513","description": "王维,中国医科大学附属盛京医院骨科主治医师","memberOf": {"legalName": "中国医科大学附属盛京医院","department": "骨科","organizationLevel": "三级甲等"}},"Article": {"summaryContent": "髂前上棘体表定位在仰卧位时,位于髂骨嵴向前感觉到骨性突起最高处,是髂嵴的最前端。
确定髂前上棘在体表的定位有助于实施医疗治疗以及检查操作。

1、位置:髂前上棘体表定位主要是在仰卧位时,位于髂骨嵴向前骨性突起最高处为髂嵴的最前端。
2、意义:准确找出髂前上棘在体表的定位在医学上有重要意义,主要是帮助确定一些血管、神经及器官组织的体表投影位置,有助于实施一些医学治疗及检查操作。
对于病态肥胖、局部皮肤疾病、不能配合穿刺体位的髂后上棘穿刺受阻患者,髂前上棘可以作为骨髓穿刺及活检的部位。确定阑尾的位置,脐与右髂前上棘连线中外三分之一处,为阑尾在体表的投影位置,医学上称之为“麦氏点”。脐部与左髂前上棘连线的中外三分之一处,常作为腹腔穿刺的部位。
髂前上棘是位于髂骨上的一个骨性突起标志,其内侧有股外侧皮神经通过,能对神经起到保护作用,也是部分骨盆肌肉的附着点(如缝匠肌的止点),有利于联合骨骼与肌肉结蹄组织共同维持骨盆的稳定性。
","articleBody": "髂前上棘体表定位在仰卧位时,位于髂骨嵴向前感觉到骨性突起最高处,是髂嵴的最前端。
确定髂前上棘在体表的定位有助于实施医疗治疗以及检查操作。

1、位置:髂前上棘体表定位主要是在仰卧位时,位于髂骨嵴向前骨性突起最高处为髂嵴的最前端。
2、意义:准确找出髂前上棘在体表的定位在医学上有重要意义,主要是帮助确定一些血管、神经及器官组织的体表投影位置,有助于实施一些医学治疗及检查操作。
对于病态肥胖、局部皮肤疾病、不能配合穿刺体位的髂后上棘穿刺受阻患者,髂前上棘可以作为骨髓穿刺及活检的部位。确定阑尾的位置,脐与右髂前上棘连线中外三分之一处,为阑尾在体表的投影位置,医学上称之为“麦氏点”。脐部与左髂前上棘连线的中外三分之一处,常作为腹腔穿刺的部位。
髂前上棘是位于髂骨上的一个骨性突起标志,其内侧有股外侧皮神经通过,能对神经起到保护作用,也是部分骨盆肌肉的附着点(如缝匠肌的止点),有利于联合骨骼与肌肉结蹄组织共同维持骨盆的稳定性。
","scanCount": 32528}}} {"@context": "https://ziyuan.baidu.com/contexts/cambrian.jsonld","appid": "1650708455561748","icon": "https://www.med-credit.org.cn/style/images/ttlogo.png","content_tag": ["atlas"],"is_mcn": {"thumb_id": "6s1phww1w"},"accid": "4886d626a2804dee5f11168793ce361672f39c25","@id": "https://www.med-credit.org.cn/mobile/jingxuan/2/df86604d9e1e729535cad97a1e9eb380.html","bagWordId": "e1cde3f633fb5309","title": "健身照片","pubDate": "2023-02-15T16:41:09","upDate": "2023-02-15T16:41:09","lrDate": "2023-02-15T16:41:09","description": "健身是一种以增强各项身体机能、提高运动表现力、保持身体健康、维持身材以及陶冶情操等为目的的运动方式。","data": {"WebPage": {"headline": "健身照片","pcUrl": "https://www.med-credit.org.cn/jingxuan/2/df86604d9e1e729535cad97a1e9eb380.html","wapUrl": "https://www.med-credit.org.cn/jingxuan/2/df86604d9e1e729535cad97a1e9eb380.html","mipUrl": "https://www.med-credit.org.cn/mobile/jingxuan/2/df86604d9e1e729535cad97a1e9eb380.html","fromSrc": "欢乐橙","datePublished": "2023-02-15T16:41:09","domain": "医疗","category": ["医疗权威文章合作"],"description": "健身是一种以增强各项身体机能、提高运动表现力、保持身体健康、维持身材以及陶冶情操等为目的的运动方式。
","extra_headline": [""]},"Author": {"name": "王维","wapUrl": "https://www.med-credit.org.cn/doctor/513","pcUrl": "https://www.med-credit.org.cn/doctor/513","jobTitle": "主治医师","headPortrait": "https://www.med-credit.org.cn/uploadfile/member/513/180x180.jpeg","id": "513","description": "王维,中国医科大学附属盛京医院骨科主治医师","memberOf": {"legalName": "中国医科大学附属盛京医院","department": "骨科","organizationLevel": "三级甲等"}},"Article": {"summaryContent": "健身是一种以增强各项身体机能、提高运动表现力、保持身体健康、维持身材以及陶冶情操等为目的的运动方式。



健身所涵盖的范围十分广泛,除我们普遍了解的跑步、游泳等体育运动,还包含做家务、瑜伽、舞蹈等。
健身大致可以分为器械锻炼和非器械锻炼两种方式。非器械锻炼如健美操、跑步等;器械锻炼如哑铃、杠铃、壶铃等。健身的器械又大致可以分为全身性健身器械、局部性健身器械和小型健身器械。
健身者在器械锻炼中达到更好的效果关键在于对以下六个“度”的把控:
1、角度:明确不同角度方向用力所锻炼的目标肌肉。
2、宽度:手握器械的宽度、两脚间距都会影响锻炼的目标肌肉。
3、力度:不同健身目的的人群应采用不同的力度。
4、密度:不同目标肌群要有不同的组数、次数和间歇时间。
5、速度:要根据不同目的选择锻炼速度。
6、态度:锻炼前熟悉动作要领,锻炼时注意力集中,更重要的是持之以恒。
锻炼前充分的热身、锻炼后充分的拉伸和放松也能增强运动表现和锻炼效果。
热身可以在锻炼前使体内的各种系统迅速适应即将面临的运动,避免运动伤害。
拉伸和放松可以促进血液循环,缓解锻炼造成的局部肌肉紧张和肌肉酸痛。
","articleBody": "健身是一种以增强各项身体机能、提高运动表现力、保持身体健康、维持身材以及陶冶情操等为目的的运动方式。



健身所涵盖的范围十分广泛,除我们普遍了解的跑步、游泳等体育运动,还包含做家务、瑜伽、舞蹈等。
健身大致可以分为器械锻炼和非器械锻炼两种方式。非器械锻炼如健美操、跑步等;器械锻炼如哑铃、杠铃、壶铃等。健身的器械又大致可以分为全身性健身器械、局部性健身器械和小型健身器械。
健身者在器械锻炼中达到更好的效果关键在于对以下六个“度”的把控:
1、角度:明确不同角度方向用力所锻炼的目标肌肉。
2、宽度:手握器械的宽度、两脚间距都会影响锻炼的目标肌肉。
3、力度:不同健身目的的人群应采用不同的力度。
4、密度:不同目标肌群要有不同的组数、次数和间歇时间。
5、速度:要根据不同目的选择锻炼速度。
6、态度:锻炼前熟悉动作要领,锻炼时注意力集中,更重要的是持之以恒。
锻炼前充分的热身、锻炼后充分的拉伸和放松也能增强运动表现和锻炼效果。
热身可以在锻炼前使体内的各种系统迅速适应即将面临的运动,避免运动伤害。
拉伸和放松可以促进血液循环,缓解锻炼造成的局部肌肉紧张和肌肉酸痛。
","scanCount": 32523}}} {"@context": "https://ziyuan.baidu.com/contexts/cambrian.jsonld","appid": "1650708455561748","icon": "https://www.med-credit.org.cn/style/images/ttlogo.png","content_tag": ["atlas"],"is_mcn": {"thumb_id": "ay28xrnt0"},"accid": "4886d626a2804dee5f11168793ce361672f39c25","@id": "https://www.med-credit.org.cn/mobile/jingxuan/2/0aa7403ffea465348c387a4d3eca2332.html","bagWordId": "a784f9efa0097e60","title": "正常人牙齿闭合的样子图片","pubDate": "2023-02-15T16:41:09","upDate": "2023-02-15T16:41:09","lrDate": "2023-02-15T16:41:09","description": "正常人牙齿闭合的时候,上下切牙间中线要位于同一矢状面,上颌牙超出下颌牙外侧,覆盖度不能超过3mm。","data": {"WebPage": {"headline": "正常人牙齿闭合的样子图片","pcUrl": "https://www.med-credit.org.cn/jingxuan/2/0aa7403ffea465348c387a4d3eca2332.html","wapUrl": "https://www.med-credit.org.cn/jingxuan/2/0aa7403ffea465348c387a4d3eca2332.html","mipUrl": "https://www.med-credit.org.cn/mobile/jingxuan/2/0aa7403ffea465348c387a4d3eca2332.html","fromSrc": "欢乐橙","datePublished": "2023-02-15T16:41:09","domain": "医疗","category": ["医疗权威文章合作"],"description": "正常人牙齿闭合的时候,上下切牙间中线要位于同一矢状面,上颌牙超出下颌牙外侧,覆盖度不能超过3mm。
","extra_headline": [""]},"Author": {"name": "李斯文","wapUrl": "https://www.med-credit.org.cn/doctor/546","pcUrl": "https://www.med-credit.org.cn/doctor/546","jobTitle": "主治医师","headPortrait": "https://www.med-credit.org.cn/uploadfile/member/546/180x180.jpeg","id": "546","description": "李斯文,中国医科大学附属口腔医院口腔科主治医师","memberOf": {"legalName": "中国医科大学附属口腔医院","department": "口腔科","organizationLevel": "三级甲等"}},"Article": {"summaryContent": "正常人牙齿闭合的时候,上下切牙间中线要位于同一矢状面,上颌牙超出下颌牙外侧,覆盖度不能超过3mm。

正常人牙齿闭合的时候,所有牙齿的接触面是最大的。在做吞咽动作时,边吞咽边咬合,就可以看到牙齿闭合时的样子。上颌牙要覆盖在下颌牙的前面,覆盖面小于3mm。同时上后牙的颊尖覆盖于下后牙的颊侧。此外上下唇闭合时与门牙的中线也是相齐的。
如果出现下前牙或者下后牙覆盖在上前牙或者上后牙,就是我们俗称的地包天;这种情况应该尽早进行矫正。
如果患者的颌骨发生病变,如发育的异常、肿瘤或者骨折,会使得牙齿排列紊乱,破坏正常的牙齿咬合关系,从而影响到咀嚼功能以及外观。
在临床上可以通过牙齿排列和咬合关系的情况分析来为颌骨疾病的诊断和治疗提供参考。如颌骨骨折的诊断、复位以及固定。
","articleBody": "正常人牙齿闭合的时候,上下切牙间中线要位于同一矢状面,上颌牙超出下颌牙外侧,覆盖度不能超过3mm。

正常人牙齿闭合的时候,所有牙齿的接触面是最大的。在做吞咽动作时,边吞咽边咬合,就可以看到牙齿闭合时的样子。上颌牙要覆盖在下颌牙的前面,覆盖面小于3mm。同时上后牙的颊尖覆盖于下后牙的颊侧。此外上下唇闭合时与门牙的中线也是相齐的。
如果出现下前牙或者下后牙覆盖在上前牙或者上后牙,就是我们俗称的地包天;这种情况应该尽早进行矫正。
如果患者的颌骨发生病变,如发育的异常、肿瘤或者骨折,会使得牙齿排列紊乱,破坏正常的牙齿咬合关系,从而影响到咀嚼功能以及外观。
在临床上可以通过牙齿排列和咬合关系的情况分析来为颌骨疾病的诊断和治疗提供参考。如颌骨骨折的诊断、复位以及固定。
","scanCount": 32520}}} {"@context": "https://ziyuan.baidu.com/contexts/cambrian.jsonld","appid": "1650708455561748","icon": "https://www.med-credit.org.cn/style/images/ttlogo.png","content_tag": ["atlas"],"is_mcn": {"thumb_id": "6s1phww1w"},"accid": "4886d626a2804dee5f11168793ce361672f39c25","@id": "https://www.med-credit.org.cn/mobile/jingxuan/2/26bbc443577654ac2582153f9b558b7f.html","bagWordId": "5e55874f90a39145","title": "杵状指和正常手指区别图片","pubDate": "2023-02-15T16:41:09","upDate": "2023-02-15T16:41:09","lrDate": "2023-02-15T16:41:09","description": "杵状指和正常手指的区别主要是形态、结构,杵状指末端指节较正常手指明显肿胀、膨大变形。","data": {"WebPage": {"headline": "杵状指和正常手指区别图片","pcUrl": "https://www.med-credit.org.cn/jingxuan/2/26bbc443577654ac2582153f9b558b7f.html","wapUrl": "https://www.med-credit.org.cn/jingxuan/2/26bbc443577654ac2582153f9b558b7f.html","mipUrl": "https://www.med-credit.org.cn/mobile/jingxuan/2/26bbc443577654ac2582153f9b558b7f.html","fromSrc": "欢乐橙","datePublished": "2023-02-15T16:41:09","domain": "医疗","category": ["医疗权威文章合作"],"description": "杵状指和正常手指的区别主要是形态、结构,杵状指末端指节较正常手指明显肿胀、膨大变形。
","extra_headline": [""]},"Author": {"name": "王维","wapUrl": "https://www.med-credit.org.cn/doctor/513","pcUrl": "https://www.med-credit.org.cn/doctor/513","jobTitle": "主治医师","headPortrait": "https://www.med-credit.org.cn/uploadfile/member/513/180x180.jpeg","id": "513","description": "王维,中国医科大学附属盛京医院骨科主治医师","memberOf": {"legalName": "中国医科大学附属盛京医院","department": "骨科","organizationLevel": "三级甲等"}},"Article": {"summaryContent": "杵状指和正常手指的区别主要是形态、结构,杵状指末端指节较正常手指明显肿胀、膨大变形。
杵状指的发生机制目前还不明确,可能与慢性缺氧、代谢障碍有关。指端组织缺氧,导致局部微循环动静脉支开放,血流增快,促进局部组织增生所致。

杵状指是肥大性骨关节病最常见的表现,其特征是远端指节肥大,甲板横向和纵向曲度增加。手指末端背面的软组织出现无痛性增生、肥厚,使指节呈“小鼓”状增大。
与正常手指对比,甲上角(侧面看到的甲板和手指末节背面皮肤的夹角)在正常人不超过160°,而杵状指则大于180°。杵状指患者Schamroth征阳性,被检者双手对应手指末节指甲甲面及末节指关节背面贴在一起,正常手指两指甲根部会形成菱形空隙,而杵状指此间隙变小或消失。
","articleBody": "杵状指和正常手指的区别主要是形态、结构,杵状指末端指节较正常手指明显肿胀、膨大变形。
杵状指的发生机制目前还不明确,可能与慢性缺氧、代谢障碍有关。指端组织缺氧,导致局部微循环动静脉支开放,血流增快,促进局部组织增生所致。

杵状指是肥大性骨关节病最常见的表现,其特征是远端指节肥大,甲板横向和纵向曲度增加。手指末端背面的软组织出现无痛性增生、肥厚,使指节呈“小鼓”状增大。
与正常手指对比,甲上角(侧面看到的甲板和手指末节背面皮肤的夹角)在正常人不超过160°,而杵状指则大于180°。杵状指患者Schamroth征阳性,被检者双手对应手指末节指甲甲面及末节指关节背面贴在一起,正常手指两指甲根部会形成菱形空隙,而杵状指此间隙变小或消失。
","scanCount": 32518}}} {"@context": "https://ziyuan.baidu.com/contexts/cambrian.jsonld","appid": "1650708455561748","icon": "https://www.med-credit.org.cn/style/images/ttlogo.png","content_tag": ["atlas"],"is_mcn": {"thumb_id": "g76756sx"},"accid": "4886d626a2804dee5f11168793ce361672f39c25","@id": "https://www.med-credit.org.cn/mobile/jingxuan/2/014c0fe1e0447f0514eeae2eaa78280d.html","bagWordId": "07710af5e15e2a77","title": "耳贴的部位图片","pubDate": "2023-02-15T16:41:09","upDate": "2023-02-15T16:41:09","lrDate": "2023-02-15T16:41:09","description": "耳贴选择的部位主要为耳廓。在治疗时依据耳廓具体位置可分为对耳屏和耳垂、耳屏、耳甲腔、耳甲艇、耳轮脚、三角窝、耳舟、对耳轮体、对耳轮上下脚、耳屏切迹,不同耳廓部位的选择对应人体不同脏器。","data": {"WebPage": {"headline": "耳贴的部位图片","pcUrl": "https://www.med-credit.org.cn/jingxuan/2/014c0fe1e0447f0514eeae2eaa78280d.html","wapUrl": "https://www.med-credit.org.cn/jingxuan/2/014c0fe1e0447f0514eeae2eaa78280d.html","mipUrl": "https://www.med-credit.org.cn/mobile/jingxuan/2/014c0fe1e0447f0514eeae2eaa78280d.html","fromSrc": "欢乐橙","datePublished": "2023-02-15T16:41:09","domain": "医疗","category": ["医疗权威文章合作"],"description": "耳贴选择的部位主要为耳廓。在治疗时依据耳廓具体位置可分为对耳屏和耳垂、耳屏、耳甲腔、耳甲艇、耳轮脚、三角窝、耳舟、对耳轮体、对耳轮上下脚、耳屏切迹,不同耳廓部位的选择对应人体不同脏器。
","extra_headline": [""]},"Author": {"name": "张婷","wapUrl": "https://www.med-credit.org.cn/doctor/555","pcUrl": "https://www.med-credit.org.cn/doctor/555","jobTitle": "副主任医师","headPortrait": "https://www.med-credit.org.cn/uploadfile/member/555/180x180.jpeg","id": "555","description": "张婷,中南大学湘雅三医院中西医结合科副主任医师","memberOf": {"legalName": "中南大学湘雅三医院","department": "中西医结合科","organizationLevel": "三级甲等"}},"Article": {"summaryContent": "耳贴选择的部位主要为耳廓。在治疗时依据耳廓具体位置可分为对耳屏和耳垂、耳屏、耳甲腔、耳甲艇、耳轮脚、三角窝、耳舟、对耳轮体、对耳轮上下脚、耳屏切迹,不同耳廓部位的选择对应人体不同脏器。
耳贴治疗需在医生的指导下进行,切勿自行随意操作。

耳屏及耳垂部位的穴位对应头面部的器官组织,如牙、舌、扁桃体等,主治头面部疾病。耳屏则对应鼻咽部的外鼻、内鼻及咽喉,主治鼻部及咽喉的疾病。耳甲腔对应胸腔部位器官,如气管、肺及心脏,因此可以主治呼吸道及心血管疾病。耳甲艇则对应腹腔部的器官如膀胱、输尿管、胰腺、大肠等,主治泌尿疾病及肠道疾病。
耳轮脚对应胃及脾,可以治疗消化道疾病。三角窝则对应女性内生殖器及盆腔脏器等,治疗妇科疾病。耳舟对应上肢部位的手腕、肘部、肩部等组织,对耳轮体则对应躯干部的腰椎、骶椎、脊椎等,对耳轮上下脚对应下肢及臀部。因此耳舟、对耳轮体及对耳轮上下脚可以治疗运动系统或脊椎系统病变。耳屏切迹则是对应人体的内分泌系统,治疗内分泌紊乱、糖尿病、脂代谢紊乱等疾病。
耳贴是指利用王不留行或压丸作用于耳穴部位,起到养生或辅助治疗的手段。由于耳贴部位的选择较为专业,在进行耳贴治疗时需要在医生指导下进行。同时耳部有溃烂、红肿不宜使用耳贴治疗。
","articleBody": "耳贴选择的部位主要为耳廓。在治疗时依据耳廓具体位置可分为对耳屏和耳垂、耳屏、耳甲腔、耳甲艇、耳轮脚、三角窝、耳舟、对耳轮体、对耳轮上下脚、耳屏切迹,不同耳廓部位的选择对应人体不同脏器。
耳贴治疗需在医生的指导下进行,切勿自行随意操作。

耳屏及耳垂部位的穴位对应头面部的器官组织,如牙、舌、扁桃体等,主治头面部疾病。耳屏则对应鼻咽部的外鼻、内鼻及咽喉,主治鼻部及咽喉的疾病。耳甲腔对应胸腔部位器官,如气管、肺及心脏,因此可以主治呼吸道及心血管疾病。耳甲艇则对应腹腔部的器官如膀胱、输尿管、胰腺、大肠等,主治泌尿疾病及肠道疾病。
耳轮脚对应胃及脾,可以治疗消化道疾病。三角窝则对应女性内生殖器及盆腔脏器等,治疗妇科疾病。耳舟对应上肢部位的手腕、肘部、肩部等组织,对耳轮体则对应躯干部的腰椎、骶椎、脊椎等,对耳轮上下脚对应下肢及臀部。因此耳舟、对耳轮体及对耳轮上下脚可以治疗运动系统或脊椎系统病变。耳屏切迹则是对应人体的内分泌系统,治疗内分泌紊乱、糖尿病、脂代谢紊乱等疾病。
耳贴是指利用王不留行或压丸作用于耳穴部位,起到养生或辅助治疗的手段。由于耳贴部位的选择较为专业,在进行耳贴治疗时需要在医生指导下进行。同时耳部有溃烂、红肿不宜使用耳贴治疗。
","scanCount": 32517}}} {"@context": "https://ziyuan.baidu.com/contexts/cambrian.jsonld","appid": "1650708455561748","icon": "https://www.med-credit.org.cn/style/images/ttlogo.png","content_tag": ["atlas"],"is_mcn": {"thumb_id": "e4oal99d"},"accid": "4886d626a2804dee5f11168793ce361672f39c25","@id": "https://www.med-credit.org.cn/mobile/jingxuan/2/2409be7b534db9a9fe02ad5e57bf3afb.html","bagWordId": "0ebb1d7102a37f9c","title": "正确的掏耳朵方法图解","pubDate": "2023-02-15T16:41:09","upDate": "2023-02-15T16:41:09","lrDate": "2023-02-15T16:41:09","description": "正确的掏耳朵方法有使用棉棍,注意挖耳次数要适当。","data": {"WebPage": {"headline": "正确的掏耳朵方法图解","pcUrl": "https://www.med-credit.org.cn/jingxuan/2/2409be7b534db9a9fe02ad5e57bf3afb.html","wapUrl": "https://www.med-credit.org.cn/jingxuan/2/2409be7b534db9a9fe02ad5e57bf3afb.html","mipUrl": "https://www.med-credit.org.cn/mobile/jingxuan/2/2409be7b534db9a9fe02ad5e57bf3afb.html","fromSrc": "欢乐橙","datePublished": "2023-02-15T16:41:09","domain": "医疗","category": ["医疗权威文章合作"],"description": "正确的掏耳朵方法有使用棉棍,注意挖耳次数要适当。
","extra_headline": [""]},"Author": {"name": "谢洪","wapUrl": "https://www.med-credit.org.cn/doctor/538","pcUrl": "https://www.med-credit.org.cn/doctor/538","jobTitle": "副主任医师","headPortrait": "https://www.med-credit.org.cn/uploadfile/member/538/180x180.jpeg","id": "538","description": "谢洪,首都医科大学附属北京世纪坛医院耳鼻喉头颈外科副主任医师","memberOf": {"legalName": "首都医科大学附属北京世纪坛医院","department": "耳鼻喉头颈外科","organizationLevel": "三级甲等"}},"Article": {"summaryContent": "正确的掏耳朵方法有使用棉棍,注意挖耳次数要适当。
若为油耳,可使用医用棉签蘸取碘伏。当出现不适症状时,应及时前往医院就诊。

1、使用棉棍:掏耳朵时最好使用棉棍,轻轻在外耳道转动,然后让耳朵朝下,则耵聍可自行排出,尽量不要使用指甲等尖锐物来掏耳朵。
2、注意挖耳次数要适当:不要养成频繁挖耳的习惯,一般应半个月左右挖耳一次,但在灰尘较多的地方或有油耳的人挖耳的时间间隔可适当短一点,应根据自身情况来调整。

3、使用医用棉签蘸取碘伏:如果是有油耳的人,耵聍不易自行干燥和排出,可以自己用医用棉签,蘸少许碘伏,然后再擦拭和清洁外耳道。
4、医院就诊:患有慢性外耳道炎时,耵聍分泌较多,不易排出会形成硬块,可能会产生瘙痒疼痛感,此时应及时前往医院就诊。
若感觉耳朵里有硬物堵塞、不舒服、特别痒,或有疼痛感等症状,可能是出现耵聍栓塞或炎症,应及时去正规的医院就诊。
若在挖耳时出现耳朵不适的症状,应及时到医院就诊,明确病因并采取相应的治疗措施。
","articleBody": "正确的掏耳朵方法有使用棉棍,注意挖耳次数要适当。
若为油耳,可使用医用棉签蘸取碘伏。当出现不适症状时,应及时前往医院就诊。

1、使用棉棍:掏耳朵时最好使用棉棍,轻轻在外耳道转动,然后让耳朵朝下,则耵聍可自行排出,尽量不要使用指甲等尖锐物来掏耳朵。
2、注意挖耳次数要适当:不要养成频繁挖耳的习惯,一般应半个月左右挖耳一次,但在灰尘较多的地方或有油耳的人挖耳的时间间隔可适当短一点,应根据自身情况来调整。

3、使用医用棉签蘸取碘伏:如果是有油耳的人,耵聍不易自行干燥和排出,可以自己用医用棉签,蘸少许碘伏,然后再擦拭和清洁外耳道。
4、医院就诊:患有慢性外耳道炎时,耵聍分泌较多,不易排出会形成硬块,可能会产生瘙痒疼痛感,此时应及时前往医院就诊。
若感觉耳朵里有硬物堵塞、不舒服、特别痒,或有疼痛感等症状,可能是出现耵聍栓塞或炎症,应及时去正规的医院就诊。
若在挖耳时出现耳朵不适的症状,应及时到医院就诊,明确病因并采取相应的治疗措施。
","scanCount": 32516}}} {"@context": "https://ziyuan.baidu.com/contexts/cambrian.jsonld","appid": "1650708455561748","icon": "https://www.med-credit.org.cn/style/images/ttlogo.png","content_tag": ["atlas"],"is_mcn": {"thumb_id": "e4oal99d"},"accid": "4886d626a2804dee5f11168793ce361672f39c25","@id": "https://www.med-credit.org.cn/mobile/jingxuan/2/47cc1740b626f99a4cd131bcca14d8b2.html","bagWordId": "7d805a8bf4d8c98d","title": "扁桃体化脓最严重图片","pubDate": "2023-02-15T16:41:09","upDate": "2023-02-15T16:41:09","lrDate": "2023-02-15T16:41:09","description": "扁桃体化脓最严重表现包括有3度扁桃体肿大,周边器官受累及全身并发症表现。","data": {"WebPage": {"headline": "扁桃体化脓最严重图片","pcUrl": "https://www.med-credit.org.cn/jingxuan/2/47cc1740b626f99a4cd131bcca14d8b2.html","wapUrl": "https://www.med-credit.org.cn/jingxuan/2/47cc1740b626f99a4cd131bcca14d8b2.html","mipUrl": "https://www.med-credit.org.cn/mobile/jingxuan/2/47cc1740b626f99a4cd131bcca14d8b2.html","fromSrc": "欢乐橙","datePublished": "2023-02-15T16:41:09","domain": "医疗","category": ["医疗权威文章合作"],"description": "扁桃体化脓最严重表现包括有3度扁桃体肿大,周边器官受累及全身并发症表现。
","extra_headline": [""]},"Author": {"name": "谢洪","wapUrl": "https://www.med-credit.org.cn/doctor/538","pcUrl": "https://www.med-credit.org.cn/doctor/538","jobTitle": "副主任医师","headPortrait": "https://www.med-credit.org.cn/uploadfile/member/538/180x180.jpeg","id": "538","description": "谢洪,首都医科大学附属北京世纪坛医院耳鼻喉头颈外科副主任医师","memberOf": {"legalName": "首都医科大学附属北京世纪坛医院","department": "耳鼻喉头颈外科","organizationLevel": "三级甲等"}},"Article": {"summaryContent": "扁桃体化脓最严重表现包括有3度扁桃体肿大,周边器官受累及全身并发症表现。
可在医生的指导下选择合适的药物进行治疗。受凉,烟酒等因素是其主要诱因,应注意休息,戒烟酒。

扁桃体化脓最严重可能会引起3度扁桃体肿大,即扁桃体肿大超过咽后壁中线(小舌头垂直舌面的线),患者会出现呼吸受限,咽痛的临床症状。
病变严重时累及扁桃体周围间隙的时候,可以形成扁桃体周围脓肿。当病变进一步突破咽旁间隙的时候,可以形成咽旁间隙脓肿。当病变继续突破其他咽后间隙等部位的时候,可以形成咽后壁脓肿。这样的患者会出现颈深间隙的脓肿感染,患者的颈部会明显地增粗,颈部活动明显的受限。
累及全身会出现畏寒、高热,四肢肌肉酸痛、疲乏无力,严重者可引起菌血症甚至感染性休克,引起血压下降,意识模糊。
扁桃体化脓诊断主要通过临床症状,体征,血常规检查及炎症指标检查可确诊。药物治疗首选青霉素,如青霉素过敏可使用林可霉素等,并予降热对症治疗,2-3天观察治疗效果,如果效果不佳注意及时更换治疗药物;症状严重者如引起感染性休克则需抗休克治疗,并观察生命体征。注意用药需要遵医嘱,不可自行服药。
受凉、烟酒等因素是扁桃体化脓的诱因,因此应戒除烟酒,多饮水,加强营养;注意休息、避免熬夜、劳累;锻炼身体,增强体质,提高机体的抵抗能力。慢性扁桃体炎常反复发作者,待病情稳定时可考虑手术切除。
","articleBody": "扁桃体化脓最严重表现包括有3度扁桃体肿大,周边器官受累及全身并发症表现。
可在医生的指导下选择合适的药物进行治疗。受凉,烟酒等因素是其主要诱因,应注意休息,戒烟酒。

扁桃体化脓最严重可能会引起3度扁桃体肿大,即扁桃体肿大超过咽后壁中线(小舌头垂直舌面的线),患者会出现呼吸受限,咽痛的临床症状。
病变严重时累及扁桃体周围间隙的时候,可以形成扁桃体周围脓肿。当病变进一步突破咽旁间隙的时候,可以形成咽旁间隙脓肿。当病变继续突破其他咽后间隙等部位的时候,可以形成咽后壁脓肿。这样的患者会出现颈深间隙的脓肿感染,患者的颈部会明显地增粗,颈部活动明显的受限。
累及全身会出现畏寒、高热,四肢肌肉酸痛、疲乏无力,严重者可引起菌血症甚至感染性休克,引起血压下降,意识模糊。
扁桃体化脓诊断主要通过临床症状,体征,血常规检查及炎症指标检查可确诊。药物治疗首选青霉素,如青霉素过敏可使用林可霉素等,并予降热对症治疗,2-3天观察治疗效果,如果效果不佳注意及时更换治疗药物;症状严重者如引起感染性休克则需抗休克治疗,并观察生命体征。注意用药需要遵医嘱,不可自行服药。
受凉、烟酒等因素是扁桃体化脓的诱因,因此应戒除烟酒,多饮水,加强营养;注意休息、避免熬夜、劳累;锻炼身体,增强体质,提高机体的抵抗能力。慢性扁桃体炎常反复发作者,待病情稳定时可考虑手术切除。
","scanCount": 32513}}} {"@context": "https://ziyuan.baidu.com/contexts/cambrian.jsonld","appid": "1650708455561748","icon": "https://www.med-credit.org.cn/style/images/ttlogo.png","content_tag": ["atlas"],"is_mcn": {"thumb_id": "e4oal99d"},"accid": "4886d626a2804dee5f11168793ce361672f39c25","@id": "https://www.med-credit.org.cn/mobile/jingxuan/2/dadde8ea9925a3c756dff555eb73d119.html","bagWordId": "9ffc0ecaed71f52d","title": "女人正常脖子喉结图片","pubDate": "2023-02-15T16:41:09","upDate": "2023-02-15T16:41:09","lrDate": "2023-02-15T16:41:09","description": "女人正常脖子喉结较为平整,一般不明显。","data": {"WebPage": {"headline": "女人正常脖子喉结图片","pcUrl": "https://www.med-credit.org.cn/jingxuan/2/dadde8ea9925a3c756dff555eb73d119.html","wapUrl": "https://www.med-credit.org.cn/jingxuan/2/dadde8ea9925a3c756dff555eb73d119.html","mipUrl": "https://www.med-credit.org.cn/mobile/jingxuan/2/dadde8ea9925a3c756dff555eb73d119.html","fromSrc": "欢乐橙","datePublished": "2023-02-15T16:41:09","domain": "医疗","category": ["医疗权威文章合作"],"description": "女人正常脖子喉结较为平整,一般不明显。
","extra_headline": [""]},"Author": {"name": "谢洪","wapUrl": "https://www.med-credit.org.cn/doctor/538","pcUrl": "https://www.med-credit.org.cn/doctor/538","jobTitle": "副主任医师","headPortrait": "https://www.med-credit.org.cn/uploadfile/member/538/180x180.jpeg","id": "538","description": "谢洪,首都医科大学附属北京世纪坛医院耳鼻喉头颈外科副主任医师","memberOf": {"legalName": "首都医科大学附属北京世纪坛医院","department": "耳鼻喉头颈外科","organizationLevel": "三级甲等"}},"Article": {"summaryContent": "女人正常脖子喉结较为平整,一般不明显。

1.正常情况:女人正常脖子的喉结是平整不明显的形态。喉结是颈部软骨的结构标志。它是颈部甲状软骨上切迹,男性和女性的都是有的,在青春发育期由于受到雄激素的影响,男性的喉结会比较明显,会成为男性的第二性征。女性同样有喉结,形态可能没有男性明显。
2.特殊情况:某些女性的喉结会比较明显,但这也是正常的。喉结的明显程度有时候与肥胖、消瘦有一定关系。如果皮下的脂肪组织比较厚,喉结自然显现的不是很明显。如果比较瘦,喉结可能会显得比较突出。
女生长喉结,大多数是发育过程中的一种生理表现。如果仅仅是喉结增大而无其他异常,不是由内分泌因素引起的,就不必多虑,也不会影响到性征和以后的生育。如果是由内分泌因素引起的话,要找出病因,到相关的医院就诊,及时的对症下药。
","articleBody": "女人正常脖子喉结较为平整,一般不明显。

1.正常情况:女人正常脖子的喉结是平整不明显的形态。喉结是颈部软骨的结构标志。它是颈部甲状软骨上切迹,男性和女性的都是有的,在青春发育期由于受到雄激素的影响,男性的喉结会比较明显,会成为男性的第二性征。女性同样有喉结,形态可能没有男性明显。
2.特殊情况:某些女性的喉结会比较明显,但这也是正常的。喉结的明显程度有时候与肥胖、消瘦有一定关系。如果皮下的脂肪组织比较厚,喉结自然显现的不是很明显。如果比较瘦,喉结可能会显得比较突出。
女生长喉结,大多数是发育过程中的一种生理表现。如果仅仅是喉结增大而无其他异常,不是由内分泌因素引起的,就不必多虑,也不会影响到性征和以后的生育。如果是由内分泌因素引起的话,要找出病因,到相关的医院就诊,及时的对症下药。
","scanCount": 32509}}} {"@context": "https://ziyuan.baidu.com/contexts/cambrian.jsonld","appid": "1650708455561748","icon": "https://www.med-credit.org.cn/style/images/ttlogo.png","content_tag": ["atlas"],"is_mcn": {"thumb_id": "ay28xrnt0"},"accid": "4886d626a2804dee5f11168793ce361672f39c25","@id": "https://www.med-credit.org.cn/mobile/jingxuan/2/6474fa28467eef0daf948eacc611c57d.html","bagWordId": "2ba3cf99f51d873b","title": "牙龈萎缩最严重图片","pubDate": "2023-02-15T16:41:09","upDate": "2023-02-15T16:41:09","lrDate": "2023-02-15T16:41:09","description": "牙龈萎缩可能造成一些不良后果,但具体的最严重的后果是相对而言,因此没有明确哪种后果最严重。牙龈萎缩通常会有牙龈肿痛、牙缝增大、牙齿松动、刷牙出血、牙齿敏感等表现,严重时甚至会出现牙齿脱落。","data": {"WebPage": {"headline": "牙龈萎缩最严重图片","pcUrl": "https://www.med-credit.org.cn/jingxuan/2/6474fa28467eef0daf948eacc611c57d.html","wapUrl": "https://www.med-credit.org.cn/jingxuan/2/6474fa28467eef0daf948eacc611c57d.html","mipUrl": "https://www.med-credit.org.cn/mobile/jingxuan/2/6474fa28467eef0daf948eacc611c57d.html","fromSrc": "欢乐橙","datePublished": "2023-02-15T16:41:09","domain": "医疗","category": ["医疗权威文章合作"],"description": "牙龈萎缩可能造成一些不良后果,但具体的最严重的后果是相对而言,因此没有明确哪种后果最严重。牙龈萎缩通常会有牙龈肿痛、牙缝增大、牙齿松动、刷牙出血、牙齿敏感等表现,严重时甚至会出现牙齿脱落。
","extra_headline": [""]},"Author": {"name": "李斯文","wapUrl": "https://www.med-credit.org.cn/doctor/546","pcUrl": "https://www.med-credit.org.cn/doctor/546","jobTitle": "主治医师","headPortrait": "https://www.med-credit.org.cn/uploadfile/member/546/180x180.jpeg","id": "546","description": "李斯文,中国医科大学附属口腔医院口腔科主治医师","memberOf": {"legalName": "中国医科大学附属口腔医院","department": "口腔科","organizationLevel": "三级甲等"}},"Article": {"summaryContent": "牙龈萎缩可能造成一些不良后果,但具体的最严重的后果是相对而言,因此没有明确哪种后果最严重。牙龈萎缩通常会有牙龈肿痛、牙缝增大、牙齿松动、刷牙出血、牙齿敏感等表现,严重时甚至会出现牙齿脱落。
牙龈萎缩一般是由于刷牙不当、过度咬合、牙周炎等原因引起的,应在医生的指导下进行系统的治疗。

1、病因:刷牙不当、假牙、过度咬合、牙周炎等口腔疾病等。
2、症状:牙龈萎缩患者通常会有牙龈肿痛、牙缝增大、牙齿松动、刷牙出血、牙齿敏感的表现,严重时甚至会出现牙齿脱落。除上述症状外,牙龈萎缩还可能会出现口臭、根面龋、食物嵌塞等症状。
3、治疗:轻度且均匀的牙龈萎缩,一般无需治疗。牙龈萎缩的治疗一般都是对因治疗。刷牙不当导致的牙龈萎缩,应更换刷牙工具,改变刷牙习惯。若是假牙导致的,应该改正不良修复体。对于过度咬合,应该调整咬合力或正畸力。因牙周炎等口腔疾病导致的牙龈萎缩,应在医生的指导下进行系统的治疗。如果牙齿不齐导致牙龈萎缩,那么可以考虑矫正牙齿。
值得注意的是,牙龈萎缩是不可逆疾病,如果已经出现了牙龈萎缩,一定要及时就医,防止加重病情。日常生活中,可以在饭后用生理盐水漱口、采用正确的刷牙方式、及时清理口腔里的食物残渣等来有效预防牙龈萎缩。
","articleBody": "牙龈萎缩可能造成一些不良后果,但具体的最严重的后果是相对而言,因此没有明确哪种后果最严重。牙龈萎缩通常会有牙龈肿痛、牙缝增大、牙齿松动、刷牙出血、牙齿敏感等表现,严重时甚至会出现牙齿脱落。
牙龈萎缩一般是由于刷牙不当、过度咬合、牙周炎等原因引起的,应在医生的指导下进行系统的治疗。

1、病因:刷牙不当、假牙、过度咬合、牙周炎等口腔疾病等。
2、症状:牙龈萎缩患者通常会有牙龈肿痛、牙缝增大、牙齿松动、刷牙出血、牙齿敏感的表现,严重时甚至会出现牙齿脱落。除上述症状外,牙龈萎缩还可能会出现口臭、根面龋、食物嵌塞等症状。
3、治疗:轻度且均匀的牙龈萎缩,一般无需治疗。牙龈萎缩的治疗一般都是对因治疗。刷牙不当导致的牙龈萎缩,应更换刷牙工具,改变刷牙习惯。若是假牙导致的,应该改正不良修复体。对于过度咬合,应该调整咬合力或正畸力。因牙周炎等口腔疾病导致的牙龈萎缩,应在医生的指导下进行系统的治疗。如果牙齿不齐导致牙龈萎缩,那么可以考虑矫正牙齿。
值得注意的是,牙龈萎缩是不可逆疾病,如果已经出现了牙龈萎缩,一定要及时就医,防止加重病情。日常生活中,可以在饭后用生理盐水漱口、采用正确的刷牙方式、及时清理口腔里的食物残渣等来有效预防牙龈萎缩。
","scanCount": 32508}}} {"@context": "https://ziyuan.baidu.com/contexts/cambrian.jsonld","appid": "1650708455561748","icon": "https://www.med-credit.org.cn/style/images/ttlogo.png","content_tag": ["atlas"],"is_mcn": {"thumb_id": "6s1phww1w"},"accid": "4886d626a2804dee5f11168793ce361672f39c25","@id": "https://www.med-credit.org.cn/mobile/jingxuan/2/ad62b4b83c962c457cbdbff66a4a61fb.html","bagWordId": "258b199dcf4ff426","title": "腱鞘炎位置图片","pubDate": "2023-02-15T16:41:09","upDate": "2023-02-15T16:41:09","lrDate": "2023-02-15T16:41:09","description": "腱鞘炎发生部位有手指和腕部、肱二头肌长头腱、足踝部。","data": {"WebPage": {"headline": "腱鞘炎位置图片","pcUrl": "https://www.med-credit.org.cn/jingxuan/2/ad62b4b83c962c457cbdbff66a4a61fb.html","wapUrl": "https://www.med-credit.org.cn/jingxuan/2/ad62b4b83c962c457cbdbff66a4a61fb.html","mipUrl": "https://www.med-credit.org.cn/mobile/jingxuan/2/ad62b4b83c962c457cbdbff66a4a61fb.html","fromSrc": "欢乐橙","datePublished": "2023-02-15T16:41:09","domain": "医疗","category": ["医疗权威文章合作"],"description": "腱鞘炎发生部位有手指和腕部、肱二头肌长头腱、足踝部。
","extra_headline": [""]},"Author": {"name": "王维","wapUrl": "https://www.med-credit.org.cn/doctor/513","pcUrl": "https://www.med-credit.org.cn/doctor/513","jobTitle": "主治医师","headPortrait": "https://www.med-credit.org.cn/uploadfile/member/513/180x180.jpeg","id": "513","description": "王维,中国医科大学附属盛京医院骨科主治医师","memberOf": {"legalName": "中国医科大学附属盛京医院","department": "骨科","organizationLevel": "三级甲等"}},"Article": {"summaryContent": "腱鞘炎发生部位有手指和腕部、肱二头肌长头腱、足踝部。

1、手指和腕部:长期过度使用手指和腕关节的人群,如洗衣、打字、长期拿握鼠标等,会导致该部位发生腱鞘炎,通常表现为患处疼痛和活动受限,早期可以保守治疗,多休息,按摩患处,必要时可以遵医嘱服用止痛药如布洛芬等,也可通过打封闭针治疗,过于严重时,可采用腱鞘切开减压术等手术治疗。
2、肱二头肌长头腱:此处发生腱鞘炎,多见于长期使用肩部劳作的人群,如重物搬运等,表现为患部疼痛感和活动受限,平时可以多按揉患处,主要适度放松,可遵医嘱服用萘普生等止痛药,也可打封闭针治疗,必要时介入手术。

3、足踝部:足踝部的腱鞘炎多发生于长时间使用踝关节的人群,如登山运动员等,临床表现为踝关节肿胀、疼痛等,治疗方法同上述两种情况。
腱鞘炎的发生也可能由于结核、感染、风湿热等引起,此时就需要抗结核、抗感染、抗风湿等的治疗,具体要根据检查情况做诊断,如有严重不适,请及时就医,配合医生积极治疗。
","articleBody": "腱鞘炎发生部位有手指和腕部、肱二头肌长头腱、足踝部。

1、手指和腕部:长期过度使用手指和腕关节的人群,如洗衣、打字、长期拿握鼠标等,会导致该部位发生腱鞘炎,通常表现为患处疼痛和活动受限,早期可以保守治疗,多休息,按摩患处,必要时可以遵医嘱服用止痛药如布洛芬等,也可通过打封闭针治疗,过于严重时,可采用腱鞘切开减压术等手术治疗。
2、肱二头肌长头腱:此处发生腱鞘炎,多见于长期使用肩部劳作的人群,如重物搬运等,表现为患部疼痛感和活动受限,平时可以多按揉患处,主要适度放松,可遵医嘱服用萘普生等止痛药,也可打封闭针治疗,必要时介入手术。

3、足踝部:足踝部的腱鞘炎多发生于长时间使用踝关节的人群,如登山运动员等,临床表现为踝关节肿胀、疼痛等,治疗方法同上述两种情况。
腱鞘炎的发生也可能由于结核、感染、风湿热等引起,此时就需要抗结核、抗感染、抗风湿等的治疗,具体要根据检查情况做诊断,如有严重不适,请及时就医,配合医生积极治疗。
","scanCount": 32506}}} {"@context": "https://ziyuan.baidu.com/contexts/cambrian.jsonld","appid": "1650708455561748","icon": "https://www.med-credit.org.cn/style/images/ttlogo.png","content_tag": ["atlas"],"is_mcn": {"thumb_id": "g76756sx"},"accid": "4886d626a2804dee5f11168793ce361672f39c25","@id": "https://www.med-credit.org.cn/mobile/jingxuan/2/f6a5f126714218126a24ffec6e849b57.html","bagWordId": "5664a28d0062fe2a","title": "胆经的经络走向图及功效","pubDate": "2023-02-15T16:41:09","upDate": "2023-02-15T16:41:09","lrDate": "2023-02-15T16:41:09","description": "胆经即足少阳胆经,起于瞳子髎穴、止于足窍阴穴,左右各有44个穴位。可以治疗偏头痛、面肿牙痛、腋下淋巴结肿大及下肢疼痛等症状,对头部各器官、喉部、胸胁、肝胆疾病和发热病均有一定疗效。","data": {"WebPage": {"headline": "胆经的经络走向图及功效","pcUrl": "https://www.med-credit.org.cn/jingxuan/2/f6a5f126714218126a24ffec6e849b57.html","wapUrl": "https://www.med-credit.org.cn/jingxuan/2/f6a5f126714218126a24ffec6e849b57.html","mipUrl": "https://www.med-credit.org.cn/mobile/jingxuan/2/f6a5f126714218126a24ffec6e849b57.html","fromSrc": "欢乐橙","datePublished": "2023-02-15T16:41:09","domain": "医疗","category": ["医疗权威文章合作"],"description": "胆经即足少阳胆经,起于瞳子髎穴、止于足窍阴穴,左右各有44个穴位。可以治疗偏头痛、面肿牙痛、腋下淋巴结肿大及下肢疼痛等症状,对头部各器官、喉部、胸胁、肝胆疾病和发热病均有一定疗效。
","extra_headline": [""]},"Author": {"name": "张婷","wapUrl": "https://www.med-credit.org.cn/doctor/555","pcUrl": "https://www.med-credit.org.cn/doctor/555","jobTitle": "副主任医师","headPortrait": "https://www.med-credit.org.cn/uploadfile/member/555/180x180.jpeg","id": "555","description": "张婷,中南大学湘雅三医院中西医结合科副主任医师","memberOf": {"legalName": "中南大学湘雅三医院","department": "中西医结合科","organizationLevel": "三级甲等"}},"Article": {"summaryContent": "胆经即足少阳胆经,起于瞳子髎穴、止于足窍阴穴,左右各有44个穴位。可以治疗偏头痛、面肿牙痛、腋下淋巴结肿大及下肢疼痛等症状,对头部各器官、喉部、胸胁、肝胆疾病和发热病均有一定疗效。

1、走向:足少阳胆经起于目外眦,上行至额角,下行到耳后,沿着颈旁,走于手少阳三焦经的前面,至肩上退后,交出手少阳三焦经之后,向下进入缺盆。
2、分支:足少阳胆经还有四条分支,一支为耳后支脉,自耳后出走,到目外眦后面;一支为外眦部支脉,从目外眦分出,会合手少阳三焦经,循行至髋关节部;一支为缺盆部直行脉,从缺盆起,到第四足趾外侧端;一支为足背部支脉,由足背分出,与足厥阴肝经连接。
足少阴胆经主治肝胆病、头面疾病、热病及神志疾病,对其所经44穴所对应的主证也有一定疗效。如瞳子髎主治头痛目疼、畏光眼花、口眼歪斜等头面疾病;率谷主治偏头痛、小儿惊风;阳白主治头痛眩晕、耳鸣耳聋、癫痫中风、疟疾等疾病。
足少阴胆经常用腧穴有听会、上关、瞳子髎、悬厘、阳白等,根据不同穴位直刺或灸,可起到治疗穴位对应病症的效果。
","articleBody": "胆经即足少阳胆经,起于瞳子髎穴、止于足窍阴穴,左右各有44个穴位。可以治疗偏头痛、面肿牙痛、腋下淋巴结肿大及下肢疼痛等症状,对头部各器官、喉部、胸胁、肝胆疾病和发热病均有一定疗效。

1、走向:足少阳胆经起于目外眦,上行至额角,下行到耳后,沿着颈旁,走于手少阳三焦经的前面,至肩上退后,交出手少阳三焦经之后,向下进入缺盆。
2、分支:足少阳胆经还有四条分支,一支为耳后支脉,自耳后出走,到目外眦后面;一支为外眦部支脉,从目外眦分出,会合手少阳三焦经,循行至髋关节部;一支为缺盆部直行脉,从缺盆起,到第四足趾外侧端;一支为足背部支脉,由足背分出,与足厥阴肝经连接。
足少阴胆经主治肝胆病、头面疾病、热病及神志疾病,对其所经44穴所对应的主证也有一定疗效。如瞳子髎主治头痛目疼、畏光眼花、口眼歪斜等头面疾病;率谷主治偏头痛、小儿惊风;阳白主治头痛眩晕、耳鸣耳聋、癫痫中风、疟疾等疾病。
足少阴胆经常用腧穴有听会、上关、瞳子髎、悬厘、阳白等,根据不同穴位直刺或灸,可起到治疗穴位对应病症的效果。
","scanCount": 32505}}} {"@context": "https://ziyuan.baidu.com/contexts/cambrian.jsonld","appid": "1650708455561748","icon": "https://www.med-credit.org.cn/style/images/ttlogo.png","content_tag": ["atlas"],"is_mcn": {"thumb_id": "6s1phww1w"},"accid": "4886d626a2804dee5f11168793ce361672f39c25","@id": "https://www.med-credit.org.cn/mobile/jingxuan/2/810cdcce317c88ab442fedcacb1d299b.html","bagWordId": "ddbb04ace464265a","title": "人体肌肉分布图","pubDate": "2023-02-15T16:41:09","upDate": "2023-02-15T16:41:09","lrDate": "2023-02-15T16:41:09","description": "人体肌肉分布较为广泛,主要分布在头面部、躯干、四肢等部位。","data": {"WebPage": {"headline": "人体肌肉分布图","pcUrl": "https://www.med-credit.org.cn/jingxuan/2/810cdcce317c88ab442fedcacb1d299b.html","wapUrl": "https://www.med-credit.org.cn/jingxuan/2/810cdcce317c88ab442fedcacb1d299b.html","mipUrl": "https://www.med-credit.org.cn/mobile/jingxuan/2/810cdcce317c88ab442fedcacb1d299b.html","fromSrc": "欢乐橙","datePublished": "2023-02-15T16:41:09","domain": "医疗","category": ["医疗权威文章合作"],"description": "人体肌肉分布较为广泛,主要分布在头面部、躯干、四肢等部位。
","extra_headline": [""]},"Author": {"name": "王维","wapUrl": "https://www.med-credit.org.cn/doctor/513","pcUrl": "https://www.med-credit.org.cn/doctor/513","jobTitle": "主治医师","headPortrait": "https://www.med-credit.org.cn/uploadfile/member/513/180x180.jpeg","id": "513","description": "王维,中国医科大学附属盛京医院骨科主治医师","memberOf": {"legalName": "中国医科大学附属盛京医院","department": "骨科","organizationLevel": "三级甲等"}},"Article": {"summaryContent": "人体肌肉分布较为广泛,主要分布在头面部、躯干、四肢等部位。

1.头面部:头面部的肌肉主要可分为面肌和咀嚼肌两种。面肌为扁薄的皮肌,主要位于皮肤的浅表部位,多起自颅骨的不同部位,止于面部皮肤,主要分布于面部孔裂的周围。面肌的主要作用为机体情绪的表达。咀嚼肌主要分布于下颌关节范围,可分为咬肌、颞部肌肉、翼外肌及翼内肌。主要功能为参与机体的咀嚼运动。

2.躯干:躯干部肌肉可分为颈部肌肉、背肌、胸肌、膈肌、腹肌等。躯干部位肌肉为机体重要肌肉分布区域,同时躯干肌参与机体的各项生理运动,还起着保护内脏作用。
3.四肢:四肢肌肉可分为上肢的上肢带肌、臂肌、前臂肌、手肌,下肢部位的髂即、大腿肌、小腿肌、足肌。四肢肌肉是机体较为灵活的肌肉,起着支撑机体、促进机体关节运动的作用。
因此对于人体肌肉分布情况的了解,可以从整体了解机体肌肉正常生理作用,对肌肉部位的疾病具有一定认知作用。平时生活中避免过度使用重力导致肌肉拉伤,在运动前后可适当拉伸肌肉起到保护作用。
","articleBody": "人体肌肉分布较为广泛,主要分布在头面部、躯干、四肢等部位。

1.头面部:头面部的肌肉主要可分为面肌和咀嚼肌两种。面肌为扁薄的皮肌,主要位于皮肤的浅表部位,多起自颅骨的不同部位,止于面部皮肤,主要分布于面部孔裂的周围。面肌的主要作用为机体情绪的表达。咀嚼肌主要分布于下颌关节范围,可分为咬肌、颞部肌肉、翼外肌及翼内肌。主要功能为参与机体的咀嚼运动。

2.躯干:躯干部肌肉可分为颈部肌肉、背肌、胸肌、膈肌、腹肌等。躯干部位肌肉为机体重要肌肉分布区域,同时躯干肌参与机体的各项生理运动,还起着保护内脏作用。
3.四肢:四肢肌肉可分为上肢的上肢带肌、臂肌、前臂肌、手肌,下肢部位的髂即、大腿肌、小腿肌、足肌。四肢肌肉是机体较为灵活的肌肉,起着支撑机体、促进机体关节运动的作用。
因此对于人体肌肉分布情况的了解,可以从整体了解机体肌肉正常生理作用,对肌肉部位的疾病具有一定认知作用。平时生活中避免过度使用重力导致肌肉拉伤,在运动前后可适当拉伸肌肉起到保护作用。
","scanCount": 32503}}} {"@context": "https://ziyuan.baidu.com/contexts/cambrian.jsonld","appid": "1650708455561748","icon": "https://www.med-credit.org.cn/style/images/ttlogo.png","content_tag": ["atlas"],"is_mcn": {"thumb_id": "ay28xrnt0"},"accid": "4886d626a2804dee5f11168793ce361672f39c25","@id": "https://www.med-credit.org.cn/mobile/jingxuan/2/48c81381bc2491b2ebfbb6e4686cc3eb.html","bagWordId": "0480fe5725cf19b7","title": "舌癌图片与非舌癌图片","pubDate": "2023-02-15T16:41:09","upDate": "2023-02-15T16:41:09","lrDate": "2023-02-15T16:41:09","description": "舌癌与非舌癌的鉴别可以从舌头上是否有长时间不自愈的肿块或溃疡、肿块质地如何、做病理活检等方面来进行分析。","data": {"WebPage": {"headline": "舌癌图片与非舌癌图片","pcUrl": "https://www.med-credit.org.cn/jingxuan/2/48c81381bc2491b2ebfbb6e4686cc3eb.html","wapUrl": "https://www.med-credit.org.cn/jingxuan/2/48c81381bc2491b2ebfbb6e4686cc3eb.html","mipUrl": "https://www.med-credit.org.cn/mobile/jingxuan/2/48c81381bc2491b2ebfbb6e4686cc3eb.html","fromSrc": "欢乐橙","datePublished": "2023-02-15T16:41:09","domain": "医疗","category": ["医疗权威文章合作"],"description": "舌癌与非舌癌的鉴别可以从舌头上是否有长时间不自愈的肿块或溃疡、肿块质地如何、做病理活检等方面来进行分析。
","extra_headline": [""]},"Author": {"name": "李斯文","wapUrl": "https://www.med-credit.org.cn/doctor/546","pcUrl": "https://www.med-credit.org.cn/doctor/546","jobTitle": "主治医师","headPortrait": "https://www.med-credit.org.cn/uploadfile/member/546/180x180.jpeg","id": "546","description": "李斯文,中国医科大学附属口腔医院口腔科主治医师","memberOf": {"legalName": "中国医科大学附属口腔医院","department": "口腔科","organizationLevel": "三级甲等"}},"Article": {"summaryContent": "舌癌与非舌癌的鉴别可以从舌头上是否有长时间不自愈的肿块或溃疡、肿块质地如何、做病理活检等方面来进行分析。
1.触诊鉴别舌癌与非舌癌首先需要知道舌上是否有肿块、溃疡和结节,并结合其的面积、大小、是否有出血或感染的情况。一般可以通过触诊判断,如果用手碰到肿大的硬结和淋巴结,可能是舌癌。


2.视诊:鉴别舌癌与非舌癌需要看是否舌侧边和舌尖都有溃疡,且超过两个月长时间都无法愈合,就需要怀疑是否为舌癌,如果发现除了舌上的淋巴结以外身体还有其他淋巴结肿大,需要怀疑舌癌转移。
3.病理活检:鉴别舌癌与非舌癌,病理活检是最好的方法。可以到医院,到病理科取舌上的肿块或溃疡面进行检查,然后做出判别,做病理活检是最为标准的方法。
需要注意的是,如果感到不适请及时前往医院就医,及时进行治疗。如果为舌癌早期可选用放疗、化疗和手术治疗,可以让病症尽快得到控制。
","articleBody": "舌癌与非舌癌的鉴别可以从舌头上是否有长时间不自愈的肿块或溃疡、肿块质地如何、做病理活检等方面来进行分析。
1.触诊鉴别舌癌与非舌癌首先需要知道舌上是否有肿块、溃疡和结节,并结合其的面积、大小、是否有出血或感染的情况。一般可以通过触诊判断,如果用手碰到肿大的硬结和淋巴结,可能是舌癌。


2.视诊:鉴别舌癌与非舌癌需要看是否舌侧边和舌尖都有溃疡,且超过两个月长时间都无法愈合,就需要怀疑是否为舌癌,如果发现除了舌上的淋巴结以外身体还有其他淋巴结肿大,需要怀疑舌癌转移。
3.病理活检:鉴别舌癌与非舌癌,病理活检是最好的方法。可以到医院,到病理科取舌上的肿块或溃疡面进行检查,然后做出判别,做病理活检是最为标准的方法。
需要注意的是,如果感到不适请及时前往医院就医,及时进行治疗。如果为舌癌早期可选用放疗、化疗和手术治疗,可以让病症尽快得到控制。
","scanCount": 32502}}} {"@context": "https://ziyuan.baidu.com/contexts/cambrian.jsonld","appid": "1650708455561748","icon": "https://www.med-credit.org.cn/style/images/ttlogo.png","content_tag": ["atlas"],"is_mcn": {"thumb_id": "g76756sx"},"accid": "4886d626a2804dee5f11168793ce361672f39c25","@id": "https://www.med-credit.org.cn/mobile/jingxuan/2/83417bf967d4a41668012a5bed1b3773.html","bagWordId": "eb82598e98babbda","title": "赤小豆图片","pubDate": "2023-02-15T16:41:09","upDate": "2023-02-15T16:41:09","lrDate": "2023-02-15T16:41:09","description": "赤小豆,是豆科植物赤小豆和赤豆的成熟且干燥的种子。具有利水消肿、清热解毒、消痈排脓的功效。","data": {"WebPage": {"headline": "赤小豆图片","pcUrl": "https://www.med-credit.org.cn/jingxuan/2/83417bf967d4a41668012a5bed1b3773.html","wapUrl": "https://www.med-credit.org.cn/jingxuan/2/83417bf967d4a41668012a5bed1b3773.html","mipUrl": "https://www.med-credit.org.cn/mobile/jingxuan/2/83417bf967d4a41668012a5bed1b3773.html","fromSrc": "欢乐橙","datePublished": "2023-02-15T16:41:09","domain": "医疗","category": ["医疗权威文章合作"],"description": "赤小豆,是豆科植物赤小豆和赤豆的成熟且干燥的种子。具有利水消肿、清热解毒、消痈排脓的功效。
","extra_headline": [""]},"Author": {"name": "张婷","wapUrl": "https://www.med-credit.org.cn/doctor/555","pcUrl": "https://www.med-credit.org.cn/doctor/555","jobTitle": "副主任医师","headPortrait": "https://www.med-credit.org.cn/uploadfile/member/555/180x180.jpeg","id": "555","description": "张婷,中南大学湘雅三医院中西医结合科副主任医师","memberOf": {"legalName": "中南大学湘雅三医院","department": "中西医结合科","organizationLevel": "三级甲等"}},"Article": {"summaryContent": "赤小豆,是豆科植物赤小豆和赤豆的成熟且干燥的种子。具有利水消肿、清热解毒、消痈排脓的功效。
赤小豆在脚气水肿、风湿热痹、臃肿疮毒、黄疸尿赤、藓疹等疾病的治疗中起到积极作用。

1、性质:赤小豆性平,味甘、酸,归心、脾、小肠经。
2、外形:种子呈长圆形或圆柱形,稍扁。表面平滑,没有光泽或稍微有光泽,颜色为紫红色或暗红棕色;表面一侧有偏向一边的白色种脐样突起,另一侧有一条不明显的棱脊。赤豆:种子呈短圆柱形,种脐没有突起。表面为有光泽的暗红棕色。赤小豆和赤豆都以颜色暗紫红、颗粒饱满的品质为佳。
3、生长环境:赤小豆向阳而生,适应能力强,大部分农田都可以栽种,其中土质疏松、中等肥力为最适宜的种植土壤。其一般在秋季果实成熟且没有开裂时拔出,待晒干后打下种子再进行清洗、干燥及保存。
赤小豆清热利湿、健脾和胃的作用深受环境湿热地区人们的欢迎,因此常被用于家庭药膳食疗方。值得注意的是:过量服用可能会渗利伤津,要注意用量;阴虚津伤者及孕妇要慎用。
","articleBody": "赤小豆,是豆科植物赤小豆和赤豆的成熟且干燥的种子。具有利水消肿、清热解毒、消痈排脓的功效。
赤小豆在脚气水肿、风湿热痹、臃肿疮毒、黄疸尿赤、藓疹等疾病的治疗中起到积极作用。

1、性质:赤小豆性平,味甘、酸,归心、脾、小肠经。
2、外形:种子呈长圆形或圆柱形,稍扁。表面平滑,没有光泽或稍微有光泽,颜色为紫红色或暗红棕色;表面一侧有偏向一边的白色种脐样突起,另一侧有一条不明显的棱脊。赤豆:种子呈短圆柱形,种脐没有突起。表面为有光泽的暗红棕色。赤小豆和赤豆都以颜色暗紫红、颗粒饱满的品质为佳。
3、生长环境:赤小豆向阳而生,适应能力强,大部分农田都可以栽种,其中土质疏松、中等肥力为最适宜的种植土壤。其一般在秋季果实成熟且没有开裂时拔出,待晒干后打下种子再进行清洗、干燥及保存。
赤小豆清热利湿、健脾和胃的作用深受环境湿热地区人们的欢迎,因此常被用于家庭药膳食疗方。值得注意的是:过量服用可能会渗利伤津,要注意用量;阴虚津伤者及孕妇要慎用。
","scanCount": 32501}}} {"@context": "https://ziyuan.baidu.com/contexts/cambrian.jsonld","appid": "1650708455561748","icon": "https://www.med-credit.org.cn/style/images/ttlogo.png","content_tag": ["atlas"],"is_mcn": {"thumb_id": "ay28xrnt0"},"accid": "4886d626a2804dee5f11168793ce361672f39c25","@id": "https://www.med-credit.org.cn/mobile/jingxuan/2/4fa3360f140d0eab68eb77ce68570468.html","bagWordId": "578c3dfe814c403b","title": "地包天图片","pubDate": "2023-02-15T16:41:09","upDate": "2023-02-15T16:41:09","lrDate": "2023-02-15T16:41:09","description": "地包天是一种由于下前牙出现在上前牙前面而导致的牙齿畸形。","data": {"WebPage": {"headline": "地包天图片","pcUrl": "https://www.med-credit.org.cn/jingxuan/2/4fa3360f140d0eab68eb77ce68570468.html","wapUrl": "https://www.med-credit.org.cn/jingxuan/2/4fa3360f140d0eab68eb77ce68570468.html","mipUrl": "https://www.med-credit.org.cn/mobile/jingxuan/2/4fa3360f140d0eab68eb77ce68570468.html","fromSrc": "欢乐橙","datePublished": "2023-02-15T16:41:09","domain": "医疗","category": ["医疗权威文章合作"],"description": "地包天是一种由于下前牙出现在上前牙前面而导致的牙齿畸形。
","extra_headline": [""]},"Author": {"name": "李斯文","wapUrl": "https://www.med-credit.org.cn/doctor/546","pcUrl": "https://www.med-credit.org.cn/doctor/546","jobTitle": "主治医师","headPortrait": "https://www.med-credit.org.cn/uploadfile/member/546/180x180.jpeg","id": "546","description": "李斯文,中国医科大学附属口腔医院口腔科主治医师","memberOf": {"legalName": "中国医科大学附属口腔医院","department": "口腔科","organizationLevel": "三级甲等"}},"Article": {"summaryContent": "地包天是一种由于下前牙出现在上前牙前面而导致的牙齿畸形。
治疗方法是早期纠正不良生活习惯和使用正确的哺乳姿势,晚期是戴一些矫正器械。

遗传可能导致牙齿出现地包天。一些后天的不良习惯也可能出现地包天牙,比如不正确的喂奶姿势,儿童经常咬嘴导致下颌长期前伸从而出现地包天牙。
还有一些儿童会吃手或者咬指甲,这些不良习惯阻碍了前牙的发育导致下前牙逐渐生长到上前牙的前方,从而导致了地包天牙。
三岁到五岁为地包天牙齿的最佳治疗时间。如果家族里有地包天牙的人,那么在婴幼儿的时候可以使用“头帽”来限制下颌过度前伸,防止地包天牙的出现。除此以外,儿童如果有不良的习惯如吃手、咬指甲等要及时纠正。
","articleBody": "地包天是一种由于下前牙出现在上前牙前面而导致的牙齿畸形。
治疗方法是早期纠正不良生活习惯和使用正确的哺乳姿势,晚期是戴一些矫正器械。

遗传可能导致牙齿出现地包天。一些后天的不良习惯也可能出现地包天牙,比如不正确的喂奶姿势,儿童经常咬嘴导致下颌长期前伸从而出现地包天牙。
还有一些儿童会吃手或者咬指甲,这些不良习惯阻碍了前牙的发育导致下前牙逐渐生长到上前牙的前方,从而导致了地包天牙。
三岁到五岁为地包天牙齿的最佳治疗时间。如果家族里有地包天牙的人,那么在婴幼儿的时候可以使用“头帽”来限制下颌过度前伸,防止地包天牙的出现。除此以外,儿童如果有不良的习惯如吃手、咬指甲等要及时纠正。
","scanCount": 32500}}} {"@context": "https://ziyuan.baidu.com/contexts/cambrian.jsonld","appid": "1650708455561748","icon": "https://www.med-credit.org.cn/style/images/ttlogo.png","content_tag": ["atlas"],"is_mcn": {"thumb_id": "g76756sx"},"accid": "4886d626a2804dee5f11168793ce361672f39c25","@id": "https://www.med-credit.org.cn/mobile/jingxuan/2/962d1c3415e4c5fa6e4278a2d2b83cdc.html","bagWordId": "647504f2d5beb4a2","title": "舌苔发黑图片对照","pubDate": "2023-02-15T16:41:09","upDate": "2023-02-15T16:41:09","lrDate": "2023-02-15T16:41:09","description": "舌苔发黑表现为舌苔的色泽呈现棕黑、灰黑、焦黑或是漆黑,且病理情况下舌苔常干燥。","data": {"WebPage": {"headline": "舌苔发黑图片对照","pcUrl": "https://www.med-credit.org.cn/jingxuan/2/962d1c3415e4c5fa6e4278a2d2b83cdc.html","wapUrl": "https://www.med-credit.org.cn/jingxuan/2/962d1c3415e4c5fa6e4278a2d2b83cdc.html","mipUrl": "https://www.med-credit.org.cn/mobile/jingxuan/2/962d1c3415e4c5fa6e4278a2d2b83cdc.html","fromSrc": "欢乐橙","datePublished": "2023-02-15T16:41:09","domain": "医疗","category": ["医疗权威文章合作"],"description": "舌苔发黑表现为舌苔的色泽呈现棕黑、灰黑、焦黑或是漆黑,且病理情况下舌苔常干燥。
","extra_headline": [""]},"Author": {"name": "张婷","wapUrl": "https://www.med-credit.org.cn/doctor/555","pcUrl": "https://www.med-credit.org.cn/doctor/555","jobTitle": "副主任医师","headPortrait": "https://www.med-credit.org.cn/uploadfile/member/555/180x180.jpeg","id": "555","description": "张婷,中南大学湘雅三医院中西医结合科副主任医师","memberOf": {"legalName": "中南大学湘雅三医院","department": "中西医结合科","organizationLevel": "三级甲等"}},"Article": {"summaryContent": "舌苔发黑表现为舌苔的色泽呈现棕黑、灰黑、焦黑或是漆黑,且病理情况下舌苔常干燥。
一般在人字形界沟附近黑色较深,舌边缘部色较浅。轻度增厚的黑苔,外观呈绒毯样密布于舌上;显著增厚时呈现毛发状或硬毛刷样。


1、饮食:突发的舌苔变黑可能与近期饮食有关,如食用大量桑葚、黑莓、酸梅等含有深色素的食物,会将舌苔染为灰色或黑色,染苔可短时间内褪去,或经揩舌去除。
2、感染:长期服用抗生素可产生黑腻苔或霉腐苔,与霉菌感染有关。摄入过多煎炸或辛辣刺激食物或大量吸烟饮酒,舌苔也会变黑。
3、其他:胃肠功能紊乱时口腔唾液PH降低,易引起大量微生物附着在舌上而染黑舌苔。肝肾功能衰竭等慢性疾病晚期也会出现舌苔发黑。
患者有摄入深色食物、抗生素、吸烟喝酒史,应停用药物或戒烟一段时间后观察舌苔是否恢复正常。如患者有胃炎、胃溃疡等胃病史,出现舌苔发黑时应考虑胃肠功能紊乱加重,需尽快针对病因治疗。如患者有长期肝肾疾病,应考虑疾病已进入晚期,出现器官衰竭的情况,根据患者条件选择保守治疗或移植。
","articleBody": "舌苔发黑表现为舌苔的色泽呈现棕黑、灰黑、焦黑或是漆黑,且病理情况下舌苔常干燥。
一般在人字形界沟附近黑色较深,舌边缘部色较浅。轻度增厚的黑苔,外观呈绒毯样密布于舌上;显著增厚时呈现毛发状或硬毛刷样。


1、饮食:突发的舌苔变黑可能与近期饮食有关,如食用大量桑葚、黑莓、酸梅等含有深色素的食物,会将舌苔染为灰色或黑色,染苔可短时间内褪去,或经揩舌去除。
2、感染:长期服用抗生素可产生黑腻苔或霉腐苔,与霉菌感染有关。摄入过多煎炸或辛辣刺激食物或大量吸烟饮酒,舌苔也会变黑。
3、其他:胃肠功能紊乱时口腔唾液PH降低,易引起大量微生物附着在舌上而染黑舌苔。肝肾功能衰竭等慢性疾病晚期也会出现舌苔发黑。
患者有摄入深色食物、抗生素、吸烟喝酒史,应停用药物或戒烟一段时间后观察舌苔是否恢复正常。如患者有胃炎、胃溃疡等胃病史,出现舌苔发黑时应考虑胃肠功能紊乱加重,需尽快针对病因治疗。如患者有长期肝肾疾病,应考虑疾病已进入晚期,出现器官衰竭的情况,根据患者条件选择保守治疗或移植。
","scanCount": 32497}}} {"@context": "https://ziyuan.baidu.com/contexts/cambrian.jsonld","appid": "1650708455561748","icon": "https://www.med-credit.org.cn/style/images/ttlogo.png","content_tag": ["atlas"],"is_mcn": {"thumb_id": "e4oal99d"},"accid": "4886d626a2804dee5f11168793ce361672f39c25","@id": "https://www.med-credit.org.cn/mobile/jingxuan/2/981a238d7598cb4064daf31a78e257f8.html","bagWordId": "e46569646b8f2293","title": "扁桃体图片","pubDate": "2023-02-15T16:41:09","upDate": "2023-02-15T16:41:09","lrDate": "2023-02-15T16:41:09","description": "扁桃体即腭扁桃体,内表面是扁桃体隐窝,外表面是由扁桃体包膜构成的光滑的表面。","data": {"WebPage": {"headline": "扁桃体图片","pcUrl": "https://www.med-credit.org.cn/jingxuan/2/981a238d7598cb4064daf31a78e257f8.html","wapUrl": "https://www.med-credit.org.cn/jingxuan/2/981a238d7598cb4064daf31a78e257f8.html","mipUrl": "https://www.med-credit.org.cn/mobile/jingxuan/2/981a238d7598cb4064daf31a78e257f8.html","fromSrc": "欢乐橙","datePublished": "2023-02-15T16:41:09","domain": "医疗","category": ["医疗权威文章合作"],"description": "扁桃体即腭扁桃体,内表面是扁桃体隐窝,外表面是由扁桃体包膜构成的光滑的表面。
","extra_headline": [""]},"Author": {"name": "谢洪","wapUrl": "https://www.med-credit.org.cn/doctor/538","pcUrl": "https://www.med-credit.org.cn/doctor/538","jobTitle": "副主任医师","headPortrait": "https://www.med-credit.org.cn/uploadfile/member/538/180x180.jpeg","id": "538","description": "谢洪,首都医科大学附属北京世纪坛医院耳鼻喉头颈外科副主任医师","memberOf": {"legalName": "首都医科大学附属北京世纪坛医院","department": "耳鼻喉头颈外科","organizationLevel": "三级甲等"}},"Article": {"summaryContent": "扁桃体即腭扁桃体,内表面是扁桃体隐窝,外表面是由扁桃体包膜构成的光滑的表面。
扁桃体外表面与咽部组织相邻,包括咽部大血管和神经。

1、分类:扁桃体位于呼吸道与消化道的交汇处,可分为腭扁桃体、咽扁桃体、舌扁桃体。其中腭扁桃体最大,通常情况下的扁桃体指的就是腭扁桃体。
2、位置:腭扁桃体位于口咽两侧腭舌弓与腭咽弓构成的三角形扁桃体隐窝内,是淋巴组织与上皮紧密联系构成的淋巴上皮器官。其除了内侧面是由被膜形成的扁桃体隐窝外,其余部分都被扁桃体囊包裹,外侧面对咽壁。
3、症状:腭扁桃体与咽部组织相邻,当其发生病理性变化时,如扁桃体炎,往往会导致附近咽部组织出现疼痛、红肿、发干、发痒等症状。
在日常生活中,扁桃体炎患者应注意休息,进行适当的体育锻炼,提高身体免疫力。饮食上,要清淡饮食,多食用易消化又富含营养的食物,多喝温开水,多食润喉水果,忌辛辣刺激性食物及吸烟酗酒等。
","articleBody": "扁桃体即腭扁桃体,内表面是扁桃体隐窝,外表面是由扁桃体包膜构成的光滑的表面。
扁桃体外表面与咽部组织相邻,包括咽部大血管和神经。

1、分类:扁桃体位于呼吸道与消化道的交汇处,可分为腭扁桃体、咽扁桃体、舌扁桃体。其中腭扁桃体最大,通常情况下的扁桃体指的就是腭扁桃体。
2、位置:腭扁桃体位于口咽两侧腭舌弓与腭咽弓构成的三角形扁桃体隐窝内,是淋巴组织与上皮紧密联系构成的淋巴上皮器官。其除了内侧面是由被膜形成的扁桃体隐窝外,其余部分都被扁桃体囊包裹,外侧面对咽壁。
3、症状:腭扁桃体与咽部组织相邻,当其发生病理性变化时,如扁桃体炎,往往会导致附近咽部组织出现疼痛、红肿、发干、发痒等症状。
在日常生活中,扁桃体炎患者应注意休息,进行适当的体育锻炼,提高身体免疫力。饮食上,要清淡饮食,多食用易消化又富含营养的食物,多喝温开水,多食润喉水果,忌辛辣刺激性食物及吸烟酗酒等。
","scanCount": 32495}}} {"@context": "https://ziyuan.baidu.com/contexts/cambrian.jsonld","appid": "1650708455561748","icon": "https://www.med-credit.org.cn/style/images/ttlogo.png","content_tag": ["atlas"],"is_mcn": {"thumb_id": "ay28xrnt0"},"accid": "4886d626a2804dee5f11168793ce361672f39c25","@id": "https://www.med-credit.org.cn/mobile/jingxuan/2/15f0373a8df08be8b32640b2e5a650a3.html","bagWordId": "4bcfd4e084415b67","title": "虫牙的图片","pubDate": "2023-02-15T16:41:09","upDate": "2023-02-15T16:41:09","lrDate": "2023-02-15T16:41:09","description": "虫牙在医学上称为龋齿,也称蛀牙,是一种牙源性感染疾病。","data": {"WebPage": {"headline": "虫牙的图片","pcUrl": "https://www.med-credit.org.cn/jingxuan/2/15f0373a8df08be8b32640b2e5a650a3.html","wapUrl": "https://www.med-credit.org.cn/jingxuan/2/15f0373a8df08be8b32640b2e5a650a3.html","mipUrl": "https://www.med-credit.org.cn/mobile/jingxuan/2/15f0373a8df08be8b32640b2e5a650a3.html","fromSrc": "欢乐橙","datePublished": "2023-02-15T16:41:09","domain": "医疗","category": ["医疗权威文章合作"],"description": "虫牙在医学上称为龋齿,也称蛀牙,是一种牙源性感染疾病。
","extra_headline": [""]},"Author": {"name": "李斯文","wapUrl": "https://www.med-credit.org.cn/doctor/546","pcUrl": "https://www.med-credit.org.cn/doctor/546","jobTitle": "主治医师","headPortrait": "https://www.med-credit.org.cn/uploadfile/member/546/180x180.jpeg","id": "546","description": "李斯文,中国医科大学附属口腔医院口腔科主治医师","memberOf": {"legalName": "中国医科大学附属口腔医院","department": "口腔科","organizationLevel": "三级甲等"}},"Article": {"summaryContent": "虫牙在医学上称为龋齿,也称蛀牙,是一种牙源性感染疾病。
龋齿会导致牙齿天然屏障受到破坏,并引起牙龈疼痛不适的症状。

1、早期症状:如不注意牙齿清洁,牙齿表面会出现牙菌斑,附着其上的细菌会侵犯牙体。龋齿早期位于牙齿的牙釉质,通常不会产生痛感,牙齿表面仍然完整,无肉眼可见的蛀洞。

2、中后期症状:当龋齿继续发展,牙齿将出现蛀洞,侵犯牙髓时,会引起牙髓炎,可能产生明显的疼痛感。牙齿可出现明显的黑色或黑褐色侵蚀破损。出现蛀洞的龋齿如不及时治疗,牙齿将被进一步破坏,可能造成牙齿松动、脱落。细菌感染牙根并扩散到牙周组织,会导致局部脓肿,严重者会引起牙槽骨、下颌骨炎症。
龋齿的治疗主要是使用适合的材料(如复合树脂)进行修复,伴有牙龈炎、牙髓炎时应积极使用抗生素(如口服或静滴甲硝唑、青霉素等)抗感染,配合口腔科治疗,如牙周刮治、牙髓治疗及根管充填等。注意用药需遵医嘱。
","articleBody": "虫牙在医学上称为龋齿,也称蛀牙,是一种牙源性感染疾病。
龋齿会导致牙齿天然屏障受到破坏,并引起牙龈疼痛不适的症状。

1、早期症状:如不注意牙齿清洁,牙齿表面会出现牙菌斑,附着其上的细菌会侵犯牙体。龋齿早期位于牙齿的牙釉质,通常不会产生痛感,牙齿表面仍然完整,无肉眼可见的蛀洞。

2、中后期症状:当龋齿继续发展,牙齿将出现蛀洞,侵犯牙髓时,会引起牙髓炎,可能产生明显的疼痛感。牙齿可出现明显的黑色或黑褐色侵蚀破损。出现蛀洞的龋齿如不及时治疗,牙齿将被进一步破坏,可能造成牙齿松动、脱落。细菌感染牙根并扩散到牙周组织,会导致局部脓肿,严重者会引起牙槽骨、下颌骨炎症。
龋齿的治疗主要是使用适合的材料(如复合树脂)进行修复,伴有牙龈炎、牙髓炎时应积极使用抗生素(如口服或静滴甲硝唑、青霉素等)抗感染,配合口腔科治疗,如牙周刮治、牙髓治疗及根管充填等。注意用药需遵医嘱。
","scanCount": 32492}}} {"@context": "https://ziyuan.baidu.com/contexts/cambrian.jsonld","appid": "1650708455561748","icon": "https://www.med-credit.org.cn/style/images/ttlogo.png","content_tag": ["atlas"],"is_mcn": {"thumb_id": "g76756sx"},"accid": "4886d626a2804dee5f11168793ce361672f39c25","@id": "https://www.med-credit.org.cn/mobile/jingxuan/2/93b17f814ceb1f90275cbdd545ea2f05.html","bagWordId": "8afd116293b1bfa1","title": "豆蔻图片","pubDate": "2023-02-15T16:41:09","upDate": "2023-02-15T16:41:09","lrDate": "2023-02-15T16:41:09","description": "豆蔻是一种具有开胃消食、行气温中功效的中草药。","data": {"WebPage": {"headline": "豆蔻图片","pcUrl": "https://www.med-credit.org.cn/jingxuan/2/93b17f814ceb1f90275cbdd545ea2f05.html","wapUrl": "https://www.med-credit.org.cn/jingxuan/2/93b17f814ceb1f90275cbdd545ea2f05.html","mipUrl": "https://www.med-credit.org.cn/mobile/jingxuan/2/93b17f814ceb1f90275cbdd545ea2f05.html","fromSrc": "欢乐橙","datePublished": "2023-02-15T16:41:09","domain": "医疗","category": ["医疗权威文章合作"],"description": "豆蔻是一种具有开胃消食、行气温中功效的中草药。
","extra_headline": [""]},"Author": {"name": "张婷","wapUrl": "https://www.med-credit.org.cn/doctor/555","pcUrl": "https://www.med-credit.org.cn/doctor/555","jobTitle": "副主任医师","headPortrait": "https://www.med-credit.org.cn/uploadfile/member/555/180x180.jpeg","id": "555","description": "张婷,中南大学湘雅三医院中西医结合科副主任医师","memberOf": {"legalName": "中南大学湘雅三医院","department": "中西医结合科","organizationLevel": "三级甲等"}},"Article": {"summaryContent": "豆蔻是一种具有开胃消食、行气温中功效的中草药。

1.外形:豆蔻又被称为白豆蔻、白蔻等,是姜科植物白豆蔻的成熟果实。根系粗壮,叶片呈披针形,两面都没有毛。花序呈倒锥形,土黄色,苞叶为椭圆形,边缘较薄,有长柔毛,表面有内凹的细脉。花冠为白色,狭椭圆形。种子为棕红色,有芳香气味。一般在4~6月开花,在7~8月结果。大多生长于沟谷或树林的阴湿处,原产自印度尼西亚,现在在我国的海南省有栽培。
2.功效:豆蔻性温和,有辣味,具有化湿消痞、行气温中的功效。常用于治疗有不想吃饭、胸闷不感到饥饿、食物积滞不消化症状的病人。也可以和竹茹、苏叶进行合用,治疗妊娠期的呕吐症状。
豆蔻也可以用作日常的调味品,可去除异味,增加香味。多用于制作卤菜。但是阴虚血燥的人禁止食用,如有容易动怒、心烦意乱、失眠盗汗的人都不能食用。
","articleBody": "豆蔻是一种具有开胃消食、行气温中功效的中草药。

1.外形:豆蔻又被称为白豆蔻、白蔻等,是姜科植物白豆蔻的成熟果实。根系粗壮,叶片呈披针形,两面都没有毛。花序呈倒锥形,土黄色,苞叶为椭圆形,边缘较薄,有长柔毛,表面有内凹的细脉。花冠为白色,狭椭圆形。种子为棕红色,有芳香气味。一般在4~6月开花,在7~8月结果。大多生长于沟谷或树林的阴湿处,原产自印度尼西亚,现在在我国的海南省有栽培。
2.功效:豆蔻性温和,有辣味,具有化湿消痞、行气温中的功效。常用于治疗有不想吃饭、胸闷不感到饥饿、食物积滞不消化症状的病人。也可以和竹茹、苏叶进行合用,治疗妊娠期的呕吐症状。
豆蔻也可以用作日常的调味品,可去除异味,增加香味。多用于制作卤菜。但是阴虚血燥的人禁止食用,如有容易动怒、心烦意乱、失眠盗汗的人都不能食用。
","scanCount": 32488}}} {"@context": "https://ziyuan.baidu.com/contexts/cambrian.jsonld","appid": "1650708455561748","icon": "https://www.med-credit.org.cn/style/images/ttlogo.png","content_tag": ["atlas"],"is_mcn": {"thumb_id": "g76756sx"},"accid": "4886d626a2804dee5f11168793ce361672f39c25","@id": "https://www.med-credit.org.cn/mobile/jingxuan/2/88885caed0cc87734a2ef27ae746929c.html","bagWordId": "ddb47e882160e3a3","title": "蛤蚧图片","pubDate": "2023-02-15T16:41:09","upDate": "2023-02-15T16:41:09","lrDate": "2023-02-15T16:41:09","description": "蛤蚧是指壁虎科动物蛤蚧的干燥体,是一种补阳的中药材。","data": {"WebPage": {"headline": "蛤蚧图片","pcUrl": "https://www.med-credit.org.cn/jingxuan/2/88885caed0cc87734a2ef27ae746929c.html","wapUrl": "https://www.med-credit.org.cn/jingxuan/2/88885caed0cc87734a2ef27ae746929c.html","mipUrl": "https://www.med-credit.org.cn/mobile/jingxuan/2/88885caed0cc87734a2ef27ae746929c.html","fromSrc": "欢乐橙","datePublished": "2023-02-15T16:41:09","domain": "医疗","category": ["医疗权威文章合作"],"description": "蛤蚧是指壁虎科动物蛤蚧的干燥体,是一种补阳的中药材。
","extra_headline": [""]},"Author": {"name": "张婷","wapUrl": "https://www.med-credit.org.cn/doctor/555","pcUrl": "https://www.med-credit.org.cn/doctor/555","jobTitle": "副主任医师","headPortrait": "https://www.med-credit.org.cn/uploadfile/member/555/180x180.jpeg","id": "555","description": "张婷,中南大学湘雅三医院中西医结合科副主任医师","memberOf": {"legalName": "中南大学湘雅三医院","department": "中西医结合科","organizationLevel": "三级甲等"}},"Article": {"summaryContent": "蛤蚧是指壁虎科动物蛤蚧的干燥体,是一种补阳的中药材。
1、外形特点:背腹面略扁,头呈扁平三角形;皮肤粗糙,全身密生粒状细鳞。吻鳞不接鼻孔。背部粒鳞间散布的疣鳞约12-14纵列。指、趾间微蹼。尾基每侧肛疣1个或2-3个,雄性肛前孔和股孔16-26个。

2、生长环境:栖息于山岩或荒野的岩石缝隙、石洞或树洞内,生活于树林、开阔地、山区、荒漠及房屋内。多夜间活动,主食昆虫。主要分布于亚洲东南部和南部。
3、药性:咸,平。归肺、肾经。
肺肾不足,虛喘气促,劳啾咳血,治疗虚劳咳嗽,常与川贝母、紫菀、苦杏仁等同用。
肾虛阳疼,遗精。药用能补肾助阳兼能益精养血,有固本培元之功,治肾阳不足,精血亏虚的阳痿遗精,可单用浸酒服,或与益智仁、巴戟天、补骨脂等同用。
","articleBody": "蛤蚧是指壁虎科动物蛤蚧的干燥体,是一种补阳的中药材。
1、外形特点:背腹面略扁,头呈扁平三角形;皮肤粗糙,全身密生粒状细鳞。吻鳞不接鼻孔。背部粒鳞间散布的疣鳞约12-14纵列。指、趾间微蹼。尾基每侧肛疣1个或2-3个,雄性肛前孔和股孔16-26个。

2、生长环境:栖息于山岩或荒野的岩石缝隙、石洞或树洞内,生活于树林、开阔地、山区、荒漠及房屋内。多夜间活动,主食昆虫。主要分布于亚洲东南部和南部。
3、药性:咸,平。归肺、肾经。
肺肾不足,虛喘气促,劳啾咳血,治疗虚劳咳嗽,常与川贝母、紫菀、苦杏仁等同用。
肾虛阳疼,遗精。药用能补肾助阳兼能益精养血,有固本培元之功,治肾阳不足,精血亏虚的阳痿遗精,可单用浸酒服,或与益智仁、巴戟天、补骨脂等同用。
","scanCount": 32487}}} {"@context": "https://ziyuan.baidu.com/contexts/cambrian.jsonld","appid": "1650708455561748","icon": "https://www.med-credit.org.cn/style/images/ttlogo.png","content_tag": ["atlas"],"is_mcn": {"thumb_id": "g76756sx"},"accid": "4886d626a2804dee5f11168793ce361672f39c25","@id": "https://www.med-credit.org.cn/mobile/jingxuan/2/34a7a8fd94c92e5e87293bcce450ea33.html","bagWordId": "278c5faa93618511","title": "中渚的准确位置图作用功效","pubDate": "2023-02-15T16:41:09","upDate": "2023-02-15T16:41:09","lrDate": "2023-02-15T16:41:09","description": "中渚穴的准确位置在腕背横纹中,即指伸肌腱的尺侧缘凹陷处。","data": {"WebPage": {"headline": "中渚的准确位置图作用功效","pcUrl": "https://www.med-credit.org.cn/jingxuan/2/34a7a8fd94c92e5e87293bcce450ea33.html","wapUrl": "https://www.med-credit.org.cn/jingxuan/2/34a7a8fd94c92e5e87293bcce450ea33.html","mipUrl": "https://www.med-credit.org.cn/mobile/jingxuan/2/34a7a8fd94c92e5e87293bcce450ea33.html","fromSrc": "欢乐橙","datePublished": "2023-02-15T16:41:09","domain": "医疗","category": ["医疗权威文章合作"],"description": "中渚穴的准确位置在腕背横纹中,即指伸肌腱的尺侧缘凹陷处。
","extra_headline": [""]},"Author": {"name": "张婷","wapUrl": "https://www.med-credit.org.cn/doctor/555","pcUrl": "https://www.med-credit.org.cn/doctor/555","jobTitle": "副主任医师","headPortrait": "https://www.med-credit.org.cn/uploadfile/member/555/180x180.jpeg","id": "555","description": "张婷,中南大学湘雅三医院中西医结合科副主任医师","memberOf": {"legalName": "中南大学湘雅三医院","department": "中西医结合科","organizationLevel": "三级甲等"}},"Article": {"summaryContent": "中渚穴的准确位置在腕背横纹中,即指伸肌腱的尺侧缘凹陷处。
主要功效为开窍益聪,清热通络。

1.准确位置:在腕背横纹中,指伸肌腱的尺侧缘凹陷处。即取抬臂俯掌,手背部第4、第5指指缝间掌指关节后可触及一凹陷处。
2.功效作用:属手少阳三焦经,是手少阳三焦经的输穴,五行属木。功效为清热通络,开窍益聪。可以用于治疗头面五官疾患,外感热病等:如疟疾,热病汗不出,目眩,头痛,目痛,目赤,耳鸣,中耳炎,喉痹,耳聋,腮腺炎,手指不能屈伸,肩臂酸痛,肋间神经痛,耳呜,面赤,热病,视物不清,目翳,咽肿,肩背肘臂疼痛,嵴膂痛,咽喉肿痛,手臂红肿疼痛,聋哑症,神经性耳聋,喉头炎,角膜白斑,头晕,肩背部筋膜炎等劳损性疾病,肘腕关节炎等。
","articleBody": "中渚穴的准确位置在腕背横纹中,即指伸肌腱的尺侧缘凹陷处。
主要功效为开窍益聪,清热通络。

1.准确位置:在腕背横纹中,指伸肌腱的尺侧缘凹陷处。即取抬臂俯掌,手背部第4、第5指指缝间掌指关节后可触及一凹陷处。
2.功效作用:属手少阳三焦经,是手少阳三焦经的输穴,五行属木。功效为清热通络,开窍益聪。可以用于治疗头面五官疾患,外感热病等:如疟疾,热病汗不出,目眩,头痛,目痛,目赤,耳鸣,中耳炎,喉痹,耳聋,腮腺炎,手指不能屈伸,肩臂酸痛,肋间神经痛,耳呜,面赤,热病,视物不清,目翳,咽肿,肩背肘臂疼痛,嵴膂痛,咽喉肿痛,手臂红肿疼痛,聋哑症,神经性耳聋,喉头炎,角膜白斑,头晕,肩背部筋膜炎等劳损性疾病,肘腕关节炎等。
","scanCount": 32484}}} {"@context": "https://ziyuan.baidu.com/contexts/cambrian.jsonld","appid": "1650708455561748","icon": "https://www.med-credit.org.cn/style/images/ttlogo.png","content_tag": ["atlas"],"is_mcn": {"thumb_id": "g76756sx"},"accid": "4886d626a2804dee5f11168793ce361672f39c25","@id": "https://www.med-credit.org.cn/mobile/jingxuan/2/931f421589bb40d8a1f1f167f46da870.html","bagWordId": "f341d0278fbcf1bb","title": "苍耳子图片","pubDate": "2023-02-15T16:41:09","upDate": "2023-02-15T16:41:09","lrDate": "2023-02-15T16:41:09","description": "苍耳子又叫苍耳,是一种具有散热,除湿,解毒等作用的中草药。","data": {"WebPage": {"headline": "苍耳子图片","pcUrl": "https://www.med-credit.org.cn/jingxuan/2/931f421589bb40d8a1f1f167f46da870.html","wapUrl": "https://www.med-credit.org.cn/jingxuan/2/931f421589bb40d8a1f1f167f46da870.html","mipUrl": "https://www.med-credit.org.cn/mobile/jingxuan/2/931f421589bb40d8a1f1f167f46da870.html","fromSrc": "欢乐橙","datePublished": "2023-02-15T16:41:09","domain": "医疗","category": ["医疗权威文章合作"],"description": "苍耳子又叫苍耳,是一种具有散热,除湿,解毒等作用的中草药。
","extra_headline": [""]},"Author": {"name": "张婷","wapUrl": "https://www.med-credit.org.cn/doctor/555","pcUrl": "https://www.med-credit.org.cn/doctor/555","jobTitle": "副主任医师","headPortrait": "https://www.med-credit.org.cn/uploadfile/member/555/180x180.jpeg","id": "555","description": "张婷,中南大学湘雅三医院中西医结合科副主任医师","memberOf": {"legalName": "中南大学湘雅三医院","department": "中西医结合科","organizationLevel": "三级甲等"}},"Article": {"summaryContent": "苍耳子又叫苍耳,是一种具有散热,除湿,解毒等作用的中草药。

苍耳对环境的适应能力较强,所以在山沟、草地、平原等地都比较容易发现,目前主要分布于中国东北、华北等地。苍耳也可以采用人工种植的方式,但是苍耳喜光喜湿,所以在种植时需要靠近水源且松软透气的土壤。苍耳外形呈椭圆形,表面呈黄绿色或暗棕色,多有钩刺,其中一端有两根较粗大的尖刺。其果实为纺锤形,果皮灰黑色,以粒大饱满、色黄绿色者为佳。
在医学上,苍耳常被用于治疗风寒头痛、流鼻涕等症状,主要通过煎汤内服。苍耳具有良好的抑菌作用,它还可以降血糖、扩张血管,增强血管通透性,起到降低血压的作用。也可以和白菊花、天麻一起治疗头晕头痛。但需要注意的是,如果苍耳食用过多的话也会出现中毒现象,会产生头晕、恶心等症状,严重者可致肝脏退行性变性或坏死。一些血虚头痛患者不宜服用。
","articleBody": "苍耳子又叫苍耳,是一种具有散热,除湿,解毒等作用的中草药。

苍耳对环境的适应能力较强,所以在山沟、草地、平原等地都比较容易发现,目前主要分布于中国东北、华北等地。苍耳也可以采用人工种植的方式,但是苍耳喜光喜湿,所以在种植时需要靠近水源且松软透气的土壤。苍耳外形呈椭圆形,表面呈黄绿色或暗棕色,多有钩刺,其中一端有两根较粗大的尖刺。其果实为纺锤形,果皮灰黑色,以粒大饱满、色黄绿色者为佳。
在医学上,苍耳常被用于治疗风寒头痛、流鼻涕等症状,主要通过煎汤内服。苍耳具有良好的抑菌作用,它还可以降血糖、扩张血管,增强血管通透性,起到降低血压的作用。也可以和白菊花、天麻一起治疗头晕头痛。但需要注意的是,如果苍耳食用过多的话也会出现中毒现象,会产生头晕、恶心等症状,严重者可致肝脏退行性变性或坏死。一些血虚头痛患者不宜服用。
","scanCount": 32481}}} {"@context": "https://ziyuan.baidu.com/contexts/cambrian.jsonld","appid": "1650708455561748","icon": "https://www.med-credit.org.cn/style/images/ttlogo.png","content_tag": ["atlas"],"is_mcn": {"thumb_id": "g76756sx"},"accid": "4886d626a2804dee5f11168793ce361672f39c25","@id": "https://www.med-credit.org.cn/mobile/jingxuan/2/a6c72000070f248d3a5c50c8601365f6.html","bagWordId": "0f8d5541f2ef24bf","title": "透骨草图片","pubDate": "2023-02-15T16:41:09","upDate": "2023-02-15T16:41:09","lrDate": "2023-02-15T16:41:09","description": "透骨草是一种可以祛除风湿、活血散瘀的中草药,常被用来治疗关节风湿、筋骨扭伤等病变。","data": {"WebPage": {"headline": "透骨草图片","pcUrl": "https://www.med-credit.org.cn/jingxuan/2/a6c72000070f248d3a5c50c8601365f6.html","wapUrl": "https://www.med-credit.org.cn/jingxuan/2/a6c72000070f248d3a5c50c8601365f6.html","mipUrl": "https://www.med-credit.org.cn/mobile/jingxuan/2/a6c72000070f248d3a5c50c8601365f6.html","fromSrc": "欢乐橙","datePublished": "2023-02-15T16:41:09","domain": "医疗","category": ["医疗权威文章合作"],"description": "透骨草是一种可以祛除风湿、活血散瘀的中草药,常被用来治疗关节风湿、筋骨扭伤等病变。
","extra_headline": [""]},"Author": {"name": "张婷","wapUrl": "https://www.med-credit.org.cn/doctor/555","pcUrl": "https://www.med-credit.org.cn/doctor/555","jobTitle": "副主任医师","headPortrait": "https://www.med-credit.org.cn/uploadfile/member/555/180x180.jpeg","id": "555","description": "张婷,中南大学湘雅三医院中西医结合科副主任医师","memberOf": {"legalName": "中南大学湘雅三医院","department": "中西医结合科","organizationLevel": "三级甲等"}},"Article": {"summaryContent": "透骨草是一种可以祛除风湿、活血散瘀的中草药,常被用来治疗关节风湿、筋骨扭伤等病变。

1.形状:透骨草又称地沟菜,是中草药的一种。其叶呈披针状,边缘有圆尺或深裂,上面有短柔毛,多表现为卷曲状态,容易破碎或皱缩;其茎有多个分枝,呈现为灰绿色或浅绿色,表面有柔毛,质脆易断。该药的花较小,果实为三角状,其茎、叶、花、果都可作为药材,味淡气微,稍微有点苦味。

2.功效:该药不仅具有祛除风湿、止痛消肿、活血散瘀等功效,还可以帮助疏松筋骨、清热解毒。临床常用其来治疗关节风湿、筋骨扭伤等病变,还可用来改善脚气、闭经、湿疹、筋骨挛缩、疮疖肿毒等问题。
该药既可以煎汤内服,也可以煎水来熏洗或外敷。挑选时要选择质嫩、颜色比较绿并没有杂质的药材,并注意要干燥储存。服用该药时需要戒酒,且肠胃功能虚弱、过敏及孕妇人群需要禁用。
","articleBody": "透骨草是一种可以祛除风湿、活血散瘀的中草药,常被用来治疗关节风湿、筋骨扭伤等病变。

1.形状:透骨草又称地沟菜,是中草药的一种。其叶呈披针状,边缘有圆尺或深裂,上面有短柔毛,多表现为卷曲状态,容易破碎或皱缩;其茎有多个分枝,呈现为灰绿色或浅绿色,表面有柔毛,质脆易断。该药的花较小,果实为三角状,其茎、叶、花、果都可作为药材,味淡气微,稍微有点苦味。

2.功效:该药不仅具有祛除风湿、止痛消肿、活血散瘀等功效,还可以帮助疏松筋骨、清热解毒。临床常用其来治疗关节风湿、筋骨扭伤等病变,还可用来改善脚气、闭经、湿疹、筋骨挛缩、疮疖肿毒等问题。
该药既可以煎汤内服,也可以煎水来熏洗或外敷。挑选时要选择质嫩、颜色比较绿并没有杂质的药材,并注意要干燥储存。服用该药时需要戒酒,且肠胃功能虚弱、过敏及孕妇人群需要禁用。
","scanCount": 32480}}} {"@context": "https://ziyuan.baidu.com/contexts/cambrian.jsonld","appid": "1650708455561748","icon": "https://www.med-credit.org.cn/style/images/ttlogo.png","content_tag": ["atlas"],"is_mcn": {"thumb_id": "g76756sx"},"accid": "4886d626a2804dee5f11168793ce361672f39c25","@id": "https://www.med-credit.org.cn/mobile/jingxuan/2/12959f2360a00338a560048b32f46ad1.html","bagWordId": "faa7251ade54a680","title": "商阳的准确位置图片","pubDate": "2023-02-15T16:41:09","upDate": "2023-02-15T16:41:09","lrDate": "2023-02-15T16:41:09","description": "商阳是位于食指末节的桡侧的一个穴位,距指甲根角0.1寸。","data": {"WebPage": {"headline": "商阳的准确位置图片","pcUrl": "https://www.med-credit.org.cn/jingxuan/2/12959f2360a00338a560048b32f46ad1.html","wapUrl": "https://www.med-credit.org.cn/jingxuan/2/12959f2360a00338a560048b32f46ad1.html","mipUrl": "https://www.med-credit.org.cn/mobile/jingxuan/2/12959f2360a00338a560048b32f46ad1.html","fromSrc": "欢乐橙","datePublished": "2023-02-15T16:41:09","domain": "医疗","category": ["医疗权威文章合作"],"description": "商阳是位于食指末节的桡侧的一个穴位,距指甲根角0.1寸。
","extra_headline": [""]},"Author": {"name": "张婷","wapUrl": "https://www.med-credit.org.cn/doctor/555","pcUrl": "https://www.med-credit.org.cn/doctor/555","jobTitle": "副主任医师","headPortrait": "https://www.med-credit.org.cn/uploadfile/member/555/180x180.jpeg","id": "555","description": "张婷,中南大学湘雅三医院中西医结合科副主任医师","memberOf": {"legalName": "中南大学湘雅三医院","department": "中西医结合科","organizationLevel": "三级甲等"}},"Article": {"summaryContent": "商阳是位于食指末节的桡侧的一个穴位,距指甲根角0.1寸。

1.位置:商阳是食指末端关节桡侧的一个穴位,距离指甲根角处0.1寸,该处分布手指及掌背的动、静脉网和多个神经分支,按摩或针灸此处可以发挥清热泻火、解毒消肿的功效。
2.功效:中医常利用此穴位来治疗牙疼、咽喉肿痛、手指麻木、耳聋耳鸣、发烧咳喘及中风昏迷等疾病。日常掐揉或刮拭该穴位,有利于调节消化道的功能,促进人体的新陈代谢,缓解便秘及暴饮暴食所致的不适。对于男性患者,常按摩该穴还具有强精壮阳的作用,有助于延缓性衰老。现代研究发现,刺激该穴位还可以影响脑部血液循环,对于脑出血等疾病具有一定的急救功效。
由于该穴位处有较多神经分布,因此不适合自行针灸处理,建议在专业人士的指导下治疗。按摩掐揉该穴位时注意控制好力度及时间,一般使用中指沿着肌肉方向按摩,时间在2-5分钟左右即可。
","articleBody": "商阳是位于食指末节的桡侧的一个穴位,距指甲根角0.1寸。

1.位置:商阳是食指末端关节桡侧的一个穴位,距离指甲根角处0.1寸,该处分布手指及掌背的动、静脉网和多个神经分支,按摩或针灸此处可以发挥清热泻火、解毒消肿的功效。
2.功效:中医常利用此穴位来治疗牙疼、咽喉肿痛、手指麻木、耳聋耳鸣、发烧咳喘及中风昏迷等疾病。日常掐揉或刮拭该穴位,有利于调节消化道的功能,促进人体的新陈代谢,缓解便秘及暴饮暴食所致的不适。对于男性患者,常按摩该穴还具有强精壮阳的作用,有助于延缓性衰老。现代研究发现,刺激该穴位还可以影响脑部血液循环,对于脑出血等疾病具有一定的急救功效。
由于该穴位处有较多神经分布,因此不适合自行针灸处理,建议在专业人士的指导下治疗。按摩掐揉该穴位时注意控制好力度及时间,一般使用中指沿着肌肉方向按摩,时间在2-5分钟左右即可。
","scanCount": 32478}}} {"@context": "https://ziyuan.baidu.com/contexts/cambrian.jsonld","appid": "1650708455561748","icon": "https://www.med-credit.org.cn/style/images/ttlogo.png","content_tag": ["atlas"],"is_mcn": {"thumb_id": "ay28xrnt0"},"accid": "4886d626a2804dee5f11168793ce361672f39c25","@id": "https://www.med-credit.org.cn/mobile/jingxuan/2/3701f96bdd5141d2ca7f0da772ed8679.html","bagWordId": "22a3fd62a000b36b","title": "牙疼图片","pubDate": "2023-02-15T16:41:09","upDate": "2023-02-15T16:41:09","lrDate": "2023-02-15T16:41:09","description": "牙疼是好发于口腔部位较为常见的不适症状,牙疼除了疼痛不适外还伴有牙龈红肿、牙齿敏感、面颊部肿胀等表现。","data": {"WebPage": {"headline": "牙疼图片","pcUrl": "https://www.med-credit.org.cn/jingxuan/2/3701f96bdd5141d2ca7f0da772ed8679.html","wapUrl": "https://www.med-credit.org.cn/jingxuan/2/3701f96bdd5141d2ca7f0da772ed8679.html","mipUrl": "https://www.med-credit.org.cn/mobile/jingxuan/2/3701f96bdd5141d2ca7f0da772ed8679.html","fromSrc": "欢乐橙","datePublished": "2023-02-15T16:41:09","domain": "医疗","category": ["医疗权威文章合作"],"description": "牙疼是好发于口腔部位较为常见的不适症状,牙疼除了疼痛不适外还伴有牙龈红肿、牙齿敏感、面颊部肿胀等表现。
","extra_headline": [""]},"Author": {"name": "李斯文","wapUrl": "https://www.med-credit.org.cn/doctor/546","pcUrl": "https://www.med-credit.org.cn/doctor/546","jobTitle": "主治医师","headPortrait": "https://www.med-credit.org.cn/uploadfile/member/546/180x180.jpeg","id": "546","description": "李斯文,中国医科大学附属口腔医院口腔科主治医师","memberOf": {"legalName": "中国医科大学附属口腔医院","department": "口腔科","organizationLevel": "三级甲等"}},"Article": {"summaryContent": "牙疼是好发于口腔部位较为常见的不适症状,牙疼除了疼痛不适外还伴有牙龈红肿、牙齿敏感、面颊部肿胀等表现。

1.牙龈红肿:由于牙疼多由牙源性疾病导致,在急性疼痛发作期时,可见有牙疼。同时可引发疼痛部位的牙龈充血发红、肿胀,两者多为伴随症状出现。
2.牙齿敏感:牙齿敏感主要是指牙齿在患者入食生冷或热食、过酸过甜食物时。由于牙疼患者牙本质的损伤,冷热温度及食物的刺激下,可导致牙齿酸软及激发性疼痛。

3.面颊部肿胀:多由于牙齿疼痛导致牙龈部位的肿胀,部分患者可出现在外观上面颊部较健侧的发红及肿大。
除了上述相对常见的症状外,还会出现咀嚼困难。
因此当出现牙疼不适时,需要及时就医。同时部分心血管疾病患者在早期可出现牙疼症状,此时需要就医以进行鉴别,避免危重症发生。在日常生活中需要养成刷牙习惯,保持口腔卫生,以预防口腔疾病。
","articleBody": "牙疼是好发于口腔部位较为常见的不适症状,牙疼除了疼痛不适外还伴有牙龈红肿、牙齿敏感、面颊部肿胀等表现。

1.牙龈红肿:由于牙疼多由牙源性疾病导致,在急性疼痛发作期时,可见有牙疼。同时可引发疼痛部位的牙龈充血发红、肿胀,两者多为伴随症状出现。
2.牙齿敏感:牙齿敏感主要是指牙齿在患者入食生冷或热食、过酸过甜食物时。由于牙疼患者牙本质的损伤,冷热温度及食物的刺激下,可导致牙齿酸软及激发性疼痛。

3.面颊部肿胀:多由于牙齿疼痛导致牙龈部位的肿胀,部分患者可出现在外观上面颊部较健侧的发红及肿大。
除了上述相对常见的症状外,还会出现咀嚼困难。
因此当出现牙疼不适时,需要及时就医。同时部分心血管疾病患者在早期可出现牙疼症状,此时需要就医以进行鉴别,避免危重症发生。在日常生活中需要养成刷牙习惯,保持口腔卫生,以预防口腔疾病。
","scanCount": 32475}}} {"@context": "https://ziyuan.baidu.com/contexts/cambrian.jsonld","appid": "1650708455561748","icon": "https://www.med-credit.org.cn/style/images/ttlogo.png","content_tag": ["atlas"],"is_mcn": {"thumb_id": "e4oal99d"},"accid": "4886d626a2804dee5f11168793ce361672f39c25","@id": "https://www.med-credit.org.cn/mobile/jingxuan/2/e5f19158a250635fe5eeb5edc9b79da8.html","bagWordId": "597a7dc9adfa8444","title": "鼻咽癌早期鼻涕带血图片","pubDate": "2023-02-15T16:41:09","upDate": "2023-02-15T16:41:09","lrDate": "2023-02-15T16:41:09","description": "鼻咽癌早期鼻涕带血是鼻咽癌的症状之一。","data": {"WebPage": {"headline": "鼻咽癌早期鼻涕带血图片","pcUrl": "https://www.med-credit.org.cn/jingxuan/2/e5f19158a250635fe5eeb5edc9b79da8.html","wapUrl": "https://www.med-credit.org.cn/jingxuan/2/e5f19158a250635fe5eeb5edc9b79da8.html","mipUrl": "https://www.med-credit.org.cn/mobile/jingxuan/2/e5f19158a250635fe5eeb5edc9b79da8.html","fromSrc": "欢乐橙","datePublished": "2023-02-15T16:41:09","domain": "医疗","category": ["医疗权威文章合作"],"description": "鼻咽癌早期鼻涕带血是鼻咽癌的症状之一。
","extra_headline": [""]},"Author": {"name": "谢洪","wapUrl": "https://www.med-credit.org.cn/doctor/538","pcUrl": "https://www.med-credit.org.cn/doctor/538","jobTitle": "副主任医师","headPortrait": "https://www.med-credit.org.cn/uploadfile/member/538/180x180.jpeg","id": "538","description": "谢洪,首都医科大学附属北京世纪坛医院耳鼻喉头颈外科副主任医师","memberOf": {"legalName": "首都医科大学附属北京世纪坛医院","department": "耳鼻喉头颈外科","organizationLevel": "三级甲等"}},"Article": {"summaryContent": "鼻咽癌早期鼻涕带血是鼻咽癌的症状之一。
应针对鼻咽癌进行早期放疗,并配合对症治疗减轻鼻部症状。

由于鼻咽的解剖位置隐蔽,鼻咽癌早期症状并不典型,在早期擤鼻涕时可发现鼻涕中带血,时有时无,多不引起患者重视,瘤体增大可阻塞后鼻孔,引起鼻塞,始为单侧,继而双侧。
1、放疗:对于早期鼻咽癌患者,单纯放疗是一线治疗方法。相对于放化疗结合,单纯放疗提供了极好的局部区域控制,可避免额外化疗产生的潜在毒性。放疗前一般需要通过CT或MRI定位数据协助确定肿瘤靶区范围,再根据病情及患者耐受程度选择合适的剂量进行放疗。
2、营养支持:鼻咽癌病灶处容易造成出血,且放疗后可能会出现急性毒副反应,使黏膜炎症、出血加重。因此临床可给予营养支持,补充相关营养素、维生素等,增强鼻腔黏膜抵抗能力。少量鼻出血可使用生理盐水喷雾喷鼻,出血量多时可进行指压止血,或由专科医生采取鼻腔填塞或血管栓塞术止血。
鼻咽癌早期最常见的症状是间歇性鼻出血,一旦确诊,早期放疗效果比较理想,宜及时进行相关治疗,控制肿瘤细胞继续局部浸润侵犯及转移。
","articleBody": "鼻咽癌早期鼻涕带血是鼻咽癌的症状之一。
应针对鼻咽癌进行早期放疗,并配合对症治疗减轻鼻部症状。

由于鼻咽的解剖位置隐蔽,鼻咽癌早期症状并不典型,在早期擤鼻涕时可发现鼻涕中带血,时有时无,多不引起患者重视,瘤体增大可阻塞后鼻孔,引起鼻塞,始为单侧,继而双侧。
1、放疗:对于早期鼻咽癌患者,单纯放疗是一线治疗方法。相对于放化疗结合,单纯放疗提供了极好的局部区域控制,可避免额外化疗产生的潜在毒性。放疗前一般需要通过CT或MRI定位数据协助确定肿瘤靶区范围,再根据病情及患者耐受程度选择合适的剂量进行放疗。
2、营养支持:鼻咽癌病灶处容易造成出血,且放疗后可能会出现急性毒副反应,使黏膜炎症、出血加重。因此临床可给予营养支持,补充相关营养素、维生素等,增强鼻腔黏膜抵抗能力。少量鼻出血可使用生理盐水喷雾喷鼻,出血量多时可进行指压止血,或由专科医生采取鼻腔填塞或血管栓塞术止血。
鼻咽癌早期最常见的症状是间歇性鼻出血,一旦确诊,早期放疗效果比较理想,宜及时进行相关治疗,控制肿瘤细胞继续局部浸润侵犯及转移。
","scanCount": 32474}}} {"@context": "https://ziyuan.baidu.com/contexts/cambrian.jsonld","appid": "1650708455561748","icon": "https://www.med-credit.org.cn/style/images/ttlogo.png","content_tag": ["atlas"],"is_mcn": {"thumb_id": "g76756sx"},"accid": "4886d626a2804dee5f11168793ce361672f39c25","@id": "https://www.med-credit.org.cn/mobile/jingxuan/2/eff05d41b974fab9c14b6c7aaf8adf88.html","bagWordId": "9580de3d96a72b08","title": "人体经络全图","pubDate": "2023-02-15T16:41:09","upDate": "2023-02-15T16:41:09","lrDate": "2023-02-15T16:41:09","description": "经络:经和络的总称。","data": {"WebPage": {"headline": "人体经络全图","pcUrl": "https://www.med-credit.org.cn/jingxuan/2/eff05d41b974fab9c14b6c7aaf8adf88.html","wapUrl": "https://www.med-credit.org.cn/jingxuan/2/eff05d41b974fab9c14b6c7aaf8adf88.html","mipUrl": "https://www.med-credit.org.cn/mobile/jingxuan/2/eff05d41b974fab9c14b6c7aaf8adf88.html","fromSrc": "欢乐橙","datePublished": "2023-02-15T16:41:09","domain": "医疗","category": ["医疗权威文章合作"],"description": "经络:经和络的总称。
","extra_headline": [""]},"Author": {"name": "张婷","wapUrl": "https://www.med-credit.org.cn/doctor/555","pcUrl": "https://www.med-credit.org.cn/doctor/555","jobTitle": "副主任医师","headPortrait": "https://www.med-credit.org.cn/uploadfile/member/555/180x180.jpeg","id": "555","description": "张婷,中南大学湘雅三医院中西医结合科副主任医师","memberOf": {"legalName": "中南大学湘雅三医院","department": "中西医结合科","organizationLevel": "三级甲等"}},"Article": {"summaryContent": "经络:经和络的总称。
经:经脉,有路径之意。经脉是经络系统中纵行的主干,具有贯通上下和沟通内外的作用。

一、经脉
1、十二经脉
(1)手三阴经:手太阴肺经、手厥阴心包经、手少阴心经。
(2)手三阳经:手阳明大肠经、手少阳三焦经、手太阳小肠经。
(3)足三阳经:足阳明胃经、足少阳胆经、足太阳膀胱经。
(3)足三阴经:足太阴脾经、足厥阴肝经、足少阴肾经。
2、奇经八脉
督脉、任脉、冲脉、带脉、阳维脉、阴维脉、阴蹻脉、阳蹻脉的总称
3、十二经别
4、十五别络
5、十二经筋
6、十二皮部
二、络脉
浮络、孙络
(1)是运行全身气血,营养脏腑组织;
(2)联络脏腑形体官窍,沟通上下内外、感应传导信息的通道,调节人体各部分功能等方面。
可根据经络的循行规律和经络在相应部位的变化判断内脏病变,结合临床症状可以判断病位、传变和发展趋势,用以指导疾病诊断。
","articleBody": "经络:经和络的总称。
经:经脉,有路径之意。经脉是经络系统中纵行的主干,具有贯通上下和沟通内外的作用。

一、经脉
1、十二经脉
(1)手三阴经:手太阴肺经、手厥阴心包经、手少阴心经。
(2)手三阳经:手阳明大肠经、手少阳三焦经、手太阳小肠经。
(3)足三阳经:足阳明胃经、足少阳胆经、足太阳膀胱经。
(3)足三阴经:足太阴脾经、足厥阴肝经、足少阴肾经。
2、奇经八脉
督脉、任脉、冲脉、带脉、阳维脉、阴维脉、阴蹻脉、阳蹻脉的总称
3、十二经别
4、十五别络
5、十二经筋
6、十二皮部
二、络脉
浮络、孙络
(1)是运行全身气血,营养脏腑组织;
(2)联络脏腑形体官窍,沟通上下内外、感应传导信息的通道,调节人体各部分功能等方面。
可根据经络的循行规律和经络在相应部位的变化判断内脏病变,结合临床症状可以判断病位、传变和发展趋势,用以指导疾病诊断。
","scanCount": 32473}}} {"@context": "https://ziyuan.baidu.com/contexts/cambrian.jsonld","appid": "1650708455561748","icon": "https://www.med-credit.org.cn/style/images/ttlogo.png","content_tag": ["atlas"],"is_mcn": {"thumb_id": "g76756sx"},"accid": "4886d626a2804dee5f11168793ce361672f39c25","@id": "https://www.med-credit.org.cn/mobile/jingxuan/2/5edbe6f16998b93ae9ef20e37d53d649.html","bagWordId": "6c157bc26ff84dc4","title": "芡实图片","pubDate": "2023-02-15T16:41:09","upDate": "2023-02-15T16:41:09","lrDate": "2023-02-15T16:41:09","description": "芡实是睡莲科植物芡的成熟种仁,别名为鸡头米、卵菱、苏黄等,味甘涩。","data": {"WebPage": {"headline": "芡实图片","pcUrl": "https://www.med-credit.org.cn/jingxuan/2/5edbe6f16998b93ae9ef20e37d53d649.html","wapUrl": "https://www.med-credit.org.cn/jingxuan/2/5edbe6f16998b93ae9ef20e37d53d649.html","mipUrl": "https://www.med-credit.org.cn/mobile/jingxuan/2/5edbe6f16998b93ae9ef20e37d53d649.html","fromSrc": "欢乐橙","datePublished": "2023-02-15T16:41:09","domain": "医疗","category": ["医疗权威文章合作"],"description": "芡实是睡莲科植物芡的成熟种仁,别名为鸡头米、卵菱、苏黄等,味甘涩。
","extra_headline": [""]},"Author": {"name": "张婷","wapUrl": "https://www.med-credit.org.cn/doctor/555","pcUrl": "https://www.med-credit.org.cn/doctor/555","jobTitle": "副主任医师","headPortrait": "https://www.med-credit.org.cn/uploadfile/member/555/180x180.jpeg","id": "555","description": "张婷,中南大学湘雅三医院中西医结合科副主任医师","memberOf": {"legalName": "中南大学湘雅三医院","department": "中西医结合科","organizationLevel": "三级甲等"}},"Article": {"summaryContent": "芡实是睡莲科植物芡的成熟种仁,别名为鸡头米、卵菱、苏黄等,味甘涩。

1、外形特点:芡实外形类球形,一般是破粒,如果外形完整直径在5~8mm之间。种脐痕是凹点状,表面是红棕色种皮,有1/3的一端呈黄白色,除去棕红色种皮可见白色样球形。质地硬、断面白色,粉性。
2、功效作用:具有益肾固精、补脾止泻、除湿止带的功效,可配合其他草药治疗慢性前列腺炎、遗精、带下症和婴幼儿腹泻。常配合山药、白术行健脾止泻的功效,用于脾虚泄泻患者;或配合金樱子、莲子行泄精止带的功效,用于遗精、白带过多、尿频或尿失禁患者。
9~10月植物芡的种子成熟时,可以割取果实,击碎果皮取种子,除去硬外壳晒干待用。中医一般以饱满、断面白色、粉性足、无碎末的芡实为佳。用法是生用或麸炒后进行煎汤、制成药丸或放进散剂中内服。
","articleBody": "芡实是睡莲科植物芡的成熟种仁,别名为鸡头米、卵菱、苏黄等,味甘涩。

1、外形特点:芡实外形类球形,一般是破粒,如果外形完整直径在5~8mm之间。种脐痕是凹点状,表面是红棕色种皮,有1/3的一端呈黄白色,除去棕红色种皮可见白色样球形。质地硬、断面白色,粉性。
2、功效作用:具有益肾固精、补脾止泻、除湿止带的功效,可配合其他草药治疗慢性前列腺炎、遗精、带下症和婴幼儿腹泻。常配合山药、白术行健脾止泻的功效,用于脾虚泄泻患者;或配合金樱子、莲子行泄精止带的功效,用于遗精、白带过多、尿频或尿失禁患者。
9~10月植物芡的种子成熟时,可以割取果实,击碎果皮取种子,除去硬外壳晒干待用。中医一般以饱满、断面白色、粉性足、无碎末的芡实为佳。用法是生用或麸炒后进行煎汤、制成药丸或放进散剂中内服。
","scanCount": 32470}}} {"@context": "https://ziyuan.baidu.com/contexts/cambrian.jsonld","appid": "1650708455561748","icon": "https://www.med-credit.org.cn/style/images/ttlogo.png","content_tag": ["atlas"],"is_mcn": {"thumb_id": "g76756sx"},"accid": "4886d626a2804dee5f11168793ce361672f39c25","@id": "https://www.med-credit.org.cn/mobile/jingxuan/2/11eaa8099dc4033323be9b0d6fbaad55.html","bagWordId": "018f0512276fecfd","title": "胆经的准确位置图","pubDate": "2023-02-15T16:41:09","upDate": "2023-02-15T16:41:09","lrDate": "2023-02-15T16:41:09","description": "胆经即足少阳胆经,其主干从目外眦起始,向上到达额角处,再往下走到达耳后,又向上经过额部到达眉上,向后折至风池穴,沿着颈旁到达肩部,左右交汇于大椎穴,下行入缺盆。","data": {"WebPage": {"headline": "胆经的准确位置图","pcUrl": "https://www.med-credit.org.cn/jingxuan/2/11eaa8099dc4033323be9b0d6fbaad55.html","wapUrl": "https://www.med-credit.org.cn/jingxuan/2/11eaa8099dc4033323be9b0d6fbaad55.html","mipUrl": "https://www.med-credit.org.cn/mobile/jingxuan/2/11eaa8099dc4033323be9b0d6fbaad55.html","fromSrc": "欢乐橙","datePublished": "2023-02-15T16:41:09","domain": "医疗","category": ["医疗权威文章合作"],"description": "胆经即足少阳胆经,其主干从目外眦起始,向上到达额角处,再往下走到达耳后,又向上经过额部到达眉上,向后折至风池穴,沿着颈旁到达肩部,左右交汇于大椎穴,下行入缺盆。
","extra_headline": [""]},"Author": {"name": "张婷","wapUrl": "https://www.med-credit.org.cn/doctor/555","pcUrl": "https://www.med-credit.org.cn/doctor/555","jobTitle": "副主任医师","headPortrait": "https://www.med-credit.org.cn/uploadfile/member/555/180x180.jpeg","id": "555","description": "张婷,中南大学湘雅三医院中西医结合科副主任医师","memberOf": {"legalName": "中南大学湘雅三医院","department": "中西医结合科","organizationLevel": "三级甲等"}},"Article": {"summaryContent": "胆经即足少阳胆经,其主干从目外眦起始,向上到达额角处,再往下走到达耳后,又向上经过额部到达眉上,向后折至风池穴,沿着颈旁到达肩部,左右交汇于大椎穴,下行入缺盆。
足少阳胆经另有四条分支。

1、耳后支脉:由耳后进入耳中,出走耳前,到目外眦后方;
2、外眦部支脉:从目外眦分出,下至大迎穴,同手少阳三焦经分布于面颊部的支脉会合,行至目眶下,向下经过下颌角部下行至颈部,与前脉会合于缺盆后,穿过膈肌,络肝属胆,沿胁里浅出气街,出于少腹部腹股沟动脉处,绕阴部毛际,横向至髋关节处。
3、缺盆部直行脉:直行向下的经脉从缺盆下行至腋,沿胸侧,过季肋,下行至髋关节部与前脉会合,再向下沿大腿外侧、膝关节外缘,行于腓骨前面,直下至腓骨下端,浅出外踝之前,沿足背行出于足第4趾外侧端(足窍阴穴)。
4、足背部支脉:从足背分出,进入大趾趾缝间,沿第1、2跖骨间,出趾端,穿过趾甲,出于趾背毫毛部,接足厥阴肝经。本经脉又一分支从足背(临泣穴)分出,前行出足大趾外侧端,折回穿过爪甲,分布于足大趾爪甲后丛毛处,交于足厥阴肝经。
足少阳胆经主治肝胆疾病、头面五官疾病及经脉所过部位疾病。因少阳为阳气初生之经络,故足少阳胆经对发热病也有一定疗效。
","articleBody": "胆经即足少阳胆经,其主干从目外眦起始,向上到达额角处,再往下走到达耳后,又向上经过额部到达眉上,向后折至风池穴,沿着颈旁到达肩部,左右交汇于大椎穴,下行入缺盆。
足少阳胆经另有四条分支。

1、耳后支脉:由耳后进入耳中,出走耳前,到目外眦后方;
2、外眦部支脉:从目外眦分出,下至大迎穴,同手少阳三焦经分布于面颊部的支脉会合,行至目眶下,向下经过下颌角部下行至颈部,与前脉会合于缺盆后,穿过膈肌,络肝属胆,沿胁里浅出气街,出于少腹部腹股沟动脉处,绕阴部毛际,横向至髋关节处。
3、缺盆部直行脉:直行向下的经脉从缺盆下行至腋,沿胸侧,过季肋,下行至髋关节部与前脉会合,再向下沿大腿外侧、膝关节外缘,行于腓骨前面,直下至腓骨下端,浅出外踝之前,沿足背行出于足第4趾外侧端(足窍阴穴)。
4、足背部支脉:从足背分出,进入大趾趾缝间,沿第1、2跖骨间,出趾端,穿过趾甲,出于趾背毫毛部,接足厥阴肝经。本经脉又一分支从足背(临泣穴)分出,前行出足大趾外侧端,折回穿过爪甲,分布于足大趾爪甲后丛毛处,交于足厥阴肝经。
足少阳胆经主治肝胆疾病、头面五官疾病及经脉所过部位疾病。因少阳为阳气初生之经络,故足少阳胆经对发热病也有一定疗效。
","scanCount": 32465}}} {"@context": "https://ziyuan.baidu.com/contexts/cambrian.jsonld","appid": "1650708455561748","icon": "https://www.med-credit.org.cn/style/images/ttlogo.png","content_tag": ["atlas"],"is_mcn": {"thumb_id": "g76756sx"},"accid": "4886d626a2804dee5f11168793ce361672f39c25","@id": "https://www.med-credit.org.cn/mobile/jingxuan/2/2101981b4fd5d8a93e7278fb0c52a9fa.html","bagWordId": "192ee8dd8c9d7e09","title": "薏米图片","pubDate": "2023-02-15T16:41:09","upDate": "2023-02-15T16:41:09","lrDate": "2023-02-15T16:41:09","description": "薏米又称为薏苡仁,它是禾本科植物薏苡的干燥且成熟的种仁。","data": {"WebPage": {"headline": "薏米图片","pcUrl": "https://www.med-credit.org.cn/jingxuan/2/2101981b4fd5d8a93e7278fb0c52a9fa.html","wapUrl": "https://www.med-credit.org.cn/jingxuan/2/2101981b4fd5d8a93e7278fb0c52a9fa.html","mipUrl": "https://www.med-credit.org.cn/mobile/jingxuan/2/2101981b4fd5d8a93e7278fb0c52a9fa.html","fromSrc": "欢乐橙","datePublished": "2023-02-15T16:41:09","domain": "医疗","category": ["医疗权威文章合作"],"description": "薏米又称为薏苡仁,它是禾本科植物薏苡的干燥且成熟的种仁。
","extra_headline": [""]},"Author": {"name": "张婷","wapUrl": "https://www.med-credit.org.cn/doctor/555","pcUrl": "https://www.med-credit.org.cn/doctor/555","jobTitle": "副主任医师","headPortrait": "https://www.med-credit.org.cn/uploadfile/member/555/180x180.jpeg","id": "555","description": "张婷,中南大学湘雅三医院中西医结合科副主任医师","memberOf": {"legalName": "中南大学湘雅三医院","department": "中西医结合科","organizationLevel": "三级甲等"}},"Article": {"summaryContent": "薏米又称为薏苡仁,它是禾本科植物薏苡的干燥且成熟的种仁。
薏苡仁具有利湿健脾、舒筋除痹、清热排脓、解毒散结之功效。


1.功效:薏苡仁归脾、胃、肺经,有利湿健脾、舒筋除痹、清热排脓、解毒散结之功效。主治水肿、脚气、小便淋沥、泄泻、风湿痹痛、筋脉拘挛、扁平疣等。其中生薏苡仁性偏寒凉,更有利于利水渗湿、清热排脓、除痹止痛,常用于小便不利、水肿、肺痈、风湿痹痛。而炒薏苡仁性偏平和,有利于健脾止泻,常用于脾虚泄泻、脘腹胀痛。
2.成分:现代药理研究表明薏苡仁含有多种活性化学成分,包括酯类、不饱和脂肪酸类、多糖类、内酰胺类、木脂素类、酚类和腺苷等化合物。因此薏苡仁具有提高机体免疫、降血糖血钙血压、抑制胰蛋白、诱发排卵、抗炎镇痛、调节血脂等作用。
","articleBody": "薏米又称为薏苡仁,它是禾本科植物薏苡的干燥且成熟的种仁。
薏苡仁具有利湿健脾、舒筋除痹、清热排脓、解毒散结之功效。


1.功效:薏苡仁归脾、胃、肺经,有利湿健脾、舒筋除痹、清热排脓、解毒散结之功效。主治水肿、脚气、小便淋沥、泄泻、风湿痹痛、筋脉拘挛、扁平疣等。其中生薏苡仁性偏寒凉,更有利于利水渗湿、清热排脓、除痹止痛,常用于小便不利、水肿、肺痈、风湿痹痛。而炒薏苡仁性偏平和,有利于健脾止泻,常用于脾虚泄泻、脘腹胀痛。
2.成分:现代药理研究表明薏苡仁含有多种活性化学成分,包括酯类、不饱和脂肪酸类、多糖类、内酰胺类、木脂素类、酚类和腺苷等化合物。因此薏苡仁具有提高机体免疫、降血糖血钙血压、抑制胰蛋白、诱发排卵、抗炎镇痛、调节血脂等作用。
","scanCount": 32464}}} {"@context": "https://ziyuan.baidu.com/contexts/cambrian.jsonld","appid": "1650708455561748","icon": "https://www.med-credit.org.cn/style/images/ttlogo.png","content_tag": ["atlas"],"is_mcn": {"thumb_id": "g76756sx"},"accid": "4886d626a2804dee5f11168793ce361672f39c25","@id": "https://www.med-credit.org.cn/mobile/jingxuan/2/b41ca76a01a2d57231dc4e0401504a98.html","bagWordId": "a246d79dac913be2","title": "鹅不食草图片","pubDate": "2023-02-15T16:41:09","upDate": "2023-02-15T16:41:09","lrDate": "2023-02-15T16:41:09","description": "鹅不食草也称为鸡肠草,属于菊科一年生草本植物,在花期采摘,全草干燥入药,是一味解表类中药。","data": {"WebPage": {"headline": "鹅不食草图片","pcUrl": "https://www.med-credit.org.cn/jingxuan/2/b41ca76a01a2d57231dc4e0401504a98.html","wapUrl": "https://www.med-credit.org.cn/jingxuan/2/b41ca76a01a2d57231dc4e0401504a98.html","mipUrl": "https://www.med-credit.org.cn/mobile/jingxuan/2/b41ca76a01a2d57231dc4e0401504a98.html","fromSrc": "欢乐橙","datePublished": "2023-02-15T16:41:09","domain": "医疗","category": ["医疗权威文章合作"],"description": "鹅不食草也称为鸡肠草,属于菊科一年生草本植物,在花期采摘,全草干燥入药,是一味解表类中药。
","extra_headline": [""]},"Author": {"name": "张婷","wapUrl": "https://www.med-credit.org.cn/doctor/555","pcUrl": "https://www.med-credit.org.cn/doctor/555","jobTitle": "副主任医师","headPortrait": "https://www.med-credit.org.cn/uploadfile/member/555/180x180.jpeg","id": "555","description": "张婷,中南大学湘雅三医院中西医结合科副主任医师","memberOf": {"legalName": "中南大学湘雅三医院","department": "中西医结合科","organizationLevel": "三级甲等"}},"Article": {"summaryContent": "鹅不食草也称为鸡肠草,属于菊科一年生草本植物,在花期采摘,全草干燥入药,是一味解表类中药。

1、形状:鹅不食草在全国大部分地区均有分布,通常生长于路旁、墙根、沟渠边湿润的地面。入药部位缠结成团,须根呈淡黄色,纤细。茎多分枝,质脆,断面黄白色。叶小,叶片多皱缩、破碎,表面灰绿色或棕褐色,头状花序黄色或黄褐色。

2、功效:此药材气味久闻会有刺激性,味苦、微辛。具有祛风除湿、发散风寒、通鼻渊的功效。可以缓解感冒,百日咳咳嗽痰多,鼻渊流涕、鼻塞不通等症状。也有一定的解毒作用,但效力较弱,可用鲜品捣敷在患处,治疗蛇伤肿痛。
使用方法一般是煎汤或捣汁内服,外用时将药材捣碎、捣烂,塞于鼻腔内或敷于患处。配伍苍耳子、白芷、细辛等药材后,其宣肺通窍、散风止痛的作用加强。个别患者使用后可能出现恶心、呕吐的症状,如剂量偏大会导致胃痛,应谨慎按医嘱使用。
","articleBody": "鹅不食草也称为鸡肠草,属于菊科一年生草本植物,在花期采摘,全草干燥入药,是一味解表类中药。

1、形状:鹅不食草在全国大部分地区均有分布,通常生长于路旁、墙根、沟渠边湿润的地面。入药部位缠结成团,须根呈淡黄色,纤细。茎多分枝,质脆,断面黄白色。叶小,叶片多皱缩、破碎,表面灰绿色或棕褐色,头状花序黄色或黄褐色。

2、功效:此药材气味久闻会有刺激性,味苦、微辛。具有祛风除湿、发散风寒、通鼻渊的功效。可以缓解感冒,百日咳咳嗽痰多,鼻渊流涕、鼻塞不通等症状。也有一定的解毒作用,但效力较弱,可用鲜品捣敷在患处,治疗蛇伤肿痛。
使用方法一般是煎汤或捣汁内服,外用时将药材捣碎、捣烂,塞于鼻腔内或敷于患处。配伍苍耳子、白芷、细辛等药材后,其宣肺通窍、散风止痛的作用加强。个别患者使用后可能出现恶心、呕吐的症状,如剂量偏大会导致胃痛,应谨慎按医嘱使用。
","scanCount": 32463}}} {"@context": "https://ziyuan.baidu.com/contexts/cambrian.jsonld","appid": "1650708455561748","icon": "https://www.med-credit.org.cn/style/images/ttlogo.png","content_tag": ["atlas"],"is_mcn": {"thumb_id": "g76756sx"},"accid": "4886d626a2804dee5f11168793ce361672f39c25","@id": "https://www.med-credit.org.cn/mobile/jingxuan/2/ee5b9520f48e0470159cd5cd2d8b5b49.html","bagWordId": "3f9a88afc7174d9b","title": "人体的经络位置图","pubDate": "2023-02-15T16:41:09","upDate": "2023-02-15T16:41:09","lrDate": "2023-02-15T16:41:09","description": "经络是人体运行气血、联络脏腑沟、通内外、贯穿上下的通路。经络包括:经脉和络脉。","data": {"WebPage": {"headline": "人体的经络位置图","pcUrl": "https://www.med-credit.org.cn/jingxuan/2/ee5b9520f48e0470159cd5cd2d8b5b49.html","wapUrl": "https://www.med-credit.org.cn/jingxuan/2/ee5b9520f48e0470159cd5cd2d8b5b49.html","mipUrl": "https://www.med-credit.org.cn/mobile/jingxuan/2/ee5b9520f48e0470159cd5cd2d8b5b49.html","fromSrc": "欢乐橙","datePublished": "2023-02-15T16:41:09","domain": "医疗","category": ["医疗权威文章合作"],"description": "经络是人体运行气血、联络脏腑沟、通内外、贯穿上下的通路。经络包括:经脉和络脉。
","extra_headline": [""]},"Author": {"name": "张婷","wapUrl": "https://www.med-credit.org.cn/doctor/555","pcUrl": "https://www.med-credit.org.cn/doctor/555","jobTitle": "副主任医师","headPortrait": "https://www.med-credit.org.cn/uploadfile/member/555/180x180.jpeg","id": "555","description": "张婷,中南大学湘雅三医院中西医结合科副主任医师","memberOf": {"legalName": "中南大学湘雅三医院","department": "中西医结合科","organizationLevel": "三级甲等"}},"Article": {"summaryContent": "经络是人体运行气血、联络脏腑沟、通内外、贯穿上下的通路。经络包括:经脉和络脉。
人体的十二经脉在体表左右对称分布,分布于头面、躯干和四肢,纵贯全身。

1、经脉:
(1)位置:经脉分为手三阴,手三阳,足三阴,足三阳。手三阴位于上肢内面,从桡侧至尺侧分别为手厥阴心包经、手厥阴心包经、手少阴心经。手三阳位于上肢外侧,手阳明大肠经、手少阳三焦经、手太阳小肠经,由桡侧至尺侧各有一处。足三阳位于下肢外侧,足阳明胃经位于下肢外侧,足少阳胆经位于下肢中心,足太阳膀胱经位于下肢后侧。足三阴经位于大腿内侧,由前至后依次是足太阴脾经、足厥阴肝经、足少阴肾经。
(2)方向:十二经脉是有方向。手三阴经是从胸口开始,从胸口一直到双手,手三阳经是从手开始,一直到头部与足三阳经交汇,足三阳经从头走足,足三阴经从足走胸。
2、络脉:人体内络脉的分支,纵横交错,网络周身,无处不至。包括别络、浮络、孙络3类。
(1)别络:别络是较大的分支,共有15条,由手足三阴三阳经在腕踝关节上下各分出一支络脉,加上躯干部任脉之络、督脉之络及脾之大络所组成,故又称十五别络、十五络脉。十二经脉(十二正经)的络脉从本经络穴别出后,均走向相表里的经脉,即阴经别走于阳经,阳经别走于阴经。任脉的别络散布于腹部而下行;督脉的别络散布于腰背部而上行;脾之大络别出后散布于侧面胁肋部。
(2)浮络:浮络是络脉中浮行于浅表部位的分支。在全身络脉中,浮行于浅表部位的称为“浮络”,它分布在皮肤表面。其主要作用是输布气血以濡养全身。
(3)孙络:从别络分出最细小的分支称为“孙络”,它的作用同浮络一样输布气血,濡养全身。
经络与五脏相通,经络与身体的各个部位相连,形成了一个完整的体系。以气血滋养身体,经脉是人体血液循环的主要渠道,营养可输送到身体各个器官,滋养内脏,滋养筋骨,疏通关节。抵御疾病、防御身体、经络、气血、营卫之气。
","articleBody": "经络是人体运行气血、联络脏腑沟、通内外、贯穿上下的通路。经络包括:经脉和络脉。
人体的十二经脉在体表左右对称分布,分布于头面、躯干和四肢,纵贯全身。

1、经脉:
(1)位置:经脉分为手三阴,手三阳,足三阴,足三阳。手三阴位于上肢内面,从桡侧至尺侧分别为手厥阴心包经、手厥阴心包经、手少阴心经。手三阳位于上肢外侧,手阳明大肠经、手少阳三焦经、手太阳小肠经,由桡侧至尺侧各有一处。足三阳位于下肢外侧,足阳明胃经位于下肢外侧,足少阳胆经位于下肢中心,足太阳膀胱经位于下肢后侧。足三阴经位于大腿内侧,由前至后依次是足太阴脾经、足厥阴肝经、足少阴肾经。
(2)方向:十二经脉是有方向。手三阴经是从胸口开始,从胸口一直到双手,手三阳经是从手开始,一直到头部与足三阳经交汇,足三阳经从头走足,足三阴经从足走胸。
2、络脉:人体内络脉的分支,纵横交错,网络周身,无处不至。包括别络、浮络、孙络3类。
(1)别络:别络是较大的分支,共有15条,由手足三阴三阳经在腕踝关节上下各分出一支络脉,加上躯干部任脉之络、督脉之络及脾之大络所组成,故又称十五别络、十五络脉。十二经脉(十二正经)的络脉从本经络穴别出后,均走向相表里的经脉,即阴经别走于阳经,阳经别走于阴经。任脉的别络散布于腹部而下行;督脉的别络散布于腰背部而上行;脾之大络别出后散布于侧面胁肋部。
(2)浮络:浮络是络脉中浮行于浅表部位的分支。在全身络脉中,浮行于浅表部位的称为“浮络”,它分布在皮肤表面。其主要作用是输布气血以濡养全身。
(3)孙络:从别络分出最细小的分支称为“孙络”,它的作用同浮络一样输布气血,濡养全身。
经络与五脏相通,经络与身体的各个部位相连,形成了一个完整的体系。以气血滋养身体,经脉是人体血液循环的主要渠道,营养可输送到身体各个器官,滋养内脏,滋养筋骨,疏通关节。抵御疾病、防御身体、经络、气血、营卫之气。
","scanCount": 32460}}} {"@context": "https://ziyuan.baidu.com/contexts/cambrian.jsonld","appid": "1650708455561748","icon": "https://www.med-credit.org.cn/style/images/ttlogo.png","content_tag": ["atlas"],"is_mcn": {"thumb_id": "g76756sx"},"accid": "4886d626a2804dee5f11168793ce361672f39c25","@id": "https://www.med-credit.org.cn/mobile/jingxuan/2/bce0d339b45abb8703d55dc50faf2336.html","bagWordId": "2b09a9ba53113d56","title": "鱼腥草图片","pubDate": "2023-02-15T16:41:09","upDate": "2023-02-15T16:41:09","lrDate": "2023-02-15T16:41:09","description": "鱼腥草为一种清热解毒药,为治肺痈之要药。","data": {"WebPage": {"headline": "鱼腥草图片","pcUrl": "https://www.med-credit.org.cn/jingxuan/2/bce0d339b45abb8703d55dc50faf2336.html","wapUrl": "https://www.med-credit.org.cn/jingxuan/2/bce0d339b45abb8703d55dc50faf2336.html","mipUrl": "https://www.med-credit.org.cn/mobile/jingxuan/2/bce0d339b45abb8703d55dc50faf2336.html","fromSrc": "欢乐橙","datePublished": "2023-02-15T16:41:09","domain": "医疗","category": ["医疗权威文章合作"],"description": "鱼腥草为一种清热解毒药,为治肺痈之要药。
","extra_headline": [""]},"Author": {"name": "张婷","wapUrl": "https://www.med-credit.org.cn/doctor/555","pcUrl": "https://www.med-credit.org.cn/doctor/555","jobTitle": "副主任医师","headPortrait": "https://www.med-credit.org.cn/uploadfile/member/555/180x180.jpeg","id": "555","description": "张婷,中南大学湘雅三医院中西医结合科副主任医师","memberOf": {"legalName": "中南大学湘雅三医院","department": "中西医结合科","organizationLevel": "三级甲等"}},"Article": {"summaryContent": "鱼腥草为一种清热解毒药,为治肺痈之要药。

1、形状:新鲜鱼腥草茎干呈圆柱形,上部分为绿色或紫红色,下端白色,分节,下段节生有须根,少毛或没有毛。株高15~30cm。干鱼腥草外观为黄棕色扁圆柱形,有数条纵棱,分节易折断。有鱼腥气,味涩。叶片互生,形状为阔卵形或心形,叶片上面为黄绿色或暗绿色,有许多细密的腺点,下面为紫红色。鱼腥草在5~8月间开花,花朵开在茎的顶端,穗状花序,颜色为黄色。

2、生长地:鱼腥草产于我国长江流域以南各省,喜温暖潮湿,一般生长在湖边、河畔或长期积水的路边。其药用部分为新鲜全草或干燥地上部分。于夏季茎叶茂盛花穗多时采割,除去杂质,晒干即可入药。
鱼腥草有清热解毒、消痈排脓、利尿通淋之功效。
1、功效:可治疗肺痈吐脓,肺热咳嗽;热毒疮疡;湿热淋证;清热止痢,治湿热泄痢。
2、服用方法:可煎汤或鲜品捣汁来服用,但鱼腥草含有挥发油,不宜久煎。
3、忌服者:注意虚寒证和阴性疮疡者忌服。
","articleBody": "鱼腥草为一种清热解毒药,为治肺痈之要药。

1、形状:新鲜鱼腥草茎干呈圆柱形,上部分为绿色或紫红色,下端白色,分节,下段节生有须根,少毛或没有毛。株高15~30cm。干鱼腥草外观为黄棕色扁圆柱形,有数条纵棱,分节易折断。有鱼腥气,味涩。叶片互生,形状为阔卵形或心形,叶片上面为黄绿色或暗绿色,有许多细密的腺点,下面为紫红色。鱼腥草在5~8月间开花,花朵开在茎的顶端,穗状花序,颜色为黄色。

2、生长地:鱼腥草产于我国长江流域以南各省,喜温暖潮湿,一般生长在湖边、河畔或长期积水的路边。其药用部分为新鲜全草或干燥地上部分。于夏季茎叶茂盛花穗多时采割,除去杂质,晒干即可入药。
鱼腥草有清热解毒、消痈排脓、利尿通淋之功效。
1、功效:可治疗肺痈吐脓,肺热咳嗽;热毒疮疡;湿热淋证;清热止痢,治湿热泄痢。
2、服用方法:可煎汤或鲜品捣汁来服用,但鱼腥草含有挥发油,不宜久煎。
3、忌服者:注意虚寒证和阴性疮疡者忌服。
","scanCount": 32458}}} {"@context": "https://ziyuan.baidu.com/contexts/cambrian.jsonld","appid": "1650708455561748","icon": "https://www.med-credit.org.cn/style/images/ttlogo.png","content_tag": ["atlas"],"is_mcn": {"thumb_id": "lnsk06v2"},"accid": "4886d626a2804dee5f11168793ce361672f39c25","@id": "https://www.med-credit.org.cn/mobile/jingxuan/2/84c78f5287ae217bed31b95b365b784d.html","bagWordId": "654_1585949906034495488","title": "疱疹银屑病图片","pubDate": "2023-02-03T11:30:09","upDate": "2023-02-03T11:30:09","lrDate": "2023-02-03T11:30:09","description": "疱疹银屑病是一种慢性的炎症性皮肤病,患者的皮肤表面通常会出现密集或者片状的脓疱,可能还会伴有不同程度的瘙痒和灼热等症状。","data": {"WebPage": {"headline": "疱疹银屑病图片","pcUrl": "https://www.med-credit.org.cn/jingxuan/2/84c78f5287ae217bed31b95b365b784d.html","wapUrl": "https://www.med-credit.org.cn/jingxuan/2/84c78f5287ae217bed31b95b365b784d.html","mipUrl": "https://www.med-credit.org.cn/mobile/jingxuan/2/84c78f5287ae217bed31b95b365b784d.html","fromSrc": "欢乐橙","datePublished": "2023-02-03T11:30:09","domain": "医疗","category": ["医疗权威文章合作"],"description": "疱疹银屑病是一种慢性的炎症性皮肤病,患者的皮肤表面通常会出现密集或者片状的脓疱,可能还会伴有不同程度的瘙痒和灼热等症状。
","extra_headline": [""]},"Author": {"name": "王霞","wapUrl": "https://www.med-credit.org.cn/doctor/578","pcUrl": "https://www.med-credit.org.cn/doctor/578","jobTitle": "副主任医师","headPortrait": "https://www.med-credit.org.cn/uploadfile/member/578/180x180.jpeg","id": "578","description": "王霞,广州医科大学附属第一医院皮肤科副主任医师","memberOf": {"legalName": "广州医科大学附属第一医院","department": "皮肤科","organizationLevel": "三级甲等"}},"Article": {"summaryContent": "疱疹银屑病是一种慢性的炎症性皮肤病,患者的皮肤表面通常会出现密集或者片状的脓疱,可能还会伴有不同程度的瘙痒和灼热等症状。
疱疹银屑病可能与外界环境刺激以及免疫因素有关,可以使用药物来治疗,要调整好生活习惯以及饮食习惯。

1、遗传因素:疱疹银屑病具有一定的遗传因素,如果患者的家族内有人患疱疹性银屑病及后代患该病的几率会大大的增加。
2、外界环境刺激:当皮肤长期受到紫外线照射时,会导致皮肤产生刺激,诱发不良反应,可能会诱发皮肤表面出现瘙痒或者是灼热感,造成皮肤上有密集的脓疱。
3、免疫因素:如果患有一些免疫系统疾病或者免疫力比较低下的人,容易导致皮肤表面出现片段或者是密集段的脓疱,甚至诱发银屑病。
患有疱疹银屑病建议遵医嘱使用他克莫司软膏、卡泊三醇软膏、消银颗粒等药物来治疗。
疱疹银屑病在治疗期间建议保持局部的干净清洁,避免用手抓挠,同时要加强饮食营养,加强锻炼,提高身体免疫力。
","articleBody": "疱疹银屑病是一种慢性的炎症性皮肤病,患者的皮肤表面通常会出现密集或者片状的脓疱,可能还会伴有不同程度的瘙痒和灼热等症状。
疱疹银屑病可能与外界环境刺激以及免疫因素有关,可以使用药物来治疗,要调整好生活习惯以及饮食习惯。

1、遗传因素:疱疹银屑病具有一定的遗传因素,如果患者的家族内有人患疱疹性银屑病及后代患该病的几率会大大的增加。
2、外界环境刺激:当皮肤长期受到紫外线照射时,会导致皮肤产生刺激,诱发不良反应,可能会诱发皮肤表面出现瘙痒或者是灼热感,造成皮肤上有密集的脓疱。
3、免疫因素:如果患有一些免疫系统疾病或者免疫力比较低下的人,容易导致皮肤表面出现片段或者是密集段的脓疱,甚至诱发银屑病。
患有疱疹银屑病建议遵医嘱使用他克莫司软膏、卡泊三醇软膏、消银颗粒等药物来治疗。
疱疹银屑病在治疗期间建议保持局部的干净清洁,避免用手抓挠,同时要加强饮食营养,加强锻炼,提高身体免疫力。
","scanCount": 52663}}} {"@context": "https://ziyuan.baidu.com/contexts/cambrian.jsonld","appid": "1650708455561748","icon": "https://www.med-credit.org.cn/style/images/ttlogo.png","content_tag": ["atlas"],"is_mcn": {"thumb_id": "lnsk06v2"},"accid": "4886d626a2804dee5f11168793ce361672f39c25","@id": "https://www.med-credit.org.cn/mobile/jingxuan/2/d9ef0beca299dd64b4d26c5fb21eec60.html","bagWordId": "654_1585949906143547392","title": "黑色扁平丘疹图片","pubDate": "2023-02-03T11:30:09","upDate": "2023-02-03T11:30:09","lrDate": "2023-02-03T11:30:09","description": "黑色扁平丘疹通常指的是扁平疣,患者的皮肤表面多为褐色或者黑褐色的扁平状的丘疹。","data": {"WebPage": {"headline": "黑色扁平丘疹图片","pcUrl": "https://www.med-credit.org.cn/jingxuan/2/d9ef0beca299dd64b4d26c5fb21eec60.html","wapUrl": "https://www.med-credit.org.cn/jingxuan/2/d9ef0beca299dd64b4d26c5fb21eec60.html","mipUrl": "https://www.med-credit.org.cn/mobile/jingxuan/2/d9ef0beca299dd64b4d26c5fb21eec60.html","fromSrc": "欢乐橙","datePublished": "2023-02-03T11:30:09","domain": "医疗","category": ["医疗权威文章合作"],"description": "黑色扁平丘疹通常指的是扁平疣,患者的皮肤表面多为褐色或者黑褐色的扁平状的丘疹。
","extra_headline": [""]},"Author": {"name": "王霞","wapUrl": "https://www.med-credit.org.cn/doctor/578","pcUrl": "https://www.med-credit.org.cn/doctor/578","jobTitle": "副主任医师","headPortrait": "https://www.med-credit.org.cn/uploadfile/member/578/180x180.jpeg","id": "578","description": "王霞,广州医科大学附属第一医院皮肤科副主任医师","memberOf": {"legalName": "广州医科大学附属第一医院","department": "皮肤科","organizationLevel": "三级甲等"}},"Article": {"summaryContent": "黑色扁平丘疹通常指的是扁平疣,患者的皮肤表面多为褐色或者黑褐色的扁平状的丘疹。
黑色扁平丘疹主要是由于感染了人乳头瘤病毒而引起的一种皮肤病。一般可以通过涂抹药物、冷冻治疗以及自体埋植手术的方式来进行改善,还要注意生活习惯。

扁平疣多发生在面部、手背及前臂等部位,皮损多为高出正常皮肤的扁平丘疹,约为米粒至黄豆大小,呈圆形或椭圆形。一般表面光滑、质地较硬,多为突然出现的多而密集、淡褐或深褐色的皮损,看起来像黑色或与正常肤色相似,搔抓后可沿抓痕分布,呈条状或串珠状排列。患者多无自觉症状,部分患者可能出现轻度瘙痒。
1、涂抹药物:患有扁平疣可以遵医嘱局部涂抹药物来进行改善,常用药物有水杨酸软膏、维A酸软膏、5-氟尿嘧啶软膏等。
2、冷冻治疗:扁平疣的患者可以遵医嘱通过冷冻治疗来改善。冷冻治疗是在局部皮肤涂抹极低温度的液态氮,通过冷冻时皮肤坏死脱落,才能达到治疗的效果。
3、自体埋植手术:扁平疣也可以遵医嘱通过自体埋植手术来进行改善,将疣体切除一部分埋植于皮下脂肪,刺激机体产生抗体,杀死病毒达到治疗的效果。
扁平疣的患者建议在治疗期间要避免性生活,避免与他人近距离接触,以免导致传染。
","articleBody": "黑色扁平丘疹通常指的是扁平疣,患者的皮肤表面多为褐色或者黑褐色的扁平状的丘疹。
黑色扁平丘疹主要是由于感染了人乳头瘤病毒而引起的一种皮肤病。一般可以通过涂抹药物、冷冻治疗以及自体埋植手术的方式来进行改善,还要注意生活习惯。

扁平疣多发生在面部、手背及前臂等部位,皮损多为高出正常皮肤的扁平丘疹,约为米粒至黄豆大小,呈圆形或椭圆形。一般表面光滑、质地较硬,多为突然出现的多而密集、淡褐或深褐色的皮损,看起来像黑色或与正常肤色相似,搔抓后可沿抓痕分布,呈条状或串珠状排列。患者多无自觉症状,部分患者可能出现轻度瘙痒。
1、涂抹药物:患有扁平疣可以遵医嘱局部涂抹药物来进行改善,常用药物有水杨酸软膏、维A酸软膏、5-氟尿嘧啶软膏等。
2、冷冻治疗:扁平疣的患者可以遵医嘱通过冷冻治疗来改善。冷冻治疗是在局部皮肤涂抹极低温度的液态氮,通过冷冻时皮肤坏死脱落,才能达到治疗的效果。
3、自体埋植手术:扁平疣也可以遵医嘱通过自体埋植手术来进行改善,将疣体切除一部分埋植于皮下脂肪,刺激机体产生抗体,杀死病毒达到治疗的效果。
扁平疣的患者建议在治疗期间要避免性生活,避免与他人近距离接触,以免导致传染。
","scanCount": 52665}}} {"@context": "https://ziyuan.baidu.com/contexts/cambrian.jsonld","appid": "1650708455561748","icon": "https://www.med-credit.org.cn/style/images/ttlogo.png","content_tag": ["atlas"],"is_mcn": {"thumb_id": "lnsk06v2"},"accid": "4886d626a2804dee5f11168793ce361672f39c25","@id": "https://www.med-credit.org.cn/mobile/jingxuan/2/eea4e24cc029b5cfdaea8016f4c03cd1.html","bagWordId": "654_1585949906361651200","title": "身上痒,挠完后像烫伤一样的图片","pubDate": "2023-02-03T11:30:09","upDate": "2023-02-03T11:30:09","lrDate": "2023-02-03T11:30:09","description": "身上痒挠完后像烫伤一样是指皮肤有瘙痒的症状,但是在抓挠以后局部皮肤发热发烫,像烫伤了一样。","data": {"WebPage": {"headline": "身上痒,挠完后像烫伤一样的图片","pcUrl": "https://www.med-credit.org.cn/jingxuan/2/eea4e24cc029b5cfdaea8016f4c03cd1.html","wapUrl": "https://www.med-credit.org.cn/jingxuan/2/eea4e24cc029b5cfdaea8016f4c03cd1.html","mipUrl": "https://www.med-credit.org.cn/mobile/jingxuan/2/eea4e24cc029b5cfdaea8016f4c03cd1.html","fromSrc": "欢乐橙","datePublished": "2023-02-03T11:30:09","domain": "医疗","category": ["医疗权威文章合作"],"description": "身上痒挠完后像烫伤一样是指皮肤有瘙痒的症状,但是在抓挠以后局部皮肤发热发烫,像烫伤了一样。
","extra_headline": [""]},"Author": {"name": "王霞","wapUrl": "https://www.med-credit.org.cn/doctor/578","pcUrl": "https://www.med-credit.org.cn/doctor/578","jobTitle": "副主任医师","headPortrait": "https://www.med-credit.org.cn/uploadfile/member/578/180x180.jpeg","id": "578","description": "王霞,广州医科大学附属第一医院皮肤科副主任医师","memberOf": {"legalName": "广州医科大学附属第一医院","department": "皮肤科","organizationLevel": "三级甲等"}},"Article": {"summaryContent": "身上痒挠完后像烫伤一样是指皮肤有瘙痒的症状,但是在抓挠以后局部皮肤发热发烫,像烫伤了一样。
身上痒挠完后像烫伤一样可能是过敏性皮炎、湿疹等引起的,可以使用药物治疗,平时要注意皮肤护理。

1、过敏性皮炎:当在日常生活中接触到某些过敏物质或者进食了过敏的食物后,可能会引起身体出现过敏反应,使皮肤表面出现丘疹或者瘙痒等症状,可能会越挠越痒。建议遵医嘱使用抗过敏药物治疗。常用药物有氯雷他定片、盐酸西替利嗪片等。
2、湿疹:如果经常处于潮湿闷热的环境中或者剧烈运动后身体大量出汗,汗液在局部堆积,可引起局部皮肤破损,出现红肿以及瘙痒等症状,而且越挠越痒。建议遵医嘱使用红霉素软膏、夫地西酸软膏等药物来治疗。
在平时要注意皮肤的清洁,宽松透气性好的内衣内裤,不要去潮湿有污染的环境内活动。
","articleBody": "身上痒挠完后像烫伤一样是指皮肤有瘙痒的症状,但是在抓挠以后局部皮肤发热发烫,像烫伤了一样。
身上痒挠完后像烫伤一样可能是过敏性皮炎、湿疹等引起的,可以使用药物治疗,平时要注意皮肤护理。

1、过敏性皮炎:当在日常生活中接触到某些过敏物质或者进食了过敏的食物后,可能会引起身体出现过敏反应,使皮肤表面出现丘疹或者瘙痒等症状,可能会越挠越痒。建议遵医嘱使用抗过敏药物治疗。常用药物有氯雷他定片、盐酸西替利嗪片等。
2、湿疹:如果经常处于潮湿闷热的环境中或者剧烈运动后身体大量出汗,汗液在局部堆积,可引起局部皮肤破损,出现红肿以及瘙痒等症状,而且越挠越痒。建议遵医嘱使用红霉素软膏、夫地西酸软膏等药物来治疗。
在平时要注意皮肤的清洁,宽松透气性好的内衣内裤,不要去潮湿有污染的环境内活动。
","scanCount": 52667}}} {"@context": "https://ziyuan.baidu.com/contexts/cambrian.jsonld","appid": "1650708455561748","icon": "https://www.med-credit.org.cn/style/images/ttlogo.png","content_tag": ["atlas"],"is_mcn": {"thumb_id": "lnsk06v2"},"accid": "4886d626a2804dee5f11168793ce361672f39c25","@id": "https://www.med-credit.org.cn/mobile/jingxuan/2/4f04df4cecea41ef718c3661d409c35b.html","bagWordId": "654_1585949906470703104","title": "胳膊上的皮肤像生锈图片","pubDate": "2023-02-03T11:30:09","upDate": "2023-02-03T11:30:09","lrDate": "2023-02-03T11:30:09","description": "胳膊上的皮肤像生锈是指皮肤的表面有色素沉着,好像铁锈一样。","data": {"WebPage": {"headline": "胳膊上的皮肤像生锈图片","pcUrl": "https://www.med-credit.org.cn/jingxuan/2/4f04df4cecea41ef718c3661d409c35b.html","wapUrl": "https://www.med-credit.org.cn/jingxuan/2/4f04df4cecea41ef718c3661d409c35b.html","mipUrl": "https://www.med-credit.org.cn/mobile/jingxuan/2/4f04df4cecea41ef718c3661d409c35b.html","fromSrc": "欢乐橙","datePublished": "2023-02-03T11:30:09","domain": "医疗","category": ["医疗权威文章合作"],"description": "胳膊上的皮肤像生锈是指皮肤的表面有色素沉着,好像铁锈一样。
","extra_headline": [""]},"Author": {"name": "王霞","wapUrl": "https://www.med-credit.org.cn/doctor/578","pcUrl": "https://www.med-credit.org.cn/doctor/578","jobTitle": "副主任医师","headPortrait": "https://www.med-credit.org.cn/uploadfile/member/578/180x180.jpeg","id": "578","description": "王霞,广州医科大学附属第一医院皮肤科副主任医师","memberOf": {"legalName": "广州医科大学附属第一医院","department": "皮肤科","organizationLevel": "三级甲等"}},"Article": {"summaryContent": "胳膊上的皮肤像生锈是指皮肤的表面有色素沉着,好像铁锈一样。
胳膊上的皮肤像生锈可能是遗传因素引起的,也可能是暴晒或者局部血液循环不良等原因引起的,可以采用热敷、按摩或者是药物等方法来改善,还要调整生活习惯。

1、遗传因素:皮肤的颜色具有一定的遗传因素,如果家族中的人皮肤比较暗黄,像铁锈一样,其后代出现这种皮肤的概率会大大的增加。属于正常的生理现象,无需治疗。
2、局部血液循环不良:如果运动量少,可能会导致血液循环不良,新陈代谢减慢,也可能会导致局部色素的沉积,造成皮肤像铁锈样。可以采用按摩、热敷等方法,促进血液循环,使症状得到好转。
3、暴晒:在日常生活中如果经常受到紫外线的长期照射或者在太阳底下暴晒,会导致皮肤出现色素沉着,引起皮肤颜色的改变。需要减少接触紫外线的次数,遵医嘱局部涂抹维生素E乳或者是异维A酸红霉素凝胶等药物来改善。
胳膊上的皮肤像生锈建议平时做好防晒,多运动锻炼,比如骑单车、慢跑等,有助于症状的好转。
","articleBody": "胳膊上的皮肤像生锈是指皮肤的表面有色素沉着,好像铁锈一样。
胳膊上的皮肤像生锈可能是遗传因素引起的,也可能是暴晒或者局部血液循环不良等原因引起的,可以采用热敷、按摩或者是药物等方法来改善,还要调整生活习惯。

1、遗传因素:皮肤的颜色具有一定的遗传因素,如果家族中的人皮肤比较暗黄,像铁锈一样,其后代出现这种皮肤的概率会大大的增加。属于正常的生理现象,无需治疗。
2、局部血液循环不良:如果运动量少,可能会导致血液循环不良,新陈代谢减慢,也可能会导致局部色素的沉积,造成皮肤像铁锈样。可以采用按摩、热敷等方法,促进血液循环,使症状得到好转。
3、暴晒:在日常生活中如果经常受到紫外线的长期照射或者在太阳底下暴晒,会导致皮肤出现色素沉着,引起皮肤颜色的改变。需要减少接触紫外线的次数,遵医嘱局部涂抹维生素E乳或者是异维A酸红霉素凝胶等药物来改善。
胳膊上的皮肤像生锈建议平时做好防晒,多运动锻炼,比如骑单车、慢跑等,有助于症状的好转。
","scanCount": 52668}}} {"@context": "https://ziyuan.baidu.com/contexts/cambrian.jsonld","appid": "1650708455561748","icon": "https://www.med-credit.org.cn/style/images/ttlogo.png","content_tag": ["atlas"],"is_mcn": {"thumb_id": "lnsk06v2"},"accid": "4886d626a2804dee5f11168793ce361672f39c25","@id": "https://www.med-credit.org.cn/mobile/jingxuan/2/e32c92c37f16a75248f56f82d7798ab7.html","bagWordId": "654_1585949906525229056","title": "麻风结节性红斑图片","pubDate": "2023-02-03T11:30:09","upDate": "2023-02-03T11:30:09","lrDate": "2023-02-03T11:30:09","description": "麻风结节性红斑是麻风杆菌感染引起的一种皮肤病,患者的皮肤通常会出现红色斑块,伴有瘙痒等症状。","data": {"WebPage": {"headline": "麻风结节性红斑图片","pcUrl": "https://www.med-credit.org.cn/jingxuan/2/e32c92c37f16a75248f56f82d7798ab7.html","wapUrl": "https://www.med-credit.org.cn/jingxuan/2/e32c92c37f16a75248f56f82d7798ab7.html","mipUrl": "https://www.med-credit.org.cn/mobile/jingxuan/2/e32c92c37f16a75248f56f82d7798ab7.html","fromSrc": "欢乐橙","datePublished": "2023-02-03T11:30:09","domain": "医疗","category": ["医疗权威文章合作"],"description": "麻风结节性红斑是麻风杆菌感染引起的一种皮肤病,患者的皮肤通常会出现红色斑块,伴有瘙痒等症状。
","extra_headline": [""]},"Author": {"name": "王霞","wapUrl": "https://www.med-credit.org.cn/doctor/578","pcUrl": "https://www.med-credit.org.cn/doctor/578","jobTitle": "副主任医师","headPortrait": "https://www.med-credit.org.cn/uploadfile/member/578/180x180.jpeg","id": "578","description": "王霞,广州医科大学附属第一医院皮肤科副主任医师","memberOf": {"legalName": "广州医科大学附属第一医院","department": "皮肤科","organizationLevel": "三级甲等"}},"Article": {"summaryContent": "麻风结节性红斑是麻风杆菌感染引起的一种皮肤病,患者的皮肤通常会出现红色斑块,伴有瘙痒等症状。
麻风结节性红斑通常会对皮肤以及神经组织造成损伤,可以使用药物来改善,要做好自我隔离。

1、皮肤损伤:当体内受到麻风杆菌感染后通常会导致皮肤产生一定的损伤,多数会出现红色斑块,还可能会造成附近的淋巴结肿大。可以遵医嘱外涂抹抗生素药膏改善,常用药物有夫地西酸乳膏、红霉素软膏等。
2、神经组织损伤:如果体内有麻风杆菌感染时会侵犯到神经组织,造成神经的损伤,患者可能会出现腕下垂、足下垂以及爪形手等症状。可以遵医嘱使用泼尼松片、转移因子胶囊或者左旋咪唑片等药物治疗。
麻风结节性红斑由于具有一定的传染性,建议患者要自我隔离,避免与他人近距离接触,少去人群密集的环境内活动。
","articleBody": "麻风结节性红斑是麻风杆菌感染引起的一种皮肤病,患者的皮肤通常会出现红色斑块,伴有瘙痒等症状。
麻风结节性红斑通常会对皮肤以及神经组织造成损伤,可以使用药物来改善,要做好自我隔离。

1、皮肤损伤:当体内受到麻风杆菌感染后通常会导致皮肤产生一定的损伤,多数会出现红色斑块,还可能会造成附近的淋巴结肿大。可以遵医嘱外涂抹抗生素药膏改善,常用药物有夫地西酸乳膏、红霉素软膏等。
2、神经组织损伤:如果体内有麻风杆菌感染时会侵犯到神经组织,造成神经的损伤,患者可能会出现腕下垂、足下垂以及爪形手等症状。可以遵医嘱使用泼尼松片、转移因子胶囊或者左旋咪唑片等药物治疗。
麻风结节性红斑由于具有一定的传染性,建议患者要自我隔离,避免与他人近距离接触,少去人群密集的环境内活动。
","scanCount": 52669}}} {"@context": "https://ziyuan.baidu.com/contexts/cambrian.jsonld","appid": "1650708455561748","icon": "https://www.med-credit.org.cn/style/images/ttlogo.png","content_tag": ["atlas"],"is_mcn": {"thumb_id": "lnsk06v2"},"accid": "4886d626a2804dee5f11168793ce361672f39c25","@id": "https://www.med-credit.org.cn/mobile/jingxuan/2/4df7dfa2dee5577884ae8d1459dc29d5.html","bagWordId": "654_1585949906579755008","title": "什么是糙皮病图片","pubDate": "2023-02-03T11:30:09","upDate": "2023-02-03T11:30:09","lrDate": "2023-02-03T11:30:09","description": "糙皮病是一种缺乏营养的皮肤病。患者会在皮肤表面出现红色的斑块,部分人还可能伴有局部水肿或者长水泡的情况。","data": {"WebPage": {"headline": "什么是糙皮病图片","pcUrl": "https://www.med-credit.org.cn/jingxuan/2/4df7dfa2dee5577884ae8d1459dc29d5.html","wapUrl": "https://www.med-credit.org.cn/jingxuan/2/4df7dfa2dee5577884ae8d1459dc29d5.html","mipUrl": "https://www.med-credit.org.cn/mobile/jingxuan/2/4df7dfa2dee5577884ae8d1459dc29d5.html","fromSrc": "欢乐橙","datePublished": "2023-02-03T11:30:09","domain": "医疗","category": ["医疗权威文章合作"],"description": "糙皮病是一种缺乏营养的皮肤病。患者会在皮肤表面出现红色的斑块,部分人还可能伴有局部水肿或者长水泡的情况。
","extra_headline": [""]},"Author": {"name": "王霞","wapUrl": "https://www.med-credit.org.cn/doctor/578","pcUrl": "https://www.med-credit.org.cn/doctor/578","jobTitle": "副主任医师","headPortrait": "https://www.med-credit.org.cn/uploadfile/member/578/180x180.jpeg","id": "578","description": "王霞,广州医科大学附属第一医院皮肤科副主任医师","memberOf": {"legalName": "广州医科大学附属第一医院","department": "皮肤科","organizationLevel": "三级甲等"}},"Article": {"summaryContent": "糙皮病是一种缺乏营养的皮肤病。患者会在皮肤表面出现红色的斑块,部分人还可能伴有局部水肿或者长水泡的情况。
糙皮病可能是由于不良的饮食习惯、胃肠道疾病等原因引起的。可以调整饮食习惯、使用药物来改善,平时还要注意皮肤护理。

1、不良的饮食习惯:在日常生活中如果经常进食比较油腻、辛辣、刺激性的食物,可能会加重胃肠道负担,对胃肠道造成一定的刺激,影响食物的正常消化吸收,导致皮肤表面有红色斑块,伴有水肿等症状。建议改善饮食习,多吃清淡易消化的食物,比如小米粥、鸡蛋汤等,帮助症状好转。
2、胃肠道疾病:胃肠道疾病的患者由于胃肠道的消化吸收能力减弱,人体无法完全的吸收食物中的营养,导致皮肤的营养缺乏,出现糙皮病。建议遵医嘱使用调理胃肠道的药物来治疗,比如健胃消食片、奥美拉唑肠溶片等。
糙皮病的患者在日常的生活中要多注意皮肤的护理,加强皮肤的补水保湿,有助于症状的缓解。
","articleBody": "糙皮病是一种缺乏营养的皮肤病。患者会在皮肤表面出现红色的斑块,部分人还可能伴有局部水肿或者长水泡的情况。
糙皮病可能是由于不良的饮食习惯、胃肠道疾病等原因引起的。可以调整饮食习惯、使用药物来改善,平时还要注意皮肤护理。

1、不良的饮食习惯:在日常生活中如果经常进食比较油腻、辛辣、刺激性的食物,可能会加重胃肠道负担,对胃肠道造成一定的刺激,影响食物的正常消化吸收,导致皮肤表面有红色斑块,伴有水肿等症状。建议改善饮食习,多吃清淡易消化的食物,比如小米粥、鸡蛋汤等,帮助症状好转。
2、胃肠道疾病:胃肠道疾病的患者由于胃肠道的消化吸收能力减弱,人体无法完全的吸收食物中的营养,导致皮肤的营养缺乏,出现糙皮病。建议遵医嘱使用调理胃肠道的药物来治疗,比如健胃消食片、奥美拉唑肠溶片等。
糙皮病的患者在日常的生活中要多注意皮肤的护理,加强皮肤的补水保湿,有助于症状的缓解。
","scanCount": 52670}}} {"@context": "https://ziyuan.baidu.com/contexts/cambrian.jsonld","appid": "1650708455561748","icon": "https://www.med-credit.org.cn/style/images/ttlogo.png","content_tag": ["atlas"],"is_mcn": {"thumb_id": "lnsk06v2"},"accid": "4886d626a2804dee5f11168793ce361672f39c25","@id": "https://www.med-credit.org.cn/mobile/jingxuan/2/72681d10169c1dbe554e0b312bf83e91.html","bagWordId": "654_1585949906739138560","title": "腿上长了个褐色硬疙瘩图片","pubDate": "2023-02-03T11:30:09","upDate": "2023-02-03T11:30:09","lrDate": "2023-02-03T11:30:09","description": "腿上长了个褐色硬疙瘩是指在腿部的皮肤上出现一个颜色为浅褐色或者深褐色的凸起疙瘩。","data": {"WebPage": {"headline": "腿上长了个褐色硬疙瘩图片","pcUrl": "https://www.med-credit.org.cn/jingxuan/2/72681d10169c1dbe554e0b312bf83e91.html","wapUrl": "https://www.med-credit.org.cn/jingxuan/2/72681d10169c1dbe554e0b312bf83e91.html","mipUrl": "https://www.med-credit.org.cn/mobile/jingxuan/2/72681d10169c1dbe554e0b312bf83e91.html","fromSrc": "欢乐橙","datePublished": "2023-02-03T11:30:09","domain": "医疗","category": ["医疗权威文章合作"],"description": "腿上长了个褐色硬疙瘩是指在腿部的皮肤上出现一个颜色为浅褐色或者深褐色的凸起疙瘩。
","extra_headline": [""]},"Author": {"name": "王霞","wapUrl": "https://www.med-credit.org.cn/doctor/578","pcUrl": "https://www.med-credit.org.cn/doctor/578","jobTitle": "副主任医师","headPortrait": "https://www.med-credit.org.cn/uploadfile/member/578/180x180.jpeg","id": "578","description": "王霞,广州医科大学附属第一医院皮肤科副主任医师","memberOf": {"legalName": "广州医科大学附属第一医院","department": "皮肤科","organizationLevel": "三级甲等"}},"Article": {"summaryContent": "腿上长了个褐色硬疙瘩是指在腿部的皮肤上出现一个颜色为浅褐色或者深褐色的凸起疙瘩。
腿上长了个褐色硬疙瘩可能是毛囊炎、皮肤纤维瘤或者疤痕疙瘩等原因引起的,可以采用药物或激光、手术等方法治疗。

1、毛囊炎症:如果腿部的毛囊部位出现炎症反应,如果没有及时治疗长期分泌的炎性代谢物堆积在局部,会导致局部形成褐色硬疙瘩。可遵医嘱局部涂抹红霉素软膏或者夫地西酸乳膏等药物治疗。
2、皮肤纤维瘤:当皮肤被蚊虫叮咬后可能会出现结节,如果这些结节长期对局部产生刺激,会导致局部的纤维组织增生,形成皮肤纤维瘤,伴有瘙痒的症状。可以遵医嘱采用手术切除的方法来治疗。
3、疤痕疙瘩:如果腿部原来受过外伤,没有做好局部的护理,也可导致局部疤痕增生形成硬疙瘩。一般可以遵医嘱通过激光治疗或者外科手术切除的方式来进行改善。
在治疗期间要调整好饮食习惯,多吃含有维生素的水果或蔬菜,比如菠菜或者是苹果、香蕉等。
","articleBody": "腿上长了个褐色硬疙瘩是指在腿部的皮肤上出现一个颜色为浅褐色或者深褐色的凸起疙瘩。
腿上长了个褐色硬疙瘩可能是毛囊炎、皮肤纤维瘤或者疤痕疙瘩等原因引起的,可以采用药物或激光、手术等方法治疗。

1、毛囊炎症:如果腿部的毛囊部位出现炎症反应,如果没有及时治疗长期分泌的炎性代谢物堆积在局部,会导致局部形成褐色硬疙瘩。可遵医嘱局部涂抹红霉素软膏或者夫地西酸乳膏等药物治疗。
2、皮肤纤维瘤:当皮肤被蚊虫叮咬后可能会出现结节,如果这些结节长期对局部产生刺激,会导致局部的纤维组织增生,形成皮肤纤维瘤,伴有瘙痒的症状。可以遵医嘱采用手术切除的方法来治疗。
3、疤痕疙瘩:如果腿部原来受过外伤,没有做好局部的护理,也可导致局部疤痕增生形成硬疙瘩。一般可以遵医嘱通过激光治疗或者外科手术切除的方式来进行改善。
在治疗期间要调整好饮食习惯,多吃含有维生素的水果或蔬菜,比如菠菜或者是苹果、香蕉等。
","scanCount": 52672}}} {"@context": "https://ziyuan.baidu.com/contexts/cambrian.jsonld","appid": "1650708455561748","icon": "https://www.med-credit.org.cn/style/images/ttlogo.png","content_tag": ["atlas"],"is_mcn": {"thumb_id": "lnsk06v2"},"accid": "4886d626a2804dee5f11168793ce361672f39c25","@id": "https://www.med-credit.org.cn/mobile/jingxuan/2/88c6957abf2b91474bba561923e4ad07.html","bagWordId": "654_1585949906793664512","title": "肚脐眼周围有白斑图片","pubDate": "2023-02-03T11:30:09","upDate": "2023-02-03T11:30:09","lrDate": "2023-02-03T11:30:09","description": "肚脐眼周围有白斑是指在肚脐眼的周围皮肤有一片或者一块颜色发白的斑块,偶尔会出现瘙痒。","data": {"WebPage": {"headline": "肚脐眼周围有白斑图片","pcUrl": "https://www.med-credit.org.cn/jingxuan/2/88c6957abf2b91474bba561923e4ad07.html","wapUrl": "https://www.med-credit.org.cn/jingxuan/2/88c6957abf2b91474bba561923e4ad07.html","mipUrl": "https://www.med-credit.org.cn/mobile/jingxuan/2/88c6957abf2b91474bba561923e4ad07.html","fromSrc": "欢乐橙","datePublished": "2023-02-03T11:30:09","domain": "医疗","category": ["医疗权威文章合作"],"description": "肚脐眼周围有白斑是指在肚脐眼的周围皮肤有一片或者一块颜色发白的斑块,偶尔会出现瘙痒。
","extra_headline": [""]},"Author": {"name": "王霞","wapUrl": "https://www.med-credit.org.cn/doctor/578","pcUrl": "https://www.med-credit.org.cn/doctor/578","jobTitle": "副主任医师","headPortrait": "https://www.med-credit.org.cn/uploadfile/member/578/180x180.jpeg","id": "578","description": "王霞,广州医科大学附属第一医院皮肤科副主任医师","memberOf": {"legalName": "广州医科大学附属第一医院","department": "皮肤科","organizationLevel": "三级甲等"}},"Article": {"summaryContent": "肚脐眼周围有白斑是指在肚脐眼的周围皮肤有一片或者一块颜色发白的斑块,偶尔会出现瘙痒。
肚脐眼周围有白斑可能是贫血痣、肚脐感染或者白癜风等引起的。可以使用药物或手术等方法来治疗,平时要注意皮肤清洁。

1、贫血痣:贫血痣是一种先天性的疾病,是由于血管组织发育异常而引起的色素对减退斑,局部的皮肤颜色苍白,不会随着年龄的增长而变化。一般情况下无需治疗,不会对身体健康造成损害。
2、肚脐感染:如果肚脐部被受到细菌或者病毒的感染,可能会引起局部皮肤产生刺激,从而导致斑的形成,多数为片状或者是块状,建议遵医嘱选择相应的抗生素或者抗病毒的药物治疗,常用的药物有夫地西酸软膏、阿昔洛韦软膏等。
3、白癜风:患有白癜风通常会在皮肤的表面出现白斑,一般情况下界限比较清楚。可以遵医嘱使用丙酸氟替卡松乳膏、醋酸泼尼松片等药物来治疗,严重时也可以通过组织移植或者皮肤削磨术等方法改善。
在平常生活中要注意肚脐部位的清洁卫生,避免去潮湿的环境内活动,饮食要以清淡为主,多吃蔬菜和水果。
","articleBody": "肚脐眼周围有白斑是指在肚脐眼的周围皮肤有一片或者一块颜色发白的斑块,偶尔会出现瘙痒。
肚脐眼周围有白斑可能是贫血痣、肚脐感染或者白癜风等引起的。可以使用药物或手术等方法来治疗,平时要注意皮肤清洁。

1、贫血痣:贫血痣是一种先天性的疾病,是由于血管组织发育异常而引起的色素对减退斑,局部的皮肤颜色苍白,不会随着年龄的增长而变化。一般情况下无需治疗,不会对身体健康造成损害。
2、肚脐感染:如果肚脐部被受到细菌或者病毒的感染,可能会引起局部皮肤产生刺激,从而导致斑的形成,多数为片状或者是块状,建议遵医嘱选择相应的抗生素或者抗病毒的药物治疗,常用的药物有夫地西酸软膏、阿昔洛韦软膏等。
3、白癜风:患有白癜风通常会在皮肤的表面出现白斑,一般情况下界限比较清楚。可以遵医嘱使用丙酸氟替卡松乳膏、醋酸泼尼松片等药物来治疗,严重时也可以通过组织移植或者皮肤削磨术等方法改善。
在平常生活中要注意肚脐部位的清洁卫生,避免去潮湿的环境内活动,饮食要以清淡为主,多吃蔬菜和水果。
","scanCount": 52673}}} {"@context": "https://ziyuan.baidu.com/contexts/cambrian.jsonld","appid": "1650708455561748","icon": "https://www.med-credit.org.cn/style/images/ttlogo.png","content_tag": ["atlas"],"is_mcn": {"thumb_id": "lnsk06v2"},"accid": "4886d626a2804dee5f11168793ce361672f39c25","@id": "https://www.med-credit.org.cn/mobile/jingxuan/2/f154a1b17fb86eac0686d052c5d6478e.html","bagWordId": "654_1585949907175346176","title": "孕妇身上长疮图片","pubDate": "2023-02-03T11:30:09","upDate": "2023-02-03T11:30:09","lrDate": "2023-02-03T11:30:09","description": "孕妇身上长疮指的是身上出现丘疹,可伴有瘙痒、疼痛等不适感。","data": {"WebPage": {"headline": "孕妇身上长疮图片","pcUrl": "https://www.med-credit.org.cn/jingxuan/2/f154a1b17fb86eac0686d052c5d6478e.html","wapUrl": "https://www.med-credit.org.cn/jingxuan/2/f154a1b17fb86eac0686d052c5d6478e.html","mipUrl": "https://www.med-credit.org.cn/mobile/jingxuan/2/f154a1b17fb86eac0686d052c5d6478e.html","fromSrc": "欢乐橙","datePublished": "2023-02-03T11:30:09","domain": "医疗","category": ["医疗权威文章合作"],"description": "孕妇身上长疮指的是身上出现丘疹,可伴有瘙痒、疼痛等不适感。
","extra_headline": [""]},"Author": {"name": "王霞","wapUrl": "https://www.med-credit.org.cn/doctor/578","pcUrl": "https://www.med-credit.org.cn/doctor/578","jobTitle": "副主任医师","headPortrait": "https://www.med-credit.org.cn/uploadfile/member/578/180x180.jpeg","id": "578","description": "王霞,广州医科大学附属第一医院皮肤科副主任医师","memberOf": {"legalName": "广州医科大学附属第一医院","department": "皮肤科","organizationLevel": "三级甲等"}},"Article": {"summaryContent": "孕妇身上长疮指的是身上出现丘疹,可伴有瘙痒、疼痛等不适感。
有可能是带状疱疹、疥疮等原因引起的,可在医生的指导下选择药物进行治疗。孕妇在日常生活中应做好皮肤的护理。

1、带状疱疹:孕妇在怀孕的时候可能由于精神紧张、熬夜、劳累等造成免疫力下降,带状疱疹病毒就会被激活,从而出现带状疱疹的情况。表现为簇状分布的水疱,有的是红斑、丘疹,排列成带状疱疹。沿周围神经,通常单侧分布,不超过体表中线,伴有神经痛症状。如果孕妇存在带状疱疹在不严重情况下不建议系统服药治疗,可以在医生指导下选择局部外用药物,例如炉甘石洗剂。如果症状严重,需要服用阿昔洛韦治疗。
2、疥疮:疥疮是由于疥虫感染皮肤引起的皮肤性病,当疥螨钻入皮肤后,造成一种机械性刺激,并且死亡的疥螨和疥螨的卵粪会引起皮肤的变态反应,使皮肤发生水疱、脓疱或丘疹,同时伴有奇痒。疥疮多患于皮肤褶皱处,特别是阴部,疥疮如果长时间治疗不彻底,反复发作在局部可能出现的一些黄豆大小或绿豆大小的疙瘩,形成疥疮结节。孕妇治疗疥疮应注意特别谨慎用药,可以遵医嘱采用局部抗疥虫感染的药物治疗,可在清洁皮肤后涂上硫磺软膏。
孕妇身上长疮建议加强皮肤的护理,勤洗澡,使用温和的沐浴露,及时脱离潮湿的环境,有助于症状的缓解。
","articleBody": "孕妇身上长疮指的是身上出现丘疹,可伴有瘙痒、疼痛等不适感。
有可能是带状疱疹、疥疮等原因引起的,可在医生的指导下选择药物进行治疗。孕妇在日常生活中应做好皮肤的护理。

1、带状疱疹:孕妇在怀孕的时候可能由于精神紧张、熬夜、劳累等造成免疫力下降,带状疱疹病毒就会被激活,从而出现带状疱疹的情况。表现为簇状分布的水疱,有的是红斑、丘疹,排列成带状疱疹。沿周围神经,通常单侧分布,不超过体表中线,伴有神经痛症状。如果孕妇存在带状疱疹在不严重情况下不建议系统服药治疗,可以在医生指导下选择局部外用药物,例如炉甘石洗剂。如果症状严重,需要服用阿昔洛韦治疗。
2、疥疮:疥疮是由于疥虫感染皮肤引起的皮肤性病,当疥螨钻入皮肤后,造成一种机械性刺激,并且死亡的疥螨和疥螨的卵粪会引起皮肤的变态反应,使皮肤发生水疱、脓疱或丘疹,同时伴有奇痒。疥疮多患于皮肤褶皱处,特别是阴部,疥疮如果长时间治疗不彻底,反复发作在局部可能出现的一些黄豆大小或绿豆大小的疙瘩,形成疥疮结节。孕妇治疗疥疮应注意特别谨慎用药,可以遵医嘱采用局部抗疥虫感染的药物治疗,可在清洁皮肤后涂上硫磺软膏。
孕妇身上长疮建议加强皮肤的护理,勤洗澡,使用温和的沐浴露,及时脱离潮湿的环境,有助于症状的缓解。
","scanCount": 52674}}} {"@context": "https://ziyuan.baidu.com/contexts/cambrian.jsonld","appid": "1650708455561748","icon": "https://www.med-credit.org.cn/style/images/ttlogo.png","content_tag": ["atlas"],"is_mcn": {"thumb_id": "lnsk06v2"},"accid": "4886d626a2804dee5f11168793ce361672f39c25","@id": "https://www.med-credit.org.cn/mobile/jingxuan/2/4b007836925cbd214f4312e9ff60af17.html","bagWordId": "654_1585949907229872128","title": "病毒性湿疹图片初期症状图片","pubDate": "2023-02-03T11:30:09","upDate": "2023-02-03T11:30:09","lrDate": "2023-02-03T11:30:09","description": "病毒性湿疹初期症状包括了皮肤出现小红疹,伴有瘙痒感以及周围皮肤发红。","data": {"WebPage": {"headline": "病毒性湿疹图片初期症状图片","pcUrl": "https://www.med-credit.org.cn/jingxuan/2/4b007836925cbd214f4312e9ff60af17.html","wapUrl": "https://www.med-credit.org.cn/jingxuan/2/4b007836925cbd214f4312e9ff60af17.html","mipUrl": "https://www.med-credit.org.cn/mobile/jingxuan/2/4b007836925cbd214f4312e9ff60af17.html","fromSrc": "欢乐橙","datePublished": "2023-02-03T11:30:09","domain": "医疗","category": ["医疗权威文章合作"],"description": "病毒性湿疹初期症状包括了皮肤出现小红疹,伴有瘙痒感以及周围皮肤发红。
","extra_headline": [""]},"Author": {"name": "王霞","wapUrl": "https://www.med-credit.org.cn/doctor/578","pcUrl": "https://www.med-credit.org.cn/doctor/578","jobTitle": "副主任医师","headPortrait": "https://www.med-credit.org.cn/uploadfile/member/578/180x180.jpeg","id": "578","description": "王霞,广州医科大学附属第一医院皮肤科副主任医师","memberOf": {"legalName": "广州医科大学附属第一医院","department": "皮肤科","organizationLevel": "三级甲等"}},"Article": {"summaryContent": "病毒性湿疹初期症状包括了皮肤出现小红疹,伴有瘙痒感以及周围皮肤发红。
病毒性湿疹一般可以通过外涂药物、口服药物,还有调整饮食习惯。

1、红疹:病毒性湿疹最明显的表现就是皮肤局部出现一些小红疹;
2、瘙痒:瘙痒是大多数湿疹患者的症状。当患者患有湿疹时,患者皮肤中的神经纤维会传递瘙痒感,这些神经纤维最终会连接到患者的脊髓和大脑。因此,湿疹患者会瘙痒。
3、皮肤发红:湿疹患者的皮肤也会变红。这主要是因为在人类皮肤的深层有一个微小的血管网络,会将较小的血管投射到较浅的一层。皮肤的顶层主要由死皮细胞组成,没有血液供应。因此,当患者皮肤发炎时,局部血管网络将继续扩张,增加患者体内的血流量,从而使患者皮肤继续变红。
1、外涂药物:患有病毒性湿疹遵医嘱外部涂抹药物来进行改善,缓解局部的肿胀和瘙痒症状,常用药物有地奈德乳膏、硫磺软膏等。
2、口服药物:病毒性湿疹初期也可以遵医嘱口服药物来进行改善,常用的药物有阿昔洛韦片、更昔洛韦片等。
患有病毒性湿疹在日常生活中还应适当的调整饮食,多吃一些清淡的食物,少吃一些生冷油腻辛辣刺激性的食物,比如冰激凌、油炸食品、辣椒等。保持局部皮肤的干净清洁,避免加重不适的症状。
","articleBody": "病毒性湿疹初期症状包括了皮肤出现小红疹,伴有瘙痒感以及周围皮肤发红。
病毒性湿疹一般可以通过外涂药物、口服药物,还有调整饮食习惯。

1、红疹:病毒性湿疹最明显的表现就是皮肤局部出现一些小红疹;
2、瘙痒:瘙痒是大多数湿疹患者的症状。当患者患有湿疹时,患者皮肤中的神经纤维会传递瘙痒感,这些神经纤维最终会连接到患者的脊髓和大脑。因此,湿疹患者会瘙痒。
3、皮肤发红:湿疹患者的皮肤也会变红。这主要是因为在人类皮肤的深层有一个微小的血管网络,会将较小的血管投射到较浅的一层。皮肤的顶层主要由死皮细胞组成,没有血液供应。因此,当患者皮肤发炎时,局部血管网络将继续扩张,增加患者体内的血流量,从而使患者皮肤继续变红。
1、外涂药物:患有病毒性湿疹遵医嘱外部涂抹药物来进行改善,缓解局部的肿胀和瘙痒症状,常用药物有地奈德乳膏、硫磺软膏等。
2、口服药物:病毒性湿疹初期也可以遵医嘱口服药物来进行改善,常用的药物有阿昔洛韦片、更昔洛韦片等。
患有病毒性湿疹在日常生活中还应适当的调整饮食,多吃一些清淡的食物,少吃一些生冷油腻辛辣刺激性的食物,比如冰激凌、油炸食品、辣椒等。保持局部皮肤的干净清洁,避免加重不适的症状。
","scanCount": 52675}}} {"@context": "https://ziyuan.baidu.com/contexts/cambrian.jsonld","appid": "1650708455561748","icon": "https://www.med-credit.org.cn/style/images/ttlogo.png","content_tag": ["atlas"],"is_mcn": {"thumb_id": "lnsk06v2"},"accid": "4886d626a2804dee5f11168793ce361672f39c25","@id": "https://www.med-credit.org.cn/mobile/jingxuan/2/cf328852bee229877a806179517cb154.html","bagWordId": "654_1585949907338924032","title": "颈部生疮图片","pubDate": "2023-02-03T11:30:09","upDate": "2023-02-03T11:30:09","lrDate": "2023-02-03T11:30:09","description": "颈部生疮是指在脖子的部位出现一些小丘疹、粉刺、脓疱疹或者红色的小结节,可伴有不同程度的疼痛、瘙痒等症状。","data": {"WebPage": {"headline": "颈部生疮图片","pcUrl": "https://www.med-credit.org.cn/jingxuan/2/cf328852bee229877a806179517cb154.html","wapUrl": "https://www.med-credit.org.cn/jingxuan/2/cf328852bee229877a806179517cb154.html","mipUrl": "https://www.med-credit.org.cn/mobile/jingxuan/2/cf328852bee229877a806179517cb154.html","fromSrc": "欢乐橙","datePublished": "2023-02-03T11:30:09","domain": "医疗","category": ["医疗权威文章合作"],"description": "颈部生疮是指在脖子的部位出现一些小丘疹、粉刺、脓疱疹或者红色的小结节,可伴有不同程度的疼痛、瘙痒等症状。
","extra_headline": [""]},"Author": {"name": "王霞","wapUrl": "https://www.med-credit.org.cn/doctor/578","pcUrl": "https://www.med-credit.org.cn/doctor/578","jobTitle": "副主任医师","headPortrait": "https://www.med-credit.org.cn/uploadfile/member/578/180x180.jpeg","id": "578","description": "王霞,广州医科大学附属第一医院皮肤科副主任医师","memberOf": {"legalName": "广州医科大学附属第一医院","department": "皮肤科","organizationLevel": "三级甲等"}},"Article": {"summaryContent": "颈部生疮是指在脖子的部位出现一些小丘疹、粉刺、脓疱疹或者红色的小结节,可伴有不同程度的疼痛、瘙痒等症状。
颈部生疮可能是毛囊炎、痤疮或者过敏性皮炎等原因引起的,可以使用药物治疗,还要调整饮食习惯。

1、毛囊炎:毛囊炎是发生在皮肤毛囊部位的一种炎症反应,如果没有做好颈部的护理,局部受到炎症感染,有可能会引起皮肤表面出现小红点、丘疹,严重时还可能会出现脓包等症状。建议遵医嘱局部涂抹夫地西酸软膏、莫匹罗星软膏等药物改善。
2、痤疮:如果颈部的皮肤长期受到慢性炎症刺激,可能会引起痤疮,导致局部皮肤出现结节、丘疹或者脓包,建议遵医嘱局部涂抹红霉素软膏、维A酸软膏等药物来进行改善。
3、过敏性皮炎:当接触到过敏物质或者进食容易过敏的食物时,可能会引起皮肤产生过敏反应导致发炎,使皮肤表面出现红色的丘疹、脓疱等。建议及时遵医嘱使用抗过敏药物治疗,常用药物有盐酸西替利嗪片、氯雷他定片等。
建议在平时吃清淡的饮食,忌食辛辣刺激性的食物,以免加重症状。
","articleBody": "颈部生疮是指在脖子的部位出现一些小丘疹、粉刺、脓疱疹或者红色的小结节,可伴有不同程度的疼痛、瘙痒等症状。
颈部生疮可能是毛囊炎、痤疮或者过敏性皮炎等原因引起的,可以使用药物治疗,还要调整饮食习惯。

1、毛囊炎:毛囊炎是发生在皮肤毛囊部位的一种炎症反应,如果没有做好颈部的护理,局部受到炎症感染,有可能会引起皮肤表面出现小红点、丘疹,严重时还可能会出现脓包等症状。建议遵医嘱局部涂抹夫地西酸软膏、莫匹罗星软膏等药物改善。
2、痤疮:如果颈部的皮肤长期受到慢性炎症刺激,可能会引起痤疮,导致局部皮肤出现结节、丘疹或者脓包,建议遵医嘱局部涂抹红霉素软膏、维A酸软膏等药物来进行改善。
3、过敏性皮炎:当接触到过敏物质或者进食容易过敏的食物时,可能会引起皮肤产生过敏反应导致发炎,使皮肤表面出现红色的丘疹、脓疱等。建议及时遵医嘱使用抗过敏药物治疗,常用药物有盐酸西替利嗪片、氯雷他定片等。
建议在平时吃清淡的饮食,忌食辛辣刺激性的食物,以免加重症状。
","scanCount": 52677}}} {"@context": "https://ziyuan.baidu.com/contexts/cambrian.jsonld","appid": "1650708455561748","icon": "https://www.med-credit.org.cn/style/images/ttlogo.png","content_tag": ["atlas"],"is_mcn": {"thumb_id": "lnsk06v2"},"accid": "4886d626a2804dee5f11168793ce361672f39c25","@id": "https://www.med-credit.org.cn/mobile/jingxuan/2/d33edffe50e2528edd6c974678a3b53d.html","bagWordId": "654_1585949907498307584","title": "脚上溃烂流脓照片","pubDate": "2023-02-03T11:30:09","upDate": "2023-02-03T11:30:09","lrDate": "2023-02-03T11:30:09","description": "脚上溃烂流脓使脚部的皮肤发生溃烂,局部的皮肤发白、裂痕,有脓性组织液渗出。","data": {"WebPage": {"headline": "脚上溃烂流脓照片","pcUrl": "https://www.med-credit.org.cn/jingxuan/2/d33edffe50e2528edd6c974678a3b53d.html","wapUrl": "https://www.med-credit.org.cn/jingxuan/2/d33edffe50e2528edd6c974678a3b53d.html","mipUrl": "https://www.med-credit.org.cn/mobile/jingxuan/2/d33edffe50e2528edd6c974678a3b53d.html","fromSrc": "欢乐橙","datePublished": "2023-02-03T11:30:09","domain": "医疗","category": ["医疗权威文章合作"],"description": "脚上溃烂流脓使脚部的皮肤发生溃烂,局部的皮肤发白、裂痕,有脓性组织液渗出。
","extra_headline": [""]},"Author": {"name": "王霞","wapUrl": "https://www.med-credit.org.cn/doctor/578","pcUrl": "https://www.med-credit.org.cn/doctor/578","jobTitle": "副主任医师","headPortrait": "https://www.med-credit.org.cn/uploadfile/member/578/180x180.jpeg","id": "578","description": "王霞,广州医科大学附属第一医院皮肤科副主任医师","memberOf": {"legalName": "广州医科大学附属第一医院","department": "皮肤科","organizationLevel": "三级甲等"}},"Article": {"summaryContent": "脚上溃烂流脓使脚部的皮肤发生溃烂,局部的皮肤发白、裂痕,有脓性组织液渗出。
脚上溃烂流脓可能是外伤、湿疹、足癣等原因引起的,可以使用药物来改善,还要注意生活习惯。

1、外伤:当脚部受到外伤时,皮肤的软组织受到一定损伤,此时如果没有做好局部的护理,可能会造成局部细菌感染,引起局部的溃烂、脓性组织液渗出等症状。建议遵医嘱及时清理创面,并涂抹碘伏消毒,必要时使用消炎止痛药物来控制感染,常用的药物有阿莫西林胶囊、头孢氨苄片等。
2、湿疹:当脚部经常处于闷热的状态时,可能会导致汗液的聚集,汗液对局部造成刺激,使皮肤出现瘙痒或者是溃烂,局部流脓等症状。建议遵医嘱使用抗过敏药物治疗,常用药物有地塞米松软膏、盐酸西替利嗪片等。
3、足癣:如果平时不注意脚部的卫生,皮肤受到真菌感染时,可能会引起足癣的形成,导致局部溃烂或者是流脓等症状。建议遵医嘱使用抗真菌的药物治疗,常用药物有特比萘芬软膏、阿莫罗芬乳膏等。
脚上溃烂流脓建议在日常的生活中要保持局部的干净清洁,短期内避免过度活动,多注意休息,以免加重溃烂的症状。
","articleBody": "脚上溃烂流脓使脚部的皮肤发生溃烂,局部的皮肤发白、裂痕,有脓性组织液渗出。
脚上溃烂流脓可能是外伤、湿疹、足癣等原因引起的,可以使用药物来改善,还要注意生活习惯。

1、外伤:当脚部受到外伤时,皮肤的软组织受到一定损伤,此时如果没有做好局部的护理,可能会造成局部细菌感染,引起局部的溃烂、脓性组织液渗出等症状。建议遵医嘱及时清理创面,并涂抹碘伏消毒,必要时使用消炎止痛药物来控制感染,常用的药物有阿莫西林胶囊、头孢氨苄片等。
2、湿疹:当脚部经常处于闷热的状态时,可能会导致汗液的聚集,汗液对局部造成刺激,使皮肤出现瘙痒或者是溃烂,局部流脓等症状。建议遵医嘱使用抗过敏药物治疗,常用药物有地塞米松软膏、盐酸西替利嗪片等。
3、足癣:如果平时不注意脚部的卫生,皮肤受到真菌感染时,可能会引起足癣的形成,导致局部溃烂或者是流脓等症状。建议遵医嘱使用抗真菌的药物治疗,常用药物有特比萘芬软膏、阿莫罗芬乳膏等。
脚上溃烂流脓建议在日常的生活中要保持局部的干净清洁,短期内避免过度活动,多注意休息,以免加重溃烂的症状。
","scanCount": 52679}}} {"@context": "https://ziyuan.baidu.com/contexts/cambrian.jsonld","appid": "1650708455561748","icon": "https://www.med-credit.org.cn/style/images/ttlogo.png","content_tag": ["atlas"],"is_mcn": {"thumb_id": "lnsk06v2"},"accid": "4886d626a2804dee5f11168793ce361672f39c25","@id": "https://www.med-credit.org.cn/mobile/jingxuan/2/805ca9f6959f53995905073613eaf605.html","bagWordId": "654_1585949907552833536","title": "血胞刺里面黑刺图片","pubDate": "2023-02-03T11:30:09","upDate": "2023-02-03T11:30:09","lrDate": "2023-02-03T11:30:09","description": "血胞刺里面黑刺会导致局部皮肤不光滑,多数为灰黑色或者是土黑色。","data": {"WebPage": {"headline": "血胞刺里面黑刺图片","pcUrl": "https://www.med-credit.org.cn/jingxuan/2/805ca9f6959f53995905073613eaf605.html","wapUrl": "https://www.med-credit.org.cn/jingxuan/2/805ca9f6959f53995905073613eaf605.html","mipUrl": "https://www.med-credit.org.cn/mobile/jingxuan/2/805ca9f6959f53995905073613eaf605.html","fromSrc": "欢乐橙","datePublished": "2023-02-03T11:30:09","domain": "医疗","category": ["医疗权威文章合作"],"description": "血胞刺里面黑刺会导致局部皮肤不光滑,多数为灰黑色或者是土黑色。
","extra_headline": [""]},"Author": {"name": "王霞","wapUrl": "https://www.med-credit.org.cn/doctor/578","pcUrl": "https://www.med-credit.org.cn/doctor/578","jobTitle": "副主任医师","headPortrait": "https://www.med-credit.org.cn/uploadfile/member/578/180x180.jpeg","id": "578","description": "王霞,广州医科大学附属第一医院皮肤科副主任医师","memberOf": {"legalName": "广州医科大学附属第一医院","department": "皮肤科","organizationLevel": "三级甲等"}},"Article": {"summaryContent": "血胞刺里面黑刺会导致局部皮肤不光滑,多数为灰黑色或者是土黑色。
血胞刺里面黑刺有可能是跖疣或者是虫咬皮炎等原因引起的,可以通过外用药物、物理方法改善,平时要注意生活,还有饮食习惯。

1、跖疣:跖疣主要是身体内受到人乳头瘤病毒感染而引起的,会导致局部皮肤出现组织增生,皮肤表面出现赘生物,里面有黑刺。可以遵医嘱外涂药物改善,常用药物有氧脲嘧啶软膏、稀戊二醛溶液等,还要采用二氧化碳激光或者是液氮冷冻等方法去除疣体治疗。
2、虫咬皮炎:如果皮肤被蚊虫叮咬,而蚊虫体内有毒液的情况下,很容易导致皮肤出现感染诱发虫咬皮炎,会使皮肤出现红肿、瘙痒,局部生长血包刺等不适的症状。可以遵医嘱局部涂抹莫匹罗星软膏或者是炉甘石洗剂等药物来治疗。
寻常疣在治疗后建议要保持局部的干净清洁,饮食尽量以清淡为主,有助于身体的恢复。
","articleBody": "血胞刺里面黑刺会导致局部皮肤不光滑,多数为灰黑色或者是土黑色。
血胞刺里面黑刺有可能是跖疣或者是虫咬皮炎等原因引起的,可以通过外用药物、物理方法改善,平时要注意生活,还有饮食习惯。

1、跖疣:跖疣主要是身体内受到人乳头瘤病毒感染而引起的,会导致局部皮肤出现组织增生,皮肤表面出现赘生物,里面有黑刺。可以遵医嘱外涂药物改善,常用药物有氧脲嘧啶软膏、稀戊二醛溶液等,还要采用二氧化碳激光或者是液氮冷冻等方法去除疣体治疗。
2、虫咬皮炎:如果皮肤被蚊虫叮咬,而蚊虫体内有毒液的情况下,很容易导致皮肤出现感染诱发虫咬皮炎,会使皮肤出现红肿、瘙痒,局部生长血包刺等不适的症状。可以遵医嘱局部涂抹莫匹罗星软膏或者是炉甘石洗剂等药物来治疗。
寻常疣在治疗后建议要保持局部的干净清洁,饮食尽量以清淡为主,有助于身体的恢复。
","scanCount": 52680}}} {"@context": "https://ziyuan.baidu.com/contexts/cambrian.jsonld","appid": "1650708455561748","icon": "https://www.med-credit.org.cn/style/images/ttlogo.png","content_tag": ["atlas"],"is_mcn": {"thumb_id": "lnsk06v2"},"accid": "4886d626a2804dee5f11168793ce361672f39c25","@id": "https://www.med-credit.org.cn/mobile/jingxuan/2/a474207b23e7d39fc5eb7ce886c6e97d.html","bagWordId": "654_1585949907716411392","title": "女性银屑病头发的图片","pubDate": "2023-02-03T11:30:09","upDate": "2023-02-03T11:30:09","lrDate": "2023-02-03T11:30:09","description": "女性银屑病头发一般没有明显的症状,但是会出现头皮部位有斑块以及鳞屑,并伴有瘙痒等症状。","data": {"WebPage": {"headline": "女性银屑病头发的图片","pcUrl": "https://www.med-credit.org.cn/jingxuan/2/a474207b23e7d39fc5eb7ce886c6e97d.html","wapUrl": "https://www.med-credit.org.cn/jingxuan/2/a474207b23e7d39fc5eb7ce886c6e97d.html","mipUrl": "https://www.med-credit.org.cn/mobile/jingxuan/2/a474207b23e7d39fc5eb7ce886c6e97d.html","fromSrc": "欢乐橙","datePublished": "2023-02-03T11:30:09","domain": "医疗","category": ["医疗权威文章合作"],"description": "女性银屑病头发一般没有明显的症状,但是会出现头皮部位有斑块以及鳞屑,并伴有瘙痒等症状。
","extra_headline": [""]},"Author": {"name": "王霞","wapUrl": "https://www.med-credit.org.cn/doctor/578","pcUrl": "https://www.med-credit.org.cn/doctor/578","jobTitle": "副主任医师","headPortrait": "https://www.med-credit.org.cn/uploadfile/member/578/180x180.jpeg","id": "578","description": "王霞,广州医科大学附属第一医院皮肤科副主任医师","memberOf": {"legalName": "广州医科大学附属第一医院","department": "皮肤科","organizationLevel": "三级甲等"}},"Article": {"summaryContent": "女性银屑病头发一般没有明显的症状,但是会出现头皮部位有斑块以及鳞屑,并伴有瘙痒等症状。
女性银屑病可能是由于精神因素、免疫力下降以及体内激素变化等引起的,可以使用药物治疗,还要注意饮食以及生活习惯。

1、精神因素:在日常生活中如果精神压力比较大,情绪经常大起大落,就容易导致体内内分泌以及免疫系统紊乱,会导致皮肤表面有斑块以及鳞屑的症状。
2、免疫力下降:女性的免疫力一般情况下比男性要弱一些,并且女性在孕期或者正常生理期的时候,免疫力也会有所下降,会引起皮肤瘙痒,伴有皮肤表面有斑块。
3、激素变化:当女性在怀孕或者生理期的时候,由于体内激素会发生一定的变化,如果激素波动比较大也可能会导致皮肤瘙痒,伴有斑块、鳞屑等症状。
患有银屑病时可以遵医嘱使用水杨酸软膏、他克莫司软膏等药物,帮助症状得到缓解。
出现银屑病时要以清淡饮食为主,多吃一些含有维生素或者是微量元素的食物,比如菠菜、苹果等。做好防晒工作,避免去阳光暴晒的环境内活动。
","articleBody": "女性银屑病头发一般没有明显的症状,但是会出现头皮部位有斑块以及鳞屑,并伴有瘙痒等症状。
女性银屑病可能是由于精神因素、免疫力下降以及体内激素变化等引起的,可以使用药物治疗,还要注意饮食以及生活习惯。

1、精神因素:在日常生活中如果精神压力比较大,情绪经常大起大落,就容易导致体内内分泌以及免疫系统紊乱,会导致皮肤表面有斑块以及鳞屑的症状。
2、免疫力下降:女性的免疫力一般情况下比男性要弱一些,并且女性在孕期或者正常生理期的时候,免疫力也会有所下降,会引起皮肤瘙痒,伴有皮肤表面有斑块。
3、激素变化:当女性在怀孕或者生理期的时候,由于体内激素会发生一定的变化,如果激素波动比较大也可能会导致皮肤瘙痒,伴有斑块、鳞屑等症状。
患有银屑病时可以遵医嘱使用水杨酸软膏、他克莫司软膏等药物,帮助症状得到缓解。
出现银屑病时要以清淡饮食为主,多吃一些含有维生素或者是微量元素的食物,比如菠菜、苹果等。做好防晒工作,避免去阳光暴晒的环境内活动。
","scanCount": 52681}}} {"@context": "https://ziyuan.baidu.com/contexts/cambrian.jsonld","appid": "1650708455561748","icon": "https://www.med-credit.org.cn/style/images/ttlogo.png","content_tag": ["atlas"],"is_mcn": {"thumb_id": "lnsk06v2"},"accid": "4886d626a2804dee5f11168793ce361672f39c25","@id": "https://www.med-credit.org.cn/mobile/jingxuan/2/9c44c5808828e30259ee8b4250f8fb0d.html","bagWordId": "654_1585949907770937344","title": "脸上胆碱性荨麻疹真实照片","pubDate": "2023-02-03T11:30:09","upDate": "2023-02-03T11:30:09","lrDate": "2023-02-03T11:30:09","description": "脸上胆碱性荨麻疹即胆碱能性荨麻疹,是由于机体受到刺激而引起的一种特殊类型的荨麻疹,患者局部皮肤可能会出现丘疹性风团,伴有瘙痒的症状。","data": {"WebPage": {"headline": "脸上胆碱性荨麻疹真实照片","pcUrl": "https://www.med-credit.org.cn/jingxuan/2/9c44c5808828e30259ee8b4250f8fb0d.html","wapUrl": "https://www.med-credit.org.cn/jingxuan/2/9c44c5808828e30259ee8b4250f8fb0d.html","mipUrl": "https://www.med-credit.org.cn/mobile/jingxuan/2/9c44c5808828e30259ee8b4250f8fb0d.html","fromSrc": "欢乐橙","datePublished": "2023-02-03T11:30:09","domain": "医疗","category": ["医疗权威文章合作"],"description": "脸上胆碱性荨麻疹即胆碱能性荨麻疹,是由于机体受到刺激而引起的一种特殊类型的荨麻疹,患者局部皮肤可能会出现丘疹性风团,伴有瘙痒的症状。
","extra_headline": [""]},"Author": {"name": "王霞","wapUrl": "https://www.med-credit.org.cn/doctor/578","pcUrl": "https://www.med-credit.org.cn/doctor/578","jobTitle": "副主任医师","headPortrait": "https://www.med-credit.org.cn/uploadfile/member/578/180x180.jpeg","id": "578","description": "王霞,广州医科大学附属第一医院皮肤科副主任医师","memberOf": {"legalName": "广州医科大学附属第一医院","department": "皮肤科","organizationLevel": "三级甲等"}},"Article": {"summaryContent": "脸上胆碱性荨麻疹即胆碱能性荨麻疹,是由于机体受到刺激而引起的一种特殊类型的荨麻疹,患者局部皮肤可能会出现丘疹性风团,伴有瘙痒的症状。
脸上胆碱性荨麻疹一般可通过日常护理、外用药物以及口服药物等方式来改善,还要调整好饮食习惯。

1、病因:由于运动、应激、饮酒或进食热饮等各种原因使皮肤局部中心体温升高,促使胆碱能神经发生冲动而释放乙酰胆碱,作用于肥大细胞而发病。
2、症状:表现为面部受刺激后数分钟出现直径1~3mm的圆形丘疹性风团,周围有程度不一的红晕,风团之间互不融合,可在数分钟或数小时内消退。可自觉剧痒、麻刺感或烧灼感,有时候仅有剧痒而无皮损。
1、日常护理:患者在日常的生活中要保持脸部皮肤的干净清洁,避免接触高温湿热的环境或者做剧烈运动,以免导致出汗,加重病情。
2、外用药物:患者如果出现局部皮肤的瘙痒的症状,可以遵医嘱涂抹止痒的药物改善,常用的药物有炉甘石洗剂、苯海拉明霜等。
3、口服药物:患有胆碱性荨麻疹病情严重时,需要遵医嘱服用抗过敏的药物改善,常用药物有盐酸西替利嗪片、氯雷他定片等。
脸上胆碱性荨麻疹的患者建议及时的消除诱因,保持清淡的饮食,多吃新鲜的蔬菜和水果,有助于症状好转。
","articleBody": "脸上胆碱性荨麻疹即胆碱能性荨麻疹,是由于机体受到刺激而引起的一种特殊类型的荨麻疹,患者局部皮肤可能会出现丘疹性风团,伴有瘙痒的症状。
脸上胆碱性荨麻疹一般可通过日常护理、外用药物以及口服药物等方式来改善,还要调整好饮食习惯。

1、病因:由于运动、应激、饮酒或进食热饮等各种原因使皮肤局部中心体温升高,促使胆碱能神经发生冲动而释放乙酰胆碱,作用于肥大细胞而发病。
2、症状:表现为面部受刺激后数分钟出现直径1~3mm的圆形丘疹性风团,周围有程度不一的红晕,风团之间互不融合,可在数分钟或数小时内消退。可自觉剧痒、麻刺感或烧灼感,有时候仅有剧痒而无皮损。
1、日常护理:患者在日常的生活中要保持脸部皮肤的干净清洁,避免接触高温湿热的环境或者做剧烈运动,以免导致出汗,加重病情。
2、外用药物:患者如果出现局部皮肤的瘙痒的症状,可以遵医嘱涂抹止痒的药物改善,常用的药物有炉甘石洗剂、苯海拉明霜等。
3、口服药物:患有胆碱性荨麻疹病情严重时,需要遵医嘱服用抗过敏的药物改善,常用药物有盐酸西替利嗪片、氯雷他定片等。
脸上胆碱性荨麻疹的患者建议及时的消除诱因,保持清淡的饮食,多吃新鲜的蔬菜和水果,有助于症状好转。
","scanCount": 52682}}} {"@context": "https://ziyuan.baidu.com/contexts/cambrian.jsonld","appid": "1650708455561748","icon": "https://www.med-credit.org.cn/style/images/ttlogo.png","content_tag": ["atlas"],"is_mcn": {"thumb_id": "lnsk06v2"},"accid": "4886d626a2804dee5f11168793ce361672f39c25","@id": "https://www.med-credit.org.cn/mobile/jingxuan/2/40c68d69136b4f06acf9a8f51d570e5d.html","bagWordId": "654_1585949907825463296","title": "银屑病结痂图片","pubDate": "2023-02-03T11:30:09","upDate": "2023-02-03T11:30:09","lrDate": "2023-02-03T11:30:09","description": "银屑病脱皮结痂一般是银屑病进行期的表现,常伴有鳞屑增多以及其他表现等。","data": {"WebPage": {"headline": "银屑病结痂图片","pcUrl": "https://www.med-credit.org.cn/jingxuan/2/40c68d69136b4f06acf9a8f51d570e5d.html","wapUrl": "https://www.med-credit.org.cn/jingxuan/2/40c68d69136b4f06acf9a8f51d570e5d.html","mipUrl": "https://www.med-credit.org.cn/mobile/jingxuan/2/40c68d69136b4f06acf9a8f51d570e5d.html","fromSrc": "欢乐橙","datePublished": "2023-02-03T11:30:09","domain": "医疗","category": ["医疗权威文章合作"],"description": "银屑病脱皮结痂一般是银屑病进行期的表现,常伴有鳞屑增多以及其他表现等。
","extra_headline": [""]},"Author": {"name": "王霞","wapUrl": "https://www.med-credit.org.cn/doctor/578","pcUrl": "https://www.med-credit.org.cn/doctor/578","jobTitle": "副主任医师","headPortrait": "https://www.med-credit.org.cn/uploadfile/member/578/180x180.jpeg","id": "578","description": "王霞,广州医科大学附属第一医院皮肤科副主任医师","memberOf": {"legalName": "广州医科大学附属第一医院","department": "皮肤科","organizationLevel": "三级甲等"}},"Article": {"summaryContent": "银屑病脱皮结痂一般是银屑病进行期的表现,常伴有鳞屑增多以及其他表现等。
患者一般可以使用外用药物或口服药物治疗。

表现为旧皮疹不断的扩大,新皮疹不断的发生,鳞屑不断的增多,伴有渗出、瘙痒,并一步步堆积起来而增厚。皮疹的周围一般有炎性的红晕,瘙痒明显。经过搔抓皮肤有感染也可以出现继发细菌感染而结黄痂。
外用药物:糖皮质激素霜剂或软膏、维A酸制剂、维生素D3衍生物、钙调神经磷酸酶抑制剂、如他克莫司软膏和吡美莫司乳膏等。
口服药物:免疫抑制剂如甲氨蝶呤,维A酸类药物以及其他药物等。
","articleBody": "银屑病脱皮结痂一般是银屑病进行期的表现,常伴有鳞屑增多以及其他表现等。
患者一般可以使用外用药物或口服药物治疗。

表现为旧皮疹不断的扩大,新皮疹不断的发生,鳞屑不断的增多,伴有渗出、瘙痒,并一步步堆积起来而增厚。皮疹的周围一般有炎性的红晕,瘙痒明显。经过搔抓皮肤有感染也可以出现继发细菌感染而结黄痂。
外用药物:糖皮质激素霜剂或软膏、维A酸制剂、维生素D3衍生物、钙调神经磷酸酶抑制剂、如他克莫司软膏和吡美莫司乳膏等。
口服药物:免疫抑制剂如甲氨蝶呤,维A酸类药物以及其他药物等。
","scanCount": 52683}}} {"@context": "https://ziyuan.baidu.com/contexts/cambrian.jsonld","appid": "1650708455561748","icon": "https://www.med-credit.org.cn/style/images/ttlogo.png","content_tag": ["atlas"],"is_mcn": {"thumb_id": "lnsk06v2"},"accid": "4886d626a2804dee5f11168793ce361672f39c25","@id": "https://www.med-credit.org.cn/mobile/jingxuan/2/5f2ba357fe6d816e96e60cc31a861f5b.html","bagWordId": "654_1585949908043567104","title": "喝牛奶身上起疙瘩图片","pubDate": "2023-02-03T11:30:09","upDate": "2023-02-03T11:30:09","lrDate": "2023-02-03T11:30:09","description": "喝牛奶身上起疙瘩通常会导致皮肤出现成片的红疙瘩,伴有瘙痒的症状。","data": {"WebPage": {"headline": "喝牛奶身上起疙瘩图片","pcUrl": "https://www.med-credit.org.cn/jingxuan/2/5f2ba357fe6d816e96e60cc31a861f5b.html","wapUrl": "https://www.med-credit.org.cn/jingxuan/2/5f2ba357fe6d816e96e60cc31a861f5b.html","mipUrl": "https://www.med-credit.org.cn/mobile/jingxuan/2/5f2ba357fe6d816e96e60cc31a861f5b.html","fromSrc": "欢乐橙","datePublished": "2023-02-03T11:30:09","domain": "医疗","category": ["医疗权威文章合作"],"description": "喝牛奶身上起疙瘩通常会导致皮肤出现成片的红疙瘩,伴有瘙痒的症状。
","extra_headline": [""]},"Author": {"name": "王霞","wapUrl": "https://www.med-credit.org.cn/doctor/578","pcUrl": "https://www.med-credit.org.cn/doctor/578","jobTitle": "副主任医师","headPortrait": "https://www.med-credit.org.cn/uploadfile/member/578/180x180.jpeg","id": "578","description": "王霞,广州医科大学附属第一医院皮肤科副主任医师","memberOf": {"legalName": "广州医科大学附属第一医院","department": "皮肤科","organizationLevel": "三级甲等"}},"Article": {"summaryContent": "喝牛奶身上起疙瘩通常会导致皮肤出现成片的红疙瘩,伴有瘙痒的症状。
喝牛奶身上起疙瘩有可能是神经性皮炎或者是荨麻疹导致的,可以使用药物来改善,还要调整生活以及饮食习惯。

1、神经性皮炎:牛奶内含有的脂肪量比较高,如果一次性喝太多的牛奶,可能会导致皮肤产生过多油脂,从而引起皮脂腺堵塞,诱发皮肤表面出现发红疙瘩以及瘙痒等症状,可以遵医嘱使用糠酸莫米松乳膏、他克莫司药膏等药物治疗。
2、荨麻疹:喝完牛奶可能会对皮肤造成刺激,从而会出现荨麻疹的症状,通常会导致身上、颈部、肢体出现不规则的红色风团或者是红斑等症状。建议遵医嘱使用抗过敏的药物来进行治疗,常用药物有盐酸西替利嗪片、氯雷他定片等。
在日常生活中要避免喝牛奶以及要避免吃含有牛奶成分的食物,平常生活中还要避免接触一些容易过敏的物质,比如花粉、粉尘等。
","articleBody": "喝牛奶身上起疙瘩通常会导致皮肤出现成片的红疙瘩,伴有瘙痒的症状。
喝牛奶身上起疙瘩有可能是神经性皮炎或者是荨麻疹导致的,可以使用药物来改善,还要调整生活以及饮食习惯。

1、神经性皮炎:牛奶内含有的脂肪量比较高,如果一次性喝太多的牛奶,可能会导致皮肤产生过多油脂,从而引起皮脂腺堵塞,诱发皮肤表面出现发红疙瘩以及瘙痒等症状,可以遵医嘱使用糠酸莫米松乳膏、他克莫司药膏等药物治疗。
2、荨麻疹:喝完牛奶可能会对皮肤造成刺激,从而会出现荨麻疹的症状,通常会导致身上、颈部、肢体出现不规则的红色风团或者是红斑等症状。建议遵医嘱使用抗过敏的药物来进行治疗,常用药物有盐酸西替利嗪片、氯雷他定片等。
在日常生活中要避免喝牛奶以及要避免吃含有牛奶成分的食物,平常生活中还要避免接触一些容易过敏的物质,比如花粉、粉尘等。
","scanCount": 52684}}} {"@context": "https://ziyuan.baidu.com/contexts/cambrian.jsonld","appid": "1650708455561748","icon": "https://www.med-credit.org.cn/style/images/ttlogo.png","content_tag": ["atlas"],"is_mcn": {"thumb_id": "lnsk06v2"},"accid": "4886d626a2804dee5f11168793ce361672f39c25","@id": "https://www.med-credit.org.cn/mobile/jingxuan/2/0776fb9cc263b55eff412788e0a17c69.html","bagWordId": "654_1585949908261670912","title": "手指肚上有圆圆凹陷小坑图片","pubDate": "2023-02-03T11:30:09","upDate": "2023-02-03T11:30:09","lrDate": "2023-02-03T11:30:09","description": "手指肚上有圆圆凹陷小坑通常会引起皮肤上出现多个或者是单个的凹陷小坑,表皮光滑,伴随瘙痒等症状。","data": {"WebPage": {"headline": "手指肚上有圆圆凹陷小坑图片","pcUrl": "https://www.med-credit.org.cn/jingxuan/2/0776fb9cc263b55eff412788e0a17c69.html","wapUrl": "https://www.med-credit.org.cn/jingxuan/2/0776fb9cc263b55eff412788e0a17c69.html","mipUrl": "https://www.med-credit.org.cn/mobile/jingxuan/2/0776fb9cc263b55eff412788e0a17c69.html","fromSrc": "欢乐橙","datePublished": "2023-02-03T11:30:09","domain": "医疗","category": ["医疗权威文章合作"],"description": "手指肚上有圆圆凹陷小坑通常会引起皮肤上出现多个或者是单个的凹陷小坑,表皮光滑,伴随瘙痒等症状。
","extra_headline": [""]},"Author": {"name": "王霞","wapUrl": "https://www.med-credit.org.cn/doctor/578","pcUrl": "https://www.med-credit.org.cn/doctor/578","jobTitle": "副主任医师","headPortrait": "https://www.med-credit.org.cn/uploadfile/member/578/180x180.jpeg","id": "578","description": "王霞,广州医科大学附属第一医院皮肤科副主任医师","memberOf": {"legalName": "广州医科大学附属第一医院","department": "皮肤科","organizationLevel": "三级甲等"}},"Article": {"summaryContent": "手指肚上有圆圆凹陷小坑通常会引起皮肤上出现多个或者是单个的凹陷小坑,表皮光滑,伴随瘙痒等症状。
手指肚上有圆圆凹陷小坑有可能是体力劳动、手癣等原因引起的,需要调整生活习惯、使用药物来改善。

1、体力劳动:在生活中如果长期做过于繁重的体力劳动时,可能会导致手部负荷增大,从而引起血液循环变差,时间长了可能会引起手指动物部位出现凹陷的情况,造成局部有单个或多个小坑。建议调整好生活习惯,避免干过重的体力活来进行缓解。
2、手癣:手指肚上有圆圆凹陷小坑有可能是真菌感染,使皮肤受到损伤,会导致患者出现脱皮、水泡以及瘙痒或者是手肚上有小坑等症状,可以遵医嘱使用伊曲康唑胶囊或者是特比萘芬片等药物治疗。
在治疗期间患者要注意避免与他人共用生活物品,饮食上尽量以清淡为主,避免食用辛辣、刺激性较强的食物。
","articleBody": "手指肚上有圆圆凹陷小坑通常会引起皮肤上出现多个或者是单个的凹陷小坑,表皮光滑,伴随瘙痒等症状。
手指肚上有圆圆凹陷小坑有可能是体力劳动、手癣等原因引起的,需要调整生活习惯、使用药物来改善。

1、体力劳动:在生活中如果长期做过于繁重的体力劳动时,可能会导致手部负荷增大,从而引起血液循环变差,时间长了可能会引起手指动物部位出现凹陷的情况,造成局部有单个或多个小坑。建议调整好生活习惯,避免干过重的体力活来进行缓解。
2、手癣:手指肚上有圆圆凹陷小坑有可能是真菌感染,使皮肤受到损伤,会导致患者出现脱皮、水泡以及瘙痒或者是手肚上有小坑等症状,可以遵医嘱使用伊曲康唑胶囊或者是特比萘芬片等药物治疗。
在治疗期间患者要注意避免与他人共用生活物品,饮食上尽量以清淡为主,避免食用辛辣、刺激性较强的食物。
","scanCount": 52687}}} {"@context": "https://ziyuan.baidu.com/contexts/cambrian.jsonld","appid": "1650708455561748","icon": "https://www.med-credit.org.cn/style/images/ttlogo.png","content_tag": ["atlas"],"is_mcn": {"thumb_id": "lnsk06v2"},"accid": "4886d626a2804dee5f11168793ce361672f39c25","@id": "https://www.med-credit.org.cn/mobile/jingxuan/2/d30fd754694f8f7c214e454069b09b27.html","bagWordId": "654_1585949908538494976","title": "皮肤脱屑潮红痒图片","pubDate": "2023-02-03T11:30:09","upDate": "2023-02-03T11:30:09","lrDate": "2023-02-03T11:30:09","description": "皮肤脱屑潮红痒通常是指皮肤出现边界清晰的红色鳞片,伴有脱屑、瘙痒等症状。","data": {"WebPage": {"headline": "皮肤脱屑潮红痒图片","pcUrl": "https://www.med-credit.org.cn/jingxuan/2/d30fd754694f8f7c214e454069b09b27.html","wapUrl": "https://www.med-credit.org.cn/jingxuan/2/d30fd754694f8f7c214e454069b09b27.html","mipUrl": "https://www.med-credit.org.cn/mobile/jingxuan/2/d30fd754694f8f7c214e454069b09b27.html","fromSrc": "欢乐橙","datePublished": "2023-02-03T11:30:09","domain": "医疗","category": ["医疗权威文章合作"],"description": "皮肤脱屑潮红痒通常是指皮肤出现边界清晰的红色鳞片,伴有脱屑、瘙痒等症状。
","extra_headline": [""]},"Author": {"name": "王霞","wapUrl": "https://www.med-credit.org.cn/doctor/578","pcUrl": "https://www.med-credit.org.cn/doctor/578","jobTitle": "副主任医师","headPortrait": "https://www.med-credit.org.cn/uploadfile/member/578/180x180.jpeg","id": "578","description": "王霞,广州医科大学附属第一医院皮肤科副主任医师","memberOf": {"legalName": "广州医科大学附属第一医院","department": "皮肤科","organizationLevel": "三级甲等"}},"Article": {"summaryContent": "皮肤脱屑潮红痒通常是指皮肤出现边界清晰的红色鳞片,伴有脱屑、瘙痒等症状。
皮肤脱屑潮红痒有可能是过敏性皮炎、湿疹等原因导致的,需要用药物治疗,还要调整生活以及饮食习惯。

1、过敏性皮炎:过敏性皮炎通常是接触了某种过敏原引起的过敏反应,会导致皮肤出现瘙痒、红肿以及脱屑的症状。由于过敏性皮炎会出现反复发作的症状,建议医嘱使用丁酸氢化可的松软膏或者是咪康唑氯倍他索乳膏等药物来改善。
2、日光皮炎:如果患者长时间在紫外线强的环境中工作,由于皮肤过度暴露在紫外线较强的环境中,容易导致皮肤出现脱屑、潮红、痒的症状。可以遵医嘱使用丹皮酚软膏或者是龙珠软膏等药物治疗。
建议患者要做好皮肤护理,减少在紫外线强的环境中活动的次数,在饮食方面要以清淡为主,多吃一些含有维生素或者是微量元素的食物。
","articleBody": "皮肤脱屑潮红痒通常是指皮肤出现边界清晰的红色鳞片,伴有脱屑、瘙痒等症状。
皮肤脱屑潮红痒有可能是过敏性皮炎、湿疹等原因导致的,需要用药物治疗,还要调整生活以及饮食习惯。

1、过敏性皮炎:过敏性皮炎通常是接触了某种过敏原引起的过敏反应,会导致皮肤出现瘙痒、红肿以及脱屑的症状。由于过敏性皮炎会出现反复发作的症状,建议医嘱使用丁酸氢化可的松软膏或者是咪康唑氯倍他索乳膏等药物来改善。
2、日光皮炎:如果患者长时间在紫外线强的环境中工作,由于皮肤过度暴露在紫外线较强的环境中,容易导致皮肤出现脱屑、潮红、痒的症状。可以遵医嘱使用丹皮酚软膏或者是龙珠软膏等药物治疗。
建议患者要做好皮肤护理,减少在紫外线强的环境中活动的次数,在饮食方面要以清淡为主,多吃一些含有维生素或者是微量元素的食物。
","scanCount": 52688}}} {"@context": "https://ziyuan.baidu.com/contexts/cambrian.jsonld","appid": "1650708455561748","icon": "https://www.med-credit.org.cn/style/images/ttlogo.png","content_tag": ["atlas"],"is_mcn": {"thumb_id": "lnsk06v2"},"accid": "4886d626a2804dee5f11168793ce361672f39c25","@id": "https://www.med-credit.org.cn/mobile/jingxuan/2/d7c8140ae8822071924be6cac518ef98.html","bagWordId": "654_1585949908861456384","title": "嘴角黄水疮初期图片","pubDate": "2023-02-03T11:30:09","upDate": "2023-02-03T11:30:09","lrDate": "2023-02-03T11:30:09","description": "黄水疮,专业医学名称为脓疱疮,嘴角脓疱疮通常是在嘴角、周围皮肤出现疼痛、溃烂,并且伴随着黄色的液体流出。","data": {"WebPage": {"headline": "嘴角黄水疮初期图片","pcUrl": "https://www.med-credit.org.cn/jingxuan/2/d7c8140ae8822071924be6cac518ef98.html","wapUrl": "https://www.med-credit.org.cn/jingxuan/2/d7c8140ae8822071924be6cac518ef98.html","mipUrl": "https://www.med-credit.org.cn/mobile/jingxuan/2/d7c8140ae8822071924be6cac518ef98.html","fromSrc": "欢乐橙","datePublished": "2023-02-03T11:30:09","domain": "医疗","category": ["医疗权威文章合作"],"description": "黄水疮,专业医学名称为脓疱疮,嘴角脓疱疮通常是在嘴角、周围皮肤出现疼痛、溃烂,并且伴随着黄色的液体流出。
","extra_headline": [""]},"Author": {"name": "王霞","wapUrl": "https://www.med-credit.org.cn/doctor/578","pcUrl": "https://www.med-credit.org.cn/doctor/578","jobTitle": "副主任医师","headPortrait": "https://www.med-credit.org.cn/uploadfile/member/578/180x180.jpeg","id": "578","description": "王霞,广州医科大学附属第一医院皮肤科副主任医师","memberOf": {"legalName": "广州医科大学附属第一医院","department": "皮肤科","organizationLevel": "三级甲等"}},"Article": {"summaryContent": "黄水疮,专业医学名称为脓疱疮,嘴角脓疱疮通常是在嘴角、周围皮肤出现疼痛、溃烂,并且伴随着黄色的液体流出。
嘴角脓疱疮有可能是上火或者是细菌感染等原因导致的,需要使用药物治疗,平常还要调整好饮食习惯。

1、体内缺乏维生素:如果长时间偏食挑食,吃一些没有营养的食物,有可能会导致身体内缺乏维生素,从而自身体质变差,容易引起嘴角出现轻微疼痛或者是糜烂等症状。
2、细菌感染:如果身体内受到金黄色葡萄链球菌感染时,可能会导致嘴角部位受到侵袭,会导致局部出现水泡、糜烂以及破损等症状。
患有嘴角脓疱疮可以遵医嘱局部涂抹莫匹罗星软膏或者是夫西地酸乳膏等药物来治疗,严重时还需要服用头孢氨苄片或者是阿莫西林胶囊等抗生素药物来进行治疗。
平时要纠正不良的饮食习惯来改善,多吃新鲜的蔬菜和水果,多喝温开水,能够使症状得到改善。
","articleBody": "黄水疮,专业医学名称为脓疱疮,嘴角脓疱疮通常是在嘴角、周围皮肤出现疼痛、溃烂,并且伴随着黄色的液体流出。
嘴角脓疱疮有可能是上火或者是细菌感染等原因导致的,需要使用药物治疗,平常还要调整好饮食习惯。

1、体内缺乏维生素:如果长时间偏食挑食,吃一些没有营养的食物,有可能会导致身体内缺乏维生素,从而自身体质变差,容易引起嘴角出现轻微疼痛或者是糜烂等症状。
2、细菌感染:如果身体内受到金黄色葡萄链球菌感染时,可能会导致嘴角部位受到侵袭,会导致局部出现水泡、糜烂以及破损等症状。
患有嘴角脓疱疮可以遵医嘱局部涂抹莫匹罗星软膏或者是夫西地酸乳膏等药物来治疗,严重时还需要服用头孢氨苄片或者是阿莫西林胶囊等抗生素药物来进行治疗。
平时要纠正不良的饮食习惯来改善,多吃新鲜的蔬菜和水果,多喝温开水,能够使症状得到改善。
","scanCount": 52692}}} {"@context": "https://ziyuan.baidu.com/contexts/cambrian.jsonld","appid": "1650708455561748","icon": "https://www.med-credit.org.cn/style/images/ttlogo.png","content_tag": ["atlas"],"is_mcn": {"thumb_id": "lnsk06v2"},"accid": "4886d626a2804dee5f11168793ce361672f39c25","@id": "https://www.med-credit.org.cn/mobile/jingxuan/2/d5f22c0c56b48ea8b7c2acf3532b9618.html","bagWordId": "654_1585949908974702592","title": "女性大腿内侧毛囊炎图片","pubDate": "2023-02-03T11:30:09","upDate": "2023-02-03T11:30:09","lrDate": "2023-02-03T11:30:09","description": "女性大腿内侧毛囊炎会在皮损处出现红色丘疹,丘疹周围皮肤发红,伴随着瘙痒、脓包等症状。","data": {"WebPage": {"headline": "女性大腿内侧毛囊炎图片","pcUrl": "https://www.med-credit.org.cn/jingxuan/2/d5f22c0c56b48ea8b7c2acf3532b9618.html","wapUrl": "https://www.med-credit.org.cn/jingxuan/2/d5f22c0c56b48ea8b7c2acf3532b9618.html","mipUrl": "https://www.med-credit.org.cn/mobile/jingxuan/2/d5f22c0c56b48ea8b7c2acf3532b9618.html","fromSrc": "欢乐橙","datePublished": "2023-02-03T11:30:09","domain": "医疗","category": ["医疗权威文章合作"],"description": "女性大腿内侧毛囊炎会在皮损处出现红色丘疹,丘疹周围皮肤发红,伴随着瘙痒、脓包等症状。
","extra_headline": [""]},"Author": {"name": "王霞","wapUrl": "https://www.med-credit.org.cn/doctor/578","pcUrl": "https://www.med-credit.org.cn/doctor/578","jobTitle": "副主任医师","headPortrait": "https://www.med-credit.org.cn/uploadfile/member/578/180x180.jpeg","id": "578","description": "王霞,广州医科大学附属第一医院皮肤科副主任医师","memberOf": {"legalName": "广州医科大学附属第一医院","department": "皮肤科","organizationLevel": "三级甲等"}},"Article": {"summaryContent": "女性大腿内侧毛囊炎会在皮损处出现红色丘疹,丘疹周围皮肤发红,伴随着瘙痒、脓包等症状。
女性大腿内侧毛囊炎有可能是不注意卫生或者是穿着过紧的裤子引起的,需要使用药物来改善,还要调整好生活及饮食习惯。

1、不注意卫生:如果患者经常不勤换洗衣物、不勤洗澡、不注意个人卫生,就会导致诱发毛囊炎,会导致局部出现瘙痒,伴有局部发红、有脓包、丘疹等症状。
2、过紧的裤子:穿着过紧的裤子由于局部透气性比较差,会导致局部出现闷热、潮湿的症状,由于裤子长时间与皮肤直接摩擦,会导致皮肤出现损伤,从而会引发皮肤表面出现发红、瘙痒或者是有丘疹的情况。
女性大腿内侧患有毛囊炎可以遵医嘱使用红霉素软膏或者是夫西地酸乳膏来治疗。
日常要避免穿着过紧的裤子,注意个人卫生,以清淡饮食为主,多吃一些含有维生素的水果或者蔬菜。
","articleBody": "女性大腿内侧毛囊炎会在皮损处出现红色丘疹,丘疹周围皮肤发红,伴随着瘙痒、脓包等症状。
女性大腿内侧毛囊炎有可能是不注意卫生或者是穿着过紧的裤子引起的,需要使用药物来改善,还要调整好生活及饮食习惯。

1、不注意卫生:如果患者经常不勤换洗衣物、不勤洗澡、不注意个人卫生,就会导致诱发毛囊炎,会导致局部出现瘙痒,伴有局部发红、有脓包、丘疹等症状。
2、过紧的裤子:穿着过紧的裤子由于局部透气性比较差,会导致局部出现闷热、潮湿的症状,由于裤子长时间与皮肤直接摩擦,会导致皮肤出现损伤,从而会引发皮肤表面出现发红、瘙痒或者是有丘疹的情况。
女性大腿内侧患有毛囊炎可以遵医嘱使用红霉素软膏或者是夫西地酸乳膏来治疗。
日常要避免穿着过紧的裤子,注意个人卫生,以清淡饮食为主,多吃一些含有维生素的水果或者蔬菜。
","scanCount": 52693}}} {"@context": "https://ziyuan.baidu.com/contexts/cambrian.jsonld","appid": "1650708455561748","icon": "https://www.med-credit.org.cn/style/images/ttlogo.png","content_tag": ["atlas"],"is_mcn": {"thumb_id": "lnsk06v2"},"accid": "4886d626a2804dee5f11168793ce361672f39c25","@id": "https://www.med-credit.org.cn/mobile/jingxuan/2/47600e863bbf8f930df5b3acdbc14e76.html","bagWordId": "654_1585949909029228544","title": "双肘关节处对称皮疹照片","pubDate": "2023-02-03T11:30:09","upDate": "2023-02-03T11:30:09","lrDate": "2023-02-03T11:30:09","description": "双肘关节处对称皮疹会引起局部皮肤出现红斑、丘疹,伴有瘙痒等症状。","data": {"WebPage": {"headline": "双肘关节处对称皮疹照片","pcUrl": "https://www.med-credit.org.cn/jingxuan/2/47600e863bbf8f930df5b3acdbc14e76.html","wapUrl": "https://www.med-credit.org.cn/jingxuan/2/47600e863bbf8f930df5b3acdbc14e76.html","mipUrl": "https://www.med-credit.org.cn/mobile/jingxuan/2/47600e863bbf8f930df5b3acdbc14e76.html","fromSrc": "欢乐橙","datePublished": "2023-02-03T11:30:09","domain": "医疗","category": ["医疗权威文章合作"],"description": "双肘关节处对称皮疹会引起局部皮肤出现红斑、丘疹,伴有瘙痒等症状。
","extra_headline": [""]},"Author": {"name": "王霞","wapUrl": "https://www.med-credit.org.cn/doctor/578","pcUrl": "https://www.med-credit.org.cn/doctor/578","jobTitle": "副主任医师","headPortrait": "https://www.med-credit.org.cn/uploadfile/member/578/180x180.jpeg","id": "578","description": "王霞,广州医科大学附属第一医院皮肤科副主任医师","memberOf": {"legalName": "广州医科大学附属第一医院","department": "皮肤科","organizationLevel": "三级甲等"}},"Article": {"summaryContent": "双肘关节处对称皮疹会引起局部皮肤出现红斑、丘疹,伴有瘙痒等症状。
双肘关节处对称皮疹可能是湿疹或者是急性荨麻疹等原因导致的,可以使用药物来改善,还要调整好饮食习惯。

1、湿疹:如果关节部位长时间处于闷热、潮湿的状态,就有可能会导致细菌滋生,从而会诱发湿疹疾病,导致关节部位出现红肿、刺痛以及丘疹的表现。建议患者在医生的指导下使用炉甘石洗剂或氧化锌乳膏等药物缓解症状,严重时也可以服用抗组胺的药物来进行治疗,比如盐酸西替利嗪片或氯雷他定片等。
2、急性荨麻疹:双肘关节处对称皮疹通常是由于刺激过敏导致的,出现过敏反应会导致皮肤黏膜和小血管反应性扩张,从而会引发皮肤表面有红斑、丘疹。可以遵医嘱使用盐酸西替利嗪片或者是盐酸苯海拉明片等药物治疗。
在平常生活中要避免食用辛辣、刺激性较强的食物,比如辣椒、生姜或者是芥末油等。
","articleBody": "双肘关节处对称皮疹会引起局部皮肤出现红斑、丘疹,伴有瘙痒等症状。
双肘关节处对称皮疹可能是湿疹或者是急性荨麻疹等原因导致的,可以使用药物来改善,还要调整好饮食习惯。

1、湿疹:如果关节部位长时间处于闷热、潮湿的状态,就有可能会导致细菌滋生,从而会诱发湿疹疾病,导致关节部位出现红肿、刺痛以及丘疹的表现。建议患者在医生的指导下使用炉甘石洗剂或氧化锌乳膏等药物缓解症状,严重时也可以服用抗组胺的药物来进行治疗,比如盐酸西替利嗪片或氯雷他定片等。
2、急性荨麻疹:双肘关节处对称皮疹通常是由于刺激过敏导致的,出现过敏反应会导致皮肤黏膜和小血管反应性扩张,从而会引发皮肤表面有红斑、丘疹。可以遵医嘱使用盐酸西替利嗪片或者是盐酸苯海拉明片等药物治疗。
在平常生活中要避免食用辛辣、刺激性较强的食物,比如辣椒、生姜或者是芥末油等。
","scanCount": 52694}}} {"@context": "https://ziyuan.baidu.com/contexts/cambrian.jsonld","appid": "1650708455561748","icon": "https://www.med-credit.org.cn/style/images/ttlogo.png","content_tag": ["atlas"],"is_mcn": {"thumb_id": "lnsk06v2"},"accid": "4886d626a2804dee5f11168793ce361672f39c25","@id": "https://www.med-credit.org.cn/mobile/jingxuan/2/d8de8e1e14b16c5a146efbf7f8a4761d.html","bagWordId": "654_1585949909440270336","title": "嘴角长马嚼子疮图片","pubDate": "2023-02-03T11:30:09","upDate": "2023-02-03T11:30:09","lrDate": "2023-02-03T11:30:09","description": "嘴角长马嚼子疮通常指的是口角炎,会引起口角部位充血、红肿、出血、皲裂、疼痛等症状。","data": {"WebPage": {"headline": "嘴角长马嚼子疮图片","pcUrl": "https://www.med-credit.org.cn/jingxuan/2/d8de8e1e14b16c5a146efbf7f8a4761d.html","wapUrl": "https://www.med-credit.org.cn/jingxuan/2/d8de8e1e14b16c5a146efbf7f8a4761d.html","mipUrl": "https://www.med-credit.org.cn/mobile/jingxuan/2/d8de8e1e14b16c5a146efbf7f8a4761d.html","fromSrc": "欢乐橙","datePublished": "2023-02-03T11:30:09","domain": "医疗","category": ["医疗权威文章合作"],"description": "嘴角长马嚼子疮通常指的是口角炎,会引起口角部位充血、红肿、出血、皲裂、疼痛等症状。
","extra_headline": [""]},"Author": {"name": "王霞","wapUrl": "https://www.med-credit.org.cn/doctor/578","pcUrl": "https://www.med-credit.org.cn/doctor/578","jobTitle": "副主任医师","headPortrait": "https://www.med-credit.org.cn/uploadfile/member/578/180x180.jpeg","id": "578","description": "王霞,广州医科大学附属第一医院皮肤科副主任医师","memberOf": {"legalName": "广州医科大学附属第一医院","department": "皮肤科","organizationLevel": "三级甲等"}},"Article": {"summaryContent": "嘴角长马嚼子疮通常指的是口角炎,会引起口角部位充血、红肿、出血、皲裂、疼痛等症状。
口角炎包括感染性口角炎、创伤性口角炎、接触性口角炎、营养不良性口角炎,在日常生活中要保持口腔的清洁,同时可在医生的指导下进行药物治疗。

1、感染性口角炎:急性期多表现为口角部位充血、红肿、皲裂,可有出血或脓性分泌物,形成血痂或脓痂,疼痛明显,张口受限;慢性期患者多表现为口角部位皮肤黏膜增厚呈灰白色,伴有放射状裂纹,唇红部干裂脱屑,疼痛不明显。
2、创伤性口角炎:发病突然,多为单侧口角发生,表现为长短不一的新鲜创口,伴有出血、水肿、糜烂;表面可有结痂形成。外伤引起者则会伴有局部组织水肿、皮下瘀血等,张口受限。
3、接触性口角炎:发病通常较快,接触过敏原后出现口角区域的充血、水肿、糜烂、皲裂等,渗出物较多时形成结痂,疼痛明显,张口受限。
4、营养不良性口角炎:单侧或双侧同时发病,口角处皮肤湿白,水平状浅表皲裂,呈现尖在内,底向外的楔形,疼痛不明显。继发感染时皲裂加深,局部可形成结痂,口唇活动时易裂、出血、疼痛明显,张口受限。
1、一般治疗:去除病因,保持口腔清洁卫生:营养缺乏引起者要改善饮食、加强营养,同时口服维生素B2、维生素C等;感染引起者要抗感染。
2、药物治疗:可遵医嘱使用消炎防腐类溶液洗涤,如0.1%高锰酸钾溶液、1.5%过氧化氢溶液、2%碳酸氢钠溶液等。对真菌性口角炎可加用达克宁软膏。球菌性口角炎治疗应局部清洗干净后,用抗生素如红霉素软膏涂擦,同时可口服广谱抗生素,可用青霉素v钾片、磺胺药、螺旋霉素等口服。
","articleBody": "嘴角长马嚼子疮通常指的是口角炎,会引起口角部位充血、红肿、出血、皲裂、疼痛等症状。
口角炎包括感染性口角炎、创伤性口角炎、接触性口角炎、营养不良性口角炎,在日常生活中要保持口腔的清洁,同时可在医生的指导下进行药物治疗。

1、感染性口角炎:急性期多表现为口角部位充血、红肿、皲裂,可有出血或脓性分泌物,形成血痂或脓痂,疼痛明显,张口受限;慢性期患者多表现为口角部位皮肤黏膜增厚呈灰白色,伴有放射状裂纹,唇红部干裂脱屑,疼痛不明显。
2、创伤性口角炎:发病突然,多为单侧口角发生,表现为长短不一的新鲜创口,伴有出血、水肿、糜烂;表面可有结痂形成。外伤引起者则会伴有局部组织水肿、皮下瘀血等,张口受限。
3、接触性口角炎:发病通常较快,接触过敏原后出现口角区域的充血、水肿、糜烂、皲裂等,渗出物较多时形成结痂,疼痛明显,张口受限。
4、营养不良性口角炎:单侧或双侧同时发病,口角处皮肤湿白,水平状浅表皲裂,呈现尖在内,底向外的楔形,疼痛不明显。继发感染时皲裂加深,局部可形成结痂,口唇活动时易裂、出血、疼痛明显,张口受限。
1、一般治疗:去除病因,保持口腔清洁卫生:营养缺乏引起者要改善饮食、加强营养,同时口服维生素B2、维生素C等;感染引起者要抗感染。
2、药物治疗:可遵医嘱使用消炎防腐类溶液洗涤,如0.1%高锰酸钾溶液、1.5%过氧化氢溶液、2%碳酸氢钠溶液等。对真菌性口角炎可加用达克宁软膏。球菌性口角炎治疗应局部清洗干净后,用抗生素如红霉素软膏涂擦,同时可口服广谱抗生素,可用青霉素v钾片、磺胺药、螺旋霉素等口服。
","scanCount": 52698}}} {"@context": "https://ziyuan.baidu.com/contexts/cambrian.jsonld","appid": "1650708455561748","icon": "https://www.med-credit.org.cn/style/images/ttlogo.png","content_tag": ["atlas"],"is_mcn": {"thumb_id": "lnsk06v2"},"accid": "4886d626a2804dee5f11168793ce361672f39c25","@id": "https://www.med-credit.org.cn/mobile/jingxuan/2/cd15d00aa97c029a5942086cdd764f1c.html","bagWordId": "654_1585949909532545024","title": "良性甲下黑色素瘤图片","pubDate": "2023-02-03T11:30:09","upDate": "2023-02-03T11:30:09","lrDate": "2023-02-03T11:30:09","description": "良性甲下黑色素瘤是指甲下面出现良性黑色素瘤,通常会引起指甲表面出现黑色条纹,导致指甲出现变宽、颜色加深等症状。","data": {"WebPage": {"headline": "良性甲下黑色素瘤图片","pcUrl": "https://www.med-credit.org.cn/jingxuan/2/cd15d00aa97c029a5942086cdd764f1c.html","wapUrl": "https://www.med-credit.org.cn/jingxuan/2/cd15d00aa97c029a5942086cdd764f1c.html","mipUrl": "https://www.med-credit.org.cn/mobile/jingxuan/2/cd15d00aa97c029a5942086cdd764f1c.html","fromSrc": "欢乐橙","datePublished": "2023-02-03T11:30:09","domain": "医疗","category": ["医疗权威文章合作"],"description": "良性甲下黑色素瘤是指甲下面出现良性黑色素瘤,通常会引起指甲表面出现黑色条纹,导致指甲出现变宽、颜色加深等症状。
","extra_headline": [""]},"Author": {"name": "王霞","wapUrl": "https://www.med-credit.org.cn/doctor/578","pcUrl": "https://www.med-credit.org.cn/doctor/578","jobTitle": "副主任医师","headPortrait": "https://www.med-credit.org.cn/uploadfile/member/578/180x180.jpeg","id": "578","description": "王霞,广州医科大学附属第一医院皮肤科副主任医师","memberOf": {"legalName": "广州医科大学附属第一医院","department": "皮肤科","organizationLevel": "三级甲等"}},"Article": {"summaryContent": "良性甲下黑色素瘤是指甲下面出现良性黑色素瘤,通常会引起指甲表面出现黑色条纹,导致指甲出现变宽、颜色加深等症状。
良性甲下黑色素瘤有可能是甲下出血或者甲母细胞痣等因素造成的,可以使用药物或者是手术等方法来治疗,还要注意指甲部位清洁。

1、甲下出血:指甲在受到挤压或者外伤的情况下,有可能会引起甲床部位的血管出现破裂,引起血液淤积,造成指甲面变宽或者是颜色加深,建议及时遵医嘱服用活血化瘀类的药物进行改善,常用药物有三七片、活血止痛胶囊等。
2、甲母细胞痣:甲母细胞痣属于良性肿瘤,会引起甲根部位出现疼痛以及出血的症状,同时指甲的颜色也会逐渐变深。如果甲母细胞痣较大时,则需要遵医嘱采用手术的方式切除,避免引起恶变。
日常生活中要注意指甲部位的卫生,不要让指甲接触有污染的物质,比如化学物质、有毒物质等。
","articleBody": "良性甲下黑色素瘤是指甲下面出现良性黑色素瘤,通常会引起指甲表面出现黑色条纹,导致指甲出现变宽、颜色加深等症状。
良性甲下黑色素瘤有可能是甲下出血或者甲母细胞痣等因素造成的,可以使用药物或者是手术等方法来治疗,还要注意指甲部位清洁。

1、甲下出血:指甲在受到挤压或者外伤的情况下,有可能会引起甲床部位的血管出现破裂,引起血液淤积,造成指甲面变宽或者是颜色加深,建议及时遵医嘱服用活血化瘀类的药物进行改善,常用药物有三七片、活血止痛胶囊等。
2、甲母细胞痣:甲母细胞痣属于良性肿瘤,会引起甲根部位出现疼痛以及出血的症状,同时指甲的颜色也会逐渐变深。如果甲母细胞痣较大时,则需要遵医嘱采用手术的方式切除,避免引起恶变。
日常生活中要注意指甲部位的卫生,不要让指甲接触有污染的物质,比如化学物质、有毒物质等。
","scanCount": 52699}}} {"@context": "https://ziyuan.baidu.com/contexts/cambrian.jsonld","appid": "1650708455561748","icon": "https://www.med-credit.org.cn/style/images/ttlogo.png","content_tag": ["atlas"],"is_mcn": {"thumb_id": "lnsk06v2"},"accid": "4886d626a2804dee5f11168793ce361672f39c25","@id": "https://www.med-credit.org.cn/mobile/jingxuan/2/9585ddcd4a0bbc32d776cefb11e2a8a8.html","bagWordId": "654_1585949909658374144","title": "男性面部长扁平疣图片","pubDate": "2023-02-03T11:30:09","upDate": "2023-02-03T11:30:09","lrDate": "2023-02-03T11:30:09","description": "男人脸上长扁平疣一般是指男人由于感染人乳头瘤病毒导致皮肤出现扁平疣,多表现为数目较多的顶部扁平的小丘疹,一般没有自觉症状,偶有瘙痒。","data": {"WebPage": {"headline": "男性面部长扁平疣图片","pcUrl": "https://www.med-credit.org.cn/jingxuan/2/9585ddcd4a0bbc32d776cefb11e2a8a8.html","wapUrl": "https://www.med-credit.org.cn/jingxuan/2/9585ddcd4a0bbc32d776cefb11e2a8a8.html","mipUrl": "https://www.med-credit.org.cn/mobile/jingxuan/2/9585ddcd4a0bbc32d776cefb11e2a8a8.html","fromSrc": "欢乐橙","datePublished": "2023-02-03T11:30:09","domain": "医疗","category": ["医疗权威文章合作"],"description": "男人脸上长扁平疣一般是指男人由于感染人乳头瘤病毒导致皮肤出现扁平疣,多表现为数目较多的顶部扁平的小丘疹,一般没有自觉症状,偶有瘙痒。
","extra_headline": [""]},"Author": {"name": "王霞","wapUrl": "https://www.med-credit.org.cn/doctor/578","pcUrl": "https://www.med-credit.org.cn/doctor/578","jobTitle": "副主任医师","headPortrait": "https://www.med-credit.org.cn/uploadfile/member/578/180x180.jpeg","id": "578","description": "王霞,广州医科大学附属第一医院皮肤科副主任医师","memberOf": {"legalName": "广州医科大学附属第一医院","department": "皮肤科","organizationLevel": "三级甲等"}},"Article": {"summaryContent": "男人脸上长扁平疣一般是指男人由于感染人乳头瘤病毒导致皮肤出现扁平疣,多表现为数目较多的顶部扁平的小丘疹,一般没有自觉症状,偶有瘙痒。
男人脸上长扁平疣可在医生指导下使用药物进行治疗,还要注意皮肤的护理。

扁平疣为高出正常皮肤的扁平丘疹,米粒至黄豆大小,呈圆形或椭圆形,表面光滑,质地较硬;颜色不定,呈淡褐色或是和正常皮肤颜色基本相同;在搔抓后可沿抓痕分布呈条状或串珠状排列;扁平疣在持续数月或者数年后,皮疹色泽发红或明显发红,或出现发痒,不久后可迅速痊愈,不留瘢痕。
1、外用药物:可在医生指导下使用维A软膏、他扎罗汀乳膏、5%咪喹莫特乳膏等药物进行外涂治疗。
2、内用药物:可遵医嘱使用西咪替丁、卡介菌多糖核酸注射液等药物进行治疗。
平常生活中要注意皮肤表面的清洁卫生,不要用手去抓挠瘙痒的部位,以免造成皮肤损伤。
","articleBody": "男人脸上长扁平疣一般是指男人由于感染人乳头瘤病毒导致皮肤出现扁平疣,多表现为数目较多的顶部扁平的小丘疹,一般没有自觉症状,偶有瘙痒。
男人脸上长扁平疣可在医生指导下使用药物进行治疗,还要注意皮肤的护理。

扁平疣为高出正常皮肤的扁平丘疹,米粒至黄豆大小,呈圆形或椭圆形,表面光滑,质地较硬;颜色不定,呈淡褐色或是和正常皮肤颜色基本相同;在搔抓后可沿抓痕分布呈条状或串珠状排列;扁平疣在持续数月或者数年后,皮疹色泽发红或明显发红,或出现发痒,不久后可迅速痊愈,不留瘢痕。
1、外用药物:可在医生指导下使用维A软膏、他扎罗汀乳膏、5%咪喹莫特乳膏等药物进行外涂治疗。
2、内用药物:可遵医嘱使用西咪替丁、卡介菌多糖核酸注射液等药物进行治疗。
平常生活中要注意皮肤表面的清洁卫生,不要用手去抓挠瘙痒的部位,以免造成皮肤损伤。
","scanCount": 52701}}} {"@context": "https://ziyuan.baidu.com/contexts/cambrian.jsonld","appid": "1650708455561748","icon": "https://www.med-credit.org.cn/style/images/ttlogo.png","content_tag": ["atlas"],"is_mcn": {"thumb_id": "lnsk06v2"},"accid": "4886d626a2804dee5f11168793ce361672f39c25","@id": "https://www.med-credit.org.cn/mobile/jingxuan/2/543d6d2b600fc628ec0308da7816a3b5.html","bagWordId": "654_1585949909780008960","title": "老年性特应性皮炎图片","pubDate": "2023-02-03T11:30:09","upDate": "2023-02-03T11:30:09","lrDate": "2023-02-03T11:30:09","description": "老年性特应性皮炎通常是指老年人皮肤表面出现丘疹以及皮肤干燥的症状,同时皮肤表面还会出现不同程度的瘙痒现象。","data": {"WebPage": {"headline": "老年性特应性皮炎图片","pcUrl": "https://www.med-credit.org.cn/jingxuan/2/543d6d2b600fc628ec0308da7816a3b5.html","wapUrl": "https://www.med-credit.org.cn/jingxuan/2/543d6d2b600fc628ec0308da7816a3b5.html","mipUrl": "https://www.med-credit.org.cn/mobile/jingxuan/2/543d6d2b600fc628ec0308da7816a3b5.html","fromSrc": "欢乐橙","datePublished": "2023-02-03T11:30:09","domain": "医疗","category": ["医疗权威文章合作"],"description": "老年性特应性皮炎通常是指老年人皮肤表面出现丘疹以及皮肤干燥的症状,同时皮肤表面还会出现不同程度的瘙痒现象。
","extra_headline": [""]},"Author": {"name": "王霞","wapUrl": "https://www.med-credit.org.cn/doctor/578","pcUrl": "https://www.med-credit.org.cn/doctor/578","jobTitle": "副主任医师","headPortrait": "https://www.med-credit.org.cn/uploadfile/member/578/180x180.jpeg","id": "578","description": "王霞,广州医科大学附属第一医院皮肤科副主任医师","memberOf": {"legalName": "广州医科大学附属第一医院","department": "皮肤科","organizationLevel": "三级甲等"}},"Article": {"summaryContent": "老年性特应性皮炎通常是指老年人皮肤表面出现丘疹以及皮肤干燥的症状,同时皮肤表面还会出现不同程度的瘙痒现象。
老年性特异性皮炎有可能是皮肤功能障碍、遗传因素以及环境因素等原因导致的,可以使用药物来改善。

1、皮肤功能障碍:如果皮肤长时间受到光线照射时,可能会产生过敏反应,使皮肤屏障损坏,从而引起皮肤表面出现免疫性炎症反应,造成皮肤干燥、局部有丘疹的现象出现。
2、遗传因素:特应性皮炎也有一定的遗传因素,临床上父母一方或双方患有特应性皮炎时,子女患有特应性皮炎的概率或风险就会明显增高。基因会导致患者易对某些物质过敏,皮肤屏障功能也会受损,易受到外界刺激,从而导致自身皮肤异常,出现瘙痒、丘疹等症状。
3、环境因素:如果对空气中的花粉尘螨过敏的情况下,会造成皮肤出现反复瘙痒、皮肤干燥以及皮肤表面有丘疹等症状。
患有老年性特应性皮炎需要遵医嘱通过复方甘草酸苷片、盐酸奥洛他定片等药物进行治疗,同时还要在局部涂抹氧化锌软膏、糠酸莫米松软膏等药物,促进皮肤的修复。
","articleBody": "老年性特应性皮炎通常是指老年人皮肤表面出现丘疹以及皮肤干燥的症状,同时皮肤表面还会出现不同程度的瘙痒现象。
老年性特异性皮炎有可能是皮肤功能障碍、遗传因素以及环境因素等原因导致的,可以使用药物来改善。

1、皮肤功能障碍:如果皮肤长时间受到光线照射时,可能会产生过敏反应,使皮肤屏障损坏,从而引起皮肤表面出现免疫性炎症反应,造成皮肤干燥、局部有丘疹的现象出现。
2、遗传因素:特应性皮炎也有一定的遗传因素,临床上父母一方或双方患有特应性皮炎时,子女患有特应性皮炎的概率或风险就会明显增高。基因会导致患者易对某些物质过敏,皮肤屏障功能也会受损,易受到外界刺激,从而导致自身皮肤异常,出现瘙痒、丘疹等症状。
3、环境因素:如果对空气中的花粉尘螨过敏的情况下,会造成皮肤出现反复瘙痒、皮肤干燥以及皮肤表面有丘疹等症状。
患有老年性特应性皮炎需要遵医嘱通过复方甘草酸苷片、盐酸奥洛他定片等药物进行治疗,同时还要在局部涂抹氧化锌软膏、糠酸莫米松软膏等药物,促进皮肤的修复。
","scanCount": 52702}}} {"@context": "https://ziyuan.baidu.com/contexts/cambrian.jsonld","appid": "1650708455561748","icon": "https://www.med-credit.org.cn/style/images/ttlogo.png","content_tag": ["atlas"],"is_mcn": {"thumb_id": "lnsk06v2"},"accid": "4886d626a2804dee5f11168793ce361672f39c25","@id": "https://www.med-credit.org.cn/mobile/jingxuan/2/b8b834df5c444e1cbac0412fe9d9b23c.html","bagWordId": "654_1585949909914226688","title": "胳肢窝长黑色圆形斑图片","pubDate": "2023-02-03T11:30:09","upDate": "2023-02-03T11:30:09","lrDate": "2023-02-03T11:30:09","description": "胳肢窝指的是腋窝,腋窝长黑色圆形斑通常是指腋窝部位出现圆形的黑色斑块。","data": {"WebPage": {"headline": "胳肢窝长黑色圆形斑图片","pcUrl": "https://www.med-credit.org.cn/jingxuan/2/b8b834df5c444e1cbac0412fe9d9b23c.html","wapUrl": "https://www.med-credit.org.cn/jingxuan/2/b8b834df5c444e1cbac0412fe9d9b23c.html","mipUrl": "https://www.med-credit.org.cn/mobile/jingxuan/2/b8b834df5c444e1cbac0412fe9d9b23c.html","fromSrc": "欢乐橙","datePublished": "2023-02-03T11:30:09","domain": "医疗","category": ["医疗权威文章合作"],"description": "胳肢窝指的是腋窝,腋窝长黑色圆形斑通常是指腋窝部位出现圆形的黑色斑块。
","extra_headline": [""]},"Author": {"name": "王霞","wapUrl": "https://www.med-credit.org.cn/doctor/578","pcUrl": "https://www.med-credit.org.cn/doctor/578","jobTitle": "副主任医师","headPortrait": "https://www.med-credit.org.cn/uploadfile/member/578/180x180.jpeg","id": "578","description": "王霞,广州医科大学附属第一医院皮肤科副主任医师","memberOf": {"legalName": "广州医科大学附属第一医院","department": "皮肤科","organizationLevel": "三级甲等"}},"Article": {"summaryContent": "胳肢窝指的是腋窝,腋窝长黑色圆形斑通常是指腋窝部位出现圆形的黑色斑块。
腋窝长黑色圆形斑有可能是局部出现了花斑癣或者静脉曲张等因素造成的,可以使用药物治疗。

1、花斑癣:如果经常在高温的环境内活动,局部出汗量较大时,腋窝受到汗渍浸染引起真菌感染,可能会导致腋窝下有黑色的圆斑的形成。需要遵医嘱通过涂抹酮康唑乳膏或者口服伊曲康唑胶囊以及酮康唑胶囊等药物,达到缓解病情的效果。
2、静脉曲张:当腋窝出现静脉曲张时,有可能会造成局部的毛细血管出现破裂,从而逐渐形成黑色斑块的症状,需要遵医嘱服用七叶皂苷钠片以及奥司明片等药物改善病情。
","articleBody": "胳肢窝指的是腋窝,腋窝长黑色圆形斑通常是指腋窝部位出现圆形的黑色斑块。
腋窝长黑色圆形斑有可能是局部出现了花斑癣或者静脉曲张等因素造成的,可以使用药物治疗。

1、花斑癣:如果经常在高温的环境内活动,局部出汗量较大时,腋窝受到汗渍浸染引起真菌感染,可能会导致腋窝下有黑色的圆斑的形成。需要遵医嘱通过涂抹酮康唑乳膏或者口服伊曲康唑胶囊以及酮康唑胶囊等药物,达到缓解病情的效果。
2、静脉曲张:当腋窝出现静脉曲张时,有可能会造成局部的毛细血管出现破裂,从而逐渐形成黑色斑块的症状,需要遵医嘱服用七叶皂苷钠片以及奥司明片等药物改善病情。
","scanCount": 52703}}} {"@context": "https://ziyuan.baidu.com/contexts/cambrian.jsonld","appid": "1650708455561748","icon": "https://www.med-credit.org.cn/style/images/ttlogo.png","content_tag": ["atlas"],"is_mcn": {"thumb_id": "lnsk06v2"},"accid": "4886d626a2804dee5f11168793ce361672f39c25","@id": "https://www.med-credit.org.cn/mobile/jingxuan/2/8b375d7c1c7c26a7848c0e4fa358e3d5.html","bagWordId": "654_1585949910040055808","title": "蝴蝶疹子图片","pubDate": "2023-02-03T11:30:09","upDate": "2023-02-03T11:30:09","lrDate": "2023-02-03T11:30:09","description": "蝴蝶疹子通常是指红斑狼疮,属于自身免疫性疾病,会引起皮肤表面出现红色斑点,形状和蝴蝶相似。","data": {"WebPage": {"headline": "蝴蝶疹子图片","pcUrl": "https://www.med-credit.org.cn/jingxuan/2/8b375d7c1c7c26a7848c0e4fa358e3d5.html","wapUrl": "https://www.med-credit.org.cn/jingxuan/2/8b375d7c1c7c26a7848c0e4fa358e3d5.html","mipUrl": "https://www.med-credit.org.cn/mobile/jingxuan/2/8b375d7c1c7c26a7848c0e4fa358e3d5.html","fromSrc": "欢乐橙","datePublished": "2023-02-03T11:30:09","domain": "医疗","category": ["医疗权威文章合作"],"description": "蝴蝶疹子通常是指红斑狼疮,属于自身免疫性疾病,会引起皮肤表面出现红色斑点,形状和蝴蝶相似。
","extra_headline": [""]},"Author": {"name": "王霞","wapUrl": "https://www.med-credit.org.cn/doctor/578","pcUrl": "https://www.med-credit.org.cn/doctor/578","jobTitle": "副主任医师","headPortrait": "https://www.med-credit.org.cn/uploadfile/member/578/180x180.jpeg","id": "578","description": "王霞,广州医科大学附属第一医院皮肤科副主任医师","memberOf": {"legalName": "广州医科大学附属第一医院","department": "皮肤科","organizationLevel": "三级甲等"}},"Article": {"summaryContent": "蝴蝶疹子通常是指红斑狼疮,属于自身免疫性疾病,会引起皮肤表面出现红色斑点,形状和蝴蝶相似。
蝴蝶疹子多见于急性皮肤型红斑狼疮,可遵医嘱使用药物进行治疗,还要调整生活以及饮食习惯。

急性皮肤型红斑狼疮可能是由于环境、遗传、雌激素等因素所引起的,患者会出现蝶形红斑,伴瘙痒感的融合性斑疹、丘疹,紫癜或者瘀斑、大疱。同时伴有脏器损伤,时还可有发热、乏力、纳差、口腔溃疡等症状,以及肺纤维化、心包积液等复杂症状。
可在医生指导下使用外用剂型的糖皮质激素、钙调磷酸酶抑制剂等药物;如疗效欠佳,可在上述治疗基础上,加用口服羟氯喹。
在日常生活中要注意皮肤的清洁卫生,不要接触有污染的物质,饮食方面要以清淡为主,少吃刺激的食物。
","articleBody": "蝴蝶疹子通常是指红斑狼疮,属于自身免疫性疾病,会引起皮肤表面出现红色斑点,形状和蝴蝶相似。
蝴蝶疹子多见于急性皮肤型红斑狼疮,可遵医嘱使用药物进行治疗,还要调整生活以及饮食习惯。

急性皮肤型红斑狼疮可能是由于环境、遗传、雌激素等因素所引起的,患者会出现蝶形红斑,伴瘙痒感的融合性斑疹、丘疹,紫癜或者瘀斑、大疱。同时伴有脏器损伤,时还可有发热、乏力、纳差、口腔溃疡等症状,以及肺纤维化、心包积液等复杂症状。
可在医生指导下使用外用剂型的糖皮质激素、钙调磷酸酶抑制剂等药物;如疗效欠佳,可在上述治疗基础上,加用口服羟氯喹。
在日常生活中要注意皮肤的清洁卫生,不要接触有污染的物质,饮食方面要以清淡为主,少吃刺激的食物。
","scanCount": 52705}}} {"@context": "https://ziyuan.baidu.com/contexts/cambrian.jsonld","appid": "1650708455561748","icon": "https://www.med-credit.org.cn/style/images/ttlogo.png","content_tag": ["atlas"],"is_mcn": {"thumb_id": "lnsk06v2"},"accid": "4886d626a2804dee5f11168793ce361672f39c25","@id": "https://www.med-credit.org.cn/mobile/jingxuan/2/8c3e2b7b7bd1e18b8141aaf37e887721.html","bagWordId": "654_1585949910094581760","title": "暴发性紫癜图片","pubDate": "2023-02-03T11:30:09","upDate": "2023-02-03T11:30:09","lrDate": "2023-02-03T11:30:09","description": "暴发性紫癜是属于一种较为少见的急性综合症,会引起皮肤表面出现触痛性瘀斑、血泡以及瘀斑的症状,患者可有高热、寒战等伴随症状。","data": {"WebPage": {"headline": "暴发性紫癜图片","pcUrl": "https://www.med-credit.org.cn/jingxuan/2/8c3e2b7b7bd1e18b8141aaf37e887721.html","wapUrl": "https://www.med-credit.org.cn/jingxuan/2/8c3e2b7b7bd1e18b8141aaf37e887721.html","mipUrl": "https://www.med-credit.org.cn/mobile/jingxuan/2/8c3e2b7b7bd1e18b8141aaf37e887721.html","fromSrc": "欢乐橙","datePublished": "2023-02-03T11:30:09","domain": "医疗","category": ["医疗权威文章合作"],"description": "暴发性紫癜是属于一种较为少见的急性综合症,会引起皮肤表面出现触痛性瘀斑、血泡以及瘀斑的症状,患者可有高热、寒战等伴随症状。
","extra_headline": [""]},"Author": {"name": "王霞","wapUrl": "https://www.med-credit.org.cn/doctor/578","pcUrl": "https://www.med-credit.org.cn/doctor/578","jobTitle": "副主任医师","headPortrait": "https://www.med-credit.org.cn/uploadfile/member/578/180x180.jpeg","id": "578","description": "王霞,广州医科大学附属第一医院皮肤科副主任医师","memberOf": {"legalName": "广州医科大学附属第一医院","department": "皮肤科","organizationLevel": "三级甲等"}},"Article": {"summaryContent": "暴发性紫癜是属于一种较为少见的急性综合症,会引起皮肤表面出现触痛性瘀斑、血泡以及瘀斑的症状,患者可有高热、寒战等伴随症状。
暴发性紫癜可以使用抗生素来治疗,当出现皮肤组织坏死时,需通过手术进行治疗。

1、早期症状:出现瘀斑的肢体会有明显的肿胀和疼痛,患者可有发热、乏力的表现。
2、典型症状:皮肤出现瘀斑、水疱或者血疱,损伤常位于四肢,可见瘀斑融合成片,边界清楚,边缘不规则;皮肤出现对称性的大片晴子,进展突然且迅速,可以累及全身皮肤,以下肢较为密集;皮肤改变部位肿胀坚硬,颜色由鲜红色渐变为暗紫色,继而可形成黑色焦痂,伴有水疱或血疱。
3、伴随症状:患者常常伴高热、寒战、虚脱等全身中毒症状。
1、抗感染治疗:可在医生指导下有针对性地应用抗生素进行治疗,主要是第三代头孢菌素或第四代头孢菌素。
2、手术治疗:暴发性紫癜患者可出现全层皮肤组织坏死,可达筋骨,愈合后可留有疤痕,需进一步手术治疗,包括筋膜切开、截肢、皮肤移植等。
","articleBody": "暴发性紫癜是属于一种较为少见的急性综合症,会引起皮肤表面出现触痛性瘀斑、血泡以及瘀斑的症状,患者可有高热、寒战等伴随症状。
暴发性紫癜可以使用抗生素来治疗,当出现皮肤组织坏死时,需通过手术进行治疗。

1、早期症状:出现瘀斑的肢体会有明显的肿胀和疼痛,患者可有发热、乏力的表现。
2、典型症状:皮肤出现瘀斑、水疱或者血疱,损伤常位于四肢,可见瘀斑融合成片,边界清楚,边缘不规则;皮肤出现对称性的大片晴子,进展突然且迅速,可以累及全身皮肤,以下肢较为密集;皮肤改变部位肿胀坚硬,颜色由鲜红色渐变为暗紫色,继而可形成黑色焦痂,伴有水疱或血疱。
3、伴随症状:患者常常伴高热、寒战、虚脱等全身中毒症状。
1、抗感染治疗:可在医生指导下有针对性地应用抗生素进行治疗,主要是第三代头孢菌素或第四代头孢菌素。
2、手术治疗:暴发性紫癜患者可出现全层皮肤组织坏死,可达筋骨,愈合后可留有疤痕,需进一步手术治疗,包括筋膜切开、截肢、皮肤移植等。
","scanCount": 52706}}} {"@context": "https://ziyuan.baidu.com/contexts/cambrian.jsonld","appid": "1650708455561748","icon": "https://www.med-credit.org.cn/style/images/ttlogo.png","content_tag": ["atlas"],"is_mcn": {"thumb_id": "lnsk06v2"},"accid": "4886d626a2804dee5f11168793ce361672f39c25","@id": "https://www.med-credit.org.cn/mobile/jingxuan/2/26811ecc72001acf00df394d66549a2f.html","bagWordId": "654_1585949910262353920","title": "光线性皮肤病图片","pubDate": "2023-02-03T11:30:09","upDate": "2023-02-03T11:30:09","lrDate": "2023-02-03T11:30:09","description": "光线性皮肤病通常是指皮肤受到紫外线照射后,引发皮肤表面出现急、慢性损伤,造成皮肤表面有红斑丘疹、结节以及瘙痒等症状。","data": {"WebPage": {"headline": "光线性皮肤病图片","pcUrl": "https://www.med-credit.org.cn/jingxuan/2/26811ecc72001acf00df394d66549a2f.html","wapUrl": "https://www.med-credit.org.cn/jingxuan/2/26811ecc72001acf00df394d66549a2f.html","mipUrl": "https://www.med-credit.org.cn/mobile/jingxuan/2/26811ecc72001acf00df394d66549a2f.html","fromSrc": "欢乐橙","datePublished": "2023-02-03T11:30:09","domain": "医疗","category": ["医疗权威文章合作"],"description": "光线性皮肤病通常是指皮肤受到紫外线照射后,引发皮肤表面出现急、慢性损伤,造成皮肤表面有红斑丘疹、结节以及瘙痒等症状。
","extra_headline": [""]},"Author": {"name": "王霞","wapUrl": "https://www.med-credit.org.cn/doctor/578","pcUrl": "https://www.med-credit.org.cn/doctor/578","jobTitle": "副主任医师","headPortrait": "https://www.med-credit.org.cn/uploadfile/member/578/180x180.jpeg","id": "578","description": "王霞,广州医科大学附属第一医院皮肤科副主任医师","memberOf": {"legalName": "广州医科大学附属第一医院","department": "皮肤科","organizationLevel": "三级甲等"}},"Article": {"summaryContent": "光线性皮肤病通常是指皮肤受到紫外线照射后,引发皮肤表面出现急、慢性损伤,造成皮肤表面有红斑丘疹、结节以及瘙痒等症状。
光线性皮肤病有可能和暴晒、遗传因素有关,可以使用药物来治疗,还要注意做好防晒工作。

1、暴晒:在太阳底下暴晒过久有可能会引起皮肤性疾病,比如会导致皮肤表面出现荨麻疹、皮炎、晒伤、老化等病变,皮肤表面有丘疹,伴有瘙痒等表现。
2、遗传因素:光线性皮肤病也有可能和遗传因素有关,比如种痘样水疱病,通常皮肤表面会出现瘙痒、局部有结节等症状。
患有光线性皮肤病症状不太严重的情况下,症状可以自行消退,如果皮肤表面出现反复疼痛时,可以遵医嘱局部涂抹糠酸莫米松乳膏、地奈德乳膏等药物来改善。
建议平时外出时要及时的通过打防晒伞、戴遮阳帽或者佩戴墨镜口罩等方式进行防晒,避免紫外线,长时间的照射在皮肤表面。
","articleBody": "光线性皮肤病通常是指皮肤受到紫外线照射后,引发皮肤表面出现急、慢性损伤,造成皮肤表面有红斑丘疹、结节以及瘙痒等症状。
光线性皮肤病有可能和暴晒、遗传因素有关,可以使用药物来治疗,还要注意做好防晒工作。

1、暴晒:在太阳底下暴晒过久有可能会引起皮肤性疾病,比如会导致皮肤表面出现荨麻疹、皮炎、晒伤、老化等病变,皮肤表面有丘疹,伴有瘙痒等表现。
2、遗传因素:光线性皮肤病也有可能和遗传因素有关,比如种痘样水疱病,通常皮肤表面会出现瘙痒、局部有结节等症状。
患有光线性皮肤病症状不太严重的情况下,症状可以自行消退,如果皮肤表面出现反复疼痛时,可以遵医嘱局部涂抹糠酸莫米松乳膏、地奈德乳膏等药物来改善。
建议平时外出时要及时的通过打防晒伞、戴遮阳帽或者佩戴墨镜口罩等方式进行防晒,避免紫外线,长时间的照射在皮肤表面。
","scanCount": 52708}}} {"@context": "https://ziyuan.baidu.com/contexts/cambrian.jsonld","appid": "1650708455561748","icon": "https://www.med-credit.org.cn/style/images/ttlogo.png","content_tag": ["atlas"],"is_mcn": {"thumb_id": "lnsk06v2"},"accid": "4886d626a2804dee5f11168793ce361672f39c25","@id": "https://www.med-credit.org.cn/mobile/jingxuan/2/1241bfa5157dde83ce4d404e128b6605.html","bagWordId": "654_1585949910367211520","title": "手指关节长脓包图片","pubDate": "2023-02-03T11:30:09","upDate": "2023-02-03T11:30:09","lrDate": "2023-02-03T11:30:09","description": "手指关节长脓包通常是指手指部位的关节处出现肿胀以及脓性分泌物的情况,可伴有疼痛、酸胀感。","data": {"WebPage": {"headline": "手指关节长脓包图片","pcUrl": "https://www.med-credit.org.cn/jingxuan/2/1241bfa5157dde83ce4d404e128b6605.html","wapUrl": "https://www.med-credit.org.cn/jingxuan/2/1241bfa5157dde83ce4d404e128b6605.html","mipUrl": "https://www.med-credit.org.cn/mobile/jingxuan/2/1241bfa5157dde83ce4d404e128b6605.html","fromSrc": "欢乐橙","datePublished": "2023-02-03T11:30:09","domain": "医疗","category": ["医疗权威文章合作"],"description": "手指关节长脓包通常是指手指部位的关节处出现肿胀以及脓性分泌物的情况,可伴有疼痛、酸胀感。
","extra_headline": [""]},"Author": {"name": "王霞","wapUrl": "https://www.med-credit.org.cn/doctor/578","pcUrl": "https://www.med-credit.org.cn/doctor/578","jobTitle": "副主任医师","headPortrait": "https://www.med-credit.org.cn/uploadfile/member/578/180x180.jpeg","id": "578","description": "王霞,广州医科大学附属第一医院皮肤科副主任医师","memberOf": {"legalName": "广州医科大学附属第一医院","department": "皮肤科","organizationLevel": "三级甲等"}},"Article": {"summaryContent": "手指关节长脓包通常是指手指部位的关节处出现肿胀以及脓性分泌物的情况,可伴有疼痛、酸胀感。
手指关节部位长脓包有可能是炎症感染或者腱鞘囊肿等因素导致的,可以使用药物或者手术等方法治疗。

1、炎症感染:当患有关节炎或者手指部位受到外伤,引起局部出现炎症感染时,有可能会引起关节部位肿胀、疼痛以及脓包。如果脓包不太大,可以遵医嘱通过涂抹碘伏、酒精对于局部进行消毒,如果脓包较大时,还需要通过切开引流的方式把脓液排出。
2、腱鞘囊肿:如果关节部位活动太过频繁或者关节部位受到拉伤的情况下,可能会造成关节部位出现囊性肿块,通常会引起局部出现压痛以及酸胀感。一般在适当休息以后可以使症状得到改善,如果腱鞘囊肿较为严重时,需要遵医嘱做手术治疗。
","articleBody": "手指关节长脓包通常是指手指部位的关节处出现肿胀以及脓性分泌物的情况,可伴有疼痛、酸胀感。
手指关节部位长脓包有可能是炎症感染或者腱鞘囊肿等因素导致的,可以使用药物或者手术等方法治疗。

1、炎症感染:当患有关节炎或者手指部位受到外伤,引起局部出现炎症感染时,有可能会引起关节部位肿胀、疼痛以及脓包。如果脓包不太大,可以遵医嘱通过涂抹碘伏、酒精对于局部进行消毒,如果脓包较大时,还需要通过切开引流的方式把脓液排出。
2、腱鞘囊肿:如果关节部位活动太过频繁或者关节部位受到拉伤的情况下,可能会造成关节部位出现囊性肿块,通常会引起局部出现压痛以及酸胀感。一般在适当休息以后可以使症状得到改善,如果腱鞘囊肿较为严重时,需要遵医嘱做手术治疗。
","scanCount": 52710}}} {"@context": "https://ziyuan.baidu.com/contexts/cambrian.jsonld","appid": "1650708455561748","icon": "https://www.med-credit.org.cn/style/images/ttlogo.png","content_tag": ["atlas"],"is_mcn": {"thumb_id": "lnsk06v2"},"accid": "4886d626a2804dee5f11168793ce361672f39c25","@id": "https://www.med-credit.org.cn/mobile/jingxuan/2/e4c7e603a7dd3b48620424a4e0979615.html","bagWordId": "617_1585235155126063104","title": "身上长褐色的斑图片","pubDate": "2023-02-03T11:30:09","upDate": "2023-02-03T11:30:09","lrDate": "2023-02-03T11:30:09","description": "身上长褐色的斑可能会引起皮肤出现瘙痒,在皮肤表面上形成圆形或椭圆形的斑,伴随着皮肤脱屑等症状。","data": {"WebPage": {"headline": "身上长褐色的斑图片","pcUrl": "https://www.med-credit.org.cn/jingxuan/2/e4c7e603a7dd3b48620424a4e0979615.html","wapUrl": "https://www.med-credit.org.cn/jingxuan/2/e4c7e603a7dd3b48620424a4e0979615.html","mipUrl": "https://www.med-credit.org.cn/mobile/jingxuan/2/e4c7e603a7dd3b48620424a4e0979615.html","fromSrc": "欢乐橙","datePublished": "2023-02-03T11:30:09","domain": "医疗","category": ["医疗权威文章合作"],"description": "身上长褐色的斑可能会引起皮肤出现瘙痒,在皮肤表面上形成圆形或椭圆形的斑,伴随着皮肤脱屑等症状。
","extra_headline": [""]},"Author": {"name": "王霞","wapUrl": "https://www.med-credit.org.cn/doctor/578","pcUrl": "https://www.med-credit.org.cn/doctor/578","jobTitle": "副主任医师","headPortrait": "https://www.med-credit.org.cn/uploadfile/member/578/180x180.jpeg","id": "578","description": "王霞,广州医科大学附属第一医院皮肤科副主任医师","memberOf": {"legalName": "广州医科大学附属第一医院","department": "皮肤科","organizationLevel": "三级甲等"}},"Article": {"summaryContent": "身上长褐色的斑可能会引起皮肤出现瘙痒,在皮肤表面上形成圆形或椭圆形的斑,伴随着皮肤脱屑等症状。
身上长褐色的斑有可能是花斑癣、湿疹等原因引起的,可以使用药物来缓解,需要注意生活以及饮食习惯。

1、花斑癣:身上长褐色的斑有可能是真菌感染引起的花斑癣,如果居住的环境比较湿热,就容易诱发花斑癣,另外在身体多汗的情况下,也容易诱发此病。皮损可为褐色、淡褐色、淡红色、淡黄色或白色,其颜色和患者的肤色、日晒情况有关。出现花斑癣可以遵医嘱使用盐酸特比萘芬凝胶或者是硝酸咪康唑软膏等,能够起到抗真菌的作用,缓解皮肤瘙痒、脱屑的症状,严重还可激光去除。
2、湿疹:身上长褐色的斑有可能是湿疹引起的,出现湿疹通常会在皮肤出现红点并且伴随着瘙痒的症状。如果没有注意局部的卫生或者是用手抓挠患处,就容易形成色素沉着从而出现褐色的斑,可以遵医嘱使用壬二酸或者是氢醌霜等药物来改善,还可使用激光去除。
除了上述相对常见的原因外,还有其他的可能性疾病,比如黄褐斑。
平常生活中要注意皮肤的清洁卫生,如果皮肤出现瘙痒时不要用手去抓挠,在饮食方面要以清淡为主。
","articleBody": "身上长褐色的斑可能会引起皮肤出现瘙痒,在皮肤表面上形成圆形或椭圆形的斑,伴随着皮肤脱屑等症状。
身上长褐色的斑有可能是花斑癣、湿疹等原因引起的,可以使用药物来缓解,需要注意生活以及饮食习惯。

1、花斑癣:身上长褐色的斑有可能是真菌感染引起的花斑癣,如果居住的环境比较湿热,就容易诱发花斑癣,另外在身体多汗的情况下,也容易诱发此病。皮损可为褐色、淡褐色、淡红色、淡黄色或白色,其颜色和患者的肤色、日晒情况有关。出现花斑癣可以遵医嘱使用盐酸特比萘芬凝胶或者是硝酸咪康唑软膏等,能够起到抗真菌的作用,缓解皮肤瘙痒、脱屑的症状,严重还可激光去除。
2、湿疹:身上长褐色的斑有可能是湿疹引起的,出现湿疹通常会在皮肤出现红点并且伴随着瘙痒的症状。如果没有注意局部的卫生或者是用手抓挠患处,就容易形成色素沉着从而出现褐色的斑,可以遵医嘱使用壬二酸或者是氢醌霜等药物来改善,还可使用激光去除。
除了上述相对常见的原因外,还有其他的可能性疾病,比如黄褐斑。
平常生活中要注意皮肤的清洁卫生,如果皮肤出现瘙痒时不要用手去抓挠,在饮食方面要以清淡为主。
","scanCount": 52819}}} {"@context": "https://ziyuan.baidu.com/contexts/cambrian.jsonld","appid": "1650708455561748","icon": "https://www.med-credit.org.cn/style/images/ttlogo.png","content_tag": ["atlas"],"is_mcn": {"thumb_id": "lnsk06v2"},"accid": "4886d626a2804dee5f11168793ce361672f39c25","@id": "https://www.med-credit.org.cn/mobile/jingxuan/2/52a4a80e8e00232157e6b6f1376e436d.html","bagWordId": "617_1585235155289640960","title": "下嘴唇黑色素沉淀图片","pubDate": "2023-02-03T11:30:09","upDate": "2023-02-03T11:30:09","lrDate": "2023-02-03T11:30:09","description": "下嘴唇黑色素沉淀表现为皮肤颜色发生改变,嘴唇颜色泛黑或呈现出黑紫色斑点的症状。","data": {"WebPage": {"headline": "下嘴唇黑色素沉淀图片","pcUrl": "https://www.med-credit.org.cn/jingxuan/2/52a4a80e8e00232157e6b6f1376e436d.html","wapUrl": "https://www.med-credit.org.cn/jingxuan/2/52a4a80e8e00232157e6b6f1376e436d.html","mipUrl": "https://www.med-credit.org.cn/mobile/jingxuan/2/52a4a80e8e00232157e6b6f1376e436d.html","fromSrc": "欢乐橙","datePublished": "2023-02-03T11:30:09","domain": "医疗","category": ["医疗权威文章合作"],"description": "下嘴唇黑色素沉淀表现为皮肤颜色发生改变,嘴唇颜色泛黑或呈现出黑紫色斑点的症状。
","extra_headline": [""]},"Author": {"name": "王霞","wapUrl": "https://www.med-credit.org.cn/doctor/578","pcUrl": "https://www.med-credit.org.cn/doctor/578","jobTitle": "副主任医师","headPortrait": "https://www.med-credit.org.cn/uploadfile/member/578/180x180.jpeg","id": "578","description": "王霞,广州医科大学附属第一医院皮肤科副主任医师","memberOf": {"legalName": "广州医科大学附属第一医院","department": "皮肤科","organizationLevel": "三级甲等"}},"Article": {"summaryContent": "下嘴唇黑色素沉淀表现为皮肤颜色发生改变,嘴唇颜色泛黑或呈现出黑紫色斑点的症状。
下嘴唇黑色素沉着有可能是不良生活习惯或者是口周皮炎等因素导致,可以使用药物来改善,还要调整生活以及饮食习惯。

1、不良生活习惯:下嘴唇黑色沉着有可能是不注意口唇清洁所导致,比如经常使用粗糙的纸巾或者是毛巾擦嘴,由于长时间的对唇周皮肤刺激,就容易引起色素沉着,可以遵医嘱在局部使用氢醌霜、熊果苷霜等,能够起到抑制皮肤黑色素生成的作用。
2、口周皮炎:下嘴唇黑色素沉淀有可能是口周皮炎所导致,患上口周皮炎会引起局部皮肤黑色素增加,在皮损愈合后会导致嘴唇以及周围肤色暗沉,可以在医生的指导下使用维A酸乳膏以及涂抹氢醌乳膏等药物来改善色素沉着。
建议在日常要注意唇部的防晒,多吃一些富含维生素C含量高的水果,能够减少黑色素的形成。
","articleBody": "下嘴唇黑色素沉淀表现为皮肤颜色发生改变,嘴唇颜色泛黑或呈现出黑紫色斑点的症状。
下嘴唇黑色素沉着有可能是不良生活习惯或者是口周皮炎等因素导致,可以使用药物来改善,还要调整生活以及饮食习惯。

1、不良生活习惯:下嘴唇黑色沉着有可能是不注意口唇清洁所导致,比如经常使用粗糙的纸巾或者是毛巾擦嘴,由于长时间的对唇周皮肤刺激,就容易引起色素沉着,可以遵医嘱在局部使用氢醌霜、熊果苷霜等,能够起到抑制皮肤黑色素生成的作用。
2、口周皮炎:下嘴唇黑色素沉淀有可能是口周皮炎所导致,患上口周皮炎会引起局部皮肤黑色素增加,在皮损愈合后会导致嘴唇以及周围肤色暗沉,可以在医生的指导下使用维A酸乳膏以及涂抹氢醌乳膏等药物来改善色素沉着。
建议在日常要注意唇部的防晒,多吃一些富含维生素C含量高的水果,能够减少黑色素的形成。
","scanCount": 52818}}} {"@context": "https://ziyuan.baidu.com/contexts/cambrian.jsonld","appid": "1650708455561748","icon": "https://www.med-credit.org.cn/style/images/ttlogo.png","content_tag": ["atlas"],"is_mcn": {"thumb_id": "lnsk06v2"},"accid": "4886d626a2804dee5f11168793ce361672f39c25","@id": "https://www.med-credit.org.cn/mobile/jingxuan/2/c7d8f1b19bc8f3e6c92335690dd7157a.html","bagWordId": "617_1585235155394498560","title": "瘢痕图片","pubDate": "2023-02-03T11:30:09","upDate": "2023-02-03T11:30:09","lrDate": "2023-02-03T11:30:09","description": "瘢痕会导致皮肤表面出现凹凸不平突出,局部皮肤突出正常的皮肤表面。","data": {"WebPage": {"headline": "瘢痕图片","pcUrl": "https://www.med-credit.org.cn/jingxuan/2/c7d8f1b19bc8f3e6c92335690dd7157a.html","wapUrl": "https://www.med-credit.org.cn/jingxuan/2/c7d8f1b19bc8f3e6c92335690dd7157a.html","mipUrl": "https://www.med-credit.org.cn/mobile/jingxuan/2/c7d8f1b19bc8f3e6c92335690dd7157a.html","fromSrc": "欢乐橙","datePublished": "2023-02-03T11:30:09","domain": "医疗","category": ["医疗权威文章合作"],"description": "瘢痕会导致皮肤表面出现凹凸不平突出,局部皮肤突出正常的皮肤表面。
","extra_headline": [""]},"Author": {"name": "王霞","wapUrl": "https://www.med-credit.org.cn/doctor/578","pcUrl": "https://www.med-credit.org.cn/doctor/578","jobTitle": "副主任医师","headPortrait": "https://www.med-credit.org.cn/uploadfile/member/578/180x180.jpeg","id": "578","description": "王霞,广州医科大学附属第一医院皮肤科副主任医师","memberOf": {"legalName": "广州医科大学附属第一医院","department": "皮肤科","organizationLevel": "三级甲等"}},"Article": {"summaryContent": "瘢痕会导致皮肤表面出现凹凸不平突出,局部皮肤突出正常的皮肤表面。
瘢痕通常包括常规瘢痕、增生性瘢痕、瘢痕疙瘩、萎缩性瘢痕等。
皮肤组织创伤后,在创伤处出现的高于皮肤表面的红色丘疹、斑块、结节或肿物。

1、常规瘢痕:发生于皮肤外伤后,表现为皮肤表面粗糙或颜色改变,局限于损伤区域,无功能障碍,随着时间的推移,瘢痕可逐渐不明显。
2、增生性瘢痕:发生于皮肤外伤后,表现为明显高于皮肤的红色斑块,但局限于外伤范围内,可有疼痛、瘙痒等不适。通常在外伤后数周或数月内发生,1~2年内部分可逐渐自发变平,对治疗反应好。
3、瘢痕疙瘩:通常表现为高出皮面的持续生长的红色斑块或结节,超出原损伤范围,质硬,外观呈“蟹爪样”,常伴疼痛或瘙痒。好发于前胸、肩部、耳垂等。部分发生于皮肤外伤后,如割伤、打耳洞、手术切口等,也可见于痤疮皮损、蚊虫叮咬后,通常在受伤后1年内出现。也可自发形成,常发生于前胸、背部、肩部。对治疗反应相对差。
4、萎缩性瘢痕:主要表现为局部皮肤凹陷,可能由皮肤胶原纤维合成不足或挛缩相关,可见于痤疮、外伤后。可分为冰锥型、厢车型和起伏型。若萎缩性瘢痕面积较大,可产生很大的收缩性,对周围组织或器官产生拉扯,影响功能。
","articleBody": "瘢痕会导致皮肤表面出现凹凸不平突出,局部皮肤突出正常的皮肤表面。
瘢痕通常包括常规瘢痕、增生性瘢痕、瘢痕疙瘩、萎缩性瘢痕等。
皮肤组织创伤后,在创伤处出现的高于皮肤表面的红色丘疹、斑块、结节或肿物。

1、常规瘢痕:发生于皮肤外伤后,表现为皮肤表面粗糙或颜色改变,局限于损伤区域,无功能障碍,随着时间的推移,瘢痕可逐渐不明显。
2、增生性瘢痕:发生于皮肤外伤后,表现为明显高于皮肤的红色斑块,但局限于外伤范围内,可有疼痛、瘙痒等不适。通常在外伤后数周或数月内发生,1~2年内部分可逐渐自发变平,对治疗反应好。
3、瘢痕疙瘩:通常表现为高出皮面的持续生长的红色斑块或结节,超出原损伤范围,质硬,外观呈“蟹爪样”,常伴疼痛或瘙痒。好发于前胸、肩部、耳垂等。部分发生于皮肤外伤后,如割伤、打耳洞、手术切口等,也可见于痤疮皮损、蚊虫叮咬后,通常在受伤后1年内出现。也可自发形成,常发生于前胸、背部、肩部。对治疗反应相对差。
4、萎缩性瘢痕:主要表现为局部皮肤凹陷,可能由皮肤胶原纤维合成不足或挛缩相关,可见于痤疮、外伤后。可分为冰锥型、厢车型和起伏型。若萎缩性瘢痕面积较大,可产生很大的收缩性,对周围组织或器官产生拉扯,影响功能。
","scanCount": 52817}}} {"@context": "https://ziyuan.baidu.com/contexts/cambrian.jsonld","appid": "1650708455561748","icon": "https://www.med-credit.org.cn/style/images/ttlogo.png","content_tag": ["atlas"],"is_mcn": {"thumb_id": "lnsk06v2"},"accid": "4886d626a2804dee5f11168793ce361672f39c25","@id": "https://www.med-credit.org.cn/mobile/jingxuan/2/aa28076094670c780c9a6771f1c2b4ba.html","bagWordId": "617_1585235155608408064","title": "膨胀纹图片","pubDate": "2023-02-03T11:30:09","upDate": "2023-02-03T11:30:09","lrDate": "2023-02-03T11:30:09","description": "膨胀纹,又称为萎缩纹,初期颜色为淡红色,逐渐变为紫红色最后变成苍白的凹陷皱纹。","data": {"WebPage": {"headline": "膨胀纹图片","pcUrl": "https://www.med-credit.org.cn/jingxuan/2/aa28076094670c780c9a6771f1c2b4ba.html","wapUrl": "https://www.med-credit.org.cn/jingxuan/2/aa28076094670c780c9a6771f1c2b4ba.html","mipUrl": "https://www.med-credit.org.cn/mobile/jingxuan/2/aa28076094670c780c9a6771f1c2b4ba.html","fromSrc": "欢乐橙","datePublished": "2023-02-03T11:30:09","domain": "医疗","category": ["医疗权威文章合作"],"description": "膨胀纹,又称为萎缩纹,初期颜色为淡红色,逐渐变为紫红色最后变成苍白的凹陷皱纹。
","extra_headline": [""]},"Author": {"name": "王霞","wapUrl": "https://www.med-credit.org.cn/doctor/578","pcUrl": "https://www.med-credit.org.cn/doctor/578","jobTitle": "副主任医师","headPortrait": "https://www.med-credit.org.cn/uploadfile/member/578/180x180.jpeg","id": "578","description": "王霞,广州医科大学附属第一医院皮肤科副主任医师","memberOf": {"legalName": "广州医科大学附属第一医院","department": "皮肤科","organizationLevel": "三级甲等"}},"Article": {"summaryContent": "膨胀纹,又称为萎缩纹,初期颜色为淡红色,逐渐变为紫红色最后变成苍白的凹陷皱纹。
一般无需治疗,若影响美观,患者也可以前往医院在医生指导下治疗,一般有药物、激光治疗等。

膨胀纹是由于骨骼和肌肉生长过快,超过了皮肤的延长的速度,真皮的弹力纤维被拉断,从而形成的。好发于大腿内侧、腰腹部等部位,表现为红色、淡白色交替分布的西瓜纹样的条索状皮纹,一般出现有多条,不痛不痒。
由于成长过快或者发育迅速而导致身体某些部位出现红肿的细细条纹。并不是病,等到成年或则更久自己颜色变暗,有可能最终会消失。乙醇酸合并维A酸乳酸软膏的治疗方案可增加膨胀纹中的弹性纤维含量,对改善膨胀纹的外观有一定作用。局部应用维A酸乳酸软膏显著改善了早期膨胀纹的外观。还可以给予患者激光治疗等。
","articleBody": "膨胀纹,又称为萎缩纹,初期颜色为淡红色,逐渐变为紫红色最后变成苍白的凹陷皱纹。
一般无需治疗,若影响美观,患者也可以前往医院在医生指导下治疗,一般有药物、激光治疗等。

膨胀纹是由于骨骼和肌肉生长过快,超过了皮肤的延长的速度,真皮的弹力纤维被拉断,从而形成的。好发于大腿内侧、腰腹部等部位,表现为红色、淡白色交替分布的西瓜纹样的条索状皮纹,一般出现有多条,不痛不痒。
由于成长过快或者发育迅速而导致身体某些部位出现红肿的细细条纹。并不是病,等到成年或则更久自己颜色变暗,有可能最终会消失。乙醇酸合并维A酸乳酸软膏的治疗方案可增加膨胀纹中的弹性纤维含量,对改善膨胀纹的外观有一定作用。局部应用维A酸乳酸软膏显著改善了早期膨胀纹的外观。还可以给予患者激光治疗等。
","scanCount": 52816}}} {"@context": "https://ziyuan.baidu.com/contexts/cambrian.jsonld","appid": "1650708455561748","icon": "https://www.med-credit.org.cn/style/images/ttlogo.png","content_tag": ["atlas"],"is_mcn": {"thumb_id": "lnsk06v2"},"accid": "4886d626a2804dee5f11168793ce361672f39c25","@id": "https://www.med-credit.org.cn/mobile/jingxuan/2/b0b525e3288b85353dd0f5fb57aca053.html","bagWordId": "617_1585235155717459968","title": "笑纹和鱼尾纹的区别图","pubDate": "2023-02-03T11:30:09","upDate": "2023-02-03T11:30:09","lrDate": "2023-02-03T11:30:09","description": "笑纹与鱼尾纹之间的区别在于生长位置以及产生原因的不同。","data": {"WebPage": {"headline": "笑纹和鱼尾纹的区别图","pcUrl": "https://www.med-credit.org.cn/jingxuan/2/b0b525e3288b85353dd0f5fb57aca053.html","wapUrl": "https://www.med-credit.org.cn/jingxuan/2/b0b525e3288b85353dd0f5fb57aca053.html","mipUrl": "https://www.med-credit.org.cn/mobile/jingxuan/2/b0b525e3288b85353dd0f5fb57aca053.html","fromSrc": "欢乐橙","datePublished": "2023-02-03T11:30:09","domain": "医疗","category": ["医疗权威文章合作"],"description": "笑纹与鱼尾纹之间的区别在于生长位置以及产生原因的不同。
","extra_headline": [""]},"Author": {"name": "王霞","wapUrl": "https://www.med-credit.org.cn/doctor/578","pcUrl": "https://www.med-credit.org.cn/doctor/578","jobTitle": "副主任医师","headPortrait": "https://www.med-credit.org.cn/uploadfile/member/578/180x180.jpeg","id": "578","description": "王霞,广州医科大学附属第一医院皮肤科副主任医师","memberOf": {"legalName": "广州医科大学附属第一医院","department": "皮肤科","organizationLevel": "三级甲等"}},"Article": {"summaryContent": "笑纹与鱼尾纹之间的区别在于生长位置以及产生原因的不同。
笑纹是皱纹的一种,一般分布在眼角和嘴角,由于笑的时候皱纹特别明显,所以被称之为笑纹。鱼尾纹是在人眼角和鬓角之间出现的皱纹,其纹路与鱼尾巴上的纹路很相似,故被形象地称为鱼尾纹。


1、位置不同:笑纹的发生部位主要在眼角或者是嘴角,在笑的时候特别明显。鱼尾纹通常出现在眼角和鬓角之间。
2、产生原因不同: 笑纹是皮肤受到外界环境影响,形成游离自由基,自由基破坏正常细胞膜组织内的胶原蛋白、活性物质,氧化细胞而形成的小细纹、皱纹;多是由于体内以及皮肤水分不足、长期睡眠不足、过度曝晒、洗脸水温度过高等原因引起的。鱼尾纹是氧化纹的一种表现形式,其组织学表现为因弹性纤维退行性变而导致的结构变化,主要是眼轮匝肌运动促其产生,另外嘴角提肌、笑肌、颧肌也参与了其产生的过程;鱼尾纹多是由于人体内的内分泌失调、皮肤弹性纤维蜕变、胶原蛋白断裂等原因导致的。
","articleBody": "笑纹与鱼尾纹之间的区别在于生长位置以及产生原因的不同。
笑纹是皱纹的一种,一般分布在眼角和嘴角,由于笑的时候皱纹特别明显,所以被称之为笑纹。鱼尾纹是在人眼角和鬓角之间出现的皱纹,其纹路与鱼尾巴上的纹路很相似,故被形象地称为鱼尾纹。


1、位置不同:笑纹的发生部位主要在眼角或者是嘴角,在笑的时候特别明显。鱼尾纹通常出现在眼角和鬓角之间。
2、产生原因不同: 笑纹是皮肤受到外界环境影响,形成游离自由基,自由基破坏正常细胞膜组织内的胶原蛋白、活性物质,氧化细胞而形成的小细纹、皱纹;多是由于体内以及皮肤水分不足、长期睡眠不足、过度曝晒、洗脸水温度过高等原因引起的。鱼尾纹是氧化纹的一种表现形式,其组织学表现为因弹性纤维退行性变而导致的结构变化,主要是眼轮匝肌运动促其产生,另外嘴角提肌、笑肌、颧肌也参与了其产生的过程;鱼尾纹多是由于人体内的内分泌失调、皮肤弹性纤维蜕变、胶原蛋白断裂等原因导致的。
","scanCount": 52815}}} {"@context": "https://ziyuan.baidu.com/contexts/cambrian.jsonld","appid": "1650708455561748","icon": "https://www.med-credit.org.cn/style/images/ttlogo.png","content_tag": ["atlas"],"is_mcn": {"thumb_id": "lnsk06v2"},"accid": "4886d626a2804dee5f11168793ce361672f39c25","@id": "https://www.med-credit.org.cn/mobile/jingxuan/2/9469e3cf3bc05183dd707338f8fc1204.html","bagWordId": "617_1585235155826511872","title": "小腿上色素沉着斑图片","pubDate": "2023-02-03T11:30:09","upDate": "2023-02-03T11:30:09","lrDate": "2023-02-03T11:30:09","description": "小腿上色素沉着斑会表现为皮肤颜色发生变化,引起局部皮肤颜色加深,一般呈黑褐色或者是黑色。","data": {"WebPage": {"headline": "小腿上色素沉着斑图片","pcUrl": "https://www.med-credit.org.cn/jingxuan/2/9469e3cf3bc05183dd707338f8fc1204.html","wapUrl": "https://www.med-credit.org.cn/jingxuan/2/9469e3cf3bc05183dd707338f8fc1204.html","mipUrl": "https://www.med-credit.org.cn/mobile/jingxuan/2/9469e3cf3bc05183dd707338f8fc1204.html","fromSrc": "欢乐橙","datePublished": "2023-02-03T11:30:09","domain": "医疗","category": ["医疗权威文章合作"],"description": "小腿上色素沉着斑会表现为皮肤颜色发生变化,引起局部皮肤颜色加深,一般呈黑褐色或者是黑色。
","extra_headline": [""]},"Author": {"name": "王霞","wapUrl": "https://www.med-credit.org.cn/doctor/578","pcUrl": "https://www.med-credit.org.cn/doctor/578","jobTitle": "副主任医师","headPortrait": "https://www.med-credit.org.cn/uploadfile/member/578/180x180.jpeg","id": "578","description": "王霞,广州医科大学附属第一医院皮肤科副主任医师","memberOf": {"legalName": "广州医科大学附属第一医院","department": "皮肤科","organizationLevel": "三级甲等"}},"Article": {"summaryContent": "小腿上色素沉着斑会表现为皮肤颜色发生变化,引起局部皮肤颜色加深,一般呈黑褐色或者是黑色。
小腿上色素沉可能是反复抓挠或者是紫外线照射等原因引起的,可以使用药物、激光等方法来改善,还要调整好生活习惯。

1、反复抓挠:小腿上色素沉着可能是在被蚊子叮咬后或其他原因导致皮肤瘙痒反复抓挠引起的。由于手上存在大量的细菌,在抓挠的过程中可能会引起局部感染,所以在愈合后会出现局部色素沉着的情况。可以遵医嘱局部使用维生素E霜、氢醌乳膏等药物来改善,能够促进黑色素分解,从而达到淡化色素沉着的目的。
2、紫外线照射:如果长时间在阳光下暴晒,并且没有做好皮肤护理时,长时间的紫外线照射可能会引起小腿色素沉着。想要去除小腿色素沉着也可以配合医生的指导,通过激光、冷冻治疗的方法来去除。
除了上述相对常见的原因外,还有其他的可能性疾病,比如黑斑。
想要避免色素沉着在日常要做好防晒工作,避免在阳光下暴晒,多补充维生素丰富的食物等。
","articleBody": "小腿上色素沉着斑会表现为皮肤颜色发生变化,引起局部皮肤颜色加深,一般呈黑褐色或者是黑色。
小腿上色素沉可能是反复抓挠或者是紫外线照射等原因引起的,可以使用药物、激光等方法来改善,还要调整好生活习惯。

1、反复抓挠:小腿上色素沉着可能是在被蚊子叮咬后或其他原因导致皮肤瘙痒反复抓挠引起的。由于手上存在大量的细菌,在抓挠的过程中可能会引起局部感染,所以在愈合后会出现局部色素沉着的情况。可以遵医嘱局部使用维生素E霜、氢醌乳膏等药物来改善,能够促进黑色素分解,从而达到淡化色素沉着的目的。
2、紫外线照射:如果长时间在阳光下暴晒,并且没有做好皮肤护理时,长时间的紫外线照射可能会引起小腿色素沉着。想要去除小腿色素沉着也可以配合医生的指导,通过激光、冷冻治疗的方法来去除。
除了上述相对常见的原因外,还有其他的可能性疾病,比如黑斑。
想要避免色素沉着在日常要做好防晒工作,避免在阳光下暴晒,多补充维生素丰富的食物等。
","scanCount": 52814}}} {"@context": "https://ziyuan.baidu.com/contexts/cambrian.jsonld","appid": "1650708455561748","icon": "https://www.med-credit.org.cn/style/images/ttlogo.png","content_tag": ["atlas"],"is_mcn": {"thumb_id": "lnsk06v2"},"accid": "4886d626a2804dee5f11168793ce361672f39c25","@id": "https://www.med-credit.org.cn/mobile/jingxuan/2/92788f534d87980b8db1421fbe4c2a9d.html","bagWordId": "617_1585235155881037824","title": "抬头纹图片","pubDate": "2023-02-03T11:30:09","upDate": "2023-02-03T11:30:09","lrDate": "2023-02-03T11:30:09","description": "抬头纹是额部皱纹,通常是由于肌肉收缩逐渐形成的动力性皱纹。","data": {"WebPage": {"headline": "抬头纹图片","pcUrl": "https://www.med-credit.org.cn/jingxuan/2/92788f534d87980b8db1421fbe4c2a9d.html","wapUrl": "https://www.med-credit.org.cn/jingxuan/2/92788f534d87980b8db1421fbe4c2a9d.html","mipUrl": "https://www.med-credit.org.cn/mobile/jingxuan/2/92788f534d87980b8db1421fbe4c2a9d.html","fromSrc": "欢乐橙","datePublished": "2023-02-03T11:30:09","domain": "医疗","category": ["医疗权威文章合作"],"description": "抬头纹是额部皱纹,通常是由于肌肉收缩逐渐形成的动力性皱纹。
","extra_headline": [""]},"Author": {"name": "王霞","wapUrl": "https://www.med-credit.org.cn/doctor/578","pcUrl": "https://www.med-credit.org.cn/doctor/578","jobTitle": "副主任医师","headPortrait": "https://www.med-credit.org.cn/uploadfile/member/578/180x180.jpeg","id": "578","description": "王霞,广州医科大学附属第一医院皮肤科副主任医师","memberOf": {"legalName": "广州医科大学附属第一医院","department": "皮肤科","organizationLevel": "三级甲等"}},"Article": {"summaryContent": "抬头纹是额部皱纹,通常是由于肌肉收缩逐渐形成的动力性皱纹。
抬头纹的出现一般是天生的,但大量失水、年龄增长、营养不良等也可导致后天性抬头纹的产生,在日常生活中可以有规律性的按摩额头,也可以通过手术的方式进行治疗,在术后要做好护理。

1、大量失水:当人们发高烧、呕吐、腹泻或禁食水,在身体大量的脱水的情况下,皮肤张力失去弹性,前额会出现抬头纹。
2、年龄增长:随着年龄的增长,胶原蛋白逐渐流失,外在生活工作环境和营养保健等的客观因素均可使皮肤逐渐老化,弹性下降,出现松弛现象,且受重力作用愈加明显,使得抬头纹也随之加深。
3、营养不良:人缺乏营养,身体过于消瘦时,皮下脂肪大量减少,会导致皮肤出现凹陷、干燥、脱屑、粗糙、皮肤松弛的症状,随着时间的积累,逐渐形成抬头纹。
1、日常护理:在日常生活中可按摩额头,用毛巾将发际以上箍紧,使额头皮肤紧绷,然后涂上抗衰老精华素或橄榄油,以中指、食指、无名指指腹轻轻来回按摩额头20分钟,每天一次。
2、手术治疗:可以到医院进行电波拉皮。这种方法是通过热能会刺激人体局部胶原蛋白增生,从而达到紧致皮肤、治疗抬头纹的作用,一般不会产生任何副作用。
3、术后护理:每星期使用1-2次保湿面膜,让肌肤提高含水度,以减轻皱纹的纹路。
","articleBody": "抬头纹是额部皱纹,通常是由于肌肉收缩逐渐形成的动力性皱纹。
抬头纹的出现一般是天生的,但大量失水、年龄增长、营养不良等也可导致后天性抬头纹的产生,在日常生活中可以有规律性的按摩额头,也可以通过手术的方式进行治疗,在术后要做好护理。

1、大量失水:当人们发高烧、呕吐、腹泻或禁食水,在身体大量的脱水的情况下,皮肤张力失去弹性,前额会出现抬头纹。
2、年龄增长:随着年龄的增长,胶原蛋白逐渐流失,外在生活工作环境和营养保健等的客观因素均可使皮肤逐渐老化,弹性下降,出现松弛现象,且受重力作用愈加明显,使得抬头纹也随之加深。
3、营养不良:人缺乏营养,身体过于消瘦时,皮下脂肪大量减少,会导致皮肤出现凹陷、干燥、脱屑、粗糙、皮肤松弛的症状,随着时间的积累,逐渐形成抬头纹。
1、日常护理:在日常生活中可按摩额头,用毛巾将发际以上箍紧,使额头皮肤紧绷,然后涂上抗衰老精华素或橄榄油,以中指、食指、无名指指腹轻轻来回按摩额头20分钟,每天一次。
2、手术治疗:可以到医院进行电波拉皮。这种方法是通过热能会刺激人体局部胶原蛋白增生,从而达到紧致皮肤、治疗抬头纹的作用,一般不会产生任何副作用。
3、术后护理:每星期使用1-2次保湿面膜,让肌肤提高含水度,以减轻皱纹的纹路。
","scanCount": 52813}}} {"@context": "https://ziyuan.baidu.com/contexts/cambrian.jsonld","appid": "1650708455561748","icon": "https://www.med-credit.org.cn/style/images/ttlogo.png","content_tag": ["atlas"],"is_mcn": {"thumb_id": "lnsk06v2"},"accid": "4886d626a2804dee5f11168793ce361672f39c25","@id": "https://www.med-credit.org.cn/mobile/jingxuan/2/a9452cf3916cf828f7c10068d87f7120.html","bagWordId": "617_1585235155998478336","title": "铅汞斑和黄褐斑区别图片","pubDate": "2023-02-03T11:30:09","upDate": "2023-02-03T11:30:09","lrDate": "2023-02-03T11:30:09","description": "铅汞斑和黄褐斑区别在于病因不同、症状不同以及治疗方法不同。","data": {"WebPage": {"headline": "铅汞斑和黄褐斑区别图片","pcUrl": "https://www.med-credit.org.cn/jingxuan/2/a9452cf3916cf828f7c10068d87f7120.html","wapUrl": "https://www.med-credit.org.cn/jingxuan/2/a9452cf3916cf828f7c10068d87f7120.html","mipUrl": "https://www.med-credit.org.cn/mobile/jingxuan/2/a9452cf3916cf828f7c10068d87f7120.html","fromSrc": "欢乐橙","datePublished": "2023-02-03T11:30:09","domain": "医疗","category": ["医疗权威文章合作"],"description": "铅汞斑和黄褐斑区别在于病因不同、症状不同以及治疗方法不同。
","extra_headline": [""]},"Author": {"name": "王霞","wapUrl": "https://www.med-credit.org.cn/doctor/578","pcUrl": "https://www.med-credit.org.cn/doctor/578","jobTitle": "副主任医师","headPortrait": "https://www.med-credit.org.cn/uploadfile/member/578/180x180.jpeg","id": "578","description": "王霞,广州医科大学附属第一医院皮肤科副主任医师","memberOf": {"legalName": "广州医科大学附属第一医院","department": "皮肤科","organizationLevel": "三级甲等"}},"Article": {"summaryContent": "铅汞斑和黄褐斑区别在于病因不同、症状不同以及治疗方法不同。
患者注意药物需要在医生的指导下使用。


1、病因不同:铅汞斑通常是由于长时间使用含铅或汞等重金属的化妆品所导致,在铅汞的刺激下,会导致局部毛细血管扩张以及出现皮肤变薄的现象。而黄褐斑可能跟内分泌失调、妇科疾病以及雌激素或孕激素水平过高有关。
2、症状不同:两者症状区别不大,且属于色素沉淀。铅汞中毒斑的症状主要是黑斑加重、皮肤表皮变薄、出现红血丝及反复发作的小丘疹,还会出现双颊汗毛增粗、面部红斑、脱皮、紧绷感等一系列症状。黄褐斑皮损常对称分布于颜面部和颊部,呈蝴蝶形,亦可累及前额、鼻、口周和颊部,皮损为大小不一、边缘清楚的黄褐色或深褐色斑片,受紫外线照射后颜色加深,常在春夏季加重秋冬季则缓解。无自觉症状,病程不定,可持续数月或数年。
3、治疗方法不同:铅汞斑可以在医生的指导下服用维生素C或维生素E来改善,也可以通过激光的方式来去除。一般在停止使用含有铅汞的护肤品后,症状便会自然的消退。可以遵医嘱涂抹祛斑的药物,比如维A酸软膏或熊果苷等,另外也可以配合医生的指导通过点阵激光的方法进行祛除。
","articleBody": "铅汞斑和黄褐斑区别在于病因不同、症状不同以及治疗方法不同。
患者注意药物需要在医生的指导下使用。


1、病因不同:铅汞斑通常是由于长时间使用含铅或汞等重金属的化妆品所导致,在铅汞的刺激下,会导致局部毛细血管扩张以及出现皮肤变薄的现象。而黄褐斑可能跟内分泌失调、妇科疾病以及雌激素或孕激素水平过高有关。
2、症状不同:两者症状区别不大,且属于色素沉淀。铅汞中毒斑的症状主要是黑斑加重、皮肤表皮变薄、出现红血丝及反复发作的小丘疹,还会出现双颊汗毛增粗、面部红斑、脱皮、紧绷感等一系列症状。黄褐斑皮损常对称分布于颜面部和颊部,呈蝴蝶形,亦可累及前额、鼻、口周和颊部,皮损为大小不一、边缘清楚的黄褐色或深褐色斑片,受紫外线照射后颜色加深,常在春夏季加重秋冬季则缓解。无自觉症状,病程不定,可持续数月或数年。
3、治疗方法不同:铅汞斑可以在医生的指导下服用维生素C或维生素E来改善,也可以通过激光的方式来去除。一般在停止使用含有铅汞的护肤品后,症状便会自然的消退。可以遵医嘱涂抹祛斑的药物,比如维A酸软膏或熊果苷等,另外也可以配合医生的指导通过点阵激光的方法进行祛除。
","scanCount": 52812}}} {"@context": "https://ziyuan.baidu.com/contexts/cambrian.jsonld","appid": "1650708455561748","icon": "https://www.med-credit.org.cn/style/images/ttlogo.png","content_tag": ["atlas"],"is_mcn": {"thumb_id": "lnsk06v2"},"accid": "4886d626a2804dee5f11168793ce361672f39c25","@id": "https://www.med-credit.org.cn/mobile/jingxuan/2/0e90a8306a096166730b756027471d91.html","bagWordId": "617_1585235156053004288","title": "日晒斑图片","pubDate": "2023-02-03T11:30:09","upDate": "2023-02-03T11:30:09","lrDate": "2023-02-03T11:30:09","description": "日晒斑,专业名词为日照性皮炎。会表现为皮肤表面出现成片的红色斑,多出现在耳部、面部或者是四肢部位,容易被太阳晒到的皮肤表面。","data": {"WebPage": {"headline": "日晒斑图片","pcUrl": "https://www.med-credit.org.cn/jingxuan/2/0e90a8306a096166730b756027471d91.html","wapUrl": "https://www.med-credit.org.cn/jingxuan/2/0e90a8306a096166730b756027471d91.html","mipUrl": "https://www.med-credit.org.cn/mobile/jingxuan/2/0e90a8306a096166730b756027471d91.html","fromSrc": "欢乐橙","datePublished": "2023-02-03T11:30:09","domain": "医疗","category": ["医疗权威文章合作"],"description": "日晒斑,专业名词为日照性皮炎。会表现为皮肤表面出现成片的红色斑,多出现在耳部、面部或者是四肢部位,容易被太阳晒到的皮肤表面。
","extra_headline": [""]},"Author": {"name": "王霞","wapUrl": "https://www.med-credit.org.cn/doctor/578","pcUrl": "https://www.med-credit.org.cn/doctor/578","jobTitle": "副主任医师","headPortrait": "https://www.med-credit.org.cn/uploadfile/member/578/180x180.jpeg","id": "578","description": "王霞,广州医科大学附属第一医院皮肤科副主任医师","memberOf": {"legalName": "广州医科大学附属第一医院","department": "皮肤科","organizationLevel": "三级甲等"}},"Article": {"summaryContent": "日晒斑,专业名词为日照性皮炎。会表现为皮肤表面出现成片的红色斑,多出现在耳部、面部或者是四肢部位,容易被太阳晒到的皮肤表面。
日照性皮炎一方面是皮肤接受了超过耐受量的紫外线照射引起的,另一方面可能是患者个体属于易晒伤皮肤,在紫外线照射后容易引起晒伤。长期、长时间暴露于高强度的紫外线环境下是引发该病的高危因素。

患者接受日晒后数小时到十余小时后,日晒处可出现边界清楚的鲜红色红斑,严重者可出现水疱破裂、糜烂。随后红斑颜色逐渐变暗,出现脱屑,可留有色素沉着或减退,患者可能有灼热感或刺痛感,可能影响睡眠。
皮肤接受的光照过强,暴露时间过长。当皮肤接受了超过耐受量的紫外线,就容易引起该病。紫外线的辐射使人体真皮内多种细胞释放炎症介质,引起真皮内的血管扩张、渗透性增加,该反应在接受强烈紫外线辐射的同时就可发生,患者可出现即时性红斑,之后还会有神经-血管-体液多因素共同参与的机制复杂的反应,导致延迟性红斑的发生。
","articleBody": "日晒斑,专业名词为日照性皮炎。会表现为皮肤表面出现成片的红色斑,多出现在耳部、面部或者是四肢部位,容易被太阳晒到的皮肤表面。
日照性皮炎一方面是皮肤接受了超过耐受量的紫外线照射引起的,另一方面可能是患者个体属于易晒伤皮肤,在紫外线照射后容易引起晒伤。长期、长时间暴露于高强度的紫外线环境下是引发该病的高危因素。

患者接受日晒后数小时到十余小时后,日晒处可出现边界清楚的鲜红色红斑,严重者可出现水疱破裂、糜烂。随后红斑颜色逐渐变暗,出现脱屑,可留有色素沉着或减退,患者可能有灼热感或刺痛感,可能影响睡眠。
皮肤接受的光照过强,暴露时间过长。当皮肤接受了超过耐受量的紫外线,就容易引起该病。紫外线的辐射使人体真皮内多种细胞释放炎症介质,引起真皮内的血管扩张、渗透性增加,该反应在接受强烈紫外线辐射的同时就可发生,患者可出现即时性红斑,之后还会有神经-血管-体液多因素共同参与的机制复杂的反应,导致延迟性红斑的发生。
","scanCount": 52811}}} {"@context": "https://ziyuan.baidu.com/contexts/cambrian.jsonld","appid": "1650708455561748","icon": "https://www.med-credit.org.cn/style/images/ttlogo.png","content_tag": ["atlas"],"is_mcn": {"thumb_id": "lnsk06v2"},"accid": "4886d626a2804dee5f11168793ce361672f39c25","@id": "https://www.med-credit.org.cn/mobile/jingxuan/2/4afd5f6e595decc96dd7c7af7afe56d1.html","bagWordId": "617_1585235156275302400","title": "点完痣一个月色素沉着图片","pubDate": "2023-02-03T11:30:09","upDate": "2023-02-03T11:30:09","lrDate": "2023-02-03T11:30:09","description": "点痣后出现黑色素沉着,可呈浅褐色、深褐色、黑灰色等。","data": {"WebPage": {"headline": "点完痣一个月色素沉着图片","pcUrl": "https://www.med-credit.org.cn/jingxuan/2/4afd5f6e595decc96dd7c7af7afe56d1.html","wapUrl": "https://www.med-credit.org.cn/jingxuan/2/4afd5f6e595decc96dd7c7af7afe56d1.html","mipUrl": "https://www.med-credit.org.cn/mobile/jingxuan/2/4afd5f6e595decc96dd7c7af7afe56d1.html","fromSrc": "欢乐橙","datePublished": "2023-02-03T11:30:09","domain": "医疗","category": ["医疗权威文章合作"],"description": "点痣后出现黑色素沉着,可呈浅褐色、深褐色、黑灰色等。
","extra_headline": [""]},"Author": {"name": "王霞","wapUrl": "https://www.med-credit.org.cn/doctor/578","pcUrl": "https://www.med-credit.org.cn/doctor/578","jobTitle": "副主任医师","headPortrait": "https://www.med-credit.org.cn/uploadfile/member/578/180x180.jpeg","id": "578","description": "王霞,广州医科大学附属第一医院皮肤科副主任医师","memberOf": {"legalName": "广州医科大学附属第一医院","department": "皮肤科","organizationLevel": "三级甲等"}},"Article": {"summaryContent": "点痣后出现黑色素沉着,可呈浅褐色、深褐色、黑灰色等。
点痣后出现黑色素沉着有可能是紫外线照射或者炎症感染等因素导致的,可以采用光子嫩肤或者是药物等方法来改善。

1、紫外线照射:点完痣后,如果没有做好脸部的防晒工作,紫外线长时间照射在脸部时,会促进黑色素堆积,出现黑色、褐色斑块。可以通过做好防晒护理,及时补水,涂抹含维生素C、维生素E的护肤品,必要时可以遵医嘱通过光子嫩肤等方式去除。
2、炎症感染:点完痣后如果没有做好日常的护理工作,致使点痣部位受到炎症感染,容易出现黑色素沉着,表现出局部出现黑褐色斑点、斑块。要配合医生对局部进行抗感染治疗,常用药物有红霉素软膏、阿莫西林胶囊等。同时也可以多吃一些含有维生素C的食物,可以减轻反黑的症状。
除了上述相对常见的原因外,还有其他的可能性疾病,比如饮食不当。
","articleBody": "点痣后出现黑色素沉着,可呈浅褐色、深褐色、黑灰色等。
点痣后出现黑色素沉着有可能是紫外线照射或者炎症感染等因素导致的,可以采用光子嫩肤或者是药物等方法来改善。

1、紫外线照射:点完痣后,如果没有做好脸部的防晒工作,紫外线长时间照射在脸部时,会促进黑色素堆积,出现黑色、褐色斑块。可以通过做好防晒护理,及时补水,涂抹含维生素C、维生素E的护肤品,必要时可以遵医嘱通过光子嫩肤等方式去除。
2、炎症感染:点完痣后如果没有做好日常的护理工作,致使点痣部位受到炎症感染,容易出现黑色素沉着,表现出局部出现黑褐色斑点、斑块。要配合医生对局部进行抗感染治疗,常用药物有红霉素软膏、阿莫西林胶囊等。同时也可以多吃一些含有维生素C的食物,可以减轻反黑的症状。
除了上述相对常见的原因外,还有其他的可能性疾病,比如饮食不当。
","scanCount": 52810}}} {"@context": "https://ziyuan.baidu.com/contexts/cambrian.jsonld","appid": "1650708455561748","icon": "https://www.med-credit.org.cn/style/images/ttlogo.png","content_tag": ["atlas"],"is_mcn": {"thumb_id": "lnsk06v2"},"accid": "4886d626a2804dee5f11168793ce361672f39c25","@id": "https://www.med-credit.org.cn/mobile/jingxuan/2/915115a986dc92a4191b1417dd694642.html","bagWordId": "617_1585235156334022656","title": "什么是增生疤痕图片","pubDate": "2023-02-03T11:30:09","upDate": "2023-02-03T11:30:09","lrDate": "2023-02-03T11:30:09","description": "增生疤痕是创伤后皮肤组织创伤修复过程中产物。","data": {"WebPage": {"headline": "什么是增生疤痕图片","pcUrl": "https://www.med-credit.org.cn/jingxuan/2/915115a986dc92a4191b1417dd694642.html","wapUrl": "https://www.med-credit.org.cn/jingxuan/2/915115a986dc92a4191b1417dd694642.html","mipUrl": "https://www.med-credit.org.cn/mobile/jingxuan/2/915115a986dc92a4191b1417dd694642.html","fromSrc": "欢乐橙","datePublished": "2023-02-03T11:30:09","domain": "医疗","category": ["医疗权威文章合作"],"description": "增生疤痕是创伤后皮肤组织创伤修复过程中产物。
","extra_headline": [""]},"Author": {"name": "王霞","wapUrl": "https://www.med-credit.org.cn/doctor/578","pcUrl": "https://www.med-credit.org.cn/doctor/578","jobTitle": "副主任医师","headPortrait": "https://www.med-credit.org.cn/uploadfile/member/578/180x180.jpeg","id": "578","description": "王霞,广州医科大学附属第一医院皮肤科副主任医师","memberOf": {"legalName": "广州医科大学附属第一医院","department": "皮肤科","organizationLevel": "三级甲等"}},"Article": {"summaryContent": "增生疤痕是创伤后皮肤组织创伤修复过程中产物。
增生疤痕可能由于手术、搔抓、烫伤、灼伤以及其他原因引起。

增生疤痕瘢,若由于手术后引起,手术切口常为条状;搔抓,注射后引起可为索状,小块状;增生性疤痕疙瘩在前胸部多为横条状,常有典型的蟹足状分支,有人称之为蝴蝶斑;烫伤或灼伤后发生者,其大小厚度与损伤的面积,深度密切相关,损伤越深则增生性疤痕疙瘩越厚;大面积损害可因疤痕挛缩而致运动功能障碍;发生在关节部位可使肢体挛缩,活动受限,甚至影响正常工作和生活;增生性疤痕疙瘩发生在面部可毁容。增生性疤痕疙瘩病人表现为明显的家族遗传性。
","articleBody": "增生疤痕是创伤后皮肤组织创伤修复过程中产物。
增生疤痕可能由于手术、搔抓、烫伤、灼伤以及其他原因引起。

增生疤痕瘢,若由于手术后引起,手术切口常为条状;搔抓,注射后引起可为索状,小块状;增生性疤痕疙瘩在前胸部多为横条状,常有典型的蟹足状分支,有人称之为蝴蝶斑;烫伤或灼伤后发生者,其大小厚度与损伤的面积,深度密切相关,损伤越深则增生性疤痕疙瘩越厚;大面积损害可因疤痕挛缩而致运动功能障碍;发生在关节部位可使肢体挛缩,活动受限,甚至影响正常工作和生活;增生性疤痕疙瘩发生在面部可毁容。增生性疤痕疙瘩病人表现为明显的家族遗传性。
","scanCount": 52809}}} {"@context": "https://ziyuan.baidu.com/contexts/cambrian.jsonld","appid": "1650708455561748","icon": "https://www.med-credit.org.cn/style/images/ttlogo.png","content_tag": ["atlas"],"is_mcn": {"thumb_id": "lnsk06v2"},"accid": "4886d626a2804dee5f11168793ce361672f39c25","@id": "https://www.med-credit.org.cn/mobile/jingxuan/2/f88d67b38e71eed821683b4f41df0bfe.html","bagWordId": "617_1585235156447268864","title": "脖子黑色素沉淀图片","pubDate": "2023-02-03T11:30:09","upDate": "2023-02-03T11:30:09","lrDate": "2023-02-03T11:30:09","description": "脖子黑色素沉淀表现为皮肤颜色从浅棕色到黑色样改变。","data": {"WebPage": {"headline": "脖子黑色素沉淀图片","pcUrl": "https://www.med-credit.org.cn/jingxuan/2/f88d67b38e71eed821683b4f41df0bfe.html","wapUrl": "https://www.med-credit.org.cn/jingxuan/2/f88d67b38e71eed821683b4f41df0bfe.html","mipUrl": "https://www.med-credit.org.cn/mobile/jingxuan/2/f88d67b38e71eed821683b4f41df0bfe.html","fromSrc": "欢乐橙","datePublished": "2023-02-03T11:30:09","domain": "医疗","category": ["医疗权威文章合作"],"description": "脖子黑色素沉淀表现为皮肤颜色从浅棕色到黑色样改变。
","extra_headline": [""]},"Author": {"name": "王霞","wapUrl": "https://www.med-credit.org.cn/doctor/578","pcUrl": "https://www.med-credit.org.cn/doctor/578","jobTitle": "副主任医师","headPortrait": "https://www.med-credit.org.cn/uploadfile/member/578/180x180.jpeg","id": "578","description": "王霞,广州医科大学附属第一医院皮肤科副主任医师","memberOf": {"legalName": "广州医科大学附属第一医院","department": "皮肤科","organizationLevel": "三级甲等"}},"Article": {"summaryContent": "脖子黑色素沉淀表现为皮肤颜色从浅棕色到黑色样改变。
脖子黑色素沉淀有可能是黑棘皮病、假性黑棘皮病等原因引起的。

1、黑棘皮病:黑棘皮病常见的症状包括皮肤褶皱处出现色素沉着、绒毛状或乳头状赘生物、天鹅绒样增厚、角化过度等。最初表现为灰色、棕黄色,随后黑色素加深,与周围皮肤边界不清楚,整个皮肤可出现明显的干燥、粗糙。
2、假性黑棘皮病:当身体过于肥胖或者是经常使用激素类的药物,有可能会诱发患者出现假性黑棘皮病,会导致皮肤颜色变深,出现脖子上有黑色素沉淀。临床表现主要以皮肤损害为主,以皮肤褶皱部位最多见,常见于腋窝、颈部、乳房下、肘部或膝盖内侧弯曲处、脐周和腹股沟等处。初期病变不明显,而后以色素沉着、角化过度有疣状赘生物为典型表现
","articleBody": "脖子黑色素沉淀表现为皮肤颜色从浅棕色到黑色样改变。
脖子黑色素沉淀有可能是黑棘皮病、假性黑棘皮病等原因引起的。

1、黑棘皮病:黑棘皮病常见的症状包括皮肤褶皱处出现色素沉着、绒毛状或乳头状赘生物、天鹅绒样增厚、角化过度等。最初表现为灰色、棕黄色,随后黑色素加深,与周围皮肤边界不清楚,整个皮肤可出现明显的干燥、粗糙。
2、假性黑棘皮病:当身体过于肥胖或者是经常使用激素类的药物,有可能会诱发患者出现假性黑棘皮病,会导致皮肤颜色变深,出现脖子上有黑色素沉淀。临床表现主要以皮肤损害为主,以皮肤褶皱部位最多见,常见于腋窝、颈部、乳房下、肘部或膝盖内侧弯曲处、脐周和腹股沟等处。初期病变不明显,而后以色素沉着、角化过度有疣状赘生物为典型表现
","scanCount": 52808}}} {"@context": "https://ziyuan.baidu.com/contexts/cambrian.jsonld","appid": "1650708455561748","icon": "https://www.med-credit.org.cn/style/images/ttlogo.png","content_tag": ["atlas"],"is_mcn": {"thumb_id": "lnsk06v2"},"accid": "4886d626a2804dee5f11168793ce361672f39c25","@id": "https://www.med-credit.org.cn/mobile/jingxuan/2/6be155a12577a0b80951216838b8f372.html","bagWordId": "617_1585235156501794816","title": "小腿黑色素斑块图片","pubDate": "2023-02-03T11:30:09","upDate": "2023-02-03T11:30:09","lrDate": "2023-02-03T11:30:09","description": "小腿黑色素斑块会表现为皮肤表面出现形状不规则的斑点,通常不会出现疼痛感,颜色为暗红色等。","data": {"WebPage": {"headline": "小腿黑色素斑块图片","pcUrl": "https://www.med-credit.org.cn/jingxuan/2/6be155a12577a0b80951216838b8f372.html","wapUrl": "https://www.med-credit.org.cn/jingxuan/2/6be155a12577a0b80951216838b8f372.html","mipUrl": "https://www.med-credit.org.cn/mobile/jingxuan/2/6be155a12577a0b80951216838b8f372.html","fromSrc": "欢乐橙","datePublished": "2023-02-03T11:30:09","domain": "医疗","category": ["医疗权威文章合作"],"description": "小腿黑色素斑块会表现为皮肤表面出现形状不规则的斑点,通常不会出现疼痛感,颜色为暗红色等。
","extra_headline": [""]},"Author": {"name": "王霞","wapUrl": "https://www.med-credit.org.cn/doctor/578","pcUrl": "https://www.med-credit.org.cn/doctor/578","jobTitle": "副主任医师","headPortrait": "https://www.med-credit.org.cn/uploadfile/member/578/180x180.jpeg","id": "578","description": "王霞,广州医科大学附属第一医院皮肤科副主任医师","memberOf": {"legalName": "广州医科大学附属第一医院","department": "皮肤科","organizationLevel": "三级甲等"}},"Article": {"summaryContent": "小腿黑色素斑块会表现为皮肤表面出现形状不规则的斑点,通常不会出现疼痛感,颜色为暗红色等。
小腿黑色素斑块有可能是色素沉积或者是血液淤滞等原因引起的,可以采用激光、冷冻或者是药物等方法来改善,可以通过调整生活、饮食习惯来改善。

1、色素沉积:在生活中如果经常生活不规律或者是精神压力过大时,可能会导致皮肤的代谢不好,引起皮肤表面色素堆积,时间长了小腿部位会出现黑色素斑块。可以遵医嘱使用维生素C、维生素E等药物改善,还可以采用激光或者是冷冻的方法,帮助黑色素斑块的去除。日常生活注意调整睡眠习惯,保证作息规律等。
2、血液淤滞:如果静脉回流不畅时,可能会引起静脉内的血液出现瘀滞,当血液从血管内渗到皮下组织时,可能会引起小腿出现黑色素斑块。需要遵医嘱使用抗凝类的药物改善,常用药物有阿司匹林肠溶片或者是硫酸氢氯吡格雷片等。
除了上述相对常见的原因外,还有其他的可能性疾病,比如药物引起。
在平常生活中要注意做好防晒工作,出门时可以打上遮阳伞或者是戴太阳帽,少吃一些容易刺激性的食物,比如生姜、辣椒等。
","articleBody": "小腿黑色素斑块会表现为皮肤表面出现形状不规则的斑点,通常不会出现疼痛感,颜色为暗红色等。
小腿黑色素斑块有可能是色素沉积或者是血液淤滞等原因引起的,可以采用激光、冷冻或者是药物等方法来改善,可以通过调整生活、饮食习惯来改善。

1、色素沉积:在生活中如果经常生活不规律或者是精神压力过大时,可能会导致皮肤的代谢不好,引起皮肤表面色素堆积,时间长了小腿部位会出现黑色素斑块。可以遵医嘱使用维生素C、维生素E等药物改善,还可以采用激光或者是冷冻的方法,帮助黑色素斑块的去除。日常生活注意调整睡眠习惯,保证作息规律等。
2、血液淤滞:如果静脉回流不畅时,可能会引起静脉内的血液出现瘀滞,当血液从血管内渗到皮下组织时,可能会引起小腿出现黑色素斑块。需要遵医嘱使用抗凝类的药物改善,常用药物有阿司匹林肠溶片或者是硫酸氢氯吡格雷片等。
除了上述相对常见的原因外,还有其他的可能性疾病,比如药物引起。
在平常生活中要注意做好防晒工作,出门时可以打上遮阳伞或者是戴太阳帽,少吃一些容易刺激性的食物,比如生姜、辣椒等。
","scanCount": 52807}}} {"@context": "https://ziyuan.baidu.com/contexts/cambrian.jsonld","appid": "1650708455561748","icon": "https://www.med-credit.org.cn/style/images/ttlogo.png","content_tag": ["atlas"],"is_mcn": {"thumb_id": "lnsk06v2"},"accid": "4886d626a2804dee5f11168793ce361672f39c25","@id": "https://www.med-credit.org.cn/mobile/jingxuan/2/b9263dd286efb64b30acf6698147f84b.html","bagWordId": "617_1585235156619235328","title": "腋下长了像胎记褐色的斑图片","pubDate": "2023-02-03T11:30:09","upDate": "2023-02-03T11:30:09","lrDate": "2023-02-03T11:30:09","description": "腋下长了像胎记褐色的斑会表现为皮肤表面有大小不同的圆形或者是类似圆形的斑疹,颜色为褐色,皮肤表面可能有糠状鳞屑。","data": {"WebPage": {"headline": "腋下长了像胎记褐色的斑图片","pcUrl": "https://www.med-credit.org.cn/jingxuan/2/b9263dd286efb64b30acf6698147f84b.html","wapUrl": "https://www.med-credit.org.cn/jingxuan/2/b9263dd286efb64b30acf6698147f84b.html","mipUrl": "https://www.med-credit.org.cn/mobile/jingxuan/2/b9263dd286efb64b30acf6698147f84b.html","fromSrc": "欢乐橙","datePublished": "2023-02-03T11:30:09","domain": "医疗","category": ["医疗权威文章合作"],"description": "腋下长了像胎记褐色的斑会表现为皮肤表面有大小不同的圆形或者是类似圆形的斑疹,颜色为褐色,皮肤表面可能有糠状鳞屑。
","extra_headline": [""]},"Author": {"name": "王霞","wapUrl": "https://www.med-credit.org.cn/doctor/578","pcUrl": "https://www.med-credit.org.cn/doctor/578","jobTitle": "副主任医师","headPortrait": "https://www.med-credit.org.cn/uploadfile/member/578/180x180.jpeg","id": "578","description": "王霞,广州医科大学附属第一医院皮肤科副主任医师","memberOf": {"legalName": "广州医科大学附属第一医院","department": "皮肤科","organizationLevel": "三级甲等"}},"Article": {"summaryContent": "腋下长了像胎记褐色的斑会表现为皮肤表面有大小不同的圆形或者是类似圆形的斑疹,颜色为褐色,皮肤表面可能有糠状鳞屑。
腋下长了像胎记褐色的斑有可能是内分泌失调或者是感染花斑癣引起的,可以使用药物或者是激光等方法去除。

1、内分泌失调:在生活中如果长时间睡眠不足或者是经常熬夜,会导致身体内分泌环境不稳定,导致激素水平异常,表现为皮肤出现色素沉着,会导致腋下长了褐色斑,斑点通常大小不一。可以遵医嘱使用逍遥丸、益母草颗粒等药物来改善,严重时还需要激光方法去除。
2、花斑癣:在生活中如果经常去天气炎热的环境内活动身体体温过高时可能会导致汗腺分泌会易旺盛,腋下过于潮湿时可能会出现真菌感染,引起花斑癣,会形成腋下长了像胎记褐色的斑,皮损可为褐色、淡褐色、淡红色、淡黄色或白色等。可以遵医嘱局部使用抗真菌类的药物来进行治疗,比如特比萘芬软膏、联苯苄唑乳膏等。
","articleBody": "腋下长了像胎记褐色的斑会表现为皮肤表面有大小不同的圆形或者是类似圆形的斑疹,颜色为褐色,皮肤表面可能有糠状鳞屑。
腋下长了像胎记褐色的斑有可能是内分泌失调或者是感染花斑癣引起的,可以使用药物或者是激光等方法去除。

1、内分泌失调:在生活中如果长时间睡眠不足或者是经常熬夜,会导致身体内分泌环境不稳定,导致激素水平异常,表现为皮肤出现色素沉着,会导致腋下长了褐色斑,斑点通常大小不一。可以遵医嘱使用逍遥丸、益母草颗粒等药物来改善,严重时还需要激光方法去除。
2、花斑癣:在生活中如果经常去天气炎热的环境内活动身体体温过高时可能会导致汗腺分泌会易旺盛,腋下过于潮湿时可能会出现真菌感染,引起花斑癣,会形成腋下长了像胎记褐色的斑,皮损可为褐色、淡褐色、淡红色、淡黄色或白色等。可以遵医嘱局部使用抗真菌类的药物来进行治疗,比如特比萘芬软膏、联苯苄唑乳膏等。
","scanCount": 52806}}} {"@context": "https://ziyuan.baidu.com/contexts/cambrian.jsonld","appid": "1650708455561748","icon": "https://www.med-credit.org.cn/style/images/ttlogo.png","content_tag": ["atlas"],"is_mcn": {"thumb_id": "lnsk06v2"},"accid": "4886d626a2804dee5f11168793ce361672f39c25","@id": "https://www.med-credit.org.cn/mobile/jingxuan/2/fb7996d2764ee53a482448db878bba17.html","bagWordId": "617_1585235156828950528","title": "色素沉着斑是什么样的图片","pubDate": "2023-02-03T11:30:09","upDate": "2023-02-03T11:30:09","lrDate": "2023-02-03T11:30:09","description": "色素沉着斑表现为皮肤上出现黑色素颗粒,分布不均匀,使整个人的皮肤看上去比较暗淡。","data": {"WebPage": {"headline": "色素沉着斑是什么样的图片","pcUrl": "https://www.med-credit.org.cn/jingxuan/2/fb7996d2764ee53a482448db878bba17.html","wapUrl": "https://www.med-credit.org.cn/jingxuan/2/fb7996d2764ee53a482448db878bba17.html","mipUrl": "https://www.med-credit.org.cn/mobile/jingxuan/2/fb7996d2764ee53a482448db878bba17.html","fromSrc": "欢乐橙","datePublished": "2023-02-03T11:30:09","domain": "医疗","category": ["医疗权威文章合作"],"description": "色素沉着斑表现为皮肤上出现黑色素颗粒,分布不均匀,使整个人的皮肤看上去比较暗淡。
","extra_headline": [""]},"Author": {"name": "王霞","wapUrl": "https://www.med-credit.org.cn/doctor/578","pcUrl": "https://www.med-credit.org.cn/doctor/578","jobTitle": "副主任医师","headPortrait": "https://www.med-credit.org.cn/uploadfile/member/578/180x180.jpeg","id": "578","description": "王霞,广州医科大学附属第一医院皮肤科副主任医师","memberOf": {"legalName": "广州医科大学附属第一医院","department": "皮肤科","organizationLevel": "三级甲等"}},"Article": {"summaryContent": "色素沉着斑表现为皮肤上出现黑色素颗粒,分布不均匀,使整个人的皮肤看上去比较暗淡。
色素沉着斑包括黄褐斑、黑斑、雀斑、老年斑等。

1、黄褐斑:长时间在紫外线照射的环境内活动或者是内分泌紊乱等,都有可能会形成黄褐斑,会导致皮肤表面出现色素沉着的斑块,颜色是深褐色。
2、黑斑:大都在脸上或身上长出黑色或蓝黑色大块状的斑。
3、雀斑:雀斑主要是色素障碍而引起的一种皮肤病,有可能是日晒或者是遗传激素影响导致的。多分布于曝光部位,如面部,特别是鼻部、两侧面颊,也可见于手背、颈肩部。皮损形态为圆形、卵圆形或不规则形,针尖至米粒大小,颜色呈淡褐色至深褐色不等,一般左右对称出现。
4、老年斑:当皮肤老化或者是受到遗传因素影响时,都有可能会导致老年斑。皮损常多发、深色、境界清楚,可为大小不等的斑、扁平丘疹或斑块,表面多粗糙,有黏附在皮肤表面的感觉。一般无明显临床症状,有时个别皮损可有瘙痒或疼痛感。病程缓慢,但也有发疹性发病。
除了上述相对常见的原因外,还有其他的可能性疾病,比如妊娠斑。
","articleBody": "色素沉着斑表现为皮肤上出现黑色素颗粒,分布不均匀,使整个人的皮肤看上去比较暗淡。
色素沉着斑包括黄褐斑、黑斑、雀斑、老年斑等。

1、黄褐斑:长时间在紫外线照射的环境内活动或者是内分泌紊乱等,都有可能会形成黄褐斑,会导致皮肤表面出现色素沉着的斑块,颜色是深褐色。
2、黑斑:大都在脸上或身上长出黑色或蓝黑色大块状的斑。
3、雀斑:雀斑主要是色素障碍而引起的一种皮肤病,有可能是日晒或者是遗传激素影响导致的。多分布于曝光部位,如面部,特别是鼻部、两侧面颊,也可见于手背、颈肩部。皮损形态为圆形、卵圆形或不规则形,针尖至米粒大小,颜色呈淡褐色至深褐色不等,一般左右对称出现。
4、老年斑:当皮肤老化或者是受到遗传因素影响时,都有可能会导致老年斑。皮损常多发、深色、境界清楚,可为大小不等的斑、扁平丘疹或斑块,表面多粗糙,有黏附在皮肤表面的感觉。一般无明显临床症状,有时个别皮损可有瘙痒或疼痛感。病程缓慢,但也有发疹性发病。
除了上述相对常见的原因外,还有其他的可能性疾病,比如妊娠斑。
","scanCount": 52805}}} {"@context": "https://ziyuan.baidu.com/contexts/cambrian.jsonld","appid": "1650708455561748","icon": "https://www.med-credit.org.cn/style/images/ttlogo.png","content_tag": ["atlas"],"is_mcn": {"thumb_id": "lnsk06v2"},"accid": "4886d626a2804dee5f11168793ce361672f39c25","@id": "https://www.med-credit.org.cn/mobile/jingxuan/2/dfc03599019b836afa6cc7e561d51f81.html","bagWordId": "617_1585235157172883456","title": "身上长黄褐斑图片","pubDate": "2023-02-03T11:30:09","upDate": "2023-02-03T11:30:09","lrDate": "2023-02-03T11:30:09","description": "身上长黄褐斑会造成皮肤表面有大小不一的斑块,颜色为黄褐色或者是暗褐色、深咖啡色等。","data": {"WebPage": {"headline": "身上长黄褐斑图片","pcUrl": "https://www.med-credit.org.cn/jingxuan/2/dfc03599019b836afa6cc7e561d51f81.html","wapUrl": "https://www.med-credit.org.cn/jingxuan/2/dfc03599019b836afa6cc7e561d51f81.html","mipUrl": "https://www.med-credit.org.cn/mobile/jingxuan/2/dfc03599019b836afa6cc7e561d51f81.html","fromSrc": "欢乐橙","datePublished": "2023-02-03T11:30:09","domain": "医疗","category": ["医疗权威文章合作"],"description": "身上长黄褐斑会造成皮肤表面有大小不一的斑块,颜色为黄褐色或者是暗褐色、深咖啡色等。
","extra_headline": [""]},"Author": {"name": "王霞","wapUrl": "https://www.med-credit.org.cn/doctor/578","pcUrl": "https://www.med-credit.org.cn/doctor/578","jobTitle": "副主任医师","headPortrait": "https://www.med-credit.org.cn/uploadfile/member/578/180x180.jpeg","id": "578","description": "王霞,广州医科大学附属第一医院皮肤科副主任医师","memberOf": {"legalName": "广州医科大学附属第一医院","department": "皮肤科","organizationLevel": "三级甲等"}},"Article": {"summaryContent": "身上长黄褐斑会造成皮肤表面有大小不一的斑块,颜色为黄褐色或者是暗褐色、深咖啡色等。
身上长黄褐斑有可能是紫外线照射、性激素水平紊乱等原因引起的,可以使用药物激光冷冻等方法来去除,还要调整好生活习惯以及饮食习惯。

1、紫外线照射:在日常生活中如果经常去紫外线照射的环境的活动,有可能会导致皮肤被晒伤,导致皮肤表面的炎症因子释放过多,会引起黑色素合成增多,使身上出现黄褐斑,颜色多为深咖啡色或者是黄褐色。
2、性激素水平紊乱:在生活中如果性激素水平紊乱时,会导致体内的雌激素以及孕激素发生改变,从而引起皮肤出现色素沉着的情况,有可能会引起身上长一些大小不一的黄褐色或者是深褐色斑块。
除了上述相对常见的原因外,还有其他的可能性疾病,比如女性生殖系统疾患。
身上长黄褐斑建议遵医嘱使用壬二酸乳膏、复方熊果苷乳膏用药物来改善,严重时也可以采用激光或者冷冻等方法来去除。
平常生活中要注意多休息,保证睡眠充足,少吃颜色过深的食物,平时要做好防晒工作,出门时可以打上遮阳伞或者是带上太阳帽来改善。
","articleBody": "身上长黄褐斑会造成皮肤表面有大小不一的斑块,颜色为黄褐色或者是暗褐色、深咖啡色等。
身上长黄褐斑有可能是紫外线照射、性激素水平紊乱等原因引起的,可以使用药物激光冷冻等方法来去除,还要调整好生活习惯以及饮食习惯。

1、紫外线照射:在日常生活中如果经常去紫外线照射的环境的活动,有可能会导致皮肤被晒伤,导致皮肤表面的炎症因子释放过多,会引起黑色素合成增多,使身上出现黄褐斑,颜色多为深咖啡色或者是黄褐色。
2、性激素水平紊乱:在生活中如果性激素水平紊乱时,会导致体内的雌激素以及孕激素发生改变,从而引起皮肤出现色素沉着的情况,有可能会引起身上长一些大小不一的黄褐色或者是深褐色斑块。
除了上述相对常见的原因外,还有其他的可能性疾病,比如女性生殖系统疾患。
身上长黄褐斑建议遵医嘱使用壬二酸乳膏、复方熊果苷乳膏用药物来改善,严重时也可以采用激光或者冷冻等方法来去除。
平常生活中要注意多休息,保证睡眠充足,少吃颜色过深的食物,平时要做好防晒工作,出门时可以打上遮阳伞或者是带上太阳帽来改善。
","scanCount": 52804}}} {"@context": "https://ziyuan.baidu.com/contexts/cambrian.jsonld","appid": "1650708455561748","icon": "https://www.med-credit.org.cn/style/images/ttlogo.png","content_tag": ["atlas"],"is_mcn": {"thumb_id": "lnsk06v2"},"accid": "4886d626a2804dee5f11168793ce361672f39c25","@id": "https://www.med-credit.org.cn/mobile/jingxuan/2/308326d6862fb81f3e35940c93d21f00.html","bagWordId": "617_1585235157227409408","title": "皮肤红色斑块图片","pubDate": "2023-02-03T11:30:09","upDate": "2023-02-03T11:30:09","lrDate": "2023-02-03T11:30:09","description": "皮肤红色斑块会导致皮肤表面出现大小不均匀的斑块,颜色呈为红色,还可能伴有瘙痒等。","data": {"WebPage": {"headline": "皮肤红色斑块图片","pcUrl": "https://www.med-credit.org.cn/jingxuan/2/308326d6862fb81f3e35940c93d21f00.html","wapUrl": "https://www.med-credit.org.cn/jingxuan/2/308326d6862fb81f3e35940c93d21f00.html","mipUrl": "https://www.med-credit.org.cn/mobile/jingxuan/2/308326d6862fb81f3e35940c93d21f00.html","fromSrc": "欢乐橙","datePublished": "2023-02-03T11:30:09","domain": "医疗","category": ["医疗权威文章合作"],"description": "皮肤红色斑块会导致皮肤表面出现大小不均匀的斑块,颜色呈为红色,还可能伴有瘙痒等。
","extra_headline": [""]},"Author": {"name": "王霞","wapUrl": "https://www.med-credit.org.cn/doctor/578","pcUrl": "https://www.med-credit.org.cn/doctor/578","jobTitle": "副主任医师","headPortrait": "https://www.med-credit.org.cn/uploadfile/member/578/180x180.jpeg","id": "578","description": "王霞,广州医科大学附属第一医院皮肤科副主任医师","memberOf": {"legalName": "广州医科大学附属第一医院","department": "皮肤科","organizationLevel": "三级甲等"}},"Article": {"summaryContent": "皮肤红色斑块会导致皮肤表面出现大小不均匀的斑块,颜色呈为红色,还可能伴有瘙痒等。
皮肤红色斑块有可能是荨麻疹、花斑癣、银屑病等原因引起的,可以使用药物来改善。

1、荨麻疹:如果皮肤接触一些容易过敏的物质,有可能会产生过敏反应,从而引起皮肤表面出现红色的斑块,伴有剧烈瘙痒感。需要遵医嘱使用抗过敏类的药物来治疗,比如盐酸西替利嗪片或者是氯雷他定片等。
2、花斑癣:当皮肤受到糠秕孢子菌感染时会引起花斑癣,病情发作时会导致皮肤表面出现红色或者褐色点状的斑疹,要遵医嘱使用抗真菌类的药物治疗,常用药物有特比萘芬霜或酊或者是益康唑霜或酊等。
3、银屑病:受到遗传因素或者是免疫紊乱等因素影响时,有可能会引起银屑病,导致皮肤表面出现红色的斑块或皮疹,表面常常覆有鳞屑。需要遵医嘱使用卡泊三醇软膏或者是糠酸莫米松乳膏等药物来缓解。
","articleBody": "皮肤红色斑块会导致皮肤表面出现大小不均匀的斑块,颜色呈为红色,还可能伴有瘙痒等。
皮肤红色斑块有可能是荨麻疹、花斑癣、银屑病等原因引起的,可以使用药物来改善。

1、荨麻疹:如果皮肤接触一些容易过敏的物质,有可能会产生过敏反应,从而引起皮肤表面出现红色的斑块,伴有剧烈瘙痒感。需要遵医嘱使用抗过敏类的药物来治疗,比如盐酸西替利嗪片或者是氯雷他定片等。
2、花斑癣:当皮肤受到糠秕孢子菌感染时会引起花斑癣,病情发作时会导致皮肤表面出现红色或者褐色点状的斑疹,要遵医嘱使用抗真菌类的药物治疗,常用药物有特比萘芬霜或酊或者是益康唑霜或酊等。
3、银屑病:受到遗传因素或者是免疫紊乱等因素影响时,有可能会引起银屑病,导致皮肤表面出现红色的斑块或皮疹,表面常常覆有鳞屑。需要遵医嘱使用卡泊三醇软膏或者是糠酸莫米松乳膏等药物来缓解。
","scanCount": 52803}}} {"@context": "https://ziyuan.baidu.com/contexts/cambrian.jsonld","appid": "1650708455561748","icon": "https://www.med-credit.org.cn/style/images/ttlogo.png","content_tag": ["atlas"],"is_mcn": {"thumb_id": "lnsk06v2"},"accid": "4886d626a2804dee5f11168793ce361672f39c25","@id": "https://www.med-credit.org.cn/mobile/jingxuan/2/c2d104ed74fd0a97ed6f5eebaee5dd54.html","bagWordId": "617_1585235157336461312","title": "手臂上突然出现褐色斑图片","pubDate": "2023-02-03T11:30:09","upDate": "2023-02-03T11:30:09","lrDate": "2023-02-03T11:30:09","description": "手臂上突然出现褐色斑会导致皮肤表面出现卵圆形或者是不规则形状的斑点或者是斑片,颜色都为褐色。","data": {"WebPage": {"headline": "手臂上突然出现褐色斑图片","pcUrl": "https://www.med-credit.org.cn/jingxuan/2/c2d104ed74fd0a97ed6f5eebaee5dd54.html","wapUrl": "https://www.med-credit.org.cn/jingxuan/2/c2d104ed74fd0a97ed6f5eebaee5dd54.html","mipUrl": "https://www.med-credit.org.cn/mobile/jingxuan/2/c2d104ed74fd0a97ed6f5eebaee5dd54.html","fromSrc": "欢乐橙","datePublished": "2023-02-03T11:30:09","domain": "医疗","category": ["医疗权威文章合作"],"description": "手臂上突然出现褐色斑会导致皮肤表面出现卵圆形或者是不规则形状的斑点或者是斑片,颜色都为褐色。
","extra_headline": [""]},"Author": {"name": "王霞","wapUrl": "https://www.med-credit.org.cn/doctor/578","pcUrl": "https://www.med-credit.org.cn/doctor/578","jobTitle": "副主任医师","headPortrait": "https://www.med-credit.org.cn/uploadfile/member/578/180x180.jpeg","id": "578","description": "王霞,广州医科大学附属第一医院皮肤科副主任医师","memberOf": {"legalName": "广州医科大学附属第一医院","department": "皮肤科","organizationLevel": "三级甲等"}},"Article": {"summaryContent": "手臂上突然出现褐色斑会导致皮肤表面出现卵圆形或者是不规则形状的斑点或者是斑片,颜色都为褐色。
手臂突然出现褐色斑有可能是花斑癣、咖啡斑等原因引起的。

1、花斑癣:开始是以毛孔为中心、边界清楚的点状斑疹,以后逐渐增大至指甲盖大小,呈圆形或类圆形。之后,邻近皮损可相互融合成不规则大片状,表面覆有鳞屑。
皮损可为褐色、淡褐色、淡红色、淡黄色或白色,其颜色和患者的肤色、日晒情况有关。浅肤色人群及日晒多的患者皮损多呈深色,深肤色人群及日晒少的患者皮损多呈浅色。
2、咖啡斑:咖啡斑大小不一,数毫米至数十厘米不等。咖啡斑形状不固定,可为圆形、卵圆形或不规则的形状,但界限清楚、表面光滑。咖啡斑颜色不同,可呈淡褐色、棕褐色或暗褐色,但每一片的颜色相同且十分均匀。
","articleBody": "手臂上突然出现褐色斑会导致皮肤表面出现卵圆形或者是不规则形状的斑点或者是斑片,颜色都为褐色。
手臂突然出现褐色斑有可能是花斑癣、咖啡斑等原因引起的。

1、花斑癣:开始是以毛孔为中心、边界清楚的点状斑疹,以后逐渐增大至指甲盖大小,呈圆形或类圆形。之后,邻近皮损可相互融合成不规则大片状,表面覆有鳞屑。
皮损可为褐色、淡褐色、淡红色、淡黄色或白色,其颜色和患者的肤色、日晒情况有关。浅肤色人群及日晒多的患者皮损多呈深色,深肤色人群及日晒少的患者皮损多呈浅色。
2、咖啡斑:咖啡斑大小不一,数毫米至数十厘米不等。咖啡斑形状不固定,可为圆形、卵圆形或不规则的形状,但界限清楚、表面光滑。咖啡斑颜色不同,可呈淡褐色、棕褐色或暗褐色,但每一片的颜色相同且十分均匀。
","scanCount": 52802}}} {"@context": "https://ziyuan.baidu.com/contexts/cambrian.jsonld","appid": "1650708455561748","icon": "https://www.med-credit.org.cn/style/images/ttlogo.png","content_tag": ["atlas"],"is_mcn": {"thumb_id": "lnsk06v2"},"accid": "4886d626a2804dee5f11168793ce361672f39c25","@id": "https://www.med-credit.org.cn/mobile/jingxuan/2/6e4765861575324e238f9ef91fb9d63f.html","bagWordId": "617_1585235157386792960","title": "色素沉淀斑的图片","pubDate": "2023-02-03T11:30:09","upDate": "2023-02-03T11:30:09","lrDate": "2023-02-03T11:30:09","description": "色素沉淀斑表现为皮肤表面分布有不均匀的黑色素颗粒,比正常的皮肤颜色略深,多数为斑点以及斑片。","data": {"WebPage": {"headline": "色素沉淀斑的图片","pcUrl": "https://www.med-credit.org.cn/jingxuan/2/6e4765861575324e238f9ef91fb9d63f.html","wapUrl": "https://www.med-credit.org.cn/jingxuan/2/6e4765861575324e238f9ef91fb9d63f.html","mipUrl": "https://www.med-credit.org.cn/mobile/jingxuan/2/6e4765861575324e238f9ef91fb9d63f.html","fromSrc": "欢乐橙","datePublished": "2023-02-03T11:30:09","domain": "医疗","category": ["医疗权威文章合作"],"description": "色素沉淀斑表现为皮肤表面分布有不均匀的黑色素颗粒,比正常的皮肤颜色略深,多数为斑点以及斑片。
","extra_headline": [""]},"Author": {"name": "王霞","wapUrl": "https://www.med-credit.org.cn/doctor/578","pcUrl": "https://www.med-credit.org.cn/doctor/578","jobTitle": "副主任医师","headPortrait": "https://www.med-credit.org.cn/uploadfile/member/578/180x180.jpeg","id": "578","description": "王霞,广州医科大学附属第一医院皮肤科副主任医师","memberOf": {"legalName": "广州医科大学附属第一医院","department": "皮肤科","organizationLevel": "三级甲等"}},"Article": {"summaryContent": "色素沉淀斑表现为皮肤表面分布有不均匀的黑色素颗粒,比正常的皮肤颜色略深,多数为斑点以及斑片。
色素沉淀斑有可能是内分泌失调引起的,也不排除是日晒过度等原因导致的。

1、内分泌失调:在生活中经常熬夜或者是情绪波动过大时,都有可能会影响身体内分泌调节功能,使得机体内分泌失调。导致身体内的黑色素代谢紊乱,使皮肤表面出现色素沉淀斑。在生活中要调整好生活习惯,避免熬夜,保持心情舒畅,多吃含有维生素的水果或者是蔬菜来改善。
2、日晒过度:长时间在太阳暴晒的环境活动,紫外线过度照射后,导致皮肤深层黑色素颗粒形成增多,时间长了会引起皮肤表面出现色素沉淀斑。可以配合医生的指导采用激光或者是冷冻等方法去除。
","articleBody": "色素沉淀斑表现为皮肤表面分布有不均匀的黑色素颗粒,比正常的皮肤颜色略深,多数为斑点以及斑片。
色素沉淀斑有可能是内分泌失调引起的,也不排除是日晒过度等原因导致的。

1、内分泌失调:在生活中经常熬夜或者是情绪波动过大时,都有可能会影响身体内分泌调节功能,使得机体内分泌失调。导致身体内的黑色素代谢紊乱,使皮肤表面出现色素沉淀斑。在生活中要调整好生活习惯,避免熬夜,保持心情舒畅,多吃含有维生素的水果或者是蔬菜来改善。
2、日晒过度:长时间在太阳暴晒的环境活动,紫外线过度照射后,导致皮肤深层黑色素颗粒形成增多,时间长了会引起皮肤表面出现色素沉淀斑。可以配合医生的指导采用激光或者是冷冻等方法去除。
","scanCount": 52801}}} {"@context": "https://ziyuan.baidu.com/contexts/cambrian.jsonld","appid": "1650708455561748","icon": "https://www.med-credit.org.cn/style/images/ttlogo.png","content_tag": ["atlas"],"is_mcn": {"thumb_id": "lnsk06v2"},"accid": "4886d626a2804dee5f11168793ce361672f39c25","@id": "https://www.med-credit.org.cn/mobile/jingxuan/2/d649d309e4826fabd18b8576eee91483.html","bagWordId": "617_1585235157441318912","title": "草莓鼻图片","pubDate": "2023-02-03T11:30:09","upDate": "2023-02-03T11:30:09","lrDate": "2023-02-03T11:30:09","description": "草莓鼻为鼻子上出现许多硬化油脂的阻塞物经氧化形成的黑点,像草莓状似的一粒一粒分布在鼻子上。","data": {"WebPage": {"headline": "草莓鼻图片","pcUrl": "https://www.med-credit.org.cn/jingxuan/2/d649d309e4826fabd18b8576eee91483.html","wapUrl": "https://www.med-credit.org.cn/jingxuan/2/d649d309e4826fabd18b8576eee91483.html","mipUrl": "https://www.med-credit.org.cn/mobile/jingxuan/2/d649d309e4826fabd18b8576eee91483.html","fromSrc": "欢乐橙","datePublished": "2023-02-03T11:30:09","domain": "医疗","category": ["医疗权威文章合作"],"description": "草莓鼻为鼻子上出现许多硬化油脂的阻塞物经氧化形成的黑点,像草莓状似的一粒一粒分布在鼻子上。
","extra_headline": [""]},"Author": {"name": "王霞","wapUrl": "https://www.med-credit.org.cn/doctor/578","pcUrl": "https://www.med-credit.org.cn/doctor/578","jobTitle": "副主任医师","headPortrait": "https://www.med-credit.org.cn/uploadfile/member/578/180x180.jpeg","id": "578","description": "王霞,广州医科大学附属第一医院皮肤科副主任医师","memberOf": {"legalName": "广州医科大学附属第一医院","department": "皮肤科","organizationLevel": "三级甲等"}},"Article": {"summaryContent": "草莓鼻为鼻子上出现许多硬化油脂的阻塞物经氧化形成的黑点,像草莓状似的一粒一粒分布在鼻子上。
草莓鼻有可能是皮脂腺分泌过旺盛、面部过度清洁等原因引起的,可以采用药物治疗、激光治疗等方法来改善,还要注意调整好饮食以及生活习惯。

1、皮脂腺分泌过旺盛:在平常生活中如果经常吃一些过于油腻的食品,可能会导致皮脂腺分泌过多的油脂,如果油脂没有被及时彻底地清洁掉,会引起油脂腺的堵塞,但油脂硬化并且经过氧化后会形成黑色的小点,这些小点就是被称作黑头的油脂阻塞物,俗称“草莓鼻”(黑头)。
2、面部过度清洁:在生活中如果频繁的洗脸,面部的油脂受到过分刺激,毛孔会充满多余的油脂,从而引起面部的肌肤出现水油失衡的情况,油脂分泌过多,会诱发草莓鼻。
1、药物治疗:可在医生的指导下,使用如水杨酸、壬二酸,搭配甲硝唑凝胶等,进行刷酸处理,同时刷酸后积极补水,减少日晒。
2、激光治疗:激光治疗可以破坏皮肤的皮脂腺,使皮脂腺的分泌降低,可治疗改善草莓鼻。
平常生活中要调整好饮食习惯,多吃一些清淡的食物,要适当的喝一些温开水,补充体内水分。要养成定时洗脸的好习惯,在洗脸时可以选择温热水。
","articleBody": "草莓鼻为鼻子上出现许多硬化油脂的阻塞物经氧化形成的黑点,像草莓状似的一粒一粒分布在鼻子上。
草莓鼻有可能是皮脂腺分泌过旺盛、面部过度清洁等原因引起的,可以采用药物治疗、激光治疗等方法来改善,还要注意调整好饮食以及生活习惯。

1、皮脂腺分泌过旺盛:在平常生活中如果经常吃一些过于油腻的食品,可能会导致皮脂腺分泌过多的油脂,如果油脂没有被及时彻底地清洁掉,会引起油脂腺的堵塞,但油脂硬化并且经过氧化后会形成黑色的小点,这些小点就是被称作黑头的油脂阻塞物,俗称“草莓鼻”(黑头)。
2、面部过度清洁:在生活中如果频繁的洗脸,面部的油脂受到过分刺激,毛孔会充满多余的油脂,从而引起面部的肌肤出现水油失衡的情况,油脂分泌过多,会诱发草莓鼻。
1、药物治疗:可在医生的指导下,使用如水杨酸、壬二酸,搭配甲硝唑凝胶等,进行刷酸处理,同时刷酸后积极补水,减少日晒。
2、激光治疗:激光治疗可以破坏皮肤的皮脂腺,使皮脂腺的分泌降低,可治疗改善草莓鼻。
平常生活中要调整好饮食习惯,多吃一些清淡的食物,要适当的喝一些温开水,补充体内水分。要养成定时洗脸的好习惯,在洗脸时可以选择温热水。
","scanCount": 52800}}} {"@context": "https://ziyuan.baidu.com/contexts/cambrian.jsonld","appid": "1650708455561748","icon": "https://www.med-credit.org.cn/style/images/ttlogo.png","content_tag": ["atlas"],"is_mcn": {"thumb_id": "lnsk06v2"},"accid": "4886d626a2804dee5f11168793ce361672f39c25","@id": "https://www.med-credit.org.cn/mobile/jingxuan/2/522e741d21f8b07474783d48408b84e1.html","bagWordId": "617_1585235157659422720","title": "手臂上有咖啡色的斑图片","pubDate": "2023-02-03T11:30:09","upDate": "2023-02-03T11:30:09","lrDate": "2023-02-03T11:30:09","description": "手臂上有咖啡色的斑会表现为皮肤表面出现不规则形或者是卵圆形的斑块,多数为褐色。","data": {"WebPage": {"headline": "手臂上有咖啡色的斑图片","pcUrl": "https://www.med-credit.org.cn/jingxuan/2/522e741d21f8b07474783d48408b84e1.html","wapUrl": "https://www.med-credit.org.cn/jingxuan/2/522e741d21f8b07474783d48408b84e1.html","mipUrl": "https://www.med-credit.org.cn/mobile/jingxuan/2/522e741d21f8b07474783d48408b84e1.html","fromSrc": "欢乐橙","datePublished": "2023-02-03T11:30:09","domain": "医疗","category": ["医疗权威文章合作"],"description": "手臂上有咖啡色的斑会表现为皮肤表面出现不规则形或者是卵圆形的斑块,多数为褐色。
","extra_headline": [""]},"Author": {"name": "王霞","wapUrl": "https://www.med-credit.org.cn/doctor/578","pcUrl": "https://www.med-credit.org.cn/doctor/578","jobTitle": "副主任医师","headPortrait": "https://www.med-credit.org.cn/uploadfile/member/578/180x180.jpeg","id": "578","description": "王霞,广州医科大学附属第一医院皮肤科副主任医师","memberOf": {"legalName": "广州医科大学附属第一医院","department": "皮肤科","organizationLevel": "三级甲等"}},"Article": {"summaryContent": "手臂上有咖啡色的斑会表现为皮肤表面出现不规则形或者是卵圆形的斑块,多数为褐色。
手臂上有咖啡色的斑有可能是花斑癣、晒斑等原因引起的,可以使用药物或者是激光、冷冻等方法来改善,要注意调整好日常生活习惯。

1、花斑癣:花斑癣主要是体内受到真菌感染而引起的,会导致手臂上出现色素异常的斑片,多数为咖啡色的斑块。可以遵医嘱使用抗真菌类的药物来进行治疗,常用药物有1%联苯苄唑霜或酊或者是1%特比萘芬霜或酊等。
2、晒斑:生活中如果经常在阳光暴晒的环境内活动有可能会导致皮肤表面被晒伤,从而引起局部灼热感或者是刺痛,严重时还会出现手臂上有咖啡色的斑。可以遵医嘱局部涂抹维生素C或者是维生素E等药物来缓解,也可以采用激光或冷冻等方法去除。
日常生活中要注意做好皮肤的防晒工作,少去阳光爆炸的环境的活动,以免皮肤表面色素沉着。
","articleBody": "手臂上有咖啡色的斑会表现为皮肤表面出现不规则形或者是卵圆形的斑块,多数为褐色。
手臂上有咖啡色的斑有可能是花斑癣、晒斑等原因引起的,可以使用药物或者是激光、冷冻等方法来改善,要注意调整好日常生活习惯。

1、花斑癣:花斑癣主要是体内受到真菌感染而引起的,会导致手臂上出现色素异常的斑片,多数为咖啡色的斑块。可以遵医嘱使用抗真菌类的药物来进行治疗,常用药物有1%联苯苄唑霜或酊或者是1%特比萘芬霜或酊等。
2、晒斑:生活中如果经常在阳光暴晒的环境内活动有可能会导致皮肤表面被晒伤,从而引起局部灼热感或者是刺痛,严重时还会出现手臂上有咖啡色的斑。可以遵医嘱局部涂抹维生素C或者是维生素E等药物来缓解,也可以采用激光或冷冻等方法去除。
日常生活中要注意做好皮肤的防晒工作,少去阳光爆炸的环境的活动,以免皮肤表面色素沉着。
","scanCount": 52799}}} {"@context": "https://ziyuan.baidu.com/contexts/cambrian.jsonld","appid": "1650708455561748","icon": "https://www.med-credit.org.cn/style/images/ttlogo.png","content_tag": ["atlas"],"is_mcn": {"thumb_id": "lnsk06v2"},"accid": "4886d626a2804dee5f11168793ce361672f39c25","@id": "https://www.med-credit.org.cn/mobile/jingxuan/2/56c64aa8f5468c9935c1887ccffa781c.html","bagWordId": "617_1585235157818806272","title": "胸前黑色素沉淀图片","pubDate": "2023-02-03T11:30:09","upDate": "2023-02-03T11:30:09","lrDate": "2023-02-03T11:30:09","description": "胸前黑色素沉淀导致胸部皮肤出现鼠灰色或者是棕色的大小不一斑块以及斑点等。","data": {"WebPage": {"headline": "胸前黑色素沉淀图片","pcUrl": "https://www.med-credit.org.cn/jingxuan/2/56c64aa8f5468c9935c1887ccffa781c.html","wapUrl": "https://www.med-credit.org.cn/jingxuan/2/56c64aa8f5468c9935c1887ccffa781c.html","mipUrl": "https://www.med-credit.org.cn/mobile/jingxuan/2/56c64aa8f5468c9935c1887ccffa781c.html","fromSrc": "欢乐橙","datePublished": "2023-02-03T11:30:09","domain": "医疗","category": ["医疗权威文章合作"],"description": "胸前黑色素沉淀导致胸部皮肤出现鼠灰色或者是棕色的大小不一斑块以及斑点等。
","extra_headline": [""]},"Author": {"name": "王霞","wapUrl": "https://www.med-credit.org.cn/doctor/578","pcUrl": "https://www.med-credit.org.cn/doctor/578","jobTitle": "副主任医师","headPortrait": "https://www.med-credit.org.cn/uploadfile/member/578/180x180.jpeg","id": "578","description": "王霞,广州医科大学附属第一医院皮肤科副主任医师","memberOf": {"legalName": "广州医科大学附属第一医院","department": "皮肤科","organizationLevel": "三级甲等"}},"Article": {"summaryContent": "胸前黑色素沉淀导致胸部皮肤出现鼠灰色或者是棕色的大小不一斑块以及斑点等。
胸前黑色素沉淀有可能是炎症刺激或者是物理性因素等原因引起的,可以使用药物、激光、冷冻等方法去除,还要调整生活习惯饮食习惯。

1、炎症刺激:如表面出现炎症感染,比如患有毛囊炎或者是湿疹时,会导致皮肤出现黑色素沉淀的情况,引起局部出现灰色或者是棕色的斑点斑块。可以遵医嘱局部涂抹氢醌乳膏、红霉素软膏等药物来改善。
2、物理性因素:在生活中如果经常穿过紧的衣服或者被晒伤后,可能会使皮肤出现反复刺激,会导致皮肤深层的黑色素出现沉淀,引起局部皮肤斑块。可以遵医嘱采用激光或者是冷冻等方法来去除。日常生活中可以穿棉质衣物,皮肤避免过度接触紫外线等。
除了上述相对常见的原因外,还有其他的可能性疾病,比如药物因素。
","articleBody": "胸前黑色素沉淀导致胸部皮肤出现鼠灰色或者是棕色的大小不一斑块以及斑点等。
胸前黑色素沉淀有可能是炎症刺激或者是物理性因素等原因引起的,可以使用药物、激光、冷冻等方法去除,还要调整生活习惯饮食习惯。

1、炎症刺激:如表面出现炎症感染,比如患有毛囊炎或者是湿疹时,会导致皮肤出现黑色素沉淀的情况,引起局部出现灰色或者是棕色的斑点斑块。可以遵医嘱局部涂抹氢醌乳膏、红霉素软膏等药物来改善。
2、物理性因素:在生活中如果经常穿过紧的衣服或者被晒伤后,可能会使皮肤出现反复刺激,会导致皮肤深层的黑色素出现沉淀,引起局部皮肤斑块。可以遵医嘱采用激光或者是冷冻等方法来去除。日常生活中可以穿棉质衣物,皮肤避免过度接触紫外线等。
除了上述相对常见的原因外,还有其他的可能性疾病,比如药物因素。
","scanCount": 52798}}} {"@context": "https://ziyuan.baidu.com/contexts/cambrian.jsonld","appid": "1650708455561748","icon": "https://www.med-credit.org.cn/style/images/ttlogo.png","content_tag": ["atlas"],"is_mcn": {"thumb_id": "lnsk06v2"},"accid": "4886d626a2804dee5f11168793ce361672f39c25","@id": "https://www.med-credit.org.cn/mobile/jingxuan/2/3eb0a8135ee7d682735edda4a71ee29a.html","bagWordId": "617_1585235157873332224","title": "什么是晒斑图片","pubDate": "2023-02-03T11:30:09","upDate": "2023-02-03T11:30:09","lrDate": "2023-02-03T11:30:09","description": "晒斑表现为皮肤表面出现椭圆形平滑或者是凸起的斑块,颜色多数为青灰色,严重时还会出现局部水肿、脱屑等。","data": {"WebPage": {"headline": "什么是晒斑图片","pcUrl": "https://www.med-credit.org.cn/jingxuan/2/3eb0a8135ee7d682735edda4a71ee29a.html","wapUrl": "https://www.med-credit.org.cn/jingxuan/2/3eb0a8135ee7d682735edda4a71ee29a.html","mipUrl": "https://www.med-credit.org.cn/mobile/jingxuan/2/3eb0a8135ee7d682735edda4a71ee29a.html","fromSrc": "欢乐橙","datePublished": "2023-02-03T11:30:09","domain": "医疗","category": ["医疗权威文章合作"],"description": "晒斑表现为皮肤表面出现椭圆形平滑或者是凸起的斑块,颜色多数为青灰色,严重时还会出现局部水肿、脱屑等。
","extra_headline": [""]},"Author": {"name": "王霞","wapUrl": "https://www.med-credit.org.cn/doctor/578","pcUrl": "https://www.med-credit.org.cn/doctor/578","jobTitle": "副主任医师","headPortrait": "https://www.med-credit.org.cn/uploadfile/member/578/180x180.jpeg","id": "578","description": "王霞,广州医科大学附属第一医院皮肤科副主任医师","memberOf": {"legalName": "广州医科大学附属第一医院","department": "皮肤科","organizationLevel": "三级甲等"}},"Article": {"summaryContent": "晒斑表现为皮肤表面出现椭圆形平滑或者是凸起的斑块,颜色多数为青灰色,严重时还会出现局部水肿、脱屑等。
晒斑有可能是使用光敏药物或者是过量接触紫外线辐射而引起的。

1、过量接触紫外线辐射:如果在工作或者是生活的时候,需要长时间接触紫外线照射的环境,导致皮肤深层出现黑色素颗粒增多,时间久了会引起晒斑的形成。日常生活中要少去阳光暴晒等环境的活动,也可以遵医嘱采用激光或者冷冻等方法去除斑点。
2、使用光敏药物:在生活中如果经常使用光敏类的药物,比如维甲酸类药物、非甾体抗炎类药物以及四环素类的药物,有可能会导致皮肤表面被晒伤的风险增加,从而引起晒斑的形成。在生活中使用药物时需要谨遵医嘱,用药期间要少接触紫外线强烈的环境。
","articleBody": "晒斑表现为皮肤表面出现椭圆形平滑或者是凸起的斑块,颜色多数为青灰色,严重时还会出现局部水肿、脱屑等。
晒斑有可能是使用光敏药物或者是过量接触紫外线辐射而引起的。

1、过量接触紫外线辐射:如果在工作或者是生活的时候,需要长时间接触紫外线照射的环境,导致皮肤深层出现黑色素颗粒增多,时间久了会引起晒斑的形成。日常生活中要少去阳光暴晒等环境的活动,也可以遵医嘱采用激光或者冷冻等方法去除斑点。
2、使用光敏药物:在生活中如果经常使用光敏类的药物,比如维甲酸类药物、非甾体抗炎类药物以及四环素类的药物,有可能会导致皮肤表面被晒伤的风险增加,从而引起晒斑的形成。在生活中使用药物时需要谨遵医嘱,用药期间要少接触紫外线强烈的环境。
","scanCount": 52797}}} {"@context": "https://ziyuan.baidu.com/contexts/cambrian.jsonld","appid": "1650708455561748","icon": "https://www.med-credit.org.cn/style/images/ttlogo.png","content_tag": ["atlas"],"is_mcn": {"thumb_id": "lnsk06v2"},"accid": "4886d626a2804dee5f11168793ce361672f39c25","@id": "https://www.med-credit.org.cn/mobile/jingxuan/2/ba9a21c6dc0767726f1805da3edc825c.html","bagWordId": "617_1585235157923663872","title": "黄褐色斑图片","pubDate": "2023-02-03T11:30:09","upDate": "2023-02-03T11:30:09","lrDate": "2023-02-03T11:30:09","description": "黄褐色斑表现为颜面部出现黄褐色色素沉着斑,呈对称性分布;在日光照射下加重,并持续存在。","data": {"WebPage": {"headline": "黄褐色斑图片","pcUrl": "https://www.med-credit.org.cn/jingxuan/2/ba9a21c6dc0767726f1805da3edc825c.html","wapUrl": "https://www.med-credit.org.cn/jingxuan/2/ba9a21c6dc0767726f1805da3edc825c.html","mipUrl": "https://www.med-credit.org.cn/mobile/jingxuan/2/ba9a21c6dc0767726f1805da3edc825c.html","fromSrc": "欢乐橙","datePublished": "2023-02-03T11:30:09","domain": "医疗","category": ["医疗权威文章合作"],"description": "黄褐色斑表现为颜面部出现黄褐色色素沉着斑,呈对称性分布;在日光照射下加重,并持续存在。
","extra_headline": [""]},"Author": {"name": "王霞","wapUrl": "https://www.med-credit.org.cn/doctor/578","pcUrl": "https://www.med-credit.org.cn/doctor/578","jobTitle": "副主任医师","headPortrait": "https://www.med-credit.org.cn/uploadfile/member/578/180x180.jpeg","id": "578","description": "王霞,广州医科大学附属第一医院皮肤科副主任医师","memberOf": {"legalName": "广州医科大学附属第一医院","department": "皮肤科","organizationLevel": "三级甲等"}},"Article": {"summaryContent": "黄褐色斑表现为颜面部出现黄褐色色素沉着斑,呈对称性分布;在日光照射下加重,并持续存在。
黄褐色斑可能是黄褐斑、咖啡斑等。

1、黄褐斑:好发于颧骨突出部位、前额、上唇、鼻部和下颌等日光暴露部位,偶尔也可发生在前臂。为淡褐色至深褐色的斑点或斑片,边界清楚。呈对称性分布,皮损大小不一,形状不规则,可呈圆形、条形或蝴蝶形。
2、咖啡斑:咖啡斑多于出生时或出生后不久出现的褐色斑片,斑片可随年龄增长而增大、增多,一般不会自行消失。除掌、跖外,身体任何部位均可受累,但多发于面部和躯干,呈散在分布
","articleBody": "黄褐色斑表现为颜面部出现黄褐色色素沉着斑,呈对称性分布;在日光照射下加重,并持续存在。
黄褐色斑可能是黄褐斑、咖啡斑等。

1、黄褐斑:好发于颧骨突出部位、前额、上唇、鼻部和下颌等日光暴露部位,偶尔也可发生在前臂。为淡褐色至深褐色的斑点或斑片,边界清楚。呈对称性分布,皮损大小不一,形状不规则,可呈圆形、条形或蝴蝶形。
2、咖啡斑:咖啡斑多于出生时或出生后不久出现的褐色斑片,斑片可随年龄增长而增大、增多,一般不会自行消失。除掌、跖外,身体任何部位均可受累,但多发于面部和躯干,呈散在分布
","scanCount": 52796}}} {"@context": "https://ziyuan.baidu.com/contexts/cambrian.jsonld","appid": "1650708455561748","icon": "https://www.med-credit.org.cn/style/images/ttlogo.png","content_tag": ["atlas"],"is_mcn": {"thumb_id": "lnsk06v2"},"accid": "4886d626a2804dee5f11168793ce361672f39c25","@id": "https://www.med-credit.org.cn/mobile/jingxuan/2/b2b5c44c99625be03e375c12f5f9ff96.html","bagWordId": "617_1585235157982384128","title": "嘴唇恢复好出现疤痕图片","pubDate": "2023-02-03T11:30:09","upDate": "2023-02-03T11:30:09","lrDate": "2023-02-03T11:30:09","description": "嘴唇疤痕增生凸起,是在嘴唇创伤修复过程中发生异常,导致嘴唇部位皮肤过度增生引起,可表现为局部隆起甚至瘤状凸起。","data": {"WebPage": {"headline": "嘴唇恢复好出现疤痕图片","pcUrl": "https://www.med-credit.org.cn/jingxuan/2/b2b5c44c99625be03e375c12f5f9ff96.html","wapUrl": "https://www.med-credit.org.cn/jingxuan/2/b2b5c44c99625be03e375c12f5f9ff96.html","mipUrl": "https://www.med-credit.org.cn/mobile/jingxuan/2/b2b5c44c99625be03e375c12f5f9ff96.html","fromSrc": "欢乐橙","datePublished": "2023-02-03T11:30:09","domain": "医疗","category": ["医疗权威文章合作"],"description": "嘴唇疤痕增生凸起,是在嘴唇创伤修复过程中发生异常,导致嘴唇部位皮肤过度增生引起,可表现为局部隆起甚至瘤状凸起。
","extra_headline": [""]},"Author": {"name": "王霞","wapUrl": "https://www.med-credit.org.cn/doctor/578","pcUrl": "https://www.med-credit.org.cn/doctor/578","jobTitle": "副主任医师","headPortrait": "https://www.med-credit.org.cn/uploadfile/member/578/180x180.jpeg","id": "578","description": "王霞,广州医科大学附属第一医院皮肤科副主任医师","memberOf": {"legalName": "广州医科大学附属第一医院","department": "皮肤科","organizationLevel": "三级甲等"}},"Article": {"summaryContent": "嘴唇疤痕增生凸起,是在嘴唇创伤修复过程中发生异常,导致嘴唇部位皮肤过度增生引起,可表现为局部隆起甚至瘤状凸起。
嘴唇疤痕可能是由于皮肤组织受到损伤引起的症状,也可能是由于疱疹病毒感染或者皮炎等所引起的症状。

嘴唇疤痕增生凸起,可表现为局部隆起甚至瘤状凸起,表面光滑,境界清楚,质硬,呈淡红或红色,表面毛细血管扩张,可持续或间断生长数月至数年,形成不规则外观。
1.皮肤组织受到损伤:在日常生活中,如果不小心碰伤嘴唇,留下伤口,而且也没有做好局部护理,有可能导致皮肤感染或者发炎,还有可能引发增生,从而留下疤痕。
2.疱疹病毒感染:通常会表现为体表皮肤上出现疱疹,而且还会伴有水疱、灼痛、瘙痒等不适。如果在治疗期间经常用手去抓挠患处,导致水疱等破损,有可能留下疤痕。
3.皮炎:属于多种因素引起的炎症性皮肤病,一般会导致皮肤干燥、瘙痒、发红,丘疹严重时,也有可能引起水疱,同时也会伴有不同程度的瘙痒。若持续搔抓或者摩擦,导致皮肤增厚,还有可能引起色素沉着,留下疤痕。
除了上述相对常见的原因外,还有其他的可能性疾病,比如伤口过深。
","articleBody": "嘴唇疤痕增生凸起,是在嘴唇创伤修复过程中发生异常,导致嘴唇部位皮肤过度增生引起,可表现为局部隆起甚至瘤状凸起。
嘴唇疤痕可能是由于皮肤组织受到损伤引起的症状,也可能是由于疱疹病毒感染或者皮炎等所引起的症状。

嘴唇疤痕增生凸起,可表现为局部隆起甚至瘤状凸起,表面光滑,境界清楚,质硬,呈淡红或红色,表面毛细血管扩张,可持续或间断生长数月至数年,形成不规则外观。
1.皮肤组织受到损伤:在日常生活中,如果不小心碰伤嘴唇,留下伤口,而且也没有做好局部护理,有可能导致皮肤感染或者发炎,还有可能引发增生,从而留下疤痕。
2.疱疹病毒感染:通常会表现为体表皮肤上出现疱疹,而且还会伴有水疱、灼痛、瘙痒等不适。如果在治疗期间经常用手去抓挠患处,导致水疱等破损,有可能留下疤痕。
3.皮炎:属于多种因素引起的炎症性皮肤病,一般会导致皮肤干燥、瘙痒、发红,丘疹严重时,也有可能引起水疱,同时也会伴有不同程度的瘙痒。若持续搔抓或者摩擦,导致皮肤增厚,还有可能引起色素沉着,留下疤痕。
除了上述相对常见的原因外,还有其他的可能性疾病,比如伤口过深。
","scanCount": 52795}}} {"@context": "https://ziyuan.baidu.com/contexts/cambrian.jsonld","appid": "1650708455561748","icon": "https://www.med-credit.org.cn/style/images/ttlogo.png","content_tag": ["atlas"],"is_mcn": {"thumb_id": "lnsk06v2"},"accid": "4886d626a2804dee5f11168793ce361672f39c25","@id": "https://www.med-credit.org.cn/mobile/jingxuan/2/e156ab17cefd5eb7957e265d415784c9.html","bagWordId": "617_1585235158141767680","title": "女人脸部嘴角下垂图片","pubDate": "2023-02-03T11:30:09","upDate": "2023-02-03T11:30:09","lrDate": "2023-02-03T11:30:09","description": "女人脸部嘴角下垂是指两侧嘴角因肌肉受重力影响,出现下垂的趋势的表现。","data": {"WebPage": {"headline": "女人脸部嘴角下垂图片","pcUrl": "https://www.med-credit.org.cn/jingxuan/2/e156ab17cefd5eb7957e265d415784c9.html","wapUrl": "https://www.med-credit.org.cn/jingxuan/2/e156ab17cefd5eb7957e265d415784c9.html","mipUrl": "https://www.med-credit.org.cn/mobile/jingxuan/2/e156ab17cefd5eb7957e265d415784c9.html","fromSrc": "欢乐橙","datePublished": "2023-02-03T11:30:09","domain": "医疗","category": ["医疗权威文章合作"],"description": "女人脸部嘴角下垂是指两侧嘴角因肌肉受重力影响,出现下垂的趋势的表现。
","extra_headline": [""]},"Author": {"name": "王霞","wapUrl": "https://www.med-credit.org.cn/doctor/578","pcUrl": "https://www.med-credit.org.cn/doctor/578","jobTitle": "副主任医师","headPortrait": "https://www.med-credit.org.cn/uploadfile/member/578/180x180.jpeg","id": "578","description": "王霞,广州医科大学附属第一医院皮肤科副主任医师","memberOf": {"legalName": "广州医科大学附属第一医院","department": "皮肤科","organizationLevel": "三级甲等"}},"Article": {"summaryContent": "女人脸部嘴角下垂是指两侧嘴角因肌肉受重力影响,出现下垂的趋势的表现。
女人脸部嘴角下垂有可能是年龄、重症肌无力等因素引起的,在日常生活中可多吃一些富含胶原蛋白的食物,必要时可前往医院进行药物治疗。

1、年龄因素:随着年龄的增长,机体的新陈代谢会逐渐变慢,胶原蛋白与水分也会随之慢慢流失,机体会出现衰老的表现如皮肤松弛、下垂等。这是生理因素造成,一般不需要特殊处理,平时可以多吃一些富含胶原蛋白的食物如猪皮、猪蹄、鸡爪等,适当进行面部保养,选择合适的补水产品。
2、重症肌无力:如果嘴角下垂的同时还伴有上眼睑下垂、四肢无力甚至吞咽、抬头困难等症状,则考虑可能是重症肌无力。建议尽早去医院就诊并积极治疗,由于这种疾病是免疫系统紊乱导致,因此可以考虑在医生的指导下使用一些免疫抑制药物如糖皮质激素或者胆碱酯酶抑制剂药物如新斯的明等。
除了上述相对常见的原因外,还有其他的可能性疾病,比如中风。
","articleBody": "女人脸部嘴角下垂是指两侧嘴角因肌肉受重力影响,出现下垂的趋势的表现。
女人脸部嘴角下垂有可能是年龄、重症肌无力等因素引起的,在日常生活中可多吃一些富含胶原蛋白的食物,必要时可前往医院进行药物治疗。

1、年龄因素:随着年龄的增长,机体的新陈代谢会逐渐变慢,胶原蛋白与水分也会随之慢慢流失,机体会出现衰老的表现如皮肤松弛、下垂等。这是生理因素造成,一般不需要特殊处理,平时可以多吃一些富含胶原蛋白的食物如猪皮、猪蹄、鸡爪等,适当进行面部保养,选择合适的补水产品。
2、重症肌无力:如果嘴角下垂的同时还伴有上眼睑下垂、四肢无力甚至吞咽、抬头困难等症状,则考虑可能是重症肌无力。建议尽早去医院就诊并积极治疗,由于这种疾病是免疫系统紊乱导致,因此可以考虑在医生的指导下使用一些免疫抑制药物如糖皮质激素或者胆碱酯酶抑制剂药物如新斯的明等。
除了上述相对常见的原因外,还有其他的可能性疾病,比如中风。
","scanCount": 52794}}} {"@context": "https://ziyuan.baidu.com/contexts/cambrian.jsonld","appid": "1650708455561748","icon": "https://www.med-credit.org.cn/style/images/ttlogo.png","content_tag": ["atlas"],"is_mcn": {"thumb_id": "lnsk06v2"},"accid": "4886d626a2804dee5f11168793ce361672f39c25","@id": "https://www.med-credit.org.cn/mobile/jingxuan/2/0d6a0c32fc106a5e03193ebea7c3372b.html","bagWordId": "617_1585235158192099328","title": "皮肤斑块图片","pubDate": "2023-02-03T11:30:09","upDate": "2023-02-03T11:30:09","lrDate": "2023-02-03T11:30:09","description": "皮肤出现斑块,可能为黑色斑块或者褐色斑块。","data": {"WebPage": {"headline": "皮肤斑块图片","pcUrl": "https://www.med-credit.org.cn/jingxuan/2/0d6a0c32fc106a5e03193ebea7c3372b.html","wapUrl": "https://www.med-credit.org.cn/jingxuan/2/0d6a0c32fc106a5e03193ebea7c3372b.html","mipUrl": "https://www.med-credit.org.cn/mobile/jingxuan/2/0d6a0c32fc106a5e03193ebea7c3372b.html","fromSrc": "欢乐橙","datePublished": "2023-02-03T11:30:09","domain": "医疗","category": ["医疗权威文章合作"],"description": "皮肤出现斑块,可能为黑色斑块或者褐色斑块。
","extra_headline": [""]},"Author": {"name": "王霞","wapUrl": "https://www.med-credit.org.cn/doctor/578","pcUrl": "https://www.med-credit.org.cn/doctor/578","jobTitle": "副主任医师","headPortrait": "https://www.med-credit.org.cn/uploadfile/member/578/180x180.jpeg","id": "578","description": "王霞,广州医科大学附属第一医院皮肤科副主任医师","memberOf": {"legalName": "广州医科大学附属第一医院","department": "皮肤科","organizationLevel": "三级甲等"}},"Article": {"summaryContent": "皮肤出现斑块,可能为黑色斑块或者褐色斑块。
黑色斑块可见于太田痣、黑色素痣等;褐色斑块可见于黄褐斑、晒斑等。

1、太田痣:可能与遗传有关,属常染色体显性遗传。皮肤损害发生于一侧面部,特别是三叉神经第一支、第二支所支配的部位,故最常见于眶周、颞部、鼻部、前额和颧骨。约数厘米大小的色素斑可为灰蓝色、青灰色、灰褐色、黑色或紫色,斑片着色不均匀,呈斑点状或网状,界限不清楚。
2、黑色素痣:外观看起来可能是扁平、突起、疣状、颗粒状,或者其它形状,颜色则可能为棕色、黑色或蓝色。
3、黄褐斑:为淡褐色至深褐色的斑点或斑片,边界清楚。呈对称性分布,皮损大小不一,形状不规则,可呈圆形、条形或蝴蝶形。
4、咖啡斑:咖啡斑多于出生时或出生后不久出现的褐色斑片,斑片可随年龄增长而增大、增多,一般不会自行消失。除掌、跖外,身体任何部位均可受累,但多发于面部和躯干,呈散在分布。
除了上述相对常见的原因外,还有其他的可能性疾病,比如老年疣。
","articleBody": "皮肤出现斑块,可能为黑色斑块或者褐色斑块。
黑色斑块可见于太田痣、黑色素痣等;褐色斑块可见于黄褐斑、晒斑等。

1、太田痣:可能与遗传有关,属常染色体显性遗传。皮肤损害发生于一侧面部,特别是三叉神经第一支、第二支所支配的部位,故最常见于眶周、颞部、鼻部、前额和颧骨。约数厘米大小的色素斑可为灰蓝色、青灰色、灰褐色、黑色或紫色,斑片着色不均匀,呈斑点状或网状,界限不清楚。
2、黑色素痣:外观看起来可能是扁平、突起、疣状、颗粒状,或者其它形状,颜色则可能为棕色、黑色或蓝色。
3、黄褐斑:为淡褐色至深褐色的斑点或斑片,边界清楚。呈对称性分布,皮损大小不一,形状不规则,可呈圆形、条形或蝴蝶形。
4、咖啡斑:咖啡斑多于出生时或出生后不久出现的褐色斑片,斑片可随年龄增长而增大、增多,一般不会自行消失。除掌、跖外,身体任何部位均可受累,但多发于面部和躯干,呈散在分布。
除了上述相对常见的原因外,还有其他的可能性疾病,比如老年疣。
","scanCount": 52793}}} {"@context": "https://ziyuan.baidu.com/contexts/cambrian.jsonld","appid": "1650708455561748","icon": "https://www.med-credit.org.cn/style/images/ttlogo.png","content_tag": ["atlas"],"is_mcn": {"thumb_id": "lnsk06v2"},"accid": "4886d626a2804dee5f11168793ce361672f39c25","@id": "https://www.med-credit.org.cn/mobile/jingxuan/2/5103bf2938e683fc48357226e905d9f6.html","bagWordId": "617_1585235158246625280","title": "脸上黄褐斑图片","pubDate": "2023-02-03T11:30:09","upDate": "2023-02-03T11:30:09","lrDate": "2023-02-03T11:30:09","description": "脸上黄褐斑表现为颜面部出现黄褐色色素沉着斑,呈对称性分布;在日光照射下加重,并持续存在。","data": {"WebPage": {"headline": "脸上黄褐斑图片","pcUrl": "https://www.med-credit.org.cn/jingxuan/2/5103bf2938e683fc48357226e905d9f6.html","wapUrl": "https://www.med-credit.org.cn/jingxuan/2/5103bf2938e683fc48357226e905d9f6.html","mipUrl": "https://www.med-credit.org.cn/mobile/jingxuan/2/5103bf2938e683fc48357226e905d9f6.html","fromSrc": "欢乐橙","datePublished": "2023-02-03T11:30:09","domain": "医疗","category": ["医疗权威文章合作"],"description": "脸上黄褐斑表现为颜面部出现黄褐色色素沉着斑,呈对称性分布;在日光照射下加重,并持续存在。
","extra_headline": [""]},"Author": {"name": "王霞","wapUrl": "https://www.med-credit.org.cn/doctor/578","pcUrl": "https://www.med-credit.org.cn/doctor/578","jobTitle": "副主任医师","headPortrait": "https://www.med-credit.org.cn/uploadfile/member/578/180x180.jpeg","id": "578","description": "王霞,广州医科大学附属第一医院皮肤科副主任医师","memberOf": {"legalName": "广州医科大学附属第一医院","department": "皮肤科","organizationLevel": "三级甲等"}},"Article": {"summaryContent": "脸上黄褐斑表现为颜面部出现黄褐色色素沉着斑,呈对称性分布;在日光照射下加重,并持续存在。
黄褐斑的病因尚不清楚,有多种因素参与形成,其中遗传易感性、日晒(紫外线照射)、性激素水平变化是重要的发病因素。皮肤中黑素代谢障碍、表皮通透屏障功能受损、局部炎症反应是本病发生的主要机制。

好发于颧骨突出部位、前额、上唇、鼻部和下颌等日光暴露部位,偶尔也可发生在前臂。皮损多表现为淡褐色至深褐色的斑点或斑片,边界清楚。呈对称性分布,皮损大小不一,形状不规则,可呈圆形、条形或蝴蝶形。
1、遗传易感性
黄褐斑有家族遗传倾向,遗传易感性是黄褐斑发病的主要因素之一。
2、紫外线照射
日光中的紫外线照射被认为是引起黄褐斑发生及加重的主要因素。紫外线照射可引起黑色素细胞功能活化,长期紫外线损伤会使表皮屏障受损,炎症细胞因子释放增多,刺激黑素细胞中酪氨酸酶(黑色素合成的关键酶)活性增加,并促进黑素合成及转运。
3、性激素水平变化
和雌激素、孕激素有关,雌激素可刺激黑素细胞分泌黑素颗粒,孕激素能促使黑素颗粒转运和扩散。
","articleBody": "脸上黄褐斑表现为颜面部出现黄褐色色素沉着斑,呈对称性分布;在日光照射下加重,并持续存在。
黄褐斑的病因尚不清楚,有多种因素参与形成,其中遗传易感性、日晒(紫外线照射)、性激素水平变化是重要的发病因素。皮肤中黑素代谢障碍、表皮通透屏障功能受损、局部炎症反应是本病发生的主要机制。

好发于颧骨突出部位、前额、上唇、鼻部和下颌等日光暴露部位,偶尔也可发生在前臂。皮损多表现为淡褐色至深褐色的斑点或斑片,边界清楚。呈对称性分布,皮损大小不一,形状不规则,可呈圆形、条形或蝴蝶形。
1、遗传易感性
黄褐斑有家族遗传倾向,遗传易感性是黄褐斑发病的主要因素之一。
2、紫外线照射
日光中的紫外线照射被认为是引起黄褐斑发生及加重的主要因素。紫外线照射可引起黑色素细胞功能活化,长期紫外线损伤会使表皮屏障受损,炎症细胞因子释放增多,刺激黑素细胞中酪氨酸酶(黑色素合成的关键酶)活性增加,并促进黑素合成及转运。
3、性激素水平变化
和雌激素、孕激素有关,雌激素可刺激黑素细胞分泌黑素颗粒,孕激素能促使黑素颗粒转运和扩散。
","scanCount": 52792}}} {"@context": "https://ziyuan.baidu.com/contexts/cambrian.jsonld","appid": "1650708455561748","icon": "https://www.med-credit.org.cn/style/images/ttlogo.png","content_tag": ["atlas"],"is_mcn": {"thumb_id": "lnsk06v2"},"accid": "4886d626a2804dee5f11168793ce361672f39c25","@id": "https://www.med-credit.org.cn/mobile/jingxuan/2/1bc7745abe308e86d8e408c5f9b37efd.html","bagWordId": "617_1585235158301151232","title": "疤痕体质图片","pubDate": "2023-02-03T11:30:09","upDate": "2023-02-03T11:30:09","lrDate": "2023-02-03T11:30:09","description": "疤痕体质会导致身体的各个部位容易出现疤痕的情况,尤其是前胸要比后背更容易出现疤痕,身体比面部更容易出现疤痕。","data": {"WebPage": {"headline": "疤痕体质图片","pcUrl": "https://www.med-credit.org.cn/jingxuan/2/1bc7745abe308e86d8e408c5f9b37efd.html","wapUrl": "https://www.med-credit.org.cn/jingxuan/2/1bc7745abe308e86d8e408c5f9b37efd.html","mipUrl": "https://www.med-credit.org.cn/mobile/jingxuan/2/1bc7745abe308e86d8e408c5f9b37efd.html","fromSrc": "欢乐橙","datePublished": "2023-02-03T11:30:09","domain": "医疗","category": ["医疗权威文章合作"],"description": "疤痕体质会导致身体的各个部位容易出现疤痕的情况,尤其是前胸要比后背更容易出现疤痕,身体比面部更容易出现疤痕。
","extra_headline": [""]},"Author": {"name": "王霞","wapUrl": "https://www.med-credit.org.cn/doctor/578","pcUrl": "https://www.med-credit.org.cn/doctor/578","jobTitle": "副主任医师","headPortrait": "https://www.med-credit.org.cn/uploadfile/member/578/180x180.jpeg","id": "578","description": "王霞,广州医科大学附属第一医院皮肤科副主任医师","memberOf": {"legalName": "广州医科大学附属第一医院","department": "皮肤科","organizationLevel": "三级甲等"}},"Article": {"summaryContent": "疤痕体质会导致身体的各个部位容易出现疤痕的情况,尤其是前胸要比后背更容易出现疤痕,身体比面部更容易出现疤痕。
疤痕体质多数和遗传因素、伤口深浅有一定的关系,需要做好皮肤的护理或者是采用激光、磨皮手术等方法来改善,另外需调整好饮食习惯。

1、遗传因素:如果受到遗传因素影响,父母单方或双方是疤痕体质的情况下,孩子也有可能会出现疤痕体质,平常生活中要做好皮肤的护理工作,减少皮肤表面受到创伤的次数,以免形成疤痕。
2、伤口深浅:如果皮肤表面出现伤口时伤口过深,没有及时处理,有可能会导致伤口发炎,甚至引起伤口越来越深,会造成皮肤表面出现疤痕的形成。可以到医院做检查,遵医嘱采用激光或者是磨皮手术用方法来去除疤痕。
在日常生活中要少吃一些刺激性的食物,比如辣椒、芥末油等。
","articleBody": "疤痕体质会导致身体的各个部位容易出现疤痕的情况,尤其是前胸要比后背更容易出现疤痕,身体比面部更容易出现疤痕。
疤痕体质多数和遗传因素、伤口深浅有一定的关系,需要做好皮肤的护理或者是采用激光、磨皮手术等方法来改善,另外需调整好饮食习惯。

1、遗传因素:如果受到遗传因素影响,父母单方或双方是疤痕体质的情况下,孩子也有可能会出现疤痕体质,平常生活中要做好皮肤的护理工作,减少皮肤表面受到创伤的次数,以免形成疤痕。
2、伤口深浅:如果皮肤表面出现伤口时伤口过深,没有及时处理,有可能会导致伤口发炎,甚至引起伤口越来越深,会造成皮肤表面出现疤痕的形成。可以到医院做检查,遵医嘱采用激光或者是磨皮手术用方法来去除疤痕。
在日常生活中要少吃一些刺激性的食物,比如辣椒、芥末油等。
","scanCount": 52791}}} {"@context": "https://ziyuan.baidu.com/contexts/cambrian.jsonld","appid": "1650708455561748","icon": "https://www.med-credit.org.cn/style/images/ttlogo.png","content_tag": ["atlas"],"is_mcn": {"thumb_id": "lnsk06v2"},"accid": "4886d626a2804dee5f11168793ce361672f39c25","@id": "https://www.med-credit.org.cn/mobile/jingxuan/2/76433a67e321a4d7ba83fee660f67d53.html","bagWordId": "617_1585235158355677184","title": "黄褐斑什么样子图片","pubDate": "2023-02-03T11:30:09","upDate": "2023-02-03T11:30:09","lrDate": "2023-02-03T11:30:09","description": "黄褐斑表现为颜面部出现黄褐色色素沉着斑,呈对称性分布;在日光照射下加重,并持续存在。","data": {"WebPage": {"headline": "黄褐斑什么样子图片","pcUrl": "https://www.med-credit.org.cn/jingxuan/2/76433a67e321a4d7ba83fee660f67d53.html","wapUrl": "https://www.med-credit.org.cn/jingxuan/2/76433a67e321a4d7ba83fee660f67d53.html","mipUrl": "https://www.med-credit.org.cn/mobile/jingxuan/2/76433a67e321a4d7ba83fee660f67d53.html","fromSrc": "欢乐橙","datePublished": "2023-02-03T11:30:09","domain": "医疗","category": ["医疗权威文章合作"],"description": "黄褐斑表现为颜面部出现黄褐色色素沉着斑,呈对称性分布;在日光照射下加重,并持续存在。
","extra_headline": [""]},"Author": {"name": "王霞","wapUrl": "https://www.med-credit.org.cn/doctor/578","pcUrl": "https://www.med-credit.org.cn/doctor/578","jobTitle": "副主任医师","headPortrait": "https://www.med-credit.org.cn/uploadfile/member/578/180x180.jpeg","id": "578","description": "王霞,广州医科大学附属第一医院皮肤科副主任医师","memberOf": {"legalName": "广州医科大学附属第一医院","department": "皮肤科","organizationLevel": "三级甲等"}},"Article": {"summaryContent": "黄褐斑表现为颜面部出现黄褐色色素沉着斑,呈对称性分布;在日光照射下加重,并持续存在。
黄褐斑的病因尚不清楚,有多种因素参与形成,其中遗传易感性、日晒(紫外线照射)、性激素水平变化是重要的发病因素。皮肤中黑素代谢障碍、表皮通透屏障功能受损、局部炎症反应是本病发生的主要机制。

好发于颧骨突出部位、前额、上唇、鼻部和下颌等日光暴露部位,偶尔也可发生在前臂。皮损多表现为淡褐色至深褐色的斑点或斑片,边界清楚。呈对称性分布,皮损大小不一,形状不规则,可呈圆形、条形或蝴蝶形。
1、遗传易感性
黄褐斑有家族遗传倾向,遗传易感性是黄褐斑发病的主要因素之一。
2、紫外线照射
日光中的紫外线照射被认为是引起黄褐斑发生及加重的主要因素。紫外线照射可引起黑色素细胞功能活化,长期紫外线损伤会使表皮屏障受损,炎症细胞因子释放增多,刺激黑素细胞中酪氨酸酶(黑色素合成的关键酶)活性增加,并促进黑素合成及转运。
3、性激素水平变化
和雌激素、孕激素有关,雌激素可刺激黑素细胞分泌黑素颗粒,孕激素能促使黑素颗粒转运和扩散。
","articleBody": "黄褐斑表现为颜面部出现黄褐色色素沉着斑,呈对称性分布;在日光照射下加重,并持续存在。
黄褐斑的病因尚不清楚,有多种因素参与形成,其中遗传易感性、日晒(紫外线照射)、性激素水平变化是重要的发病因素。皮肤中黑素代谢障碍、表皮通透屏障功能受损、局部炎症反应是本病发生的主要机制。

好发于颧骨突出部位、前额、上唇、鼻部和下颌等日光暴露部位,偶尔也可发生在前臂。皮损多表现为淡褐色至深褐色的斑点或斑片,边界清楚。呈对称性分布,皮损大小不一,形状不规则,可呈圆形、条形或蝴蝶形。
1、遗传易感性
黄褐斑有家族遗传倾向,遗传易感性是黄褐斑发病的主要因素之一。
2、紫外线照射
日光中的紫外线照射被认为是引起黄褐斑发生及加重的主要因素。紫外线照射可引起黑色素细胞功能活化,长期紫外线损伤会使表皮屏障受损,炎症细胞因子释放增多,刺激黑素细胞中酪氨酸酶(黑色素合成的关键酶)活性增加,并促进黑素合成及转运。
3、性激素水平变化
和雌激素、孕激素有关,雌激素可刺激黑素细胞分泌黑素颗粒,孕激素能促使黑素颗粒转运和扩散。
","scanCount": 52790}}} {"@context": "https://ziyuan.baidu.com/contexts/cambrian.jsonld","appid": "1650708455561748","icon": "https://www.med-credit.org.cn/style/images/ttlogo.png","content_tag": ["atlas"],"is_mcn": {"thumb_id": "lnsk06v2"},"accid": "4886d626a2804dee5f11168793ce361672f39c25","@id": "https://www.med-credit.org.cn/mobile/jingxuan/2/a92384efbe6a0f9068a098b6e62bfa91.html","bagWordId": "617_1585235158410203136","title": "菱形脸图片","pubDate": "2023-02-03T11:30:09","upDate": "2023-02-03T11:30:09","lrDate": "2023-02-03T11:30:09","description": "菱形脸通常是指脸型中间较宽,额头和下颌部位相对较窄的脸型。","data": {"WebPage": {"headline": "菱形脸图片","pcUrl": "https://www.med-credit.org.cn/jingxuan/2/a92384efbe6a0f9068a098b6e62bfa91.html","wapUrl": "https://www.med-credit.org.cn/jingxuan/2/a92384efbe6a0f9068a098b6e62bfa91.html","mipUrl": "https://www.med-credit.org.cn/mobile/jingxuan/2/a92384efbe6a0f9068a098b6e62bfa91.html","fromSrc": "欢乐橙","datePublished": "2023-02-03T11:30:09","domain": "医疗","category": ["医疗权威文章合作"],"description": "菱形脸通常是指脸型中间较宽,额头和下颌部位相对较窄的脸型。
","extra_headline": [""]},"Author": {"name": "王霞","wapUrl": "https://www.med-credit.org.cn/doctor/578","pcUrl": "https://www.med-credit.org.cn/doctor/578","jobTitle": "副主任医师","headPortrait": "https://www.med-credit.org.cn/uploadfile/member/578/180x180.jpeg","id": "578","description": "王霞,广州医科大学附属第一医院皮肤科副主任医师","memberOf": {"legalName": "广州医科大学附属第一医院","department": "皮肤科","organizationLevel": "三级甲等"}},"Article": {"summaryContent": "菱形脸通常是指脸型中间较宽,额头和下颌部位相对较窄的脸型。
菱形脸可以通过化妆、调整发型以及手术治疗等方法来改善脸型,还要调整好生活和饮食习惯。

1、原因:菱形脸通常是由于遗传因素所引发的,但也有少数人因咬肌肥大,继而出现菱形脸的形状。
2、症状:菱形脸又称砖石脸,其脸型特征为太阳穴凹陷、颧骨较高、下巴较尖,因此给人一种脸型中间较宽,额头和下颌部位相对较窄的感觉。
1、化妆及调整发型:菱形脸可以通过化妆或者调整发型的方式来进行改善。化妆时要利用菱形脸的特征,从颧骨到下颌的起伏线条开始化。菱形脸可以选择直发波波头,同时用斜刘海修饰脸型,在日常生活中可将头发塞在耳后,让脸型看起来立体点,同时也有缩小颧骨的效果。
2、药物及手术治疗:可以前往正规医院,在医生指导下注射玻尿酸或者自体脂肪填充,改善脸部凹陷情况,或者可以进行颧骨缩小手术。若为咬肌肥大引起的菱形脸,可遵医嘱注射瘦脸针。
菱形脸调整后要做日常生活的护理,避免伤口部位出现感染,同时还应清淡饮食,忌食辛辣刺激食物,辣椒、生姜或者芥末油等。但若菱形脸并没有给自身生活带来困扰,建议还是尽量不要进行手术治疗。
","articleBody": "菱形脸通常是指脸型中间较宽,额头和下颌部位相对较窄的脸型。
菱形脸可以通过化妆、调整发型以及手术治疗等方法来改善脸型,还要调整好生活和饮食习惯。

1、原因:菱形脸通常是由于遗传因素所引发的,但也有少数人因咬肌肥大,继而出现菱形脸的形状。
2、症状:菱形脸又称砖石脸,其脸型特征为太阳穴凹陷、颧骨较高、下巴较尖,因此给人一种脸型中间较宽,额头和下颌部位相对较窄的感觉。
1、化妆及调整发型:菱形脸可以通过化妆或者调整发型的方式来进行改善。化妆时要利用菱形脸的特征,从颧骨到下颌的起伏线条开始化。菱形脸可以选择直发波波头,同时用斜刘海修饰脸型,在日常生活中可将头发塞在耳后,让脸型看起来立体点,同时也有缩小颧骨的效果。
2、药物及手术治疗:可以前往正规医院,在医生指导下注射玻尿酸或者自体脂肪填充,改善脸部凹陷情况,或者可以进行颧骨缩小手术。若为咬肌肥大引起的菱形脸,可遵医嘱注射瘦脸针。
菱形脸调整后要做日常生活的护理,避免伤口部位出现感染,同时还应清淡饮食,忌食辛辣刺激食物,辣椒、生姜或者芥末油等。但若菱形脸并没有给自身生活带来困扰,建议还是尽量不要进行手术治疗。
","scanCount": 52789}}} {"@context": "https://ziyuan.baidu.com/contexts/cambrian.jsonld","appid": "1650708455561748","icon": "https://www.med-credit.org.cn/style/images/ttlogo.png","content_tag": ["atlas"],"is_mcn": {"thumb_id": "lnsk06v2"},"accid": "4886d626a2804dee5f11168793ce361672f39c25","@id": "https://www.med-credit.org.cn/mobile/jingxuan/2/8ed0a07d706d35e2eeddab571cf5ee54.html","bagWordId": "617_1585235158460534784","title": "老年斑长什么样子的图片","pubDate": "2023-02-03T11:30:09","upDate": "2023-02-03T11:30:09","lrDate": "2023-02-03T11:30:09","description": "老年斑皮损常多发、深色、境界清楚,可为大小不等的斑、扁平丘疹或斑块,表面多粗糙,有黏附在皮肤表面的感觉。一般无明显临床症状,有时个别皮损可有瘙痒或疼痛感。病程缓慢,但也有发疹性发病。","data": {"WebPage": {"headline": "老年斑长什么样子的图片","pcUrl": "https://www.med-credit.org.cn/jingxuan/2/8ed0a07d706d35e2eeddab571cf5ee54.html","wapUrl": "https://www.med-credit.org.cn/jingxuan/2/8ed0a07d706d35e2eeddab571cf5ee54.html","mipUrl": "https://www.med-credit.org.cn/mobile/jingxuan/2/8ed0a07d706d35e2eeddab571cf5ee54.html","fromSrc": "欢乐橙","datePublished": "2023-02-03T11:30:09","domain": "医疗","category": ["医疗权威文章合作"],"description": "老年斑皮损常多发、深色、境界清楚,可为大小不等的斑、扁平丘疹或斑块,表面多粗糙,有黏附在皮肤表面的感觉。一般无明显临床症状,有时个别皮损可有瘙痒或疼痛感。病程缓慢,但也有发疹性发病。
","extra_headline": [""]},"Author": {"name": "王霞","wapUrl": "https://www.med-credit.org.cn/doctor/578","pcUrl": "https://www.med-credit.org.cn/doctor/578","jobTitle": "副主任医师","headPortrait": "https://www.med-credit.org.cn/uploadfile/member/578/180x180.jpeg","id": "578","description": "王霞,广州医科大学附属第一医院皮肤科副主任医师","memberOf": {"legalName": "广州医科大学附属第一医院","department": "皮肤科","organizationLevel": "三级甲等"}},"Article": {"summaryContent": "老年斑皮损常多发、深色、境界清楚,可为大小不等的斑、扁平丘疹或斑块,表面多粗糙,有黏附在皮肤表面的感觉。一般无明显临床症状,有时个别皮损可有瘙痒或疼痛感。病程缓慢,但也有发疹性发病。
老年斑的确切原因和发病机制尚不清楚,其发生和皮肤的老化有相关性,还可能由于遗传、基因突变引起。

皮损可发生于除口腔黏膜、手掌和足底之外的任何体表部位,头面、颈部、手背、躯干等处最常见。直径从数毫米至数厘米,但多在1cm以内。颜色可从肤色至淡褐色至黑色。
形态可以是圆形或卵圆形斑、斑片或丘疹、斑块,表面光滑或粗糙。
1、皮肤老化
主要见于40岁以上成人,其发病率随年龄的增加而增加,亚洲人50岁以上者中有80%~100%患有SK。因此SK损害是伴随着皮肤的老化而出现并逐渐增多的。
2、遗传
多发性SK有一定的遗传易感性,但准确的遗传模式尚不清楚,推测是常染色体显性遗传,伴不同的外显率。
3、基因突变
在SK损害中已经发现一些基因突变,其中最常见的是成纤维细胞生长因子受体3(FGFR3)(见于48%皮损中),其次是PIK3CA(32%),然后是TERT启动子(24%)和DPH3启动子(24%)。
","articleBody": "老年斑皮损常多发、深色、境界清楚,可为大小不等的斑、扁平丘疹或斑块,表面多粗糙,有黏附在皮肤表面的感觉。一般无明显临床症状,有时个别皮损可有瘙痒或疼痛感。病程缓慢,但也有发疹性发病。
老年斑的确切原因和发病机制尚不清楚,其发生和皮肤的老化有相关性,还可能由于遗传、基因突变引起。

皮损可发生于除口腔黏膜、手掌和足底之外的任何体表部位,头面、颈部、手背、躯干等处最常见。直径从数毫米至数厘米,但多在1cm以内。颜色可从肤色至淡褐色至黑色。
形态可以是圆形或卵圆形斑、斑片或丘疹、斑块,表面光滑或粗糙。
1、皮肤老化
主要见于40岁以上成人,其发病率随年龄的增加而增加,亚洲人50岁以上者中有80%~100%患有SK。因此SK损害是伴随着皮肤的老化而出现并逐渐增多的。
2、遗传
多发性SK有一定的遗传易感性,但准确的遗传模式尚不清楚,推测是常染色体显性遗传,伴不同的外显率。
3、基因突变
在SK损害中已经发现一些基因突变,其中最常见的是成纤维细胞生长因子受体3(FGFR3)(见于48%皮损中),其次是PIK3CA(32%),然后是TERT启动子(24%)和DPH3启动子(24%)。
","scanCount": 52788}}}