概述
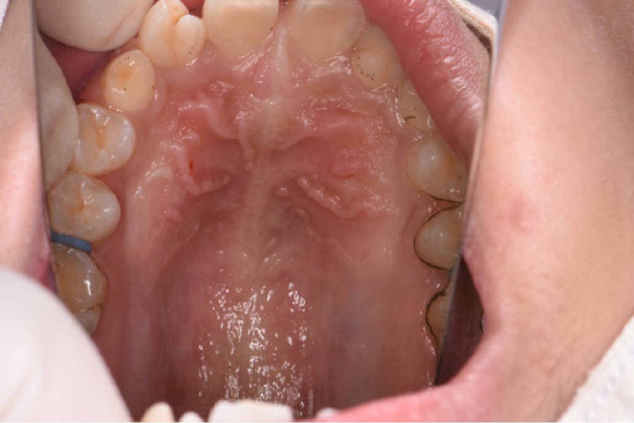
1.正常口腔上颚是指口腔顶部,分隔开口腔和鼻腔,其由硬腭和软腭两部分组成。
2.上颚的功能分前后,前半部分可切断、撕裂食物,后半部分主要起磨碎食物的功能。
外形
1.上颚表面不光滑,由凹凸不平且有分隔区域的软组织覆盖,其周围有较多的神经血管,控制着上颚的运动和血供。

2.硬腭由上颌骨的腭突和腭骨的水平板组成,其上有唾液腺,可分泌唾液;软腭则位于硬腭后面,由结缔组织和肌肉组成,其深处有一乳头状突起,即腭垂,两内侧有扁桃体窦。
功能
硬腭和软腭其功能不同,硬腭主要维持正常发音和咀嚼食物,软腭则对言语、吞咽、呼吸等起重要作用。
注意事项
1.避免直接吞食滚烫、高温食物,尽量吹凉再进食。
2.养成良好生活习惯,定时清洁口腔,早晚刷牙可以起到保护、洁净口腔的作用。
3.如果上颚感觉有出血或者肿物、疼痛感,应及时前往医院耳鼻喉科就诊。